We use cookies to enhance the usability of our website. If you continue, we'll assume that you are happy to receive all cookies. More information. Don't show this again.
PKN3
HPA
RESOURCES
  • TISSUE
  • BRAIN
  • SINGLE CELL
  • SUBCELLULAR
  • CANCER
  • BLOOD
  • CELL LINE
  • STRUCTURE & INTERACTION
ABOUT
  • INTRODUCTION
  • HISTORY
  • ORGANIZATION
  • PUBLICATIONS
  • ANTIBODY SUBMISSION
  • ANTIBODY AVAILABILITY
  • ACKNOWLEDGMENTS
  • CONTACT
NEWS
  • NEWS ARTICLES
  • PRESS ROOM
LEARN
  • DICTIONARY
  • PROTEIN CLASSES
  • PROTEIN EVIDENCE
  • METHODS
  • EDUCATIONAL VIDEOS
DATA
  • DOWNLOADABLE DATA
  • PUBLICATION DATA
  • RELEASE HISTORY
HELP
  • ANTIBODY VALIDATION
  • ASSAYS & ANNOTATION
  • DISCLAIMER
  • HELP & FAQ
  • PRIVACY STATEMENT
  • LICENCE & CITATION
Fields »
Search result

Field
Term
Gene name
Class
Subclass
Class
Keyword
Chromosome
External id
Tissue
Cell type
Expression
Antibody panel
Tissue
Main location
Patient ID
Annotation
Tissue
Category
Tau score
Cluster
Reliability
Brain region
Category
Tau score
Brain region
Category
Tau score
Brain region
Category
Tau score
Cluster
Reliability
Tissue
Cell type
Enrichment
Cell type
Category
Tau score
Cell type
Category
Tau score
Cell type
Category
Tau score
Cell lineage
Category
Tau score
Cluster
Cluster
Location
Searches
Location
Cell line
Class
Type
Phase
Reliability
Cancer
Prognosis
Cancer
Category
Cancer
Category
Tau score
Cluster
Variants
Interacting gene (ensg_id)
Type
Number of interactions
Pathway
Category
Score
Score
Score
Validation
Validation
Validation
Validation
Antibodies
Data type
Column


  • SUMMARY

  • TISSUE

  • BRAIN

  • SINGLE CELL

  • SUBCELL

  • CANCER

  • BLOOD

  • CELL LINE

  • STRUCT & INT

  • PKN3
TISSUE PRIMARY DATA THYROID GLAND Show tissue menu
ADIPOSE TISSUE ADRENAL GLAND AMYGDALA APPENDIX BASAL GANGLIA BONE MARROW BREAST BRONCHUS CEREBELLUM CEREBRAL CORTEX CERVIX CHOROID PLEXUS COLON DUODENUM
ENDOMETRIUM EPIDIDYMIS ESOPHAGUS FALLOPIAN TUBE GALLBLADDER HEART MUSCLE HIPPOCAMPAL FORMATION HYPOTHALAMUS KIDNEY LIVER LUNG LYMPH NODE MIDBRAIN NASOPHARYNX
ORAL MUCOSA OVARY PANCREAS PARATHYROID GLAND PITUITARY GLAND PLACENTA PROSTATE RECTUM RETINA SALIVARY GLAND SEMINAL VESICLE SKELETAL MUSCLE SKIN SMALL INTESTINE
SMOOTH MUSCLE SOFT TISSUE SPINAL CORD SPLEEN STOMACH TESTIS THYMUS THYROID GLAND TONGUE TONSIL URINARY BLADDER VAGINA
ANTIBODIES
AND
VALIDATION
Dictionary
Thyroid gland
Tissue proteome
Thyroid gland
THYROID GLAND - Expression summary
Protein expression
Thyroid glandi

On the top, protein expression in current human tissue, based on all annotated cell types, is reported with the units not detected (n), low (l), medium (m) and high (h). Underneath, protein expression in each annotated cell type are reported using the same units.

Protein expression data is based on knowledge-based annotation. For genes where more than one antibody has been used, a collective score is set.

If knowledge-based annotation could not be performed for a gene, no data is displayed here. View antibody staining data further down this page.

h
m
l
n
Glandular cells: Medium
RNA expressioni

A summary of mRNA expression data available for current tissue based on several datasets. The mRNA expression levels in human tissues are based on RNA-seq data generated by the Human Protein Atlas (HPA), Genotype-Tissue Expression (GTEx) portal and CAGE data generated by the FANTOM5 consortium. Consensus normalized expression levels for human tissues was created by combining the data from HPA and GTEx datasets.

The mRNA expression levels in pig are based on RNA-seq data generated by the Human Protein Atlas (HPA), and for mouse, HPA data and in situ hybridization generated by the Allen brain atlas are reported.

Scroll down to view mRNA expression data in more detail.
Consensus:6.7 nTPM
HPA:1.5 nTPM
GTEx:6.7 nTPM
FANTOM5:3.8 Scaled Tags Per Million

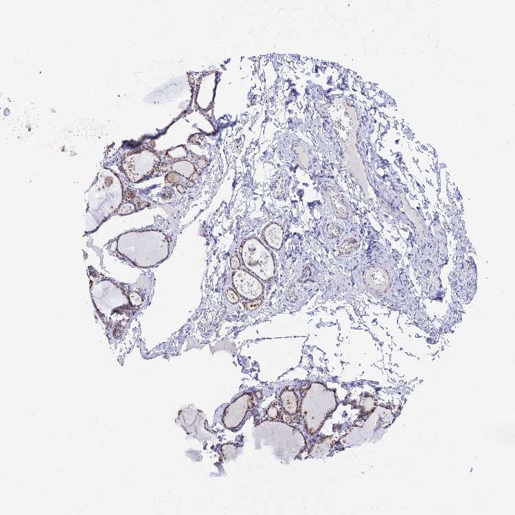
THYROID GLAND - Antibody stainingi

Antibody staining in the annotated cell types in the current human tissue is reported as not detected, low, medium, or high, based on conventional immunohistochemistry profiling in selected tissues. This score is based on the combination of the staining intensity and fraction of stained cells.

Each image is clickable and will lead to virtual microscopy that enables deeper exploration of all samples and also displays staining intensity scores, fraction scores and subcellular localization as well as patient and tissue information for each sample.

Antibody HPA045390Antibody HPA058305
Glandular cells MediumMedium




THYROID GLAND - HPA RNA-seqi

The RNA-seq details section shows detailed information about the individual samples used for the transcript profiling and results of the RNA-seq analysis.

Information about each individual sample is listed below, including gender, age, a tissue section image and estimated fractions of cell types. nTPM (normalized transcripts per million) values give a quantification of the gene abundance which is comparable between different genes and samples.
Average nTPMi

Max subtype nTPM is the value for the subtype with the largest average nTPM across the subtype samples.

1.5
overview
Female, age 20
Thyroid gland sample 249
nTPM: 1
Cell types%
Glandular cells:
70

Endothelial cells:
20

Other cell types:
10

overview
Female, age 55
Thyroid gland sample 250
nTPM: 2.5
Cell types%
Glandular cells:
70

Endothelial cells:
20

Other cell types:
10

overview
Female, age 58
Thyroid gland sample 251
nTPM: 1.6
Cell types%
Glandular cells:
70

Endothelial cells:
15

Other cell types:
15

overview
Female, age 48
Thyroid gland sample 252
nTPM: 1.5
Cell types%
Glandular cells:
70

Endothelial cells:
20

Other cell types:
10

overview
Male, age 21
Thyroid gland sample 363
nTPM: 0.9
Cell types%
Glandular cells:
75

Endothelial cells:
10

Other cell types:
15


THYROID GLAND - GTEx RNA-seqi

RNA-Seq data generated by the Genotype-Tissue Expression (GTEx) project from human tissues is reported as mean nTPM. More information can be found on the GTEx portal.

Distribution across the dataset is visualized with box plots, shown as median and 25th and 75th percentiles. Points are displayed as outliers if they are above or below 1.5 times the interquartile range. nTPM values of the individual samples are presented next to the box plot.
Max subtype nTPMi

Max subtype nTPM is the value for the subtype with the largest average nTPM across the subtype samples.

6.7
GTEx sample id Sample description nTPM
Thyroid
Average nTPM: 6.7
Samples: 653

Max nTPM: 19.7
Min nTPM: 2.2
Std nTPM: 2.1
Median nTPM: 6.4
GTEX-1H2FU-0626-SM-9WPPS 60-69 years, female 19.7
GTEX-13NZ8-0226-SM-5J2OK 60-69 years, female 15.0
GTEX-WOFL-0726-SM-3MJG4 60-69 years, male 14.5
GTEX-1QCLY-0826-SM-DTX8A 30-39 years, male 14.4
GTEX-13PDP-1026-SM-5L3FA 60-69 years, male 14.2
GTEX-1K2DU-0126-SM-E9TIU 20-29 years, male 13.9
GTEX-1JMPZ-0626-SM-CY8HY 30-39 years, male 13.6
GTEX-17F9Y-0526-SM-7EWDC 70-79 years, female 13.2
GTEX-1JJ6O-0626-SM-AHZ3H 60-69 years, male 13.2
GTEX-1NV5F-0726-SM-DTXEH 60-69 years, female 13.0
GTEX-1ICLZ-0526-SM-ARZM8 60-69 years, male 12.6
GTEX-1I19N-0226-SM-CE6ST 70-79 years, male 12.5
GTEX-13W46-0926-SM-5LU3T 50-59 years, male 12.4
GTEX-11EQ8-0826-SM-5N9FG 60-69 years, male 12.3
GTEX-OXRO-1226-SM-48TDL 60-69 years, female 12.1
GTEX-1JMQK-2126-SM-CY8I2 60-69 years, male 11.9
GTEX-X15G-0526-SM-3NMB7 50-59 years, female 11.8
GTEX-1JMQL-0926-SM-CJI3F 50-59 years, female 11.7
GTEX-1122O-0226-SM-5N9DA 60-69 years, female 11.6
GTEX-X4XX-0926-SM-46MV7 60-69 years, male 11.6
GTEX-13NYC-2426-SM-5MR3K 60-69 years, male 11.5
GTEX-14E6C-2626-SM-5RQJP 40-49 years, male 11.5
GTEX-1O9I2-1226-SM-E6CQC 50-59 years, male 11.5
GTEX-132AR-1126-SM-5P9GA 50-59 years, female 11.3
GTEX-RTLS-0626-SM-5SI7Z 60-69 years, female 11.3
GTEX-XUW1-1026-SM-4BONY 50-59 years, female 11.2
GTEX-1OJC3-0626-SM-E8VMO 20-29 years, male 11.1
GTEX-12WSE-1226-SM-73KUF 20-29 years, male 11.0
GTEX-1LG7Z-0526-SM-D4P3Q 30-39 years, male 10.9
GTEX-NFK9-0726-SM-2HMJW 40-49 years, male 10.8
GTEX-18D9A-0126-SM-7KFSI 30-39 years, female 10.7
GTEX-YEC3-0826-SM-4WWFP 50-59 years, male 10.7
GTEX-ZLFU-0626-SM-4WWBO 40-49 years, male 10.6
GTEX-145MI-1126-SM-5O9AK 60-69 years, female 10.4
GTEX-OXRK-0626-SM-2HMJ5 50-59 years, female 10.4
GTEX-1PBJI-0726-SM-EXUSQ 20-29 years, female 10.4
GTEX-QDT8-1226-SM-EVR35 30-39 years, female 10.4
GTEX-XYKS-0826-SM-4BRVF 60-69 years, female 10.3
GTEX-13O3P-0726-SM-5J2OM 50-59 years, male 10.2
GTEX-ZAJG-0726-SM-5HL9A 50-59 years, female 10.2
GTEX-ZV7C-0126-SM-57WDE 50-59 years, male 10.2
GTEX-U412-0726-SM-EVR2Y 60-69 years, male 10.2
GTEX-13QBU-0626-SM-5J2OG 40-49 years, female 10.1
GTEX-SN8G-1526-SM-4DM79 50-59 years, female 10.1
GTEX-1MJK3-0326-SM-DTX96 20-29 years, male 10.1
GTEX-15G19-0626-SM-6M474 60-69 years, male 10.0
GTEX-18D9B-0726-SM-72D6K 60-69 years, male 10.0
GTEX-U3ZM-0126-SM-3DB8M 40-49 years, male 9.9
GTEX-1H1ZS-0726-SM-A9G3K 70-79 years, male 9.9
GTEX-ZF28-0826-SM-4WKGJ 60-69 years, male 9.8
GTEX-133LE-0326-SM-5P9G4 20-29 years, female 9.7
GTEX-13N2G-0726-SM-5MR38 60-69 years, male 9.7
GTEX-14C38-0826-SM-5S2U8 50-59 years, male 9.7
GTEX-11DZ1-2726-SM-5A5KH 50-59 years, male 9.6
GTEX-1B932-0926-SM-73KUP 40-49 years, female 9.6
GTEX-13OVI-0826-SM-5KLZ8 60-69 years, female 9.5
GTEX-14PHW-2926-SM-6AJBA 60-69 years, female 9.5
GTEX-1J1R8-0126-SM-CJI36 40-49 years, male 9.5
GTEX-OXRN-1526-SM-E6CHM 50-59 years, male 9.5
GTEX-15DDE-0626-SM-69LOK 50-59 years, female 9.4
GTEX-ZZPU-1326-SM-5GZWS 50-59 years, female 9.4
GTEX-148VJ-0726-SM-5LU8J 70-79 years, male 9.3
GTEX-15RJE-1326-SM-6LPI6 40-49 years, male 9.3
GTEX-17F9E-0626-SM-79ON5 50-59 years, male 9.3
GTEX-1QP9N-0126-SM-DPRZS 30-39 years, male 9.3
GTEX-111VG-0526-SM-5N9BW 60-69 years, male 9.2
GTEX-169BO-0326-SM-7EPIM 50-59 years, male 9.2
GTEX-OHPK-2626-SM-2HMK9 50-59 years, female 9.2
GTEX-Y3I4-0226-SM-4TT27 50-59 years, male 9.2
GTEX-12WSH-0226-SM-5GCOG 50-59 years, male 9.1
GTEX-148VI-0526-SM-5TDDG 60-69 years, female 9.1
GTEX-POYW-0826-SM-2XCEM 60-69 years, male 9.1
GTEX-ZE7O-1126-SM-57WC8 50-59 years, female 9.1
GTEX-1H3VE-0826-SM-9KNVQ 40-49 years, male 9.1
GTEX-13OVJ-0626-SM-5J2O2 50-59 years, female 9.0
GTEX-183WM-2626-SM-7KFRY 70-79 years, female 9.0
GTEX-QDVJ-0226-SM-2I5FV 50-59 years, male 9.0
GTEX-QDVN-0626-SM-2I3FP 50-59 years, male 9.0
GTEX-1LSVX-0726-SM-E9TJG 60-69 years, male 9.0
GTEX-WFG7-0326-SM-DKPO8 20-29 years, male 9.0
GTEX-14PJO-0626-SM-6LLHH 60-69 years, male 8.9
GTEX-14PQA-1226-SM-6M47A 50-59 years, female 8.9
GTEX-17HGU-0826-SM-7EWE5 50-59 years, male 8.9
GTEX-1C2JI-0326-SM-7EWFD 50-59 years, male 8.9
GTEX-1F48J-0926-SM-7P8PZ 50-59 years, female 8.9
GTEX-11DXX-0226-SM-5P9HL 60-69 years, female 8.8
GTEX-11ZTS-1126-SM-5LU9X 60-69 years, female 8.8
GTEX-1A3MV-0326-SM-73KW7 30-39 years, male 8.8
GTEX-1HBPN-1226-SM-B2LW9 50-59 years, male 8.8
GTEX-13FHO-0926-SM-5N9EW 60-69 years, male 8.7
GTEX-1CAMS-0826-SM-7P8P1 40-49 years, female 8.7
GTEX-1HBPM-0926-SM-ARL9C 60-69 years, female 8.7
GTEX-13IVO-0926-SM-5KLZP 70-79 years, male 8.6
GTEX-14ICL-0426-SM-5RQJ3 30-39 years, male 8.6
GTEX-15G1A-0326-SM-6M467 30-39 years, male 8.6
GTEX-1AMEY-0126-SM-73KTX 30-39 years, female 8.6
GTEX-1C6VS-0826-SM-7EWEI 60-69 years, male 8.6
GTEX-XBEW-0126-SM-4AT66 40-49 years, male 8.6
GTEX-1HC8U-1226-SM-9WYUW 40-49 years, female 8.6
GTEX-1HKZK-0826-SM-A9G2C 40-49 years, male 8.6
GTEX-1HT8W-1526-SM-CE6S3 30-39 years, male 8.6
GTEX-1ICG6-0426-SM-ARU7M 70-79 years, female 8.6
GTEX-12WSN-0726-SM-5GCMS 40-49 years, male 8.5
GTEX-131XG-0226-SM-5IFG1 50-59 years, female 8.5
GTEX-1CB4E-0326-SM-7MXT3 60-69 years, male 8.5
GTEX-1I1GS-0726-SM-C1YS7 60-69 years, male 8.5
GTEX-11EM3-0126-SM-5985K 20-29 years, female 8.4
GTEX-14ICK-1626-SM-6ETZX 40-49 years, male 8.4
GTEX-16XZZ-0826-SM-7IGM3 60-69 years, male 8.4
GTEX-P4PQ-2626-SM-33HC9 60-69 years, male 8.4
GTEX-WY7C-0226-SM-3NB37 50-59 years, male 8.4
GTEX-X4XY-0826-SM-4E3JM 60-69 years, male 8.4
GTEX-1IDJC-1026-SM-A96T2 50-59 years, male 8.4
GTEX-1P4AB-1126-SM-DTX94 50-59 years, male 8.4
GTEX-1S5ZU-0726-SM-EWROH 20-29 years, female 8.4
GTEX-X261-0726-SM-EZ6MH 50-59 years, male 8.4
GTEX-111YS-0726-SM-5GZY8 60-69 years, male 8.3
GTEX-17MF6-0626-SM-7LT8D 40-49 years, male 8.3
GTEX-RU1J-0226-SM-2TF5Y 20-29 years, female 8.3
GTEX-RUSQ-1026-SM-2TF6V 50-59 years, male 8.3
GTEX-T5JW-1226-SM-3GACY 20-29 years, female 8.3
GTEX-XBED-0126-SM-47JY7 60-69 years, male 8.3
GTEX-14JG6-1326-SM-9OSXU 30-39 years, female 8.3
GTEX-1H1CY-0726-SM-9OSXX 60-69 years, female 8.3
GTEX-1ICLY-0726-SM-A96TB 50-59 years, male 8.3
GTEX-13S86-1126-SM-5RQJX 40-49 years, male 8.2
GTEX-14E6E-0326-SM-73KY6 30-39 years, male 8.2
GTEX-14PKV-0626-SM-6AJA2 20-29 years, female 8.2
GTEX-1EKGG-0726-SM-7IGPX 60-69 years, male 8.2
GTEX-SE5C-0726-SM-4BRWY 40-49 years, female 8.2
GTEX-WHSB-1626-SM-3LK6J 50-59 years, male 8.2
GTEX-ZTX8-0626-SM-59HKC 20-29 years, male 8.2
GTEX-1HSMO-0726-SM-A96TM 60-69 years, male 8.2
GTEX-1IKOE-0926-SM-ARU7X 30-39 years, female 8.2
GTEX-O5YV-1526-SM-EV799 60-69 years, female 8.2
GTEX-11EQ9-0626-SM-5A5K1 30-39 years, male 8.1
GTEX-16BQI-0726-SM-6LPJZ 30-39 years, female 8.1
GTEX-WK11-0926-SM-3NMAU 50-59 years, male 8.1
GTEX-ZC5H-0626-SM-5LU9K 40-49 years, female 8.1
GTEX-ZGAY-1026-SM-4WWBR 40-49 years, female 8.1
GTEX-1HCUA-0126-SM-B2LWC 50-59 years, female 8.1
GTEX-1HCVE-0726-SM-A96SH 50-59 years, male 8.1
GTEX-1MUQO-0726-SM-E9TJM 60-69 years, male 8.1
GTEX-1PPH8-0926-SM-DTX9U 20-29 years, male 8.1
GTEX-1PWST-0726-SM-EWRMO 70-79 years, male 8.1
GTEX-1B97I-0326-SM-7DUGB 40-49 years, male 8.0
GTEX-Q734-0526-SM-2I3EH 40-49 years, female 8.0
GTEX-1F75A-0326-SM-7MXTR 50-59 years, male 8.0
GTEX-1GN1W-0126-SM-7MXV7 50-59 years, female 8.0
GTEX-1H1DG-0726-SM-A96TN 70-79 years, male 8.0
GTEX-1H1E6-0326-SM-9OSWE 30-39 years, male 8.0
GTEX-1OFPY-1526-SM-DTX8R 60-69 years, male 8.0
GTEX-12WSJ-0326-SM-5GCMT 40-49 years, female 7.9
GTEX-131XE-0126-SM-5LZVC 50-59 years, male 7.9
GTEX-13QJC-0826-SM-5RQKC 60-69 years, female 7.9
GTEX-1AX8Z-0826-SM-7DUFZ 60-69 years, male 7.9
GTEX-OXRL-2626-SM-2I3F1 50-59 years, male 7.9
GTEX-1I1GT-0826-SM-B2LWO 60-69 years, female 7.9
GTEX-1RMOY-0126-SM-EWRNN 50-59 years, male 7.9
GTEX-145LT-0226-SM-5S2QK 40-49 years, male 7.8
GTEX-147GR-0726-SM-5S2PL 60-69 years, male 7.8
GTEX-1CB4H-0126-SM-7IGN2 60-69 years, female 7.8
GTEX-X4LF-0426-SM-3NMB5 50-59 years, male 7.8
GTEX-1IY9M-1026-SM-A96TG 60-69 years, male 7.8
GTEX-1PFEY-0226-SM-EVR3M 30-39 years, male 7.8
GTEX-ZPIC-0226-SM-DO91T 40-49 years, female 7.8
GTEX-13X6H-0526-SM-5LU4Q 50-59 years, female 7.7
GTEX-13YAN-0926-SM-5O9C3 60-69 years, male 7.7
GTEX-SUCS-0226-SM-32PLQ 70-79 years, male 7.7
GTEX-X5EB-0726-SM-46MVR 40-49 years, male 7.7
GTEX-ZYW4-1126-SM-5SI99 60-69 years, male 7.7
GTEX-1GF9U-0226-SM-7P8TY 40-49 years, female 7.7
GTEX-1I6K6-0726-SM-B2LX4 30-39 years, male 7.7
GTEX-1LH75-0626-SM-DIPG3 50-59 years, female 7.7
GTEX-1RNSC-1126-SM-E9TIP 60-69 years, male 7.7
GTEX-11EMC-0226-SM-5EGLP 60-69 years, female 7.6
GTEX-13113-0126-SM-5LZVX 60-69 years, female 7.6
GTEX-13VXT-0626-SM-5SIA1 20-29 years, female 7.6
GTEX-144GO-0126-SM-5LUAO 60-69 years, male 7.6
GTEX-18D9U-1026-SM-72D5R 40-49 years, male 7.6
GTEX-XGQ4-0426-SM-4AT4I 50-59 years, male 7.6
GTEX-1HB9E-0826-SM-CNNQJ 50-59 years, male 7.6
GTEX-1IOXB-1026-SM-CJI4D 50-59 years, male 7.6
GTEX-1KAFJ-0426-SM-DHXJH 50-59 years, male 7.6
GTEX-1LGRB-1226-SM-CNNPS 50-59 years, female 7.6
GTEX-1QP67-0326-SM-EVR45 40-49 years, female 7.6
GTEX-13NZ9-1126-SM-5MR37 50-59 years, male 7.5
GTEX-14PN4-1526-SM-6871V 50-59 years, male 7.5
GTEX-WXYG-0226-SM-3NB2Y 50-59 years, female 7.5
GTEX-X8HC-0726-SM-46MWG 50-59 years, female 7.5
GTEX-Y5V6-0526-SM-4VBRV 60-69 years, male 7.5
GTEX-ZPCL-0126-SM-4WWC8 60-69 years, female 7.5
GTEX-1JMPY-0126-SM-CJI39 30-39 years, male 7.5
GTEX-1NUQO-0926-SM-DTXEX 20-29 years, female 7.5
GTEX-11TT1-1126-SM-5P9GV 20-29 years, male 7.4
GTEX-11TTK-0826-SM-5N9EG 60-69 years, female 7.4
GTEX-11VI4-0226-SM-5GU6C 40-49 years, female 7.4
GTEX-13OVG-0226-SM-5LU93 60-69 years, male 7.4
GTEX-13RTK-0326-SM-5RQHS 20-29 years, male 7.4
GTEX-15DZA-0226-SM-7KFS6 30-39 years, female 7.4
GTEX-15SHV-0426-SM-6M476 60-69 years, male 7.4
GTEX-16MT8-0626-SM-6M47Q 60-69 years, female 7.4
GTEX-1C4CL-0726-SM-7IGP9 30-39 years, male 7.4
GTEX-RWS6-0626-SM-2XCAS 60-69 years, female 7.4
GTEX-Y114-0626-SM-4TT98 50-59 years, female 7.4
GTEX-1JJE9-0226-SM-CY8HU 70-79 years, male 7.4
GTEX-1MCC2-0526-SM-DHXJS 30-39 years, female 7.4
GTEX-1PBJJ-1926-SM-DTX8T 30-39 years, male 7.4
GTEX-11P7K-0226-SM-5986Z 30-39 years, male 7.3
GTEX-13D11-0226-SM-5LZXL 50-59 years, female 7.3
GTEX-14PN3-0826-SM-69LOS 60-69 years, female 7.3
GTEX-1A8G6-0626-SM-7IGNB 60-69 years, male 7.3
GTEX-S32W-0726-SM-2XCBL 50-59 years, female 7.3
GTEX-1F75I-0926-SM-7MXUU 40-49 years, male 7.3
GTEX-RN5K-2826-SM-EZ6L3 50-59 years, female 7.3
GTEX-13111-0226-SM-5EQ55 50-59 years, male 7.2
GTEX-139UW-0126-SM-5KM1B 60-69 years, male 7.2
GTEX-13PVQ-0726-SM-5L3GI 50-59 years, male 7.2
GTEX-14753-0926-SM-5Q5BI 60-69 years, male 7.2
GTEX-14C39-0226-SM-5TDDW 40-49 years, male 7.2
GTEX-17F96-0526-SM-79OLE 70-79 years, male 7.2
GTEX-TKQ1-0126-SM-33HB3 30-39 years, male 7.2
GTEX-U4B1-0626-SM-3DB8L 40-49 years, male 7.2
GTEX-ZVP2-0426-SM-57WC2 50-59 years, male 7.2
GTEX-1J1OQ-0526-SM-A9G2P 40-49 years, female 7.2
GTEX-1128S-0126-SM-5H12S 60-69 years, female 7.1
GTEX-11GSP-0126-SM-5A5KU 60-69 years, female 7.1
GTEX-11P82-0226-SM-5HL4O 20-29 years, male 7.1
GTEX-13O21-2226-SM-5MR3L 50-59 years, male 7.1
GTEX-14C5O-0826-SM-5TDEG 60-69 years, male 7.1
GTEX-14DAQ-0826-SM-73KWT 60-69 years, female 7.1
GTEX-SNOS-0226-SM-32PLR 40-49 years, male 7.1
GTEX-V1D1-0926-SM-4JBHQ 50-59 years, male 7.1
GTEX-WYBS-1926-SM-3NM8N 60-69 years, female 7.1
GTEX-Y5LM-0626-SM-4V6G4 40-49 years, female 7.1
GTEX-ZQG8-0926-SM-57WFF 60-69 years, female 7.1
GTEX-1GTWX-0726-SM-9WPPA 60-69 years, male 7.1
GTEX-1HR98-0326-SM-CGQEL 60-69 years, male 7.1
GTEX-1PDJ9-0826-SM-E76PS 20-29 years, male 7.1
GTEX-1399U-0326-SM-5P9G5 50-59 years, female 7.0
GTEX-13OW5-0626-SM-5J2N2 60-69 years, male 7.0
GTEX-145ME-0126-SM-5S2QM 40-49 years, female 7.0
GTEX-PWCY-2326-SM-2I3EQ 20-29 years, female 7.0
GTEX-Q2AH-0726-SM-2I3EA 40-49 years, male 7.0
GTEX-REY6-0526-SM-2TF5M 60-69 years, male 7.0
GTEX-ZAK1-0726-SM-5HL8Q 50-59 years, female 7.0
GTEX-1JK1U-0326-SM-CXZJH 60-69 years, male 7.0
GTEX-1JMLX-0826-SM-CNNPP 50-59 years, male 7.0
GTEX-1192X-1126-SM-5EGGU 50-59 years, male 6.9
GTEX-12WSG-0226-SM-5EGIF 50-59 years, female 6.9
GTEX-16MTA-0726-SM-7KUL4 50-59 years, male 6.9
GTEX-R55E-0826-SM-2TC5M 20-29 years, male 6.9
GTEX-TMMY-0826-SM-33HB9 40-49 years, female 6.9
GTEX-U8T8-2326-SM-3DB96 60-69 years, male 6.9
GTEX-ZDYS-0626-SM-5J2N5 50-59 years, male 6.9
GTEX-ZYFD-0826-SM-5NQ9A 50-59 years, male 6.9
GTEX-1F75B-0826-SM-9QEIT 50-59 years, male 6.9
GTEX-1HCU7-0826-SM-B2LX7 50-59 years, male 6.9
GTEX-1QP28-0626-SM-E76P5 50-59 years, female 6.9
GTEX-15EO6-0126-SM-6LPKJ 50-59 years, male 6.8
GTEX-1EH9U-0926-SM-7EWF1 60-69 years, male 6.8
GTEX-N7MS-2326-SM-2HMLD 60-69 years, male 6.8
GTEX-OXRP-0326-SM-33HBJ 60-69 years, female 6.8
GTEX-P4QT-2626-SM-2I3FM 50-59 years, female 6.8
GTEX-WYJK-1626-SM-3NM9J 50-59 years, male 6.8
GTEX-ZYY3-1926-SM-5GZXS 60-69 years, female 6.8
GTEX-17GQL-0226-SM-7LTAK 60-69 years, male 6.8
GTEX-1GMR8-0826-SM-9KNUR 50-59 years, female 6.8
GTEX-1H1DE-0226-SM-ARZN8 20-29 years, male 6.8
GTEX-1HSMQ-0526-SM-A96TY 50-59 years, male 6.8
GTEX-1269C-0226-SM-5EGKS 60-69 years, female 6.7
GTEX-146FQ-0726-SM-5LUA7 30-39 years, male 6.7
GTEX-14B4R-0126-SM-5TDE4 30-39 years, male 6.7
GTEX-14BMU-0226-SM-5S2QA 20-29 years, female 6.7
GTEX-14PJ6-0326-SM-6871H 60-69 years, female 6.7
GTEX-14PKU-0326-SM-6AJA7 40-49 years, female 6.7
GTEX-17EVQ-0526-SM-7KFSK 70-79 years, male 6.7
GTEX-17KNJ-1026-SM-79ONK 50-59 years, male 6.7
GTEX-18A66-0826-SM-72D5Z 60-69 years, male 6.7
GTEX-R53T-0526-SM-3GADL 50-59 years, female 6.7
GTEX-Y3IK-0526-SM-4WWE3 50-59 years, female 6.7
GTEX-ZQUD-0126-SM-7EPIS 30-39 years, male 6.7
GTEX-1C6VQ-0526-SM-7MGWD 50-59 years, male 6.7
GTEX-1GN1V-0626-SM-7P8QU 60-69 years, male 6.7
GTEX-1H1DF-1026-SM-9QEJ1 40-49 years, female 6.7
GTEX-1HGF4-0726-SM-9WYU9 60-69 years, male 6.7
GTEX-1IDJU-1626-SM-CJI4B 60-69 years, female 6.7
GTEX-13JVG-0926-SM-5IJE1 60-69 years, male 6.6
GTEX-13O3Q-0626-SM-5IJG1 50-59 years, male 6.6
GTEX-13PVR-0626-SM-5S2RC 60-69 years, female 6.6
GTEX-14PK6-0426-SM-6EU1J 70-79 years, female 6.6
GTEX-15SHU-0726-SM-7KUFI 40-49 years, female 6.6
GTEX-15UF6-1126-SM-6LPJ3 70-79 years, female 6.6
GTEX-16NPX-1426-SM-6LPK3 50-59 years, male 6.6
GTEX-18QFQ-0726-SM-7LG6D 30-39 years, male 6.6
GTEX-R55C-0626-SM-2TF4Q 40-49 years, male 6.6
GTEX-R55G-0726-SM-2TC6J 40-49 years, female 6.6
GTEX-T8EM-0226-SM-3DB7C 40-49 years, male 6.6
GTEX-XLM4-0726-SM-4AT64 60-69 years, male 6.6
GTEX-Y111-1926-SM-4SOIS 50-59 years, male 6.6
GTEX-YEC4-0626-SM-5CVLU 40-49 years, male 6.6
GTEX-ZV6S-0226-SM-59HJT 40-49 years, female 6.6
GTEX-ZZ64-0126-SM-5GZXA 20-29 years, male 6.6
GTEX-1J8QM-0726-SM-CE6RF 60-69 years, female 6.6
GTEX-1OJC4-0526-SM-E6CQV 50-59 years, female 6.6
GTEX-1QAET-0226-SM-EVR3T 50-59 years, male 6.6
GTEX-1R9PM-0226-SM-DPRY7 20-29 years, male 6.6
GTEX-1192W-0126-SM-5EGGS 60-69 years, male 6.5
GTEX-16XZY-0726-SM-79OMU 70-79 years, male 6.5
GTEX-16YQH-0326-SM-6LPJV 30-39 years, male 6.5
GTEX-18A67-0826-SM-7KFTI 50-59 years, male 6.5
GTEX-1CB4I-0726-SM-7DUGS 50-59 years, male 6.5
GTEX-Q2AI-0326-SM-2I3EK 40-49 years, male 6.5
GTEX-ZAB5-0726-SM-5P9JG 50-59 years, male 6.5
GTEX-1C475-0226-SM-7MGXM 40-49 years, female 6.5
GTEX-1F52S-0526-SM-7P8TP 60-69 years, female 6.5
GTEX-1HFI6-1326-SM-A9SL8 40-49 years, male 6.5
GTEX-1IE54-0926-SM-A9G2Y 40-49 years, female 6.5
GTEX-1IKJJ-1026-SM-A96SQ 60-69 years, male 6.5
GTEX-1JKYR-0826-SM-ARU8L 20-29 years, male 6.5
GTEX-S341-0226-SM-D4P1Y 40-49 years, female 6.5
GTEX-11EI6-0726-SM-59866 60-69 years, male 6.4
GTEX-13O3O-0926-SM-5KM1F 60-69 years, female 6.4
GTEX-15D1Q-0626-SM-6AJAZ 40-49 years, male 6.4
GTEX-17HHY-0826-SM-7EPID 50-59 years, male 6.4
GTEX-183FY-0626-SM-79OKR 20-29 years, male 6.4
GTEX-1CAMR-0226-SM-7DUGO 20-29 years, male 6.4
GTEX-OHPL-2626-SM-2HMJA 60-69 years, female 6.4
GTEX-PLZ4-1226-SM-2I5FE 50-59 years, female 6.4
GTEX-PWN1-2626-SM-2I3FH 40-49 years, female 6.4
GTEX-QEG5-0826-SM-2I5GF 20-29 years, male 6.4
GTEX-RWSA-0826-SM-2XCBF 40-49 years, male 6.4
GTEX-ZDTS-0926-SM-5YY9D 60-69 years, male 6.4
GTEX-ZT9X-0226-SM-51MT2 40-49 years, male 6.4
GTEX-1LGOU-0126-SM-EV79W 20-29 years, female 6.4
GTEX-111CU-0226-SM-5GZXC 50-59 years, male 6.3
GTEX-11LCK-0526-SM-5A5M9 30-39 years, male 6.3
GTEX-139T6-0326-SM-5J2LY 50-59 years, male 6.3
GTEX-16AAH-0326-SM-7DHML 50-59 years, male 6.3
GTEX-1EN7A-1026-SM-7IGPZ 40-49 years, male 6.3
GTEX-S7SF-0226-SM-5SI7H 20-29 years, female 6.3
GTEX-YF7O-0726-SM-4W213 50-59 years, male 6.3
GTEX-YFCO-0326-SM-4W1ZP 40-49 years, male 6.3
GTEX-ZA64-0426-SM-5HL96 20-29 years, male 6.3
GTEX-ZVZQ-0626-SM-59HJU 60-69 years, female 6.3
GTEX-ZYVF-1126-SM-5E458 50-59 years, female 6.3
GTEX-1EU9M-0626-SM-7MXUT 60-69 years, male 6.3
GTEX-1HFI7-0326-SM-9WPOX 50-59 years, female 6.3
GTEX-1I1GR-1126-SM-A9G2I 60-69 years, male 6.3
GTEX-1J8EW-1126-SM-A96T8 60-69 years, female 6.3
GTEX-1MGNQ-0726-SM-DPRYH 40-49 years, male 6.3
GTEX-11I78-0526-SM-5986A 50-59 years, female 6.2
GTEX-12WSL-0626-SM-5GCOY 50-59 years, male 6.2
GTEX-131XF-1826-SM-5EGKG 60-69 years, male 6.2
GTEX-17F97-0626-SM-7IGOH 50-59 years, male 6.2
GTEX-U3ZN-0326-SM-3DB86 30-39 years, female 6.2
GTEX-WFG8-0426-SM-3GILD 20-29 years, male 6.2
GTEX-WL46-0126-SM-3TW8I 50-59 years, male 6.2
GTEX-WWYW-0826-SM-3NB2X 50-59 years, female 6.2
GTEX-ZXG5-0926-SM-5NQ8H 60-69 years, male 6.2
GTEX-1GF9X-0126-SM-A9G38 40-49 years, female 6.2
GTEX-1GPI7-0726-SM-9WG84 20-29 years, male 6.2
GTEX-1HSEH-0826-SM-B2LXE 60-69 years, male 6.2
GTEX-1HSKV-1026-SM-B2LWK 60-69 years, male 6.2
GTEX-ZF29-0726-SM-DO92H 60-69 years, female 6.2
GTEX-1211K-0726-SM-5FQUW 60-69 years, female 6.1
GTEX-13OW6-0726-SM-5L3FX 50-59 years, male 6.1
GTEX-14A6H-2426-SM-5Q5BO 30-39 years, male 6.1
GTEX-14PII-0826-SM-6871S 60-69 years, male 6.1
GTEX-15ETS-0526-SM-6PAN3 40-49 years, female 6.1
GTEX-17JCI-0626-SM-7IGM7 60-69 years, female 6.1
GTEX-XUZC-0126-SM-4BOO6 30-39 years, female 6.1
GTEX-Y9LG-0426-SM-4VBRT 30-39 years, male 6.1
GTEX-15RIF-0326-SM-7KUFR 20-29 years, male 6.1
GTEX-1IDJH-0826-SM-CE6SY 70-79 years, male 6.1
GTEX-111FC-1026-SM-5GZX1 60-69 years, male 6.0
GTEX-117YX-1226-SM-5H11S 50-59 years, male 6.0
GTEX-131YS-0726-SM-5P9G9 60-69 years, female 6.0
GTEX-13QJ3-0926-SM-73KX5 50-59 years, male 6.0
GTEX-13U4I-0526-SM-5LU59 40-49 years, female 6.0
GTEX-14PJ3-0126-SM-69LQP 50-59 years, male 6.0
GTEX-14PJ4-0326-SM-664OT 60-69 years, male 6.0
GTEX-15CHR-1726-SM-7DUGW 50-59 years, male 6.0
GTEX-1AX9J-2126-SM-731DD 60-69 years, male 6.0
GTEX-1B8SG-1126-SM-7IGMT 50-59 years, male 6.0
GTEX-TSE9-0626-SM-3DB8B 60-69 years, female 6.0
GTEX-W5WG-1426-SM-4KKZP 50-59 years, female 6.0
GTEX-WFJO-0226-SM-3GIKW 30-39 years, male 6.0
GTEX-1EX96-0126-SM-9KNVH 50-59 years, male 6.0
GTEX-1KD4Q-1026-SM-CXZKJ 40-49 years, male 6.0
GTEX-1QCLZ-0626-SM-E6CR2 60-69 years, female 6.0
GTEX-1R46S-0426-SM-EVR48 60-69 years, female 6.0
GTEX-12WSC-0826-SM-5EQ5Q 50-59 years, male 5.9
GTEX-139TS-0126-SM-5K7XJ 60-69 years, male 5.9
GTEX-13NZA-1026-SM-5MR48 60-69 years, male 5.9
GTEX-14BIN-0126-SM-5TDCG 50-59 years, female 5.9
GTEX-1AX9K-0626-SM-73KVD 50-59 years, male 5.9
GTEX-OOBJ-2626-SM-2I3F6 60-69 years, male 5.9
GTEX-QEL4-0726-SM-3GIJ5 50-59 years, male 5.9
GTEX-YB5E-0626-SM-4VDSE 40-49 years, male 5.9
GTEX-Z9EW-0226-SM-5CVM7 40-49 years, male 5.9
GTEX-ZYT6-0426-SM-5GID3 30-39 years, male 5.9
GTEX-1FIGZ-0226-SM-7P8QR 40-49 years, male 5.9
GTEX-1LG7Y-0626-SM-DHXJM 50-59 years, male 5.9
GTEX-12584-0826-SM-5FQSK 40-49 years, male 5.8
GTEX-132NY-1026-SM-5P9IY 60-69 years, male 5.8
GTEX-14A5H-0726-SM-5Q5DW 60-69 years, male 5.8
GTEX-14PJM-1326-SM-664NX 50-59 years, female 5.8
GTEX-1CB4J-1426-SM-7MKFR 60-69 years, male 5.8
GTEX-1EMGI-0826-SM-7EPHY 60-69 years, male 5.8
GTEX-P4QS-2626-SM-2I3EV 60-69 years, male 5.8
GTEX-S7SE-0726-SM-2XCD7 50-59 years, male 5.8
GTEX-XV7Q-0326-SM-4BRVM 40-49 years, female 5.8
GTEX-XXEK-1326-SM-4BRV1 50-59 years, male 5.8
GTEX-1J8Q3-0226-SM-C1YR4 60-69 years, male 5.8
GTEX-1K9T9-0826-SM-EAZ4X 50-59 years, female 5.8
GTEX-1LVAN-0726-SM-CNNPF 50-59 years, female 5.8
GTEX-13FH7-0126-SM-5KLZ1 50-59 years, female 5.7
GTEX-13OVK-0226-SM-6M472 40-49 years, male 5.7
GTEX-15CHC-0126-SM-5YYBA 60-69 years, female 5.7
GTEX-16NGA-0326-SM-718AJ 40-49 years, female 5.7
GTEX-1B8KE-0626-SM-7189H 50-59 years, male 5.7
GTEX-RN64-0626-SM-2TC5V 50-59 years, male 5.7
GTEX-ZLV1-0126-SM-4WWBZ 60-69 years, female 5.7
GTEX-ZLWG-0526-SM-4WWFB 50-59 years, female 5.7
GTEX-1GL5R-0626-SM-7PBZY 50-59 years, male 5.7
GTEX-1HR9M-0626-SM-A96S6 60-69 years, male 5.7
GTEX-1JN6P-0626-SM-ARZN6 60-69 years, male 5.7
GTEX-1R9JW-0226-SM-EVR4K 30-39 years, female 5.7
GTEX-1RAZQ-0926-SM-EAZ4Q 30-39 years, male 5.7
GTEX-ZT9W-0226-SM-7SB6H 50-59 years, male 5.7
GTEX-11DYG-0826-SM-5N9GH 60-69 years, male 5.6
GTEX-11NUK-1026-SM-5HL5J 50-59 years, male 5.6
GTEX-13CF3-0926-SM-5LZZC 60-69 years, female 5.6
GTEX-14AS3-0226-SM-5Q5B6 40-49 years, female 5.6
GTEX-OIZG-0226-SM-2TC5L 50-59 years, male 5.6
GTEX-QXCU-0326-SM-2TC63 50-59 years, male 5.6
GTEX-WEY5-0526-SM-3GIKZ 40-49 years, female 5.6
GTEX-YB5K-0526-SM-5LUAS 40-49 years, female 5.6
GTEX-YJ89-0726-SM-5P9F7 60-69 years, male 5.6
GTEX-1GZHY-1426-SM-9WG5H 50-59 years, female 5.6
GTEX-1I1GV-0726-SM-ARZLY 60-69 years, male 5.6
GTEX-1K2DA-1526-SM-CGQGQ 50-59 years, male 5.6
GTEX-1QP2A-0626-SM-DTX9C 50-59 years, male 5.6
GTEX-11P81-0126-SM-5HL5Y 30-39 years, female 5.5
GTEX-12BJ1-0426-SM-5FQSO 60-69 years, male 5.5
GTEX-13X6J-0826-SM-5LU32 50-59 years, male 5.5
GTEX-145MH-0426-SM-5LU8T 50-59 years, male 5.5
GTEX-1477Z-0226-SM-5TDCI 60-69 years, male 5.5
GTEX-17EVP-0126-SM-7EPHW 40-49 years, male 5.5
GTEX-QV31-0726-SM-3GAEG 30-39 years, male 5.5
GTEX-WH7G-0526-SM-3NMBI 40-49 years, male 5.5
GTEX-YFC4-2626-SM-5P9FQ 40-49 years, female 5.5
GTEX-ZPU1-0426-SM-4WWCA 40-49 years, male 5.5
GTEX-ZYFG-0626-SM-5GZYA 60-69 years, female 5.5
GTEX-1F6IF-1126-SM-9KNV2 60-69 years, male 5.5
GTEX-1I6K7-1126-SM-A96SW 40-49 years, male 5.5
GTEX-1QP66-0326-SM-DTX7V 50-59 years, male 5.5
GTEX-1QPFJ-0626-SM-DTX7Y 30-39 years, female 5.5
GTEX-11DXY-0426-SM-5H12R 60-69 years, male 5.4
GTEX-11ZTT-1026-SM-5EQKF 60-69 years, female 5.4
GTEX-13G51-1226-SM-5K7Z3 60-69 years, male 5.4
GTEX-145LU-0426-SM-5O9AH 50-59 years, male 5.4
GTEX-178AV-0726-SM-6LPJI 40-49 years, male 5.4
GTEX-WHPG-0226-SM-3NMB9 50-59 years, male 5.4
GTEX-1KANC-0826-SM-D3LA8 50-59 years, female 5.4
GTEX-1PIGE-0726-SM-DPRZD 20-29 years, male 5.4
GTEX-OIZF-2626-SM-7P8QZ 60-69 years, male 5.4
GTEX-1313W-0726-SM-5EGK1 50-59 years, female 5.3
GTEX-13FHP-0926-SM-5L3EC 50-59 years, male 5.3
GTEX-13FTW-0626-SM-5IFEX 40-49 years, male 5.3
GTEX-13NYB-0726-SM-5MR4J 40-49 years, male 5.3
GTEX-13PL6-1026-SM-5L3E5 40-49 years, female 5.3
GTEX-13RTJ-0326-SM-5YYAE 60-69 years, male 5.3
GTEX-144GM-0226-SM-5Q5CB 20-29 years, male 5.3
GTEX-14BMV-0726-SM-73KVE 50-59 years, male 5.3
GTEX-15ER7-0726-SM-7KUMF 20-29 years, female 5.3
GTEX-15EU6-1426-SM-6M48E 50-59 years, male 5.3
GTEX-15RIE-0426-SM-7KUMH 60-69 years, male 5.3
GTEX-16Z82-0426-SM-7EPGX 60-69 years, male 5.3
GTEX-1CAMQ-1126-SM-7EWFE 40-49 years, male 5.3
GTEX-P44G-0626-SM-2I5EO 30-39 years, male 5.3
GTEX-R3RS-0726-SM-3GIJR 40-49 years, female 5.3
GTEX-T2IS-0626-SM-32QP6 20-29 years, female 5.3
GTEX-WYVS-0326-SM-3NM9V 40-49 years, female 5.3
GTEX-ZTSS-0226-SM-59877 40-49 years, male 5.3
GTEX-ZUA1-0926-SM-4YCDX 40-49 years, male 5.3
GTEX-ZVZP-1026-SM-5GICI 50-59 years, male 5.3
GTEX-1I1GP-0326-SM-CNPQ4 50-59 years, male 5.3
GTEX-1IL2V-0626-SM-ARU7S 70-79 years, male 5.3
GTEX-11XUK-0226-SM-5EQLW 40-49 years, female 5.2
GTEX-12696-0326-SM-5EGL4 60-69 years, male 5.2
GTEX-12ZZX-1226-SM-5EGHS 40-49 years, female 5.2
GTEX-12ZZZ-1226-SM-59HK1 60-69 years, male 5.2
GTEX-132QS-0326-SM-5IJFN 60-69 years, male 5.2
GTEX-13OW8-0126-SM-5IJE5 60-69 years, male 5.2
GTEX-1497J-0126-SM-5Q5BK 60-69 years, male 5.2
GTEX-RU72-0126-SM-2TF6Z 50-59 years, female 5.2
GTEX-SIU8-0626-SM-2XCDN 50-59 years, male 5.2
GTEX-U3ZH-0226-SM-3DB7B 30-39 years, male 5.2
GTEX-WHSE-0626-SM-4RGNF 20-29 years, male 5.2
GTEX-WRHU-0926-SM-4E3IG 50-59 years, female 5.2
GTEX-ZYFC-0926-SM-5GZWW 50-59 years, male 5.2
GTEX-1F5PL-0826-SM-7MXU7 40-49 years, female 5.2
GTEX-1GN2E-0826-SM-9WYT8 60-69 years, male 5.2
GTEX-1I1GQ-0826-SM-CNNQR 50-59 years, male 5.2
GTEX-1I1GU-0826-SM-ARZM5 40-49 years, male 5.2
GTEX-1IGQW-0626-SM-C1YR9 60-69 years, male 5.2
GTEX-1MA7X-0926-SM-DIPEJ 60-69 years, male 5.2
GTEX-1QMI2-0826-SM-EXUT4 60-69 years, male 5.2
GTEX-1QP6S-2526-SM-DTX9Z 40-49 years, male 5.2
GTEX-11O72-2326-SM-5BC7H 40-49 years, male 5.1
GTEX-13FTY-0726-SM-5J2OH 40-49 years, female 5.1
GTEX-13O1R-0826-SM-5J2MB 60-69 years, male 5.1
GTEX-14E7W-0926-SM-5YYA4 70-79 years, male 5.1
GTEX-17HG3-0226-SM-7EWEA 30-39 years, female 5.1
GTEX-RVPV-1226-SM-2TF73 60-69 years, male 5.1
GTEX-1GMRU-1126-SM-9KNV1 50-59 years, male 5.1
GTEX-1R9K4-0726-SM-EWRN2 60-69 years, male 5.1
GTEX-13112-0326-SM-5P9IW 50-59 years, male 5.0
GTEX-14ASI-0726-SM-5Q5DC 60-69 years, male 5.0
GTEX-14XAO-0426-SM-6AJB6 60-69 years, female 5.0
GTEX-15FZZ-0226-SM-6LLI4 30-39 years, female 5.0
GTEX-1AYCT-0226-SM-73KVB 50-59 years, male 5.0
GTEX-QLQ7-0726-SM-2I5G2 60-69 years, male 5.0
GTEX-WVLH-0626-SM-3MJG7 50-59 years, male 5.0
GTEX-1B97J-0626-SM-7P8RU 50-59 years, female 5.0
GTEX-1HCU9-0226-SM-9WPNT 20-29 years, male 5.0
GTEX-1LVAM-0826-SM-EV79X 50-59 years, female 5.0
GTEX-Z93S-0526-SM-EVYB4 50-59 years, male 5.0
GTEX-11NV4-0626-SM-5N9BR 60-69 years, male 4.9
GTEX-Q2AG-0826-SM-2HMKF 40-49 years, female 4.9
GTEX-QV44-0826-SM-2S1RG 50-59 years, male 4.9
GTEX-ZTPG-0826-SM-5DUVC 20-29 years, female 4.9
GTEX-1E1VI-0726-SM-7P8QJ 50-59 years, male 4.9
GTEX-1GZ2Q-0826-SM-7P8TK 40-49 years, male 4.9
GTEX-1HUB1-1226-SM-B2LWX 60-69 years, male 4.9
GTEX-1O97I-1026-SM-E76PI 60-69 years, male 4.9
GTEX-11DXZ-0926-SM-5N9CG 50-59 years, male 4.8
GTEX-13FXS-0726-SM-5LZXJ 50-59 years, male 4.8
GTEX-15RJ7-0326-SM-6M47H 40-49 years, male 4.8
GTEX-17HII-1926-SM-79OLB 50-59 years, male 4.8
GTEX-1C6VR-0426-SM-7IGN6 60-69 years, male 4.8
GTEX-XMK1-0626-SM-4B65A 40-49 years, male 4.8
GTEX-ZY6K-0226-SM-5SIAY 50-59 years, male 4.8
GTEX-1CB4G-1526-SM-7P8QG 60-69 years, male 4.8
GTEX-13O61-0226-SM-5KM52 60-69 years, male 4.7
GTEX-18A7A-0826-SM-7KFTJ 50-59 years, female 4.7
GTEX-1A8FM-0726-SM-7DUGK 50-59 years, female 4.7
GTEX-1BAJH-0926-SM-79OO6 70-79 years, male 4.7
GTEX-OHPM-2626-SM-33HC5 50-59 years, male 4.7
GTEX-PX3G-2626-SM-2I3EG 20-29 years, female 4.7
GTEX-VJYA-0426-SM-3GIJK 60-69 years, male 4.7
GTEX-1EWIQ-0826-SM-7MXTH 70-79 years, female 4.7
GTEX-1H11D-0626-SM-9WPQ1 40-49 years, male 4.7
GTEX-1HBPI-0826-SM-9WYTX 50-59 years, male 4.7
GTEX-1KXAM-1726-SM-D3LAE 60-69 years, male 4.7
GTEX-1PPGY-1426-SM-EVR3R 60-69 years, male 4.7
GTEX-1RAZA-0826-SM-EAZ4I 20-29 years, male 4.7
GTEX-1RAZS-1026-SM-E9TID 50-59 years, male 4.7
GTEX-146FR-0326-SM-5SI8U 60-69 years, female 4.6
GTEX-RNOR-0926-SM-2TF56 50-59 years, female 4.6
GTEX-T6MN-0626-SM-32PM9 50-59 years, male 4.6
GTEX-Y8E4-0126-SM-4VBQ2 40-49 years, male 4.6
GTEX-1GN73-0826-SM-9OSW4 60-69 years, male 4.6
GTEX-1HBPH-0926-SM-A9SME 40-49 years, female 4.6
GTEX-113JC-0126-SM-5EGJW 50-59 years, female 4.5
GTEX-117XS-0526-SM-5987Q 60-69 years, male 4.5
GTEX-147F4-0826-SM-5QGRB 50-59 years, male 4.5
GTEX-1B8KZ-0426-SM-731DP 50-59 years, male 4.5
GTEX-RM2N-0526-SM-2TF4N 50-59 years, male 4.5
GTEX-1RDX4-0926-SM-E9U6D 50-59 years, female 4.5
GTEX-1RQED-0926-SM-EWRNZ 60-69 years, male 4.5
GTEX-1S83E-0726-SM-EV7B6 40-49 years, male 4.5
GTEX-11NSD-0126-SM-5987F 20-29 years, male 4.4
GTEX-11UD2-0626-SM-5GU6L 50-59 years, male 4.4
GTEX-13N11-1026-SM-5K7XQ 50-59 years, female 4.4
GTEX-144GL-1226-SM-5O9A4 50-59 years, male 4.4
GTEX-P78B-0526-SM-2I5F7 40-49 years, female 4.4
GTEX-Y5V5-0326-SM-5RQJG 60-69 years, female 4.4
GTEX-ZF3C-0826-SM-DO11E 50-59 years, female 4.4
GTEX-13FLV-0226-SM-5J2OF 50-59 years, male 4.3
GTEX-15SB6-1526-SM-7KUMQ 50-59 years, female 4.3
GTEX-ZVT3-0726-SM-5GICN 60-69 years, female 4.3
GTEX-1JJEA-0626-SM-D3L96 60-69 years, male 4.3
GTEX-1JMQJ-2026-SM-CNPP9 50-59 years, male 4.3
GTEX-11TUW-0226-SM-5LU8X 60-69 years, male 4.2
GTEX-131XH-0526-SM-5DUX7 50-59 years, male 4.2
GTEX-1399R-0126-SM-5IFEV 30-39 years, male 4.2
GTEX-139YR-1226-SM-5IFEU 50-59 years, male 4.2
GTEX-1C64N-1026-SM-79ONM 50-59 years, male 4.2
GTEX-1CB4F-0826-SM-793CV 60-69 years, male 4.2
GTEX-UJMC-0326-SM-3GAE2 50-59 years, male 4.2
GTEX-W5X1-0426-SM-3GILB 40-49 years, female 4.2
GTEX-1GF9V-0926-SM-9KNW7 60-69 years, male 4.2
GTEX-1IL2U-0826-SM-CL53Q 60-69 years, male 4.2
GTEX-1KD5A-0426-SM-D4P3X 50-59 years, male 4.2
GTEX-1R9K5-0726-SM-EAZ4E 50-59 years, male 4.2
GTEX-12WSK-0926-SM-5CVNQ 40-49 years, female 4.1
GTEX-13FLW-0326-SM-5J2M4 50-59 years, male 4.1
GTEX-13OW7-0826-SM-5L3EL 50-59 years, male 4.1
GTEX-15CHQ-0826-SM-69LOT 60-69 years, male 4.1
GTEX-1B8SF-0626-SM-73KVV 60-69 years, male 4.1
GTEX-1GZ4I-0626-SM-9WPPN 50-59 years, male 4.1
GTEX-1JKYN-1126-SM-CGQG5 30-39 years, male 4.1
GTEX-1LBAC-0726-SM-D3L9U 20-29 years, male 4.1
GTEX-11ZVC-0126-SM-5986G 50-59 years, female 4.0
GTEX-1212Z-0426-SM-5FQT6 60-69 years, male 4.0
GTEX-1AMFI-0526-SM-7189M 50-59 years, female 4.0
GTEX-T6MO-0226-SM-32QOL 40-49 years, female 4.0
GTEX-V955-0426-SM-3GAEL 60-69 years, male 4.0
GTEX-1GF9W-0626-SM-7MXVJ 60-69 years, male 4.0
GTEX-1LB8K-0626-SM-D4P3Z 50-59 years, male 4.0
GTEX-1B8L1-1626-SM-7IGMH 60-69 years, male 3.9
GTEX-1GMR3-0726-SM-9WPOF 40-49 years, male 3.9
GTEX-1M4P7-0626-SM-EVR51 60-69 years, male 3.9
GTEX-1QEPI-0726-SM-E76QG 60-69 years, female 3.9
GTEX-ZDXO-1726-SM-5HL6L 60-69 years, male 3.9
GTEX-16GPK-0926-SM-6LPJ9 60-69 years, male 3.8
GTEX-OIZI-0726-SM-2XCEI 40-49 years, male 3.8
GTEX-1HSGN-0726-SM-A9G2F 40-49 years, female 3.8
GTEX-1IKOH-0626-SM-CJI35 60-69 years, female 3.8
GTEX-11GSO-0626-SM-5A5LW 60-69 years, male 3.7
GTEX-13VXU-0826-SM-5KLZ2 50-59 years, male 3.7
GTEX-145MG-0826-SM-5Q5C2 50-59 years, male 3.7
GTEX-1AX9I-0626-SM-72D54 60-69 years, male 3.7
GTEX-1B933-1026-SM-7P8RO 50-59 years, female 3.7
GTEX-1F88F-0726-SM-7P8R7 60-69 years, female 3.7
GTEX-1PIIG-2026-SM-EVR43 30-39 years, male 3.7
GTEX-17HHE-0426-SM-79OK3 50-59 years, male 3.6
GTEX-18465-1426-SM-7KFTF 50-59 years, male 3.6
GTEX-1RAZR-1126-SM-E6CRC 40-49 years, male 3.6
GTEX-1RQEC-1026-SM-EVR5B 60-69 years, male 3.6
GTEX-12WSD-0926-SM-5GCNL 60-69 years, female 3.5
GTEX-1A8G7-1026-SM-73KVA 60-69 years, male 3.5
GTEX-1QW4Y-0226-SM-EAZ3U 30-39 years, male 3.5
GTEX-XOT4-1526-SM-EAZ2W 60-69 years, female 3.5
GTEX-11GS4-0826-SM-5986J 60-69 years, male 3.4
GTEX-12ZZY-0826-SM-5EQMT 60-69 years, male 3.4
GTEX-13N1W-0826-SM-5MR5J 70-79 years, male 3.4
GTEX-1MJK2-0826-SM-DTXE8 50-59 years, male 3.4
GTEX-1N5O9-1026-SM-DTX8Y 60-69 years, male 3.4
GTEX-117YW-0126-SM-5EGGN 50-59 years, male 3.3
GTEX-18A6Q-0726-SM-7LT8Y 60-69 years, male 3.3
GTEX-1GN1U-0826-SM-9WPPX 50-59 years, female 3.3
GTEX-14JIY-1226-SM-6871R 60-69 years, male 3.2
GTEX-VUSG-0426-SM-3GIKD 50-59 years, male 3.2
GTEX-14ABY-0926-SM-5Q5DY 50-59 years, male 3.1
GTEX-1GZ4H-0226-SM-9JGGJ 50-59 years, female 3.1
GTEX-11OF3-0626-SM-5BC4Y 60-69 years, male 2.8
GTEX-1J8JJ-0726-SM-AHZ3E 60-69 years, female 2.5
GTEX-1399T-0126-SM-5KM15 60-69 years, male 2.3
GTEX-SJXC-0726-SM-2XCFJ 60-69 years, male 2.2
Show allShow less

THYROID GLAND - FANTOM5 CAGEi

RNA expression in human tissues obtained through Cap Analysis of Gene Expression (CAGE) generated by the FANTOM5 project are reported as Scaled Tags Per Million.

Max subtype Scaled Tags Per Millioni

Max subtype Scaled Tags Per Million is the value for the subtype with the largest average Scaled Tags Per Million across the subtype samples.

3.8
FANTOM5 sample id Sample description Scaled Tags Per Million
Thyroid
Scaled Tags Per Million: 3.8
FF:10028-101E1 67,68,78 years, mixed 3.8

Contact

  • NEWS ARTICLES
  • PRESS ROOM

The Project

  • INTRODUCTION
  • ORGANIZATION
  • PUBLICATIONS

The Human Protein Atlas

  • DOWNLOADABLE DATA
  • LICENCE & CITATION
  • HELP & FAQ
The Human Protein Atlas project is funded
by the Knut & Alice Wallenberg Foundation.


contact@proteinatlas.org