We use cookies to enhance the usability of our website. If you continue, we'll assume that you are happy to receive all cookies. More information. Don't show this again.
AQP3
HPA
RESOURCES
  • TISSUE
  • BRAIN
  • SINGLE CELL
  • SUBCELLULAR
  • CANCER
  • BLOOD
  • CELL LINE
  • STRUCTURE & INTERACTION
ABOUT
  • INTRODUCTION
  • HISTORY
  • ORGANIZATION
  • PUBLICATIONS
  • ANTIBODY SUBMISSION
  • ANTIBODY AVAILABILITY
  • ACKNOWLEDGMENTS
  • CONTACT
NEWS
  • NEWS ARTICLES
  • PRESS ROOM
LEARN
  • DICTIONARY
  • PROTEIN CLASSES
  • PROTEIN EVIDENCE
  • METHODS
  • EDUCATIONAL VIDEOS
DATA
  • DOWNLOADABLE DATA
  • PUBLICATION DATA
  • RELEASE HISTORY
HELP
  • ANTIBODY VALIDATION
  • ASSAYS & ANNOTATION
  • DISCLAIMER
  • HELP & FAQ
  • PRIVACY STATEMENT
  • LICENCE & CITATION
Fields »
Search result

Field
Term
Gene name
Class
Subclass
Class
Keyword
Chromosome
External id
Tissue
Cell type
Expression
Antibody panel
Tissue
Main location
Patient ID
Annotation
Tissue
Category
Tau score
Cluster
Reliability
Brain region
Category
Tau score
Brain region
Category
Tau score
Brain region
Category
Tau score
Cluster
Reliability
Tissue
Cell type
Enrichment
Cell type
Category
Tau score
Cell type
Category
Tau score
Cell type
Category
Tau score
Cell lineage
Category
Tau score
Cluster
Cluster
Location
Searches
Location
Cell line
Class
Type
Phase
Reliability
Cancer
Prognosis
Cancer
Category
Cancer
Category
Tau score
Cluster
Variants
Interacting gene (ensg_id)
Type
Number of interactions
Pathway
Category
Score
Score
Score
Validation
Validation
Validation
Validation
Antibodies
Data type
Column


  • SUMMARY

  • TISSUE

  • BRAIN

  • SINGLE CELL

  • SUBCELL

  • CANCER

  • BLOOD

  • CELL LINE

  • STRUCT & INT

  • AQP3
TISSUE PRIMARY DATA LUNG Show tissue menu
ADIPOSE TISSUE ADRENAL GLAND AMYGDALA APPENDIX BASAL GANGLIA BONE MARROW BREAST BRONCHUS CEREBELLUM CEREBRAL CORTEX CERVIX CHOROID PLEXUS COLON DUODENUM
ENDOMETRIUM EPIDIDYMIS ESOPHAGUS FALLOPIAN TUBE GALLBLADDER HEART MUSCLE HIPPOCAMPAL FORMATION HYPOTHALAMUS KIDNEY LIVER LUNG LYMPH NODE MIDBRAIN NASOPHARYNX
ORAL MUCOSA OVARY PANCREAS PARATHYROID GLAND PITUITARY GLAND PLACENTA PROSTATE RECTUM RETINA SALIVARY GLAND SEMINAL VESICLE SKELETAL MUSCLE SKIN SMALL INTESTINE
SMOOTH MUSCLE SOFT TISSUE SPINAL CORD SPLEEN STOMACH TESTIS THYMUS THYROID GLAND TONGUE TONSIL URINARY BLADDER VAGINA
ANTIBODIES
AND
VALIDATION
Dictionary
Lung
Tissue proteome
Lung
LUNG - Expression summary
Protein expression
Lungi

On the top, protein expression in current human tissue, based on all annotated cell types, is reported with the units not detected (n), low (l), medium (m) and high (h). Underneath, protein expression in each annotated cell type are reported using the same units.

Protein expression data is based on knowledge-based annotation. For genes where more than one antibody has been used, a collective score is set.

If knowledge-based annotation could not be performed for a gene, no data is displayed here. View antibody staining data further down this page.

h
m
l
n
Alveolar cells type I: Low
Alveolar cells type II: Medium
Endothelial cells: Not detected
Macrophages: High
RNA expressioni

A summary of mRNA expression data available for current tissue based on several datasets. The mRNA expression levels in human tissues are based on RNA-seq data generated by the Human Protein Atlas (HPA), Genotype-Tissue Expression (GTEx) portal and CAGE data generated by the FANTOM5 consortium. Consensus normalized expression levels for human tissues was created by combining the data from HPA and GTEx datasets.

The mRNA expression levels in pig are based on RNA-seq data generated by the Human Protein Atlas (HPA), and for mouse, HPA data and in situ hybridization generated by the Allen brain atlas are reported.

Scroll down to view mRNA expression data in more detail.
Consensus:110.4 nTPM
HPA:110.4 nTPM
GTEx:59.1 nTPM
FANTOM5:207.4 Scaled Tags Per Million

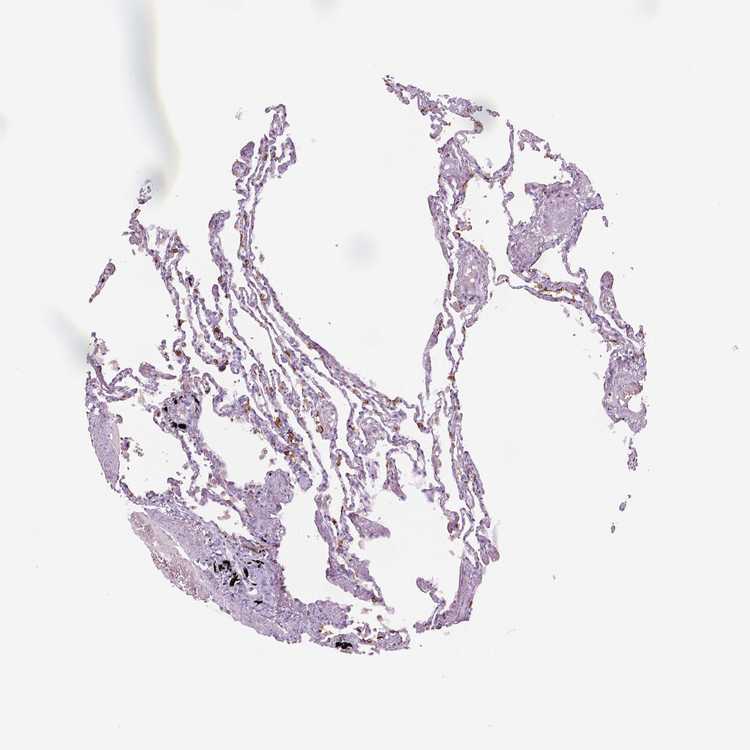
LUNG - Antibody stainingi

Antibody staining in the annotated cell types in the current human tissue is reported as not detected, low, medium, or high, based on conventional immunohistochemistry profiling in selected tissues. This score is based on the combination of the staining intensity and fraction of stained cells.

Each image is clickable and will lead to virtual microscopy that enables deeper exploration of all samples and also displays staining intensity scores, fraction scores and subcellular localization as well as patient and tissue information for each sample.

Antibody HPA014924
Alveolar cells type I Low
Alveolar cells type II Medium
Endothelial cells Not detected
Macrophages High



LUNG - HPA RNA-seqi

The RNA-seq details section shows detailed information about the individual samples used for the transcript profiling and results of the RNA-seq analysis.

Information about each individual sample is listed below, including gender, age, a tissue section image and estimated fractions of cell types. nTPM (normalized transcripts per million) values give a quantification of the gene abundance which is comparable between different genes and samples.
Average nTPMi

Max subtype nTPM is the value for the subtype with the largest average nTPM across the subtype samples.

110.4
overview
Female, age 71
Lung sample 164
nTPM: 64.2
Cell types%
Alveolar cells:
40

Bronchial epithelium:
5

Endothelial cells:
25

Macrophages:
10

Other cell types:
20

overview
Male, age 57
Lung sample 165
nTPM: 55.6
Cell types%
Alveolar cells:
35

Bronchial epithelium:
5

Endothelial cells:
30

Macrophages:
10

Other cell types:
20

overview
Female, age 71
Lung sample 166
nTPM: 197.6
Cell types%
Alveolar cells:
35

Bronchial epithelium:
10

Endothelial cells:
25

Macrophages:
10

Other cell types:
20

overview
Female, age 74
Lung sample 167
nTPM: 141.6
Cell types%
Alveolar cells:
40

Bronchial epithelium:
0

Endothelial cells:
30

Macrophages:
15

Other cell types:
15

overview
Female, age 73
Lung sample 168
nTPM: 121.6
Cell types%
Alveolar cells:
30

Bronchial epithelium:
5

Endothelial cells:
30

Macrophages:
10

Other cell types:
25

overview
Male, age 74
Lung sample 376
nTPM: 108.4
Cell types%
Alveolar cells:
25

Bronchial epithelium:
0

Endothelial cells:
35

Macrophages:
5

Other cell types:
35

overview
Female, age 70
Lung sample 379
nTPM: 112.2
Cell types%
Alveolar cells:
35

Bronchial epithelium:
5

Endothelial cells:
35

Macrophages:
5

Other cell types:
20

overview
Female, age 75
Lung sample 387
nTPM: 53.4
Cell types%
Alveolar cells:
20

Bronchial epithelium:
10

Endothelial cells:
20

Macrophages:
10

Other cell types:
40

overview
Male, age 63
Lung sample 406
nTPM: 139.4
Cell types%
Alveolar cells:
25

Bronchial epithelium:
5

Endothelial cells:
25

Macrophages:
15

Other cell types:
30


LUNG - GTEx RNA-seqi

RNA-Seq data generated by the Genotype-Tissue Expression (GTEx) project from human tissues is reported as mean nTPM. More information can be found on the GTEx portal.

Distribution across the dataset is visualized with box plots, shown as median and 25th and 75th percentiles. Points are displayed as outliers if they are above or below 1.5 times the interquartile range. nTPM values of the individual samples are presented next to the box plot.
Max subtype nTPMi

Max subtype nTPM is the value for the subtype with the largest average nTPM across the subtype samples.

59.1
GTEx sample id Sample description nTPM
Lung
Average nTPM: 59.1
Samples: 578

Max nTPM: 368.1
Min nTPM: 2.6
Std nTPM: 57.0
Median nTPM: 42.0
GTEX-14C39-0326-SM-5TDDX 40-49 years, male 368.1
GTEX-13OW6-0826-SM-5L3GA 50-59 years, male 342.2
GTEX-145MF-0726-SM-5Q5BT 50-59 years, male 321.7
GTEX-16MTA-1226-SM-7KULL 50-59 years, male 319.6
GTEX-1A32A-0726-SM-731D4 50-59 years, female 301.6
GTEX-1AX8Z-5010-SM-AHZ33 60-69 years, male 286.5
GTEX-1J8EW-1026-SM-A96T7 60-69 years, female 272.2
GTEX-133LE-0526-SM-5N9EJ 20-29 years, female 269.7
GTEX-U8XE-1426-SM-3DB8Q 30-39 years, male 254.6
GTEX-1NSGN-1626-SM-EXOJF 50-59 years, male 252.5
GTEX-OHPM-0526-SM-2YUMJ 50-59 years, male 244.9
GTEX-1399U-0826-SM-5KM1P 50-59 years, female 239.6
GTEX-111CU-0326-SM-5GZXO 50-59 years, male 238.4
GTEX-1269C-0926-SM-5FQSR 60-69 years, female 238.2
GTEX-14JG6-0326-SM-6AJBT 30-39 years, female 235.2
GTEX-15RJ7-0626-SM-6M47V 40-49 years, male 228.8
GTEX-WH7G-0726-SM-3NMBM 40-49 years, male 222.1
GTEX-QESD-0626-SM-2I5G4 20-29 years, male 215.9
GTEX-WWYW-0926-SM-3NB2Z 50-59 years, female 210.6
GTEX-1JKYN-2126-SM-ARU8W 30-39 years, male 208.0
GTEX-QDVJ-0926-SM-2I5FU 50-59 years, male 205.1
GTEX-OIZG-0526-SM-2HMLF 50-59 years, male 203.6
GTEX-14PK6-0326-SM-6AJ9S 70-79 years, female 203.2
GTEX-14PJO-0926-SM-686YT 60-69 years, male 196.9
GTEX-P4PP-0526-SM-2HMKE 30-39 years, female 190.3
GTEX-1I4MK-0326-SM-B2LWP 50-59 years, female 188.7
GTEX-145LS-1226-SM-5Q5D9 60-69 years, female 183.5
GTEX-Y8E4-0526-SM-4V6GC 40-49 years, male 181.6
GTEX-183FY-0726-SM-793C3 20-29 years, male 177.3
GTEX-144GN-0426-SM-5O9AP 50-59 years, male 172.3
GTEX-1J1R8-0226-SM-AHZ3C 40-49 years, male 166.2
GTEX-13S86-0626-SM-5Q5E7 40-49 years, male 165.1
GTEX-PX3G-0526-SM-2I3EM 20-29 years, female 163.5
GTEX-ZY6K-0326-SM-5SIBB 50-59 years, male 162.4
GTEX-1GL5R-0526-SM-9WPOQ 50-59 years, male 161.7
GTEX-12WSI-0826-SM-5EGKD 50-59 years, male 153.0
GTEX-18QFQ-0926-SM-7LG4V 30-39 years, male 153.0
GTEX-12BJ1-1026-SM-5EGJA 60-69 years, male 149.9
GTEX-ZLV1-0426-SM-4WWC2 60-69 years, female 147.2
GTEX-14PJ5-0226-SM-5YY99 60-69 years, female 146.6
GTEX-13N1W-0726-SM-5MR57 70-79 years, male 145.2
GTEX-1A8FM-0826-SM-793D5 50-59 years, female 145.2
GTEX-XQ8I-1126-SM-4BOO2 50-59 years, male 144.2
GTEX-P4QT-0526-SM-2I3EX 50-59 years, female 142.7
GTEX-VJYA-0326-SM-3GAEX 60-69 years, male 142.5
GTEX-TMMY-0926-SM-4TT1Z 40-49 years, female 141.0
GTEX-1R9PM-0426-SM-EVR3P 20-29 years, male 141.0
GTEX-1KXAM-0426-SM-DHXKG 60-69 years, male 140.6
GTEX-11EMC-0126-SM-5EGKV 60-69 years, female 140.5
GTEX-14PHY-0526-SM-664NM 60-69 years, female 140.0
GTEX-1I1GQ-1126-SM-CNNQT 50-59 years, male 139.6
GTEX-14DAR-0226-SM-5S2PR 50-59 years, male 138.0
GTEX-Y8LW-0326-SM-4VBQ9 50-59 years, female 137.5
GTEX-WHPG-1426-SM-3NMBB 50-59 years, male 134.0
GTEX-WYVS-0526-SM-3NM9W 40-49 years, female 134.0
GTEX-U3ZM-0426-SM-3DB73 40-49 years, male 132.0
GTEX-WFG7-0526-SM-3GIKI 20-29 years, male 131.3
GTEX-13FH7-1726-SM-5IJE7 50-59 years, female 130.5
GTEX-PW2O-0526-SM-2I3DX 20-29 years, male 129.4
GTEX-14E1K-0226-SM-62LDT 50-59 years, male 129.3
GTEX-Q2AH-0426-SM-2I3EP 40-49 years, male 127.7
GTEX-Y9LG-0526-SM-4VBRY 30-39 years, male 127.7
GTEX-R55G-0826-SM-2TC5U 40-49 years, female 125.3
GTEX-13113-5004-SM-79ONL 60-69 years, female 124.9
GTEX-13FTX-0326-SM-5J2NG 20-29 years, female 124.5
GTEX-1HSMQ-0726-SM-B2LXY 50-59 years, male 122.2
GTEX-139T6-0426-SM-5IJEM 50-59 years, male 122.1
GTEX-1JN76-0826-SM-C1YRK 20-29 years, female 121.2
GTEX-145ME-0226-SM-5S2QN 40-49 years, female 120.9
GTEX-15FZZ-0326-SM-6M48O 30-39 years, female 119.3
GTEX-1I6K7-1226-SM-B2LVS 40-49 years, male 118.3
GTEX-RNOR-0726-SM-2TF5I 50-59 years, female 116.7
GTEX-1GPI7-1526-SM-9JGG8 20-29 years, male 116.0
GTEX-WFON-0426-SM-3GIL4 40-49 years, male 115.4
GTEX-11P81-0226-SM-5HL5M 30-39 years, female 114.9
GTEX-XGQ4-0826-SM-4AT4T 50-59 years, male 113.3
GTEX-13OVG-0326-SM-5KM57 60-69 years, male 112.8
GTEX-ZYFG-0226-SM-5GIDT 60-69 years, female 111.4
GTEX-14E6E-0426-SM-73KUE 30-39 years, male 110.1
GTEX-P4QS-0526-SM-2I3ET 60-69 years, male 107.9
GTEX-13S7M-2126-SM-5S2QR 60-69 years, female 107.5
GTEX-1H3VY-1426-SM-9WPOB 50-59 years, male 106.9
GTEX-ZPCL-0926-SM-DNZZ8 60-69 years, female 106.3
GTEX-13O3O-0726-SM-5J1N7 60-69 years, female 105.8
GTEX-RUSQ-0626-SM-2TF5V 50-59 years, male 104.8
GTEX-UJMC-0726-SM-3GADX 50-59 years, male 104.1
GTEX-R55D-0926-SM-3GAEU 50-59 years, male 103.9
GTEX-16XZZ-0926-SM-7DHLI 60-69 years, male 102.8
GTEX-13PL7-1726-SM-5J2NX 60-69 years, female 102.3
GTEX-YB5E-0726-SM-4VDSH 40-49 years, male 102.1
GTEX-147GR-1226-SM-5TDCL 60-69 years, male 101.3
GTEX-11DXZ-0726-SM-5N9C4 50-59 years, male 101.1
GTEX-SUCS-0626-SM-32PM5 70-79 years, male 100.6
GTEX-13OVH-1026-SM-5J2NP 70-79 years, male 99.3
GTEX-1HCUA-0226-SM-A8N88 50-59 years, female 98.5
GTEX-147F3-0726-SM-5NQ9U 50-59 years, female 97.2
GTEX-1QP29-1226-SM-E6CQ1 50-59 years, male 96.9
GTEX-ZUA1-1026-SM-4YCEA 40-49 years, male 96.6
GTEX-18D9A-0226-SM-7KFSJ 30-39 years, female 96.5
GTEX-17HHE-0626-SM-7DHL6 50-59 years, male 95.6
GTEX-RWSA-1126-SM-2XCAZ 40-49 years, male 95.4
GTEX-1JK1U-1126-SM-CY8HK 60-69 years, male 94.6
GTEX-1313W-0926-SM-5EQ56 50-59 years, female 92.3
GTEX-Y3IK-0626-SM-4WWE4 50-59 years, female 92.0
GTEX-1399S-1726-SM-5L3DI 30-39 years, female 91.6
GTEX-13N2G-0826-SM-5IJE6 60-69 years, male 91.5
GTEX-15CHR-0726-SM-7EPHG 50-59 years, male 90.7
GTEX-ZT9W-0726-SM-9JGG2 50-59 years, male 90.6
GTEX-ZYY3-0926-SM-5E454 60-69 years, female 90.0
GTEX-O5YT-0526-SM-32PK8 20-29 years, male 89.6
GTEX-1MCC2-0726-SM-EV7AL 30-39 years, female 89.2
GTEX-TML8-0326-SM-4GICN 40-49 years, female 88.7
GTEX-1QCLY-1026-SM-EWRNI 30-39 years, male 88.7
GTEX-1AYCT-0726-SM-7IGNG 50-59 years, male 88.3
GTEX-1I1GU-0526-SM-B2LX2 40-49 years, male 88.3
GTEX-15SHV-0326-SM-6M475 60-69 years, male 87.9
GTEX-1C6VS-1226-SM-79OO2 60-69 years, male 87.5
GTEX-13QBU-0726-SM-5J2OA 40-49 years, female 87.1
GTEX-11I78-0126-SM-5HL6F 50-59 years, female 86.9
GTEX-1IKK5-1926-SM-A9G2V 60-69 years, male 86.1
GTEX-P78B-0926-SM-2I5FA 40-49 years, female 85.6
GTEX-16AAH-0426-SM-7DUFM 50-59 years, male 85.1
GTEX-PLZ5-0726-SM-2I5F9 50-59 years, male 84.7
GTEX-XBED-0826-SM-47JYC 60-69 years, male 84.7
GTEX-1GN1W-1026-SM-9OSW2 50-59 years, female 84.4
GTEX-ZEX8-0526-SM-DO115 50-59 years, male 84.4
GTEX-ZT9X-0326-SM-51MTE 40-49 years, male 84.3
GTEX-15EOM-5010-SM-7P8PA 20-29 years, female 83.7
GTEX-11NSD-0326-SM-5A5LS 20-29 years, male 83.5
GTEX-13X6K-1626-SM-7EWCX 60-69 years, female 83.5
GTEX-1B996-0726-SM-7IGPI 60-69 years, male 83.5
GTEX-1MGNQ-0826-SM-EVR41 40-49 years, male 82.9
GTEX-OOBK-0526-SM-2HMJJ 40-49 years, male 82.7
GTEX-132NY-1226-SM-5PNVF 60-69 years, male 82.5
GTEX-139YR-0926-SM-5LZYB 50-59 years, male 82.2
GTEX-14DAQ-0926-SM-793AZ 60-69 years, female 81.9
GTEX-XQ3S-0926-SM-4BOPI 20-29 years, male 81.3
GTEX-XXEK-0626-SM-4BRWE 50-59 years, male 81.2
GTEX-1HSMP-1326-SM-A96TR 70-79 years, male 80.5
GTEX-13D11-0326-SM-5LZXX 50-59 years, female 80.3
GTEX-1FIGZ-0326-SM-7RHGT 40-49 years, male 80.1
GTEX-13111-0426-SM-5DUXR 50-59 years, male 79.8
GTEX-UJHI-0726-SM-3DB92 50-59 years, female 79.8
GTEX-1OJC3-0726-SM-DTX92 20-29 years, male 79.6
GTEX-Y5LM-0726-SM-4VBRP 40-49 years, female 79.5
GTEX-ZDYS-0426-SM-5IJEQ 50-59 years, male 78.8
GTEX-O5YW-0526-SM-2YUMX 50-59 years, male 78.7
GTEX-12WSN-5004-SM-793CE 40-49 years, male 77.2
GTEX-14PJM-0926-SM-6AJ9Y 50-59 years, female 76.8
GTEX-WFJO-0326-SM-3GIL3 30-39 years, male 76.8
GTEX-S341-0326-SM-2XCAU 40-49 years, female 76.7
GTEX-131XH-0426-SM-5DUWU 50-59 years, male 76.6
GTEX-1GMR2-0126-SM-9JGHC 50-59 years, male 76.5
GTEX-1339X-0626-SM-5IJER 40-49 years, male 76.4
GTEX-18A7A-1026-SM-7LT8B 50-59 years, female 75.3
GTEX-1L5NE-0726-SM-CXZKQ 50-59 years, male 75.2
GTEX-1K9T9-0926-SM-D3L9C 50-59 years, female 74.6
GTEX-132QS-0726-SM-5IJE9 60-69 years, male 73.8
GTEX-W5X1-0526-SM-3GILH 40-49 years, female 73.8
GTEX-QXCU-0626-SM-2TC69 50-59 years, male 73.6
GTEX-YF7O-0626-SM-4W21R 50-59 years, male 73.4
GTEX-U3ZN-0626-SM-3DB7U 30-39 years, female 73.3
GTEX-SNOS-0426-SM-32PMH 40-49 years, male 73.0
GTEX-18A67-1126-SM-7KFSB 50-59 years, male 72.9
GTEX-ZC5H-0926-SM-5CVMZ 40-49 years, female 72.3
GTEX-14XAO-0526-SM-6AJB7 60-69 years, female 72.2
GTEX-RM2N-0426-SM-2TF4T 50-59 years, male 72.0
GTEX-ZTPG-0926-SM-5O99H 20-29 years, female 71.9
GTEX-1E1VI-0926-SM-7P8T3 50-59 years, male 71.7
GTEX-1KWVE-0426-SM-DHXJX 30-39 years, male 71.7
GTEX-1OJC4-0626-SM-DTXEY 50-59 years, female 71.4
GTEX-1211K-0826-SM-5FQUP 60-69 years, female 71.2
GTEX-YFCO-0426-SM-4W1Z7 40-49 years, male 70.4
GTEX-12WSL-1026-SM-5CVNJ 50-59 years, male 70.1
GTEX-14PJ4-0626-SM-6AJBS 60-69 years, male 70.0
GTEX-OHPL-0526-SM-3NM8U 60-69 years, female 69.9
GTEX-OXRL-0526-SM-2I3EZ 50-59 years, male 69.5
GTEX-13O21-3026-SM-5J2NI 50-59 years, male 69.4
GTEX-ZQG8-0326-SM-51MSE 60-69 years, female 69.3
GTEX-1LGRB-0226-SM-CNPQK 50-59 years, female 69.2
GTEX-QMRM-0826-SM-3NB33 50-59 years, male 68.5
GTEX-WHSB-0326-SM-5FQSD 50-59 years, male 68.5
GTEX-XYKS-0526-SM-4BRW2 60-69 years, female 68.2
GTEX-1122O-0126-SM-5GICA 60-69 years, female 67.6
GTEX-QDVN-0726-SM-4B64L 50-59 years, male 67.0
GTEX-144GM-0126-SM-5Q5AX 20-29 years, male 66.4
GTEX-OIZH-0526-SM-2HMKV 50-59 years, male 66.2
GTEX-ZVT3-0926-SM-5GICK 60-69 years, female 66.2
GTEX-1C6WA-0726-SM-7IGQ5 60-69 years, male 65.8
GTEX-13O61-0726-SM-5J2MD 60-69 years, male 65.6
GTEX-WFG8-0926-SM-3GIKJ 20-29 years, male 64.8
GTEX-12584-1426-SM-5EGJ9 40-49 years, male 64.4
GTEX-ZPU1-0926-SM-57WDO 40-49 years, male 64.4
GTEX-11UD2-0726-SM-5EQ69 50-59 years, male 64.3
GTEX-12WSJ-0226-SM-5GCP7 40-49 years, female 64.2
GTEX-117YX-1326-SM-5H125 50-59 years, male 64.0
GTEX-1B932-0726-SM-731EY 40-49 years, female 63.4
GTEX-RWS6-0226-SM-2XCA9 60-69 years, female 63.4
GTEX-WZTO-0426-SM-3NM99 40-49 years, male 63.4
GTEX-SE5C-0526-SM-2XCE1 40-49 years, female 63.3
GTEX-14BMV-0826-SM-73KXU 50-59 years, male 63.2
GTEX-ZLWG-0626-SM-4WWFR 50-59 years, female 62.6
GTEX-13W3W-0326-SM-731DS 60-69 years, female 62.5
GTEX-18D9U-0526-SM-72D7C 40-49 years, male 62.5
GTEX-PLZ6-0426-SM-5IJDW 30-39 years, male 62.5
GTEX-T8EM-0326-SM-3DB7F 40-49 years, male 62.5
GTEX-1B97I-0226-SM-73KVO 40-49 years, male 60.9
GTEX-X5EB-0426-SM-46MVY 40-49 years, male 59.9
GTEX-RU1J-0126-SM-2TF6Y 20-29 years, female 59.8
GTEX-11LCK-0426-SM-5A5M8 30-39 years, male 59.5
GTEX-1H11D-0726-SM-9OSWA 40-49 years, male 59.3
GTEX-11EQ9-0226-SM-5A5JX 30-39 years, male 59.0
GTEX-PSDG-1126-SM-2S1ON 50-59 years, male 58.4
GTEX-147JS-1226-SM-5RQK4 60-69 years, male 58.3
GTEX-ZZPU-0526-SM-5E44U 50-59 years, female 58.3
GTEX-14JG1-0926-SM-5YY8W 40-49 years, male 57.6
GTEX-OIZI-1026-SM-3NB1K 40-49 years, male 57.6
GTEX-111YS-0626-SM-5GZXV 60-69 years, male 56.9
GTEX-1GF9X-0326-SM-7P8R9 40-49 years, female 56.4
GTEX-1J8QM-0526-SM-AHZ3Y 60-69 years, female 56.3
GTEX-13VXT-1426-SM-5LU4B 20-29 years, female 56.2
GTEX-Y5V5-0826-SM-4VBQD 60-69 years, female 55.8
GTEX-POMQ-0526-SM-3GADD 20-29 years, female 55.4
GTEX-X4LF-0526-SM-3NMB6 50-59 years, male 55.4
GTEX-1GMRU-1426-SM-9WPPL 50-59 years, male 55.4
GTEX-ZF29-1026-SM-4WKGC 60-69 years, female 55.2
GTEX-11ZVC-0226-SM-731E8 50-59 years, female 55.1
GTEX-XPVG-1026-SM-4B64Y 50-59 years, male 54.9
GTEX-YEC3-0226-SM-DO11B 50-59 years, male 54.7
GTEX-1H1E6-0726-SM-9WPQ4 30-39 years, male 54.6
GTEX-145MH-0626-SM-5NQAK 50-59 years, male 54.4
GTEX-1F5PK-0526-SM-7MXUA 50-59 years, male 54.2
GTEX-15CHC-0226-SM-5YYBB 60-69 years, female 53.9
GTEX-18465-0626-SM-7LT8X 50-59 years, male 53.4
GTEX-1JMLX-0926-SM-CNNPQ 50-59 years, male 53.2
GTEX-1IDJU-0226-SM-CKZOF 60-69 years, female 52.9
GTEX-13OVJ-0726-SM-5KM1W 50-59 years, female 52.8
GTEX-1B8KZ-0526-SM-73KW2 50-59 years, male 51.8
GTEX-RU72-0526-SM-2TF5Z 50-59 years, female 51.4
GTEX-Y5V6-0226-SM-4V6G7 60-69 years, male 51.2
GTEX-1I6K6-0926-SM-AHZ2N 30-39 years, male 50.9
GTEX-ZPIC-0626-SM-57WDY 40-49 years, female 50.7
GTEX-ZG7Y-1026-SM-4WWDG 50-59 years, male 50.4
GTEX-12WSH-0126-SM-5GCO3 50-59 years, male 50.2
GTEX-WRHU-0226-SM-3MJFV 50-59 years, female 50.1
GTEX-UPK5-1126-SM-3GAEJ 40-49 years, male 50.0
GTEX-1RAZQ-1026-SM-EAZ4R 30-39 years, male 49.6
GTEX-1A8G6-0726-SM-73KV5 60-69 years, male 49.4
GTEX-1GZ4H-0426-SM-7MXV5 50-59 years, female 49.2
GTEX-1AX9K-0826-SM-731F9 50-59 years, male 49.1
GTEX-12KS4-0726-SM-5FQSX 30-39 years, male 49.0
GTEX-13JVG-1426-SM-5MR4W 60-69 years, male 49.0
GTEX-14E6D-1026-SM-5S2RS 50-59 years, male 49.0
GTEX-XBEW-0226-SM-4AT6A 40-49 years, male 49.0
GTEX-QCQG-0326-SM-2I3ES 50-59 years, female 48.9
GTEX-1MJIX-0626-SM-DTX8V 40-49 years, male 48.8
GTEX-X15G-0626-SM-EVR32 50-59 years, female 48.8
GTEX-14BMU-0526-SM-73KW4 20-29 years, female 48.7
GTEX-1CB4I-2126-SM-793AG 50-59 years, male 47.5
GTEX-UPJH-0826-SM-4WKFD 50-59 years, male 47.5
GTEX-YEC4-0526-SM-4W21U 40-49 years, male 47.4
GTEX-12WSK-0826-SM-5CVNP 40-49 years, female 47.1
GTEX-15UKP-1926-SM-6LPI9 20-29 years, male 47.1
GTEX-NFK9-1026-SM-2HMK1 40-49 years, male 47.1
GTEX-R55C-0526-SM-3GIKA 40-49 years, male 47.0
GTEX-13U4I-1426-SM-5J2M3 40-49 years, female 46.9
GTEX-18A6Q-0826-SM-7KFRD 60-69 years, male 46.5
GTEX-OXRK-0926-SM-2HMKP 50-59 years, female 46.5
GTEX-1HSKV-1126-SM-ADEIA 60-69 years, male 46.0
GTEX-145LT-0326-SM-5LUAD 40-49 years, male 45.7
GTEX-S32W-0326-SM-2XCBI 50-59 years, female 45.5
GTEX-T6MO-0426-SM-32QOI 40-49 years, female 45.5
GTEX-18D9B-1026-SM-CNPO5 60-69 years, male 45.1
GTEX-ZDTT-0926-SM-5J2MS 60-69 years, male 44.8
GTEX-R3RS-1026-SM-3GADF 40-49 years, female 44.6
GTEX-WY7C-0426-SM-3NB3C 50-59 years, male 44.6
GTEX-13YAN-1026-SM-5O9CF 60-69 years, male 44.5
GTEX-1HB9E-0726-SM-AHZ4L 50-59 years, male 44.3
GTEX-SIU8-0926-SM-COH1X 50-59 years, male 44.2
GTEX-13FTY-0126-SM-5J2NZ 40-49 years, female 43.9
GTEX-1S82P-0826-SM-EVR4P 60-69 years, female 43.8
GTEX-1A3MV-0526-SM-72D5A 30-39 years, male 43.6
GTEX-1HSMO-0926-SM-A96S7 60-69 years, male 43.6
GTEX-Y3I4-0426-SM-4TT29 50-59 years, male 43.3
GTEX-Q2AG-1026-SM-33HBW 40-49 years, female 43.0
GTEX-1KD5A-1126-SM-CXZK6 50-59 years, male 42.9
GTEX-O5YV-0526-SM-2I5GE 60-69 years, female 42.8
GTEX-18A66-0926-SM-718BG 60-69 years, male 42.6
GTEX-15G1A-0426-SM-6M468 30-39 years, male 42.0
GTEX-1QP2A-1226-SM-EVR3I 50-59 years, male 42.0
GTEX-13CF3-0426-SM-5IJEU 60-69 years, female 41.3
GTEX-U8T8-2226-SM-3DB95 60-69 years, male 41.3
GTEX-1AX9J-1626-SM-73KUI 60-69 years, male 41.2
GTEX-1RLM8-0626-SM-E76OW 50-59 years, male 41.1
GTEX-11GSP-0726-SM-5986L 60-69 years, female 40.8
GTEX-Q734-0626-SM-2I3EF 40-49 years, female 40.8
GTEX-146FQ-0926-SM-5LUAV 30-39 years, male 40.7
GTEX-1C4CL-0826-SM-7EWEZ 30-39 years, male 40.6
GTEX-11P7K-0326-SM-59871 30-39 years, male 39.7
GTEX-144GO-0226-SM-5LUB1 60-69 years, male 39.6
GTEX-14AS3-0926-SM-5TDD6 40-49 years, female 39.4
GTEX-178AV-0326-SM-6LPJF 40-49 years, male 39.2
GTEX-14E7W-1326-SM-5RQIV 70-79 years, male 39.1
GTEX-1ICLY-0926-SM-CM2RJ 50-59 years, male 38.7
GTEX-ZA64-0326-SM-5HL8T 20-29 years, male 38.5
GTEX-16NGA-0226-SM-718AI 40-49 years, female 38.2
GTEX-11NUK-0826-SM-5HL4U 50-59 years, male 37.7
GTEX-145MN-0926-SM-5NQBT 30-39 years, male 37.5
GTEX-NPJ8-0326-SM-2D7VV 40-49 years, male 37.5
GTEX-11ZTT-0626-SM-5EQLM 60-69 years, female 37.4
GTEX-1GZ4I-0726-SM-9QEHL 50-59 years, male 37.4
GTEX-169BO-0226-SM-79OL1 50-59 years, male 37.3
GTEX-P4PQ-0526-SM-2HMKR 60-69 years, male 36.8
GTEX-QV44-0926-SM-2S1RH 50-59 years, male 36.6
GTEX-13G51-0426-SM-5K7Z5 60-69 years, male 36.4
GTEX-1H1ZS-0826-SM-A9SMD 70-79 years, male 36.4
GTEX-X4XX-1026-SM-4QARO 60-69 years, male 36.3
GTEX-13OW8-1726-SM-5L3GO 60-69 years, male 36.0
GTEX-VUSG-0926-SM-3GIK6 50-59 years, male 35.9
GTEX-14A6H-0526-SM-5NQAZ 30-39 years, male 35.1
GTEX-17EVP-0726-SM-7EWDX 40-49 years, male 35.1
GTEX-1EMGI-1426-SM-7IGNQ 60-69 years, male 34.6
GTEX-13NYS-1626-SM-5J2MU 60-69 years, male 34.3
GTEX-131XF-1026-SM-5BC6A 60-69 years, male 33.9
GTEX-15EU6-1226-SM-6AJBE 50-59 years, male 33.9
GTEX-11ZTS-1226-SM-5EQMQ 60-69 years, female 33.5
GTEX-17KNJ-0926-SM-7IGP2 50-59 years, male 33.4
GTEX-XV7Q-0426-SM-4BRVN 40-49 years, female 33.4
GTEX-17F9Y-1026-SM-7IGO4 70-79 years, female 33.3
GTEX-ZAB5-0626-SM-5PNVB 50-59 years, male 33.3
GTEX-V1D1-0826-SM-3P5ZA 50-59 years, male 33.1
GTEX-1EWIQ-0926-SM-7RHG7 70-79 years, female 33.1
GTEX-1J8JJ-1126-SM-CL55P 60-69 years, female 33.0
GTEX-ZYVF-1726-SM-5E443 50-59 years, female 32.5
GTEX-13RTJ-1126-SM-5S2UJ 60-69 years, male 32.1
GTEX-17F98-0226-SM-793BV 40-49 years, female 32.1
GTEX-OXRP-0526-SM-2I3EW 60-69 years, female 32.1
GTEX-15RIE-0326-SM-6PAMC 60-69 years, male 31.8
GTEX-1IDJI-0626-SM-C1YQD 50-59 years, female 31.6
GTEX-X3Y1-0626-SM-3P5YS 40-49 years, male 31.5
GTEX-1JMPZ-1126-SM-ARU8X 30-39 years, male 31.4
GTEX-13OW5-0726-SM-5KLZK 60-69 years, male 31.1
GTEX-1CAV2-0626-SM-7P8QE 40-49 years, female 30.9
GTEX-1GZ2Q-0726-SM-9KNVV 40-49 years, male 30.6
GTEX-VJWN-1326-SM-EVR2Z 50-59 years, female 30.6
GTEX-1EX96-0226-SM-7RHHR 50-59 years, male 30.1
GTEX-13QJC-0526-SM-5RQKB 60-69 years, female 29.5
GTEX-1PPGY-1826-SM-EXOJ8 60-69 years, male 29.5
GTEX-1C64O-1226-SM-79OOC 60-69 years, male 29.3
GTEX-ZF2S-0626-SM-4WKH2 50-59 years, female 29.1
GTEX-WYJK-0826-SM-3NM8Y 50-59 years, male 28.8
GTEX-OXRN-0526-SM-2I5EN 50-59 years, male 28.4
GTEX-1BAJH-1326-SM-7RHFS 70-79 years, male 28.0
GTEX-16MT8-1026-SM-6LPK1 60-69 years, female 27.7
GTEX-1I1GP-0526-SM-ARL7G 50-59 years, male 27.7
GTEX-145MO-1326-SM-5Q5EF 60-69 years, male 27.6
GTEX-1N2DW-1126-SM-EVR59 50-59 years, male 27.5
GTEX-16Z82-1026-SM-6M48A 60-69 years, male 27.2
GTEX-1I1CD-0926-SM-CL55I 60-69 years, female 27.2
GTEX-U3ZH-0526-SM-3DB75 30-39 years, male 27.1
GTEX-ZAB4-0626-SM-5CVN3 40-49 years, male 27.1
GTEX-WOFM-0126-SM-3MJFE 20-29 years, male 26.7
GTEX-QEG5-1126-SM-33HC2 20-29 years, male 26.6
GTEX-17HG3-0326-SM-7IGP4 30-39 years, female 26.5
GTEX-1CB4J-1726-SM-79OOL 60-69 years, male 26.5
GTEX-1F48J-0826-SM-9WPOD 50-59 years, female 26.1
GTEX-1GN73-1026-SM-9KNV9 60-69 years, male 26.0
GTEX-131XE-0726-SM-5HL9K 50-59 years, male 25.9
GTEX-12WSG-5004-SM-7EPG9 50-59 years, female 25.8
GTEX-YECK-0926-SM-4W214 60-69 years, male 25.8
GTEX-13PVQ-0926-SM-5IJFD 50-59 years, male 25.7
GTEX-ZDTS-1026-SM-4WAXS 60-69 years, male 25.7
GTEX-11DXX-0626-SM-5Q5AG 60-69 years, female 25.6
GTEX-11WQK-1226-SM-5GU5Z 50-59 years, male 25.6
GTEX-11NV4-1126-SM-5HL6J 60-69 years, male 25.5
GTEX-S7SE-0926-SM-2XCD6 50-59 years, male 25.2
GTEX-1JMQL-1126-SM-CKZOP 50-59 years, female 25.1
GTEX-15ER7-0926-SM-7KUMG 20-29 years, female 24.8
GTEX-OOBJ-0526-SM-48TDK 60-69 years, male 24.8
GTEX-1I1GS-1426-SM-COH3W 60-69 years, male 24.8
GTEX-13QJ3-1026-SM-5QGQU 50-59 years, male 24.7
GTEX-1I1GV-0926-SM-B2LXM 60-69 years, male 24.6
GTEX-12WSD-0826-SM-5GCNE 60-69 years, female 24.3
GTEX-1QMI2-0926-SM-DTX7S 60-69 years, male 24.2
GTEX-1GMR3-0226-SM-7RHIB 40-49 years, male 24.1
GTEX-11ZUS-0126-SM-5EQM5 30-39 years, male 23.9
GTEX-X4EP-0526-SM-3P5YW 60-69 years, female 23.9
GTEX-1P4AB-1026-SM-DTXES 50-59 years, male 23.9
GTEX-ZYT6-0526-SM-5GIEA 30-39 years, male 23.8
GTEX-1RAZR-0726-SM-EV7BA 40-49 years, male 23.6
GTEX-S3LF-1126-SM-EVR33 70-79 years, male 23.6
GTEX-17JCI-1526-SM-7IGOQ 60-69 years, female 23.4
GTEX-1K2DU-0526-SM-D4P2Y 20-29 years, male 23.4
GTEX-1H1DG-1026-SM-9MQJS 70-79 years, male 23.3
GTEX-1E2YA-0926-SM-7MXUK 50-59 years, male 23.2
GTEX-111FC-1126-SM-5GZWU 60-69 years, male 22.8
GTEX-14ABY-1126-SM-5Q5F8 50-59 years, male 22.6
GTEX-PLZ4-0726-SM-2TC6Q 50-59 years, female 22.6
GTEX-X585-1026-SM-46MW6 50-59 years, male 22.6
GTEX-SJXC-1026-SM-EYYVA 60-69 years, male 22.6
GTEX-1128S-0726-SM-5N9D6 60-69 years, female 22.5
GTEX-1AYD5-1226-SM-7EWEP 50-59 years, male 22.5
GTEX-17F96-0626-SM-793CC 70-79 years, male 22.2
GTEX-1CB4F-0926-SM-7DHMJ 60-69 years, male 22.1
GTEX-T2IS-0526-SM-32QP9 20-29 years, female 22.1
GTEX-Y111-1026-SM-4TT22 50-59 years, male 22.1
GTEX-1GN2E-1526-SM-7P8TD 60-69 years, male 22.0
GTEX-ZE7O-0826-SM-57WCP 50-59 years, female 21.9
GTEX-12WSA-1026-SM-5EGHN 60-69 years, male 21.8
GTEX-148VI-0226-SM-5RQKA 60-69 years, female 21.8
GTEX-ZXG5-0826-SM-5GID6 60-69 years, male 21.6
GTEX-1F88F-0926-SM-7RHH8 60-69 years, female 21.6
GTEX-1477Z-0626-SM-5NQB7 60-69 years, male 21.4
GTEX-17GQL-0726-SM-731BL 60-69 years, male 21.4
GTEX-XOT4-1426-SM-4B65T 60-69 years, female 21.4
GTEX-1JJE9-0926-SM-CNNP9 70-79 years, male 21.3
GTEX-1B933-0926-SM-9OSVH 50-59 years, female 21.2
GTEX-1PWST-0826-SM-DTXF1 70-79 years, male 21.2
GTEX-147F4-0926-SM-5Q5EO 50-59 years, male 21.1
GTEX-1F75B-1026-SM-9JGFS 50-59 years, male 21.1
GTEX-12ZZW-0926-SM-5LZUD 50-59 years, male 21.0
GTEX-1AX9I-0826-SM-73KUT 60-69 years, male 21.0
GTEX-13FLV-0426-SM-5KLZA 50-59 years, male 20.8
GTEX-111VG-0726-SM-5GIDC 60-69 years, male 20.6
GTEX-11TUW-0526-SM-5LU9A 60-69 years, male 20.6
GTEX-146FH-1226-SM-5NQB6 50-59 years, female 20.6
GTEX-1HCU7-0926-SM-A96TK 50-59 years, male 20.5
GTEX-11EI6-0826-SM-5985V 60-69 years, male 20.3
GTEX-1LG7Y-0826-SM-E9TJX 50-59 years, male 20.1
GTEX-11OF3-1126-SM-5986C 60-69 years, male 19.9
GTEX-11TT1-1626-SM-5EQL7 20-29 years, male 19.8
GTEX-13N11-0326-SM-5LUA3 50-59 years, female 19.8
GTEX-1HT8W-1426-SM-CE6S2 30-39 years, male 19.8
GTEX-WVJS-0826-SM-4MVNR 50-59 years, male 19.7
GTEX-ZDXO-1326-SM-57WBS 60-69 years, male 19.7
GTEX-1497J-0326-SM-5Q5CN 60-69 years, male 19.6
GTEX-1I19N-0526-SM-A9G27 70-79 years, male 19.6
GTEX-15D1Q-0526-SM-6AJAY 40-49 years, male 19.5
GTEX-1LB8K-0826-SM-D4P41 50-59 years, male 19.5
GTEX-11DZ1-0426-SM-5H11A 50-59 years, male 19.3
GTEX-SN8G-0926-SM-4DM5I 50-59 years, female 19.3
GTEX-1RNSC-1226-SM-E9U52 60-69 years, male 19.3
GTEX-117YW-0526-SM-5H11C 50-59 years, male 19.2
GTEX-1QAET-0426-SM-EXUSM 50-59 years, male 19.2
GTEX-1RDX4-1626-SM-EVR53 50-59 years, female 19.2
GTEX-11O72-1326-SM-5BC5A 40-49 years, male 19.1
GTEX-17EVQ-1526-SM-79ONG 70-79 years, male 19.0
GTEX-P44H-1126-SM-48TBU 40-49 years, male 18.7
GTEX-12696-1026-SM-5FQUV 60-69 years, male 18.6
GTEX-1CAMQ-1026-SM-7EPIC 40-49 years, male 18.6
GTEX-OIZF-0526-SM-7MXVM 60-69 years, male 18.6
GTEX-139TT-0726-SM-5K7XW 60-69 years, male 18.5
GTEX-X4XY-1026-SM-46MVX 60-69 years, male 18.4
GTEX-15SB6-0426-SM-6LPJ5 50-59 years, female 18.2
GTEX-QDT8-0926-SM-32PL2 30-39 years, female 18.1
GTEX-13O3P-1026-SM-5N9E7 50-59 years, male 18.0
GTEX-T6MN-0826-SM-32PM4 50-59 years, male 17.9
GTEX-ZYW4-1526-SM-5SIBA 60-69 years, male 17.9
GTEX-1F6I4-1026-SM-7P8PS 60-69 years, male 17.8
GTEX-13SLW-1226-SM-5S2Q7 70-79 years, male 17.7
GTEX-1H1CY-0626-SM-9KNVE 60-69 years, female 17.7
GTEX-1MA7X-0626-SM-E9TJI 60-69 years, male 17.7
GTEX-1KAFJ-0326-SM-DHXJG 50-59 years, male 17.6
GTEX-WYBS-1126-SM-3NMAM 60-69 years, female 17.5
GTEX-ZTTD-1126-SM-51MRP 50-59 years, male 17.2
GTEX-1IDJH-0726-SM-ARU7U 70-79 years, male 17.2
GTEX-QEL4-0826-SM-3GAF2 50-59 years, male 17.0
GTEX-1KANB-1026-SM-D3L9F 50-59 years, male 16.9
GTEX-RTLS-0926-SM-2TF5X 60-69 years, female 16.8
GTEX-1H2FU-1226-SM-9KNVY 60-69 years, female 16.7
GTEX-1IL2U-0926-SM-CKZOB 60-69 years, male 16.7
GTEX-1RQED-1026-SM-EVYCT 60-69 years, male 16.6
GTEX-13NYB-0626-SM-5MR47 40-49 years, male 16.5
GTEX-1C6VR-0626-SM-79OOY 60-69 years, male 16.5
GTEX-RVPV-1726-SM-2NKAQ 60-69 years, male 16.4
GTEX-T5JC-0826-SM-32PMC 20-29 years, male 16.3
GTEX-139UW-0226-SM-5K7WU 60-69 years, male 16.2
GTEX-1I1GR-0726-SM-B2LWL 60-69 years, male 16.1
GTEX-1JMQJ-2126-SM-CNPPA 50-59 years, male 15.9
GTEX-1B8L1-0626-SM-7EPHL 60-69 years, male 15.8
GTEX-15SKB-0826-SM-7KUFB 60-69 years, male 15.7
GTEX-QEG4-0526-SM-48TZD 30-39 years, male 15.7
GTEX-1EN7A-0826-SM-7MKFV 40-49 years, male 15.6
GTEX-14BIL-1226-SM-79OME 50-59 years, male 15.2
GTEX-1H23P-1026-SM-9QEHQ 60-69 years, male 15.1
GTEX-1212Z-1026-SM-5EGJ8 60-69 years, male 15.0
GTEX-1GMR8-1426-SM-7RHHL 50-59 years, female 14.2
GTEX-1MJK2-1126-SM-E9TJ7 50-59 years, male 14.0
GTEX-1S5VW-0926-SM-EWRNU 60-69 years, male 13.9
GTEX-131XW-1126-SM-5EGK4 50-59 years, female 13.8
GTEX-RN64-1226-SM-2TC6E 50-59 years, male 13.8
GTEX-14LZ3-0726-SM-5YYAB 60-69 years, female 13.6
GTEX-1PIIG-1826-SM-DTX7N 30-39 years, male 13.6
GTEX-13FHO-1026-SM-5KM1Q 60-69 years, male 13.5
GTEX-1LVAO-1226-SM-DIPGB 60-69 years, male 13.5
GTEX-13FHP-0726-SM-5K7YI 50-59 years, male 13.3
GTEX-XMD2-1026-SM-4WWE8 60-69 years, female 13.2
GTEX-1LVAN-1126-SM-CNNRE 50-59 years, female 13.2
GTEX-13FTZ-0526-SM-5IJCW 60-69 years, male 12.7
GTEX-13JUV-0526-SM-5K7XE 40-49 years, female 12.7
GTEX-YJ8O-1826-SM-5HL82 40-49 years, female 12.5
GTEX-1NV5F-0926-SM-DTX8N 60-69 years, female 12.5
GTEX-1B8SF-0826-SM-73KW8 60-69 years, male 12.3
GTEX-1GN1U-1026-SM-9WYUP 50-59 years, female 12.3
GTEX-TSE9-0726-SM-3DB8C 60-69 years, female 12.2
GTEX-13VXU-2726-SM-5LU4N 50-59 years, male 12.1
GTEX-148VJ-0826-SM-5LU8V 70-79 years, male 12.1
GTEX-131YS-0926-SM-5IJB9 60-69 years, female 11.9
GTEX-15RJE-1026-SM-6M46X 40-49 years, male 11.9
GTEX-ZF28-0726-SM-4WKFU 60-69 years, male 11.9
GTEX-POYW-1226-SM-2XCEP 60-69 years, male 11.8
GTEX-1GF9V-1026-SM-9KNW3 60-69 years, male 11.7
GTEX-ZZPT-1326-SM-5E43H 50-59 years, male 11.6
GTEX-14JIY-1326-SM-6AJB3 60-69 years, male 11.5
GTEX-13O3Q-0526-SM-5KM18 50-59 years, male 11.3
GTEX-13OW7-0926-SM-5L3EX 50-59 years, male 11.2
GTEX-N7MT-0126-SM-2D7VT 60-69 years, female 11.1
GTEX-X4EO-0926-SM-3P5Z2 60-69 years, female 11.1
GTEX-1J1OQ-0926-SM-CJI34 40-49 years, female 10.9
GTEX-12WSE-0826-SM-5S2VL 20-29 years, male 10.8
GTEX-YFC4-1126-SM-5RQJN 40-49 years, female 10.8
GTEX-1F6RS-0826-SM-7P8T9 60-69 years, female 10.8
GTEX-1IKJJ-0926-SM-A9G2L 60-69 years, male 10.6
GTEX-QMR6-1926-SM-32PL9 50-59 years, male 10.5
GTEX-15SHW-0926-SM-6LPIO 60-69 years, male 10.4
GTEX-ZF3C-0926-SM-DO92P 50-59 years, female 10.4
GTEX-1HBPM-0826-SM-9WYSP 60-69 years, female 10.2
GTEX-ZVZQ-1526-SM-5N9G6 60-69 years, female 10.1
GTEX-1JMOU-0526-SM-CNNPE 60-69 years, female 10.1
GTEX-145LU-0526-SM-5O9AT 50-59 years, male 10.0
GTEX-1HCVE-0626-SM-A9SL2 50-59 years, male 9.9
GTEX-1JMQI-1126-SM-ARZN2 50-59 years, male 9.9
GTEX-QVUS-2026-SM-EYYW9 60-69 years, female 9.9
GTEX-1KD4Q-0926-SM-CXZKI 40-49 years, male 9.8
GTEX-1GTWX-0626-SM-9WYU1 60-69 years, male 9.7
GTEX-12ZZY-0926-SM-5EQ6I 60-69 years, male 9.6
GTEX-17HGU-0926-SM-79OKO 50-59 years, male 9.5
GTEX-1LSVX-0626-SM-E9U59 60-69 years, male 9.4
GTEX-1JJEA-1126-SM-CKZOC 60-69 years, male 9.3
GTEX-S33H-0626-SM-2XCBJ 30-39 years, male 9.2
GTEX-WK11-0526-SM-3NB3O 50-59 years, male 9.2
GTEX-XBEC-1026-SM-4QASM 50-59 years, male 9.1
GTEX-1IOXB-1126-SM-CNNQ5 50-59 years, male 9.1
GTEX-13NZA-1426-SM-5KM4Y 60-69 years, male 9.0
GTEX-14E6C-1426-SM-5ZZWH 40-49 years, male 9.0
GTEX-16GPK-1826-SM-7MGW5 60-69 years, male 9.0
GTEX-1ICLZ-0926-SM-CKZPQ 60-69 years, male 8.5
GTEX-1RAZS-2226-SM-E8VMU 50-59 years, male 8.5
GTEX-13OVL-0626-SM-5KM13 50-59 years, male 8.4
GTEX-1JN6P-0726-SM-ARZN7 60-69 years, male 8.4
GTEX-1QEPI-0826-SM-DTX9B 60-69 years, female 8.4
GTEX-14PQA-1126-SM-7KUM4 50-59 years, female 8.3
GTEX-1LC47-1126-SM-D4P43 60-69 years, male 8.3
GTEX-13NZ9-0926-SM-5KM12 50-59 years, male 8.2
GTEX-1F75W-0626-SM-7PC13 60-69 years, male 8.0
GTEX-14C5O-1126-SM-5TDEH 60-69 years, male 7.9
GTEX-1GZHY-0826-SM-9OSXT 50-59 years, female 7.7
GTEX-1H3O1-0326-SM-9WPO8 60-69 years, male 7.7
GTEX-1IL2V-0726-SM-ARZMB 70-79 years, male 7.7
GTEX-OXRO-0326-SM-33HBM 60-69 years, female 7.5
GTEX-U412-0826-SM-3DB9K 60-69 years, male 7.5
GTEX-PVOW-1026-SM-2XCF9 40-49 years, male 7.4
GTEX-1PPH7-0226-SM-E76Q1 40-49 years, male 7.3
GTEX-17MF6-0826-SM-7LT8F 40-49 years, male 7.2
GTEX-N7MS-0926-SM-2HMIZ 60-69 years, male 7.2
GTEX-11WQC-0626-SM-5EQMF 60-69 years, male 6.9
GTEX-REY6-0426-SM-2TF5G 60-69 years, male 6.9
GTEX-1EKGG-1326-SM-7MXUM 60-69 years, male 6.9
GTEX-1M4P7-0826-SM-E9TJR 60-69 years, male 6.9
GTEX-14LLW-0726-SM-5ZZVV 70-79 years, female 6.7
GTEX-11PRG-0926-SM-5EGI8 50-59 years, male 6.6
GTEX-1HFI6-0926-SM-9WPPV 40-49 years, male 6.4
GTEX-17HII-0926-SM-79ON7 50-59 years, male 6.2
GTEX-X261-1026-SM-3NMDL 50-59 years, male 6.2
GTEX-13NZ8-0326-SM-5L3DF 60-69 years, female 5.8
GTEX-1HBPH-1326-SM-9WYSN 40-49 years, female 5.7
GTEX-1F7RK-0826-SM-7SB8V 20-29 years, female 2.9
GTEX-1IY9M-1126-SM-A9SLV 60-69 years, male 2.6
Show allShow less

LUNG - FANTOM5 CAGEi

RNA expression in human tissues obtained through Cap Analysis of Gene Expression (CAGE) generated by the FANTOM5 project are reported as Scaled Tags Per Million.

Max subtype Scaled Tags Per Millioni

Max subtype Scaled Tags Per Million is the value for the subtype with the largest average Scaled Tags Per Million across the subtype samples.

207.4
FANTOM5 sample id Sample description Scaled Tags Per Million
Lung
Scaled Tags Per Million: 207.4
FF:10019-101D1 46,65,94 years, mixed 207.4
Lung - right lower lobe
Scaled Tags Per Million: 148.2
FF:10075-102A3 29 years, male 148.2

Contact

  • NEWS ARTICLES
  • PRESS ROOM

The Project

  • INTRODUCTION
  • ORGANIZATION
  • PUBLICATIONS

The Human Protein Atlas

  • DOWNLOADABLE DATA
  • LICENCE & CITATION
  • HELP & FAQ
The Human Protein Atlas project is funded
by the Knut & Alice Wallenberg Foundation.


contact@proteinatlas.org