We use cookies to enhance the usability of our website. If you continue, we'll assume that you are happy to receive all cookies. More information. Don't show this again.
IGFBP7
HPA
RESOURCES
  • TISSUE
  • BRAIN
  • SINGLE CELL
  • SUBCELLULAR
  • CANCER
  • BLOOD
  • CELL LINE
  • STRUCTURE & INTERACTION
ABOUT
  • INTRODUCTION
  • HISTORY
  • ORGANIZATION
  • PUBLICATIONS
  • ANTIBODY SUBMISSION
  • ANTIBODY AVAILABILITY
  • ACKNOWLEDGMENTS
  • CONTACT
NEWS
  • NEWS ARTICLES
  • PRESS ROOM
LEARN
  • DICTIONARY
  • PROTEIN CLASSES
  • PROTEIN EVIDENCE
  • METHODS
  • EDUCATIONAL VIDEOS
DATA
  • DOWNLOADABLE DATA
  • PUBLICATION DATA
  • RELEASE HISTORY
HELP
  • ANTIBODY VALIDATION
  • ASSAYS & ANNOTATION
  • DISCLAIMER
  • HELP & FAQ
  • PRIVACY STATEMENT
  • LICENCE & CITATION
Fields »
Search result

Field
Term
Gene name
Class
Subclass
Class
Keyword
Chromosome
External id
Tissue
Cell type
Expression
Antibody panel
Tissue
Main location
Patient ID
Annotation
Tissue
Category
Tau score
Cluster
Reliability
Brain region
Category
Tau score
Brain region
Category
Tau score
Brain region
Category
Tau score
Cluster
Reliability
Tissue
Cell type
Enrichment
Cell type
Category
Tau score
Cell type
Category
Tau score
Cell type
Category
Tau score
Cell lineage
Category
Tau score
Cluster
Cluster
Location
Searches
Location
Cell line
Class
Type
Phase
Reliability
Cancer
Prognosis
Cancer
Category
Cancer
Category
Tau score
Cluster
Variants
Interacting gene (ensg_id)
Type
Number of interactions
Pathway
Category
Score
Score
Score
Validation
Validation
Validation
Validation
Antibodies
Data type
Column


  • SUMMARY

  • TISSUE

  • BRAIN

  • SINGLE CELL

  • SUBCELL

  • CANCER

  • BLOOD

  • CELL LINE

  • STRUCT & INT

  • IGFBP7
TISSUE PRIMARY DATA SKIN Show tissue menu
ADIPOSE TISSUE ADRENAL GLAND AMYGDALA APPENDIX BASAL GANGLIA BONE MARROW BREAST BRONCHUS CEREBELLUM CEREBRAL CORTEX CERVIX CHOROID PLEXUS COLON DUODENUM
ENDOMETRIUM EPIDIDYMIS ESOPHAGUS FALLOPIAN TUBE GALLBLADDER HEART MUSCLE HIPPOCAMPAL FORMATION HYPOTHALAMUS KIDNEY LIVER LUNG LYMPH NODE MIDBRAIN NASOPHARYNX
ORAL MUCOSA OVARY PANCREAS PARATHYROID GLAND PITUITARY GLAND PLACENTA PROSTATE RECTUM RETINA SALIVARY GLAND SEMINAL VESICLE SKELETAL MUSCLE SKIN SMALL INTESTINE
SMOOTH MUSCLE SOFT TISSUE SPINAL CORD SPLEEN STOMACH TESTIS THYMUS THYROID GLAND TONGUE TONSIL URINARY BLADDER VAGINA
ANTIBODIES
AND
VALIDATION
Dictionary
Skin
Tissue proteome
Skin
SKIN - Expression summary
Protein expression
Skini

On the top, protein expression in current human tissue, based on all annotated cell types, is reported with the units not detected (n), low (l), medium (m) and high (h). Underneath, protein expression in each annotated cell type are reported using the same units.

Protein expression data is based on knowledge-based annotation. For genes where more than one antibody has been used, a collective score is set.

If knowledge-based annotation could not be performed for a gene, no data is displayed here. View antibody staining data further down this page.

h
m
l
n
Epidermal cells: Not detected
Fibroblasts: Not detected
Keratinocytes: Not detected
Langerhans: Not detected
Melanocytes: Not detected
RNA expressioni

A summary of mRNA expression data available for current tissue based on several datasets. The mRNA expression levels in human tissues are based on RNA-seq data generated by the Human Protein Atlas (HPA), Genotype-Tissue Expression (GTEx) portal and CAGE data generated by the FANTOM5 consortium. Consensus normalized expression levels for human tissues was created by combining the data from HPA and GTEx datasets.

The mRNA expression levels in pig are based on RNA-seq data generated by the Human Protein Atlas (HPA), and for mouse, HPA data and in situ hybridization generated by the Allen brain atlas are reported.

Scroll down to view mRNA expression data in more detail.
Consensus:187.3 nTPM
HPA:43.4 nTPM
GTEx:187.3 nTPM

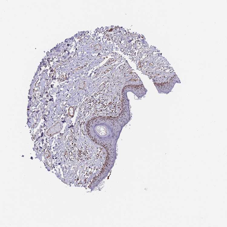
SKIN 1 - Antibody stainingi

Antibody staining in the annotated cell types in the current human tissue is reported as not detected, low, medium, or high, based on conventional immunohistochemistry profiling in selected tissues. This score is based on the combination of the staining intensity and fraction of stained cells.

Each image is clickable and will lead to virtual microscopy that enables deeper exploration of all samples and also displays staining intensity scores, fraction scores and subcellular localization as well as patient and tissue information for each sample.

Antibody HPA002196Antibody CAB020668
Langerhans Not detectedNot detected
Fibroblasts LowNot detected
Keratinocytes Not detectedNot detected
Melanocytes LowNot detected


SKIN 2 - Antibody stainingi

Antibody staining in the annotated cell types in the current human tissue is reported as not detected, low, medium, or high, based on conventional immunohistochemistry profiling in selected tissues. This score is based on the combination of the staining intensity and fraction of stained cells.

Each image is clickable and will lead to virtual microscopy that enables deeper exploration of all samples and also displays staining intensity scores, fraction scores and subcellular localization as well as patient and tissue information for each sample.

Antibody HPA002196Antibody CAB020668
Epidermal cells MediumLow
  
  
  



SKIN - HPA RNA-seqi

The RNA-seq details section shows detailed information about the individual samples used for the transcript profiling and results of the RNA-seq analysis.

Information about each individual sample is listed below, including gender, age, a tissue section image and estimated fractions of cell types. nTPM (normalized transcripts per million) values give a quantification of the gene abundance which is comparable between different genes and samples.
Average nTPMi

Max subtype nTPM is the value for the subtype with the largest average nTPM across the subtype samples.

43.4
overview
Female, age 34
Skin sample 225
nTPM: 31.2
Cell types%
Keratinocytes:
60

Other cell types:
40

overview
Female, age 30
Skin sample 226
nTPM: 17.3
Cell types%
Keratinocytes:
55

Other cell types:
45

N/A
Male, age 57
Skin sample 227
nTPM: 81.8

SKIN - GTEx RNA-seqi

RNA-Seq data generated by the Genotype-Tissue Expression (GTEx) project from human tissues is reported as mean nTPM. More information can be found on the GTEx portal.

Distribution across the dataset is visualized with box plots, shown as median and 25th and 75th percentiles. Points are displayed as outliers if they are above or below 1.5 times the interquartile range. nTPM values of the individual samples are presented next to the box plot.
Max subtype nTPMi

Max subtype nTPM is the value for the subtype with the largest average nTPM across the subtype samples.

187.3
GTEx sample id Sample description nTPM
Skin - Not Sun Exposed (Suprapubic)
Average nTPM: 154.7
Samples: 604

Max nTPM: 635.9
Min nTPM: 19.8
Std nTPM: 83.4
Median nTPM: 137.2
GTEX-YB5K-2026-SM-4VDT3 40-49 years, female 635.9
GTEX-12WSL-2026-SM-5GCML 50-59 years, male 587.0
GTEX-18A7B-2726-SM-7LG56 70-79 years, male 489.9
GTEX-13FH7-1126-SM-5K7UG 50-59 years, female 480.1
GTEX-13OVJ-0826-SM-5J1OK 50-59 years, female 468.9
GTEX-1AX9J-1326-SM-731BJ 60-69 years, male 421.5
GTEX-14A5H-0826-SM-5QGPJ 60-69 years, male 415.0
GTEX-1L5NE-1126-SM-D3L9P 50-59 years, male 411.5
GTEX-1CAV2-0126-SM-7IGN7 40-49 years, female 400.0
GTEX-16GPK-0626-SM-7KFSF 60-69 years, male 378.0
GTEX-11EM3-1226-SM-5N9DD 20-29 years, female 374.1
GTEX-17EVQ-0126-SM-7IGLR 70-79 years, male 372.8
GTEX-ZVTK-0226-SM-51MRG 20-29 years, male 369.8
GTEX-YF7O-1526-SM-5IFI6 50-59 years, male 360.8
GTEX-ZLFU-1826-SM-4WWBV 40-49 years, male 360.1
GTEX-X3Y1-2026-SM-3P5YM 40-49 years, male 355.9
GTEX-ZT9W-1126-SM-57WDR 50-59 years, male 355.7
GTEX-1497J-0226-SM-5QGPU 60-69 years, male 354.9
GTEX-1F6IF-0926-SM-7SB7M 60-69 years, male 354.0
GTEX-111FC-2526-SM-5GZXU 60-69 years, male 353.0
GTEX-13N2G-0226-SM-5K7VF 60-69 years, male 345.6
GTEX-1QP29-1826-SM-DTX9S 50-59 years, male 343.2
GTEX-145MG-1526-SM-5Q5EM 50-59 years, male 340.3
GTEX-1O9I2-0226-SM-EYYXD 50-59 years, male 338.5
GTEX-14BMU-1226-SM-5S2OR 20-29 years, female 338.4
GTEX-1F75W-2726-SM-7SB8H 60-69 years, male 335.6
GTEX-14E6C-2426-SM-5S2NF 40-49 years, male 333.4
GTEX-18D9B-0926-SM-7LG4U 60-69 years, male 330.2
GTEX-ZYFD-0626-SM-5E44E 50-59 years, male 328.5
GTEX-1399R-1326-SM-5PNYS 30-39 years, male 327.7
GTEX-U8XE-0226-SM-4E3J3 30-39 years, male 327.0
GTEX-1H1CY-0126-SM-9YFLY 60-69 years, female 325.5
GTEX-1HUB1-1426-SM-CGQF5 60-69 years, male 317.0
GTEX-17JCI-2926-SM-7DUFF 60-69 years, female 316.4
GTEX-WYVS-1626-SM-3NM9R 40-49 years, female 305.7
GTEX-WYBS-0626-SM-3NMAS 60-69 years, female 305.5
GTEX-1A32A-0626-SM-731AQ 50-59 years, female 301.4
GTEX-14DAR-1226-SM-73KYV 50-59 years, male 300.8
GTEX-11DXW-0826-SM-5H118 40-49 years, male 298.5
GTEX-1QCLZ-2426-SM-EVYBW 60-69 years, female 295.2
GTEX-WFG8-2126-SM-3GIKQ 20-29 years, male 289.4
GTEX-WFON-1926-SM-3LK7L 40-49 years, male 285.8
GTEX-17HG3-2626-SM-7DUF2 30-39 years, female 285.3
GTEX-ZU9S-1826-SM-5NQ9E 30-39 years, male 285.1
GTEX-XK95-0226-SM-4AT58 40-49 years, male 283.8
GTEX-13N1W-2426-SM-5IJD1 70-79 years, male 281.3
GTEX-1J8JJ-0626-SM-ARZMQ 60-69 years, female 280.1
GTEX-1IDJF-2026-SM-CL53V 20-29 years, male 279.8
GTEX-1E1VI-0326-SM-793D1 50-59 years, male 277.0
GTEX-ZUA1-2626-SM-5NQ92 40-49 years, male 274.7
GTEX-1GF9U-2026-SM-7SB92 40-49 years, female 272.6
GTEX-1211K-1526-SM-5FQU4 60-69 years, female 270.4
GTEX-1B996-0426-SM-7EWF8 60-69 years, male 268.3
GTEX-12BJ1-0926-SM-5EQ62 60-69 years, male 268.2
GTEX-1LG7Z-1626-SM-CXKYR 30-39 years, male 266.7
GTEX-13JUV-2026-SM-5K7UA 40-49 years, female 266.0
GTEX-WHSE-0126-SM-3NMBT 20-29 years, male 263.1
GTEX-YEC4-1826-SM-4W1YP 40-49 years, male 261.0
GTEX-1JKYN-0826-SM-ARU8S 30-39 years, male 260.5
GTEX-X8HC-0626-SM-4E3HQ 50-59 years, female 259.6
GTEX-ZYFG-1526-SM-5GZYM 60-69 years, female 259.5
GTEX-12126-0826-SM-5FQTZ 20-29 years, male 259.3
GTEX-145MO-2826-SM-5LU96 60-69 years, male 258.9
GTEX-YJ8O-2526-SM-5HL85 40-49 years, female 258.5
GTEX-1J8Q3-0526-SM-ARL8U 60-69 years, male 257.7
GTEX-1I19N-0126-SM-CYPSF 70-79 years, male 255.0
GTEX-ZDXO-3126-SM-5IJDF 60-69 years, male 253.8
GTEX-183FY-1026-SM-7939A 20-29 years, male 253.6
GTEX-11DZ1-2426-SM-5GZZX 50-59 years, male 253.1
GTEX-WK11-2726-SM-3NMAQ 50-59 years, male 252.4
GTEX-ZLWG-0826-SM-59888 50-59 years, female 250.7
GTEX-1HFI6-0126-SM-CNPPI 40-49 years, male 250.0
GTEX-1QP66-1226-SM-DTX7U 50-59 years, male 249.9
GTEX-13OVG-1626-SM-5J1NF 60-69 years, male 248.7
GTEX-147F3-1726-SM-5SIAW 50-59 years, female 248.3
GTEX-ZYW4-0626-SM-59HJR 60-69 years, male 248.3
GTEX-ZAJG-1526-SM-5CVML 50-59 years, female 248.2
GTEX-11EI6-2826-SM-5H11D 60-69 years, male 247.7
GTEX-145ME-1726-SM-5Q5EU 40-49 years, female 247.6
GTEX-1KANA-1326-SM-DIPFA 20-29 years, male 246.7
GTEX-1RB15-1326-SM-E76Q9 60-69 years, male 245.7
GTEX-1IDJD-2326-SM-ACKWX 30-39 years, male 245.6
GTEX-1JMOU-1026-SM-CYPSS 60-69 years, female 244.6
GTEX-11DYG-1526-SM-5A5JS 60-69 years, male 243.8
GTEX-WH7G-2026-SM-3NMBL 40-49 years, male 242.5
GTEX-1LGOU-1326-SM-D3L8M 20-29 years, female 242.3
GTEX-12WSF-1626-SM-7KUG5 70-79 years, male 241.3
GTEX-11TT1-1826-SM-5EQLV 20-29 years, male 240.7
GTEX-11O72-0626-SM-5PNYE 40-49 years, male 238.9
GTEX-1H3NZ-2726-SM-9WYTQ 60-69 years, male 238.6
GTEX-1KWVE-1026-SM-D3L9O 30-39 years, male 238.3
GTEX-15SHW-0226-SM-7LTAT 60-69 years, male 238.1
GTEX-1IDJE-1426-SM-ADEIW 50-59 years, female 237.6
GTEX-1JMQL-2226-SM-CNPP4 50-59 years, female 232.1
GTEX-131YS-2826-SM-5EQ47 60-69 years, female 231.6
GTEX-1AX8Z-0726-SM-73KTS 60-69 years, male 230.9
GTEX-1HCU9-0426-SM-9WYSD 20-29 years, male 228.4
GTEX-11NSD-0626-SM-5A5LU 20-29 years, male 225.5
GTEX-132AR-0326-SM-5KM2C 50-59 years, female 225.5
GTEX-18A66-0626-SM-7LT8Z 60-69 years, male 225.1
GTEX-1I1GP-1326-SM-A9G28 50-59 years, male 224.6
GTEX-1JMPZ-0726-SM-CY8HZ 30-39 years, male 223.4
GTEX-1HCU8-2526-SM-CE6RX 60-69 years, female 222.7
GTEX-1IDJH-0126-SM-D3L92 70-79 years, male 222.3
GTEX-16NPX-0726-SM-7KULC 50-59 years, male 221.2
GTEX-WYJK-0526-SM-3NM8Z 50-59 years, male 221.1
GTEX-14PJ2-0626-SM-6LLII 50-59 years, male 220.6
GTEX-13OVL-0126-SM-5L3GJ 50-59 years, male 220.0
GTEX-12584-0726-SM-5FQTK 40-49 years, male 218.1
GTEX-13NZ9-2626-SM-5L3FK 50-59 years, male 217.3
GTEX-1LSNL-2726-SM-E9TKJ 50-59 years, male 215.7
GTEX-18465-2826-SM-7LT9J 50-59 years, male 214.9
GTEX-X5EB-1926-SM-4E3IW 40-49 years, male 214.4
GTEX-ZZ64-1026-SM-5GZXG 20-29 years, male 213.9
GTEX-14JG6-1426-SM-9WG7C 30-39 years, female 213.9
GTEX-14PKV-1126-SM-6LLJ1 20-29 years, female 211.9
GTEX-Y5V6-2326-SM-4VDSA 60-69 years, male 211.3
GTEX-VJYA-1526-SM-3GIJV 60-69 years, male 211.0
GTEX-145MN-1526-SM-5SI9T 30-39 years, male 210.8
GTEX-1GL5R-1326-SM-7RHHF 50-59 years, male 210.6
GTEX-ZVE2-2826-SM-5GU51 50-59 years, male 209.4
GTEX-15RJ7-2126-SM-6PAMD 40-49 years, male 209.3
GTEX-1GZ2Q-0126-SM-9WG6M 40-49 years, male 208.5
GTEX-1KANC-1226-SM-CYPT7 50-59 years, female 207.3
GTEX-1A8FM-0626-SM-7PC25 50-59 years, female 205.1
GTEX-1I6K6-1726-SM-CGQFD 30-39 years, male 204.9
GTEX-14E6E-0526-SM-793DN 30-39 years, male 204.8
GTEX-1I6K7-1926-SM-B2LXR 40-49 years, male 204.7
GTEX-131XH-0126-SM-5LZUY 50-59 years, male 204.3
GTEX-1IDJC-1526-SM-B2LW4 50-59 years, male 203.7
GTEX-16XZZ-0726-SM-7KUF2 60-69 years, male 203.4
GTEX-WRHU-2826-SM-3MJG8 50-59 years, female 203.3
GTEX-14JG1-1526-SM-5YY9X 40-49 years, male 202.9
GTEX-11P7K-1126-SM-5HL4L 30-39 years, male 202.6
GTEX-13OW8-1026-SM-5J1NQ 60-69 years, male 201.5
GTEX-13PVQ-0626-SM-5LU47 50-59 years, male 201.4
GTEX-1N5O9-0926-SM-E9J3C 60-69 years, male 201.3
GTEX-1GMR2-0826-SM-7PC3V 50-59 years, male 200.6
GTEX-15CHQ-0326-SM-69LQD 60-69 years, male 199.3
GTEX-18D9A-1426-SM-7LT8M 30-39 years, female 198.7
GTEX-1HCU6-2526-SM-ADEHL 60-69 years, female 197.2
GTEX-ZYFC-0426-SM-5GICQ 50-59 years, male 196.7
GTEX-ZA64-1026-SM-5HL8R 20-29 years, male 196.6
GTEX-XXEK-1626-SM-4BRUZ 50-59 years, male 196.3
GTEX-1H1DF-1126-SM-9WG7G 40-49 years, female 196.3
GTEX-WI4N-2726-SM-3LK7Y 40-49 years, female 195.6
GTEX-UPK5-0426-SM-3GAEK 40-49 years, male 195.2
GTEX-1I4MK-0126-SM-CY8G6 50-59 years, female 194.7
GTEX-Y3IK-1626-SM-4YCF5 50-59 years, female 194.3
GTEX-1KD5A-0126-SM-E9U54 50-59 years, male 194.0
GTEX-1GTWX-2026-SM-9YFLM 60-69 years, male 193.4
GTEX-1LVA9-2626-SM-EVYD4 50-59 years, male 192.9
GTEX-1H1ZS-2726-SM-9WG75 70-79 years, male 191.6
GTEX-13SLX-2226-SM-62LEP 50-59 years, female 191.2
GTEX-1A3MW-0626-SM-731CB 60-69 years, female 190.9
GTEX-146FQ-2126-SM-5RQHU 30-39 years, male 189.7
GTEX-1EWIQ-0326-SM-7DHMQ 70-79 years, female 189.1
GTEX-Y8LW-1526-SM-5IFHL 50-59 years, female 188.7
GTEX-13O3O-2326-SM-5IJD6 60-69 years, female 187.0
GTEX-17MFQ-1526-SM-7KFRR 20-29 years, male 186.8
GTEX-1F48J-0726-SM-7RHGS 50-59 years, female 186.8
GTEX-1E2YA-2126-SM-7MXUO 50-59 years, male 186.1
GTEX-1117F-2926-SM-5GZYI 60-69 years, female 185.9
GTEX-1RAZR-2126-SM-E9U6T 40-49 years, male 185.6
GTEX-Y5V5-0126-SM-5S2NW 60-69 years, female 185.5
GTEX-13X6J-0626-SM-5LU5F 50-59 years, male 185.3
GTEX-145LT-0526-SM-5LUB2 40-49 years, male 184.9
GTEX-1IY9M-2826-SM-ARU8H 60-69 years, male 184.8
GTEX-1QEPI-2626-SM-DTXF4 60-69 years, female 183.9
GTEX-1RAZA-2226-SM-E9U4X 20-29 years, male 183.9
GTEX-1F6I4-2326-SM-7RHGL 60-69 years, male 183.6
GTEX-1S831-1826-SM-EWROF 20-29 years, male 183.5
GTEX-XBEC-0726-SM-4QARZ 50-59 years, male 183.4
GTEX-16YQH-2226-SM-7IGM2 30-39 years, male 183.1
GTEX-13QBU-1226-SM-5LU4G 40-49 years, female 181.8
GTEX-13O61-1426-SM-5KM3D 60-69 years, male 180.8
GTEX-16MT8-2926-SM-7DUFO 60-69 years, female 179.7
GTEX-131XW-0626-SM-5PNVD 50-59 years, female 179.2
GTEX-1IL2V-1926-SM-B2LW8 70-79 years, male 179.0
GTEX-1HCUA-0826-SM-ADEHM 50-59 years, female 178.0
GTEX-ZVE1-0726-SM-51MRN 50-59 years, female 177.7
GTEX-ZTSS-1426-SM-5985P 40-49 years, male 177.6
GTEX-XPVG-2126-SM-4B667 50-59 years, male 177.5
GTEX-1HC8U-1326-SM-9YFMJ 40-49 years, female 177.1
GTEX-XBED-1926-SM-47JYP 60-69 years, male 177.0
GTEX-XOT4-0626-SM-4B66L 60-69 years, female 176.9
GTEX-ZTTD-2826-SM-4YCFA 50-59 years, male 176.4
GTEX-1JMQK-1226-SM-D4P2S 60-69 years, male 176.4
GTEX-ZDTS-0826-SM-4WKHL 60-69 years, male 176.0
GTEX-Z93S-1626-SM-5CVMB 50-59 years, male 175.8
GTEX-1QP9N-1226-SM-E76QN 30-39 years, male 175.8
GTEX-1C6WA-2626-SM-7MKGM 60-69 years, male 175.7
GTEX-12C56-1526-SM-5FQUQ 20-29 years, male 175.5
GTEX-139TT-2126-SM-5LZWC 60-69 years, male 175.2
GTEX-13NYC-0126-SM-5L3F4 60-69 years, male 174.9
GTEX-12WSD-0626-SM-5GCMW 60-69 years, female 174.7
GTEX-13N11-2326-SM-5IJBF 50-59 years, female 174.1
GTEX-1JN6P-2926-SM-CL54D 60-69 years, male 173.9
GTEX-17HHY-0426-SM-7DHLC 50-59 years, male 173.2
GTEX-1H1DG-2426-SM-9QEHJ 70-79 years, male 172.5
GTEX-15RIE-1926-SM-7KUKJ 60-69 years, male 172.2
GTEX-1GZHY-0626-SM-9KNVC 50-59 years, female 171.5
GTEX-18A6Q-0626-SM-7KFRP 60-69 years, male 171.2
GTEX-ZPU1-1126-SM-4YCF3 40-49 years, male 171.1
GTEX-15D1Q-2826-SM-6LLH7 40-49 years, male 171.0
GTEX-1HKZK-0726-SM-ACKW2 40-49 years, male 170.7
GTEX-WXYG-2026-SM-4E3IY 50-59 years, female 170.6
GTEX-13OW5-2326-SM-5L3HO 60-69 years, male 170.2
GTEX-1ICG6-1226-SM-A9SLN 70-79 years, female 169.7
GTEX-1R9K4-2826-SM-DTX8F 60-69 years, male 169.6
GTEX-12WSC-2826-SM-5BC5Y 50-59 years, male 168.9
GTEX-1C64N-2626-SM-7PC2N 50-59 years, male 168.8
GTEX-ZVP2-0326-SM-57WBP 50-59 years, male 168.5
GTEX-139TS-2126-SM-5K7XC 60-69 years, male 167.9
GTEX-1AX9I-2226-SM-73KUO 60-69 years, male 167.8
GTEX-15EU6-2226-SM-6EU2L 50-59 years, male 166.5
GTEX-1B933-2426-SM-7DHMD 50-59 years, female 166.5
GTEX-ZGAY-1826-SM-DO91Q 40-49 years, female 165.5
GTEX-1HSMO-0626-SM-ACKXC 60-69 years, male 165.2
GTEX-1C475-1326-SM-7SB73 40-49 years, female 165.1
GTEX-1R7EU-1626-SM-DTXG3 60-69 years, male 164.8
GTEX-WHPG-2626-SM-3NMBR 50-59 years, male 164.0
GTEX-ZDYS-2426-SM-4WKGI 50-59 years, male 163.6
GTEX-1GF9W-1426-SM-7PBYM 60-69 years, male 163.2
GTEX-1M4P7-0726-SM-E6CJ3 60-69 years, male 163.2
GTEX-178AV-1726-SM-7KUL8 40-49 years, male 162.1
GTEX-1RLM8-2926-SM-E8VON 50-59 years, male 162.1
GTEX-13VXU-0626-SM-5L3F9 50-59 years, male 162.0
GTEX-1LBAC-0826-SM-CY8IJ 20-29 years, male 161.7
GTEX-17F9E-2326-SM-79OKD 50-59 years, male 161.4
GTEX-1I1CD-0626-SM-CE6SW 60-69 years, female 160.8
GTEX-14E1K-2026-SM-7DUEI 50-59 years, male 160.6
GTEX-VUSG-2326-SM-4KL1U 50-59 years, male 160.4
GTEX-13U4I-2226-SM-5LU5H 40-49 years, female 160.2
GTEX-17HGU-2326-SM-7DUFE 50-59 years, male 159.7
GTEX-1LVAN-0626-SM-CNPOQ 50-59 years, female 159.7
GTEX-1N2EE-0626-SM-E76PW 60-69 years, male 159.3
GTEX-147JS-0226-SM-5S2U9 60-69 years, male 159.0
GTEX-1LVAO-2726-SM-E9TJ8 60-69 years, male 159.0
GTEX-Y3I4-1726-SM-4TT89 50-59 years, male 158.6
GTEX-XQ3S-1426-SM-4BOPR 20-29 years, male 158.5
GTEX-1314G-1326-SM-5BC6E 30-39 years, male 158.4
GTEX-14ABY-2026-SM-62LDL 50-59 years, male 157.6
GTEX-YEC3-1326-SM-DO92X 50-59 years, male 157.2
GTEX-1EX96-1026-SM-7MKG2 50-59 years, male 157.0
GTEX-Y5LM-0926-SM-6LLJG 40-49 years, female 156.8
GTEX-1PIGE-1826-SM-E8VOU 20-29 years, male 156.6
GTEX-1CB4I-0126-SM-7RHGG 50-59 years, male 156.4
GTEX-14DAQ-0626-SM-793DS 60-69 years, female 155.3
GTEX-1LSVX-2526-SM-DIPEU 60-69 years, male 154.8
GTEX-1QMI2-2526-SM-E8VNZ 60-69 years, male 154.2
GTEX-14PK6-0226-SM-62LF5 70-79 years, female 154.1
GTEX-15DYW-2726-SM-6EU2I 60-69 years, female 153.5
GTEX-Y8E4-2026-SM-5IFJB 40-49 years, male 153.2
GTEX-139TU-0726-SM-5L3EK 60-69 years, male 152.6
GTEX-WY7C-2126-SM-3NB2R 50-59 years, male 152.5
GTEX-1J1R8-2026-SM-CL53Y 40-49 years, male 151.5
GTEX-14LZ3-0126-SM-69LPM 60-69 years, female 151.3
GTEX-1H23P-0626-SM-9WG6T 60-69 years, male 151.3
GTEX-1HFI7-2326-SM-CGQFS 50-59 years, female 151.3
GTEX-11EQ9-1626-SM-5PNY8 30-39 years, male 151.2
GTEX-111YS-1526-SM-5GZYW 60-69 years, male 150.7
GTEX-1A3MX-2626-SM-7PC24 60-69 years, male 150.7
GTEX-13FTW-0326-SM-5K7UW 40-49 years, male 150.5
GTEX-17MF6-2626-SM-79OKQ 40-49 years, male 150.4
GTEX-WHWD-1826-SM-3LK6I 50-59 years, male 150.3
GTEX-13X6K-0626-SM-5LU5D 60-69 years, female 150.2
GTEX-13X6I-1826-SM-5SIAO 60-69 years, male 148.2
GTEX-139YR-1026-SM-5LZYN 50-59 years, male 147.9
GTEX-13113-1626-SM-5EQ4I 60-69 years, female 147.7
GTEX-14PJO-2526-SM-6AJBQ 60-69 years, male 147.2
GTEX-11LCK-2226-SM-5HL4Q 30-39 years, male 147.0
GTEX-16Z82-2626-SM-7KULU 60-69 years, male 146.0
GTEX-15UF6-1926-SM-7KUDV 70-79 years, female 145.9
GTEX-13PVR-0426-SM-5RQK2 60-69 years, female 145.4
GTEX-ZAK1-0626-SM-5HL8E 50-59 years, female 145.1
GTEX-1GMR3-0126-SM-A9SLW 40-49 years, male 145.1
GTEX-1477Z-0326-SM-7IGLA 60-69 years, male 144.4
GTEX-16MTA-0926-SM-6M47Z 50-59 years, male 144.4
GTEX-X4EO-2926-SM-4E3JH 60-69 years, female 144.3
GTEX-1GMR8-0626-SM-7RHI7 50-59 years, female 144.0
GTEX-139T8-0626-SM-5KLZX 60-69 years, male 143.8
GTEX-1A3MV-1826-SM-731CD 30-39 years, male 143.6
GTEX-11OF3-0126-SM-5PNYF 60-69 years, male 142.9
GTEX-XUW1-0926-SM-4BONX 50-59 years, female 142.6
GTEX-117YX-1926-SM-5GIEC 50-59 years, male 142.1
GTEX-1EN7A-2426-SM-793DB 40-49 years, male 141.7
GTEX-1ICLZ-0326-SM-ARL82 60-69 years, male 141.6
GTEX-145LS-0626-SM-7EPG7 60-69 years, female 141.5
GTEX-1HB9E-0126-SM-CM2S5 50-59 years, male 141.5
GTEX-11WQK-1026-SM-5EQLX 50-59 years, male 141.4
GTEX-1CAMR-1326-SM-7PC1F 20-29 years, male 141.1
GTEX-13RTJ-0126-SM-5S2NN 60-69 years, male 140.9
GTEX-16AAH-0626-SM-793C9 50-59 years, male 140.8
GTEX-1HSMP-0926-SM-A9SKX 70-79 years, male 139.8
GTEX-11UD2-2526-SM-5CVNU 50-59 years, male 138.4
GTEX-ZF3C-0626-SM-DO92O 50-59 years, female 138.4
GTEX-12WSM-1926-SM-5BC65 60-69 years, male 138.2
GTEX-11WQC-1826-SM-5GU59 60-69 years, male 138.1
GTEX-12696-0126-SM-5EQ4L 60-69 years, male 137.9
GTEX-1JJE9-2626-SM-ARZMT 70-79 years, male 137.9
GTEX-1JMLX-0626-SM-ARL8T 50-59 years, male 137.2
GTEX-1F5PL-0926-SM-7PC2W 40-49 years, female 137.1
GTEX-1192X-2726-SM-5N9DN 50-59 years, male 136.9
GTEX-1JJ6O-2726-SM-CNPOG 60-69 years, male 135.5
GTEX-12KS4-2126-SM-5FQUT 30-39 years, male 134.6
GTEX-11ZTT-2126-SM-5CVLO 60-69 years, female 134.0
GTEX-18A7A-0126-SM-731AH 50-59 years, female 134.0
GTEX-111CU-1126-SM-5EGIM 50-59 years, male 133.9
GTEX-1MJK3-0726-SM-E6CJC 20-29 years, male 133.7
GTEX-12WSH-1526-SM-5BC5W 50-59 years, male 133.6
GTEX-14PHX-2226-SM-6EU2P 50-59 years, male 133.4
GTEX-1C64O-1326-SM-7MGWR 60-69 years, male 133.4
GTEX-13YAN-0226-SM-5TDC6 60-69 years, male 133.3
GTEX-11NUK-2726-SM-5A5MC 50-59 years, male 131.9
GTEX-1I1GV-0626-SM-ARL7M 60-69 years, male 131.7
GTEX-18QFQ-1826-SM-72D52 30-39 years, male 130.6
GTEX-1JMQI-1726-SM-ARL93 50-59 years, male 130.4
GTEX-15G19-2426-SM-7KUMR 60-69 years, male 130.0
GTEX-13NYB-0126-SM-5J1MD 40-49 years, male 129.6
GTEX-1ICLY-0826-SM-CMKG1 50-59 years, male 129.1
GTEX-16BQI-1326-SM-6M486 30-39 years, female 128.9
GTEX-145MF-0926-SM-5Q5EA 50-59 years, male 128.5
GTEX-1MCC2-1826-SM-DIPEX 30-39 years, female 128.5
GTEX-1KANB-2826-SM-CY8I6 50-59 years, male 128.1
GTEX-1CB4H-1126-SM-7MKGL 60-69 years, female 128.0
GTEX-14753-0726-SM-5QGQO 60-69 years, male 127.8
GTEX-13112-0126-SM-5P9IU 50-59 years, male 127.5
GTEX-1AYD5-2626-SM-7PBXY 50-59 years, male 127.5
GTEX-ZAB4-2126-SM-5HL8U 40-49 years, male 127.4
GTEX-18D9U-0126-SM-731BM 40-49 years, male 127.1
GTEX-12WSK-2126-SM-5CVNC 40-49 years, female 126.7
GTEX-147F4-0726-SM-5TDDD 50-59 years, male 126.6
GTEX-1LSNM-0826-SM-DIPG8 50-59 years, male 126.3
GTEX-YFCO-1226-SM-5LUAT 40-49 years, male 126.2
GTEX-1212Z-0126-SM-59HK4 60-69 years, male 125.4
GTEX-1PIIG-2326-SM-DTXFR 30-39 years, male 125.0
GTEX-1PPH7-1126-SM-DTX9A 40-49 years, male 124.7
GTEX-XYKS-1426-SM-4BRUO 60-69 years, female 124.3
GTEX-12ZZZ-0726-SM-5GCNZ 60-69 years, male 124.2
GTEX-1KXAM-1626-SM-D3LAD 60-69 years, male 123.5
GTEX-16NGA-0726-SM-731AO 40-49 years, female 123.3
GTEX-144FL-0626-SM-5LU43 50-59 years, male 123.0
GTEX-XAJ8-1426-SM-47JYM 40-49 years, male 123.0
GTEX-14BMV-2826-SM-5TDED 50-59 years, male 122.9
GTEX-144GM-0526-SM-79OJO 20-29 years, male 122.8
GTEX-XMD2-2126-SM-4YCF8 60-69 years, female 122.8
GTEX-1B932-2326-SM-79OL5 40-49 years, female 122.7
GTEX-1RAZS-2526-SM-E6CHT 50-59 years, male 122.6
GTEX-13OW6-2726-SM-5J2OE 50-59 years, male 122.2
GTEX-17F96-0126-SM-7EWDU 70-79 years, male 121.9
GTEX-1F75I-2226-SM-7SB8U 40-49 years, male 121.8
GTEX-1B8KE-1126-SM-7EPHI 50-59 years, male 121.1
GTEX-1JN1M-2726-SM-CY8I4 60-69 years, female 121.0
GTEX-1GN2E-0226-SM-9WG6K 60-69 years, male 120.9
GTEX-1HR98-2226-SM-ADEI2 60-69 years, male 120.6
GTEX-14PKU-0126-SM-6LLHV 40-49 years, female 120.4
GTEX-1BAJH-2426-SM-7IGP8 70-79 years, male 120.3
GTEX-1F75A-0726-SM-7RHHD 50-59 years, male 119.9
GTEX-15FZZ-0526-SM-7KUGD 30-39 years, female 119.7
GTEX-X585-2426-SM-46MW2 50-59 years, male 119.5
GTEX-1H1E6-0426-SM-9WYUS 30-39 years, male 119.5
GTEX-ZE7O-2726-SM-51MT5 50-59 years, female 119.4
GTEX-1LG7Y-2526-SM-EWRO7 50-59 years, male 119.3
GTEX-1HBPI-2126-SM-ARL9K 50-59 years, male 119.2
GTEX-1HCVE-2726-SM-CL54F 50-59 years, male 119.2
GTEX-1JKYR-0626-SM-ARL8R 20-29 years, male 119.1
GTEX-14C38-0726-SM-5SI6M 50-59 years, male 118.7
GTEX-1K9T9-1526-SM-DIPFR 50-59 years, female 117.8
GTEX-1R9PN-0426-SM-DTXDT 40-49 years, female 117.8
GTEX-16MT9-0126-SM-7EPI8 60-69 years, female 117.7
GTEX-15DDE-2926-SM-6LLJ3 50-59 years, female 117.6
GTEX-11DXY-0126-SM-5H11Q 60-69 years, male 117.3
GTEX-1A8G6-2726-SM-731AR 60-69 years, male 117.3
GTEX-X4EP-0626-SM-3P621 60-69 years, female 117.0
GTEX-17EVP-2626-SM-7IGMA 40-49 years, male 116.6
GTEX-12ZZX-2426-SM-5GCOE 40-49 years, female 115.6
GTEX-ZY6K-1426-SM-5GZX2 50-59 years, male 115.5
GTEX-15G1A-1626-SM-7KUKN 30-39 years, male 115.4
GTEX-1KAFJ-0126-SM-DIPEK 50-59 years, male 115.4
GTEX-14LLW-2626-SM-62LDZ 70-79 years, female 115.2
GTEX-133LE-2326-SM-5K7W3 20-29 years, female 114.7
GTEX-XQ8I-0926-SM-4BOOF 50-59 years, male 114.3
GTEX-13G51-1826-SM-5KLZH 60-69 years, male 113.4
GTEX-ZLV1-1526-SM-DO91J 60-69 years, female 112.1
GTEX-UPJH-0226-SM-3GADV 50-59 years, male 111.9
GTEX-1QCLY-0226-SM-EWRNH 30-39 years, male 111.7
GTEX-1S5ZU-2526-SM-E6CIF 20-29 years, female 111.3
GTEX-1H4P4-2126-SM-9WYSL 50-59 years, male 111.2
GTEX-17F97-2626-SM-7IGM5 50-59 years, male 110.9
GTEX-ZTX8-1326-SM-4YCEL 20-29 years, male 110.8
GTEX-ZPIC-0526-SM-DO91W 40-49 years, female 110.7
GTEX-11GSP-2326-SM-5HL63 60-69 years, female 110.6
GTEX-1S3DN-2126-SM-E9TIN 50-59 years, male 110.5
GTEX-1JMQJ-0826-SM-CNPP7 50-59 years, male 110.4
GTEX-ZYVF-0926-SM-5E44J 50-59 years, female 110.2
GTEX-131XG-0326-SM-5L3DX 50-59 years, female 110.1
GTEX-13FTX-1526-SM-5K7VJ 20-29 years, female 110.1
GTEX-WEY5-2326-SM-3GIKK 40-49 years, female 109.8
GTEX-1GMRU-2126-SM-7P8RA 50-59 years, male 109.6
GTEX-ZVT4-2426-SM-5GIEI 50-59 years, female 109.5
GTEX-1J8QM-2426-SM-A9SLS 60-69 years, female 109.4
GTEX-1K2DA-1026-SM-CGQGF 50-59 years, male 109.4
GTEX-131XF-2626-SM-5EQ6K 60-69 years, male 108.8
GTEX-13FLV-0126-SM-5K7WT 50-59 years, male 108.6
GTEX-1HSMQ-2626-SM-A9SML 50-59 years, male 108.6
GTEX-1HSKV-1226-SM-ADEI4 60-69 years, male 108.0
GTEX-Y114-2126-SM-4TT8B 50-59 years, female 107.8
GTEX-1IOXB-2726-SM-CM2RI 50-59 years, male 107.6
GTEX-1HBPM-0726-SM-9YFL7 60-69 years, female 107.5
GTEX-1PPGY-1626-SM-EVYBL 60-69 years, male 107.1
GTEX-14PHY-1226-SM-5ZZWK 60-69 years, female 107.0
GTEX-1GN1U-0626-SM-9MQL9 50-59 years, female 107.0
GTEX-1QW4Y-1126-SM-DTXE3 30-39 years, male 107.0
GTEX-13OW7-0426-SM-5K7VK 50-59 years, male 106.8
GTEX-11GS4-0226-SM-5HL77 60-69 years, male 106.3
GTEX-W5X1-2526-SM-3GILC 40-49 years, female 105.9
GTEX-ZF2S-1626-SM-57WES 50-59 years, female 105.9
GTEX-17HII-1426-SM-7EPGG 50-59 years, male 105.7
GTEX-1I1HK-2326-SM-CKZOH 60-69 years, male 105.6
GTEX-1CB4F-1026-SM-7DUH1 60-69 years, male 105.3
GTEX-ZF29-0926-SM-4WKFZ 60-69 years, female 105.2
GTEX-1POEN-2326-SM-E9J2L 30-39 years, female 104.6
GTEX-ZDTT-0426-SM-4WKFL 60-69 years, male 104.3
GTEX-1F75B-0726-SM-7PC3R 50-59 years, male 104.0
GTEX-13OVK-1426-SM-6PAN7 40-49 years, male 103.7
GTEX-1J8Q2-2626-SM-ACKWQ 60-69 years, male 103.1
GTEX-15RJE-2826-SM-7KUM9 40-49 years, male 103.0
GTEX-WFG7-2026-SM-5SI7P 20-29 years, male 103.0
GTEX-1GPI7-1826-SM-9KNU1 20-29 years, male 103.0
GTEX-12ZZY-0726-SM-5EQ66 60-69 years, male 102.7
GTEX-1B8SF-0126-SM-7DUG3 60-69 years, male 102.1
GTEX-ZVT2-0126-SM-5GIDQ 50-59 years, female 102.0
GTEX-14BIN-1126-SM-5RQJZ 50-59 years, female 101.8
GTEX-1EKGG-0626-SM-7DUGJ 60-69 years, male 101.7
GTEX-145LU-1926-SM-79OJN 50-59 years, male 101.6
GTEX-1IDFM-0326-SM-ARL7V 60-69 years, male 101.5
GTEX-1LB8K-0726-SM-D5OV2 50-59 years, male 101.3
GTEX-11VI4-1126-SM-5EQMD 40-49 years, female 100.7
GTEX-ZP4G-1426-SM-4WWCL 20-29 years, female 100.5
GTEX-11DXZ-2026-SM-5987S 50-59 years, male 100.4
GTEX-14JFF-0626-SM-5ZZVT 60-69 years, male 100.3
GTEX-1NSGN-0726-SM-DTXEF 50-59 years, male 100.1
GTEX-17F98-1326-SM-7DUEP 40-49 years, female 100.0
GTEX-11P82-1426-SM-DTXFY 20-29 years, male 99.8
GTEX-11EQ8-0926-SM-5H12V 60-69 years, male 98.8
GTEX-12WSA-0426-SM-5EQ5X 60-69 years, male 98.3
GTEX-15ER7-0626-SM-6PANF 20-29 years, female 98.1
GTEX-ZZPU-0826-SM-5GZX5 50-59 years, female 97.7
GTEX-ZXG5-2126-SM-59HKD 60-69 years, male 97.5
GTEX-1R9PM-1926-SM-EVR3O 20-29 years, male 97.2
GTEX-1AMFI-1326-SM-7939R 50-59 years, female 97.0
GTEX-183WM-0326-SM-72D5V 70-79 years, female 96.1
GTEX-ZWKS-0626-SM-5GIDV 30-39 years, male 96.0
GTEX-ZT9X-1526-SM-5DUXD 40-49 years, male 95.8
GTEX-139D8-1126-SM-5LU8W 30-39 years, female 95.7
GTEX-139UW-0326-SM-5J1ML 60-69 years, male 95.6
GTEX-1LGRB-0926-SM-COH3K 50-59 years, female 95.5
GTEX-13X6H-0926-SM-5SIB2 50-59 years, female 95.4
GTEX-144GO-2026-SM-5O99P 60-69 years, male 95.4
GTEX-XBEW-1126-SM-4QARW 40-49 years, male 94.9
GTEX-1QAET-0326-SM-EVR3U 50-59 years, male 94.8
GTEX-13FTY-2126-SM-5IFFB 40-49 years, female 94.5
GTEX-1CB4J-1326-SM-7P8RX 60-69 years, male 94.3
GTEX-145MI-0626-SM-5SI8S 60-69 years, female 94.1
GTEX-17KNJ-2126-SM-718AM 50-59 years, male 94.0
GTEX-ZC5H-1526-SM-5HL9Y 40-49 years, female 93.5
GTEX-1EMGI-2326-SM-7PBYA 60-69 years, male 93.5
GTEX-13O3Q-0126-SM-5KM34 50-59 years, male 93.2
GTEX-15CHC-1126-SM-6LLHQ 60-69 years, female 93.1
GTEX-15CHR-1126-SM-7EWF4 50-59 years, male 93.1
GTEX-13VXT-1926-SM-5K7UO 20-29 years, female 93.0
GTEX-12WSJ-1126-SM-5LZVJ 40-49 years, female 92.0
GTEX-11ZUS-2626-SM-5FQUR 30-39 years, male 91.7
GTEX-1B8KZ-0326-SM-73KY4 50-59 years, male 91.5
GTEX-1IKOE-1426-SM-CE6T7 30-39 years, female 91.5
GTEX-1A8G7-1326-SM-73KVM 60-69 years, male 91.3
GTEX-1K2DU-1226-SM-CYPT4 20-29 years, male 91.0
GTEX-14B4R-1326-SM-5Q5EZ 30-39 years, male 90.7
GTEX-14A6H-2026-SM-5Q5DD 30-39 years, male 90.6
GTEX-1IDJI-0126-SM-CMKHS 50-59 years, female 89.9
GTEX-V1D1-2026-SM-3GAF4 50-59 years, male 89.4
GTEX-1IDJU-1726-SM-CMKHU 60-69 years, female 89.1
GTEX-1JN76-0626-SM-CKZOQ 20-29 years, female 89.1
GTEX-13FHO-0426-SM-5L3F5 60-69 years, male 88.8
GTEX-1GN1W-2426-SM-9KNUU 50-59 years, female 88.8
GTEX-1HSGN-0826-SM-ACKW3 40-49 years, female 88.8
GTEX-15SKB-2826-SM-6PAMH 60-69 years, male 88.7
GTEX-145MH-2826-SM-5RQJF 50-59 years, male 88.5
GTEX-1B97I-0626-SM-73KUZ 40-49 years, male 87.8
GTEX-15RIG-0726-SM-7KUM7 40-49 years, male 87.5
GTEX-1EU9M-1426-SM-793AI 60-69 years, male 87.4
GTEX-1I1GS-2626-SM-B2LY3 60-69 years, male 87.1
GTEX-1PDJ9-1226-SM-EXUSX 20-29 years, male 86.9
GTEX-1GF9X-1326-SM-7PC2Y 40-49 years, female 86.7
GTEX-15EO6-2426-SM-6PALZ 50-59 years, male 86.6
GTEX-14PJ6-2626-SM-6EU2T 60-69 years, female 86.0
GTEX-1N2DV-1526-SM-DTXEP 40-49 years, male 85.8
GTEX-YECK-0326-SM-4W1YS 60-69 years, male 85.4
GTEX-1C2JI-1026-SM-73KY1 50-59 years, male 84.9
GTEX-144GL-0626-SM-5LU4D 50-59 years, male 84.0
GTEX-13W3W-0726-SM-5IJDQ 60-69 years, female 83.8
GTEX-1OJC3-1226-SM-DTXER 20-29 years, male 83.4
GTEX-1GZ4I-2626-SM-9KNU3 50-59 years, male 82.4
GTEX-14ICL-1626-SM-5YYAO 30-39 years, male 82.2
GTEX-14PJ5-1526-SM-6LLIL 60-69 years, female 81.4
GTEX-14PJN-1826-SM-6AJ98 30-39 years, male 80.7
GTEX-1I1GU-0926-SM-ACKVS 40-49 years, male 80.3
GTEX-11TUW-0626-SM-5LU9M 60-69 years, male 79.9
GTEX-1J8EW-2726-SM-CY8HR 60-69 years, female 79.8
GTEX-13D11-0926-SM-5J2NC 50-59 years, female 79.5
GTEX-14AS3-1526-SM-5Q5ED 40-49 years, female 79.4
GTEX-1C6VQ-1226-SM-73KYD 50-59 years, male 79.4
GTEX-1IDJV-0126-SM-COH3Y 60-69 years, male 79.1
GTEX-ZPCL-1126-SM-4WWFE 60-69 years, female 79.0
GTEX-1EH9U-2826-SM-7DUGT 60-69 years, male 78.4
GTEX-1IKJJ-2226-SM-CJI4C 60-69 years, male 78.2
GTEX-1F88E-1626-SM-7SB8Z 60-69 years, female 77.9
GTEX-14PII-0726-SM-6EU2B 60-69 years, male 77.7
GTEX-1H1DE-1326-SM-9KNUG 20-29 years, male 77.5
GTEX-ZE9C-2526-SM-5IJDR 60-69 years, male 77.3
GTEX-1IE54-1126-SM-A9G2Z 40-49 years, female 76.8
GTEX-1JMPY-0226-SM-CKZOK 30-39 years, male 76.8
GTEX-13NYS-0626-SM-5L3F1 60-69 years, male 76.3
GTEX-1GF9V-0826-SM-9KNUV 60-69 years, male 75.9
GTEX-14C5O-0326-SM-5ZZUX 60-69 years, male 74.7
GTEX-1F52S-2926-SM-7MKGA 60-69 years, female 74.7
GTEX-1QP28-1126-SM-EVYC4 50-59 years, female 74.5
GTEX-XV7Q-1826-SM-4BRUV 40-49 years, female 73.7
GTEX-11P81-2226-SM-5PNYI 30-39 years, female 73.6
GTEX-1AMEY-0826-SM-72D65 30-39 years, female 73.6
GTEX-13OVH-0526-SM-5L3E6 70-79 years, male 73.5
GTEX-13PL6-1126-SM-5L3IE 40-49 years, female 73.4
GTEX-1PBJJ-1026-SM-E76OS 30-39 years, male 72.9
GTEX-1399U-1126-SM-5L3DB 50-59 years, female 71.9
GTEX-1CB4E-0926-SM-7EPHT 60-69 years, male 71.4
GTEX-17HHE-1326-SM-7EWDZ 50-59 years, male 70.9
GTEX-1CAMQ-1326-SM-7P8RV 40-49 years, male 70.8
GTEX-11DXX-2126-SM-5PNYR 60-69 years, female 70.4
GTEX-1HCU7-0726-SM-A9SL1 50-59 years, male 70.4
GTEX-1B8L1-2226-SM-7P8PT 60-69 years, male 70.3
GTEX-148VJ-0626-SM-5LUAW 70-79 years, male 69.8
GTEX-1JK1U-0226-SM-ARZMX 60-69 years, male 69.3
GTEX-1F6RS-2026-SM-7RHHC 60-69 years, female 68.5
GTEX-1RMOY-1326-SM-E9TIH 50-59 years, male 67.3
GTEX-1S83E-1326-SM-E6CJM 40-49 years, male 67.1
GTEX-14XAO-1226-SM-6EU1C 60-69 years, female 66.5
GTEX-Y9LG-1126-SM-4VBQ7 30-39 years, male 65.7
GTEX-1H3O1-1326-SM-9MQLD 60-69 years, male 65.7
GTEX-ZYT6-2326-SM-5GZY3 30-39 years, male 65.1
GTEX-1PPH8-0126-SM-EWRN8 20-29 years, male 65.1
GTEX-1LKK1-2626-SM-DKPQE 50-59 years, female 64.3
GTEX-1GZ4H-0526-SM-9KNU9 50-59 years, female 64.2
GTEX-13NZ8-1226-SM-5KM4A 60-69 years, female 64.1
GTEX-18A67-1626-SM-7LT9T 50-59 years, male 64.0
GTEX-1CAMS-2226-SM-7PBXQ 40-49 years, female 63.8
GTEX-1RAZQ-1326-SM-E9TK6 30-39 years, male 62.9
GTEX-1HGF4-0126-SM-CNPPX 60-69 years, male 62.2
GTEX-17F9Y-0126-SM-79OKX 70-79 years, female 61.8
GTEX-1S82U-1026-SM-E6CJK 30-39 years, female 61.8
GTEX-1313W-0626-SM-5EQ4H 50-59 years, female 61.7
GTEX-1269C-0126-SM-5EQ5L 60-69 years, female 61.5
GTEX-1H11D-1826-SM-9QEHM 40-49 years, male 61.1
GTEX-1HT8W-0626-SM-A9G2H 30-39 years, male 60.8
GTEX-1QPFJ-1926-SM-EVYBD 30-39 years, female 60.4
GTEX-1GN73-0726-SM-7P8TJ 60-69 years, male 60.1
GTEX-1HBPN-0126-SM-CGQEF 50-59 years, male 59.7
GTEX-Y111-0626-SM-4SOIT 50-59 years, male 56.7
GTEX-14PJ3-1126-SM-5ZZVX 50-59 years, male 55.8
GTEX-1LVAM-0726-SM-E6CIL 50-59 years, female 55.8
GTEX-1F88F-0126-SM-9WYSZ 60-69 years, female 55.6
GTEX-1S82P-2126-SM-E6CI5 60-69 years, female 55.6
GTEX-147GR-2426-SM-5ZZWQ 60-69 years, male 55.4
GTEX-11ZU8-0126-SM-5EQ58 60-69 years, male 54.1
GTEX-14PJ4-0226-SM-5YY92 60-69 years, male 53.1
GTEX-1122O-1026-SM-9WYSF 60-69 years, female 52.4
GTEX-1QP2A-1726-SM-E76QC 50-59 years, male 50.8
GTEX-1HR9M-2226-SM-CNPPY 60-69 years, male 50.5
GTEX-13IVO-0726-SM-5LZYV 70-79 years, male 50.1
GTEX-1JJEA-1826-SM-ARU8P 60-69 years, male 49.7
GTEX-1399S-0126-SM-5IJCF 30-39 years, female 49.6
GTEX-1OJC4-2726-SM-E76PJ 50-59 years, female 48.2
GTEX-1GPI6-1926-SM-9KNV7 60-69 years, male 48.1
GTEX-1J1OQ-0126-SM-D4P2N 40-49 years, female 47.5
GTEX-13PDP-0726-SM-5L3HP 60-69 years, male 47.2
GTEX-ZYY3-2926-SM-5GIEB 60-69 years, female 46.8
GTEX-13QJC-0126-SM-5ZZWJ 60-69 years, female 46.7
GTEX-1I1GT-1026-SM-ARZLV 60-69 years, female 46.7
GTEX-111VG-1626-SM-5EGIO 60-69 years, male 45.0
GTEX-1F5PK-2226-SM-7SB6N 50-59 years, male 43.1
GTEX-1R46S-2426-SM-E76QA 60-69 years, female 43.1
GTEX-1399Q-2326-SM-5KM2X 40-49 years, male 42.9
GTEX-13JVG-0726-SM-5KM16 60-69 years, male 42.9
GTEX-14C39-1726-SM-5RQIL 40-49 years, male 42.0
GTEX-1C6VR-0126-SM-7RHGB 60-69 years, male 40.4
GTEX-WHSB-1326-SM-3LK6W 50-59 years, male 40.3
GTEX-ZVZP-1226-SM-5GID7 50-59 years, male 38.3
GTEX-1H3VE-0726-SM-9YFL5 40-49 years, male 36.2
GTEX-11PRG-0726-SM-5EGL1 50-59 years, male 34.9
GTEX-13SLW-0626-SM-5Q5ER 70-79 years, male 34.5
GTEX-1H2FU-0926-SM-9WPPT 60-69 years, female 34.4
GTEX-1MCYP-0526-SM-E9U6Q 20-29 years, female 34.4
GTEX-1GN1V-2826-SM-9JGIA 60-69 years, male 20.4
GTEX-1NV5F-0626-SM-DTXEG 60-69 years, female 19.8
Show allShow less
Skin - Sun Exposed (Lower leg)
Average nTPM: 187.3
Samples: 701

Max nTPM: 867.1
Min nTPM: 32.5
Std nTPM: 105.1
Median nTPM: 168.3
GTEX-146FR-1326-SM-E9J48 60-69 years, female 867.1
GTEX-113IC-0126-SM-5HL6T 60-69 years, male 860.2
GTEX-RUSQ-1526-SM-2TF62 50-59 years, male 831.6
GTEX-14JIY-0126-SM-6LLH6 60-69 years, male 783.4
GTEX-1RAZQ-0726-SM-EAZ43 30-39 years, male 623.4
GTEX-1HUB1-0426-SM-E9U4U 60-69 years, male 576.4
GTEX-1I1HK-0126-SM-COH49 60-69 years, male 571.3
GTEX-1OJC4-0126-SM-E9J2E 50-59 years, female 567.7
GTEX-1QW4Y-1526-SM-EAZ3Z 30-39 years, male 533.0
GTEX-11ZUS-0626-SM-59885 30-39 years, male 529.9
GTEX-147F4-0226-SM-5QGPW 50-59 years, male 516.8
GTEX-1M4P7-0226-SM-DIPEV 60-69 years, male 512.6
GTEX-1AYCT-2426-SM-7IGQ3 50-59 years, male 512.4
GTEX-15EOM-0126-SM-7KUGG 20-29 years, female 508.2
GTEX-U4B1-1826-SM-4DXSU 40-49 years, male 485.2
GTEX-11GS4-2726-SM-5A5LE 60-69 years, male 469.7
GTEX-13N1W-0126-SM-5K7VT 70-79 years, male 467.1
GTEX-1HBPH-0426-SM-B2LW5 40-49 years, female 464.2
GTEX-1C6WA-0126-SM-7PC2B 60-69 years, male 462.4
GTEX-1QP67-1626-SM-EAZ3X 40-49 years, female 458.4
GTEX-1PBJI-0526-SM-E8VNK 20-29 years, female 455.9
GTEX-1LNCM-1126-SM-E9U5E 50-59 years, female 444.6
GTEX-1RLM8-2326-SM-EWRN4 50-59 years, male 443.7
GTEX-16YQH-0126-SM-7DUFJ 30-39 years, male 433.2
GTEX-1GN1W-0526-SM-9MQJQ 50-59 years, female 430.8
GTEX-146FH-0126-SM-5QGPP 50-59 years, female 414.9
GTEX-1R9PO-2126-SM-E9J4O 60-69 years, female 409.9
GTEX-X4XY-0226-SM-4E3IZ 60-69 years, male 405.2
GTEX-1N2DW-0226-SM-E9TK2 50-59 years, male 399.4
GTEX-12WSN-5019-SM-79OM6 40-49 years, male 397.3
GTEX-144GN-2326-SM-5LU4F 50-59 years, male 387.7
GTEX-ZUA1-0126-SM-5GU76 40-49 years, male 387.6
GTEX-1C6VQ-0126-SM-7P8RI 50-59 years, male 382.9
GTEX-13OVJ-0126-SM-5KM36 50-59 years, female 381.8
GTEX-ZZPT-0226-SM-5E43X 50-59 years, male 380.9
GTEX-1AYD5-2426-SM-73KXR 50-59 years, male 379.8
GTEX-11GSP-2526-SM-5N9BP 60-69 years, female 374.7
GTEX-V1D1-2226-SM-3NMAX 50-59 years, male 373.4
GTEX-YEC4-2126-SM-5IFJH 40-49 years, male 350.8
GTEX-13OVG-1926-SM-5L3DK 60-69 years, male 343.3
GTEX-WH7G-2326-SM-3NMBC 40-49 years, male 342.3
GTEX-ZYW4-0126-SM-5E44A 60-69 years, male 340.8
GTEX-XUW1-0426-SM-4BOOT 50-59 years, female 339.4
GTEX-OOBK-0126-SM-2YUND 40-49 years, male 337.7
GTEX-ZDXO-3026-SM-5J1N5 60-69 years, male 334.6
GTEX-14BIL-0126-SM-5SI92 50-59 years, male 334.0
GTEX-14E6C-0126-SM-5RQIP 40-49 years, male 333.9
GTEX-Q734-1926-SM-2I5EV 40-49 years, female 330.2
GTEX-1IY9M-0126-SM-D3L8S 60-69 years, male 330.0
GTEX-1F6I4-0126-SM-9MQL2 60-69 years, male 328.9
GTEX-12WSD-0126-SM-59HKN 60-69 years, female 327.3
GTEX-R55E-0126-SM-2TC5Y 20-29 years, male 326.3
GTEX-13OW7-0126-SM-5MR3B 50-59 years, male 326.1
GTEX-131XG-2626-SM-5KM17 50-59 years, female 322.9
GTEX-ZF29-2326-SM-DO92K 60-69 years, female 318.3
GTEX-139TT-0126-SM-5K7Y5 60-69 years, male 316.8
GTEX-11UD1-0126-SM-5PNYG 40-49 years, female 314.4
GTEX-XAJ8-0826-SM-47JY6 40-49 years, male 314.4
GTEX-117YW-2626-SM-5GZZH 50-59 years, male 313.0
GTEX-1I1GU-2226-SM-CGQFA 40-49 years, male 312.4
GTEX-1B8L1-2526-SM-9WYTF 60-69 years, male 310.4
GTEX-12WSL-2526-SM-5GCNJ 50-59 years, male 310.1
GTEX-13O1R-0126-SM-5L3EH 60-69 years, male 310.1
GTEX-14PK6-1926-SM-6ETZU 70-79 years, female 308.7
GTEX-1HB9E-0226-SM-E9U4R 50-59 years, male 305.5
GTEX-QDVN-2026-SM-3GAEP 50-59 years, male 304.4
GTEX-ZEX8-2426-SM-4WKG4 50-59 years, male 303.8
GTEX-X638-0126-SM-47JZ8 70-79 years, female 303.6
GTEX-1GN1V-0126-SM-9WPOS 60-69 years, male 302.9
GTEX-1A32A-0126-SM-718B1 50-59 years, female 302.0
GTEX-X8HC-0126-SM-4E3JW 50-59 years, female 301.7
GTEX-132NY-0326-SM-5IJBL 60-69 years, male 299.7
GTEX-1PPH7-2326-SM-EVYB8 40-49 years, male 298.7
GTEX-11O72-0126-SM-59887 40-49 years, male 297.5
GTEX-13OVL-0226-SM-5L3E9 50-59 years, male 296.6
GTEX-1AX9K-2326-SM-73KWU 50-59 years, male 296.5
GTEX-Q2AG-0126-SM-33HBV 40-49 years, female 294.0
GTEX-1GTWX-0126-SM-9YFLK 60-69 years, male 293.8
GTEX-1JMOU-1526-SM-CL54I 60-69 years, female 292.0
GTEX-16XZY-2126-SM-79OK1 70-79 years, male 289.5
GTEX-1F7RK-0126-SM-7PC2S 20-29 years, female 289.0
GTEX-145LT-1726-SM-5QGP3 40-49 years, male 288.5
GTEX-1399U-2326-SM-5K7WY 50-59 years, female 288.2
GTEX-WOFL-0126-SM-3MJG2 60-69 years, male 285.9
GTEX-1AX8Z-0126-SM-7DHM6 60-69 years, male 284.7
GTEX-Q2AI-1326-SM-2S1PL 40-49 years, male 283.6
GTEX-X62O-0126-SM-4E3JN 50-59 years, male 283.4
GTEX-1F75I-0326-SM-9YFLU 40-49 years, male 282.5
GTEX-1MGNQ-0126-SM-EVYCJ 40-49 years, male 280.0
GTEX-1JKYN-1326-SM-CGQG9 30-39 years, male 279.2
GTEX-183FY-0126-SM-7LT9P 20-29 years, male 279.1
GTEX-1A3MW-0126-SM-73KXX 60-69 years, female 278.0
GTEX-U3ZM-1526-SM-3DB9D 40-49 years, male 277.1
GTEX-17F97-0326-SM-7LG5B 50-59 years, male 276.8
GTEX-OXRL-0126-SM-2YUMP 50-59 years, male 276.8
GTEX-13FHO-0226-SM-5IFGY 60-69 years, male 271.8
GTEX-1LBAC-0126-SM-DIPEZ 20-29 years, male 271.8
GTEX-131XW-0426-SM-5LZWP 50-59 years, female 271.1
GTEX-15DYW-0126-SM-7KULE 60-69 years, female 269.5
GTEX-1IDFM-0126-SM-COH2V 60-69 years, male 268.0
GTEX-Y3I4-2126-SM-4TT7C 50-59 years, male 267.8
GTEX-11DXW-0226-SM-5H122 40-49 years, male 267.7
GTEX-1GPI6-0126-SM-9WG69 60-69 years, male 267.1
GTEX-OXRP-0126-SM-3NB32 60-69 years, female 266.7
GTEX-1NHNU-1026-SM-E9J2A 50-59 years, male 266.1
GTEX-14ABY-0226-SM-5TDCQ 50-59 years, male 265.8
GTEX-RN64-0126-SM-2TC68 50-59 years, male 265.1
GTEX-ZYFD-0126-SM-5GIDL 50-59 years, male 264.4
GTEX-1QP2A-0126-SM-E9J43 50-59 years, male 263.7
GTEX-139TU-0126-SM-5K7WH 60-69 years, male 263.6
GTEX-11EM3-2426-SM-59861 20-29 years, female 262.6
GTEX-1GF9X-2026-SM-7PC3A 40-49 years, female 261.4
GTEX-14LLW-0126-SM-6LLIO 70-79 years, female 261.3
GTEX-1R9K4-0126-SM-DTX9X 60-69 years, male 261.3
GTEX-17HHY-0126-SM-7LG5D 50-59 years, male 261.1
GTEX-11EMC-2926-SM-5EQ4F 60-69 years, female 258.5
GTEX-U8T8-0126-SM-3DB94 60-69 years, male 256.5
GTEX-1QP29-0626-SM-EWRMX 50-59 years, male 256.4
GTEX-S33H-1026-SM-EZ6L6 30-39 years, male 256.4
GTEX-13OVI-1426-SM-5L3EY 60-69 years, female 256.0
GTEX-139T4-0226-SM-5HL5S 50-59 years, female 255.8
GTEX-QEG4-0226-SM-2S1PY 30-39 years, male 253.6
GTEX-1N2DV-0226-SM-E6CJ6 40-49 years, male 253.3
GTEX-1I1GP-2226-SM-CGQFK 50-59 years, male 252.9
GTEX-15SHW-0326-SM-6PAML 60-69 years, male 252.2
GTEX-13O3O-0126-SM-E9J49 60-69 years, female 252.1
GTEX-1QCLY-0326-SM-E8VOG 30-39 years, male 251.6
GTEX-T2IS-0126-SM-4DM6O 20-29 years, female 250.4
GTEX-1LG7Y-0526-SM-DKPQC 50-59 years, male 250.4
GTEX-OXRO-0126-SM-2YUN4 60-69 years, female 250.3
GTEX-1F88F-2726-SM-7PBZZ 60-69 years, female 249.4
GTEX-1KD5A-0226-SM-D5OV3 50-59 years, male 249.1
GTEX-1IE54-0126-SM-CMKHW 40-49 years, female 248.6
GTEX-13VXU-0126-SM-5SI9F 50-59 years, male 247.5
GTEX-14A6H-0126-SM-5QGPK 30-39 years, male 247.3
GTEX-15D1Q-0126-SM-7KUG6 40-49 years, male 246.6
GTEX-145ME-1826-SM-5SI9G 40-49 years, female 245.0
GTEX-15SDE-2226-SM-7IGLO 50-59 years, female 245.0
GTEX-1AMEY-1326-SM-73KYK 30-39 years, female 244.0
GTEX-1R7EV-2426-SM-EVYBG 40-49 years, male 243.9
GTEX-QDT8-0126-SM-48TZ1 30-39 years, female 243.1
GTEX-WQUQ-0426-SM-3MJFU 60-69 years, male 243.0
GTEX-1POEN-0126-SM-EYYXJ 30-39 years, female 242.9
GTEX-YJ8A-0426-SM-5IFID 20-29 years, male 242.8
GTEX-17HII-0226-SM-7LG4E 50-59 years, male 242.4
GTEX-113JC-2326-SM-5EQ4E 50-59 years, female 242.2
GTEX-T5JC-0426-SM-32PLO 20-29 years, male 241.6
GTEX-XUYS-0126-SM-47JWZ 50-59 years, male 241.2
GTEX-13N11-2526-SM-5K7UE 50-59 years, female 240.9
GTEX-1HSMQ-1226-SM-CGQFX 50-59 years, male 240.9
GTEX-1HSMO-0126-SM-CL547 60-69 years, male 240.0
GTEX-1J1R8-1726-SM-ARL8M 40-49 years, male 239.4
GTEX-U412-0426-SM-3DB9O 60-69 years, male 238.0
GTEX-12C56-1726-SM-5EQ61 20-29 years, male 237.8
GTEX-15DDE-0126-SM-6LPKH 50-59 years, female 237.1
GTEX-1H4P4-0726-SM-9YFLR 50-59 years, male 236.8
GTEX-17EVQ-0226-SM-7LG4P 70-79 years, male 236.5
GTEX-14E7W-0126-SM-6LLJ9 70-79 years, male 236.1
GTEX-11ZVC-2526-SM-5FQTE 50-59 years, female 235.5
GTEX-ZDTT-2726-SM-4WKF8 60-69 years, male 234.8
GTEX-S7PM-0126-SM-4AD6S 60-69 years, male 234.6
GTEX-13NZA-0226-SM-5K7Z7 60-69 years, male 234.3
GTEX-XBED-2226-SM-47JYQ 60-69 years, male 234.2
GTEX-SUCS-1926-SM-32PM3 70-79 years, male 233.9
GTEX-131XH-2226-SM-5DUXJ 50-59 years, male 233.4
GTEX-1GZ2Q-0226-SM-7P8TL 40-49 years, male 233.4
GTEX-1HCU6-0126-SM-CL54K 60-69 years, female 232.3
GTEX-1C6VS-0526-SM-7DUEN 60-69 years, male 231.8
GTEX-ZDTS-0126-SM-4WAY5 60-69 years, male 231.3
GTEX-183WM-0126-SM-7LTAB 70-79 years, female 230.6
GTEX-1LC47-0326-SM-E9TJP 60-69 years, male 230.6
GTEX-11OF3-2626-SM-5GU7F 60-69 years, male 229.5
GTEX-13RTL-0126-SM-7LG5S 40-49 years, male 229.1
GTEX-RM2N-1426-SM-2TF4H 50-59 years, male 228.7
GTEX-13W46-0226-SM-5SIAG 50-59 years, male 228.5
GTEX-1269C-2526-SM-5EGJ3 60-69 years, female 228.3
GTEX-ZE7O-0126-SM-57WC1 50-59 years, female 227.9
GTEX-17HGU-0226-SM-7DHKV 50-59 years, male 227.7
GTEX-NPJ8-0126-SM-2YUNR 40-49 years, male 227.4
GTEX-WZTO-0126-SM-3NM95 40-49 years, male 227.4
GTEX-1QEPI-0126-SM-EWRMQ 60-69 years, female 227.4
GTEX-S95S-1226-SM-4GICG 60-69 years, male 227.2
GTEX-11NSD-2226-SM-5986V 20-29 years, male 226.6
GTEX-1MCYP-1926-SM-E9J2R 20-29 years, female 226.1
GTEX-1F48J-0126-SM-7P8TT 50-59 years, female 225.8
GTEX-1GN73-0226-SM-9WG67 60-69 years, male 225.4
GTEX-ZF28-0126-SM-4WKGK 60-69 years, male 225.2
GTEX-1LB8K-0226-SM-EWRNW 50-59 years, male 224.8
GTEX-PWCY-1826-SM-DHXIZ 20-29 years, female 224.4
GTEX-11P82-1626-SM-59879 20-29 years, male 223.9
GTEX-1EKGG-0226-SM-9WYTH 60-69 years, male 223.8
GTEX-145MO-0326-SM-5Q5B3 60-69 years, male 222.5
GTEX-1MA7X-2226-SM-E6CIY 60-69 years, male 222.1
GTEX-1MCQQ-0826-SM-DLHC2 60-69 years, male 221.6
GTEX-148VI-1626-SM-5SI6E 60-69 years, female 221.5
GTEX-1PIGE-0126-SM-EVYBJ 20-29 years, male 220.0
GTEX-1HFI6-0226-SM-ADEHZ 40-49 years, male 219.1
GTEX-13NZ8-0826-SM-5MR3I 60-69 years, female 218.8
GTEX-1B933-0126-SM-7PC29 50-59 years, female 218.6
GTEX-WVJS-0126-SM-4MVOT 50-59 years, male 218.4
GTEX-1211K-2026-SM-5EQ4Z 60-69 years, female 218.2
GTEX-RTLS-0126-SM-447CA 60-69 years, female 217.9
GTEX-1I19N-0326-SM-ACKVX 70-79 years, male 217.8
GTEX-1313W-0126-SM-5LZUN 50-59 years, female 217.7
GTEX-U8XE-0326-SM-3DB8P 30-39 years, male 217.2
GTEX-1A3MV-1926-SM-718BT 30-39 years, male 216.2
GTEX-1GF9U-2126-SM-7SB7L 40-49 years, female 215.1
GTEX-X5EB-2226-SM-46MW4 40-49 years, male 214.8
GTEX-1J8Q3-1626-SM-CMKGC 60-69 years, male 214.8
GTEX-12KS4-0326-SM-5EQ41 30-39 years, male 214.3
GTEX-ZE9C-2726-SM-57WB5 60-69 years, male 214.1
GTEX-11TT1-2526-SM-5EGIB 20-29 years, male 213.7
GTEX-WYVS-2126-SM-3NMA3 40-49 years, female 213.7
GTEX-1ICLY-0126-SM-D4P36 50-59 years, male 213.7
GTEX-1ICLZ-0126-SM-CKZPO 60-69 years, male 213.4
GTEX-1H1E6-1726-SM-ACKVK 30-39 years, male 212.6
GTEX-1F75A-0126-SM-7RHGM 50-59 years, male 212.3
GTEX-1H3O1-0426-SM-9YFKY 60-69 years, male 212.2
GTEX-14DAQ-0126-SM-5S2MQ 60-69 years, female 212.0
GTEX-147F3-0526-SM-5SI98 50-59 years, female 211.9
GTEX-11LCK-1026-SM-5A5KB 30-39 years, male 211.5
GTEX-15UKP-0426-SM-7KUFQ 20-29 years, male 211.3
GTEX-13G51-2526-SM-5LZYK 60-69 years, male 210.8
GTEX-18A67-0126-SM-7LG5P 50-59 years, male 210.6
GTEX-R55G-2526-SM-2TC6D 40-49 years, female 210.0
GTEX-P4PQ-0126-SM-2S1NM 60-69 years, male 209.9
GTEX-13FTX-1826-SM-5J1NX 20-29 years, female 209.8
GTEX-QLQW-1126-SM-2S1Q8 30-39 years, male 209.6
GTEX-1IKOH-0226-SM-COH4E 60-69 years, female 209.6
GTEX-1HCUA-2426-SM-ADEIS 50-59 years, female 209.0
GTEX-X585-0226-SM-4QAS2 50-59 years, male 208.2
GTEX-OHPM-0126-SM-2YUN9 50-59 years, male 207.3
GTEX-13FH7-2026-SM-E9J4I 50-59 years, female 207.3
GTEX-18A7B-0126-SM-7LG64 70-79 years, male 206.5
GTEX-Y8LW-1826-SM-5S2MV 50-59 years, female 206.4
GTEX-1H1ZS-0426-SM-9WG6G 70-79 years, male 206.3
GTEX-X88G-0126-SM-47JZ3 30-39 years, male 206.2
GTEX-RU72-0926-SM-2TF6B 50-59 years, female 206.1
GTEX-1C2JI-1826-SM-73KXC 50-59 years, male 206.0
GTEX-1CB4J-0626-SM-7DHMP 60-69 years, male 204.3
GTEX-14BIM-0226-SM-7IGLD 60-69 years, female 204.2
GTEX-X4EO-0326-SM-3P5YO 60-69 years, female 204.2
GTEX-11ZTT-2426-SM-5EQLS 60-69 years, female 204.1
GTEX-1EX96-1626-SM-7PBXR 50-59 years, male 203.7
GTEX-14XAO-2326-SM-6EU1B 60-69 years, female 203.6
GTEX-1B996-0226-SM-7RHGO 60-69 years, male 203.3
GTEX-1HKZK-0326-SM-9WYUH 40-49 years, male 202.8
GTEX-QDVJ-1726-SM-2I5FX 50-59 years, male 202.7
GTEX-15SHU-0126-SM-7KUEH 40-49 years, female 202.6
GTEX-SSA3-0126-SM-32QPU 60-69 years, male 202.3
GTEX-Z93T-0126-SM-5HL5N 50-59 years, male 202.3
GTEX-ZDYS-2026-SM-5HL5L 50-59 years, male 202.2
GTEX-12WSG-2826-SM-E9J4H 50-59 years, female 202.1
GTEX-13CF2-2526-SM-5LZYX 60-69 years, male 201.5
GTEX-1F6IF-0726-SM-7P8TW 60-69 years, male 201.5
GTEX-18A7A-0226-SM-718BH 50-59 years, female 200.9
GTEX-R45C-0126-SM-EAZ2R 60-69 years, female 200.9
GTEX-1I1CD-0126-SM-CM2TK 60-69 years, female 200.5
GTEX-14PN3-2426-SM-6LLHS 60-69 years, female 198.2
GTEX-VUSG-2526-SM-4KL1V 50-59 years, male 198.2
GTEX-SN8G-0126-SM-32PLI 50-59 years, female 197.3
GTEX-11NUK-0126-SM-5A5L3 50-59 years, male 197.0
GTEX-1497J-2426-SM-7IGNX 60-69 years, male 196.6
GTEX-1JMPZ-0226-SM-CNPP1 30-39 years, male 196.6
GTEX-13SLX-0526-SM-5S2ON 50-59 years, female 196.1
GTEX-14JG6-2226-SM-6EU2G 30-39 years, female 195.7
GTEX-13O21-1426-SM-5K7XI 50-59 years, male 195.3
GTEX-ZQUD-1426-SM-57WER 30-39 years, male 195.2
GTEX-12ZZX-0126-SM-5EGK9 40-49 years, female 194.8
GTEX-UPJH-0326-SM-3GADU 50-59 years, male 193.7
GTEX-11P7K-2126-SM-5GU7G 30-39 years, male 193.5
GTEX-WY7C-2326-SM-3NB2U 50-59 years, male 192.7
GTEX-PLZ4-0126-SM-5SI8O 50-59 years, female 192.5
GTEX-QLQ7-1626-SM-2S1R8 60-69 years, male 192.2
GTEX-11H98-0126-SM-5EGHG 50-59 years, male 192.0
GTEX-XXEK-2226-SM-4BRUM 50-59 years, male 191.5
GTEX-15SB6-1726-SM-6PAME 50-59 years, female 191.3
GTEX-14E6D-0126-SM-62LDV 50-59 years, male 190.1
GTEX-12126-0326-SM-5PNW3 20-29 years, male 189.8
GTEX-1H1CY-2826-SM-9MQM3 60-69 years, female 189.8
GTEX-144FL-0126-SM-5TDC8 50-59 years, male 189.6
GTEX-1RQEC-0426-SM-E6CHU 60-69 years, male 189.6
GTEX-18A6Q-0126-SM-731BZ 60-69 years, male 189.1
GTEX-14PN4-0126-SM-6EU2V 50-59 years, male 188.6
GTEX-13O3Q-2426-SM-5IJBR 50-59 years, male 188.4
GTEX-1HBPI-1526-SM-C1YQ1 50-59 years, male 187.6
GTEX-111VG-2426-SM-5GZXD 60-69 years, male 187.0
GTEX-1JMPY-1326-SM-ARL8Y 30-39 years, male 186.9
GTEX-RWS6-2026-SM-2XCB5 60-69 years, female 186.2
GTEX-ZVT3-0126-SM-5GU6I 60-69 years, female 185.6
GTEX-12584-0126-SM-5EGKQ 40-49 years, male 185.2
GTEX-YFC4-0126-SM-5CVLY 40-49 years, female 184.9
GTEX-Z93S-0126-SM-5HL7M 50-59 years, male 184.4
GTEX-11OC5-0126-SM-5HL6A 60-69 years, male 184.3
GTEX-1H1DG-0126-SM-9WYU2 70-79 years, male 184.3
GTEX-TMZS-0126-SM-3DB9Q 60-69 years, male 184.0
GTEX-13NZB-2526-SM-5J1OM 30-39 years, male 182.8
GTEX-14PJ3-1826-SM-62LEX 50-59 years, male 182.7
GTEX-18465-0126-SM-731BN 50-59 years, male 182.6
GTEX-1HSEH-0126-SM-ACKXN 60-69 years, male 181.5
GTEX-1JJE9-0326-SM-CL53Z 70-79 years, male 181.4
GTEX-1H1DE-2126-SM-9WG6R 20-29 years, male 180.4
GTEX-13CF3-2426-SM-5IFGX 60-69 years, female 179.8
GTEX-13X6I-0626-SM-5QGP9 60-69 years, male 179.4
GTEX-11TTK-0126-SM-5987B 60-69 years, female 179.1
GTEX-SIU8-0126-SM-2XCDT 50-59 years, male 179.1
GTEX-ZU9S-0226-SM-5E441 30-39 years, male 178.5
GTEX-XQ3S-1526-SM-4BOOC 20-29 years, male 178.1
GTEX-12WSC-0126-SM-5EQ4P 50-59 years, male 177.8
GTEX-13O3P-0126-SM-5KM4S 50-59 years, male 177.7
GTEX-13X6J-0126-SM-5QGOU 50-59 years, male 177.2
GTEX-18D9B-0526-SM-7LTAS 60-69 years, male 177.0
GTEX-1AX9I-0126-SM-7SB74 60-69 years, male 176.5
GTEX-18A66-0226-SM-718BD 60-69 years, male 176.4
GTEX-139TS-2826-SM-5J1OO 60-69 years, male 176.3
GTEX-1ICG6-2526-SM-CGQFZ 70-79 years, female 176.3
GTEX-13U4I-0126-SM-5LU38 40-49 years, female 176.2
GTEX-Y111-0126-SM-4SOIV 50-59 years, male 176.0
GTEX-1GPI7-0126-SM-9MQL8 20-29 years, male 175.8
GTEX-1K9T9-0126-SM-EVYCF 50-59 years, female 175.7
GTEX-ZYFC-0226-SM-5NQ75 50-59 years, male 175.6
GTEX-1A3MX-0126-SM-731BR 60-69 years, male 175.2
GTEX-1IDJF-0126-SM-CM2RS 20-29 years, male 174.6
GTEX-1IL2V-0126-SM-CM2TX 70-79 years, male 174.5
GTEX-1CB4G-0226-SM-7PC3O 60-69 years, male 174.4
GTEX-OHPL-0126-SM-2HMJ7 60-69 years, female 174.3
GTEX-14PJM-0226-SM-62LF1 50-59 years, female 174.2
GTEX-17HG3-2226-SM-7938L 30-39 years, female 174.1
GTEX-O5YT-0126-SM-48TBW 20-29 years, male 173.7
GTEX-1GN2E-0426-SM-9MQKX 60-69 years, male 173.6
GTEX-139T8-0126-SM-5K7XZ 60-69 years, male 173.2
GTEX-13OW8-1326-SM-5J1OW 60-69 years, male 173.2
GTEX-1JN76-0126-SM-CNPPE 20-29 years, female 172.7
GTEX-1GMR8-0126-SM-9WYTM 50-59 years, female 172.3
GTEX-1I1GS-0126-SM-B2LVW 60-69 years, male 172.3
GTEX-Y5LM-1926-SM-5RQJH 40-49 years, female 172.2
GTEX-1I1GR-0126-SM-CL55F 60-69 years, male 172.0
GTEX-Q2AH-1626-SM-3GAF8 40-49 years, male 171.6
GTEX-1HSMP-0126-SM-E6CJS 70-79 years, male 171.0
GTEX-1B8KZ-2026-SM-7DHMB 50-59 years, male 170.8
GTEX-ZC5H-0226-SM-4WAY9 40-49 years, female 170.4
GTEX-1J8Q2-0526-SM-CM2RW 60-69 years, male 170.3
GTEX-13FTY-0526-SM-5L3EV 40-49 years, female 169.5
GTEX-1A8FM-0226-SM-7SB7Q 50-59 years, female 169.2
GTEX-RNOR-0126-SM-E9J4R 50-59 years, female 169.2
GTEX-ZVT4-0126-SM-DTXFN 50-59 years, female 169.1
GTEX-13W3W-2426-SM-5LU5B 60-69 years, female 169.0
GTEX-14DAR-2026-SM-5S2O3 50-59 years, male 169.0
GTEX-1J8JJ-0226-SM-CL53I 60-69 years, female 168.8
GTEX-1HGF4-2426-SM-ACKXM 60-69 years, male 168.7
GTEX-ZVT2-2526-SM-51MT1 50-59 years, female 168.3
GTEX-1N2EF-0226-SM-EYYXB 60-69 years, male 168.1
GTEX-1CAMR-1926-SM-7EPI2 20-29 years, male 168.0
GTEX-16NPX-0226-SM-79OMT 50-59 years, male 167.9
GTEX-17MF6-0126-SM-7LG4F 40-49 years, male 167.9
GTEX-WI4N-1026-SM-3LK7N 40-49 years, female 167.9
GTEX-1EWIQ-0126-SM-7RHH2 70-79 years, female 167.9
GTEX-11WQC-2526-SM-5CVLE 60-69 years, male 167.3
GTEX-WXYG-2326-SM-4E3I6 50-59 years, female 167.2
GTEX-148VJ-0126-SM-5TDDN 70-79 years, male 166.8
GTEX-1PWST-0226-SM-E76QJ 70-79 years, male 166.7
GTEX-11TUW-2726-SM-E9J4M 60-69 years, male 166.5
GTEX-1B8SG-0126-SM-73KZ3 50-59 years, male 166.4
GTEX-1192W-2626-SM-5Q5AF 60-69 years, male 166.3
GTEX-1KAFJ-2026-SM-CY8ID 50-59 years, male 166.2
GTEX-11ZTS-0126-SM-5EQ6M 60-69 years, female 165.2
GTEX-1EU9M-0226-SM-7P8SP 60-69 years, male 164.9
GTEX-Z9EW-1626-SM-5CVMN 40-49 years, male 164.8
GTEX-14BMU-2226-SM-5TDE9 20-29 years, female 164.6
GTEX-RVPV-0126-SM-EAZAW 60-69 years, male 164.5
GTEX-ZGAY-0526-SM-4WWBB 40-49 years, female 164.3
GTEX-XMD2-0126-SM-4YCDU 60-69 years, female 164.2
GTEX-1I6K6-0126-SM-A9SLE 30-39 years, male 164.2
GTEX-WRHK-1426-SM-3MJF9 20-29 years, female 163.9
GTEX-1GZHY-0326-SM-9QEHI 50-59 years, female 163.5
GTEX-1CAV2-2226-SM-7P8P2 40-49 years, female 163.3
GTEX-OIZF-0126-SM-7SB8I 60-69 years, male 162.9
GTEX-17MFQ-1726-SM-793C7 20-29 years, male 162.3
GTEX-1O97I-0326-SM-EYYX7 60-69 years, male 162.1
GTEX-RWSA-0126-SM-2XCBB 40-49 years, male 161.7
GTEX-VJYA-1126-SM-3GIJU 60-69 years, male 161.7
GTEX-1LGOU-2026-SM-DIPFF 20-29 years, female 161.7
GTEX-PWO3-1526-SM-48TCM 60-69 years, female 161.6
GTEX-15DCD-0126-SM-7KUEK 70-79 years, female 161.2
GTEX-13OVK-2026-SM-7KUEO 40-49 years, male 160.9
GTEX-15UF6-0826-SM-6PALJ 70-79 years, female 160.7
GTEX-13NYS-0126-SM-5MR3W 60-69 years, male 159.9
GTEX-T6MO-1626-SM-32QOM 40-49 years, female 159.9
GTEX-NFK9-0226-SM-2HMKQ 40-49 years, male 159.8
GTEX-11XUK-2026-SM-5EQLF 40-49 years, female 159.7
GTEX-SJXC-0126-SM-2XCFF 60-69 years, male 159.0
GTEX-1MUQO-0126-SM-EAZ58 60-69 years, male 158.0
GTEX-13PVR-2326-SM-5QGR1 60-69 years, female 157.8
GTEX-O5YW-0126-SM-3LK6D 50-59 years, male 157.4
GTEX-11DZ1-0126-SM-5985Q 50-59 years, male 157.2
GTEX-Y5V6-2426-SM-4VDSB 60-69 years, male 156.0
GTEX-14PHW-0126-SM-6LLJI 60-69 years, female 155.3
GTEX-ZAK1-0126-SM-5IJD3 50-59 years, female 155.2
GTEX-14753-0426-SM-5NQAM 60-69 years, male 155.1
GTEX-147GR-0526-SM-5S2MY 60-69 years, male 154.8
GTEX-12ZZZ-0626-SM-5DUXI 60-69 years, male 154.6
GTEX-ZTPG-0326-SM-5O9AX 20-29 years, female 154.5
GTEX-18QFQ-0126-SM-731BE 30-39 years, male 154.4
GTEX-1H3VY-0126-SM-ACKXD 50-59 years, male 154.0
GTEX-Y114-2426-SM-4TT8A 50-59 years, female 153.9
GTEX-1HCU8-0626-SM-A9SM9 60-69 years, female 153.8
GTEX-YB5K-2126-SM-4WWDJ 40-49 years, female 153.4
GTEX-1HCVE-0126-SM-CGQEU 50-59 years, male 153.3
GTEX-X261-0126-SM-3NMD6 50-59 years, male 153.2
GTEX-ZPIC-1726-SM-DHXIU 40-49 years, female 152.7
GTEX-1192X-0226-SM-5H12D 50-59 years, male 152.5
GTEX-13RTJ-2426-SM-5S2Q2 60-69 years, male 152.5
GTEX-14C5O-0126-SM-5SI6N 60-69 years, male 152.0
GTEX-17HHE-2026-SM-79OKF 50-59 years, male 151.6
GTEX-ZAB5-1826-SM-5HL7C 50-59 years, male 151.6
GTEX-PW2O-1526-SM-7RHHB 20-29 years, male 151.3
GTEX-13S7M-0126-SM-5SI6A 60-69 years, female 151.2
GTEX-XQ8I-0426-SM-4BOPO 50-59 years, male 151.0
GTEX-Y8DK-0126-SM-4TT3L 60-69 years, male 150.7
GTEX-1E1VI-0126-SM-7DHMZ 50-59 years, male 149.5
GTEX-1IGQW-0126-SM-COH42 60-69 years, male 149.5
GTEX-1J8EW-0126-SM-CJI4F 60-69 years, female 149.5
GTEX-13VXT-0126-SM-5LU4I 20-29 years, female 149.4
GTEX-PLZ6-1426-SM-DKPOT 30-39 years, male 149.4
GTEX-11UD2-0226-SM-5EQKY 50-59 years, male 149.2
GTEX-13112-2826-SM-5DUWH 50-59 years, male 149.2
GTEX-131YS-0126-SM-5KM1M 60-69 years, female 149.1
GTEX-W5WG-1826-SM-4KL2Y 50-59 years, female 148.8
GTEX-16XZZ-0126-SM-793DV 60-69 years, male 148.4
GTEX-11WQK-0526-SM-5EQLD 50-59 years, male 147.9
GTEX-16MT8-0426-SM-7KUEY 60-69 years, female 147.3
GTEX-146FQ-0126-SM-5NQA9 30-39 years, male 147.2
GTEX-1AMFI-2026-SM-731BH 50-59 years, female 147.2
GTEX-1C64N-0126-SM-793D7 50-59 years, male 147.1
GTEX-VJWN-0126-SM-3GIK7 50-59 years, female 146.5
GTEX-1HFI7-1826-SM-ACKXH 50-59 years, female 146.4
GTEX-1K2DU-2326-SM-E9TIV 20-29 years, male 145.9
GTEX-11ZU8-2526-SM-5EQKI 60-69 years, male 145.8
GTEX-1IOXB-0126-SM-ARL8G 50-59 years, male 145.7
GTEX-ZVTK-0426-SM-51MRS 20-29 years, male 144.4
GTEX-131XF-5016-SM-7MGWE 60-69 years, male 143.8
GTEX-OXRK-0226-SM-3NB2G 50-59 years, female 143.4
GTEX-OXRN-0126-SM-48TDM 50-59 years, male 143.3
GTEX-11GSO-2426-SM-5A5LY 60-69 years, male 142.9
GTEX-11DXY-2626-SM-5GIE7 60-69 years, male 142.6
GTEX-1RB15-2126-SM-E9TIM 60-69 years, male 142.4
GTEX-U3ZH-2026-SM-3DB78 30-39 years, male 142.0
GTEX-1IKK5-0626-SM-ARL8A 60-69 years, male 141.9
GTEX-1RDX4-0126-SM-E9J4P 50-59 years, female 141.6
GTEX-13YAN-0326-SM-5O9DF 60-69 years, male 141.1
GTEX-145MI-0526-SM-5O9A8 60-69 years, female 141.0
GTEX-1S3DN-2226-SM-EVYCD 50-59 years, male 140.3
GTEX-13N2G-2626-SM-5J1OT 60-69 years, male 140.2
GTEX-TML8-1926-SM-32QOS 40-49 years, female 140.1
GTEX-QCQG-1726-SM-3GIJ9 50-59 years, female 139.9
GTEX-16BQI-0226-SM-7KUEX 30-39 years, female 139.7
GTEX-14PII-0226-SM-6EU1T 60-69 years, male 139.4
GTEX-13RTK-1426-SM-5QGQJ 20-29 years, male 138.7
GTEX-1H3VE-0326-SM-9YFLH 40-49 years, male 138.4
GTEX-Y8E4-0626-SM-4WWDL 40-49 years, male 138.2
GTEX-1KWVE-1426-SM-E9TJO 30-39 years, male 138.2
GTEX-1I4MK-2226-SM-ACKWD 50-59 years, female 137.6
GTEX-1CAMS-0426-SM-7P8T2 40-49 years, female 137.3
GTEX-1KD4Q-0226-SM-E9TJ9 40-49 years, male 137.0
GTEX-1314G-1526-SM-5EGK2 30-39 years, male 136.9
GTEX-1KANB-0526-SM-E6CJH 50-59 years, male 136.4
GTEX-1QP9N-1426-SM-DTXFL 30-39 years, male 136.0
GTEX-W5X1-3026-SM-EAZAX 40-49 years, female 135.5
GTEX-X4EP-0126-SM-3P5YV 60-69 years, female 135.1
GTEX-QVJO-1626-SM-2S1QW 60-69 years, female 134.6
GTEX-1GMRU-0126-SM-9YFLV 50-59 years, male 134.4
GTEX-13OW6-0426-SM-5L3HM 50-59 years, male 134.1
GTEX-1GZ4H-1726-SM-7PBZJ 50-59 years, female 133.6
GTEX-11P81-2326-SM-59875 30-39 years, female 133.5
GTEX-15RIG-0226-SM-7KFTL 40-49 years, male 133.2
GTEX-QESD-1426-SM-2S1R9 20-29 years, male 133.1
GTEX-14BIN-0626-SM-793DP 50-59 years, female 132.6
GTEX-QV44-1926-SM-2S1RF 50-59 years, male 132.5
GTEX-1122O-2126-SM-5EGIR 60-69 years, female 132.1
GTEX-111FC-0126-SM-5N9DL 60-69 years, male 131.9
GTEX-14A5H-0426-SM-5QGQF 60-69 years, male 131.9
GTEX-15G19-0126-SM-6PANQ 60-69 years, male 131.9
GTEX-X4XX-0126-SM-3NMC2 60-69 years, male 131.9
GTEX-13D11-2426-SM-5KM1V 50-59 years, female 131.6
GTEX-U3ZN-2326-SM-3DB7W 30-39 years, female 131.6
GTEX-ZVE2-0226-SM-59HJB 50-59 years, male 131.4
GTEX-15ER7-0326-SM-7KUEV 20-29 years, female 130.9
GTEX-TKQ1-1026-SM-4GICL 30-39 years, male 130.5
GTEX-XV7Q-2526-SM-4BRV9 40-49 years, female 129.6
GTEX-ZTSS-1926-SM-57WEW 40-49 years, male 128.8
GTEX-1NV5F-0226-SM-E8VNY 60-69 years, female 128.8
GTEX-1LSNM-1926-SM-E6CII 50-59 years, male 128.7
GTEX-13QJ3-0326-SM-5S2RA 50-59 years, male 128.2
GTEX-OIZG-0726-SM-33HBL 50-59 years, male 128.2
GTEX-1S82Y-2026-SM-EVYCM 40-49 years, male 128.2
GTEX-1C64O-0126-SM-7SB8P 60-69 years, male 127.5
GTEX-ZAB4-0226-SM-5N9F5 40-49 years, male 127.3
GTEX-11DXX-2426-SM-5GZZW 60-69 years, female 127.0
GTEX-T2YK-0526-SM-32QPJ 50-59 years, male 126.9
GTEX-Y3IK-2426-SM-4WWDU 50-59 years, female 126.3
GTEX-1R46S-0626-SM-E9J41 60-69 years, female 126.2
GTEX-14ICK-0226-SM-6EU25 40-49 years, male 126.0
GTEX-ZZ64-1726-SM-5GZYB 20-29 years, male 126.0
GTEX-16GPK-0126-SM-7DHLE 60-69 years, male 125.9
GTEX-1JKYR-0126-SM-CNPOJ 20-29 years, male 125.4
GTEX-16AAH-1726-SM-7939C 50-59 years, male 123.7
GTEX-14JG1-0426-SM-6ETZZ 40-49 years, male 123.3
GTEX-15ETS-0126-SM-7KUMW 40-49 years, female 123.1
GTEX-1C4CL-0526-SM-73KVK 30-39 years, male 123.1
GTEX-S7SE-0126-SM-2XCD5 50-59 years, male 122.8
GTEX-T8EM-1026-SM-3DB7M 40-49 years, male 122.8
GTEX-1HBPM-0226-SM-ARL9F 60-69 years, female 122.8
GTEX-12WSJ-1826-SM-5GCNY 40-49 years, female 122.3
GTEX-14PHX-2326-SM-62LEM 50-59 years, male 122.3
GTEX-1R7EU-0226-SM-EVR4G 60-69 years, male 122.3
GTEX-1RAZA-0126-SM-E6CI3 20-29 years, male 122.0
GTEX-17F98-0626-SM-79OMX 40-49 years, female 121.5
GTEX-1GN1U-0126-SM-7PBZK 50-59 years, female 121.4
GTEX-ZY6K-1826-SM-5GZXK 50-59 years, male 121.3
GTEX-1I1GV-0526-SM-A9G29 60-69 years, male 121.3
GTEX-1EN7A-0126-SM-7SB81 40-49 years, male 121.1
GTEX-1QMI2-0226-SM-EVYBX 60-69 years, male 120.9
GTEX-11EI6-0126-SM-5985R 60-69 years, male 120.5
GTEX-1J8QM-2126-SM-CYPSJ 60-69 years, female 120.3
GTEX-ZAJG-0126-SM-5HL94 50-59 years, female 120.1
GTEX-1128S-2326-SM-5GZZY 60-69 years, female 119.9
GTEX-1H3NZ-0126-SM-ACKX7 60-69 years, male 119.9
GTEX-1JN6P-0126-SM-D3L98 60-69 years, male 119.5
GTEX-145LV-2126-SM-5LU8N 50-59 years, male 119.3
GTEX-XBEW-0626-SM-4QASP 40-49 years, male 119.3
GTEX-ZVZO-0126-SM-5A5L9 40-49 years, male 118.7
GTEX-OOBJ-0126-SM-E6CJW 60-69 years, male 117.7
GTEX-11DYG-0126-SM-59883 60-69 years, male 117.2
GTEX-1B8SF-1426-SM-7DUGL 60-69 years, male 116.8
GTEX-15CHC-2126-SM-6EU21 60-69 years, female 116.5
GTEX-ZQG8-1626-SM-DHXIT 60-69 years, female 116.5
GTEX-XYKS-2126-SM-4E3IB 60-69 years, female 116.4
GTEX-1HR98-0126-SM-B2LWI 60-69 years, male 116.2
GTEX-1JMQJ-0526-SM-CYPSU 50-59 years, male 115.9
GTEX-TSE9-0126-SM-3DB83 60-69 years, female 115.5
GTEX-11VI4-1726-SM-5CVLH 40-49 years, female 115.2
GTEX-TMMY-0226-SM-33HBA 40-49 years, female 115.0
GTEX-17EUY-0426-SM-793BD 20-29 years, male 114.6
GTEX-14E6E-1826-SM-5S2R7 30-39 years, male 114.1
GTEX-1H23P-0126-SM-ADEJ3 60-69 years, male 114.0
GTEX-139D8-0226-SM-5KLZO 30-39 years, female 113.7
GTEX-13JUV-2726-SM-5LZZ8 40-49 years, female 113.6
GTEX-1JMQI-2226-SM-CM2SD 50-59 years, male 113.3
GTEX-PLZ5-2026-SM-2S1O4 50-59 years, male 112.4
GTEX-1QP66-1726-SM-E8VO1 50-59 years, male 112.4
GTEX-1GF9W-0326-SM-9KNUN 60-69 years, male 111.8
GTEX-13OW5-0126-SM-DTXFS 60-69 years, male 111.6
GTEX-14A5I-0126-SM-5TDEA 50-59 years, female 111.4
GTEX-117YX-2326-SM-5H12W 50-59 years, male 111.2
GTEX-16NGA-1726-SM-731B4 40-49 years, female 111.2
GTEX-1HSKV-0226-SM-A9SKJ 60-69 years, male 111.1
GTEX-1LH75-2426-SM-E9TJE 50-59 years, female 110.7
GTEX-1JMQK-0226-SM-CL543 60-69 years, male 110.6
GTEX-PSDG-0226-SM-DKPOZ 50-59 years, male 110.5
GTEX-13X6H-2126-SM-7EWD5 50-59 years, female 110.4
GTEX-1GF9V-0326-SM-7RHI5 60-69 years, male 109.8
GTEX-1JK1U-2026-SM-CM2RZ 60-69 years, male 109.1
GTEX-12696-2426-SM-5EQ6H 60-69 years, male 108.9
GTEX-1BAJH-0526-SM-793CQ 70-79 years, male 108.8
GTEX-1AX9J-0226-SM-73KXM 60-69 years, male 108.4
GTEX-1HBPN-0226-SM-9YFM1 50-59 years, male 107.9
GTEX-13PDP-0126-SM-5L3HD 60-69 years, male 107.7
GTEX-14BMV-0126-SM-5S2PO 50-59 years, male 107.5
GTEX-1399T-2826-SM-5KLYZ 60-69 years, male 106.3
GTEX-131XE-2326-SM-5PNZ2 50-59 years, male 106.2
GTEX-1B8KE-2126-SM-73KYX 50-59 years, male 105.8
GTEX-145MF-0626-SM-5LUAI 50-59 years, male 105.4
GTEX-1KXAM-2226-SM-CYPTC 60-69 years, male 105.4
GTEX-17EVP-0326-SM-7DHLG 40-49 years, male 104.8
GTEX-1PDJ9-0326-SM-DTX95 20-29 years, male 104.7
GTEX-12ZZY-0226-SM-5LZVE 60-69 years, male 104.6
GTEX-13FHP-0126-SM-5IJBG 50-59 years, male 104.6
GTEX-1I1GQ-0126-SM-COH3H 50-59 years, male 104.6
GTEX-13IVO-0126-SM-5J1NG 70-79 years, male 104.5
GTEX-13FXS-0226-SM-5IJCK 50-59 years, male 103.9
GTEX-14LZ3-0226-SM-62LET 60-69 years, female 103.7
GTEX-1HT8W-0126-SM-CNPPP 30-39 years, male 102.8
GTEX-WYJK-0126-SM-3NMAB 50-59 years, male 102.6
GTEX-1IDJH-0326-SM-A9SLQ 70-79 years, male 102.0
GTEX-1EMGI-0126-SM-9KNUE 60-69 years, male 101.2
GTEX-13113-5016-SM-7EPIP 60-69 years, female 100.6
GTEX-1S5ZA-0126-SM-EVYCV 20-29 years, male 99.6
GTEX-P44H-0226-SM-2XCEU 40-49 years, male 99.3
GTEX-OIZH-0126-SM-2HMIS 50-59 years, male 99.0
GTEX-ZVZP-2426-SM-59HKJ 50-59 years, male 99.0
GTEX-145LU-0126-SM-5TDCB 50-59 years, male 98.8
GTEX-Y5V5-2326-SM-4V6GA 60-69 years, female 98.8
GTEX-PVOW-0126-SM-2XCFA 40-49 years, male 98.6
GTEX-P4PP-0126-SM-3LK69 30-39 years, female 98.4
GTEX-1LGRB-2526-SM-CNPPQ 50-59 years, female 98.0
GTEX-144GL-0126-SM-5TDE2 50-59 years, male 97.7
GTEX-1F6RS-0126-SM-9MQKZ 60-69 years, female 97.2
GTEX-ZYY3-0126-SM-5GZY5 60-69 years, female 96.2
GTEX-XPVG-2626-SM-4B669 50-59 years, male 95.7
GTEX-17GQL-2026-SM-718BA 60-69 years, male 95.6
GTEX-13NYC-0326-SM-E9J4S 60-69 years, male 95.0
GTEX-139UW-2826-SM-5L3E7 60-69 years, male 93.7
GTEX-1HCU9-1526-SM-A9SL7 20-29 years, male 93.6
GTEX-1PFEY-1526-SM-E76PP 30-39 years, male 93.6
GTEX-1OFPY-2426-SM-DTXEJ 60-69 years, male 93.0
GTEX-145MN-2226-SM-5SIAU 30-39 years, male 92.8
GTEX-1CB4E-2226-SM-793DC 60-69 years, male 92.4
GTEX-1MA7W-2026-SM-E9TJ6 20-29 years, female 92.2
GTEX-133LE-1826-SM-5J1MV 20-29 years, female 92.1
GTEX-117XS-2726-SM-5N9BL 60-69 years, male 91.9
GTEX-1GMR3-1926-SM-9KNUZ 40-49 years, male 90.5
GTEX-ZXG5-0126-SM-5GIEU 60-69 years, male 89.8
GTEX-1JN1M-0326-SM-CYPT3 60-69 years, female 89.5
GTEX-1CB4F-0426-SM-9KNV4 60-69 years, male 89.2
GTEX-1CB4H-0226-SM-7PBXM 60-69 years, female 89.2
GTEX-1C6VR-2426-SM-79OLD 60-69 years, male 88.7
GTEX-169BO-1326-SM-9MQK2 50-59 years, male 88.6
GTEX-YB5E-2026-SM-5IFIS 40-49 years, male 88.4
GTEX-1IDJU-2626-SM-CM2RT 60-69 years, female 87.7
GTEX-1212Z-2526-SM-5EGKP 60-69 years, male 87.6
GTEX-11DXZ-2326-SM-5EGGV 50-59 years, male 86.4
GTEX-POMQ-2226-SM-2I5FK 20-29 years, female 86.4
GTEX-ZF3C-0126-SM-DO92D 50-59 years, female 86.3
GTEX-1F5PL-0326-SM-7P8PQ 40-49 years, female 86.0
GTEX-SE5C-1626-SM-2XCE3 40-49 years, female 85.8
GTEX-T6MN-0126-SM-32PLP 50-59 years, male 85.4
GTEX-12WSK-2326-SM-5GCOH 40-49 years, female 85.1
GTEX-1H2FU-0126-SM-9WYSI 60-69 years, female 84.4
GTEX-1S82Z-0826-SM-E6CHY 30-39 years, female 84.3
GTEX-1KANA-0726-SM-D3L9I 20-29 years, male 83.9
GTEX-1H11D-0226-SM-9WG6Z 40-49 years, male 83.7
GTEX-1PPH8-0226-SM-E8VND 20-29 years, male 83.7
GTEX-1IL2U-0226-SM-CE6T8 60-69 years, male 83.6
GTEX-1E2YA-0126-SM-9KNUC 50-59 years, male 83.5
GTEX-13FTW-2626-SM-5K7WL 40-49 years, male 83.4
GTEX-1HSGN-0226-SM-CGQFV 40-49 years, female 82.9
GTEX-18D9U-0226-SM-718BP 40-49 years, male 82.3
GTEX-12WSA-0226-SM-5BC5V 60-69 years, male 79.2
GTEX-R3RS-0126-SM-3GIJL 40-49 years, female 79.2
GTEX-ZXES-1826-SM-5E43S 30-39 years, female 78.0
GTEX-1I1GT-0626-SM-CGQER 60-69 years, female 77.2
GTEX-17KNJ-2326-SM-7DHLQ 50-59 years, male 77.0
GTEX-14PJ6-2126-SM-6EU1V 60-69 years, female 76.8
GTEX-17JCI-0126-SM-7LG5G 60-69 years, female 76.7
GTEX-ZV6S-2326-SM-4YCEY 40-49 years, female 76.1
GTEX-WFG8-2226-SM-3GIL9 20-29 years, male 75.9
GTEX-11EQ9-2426-SM-5HL5T 30-39 years, male 75.8
GTEX-13OVH-0126-SM-5MR4B 70-79 years, male 75.1
GTEX-S32W-2126-SM-2XCB1 50-59 years, female 74.8
GTEX-1LVAN-0226-SM-COH3S 50-59 years, female 73.5
GTEX-ZYT6-0226-SM-5NQ6T 30-39 years, male 73.2
GTEX-YJ89-0126-SM-4TT3X 60-69 years, male 72.6
GTEX-UJHI-1526-SM-3DB99 50-59 years, female 71.9
GTEX-17F96-1626-SM-7DUFL 70-79 years, male 71.7
GTEX-1399R-2726-SM-5IJBA 30-39 years, male 70.1
GTEX-1OJC3-0126-SM-E76QX 20-29 years, male 69.8
GTEX-1F52S-0126-SM-9MQJU 60-69 years, female 69.4
GTEX-13NYB-2526-SM-5K7Z6 40-49 years, male 69.0
GTEX-1M5QR-1226-SM-EWROB 40-49 years, male 69.0
GTEX-15EU6-0426-SM-6PAN5 50-59 years, male 68.3
GTEX-T5JW-1626-SM-3GADZ 20-29 years, female 68.1
GTEX-1J1OQ-0226-SM-CYPSH 40-49 years, female 68.1
GTEX-1QPFJ-0226-SM-E76PB 30-39 years, female 68.0
GTEX-1S83E-0126-SM-EWRO4 40-49 years, male 67.5
GTEX-1GL5R-1826-SM-9KNUY 50-59 years, male 65.8
GTEX-1IKJJ-0126-SM-CNPQB 60-69 years, male 65.4
GTEX-1JJEA-0326-SM-CNPOT 60-69 years, male 65.3
GTEX-1PIIG-0226-SM-EWRN6 30-39 years, male 65.3
GTEX-1K2DA-1826-SM-CGQGT 50-59 years, male 64.7
GTEX-WFON-2126-SM-3LK7O 40-49 years, male 64.6
GTEX-1QAET-0926-SM-E76QM 50-59 years, male 64.6
GTEX-PX3G-0126-SM-2I3EN 20-29 years, female 64.3
GTEX-1F5PK-2426-SM-7RHHY 50-59 years, male 63.2
GTEX-1KANC-1526-SM-D3LAB 50-59 years, female 61.3
GTEX-13SLW-0126-SM-5SI6C 70-79 years, male 59.5
GTEX-1MJK2-0426-SM-DTXE5 50-59 years, male 58.9
GTEX-1JMLX-0226-SM-CM2RO 50-59 years, male 58.4
GTEX-1F75B-0126-SM-9KNVL 50-59 years, male 57.9
GTEX-ZWKS-0126-SM-5SIAA 30-39 years, male 57.8
GTEX-SNMC-1226-SM-2XCFP 20-29 years, male 57.1
GTEX-1HCU7-0226-SM-CL545 50-59 years, male 56.5
GTEX-P4QT-0126-SM-2I3FL 50-59 years, female 55.4
GTEX-1R9PM-2026-SM-E76OY 20-29 years, male 55.1
GTEX-12WSE-0526-SM-793B2 20-29 years, male 52.9
GTEX-1JJ6O-0126-SM-E6CI8 60-69 years, male 52.7
GTEX-15F5U-1526-SM-6PANO 40-49 years, male 50.7
GTEX-ZYFG-2326-SM-5E44B 60-69 years, female 49.1
GTEX-1LG7Z-1726-SM-D3LA4 30-39 years, male 49.0
GTEX-18D9A-1926-SM-7LG6P 30-39 years, female 48.9
GTEX-1CB4I-0226-SM-79OLH 50-59 years, male 48.1
GTEX-XUZC-1726-SM-4BRWS 30-39 years, female 47.9
GTEX-1CAMQ-0226-SM-7IGPK 40-49 years, male 47.4
GTEX-ZV68-0126-SM-59HKS 50-59 years, female 46.0
GTEX-1B97I-1626-SM-73KYO 40-49 years, male 44.8
GTEX-ZF2S-2326-SM-4WWCE 50-59 years, female 43.6
GTEX-145LS-0126-SM-5QGP1 60-69 years, female 42.8
GTEX-1JMQL-0226-SM-CNPP5 50-59 years, female 40.8
GTEX-1C475-1826-SM-73KWA 40-49 years, female 40.3
GTEX-1L5NE-2526-SM-E6CIE 50-59 years, male 37.2
GTEX-ZTX8-1426-SM-5DUVO 20-29 years, male 34.4
GTEX-13111-1626-SM-5EGJY 50-59 years, male 32.5
Show allShow less

Contact

  • NEWS ARTICLES
  • PRESS ROOM

The Project

  • INTRODUCTION
  • ORGANIZATION
  • PUBLICATIONS

The Human Protein Atlas

  • DOWNLOADABLE DATA
  • LICENCE & CITATION
  • HELP & FAQ
The Human Protein Atlas project is funded
by the Knut & Alice Wallenberg Foundation.


contact@proteinatlas.org