We use cookies to enhance the usability of our website. If you continue, we'll assume that you are happy to receive all cookies. More information. Don't show this again.
PTX3
HPA
RESOURCES
  • TISSUE
  • BRAIN
  • SINGLE CELL
  • SUBCELLULAR
  • CANCER
  • BLOOD
  • CELL LINE
  • STRUCTURE & INTERACTION
ABOUT
  • INTRODUCTION
  • HISTORY
  • ORGANIZATION
  • PUBLICATIONS
  • ANTIBODY SUBMISSION
  • ANTIBODY AVAILABILITY
  • ACKNOWLEDGMENTS
  • CONTACT
NEWS
  • NEWS ARTICLES
  • PRESS ROOM
LEARN
  • DICTIONARY
  • PROTEIN CLASSES
  • PROTEIN EVIDENCE
  • METHODS
  • EDUCATIONAL VIDEOS
DATA
  • DOWNLOADABLE DATA
  • PUBLICATION DATA
  • RELEASE HISTORY
HELP
  • ANTIBODY VALIDATION
  • ASSAYS & ANNOTATION
  • DISCLAIMER
  • HELP & FAQ
  • PRIVACY STATEMENT
  • LICENCE & CITATION
Fields »
Search result

Field
Term
Gene name
Class
Subclass
Class
Keyword
Chromosome
External id
Tissue
Cell type
Expression
Antibody panel
Tissue
Main location
Patient ID
Annotation
Tissue
Category
Tau score
Cluster
Reliability
Brain region
Category
Tau score
Brain region
Category
Tau score
Brain region
Category
Tau score
Cluster
Reliability
Tissue
Cell type
Enrichment
Cell type
Category
Tau score
Cell type
Category
Tau score
Cell type
Category
Tau score
Cell lineage
Category
Tau score
Cluster
Cluster
Location
Searches
Location
Cell line
Class
Type
Phase
Reliability
Cancer
Prognosis
Cancer
Category
Cancer
Category
Tau score
Cluster
Variants
Interacting gene (ensg_id)
Type
Number of interactions
Pathway
Category
Score
Score
Score
Validation
Validation
Validation
Validation
Antibodies
Data type
Column


  • SUMMARY

  • TISSUE

  • BRAIN

  • SINGLE CELL

  • SUBCELL

  • CANCER

  • BLOOD

  • CELL LINE

  • STRUCT & INT

  • PTX3
TISSUE PRIMARY DATA SKIN Show tissue menu
ADIPOSE TISSUE ADRENAL GLAND AMYGDALA APPENDIX BASAL GANGLIA BONE MARROW BREAST BRONCHUS CEREBELLUM CEREBRAL CORTEX CERVIX CHOROID PLEXUS COLON DUODENUM
ENDOMETRIUM EPIDIDYMIS ESOPHAGUS FALLOPIAN TUBE GALLBLADDER HEART MUSCLE HIPPOCAMPAL FORMATION HYPOTHALAMUS KIDNEY LIVER LUNG LYMPH NODE MIDBRAIN NASOPHARYNX
ORAL MUCOSA OVARY PANCREAS PARATHYROID GLAND PITUITARY GLAND PLACENTA PROSTATE RECTUM RETINA SALIVARY GLAND SEMINAL VESICLE SKELETAL MUSCLE SKIN SMALL INTESTINE
SMOOTH MUSCLE SOFT TISSUE SPINAL CORD SPLEEN STOMACH TESTIS THYMUS THYROID GLAND TONGUE TONSIL URINARY BLADDER VAGINA
ANTIBODIES
AND
VALIDATION
Dictionary
Skin
Tissue proteome
Skin
SKIN - Expression summary
Protein expression
Skini

On the top, protein expression in current human tissue, based on all annotated cell types, is reported with the units not detected (n), low (l), medium (m) and high (h). Underneath, protein expression in each annotated cell type are reported using the same units.

Protein expression data is based on knowledge-based annotation. For genes where more than one antibody has been used, a collective score is set.

If knowledge-based annotation could not be performed for a gene, no data is displayed here. View antibody staining data further down this page.

h
m
l
n
Epidermal cells: Not detected
Fibroblasts: Not detected
Keratinocytes: Not detected
Langerhans: Not detected
Melanocytes: Not detected
RNA expressioni

A summary of mRNA expression data available for current tissue based on several datasets. The mRNA expression levels in human tissues are based on RNA-seq data generated by the Human Protein Atlas (HPA), Genotype-Tissue Expression (GTEx) portal and CAGE data generated by the FANTOM5 consortium. Consensus normalized expression levels for human tissues was created by combining the data from HPA and GTEx datasets.

The mRNA expression levels in pig are based on RNA-seq data generated by the Human Protein Atlas (HPA), and for mouse, HPA data and in situ hybridization generated by the Allen brain atlas are reported.

Scroll down to view mRNA expression data in more detail.
Consensus:24.6 nTPM
HPA:0.9 nTPM
GTEx:24.6 nTPM

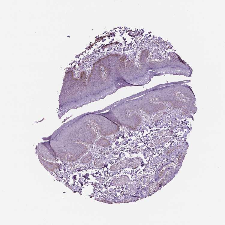
SKIN 1 - Antibody stainingi

Antibody staining in the annotated cell types in the current human tissue is reported as not detected, low, medium, or high, based on conventional immunohistochemistry profiling in selected tissues. This score is based on the combination of the staining intensity and fraction of stained cells.

Each image is clickable and will lead to virtual microscopy that enables deeper exploration of all samples and also displays staining intensity scores, fraction scores and subcellular localization as well as patient and tissue information for each sample.

Antibody HPA069320
Langerhans Not detected
Fibroblasts Not detected
Keratinocytes Not detected
Melanocytes Not detected

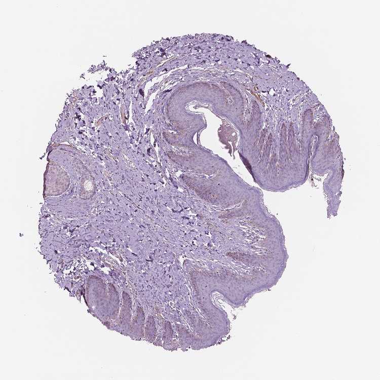
SKIN 2 - Antibody stainingi

Antibody staining in the annotated cell types in the current human tissue is reported as not detected, low, medium, or high, based on conventional immunohistochemistry profiling in selected tissues. This score is based on the combination of the staining intensity and fraction of stained cells.

Each image is clickable and will lead to virtual microscopy that enables deeper exploration of all samples and also displays staining intensity scores, fraction scores and subcellular localization as well as patient and tissue information for each sample.

Antibody HPA069320
Epidermal cells Not detected
 
 
 


SKIN - HPA RNA-seqi

The RNA-seq details section shows detailed information about the individual samples used for the transcript profiling and results of the RNA-seq analysis.

Information about each individual sample is listed below, including gender, age, a tissue section image and estimated fractions of cell types. nTPM (normalized transcripts per million) values give a quantification of the gene abundance which is comparable between different genes and samples.
Average nTPMi

Max subtype nTPM is the value for the subtype with the largest average nTPM across the subtype samples.

0.9
overview
Female, age 34
Skin sample 225
nTPM: 0.8
Cell types%
Keratinocytes:
60

Other cell types:
40

overview
Female, age 30
Skin sample 226
nTPM: 0.6
Cell types%
Keratinocytes:
55

Other cell types:
45

N/A
Male, age 57
Skin sample 227
nTPM: 1.2

SKIN - GTEx RNA-seqi

RNA-Seq data generated by the Genotype-Tissue Expression (GTEx) project from human tissues is reported as mean nTPM. More information can be found on the GTEx portal.

Distribution across the dataset is visualized with box plots, shown as median and 25th and 75th percentiles. Points are displayed as outliers if they are above or below 1.5 times the interquartile range. nTPM values of the individual samples are presented next to the box plot.
Max subtype nTPMi

Max subtype nTPM is the value for the subtype with the largest average nTPM across the subtype samples.

24.6
GTEx sample id Sample description nTPM
Skin - Not Sun Exposed (Suprapubic)
Average nTPM: 13.3
Samples: 604

Max nTPM: 830.8
Min nTPM: 0.0
Std nTPM: 55.9
Median nTPM: 1.6
GTEX-18D9B-0926-SM-7LG4U 60-69 years, male 830.8
GTEX-1R9PN-0426-SM-DTXDT 40-49 years, female 572.6
GTEX-U8XE-0226-SM-4E3J3 30-39 years, male 529.8
GTEX-WYBS-0626-SM-3NMAS 60-69 years, female 438.7
GTEX-1F48J-0726-SM-7RHGS 50-59 years, female 344.6
GTEX-1A3MW-0626-SM-731CB 60-69 years, female 225.0
GTEX-1QP29-1826-SM-DTX9S 50-59 years, male 218.8
GTEX-1JMOU-1026-SM-CYPSS 60-69 years, female 215.1
GTEX-XK95-0226-SM-4AT58 40-49 years, male 160.4
GTEX-1H23P-0626-SM-9WG6T 60-69 years, male 135.1
GTEX-1JMQL-2226-SM-CNPP4 50-59 years, female 133.5
GTEX-1L5NE-1126-SM-D3L9P 50-59 years, male 131.9
GTEX-1HC8U-1326-SM-9YFMJ 40-49 years, female 122.7
GTEX-1ICLZ-0326-SM-ARL82 60-69 years, male 104.3
GTEX-1IDJI-0126-SM-CMKHS 50-59 years, female 99.6
GTEX-13OVJ-0826-SM-5J1OK 50-59 years, female 87.0
GTEX-WH7G-2026-SM-3NMBL 40-49 years, male 83.6
GTEX-14C38-0726-SM-5SI6M 50-59 years, male 78.6
GTEX-ZVE2-2826-SM-5GU51 50-59 years, male 74.5
GTEX-144FL-0626-SM-5LU43 50-59 years, male 72.5
GTEX-1314G-1326-SM-5BC6E 30-39 years, male 71.9
GTEX-1CB4H-1126-SM-7MKGL 60-69 years, female 71.6
GTEX-WI4N-2726-SM-3LK7Y 40-49 years, female 63.3
GTEX-132AR-0326-SM-5KM2C 50-59 years, female 61.5
GTEX-14E6C-2426-SM-5S2NF 40-49 years, male 61.3
GTEX-14A5H-0826-SM-5QGPJ 60-69 years, male 59.3
GTEX-13NYC-0126-SM-5L3F4 60-69 years, male 58.5
GTEX-14PK6-0226-SM-62LF5 70-79 years, female 58.3
GTEX-1H3NZ-2726-SM-9WYTQ 60-69 years, male 58.3
GTEX-1GL5R-1326-SM-7RHHF 50-59 years, male 56.1
GTEX-1IDJC-1526-SM-B2LW4 50-59 years, male 55.9
GTEX-11VI4-1126-SM-5EQMD 40-49 years, female 53.2
GTEX-1117F-2926-SM-5GZYI 60-69 years, female 53.1
GTEX-13113-1626-SM-5EQ4I 60-69 years, female 52.6
GTEX-1JMQK-1226-SM-D4P2S 60-69 years, male 49.8
GTEX-11DZ1-2426-SM-5GZZX 50-59 years, male 49.7
GTEX-1RLM8-2926-SM-E8VON 50-59 years, male 48.2
GTEX-13RTJ-0126-SM-5S2NN 60-69 years, male 47.9
GTEX-1H1DF-1126-SM-9WG7G 40-49 years, female 44.6
GTEX-WFG8-2126-SM-3GIKQ 20-29 years, male 41.0
GTEX-13X6I-1826-SM-5SIAO 60-69 years, male 40.0
GTEX-XPVG-2126-SM-4B667 50-59 years, male 39.1
GTEX-ZVE1-0726-SM-51MRN 50-59 years, female 38.2
GTEX-1EX96-1026-SM-7MKG2 50-59 years, male 37.3
GTEX-ZLV1-1526-SM-DO91J 60-69 years, female 37.1
GTEX-Y5LM-0926-SM-6LLJG 40-49 years, female 34.8
GTEX-1IDJF-2026-SM-CL53V 20-29 years, male 33.6
GTEX-ZYFD-0626-SM-5E44E 50-59 years, male 33.2
GTEX-X4EP-0626-SM-3P621 60-69 years, female 32.0
GTEX-1HBPM-0726-SM-9YFL7 60-69 years, female 31.2
GTEX-12WSJ-1126-SM-5LZVJ 40-49 years, female 28.9
GTEX-1LVAO-2726-SM-E9TJ8 60-69 years, male 27.8
GTEX-1QAET-0326-SM-EVR3U 50-59 years, male 27.8
GTEX-144GM-0526-SM-79OJO 20-29 years, male 25.7
GTEX-12WSL-2026-SM-5GCML 50-59 years, male 25.1
GTEX-1R9K4-2826-SM-DTX8F 60-69 years, male 23.8
GTEX-1ICG6-1226-SM-A9SLN 70-79 years, female 23.5
GTEX-17F98-1326-SM-7DUEP 40-49 years, female 22.8
GTEX-WFON-1926-SM-3LK7L 40-49 years, male 22.0
GTEX-117YX-1926-SM-5GIEC 50-59 years, male 21.8
GTEX-11WQK-1026-SM-5EQLX 50-59 years, male 20.7
GTEX-1QP66-1226-SM-DTX7U 50-59 years, male 20.6
GTEX-15G1A-1626-SM-7KUKN 30-39 years, male 20.3
GTEX-ZYW4-0626-SM-59HJR 60-69 years, male 19.9
GTEX-1H1ZS-2726-SM-9WG75 70-79 years, male 19.6
GTEX-ZVP2-0326-SM-57WBP 50-59 years, male 19.0
GTEX-12584-0726-SM-5FQTK 40-49 years, male 18.9
GTEX-13FH7-1126-SM-5K7UG 50-59 years, female 18.9
GTEX-1HSMO-0626-SM-ACKXC 60-69 years, male 18.8
GTEX-12WSK-2126-SM-5CVNC 40-49 years, female 17.8
GTEX-13FTW-0326-SM-5K7UW 40-49 years, male 17.6
GTEX-13QBU-1226-SM-5LU4G 40-49 years, female 16.9
GTEX-15SHW-0226-SM-7LTAT 60-69 years, male 16.7
GTEX-16BQI-1326-SM-6M486 30-39 years, female 16.0
GTEX-1O9I2-0226-SM-EYYXD 50-59 years, male 15.6
GTEX-1F75I-2226-SM-7SB8U 40-49 years, male 15.3
GTEX-1A3MX-2626-SM-7PC24 60-69 years, male 15.0
GTEX-183FY-1026-SM-7939A 20-29 years, male 14.9
GTEX-1AYD5-2626-SM-7PBXY 50-59 years, male 14.9
GTEX-11P82-1426-SM-DTXFY 20-29 years, male 14.7
GTEX-13N11-2326-SM-5IJBF 50-59 years, female 14.5
GTEX-XV7Q-1826-SM-4BRUV 40-49 years, female 14.4
GTEX-18D9U-0126-SM-731BM 40-49 years, male 14.2
GTEX-139YR-1026-SM-5LZYN 50-59 years, male 14.1
GTEX-1PPH8-0126-SM-EWRN8 20-29 years, male 14.1
GTEX-12C56-1526-SM-5FQUQ 20-29 years, male 13.9
GTEX-ZAJG-1526-SM-5CVML 50-59 years, female 13.9
GTEX-1JN1M-2726-SM-CY8I4 60-69 years, female 13.4
GTEX-X8HC-0626-SM-4E3HQ 50-59 years, female 13.3
GTEX-1F75B-0726-SM-7PC3R 50-59 years, male 13.2
GTEX-1JMPZ-0726-SM-CY8HZ 30-39 years, male 13.0
GTEX-1LGRB-0926-SM-COH3K 50-59 years, female 13.0
GTEX-16MT8-2926-SM-7DUFO 60-69 years, female 12.8
GTEX-11DXX-2126-SM-5PNYR 60-69 years, female 12.7
GTEX-ZLFU-1826-SM-4WWBV 40-49 years, male 12.7
GTEX-XXEK-1626-SM-4BRUZ 50-59 years, male 12.6
GTEX-183WM-0326-SM-72D5V 70-79 years, female 12.1
GTEX-1ICLY-0826-SM-CMKG1 50-59 years, male 12.1
GTEX-1JKYN-0826-SM-ARU8S 30-39 years, male 12.1
GTEX-1I1GS-2626-SM-B2LY3 60-69 years, male 11.6
GTEX-15UF6-1926-SM-7KUDV 70-79 years, female 11.2
GTEX-W5X1-2526-SM-3GILC 40-49 years, female 10.9
GTEX-1QPFJ-1926-SM-EVYBD 30-39 years, female 10.9
GTEX-WEY5-2326-SM-3GIKK 40-49 years, female 10.6
GTEX-145MG-1526-SM-5Q5EM 50-59 years, male 10.3
GTEX-14XAO-1226-SM-6EU1C 60-69 years, female 10.3
GTEX-14BMU-1226-SM-5S2OR 20-29 years, female 10.1
GTEX-14PHY-1226-SM-5ZZWK 60-69 years, female 10.1
GTEX-15EU6-2226-SM-6EU2L 50-59 years, male 10.1
GTEX-1GMR2-0826-SM-7PC3V 50-59 years, male 9.8
GTEX-139D8-1126-SM-5LU8W 30-39 years, female 9.1
GTEX-1J8QM-2426-SM-A9SLS 60-69 years, female 9.0
GTEX-Y8LW-1526-SM-5IFHL 50-59 years, female 8.8
GTEX-13NYS-0626-SM-5L3F1 60-69 years, male 8.5
GTEX-1477Z-0326-SM-7IGLA 60-69 years, male 8.4
GTEX-1497J-0226-SM-5QGPU 60-69 years, male 8.1
GTEX-1HB9E-0126-SM-CM2S5 50-59 years, male 8.1
GTEX-145LT-0526-SM-5LUB2 40-49 years, male 7.8
GTEX-1F88E-1626-SM-7SB8Z 60-69 years, female 7.8
GTEX-139T8-0626-SM-5KLZX 60-69 years, male 7.7
GTEX-1I4MK-0126-SM-CY8G6 50-59 years, female 7.6
GTEX-WXYG-2026-SM-4E3IY 50-59 years, female 7.3
GTEX-18D9A-1426-SM-7LT8M 30-39 years, female 7.3
GTEX-1CAMS-2226-SM-7PBXQ 40-49 years, female 7.3
GTEX-11ZTT-2126-SM-5CVLO 60-69 years, female 7.1
GTEX-ZVT2-0126-SM-5GIDQ 50-59 years, female 6.9
GTEX-1IDJU-1726-SM-CMKHU 60-69 years, female 6.9
GTEX-Y5V6-2326-SM-4VDSA 60-69 years, male 6.8
GTEX-14E6E-0526-SM-793DN 30-39 years, male 6.6
GTEX-1LSNM-0826-SM-DIPG8 50-59 years, male 6.5
GTEX-1AX8Z-0726-SM-73KTS 60-69 years, male 6.4
GTEX-ZZPU-0826-SM-5GZX5 50-59 years, female 6.4
GTEX-1CB4J-1326-SM-7P8RX 60-69 years, male 6.4
GTEX-14PJN-1826-SM-6AJ98 30-39 years, male 6.3
GTEX-ZT9W-1126-SM-57WDR 50-59 years, male 6.3
GTEX-1K2DU-1226-SM-CYPT4 20-29 years, male 6.3
GTEX-1KXAM-1626-SM-D3LAD 60-69 years, male 6.3
GTEX-1F5PL-0926-SM-7PC2W 40-49 years, female 6.2
GTEX-ZZ64-1026-SM-5GZXG 20-29 years, male 6.1
GTEX-1F5PK-2226-SM-7SB6N 50-59 years, male 6.0
GTEX-1RAZA-2226-SM-E9U4X 20-29 years, male 6.0
GTEX-1CAMR-1326-SM-7PC1F 20-29 years, male 5.8
GTEX-ZF29-0926-SM-4WKFZ 60-69 years, female 5.7
GTEX-1MJK3-0726-SM-E6CJC 20-29 years, male 5.7
GTEX-11TT1-1826-SM-5EQLV 20-29 years, male 5.6
GTEX-ZYFG-1526-SM-5GZYM 60-69 years, female 5.6
GTEX-15SKB-2826-SM-6PAMH 60-69 years, male 5.5
GTEX-1IKOE-1426-SM-CE6T7 30-39 years, female 5.5
GTEX-14PKU-0126-SM-6LLHV 40-49 years, female 5.4
GTEX-ZA64-1026-SM-5HL8R 20-29 years, male 5.4
GTEX-131YS-2826-SM-5EQ47 60-69 years, female 5.2
GTEX-14DAR-1226-SM-73KYV 50-59 years, male 5.2
GTEX-14ICL-1626-SM-5YYAO 30-39 years, male 5.1
GTEX-17F9Y-0126-SM-79OKX 70-79 years, female 5.1
GTEX-111CU-1126-SM-5EGIM 50-59 years, male 5.0
GTEX-11EM3-1226-SM-5N9DD 20-29 years, female 5.0
GTEX-12BJ1-0926-SM-5EQ62 60-69 years, male 4.9
GTEX-1S831-1826-SM-EWROF 20-29 years, male 4.9
GTEX-ZDXO-3126-SM-5IJDF 60-69 years, male 4.7
GTEX-145ME-1726-SM-5Q5EU 40-49 years, female 4.6
GTEX-XBED-1926-SM-47JYP 60-69 years, male 4.6
GTEX-Y3I4-1726-SM-4TT89 50-59 years, male 4.6
GTEX-ZDYS-2426-SM-4WKGI 50-59 years, male 4.6
GTEX-1A8FM-0626-SM-7PC25 50-59 years, female 4.6
GTEX-13X6H-0926-SM-5SIB2 50-59 years, female 4.5
GTEX-14AS3-1526-SM-5Q5ED 40-49 years, female 4.5
GTEX-ZTSS-1426-SM-5985P 40-49 years, male 4.5
GTEX-14B4R-1326-SM-5Q5EZ 30-39 years, male 4.4
GTEX-14E1K-2026-SM-7DUEI 50-59 years, male 4.4
GTEX-WYVS-1626-SM-3NM9R 40-49 years, female 4.4
GTEX-XMD2-2126-SM-4YCF8 60-69 years, female 4.4
GTEX-1I1GU-0926-SM-ACKVS 40-49 years, male 4.4
GTEX-WHSE-0126-SM-3NMBT 20-29 years, male 4.3
GTEX-X4EO-2926-SM-4E3JH 60-69 years, female 4.3
GTEX-YB5K-2026-SM-4VDT3 40-49 years, female 4.3
GTEX-YF7O-1526-SM-5IFI6 50-59 years, male 4.3
GTEX-1HBPN-0126-SM-CGQEF 50-59 years, male 4.3
GTEX-1HUB1-1426-SM-CGQF5 60-69 years, male 4.3
GTEX-13FTX-1526-SM-5K7VJ 20-29 years, female 4.2
GTEX-14PHX-2226-SM-6EU2P 50-59 years, male 4.2
GTEX-1R7EU-1626-SM-DTXG3 60-69 years, male 4.2
GTEX-145MN-1526-SM-5SI9T 30-39 years, male 4.1
GTEX-147JS-0226-SM-5S2U9 60-69 years, male 4.1
GTEX-1C6VQ-1226-SM-73KYD 50-59 years, male 4.1
GTEX-X5EB-1926-SM-4E3IW 40-49 years, male 4.1
GTEX-1C475-1326-SM-7SB73 40-49 years, female 4.1
GTEX-1MCC2-1826-SM-DIPEX 30-39 years, female 4.1
GTEX-15G19-2426-SM-7KUMR 60-69 years, male 4.0
GTEX-1LG7Z-1626-SM-CXKYR 30-39 years, male 4.0
GTEX-11GSP-2326-SM-5HL63 60-69 years, female 3.9
GTEX-VJYA-1526-SM-3GIJV 60-69 years, male 3.9
GTEX-1J8Q3-0526-SM-ARL8U 60-69 years, male 3.9
GTEX-13OVK-1426-SM-6PAN7 40-49 years, male 3.8
GTEX-1AMEY-0826-SM-72D65 30-39 years, female 3.8
GTEX-XUW1-0926-SM-4BONX 50-59 years, female 3.8
GTEX-XYKS-1426-SM-4BRUO 60-69 years, female 3.8
GTEX-Y9LG-1126-SM-4VBQ7 30-39 years, male 3.8
GTEX-1LVAN-0626-SM-CNPOQ 50-59 years, female 3.8
GTEX-133LE-2326-SM-5K7W3 20-29 years, female 3.7
GTEX-13PVR-0426-SM-5RQK2 60-69 years, female 3.7
GTEX-ZAB4-2126-SM-5HL8U 40-49 years, male 3.7
GTEX-14JG6-1426-SM-9WG7C 30-39 years, female 3.7
GTEX-1QCLZ-2426-SM-EVYBW 60-69 years, female 3.7
GTEX-1211K-1526-SM-5FQU4 60-69 years, female 3.6
GTEX-13OVG-1626-SM-5J1NF 60-69 years, male 3.6
GTEX-14PJ5-1526-SM-6LLIL 60-69 years, female 3.4
GTEX-ZLWG-0826-SM-59888 50-59 years, female 3.4
GTEX-1HFI7-2326-SM-CGQFS 50-59 years, female 3.4
GTEX-1IDJE-1426-SM-ADEIW 50-59 years, female 3.4
GTEX-18A66-0626-SM-7LT8Z 60-69 years, male 3.3
GTEX-X3Y1-2026-SM-3P5YM 40-49 years, male 3.3
GTEX-147F3-1726-SM-5SIAW 50-59 years, female 3.2
GTEX-WYJK-0526-SM-3NM8Z 50-59 years, male 3.2
GTEX-1GF9U-2026-SM-7SB92 40-49 years, female 3.2
GTEX-13YAN-0226-SM-5TDC6 60-69 years, male 3.1
GTEX-1AX9J-1326-SM-731BJ 60-69 years, male 3.1
GTEX-1GPI7-1826-SM-9KNU1 20-29 years, male 3.1
GTEX-1HSMP-0926-SM-A9SKX 70-79 years, male 3.1
GTEX-15CHQ-0326-SM-69LQD 60-69 years, male 3.0
GTEX-ZTX8-1326-SM-4YCEL 20-29 years, male 3.0
GTEX-1IDJD-2326-SM-ACKWX 30-39 years, male 3.0
GTEX-11LCK-2226-SM-5HL4Q 30-39 years, male 2.9
GTEX-1A3MV-1826-SM-731CD 30-39 years, male 2.9
GTEX-Y3IK-1626-SM-4YCF5 50-59 years, female 2.9
GTEX-1HR9M-2226-SM-CNPPY 60-69 years, male 2.9
GTEX-1399S-0126-SM-5IJCF 30-39 years, female 2.8
GTEX-14C5O-0326-SM-5ZZUX 60-69 years, male 2.8
GTEX-14PKV-1126-SM-6LLJ1 20-29 years, female 2.8
GTEX-15D1Q-2826-SM-6LLH7 40-49 years, male 2.8
GTEX-17MF6-2626-SM-79OKQ 40-49 years, male 2.8
GTEX-ZT9X-1526-SM-5DUXD 40-49 years, male 2.8
GTEX-1F75W-2726-SM-7SB8H 60-69 years, male 2.8
GTEX-1HR98-2226-SM-ADEI2 60-69 years, male 2.8
GTEX-17EVQ-0126-SM-7IGLR 70-79 years, male 2.7
GTEX-1HKZK-0726-SM-ACKW2 40-49 years, male 2.7
GTEX-1KANA-1326-SM-DIPFA 20-29 years, male 2.7
GTEX-1S82P-2126-SM-E6CI5 60-69 years, female 2.7
GTEX-16MTA-0926-SM-6M47Z 50-59 years, male 2.6
GTEX-WHPG-2626-SM-3NMBR 50-59 years, male 2.6
GTEX-YEC4-1826-SM-4W1YP 40-49 years, male 2.6
GTEX-1JJ6O-2726-SM-CNPOG 60-69 years, male 2.6
GTEX-13U4I-2226-SM-5LU5H 40-49 years, female 2.5
GTEX-145MO-2826-SM-5LU96 60-69 years, male 2.5
GTEX-1H1DG-2426-SM-9QEHJ 70-79 years, male 2.5
GTEX-14LLW-2626-SM-62LDZ 70-79 years, female 2.4
GTEX-15CHC-1126-SM-6LLHQ 60-69 years, female 2.4
GTEX-15DYW-2726-SM-6EU2I 60-69 years, female 2.4
GTEX-16NGA-0726-SM-731AO 40-49 years, female 2.4
GTEX-ZVZP-1226-SM-5GID7 50-59 years, male 2.4
GTEX-1CB4I-0126-SM-7RHGG 50-59 years, male 2.4
GTEX-1HCU8-2526-SM-CE6RX 60-69 years, female 2.4
GTEX-1NV5F-0626-SM-DTXEG 60-69 years, female 2.4
GTEX-17F96-0126-SM-7EWDU 70-79 years, male 2.3
GTEX-1HCUA-0826-SM-ADEHM 50-59 years, female 2.3
GTEX-1PBJJ-1026-SM-E76OS 30-39 years, male 2.3
GTEX-1A32A-0626-SM-731AQ 50-59 years, female 2.2
GTEX-ZC5H-1526-SM-5HL9Y 40-49 years, female 2.2
GTEX-ZPCL-1126-SM-4WWFE 60-69 years, female 2.2
GTEX-1GZHY-0626-SM-9KNVC 50-59 years, female 2.2
GTEX-1I1CD-0626-SM-CE6SW 60-69 years, female 2.2
GTEX-1IDJV-0126-SM-COH3Y 60-69 years, male 2.2
GTEX-1LGOU-1326-SM-D3L8M 20-29 years, female 2.2
GTEX-1PPH7-1126-SM-DTX9A 40-49 years, male 2.2
GTEX-1QP9N-1226-SM-E76QN 30-39 years, male 2.2
GTEX-1R46S-2426-SM-E76QA 60-69 years, female 2.2
GTEX-11EQ9-1626-SM-5PNY8 30-39 years, male 2.1
GTEX-145MI-0626-SM-5SI8S 60-69 years, female 2.1
GTEX-WFG7-2026-SM-5SI7P 20-29 years, male 2.1
GTEX-1CAV2-0126-SM-7IGN7 40-49 years, female 2.0
GTEX-Y5V5-0126-SM-5S2NW 60-69 years, female 2.0
GTEX-1J1OQ-0126-SM-D4P2N 40-49 years, female 2.0
GTEX-1PIGE-1826-SM-E8VOU 20-29 years, male 2.0
GTEX-13D11-0926-SM-5J2NC 50-59 years, female 1.9
GTEX-13W3W-0726-SM-5IJDQ 60-69 years, female 1.9
GTEX-147F4-0726-SM-5TDDD 50-59 years, male 1.9
GTEX-14A6H-2026-SM-5Q5DD 30-39 years, male 1.9
GTEX-15RJ7-2126-SM-6PAMD 40-49 years, male 1.9
GTEX-17F97-2626-SM-7IGM5 50-59 years, male 1.9
GTEX-ZTTD-2826-SM-4YCFA 50-59 years, male 1.9
GTEX-1IE54-1126-SM-A9G2Z 40-49 years, female 1.9
GTEX-1PDJ9-1226-SM-EXUSX 20-29 years, male 1.9
GTEX-1QP28-1126-SM-EVYC4 50-59 years, female 1.9
GTEX-11DXW-0826-SM-5H118 40-49 years, male 1.8
GTEX-13OW5-2326-SM-5L3HO 60-69 years, male 1.8
GTEX-UPK5-0426-SM-3GAEK 40-49 years, male 1.8
GTEX-1HCU9-0426-SM-9WYSD 20-29 years, male 1.8
GTEX-1LBAC-0826-SM-CY8IJ 20-29 years, male 1.8
GTEX-1399R-1326-SM-5PNYS 30-39 years, male 1.7
GTEX-13JUV-2026-SM-5K7UA 40-49 years, female 1.7
GTEX-145LS-0626-SM-7EPG7 60-69 years, female 1.7
GTEX-V1D1-2026-SM-3GAF4 50-59 years, male 1.7
GTEX-1GF9W-1426-SM-7PBYM 60-69 years, male 1.7
GTEX-1I19N-0126-SM-CYPSF 70-79 years, male 1.7
GTEX-1I1HK-2326-SM-CKZOH 60-69 years, male 1.7
GTEX-1I6K7-1926-SM-B2LXR 40-49 years, male 1.7
GTEX-1J1R8-2026-SM-CL53Y 40-49 years, male 1.7
GTEX-1KANC-1226-SM-CYPT7 50-59 years, female 1.7
GTEX-14PJ6-2626-SM-6EU2T 60-69 years, female 1.6
GTEX-16NPX-0726-SM-7KULC 50-59 years, male 1.6
GTEX-1B97I-0626-SM-73KUZ 40-49 years, male 1.6
GTEX-XAJ8-1426-SM-47JYM 40-49 years, male 1.6
GTEX-ZPU1-1126-SM-4YCF3 40-49 years, male 1.6
GTEX-ZYVF-0926-SM-5E44J 50-59 years, female 1.6
GTEX-1GTWX-2026-SM-9YFLM 60-69 years, male 1.6
GTEX-1LSNL-2726-SM-E9TKJ 50-59 years, male 1.6
GTEX-1192X-2726-SM-5N9DN 50-59 years, male 1.5
GTEX-146FQ-2126-SM-5RQHU 30-39 years, male 1.5
GTEX-17HG3-2626-SM-7DUF2 30-39 years, female 1.5
GTEX-1C2JI-1026-SM-73KY1 50-59 years, male 1.5
GTEX-1EWIQ-0326-SM-7DHMQ 70-79 years, female 1.5
GTEX-VUSG-2326-SM-4KL1U 50-59 years, male 1.5
GTEX-XBEW-1126-SM-4QARW 40-49 years, male 1.5
GTEX-1122O-1026-SM-9WYSF 60-69 years, female 1.5
GTEX-1JN6P-2926-SM-CL54D 60-69 years, male 1.5
GTEX-1RAZQ-1326-SM-E9TK6 30-39 years, male 1.5
GTEX-1RB15-1326-SM-E76Q9 60-69 years, male 1.5
GTEX-13FHO-0426-SM-5L3F5 60-69 years, male 1.4
GTEX-14ABY-2026-SM-62LDL 50-59 years, male 1.4
GTEX-15EO6-2426-SM-6PALZ 50-59 years, male 1.4
GTEX-15RIG-0726-SM-7KUM7 40-49 years, male 1.4
GTEX-16MT9-0126-SM-7EPI8 60-69 years, female 1.4
GTEX-178AV-1726-SM-7KUL8 40-49 years, male 1.4
GTEX-18465-2826-SM-7LT9J 50-59 years, male 1.4
GTEX-1AMFI-1326-SM-7939R 50-59 years, female 1.4
GTEX-1F52S-2926-SM-7MKGA 60-69 years, female 1.4
GTEX-1F6IF-0926-SM-7SB7M 60-69 years, male 1.4
GTEX-1H3VE-0726-SM-9YFL5 40-49 years, male 1.4
GTEX-1LKK1-2626-SM-DKPQE 50-59 years, female 1.4
GTEX-12KS4-2126-SM-5FQUT 30-39 years, male 1.3
GTEX-13OW7-0426-SM-5K7VK 50-59 years, male 1.3
GTEX-13OW8-1026-SM-5J1NQ 60-69 years, male 1.3
GTEX-15FZZ-0526-SM-7KUGD 30-39 years, female 1.3
GTEX-ZVTK-0226-SM-51MRG 20-29 years, male 1.3
GTEX-ZY6K-1426-SM-5GZX2 50-59 years, male 1.3
GTEX-ZYY3-2926-SM-5GIEB 60-69 years, female 1.3
GTEX-1H1E6-0426-SM-9WYUS 30-39 years, male 1.3
GTEX-1HSMQ-2626-SM-A9SML 50-59 years, male 1.3
GTEX-1K2DA-1026-SM-CGQGF 50-59 years, male 1.3
GTEX-111YS-1526-SM-5GZYW 60-69 years, male 1.2
GTEX-13N2G-0226-SM-5K7VF 60-69 years, male 1.2
GTEX-13SLX-2226-SM-62LEP 50-59 years, female 1.2
GTEX-14BMV-2826-SM-5TDED 50-59 years, male 1.2
GTEX-15ER7-0626-SM-6PANF 20-29 years, female 1.2
GTEX-16XZZ-0726-SM-7KUF2 60-69 years, male 1.2
GTEX-17HII-1426-SM-7EPGG 50-59 years, male 1.2
GTEX-1B932-2326-SM-79OL5 40-49 years, female 1.2
GTEX-1GN1W-2426-SM-9KNUU 50-59 years, female 1.2
GTEX-1KWVE-1026-SM-D3L9O 30-39 years, male 1.2
GTEX-1N2DV-1526-SM-DTXEP 40-49 years, male 1.2
GTEX-1NSGN-0726-SM-DTXEF 50-59 years, male 1.2
GTEX-1S5ZU-2526-SM-E6CIF 20-29 years, female 1.2
GTEX-ZF3C-0626-SM-DO92O 50-59 years, female 1.2
GTEX-ZGAY-1826-SM-DO91Q 40-49 years, female 1.2
GTEX-ZPIC-0526-SM-DO91W 40-49 years, female 1.2
GTEX-13N1W-2426-SM-5IJD1 70-79 years, male 1.1
GTEX-13QJC-0126-SM-5ZZWJ 60-69 years, female 1.1
GTEX-14PJ3-1126-SM-5ZZVX 50-59 years, male 1.1
GTEX-14PJ4-0226-SM-5YY92 60-69 years, male 1.1
GTEX-14PJO-2526-SM-6AJBQ 60-69 years, male 1.1
GTEX-16GPK-0626-SM-7KFSF 60-69 years, male 1.1
GTEX-17JCI-2926-SM-7DUFF 60-69 years, female 1.1
GTEX-1B8KZ-0326-SM-73KY4 50-59 years, male 1.1
GTEX-1E1VI-0326-SM-793D1 50-59 years, male 1.1
GTEX-YJ8O-2526-SM-5HL85 40-49 years, female 1.1
GTEX-ZF2S-1626-SM-57WES 50-59 years, female 1.1
GTEX-14JFF-0626-SM-5ZZVT 60-69 years, male 1.1
GTEX-1GN1U-0626-SM-9MQL9 50-59 years, female 1.1
GTEX-1HCU6-2526-SM-ADEHL 60-69 years, female 1.1
GTEX-1KD5A-0126-SM-E9U54 50-59 years, male 1.1
GTEX-1LSVX-2526-SM-DIPEU 60-69 years, male 1.1
GTEX-1RAZR-2126-SM-E9U6T 40-49 years, male 1.1
GTEX-YEC3-1326-SM-DO92X 50-59 years, male 1.1
GTEX-11EI6-2826-SM-5H11D 60-69 years, male 1.0
GTEX-12WSD-0626-SM-5GCMW 60-69 years, female 1.0
GTEX-12WSH-1526-SM-5BC5W 50-59 years, male 1.0
GTEX-131XW-0626-SM-5PNVD 50-59 years, female 1.0
GTEX-13SLW-0626-SM-5Q5ER 70-79 years, male 1.0
GTEX-13X6K-0626-SM-5LU5D 60-69 years, female 1.0
GTEX-18A7A-0126-SM-731AH 50-59 years, female 1.0
GTEX-1B8KE-1126-SM-7EPHI 50-59 years, male 1.0
GTEX-WY7C-2126-SM-3NB2R 50-59 years, male 1.0
GTEX-X585-2426-SM-46MW2 50-59 years, male 1.0
GTEX-XOT4-0626-SM-4B66L 60-69 years, female 1.0
GTEX-1J8Q2-2626-SM-ACKWQ 60-69 years, male 1.0
GTEX-1K9T9-1526-SM-DIPFR 50-59 years, female 1.0
GTEX-1LG7Y-2526-SM-EWRO7 50-59 years, male 1.0
GTEX-1LVA9-2626-SM-EVYD4 50-59 years, male 1.0
GTEX-1N5O9-0926-SM-E9J3C 60-69 years, male 1.0
GTEX-1QP2A-1726-SM-E76QC 50-59 years, male 1.0
GTEX-1S3DN-2126-SM-E9TIN 50-59 years, male 1.0
GTEX-11NSD-0626-SM-5A5LU 20-29 years, male 0.9
GTEX-13112-0126-SM-5P9IU 50-59 years, male 0.9
GTEX-131XG-0326-SM-5L3DX 50-59 years, female 0.9
GTEX-14753-0726-SM-5QGQO 60-69 years, male 0.9
GTEX-147GR-2426-SM-5ZZWQ 60-69 years, male 0.9
GTEX-14DAQ-0626-SM-793DS 60-69 years, female 0.9
GTEX-14PII-0726-SM-6EU2B 60-69 years, male 0.9
GTEX-16Z82-2626-SM-7KULU 60-69 years, male 0.9
GTEX-17F9E-2326-SM-79OKD 50-59 years, male 0.9
GTEX-18A6Q-0626-SM-7KFRP 60-69 years, male 0.9
GTEX-18QFQ-1826-SM-72D52 30-39 years, male 0.9
GTEX-1C6WA-2626-SM-7MKGM 60-69 years, male 0.9
GTEX-1CB4F-1026-SM-7DUH1 60-69 years, male 0.9
GTEX-WRHU-2826-SM-3MJG8 50-59 years, female 0.9
GTEX-ZVT4-2426-SM-5GIEI 50-59 years, female 0.9
GTEX-1GZ2Q-0126-SM-9WG6M 40-49 years, male 0.9
GTEX-1H1CY-0126-SM-9YFLY 60-69 years, female 0.9
GTEX-1H2FU-0926-SM-9WPPT 60-69 years, female 0.9
GTEX-1I6K6-1726-SM-CGQFD 30-39 years, male 0.9
GTEX-1JKYR-0626-SM-ARL8R 20-29 years, male 0.9
GTEX-1JMQI-1726-SM-ARL93 50-59 years, male 0.9
GTEX-1JN76-0626-SM-CKZOQ 20-29 years, female 0.9
GTEX-1KAFJ-0126-SM-DIPEK 50-59 years, male 0.9
GTEX-1MCYP-0526-SM-E9U6Q 20-29 years, female 0.9
GTEX-1QEPI-2626-SM-DTXF4 60-69 years, female 0.9
GTEX-1S83E-1326-SM-E6CJM 40-49 years, male 0.9
GTEX-11TUW-0626-SM-5LU9M 60-69 years, male 0.8
GTEX-12WSF-1626-SM-7KUG5 70-79 years, male 0.8
GTEX-12ZZY-0726-SM-5EQ66 60-69 years, male 0.8
GTEX-1399U-1126-SM-5L3DB 50-59 years, female 0.8
GTEX-13O61-1426-SM-5KM3D 60-69 years, male 0.8
GTEX-13PVQ-0626-SM-5LU47 50-59 years, male 0.8
GTEX-13VXU-0626-SM-5L3F9 50-59 years, male 0.8
GTEX-17HGU-2326-SM-7DUFE 50-59 years, male 0.8
GTEX-1B8SF-0126-SM-7DUG3 60-69 years, male 0.8
GTEX-WHWD-1826-SM-3LK6I 50-59 years, male 0.8
GTEX-Y114-2126-SM-4TT8B 50-59 years, female 0.8
GTEX-ZAK1-0626-SM-5HL8E 50-59 years, female 0.8
GTEX-ZP4G-1426-SM-4WWCL 20-29 years, female 0.8
GTEX-1GZ4H-0526-SM-9KNU9 50-59 years, female 0.8
GTEX-1H4P4-2126-SM-9WYSL 50-59 years, male 0.8
GTEX-1HSKV-1226-SM-ADEI4 60-69 years, male 0.8
GTEX-1RMOY-1326-SM-E9TIH 50-59 years, male 0.8
GTEX-12ZZZ-0726-SM-5GCNZ 60-69 years, male 0.7
GTEX-139TS-2126-SM-5K7XC 60-69 years, male 0.7
GTEX-13IVO-0726-SM-5LZYV 70-79 years, male 0.7
GTEX-13O3Q-0126-SM-5KM34 50-59 years, male 0.7
GTEX-13PL6-1126-SM-5L3IE 40-49 years, female 0.7
GTEX-13VXT-1926-SM-5K7UO 20-29 years, female 0.7
GTEX-13X6J-0626-SM-5LU5F 50-59 years, male 0.7
GTEX-144GO-2026-SM-5O99P 60-69 years, male 0.7
GTEX-145MF-0926-SM-5Q5EA 50-59 years, male 0.7
GTEX-14JG1-1526-SM-5YY9X 40-49 years, male 0.7
GTEX-14PJ2-0626-SM-6LLII 50-59 years, male 0.7
GTEX-17KNJ-2126-SM-718AM 50-59 years, male 0.7
GTEX-17MFQ-1526-SM-7KFRR 20-29 years, male 0.7
GTEX-18A67-1626-SM-7LT9T 50-59 years, male 0.7
GTEX-18A7B-2726-SM-7LG56 70-79 years, male 0.7
GTEX-WHSB-1326-SM-3LK6W 50-59 years, male 0.7
GTEX-ZE7O-2726-SM-51MT5 50-59 years, female 0.7
GTEX-ZUA1-2626-SM-5NQ92 40-49 years, male 0.7
GTEX-ZYFC-0426-SM-5GICQ 50-59 years, male 0.7
GTEX-1GF9V-0826-SM-9KNUV 60-69 years, male 0.7
GTEX-1GMR8-0626-SM-7RHI7 50-59 years, female 0.7
GTEX-1GN73-0726-SM-7P8TJ 60-69 years, male 0.7
GTEX-1HCU7-0726-SM-A9SL1 50-59 years, male 0.7
GTEX-1HGF4-0126-SM-CNPPX 60-69 years, male 0.7
GTEX-1HSGN-0826-SM-ACKW3 40-49 years, female 0.7
GTEX-1J8JJ-0626-SM-ARZMQ 60-69 years, female 0.7
GTEX-1M4P7-0726-SM-E6CJ3 60-69 years, male 0.7
GTEX-1QCLY-0226-SM-EWRNH 30-39 years, male 0.7
GTEX-1QMI2-2526-SM-E8VNZ 60-69 years, male 0.7
GTEX-111FC-2526-SM-5GZXU 60-69 years, male 0.6
GTEX-11GS4-0226-SM-5HL77 60-69 years, male 0.6
GTEX-11UD2-2526-SM-5CVNU 50-59 years, male 0.6
GTEX-1212Z-0126-SM-59HK4 60-69 years, male 0.6
GTEX-12696-0126-SM-5EQ4L 60-69 years, male 0.6
GTEX-13FLV-0126-SM-5K7WT 50-59 years, male 0.6
GTEX-13O3O-2326-SM-5IJD6 60-69 years, female 0.6
GTEX-13OVH-0526-SM-5L3E6 70-79 years, male 0.6
GTEX-13OW6-2726-SM-5J2OE 50-59 years, male 0.6
GTEX-148VJ-0626-SM-5LUAW 70-79 years, male 0.6
GTEX-14C39-1726-SM-5RQIL 40-49 years, male 0.6
GTEX-14LZ3-0126-SM-69LPM 60-69 years, female 0.6
GTEX-16AAH-0626-SM-793C9 50-59 years, male 0.6
GTEX-16YQH-2226-SM-7IGM2 30-39 years, male 0.6
GTEX-17HHE-1326-SM-7EWDZ 50-59 years, male 0.6
GTEX-17HHY-0426-SM-7DHLC 50-59 years, male 0.6
GTEX-XBEC-0726-SM-4QARZ 50-59 years, male 0.6
GTEX-XQ8I-0926-SM-4BOOF 50-59 years, male 0.6
GTEX-Z93S-1626-SM-5CVMB 50-59 years, male 0.6
GTEX-ZDTS-0826-SM-4WKHL 60-69 years, male 0.6
GTEX-ZDTT-0426-SM-4WKFL 60-69 years, male 0.6
GTEX-1C64N-2626-SM-7PC2N 50-59 years, male 0.6
GTEX-1C64O-1326-SM-7MGWR 60-69 years, male 0.6
GTEX-1EMGI-2326-SM-7PBYA 60-69 years, male 0.6
GTEX-1GPI6-1926-SM-9KNV7 60-69 years, male 0.6
GTEX-1H11D-1826-SM-9QEHM 40-49 years, male 0.6
GTEX-1IOXB-2726-SM-CM2RI 50-59 years, male 0.6
GTEX-1OJC4-2726-SM-E76PJ 50-59 years, female 0.6
GTEX-11DXY-0126-SM-5H11Q 60-69 years, male 0.5
GTEX-11O72-0626-SM-5PNYE 40-49 years, male 0.5
GTEX-11P7K-1126-SM-5HL4L 30-39 years, male 0.5
GTEX-1313W-0626-SM-5EQ4H 50-59 years, female 0.5
GTEX-131XF-2626-SM-5EQ6K 60-69 years, male 0.5
GTEX-139TT-2126-SM-5LZWC 60-69 years, male 0.5
GTEX-139UW-0326-SM-5J1ML 60-69 years, male 0.5
GTEX-13OVL-0126-SM-5L3GJ 50-59 years, male 0.5
GTEX-144GL-0626-SM-5LU4D 50-59 years, male 0.5
GTEX-145LU-1926-SM-79OJN 50-59 years, male 0.5
GTEX-14BIN-1126-SM-5RQJZ 50-59 years, female 0.5
GTEX-15CHR-1126-SM-7EWF4 50-59 years, male 0.5
GTEX-1B996-0426-SM-7EWF8 60-69 years, male 0.5
GTEX-UPJH-0226-SM-3GADV 50-59 years, male 0.5
GTEX-WK11-2726-SM-3NMAQ 50-59 years, male 0.5
GTEX-ZU9S-1826-SM-5NQ9E 30-39 years, male 0.5
GTEX-ZXG5-2126-SM-59HKD 60-69 years, male 0.5
GTEX-1F6RS-2026-SM-7RHHC 60-69 years, female 0.5
GTEX-1F75A-0726-SM-7RHHD 50-59 years, male 0.5
GTEX-1F88F-0126-SM-9WYSZ 60-69 years, female 0.5
GTEX-1GMR3-0126-SM-A9SLW 40-49 years, male 0.5
GTEX-1GMRU-2126-SM-7P8RA 50-59 years, male 0.5
GTEX-1GN2E-0226-SM-9WG6K 60-69 years, male 0.5
GTEX-1GZ4I-2626-SM-9KNU3 50-59 years, male 0.5
GTEX-1HBPI-2126-SM-ARL9K 50-59 years, male 0.5
GTEX-1HCVE-2726-SM-CL54F 50-59 years, male 0.5
GTEX-1I1GT-1026-SM-ARZLV 60-69 years, female 0.5
GTEX-1IDFM-0326-SM-ARL7V 60-69 years, male 0.5
GTEX-1IDJH-0126-SM-D3L92 70-79 years, male 0.5
GTEX-1IKJJ-2226-SM-CJI4C 60-69 years, male 0.5
GTEX-1IY9M-2826-SM-ARU8H 60-69 years, male 0.5
GTEX-1JJE9-2626-SM-ARZMT 70-79 years, male 0.5
GTEX-1JMQJ-0826-SM-CNPP7 50-59 years, male 0.5
GTEX-1POEN-2326-SM-E9J2L 30-39 years, female 0.5
GTEX-1PPGY-1626-SM-EVYBL 60-69 years, male 0.5
GTEX-1RAZS-2526-SM-E6CHT 50-59 years, male 0.5
GTEX-11DXZ-2026-SM-5987S 50-59 years, male 0.4
GTEX-11NUK-2726-SM-5A5MC 50-59 years, male 0.4
GTEX-11WQC-1826-SM-5GU59 60-69 years, male 0.4
GTEX-11ZU8-0126-SM-5EQ58 60-69 years, male 0.4
GTEX-12126-0826-SM-5FQTZ 20-29 years, male 0.4
GTEX-12WSA-0426-SM-5EQ5X 60-69 years, male 0.4
GTEX-12WSM-1926-SM-5BC65 60-69 years, male 0.4
GTEX-12ZZX-2426-SM-5GCOE 40-49 years, female 0.4
GTEX-1399Q-2326-SM-5KM2X 40-49 years, male 0.4
GTEX-13FTY-2126-SM-5IFFB 40-49 years, female 0.4
GTEX-13NYB-0126-SM-5J1MD 40-49 years, male 0.4
GTEX-13NZ9-2626-SM-5L3FK 50-59 years, male 0.4
GTEX-13PDP-0726-SM-5L3HP 60-69 years, male 0.4
GTEX-15RIE-1926-SM-7KUKJ 60-69 years, male 0.4
GTEX-1BAJH-2426-SM-7IGP8 70-79 years, male 0.4
GTEX-1EH9U-2826-SM-7DUGT 60-69 years, male 0.4
GTEX-1EKGG-0626-SM-7DUGJ 60-69 years, male 0.4
GTEX-1EN7A-2426-SM-793DB 40-49 years, male 0.4
GTEX-XQ3S-1426-SM-4BOPR 20-29 years, male 0.4
GTEX-YECK-0326-SM-4W1YS 60-69 years, male 0.4
GTEX-YFCO-1226-SM-5LUAT 40-49 years, male 0.4
GTEX-ZYT6-2326-SM-5GZY3 30-39 years, male 0.4
GTEX-1E2YA-2126-SM-7MXUO 50-59 years, male 0.4
GTEX-1H3O1-1326-SM-9MQLD 60-69 years, male 0.4
GTEX-1HFI6-0126-SM-CNPPI 40-49 years, male 0.4
GTEX-1I1GV-0626-SM-ARL7M 60-69 years, male 0.4
GTEX-1JK1U-0226-SM-ARZMX 60-69 years, male 0.4
GTEX-1KANB-2826-SM-CY8I6 50-59 years, male 0.4
GTEX-1N2EE-0626-SM-E76PW 60-69 years, male 0.4
GTEX-1QW4Y-1126-SM-DTXE3 30-39 years, male 0.4
GTEX-1S82U-1026-SM-E6CJK 30-39 years, female 0.4
GTEX-11EQ8-0926-SM-5H12V 60-69 years, male 0.3
GTEX-11OF3-0126-SM-5PNYF 60-69 years, male 0.3
GTEX-11ZUS-2626-SM-5FQUR 30-39 years, male 0.3
GTEX-1269C-0126-SM-5EQ5L 60-69 years, female 0.3
GTEX-13G51-1826-SM-5KLZH 60-69 years, male 0.3
GTEX-17EVP-2626-SM-7IGMA 40-49 years, male 0.3
GTEX-1A8G6-2726-SM-731AR 60-69 years, male 0.3
GTEX-1A8G7-1326-SM-73KVM 60-69 years, male 0.3
GTEX-1AX9I-2226-SM-73KUO 60-69 years, male 0.3
GTEX-1CB4E-0926-SM-7EPHT 60-69 years, male 0.3
GTEX-1EU9M-1426-SM-793AI 60-69 years, male 0.3
GTEX-Y111-0626-SM-4SOIT 50-59 years, male 0.3
GTEX-Y8E4-2026-SM-5IFJB 40-49 years, male 0.3
GTEX-ZE9C-2526-SM-5IJDR 60-69 years, male 0.3
GTEX-1C6VR-0126-SM-7RHGB 60-69 years, male 0.3
GTEX-1CAMQ-1326-SM-7P8RV 40-49 years, male 0.3
GTEX-1GF9X-1326-SM-7PC2Y 40-49 years, female 0.3
GTEX-1IL2V-1926-SM-B2LW8 70-79 years, male 0.3
GTEX-1JMPY-0226-SM-CKZOK 30-39 years, male 0.3
GTEX-1LB8K-0726-SM-D5OV2 50-59 years, male 0.3
GTEX-111VG-1626-SM-5EGIO 60-69 years, male 0.2
GTEX-11DYG-1526-SM-5A5JS 60-69 years, male 0.2
GTEX-11P81-2226-SM-5PNYI 30-39 years, female 0.2
GTEX-11PRG-0726-SM-5EGL1 50-59 years, male 0.2
GTEX-139TU-0726-SM-5L3EK 60-69 years, male 0.2
GTEX-13JVG-0726-SM-5KM16 60-69 years, male 0.2
GTEX-15RJE-2826-SM-7KUM9 40-49 years, male 0.2
GTEX-1B933-2426-SM-7DHMD 50-59 years, female 0.2
GTEX-1B8L1-2226-SM-7P8PT 60-69 years, male 0.2
GTEX-1F6I4-2326-SM-7RHGL 60-69 years, male 0.2
GTEX-1GN1V-2826-SM-9JGIA 60-69 years, male 0.2
GTEX-1H1DE-1326-SM-9KNUG 20-29 years, male 0.2
GTEX-1HT8W-0626-SM-A9G2H 30-39 years, male 0.2
GTEX-1I1GP-1326-SM-A9G28 50-59 years, male 0.2
GTEX-1J8EW-2726-SM-CY8HR 60-69 years, female 0.2
GTEX-1LVAM-0726-SM-E6CIL 50-59 years, female 0.2
GTEX-1OJC3-1226-SM-DTXER 20-29 years, male 0.2
GTEX-1PIIG-2326-SM-DTXFR 30-39 years, male 0.2
GTEX-12WSC-2826-SM-5BC5Y 50-59 years, male 0.1
GTEX-131XH-0126-SM-5LZUY 50-59 years, male 0.1
GTEX-13NZ8-1226-SM-5KM4A 60-69 years, female 0.1
GTEX-145MH-2826-SM-5RQJF 50-59 years, male 0.1
GTEX-15DDE-2926-SM-6LLJ3 50-59 years, female 0.1
GTEX-ZWKS-0626-SM-5GIDV 30-39 years, male 0.1
GTEX-1JMLX-0626-SM-ARL8T 50-59 years, male 0.1
GTEX-1R9PM-1926-SM-EVR3O 20-29 years, male 0.1
GTEX-1JJEA-1826-SM-ARU8P 60-69 years, male 0.0
Show allShow less
Skin - Sun Exposed (Lower leg)
Average nTPM: 24.6
Samples: 701

Max nTPM: 1219.6
Min nTPM: 0.1
Std nTPM: 88.9
Median nTPM: 3.1
GTEX-1PWST-0226-SM-E76QJ 70-79 years, male 1219.6
GTEX-1JMOU-1526-SM-CL54I 60-69 years, female 864.9
GTEX-13OVJ-0126-SM-5KM36 50-59 years, female 811.9
GTEX-1RLM8-2326-SM-EWRN4 50-59 years, male 704.4
GTEX-1F48J-0126-SM-7P8TT 50-59 years, female 593.8
GTEX-144GN-2326-SM-5LU4F 50-59 years, male 501.4
GTEX-ZQG8-1626-SM-DHXIT 60-69 years, female 493.9
GTEX-15EOM-0126-SM-7KUGG 20-29 years, female 456.7
GTEX-183WM-0126-SM-7LTAB 70-79 years, female 450.8
GTEX-QDVN-2026-SM-3GAEP 50-59 years, male 378.4
GTEX-1A3MW-0126-SM-73KXX 60-69 years, female 324.7
GTEX-Q734-1926-SM-2I5EV 40-49 years, female 322.0
GTEX-1C6VQ-0126-SM-7P8RI 50-59 years, male 298.2
GTEX-14PK6-1926-SM-6ETZU 70-79 years, female 289.9
GTEX-ZYW4-0126-SM-5E44A 60-69 years, male 239.1
GTEX-ZF28-0126-SM-4WKGK 60-69 years, male 238.0
GTEX-13FHO-0226-SM-5IFGY 60-69 years, male 200.7
GTEX-ZF3C-0126-SM-DO92D 50-59 years, female 196.2
GTEX-WOFL-0126-SM-3MJG2 60-69 years, male 190.8
GTEX-Y3I4-2126-SM-4TT7C 50-59 years, male 188.9
GTEX-12WSL-2526-SM-5GCNJ 50-59 years, male 184.8
GTEX-14E6C-0126-SM-5RQIP 40-49 years, male 172.6
GTEX-18D9B-0526-SM-7LTAS 60-69 years, male 156.0
GTEX-1R9K4-0126-SM-DTX9X 60-69 years, male 153.0
GTEX-13O1R-0126-SM-5L3EH 60-69 years, male 149.9
GTEX-13OVG-1926-SM-5L3DK 60-69 years, male 147.7
GTEX-WI4N-1026-SM-3LK7N 40-49 years, female 136.0
GTEX-13OVI-1426-SM-5L3EY 60-69 years, female 132.1
GTEX-RUSQ-1526-SM-2TF62 50-59 years, male 131.6
GTEX-1ICLZ-0126-SM-CKZPO 60-69 years, male 131.3
GTEX-1H23P-0126-SM-ADEJ3 60-69 years, male 119.6
GTEX-U4B1-1826-SM-4DXSU 40-49 years, male 119.1
GTEX-X4XY-0226-SM-4E3IZ 60-69 years, male 112.2
GTEX-1H3VE-0326-SM-9YFLH 40-49 years, male 110.7
GTEX-12584-0126-SM-5EGKQ 40-49 years, male 104.9
GTEX-U8XE-0326-SM-3DB8P 30-39 years, male 104.5
GTEX-1QP67-1626-SM-EAZ3X 40-49 years, female 101.8
GTEX-139D8-0226-SM-5KLZO 30-39 years, female 99.7
GTEX-13RTJ-2426-SM-5S2Q2 60-69 years, male 98.9
GTEX-14XAO-2326-SM-6EU1B 60-69 years, female 95.1
GTEX-146FH-0126-SM-5QGPP 50-59 years, female 94.0
GTEX-1R7EV-2426-SM-EVYBG 40-49 years, male 86.9
GTEX-13NYS-0126-SM-5MR3W 60-69 years, male 86.4
GTEX-1M4P7-0226-SM-DIPEV 60-69 years, male 82.1
GTEX-15G19-0126-SM-6PANQ 60-69 years, male 79.6
GTEX-OOBK-0126-SM-2YUND 40-49 years, male 77.9
GTEX-1KD5A-0226-SM-D5OV3 50-59 years, male 75.6
GTEX-15UF6-0826-SM-6PALJ 70-79 years, female 75.4
GTEX-11WQK-0526-SM-5EQLD 50-59 years, male 73.9
GTEX-XXEK-2226-SM-4BRUM 50-59 years, male 67.0
GTEX-1LC47-0326-SM-E9TJP 60-69 years, male 66.4
GTEX-1H2FU-0126-SM-9WYSI 60-69 years, female 66.0
GTEX-144FL-0126-SM-5TDC8 50-59 years, male 64.4
GTEX-XV7Q-2526-SM-4BRV9 40-49 years, female 64.4
GTEX-QDVJ-1726-SM-2I5FX 50-59 years, male 63.6
GTEX-11DZ1-0126-SM-5985Q 50-59 years, male 63.4
GTEX-12WSN-5019-SM-79OM6 40-49 years, male 60.5
GTEX-1I1GU-2226-SM-CGQFA 40-49 years, male 59.1
GTEX-13YAN-0326-SM-5O9DF 60-69 years, male 58.8
GTEX-1HB9E-0226-SM-E9U4R 50-59 years, male 58.3
GTEX-1JMPZ-0226-SM-CNPP1 30-39 years, male 53.4
GTEX-13NYC-0326-SM-E9J4S 60-69 years, male 51.2
GTEX-11DXX-2426-SM-5GZZW 60-69 years, female 50.3
GTEX-11UD1-0126-SM-5PNYG 40-49 years, female 50.3
GTEX-NPJ8-0126-SM-2YUNR 40-49 years, male 50.1
GTEX-R55G-2526-SM-2TC6D 40-49 years, female 49.8
GTEX-ZTPG-0326-SM-5O9AX 20-29 years, female 49.5
GTEX-146FR-1326-SM-E9J48 60-69 years, female 47.5
GTEX-1N2DV-0226-SM-E6CJ6 40-49 years, male 47.4
GTEX-Q2AH-1626-SM-3GAF8 40-49 years, male 46.1
GTEX-OHPL-0126-SM-2HMJ7 60-69 years, female 43.8
GTEX-13X6I-0626-SM-5QGP9 60-69 years, male 43.4
GTEX-1ICG6-2526-SM-CGQFZ 70-79 years, female 43.4
GTEX-1CB4H-0226-SM-7PBXM 60-69 years, female 43.3
GTEX-1HSMO-0126-SM-CL547 60-69 years, male 40.2
GTEX-17F97-0326-SM-7LG5B 50-59 years, male 38.7
GTEX-W5X1-3026-SM-EAZAX 40-49 years, female 38.7
GTEX-1I1GS-0126-SM-B2LVW 60-69 years, male 38.6
GTEX-ZPIC-1726-SM-DHXIU 40-49 years, female 37.7
GTEX-Y8LW-1826-SM-5S2MV 50-59 years, female 36.8
GTEX-X5EB-2226-SM-46MW4 40-49 years, male 34.8
GTEX-1A3MX-0126-SM-731BR 60-69 years, male 33.9
GTEX-1K9T9-0126-SM-EVYCF 50-59 years, female 33.5
GTEX-145LV-2126-SM-5LU8N 50-59 years, male 33.4
GTEX-1AX8Z-0126-SM-7DHM6 60-69 years, male 32.6
GTEX-1NV5F-0226-SM-E8VNY 60-69 years, female 32.6
GTEX-XYKS-2126-SM-4E3IB 60-69 years, female 32.3
GTEX-16XZY-2126-SM-79OK1 70-79 years, male 31.9
GTEX-12WSK-2326-SM-5GCOH 40-49 years, female 31.2
GTEX-14JIY-0126-SM-6LLH6 60-69 years, male 31.0
GTEX-1HBPM-0226-SM-ARL9F 60-69 years, female 31.0
GTEX-13NZA-0226-SM-5K7Z7 60-69 years, male 30.4
GTEX-15SHW-0326-SM-6PAML 60-69 years, male 28.4
GTEX-1N2EF-0226-SM-EYYXB 60-69 years, male 27.9
GTEX-1CB4J-0626-SM-7DHMP 60-69 years, male 27.8
GTEX-PWCY-1826-SM-DHXIZ 20-29 years, female 27.7
GTEX-Y5LM-1926-SM-5RQJH 40-49 years, female 26.1
GTEX-14PHW-0126-SM-6LLJI 60-69 years, female 26.0
GTEX-12WSJ-1826-SM-5GCNY 40-49 years, female 25.9
GTEX-1JJE9-0326-SM-CL53Z 70-79 years, male 25.2
GTEX-11TTK-0126-SM-5987B 60-69 years, female 24.2
GTEX-1S82Z-0826-SM-E6CHY 30-39 years, female 23.7
GTEX-TSE9-0126-SM-3DB83 60-69 years, female 23.4
GTEX-PLZ4-0126-SM-5SI8O 50-59 years, female 23.2
GTEX-1R9PO-2126-SM-E9J4O 60-69 years, female 22.9
GTEX-S32W-2126-SM-2XCB1 50-59 years, female 22.6
GTEX-1AX9K-2326-SM-73KWU 50-59 years, male 22.4
GTEX-1JMQK-0226-SM-CL543 60-69 years, male 22.4
GTEX-1RDX4-0126-SM-E9J4P 50-59 years, female 22.2
GTEX-ZVE2-0226-SM-59HJB 50-59 years, male 21.9
GTEX-1F88F-2726-SM-7PBZZ 60-69 years, female 21.7
GTEX-WQUQ-0426-SM-3MJFU 60-69 years, male 21.5
GTEX-13VXT-0126-SM-5LU4I 20-29 years, female 21.4
GTEX-1C6VS-0526-SM-7DUEN 60-69 years, male 21.4
GTEX-169BO-1326-SM-9MQK2 50-59 years, male 21.4
GTEX-13RTK-1426-SM-5QGQJ 20-29 years, male 21.2
GTEX-11P82-1626-SM-59879 20-29 years, male 21.1
GTEX-15D1Q-0126-SM-7KUG6 40-49 years, male 20.8
GTEX-183FY-0126-SM-7LT9P 20-29 years, male 20.5
GTEX-17EVQ-0226-SM-7LG4P 70-79 years, male 20.2
GTEX-1497J-2426-SM-7IGNX 60-69 years, male 20.0
GTEX-P4PP-0126-SM-3LK69 30-39 years, female 19.9
GTEX-QDT8-0126-SM-48TZ1 30-39 years, female 19.5
GTEX-1HCVE-0126-SM-CGQEU 50-59 years, male 19.5
GTEX-14C5O-0126-SM-5SI6N 60-69 years, male 19.2
GTEX-XMD2-0126-SM-4YCDU 60-69 years, female 19.1
GTEX-ZDXO-3026-SM-5J1N5 60-69 years, male 18.9
GTEX-ZZPT-0226-SM-5E43X 50-59 years, male 18.3
GTEX-1J1R8-1726-SM-ARL8M 40-49 years, male 18.3
GTEX-1R46S-0626-SM-E9J41 60-69 years, female 18.2
GTEX-15UKP-0426-SM-7KUFQ 20-29 years, male 17.9
GTEX-1ICLY-0126-SM-D4P36 50-59 years, male 17.8
GTEX-Z93T-0126-SM-5HL5N 50-59 years, male 17.7
GTEX-ZAJG-0126-SM-5HL94 50-59 years, female 17.1
GTEX-139T8-0126-SM-5K7XZ 60-69 years, male 16.2
GTEX-P4PQ-0126-SM-2S1NM 60-69 years, male 15.5
GTEX-13CF3-2426-SM-5IFGX 60-69 years, female 14.6
GTEX-17EUY-0426-SM-793BD 20-29 years, male 14.6
GTEX-1JN76-0126-SM-CNPPE 20-29 years, female 14.6
GTEX-12C56-1726-SM-5EQ61 20-29 years, male 14.2
GTEX-145MI-0526-SM-5O9A8 60-69 years, female 13.9
GTEX-X4EP-0126-SM-3P5YV 60-69 years, female 13.8
GTEX-1AYD5-2426-SM-73KXR 50-59 years, male 13.7
GTEX-T8EM-1026-SM-3DB7M 40-49 years, male 13.6
GTEX-1JKYN-1326-SM-CGQG9 30-39 years, male 13.6
GTEX-18A7B-0126-SM-7LG64 70-79 years, male 13.5
GTEX-13FH7-2026-SM-E9J4I 50-59 years, female 13.3
GTEX-P44H-0226-SM-2XCEU 40-49 years, male 13.2
GTEX-SUCS-1926-SM-32PM3 70-79 years, male 13.1
GTEX-1MCYP-1926-SM-E9J2R 20-29 years, female 13.1
GTEX-1QPFJ-0226-SM-E76PB 30-39 years, female 13.0
GTEX-QCQG-1726-SM-3GIJ9 50-59 years, female 12.7
GTEX-OXRO-0126-SM-2YUN4 60-69 years, female 12.6
GTEX-133LE-1826-SM-5J1MV 20-29 years, female 12.5
GTEX-PWO3-1526-SM-48TCM 60-69 years, female 12.4
GTEX-13QJ3-0326-SM-5S2RA 50-59 years, male 12.3
GTEX-1HBPN-0226-SM-9YFM1 50-59 years, male 12.3
GTEX-1211K-2026-SM-5EQ4Z 60-69 years, female 12.0
GTEX-13X6H-2126-SM-7EWD5 50-59 years, female 12.0
GTEX-X8HC-0126-SM-4E3JW 50-59 years, female 11.9
GTEX-1H3NZ-0126-SM-ACKX7 60-69 years, male 11.9
GTEX-17F98-0626-SM-79OMX 40-49 years, female 11.8
GTEX-1LH75-2426-SM-E9TJE 50-59 years, female 11.8
GTEX-1GN1W-0526-SM-9MQJQ 50-59 years, female 11.7
GTEX-1QP29-0626-SM-EWRMX 50-59 years, male 11.7
GTEX-1122O-2126-SM-5EGIR 60-69 years, female 11.3
GTEX-POMQ-2226-SM-2I5FK 20-29 years, female 11.3
GTEX-1IDJU-2626-SM-CM2RT 60-69 years, female 11.2
GTEX-1269C-2526-SM-5EGJ3 60-69 years, female 11.1
GTEX-13113-5016-SM-7EPIP 60-69 years, female 11.1
GTEX-13O3P-0126-SM-5KM4S 50-59 years, male 10.9
GTEX-1EX96-1626-SM-7PBXR 50-59 years, male 10.8
GTEX-13W3W-2426-SM-5LU5B 60-69 years, female 10.7
GTEX-15SB6-1726-SM-6PAME 50-59 years, female 10.7
GTEX-18A67-0126-SM-7LG5P 50-59 years, male 10.7
GTEX-Q2AI-1326-SM-2S1PL 40-49 years, male 10.7
GTEX-R45C-0126-SM-EAZ2R 60-69 years, female 10.7
GTEX-ZDYS-2026-SM-5HL5L 50-59 years, male 10.6
GTEX-1C2JI-1826-SM-73KXC 50-59 years, male 10.5
GTEX-X88G-0126-SM-47JZ3 30-39 years, male 10.5
GTEX-111VG-2426-SM-5GZXD 60-69 years, male 10.4
GTEX-11VI4-1726-SM-5CVLH 40-49 years, female 10.3
GTEX-14LLW-0126-SM-6LLIO 70-79 years, female 10.3
GTEX-YB5E-2026-SM-5IFIS 40-49 years, male 10.1
GTEX-146FQ-0126-SM-5NQA9 30-39 years, male 9.9
GTEX-XUW1-0426-SM-4BOOT 50-59 years, female 9.8
GTEX-1HUB1-0426-SM-E9U4U 60-69 years, male 9.8
GTEX-1PPH7-2326-SM-EVYB8 40-49 years, male 9.8
GTEX-16MT8-0426-SM-7KUEY 60-69 years, female 9.6
GTEX-1IDFM-0126-SM-COH2V 60-69 years, male 9.6
GTEX-ZF29-2326-SM-DO92K 60-69 years, female 9.6
GTEX-1HFI7-1826-SM-ACKXH 50-59 years, female 9.5
GTEX-1N2DW-0226-SM-E9TK2 50-59 years, male 9.5
GTEX-11LCK-1026-SM-5A5KB 30-39 years, male 9.4
GTEX-11ZVC-2526-SM-5FQTE 50-59 years, female 9.4
GTEX-1IKOH-0226-SM-COH4E 60-69 years, female 9.4
GTEX-O5YT-0126-SM-48TBW 20-29 years, male 9.2
GTEX-O5YW-0126-SM-3LK6D 50-59 years, male 9.1
GTEX-1K2DU-2326-SM-E9TIV 20-29 years, male 9.1
GTEX-14PHX-2326-SM-62LEM 50-59 years, male 9.0
GTEX-ZVT2-2526-SM-51MT1 50-59 years, female 9.0
GTEX-1HSMP-0126-SM-E6CJS 70-79 years, male 9.0
GTEX-145LT-1726-SM-5QGP3 40-49 years, male 8.8
GTEX-147F3-0526-SM-5SI98 50-59 years, female 8.8
GTEX-1IE54-0126-SM-CMKHW 40-49 years, female 8.8
GTEX-1I1HK-0126-SM-COH49 60-69 years, male 8.7
GTEX-1LGRB-2526-SM-CNPPQ 50-59 years, female 8.6
GTEX-1CAMS-0426-SM-7P8T2 40-49 years, female 8.5
GTEX-1HGF4-2426-SM-ACKXM 60-69 years, male 8.4
GTEX-1HR98-0126-SM-B2LWI 60-69 years, male 8.4
GTEX-U3ZM-1526-SM-3DB9D 40-49 years, male 8.1
GTEX-1MA7W-2026-SM-E9TJ6 20-29 years, female 8.1
GTEX-1GMR8-0126-SM-9WYTM 50-59 years, female 8.0
GTEX-131XG-2626-SM-5KM17 50-59 years, female 7.9
GTEX-1HKZK-0326-SM-9WYUH 40-49 years, male 7.9
GTEX-14PN3-2426-SM-6LLHS 60-69 years, female 7.8
GTEX-1GTWX-0126-SM-9YFLK 60-69 years, male 7.8
GTEX-13RTL-0126-SM-7LG5S 40-49 years, male 7.6
GTEX-WRHK-1426-SM-3MJF9 20-29 years, female 7.6
GTEX-ZE7O-0126-SM-57WC1 50-59 years, female 7.6
GTEX-1GZ4H-1726-SM-7PBZJ 50-59 years, female 7.6
GTEX-YJ8A-0426-SM-5IFID 20-29 years, male 7.5
GTEX-1F75I-0326-SM-9YFLU 40-49 years, male 7.5
GTEX-117YX-2326-SM-5H12W 50-59 years, male 7.4
GTEX-11TT1-2526-SM-5EGIB 20-29 years, male 7.4
GTEX-13FTX-1826-SM-5J1NX 20-29 years, female 7.4
GTEX-1314G-1526-SM-5EGK2 30-39 years, male 7.2
GTEX-RWS6-2026-SM-2XCB5 60-69 years, female 7.2
GTEX-X62O-0126-SM-4E3JN 50-59 years, male 7.1
GTEX-ZVZP-2426-SM-59HKJ 50-59 years, male 7.1
GTEX-1C6WA-0126-SM-7PC2B 60-69 years, male 7.1
GTEX-1GL5R-1826-SM-9KNUY 50-59 years, male 7.1
GTEX-14BMU-2226-SM-5TDE9 20-29 years, female 7.0
GTEX-ZAB4-0226-SM-5N9F5 40-49 years, male 7.0
GTEX-1IDJF-0126-SM-CM2RS 20-29 years, male 7.0
GTEX-14PN4-0126-SM-6EU2V 50-59 years, male 6.9
GTEX-WFG8-2226-SM-3GIL9 20-29 years, male 6.9
GTEX-WH7G-2326-SM-3NMBC 40-49 years, male 6.9
GTEX-113IC-0126-SM-5HL6T 60-69 years, male 6.8
GTEX-1RAZQ-0726-SM-EAZ43 30-39 years, male 6.8
GTEX-11O72-0126-SM-59887 40-49 years, male 6.7
GTEX-13N1W-0126-SM-5K7VT 70-79 years, male 6.7
GTEX-OXRP-0126-SM-3NB32 60-69 years, female 6.7
GTEX-TMMY-0226-SM-33HBA 40-49 years, female 6.7
GTEX-WXYG-2326-SM-4E3I6 50-59 years, female 6.7
GTEX-1QAET-0926-SM-E76QM 50-59 years, male 6.7
GTEX-ZXES-1826-SM-5E43S 30-39 years, female 6.6
GTEX-1CAV2-2226-SM-7P8P2 40-49 years, female 6.6
GTEX-1GZ2Q-0226-SM-7P8TL 40-49 years, male 6.6
GTEX-X4EO-0326-SM-3P5YO 60-69 years, female 6.5
GTEX-13N11-2526-SM-5K7UE 50-59 years, female 6.3
GTEX-1J1OQ-0226-SM-CYPSH 40-49 years, female 6.2
GTEX-145MN-2226-SM-5SIAU 30-39 years, male 6.1
GTEX-14BIL-0126-SM-5SI92 50-59 years, male 6.1
GTEX-14BIM-0226-SM-7IGLD 60-69 years, female 6.1
GTEX-18A66-0226-SM-718BD 60-69 years, male 6.1
GTEX-QLQ7-1626-SM-2S1R8 60-69 years, male 6.1
GTEX-RTLS-0126-SM-447CA 60-69 years, female 6.1
GTEX-145MO-0326-SM-5Q5B3 60-69 years, male 6.0
GTEX-14E6E-1826-SM-5S2R7 30-39 years, male 6.0
GTEX-XUZC-1726-SM-4BRWS 30-39 years, female 6.0
GTEX-ZDTT-2726-SM-4WKF8 60-69 years, male 6.0
GTEX-XBED-2226-SM-47JYQ 60-69 years, male 5.8
GTEX-1GPI7-0126-SM-9MQL8 20-29 years, male 5.8
GTEX-15ETS-0126-SM-7KUMW 40-49 years, female 5.7
GTEX-1AX9J-0226-SM-73KXM 60-69 years, male 5.7
GTEX-18QFQ-0126-SM-731BE 30-39 years, male 5.6
GTEX-1QP66-1726-SM-E8VO1 50-59 years, male 5.6
GTEX-139T4-0226-SM-5HL5S 50-59 years, female 5.4
GTEX-OXRK-0226-SM-3NB2G 50-59 years, female 5.4
GTEX-S7PM-0126-SM-4AD6S 60-69 years, male 5.4
GTEX-X585-0226-SM-4QAS2 50-59 years, male 5.4
GTEX-Y8DK-0126-SM-4TT3L 60-69 years, male 5.4
GTEX-SN8G-0126-SM-32PLI 50-59 years, female 5.3
GTEX-12WSG-2826-SM-E9J4H 50-59 years, female 5.3
GTEX-1AMEY-1326-SM-73KYK 30-39 years, female 5.2
GTEX-13U4I-0126-SM-5LU38 40-49 years, female 5.1
GTEX-148VI-1626-SM-5SI6E 60-69 years, female 5.1
GTEX-15SHU-0126-SM-7KUEH 40-49 years, female 5.1
GTEX-16BQI-0226-SM-7KUEX 30-39 years, female 5.1
GTEX-16XZZ-0126-SM-793DV 60-69 years, male 5.1
GTEX-1C64O-0126-SM-7SB8P 60-69 years, male 5.1
GTEX-1F5PK-2426-SM-7RHHY 50-59 years, male 5.1
GTEX-1GF9X-2026-SM-7PC3A 40-49 years, female 5.1
GTEX-1HSMQ-1226-SM-CGQFX 50-59 years, male 5.1
GTEX-13W46-0226-SM-5SIAG 50-59 years, male 5.0
GTEX-XAJ8-0826-SM-47JY6 40-49 years, male 5.0
GTEX-ZTSS-1926-SM-57WEW 40-49 years, male 5.0
GTEX-ZYFD-0126-SM-5GIDL 50-59 years, male 5.0
GTEX-1JMQL-0226-SM-CNPP5 50-59 years, female 5.0
GTEX-PSDG-0226-SM-DKPOZ 50-59 years, male 5.0
GTEX-ZV6S-2326-SM-4YCEY 40-49 years, female 4.9
GTEX-1MUQO-0126-SM-EAZ58 60-69 years, male 4.9
GTEX-11ZTT-2426-SM-5EQLS 60-69 years, female 4.8
GTEX-1A32A-0126-SM-718B1 50-59 years, female 4.8
GTEX-13SLW-0126-SM-5SI6C 70-79 years, male 4.7
GTEX-11H98-0126-SM-5EGHG 50-59 years, male 4.6
GTEX-14ABY-0226-SM-5TDCQ 50-59 years, male 4.6
GTEX-18D9U-0226-SM-718BP 40-49 years, male 4.6
GTEX-1JK1U-2026-SM-CM2RZ 60-69 years, male 4.6
GTEX-1JN1M-0326-SM-CYPT3 60-69 years, female 4.6
GTEX-ZYY3-0126-SM-5GZY5 60-69 years, female 4.5
GTEX-1JJ6O-0126-SM-E6CI8 60-69 years, male 4.5
GTEX-17MF6-0126-SM-7LG4F 40-49 years, male 4.4
GTEX-1I1CD-0126-SM-CM2TK 60-69 years, female 4.4
GTEX-1QW4Y-1526-SM-EAZ3Z 30-39 years, male 4.4
GTEX-1B933-0126-SM-7PC29 50-59 years, female 4.3
GTEX-13IVO-0126-SM-5J1NG 70-79 years, male 4.2
GTEX-VJYA-1126-SM-3GIJU 60-69 years, male 4.2
GTEX-1A8FM-0226-SM-7SB7Q 50-59 years, female 4.2
GTEX-13FTW-2626-SM-5K7WL 40-49 years, male 4.1
GTEX-S95S-1226-SM-4GICG 60-69 years, male 4.0
GTEX-14DAR-2026-SM-5S2O3 50-59 years, male 3.9
GTEX-11TUW-2726-SM-E9J4M 60-69 years, male 3.9
GTEX-11XUK-2026-SM-5EQLF 40-49 years, female 3.8
GTEX-13PVR-2326-SM-5QGR1 60-69 years, female 3.8
GTEX-ZC5H-0226-SM-4WAY9 40-49 years, female 3.8
GTEX-1B996-0226-SM-7RHGO 60-69 years, male 3.8
GTEX-1S82Y-2026-SM-EVYCM 40-49 years, male 3.8
GTEX-11EMC-2926-SM-5EQ4F 60-69 years, female 3.7
GTEX-13O3O-0126-SM-E9J49 60-69 years, female 3.7
GTEX-1HSEH-0126-SM-ACKXN 60-69 years, male 3.7
GTEX-1OFPY-2426-SM-DTXEJ 60-69 years, male 3.7
GTEX-11EM3-2426-SM-59861 20-29 years, female 3.6
GTEX-11GSO-2426-SM-5A5LY 60-69 years, male 3.6
GTEX-14ICK-0226-SM-6EU25 40-49 years, male 3.6
GTEX-XBEW-0626-SM-4QASP 40-49 years, male 3.6
GTEX-1HBPH-0426-SM-B2LW5 40-49 years, female 3.6
GTEX-1MGNQ-0126-SM-EVYCJ 40-49 years, male 3.6
GTEX-1QEPI-0126-SM-EWRMQ 60-69 years, female 3.6
GTEX-1S5ZA-0126-SM-EVYCV 20-29 years, male 3.6
GTEX-148VJ-0126-SM-5TDDN 70-79 years, male 3.5
GTEX-ZYFG-2326-SM-5E44B 60-69 years, female 3.5
GTEX-13SLX-0526-SM-5S2ON 50-59 years, female 3.4
GTEX-1B8KE-2126-SM-73KYX 50-59 years, male 3.4
GTEX-OXRN-0126-SM-48TDM 50-59 years, male 3.4
GTEX-1F6RS-0126-SM-9MQKZ 60-69 years, female 3.4
GTEX-1H3O1-0426-SM-9YFKY 60-69 years, male 3.4
GTEX-1S3DN-2226-SM-EVYCD 50-59 years, male 3.4
GTEX-RVPV-0126-SM-EAZAW 60-69 years, male 3.4
GTEX-14JG6-2226-SM-6EU2G 30-39 years, female 3.3
GTEX-17GQL-2026-SM-718BA 60-69 years, male 3.3
GTEX-QVJO-1626-SM-2S1QW 60-69 years, female 3.2
GTEX-131XE-2326-SM-5PNZ2 50-59 years, male 3.1
GTEX-14A5I-0126-SM-5TDEA 50-59 years, female 3.1
GTEX-1CAMR-1926-SM-7EPI2 20-29 years, male 3.1
GTEX-U412-0426-SM-3DB9O 60-69 years, male 3.1
GTEX-YEC4-2126-SM-5IFJH 40-49 years, male 3.1
GTEX-1H1DG-0126-SM-9WYU2 70-79 years, male 3.1
GTEX-1MCQQ-0826-SM-DLHC2 60-69 years, male 3.1
GTEX-1RAZA-0126-SM-E6CI3 20-29 years, male 3.1
GTEX-U3ZN-2326-SM-3DB7W 30-39 years, female 3.0
GTEX-1GN1V-0126-SM-9WPOS 60-69 years, male 3.0
GTEX-1H1ZS-0426-SM-9WG6G 70-79 years, male 3.0
GTEX-1IY9M-0126-SM-D3L8S 60-69 years, male 3.0
GTEX-1J8QM-2126-SM-CYPSJ 60-69 years, female 3.0
GTEX-1PFEY-1526-SM-E76PP 30-39 years, male 3.0
GTEX-11GS4-2726-SM-5A5LE 60-69 years, male 2.9
GTEX-13OW7-0126-SM-5MR3B 50-59 years, male 2.9
GTEX-14A5H-0426-SM-5QGQF 60-69 years, male 2.9
GTEX-16NGA-1726-SM-731B4 40-49 years, female 2.9
GTEX-X638-0126-SM-47JZ8 70-79 years, female 2.9
GTEX-Y3IK-2426-SM-4WWDU 50-59 years, female 2.9
GTEX-1KANB-0526-SM-E6CJH 50-59 years, male 2.9
GTEX-145LS-0126-SM-5QGP1 60-69 years, female 2.8
GTEX-14A6H-0126-SM-5QGPK 30-39 years, male 2.8
GTEX-T5JW-1626-SM-3GADZ 20-29 years, female 2.8
GTEX-VUSG-2526-SM-4KL1V 50-59 years, male 2.8
GTEX-1M5QR-1226-SM-EWROB 40-49 years, male 2.8
GTEX-SE5C-1626-SM-2XCE3 40-49 years, female 2.8
GTEX-12KS4-0326-SM-5EQ41 30-39 years, male 2.7
GTEX-139TT-0126-SM-5K7Y5 60-69 years, male 2.7
GTEX-145ME-1826-SM-5SI9G 40-49 years, female 2.7
GTEX-OIZH-0126-SM-2HMIS 50-59 years, male 2.7
GTEX-1192X-0226-SM-5H12D 50-59 years, male 2.6
GTEX-145LU-0126-SM-5TDCB 50-59 years, male 2.6
GTEX-15CHC-2126-SM-6EU21 60-69 years, female 2.6
GTEX-1F6I4-0126-SM-9MQL2 60-69 years, male 2.6
GTEX-1H1E6-1726-SM-ACKVK 30-39 years, male 2.6
GTEX-1H3VY-0126-SM-ACKXD 50-59 years, male 2.6
GTEX-1J8Q3-1626-SM-CMKGC 60-69 years, male 2.6
GTEX-11DXW-0226-SM-5H122 40-49 years, male 2.5
GTEX-17HHY-0126-SM-7LG5D 50-59 years, male 2.5
GTEX-17HII-0226-SM-7LG4E 50-59 years, male 2.5
GTEX-PLZ5-2026-SM-2S1O4 50-59 years, male 2.5
GTEX-R3RS-0126-SM-3GIJL 40-49 years, female 2.5
GTEX-SJXC-0126-SM-2XCFF 60-69 years, male 2.5
GTEX-WVJS-0126-SM-4MVOT 50-59 years, male 2.5
GTEX-WY7C-2326-SM-3NB2U 50-59 years, male 2.5
GTEX-1A3MV-1926-SM-718BT 30-39 years, male 2.4
GTEX-T6MO-1626-SM-32QOM 40-49 years, female 2.4
GTEX-ZU9S-0226-SM-5E441 30-39 years, male 2.4
GTEX-1HCUA-2426-SM-ADEIS 50-59 years, female 2.4
GTEX-1399U-2326-SM-5K7WY 50-59 years, female 2.3
GTEX-13PDP-0126-SM-5L3HD 60-69 years, male 2.3
GTEX-14DAQ-0126-SM-5S2MQ 60-69 years, female 2.3
GTEX-15DYW-0126-SM-7KULE 60-69 years, female 2.3
GTEX-15EU6-0426-SM-6PAN5 50-59 years, male 2.3
GTEX-TML8-1926-SM-32QOS 40-49 years, female 2.3
GTEX-U8T8-0126-SM-3DB94 60-69 years, male 2.3
GTEX-UJHI-1526-SM-3DB99 50-59 years, female 2.3
GTEX-W5WG-1826-SM-4KL2Y 50-59 years, female 2.3
GTEX-1LGOU-2026-SM-DIPFF 20-29 years, female 2.3
GTEX-1OJC4-0126-SM-E9J2E 50-59 years, female 2.3
GTEX-1PIGE-0126-SM-EVYBJ 20-29 years, male 2.3
GTEX-11P81-2326-SM-59875 30-39 years, female 2.2
GTEX-13O21-1426-SM-5K7XI 50-59 years, male 2.2
GTEX-14BIN-0626-SM-793DP 50-59 years, female 2.2
GTEX-17HHE-2026-SM-79OKF 50-59 years, male 2.2
GTEX-QLQW-1126-SM-2S1Q8 30-39 years, male 2.2
GTEX-1F75B-0126-SM-9KNVL 50-59 years, male 2.2
GTEX-1PBJI-0526-SM-E8VNK 20-29 years, female 2.2
GTEX-1192W-2626-SM-5Q5AF 60-69 years, male 2.1
GTEX-11NSD-2226-SM-5986V 20-29 years, male 2.1
GTEX-147F4-0226-SM-5QGPW 50-59 years, male 2.1
GTEX-14PJ3-1826-SM-62LEX 50-59 years, male 2.1
GTEX-RWSA-0126-SM-2XCBB 40-49 years, male 2.1
GTEX-YB5K-2126-SM-4WWDJ 40-49 years, female 2.1
GTEX-13OW5-0126-SM-DTXFS 60-69 years, male 2.1
GTEX-1HCU7-0226-SM-CL545 50-59 years, male 2.1
GTEX-1KXAM-2226-SM-CYPTC 60-69 years, male 2.1
GTEX-13X6J-0126-SM-5QGOU 50-59 years, male 2.0
GTEX-17F96-1626-SM-7DUFL 70-79 years, male 2.0
GTEX-18A6Q-0126-SM-731BZ 60-69 years, male 2.0
GTEX-1B8SG-0126-SM-73KZ3 50-59 years, male 2.0
GTEX-ZUA1-0126-SM-5GU76 40-49 years, male 2.0
GTEX-1LVAN-0226-SM-COH3S 50-59 years, female 2.0
GTEX-1QCLY-0326-SM-E8VOG 30-39 years, male 2.0
GTEX-1QP2A-0126-SM-E9J43 50-59 years, male 2.0
GTEX-1RB15-2126-SM-E9TIM 60-69 years, male 2.0
GTEX-11OF3-2626-SM-5GU7F 60-69 years, male 1.9
GTEX-11P7K-2126-SM-5GU7G 30-39 years, male 1.9
GTEX-13N2G-2626-SM-5J1OT 60-69 years, male 1.9
GTEX-13VXU-0126-SM-5SI9F 50-59 years, male 1.9
GTEX-15DDE-0126-SM-6LPKH 50-59 years, female 1.9
GTEX-1B8KZ-2026-SM-7DHMB 50-59 years, male 1.9
GTEX-PVOW-0126-SM-2XCFA 40-49 years, male 1.9
GTEX-V1D1-2226-SM-3NMAX 50-59 years, male 1.9
GTEX-WYJK-0126-SM-3NMAB 50-59 years, male 1.9
GTEX-Z9EW-1626-SM-5CVMN 40-49 years, male 1.9
GTEX-1F7RK-0126-SM-7PC2S 20-29 years, female 1.9
GTEX-1I4MK-2226-SM-ACKWD 50-59 years, female 1.9
GTEX-1POEN-0126-SM-EYYXJ 30-39 years, female 1.9
GTEX-12WSD-0126-SM-59HKN 60-69 years, female 1.8
GTEX-13S7M-0126-SM-5SI6A 60-69 years, female 1.8
GTEX-14E7W-0126-SM-6LLJ9 70-79 years, male 1.8
GTEX-15SDE-2226-SM-7IGLO 50-59 years, female 1.8
GTEX-OXRL-0126-SM-2YUMP 50-59 years, male 1.8
GTEX-TKQ1-1026-SM-4GICL 30-39 years, male 1.8
GTEX-ZY6K-1826-SM-5GZXK 50-59 years, male 1.8
GTEX-1H4P4-0726-SM-9YFLR 50-59 years, male 1.8
GTEX-11DXZ-2326-SM-5EGGV 50-59 years, male 1.7
GTEX-11NUK-0126-SM-5A5L3 50-59 years, male 1.7
GTEX-11ZUS-0626-SM-59885 30-39 years, male 1.7
GTEX-13D11-2426-SM-5KM1V 50-59 years, female 1.7
GTEX-NFK9-0226-SM-2HMKQ 40-49 years, male 1.7
GTEX-Y114-2426-SM-4TT8A 50-59 years, female 1.7
GTEX-ZVT3-0126-SM-5GU6I 60-69 years, female 1.7
GTEX-ZVZO-0126-SM-5A5L9 40-49 years, male 1.7
GTEX-1F52S-0126-SM-9MQJU 60-69 years, female 1.7
GTEX-1I1GT-0626-SM-CGQER 60-69 years, female 1.7
GTEX-1NHNU-1026-SM-E9J2A 50-59 years, male 1.7
GTEX-117YW-2626-SM-5GZZH 50-59 years, male 1.6
GTEX-OHPM-0126-SM-2YUN9 50-59 years, male 1.6
GTEX-SNMC-1226-SM-2XCFP 20-29 years, male 1.6
GTEX-XPVG-2626-SM-4B669 50-59 years, male 1.6
GTEX-Y8E4-0626-SM-4WWDL 40-49 years, male 1.6
GTEX-ZZ64-1726-SM-5GZYB 20-29 years, male 1.6
GTEX-1F75A-0126-SM-7RHGM 50-59 years, male 1.6
GTEX-1GMRU-0126-SM-9YFLV 50-59 years, male 1.6
GTEX-1GN1U-0126-SM-7PBZK 50-59 years, female 1.6
GTEX-1J8EW-0126-SM-CJI4F 60-69 years, female 1.6
GTEX-S33H-1026-SM-EZ6L6 30-39 years, male 1.6
GTEX-139TU-0126-SM-5K7WH 60-69 years, male 1.5
GTEX-13NZB-2526-SM-5J1OM 30-39 years, male 1.5
GTEX-13OVL-0226-SM-5L3E9 50-59 years, male 1.5
GTEX-144GL-0126-SM-5TDE2 50-59 years, male 1.5
GTEX-14753-0426-SM-5NQAM 60-69 years, male 1.5
GTEX-14E6D-0126-SM-62LDV 50-59 years, male 1.5
GTEX-14PJM-0226-SM-62LF1 50-59 years, female 1.5
GTEX-P4QT-0126-SM-2I3FL 50-59 years, female 1.5
GTEX-T2IS-0126-SM-4DM6O 20-29 years, female 1.5
GTEX-T5JC-0426-SM-32PLO 20-29 years, male 1.5
GTEX-XUYS-0126-SM-47JWZ 50-59 years, male 1.5
GTEX-YFC4-0126-SM-5CVLY 40-49 years, female 1.5
GTEX-1QMI2-0226-SM-EVYBX 60-69 years, male 1.5
GTEX-OIZF-0126-SM-7SB8I 60-69 years, male 1.5
GTEX-11GSP-2526-SM-5N9BP 60-69 years, female 1.4
GTEX-RM2N-1426-SM-2TF4H 50-59 years, male 1.4
GTEX-T2YK-0526-SM-32QPJ 50-59 years, male 1.4
GTEX-UPJH-0326-SM-3GADU 50-59 years, male 1.4
GTEX-ZEX8-2426-SM-4WKG4 50-59 years, male 1.4
GTEX-ZQUD-1426-SM-57WER 30-39 years, male 1.4
GTEX-1F5PL-0326-SM-7P8PQ 40-49 years, female 1.4
GTEX-1I1GR-0126-SM-CL55F 60-69 years, male 1.4
GTEX-1IGQW-0126-SM-COH42 60-69 years, male 1.4
GTEX-1J8Q2-0526-SM-CM2RW 60-69 years, male 1.4
GTEX-1K2DA-1826-SM-CGQGT 50-59 years, male 1.4
GTEX-1LB8K-0226-SM-EWRNW 50-59 years, male 1.4
GTEX-1LNCM-1126-SM-E9U5E 50-59 years, female 1.4
GTEX-1PDJ9-0326-SM-DTX95 20-29 years, male 1.4
GTEX-11WQC-2526-SM-5CVLE 60-69 years, male 1.3
GTEX-1313W-0126-SM-5LZUN 50-59 years, female 1.3
GTEX-13G51-2526-SM-5LZYK 60-69 years, male 1.3
GTEX-13NZ8-0826-SM-5MR3I 60-69 years, female 1.3
GTEX-147GR-0526-SM-5S2MY 60-69 years, male 1.3
GTEX-15DCD-0126-SM-7KUEK 70-79 years, female 1.3
GTEX-1CB4E-2226-SM-793DC 60-69 years, male 1.3
GTEX-ZAB5-1826-SM-5HL7C 50-59 years, male 1.3
GTEX-ZGAY-0526-SM-4WWBB 40-49 years, female 1.3
GTEX-1J8JJ-0226-SM-CL53I 60-69 years, female 1.3
GTEX-1PPH8-0226-SM-E8VND 20-29 years, male 1.3
GTEX-11EQ9-2426-SM-5HL5T 30-39 years, male 1.2
GTEX-11OC5-0126-SM-5HL6A 60-69 years, male 1.2
GTEX-131XW-0426-SM-5LZWP 50-59 years, female 1.2
GTEX-13FXS-0226-SM-5IJCK 50-59 years, male 1.2
GTEX-16AAH-1726-SM-7939C 50-59 years, male 1.2
GTEX-16YQH-0126-SM-7DUFJ 30-39 years, male 1.2
GTEX-17HGU-0226-SM-7DHKV 50-59 years, male 1.2
GTEX-17KNJ-2326-SM-7DHLQ 50-59 years, male 1.2
GTEX-1AYCT-2426-SM-7IGQ3 50-59 years, male 1.2
GTEX-R55E-0126-SM-2TC5Y 20-29 years, male 1.2
GTEX-SSA3-0126-SM-32QPU 60-69 years, male 1.2
GTEX-TMZS-0126-SM-3DB9Q 60-69 years, male 1.2
GTEX-WYVS-2126-SM-3NMA3 40-49 years, female 1.2
GTEX-ZDTS-0126-SM-4WAY5 60-69 years, male 1.2
GTEX-ZVTK-0426-SM-51MRS 20-29 years, male 1.2
GTEX-131XF-5016-SM-7MGWE 60-69 years, male 1.2
GTEX-1GF9W-0326-SM-9KNUN 60-69 years, male 1.2
GTEX-1H1DE-2126-SM-9WG6R 20-29 years, male 1.2
GTEX-1I6K6-0126-SM-A9SLE 30-39 years, male 1.2
GTEX-1JN6P-0126-SM-D3L98 60-69 years, male 1.2
GTEX-PLZ6-1426-SM-DKPOT 30-39 years, male 1.2
GTEX-PW2O-1526-SM-7RHHB 20-29 years, male 1.2
GTEX-1128S-2326-SM-5GZZY 60-69 years, female 1.1
GTEX-12WSC-0126-SM-5EQ4P 50-59 years, male 1.1
GTEX-13O3Q-2426-SM-5IJBR 50-59 years, male 1.1
GTEX-14PII-0226-SM-6EU1T 60-69 years, male 1.1
GTEX-16NPX-0226-SM-79OMT 50-59 years, male 1.1
GTEX-18A7A-0226-SM-718BH 50-59 years, female 1.1
GTEX-Y5V6-2426-SM-4VDSB 60-69 years, male 1.1
GTEX-1GN2E-0426-SM-9MQKX 60-69 years, male 1.1
GTEX-1HCU8-0626-SM-A9SM9 60-69 years, female 1.1
GTEX-1I1GP-2226-SM-CGQFK 50-59 years, male 1.1
GTEX-1IL2U-0226-SM-CE6T8 60-69 years, male 1.1
GTEX-1IOXB-0126-SM-ARL8G 50-59 years, male 1.1
GTEX-1LG7Y-0526-SM-DKPQC 50-59 years, male 1.1
GTEX-1LSNM-1926-SM-E6CII 50-59 years, male 1.1
GTEX-1MA7X-2226-SM-E6CIY 60-69 years, male 1.1
GTEX-13FTY-0526-SM-5L3EV 40-49 years, female 1.0
GTEX-13NYB-2526-SM-5K7Z6 40-49 years, male 1.0
GTEX-14LZ3-0226-SM-62LET 60-69 years, female 1.0
GTEX-15F5U-1526-SM-6PANO 40-49 years, male 1.0
GTEX-15RIG-0226-SM-7KFTL 40-49 years, male 1.0
GTEX-18D9A-1926-SM-7LG6P 30-39 years, female 1.0
GTEX-1AMFI-2026-SM-731BH 50-59 years, female 1.0
GTEX-Q2AG-0126-SM-33HBV 40-49 years, female 1.0
GTEX-1E2YA-0126-SM-9KNUC 50-59 years, male 1.0
GTEX-1EWIQ-0126-SM-7RHH2 70-79 years, female 1.0
GTEX-1HBPI-1526-SM-C1YQ1 50-59 years, male 1.0
GTEX-1IKK5-0626-SM-ARL8A 60-69 years, male 1.0
GTEX-1JKYR-0126-SM-CNPOJ 20-29 years, male 1.0
GTEX-1O97I-0326-SM-EYYX7 60-69 years, male 1.0
GTEX-1RQEC-0426-SM-E6CHU 60-69 years, male 1.0
GTEX-11ZTS-0126-SM-5EQ6M 60-69 years, female 0.9
GTEX-13CF2-2526-SM-5LZYX 60-69 years, male 0.9
GTEX-1C6VR-2426-SM-79OLD 60-69 years, male 0.9
GTEX-RU72-0926-SM-2TF6B 50-59 years, female 0.9
GTEX-WZTO-0126-SM-3NM95 40-49 years, male 0.9
GTEX-XQ8I-0426-SM-4BOPO 50-59 years, male 0.9
GTEX-ZE9C-2726-SM-57WB5 60-69 years, male 0.9
GTEX-ZV68-0126-SM-59HKS 50-59 years, female 0.9
GTEX-1EKGG-0226-SM-9WYTH 60-69 years, male 0.9
GTEX-1EU9M-0226-SM-7P8SP 60-69 years, male 0.9
GTEX-1GPI6-0126-SM-9WG69 60-69 years, male 0.9
GTEX-1H11D-0226-SM-9WG6Z 40-49 years, male 0.9
GTEX-1H1CY-2826-SM-9MQM3 60-69 years, female 0.9
GTEX-1HSGN-0226-SM-CGQFV 40-49 years, female 0.9
GTEX-1IL2V-0126-SM-CM2TX 70-79 years, male 0.9
GTEX-1JMPY-1326-SM-ARL8Y 30-39 years, male 0.9
GTEX-1JMQI-2226-SM-CM2SD 50-59 years, male 0.9
GTEX-113JC-2326-SM-5EQ4E 50-59 years, female 0.8
GTEX-11UD2-0226-SM-5EQKY 50-59 years, male 0.8
GTEX-12ZZZ-0626-SM-5DUXI 60-69 years, male 0.8
GTEX-13112-2826-SM-5DUWH 50-59 years, male 0.8
GTEX-132NY-0326-SM-5IJBL 60-69 years, male 0.8
GTEX-1399R-2726-SM-5IJBA 30-39 years, male 0.8
GTEX-13JUV-2726-SM-5LZZ8 40-49 years, female 0.8
GTEX-13OVK-2026-SM-7KUEO 40-49 years, male 0.8
GTEX-14PJ6-2126-SM-6EU1V 60-69 years, female 0.8
GTEX-16GPK-0126-SM-7DHLE 60-69 years, male 0.8
GTEX-18465-0126-SM-731BN 50-59 years, male 0.8
GTEX-1C475-1826-SM-73KWA 40-49 years, female 0.8
GTEX-1CB4I-0226-SM-79OLH 50-59 years, male 0.8
GTEX-1E1VI-0126-SM-7DHMZ 50-59 years, male 0.8
GTEX-OIZG-0726-SM-33HBL 50-59 years, male 0.8
GTEX-S7SE-0126-SM-2XCD5 50-59 years, male 0.8
GTEX-VJWN-0126-SM-3GIK7 50-59 years, female 0.8
GTEX-XQ3S-1526-SM-4BOOC 20-29 years, male 0.8
GTEX-ZF2S-2326-SM-4WWCE 50-59 years, female 0.8
GTEX-ZYFC-0226-SM-5NQ75 50-59 years, male 0.8
GTEX-1AX9I-0126-SM-7SB74 60-69 years, male 0.8
GTEX-1F6IF-0726-SM-7P8TW 60-69 years, male 0.8
GTEX-1GN73-0226-SM-9WG67 60-69 years, male 0.8
GTEX-1HCU6-0126-SM-CL54K 60-69 years, female 0.8
GTEX-1HFI6-0226-SM-ADEHZ 40-49 years, male 0.8
GTEX-1JMQJ-0526-SM-CYPSU 50-59 years, male 0.8
GTEX-1LG7Z-1726-SM-D3LA4 30-39 years, male 0.8
GTEX-ZVT4-0126-SM-DTXFN 50-59 years, female 0.8
GTEX-12ZZY-0226-SM-5LZVE 60-69 years, male 0.7
GTEX-13111-1626-SM-5EGJY 50-59 years, male 0.7
GTEX-131YS-0126-SM-5KM1M 60-69 years, female 0.7
GTEX-13OW8-1326-SM-5J1OW 60-69 years, male 0.7
GTEX-17MFQ-1726-SM-793C7 20-29 years, male 0.7
GTEX-1B8SF-1426-SM-7DUGL 60-69 years, male 0.7
GTEX-QEG4-0226-SM-2S1PY 30-39 years, male 0.7
GTEX-QESD-1426-SM-2S1R9 20-29 years, male 0.7
GTEX-QV44-1926-SM-2S1RF 50-59 years, male 0.7
GTEX-RN64-0126-SM-2TC68 50-59 years, male 0.7
GTEX-SIU8-0126-SM-2XCDT 50-59 years, male 0.7
GTEX-U3ZH-2026-SM-3DB78 30-39 years, male 0.7
GTEX-X261-0126-SM-3NMD6 50-59 years, male 0.7
GTEX-X4XX-0126-SM-3NMC2 60-69 years, male 0.7
GTEX-Y111-0126-SM-4SOIV 50-59 years, male 0.7
GTEX-Y5V5-2326-SM-4V6GA 60-69 years, female 0.7
GTEX-ZAK1-0126-SM-5IJD3 50-59 years, female 0.7
GTEX-ZXG5-0126-SM-5GIEU 60-69 years, male 0.7
GTEX-ZYT6-0226-SM-5NQ6T 30-39 years, male 0.7
GTEX-1B8L1-2526-SM-9WYTF 60-69 years, male 0.7
GTEX-1CB4G-0226-SM-7PC3O 60-69 years, male 0.7
GTEX-1EN7A-0126-SM-7SB81 40-49 years, male 0.7
GTEX-1GZHY-0326-SM-9QEHI 50-59 years, female 0.7
GTEX-1HCU9-1526-SM-A9SL7 20-29 years, male 0.7
GTEX-1HSKV-0226-SM-A9SKJ 60-69 years, male 0.7
GTEX-1HT8W-0126-SM-CNPPP 30-39 years, male 0.7
GTEX-1I19N-0326-SM-ACKVX 70-79 years, male 0.7
GTEX-1I1GQ-0126-SM-COH3H 50-59 years, male 0.7
GTEX-1KAFJ-2026-SM-CY8ID 50-59 years, male 0.7
GTEX-OOBJ-0126-SM-E6CJW 60-69 years, male 0.7
GTEX-111FC-0126-SM-5N9DL 60-69 years, male 0.6
GTEX-11ZU8-2526-SM-5EQKI 60-69 years, male 0.6
GTEX-12696-2426-SM-5EQ6H 60-69 years, male 0.6
GTEX-131XH-2226-SM-5DUXJ 50-59 years, male 0.6
GTEX-139TS-2826-SM-5J1OO 60-69 years, male 0.6
GTEX-139UW-2826-SM-5L3E7 60-69 years, male 0.6
GTEX-T6MN-0126-SM-32PLP 50-59 years, male 0.6
GTEX-WFON-2126-SM-3LK7O 40-49 years, male 0.6
GTEX-Z93S-0126-SM-5HL7M 50-59 years, male 0.6
GTEX-ZTX8-1426-SM-5DUVO 20-29 years, male 0.6
GTEX-1GF9U-2126-SM-7SB7L 40-49 years, female 0.6
GTEX-1KANA-0726-SM-D3L9I 20-29 years, male 0.6
GTEX-1KD4Q-0226-SM-E9TJ9 40-49 years, male 0.6
GTEX-1LBAC-0126-SM-DIPEZ 20-29 years, male 0.6
GTEX-1QP9N-1426-SM-DTXFL 30-39 years, male 0.6
GTEX-1R7EU-0226-SM-EVR4G 60-69 years, male 0.6
GTEX-1S83E-0126-SM-EWRO4 40-49 years, male 0.6
GTEX-11DXY-2626-SM-5GIE7 60-69 years, male 0.5
GTEX-12126-0326-SM-5PNW3 20-29 years, male 0.5
GTEX-1212Z-2526-SM-5EGKP 60-69 years, male 0.5
GTEX-12WSA-0226-SM-5BC5V 60-69 years, male 0.5
GTEX-1399T-2826-SM-5KLYZ 60-69 years, male 0.5
GTEX-145MF-0626-SM-5LUAI 50-59 years, male 0.5
GTEX-14BMV-0126-SM-5S2PO 50-59 years, male 0.5
GTEX-15ER7-0326-SM-7KUEV 20-29 years, female 0.5
GTEX-17EVP-0326-SM-7DHLG 40-49 years, male 0.5
GTEX-1B97I-1626-SM-73KYO 40-49 years, male 0.5
GTEX-YJ89-0126-SM-4TT3X 60-69 years, male 0.5
GTEX-1CB4F-0426-SM-9KNV4 60-69 years, male 0.5
GTEX-1GMR3-1926-SM-9KNUZ 40-49 years, male 0.5
GTEX-1IDJH-0326-SM-A9SLQ 70-79 years, male 0.5
GTEX-1KANC-1526-SM-D3LAB 50-59 years, female 0.5
GTEX-1KWVE-1426-SM-E9TJO 30-39 years, male 0.5
GTEX-1L5NE-2526-SM-E6CIE 50-59 years, male 0.5
GTEX-1OJC3-0126-SM-E76QX 20-29 years, male 0.5
GTEX-1PIIG-0226-SM-EWRN6 30-39 years, male 0.5
GTEX-RNOR-0126-SM-E9J4R 50-59 years, female 0.5
GTEX-11DYG-0126-SM-59883 60-69 years, male 0.4
GTEX-12ZZX-0126-SM-5EGK9 40-49 years, female 0.4
GTEX-13OVH-0126-SM-5MR4B 70-79 years, male 0.4
GTEX-17HG3-2226-SM-7938L 30-39 years, female 0.4
GTEX-1C64N-0126-SM-793D7 50-59 years, male 0.4
GTEX-1IKJJ-0126-SM-CNPQB 60-69 years, male 0.4
GTEX-1MJK2-0426-SM-DTXE5 50-59 years, male 0.4
GTEX-11EI6-0126-SM-5985R 60-69 years, male 0.3
GTEX-12WSE-0526-SM-793B2 20-29 years, male 0.3
GTEX-13FHP-0126-SM-5IJBG 50-59 years, male 0.3
GTEX-13OW6-0426-SM-5L3HM 50-59 years, male 0.3
GTEX-17JCI-0126-SM-7LG5G 60-69 years, female 0.3
GTEX-1BAJH-0526-SM-793CQ 70-79 years, male 0.3
GTEX-1C4CL-0526-SM-73KVK 30-39 years, male 0.3
GTEX-1EMGI-0126-SM-9KNUE 60-69 years, male 0.3
GTEX-1GF9V-0326-SM-7RHI5 60-69 years, male 0.3
GTEX-1I1GV-0526-SM-A9G29 60-69 years, male 0.3
GTEX-1JJEA-0326-SM-CNPOT 60-69 years, male 0.3
GTEX-117XS-2726-SM-5N9BL 60-69 years, male 0.2
GTEX-14JG1-0426-SM-6ETZZ 40-49 years, male 0.2
GTEX-1CAMQ-0226-SM-7IGPK 40-49 years, male 0.2
GTEX-PX3G-0126-SM-2I3EN 20-29 years, female 0.2
GTEX-1JMLX-0226-SM-CM2RO 50-59 years, male 0.2
GTEX-1R9PM-2026-SM-E76OY 20-29 years, male 0.2
GTEX-ZWKS-0126-SM-5SIAA 30-39 years, male 0.1
Show allShow less

Contact

  • NEWS ARTICLES
  • PRESS ROOM

The Project

  • INTRODUCTION
  • ORGANIZATION
  • PUBLICATIONS

The Human Protein Atlas

  • DOWNLOADABLE DATA
  • LICENCE & CITATION
  • HELP & FAQ
The Human Protein Atlas project is funded
by the Knut & Alice Wallenberg Foundation.


contact@proteinatlas.org