We use cookies to enhance the usability of our website. If you continue, we'll assume that you are happy to receive all cookies. More information. Don't show this again.
VKORC1
HPA
RESOURCES
  • TISSUE
  • BRAIN
  • SINGLE CELL
  • SUBCELLULAR
  • CANCER
  • BLOOD
  • CELL LINE
  • STRUCTURE & INTERACTION
ABOUT
  • INTRODUCTION
  • HISTORY
  • ORGANIZATION
  • PUBLICATIONS
  • ANTIBODY SUBMISSION
  • ANTIBODY AVAILABILITY
  • ACKNOWLEDGMENTS
  • CONTACT
NEWS
  • NEWS ARTICLES
  • PRESS ROOM
LEARN
  • DICTIONARY
  • PROTEIN CLASSES
  • PROTEIN EVIDENCE
  • METHODS
  • EDUCATIONAL VIDEOS
DATA
  • DOWNLOADABLE DATA
  • PUBLICATION DATA
  • RELEASE HISTORY
HELP
  • ANTIBODY VALIDATION
  • ASSAYS & ANNOTATION
  • DISCLAIMER
  • HELP & FAQ
  • PRIVACY STATEMENT
  • LICENCE & CITATION
Fields »
Search result

Field
Term
Gene name
Class
Subclass
Class
Keyword
Chromosome
External id
Tissue
Cell type
Expression
Antibody panel
Tissue
Main location
Patient ID
Annotation
Tissue
Category
Tau score
Cluster
Reliability
Brain region
Category
Tau score
Brain region
Category
Tau score
Brain region
Category
Tau score
Cluster
Reliability
Tissue
Cell type
Enrichment
Cell type
Category
Tau score
Cell type
Category
Tau score
Cell type
Category
Tau score
Cell lineage
Category
Tau score
Cluster
Cluster
Location
Searches
Location
Cell line
Class
Type
Phase
Reliability
Cancer
Prognosis
Cancer
Category
Cancer
Category
Tau score
Cluster
Variants
Interacting gene (ensg_id)
Type
Number of interactions
Pathway
Category
Score
Score
Score
Validation
Validation
Validation
Validation
Antibodies
Data type
Column


  • SUMMARY

  • TISSUE

  • BRAIN

  • SINGLE CELL

  • SUBCELL

  • CANCER

  • BLOOD

  • CELL LINE

  • STRUCT & INT

  • VKORC1
TISSUE PRIMARY DATA SKIN Show tissue menu
ADIPOSE TISSUE ADRENAL GLAND AMYGDALA APPENDIX BASAL GANGLIA BONE MARROW BREAST BRONCHUS CEREBELLUM CEREBRAL CORTEX CERVIX CHOROID PLEXUS COLON DUODENUM
ENDOMETRIUM EPIDIDYMIS ESOPHAGUS FALLOPIAN TUBE GALLBLADDER HEART MUSCLE HIPPOCAMPAL FORMATION HYPOTHALAMUS KIDNEY LIVER LUNG LYMPH NODE MIDBRAIN NASOPHARYNX
ORAL MUCOSA OVARY PANCREAS PARATHYROID GLAND PITUITARY GLAND PLACENTA PROSTATE RECTUM RETINA SALIVARY GLAND SEMINAL VESICLE SKELETAL MUSCLE SKIN SMALL INTESTINE
SMOOTH MUSCLE SOFT TISSUE SPINAL CORD SPLEEN STOMACH TESTIS THYMUS THYROID GLAND TONGUE TONSIL URINARY BLADDER VAGINA
ANTIBODIES
AND
VALIDATION
Dictionary
Skin
Tissue proteome
Skin
SKIN - Expression summary
Protein expression
Skini

On the top, protein expression in current human tissue, based on all annotated cell types, is reported with the units not detected (n), low (l), medium (m) and high (h). Underneath, protein expression in each annotated cell type are reported using the same units.

Protein expression data is based on knowledge-based annotation. For genes where more than one antibody has been used, a collective score is set.

If knowledge-based annotation could not be performed for a gene, no data is displayed here. View antibody staining data further down this page.

h
m
l
n
Epidermal cells: Low
Fibroblasts: Medium
Keratinocytes: Not detected
Langerhans: Not detected
Melanocytes: Medium
RNA expressioni

A summary of mRNA expression data available for current tissue based on several datasets. The mRNA expression levels in human tissues are based on RNA-seq data generated by the Human Protein Atlas (HPA), Genotype-Tissue Expression (GTEx) portal and CAGE data generated by the FANTOM5 consortium. Consensus normalized expression levels for human tissues was created by combining the data from HPA and GTEx datasets.

The mRNA expression levels in pig are based on RNA-seq data generated by the Human Protein Atlas (HPA), and for mouse, HPA data and in situ hybridization generated by the Allen brain atlas are reported.

Scroll down to view mRNA expression data in more detail.
Consensus:78.6 nTPM
HPA:50.4 nTPM
GTEx:78.6 nTPM

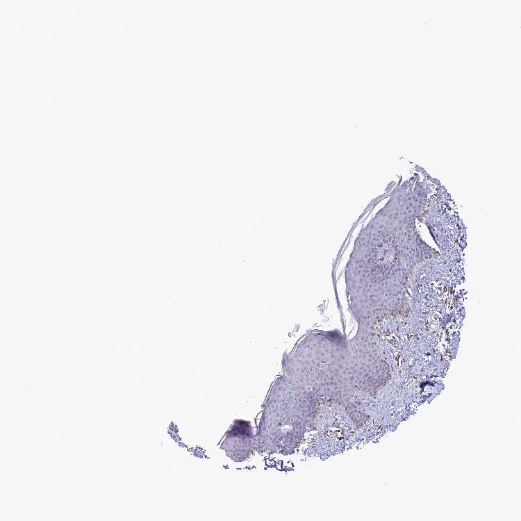
SKIN 1 - Antibody stainingi

Antibody staining in the annotated cell types in the current human tissue is reported as not detected, low, medium, or high, based on conventional immunohistochemistry profiling in selected tissues. This score is based on the combination of the staining intensity and fraction of stained cells.

Each image is clickable and will lead to virtual microscopy that enables deeper exploration of all samples and also displays staining intensity scores, fraction scores and subcellular localization as well as patient and tissue information for each sample.

Antibody HPA042720
Langerhans Not detected
Fibroblasts Medium
Keratinocytes Not detected
Melanocytes Medium

SKIN 2 - Antibody stainingi

Antibody staining in the annotated cell types in the current human tissue is reported as not detected, low, medium, or high, based on conventional immunohistochemistry profiling in selected tissues. This score is based on the combination of the staining intensity and fraction of stained cells.

Each image is clickable and will lead to virtual microscopy that enables deeper exploration of all samples and also displays staining intensity scores, fraction scores and subcellular localization as well as patient and tissue information for each sample.

Antibody HPA042720
Epidermal cells Low
 
 
 


SKIN - HPA RNA-seqi

The RNA-seq details section shows detailed information about the individual samples used for the transcript profiling and results of the RNA-seq analysis.

Information about each individual sample is listed below, including gender, age, a tissue section image and estimated fractions of cell types. nTPM (normalized transcripts per million) values give a quantification of the gene abundance which is comparable between different genes and samples.
Average nTPMi

Max subtype nTPM is the value for the subtype with the largest average nTPM across the subtype samples.

50.4
overview
Female, age 34
Skin sample 225
nTPM: 55.8
Cell types%
Keratinocytes:
60

Other cell types:
40

overview
Female, age 30
Skin sample 226
nTPM: 30.3
Cell types%
Keratinocytes:
55

Other cell types:
45

N/A
Male, age 57
Skin sample 227
nTPM: 65

SKIN - GTEx RNA-seqi

RNA-Seq data generated by the Genotype-Tissue Expression (GTEx) project from human tissues is reported as mean nTPM. More information can be found on the GTEx portal.

Distribution across the dataset is visualized with box plots, shown as median and 25th and 75th percentiles. Points are displayed as outliers if they are above or below 1.5 times the interquartile range. nTPM values of the individual samples are presented next to the box plot.
Max subtype nTPMi

Max subtype nTPM is the value for the subtype with the largest average nTPM across the subtype samples.

78.6
GTEx sample id Sample description nTPM
Skin - Not Sun Exposed (Suprapubic)
Average nTPM: 78.6
Samples: 604

Max nTPM: 213.5
Min nTPM: 39.8
Std nTPM: 22.9
Median nTPM: 73.9
GTEX-WI4N-2726-SM-3LK7Y 40-49 years, female 213.5
GTEX-WHSE-0126-SM-3NMBT 20-29 years, male 206.3
GTEX-14XAO-1226-SM-6EU1C 60-69 years, female 189.1
GTEX-11WQK-1026-SM-5EQLX 50-59 years, male 180.4
GTEX-14C38-0726-SM-5SI6M 50-59 years, male 174.4
GTEX-1JMQL-2226-SM-CNPP4 50-59 years, female 169.9
GTEX-15G1A-1626-SM-7KUKN 30-39 years, male 169.3
GTEX-X585-2426-SM-46MW2 50-59 years, male 154.8
GTEX-1E2YA-2126-SM-7MXUO 50-59 years, male 152.8
GTEX-U8XE-0226-SM-4E3J3 30-39 years, male 152.5
GTEX-15G19-2426-SM-7KUMR 60-69 years, male 148.3
GTEX-1I1GU-0926-SM-ACKVS 40-49 years, male 146.3
GTEX-17F97-2626-SM-7IGM5 50-59 years, male 143.2
GTEX-144FL-0626-SM-5LU43 50-59 years, male 141.9
GTEX-Y114-2126-SM-4TT8B 50-59 years, female 141.6
GTEX-ZYVF-0926-SM-5E44J 50-59 years, female 140.8
GTEX-XYKS-1426-SM-4BRUO 60-69 years, female 136.5
GTEX-11DYG-1526-SM-5A5JS 60-69 years, male 136.4
GTEX-16YQH-2226-SM-7IGM2 30-39 years, male 135.1
GTEX-Y3IK-1626-SM-4YCF5 50-59 years, female 134.6
GTEX-15SHW-0226-SM-7LTAT 60-69 years, male 131.3
GTEX-1QP29-1826-SM-DTX9S 50-59 years, male 131.3
GTEX-1F6I4-2326-SM-7RHGL 60-69 years, male 131.0
GTEX-1ICLZ-0326-SM-ARL82 60-69 years, male 129.5
GTEX-1399R-1326-SM-5PNYS 30-39 years, male 126.6
GTEX-1A3MW-0626-SM-731CB 60-69 years, female 126.4
GTEX-1R9PN-0426-SM-DTXDT 40-49 years, female 123.8
GTEX-18D9B-0926-SM-7LG4U 60-69 years, male 123.3
GTEX-1399Q-2326-SM-5KM2X 40-49 years, male 122.5
GTEX-1AYD5-2626-SM-7PBXY 50-59 years, male 121.8
GTEX-XK95-0226-SM-4AT58 40-49 years, male 120.7
GTEX-WFG7-2026-SM-5SI7P 20-29 years, male 118.0
GTEX-ZYW4-0626-SM-59HJR 60-69 years, male 117.6
GTEX-13NYC-0126-SM-5L3F4 60-69 years, male 115.1
GTEX-W5X1-2526-SM-3GILC 40-49 years, female 115.1
GTEX-WH7G-2026-SM-3NMBL 40-49 years, male 113.4
GTEX-13OVJ-0826-SM-5J1OK 50-59 years, female 113.1
GTEX-13OVK-1426-SM-6PAN7 40-49 years, male 113.1
GTEX-139YR-1026-SM-5LZYN 50-59 years, male 112.2
GTEX-15RJ7-2126-SM-6PAMD 40-49 years, male 112.2
GTEX-17EVQ-0126-SM-7IGLR 70-79 years, male 111.9
GTEX-147F4-0726-SM-5TDDD 50-59 years, male 111.6
GTEX-12WSH-1526-SM-5BC5W 50-59 years, male 111.1
GTEX-1HFI6-0126-SM-CNPPI 40-49 years, male 111.0
GTEX-145MG-1526-SM-5Q5EM 50-59 years, male 109.7
GTEX-1H1DF-1126-SM-9WG7G 40-49 years, female 109.3
GTEX-ZDXO-3126-SM-5IJDF 60-69 years, male 109.1
GTEX-1H1CY-0126-SM-9YFLY 60-69 years, female 108.9
GTEX-132AR-0326-SM-5KM2C 50-59 years, female 108.6
GTEX-X8HC-0626-SM-4E3HQ 50-59 years, female 108.6
GTEX-ZDTS-0826-SM-4WKHL 60-69 years, male 108.5
GTEX-14PJO-2526-SM-6AJBQ 60-69 years, male 108.4
GTEX-131XH-0126-SM-5LZUY 50-59 years, male 108.1
GTEX-WXYG-2026-SM-4E3IY 50-59 years, female 108.1
GTEX-1HGF4-0126-SM-CNPPX 60-69 years, male 107.7
GTEX-145ME-1726-SM-5Q5EU 40-49 years, female 107.3
GTEX-1117F-2926-SM-5GZYI 60-69 years, female 107.0
GTEX-13IVO-0726-SM-5LZYV 70-79 years, male 107.0
GTEX-11O72-0626-SM-5PNYE 40-49 years, male 106.8
GTEX-YB5K-2026-SM-4VDT3 40-49 years, female 105.5
GTEX-12126-0826-SM-5FQTZ 20-29 years, male 105.3
GTEX-ZAK1-0626-SM-5HL8E 50-59 years, female 104.0
GTEX-1OJC3-1226-SM-DTXER 20-29 years, male 103.8
GTEX-1F75A-0726-SM-7RHHD 50-59 years, male 103.5
GTEX-X3Y1-2026-SM-3P5YM 40-49 years, male 103.4
GTEX-15DDE-2926-SM-6LLJ3 50-59 years, female 103.0
GTEX-11WQC-1826-SM-5GU59 60-69 years, male 102.6
GTEX-1BAJH-2426-SM-7IGP8 70-79 years, male 102.4
GTEX-1IKOE-1426-SM-CE6T7 30-39 years, female 102.3
GTEX-1PIGE-1826-SM-E8VOU 20-29 years, male 102.1
GTEX-11ZTT-2126-SM-5CVLO 60-69 years, female 101.1
GTEX-1313W-0626-SM-5EQ4H 50-59 years, female 100.7
GTEX-1JMLX-0626-SM-ARL8T 50-59 years, male 100.4
GTEX-ZY6K-1426-SM-5GZX2 50-59 years, male 99.6
GTEX-139D8-1126-SM-5LU8W 30-39 years, female 99.5
GTEX-14BMU-1226-SM-5S2OR 20-29 years, female 98.8
GTEX-14A5H-0826-SM-5QGPJ 60-69 years, male 98.6
GTEX-ZF3C-0626-SM-DO92O 50-59 years, female 98.4
GTEX-12WSJ-1126-SM-5LZVJ 40-49 years, female 98.3
GTEX-Y3I4-1726-SM-4TT89 50-59 years, male 98.3
GTEX-13YAN-0226-SM-5TDC6 60-69 years, male 98.2
GTEX-XBED-1926-SM-47JYP 60-69 years, male 98.2
GTEX-XQ3S-1426-SM-4BOPR 20-29 years, male 97.8
GTEX-1JMQI-1726-SM-ARL93 50-59 years, male 97.8
GTEX-ZC5H-1526-SM-5HL9Y 40-49 years, female 97.5
GTEX-1JMOU-1026-SM-CYPSS 60-69 years, female 97.5
GTEX-1I1HK-2326-SM-CKZOH 60-69 years, male 97.4
GTEX-11PRG-0726-SM-5EGL1 50-59 years, male 97.0
GTEX-12ZZX-2426-SM-5GCOE 40-49 years, female 97.0
GTEX-11EQ8-0926-SM-5H12V 60-69 years, male 96.6
GTEX-1CAMR-1326-SM-7PC1F 20-29 years, male 96.6
GTEX-1PIIG-2326-SM-DTXFR 30-39 years, male 96.6
GTEX-16GPK-0626-SM-7KFSF 60-69 years, male 96.5
GTEX-11TT1-1826-SM-5EQLV 20-29 years, male 96.2
GTEX-139TS-2126-SM-5K7XC 60-69 years, male 96.2
GTEX-11OF3-0126-SM-5PNYF 60-69 years, male 96.0
GTEX-XBEW-1126-SM-4QARW 40-49 years, male 95.8
GTEX-1S831-1826-SM-EWROF 20-29 years, male 95.6
GTEX-1EX96-1026-SM-7MKG2 50-59 years, male 95.5
GTEX-ZE9C-2526-SM-5IJDR 60-69 years, male 95.4
GTEX-ZPIC-0526-SM-DO91W 40-49 years, female 95.4
GTEX-1EWIQ-0326-SM-7DHMQ 70-79 years, female 94.9
GTEX-1J8EW-2726-SM-CY8HR 60-69 years, female 94.8
GTEX-ZYFG-1526-SM-5GZYM 60-69 years, female 94.7
GTEX-1HC8U-1326-SM-9YFMJ 40-49 years, female 94.7
GTEX-1H3O1-1326-SM-9MQLD 60-69 years, male 94.5
GTEX-1HSMP-0926-SM-A9SKX 70-79 years, male 94.5
GTEX-1CB4J-1326-SM-7P8RX 60-69 years, male 94.4
GTEX-1JKYN-0826-SM-ARU8S 30-39 years, male 94.2
GTEX-15UF6-1926-SM-7KUDV 70-79 years, female 94.1
GTEX-YECK-0326-SM-4W1YS 60-69 years, male 94.1
GTEX-1J1OQ-0126-SM-D4P2N 40-49 years, female 93.7
GTEX-1HCU6-2526-SM-ADEHL 60-69 years, female 93.6
GTEX-ZLFU-1826-SM-4WWBV 40-49 years, male 93.4
GTEX-1HSMQ-2626-SM-A9SML 50-59 years, male 93.4
GTEX-1LSVX-2526-SM-DIPEU 60-69 years, male 93.4
GTEX-11DZ1-2426-SM-5GZZX 50-59 years, male 93.2
GTEX-1GN1V-2826-SM-9JGIA 60-69 years, male 93.1
GTEX-ZYFD-0626-SM-5E44E 50-59 years, male 92.9
GTEX-WY7C-2126-SM-3NB2R 50-59 years, male 92.8
GTEX-14PK6-0226-SM-62LF5 70-79 years, female 92.4
GTEX-14E1K-2026-SM-7DUEI 50-59 years, male 92.3
GTEX-1R9K4-2826-SM-DTX8F 60-69 years, male 92.3
GTEX-WYBS-0626-SM-3NMAS 60-69 years, female 92.0
GTEX-1LVA9-2626-SM-EVYD4 50-59 years, male 91.8
GTEX-WYVS-1626-SM-3NM9R 40-49 years, female 91.7
GTEX-1PPH8-0126-SM-EWRN8 20-29 years, male 91.7
GTEX-1QAET-0326-SM-EVR3U 50-59 years, male 91.7
GTEX-1F48J-0726-SM-7RHGS 50-59 years, female 91.6
GTEX-1QP9N-1226-SM-E76QN 30-39 years, male 91.2
GTEX-1H23P-0626-SM-9WG6T 60-69 years, male 90.8
GTEX-1RLM8-2926-SM-E8VON 50-59 years, male 90.8
GTEX-14LZ3-0126-SM-69LPM 60-69 years, female 90.7
GTEX-16MT9-0126-SM-7EPI8 60-69 years, female 90.4
GTEX-ZTX8-1326-SM-4YCEL 20-29 years, male 90.3
GTEX-1GZHY-0626-SM-9KNVC 50-59 years, female 90.2
GTEX-11DXW-0826-SM-5H118 40-49 years, male 90.0
GTEX-13PL6-1126-SM-5L3IE 40-49 years, female 89.9
GTEX-17HG3-2626-SM-7DUF2 30-39 years, female 89.9
GTEX-XXEK-1626-SM-4BRUZ 50-59 years, male 89.8
GTEX-ZVP2-0326-SM-57WBP 50-59 years, male 89.8
GTEX-13NYB-0126-SM-5J1MD 40-49 years, male 89.7
GTEX-15DYW-2726-SM-6EU2I 60-69 years, female 89.7
GTEX-1A32A-0626-SM-731AQ 50-59 years, female 89.7
GTEX-131XG-0326-SM-5L3DX 50-59 years, female 89.5
GTEX-11EM3-1226-SM-5N9DD 20-29 years, female 89.4
GTEX-1H3VE-0726-SM-9YFL5 40-49 years, male 89.2
GTEX-145LS-0626-SM-7EPG7 60-69 years, female 89.1
GTEX-13OVH-0526-SM-5L3E6 70-79 years, male 88.9
GTEX-146FQ-2126-SM-5RQHU 30-39 years, male 88.8
GTEX-1A8FM-0626-SM-7PC25 50-59 years, female 88.8
GTEX-14PHY-1226-SM-5ZZWK 60-69 years, female 88.7
GTEX-Y8LW-1526-SM-5IFHL 50-59 years, female 88.7
GTEX-1JN1M-2726-SM-CY8I4 60-69 years, female 88.5
GTEX-13OW5-2326-SM-5L3HO 60-69 years, male 88.1
GTEX-14JG1-1526-SM-5YY9X 40-49 years, male 87.9
GTEX-1IDFM-0326-SM-ARL7V 60-69 years, male 87.9
GTEX-1192X-2726-SM-5N9DN 50-59 years, male 87.7
GTEX-11NUK-2726-SM-5A5MC 50-59 years, male 87.7
GTEX-17F96-0126-SM-7EWDU 70-79 years, male 87.5
GTEX-18A66-0626-SM-7LT8Z 60-69 years, male 87.2
GTEX-YFCO-1226-SM-5LUAT 40-49 years, male 87.2
GTEX-1F75B-0726-SM-7PC3R 50-59 years, male 86.9
GTEX-1POEN-2326-SM-E9J2L 30-39 years, female 86.7
GTEX-12WSL-2026-SM-5GCML 50-59 years, male 86.5
GTEX-1N2DV-1526-SM-DTXEP 40-49 years, male 86.3
GTEX-139UW-0326-SM-5J1ML 60-69 years, male 86.2
GTEX-UPK5-0426-SM-3GAEK 40-49 years, male 86.2
GTEX-1JJEA-1826-SM-ARU8P 60-69 years, male 86.2
GTEX-XOT4-0626-SM-4B66L 60-69 years, female 86.1
GTEX-1C6WA-2626-SM-7MKGM 60-69 years, male 85.7
GTEX-1JMQJ-0826-SM-CNPP7 50-59 years, male 85.6
GTEX-XBEC-0726-SM-4QARZ 50-59 years, male 85.4
GTEX-YF7O-1526-SM-5IFI6 50-59 years, male 85.4
GTEX-ZT9X-1526-SM-5DUXD 40-49 years, male 85.1
GTEX-13JVG-0726-SM-5KM16 60-69 years, male 85.0
GTEX-14E6E-0526-SM-793DN 30-39 years, male 84.9
GTEX-ZPU1-1126-SM-4YCF3 40-49 years, male 84.9
GTEX-16MT8-2926-SM-7DUFO 60-69 years, female 84.7
GTEX-1AX9J-1326-SM-731BJ 60-69 years, male 84.7
GTEX-16MTA-0926-SM-6M47Z 50-59 years, male 84.6
GTEX-1OJC4-2726-SM-E76PJ 50-59 years, female 84.3
GTEX-17HII-1426-SM-7EPGG 50-59 years, male 84.1
GTEX-XV7Q-1826-SM-4BRUV 40-49 years, female 84.1
GTEX-148VJ-0626-SM-5LUAW 70-79 years, male 84.0
GTEX-11NSD-0626-SM-5A5LU 20-29 years, male 83.8
GTEX-12584-0726-SM-5FQTK 40-49 years, male 83.8
GTEX-15RIG-0726-SM-7KUM7 40-49 years, male 83.7
GTEX-1S3DN-2126-SM-E9TIN 50-59 years, male 83.6
GTEX-1EMGI-2326-SM-7PBYA 60-69 years, male 83.5
GTEX-17HHY-0426-SM-7DHLC 50-59 years, male 83.4
GTEX-18A6Q-0626-SM-7KFRP 60-69 years, male 83.4
GTEX-1NSGN-0726-SM-DTXEF 50-59 years, male 83.4
GTEX-11P7K-1126-SM-5HL4L 30-39 years, male 83.3
GTEX-13G51-1826-SM-5KLZH 60-69 years, male 83.3
GTEX-1497J-0226-SM-5QGPU 60-69 years, male 83.3
GTEX-1HCU7-0726-SM-A9SL1 50-59 years, male 83.2
GTEX-147GR-2426-SM-5ZZWQ 60-69 years, male 83.0
GTEX-14PJ3-1126-SM-5ZZVX 50-59 years, male 83.0
GTEX-Y111-0626-SM-4SOIT 50-59 years, male 83.0
GTEX-ZF2S-1626-SM-57WES 50-59 years, female 82.8
GTEX-1H2FU-0926-SM-9WPPT 60-69 years, female 82.8
GTEX-1I1GP-1326-SM-A9G28 50-59 years, male 82.8
GTEX-ZPCL-1126-SM-4WWFE 60-69 years, female 82.7
GTEX-ZYFC-0426-SM-5GICQ 50-59 years, male 82.7
GTEX-18465-2826-SM-7LT9J 50-59 years, male 82.6
GTEX-14C39-1726-SM-5RQIL 40-49 years, male 82.5
GTEX-ZE7O-2726-SM-51MT5 50-59 years, female 82.5
GTEX-1PBJJ-1026-SM-E76OS 30-39 years, male 82.5
GTEX-1IL2V-1926-SM-B2LW8 70-79 years, male 82.4
GTEX-13RTJ-0126-SM-5S2NN 60-69 years, male 82.2
GTEX-14DAR-1226-SM-73KYV 50-59 years, male 82.1
GTEX-13OW7-0426-SM-5K7VK 50-59 years, male 81.9
GTEX-ZU9S-1826-SM-5NQ9E 30-39 years, male 81.8
GTEX-1F75I-2226-SM-7SB8U 40-49 years, male 81.8
GTEX-YEC4-1826-SM-4W1YP 40-49 years, male 81.6
GTEX-13N1W-2426-SM-5IJD1 70-79 years, male 81.5
GTEX-13FTY-2126-SM-5IFFB 40-49 years, female 81.3
GTEX-X5EB-1926-SM-4E3IW 40-49 years, male 81.2
GTEX-ZP4G-1426-SM-4WWCL 20-29 years, female 81.2
GTEX-12WSF-1626-SM-7KUG5 70-79 years, male 81.0
GTEX-1GZ2Q-0126-SM-9WG6M 40-49 years, male 81.0
GTEX-14PHX-2226-SM-6EU2P 50-59 years, male 80.9
GTEX-16BQI-1326-SM-6M486 30-39 years, female 80.9
GTEX-11DXZ-2026-SM-5987S 50-59 years, male 80.8
GTEX-ZVE1-0726-SM-51MRN 50-59 years, female 80.7
GTEX-Y5LM-0926-SM-6LLJG 40-49 years, female 80.4
GTEX-YJ8O-2526-SM-5HL85 40-49 years, female 80.4
GTEX-1PPGY-1626-SM-EVYBL 60-69 years, male 80.4
GTEX-1S82U-1026-SM-E6CJK 30-39 years, female 80.3
GTEX-13OW6-2726-SM-5J2OE 50-59 years, male 80.1
GTEX-145MN-1526-SM-5SI9T 30-39 years, male 80.1
GTEX-1IKJJ-2226-SM-CJI4C 60-69 years, male 80.1
GTEX-1C64N-2626-SM-7PC2N 50-59 years, male 80.0
GTEX-1LBAC-0826-SM-CY8IJ 20-29 years, male 80.0
GTEX-139TT-2126-SM-5LZWC 60-69 years, male 79.9
GTEX-X4EO-2926-SM-4E3JH 60-69 years, female 79.9
GTEX-ZLV1-1526-SM-DO91J 60-69 years, female 79.8
GTEX-111FC-2526-SM-5GZXU 60-69 years, male 79.7
GTEX-1GMRU-2126-SM-7P8RA 50-59 years, male 79.6
GTEX-1B97I-0626-SM-73KUZ 40-49 years, male 79.4
GTEX-1RB15-1326-SM-E76Q9 60-69 years, male 79.3
GTEX-1IY9M-2826-SM-ARU8H 60-69 years, male 79.2
GTEX-17F9E-2326-SM-79OKD 50-59 years, male 79.1
GTEX-1CAV2-0126-SM-7IGN7 40-49 years, female 79.1
GTEX-VJYA-1526-SM-3GIJV 60-69 years, male 79.1
GTEX-11P82-1426-SM-DTXFY 20-29 years, male 78.7
GTEX-13113-1626-SM-5EQ4I 60-69 years, female 78.6
GTEX-139TU-0726-SM-5L3EK 60-69 years, male 78.6
GTEX-13O61-1426-SM-5KM3D 60-69 years, male 78.5
GTEX-1F52S-2926-SM-7MKGA 60-69 years, female 78.4
GTEX-12WSD-0626-SM-5GCMW 60-69 years, female 78.3
GTEX-13NYS-0626-SM-5L3F1 60-69 years, male 78.3
GTEX-1F6IF-0926-SM-7SB7M 60-69 years, male 78.3
GTEX-1H11D-1826-SM-9QEHM 40-49 years, male 78.3
GTEX-1H1DE-1326-SM-9KNUG 20-29 years, male 78.3
GTEX-1JMQK-1226-SM-D4P2S 60-69 years, male 78.0
GTEX-1LVAN-0626-SM-CNPOQ 50-59 years, female 77.9
GTEX-1MJK3-0726-SM-E6CJC 20-29 years, male 77.9
GTEX-13OVL-0126-SM-5L3GJ 50-59 years, male 77.8
GTEX-ZLWG-0826-SM-59888 50-59 years, female 77.7
GTEX-XMD2-2126-SM-4YCF8 60-69 years, female 77.5
GTEX-1HCUA-0826-SM-ADEHM 50-59 years, female 77.5
GTEX-1I1CD-0626-SM-CE6SW 60-69 years, female 77.5
GTEX-144GL-0626-SM-5LU4D 50-59 years, male 77.4
GTEX-1H1DG-2426-SM-9QEHJ 70-79 years, male 77.4
GTEX-13112-0126-SM-5P9IU 50-59 years, male 77.3
GTEX-ZVTK-0226-SM-51MRG 20-29 years, male 77.2
GTEX-11DXY-0126-SM-5H11Q 60-69 years, male 77.1
GTEX-ZDYS-2426-SM-4WKGI 50-59 years, male 76.9
GTEX-13FTX-1526-SM-5K7VJ 20-29 years, female 76.8
GTEX-15CHQ-0326-SM-69LQD 60-69 years, male 76.8
GTEX-1RAZR-2126-SM-E9U6T 40-49 years, male 76.8
GTEX-1KAFJ-0126-SM-DIPEK 50-59 years, male 76.7
GTEX-13W3W-0726-SM-5IJDQ 60-69 years, female 76.6
GTEX-1B933-2426-SM-7DHMD 50-59 years, female 76.6
GTEX-1HR9M-2226-SM-CNPPY 60-69 years, male 76.6
GTEX-1MCC2-1826-SM-DIPEX 30-39 years, female 76.6
GTEX-1J8Q2-2626-SM-ACKWQ 60-69 years, male 76.3
GTEX-1EN7A-2426-SM-793DB 40-49 years, male 76.2
GTEX-1S82P-2126-SM-E6CI5 60-69 years, female 75.9
GTEX-16XZZ-0726-SM-7KUF2 60-69 years, male 75.8
GTEX-1IDJE-1426-SM-ADEIW 50-59 years, female 75.8
GTEX-1RAZQ-1326-SM-E9TK6 30-39 years, male 75.6
GTEX-1GF9V-0826-SM-9KNUV 60-69 years, male 75.5
GTEX-1PDJ9-1226-SM-EXUSX 20-29 years, male 75.5
GTEX-17HGU-2326-SM-7DUFE 50-59 years, male 75.2
GTEX-1J8JJ-0626-SM-ARZMQ 60-69 years, female 75.2
GTEX-1HT8W-0626-SM-A9G2H 30-39 years, male 75.1
GTEX-WHPG-2626-SM-3NMBR 50-59 years, male 74.9
GTEX-1F75W-2726-SM-7SB8H 60-69 years, male 74.9
GTEX-17F9Y-0126-SM-79OKX 70-79 years, female 74.8
GTEX-117YX-1926-SM-5GIEC 50-59 years, male 74.7
GTEX-145MH-2826-SM-5RQJF 50-59 years, male 74.7
GTEX-1HBPN-0126-SM-CGQEF 50-59 years, male 74.7
GTEX-1IDJC-1526-SM-B2LW4 50-59 years, male 74.7
GTEX-1KANA-1326-SM-DIPFA 20-29 years, male 74.7
GTEX-1399S-0126-SM-5IJCF 30-39 years, female 74.6
GTEX-14ABY-2026-SM-62LDL 50-59 years, male 74.4
GTEX-1LVAO-2726-SM-E9TJ8 60-69 years, male 74.1
GTEX-1EKGG-0626-SM-7DUGJ 60-69 years, male 74.0
GTEX-ZYT6-2326-SM-5GZY3 30-39 years, male 74.0
GTEX-17EVP-2626-SM-7IGMA 40-49 years, male 73.9
GTEX-1O9I2-0226-SM-EYYXD 50-59 years, male 73.9
GTEX-1R9PM-1926-SM-EVR3O 20-29 years, male 73.9
GTEX-111VG-1626-SM-5EGIO 60-69 years, male 73.8
GTEX-13PVQ-0626-SM-5LU47 50-59 years, male 73.7
GTEX-15RJE-2826-SM-7KUM9 40-49 years, male 73.7
GTEX-11GSP-2326-SM-5HL63 60-69 years, female 73.5
GTEX-11P81-2226-SM-5PNYI 30-39 years, female 73.4
GTEX-131XW-0626-SM-5PNVD 50-59 years, female 73.4
GTEX-1A8G6-2726-SM-731AR 60-69 years, male 73.1
GTEX-1LSNL-2726-SM-E9TKJ 50-59 years, male 73.0
GTEX-13QJC-0126-SM-5ZZWJ 60-69 years, female 72.9
GTEX-13FH7-1126-SM-5K7UG 50-59 years, female 72.8
GTEX-1LKK1-2626-SM-DKPQE 50-59 years, female 72.8
GTEX-12WSK-2126-SM-5CVNC 40-49 years, female 72.6
GTEX-15RIE-1926-SM-7KUKJ 60-69 years, male 72.6
GTEX-16Z82-2626-SM-7KULU 60-69 years, male 72.6
GTEX-Y5V6-2326-SM-4VDSA 60-69 years, male 72.5
GTEX-1LG7Y-2526-SM-EWRO7 50-59 years, male 72.5
GTEX-11GS4-0226-SM-5HL77 60-69 years, male 72.3
GTEX-13SLX-2226-SM-62LEP 50-59 years, female 72.3
GTEX-12KS4-2126-SM-5FQUT 30-39 years, male 72.2
GTEX-14PKU-0126-SM-6LLHV 40-49 years, female 72.1
GTEX-1HR98-2226-SM-ADEI2 60-69 years, male 71.8
GTEX-1N2EE-0626-SM-E76PW 60-69 years, male 71.8
GTEX-1PPH7-1126-SM-DTX9A 40-49 years, male 71.8
GTEX-1R46S-2426-SM-E76QA 60-69 years, female 71.8
GTEX-1I19N-0126-SM-CYPSF 70-79 years, male 71.7
GTEX-WFON-1926-SM-3LK7L 40-49 years, male 71.3
GTEX-ZA64-1026-SM-5HL8R 20-29 years, male 71.3
GTEX-11VI4-1126-SM-5EQMD 40-49 years, female 71.2
GTEX-WRHU-2826-SM-3MJG8 50-59 years, female 71.2
GTEX-ZAJG-1526-SM-5CVML 50-59 years, female 71.2
GTEX-1ICG6-1226-SM-A9SLN 70-79 years, female 71.2
GTEX-16NPX-0726-SM-7KULC 50-59 years, male 71.1
GTEX-1K2DA-1026-SM-CGQGF 50-59 years, male 71.0
GTEX-13N2G-0226-SM-5K7VF 60-69 years, male 70.9
GTEX-18D9U-0126-SM-731BM 40-49 years, male 70.9
GTEX-1RAZS-2526-SM-E6CHT 50-59 years, male 70.9
GTEX-14ICL-1626-SM-5YYAO 30-39 years, male 70.7
GTEX-145MF-0926-SM-5Q5EA 50-59 years, male 70.6
GTEX-1IE54-1126-SM-A9G2Z 40-49 years, female 70.3
GTEX-11DXX-2126-SM-5PNYR 60-69 years, female 70.1
GTEX-15SKB-2826-SM-6PAMH 60-69 years, male 70.1
GTEX-1AX8Z-0726-SM-73KTS 60-69 years, male 70.1
GTEX-1IDJI-0126-SM-CMKHS 50-59 years, female 70.1
GTEX-ZUA1-2626-SM-5NQ92 40-49 years, male 70.0
GTEX-1HBPI-2126-SM-ARL9K 50-59 years, male 69.8
GTEX-14PKV-1126-SM-6LLJ1 20-29 years, female 69.7
GTEX-13PDP-0726-SM-5L3HP 60-69 years, male 69.6
GTEX-16AAH-0626-SM-793C9 50-59 years, male 69.6
GTEX-1A3MX-2626-SM-7PC24 60-69 years, male 69.6
GTEX-1JN76-0626-SM-CKZOQ 20-29 years, female 69.6
GTEX-14JG6-1426-SM-9WG7C 30-39 years, female 69.5
GTEX-1QCLZ-2426-SM-EVYBW 60-69 years, female 69.5
GTEX-17JCI-2926-SM-7DUFF 60-69 years, female 69.4
GTEX-1C475-1326-SM-7SB73 40-49 years, female 69.4
GTEX-1H1ZS-2726-SM-9WG75 70-79 years, male 69.4
GTEX-14E6C-2426-SM-5S2NF 40-49 years, male 69.3
GTEX-17MFQ-1526-SM-7KFRR 20-29 years, male 69.3
GTEX-1F6RS-2026-SM-7RHHC 60-69 years, female 69.3
GTEX-1GZ4I-2626-SM-9KNU3 50-59 years, male 69.3
GTEX-13VXT-1926-SM-5K7UO 20-29 years, female 69.2
GTEX-VUSG-2326-SM-4KL1U 50-59 years, male 69.2
GTEX-1CAMQ-1326-SM-7P8RV 40-49 years, male 69.2
GTEX-1GMR2-0826-SM-7PC3V 50-59 years, male 69.2
GTEX-1K2DU-1226-SM-CYPT4 20-29 years, male 69.2
GTEX-13SLW-0626-SM-5Q5ER 70-79 years, male 69.1
GTEX-1KANB-2826-SM-CY8I6 50-59 years, male 69.1
GTEX-1NV5F-0626-SM-DTXEG 60-69 years, female 69.1
GTEX-14PII-0726-SM-6EU2B 60-69 years, male 69.0
GTEX-1HSMO-0626-SM-ACKXC 60-69 years, male 68.9
GTEX-1N5O9-0926-SM-E9J3C 60-69 years, male 68.8
GTEX-ZZ64-1026-SM-5GZXG 20-29 years, male 68.6
GTEX-14JFF-0626-SM-5ZZVT 60-69 years, male 68.6
GTEX-11EI6-2826-SM-5H11D 60-69 years, male 68.5
GTEX-ZXG5-2126-SM-59HKD 60-69 years, male 68.5
GTEX-1IDJD-2326-SM-ACKWX 30-39 years, male 68.5
GTEX-Z93S-1626-SM-5CVMB 50-59 years, male 68.4
GTEX-1HCU8-2526-SM-CE6RX 60-69 years, female 68.4
GTEX-12ZZZ-0726-SM-5GCNZ 60-69 years, male 68.3
GTEX-1314G-1326-SM-5BC6E 30-39 years, male 68.3
GTEX-ZTTD-2826-SM-4YCFA 50-59 years, male 68.3
GTEX-13NZ9-2626-SM-5L3FK 50-59 years, male 68.2
GTEX-1CAMS-2226-SM-7PBXQ 40-49 years, female 68.2
GTEX-1J8QM-2426-SM-A9SLS 60-69 years, female 68.1
GTEX-ZWKS-0626-SM-5GIDV 30-39 years, male 68.0
GTEX-1B8SF-0126-SM-7DUG3 60-69 years, male 67.8
GTEX-1KD5A-0126-SM-E9U54 50-59 years, male 67.8
GTEX-13FHO-0426-SM-5L3F5 60-69 years, male 67.7
GTEX-WFG8-2126-SM-3GIKQ 20-29 years, male 67.7
GTEX-WHSB-1326-SM-3LK6W 50-59 years, male 67.7
GTEX-13X6I-1826-SM-5SIAO 60-69 years, male 67.6
GTEX-13O3Q-0126-SM-5KM34 50-59 years, male 67.5
GTEX-144GO-2026-SM-5O99P 60-69 years, male 67.5
GTEX-1CB4E-0926-SM-7EPHT 60-69 years, male 67.5
GTEX-1KANC-1226-SM-CYPT7 50-59 years, female 67.5
GTEX-1S83E-1326-SM-E6CJM 40-49 years, male 67.5
GTEX-11ZU8-0126-SM-5EQ58 60-69 years, male 67.4
GTEX-12BJ1-0926-SM-5EQ62 60-69 years, male 67.4
GTEX-18A7A-0126-SM-731AH 50-59 years, female 67.4
GTEX-1LG7Z-1626-SM-CXKYR 30-39 years, male 67.4
GTEX-1C6VQ-1226-SM-73KYD 50-59 years, male 67.3
GTEX-1F88F-0126-SM-9WYSZ 60-69 years, female 67.2
GTEX-1CB4H-1126-SM-7MKGL 60-69 years, female 67.1
GTEX-18A7B-2726-SM-7LG56 70-79 years, male 66.9
GTEX-1H1E6-0426-SM-9WYUS 30-39 years, male 66.9
GTEX-1QEPI-2626-SM-DTXF4 60-69 years, female 66.9
GTEX-WHWD-1826-SM-3LK6I 50-59 years, male 66.8
GTEX-13OVG-1626-SM-5J1NF 60-69 years, male 66.6
GTEX-145LU-1926-SM-79OJN 50-59 years, male 66.5
GTEX-1A3MV-1826-SM-731CD 30-39 years, male 66.5
GTEX-12ZZY-0726-SM-5EQ66 60-69 years, male 66.4
GTEX-145MO-2826-SM-5LU96 60-69 years, male 66.4
GTEX-1CB4F-1026-SM-7DUH1 60-69 years, male 66.3
GTEX-1GN73-0726-SM-7P8TJ 60-69 years, male 66.3
GTEX-Y8E4-2026-SM-5IFJB 40-49 years, male 66.1
GTEX-1GZ4H-0526-SM-9KNU9 50-59 years, female 66.1
GTEX-1A8G7-1326-SM-73KVM 60-69 years, male 65.8
GTEX-1JMPZ-0726-SM-CY8HZ 30-39 years, male 65.7
GTEX-ZT9W-1126-SM-57WDR 50-59 years, male 65.6
GTEX-1IDJH-0126-SM-D3L92 70-79 years, male 65.5
GTEX-1QP28-1126-SM-EVYC4 50-59 years, female 65.5
GTEX-111CU-1126-SM-5EGIM 50-59 years, male 65.4
GTEX-1B996-0426-SM-7EWF8 60-69 years, male 65.4
GTEX-XQ8I-0926-SM-4BOOF 50-59 years, male 65.4
GTEX-1QP66-1226-SM-DTX7U 50-59 years, male 65.4
GTEX-1GF9U-2026-SM-7SB92 40-49 years, female 65.3
GTEX-1LSNM-0826-SM-DIPG8 50-59 years, male 65.1
GTEX-1GPI6-1926-SM-9KNV7 60-69 years, male 64.8
GTEX-WEY5-2326-SM-3GIKK 40-49 years, female 64.7
GTEX-ZF29-0926-SM-4WKFZ 60-69 years, female 64.7
GTEX-1211K-1526-SM-5FQU4 60-69 years, female 64.6
GTEX-1L5NE-1126-SM-D3L9P 50-59 years, male 64.6
GTEX-13D11-0926-SM-5J2NC 50-59 years, female 64.2
GTEX-14DAQ-0626-SM-793DS 60-69 years, female 64.2
GTEX-ZAB4-2126-SM-5HL8U 40-49 years, male 64.2
GTEX-1I1GV-0626-SM-ARL7M 60-69 years, male 64.2
GTEX-13JUV-2026-SM-5K7UA 40-49 years, female 64.0
GTEX-13NZ8-1226-SM-5KM4A 60-69 years, female 63.8
GTEX-15ER7-0626-SM-6PANF 20-29 years, female 63.7
GTEX-1C64O-1326-SM-7MGWR 60-69 years, male 63.6
GTEX-15EO6-2426-SM-6PALZ 50-59 years, male 63.5
GTEX-1I1GS-2626-SM-B2LY3 60-69 years, male 63.5
GTEX-13FTW-0326-SM-5K7UW 40-49 years, male 63.3
GTEX-1HFI7-2326-SM-CGQFS 50-59 years, female 63.3
GTEX-13FLV-0126-SM-5K7WT 50-59 years, male 63.2
GTEX-1HUB1-1426-SM-CGQF5 60-69 years, male 63.1
GTEX-1122O-1026-SM-9WYSF 60-69 years, female 63.0
GTEX-1IDJF-2026-SM-CL53V 20-29 years, male 63.0
GTEX-1399U-1126-SM-5L3DB 50-59 years, female 62.9
GTEX-13QBU-1226-SM-5LU4G 40-49 years, female 62.8
GTEX-14PJ5-1526-SM-6LLIL 60-69 years, female 62.7
GTEX-15CHC-1126-SM-6LLHQ 60-69 years, female 62.7
GTEX-18D9A-1426-SM-7LT8M 30-39 years, female 62.7
GTEX-1EU9M-1426-SM-793AI 60-69 years, male 62.6
GTEX-X4EP-0626-SM-3P621 60-69 years, female 62.6
GTEX-1477Z-0326-SM-7IGLA 60-69 years, male 62.5
GTEX-XPVG-2126-SM-4B667 50-59 years, male 62.5
GTEX-ZDTT-0426-SM-4WKFL 60-69 years, male 62.5
GTEX-ZYY3-2926-SM-5GIEB 60-69 years, female 62.5
GTEX-1CB4I-0126-SM-7RHGG 50-59 years, male 62.5
GTEX-1MCYP-0526-SM-E9U6Q 20-29 years, female 62.5
GTEX-13U4I-2226-SM-5LU5H 40-49 years, female 62.4
GTEX-1S5ZU-2526-SM-E6CIF 20-29 years, female 62.4
GTEX-17HHE-1326-SM-7EWDZ 50-59 years, male 62.3
GTEX-1AX9I-2226-SM-73KUO 60-69 years, male 62.3
GTEX-1JMPY-0226-SM-CKZOK 30-39 years, male 62.3
GTEX-WK11-2726-SM-3NMAQ 50-59 years, male 62.2
GTEX-145LT-0526-SM-5LUB2 40-49 years, male 62.0
GTEX-11LCK-2226-SM-5HL4Q 30-39 years, male 61.9
GTEX-13O3O-2326-SM-5IJD6 60-69 years, female 61.9
GTEX-ZVZP-1226-SM-5GID7 50-59 years, male 61.9
GTEX-XUW1-0926-SM-4BONX 50-59 years, female 61.8
GTEX-14753-0726-SM-5QGQO 60-69 years, male 61.7
GTEX-1I6K7-1926-SM-B2LXR 40-49 years, male 61.7
GTEX-1R7EU-1626-SM-DTXG3 60-69 years, male 61.7
GTEX-1JK1U-0226-SM-ARZMX 60-69 years, male 61.6
GTEX-13N11-2326-SM-5IJBF 50-59 years, female 61.5
GTEX-1E1VI-0326-SM-793D1 50-59 years, male 61.4
GTEX-1HB9E-0126-SM-CM2S5 50-59 years, male 61.4
GTEX-1LGOU-1326-SM-D3L8M 20-29 years, female 61.3
GTEX-13X6J-0626-SM-5LU5F 50-59 years, male 61.2
GTEX-YEC3-1326-SM-DO92X 50-59 years, male 61.2
GTEX-ZZPU-0826-SM-5GZX5 50-59 years, female 61.1
GTEX-1LVAM-0726-SM-E6CIL 50-59 years, female 61.1
GTEX-131XF-2626-SM-5EQ6K 60-69 years, male 61.0
GTEX-1M4P7-0726-SM-E6CJ3 60-69 years, male 61.0
GTEX-133LE-2326-SM-5K7W3 20-29 years, female 60.8
GTEX-14BIN-1126-SM-5RQJZ 50-59 years, female 60.8
GTEX-17F98-1326-SM-7DUEP 40-49 years, female 60.8
GTEX-1H3NZ-2726-SM-9WYTQ 60-69 years, male 60.7
GTEX-18QFQ-1826-SM-72D52 30-39 years, male 60.6
GTEX-12WSC-2826-SM-5BC5Y 50-59 years, male 60.5
GTEX-1B932-2326-SM-79OL5 40-49 years, female 60.5
GTEX-ZVT4-2426-SM-5GIEI 50-59 years, female 60.5
GTEX-14PJ2-0626-SM-6LLII 50-59 years, male 60.4
GTEX-1RMOY-1326-SM-E9TIH 50-59 years, male 60.3
GTEX-1F5PL-0926-SM-7PC2W 40-49 years, female 60.2
GTEX-1GTWX-2026-SM-9YFLM 60-69 years, male 60.2
GTEX-145MI-0626-SM-5SI8S 60-69 years, female 60.1
GTEX-17KNJ-2126-SM-718AM 50-59 years, male 60.1
GTEX-1HKZK-0726-SM-ACKW2 40-49 years, male 59.8
GTEX-ZVE2-2826-SM-5GU51 50-59 years, male 59.7
GTEX-1ICLY-0826-SM-CMKG1 50-59 years, male 59.7
GTEX-1GPI7-1826-SM-9KNU1 20-29 years, male 59.5
GTEX-15EU6-2226-SM-6EU2L 50-59 years, male 59.4
GTEX-1GL5R-1326-SM-7RHHF 50-59 years, male 59.4
GTEX-1B8KE-1126-SM-7EPHI 50-59 years, male 59.3
GTEX-11ZUS-2626-SM-5FQUR 30-39 years, male 59.2
GTEX-1GF9W-1426-SM-7PBYM 60-69 years, male 59.2
GTEX-1HCU9-0426-SM-9WYSD 20-29 years, male 59.2
GTEX-1GN1U-0626-SM-9MQL9 50-59 years, female 59.0
GTEX-139T8-0626-SM-5KLZX 60-69 years, male 58.6
GTEX-WYJK-0526-SM-3NM8Z 50-59 years, male 58.6
GTEX-16NGA-0726-SM-731AO 40-49 years, female 58.4
GTEX-1JJ6O-2726-SM-CNPOG 60-69 years, male 58.4
GTEX-1QW4Y-1126-SM-DTXE3 30-39 years, male 58.3
GTEX-1B8KZ-0326-SM-73KY4 50-59 years, male 58.2
GTEX-1IOXB-2726-SM-CM2RI 50-59 years, male 58.2
GTEX-13X6H-0926-SM-5SIB2 50-59 years, female 58.1
GTEX-147F3-1726-SM-5SIAW 50-59 years, female 57.8
GTEX-1GN1W-2426-SM-9KNUU 50-59 years, female 57.7
GTEX-1QCLY-0226-SM-EWRNH 30-39 years, male 57.7
GTEX-147JS-0226-SM-5S2U9 60-69 years, male 57.6
GTEX-131YS-2826-SM-5EQ47 60-69 years, female 57.5
GTEX-1HBPM-0726-SM-9YFL7 60-69 years, female 57.4
GTEX-15D1Q-2826-SM-6LLH7 40-49 years, male 57.3
GTEX-1GMR3-0126-SM-A9SLW 40-49 years, male 57.3
GTEX-1J8Q3-0526-SM-ARL8U 60-69 years, male 57.1
GTEX-12C56-1526-SM-5FQUQ 20-29 years, male 56.9
GTEX-ZGAY-1826-SM-DO91Q 40-49 years, female 56.8
GTEX-ZTSS-1426-SM-5985P 40-49 years, male 56.6
GTEX-1LB8K-0726-SM-D5OV2 50-59 years, male 56.5
GTEX-11EQ9-1626-SM-5PNY8 30-39 years, male 56.4
GTEX-14A6H-2026-SM-5Q5DD 30-39 years, male 56.4
GTEX-1HSKV-1226-SM-ADEI4 60-69 years, male 56.4
GTEX-183FY-1026-SM-7939A 20-29 years, male 56.3
GTEX-UPJH-0226-SM-3GADV 50-59 years, male 56.3
GTEX-14AS3-1526-SM-5Q5ED 40-49 years, female 56.2
GTEX-1H4P4-2126-SM-9WYSL 50-59 years, male 56.2
GTEX-Y9LG-1126-SM-4VBQ7 30-39 years, male 56.1
GTEX-13OW8-1026-SM-5J1NQ 60-69 years, male 56.0
GTEX-15FZZ-0526-SM-7KUGD 30-39 years, female 56.0
GTEX-1I4MK-0126-SM-CY8G6 50-59 years, female 56.0
GTEX-13VXU-0626-SM-5L3F9 50-59 years, male 55.9
GTEX-1EH9U-2826-SM-7DUGT 60-69 years, male 55.9
GTEX-13X6K-0626-SM-5LU5D 60-69 years, female 55.8
GTEX-V1D1-2026-SM-3GAF4 50-59 years, male 55.8
GTEX-1F88E-1626-SM-7SB8Z 60-69 years, female 55.6
GTEX-1GF9X-1326-SM-7PC2Y 40-49 years, female 55.5
GTEX-Y5V5-0126-SM-5S2NW 60-69 years, female 55.3
GTEX-15CHR-1126-SM-7EWF4 50-59 years, male 54.6
GTEX-1JN6P-2926-SM-CL54D 60-69 years, male 54.5
GTEX-1I6K6-1726-SM-CGQFD 30-39 years, male 54.3
GTEX-1269C-0126-SM-5EQ5L 60-69 years, female 54.1
GTEX-1QPFJ-1926-SM-EVYBD 30-39 years, female 54.0
GTEX-1QMI2-2526-SM-E8VNZ 60-69 years, male 53.8
GTEX-17MF6-2626-SM-79OKQ 40-49 years, male 53.7
GTEX-1GMR8-0626-SM-7RHI7 50-59 years, female 53.6
GTEX-14PJ6-2626-SM-6EU2T 60-69 years, female 53.4
GTEX-1QP2A-1726-SM-E76QC 50-59 years, male 53.4
GTEX-14BMV-2826-SM-5TDED 50-59 years, male 53.3
GTEX-1GN2E-0226-SM-9WG6K 60-69 years, male 53.3
GTEX-XAJ8-1426-SM-47JYM 40-49 years, male 53.2
GTEX-14PJN-1826-SM-6AJ98 30-39 years, male 53.0
GTEX-1KWVE-1026-SM-D3L9O 30-39 years, male 52.7
GTEX-144GM-0526-SM-79OJO 20-29 years, male 52.6
GTEX-12WSA-0426-SM-5EQ5X 60-69 years, male 52.5
GTEX-1C6VR-0126-SM-7RHGB 60-69 years, male 52.5
GTEX-111YS-1526-SM-5GZYW 60-69 years, male 52.2
GTEX-183WM-0326-SM-72D5V 70-79 years, female 51.9
GTEX-14LLW-2626-SM-62LDZ 70-79 years, female 51.8
GTEX-12WSM-1926-SM-5BC65 60-69 years, male 51.4
GTEX-13PVR-0426-SM-5RQK2 60-69 years, female 51.4
GTEX-1KXAM-1626-SM-D3LAD 60-69 years, male 51.4
GTEX-1C2JI-1026-SM-73KY1 50-59 years, male 51.3
GTEX-1HSGN-0826-SM-ACKW3 40-49 years, female 51.3
GTEX-1F5PK-2226-SM-7SB6N 50-59 years, male 51.2
GTEX-12696-0126-SM-5EQ4L 60-69 years, male 50.9
GTEX-178AV-1726-SM-7KUL8 40-49 years, male 50.9
GTEX-1HCVE-2726-SM-CL54F 50-59 years, male 50.8
GTEX-1IDJV-0126-SM-COH3Y 60-69 years, male 50.8
GTEX-1K9T9-1526-SM-DIPFR 50-59 years, female 50.6
GTEX-11UD2-2526-SM-5CVNU 50-59 years, male 50.4
GTEX-11TUW-0626-SM-5LU9M 60-69 years, male 50.3
GTEX-1212Z-0126-SM-59HK4 60-69 years, male 50.3
GTEX-ZVT2-0126-SM-5GIDQ 50-59 years, female 49.3
GTEX-1JJE9-2626-SM-ARZMT 70-79 years, male 48.9
GTEX-18A67-1626-SM-7LT9T 50-59 years, male 48.8
GTEX-1LGRB-0926-SM-COH3K 50-59 years, female 48.6
GTEX-1RAZA-2226-SM-E9U4X 20-29 years, male 48.3
GTEX-1I1GT-1026-SM-ARZLV 60-69 years, female 48.1
GTEX-14PJ4-0226-SM-5YY92 60-69 years, male 47.8
GTEX-1B8L1-2226-SM-7P8PT 60-69 years, male 47.6
GTEX-14B4R-1326-SM-5Q5EZ 30-39 years, male 45.4
GTEX-1JKYR-0626-SM-ARL8R 20-29 years, male 43.7
GTEX-1J1R8-2026-SM-CL53Y 40-49 years, male 42.9
GTEX-1AMFI-1326-SM-7939R 50-59 years, female 41.6
GTEX-1IDJU-1726-SM-CMKHU 60-69 years, female 41.1
GTEX-1AMEY-0826-SM-72D65 30-39 years, female 40.2
GTEX-14C5O-0326-SM-5ZZUX 60-69 years, male 39.8
Show allShow less
Skin - Sun Exposed (Lower leg)
Average nTPM: 77.1
Samples: 701

Max nTPM: 335.6
Min nTPM: 33.7
Std nTPM: 26.8
Median nTPM: 72.2
GTEX-14XAO-2326-SM-6EU1B 60-69 years, female 335.6
GTEX-W5X1-3026-SM-EAZAX 40-49 years, female 325.3
GTEX-183WM-0126-SM-7LTAB 70-79 years, female 284.5
GTEX-X4XY-0226-SM-4E3IZ 60-69 years, male 215.0
GTEX-1JMQL-0226-SM-CNPP5 50-59 years, female 190.9
GTEX-14E6C-0126-SM-5RQIP 40-49 years, male 186.6
GTEX-RUSQ-1526-SM-2TF62 50-59 years, male 179.7
GTEX-13CF2-2526-SM-5LZYX 60-69 years, male 173.6
GTEX-1399U-2326-SM-5K7WY 50-59 years, female 156.6
GTEX-11WQK-0526-SM-5EQLD 50-59 years, male 156.3
GTEX-11TT1-2526-SM-5EGIB 20-29 years, male 156.2
GTEX-XYKS-2126-SM-4E3IB 60-69 years, female 156.2
GTEX-POMQ-2226-SM-2I5FK 20-29 years, female 152.3
GTEX-ZDXO-3026-SM-5J1N5 60-69 years, male 151.6
GTEX-NPJ8-0126-SM-2YUNR 40-49 years, male 149.8
GTEX-1HFI6-0226-SM-ADEHZ 40-49 years, male 138.8
GTEX-12WSL-2526-SM-5GCNJ 50-59 years, male 134.8
GTEX-15SB6-1726-SM-6PAME 50-59 years, female 134.4
GTEX-S33H-1026-SM-EZ6L6 30-39 years, male 132.1
GTEX-1497J-2426-SM-7IGNX 60-69 years, male 131.4
GTEX-WY7C-2326-SM-3NB2U 50-59 years, male 131.2
GTEX-Y3IK-2426-SM-4WWDU 50-59 years, female 129.9
GTEX-139TS-2826-SM-5J1OO 60-69 years, male 128.6
GTEX-15UF6-0826-SM-6PALJ 70-79 years, female 128.3
GTEX-14PN4-0126-SM-6EU2V 50-59 years, male 126.7
GTEX-Y114-2426-SM-4TT8A 50-59 years, female 122.3
GTEX-X88G-0126-SM-47JZ3 30-39 years, male 120.8
GTEX-15EOM-0126-SM-7KUGG 20-29 years, female 120.3
GTEX-Q734-1926-SM-2I5EV 40-49 years, female 119.6
GTEX-O5YT-0126-SM-48TBW 20-29 years, male 118.7
GTEX-13OW7-0126-SM-5MR3B 50-59 years, male 118.0
GTEX-XV7Q-2526-SM-4BRV9 40-49 years, female 117.9
GTEX-1A3MX-0126-SM-731BR 60-69 years, male 117.8
GTEX-146FQ-0126-SM-5NQA9 30-39 years, male 116.2
GTEX-1HBPH-0426-SM-B2LW5 40-49 years, female 116.0
GTEX-1J8EW-0126-SM-CJI4F 60-69 years, female 115.6
GTEX-1PWST-0226-SM-E76QJ 70-79 years, male 115.5
GTEX-15UKP-0426-SM-7KUFQ 20-29 years, male 114.5
GTEX-ZF3C-0126-SM-DO92D 50-59 years, female 114.1
GTEX-1F6I4-0126-SM-9MQL2 60-69 years, male 112.5
GTEX-11DXZ-2326-SM-5EGGV 50-59 years, male 112.0
GTEX-ZF28-0126-SM-4WKGK 60-69 years, male 112.0
GTEX-ZE9C-2726-SM-57WB5 60-69 years, male 111.3
GTEX-1MA7X-2226-SM-E6CIY 60-69 years, male 111.2
GTEX-117YW-2626-SM-5GZZH 50-59 years, male 110.6
GTEX-WI4N-1026-SM-3LK7N 40-49 years, female 110.6
GTEX-1M4P7-0226-SM-DIPEV 60-69 years, male 110.3
GTEX-1CAV2-2226-SM-7P8P2 40-49 years, female 109.6
GTEX-1HR98-0126-SM-B2LWI 60-69 years, male 109.4
GTEX-U8XE-0326-SM-3DB8P 30-39 years, male 109.2
GTEX-QDVN-2026-SM-3GAEP 50-59 years, male 108.9
GTEX-12584-0126-SM-5EGKQ 40-49 years, male 108.6
GTEX-1AYD5-2426-SM-73KXR 50-59 years, male 108.5
GTEX-1F6RS-0126-SM-9MQKZ 60-69 years, female 108.3
GTEX-14E6E-1826-SM-5S2R7 30-39 years, male 108.2
GTEX-1GZ2Q-0226-SM-7P8TL 40-49 years, male 108.2
GTEX-1LC47-0326-SM-E9TJP 60-69 years, male 108.2
GTEX-X8HC-0126-SM-4E3JW 50-59 years, female 107.9
GTEX-RVPV-0126-SM-EAZAW 60-69 years, male 107.2
GTEX-13FXS-0226-SM-5IJCK 50-59 years, male 107.0
GTEX-ZVZO-0126-SM-5A5L9 40-49 years, male 106.9
GTEX-1R9K4-0126-SM-DTX9X 60-69 years, male 106.4
GTEX-14PK6-1926-SM-6ETZU 70-79 years, female 104.8
GTEX-P4PP-0126-SM-3LK69 30-39 years, female 104.8
GTEX-Y8DK-0126-SM-4TT3L 60-69 years, male 104.6
GTEX-1H2FU-0126-SM-9WYSI 60-69 years, female 104.6
GTEX-132NY-0326-SM-5IJBL 60-69 years, male 104.5
GTEX-146FH-0126-SM-5QGPP 50-59 years, female 104.4
GTEX-T2YK-0526-SM-32QPJ 50-59 years, male 103.2
GTEX-1192X-0226-SM-5H12D 50-59 years, male 103.0
GTEX-OXRK-0226-SM-3NB2G 50-59 years, female 102.7
GTEX-Y111-0126-SM-4SOIV 50-59 years, male 102.7
GTEX-17HHY-0126-SM-7LG5D 50-59 years, male 102.0
GTEX-U412-0426-SM-3DB9O 60-69 years, male 102.0
GTEX-1F6IF-0726-SM-7P8TW 60-69 years, male 101.7
GTEX-1ICLZ-0126-SM-CKZPO 60-69 years, male 100.9
GTEX-SIU8-0126-SM-2XCDT 50-59 years, male 100.8
GTEX-P4PQ-0126-SM-2S1NM 60-69 years, male 100.5
GTEX-139UW-2826-SM-5L3E7 60-69 years, male 99.7
GTEX-ZYFD-0126-SM-5GIDL 50-59 years, male 99.7
GTEX-YJ89-0126-SM-4TT3X 60-69 years, male 99.6
GTEX-13CF3-2426-SM-5IFGX 60-69 years, female 99.2
GTEX-144FL-0126-SM-5TDC8 50-59 years, male 99.2
GTEX-1NV5F-0226-SM-E8VNY 60-69 years, female 99.2
GTEX-PLZ4-0126-SM-5SI8O 50-59 years, female 98.1
GTEX-1H3VE-0326-SM-9YFLH 40-49 years, male 97.9
GTEX-13N1W-0126-SM-5K7VT 70-79 years, male 97.6
GTEX-14JIY-0126-SM-6LLH6 60-69 years, male 97.4
GTEX-13OVJ-0126-SM-5KM36 50-59 years, female 97.3
GTEX-1PIIG-0226-SM-EWRN6 30-39 years, male 96.7
GTEX-11UD1-0126-SM-5PNYG 40-49 years, female 96.5
GTEX-1ICG6-2526-SM-CGQFZ 70-79 years, female 96.0
GTEX-13OVH-0126-SM-5MR4B 70-79 years, male 95.9
GTEX-QDT8-0126-SM-48TZ1 30-39 years, female 95.9
GTEX-11DXW-0226-SM-5H122 40-49 years, male 95.6
GTEX-1192W-2626-SM-5Q5AF 60-69 years, male 95.4
GTEX-1A3MW-0126-SM-73KXX 60-69 years, female 95.4
GTEX-113IC-0126-SM-5HL6T 60-69 years, male 95.1
GTEX-1N2DW-0226-SM-E9TK2 50-59 years, male 94.9
GTEX-ZTPG-0326-SM-5O9AX 20-29 years, female 94.8
GTEX-X585-0226-SM-4QAS2 50-59 years, male 94.7
GTEX-15G19-0126-SM-6PANQ 60-69 years, male 94.6
GTEX-ZC5H-0226-SM-4WAY9 40-49 years, female 94.6
GTEX-QLQW-1126-SM-2S1Q8 30-39 years, male 94.5
GTEX-YJ8A-0426-SM-5IFID 20-29 years, male 94.5
GTEX-1313W-0126-SM-5LZUN 50-59 years, female 94.4
GTEX-1PDJ9-0326-SM-DTX95 20-29 years, male 94.0
GTEX-X4XX-0126-SM-3NMC2 60-69 years, male 93.8
GTEX-1QAET-0926-SM-E76QM 50-59 years, male 93.6
GTEX-11TTK-0126-SM-5987B 60-69 years, female 93.4
GTEX-144GN-2326-SM-5LU4F 50-59 years, male 93.3
GTEX-TMZS-0126-SM-3DB9Q 60-69 years, male 93.3
GTEX-111FC-0126-SM-5N9DL 60-69 years, male 93.1
GTEX-13OVL-0226-SM-5L3E9 50-59 years, male 93.0
GTEX-1IKK5-0626-SM-ARL8A 60-69 years, male 93.0
GTEX-12126-0326-SM-5PNW3 20-29 years, male 92.9
GTEX-X4EO-0326-SM-3P5YO 60-69 years, female 92.9
GTEX-1I1GU-2226-SM-CGQFA 40-49 years, male 92.9
GTEX-OHPL-0126-SM-2HMJ7 60-69 years, female 92.6
GTEX-S32W-2126-SM-2XCB1 50-59 years, female 92.4
GTEX-R45C-0126-SM-EAZ2R 60-69 years, female 92.3
GTEX-X638-0126-SM-47JZ8 70-79 years, female 92.1
GTEX-1JMQK-0226-SM-CL543 60-69 years, male 91.6
GTEX-1EX96-1626-SM-7PBXR 50-59 years, male 91.5
GTEX-13NYC-0326-SM-E9J4S 60-69 years, male 91.3
GTEX-RTLS-0126-SM-447CA 60-69 years, female 91.0
GTEX-1C6WA-0126-SM-7PC2B 60-69 years, male 91.0
GTEX-1I1GV-0526-SM-A9G29 60-69 years, male 91.0
GTEX-XQ8I-0426-SM-4BOPO 50-59 years, male 90.9
GTEX-XUZC-1726-SM-4BRWS 30-39 years, female 90.9
GTEX-O5YW-0126-SM-3LK6D 50-59 years, male 90.6
GTEX-WVJS-0126-SM-4MVOT 50-59 years, male 90.5
GTEX-1QP9N-1426-SM-DTXFL 30-39 years, male 90.3
GTEX-QEG4-0226-SM-2S1PY 30-39 years, male 90.2
GTEX-XXEK-2226-SM-4BRUM 50-59 years, male 90.2
GTEX-Q2AI-1326-SM-2S1PL 40-49 years, male 90.1
GTEX-ZVT3-0126-SM-5GU6I 60-69 years, female 90.0
GTEX-1RB15-2126-SM-E9TIM 60-69 years, male 90.0
GTEX-13OVK-2026-SM-7KUEO 40-49 years, male 89.9
GTEX-XQ3S-1526-SM-4BOOC 20-29 years, male 89.8
GTEX-1JMQI-2226-SM-CM2SD 50-59 years, male 89.8
GTEX-11WQC-2526-SM-5CVLE 60-69 years, male 89.7
GTEX-ZWKS-0126-SM-5SIAA 30-39 years, male 89.6
GTEX-1JN6P-0126-SM-D3L98 60-69 years, male 89.6
GTEX-13NYS-0126-SM-5MR3W 60-69 years, male 89.5
GTEX-1C6VQ-0126-SM-7P8RI 50-59 years, male 89.4
GTEX-1KD4Q-0226-SM-E9TJ9 40-49 years, male 89.3
GTEX-1LNCM-1126-SM-E9U5E 50-59 years, female 89.2
GTEX-YFC4-0126-SM-5CVLY 40-49 years, female 89.1
GTEX-ZY6K-1826-SM-5GZXK 50-59 years, male 89.1
GTEX-1JMPZ-0226-SM-CNPP1 30-39 years, male 89.0
GTEX-145MF-0626-SM-5LUAI 50-59 years, male 88.8
GTEX-11DYG-0126-SM-59883 60-69 years, male 88.6
GTEX-ZVTK-0426-SM-51MRS 20-29 years, male 88.3
GTEX-1EMGI-0126-SM-9KNUE 60-69 years, male 88.3
GTEX-Y3I4-2126-SM-4TT7C 50-59 years, male 88.2
GTEX-QVJO-1626-SM-2S1QW 60-69 years, female 88.1
GTEX-VJYA-1126-SM-3GIJU 60-69 years, male 87.9
GTEX-ZYFC-0226-SM-5NQ75 50-59 years, male 87.9
GTEX-14753-0426-SM-5NQAM 60-69 years, male 87.8
GTEX-1B8SF-1426-SM-7DUGL 60-69 years, male 87.7
GTEX-12WSN-5019-SM-79OM6 40-49 years, male 87.6
GTEX-14PII-0226-SM-6EU1T 60-69 years, male 87.4
GTEX-YEC4-2126-SM-5IFJH 40-49 years, male 87.4
GTEX-Z93T-0126-SM-5HL5N 50-59 years, male 87.3
GTEX-1JN1M-0326-SM-CYPT3 60-69 years, female 87.2
GTEX-11GSP-2526-SM-5N9BP 60-69 years, female 87.1
GTEX-1HCU6-0126-SM-CL54K 60-69 years, female 87.1
GTEX-17F98-0626-SM-79OMX 40-49 years, female 87.0
GTEX-ZE7O-0126-SM-57WC1 50-59 years, female 87.0
GTEX-OXRL-0126-SM-2YUMP 50-59 years, male 86.9
GTEX-ZYW4-0126-SM-5E44A 60-69 years, male 86.7
GTEX-XMD2-0126-SM-4YCDU 60-69 years, female 86.5
GTEX-1LBAC-0126-SM-DIPEZ 20-29 years, male 86.5
GTEX-11O72-0126-SM-59887 40-49 years, male 86.4
GTEX-ZDYS-2026-SM-5HL5L 50-59 years, male 86.3
GTEX-1399R-2726-SM-5IJBA 30-39 years, male 86.2
GTEX-131XE-2326-SM-5PNZ2 50-59 years, male 86.1
GTEX-13G51-2526-SM-5LZYK 60-69 years, male 85.7
GTEX-T2IS-0126-SM-4DM6O 20-29 years, female 85.7
GTEX-1QP67-1626-SM-EAZ3X 40-49 years, female 85.7
GTEX-ZTX8-1426-SM-5DUVO 20-29 years, male 85.5
GTEX-145MN-2226-SM-5SIAU 30-39 years, male 85.4
GTEX-14BMU-2226-SM-5TDE9 20-29 years, female 85.4
GTEX-16YQH-0126-SM-7DUFJ 30-39 years, male 85.4
GTEX-13NZA-0226-SM-5K7Z7 60-69 years, male 84.9
GTEX-1J1OQ-0226-SM-CYPSH 40-49 years, female 84.9
GTEX-1CB4F-0426-SM-9KNV4 60-69 years, male 84.5
GTEX-12WSD-0126-SM-59HKN 60-69 years, female 84.4
GTEX-131XW-0426-SM-5LZWP 50-59 years, female 84.4
GTEX-1211K-2026-SM-5EQ4Z 60-69 years, female 84.3
GTEX-W5WG-1826-SM-4KL2Y 50-59 years, female 84.2
GTEX-S7PM-0126-SM-4AD6S 60-69 years, male 84.1
GTEX-QESD-1426-SM-2S1R9 20-29 years, male 84.0
GTEX-11XUK-2026-SM-5EQLF 40-49 years, female 83.9
GTEX-OOBK-0126-SM-2YUND 40-49 years, male 83.8
GTEX-1OJC4-0126-SM-E9J2E 50-59 years, female 83.8
GTEX-1H1DG-0126-SM-9WYU2 70-79 years, male 83.6
GTEX-1HSMP-0126-SM-E6CJS 70-79 years, male 83.5
GTEX-13FTW-2626-SM-5K7WL 40-49 years, male 83.4
GTEX-XUYS-0126-SM-47JWZ 50-59 years, male 83.4
GTEX-1CB4H-0226-SM-7PBXM 60-69 years, female 83.4
GTEX-16MT8-0426-SM-7KUEY 60-69 years, female 83.3
GTEX-OIZG-0726-SM-33HBL 50-59 years, male 83.2
GTEX-SSA3-0126-SM-32QPU 60-69 years, male 83.2
GTEX-139T4-0226-SM-5HL5S 50-59 years, female 83.1
GTEX-13NZ8-0826-SM-5MR3I 60-69 years, female 83.1
GTEX-ZDTS-0126-SM-4WAY5 60-69 years, male 83.0
GTEX-1MJK2-0426-SM-DTXE5 50-59 years, male 83.0
GTEX-139T8-0126-SM-5K7XZ 60-69 years, male 82.9
GTEX-145MO-0326-SM-5Q5B3 60-69 years, male 82.9
GTEX-14JG1-0426-SM-6ETZZ 40-49 years, male 82.9
GTEX-ZAK1-0126-SM-5IJD3 50-59 years, female 82.9
GTEX-1B933-0126-SM-7PC29 50-59 years, female 82.9
GTEX-13FHP-0126-SM-5IJBG 50-59 years, male 82.7
GTEX-TKQ1-1026-SM-4GICL 30-39 years, male 82.3
GTEX-13O21-1426-SM-5K7XI 50-59 years, male 82.1
GTEX-18A6Q-0126-SM-731BZ 60-69 years, male 82.1
GTEX-OIZH-0126-SM-2HMIS 50-59 years, male 82.0
GTEX-1OJC3-0126-SM-E76QX 20-29 years, male 81.9
GTEX-11P82-1626-SM-59879 20-29 years, male 81.7
GTEX-X4EP-0126-SM-3P5YV 60-69 years, female 81.4
GTEX-1F75A-0126-SM-7RHGM 50-59 years, male 81.4
GTEX-ZZPT-0226-SM-5E43X 50-59 years, male 81.3
GTEX-13OVG-1926-SM-5L3DK 60-69 years, male 81.2
GTEX-XBED-2226-SM-47JYQ 60-69 years, male 81.2
GTEX-13VXU-0126-SM-5SI9F 50-59 years, male 81.1
GTEX-1F75B-0126-SM-9KNVL 50-59 years, male 81.1
GTEX-15SHW-0326-SM-6PAML 60-69 years, male 81.0
GTEX-18A7A-0226-SM-718BH 50-59 years, female 80.8
GTEX-OXRP-0126-SM-3NB32 60-69 years, female 80.7
GTEX-1B8L1-2526-SM-9WYTF 60-69 years, male 80.7
GTEX-1HBPM-0226-SM-ARL9F 60-69 years, female 80.7
GTEX-11GS4-2726-SM-5A5LE 60-69 years, male 80.4
GTEX-ZAB4-0226-SM-5N9F5 40-49 years, male 80.4
GTEX-1RLM8-2326-SM-EWRN4 50-59 years, male 80.4
GTEX-1F88F-2726-SM-7PBZZ 60-69 years, female 80.3
GTEX-1R46S-0626-SM-E9J41 60-69 years, female 80.3
GTEX-1M5QR-1226-SM-EWROB 40-49 years, male 80.1
GTEX-RNOR-0126-SM-E9J4R 50-59 years, female 80.1
GTEX-1HGF4-2426-SM-ACKXM 60-69 years, male 80.0
GTEX-1GN2E-0426-SM-9MQKX 60-69 years, male 79.9
GTEX-117YX-2326-SM-5H12W 50-59 years, male 79.8
GTEX-13U4I-0126-SM-5LU38 40-49 years, female 79.7
GTEX-1H1DE-2126-SM-9WG6R 20-29 years, male 79.7
GTEX-ZV68-0126-SM-59HKS 50-59 years, female 79.4
GTEX-1IL2U-0226-SM-CE6T8 60-69 years, male 79.4
GTEX-1LG7Y-0526-SM-DKPQC 50-59 years, male 79.4
GTEX-11NUK-0126-SM-5A5L3 50-59 years, male 79.3
GTEX-14ABY-0226-SM-5TDCQ 50-59 years, male 79.3
GTEX-T6MN-0126-SM-32PLP 50-59 years, male 79.2
GTEX-1IDFM-0126-SM-COH2V 60-69 years, male 79.2
GTEX-1JMPY-1326-SM-ARL8Y 30-39 years, male 79.2
GTEX-1HB9E-0226-SM-E9U4R 50-59 years, male 79.1
GTEX-15D1Q-0126-SM-7KUG6 40-49 years, male 79.0
GTEX-1AYCT-2426-SM-7IGQ3 50-59 years, male 79.0
GTEX-1IY9M-0126-SM-D3L8S 60-69 years, male 78.8
GTEX-11DZ1-0126-SM-5985Q 50-59 years, male 78.7
GTEX-131XG-2626-SM-5KM17 50-59 years, female 78.6
GTEX-145LT-1726-SM-5QGP3 40-49 years, male 78.6
GTEX-PWO3-1526-SM-48TCM 60-69 years, female 78.6
GTEX-13QJ3-0326-SM-5S2RA 50-59 years, male 78.5
GTEX-U8T8-0126-SM-3DB94 60-69 years, male 78.5
GTEX-Q2AG-0126-SM-33HBV 40-49 years, female 78.4
GTEX-ZU9S-0226-SM-5E441 30-39 years, male 78.4
GTEX-1L5NE-2526-SM-E6CIE 50-59 years, male 78.3
GTEX-OOBJ-0126-SM-E6CJW 60-69 years, male 78.3
GTEX-11OF3-2626-SM-5GU7F 60-69 years, male 78.1
GTEX-WXYG-2326-SM-4E3I6 50-59 years, female 78.1
GTEX-1GN73-0226-SM-9WG67 60-69 years, male 78.1
GTEX-PSDG-0226-SM-DKPOZ 50-59 years, male 78.1
GTEX-11H98-0126-SM-5EGHG 50-59 years, male 77.9
GTEX-1399T-2826-SM-5KLYZ 60-69 years, male 77.9
GTEX-145LV-2126-SM-5LU8N 50-59 years, male 77.8
GTEX-14PJM-0226-SM-62LF1 50-59 years, female 77.7
GTEX-1JMQJ-0526-SM-CYPSU 50-59 years, male 77.6
GTEX-1S3DN-2226-SM-EVYCD 50-59 years, male 77.4
GTEX-1H3VY-0126-SM-ACKXD 50-59 years, male 77.3
GTEX-1RQEC-0426-SM-E6CHU 60-69 years, male 77.3
GTEX-1PPH7-2326-SM-EVYB8 40-49 years, male 77.2
GTEX-1CAMS-0426-SM-7P8T2 40-49 years, female 77.1
GTEX-1H23P-0126-SM-ADEJ3 60-69 years, male 77.1
GTEX-1EWIQ-0126-SM-7RHH2 70-79 years, female 77.0
GTEX-11OC5-0126-SM-5HL6A 60-69 years, male 76.9
GTEX-17EVQ-0226-SM-7LG4P 70-79 years, male 76.8
GTEX-Y5LM-1926-SM-5RQJH 40-49 years, female 76.8
GTEX-14PHX-2326-SM-62LEM 50-59 years, male 76.7
GTEX-P4QT-0126-SM-2I3FL 50-59 years, female 76.6
GTEX-14LZ3-0226-SM-62LET 60-69 years, female 76.4
GTEX-ZAJG-0126-SM-5HL94 50-59 years, female 76.4
GTEX-ZUA1-0126-SM-5GU76 40-49 years, male 76.4
GTEX-1H1CY-2826-SM-9MQM3 60-69 years, female 76.4
GTEX-1A32A-0126-SM-718B1 50-59 years, female 76.3
GTEX-1J8JJ-0226-SM-CL53I 60-69 years, female 76.3
GTEX-WH7G-2326-SM-3NMBC 40-49 years, male 76.1
GTEX-1HBPI-1526-SM-C1YQ1 50-59 years, male 76.0
GTEX-12KS4-0326-SM-5EQ41 30-39 years, male 75.9
GTEX-16GPK-0126-SM-7DHLE 60-69 years, male 75.9
GTEX-139D8-0226-SM-5KLZO 30-39 years, female 75.8
GTEX-117XS-2726-SM-5N9BL 60-69 years, male 75.7
GTEX-14ICK-0226-SM-6EU25 40-49 years, male 75.5
GTEX-13N11-2526-SM-5K7UE 50-59 years, female 75.3
GTEX-1PPH8-0226-SM-E8VND 20-29 years, male 75.1
GTEX-13VXT-0126-SM-5LU4I 20-29 years, female 75.0
GTEX-1C6VS-0526-SM-7DUEN 60-69 years, male 75.0
GTEX-ZPIC-1726-SM-DHXIU 40-49 years, female 75.0
GTEX-131XH-2226-SM-5DUXJ 50-59 years, male 74.9
GTEX-1F5PL-0326-SM-7P8PQ 40-49 years, female 74.9
GTEX-1RDX4-0126-SM-E9J4P 50-59 years, female 74.9
GTEX-RN64-0126-SM-2TC68 50-59 years, male 74.8
GTEX-1I6K6-0126-SM-A9SLE 30-39 years, male 74.7
GTEX-1GMR3-1926-SM-9KNUZ 40-49 years, male 74.6
GTEX-1IDJH-0326-SM-A9SLQ 70-79 years, male 74.6
GTEX-13FHO-0226-SM-5IFGY 60-69 years, male 74.5
GTEX-RU72-0926-SM-2TF6B 50-59 years, female 74.5
GTEX-1HSMO-0126-SM-CL547 60-69 years, male 74.5
GTEX-11ZTS-0126-SM-5EQ6M 60-69 years, female 74.4
GTEX-1KANB-0526-SM-E6CJH 50-59 years, male 74.4
GTEX-UJHI-1526-SM-3DB99 50-59 years, female 74.3
GTEX-13IVO-0126-SM-5J1NG 70-79 years, male 74.2
GTEX-1AX8Z-0126-SM-7DHM6 60-69 years, male 74.2
GTEX-1128S-2326-SM-5GZZY 60-69 years, female 74.1
GTEX-11ZTT-2426-SM-5EQLS 60-69 years, female 74.1
GTEX-17F97-0326-SM-7LG5B 50-59 years, male 74.1
GTEX-1I1CD-0126-SM-CM2TK 60-69 years, female 73.9
GTEX-1HCU8-0626-SM-A9SM9 60-69 years, female 73.8
GTEX-147GR-0526-SM-5S2MY 60-69 years, male 73.6
GTEX-1QP66-1726-SM-E8VO1 50-59 years, male 73.6
GTEX-13X6H-2126-SM-7EWD5 50-59 years, female 73.4
GTEX-T5JC-0426-SM-32PLO 20-29 years, male 73.4
GTEX-13O3O-0126-SM-E9J49 60-69 years, female 73.4
GTEX-1H3O1-0426-SM-9YFKY 60-69 years, male 73.4
GTEX-1F48J-0126-SM-7P8TT 50-59 years, female 73.2
GTEX-131YS-0126-SM-5KM1M 60-69 years, female 73.1
GTEX-1CB4E-2226-SM-793DC 60-69 years, male 73.1
GTEX-1F7RK-0126-SM-7PC2S 20-29 years, female 72.8
GTEX-113JC-2326-SM-5EQ4E 50-59 years, female 72.7
GTEX-148VJ-0126-SM-5TDDN 70-79 years, male 72.7
GTEX-16XZY-2126-SM-79OK1 70-79 years, male 72.7
GTEX-SN8G-0126-SM-32PLI 50-59 years, female 72.7
GTEX-1HUB1-0426-SM-E9U4U 60-69 years, male 72.7
GTEX-15DCD-0126-SM-7KUEK 70-79 years, female 72.6
GTEX-15ER7-0326-SM-7KUEV 20-29 years, female 72.6
GTEX-WZTO-0126-SM-3NM95 40-49 years, male 72.4
GTEX-1GN1V-0126-SM-9WPOS 60-69 years, male 72.4
GTEX-TML8-1926-SM-32QOS 40-49 years, female 72.3
GTEX-1GZ4H-1726-SM-7PBZJ 50-59 years, female 72.3
GTEX-PWCY-1826-SM-DHXIZ 20-29 years, female 72.3
GTEX-ZVT4-0126-SM-DTXFN 50-59 years, female 72.3
GTEX-13FTX-1826-SM-5J1NX 20-29 years, female 72.2
GTEX-X261-0126-SM-3NMD6 50-59 years, male 72.2
GTEX-15SDE-2226-SM-7IGLO 50-59 years, female 72.1
GTEX-X5EB-2226-SM-46MW4 40-49 years, male 72.1
GTEX-12WSJ-1826-SM-5GCNY 40-49 years, female 71.9
GTEX-13PDP-0126-SM-5L3HD 60-69 years, male 71.9
GTEX-YB5E-2026-SM-5IFIS 40-49 years, male 71.9
GTEX-YB5K-2126-SM-4WWDJ 40-49 years, female 71.9
GTEX-1GZHY-0326-SM-9QEHI 50-59 years, female 71.9
GTEX-1R7EV-2426-SM-EVYBG 40-49 years, male 71.9
GTEX-13S7M-0126-SM-5SI6A 60-69 years, female 71.8
GTEX-1122O-2126-SM-5EGIR 60-69 years, female 71.7
GTEX-147F4-0226-SM-5QGPW 50-59 years, male 71.7
GTEX-18QFQ-0126-SM-731BE 30-39 years, male 71.7
GTEX-ZVT2-2526-SM-51MT1 50-59 years, female 71.6
GTEX-1MGNQ-0126-SM-EVYCJ 40-49 years, male 71.6
GTEX-1CAMR-1926-SM-7EPI2 20-29 years, male 71.5
GTEX-SUCS-1926-SM-32PM3 70-79 years, male 71.5
GTEX-1I1GS-0126-SM-B2LVW 60-69 years, male 71.5
GTEX-1CB4G-0226-SM-7PC3O 60-69 years, male 71.4
GTEX-1LGOU-2026-SM-DIPFF 20-29 years, female 71.3
GTEX-1S83E-0126-SM-EWRO4 40-49 years, male 71.2
GTEX-13PVR-2326-SM-5QGR1 60-69 years, female 71.1
GTEX-15DDE-0126-SM-6LPKH 50-59 years, female 71.1
GTEX-1IE54-0126-SM-CMKHW 40-49 years, female 71.1
GTEX-12ZZX-0126-SM-5EGK9 40-49 years, female 71.0
GTEX-11TUW-2726-SM-E9J4M 60-69 years, male 71.0
GTEX-13OW5-0126-SM-DTXFS 60-69 years, male 70.9
GTEX-14PJ3-1826-SM-62LEX 50-59 years, male 70.8
GTEX-XUW1-0426-SM-4BOOT 50-59 years, female 70.8
GTEX-Y5V6-2426-SM-4VDSB 60-69 years, male 70.7
GTEX-12WSK-2326-SM-5GCOH 40-49 years, female 70.6
GTEX-UPJH-0326-SM-3GADU 50-59 years, male 70.6
GTEX-1KAFJ-2026-SM-CY8ID 50-59 years, male 70.6
GTEX-1KD5A-0226-SM-D5OV3 50-59 years, male 70.6
GTEX-ZDTT-2726-SM-4WKF8 60-69 years, male 70.5
GTEX-1I1HK-0126-SM-COH49 60-69 years, male 70.4
GTEX-1POEN-0126-SM-EYYXJ 30-39 years, female 70.4
GTEX-1EKGG-0226-SM-9WYTH 60-69 years, male 70.3
GTEX-PX3G-0126-SM-2I3EN 20-29 years, female 70.2
GTEX-1JKYN-1326-SM-CGQG9 30-39 years, male 70.2
GTEX-14BIN-0626-SM-793DP 50-59 years, female 70.1
GTEX-1IOXB-0126-SM-ARL8G 50-59 years, male 70.1
GTEX-1N2DV-0226-SM-E6CJ6 40-49 years, male 70.1
GTEX-14E6D-0126-SM-62LDV 50-59 years, male 70.0
GTEX-17JCI-0126-SM-7LG5G 60-69 years, female 69.8
GTEX-ZEX8-2426-SM-4WKG4 50-59 years, male 69.6
GTEX-17EVP-0326-SM-7DHLG 40-49 years, male 69.5
GTEX-1B8KZ-2026-SM-7DHMB 50-59 years, male 69.5
GTEX-1GF9U-2126-SM-7SB7L 40-49 years, female 69.5
GTEX-1GF9W-0326-SM-9KNUN 60-69 years, male 69.5
GTEX-1IKOH-0226-SM-COH4E 60-69 years, female 69.5
GTEX-11EMC-2926-SM-5EQ4F 60-69 years, female 69.4
GTEX-13SLW-0126-SM-5SI6C 70-79 years, male 69.3
GTEX-R55G-2526-SM-2TC6D 40-49 years, female 69.3
GTEX-11DXX-2426-SM-5GZZW 60-69 years, female 69.2
GTEX-1269C-2526-SM-5EGJ3 60-69 years, female 69.2
GTEX-X62O-0126-SM-4E3JN 50-59 years, male 69.1
GTEX-1IDJF-0126-SM-CM2RS 20-29 years, male 69.1
GTEX-1IKJJ-0126-SM-CNPQB 60-69 years, male 69.0
GTEX-15SHU-0126-SM-7KUEH 40-49 years, female 68.9
GTEX-1JJEA-0326-SM-CNPOT 60-69 years, male 68.8
GTEX-14LLW-0126-SM-6LLIO 70-79 years, female 68.7
GTEX-13O3Q-2426-SM-5IJBR 50-59 years, male 68.6
GTEX-146FR-1326-SM-E9J48 60-69 years, female 68.6
GTEX-1PFEY-1526-SM-E76PP 30-39 years, male 68.6
GTEX-13X6I-0626-SM-5QGP9 60-69 years, male 68.5
GTEX-17KNJ-2326-SM-7DHLQ 50-59 years, male 68.5
GTEX-S95S-1226-SM-4GICG 60-69 years, male 68.5
GTEX-VUSG-2526-SM-4KL1V 50-59 years, male 68.5
GTEX-1HCUA-2426-SM-ADEIS 50-59 years, female 68.5
GTEX-13SLX-0526-SM-5S2ON 50-59 years, female 68.4
GTEX-1H11D-0226-SM-9WG6Z 40-49 years, male 68.4
GTEX-1JN76-0126-SM-CNPPE 20-29 years, female 68.4
GTEX-1LB8K-0226-SM-EWRNW 50-59 years, male 68.4
GTEX-OXRN-0126-SM-48TDM 50-59 years, male 68.3
GTEX-11P7K-2126-SM-5GU7G 30-39 years, male 68.2
GTEX-1K2DA-1826-SM-CGQGT 50-59 years, male 68.1
GTEX-1K2DU-2326-SM-E9TIV 20-29 years, male 68.1
GTEX-13YAN-0326-SM-5O9DF 60-69 years, male 68.0
GTEX-WQUQ-0426-SM-3MJFU 60-69 years, male 68.0
GTEX-1GMRU-0126-SM-9YFLV 50-59 years, male 67.8
GTEX-13RTJ-2426-SM-5S2Q2 60-69 years, male 67.7
GTEX-13O3P-0126-SM-5KM4S 50-59 years, male 67.5
GTEX-1KANC-1526-SM-D3LAB 50-59 years, female 67.5
GTEX-13111-1626-SM-5EGJY 50-59 years, male 67.2
GTEX-Z9EW-1626-SM-5CVMN 40-49 years, male 67.2
GTEX-QV44-1926-SM-2S1RF 50-59 years, male 67.1
GTEX-111VG-2426-SM-5GZXD 60-69 years, male 66.8
GTEX-1QP29-0626-SM-EWRMX 50-59 years, male 66.7
GTEX-13OVI-1426-SM-5L3EY 60-69 years, female 66.6
GTEX-1C64N-0126-SM-793D7 50-59 years, male 66.6
GTEX-RM2N-1426-SM-2TF4H 50-59 years, male 66.6
GTEX-U4B1-1826-SM-4DXSU 40-49 years, male 66.6
GTEX-1S82Z-0826-SM-E6CHY 30-39 years, female 66.6
GTEX-1314G-1526-SM-5EGK2 30-39 years, male 66.5
GTEX-WFG8-2226-SM-3GIL9 20-29 years, male 66.5
GTEX-14BIM-0226-SM-7IGLD 60-69 years, female 66.3
GTEX-16NPX-0226-SM-79OMT 50-59 years, male 66.3
GTEX-XBEW-0626-SM-4QASP 40-49 years, male 66.3
GTEX-R55E-0126-SM-2TC5Y 20-29 years, male 66.2
GTEX-13D11-2426-SM-5KM1V 50-59 years, female 66.1
GTEX-15DYW-0126-SM-7KULE 60-69 years, female 66.0
GTEX-RWS6-2026-SM-2XCB5 60-69 years, female 66.0
GTEX-1I1GR-0126-SM-CL55F 60-69 years, male 66.0
GTEX-WYVS-2126-SM-3NMA3 40-49 years, female 65.9
GTEX-WOFL-0126-SM-3MJG2 60-69 years, male 65.7
GTEX-1EU9M-0226-SM-7P8SP 60-69 years, male 65.7
GTEX-145LS-0126-SM-5QGP1 60-69 years, female 65.6
GTEX-16XZZ-0126-SM-793DV 60-69 years, male 65.6
GTEX-11ZVC-2526-SM-5FQTE 50-59 years, female 65.5
GTEX-QCQG-1726-SM-3GIJ9 50-59 years, female 65.5
GTEX-ZQG8-1626-SM-DHXIT 60-69 years, female 65.5
GTEX-1HCU7-0226-SM-CL545 50-59 years, male 65.4
GTEX-1JMLX-0226-SM-CM2RO 50-59 years, male 65.4
GTEX-1OFPY-2426-SM-DTXEJ 60-69 years, male 65.4
GTEX-13X6J-0126-SM-5QGOU 50-59 years, male 65.2
GTEX-18465-0126-SM-731BN 50-59 years, male 65.1
GTEX-1BAJH-0526-SM-793CQ 70-79 years, male 65.1
GTEX-1HT8W-0126-SM-CNPPP 30-39 years, male 65.0
GTEX-V1D1-2226-SM-3NMAX 50-59 years, male 64.9
GTEX-1HKZK-0326-SM-9WYUH 40-49 years, male 64.8
GTEX-1N2EF-0226-SM-EYYXB 60-69 years, male 64.8
GTEX-1S5ZA-0126-SM-EVYCV 20-29 years, male 64.7
GTEX-1AX9I-0126-SM-7SB74 60-69 years, male 64.6
GTEX-183FY-0126-SM-7LT9P 20-29 years, male 64.4
GTEX-XAJ8-0826-SM-47JY6 40-49 years, male 64.4
GTEX-1QEPI-0126-SM-EWRMQ 60-69 years, female 64.4
GTEX-131XF-5016-SM-7MGWE 60-69 years, male 64.3
GTEX-17HII-0226-SM-7LG4E 50-59 years, male 64.1
GTEX-18A66-0226-SM-718BD 60-69 years, male 64.1
GTEX-ZF29-2326-SM-DO92K 60-69 years, female 64.0
GTEX-16BQI-0226-SM-7KUEX 30-39 years, female 63.8
GTEX-OHPM-0126-SM-2YUN9 50-59 years, male 63.8
GTEX-1MUQO-0126-SM-EAZ58 60-69 years, male 63.8
GTEX-1PBJI-0526-SM-E8VNK 20-29 years, female 63.8
GTEX-ZYFG-2326-SM-5E44B 60-69 years, female 63.7
GTEX-1H1E6-1726-SM-ACKVK 30-39 years, male 63.7
GTEX-1J8Q2-0526-SM-CM2RW 60-69 years, male 63.7
GTEX-1LVAN-0226-SM-COH3S 50-59 years, female 63.7
GTEX-1GMR8-0126-SM-9WYTM 50-59 years, female 63.6
GTEX-ZVZP-2426-SM-59HKJ 50-59 years, male 63.5
GTEX-1O97I-0326-SM-EYYX7 60-69 years, male 63.5
GTEX-Y8LW-1826-SM-5S2MV 50-59 years, female 63.4
GTEX-1GN1W-0526-SM-9MQJQ 50-59 years, female 63.4
GTEX-1H3NZ-0126-SM-ACKX7 60-69 years, male 63.4
GTEX-1RAZQ-0726-SM-EAZ43 30-39 years, male 63.4
GTEX-13OW6-0426-SM-5L3HM 50-59 years, male 63.2
GTEX-1HBPN-0226-SM-9YFM1 50-59 years, male 63.2
GTEX-1NHNU-1026-SM-E9J2A 50-59 years, male 63.2
GTEX-11ZUS-0626-SM-59885 30-39 years, male 63.0
GTEX-13112-2826-SM-5DUWH 50-59 years, male 63.0
GTEX-1F52S-0126-SM-9MQJU 60-69 years, female 63.0
GTEX-1C4CL-0526-SM-73KVK 30-39 years, male 62.9
GTEX-Z93S-0126-SM-5HL7M 50-59 years, male 62.9
GTEX-QDVJ-1726-SM-2I5FX 50-59 years, male 62.6
GTEX-ZQUD-1426-SM-57WER 30-39 years, male 62.6
GTEX-1QPFJ-0226-SM-E76PB 30-39 years, female 62.6
GTEX-13RTL-0126-SM-7LG5S 40-49 years, male 62.4
GTEX-1ICLY-0126-SM-D4P36 50-59 years, male 62.4
GTEX-WYJK-0126-SM-3NMAB 50-59 years, male 62.3
GTEX-17MF6-0126-SM-7LG4F 40-49 years, male 62.2
GTEX-1LSNM-1926-SM-E6CII 50-59 years, male 62.2
GTEX-1R9PO-2126-SM-E9J4O 60-69 years, female 62.2
GTEX-13RTK-1426-SM-5QGQJ 20-29 years, male 62.0
GTEX-1AX9J-0226-SM-73KXM 60-69 years, male 62.0
GTEX-1RAZA-0126-SM-E6CI3 20-29 years, male 62.0
GTEX-18D9B-0526-SM-7LTAS 60-69 years, male 61.9
GTEX-17HGU-0226-SM-7DHKV 50-59 years, male 61.8
GTEX-18D9U-0226-SM-718BP 40-49 years, male 61.8
GTEX-1IGQW-0126-SM-COH42 60-69 years, male 61.8
GTEX-1LG7Z-1726-SM-D3LA4 30-39 years, male 61.8
GTEX-12ZZZ-0626-SM-5DUXI 60-69 years, male 61.7
GTEX-13FH7-2026-SM-E9J4I 50-59 years, female 61.7
GTEX-147F3-0526-SM-5SI98 50-59 years, female 61.6
GTEX-RWSA-0126-SM-2XCBB 40-49 years, male 61.6
GTEX-1HSMQ-1226-SM-CGQFX 50-59 years, male 61.6
GTEX-1AX9K-2326-SM-73KWU 50-59 years, male 61.5
GTEX-1GF9V-0326-SM-7RHI5 60-69 years, male 61.5
GTEX-1GPI6-0126-SM-9WG69 60-69 years, male 61.5
GTEX-1JK1U-2026-SM-CM2RZ 60-69 years, male 61.5
GTEX-12696-2426-SM-5EQ6H 60-69 years, male 61.4
GTEX-13FTY-0526-SM-5L3EV 40-49 years, female 61.3
GTEX-13113-5016-SM-7EPIP 60-69 years, female 61.2
GTEX-PLZ6-1426-SM-DKPOT 30-39 years, male 61.2
GTEX-PVOW-0126-SM-2XCFA 40-49 years, male 60.8
GTEX-T6MO-1626-SM-32QOM 40-49 years, female 60.8
GTEX-145LU-0126-SM-5TDCB 50-59 years, male 60.7
GTEX-1R7EU-0226-SM-EVR4G 60-69 years, male 60.7
GTEX-S7SE-0126-SM-2XCD5 50-59 years, male 60.6
GTEX-1GN1U-0126-SM-7PBZK 50-59 years, female 60.6
GTEX-1HSEH-0126-SM-ACKXN 60-69 years, male 60.6
GTEX-1S82Y-2026-SM-EVYCM 40-49 years, male 60.6
GTEX-11NSD-2226-SM-5986V 20-29 years, male 60.5
GTEX-1R9PM-2026-SM-E76OY 20-29 years, male 60.5
GTEX-11DXY-2626-SM-5GIE7 60-69 years, male 60.4
GTEX-1GF9X-2026-SM-7PC3A 40-49 years, female 60.3
GTEX-12ZZY-0226-SM-5LZVE 60-69 years, male 60.2
GTEX-13O1R-0126-SM-5L3EH 60-69 years, male 60.1
GTEX-13W3W-2426-SM-5LU5B 60-69 years, female 60.1
GTEX-1B97I-1626-SM-73KYO 40-49 years, male 60.1
GTEX-1J8QM-2126-SM-CYPSJ 60-69 years, female 60.1
GTEX-148VI-1626-SM-5SI6E 60-69 years, female 59.8
GTEX-139TT-0126-SM-5K7Y5 60-69 years, male 59.7
GTEX-ZVE2-0226-SM-59HJB 50-59 years, male 59.7
GTEX-OIZF-0126-SM-7SB8I 60-69 years, male 59.7
GTEX-14A6H-0126-SM-5QGPK 30-39 years, male 59.5
GTEX-17HG3-2226-SM-7938L 30-39 years, female 59.5
GTEX-WFON-2126-SM-3LK7O 40-49 years, male 59.5
GTEX-14DAQ-0126-SM-5S2MQ 60-69 years, female 59.3
GTEX-1B996-0226-SM-7RHGO 60-69 years, male 59.3
GTEX-1GTWX-0126-SM-9YFLK 60-69 years, male 59.3
GTEX-12C56-1726-SM-5EQ61 20-29 years, male 59.2
GTEX-1E2YA-0126-SM-9KNUC 50-59 years, male 59.1
GTEX-133LE-1826-SM-5J1MV 20-29 years, female 58.9
GTEX-14BIL-0126-SM-5SI92 50-59 years, male 58.9
GTEX-1B8KE-2126-SM-73KYX 50-59 years, male 58.9
GTEX-Y8E4-0626-SM-4WWDL 40-49 years, male 58.9
GTEX-1KXAM-2226-SM-CYPTC 60-69 years, male 58.9
GTEX-17GQL-2026-SM-718BA 60-69 years, male 58.8
GTEX-OXRO-0126-SM-2YUN4 60-69 years, female 58.8
GTEX-ZV6S-2326-SM-4YCEY 40-49 years, female 58.8
GTEX-13NZB-2526-SM-5J1OM 30-39 years, male 58.5
GTEX-ZTSS-1926-SM-57WEW 40-49 years, male 58.4
GTEX-U3ZM-1526-SM-3DB9D 40-49 years, male 58.3
GTEX-14JG6-2226-SM-6EU2G 30-39 years, female 58.2
GTEX-11VI4-1726-SM-5CVLH 40-49 years, female 58.1
GTEX-12WSG-2826-SM-E9J4H 50-59 years, female 58.1
GTEX-1MCYP-1926-SM-E9J2R 20-29 years, female 58.1
GTEX-1QCLY-0326-SM-E8VOG 30-39 years, male 58.1
GTEX-11LCK-1026-SM-5A5KB 30-39 years, male 58.0
GTEX-18D9A-1926-SM-7LG6P 30-39 years, female 57.9
GTEX-1CB4I-0226-SM-79OLH 50-59 years, male 57.9
GTEX-1LGRB-2526-SM-CNPPQ 50-59 years, female 57.9
GTEX-11EM3-2426-SM-59861 20-29 years, female 57.8
GTEX-NFK9-0226-SM-2HMKQ 40-49 years, male 57.8
GTEX-18A67-0126-SM-7LG5P 50-59 years, male 57.7
GTEX-1B8SG-0126-SM-73KZ3 50-59 years, male 57.7
GTEX-17EUY-0426-SM-793BD 20-29 years, male 57.6
GTEX-1QW4Y-1526-SM-EAZ3Z 30-39 years, male 57.6
GTEX-1C64O-0126-SM-7SB8P 60-69 years, male 57.5
GTEX-PLZ5-2026-SM-2S1O4 50-59 years, male 57.4
GTEX-13NYB-2526-SM-5K7Z6 40-49 years, male 57.3
GTEX-145MI-0526-SM-5O9A8 60-69 years, female 57.3
GTEX-14DAR-2026-SM-5S2O3 50-59 years, male 57.2
GTEX-145ME-1826-SM-5SI9G 40-49 years, female 57.1
GTEX-1HFI7-1826-SM-ACKXH 50-59 years, female 57.1
GTEX-1GPI7-0126-SM-9MQL8 20-29 years, male 57.0
GTEX-Q2AH-1626-SM-3GAF8 40-49 years, male 56.9
GTEX-ZYT6-0226-SM-5NQ6T 30-39 years, male 56.9
GTEX-1I19N-0326-SM-ACKVX 70-79 years, male 56.9
GTEX-WRHK-1426-SM-3MJF9 20-29 years, female 56.8
GTEX-1K9T9-0126-SM-EVYCF 50-59 years, female 56.8
GTEX-139TU-0126-SM-5K7WH 60-69 years, male 56.7
GTEX-11UD2-0226-SM-5EQKY 50-59 years, male 56.6
GTEX-15RIG-0226-SM-7KFTL 40-49 years, male 56.6
GTEX-1AMEY-1326-SM-73KYK 30-39 years, female 56.5
GTEX-11P81-2326-SM-59875 30-39 years, female 56.4
GTEX-PW2O-1526-SM-7RHHB 20-29 years, male 56.3
GTEX-1JKYR-0126-SM-CNPOJ 20-29 years, male 56.2
GTEX-1CB4J-0626-SM-7DHMP 60-69 years, male 56.1
GTEX-1MCQQ-0826-SM-DLHC2 60-69 years, male 56.1
GTEX-15ETS-0126-SM-7KUMW 40-49 years, female 55.9
GTEX-T5JW-1626-SM-3GADZ 20-29 years, female 55.8
GTEX-Y5V5-2326-SM-4V6GA 60-69 years, female 55.8
GTEX-15CHC-2126-SM-6EU21 60-69 years, female 55.7
GTEX-1JJ6O-0126-SM-E6CI8 60-69 years, male 55.6
GTEX-11EI6-0126-SM-5985R 60-69 years, male 55.4
GTEX-1E1VI-0126-SM-7DHMZ 50-59 years, male 55.2
GTEX-SJXC-0126-SM-2XCFF 60-69 years, male 55.2
GTEX-13N2G-2626-SM-5J1OT 60-69 years, male 55.1
GTEX-ZAB5-1826-SM-5HL7C 50-59 years, male 55.1
GTEX-ZGAY-0526-SM-4WWBB 40-49 years, female 55.1
GTEX-1H1ZS-0426-SM-9WG6G 70-79 years, male 55.1
GTEX-1HSGN-0226-SM-CGQFV 40-49 years, female 55.1
GTEX-1JMOU-1526-SM-CL54I 60-69 years, female 55.1
GTEX-1I4MK-2226-SM-ACKWD 50-59 years, female 55.0
GTEX-1QMI2-0226-SM-EVYBX 60-69 years, male 54.9
GTEX-14PN3-2426-SM-6LLHS 60-69 years, female 54.8
GTEX-1F75I-0326-SM-9YFLU 40-49 years, male 54.8
GTEX-1HCU9-1526-SM-A9SL7 20-29 years, male 54.7
GTEX-R3RS-0126-SM-3GIJL 40-49 years, female 54.6
GTEX-VJWN-0126-SM-3GIK7 50-59 years, female 54.6
GTEX-1HSKV-0226-SM-A9SKJ 60-69 years, male 54.5
GTEX-14A5I-0126-SM-5TDEA 50-59 years, female 54.4
GTEX-1C2JI-1826-SM-73KXC 50-59 years, male 54.4
GTEX-ZXES-1826-SM-5E43S 30-39 years, female 54.4
GTEX-1PIGE-0126-SM-EVYBJ 20-29 years, male 54.3
GTEX-1A8FM-0226-SM-7SB7Q 50-59 years, female 54.2
GTEX-1H4P4-0726-SM-9YFLR 50-59 years, male 54.2
GTEX-11GSO-2426-SM-5A5LY 60-69 years, male 54.1
GTEX-1A3MV-1926-SM-718BT 30-39 years, male 54.1
GTEX-18A7B-0126-SM-7LG64 70-79 years, male 54.0
GTEX-169BO-1326-SM-9MQK2 50-59 years, male 54.0
GTEX-14BMV-0126-SM-5S2PO 50-59 years, male 53.8
GTEX-1IL2V-0126-SM-CM2TX 70-79 years, male 53.4
GTEX-1KWVE-1426-SM-E9TJO 30-39 years, male 52.8
GTEX-1QP2A-0126-SM-E9J43 50-59 years, male 52.8
GTEX-1MA7W-2026-SM-E9TJ6 20-29 years, female 52.7
GTEX-1I1GP-2226-SM-CGQFK 50-59 years, male 52.6
GTEX-1C6VR-2426-SM-79OLD 60-69 years, male 52.5
GTEX-14PHW-0126-SM-6LLJI 60-69 years, female 52.2
GTEX-17MFQ-1726-SM-793C7 20-29 years, male 52.2
GTEX-ZF2S-2326-SM-4WWCE 50-59 years, female 52.0
GTEX-13W46-0226-SM-5SIAG 50-59 years, male 51.8
GTEX-16NGA-1726-SM-731B4 40-49 years, female 51.8
GTEX-T8EM-1026-SM-3DB7M 40-49 years, male 51.8
GTEX-ZZ64-1726-SM-5GZYB 20-29 years, male 51.6
GTEX-1F5PK-2426-SM-7RHHY 50-59 years, male 51.6
GTEX-11EQ9-2426-SM-5HL5T 30-39 years, male 51.3
GTEX-1HCVE-0126-SM-CGQEU 50-59 years, male 51.3
GTEX-XPVG-2626-SM-4B669 50-59 years, male 51.1
GTEX-1JJE9-0326-SM-CL53Z 70-79 years, male 51.1
GTEX-14A5H-0426-SM-5QGQF 60-69 years, male 51.0
GTEX-1J8Q3-1626-SM-CMKGC 60-69 years, male 50.7
GTEX-1KANA-0726-SM-D3L9I 20-29 years, male 50.6
GTEX-U3ZH-2026-SM-3DB78 30-39 years, male 50.5
GTEX-12WSA-0226-SM-5BC5V 60-69 years, male 50.3
GTEX-1J1R8-1726-SM-ARL8M 40-49 years, male 50.0
GTEX-12WSC-0126-SM-5EQ4P 50-59 years, male 49.9
GTEX-14E7W-0126-SM-6LLJ9 70-79 years, male 49.8
GTEX-12WSE-0526-SM-793B2 20-29 years, male 49.2
GTEX-ZYY3-0126-SM-5GZY5 60-69 years, female 49.0
GTEX-U3ZN-2326-SM-3DB7W 30-39 years, female 48.6
GTEX-1IDJU-2626-SM-CM2RT 60-69 years, female 48.5
GTEX-16AAH-1726-SM-7939C 50-59 years, male 48.4
GTEX-1LH75-2426-SM-E9TJE 50-59 years, female 47.1
GTEX-ZXG5-0126-SM-5GIEU 60-69 years, male 46.8
GTEX-11ZU8-2526-SM-5EQKI 60-69 years, male 46.3
GTEX-17F96-1626-SM-7DUFL 70-79 years, male 46.0
GTEX-13OW8-1326-SM-5J1OW 60-69 years, male 45.8
GTEX-14PJ6-2126-SM-6EU1V 60-69 years, female 45.7
GTEX-1212Z-2526-SM-5EGKP 60-69 years, male 45.4
GTEX-QLQ7-1626-SM-2S1R8 60-69 years, male 45.2
GTEX-TMMY-0226-SM-33HBA 40-49 years, female 45.2
GTEX-17HHE-2026-SM-79OKF 50-59 years, male 45.0
GTEX-1GL5R-1826-SM-9KNUY 50-59 years, male 44.6
GTEX-144GL-0126-SM-5TDE2 50-59 years, male 44.4
GTEX-1C475-1826-SM-73KWA 40-49 years, female 44.0
GTEX-1I1GQ-0126-SM-COH3H 50-59 years, male 43.6
GTEX-1CAMQ-0226-SM-7IGPK 40-49 years, male 43.1
GTEX-15EU6-0426-SM-6PAN5 50-59 years, male 43.0
GTEX-TSE9-0126-SM-3DB83 60-69 years, female 42.3
GTEX-13JUV-2726-SM-5LZZ8 40-49 years, female 42.1
GTEX-15F5U-1526-SM-6PANO 40-49 years, male 41.6
GTEX-P44H-0226-SM-2XCEU 40-49 years, male 40.8
GTEX-1I1GT-0626-SM-CGQER 60-69 years, female 40.8
GTEX-1EN7A-0126-SM-7SB81 40-49 years, male 40.7
GTEX-1AMFI-2026-SM-731BH 50-59 years, female 39.8
GTEX-14C5O-0126-SM-5SI6N 60-69 years, male 37.5
GTEX-SNMC-1226-SM-2XCFP 20-29 years, male 35.9
GTEX-SE5C-1626-SM-2XCE3 40-49 years, female 33.7
Show allShow less

Contact

  • NEWS ARTICLES
  • PRESS ROOM

The Project

  • INTRODUCTION
  • ORGANIZATION
  • PUBLICATIONS

The Human Protein Atlas

  • DOWNLOADABLE DATA
  • LICENCE & CITATION
  • HELP & FAQ
The Human Protein Atlas project is funded
by the Knut & Alice Wallenberg Foundation.


contact@proteinatlas.org