We use cookies to enhance the usability of our website. If you continue, we'll assume that you are happy to receive all cookies. More information. Don't show this again.
PTX3
HPA
RESOURCES
  • TISSUE
  • BRAIN
  • SINGLE CELL
  • SUBCELLULAR
  • CANCER
  • BLOOD
  • CELL LINE
  • STRUCTURE & INTERACTION
ABOUT
  • INTRODUCTION
  • HISTORY
  • ORGANIZATION
  • PUBLICATIONS
  • ANTIBODY SUBMISSION
  • ANTIBODY AVAILABILITY
  • ACKNOWLEDGMENTS
  • CONTACT
NEWS
  • NEWS ARTICLES
  • PRESS ROOM
LEARN
  • DICTIONARY
  • PROTEIN CLASSES
  • PROTEIN EVIDENCE
  • METHODS
  • EDUCATIONAL VIDEOS
DATA
  • DOWNLOADABLE DATA
  • PUBLICATION DATA
  • RELEASE HISTORY
HELP
  • ANTIBODY VALIDATION
  • ASSAYS & ANNOTATION
  • DISCLAIMER
  • HELP & FAQ
  • PRIVACY STATEMENT
  • LICENCE & CITATION
Fields »
Search result

Field
Term
Gene name
Class
Subclass
Class
Keyword
Chromosome
External id
Tissue
Cell type
Expression
Antibody panel
Tissue
Main location
Patient ID
Annotation
Tissue
Category
Tau score
Cluster
Reliability
Brain region
Category
Tau score
Brain region
Category
Tau score
Brain region
Category
Tau score
Cluster
Reliability
Tissue
Cell type
Enrichment
Cell type
Category
Tau score
Cell type
Category
Tau score
Cell type
Category
Tau score
Cell lineage
Category
Tau score
Cluster
Cluster
Location
Searches
Location
Cell line
Class
Type
Phase
Reliability
Cancer
Prognosis
Cancer
Category
Cancer
Category
Tau score
Cluster
Variants
Interacting gene (ensg_id)
Type
Number of interactions
Pathway
Category
Score
Score
Score
Validation
Validation
Validation
Validation
Antibodies
Data type
Column


  • SUMMARY

  • TISSUE

  • BRAIN

  • SINGLE CELL

  • SUBCELL

  • CANCER

  • BLOOD

  • CELL LINE

  • STRUCT & INT

  • PTX3
TISSUE PRIMARY DATA ADIPOSE TISSUE Show tissue menu
ADIPOSE TISSUE ADRENAL GLAND AMYGDALA APPENDIX BASAL GANGLIA BONE MARROW BREAST BRONCHUS CEREBELLUM CEREBRAL CORTEX CERVIX CHOROID PLEXUS COLON DUODENUM
ENDOMETRIUM EPIDIDYMIS ESOPHAGUS FALLOPIAN TUBE GALLBLADDER HEART MUSCLE HIPPOCAMPAL FORMATION HYPOTHALAMUS KIDNEY LIVER LUNG LYMPH NODE MIDBRAIN NASOPHARYNX
ORAL MUCOSA OVARY PANCREAS PARATHYROID GLAND PITUITARY GLAND PLACENTA PROSTATE RECTUM RETINA SALIVARY GLAND SEMINAL VESICLE SKELETAL MUSCLE SKIN SMALL INTESTINE
SMOOTH MUSCLE SOFT TISSUE SPINAL CORD SPLEEN STOMACH TESTIS THYMUS THYROID GLAND TONGUE TONSIL URINARY BLADDER VAGINA
ANTIBODIES
AND
VALIDATION
Dictionary
Tissue proteome
Adipose tissue
ADIPOSE TISSUE - Expression summary
Protein expression
Adipose tissuei

On the top, protein expression in current human tissue, based on all annotated cell types, is reported with the units not detected (n), low (l), medium (m) and high (h). Underneath, protein expression in each annotated cell type are reported using the same units.

Protein expression data is based on knowledge-based annotation. For genes where more than one antibody has been used, a collective score is set.

If knowledge-based annotation could not be performed for a gene, no data is displayed here. View antibody staining data further down this page.

h
m
l
n
Adipocytes: Not detected
RNA expressioni

A summary of mRNA expression data available for current tissue based on several datasets. The mRNA expression levels in human tissues are based on RNA-seq data generated by the Human Protein Atlas (HPA), Genotype-Tissue Expression (GTEx) portal and CAGE data generated by the FANTOM5 consortium. Consensus normalized expression levels for human tissues was created by combining the data from HPA and GTEx datasets.

The mRNA expression levels in pig are based on RNA-seq data generated by the Human Protein Atlas (HPA), and for mouse, HPA data and in situ hybridization generated by the Allen brain atlas are reported.

Scroll down to view mRNA expression data in more detail.
Consensus:224.0 nTPM
HPA:131.1 nTPM
GTEx:224.0 nTPM
FANTOM5:39.1 Scaled Tags Per Million

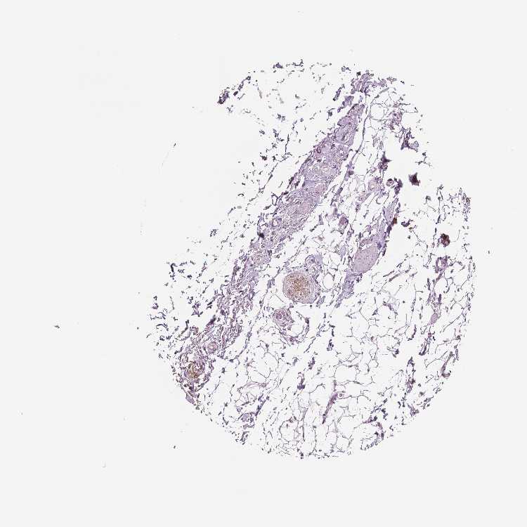
ADIPOSE TISSUE - Antibody stainingi

Antibody staining in the annotated cell types in the current human tissue is reported as not detected, low, medium, or high, based on conventional immunohistochemistry profiling in selected tissues. This score is based on the combination of the staining intensity and fraction of stained cells.

Each image is clickable and will lead to virtual microscopy that enables deeper exploration of all samples and also displays staining intensity scores, fraction scores and subcellular localization as well as patient and tissue information for each sample.

Antibody HPA069320
Adipocytes Not detected





ADIPOSE TISSUE - HPA RNA-seqi

The RNA-seq details section shows detailed information about the individual samples used for the transcript profiling and results of the RNA-seq analysis.

Information about each individual sample is listed below, including gender, age, a tissue section image and estimated fractions of cell types. nTPM (normalized transcripts per million) values give a quantification of the gene abundance which is comparable between different genes and samples.
Average nTPMi

Max subtype nTPM is the value for the subtype with the largest average nTPM across the subtype samples.

131.1
N/A
Female, age 80
Adipose tissue sample 86
nTPM: 1.8
Cell types%
Adipocytes:
95

Other cell types:
5

N/A
Female, age 45
Adipose tissue sample 115
nTPM: 1.8
N/A
Female, age 57
Adipose tissue sample 137
nTPM: 1.2
Cell types%
Adipocytes:
60

Fibroblasts:
20

Smooth muscle cells:
15

Other cell types:
5

overview
Female, age 74
Adipose tissue sample 329
nTPM: 215.1
Cell types%
Adipocytes:
50

Fibroblasts:
30

Smooth muscle cells:
15

Other cell types:
5

overview
Female, age 59
Adipose tissue sample 331
nTPM: 435.8
Cell types%
Adipocytes:
40

Fibroblasts:
40

Smooth muscle cells:
15

Other cell types:
5


ADIPOSE TISSUE - GTEx RNA-seqi

RNA-Seq data generated by the Genotype-Tissue Expression (GTEx) project from human tissues is reported as mean nTPM. More information can be found on the GTEx portal.

Distribution across the dataset is visualized with box plots, shown as median and 25th and 75th percentiles. Points are displayed as outliers if they are above or below 1.5 times the interquartile range. nTPM values of the individual samples are presented next to the box plot.
Max subtype nTPMi

Max subtype nTPM is the value for the subtype with the largest average nTPM across the subtype samples.

224.0
GTEx sample id Sample description nTPM
Adipose - Subcutaneous
Average nTPM: 131.0
Samples: 663

Max nTPM: 5369.6
Min nTPM: 0.4
Std nTPM: 339.4
Median nTPM: 33.9
GTEX-12WSL-2426-SM-5GCN7 50-59 years, male 5369.6
GTEX-1117F-0226-SM-5GZZ7 60-69 years, female 3429.6
GTEX-1PWST-0326-SM-EAZ42 70-79 years, male 2367.0
GTEX-1C6VQ-0226-SM-7P8S5 50-59 years, male 2105.4
GTEX-13YAN-0426-SM-5O9DR 60-69 years, male 1976.2
GTEX-1ICLZ-0226-SM-CKZPP 60-69 years, male 1671.0
GTEX-183WM-0226-SM-7LT8T 70-79 years, female 1444.6
GTEX-145MI-0426-SM-5O99V 60-69 years, female 1333.0
GTEX-13OVI-1326-SM-5IJBO 60-69 years, female 1179.5
GTEX-1JMQL-0326-SM-CNPP6 50-59 years, female 1168.5
GTEX-1H23P-0226-SM-9YFLO 60-69 years, male 1133.2
GTEX-1R7EV-1926-SM-EVYBF 40-49 years, male 1069.7
GTEX-13FHO-0326-SM-5IJBH 60-69 years, male 940.4
GTEX-YB5E-2126-SM-5IFI7 40-49 years, male 839.9
GTEX-14PK6-2026-SM-6LLHP 70-79 years, female 830.0
GTEX-14E6C-0226-SM-5S2N3 40-49 years, male 798.2
GTEX-1A3MW-0226-SM-7939O 60-69 years, female 792.8
GTEX-1EX96-1426-SM-7PBZ5 50-59 years, male 783.4
GTEX-1F48J-0226-SM-7SB82 50-59 years, female 780.2
GTEX-QEG5-0326-SM-2S1PB 20-29 years, male 764.9
GTEX-OXRN-0226-SM-2I5EJ 50-59 years, male 753.2
GTEX-12C56-1626-SM-5FQUO 20-29 years, male 728.5
GTEX-X4XY-0326-SM-46MVZ 60-69 years, male 720.0
GTEX-Q2AH-1726-SM-DIPDV 40-49 years, male 708.6
GTEX-132AR-0226-SM-5IJBE 50-59 years, female 691.0
GTEX-RUSQ-1626-SM-EZ6L4 50-59 years, male 665.9
GTEX-1HSMO-0226-SM-CGQEZ 60-69 years, male 604.3
GTEX-1HB9E-0426-SM-CNPPV 50-59 years, male 604.2
GTEX-1HFI7-2026-SM-CGQFR 50-59 years, female 604.1
GTEX-1L5NE-2626-SM-E9U6P 50-59 years, male 592.8
GTEX-13OVJ-0326-SM-5L3GL 50-59 years, female 557.3
GTEX-11TT1-2426-SM-5EQMK 20-29 years, male 556.1
GTEX-14E6E-1926-SM-664N4 30-39 years, male 534.3
GTEX-ZYW4-0226-SM-5E44M 60-69 years, male 532.4
GTEX-X88G-0226-SM-4GIE4 30-39 years, male 518.7
GTEX-T5JW-1726-SM-3GADN 20-29 years, female 511.6
GTEX-ZYVF-0226-SM-5GIEG 50-59 years, female 511.2
GTEX-O5YT-0226-SM-32PK5 20-29 years, male 496.7
GTEX-1MA7W-1926-SM-E6CIO 20-29 years, female 483.2
GTEX-146FH-0226-SM-5QGPQ 50-59 years, female 477.7
GTEX-1HR9M-0226-SM-COH3E 60-69 years, male 469.9
GTEX-ZLFU-2626-SM-DO91L 40-49 years, male 467.7
GTEX-1LVAO-0226-SM-E9U6O 60-69 years, male 454.2
GTEX-PWCY-1926-SM-3NB25 20-29 years, female 448.9
GTEX-1AX9K-2426-SM-73KZ4 50-59 years, male 437.9
GTEX-13O1R-0226-SM-5K7U5 60-69 years, male 433.2
GTEX-17F97-0426-SM-7LT9U 50-59 years, male 426.1
GTEX-1C64O-0226-SM-73KXB 60-69 years, male 416.8
GTEX-1H1DF-0226-SM-ARL9A 40-49 years, female 411.8
GTEX-P4PP-0226-SM-D4P1Z 30-39 years, female 410.9
GTEX-XK95-0426-SM-4AT4R 40-49 years, male 408.6
GTEX-ZQG8-1526-SM-5HL65 60-69 years, female 402.5
GTEX-1QP67-1726-SM-E8VOP 40-49 years, female 393.0
GTEX-1F5PK-2526-SM-9MQKN 50-59 years, male 391.3
GTEX-1A3MX-0226-SM-731C4 60-69 years, male 374.0
GTEX-Y3I4-2226-SM-4TT7O 50-59 years, male 373.7
GTEX-1RDX4-0226-SM-DTXG1 50-59 years, female 367.9
GTEX-ZTPG-0226-SM-5O99I 20-29 years, female 366.5
GTEX-QDVJ-1826-SM-2S1P3 50-59 years, male 348.3
GTEX-117YX-2226-SM-5EGJJ 50-59 years, male 343.3
GTEX-14ICK-0326-SM-6LLIZ 40-49 years, male 340.7
GTEX-1I1GU-2326-SM-CGQFB 40-49 years, male 321.0
GTEX-1N2DW-0326-SM-E9TK3 50-59 years, male 320.2
GTEX-11DZ1-0226-SM-5A5KF 50-59 years, male 315.2
GTEX-1IDJF-0226-SM-CMKGE 20-29 years, male 314.5
GTEX-1S5ZU-0226-SM-E6CHW 20-29 years, female 312.5
GTEX-11LCK-1126-SM-5A5KC 30-39 years, male 309.6
GTEX-U4B1-1726-SM-3DB9F 40-49 years, male 309.1
GTEX-1ICLY-0226-SM-ARL7R 50-59 years, male 308.5
GTEX-SUCS-1826-SM-32PM1 70-79 years, male 300.4
GTEX-13CF3-2326-SM-5IFGL 60-69 years, female 300.1
GTEX-1N2EF-0626-SM-E9J32 60-69 years, male 294.6
GTEX-146FQ-0226-SM-5NQAL 30-39 years, male 291.9
GTEX-1GPI7-0226-SM-9MQKB 20-29 years, male 291.2
GTEX-13PLJ-0126-SM-5L3HU 60-69 years, female 290.2
GTEX-11DXX-2326-SM-9YFKS 60-69 years, female 283.4
GTEX-1KD5A-0326-SM-D5OVD 50-59 years, male 282.1
GTEX-XLM4-0226-SM-4AT4N 60-69 years, male 280.5
GTEX-11P82-1726-SM-5Q5AT 20-29 years, male 279.1
GTEX-ZF28-0226-SM-5S2OE 60-69 years, male 274.5
GTEX-1IDJD-1226-SM-CM2TP 30-39 years, male 270.4
GTEX-145LT-1826-SM-5QGP4 40-49 years, male 267.5
GTEX-144FL-0226-SM-5Q5D4 50-59 years, male 261.6
GTEX-14C5O-0226-SM-5SI6O 60-69 years, male 260.0
GTEX-X5EB-2426-SM-4E3HX 40-49 years, male 253.1
GTEX-ZAJG-0226-SM-5HL81 50-59 years, female 252.3
GTEX-18A67-0226-SM-7LG67 50-59 years, male 249.4
GTEX-POYW-0726-SM-2XCEO 60-69 years, male 246.0
GTEX-TSE9-0226-SM-3DB84 60-69 years, female 245.6
GTEX-13RTJ-2526-SM-5S2Q3 60-69 years, male 239.8
GTEX-NPJ8-0226-SM-48TBN 40-49 years, male 239.0
GTEX-XYKS-2726-SM-4E3IC 60-69 years, female 230.4
GTEX-17EUY-0526-SM-7EWDE 20-29 years, male 226.1
GTEX-16XZY-2526-SM-7DHL2 70-79 years, male 224.5
GTEX-PLZ4-0226-SM-CYPR1 50-59 years, female 223.0
GTEX-1GMR2-2526-SM-9MQKW 50-59 years, male 213.5
GTEX-P4PQ-0226-SM-2S1NK 60-69 years, male 212.6
GTEX-1I1GS-0226-SM-B2LVX 60-69 years, male 210.9
GTEX-1CAMS-0326-SM-7PC35 40-49 years, female 207.9
GTEX-TKQ1-1126-SM-4GIAZ 30-39 years, male 206.0
GTEX-WFG8-2326-SM-DIPDX 20-29 years, male 205.4
GTEX-1ICG6-2626-SM-CGQG1 70-79 years, female 202.6
GTEX-Y8E5-0226-SM-57WCM 60-69 years, male 201.2
GTEX-ZDXO-2426-SM-5S2NJ 60-69 years, male 197.7
GTEX-1JN76-0226-SM-CMKGO 20-29 years, female 197.0
GTEX-REY6-0326-SM-2TF5A 60-69 years, male 187.8
GTEX-1AX9J-0326-SM-73KXY 60-69 years, male 186.9
GTEX-1497J-2326-SM-5NQBK 60-69 years, male 186.6
GTEX-1CAMR-1826-SM-7MXUJ 20-29 years, male 185.8
GTEX-13113-1826-SM-5LZW4 60-69 years, female 184.1
GTEX-1CB4J-1126-SM-7PBY1 60-69 years, male 183.2
GTEX-Y9LG-2026-SM-62LFS 30-39 years, male 182.4
GTEX-14PJ2-0226-SM-6LLH4 50-59 years, male 178.5
GTEX-1CB4H-0326-SM-9WG5G 60-69 years, female 176.5
GTEX-1GTWX-0226-SM-9YFLL 60-69 years, male 175.7
GTEX-14BMU-2126-SM-5S2TS 20-29 years, female 175.6
GTEX-1AYD5-2326-SM-73KXF 50-59 years, male 174.6
GTEX-1H3VE-0226-SM-9WYST 40-49 years, male 173.3
GTEX-15DDE-0226-SM-6LLJ6 50-59 years, female 173.0
GTEX-13QBU-2526-SM-5LU4X 40-49 years, female 172.9
GTEX-133LE-1926-SM-5N9FV 20-29 years, female 171.7
GTEX-1S82P-0226-SM-E6CI6 60-69 years, female 171.3
GTEX-139YR-2426-SM-5J1OB 50-59 years, male 169.9
GTEX-1QP66-1326-SM-DTXDQ 50-59 years, male 167.8
GTEX-QDVN-2126-SM-33HBS 50-59 years, male 166.4
GTEX-139TU-0226-SM-5J1NM 60-69 years, male 165.1
GTEX-WI4N-1126-SM-3LK7Q 40-49 years, female 165.1
GTEX-1JN1M-0126-SM-D4P23 60-69 years, female 162.0
GTEX-1GZ4I-0226-SM-7RHHO 50-59 years, male 159.6
GTEX-OOBK-0226-SM-2YUMF 40-49 years, male 159.3
GTEX-11EM3-2326-SM-5H12B 20-29 years, female 158.7
GTEX-17F98-1126-SM-79OJS 40-49 years, female 158.4
GTEX-16MT8-0526-SM-6PAM6 60-69 years, female 156.7
GTEX-1GN1U-0226-SM-9YFLQ 50-59 years, female 154.5
GTEX-1C6VS-0426-SM-79OJV 60-69 years, male 153.0
GTEX-ZDTT-2626-SM-5S2OP 60-69 years, male 150.5
GTEX-PLZ5-1826-SM-3NB22 50-59 years, male 147.4
GTEX-11UD1-0226-SM-5EQKL 40-49 years, female 146.7
GTEX-ZYFD-0226-SM-5NQ86 50-59 years, male 146.7
GTEX-1LH75-2526-SM-E9U5A 50-59 years, female 146.5
GTEX-1QAET-1126-SM-E8VML 50-59 years, male 141.4
GTEX-1HGF4-2526-SM-ADEIZ 60-69 years, male 140.8
GTEX-XXEK-2426-SM-4BRUS 50-59 years, male 140.4
GTEX-1RAZA-0226-SM-E9U4W 20-29 years, male 138.6
GTEX-S32W-2226-SM-2XCAY 50-59 years, female 137.1
GTEX-1QPFJ-0126-SM-E9J4B 30-39 years, female 136.9
GTEX-1OFPY-2326-SM-E8VNU 60-69 years, male 135.8
GTEX-1HCU7-0326-SM-CMKGI 50-59 years, male 133.2
GTEX-QLQ7-1526-SM-2S1QA 60-69 years, male 132.0
GTEX-131XE-2426-SM-5EQ5V 50-59 years, male 130.9
GTEX-18A66-0326-SM-718BE 60-69 years, male 130.6
GTEX-Q734-1826-SM-2I3EL 40-49 years, female 128.8
GTEX-XBEC-0326-SM-4AT4M 50-59 years, male 128.4
GTEX-1211K-2226-SM-5FQU6 60-69 years, female 127.5
GTEX-11O72-0226-SM-59869 40-49 years, male 127.0
GTEX-111CU-1826-SM-5GZYN 50-59 years, male 126.1
GTEX-XV7Q-2626-SM-4BRVA 40-49 years, female 124.5
GTEX-13O3P-0226-SM-5KM3Z 50-59 years, male 124.4
GTEX-OHPN-0226-SM-48TBV 60-69 years, female 124.1
GTEX-1H3VY-0226-SM-9YFMF 50-59 years, male 124.1
GTEX-P4QS-0226-SM-3NB1U 60-69 years, male 123.2
GTEX-P44G-2326-SM-2XCCZ 30-39 years, male 122.1
GTEX-1HR98-0226-SM-CGQEK 60-69 years, male 121.7
GTEX-1MCYP-1826-SM-E9J2Q 20-29 years, female 120.8
GTEX-R55C-1626-SM-48FEG 40-49 years, male 117.2
GTEX-S4P3-1526-SM-E9J3W 50-59 years, female 115.9
GTEX-T8EM-1126-SM-3DB7D 40-49 years, male 114.2
GTEX-13S7M-0226-SM-5S2UG 60-69 years, female 113.6
GTEX-13VXT-0226-SM-5LU9Q 20-29 years, female 113.5
GTEX-15G19-0226-SM-6PAL2 60-69 years, male 113.3
GTEX-146FR-1826-SM-5QGPF 60-69 years, female 113.0
GTEX-U8XE-0426-SM-3DB91 30-39 years, male 112.7
GTEX-13NYS-0226-SM-5MR49 60-69 years, male 112.6
GTEX-14DAQ-0226-SM-664MQ 60-69 years, female 112.3
GTEX-VUSH-0226-SM-EXUQV 30-39 years, male 112.0
GTEX-ZF3C-0226-SM-4WWB3 50-59 years, female 111.6
GTEX-1M5QR-2126-SM-DKPQM 40-49 years, male 109.9
GTEX-111VG-2326-SM-5N9BK 60-69 years, male 108.8
GTEX-1HSMQ-1426-SM-ADEHT 50-59 years, male 108.7
GTEX-ZYY3-0226-SM-5E45M 60-69 years, female 107.6
GTEX-XAJ8-0926-SM-47JXZ 40-49 years, male 107.3
GTEX-QDT8-0226-SM-32PL4 30-39 years, female 106.6
GTEX-Z93T-0226-SM-5HL5Z 50-59 years, male 106.2
GTEX-11GSO-2326-SM-5A5LX 60-69 years, male 105.8
GTEX-139D8-0326-SM-5IJCJ 30-39 years, female 105.7
GTEX-12584-0226-SM-5EQL5 40-49 years, male 105.0
GTEX-14PII-0326-SM-6LLIQ 60-69 years, male 104.2
GTEX-PLZ6-1326-SM-3NB24 30-39 years, male 100.6
GTEX-1R9K5-0226-SM-EWRNF 50-59 years, male 99.9
GTEX-1I6K6-0226-SM-ADEID 30-39 years, male 99.4
GTEX-18QFQ-0226-SM-731BQ 30-39 years, male 98.6
GTEX-1AMEY-1426-SM-7939I 30-39 years, female 97.9
GTEX-Y8LW-1926-SM-4WWFZ 50-59 years, female 96.8
GTEX-XUW1-0526-SM-4BOP3 50-59 years, female 96.6
GTEX-1KANA-0826-SM-D3L9J 20-29 years, male 96.6
GTEX-1PPH8-0626-SM-EWRN9 20-29 years, male 96.3
GTEX-17HGU-0326-SM-7DUER 50-59 years, male 95.1
GTEX-SNOS-1426-SM-32PLY 40-49 years, male 94.8
GTEX-ZVT4-0226-SM-51MSD 50-59 years, female 94.2
GTEX-145MG-0126-SM-5TDDA 50-59 years, male 93.1
GTEX-15UKP-0526-SM-7KFRO 20-29 years, male 92.9
GTEX-1I4MK-2026-SM-B2LVR 50-59 years, female 92.0
GTEX-13X6K-0226-SM-5QGPB 60-69 years, female 91.6
GTEX-1KXAM-2326-SM-CYPTD 60-69 years, male 91.4
GTEX-ZPIC-1826-SM-57WFE 40-49 years, female 90.0
GTEX-144GM-1926-SM-5LUAN 20-29 years, male 89.1
GTEX-1CAMQ-0126-SM-7SB7S 40-49 years, male 88.2
GTEX-1HSEH-0226-SM-ACKVV 60-69 years, male 88.2
GTEX-ZT9X-1926-SM-57WE7 40-49 years, male 87.1
GTEX-16XZZ-0226-SM-7MGVJ 60-69 years, male 86.3
GTEX-1LGRB-2426-SM-CNPP3 50-59 years, female 85.9
GTEX-WHPG-2126-SM-4M1ZM 50-59 years, male 85.4
GTEX-1A8G6-0526-SM-7PC1E 60-69 years, male 84.1
GTEX-XUZC-1826-SM-4BRVO 30-39 years, female 84.0
GTEX-14E1K-2126-SM-793DU 50-59 years, male 83.8
GTEX-ZTX8-1526-SM-5N9GI 20-29 years, male 83.1
GTEX-1LSNM-2026-SM-E6CIJ 50-59 years, male 82.4
GTEX-R55D-0326-SM-48FES 50-59 years, male 82.1
GTEX-Z9EW-1826-SM-5CVMA 40-49 years, male 81.0
GTEX-1JJ6O-0226-SM-E6CI9 60-69 years, male 78.2
GTEX-1J8Q3-1526-SM-CMKGB 60-69 years, male 77.4
GTEX-11H98-0226-SM-5NQ89 50-59 years, male 76.8
GTEX-YF7O-2426-SM-5IFJL 50-59 years, male 76.8
GTEX-1I1GP-2326-SM-CGQFL 50-59 years, male 76.7
GTEX-ZVZP-2326-SM-59HL4 50-59 years, male 76.1
GTEX-X4LF-1726-SM-3NMBZ 50-59 years, male 75.4
GTEX-11TTK-0226-SM-5N9EC 60-69 years, female 74.9
GTEX-1HCVE-0226-SM-CGQEV 50-59 years, male 74.7
GTEX-13PVR-2426-SM-5RQHN 60-69 years, female 74.4
GTEX-1F75I-0426-SM-7PC3S 40-49 years, male 72.8
GTEX-13JUV-2826-SM-5LZWU 40-49 years, female 72.5
GTEX-1R46S-0526-SM-EVYBZ 60-69 years, female 72.5
GTEX-R45C-0226-SM-EVYAJ 60-69 years, female 72.2
GTEX-1H2FU-0226-SM-9YFKO 60-69 years, female 72.1
GTEX-WEY5-1926-SM-3GIL8 40-49 years, female 71.9
GTEX-ZVP2-1826-SM-5GU62 50-59 years, male 71.0
GTEX-14PJ4-2226-SM-6LLIS 60-69 years, male 70.4
GTEX-YEC4-2426-SM-57WFO 40-49 years, male 70.2
GTEX-1H3O1-0526-SM-9MQLS 60-69 years, male 69.8
GTEX-12ZZZ-0526-SM-5DUX6 60-69 years, male 69.4
GTEX-1C6WA-0226-SM-7IGPO 60-69 years, male 69.4
GTEX-169BO-1426-SM-9MQJT 50-59 years, male 69.2
GTEX-145MO-0426-SM-5QGP6 60-69 years, male 67.9
GTEX-1H4P4-0226-SM-9YFKT 50-59 years, male 67.1
GTEX-1PFEY-1626-SM-E9J3M 30-39 years, male 67.1
GTEX-POMQ-2326-SM-DHXIS 20-29 years, female 67.0
GTEX-14PN3-2526-SM-6EU15 60-69 years, female 66.8
GTEX-OHPK-0226-SM-3MJH6 50-59 years, female 66.8
GTEX-1MCC2-2326-SM-E9U5G 30-39 years, female 66.8
GTEX-1A8FM-0126-SM-7SB7P 50-59 years, female 66.3
GTEX-Y5V6-2526-SM-5IFJV 60-69 years, male 66.1
GTEX-14C39-2526-SM-5S2UH 40-49 years, male 66.0
GTEX-WFON-2226-SM-3TW8W 40-49 years, male 65.8
GTEX-W5X1-2626-SM-4LMI8 40-49 years, female 65.6
GTEX-WFJO-1926-SM-3GILA 30-39 years, male 65.5
GTEX-13SLW-0226-SM-5S2NA 70-79 years, male 65.4
GTEX-14JIY-0526-SM-62LFH 60-69 years, male 65.3
GTEX-QEL4-0326-SM-3GAE5 50-59 years, male 65.3
GTEX-SN8G-0226-SM-4DM6B 50-59 years, female 64.8
GTEX-1NHNU-1126-SM-E9J2C 50-59 years, male 64.3
GTEX-WH7G-2226-SM-3NMBN 40-49 years, male 63.7
GTEX-1FIGZ-1626-SM-7SB8L 40-49 years, male 63.4
GTEX-WY7C-2426-SM-3NB2V 50-59 years, male 62.6
GTEX-P44H-0326-SM-2XCES 40-49 years, male 61.7
GTEX-12696-2526-SM-5EQLN 60-69 years, male 61.3
GTEX-1K2DA-2126-SM-CGQGL 50-59 years, male 61.2
GTEX-OIZH-0226-SM-2YUMH 50-59 years, male 61.1
GTEX-183FY-0326-SM-793BY 20-29 years, male 61.0
GTEX-11EQ8-0226-SM-5EQ5G 60-69 years, male 60.7
GTEX-ZVE2-0326-SM-57WFC 50-59 years, male 60.5
GTEX-132QS-2526-SM-62LFJ 60-69 years, male 60.4
GTEX-147F3-0626-SM-5NQ9I 50-59 years, female 60.0
GTEX-ZLV1-1826-SM-5FQU5 60-69 years, female 60.0
GTEX-16MTA-2126-SM-6PALC 50-59 years, male 59.2
GTEX-16BQI-0526-SM-6PAM8 30-39 years, female 58.5
GTEX-XBED-2326-SM-47JYR 60-69 years, male 58.4
GTEX-SNMC-1326-SM-2XCFK 20-29 years, male 58.1
GTEX-1GN1V-0226-SM-9WYTN 60-69 years, male 57.6
GTEX-1GZ2Q-0326-SM-9WG6N 40-49 years, male 57.0
GTEX-131XW-0526-SM-5PNXZ 50-59 years, female 56.6
GTEX-145MN-2626-SM-5NQAH 30-39 years, male 56.6
GTEX-11ZTT-2526-SM-5EQM9 60-69 years, female 55.2
GTEX-1QP28-0226-SM-E9J2N 50-59 years, female 55.0
GTEX-1HCUA-2226-SM-ADEHF 50-59 years, female 54.2
GTEX-X8HC-0226-SM-4E3K1 50-59 years, female 52.9
GTEX-PSDG-0326-SM-48TCP 50-59 years, male 51.4
GTEX-14A5H-0526-SM-5TDCN 60-69 years, male 51.1
GTEX-1HBPM-0326-SM-CMKGR 60-69 years, female 51.0
GTEX-1HSKV-0326-SM-ADEJC 60-69 years, male 49.1
GTEX-OXRO-0226-SM-3LK6F 60-69 years, female 48.8
GTEX-15ETS-0426-SM-6PANI 40-49 years, female 48.3
GTEX-1A32A-0226-SM-718B2 50-59 years, female 48.0
GTEX-ZF29-2226-SM-4WWB9 60-69 years, female 47.1
GTEX-13FTY-0626-SM-5L3F8 40-49 years, female 47.0
GTEX-1LVA9-0226-SM-E9U5N 50-59 years, male 46.6
GTEX-1EH9U-0226-SM-7PBY8 60-69 years, male 46.5
GTEX-1B8SG-0226-SM-7939Q 50-59 years, male 45.8
GTEX-QV31-1326-SM-2S1QE 30-39 years, male 45.2
GTEX-O5YV-0226-SM-48TBY 60-69 years, female 44.9
GTEX-1GN1W-0626-SM-9MQK3 50-59 years, female 44.8
GTEX-139T6-2126-SM-5KM37 50-59 years, male 44.7
GTEX-1LSVX-0126-SM-EVYCY 60-69 years, male 44.5
GTEX-1R7EU-0326-SM-EWRNJ 60-69 years, male 44.4
GTEX-1QP29-0726-SM-DTXFM 50-59 years, male 43.8
GTEX-13IVO-0226-SM-5LZXU 70-79 years, male 43.6
GTEX-139T8-0226-SM-5L3EA 60-69 years, male 43.2
GTEX-T6MO-1726-SM-33HB8 40-49 years, female 43.2
GTEX-13PVQ-0226-SM-5SIBG 50-59 years, male 42.2
GTEX-1399U-2426-SM-5K7XB 50-59 years, female 41.7
GTEX-ZP4G-2326-SM-57WEM 20-29 years, female 41.7
GTEX-16NGA-1826-SM-7LG5L 40-49 years, female 40.4
GTEX-QCQG-1826-SM-2S1P2 50-59 years, female 40.2
GTEX-1IE54-0226-SM-CMKHX 40-49 years, female 40.0
GTEX-13PDP-0226-SM-5K7W9 60-69 years, male 39.6
GTEX-1LVAN-0126-SM-COH4H 50-59 years, female 39.6
GTEX-XMD2-0226-SM-4WWEE 60-69 years, female 39.4
GTEX-11GS4-2626-SM-5A5LD 60-69 years, male 38.9
GTEX-11TUW-2626-SM-5EQKZ 60-69 years, male 38.5
GTEX-144GO-1626-SM-7EPG5 60-69 years, male 38.1
GTEX-1S831-0326-SM-EVYD3 20-29 years, male 36.7
GTEX-N7MS-0326-SM-4E3K2 60-69 years, male 36.4
GTEX-145LS-0226-SM-5O9A5 60-69 years, female 36.2
GTEX-1HCU8-0726-SM-ADEIR 60-69 years, female 36.1
GTEX-13OW8-1226-SM-5K7XD 60-69 years, male 36.0
GTEX-1QEPI-0226-SM-EWRMR 60-69 years, female 36.0
GTEX-11ZVC-2626-SM-5FQTA 50-59 years, female 35.8
GTEX-ZVZO-0226-SM-5A5LA 40-49 years, male 35.7
GTEX-ZLWG-2226-SM-DO92V 50-59 years, female 35.2
GTEX-1QP2A-0226-SM-EVYBC 50-59 years, male 35.0
GTEX-1IKK5-0526-SM-CMKGG 60-69 years, male 34.7
GTEX-1IY9M-0226-SM-CMKHP 60-69 years, male 34.0
GTEX-Q2AI-1426-SM-2S1P5 40-49 years, male 33.9
GTEX-1H1ZS-0526-SM-9WG5L 70-79 years, male 33.7
GTEX-1269C-2726-SM-5EGJ4 60-69 years, female 33.4
GTEX-14BIL-0226-SM-5SI9E 50-59 years, male 33.2
GTEX-1A3MV-2126-SM-718BV 30-39 years, male 33.2
GTEX-ZTSS-2026-SM-5987K 40-49 years, male 33.2
GTEX-1CB4F-0526-SM-9KNW2 60-69 years, male 33.1
GTEX-113IC-0226-SM-5HL5C 60-69 years, male 32.6
GTEX-1I1CD-0226-SM-CM2TL 60-69 years, female 32.4
GTEX-1I1HK-0226-SM-COH4A 60-69 years, male 32.4
GTEX-13VXU-0226-SM-5SI9R 50-59 years, male 32.1
GTEX-QMRM-1726-SM-2S1QG 50-59 years, male 31.7
GTEX-RWSA-0226-SM-2XCBA 40-49 years, male 31.7
GTEX-Y114-2326-SM-4TT7X 50-59 years, female 31.7
GTEX-145ME-1926-SM-5MR6T 40-49 years, female 31.7
GTEX-1J1R8-2226-SM-ARZMP 40-49 years, male 31.5
GTEX-XGQ4-2226-SM-4AT4Y 50-59 years, male 31.1
GTEX-1JJE9-1226-SM-CNPOI 70-79 years, male 30.8
GTEX-13O61-2426-SM-5J1NV 60-69 years, male 30.4
GTEX-P4QT-0226-SM-3LK68 50-59 years, female 30.1
GTEX-1QP9N-1526-SM-DTXFK 30-39 years, male 29.7
GTEX-WYJK-0226-SM-EYYV8 50-59 years, male 29.6
GTEX-X4EO-0426-SM-4QASA 60-69 years, female 29.5
GTEX-1314G-1626-SM-5EQ67 30-39 years, male 28.8
GTEX-1AMFI-2126-SM-731BT 50-59 years, female 28.8
GTEX-13FTW-2526-SM-5IJC8 40-49 years, male 28.6
GTEX-13NZA-0126-SM-5K7UH 60-69 years, male 28.6
GTEX-R55G-2426-SM-2TC5I 40-49 years, female 28.4
GTEX-YEC3-1226-SM-5IFI8 50-59 years, male 28.4
GTEX-13N1W-0226-SM-5K7W6 70-79 years, male 28.2
GTEX-1B996-0126-SM-7PBYF 60-69 years, male 28.0
GTEX-1C475-1926-SM-7DUFV 40-49 years, female 27.8
GTEX-OXRK-0326-SM-3NB3R 50-59 years, female 27.8
GTEX-1GMR8-0226-SM-9YFL3 50-59 years, female 27.4
GTEX-1JMQK-0126-SM-CM2S3 60-69 years, male 26.7
GTEX-1H1E6-2026-SM-9KNVK 30-39 years, male 26.2
GTEX-YFCO-2026-SM-4W21Q 40-49 years, male 25.6
GTEX-1J1OQ-0326-SM-CYPTJ 40-49 years, female 25.3
GTEX-VJWN-0226-SM-EZ6LF 50-59 years, female 24.9
GTEX-ZEX8-2326-SM-5S2MN 50-59 years, male 24.7
GTEX-13QJ3-0426-SM-5RQHP 50-59 years, male 24.6
GTEX-PWN1-0226-SM-DKPO9 40-49 years, female 24.4
GTEX-11PRG-0626-SM-5BC56 50-59 years, male 23.8
GTEX-1F88E-0526-SM-7SB8J 60-69 years, female 23.6
GTEX-11P7K-2026-SM-5GU74 30-39 years, male 23.5
GTEX-1JMQI-2026-SM-CMKGP 50-59 years, male 23.5
GTEX-17F96-1726-SM-7IGMB 70-79 years, male 23.2
GTEX-17HHE-1926-SM-7EPGW 50-59 years, male 23.1
GTEX-1F88F-2626-SM-9WG5K 60-69 years, female 22.8
GTEX-1GF9X-1926-SM-ADEIC 40-49 years, female 22.8
GTEX-17MF6-0226-SM-7LG4G 40-49 years, male 22.7
GTEX-1JMPY-1426-SM-ARL8Z 30-39 years, male 22.6
GTEX-UJHI-1626-SM-3DB9A 50-59 years, female 22.3
GTEX-13W3W-2526-SM-5SI9P 60-69 years, female 22.1
GTEX-1PBJI-0426-SM-E8VNM 20-29 years, female 22.1
GTEX-1HSMP-0226-SM-CGQFI 70-79 years, male 21.9
GTEX-1J8QM-2326-SM-CYPSL 60-69 years, female 21.9
GTEX-S95S-1326-SM-2XCDK 60-69 years, male 21.4
GTEX-R3RS-0226-SM-EYYVE 40-49 years, female 21.1
GTEX-13FH7-2226-SM-5IJD4 50-59 years, female 20.9
GTEX-1MUQO-0526-SM-E9J31 60-69 years, male 20.9
GTEX-147JS-0426-SM-5TDD2 60-69 years, male 20.7
GTEX-1RAZQ-0626-SM-E8VOR 30-39 years, male 20.7
GTEX-11I78-2626-SM-5Q5AI 50-59 years, female 20.4
GTEX-12WSM-0226-SM-5LZV6 60-69 years, male 20.4
GTEX-1JKYR-0226-SM-CNPOK 20-29 years, male 20.4
GTEX-WVJS-0226-SM-4MVOU 50-59 years, male 19.8
GTEX-1212Z-2426-SM-5EQ5D 60-69 years, male 19.7
GTEX-PX3G-0226-SM-DKPOF 20-29 years, female 19.4
GTEX-1I6K7-0226-SM-CJI46 40-49 years, male 18.9
GTEX-Y3IK-2526-SM-4WWDM 50-59 years, female 18.8
GTEX-14BIN-0726-SM-793DQ 50-59 years, female 18.5
GTEX-1GMRU-0226-SM-9YFLW 50-59 years, male 18.4
GTEX-XQ8I-0526-SM-4BOPS 50-59 years, male 18.3
GTEX-1122O-2026-SM-9YFMG 60-69 years, female 18.3
GTEX-X15G-2326-SM-4PQZS 50-59 years, female 18.1
GTEX-12WSA-0326-SM-5BC6I 60-69 years, male 18.0
GTEX-1K9T9-0226-SM-E9U6K 50-59 years, female 18.0
GTEX-WFG7-2526-SM-EWRM5 20-29 years, male 17.8
GTEX-W5WG-2526-SM-4SOJ2 50-59 years, female 17.1
GTEX-14PHX-2426-SM-62LEN 50-59 years, male 17.0
GTEX-1B8KE-2526-SM-73KYQ 50-59 years, male 17.0
GTEX-13SLX-0426-SM-5QGRC 50-59 years, female 16.8
GTEX-17HII-0326-SM-7LG4X 50-59 years, male 16.4
GTEX-1399R-2626-SM-5KLZ7 30-39 years, male 16.3
GTEX-13JVG-0226-SM-5J1MW 60-69 years, male 16.1
GTEX-YB5K-2226-SM-4WWG1 40-49 years, female 16.1
GTEX-OXRL-0226-SM-3NB18 50-59 years, male 15.9
GTEX-11ZTS-0226-SM-5EQKD 60-69 years, female 15.6
GTEX-13N11-2626-SM-5K7UQ 50-59 years, female 15.6
GTEX-OIZI-0226-SM-2XCEE 40-49 years, male 15.3
GTEX-1AYCT-2226-SM-7SB98 50-59 years, male 14.9
GTEX-XPVG-2726-SM-4B66W 50-59 years, male 14.7
GTEX-ZE7O-0226-SM-5S2N1 50-59 years, female 14.6
GTEX-1LBAC-0226-SM-DHXJZ 20-29 years, male 14.6
GTEX-1JKYN-1226-SM-CGQG8 30-39 years, male 14.3
GTEX-ZZ64-1626-SM-5E43W 20-29 years, male 14.2
GTEX-1B8KZ-1926-SM-7DUG8 50-59 years, male 13.9
GTEX-YJ8A-0526-SM-5IFHT 20-29 years, male 13.8
GTEX-14753-0326-SM-5QGQB 60-69 years, male 13.4
GTEX-1IL2U-0326-SM-CE6T9 60-69 years, male 13.3
GTEX-1F75A-0226-SM-7PC2K 50-59 years, male 13.2
GTEX-1IDFM-0226-SM-CMKFX 60-69 years, male 13.2
GTEX-RTLS-0226-SM-2TF5E 60-69 years, female 13.1
GTEX-XOT4-0226-SM-4B66Z 60-69 years, female 13.1
GTEX-139T4-0126-SM-5HL5G 50-59 years, female 13.0
GTEX-17F9Y-0326-SM-7IGLS 70-79 years, female 12.7
GTEX-ZZPU-2726-SM-5NQ8O 50-59 years, female 12.7
GTEX-13O21-1526-SM-5K7W4 50-59 years, male 12.2
GTEX-RM2N-1726-SM-2TF55 50-59 years, male 12.0
GTEX-1KAFJ-2426-SM-D4P32 50-59 years, male 12.0
GTEX-1HUB1-0326-SM-A9SKQ 60-69 years, male 11.8
GTEX-1I1GT-0526-SM-CGQEQ 60-69 years, female 11.8
GTEX-14LLW-0226-SM-62LEL 70-79 years, female 11.5
GTEX-Y8E4-0726-SM-4WWFN 40-49 years, male 11.5
GTEX-11OF3-2426-SM-5Q5AS 60-69 years, male 11.4
GTEX-1LGOU-2226-SM-E9U56 20-29 years, female 11.2
GTEX-14ICL-2026-SM-62LDN 30-39 years, male 10.9
GTEX-1F75W-0226-SM-9JGGP 60-69 years, male 10.9
GTEX-16AAH-2026-SM-7LG5F 50-59 years, male 10.8
GTEX-QV44-1825-SM-447CF 50-59 years, male 10.8
GTEX-18D9U-0726-SM-7LG5J 40-49 years, male 10.7
GTEX-11XUK-2126-SM-5EQLR 40-49 years, female 10.6
GTEX-1JMLX-0126-SM-CMKG9 50-59 years, male 10.6
GTEX-11ZU8-2426-SM-5EQMV 60-69 years, male 10.5
GTEX-17EVP-0426-SM-79OKG 40-49 years, male 10.5
GTEX-R53T-1626-SM-3GAEW 50-59 years, female 10.5
GTEX-15DCD-0226-SM-6LPKC 70-79 years, female 10.3
GTEX-WVLH-0226-SM-3MJG6 50-59 years, male 10.0
GTEX-ZVT2-2226-SM-5NQ6P 50-59 years, female 10.0
GTEX-148VI-1726-SM-5S2W9 60-69 years, female 9.6
GTEX-RU72-1026-SM-46MUG 50-59 years, female 9.6
GTEX-12WSD-0226-SM-59HKO 60-69 years, female 9.4
GTEX-14DAR-1926-SM-5S2NQ 50-59 years, male 9.4
GTEX-1IL2V-0226-SM-CMKI2 70-79 years, male 9.4
GTEX-11ONC-2526-SM-5986W 60-69 years, male 9.2
GTEX-13FHP-0226-SM-5K7WD 50-59 years, male 9.2
GTEX-13OVK-2126-SM-6PAN1 40-49 years, male 9.2
GTEX-1H1DE-2026-SM-9WG6Q 20-29 years, male 9.2
GTEX-UTHO-0426-SM-CE6QU 60-69 years, male 9.2
GTEX-1LB8K-0326-SM-E9TJC 50-59 years, male 9.1
GTEX-VUSG-2426-SM-4KKZG 50-59 years, male 8.7
GTEX-1HBPH-0526-SM-9YFMN 40-49 years, female 8.6
GTEX-11EMC-2826-SM-5PNY6 60-69 years, female 8.5
GTEX-QLQW-1226-SM-2S1Q9 30-39 years, male 8.5
GTEX-ZDYS-2126-SM-5S2P2 50-59 years, male 8.4
GTEX-T2IS-0226-SM-32QPH 20-29 years, female 8.3
GTEX-VJYA-1326-SM-3GIJC 60-69 years, male 8.3
GTEX-17KNJ-2226-SM-DKPOU 50-59 years, male 8.3
GTEX-1F6RS-0226-SM-9MQKO 60-69 years, female 8.3
GTEX-1HSGN-0126-SM-CGQFU 40-49 years, female 8.3
GTEX-1IDJU-2526-SM-CMKGF 60-69 years, female 8.3
GTEX-17HHY-0226-SM-793BQ 50-59 years, male 8.2
GTEX-1OJC4-1726-SM-EXUSV 50-59 years, female 8.1
GTEX-1GN2E-0326-SM-COH3C 60-69 years, male 8.0
GTEX-11UD2-0126-SM-5EQL2 50-59 years, male 7.9
GTEX-14JG6-2326-SM-6LLH3 30-39 years, female 7.9
GTEX-1JK1U-2126-SM-CNPOU 60-69 years, male 7.9
GTEX-1LG7Z-2026-SM-DLHBP 30-39 years, male 7.9
GTEX-15SDE-2426-SM-7KFRC 50-59 years, female 7.8
GTEX-14PJ3-1926-SM-62LEY 50-59 years, male 7.7
GTEX-YFC4-0226-SM-57WD2 40-49 years, female 7.7
GTEX-1128S-2126-SM-5H12U 60-69 years, female 7.6
GTEX-OHPM-0226-SM-3LK61 50-59 years, male 7.6
GTEX-U3ZN-2626-SM-3DB7T 30-39 years, female 7.6
GTEX-U412-0526-SM-3DB9I 60-69 years, male 7.6
GTEX-ZXES-2026-SM-5NQ6R 30-39 years, female 7.6
GTEX-11P81-2426-SM-5GU65 30-39 years, female 7.5
GTEX-1C4CL-0426-SM-7939N 30-39 years, male 7.5
GTEX-1LG7Y-0426-SM-DKPQB 50-59 years, male 7.5
GTEX-NFK9-0326-SM-3MJGV 40-49 years, male 7.4
GTEX-XBEW-0726-SM-4QARX 40-49 years, male 7.3
GTEX-13CF2-2626-SM-5LZZA 60-69 years, male 7.2
GTEX-13X6J-0226-SM-7EPGC 50-59 years, male 7.2
GTEX-1B933-0526-SM-7EPHM 50-59 years, female 7.2
GTEX-ZXG5-0226-SM-59HJI 60-69 years, male 7.2
GTEX-U3ZM-1026-SM-EZ6LD 40-49 years, male 7.2
GTEX-18A6Q-0226-SM-718AS 60-69 years, male 7.1
GTEX-1E1VI-0226-SM-793CZ 50-59 years, male 7.1
GTEX-ZPCL-2126-SM-57WFZ 60-69 years, female 7.1
GTEX-13NZB-2426-SM-5K7UF 30-39 years, male 7.0
GTEX-X261-0226-SM-3NMD2 50-59 years, male 7.0
GTEX-1BAJH-0426-SM-73KWY 70-79 years, male 6.7
GTEX-1MGNQ-0226-SM-EVYCK 40-49 years, male 6.7
GTEX-111YS-2426-SM-5GZZQ 60-69 years, male 6.6
GTEX-13U4I-0226-SM-5SIB1 40-49 years, female 6.4
GTEX-18D9A-2026-SM-718BL 30-39 years, female 6.3
GTEX-1B932-0226-SM-7PBYH 40-49 years, female 6.3
GTEX-1GF9V-0226-SM-9MQKA 60-69 years, male 6.3
GTEX-13G51-2626-SM-5LZYW 60-69 years, male 6.1
GTEX-1PDJ9-0426-SM-E9J3E 20-29 years, male 6.1
GTEX-14PJ6-2226-SM-6LLIV 60-69 years, female 6.0
GTEX-11EQ9-2526-SM-5HL66 30-39 years, male 5.8
GTEX-14BMV-0226-SM-5S2N2 50-59 years, male 5.8
GTEX-SSA3-0226-SM-32QPN 60-69 years, male 5.8
GTEX-13D11-2326-SM-5IJCY 50-59 years, female 5.7
GTEX-131XF-2226-SM-5EQKG 60-69 years, male 5.6
GTEX-1I19N-0426-SM-ACKVY 70-79 years, male 5.6
GTEX-OIZG-0826-SM-E9TI4 50-59 years, male 5.6
GTEX-ZC5H-0126-SM-4WAYL 40-49 years, female 5.5
GTEX-11NUK-0326-SM-5HL5K 50-59 years, male 5.5
GTEX-1GZ4H-1826-SM-9MQLE 50-59 years, female 5.5
GTEX-1IOXB-0226-SM-CMKHY 50-59 years, male 5.4
GTEX-1PIGE-0526-SM-DTXFA 20-29 years, male 5.4
GTEX-16NPX-0326-SM-7EWDI 50-59 years, male 5.3
GTEX-T5JC-0526-SM-32PM7 20-29 years, male 5.3
GTEX-1I1GV-0426-SM-ARZLX 60-69 years, male 5.2
GTEX-12KS4-0426-SM-5EQMC 30-39 years, male 5.0
GTEX-QESD-1526-SM-2S1QT 20-29 years, male 5.0
GTEX-14H4A-1026-SM-62LDY 40-49 years, female 4.9
GTEX-YECK-0226-SM-4W215 60-69 years, male 4.9
GTEX-OIZF-0226-SM-E9TI3 60-69 years, male 4.9
GTEX-Q2AG-0226-SM-2S1P4 40-49 years, female 4.8
GTEX-11ZUS-0726-SM-59886 30-39 years, male 4.7
GTEX-1313W-0226-SM-5LZV7 50-59 years, female 4.7
GTEX-15CHQ-0226-SM-6EU2S 60-69 years, male 4.7
GTEX-ZDTS-0226-SM-5HL7Q 60-69 years, male 4.7
GTEX-XMK1-2226-SM-4B673 40-49 years, male 4.5
GTEX-18A7A-0326-SM-731AT 50-59 years, female 4.3
GTEX-Y5V5-2426-SM-5IFJA 60-69 years, female 4.3
GTEX-XQ3S-1626-SM-4WAYN 20-29 years, male 4.2
GTEX-1I1GQ-0226-SM-COH3I 50-59 years, male 4.2
GTEX-1QCLY-0526-SM-EAZ47 30-39 years, male 4.2
GTEX-15RIE-2326-SM-7KFSC 60-69 years, male 4.1
GTEX-1A8G7-0226-SM-731AS 60-69 years, male 4.0
GTEX-T6MN-0226-SM-32PMD 50-59 years, male 4.0
GTEX-1F52S-0226-SM-7SB7U 60-69 years, female 4.0
GTEX-1399T-2726-SM-5K7XK 60-69 years, male 3.9
GTEX-144GL-0226-SM-5QGOX 50-59 years, male 3.9
GTEX-139TT-0226-SM-5K7YH 60-69 years, male 3.8
GTEX-13N2G-2726-SM-5J1MG 60-69 years, male 3.8
GTEX-13OW7-0226-SM-5MR3N 50-59 years, male 3.8
GTEX-ZV68-0226-SM-59HJF 50-59 years, female 3.8
GTEX-1J8JJ-0326-SM-CMKG6 60-69 years, female 3.8
GTEX-1E2YA-0226-SM-9MQLY 50-59 years, male 3.6
GTEX-1LSNL-0526-SM-DIPFI 50-59 years, male 3.6
GTEX-13111-1726-SM-5EGJZ 50-59 years, male 3.5
GTEX-1GMR3-2026-SM-9MQLG 40-49 years, male 3.5
GTEX-1H1CY-2626-SM-9MQKJ 60-69 years, female 3.5
GTEX-1S83E-0226-SM-EVYCW 40-49 years, male 3.5
GTEX-OXRP-0226-SM-3NB14 60-69 years, female 3.4
GTEX-1QW4Y-1626-SM-EAZ41 30-39 years, male 3.4
GTEX-1CB4I-0426-SM-7IGPR 50-59 years, male 3.3
GTEX-14PJM-0326-SM-62LF2 50-59 years, female 3.2
GTEX-17MFQ-1826-SM-7DHLS 20-29 years, male 3.2
GTEX-P78B-0226-SM-3NB1Z 40-49 years, female 3.2
GTEX-TMZS-0226-SM-3DB9N 60-69 years, male 3.2
GTEX-X638-0226-SM-47JZ9 70-79 years, female 3.1
GTEX-1PPGY-0326-SM-DTXFD 60-69 years, male 3.1
GTEX-12ZZY-0326-SM-5LZVQ 60-69 years, male 3.0
GTEX-147GR-0426-SM-5S2OL 60-69 years, male 3.0
GTEX-13NYB-2626-SM-9YFMI 40-49 years, male 3.0
GTEX-1AX9I-0226-SM-7SB75 60-69 years, male 3.0
GTEX-1C6VR-2626-SM-7MGX2 60-69 years, male 3.0
GTEX-13OVL-0326-SM-5IJCS 50-59 years, male 2.9
GTEX-1EU9M-0326-SM-7RHGF 60-69 years, male 2.9
GTEX-13112-2726-SM-5DUW5 50-59 years, male 2.8
GTEX-13NZ8-0926-SM-5MR3U 60-69 years, female 2.8
GTEX-ZYFC-0326-SM-5NQ7H 50-59 years, male 2.8
GTEX-1IKJJ-0226-SM-COH3T 60-69 years, male 2.8
GTEX-1JN6P-0226-SM-COH34 60-69 years, male 2.8
GTEX-111FC-0226-SM-5N9B8 60-69 years, male 2.7
GTEX-11DXW-0326-SM-5H11W 40-49 years, male 2.7
GTEX-11WQC-2426-SM-5EQKQ 60-69 years, male 2.6
GTEX-YJ89-0226-SM-4TT3Y 60-69 years, male 2.6
GTEX-13NZ9-0526-SM-5J1OX 50-59 years, male 2.5
GTEX-1MJK2-0526-SM-DTXE6 50-59 years, male 2.5
GTEX-145MF-0526-SM-5LUA6 50-59 years, male 2.4
GTEX-14E6D-0226-SM-62LDW 50-59 years, male 2.4
GTEX-SIU8-0226-SM-2XCDS 50-59 years, male 2.4
GTEX-1HCU6-0226-SM-CGQES 60-69 years, female 2.4
GTEX-1CB4E-1826-SM-7RHG8 60-69 years, male 2.3
GTEX-1QP6S-0126-SM-E9J4K 40-49 years, male 2.3
GTEX-14AS3-2026-SM-5TDD9 40-49 years, female 2.2
GTEX-16YQH-0226-SM-6PALD 30-39 years, male 2.2
GTEX-18465-0226-SM-7LG5M 50-59 years, male 2.2
GTEX-12ZZX-0226-SM-5DUXU 40-49 years, female 2.1
GTEX-131YS-0226-SM-5IJEH 60-69 years, female 2.1
GTEX-XUYS-0226-SM-47JX1 50-59 years, male 2.1
GTEX-1RAZR-0226-SM-EVYC6 40-49 years, male 2.1
GTEX-Y111-0226-SM-4SOIW 50-59 years, male 2.0
GTEX-1CB4G-0326-SM-7SB8R 60-69 years, male 1.9
GTEX-1EMGI-0226-SM-9MQL1 60-69 years, male 1.9
GTEX-1F6I4-0226-SM-9MQMA 60-69 years, male 1.9
GTEX-1GN73-0326-SM-9KNTW 60-69 years, male 1.9
GTEX-ZGAY-0626-SM-DO92E 40-49 years, female 1.9
GTEX-13O3Q-2326-SM-5KM3G 50-59 years, male 1.8
GTEX-1B97I-1726-SM-7939V 40-49 years, male 1.8
GTEX-1POEN-0226-SM-EYYXE 30-39 years, female 1.8
GTEX-1B8SF-0526-SM-7939F 60-69 years, male 1.7
GTEX-1IGQW-0226-SM-COH43 60-69 years, male 1.7
GTEX-RNOR-0226-SM-EZ6MF 50-59 years, female 1.7
GTEX-RVPV-1526-SM-EXOHF 60-69 years, male 1.7
GTEX-1PIIG-0326-SM-EVYBV 30-39 years, male 1.6
GTEX-15ER7-0426-SM-6PAM3 20-29 years, female 1.5
GTEX-OOBJ-0226-SM-2YUMM 60-69 years, male 1.5
GTEX-TML8-2026-SM-32QOP 40-49 years, female 1.5
GTEX-Z93S-0226-SM-5HL7R 50-59 years, male 1.5
GTEX-1I1GR-0226-SM-CMKHQ 60-69 years, male 1.5
GTEX-13OW6-0526-SM-5L3HY 50-59 years, male 1.4
GTEX-14ABY-0326-SM-5TDDK 50-59 years, male 1.4
GTEX-1EWIQ-0226-SM-793D3 70-79 years, female 1.4
GTEX-1MA7X-2126-SM-E6CIX 60-69 years, male 1.4
GTEX-S7SE-0226-SM-2XCD4 50-59 years, male 1.3
GTEX-1J8EW-0226-SM-CYPSW 60-69 years, female 1.3
GTEX-11EI6-0226-SM-5EQ64 60-69 years, male 1.2
GTEX-SJXC-0226-SM-2XCDU 60-69 years, male 1.2
GTEX-ZAK1-0226-SM-5CVMX 50-59 years, female 1.2
GTEX-1KWVE-1326-SM-E6CJ1 30-39 years, male 1.2
GTEX-12WSC-0226-SM-5EQ52 50-59 years, male 1.1
GTEX-ZPU1-2426-SM-4WWFM 40-49 years, male 1.1
GTEX-17HG3-2326-SM-79OKH 30-39 years, female 1.0
GTEX-ZUA1-0226-SM-5NQ9Q 40-49 years, male 1.0
GTEX-ZVTK-0526-SM-5GZWT 20-29 years, male 1.0
GTEX-1HBPI-1426-SM-B2LW7 50-59 years, male 1.0
GTEX-1HFI6-0326-SM-ADEI5 40-49 years, male 1.0
GTEX-1RQEC-0526-SM-E6CHV 60-69 years, male 1.0
GTEX-14JG1-0526-SM-6LLHW 40-49 years, male 0.9
GTEX-ZYT6-0326-SM-7LG5R 30-39 years, male 0.8
GTEX-1JJEA-0226-SM-COH2X 60-69 years, male 0.8
GTEX-1R9PM-2126-SM-E8VOB 20-29 years, male 0.8
GTEX-QEG4-0326-SM-DIPE3 30-39 years, male 0.8
GTEX-12126-0426-SM-5Q5AP 20-29 years, male 0.7
GTEX-1C2JI-2226-SM-7IGPJ 50-59 years, male 0.7
GTEX-WL46-0326-SM-3LK6Y 50-59 years, male 0.7
GTEX-ZE9C-2826-SM-5S2MO 60-69 years, male 0.7
GTEX-S33H-1126-SM-2XCB6 30-39 years, male 0.6
GTEX-YJ8O-2426-SM-5HL7S 40-49 years, female 0.6
GTEX-1EKGG-0126-SM-9YFLS 60-69 years, male 0.5
GTEX-1HT8W-0226-SM-CMKGT 30-39 years, male 0.5
GTEX-16GPK-0226-SM-7DUFI 60-69 years, male 0.4
GTEX-1B8L1-2626-SM-7SB77 60-69 years, male 0.4
Show allShow less
Adipose - Visceral (Omentum)
Average nTPM: 224.0
Samples: 541

Max nTPM: 3139.0
Min nTPM: 0.6
Std nTPM: 368.8
Median nTPM: 67.8
GTEX-ZA64-0926-SM-5HL7H 20-29 years, male 3139.0
GTEX-13RTK-0726-SM-5Q5EN 20-29 years, male 2660.3
GTEX-ZXES-0926-SM-5E43O 30-39 years, female 1843.9
GTEX-1F75I-1026-SM-7SB8B 40-49 years, male 1786.0
GTEX-ZV7C-0826-SM-59HK8 50-59 years, male 1704.0
GTEX-13PL7-1226-SM-5SIAR 60-69 years, female 1657.9
GTEX-14BMU-0626-SM-73KZ6 20-29 years, female 1604.3
GTEX-Y9LG-1226-SM-4VBQA 30-39 years, male 1525.2
GTEX-1399U-2026-SM-9WPNN 50-59 years, female 1505.5
GTEX-ZTPG-2326-SM-57WFL 20-29 years, female 1477.2
GTEX-1MA7W-0526-SM-E6CIN 20-29 years, female 1424.6
GTEX-14C39-0826-SM-5TDDU 40-49 years, male 1417.0
GTEX-14PJ4-0126-SM-62LEZ 60-69 years, male 1410.5
GTEX-1H23P-1726-SM-A9SMN 60-69 years, male 1332.0
GTEX-14C38-1026-SM-73KY7 50-59 years, male 1300.3
GTEX-11P82-0326-SM-5HL51 20-29 years, male 1247.0
GTEX-1GPI7-0826-SM-9JGG7 20-29 years, male 1233.2
GTEX-11WQK-1526-SM-5EGKN 50-59 years, male 1219.5
GTEX-133LE-0926-SM-5P9J1 20-29 years, female 1191.4
GTEX-1399S-1426-SM-5PNYQ 30-39 years, female 1176.1
GTEX-11EM3-1126-SM-5A5KM 20-29 years, female 1142.0
GTEX-ZYVF-1026-SM-5E44V 50-59 years, female 1109.4
GTEX-1N2DV-0626-SM-E9U5H 40-49 years, male 1109.4
GTEX-13QBU-1326-SM-5LU4K 40-49 years, female 1075.4
GTEX-ZLWG-0726-SM-5S2N4 50-59 years, female 1062.6
GTEX-12C56-0826-SM-5EGJ5 20-29 years, male 1037.0
GTEX-11TT1-1926-SM-5PNYN 20-29 years, male 1019.8
GTEX-1KANA-1426-SM-CY8IF 20-29 years, male 1004.5
GTEX-1L5NE-1726-SM-DHXKX 50-59 years, male 996.9
GTEX-14ICK-1726-SM-6AJA5 40-49 years, male 935.3
GTEX-18D9B-1726-SM-7LTAP 60-69 years, male 925.5
GTEX-ZLV1-0926-SM-5S2MR 60-69 years, female 911.7
GTEX-17F98-0326-SM-7DHLH 40-49 years, female 908.0
GTEX-1A3MX-0826-SM-72D64 60-69 years, male 897.0
GTEX-1C475-0326-SM-7SB8O 40-49 years, female 865.2
GTEX-1R7EV-1026-SM-DTX81 40-49 years, male 861.7
GTEX-1H1E6-1126-SM-9JGGV 30-39 years, male 855.9
GTEX-14PHW-1626-SM-6EU2H 60-69 years, female 838.7
GTEX-12BJ1-0826-SM-5EQ5P 60-69 years, male 831.7
GTEX-ZTSS-1026-SM-5985N 40-49 years, male 805.8
GTEX-12WSK-1026-SM-5CVNR 40-49 years, female 785.5
GTEX-1S5ZA-1026-SM-EWRO2 20-29 years, male 783.4
GTEX-145LV-1026-SM-5O9AE 50-59 years, male 770.5
GTEX-13FTW-0426-SM-5K7X2 40-49 years, male 765.2
GTEX-13CF3-1126-SM-5LZXB 60-69 years, female 738.2
GTEX-1CB4I-0826-SM-7MGX1 50-59 years, male 735.8
GTEX-1PPH8-1026-SM-DPRXN 20-29 years, male 714.9
GTEX-1LH75-1026-SM-EWROK 50-59 years, female 697.1
GTEX-Y114-1326-SM-4TT9A 50-59 years, female 694.7
GTEX-1QP29-1626-SM-EXUSZ 50-59 years, male 693.6
GTEX-1S82P-0926-SM-EWRNP 60-69 years, female 689.4
GTEX-11I78-0226-SM-5HL6R 50-59 years, female 687.9
GTEX-14PK6-0926-SM-62LF4 70-79 years, female 671.7
GTEX-XBEW-1726-SM-4RGMA 40-49 years, male 643.2
GTEX-13PVQ-2226-SM-5L3G9 50-59 years, male 643.1
GTEX-1CAMS-0926-SM-7SB7F 40-49 years, female 631.4
GTEX-14PJN-0626-SM-6EU13 30-39 years, male 614.2
GTEX-1N2EF-0926-SM-E8VNW 60-69 years, male 611.0
GTEX-1ICLY-1426-SM-CJI48 50-59 years, male 604.8
GTEX-XXEK-1426-SM-4BRW1 50-59 years, male 597.5
GTEX-1OKEX-0926-SM-E8VNJ 60-69 years, male 591.2
GTEX-16BQI-1126-SM-7KULF 30-39 years, female 589.9
GTEX-15DZA-0626-SM-6PANC 30-39 years, female 586.7
GTEX-1H1DF-1426-SM-9YFMC 40-49 years, female 585.5
GTEX-111YS-1326-SM-5EGGK 60-69 years, male 577.4
GTEX-ZYW4-2226-SM-5GZYG 60-69 years, male 559.4
GTEX-13YAN-1126-SM-5TDC7 60-69 years, male 550.7
GTEX-Y5LM-0826-SM-4VDSW 40-49 years, female 549.6
GTEX-1J1R8-0526-SM-ACKWO 40-49 years, male 543.6
GTEX-1128S-0926-SM-5GZZU 60-69 years, female 533.9
GTEX-ZP4G-1326-SM-5EGIW 20-29 years, female 530.7
GTEX-ZYFG-1426-SM-5GICS 60-69 years, female 529.9
GTEX-1IDJF-1726-SM-A9SLL 20-29 years, male 528.5
GTEX-14PN4-1426-SM-6LLJ4 50-59 years, male 527.2
GTEX-1CAMR-0326-SM-793AH 20-29 years, male 525.9
GTEX-132Q8-1726-SM-5EGK8 60-69 years, male 521.1
GTEX-1K2DU-0726-SM-DIPF7 20-29 years, male 508.3
GTEX-16XZZ-1626-SM-7KUEC 60-69 years, male 507.1
GTEX-1339X-0726-SM-5L3FF 40-49 years, male 493.6
GTEX-ZQG8-1026-SM-51MR9 60-69 years, female 493.5
GTEX-1J8Q2-2226-SM-CM2TZ 60-69 years, male 484.7
GTEX-15EOM-2326-SM-7KUMV 20-29 years, female 481.1
GTEX-1I1GP-1426-SM-ACKVZ 50-59 years, male 477.5
GTEX-1S831-1926-SM-EV79P 20-29 years, male 473.9
GTEX-14PJ5-0426-SM-5ZZW2 60-69 years, female 470.1
GTEX-1JN76-1026-SM-ARZNI 20-29 years, female 469.9
GTEX-1MJK3-0626-SM-E6CJB 20-29 years, male 463.1
GTEX-1QP28-0926-SM-EVR4D 50-59 years, female 463.0
GTEX-1RAZQ-1526-SM-E6CJI 30-39 years, male 462.3
GTEX-1R9K4-1426-SM-DPRY4 60-69 years, male 450.9
GTEX-1PBJI-1326-SM-E9J2V 20-29 years, female 450.0
GTEX-WYJK-1426-SM-3NM8V 50-59 years, male 439.3
GTEX-1HCU6-1626-SM-CMKGW 60-69 years, female 438.2
GTEX-13X6H-1726-SM-5Q5EH 50-59 years, female 437.9
GTEX-WOFM-0726-SM-3MJF8 20-29 years, male 429.7
GTEX-1HSEH-1326-SM-ADEI1 60-69 years, male 425.6
GTEX-1117F-1326-SM-5EGHH 60-69 years, female 423.0
GTEX-1F48J-1826-SM-7SB8T 50-59 years, female 417.3
GTEX-XPVG-1626-SM-EYYVK 50-59 years, male 416.2
GTEX-1R9PO-0926-SM-E9U4Q 60-69 years, female 411.8
GTEX-WH7G-1126-SM-3NMBK 40-49 years, male 396.1
GTEX-18D9U-0426-SM-731AN 40-49 years, male 395.7
GTEX-14B4R-0526-SM-5QGQT 30-39 years, male 387.3
GTEX-1IDJC-0226-SM-CMKG2 50-59 years, male 375.3
GTEX-1HFI7-0726-SM-ACKVN 50-59 years, female 372.4
GTEX-U8XE-1926-SM-3DB98 30-39 years, male 371.3
GTEX-1RB15-1126-SM-E8VMX 60-69 years, male 363.7
GTEX-14PHX-1626-SM-69LQB 50-59 years, male 360.8
GTEX-1445S-2426-SM-79ON2 60-69 years, male 357.9
GTEX-XUZC-1126-SM-4BOPZ 30-39 years, female 354.1
GTEX-1RNTQ-0826-SM-E9TK8 20-29 years, female 350.7
GTEX-1I1GU-0626-SM-CMKHR 40-49 years, male 349.7
GTEX-14C5O-0926-SM-793DM 60-69 years, male 347.3
GTEX-13OVJ-0926-SM-5K7U1 50-59 years, female 342.0
GTEX-ZDTT-0526-SM-5HL4M 60-69 years, male 338.9
GTEX-1GTWX-1526-SM-9MQLF 60-69 years, male 335.4
GTEX-1JMPY-0326-SM-CM2S2 30-39 years, male 327.1
GTEX-1HCU9-0626-SM-ACKW6 20-29 years, male 326.9
GTEX-1GMR2-0226-SM-9JGHO 50-59 years, male 325.4
GTEX-1122O-0926-SM-9YFLC 60-69 years, female 325.1
GTEX-ZTX8-0726-SM-59HL9 20-29 years, male 323.5
GTEX-17F9E-1326-SM-7DHL4 50-59 years, male 319.1
GTEX-14PN3-0326-SM-6EU1X 60-69 years, female 309.9
GTEX-13FH7-1926-SM-5J2OL 50-59 years, female 305.4
GTEX-145LT-1526-SM-5O98P 40-49 years, male 294.7
GTEX-1GZ2Q-1226-SM-9MQM8 40-49 years, male 293.0
GTEX-ZG7Y-1626-SM-5S2NO 50-59 years, male 289.7
GTEX-1LSVX-1326-SM-DIPET 60-69 years, male 289.5
GTEX-1IKK5-0826-SM-ACKWN 60-69 years, male 288.5
GTEX-145MI-0826-SM-5SI95 60-69 years, female 286.6
GTEX-1CAV2-0226-SM-7IGPQ 40-49 years, female 285.9
GTEX-1JKYN-0526-SM-CGQG3 30-39 years, male 281.6
GTEX-XBED-1326-SM-4AT4F 60-69 years, male 272.6
GTEX-1QP67-1126-SM-EAZ4C 40-49 years, female 270.1
GTEX-WRHK-0826-SM-3MJFG 20-29 years, female 261.7
GTEX-1HSMP-1126-SM-B2LXJ 70-79 years, male 254.1
GTEX-ZZPU-0326-SM-5N9BJ 50-59 years, female 252.5
GTEX-1GF9W-1026-SM-7SB8X 60-69 years, male 243.4
GTEX-1QP66-0626-SM-E76PD 50-59 years, male 242.4
GTEX-13PVR-0526-SM-5S2OB 60-69 years, female 240.8
GTEX-15EU6-1726-SM-6M48H 50-59 years, male 239.9
GTEX-1PFEY-0726-SM-E76PO 30-39 years, male 237.7
GTEX-14E6C-1226-SM-5ZZUN 40-49 years, male 236.0
GTEX-14JG6-0526-SM-6LLIH 30-39 years, female 235.0
GTEX-1O9I2-1326-SM-E6CQD 50-59 years, male 233.8
GTEX-1AMEY-0526-SM-72D62 30-39 years, female 232.8
GTEX-1LGRB-0526-SM-COH3A 50-59 years, female 224.9
GTEX-117YX-0726-SM-5GIET 50-59 years, male 215.1
GTEX-1JMQI-1026-SM-COH2U 50-59 years, male 214.4
GTEX-ZZ64-0626-SM-5GZWR 20-29 years, male 213.7
GTEX-14DAR-0426-SM-664MW 50-59 years, male 210.7
GTEX-131XE-2026-SM-5LZW1 50-59 years, male 209.7
GTEX-1A32A-0926-SM-718AB 50-59 years, female 209.2
GTEX-132QS-0826-SM-5K7WV 60-69 years, male 207.2
GTEX-1A8FM-2126-SM-7PC27 50-59 years, female 204.5
GTEX-1HBPN-1526-SM-9WYSB 50-59 years, male 204.2
GTEX-1NV5F-2526-SM-EXUSK 60-69 years, female 203.9
GTEX-12WSF-1526-SM-6PAN6 70-79 years, male 203.8
GTEX-1HCU7-2026-SM-A9G2B 50-59 years, male 202.7
GTEX-13OVH-1126-SM-5K7YP 70-79 years, male 201.7
GTEX-11EQ9-1126-SM-5987I 30-39 years, male 201.3
GTEX-18A66-1926-SM-7LTAG 60-69 years, male 200.5
GTEX-YFCO-1126-SM-5S2N9 40-49 years, male 199.3
GTEX-15CHC-0826-SM-686YW 60-69 years, female 196.6
GTEX-1RAZA-0926-SM-E6CQ8 20-29 years, male 196.0
GTEX-1HCU8-1126-SM-CM2SA 60-69 years, female 192.0
GTEX-139T6-0526-SM-5IJC9 50-59 years, male 191.6
GTEX-132AR-0526-SM-5J2MJ 50-59 years, female 189.7
GTEX-WI4N-1526-SM-EZ6LG 40-49 years, female 187.8
GTEX-1H3VE-1926-SM-9YFL4 40-49 years, male 184.9
GTEX-13FTX-0626-SM-5J2NS 20-29 years, female 184.5
GTEX-11LCK-0326-SM-5A5M7 30-39 years, male 181.6
GTEX-1LSNM-0626-SM-DIPG7 50-59 years, male 178.2
GTEX-ZF3C-1026-SM-5S2OC 50-59 years, female 177.5
GTEX-16MTA-1326-SM-6PALX 50-59 years, male 177.3
GTEX-13113-1126-SM-5LZU9 60-69 years, female 176.7
GTEX-1IKOE-1726-SM-CNNQ6 30-39 years, female 175.3
GTEX-1HB9E-0526-SM-ARZNM 50-59 years, male 175.2
GTEX-13O61-1926-SM-5KM1R 60-69 years, male 174.9
GTEX-1HGF4-0226-SM-CNNQL 60-69 years, male 174.2
GTEX-13VXT-0926-SM-5LU5K 20-29 years, female 173.9
GTEX-13N1W-1226-SM-5K7UM 70-79 years, male 173.7
GTEX-1B8KE-0826-SM-72D6S 50-59 years, male 173.5
GTEX-14BIL-2426-SM-5QGQR 50-59 years, male 172.1
GTEX-1LVAN-0926-SM-CNNQ2 50-59 years, female 166.4
GTEX-1B8KZ-1026-SM-73KYN 50-59 years, male 166.3
GTEX-ZEX8-1226-SM-5S2OK 50-59 years, male 165.2
GTEX-1211K-1226-SM-5EQ4N 60-69 years, female 163.4
GTEX-WWTW-1326-SM-4MVNT 50-59 years, male 162.5
GTEX-11P7K-0826-SM-5BC5F 30-39 years, male 161.9
GTEX-18A67-1326-SM-7LT8V 50-59 years, male 161.8
GTEX-1HSMQ-1026-SM-ADEHU 50-59 years, male 159.8
GTEX-17GQL-0826-SM-731AM 60-69 years, male 159.6
GTEX-ZAJG-1626-SM-5HL7I 50-59 years, female 159.6
GTEX-12KS4-1526-SM-5EQ6E 30-39 years, male 155.8
GTEX-ZF29-0826-SM-5S2O2 60-69 years, female 153.9
GTEX-ZT9W-1026-SM-57WG5 50-59 years, male 152.6
GTEX-ZVZP-1126-SM-5GICU 50-59 years, male 152.3
GTEX-16NPV-0626-SM-7IGOR 50-59 years, female 151.4
GTEX-1HR9M-1426-SM-A9SMB 60-69 years, male 148.6
GTEX-1I1GS-0926-SM-A9SL5 60-69 years, male 148.1
GTEX-1F5PL-1326-SM-7SB83 40-49 years, female 144.6
GTEX-15G19-1126-SM-7KUEL 60-69 years, male 136.4
GTEX-ZVT2-0226-SM-5GIE3 50-59 years, female 135.6
GTEX-15UKP-1426-SM-7KUDX 20-29 years, male 135.5
GTEX-144GM-0626-SM-79OKY 20-29 years, male 134.9
GTEX-13NYS-0726-SM-5J1OR 60-69 years, male 134.2
GTEX-1GF9V-1126-SM-9MQM7 60-69 years, male 133.5
GTEX-1QAET-1226-SM-DTX9I 50-59 years, male 132.2
GTEX-1PIGE-1226-SM-EVR3Q 20-29 years, male 131.6
GTEX-WEY5-1326-SM-3GILS 40-49 years, female 130.7
GTEX-1LKK1-1526-SM-EVYCO 50-59 years, female 130.4
GTEX-1KAFJ-0826-SM-CYPTF 50-59 years, male 129.7
GTEX-ZVP2-0226-SM-57WBD 50-59 years, male 128.0
GTEX-139YR-0326-SM-5J1MC 50-59 years, male 127.0
GTEX-WFJO-1026-SM-3GIKL 30-39 years, male 126.7
GTEX-1A3MV-0626-SM-731CH 30-39 years, male 125.0
GTEX-W5X1-1426-SM-3GIKH 40-49 years, female 123.0
GTEX-1JMQK-1326-SM-CNPOR 60-69 years, male 123.0
GTEX-14ICL-0926-SM-5S2TU 30-39 years, male 121.7
GTEX-YEC3-0926-SM-5Q5AC 50-59 years, male 120.7
GTEX-1LVAO-2126-SM-DIPGA 60-69 years, male 119.4
GTEX-1OFPY-0826-SM-DTX8P 60-69 years, male 119.0
GTEX-ZAB4-1426-SM-5CVN6 40-49 years, male 118.8
GTEX-111CU-1026-SM-5EGIL 50-59 years, male 118.1
GTEX-13X6I-1526-SM-5SIAC 60-69 years, male 115.9
GTEX-14753-2526-SM-5LU97 60-69 years, male 112.8
GTEX-1B97J-1126-SM-7SB79 50-59 years, female 111.1
GTEX-12WSL-1126-SM-5CVNK 50-59 years, male 106.6
GTEX-1AMFI-1026-SM-73KYM 50-59 years, female 105.7
GTEX-1LBAC-1026-SM-CXKYA 20-29 years, male 104.1
GTEX-1AX8Z-1626-SM-73KWD 60-69 years, male 102.8
GTEX-ZVE2-1826-SM-51MRZ 50-59 years, male 102.6
GTEX-1HKZK-1726-SM-ADEJ9 40-49 years, male 101.8
GTEX-16NGA-0526-SM-731AJ 40-49 years, female 101.4
GTEX-1ICG6-1726-SM-ARU7K 70-79 years, female 100.9
GTEX-1GZ4H-0926-SM-9WG6Y 50-59 years, female 100.2
GTEX-13O21-3126-SM-5J1OI 50-59 years, male 99.6
GTEX-17EVQ-0626-SM-7KFTB 70-79 years, male 97.0
GTEX-1EU9M-1126-SM-793DE 60-69 years, male 92.6
GTEX-13FHO-2026-SM-5J1OA 60-69 years, male 91.9
GTEX-1J1OQ-1526-SM-CJI4E 40-49 years, female 91.1
GTEX-1MUQO-0826-SM-EVYCZ 60-69 years, male 88.0
GTEX-18D9A-0726-SM-7LTA7 30-39 years, female 86.6
GTEX-11DXX-2026-SM-5EGJL 60-69 years, female 86.4
GTEX-1HCUA-0926-SM-ADEIX 50-59 years, female 86.0
GTEX-15SKB-1626-SM-6PAL6 60-69 years, male 84.1
GTEX-1IDJD-0926-SM-ACKWW 30-39 years, male 83.8
GTEX-131XG-0126-SM-5K7UJ 50-59 years, female 83.6
GTEX-17MF6-1326-SM-79ONE 40-49 years, male 83.4
GTEX-YJ89-1926-SM-5IFJ6 60-69 years, male 80.7
GTEX-WXYG-0926-SM-3NB2O 50-59 years, female 78.5
GTEX-1RLM8-1026-SM-EWROE 50-59 years, male 77.8
GTEX-1AYD5-0126-SM-7DUG5 50-59 years, male 77.5
GTEX-18QFQ-1326-SM-731CF 30-39 years, male 77.0
GTEX-Y8LW-0926-SM-4VBQ8 50-59 years, female 76.3
GTEX-1F75B-1226-SM-7MXTW 50-59 years, male 75.6
GTEX-1JMLX-1026-SM-D3L8U 50-59 years, male 74.1
GTEX-16NPX-1026-SM-6PAM7 50-59 years, male 73.5
GTEX-1HC8U-0926-SM-A9G3L 40-49 years, female 72.9
GTEX-1S5VW-2426-SM-EAZ52 60-69 years, male 72.9
GTEX-11VI4-1226-SM-5EQMP 40-49 years, female 72.5
GTEX-1S3DN-1626-SM-EVYCC 50-59 years, male 71.3
GTEX-13OW8-0326-SM-5L3FB 60-69 years, male 71.2
GTEX-14PHY-1026-SM-62LEV 60-69 years, female 71.0
GTEX-1HUB1-1526-SM-CGQF6 60-69 years, male 69.7
GTEX-11ZTS-1326-SM-5EQMA 60-69 years, female 68.9
GTEX-Y3I4-0726-SM-E9J3Y 50-59 years, male 68.7
GTEX-16AAH-1526-SM-7LT9W 50-59 years, male 68.6
GTEX-13W3W-1126-SM-5L3DO 60-69 years, female 68.4
GTEX-ZQUD-0526-SM-57WG4 30-39 years, male 67.8
GTEX-1KANC-0526-SM-D4P3T 50-59 years, female 67.2
GTEX-14PJO-1626-SM-69LPQ 60-69 years, male 66.3
GTEX-ZDYS-2226-SM-5S2MI 50-59 years, male 66.2
GTEX-11XUK-1726-SM-5GU61 40-49 years, female 66.1
GTEX-1QCLY-1226-SM-EVYC3 30-39 years, male 64.5
GTEX-1C6VS-1826-SM-73KXN 60-69 years, male 63.7
GTEX-1HSMO-1426-SM-CNNQN 60-69 years, male 63.7
GTEX-1AYCT-1126-SM-79OO8 50-59 years, male 62.8
GTEX-XGQ4-1026-SM-4AT4L 50-59 years, male 62.8
GTEX-1JKYR-1226-SM-CM2S7 20-29 years, male 62.6
GTEX-1LG7Z-0226-SM-E6CIG 30-39 years, male 57.1
GTEX-131XF-0726-SM-5GIE5 60-69 years, male 57.0
GTEX-11GSO-0226-SM-5A5LV 60-69 years, male 56.9
GTEX-YEC4-0926-SM-5PNXY 40-49 years, male 56.0
GTEX-1MCC2-0626-SM-DKPQI 30-39 years, female 55.7
GTEX-1QPFJ-2126-SM-EXOJV 30-39 years, female 54.9
GTEX-13D11-0526-SM-5LZYM 50-59 years, female 54.8
GTEX-17MFQ-1126-SM-7LT9O 20-29 years, male 54.7
GTEX-17F9Y-0726-SM-7LT9G 70-79 years, female 54.0
GTEX-X8HC-2326-SM-4QAS4 50-59 years, female 53.6
GTEX-139D8-1626-SM-5IJFZ 30-39 years, female 53.4
GTEX-13N11-1826-SM-5IJDS 50-59 years, female 51.8
GTEX-11GS4-1026-SM-5N9DE 60-69 years, male 51.1
GTEX-12696-1826-SM-5EGJS 60-69 years, male 51.1
GTEX-1I4MK-0726-SM-ACKWC 50-59 years, female 51.0
GTEX-1B8SG-1426-SM-7EWEM 50-59 years, male 50.6
GTEX-1B996-1226-SM-73KWZ 60-69 years, male 50.4
GTEX-YJ8A-1926-SM-EZ6LQ 20-29 years, male 50.3
GTEX-1CB4E-0826-SM-793CS 60-69 years, male 50.0
GTEX-13JUV-0626-SM-5J1MQ 40-49 years, female 49.6
GTEX-1GF9U-1226-SM-ARL9I 40-49 years, female 49.5
GTEX-13111-0626-SM-5LZVR 50-59 years, male 49.2
GTEX-13U4I-1726-SM-5J1MF 40-49 years, female 49.0
GTEX-1C6VQ-1526-SM-73KU9 50-59 years, male 48.6
GTEX-XV7Q-1726-SM-4BRUU 40-49 years, female 47.5
GTEX-1I1GT-1326-SM-ACKWB 60-69 years, female 46.6
GTEX-1JN6P-1626-SM-CYPSV 60-69 years, male 46.2
GTEX-ZC5H-1626-SM-5HL7L 40-49 years, female 45.9
GTEX-1AX9J-2226-SM-731CW 60-69 years, male 45.0
GTEX-146FR-0226-SM-5Q5F6 60-69 years, female 44.2
GTEX-1GN1W-1226-SM-9MQLW 50-59 years, female 44.2
GTEX-1JJ6O-2826-SM-CNNP7 60-69 years, male 43.0
GTEX-1GN1U-0726-SM-9MQKL 50-59 years, female 42.1
GTEX-144GN-0726-SM-5O98O 50-59 years, male 41.7
GTEX-XYKS-1826-SM-4E3JV 60-69 years, female 41.7
GTEX-ZPCL-1026-SM-5GCOX 60-69 years, female 41.7
GTEX-1LGOU-0826-SM-DHXKL 20-29 years, female 41.7
GTEX-12ZZW-2326-SM-5DUW2 50-59 years, male 41.4
GTEX-183FY-1226-SM-7DHLK 20-29 years, male 41.4
GTEX-12WSG-0426-SM-5FQSE 50-59 years, female 40.3
GTEX-14E6E-0226-SM-7DUEF 30-39 years, male 38.3
GTEX-15D1Q-1326-SM-69LOA 40-49 years, male 38.1
GTEX-1QEPI-2226-SM-E8VN6 60-69 years, female 38.0
GTEX-1H1ZS-1326-SM-9WG74 70-79 years, male 37.6
GTEX-1GMR3-0826-SM-9WYT4 40-49 years, male 37.4
GTEX-18A7B-1226-SM-718AU 70-79 years, male 36.6
GTEX-11P81-0726-SM-5PNYH 30-39 years, female 36.5
GTEX-XLM4-1026-SM-4AT51 60-69 years, male 36.0
GTEX-1AX9I-1726-SM-731BX 60-69 years, male 35.7
GTEX-ZV6S-1626-SM-5NQ81 40-49 years, female 35.7
GTEX-1I1CD-1026-SM-COH3G 60-69 years, female 35.3
GTEX-ZDXO-2326-SM-5LU9W 60-69 years, male 35.2
GTEX-13IVO-2426-SM-5K7V9 70-79 years, male 34.9
GTEX-1H1DG-2026-SM-9QEIV 70-79 years, male 34.8
GTEX-1QW4Y-0826-SM-DTXE1 30-39 years, male 34.5
GTEX-1LG7Y-1126-SM-CYPTE 50-59 years, male 34.2
GTEX-WFON-1226-SM-3TW8F 40-49 years, male 34.1
GTEX-14PKU-0226-SM-6EU16 40-49 years, female 33.9
GTEX-1K2DA-1126-SM-CGQGG 50-59 years, male 33.7
GTEX-Z9EW-0826-SM-5HL9T 40-49 years, male 33.3
GTEX-1B933-1326-SM-7939U 50-59 years, female 32.6
GTEX-1EH9U-1326-SM-79OM3 60-69 years, male 32.5
GTEX-145ME-0726-SM-5O9A3 40-49 years, female 32.4
GTEX-13S86-0926-SM-5SI6I 40-49 years, male 31.8
GTEX-1192X-1526-SM-5H11I 50-59 years, male 31.4
GTEX-14BIM-1626-SM-7EWD2 60-69 years, female 31.3
GTEX-1QMI2-1626-SM-EYYXK 60-69 years, male 30.9
GTEX-169BO-0426-SM-7EPI1 50-59 years, male 30.7
GTEX-1A8G7-1226-SM-73KYP 60-69 years, male 30.0
GTEX-1AX9K-0926-SM-7939G 50-59 years, male 29.8
GTEX-1313W-1626-SM-5J1OE 50-59 years, female 29.7
GTEX-XOT4-0826-SM-4B66Y 60-69 years, female 29.7
GTEX-1H2FU-1426-SM-9WPO6 60-69 years, female 29.2
GTEX-ZGAY-1326-SM-5S2NS 40-49 years, female 28.9
GTEX-1KXAM-0526-SM-DKPQN 60-69 years, male 28.4
GTEX-Y5V6-0626-SM-4WWFY 60-69 years, male 27.7
GTEX-113JC-0726-SM-5GZZR 50-59 years, female 27.6
GTEX-12584-2126-SM-5FQUM 40-49 years, male 27.5
GTEX-1GL5R-0726-SM-9MQL5 50-59 years, male 27.4
GTEX-1IDJI-0926-SM-ACKWZ 50-59 years, female 26.0
GTEX-1ICLZ-1626-SM-CE6SS 60-69 years, male 25.7
GTEX-1HSGN-1926-SM-CMKGS 40-49 years, female 25.5
GTEX-UTHO-1826-SM-3GAFE 60-69 years, male 25.3
GTEX-ZF28-1426-SM-5S2OG 60-69 years, male 25.2
GTEX-1JJE9-1526-SM-CM2RR 70-79 years, male 25.0
GTEX-17HGU-1726-SM-79OKM 50-59 years, male 24.8
GTEX-11DXZ-1426-SM-5H12A 50-59 years, male 24.7
GTEX-1B97I-0526-SM-73KXE 40-49 years, male 23.5
GTEX-17KNJ-0426-SM-718AK 50-59 years, male 22.7
GTEX-13S7M-0826-SM-5QGQX 60-69 years, female 22.6
GTEX-117YW-0826-SM-5H11O 50-59 years, male 21.5
GTEX-13OVG-1326-SM-5K7Y3 60-69 years, male 21.5
GTEX-139TU-1426-SM-5LZY9 60-69 years, male 21.3
GTEX-147JS-1026-SM-5S2MP 60-69 years, male 21.0
GTEX-12WSM-0626-SM-5GCOK 60-69 years, male 20.9
GTEX-WY7C-0926-SM-3NB34 50-59 years, male 20.9
GTEX-1K9T9-1626-SM-DIPFS 50-59 years, female 20.2
GTEX-15RIE-0126-SM-7KUF8 60-69 years, male 19.9
GTEX-1LVAM-1026-SM-DIPFK 50-59 years, female 19.0
GTEX-1I6K7-1826-SM-CGQFO 40-49 years, male 18.3
GTEX-1I6K6-1526-SM-CGQFC 30-39 years, male 18.1
GTEX-1F6IF-2026-SM-7P8SE 60-69 years, male 17.6
GTEX-1IDJU-0926-SM-ARL88 60-69 years, female 17.6
GTEX-1IE54-1426-SM-CL53C 40-49 years, female 17.5
GTEX-1F52S-1326-SM-7SB6Q 60-69 years, female 17.2
GTEX-VJWN-2326-SM-EVYAP 50-59 years, female 16.9
GTEX-13PDP-1226-SM-5K7TW 60-69 years, male 16.8
GTEX-1CAMQ-1226-SM-7SB7E 40-49 years, male 16.4
GTEX-XAJ8-0226-SM-4GIB2 40-49 years, male 16.2
GTEX-1GZ4I-2326-SM-9YFMO 50-59 years, male 16.0
GTEX-1QP9N-0426-SM-DTXFT 30-39 years, male 16.0
GTEX-VJYA-1626-SM-EXOHL 60-69 years, male 15.9
GTEX-17HII-0826-SM-7DUFH 50-59 years, male 15.5
GTEX-13OW7-1126-SM-5K7V6 50-59 years, male 15.3
GTEX-VUSG-1426-SM-3GIJN 50-59 years, male 15.2
GTEX-WHWD-0826-SM-3LK6R 50-59 years, male 14.8
GTEX-ZPIC-0726-SM-57WFM 40-49 years, female 14.5
GTEX-ZT9X-0926-SM-5O9C4 40-49 years, male 14.4
GTEX-11GSP-1026-SM-9WYSH 60-69 years, female 14.3
GTEX-1HBPH-2226-SM-9WYSO 40-49 years, female 13.7
GTEX-14E1K-0426-SM-5S2PF 50-59 years, male 13.6
GTEX-13O3P-0926-SM-5IFFI 50-59 years, male 13.1
GTEX-1E1VI-1826-SM-9WG5J 50-59 years, male 13.0
GTEX-1MCQQ-1426-SM-E6CJA 60-69 years, male 13.0
GTEX-1EN7A-1626-SM-79OLV 40-49 years, male 12.6
GTEX-1KD5A-1326-SM-CYPTB 50-59 years, male 12.6
GTEX-UPK5-1826-SM-3GAEB 40-49 years, male 12.5
GTEX-14PJ2-1426-SM-62LFF 50-59 years, male 12.3
GTEX-14JIY-1426-SM-6EU29 60-69 years, male 11.3
GTEX-1B8SF-1726-SM-73KZ5 60-69 years, male 11.2
GTEX-1C2JI-0826-SM-7EPHB 50-59 years, male 11.0
GTEX-13W46-1226-SM-5SIAS 50-59 years, male 10.1
GTEX-14E7W-2326-SM-69LQC 70-79 years, male 9.9
GTEX-1IDJH-1626-SM-A9SLP 70-79 years, male 9.2
GTEX-13N2G-1926-SM-5J1O3 60-69 years, male 9.1
GTEX-13OVK-0326-SM-7KUEJ 40-49 years, male 9.0
GTEX-1OJC3-1326-SM-E9J3D 20-29 years, male 9.0
GTEX-WHPG-0626-SM-3NMBD 50-59 years, male 8.9
GTEX-X585-2526-SM-4QAS1 50-59 years, male 8.8
GTEX-1H11D-1126-SM-9YFM5 40-49 years, male 8.7
GTEX-ZXG5-1626-SM-59HJK 60-69 years, male 8.6
GTEX-Y5V5-0226-SM-5S2N8 60-69 years, female 8.4
GTEX-17F97-1226-SM-79OJT 50-59 years, male 8.3
GTEX-11ZUS-1826-SM-5FQTR 30-39 years, male 8.2
GTEX-1QP6S-1626-SM-EVYC5 40-49 years, male 8.2
GTEX-13X6K-0726-SM-5LU2Z 60-69 years, female 8.1
GTEX-1EMGI-0726-SM-7PBZ4 60-69 years, male 8.1
GTEX-1P4AB-1226-SM-DTXET 50-59 years, male 7.9
GTEX-14PJM-1226-SM-686Z7 50-59 years, female 7.8
GTEX-15CHQ-1126-SM-686YY 60-69 years, male 7.7
GTEX-1JMQJ-1926-SM-D4P3A 50-59 years, male 7.5
GTEX-1MA7X-1026-SM-DKPQ8 60-69 years, male 7.4
GTEX-1N2DW-0726-SM-DTX97 50-59 years, male 7.4
GTEX-13NZ9-2026-SM-5KM1U 50-59 years, male 7.1
GTEX-131YS-1726-SM-5HL7G 60-69 years, female 6.9
GTEX-WYBS-1026-SM-4ONCY 60-69 years, female 6.9
GTEX-ZE9C-1326-SM-5S2OW 60-69 years, male 6.8
GTEX-XBEC-1826-SM-4QASN 50-59 years, male 6.7
GTEX-1I1GQ-1026-SM-CNNQS 50-59 years, male 6.6
GTEX-14PJ3-0726-SM-69LQE 50-59 years, male 6.5
GTEX-ZPU1-1226-SM-5HL71 40-49 years, male 6.3
GTEX-Y8E4-1226-SM-5IFIM 40-49 years, male 6.2
GTEX-1CB4F-1126-SM-79OLG 60-69 years, male 6.1
GTEX-12WSI-1526-SM-5GCNM 50-59 years, male 6.0
GTEX-1A8G6-2026-SM-73KYC 60-69 years, male 6.0
GTEX-17EVP-1426-SM-79OMN 40-49 years, male 5.8
GTEX-1B932-1726-SM-793A5 40-49 years, female 5.8
GTEX-1399T-1326-SM-5PNVH 60-69 years, male 5.7
GTEX-1F6I4-2126-SM-7PC2J 60-69 years, male 5.7
GTEX-1LSNL-1426-SM-E6CJ9 50-59 years, male 5.5
GTEX-X3Y1-0926-SM-3P5YT 40-49 years, male 5.4
GTEX-145MF-1026-SM-5Q5EQ 50-59 years, male 5.3
GTEX-1KANB-2426-SM-EV7BE 50-59 years, male 5.3
GTEX-1GN73-0626-SM-7PC3I 60-69 years, male 5.2
GTEX-146FH-2026-SM-5SI9I 50-59 years, female 5.1
GTEX-WYVS-0626-SM-4SOJY 40-49 years, female 5.0
GTEX-1HFI6-1726-SM-CGQFH 40-49 years, male 5.0
GTEX-11OF3-0826-SM-5BC51 60-69 years, male 4.8
GTEX-14DAQ-2526-SM-5RQIO 60-69 years, female 4.8
GTEX-XQ3S-2426-SM-4WAYB 20-29 years, male 4.8
GTEX-1I19N-1026-SM-A96TT 70-79 years, male 4.7
GTEX-1212Z-0526-SM-5FQSQ 60-69 years, male 4.6
GTEX-13FXS-1326-SM-62LFR 50-59 years, male 4.6
GTEX-12WSA-1626-SM-5EGJV 60-69 years, male 4.5
GTEX-ZE7O-1526-SM-5J1NH 50-59 years, female 4.5
GTEX-1H1DE-0826-SM-ARU8V 20-29 years, male 4.5
GTEX-1IL2U-2726-SM-C1YSG 60-69 years, male 4.5
GTEX-11DXY-0326-SM-5H12F 60-69 years, male 4.4
GTEX-14AS3-0426-SM-5QGQK 40-49 years, female 4.4
GTEX-1C6VR-1126-SM-7EPHD 60-69 years, male 4.3
GTEX-1HSKV-1926-SM-CNPPN 60-69 years, male 4.3
GTEX-1HT8W-0726-SM-A9SLB 30-39 years, male 4.2
GTEX-1RQEC-2526-SM-EVYD2 60-69 years, male 4.2
GTEX-WK11-2426-SM-3NMAA 50-59 years, male 4.1
GTEX-18465-1826-SM-731BB 50-59 years, male 4.0
GTEX-13PL6-0926-SM-5KLYY 40-49 years, female 3.9
GTEX-13VXU-1026-SM-5KLZE 50-59 years, male 3.8
GTEX-XMK1-0926-SM-4B66X 40-49 years, male 3.8
GTEX-ZDTS-1826-SM-5S2N6 60-69 years, male 3.8
GTEX-11DYG-2026-SM-5EGGX 60-69 years, male 3.7
GTEX-1RMOY-0826-SM-E9TIF 50-59 years, male 3.7
GTEX-14BIN-1226-SM-5S2OM 50-59 years, female 3.6
GTEX-1J8EW-1526-SM-CMKFZ 60-69 years, female 3.6
GTEX-ZF2S-1526-SM-5S2OO 50-59 years, female 3.4
GTEX-ZUA1-2126-SM-57YRB 40-49 years, male 3.4
GTEX-XQ8I-1426-SM-4BOPW 50-59 years, male 3.3
GTEX-145LU-1226-SM-5LU9B 50-59 years, male 3.2
GTEX-1H1CY-0826-SM-9WYTU 60-69 years, female 3.2
GTEX-11NUK-2026-SM-5PNVZ 50-59 years, male 3.1
GTEX-13NZB-0826-SM-5K7X5 30-39 years, male 3.1
GTEX-15SHU-2326-SM-7KUMC 40-49 years, female 3.1
GTEX-18A6Q-1026-SM-7LT9S 60-69 years, male 3.0
GTEX-1N2EE-1526-SM-DTXE9 60-69 years, male 3.0
GTEX-13OW6-2426-SM-5K7WO 50-59 years, male 2.9
GTEX-18A7A-0926-SM-7LT8H 50-59 years, female 2.9
GTEX-WL46-2026-SM-3LK7U 50-59 years, male 2.9
GTEX-15ER7-1026-SM-7KUMD 20-29 years, female 2.8
GTEX-17JCI-1626-SM-7EPGZ 60-69 years, female 2.8
GTEX-ZAB5-1126-SM-5Q5AD 50-59 years, male 2.8
GTEX-1HBPI-1826-SM-ADEHE 50-59 years, male 2.8
GTEX-1I1GR-1726-SM-COH39 60-69 years, male 2.8
GTEX-1RAZR-1026-SM-E8VOJ 40-49 years, male 2.8
GTEX-13OVL-0826-SM-5L3GV 50-59 years, male 2.7
GTEX-17F96-0726-SM-793CB 70-79 years, male 2.7
GTEX-13O3Q-1126-SM-5K7YK 50-59 years, male 2.6
GTEX-1GF9X-0926-SM-7PC2X 40-49 years, female 2.6
GTEX-14E6D-1326-SM-62LES 50-59 years, male 2.5
GTEX-178AV-0626-SM-6PAM1 40-49 years, male 2.5
GTEX-1CB4G-2126-SM-7IGQ8 60-69 years, male 2.5
GTEX-1EWIQ-2526-SM-7EPIJ 70-79 years, female 2.5
GTEX-13112-1126-SM-5GCMY 50-59 years, male 2.4
GTEX-1POEN-1626-SM-EVYC2 30-39 years, female 2.4
GTEX-15DYW-1526-SM-7KUEP 60-69 years, female 2.3
GTEX-YECK-1426-SM-5IFHE 60-69 years, male 2.3
GTEX-1C64N-1326-SM-7SB7D 50-59 years, male 2.3
GTEX-1IY9M-1226-SM-ACKX1 60-69 years, male 2.3
GTEX-131XH-0826-SM-5GCN8 50-59 years, male 2.1
GTEX-ZYFC-1826-SM-5GZZA 50-59 years, male 2.1
GTEX-ZYT6-2126-SM-5GZZ4 30-39 years, male 2.1
GTEX-1KD4Q-1426-SM-D4P3K 40-49 years, male 2.1
GTEX-11PRG-1526-SM-5HL6Z 50-59 years, male 2.0
GTEX-WVLH-1626-SM-EXURN 50-59 years, male 2.0
GTEX-13X6J-1926-SM-5TDCU 50-59 years, male 1.9
GTEX-17HHE-1526-SM-793AS 50-59 years, male 1.9
GTEX-12WSC-1726-SM-5GCN3 50-59 years, male 1.8
GTEX-1BAJH-2126-SM-7EWFB 70-79 years, male 1.8
GTEX-132NY-1126-SM-5PNVE 60-69 years, male 1.7
GTEX-1GMRU-0726-SM-7PBZH 50-59 years, male 1.7
GTEX-14BMV-1626-SM-73KVQ 50-59 years, male 1.6
GTEX-13G51-0526-SM-5IJCQ 60-69 years, male 1.5
GTEX-17HHY-1026-SM-7LG5E 50-59 years, male 1.5
GTEX-1H4P4-0326-SM-9WYTD 50-59 years, male 1.4
GTEX-1KWVE-0226-SM-E9TKK 30-39 years, male 1.4
GTEX-1B8L1-0126-SM-9KNVS 60-69 years, male 1.1
GTEX-12ZZX-1726-SM-5BC63 40-49 years, female 1.0
GTEX-14ABY-1926-SM-62LDJ 50-59 years, male 1.0
GTEX-16GPK-1326-SM-7KUE4 60-69 years, male 1.0
GTEX-Y111-0926-SM-4SOIU 50-59 years, male 0.8
GTEX-1EKGG-1426-SM-7PBY2 60-69 years, male 0.8
GTEX-11NV4-1426-SM-5BC4W 60-69 years, male 0.6
Show allShow less

ADIPOSE TISSUE - FANTOM5 CAGEi

RNA expression in human tissues obtained through Cap Analysis of Gene Expression (CAGE) generated by the FANTOM5 project are reported as Scaled Tags Per Million.

Max subtype Scaled Tags Per Millioni

Max subtype Scaled Tags Per Million is the value for the subtype with the largest average Scaled Tags Per Million across the subtype samples.

39.1
FANTOM5 sample id Sample description Scaled Tags Per Million
Adipose tissue
Scaled Tags Per Million: 39.1
FF:10010-101C1 65,65,76 years, mixed 39.1

Contact

  • NEWS ARTICLES
  • PRESS ROOM

The Project

  • INTRODUCTION
  • ORGANIZATION
  • PUBLICATIONS

The Human Protein Atlas

  • DOWNLOADABLE DATA
  • LICENCE & CITATION
  • HELP & FAQ
The Human Protein Atlas project is funded
by the Knut & Alice Wallenberg Foundation.


contact@proteinatlas.org