We use cookies to enhance the usability of our website. If you continue, we'll assume that you are happy to receive all cookies. More information. Don't show this again.
SLC3A2
HPA
RESOURCES
  • TISSUE
  • BRAIN
  • SINGLE CELL
  • SUBCELLULAR
  • CANCER
  • BLOOD
  • CELL LINE
  • STRUCTURE & INTERACTION
ABOUT
  • INTRODUCTION
  • HISTORY
  • ORGANIZATION
  • PUBLICATIONS
  • ANTIBODY SUBMISSION
  • ANTIBODY AVAILABILITY
  • ACKNOWLEDGMENTS
  • CONTACT
NEWS
  • NEWS ARTICLES
  • PRESS ROOM
LEARN
  • DICTIONARY
  • PROTEIN CLASSES
  • PROTEIN EVIDENCE
  • METHODS
  • EDUCATIONAL VIDEOS
DATA
  • DOWNLOADABLE DATA
  • PUBLICATION DATA
  • RELEASE HISTORY
HELP
  • ANTIBODY VALIDATION
  • ASSAYS & ANNOTATION
  • DISCLAIMER
  • HELP & FAQ
  • PRIVACY STATEMENT
  • LICENCE & CITATION
Fields »
Search result

Field
Term
Gene name
Class
Subclass
Class
Keyword
Chromosome
External id
Tissue
Cell type
Expression
Antibody panel
Tissue
Main location
Patient ID
Annotation
Tissue
Category
Tau score
Cluster
Reliability
Brain region
Category
Tau score
Brain region
Category
Tau score
Brain region
Category
Tau score
Cluster
Reliability
Tissue
Cell type
Enrichment
Cell type
Category
Tau score
Cell type
Category
Tau score
Cell type
Category
Tau score
Cell lineage
Category
Tau score
Cluster
Cluster
Location
Searches
Location
Cell line
Class
Type
Phase
Reliability
Cancer
Prognosis
Cancer
Category
Cancer
Category
Tau score
Cluster
Variants
Interacting gene (ensg_id)
Type
Number of interactions
Pathway
Category
Score
Score
Score
Validation
Validation
Validation
Validation
Antibodies
Data type
Column


  • SUMMARY

  • TISSUE

  • BRAIN

  • SINGLE CELL

  • SUBCELL

  • CANCER

  • BLOOD

  • CELL LINE

  • STRUCT & INT

  • SLC3A2
TISSUE PRIMARY DATA HEART MUSCLE Show tissue menu
ADIPOSE TISSUE ADRENAL GLAND AMYGDALA APPENDIX BASAL GANGLIA BONE MARROW BREAST BRONCHUS CEREBELLUM CEREBRAL CORTEX CERVIX CHOROID PLEXUS COLON DUODENUM
ENDOMETRIUM EPIDIDYMIS ESOPHAGUS FALLOPIAN TUBE GALLBLADDER HEART MUSCLE HIPPOCAMPAL FORMATION HYPOTHALAMUS KIDNEY LIVER LUNG LYMPH NODE MIDBRAIN NASOPHARYNX
ORAL MUCOSA OVARY PANCREAS PARATHYROID GLAND PITUITARY GLAND PLACENTA PROSTATE RECTUM RETINA SALIVARY GLAND SEMINAL VESICLE SKELETAL MUSCLE SKIN SMALL INTESTINE
SMOOTH MUSCLE SOFT TISSUE SPINAL CORD SPLEEN STOMACH TESTIS THYMUS THYROID GLAND TONGUE TONSIL URINARY BLADDER VAGINA
ANTIBODIES
AND
VALIDATION
Dictionary
Heart muscle
Tissue proteome
Heart
HEART MUSCLE - Expression summary
Protein expression
Heart musclei

On the top, protein expression in current human tissue, based on all annotated cell types, is reported with the units not detected (n), low (l), medium (m) and high (h). Underneath, protein expression in each annotated cell type are reported using the same units.

Protein expression data is based on knowledge-based annotation. For genes where more than one antibody has been used, a collective score is set.

If knowledge-based annotation could not be performed for a gene, no data is displayed here. View antibody staining data further down this page.

h
m
l
n
Cardiomyocytes: Not detected
RNA expressioni

A summary of mRNA expression data available for current tissue based on several datasets. The mRNA expression levels in human tissues are based on RNA-seq data generated by the Human Protein Atlas (HPA), Genotype-Tissue Expression (GTEx) portal and CAGE data generated by the FANTOM5 consortium. Consensus normalized expression levels for human tissues was created by combining the data from HPA and GTEx datasets.

The mRNA expression levels in pig are based on RNA-seq data generated by the Human Protein Atlas (HPA), and for mouse, HPA data and in situ hybridization generated by the Allen brain atlas are reported.

Scroll down to view mRNA expression data in more detail.
Consensus:50.3 nTPM
HPA:19.5 nTPM
GTEx:50.3 nTPM
FANTOM5:69.6 Scaled Tags Per Million

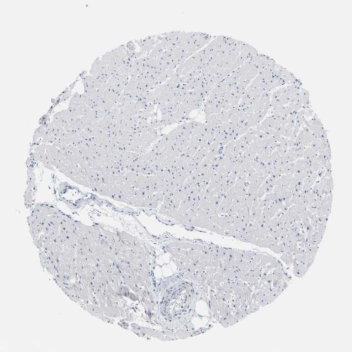
HEART MUSCLE - Antibody stainingi

Antibody staining in the annotated cell types in the current human tissue is reported as not detected, low, medium, or high, based on conventional immunohistochemistry profiling in selected tissues. This score is based on the combination of the staining intensity and fraction of stained cells.

Each image is clickable and will lead to virtual microscopy that enables deeper exploration of all samples and also displays staining intensity scores, fraction scores and subcellular localization as well as patient and tissue information for each sample.

Antibody HPA017980Antibody CAB010455
Cardiomyocytes Not detectedNot detected





HEART MUSCLE - HPA RNA-seqi

The RNA-seq details section shows detailed information about the individual samples used for the transcript profiling and results of the RNA-seq analysis.

Information about each individual sample is listed below, including gender, age, a tissue section image and estimated fractions of cell types. nTPM (normalized transcripts per million) values give a quantification of the gene abundance which is comparable between different genes and samples.
Average nTPMi

Max subtype nTPM is the value for the subtype with the largest average nTPM across the subtype samples.

19.5
overview
Female, age 48
Heart muscle sample 149
nTPM: 26.7
Cell types%
Myocytes:
15

Fibroblasts:
55

Endothelial cells:
25

Other cell types:
5

overview
Female, age 42
Heart muscle sample 150
nTPM: 19
Cell types%
Myocytes:
20

Fibroblasts:
45

Endothelial cells:
30

Other cell types:
5

overview
Male, age 53
Heart muscle sample 151
nTPM: 15.4
Cell types%
Myocytes:
20

Fibroblasts:
45

Endothelial cells:
30

Other cell types:
5

overview
Female, age 69
Heart muscle sample 152
nTPM: 17.1
Cell types%
Myocytes:
20

Fibroblasts:
45

Endothelial cells:
30

Other cell types:
5


HEART MUSCLE - GTEx RNA-seqi

RNA-Seq data generated by the Genotype-Tissue Expression (GTEx) project from human tissues is reported as mean nTPM. More information can be found on the GTEx portal.

Distribution across the dataset is visualized with box plots, shown as median and 25th and 75th percentiles. Points are displayed as outliers if they are above or below 1.5 times the interquartile range. nTPM values of the individual samples are presented next to the box plot.
Max subtype nTPMi

Max subtype nTPM is the value for the subtype with the largest average nTPM across the subtype samples.

50.3
GTEx sample id Sample description nTPM
Heart - Atrial Appendage
Average nTPM: 50.3
Samples: 429

Max nTPM: 297.6
Min nTPM: 19.3
Std nTPM: 31.7
Median nTPM: 42.1
GTEX-15SKB-0926-SM-7KUFC 60-69 years, male 297.6
GTEX-131XE-0526-SM-5K7YT 50-59 years, male 296.2
GTEX-13PDP-1326-SM-5K7U9 60-69 years, male 231.2
GTEX-13O3Q-0326-SM-5L3FE 50-59 years, male 231.0
GTEX-16MT8-0826-SM-7KULO 60-69 years, female 214.4
GTEX-15D1Q-0426-SM-6AJ9G 40-49 years, male 162.5
GTEX-11EQ8-1326-SM-5EGJQ 60-69 years, male 156.1
GTEX-WWYW-1126-SM-3NB2Q 50-59 years, female 153.6
GTEX-1R9K4-1026-SM-EXUT1 60-69 years, male 150.9
GTEX-13OW5-0926-SM-5L3GZ 60-69 years, male 145.9
GTEX-X8HC-1026-SM-46MWH 50-59 years, female 144.9
GTEX-11UD2-0926-SM-5CVL6 50-59 years, male 141.4
GTEX-13PVQ-1326-SM-5LU4J 50-59 years, male 123.1
GTEX-1GZ2Q-0926-SM-7RHHN 40-49 years, male 117.7
GTEX-14PII-1026-SM-5ZZVW 60-69 years, male 112.7
GTEX-UTHO-1226-SM-3GAEE 60-69 years, male 112.7
GTEX-1A8FM-1026-SM-7PC26 50-59 years, female 112.4
GTEX-1HUB1-0726-SM-CGQF4 60-69 years, male 106.3
GTEX-14PJM-0826-SM-6LLIW 50-59 years, female 105.5
GTEX-1117F-0726-SM-5GIEN 60-69 years, female 103.5
GTEX-1H2FU-0826-SM-9WYSU 60-69 years, female 103.3
GTEX-1B996-1026-SM-793CF 60-69 years, male 100.9
GTEX-11WQK-0226-SM-5EQLI 50-59 years, male 100.0
GTEX-1RLM8-0226-SM-E6CJY 50-59 years, male 99.4
GTEX-1J1OQ-2226-SM-A96SS 40-49 years, female 98.1
GTEX-132Q8-1126-SM-5K7XS 60-69 years, male 95.3
GTEX-14BIL-0926-SM-7DHKN 50-59 years, male 92.2
GTEX-XXEK-2026-SM-4BRVE 50-59 years, male 91.4
GTEX-14C38-1326-SM-62LDK 50-59 years, male 89.4
GTEX-14C5O-1226-SM-664N3 60-69 years, male 89.4
GTEX-1H1ZS-1026-SM-9WG6E 70-79 years, male 89.2
GTEX-X4XX-1126-SM-3NMBY 60-69 years, male 88.2
GTEX-WHSE-0826-SM-4SOJU 20-29 years, male 87.7
GTEX-131YS-0826-SM-5PNYV 60-69 years, female 86.2
GTEX-132AR-1926-SM-5EGK5 50-59 years, female 84.3
GTEX-1GTWX-0926-SM-9MQKM 60-69 years, male 84.1
GTEX-13O1R-0926-SM-5L3DS 60-69 years, male 81.7
GTEX-1KD5A-0926-SM-D4P3U 50-59 years, male 81.3
GTEX-1JMQL-1026-SM-CMKGV 50-59 years, female 80.9
GTEX-1JMQK-0926-SM-ARL96 60-69 years, male 80.3
GTEX-14PJO-0826-SM-6ETZK 60-69 years, male 79.6
GTEX-17F9Y-1226-SM-7EPGE 70-79 years, female 78.9
GTEX-1C6VQ-0826-SM-7PBZT 50-59 years, male 77.7
GTEX-139TU-1926-SM-5J2OC 60-69 years, male 76.9
GTEX-ZYFD-2026-SM-5E459 50-59 years, male 75.7
GTEX-XYKS-0226-SM-4BRW3 60-69 years, female 75.1
GTEX-ZTTD-0626-SM-4YCCY 50-59 years, male 74.8
GTEX-1HBPM-1026-SM-ARL9D 60-69 years, female 73.8
GTEX-11TT1-1426-SM-5EGIA 20-29 years, male 72.3
GTEX-1F75B-1126-SM-7RHGP 50-59 years, male 70.9
GTEX-148VJ-1426-SM-5TDE3 70-79 years, male 70.5
GTEX-11O72-1026-SM-5986B 40-49 years, male 70.0
GTEX-13O3P-1426-SM-5L3DT 50-59 years, male 69.8
GTEX-U8XE-0926-SM-3DB8V 30-39 years, male 69.4
GTEX-13JVG-1126-SM-5KM2M 60-69 years, male 68.3
GTEX-13NYS-1926-SM-5IJCB 60-69 years, male 68.3
GTEX-14E6C-0326-SM-5Q5EE 40-49 years, male 67.9
GTEX-13NZA-0826-SM-5K7WS 60-69 years, male 67.3
GTEX-1C6WA-0826-SM-7PBXS 60-69 years, male 67.3
GTEX-11ZVC-0526-SM-5N9G1 50-59 years, female 67.0
GTEX-1A32A-1326-SM-73KWW 50-59 years, female 66.4
GTEX-12584-1026-SM-59HK3 40-49 years, male 66.3
GTEX-1IKOH-0926-SM-A9SLU 60-69 years, female 66.2
GTEX-1M5QR-1626-SM-E9U5O 40-49 years, male 66.2
GTEX-1CB4H-0626-SM-7IGN3 60-69 years, female 65.1
GTEX-13FTZ-0326-SM-5J1O1 60-69 years, male 65.0
GTEX-1CB4I-1526-SM-7DHMY 50-59 years, male 64.9
GTEX-ZVT4-1326-SM-5NQ8E 50-59 years, female 64.3
GTEX-18D9B-1126-SM-7KFSH 60-69 years, male 63.9
GTEX-ZTPG-1326-SM-51MSQ 20-29 years, female 63.7
GTEX-11TUW-1126-SM-5EQKJ 60-69 years, male 63.5
GTEX-1GN1V-1026-SM-CNPPS 60-69 years, male 63.3
GTEX-ZAJG-0926-SM-5Q5AB 50-59 years, female 63.2
GTEX-X261-0926-SM-3NMCY 50-59 years, male 63.1
GTEX-WOFL-1226-SM-4OOST 60-69 years, male 62.9
GTEX-ZYVF-1826-SM-5E44F 50-59 years, female 62.9
GTEX-1H1DG-0826-SM-9QEIW 70-79 years, male 62.9
GTEX-1ICG6-0726-SM-B2LY5 70-79 years, female 62.5
GTEX-14C39-0726-SM-5RQIK 40-49 years, male 62.3
GTEX-1I19N-0626-SM-A9SKY 70-79 years, male 62.2
GTEX-13S86-0326-SM-5SI6K 40-49 years, male 61.4
GTEX-12WSA-1126-SM-5EGKU 60-69 years, male 61.3
GTEX-13RTJ-0526-SM-62LDP 60-69 years, male 61.0
GTEX-1LH75-0526-SM-DIPG2 50-59 years, female 60.9
GTEX-14PHY-0326-SM-62LE3 60-69 years, female 60.4
GTEX-1GMR8-1026-SM-9MQLA 50-59 years, female 60.3
GTEX-15SHV-0526-SM-7KUEN 60-69 years, male 59.7
GTEX-ZG7Y-1426-SM-4WWBM 50-59 years, male 59.7
GTEX-13PL6-0826-SM-5IJBI 40-49 years, female 59.6
GTEX-XLM4-2026-SM-4AT4X 60-69 years, male 59.1
GTEX-14XAO-0926-SM-69LPZ 60-69 years, female 58.9
GTEX-11EM3-0426-SM-5N9BZ 20-29 years, female 58.0
GTEX-16XZZ-1026-SM-7DHKS 60-69 years, male 57.9
GTEX-11GSP-1226-SM-5985M 60-69 years, female 57.8
GTEX-14A5I-1026-SM-5Q5E3 50-59 years, female 57.7
GTEX-1EMGI-1126-SM-9KNUF 60-69 years, male 57.4
GTEX-VJWN-1026-SM-4M1ZN 50-59 years, female 57.3
GTEX-1GF9U-0526-SM-7P8SK 40-49 years, female 57.2
GTEX-1HSMO-1126-SM-CGQF2 60-69 years, male 57.2
GTEX-12BJ1-0326-SM-5FQUB 60-69 years, male 57.0
GTEX-1192X-0726-SM-5987R 50-59 years, male 56.3
GTEX-13X6K-1726-SM-7IGLG 60-69 years, female 55.9
GTEX-18A67-1026-SM-731CE 50-59 years, male 55.9
GTEX-145LS-1326-SM-5Q5EP 60-69 years, female 55.6
GTEX-14BIM-2726-SM-5Q5EG 60-69 years, female 55.5
GTEX-WYBS-1226-SM-3NM9N 60-69 years, female 55.5
GTEX-13OVG-0426-SM-5KM2T 60-69 years, male 55.4
GTEX-13FH7-0826-SM-5J2NW 50-59 years, female 54.2
GTEX-ZV7C-0526-SM-9WPNK 50-59 years, male 54.2
GTEX-13JUV-0226-SM-5IJCC 40-49 years, female 54.1
GTEX-14H4A-0426-SM-5ZZWO 40-49 years, female 54.1
GTEX-X62O-0826-SM-46MW8 50-59 years, male 53.6
GTEX-1L5NE-0526-SM-DIPG5 50-59 years, male 53.6
GTEX-12696-1226-SM-5FQSM 60-69 years, male 53.5
GTEX-YFC4-0426-SM-4TT3J 40-49 years, female 53.5
GTEX-1JN6P-0826-SM-ARL97 60-69 years, male 53.2
GTEX-1R7EV-0426-SM-DTX7Z 40-49 years, male 53.0
GTEX-1I1GP-0626-SM-ARL7H 50-59 years, male 52.7
GTEX-1212Z-0726-SM-5EGI5 60-69 years, male 52.5
GTEX-1LVAO-0626-SM-EWRNT 60-69 years, male 52.5
GTEX-ZPIC-0426-SM-DO91V 40-49 years, female 52.5
GTEX-1QMI2-1026-SM-DTX7T 60-69 years, male 52.4
GTEX-13NYB-0326-SM-5IJDP 40-49 years, male 52.0
GTEX-1JMOU-0326-SM-ARL8X 60-69 years, female 51.7
GTEX-11LCK-0826-SM-5PNYD 30-39 years, male 51.6
GTEX-1J8Q3-1126-SM-ARU8N 60-69 years, male 51.6
GTEX-13X6J-1226-SM-79OMF 50-59 years, male 51.5
GTEX-XPT6-0226-SM-4B65L 20-29 years, male 51.2
GTEX-1HSMQ-0426-SM-ADEIM 50-59 years, male 51.2
GTEX-13D11-1526-SM-5J2NA 50-59 years, female 51.1
GTEX-13QBU-0226-SM-5LU48 40-49 years, female 51.0
GTEX-1A3MX-1226-SM-731B3 60-69 years, male 51.0
GTEX-Z93S-0326-SM-5HL84 50-59 years, male 51.0
GTEX-1IDJU-0626-SM-CKZOG 60-69 years, female 50.8
GTEX-ZAB4-0926-SM-5CVN4 40-49 years, male 50.5
GTEX-13N1W-0926-SM-5MR36 70-79 years, male 50.1
GTEX-12WSN-0226-SM-5DUXH 40-49 years, male 49.6
GTEX-1477Z-1126-SM-5P9GK 60-69 years, male 49.4
GTEX-ZXG5-0626-SM-5NQ85 60-69 years, male 49.4
GTEX-1LSNL-0626-SM-DIPFJ 50-59 years, male 49.4
GTEX-1211K-0226-SM-59HJY 60-69 years, female 49.1
GTEX-ZYFC-1026-SM-5GZX9 50-59 years, male 48.9
GTEX-1CAMS-1126-SM-7MXUQ 40-49 years, female 48.9
GTEX-1HCUA-0626-SM-ACKVT 50-59 years, female 48.9
GTEX-WI4N-0726-SM-3TW93 40-49 years, female 48.7
GTEX-1H3VY-1126-SM-A96TP 50-59 years, male 48.7
GTEX-15DCE-0826-SM-7KULW 20-29 years, male 48.4
GTEX-1EX96-2626-SM-9MQJV 50-59 years, male 48.4
GTEX-12ZZX-0726-SM-5EGKA 40-49 years, female 48.3
GTEX-1399S-0826-SM-5KM23 30-39 years, female 48.2
GTEX-14PN4-0826-SM-69LON 50-59 years, male 48.2
GTEX-17MF6-0926-SM-7LTAL 40-49 years, male 48.2
GTEX-ZT9W-0526-SM-57WFG 50-59 years, male 48.2
GTEX-Y114-0126-SM-4TT8K 50-59 years, female 48.1
GTEX-1EU9M-1926-SM-7RHH4 60-69 years, male 48.1
GTEX-ZVT2-0926-SM-5GICE 50-59 years, female 47.9
GTEX-1EH9U-0626-SM-7PC33 60-69 years, male 47.9
GTEX-ZDTT-0326-SM-4WKF9 60-69 years, male 47.8
GTEX-11ONC-1026-SM-5GU64 60-69 years, male 47.6
GTEX-13FTW-0826-SM-5K7XR 40-49 years, male 47.5
GTEX-1HCVE-0826-SM-CM2SF 50-59 years, male 47.5
GTEX-11DXX-0526-SM-5PNVR 60-69 years, female 47.3
GTEX-1J8Q2-1026-SM-ARU8I 60-69 years, male 47.3
GTEX-XV7Q-0726-SM-4BRV6 40-49 years, female 47.1
GTEX-139YR-0526-SM-5L3DG 50-59 years, male 46.9
GTEX-1CAMQ-0726-SM-7P8SG 40-49 years, male 46.9
GTEX-1H1CY-0426-SM-9KNVD 60-69 years, female 46.9
GTEX-13FHO-1226-SM-5L3EF 60-69 years, male 46.8
GTEX-X4EP-0326-SM-3P5Z6 60-69 years, female 46.8
GTEX-Y8E4-0426-SM-4V6GB 40-49 years, male 46.8
GTEX-1GN1U-1426-SM-7P8TF 50-59 years, female 46.4
GTEX-1GN73-2326-SM-9MQKV 60-69 years, male 46.4
GTEX-14PN3-0726-SM-6EU14 60-69 years, female 46.3
GTEX-15UF7-1526-SM-6LPI7 40-49 years, male 46.1
GTEX-146FH-1126-SM-5NQAT 50-59 years, female 46.0
GTEX-1RB15-0426-SM-E9U4Y 60-69 years, male 46.0
GTEX-13PVR-0926-SM-5S2RB 60-69 years, female 45.7
GTEX-WEY5-0226-SM-3GIKN 40-49 years, female 45.7
GTEX-15RJE-0726-SM-7KUEG 40-49 years, male 45.6
GTEX-17EVP-0526-SM-7EPGY 40-49 years, male 45.6
GTEX-13O61-0426-SM-5L3ET 60-69 years, male 45.4
GTEX-14PHX-0626-SM-5YY8Z 50-59 years, male 45.2
GTEX-YEC4-0226-SM-4W1YG 40-49 years, male 44.9
GTEX-WYJK-1126-SM-3NM9Z 50-59 years, male 44.7
GTEX-1QPFJ-0926-SM-EVR3K 30-39 years, female 44.7
GTEX-1GL5R-0426-SM-9WPOP 50-59 years, male 44.6
GTEX-1GMR3-0426-SM-7PC17 40-49 years, male 44.5
GTEX-1IL2V-1126-SM-CMKGH 70-79 years, male 44.5
GTEX-12WSI-0426-SM-5EQ5J 50-59 years, male 44.4
GTEX-1339X-0326-SM-5K7Z8 40-49 years, male 44.4
GTEX-14PJ4-0926-SM-5YY98 60-69 years, male 44.4
GTEX-1AX9J-0926-SM-73KXA 60-69 years, male 44.3
GTEX-ZE7O-0626-SM-57WCD 50-59 years, female 44.3
GTEX-1AX8Z-1126-SM-731CS 60-69 years, male 44.1
GTEX-13OVI-0326-SM-5K7X1 60-69 years, female 43.7
GTEX-1LGRB-1026-SM-CNPQD 50-59 years, female 43.7
GTEX-Y3I4-0526-SM-4TT6X 50-59 years, male 43.5
GTEX-1HCU7-1226-SM-B2LX8 50-59 years, male 43.2
GTEX-1IKK5-1726-SM-CM2RU 60-69 years, male 43.2
GTEX-13W3W-0526-SM-5LU3X 60-69 years, female 43.1
GTEX-14PK6-0726-SM-6LLIX 70-79 years, female 43.1
GTEX-1QP29-1426-SM-DTX9Q 50-59 years, male 43.1
GTEX-14A6H-0326-SM-5NQAN 30-39 years, male 43.0
GTEX-1F48J-1126-SM-9WYSY 50-59 years, female 43.0
GTEX-14PJ6-0626-SM-686Z6 60-69 years, female 42.9
GTEX-1K2DU-0226-SM-DIPF6 20-29 years, male 42.9
GTEX-ZF29-0426-SM-4WKFN 60-69 years, female 42.8
GTEX-132NY-1426-SM-5J1MJ 60-69 years, male 42.6
GTEX-13YAN-1426-SM-7EPG8 60-69 years, male 42.6
GTEX-ZDYS-0326-SM-5HL4W 50-59 years, male 42.6
GTEX-1JMLX-1826-SM-CNPOX 50-59 years, male 42.6
GTEX-1PPGY-0926-SM-DTXFF 60-69 years, male 42.3
GTEX-132QS-0526-SM-5IJC7 60-69 years, male 42.2
GTEX-16XZY-0526-SM-7DHKY 70-79 years, male 42.2
GTEX-17HGU-1126-SM-793BP 50-59 years, male 42.1
GTEX-1POEN-0726-SM-DTXDU 30-39 years, female 41.9
GTEX-1399U-0726-SM-5KM1D 50-59 years, female 41.8
GTEX-15CHR-0326-SM-7DHN3 50-59 years, male 41.8
GTEX-145LV-0226-SM-5S2QG 50-59 years, male 41.7
GTEX-183WM-0926-SM-718AN 70-79 years, female 41.7
GTEX-1JJ6O-2226-SM-AHZ3I 60-69 years, male 41.7
GTEX-12ZZY-1226-SM-5GCNK 60-69 years, male 41.6
GTEX-1QP6S-1026-SM-DTXFW 40-49 years, male 41.6
GTEX-1AX9I-1026-SM-73KYF 60-69 years, male 41.5
GTEX-WFG8-0726-SM-3GILP 20-29 years, male 41.5
GTEX-XBEC-1226-SM-4AT65 50-59 years, male 41.3
GTEX-1IL2U-1226-SM-CL53P 60-69 years, male 41.2
GTEX-1HC8U-0626-SM-B2LWB 40-49 years, female 41.1
GTEX-13SLW-0826-SM-5QGP7 70-79 years, male 41.0
GTEX-1B8SG-0726-SM-79ONS 50-59 years, male 40.9
GTEX-1AX9K-0426-SM-73KUG 50-59 years, male 40.8
GTEX-XGQ4-0526-SM-4AT6C 50-59 years, male 40.7
GTEX-V1D1-0626-SM-4JBHN 50-59 years, male 40.3
GTEX-15SHU-0926-SM-6PAMK 40-49 years, female 40.1
GTEX-YB5K-0226-SM-5IFJE 40-49 years, female 40.1
GTEX-11ZTT-0526-SM-5EQLA 60-69 years, female 40.0
GTEX-146FR-0926-SM-5QGPE 60-69 years, female 39.9
GTEX-14PJ2-1126-SM-69LOD 50-59 years, male 39.9
GTEX-1H3O1-0226-SM-9WYSW 60-69 years, male 39.9
GTEX-WQUQ-1326-SM-3MJFF 60-69 years, male 39.8
GTEX-1LGOU-0326-SM-D3LAM 20-29 years, female 39.8
GTEX-131XF-0426-SM-5HL7U 60-69 years, male 39.6
GTEX-1OFPY-0926-SM-DTX8Q 60-69 years, male 39.6
GTEX-131XG-0526-SM-5DUWF 50-59 years, female 39.3
GTEX-13O3O-1426-SM-5KM2S 60-69 years, female 39.3
GTEX-YECK-1226-SM-4W21G 60-69 years, male 39.3
GTEX-ZGAY-0226-SM-4WWAL 40-49 years, female 39.3
GTEX-15CHC-0326-SM-5ZZVP 60-69 years, female 39.2
GTEX-XQ8I-0226-SM-4BOPM 50-59 years, male 39.2
GTEX-1192W-0226-SM-5EGGT 60-69 years, male 39.1
GTEX-15SDE-1826-SM-7KUFN 50-59 years, female 39.0
GTEX-1H3NZ-1026-SM-A9SM5 60-69 years, male 38.9
GTEX-1I1CD-1326-SM-A9SMM 60-69 years, female 38.9
GTEX-ZZPU-1126-SM-5N9CW 50-59 years, female 38.8
GTEX-1F6I4-0826-SM-7RHGK 60-69 years, male 38.7
GTEX-13PL7-0726-SM-5KM1S 60-69 years, female 38.4
GTEX-1B8KE-0326-SM-73KTY 50-59 years, male 38.2
GTEX-ZF3C-1126-SM-57WEG 50-59 years, female 38.1
GTEX-16NPX-0826-SM-6M489 50-59 years, male 38.0
GTEX-1F75I-1326-SM-7PBZX 40-49 years, male 38.0
GTEX-14BIN-2126-SM-793AX 50-59 years, female 37.9
GTEX-1CB4E-0626-SM-7DHMW 60-69 years, male 37.9
GTEX-12WSG-1226-SM-5EQ4C 50-59 years, female 37.8
GTEX-ZPCL-0526-SM-DO91R 60-69 years, female 37.8
GTEX-117YX-0626-SM-5EGJI 50-59 years, male 37.7
GTEX-147F4-1126-SM-5TDDE 50-59 years, male 37.7
GTEX-X5EB-0626-SM-46MVQ 40-49 years, male 37.7
GTEX-YJ8O-0826-SM-5CVM3 40-49 years, female 37.7
GTEX-ZVZQ-0726-SM-51MR3 60-69 years, female 37.7
GTEX-1JJEA-0926-SM-CYPSO 60-69 years, male 37.6
GTEX-1GMR2-1326-SM-9KNUT 50-59 years, male 37.4
GTEX-1HBPN-0926-SM-CGQEG 50-59 years, male 37.2
GTEX-1HT8W-1326-SM-CGQEN 30-39 years, male 37.2
GTEX-1IOXB-0726-SM-A9G32 50-59 years, male 37.1
GTEX-18A7A-1226-SM-7LTAJ 50-59 years, female 37.0
GTEX-1GN1W-0226-SM-7P8QY 50-59 years, female 37.0
GTEX-1KXAM-1426-SM-D3LAC 60-69 years, male 37.0
GTEX-13NZ9-0126-SM-5K7XV 50-59 years, male 36.8
GTEX-XPVG-0726-SM-4B658 50-59 years, male 36.8
GTEX-1LG7Y-1426-SM-D4P31 50-59 years, male 36.7
GTEX-1J8QM-0326-SM-CL53D 60-69 years, female 36.6
GTEX-13OW6-0926-SM-5L3GM 50-59 years, male 36.4
GTEX-1BAJH-1026-SM-7EWEG 70-79 years, male 36.3
GTEX-ZLFU-0326-SM-4WWBK 40-49 years, male 36.3
GTEX-1CB4J-0226-SM-7P8T4 60-69 years, male 36.2
GTEX-1IKJJ-0626-SM-CY8GF 60-69 years, male 36.1
GTEX-1GZ4I-0826-SM-9WG6O 50-59 years, male 35.9
GTEX-1P4AB-0926-SM-E76PV 50-59 years, male 35.9
GTEX-13CF2-0226-SM-5L3DV 60-69 years, male 35.8
GTEX-1E2YA-0626-SM-7P8P4 50-59 years, male 35.8
GTEX-ZEX8-0326-SM-DO92C 50-59 years, male 35.8
GTEX-12WSK-0526-SM-5CVNA 40-49 years, female 35.7
GTEX-17JCI-0826-SM-7LT8W 60-69 years, female 35.7
GTEX-1A8G6-1826-SM-73KY8 60-69 years, male 35.7
GTEX-1E1VI-1426-SM-793CY 50-59 years, male 35.6
GTEX-13VXT-0726-SM-5SIAD 20-29 years, female 35.5
GTEX-1QCLZ-1126-SM-EWRNB 60-69 years, female 35.5
GTEX-WH7G-0326-SM-3NMBH 40-49 years, male 35.4
GTEX-WHWD-0326-SM-3LK6L 50-59 years, male 35.4
GTEX-1F75A-1026-SM-7PC3W 50-59 years, male 35.4
GTEX-18A66-1126-SM-731C5 60-69 years, male 35.3
GTEX-V955-0826-SM-CYPR5 60-69 years, male 35.3
GTEX-1MJIX-0426-SM-DTXEN 40-49 years, male 35.2
GTEX-YEC3-0426-SM-CYPS8 50-59 years, male 35.2
GTEX-ZZPT-0926-SM-5GICZ 50-59 years, male 35.1
GTEX-1HBPH-0226-SM-9WYSM 40-49 years, female 35.1
GTEX-1JK1U-0626-SM-CKZOJ 60-69 years, male 35.1
GTEX-1R9JW-0426-SM-E76QL 30-39 years, female 34.9
GTEX-15RIE-1326-SM-6PAMM 60-69 years, male 34.7
GTEX-YF7O-0526-SM-5P9IO 50-59 years, male 34.6
GTEX-WFG7-0826-SM-3GIKU 20-29 years, male 34.3
GTEX-1122O-0626-SM-5N9B9 60-69 years, female 34.1
GTEX-18D9U-1426-SM-718BO 40-49 years, male 34.1
GTEX-1MJK2-1626-SM-EVYCQ 50-59 years, male 34.1
GTEX-13N11-0726-SM-5L3DP 50-59 years, female 34.0
GTEX-117YW-0426-SM-5GZZZ 50-59 years, male 33.8
GTEX-145MN-0726-SM-5NQBH 30-39 years, male 33.8
GTEX-WHPG-1026-SM-3NMBA 50-59 years, male 33.8
GTEX-1C64N-0826-SM-7RHGQ 50-59 years, male 33.8
GTEX-1313W-1126-SM-5EQ5U 50-59 years, female 33.7
GTEX-16YQH-0726-SM-7IGM1 30-39 years, male 33.6
GTEX-17F9E-0726-SM-793A1 50-59 years, male 33.6
GTEX-11GS4-0426-SM-5N9CD 60-69 years, male 33.5
GTEX-15EU6-1326-SM-6PANG 50-59 years, male 33.4
GTEX-1B932-1326-SM-79OM4 40-49 years, female 33.4
GTEX-1445S-1226-SM-5O9BF 60-69 years, male 33.3
GTEX-VUSG-0726-SM-3GIK1 50-59 years, male 33.3
GTEX-W5X1-0826-SM-3GILN 40-49 years, female 33.3
GTEX-13FHP-0826-SM-5K7V5 50-59 years, male 33.2
GTEX-1C2JI-0626-SM-7DHM1 50-59 years, male 33.2
GTEX-1IDJF-0826-SM-ARU7N 20-29 years, male 33.1
GTEX-15ER7-0826-SM-6PALW 20-29 years, female 32.9
GTEX-Y5V5-0726-SM-4VBPY 60-69 years, female 32.9
GTEX-1KANC-0226-SM-E9TIW 50-59 years, female 32.9
GTEX-11EMC-0826-SM-59862 60-69 years, female 32.8
GTEX-XQ3S-0526-SM-4BOQA 20-29 years, male 32.8
GTEX-14E7W-1126-SM-5ZZVS 70-79 years, male 32.7
GTEX-1MCC2-0226-SM-EVYD5 30-39 years, female 32.7
GTEX-17KNJ-0626-SM-7LT9L 50-59 years, male 32.6
GTEX-WRHU-1026-SM-4E3ID 50-59 years, female 32.6
GTEX-1QEPI-1126-SM-E8VN7 60-69 years, female 32.6
GTEX-1LSNM-0426-SM-E9TIZ 50-59 years, male 32.4
GTEX-13O21-0326-SM-5J1N9 50-59 years, male 32.3
GTEX-17F96-0826-SM-7DHLU 70-79 years, male 32.3
GTEX-X3Y1-0226-SM-3P5Z5 40-49 years, male 32.3
GTEX-Y3IK-1026-SM-51MR7 50-59 years, female 32.3
GTEX-1HFI6-0826-SM-9YFM2 40-49 years, male 32.3
GTEX-12WSD-1226-SM-5HL9Q 60-69 years, female 32.2
GTEX-ZUA1-0726-SM-4YCD9 40-49 years, male 32.1
GTEX-1B8SF-1326-SM-7IGQJ 60-69 years, male 32.0
GTEX-11P81-0526-SM-59873 30-39 years, female 31.9
GTEX-15CHQ-1326-SM-6871Z 60-69 years, male 31.8
GTEX-1B97J-0326-SM-7939H 50-59 years, female 31.7
GTEX-ZDXO-0426-SM-4WKF6 60-69 years, male 31.7
GTEX-1HFI7-0526-SM-A9SMA 50-59 years, female 31.7
GTEX-13SLX-0926-SM-5S2NM 50-59 years, female 31.6
GTEX-1399T-0726-SM-5J1MH 60-69 years, male 31.5
GTEX-1F88F-0326-SM-9KNV3 60-69 years, female 31.5
GTEX-1NSGN-1226-SM-E76OL 50-59 years, male 31.5
GTEX-16GPK-1226-SM-7LTAU 60-69 years, male 31.4
GTEX-111VG-0326-SM-5GZX7 60-69 years, male 31.3
GTEX-111YS-0326-SM-5GZZ3 60-69 years, male 30.9
GTEX-1H11D-1026-SM-9QEIU 40-49 years, male 30.8
GTEX-1IKOE-0626-SM-A9G31 30-39 years, female 30.8
GTEX-17GQL-0626-SM-731CN 60-69 years, male 30.6
GTEX-ZAK1-1126-SM-5PNXU 50-59 years, female 30.6
GTEX-11ZUS-0326-SM-5EQ4W 30-39 years, male 30.5
GTEX-13NZB-0426-SM-5KM26 30-39 years, male 30.5
GTEX-1GF9V-1726-SM-9KNW4 60-69 years, male 30.4
GTEX-1GMRU-1326-SM-9WYUI 50-59 years, male 30.3
GTEX-11NUK-0926-SM-5HL57 50-59 years, male 30.1
GTEX-1C64O-0926-SM-79OLN 60-69 years, male 29.8
GTEX-13U4I-0626-SM-5LU5L 40-49 years, female 29.7
GTEX-1NHNU-0626-SM-E6CP1 50-59 years, male 29.7
GTEX-1LVAN-1526-SM-CNPQN 50-59 years, female 29.6
GTEX-147JS-1326-SM-5SI6D 60-69 years, male 29.4
GTEX-WK11-0626-SM-3NMAV 50-59 years, male 29.4
GTEX-ZPU1-0726-SM-5HL6O 40-49 years, male 29.4
GTEX-13OW7-1626-SM-5IJDH 50-59 years, male 29.3
GTEX-1HSKV-0726-SM-ACKWE 60-69 years, male 29.2
GTEX-117XS-0726-SM-5H131 60-69 years, male 29.0
GTEX-14E1K-0826-SM-5ZZW9 50-59 years, male 29.0
GTEX-11DYG-1026-SM-5A5JQ 60-69 years, male 28.9
GTEX-1GN2E-1426-SM-7RHHI 60-69 years, male 28.9
GTEX-1IDJD-0226-SM-CKZOA 30-39 years, male 28.3
GTEX-1EWIQ-1126-SM-7EPIK 70-79 years, female 28.1
GTEX-WFON-0226-SM-3GIKR 40-49 years, male 28.1
GTEX-ZYFG-0526-SM-5GZXX 60-69 years, female 28.0
GTEX-1HSGN-0926-SM-CNNQM 40-49 years, female 28.0
GTEX-11DXZ-0326-SM-5EGH1 50-59 years, male 27.9
GTEX-ZAB5-0126-SM-5CVMT 50-59 years, male 27.9
GTEX-111FC-0626-SM-5N9CU 60-69 years, male 27.8
GTEX-1LB8K-0926-SM-D4P42 50-59 years, male 27.8
GTEX-1I1HK-0626-SM-CNPQM 60-69 years, male 27.7
GTEX-18465-0726-SM-7LG4L 50-59 years, male 27.5
GTEX-14DAQ-1026-SM-793B1 60-69 years, female 27.3
GTEX-WL46-0726-SM-3LK5Z 50-59 years, male 27.2
GTEX-1HR98-1026-SM-CKZOM 60-69 years, male 27.2
GTEX-14JG1-0826-SM-5ZZWR 40-49 years, male 27.0
GTEX-1CB4G-0726-SM-79OOJ 60-69 years, male 27.0
GTEX-ZVT3-0826-SM-5GIC8 60-69 years, female 26.9
GTEX-1KANB-1126-SM-DHXJT 50-59 years, male 26.9
GTEX-WZTO-1226-SM-3NMAZ 40-49 years, male 26.8
GTEX-XOT4-1126-SM-4B66E 60-69 years, female 26.8
GTEX-1I1GR-1026-SM-A9SLC 60-69 years, male 26.7
GTEX-ZF2S-0826-SM-4WWBI 50-59 years, female 26.6
GTEX-1B933-0826-SM-79OMW 50-59 years, female 26.5
GTEX-1I1GV-1426-SM-B2LXN 60-69 years, male 26.4
GTEX-1399R-1726-SM-5K7YJ 30-39 years, male 26.3
GTEX-1I1GQ-1226-SM-CL55J 50-59 years, male 26.2
GTEX-18A6Q-1526-SM-731CO 60-69 years, male 26.0
GTEX-WY7C-1126-SM-3NB3A 50-59 years, male 26.0
GTEX-11DXY-1026-SM-5987V 60-69 years, male 25.9
GTEX-1AYCT-0526-SM-7RHHS 50-59 years, male 25.6
GTEX-13112-0526-SM-5EQ4S 50-59 years, male 25.4
GTEX-13FXS-1026-SM-62LFQ 50-59 years, male 25.3
GTEX-12WSE-0926-SM-5S2VX 20-29 years, male 25.0
GTEX-ZYT6-0926-SM-5GIEM 30-39 years, male 24.8
GTEX-1IY9M-0626-SM-D4P2L 60-69 years, male 24.4
GTEX-11NV4-0826-SM-5BC4S 60-69 years, male 24.1
GTEX-UPK5-0226-SM-3GAEV 40-49 years, male 23.5
GTEX-14BMV-1026-SM-5SI6B 50-59 years, male 23.0
GTEX-12WSC-1026-SM-5EQ5Y 50-59 years, male 22.4
GTEX-1J8EW-0626-SM-CM2TY 60-69 years, female 22.3
GTEX-ZDTS-1226-SM-4WKGL 60-69 years, male 21.6
GTEX-144GL-1026-SM-5O99R 50-59 years, male 21.5
GTEX-1IDJH-1126-SM-COH3R 70-79 years, male 21.3
GTEX-1B8L1-0426-SM-7SB76 60-69 years, male 20.1
GTEX-14ASI-0826-SM-5Q5EB 60-69 years, male 19.3
Show allShow less
Heart - Left Ventricle
Average nTPM: 47.1
Samples: 432

Max nTPM: 556.3
Min nTPM: 15.1
Std nTPM: 38.2
Median nTPM: 37.2
GTEX-OXRO-2026-SM-2YUMZ 60-69 years, female 556.3
GTEX-15DDE-1126-SM-6LLHN 50-59 years, female 317.0
GTEX-132AR-2026-SM-5IJG4 50-59 years, female 279.9
GTEX-17HII-1326-SM-7IGOB 50-59 years, male 223.4
GTEX-15EOM-5007-SM-793DG 20-29 years, female 172.7
GTEX-13O1R-1226-SM-5J1NU 60-69 years, male 156.8
GTEX-17F9Y-1326-SM-7MGW9 70-79 years, female 140.9
GTEX-X8HC-1626-SM-46MWE 50-59 years, female 131.1
GTEX-NPJ8-0426-SM-2HMK6 40-49 years, male 130.5
GTEX-11TUW-1026-SM-5GU7D 60-69 years, male 130.2
GTEX-1N2EF-2826-SM-E6CQF 60-69 years, male 127.7
GTEX-1PPH7-2026-SM-E9J3N 40-49 years, male 120.9
GTEX-1LC47-1026-SM-D3LAH 60-69 years, male 118.1
GTEX-P4QS-0326-SM-2I3EU 60-69 years, male 118.0
GTEX-1JN1M-1026-SM-CNPOS 60-69 years, female 110.4
GTEX-P44G-0826-SM-2I5ES 30-39 years, male 106.2
GTEX-1HSMO-1226-SM-CL548 60-69 years, male 103.3
GTEX-1JMOU-0226-SM-CNNPD 60-69 years, female 102.9
GTEX-XV7Q-0826-SM-4BRV7 40-49 years, female 100.5
GTEX-1C6VQ-1126-SM-7EWET 50-59 years, male 100.2
GTEX-O5YV-0326-SM-2I5H2 60-69 years, female 95.3
GTEX-WWYW-1326-SM-3NB2S 50-59 years, female 91.9
GTEX-1I1GP-0826-SM-A96SD 50-59 years, male 90.3
GTEX-13OW5-1126-SM-5J1NR 60-69 years, male 89.0
GTEX-13JVG-1326-SM-5N9F8 60-69 years, male 88.8
GTEX-14XAO-1126-SM-6EU11 60-69 years, female 88.4
GTEX-11TT1-1326-SM-5PNYM 20-29 years, male 85.9
GTEX-1O9I2-1126-SM-DTXEA 50-59 years, male 83.3
GTEX-ZF3C-1226-SM-4WWCB 50-59 years, female 82.5
GTEX-14C39-0926-SM-5TDDV 40-49 years, male 82.3
GTEX-1PWST-1026-SM-DTXF2 70-79 years, male 81.9
GTEX-14A5I-1226-SM-5NQBW 50-59 years, female 81.6
GTEX-N7MT-1326-SM-2I3FV 60-69 years, female 81.3
GTEX-11ONC-0126-SM-5PNW6 60-69 years, male 80.3
GTEX-1H23P-1226-SM-9QEJ2 60-69 years, male 80.1
GTEX-1EX96-2526-SM-7RHGW 50-59 years, male 80.0
GTEX-11GSP-1326-SM-5A5KY 60-69 years, female 79.0
GTEX-ZAJG-0826-SM-5PNVA 50-59 years, female 78.7
GTEX-12584-0926-SM-5FQTN 40-49 years, male 77.8
GTEX-12ZZW-1026-SM-5GCMM 50-59 years, male 76.7
GTEX-14C38-1426-SM-5RQHZ 50-59 years, male 76.5
GTEX-1A3MX-1326-SM-72D58 60-69 years, male 75.6
GTEX-13O3P-1626-SM-5K7X3 50-59 years, male 74.9
GTEX-14E6C-0426-SM-5YYA8 40-49 years, male 73.8
GTEX-QDVN-0326-SM-2I3FS 50-59 years, male 72.2
GTEX-U8XE-1126-SM-3DB8W 30-39 years, male 72.0
GTEX-1JJE9-1426-SM-ARL8P 70-79 years, male 71.9
GTEX-YB5K-0126-SM-5IFJ2 40-49 years, female 71.7
GTEX-17GQL-0526-SM-72D5N 60-69 years, male 71.0
GTEX-148VJ-1526-SM-5Q5DU 70-79 years, male 70.6
GTEX-13PVQ-1226-SM-5IJDC 50-59 years, male 70.3
GTEX-1H1ZS-1126-SM-9MQLJ 70-79 years, male 70.0
GTEX-14BIL-1126-SM-79OMC 50-59 years, male 69.1
GTEX-1HCU6-1026-SM-A9G25 60-69 years, female 69.1
GTEX-1K9T9-1126-SM-D3L9E 50-59 years, female 68.6
GTEX-11O72-1126-SM-5N9E2 40-49 years, male 68.5
GTEX-13N1W-1026-SM-5IJC5 70-79 years, male 68.5
GTEX-14C5O-1326-SM-5S2UW 60-69 years, male 68.5
GTEX-13YAN-1326-SM-5Q5F1 60-69 years, male 68.3
GTEX-1ICLZ-1026-SM-A9SLF 60-69 years, male 68.2
GTEX-QEG5-0926-SM-2TC64 20-29 years, male 68.1
GTEX-11EM3-0626-SM-5H12Z 20-29 years, female 65.8
GTEX-1EKGG-1126-SM-7MGXB 60-69 years, male 65.8
GTEX-131XG-0626-SM-5GCMP 50-59 years, female 64.7
GTEX-1JN6P-1126-SM-CKZON 60-69 years, male 64.6
GTEX-1A3MW-1326-SM-7189P 60-69 years, female 63.7
GTEX-14H4A-0626-SM-5ZZUT 40-49 years, female 63.4
GTEX-1GF9V-1626-SM-7PBXL 60-69 years, male 63.4
GTEX-XXEK-0926-SM-4BRWH 50-59 years, male 62.6
GTEX-ZPIC-0826-SM-4WWFJ 40-49 years, female 62.5
GTEX-1B996-1126-SM-73KWN 60-69 years, male 61.9
GTEX-15SHW-1226-SM-6M46C 60-69 years, male 61.8
GTEX-XPT6-0126-SM-4B65S 20-29 years, male 60.9
GTEX-X261-1426-SM-4PQZ1 50-59 years, male 60.8
GTEX-14BIN-2226-SM-5YYA1 50-59 years, female 59.9
GTEX-17JCI-1126-SM-7IGMM 60-69 years, female 59.7
GTEX-1KD4Q-0726-SM-DIPGE 40-49 years, male 59.1
GTEX-ZTPG-1226-SM-4YCDO 20-29 years, female 58.2
GTEX-1HCVE-1126-SM-9WPPG 50-59 years, male 57.8
GTEX-13W3W-0426-SM-5SI9D 60-69 years, female 57.6
GTEX-1L5NE-0426-SM-E9TIX 50-59 years, male 57.2
GTEX-1399T-0426-SM-5PNVJ 60-69 years, male 56.9
GTEX-14JIY-1126-SM-6EU28 60-69 years, male 56.4
GTEX-15CHQ-1526-SM-69LPW 60-69 years, male 56.3
GTEX-14PJ2-1026-SM-6EU1M 50-59 years, male 56.2
GTEX-11DXX-0326-SM-5PNWC 60-69 years, female 55.8
GTEX-16XZY-0426-SM-793BI 70-79 years, male 55.8
GTEX-13X6K-1826-SM-5O9CR 60-69 years, female 55.7
GTEX-WHSE-0926-SM-3NMBS 20-29 years, male 55.6
GTEX-131XE-0626-SM-5HL98 50-59 years, male 55.4
GTEX-1M5QR-1026-SM-DHXK9 40-49 years, male 55.4
GTEX-13CF3-0726-SM-5J2MY 60-69 years, female 55.3
GTEX-1LGRB-1126-SM-CNPP2 50-59 years, female 55.2
GTEX-1H3NZ-1126-SM-9WYT9 60-69 years, male 54.9
GTEX-1JMPZ-1426-SM-CJI3C 30-39 years, male 54.6
GTEX-1RAZS-0826-SM-E76QP 50-59 years, male 54.6
GTEX-1211K-0626-SM-5FQUZ 60-69 years, female 54.4
GTEX-13FH7-0926-SM-5J2MR 50-59 years, female 54.0
GTEX-1HCU7-1326-SM-CNPPW 50-59 years, male 53.9
GTEX-1J8Q2-1226-SM-A9G2W 60-69 years, male 53.9
GTEX-1GMR3-0326-SM-7P8QT 40-49 years, male 53.1
GTEX-1212Z-0626-SM-5FQTB 60-69 years, male 52.7
GTEX-REY6-1026-SM-2TF4Y 60-69 years, male 52.7
GTEX-1EH9U-0826-SM-7IGPT 60-69 years, male 52.6
GTEX-Y114-0226-SM-4TT8W 50-59 years, female 52.6
GTEX-1A8G6-1626-SM-7MGWO 60-69 years, male 52.4
GTEX-X15G-0426-SM-4PQZ6 50-59 years, female 51.9
GTEX-145MO-1126-SM-5NQBX 60-69 years, male 51.8
GTEX-1LG7Y-1226-SM-CXZKD 50-59 years, male 51.6
GTEX-1R9K4-1326-SM-DTX8G 60-69 years, male 51.6
GTEX-1ICLY-1326-SM-CJI47 50-59 years, male 51.2
GTEX-1B8SG-0826-SM-7EWF7 50-59 years, male 51.1
GTEX-16MT8-0926-SM-6M487 60-69 years, female 51.0
GTEX-12WSG-0526-SM-5FQTH 50-59 years, female 50.8
GTEX-ZYW4-0926-SM-59HJS 60-69 years, male 50.6
GTEX-1IKJJ-0826-SM-A96SP 60-69 years, male 50.4
GTEX-1GN1W-0326-SM-9JGHF 50-59 years, female 50.1
GTEX-SIU8-0826-SM-2XCDQ 50-59 years, male 49.7
GTEX-P44H-0726-SM-48TBT 40-49 years, male 49.6
GTEX-1269C-0826-SM-5N9EM 60-69 years, female 49.4
GTEX-1GTWX-1026-SM-7P8QW 60-69 years, male 49.4
GTEX-13RTJ-0726-SM-5QGQN 60-69 years, male 48.7
GTEX-17MF6-0726-SM-7LT8E 40-49 years, male 48.6
GTEX-RU72-0326-SM-2TF5T 50-59 years, female 48.4
GTEX-WFG7-0726-SM-3GIKO 20-29 years, male 48.2
GTEX-13S86-0226-SM-5S2PJ 40-49 years, male 47.8
GTEX-1GN2E-1326-SM-9KNVG 60-69 years, male 47.6
GTEX-1314G-0126-SM-5LZUL 30-39 years, male 47.3
GTEX-13FHP-1026-SM-5K7Y2 50-59 years, male 47.3
GTEX-1F48J-1026-SM-7P8SO 50-59 years, female 47.3
GTEX-1QP2A-1126-SM-EVR3H 50-59 years, male 47.3
GTEX-147JS-1526-SM-5ZZWF 60-69 years, male 46.9
GTEX-1JJ6O-2126-SM-CNNP6 60-69 years, male 46.9
GTEX-13NYB-0226-SM-5N9G4 40-49 years, male 46.7
GTEX-13X6I-1426-SM-5SI9Z 60-69 years, male 46.4
GTEX-1497J-1226-SM-5Q5BL 60-69 years, male 46.3
GTEX-QESD-0526-SM-2I5G5 20-29 years, male 46.3
GTEX-XBEC-1326-SM-4AT69 50-59 years, male 46.1
GTEX-1339X-0426-SM-5KLZY 40-49 years, male 45.8
GTEX-1JMLX-1626-SM-ARZMV 50-59 years, male 45.8
GTEX-1JMQK-0626-SM-D4P2R 60-69 years, male 45.7
GTEX-1LH75-0426-SM-E9TJF 50-59 years, female 45.7
GTEX-132QS-0426-SM-5KLZ6 60-69 years, male 45.4
GTEX-1AX9J-1026-SM-72D6E 60-69 years, male 45.2
GTEX-1IDJH-1026-SM-E9TKH 70-79 years, male 45.1
GTEX-13FTW-1026-SM-5L3E3 40-49 years, male 44.9
GTEX-YEC4-0326-SM-4W216 40-49 years, male 44.6
GTEX-1H1CY-0326-SM-9QEIZ 60-69 years, female 44.6
GTEX-1IL2U-1326-SM-A9G2O 60-69 years, male 44.5
GTEX-1QPFJ-1026-SM-E6CR6 30-39 years, female 44.4
GTEX-WY7C-0526-SM-3NB3D 50-59 years, male 43.6
GTEX-18A66-1226-SM-7LT8G 60-69 years, male 43.5
GTEX-11ZVC-0426-SM-5CVLD 50-59 years, female 43.4
GTEX-WRHU-1226-SM-4E3IJ 50-59 years, female 43.4
GTEX-1S3DN-0726-SM-E9TIO 50-59 years, male 43.4
GTEX-PLZ5-0626-SM-2I5F8 50-59 years, male 43.1
GTEX-RN64-0826-SM-2TC62 50-59 years, male 43.0
GTEX-1399S-1026-SM-5KLZ9 30-39 years, female 42.8
GTEX-WK11-0826-SM-EZ6LH 50-59 years, male 42.8
GTEX-131XH-0226-SM-5LZVB 50-59 years, male 42.7
GTEX-15SHU-1126-SM-7KUMB 40-49 years, female 42.6
GTEX-13OW8-2126-SM-5J1OS 60-69 years, male 42.5
GTEX-11I78-0826-SM-5A5K4 50-59 years, female 42.4
GTEX-18D9B-1226-SM-72D6V 60-69 years, male 42.3
GTEX-OIZI-0926-SM-E6CHF 40-49 years, male 42.3
GTEX-1PPGY-1126-SM-E76OU 60-69 years, male 42.2
GTEX-12WSD-1126-SM-5EGJD 60-69 years, female 41.5
GTEX-14E7W-1226-SM-5RQIU 70-79 years, male 41.5
GTEX-1CB4J-0326-SM-7PBZO 60-69 years, male 41.4
GTEX-1HC8U-0726-SM-ACKXL 40-49 years, female 41.3
GTEX-14PHY-0226-SM-5ZZWM 60-69 years, female 41.2
GTEX-ZUA1-0826-SM-4YCDL 40-49 years, male 41.2
GTEX-1ICG6-0626-SM-ACKWS 70-79 years, female 41.2
GTEX-17HHY-1426-SM-7EWDQ 50-59 years, male 41.1
GTEX-1R7EV-0326-SM-E76PA 40-49 years, male 41.1
GTEX-1IDJI-1026-SM-A96TE 50-59 years, female 41.0
GTEX-13FLV-0926-SM-5L3DZ 50-59 years, male 40.9
GTEX-147F4-1226-SM-5NQAY 50-59 years, male 40.9
GTEX-15DYW-1126-SM-6LPK5 60-69 years, female 40.9
GTEX-15RJE-0626-SM-7KUKR 40-49 years, male 40.8
GTEX-YF7O-0426-SM-5P9FS 50-59 years, male 40.7
GTEX-14PJ4-1126-SM-5YY91 60-69 years, male 40.6
GTEX-1399U-0526-SM-5K7YM 50-59 years, female 40.5
GTEX-RTLS-0826-SM-2TF5Q 60-69 years, female 40.4
GTEX-WQUQ-1426-SM-3MJFD 60-69 years, male 40.3
GTEX-1HT8W-1726-SM-CNNQB 30-39 years, male 39.7
GTEX-ZYT6-1726-SM-5E44P 30-39 years, male 39.5
GTEX-1R9PO-0326-SM-DTXA1 60-69 years, female 39.5
GTEX-145MN-0626-SM-5QGRH 30-39 years, male 39.3
GTEX-13QBU-0426-SM-5J2O4 40-49 years, female 39.1
GTEX-RWS6-0326-SM-2XCAP 60-69 years, female 39.1
GTEX-QVJO-1926-SM-2S1QZ 60-69 years, female 39.0
GTEX-ZDYS-0226-SM-5HL4K 50-59 years, male 38.9
GTEX-1J8Q3-1226-SM-CKZPT 60-69 years, male 38.8
GTEX-1MJIX-0326-SM-EVR42 40-49 years, male 38.7
GTEX-1AX9I-1126-SM-7EPHH 60-69 years, male 38.4
GTEX-1OKEX-0726-SM-DPRYE 60-69 years, male 38.4
GTEX-13PVR-1026-SM-5QGQW 60-69 years, female 38.3
GTEX-1C2JI-0526-SM-7EWEQ 50-59 years, male 38.3
GTEX-U4B1-0326-SM-3DB8K 40-49 years, male 38.3
GTEX-1OFPY-1026-SM-EXUSO 60-69 years, male 38.0
GTEX-11LCK-0926-SM-5A5KA 30-39 years, male 37.9
GTEX-Y3IK-0826-SM-51MT8 50-59 years, female 37.9
GTEX-OXRK-0826-SM-2HMK7 50-59 years, female 37.8
GTEX-11DXY-0826-SM-5EGGR 60-69 years, male 37.7
GTEX-146FH-1026-SM-5RQIF 50-59 years, female 37.7
GTEX-ZVZP-0226-SM-5NQ73 50-59 years, male 37.6
GTEX-1HSMQ-0226-SM-C1YQL 50-59 years, male 37.6
GTEX-11EMC-0726-SM-5EGJO 60-69 years, female 37.5
GTEX-13CF2-0426-SM-5KM1H 60-69 years, male 37.5
GTEX-ZPCL-0426-SM-DNZZ4 60-69 years, female 37.5
GTEX-1IDJE-0326-SM-CM2TD 50-59 years, female 37.4
GTEX-1MUQO-1226-SM-E9TJK 60-69 years, male 37.4
GTEX-QEL4-0926-SM-3GAD1 50-59 years, male 37.3
GTEX-XBED-0526-SM-47JY3 60-69 years, male 37.3
GTEX-1IDJU-0726-SM-CNPQ9 60-69 years, female 37.3
GTEX-13O3O-1526-SM-5KM1C 60-69 years, female 37.2
GTEX-QDVJ-0426-SM-2I5FW 50-59 years, male 37.2
GTEX-139YR-0826-SM-5LZXY 50-59 years, male 37.1
GTEX-WI4N-0626-SM-3TW8Z 40-49 years, female 37.1
GTEX-1GN73-2426-SM-7RHFQ 60-69 years, male 37.1
GTEX-XGQ4-0326-SM-4GIEE 50-59 years, male 36.8
GTEX-117YW-0326-SM-5N9CY 50-59 years, male 36.7
GTEX-1B932-1026-SM-793CL 40-49 years, female 36.7
GTEX-1IKK5-1526-SM-CKZPW 60-69 years, male 36.7
GTEX-14PN3-0526-SM-69LQF 60-69 years, female 36.6
GTEX-ZF29-0226-SM-4WKHO 60-69 years, female 36.6
GTEX-ZLFU-0226-SM-4WWFH 40-49 years, male 36.6
GTEX-RUSQ-0526-SM-2TF72 50-59 years, male 36.4
GTEX-P4PQ-0326-SM-2HMJ8 60-69 years, male 36.3
GTEX-Y3I4-0626-SM-4TT7A 50-59 years, male 36.3
GTEX-12WSN-5001-SM-7DHMK 40-49 years, male 36.2
GTEX-12WSK-0626-SM-5LZUJ 40-49 years, female 36.1
GTEX-145LV-0326-SM-5Q5BW 50-59 years, male 36.1
GTEX-ZG7Y-0926-SM-5EQ6O 50-59 years, male 36.0
GTEX-1AX8Z-5007-SM-AHZ36 60-69 years, male 36.0
GTEX-1CB4I-1626-SM-7RHGV 50-59 years, male 36.0
GTEX-16BQI-0926-SM-6M485 30-39 years, female 35.9
GTEX-R45C-0926-SM-3GAD4 60-69 years, female 35.7
GTEX-ZGAY-0326-SM-57WF5 40-49 years, female 35.6
GTEX-1CB4E-0526-SM-7MXTK 60-69 years, male 35.6
GTEX-1HBPH-0126-SM-CNNQ7 40-49 years, female 35.6
GTEX-12696-1126-SM-5FQTI 60-69 years, male 35.5
GTEX-1HBPM-1226-SM-A9SM8 60-69 years, female 35.5
GTEX-ZV7C-0326-SM-57WB1 50-59 years, male 35.4
GTEX-R55G-0526-SM-2TC5O 40-49 years, female 35.3
GTEX-12BJ1-0226-SM-5LUA2 60-69 years, male 35.2
GTEX-18A67-1226-SM-7KFRS 50-59 years, male 35.2
GTEX-1B8KE-0126-SM-793AM 50-59 years, male 35.2
GTEX-OIZG-1126-SM-2HMIU 50-59 years, male 35.2
GTEX-V1D1-0526-SM-4JBGW 50-59 years, male 35.2
GTEX-WFG8-0626-SM-3GILJ 20-29 years, male 35.1
GTEX-1GF9U-0426-SM-7RHHA 40-49 years, female 35.1
GTEX-1GN1V-0826-SM-9KNU6 60-69 years, male 35.1
GTEX-1C64O-0826-SM-79OKZ 60-69 years, male 35.0
GTEX-UJMC-0526-SM-3GAE3 50-59 years, male 35.0
GTEX-13U4I-0826-SM-5SIBD 40-49 years, female 34.9
GTEX-14E6D-0926-SM-5S2QV 50-59 years, male 34.8
GTEX-1EN7A-0726-SM-7PBXT 40-49 years, male 34.8
GTEX-YJ8O-0926-SM-EAZ2Z 40-49 years, female 34.7
GTEX-131XF-5001-SM-7DHLY 60-69 years, male 34.6
GTEX-1KD5A-1026-SM-CY8I8 50-59 years, male 34.5
GTEX-1QP29-1526-SM-EXUSY 50-59 years, male 34.5
GTEX-13X6H-0426-SM-5LU4E 50-59 years, female 34.2
GTEX-OIZH-0326-SM-2HMKC 50-59 years, male 34.2
GTEX-XQ8I-0126-SM-4BOPL 50-59 years, male 34.2
GTEX-PSDG-0926-SM-2I5FP 50-59 years, male 34.1
GTEX-1GL5R-0326-SM-9WYTJ 50-59 years, male 34.1
GTEX-14PJM-1126-SM-6LLHK 50-59 years, female 34.0
GTEX-ZVT2-1026-SM-5GU55 50-59 years, female 34.0
GTEX-1KXAM-1326-SM-E9TJW 60-69 years, male 34.0
GTEX-1LB8K-1026-SM-DHXJJ 50-59 years, male 34.0
GTEX-ZAB5-0226-SM-5CVMH 50-59 years, male 33.9
GTEX-S33H-0526-SM-COH1W 30-39 years, male 33.9
GTEX-1LSNM-0526-SM-DIPG6 50-59 years, male 33.8
GTEX-ZAB4-1026-SM-5HL7T 40-49 years, male 33.7
GTEX-1IKOE-1026-SM-ARZMF 30-39 years, female 33.6
GTEX-14PHX-2126-SM-6EU2U 50-59 years, male 33.5
GTEX-WHWD-0426-SM-3LK83 50-59 years, male 33.5
GTEX-18465-0926-SM-731AY 50-59 years, male 33.4
GTEX-1I1GV-1326-SM-A96SE 60-69 years, male 33.4
GTEX-1AX9K-0526-SM-73KV1 50-59 years, male 33.2
GTEX-PWCY-0526-SM-5P9HG 20-29 years, female 33.1
GTEX-13O61-0526-SM-5J2M1 60-69 years, male 33.0
GTEX-1RMOY-0626-SM-E9TIE 50-59 years, male 33.0
GTEX-ZZPU-0926-SM-5GZYT 50-59 years, female 32.9
GTEX-15ER7-1726-SM-6PAMX 20-29 years, female 32.8
GTEX-14PK6-0826-SM-5ZZVO 70-79 years, female 32.6
GTEX-1LGOU-0726-SM-E9TIY 20-29 years, female 32.6
GTEX-13N11-0426-SM-5KM3O 50-59 years, female 32.5
GTEX-WH7G-0426-SM-3NMBJ 40-49 years, male 32.5
GTEX-1F6IF-2526-SM-7P8TV 60-69 years, male 32.5
GTEX-13OW6-1126-SM-5L3HL 50-59 years, male 32.4
GTEX-1EWIQ-1426-SM-7IGOS 70-79 years, female 32.4
GTEX-OXRL-0326-SM-2I3F2 50-59 years, male 32.4
GTEX-1E1VI-1326-SM-7IGQD 50-59 years, male 32.3
GTEX-1EMGI-1226-SM-793DD 60-69 years, male 32.3
GTEX-1I6K7-0626-SM-ARL7Q 40-49 years, male 32.3
GTEX-13VXT-1126-SM-5LU3A 20-29 years, female 32.1
GTEX-17HGU-1026-SM-79OKL 50-59 years, male 32.1
GTEX-S32W-0626-SM-2XCBG 50-59 years, female 32.1
GTEX-1IDJF-0726-SM-CJI1U 20-29 years, male 32.1
GTEX-11GS4-0526-SM-5A5KQ 60-69 years, male 32.0
GTEX-13SLX-1026-SM-5ZZUQ 50-59 years, female 32.0
GTEX-14PJ6-0726-SM-69LOL 60-69 years, female 31.8
GTEX-18D9U-1126-SM-72D5Y 40-49 years, male 31.8
GTEX-T6MN-0926-SM-32PLX 50-59 years, male 31.8
GTEX-1O97I-0826-SM-E8VNE 60-69 years, male 31.8
GTEX-ZEX8-0426-SM-DO92Y 50-59 years, male 31.8
GTEX-117YX-1126-SM-5H128 50-59 years, male 31.7
GTEX-RNOR-0826-SM-2TF5C 50-59 years, female 31.7
GTEX-1122O-0826-SM-5GICV 60-69 years, female 31.6
GTEX-1R9JW-0526-SM-EWRNK 30-39 years, female 31.6
GTEX-148VI-0326-SM-5RQK7 60-69 years, female 31.4
GTEX-OHPK-0326-SM-2HMJO 50-59 years, female 31.4
GTEX-146FR-0626-SM-5RQJ1 60-69 years, female 31.3
GTEX-1CAMS-1326-SM-79OJR 40-49 years, female 31.3
GTEX-SE5C-0626-SM-2XCDV 40-49 years, female 31.2
GTEX-Y5V5-0626-SM-4VBPX 60-69 years, female 31.2
GTEX-15CHR-0226-SM-7PC2Z 50-59 years, male 31.1
GTEX-1KANC-0426-SM-CXZK5 50-59 years, female 30.9
GTEX-12ZZY-1126-SM-5DUWQ 60-69 years, male 30.8
GTEX-13OVG-0526-SM-5K7YD 60-69 years, male 30.8
GTEX-1J8QM-0426-SM-AHZ3X 60-69 years, female 30.8
GTEX-111YS-0426-SM-5987O 60-69 years, male 30.7
GTEX-15CHC-0426-SM-6LLHI 60-69 years, female 30.7
GTEX-1B97J-0726-SM-7RHG3 50-59 years, female 30.7
GTEX-1HCUA-0526-SM-A9SMH 50-59 years, female 30.7
GTEX-1BAJH-1626-SM-73KUV 70-79 years, male 30.6
GTEX-T2IS-0426-SM-32QPE 20-29 years, female 30.6
GTEX-WYJK-1026-SM-3NM8W 50-59 years, male 30.6
GTEX-P78B-0426-SM-2I5F5 40-49 years, female 30.4
GTEX-1GMRU-1526-SM-9WYT5 50-59 years, male 30.4
GTEX-1HSGN-1126-SM-CJI4G 40-49 years, female 30.4
GTEX-U3ZH-0326-SM-3DB7A 30-39 years, male 30.3
GTEX-1JK1U-0526-SM-CYPSQ 60-69 years, male 30.2
GTEX-132NY-1726-SM-5EGKK 60-69 years, male 30.1
GTEX-WEY5-0426-SM-3GIKT 40-49 years, female 30.1
GTEX-16YQH-0926-SM-793BC 30-39 years, male 30.0
GTEX-O5YT-0326-SM-32PKA 20-29 years, male 30.0
GTEX-16NPX-0926-SM-7KUEZ 50-59 years, male 29.9
GTEX-14DAQ-1126-SM-664MT 60-69 years, female 29.7
GTEX-14E1K-1026-SM-73KUR 50-59 years, male 29.3
GTEX-RWSA-0626-SM-2XCBD 40-49 years, male 29.3
GTEX-XPVG-0826-SM-4B654 50-59 years, male 29.1
GTEX-1H11D-1226-SM-9WPQ2 40-49 years, male 29.1
GTEX-1POEN-0626-SM-EVR4B 30-39 years, female 29.1
GTEX-UPK5-0326-SM-CYPR4 40-49 years, male 29.0
GTEX-UJHI-0426-SM-3DB8Y 50-59 years, female 28.8
GTEX-SUCS-0326-SM-32PLL 70-79 years, male 28.7
GTEX-NFK9-0926-SM-2HMJU 40-49 years, male 28.6
GTEX-18A6Q-1626-SM-7KFTA 60-69 years, male 28.3
GTEX-1EU9M-1826-SM-7DUGU 60-69 years, male 28.3
GTEX-N7MS-0826-SM-2HML4 60-69 years, male 28.3
GTEX-ZDTT-0726-SM-4WKFK 60-69 years, male 28.2
GTEX-1F75I-1126-SM-9WYUO 40-49 years, male 28.2
GTEX-1I1HK-0726-SM-B2LY4 60-69 years, male 28.2
GTEX-1R9K5-1326-SM-E6CPR 50-59 years, male 28.1
GTEX-12ZZZ-1726-SM-59HK5 60-69 years, male 27.9
GTEX-1RB15-0326-SM-E6CQB 60-69 years, male 27.9
GTEX-13D11-1726-SM-5IFGQ 50-59 years, female 27.8
GTEX-OHPL-0326-SM-33HC8 60-69 years, female 27.6
GTEX-17F9E-0926-SM-7IGMG 50-59 years, male 27.5
GTEX-PX3G-0326-SM-2I3EO 20-29 years, female 27.4
GTEX-13NZB-0226-SM-5KM1T 30-39 years, male 27.3
GTEX-1QCLZ-0926-SM-E6CQZ 60-69 years, female 27.2
GTEX-1F5PK-0326-SM-9KNUD 50-59 years, male 27.0
GTEX-1AYCT-0426-SM-73KVZ 50-59 years, male 26.9
GTEX-WHPG-0826-SM-3NMBF 50-59 years, male 26.9
GTEX-1F6I4-0726-SM-7PC2P 60-69 years, male 26.9
GTEX-QEG4-0426-SM-33HC3 30-39 years, male 26.8
GTEX-X3Y1-0426-SM-3P5Z4 40-49 years, male 26.8
GTEX-Y8E4-0326-SM-4VBRR 40-49 years, male 26.7
GTEX-17KNJ-0826-SM-793A4 50-59 years, male 26.6
GTEX-1HFI7-0826-SM-A9G23 50-59 years, female 26.6
GTEX-QLQ7-0526-SM-2I5G3 60-69 years, male 26.5
GTEX-1NV8Z-1526-SM-DTX8X 60-69 years, male 26.5
GTEX-XQ3S-0626-SM-4BOOB 20-29 years, male 26.2
GTEX-R53T-0926-SM-3GADH 50-59 years, female 26.0
GTEX-ZQUD-1526-SM-7IGO2 30-39 years, male 26.0
GTEX-YEC3-0726-SM-CMKFH 50-59 years, male 26.0
GTEX-11DXZ-0626-SM-5GU77 50-59 years, male 25.9
GTEX-1CB4G-0826-SM-7DUGF 60-69 years, male 25.9
GTEX-1GMR2-1426-SM-7RHHK 50-59 years, male 25.9
GTEX-ZYFG-0426-SM-5E43M 60-69 years, female 25.7
GTEX-O5YW-0326-SM-2I5EI 50-59 years, male 25.6
GTEX-U3ZN-1426-SM-3DB87 30-39 years, female 25.6
GTEX-1LVA9-0926-SM-EVR5G 50-59 years, male 25.6
GTEX-QMRM-0526-SM-2I5GA 50-59 years, male 25.5
GTEX-WFON-0326-SM-3GIKX 40-49 years, male 25.5
GTEX-Y5V6-0826-SM-4VBRU 60-69 years, male 25.4
GTEX-OIZF-0326-SM-3MJGY 60-69 years, male 25.4
GTEX-13FTZ-0226-SM-5K7X6 60-69 years, male 25.3
GTEX-1I1GQ-1426-SM-B2LWY 50-59 years, male 25.3
GTEX-111FC-0826-SM-5GZWO 60-69 years, male 25.2
GTEX-13O21-2326-SM-5MR3X 50-59 years, male 25.2
GTEX-14A6H-0226-SM-5Q5DX 30-39 years, male 25.2
GTEX-OOBJ-0326-SM-33HBO 60-69 years, male 25.2
GTEX-POMQ-0326-SM-2I5FO 20-29 years, female 25.2
GTEX-Q2AH-0526-SM-2I3ED 40-49 years, male 25.1
GTEX-1399R-1926-SM-5K7X8 30-39 years, male 25.0
GTEX-14JG1-1026-SM-6ETZY 40-49 years, male 24.8
GTEX-11ZUS-0226-SM-5FQT8 30-39 years, male 24.6
GTEX-1313W-1426-SM-5KLZU 50-59 years, female 24.5
GTEX-1LVAN-1726-SM-CNNR1 50-59 years, female 24.5
GTEX-15RJ7-0226-SM-7KUMN 40-49 years, male 24.4
GTEX-1MCC2-0326-SM-EV7AK 30-39 years, female 24.4
GTEX-1B8L1-0526-SM-79ONX 60-69 years, male 24.3
GTEX-PVOW-0426-SM-5MR5R 40-49 years, male 24.3
GTEX-1GZ4I-1026-SM-9KNV5 50-59 years, male 24.3
GTEX-1J8EW-0926-SM-A9G33 60-69 years, female 24.2
GTEX-ZF2S-1026-SM-9QEGK 50-59 years, female 24.1
GTEX-13OVL-0526-SM-5KLZQ 50-59 years, male 23.9
GTEX-YFC4-0526-SM-5ZZVI 40-49 years, female 23.8
GTEX-QV44-0526-SM-2S1RE 50-59 years, male 23.1
GTEX-WL46-0926-SM-3LK7T 50-59 years, male 23.0
GTEX-ZDXO-0726-SM-57WBT 60-69 years, male 23.0
GTEX-ZPU1-0626-SM-4YCDM 40-49 years, male 23.0
GTEX-SNMC-0126-SM-2XCFO 20-29 years, male 22.5
GTEX-13112-0426-SM-5PNVC 50-59 years, male 22.3
GTEX-ZDTS-1326-SM-6LLHE 60-69 years, male 22.2
GTEX-R55C-0326-SM-3GAF1 40-49 years, male 22.1
GTEX-R55E-1026-SM-2TC5S 20-29 years, male 22.0
GTEX-OHPM-0326-SM-33HCA 50-59 years, male 21.8
GTEX-P4PP-0326-SM-33HC4 30-39 years, female 21.8
GTEX-WZTO-1326-SM-3NM8X 40-49 years, male 21.7
GTEX-1JJEA-0826-SM-CL53T 60-69 years, male 21.6
GTEX-1RQEC-0926-SM-EWROG 60-69 years, male 21.5
GTEX-12WSC-1126-SM-5EQ4G 50-59 years, male 21.3
GTEX-V955-0726-SM-3GAFG 60-69 years, male 21.2
GTEX-15RIE-1726-SM-7KUMU 60-69 years, male 19.6
GTEX-ZYFC-1126-SM-5E44W 50-59 years, male 15.1
Show allShow less

HEART MUSCLE - FANTOM5 CAGEi

RNA expression in human tissues obtained through Cap Analysis of Gene Expression (CAGE) generated by the FANTOM5 project are reported as Scaled Tags Per Million.

Max subtype Scaled Tags Per Millioni

Max subtype Scaled Tags Per Million is the value for the subtype with the largest average Scaled Tags Per Million across the subtype samples.

69.6
FANTOM5 sample id Sample description Scaled Tags Per Million
Heart
Scaled Tags Per Million: 69.6
FF:10016-101C7 70,73,74 years, mixed 69.6
Left atrium
Scaled Tags Per Million: 34.2
FF:10079-102A7 40 years, male 34.2
Left ventricle
Scaled Tags Per Million: 46.5
FF:10078-102A6 73 years, female 46.5

Contact

  • NEWS ARTICLES
  • PRESS ROOM

The Project

  • INTRODUCTION
  • ORGANIZATION
  • PUBLICATIONS

The Human Protein Atlas

  • DOWNLOADABLE DATA
  • LICENCE & CITATION
  • HELP & FAQ
The Human Protein Atlas project is funded
by the Knut & Alice Wallenberg Foundation.


contact@proteinatlas.org