We use cookies to enhance the usability of our website. If you continue, we'll assume that you are happy to receive all cookies. More information. Don't show this again.
B2M
HPA
RESOURCES
  • TISSUE
  • BRAIN
  • SINGLE CELL
  • SUBCELLULAR
  • CANCER
  • BLOOD
  • CELL LINE
  • STRUCTURE & INTERACTION
ABOUT
  • INTRODUCTION
  • HISTORY
  • ORGANIZATION
  • PUBLICATIONS
  • ANTIBODY SUBMISSION
  • ANTIBODY AVAILABILITY
  • ACKNOWLEDGMENTS
  • CONTACT
NEWS
  • NEWS ARTICLES
  • PRESS ROOM
LEARN
  • DICTIONARY
  • PROTEIN CLASSES
  • PROTEIN EVIDENCE
  • METHODS
  • EDUCATIONAL VIDEOS
DATA
  • DOWNLOADABLE DATA
  • PUBLICATION DATA
  • RELEASE HISTORY
HELP
  • ANTIBODY VALIDATION
  • ASSAYS & ANNOTATION
  • DISCLAIMER
  • HELP & FAQ
  • PRIVACY STATEMENT
  • LICENCE & CITATION
Fields »
Search result

Field
Term
Gene name
Class
Subclass
Class
Keyword
Chromosome
External id
Tissue
Cell type
Expression
Antibody panel
Tissue
Main location
Patient ID
Annotation
Tissue
Category
Tau score
Cluster
Reliability
Brain region
Category
Tau score
Brain region
Category
Tau score
Brain region
Category
Tau score
Cluster
Reliability
Tissue
Cell type
Enrichment
Cell type
Category
Tau score
Cell type
Category
Tau score
Cell type
Category
Tau score
Cell lineage
Category
Tau score
Cluster
Cluster
Location
Searches
Location
Cell line
Class
Type
Phase
Reliability
Cancer
Prognosis
Cancer
Category
Cancer
Category
Tau score
Cluster
Variants
Interacting gene (ensg_id)
Type
Number of interactions
Pathway
Category
Score
Score
Score
Validation
Validation
Validation
Validation
Antibodies
Data type
Column


  • SUMMARY

  • TISSUE

  • BRAIN

  • SINGLE CELL

  • SUBCELL

  • CANCER

  • BLOOD

  • CELL LINE

  • STRUCT & INT

  • B2M
CANCER PROSTATE CANCER Show tissue menu
BREAST CANCER CARCINOID CERVICAL CANCER COLORECTAL CANCER ENDOMETRIAL CANCER GLIOMA HEAD AND NECK CANCER LIVER CANCER LUNG CANCER LYMPHOMA
MELANOMA OVARIAN CANCER PANCREATIC CANCER PROSTATE CANCER RENAL CANCER SKIN CANCER STOMACH CANCER TESTIS CANCER THYROID CANCER UROTHELIAL CANCER
PRAD TCGA PROTEIN EXPRESSION
ANTIBODIES
AND
VALIDATION
Dictionary
Prostate cancer
Human cancer
Prostate adenocarcinoma
PROSTATE ADENOCARCINOMA (TCGA) - Interactive survival scatter ploti

The Survival Scatter plot shows the clinical status (i.e. dead or alive) for all individuals in the patient cohort, based on the same data that underlies the corresponding Kaplan-Meier plots. Patients that are alive at last time for follow-up are shown in blue and patients who have died during the study are shown in red.

The x-axis shows the expression levels (FPKM) of the investigated gene in the tumor tissue at the time of diagnosis. The y-axis shows the follow-up time after diagnosis (years). Both axes are complimented with kernel density curves demonstrating the data density over the axes. The top density plot shows the expression levels (FPKM) distribution among dead (red) and alive patients (blue). The right density plot shows the data density of the survived years of dead patients with high and low expression levels respectively, stratified using the cutoff indicated by the vertical dashed line through the Survival Scatter plot. This cutoff is automatically defined based on the FPKM cutoff that minimizes the p-score. The cutoff can be changed by dragging the vertical line or by entering a cutoff value in the square labeled "Current cut-off".

Under the Survival Scatter plot the p-score landscape (black curve; left axis) is shown together with dead median separation (red curve; right axis). Dead median separation is the difference in median mRNA expression between patients who have died with high and low expression, respectively. It is calculated as follows: median FPKM expression of dead patients with high expression - median FPKM expression of dead patients with low expression. This is intended to aid the user in visually exploring custom cutoffs and the associated p-scores and dead median separation.

Individual patient data is displayed and can be filtered by clicking on one or more of the category buttons on the top of the page. Categories describing expression level and patient information include: high, low, alive, dead, female, male and tumor stages. The scale of the x-axis can be toggled between linear and log-scale by clicking on the "x log" button. Mouse-over function shows TCGA ID, patient information and mRNA expression (FPKM) for each patient.

& Survival analysisi

Kaplan-Meier plots summarize results from analysis of correlation between mRNA expression level and patient survival. Patients were divided based on level of expression into one of the two groups "low" (under cut off) or "high" (over cut off). X-axis shows time for survival (years) and y-axis shows the probability of survival, where 1.0 corresponds to 100 percent.

B2M is not prognostic in Prostate Adenocarcinoma (TCGA)


Stage:
Survival analysis
Current cut offi

Current cut-off shows the cut-off (FPKM) currently selected. It may be changed manually. When the current cut-off is changed, the vertical dashed line indicating cut-off, the interactive survival scatter plot and the Kaplan-Meier curve will be automatically adjusted to show results accordingly.

:
Best expression cut offi

Based on the FPKM value of each gene, patients were classified into two groups and association between prognosis (survival) and gene expression (FPKM) was examined. The best expression cut-off refers the FPKM value that yields maximal difference with regard to survival between the two groups at the lowest log-rank P-value. Best expression cut-off was selected based on survival analysis .

When clicking on this number, the vertical dashed line indicating cut-off, the interactive survival plot, and the Kaplan-Meier curve will be adjusted to show results based on the best expression cut-off.

: 1953.43
Median expressioni

Median expression refers to the median FPKM value calculated based on the gene expression (FPKM) data from all patients in this dataset. When clicking on this number, the vertical dashed line indicating cut-off, the interactive survival plot, and the Kaplan-Meier curve will be adjusted to show results based on the median expression.

: N/A
Median follow up timei

Median follow up time refers to the median time (years) after diagnosis with this type of cancer, based on clinical data from all patients in this dataset.

: N/A
P scorei

Log-rank P value for Kaplan-Meier plot showing results from analysis of correlation between mRNA expression level and patient survival.

N/A
5-year survival highi

5-year survival for patients with higher expression than the expression cutoff.

For melanoma and glioma, 3-year survival is shown.

N/A
5-year survival lowi

5-year survival for patients with lower expression than the expression cutoff.

For melanoma and glioma, 3-year survival is shown.

N/A
TCGA RNA samplesi

RNA-seq data is reported as average FPKM (number Fragments Per Kilobase of exon per Million reads), generated by the The Cancer Genome Atlas (TCGA) .

Normal distribution across the dataset is visualized with box plots, shown as median and 25th and 75th percentiles. Points are displayed as outliers if they are above or below 1.5 times the interquartile range. FPKM values of the individual samples are presented next to the box plot.

Average pTPM 3069.7
Number of samples 480
Samples
Sample Description pTPM
TCGA-TP-A8TT-01A 64 years, male, white, stage:'--, alive, 526 days 17580.6
TCGA-V1-A8MJ-01A 58 years, male, black or african american, stage:'--, alive, 1791 days 17544.9
TCGA-VP-A87C-01A 67 years, male, black or african american, stage:'--, alive, 1690 days 11267.5
TCGA-G9-7521-01A 52 years, male, white, stage:'--, alive, 942 days 9285.6
TCGA-EJ-5522-01A 51 years, male, white, stage:'--, alive, 2079 days 8804.1
TCGA-HC-7233-01A 73 years, male, white, stage:'--, alive, 1355 days 8630.4
TCGA-EJ-A7NJ-01A 59 years, male, white, stage:'--, alive, 197 days 8575.5
TCGA-EJ-5516-01A 49 years, male, white, stage:'--, alive, 1889 days 8358.4
TCGA-HC-8266-01A 55 years, male, white, stage:'--, alive, 473 days 8058.5
TCGA-HC-7079-01A 51 years, male, white, stage:'--, alive, 1184 days 8004.0
TCGA-KK-A8IL-01A 65 years, male, white, stage:'--, dead, 628 days 7776.2
TCGA-V1-A8WN-01A 47 years, male, black or african american, stage:'--, alive, 924 days 7702.1
TCGA-V1-A8WW-01A 59 years, male, white, stage:'--, alive, 1078 days 7230.0
TCGA-HC-A6AS-01A 70 years, male, white, stage:'--, alive, 44 days 7197.6
TCGA-HC-A9TH-01A 58 years, male, white, stage:'--, alive, 844 days 6657.4
TCGA-KK-A7AV-01A 58 years, male, black or african american, stage:'--, alive, 822 days 6621.4
TCGA-M7-A723-01A 54 years, male, white, stage:'--, alive, 763 days 6538.2
TCGA-EJ-5506-01A 67 years, male, white, stage:'--, alive, 1381 days 6506.4
TCGA-ZG-A9LN-01A 57 years, male, white, stage:'--, alive, 115 days 6420.5
TCGA-CH-5753-01A 70 years, male, white, stage:'--, alive, 31 days 6378.9
TCGA-J4-A67L-01A 54 years, male, white, stage:'--, alive, 770 days 6286.6
TCGA-HC-7747-01A 52 years, male, white, stage:'--, alive, 748 days 6097.8
TCGA-CH-5745-01A 68 years, male, white, stage:'--, alive, 91 days 6057.2
TCGA-V1-A9O5-01A 64 years, male, white, stage:'--, alive, 1932 days 5960.2
TCGA-V1-A9O9-01A 56 years, male, white, stage:'--, alive, 2870 days 5915.2
TCGA-KK-A6E3-01A 56 years, male, black or african american, stage:'--, alive, 2056 days 5814.8
TCGA-KK-A8I4-01A 64 years, male, white, stage:'--, alive, 2259 days 5762.4
TCGA-J4-A6G3-01A 57 years, male, white, stage:'--, alive, 849 days 5724.1
TCGA-V1-A8MK-01A 41 years, male, black or african american, stage:'--, alive, 508 days 5723.6
TCGA-VP-A87J-01A 56 years, male, black or african american, stage:'--, alive, 1774 days 5704.0
TCGA-HC-8216-01A 58 years, male, white, stage:'--, alive, 682 days 5684.6
TCGA-FC-7708-01A 52 years, male, asian, stage:'--, alive, 864 days 5683.0
TCGA-CH-5766-01A 55 years, male, white, stage:'--, alive, 31 days 5679.1
TCGA-YL-A8SC-01A 66 years, male, white, stage:'--, alive, 1261 days 5657.7
TCGA-G9-6367-01A 60 years, male, white, stage:'--, alive, 1222 days 5567.9
TCGA-J4-8200-01A 47 years, male, asian, stage:'--, alive, 1218 days 5524.7
TCGA-YL-A9WH-01A 67 years, male, white, stage:'--, alive, 427 days 5490.9
TCGA-ZG-A9MC-01A 69 years, male, white, stage:'--, alive, 455 days 5486.1
TCGA-2A-AAYO-01A 57 years, male, white, stage:'--, alive, 1272 days 5470.8
TCGA-EJ-5507-01A 54 years, male, white, stage:'--, alive, 1457 days 5405.3
TCGA-XJ-A9DI-01A 62 years, male, white, stage:'--, alive, 1461 days 5397.2
TCGA-ZG-A8QW-01A 72 years, male, white, stage:'--, alive, 94 days 5268.1
TCGA-EJ-5494-01A 50 years, male, white, stage:'--, alive, 1477 days 5256.2
TCGA-CH-5754-01A 65 years, male, white, stage:'--, alive, 62 days 5246.4
TCGA-J4-A6G1-01A 68 years, male, white, stage:'--, alive, 769 days 5240.4
TCGA-HC-7749-01A 70 years, male, white, stage:'--, alive, 724 days 5230.9
TCGA-HC-7748-01A 60 years, male, white, stage:'--, alive, 792 days 5224.4
TCGA-2A-A8VT-01A 47 years, male, asian, stage:'--, alive, 1373 days 5212.9
TCGA-EJ-A8FP-01A 59 years, male, white, stage:'--, alive, 299 days 5185.6
TCGA-HC-7209-01A 60 years, male, white, stage:'--, alive, 440 days 5158.0
TCGA-EJ-8470-01A 58 years, male, black or african american, stage:'--, alive, 1159 days 5133.6
TCGA-CH-5739-01A 65 years, male, white, stage:'--, alive, 671 days 5125.9
TCGA-4L-AA1F-01A 64 years, male, white, stage:'--, alive, 350 days 5116.7
TCGA-G9-6364-01A 72 years, male, white, stage:'--, alive, 1198 days 5111.5
TCGA-HC-8260-01A 43 years, male, black or african american, stage:'--, alive, 686 days 5109.5
TCGA-G9-6348-01A 68 years, male, white, stage:'--, alive, 1515 days 5033.4
TCGA-EJ-A7NN-01A 61 years, male, white, stage:'--, alive, 197 days 5014.6
TCGA-EJ-5498-01A 56 years, male, white, stage:'--, alive, 1720 days 4981.1
TCGA-YL-A9WY-01A 57 years, male, white, stage:'--, alive, 1098 days 4956.6
TCGA-2A-A8VL-01A 51 years, male, white, stage:'--, alive, 621 days 4921.0
TCGA-EJ-5515-01A 60 years, male, white, stage:'--, alive, 1832 days 4904.2
TCGA-V1-A8MU-01A 56 years, male, black or african american, stage:'--, alive, 1876 days 4898.7
TCGA-ZG-A9LS-01A 64 years, male, white, stage:'--, alive, 516 days 4837.9
TCGA-V1-A8WL-01A 64 years, male, black or african american, stage:'--, alive, 1948 days 4800.1
TCGA-CH-5743-01A 66 years, male, white, stage:'--, alive, 425 days 4784.6
TCGA-CH-5772-01A 63 years, male, white, stage:'--, alive, 486 days 4741.3
TCGA-CH-5763-01A 66 years, male, white, stage:'--, alive, 365 days 4739.5
TCGA-KK-A7B2-01A 68 years, male, white, stage:'--, alive, 1099 days 4728.1
TCGA-J4-A83J-01A 68 years, male, white, stage:'--, alive, 696 days 4693.9
TCGA-EJ-5526-01A 56 years, male, white, stage:'--, alive, 1909 days 4691.1
TCGA-CH-5748-01A 64 years, male, white, stage:'--, alive, 31 days 4633.7
TCGA-EJ-7794-01A 67 years, male, white, stage:'--, alive, 1306 days 4586.5
TCGA-KK-A8I5-01A 55 years, male, black or african american, stage:'--, alive, 3096 days 4584.4
TCGA-XK-AAIV-01A 63 years, male, white, stage:'--, alive, 1133 days 4573.1
TCGA-HC-8258-01A 56 years, male, black or african american, stage:'--, alive, 847 days 4571.6
TCGA-V1-A8X3-01A 51 years, male, white, stage:'--, alive, 202 days 4514.8
TCGA-EJ-5508-01A 65 years, male, white, stage:'--, alive, 1965 days 4499.8
TCGA-EJ-5510-01A 48 years, male, white, stage:'--, alive, 1887 days 4498.9
TCGA-HC-A631-01A 67 years, male, white, stage:'--, alive, 54 days 4491.0
TCGA-VN-A88O-01A 49 years, male, stage:'--, alive, 481 days 4472.2
TCGA-HC-7737-01A 55 years, male, black or african american, stage:'--, alive, 1090 days 4472.1
TCGA-ZG-A9KY-01A 73 years, male, white, stage:'--, alive, 130 days 4445.7
TCGA-KK-A8IM-01A 55 years, male, white, stage:'--, alive, 1915 days 4437.0
TCGA-HC-7820-01A 72 years, male, white, stage:'--, alive, 747 days 4428.5
TCGA-J9-A52B-01A 62 years, male, white, stage:'--, alive, 422 days 4414.9
TCGA-XA-A8JR-01A 68 years, male, stage:'--, alive, 376 days 4386.5
TCGA-EJ-5517-01A 55 years, male, white, stage:'--, alive, 1889 days 4353.7
TCGA-EJ-7788-01A 53 years, male, white, stage:'--, alive, 859 days 4326.4
TCGA-SU-A7E7-01A 60 years, male, white, stage:'--, alive, 551 days 4316.2
TCGA-EJ-7331-01A 64 years, male, white, stage:'--, alive, 742 days 4299.1
TCGA-XK-AAJU-01A 65 years, male, white, stage:'--, alive, 1576 days 4293.6
TCGA-EJ-AB27-01A 51 years, male, white, stage:'--, alive, 145 days 4291.9
TCGA-G9-6370-01A 52 years, male, white, stage:'--, alive, 1156 days 4280.4
TCGA-VP-A878-01A 58 years, male, white, stage:'--, alive, 3130 days 4249.8
TCGA-EJ-5501-01A 55 years, male, white, stage:'--, alive, 1365 days 4241.0
TCGA-J4-A67T-01A 63 years, male, white, stage:'--, alive, 183 days 4218.5
TCGA-CH-5750-01A 72 years, male, white, stage:'--, alive, 396 days 4202.2
TCGA-HC-7081-01A 62 years, male, white, stage:'--, alive, 1136 days 4187.6
TCGA-CH-5792-01A 57 years, male, white, stage:'--, alive, 91 days 4168.4
TCGA-CH-5789-01A 61 years, male, white, stage:'--, alive, 304 days 4167.3
TCGA-J9-A52C-01A 57 years, male, white, stage:'--, alive, 178 days 4167.0
TCGA-G9-7522-01A 49 years, male, white, stage:'--, alive, 1078 days 4155.7
TCGA-EJ-A65E-01A 67 years, male, black or african american, stage:'--, alive, 417 days 4155.5
TCGA-HC-7075-01A 63 years, male, white, stage:'--, alive, 601 days 4149.4
TCGA-G9-6384-01A 53 years, male, white, stage:'--, alive, 765 days 4105.4
TCGA-VP-A87E-01A 59 years, male, black or african american, stage:'--, alive, 2037 days 4093.2
TCGA-KK-A8I9-01A 61 years, male, stage:'--, alive, 1001 days 4066.2
TCGA-VP-AA1N-01A 70 years, male, white, stage:'--, alive, 1365 days 4061.1
TCGA-EJ-5512-01A 46 years, male, white, stage:'--, alive, 1733 days 4048.4
TCGA-KK-A8IC-01A 54 years, male, white, stage:'--, alive, 2051 days 4042.6
TCGA-EJ-5524-01A 57 years, male, white, stage:'--, alive, 1882 days 4024.8
TCGA-EJ-5527-01A 69 years, male, white, stage:'--, alive, 1778 days 3995.0
TCGA-M7-A721-01A 70 years, male, white, stage:'--, alive, 400 days 3984.1
TCGA-EJ-A65M-01A 65 years, male, black or african american, stage:'--, alive, 230 days 3959.1
TCGA-CH-5740-01A 57 years, male, white, stage:'--, alive, 31 days 3958.4
TCGA-G9-6356-01A 60 years, male, white, stage:'--, alive, 1434 days 3943.6
TCGA-EJ-7791-01A 67 years, male, white, stage:'--, alive, 1118 days 3936.6
TCGA-XK-AAIR-01A 75 years, male, white, stage:'--, alive, 972 days 3932.8
TCGA-G9-6366-01A 61 years, male, white, stage:'--, alive, 1947 days 3894.0
TCGA-HC-A8D1-01A 68 years, male, white, stage:'--, alive, 573 days 3875.8
TCGA-HC-7080-01A 66 years, male, white, stage:'--, alive, 1106 days 3847.6
TCGA-HC-7077-01A 64 years, male, black or african american, stage:'--, alive, 2115 days 3844.5
TCGA-YL-A9WX-01A 68 years, male, white, stage:'--, alive, 1518 days 3840.2
TCGA-HC-A8CY-01A 63 years, male, white, stage:'--, alive, 290 days 3832.1
TCGA-V1-A9ZK-01A 68 years, male, white, stage:'--, alive, 1383 days 3830.6
TCGA-G9-6351-01A 51 years, male, white, stage:'--, alive, 2048 days 3828.0
TCGA-EJ-5495-01A 68 years, male, white, stage:'--, alive, 1760 days 3827.2
TCGA-EJ-5531-01A 62 years, male, white, stage:'--, alive, 1273 days 3802.2
TCGA-EJ-5503-01A 50 years, male, white, stage:'--, alive, 1391 days 3793.8
TCGA-H9-A6BX-01A 60 years, male, white, stage:'--, alive, 941 days 3780.5
TCGA-EJ-5521-01A 63 years, male, white, stage:'--, alive, 2279 days 3773.3
TCGA-YL-A8HM-01A 66 years, male, white, stage:'--, alive, 1482 days 3751.5
TCGA-CH-5738-01A 72 years, male, white, stage:'--, alive, 212 days 3735.7
TCGA-M7-A720-01A 53 years, male, white, stage:'--, alive, 384 days 3710.4
TCGA-G9-6377-01A 61 years, male, white, stage:'--, alive, 958 days 3675.5
TCGA-EJ-8468-01A 63 years, male, white, stage:'--, alive, 2347 days 3672.5
TCGA-HC-A6AP-01A 61 years, male, white, stage:'--, alive, 71 days 3671.1
TCGA-G9-6339-01A 58 years, male, white, stage:'--, alive, 2551 days 3669.3
TCGA-CH-5751-01A 68 years, male, white, stage:'--, alive, 1065 days 3648.8
TCGA-J4-A83M-01A 64 years, male, white, stage:'--, alive, 543 days 3633.0
TCGA-J4-A83I-01A 63 years, male, white, stage:'--, alive, 685 days 3630.1
TCGA-V1-A8MM-01A 60 years, male, black or african american, stage:'--, alive, 1195 days 3630.1
TCGA-J9-A52D-01A 71 years, male, white, stage:'--, alive, 212 days 3625.3
TCGA-V1-A9Z8-01A 59 years, male, white, stage:'--, alive, 827 days 3619.8
TCGA-CH-5744-01A 64 years, male, white, stage:'--, alive, 60 days 3615.8
TCGA-VP-A872-01A 60 years, male, white, stage:'--, alive, 3631 days 3612.5
TCGA-HC-7231-01A 66 years, male, white, stage:'--, alive, 939 days 3603.8
TCGA-V1-A9OY-01A 57 years, male, white, stage:'--, alive, 1067 days 3599.0
TCGA-G9-6371-01A 58 years, male, white, stage:'--, alive, 1226 days 3593.7
TCGA-KK-A8I7-01A 55 years, male, white, stage:'--, alive, 2002 days 3580.3
TCGA-CH-5771-01A 63 years, male, white, stage:'--, alive, 396 days 3568.2
TCGA-EJ-7797-01A 53 years, male, white, stage:'--, alive, 983 days 3560.1
TCGA-EJ-A7NK-01A 58 years, male, white, stage:'--, alive, 476 days 3529.2
TCGA-HC-7745-01A 65 years, male, white, stage:'--, alive, 721 days 3511.7
TCGA-G9-6336-01A 57 years, male, white, stage:'--, alive, 2068 days 3504.7
TCGA-HC-8256-01A 53 years, male, black or african american, stage:'--, alive, 860 days 3496.2
TCGA-H9-7775-01A 68 years, male, white, stage:'--, alive, 185 days 3482.9
TCGA-EJ-5504-01A 65 years, male, white, stage:'--, alive, 1427 days 3477.7
TCGA-HC-7210-01A 74 years, male, white, stage:'--, alive, 868 days 3453.6
TCGA-KK-A8IH-01A 50 years, male, white, stage:'--, alive, 2013 days 3452.6
TCGA-EJ-7793-01A 49 years, male, white, stage:'--, alive, 114 days 3434.0
TCGA-EJ-5509-01A 63 years, male, white, stage:'--, alive, 1464 days 3421.9
TCGA-XJ-A9DK-01A 63 years, male, white, stage:'--, alive, 275 days 3405.9
TCGA-EJ-7315-01A 68 years, male, white, stage:'--, alive, 1008 days 3386.3
TCGA-EJ-5499-01A 61 years, male, asian, stage:'--, alive, 1415 days 3376.3
TCGA-J4-AATV-01A 71 years, male, white, stage:'--, alive, 553 days 3372.7
TCGA-KC-A4BN-01A 55 years, male, black or african american, stage:'--, alive, 1815 days 3368.5
TCGA-EJ-5511-01A 55 years, male, black or african american, stage:'--, alive, 1476 days 3329.3
TCGA-FC-A66V-01A 74 years, male, white, stage:'--, alive, 524 days 3327.2
TCGA-KK-A6E1-01A 57 years, male, white, stage:'--, alive, 2198 days 3325.8
TCGA-HC-A6AN-01A 67 years, male, white, stage:'--, alive, 49 days 3324.2
TCGA-HC-8261-01A 48 years, male, black or african american, stage:'--, alive, 546 days 3313.6
TCGA-V1-A9OH-01A 63 years, male, white, stage:'--, alive, 2403 days 3311.8
TCGA-FC-A5OB-01A 53 years, male, white, stage:'--, alive, 680 days 3308.2
TCGA-V1-A8MG-01A 53 years, male, black or african american, stage:'--, alive, 857 days 3264.2
TCGA-V1-A9Z9-01A 63 years, male, white, stage:'--, alive, 540 days 3239.4
TCGA-EJ-7786-01A 62 years, male, white, stage:'--, alive, 1096 days 3236.2
TCGA-V1-A9OF-01A 49 years, male, white, stage:'--, alive, 1184 days 3234.9
TCGA-G9-6353-01A 58 years, male, white, stage:'--, alive, 1542 days 3232.1
TCGA-XK-AAJP-01A 66 years, male, white, stage:'--, alive, 1259 days 3228.5
TCGA-EJ-5502-01A 50 years, male, stage:'--, alive, 1171 days 3216.3
TCGA-YL-A8SA-01A 69 years, male, white, stage:'--, alive, 512 days 3167.8
TCGA-CH-5764-01A 66 years, male, white, stage:'--, alive, 31 days 3163.0
TCGA-EJ-A7NG-01A 64 years, male, white, stage:'--, alive, 432 days 3162.3
TCGA-ZG-A9LZ-01A 66 years, male, white, stage:'--, alive, 692 days 3159.4
TCGA-J4-A83N-01A 57 years, male, white, stage:'--, alive, 992 days 3156.4
TCGA-EJ-5542-01A 60 years, male, white, stage:'--, alive, 1513 days 3150.4
TCGA-EJ-5505-01A 57 years, male, white, stage:'--, alive, 922 days 3142.4
TCGA-EJ-A8FN-01A 58 years, male, white, stage:'--, alive, 329 days 3137.9
TCGA-HC-A9TE-01A 64 years, male, white, stage:'--, alive, 587 days 3119.2
TCGA-G9-6354-01A 55 years, male, asian, stage:'--, alive, 2066 days 3117.4
TCGA-ZG-A8QZ-01A 65 years, male, white, stage:'--, alive, 308 days 3108.9
TCGA-G9-7523-01A 44 years, male, black or african american, stage:'--, alive, 857 days 3081.5
TCGA-HC-7821-01A 54 years, male, white, stage:'--, alive, 956 days 3081.3
TCGA-KK-A59V-01A 64 years, male, white, stage:'--, alive, 3440 days 3081.0
TCGA-EJ-7125-01A 44 years, male, white, stage:'--, alive, 2850 days 3075.1
TCGA-EJ-7782-01A 71 years, male, black or african american, stage:'--, alive, 1167 days 3070.5
TCGA-EJ-7792-01A 53 years, male, white, stage:'--, alive, 1396 days 3058.6
TCGA-EJ-A6RC-01A 64 years, male, white, stage:'--, alive, 873 days 3051.5
TCGA-G9-6379-01A 68 years, male, white, stage:'--, alive, 1778 days 3046.6
TCGA-EJ-A46B-01A 66 years, male, white, stage:'--, alive, 657 days 3022.9
TCGA-KK-A8II-01A 61 years, male, white, stage:'--, dead, 3467 days 3007.9
TCGA-HC-8259-01A 50 years, male, black or african american, stage:'--, alive, 924 days 2966.6
TCGA-HC-A6AQ-01A 60 years, male, white, stage:'--, alive, 106 days 2962.7
TCGA-V1-A9OL-01A 65 years, male, asian, stage:'--, alive, 1913 days 2958.3
TCGA-EJ-7781-01A 65 years, male, white, stage:'--, alive, 1073 days 2943.7
TCGA-EJ-7328-01A 70 years, male, white, stage:'--, alive, 842 days 2936.0
TCGA-HC-7232-01A 66 years, male, white, stage:'--, alive, 1161 days 2926.8
TCGA-EJ-A46I-01A 57 years, male, black or african american, stage:'--, alive, 668 days 2926.2
TCGA-HC-A6AL-01A 64 years, male, white, stage:'--, alive, 67 days 2922.6
TCGA-VN-A88L-01A 54 years, male, white, stage:'--, alive, 746 days 2915.5
TCGA-2A-A8VO-01A 57 years, male, white, stage:'--, alive, 1701 days 2911.9
TCGA-EJ-A46H-01A 60 years, male, black or african american, stage:'--, alive, 724 days 2894.8
TCGA-J9-A8CL-01A 66 years, male, white, stage:'--, alive, 405 days 2890.8
TCGA-Y6-A8TL-01A 65 years, male, stage:'--, alive, 992 days 2884.9
TCGA-EJ-A8FU-01A 64 years, male, white, stage:'--, alive, 138 days 2882.6
TCGA-M7-A725-01A 56 years, male, white, stage:'--, alive, 573 days 2882.2
TCGA-XK-AAK1-01A 62 years, male, white, stage:'--, alive, 979 days 2876.4
TCGA-EJ-A6RA-01A 70 years, male, white, stage:'--, alive, 353 days 2866.0
TCGA-G9-6342-01A 61 years, male, white, stage:'--, alive, 1696 days 2865.5
TCGA-VN-A88K-01A 58 years, male, white, stage:'--, alive, 776 days 2839.7
TCGA-G9-6363-01A 64 years, male, white, stage:'--, alive, 1378 days 2838.2
TCGA-EJ-7321-01A 57 years, male, black or african american, stage:'--, alive, 824 days 2811.6
TCGA-KK-A8IG-01A 55 years, male, white, stage:'--, alive, 2505 days 2809.1
TCGA-YL-A9WJ-01A 47 years, male, white, stage:'--, dead, 1855 days 2806.8
TCGA-G9-6361-01A 61 years, male, white, stage:'--, alive, 1415 days 2800.1
TCGA-J4-A83L-01A 61 years, male, white, stage:'--, alive, 720 days 2788.2
TCGA-G9-7510-01A 66 years, male, white, stage:'--, alive, 1185 days 2784.9
TCGA-EJ-A65J-01A 62 years, male, white, stage:'--, alive, 451 days 2780.8
TCGA-YL-A8HJ-01A 58 years, male, white, stage:'--, alive, 1611 days 2773.5
TCGA-V1-A9OQ-01A 67 years, male, white, stage:'--, alive, 371 days 2769.9
TCGA-EJ-7785-01A 54 years, male, white, stage:'--, alive, 1177 days 2753.4
TCGA-HC-7740-01A 59 years, male, white, stage:'--, alive, 717 days 2752.8
TCGA-KK-A6E6-01A 69 years, male, white, stage:'--, alive, 3447 days 2750.5
TCGA-HC-8257-01A 70 years, male, black or african american, stage:'--, alive, 726 days 2738.3
TCGA-CH-5767-01A 66 years, male, white, stage:'--, alive, 458 days 2736.9
TCGA-G9-A9S7-01A 55 years, male, white, stage:'--, alive, 728 days 2730.9
TCGA-V1-A9ZR-01A 68 years, male, white, stage:'--, alive, 1361 days 2724.8
TCGA-ZG-A9M4-01A 65 years, male, white, stage:'--, alive, 547 days 2720.7
TCGA-EJ-A8FO-01A 51 years, male, stage:'--, alive, 282 days 2715.5
TCGA-J4-A67R-01A 65 years, male, white, stage:'--, alive, 910 days 2715.0
TCGA-HC-A632-01A 68 years, male, white, stage:'--, alive, 61 days 2712.4
TCGA-V1-A8MF-01A 65 years, male, black or african american, stage:'--, alive, 1449 days 2711.5
TCGA-CH-5762-01A 60 years, male, white, stage:'--, alive, 1339 days 2699.2
TCGA-CH-5737-01A 73 years, male, white, stage:'--, alive, 91 days 2697.0
TCGA-HC-8213-01A 48 years, male, white, stage:'--, alive, 589 days 2690.2
TCGA-G9-6499-01A 66 years, male, white, stage:'--, alive, 1543 days 2687.0
TCGA-VN-A88I-01A 59 years, male, white, stage:'--, alive, 269 days 2671.2
TCGA-EJ-5514-01A 66 years, male, white, stage:'--, alive, 1829 days 2666.3
TCGA-KK-A6E5-01A 63 years, male, black or african american, stage:'--, alive, 2073 days 2645.6
TCGA-J9-A52E-01A 65 years, male, white, stage:'--, alive, 323 days 2624.9
TCGA-XK-AAJT-01A 75 years, male, white, stage:'--, alive, 1434 days 2620.8
TCGA-HC-7818-01A 66 years, male, white, stage:'--, alive, 938 days 2620.1
TCGA-J4-A67S-01A 63 years, male, white, stage:'--, alive, 833 days 2617.2
TCGA-G9-6494-01A 66 years, male, white, stage:'--, alive, 1771 days 2615.4
TCGA-CH-5769-01A 48 years, male, white, stage:'--, alive, 62 days 2604.7
TCGA-EJ-5518-01A 66 years, male, white, stage:'--, alive, 2118 days 2579.0
TCGA-KC-A4BL-01A 65 years, male, black or african american, stage:'--, alive, 934 days 2574.7
TCGA-ZG-A9L4-01A 61 years, male, white, stage:'--, alive, 1108 days 2567.1
TCGA-J4-A83K-01A 52 years, male, white, stage:'--, alive, 328 days 2551.7
TCGA-YL-A8HK-01A 59 years, male, white, stage:'--, alive, 1491 days 2549.1
TCGA-J4-8198-01A 49 years, male, black or african american, stage:'--, alive, 614 days 2548.2
TCGA-KK-A6DY-01A 50 years, male, black or african american, stage:'--, alive, 4295 days 2540.6
TCGA-EJ-5532-01A 57 years, male, white, stage:'--, alive, 1828 days 2532.9
TCGA-FC-A8O0-01A 68 years, male, white, stage:'--, alive, 616 days 2530.7
TCGA-ZG-A8QY-01A 67 years, male, white, stage:'--, alive, 404 days 2528.3
TCGA-VN-A88R-01A 53 years, male, black or african american, stage:'--, alive, 784 days 2518.0
TCGA-J9-A8CP-01A 66 years, male, white, stage:'--, alive, 386 days 2517.9
TCGA-V1-A9OX-01A 56 years, male, white, stage:'--, alive, 1134 days 2506.5
TCGA-G9-6385-01A 66 years, male, white, stage:'--, alive, 830 days 2506.3
TCGA-G9-6365-01A 71 years, male, white, stage:'--, alive, 1363 days 2475.1
TCGA-EJ-7330-01A 68 years, male, white, stage:'--, alive, 191 days 2459.1
TCGA-ZG-A9L2-01A 70 years, male, white, stage:'--, alive, 1154 days 2451.3
TCGA-ZG-A8QX-01A 56 years, male, white, stage:'--, alive, 442 days 2449.8
TCGA-TK-A8OK-01A 73 years, male, white, stage:'--, alive, 27 days 2443.8
TCGA-ZG-A9LU-01A 67 years, male, white, stage:'--, alive, 579 days 2443.7
TCGA-KK-A8IJ-01A 59 years, male, white, stage:'--, alive, 1559 days 2441.3
TCGA-XJ-A9DQ-01A 48 years, male, white, stage:'--, alive, 91 days 2429.4
TCGA-G9-6347-01A 59 years, male, stage:'--, alive, 2089 days 2412.6
TCGA-EJ-A7NM-01A 64 years, male, white, stage:'--, alive, 128 days 2409.7
TCGA-YL-A9WI-01A 63 years, male, white, stage:'--, alive, 1623 days 2406.7
TCGA-G9-6378-01A 54 years, male, black or african american, stage:'--, alive, 1155 days 2395.4
TCGA-EJ-A46D-01A 53 years, male, white, stage:'--, alive, 626 days 2388.8
TCGA-ZG-A9L0-01A 71 years, male, white, stage:'--, alive, 355 days 2384.7
TCGA-KK-A7B1-01A 65 years, male, white, stage:'--, alive, 1063 days 2379.6
TCGA-EJ-8474-01A 69 years, male, white, stage:'--, alive, 766 days 2376.1
TCGA-FC-7961-01A 62 years, male, white, stage:'--, alive, 469 days 2372.5
TCGA-XJ-A83H-01A 57 years, male, white, stage:'--, alive, 1280 days 2361.3
TCGA-J4-A67M-01A 55 years, male, white, stage:'--, alive, 941 days 2359.2
TCGA-ZG-A9LY-01A 60 years, male, white, stage:'--, alive, 370 days 2349.9
TCGA-G9-6333-01A 66 years, male, white, stage:'--, alive, 2465 days 2347.9
TCGA-J9-A8CK-01A 66 years, male, white, stage:'--, alive, 321 days 2345.4
TCGA-EJ-A7NF-01A 56 years, male, white, stage:'--, alive, 250 days 2340.1
TCGA-HC-8262-01A 57 years, male, white, stage:'--, alive, 679 days 2332.0
TCGA-HC-7736-01A 59 years, male, white, stage:'--, alive, 1103 days 2329.4
TCGA-YL-A8SB-01A 62 years, male, white, stage:'--, alive, 1719 days 2325.9
TCGA-EJ-A46G-01A 71 years, male, white, stage:'--, alive, 668 days 2324.6
TCGA-HC-8265-01A 66 years, male, white, stage:'--, alive, 483 days 2323.6
TCGA-VN-A88N-01A 62 years, male, white, stage:'--, alive, 766 days 2323.0
TCGA-HI-7170-01A 58 years, male, white, stage:'--, alive, 2522 days 2321.2
TCGA-EJ-A7NH-01A 56 years, male, white, stage:'--, alive, 474 days 2316.4
TCGA-EJ-A46E-01A 57 years, male, white, stage:'--, alive, 524 days 2316.3
TCGA-HC-A8D0-01A 61 years, male, white, stage:'--, alive, 775 days 2296.0
TCGA-KK-A7B3-01A 62 years, male, white, stage:'--, alive, 899 days 2287.4
TCGA-VN-A88P-01A 60 years, male, white, stage:'--, alive, 1260 days 2285.3
TCGA-2A-A8W3-01A 69 years, male, white, stage:'--, alive, 863 days 2284.8
TCGA-MG-AAMC-01A 59 years, male, white, stage:'--, alive, 173 days 2277.1
TCGA-KC-A4BV-01A 66 years, male, asian, stage:'--, alive, 1328 days 2266.9
TCGA-KK-A8IB-01A 65 years, male, white, stage:'--, alive, 83 days 2226.3
TCGA-HC-7819-01A 53 years, male, white, stage:'--, alive, 543 days 2220.9
TCGA-KC-A7F6-01A 63 years, male, white, stage:'--, alive, 263 days 2214.1
TCGA-XQ-A8TB-01A 67 years, male, white, stage:'--, alive, 770 days 2206.9
TCGA-HC-A6HY-01A 51 years, male, white, stage:'--, alive, 134 days 2184.6
TCGA-EJ-AB20-01A 61 years, male, stage:'--, alive, 131 days 2178.9
TCGA-EJ-7314-01A 62 years, male, white, stage:'--, alive, 1150 days 2177.1
TCGA-VP-A87H-01A 76 years, male, white, stage:'--, alive, 663 days 2176.7
TCGA-G9-6329-01A 67 years, male, white, stage:'--, alive, 1266 days 2167.5
TCGA-KK-A59X-01A 55 years, male, black or african american, stage:'--, alive, 2535 days 2160.9
TCGA-M7-A71Y-01A 55 years, male, white, stage:'--, alive, 493 days 2147.0
TCGA-XK-AAJR-01A 61 years, male, white, stage:'--, alive, 1124 days 2146.7
TCGA-YL-A8HO-01A 67 years, male, black or african american, stage:'--, alive, 2304 days 2146.2
TCGA-2A-A8W1-01A 54 years, male, asian, stage:'--, alive, 112 days 2144.0
TCGA-KC-A4BR-01A 75 years, male, white, stage:'--, alive, 1349 days 2137.1
TCGA-HC-7211-01A 62 years, male, white, stage:'--, alive, 1221 days 2131.2
TCGA-2A-AAYU-01A 56 years, male, white, stage:'--, alive, 615 days 2122.2
TCGA-G9-7519-01A 58 years, male, white, stage:'--, alive, 849 days 2120.4
TCGA-EJ-A65B-01A 55 years, male, white, stage:'--, alive, 710 days 2119.5
TCGA-KK-A8I6-01A 58 years, male, white, stage:'--, alive, 668 days 2117.6
TCGA-V1-A8ML-01A 63 years, male, black or african american, stage:'--, alive, 448 days 2113.9
TCGA-CH-5791-01A 72 years, male, white, stage:'--, alive, 1004 days 2105.5
TCGA-EJ-7123-01A 59 years, male, white, stage:'--, alive, 2572 days 2104.0
TCGA-G9-6332-01A 55 years, male, white, stage:'--, alive, 2657 days 2103.5
TCGA-EJ-5519-01A 64 years, male, white, stage:'--, alive, 1962 days 2100.5
TCGA-EJ-8472-01A 63 years, male, white, stage:'--, alive, 756 days 2099.8
TCGA-ZG-A9L6-01A 64 years, male, white, stage:'--, alive, 687 days 2093.8
TCGA-HC-7078-01A 69 years, male, white, stage:'--, alive, 1985 days 2093.0
TCGA-KC-A7FE-01A 62 years, male, white, stage:'--, alive, 352 days 2087.7
TCGA-CH-5761-01A 61 years, male, white, stage:'--, alive, 28 days 2078.5
TCGA-EJ-A65G-01A 57 years, male, white, stage:'--, alive, 666 days 2077.4
TCGA-EJ-7115-01A 65 years, male, white, stage:'--, alive, 2687 days 2073.9
TCGA-V1-A9Z7-01A 54 years, male, white, stage:'--, alive, 874 days 2071.0
TCGA-KK-A7B0-01A 67 years, male, white, stage:'--, alive, 1329 days 2064.0
TCGA-VN-A88Q-01A 60 years, male, white, stage:'--, alive, 1366 days 2062.6
TCGA-HC-7742-01A 58 years, male, white, stage:'--, alive, 938 days 2052.2
TCGA-CH-5790-01A 64 years, male, white, stage:'--, alive, 974 days 2050.0
TCGA-EJ-7783-01A 70 years, male, white, stage:'--, alive, 787 days 2025.0
TCGA-J4-AATZ-01A 66 years, male, asian, stage:'--, alive, 412 days 2021.4
TCGA-EJ-A65F-01A 59 years, male, white, stage:'--, alive, 560 days 2012.3
TCGA-2A-AAYF-01A 57 years, male, white, stage:'--, alive, 1364 days 2006.2
TCGA-QU-A6IP-01A 66 years, male, white, stage:'--, alive, 2620 days 2002.0
TCGA-KK-A8IF-01A 57 years, male, black or african american, stage:'--, alive, 804 days 2001.0
TCGA-CH-5768-01A 72 years, male, white, stage:'--, alive, 731 days 1998.4
TCGA-HC-7750-01A 50 years, male, white, stage:'--, alive, 522 days 1985.6
TCGA-G9-7525-01A 64 years, male, white, stage:'--, alive, 994 days 1984.1
TCGA-ZG-A9ND-01A 55 years, male, white, stage:'--, alive, 410 days 1983.1
TCGA-V1-A9ZG-01A 64 years, male, white, stage:'--, alive, 1517 days 1981.1
TCGA-VP-A87K-01A 63 years, male, white, stage:'--, alive, 1306 days 1978.4
TCGA-CH-5746-01A 57 years, male, white, stage:'--, alive, 731 days 1977.2
TCGA-J4-A67N-01A 61 years, male, white, stage:'--, alive, 937 days 1976.8
TCGA-HC-7213-01A 53 years, male, white, stage:'--, alive, 1219 days 1966.4
TCGA-XK-AAJA-01A 62 years, male, stage:'--, alive, 930 days 1963.8
TCGA-KK-A6E7-01A 46 years, male, stage:'--, alive, 2760 days 1955.4
TCGA-KK-A6E0-01A 59 years, male, asian, stage:'--, alive, 1483 days 1953.4
TCGA-VP-A879-01A 70 years, male, white, stage:'--, dead, 728 days 1952.9
TCGA-VN-A943-01A 71 years, male, white, stage:'--, alive, 496 days 1949.6
TCGA-G9-A9S0-01A 53 years, male, white, stage:'--, dead, 791 days 1942.4
TCGA-YL-A8HL-01A 58 years, male, white, stage:'--, alive, 1565 days 1925.5
TCGA-XJ-A83F-01A 67 years, male, white, stage:'--, alive, 1127 days 1924.8
TCGA-KK-A7AY-01A 60 years, male, white, stage:'--, alive, 1754 days 1904.9
TCGA-V1-A9O7-01A 60 years, male, white, stage:'--, alive, 2499 days 1902.0
TCGA-KK-A59Y-01A 56 years, male, white, stage:'--, alive, 1968 days 1881.1
TCGA-HC-A76W-01A 73 years, male, white, stage:'--, alive, 213 days 1862.4
TCGA-HC-7744-01A 46 years, male, white, stage:'--, alive, 531 days 1845.1
TCGA-HC-7738-01A 58 years, male, white, stage:'--, alive, 964 days 1825.4
TCGA-G9-6373-01A 68 years, male, white, stage:'--, alive, 811 days 1822.8
TCGA-ZG-A9N3-01A 73 years, male, white, stage:'--, alive, 349 days 1790.2
TCGA-ZG-A9L5-01A 58 years, male, white, stage:'--, alive, 908 days 1786.8
TCGA-V1-A9OA-01A 61 years, male, white, stage:'--, alive, 636 days 1785.5
TCGA-KC-A7FD-01A 62 years, male, white, stage:'--, alive, 270 days 1784.9
TCGA-YL-A9WK-01A 63 years, male, black or african american, stage:'--, alive, 2136 days 1783.2
TCGA-J4-AAU2-01A 59 years, male, white, stage:'--, alive, 825 days 1775.5
TCGA-EJ-7784-01A 63 years, male, white, stage:'--, alive, 781 days 1763.8
TCGA-KK-A7AQ-01A 62 years, male, white, stage:'--, alive, 1610 days 1751.8
TCGA-EJ-A8FS-01A 66 years, male, white, stage:'--, alive, 266 days 1743.6
TCGA-J9-A8CM-01A 66 years, male, white, stage:'--, alive, 463 days 1740.2
TCGA-KC-A7F3-01A 67 years, male, white, stage:'--, alive, 665 days 1715.9
TCGA-YL-A8S8-01A 68 years, male, white, stage:'--, alive, 1890 days 1708.0
TCGA-HC-A6HX-01A 55 years, male, white, stage:'--, alive, 38 days 1704.0
TCGA-ZG-A9L9-01A 60 years, male, white, stage:'--, alive, 617 days 1697.3
TCGA-J4-A67K-01A 68 years, male, white, stage:'--, alive, 1004 days 1696.5
TCGA-KC-A7FA-01A 63 years, male, white, stage:'--, alive, 598 days 1693.7
TCGA-CH-5741-01A 56 years, male, white, stage:'--, alive, 395 days 1687.5
TCGA-G9-6369-01A 55 years, male, white, stage:'--, alive, 1215 days 1685.9
TCGA-HC-A4ZV-01A 56 years, male, black or african american, stage:'--, alive, 23 days 1585.9
TCGA-HC-7230-01A 50 years, male, white, stage:'--, alive, 1001 days 1570.3
TCGA-KK-A6E8-01A 68 years, male, white, stage:'--, alive, 1770 days 1566.8
TCGA-KK-A8ID-01A 70 years, male, stage:'--, alive, 2107 days 1562.2
TCGA-ZG-A9NI-01A 73 years, male, white, stage:'--, alive, 132 days 1560.4
TCGA-V1-A8WV-01A 52 years, male, white, stage:'--, alive, 686 days 1553.6
TCGA-KK-A59Z-01A 66 years, male, black or african american, stage:'--, alive, 2628 days 1503.7
TCGA-WW-A8ZI-01A 70 years, male, white, stage:'--, alive, 449 days 1494.5
TCGA-2A-A8VV-01A 52 years, male, stage:'--, alive, 671 days 1493.8
TCGA-HC-A6AO-01A 52 years, male, white, stage:'--, alive, 530 days 1479.3
TCGA-KK-A7AU-01A 63 years, male, white, stage:'--, alive, 1775 days 1476.1
TCGA-XJ-A83G-01A 51 years, male, black or african american, stage:'--, alive, 1461 days 1466.7
TCGA-EJ-7327-01A 61 years, male, white, stage:'--, alive, 923 days 1466.2
TCGA-KK-A8I8-01A 69 years, male, white, stage:'--, alive, 967 days 1465.8
TCGA-EJ-5530-01A 61 years, male, white, stage:'--, alive, 1832 days 1463.5
TCGA-VP-A876-01A 46 years, male, white, stage:'--, alive, 3333 days 1461.6
TCGA-ZG-A9LM-01A 72 years, male, white, stage:'--, alive, 378 days 1449.6
TCGA-V1-A9ZI-01A 68 years, male, white, stage:'--, alive, 1640 days 1446.1
TCGA-X4-A8KQ-01A 65 years, male, white, stage:'--, alive, 1383 days 1434.4
TCGA-FC-A4JI-01A 70 years, male, asian, stage:'--, alive, 877 days 1430.3
TCGA-YL-A8SI-01A 69 years, male, white, stage:'--, alive, 1614 days 1410.1
TCGA-CH-5752-01A 66 years, male, white, stage:'--, alive, 943 days 1397.8
TCGA-XJ-A9DX-01A 51 years, male, american indian or alaska native, stage:'--, alive, 973 days 1390.2
TCGA-KK-A6E4-01A 69 years, male, black or african american, stage:'--, dead, 3502 days 1388.7
TCGA-QU-A6IO-01A 53 years, male, black or african american, stage:'--, alive, 3716 days 1347.2
TCGA-XK-AAIW-01A 78 years, male, white, stage:'--, alive, 1218 days 1341.5
TCGA-HC-7212-01A 56 years, male, white, stage:'--, alive, 870 days 1339.5
TCGA-G9-6362-01A 57 years, male, white, stage:'--, alive, 1443 days 1332.3
TCGA-J4-A6M7-01A 53 years, male, white, stage:'--, alive, 512 days 1328.4
TCGA-YJ-A8SW-01A 67 years, male, stage:'--, alive, 148 days 1318.3
TCGA-KK-A8IA-01A 69 years, male, white, stage:'--, alive, 1931 days 1308.5
TCGA-EJ-7317-01A 71 years, male, white, stage:'--, alive, 771 days 1305.6
TCGA-QU-A6IM-01A 59 years, male, white, stage:'--, alive, 1247 days 1302.5
TCGA-CH-5765-01A 55 years, male, white, stage:'--, alive, 700 days 1300.5
TCGA-KK-A6E2-01A 54 years, male, black or african american, stage:'--, alive, 5024 days 1291.9
TCGA-VP-A87D-01A 54 years, male, white, stage:'--, alive, 1853 days 1278.4
TCGA-Y6-A9XI-01A 72 years, male, stage:'--, alive, 526 days 1258.0
TCGA-EJ-8469-01A 46 years, male, black or african american, stage:'--, alive, 2324 days 1250.0
TCGA-G9-7509-01A 48 years, male, black or african american, stage:'--, alive, 1610 days 1249.8
TCGA-KK-A7B4-01A 64 years, male, white, stage:'--, alive, 987 days 1238.8
TCGA-G9-6498-01A 53 years, male, white, stage:'--, alive, 1952 days 1229.9
TCGA-J4-A67O-01A 59 years, male, white, stage:'--, alive, 839 days 1217.5
TCGA-CH-5794-01A 65 years, male, white, stage:'--, alive, 882 days 1208.4
TCGA-VP-A87B-01A 63 years, male, white, stage:'--, alive, 2722 days 1197.7
TCGA-EJ-7789-01A 66 years, male, black or african american, stage:'--, alive, 1105 days 1182.3
TCGA-TP-A8TV-01A 62 years, male, white, stage:'--, alive, 610 days 1173.3
TCGA-KK-A7AZ-01A 56 years, male, white, stage:'--, alive, 1519 days 1170.0
TCGA-ZG-A9LB-01A 72 years, male, white, stage:'--, alive, 583 days 1151.8
TCGA-KK-A5A1-01A 72 years, male, black or african american, stage:'--, dead, 2469 days 1131.3
TCGA-EJ-5525-01A 67 years, male, white, stage:'--, alive, 1115 days 1124.5
TCGA-KK-A7AW-01A 57 years, male, black or african american, stage:'--, alive, 1054 days 1097.6
TCGA-G9-6343-01A 62 years, male, white, stage:'--, alive, 2450 days 1085.6
TCGA-J4-A67Q-01A 77 years, male, white, stage:'--, alive, 975 days 1038.8
TCGA-CH-5788-01A 69 years, male, white, stage:'--, alive, 821 days 1020.1
TCGA-G9-A9S4-01A 62 years, male, white, stage:'--, alive, 906 days 991.8
TCGA-HI-7168-01A 62 years, male, white, stage:'--, alive, 3323 days 983.6
TCGA-G9-6338-01A 61 years, male, white, stage:'--, alive, 2028 days 979.8
TCGA-HI-7171-01A 56 years, male, white, stage:'--, dead, 1329 days 966.9
TCGA-VN-A88M-01A 55 years, male, black or african american, stage:'--, alive, 189 days 930.2
TCGA-XK-AAJ3-01A 56 years, male, white, stage:'--, alive, 1262 days 929.7
TCGA-YL-A9WL-01A 59 years, male, white, stage:'--, alive, 740 days 918.7
TCGA-VP-A875-01A 67 years, male, black or african american, stage:'--, alive, 2309 days 913.4
TCGA-V1-A8WS-01A 56 years, male, white, stage:'--, alive, 474 days 895.7
TCGA-J9-A8CN-01A 53 years, male, white, stage:'--, alive, 1237 days 869.4
TCGA-G9-6496-01A 61 years, male, white, stage:'--, alive, 1726 days 840.8
TCGA-2A-A8VX-01A 70 years, male, white, stage:'--, alive, 1378 days 811.2
TCGA-FC-A6HD-01A 77 years, male, white, stage:'--, alive, 789 days 767.8
TCGA-XQ-A8TA-01A 59 years, male, white, stage:'--, dead, 146 days 766.5
TCGA-HC-A76X-01A 62 years, male, white, stage:'--, alive, 150 days 754.4
TCGA-QU-A6IL-01A 64 years, male, asian, stage:'--, alive, 97 days 752.2
TCGA-H9-A6BY-01A 63 years, male, white, stage:'--, alive, 112 days 748.0
TCGA-KC-A7F5-01A 54 years, male, white, stage:'--, alive, 91 days 720.0
TCGA-YL-A8S9-01A 63 years, male, white, stage:'--, alive, 1842 days 717.9
TCGA-M7-A71Z-01A 62 years, male, white, stage:'--, alive, 643 days 714.1
TCGA-HC-A48F-01A 47 years, male, white, stage:'--, alive, 680 days 706.8
TCGA-ZG-A9L1-01A 66 years, male, white, stage:'--, alive, 1302 days 689.5
TCGA-KK-A7AP-01A 55 years, male, white, stage:'--, alive, 196 days 532.7
TCGA-X4-A8KS-01A 61 years, male, black or african american, stage:'--, alive, 979 days 498.9
TCGA-HI-7169-01A 55 years, male, white, stage:'--, alive, 2684 days 493.6
TCGA-KK-A8IK-01A 56 years, male, white, stage:'--, alive, 2052 days 483.2
TCGA-V1-A9OT-01A 61 years, male, white, stage:'--, alive, 476 days 466.1
TCGA-M7-A724-01A 64 years, male, white, stage:'--, alive, 889 days 460.6
TCGA-M7-A722-01A 65 years, male, white, stage:'--, alive, 1060 days 420.8
TCGA-EJ-A46F-01A 57 years, male, white, stage:'--, alive, 783 days 358.5
TCGA-EJ-A65D-01A 66 years, male, white, stage:'--, alive, 393 days 331.0
TCGA-QU-A6IN-01A 61 years, male, white, stage:'--, alive, 4264 days 330.2
TCGA-HC-7752-01A 61 years, male, white, stage:'--, alive, 782 days 227.3
Show allShow less
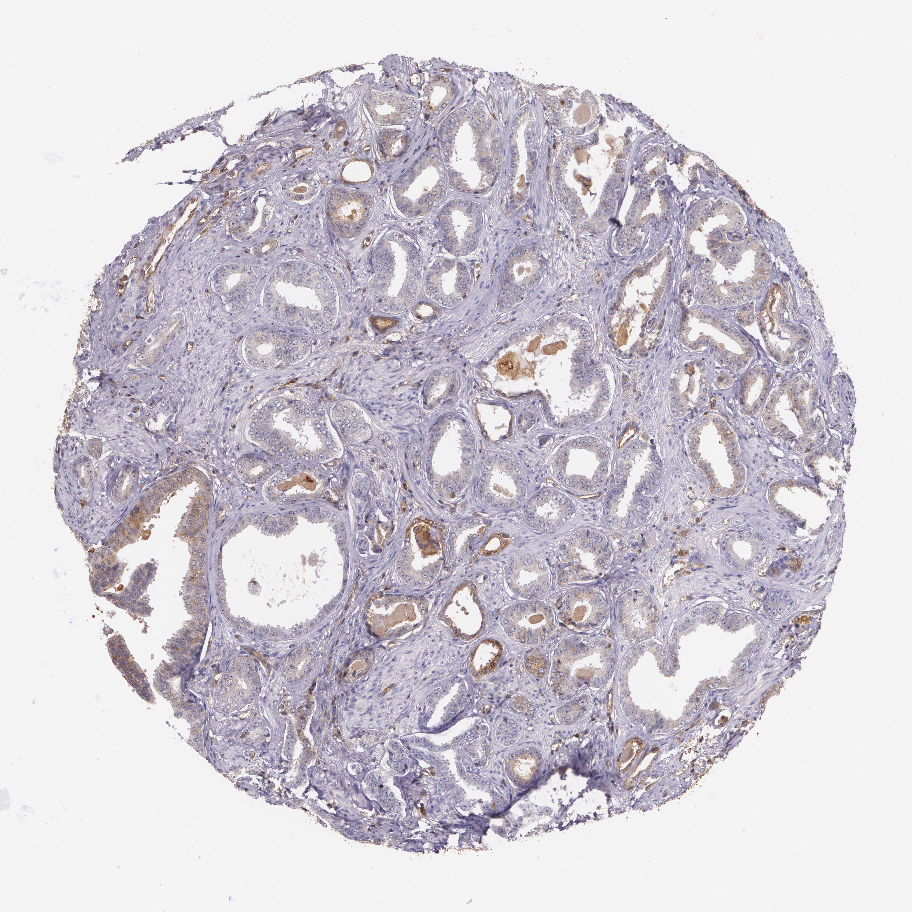
PROSTATE CANCER - Protein expressioni

A mouse-over function shows sample information and annotation data. Click on an image to view it in a full screen mode. Samples can be filtered based on level of antibody staining by selecting one or several of the following categories: high, medium, low and not detected. The assay and annotation is described here.

Note that samples used for immunohistochemistry by the Human Protein Atlas do not correspond to samples in the TCGA dataset.

 

Antibody stainingi

Antibody staining in the annotated cell types in the current human tissue is reported as not detected, low, medium, or high, based on conventional immunohistochemistry profiling in selected tissues. This score is based on the combination of the staining intensity and fraction of stained cells.

Each image is clickable and will lead to virtual microscopy that enables deeper exploration of all samples and also displays staining intensity scores, fraction scores and subcellular localization as well as patient and tissue information for each sample.


Antibody HPA006361

Antibody CAB002572
 Staining
  High
  Medium
  Low
  Not detected
 Intensity
  Strong
  Moderate
  Weak
  Negative
 Quantity
  >75%
  75%-25%
  <25%
  None
 Location
  Nuclear
  Cytoplasmic/membranous
  Cytoplasmic/membranous,nuclear
  None
Adenocarcinoma, Low grade
Adenocarcinoma, High grade
Adenocarcinoma, Medium grade

Contact

  • NEWS ARTICLES
  • PRESS ROOM

The Project

  • INTRODUCTION
  • ORGANIZATION
  • PUBLICATIONS

The Human Protein Atlas

  • DOWNLOADABLE DATA
  • LICENCE & CITATION
  • HELP & FAQ
The Human Protein Atlas project is funded
by the Knut & Alice Wallenberg Foundation.


contact@proteinatlas.org