We use cookies to enhance the usability of our website. If you continue, we'll assume that you are happy to receive all cookies. More information. Don't show this again.
STAT6
HPA
RESOURCES
  • TISSUE
  • BRAIN
  • SINGLE CELL
  • SUBCELLULAR
  • CANCER
  • BLOOD
  • CELL LINE
  • STRUCTURE & INTERACTION
ABOUT
  • INTRODUCTION
  • HISTORY
  • ORGANIZATION
  • PUBLICATIONS
  • ANTIBODY SUBMISSION
  • ANTIBODY AVAILABILITY
  • ACKNOWLEDGMENTS
  • CONTACT
NEWS
  • NEWS ARTICLES
  • PRESS ROOM
LEARN
  • DICTIONARY
  • PROTEIN CLASSES
  • PROTEIN EVIDENCE
  • METHODS
  • EDUCATIONAL VIDEOS
DATA
  • DOWNLOADABLE DATA
  • PUBLICATION DATA
  • RELEASE HISTORY
HELP
  • ANTIBODY VALIDATION
  • ASSAYS & ANNOTATION
  • DISCLAIMER
  • HELP & FAQ
  • PRIVACY STATEMENT
  • LICENCE & CITATION
Fields »
Search result

Field
Term
Gene name
Class
Subclass
Class
Keyword
Chromosome
External id
Tissue
Cell type
Expression
Antibody panel
Tissue
Main location
Patient ID
Annotation
Tissue
Category
Tau score
Cluster
Reliability
Brain region
Category
Tau score
Brain region
Category
Tau score
Brain region
Category
Tau score
Cluster
Reliability
Tissue
Cell type
Enrichment
Cell type
Category
Tau score
Cell type
Category
Tau score
Cell type
Category
Tau score
Cell lineage
Category
Tau score
Cluster
Cluster
Location
Searches
Location
Cell line
Class
Type
Phase
Reliability
Cancer
Prognosis
Cancer
Category
Cancer
Category
Tau score
Cluster
Variants
Interacting gene (ensg_id)
Type
Number of interactions
Pathway
Category
Score
Score
Score
Validation
Validation
Validation
Validation
Antibodies
Data type
Column


  • SUMMARY

  • TISSUE

  • BRAIN

  • SINGLE CELL

  • SUBCELL

  • CANCER

  • BLOOD

  • CELL LINE

  • STRUCT & INT

  • STAT6
TISSUE PRIMARY DATA STOMACH Show tissue menu
ADIPOSE TISSUE ADRENAL GLAND AMYGDALA APPENDIX BASAL GANGLIA BONE MARROW BREAST BRONCHUS CEREBELLUM CEREBRAL CORTEX CERVIX CHOROID PLEXUS COLON DUODENUM
ENDOMETRIUM EPIDIDYMIS ESOPHAGUS FALLOPIAN TUBE GALLBLADDER HEART MUSCLE HIPPOCAMPAL FORMATION HYPOTHALAMUS KIDNEY LIVER LUNG LYMPH NODE MIDBRAIN NASOPHARYNX
ORAL MUCOSA OVARY PANCREAS PARATHYROID GLAND PITUITARY GLAND PLACENTA PROSTATE RECTUM RETINA SALIVARY GLAND SEMINAL VESICLE SKELETAL MUSCLE SKIN SMALL INTESTINE
SMOOTH MUSCLE SOFT TISSUE SPINAL CORD SPLEEN STOMACH TESTIS THYMUS THYROID GLAND TONGUE TONSIL URINARY BLADDER VAGINA
ANTIBODIES
AND
VALIDATION
Dictionary
Tissue proteome
Stomach
STOMACH - Expression summary
Protein expression
Stomachi

On the top, protein expression in current human tissue, based on all annotated cell types, is reported with the units not detected (n), low (l), medium (m) and high (h). Underneath, protein expression in each annotated cell type are reported using the same units.

Protein expression data is based on knowledge-based annotation. For genes where more than one antibody has been used, a collective score is set.

If knowledge-based annotation could not be performed for a gene, no data is displayed here. View antibody staining data further down this page.

h
m
l
n
Glandular cells: Medium
RNA expressioni

A summary of mRNA expression data available for current tissue based on several datasets. The mRNA expression levels in human tissues are based on RNA-seq data generated by the Human Protein Atlas (HPA), Genotype-Tissue Expression (GTEx) portal and CAGE data generated by the FANTOM5 consortium. Consensus normalized expression levels for human tissues was created by combining the data from HPA and GTEx datasets.

The mRNA expression levels in pig are based on RNA-seq data generated by the Human Protein Atlas (HPA), and for mouse, HPA data and in situ hybridization generated by the Allen brain atlas are reported.

Scroll down to view mRNA expression data in more detail.
Consensus:76.2 nTPM
HPA:61.9 nTPM
GTEx:76.2 nTPM

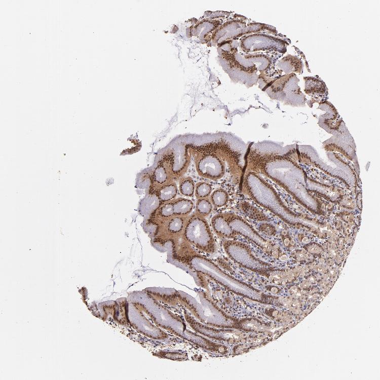
STOMACH 1 - Antibody stainingi

Antibody staining in the annotated cell types in the current human tissue is reported as not detected, low, medium, or high, based on conventional immunohistochemistry profiling in selected tissues. This score is based on the combination of the staining intensity and fraction of stained cells.

Each image is clickable and will lead to virtual microscopy that enables deeper exploration of all samples and also displays staining intensity scores, fraction scores and subcellular localization as well as patient and tissue information for each sample.

Antibody HPA001861
Glandular cells Medium


STOMACH 2 - Antibody stainingi

Antibody staining in the annotated cell types in the current human tissue is reported as not detected, low, medium, or high, based on conventional immunohistochemistry profiling in selected tissues. This score is based on the combination of the staining intensity and fraction of stained cells.

Each image is clickable and will lead to virtual microscopy that enables deeper exploration of all samples and also displays staining intensity scores, fraction scores and subcellular localization as well as patient and tissue information for each sample.

Antibody HPA001861
Glandular cells Medium



STOMACH - HPA RNA-seqi

The RNA-seq details section shows detailed information about the individual samples used for the transcript profiling and results of the RNA-seq analysis.

Information about each individual sample is listed below, including gender, age, a tissue section image and estimated fractions of cell types. nTPM (normalized transcripts per million) values give a quantification of the gene abundance which is comparable between different genes and samples.
Average nTPMi

Max subtype nTPM is the value for the subtype with the largest average nTPM across the subtype samples.

61.9
overview
Female, age 33
Stomach sample 61
nTPM: 49.1
Cell types%
Glandular cells:
60

Smooth muscle cells:
5

Other cell types:
35

N/A
Male, age 82
Stomach sample 240
nTPM: 70.1
Cell types%
Glandular cells:
65

Smooth muscle cells:
5

Other cell types:
30

overview
Male, age 71
Stomach sample 241
nTPM: 73.1
Cell types%
Glandular cells:
50

Smooth muscle cells:
5

Other cell types:
45

overview
Female, age 66
Stomach sample 369
nTPM: 55.5
Cell types%
Glandular cells:
50

Smooth muscle cells:
10

Other cell types:
40


STOMACH - GTEx RNA-seqi

RNA-Seq data generated by the Genotype-Tissue Expression (GTEx) project from human tissues is reported as mean nTPM. More information can be found on the GTEx portal.

Distribution across the dataset is visualized with box plots, shown as median and 25th and 75th percentiles. Points are displayed as outliers if they are above or below 1.5 times the interquartile range. nTPM values of the individual samples are presented next to the box plot.
Max subtype nTPMi

Max subtype nTPM is the value for the subtype with the largest average nTPM across the subtype samples.

76.2
GTEx sample id Sample description nTPM
Stomach
Average nTPM: 76.2
Samples: 359

Max nTPM: 136.7
Min nTPM: 35.0
Std nTPM: 17.2
Median nTPM: 73.8
GTEX-PLZ6-0826-SM-3P61K 30-39 years, male 136.7
GTEX-15EU6-2526-SM-7KUGB 50-59 years, male 130.0
GTEX-TKQ1-0526-SM-4DXTG 30-39 years, male 127.0
GTEX-XPVG-1526-SM-4B66C 50-59 years, male 124.7
GTEX-WFJO-1126-SM-4LVLZ 30-39 years, male 124.5
GTEX-ZV6S-0926-SM-57WGB 40-49 years, female 122.3
GTEX-1GPI7-1326-SM-9KNVA 20-29 years, male 120.7
GTEX-1211K-1426-SM-5FQTF 60-69 years, female 118.5
GTEX-R55G-1126-SM-48FDG 40-49 years, female 117.5
GTEX-1N2DV-0926-SM-E9TJT 40-49 years, male 115.0
GTEX-17EUY-1526-SM-793CA 20-29 years, male 110.9
GTEX-S4P3-0726-SM-4AD57 50-59 years, female 110.1
GTEX-11P82-0726-SM-5PNYL 20-29 years, male 109.8
GTEX-P4PQ-1526-SM-3NMCK 60-69 years, male 108.5
GTEX-R55C-1026-SM-48FCM 40-49 years, male 108.0
GTEX-13O61-1126-SM-5L3FI 60-69 years, male 107.6
GTEX-12WSJ-0926-SM-5P9JD 40-49 years, female 105.4
GTEX-146FR-2026-SM-5NQAI 60-69 years, female 105.4
GTEX-1K2DA-0826-SM-CGQGD 50-59 years, male 105.3
GTEX-14PKU-1126-SM-69LOU 40-49 years, female 104.6
GTEX-1PIGE-1126-SM-EWRMV 20-29 years, male 104.6
GTEX-QDVN-1226-SM-48TZ5 50-59 years, male 104.2
GTEX-1QP28-2126-SM-DTX8B 50-59 years, female 103.9
GTEX-UJHI-1026-SM-4IHJP 50-59 years, female 103.8
GTEX-1S82Z-1726-SM-E6CHZ 30-39 years, female 103.6
GTEX-13X6H-1626-SM-5Q5CT 50-59 years, female 103.3
GTEX-ZLV1-0826-SM-DO11P 60-69 years, female 101.7
GTEX-1LVAM-1426-SM-E9TJ4 50-59 years, female 101.4
GTEX-ZVP2-1626-SM-5GU5D 50-59 years, male 100.9
GTEX-13111-1226-SM-5GCNC 50-59 years, male 100.7
GTEX-1S831-1126-SM-EWROI 20-29 years, male 100.5
GTEX-15G1A-1226-SM-7KUF3 30-39 years, male 100.4
GTEX-WH7G-1526-SM-4LVMX 40-49 years, male 100.3
GTEX-13OVI-2426-SM-5KM4J 60-69 years, female 100.1
GTEX-P4QT-1526-SM-3NMCT 50-59 years, female 100.1
GTEX-YEC3-1426-SM-D4P1S 50-59 years, male 99.4
GTEX-11P7K-1726-SM-5GU6F 30-39 years, male 97.9
GTEX-13FTW-1726-SM-5KM2B 40-49 years, male 97.9
GTEX-1MCYP-1126-SM-E9J2P 20-29 years, female 97.9
GTEX-WY7C-1726-SM-4ONCC 50-59 years, male 97.4
GTEX-11VI4-0326-SM-5EQ6L 40-49 years, female 97.1
GTEX-1LGRB-1726-SM-CNNRA 50-59 years, female 96.8
GTEX-UPK5-2126-SM-4JBJK 40-49 years, male 96.5
GTEX-ZTX8-0426-SM-59HLG 20-29 years, male 96.2
GTEX-11DXX-1326-SM-5GIDZ 60-69 years, female 95.8
GTEX-RU1J-0526-SM-46MUT 20-29 years, female 95.6
GTEX-1JN76-0926-SM-ARZNH 20-29 years, female 95.4
GTEX-OIZH-1526-SM-3NB1J 50-59 years, male 95.3
GTEX-1L5NE-1526-SM-DIPFW 50-59 years, male 95.3
GTEX-1LSNM-1026-SM-DHXL2 50-59 years, male 95.3
GTEX-1MGNQ-1826-SM-DPRYI 40-49 years, male 95.2
GTEX-11EQ9-1226-SM-5987E 30-39 years, male 94.6
GTEX-ZYY3-1726-SM-5EGH3 60-69 years, female 94.6
GTEX-R55D-1526-SM-48FEJ 50-59 years, male 94.1
GTEX-14BMU-1126-SM-5RQJ8 20-29 years, female 93.7
GTEX-1HCU8-1326-SM-C1YQQ 60-69 years, female 93.7
GTEX-12BJ1-1726-SM-5HL9B 60-69 years, male 93.2
GTEX-1QP67-1026-SM-EVR47 40-49 years, female 93.1
GTEX-13CF3-1926-SM-5K7WF 60-69 years, female 93.0
GTEX-WYJK-2526-SM-4ONDF 50-59 years, male 92.8
GTEX-1CB4E-1326-SM-7DUGD 60-69 years, male 92.5
GTEX-1QW4Y-0726-SM-DTX8E 30-39 years, male 92.4
GTEX-ZY6K-0726-SM-5A5L8 50-59 years, male 92.3
GTEX-1C64O-2226-SM-73KTV 60-69 years, male 92.2
GTEX-14PN3-1326-SM-6AJ9U 60-69 years, female 91.7
GTEX-Y3I4-1626-SM-4TT7W 50-59 years, male 91.0
GTEX-117YX-1026-SM-5H11V 50-59 years, male 90.8
GTEX-S7SF-0626-SM-4AD4V 20-29 years, female 90.8
GTEX-1H1DE-1226-SM-9JGHH 20-29 years, male 90.6
GTEX-ZXES-1426-SM-5NQ8S 30-39 years, female 90.5
GTEX-XAJ8-0326-SM-47JYI 40-49 years, male 90.4
GTEX-WHPG-0426-SM-4M1XW 50-59 years, male 90.1
GTEX-13RTK-0226-SM-5RQHR 20-29 years, male 89.9
GTEX-POMQ-0826-SM-3P61H 20-29 years, female 89.9
GTEX-1399U-1626-SM-5P9J3 50-59 years, female 89.8
GTEX-132AR-2426-SM-5IFFD 50-59 years, female 89.4
GTEX-14PHY-0926-SM-5ZZWL 60-69 years, female 89.2
GTEX-XV7Q-1326-SM-4BRWM 40-49 years, female 89.0
GTEX-TKQ2-0926-SM-4DXU5 50-59 years, male 88.9
GTEX-1PPH8-1326-SM-DTXFO 20-29 years, male 88.8
GTEX-16AAH-1226-SM-79OO9 50-59 years, male 88.7
GTEX-1S3DN-1526-SM-EVYCB 50-59 years, male 88.6
GTEX-S95S-0826-SM-4B64N 60-69 years, male 88.2
GTEX-1NSGN-1926-SM-E9J36 50-59 years, male 88.2
GTEX-1F5PL-1426-SM-7MKFH 40-49 years, female 88.1
GTEX-S4Z8-1226-SM-4AD6W 60-69 years, male 88.1
GTEX-1339X-1426-SM-5K7YO 40-49 years, male 88.0
GTEX-WHSB-1226-SM-4M1XR 50-59 years, male 88.0
GTEX-14PHX-1026-SM-664OL 50-59 years, male 87.6
GTEX-OOBJ-1526-SM-3NB1Q 60-69 years, male 87.6
GTEX-P78B-1826-SM-3P5YX 40-49 years, female 87.5
GTEX-S4Q7-0726-SM-4AD5F 20-29 years, male 87.5
GTEX-XQ8I-2026-SM-4BOOL 50-59 years, male 87.1
GTEX-1399S-1626-SM-5P9GI 30-39 years, female 86.9
GTEX-QDVJ-1426-SM-48U1Y 50-59 years, male 86.8
GTEX-15DZA-1126-SM-6LPK8 30-39 years, female 86.7
GTEX-QCQG-0526-SM-48U2A 50-59 years, female 86.7
GTEX-1LBAC-1426-SM-CXZKT 20-29 years, male 86.6
GTEX-1AYCT-1326-SM-7MKHB 50-59 years, male 86.2
GTEX-P4PP-1526-SM-3P61M 30-39 years, female 86.2
GTEX-1HSMQ-2426-SM-CE6RY 50-59 years, male 86.2
GTEX-WFG8-1326-SM-4LVN3 20-29 years, male 86.0
GTEX-145ME-1026-SM-5O9B4 40-49 years, female 85.7
GTEX-15RIF-1126-SM-7KUG2 20-29 years, male 85.5
GTEX-YB5E-1126-SM-664NU 40-49 years, male 85.4
GTEX-1JK1U-1326-SM-AHZ45 60-69 years, male 85.3
GTEX-1I4MK-0926-SM-A9SLD 50-59 years, female 85.0
GTEX-1LG7Z-1226-SM-DHXK4 30-39 years, male 85.0
GTEX-1IDJF-1426-SM-ACKWK 20-29 years, male 84.3
GTEX-ZLWG-1526-SM-DO12F 50-59 years, female 83.8
GTEX-145MN-1326-SM-5NQ9S 30-39 years, male 83.6
GTEX-U4B1-1026-SM-4DXT1 40-49 years, male 83.4
GTEX-15UF7-1226-SM-6M46G 40-49 years, male 83.1
GTEX-14E1K-1526-SM-664MN 50-59 years, male 82.6
GTEX-14PJ5-0826-SM-6AJAR 60-69 years, female 82.6
GTEX-15G19-1526-SM-6LPKP 60-69 years, male 82.6
GTEX-Y3IK-1426-SM-4YCES 50-59 years, female 82.2
GTEX-Q734-1026-SM-48U16 40-49 years, female 82.0
GTEX-12C56-0526-SM-5FQST 20-29 years, male 81.9
GTEX-1JKYN-1726-SM-AHZ48 30-39 years, male 81.9
GTEX-1GL5R-1926-SM-9WG7U 50-59 years, male 81.8
GTEX-QMRM-1126-SM-447BN 50-59 years, male 81.7
GTEX-S3XE-1026-SM-4AD4O 50-59 years, male 81.5
GTEX-PLZ5-1226-SM-EXOHA 50-59 years, male 81.4
GTEX-T8EM-1226-SM-4DM5J 40-49 years, male 81.0
GTEX-Y8LW-0826-SM-4WWDO 50-59 years, female 80.8
GTEX-15CHR-1326-SM-79OLT 50-59 years, male 80.6
GTEX-ZVZP-1726-SM-5GZWY 50-59 years, male 80.3
GTEX-131XE-2226-SM-5PNYX 50-59 years, male 80.0
GTEX-ZYFG-1326-SM-5GICJ 60-69 years, female 80.0
GTEX-146FH-2126-SM-5SI9U 50-59 years, female 79.9
GTEX-15RIE-1026-SM-6LPJQ 60-69 years, male 79.8
GTEX-131XG-1226-SM-5EGH9 50-59 years, female 79.6
GTEX-SNOS-0826-SM-4DM5N 40-49 years, male 79.4
GTEX-1KD5A-1426-SM-D4P3V 50-59 years, male 79.2
GTEX-1R7EU-1126-SM-EAZ4M 60-69 years, male 79.1
GTEX-13113-0726-SM-5LZUF 60-69 years, female 78.9
GTEX-14PKV-1826-SM-69LO9 20-29 years, female 78.8
GTEX-S341-0626-SM-4AD5T 40-49 years, female 78.7
GTEX-1RMOY-1126-SM-EV79E 50-59 years, male 78.7
GTEX-13FTX-0726-SM-5N9BI 20-29 years, female 78.5
GTEX-1CAMR-0726-SM-7EPIE 20-29 years, male 78.5
GTEX-16NGA-1526-SM-72D56 40-49 years, female 78.4
GTEX-18A67-2626-SM-718AD 50-59 years, male 78.2
GTEX-Y8E4-1526-SM-4WWDI 40-49 years, male 78.2
GTEX-YFCO-0826-SM-5LUAG 40-49 years, male 77.7
GTEX-1399R-1126-SM-5IFIO 30-39 years, male 77.6
GTEX-18D9B-2226-SM-718BM 60-69 years, male 77.5
GTEX-1AMFI-1226-SM-731CZ 50-59 years, female 77.3
GTEX-1HBPN-1626-SM-9WPNP 50-59 years, male 77.2
GTEX-Y114-1226-SM-4TT88 50-59 years, female 77.1
GTEX-ZLFU-1326-SM-DO11R 40-49 years, male 77.0
GTEX-O5YV-1926-SM-EV797 60-69 years, female 76.6
GTEX-SNMC-0626-SM-4DM6H 20-29 years, male 76.3
GTEX-T6MO-0726-SM-4DM58 40-49 years, female 76.3
GTEX-ZZPU-1426-SM-5GZZ6 50-59 years, female 76.1
GTEX-1EH9U-2226-SM-7PBXX 60-69 years, male 76.1
GTEX-S4UY-1626-SM-4AD55 40-49 years, female 76.0
GTEX-1CB4H-2426-SM-7PBYR 60-69 years, female 76.0
GTEX-14JG6-1226-SM-664O6 30-39 years, female 75.7
GTEX-1A3MV-1226-SM-718BW 30-39 years, male 75.7
GTEX-QLQ7-0826-SM-447B3 60-69 years, male 75.5
GTEX-15DCE-1626-SM-6LPJM 20-29 years, male 75.4
GTEX-1B8KE-1326-SM-73KVI 50-59 years, male 75.4
GTEX-1H3VY-2326-SM-9WG81 50-59 years, male 75.4
GTEX-PW2O-1226-SM-48TCH 20-29 years, male 75.3
GTEX-17GQL-1226-SM-7KFTS 60-69 years, male 75.2
GTEX-WXYG-1626-SM-4ONCR 50-59 years, female 75.2
GTEX-131XF-1226-SM-5HL8V 60-69 years, male 74.5
GTEX-139YR-1926-SM-5LZXM 50-59 years, male 74.5
GTEX-VJYA-1026-SM-4KL21 60-69 years, male 74.5
GTEX-1GF9U-1126-SM-AHZ4H 40-49 years, female 74.5
GTEX-13FH7-1026-SM-5IJGF 50-59 years, female 74.4
GTEX-OHPK-1526-SM-3MJGM 50-59 years, female 74.3
GTEX-XUZC-0726-SM-4BOPH 30-39 years, female 74.3
GTEX-Q2AI-0826-SM-48TZO 40-49 years, male 74.1
GTEX-WFON-1126-SM-4LVMA 40-49 years, male 74.1
GTEX-RUSQ-1126-SM-EAZAU 50-59 years, male 74.1
GTEX-13U4I-2526-SM-5SI8Z 40-49 years, female 73.9
GTEX-RWS6-0926-SM-47JXE 60-69 years, female 73.8
GTEX-17F98-1526-SM-7EWD8 40-49 years, female 73.7
GTEX-1B8KZ-1226-SM-793CP 50-59 years, male 73.7
GTEX-TMMY-1626-SM-4DXTY 40-49 years, female 73.7
GTEX-V1D1-1726-SM-4JBHB 50-59 years, male 73.7
GTEX-X15G-1126-SM-4PQZG 50-59 years, female 73.6
GTEX-1AMEY-1226-SM-731DU 30-39 years, female 73.5
GTEX-11NSD-1426-SM-5HL67 20-29 years, male 73.4
GTEX-Q2AH-1126-SM-48TZM 40-49 years, male 73.3
GTEX-1KXAM-0926-SM-CXZKA 60-69 years, male 73.2
GTEX-1QPFJ-1526-SM-DPRXT 30-39 years, female 73.2
GTEX-17KNJ-1526-SM-7LTA9 50-59 years, male 73.0
GTEX-18D9A-0626-SM-7KFTY 30-39 years, female 73.0
GTEX-XBEW-1826-SM-4RTWX 40-49 years, male 72.9
GTEX-Y9LG-1026-SM-5IFJN 30-39 years, male 72.9
GTEX-139D8-2326-SM-5IFGE 30-39 years, female 72.8
GTEX-13O3Q-2126-SM-5KM4C 50-59 years, male 72.8
GTEX-ZPIC-2026-SM-57WG3 40-49 years, female 72.5
GTEX-OHPM-1526-SM-EV796 50-59 years, male 72.5
GTEX-U3ZN-2026-SM-4DXUC 30-39 years, female 72.4
GTEX-133LE-1326-SM-5IFGO 20-29 years, female 72.3
GTEX-WHWD-1426-SM-4OORU 50-59 years, male 72.2
GTEX-1HFI7-1526-SM-9WG7W 50-59 years, female 72.2
GTEX-Y5LM-1326-SM-5RQIS 40-49 years, female 71.8
GTEX-144GM-1726-SM-5O9AS 20-29 years, male 71.7
GTEX-144GN-1226-SM-5O991 50-59 years, male 71.7
GTEX-1QP29-2326-SM-EXOJO 50-59 years, male 71.6
GTEX-1H1E6-1626-SM-9OSWC 30-39 years, male 71.4
GTEX-ZP4G-1226-SM-4WWCJ 20-29 years, female 71.1
GTEX-14PJ3-1426-SM-664O8 50-59 years, male 71.0
GTEX-ZVT2-1626-SM-51MRC 50-59 years, female 71.0
GTEX-13QJ3-2726-SM-5SI6L 50-59 years, male 70.9
GTEX-1H3NZ-2226-SM-9WYUT 60-69 years, male 70.9
GTEX-1HR9M-2326-SM-CNPPZ 60-69 years, male 70.8
GTEX-1A3MX-1926-SM-72D7F 60-69 years, male 70.7
GTEX-1F75I-1826-SM-7MKGX 40-49 years, male 70.7
GTEX-NFK9-1526-SM-3LK7B 40-49 years, male 70.7
GTEX-OXRL-1526-SM-E6CHQ 50-59 years, male 70.6
GTEX-18A66-2226-SM-7189E 60-69 years, male 70.5
GTEX-V955-1326-SM-4JBHR 60-69 years, male 70.5
GTEX-WZTO-2126-SM-4PQYW 40-49 years, male 70.5
GTEX-1MJIX-1126-SM-EV7AO 40-49 years, male 70.5
GTEX-13S7M-1826-SM-5RQK6 60-69 years, female 70.4
GTEX-1B97J-1826-SM-7IGPP 50-59 years, female 70.3
GTEX-1KANA-1126-SM-D3L9M 20-29 years, male 70.3
GTEX-1I6K7-1726-SM-B2LXQ 40-49 years, male 70.1
GTEX-ZVT3-2126-SM-59HL2 60-69 years, female 70.0
GTEX-ZGAY-1626-SM-DNZZ3 40-49 years, female 70.0
GTEX-1R9K5-1026-SM-EAZ4F 50-59 years, male 69.9
GTEX-17HGU-2126-SM-7IGOV 50-59 years, male 69.7
GTEX-1H23P-2726-SM-9JGHN 60-69 years, male 69.4
GTEX-1E2YA-2426-SM-7EPIG 50-59 years, male 69.1
GTEX-YEC4-1426-SM-5IFHS 40-49 years, male 69.1
GTEX-14DAR-0926-SM-73KUQ 50-59 years, male 68.8
GTEX-17HHE-1026-SM-79ON6 50-59 years, male 68.8
GTEX-1B97I-1226-SM-7MGWQ 40-49 years, male 68.7
GTEX-11EI6-2426-SM-5PNVS 60-69 years, male 68.4
GTEX-ZF2S-1426-SM-57WET 50-59 years, female 68.4
GTEX-1I1GT-1726-SM-C1YS3 60-69 years, female 68.4
GTEX-1IDJD-2426-SM-C1YS6 30-39 years, male 68.3
GTEX-132QS-1826-SM-5IFFN 60-69 years, male 68.2
GTEX-1JMPY-0926-SM-ARL92 30-39 years, male 68.0
GTEX-145LT-1426-SM-5O9B3 40-49 years, male 67.8
GTEX-1MUQO-1926-SM-EAZ59 60-69 years, male 67.8
GTEX-13N1W-2026-SM-5K7YU 70-79 years, male 67.7
GTEX-1GZ4H-1026-SM-9OSXL 50-59 years, female 67.7
GTEX-1H11D-2226-SM-9OSXN 40-49 years, male 67.5
GTEX-1QCLZ-1826-SM-DPRXP 60-69 years, female 67.5
GTEX-111CU-0926-SM-5EGIK 50-59 years, male 67.0
GTEX-XBED-1226-SM-4AT5V 60-69 years, male 67.0
GTEX-13D11-2126-SM-5IFH2 50-59 years, female 66.9
GTEX-14E6E-0926-SM-664N8 30-39 years, male 66.9
GTEX-R53T-1226-SM-48FCT 50-59 years, female 66.9
GTEX-1IDJU-1526-SM-CNNR3 60-69 years, female 66.7
GTEX-17F9E-2226-SM-7IGNC 50-59 years, male 66.6
GTEX-1F5PK-1826-SM-7RHHX 50-59 years, male 66.3
GTEX-QV44-1226-SM-CJI1S 50-59 years, male 66.3
GTEX-RM2N-0826-SM-48FD3 50-59 years, male 66.2
GTEX-1LVAN-2426-SM-CNNPZ 50-59 years, female 66.2
GTEX-UJMC-1226-SM-4IHLI 50-59 years, male 66.1
GTEX-1QCLY-1126-SM-EAZ4J 30-39 years, male 66.1
GTEX-QDT8-2026-SM-EZ6LS 30-39 years, female 66.1
GTEX-14ICL-0826-SM-5YY9W 30-39 years, male 66.0
GTEX-17JCI-2226-SM-7LTA1 60-69 years, female 65.9
GTEX-QV31-0626-SM-447C5 30-39 years, male 65.9
GTEX-1HCUA-1626-SM-A9SMG 50-59 years, female 65.7
GTEX-ZV7C-1626-SM-5NQ7E 50-59 years, male 65.4
GTEX-11EM3-1026-SM-5A5KL 20-29 years, female 65.3
GTEX-145MO-2226-SM-5Q5BN 60-69 years, male 65.0
GTEX-13QBU-1126-SM-5LU44 40-49 years, female 64.8
GTEX-ZYVF-2726-SM-5GID4 50-59 years, female 64.6
GTEX-1HSEH-1526-SM-B2LXG 60-69 years, male 64.6
GTEX-1QP2A-2126-SM-DPRZ7 50-59 years, male 64.6
GTEX-14PJ6-0826-SM-686Z9 60-69 years, female 64.4
GTEX-15SHW-2126-SM-6M46Y 60-69 years, male 64.4
GTEX-1AX9J-2626-SM-731EK 60-69 years, male 64.1
GTEX-1GN1W-2126-SM-9JGI7 50-59 years, female 64.1
GTEX-T5JW-0926-SM-4DM5K 20-29 years, female 63.7
GTEX-111YS-1126-SM-5GZYQ 60-69 years, male 63.6
GTEX-14BMV-2226-SM-5RQHX 50-59 years, male 63.5
GTEX-1122O-1926-SM-5EGIQ 60-69 years, female 63.4
GTEX-T5JC-1926-SM-4DM6Q 20-29 years, male 63.4
GTEX-1IL2V-2026-SM-ARZMA 70-79 years, male 63.2
GTEX-PWN1-1526-SM-48TDA 40-49 years, female 63.0
GTEX-1JMPZ-1826-SM-CXZJT 30-39 years, male 62.9
GTEX-11TT1-0726-SM-5GU5A 20-29 years, male 62.7
GTEX-1E1VI-2826-SM-7MGWU 50-59 years, male 62.7
GTEX-13OW6-2526-SM-5IJEC 50-59 years, male 62.5
GTEX-SUCS-0926-SM-4DM4Z 70-79 years, male 62.4
GTEX-WFG7-1326-SM-4LMK1 20-29 years, male 62.4
GTEX-WRHK-0626-SM-4MVOE 20-29 years, female 62.4
GTEX-11NUK-2426-SM-5BC4U 50-59 years, male 62.2
GTEX-18QFQ-1226-SM-718AE 30-39 years, male 62.0
GTEX-PWCY-0926-SM-48TD7 20-29 years, female 61.8
GTEX-1GMRU-2526-SM-9WG7T 50-59 years, male 61.7
GTEX-O5YW-1526-SM-3MJGL 50-59 years, male 61.6
GTEX-13PVR-2126-SM-73KVR 60-69 years, female 61.5
GTEX-RTLS-2626-SM-46MUJ 60-69 years, female 61.2
GTEX-ZA64-0826-SM-5HL9U 20-29 years, male 60.8
GTEX-1C475-1026-SM-7MKFJ 40-49 years, female 60.6
GTEX-1ICG6-1826-SM-AHZ2O 70-79 years, female 60.5
GTEX-12WSD-2326-SM-59HKQ 60-69 years, female 60.4
GTEX-17MF6-2126-SM-7KFS7 40-49 years, male 60.1
GTEX-13O21-0926-SM-5IFGT 50-59 years, male 60.0
GTEX-OXRK-1626-SM-3NB17 50-59 years, female 60.0
GTEX-ZEX8-1626-SM-4WKG7 50-59 years, male 59.7
GTEX-ZF29-1526-SM-4WKF7 60-69 years, female 59.7
GTEX-WYVS-1326-SM-4ONCQ 40-49 years, female 59.6
GTEX-1JN1M-2926-SM-CNNPJ 60-69 years, female 59.2
GTEX-12WSK-1426-SM-5CVNN 40-49 years, female 59.0
GTEX-13PVQ-2126-SM-5L3FW 50-59 years, male 59.0
GTEX-1B8L1-1526-SM-79OLK 60-69 years, male 59.0
GTEX-ZPU1-1626-SM-4WWB2 40-49 years, male 58.9
GTEX-18A7A-2726-SM-7LG6U 50-59 years, female 58.8
GTEX-ZQUD-0826-SM-57WDQ 30-39 years, male 58.5
GTEX-ZE7O-3026-SM-51MS4 50-59 years, female 58.2
GTEX-ZZ64-0426-SM-5E43F 20-29 years, male 58.2
GTEX-1HKZK-1526-SM-B2LWG 40-49 years, male 57.8
GTEX-14DAQ-2826-SM-664MU 60-69 years, female 57.4
GTEX-PX3G-1526-SM-48U11 20-29 years, female 56.8
GTEX-13OVK-0926-SM-7KUFX 40-49 years, male 56.7
GTEX-WEY5-1226-SM-4LMIQ 40-49 years, female 56.7
GTEX-XXEK-0826-SM-4BRWG 50-59 years, male 56.5
GTEX-1LGOU-1526-SM-D3LAJ 20-29 years, female 56.4
GTEX-14PJ4-1626-SM-664OB 60-69 years, male 55.8
GTEX-Y5V6-1326-SM-4VDTF 60-69 years, male 55.0
GTEX-1J8QM-1126-SM-C1YQB 60-69 years, female 54.2
GTEX-1RB15-1026-SM-E9U6V 60-69 years, male 54.2
GTEX-QLQW-0726-SM-447AA 30-39 years, male 54.1
GTEX-1H1DG-2126-SM-9WPPB 70-79 years, male 53.6
GTEX-W5WG-1726-SM-4LMI5 50-59 years, female 53.3
GTEX-1J8EW-2226-SM-AHZ3T 60-69 years, female 53.3
GTEX-11GSP-2126-SM-5HL5E 60-69 years, female 53.2
GTEX-OIZF-1526-SM-2I5GR 60-69 years, male 53.0
GTEX-ZT9W-1526-SM-4YCDE 50-59 years, male 52.8
GTEX-1J8Q3-1926-SM-C1YSJ 60-69 years, male 52.1
GTEX-1A8G6-1426-SM-731EZ 60-69 years, male 52.0
GTEX-1JMQJ-1326-SM-D4P3B 50-59 years, male 52.0
GTEX-12WSG-2026-SM-5FQUU 50-59 years, female 51.8
GTEX-12696-1726-SM-5EQLH 60-69 years, male 51.7
GTEX-XMK1-1526-SM-EYYVO 40-49 years, male 51.6
GTEX-13X6J-2126-SM-5TDCV 50-59 years, male 51.3
GTEX-1HT8W-2326-SM-A9SLA 30-39 years, male 50.8
GTEX-11I78-1726-SM-5A5M3 50-59 years, female 50.5
GTEX-ZDYS-1926-SM-5HL59 50-59 years, male 49.7
GTEX-1RAZR-1526-SM-EAZ4U 40-49 years, male 48.3
GTEX-14BIL-1926-SM-73KYI 50-59 years, male 47.7
GTEX-1JMLX-2426-SM-CXZJQ 50-59 years, male 47.4
GTEX-YJ8A-1526-SM-5P9FT 20-29 years, male 47.3
GTEX-14B4R-0726-SM-5TDDR 30-39 years, male 47.1
GTEX-1QMI2-2126-SM-DPRXQ 60-69 years, male 46.5
GTEX-QXCU-1926-SM-48FE4 50-59 years, male 46.1
GTEX-1RQEC-2126-SM-DPS15 60-69 years, male 45.7
GTEX-ZAB4-1526-SM-5CVN7 40-49 years, male 42.2
GTEX-1J8JJ-1726-SM-C1YQG 60-69 years, female 42.2
GTEX-117YW-2226-SM-5N9DB 50-59 years, male 39.2
GTEX-1HBPI-0726-SM-9WG7Z 50-59 years, male 37.4
GTEX-1I1HK-2026-SM-CNNRB 60-69 years, male 36.6
GTEX-17HII-2426-SM-7KFTT 50-59 years, male 35.8
GTEX-11WQK-2626-SM-5EQ4K 50-59 years, male 35.0
Show allShow less

Contact

  • NEWS ARTICLES
  • PRESS ROOM

The Project

  • INTRODUCTION
  • ORGANIZATION
  • PUBLICATIONS

The Human Protein Atlas

  • DOWNLOADABLE DATA
  • LICENCE & CITATION
  • HELP & FAQ
The Human Protein Atlas project is funded
by the Knut & Alice Wallenberg Foundation.


contact@proteinatlas.org