We use cookies to enhance the usability of our website. If you continue, we'll assume that you are happy to receive all cookies. More information. Don't show this again.
PKN3
HPA
RESOURCES
  • TISSUE
  • BRAIN
  • SINGLE CELL
  • SUBCELLULAR
  • CANCER
  • BLOOD
  • CELL LINE
  • STRUCTURE & INTERACTION
ABOUT
  • INTRODUCTION
  • HISTORY
  • ORGANIZATION
  • PUBLICATIONS
  • ANTIBODY SUBMISSION
  • ANTIBODY AVAILABILITY
  • ACKNOWLEDGMENTS
  • CONTACT
NEWS
  • NEWS ARTICLES
  • PRESS ROOM
LEARN
  • DICTIONARY
  • PROTEIN CLASSES
  • PROTEIN EVIDENCE
  • METHODS
  • EDUCATIONAL VIDEOS
DATA
  • DOWNLOADABLE DATA
  • PUBLICATION DATA
  • RELEASE HISTORY
HELP
  • ANTIBODY VALIDATION
  • ASSAYS & ANNOTATION
  • DISCLAIMER
  • HELP & FAQ
  • PRIVACY STATEMENT
  • LICENCE & CITATION
Fields »
Search result

Field
Term
Gene name
Class
Subclass
Class
Keyword
Chromosome
External id
Tissue
Cell type
Expression
Antibody panel
Tissue
Main location
Patient ID
Annotation
Tissue
Category
Tau score
Cluster
Reliability
Brain region
Category
Tau score
Brain region
Category
Tau score
Brain region
Category
Tau score
Cluster
Reliability
Tissue
Cell type
Enrichment
Cell type
Category
Tau score
Cell type
Category
Tau score
Cell type
Category
Tau score
Cell lineage
Category
Tau score
Cluster
Cluster
Location
Searches
Location
Cell line
Class
Type
Phase
Reliability
Cancer
Prognosis
Cancer
Category
Cancer
Category
Tau score
Cluster
Variants
Interacting gene (ensg_id)
Type
Number of interactions
Pathway
Category
Score
Score
Score
Validation
Validation
Validation
Validation
Antibodies
Data type
Column


  • SUMMARY

  • TISSUE

  • BRAIN

  • SINGLE CELL

  • SUBCELL

  • CANCER

  • BLOOD

  • CELL LINE

  • STRUCT & INT

  • PKN3
TISSUE PRIMARY DATA HEART MUSCLE Show tissue menu
ADIPOSE TISSUE ADRENAL GLAND AMYGDALA APPENDIX BASAL GANGLIA BONE MARROW BREAST BRONCHUS CEREBELLUM CEREBRAL CORTEX CERVIX CHOROID PLEXUS COLON DUODENUM
ENDOMETRIUM EPIDIDYMIS ESOPHAGUS FALLOPIAN TUBE GALLBLADDER HEART MUSCLE HIPPOCAMPAL FORMATION HYPOTHALAMUS KIDNEY LIVER LUNG LYMPH NODE MIDBRAIN NASOPHARYNX
ORAL MUCOSA OVARY PANCREAS PARATHYROID GLAND PITUITARY GLAND PLACENTA PROSTATE RECTUM RETINA SALIVARY GLAND SEMINAL VESICLE SKELETAL MUSCLE SKIN SMALL INTESTINE
SMOOTH MUSCLE SOFT TISSUE SPINAL CORD SPLEEN STOMACH TESTIS THYMUS THYROID GLAND TONGUE TONSIL URINARY BLADDER VAGINA
ANTIBODIES
AND
VALIDATION
Dictionary
Heart muscle
Tissue proteome
Heart
HEART MUSCLE - Expression summary
Protein expression
Heart musclei

On the top, protein expression in current human tissue, based on all annotated cell types, is reported with the units not detected (n), low (l), medium (m) and high (h). Underneath, protein expression in each annotated cell type are reported using the same units.

Protein expression data is based on knowledge-based annotation. For genes where more than one antibody has been used, a collective score is set.

If knowledge-based annotation could not be performed for a gene, no data is displayed here. View antibody staining data further down this page.

h
m
l
n
Cardiomyocytes: Medium
RNA expressioni

A summary of mRNA expression data available for current tissue based on several datasets. The mRNA expression levels in human tissues are based on RNA-seq data generated by the Human Protein Atlas (HPA), Genotype-Tissue Expression (GTEx) portal and CAGE data generated by the FANTOM5 consortium. Consensus normalized expression levels for human tissues was created by combining the data from HPA and GTEx datasets.

The mRNA expression levels in pig are based on RNA-seq data generated by the Human Protein Atlas (HPA), and for mouse, HPA data and in situ hybridization generated by the Allen brain atlas are reported.

Scroll down to view mRNA expression data in more detail.
Consensus:15.4 nTPM
HPA:4.3 nTPM
GTEx:15.4 nTPM
FANTOM5:2.1 Scaled Tags Per Million

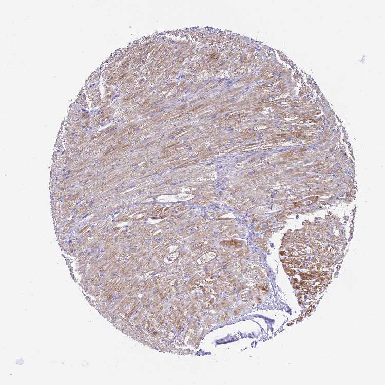
HEART MUSCLE - Antibody stainingi

Antibody staining in the annotated cell types in the current human tissue is reported as not detected, low, medium, or high, based on conventional immunohistochemistry profiling in selected tissues. This score is based on the combination of the staining intensity and fraction of stained cells.

Each image is clickable and will lead to virtual microscopy that enables deeper exploration of all samples and also displays staining intensity scores, fraction scores and subcellular localization as well as patient and tissue information for each sample.

Antibody HPA045390Antibody HPA058305
Cardiomyocytes MediumMedium





HEART MUSCLE - HPA RNA-seqi

The RNA-seq details section shows detailed information about the individual samples used for the transcript profiling and results of the RNA-seq analysis.

Information about each individual sample is listed below, including gender, age, a tissue section image and estimated fractions of cell types. nTPM (normalized transcripts per million) values give a quantification of the gene abundance which is comparable between different genes and samples.
Average nTPMi

Max subtype nTPM is the value for the subtype with the largest average nTPM across the subtype samples.

4.3
overview
Female, age 48
Heart muscle sample 149
nTPM: 4.2
Cell types%
Myocytes:
15

Fibroblasts:
55

Endothelial cells:
25

Other cell types:
5

overview
Female, age 42
Heart muscle sample 150
nTPM: 4.9
Cell types%
Myocytes:
20

Fibroblasts:
45

Endothelial cells:
30

Other cell types:
5

overview
Male, age 53
Heart muscle sample 151
nTPM: 3.7
Cell types%
Myocytes:
20

Fibroblasts:
45

Endothelial cells:
30

Other cell types:
5

overview
Female, age 69
Heart muscle sample 152
nTPM: 4.2
Cell types%
Myocytes:
20

Fibroblasts:
45

Endothelial cells:
30

Other cell types:
5


HEART MUSCLE - GTEx RNA-seqi

RNA-Seq data generated by the Genotype-Tissue Expression (GTEx) project from human tissues is reported as mean nTPM. More information can be found on the GTEx portal.

Distribution across the dataset is visualized with box plots, shown as median and 25th and 75th percentiles. Points are displayed as outliers if they are above or below 1.5 times the interquartile range. nTPM values of the individual samples are presented next to the box plot.
Max subtype nTPMi

Max subtype nTPM is the value for the subtype with the largest average nTPM across the subtype samples.

15.4
GTEx sample id Sample description nTPM
Heart - Atrial Appendage
Average nTPM: 7.1
Samples: 429

Max nTPM: 22.0
Min nTPM: 2.2
Std nTPM: 3.3
Median nTPM: 6.2
GTEX-1KD5A-0926-SM-D4P3U 50-59 years, male 22.0
GTEX-1H2FU-0826-SM-9WYSU 60-69 years, female 20.7
GTEX-13PDP-1326-SM-5K7U9 60-69 years, male 20.4
GTEX-11EQ8-1326-SM-5EGJQ 60-69 years, male 20.1
GTEX-ZXG5-0626-SM-5NQ85 60-69 years, male 19.4
GTEX-117YW-0426-SM-5GZZZ 50-59 years, male 18.3
GTEX-1HCU7-1226-SM-B2LX8 50-59 years, male 18.1
GTEX-1HFI7-0526-SM-A9SMA 50-59 years, female 17.5
GTEX-14C39-0726-SM-5RQIK 40-49 years, male 16.8
GTEX-1C6WA-0826-SM-7PBXS 60-69 years, male 15.9
GTEX-WOFL-1226-SM-4OOST 60-69 years, male 15.8
GTEX-1CB4H-0626-SM-7IGN3 60-69 years, female 14.7
GTEX-1F75B-1126-SM-7RHGP 50-59 years, male 14.6
GTEX-15SKB-0926-SM-7KUFC 60-69 years, male 14.5
GTEX-1MJK2-1626-SM-EVYCQ 50-59 years, male 14.5
GTEX-1QP29-1426-SM-DTX9Q 50-59 years, male 14.5
GTEX-X261-0926-SM-3NMCY 50-59 years, male 14.2
GTEX-1IOXB-0726-SM-A9G32 50-59 years, male 13.8
GTEX-ZZPT-0926-SM-5GICZ 50-59 years, male 13.7
GTEX-1KANC-0226-SM-E9TIW 50-59 years, female 13.5
GTEX-15D1Q-0426-SM-6AJ9G 40-49 years, male 13.4
GTEX-1A8G6-1826-SM-73KY8 60-69 years, male 13.4
GTEX-1M5QR-1626-SM-E9U5O 40-49 years, male 13.4
GTEX-1POEN-0726-SM-DTXDU 30-39 years, female 13.3
GTEX-WRHU-1026-SM-4E3ID 50-59 years, female 13.2
GTEX-11ZVC-0526-SM-5N9G1 50-59 years, female 12.7
GTEX-1RLM8-0226-SM-E6CJY 50-59 years, male 12.7
GTEX-13O3Q-0326-SM-5L3FE 50-59 years, male 12.6
GTEX-145MN-0726-SM-5NQBH 30-39 years, male 12.5
GTEX-ZAJG-0926-SM-5Q5AB 50-59 years, female 12.5
GTEX-1MJIX-0426-SM-DTXEN 40-49 years, male 12.5
GTEX-1477Z-1126-SM-5P9GK 60-69 years, male 12.4
GTEX-132AR-1926-SM-5EGK5 50-59 years, female 12.3
GTEX-13QBU-0226-SM-5LU48 40-49 years, female 12.3
GTEX-1B932-1326-SM-79OM4 40-49 years, female 12.3
GTEX-WYJK-1126-SM-3NM9Z 50-59 years, male 12.3
GTEX-17F9Y-1226-SM-7EPGE 70-79 years, female 12.1
GTEX-13NYS-1926-SM-5IJCB 60-69 years, male 12.0
GTEX-1GN1V-1026-SM-CNPPS 60-69 years, male 12.0
GTEX-13W3W-0526-SM-5LU3X 60-69 years, female 11.9
GTEX-1IL2V-1126-SM-CMKGH 70-79 years, male 11.9
GTEX-13VXT-0726-SM-5SIAD 20-29 years, female 11.7
GTEX-1212Z-0726-SM-5EGI5 60-69 years, male 11.6
GTEX-1IKJJ-0626-SM-CY8GF 60-69 years, male 11.6
GTEX-WWYW-1126-SM-3NB2Q 50-59 years, female 11.5
GTEX-14PJ2-1126-SM-69LOD 50-59 years, male 11.4
GTEX-17MF6-0926-SM-7LTAL 40-49 years, male 11.4
GTEX-1JMOU-0326-SM-ARL8X 60-69 years, female 11.4
GTEX-1EH9U-0626-SM-7PC33 60-69 years, male 11.3
GTEX-1H1CY-0426-SM-9KNVD 60-69 years, female 11.2
GTEX-YECK-1226-SM-4W21G 60-69 years, male 11.1
GTEX-1I1GV-1426-SM-B2LXN 60-69 years, male 11.1
GTEX-13FXS-1026-SM-62LFQ 50-59 years, male 11.0
GTEX-1HUB1-0726-SM-CGQF4 60-69 years, male 11.0
GTEX-12BJ1-0326-SM-5FQUB 60-69 years, male 10.9
GTEX-12WSA-1126-SM-5EGKU 60-69 years, male 10.9
GTEX-1C64O-0926-SM-79OLN 60-69 years, male 10.9
GTEX-11GS4-0426-SM-5N9CD 60-69 years, male 10.8
GTEX-13SLW-0826-SM-5QGP7 70-79 years, male 10.8
GTEX-1H3VY-1126-SM-A96TP 50-59 years, male 10.8
GTEX-15SHU-0926-SM-6PAMK 40-49 years, female 10.7
GTEX-ZVT4-1326-SM-5NQ8E 50-59 years, female 10.7
GTEX-1CAMS-1126-SM-7MXUQ 40-49 years, female 10.7
GTEX-1QP6S-1026-SM-DTXFW 40-49 years, male 10.7
GTEX-11O72-1026-SM-5986B 40-49 years, male 10.5
GTEX-11EMC-0826-SM-59862 60-69 years, female 10.3
GTEX-13D11-1526-SM-5J2NA 50-59 years, female 10.3
GTEX-13PL6-0826-SM-5IJBI 40-49 years, female 10.3
GTEX-1AX9J-0926-SM-73KXA 60-69 years, male 10.3
GTEX-WHSE-0826-SM-4SOJU 20-29 years, male 10.3
GTEX-1GF9U-0526-SM-7P8SK 40-49 years, female 10.3
GTEX-WI4N-0726-SM-3TW93 40-49 years, female 10.2
GTEX-XGQ4-0526-SM-4AT6C 50-59 years, male 10.2
GTEX-17GQL-0626-SM-731CN 60-69 years, male 10.1
GTEX-WYBS-1226-SM-3NM9N 60-69 years, female 10.0
GTEX-1C6VQ-0826-SM-7PBZT 50-59 years, male 10.0
GTEX-1HSMO-1126-SM-CGQF2 60-69 years, male 10.0
GTEX-VJWN-1026-SM-4M1ZN 50-59 years, female 9.8
GTEX-11ONC-1026-SM-5GU64 60-69 years, male 9.7
GTEX-13JUV-0226-SM-5IJCC 40-49 years, female 9.7
GTEX-13NZA-0826-SM-5K7WS 60-69 years, male 9.6
GTEX-146FH-1126-SM-5NQAT 50-59 years, female 9.6
GTEX-14C38-1326-SM-62LDK 50-59 years, male 9.6
GTEX-ZLFU-0326-SM-4WWBK 40-49 years, male 9.6
GTEX-11EM3-0426-SM-5N9BZ 20-29 years, female 9.5
GTEX-V1D1-0626-SM-4JBHN 50-59 years, male 9.5
GTEX-1A8FM-1026-SM-7PC26 50-59 years, female 9.5
GTEX-1HC8U-0626-SM-B2LWB 40-49 years, female 9.5
GTEX-1KANB-1126-SM-DHXJT 50-59 years, male 9.5
GTEX-1HBPN-0926-SM-CGQEG 50-59 years, male 9.4
GTEX-ZPIC-0426-SM-DO91V 40-49 years, female 9.4
GTEX-13RTJ-0526-SM-62LDP 60-69 years, male 9.3
GTEX-YEC4-0226-SM-4W1YG 40-49 years, male 9.3
GTEX-1H3O1-0226-SM-9WYSW 60-69 years, male 9.3
GTEX-13O61-0426-SM-5L3ET 60-69 years, male 9.2
GTEX-X4XX-1126-SM-3NMBY 60-69 years, male 9.1
GTEX-ZF3C-1126-SM-57WEG 50-59 years, female 9.1
GTEX-1GF9V-1726-SM-9KNW4 60-69 years, male 9.1
GTEX-12WSI-0426-SM-5EQ5J 50-59 years, male 9.0
GTEX-14BIL-0926-SM-7DHKN 50-59 years, male 9.0
GTEX-11TUW-1126-SM-5EQKJ 60-69 years, male 8.9
GTEX-148VJ-1426-SM-5TDE3 70-79 years, male 8.9
GTEX-X62O-0826-SM-46MW8 50-59 years, male 8.9
GTEX-12584-1026-SM-59HK3 40-49 years, male 8.8
GTEX-1A3MX-1226-SM-731B3 60-69 years, male 8.8
GTEX-1EWIQ-1126-SM-7EPIK 70-79 years, female 8.8
GTEX-1IKOH-0926-SM-A9SLU 60-69 years, female 8.8
GTEX-1C2JI-0626-SM-7DHM1 50-59 years, male 8.7
GTEX-1EX96-2626-SM-9MQJV 50-59 years, male 8.7
GTEX-131XF-0426-SM-5HL7U 60-69 years, male 8.6
GTEX-13OW5-0926-SM-5L3GZ 60-69 years, male 8.6
GTEX-WQUQ-1326-SM-3MJFF 60-69 years, male 8.6
GTEX-1H11D-1026-SM-9QEIU 40-49 years, male 8.6
GTEX-1399U-0726-SM-5KM1D 50-59 years, female 8.5
GTEX-1OFPY-0926-SM-DTX8Q 60-69 years, male 8.5
GTEX-14A5I-1026-SM-5Q5E3 50-59 years, female 8.4
GTEX-14BIM-2726-SM-5Q5EG 60-69 years, female 8.4
GTEX-14PJ4-0926-SM-5YY98 60-69 years, male 8.4
GTEX-1J8Q2-1026-SM-ARU8I 60-69 years, male 8.4
GTEX-18A6Q-1526-SM-731CO 60-69 years, male 8.3
GTEX-XQ8I-0226-SM-4BOPM 50-59 years, male 8.3
GTEX-V955-0826-SM-CYPR5 60-69 years, male 8.3
GTEX-Y3I4-0526-SM-4TT6X 50-59 years, male 8.2
GTEX-14E6C-0326-SM-5Q5EE 40-49 years, male 8.1
GTEX-Y5V5-0726-SM-4VBPY 60-69 years, female 8.1
GTEX-1I1GR-1026-SM-A9SLC 60-69 years, male 8.1
GTEX-13YAN-1426-SM-7EPG8 60-69 years, male 8.0
GTEX-X8HC-1026-SM-46MWH 50-59 years, female 8.0
GTEX-ZYVF-1826-SM-5E44F 50-59 years, female 8.0
GTEX-139YR-0526-SM-5L3DG 50-59 years, male 7.9
GTEX-14PK6-0726-SM-6LLIX 70-79 years, female 7.9
GTEX-1HBPM-1026-SM-ARL9D 60-69 years, female 7.9
GTEX-12ZZY-1226-SM-5GCNK 60-69 years, male 7.8
GTEX-13112-0526-SM-5EQ4S 50-59 years, male 7.8
GTEX-WL46-0726-SM-3LK5Z 50-59 years, male 7.8
GTEX-XPVG-0726-SM-4B658 50-59 years, male 7.8
GTEX-1LVAO-0626-SM-EWRNT 60-69 years, male 7.8
GTEX-13X6J-1226-SM-79OMF 50-59 years, male 7.7
GTEX-1AX9I-1026-SM-73KYF 60-69 years, male 7.7
GTEX-1B933-0826-SM-79OMW 50-59 years, female 7.7
GTEX-1B996-1026-SM-793CF 60-69 years, male 7.7
GTEX-ZT9W-0526-SM-57WFG 50-59 years, male 7.7
GTEX-1LSNL-0626-SM-DIPFJ 50-59 years, male 7.7
GTEX-11LCK-0826-SM-5PNYD 30-39 years, male 7.6
GTEX-11WQK-0226-SM-5EQLI 50-59 years, male 7.6
GTEX-13OVI-0326-SM-5K7X1 60-69 years, female 7.6
GTEX-14BIN-2126-SM-793AX 50-59 years, female 7.6
GTEX-WHWD-0326-SM-3LK6L 50-59 years, male 7.6
GTEX-13O3P-1426-SM-5L3DT 50-59 years, male 7.5
GTEX-XPT6-0226-SM-4B65L 20-29 years, male 7.5
GTEX-ZDTT-0326-SM-4WKF9 60-69 years, male 7.5
GTEX-1JJ6O-2226-SM-AHZ3I 60-69 years, male 7.5
GTEX-1122O-0626-SM-5N9B9 60-69 years, female 7.4
GTEX-13PVR-0926-SM-5S2RB 60-69 years, female 7.4
GTEX-Y114-0126-SM-4TT8K 50-59 years, female 7.4
GTEX-1JMLX-1826-SM-CNPOX 50-59 years, male 7.4
GTEX-1AX8Z-1126-SM-731CS 60-69 years, male 7.3
GTEX-1I1HK-0626-SM-CNPQM 60-69 years, male 7.3
GTEX-13FH7-0826-SM-5J2NW 50-59 years, female 7.2
GTEX-15EU6-1326-SM-6PANG 50-59 years, male 7.2
GTEX-1B8KE-0326-SM-73KTY 50-59 years, male 7.2
GTEX-1B97J-0326-SM-7939H 50-59 years, female 7.2
GTEX-1P4AB-0926-SM-E76PV 50-59 years, male 7.2
GTEX-ZF29-0426-SM-4WKFN 60-69 years, female 7.1
GTEX-ZG7Y-1426-SM-4WWBM 50-59 years, male 7.1
GTEX-1IDJF-0826-SM-ARU7N 20-29 years, male 7.1
GTEX-1JN6P-0826-SM-ARL97 60-69 years, male 7.1
GTEX-1LVAN-1526-SM-CNPQN 50-59 years, female 7.1
GTEX-1192X-0726-SM-5987R 50-59 years, male 7.0
GTEX-183WM-0926-SM-718AN 70-79 years, female 7.0
GTEX-Y3IK-1026-SM-51MR7 50-59 years, female 7.0
GTEX-ZUA1-0726-SM-4YCD9 40-49 years, male 7.0
GTEX-1L5NE-0526-SM-DIPG5 50-59 years, male 7.0
GTEX-1LGOU-0326-SM-D3LAM 20-29 years, female 7.0
GTEX-1CB4I-1526-SM-7DHMY 50-59 years, male 6.9
GTEX-1E2YA-0626-SM-7P8P4 50-59 years, male 6.9
GTEX-1J1OQ-2226-SM-A96SS 40-49 years, female 6.9
GTEX-1399S-0826-SM-5KM23 30-39 years, female 6.8
GTEX-13O3O-1426-SM-5KM2S 60-69 years, female 6.8
GTEX-14C5O-1226-SM-664N3 60-69 years, male 6.8
GTEX-17EVP-0526-SM-7EPGY 40-49 years, male 6.8
GTEX-WH7G-0326-SM-3NMBH 40-49 years, male 6.8
GTEX-1399T-0726-SM-5J1MH 60-69 years, male 6.7
GTEX-14H4A-0426-SM-5ZZWO 40-49 years, female 6.7
GTEX-15DCE-0826-SM-7KULW 20-29 years, male 6.7
GTEX-ZDYS-0326-SM-5HL4W 50-59 years, male 6.7
GTEX-ZE7O-0626-SM-57WCD 50-59 years, female 6.7
GTEX-ZVT2-0926-SM-5GICE 50-59 years, female 6.7
GTEX-1H1ZS-1026-SM-9WG6E 70-79 years, male 6.7
GTEX-11DXY-1026-SM-5987V 60-69 years, male 6.6
GTEX-X3Y1-0226-SM-3P5Z5 40-49 years, male 6.6
GTEX-ZZPU-1126-SM-5N9CW 50-59 years, female 6.6
GTEX-1J8Q3-1126-SM-ARU8N 60-69 years, male 6.6
GTEX-1LG7Y-1426-SM-D4P31 50-59 years, male 6.6
GTEX-1LSNM-0426-SM-E9TIZ 50-59 years, male 6.6
GTEX-1GN1W-0226-SM-7P8QY 50-59 years, female 6.5
GTEX-1JMQK-0926-SM-ARL96 60-69 years, male 6.5
GTEX-1KXAM-1426-SM-D3LAC 60-69 years, male 6.5
GTEX-117XS-0726-SM-5H131 60-69 years, male 6.4
GTEX-11ZUS-0326-SM-5EQ4W 30-39 years, male 6.4
GTEX-1339X-0326-SM-5K7Z8 40-49 years, male 6.4
GTEX-147F4-1126-SM-5TDDE 50-59 years, male 6.4
GTEX-1CB4J-0226-SM-7P8T4 60-69 years, male 6.4
GTEX-1IKOE-0626-SM-A9G31 30-39 years, female 6.4
GTEX-1LH75-0526-SM-DIPG2 50-59 years, female 6.4
GTEX-11DXX-0526-SM-5PNVR 60-69 years, female 6.3
GTEX-11TT1-1426-SM-5EGIA 20-29 years, male 6.3
GTEX-18D9U-1426-SM-718BO 40-49 years, male 6.3
GTEX-U8XE-0926-SM-3DB8V 30-39 years, male 6.3
GTEX-YF7O-0526-SM-5P9IO 50-59 years, male 6.3
GTEX-1QCLZ-1126-SM-EWRNB 60-69 years, female 6.3
GTEX-YEC3-0426-SM-CYPS8 50-59 years, male 6.3
GTEX-ZV7C-0526-SM-9WPNK 50-59 years, male 6.3
GTEX-111VG-0326-SM-5GZX7 60-69 years, male 6.2
GTEX-11P81-0526-SM-59873 30-39 years, female 6.2
GTEX-14PJO-0826-SM-6ETZK 60-69 years, male 6.2
GTEX-15SHV-0526-SM-7KUEN 60-69 years, male 6.2
GTEX-1117F-0726-SM-5GIEN 60-69 years, female 6.1
GTEX-117YX-0626-SM-5EGJI 50-59 years, male 6.1
GTEX-13FTZ-0326-SM-5J1O1 60-69 years, male 6.1
GTEX-146FR-0926-SM-5QGPE 60-69 years, female 6.1
GTEX-15UF7-1526-SM-6LPI7 40-49 years, male 6.1
GTEX-16XZZ-1026-SM-7DHKS 60-69 years, male 6.1
GTEX-1GL5R-0426-SM-9WPOP 50-59 years, male 6.1
GTEX-1GZ2Q-0926-SM-7RHHN 40-49 years, male 6.1
GTEX-1PPGY-0926-SM-DTXFF 60-69 years, male 6.1
GTEX-1QPFJ-0926-SM-EVR3K 30-39 years, female 6.1
GTEX-1RB15-0426-SM-E9U4Y 60-69 years, male 6.1
GTEX-13SLX-0926-SM-5S2NM 50-59 years, female 6.0
GTEX-14PN3-0726-SM-6EU14 60-69 years, female 6.0
GTEX-1CB4E-0626-SM-7DHMW 60-69 years, male 6.0
GTEX-XQ3S-0526-SM-4BOQA 20-29 years, male 6.0
GTEX-XXEK-2026-SM-4BRVE 50-59 years, male 6.0
GTEX-ZYFG-0526-SM-5GZXX 60-69 years, female 6.0
GTEX-1GMRU-1326-SM-9WYUI 50-59 years, male 6.0
GTEX-1HR98-1026-SM-CKZOM 60-69 years, male 6.0
GTEX-111YS-0326-SM-5GZZ3 60-69 years, male 5.9
GTEX-1192W-0226-SM-5EGGT 60-69 years, male 5.9
GTEX-13OVG-0426-SM-5KM2T 60-69 years, male 5.9
GTEX-16XZY-0526-SM-7DHKY 70-79 years, male 5.9
GTEX-XBEC-1226-SM-4AT65 50-59 years, male 5.9
GTEX-YFC4-0426-SM-4TT3J 40-49 years, female 5.9
GTEX-1B8L1-0426-SM-7SB76 60-69 years, male 5.9
GTEX-1F75I-1326-SM-7PBZX 40-49 years, male 5.9
GTEX-1F88F-0326-SM-9KNV3 60-69 years, female 5.9
GTEX-1NHNU-0626-SM-E6CP1 50-59 years, male 5.9
GTEX-ZPCL-0526-SM-DO91R 60-69 years, female 5.9
GTEX-131XG-0526-SM-5DUWF 50-59 years, female 5.8
GTEX-17HGU-1126-SM-793BP 50-59 years, male 5.8
GTEX-1K2DU-0226-SM-DIPF6 20-29 years, male 5.8
GTEX-144GL-1026-SM-5O99R 50-59 years, male 5.7
GTEX-14PHX-0626-SM-5YY8Z 50-59 years, male 5.7
GTEX-14PN4-0826-SM-69LON 50-59 years, male 5.7
GTEX-1AX9K-0426-SM-73KUG 50-59 years, male 5.7
GTEX-1CB4G-0726-SM-79OOJ 60-69 years, male 5.7
GTEX-YB5K-0226-SM-5IFJE 40-49 years, female 5.7
GTEX-1F75A-1026-SM-7PC3W 50-59 years, male 5.7
GTEX-1H3NZ-1026-SM-A9SM5 60-69 years, male 5.7
GTEX-1HBPH-0226-SM-9WYSM 40-49 years, female 5.7
GTEX-1NSGN-1226-SM-E76OL 50-59 years, male 5.7
GTEX-12WSN-0226-SM-5DUXH 40-49 years, male 5.6
GTEX-132QS-0526-SM-5IJC7 60-69 years, male 5.6
GTEX-Y8E4-0426-SM-4V6GB 40-49 years, male 5.6
GTEX-1J8QM-0326-SM-CL53D 60-69 years, female 5.6
GTEX-13PL7-0726-SM-5KM1S 60-69 years, female 5.5
GTEX-13S86-0326-SM-5SI6K 40-49 years, male 5.5
GTEX-18D9B-1126-SM-7KFSH 60-69 years, male 5.5
GTEX-UTHO-1226-SM-3GAEE 60-69 years, male 5.5
GTEX-WFG7-0826-SM-3GIKU 20-29 years, male 5.5
GTEX-ZGAY-0226-SM-4WWAL 40-49 years, female 5.5
GTEX-1ICG6-0726-SM-B2LY5 70-79 years, female 5.5
GTEX-1MCC2-0226-SM-EVYD5 30-39 years, female 5.5
GTEX-12WSK-0526-SM-5CVNA 40-49 years, female 5.4
GTEX-16NPX-0826-SM-6M489 50-59 years, male 5.4
GTEX-VUSG-0726-SM-3GIK1 50-59 years, male 5.4
GTEX-WY7C-1126-SM-3NB3A 50-59 years, male 5.4
GTEX-XYKS-0226-SM-4BRW3 60-69 years, female 5.4
GTEX-ZTPG-1326-SM-51MSQ 20-29 years, female 5.4
GTEX-13FTW-0826-SM-5K7XR 40-49 years, male 5.3
GTEX-14E7W-1126-SM-5ZZVS 70-79 years, male 5.3
GTEX-1I1CD-1326-SM-A9SMM 60-69 years, female 5.3
GTEX-1IDJU-0626-SM-CKZOG 60-69 years, female 5.3
GTEX-1JK1U-0626-SM-CKZOJ 60-69 years, male 5.3
GTEX-1LB8K-0926-SM-D4P42 50-59 years, male 5.3
GTEX-111FC-0626-SM-5N9CU 60-69 years, male 5.2
GTEX-14XAO-0926-SM-69LPZ 60-69 years, female 5.2
GTEX-17F96-0826-SM-7DHLU 70-79 years, male 5.2
GTEX-18465-0726-SM-7LG4L 50-59 years, male 5.2
GTEX-X5EB-0626-SM-46MVQ 40-49 years, male 5.2
GTEX-1CAMQ-0726-SM-7P8SG 40-49 years, male 5.2
GTEX-1GN2E-1426-SM-7RHHI 60-69 years, male 5.2
GTEX-1HSKV-0726-SM-ACKWE 60-69 years, male 5.2
GTEX-1IDJH-1126-SM-COH3R 70-79 years, male 5.2
GTEX-13CF2-0226-SM-5L3DV 60-69 years, male 5.1
GTEX-14PJ6-0626-SM-686Z6 60-69 years, female 5.1
GTEX-15SDE-1826-SM-7KUFN 50-59 years, female 5.1
GTEX-1A32A-1326-SM-73KWW 50-59 years, female 5.1
GTEX-WFON-0226-SM-3GIKR 40-49 years, male 5.1
GTEX-1EU9M-1926-SM-7RHH4 60-69 years, male 5.1
GTEX-1HSMQ-0426-SM-ADEIM 50-59 years, male 5.1
GTEX-1IY9M-0626-SM-D4P2L 60-69 years, male 5.1
GTEX-11ZTT-0526-SM-5EQLA 60-69 years, female 5.0
GTEX-12WSD-1226-SM-5HL9Q 60-69 years, female 5.0
GTEX-132NY-1426-SM-5J1MJ 60-69 years, male 5.0
GTEX-13OW6-0926-SM-5L3GM 50-59 years, male 5.0
GTEX-13OW7-1626-SM-5IJDH 50-59 years, male 5.0
GTEX-145LS-1326-SM-5Q5EP 60-69 years, female 5.0
GTEX-16MT8-0826-SM-7KULO 60-69 years, female 5.0
GTEX-WFG8-0726-SM-3GILP 20-29 years, male 5.0
GTEX-XV7Q-0726-SM-4BRV6 40-49 years, female 5.0
GTEX-ZDXO-0426-SM-4WKF6 60-69 years, male 5.0
GTEX-1GMR8-1026-SM-9MQLA 50-59 years, female 5.0
GTEX-1JMQL-1026-SM-CMKGV 50-59 years, female 5.0
GTEX-131XE-0526-SM-5K7YT 50-59 years, male 4.9
GTEX-13PVQ-1326-SM-5LU4J 50-59 years, male 4.9
GTEX-13U4I-0626-SM-5LU5L 40-49 years, female 4.9
GTEX-13X6K-1726-SM-7IGLG 60-69 years, female 4.9
GTEX-145LV-0226-SM-5S2QG 50-59 years, male 4.9
GTEX-15RJE-0726-SM-7KUEG 40-49 years, male 4.9
GTEX-16GPK-1226-SM-7LTAU 60-69 years, male 4.9
GTEX-Z93S-0326-SM-5HL84 50-59 years, male 4.9
GTEX-ZTTD-0626-SM-4YCCY 50-59 years, male 4.9
GTEX-1F48J-1126-SM-9WYSY 50-59 years, female 4.9
GTEX-1IDJD-0226-SM-CKZOA 30-39 years, male 4.9
GTEX-139TU-1926-SM-5J2OC 60-69 years, male 4.8
GTEX-15CHR-0326-SM-7DHN3 50-59 years, male 4.8
GTEX-1HSGN-0926-SM-CNNQM 40-49 years, female 4.8
GTEX-1R7EV-0426-SM-DTX7Z 40-49 years, male 4.8
GTEX-ZEX8-0326-SM-DO92C 50-59 years, male 4.8
GTEX-14PHY-0326-SM-62LE3 60-69 years, female 4.7
GTEX-17F9E-0726-SM-793A1 50-59 years, male 4.7
GTEX-18A66-1126-SM-731C5 60-69 years, male 4.7
GTEX-1399R-1726-SM-5K7YJ 30-39 years, male 4.6
GTEX-1E1VI-1426-SM-793CY 50-59 years, male 4.6
GTEX-W5X1-0826-SM-3GILN 40-49 years, female 4.6
GTEX-WEY5-0226-SM-3GIKN 40-49 years, female 4.6
GTEX-ZAB5-0126-SM-5CVMT 50-59 years, male 4.6
GTEX-1C64N-0826-SM-7RHGQ 50-59 years, male 4.6
GTEX-1EMGI-1126-SM-9KNUF 60-69 years, male 4.6
GTEX-1I19N-0626-SM-A9SKY 70-79 years, male 4.6
GTEX-1I1GP-0626-SM-ARL7H 50-59 years, male 4.6
GTEX-1211K-0226-SM-59HJY 60-69 years, female 4.5
GTEX-12696-1226-SM-5FQSM 60-69 years, male 4.5
GTEX-12WSG-1226-SM-5EQ4C 50-59 years, female 4.5
GTEX-13NZB-0426-SM-5KM26 30-39 years, male 4.5
GTEX-16YQH-0726-SM-7IGM1 30-39 years, male 4.5
GTEX-1GMR3-0426-SM-7PC17 40-49 years, male 4.5
GTEX-1H1DG-0826-SM-9QEIW 70-79 years, male 4.5
GTEX-1HCVE-0826-SM-CM2SF 50-59 years, male 4.5
GTEX-1HFI6-0826-SM-9YFM2 40-49 years, male 4.5
GTEX-11GSP-1226-SM-5985M 60-69 years, female 4.4
GTEX-132Q8-1126-SM-5K7XS 60-69 years, male 4.4
GTEX-18A67-1026-SM-731CE 50-59 years, male 4.4
GTEX-WHPG-1026-SM-3NMBA 50-59 years, male 4.4
GTEX-1GMR2-1326-SM-9KNUT 50-59 years, male 4.4
GTEX-1HCUA-0626-SM-ACKVT 50-59 years, female 4.4
GTEX-1R9JW-0426-SM-E76QL 30-39 years, female 4.4
GTEX-13JVG-1126-SM-5KM2M 60-69 years, male 4.3
GTEX-14A6H-0326-SM-5NQAN 30-39 years, male 4.3
GTEX-15CHC-0326-SM-5ZZVP 60-69 years, female 4.3
GTEX-1B8SG-0726-SM-79ONS 50-59 years, male 4.3
GTEX-YJ8O-0826-SM-5CVM3 40-49 years, female 4.3
GTEX-ZYFD-2026-SM-5E459 50-59 years, male 4.3
GTEX-1I1GQ-1226-SM-CL55J 50-59 years, male 4.3
GTEX-1IKK5-1726-SM-CM2RU 60-69 years, male 4.3
GTEX-1LGRB-1026-SM-CNPQD 50-59 years, female 4.3
GTEX-11NUK-0926-SM-5HL57 50-59 years, male 4.2
GTEX-12WSE-0926-SM-5S2VX 20-29 years, male 4.2
GTEX-UPK5-0226-SM-3GAEV 40-49 years, male 4.2
GTEX-XOT4-1126-SM-4B66E 60-69 years, female 4.2
GTEX-1QEPI-1126-SM-E8VN7 60-69 years, female 4.2
GTEX-13O21-0326-SM-5J1N9 50-59 years, male 4.1
GTEX-147JS-1326-SM-5SI6D 60-69 years, male 4.1
GTEX-15ER7-0826-SM-6PALW 20-29 years, female 4.1
GTEX-1QMI2-1026-SM-DTX7T 60-69 years, male 4.1
GTEX-1B8SF-1326-SM-7IGQJ 60-69 years, male 4.0
GTEX-ZDTS-1226-SM-4WKGL 60-69 years, male 4.0
GTEX-ZPU1-0726-SM-5HL6O 40-49 years, male 4.0
GTEX-ZVT3-0826-SM-5GIC8 60-69 years, female 4.0
GTEX-1GN1U-1426-SM-7P8TF 50-59 years, female 4.0
GTEX-11DXZ-0326-SM-5EGH1 50-59 years, male 3.9
GTEX-14PII-1026-SM-5ZZVW 60-69 years, male 3.9
GTEX-15RIE-1326-SM-6PAMM 60-69 years, male 3.9
GTEX-ZYT6-0926-SM-5GIEM 30-39 years, male 3.9
GTEX-1F6I4-0826-SM-7RHGK 60-69 years, male 3.9
GTEX-1GN73-2326-SM-9MQKV 60-69 years, male 3.9
GTEX-1GZ4I-0826-SM-9WG6O 50-59 years, male 3.9
GTEX-1R9K4-1026-SM-EXUT1 60-69 years, male 3.9
GTEX-14DAQ-1026-SM-793B1 60-69 years, female 3.8
GTEX-1BAJH-1026-SM-7EWEG 70-79 years, male 3.8
GTEX-1AYCT-0526-SM-7RHHS 50-59 years, male 3.8
GTEX-1JJEA-0926-SM-CYPSO 60-69 years, male 3.8
GTEX-11UD2-0926-SM-5CVL6 50-59 years, male 3.7
GTEX-13FHP-0826-SM-5K7V5 50-59 years, male 3.7
GTEX-17KNJ-0626-SM-7LT9L 50-59 years, male 3.7
GTEX-13N11-0726-SM-5L3DP 50-59 years, female 3.6
GTEX-13N1W-0926-SM-5MR36 70-79 years, male 3.6
GTEX-14ASI-0826-SM-5Q5EB 60-69 years, male 3.6
GTEX-14PJM-0826-SM-6LLIW 50-59 years, female 3.6
GTEX-17JCI-0826-SM-7LT8W 60-69 years, female 3.6
GTEX-11NV4-0826-SM-5BC4S 60-69 years, male 3.5
GTEX-12WSC-1026-SM-5EQ5Y 50-59 years, male 3.5
GTEX-13O1R-0926-SM-5L3DS 60-69 years, male 3.5
GTEX-1445S-1226-SM-5O9BF 60-69 years, male 3.5
GTEX-14JG1-0826-SM-5ZZWR 40-49 years, male 3.5
GTEX-14E1K-0826-SM-5ZZW9 50-59 years, male 3.3
GTEX-ZAK1-1126-SM-5PNXU 50-59 years, female 3.3
GTEX-12ZZX-0726-SM-5EGKA 40-49 years, female 3.2
GTEX-1313W-1126-SM-5EQ5U 50-59 years, female 3.2
GTEX-1GTWX-0926-SM-9MQKM 60-69 years, male 3.1
GTEX-X4EP-0326-SM-3P5Z6 60-69 years, female 3.0
GTEX-ZF2S-0826-SM-4WWBI 50-59 years, female 3.0
GTEX-1J8EW-0626-SM-CM2TY 60-69 years, female 3.0
GTEX-13NYB-0326-SM-5IJDP 40-49 years, male 2.9
GTEX-15CHQ-1326-SM-6871Z 60-69 years, male 2.9
GTEX-ZVZQ-0726-SM-51MR3 60-69 years, female 2.9
GTEX-WK11-0626-SM-3NMAV 50-59 years, male 2.8
GTEX-131YS-0826-SM-5PNYV 60-69 years, female 2.7
GTEX-13FHO-1226-SM-5L3EF 60-69 years, male 2.7
GTEX-13NZ9-0126-SM-5K7XV 50-59 years, male 2.6
GTEX-WZTO-1226-SM-3NMAZ 40-49 years, male 2.6
GTEX-ZAB4-0926-SM-5CVN4 40-49 years, male 2.6
GTEX-1IL2U-1226-SM-CL53P 60-69 years, male 2.6
GTEX-18A7A-1226-SM-7LTAJ 50-59 years, female 2.5
GTEX-XLM4-2026-SM-4AT4X 60-69 years, male 2.4
GTEX-ZYFC-1026-SM-5GZX9 50-59 years, male 2.4
GTEX-1HT8W-1326-SM-CGQEN 30-39 years, male 2.4
GTEX-14BMV-1026-SM-5SI6B 50-59 years, male 2.3
GTEX-11DYG-1026-SM-5A5JQ 60-69 years, male 2.2
Show allShow less
Heart - Left Ventricle
Average nTPM: 15.4
Samples: 432

Max nTPM: 71.6
Min nTPM: 3.6
Std nTPM: 11.0
Median nTPM: 10.7
GTEX-OXRO-2026-SM-2YUMZ 60-69 years, female 71.6
GTEX-15CHQ-1526-SM-69LPW 60-69 years, male 68.3
GTEX-14A5I-1226-SM-5NQBW 50-59 years, female 62.4
GTEX-X261-1426-SM-4PQZ1 50-59 years, male 62.2
GTEX-1KD4Q-0726-SM-DIPGE 40-49 years, male 60.8
GTEX-13NYB-0226-SM-5N9G4 40-49 years, male 56.2
GTEX-14JIY-1126-SM-6EU28 60-69 years, male 54.7
GTEX-1HCVE-1126-SM-9WPPG 50-59 years, male 53.2
GTEX-1IKJJ-0826-SM-A96SP 60-69 years, male 51.9
GTEX-15SHW-1226-SM-6M46C 60-69 years, male 49.8
GTEX-1I1GP-0826-SM-A96SD 50-59 years, male 49.1
GTEX-ZF3C-1226-SM-4WWCB 50-59 years, female 44.8
GTEX-1JN6P-1126-SM-CKZON 60-69 years, male 44.8
GTEX-14BIN-2226-SM-5YYA1 50-59 years, female 43.5
GTEX-148VJ-1526-SM-5Q5DU 70-79 years, male 41.8
GTEX-14BIL-1126-SM-79OMC 50-59 years, male 41.6
GTEX-14C39-0926-SM-5TDDV 40-49 years, male 41.2
GTEX-1IDJH-1026-SM-E9TKH 70-79 years, male 40.9
GTEX-14E7W-1226-SM-5RQIU 70-79 years, male 40.4
GTEX-1C6VQ-1126-SM-7EWET 50-59 years, male 39.7
GTEX-14C5O-1326-SM-5S2UW 60-69 years, male 38.5
GTEX-1399T-0426-SM-5PNVJ 60-69 years, male 38.4
GTEX-1H3NZ-1126-SM-9WYT9 60-69 years, male 37.8
GTEX-1O97I-0826-SM-E8VNE 60-69 years, male 37.4
GTEX-1EH9U-0826-SM-7IGPT 60-69 years, male 35.8
GTEX-13JVG-1326-SM-5N9F8 60-69 years, male 35.5
GTEX-1JMOU-0226-SM-CNNPD 60-69 years, female 35.4
GTEX-1EWIQ-1426-SM-7IGOS 70-79 years, female 35.2
GTEX-WRHU-1226-SM-4E3IJ 50-59 years, female 35.0
GTEX-13OW5-1126-SM-5J1NR 60-69 years, male 34.6
GTEX-1RAZS-0826-SM-E76QP 50-59 years, male 34.5
GTEX-17HHY-1426-SM-7EWDQ 50-59 years, male 34.2
GTEX-1NV8Z-1526-SM-DTX8X 60-69 years, male 33.2
GTEX-WK11-0826-SM-EZ6LH 50-59 years, male 32.3
GTEX-ZUA1-0826-SM-4YCDL 40-49 years, male 32.1
GTEX-147F4-1226-SM-5NQAY 50-59 years, male 32.0
GTEX-1269C-0826-SM-5N9EM 60-69 years, female 31.7
GTEX-1JN1M-1026-SM-CNPOS 60-69 years, female 30.9
GTEX-13FHP-1026-SM-5K7Y2 50-59 years, male 30.8
GTEX-18465-0926-SM-731AY 50-59 years, male 30.4
GTEX-RN64-0826-SM-2TC62 50-59 years, male 30.4
GTEX-1A8G6-1626-SM-7MGWO 60-69 years, male 30.3
GTEX-XBEC-1326-SM-4AT69 50-59 years, male 30.2
GTEX-N7MT-1326-SM-2I3FV 60-69 years, female 30.1
GTEX-1314G-0126-SM-5LZUL 30-39 years, male 29.6
GTEX-15RJE-0626-SM-7KUKR 40-49 years, male 29.6
GTEX-1EX96-2526-SM-7RHGW 50-59 years, male 29.6
GTEX-WWYW-1326-SM-3NB2S 50-59 years, female 28.4
GTEX-1I1GV-1326-SM-A96SE 60-69 years, male 28.3
GTEX-ZYW4-0926-SM-59HJS 60-69 years, male 28.1
GTEX-1H1CY-0326-SM-9QEIZ 60-69 years, female 28.1
GTEX-1GN2E-1326-SM-9KNVG 60-69 years, male 27.8
GTEX-1EN7A-0726-SM-7PBXT 40-49 years, male 27.5
GTEX-13OW8-2126-SM-5J1OS 60-69 years, male 27.4
GTEX-15DDE-1126-SM-6LLHN 50-59 years, female 26.9
GTEX-14PJ2-1026-SM-6EU1M 50-59 years, male 26.8
GTEX-15SHU-1126-SM-7KUMB 40-49 years, female 26.8
GTEX-1J8Q2-1226-SM-A9G2W 60-69 years, male 26.6
GTEX-11GSP-1326-SM-5A5KY 60-69 years, female 26.0
GTEX-1HCU6-1026-SM-A9G25 60-69 years, female 26.0
GTEX-YJ8O-0926-SM-EAZ2Z 40-49 years, female 25.9
GTEX-131XH-0226-SM-5LZVB 50-59 years, male 25.7
GTEX-NPJ8-0426-SM-2HMK6 40-49 years, male 25.6
GTEX-17F9Y-1326-SM-7MGW9 70-79 years, female 25.6
GTEX-11O72-1126-SM-5N9E2 40-49 years, male 25.4
GTEX-15DYW-1126-SM-6LPK5 60-69 years, female 25.4
GTEX-1HCU7-1326-SM-CNPPW 50-59 years, male 25.1
GTEX-1LG7Y-1226-SM-CXZKD 50-59 years, male 25.1
GTEX-11DXY-0826-SM-5EGGR 60-69 years, male 25.0
GTEX-1497J-1226-SM-5Q5BL 60-69 years, male 24.8
GTEX-T2IS-0426-SM-32QPE 20-29 years, female 24.8
GTEX-1M5QR-1026-SM-DHXK9 40-49 years, male 24.2
GTEX-RTLS-0826-SM-2TF5Q 60-69 years, female 24.0
GTEX-ZAJG-0826-SM-5PNVA 50-59 years, female 23.7
GTEX-11ONC-0126-SM-5PNW6 60-69 years, male 23.5
GTEX-13O3P-1626-SM-5K7X3 50-59 years, male 23.0
GTEX-16MT8-0926-SM-6M487 60-69 years, female 22.7
GTEX-14E6D-0926-SM-5S2QV 50-59 years, male 22.6
GTEX-1H1ZS-1126-SM-9MQLJ 70-79 years, male 22.5
GTEX-145MO-1126-SM-5NQBX 60-69 years, male 22.4
GTEX-1EKGG-1126-SM-7MGXB 60-69 years, male 22.4
GTEX-1MJIX-0326-SM-EVR42 40-49 years, male 22.3
GTEX-1JMPZ-1426-SM-CJI3C 30-39 years, male 22.2
GTEX-1JJ6O-2126-SM-CNNP6 60-69 years, male 22.1
GTEX-117YW-0326-SM-5N9CY 50-59 years, male 22.0
GTEX-12584-0926-SM-5FQTN 40-49 years, male 21.8
GTEX-QVJO-1926-SM-2S1QZ 60-69 years, female 21.8
GTEX-1ICLY-1326-SM-CJI47 50-59 years, male 21.8
GTEX-1B8SG-0826-SM-7EWF7 50-59 years, male 21.7
GTEX-1LC47-1026-SM-D3LAH 60-69 years, male 21.7
GTEX-1O9I2-1126-SM-DTXEA 50-59 years, male 21.6
GTEX-REY6-1026-SM-2TF4Y 60-69 years, male 21.4
GTEX-1JJE9-1426-SM-ARL8P 70-79 years, male 21.4
GTEX-ZYT6-1726-SM-5E44P 30-39 years, male 21.0
GTEX-13YAN-1326-SM-5Q5F1 60-69 years, male 20.9
GTEX-147JS-1526-SM-5ZZWF 60-69 years, male 20.7
GTEX-1LB8K-1026-SM-DHXJJ 50-59 years, male 20.7
GTEX-1GN1V-0826-SM-9KNU6 60-69 years, male 20.5
GTEX-132AR-2026-SM-5IJG4 50-59 years, female 20.2
GTEX-OIZG-1126-SM-2HMIU 50-59 years, male 20.2
GTEX-S33H-0526-SM-COH1W 30-39 years, male 19.8
GTEX-13O1R-1226-SM-5J1NU 60-69 years, male 19.7
GTEX-1AX9I-1126-SM-7EPHH 60-69 years, male 19.7
GTEX-1B8L1-0526-SM-79ONX 60-69 years, male 19.7
GTEX-12ZZW-1026-SM-5GCMM 50-59 years, male 19.4
GTEX-1ICLZ-1026-SM-A9SLF 60-69 years, male 19.4
GTEX-1B996-1126-SM-73KWN 60-69 years, male 19.3
GTEX-X8HC-1626-SM-46MWE 50-59 years, female 19.3
GTEX-P44H-0726-SM-48TBT 40-49 years, male 19.1
GTEX-12ZZZ-1726-SM-59HK5 60-69 years, male 19.0
GTEX-17MF6-0726-SM-7LT8E 40-49 years, male 18.7
GTEX-1H23P-1226-SM-9QEJ2 60-69 years, male 18.6
GTEX-1JMLX-1626-SM-ARZMV 50-59 years, male 18.6
GTEX-PVOW-0426-SM-5MR5R 40-49 years, male 18.4
GTEX-QEL4-0926-SM-3GAD1 50-59 years, male 18.3
GTEX-14C38-1426-SM-5RQHZ 50-59 years, male 17.9
GTEX-15ER7-1726-SM-6PAMX 20-29 years, female 17.9
GTEX-1A3MW-1326-SM-7189P 60-69 years, female 17.9
GTEX-1IL2U-1326-SM-A9G2O 60-69 years, male 17.8
GTEX-11EMC-0726-SM-5EGJO 60-69 years, female 17.7
GTEX-13O3O-1526-SM-5KM1C 60-69 years, female 17.7
GTEX-1F48J-1026-SM-7P8SO 50-59 years, female 17.7
GTEX-13CF2-0426-SM-5KM1H 60-69 years, male 17.6
GTEX-1JMQK-0626-SM-D4P2R 60-69 years, male 17.5
GTEX-P44G-0826-SM-2I5ES 30-39 years, male 17.4
GTEX-12ZZY-1126-SM-5DUWQ 60-69 years, male 17.3
GTEX-17JCI-1126-SM-7IGMM 60-69 years, female 17.3
GTEX-WI4N-0626-SM-3TW8Z 40-49 years, female 17.3
GTEX-1K9T9-1126-SM-D3L9E 50-59 years, female 17.3
GTEX-1C64O-0826-SM-79OKZ 60-69 years, male 17.1
GTEX-13OW6-1126-SM-5L3HL 50-59 years, male 17.0
GTEX-148VI-0326-SM-5RQK7 60-69 years, female 16.9
GTEX-1A3MX-1326-SM-72D58 60-69 years, male 16.7
GTEX-OXRL-0326-SM-2I3F2 50-59 years, male 16.6
GTEX-1212Z-0626-SM-5FQTB 60-69 years, male 16.2
GTEX-13N1W-1026-SM-5IJC5 70-79 years, male 16.2
GTEX-14DAQ-1126-SM-664MT 60-69 years, female 16.2
GTEX-PSDG-0926-SM-2I5FP 50-59 years, male 16.1
GTEX-V1D1-0526-SM-4JBGW 50-59 years, male 16.1
GTEX-WQUQ-1426-SM-3MJFD 60-69 years, male 15.8
GTEX-WYJK-1026-SM-3NM8W 50-59 years, male 15.5
GTEX-14E6C-0426-SM-5YYA8 40-49 years, male 15.3
GTEX-1N2EF-2826-SM-E6CQF 60-69 years, male 15.2
GTEX-18D9B-1226-SM-72D6V 60-69 years, male 15.1
GTEX-1PPH7-2026-SM-E9J3N 40-49 years, male 15.1
GTEX-13NZB-0226-SM-5KM1T 30-39 years, male 15.0
GTEX-1QP29-1526-SM-EXUSY 50-59 years, male 15.0
GTEX-13RTJ-0726-SM-5QGQN 60-69 years, male 14.9
GTEX-1HT8W-1726-SM-CNNQB 30-39 years, male 14.9
GTEX-1OFPY-1026-SM-EXUSO 60-69 years, male 14.9
GTEX-1PWST-1026-SM-DTXF2 70-79 years, male 14.8
GTEX-11GS4-0526-SM-5A5KQ 60-69 years, male 14.7
GTEX-1AX9K-0526-SM-73KV1 50-59 years, male 14.6
GTEX-P4QS-0326-SM-2I3EU 60-69 years, male 14.5
GTEX-11ZVC-0426-SM-5CVLD 50-59 years, female 14.4
GTEX-R45C-0926-SM-3GAD4 60-69 years, female 14.3
GTEX-18A6Q-1626-SM-7KFTA 60-69 years, male 14.2
GTEX-XQ8I-0126-SM-4BOPL 50-59 years, male 14.2
GTEX-14PHY-0226-SM-5ZZWM 60-69 years, female 14.1
GTEX-16BQI-0926-SM-6M485 30-39 years, female 14.0
GTEX-XV7Q-0826-SM-4BRV7 40-49 years, female 13.8
GTEX-1HSMQ-0226-SM-C1YQL 50-59 years, male 13.8
GTEX-ZQUD-1526-SM-7IGO2 30-39 years, male 13.7
GTEX-12WSC-1126-SM-5EQ4G 50-59 years, male 13.6
GTEX-XPT6-0126-SM-4B65S 20-29 years, male 13.5
GTEX-1LVA9-0926-SM-EVR5G 50-59 years, male 13.5
GTEX-13X6I-1426-SM-5SI9Z 60-69 years, male 13.4
GTEX-13X6K-1826-SM-5O9CR 60-69 years, female 13.4
GTEX-146FH-1026-SM-5RQIF 50-59 years, female 13.4
GTEX-Y5V5-0626-SM-4VBPX 60-69 years, female 13.4
GTEX-1ICG6-0626-SM-ACKWS 70-79 years, female 13.1
GTEX-11LCK-0926-SM-5A5KA 30-39 years, male 13.0
GTEX-1F6IF-2526-SM-7P8TV 60-69 years, male 13.0
GTEX-1IKOE-1026-SM-ARZMF 30-39 years, female 12.9
GTEX-13PVQ-1226-SM-5IJDC 50-59 years, male 12.8
GTEX-XPVG-0826-SM-4B654 50-59 years, male 12.8
GTEX-1GTWX-1026-SM-7P8QW 60-69 years, male 12.7
GTEX-1CAMS-1326-SM-79OJR 40-49 years, female 12.6
GTEX-N7MS-0826-SM-2HML4 60-69 years, male 12.6
GTEX-1GF9V-1626-SM-7PBXL 60-69 years, male 12.6
GTEX-1HFI7-0826-SM-A9G23 50-59 years, female 12.5
GTEX-12WSD-1126-SM-5EGJD 60-69 years, female 12.4
GTEX-RWSA-0626-SM-2XCBD 40-49 years, male 12.3
GTEX-1HC8U-0726-SM-ACKXL 40-49 years, female 12.2
GTEX-1I1HK-0726-SM-B2LY4 60-69 years, male 12.2
GTEX-NFK9-0926-SM-2HMJU 40-49 years, male 12.1
GTEX-QEG5-0926-SM-2TC64 20-29 years, male 12.0
GTEX-SIU8-0826-SM-2XCDQ 50-59 years, male 12.0
GTEX-1POEN-0626-SM-EVR4B 30-39 years, female 12.0
GTEX-PLZ5-0626-SM-2I5F8 50-59 years, male 11.9
GTEX-OIZH-0326-SM-2HMKC 50-59 years, male 11.8
GTEX-16NPX-0926-SM-7KUEZ 50-59 years, male 11.7
GTEX-1B932-1026-SM-793CL 40-49 years, female 11.7
GTEX-QDVJ-0426-SM-2I5FW 50-59 years, male 11.7
GTEX-RWS6-0326-SM-2XCAP 60-69 years, female 11.6
GTEX-X3Y1-0426-SM-3P5Z4 40-49 years, male 11.6
GTEX-1HSGN-1126-SM-CJI4G 40-49 years, female 11.6
GTEX-11TUW-1026-SM-5GU7D 60-69 years, male 11.5
GTEX-ZG7Y-0926-SM-5EQ6O 50-59 years, male 11.5
GTEX-131XF-5001-SM-7DHLY 60-69 years, male 11.4
GTEX-17F9E-0926-SM-7IGMG 50-59 years, male 11.4
GTEX-13FH7-0926-SM-5J2MR 50-59 years, female 11.2
GTEX-1GF9U-0426-SM-7RHHA 40-49 years, female 11.2
GTEX-UPK5-0326-SM-CYPR4 40-49 years, male 11.2
GTEX-P4PQ-0326-SM-2HMJ8 60-69 years, male 11.1
GTEX-Y5V6-0826-SM-4VBRU 60-69 years, male 11.1
GTEX-QLQ7-0526-SM-2I5G3 60-69 years, male 11.0
GTEX-1PPGY-1126-SM-E76OU 60-69 years, male 11.0
GTEX-13OVG-0526-SM-5K7YD 60-69 years, male 10.9
GTEX-Y3I4-0626-SM-4TT7A 50-59 years, male 10.9
GTEX-11DXX-0326-SM-5PNWC 60-69 years, female 10.8
GTEX-11TT1-1326-SM-5PNYM 20-29 years, male 10.8
GTEX-13D11-1726-SM-5IFGQ 50-59 years, female 10.7
GTEX-14PHX-2126-SM-6EU2U 50-59 years, male 10.7
GTEX-R55E-1026-SM-2TC5S 20-29 years, male 10.7
GTEX-RNOR-0826-SM-2TF5C 50-59 years, female 10.7
GTEX-WL46-0926-SM-3LK7T 50-59 years, male 10.7
GTEX-1QP2A-1126-SM-EVR3H 50-59 years, male 10.7
GTEX-OIZI-0926-SM-E6CHF 40-49 years, male 10.7
GTEX-13O61-0526-SM-5J2M1 60-69 years, male 10.6
GTEX-RUSQ-0526-SM-2TF72 50-59 years, male 10.6
GTEX-X15G-0426-SM-4PQZ6 50-59 years, female 10.6
GTEX-1MCC2-0326-SM-EV7AK 30-39 years, female 10.6
GTEX-1MUQO-1226-SM-E9TJK 60-69 years, male 10.6
GTEX-XGQ4-0326-SM-4GIEE 50-59 years, male 10.5
GTEX-111YS-0426-SM-5987O 60-69 years, male 10.4
GTEX-139YR-0826-SM-5LZXY 50-59 years, male 10.4
GTEX-UJMC-0526-SM-3GAE3 50-59 years, male 10.4
GTEX-1IDJI-1026-SM-A96TE 50-59 years, female 10.4
GTEX-1KANC-0426-SM-CXZK5 50-59 years, female 10.4
GTEX-13112-0426-SM-5PNVC 50-59 years, male 10.3
GTEX-ZDTT-0726-SM-4WKFK 60-69 years, male 10.3
GTEX-13QBU-0426-SM-5J2O4 40-49 years, female 10.2
GTEX-1HSMO-1226-SM-CL548 60-69 years, male 10.2
GTEX-132QS-0426-SM-5KLZ6 60-69 years, male 10.1
GTEX-14JG1-1026-SM-6ETZY 40-49 years, male 10.1
GTEX-1C2JI-0526-SM-7EWEQ 50-59 years, male 10.1
GTEX-1E1VI-1326-SM-7IGQD 50-59 years, male 10.1
GTEX-1LSNM-0526-SM-DIPG6 50-59 years, male 10.1
GTEX-131XE-0626-SM-5HL98 50-59 years, male 10.0
GTEX-13N11-0426-SM-5KM3O 50-59 years, female 10.0
GTEX-1CB4G-0826-SM-7DUGF 60-69 years, male 10.0
GTEX-OHPK-0326-SM-2HMJO 50-59 years, female 10.0
GTEX-QDVN-0326-SM-2I3FS 50-59 years, male 10.0
GTEX-XBED-0526-SM-47JY3 60-69 years, male 10.0
GTEX-XXEK-0926-SM-4BRWH 50-59 years, male 10.0
GTEX-13FTZ-0226-SM-5K7X6 60-69 years, male 9.9
GTEX-17HII-1326-SM-7IGOB 50-59 years, male 9.9
GTEX-1BAJH-1626-SM-73KUV 70-79 years, male 9.9
GTEX-ZPIC-0826-SM-4WWFJ 40-49 years, female 9.9
GTEX-1F6I4-0726-SM-7PC2P 60-69 years, male 9.9
GTEX-1LGOU-0726-SM-E9TIY 20-29 years, female 9.9
GTEX-13X6H-0426-SM-5LU4E 50-59 years, female 9.8
GTEX-17GQL-0526-SM-72D5N 60-69 years, male 9.8
GTEX-OXRK-0826-SM-2HMK7 50-59 years, female 9.8
GTEX-ZF29-0226-SM-4WKHO 60-69 years, female 9.8
GTEX-ZVT2-1026-SM-5GU55 50-59 years, female 9.8
GTEX-1HBPM-1226-SM-A9SM8 60-69 years, female 9.8
GTEX-1R7EV-0326-SM-E76PA 40-49 years, male 9.8
GTEX-13W3W-0426-SM-5SI9D 60-69 years, female 9.7
GTEX-WHSE-0926-SM-3NMBS 20-29 years, male 9.7
GTEX-1AX9J-1026-SM-72D6E 60-69 years, male 9.6
GTEX-1R9PO-0326-SM-DTXA1 60-69 years, female 9.6
GTEX-11DXZ-0626-SM-5GU77 50-59 years, male 9.5
GTEX-18D9U-1126-SM-72D5Y 40-49 years, male 9.5
GTEX-O5YV-0326-SM-2I5H2 60-69 years, female 9.5
GTEX-R55G-0526-SM-2TC5O 40-49 years, female 9.5
GTEX-1IDJF-0726-SM-CJI1U 20-29 years, male 9.5
GTEX-1QPFJ-1026-SM-E6CR6 30-39 years, female 9.5
GTEX-1211K-0626-SM-5FQUZ 60-69 years, female 9.4
GTEX-12WSN-5001-SM-7DHMK 40-49 years, male 9.4
GTEX-1313W-1426-SM-5KLZU 50-59 years, female 9.4
GTEX-13FTW-1026-SM-5L3E3 40-49 years, male 9.4
GTEX-13O21-2326-SM-5MR3X 50-59 years, male 9.4
GTEX-ZV7C-0326-SM-57WB1 50-59 years, male 9.4
GTEX-1F75I-1126-SM-9WYUO 40-49 years, male 9.4
GTEX-1122O-0826-SM-5GICV 60-69 years, female 9.3
GTEX-13CF3-0726-SM-5J2MY 60-69 years, female 9.3
GTEX-13VXT-1126-SM-5LU3A 20-29 years, female 9.3
GTEX-15EOM-5007-SM-793DG 20-29 years, female 9.3
GTEX-YFC4-0526-SM-5ZZVI 40-49 years, female 9.3
GTEX-1CB4I-1626-SM-7RHGV 50-59 years, male 9.3
GTEX-1IKK5-1526-SM-CKZPW 60-69 years, male 9.3
GTEX-1399U-0526-SM-5K7YM 50-59 years, female 9.2
GTEX-145LV-0326-SM-5Q5BW 50-59 years, male 9.2
GTEX-UJHI-0426-SM-3DB8Y 50-59 years, female 9.2
GTEX-ZYFG-0426-SM-5E43M 60-69 years, female 9.2
GTEX-ZZPU-0926-SM-5GZYT 50-59 years, female 9.2
GTEX-15CHR-0226-SM-7PC2Z 50-59 years, male 9.2
GTEX-1AX8Z-5007-SM-AHZ36 60-69 years, male 9.2
GTEX-1LGRB-1126-SM-CNPP2 50-59 years, female 9.2
GTEX-1OKEX-0726-SM-DPRYE 60-69 years, male 9.2
GTEX-WFG8-0626-SM-3GILJ 20-29 years, male 9.1
GTEX-WH7G-0426-SM-3NMBJ 40-49 years, male 9.1
GTEX-WHWD-0426-SM-3LK83 50-59 years, male 9.1
GTEX-1F5PK-0326-SM-9KNUD 50-59 years, male 9.1
GTEX-1JJEA-0826-SM-CL53T 60-69 years, male 9.1
GTEX-SE5C-0626-SM-2XCDV 40-49 years, female 9.0
GTEX-1QCLZ-0926-SM-E6CQZ 60-69 years, female 9.0
GTEX-YEC3-0726-SM-CMKFH 50-59 years, male 9.0
GTEX-12BJ1-0226-SM-5LUA2 60-69 years, male 8.9
GTEX-146FR-0626-SM-5RQJ1 60-69 years, female 8.9
GTEX-14PJ6-0726-SM-69LOL 60-69 years, female 8.9
GTEX-WY7C-0526-SM-3NB3D 50-59 years, male 8.9
GTEX-1I1GQ-1426-SM-B2LWY 50-59 years, male 8.9
GTEX-1KXAM-1326-SM-E9TJW 60-69 years, male 8.9
GTEX-QEG4-0426-SM-33HC3 30-39 years, male 8.8
GTEX-ZDYS-0226-SM-5HL4K 50-59 years, male 8.8
GTEX-1J8Q3-1226-SM-CKZPT 60-69 years, male 8.8
GTEX-14H4A-0626-SM-5ZZUT 40-49 years, female 8.7
GTEX-14XAO-1126-SM-6EU11 60-69 years, female 8.7
GTEX-16XZY-0426-SM-793BI 70-79 years, male 8.7
GTEX-QV44-0526-SM-2S1RE 50-59 years, male 8.7
GTEX-Y114-0226-SM-4TT8W 50-59 years, female 8.7
GTEX-YEC4-0326-SM-4W216 40-49 years, male 8.7
GTEX-ZVZP-0226-SM-5NQ73 50-59 years, male 8.7
GTEX-13S86-0226-SM-5S2PJ 40-49 years, male 8.6
GTEX-14PJ4-1126-SM-5YY91 60-69 years, male 8.6
GTEX-WFG7-0726-SM-3GIKO 20-29 years, male 8.6
GTEX-1LH75-0426-SM-E9TJF 50-59 years, female 8.6
GTEX-1R9K5-1326-SM-E6CPR 50-59 years, male 8.6
GTEX-1RMOY-0626-SM-E9TIE 50-59 years, male 8.6
GTEX-145MN-0626-SM-5QGRH 30-39 years, male 8.5
GTEX-POMQ-0326-SM-2I5FO 20-29 years, female 8.5
GTEX-1CB4E-0526-SM-7MXTK 60-69 years, male 8.5
GTEX-P78B-0426-SM-2I5F5 40-49 years, female 8.4
GTEX-ZLFU-0226-SM-4WWFH 40-49 years, male 8.4
GTEX-1GN1W-0326-SM-9JGHF 50-59 years, female 8.4
GTEX-1HBPH-0126-SM-CNNQ7 40-49 years, female 8.4
GTEX-1IDJE-0326-SM-CM2TD 50-59 years, female 8.4
GTEX-1S3DN-0726-SM-E9TIO 50-59 years, male 8.4
GTEX-111FC-0826-SM-5GZWO 60-69 years, male 8.3
GTEX-O5YW-0326-SM-2I5EI 50-59 years, male 8.3
GTEX-ZGAY-0326-SM-57WF5 40-49 years, female 8.3
GTEX-1339X-0426-SM-5KLZY 40-49 years, male 8.2
GTEX-1EU9M-1826-SM-7DUGU 60-69 years, male 8.2
GTEX-1B97J-0726-SM-7RHG3 50-59 years, female 8.2
GTEX-1GZ4I-1026-SM-9KNV5 50-59 years, male 8.2
GTEX-OIZF-0326-SM-3MJGY 60-69 years, male 8.2
GTEX-132NY-1726-SM-5EGKK 60-69 years, male 8.1
GTEX-PWCY-0526-SM-5P9HG 20-29 years, female 8.1
GTEX-ZAB4-1026-SM-5HL7T 40-49 years, male 8.1
GTEX-1GMR3-0326-SM-7P8QT 40-49 years, male 8.1
GTEX-13SLX-1026-SM-5ZZUQ 50-59 years, female 8.0
GTEX-O5YT-0326-SM-32PKA 20-29 years, male 8.0
GTEX-SUCS-0326-SM-32PLL 70-79 years, male 8.0
GTEX-U3ZN-1426-SM-3DB87 30-39 years, female 8.0
GTEX-U4B1-0326-SM-3DB8K 40-49 years, male 8.0
GTEX-Y8E4-0326-SM-4VBRR 40-49 years, male 8.0
GTEX-1399S-1026-SM-5KLZ9 30-39 years, female 7.9
GTEX-U8XE-1126-SM-3DB8W 30-39 years, male 7.9
GTEX-WHPG-0826-SM-3NMBF 50-59 years, male 7.9
GTEX-PX3G-0326-SM-2I3EO 20-29 years, female 7.8
GTEX-YB5K-0126-SM-5IFJ2 40-49 years, female 7.8
GTEX-1I6K7-0626-SM-ARL7Q 40-49 years, male 7.8
GTEX-1EMGI-1226-SM-793DD 60-69 years, male 7.7
GTEX-131XG-0626-SM-5GCMP 50-59 years, female 7.6
GTEX-13PVR-1026-SM-5QGQW 60-69 years, female 7.6
GTEX-17HGU-1026-SM-79OKL 50-59 years, male 7.6
GTEX-OHPM-0326-SM-33HCA 50-59 years, male 7.6
GTEX-13OVL-0526-SM-5KLZQ 50-59 years, male 7.5
GTEX-14PK6-0826-SM-5ZZVO 70-79 years, female 7.5
GTEX-U3ZH-0326-SM-3DB7A 30-39 years, male 7.5
GTEX-12696-1126-SM-5FQTI 60-69 years, male 7.4
GTEX-12WSG-0526-SM-5FQTH 50-59 years, female 7.4
GTEX-13FLV-0926-SM-5L3DZ 50-59 years, male 7.4
GTEX-15CHC-0426-SM-6LLHI 60-69 years, female 7.4
GTEX-S32W-0626-SM-2XCBG 50-59 years, female 7.4
GTEX-WEY5-0426-SM-3GIKT 40-49 years, female 7.4
GTEX-ZTPG-1226-SM-4YCDO 20-29 years, female 7.4
GTEX-1R9K4-1326-SM-DTX8G 60-69 years, male 7.4
GTEX-11EM3-0626-SM-5H12Z 20-29 years, female 7.3
GTEX-11I78-0826-SM-5A5K4 50-59 years, female 7.3
GTEX-Q2AH-0526-SM-2I3ED 40-49 years, male 7.3
GTEX-14A6H-0226-SM-5Q5DX 30-39 years, male 7.2
GTEX-14PN3-0526-SM-69LQF 60-69 years, female 7.2
GTEX-1B8KE-0126-SM-793AM 50-59 years, male 7.2
GTEX-1GL5R-0326-SM-9WYTJ 50-59 years, male 7.2
GTEX-1RB15-0326-SM-E6CQB 60-69 years, male 7.2
GTEX-WZTO-1326-SM-3NM8X 40-49 years, male 7.1
GTEX-ZAB5-0226-SM-5CVMH 50-59 years, male 7.1
GTEX-1HCUA-0526-SM-A9SMH 50-59 years, female 7.1
GTEX-1JK1U-0526-SM-CYPSQ 60-69 years, male 7.1
GTEX-WFON-0326-SM-3GIKX 40-49 years, male 7.0
GTEX-1GMR2-1426-SM-7RHHK 50-59 years, male 7.0
GTEX-13U4I-0826-SM-5SIBD 40-49 years, female 6.9
GTEX-18A67-1226-SM-7KFRS 50-59 years, male 6.9
GTEX-OHPL-0326-SM-33HC8 60-69 years, female 6.9
GTEX-14PJM-1126-SM-6LLHK 50-59 years, female 6.8
GTEX-1H11D-1226-SM-9WPQ2 40-49 years, male 6.8
GTEX-1J8QM-0426-SM-AHZ3X 60-69 years, female 6.8
GTEX-1R9JW-0526-SM-EWRNK 30-39 years, female 6.8
GTEX-1AYCT-0426-SM-73KVZ 50-59 years, male 6.7
GTEX-ZDTS-1326-SM-6LLHE 60-69 years, male 6.7
GTEX-1L5NE-0426-SM-E9TIX 50-59 years, male 6.7
GTEX-1LVAN-1726-SM-CNNR1 50-59 years, female 6.7
GTEX-ZEX8-0426-SM-DO92Y 50-59 years, male 6.7
GTEX-117YX-1126-SM-5H128 50-59 years, male 6.6
GTEX-12WSK-0626-SM-5LZUJ 40-49 years, female 6.6
GTEX-1CB4J-0326-SM-7PBZO 60-69 years, male 6.6
GTEX-QMRM-0526-SM-2I5GA 50-59 years, male 6.5
GTEX-1KD5A-1026-SM-CY8I8 50-59 years, male 6.5
GTEX-QESD-0526-SM-2I5G5 20-29 years, male 6.4
GTEX-ZPCL-0426-SM-DNZZ4 60-69 years, female 6.4
GTEX-RU72-0326-SM-2TF5T 50-59 years, female 6.3
GTEX-YF7O-0426-SM-5P9FS 50-59 years, male 6.3
GTEX-T6MN-0926-SM-32PLX 50-59 years, male 6.2
GTEX-1IDJU-0726-SM-CNPQ9 60-69 years, female 6.2
GTEX-R53T-0926-SM-3GADH 50-59 years, female 6.1
GTEX-R55C-0326-SM-3GAF1 40-49 years, male 6.1
GTEX-16YQH-0926-SM-793BC 30-39 years, male 5.9
GTEX-18A66-1226-SM-7LT8G 60-69 years, male 5.9
GTEX-OOBJ-0326-SM-33HBO 60-69 years, male 5.9
GTEX-V955-0726-SM-3GAFG 60-69 years, male 5.9
GTEX-XQ3S-0626-SM-4BOOB 20-29 years, male 5.9
GTEX-14E1K-1026-SM-73KUR 50-59 years, male 5.8
GTEX-ZDXO-0726-SM-57WBT 60-69 years, male 5.4
GTEX-11ZUS-0226-SM-5FQT8 30-39 years, male 5.2
GTEX-1RQEC-0926-SM-EWROG 60-69 years, male 5.0
GTEX-15RIE-1726-SM-7KUMU 60-69 years, male 4.9
GTEX-17KNJ-0826-SM-793A4 50-59 years, male 4.8
GTEX-SNMC-0126-SM-2XCFO 20-29 years, male 4.7
GTEX-ZPU1-0626-SM-4YCDM 40-49 years, male 4.7
GTEX-ZF2S-1026-SM-9QEGK 50-59 years, female 4.7
GTEX-15RJ7-0226-SM-7KUMN 40-49 years, male 4.6
GTEX-ZYFC-1126-SM-5E44W 50-59 years, male 4.6
GTEX-1GMRU-1526-SM-9WYT5 50-59 years, male 4.5
GTEX-Y3IK-0826-SM-51MT8 50-59 years, female 4.3
GTEX-1J8EW-0926-SM-A9G33 60-69 years, female 4.1
GTEX-1399R-1926-SM-5K7X8 30-39 years, male 3.8
GTEX-1GN73-2426-SM-7RHFQ 60-69 years, male 3.8
GTEX-P4PP-0326-SM-33HC4 30-39 years, female 3.6
Show allShow less

HEART MUSCLE - FANTOM5 CAGEi

RNA expression in human tissues obtained through Cap Analysis of Gene Expression (CAGE) generated by the FANTOM5 project are reported as Scaled Tags Per Million.

Max subtype Scaled Tags Per Millioni

Max subtype Scaled Tags Per Million is the value for the subtype with the largest average Scaled Tags Per Million across the subtype samples.

2.1
FANTOM5 sample id Sample description Scaled Tags Per Million
Heart
Scaled Tags Per Million: 2.1
FF:10016-101C7 70,73,74 years, mixed 2.1
Left atrium
Scaled Tags Per Million: 1.0
FF:10079-102A7 40 years, male 1.0
Left ventricle
Scaled Tags Per Million: 1.0
FF:10078-102A6 73 years, female 1.0

Contact

  • NEWS ARTICLES
  • PRESS ROOM

The Project

  • INTRODUCTION
  • ORGANIZATION
  • PUBLICATIONS

The Human Protein Atlas

  • DOWNLOADABLE DATA
  • LICENCE & CITATION
  • HELP & FAQ
The Human Protein Atlas project is funded
by the Knut & Alice Wallenberg Foundation.


contact@proteinatlas.org