We use cookies to enhance the usability of our website. If you continue, we'll assume that you are happy to receive all cookies. More information. Don't show this again.
STAT6
HPA
RESOURCES
  • TISSUE
  • BRAIN
  • SINGLE CELL
  • SUBCELLULAR
  • CANCER
  • BLOOD
  • CELL LINE
  • STRUCTURE & INTERACTION
ABOUT
  • INTRODUCTION
  • HISTORY
  • ORGANIZATION
  • PUBLICATIONS
  • ANTIBODY SUBMISSION
  • ANTIBODY AVAILABILITY
  • ACKNOWLEDGMENTS
  • CONTACT
NEWS
  • NEWS ARTICLES
  • PRESS ROOM
LEARN
  • DICTIONARY
  • PROTEIN CLASSES
  • PROTEIN EVIDENCE
  • METHODS
  • EDUCATIONAL VIDEOS
DATA
  • DOWNLOADABLE DATA
  • PUBLICATION DATA
  • RELEASE HISTORY
HELP
  • ANTIBODY VALIDATION
  • ASSAYS & ANNOTATION
  • DISCLAIMER
  • HELP & FAQ
  • PRIVACY STATEMENT
  • LICENCE & CITATION
Fields »
Search result

Field
Term
Gene name
Class
Subclass
Class
Keyword
Chromosome
External id
Tissue
Cell type
Expression
Antibody panel
Tissue
Main location
Patient ID
Annotation
Tissue
Category
Tau score
Cluster
Reliability
Brain region
Category
Tau score
Brain region
Category
Tau score
Brain region
Category
Tau score
Cluster
Reliability
Tissue
Cell type
Enrichment
Cell type
Category
Tau score
Cell type
Category
Tau score
Cell type
Category
Tau score
Cell lineage
Category
Tau score
Cluster
Cluster
Location
Searches
Location
Cell line
Class
Type
Phase
Reliability
Cancer
Prognosis
Cancer
Category
Cancer
Category
Tau score
Cluster
Variants
Interacting gene (ensg_id)
Type
Number of interactions
Pathway
Category
Score
Score
Score
Validation
Validation
Validation
Validation
Antibodies
Data type
Column


  • SUMMARY

  • TISSUE

  • BRAIN

  • SINGLE CELL

  • SUBCELL

  • CANCER

  • BLOOD

  • CELL LINE

  • STRUCT & INT

  • STAT6
TISSUE PRIMARY DATA PANCREAS Show tissue menu
ADIPOSE TISSUE ADRENAL GLAND AMYGDALA APPENDIX BASAL GANGLIA BONE MARROW BREAST BRONCHUS CEREBELLUM CEREBRAL CORTEX CERVIX CHOROID PLEXUS COLON DUODENUM
ENDOMETRIUM EPIDIDYMIS ESOPHAGUS FALLOPIAN TUBE GALLBLADDER HEART MUSCLE HIPPOCAMPAL FORMATION HYPOTHALAMUS KIDNEY LIVER LUNG LYMPH NODE MIDBRAIN NASOPHARYNX
ORAL MUCOSA OVARY PANCREAS PARATHYROID GLAND PITUITARY GLAND PLACENTA PROSTATE RECTUM RETINA SALIVARY GLAND SEMINAL VESICLE SKELETAL MUSCLE SKIN SMALL INTESTINE
SMOOTH MUSCLE SOFT TISSUE SPINAL CORD SPLEEN STOMACH TESTIS THYMUS THYROID GLAND TONGUE TONSIL URINARY BLADDER VAGINA
ANTIBODIES
AND
VALIDATION
Dictionary
Pancreas
Tissue proteome
Pancreas
PANCREAS - Expression summary
Protein expression
Pancreasi

On the top, protein expression in current human tissue, based on all annotated cell types, is reported with the units not detected (n), low (l), medium (m) and high (h). Underneath, protein expression in each annotated cell type are reported using the same units.

Protein expression data is based on knowledge-based annotation. For genes where more than one antibody has been used, a collective score is set.

If knowledge-based annotation could not be performed for a gene, no data is displayed here. View antibody staining data further down this page.

h
m
l
n
Exocrine glandular cells: Not detected
Pancreatic endocrine cells: Not detected
RNA expressioni

A summary of mRNA expression data available for current tissue based on several datasets. The mRNA expression levels in human tissues are based on RNA-seq data generated by the Human Protein Atlas (HPA), Genotype-Tissue Expression (GTEx) portal and CAGE data generated by the FANTOM5 consortium. Consensus normalized expression levels for human tissues was created by combining the data from HPA and GTEx datasets.

The mRNA expression levels in pig are based on RNA-seq data generated by the Human Protein Atlas (HPA), and for mouse, HPA data and in situ hybridization generated by the Allen brain atlas are reported.

Scroll down to view mRNA expression data in more detail.
Consensus:47.4 nTPM
HPA:27.2 nTPM
GTEx:47.4 nTPM
FANTOM5:57.9 Scaled Tags Per Million

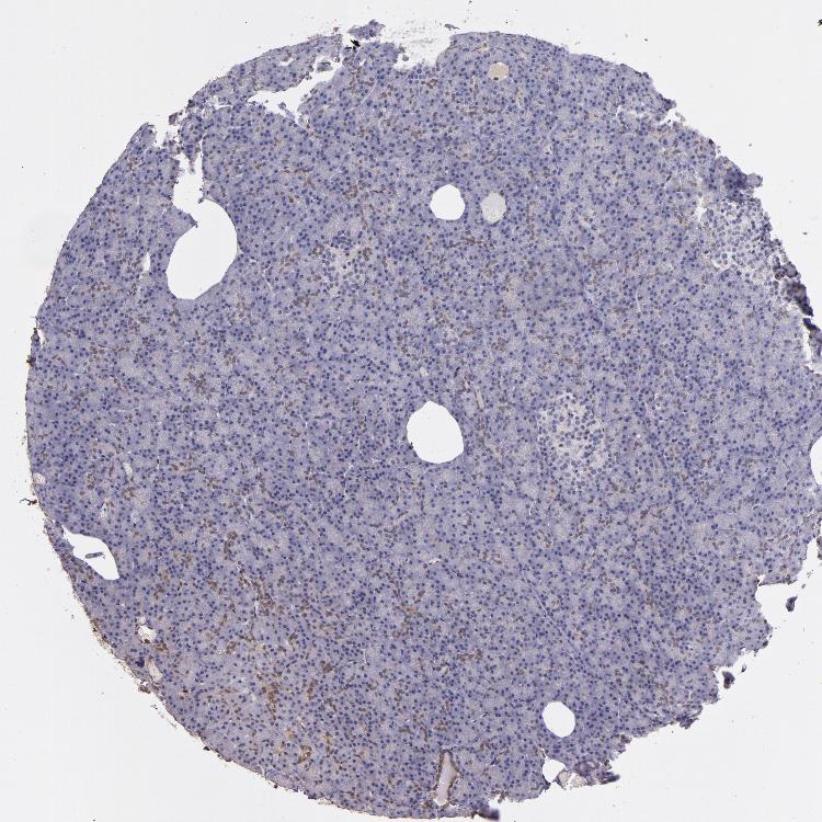
PANCREAS - Antibody stainingi

Antibody staining in the annotated cell types in the current human tissue is reported as not detected, low, medium, or high, based on conventional immunohistochemistry profiling in selected tissues. This score is based on the combination of the staining intensity and fraction of stained cells.

Each image is clickable and will lead to virtual microscopy that enables deeper exploration of all samples and also displays staining intensity scores, fraction scores and subcellular localization as well as patient and tissue information for each sample.

Antibody HPA001861
Exocrine glandular cells Not detected
Pancreatic endocrine cells Not detected


PANCREAS - HPA RNA-seqi

The RNA-seq details section shows detailed information about the individual samples used for the transcript profiling and results of the RNA-seq analysis.

Information about each individual sample is listed below, including gender, age, a tissue section image and estimated fractions of cell types. nTPM (normalized transcripts per million) values give a quantification of the gene abundance which is comparable between different genes and samples.
Average nTPMi

Max subtype nTPM is the value for the subtype with the largest average nTPM across the subtype samples.

27.2
overview
Female, age 59
Pancreas sample 194
nTPM: 24.4
Cell types%
Exocrine glandular cells:
75

Pancreatic endocrine cells:
10

Ductal cells:
5

Other cell types:
10

overview
Male, age 60
Pancreas sample 195
nTPM: 29.9
Cell types%
Exocrine glandular cells:
90

Pancreatic endocrine cells:
5

Ductal cells:
5


PANCREAS - GTEx RNA-seqi

RNA-Seq data generated by the Genotype-Tissue Expression (GTEx) project from human tissues is reported as mean nTPM. More information can be found on the GTEx portal.

Distribution across the dataset is visualized with box plots, shown as median and 25th and 75th percentiles. Points are displayed as outliers if they are above or below 1.5 times the interquartile range. nTPM values of the individual samples are presented next to the box plot.
Max subtype nTPMi

Max subtype nTPM is the value for the subtype with the largest average nTPM across the subtype samples.

47.4
GTEx sample id Sample description nTPM
Pancreas
Average nTPM: 47.4
Samples: 328

Max nTPM: 90.1
Min nTPM: 21.6
Std nTPM: 8.9
Median nTPM: 46.4
GTEX-N7MT-1626-SM-3LK71 60-69 years, female 90.1
GTEX-1K2DU-1026-SM-DHXKC 20-29 years, male 78.4
GTEX-WI4N-1826-SM-4OOSF 40-49 years, female 76.1
GTEX-WFON-0626-SM-4LVLX 40-49 years, male 72.1
GTEX-WY7C-1026-SM-4OND3 50-59 years, male 70.8
GTEX-ZC5H-0826-SM-5N9FH 40-49 years, female 69.3
GTEX-15UF6-1826-SM-6LLI9 70-79 years, female 69.1
GTEX-OHPM-1026-SM-3LK74 50-59 years, male 68.7
GTEX-144FL-1526-SM-5Q5CA 50-59 years, male 66.3
GTEX-P4PQ-1026-SM-3NMCN 60-69 years, male 65.6
GTEX-13W3W-1026-SM-5IFG4 60-69 years, female 65.1
GTEX-NPJ8-2126-SM-3MJGK 40-49 years, male 64.9
GTEX-1AX8Z-1726-SM-731DE 60-69 years, male 62.8
GTEX-ZF3C-2026-SM-4WWB5 50-59 years, female 62.4
GTEX-WXYG-0826-SM-4ONC7 50-59 years, female 62.3
GTEX-U8XE-2026-SM-3DB8S 30-39 years, male 62.1
GTEX-1M5QR-0926-SM-DHXK8 40-49 years, male 61.8
GTEX-14AS3-0326-SM-5Q5DB 40-49 years, female 61.6
GTEX-WFJO-0626-SM-4LVMC 30-39 years, male 61.6
GTEX-1JKYN-0426-SM-CGQG2 30-39 years, male 61.5
GTEX-QEL4-1326-SM-447AD 50-59 years, male 61.3
GTEX-Y3I4-0826-SM-4TT2A 50-59 years, male 61.1
GTEX-SUCS-1426-SM-4DM5W 70-79 years, male 60.7
GTEX-P4QS-1026-SM-3NMCW 60-69 years, male 60.6
GTEX-V955-0326-SM-4JBGV 60-69 years, male 60.6
GTEX-14PJ2-1526-SM-686Z4 50-59 years, male 60.4
GTEX-SE5C-0326-SM-4BRWX 40-49 years, female 60.3
GTEX-13X6H-0626-SM-5LU53 50-59 years, female 60.0
GTEX-14PN4-1626-SM-6AJB5 50-59 years, male 59.6
GTEX-1QAET-1326-SM-E9U64 50-59 years, male 59.2
GTEX-11XUK-0626-SM-5N9ES 40-49 years, female 59.1
GTEX-131XE-1926-SM-5IFER 50-59 years, male 58.8
GTEX-1NSGN-1726-SM-EXOJG 50-59 years, male 58.8
GTEX-S32W-0826-SM-4AD5Z 50-59 years, female 58.4
GTEX-1A3MW-1926-SM-7IGM8 60-69 years, female 58.3
GTEX-ZZPU-0726-SM-5N9C8 50-59 years, female 58.3
GTEX-OIZF-1026-SM-2HML5 60-69 years, male 58.0
GTEX-13VXT-1226-SM-5LU3M 20-29 years, female 57.8
GTEX-XMK1-0326-SM-4B652 40-49 years, male 57.7
GTEX-14BMU-0726-SM-73KXS 20-29 years, female 57.6
GTEX-QDVN-0926-SM-2I5GL 50-59 years, male 57.6
GTEX-VJYA-0826-SM-4KL1M 60-69 years, male 57.5
GTEX-R55D-1426-SM-48FEN 50-59 years, male 57.4
GTEX-O5YT-1026-SM-3MJGF 20-29 years, male 57.2
GTEX-132AR-1826-SM-5EGHR 50-59 years, female 56.9
GTEX-Y9LG-0726-SM-4VDS3 30-39 years, male 56.9
GTEX-1R46S-1426-SM-EXOJD 60-69 years, female 56.7
GTEX-1C64O-1426-SM-7EWER 60-69 years, male 56.6
GTEX-1K9T9-1726-SM-CXZK1 50-59 years, female 56.5
GTEX-1LSNM-0726-SM-DHXL1 50-59 years, male 56.3
GTEX-139YR-1526-SM-5IFJ1 50-59 years, male 56.2
GTEX-ZG7Y-0326-SM-4WWEY 50-59 years, male 55.9
GTEX-X15G-0726-SM-4PQZ5 50-59 years, female 55.5
GTEX-1N2EF-2126-SM-DPRYL 60-69 years, male 55.4
GTEX-OXRK-1526-SM-E6CHJ 50-59 years, female 55.3
GTEX-1LG7Z-0326-SM-DHXK3 30-39 years, male 55.2
GTEX-144GM-0726-SM-79OJQ 20-29 years, male 55.1
GTEX-1497J-0426-SM-5Q5CO 60-69 years, male 55.1
GTEX-Q2AH-0926-SM-48TZK 40-49 years, male 55.1
GTEX-T8EM-0826-SM-4DM76 40-49 years, male 55.1
GTEX-1N2DV-1726-SM-DPRYR 40-49 years, male 55.1
GTEX-PW2O-0826-SM-48TC5 20-29 years, male 54.9
GTEX-ZYW4-2126-SM-59HJ9 60-69 years, male 54.9
GTEX-1AX9J-1726-SM-731FF 60-69 years, male 54.7
GTEX-1PFEY-1126-SM-DPRZ3 30-39 years, male 54.7
GTEX-1AYD5-0326-SM-7EWEO 50-59 years, male 54.5
GTEX-TMMY-1326-SM-4DXU9 40-49 years, female 54.3
GTEX-1L5NE-0826-SM-DHXKU 50-59 years, male 54.3
GTEX-18A67-1726-SM-7KFT9 50-59 years, male 54.2
GTEX-V1D1-0726-SM-4JBH7 50-59 years, male 54.2
GTEX-Q2AI-0426-SM-48U13 40-49 years, male 54.1
GTEX-QLQW-0326-SM-447A8 30-39 years, male 54.1
GTEX-14PHY-1126-SM-664OR 60-69 years, female 53.8
GTEX-11DXX-0926-SM-5H112 60-69 years, female 53.7
GTEX-R55G-0326-SM-48FDM 40-49 years, female 53.6
GTEX-UJHI-0626-SM-3DB8T 50-59 years, female 53.6
GTEX-13YAN-2126-SM-5Q5C4 60-69 years, male 53.3
GTEX-SNOS-0926-SM-4DM7A 40-49 years, male 53.3
GTEX-TKQ2-0426-SM-4DXUO 50-59 years, male 53.3
GTEX-1QP29-1926-SM-DPRZO 50-59 years, male 53.3
GTEX-QDVJ-1226-SM-48U1V 50-59 years, male 53.1
GTEX-1J8Q3-0626-SM-AHZ3V 60-69 years, male 53.0
GTEX-1122O-0726-SM-5GIEV 60-69 years, female 52.8
GTEX-1GMR3-1226-SM-7MGY1 40-49 years, male 52.7
GTEX-1399R-0426-SM-5IJE3 30-39 years, male 52.5
GTEX-13N11-0226-SM-5KM3C 50-59 years, female 52.5
GTEX-145ME-0326-SM-5S2QO 40-49 years, female 52.3
GTEX-1CAMR-1126-SM-7MGXF 20-29 years, male 52.3
GTEX-1QW4Y-0926-SM-DPRY2 30-39 years, male 52.3
GTEX-S95S-0726-SM-4B64H 60-69 years, male 52.2
GTEX-1LGRB-0426-SM-CNNRD 50-59 years, female 52.2
GTEX-14ICL-1126-SM-5S2RE 30-39 years, male 52.1
GTEX-PLZ6-0726-SM-3P619 30-39 years, male 52.1
GTEX-YB5E-0526-SM-4VDSD 40-49 years, male 52.1
GTEX-PSDG-1526-SM-48TCY 50-59 years, male 52.0
GTEX-1I1GU-0326-SM-AHZ2K 40-49 years, male 51.8
GTEX-11P7K-0526-SM-5BC5I 30-39 years, male 51.7
GTEX-XBEW-1626-SM-4SOJP 40-49 years, male 51.7
GTEX-1CB4I-1326-SM-79OLY 50-59 years, male 51.6
GTEX-1GL5R-0926-SM-9JGFO 50-59 years, male 51.6
GTEX-1K2DA-0326-SM-CGQGX 50-59 years, male 51.5
GTEX-ZTPG-1026-SM-5DUWP 20-29 years, female 51.4
GTEX-1GF9X-1126-SM-7MKHC 40-49 years, female 51.3
GTEX-13O61-2126-SM-5IJEO 60-69 years, male 51.2
GTEX-12WSG-1026-SM-5EGII 50-59 years, female 51.1
GTEX-QCQG-0426-SM-48U29 50-59 years, female 51.1
GTEX-12WSL-0426-SM-5GCNX 50-59 years, male 50.9
GTEX-ZAB5-0826-SM-5P9FU 50-59 years, male 50.8
GTEX-11I78-0626-SM-5A5LZ 50-59 years, female 50.7
GTEX-S4P3-0626-SM-4AD59 50-59 years, female 50.6
GTEX-117YX-0226-SM-5EGH6 50-59 years, male 50.4
GTEX-1F5PL-0726-SM-7MKH8 40-49 years, female 50.3
GTEX-Y8LW-1026-SM-5IFJY 50-59 years, female 50.3
GTEX-1AMFI-0726-SM-731D9 50-59 years, female 50.2
GTEX-1JMPZ-1026-SM-CXZJS 30-39 years, male 50.2
GTEX-1399S-0326-SM-5IFFS 30-39 years, female 50.1
GTEX-1RAZA-1626-SM-EV79I 20-29 years, male 50.1
GTEX-13PL7-2226-SM-5L3IC 60-69 years, female 50.0
GTEX-1PPH8-2326-SM-EAZ48 20-29 years, male 50.0
GTEX-1R9K5-1226-SM-E6CPQ 50-59 years, male 50.0
GTEX-ZLWG-0326-SM-4WWC7 50-59 years, female 49.9
GTEX-1GN1W-1126-SM-9OSW3 50-59 years, female 49.9
GTEX-XUW1-1726-SM-4BOOZ 50-59 years, female 49.6
GTEX-YB5K-1826-SM-5IFJC 40-49 years, female 49.6
GTEX-1OKEX-1726-SM-E9U4F 60-69 years, male 49.5
GTEX-1S831-0626-SM-EV79N 20-29 years, male 49.5
GTEX-OIZI-1526-SM-E6CHI 40-49 years, male 49.3
GTEX-WHSB-0726-SM-4M1XQ 50-59 years, male 49.2
GTEX-14PKU-0626-SM-6EU1Q 40-49 years, female 49.1
GTEX-13FTW-0526-SM-5IFIP 40-49 years, male 49.0
GTEX-14DAR-0526-SM-664MX 50-59 years, male 48.8
GTEX-QESD-0226-SM-447BH 20-29 years, male 48.7
GTEX-ZYT6-1326-SM-5E453 30-39 years, male 48.7
GTEX-QV31-0226-SM-447BO 30-39 years, male 48.6
GTEX-WQUQ-2126-SM-4OOSO 60-69 years, male 48.4
GTEX-1HSMO-2026-SM-CNNQO 60-69 years, male 48.3
GTEX-15SHV-1526-SM-6LLIB 60-69 years, male 48.2
GTEX-1AYCT-1226-SM-7EPGH 50-59 years, male 48.2
GTEX-1B932-1626-SM-731EA 40-49 years, female 48.2
GTEX-XQ8I-1926-SM-4BOOK 50-59 years, male 48.2
GTEX-ZPCL-0726-SM-DO91S 60-69 years, female 48.1
GTEX-WHWD-0726-SM-4OORX 50-59 years, male 48.0
GTEX-WYJK-2426-SM-4ONDQ 50-59 years, male 47.9
GTEX-X3Y1-0726-SM-3P5YU 40-49 years, male 47.8
GTEX-ZPIC-0926-SM-4WWFK 40-49 years, female 47.7
GTEX-NFK9-1626-SM-3LK5J 40-49 years, male 47.5
GTEX-OOBK-1026-SM-48TC2 40-49 years, male 47.5
GTEX-PX3G-1026-SM-48TZW 20-29 years, female 47.5
GTEX-132QS-0926-SM-5P9GB 60-69 years, male 47.4
GTEX-17F98-0426-SM-79ONZ 40-49 years, female 47.4
GTEX-15CHR-2026-SM-7MXU2 50-59 years, male 47.4
GTEX-XPVG-0326-SM-4B653 50-59 years, male 47.3
GTEX-18D9U-1626-SM-7KFTW 40-49 years, male 47.2
GTEX-S33H-1226-SM-4AD69 30-39 years, male 47.2
GTEX-1NUQO-0826-SM-DPS16 20-29 years, female 47.2
GTEX-RM2N-0326-SM-48FD8 50-59 years, male 47.1
GTEX-18A66-2126-SM-7189D 60-69 years, male 47.0
GTEX-1JK1U-1026-SM-AHZ44 60-69 years, male 46.9
GTEX-11EQ9-1026-SM-5H134 30-39 years, male 46.8
GTEX-15FZZ-0626-SM-7KFTO 30-39 years, female 46.8
GTEX-W5WG-0826-SM-4RGNE 50-59 years, female 46.8
GTEX-1I4MK-1026-SM-AHZ2H 50-59 years, female 46.8
GTEX-ZVP2-0726-SM-59HKY 50-59 years, male 46.7
GTEX-12BJ1-1126-SM-5EGGG 60-69 years, male 46.4
GTEX-11TT1-0326-SM-5LUAY 20-29 years, male 46.3
GTEX-17HGU-2026-SM-79OKS 50-59 years, male 46.3
GTEX-1B97J-1526-SM-79ONI 50-59 years, female 46.3
GTEX-U4B1-0726-SM-4DXUA 40-49 years, male 46.3
GTEX-XYKS-1226-SM-4BRVI 60-69 years, female 46.3
GTEX-1GN1U-1126-SM-9WPPZ 50-59 years, female 46.3
GTEX-ZP4G-0426-SM-4YCER 20-29 years, female 46.2
GTEX-14PHX-2026-SM-6872C 50-59 years, male 46.1
GTEX-1MGNQ-1226-SM-EV7BM 40-49 years, male 46.0
GTEX-1S83E-1426-SM-EV7B8 40-49 years, male 46.0
GTEX-11VI4-0426-SM-5EGHZ 40-49 years, female 45.9
GTEX-15EU6-1126-SM-68721 50-59 years, male 45.9
GTEX-18A7A-1726-SM-7LT93 50-59 years, female 45.9
GTEX-X4LF-0326-SM-4QAS9 50-59 years, male 45.9
GTEX-QV44-0426-SM-4R1KF 50-59 years, male 45.8
GTEX-Y5LM-0526-SM-4V6G3 40-49 years, female 45.8
GTEX-1GZ4H-0626-SM-9OSXJ 50-59 years, female 45.7
GTEX-VUSG-0326-SM-3GIJ7 50-59 years, male 45.5
GTEX-1H1E6-0826-SM-9WG83 30-39 years, male 45.5
GTEX-13FTX-1226-SM-5IFGN 20-29 years, female 45.3
GTEX-RWS6-1126-SM-47JXC 60-69 years, female 45.2
GTEX-1R7EU-0726-SM-DPRZM 60-69 years, male 45.1
GTEX-14PKV-0926-SM-6AJB4 20-29 years, female 45.0
GTEX-1LVAN-1226-SM-CNNQY 50-59 years, female 45.0
GTEX-131XG-1426-SM-5GCMO 50-59 years, female 44.9
GTEX-OHPL-1026-SM-3MJGI 60-69 years, female 44.9
GTEX-14PJ4-0726-SM-6872E 60-69 years, male 44.8
GTEX-1H11D-0926-SM-9OSXO 40-49 years, male 44.7
GTEX-16MT8-1726-SM-7EWE7 60-69 years, female 44.6
GTEX-YEC3-0626-SM-CMKFG 50-59 years, male 44.5
GTEX-13FH7-1426-SM-5IFIC 50-59 years, female 44.4
GTEX-WFG8-0326-SM-4LVN4 20-29 years, male 44.3
GTEX-1CB4F-1226-SM-7DHKU 60-69 years, male 44.2
GTEX-OOBJ-1026-SM-3NB2L 60-69 years, male 44.2
GTEX-1QP2A-1326-SM-EAZ3K 50-59 years, male 44.2
GTEX-1RAZQ-1426-SM-EV7B2 30-39 years, male 44.2
GTEX-ZVT2-2026-SM-5NQ8Q 50-59 years, female 44.1
GTEX-1JKYR-1026-SM-CGQGI 20-29 years, male 44.1
GTEX-13PVR-0726-SM-5S2PX 60-69 years, female 43.9
GTEX-T5JW-0226-SM-4DM7I 20-29 years, female 43.9
GTEX-Y3IK-0426-SM-4WWE2 50-59 years, female 43.9
GTEX-ZT9W-0926-SM-57WFS 50-59 years, male 43.9
GTEX-1IDJU-0326-SM-CGQEE 60-69 years, female 43.9
GTEX-14PK6-1026-SM-664NZ 70-79 years, female 43.8
GTEX-X5EB-0526-SM-46MVP 40-49 years, male 43.5
GTEX-QMRM-0326-SM-CKZNB 50-59 years, male 43.5
GTEX-111YS-1226-SM-5EGGJ 60-69 years, male 43.4
GTEX-1PWST-1526-SM-EXOIT 70-79 years, male 43.4
GTEX-14E6E-1426-SM-5RQI2 30-39 years, male 43.3
GTEX-QLQ7-0626-SM-CE6QX 60-69 years, male 43.3
GTEX-13D11-2226-SM-5IFEO 50-59 years, female 43.1
GTEX-1AX9K-2026-SM-731D1 50-59 years, male 43.1
GTEX-14JG6-0426-SM-68715 30-39 years, female 43.0
GTEX-1128S-0826-SM-5GZZI 60-69 years, female 42.9
GTEX-13CF3-1026-SM-5LZWY 60-69 years, female 42.9
GTEX-1CAMS-1926-SM-7DUEU 40-49 years, female 42.9
GTEX-ZYY3-0826-SM-5E44R 60-69 years, female 42.8
GTEX-15UF7-0826-SM-6M46E 40-49 years, male 42.6
GTEX-ZVZP-0626-SM-59HL5 50-59 years, male 42.6
GTEX-ZYFG-0826-SM-5BC5T 60-69 years, female 42.5
GTEX-1CAMQ-1626-SM-7MGXG 40-49 years, male 42.5
GTEX-13OVI-0526-SM-5IFFQ 60-69 years, female 42.4
GTEX-Y114-0826-SM-4TT77 50-59 years, female 42.4
GTEX-16Z82-1726-SM-7MGX3 60-69 years, male 42.4
GTEX-UJMC-1126-SM-3GADP 50-59 years, male 42.2
GTEX-ZLFU-0726-SM-57WF6 40-49 years, male 42.2
GTEX-11LCK-0226-SM-5A5M6 30-39 years, male 42.0
GTEX-YFCO-1026-SM-5LU9S 40-49 years, male 42.0
GTEX-1IDJD-0126-SM-C1YQZ 30-39 years, male 41.9
GTEX-ZDYS-2526-SM-4WKGU 50-59 years, male 41.8
GTEX-1A8FM-1826-SM-7MGXO 50-59 years, female 41.8
GTEX-1211K-1126-SM-5EGGB 60-69 years, female 41.7
GTEX-XV7Q-0926-SM-4BRVQ 40-49 years, female 41.7
GTEX-WRHK-0226-SM-4MVOH 20-29 years, female 41.6
GTEX-ZEX8-1026-SM-4WKHE 50-59 years, male 41.6
GTEX-1I1GT-0926-SM-AHZ2G 60-69 years, female 41.6
GTEX-11NSD-0526-SM-5A5LT 20-29 years, male 41.4
GTEX-14C39-1026-SM-73KWG 40-49 years, male 41.4
GTEX-1B996-1326-SM-731EO 60-69 years, male 41.4
GTEX-ZF29-1126-SM-4WKGO 60-69 years, female 41.4
GTEX-1KANA-1526-SM-CXZKG 20-29 years, male 41.4
GTEX-1B8KE-0726-SM-72D7G 50-59 years, male 41.2
GTEX-17HHE-0526-SM-7DUGR 50-59 years, male 41.1
GTEX-XBED-0226-SM-47JY8 60-69 years, male 41.0
GTEX-YEC4-1326-SM-5IFHG 40-49 years, male 41.0
GTEX-144GN-0826-SM-5LU5G 50-59 years, male 40.9
GTEX-1IDJC-0526-SM-AHZ2Q 50-59 years, male 40.9
GTEX-17KNJ-1926-SM-7KFRV 50-59 years, male 40.8
GTEX-1MUQO-1426-SM-DPRYJ 60-69 years, male 40.8
GTEX-1OFPY-0626-SM-EXOJ4 60-69 years, male 40.8
GTEX-1C4CL-0926-SM-79OL2 30-39 years, male 40.7
GTEX-ZDTT-1126-SM-4WKFW 60-69 years, male 40.6
GTEX-1O97I-1726-SM-EXOIP 60-69 years, male 40.5
GTEX-1339X-1026-SM-5IFH5 40-49 years, male 40.4
GTEX-TML8-0526-SM-32QOQ 40-49 years, female 40.4
GTEX-146FR-0126-SM-5Q5F3 60-69 years, female 40.3
GTEX-178AV-0226-SM-793B7 40-49 years, male 40.3
GTEX-1QEPI-1626-SM-EAZ3I 60-69 years, female 40.3
GTEX-1J8EW-1926-SM-CGQGR 60-69 years, female 40.2
GTEX-1KXAM-0226-SM-EV7AP 60-69 years, male 40.1
GTEX-1399U-0926-SM-5IFHA 50-59 years, female 40.0
GTEX-15SDE-0826-SM-6M463 50-59 years, female 40.0
GTEX-WFG7-0426-SM-4LMK5 20-29 years, male 40.0
GTEX-15UKP-1326-SM-6LPI8 20-29 years, male 39.9
GTEX-WH7G-0826-SM-4LVMR 40-49 years, male 39.9
GTEX-1QP28-1026-SM-EAZ4K 50-59 years, female 39.9
GTEX-12WSN-0826-SM-5GCOF 40-49 years, male 39.8
GTEX-15RIF-0626-SM-6LLI3 20-29 years, male 39.8
GTEX-1HKZK-1126-SM-9WG82 40-49 years, male 39.8
GTEX-1R7EV-1126-SM-DPRXU 40-49 years, male 39.8
GTEX-17F9E-1426-SM-793BG 50-59 years, male 39.6
GTEX-R53T-0426-SM-48FEM 50-59 years, female 39.6
GTEX-S3XE-0526-SM-4AD4G 50-59 years, male 39.5
GTEX-WYVS-0926-SM-4SOJV 40-49 years, female 39.5
GTEX-1CB4G-1826-SM-7MKGO 60-69 years, male 39.3
GTEX-ZPU1-0226-SM-4WWC9 40-49 years, male 39.3
GTEX-111CU-0526-SM-5EGHK 50-59 years, male 39.2
GTEX-XGQ4-0226-SM-4GIDS 50-59 years, male 39.2
GTEX-14PJ3-0426-SM-6LLHF 50-59 years, male 39.1
GTEX-17MF6-1426-SM-7IGOX 40-49 years, male 39.1
GTEX-1C2JI-0926-SM-731F1 50-59 years, male 39.1
GTEX-Q734-0426-SM-48TZX 40-49 years, female 39.1
GTEX-14PJ6-0926-SM-686ZA 60-69 years, female 39.0
GTEX-1B933-1726-SM-731FC 50-59 years, female 38.9
GTEX-145MO-2126-SM-5Q5CZ 60-69 years, male 38.7
GTEX-12WSD-1626-SM-5GCNR 60-69 years, female 38.6
GTEX-Y8E4-1326-SM-5IFIY 40-49 years, male 38.3
GTEX-ZAK1-2326-SM-5CVMY 50-59 years, female 37.8
GTEX-1H23P-2026-SM-9OSXY 60-69 years, male 37.7
GTEX-15ER7-1326-SM-6LPK9 20-29 years, female 37.4
GTEX-1HSGN-1426-SM-A8NAA 40-49 years, female 37.3
GTEX-14PJO-1826-SM-69LPR 60-69 years, male 37.2
GTEX-1B8KZ-0926-SM-731D7 50-59 years, male 37.2
GTEX-ZAB4-1726-SM-5HL8C 40-49 years, male 37.1
GTEX-15RJ7-0826-SM-6LLI8 40-49 years, male 36.9
GTEX-145MN-1426-SM-5SI9H 30-39 years, male 36.8
GTEX-14PJN-1526-SM-6AJBP 30-39 years, male 36.6
GTEX-1PBJI-2126-SM-DPRYG 20-29 years, female 36.6
GTEX-ZV7C-0726-SM-59HKH 50-59 years, male 36.0
GTEX-YF7O-1326-SM-4W1ZR 50-59 years, male 35.9
GTEX-1IL2U-2326-SM-CNNQV 60-69 years, male 35.9
GTEX-1C6VQ-1726-SM-7IGLQ 50-59 years, male 35.8
GTEX-1S82P-1026-SM-EAZ4W 60-69 years, female 35.7
GTEX-13O1R-1826-SM-5KM3B 60-69 years, male 35.5
GTEX-P4PP-1026-SM-3NM9O 30-39 years, female 35.1
GTEX-14PN3-0126-SM-6AJAU 60-69 years, female 34.8
GTEX-148VI-0826-SM-5TDDI 60-69 years, female 34.5
GTEX-13U4I-1526-SM-5IFFF 40-49 years, female 34.1
GTEX-14PJM-2126-SM-6AJAS 50-59 years, female 34.0
GTEX-1QPFJ-2226-SM-EXOJW 30-39 years, female 33.8
GTEX-18A6Q-1726-SM-7LT9A 60-69 years, male 33.7
GTEX-XXEK-1726-SM-4BRVB 50-59 years, male 33.2
GTEX-131XF-1426-SM-5BC68 60-69 years, male 32.9
GTEX-146FQ-1526-SM-5Q5CX 30-39 years, male 32.7
GTEX-11GSP-0426-SM-5A5KX 60-69 years, female 32.6
GTEX-WHPG-0326-SM-4M1XV 50-59 years, male 32.6
GTEX-12WSK-0226-SM-5BC62 40-49 years, female 32.2
GTEX-15SB6-0226-SM-6LLIA 50-59 years, female 31.9
GTEX-15DYW-1626-SM-6LLI1 60-69 years, female 31.3
GTEX-13FLV-0626-SM-5IFEY 50-59 years, male 29.9
GTEX-13SLX-1326-SM-5S2QS 50-59 years, female 29.7
GTEX-1I1GQ-2226-SM-B2LX1 50-59 years, male 28.5
GTEX-11ONC-0526-SM-5BC57 60-69 years, male 21.9
GTEX-1H1DG-1426-SM-9OSXP 70-79 years, male 21.6
Show allShow less

PANCREAS - FANTOM5 CAGEi

RNA expression in human tissues obtained through Cap Analysis of Gene Expression (CAGE) generated by the FANTOM5 project are reported as Scaled Tags Per Million.

Max subtype Scaled Tags Per Millioni

Max subtype Scaled Tags Per Million is the value for the subtype with the largest average Scaled Tags Per Million across the subtype samples.

57.9
FANTOM5 sample id Sample description Scaled Tags Per Million
Pancreas
Scaled Tags Per Million: 57.9
FF:10049-101G4 52 years, male 57.9

Contact

  • NEWS ARTICLES
  • PRESS ROOM

The Project

  • INTRODUCTION
  • ORGANIZATION
  • PUBLICATIONS

The Human Protein Atlas

  • DOWNLOADABLE DATA
  • LICENCE & CITATION
  • HELP & FAQ
The Human Protein Atlas project is funded
by the Knut & Alice Wallenberg Foundation.


contact@proteinatlas.org