We use cookies to enhance the usability of our website. If you continue, we'll assume that you are happy to receive all cookies. More information. Don't show this again.
LMNA
HPA
RESOURCES
  • TISSUE
  • BRAIN
  • SINGLE CELL
  • SUBCELLULAR
  • CANCER
  • BLOOD
  • CELL LINE
  • STRUCTURE & INTERACTION
ABOUT
  • INTRODUCTION
  • HISTORY
  • ORGANIZATION
  • PUBLICATIONS
  • ANTIBODY SUBMISSION
  • ANTIBODY AVAILABILITY
  • ACKNOWLEDGMENTS
  • CONTACT
NEWS
  • NEWS ARTICLES
  • PRESS ROOM
LEARN
  • DICTIONARY
  • PROTEIN CLASSES
  • PROTEIN EVIDENCE
  • METHODS
  • EDUCATIONAL VIDEOS
DATA
  • DOWNLOADABLE DATA
  • PUBLICATION DATA
  • RELEASE HISTORY
HELP
  • ANTIBODY VALIDATION
  • ASSAYS & ANNOTATION
  • DISCLAIMER
  • HELP & FAQ
  • PRIVACY STATEMENT
  • LICENCE & CITATION
Fields »
Search result

Field
Term
Gene name
Class
Subclass
Class
Keyword
Chromosome
External id
Tissue
Cell type
Expression
Antibody panel
Tissue
Main location
Patient ID
Annotation
Tissue
Category
Tau score
Cluster
Reliability
Brain region
Category
Tau score
Brain region
Category
Tau score
Brain region
Category
Tau score
Cluster
Reliability
Tissue
Cell type
Enrichment
Cell type
Category
Tau score
Cell type
Category
Tau score
Cell type
Category
Tau score
Cell lineage
Category
Tau score
Cluster
Cluster
Location
Searches
Location
Cell line
Class
Type
Phase
Reliability
Cancer
Prognosis
Cancer
Category
Cancer
Category
Tau score
Cluster
Variants
Interacting gene (ensg_id)
Type
Number of interactions
Pathway
Category
Score
Score
Score
Validation
Validation
Validation
Validation
Antibodies
Data type
Column


  • SUMMARY

  • TISSUE

  • BRAIN

  • SINGLE CELL

  • SUBCELL

  • CANCER

  • BLOOD

  • CELL LINE

  • STRUCT & INT

  • LMNA
TISSUE PRIMARY DATA BREAST Show tissue menu
ADIPOSE TISSUE ADRENAL GLAND AMYGDALA APPENDIX BASAL GANGLIA BONE MARROW BREAST BRONCHUS CEREBELLUM CEREBRAL CORTEX CERVIX CHOROID PLEXUS COLON DUODENUM
ENDOMETRIUM EPIDIDYMIS ESOPHAGUS FALLOPIAN TUBE GALLBLADDER HEART MUSCLE HIPPOCAMPAL FORMATION HYPOTHALAMUS KIDNEY LIVER LUNG LYMPH NODE MIDBRAIN NASOPHARYNX
ORAL MUCOSA OVARY PANCREAS PARATHYROID GLAND PITUITARY GLAND PLACENTA PROSTATE RECTUM RETINA SALIVARY GLAND SEMINAL VESICLE SKELETAL MUSCLE SKIN SMALL INTESTINE
SMOOTH MUSCLE SOFT TISSUE SPINAL CORD SPLEEN STOMACH TESTIS THYMUS THYROID GLAND TONGUE TONSIL URINARY BLADDER VAGINA
ANTIBODIES
AND
VALIDATION
Dictionary
Breast
Tissue proteome
Breast
BREAST - Expression summary
Protein expression
Breasti

On the top, protein expression in current human tissue, based on all annotated cell types, is reported with the units not detected (n), low (l), medium (m) and high (h). Underneath, protein expression in each annotated cell type are reported using the same units.

Protein expression data is based on knowledge-based annotation. For genes where more than one antibody has been used, a collective score is set.

If knowledge-based annotation could not be performed for a gene, no data is displayed here. View antibody staining data further down this page.

h
m
l
n
Adipocytes: High
Glandular cells: High
Myoepithelial cells: High
RNA expressioni

A summary of mRNA expression data available for current tissue based on several datasets. The mRNA expression levels in human tissues are based on RNA-seq data generated by the Human Protein Atlas (HPA), Genotype-Tissue Expression (GTEx) portal and CAGE data generated by the FANTOM5 consortium. Consensus normalized expression levels for human tissues was created by combining the data from HPA and GTEx datasets.

The mRNA expression levels in pig are based on RNA-seq data generated by the Human Protein Atlas (HPA), and for mouse, HPA data and in situ hybridization generated by the Allen brain atlas are reported.

Scroll down to view mRNA expression data in more detail.
Consensus:223.9 nTPM
HPA:64.6 nTPM
GTEx:223.9 nTPM
FANTOM5:458.0 Scaled Tags Per Million

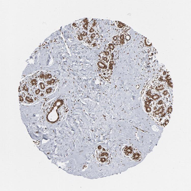
BREAST - Antibody stainingi

Antibody staining in the annotated cell types in the current human tissue is reported as not detected, low, medium, or high, based on conventional immunohistochemistry profiling in selected tissues. This score is based on the combination of the staining intensity and fraction of stained cells.

Each image is clickable and will lead to virtual microscopy that enables deeper exploration of all samples and also displays staining intensity scores, fraction scores and subcellular localization as well as patient and tissue information for each sample.

Antibody HPA006660Antibody CAB004022
Adipocytes MediumHigh
Glandular cells HighHigh
Myoepithelial cells MediumHigh




BREAST - HPA RNA-seqi

The RNA-seq details section shows detailed information about the individual samples used for the transcript profiling and results of the RNA-seq analysis.

Information about each individual sample is listed below, including gender, age, a tissue section image and estimated fractions of cell types. nTPM (normalized transcripts per million) values give a quantification of the gene abundance which is comparable between different genes and samples.
Average nTPMi

Max subtype nTPM is the value for the subtype with the largest average nTPM across the subtype samples.

64.6
overview
Female, age 52
Breast sample 373
nTPM: 64.4
Cell types%
Glandular cells:
15

Adipocytes:
5

Other cell types:
80

overview
Female, age 80
Breast sample 390
nTPM: 147.3
Cell types%
Glandular cells:
5

Adipocytes:
15

Other cell types:
80

overview
Female, age 47
Breast sample 405
nTPM: 27.4
Cell types%
Glandular cells:
5

Adipocytes:
5

Other cell types:
90

overview
Female, age 38
Breast sample 410
nTPM: 19.2
Cell types%
Glandular cells:
40

Adipocytes:
5

Other cell types:
55


BREAST - GTEx RNA-seqi

RNA-Seq data generated by the Genotype-Tissue Expression (GTEx) project from human tissues is reported as mean nTPM. More information can be found on the GTEx portal.

Distribution across the dataset is visualized with box plots, shown as median and 25th and 75th percentiles. Points are displayed as outliers if they are above or below 1.5 times the interquartile range. nTPM values of the individual samples are presented next to the box plot.
Max subtype nTPMi

Max subtype nTPM is the value for the subtype with the largest average nTPM across the subtype samples.

223.9
GTEx sample id Sample description nTPM
Breast - Mammary Tissue
Average nTPM: 223.9
Samples: 459

Max nTPM: 964.4
Min nTPM: 73.6
Std nTPM: 92.6
Median nTPM: 205.0
GTEX-1GZHY-0726-SM-9WG6B 50-59 years, female 964.4
GTEX-T2IS-1526-SM-32QPR 20-29 years, female 879.5
GTEX-1QEPI-0926-SM-DTXF3 60-69 years, female 706.1
GTEX-1N2EF-2226-SM-E9J33 60-69 years, male 600.7
GTEX-1I1GP-0426-SM-COH3N 50-59 years, male 557.5
GTEX-1H1CY-2226-SM-9WG7E 60-69 years, female 541.2
GTEX-13PVQ-1026-SM-5KM3M 50-59 years, male 533.2
GTEX-16YQH-2826-SM-6PAMY 30-39 years, male 532.7
GTEX-1IDJH-2226-SM-E6CJV 70-79 years, male 532.7
GTEX-1IGQW-0926-SM-ADEH6 60-69 years, male 508.5
GTEX-1H4P4-2226-SM-9MQKQ 50-59 years, male 462.9
GTEX-1CB4G-2326-SM-79OOI 60-69 years, male 434.6
GTEX-1JN1M-3026-SM-CMKGK 60-69 years, female 425.4
GTEX-132NY-0826-SM-5K7Y7 60-69 years, male 415.4
GTEX-1PPGY-1526-SM-EVYBK 60-69 years, male 408.7
GTEX-13O3O-0826-SM-5K7WE 60-69 years, female 402.1
GTEX-YJ8O-2226-SM-5IFHW 40-49 years, female 395.0
GTEX-18A6Q-0926-SM-7LG4N 60-69 years, male 387.1
GTEX-1NV8Z-2826-SM-E8VME 60-69 years, male 382.2
GTEX-14E7W-0826-SM-62LEJ 70-79 years, male 377.5
GTEX-Y8E4-1626-SM-5S2MW 40-49 years, male 374.0
GTEX-13VXU-2826-SM-664MA 50-59 years, male 372.5
GTEX-U8XE-0826-SM-4E3J1 30-39 years, male 372.1
GTEX-11WQC-1726-SM-5GU4W 60-69 years, male 365.1
GTEX-13SLX-2326-SM-5ZZWE 50-59 years, female 362.9
GTEX-1BAJH-0826-SM-7EWEF 70-79 years, male 362.3
GTEX-1EKGG-2626-SM-7IGPY 60-69 years, male 361.2
GTEX-17JCI-0726-SM-7EPH1 60-69 years, female 358.2
GTEX-11TUW-1826-SM-5BC5D 60-69 years, male 352.3
GTEX-1269C-2426-SM-5FQSN 60-69 years, female 350.6
GTEX-XOT4-0726-SM-4GIAW 60-69 years, female 349.8
GTEX-13N1W-0626-SM-5MR4U 70-79 years, male 341.1
GTEX-1LG7Z-0726-SM-CXKYD 30-39 years, male 340.9
GTEX-1GPI6-0626-SM-7RHHJ 60-69 years, male 340.7
GTEX-1AX8Z-0926-SM-731AW 60-69 years, male 340.6
GTEX-1C6WA-2426-SM-7SB86 60-69 years, male 337.3
GTEX-1GN2E-2226-SM-9WG6J 60-69 years, male 336.8
GTEX-13CF2-2026-SM-5K7VI 60-69 years, male 336.3
GTEX-ZVTK-0326-SM-51MRR 20-29 years, male 333.1
GTEX-1B933-2526-SM-7IGO5 50-59 years, female 331.8
GTEX-13QJ3-0826-SM-7DHKK 50-59 years, male 327.6
GTEX-17EVP-0226-SM-79OND 40-49 years, male 326.6
GTEX-11EQ9-1826-SM-5Q5AJ 30-39 years, male 326.2
GTEX-17HG3-0126-SM-7IGNH 30-39 years, female 323.6
GTEX-WRHU-0326-SM-3MJFY 50-59 years, female 323.3
GTEX-17HHY-0926-SM-793C1 50-59 years, male 321.6
GTEX-14BMV-0626-SM-793AU 50-59 years, male 315.6
GTEX-ZVZQ-0826-SM-51MRF 60-69 years, female 315.1
GTEX-11DXY-2326-SM-5GICW 60-69 years, male 314.6
GTEX-13O3Q-2226-SM-5KM4O 50-59 years, male 314.2
GTEX-145MF-2226-SM-7EPIR 50-59 years, male 314.2
GTEX-1JJEA-2726-SM-ARL8V 60-69 years, male 311.3
GTEX-1GMRU-0826-SM-9WYT7 50-59 years, male 310.5
GTEX-1M4P7-2626-SM-E9U5F 60-69 years, male 309.2
GTEX-12WSM-1726-SM-5BC6J 60-69 years, male 307.7
GTEX-14ABY-2126-SM-5QGQZ 50-59 years, male 307.6
GTEX-1MJK3-1126-SM-E9J3F 20-29 years, male 307.5
GTEX-18465-2026-SM-718AP 50-59 years, male 306.3
GTEX-TKQ1-0226-SM-33HB5 30-39 years, male 306.1
GTEX-11EI6-0626-SM-5985T 60-69 years, male 305.0
GTEX-144GL-2026-SM-5LU3O 50-59 years, male 304.6
GTEX-1HSMO-0826-SM-ADEIV 60-69 years, male 304.6
GTEX-1I6K6-0826-SM-ARL7Z 30-39 years, male 302.0
GTEX-1MJK2-2226-SM-EVYCR 50-59 years, male 301.6
GTEX-13S86-1226-SM-5S2OA 40-49 years, male 301.4
GTEX-ZV7C-1826-SM-5NQ83 50-59 years, male 297.9
GTEX-14PJ4-2126-SM-6ETZJ 60-69 years, male 297.5
GTEX-13NZ9-1026-SM-5MR5K 50-59 years, male 296.5
GTEX-11OF3-1926-SM-59889 60-69 years, male 296.2
GTEX-1313W-0826-SM-5EQ4T 50-59 years, female 295.6
GTEX-1MA7X-1626-SM-E9U5B 60-69 years, male 295.3
GTEX-1F6I4-2526-SM-7SB8F 60-69 years, male 294.4
GTEX-1HT8W-2226-SM-CGQEC 30-39 years, male 294.0
GTEX-15FZZ-0726-SM-7KUFZ 30-39 years, female 287.1
GTEX-11GS4-2126-SM-5A5KR 60-69 years, male 284.7
GTEX-11P82-1326-SM-5HL62 20-29 years, male 284.5
GTEX-ZUA1-1526-SM-59HLS 40-49 years, male 284.4
GTEX-1GF9U-1726-SM-7MGY5 40-49 years, female 283.5
GTEX-1QMI2-0726-SM-E9J4F 60-69 years, male 283.2
GTEX-1R9PN-0326-SM-DTX85 40-49 years, female 282.8
GTEX-1LSVX-2426-SM-E6CJX 60-69 years, male 281.7
GTEX-1KD4Q-2326-SM-D4P3M 40-49 years, male 280.9
GTEX-1J8Q2-2726-SM-A9G2X 60-69 years, male 276.4
GTEX-Y111-2026-SM-4SOJA 50-59 years, male 275.4
GTEX-13OW8-0226-SM-5K7UP 60-69 years, male 274.8
GTEX-RU72-0626-SM-46MUI 50-59 years, female 274.2
GTEX-1MCC2-2126-SM-EWRON 30-39 years, female 274.0
GTEX-17GQL-0326-SM-7LG5U 60-69 years, male 273.7
GTEX-1GF9V-2526-SM-7SB8K 60-69 years, male 272.8
GTEX-15UF7-0726-SM-6M46D 40-49 years, male 272.3
GTEX-17MFQ-0926-SM-7LG4S 20-29 years, male 272.1
GTEX-1R7EV-1526-SM-E8VOD 40-49 years, male 271.9
GTEX-11ZUS-0826-SM-5FQUY 30-39 years, male 270.4
GTEX-WOFL-0826-SM-3MJG1 60-69 years, male 269.8
GTEX-ZY6K-1626-SM-5GZWV 50-59 years, male 269.5
GTEX-11GSP-0926-SM-9WYSG 60-69 years, female 269.1
GTEX-XQ8I-2426-SM-4WAXY 50-59 years, male 269.0
GTEX-1N2EE-2126-SM-E8VNN 60-69 years, male 267.9
GTEX-117XS-1926-SM-5GICO 60-69 years, male 267.5
GTEX-11NV4-2026-SM-5N9DG 60-69 years, male 265.9
GTEX-YFCO-1826-SM-4W1YH 40-49 years, male 265.9
GTEX-14PN4-0626-SM-62LFP 50-59 years, male 265.1
GTEX-18A7A-0726-SM-7LTAI 50-59 years, female 264.7
GTEX-1IOXB-1926-SM-ARL8E 50-59 years, male 263.0
GTEX-1JN6P-2426-SM-ARL99 60-69 years, male 261.8
GTEX-1EWIQ-1726-SM-7SB7T 70-79 years, female 261.3
GTEX-ZVT4-1026-SM-57WC4 50-59 years, female 259.6
GTEX-1HFI7-0126-SM-CGQFQ 50-59 years, female 259.4
GTEX-183FY-1126-SM-7DHLJ 20-29 years, male 258.8
GTEX-11NSD-0926-SM-5N9DR 20-29 years, male 257.5
GTEX-1I6K7-1026-SM-A9SLK 40-49 years, male 257.5
GTEX-1E2YA-2726-SM-7IGPW 50-59 years, male 257.2
GTEX-1NHNU-0926-SM-E9J2T 50-59 years, male 257.2
GTEX-11DXW-0626-SM-5N9ER 40-49 years, male 256.3
GTEX-1LBAC-0926-SM-CXKY9 20-29 years, male 254.9
GTEX-14PKU-0426-SM-6EU1P 40-49 years, female 254.6
GTEX-17HGU-1326-SM-79OKB 50-59 years, male 254.1
GTEX-18A7B-2626-SM-7LG55 70-79 years, male 253.5
GTEX-17KNJ-2026-SM-7LG53 50-59 years, male 253.0
GTEX-R3RS-0626-SM-48FE1 40-49 years, female 252.9
GTEX-1RAZS-1226-SM-E8VMT 50-59 years, male 252.9
GTEX-1H23P-0726-SM-9WG7K 60-69 years, male 251.9
GTEX-ZEX8-2226-SM-57WC6 50-59 years, male 251.5
GTEX-1B932-0826-SM-73KXG 40-49 years, female 251.4
GTEX-1IDJF-2326-SM-ARL86 20-29 years, male 251.0
GTEX-1EN7A-1426-SM-7PBY4 40-49 years, male 249.4
GTEX-XYKS-1326-SM-4BRUN 60-69 years, female 248.1
GTEX-1EU9M-2826-SM-7EWFH 60-69 years, male 248.0
GTEX-1H3VY-0926-SM-ACKXE 50-59 years, male 246.9
GTEX-1B8L1-2426-SM-9WYTE 60-69 years, male 246.8
GTEX-R55D-0826-SM-48FEA 50-59 years, male 246.6
GTEX-1S82Z-0726-SM-E6CHX 30-39 years, female 245.8
GTEX-WYBS-0926-SM-3NM94 60-69 years, female 243.4
GTEX-13D11-1026-SM-5IJFB 50-59 years, female 242.7
GTEX-1QP9N-1826-SM-E8VMP 30-39 years, male 242.6
GTEX-1QPFJ-2026-SM-EVYBE 30-39 years, female 241.5
GTEX-1H1DG-0526-SM-9YFLN 70-79 years, male 240.7
GTEX-1GPI7-0926-SM-7PC3J 20-29 years, male 239.7
GTEX-SE5C-2126-SM-4BRUJ 40-49 years, female 239.5
GTEX-14PHY-1926-SM-5YY95 60-69 years, female 239.4
GTEX-11ONC-2126-SM-5HL6E 60-69 years, male 238.2
GTEX-1HCU8-0126-SM-ADEHH 60-69 years, female 238.2
GTEX-139T6-1626-SM-5PNYZ 50-59 years, male 238.0
GTEX-132AR-0826-SM-5EGK6 50-59 years, female 237.3
GTEX-144GM-0926-SM-5O994 20-29 years, male 237.1
GTEX-1HR98-0426-SM-COH36 60-69 years, male 236.3
GTEX-17EVQ-0426-SM-7LG57 70-79 years, male 236.2
GTEX-1ICLY-1726-SM-B2LVT 50-59 years, male 235.2
GTEX-ZYFC-0826-SM-5E44K 50-59 years, male 235.1
GTEX-ZDYS-1126-SM-5K7UB 50-59 years, male 234.2
GTEX-11PRG-0826-SM-5EQ6A 50-59 years, male 233.7
GTEX-1GF9X-1026-SM-ACKX2 40-49 years, female 233.7
GTEX-ZDXO-0126-SM-5S2ND 60-69 years, male 233.3
GTEX-1HUB1-1626-SM-CM2SL 60-69 years, male 232.7
GTEX-1IY9M-2726-SM-CMKG5 60-69 years, male 232.7
GTEX-ZLFU-2126-SM-DO931 40-49 years, male 232.4
GTEX-14B4R-1226-SM-5TDDT 30-39 years, male 232.0
GTEX-1HC8U-0826-SM-ADEIL 40-49 years, female 231.4
GTEX-1ICLZ-0426-SM-B2LW2 60-69 years, male 231.3
GTEX-15ER7-1626-SM-6PAMZ 20-29 years, female 231.1
GTEX-1QCLZ-2326-SM-DTXDO 60-69 years, female 231.0
GTEX-1117F-2826-SM-5GZXL 60-69 years, female 230.3
GTEX-RUSQ-2026-SM-4GIAK 50-59 years, male 229.5
GTEX-XQ3S-1326-SM-4BOPQ 20-29 years, male 229.5
GTEX-1H1ZS-0126-SM-9YFKQ 70-79 years, male 229.3
GTEX-1RQEC-2026-SM-DTXDM 60-69 years, male 228.9
GTEX-13O61-1826-SM-5KM4I 60-69 years, male 228.2
GTEX-X261-0626-SM-3NMD9 50-59 years, male 228.0
GTEX-1KAFJ-0226-SM-DIPEL 50-59 years, male 228.0
GTEX-14DAR-1326-SM-7DUEG 50-59 years, male 227.3
GTEX-S4P3-1326-SM-4AD6V 50-59 years, female 225.8
GTEX-133LE-1726-SM-5K7VQ 20-29 years, female 225.5
GTEX-XGQ4-0926-SM-4AT4U 50-59 years, male 225.4
GTEX-139TU-0626-SM-5KM3X 60-69 years, male 224.1
GTEX-ZLV1-1426-SM-DO92Z 60-69 years, female 223.9
GTEX-1AX9I-0726-SM-73KWV 60-69 years, male 223.7
GTEX-1PDJ9-1126-SM-EXUSW 20-29 years, male 223.3
GTEX-S7SE-0826-SM-4AT4D 50-59 years, male 223.0
GTEX-1122O-1226-SM-5H113 60-69 years, female 222.9
GTEX-13FTW-1426-SM-5LZWZ 40-49 years, male 222.8
GTEX-1OKEX-0826-SM-E9J2B 60-69 years, male 222.6
GTEX-1KANC-1426-SM-CYPT9 50-59 years, female 222.4
GTEX-Y5V5-2126-SM-4WWFO 60-69 years, female 222.3
GTEX-16BQI-1026-SM-7KUEA 30-39 years, female 222.0
GTEX-ZDTT-2126-SM-DKPOM 60-69 years, male 221.5
GTEX-1KD5A-1926-SM-DKPQA 50-59 years, male 221.3
GTEX-1C6VQ-0426-SM-79OOX 50-59 years, male 220.6
GTEX-ZT9W-2026-SM-51MRA 50-59 years, male 220.4
GTEX-S4Q7-1126-SM-4AD6R 20-29 years, male 220.3
GTEX-12WSN-1326-SM-5GCNT 40-49 years, male 220.1
GTEX-1HSKV-2026-SM-CMKGX 60-69 years, male 220.1
GTEX-YEC3-1026-SM-5IFI5 50-59 years, male 217.9
GTEX-1S82U-1126-SM-E9U6I 30-39 years, female 217.7
GTEX-14E6E-1326-SM-5S2NR 30-39 years, male 217.6
GTEX-ZA64-1526-SM-5CVMD 20-29 years, male 217.2
GTEX-11TT1-2126-SM-5GU5Y 20-29 years, male 217.0
GTEX-13FHO-0826-SM-5L3E8 60-69 years, male 216.9
GTEX-1IKJJ-2326-SM-COH3U 60-69 years, male 216.5
GTEX-ZQG8-0726-SM-5P9H9 60-69 years, female 216.2
GTEX-S32W-2026-SM-4AD6E 50-59 years, female 216.1
GTEX-11LCK-2426-SM-5HL5F 30-39 years, male 215.8
GTEX-17F98-0526-SM-79OK5 40-49 years, female 215.6
GTEX-1HSEH-2026-SM-ADEHN 60-69 years, male 215.2
GTEX-1F75A-1826-SM-7SB8G 50-59 years, male 214.2
GTEX-1GMR3-2626-SM-7RHHG 40-49 years, male 214.2
GTEX-14ICK-2426-SM-6EU27 40-49 years, male 213.9
GTEX-1CB4J-1826-SM-7EWF9 60-69 years, male 213.8
GTEX-ZAK1-1326-SM-EVYAS 50-59 years, female 213.8
GTEX-ZLWG-1926-SM-DO92J 50-59 years, female 213.4
GTEX-1J8Q3-1326-SM-CMKI1 60-69 years, male 213.2
GTEX-13CF3-2126-SM-5IFJP 60-69 years, female 212.1
GTEX-1R46S-2526-SM-E8VN2 60-69 years, female 212.1
GTEX-1H11D-1526-SM-9MQJY 40-49 years, male 211.6
GTEX-ZYW4-0826-SM-5GIDG 60-69 years, male 210.7
GTEX-UPK5-2326-SM-3P5Z8 40-49 years, male 210.6
GTEX-X4XY-0926-SM-4E3JD 60-69 years, male 210.3
GTEX-YB5E-1726-SM-5IFJ3 40-49 years, male 210.2
GTEX-1HKZK-1826-SM-ADEJ2 40-49 years, male 210.1
GTEX-WI4N-1426-SM-3LK7H 40-49 years, female 210.0
GTEX-ZZPU-0626-SM-5E43T 50-59 years, female 209.8
GTEX-1J8EW-2626-SM-CL53E 60-69 years, female 209.8
GTEX-18D9A-1526-SM-7LG4J 30-39 years, female 209.7
GTEX-S33H-0326-SM-4AD6N 30-39 years, male 209.7
GTEX-11WQK-2426-SM-5GU5C 50-59 years, male 209.1
GTEX-15UF6-0126-SM-6PAMB 70-79 years, female 208.4
GTEX-1GN1W-1926-SM-7P8TH 50-59 years, female 208.1
GTEX-1I1GU-1026-SM-ADEHJ 40-49 years, male 208.1
GTEX-1I1HK-2426-SM-ADEHX 60-69 years, male 207.9
GTEX-1I1GV-2426-SM-CGQFM 60-69 years, male 207.3
GTEX-YECK-0726-SM-EZ6LV 60-69 years, male 205.0
GTEX-14PJO-0726-SM-69LO8 60-69 years, male 204.9
GTEX-1B8SG-1226-SM-7IGPF 50-59 years, male 204.9
GTEX-147F4-2826-SM-5NQBN 50-59 years, male 204.3
GTEX-1B97I-0426-SM-79OL7 40-49 years, male 204.1
GTEX-1L5NE-2126-SM-CY8IH 50-59 years, male 204.0
GTEX-131XW-0726-SM-5EGK3 50-59 years, female 203.8
GTEX-1MCYP-0126-SM-E6CIS 20-29 years, female 203.8
GTEX-17MF6-0326-SM-7EPH5 40-49 years, male 203.6
GTEX-1M5QR-2526-SM-E9U5P 40-49 years, male 203.6
GTEX-11O72-2126-SM-5N9FO 40-49 years, male 203.2
GTEX-QVJO-1826-SM-447C9 60-69 years, female 203.2
GTEX-17EUY-1926-SM-7DUF6 20-29 years, male 203.0
GTEX-1J8QM-2026-SM-ARZMW 60-69 years, female 202.5
GTEX-11I78-2226-SM-5PNYA 50-59 years, female 202.1
GTEX-1JMLX-2026-SM-CMKGN 50-59 years, male 201.7
GTEX-1I19N-2826-SM-CL55D 70-79 years, male 201.3
GTEX-14LLW-0626-SM-62LFC 70-79 years, female 200.4
GTEX-X15G-1626-SM-3NMB3 50-59 years, female 200.1
GTEX-1A3MV-1626-SM-731C1 30-39 years, male 200.0
GTEX-14E6C-1326-SM-62LEQ 40-49 years, male 199.7
GTEX-1LC47-1226-SM-D4P44 60-69 years, male 199.7
GTEX-15G19-2126-SM-6M48J 60-69 years, male 198.2
GTEX-QDT8-0626-SM-48TYW 30-39 years, female 198.1
GTEX-145MN-1926-SM-5SIAI 30-39 years, male 197.1
GTEX-1A8G7-2426-SM-731AK 60-69 years, male 196.8
GTEX-ZU9S-1926-SM-5NQBP 30-39 years, male 196.7
GTEX-1N5O9-1126-SM-DTXEQ 60-69 years, male 196.4
GTEX-17F97-2526-SM-7EWDV 50-59 years, male 196.1
GTEX-14A5I-0726-SM-5TDEB 50-59 years, female 196.0
GTEX-VUSG-2226-SM-4KKZO 50-59 years, male 195.9
GTEX-17F9E-2526-SM-7MGW2 50-59 years, male 195.6
GTEX-14AS3-1626-SM-5S2OY 40-49 years, female 195.4
GTEX-ZTTD-1026-SM-51MRD 50-59 years, male 195.4
GTEX-T6MN-0726-SM-32PML 50-59 years, male 194.7
GTEX-13W46-0826-SM-5LU3H 50-59 years, male 194.5
GTEX-1IKOH-2326-SM-CM2TW 60-69 years, female 193.8
GTEX-1AX9J-1126-SM-731B7 60-69 years, male 192.1
GTEX-Y5V6-2126-SM-4WWFX 60-69 years, male 192.1
GTEX-1HCU9-0326-SM-9WYSC 20-29 years, male 190.5
GTEX-146FH-0826-SM-5SI8T 50-59 years, female 189.6
GTEX-REY6-2426-SM-48FF5 60-69 years, male 189.5
GTEX-13SLW-2526-SM-62LDQ 70-79 years, male 189.3
GTEX-13W3W-1226-SM-5LU4H 60-69 years, female 189.1
GTEX-ZV6S-1826-SM-5NQ8D 40-49 years, female 189.0
GTEX-117YX-1426-SM-5H12H 50-59 years, male 188.6
GTEX-131YS-0626-SM-5EGKL 60-69 years, female 188.5
GTEX-1QP29-1726-SM-E8VMQ 50-59 years, male 188.4
GTEX-1B8KE-1226-SM-73KWK 50-59 years, male 187.2
GTEX-1A3MX-2726-SM-718B6 60-69 years, male 186.5
GTEX-18QFQ-0826-SM-718AX 30-39 years, male 186.3
GTEX-1QW4Y-1026-SM-DTXE2 30-39 years, male 185.7
GTEX-1CAMR-1426-SM-793BO 20-29 years, male 185.6
GTEX-11GSO-1926-SM-5A5K3 60-69 years, male 185.2
GTEX-1JKYN-0726-SM-ARZMY 30-39 years, male 185.1
GTEX-WY7C-2726-SM-3NB3P 50-59 years, male 185.0
GTEX-1JK1U-1826-SM-ARL8W 60-69 years, male 184.9
GTEX-1LNCM-0226-SM-DIPF4 50-59 years, female 184.5
GTEX-11P7K-0726-SM-5EGKX 30-39 years, male 184.3
GTEX-1399U-1826-SM-5PNZ1 50-59 years, female 184.1
GTEX-ZZ64-1226-SM-5E43R 20-29 years, male 184.0
GTEX-1C6VS-0726-SM-7EPHF 60-69 years, male 183.5
GTEX-1IDJU-1826-SM-CMKHV 60-69 years, female 183.5
GTEX-1KANA-2026-SM-DIPFB 20-29 years, male 183.4
GTEX-U3ZH-1426-SM-4DXSR 30-39 years, male 182.5
GTEX-1JMOU-2026-SM-CMKGU 60-69 years, female 182.5
GTEX-11ZTT-2326-SM-5EQLG 60-69 years, female 181.9
GTEX-17HHE-1426-SM-7EPH4 50-59 years, male 181.9
GTEX-ZF29-1926-SM-5S2P1 60-69 years, female 181.9
GTEX-ZYT6-0126-SM-5E45J 30-39 years, male 181.8
GTEX-1B8KZ-1526-SM-7DUG7 50-59 years, male 181.3
GTEX-1HR9M-2426-SM-ACKXI 60-69 years, male 181.3
GTEX-ZWKS-2826-SM-5NQ74 30-39 years, male 181.2
GTEX-11EM3-1326-SM-5N9C6 20-29 years, female 181.0
GTEX-ZAB4-2526-SM-5HL8M 40-49 years, male 180.6
GTEX-12KS4-0126-SM-5Q5A5 30-39 years, male 180.2
GTEX-XV7Q-2326-SM-4BRVZ 40-49 years, female 179.9
GTEX-1GZ4I-2826-SM-9MQK5 50-59 years, male 179.2
GTEX-U412-1826-SM-4DXTJ 60-69 years, male 179.0
GTEX-14H4A-2526-SM-5YYAY 40-49 years, female 178.9
GTEX-Y3I4-1526-SM-4TT7K 50-59 years, male 178.9
GTEX-15ETS-0626-SM-7KUMX 40-49 years, female 178.6
GTEX-11DZ1-0326-SM-5N9BN 50-59 years, male 178.5
GTEX-1C475-1226-SM-7SB72 40-49 years, female 178.5
GTEX-QMRM-1626-SM-D4P1U 50-59 years, male 178.4
GTEX-12BJ1-1826-SM-5HL9N 60-69 years, male 178.2
GTEX-1AMEY-1026-SM-718AA 30-39 years, female 178.2
GTEX-18A66-1726-SM-7LG5N 60-69 years, male 176.8
GTEX-1GN1U-0526-SM-9KNTT 50-59 years, female 175.6
GTEX-14753-2426-SM-5LU8U 60-69 years, male 175.5
GTEX-TKQ2-1826-SM-33HB2 50-59 years, male 175.2
GTEX-13QIC-2326-SM-5LU5N 60-69 years, female 174.7
GTEX-13NZB-2126-SM-5MR4Y 30-39 years, male 174.6
GTEX-1I4MK-1626-SM-CM2TJ 50-59 years, female 174.2
GTEX-13FTY-2226-SM-5J1ND 40-49 years, female 174.1
GTEX-15RJE-2626-SM-7KFT1 40-49 years, male 174.0
GTEX-1CB4E-0226-SM-79OLW 60-69 years, male 173.7
GTEX-WYJK-1326-SM-3NB2T 50-59 years, male 173.5
GTEX-13113-5013-SM-7SB7G 60-69 years, female 173.1
GTEX-1JKYR-0926-SM-CMKGJ 20-29 years, male 172.7
GTEX-1314G-1226-SM-5BC6D 30-39 years, male 172.1
GTEX-17F96-2426-SM-7IGLN 70-79 years, male 172.1
GTEX-1IDJE-0826-SM-CKZNZ 50-59 years, female 171.9
GTEX-1JJE9-2326-SM-ARL8Q 70-79 years, male 171.9
GTEX-1R9PM-1826-SM-EVYBH 20-29 years, male 171.9
GTEX-1C64O-0726-SM-7DUFU 60-69 years, male 171.6
GTEX-Z9EW-1526-SM-EZ6LU 40-49 years, male 170.8
GTEX-1KXAM-1026-SM-CY8IA 60-69 years, male 170.7
GTEX-1R7EU-1226-SM-E8VMR 60-69 years, male 170.7
GTEX-1JMQK-2626-SM-COH2W 60-69 years, male 170.5
GTEX-ZVE2-1226-SM-5NQ8R 50-59 years, male 170.3
GTEX-13PL6-2926-SM-5L3I2 40-49 years, female 169.9
GTEX-1PPH7-0826-SM-E8VNX 40-49 years, male 169.9
GTEX-12ZZX-1126-SM-5EGKB 40-49 years, female 169.7
GTEX-12WSK-2226-SM-5GCO5 40-49 years, female 169.1
GTEX-ZF3C-2326-SM-5S2NC 50-59 years, female 168.5
GTEX-WHSB-1926-SM-EXOHH 50-59 years, male 168.4
GTEX-1211K-1926-SM-5EQLB 60-69 years, female 168.3
GTEX-15SHW-1326-SM-6PAL8 60-69 years, male 168.1
GTEX-WFON-1826-SM-3GILG 40-49 years, male 167.9
GTEX-1NUQO-2226-SM-E9U68 20-29 years, female 167.8
GTEX-Y8LW-1626-SM-5IFHX 50-59 years, female 167.7
GTEX-Y9LG-1426-SM-5IFJZ 30-39 years, male 166.1
GTEX-X4EP-2926-SM-3P5YQ 60-69 years, female 166.0
GTEX-ZPIC-1126-SM-5BC7F 40-49 years, female 165.5
GTEX-T5JC-2126-SM-32PMO 20-29 years, male 165.4
GTEX-PSDG-1626-SM-48TCQ 50-59 years, male 165.3
GTEX-11DXZ-1926-SM-5GZZL 50-59 years, male 165.2
GTEX-Y114-2026-SM-4TT7L 50-59 years, female 164.5
GTEX-13PVR-2226-SM-7DHKP 60-69 years, female 163.8
GTEX-ZQUD-1926-SM-51MSA 30-39 years, male 163.8
GTEX-Q2AG-0326-SM-48U1O 40-49 years, female 163.7
GTEX-UJHI-1426-SM-3DB9C 50-59 years, female 163.0
GTEX-1P4AB-1826-SM-E76PU 50-59 years, male 162.4
GTEX-15EOM-5019-SM-793DK 20-29 years, female 161.9
GTEX-1HBPM-0126-SM-ARL9E 60-69 years, female 161.6
GTEX-Y3IK-2326-SM-4WWDT 50-59 years, female 161.3
GTEX-1GZ2Q-2626-SM-7MXV9 40-49 years, male 161.0
GTEX-1K2DA-1726-SM-CGQGS 50-59 years, male 160.3
GTEX-TML8-1226-SM-32QON 40-49 years, female 160.1
GTEX-1HCVE-2626-SM-ADEJ8 50-59 years, male 160.1
GTEX-1JMPZ-1626-SM-COH31 30-39 years, male 160.1
GTEX-1JMPY-0526-SM-CL54O 30-39 years, male 159.6
GTEX-1R9JW-0326-SM-EAZ45 30-39 years, female 159.6
GTEX-1POEN-0926-SM-DTX88 30-39 years, female 158.7
GTEX-11P81-1926-SM-5BC53 30-39 years, female 158.5
GTEX-13NZ8-0126-SM-5IJCT 60-69 years, female 158.4
GTEX-XMD2-0926-SM-4WWEF 60-69 years, female 158.4
GTEX-ZTX8-1226-SM-4YCE9 20-29 years, male 157.6
GTEX-1IE54-0626-SM-ARL8D 40-49 years, female 157.5
GTEX-YFC4-1426-SM-5IFJG 40-49 years, female 156.9
GTEX-1K9T9-1426-SM-DIPFQ 50-59 years, female 156.5
GTEX-S341-1526-SM-4AD6K 40-49 years, female 156.4
GTEX-WYVS-1726-SM-3NMAY 40-49 years, female 154.7
GTEX-1LVAN-1326-SM-CNPQE 50-59 years, female 154.7
GTEX-145LT-0726-SM-5S2VM 40-49 years, male 154.4
GTEX-WXYG-2226-SM-4E3IM 50-59 years, female 154.2
GTEX-13O3P-0826-SM-5L3DH 50-59 years, male 153.9
GTEX-1I1GT-1126-SM-ARL7J 60-69 years, female 153.7
GTEX-1H1E6-0926-SM-9YFLT 30-39 years, male 153.2
GTEX-1QP28-1226-SM-E9J2M 50-59 years, female 153.0
GTEX-1RAZQ-1226-SM-EWRNL 30-39 years, male 152.9
GTEX-1GZ4H-0326-SM-7P8QX 50-59 years, female 152.5
GTEX-1RLM8-2226-SM-EVYD1 50-59 years, male 152.5
GTEX-ZGAY-1726-SM-DO91P 40-49 years, female 152.4
GTEX-R53T-1526-SM-48FEK 50-59 years, female 151.5
GTEX-S4UY-0726-SM-4AD6X 40-49 years, female 151.0
GTEX-ZVT2-1826-SM-5NQ8W 50-59 years, female 151.0
GTEX-WFG8-2026-SM-EXOHO 20-29 years, male 149.2
GTEX-145MO-0826-SM-5NQBL 60-69 years, male 149.0
GTEX-XMK1-1126-SM-4IHJ8 40-49 years, male 149.0
GTEX-1LGRB-1826-SM-CNPQL 50-59 years, female 148.4
GTEX-ZAJG-0626-SM-5HL8X 50-59 years, female 147.9
GTEX-U3ZN-1926-SM-4DXSG 30-39 years, female 147.7
GTEX-1F5PK-2126-SM-7PC28 50-59 years, male 146.6
GTEX-1QCLY-1626-SM-DTXDW 30-39 years, male 146.0
GTEX-1IKOE-1326-SM-CE6T6 30-39 years, female 144.6
GTEX-139T8-0826-SM-5L3DE 60-69 years, male 144.5
GTEX-169BO-1126-SM-7MGWN 50-59 years, male 144.1
GTEX-ZC5H-2626-SM-5J2MG 40-49 years, female 144.0
GTEX-16NGA-0826-SM-718AF 40-49 years, female 143.9
GTEX-1B97J-0426-SM-79OLQ 50-59 years, female 143.8
GTEX-11EMC-2026-SM-5A5JV 60-69 years, female 143.6
GTEX-XUZC-1626-SM-4BRVP 30-39 years, female 143.3
GTEX-XUW1-2326-SM-4BOO5 50-59 years, female 143.0
GTEX-XBED-1626-SM-47JYN 60-69 years, male 141.2
GTEX-YB5K-1626-SM-5IFIN 40-49 years, female 140.7
GTEX-1192X-2326-SM-5987X 50-59 years, male 140.3
GTEX-1ICG6-1326-SM-ACKWR 70-79 years, female 140.2
GTEX-RU1J-0626-SM-4WAWY 20-29 years, female 139.2
GTEX-1HCUA-0726-SM-ACKVU 50-59 years, female 139.1
GTEX-1HCU7-1026-SM-ADEIP 50-59 years, male 138.5
GTEX-T6MO-0326-SM-32QOK 40-49 years, female 137.9
GTEX-1F5PL-1026-SM-7RHI1 40-49 years, female 137.4
GTEX-ZXES-0826-SM-5E43C 30-39 years, female 136.7
GTEX-RWS6-1926-SM-47JXY 60-69 years, female 136.3
GTEX-13FTX-1126-SM-5N9EN 20-29 years, female 134.4
GTEX-1F75B-0626-SM-7SB8A 50-59 years, male 134.2
GTEX-T5JW-2026-SM-4DM63 20-29 years, female 133.0
GTEX-VJWN-0726-SM-3GIJ8 50-59 years, female 130.5
GTEX-ZF2S-2026-SM-5E461 50-59 years, female 130.5
GTEX-1MA7W-1026-SM-DKPQK 20-29 years, female 130.5
GTEX-V955-2026-SM-3GAFA 60-69 years, male 130.2
GTEX-13OW5-2226-SM-5L3HC 60-69 years, male 130.0
GTEX-X62O-0526-SM-EWRMA 50-59 years, male 128.4
GTEX-1HSGN-1526-SM-A9SMO 40-49 years, female 127.9
GTEX-1LSNL-2826-SM-E9U5L 50-59 years, male 127.6
GTEX-1IDFM-0426-SM-B2LVV 60-69 years, male 126.9
GTEX-183WM-0726-SM-7LTAA 70-79 years, female 126.2
GTEX-1LSNM-1326-SM-E9TJ1 50-59 years, male 125.7
GTEX-Y5LM-1726-SM-4VDSX 40-49 years, female 124.7
GTEX-14BMU-1626-SM-5TDE7 20-29 years, female 123.0
GTEX-13N11-1726-SM-5J1OJ 50-59 years, female 122.4
GTEX-1F75I-2026-SM-7SB7N 40-49 years, male 121.0
GTEX-ZTPG-2826-SM-57WGA 20-29 years, female 114.9
GTEX-1LVAM-0926-SM-E9TJ2 50-59 years, female 112.2
GTEX-1GMR8-0726-SM-9KNVI 50-59 years, female 111.9
GTEX-111YS-1926-SM-5GICC 60-69 years, male 111.6
GTEX-TMMY-0726-SM-33HBE 40-49 years, female 111.2
GTEX-132Q8-1426-SM-5EGK7 60-69 years, male 108.9
GTEX-1HBPN-2326-SM-9WPPU 50-59 years, male 108.5
GTEX-145ME-1526-SM-5Q5F2 40-49 years, female 107.0
GTEX-1CAMS-1426-SM-7IGPM 40-49 years, female 105.6
GTEX-QEL4-2126-SM-447AE 50-59 years, male 105.2
GTEX-1GMR2-1926-SM-9MQLZ 50-59 years, male 103.4
GTEX-XMD1-0826-SM-4AT52 60-69 years, male 101.0
GTEX-QEG5-0726-SM-D4P1T 20-29 years, male 100.3
GTEX-W5X1-2326-SM-3GIL6 40-49 years, female 92.7
GTEX-T2YK-2226-SM-32QPT 50-59 years, male 90.3
GTEX-UTHO-1026-SM-3GAF7 60-69 years, male 73.6
Show allShow less

BREAST - FANTOM5 CAGEi

RNA expression in human tissues obtained through Cap Analysis of Gene Expression (CAGE) generated by the FANTOM5 project are reported as Scaled Tags Per Million.

Max subtype Scaled Tags Per Millioni

Max subtype Scaled Tags Per Million is the value for the subtype with the largest average Scaled Tags Per Million across the subtype samples.

458.0
FANTOM5 sample id Sample description Scaled Tags Per Million
Breast
Scaled Tags Per Million: 458.0
FF:10080-102A8 77 years, female 458.0

Contact

  • NEWS ARTICLES
  • PRESS ROOM

The Project

  • INTRODUCTION
  • ORGANIZATION
  • PUBLICATIONS

The Human Protein Atlas

  • DOWNLOADABLE DATA
  • LICENCE & CITATION
  • HELP & FAQ
The Human Protein Atlas project is funded
by the Knut & Alice Wallenberg Foundation.


contact@proteinatlas.org