We use cookies to enhance the usability of our website. If you continue, we'll assume that you are happy to receive all cookies. More information. Don't show this again.
LMNA
HPA
RESOURCES
  • TISSUE
  • BRAIN
  • SINGLE CELL
  • SUBCELLULAR
  • CANCER
  • BLOOD
  • CELL LINE
  • STRUCTURE & INTERACTION
ABOUT
  • INTRODUCTION
  • HISTORY
  • ORGANIZATION
  • PUBLICATIONS
  • ANTIBODY SUBMISSION
  • ANTIBODY AVAILABILITY
  • ACKNOWLEDGMENTS
  • CONTACT
NEWS
  • NEWS ARTICLES
  • PRESS ROOM
LEARN
  • DICTIONARY
  • PROTEIN CLASSES
  • PROTEIN EVIDENCE
  • METHODS
  • EDUCATIONAL VIDEOS
DATA
  • DOWNLOADABLE DATA
  • PUBLICATION DATA
  • RELEASE HISTORY
HELP
  • ANTIBODY VALIDATION
  • ASSAYS & ANNOTATION
  • DISCLAIMER
  • HELP & FAQ
  • PRIVACY STATEMENT
  • LICENCE & CITATION
Fields »
Search result

Field
Term
Gene name
Class
Subclass
Class
Keyword
Chromosome
External id
Tissue
Cell type
Expression
Antibody panel
Tissue
Main location
Patient ID
Annotation
Tissue
Category
Tau score
Cluster
Reliability
Brain region
Category
Tau score
Brain region
Category
Tau score
Brain region
Category
Tau score
Cluster
Reliability
Tissue
Cell type
Enrichment
Cell type
Category
Tau score
Cell type
Category
Tau score
Cell type
Category
Tau score
Cell lineage
Category
Tau score
Cluster
Cluster
Location
Searches
Location
Cell line
Class
Type
Phase
Reliability
Cancer
Prognosis
Cancer
Category
Cancer
Category
Tau score
Cluster
Variants
Interacting gene (ensg_id)
Type
Number of interactions
Pathway
Category
Score
Score
Score
Validation
Validation
Validation
Validation
Antibodies
Data type
Column


  • SUMMARY

  • TISSUE

  • BRAIN

  • SINGLE CELL

  • SUBCELL

  • CANCER

  • BLOOD

  • CELL LINE

  • STRUCT & INT

  • LMNA
TISSUE PRIMARY DATA THYROID GLAND Show tissue menu
ADIPOSE TISSUE ADRENAL GLAND AMYGDALA APPENDIX BASAL GANGLIA BONE MARROW BREAST BRONCHUS CEREBELLUM CEREBRAL CORTEX CERVIX CHOROID PLEXUS COLON DUODENUM
ENDOMETRIUM EPIDIDYMIS ESOPHAGUS FALLOPIAN TUBE GALLBLADDER HEART MUSCLE HIPPOCAMPAL FORMATION HYPOTHALAMUS KIDNEY LIVER LUNG LYMPH NODE MIDBRAIN NASOPHARYNX
ORAL MUCOSA OVARY PANCREAS PARATHYROID GLAND PITUITARY GLAND PLACENTA PROSTATE RECTUM RETINA SALIVARY GLAND SEMINAL VESICLE SKELETAL MUSCLE SKIN SMALL INTESTINE
SMOOTH MUSCLE SOFT TISSUE SPINAL CORD SPLEEN STOMACH TESTIS THYMUS THYROID GLAND TONGUE TONSIL URINARY BLADDER VAGINA
ANTIBODIES
AND
VALIDATION
Dictionary
Thyroid gland
Tissue proteome
Thyroid gland
THYROID GLAND - Expression summary
Protein expression
Thyroid glandi

On the top, protein expression in current human tissue, based on all annotated cell types, is reported with the units not detected (n), low (l), medium (m) and high (h). Underneath, protein expression in each annotated cell type are reported using the same units.

Protein expression data is based on knowledge-based annotation. For genes where more than one antibody has been used, a collective score is set.

If knowledge-based annotation could not be performed for a gene, no data is displayed here. View antibody staining data further down this page.

h
m
l
n
Glandular cells: High
RNA expressioni

A summary of mRNA expression data available for current tissue based on several datasets. The mRNA expression levels in human tissues are based on RNA-seq data generated by the Human Protein Atlas (HPA), Genotype-Tissue Expression (GTEx) portal and CAGE data generated by the FANTOM5 consortium. Consensus normalized expression levels for human tissues was created by combining the data from HPA and GTEx datasets.

The mRNA expression levels in pig are based on RNA-seq data generated by the Human Protein Atlas (HPA), and for mouse, HPA data and in situ hybridization generated by the Allen brain atlas are reported.

Scroll down to view mRNA expression data in more detail.
Consensus:142.9 nTPM
HPA:31.9 nTPM
GTEx:142.9 nTPM
FANTOM5:136.8 Scaled Tags Per Million

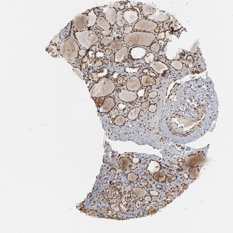
THYROID GLAND - Antibody stainingi

Antibody staining in the annotated cell types in the current human tissue is reported as not detected, low, medium, or high, based on conventional immunohistochemistry profiling in selected tissues. This score is based on the combination of the staining intensity and fraction of stained cells.

Each image is clickable and will lead to virtual microscopy that enables deeper exploration of all samples and also displays staining intensity scores, fraction scores and subcellular localization as well as patient and tissue information for each sample.

Antibody HPA006660Antibody CAB004022
Glandular cells HighHigh





THYROID GLAND - HPA RNA-seqi

The RNA-seq details section shows detailed information about the individual samples used for the transcript profiling and results of the RNA-seq analysis.

Information about each individual sample is listed below, including gender, age, a tissue section image and estimated fractions of cell types. nTPM (normalized transcripts per million) values give a quantification of the gene abundance which is comparable between different genes and samples.
Average nTPMi

Max subtype nTPM is the value for the subtype with the largest average nTPM across the subtype samples.

31.9
overview
Female, age 20
Thyroid gland sample 249
nTPM: 24.2
Cell types%
Glandular cells:
70

Endothelial cells:
20

Other cell types:
10

overview
Female, age 55
Thyroid gland sample 250
nTPM: 26.2
Cell types%
Glandular cells:
70

Endothelial cells:
20

Other cell types:
10

overview
Female, age 58
Thyroid gland sample 251
nTPM: 42.7
Cell types%
Glandular cells:
70

Endothelial cells:
15

Other cell types:
15

overview
Female, age 48
Thyroid gland sample 252
nTPM: 36.2
Cell types%
Glandular cells:
70

Endothelial cells:
20

Other cell types:
10

overview
Male, age 21
Thyroid gland sample 363
nTPM: 30.4
Cell types%
Glandular cells:
75

Endothelial cells:
10

Other cell types:
15


THYROID GLAND - GTEx RNA-seqi

RNA-Seq data generated by the Genotype-Tissue Expression (GTEx) project from human tissues is reported as mean nTPM. More information can be found on the GTEx portal.

Distribution across the dataset is visualized with box plots, shown as median and 25th and 75th percentiles. Points are displayed as outliers if they are above or below 1.5 times the interquartile range. nTPM values of the individual samples are presented next to the box plot.
Max subtype nTPMi

Max subtype nTPM is the value for the subtype with the largest average nTPM across the subtype samples.

142.9
GTEx sample id Sample description nTPM
Thyroid
Average nTPM: 142.9
Samples: 653

Max nTPM: 480.3
Min nTPM: 42.3
Std nTPM: 55.6
Median nTPM: 131.8
GTEX-1PIIG-2026-SM-EVR43 30-39 years, male 480.3
GTEX-1PBJI-0726-SM-EXUSQ 20-29 years, female 469.2
GTEX-ZDTS-0926-SM-5YY9D 60-69 years, male 399.8
GTEX-1IKJJ-1026-SM-A96SQ 60-69 years, male 367.4
GTEX-1MA7X-0926-SM-DIPEJ 60-69 years, male 357.6
GTEX-1IDJH-0826-SM-CE6SY 70-79 years, male 356.0
GTEX-113JC-0126-SM-5EGJW 50-59 years, female 348.5
GTEX-11DYG-0826-SM-5N9GH 60-69 years, male 328.3
GTEX-1LSVX-0726-SM-E9TJG 60-69 years, male 326.2
GTEX-1269C-0226-SM-5EGKS 60-69 years, female 317.9
GTEX-1EN7A-1026-SM-7IGPZ 40-49 years, male 302.9
GTEX-1LB8K-0626-SM-D4P3Z 50-59 years, male 301.4
GTEX-1B8SF-0626-SM-73KVV 60-69 years, male 300.8
GTEX-11GSP-0126-SM-5A5KU 60-69 years, female 293.9
GTEX-16YQH-0326-SM-6LPJV 30-39 years, male 293.1
GTEX-WVLH-0626-SM-3MJG7 50-59 years, male 291.9
GTEX-11DXY-0426-SM-5H12R 60-69 years, male 290.1
GTEX-11O72-2326-SM-5BC7H 40-49 years, male 288.8
GTEX-14DAQ-0826-SM-73KWT 60-69 years, female 287.7
GTEX-T6MN-0626-SM-32PM9 50-59 years, male 284.6
GTEX-17JCI-0626-SM-7IGM7 60-69 years, female 281.0
GTEX-1I1GP-0326-SM-CNPQ4 50-59 years, male 278.5
GTEX-1EKGG-0726-SM-7IGPX 60-69 years, male 273.9
GTEX-117XS-0526-SM-5987Q 60-69 years, male 273.3
GTEX-14C39-0226-SM-5TDDW 40-49 years, male 272.6
GTEX-1GZHY-1426-SM-9WG5H 50-59 years, female 268.1
GTEX-1GN73-0826-SM-9OSW4 60-69 years, male 266.2
GTEX-17HHY-0826-SM-7EPID 50-59 years, male 265.9
GTEX-1I1GR-1126-SM-A9G2I 60-69 years, male 260.6
GTEX-13G51-1226-SM-5K7Z3 60-69 years, male 253.5
GTEX-WOFL-0726-SM-3MJG4 60-69 years, male 247.3
GTEX-1JMPZ-0626-SM-CY8HY 30-39 years, male 241.4
GTEX-1O97I-1026-SM-E76PI 60-69 years, male 239.0
GTEX-11UD2-0626-SM-5GU6L 50-59 years, male 238.7
GTEX-18A6Q-0726-SM-7LT8Y 60-69 years, male 237.6
GTEX-1BAJH-0926-SM-79OO6 70-79 years, male 237.1
GTEX-11DXX-0226-SM-5P9HL 60-69 years, female 236.3
GTEX-1O9I2-1226-SM-E6CQC 50-59 years, male 235.3
GTEX-16Z82-0426-SM-7EPGX 60-69 years, male 234.1
GTEX-1MJK2-0826-SM-DTXE8 50-59 years, male 234.1
GTEX-WK11-0926-SM-3NMAU 50-59 years, male 227.1
GTEX-13FTW-0626-SM-5IFEX 40-49 years, male 226.0
GTEX-1RAZS-1026-SM-E9TID 50-59 years, male 224.2
GTEX-1HUB1-1226-SM-B2LWX 60-69 years, male 222.0
GTEX-P44G-0626-SM-2I5EO 30-39 years, male 220.6
GTEX-14A5H-0726-SM-5Q5DW 60-69 years, male 220.3
GTEX-14XAO-0426-SM-6AJB6 60-69 years, female 219.0
GTEX-1HFI7-0326-SM-9WPOX 50-59 years, female 217.8
GTEX-1EU9M-0626-SM-7MXUT 60-69 years, male 216.4
GTEX-13112-0326-SM-5P9IW 50-59 years, male 215.9
GTEX-YEC3-0826-SM-4WWFP 50-59 years, male 215.7
GTEX-1RNSC-1126-SM-E9TIP 60-69 years, male 215.2
GTEX-1GN1V-0626-SM-7P8QU 60-69 years, male 214.7
GTEX-1212Z-0426-SM-5FQT6 60-69 years, male 214.4
GTEX-1C6VR-0426-SM-7IGN6 60-69 years, male 213.9
GTEX-139TS-0126-SM-5K7XJ 60-69 years, male 213.0
GTEX-1J8JJ-0726-SM-AHZ3E 60-69 years, female 212.6
GTEX-1GN2E-0826-SM-9WYT8 60-69 years, male 212.1
GTEX-OXRN-1526-SM-E6CHM 50-59 years, male 212.0
GTEX-1E1VI-0726-SM-7P8QJ 50-59 years, male 211.6
GTEX-1IL2U-0826-SM-CL53Q 60-69 years, male 210.8
GTEX-11TT1-1126-SM-5P9GV 20-29 years, male 210.4
GTEX-N7MS-2326-SM-2HMLD 60-69 years, male 209.9
GTEX-145LU-0426-SM-5O9AH 50-59 years, male 209.6
GTEX-13O1R-0826-SM-5J2MB 60-69 years, male 208.7
GTEX-11TUW-0226-SM-5LU8X 60-69 years, male 207.9
GTEX-SIU8-0626-SM-2XCDN 50-59 years, male 207.1
GTEX-1OJC3-0626-SM-E8VMO 20-29 years, male 205.6
GTEX-1A8G6-0626-SM-7IGNB 60-69 years, male 205.4
GTEX-1CAMQ-1126-SM-7EWFE 40-49 years, male 204.0
GTEX-1KD4Q-1026-SM-CXZKJ 40-49 years, male 203.9
GTEX-1IOXB-1026-SM-CJI4D 50-59 years, male 203.2
GTEX-1F88F-0726-SM-7P8R7 60-69 years, female 202.3
GTEX-1B97I-0326-SM-7DUGB 40-49 years, male 202.1
GTEX-15RJ7-0326-SM-6M47H 40-49 years, male 202.0
GTEX-1HBPI-0826-SM-9WYTX 50-59 years, male 202.0
GTEX-16MTA-0726-SM-7KUL4 50-59 years, male 201.5
GTEX-ZZ64-0126-SM-5GZXA 20-29 years, male 201.4
GTEX-1QEPI-0726-SM-E76QG 60-69 years, female 200.4
GTEX-147F4-0826-SM-5QGRB 50-59 years, male 199.2
GTEX-1QMI2-0826-SM-EXUT4 60-69 years, male 198.8
GTEX-1A8G7-1026-SM-73KVA 60-69 years, male 198.6
GTEX-13JVG-0926-SM-5IJE1 60-69 years, male 198.4
GTEX-1H1DG-0726-SM-A96TN 70-79 years, male 198.0
GTEX-ZAK1-0726-SM-5HL8Q 50-59 years, female 197.3
GTEX-YEC4-0626-SM-5CVLU 40-49 years, male 196.1
GTEX-11EM3-0126-SM-5985K 20-29 years, female 195.7
GTEX-1IDJC-1026-SM-A96T2 50-59 years, male 195.7
GTEX-1F5PL-0826-SM-7MXU7 40-49 years, female 195.6
GTEX-1GF9W-0626-SM-7MXVJ 60-69 years, male 195.1
GTEX-1EMGI-0826-SM-7EPHY 60-69 years, male 194.8
GTEX-111CU-0226-SM-5GZXC 50-59 years, male 194.6
GTEX-13O61-0226-SM-5KM52 60-69 years, male 194.3
GTEX-17HII-1926-SM-79OLB 50-59 years, male 192.7
GTEX-1QP28-0626-SM-E76P5 50-59 years, female 192.4
GTEX-12WSC-0826-SM-5EQ5Q 50-59 years, male 192.2
GTEX-1F6IF-1126-SM-9KNV2 60-69 years, male 191.8
GTEX-148VI-0526-SM-5TDDG 60-69 years, female 191.5
GTEX-1GF9V-0926-SM-9KNW7 60-69 years, male 191.0
GTEX-11EQ9-0626-SM-5A5K1 30-39 years, male 190.5
GTEX-1CAMR-0226-SM-7DUGO 20-29 years, male 190.4
GTEX-1J8EW-1126-SM-A96T8 60-69 years, female 190.2
GTEX-13NZA-1026-SM-5MR48 60-69 years, male 189.9
GTEX-13O3O-0926-SM-5KM1F 60-69 years, female 189.4
GTEX-X4XY-0826-SM-4E3JM 60-69 years, male 189.4
GTEX-1JMQL-0926-SM-CJI3F 50-59 years, female 189.2
GTEX-11ZTS-1126-SM-5LU9X 60-69 years, female 188.2
GTEX-14E7W-0926-SM-5YYA4 70-79 years, male 188.1
GTEX-13FTY-0726-SM-5J2OH 40-49 years, female 187.5
GTEX-17HG3-0226-SM-7EWEA 30-39 years, female 187.5
GTEX-144GL-1226-SM-5O9A4 50-59 years, male 187.4
GTEX-144GM-0226-SM-5Q5CB 20-29 years, male 187.1
GTEX-15RIF-0326-SM-7KUFR 20-29 years, male 186.5
GTEX-WHPG-0226-SM-3NMB9 50-59 years, male 186.3
GTEX-1HBPN-1226-SM-B2LW9 50-59 years, male 186.2
GTEX-WHSE-0626-SM-4RGNF 20-29 years, male 186.0
GTEX-13111-0226-SM-5EQ55 50-59 years, male 185.5
GTEX-16GPK-0926-SM-6LPJ9 60-69 years, male 184.5
GTEX-1H1ZS-0726-SM-A9G3K 70-79 years, male 184.4
GTEX-13PVQ-0726-SM-5L3GI 50-59 years, male 183.7
GTEX-11GS4-0826-SM-5986J 60-69 years, male 183.5
GTEX-13OVJ-0626-SM-5J2O2 50-59 years, female 183.0
GTEX-1GMR3-0726-SM-9WPOF 40-49 years, male 182.9
GTEX-14PKV-0626-SM-6AJA2 20-29 years, female 182.1
GTEX-1128S-0126-SM-5H12S 60-69 years, female 181.8
GTEX-U412-0726-SM-EVR2Y 60-69 years, male 181.2
GTEX-1F75A-0326-SM-7MXTR 50-59 years, male 180.6
GTEX-1OFPY-1526-SM-DTX8R 60-69 years, male 180.0
GTEX-ZF29-0726-SM-DO92H 60-69 years, female 177.3
GTEX-OIZF-2626-SM-7P8QZ 60-69 years, male 177.2
GTEX-1QCLY-0826-SM-DTX8A 30-39 years, male 177.1
GTEX-13QBU-0626-SM-5J2OG 40-49 years, female 177.0
GTEX-13X6J-0826-SM-5LU32 50-59 years, male 177.0
GTEX-1JKYN-1126-SM-CGQG5 30-39 years, male 176.6
GTEX-132QS-0326-SM-5IJFN 60-69 years, male 176.3
GTEX-1CB4E-0326-SM-7MXT3 60-69 years, male 176.1
GTEX-1KANC-0826-SM-D3LA8 50-59 years, female 175.5
GTEX-13FH7-0126-SM-5KLZ1 50-59 years, female 175.2
GTEX-18A67-0826-SM-7KFTI 50-59 years, male 175.0
GTEX-1EX96-0126-SM-9KNVH 50-59 years, male 174.9
GTEX-T5JW-1226-SM-3GACY 20-29 years, female 174.8
GTEX-S341-0226-SM-D4P1Y 40-49 years, female 174.8
GTEX-S7SE-0726-SM-2XCD7 50-59 years, male 173.6
GTEX-1JMQJ-2026-SM-CNPP9 50-59 years, male 173.6
GTEX-OHPL-2626-SM-2HMJA 60-69 years, female 173.5
GTEX-12WSD-0926-SM-5GCNL 60-69 years, female 172.5
GTEX-117YW-0126-SM-5EGGN 50-59 years, male 172.4
GTEX-YB5E-0626-SM-4VDSE 40-49 years, male 172.4
GTEX-1GN1W-0126-SM-7MXV7 50-59 years, female 172.2
GTEX-1QP6S-2526-SM-DTX9Z 40-49 years, male 171.4
GTEX-14PJO-0626-SM-6LLHH 60-69 years, male 171.2
GTEX-ZPCL-0126-SM-4WWC8 60-69 years, female 170.9
GTEX-ZVP2-0426-SM-57WC2 50-59 years, male 170.6
GTEX-1122O-0226-SM-5N9DA 60-69 years, female 170.4
GTEX-1QP2A-0626-SM-DTX9C 50-59 years, male 169.9
GTEX-13FLV-0226-SM-5J2OF 50-59 years, male 169.6
GTEX-1C2JI-0326-SM-7EWFD 50-59 years, male 169.2
GTEX-1399T-0126-SM-5KM15 60-69 years, male 168.9
GTEX-1PPGY-1426-SM-EVR3R 60-69 years, male 168.4
GTEX-1HSGN-0726-SM-A9G2F 40-49 years, female 167.9
GTEX-1GMRU-1126-SM-9KNV1 50-59 years, male 167.7
GTEX-1HSKV-1026-SM-B2LWK 60-69 years, male 167.7
GTEX-ZY6K-0226-SM-5SIAY 50-59 years, male 166.9
GTEX-ZGAY-1026-SM-4WWBR 40-49 years, female 166.8
GTEX-14ASI-0726-SM-5Q5DC 60-69 years, male 166.4
GTEX-15G1A-0326-SM-6M467 30-39 years, male 166.4
GTEX-14ICK-1626-SM-6ETZX 40-49 years, male 166.0
GTEX-1GTWX-0726-SM-9WPPA 60-69 years, male 165.8
GTEX-1H1E6-0326-SM-9OSWE 30-39 years, male 165.7
GTEX-13FHP-0926-SM-5L3EC 50-59 years, male 165.6
GTEX-183FY-0626-SM-79OKR 20-29 years, male 165.5
GTEX-1HKZK-0826-SM-A9G2C 40-49 years, male 165.1
GTEX-1AX8Z-0826-SM-7DUFZ 60-69 years, male 164.9
GTEX-139UW-0126-SM-5KM1B 60-69 years, male 164.8
GTEX-13O3Q-0626-SM-5IJG1 50-59 years, male 164.4
GTEX-13VXU-0826-SM-5KLZ2 50-59 years, male 164.3
GTEX-1I1GV-0726-SM-ARZLY 60-69 years, male 164.0
GTEX-1B932-0926-SM-73KUP 40-49 years, female 163.8
GTEX-1MCC2-0526-SM-DHXJS 30-39 years, female 162.9
GTEX-R55E-0826-SM-2TC5M 20-29 years, male 162.6
GTEX-1B8SG-1126-SM-7IGMT 50-59 years, male 162.5
GTEX-X15G-0526-SM-3NMB7 50-59 years, female 162.3
GTEX-ZYFC-0926-SM-5GZWW 50-59 years, male 162.2
GTEX-15EU6-1426-SM-6M48E 50-59 years, male 162.0
GTEX-ZLWG-0526-SM-4WWFB 50-59 years, female 162.0
GTEX-1I6K7-1126-SM-A96SW 40-49 years, male 161.7
GTEX-12WSJ-0326-SM-5GCMT 40-49 years, female 161.6
GTEX-1LGRB-1226-SM-CNNPS 50-59 years, female 161.1
GTEX-14PJ6-0326-SM-6871H 60-69 years, female 160.9
GTEX-1PWST-0726-SM-EWRMO 70-79 years, male 160.5
GTEX-1AX9K-0626-SM-73KVD 50-59 years, male 160.0
GTEX-1LG7Z-0526-SM-D4P3Q 30-39 years, male 160.0
GTEX-14E6C-2626-SM-5RQJP 40-49 years, male 159.7
GTEX-XMK1-0626-SM-4B65A 40-49 years, male 159.4
GTEX-11I78-0526-SM-5986A 50-59 years, female 158.9
GTEX-11P7K-0226-SM-5986Z 30-39 years, male 158.7
GTEX-13FXS-0726-SM-5LZXJ 50-59 years, male 157.9
GTEX-PWN1-2626-SM-2I3FH 40-49 years, female 157.6
GTEX-ZTPG-0826-SM-5DUVC 20-29 years, female 157.3
GTEX-1C6VS-0826-SM-7EWEI 60-69 years, male 157.1
GTEX-QXCU-0326-SM-2TC63 50-59 years, male 157.1
GTEX-1RQED-0926-SM-EWRNZ 60-69 years, male 156.8
GTEX-13FHO-0926-SM-5N9EW 60-69 years, male 156.6
GTEX-X5EB-0726-SM-46MVR 40-49 years, male 156.2
GTEX-1A3MV-0326-SM-73KW7 30-39 years, male 155.7
GTEX-RU72-0126-SM-2TF6Z 50-59 years, female 154.9
GTEX-1AMFI-0526-SM-7189M 50-59 years, female 154.5
GTEX-ZAB5-0726-SM-5P9JG 50-59 years, male 154.3
GTEX-ZE7O-1126-SM-57WC8 50-59 years, female 154.3
GTEX-PX3G-2626-SM-2I3EG 20-29 years, female 153.8
GTEX-1R9K4-0726-SM-EWRN2 60-69 years, male 153.4
GTEX-133LE-0326-SM-5P9G4 20-29 years, female 153.1
GTEX-14B4R-0126-SM-5TDE4 30-39 years, male 153.1
GTEX-1JJEA-0626-SM-D3L96 60-69 years, male 153.1
GTEX-1JK1U-0326-SM-CXZJH 60-69 years, male 152.7
GTEX-1JMLX-0826-SM-CNNPP 50-59 years, male 152.6
GTEX-1I1GQ-0826-SM-CNNQR 50-59 years, male 152.1
GTEX-13O21-2226-SM-5MR3L 50-59 years, male 152.0
GTEX-1R46S-0426-SM-EVR48 60-69 years, female 152.0
GTEX-12BJ1-0426-SM-5FQSO 60-69 years, male 151.9
GTEX-145MG-0826-SM-5Q5C2 50-59 years, male 151.9
GTEX-1HSMQ-0526-SM-A96TY 50-59 years, male 151.7
GTEX-14BMV-0726-SM-73KVE 50-59 years, male 150.9
GTEX-16BQI-0726-SM-6LPJZ 30-39 years, female 150.9
GTEX-18465-1426-SM-7KFTF 50-59 years, male 150.8
GTEX-13N1W-0826-SM-5MR5J 70-79 years, male 150.4
GTEX-QDVN-0626-SM-2I3FP 50-59 years, male 150.4
GTEX-1K9T9-0826-SM-EAZ4X 50-59 years, female 150.0
GTEX-1AYCT-0226-SM-73KVB 50-59 years, male 149.7
GTEX-16XZY-0726-SM-79OMU 70-79 years, male 149.6
GTEX-ZVZQ-0626-SM-59HJU 60-69 years, female 149.4
GTEX-1I1GS-0726-SM-C1YS7 60-69 years, male 149.4
GTEX-1LVAM-0826-SM-EV79X 50-59 years, female 149.4
GTEX-1MUQO-0726-SM-E9TJM 60-69 years, male 149.3
GTEX-1192W-0126-SM-5EGGS 60-69 years, male 148.9
GTEX-131XG-0226-SM-5IFG1 50-59 years, female 148.6
GTEX-11ZVC-0126-SM-5986G 50-59 years, female 147.9
GTEX-1KD5A-0426-SM-D4P3X 50-59 years, male 147.9
GTEX-14PJ3-0126-SM-69LQP 50-59 years, male 147.8
GTEX-1K2DU-0126-SM-E9TIU 20-29 years, male 147.8
GTEX-ZTSS-0226-SM-59877 40-49 years, male 147.6
GTEX-1H1CY-0726-SM-9OSXX 60-69 years, female 146.9
GTEX-12WSE-1226-SM-73KUF 20-29 years, male 146.8
GTEX-OXRL-2626-SM-2I3F1 50-59 years, male 146.5
GTEX-1K2DA-1526-SM-CGQGQ 50-59 years, male 146.5
GTEX-1B8KE-0626-SM-7189H 50-59 years, male 146.4
GTEX-1PBJJ-1926-SM-DTX8T 30-39 years, male 146.4
GTEX-111VG-0526-SM-5N9BW 60-69 years, male 146.2
GTEX-14ABY-0926-SM-5Q5DY 50-59 years, male 145.9
GTEX-13OW6-0726-SM-5L3FX 50-59 years, male 145.8
GTEX-1C6VQ-0526-SM-7MGWD 50-59 years, male 145.6
GTEX-13RTK-0326-SM-5RQHS 20-29 years, male 145.3
GTEX-13D11-0226-SM-5LZXL 50-59 years, female 144.7
GTEX-QDVJ-0226-SM-2I5FV 50-59 years, male 144.4
GTEX-15UF6-1126-SM-6LPJ3 70-79 years, female 144.3
GTEX-Y3IK-0526-SM-4WWE3 50-59 years, female 144.3
GTEX-ZDYS-0626-SM-5J2N5 50-59 years, male 144.2
GTEX-Q2AI-0326-SM-2I3EK 40-49 years, male 144.0
GTEX-16XZZ-0826-SM-7IGM3 60-69 years, male 143.7
GTEX-WYBS-1926-SM-3NM8N 60-69 years, female 143.7
GTEX-1AMEY-0126-SM-73KTX 30-39 years, female 143.6
GTEX-T2IS-0626-SM-32QP6 20-29 years, female 143.5
GTEX-18A7A-0826-SM-7KFTJ 50-59 years, female 143.4
GTEX-ZPU1-0426-SM-4WWCA 40-49 years, male 143.3
GTEX-18A66-0826-SM-72D5Z 60-69 years, male 143.2
GTEX-132NY-1026-SM-5P9IY 60-69 years, male 143.1
GTEX-U8T8-2326-SM-3DB96 60-69 years, male 142.8
GTEX-WRHU-0926-SM-4E3IG 50-59 years, female 142.5
GTEX-1PFEY-0226-SM-EVR3M 30-39 years, male 142.5
GTEX-ZVT3-0726-SM-5GICN 60-69 years, female 142.3
GTEX-17EVP-0126-SM-7EPHW 40-49 years, male 142.2
GTEX-14PN4-1526-SM-6871V 50-59 years, male 142.1
GTEX-1EWIQ-0826-SM-7MXTH 70-79 years, female 142.1
GTEX-12ZZY-0826-SM-5EQMT 60-69 years, male 141.5
GTEX-13NYB-0726-SM-5MR4J 40-49 years, male 141.5
GTEX-1JN6P-0626-SM-ARZN6 60-69 years, male 141.5
GTEX-1C4CL-0726-SM-7IGP9 30-39 years, male 141.2
GTEX-12ZZX-1226-SM-5EGHS 40-49 years, female 140.9
GTEX-18QFQ-0726-SM-7LG6D 30-39 years, male 140.9
GTEX-ZA64-0426-SM-5HL96 20-29 years, male 140.9
GTEX-Y5LM-0626-SM-4V6G4 40-49 years, female 140.8
GTEX-16AAH-0326-SM-7DHML 50-59 years, male 140.5
GTEX-14JIY-1226-SM-6871R 60-69 years, male 140.4
GTEX-13CF3-0926-SM-5LZZC 60-69 years, female 140.1
GTEX-ZVZP-1026-SM-5GICI 50-59 years, male 140.1
GTEX-OIZG-0226-SM-2TC5L 50-59 years, male 139.8
GTEX-1RQEC-1026-SM-EVR5B 60-69 years, male 139.6
GTEX-14C38-0826-SM-5S2U8 50-59 years, male 139.5
GTEX-WEY5-0526-SM-3GIKZ 40-49 years, female 139.4
GTEX-1HB9E-0826-SM-CNNQJ 50-59 years, male 139.3
GTEX-13X6H-0526-SM-5LU4Q 50-59 years, female 138.7
GTEX-1399U-0326-SM-5P9G5 50-59 years, female 138.5
GTEX-147GR-0726-SM-5S2PL 60-69 years, male 138.2
GTEX-ZUA1-0926-SM-4YCDX 40-49 years, male 138.1
GTEX-11NUK-1026-SM-5HL5J 50-59 years, male 137.9
GTEX-14E6E-0326-SM-73KY6 30-39 years, male 137.9
GTEX-WHSB-1626-SM-3LK6J 50-59 years, male 137.9
GTEX-XGQ4-0426-SM-4AT4I 50-59 years, male 137.9
GTEX-1H1DE-0226-SM-ARZN8 20-29 years, male 137.7
GTEX-1HCUA-0126-SM-B2LWC 50-59 years, female 137.7
GTEX-1HT8W-1526-SM-CE6S3 30-39 years, male 137.6
GTEX-12696-0326-SM-5EGL4 60-69 years, male 137.3
GTEX-RWSA-0826-SM-2XCBF 40-49 years, male 137.3
GTEX-145MH-0426-SM-5LU8T 50-59 years, male 137.0
GTEX-148VJ-0726-SM-5LU8J 70-79 years, male 136.7
GTEX-1399R-0126-SM-5IFEV 30-39 years, male 136.2
GTEX-1FIGZ-0226-SM-7P8QR 40-49 years, male 136.0
GTEX-1IDJU-1626-SM-CJI4B 60-69 years, female 135.9
GTEX-Q2AG-0826-SM-2HMKF 40-49 years, female 135.6
GTEX-11VI4-0226-SM-5GU6C 40-49 years, female 134.9
GTEX-TKQ1-0126-SM-33HB3 30-39 years, male 134.9
GTEX-12WSG-0226-SM-5EGIF 50-59 years, female 134.1
GTEX-1ICG6-0426-SM-ARU7M 70-79 years, female 134.1
GTEX-1PIGE-0726-SM-DPRZD 20-29 years, male 134.1
GTEX-17GQL-0226-SM-7LTAK 60-69 years, male 134.0
GTEX-13OVG-0226-SM-5LU93 60-69 years, male 133.6
GTEX-14JG6-1326-SM-9OSXU 30-39 years, female 133.6
GTEX-ZV6S-0226-SM-59HJT 40-49 years, female 133.5
GTEX-1MGNQ-0726-SM-DPRYH 40-49 years, male 133.5
GTEX-1F75I-0926-SM-7MXUU 40-49 years, male 133.2
GTEX-PWCY-2326-SM-2I3EQ 20-29 years, female 133.1
GTEX-1NUQO-0926-SM-DTXEX 20-29 years, female 133.0
GTEX-1CB4F-0826-SM-793CV 60-69 years, male 132.8
GTEX-1S83E-0726-SM-EV7B6 40-49 years, male 132.5
GTEX-1IY9M-1026-SM-A96TG 60-69 years, male 132.1
GTEX-XUW1-1026-SM-4BONY 50-59 years, female 131.9
GTEX-14PII-0826-SM-6871S 60-69 years, male 131.8
GTEX-14PJ4-0326-SM-664OT 60-69 years, male 131.8
GTEX-111YS-0726-SM-5GZY8 60-69 years, male 131.4
GTEX-1MJK3-0326-SM-DTX96 20-29 years, male 131.4
GTEX-14PN3-0826-SM-69LOS 60-69 years, female 131.3
GTEX-17HGU-0826-SM-7EWE5 50-59 years, male 131.3
GTEX-1PDJ9-0826-SM-E76PS 20-29 years, male 131.3
GTEX-131XE-0126-SM-5LZVC 50-59 years, male 130.8
GTEX-15CHQ-0826-SM-69LOT 60-69 years, male 130.8
GTEX-1QP9N-0126-SM-DPRZS 30-39 years, male 130.8
GTEX-14PKU-0326-SM-6AJA7 40-49 years, female 130.7
GTEX-ZV7C-0126-SM-57WDE 50-59 years, male 130.7
GTEX-13PVR-0626-SM-5S2RC 60-69 years, female 130.0
GTEX-Z9EW-0226-SM-5CVM7 40-49 years, male 129.8
GTEX-15D1Q-0626-SM-6AJAZ 40-49 years, male 129.6
GTEX-11OF3-0626-SM-5BC4Y 60-69 years, male 129.5
GTEX-ZDXO-1726-SM-5HL6L 60-69 years, male 129.3
GTEX-1ICLZ-0526-SM-ARZM8 60-69 years, male 129.2
GTEX-13OW8-0126-SM-5IJE5 60-69 years, male 129.0
GTEX-1CB4G-1526-SM-7P8QG 60-69 years, male 129.0
GTEX-1NV5F-0726-SM-DTXEH 60-69 years, female 128.9
GTEX-1CB4I-0726-SM-7DUGS 50-59 years, male 128.5
GTEX-169BO-0326-SM-7EPIM 50-59 years, male 128.3
GTEX-Y5V5-0326-SM-5RQJG 60-69 years, female 128.0
GTEX-1I1GT-0826-SM-B2LWO 60-69 years, female 127.9
GTEX-139T6-0326-SM-5J2LY 50-59 years, male 127.8
GTEX-11EMC-0226-SM-5EGLP 60-69 years, female 127.3
GTEX-13FLW-0326-SM-5J2M4 50-59 years, male 127.2
GTEX-11ZTT-1026-SM-5EQKF 60-69 years, female 127.0
GTEX-15FZZ-0226-SM-6LLI4 30-39 years, female 127.0
GTEX-1QPFJ-0626-SM-DTX7Y 30-39 years, female 126.2
GTEX-1C64N-1026-SM-79ONM 50-59 years, male 126.1
GTEX-XBEW-0126-SM-4AT66 40-49 years, male 126.1
GTEX-XUZC-0126-SM-4BOO6 30-39 years, female 126.1
GTEX-1GF9U-0226-SM-7P8TY 40-49 years, female 125.8
GTEX-1JKYR-0826-SM-ARU8L 20-29 years, male 125.8
GTEX-146FQ-0726-SM-5LUA7 30-39 years, male 125.7
GTEX-P4QT-2626-SM-2I3FM 50-59 years, female 125.5
GTEX-18D9A-0126-SM-7KFSI 30-39 years, female 125.4
GTEX-ZXG5-0926-SM-5NQ8H 60-69 years, male 124.9
GTEX-YJ89-0726-SM-5P9F7 60-69 years, male 124.8
GTEX-OHPK-2626-SM-2HMK9 50-59 years, female 124.6
GTEX-13U4I-0526-SM-5LU59 40-49 years, female 124.4
GTEX-YF7O-0726-SM-4W213 50-59 years, male 124.4
GTEX-X8HC-0726-SM-46MWG 50-59 years, female 124.3
GTEX-1HCU9-0226-SM-9WPNT 20-29 years, male 124.3
GTEX-YFCO-0326-SM-4W1ZP 40-49 years, male 124.1
GTEX-1HBPH-0926-SM-A9SME 40-49 years, female 123.8
GTEX-RU1J-0226-SM-2TF5Y 20-29 years, female 123.6
GTEX-T8EM-0226-SM-3DB7C 40-49 years, male 123.6
GTEX-WYJK-1626-SM-3NM9J 50-59 years, male 123.6
GTEX-17F9E-0626-SM-79ON5 50-59 years, male 123.5
GTEX-T6MO-0226-SM-32QOL 40-49 years, female 123.5
GTEX-QDT8-1226-SM-EVR35 30-39 years, female 123.5
GTEX-11EI6-0726-SM-59866 60-69 years, male 123.4
GTEX-18D9B-0726-SM-72D6K 60-69 years, male 123.2
GTEX-U3ZM-0126-SM-3DB8M 40-49 years, male 123.2
GTEX-ZQG8-0926-SM-57WFF 60-69 years, female 123.2
GTEX-15SB6-1526-SM-7KUMQ 50-59 years, female 122.9
GTEX-1B8L1-1626-SM-7IGMH 60-69 years, male 122.9
GTEX-SNOS-0226-SM-32PLR 40-49 years, male 122.9
GTEX-15EO6-0126-SM-6LPKJ 50-59 years, male 122.7
GTEX-ZPIC-0226-SM-DO91T 40-49 years, female 122.7
GTEX-WL46-0126-SM-3TW8I 50-59 years, male 122.6
GTEX-RWS6-0626-SM-2XCAS 60-69 years, female 122.1
GTEX-131XF-1826-SM-5EGKG 60-69 years, male 121.9
GTEX-ZYFG-0626-SM-5GZYA 60-69 years, female 121.9
GTEX-1GL5R-0626-SM-7PBZY 50-59 years, male 121.9
GTEX-Y114-0626-SM-4TT98 50-59 years, female 121.5
GTEX-1LBAC-0726-SM-D3L9U 20-29 years, male 121.5
GTEX-ZQUD-0126-SM-7EPIS 30-39 years, male 121.3
GTEX-13OW7-0826-SM-5L3EL 50-59 years, male 121.1
GTEX-Y5V6-0526-SM-4VBRV 60-69 years, male 121.1
GTEX-U3ZH-0226-SM-3DB7B 30-39 years, male 120.9
GTEX-1CB4J-1426-SM-7MKFR 60-69 years, male 120.7
GTEX-11P82-0226-SM-5HL4O 20-29 years, male 120.5
GTEX-18D9U-1026-SM-72D5R 40-49 years, male 120.5
GTEX-X4LF-0426-SM-3NMB5 50-59 years, male 120.5
GTEX-11LCK-0526-SM-5A5M9 30-39 years, male 120.4
GTEX-U3ZN-0326-SM-3DB86 30-39 years, female 120.1
GTEX-XLM4-0726-SM-4AT64 60-69 years, male 119.9
GTEX-1HC8U-1226-SM-9WYUW 40-49 years, female 119.9
GTEX-14ICL-0426-SM-5RQJ3 30-39 years, male 119.6
GTEX-1RDX4-0926-SM-E9U6D 50-59 years, female 119.6
GTEX-ZF3C-0826-SM-DO11E 50-59 years, female 119.6
GTEX-1RAZR-1126-SM-E6CRC 40-49 years, male 119.0
GTEX-1P4AB-1126-SM-DTX94 50-59 years, male 118.5
GTEX-Y111-1926-SM-4SOIS 50-59 years, male 118.4
GTEX-WFG7-0326-SM-DKPO8 20-29 years, male 118.2
GTEX-1497J-0126-SM-5Q5BK 60-69 years, male 118.1
GTEX-1QAET-0226-SM-EVR3T 50-59 years, male 118.1
GTEX-15DZA-0226-SM-7KFS6 30-39 years, female 118.0
GTEX-WYVS-0326-SM-3NM9V 40-49 years, female 117.8
GTEX-RNOR-0926-SM-2TF56 50-59 years, female 117.7
GTEX-1RMOY-0126-SM-EWRNN 50-59 years, male 117.7
GTEX-NFK9-0726-SM-2HMJW 40-49 years, male 117.5
GTEX-145LT-0226-SM-5S2QK 40-49 years, male 117.4
GTEX-ZT9W-0226-SM-7SB6H 50-59 years, male 117.1
GTEX-1B933-1026-SM-7P8RO 50-59 years, female 116.8
GTEX-RVPV-1226-SM-2TF73 60-69 years, male 116.7
GTEX-1R9JW-0226-SM-EVR4K 30-39 years, female 116.6
GTEX-1HCVE-0726-SM-A96SH 50-59 years, male 116.5
GTEX-1KXAM-1726-SM-D3LAE 60-69 years, male 116.4
GTEX-1IKOE-0926-SM-ARU7X 30-39 years, female 116.3
GTEX-13YAN-0926-SM-5O9C3 60-69 years, male 116.1
GTEX-1211K-0726-SM-5FQUW 60-69 years, female 116.0
GTEX-Y9LG-0426-SM-4VBRT 30-39 years, male 115.9
GTEX-1C475-0226-SM-7MGXM 40-49 years, female 115.7
GTEX-1J8Q3-0226-SM-C1YR4 60-69 years, male 115.3
GTEX-15ETS-0526-SM-6PAN3 40-49 years, female 115.1
GTEX-ZAJG-0726-SM-5HL9A 50-59 years, female 114.9
GTEX-12ZZZ-1226-SM-59HK1 60-69 years, male 114.5
GTEX-1A8FM-0726-SM-7DUGK 50-59 years, female 114.5
GTEX-144GO-0126-SM-5LUAO 60-69 years, male 114.4
GTEX-ZYW4-1126-SM-5SI99 60-69 years, male 114.1
GTEX-1GZ2Q-0826-SM-7P8TK 40-49 years, male 114.0
GTEX-ZZPU-1326-SM-5GZWS 50-59 years, female 113.8
GTEX-1B97J-0626-SM-7P8RU 50-59 years, female 113.8
GTEX-1HFI6-1326-SM-A9SL8 40-49 years, male 113.8
GTEX-1M4P7-0626-SM-EVR51 60-69 years, male 113.8
GTEX-WXYG-0226-SM-3NB2Y 50-59 years, female 113.4
GTEX-RN64-0626-SM-2TC5V 50-59 years, male 113.1
GTEX-ZYT6-0426-SM-5GID3 30-39 years, male 112.7
GTEX-13O3P-0726-SM-5J2OM 50-59 years, male 112.6
GTEX-13S86-1126-SM-5RQJX 40-49 years, male 112.6
GTEX-1GPI7-0726-SM-9WG84 20-29 years, male 112.6
GTEX-1LVAN-0726-SM-CNNPF 50-59 years, female 112.2
GTEX-13N2G-0726-SM-5MR38 60-69 years, male 112.1
GTEX-XOT4-1526-SM-EAZ2W 60-69 years, female 111.9
GTEX-17KNJ-1026-SM-79ONK 50-59 years, male 111.8
GTEX-ZTX8-0626-SM-59HKC 20-29 years, male 111.8
GTEX-1I1GU-0826-SM-ARZM5 40-49 years, male 111.8
GTEX-1IKOH-0626-SM-CJI35 60-69 years, female 111.8
GTEX-14BMU-0226-SM-5S2QA 20-29 years, female 111.7
GTEX-QEG5-0826-SM-2I5GF 20-29 years, male 111.7
GTEX-1GZ4I-0626-SM-9WPPN 50-59 years, male 111.4
GTEX-QLQ7-0726-SM-2I5G2 60-69 years, male 111.3
GTEX-1HR98-0326-SM-CGQEL 60-69 years, male 111.3
GTEX-15ER7-0726-SM-7KUMF 20-29 years, female 111.1
GTEX-1LH75-0626-SM-DIPG3 50-59 years, female 111.1
GTEX-1QP67-0326-SM-EVR45 40-49 years, female 111.1
GTEX-1JJ6O-0626-SM-AHZ3H 60-69 years, male 110.7
GTEX-1EH9U-0926-SM-7EWF1 60-69 years, male 110.4
GTEX-1IL2V-0626-SM-ARU7S 70-79 years, male 110.2
GTEX-15SHU-0726-SM-7KUFI 40-49 years, female 110.1
GTEX-RTLS-0626-SM-5SI7Z 60-69 years, female 109.6
GTEX-XXEK-1326-SM-4BRV1 50-59 years, male 109.3
GTEX-1H11D-0626-SM-9WPQ1 40-49 years, male 109.3
GTEX-13OVI-0826-SM-5KLZ8 60-69 years, female 109.2
GTEX-17MF6-0626-SM-7LT8D 40-49 years, male 109.2
GTEX-13VXT-0626-SM-5SIA1 20-29 years, female 109.1
GTEX-Y3I4-0226-SM-4TT27 50-59 years, male 109.0
GTEX-1J1R8-0126-SM-CJI36 40-49 years, male 108.7
GTEX-1HGF4-0726-SM-9WYU9 60-69 years, male 108.6
GTEX-ZYFD-0826-SM-5NQ9A 50-59 years, male 108.4
GTEX-1J1OQ-0526-SM-A9G2P 40-49 years, female 108.2
GTEX-WH7G-0526-SM-3NMBI 40-49 years, male 108.1
GTEX-1GF9X-0126-SM-A9G38 40-49 years, female 108.1
GTEX-1PPH8-0926-SM-DTX9U 20-29 years, male 108.0
GTEX-131YS-0726-SM-5P9G9 60-69 years, female 107.9
GTEX-WY7C-0226-SM-3NB37 50-59 years, male 107.9
GTEX-1JMPY-0126-SM-CJI39 30-39 years, male 107.7
GTEX-11DXZ-0926-SM-5N9CG 50-59 years, male 107.4
GTEX-14PK6-0426-SM-6EU1J 70-79 years, female 107.4
GTEX-P78B-0526-SM-2I5F7 40-49 years, female 107.4
GTEX-1HSEH-0826-SM-B2LXE 60-69 years, male 107.3
GTEX-13NZ9-1126-SM-5MR37 50-59 years, male 107.2
GTEX-131XH-0526-SM-5DUX7 50-59 years, male 107.0
GTEX-145ME-0126-SM-5S2QM 40-49 years, female 106.9
GTEX-1LG7Y-0626-SM-DHXJM 50-59 years, male 106.7
GTEX-1313W-0726-SM-5EGK1 50-59 years, female 106.6
GTEX-R55C-0626-SM-2TF4Q 40-49 years, male 105.9
GTEX-W5WG-1426-SM-4KKZP 50-59 years, female 105.3
GTEX-11TTK-0826-SM-5N9EG 60-69 years, female 105.2
GTEX-14PJM-1326-SM-664NX 50-59 years, female 105.2
GTEX-OXRK-0626-SM-2HMJ5 50-59 years, female 105.0
GTEX-1GMR8-0826-SM-9KNUR 50-59 years, female 104.8
GTEX-13PL6-1026-SM-5L3E5 40-49 years, female 104.6
GTEX-1GN1U-0826-SM-9WPPX 50-59 years, female 104.2
GTEX-1OJC4-0526-SM-E6CQV 50-59 years, female 104.0
GTEX-17F97-0626-SM-7IGOH 50-59 years, male 103.6
GTEX-P4QS-2626-SM-2I3EV 60-69 years, male 103.4
GTEX-11NV4-0626-SM-5N9BR 60-69 years, male 103.0
GTEX-ZLFU-0626-SM-4WWBO 40-49 years, male 103.0
GTEX-1I19N-0226-SM-CE6ST 70-79 years, male 103.0
GTEX-TSE9-0626-SM-3DB8B 60-69 years, female 102.9
GTEX-SJXC-0726-SM-2XCFJ 60-69 years, male 102.8
GTEX-REY6-0526-SM-2TF5M 60-69 years, male 102.6
GTEX-WFG8-0426-SM-3GILD 20-29 years, male 102.3
GTEX-1CAMS-0826-SM-7P8P1 40-49 years, female 102.3
GTEX-SN8G-1526-SM-4DM79 50-59 years, female 102.1
GTEX-Y8E4-0126-SM-4VBQ2 40-49 years, male 102.1
GTEX-POYW-0826-SM-2XCEM 60-69 years, male 101.7
GTEX-Z93S-0526-SM-EVYB4 50-59 years, male 101.7
GTEX-11P81-0126-SM-5HL5Y 30-39 years, female 101.3
GTEX-1N5O9-1026-SM-DTX8Y 60-69 years, male 101.3
GTEX-ZC5H-0626-SM-5LU9K 40-49 years, female 101.1
GTEX-13QJ3-0926-SM-73KX5 50-59 years, male 101.0
GTEX-11NSD-0126-SM-5987F 20-29 years, male 100.8
GTEX-TMMY-0826-SM-33HB9 40-49 years, female 100.7
GTEX-O5YV-1526-SM-EV799 60-69 years, female 100.5
GTEX-1B8KZ-0426-SM-731DP 50-59 years, male 100.4
GTEX-1JMQK-2126-SM-CY8I2 60-69 years, male 100.3
GTEX-OXRP-0326-SM-33HBJ 60-69 years, female 99.7
GTEX-SE5C-0726-SM-4BRWY 40-49 years, female 99.6
GTEX-12WSN-0726-SM-5GCMS 40-49 years, male 99.5
GTEX-1HBPM-0926-SM-ARL9C 60-69 years, female 99.1
GTEX-1RAZQ-0926-SM-EAZ4Q 30-39 years, male 98.9
GTEX-ZT9X-0226-SM-51MT2 40-49 years, male 98.7
GTEX-W5X1-0426-SM-3GILB 40-49 years, female 97.8
GTEX-15CHR-1726-SM-7DUGW 50-59 years, male 97.3
GTEX-1RAZA-0826-SM-EAZ4I 20-29 years, male 97.1
GTEX-1QP66-0326-SM-DTX7V 50-59 years, male 96.9
GTEX-QV44-0826-SM-2S1RG 50-59 years, male 96.4
GTEX-ZYVF-1126-SM-5E458 50-59 years, female 96.0
GTEX-RUSQ-1026-SM-2TF6V 50-59 years, male 95.8
GTEX-15CHC-0126-SM-5YYBA 60-69 years, female 95.5
GTEX-1F48J-0926-SM-7P8PZ 50-59 years, female 95.4
GTEX-1HR9M-0626-SM-A96S6 60-69 years, male 95.2
GTEX-139YR-1226-SM-5IFEU 50-59 years, male 95.1
GTEX-ZYY3-1926-SM-5GZXS 60-69 years, female 94.9
GTEX-12584-0826-SM-5FQSK 40-49 years, male 94.8
GTEX-S32W-0726-SM-2XCBL 50-59 years, female 94.8
GTEX-13113-0126-SM-5LZVX 60-69 years, female 94.7
GTEX-14C5O-0826-SM-5TDEG 60-69 years, male 94.5
GTEX-XBED-0126-SM-47JY7 60-69 years, male 94.4
GTEX-SUCS-0226-SM-32PLQ 70-79 years, male 94.0
GTEX-X4XX-0926-SM-46MV7 60-69 years, male 93.8
GTEX-12WSH-0226-SM-5GCOG 50-59 years, male 93.5
GTEX-RM2N-0526-SM-2TF4N 50-59 years, male 93.3
GTEX-V1D1-0926-SM-4JBHQ 50-59 years, male 93.3
GTEX-VUSG-0426-SM-3GIKD 50-59 years, male 93.3
GTEX-S7SF-0226-SM-5SI7H 20-29 years, female 93.0
GTEX-YB5K-0526-SM-5LUAS 40-49 years, female 93.0
GTEX-1R9K5-0726-SM-EAZ4E 50-59 years, male 93.0
GTEX-1S5ZU-0726-SM-EWROH 20-29 years, female 92.9
GTEX-15RJE-1326-SM-6LPI6 40-49 years, male 92.8
GTEX-178AV-0726-SM-6LPJI 40-49 years, male 92.6
GTEX-Q734-0526-SM-2I3EH 40-49 years, female 92.2
GTEX-17HHE-0426-SM-79OK3 50-59 years, male 92.0
GTEX-ZLV1-0126-SM-4WWBZ 60-69 years, female 92.0
GTEX-1ICLY-0726-SM-A96TB 50-59 years, male 92.0
GTEX-13QJC-0826-SM-5RQKC 60-69 years, female 91.7
GTEX-17EVQ-0526-SM-7KFSK 70-79 years, male 91.6
GTEX-XV7Q-0326-SM-4BRVM 40-49 years, female 91.5
GTEX-1KAFJ-0426-SM-DHXJH 50-59 years, male 90.5
GTEX-UJMC-0326-SM-3GAE2 50-59 years, male 90.0
GTEX-14753-0926-SM-5Q5BI 60-69 years, male 89.9
GTEX-15SHV-0426-SM-6M476 60-69 years, male 89.9
GTEX-132AR-1126-SM-5P9GA 50-59 years, female 89.8
GTEX-13NYC-2426-SM-5MR3K 60-69 years, male 89.6
GTEX-1GZ4H-0226-SM-9JGGJ 50-59 years, female 89.3
GTEX-11DZ1-2726-SM-5A5KH 50-59 years, male 89.2
GTEX-Q2AH-0726-SM-2I3EA 40-49 years, male 88.6
GTEX-13RTJ-0326-SM-5YYAE 60-69 years, male 88.5
GTEX-12WSL-0626-SM-5GCOY 50-59 years, male 88.3
GTEX-111FC-1026-SM-5GZX1 60-69 years, male 87.6
GTEX-14A6H-2426-SM-5Q5BO 30-39 years, male 87.6
GTEX-1477Z-0226-SM-5TDCI 60-69 years, male 87.5
GTEX-OOBJ-2626-SM-2I3F6 60-69 years, male 87.5
GTEX-XYKS-0826-SM-4BRVF 60-69 years, female 87.3
GTEX-U4B1-0626-SM-3DB8L 40-49 years, male 86.7
GTEX-R55G-0726-SM-2TC6J 40-49 years, female 86.2
GTEX-183WM-2626-SM-7KFRY 70-79 years, female 85.0
GTEX-WWYW-0826-SM-3NB2X 50-59 years, female 84.7
GTEX-1IE54-0926-SM-A9G2Y 40-49 years, female 84.5
GTEX-1J8QM-0726-SM-CE6RF 60-69 years, female 84.5
GTEX-R53T-0526-SM-3GADL 50-59 years, female 84.3
GTEX-117YX-1226-SM-5H11S 50-59 years, male 84.0
GTEX-1LGOU-0126-SM-EV79W 20-29 years, female 83.8
GTEX-13W46-0926-SM-5LU3T 50-59 years, male 83.5
GTEX-16MT8-0626-SM-6M47Q 60-69 years, female 83.5
GTEX-14PHW-2926-SM-6AJBA 60-69 years, female 83.1
GTEX-1AX9I-0626-SM-72D54 60-69 years, male 83.1
GTEX-1JJE9-0226-SM-CY8HU 70-79 years, male 82.6
GTEX-1QCLZ-0626-SM-E6CR2 60-69 years, female 82.5
GTEX-15G19-0626-SM-6M474 60-69 years, male 82.4
GTEX-1192X-1126-SM-5EGGU 50-59 years, male 82.3
GTEX-17F96-0526-SM-79OLE 70-79 years, male 82.0
GTEX-1R9PM-0226-SM-DPRY7 20-29 years, male 81.8
GTEX-146FR-0326-SM-5SI8U 60-69 years, female 81.2
GTEX-1F75B-0826-SM-9QEIT 50-59 years, male 80.9
GTEX-16NGA-0326-SM-718AJ 40-49 years, female 80.7
GTEX-OHPM-2626-SM-33HC5 50-59 years, male 80.7
GTEX-1I6K6-0726-SM-B2LX4 30-39 years, male 80.4
GTEX-12WSK-0926-SM-5CVNQ 40-49 years, female 80.1
GTEX-13OVK-0226-SM-6M472 40-49 years, male 80.1
GTEX-1IGQW-0626-SM-C1YR9 60-69 years, male 78.8
GTEX-WFJO-0226-SM-3GIKW 30-39 years, male 78.4
GTEX-1HSMO-0726-SM-A96TM 60-69 years, male 77.9
GTEX-17F9Y-0526-SM-7EWDC 70-79 years, female 77.1
GTEX-13OW5-0626-SM-5J2N2 60-69 years, male 76.7
GTEX-15RIE-0426-SM-7KUMH 60-69 years, male 76.7
GTEX-OXRO-1226-SM-48TDL 60-69 years, female 76.5
GTEX-QV31-0726-SM-3GAEG 30-39 years, male 76.5
GTEX-14BIN-0126-SM-5TDCG 50-59 years, female 76.4
GTEX-R3RS-0726-SM-3GIJR 40-49 years, female 76.2
GTEX-16NPX-1426-SM-6LPK3 50-59 years, male 75.9
GTEX-1HCU7-0826-SM-B2LX7 50-59 years, male 75.5
GTEX-1AX9J-2126-SM-731DD 60-69 years, male 75.1
GTEX-1H1DF-1026-SM-9QEJ1 40-49 years, female 73.6
GTEX-X261-0726-SM-EZ6MH 50-59 years, male 73.5
GTEX-VJYA-0426-SM-3GIJK 60-69 years, male 72.4
GTEX-QEL4-0726-SM-3GIJ5 50-59 years, male 71.3
GTEX-RN5K-2826-SM-EZ6L3 50-59 years, female 71.2
GTEX-P4PQ-2626-SM-33HC9 60-69 years, male 70.1
GTEX-14AS3-0226-SM-5Q5B6 40-49 years, female 69.7
GTEX-14PQA-1226-SM-6M47A 50-59 years, female 69.0
GTEX-1CB4H-0126-SM-7IGN2 60-69 years, female 68.8
GTEX-11GSO-0626-SM-5A5LW 60-69 years, male 68.3
GTEX-13N11-1026-SM-5K7XQ 50-59 years, female 67.9
GTEX-13PDP-1026-SM-5L3FA 60-69 years, male 66.2
GTEX-1H3VE-0826-SM-9KNVQ 40-49 years, male 65.8
GTEX-YFC4-2626-SM-5P9FQ 40-49 years, female 65.6
GTEX-ZF28-0826-SM-4WKGJ 60-69 years, male 64.0
GTEX-OIZI-0726-SM-2XCEI 40-49 years, male 63.9
GTEX-1F52S-0526-SM-7P8TP 60-69 years, female 63.0
GTEX-15DDE-0626-SM-69LOK 50-59 years, female 62.6
GTEX-1H2FU-0626-SM-9WPPS 60-69 years, female 61.5
GTEX-V955-0426-SM-3GAEL 60-69 years, male 61.2
GTEX-11XUK-0226-SM-5EQLW 40-49 years, female 61.1
GTEX-PLZ4-1226-SM-2I5FE 50-59 years, female 60.5
GTEX-145MI-1126-SM-5O9AK 60-69 years, female 58.3
GTEX-13IVO-0926-SM-5KLZP 70-79 years, male 53.5
GTEX-13NZ8-0226-SM-5J2OK 60-69 years, female 46.5
GTEX-11EQ8-0826-SM-5N9FG 60-69 years, male 43.2
GTEX-1QW4Y-0226-SM-EAZ3U 30-39 years, male 42.3
Show allShow less

THYROID GLAND - FANTOM5 CAGEi

RNA expression in human tissues obtained through Cap Analysis of Gene Expression (CAGE) generated by the FANTOM5 project are reported as Scaled Tags Per Million.

Max subtype Scaled Tags Per Millioni

Max subtype Scaled Tags Per Million is the value for the subtype with the largest average Scaled Tags Per Million across the subtype samples.

136.8
FANTOM5 sample id Sample description Scaled Tags Per Million
Thyroid
Scaled Tags Per Million: 136.8
FF:10028-101E1 67,68,78 years, mixed 136.8

Contact

  • NEWS ARTICLES
  • PRESS ROOM

The Project

  • INTRODUCTION
  • ORGANIZATION
  • PUBLICATIONS

The Human Protein Atlas

  • DOWNLOADABLE DATA
  • LICENCE & CITATION
  • HELP & FAQ
The Human Protein Atlas project is funded
by the Knut & Alice Wallenberg Foundation.


contact@proteinatlas.org