We use cookies to enhance the usability of our website. If you continue, we'll assume that you are happy to receive all cookies. More information. Don't show this again.
RPL9
HPA
RESOURCES
  • TISSUE
  • BRAIN
  • SINGLE CELL
  • SUBCELLULAR
  • CANCER
  • BLOOD
  • CELL LINE
  • STRUCTURE & INTERACTION
ABOUT
  • INTRODUCTION
  • HISTORY
  • ORGANIZATION
  • PUBLICATIONS
  • ANTIBODY SUBMISSION
  • ANTIBODY AVAILABILITY
  • ACKNOWLEDGMENTS
  • CONTACT
NEWS
  • NEWS ARTICLES
  • PRESS ROOM
LEARN
  • DICTIONARY
  • PROTEIN CLASSES
  • PROTEIN EVIDENCE
  • METHODS
  • EDUCATIONAL VIDEOS
DATA
  • DOWNLOADABLE DATA
  • PUBLICATION DATA
  • RELEASE HISTORY
HELP
  • ANTIBODY VALIDATION
  • ASSAYS & ANNOTATION
  • DISCLAIMER
  • HELP & FAQ
  • PRIVACY STATEMENT
  • LICENCE & CITATION
Fields »
Search result

Field
Term
Gene name
Class
Subclass
Class
Keyword
Chromosome
External id
Tissue
Cell type
Expression
Antibody panel
Tissue
Main location
Patient ID
Annotation
Tissue
Category
Tau score
Cluster
Reliability
Brain region
Category
Tau score
Brain region
Category
Tau score
Brain region
Category
Tau score
Cluster
Reliability
Tissue
Cell type
Enrichment
Cell type
Category
Tau score
Cell type
Category
Tau score
Cell type
Category
Tau score
Cell lineage
Category
Tau score
Cluster
Cluster
Location
Searches
Location
Cell line
Class
Type
Phase
Reliability
Cancer
Prognosis
Cancer
Category
Cancer
Category
Tau score
Cluster
Variants
Interacting gene (ensg_id)
Type
Number of interactions
Pathway
Category
Score
Score
Score
Validation
Validation
Validation
Validation
Antibodies
Data type
Column


  • SUMMARY

  • TISSUE

  • BRAIN

  • SINGLE CELL

  • SUBCELL

  • CANCER

  • BLOOD

  • CELL LINE

  • STRUCT & INT

  • RPL9
TISSUE PRIMARY DATA SKIN Show tissue menu
ADIPOSE TISSUE ADRENAL GLAND AMYGDALA APPENDIX BASAL GANGLIA BONE MARROW BREAST BRONCHUS CEREBELLUM CEREBRAL CORTEX CERVIX CHOROID PLEXUS COLON DUODENUM
ENDOMETRIUM EPIDIDYMIS ESOPHAGUS FALLOPIAN TUBE GALLBLADDER HEART MUSCLE HIPPOCAMPAL FORMATION HYPOTHALAMUS KIDNEY LIVER LUNG LYMPH NODE MIDBRAIN NASOPHARYNX
ORAL MUCOSA OVARY PANCREAS PARATHYROID GLAND PITUITARY GLAND PLACENTA PROSTATE RECTUM RETINA SALIVARY GLAND SEMINAL VESICLE SKELETAL MUSCLE SKIN SMALL INTESTINE
SMOOTH MUSCLE SOFT TISSUE SPINAL CORD SPLEEN STOMACH TESTIS THYMUS THYROID GLAND TONGUE TONSIL URINARY BLADDER VAGINA
ANTIBODIES
AND
VALIDATION
Dictionary
Skin
Tissue proteome
Skin
SKIN - Expression summary
Protein expression
Skini

On the top, protein expression in current human tissue, based on all annotated cell types, is reported with the units not detected (n), low (l), medium (m) and high (h). Underneath, protein expression in each annotated cell type are reported using the same units.

Protein expression data is based on knowledge-based annotation. For genes where more than one antibody has been used, a collective score is set.

If knowledge-based annotation could not be performed for a gene, no data is displayed here. View antibody staining data further down this page.

h
m
l
n
Epidermal cells: Medium
Fibroblasts: Medium
Keratinocytes: Low
Langerhans: Not detected
Melanocytes: Low
RNA expressioni

A summary of mRNA expression data available for current tissue based on several datasets. The mRNA expression levels in human tissues are based on RNA-seq data generated by the Human Protein Atlas (HPA), Genotype-Tissue Expression (GTEx) portal and CAGE data generated by the FANTOM5 consortium. Consensus normalized expression levels for human tissues was created by combining the data from HPA and GTEx datasets.

The mRNA expression levels in pig are based on RNA-seq data generated by the Human Protein Atlas (HPA), and for mouse, HPA data and in situ hybridization generated by the Allen brain atlas are reported.

Scroll down to view mRNA expression data in more detail.
Consensus:2087.4 nTPM
HPA:364.6 nTPM
GTEx:2087.4 nTPM

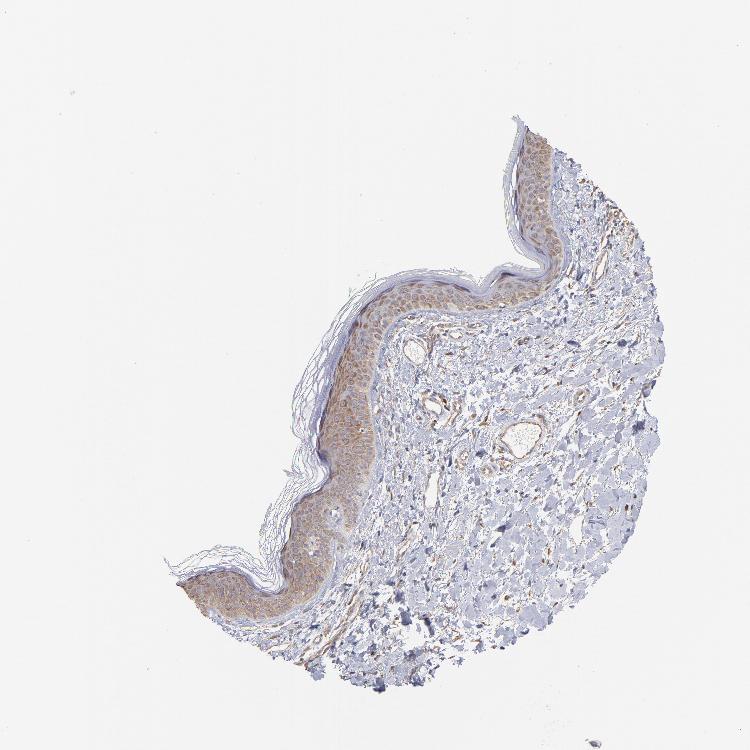
SKIN 1 - Antibody stainingi

Antibody staining in the annotated cell types in the current human tissue is reported as not detected, low, medium, or high, based on conventional immunohistochemistry profiling in selected tissues. This score is based on the combination of the staining intensity and fraction of stained cells.

Each image is clickable and will lead to virtual microscopy that enables deeper exploration of all samples and also displays staining intensity scores, fraction scores and subcellular localization as well as patient and tissue information for each sample.

Antibody HPA003372
Langerhans Not detected
Fibroblasts Medium
Keratinocytes Low
Melanocytes Low

SKIN 2 - Antibody stainingi

Antibody staining in the annotated cell types in the current human tissue is reported as not detected, low, medium, or high, based on conventional immunohistochemistry profiling in selected tissues. This score is based on the combination of the staining intensity and fraction of stained cells.

Each image is clickable and will lead to virtual microscopy that enables deeper exploration of all samples and also displays staining intensity scores, fraction scores and subcellular localization as well as patient and tissue information for each sample.

Antibody HPA003372
Epidermal cells Medium
 
 
 


SKIN - HPA RNA-seqi

The RNA-seq details section shows detailed information about the individual samples used for the transcript profiling and results of the RNA-seq analysis.

Information about each individual sample is listed below, including gender, age, a tissue section image and estimated fractions of cell types. nTPM (normalized transcripts per million) values give a quantification of the gene abundance which is comparable between different genes and samples.
Average nTPMi

Max subtype nTPM is the value for the subtype with the largest average nTPM across the subtype samples.

364.6
overview
Female, age 34
Skin sample 225
nTPM: 1051.1
Cell types%
Keratinocytes:
60

Other cell types:
40

overview
Female, age 30
Skin sample 226
nTPM: 18.7
Cell types%
Keratinocytes:
55

Other cell types:
45

N/A
Male, age 57
Skin sample 227
nTPM: 23.9

SKIN - GTEx RNA-seqi

RNA-Seq data generated by the Genotype-Tissue Expression (GTEx) project from human tissues is reported as mean nTPM. More information can be found on the GTEx portal.

Distribution across the dataset is visualized with box plots, shown as median and 25th and 75th percentiles. Points are displayed as outliers if they are above or below 1.5 times the interquartile range. nTPM values of the individual samples are presented next to the box plot.
Max subtype nTPMi

Max subtype nTPM is the value for the subtype with the largest average nTPM across the subtype samples.

2087.4
GTEx sample id Sample description nTPM
Skin - Not Sun Exposed (Suprapubic)
Average nTPM: 2087.4
Samples: 604

Max nTPM: 5584.8
Min nTPM: 437.2
Std nTPM: 669.9
Median nTPM: 2013.8
GTEX-1H1ZS-2726-SM-9WG75 70-79 years, male 5584.8
GTEX-ZF3C-0626-SM-DO92O 50-59 years, female 4336.9
GTEX-ZVZP-1226-SM-5GID7 50-59 years, male 4226.0
GTEX-144FL-0626-SM-5LU43 50-59 years, male 4048.0
GTEX-1CB4J-1326-SM-7P8RX 60-69 years, male 3988.2
GTEX-13W3W-0726-SM-5IJDQ 60-69 years, female 3847.4
GTEX-ZPCL-1126-SM-4WWFE 60-69 years, female 3831.2
GTEX-1QW4Y-1126-SM-DTXE3 30-39 years, male 3818.3
GTEX-1PIGE-1826-SM-E8VOU 20-29 years, male 3806.5
GTEX-13RTJ-0126-SM-5S2NN 60-69 years, male 3784.7
GTEX-1M4P7-0726-SM-E6CJ3 60-69 years, male 3781.0
GTEX-1H3VE-0726-SM-9YFL5 40-49 years, male 3726.5
GTEX-13IVO-0726-SM-5LZYV 70-79 years, male 3683.5
GTEX-16YQH-2226-SM-7IGM2 30-39 years, male 3643.4
GTEX-1117F-2926-SM-5GZYI 60-69 years, female 3549.8
GTEX-1LKK1-2626-SM-DKPQE 50-59 years, female 3547.5
GTEX-1RAZQ-1326-SM-E9TK6 30-39 years, male 3539.7
GTEX-ZYW4-0626-SM-59HJR 60-69 years, male 3506.7
GTEX-13FTY-2126-SM-5IFFB 40-49 years, female 3506.0
GTEX-1QP2A-1726-SM-E76QC 50-59 years, male 3482.0
GTEX-Y5V6-2326-SM-4VDSA 60-69 years, male 3421.2
GTEX-1EMGI-2326-SM-7PBYA 60-69 years, male 3418.3
GTEX-1LGRB-0926-SM-COH3K 50-59 years, female 3390.7
GTEX-1PPH7-1126-SM-DTX9A 40-49 years, male 3384.1
GTEX-1C6VQ-1226-SM-73KYD 50-59 years, male 3365.3
GTEX-XMD2-2126-SM-4YCF8 60-69 years, female 3349.8
GTEX-14PKU-0126-SM-6LLHV 40-49 years, female 3287.0
GTEX-11P81-2226-SM-5PNYI 30-39 years, female 3253.3
GTEX-1ICLY-0826-SM-CMKG1 50-59 years, male 3243.6
GTEX-Y5LM-0926-SM-6LLJG 40-49 years, female 3241.3
GTEX-13X6H-0926-SM-5SIB2 50-59 years, female 3211.5
GTEX-16XZZ-0726-SM-7KUF2 60-69 years, male 3200.4
GTEX-1N2EE-0626-SM-E76PW 60-69 years, male 3196.0
GTEX-ZVE1-0726-SM-51MRN 50-59 years, female 3195.6
GTEX-131XH-0126-SM-5LZUY 50-59 years, male 3193.3
GTEX-11OF3-0126-SM-5PNYF 60-69 years, male 3171.8
GTEX-1J8Q3-0526-SM-ARL8U 60-69 years, male 3167.1
GTEX-15FZZ-0526-SM-7KUGD 30-39 years, female 3157.2
GTEX-13NYC-0126-SM-5L3F4 60-69 years, male 3152.6
GTEX-ZY6K-1426-SM-5GZX2 50-59 years, male 3125.6
GTEX-1AMFI-1326-SM-7939R 50-59 years, female 3102.0
GTEX-Y9LG-1126-SM-4VBQ7 30-39 years, male 3091.7
GTEX-ZF2S-1626-SM-57WES 50-59 years, female 3081.6
GTEX-1IKOE-1426-SM-CE6T7 30-39 years, female 3061.6
GTEX-18A67-1626-SM-7LT9T 50-59 years, male 3032.9
GTEX-ZYT6-2326-SM-5GZY3 30-39 years, male 3029.6
GTEX-ZLV1-1526-SM-DO91J 60-69 years, female 3016.6
GTEX-1F5PK-2226-SM-7SB6N 50-59 years, male 3015.2
GTEX-1B932-2326-SM-79OL5 40-49 years, female 3004.1
GTEX-1JMQK-1226-SM-D4P2S 60-69 years, male 3003.3
GTEX-14753-0726-SM-5QGQO 60-69 years, male 3000.7
GTEX-1H4P4-2126-SM-9WYSL 50-59 years, male 2998.7
GTEX-1POEN-2326-SM-E9J2L 30-39 years, female 2988.6
GTEX-1JMPZ-0726-SM-CY8HZ 30-39 years, male 2987.3
GTEX-18D9A-1426-SM-7LT8M 30-39 years, female 2983.9
GTEX-1R7EU-1626-SM-DTXG3 60-69 years, male 2970.7
GTEX-145MF-0926-SM-5Q5EA 50-59 years, male 2964.4
GTEX-ZZPU-0826-SM-5GZX5 50-59 years, female 2961.2
GTEX-1JN6P-2926-SM-CL54D 60-69 years, male 2958.0
GTEX-17HII-1426-SM-7EPGG 50-59 years, male 2953.7
GTEX-1399R-1326-SM-5PNYS 30-39 years, male 2949.9
GTEX-1S5ZU-2526-SM-E6CIF 20-29 years, female 2942.6
GTEX-144GO-2026-SM-5O99P 60-69 years, male 2937.9
GTEX-13112-0126-SM-5P9IU 50-59 years, male 2936.8
GTEX-15UF6-1926-SM-7KUDV 70-79 years, female 2932.9
GTEX-15RIE-1926-SM-7KUKJ 60-69 years, male 2925.4
GTEX-14XAO-1226-SM-6EU1C 60-69 years, female 2916.2
GTEX-11DZ1-2426-SM-5GZZX 50-59 years, male 2911.8
GTEX-1C6WA-2626-SM-7MKGM 60-69 years, male 2911.2
GTEX-1J1R8-2026-SM-CL53Y 40-49 years, male 2909.4
GTEX-13QBU-1226-SM-5LU4G 40-49 years, female 2900.9
GTEX-1QEPI-2626-SM-DTXF4 60-69 years, female 2891.8
GTEX-17EVP-2626-SM-7IGMA 40-49 years, male 2889.7
GTEX-1I1GV-0626-SM-ARL7M 60-69 years, male 2885.9
GTEX-1HCUA-0826-SM-ADEHM 50-59 years, female 2881.9
GTEX-1GN73-0726-SM-7P8TJ 60-69 years, male 2878.5
GTEX-1S82U-1026-SM-E6CJK 30-39 years, female 2878.4
GTEX-144GM-0526-SM-79OJO 20-29 years, male 2874.2
GTEX-15EO6-2426-SM-6PALZ 50-59 years, male 2872.6
GTEX-1I1HK-2326-SM-CKZOH 60-69 years, male 2870.7
GTEX-XV7Q-1826-SM-4BRUV 40-49 years, female 2854.7
GTEX-1HBPM-0726-SM-9YFL7 60-69 years, female 2849.5
GTEX-14PII-0726-SM-6EU2B 60-69 years, male 2844.7
GTEX-15RJE-2826-SM-7KUM9 40-49 years, male 2841.0
GTEX-1LG7Y-2526-SM-EWRO7 50-59 years, male 2840.4
GTEX-17MFQ-1526-SM-7KFRR 20-29 years, male 2829.4
GTEX-1LSVX-2526-SM-DIPEU 60-69 years, male 2803.0
GTEX-14E6C-2426-SM-5S2NF 40-49 years, male 2790.4
GTEX-1GPI7-1826-SM-9KNU1 20-29 years, male 2787.2
GTEX-11DXX-2126-SM-5PNYR 60-69 years, female 2786.3
GTEX-11TUW-0626-SM-5LU9M 60-69 years, male 2781.1
GTEX-VUSG-2326-SM-4KL1U 50-59 years, male 2779.4
GTEX-145ME-1726-SM-5Q5EU 40-49 years, female 2777.6
GTEX-1K9T9-1526-SM-DIPFR 50-59 years, female 2774.7
GTEX-13OVH-0526-SM-5L3E6 70-79 years, male 2772.3
GTEX-1PDJ9-1226-SM-EXUSX 20-29 years, male 2755.4
GTEX-1H1DG-2426-SM-9QEHJ 70-79 years, male 2754.9
GTEX-17HHE-1326-SM-7EWDZ 50-59 years, male 2749.6
GTEX-14E1K-2026-SM-7DUEI 50-59 years, male 2746.4
GTEX-UPK5-0426-SM-3GAEK 40-49 years, male 2740.2
GTEX-14C39-1726-SM-5RQIL 40-49 years, male 2737.8
GTEX-XYKS-1426-SM-4BRUO 60-69 years, female 2734.4
GTEX-14PJ4-0226-SM-5YY92 60-69 years, male 2731.5
GTEX-15RIG-0726-SM-7KUM7 40-49 years, male 2725.0
GTEX-15ER7-0626-SM-6PANF 20-29 years, female 2723.9
GTEX-ZTTD-2826-SM-4YCFA 50-59 years, male 2720.6
GTEX-ZF29-0926-SM-4WKFZ 60-69 years, female 2695.2
GTEX-ZYY3-2926-SM-5GIEB 60-69 years, female 2694.4
GTEX-13PL6-1126-SM-5L3IE 40-49 years, female 2691.9
GTEX-1KANC-1226-SM-CYPT7 50-59 years, female 2682.1
GTEX-11EM3-1226-SM-5N9DD 20-29 years, female 2681.1
GTEX-1GMRU-2126-SM-7P8RA 50-59 years, male 2675.0
GTEX-1RAZS-2526-SM-E6CHT 50-59 years, male 2665.5
GTEX-1HB9E-0126-SM-CM2S5 50-59 years, male 2665.0
GTEX-17MF6-2626-SM-79OKQ 40-49 years, male 2663.0
GTEX-14DAR-1226-SM-73KYV 50-59 years, male 2661.2
GTEX-V1D1-2026-SM-3GAF4 50-59 years, male 2653.7
GTEX-1HSGN-0826-SM-ACKW3 40-49 years, female 2651.0
GTEX-1C2JI-1026-SM-73KY1 50-59 years, male 2649.2
GTEX-1IDFM-0326-SM-ARL7V 60-69 years, male 2634.8
GTEX-1BAJH-2426-SM-7IGP8 70-79 years, male 2625.4
GTEX-1S82P-2126-SM-E6CI5 60-69 years, female 2625.0
GTEX-13OVG-1626-SM-5J1NF 60-69 years, male 2621.1
GTEX-13FHO-0426-SM-5L3F5 60-69 years, male 2620.4
GTEX-WH7G-2026-SM-3NMBL 40-49 years, male 2610.8
GTEX-1ICG6-1226-SM-A9SLN 70-79 years, female 2609.4
GTEX-18465-2826-SM-7LT9J 50-59 years, male 2602.6
GTEX-14E6E-0526-SM-793DN 30-39 years, male 2600.6
GTEX-1KD5A-0126-SM-E9U54 50-59 years, male 2589.2
GTEX-1QMI2-2526-SM-E8VNZ 60-69 years, male 2589.1
GTEX-XQ8I-0926-SM-4BOOF 50-59 years, male 2587.7
GTEX-1I1GT-1026-SM-ARZLV 60-69 years, female 2587.2
GTEX-13NYS-0626-SM-5L3F1 60-69 years, male 2585.8
GTEX-14ICL-1626-SM-5YYAO 30-39 years, male 2585.7
GTEX-111YS-1526-SM-5GZYW 60-69 years, male 2567.9
GTEX-1GN1V-2826-SM-9JGIA 60-69 years, male 2557.2
GTEX-1E2YA-2126-SM-7MXUO 50-59 years, male 2554.8
GTEX-1CB4I-0126-SM-7RHGG 50-59 years, male 2554.2
GTEX-1IDJH-0126-SM-D3L92 70-79 years, male 2548.8
GTEX-1399Q-2326-SM-5KM2X 40-49 years, male 2547.5
GTEX-1A3MW-0626-SM-731CB 60-69 years, female 2543.4
GTEX-12BJ1-0926-SM-5EQ62 60-69 years, male 2534.6
GTEX-14PHY-1226-SM-5ZZWK 60-69 years, female 2529.4
GTEX-1HSMO-0626-SM-ACKXC 60-69 years, male 2529.2
GTEX-13OVJ-0826-SM-5J1OK 50-59 years, female 2520.2
GTEX-1313W-0626-SM-5EQ4H 50-59 years, female 2504.7
GTEX-13D11-0926-SM-5J2NC 50-59 years, female 2499.6
GTEX-1LB8K-0726-SM-D5OV2 50-59 years, male 2499.0
GTEX-1JJ6O-2726-SM-CNPOG 60-69 years, male 2495.2
GTEX-1F88F-0126-SM-9WYSZ 60-69 years, female 2491.8
GTEX-1IDJI-0126-SM-CMKHS 50-59 years, female 2491.0
GTEX-1HKZK-0726-SM-ACKW2 40-49 years, male 2485.9
GTEX-YEC4-1826-SM-4W1YP 40-49 years, male 2482.2
GTEX-12696-0126-SM-5EQ4L 60-69 years, male 2481.4
GTEX-1LVAM-0726-SM-E6CIL 50-59 years, female 2475.6
GTEX-15SKB-2826-SM-6PAMH 60-69 years, male 2465.6
GTEX-16NPX-0726-SM-7KULC 50-59 years, male 2463.2
GTEX-13NYB-0126-SM-5J1MD 40-49 years, male 2461.4
GTEX-145MG-1526-SM-5Q5EM 50-59 years, male 2461.1
GTEX-1LVAO-2726-SM-E9TJ8 60-69 years, male 2455.5
GTEX-15DYW-2726-SM-6EU2I 60-69 years, female 2453.2
GTEX-1GZ4I-2626-SM-9KNU3 50-59 years, male 2451.3
GTEX-14A5H-0826-SM-5QGPJ 60-69 years, male 2450.4
GTEX-1J8QM-2426-SM-A9SLS 60-69 years, female 2447.4
GTEX-1QPFJ-1926-SM-EVYBD 30-39 years, female 2438.1
GTEX-14ABY-2026-SM-62LDL 50-59 years, male 2437.1
GTEX-1JJE9-2626-SM-ARZMT 70-79 years, male 2433.2
GTEX-14A6H-2026-SM-5Q5DD 30-39 years, male 2430.1
GTEX-1K2DU-1226-SM-CYPT4 20-29 years, male 2428.7
GTEX-1399U-1126-SM-5L3DB 50-59 years, female 2416.6
GTEX-1H3O1-1326-SM-9MQLD 60-69 years, male 2413.8
GTEX-1AYD5-2626-SM-7PBXY 50-59 years, male 2412.8
GTEX-1EN7A-2426-SM-793DB 40-49 years, male 2412.7
GTEX-12WSA-0426-SM-5EQ5X 60-69 years, male 2403.7
GTEX-11ZTT-2126-SM-5CVLO 60-69 years, female 2386.8
GTEX-15DDE-2926-SM-6LLJ3 50-59 years, female 2385.1
GTEX-1R46S-2426-SM-E76QA 60-69 years, female 2383.6
GTEX-1S3DN-2126-SM-E9TIN 50-59 years, male 2368.4
GTEX-XXEK-1626-SM-4BRUZ 50-59 years, male 2366.6
GTEX-1N5O9-0926-SM-E9J3C 60-69 years, male 2362.0
GTEX-1RLM8-2926-SM-E8VON 50-59 years, male 2357.7
GTEX-1NSGN-0726-SM-DTXEF 50-59 years, male 2357.4
GTEX-X4EO-2926-SM-4E3JH 60-69 years, female 2351.2
GTEX-WXYG-2026-SM-4E3IY 50-59 years, female 2351.0
GTEX-1A3MV-1826-SM-731CD 30-39 years, male 2350.7
GTEX-1CB4H-1126-SM-7MKGL 60-69 years, female 2350.7
GTEX-1A8G7-1326-SM-73KVM 60-69 years, male 2350.0
GTEX-1A8G6-2726-SM-731AR 60-69 years, male 2349.3
GTEX-11ZU8-0126-SM-5EQ58 60-69 years, male 2345.8
GTEX-ZXG5-2126-SM-59HKD 60-69 years, male 2341.2
GTEX-1J8EW-2726-SM-CY8HR 60-69 years, female 2341.0
GTEX-1HFI6-0126-SM-CNPPI 40-49 years, male 2340.2
GTEX-13O3O-2326-SM-5IJD6 60-69 years, female 2337.2
GTEX-1QAET-0326-SM-EVR3U 50-59 years, male 2335.8
GTEX-15G19-2426-SM-7KUMR 60-69 years, male 2328.7
GTEX-Y3IK-1626-SM-4YCF5 50-59 years, female 2328.2
GTEX-14PJN-1826-SM-6AJ98 30-39 years, male 2326.3
GTEX-14C5O-0326-SM-5ZZUX 60-69 years, male 2313.9
GTEX-13PDP-0726-SM-5L3HP 60-69 years, male 2305.0
GTEX-1MCC2-1826-SM-DIPEX 30-39 years, female 2303.1
GTEX-1HBPN-0126-SM-CGQEF 50-59 years, male 2299.8
GTEX-1J8JJ-0626-SM-ARZMQ 60-69 years, female 2294.7
GTEX-1HR9M-2226-SM-CNPPY 60-69 years, male 2292.4
GTEX-15SHW-0226-SM-7LTAT 60-69 years, male 2291.2
GTEX-1PPGY-1626-SM-EVYBL 60-69 years, male 2289.7
GTEX-1RAZR-2126-SM-E9U6T 40-49 years, male 2289.7
GTEX-1LSNL-2726-SM-E9TKJ 50-59 years, male 2288.8
GTEX-1HSKV-1226-SM-ADEI4 60-69 years, male 2283.1
GTEX-145LU-1926-SM-79OJN 50-59 years, male 2282.6
GTEX-1A8FM-0626-SM-7PC25 50-59 years, female 2281.4
GTEX-11DXY-0126-SM-5H11Q 60-69 years, male 2281.2
GTEX-1LVA9-2626-SM-EVYD4 50-59 years, male 2274.0
GTEX-11GSP-2326-SM-5HL63 60-69 years, female 2272.2
GTEX-145MI-0626-SM-5SI8S 60-69 years, female 2270.1
GTEX-ZAJG-1526-SM-5CVML 50-59 years, female 2270.0
GTEX-Y3I4-1726-SM-4TT89 50-59 years, male 2268.2
GTEX-13X6I-1826-SM-5SIAO 60-69 years, male 2265.3
GTEX-X5EB-1926-SM-4E3IW 40-49 years, male 2261.9
GTEX-11UD2-2526-SM-5CVNU 50-59 years, male 2260.5
GTEX-11NUK-2726-SM-5A5MC 50-59 years, male 2256.9
GTEX-ZPU1-1126-SM-4YCF3 40-49 years, male 2255.4
GTEX-1HSMP-0926-SM-A9SKX 70-79 years, male 2254.8
GTEX-14PJ6-2626-SM-6EU2T 60-69 years, female 2253.0
GTEX-1R9PN-0426-SM-DTXDT 40-49 years, female 2252.6
GTEX-14JG1-1526-SM-5YY9X 40-49 years, male 2252.1
GTEX-Z93S-1626-SM-5CVMB 50-59 years, male 2250.7
GTEX-11WQC-1826-SM-5GU59 60-69 years, male 2245.5
GTEX-1R9PM-1926-SM-EVR3O 20-29 years, male 2245.2
GTEX-1QP9N-1226-SM-E76QN 30-39 years, male 2238.2
GTEX-1GZ2Q-0126-SM-9WG6M 40-49 years, male 2234.7
GTEX-1F6IF-0926-SM-7SB7M 60-69 years, male 2233.1
GTEX-13VXT-1926-SM-5K7UO 20-29 years, female 2232.8
GTEX-1I1GS-2626-SM-B2LY3 60-69 years, male 2231.9
GTEX-1122O-1026-SM-9WYSF 60-69 years, female 2226.5
GTEX-YECK-0326-SM-4W1YS 60-69 years, male 2221.7
GTEX-1KANB-2826-SM-CY8I6 50-59 years, male 2221.7
GTEX-1AMEY-0826-SM-72D65 30-39 years, female 2219.4
GTEX-1EH9U-2826-SM-7DUGT 60-69 years, male 2219.4
GTEX-13X6K-0626-SM-5LU5D 60-69 years, female 2215.9
GTEX-1IDJU-1726-SM-CMKHU 60-69 years, female 2214.2
GTEX-1477Z-0326-SM-7IGLA 60-69 years, male 2213.2
GTEX-12WSH-1526-SM-5BC5W 50-59 years, male 2202.1
GTEX-1269C-0126-SM-5EQ5L 60-69 years, female 2195.4
GTEX-13QJC-0126-SM-5ZZWJ 60-69 years, female 2193.8
GTEX-183WM-0326-SM-72D5V 70-79 years, female 2188.5
GTEX-WHSB-1326-SM-3LK6W 50-59 years, male 2185.6
GTEX-1K2DA-1026-SM-CGQGF 50-59 years, male 2180.7
GTEX-ZGAY-1826-SM-DO91Q 40-49 years, female 2179.6
GTEX-117YX-1926-SM-5GIEC 50-59 years, male 2179.0
GTEX-14BIN-1126-SM-5RQJZ 50-59 years, female 2167.0
GTEX-145MH-2826-SM-5RQJF 50-59 years, male 2165.6
GTEX-1CAMS-2226-SM-7PBXQ 40-49 years, female 2162.9
GTEX-ZE7O-2726-SM-51MT5 50-59 years, female 2159.3
GTEX-13SLW-0626-SM-5Q5ER 70-79 years, male 2146.4
GTEX-14LZ3-0126-SM-69LPM 60-69 years, female 2142.5
GTEX-13NZ8-1226-SM-5KM4A 60-69 years, female 2137.3
GTEX-ZWKS-0626-SM-5GIDV 30-39 years, male 2136.5
GTEX-14LLW-2626-SM-62LDZ 70-79 years, female 2122.6
GTEX-1B8SF-0126-SM-7DUG3 60-69 years, male 2121.8
GTEX-1F88E-1626-SM-7SB8Z 60-69 years, female 2121.5
GTEX-1IOXB-2726-SM-CM2RI 50-59 years, male 2119.5
GTEX-1KXAM-1626-SM-D3LAD 60-69 years, male 2118.3
GTEX-X585-2426-SM-46MW2 50-59 years, male 2116.9
GTEX-ZVT2-0126-SM-5GIDQ 50-59 years, female 2115.1
GTEX-ZDTT-0426-SM-4WKFL 60-69 years, male 2111.9
GTEX-XOT4-0626-SM-4B66L 60-69 years, female 2111.5
GTEX-15CHQ-0326-SM-69LQD 60-69 years, male 2107.2
GTEX-146FQ-2126-SM-5RQHU 30-39 years, male 2106.5
GTEX-148VJ-0626-SM-5LUAW 70-79 years, male 2105.7
GTEX-XPVG-2126-SM-4B667 50-59 years, male 2104.1
GTEX-1HFI7-2326-SM-CGQFS 50-59 years, female 2096.9
GTEX-1GZHY-0626-SM-9KNVC 50-59 years, female 2090.9
GTEX-1HCVE-2726-SM-CL54F 50-59 years, male 2089.6
GTEX-1B8L1-2226-SM-7P8PT 60-69 years, male 2088.4
GTEX-147GR-2426-SM-5ZZWQ 60-69 years, male 2085.5
GTEX-ZAB4-2126-SM-5HL8U 40-49 years, male 2082.8
GTEX-1HT8W-0626-SM-A9G2H 30-39 years, male 2081.0
GTEX-1QP28-1126-SM-EVYC4 50-59 years, female 2079.3
GTEX-1399S-0126-SM-5IJCF 30-39 years, female 2076.3
GTEX-1JN76-0626-SM-CKZOQ 20-29 years, female 2076.2
GTEX-ZVTK-0226-SM-51MRG 20-29 years, male 2076.1
GTEX-12ZZZ-0726-SM-5GCNZ 60-69 years, male 2070.9
GTEX-1J1OQ-0126-SM-D4P2N 40-49 years, female 2067.9
GTEX-11LCK-2226-SM-5HL4Q 30-39 years, male 2064.2
GTEX-13N11-2326-SM-5IJBF 50-59 years, female 2062.5
GTEX-1KANA-1326-SM-DIPFA 20-29 years, male 2060.6
GTEX-1JMQL-2226-SM-CNPP4 50-59 years, female 2058.6
GTEX-13FTW-0326-SM-5K7UW 40-49 years, male 2058.4
GTEX-147JS-0226-SM-5S2U9 60-69 years, male 2052.9
GTEX-18QFQ-1826-SM-72D52 30-39 years, male 2049.6
GTEX-X8HC-0626-SM-4E3HQ 50-59 years, female 2048.9
GTEX-XUW1-0926-SM-4BONX 50-59 years, female 2047.6
GTEX-11VI4-1126-SM-5EQMD 40-49 years, female 2047.2
GTEX-1LGOU-1326-SM-D3L8M 20-29 years, female 2045.9
GTEX-13OW7-0426-SM-5K7VK 50-59 years, male 2040.8
GTEX-1OJC4-2726-SM-E76PJ 50-59 years, female 2030.0
GTEX-12WSK-2126-SM-5CVNC 40-49 years, female 2029.1
GTEX-139D8-1126-SM-5LU8W 30-39 years, female 2027.2
GTEX-13X6J-0626-SM-5LU5F 50-59 years, male 2024.6
GTEX-13U4I-2226-SM-5LU5H 40-49 years, female 2021.9
GTEX-1I4MK-0126-SM-CY8G6 50-59 years, female 2017.1
GTEX-13FLV-0126-SM-5K7WT 50-59 years, male 2015.7
GTEX-15D1Q-2826-SM-6LLH7 40-49 years, male 2012.0
GTEX-1ICLZ-0326-SM-ARL82 60-69 years, male 2010.8
GTEX-11ZUS-2626-SM-5FQUR 30-39 years, male 2008.7
GTEX-ZYVF-0926-SM-5E44J 50-59 years, female 2008.3
GTEX-1F5PL-0926-SM-7PC2W 40-49 years, female 2006.2
GTEX-1B97I-0626-SM-73KUZ 40-49 years, male 1999.9
GTEX-14B4R-1326-SM-5Q5EZ 30-39 years, male 1998.2
GTEX-131XW-0626-SM-5PNVD 50-59 years, female 1991.7
GTEX-11WQK-1026-SM-5EQLX 50-59 years, male 1989.5
GTEX-1GMR8-0626-SM-7RHI7 50-59 years, female 1987.2
GTEX-1IKJJ-2226-SM-CJI4C 60-69 years, male 1987.2
GTEX-1QCLY-0226-SM-EWRNH 30-39 years, male 1985.6
GTEX-1LG7Z-1626-SM-CXKYR 30-39 years, male 1985.0
GTEX-139T8-0626-SM-5KLZX 60-69 years, male 1981.6
GTEX-ZYFG-1526-SM-5GZYM 60-69 years, female 1980.6
GTEX-X4EP-0626-SM-3P621 60-69 years, female 1976.3
GTEX-15G1A-1626-SM-7KUKN 30-39 years, male 1975.1
GTEX-1I19N-0126-SM-CYPSF 70-79 years, male 1969.5
GTEX-1O9I2-0226-SM-EYYXD 50-59 years, male 1968.3
GTEX-1HCU6-2526-SM-ADEHL 60-69 years, female 1967.5
GTEX-1GF9V-0826-SM-9KNUV 60-69 years, male 1962.8
GTEX-14JFF-0626-SM-5ZZVT 60-69 years, male 1961.0
GTEX-ZPIC-0526-SM-DO91W 40-49 years, female 1958.8
GTEX-1S83E-1326-SM-E6CJM 40-49 years, male 1957.6
GTEX-14C38-0726-SM-5SI6M 50-59 years, male 1953.1
GTEX-1HC8U-1326-SM-9YFMJ 40-49 years, female 1953.1
GTEX-1HR98-2226-SM-ADEI2 60-69 years, male 1951.5
GTEX-1JKYR-0626-SM-ARL8R 20-29 years, male 1941.2
GTEX-1F48J-0726-SM-7RHGS 50-59 years, female 1934.1
GTEX-1JJEA-1826-SM-ARU8P 60-69 years, male 1931.5
GTEX-16Z82-2626-SM-7KULU 60-69 years, male 1930.4
GTEX-14PKV-1126-SM-6LLJ1 20-29 years, female 1930.2
GTEX-12WSM-1926-SM-5BC65 60-69 years, male 1925.4
GTEX-12WSD-0626-SM-5GCMW 60-69 years, female 1921.3
GTEX-13SLX-2226-SM-62LEP 50-59 years, female 1919.7
GTEX-1HCU9-0426-SM-9WYSD 20-29 years, male 1918.0
GTEX-WI4N-2726-SM-3LK7Y 40-49 years, female 1910.2
GTEX-16NGA-0726-SM-731AO 40-49 years, female 1908.6
GTEX-1IL2V-1926-SM-B2LW8 70-79 years, male 1905.4
GTEX-ZDXO-3126-SM-5IJDF 60-69 years, male 1904.8
GTEX-YEC3-1326-SM-DO92X 50-59 years, male 1903.8
GTEX-1F75W-2726-SM-7SB8H 60-69 years, male 1897.6
GTEX-XBED-1926-SM-47JYP 60-69 years, male 1896.8
GTEX-1JK1U-0226-SM-ARZMX 60-69 years, male 1895.1
GTEX-1PPH8-0126-SM-EWRN8 20-29 years, male 1893.0
GTEX-14AS3-1526-SM-5Q5ED 40-49 years, female 1892.7
GTEX-14PJ5-1526-SM-6LLIL 60-69 years, female 1891.2
GTEX-XAJ8-1426-SM-47JYM 40-49 years, male 1891.2
GTEX-ZYFC-0426-SM-5GICQ 50-59 years, male 1890.6
GTEX-13PVQ-0626-SM-5LU47 50-59 years, male 1885.6
GTEX-YB5K-2026-SM-4VDT3 40-49 years, female 1884.9
GTEX-1EKGG-0626-SM-7DUGJ 60-69 years, male 1884.8
GTEX-XQ3S-1426-SM-4BOPR 20-29 years, male 1884.3
GTEX-12WSF-1626-SM-7KUG5 70-79 years, male 1881.3
GTEX-1PBJJ-1026-SM-E76OS 30-39 years, male 1880.6
GTEX-1H11D-1826-SM-9QEHM 40-49 years, male 1879.6
GTEX-14BMV-2826-SM-5TDED 50-59 years, male 1875.6
GTEX-147F3-1726-SM-5SIAW 50-59 years, female 1875.5
GTEX-1F6RS-2026-SM-7RHHC 60-69 years, female 1870.9
GTEX-1GTWX-2026-SM-9YFLM 60-69 years, male 1869.7
GTEX-139TT-2126-SM-5LZWC 60-69 years, male 1865.5
GTEX-XK95-0226-SM-4AT58 40-49 years, male 1864.2
GTEX-139UW-0326-SM-5J1ML 60-69 years, male 1862.5
GTEX-1RMOY-1326-SM-E9TIH 50-59 years, male 1859.1
GTEX-1C64N-2626-SM-7PC2N 50-59 years, male 1858.8
GTEX-145MO-2826-SM-5LU96 60-69 years, male 1858.3
GTEX-ZYFD-0626-SM-5E44E 50-59 years, male 1853.0
GTEX-11TT1-1826-SM-5EQLV 20-29 years, male 1848.8
GTEX-1GN2E-0226-SM-9WG6K 60-69 years, male 1846.8
GTEX-1H1CY-0126-SM-9YFLY 60-69 years, female 1845.2
GTEX-11EQ9-1626-SM-5PNY8 30-39 years, male 1844.6
GTEX-1I1GU-0926-SM-ACKVS 40-49 years, male 1840.0
GTEX-1LSNM-0826-SM-DIPG8 50-59 years, male 1839.2
GTEX-13FTX-1526-SM-5K7VJ 20-29 years, female 1837.9
GTEX-12584-0726-SM-5FQTK 40-49 years, male 1836.1
GTEX-13YAN-0226-SM-5TDC6 60-69 years, male 1835.7
GTEX-133LE-2326-SM-5K7W3 20-29 years, female 1833.1
GTEX-1RAZA-2226-SM-E9U4X 20-29 years, male 1828.0
GTEX-13OW8-1026-SM-5J1NQ 60-69 years, male 1820.9
GTEX-1E1VI-0326-SM-793D1 50-59 years, male 1818.8
GTEX-X3Y1-2026-SM-3P5YM 40-49 years, male 1817.6
GTEX-1I6K6-1726-SM-CGQFD 30-39 years, male 1811.5
GTEX-1RB15-1326-SM-E76Q9 60-69 years, male 1810.6
GTEX-13VXU-0626-SM-5L3F9 50-59 years, male 1808.0
GTEX-ZA64-1026-SM-5HL8R 20-29 years, male 1807.7
GTEX-1JMQJ-0826-SM-CNPP7 50-59 years, male 1807.7
GTEX-13N2G-0226-SM-5K7VF 60-69 years, male 1807.4
GTEX-14PJ2-0626-SM-6LLII 50-59 years, male 1806.5
GTEX-139TU-0726-SM-5L3EK 60-69 years, male 1806.4
GTEX-1EU9M-1426-SM-793AI 60-69 years, male 1799.0
GTEX-1497J-0226-SM-5QGPU 60-69 years, male 1797.7
GTEX-1HUB1-1426-SM-CGQF5 60-69 years, male 1796.8
GTEX-18A7B-2726-SM-7LG56 70-79 years, male 1796.2
GTEX-WHWD-1826-SM-3LK6I 50-59 years, male 1793.9
GTEX-13PVR-0426-SM-5RQK2 60-69 years, female 1791.5
GTEX-1JN1M-2726-SM-CY8I4 60-69 years, female 1788.1
GTEX-1HBPI-2126-SM-ARL9K 50-59 years, male 1787.5
GTEX-132AR-0326-SM-5KM2C 50-59 years, female 1784.3
GTEX-1QP29-1826-SM-DTX9S 50-59 years, male 1780.9
GTEX-1H2FU-0926-SM-9WPPT 60-69 years, female 1780.1
GTEX-12WSC-2826-SM-5BC5Y 50-59 years, male 1778.2
GTEX-139TS-2126-SM-5K7XC 60-69 years, male 1775.5
GTEX-1C475-1326-SM-7SB73 40-49 years, female 1775.2
GTEX-ZE9C-2526-SM-5IJDR 60-69 years, male 1774.3
GTEX-1I1GP-1326-SM-A9G28 50-59 years, male 1772.8
GTEX-ZLWG-0826-SM-59888 50-59 years, female 1772.3
GTEX-111FC-2526-SM-5GZXU 60-69 years, male 1766.6
GTEX-13OW6-2726-SM-5J2OE 50-59 years, male 1765.4
GTEX-145MN-1526-SM-5SI9T 30-39 years, male 1759.9
GTEX-1B996-0426-SM-7EWF8 60-69 years, male 1757.7
GTEX-1CAV2-0126-SM-7IGN7 40-49 years, female 1747.4
GTEX-144GL-0626-SM-5LU4D 50-59 years, male 1744.4
GTEX-1314G-1326-SM-5BC6E 30-39 years, male 1741.6
GTEX-13O3Q-0126-SM-5KM34 50-59 years, male 1741.5
GTEX-14BMU-1226-SM-5S2OR 20-29 years, female 1740.4
GTEX-ZT9X-1526-SM-5DUXD 40-49 years, male 1735.5
GTEX-14PK6-0226-SM-62LF5 70-79 years, female 1731.5
GTEX-1L5NE-1126-SM-D3L9P 50-59 years, male 1728.3
GTEX-ZDYS-2426-SM-4WKGI 50-59 years, male 1727.8
GTEX-13JVG-0726-SM-5KM16 60-69 years, male 1724.2
GTEX-1J8Q2-2626-SM-ACKWQ 60-69 years, male 1721.1
GTEX-13O61-1426-SM-5KM3D 60-69 years, male 1720.0
GTEX-13OW5-2326-SM-5L3HO 60-69 years, male 1719.9
GTEX-12ZZX-2426-SM-5GCOE 40-49 years, female 1719.1
GTEX-1C6VR-0126-SM-7RHGB 60-69 years, male 1715.0
GTEX-1H1DF-1126-SM-9WG7G 40-49 years, female 1710.6
GTEX-1GL5R-1326-SM-7RHHF 50-59 years, male 1708.8
GTEX-16BQI-1326-SM-6M486 30-39 years, female 1705.3
GTEX-1A32A-0626-SM-731AQ 50-59 years, female 1703.1
GTEX-1I6K7-1926-SM-B2LXR 40-49 years, male 1703.0
GTEX-1GN1U-0626-SM-9MQL9 50-59 years, female 1697.6
GTEX-ZVE2-2826-SM-5GU51 50-59 years, male 1694.4
GTEX-Y5V5-0126-SM-5S2NW 60-69 years, female 1686.3
GTEX-13FH7-1126-SM-5K7UG 50-59 years, female 1682.4
GTEX-WYJK-0526-SM-3NM8Z 50-59 years, male 1677.5
GTEX-14JG6-1426-SM-9WG7C 30-39 years, female 1674.8
GTEX-ZC5H-1526-SM-5HL9Y 40-49 years, female 1674.6
GTEX-13N1W-2426-SM-5IJD1 70-79 years, male 1672.0
GTEX-1KWVE-1026-SM-D3L9O 30-39 years, male 1671.9
GTEX-1B8KZ-0326-SM-73KY4 50-59 years, male 1671.4
GTEX-11EQ8-0926-SM-5H12V 60-69 years, male 1669.4
GTEX-1212Z-0126-SM-59HK4 60-69 years, male 1666.8
GTEX-111CU-1126-SM-5EGIM 50-59 years, male 1665.3
GTEX-1QP66-1226-SM-DTX7U 50-59 years, male 1665.2
GTEX-12126-0826-SM-5FQTZ 20-29 years, male 1661.1
GTEX-1PIIG-2326-SM-DTXFR 30-39 years, male 1654.1
GTEX-13NZ9-2626-SM-5L3FK 50-59 years, male 1651.6
GTEX-131XG-0326-SM-5L3DX 50-59 years, female 1645.1
GTEX-131YS-2826-SM-5EQ47 60-69 years, female 1644.7
GTEX-14PHX-2226-SM-6EU2P 50-59 years, male 1644.5
GTEX-1IDJF-2026-SM-CL53V 20-29 years, male 1644.4
GTEX-XBEC-0726-SM-4QARZ 50-59 years, male 1637.4
GTEX-15EU6-2226-SM-6EU2L 50-59 years, male 1629.5
GTEX-WFON-1926-SM-3LK7L 40-49 years, male 1628.9
GTEX-11GS4-0226-SM-5HL77 60-69 years, male 1621.8
GTEX-1QCLZ-2426-SM-EVYBW 60-69 years, female 1621.5
GTEX-1H3NZ-2726-SM-9WYTQ 60-69 years, male 1619.4
GTEX-145LT-0526-SM-5LUB2 40-49 years, male 1616.5
GTEX-1H23P-0626-SM-9WG6T 60-69 years, male 1615.7
GTEX-WRHU-2826-SM-3MJG8 50-59 years, female 1615.5
GTEX-VJYA-1526-SM-3GIJV 60-69 years, male 1613.7
GTEX-14DAQ-0626-SM-793DS 60-69 years, female 1612.9
GTEX-1F52S-2926-SM-7MKGA 60-69 years, female 1610.8
GTEX-145LS-0626-SM-7EPG7 60-69 years, female 1610.4
GTEX-111VG-1626-SM-5EGIO 60-69 years, male 1609.4
GTEX-16MT9-0126-SM-7EPI8 60-69 years, female 1604.0
GTEX-1KAFJ-0126-SM-DIPEK 50-59 years, male 1599.2
GTEX-11DXW-0826-SM-5H118 40-49 years, male 1598.2
GTEX-12ZZY-0726-SM-5EQ66 60-69 years, male 1595.1
GTEX-13G51-1826-SM-5KLZH 60-69 years, male 1586.8
GTEX-1A3MX-2626-SM-7PC24 60-69 years, male 1582.1
GTEX-1JMLX-0626-SM-ARL8T 50-59 years, male 1580.4
GTEX-183FY-1026-SM-7939A 20-29 years, male 1574.1
GTEX-178AV-1726-SM-7KUL8 40-49 years, male 1571.1
GTEX-139YR-1026-SM-5LZYN 50-59 years, male 1570.8
GTEX-U8XE-0226-SM-4E3J3 30-39 years, male 1570.5
GTEX-17HHY-0426-SM-7DHLC 50-59 years, male 1564.7
GTEX-13OVL-0126-SM-5L3GJ 50-59 years, male 1563.9
GTEX-1H1E6-0426-SM-9WYUS 30-39 years, male 1563.0
GTEX-13113-1626-SM-5EQ4I 60-69 years, female 1559.2
GTEX-11NSD-0626-SM-5A5LU 20-29 years, male 1550.1
GTEX-18D9B-0926-SM-7LG4U 60-69 years, male 1537.5
GTEX-11PRG-0726-SM-5EGL1 50-59 years, male 1537.1
GTEX-1GF9X-1326-SM-7PC2Y 40-49 years, female 1536.9
GTEX-1IDJV-0126-SM-COH3Y 60-69 years, male 1535.9
GTEX-11O72-0626-SM-5PNYE 40-49 years, male 1535.2
GTEX-YFCO-1226-SM-5LUAT 40-49 years, male 1533.6
GTEX-1JKYN-0826-SM-ARU8S 30-39 years, male 1528.2
GTEX-15CHC-1126-SM-6LLHQ 60-69 years, female 1518.8
GTEX-1AX8Z-0726-SM-73KTS 60-69 years, male 1512.2
GTEX-1GMR3-0126-SM-A9SLW 40-49 years, male 1510.5
GTEX-W5X1-2526-SM-3GILC 40-49 years, female 1507.2
GTEX-1F75A-0726-SM-7RHHD 50-59 years, male 1502.3
GTEX-17EVQ-0126-SM-7IGLR 70-79 years, male 1499.2
GTEX-ZP4G-1426-SM-4WWCL 20-29 years, female 1497.7
GTEX-1GPI6-1926-SM-9KNV7 60-69 years, male 1496.5
GTEX-1MJK3-0726-SM-E6CJC 20-29 years, male 1493.4
GTEX-1211K-1526-SM-5FQU4 60-69 years, female 1493.1
GTEX-ZU9S-1826-SM-5NQ9E 30-39 years, male 1490.1
GTEX-13JUV-2026-SM-5K7UA 40-49 years, female 1487.1
GTEX-WK11-2726-SM-3NMAQ 50-59 years, male 1485.3
GTEX-1GF9W-1426-SM-7PBYM 60-69 years, male 1482.9
GTEX-WFG8-2126-SM-3GIKQ 20-29 years, male 1482.8
GTEX-15CHR-1126-SM-7EWF4 50-59 years, male 1473.1
GTEX-ZLFU-1826-SM-4WWBV 40-49 years, male 1472.9
GTEX-1B8KE-1126-SM-7EPHI 50-59 years, male 1470.2
GTEX-ZZ64-1026-SM-5GZXG 20-29 years, male 1458.0
GTEX-1HCU7-0726-SM-A9SL1 50-59 years, male 1457.8
GTEX-1GZ4H-0526-SM-9KNU9 50-59 years, female 1455.6
GTEX-12KS4-2126-SM-5FQUT 30-39 years, male 1453.7
GTEX-1LBAC-0826-SM-CY8IJ 20-29 years, male 1438.1
GTEX-17F98-1326-SM-7DUEP 40-49 years, female 1435.1
GTEX-11EI6-2826-SM-5H11D 60-69 years, male 1431.1
GTEX-12WSL-2026-SM-5GCML 50-59 years, male 1428.0
GTEX-17KNJ-2126-SM-718AM 50-59 years, male 1427.9
GTEX-1NV5F-0626-SM-DTXEG 60-69 years, female 1426.7
GTEX-1GMR2-0826-SM-7PC3V 50-59 years, male 1424.5
GTEX-YJ8O-2526-SM-5HL85 40-49 years, female 1410.9
GTEX-1HCU8-2526-SM-CE6RX 60-69 years, female 1407.5
GTEX-1IDJD-2326-SM-ACKWX 30-39 years, male 1402.1
GTEX-UPJH-0226-SM-3GADV 50-59 years, male 1401.8
GTEX-16GPK-0626-SM-7KFSF 60-69 years, male 1399.7
GTEX-16MTA-0926-SM-6M47Z 50-59 years, male 1398.3
GTEX-1LVAN-0626-SM-CNPOQ 50-59 years, female 1394.6
GTEX-1IDJE-1426-SM-ADEIW 50-59 years, female 1390.9
GTEX-1F75B-0726-SM-7PC3R 50-59 years, male 1384.2
GTEX-1JMOU-1026-SM-CYPSS 60-69 years, female 1379.8
GTEX-11DXZ-2026-SM-5987S 50-59 years, male 1378.8
GTEX-1HGF4-0126-SM-CNPPX 60-69 years, male 1376.4
GTEX-1I1CD-0626-SM-CE6SW 60-69 years, female 1374.4
GTEX-ZUA1-2626-SM-5NQ92 40-49 years, male 1370.8
GTEX-1CB4F-1026-SM-7DUH1 60-69 years, male 1370.6
GTEX-ZAK1-0626-SM-5HL8E 50-59 years, female 1367.5
GTEX-ZT9W-1126-SM-57WDR 50-59 years, male 1351.2
GTEX-1GN1W-2426-SM-9KNUU 50-59 years, female 1340.5
GTEX-ZVT4-2426-SM-5GIEI 50-59 years, female 1340.4
GTEX-16MT8-2926-SM-7DUFO 60-69 years, female 1339.5
GTEX-1R9K4-2826-SM-DTX8F 60-69 years, male 1334.2
GTEX-17HG3-2626-SM-7DUF2 30-39 years, female 1319.1
GTEX-1IE54-1126-SM-A9G2Z 40-49 years, female 1310.7
GTEX-Y8LW-1526-SM-5IFHL 50-59 years, female 1300.9
GTEX-12C56-1526-SM-5FQUQ 20-29 years, male 1294.0
GTEX-Y111-0626-SM-4SOIT 50-59 years, male 1278.6
GTEX-1CB4E-0926-SM-7EPHT 60-69 years, male 1273.7
GTEX-11DYG-1526-SM-5A5JS 60-69 years, male 1271.5
GTEX-ZTSS-1426-SM-5985P 40-49 years, male 1266.0
GTEX-18A7A-0126-SM-731AH 50-59 years, female 1257.9
GTEX-1B933-2426-SM-7DHMD 50-59 years, female 1239.4
GTEX-17F96-0126-SM-7EWDU 70-79 years, male 1235.7
GTEX-1HSMQ-2626-SM-A9SML 50-59 years, male 1231.7
GTEX-1192X-2726-SM-5N9DN 50-59 years, male 1230.2
GTEX-18A6Q-0626-SM-7KFRP 60-69 years, male 1228.2
GTEX-1CAMR-1326-SM-7PC1F 20-29 years, male 1225.6
GTEX-12WSJ-1126-SM-5LZVJ 40-49 years, female 1220.8
GTEX-1GF9U-2026-SM-7SB92 40-49 years, female 1220.1
GTEX-18D9U-0126-SM-731BM 40-49 years, male 1219.5
GTEX-XBEW-1126-SM-4QARW 40-49 years, male 1217.1
GTEX-147F4-0726-SM-5TDDD 50-59 years, male 1213.7
GTEX-1EWIQ-0326-SM-7DHMQ 70-79 years, female 1212.1
GTEX-YF7O-1526-SM-5IFI6 50-59 years, male 1191.2
GTEX-1AX9J-1326-SM-731BJ 60-69 years, male 1177.4
GTEX-WYBS-0626-SM-3NMAS 60-69 years, female 1171.2
GTEX-17HGU-2326-SM-7DUFE 50-59 years, male 1166.1
GTEX-ZTX8-1326-SM-4YCEL 20-29 years, male 1140.6
GTEX-Y8E4-2026-SM-5IFJB 40-49 years, male 1115.4
GTEX-WY7C-2126-SM-3NB2R 50-59 years, male 1111.5
GTEX-1JMQI-1726-SM-ARL93 50-59 years, male 1106.0
GTEX-17JCI-2926-SM-7DUFF 60-69 years, female 1102.9
GTEX-1AX9I-2226-SM-73KUO 60-69 years, male 1091.1
GTEX-131XF-2626-SM-5EQ6K 60-69 years, male 1087.8
GTEX-ZDTS-0826-SM-4WKHL 60-69 years, male 1087.7
GTEX-13OVK-1426-SM-6PAN7 40-49 years, male 1086.3
GTEX-1IDJC-1526-SM-B2LW4 50-59 years, male 1083.6
GTEX-1H1DE-1326-SM-9KNUG 20-29 years, male 1079.7
GTEX-1JMPY-0226-SM-CKZOK 30-39 years, male 1062.6
GTEX-1MCYP-0526-SM-E9U6Q 20-29 years, female 1061.7
GTEX-16AAH-0626-SM-793C9 50-59 years, male 1060.9
GTEX-WHSE-0126-SM-3NMBT 20-29 years, male 1059.0
GTEX-1OJC3-1226-SM-DTXER 20-29 years, male 1054.8
GTEX-1S831-1826-SM-EWROF 20-29 years, male 1051.1
GTEX-17F9E-2326-SM-79OKD 50-59 years, male 1041.1
GTEX-1C64O-1326-SM-7MGWR 60-69 years, male 1017.4
GTEX-WYVS-1626-SM-3NM9R 40-49 years, female 988.1
GTEX-1IY9M-2826-SM-ARU8H 60-69 years, male 984.1
GTEX-ZVP2-0326-SM-57WBP 50-59 years, male 949.5
GTEX-1CAMQ-1326-SM-7P8RV 40-49 years, male 943.1
GTEX-17F9Y-0126-SM-79OKX 70-79 years, female 914.8
GTEX-WEY5-2326-SM-3GIKK 40-49 years, female 911.7
GTEX-11P82-1426-SM-DTXFY 20-29 years, male 860.7
GTEX-1EX96-1026-SM-7MKG2 50-59 years, male 840.1
GTEX-11P7K-1126-SM-5HL4L 30-39 years, male 784.1
GTEX-1F6I4-2326-SM-7RHGL 60-69 years, male 768.1
GTEX-1N2DV-1526-SM-DTXEP 40-49 years, male 752.3
GTEX-WHPG-2626-SM-3NMBR 50-59 years, male 726.8
GTEX-1F75I-2226-SM-7SB8U 40-49 years, male 708.6
GTEX-WFG7-2026-SM-5SI7P 20-29 years, male 653.8
GTEX-15RJ7-2126-SM-6PAMD 40-49 years, male 645.0
GTEX-Y114-2126-SM-4TT8B 50-59 years, female 639.7
GTEX-14PJ3-1126-SM-5ZZVX 50-59 years, male 602.8
GTEX-18A66-0626-SM-7LT8Z 60-69 years, male 597.7
GTEX-14PJO-2526-SM-6AJBQ 60-69 years, male 538.4
GTEX-17F97-2626-SM-7IGM5 50-59 years, male 437.2
Show allShow less
Skin - Sun Exposed (Lower leg)
Average nTPM: 1844.2
Samples: 701

Max nTPM: 5071.5
Min nTPM: 479.6
Std nTPM: 582.7
Median nTPM: 1787.1
GTEX-1HSMO-0126-SM-CL547 60-69 years, male 5071.5
GTEX-1C6VQ-0126-SM-7P8RI 50-59 years, male 4383.4
GTEX-1JMPZ-0226-SM-CNPP1 30-39 years, male 4073.0
GTEX-131XE-2326-SM-5PNZ2 50-59 years, male 4022.5
GTEX-1H1ZS-0426-SM-9WG6G 70-79 years, male 3957.5
GTEX-RVPV-0126-SM-EAZAW 60-69 years, male 3934.0
GTEX-14E6C-0126-SM-5RQIP 40-49 years, male 3879.8
GTEX-1H4P4-0726-SM-9YFLR 50-59 years, male 3704.1
GTEX-144FL-0126-SM-5TDC8 50-59 years, male 3643.0
GTEX-O5YT-0126-SM-48TBW 20-29 years, male 3594.2
GTEX-1MJK2-0426-SM-DTXE5 50-59 years, male 3450.6
GTEX-1LH75-2426-SM-E9TJE 50-59 years, female 3445.5
GTEX-15UF6-0826-SM-6PALJ 70-79 years, female 3411.8
GTEX-131XF-5016-SM-7MGWE 60-69 years, male 3401.5
GTEX-14753-0426-SM-5NQAM 60-69 years, male 3286.9
GTEX-1K2DU-2326-SM-E9TIV 20-29 years, male 3285.4
GTEX-1122O-2126-SM-5EGIR 60-69 years, female 3267.2
GTEX-1PDJ9-0326-SM-DTX95 20-29 years, male 3264.4
GTEX-15EOM-0126-SM-7KUGG 20-29 years, female 3223.1
GTEX-145ME-1826-SM-5SI9G 40-49 years, female 3199.5
GTEX-145MF-0626-SM-5LUAI 50-59 years, male 3173.9
GTEX-13IVO-0126-SM-5J1NG 70-79 years, male 3148.5
GTEX-Z93T-0126-SM-5HL5N 50-59 years, male 3142.7
GTEX-145MO-0326-SM-5Q5B3 60-69 years, male 3133.8
GTEX-169BO-1326-SM-9MQK2 50-59 years, male 3104.5
GTEX-1MCQQ-0826-SM-DLHC2 60-69 years, male 3095.7
GTEX-13RTJ-2426-SM-5S2Q2 60-69 years, male 3041.6
GTEX-1IDJH-0326-SM-A9SLQ 70-79 years, male 2970.8
GTEX-OIZG-0726-SM-33HBL 50-59 years, male 2951.2
GTEX-1L5NE-2526-SM-E6CIE 50-59 years, male 2940.0
GTEX-145LS-0126-SM-5QGP1 60-69 years, female 2924.0
GTEX-11GSO-2426-SM-5A5LY 60-69 years, male 2920.7
GTEX-12WSE-0526-SM-793B2 20-29 years, male 2900.5
GTEX-U412-0426-SM-3DB9O 60-69 years, male 2886.6
GTEX-13OVH-0126-SM-5MR4B 70-79 years, male 2863.1
GTEX-ZVZO-0126-SM-5A5L9 40-49 years, male 2856.1
GTEX-12WSA-0226-SM-5BC5V 60-69 years, male 2850.5
GTEX-X4XY-0226-SM-4E3IZ 60-69 years, male 2823.2
GTEX-PWO3-1526-SM-48TCM 60-69 years, female 2812.3
GTEX-18D9A-1926-SM-7LG6P 30-39 years, female 2781.2
GTEX-13FHO-0226-SM-5IFGY 60-69 years, male 2771.7
GTEX-1PWST-0226-SM-E76QJ 70-79 years, male 2755.5
GTEX-145LT-1726-SM-5QGP3 40-49 years, male 2733.1
GTEX-15SB6-1726-SM-6PAME 50-59 years, female 2720.7
GTEX-Y5V6-2426-SM-4VDSB 60-69 years, male 2712.2
GTEX-ZVZP-2426-SM-59HKJ 50-59 years, male 2700.5
GTEX-15UKP-0426-SM-7KUFQ 20-29 years, male 2698.2
GTEX-UJHI-1526-SM-3DB99 50-59 years, female 2690.5
GTEX-1M5QR-1226-SM-EWROB 40-49 years, male 2657.4
GTEX-1K9T9-0126-SM-EVYCF 50-59 years, female 2652.1
GTEX-1J8Q3-1626-SM-CMKGC 60-69 years, male 2644.8
GTEX-PLZ6-1426-SM-DKPOT 30-39 years, male 2630.8
GTEX-13PDP-0126-SM-5L3HD 60-69 years, male 2630.5
GTEX-111FC-0126-SM-5N9DL 60-69 years, male 2630.4
GTEX-WVJS-0126-SM-4MVOT 50-59 years, male 2625.6
GTEX-15D1Q-0126-SM-7KUG6 40-49 years, male 2618.0
GTEX-S95S-1226-SM-4GICG 60-69 years, male 2614.5
GTEX-17MF6-0126-SM-7LG4F 40-49 years, male 2611.4
GTEX-1HSMP-0126-SM-E6CJS 70-79 years, male 2603.8
GTEX-X261-0126-SM-3NMD6 50-59 years, male 2589.8
GTEX-X585-0226-SM-4QAS2 50-59 years, male 2587.3
GTEX-1JMQK-0226-SM-CL543 60-69 years, male 2584.3
GTEX-13NYB-2526-SM-5K7Z6 40-49 years, male 2583.0
GTEX-13W3W-2426-SM-5LU5B 60-69 years, female 2576.9
GTEX-18465-0126-SM-731BN 50-59 years, male 2575.0
GTEX-1JJ6O-0126-SM-E6CI8 60-69 years, male 2565.8
GTEX-1HCVE-0126-SM-CGQEU 50-59 years, male 2538.5
GTEX-14E6E-1826-SM-5S2R7 30-39 years, male 2536.1
GTEX-X4XX-0126-SM-3NMC2 60-69 years, male 2532.6
GTEX-1POEN-0126-SM-EYYXJ 30-39 years, female 2524.8
GTEX-PWCY-1826-SM-DHXIZ 20-29 years, female 2522.6
GTEX-183WM-0126-SM-7LTAB 70-79 years, female 2518.7
GTEX-1O97I-0326-SM-EYYX7 60-69 years, male 2515.9
GTEX-14JG6-2226-SM-6EU2G 30-39 years, female 2508.4
GTEX-1HGF4-2426-SM-ACKXM 60-69 years, male 2499.9
GTEX-1KANC-1526-SM-D3LAB 50-59 years, female 2499.1
GTEX-17HII-0226-SM-7LG4E 50-59 years, male 2495.1
GTEX-U8T8-0126-SM-3DB94 60-69 years, male 2479.6
GTEX-TSE9-0126-SM-3DB83 60-69 years, female 2479.4
GTEX-1QW4Y-1526-SM-EAZ3Z 30-39 years, male 2479.4
GTEX-1IDFM-0126-SM-COH2V 60-69 years, male 2463.6
GTEX-XPVG-2626-SM-4B669 50-59 years, male 2462.7
GTEX-POMQ-2226-SM-2I5FK 20-29 years, female 2458.0
GTEX-WXYG-2326-SM-4E3I6 50-59 years, female 2455.9
GTEX-14PK6-1926-SM-6ETZU 70-79 years, female 2424.0
GTEX-Y5LM-1926-SM-5RQJH 40-49 years, female 2423.0
GTEX-18A67-0126-SM-7LG5P 50-59 years, male 2418.3
GTEX-VUSG-2526-SM-4KL1V 50-59 years, male 2410.2
GTEX-1CB4J-0626-SM-7DHMP 60-69 years, male 2404.2
GTEX-14E6D-0126-SM-62LDV 50-59 years, male 2404.0
GTEX-1M4P7-0226-SM-DIPEV 60-69 years, male 2399.6
GTEX-13W46-0226-SM-5SIAG 50-59 years, male 2398.6
GTEX-13NZ8-0826-SM-5MR3I 60-69 years, female 2393.2
GTEX-13JUV-2726-SM-5LZZ8 40-49 years, female 2389.5
GTEX-1HT8W-0126-SM-CNPPP 30-39 years, male 2385.6
GTEX-XMD2-0126-SM-4YCDU 60-69 years, female 2384.8
GTEX-1A3MW-0126-SM-73KXX 60-69 years, female 2381.1
GTEX-1AMFI-2026-SM-731BH 50-59 years, female 2379.1
GTEX-13OVI-1426-SM-5L3EY 60-69 years, female 2376.6
GTEX-1OJC3-0126-SM-E76QX 20-29 years, male 2371.0
GTEX-QDVJ-1726-SM-2I5FX 50-59 years, male 2363.8
GTEX-1KANB-0526-SM-E6CJH 50-59 years, male 2363.6
GTEX-16XZZ-0126-SM-793DV 60-69 years, male 2360.7
GTEX-131XH-2226-SM-5DUXJ 50-59 years, male 2354.8
GTEX-1JN1M-0326-SM-CYPT3 60-69 years, female 2354.8
GTEX-1F88F-2726-SM-7PBZZ 60-69 years, female 2353.5
GTEX-16YQH-0126-SM-7DUFJ 30-39 years, male 2353.2
GTEX-13X6J-0126-SM-5QGOU 50-59 years, male 2351.7
GTEX-13X6I-0626-SM-5QGP9 60-69 years, male 2348.4
GTEX-ZXG5-0126-SM-5GIEU 60-69 years, male 2344.1
GTEX-1GZ2Q-0226-SM-7P8TL 40-49 years, male 2343.8
GTEX-1ICG6-2526-SM-CGQFZ 70-79 years, female 2342.5
GTEX-11ZU8-2526-SM-5EQKI 60-69 years, male 2340.3
GTEX-13N2G-2626-SM-5J1OT 60-69 years, male 2339.1
GTEX-1H1DG-0126-SM-9WYU2 70-79 years, male 2339.0
GTEX-1HB9E-0226-SM-E9U4R 50-59 years, male 2337.7
GTEX-RTLS-0126-SM-447CA 60-69 years, female 2336.4
GTEX-1399U-2326-SM-5K7WY 50-59 years, female 2335.5
GTEX-OXRO-0126-SM-2YUN4 60-69 years, female 2331.9
GTEX-ZAJG-0126-SM-5HL94 50-59 years, female 2331.8
GTEX-13S7M-0126-SM-5SI6A 60-69 years, female 2331.6
GTEX-QV44-1926-SM-2S1RF 50-59 years, male 2323.1
GTEX-1GPI7-0126-SM-9MQL8 20-29 years, male 2322.2
GTEX-15ETS-0126-SM-7KUMW 40-49 years, female 2321.9
GTEX-13U4I-0126-SM-5LU38 40-49 years, female 2321.7
GTEX-17MFQ-1726-SM-793C7 20-29 years, male 2320.9
GTEX-1KANA-0726-SM-D3L9I 20-29 years, male 2310.7
GTEX-1LB8K-0226-SM-EWRNW 50-59 years, male 2308.2
GTEX-11DZ1-0126-SM-5985Q 50-59 years, male 2295.5
GTEX-13O3O-0126-SM-E9J49 60-69 years, female 2295.5
GTEX-1PPH7-2326-SM-EVYB8 40-49 years, male 2291.2
GTEX-13RTL-0126-SM-7LG5S 40-49 years, male 2288.8
GTEX-1IL2V-0126-SM-CM2TX 70-79 years, male 2286.8
GTEX-1A3MV-1926-SM-718BT 30-39 years, male 2285.8
GTEX-1I1HK-0126-SM-COH49 60-69 years, male 2282.4
GTEX-1MUQO-0126-SM-EAZ58 60-69 years, male 2277.1
GTEX-18A7B-0126-SM-7LG64 70-79 years, male 2276.7
GTEX-1LC47-0326-SM-E9TJP 60-69 years, male 2274.1
GTEX-1RLM8-2326-SM-EWRN4 50-59 years, male 2270.9
GTEX-1LSNM-1926-SM-E6CII 50-59 years, male 2269.1
GTEX-11H98-0126-SM-5EGHG 50-59 years, male 2267.8
GTEX-1ICLY-0126-SM-D4P36 50-59 years, male 2267.5
GTEX-117YW-2626-SM-5GZZH 50-59 years, male 2265.9
GTEX-1I1GQ-0126-SM-COH3H 50-59 years, male 2262.3
GTEX-11LCK-1026-SM-5A5KB 30-39 years, male 2249.2
GTEX-1QMI2-0226-SM-EVYBX 60-69 years, male 2246.7
GTEX-VJWN-0126-SM-3GIK7 50-59 years, female 2236.1
GTEX-13OW8-1326-SM-5J1OW 60-69 years, male 2235.5
GTEX-1R46S-0626-SM-E9J41 60-69 years, female 2233.4
GTEX-14C5O-0126-SM-5SI6N 60-69 years, male 2230.8
GTEX-1I1GV-0526-SM-A9G29 60-69 years, male 2226.2
GTEX-1ICLZ-0126-SM-CKZPO 60-69 years, male 2226.1
GTEX-11UD2-0226-SM-5EQKY 50-59 years, male 2225.7
GTEX-1I1GT-0626-SM-CGQER 60-69 years, female 2212.9
GTEX-1GF9V-0326-SM-7RHI5 60-69 years, male 2212.8
GTEX-1R9PM-2026-SM-E76OY 20-29 years, male 2209.2
GTEX-1GF9U-2126-SM-7SB7L 40-49 years, female 2203.8
GTEX-15RIG-0226-SM-7KFTL 40-49 years, male 2203.7
GTEX-X638-0126-SM-47JZ8 70-79 years, female 2197.4
GTEX-SJXC-0126-SM-2XCFF 60-69 years, male 2191.9
GTEX-13FTY-0526-SM-5L3EV 40-49 years, female 2183.5
GTEX-1212Z-2526-SM-5EGKP 60-69 years, male 2183.4
GTEX-X4EP-0126-SM-3P5YV 60-69 years, female 2181.3
GTEX-1LGRB-2526-SM-CNPPQ 50-59 years, female 2179.0
GTEX-1IKOH-0226-SM-COH4E 60-69 years, female 2176.3
GTEX-P4PP-0126-SM-3LK69 30-39 years, female 2173.0
GTEX-1J8EW-0126-SM-CJI4F 60-69 years, female 2172.9
GTEX-13CF3-2426-SM-5IFGX 60-69 years, female 2172.4
GTEX-X5EB-2226-SM-46MW4 40-49 years, male 2172.4
GTEX-1LGOU-2026-SM-DIPFF 20-29 years, female 2171.5
GTEX-11EQ9-2426-SM-5HL5T 30-39 years, male 2170.1
GTEX-1MA7W-2026-SM-E9TJ6 20-29 years, female 2168.9
GTEX-1LG7Z-1726-SM-D3LA4 30-39 years, male 2163.6
GTEX-XBEW-0626-SM-4QASP 40-49 years, male 2156.0
GTEX-ZV6S-2326-SM-4YCEY 40-49 years, female 2153.2
GTEX-1KWVE-1426-SM-E9TJO 30-39 years, male 2152.9
GTEX-R3RS-0126-SM-3GIJL 40-49 years, female 2150.6
GTEX-12ZZY-0226-SM-5LZVE 60-69 years, male 2149.7
GTEX-13NYS-0126-SM-5MR3W 60-69 years, male 2148.3
GTEX-X88G-0126-SM-47JZ3 30-39 years, male 2148.2
GTEX-16NGA-1726-SM-731B4 40-49 years, female 2146.6
GTEX-1JN6P-0126-SM-D3L98 60-69 years, male 2141.9
GTEX-1GN73-0226-SM-9WG67 60-69 years, male 2137.2
GTEX-13D11-2426-SM-5KM1V 50-59 years, female 2136.2
GTEX-16MT8-0426-SM-7KUEY 60-69 years, female 2136.2
GTEX-1N2DV-0226-SM-E6CJ6 40-49 years, male 2132.4
GTEX-ZDTT-2726-SM-4WKF8 60-69 years, male 2132.2
GTEX-1313W-0126-SM-5LZUN 50-59 years, female 2131.4
GTEX-Q2AH-1626-SM-3GAF8 40-49 years, male 2131.1
GTEX-17F96-1626-SM-7DUFL 70-79 years, male 2125.5
GTEX-13RTK-1426-SM-5QGQJ 20-29 years, male 2122.0
GTEX-1E2YA-0126-SM-9KNUC 50-59 years, male 2117.8
GTEX-WI4N-1026-SM-3LK7N 40-49 years, female 2117.3
GTEX-ZYT6-0226-SM-5NQ6T 30-39 years, male 2114.2
GTEX-1GZ4H-1726-SM-7PBZJ 50-59 years, female 2110.7
GTEX-11UD1-0126-SM-5PNYG 40-49 years, female 2110.1
GTEX-W5X1-3026-SM-EAZAX 40-49 years, female 2108.6
GTEX-1HCU6-0126-SM-CL54K 60-69 years, female 2104.3
GTEX-1QP66-1726-SM-E8VO1 50-59 years, male 2104.0
GTEX-TMMY-0226-SM-33HBA 40-49 years, female 2101.9
GTEX-XUYS-0126-SM-47JWZ 50-59 years, male 2099.7
GTEX-1CAMQ-0226-SM-7IGPK 40-49 years, male 2098.6
GTEX-1HSGN-0226-SM-CGQFV 40-49 years, female 2098.3
GTEX-Q2AG-0126-SM-33HBV 40-49 years, female 2097.2
GTEX-139D8-0226-SM-5KLZO 30-39 years, female 2091.3
GTEX-14XAO-2326-SM-6EU1B 60-69 years, female 2087.0
GTEX-1QAET-0926-SM-E76QM 50-59 years, male 2081.6
GTEX-11EM3-2426-SM-59861 20-29 years, female 2081.0
GTEX-SN8G-0126-SM-32PLI 50-59 years, female 2080.7
GTEX-1R7EU-0226-SM-EVR4G 60-69 years, male 2079.7
GTEX-Z93S-0126-SM-5HL7M 50-59 years, male 2079.1
GTEX-1H3O1-0426-SM-9YFKY 60-69 years, male 2076.8
GTEX-ZE9C-2726-SM-57WB5 60-69 years, male 2074.4
GTEX-X8HC-0126-SM-4E3JW 50-59 years, female 2074.0
GTEX-1J1R8-1726-SM-ARL8M 40-49 years, male 2073.3
GTEX-1EU9M-0226-SM-7P8SP 60-69 years, male 2069.1
GTEX-11TTK-0126-SM-5987B 60-69 years, female 2068.3
GTEX-OXRP-0126-SM-3NB32 60-69 years, female 2064.6
GTEX-13QJ3-0326-SM-5S2RA 50-59 years, male 2061.0
GTEX-ZYY3-0126-SM-5GZY5 60-69 years, female 2056.1
GTEX-11DYG-0126-SM-59883 60-69 years, male 2053.9
GTEX-1AMEY-1326-SM-73KYK 30-39 years, female 2047.7
GTEX-1CAMS-0426-SM-7P8T2 40-49 years, female 2046.8
GTEX-13NZB-2526-SM-5J1OM 30-39 years, male 2043.2
GTEX-1497J-2426-SM-7IGNX 60-69 years, male 2041.1
GTEX-1PIIG-0226-SM-EWRN6 30-39 years, male 2039.7
GTEX-ZPIC-1726-SM-DHXIU 40-49 years, female 2039.3
GTEX-13OW5-0126-SM-DTXFS 60-69 years, male 2035.8
GTEX-1I1GP-2226-SM-CGQFK 50-59 years, male 2034.9
GTEX-1QCLY-0326-SM-E8VOG 30-39 years, male 2032.9
GTEX-12696-2426-SM-5EQ6H 60-69 years, male 2031.8
GTEX-1GMRU-0126-SM-9YFLV 50-59 years, male 2030.4
GTEX-ZWKS-0126-SM-5SIAA 30-39 years, male 2029.0
GTEX-13O3Q-2426-SM-5IJBR 50-59 years, male 2028.9
GTEX-14A5I-0126-SM-5TDEA 50-59 years, female 2028.2
GTEX-ZYFC-0226-SM-5NQ75 50-59 years, male 2025.9
GTEX-1K2DA-1826-SM-CGQGT 50-59 years, male 2023.4
GTEX-183FY-0126-SM-7LT9P 20-29 years, male 2023.3
GTEX-148VI-1626-SM-5SI6E 60-69 years, female 2020.8
GTEX-1F7RK-0126-SM-7PC2S 20-29 years, female 2020.7
GTEX-ZVTK-0426-SM-51MRS 20-29 years, male 2015.5
GTEX-ZY6K-1826-SM-5GZXK 50-59 years, male 2010.2
GTEX-117XS-2726-SM-5N9BL 60-69 years, male 2007.3
GTEX-1HCU8-0626-SM-A9SM9 60-69 years, female 2005.3
GTEX-1LG7Y-0526-SM-DKPQC 50-59 years, male 2004.2
GTEX-1B8SF-1426-SM-7DUGL 60-69 years, male 2000.8
GTEX-S7SE-0126-SM-2XCD5 50-59 years, male 2000.2
GTEX-1H1CY-2826-SM-9MQM3 60-69 years, female 1998.9
GTEX-TMZS-0126-SM-3DB9Q 60-69 years, male 1991.5
GTEX-145MI-0526-SM-5O9A8 60-69 years, female 1991.4
GTEX-13PVR-2326-SM-5QGR1 60-69 years, female 1984.1
GTEX-15ER7-0326-SM-7KUEV 20-29 years, female 1978.1
GTEX-X4EO-0326-SM-3P5YO 60-69 years, female 1977.1
GTEX-1JMQL-0226-SM-CNPP5 50-59 years, female 1976.5
GTEX-14PJ6-2126-SM-6EU1V 60-69 years, female 1976.0
GTEX-14DAR-2026-SM-5S2O3 50-59 years, male 1973.9
GTEX-1R7EV-2426-SM-EVYBG 40-49 years, male 1973.4
GTEX-147F4-0226-SM-5QGPW 50-59 years, male 1970.9
GTEX-XXEK-2226-SM-4BRUM 50-59 years, male 1969.7
GTEX-15DDE-0126-SM-6LPKH 50-59 years, female 1957.4
GTEX-1QEPI-0126-SM-EWRMQ 60-69 years, female 1956.1
GTEX-1JJE9-0326-SM-CL53Z 70-79 years, male 1955.8
GTEX-14PII-0226-SM-6EU1T 60-69 years, male 1952.2
GTEX-1GZHY-0326-SM-9QEHI 50-59 years, female 1950.8
GTEX-13OW7-0126-SM-5MR3B 50-59 years, male 1950.0
GTEX-VJYA-1126-SM-3GIJU 60-69 years, male 1948.4
GTEX-T2YK-0526-SM-32QPJ 50-59 years, male 1947.0
GTEX-11OF3-2626-SM-5GU7F 60-69 years, male 1942.8
GTEX-XQ3S-1526-SM-4BOOC 20-29 years, male 1942.8
GTEX-1CB4H-0226-SM-7PBXM 60-69 years, female 1939.8
GTEX-T8EM-1026-SM-3DB7M 40-49 years, male 1939.3
GTEX-1399T-2826-SM-5KLYZ 60-69 years, male 1932.6
GTEX-WFON-2126-SM-3LK7O 40-49 years, male 1931.5
GTEX-16NPX-0226-SM-79OMT 50-59 years, male 1931.4
GTEX-12126-0326-SM-5PNW3 20-29 years, male 1930.2
GTEX-15EU6-0426-SM-6PAN5 50-59 years, male 1930.2
GTEX-1HSKV-0226-SM-A9SKJ 60-69 years, male 1926.3
GTEX-1N2EF-0226-SM-EYYXB 60-69 years, male 1924.5
GTEX-P44H-0226-SM-2XCEU 40-49 years, male 1922.3
GTEX-1J8JJ-0226-SM-CL53I 60-69 years, female 1922.3
GTEX-17JCI-0126-SM-7LG5G 60-69 years, female 1918.6
GTEX-OIZF-0126-SM-7SB8I 60-69 years, male 1918.4
GTEX-1HBPN-0226-SM-9YFM1 50-59 years, male 1915.8
GTEX-1S82Z-0826-SM-E6CHY 30-39 years, female 1915.0
GTEX-18QFQ-0126-SM-731BE 30-39 years, male 1911.3
GTEX-14BIN-0626-SM-793DP 50-59 years, female 1906.4
GTEX-1LVAN-0226-SM-COH3S 50-59 years, female 1900.9
GTEX-1H1DE-2126-SM-9WG6R 20-29 years, male 1900.3
GTEX-PLZ4-0126-SM-5SI8O 50-59 years, female 1897.5
GTEX-QDVN-2026-SM-3GAEP 50-59 years, male 1897.5
GTEX-1128S-2326-SM-5GZZY 60-69 years, female 1897.2
GTEX-T6MN-0126-SM-32PLP 50-59 years, male 1895.2
GTEX-1A3MX-0126-SM-731BR 60-69 years, male 1893.6
GTEX-139TS-2826-SM-5J1OO 60-69 years, male 1893.3
GTEX-1IDJU-2626-SM-CM2RT 60-69 years, female 1890.9
GTEX-145MN-2226-SM-5SIAU 30-39 years, male 1889.3
GTEX-WH7G-2326-SM-3NMBC 40-49 years, male 1881.1
GTEX-11DXW-0226-SM-5H122 40-49 years, male 1880.7
GTEX-13OW6-0426-SM-5L3HM 50-59 years, male 1878.1
GTEX-15G19-0126-SM-6PANQ 60-69 years, male 1877.6
GTEX-17EVP-0326-SM-7DHLG 40-49 years, male 1874.5
GTEX-14JG1-0426-SM-6ETZZ 40-49 years, male 1870.5
GTEX-1RB15-2126-SM-E9TIM 60-69 years, male 1870.3
GTEX-14BIL-0126-SM-5SI92 50-59 years, male 1867.0
GTEX-1GTWX-0126-SM-9YFLK 60-69 years, male 1865.2
GTEX-1QP29-0626-SM-EWRMX 50-59 years, male 1860.2
GTEX-R45C-0126-SM-EAZ2R 60-69 years, female 1858.7
GTEX-1IOXB-0126-SM-ARL8G 50-59 years, male 1858.0
GTEX-1EMGI-0126-SM-9KNUE 60-69 years, male 1855.4
GTEX-1JJEA-0326-SM-CNPOT 60-69 years, male 1854.5
GTEX-Y8DK-0126-SM-4TT3L 60-69 years, male 1852.5
GTEX-1HBPM-0226-SM-ARL9F 60-69 years, female 1851.1
GTEX-1EN7A-0126-SM-7SB81 40-49 years, male 1850.7
GTEX-1MCYP-1926-SM-E9J2R 20-29 years, female 1850.7
GTEX-1IKJJ-0126-SM-CNPQB 60-69 years, male 1847.8
GTEX-1J8QM-2126-SM-CYPSJ 60-69 years, female 1845.1
GTEX-12WSC-0126-SM-5EQ4P 50-59 years, male 1845.0
GTEX-1R9PO-2126-SM-E9J4O 60-69 years, female 1842.3
GTEX-14PHW-0126-SM-6LLJI 60-69 years, female 1842.2
GTEX-14LZ3-0226-SM-62LET 60-69 years, female 1840.9
GTEX-1KXAM-2226-SM-CYPTC 60-69 years, male 1840.9
GTEX-U3ZM-1526-SM-3DB9D 40-49 years, male 1838.1
GTEX-1KD5A-0226-SM-D5OV3 50-59 years, male 1834.8
GTEX-11EI6-0126-SM-5985R 60-69 years, male 1831.6
GTEX-14PN3-2426-SM-6LLHS 60-69 years, female 1828.2
GTEX-1GF9W-0326-SM-9KNUN 60-69 years, male 1826.9
GTEX-13OVK-2026-SM-7KUEO 40-49 years, male 1825.9
GTEX-16BQI-0226-SM-7KUEX 30-39 years, female 1825.9
GTEX-1IDJF-0126-SM-CM2RS 20-29 years, male 1824.9
GTEX-QESD-1426-SM-2S1R9 20-29 years, male 1824.5
GTEX-13NYC-0326-SM-E9J4S 60-69 years, male 1823.8
GTEX-1B8SG-0126-SM-73KZ3 50-59 years, male 1822.1
GTEX-145LV-2126-SM-5LU8N 50-59 years, male 1818.7
GTEX-1H3NZ-0126-SM-ACKX7 60-69 years, male 1816.0
GTEX-S33H-1026-SM-EZ6L6 30-39 years, male 1816.0
GTEX-1AYCT-2426-SM-7IGQ3 50-59 years, male 1814.9
GTEX-1QP67-1626-SM-EAZ3X 40-49 years, female 1813.1
GTEX-13VXT-0126-SM-5LU4I 20-29 years, female 1812.9
GTEX-1C64N-0126-SM-793D7 50-59 years, male 1811.9
GTEX-1MGNQ-0126-SM-EVYCJ 40-49 years, male 1810.2
GTEX-13112-2826-SM-5DUWH 50-59 years, male 1808.0
GTEX-13OVJ-0126-SM-5KM36 50-59 years, female 1804.1
GTEX-1269C-2526-SM-5EGJ3 60-69 years, female 1803.2
GTEX-16XZY-2126-SM-79OK1 70-79 years, male 1802.8
GTEX-1OFPY-2426-SM-DTXEJ 60-69 years, male 1802.6
GTEX-1HSMQ-1226-SM-CGQFX 50-59 years, male 1801.5
GTEX-S32W-2126-SM-2XCB1 50-59 years, female 1799.4
GTEX-1J8Q2-0526-SM-CM2RW 60-69 years, male 1798.9
GTEX-1EKGG-0226-SM-9WYTH 60-69 years, male 1796.1
GTEX-13FTX-1826-SM-5J1NX 20-29 years, female 1792.5
GTEX-1RAZA-0126-SM-E6CI3 20-29 years, male 1787.1
GTEX-11TUW-2726-SM-E9J4M 60-69 years, male 1786.9
GTEX-U3ZN-2326-SM-3DB7W 30-39 years, female 1779.6
GTEX-1PFEY-1526-SM-E76PP 30-39 years, male 1775.7
GTEX-11DXX-2426-SM-5GZZW 60-69 years, female 1775.4
GTEX-14E7W-0126-SM-6LLJ9 70-79 years, male 1773.1
GTEX-OIZH-0126-SM-2HMIS 50-59 years, male 1772.9
GTEX-QVJO-1626-SM-2S1QW 60-69 years, female 1771.2
GTEX-17HHE-2026-SM-79OKF 50-59 years, male 1770.4
GTEX-14BIM-0226-SM-7IGLD 60-69 years, female 1769.6
GTEX-14ICK-0226-SM-6EU25 40-49 years, male 1768.2
GTEX-11DXY-2626-SM-5GIE7 60-69 years, male 1763.6
GTEX-1AX8Z-0126-SM-7DHM6 60-69 years, male 1763.3
GTEX-1B8L1-2526-SM-9WYTF 60-69 years, male 1762.2
GTEX-14A5H-0426-SM-5QGQF 60-69 years, male 1760.9
GTEX-146FH-0126-SM-5QGPP 50-59 years, female 1760.2
GTEX-11VI4-1726-SM-5CVLH 40-49 years, female 1759.9
GTEX-1EWIQ-0126-SM-7RHH2 70-79 years, female 1756.7
GTEX-ZAB4-0226-SM-5N9F5 40-49 years, male 1755.3
GTEX-1F75A-0126-SM-7RHGM 50-59 years, male 1755.3
GTEX-XAJ8-0826-SM-47JY6 40-49 years, male 1754.4
GTEX-1HKZK-0326-SM-9WYUH 40-49 years, male 1752.3
GTEX-1HCUA-2426-SM-ADEIS 50-59 years, female 1750.1
GTEX-1HCU9-1526-SM-A9SL7 20-29 years, male 1746.0
GTEX-1F52S-0126-SM-9MQJU 60-69 years, female 1745.5
GTEX-1GPI6-0126-SM-9WG69 60-69 years, male 1742.8
GTEX-TML8-1926-SM-32QOS 40-49 years, female 1742.7
GTEX-U8XE-0326-SM-3DB8P 30-39 years, male 1742.1
GTEX-1GN1V-0126-SM-9WPOS 60-69 years, male 1739.3
GTEX-11WQK-0526-SM-5EQLD 50-59 years, male 1739.2
GTEX-144GL-0126-SM-5TDE2 50-59 years, male 1735.3
GTEX-18D9B-0526-SM-7LTAS 60-69 years, male 1734.9
GTEX-14ABY-0226-SM-5TDCQ 50-59 years, male 1734.3
GTEX-13N11-2526-SM-5K7UE 50-59 years, female 1733.5
GTEX-1GN2E-0426-SM-9MQKX 60-69 years, male 1730.5
GTEX-ZC5H-0226-SM-4WAY9 40-49 years, female 1728.9
GTEX-13113-5016-SM-7EPIP 60-69 years, female 1728.8
GTEX-13OVG-1926-SM-5L3DK 60-69 years, male 1728.0
GTEX-1JK1U-2026-SM-CM2RZ 60-69 years, male 1722.7
GTEX-1IGQW-0126-SM-COH42 60-69 years, male 1719.3
GTEX-ZVT3-0126-SM-5GU6I 60-69 years, female 1718.7
GTEX-1JKYR-0126-SM-CNPOJ 20-29 years, male 1716.3
GTEX-1IL2U-0226-SM-CE6T8 60-69 years, male 1713.4
GTEX-1R9K4-0126-SM-DTX9X 60-69 years, male 1712.6
GTEX-ZUA1-0126-SM-5GU76 40-49 years, male 1712.2
GTEX-113JC-2326-SM-5EQ4E 50-59 years, female 1709.4
GTEX-12ZZZ-0626-SM-5DUXI 60-69 years, male 1708.3
GTEX-T2IS-0126-SM-4DM6O 20-29 years, female 1708.3
GTEX-1JMQJ-0526-SM-CYPSU 50-59 years, male 1705.8
GTEX-1JMOU-1526-SM-CL54I 60-69 years, female 1700.6
GTEX-V1D1-2226-SM-3NMAX 50-59 years, male 1700.5
GTEX-1GMR3-1926-SM-9KNUZ 40-49 years, male 1700.5
GTEX-ZYFG-2326-SM-5E44B 60-69 years, female 1700.4
GTEX-1F75I-0326-SM-9YFLU 40-49 years, male 1698.1
GTEX-1QP2A-0126-SM-E9J43 50-59 years, male 1696.3
GTEX-17GQL-2026-SM-718BA 60-69 years, male 1695.9
GTEX-SNMC-1226-SM-2XCFP 20-29 years, male 1693.1
GTEX-1NHNU-1026-SM-E9J2A 50-59 years, male 1687.9
GTEX-14BMV-0126-SM-5S2PO 50-59 years, male 1686.7
GTEX-1HBPI-1526-SM-C1YQ1 50-59 years, male 1681.1
GTEX-11OC5-0126-SM-5HL6A 60-69 years, male 1680.7
GTEX-1GN1U-0126-SM-7PBZK 50-59 years, female 1678.7
GTEX-1C64O-0126-SM-7SB8P 60-69 years, male 1677.0
GTEX-ZYW4-0126-SM-5E44A 60-69 years, male 1672.2
GTEX-145LU-0126-SM-5TDCB 50-59 years, male 1668.3
GTEX-131XW-0426-SM-5LZWP 50-59 years, female 1667.8
GTEX-NPJ8-0126-SM-2YUNR 40-49 years, male 1660.7
GTEX-1PIGE-0126-SM-EVYBJ 20-29 years, male 1660.6
GTEX-1JMQI-2226-SM-CM2SD 50-59 years, male 1660.3
GTEX-QCQG-1726-SM-3GIJ9 50-59 years, female 1659.5
GTEX-1HCU7-0226-SM-CL545 50-59 years, male 1658.8
GTEX-11ZTT-2426-SM-5EQLS 60-69 years, female 1656.4
GTEX-13O1R-0126-SM-5L3EH 60-69 years, male 1655.9
GTEX-11TT1-2526-SM-5EGIB 20-29 years, male 1655.1
GTEX-SSA3-0126-SM-32QPU 60-69 years, male 1654.2
GTEX-11ZVC-2526-SM-5FQTE 50-59 years, female 1652.8
GTEX-1C475-1826-SM-73KWA 40-49 years, female 1652.7
GTEX-1399R-2726-SM-5IJBA 30-39 years, male 1646.7
GTEX-17HHY-0126-SM-7LG5D 50-59 years, male 1645.4
GTEX-ZXES-1826-SM-5E43S 30-39 years, female 1638.5
GTEX-WYJK-0126-SM-3NMAB 50-59 years, male 1630.9
GTEX-1QPFJ-0226-SM-E76PB 30-39 years, female 1630.5
GTEX-13FHP-0126-SM-5IJBG 50-59 years, male 1625.9
GTEX-11NSD-2226-SM-5986V 20-29 years, male 1620.3
GTEX-U3ZH-2026-SM-3DB78 30-39 years, male 1614.3
GTEX-1C2JI-1826-SM-73KXC 50-59 years, male 1613.8
GTEX-13FXS-0226-SM-5IJCK 50-59 years, male 1612.5
GTEX-14PJM-0226-SM-62LF1 50-59 years, female 1608.1
GTEX-14LLW-0126-SM-6LLIO 70-79 years, female 1607.0
GTEX-1F5PL-0326-SM-7P8PQ 40-49 years, female 1606.4
GTEX-ZVT2-2526-SM-51MT1 50-59 years, female 1602.4
GTEX-XQ8I-0426-SM-4BOPO 50-59 years, male 1601.7
GTEX-SIU8-0126-SM-2XCDT 50-59 years, male 1601.4
GTEX-ZVE2-0226-SM-59HJB 50-59 years, male 1600.2
GTEX-12WSG-2826-SM-E9J4H 50-59 years, female 1598.5
GTEX-RWSA-0126-SM-2XCBB 40-49 years, male 1597.7
GTEX-1314G-1526-SM-5EGK2 30-39 years, male 1594.7
GTEX-XV7Q-2526-SM-4BRV9 40-49 years, female 1594.3
GTEX-12ZZX-0126-SM-5EGK9 40-49 years, female 1593.3
GTEX-12WSN-5019-SM-79OM6 40-49 years, male 1592.0
GTEX-ZQG8-1626-SM-DHXIT 60-69 years, female 1591.9
GTEX-139TU-0126-SM-5K7WH 60-69 years, male 1591.8
GTEX-1BAJH-0526-SM-793CQ 70-79 years, male 1590.1
GTEX-148VJ-0126-SM-5TDDN 70-79 years, male 1589.7
GTEX-1I19N-0326-SM-ACKVX 70-79 years, male 1588.0
GTEX-YEC4-2126-SM-5IFJH 40-49 years, male 1583.2
GTEX-PSDG-0226-SM-DKPOZ 50-59 years, male 1581.1
GTEX-1GL5R-1826-SM-9KNUY 50-59 years, male 1576.8
GTEX-1GN1W-0526-SM-9MQJQ 50-59 years, female 1573.0
GTEX-15DCD-0126-SM-7KUEK 70-79 years, female 1570.5
GTEX-1A8FM-0226-SM-7SB7Q 50-59 years, female 1569.8
GTEX-1S82Y-2026-SM-EVYCM 40-49 years, male 1569.7
GTEX-1OJC4-0126-SM-E9J2E 50-59 years, female 1566.9
GTEX-133LE-1826-SM-5J1MV 20-29 years, female 1562.2
GTEX-1I1GU-2226-SM-CGQFA 40-49 years, male 1561.1
GTEX-1JN76-0126-SM-CNPPE 20-29 years, female 1560.0
GTEX-1CB4G-0226-SM-7PC3O 60-69 years, male 1559.0
GTEX-1B996-0226-SM-7RHGO 60-69 years, male 1557.5
GTEX-14DAQ-0126-SM-5S2MQ 60-69 years, female 1556.6
GTEX-WOFL-0126-SM-3MJG2 60-69 years, male 1554.7
GTEX-1A32A-0126-SM-718B1 50-59 years, female 1551.5
GTEX-NFK9-0226-SM-2HMKQ 40-49 years, male 1549.9
GTEX-1S83E-0126-SM-EWRO4 40-49 years, male 1549.2
GTEX-1KD4Q-0226-SM-E9TJ9 40-49 years, male 1548.1
GTEX-1CAMR-1926-SM-7EPI2 20-29 years, male 1547.2
GTEX-117YX-2326-SM-5H12W 50-59 years, male 1547.1
GTEX-1LBAC-0126-SM-DIPEZ 20-29 years, male 1546.9
GTEX-14A6H-0126-SM-5QGPK 30-39 years, male 1546.8
GTEX-ZQUD-1426-SM-57WER 30-39 years, male 1542.5
GTEX-17EUY-0426-SM-793BD 20-29 years, male 1542.2
GTEX-X62O-0126-SM-4E3JN 50-59 years, male 1536.7
GTEX-139T8-0126-SM-5K7XZ 60-69 years, male 1535.7
GTEX-SUCS-1926-SM-32PM3 70-79 years, male 1532.1
GTEX-111VG-2426-SM-5GZXD 60-69 years, male 1531.2
GTEX-15SHW-0326-SM-6PAML 60-69 years, male 1530.6
GTEX-1S3DN-2226-SM-EVYCD 50-59 years, male 1528.6
GTEX-1F5PK-2426-SM-7RHHY 50-59 years, male 1527.9
GTEX-XYKS-2126-SM-4E3IB 60-69 years, female 1526.7
GTEX-ZEX8-2426-SM-4WKG4 50-59 years, male 1525.5
GTEX-1H3VE-0326-SM-9YFLH 40-49 years, male 1525.5
GTEX-1J1OQ-0226-SM-CYPSH 40-49 years, female 1524.3
GTEX-Y8E4-0626-SM-4WWDL 40-49 years, male 1524.0
GTEX-U4B1-1826-SM-4DXSU 40-49 years, male 1520.8
GTEX-P4PQ-0126-SM-2S1NM 60-69 years, male 1519.5
GTEX-1HSEH-0126-SM-ACKXN 60-69 years, male 1519.1
GTEX-17EVQ-0226-SM-7LG4P 70-79 years, male 1518.7
GTEX-13FH7-2026-SM-E9J4I 50-59 years, female 1511.9
GTEX-1B933-0126-SM-7PC29 50-59 years, female 1511.2
GTEX-1I1GR-0126-SM-CL55F 60-69 years, male 1502.5
GTEX-147F3-0526-SM-5SI98 50-59 years, female 1502.2
GTEX-147GR-0526-SM-5S2MY 60-69 years, male 1501.4
GTEX-ZF3C-0126-SM-DO92D 50-59 years, female 1500.6
GTEX-17F98-0626-SM-79OMX 40-49 years, female 1500.2
GTEX-ZZPT-0226-SM-5E43X 50-59 years, male 1500.2
GTEX-11P81-2326-SM-59875 30-39 years, female 1497.1
GTEX-1IKK5-0626-SM-ARL8A 60-69 years, male 1494.7
GTEX-ZU9S-0226-SM-5E441 30-39 years, male 1493.1
GTEX-OXRN-0126-SM-48TDM 50-59 years, male 1490.5
GTEX-1QP9N-1426-SM-DTXFL 30-39 years, male 1489.2
GTEX-XUW1-0426-SM-4BOOT 50-59 years, female 1488.9
GTEX-11NUK-0126-SM-5A5L3 50-59 years, male 1486.6
GTEX-146FQ-0126-SM-5NQA9 30-39 years, male 1485.1
GTEX-13X6H-2126-SM-7EWD5 50-59 years, female 1482.0
GTEX-1N2DW-0226-SM-E9TK2 50-59 years, male 1481.9
GTEX-11ZTS-0126-SM-5EQ6M 60-69 years, female 1477.1
GTEX-11GSP-2526-SM-5N9BP 60-69 years, female 1476.7
GTEX-1192W-2626-SM-5Q5AF 60-69 years, male 1475.0
GTEX-1AX9K-2326-SM-73KWU 50-59 years, male 1472.9
GTEX-1PBJI-0526-SM-E8VNK 20-29 years, female 1472.2
GTEX-17HGU-0226-SM-7DHKV 50-59 years, male 1469.9
GTEX-ZVT4-0126-SM-DTXFN 50-59 years, female 1469.5
GTEX-13O3P-0126-SM-5KM4S 50-59 years, male 1466.7
GTEX-1RDX4-0126-SM-E9J4P 50-59 years, female 1463.9
GTEX-1HR98-0126-SM-B2LWI 60-69 years, male 1459.9
GTEX-1KAFJ-2026-SM-CY8ID 50-59 years, male 1458.4
GTEX-1MA7X-2226-SM-E6CIY 60-69 years, male 1455.5
GTEX-13SLX-0526-SM-5S2ON 50-59 years, female 1454.2
GTEX-13VXU-0126-SM-5SI9F 50-59 years, male 1453.8
GTEX-1H1E6-1726-SM-ACKVK 30-39 years, male 1453.7
GTEX-SE5C-1626-SM-2XCE3 40-49 years, female 1453.7
GTEX-18A66-0226-SM-718BD 60-69 years, male 1453.6
GTEX-ZZ64-1726-SM-5GZYB 20-29 years, male 1452.2
GTEX-UPJH-0326-SM-3GADU 50-59 years, male 1450.2
GTEX-WQUQ-0426-SM-3MJFU 60-69 years, male 1447.5
GTEX-QLQ7-1626-SM-2S1R8 60-69 years, male 1446.6
GTEX-YFC4-0126-SM-5CVLY 40-49 years, female 1444.7
GTEX-1RQEC-0426-SM-E6CHU 60-69 years, male 1441.5
GTEX-1C6VS-0526-SM-7DUEN 60-69 years, male 1438.9
GTEX-13OVL-0226-SM-5L3E9 50-59 years, male 1434.5
GTEX-18A6Q-0126-SM-731BZ 60-69 years, male 1431.4
GTEX-1H23P-0126-SM-ADEJ3 60-69 years, male 1430.3
GTEX-11WQC-2526-SM-5CVLE 60-69 years, male 1429.1
GTEX-1HFI6-0226-SM-ADEHZ 40-49 years, male 1427.0
GTEX-1I4MK-2226-SM-ACKWD 50-59 years, female 1422.4
GTEX-1B97I-1626-SM-73KYO 40-49 years, male 1422.3
GTEX-T5JC-0426-SM-32PLO 20-29 years, male 1420.5
GTEX-1HBPH-0426-SM-B2LW5 40-49 years, female 1419.7
GTEX-ZF29-2326-SM-DO92K 60-69 years, female 1418.7
GTEX-1S5ZA-0126-SM-EVYCV 20-29 years, male 1417.7
GTEX-15DYW-0126-SM-7KULE 60-69 years, female 1417.0
GTEX-144GN-2326-SM-5LU4F 50-59 years, male 1412.7
GTEX-1AX9J-0226-SM-73KXM 60-69 years, male 1405.1
GTEX-WFG8-2226-SM-3GIL9 20-29 years, male 1403.8
GTEX-ZF2S-2326-SM-4WWCE 50-59 years, female 1402.0
GTEX-PW2O-1526-SM-7RHHB 20-29 years, male 1394.2
GTEX-WZTO-0126-SM-3NM95 40-49 years, male 1392.9
GTEX-14PHX-2326-SM-62LEM 50-59 years, male 1392.3
GTEX-1IE54-0126-SM-CMKHW 40-49 years, female 1391.3
GTEX-1F6RS-0126-SM-9MQKZ 60-69 years, female 1388.5
GTEX-1CAV2-2226-SM-7P8P2 40-49 years, female 1387.9
GTEX-13SLW-0126-SM-5SI6C 70-79 years, male 1386.9
GTEX-11O72-0126-SM-59887 40-49 years, male 1385.3
GTEX-1I1CD-0126-SM-CM2TK 60-69 years, female 1381.7
GTEX-ZF28-0126-SM-4WKGK 60-69 years, male 1378.0
GTEX-17KNJ-2326-SM-7DHLQ 50-59 years, male 1377.5
GTEX-RWS6-2026-SM-2XCB5 60-69 years, female 1377.3
GTEX-QDT8-0126-SM-48TZ1 30-39 years, female 1372.7
GTEX-1AYD5-2426-SM-73KXR 50-59 years, male 1371.3
GTEX-1E1VI-0126-SM-7DHMZ 50-59 years, male 1370.8
GTEX-14BMU-2226-SM-5TDE9 20-29 years, female 1369.4
GTEX-1HUB1-0426-SM-E9U4U 60-69 years, male 1368.6
GTEX-1RAZQ-0726-SM-EAZ43 30-39 years, male 1364.6
GTEX-1IY9M-0126-SM-D3L8S 60-69 years, male 1362.3
GTEX-15CHC-2126-SM-6EU21 60-69 years, female 1361.5
GTEX-14PN4-0126-SM-6EU2V 50-59 years, male 1361.1
GTEX-11P82-1626-SM-59879 20-29 years, male 1360.4
GTEX-1C6WA-0126-SM-7PC2B 60-69 years, male 1357.5
GTEX-15SHU-0126-SM-7KUEH 40-49 years, female 1356.6
GTEX-ZAB5-1826-SM-5HL7C 50-59 years, male 1355.3
GTEX-11EMC-2926-SM-5EQ4F 60-69 years, female 1353.8
GTEX-18D9U-0226-SM-718BP 40-49 years, male 1351.3
GTEX-16AAH-1726-SM-7939C 50-59 years, male 1349.3
GTEX-1F48J-0126-SM-7P8TT 50-59 years, female 1346.2
GTEX-Y8LW-1826-SM-5S2MV 50-59 years, female 1337.0
GTEX-ZDYS-2026-SM-5HL5L 50-59 years, male 1336.4
GTEX-131YS-0126-SM-5KM1M 60-69 years, female 1336.0
GTEX-13NZA-0226-SM-5K7Z7 60-69 years, male 1334.6
GTEX-12WSD-0126-SM-59HKN 60-69 years, female 1330.5
GTEX-ZTSS-1926-SM-57WEW 40-49 years, male 1326.6
GTEX-1EX96-1626-SM-7PBXR 50-59 years, male 1326.4
GTEX-139TT-0126-SM-5K7Y5 60-69 years, male 1325.9
GTEX-YJ8A-0426-SM-5IFID 20-29 years, male 1322.7
GTEX-ZV68-0126-SM-59HKS 50-59 years, female 1319.7
GTEX-1CB4I-0226-SM-79OLH 50-59 years, male 1317.6
GTEX-ZAK1-0126-SM-5IJD3 50-59 years, female 1312.8
GTEX-Y3IK-2426-SM-4WWDU 50-59 years, female 1312.6
GTEX-XBED-2226-SM-47JYQ 60-69 years, male 1308.4
GTEX-WYVS-2126-SM-3NMA3 40-49 years, female 1308.1
GTEX-PLZ5-2026-SM-2S1O4 50-59 years, male 1304.6
GTEX-1JKYN-1326-SM-CGQG9 30-39 years, male 1301.6
GTEX-1JMLX-0226-SM-CM2RO 50-59 years, male 1299.4
GTEX-ZDXO-3026-SM-5J1N5 60-69 years, male 1292.8
GTEX-OXRL-0126-SM-2YUMP 50-59 years, male 1290.1
GTEX-P4QT-0126-SM-2I3FL 50-59 years, female 1289.8
GTEX-17F97-0326-SM-7LG5B 50-59 years, male 1288.9
GTEX-ZDTS-0126-SM-4WAY5 60-69 years, male 1288.7
GTEX-RM2N-1426-SM-2TF4H 50-59 years, male 1288.6
GTEX-1GMR8-0126-SM-9WYTM 50-59 years, female 1286.9
GTEX-131XG-2626-SM-5KM17 50-59 years, female 1285.1
GTEX-16GPK-0126-SM-7DHLE 60-69 years, male 1281.3
GTEX-T5JW-1626-SM-3GADZ 20-29 years, female 1275.2
GTEX-13O21-1426-SM-5K7XI 50-59 years, male 1269.6
GTEX-12584-0126-SM-5EGKQ 40-49 years, male 1265.5
GTEX-YJ89-0126-SM-4TT3X 60-69 years, male 1265.4
GTEX-Z9EW-1626-SM-5CVMN 40-49 years, male 1258.2
GTEX-1C6VR-2426-SM-79OLD 60-69 years, male 1255.7
GTEX-QEG4-0226-SM-2S1PY 30-39 years, male 1252.8
GTEX-ZTX8-1426-SM-5DUVO 20-29 years, male 1252.0
GTEX-1HFI7-1826-SM-ACKXH 50-59 years, female 1246.6
GTEX-1GF9X-2026-SM-7PC3A 40-49 years, female 1243.6
GTEX-YB5E-2026-SM-5IFIS 40-49 years, male 1243.1
GTEX-ZGAY-0526-SM-4WWBB 40-49 years, female 1242.9
GTEX-OOBJ-0126-SM-E6CJW 60-69 years, male 1235.3
GTEX-13N1W-0126-SM-5K7VT 70-79 years, male 1231.9
GTEX-11GS4-2726-SM-5A5LE 60-69 years, male 1230.0
GTEX-1LNCM-1126-SM-E9U5E 50-59 years, female 1229.7
GTEX-12KS4-0326-SM-5EQ41 30-39 years, male 1223.6
GTEX-ZE7O-0126-SM-57WC1 50-59 years, female 1212.2
GTEX-PX3G-0126-SM-2I3EN 20-29 years, female 1211.7
GTEX-WY7C-2326-SM-3NB2U 50-59 years, male 1209.9
GTEX-1H3VY-0126-SM-ACKXD 50-59 years, male 1202.4
GTEX-139T4-0226-SM-5HL5S 50-59 years, female 1198.3
GTEX-14JIY-0126-SM-6LLH6 60-69 years, male 1194.4
GTEX-139UW-2826-SM-5L3E7 60-69 years, male 1191.4
GTEX-Y5V5-2326-SM-4V6GA 60-69 years, female 1188.3
GTEX-1B8KE-2126-SM-73KYX 50-59 years, male 1185.3
GTEX-1PPH8-0226-SM-E8VND 20-29 years, male 1180.6
GTEX-17HG3-2226-SM-7938L 30-39 years, female 1179.6
GTEX-12C56-1726-SM-5EQ61 20-29 years, male 1178.8
GTEX-146FR-1326-SM-E9J48 60-69 years, female 1168.0
GTEX-OOBK-0126-SM-2YUND 40-49 years, male 1164.4
GTEX-Y3I4-2126-SM-4TT7C 50-59 years, male 1153.1
GTEX-13G51-2526-SM-5LZYK 60-69 years, male 1150.7
GTEX-W5WG-1826-SM-4KL2Y 50-59 years, female 1148.6
GTEX-1CB4F-0426-SM-9KNV4 60-69 years, male 1148.1
GTEX-OXRK-0226-SM-3NB2G 50-59 years, female 1134.7
GTEX-1F75B-0126-SM-9KNVL 50-59 years, male 1125.3
GTEX-S7PM-0126-SM-4AD6S 60-69 years, male 1121.7
GTEX-14PJ3-1826-SM-62LEX 50-59 years, male 1121.5
GTEX-RNOR-0126-SM-E9J4R 50-59 years, female 1121.4
GTEX-QLQW-1126-SM-2S1Q8 30-39 years, male 1112.5
GTEX-12WSL-2526-SM-5GCNJ 50-59 years, male 1102.5
GTEX-WRHK-1426-SM-3MJF9 20-29 years, female 1101.4
GTEX-1C4CL-0526-SM-73KVK 30-39 years, male 1095.0
GTEX-11DXZ-2326-SM-5EGGV 50-59 years, male 1080.5
GTEX-13YAN-0326-SM-5O9DF 60-69 years, male 1063.8
GTEX-R55G-2526-SM-2TC6D 40-49 years, female 1061.2
GTEX-11ZUS-0626-SM-59885 30-39 years, male 1060.9
GTEX-Q2AI-1326-SM-2S1PL 40-49 years, male 1055.3
GTEX-15F5U-1526-SM-6PANO 40-49 years, male 1053.7
GTEX-1I6K6-0126-SM-A9SLE 30-39 years, male 1049.9
GTEX-RN64-0126-SM-2TC68 50-59 years, male 1042.2
GTEX-1JMPY-1326-SM-ARL8Y 30-39 years, male 1031.9
GTEX-R55E-0126-SM-2TC5Y 20-29 years, male 1021.1
GTEX-OHPL-0126-SM-2HMJ7 60-69 years, female 1015.2
GTEX-ZTPG-0326-SM-5O9AX 20-29 years, female 1012.8
GTEX-O5YW-0126-SM-3LK6D 50-59 years, male 1003.0
GTEX-T6MO-1626-SM-32QOM 40-49 years, female 1002.4
GTEX-18A7A-0226-SM-718BH 50-59 years, female 996.1
GTEX-113IC-0126-SM-5HL6T 60-69 years, male 991.9
GTEX-1AX9I-0126-SM-7SB74 60-69 years, male 988.5
GTEX-1B8KZ-2026-SM-7DHMB 50-59 years, male 986.5
GTEX-1211K-2026-SM-5EQ4Z 60-69 years, female 975.1
GTEX-YB5K-2126-SM-4WWDJ 40-49 years, female 970.8
GTEX-Y111-0126-SM-4SOIV 50-59 years, male 959.3
GTEX-PVOW-0126-SM-2XCFA 40-49 years, male 959.1
GTEX-Q734-1926-SM-2I5EV 40-49 years, female 947.3
GTEX-1CB4E-2226-SM-793DC 60-69 years, male 945.5
GTEX-1H11D-0226-SM-9WG6Z 40-49 years, male 944.8
GTEX-11XUK-2026-SM-5EQLF 40-49 years, female 932.7
GTEX-ZYFD-0126-SM-5GIDL 50-59 years, male 910.2
GTEX-1NV5F-0226-SM-E8VNY 60-69 years, female 858.1
GTEX-1I1GS-0126-SM-B2LVW 60-69 years, male 857.6
GTEX-13CF2-2526-SM-5LZYX 60-69 years, male 855.6
GTEX-132NY-0326-SM-5IJBL 60-69 years, male 841.6
GTEX-13FTW-2626-SM-5K7WL 40-49 years, male 824.2
GTEX-RUSQ-1526-SM-2TF62 50-59 years, male 797.7
GTEX-XUZC-1726-SM-4BRWS 30-39 years, female 777.5
GTEX-TKQ1-1026-SM-4GICL 30-39 years, male 761.1
GTEX-1F6IF-0726-SM-7P8TW 60-69 years, male 746.5
GTEX-15SDE-2226-SM-7IGLO 50-59 years, female 714.9
GTEX-12WSJ-1826-SM-5GCNY 40-49 years, female 703.3
GTEX-13111-1626-SM-5EGJY 50-59 years, male 679.4
GTEX-1F6I4-0126-SM-9MQL2 60-69 years, male 676.2
GTEX-1192X-0226-SM-5H12D 50-59 years, male 665.0
GTEX-OHPM-0126-SM-2YUN9 50-59 years, male 660.6
GTEX-RU72-0926-SM-2TF6B 50-59 years, female 587.5
GTEX-Y114-2426-SM-4TT8A 50-59 years, female 566.9
GTEX-12WSK-2326-SM-5GCOH 40-49 years, female 544.0
GTEX-11P7K-2126-SM-5GU7G 30-39 years, male 484.9
GTEX-1H2FU-0126-SM-9WYSI 60-69 years, female 479.6
Show allShow less

Contact

  • NEWS ARTICLES
  • PRESS ROOM

The Project

  • INTRODUCTION
  • ORGANIZATION
  • PUBLICATIONS

The Human Protein Atlas

  • DOWNLOADABLE DATA
  • LICENCE & CITATION
  • HELP & FAQ
The Human Protein Atlas project is funded
by the Knut & Alice Wallenberg Foundation.


contact@proteinatlas.org