We use cookies to enhance the usability of our website. If you continue, we'll assume that you are happy to receive all cookies. More information. Don't show this again.
SLC3A2
HPA
RESOURCES
  • TISSUE
  • BRAIN
  • SINGLE CELL
  • SUBCELLULAR
  • CANCER
  • BLOOD
  • CELL LINE
  • STRUCTURE & INTERACTION
ABOUT
  • INTRODUCTION
  • HISTORY
  • ORGANIZATION
  • PUBLICATIONS
  • ANTIBODY SUBMISSION
  • ANTIBODY AVAILABILITY
  • ACKNOWLEDGMENTS
  • CONTACT
NEWS
  • NEWS ARTICLES
  • PRESS ROOM
LEARN
  • DICTIONARY
  • PROTEIN CLASSES
  • PROTEIN EVIDENCE
  • METHODS
  • EDUCATIONAL VIDEOS
DATA
  • DOWNLOADABLE DATA
  • PUBLICATION DATA
  • RELEASE HISTORY
HELP
  • ANTIBODY VALIDATION
  • ASSAYS & ANNOTATION
  • DISCLAIMER
  • HELP & FAQ
  • PRIVACY STATEMENT
  • LICENCE & CITATION
Fields »
Search result

Field
Term
Gene name
Class
Subclass
Class
Keyword
Chromosome
External id
Tissue
Cell type
Expression
Antibody panel
Tissue
Main location
Patient ID
Annotation
Tissue
Category
Tau score
Cluster
Reliability
Brain region
Category
Tau score
Brain region
Category
Tau score
Brain region
Category
Tau score
Cluster
Reliability
Tissue
Cell type
Enrichment
Cell type
Category
Tau score
Cell type
Category
Tau score
Cell type
Category
Tau score
Cell lineage
Category
Tau score
Cluster
Cluster
Location
Searches
Location
Cell line
Class
Type
Phase
Reliability
Cancer
Prognosis
Cancer
Category
Cancer
Category
Tau score
Cluster
Variants
Interacting gene (ensg_id)
Type
Number of interactions
Pathway
Category
Score
Score
Score
Validation
Validation
Validation
Validation
Antibodies
Data type
Column


  • SUMMARY

  • TISSUE

  • BRAIN

  • SINGLE CELL

  • SUBCELL

  • CANCER

  • BLOOD

  • CELL LINE

  • STRUCT & INT

  • SLC3A2
TISSUE PRIMARY DATA SKIN Show tissue menu
ADIPOSE TISSUE ADRENAL GLAND AMYGDALA APPENDIX BASAL GANGLIA BONE MARROW BREAST BRONCHUS CEREBELLUM CEREBRAL CORTEX CERVIX CHOROID PLEXUS COLON DUODENUM
ENDOMETRIUM EPIDIDYMIS ESOPHAGUS FALLOPIAN TUBE GALLBLADDER HEART MUSCLE HIPPOCAMPAL FORMATION HYPOTHALAMUS KIDNEY LIVER LUNG LYMPH NODE MIDBRAIN NASOPHARYNX
ORAL MUCOSA OVARY PANCREAS PARATHYROID GLAND PITUITARY GLAND PLACENTA PROSTATE RECTUM RETINA SALIVARY GLAND SEMINAL VESICLE SKELETAL MUSCLE SKIN SMALL INTESTINE
SMOOTH MUSCLE SOFT TISSUE SPINAL CORD SPLEEN STOMACH TESTIS THYMUS THYROID GLAND TONGUE TONSIL URINARY BLADDER VAGINA
ANTIBODIES
AND
VALIDATION
Dictionary
Skin
Tissue proteome
Skin
SKIN - Expression summary
Protein expression
Skini

On the top, protein expression in current human tissue, based on all annotated cell types, is reported with the units not detected (n), low (l), medium (m) and high (h). Underneath, protein expression in each annotated cell type are reported using the same units.

Protein expression data is based on knowledge-based annotation. For genes where more than one antibody has been used, a collective score is set.

If knowledge-based annotation could not be performed for a gene, no data is displayed here. View antibody staining data further down this page.

h
m
l
n
Cells in basal layer: Medium
Cells in corneal layer: Not detected
Cells in granular layer: Not detected
Cells in spinous layer: Not detected
Endothelial cells: Not detected
Extracellular matrix: Not detected
Fibrohistiocytic cells: Not detected
Langerhans cells: Not detected
Lymphocytes: Not detected
Melanocytes: Not detected
Vascular mural cells: Not detected
RNA expressioni

A summary of mRNA expression data available for current tissue based on several datasets. The mRNA expression levels in human tissues are based on RNA-seq data generated by the Human Protein Atlas (HPA), Genotype-Tissue Expression (GTEx) portal and CAGE data generated by the FANTOM5 consortium. Consensus normalized expression levels for human tissues was created by combining the data from HPA and GTEx datasets.

The mRNA expression levels in pig are based on RNA-seq data generated by the Human Protein Atlas (HPA), and for mouse, HPA data and in situ hybridization generated by the Allen brain atlas are reported.

Scroll down to view mRNA expression data in more detail.
Consensus:123.2 nTPM
HPA:54.6 nTPM
GTEx:123.2 nTPM

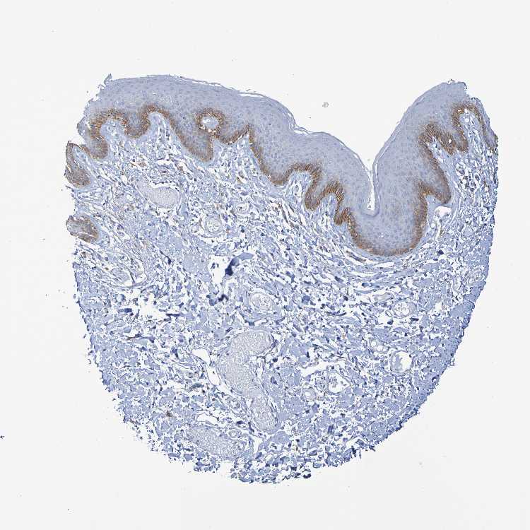
SKIN 1 - Antibody stainingi

Antibody staining in the annotated cell types in the current human tissue is reported as not detected, low, medium, or high, based on conventional immunohistochemistry profiling in selected tissues. This score is based on the combination of the staining intensity and fraction of stained cells.

Each image is clickable and will lead to virtual microscopy that enables deeper exploration of all samples and also displays staining intensity scores, fraction scores and subcellular localization as well as patient and tissue information for each sample.

Antibody HPA017980Antibody CAB010455
Langerhans Not detected-
Cells in basal layer -Low
Cells in corneal layer -Not detected
Cells in granular layer -Not detected
Cells in spinous layer -Not detected
Endothelial cells -Not detected
Extracellular matrix -Not detected
Fibroblasts Not detected-
Fibrohistiocytic cells -Not detected
Keratinocytes Low-
Langerhans cells -Not detected
Lymphocytes -Not detected
Melanocytes Not detectedNot detected
Vascular mural cells -Not detected


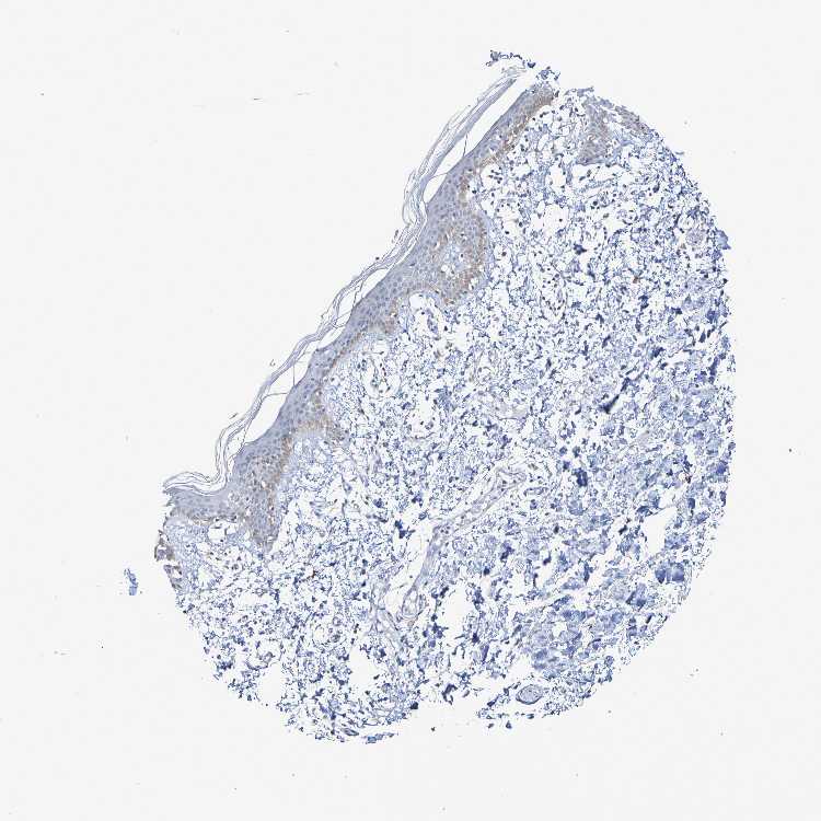
SKIN 2 - Antibody stainingi

Antibody staining in the annotated cell types in the current human tissue is reported as not detected, low, medium, or high, based on conventional immunohistochemistry profiling in selected tissues. This score is based on the combination of the staining intensity and fraction of stained cells.

Each image is clickable and will lead to virtual microscopy that enables deeper exploration of all samples and also displays staining intensity scores, fraction scores and subcellular localization as well as patient and tissue information for each sample.

Antibody HPA017980Antibody CAB010455
Cells in basal layer -Medium
Cells in corneal layer -Not detected
Cells in granular layer -Not detected
Cells in spinous layer -Not detected
Endothelial cells -Not detected
Epidermal cells Medium-
Extracellular matrix -Not detected
Fibrohistiocytic cells -Not detected
Langerhans cells -Not detected
Lymphocytes -Not detected
Melanocytes -Not detected
Vascular mural cells -Not detected
  
  




SKIN - HPA RNA-seqi

The RNA-seq details section shows detailed information about the individual samples used for the transcript profiling and results of the RNA-seq analysis.

Information about each individual sample is listed below, including gender, age, a tissue section image and estimated fractions of cell types. nTPM (normalized transcripts per million) values give a quantification of the gene abundance which is comparable between different genes and samples.
Average nTPMi

Max subtype nTPM is the value for the subtype with the largest average nTPM across the subtype samples.

54.6
overview
Female, age 34
Skin sample 225
nTPM: 50.4
Cell types%
Keratinocytes:
60

Other cell types:
40

overview
Female, age 30
Skin sample 226
nTPM: 32.2
Cell types%
Keratinocytes:
55

Other cell types:
45

N/A
Male, age 57
Skin sample 227
nTPM: 81.1

SKIN - GTEx RNA-seqi

RNA-Seq data generated by the Genotype-Tissue Expression (GTEx) project from human tissues is reported as mean nTPM. More information can be found on the GTEx portal.

Distribution across the dataset is visualized with box plots, shown as median and 25th and 75th percentiles. Points are displayed as outliers if they are above or below 1.5 times the interquartile range. nTPM values of the individual samples are presented next to the box plot.
Max subtype nTPMi

Max subtype nTPM is the value for the subtype with the largest average nTPM across the subtype samples.

123.2
GTEx sample id Sample description nTPM
Skin - Not Sun Exposed (Suprapubic)
Average nTPM: 123.2
Samples: 604

Max nTPM: 342.9
Min nTPM: 57.0
Std nTPM: 37.8
Median nTPM: 116.5
GTEX-13YAN-0226-SM-5TDC6 60-69 years, male 342.9
GTEX-15UF6-1926-SM-7KUDV 70-79 years, female 333.0
GTEX-ZTX8-1326-SM-4YCEL 20-29 years, male 324.8
GTEX-X585-2426-SM-46MW2 50-59 years, male 286.4
GTEX-13IVO-0726-SM-5LZYV 70-79 years, male 271.9
GTEX-ZE7O-2726-SM-51MT5 50-59 years, female 271.0
GTEX-1F6RS-2026-SM-7RHHC 60-69 years, female 269.9
GTEX-WFG7-2026-SM-5SI7P 20-29 years, male 265.4
GTEX-1NV5F-0626-SM-DTXEG 60-69 years, female 240.2
GTEX-Y114-2126-SM-4TT8B 50-59 years, female 236.6
GTEX-1ICLZ-0326-SM-ARL82 60-69 years, male 234.6
GTEX-XYKS-1426-SM-4BRUO 60-69 years, female 230.8
GTEX-1OJC3-1226-SM-DTXER 20-29 years, male 226.3
GTEX-1N2DV-1526-SM-DTXEP 40-49 years, male 223.9
GTEX-1117F-2926-SM-5GZYI 60-69 years, female 223.7
GTEX-XK95-0226-SM-4AT58 40-49 years, male 221.6
GTEX-11WQK-1026-SM-5EQLX 50-59 years, male 217.7
GTEX-1H3VE-0726-SM-9YFL5 40-49 years, male 216.9
GTEX-15DDE-2926-SM-6LLJ3 50-59 years, female 211.6
GTEX-139UW-0326-SM-5J1ML 60-69 years, male 211.5
GTEX-1HGF4-0126-SM-CNPPX 60-69 years, male 210.5
GTEX-WHSE-0126-SM-3NMBT 20-29 years, male 207.9
GTEX-WH7G-2026-SM-3NMBL 40-49 years, male 205.6
GTEX-1E2YA-2126-SM-7MXUO 50-59 years, male 204.9
GTEX-1PPH8-0126-SM-EWRN8 20-29 years, male 204.3
GTEX-148VJ-0626-SM-5LUAW 70-79 years, male 199.0
GTEX-13OW5-2326-SM-5L3HO 60-69 years, male 197.9
GTEX-13NZ8-1226-SM-5KM4A 60-69 years, female 197.5
GTEX-1IDFM-0326-SM-ARL7V 60-69 years, male 195.8
GTEX-13PL6-1126-SM-5L3IE 40-49 years, female 195.5
GTEX-1497J-0226-SM-5QGPU 60-69 years, male 192.3
GTEX-1JMQI-1726-SM-ARL93 50-59 years, male 189.3
GTEX-1F75I-2226-SM-7SB8U 40-49 years, male 187.3
GTEX-14C39-1726-SM-5RQIL 40-49 years, male 184.8
GTEX-1F6I4-2326-SM-7RHGL 60-69 years, male 183.9
GTEX-15SKB-2826-SM-6PAMH 60-69 years, male 182.0
GTEX-17EVQ-0126-SM-7IGLR 70-79 years, male 181.5
GTEX-1H2FU-0926-SM-9WPPT 60-69 years, female 181.3
GTEX-14PJO-2526-SM-6AJBQ 60-69 years, male 181.2
GTEX-1MCYP-0526-SM-E9U6Q 20-29 years, female 180.2
GTEX-1AX9J-1326-SM-731BJ 60-69 years, male 179.5
GTEX-12WSJ-1126-SM-5LZVJ 40-49 years, female 178.4
GTEX-1IKOE-1426-SM-CE6T7 30-39 years, female 175.4
GTEX-1HCU6-2526-SM-ADEHL 60-69 years, female 174.9
GTEX-1HCU7-0726-SM-A9SL1 50-59 years, male 174.8
GTEX-11EQ8-0926-SM-5H12V 60-69 years, male 174.4
GTEX-17F9Y-0126-SM-79OKX 70-79 years, female 174.4
GTEX-12WSK-2126-SM-5CVNC 40-49 years, female 173.5
GTEX-13PDP-0726-SM-5L3HP 60-69 years, male 173.4
GTEX-15SHW-0226-SM-7LTAT 60-69 years, male 172.9
GTEX-17F9E-2326-SM-79OKD 50-59 years, male 172.8
GTEX-12584-0726-SM-5FQTK 40-49 years, male 172.5
GTEX-1PBJJ-1026-SM-E76OS 30-39 years, male 172.4
GTEX-11P7K-1126-SM-5HL4L 30-39 years, male 172.0
GTEX-17F97-2626-SM-7IGM5 50-59 years, male 171.6
GTEX-1F75B-0726-SM-7PC3R 50-59 years, male 170.2
GTEX-14ICL-1626-SM-5YYAO 30-39 years, male 169.8
GTEX-11P82-1426-SM-DTXFY 20-29 years, male 168.9
GTEX-1I1GS-2626-SM-B2LY3 60-69 years, male 168.9
GTEX-ZYY3-2926-SM-5GIEB 60-69 years, female 168.3
GTEX-11ZU8-0126-SM-5EQ58 60-69 years, male 167.1
GTEX-WXYG-2026-SM-4E3IY 50-59 years, female 167.0
GTEX-XBEW-1126-SM-4QARW 40-49 years, male 166.6
GTEX-1N5O9-0926-SM-E9J3C 60-69 years, male 166.1
GTEX-11WQC-1826-SM-5GU59 60-69 years, male 165.8
GTEX-1QP9N-1226-SM-E76QN 30-39 years, male 165.2
GTEX-ZYVF-0926-SM-5E44J 50-59 years, female 164.3
GTEX-1HSMP-0926-SM-A9SKX 70-79 years, male 163.9
GTEX-1M4P7-0726-SM-E6CJ3 60-69 years, male 163.9
GTEX-1HSMQ-2626-SM-A9SML 50-59 years, male 163.7
GTEX-1H1CY-0126-SM-9YFLY 60-69 years, female 162.6
GTEX-ZYW4-0626-SM-59HJR 60-69 years, male 162.1
GTEX-11DYG-1526-SM-5A5JS 60-69 years, male 162.0
GTEX-16AAH-0626-SM-793C9 50-59 years, male 162.0
GTEX-WYBS-0626-SM-3NMAS 60-69 years, female 160.7
GTEX-1NSGN-0726-SM-DTXEF 50-59 years, male 160.2
GTEX-13FTX-1526-SM-5K7VJ 20-29 years, female 160.0
GTEX-1RLM8-2926-SM-E8VON 50-59 years, male 159.1
GTEX-1PIIG-2326-SM-DTXFR 30-39 years, male 158.6
GTEX-11O72-0626-SM-5PNYE 40-49 years, male 158.5
GTEX-14A5H-0826-SM-5QGPJ 60-69 years, male 158.4
GTEX-1R9PN-0426-SM-DTXDT 40-49 years, female 158.3
GTEX-1PIGE-1826-SM-E8VOU 20-29 years, male 158.2
GTEX-1MJK3-0726-SM-E6CJC 20-29 years, male 157.9
GTEX-1LBAC-0826-SM-CY8IJ 20-29 years, male 157.6
GTEX-144FL-0626-SM-5LU43 50-59 years, male 157.1
GTEX-131XF-2626-SM-5EQ6K 60-69 years, male 155.8
GTEX-X8HC-0626-SM-4E3HQ 50-59 years, female 155.6
GTEX-ZLV1-1526-SM-DO91J 60-69 years, female 155.4
GTEX-13NYC-0126-SM-5L3F4 60-69 years, male 155.1
GTEX-14PJ3-1126-SM-5ZZVX 50-59 years, male 154.4
GTEX-ZY6K-1426-SM-5GZX2 50-59 years, male 153.9
GTEX-13NYB-0126-SM-5J1MD 40-49 years, male 153.8
GTEX-1J8Q2-2626-SM-ACKWQ 60-69 years, male 153.7
GTEX-14PII-0726-SM-6EU2B 60-69 years, male 153.5
GTEX-1KAFJ-0126-SM-DIPEK 50-59 years, male 153.5
GTEX-1211K-1526-SM-5FQU4 60-69 years, female 153.4
GTEX-ZYFD-0626-SM-5E44E 50-59 years, male 153.4
GTEX-1H23P-0626-SM-9WG6T 60-69 years, male 153.0
GTEX-14LZ3-0126-SM-69LPM 60-69 years, female 152.8
GTEX-1S5ZU-2526-SM-E6CIF 20-29 years, female 152.2
GTEX-1S83E-1326-SM-E6CJM 40-49 years, male 152.0
GTEX-YF7O-1526-SM-5IFI6 50-59 years, male 151.9
GTEX-133LE-2326-SM-5K7W3 20-29 years, female 151.1
GTEX-WFON-1926-SM-3LK7L 40-49 years, male 151.1
GTEX-14DAR-1226-SM-73KYV 50-59 years, male 151.0
GTEX-1RB15-1326-SM-E76Q9 60-69 years, male 150.9
GTEX-16GPK-0626-SM-7KFSF 60-69 years, male 150.3
GTEX-1J1OQ-0126-SM-D4P2N 40-49 years, female 150.2
GTEX-1S831-1826-SM-EWROF 20-29 years, male 149.6
GTEX-11EM3-1226-SM-5N9DD 20-29 years, female 149.3
GTEX-145LS-0626-SM-7EPG7 60-69 years, female 148.7
GTEX-147F4-0726-SM-5TDDD 50-59 years, male 148.3
GTEX-13JVG-0726-SM-5KM16 60-69 years, male 148.1
GTEX-13VXT-1926-SM-5K7UO 20-29 years, female 147.4
GTEX-14E1K-2026-SM-7DUEI 50-59 years, male 147.1
GTEX-1C64N-2626-SM-7PC2N 50-59 years, male 147.1
GTEX-15G19-2426-SM-7KUMR 60-69 years, male 146.4
GTEX-17F98-1326-SM-7DUEP 40-49 years, female 146.1
GTEX-1LSVX-2526-SM-DIPEU 60-69 years, male 146.1
GTEX-1EH9U-2826-SM-7DUGT 60-69 years, male 146.0
GTEX-11DZ1-2426-SM-5GZZX 50-59 years, male 145.6
GTEX-145MO-2826-SM-5LU96 60-69 years, male 145.5
GTEX-1QCLY-0226-SM-EWRNH 30-39 years, male 145.4
GTEX-13QJC-0126-SM-5ZZWJ 60-69 years, female 145.2
GTEX-YFCO-1226-SM-5LUAT 40-49 years, male 144.1
GTEX-1LKK1-2626-SM-DKPQE 50-59 years, female 144.1
GTEX-ZTTD-2826-SM-4YCFA 50-59 years, male 144.0
GTEX-ZAJG-1526-SM-5CVML 50-59 years, female 143.6
GTEX-11EQ9-1626-SM-5PNY8 30-39 years, male 143.3
GTEX-1B933-2426-SM-7DHMD 50-59 years, female 142.9
GTEX-Y5LM-0926-SM-6LLJG 40-49 years, female 142.9
GTEX-Y8LW-1526-SM-5IFHL 50-59 years, female 142.0
GTEX-1I1GP-1326-SM-A9G28 50-59 years, male 141.8
GTEX-1CB4J-1326-SM-7P8RX 60-69 years, male 141.4
GTEX-131XG-0326-SM-5L3DX 50-59 years, female 141.2
GTEX-WEY5-2326-SM-3GIKK 40-49 years, female 140.9
GTEX-1I1GU-0926-SM-ACKVS 40-49 years, male 140.9
GTEX-1PDJ9-1226-SM-EXUSX 20-29 years, male 140.7
GTEX-15RIG-0726-SM-7KUM7 40-49 years, male 140.6
GTEX-15RJ7-2126-SM-6PAMD 40-49 years, male 140.4
GTEX-1JMQL-2226-SM-CNPP4 50-59 years, female 140.3
GTEX-ZVZP-1226-SM-5GID7 50-59 years, male 140.1
GTEX-13O61-1426-SM-5KM3D 60-69 years, male 139.7
GTEX-ZVP2-0326-SM-57WBP 50-59 years, male 139.7
GTEX-1QP2A-1726-SM-E76QC 50-59 years, male 139.2
GTEX-ZF3C-0626-SM-DO92O 50-59 years, female 139.1
GTEX-1HSMO-0626-SM-ACKXC 60-69 years, male 139.0
GTEX-1R9K4-2826-SM-DTX8F 60-69 years, male 139.0
GTEX-13OVJ-0826-SM-5J1OK 50-59 years, female 138.9
GTEX-15CHQ-0326-SM-69LQD 60-69 years, male 138.8
GTEX-11TUW-0626-SM-5LU9M 60-69 years, male 138.5
GTEX-1JN1M-2726-SM-CY8I4 60-69 years, female 138.4
GTEX-139D8-1126-SM-5LU8W 30-39 years, female 138.0
GTEX-11DXW-0826-SM-5H118 40-49 years, male 137.8
GTEX-1S82U-1026-SM-E6CJK 30-39 years, female 137.7
GTEX-12ZZX-2426-SM-5GCOE 40-49 years, female 137.2
GTEX-1JMLX-0626-SM-ARL8T 50-59 years, male 137.2
GTEX-13X6K-0626-SM-5LU5D 60-69 years, female 137.0
GTEX-1R46S-2426-SM-E76QA 60-69 years, female 137.0
GTEX-13RTJ-0126-SM-5S2NN 60-69 years, male 136.9
GTEX-145MI-0626-SM-5SI8S 60-69 years, female 136.9
GTEX-13JUV-2026-SM-5K7UA 40-49 years, female 136.4
GTEX-15EO6-2426-SM-6PALZ 50-59 years, male 136.1
GTEX-17F96-0126-SM-7EWDU 70-79 years, male 136.1
GTEX-1CAMQ-1326-SM-7P8RV 40-49 years, male 136.0
GTEX-1IE54-1126-SM-A9G2Z 40-49 years, female 135.6
GTEX-1KANA-1326-SM-DIPFA 20-29 years, male 135.3
GTEX-1JMOU-1026-SM-CYPSS 60-69 years, female 135.1
GTEX-ZVE1-0726-SM-51MRN 50-59 years, female 135.0
GTEX-14753-0726-SM-5QGQO 60-69 years, male 134.8
GTEX-YEC4-1826-SM-4W1YP 40-49 years, male 134.5
GTEX-11DXX-2126-SM-5PNYR 60-69 years, female 134.4
GTEX-Y3I4-1726-SM-4TT89 50-59 years, male 134.4
GTEX-1QP28-1126-SM-EVYC4 50-59 years, female 134.1
GTEX-1RAZQ-1326-SM-E9TK6 30-39 years, male 134.1
GTEX-1GN1U-0626-SM-9MQL9 50-59 years, female 133.9
GTEX-14PJ5-1526-SM-6LLIL 60-69 years, female 133.6
GTEX-12KS4-2126-SM-5FQUT 30-39 years, male 133.5
GTEX-16MT8-2926-SM-7DUFO 60-69 years, female 133.5
GTEX-1IDJC-1526-SM-B2LW4 50-59 years, male 133.4
GTEX-U8XE-0226-SM-4E3J3 30-39 years, male 133.2
GTEX-145MF-0926-SM-5Q5EA 50-59 years, male 133.0
GTEX-WYJK-0526-SM-3NM8Z 50-59 years, male 132.6
GTEX-1B97I-0626-SM-73KUZ 40-49 years, male 132.2
GTEX-1192X-2726-SM-5N9DN 50-59 years, male 132.0
GTEX-13D11-0926-SM-5J2NC 50-59 years, female 132.0
GTEX-13NYS-0626-SM-5L3F1 60-69 years, male 132.0
GTEX-ZT9W-1126-SM-57WDR 50-59 years, male 132.0
GTEX-14JG6-1426-SM-9WG7C 30-39 years, female 131.9
GTEX-1QPFJ-1926-SM-EVYBD 30-39 years, female 131.9
GTEX-14PKV-1126-SM-6LLJ1 20-29 years, female 131.6
GTEX-12126-0826-SM-5FQTZ 20-29 years, male 131.4
GTEX-1GMR3-0126-SM-A9SLW 40-49 years, male 131.4
GTEX-1A8G7-1326-SM-73KVM 60-69 years, male 131.0
GTEX-WI4N-2726-SM-3LK7Y 40-49 years, female 130.7
GTEX-X3Y1-2026-SM-3P5YM 40-49 years, male 130.7
GTEX-1JMQK-1226-SM-D4P2S 60-69 years, male 130.7
GTEX-XMD2-2126-SM-4YCF8 60-69 years, female 130.6
GTEX-1JMQJ-0826-SM-CNPP7 50-59 years, male 130.6
GTEX-ZC5H-1526-SM-5HL9Y 40-49 years, female 130.5
GTEX-1HB9E-0126-SM-CM2S5 50-59 years, male 130.5
GTEX-14LLW-2626-SM-62LDZ 70-79 years, female 129.5
GTEX-WHWD-1826-SM-3LK6I 50-59 years, male 129.5
GTEX-ZZ64-1026-SM-5GZXG 20-29 years, male 129.2
GTEX-18A66-0626-SM-7LT8Z 60-69 years, male 129.1
GTEX-1HR98-2226-SM-ADEI2 60-69 years, male 129.1
GTEX-ZPIC-0526-SM-DO91W 40-49 years, female 129.0
GTEX-14PHY-1226-SM-5ZZWK 60-69 years, female 128.6
GTEX-1I19N-0126-SM-CYPSF 70-79 years, male 128.4
GTEX-1JMPY-0226-SM-CKZOK 30-39 years, male 128.0
GTEX-11DXY-0126-SM-5H11Q 60-69 years, male 127.8
GTEX-1LVAN-0626-SM-CNPOQ 50-59 years, female 127.5
GTEX-16YQH-2226-SM-7IGM2 30-39 years, male 127.4
GTEX-139TT-2126-SM-5LZWC 60-69 years, male 127.3
GTEX-1QP29-1826-SM-DTX9S 50-59 years, male 126.7
GTEX-111CU-1126-SM-5EGIM 50-59 years, male 126.6
GTEX-1HBPN-0126-SM-CGQEF 50-59 years, male 126.3
GTEX-145MG-1526-SM-5Q5EM 50-59 years, male 126.2
GTEX-11TT1-1826-SM-5EQLV 20-29 years, male 126.1
GTEX-1399S-0126-SM-5IJCF 30-39 years, female 126.1
GTEX-18QFQ-1826-SM-72D52 30-39 years, male 126.1
GTEX-1MCC2-1826-SM-DIPEX 30-39 years, female 126.1
GTEX-1A8G6-2726-SM-731AR 60-69 years, male 125.9
GTEX-11PRG-0726-SM-5EGL1 50-59 years, male 125.8
GTEX-15G1A-1626-SM-7KUKN 30-39 years, male 125.6
GTEX-18A6Q-0626-SM-7KFRP 60-69 years, male 125.6
GTEX-1GF9U-2026-SM-7SB92 40-49 years, female 125.5
GTEX-16BQI-1326-SM-6M486 30-39 years, female 125.4
GTEX-1S3DN-2126-SM-E9TIN 50-59 years, male 125.4
GTEX-16MTA-0926-SM-6M47Z 50-59 years, male 125.2
GTEX-14BMU-1226-SM-5S2OR 20-29 years, female 125.1
GTEX-1HBPM-0726-SM-9YFL7 60-69 years, female 124.9
GTEX-1F88E-1626-SM-7SB8Z 60-69 years, female 124.8
GTEX-18A7B-2726-SM-7LG56 70-79 years, male 124.7
GTEX-ZF29-0926-SM-4WKFZ 60-69 years, female 124.7
GTEX-1HKZK-0726-SM-ACKW2 40-49 years, male 124.7
GTEX-1C6VQ-1226-SM-73KYD 50-59 years, male 124.3
GTEX-15RJE-2826-SM-7KUM9 40-49 years, male 124.2
GTEX-16XZZ-0726-SM-7KUF2 60-69 years, male 124.0
GTEX-ZA64-1026-SM-5HL8R 20-29 years, male 123.9
GTEX-1HCUA-0826-SM-ADEHM 50-59 years, female 123.9
GTEX-ZUA1-2626-SM-5NQ92 40-49 years, male 123.8
GTEX-ZXG5-2126-SM-59HKD 60-69 years, male 123.6
GTEX-144GO-2026-SM-5O99P 60-69 years, male 122.7
GTEX-X4EP-0626-SM-3P621 60-69 years, female 122.7
GTEX-14JFF-0626-SM-5ZZVT 60-69 years, male 122.3
GTEX-ZVE2-2826-SM-5GU51 50-59 years, male 122.1
GTEX-1H11D-1826-SM-9QEHM 40-49 years, male 122.1
GTEX-17HHE-1326-SM-7EWDZ 50-59 years, male 122.0
GTEX-1QAET-0326-SM-EVR3U 50-59 years, male 122.0
GTEX-13SLW-0626-SM-5Q5ER 70-79 years, male 121.8
GTEX-16NGA-0726-SM-731AO 40-49 years, female 121.8
GTEX-ZAB4-2126-SM-5HL8U 40-49 years, male 121.8
GTEX-X5EB-1926-SM-4E3IW 40-49 years, male 121.6
GTEX-ZVT4-2426-SM-5GIEI 50-59 years, female 121.5
GTEX-Y3IK-1626-SM-4YCF5 50-59 years, female 121.4
GTEX-YECK-0326-SM-4W1YS 60-69 years, male 121.4
GTEX-13W3W-0726-SM-5IJDQ 60-69 years, female 121.1
GTEX-1C6WA-2626-SM-7MKGM 60-69 years, male 121.1
GTEX-1GF9W-1426-SM-7PBYM 60-69 years, male 121.0
GTEX-14C38-0726-SM-5SI6M 50-59 years, male 120.9
GTEX-XQ8I-0926-SM-4BOOF 50-59 years, male 120.9
GTEX-1H1ZS-2726-SM-9WG75 70-79 years, male 120.9
GTEX-13X6H-0926-SM-5SIB2 50-59 years, female 120.8
GTEX-1H1DE-1326-SM-9KNUG 20-29 years, male 120.7
GTEX-11ZUS-2626-SM-5FQUR 30-39 years, male 120.5
GTEX-13OVH-0526-SM-5L3E6 70-79 years, male 120.5
GTEX-WHSB-1326-SM-3LK6W 50-59 years, male 120.5
GTEX-1OJC4-2726-SM-E76PJ 50-59 years, female 120.5
GTEX-12696-0126-SM-5EQ4L 60-69 years, male 120.3
GTEX-17MFQ-1526-SM-7KFRR 20-29 years, male 120.3
GTEX-13N1W-2426-SM-5IJD1 70-79 years, male 120.2
GTEX-1HFI6-0126-SM-CNPPI 40-49 years, male 120.1
GTEX-17HII-1426-SM-7EPGG 50-59 years, male 120.0
GTEX-144GL-0626-SM-5LU4D 50-59 years, male 119.9
GTEX-1B996-0426-SM-7EWF8 60-69 years, male 119.4
GTEX-1CB4H-1126-SM-7MKGL 60-69 years, female 119.4
GTEX-1GMR2-0826-SM-7PC3V 50-59 years, male 119.3
GTEX-147GR-2426-SM-5ZZWQ 60-69 years, male 119.2
GTEX-ZDTS-0826-SM-4WKHL 60-69 years, male 119.1
GTEX-1F52S-2926-SM-7MKGA 60-69 years, female 118.8
GTEX-1GPI7-1826-SM-9KNU1 20-29 years, male 118.8
GTEX-1R9PM-1926-SM-EVR3O 20-29 years, male 118.8
GTEX-1HFI7-2326-SM-CGQFS 50-59 years, female 118.7
GTEX-1K2DU-1226-SM-CYPT4 20-29 years, male 118.7
GTEX-13O3O-2326-SM-5IJD6 60-69 years, female 118.6
GTEX-14E6C-2426-SM-5S2NF 40-49 years, male 118.5
GTEX-XQ3S-1426-SM-4BOPR 20-29 years, male 118.3
GTEX-1JK1U-0226-SM-ARZMX 60-69 years, male 118.2
GTEX-13G51-1826-SM-5KLZH 60-69 years, male 118.0
GTEX-XBED-1926-SM-47JYP 60-69 years, male 118.0
GTEX-1HT8W-0626-SM-A9G2H 30-39 years, male 117.9
GTEX-12WSH-1526-SM-5BC5W 50-59 years, male 117.8
GTEX-147F3-1726-SM-5SIAW 50-59 years, female 117.7
GTEX-UPJH-0226-SM-3GADV 50-59 years, male 117.7
GTEX-18D9B-0926-SM-7LG4U 60-69 years, male 117.6
GTEX-1CB4E-0926-SM-7EPHT 60-69 years, male 117.4
GTEX-1313W-0626-SM-5EQ4H 50-59 years, female 117.0
GTEX-12WSF-1626-SM-7KUG5 70-79 years, male 116.8
GTEX-1C2JI-1026-SM-73KY1 50-59 years, male 116.5
GTEX-1EX96-1026-SM-7MKG2 50-59 years, male 116.5
GTEX-139TS-2126-SM-5K7XC 60-69 years, male 116.4
GTEX-14B4R-1326-SM-5Q5EZ 30-39 years, male 116.3
GTEX-16MT9-0126-SM-7EPI8 60-69 years, female 116.3
GTEX-1JJEA-1826-SM-ARU8P 60-69 years, male 116.3
GTEX-1LGOU-1326-SM-D3L8M 20-29 years, female 116.1
GTEX-18D9A-1426-SM-7LT8M 30-39 years, female 115.9
GTEX-1GF9X-1326-SM-7PC2Y 40-49 years, female 115.9
GTEX-145MN-1526-SM-5SI9T 30-39 years, male 115.8
GTEX-1JN76-0626-SM-CKZOQ 20-29 years, female 115.8
GTEX-131YS-2826-SM-5EQ47 60-69 years, female 115.7
GTEX-1H1E6-0426-SM-9WYUS 30-39 years, male 115.7
GTEX-13113-1626-SM-5EQ4I 60-69 years, female 115.6
GTEX-XUW1-0926-SM-4BONX 50-59 years, female 115.6
GTEX-ZLFU-1826-SM-4WWBV 40-49 years, male 115.1
GTEX-11LCK-2226-SM-5HL4Q 30-39 years, male 114.9
GTEX-Y9LG-1126-SM-4VBQ7 30-39 years, male 114.9
GTEX-111VG-1626-SM-5EGIO 60-69 years, male 114.6
GTEX-1QP66-1226-SM-DTX7U 50-59 years, male 114.5
GTEX-1F5PL-0926-SM-7PC2W 40-49 years, female 114.2
GTEX-1269C-0126-SM-5EQ5L 60-69 years, female 113.9
GTEX-13QBU-1226-SM-5LU4G 40-49 years, female 113.9
GTEX-139TU-0726-SM-5L3EK 60-69 years, male 113.7
GTEX-1RMOY-1326-SM-E9TIH 50-59 years, male 113.6
GTEX-Y111-0626-SM-4SOIT 50-59 years, male 113.4
GTEX-13FHO-0426-SM-5L3F5 60-69 years, male 113.3
GTEX-13NZ9-2626-SM-5L3FK 50-59 years, male 113.2
GTEX-WY7C-2126-SM-3NB2R 50-59 years, male 113.2
GTEX-14BIN-1126-SM-5RQJZ 50-59 years, female 113.1
GTEX-1AYD5-2626-SM-7PBXY 50-59 years, male 112.9
GTEX-XXEK-1626-SM-4BRUZ 50-59 years, male 112.5
GTEX-1A3MV-1826-SM-731CD 30-39 years, male 112.4
GTEX-1AX9I-2226-SM-73KUO 60-69 years, male 111.9
GTEX-1I6K7-1926-SM-B2LXR 40-49 years, male 111.8
GTEX-13OVG-1626-SM-5J1NF 60-69 years, male 111.7
GTEX-1CAMR-1326-SM-7PC1F 20-29 years, male 111.7
GTEX-ZPCL-1126-SM-4WWFE 60-69 years, female 111.6
GTEX-18A67-1626-SM-7LT9T 50-59 years, male 111.5
GTEX-1GZ4H-0526-SM-9KNU9 50-59 years, female 111.5
GTEX-1N2EE-0626-SM-E76PW 60-69 years, male 111.5
GTEX-YEC3-1326-SM-DO92X 50-59 years, male 111.4
GTEX-ZGAY-1826-SM-DO91Q 40-49 years, female 111.0
GTEX-1CAV2-0126-SM-7IGN7 40-49 years, female 110.9
GTEX-1GMR8-0626-SM-7RHI7 50-59 years, female 110.9
GTEX-13PVR-0426-SM-5RQK2 60-69 years, female 110.8
GTEX-1IKJJ-2226-SM-CJI4C 60-69 years, male 110.8
GTEX-14PHX-2226-SM-6EU2P 50-59 years, male 110.7
GTEX-1CB4F-1026-SM-7DUH1 60-69 years, male 110.3
GTEX-12WSD-0626-SM-5GCMW 60-69 years, female 110.2
GTEX-Y5V6-2326-SM-4VDSA 60-69 years, male 110.2
GTEX-1KD5A-0126-SM-E9U54 50-59 years, male 110.0
GTEX-18D9U-0126-SM-731BM 40-49 years, male 109.9
GTEX-14PJN-1826-SM-6AJ98 30-39 years, male 109.1
GTEX-12C56-1526-SM-5FQUQ 20-29 years, male 109.0
GTEX-VUSG-2326-SM-4KL1U 50-59 years, male 109.0
GTEX-1399U-1126-SM-5L3DB 50-59 years, female 108.9
GTEX-1I1GT-1026-SM-ARZLV 60-69 years, female 108.9
GTEX-YB5K-2026-SM-4VDT3 40-49 years, female 108.8
GTEX-13112-0126-SM-5P9IU 50-59 years, male 108.5
GTEX-1F5PK-2226-SM-7SB6N 50-59 years, male 108.5
GTEX-13OW6-2726-SM-5J2OE 50-59 years, male 108.2
GTEX-ZDTT-0426-SM-4WKFL 60-69 years, male 108.2
GTEX-11OF3-0126-SM-5PNYF 60-69 years, male 108.1
GTEX-1GN1W-2426-SM-9KNUU 50-59 years, female 108.1
GTEX-12ZZZ-0726-SM-5GCNZ 60-69 years, male 108.0
GTEX-1H1DF-1126-SM-9WG7G 40-49 years, female 107.9
GTEX-1LVAO-2726-SM-E9TJ8 60-69 years, male 107.8
GTEX-1BAJH-2426-SM-7IGP8 70-79 years, male 107.7
GTEX-15DYW-2726-SM-6EU2I 60-69 years, female 107.3
GTEX-14E6E-0526-SM-793DN 30-39 years, male 107.0
GTEX-1F48J-0726-SM-7RHGS 50-59 years, female 107.0
GTEX-ZP4G-1426-SM-4WWCL 20-29 years, female 106.7
GTEX-1C64O-1326-SM-7MGWR 60-69 years, male 106.0
GTEX-11ZTT-2126-SM-5CVLO 60-69 years, female 105.9
GTEX-1J8JJ-0626-SM-ARZMQ 60-69 years, female 105.8
GTEX-1GN73-0726-SM-7P8TJ 60-69 years, male 105.6
GTEX-11GS4-0226-SM-5HL77 60-69 years, male 105.5
GTEX-1L5NE-1126-SM-D3L9P 50-59 years, male 105.5
GTEX-1H1DG-2426-SM-9QEHJ 70-79 years, male 105.4
GTEX-1A3MW-0626-SM-731CB 60-69 years, female 105.3
GTEX-Z93S-1626-SM-5CVMB 50-59 years, male 105.3
GTEX-1IL2V-1926-SM-B2LW8 70-79 years, male 105.3
GTEX-1CAMS-2226-SM-7PBXQ 40-49 years, female 105.2
GTEX-1RAZS-2526-SM-E6CHT 50-59 years, male 105.1
GTEX-12WSL-2026-SM-5GCML 50-59 years, male 105.0
GTEX-139YR-1026-SM-5LZYN 50-59 years, male 105.0
GTEX-15D1Q-2826-SM-6LLH7 40-49 years, male 104.9
GTEX-15EU6-2226-SM-6EU2L 50-59 years, male 104.7
GTEX-Y8E4-2026-SM-5IFJB 40-49 years, male 104.7
GTEX-131XH-0126-SM-5LZUY 50-59 years, male 104.6
GTEX-X4EO-2926-SM-4E3JH 60-69 years, female 104.6
GTEX-13OVL-0126-SM-5L3GJ 50-59 years, male 104.4
GTEX-YJ8O-2526-SM-5HL85 40-49 years, female 104.3
GTEX-1JJ6O-2726-SM-CNPOG 60-69 years, male 104.2
GTEX-139T8-0626-SM-5KLZX 60-69 years, male 104.1
GTEX-ZDYS-2426-SM-4WKGI 50-59 years, male 104.1
GTEX-1GN1V-2826-SM-9JGIA 60-69 years, male 104.0
GTEX-1J8Q3-0526-SM-ARL8U 60-69 years, male 103.9
GTEX-1LG7Y-2526-SM-EWRO7 50-59 years, male 103.8
GTEX-15RIE-1926-SM-7KUKJ 60-69 years, male 103.7
GTEX-15ER7-0626-SM-6PANF 20-29 years, female 103.5
GTEX-XAJ8-1426-SM-47JYM 40-49 years, male 103.4
GTEX-1A8FM-0626-SM-7PC25 50-59 years, female 103.3
GTEX-1C6VR-0126-SM-7RHGB 60-69 years, male 103.3
GTEX-13X6I-1826-SM-5SIAO 60-69 years, male 103.2
GTEX-1HR9M-2226-SM-CNPPY 60-69 years, male 103.1
GTEX-1GPI6-1926-SM-9KNV7 60-69 years, male 103.0
GTEX-1HCVE-2726-SM-CL54F 50-59 years, male 103.0
GTEX-11P81-2226-SM-5PNYI 30-39 years, female 102.9
GTEX-ZPU1-1126-SM-4YCF3 40-49 years, male 102.9
GTEX-13SLX-2226-SM-62LEP 50-59 years, female 102.7
GTEX-14PJ2-0626-SM-6LLII 50-59 years, male 102.6
GTEX-1122O-1026-SM-9WYSF 60-69 years, female 102.4
GTEX-ZF2S-1626-SM-57WES 50-59 years, female 102.3
GTEX-1IDJV-0126-SM-COH3Y 60-69 years, male 102.3
GTEX-117YX-1926-SM-5GIEC 50-59 years, male 102.1
GTEX-1I1CD-0626-SM-CE6SW 60-69 years, female 102.0
GTEX-1EMGI-2326-SM-7PBYA 60-69 years, male 101.9
GTEX-1PPGY-1626-SM-EVYBL 60-69 years, male 101.8
GTEX-18465-2826-SM-7LT9J 50-59 years, male 101.6
GTEX-ZT9X-1526-SM-5DUXD 40-49 years, male 101.4
GTEX-ZYFC-0426-SM-5GICQ 50-59 years, male 101.3
GTEX-1H3O1-1326-SM-9MQLD 60-69 years, male 101.3
GTEX-1LSNM-0826-SM-DIPG8 50-59 years, male 101.3
GTEX-1PPH7-1126-SM-DTX9A 40-49 years, male 101.3
GTEX-1CB4I-0126-SM-7RHGG 50-59 years, male 101.1
GTEX-12BJ1-0926-SM-5EQ62 60-69 years, male 101.0
GTEX-11VI4-1126-SM-5EQMD 40-49 years, female 100.8
GTEX-1JMPZ-0726-SM-CY8HZ 30-39 years, male 100.7
GTEX-1ICLY-0826-SM-CMKG1 50-59 years, male 100.5
GTEX-ZYT6-2326-SM-5GZY3 30-39 years, male 100.4
GTEX-13O3Q-0126-SM-5KM34 50-59 years, male 100.3
GTEX-14XAO-1226-SM-6EU1C 60-69 years, female 100.3
GTEX-183WM-0326-SM-72D5V 70-79 years, female 100.3
GTEX-12WSM-1926-SM-5BC65 60-69 years, male 100.2
GTEX-13FTW-0326-SM-5K7UW 40-49 years, male 100.2
GTEX-145ME-1726-SM-5Q5EU 40-49 years, female 100.1
GTEX-14PJ6-2626-SM-6EU2T 60-69 years, female 99.5
GTEX-1GZ4I-2626-SM-9KNU3 50-59 years, male 99.5
GTEX-1JKYR-0626-SM-ARL8R 20-29 years, male 99.5
GTEX-1GTWX-2026-SM-9YFLM 60-69 years, male 99.4
GTEX-1KANC-1226-SM-CYPT7 50-59 years, female 99.4
GTEX-1R7EU-1626-SM-DTXG3 60-69 years, male 99.3
GTEX-1GF9V-0826-SM-9KNUV 60-69 years, male 99.2
GTEX-1I1GV-0626-SM-ARL7M 60-69 years, male 99.2
GTEX-1AMEY-0826-SM-72D65 30-39 years, female 99.1
GTEX-WHPG-2626-SM-3NMBR 50-59 years, male 99.1
GTEX-1B8KE-1126-SM-7EPHI 50-59 years, male 99.0
GTEX-1B8KZ-0326-SM-73KY4 50-59 years, male 98.9
GTEX-13PVQ-0626-SM-5LU47 50-59 years, male 98.8
GTEX-ZTSS-1426-SM-5985P 40-49 years, male 98.8
GTEX-1399Q-2326-SM-5KM2X 40-49 years, male 98.7
GTEX-1JKYN-0826-SM-ARU8S 30-39 years, male 98.7
GTEX-1LVAM-0726-SM-E6CIL 50-59 years, female 98.7
GTEX-13N2G-0226-SM-5K7VF 60-69 years, male 98.6
GTEX-11UD2-2526-SM-5CVNU 50-59 years, male 98.3
GTEX-ZE9C-2526-SM-5IJDR 60-69 years, male 98.3
GTEX-1QCLZ-2426-SM-EVYBW 60-69 years, female 98.1
GTEX-ZDXO-3126-SM-5IJDF 60-69 years, male 97.7
GTEX-1S82P-2126-SM-E6CI5 60-69 years, female 97.7
GTEX-145LT-0526-SM-5LUB2 40-49 years, male 97.5
GTEX-1O9I2-0226-SM-EYYXD 50-59 years, male 97.5
GTEX-1I4MK-0126-SM-CY8G6 50-59 years, female 97.4
GTEX-1LVA9-2626-SM-EVYD4 50-59 years, male 97.4
GTEX-1JJE9-2626-SM-ARZMT 70-79 years, male 97.3
GTEX-1EN7A-2426-SM-793DB 40-49 years, male 97.1
GTEX-1QW4Y-1126-SM-DTXE3 30-39 years, male 97.1
GTEX-145MH-2826-SM-5RQJF 50-59 years, male 96.9
GTEX-18A7A-0126-SM-731AH 50-59 years, female 96.9
GTEX-12ZZY-0726-SM-5EQ66 60-69 years, male 96.7
GTEX-11NSD-0626-SM-5A5LU 20-29 years, male 96.2
GTEX-WK11-2726-SM-3NMAQ 50-59 years, male 96.2
GTEX-WRHU-2826-SM-3MJG8 50-59 years, female 96.2
GTEX-XV7Q-1826-SM-4BRUV 40-49 years, female 96.0
GTEX-ZLWG-0826-SM-59888 50-59 years, female 96.0
GTEX-1A3MX-2626-SM-7PC24 60-69 years, male 96.0
GTEX-1477Z-0326-SM-7IGLA 60-69 years, male 95.7
GTEX-1A32A-0626-SM-731AQ 50-59 years, female 95.5
GTEX-XPVG-2126-SM-4B667 50-59 years, male 95.3
GTEX-Y5V5-0126-SM-5S2NW 60-69 years, female 94.9
GTEX-11DXZ-2026-SM-5987S 50-59 years, male 94.7
GTEX-ZVTK-0226-SM-51MRG 20-29 years, male 94.4
GTEX-146FQ-2126-SM-5RQHU 30-39 years, male 94.1
GTEX-12WSC-2826-SM-5BC5Y 50-59 years, male 94.0
GTEX-17HHY-0426-SM-7DHLC 50-59 years, male 93.8
GTEX-13FTY-2126-SM-5IFFB 40-49 years, female 93.7
GTEX-17EVP-2626-SM-7IGMA 40-49 years, male 93.6
GTEX-1HUB1-1426-SM-CGQF5 60-69 years, male 93.6
GTEX-1GZ2Q-0126-SM-9WG6M 40-49 years, male 93.5
GTEX-1F75A-0726-SM-7RHHD 50-59 years, male 93.3
GTEX-XBEC-0726-SM-4QARZ 50-59 years, male 92.9
GTEX-1J8EW-2726-SM-CY8HR 60-69 years, female 92.8
GTEX-1KANB-2826-SM-CY8I6 50-59 years, male 92.7
GTEX-14DAQ-0626-SM-793DS 60-69 years, female 92.6
GTEX-1HC8U-1326-SM-9YFMJ 40-49 years, female 92.6
GTEX-1HSGN-0826-SM-ACKW3 40-49 years, female 92.6
GTEX-1RAZR-2126-SM-E9U6T 40-49 years, male 92.4
GTEX-1I6K6-1726-SM-CGQFD 30-39 years, male 92.2
GTEX-1HSKV-1226-SM-ADEI4 60-69 years, male 91.6
GTEX-1GL5R-1326-SM-7RHHF 50-59 years, male 91.5
GTEX-XOT4-0626-SM-4B66L 60-69 years, female 91.3
GTEX-14BMV-2826-SM-5TDED 50-59 years, male 91.2
GTEX-1KXAM-1626-SM-D3LAD 60-69 years, male 91.1
GTEX-13VXU-0626-SM-5L3F9 50-59 years, male 91.0
GTEX-14A6H-2026-SM-5Q5DD 30-39 years, male 90.9
GTEX-1C475-1326-SM-7SB73 40-49 years, female 90.9
GTEX-1H3NZ-2726-SM-9WYTQ 60-69 years, male 90.9
GTEX-14JG1-1526-SM-5YY9X 40-49 years, male 90.8
GTEX-17KNJ-2126-SM-718AM 50-59 years, male 90.7
GTEX-13N11-2326-SM-5IJBF 50-59 years, female 90.6
GTEX-1AMFI-1326-SM-7939R 50-59 years, female 90.6
GTEX-14PJ4-0226-SM-5YY92 60-69 years, male 90.4
GTEX-ZZPU-0826-SM-5GZX5 50-59 years, female 90.4
GTEX-1IDJU-1726-SM-CMKHU 60-69 years, female 89.6
GTEX-14PKU-0126-SM-6LLHV 40-49 years, female 89.3
GTEX-1F88F-0126-SM-9WYSZ 60-69 years, female 89.3
GTEX-1314G-1326-SM-5BC6E 30-39 years, male 89.1
GTEX-17HGU-2326-SM-7DUFE 50-59 years, male 89.1
GTEX-1LGRB-0926-SM-COH3K 50-59 years, female 89.1
GTEX-ZYFG-1526-SM-5GZYM 60-69 years, female 89.0
GTEX-1IY9M-2826-SM-ARU8H 60-69 years, male 88.9
GTEX-17MF6-2626-SM-79OKQ 40-49 years, male 88.8
GTEX-17HG3-2626-SM-7DUF2 30-39 years, female 88.7
GTEX-1K2DA-1026-SM-CGQGF 50-59 years, male 88.6
GTEX-1LG7Z-1626-SM-CXKYR 30-39 years, male 88.6
GTEX-183FY-1026-SM-7939A 20-29 years, male 88.5
GTEX-1HBPI-2126-SM-ARL9K 50-59 years, male 88.5
GTEX-1GMRU-2126-SM-7P8RA 50-59 years, male 88.1
GTEX-1B8SF-0126-SM-7DUG3 60-69 years, male 87.5
GTEX-145LU-1926-SM-79OJN 50-59 years, male 87.2
GTEX-111FC-2526-SM-5GZXU 60-69 years, male 87.1
GTEX-1POEN-2326-SM-E9J2L 30-39 years, female 87.1
GTEX-1ICG6-1226-SM-A9SLN 70-79 years, female 86.9
GTEX-111YS-1526-SM-5GZYW 60-69 years, male 86.8
GTEX-11GSP-2326-SM-5HL63 60-69 years, female 86.8
GTEX-14AS3-1526-SM-5Q5ED 40-49 years, female 86.8
GTEX-1J1R8-2026-SM-CL53Y 40-49 years, male 86.8
GTEX-W5X1-2526-SM-3GILC 40-49 years, female 86.7
GTEX-13FLV-0126-SM-5K7WT 50-59 years, male 86.5
GTEX-131XW-0626-SM-5PNVD 50-59 years, female 86.2
GTEX-16NPX-0726-SM-7KULC 50-59 years, male 86.1
GTEX-13FH7-1126-SM-5K7UG 50-59 years, female 86.0
GTEX-1EKGG-0626-SM-7DUGJ 60-69 years, male 85.9
GTEX-147JS-0226-SM-5S2U9 60-69 years, male 85.8
GTEX-14PK6-0226-SM-62LF5 70-79 years, female 85.3
GTEX-13OW7-0426-SM-5K7VK 50-59 years, male 85.1
GTEX-ZWKS-0626-SM-5GIDV 30-39 years, male 84.6
GTEX-15FZZ-0526-SM-7KUGD 30-39 years, female 84.4
GTEX-15CHR-1126-SM-7EWF4 50-59 years, male 84.2
GTEX-1EU9M-1426-SM-793AI 60-69 years, male 84.1
GTEX-WFG8-2126-SM-3GIKQ 20-29 years, male 84.1
GTEX-1K9T9-1526-SM-DIPFR 50-59 years, female 84.0
GTEX-1QEPI-2626-SM-DTXF4 60-69 years, female 83.9
GTEX-1IDJI-0126-SM-CMKHS 50-59 years, female 83.4
GTEX-13OVK-1426-SM-6PAN7 40-49 years, male 83.3
GTEX-1H4P4-2126-SM-9WYSL 50-59 years, male 83.3
GTEX-1399R-1326-SM-5PNYS 30-39 years, male 82.9
GTEX-132AR-0326-SM-5KM2C 50-59 years, female 82.7
GTEX-ZU9S-1826-SM-5NQ9E 30-39 years, male 82.7
GTEX-1E1VI-0326-SM-793D1 50-59 years, male 82.6
GTEX-1HCU9-0426-SM-9WYSD 20-29 years, male 82.4
GTEX-ZVT2-0126-SM-5GIDQ 50-59 years, female 82.3
GTEX-15CHC-1126-SM-6LLHQ 60-69 years, female 82.2
GTEX-WYVS-1626-SM-3NM9R 40-49 years, female 82.1
GTEX-1I1HK-2326-SM-CKZOH 60-69 years, male 82.1
GTEX-144GM-0526-SM-79OJO 20-29 years, male 82.0
GTEX-1F6IF-0926-SM-7SB7M 60-69 years, male 82.0
GTEX-1LSNL-2726-SM-E9TKJ 50-59 years, male 82.0
GTEX-11NUK-2726-SM-5A5MC 50-59 years, male 81.8
GTEX-14C5O-0326-SM-5ZZUX 60-69 years, male 81.7
GTEX-1QMI2-2526-SM-E8VNZ 60-69 years, male 81.2
GTEX-1J8QM-2426-SM-A9SLS 60-69 years, female 80.5
GTEX-1JN6P-2926-SM-CL54D 60-69 years, male 80.4
GTEX-1IDJF-2026-SM-CL53V 20-29 years, male 80.2
GTEX-1IDJH-0126-SM-D3L92 70-79 years, male 80.2
GTEX-14ABY-2026-SM-62LDL 50-59 years, male 79.7
GTEX-1RAZA-2226-SM-E9U4X 20-29 years, male 79.4
GTEX-12WSA-0426-SM-5EQ5X 60-69 years, male 79.2
GTEX-1AX8Z-0726-SM-73KTS 60-69 years, male 78.3
GTEX-1LB8K-0726-SM-D5OV2 50-59 years, male 78.0
GTEX-11EI6-2826-SM-5H11D 60-69 years, male 77.5
GTEX-ZAK1-0626-SM-5HL8E 50-59 years, female 77.5
GTEX-1IOXB-2726-SM-CM2RI 50-59 years, male 77.2
GTEX-1HCU8-2526-SM-CE6RX 60-69 years, female 76.8
GTEX-13U4I-2226-SM-5LU5H 40-49 years, female 76.2
GTEX-1GN2E-0226-SM-9WG6K 60-69 years, male 75.7
GTEX-1212Z-0126-SM-59HK4 60-69 years, male 75.5
GTEX-1KWVE-1026-SM-D3L9O 30-39 years, male 73.7
GTEX-1EWIQ-0326-SM-7DHMQ 70-79 years, female 73.0
GTEX-13X6J-0626-SM-5LU5F 50-59 years, male 72.0
GTEX-V1D1-2026-SM-3GAF4 50-59 years, male 71.3
GTEX-178AV-1726-SM-7KUL8 40-49 years, male 70.3
GTEX-1GZHY-0626-SM-9KNVC 50-59 years, female 69.9
GTEX-1IDJD-2326-SM-ACKWX 30-39 years, male 69.9
GTEX-16Z82-2626-SM-7KULU 60-69 years, male 69.7
GTEX-1F75W-2726-SM-7SB8H 60-69 years, male 68.3
GTEX-13OW8-1026-SM-5J1NQ 60-69 years, male 67.1
GTEX-1B8L1-2226-SM-7P8PT 60-69 years, male 66.8
GTEX-VJYA-1526-SM-3GIJV 60-69 years, male 65.4
GTEX-1IDJE-1426-SM-ADEIW 50-59 years, female 62.5
GTEX-UPK5-0426-SM-3GAEK 40-49 years, male 61.9
GTEX-1B932-2326-SM-79OL5 40-49 years, female 60.3
GTEX-17JCI-2926-SM-7DUFF 60-69 years, female 57.0
Show allShow less
Skin - Sun Exposed (Lower leg)
Average nTPM: 112.9
Samples: 701

Max nTPM: 424.6
Min nTPM: 52.0
Std nTPM: 34.2
Median nTPM: 105.9
GTEX-14E6C-0126-SM-5RQIP 40-49 years, male 424.6
GTEX-ZTX8-1426-SM-5DUVO 20-29 years, male 277.4
GTEX-1HSMO-0126-SM-CL547 60-69 years, male 271.0
GTEX-XYKS-2126-SM-4E3IB 60-69 years, female 258.8
GTEX-15UF6-0826-SM-6PALJ 70-79 years, female 246.6
GTEX-Y3IK-2426-SM-4WWDU 50-59 years, female 230.8
GTEX-W5X1-3026-SM-EAZAX 40-49 years, female 220.8
GTEX-NPJ8-0126-SM-2YUNR 40-49 years, male 217.8
GTEX-T2YK-0526-SM-32QPJ 50-59 years, male 203.1
GTEX-OOBK-0126-SM-2YUND 40-49 years, male 199.6
GTEX-1LBAC-0126-SM-DIPEZ 20-29 years, male 197.5
GTEX-1F6RS-0126-SM-9MQKZ 60-69 years, female 195.8
GTEX-11H98-0126-SM-5EGHG 50-59 years, male 194.4
GTEX-1399U-2326-SM-5K7WY 50-59 years, female 194.2
GTEX-RTLS-0126-SM-447CA 60-69 years, female 192.3
GTEX-15EOM-0126-SM-7KUGG 20-29 years, female 191.6
GTEX-SE5C-1626-SM-2XCE3 40-49 years, female 188.9
GTEX-1JMQL-0226-SM-CNPP5 50-59 years, female 188.8
GTEX-Y5LM-1926-SM-5RQJH 40-49 years, female 186.0
GTEX-XUZC-1726-SM-4BRWS 30-39 years, female 185.2
GTEX-12584-0126-SM-5EGKQ 40-49 years, male 183.6
GTEX-1KANC-1526-SM-D3LAB 50-59 years, female 183.6
GTEX-POMQ-2226-SM-2I5FK 20-29 years, female 180.0
GTEX-13X6H-2126-SM-7EWD5 50-59 years, female 178.8
GTEX-ZE7O-0126-SM-57WC1 50-59 years, female 178.3
GTEX-1PDJ9-0326-SM-DTX95 20-29 years, male 178.2
GTEX-TKQ1-1026-SM-4GICL 30-39 years, male 176.8
GTEX-1N2EF-0226-SM-EYYXB 60-69 years, male 176.3
GTEX-17GQL-2026-SM-718BA 60-69 years, male 175.7
GTEX-1L5NE-2526-SM-E6CIE 50-59 years, male 175.5
GTEX-1CAV2-2226-SM-7P8P2 40-49 years, female 174.2
GTEX-11WQK-0526-SM-5EQLD 50-59 years, male 174.1
GTEX-UJHI-1526-SM-3DB99 50-59 years, female 173.7
GTEX-1H2FU-0126-SM-9WYSI 60-69 years, female 173.7
GTEX-Y114-2426-SM-4TT8A 50-59 years, female 172.5
GTEX-139UW-2826-SM-5L3E7 60-69 years, male 172.0
GTEX-ZTPG-0326-SM-5O9AX 20-29 years, female 167.3
GTEX-OIZH-0126-SM-2HMIS 50-59 years, male 167.1
GTEX-12WSJ-1826-SM-5GCNY 40-49 years, female 166.5
GTEX-OXRK-0226-SM-3NB2G 50-59 years, female 166.4
GTEX-P4QT-0126-SM-2I3FL 50-59 years, female 166.2
GTEX-1NV5F-0226-SM-E8VNY 60-69 years, female 165.2
GTEX-13YAN-0326-SM-5O9DF 60-69 years, male 165.1
GTEX-1HGF4-2426-SM-ACKXM 60-69 years, male 164.8
GTEX-14BMU-2226-SM-5TDE9 20-29 years, female 163.6
GTEX-13CF2-2526-SM-5LZYX 60-69 years, male 163.5
GTEX-139TS-2826-SM-5J1OO 60-69 years, male 163.1
GTEX-TML8-1926-SM-32QOS 40-49 years, female 162.9
GTEX-1PFEY-1526-SM-E76PP 30-39 years, male 162.9
GTEX-13NYS-0126-SM-5MR3W 60-69 years, male 162.4
GTEX-O5YW-0126-SM-3LK6D 50-59 years, male 161.9
GTEX-11EM3-2426-SM-59861 20-29 years, female 161.8
GTEX-T5JC-0426-SM-32PLO 20-29 years, male 161.7
GTEX-15UKP-0426-SM-7KUFQ 20-29 years, male 161.2
GTEX-OXRO-0126-SM-2YUN4 60-69 years, female 160.4
GTEX-RVPV-0126-SM-EAZAW 60-69 years, male 160.3
GTEX-148VJ-0126-SM-5TDDN 70-79 years, male 159.6
GTEX-14PII-0226-SM-6EU1T 60-69 years, male 159.5
GTEX-1JN1M-0326-SM-CYPT3 60-69 years, female 159.4
GTEX-16XZZ-0126-SM-793DV 60-69 years, male 158.8
GTEX-13PVR-2326-SM-5QGR1 60-69 years, female 157.9
GTEX-ZF2S-2326-SM-4WWCE 50-59 years, female 157.8
GTEX-145MN-2226-SM-5SIAU 30-39 years, male 157.0
GTEX-X4XY-0226-SM-4E3IZ 60-69 years, male 156.6
GTEX-131XF-5016-SM-7MGWE 60-69 years, male 156.3
GTEX-1LGOU-2026-SM-DIPFF 20-29 years, female 156.3
GTEX-1PPH7-2326-SM-EVYB8 40-49 years, male 156.3
GTEX-15D1Q-0126-SM-7KUG6 40-49 years, male 155.1
GTEX-1HBPM-0226-SM-ARL9F 60-69 years, female 154.8
GTEX-13111-1626-SM-5EGJY 50-59 years, male 154.2
GTEX-1497J-2426-SM-7IGNX 60-69 years, male 154.0
GTEX-PWCY-1826-SM-DHXIZ 20-29 years, female 153.9
GTEX-1S3DN-2226-SM-EVYCD 50-59 years, male 153.8
GTEX-145MO-0326-SM-5Q5B3 60-69 years, male 153.7
GTEX-11DXZ-2326-SM-5EGGV 50-59 years, male 153.5
GTEX-ZQUD-1426-SM-57WER 30-39 years, male 153.4
GTEX-13113-5016-SM-7EPIP 60-69 years, female 153.3
GTEX-1H3VE-0326-SM-9YFLH 40-49 years, male 153.0
GTEX-1S5ZA-0126-SM-EVYCV 20-29 years, male 152.1
GTEX-1R46S-0626-SM-E9J41 60-69 years, female 151.8
GTEX-12126-0326-SM-5PNW3 20-29 years, male 151.6
GTEX-14XAO-2326-SM-6EU1B 60-69 years, female 151.4
GTEX-13OVK-2026-SM-7KUEO 40-49 years, male 151.1
GTEX-13FXS-0226-SM-5IJCK 50-59 years, male 150.9
GTEX-PSDG-0226-SM-DKPOZ 50-59 years, male 150.9
GTEX-1211K-2026-SM-5EQ4Z 60-69 years, female 150.4
GTEX-ZGAY-0526-SM-4WWBB 40-49 years, female 150.2
GTEX-1OJC3-0126-SM-E76QX 20-29 years, male 150.2
GTEX-14PN4-0126-SM-6EU2V 50-59 years, male 150.1
GTEX-13O21-1426-SM-5K7XI 50-59 years, male 150.0
GTEX-WYJK-0126-SM-3NMAB 50-59 years, male 149.5
GTEX-13FTW-2626-SM-5K7WL 40-49 years, male 149.3
GTEX-P4PP-0126-SM-3LK69 30-39 years, female 149.3
GTEX-P4PQ-0126-SM-2S1NM 60-69 years, male 149.2
GTEX-1ICLZ-0126-SM-CKZPO 60-69 years, male 149.1
GTEX-WI4N-1026-SM-3LK7N 40-49 years, female 149.0
GTEX-12696-2426-SM-5EQ6H 60-69 years, male 148.9
GTEX-183WM-0126-SM-7LTAB 70-79 years, female 148.9
GTEX-XPVG-2626-SM-4B669 50-59 years, male 148.3
GTEX-1S83E-0126-SM-EWRO4 40-49 years, male 148.3
GTEX-11TT1-2526-SM-5EGIB 20-29 years, male 147.7
GTEX-11UD1-0126-SM-5PNYG 40-49 years, female 147.6
GTEX-1LC47-0326-SM-E9TJP 60-69 years, male 147.5
GTEX-W5WG-1826-SM-4KL2Y 50-59 years, female 147.0
GTEX-12WSK-2326-SM-5GCOH 40-49 years, female 146.7
GTEX-1B8KE-2126-SM-73KYX 50-59 years, male 146.1
GTEX-1M5QR-1226-SM-EWROB 40-49 years, male 146.0
GTEX-11TUW-2726-SM-E9J4M 60-69 years, male 145.6
GTEX-1CB4I-0226-SM-79OLH 50-59 years, male 145.4
GTEX-U8T8-0126-SM-3DB94 60-69 years, male 145.4
GTEX-ZYFD-0126-SM-5GIDL 50-59 years, male 145.4
GTEX-13OW5-0126-SM-DTXFS 60-69 years, male 145.3
GTEX-ZPIC-1726-SM-DHXIU 40-49 years, female 145.2
GTEX-1GN1U-0126-SM-7PBZK 50-59 years, female 145.0
GTEX-T8EM-1026-SM-3DB7M 40-49 years, male 144.9
GTEX-1QAET-0926-SM-E76QM 50-59 years, male 144.9
GTEX-146FQ-0126-SM-5NQA9 30-39 years, male 144.5
GTEX-OIZG-0726-SM-33HBL 50-59 years, male 144.4
GTEX-OXRN-0126-SM-48TDM 50-59 years, male 144.4
GTEX-1QP9N-1426-SM-DTXFL 30-39 years, male 144.4
GTEX-17F98-0626-SM-79OMX 40-49 years, female 144.3
GTEX-1J8QM-2126-SM-CYPSJ 60-69 years, female 144.2
GTEX-1H1DE-2126-SM-9WG6R 20-29 years, male 144.1
GTEX-14A5I-0126-SM-5TDEA 50-59 years, female 143.4
GTEX-ZVT2-2526-SM-51MT1 50-59 years, female 143.4
GTEX-1GMR3-1926-SM-9KNUZ 40-49 years, male 143.4
GTEX-13FTX-1826-SM-5J1NX 20-29 years, female 143.3
GTEX-T6MO-1626-SM-32QOM 40-49 years, female 143.3
GTEX-ZTSS-1926-SM-57WEW 40-49 years, male 142.6
GTEX-145LS-0126-SM-5QGP1 60-69 years, female 142.5
GTEX-XBEW-0626-SM-4QASP 40-49 years, male 142.5
GTEX-1JN76-0126-SM-CNPPE 20-29 years, female 142.4
GTEX-131XE-2326-SM-5PNZ2 50-59 years, male 142.3
GTEX-X5EB-2226-SM-46MW4 40-49 years, male 142.2
GTEX-S7PM-0126-SM-4AD6S 60-69 years, male 141.7
GTEX-1JMQI-2226-SM-CM2SD 50-59 years, male 141.6
GTEX-17HII-0226-SM-7LG4E 50-59 years, male 140.9
GTEX-145LT-1726-SM-5QGP3 40-49 years, male 140.8
GTEX-13PDP-0126-SM-5L3HD 60-69 years, male 140.7
GTEX-S32W-2126-SM-2XCB1 50-59 years, female 140.2
GTEX-1122O-2126-SM-5EGIR 60-69 years, female 139.9
GTEX-15SB6-1726-SM-6PAME 50-59 years, female 139.9
GTEX-146FH-0126-SM-5QGPP 50-59 years, female 139.3
GTEX-131XG-2626-SM-5KM17 50-59 years, female 138.9
GTEX-X8HC-0126-SM-4E3JW 50-59 years, female 138.0
GTEX-133LE-1826-SM-5J1MV 20-29 years, female 137.7
GTEX-YJ8A-0426-SM-5IFID 20-29 years, male 137.7
GTEX-18D9A-1926-SM-7LG6P 30-39 years, female 137.4
GTEX-14LZ3-0226-SM-62LET 60-69 years, female 137.3
GTEX-OOBJ-0126-SM-E6CJW 60-69 years, male 137.3
GTEX-XUW1-0426-SM-4BOOT 50-59 years, female 136.5
GTEX-11TTK-0126-SM-5987B 60-69 years, female 136.4
GTEX-1R7EV-2426-SM-EVYBG 40-49 years, male 136.4
GTEX-14A5H-0426-SM-5QGQF 60-69 years, male 136.2
GTEX-1K2DA-1826-SM-CGQGT 50-59 years, male 136.0
GTEX-1F5PL-0326-SM-7P8PQ 40-49 years, female 135.7
GTEX-1H1CY-2826-SM-9MQM3 60-69 years, female 135.4
GTEX-1HCU6-0126-SM-CL54K 60-69 years, female 134.3
GTEX-1B8SG-0126-SM-73KZ3 50-59 years, male 133.7
GTEX-15DDE-0126-SM-6LPKH 50-59 years, female 133.3
GTEX-XQ8I-0426-SM-4BOPO 50-59 years, male 133.2
GTEX-1HSGN-0226-SM-CGQFV 40-49 years, female 132.7
GTEX-1PWST-0226-SM-E76QJ 70-79 years, male 132.6
GTEX-15ETS-0126-SM-7KUMW 40-49 years, female 132.1
GTEX-WRHK-1426-SM-3MJF9 20-29 years, female 132.0
GTEX-OHPL-0126-SM-2HMJ7 60-69 years, female 131.8
GTEX-1PPH8-0226-SM-E8VND 20-29 years, male 131.4
GTEX-1GF9X-2026-SM-7PC3A 40-49 years, female 131.3
GTEX-SNMC-1226-SM-2XCFP 20-29 years, male 131.1
GTEX-WXYG-2326-SM-4E3I6 50-59 years, female 130.8
GTEX-15ER7-0326-SM-7KUEV 20-29 years, female 130.4
GTEX-ZVTK-0426-SM-51MRS 20-29 years, male 130.4
GTEX-1J1OQ-0226-SM-CYPSH 40-49 years, female 130.2
GTEX-YB5K-2126-SM-4WWDJ 40-49 years, female 130.1
GTEX-1K2DU-2326-SM-E9TIV 20-29 years, male 129.9
GTEX-13JUV-2726-SM-5LZZ8 40-49 years, female 129.8
GTEX-14DAR-2026-SM-5S2O3 50-59 years, male 129.6
GTEX-1LG7Z-1726-SM-D3LA4 30-39 years, male 129.6
GTEX-14PHX-2326-SM-62LEM 50-59 years, male 129.5
GTEX-X62O-0126-SM-4E3JN 50-59 years, male 129.1
GTEX-ZV68-0126-SM-59HKS 50-59 years, female 129.1
GTEX-YB5E-2026-SM-5IFIS 40-49 years, male 128.9
GTEX-14ICK-0226-SM-6EU25 40-49 years, male 128.8
GTEX-QCQG-1726-SM-3GIJ9 50-59 years, female 128.8
GTEX-T5JW-1626-SM-3GADZ 20-29 years, female 128.8
GTEX-SUCS-1926-SM-32PM3 70-79 years, male 128.5
GTEX-1JMOU-1526-SM-CL54I 60-69 years, female 128.5
GTEX-117XS-2726-SM-5N9BL 60-69 years, male 127.9
GTEX-13RTJ-2426-SM-5S2Q2 60-69 years, male 127.6
GTEX-13IVO-0126-SM-5J1NG 70-79 years, male 127.2
GTEX-ZF29-2326-SM-DO92K 60-69 years, female 127.1
GTEX-X4EP-0126-SM-3P5YV 60-69 years, female 126.7
GTEX-18A66-0226-SM-718BD 60-69 years, male 126.6
GTEX-1B8SF-1426-SM-7DUGL 60-69 years, male 126.6
GTEX-1CB4H-0226-SM-7PBXM 60-69 years, female 126.5
GTEX-1HCUA-2426-SM-ADEIS 50-59 years, female 126.4
GTEX-1QP66-1726-SM-E8VO1 50-59 years, male 126.4
GTEX-13NYC-0326-SM-E9J4S 60-69 years, male 126.3
GTEX-SN8G-0126-SM-32PLI 50-59 years, female 125.8
GTEX-Y8E4-0626-SM-4WWDL 40-49 years, male 125.7
GTEX-1M4P7-0226-SM-DIPEV 60-69 years, male 125.5
GTEX-11DZ1-0126-SM-5985Q 50-59 years, male 125.3
GTEX-1EMGI-0126-SM-9KNUE 60-69 years, male 125.3
GTEX-X261-0126-SM-3NMD6 50-59 years, male 125.1
GTEX-13VXT-0126-SM-5LU4I 20-29 years, female 124.9
GTEX-1JN6P-0126-SM-D3L98 60-69 years, male 124.7
GTEX-13O1R-0126-SM-5L3EH 60-69 years, male 124.5
GTEX-1QPFJ-0226-SM-E76PB 30-39 years, female 124.4
GTEX-PLZ6-1426-SM-DKPOT 30-39 years, male 124.3
GTEX-ZV6S-2326-SM-4YCEY 40-49 years, female 124.2
GTEX-1CAMR-1926-SM-7EPI2 20-29 years, male 124.0
GTEX-11P7K-2126-SM-5GU7G 30-39 years, male 123.9
GTEX-144FL-0126-SM-5TDC8 50-59 years, male 123.4
GTEX-1R7EU-0226-SM-EVR4G 60-69 years, male 123.3
GTEX-T6MN-0126-SM-32PLP 50-59 years, male 123.1
GTEX-1IKK5-0626-SM-ARL8A 60-69 years, male 123.0
GTEX-PLZ4-0126-SM-5SI8O 50-59 years, female 122.9
GTEX-WH7G-2326-SM-3NMBC 40-49 years, male 122.9
GTEX-11UD2-0226-SM-5EQKY 50-59 years, male 122.7
GTEX-1JMLX-0226-SM-CM2RO 50-59 years, male 122.4
GTEX-1LVAN-0226-SM-COH3S 50-59 years, female 122.4
GTEX-139D8-0226-SM-5KLZO 30-39 years, female 122.1
GTEX-1RDX4-0126-SM-E9J4P 50-59 years, female 122.0
GTEX-13FHP-0126-SM-5IJBG 50-59 years, male 121.9
GTEX-ZQG8-1626-SM-DHXIT 60-69 years, female 121.7
GTEX-1I1GS-0126-SM-B2LVW 60-69 years, male 121.4
GTEX-11P82-1626-SM-59879 20-29 years, male 121.3
GTEX-13OVI-1426-SM-5L3EY 60-69 years, female 121.2
GTEX-1GMR8-0126-SM-9WYTM 50-59 years, female 121.2
GTEX-1HSMQ-1226-SM-CGQFX 50-59 years, male 120.8
GTEX-145LV-2126-SM-5LU8N 50-59 years, male 120.6
GTEX-U412-0426-SM-3DB9O 60-69 years, male 120.2
GTEX-1B97I-1626-SM-73KYO 40-49 years, male 120.0
GTEX-1LSNM-1926-SM-E6CII 50-59 years, male 120.0
GTEX-14753-0426-SM-5NQAM 60-69 years, male 119.7
GTEX-X4XX-0126-SM-3NMC2 60-69 years, male 119.6
GTEX-1F75B-0126-SM-9KNVL 50-59 years, male 119.6
GTEX-1H3O1-0426-SM-9YFKY 60-69 years, male 119.4
GTEX-117YX-2326-SM-5H12W 50-59 years, male 119.2
GTEX-13RTK-1426-SM-5QGQJ 20-29 years, male 119.2
GTEX-1JJ6O-0126-SM-E6CI8 60-69 years, male 119.1
GTEX-1RB15-2126-SM-E9TIM 60-69 years, male 119.1
GTEX-QDVN-2026-SM-3GAEP 50-59 years, male 118.9
GTEX-YEC4-2126-SM-5IFJH 40-49 years, male 118.3
GTEX-1ICG6-2526-SM-CGQFZ 70-79 years, female 118.2
GTEX-1PIIG-0226-SM-EWRN6 30-39 years, male 117.7
GTEX-1I4MK-2226-SM-ACKWD 50-59 years, female 117.6
GTEX-17EVQ-0226-SM-7LG4P 70-79 years, male 117.5
GTEX-18A6Q-0126-SM-731BZ 60-69 years, male 117.0
GTEX-Q2AI-1326-SM-2S1PL 40-49 years, male 116.9
GTEX-1F5PK-2426-SM-7RHHY 50-59 years, male 116.9
GTEX-132NY-0326-SM-5IJBL 60-69 years, male 116.8
GTEX-1LG7Y-0526-SM-DKPQC 50-59 years, male 116.8
GTEX-1CB4J-0626-SM-7DHMP 60-69 years, male 116.6
GTEX-11DYG-0126-SM-59883 60-69 years, male 116.5
GTEX-1269C-2526-SM-5EGJ3 60-69 years, female 116.5
GTEX-1C6VQ-0126-SM-7P8RI 50-59 years, male 116.4
GTEX-1H1E6-1726-SM-ACKVK 30-39 years, male 116.3
GTEX-15SHU-0126-SM-7KUEH 40-49 years, female 116.0
GTEX-11DXX-2426-SM-5GZZW 60-69 years, female 115.9
GTEX-13O3P-0126-SM-5KM4S 50-59 years, male 115.9
GTEX-15RIG-0226-SM-7KFTL 40-49 years, male 115.9
GTEX-Y8DK-0126-SM-4TT3L 60-69 years, male 115.8
GTEX-1A3MX-0126-SM-731BR 60-69 years, male 115.7
GTEX-1BAJH-0526-SM-793CQ 70-79 years, male 115.7
GTEX-O5YT-0126-SM-48TBW 20-29 years, male 115.7
GTEX-15SHW-0326-SM-6PAML 60-69 years, male 115.5
GTEX-16NGA-1726-SM-731B4 40-49 years, female 115.5
GTEX-1I6K6-0126-SM-A9SLE 30-39 years, male 115.5
GTEX-13D11-2426-SM-5KM1V 50-59 years, female 115.4
GTEX-1A3MV-1926-SM-718BT 30-39 years, male 115.4
GTEX-147F3-0526-SM-5SI98 50-59 years, female 115.2
GTEX-1GTWX-0126-SM-9YFLK 60-69 years, male 115.2
GTEX-1QP29-0626-SM-EWRMX 50-59 years, male 115.2
GTEX-12ZZX-0126-SM-5EGK9 40-49 years, female 115.1
GTEX-18A7A-0226-SM-718BH 50-59 years, female 115.0
GTEX-U8XE-0326-SM-3DB8P 30-39 years, male 115.0
GTEX-1399T-2826-SM-5KLYZ 60-69 years, male 114.9
GTEX-1E2YA-0126-SM-9KNUC 50-59 years, male 114.9
GTEX-15G19-0126-SM-6PANQ 60-69 years, male 114.7
GTEX-11ZVC-2526-SM-5FQTE 50-59 years, female 114.6
GTEX-ZC5H-0226-SM-4WAY9 40-49 years, female 114.6
GTEX-14BIL-0126-SM-5SI92 50-59 years, male 114.2
GTEX-QDT8-0126-SM-48TZ1 30-39 years, female 114.2
GTEX-ZAB4-0226-SM-5N9F5 40-49 years, male 114.2
GTEX-X88G-0126-SM-47JZ3 30-39 years, male 113.8
GTEX-1GN2E-0426-SM-9MQKX 60-69 years, male 113.8
GTEX-16AAH-1726-SM-7939C 50-59 years, male 113.6
GTEX-ZF28-0126-SM-4WKGK 60-69 years, male 113.4
GTEX-1OFPY-2426-SM-DTXEJ 60-69 years, male 113.4
GTEX-13N2G-2626-SM-5J1OT 60-69 years, male 113.2
GTEX-RU72-0926-SM-2TF6B 50-59 years, female 113.1
GTEX-ZE9C-2726-SM-57WB5 60-69 years, male 113.1
GTEX-OXRL-0126-SM-2YUMP 50-59 years, male 113.0
GTEX-WZTO-0126-SM-3NM95 40-49 years, male 113.0
GTEX-1LGRB-2526-SM-CNPPQ 50-59 years, female 113.0
GTEX-1R9PM-2026-SM-E76OY 20-29 years, male 112.9
GTEX-1MA7W-2026-SM-E9TJ6 20-29 years, female 112.8
GTEX-148VI-1626-SM-5SI6E 60-69 years, female 112.3
GTEX-1HSMP-0126-SM-E6CJS 70-79 years, male 112.2
GTEX-1JMPZ-0226-SM-CNPP1 30-39 years, male 111.8
GTEX-11XUK-2026-SM-5EQLF 40-49 years, female 111.5
GTEX-1H1DG-0126-SM-9WYU2 70-79 years, male 111.5
GTEX-X585-0226-SM-4QAS2 50-59 years, male 111.3
GTEX-ZVZP-2426-SM-59HKJ 50-59 years, male 111.2
GTEX-14BIM-0226-SM-7IGLD 60-69 years, female 111.1
GTEX-QESD-1426-SM-2S1R9 20-29 years, male 111.1
GTEX-14PJ3-1826-SM-62LEX 50-59 years, male 111.0
GTEX-1CB4E-2226-SM-793DC 60-69 years, male 110.9
GTEX-VJWN-0126-SM-3GIK7 50-59 years, female 110.9
GTEX-18D9B-0526-SM-7LTAS 60-69 years, male 110.8
GTEX-U3ZH-2026-SM-3DB78 30-39 years, male 110.7
GTEX-1HFI7-1826-SM-ACKXH 50-59 years, female 110.6
GTEX-TSE9-0126-SM-3DB83 60-69 years, female 110.4
GTEX-12C56-1726-SM-5EQ61 20-29 years, male 110.1
GTEX-1AX9J-0226-SM-73KXM 60-69 years, male 109.9
GTEX-1JMQK-0226-SM-CL543 60-69 years, male 109.9
GTEX-1PIGE-0126-SM-EVYBJ 20-29 years, male 109.9
GTEX-NFK9-0226-SM-2HMKQ 40-49 years, male 109.8
GTEX-1B996-0226-SM-7RHGO 60-69 years, male 109.7
GTEX-145MI-0526-SM-5O9A8 60-69 years, female 109.6
GTEX-ZVT4-0126-SM-DTXFN 50-59 years, female 109.4
GTEX-11EQ9-2426-SM-5HL5T 30-39 years, male 109.3
GTEX-ZDTS-0126-SM-4WAY5 60-69 years, male 109.3
GTEX-131YS-0126-SM-5KM1M 60-69 years, female 108.9
GTEX-UPJH-0326-SM-3GADU 50-59 years, male 108.9
GTEX-11NSD-2226-SM-5986V 20-29 years, male 108.8
GTEX-14LLW-0126-SM-6LLIO 70-79 years, female 108.6
GTEX-1GF9W-0326-SM-9KNUN 60-69 years, male 108.6
GTEX-ZY6K-1826-SM-5GZXK 50-59 years, male 108.4
GTEX-Y8LW-1826-SM-5S2MV 50-59 years, female 108.3
GTEX-PX3G-0126-SM-2I3EN 20-29 years, female 108.2
GTEX-ZXES-1826-SM-5E43S 30-39 years, female 108.1
GTEX-16MT8-0426-SM-7KUEY 60-69 years, female 107.8
GTEX-ZDYS-2026-SM-5HL5L 50-59 years, male 107.7
GTEX-ZWKS-0126-SM-5SIAA 30-39 years, male 107.6
GTEX-1C2JI-1826-SM-73KXC 50-59 years, male 107.4
GTEX-WOFL-0126-SM-3MJG2 60-69 years, male 107.4
GTEX-1JMPY-1326-SM-ARL8Y 30-39 years, male 107.4
GTEX-1GZ2Q-0226-SM-7P8TL 40-49 years, male 107.3
GTEX-1IL2U-0226-SM-CE6T8 60-69 years, male 107.2
GTEX-13NYB-2526-SM-5K7Z6 40-49 years, male 107.0
GTEX-12ZZZ-0626-SM-5DUXI 60-69 years, male 106.9
GTEX-145ME-1826-SM-5SI9G 40-49 years, female 106.9
GTEX-1H23P-0126-SM-ADEJ3 60-69 years, male 106.9
GTEX-XQ3S-1526-SM-4BOOC 20-29 years, male 106.6
GTEX-1QCLY-0326-SM-E8VOG 30-39 years, male 106.6
GTEX-1AX9K-2326-SM-73KWU 50-59 years, male 106.4
GTEX-1I1GV-0526-SM-A9G29 60-69 years, male 106.1
GTEX-1MCYP-1926-SM-E9J2R 20-29 years, female 106.1
GTEX-1HSEH-0126-SM-ACKXN 60-69 years, male 105.9
GTEX-13SLW-0126-SM-5SI6C 70-79 years, male 105.7
GTEX-13OVH-0126-SM-5MR4B 70-79 years, male 105.4
GTEX-139T8-0126-SM-5K7XZ 60-69 years, male 105.2
GTEX-1KANA-0726-SM-D3L9I 20-29 years, male 105.2
GTEX-WY7C-2326-SM-3NB2U 50-59 years, male 105.1
GTEX-X4EO-0326-SM-3P5YO 60-69 years, female 105.1
GTEX-ZAJG-0126-SM-5HL94 50-59 years, female 105.0
GTEX-15F5U-1526-SM-6PANO 40-49 years, male 104.9
GTEX-17EUY-0426-SM-793BD 20-29 years, male 104.9
GTEX-1H11D-0226-SM-9WG6Z 40-49 years, male 104.9
GTEX-12KS4-0326-SM-5EQ41 30-39 years, male 104.5
GTEX-1GL5R-1826-SM-9KNUY 50-59 years, male 104.5
GTEX-ZF3C-0126-SM-DO92D 50-59 years, female 104.5
GTEX-1N2DV-0226-SM-E6CJ6 40-49 years, male 104.4
GTEX-XBED-2226-SM-47JYQ 60-69 years, male 104.3
GTEX-ZYFG-2326-SM-5E44B 60-69 years, female 104.3
GTEX-1EWIQ-0126-SM-7RHH2 70-79 years, female 104.1
GTEX-1KD4Q-0226-SM-E9TJ9 40-49 years, male 104.1
GTEX-S7SE-0126-SM-2XCD5 50-59 years, male 104.0
GTEX-1GZ4H-1726-SM-7PBZJ 50-59 years, female 104.0
GTEX-RM2N-1426-SM-2TF4H 50-59 years, male 103.9
GTEX-1IGQW-0126-SM-COH42 60-69 years, male 103.9
GTEX-1KWVE-1426-SM-E9TJO 30-39 years, male 103.8
GTEX-1QMI2-0226-SM-EVYBX 60-69 years, male 103.8
GTEX-11ZU8-2526-SM-5EQKI 60-69 years, male 103.6
GTEX-XXEK-2226-SM-4BRUM 50-59 years, male 103.6
GTEX-XMD2-0126-SM-4YCDU 60-69 years, female 103.5
GTEX-14E6E-1826-SM-5S2R7 30-39 years, male 103.4
GTEX-1QP67-1626-SM-EAZ3X 40-49 years, female 103.4
GTEX-1CAMS-0426-SM-7P8T2 40-49 years, female 103.3
GTEX-1I1GT-0626-SM-CGQER 60-69 years, female 103.2
GTEX-1KAFJ-2026-SM-CY8ID 50-59 years, male 103.2
GTEX-1MJK2-0426-SM-DTXE5 50-59 years, male 103.2
GTEX-XV7Q-2526-SM-4BRV9 40-49 years, female 103.1
GTEX-11LCK-1026-SM-5A5KB 30-39 years, male 103.0
GTEX-S33H-1026-SM-EZ6L6 30-39 years, male 103.0
GTEX-1R9K4-0126-SM-DTX9X 60-69 years, male 102.9
GTEX-1192X-0226-SM-5H12D 50-59 years, male 102.7
GTEX-18D9U-0226-SM-718BP 40-49 years, male 102.7
GTEX-1C475-1826-SM-73KWA 40-49 years, female 102.7
GTEX-1J8EW-0126-SM-CJI4F 60-69 years, female 102.5
GTEX-Y111-0126-SM-4SOIV 50-59 years, male 102.4
GTEX-Y3I4-2126-SM-4TT7C 50-59 years, male 102.4
GTEX-1MUQO-0126-SM-EAZ58 60-69 years, male 102.3
GTEX-13OVJ-0126-SM-5KM36 50-59 years, female 102.2
GTEX-Y5V6-2426-SM-4VDSB 60-69 years, male 102.0
GTEX-OXRP-0126-SM-3NB32 60-69 years, female 101.8
GTEX-ZAK1-0126-SM-5IJD3 50-59 years, female 101.6
GTEX-1A3MW-0126-SM-73KXX 60-69 years, female 101.5
GTEX-XAJ8-0826-SM-47JY6 40-49 years, male 101.5
GTEX-1KXAM-2226-SM-CYPTC 60-69 years, male 101.5
GTEX-13CF3-2426-SM-5IFGX 60-69 years, female 101.4
GTEX-ZYY3-0126-SM-5GZY5 60-69 years, female 101.3
GTEX-WFON-2126-SM-3LK7O 40-49 years, male 101.2
GTEX-OIZF-0126-SM-7SB8I 60-69 years, male 101.0
GTEX-14PN3-2426-SM-6LLHS 60-69 years, female 100.9
GTEX-11EMC-2926-SM-5EQ4F 60-69 years, female 100.7
GTEX-1HCU7-0226-SM-CL545 50-59 years, male 100.7
GTEX-1HKZK-0326-SM-9WYUH 40-49 years, male 100.7
GTEX-13NZ8-0826-SM-5MR3I 60-69 years, female 100.6
GTEX-YJ89-0126-SM-4TT3X 60-69 years, male 100.5
GTEX-14PJM-0226-SM-62LF1 50-59 years, female 100.3
GTEX-Z9EW-1626-SM-5CVMN 40-49 years, male 100.3
GTEX-PWO3-1526-SM-48TCM 60-69 years, female 100.2
GTEX-1I19N-0326-SM-ACKVX 70-79 years, male 100.2
GTEX-ZZ64-1726-SM-5GZYB 20-29 years, male 99.8
GTEX-1NHNU-1026-SM-E9J2A 50-59 years, male 99.8
GTEX-1N2DW-0226-SM-E9TK2 50-59 years, male 99.7
GTEX-1IDJF-0126-SM-CM2RS 20-29 years, male 99.6
GTEX-1B8KZ-2026-SM-7DHMB 50-59 years, male 99.5
GTEX-1AMFI-2026-SM-731BH 50-59 years, female 99.4
GTEX-WQUQ-0426-SM-3MJFU 60-69 years, male 99.3
GTEX-1C6WA-0126-SM-7PC2B 60-69 years, male 99.1
GTEX-1IDJU-2626-SM-CM2RT 60-69 years, female 99.1
GTEX-ZXG5-0126-SM-5GIEU 60-69 years, male 98.9
GTEX-139T4-0226-SM-5HL5S 50-59 years, female 98.8
GTEX-13N11-2526-SM-5K7UE 50-59 years, female 98.8
GTEX-QV44-1926-SM-2S1RF 50-59 years, male 98.8
GTEX-U3ZM-1526-SM-3DB9D 40-49 years, male 98.7
GTEX-ZU9S-0226-SM-5E441 30-39 years, male 98.5
GTEX-1HBPN-0226-SM-9YFM1 50-59 years, male 98.5
GTEX-11P81-2326-SM-59875 30-39 years, female 98.4
GTEX-17EVP-0326-SM-7DHLG 40-49 years, male 98.4
GTEX-12WSL-2526-SM-5GCNJ 50-59 years, male 98.3
GTEX-1HFI6-0226-SM-ADEHZ 40-49 years, male 98.1
GTEX-WVJS-0126-SM-4MVOT 50-59 years, male 97.7
GTEX-YFC4-0126-SM-5CVLY 40-49 years, female 97.7
GTEX-QVJO-1626-SM-2S1QW 60-69 years, female 97.6
GTEX-1C4CL-0526-SM-73KVK 30-39 years, male 97.5
GTEX-1C64N-0126-SM-793D7 50-59 years, male 97.4
GTEX-1IDJH-0326-SM-A9SLQ 70-79 years, male 97.1
GTEX-13FHO-0226-SM-5IFGY 60-69 years, male 97.0
GTEX-RUSQ-1526-SM-2TF62 50-59 years, male 97.0
GTEX-1399R-2726-SM-5IJBA 30-39 years, male 96.8
GTEX-17F97-0326-SM-7LG5B 50-59 years, male 96.8
GTEX-T2IS-0126-SM-4DM6O 20-29 years, female 96.8
GTEX-S95S-1226-SM-4GICG 60-69 years, male 96.7
GTEX-ZVZO-0126-SM-5A5L9 40-49 years, male 96.7
GTEX-17F96-1626-SM-7DUFL 70-79 years, male 96.6
GTEX-18QFQ-0126-SM-731BE 30-39 years, male 96.6
GTEX-1HR98-0126-SM-B2LWI 60-69 years, male 96.6
GTEX-ZYW4-0126-SM-5E44A 60-69 years, male 96.5
GTEX-13X6J-0126-SM-5QGOU 50-59 years, male 96.4
GTEX-1J1R8-1726-SM-ARL8M 40-49 years, male 96.3
GTEX-1HT8W-0126-SM-CNPPP 30-39 years, male 95.8
GTEX-1LB8K-0226-SM-EWRNW 50-59 years, male 95.5
GTEX-13VXU-0126-SM-5SI9F 50-59 years, male 95.3
GTEX-TMMY-0226-SM-33HBA 40-49 years, female 95.1
GTEX-1313W-0126-SM-5LZUN 50-59 years, female 95.0
GTEX-17MFQ-1726-SM-793C7 20-29 years, male 95.0
GTEX-169BO-1326-SM-9MQK2 50-59 years, male 95.0
GTEX-1RAZA-0126-SM-E6CI3 20-29 years, male 94.8
GTEX-117YW-2626-SM-5GZZH 50-59 years, male 94.7
GTEX-R55G-2526-SM-2TC6D 40-49 years, female 94.4
GTEX-U3ZN-2326-SM-3DB7W 30-39 years, female 94.4
GTEX-18A7B-0126-SM-7LG64 70-79 years, male 94.3
GTEX-1JKYR-0126-SM-CNPOJ 20-29 years, male 94.3
GTEX-R3RS-0126-SM-3GIJL 40-49 years, female 94.2
GTEX-1MGNQ-0126-SM-EVYCJ 40-49 years, male 94.1
GTEX-11WQC-2526-SM-5CVLE 60-69 years, male 93.9
GTEX-1KD5A-0226-SM-D5OV3 50-59 years, male 93.9
GTEX-1J8Q3-1626-SM-CMKGC 60-69 years, male 93.7
GTEX-131XW-0426-SM-5LZWP 50-59 years, female 93.5
GTEX-13G51-2526-SM-5LZYK 60-69 years, male 93.5
GTEX-1LH75-2426-SM-E9TJE 50-59 years, female 93.5
GTEX-1F75A-0126-SM-7RHGM 50-59 years, male 93.4
GTEX-Y5V5-2326-SM-4V6GA 60-69 years, female 93.1
GTEX-1J8Q2-0526-SM-CM2RW 60-69 years, male 93.1
GTEX-1RLM8-2326-SM-EWRN4 50-59 years, male 93.0
GTEX-11OF3-2626-SM-5GU7F 60-69 years, male 92.9
GTEX-1AYD5-2426-SM-73KXR 50-59 years, male 92.9
GTEX-1HCVE-0126-SM-CGQEU 50-59 years, male 92.9
GTEX-145MF-0626-SM-5LUAI 50-59 years, male 92.7
GTEX-16BQI-0226-SM-7KUEX 30-39 years, female 92.7
GTEX-14BIN-0626-SM-793DP 50-59 years, female 92.6
GTEX-15CHC-2126-SM-6EU21 60-69 years, female 92.6
GTEX-11GSP-2526-SM-5N9BP 60-69 years, female 92.5
GTEX-1EX96-1626-SM-7PBXR 50-59 years, male 92.5
GTEX-1HBPI-1526-SM-C1YQ1 50-59 years, male 92.5
GTEX-QLQW-1126-SM-2S1Q8 30-39 years, male 92.4
GTEX-1JK1U-2026-SM-CM2RZ 60-69 years, male 92.4
GTEX-17HG3-2226-SM-7938L 30-39 years, female 92.3
GTEX-1CB4G-0226-SM-7PC3O 60-69 years, male 92.2
GTEX-1I1GU-2226-SM-CGQFA 40-49 years, male 92.2
GTEX-1IDFM-0126-SM-COH2V 60-69 years, male 92.2
GTEX-1S82Z-0826-SM-E6CHY 30-39 years, female 92.2
GTEX-P44H-0226-SM-2XCEU 40-49 years, male 92.1
GTEX-11O72-0126-SM-59887 40-49 years, male 92.0
GTEX-SIU8-0126-SM-2XCDT 50-59 years, male 91.9
GTEX-111VG-2426-SM-5GZXD 60-69 years, male 91.8
GTEX-13O3O-0126-SM-E9J49 60-69 years, female 91.8
GTEX-1AX9I-0126-SM-7SB74 60-69 years, male 91.8
GTEX-13W46-0226-SM-5SIAG 50-59 years, male 91.7
GTEX-18A67-0126-SM-7LG5P 50-59 years, male 91.6
GTEX-R45C-0126-SM-EAZ2R 60-69 years, female 91.6
GTEX-13OW6-0426-SM-5L3HM 50-59 years, male 91.4
GTEX-1C64O-0126-SM-7SB8P 60-69 years, male 91.4
GTEX-1JJE9-0326-SM-CL53Z 70-79 years, male 91.3
GTEX-QEG4-0226-SM-2S1PY 30-39 years, male 91.2
GTEX-131XH-2226-SM-5DUXJ 50-59 years, male 91.0
GTEX-13FH7-2026-SM-E9J4I 50-59 years, female 90.9
GTEX-1ICLY-0126-SM-D4P36 50-59 years, male 90.7
GTEX-13SLX-0526-SM-5S2ON 50-59 years, female 90.6
GTEX-14JG6-2226-SM-6EU2G 30-39 years, female 90.5
GTEX-111FC-0126-SM-5N9DL 60-69 years, male 90.4
GTEX-13W3W-2426-SM-5LU5B 60-69 years, female 90.4
GTEX-1GF9V-0326-SM-7RHI5 60-69 years, male 90.4
GTEX-17JCI-0126-SM-7LG5G 60-69 years, female 90.3
GTEX-17KNJ-2326-SM-7DHLQ 50-59 years, male 90.2
GTEX-ZAB5-1826-SM-5HL7C 50-59 years, male 90.2
GTEX-1HB9E-0226-SM-E9U4R 50-59 years, male 90.2
GTEX-13S7M-0126-SM-5SI6A 60-69 years, female 89.9
GTEX-1H4P4-0726-SM-9YFLR 50-59 years, male 89.9
GTEX-139TU-0126-SM-5K7WH 60-69 years, male 89.6
GTEX-11GS4-2726-SM-5A5LE 60-69 years, male 89.5
GTEX-16GPK-0126-SM-7DHLE 60-69 years, male 89.5
GTEX-RWS6-2026-SM-2XCB5 60-69 years, female 89.5
GTEX-12ZZY-0226-SM-5LZVE 60-69 years, male 89.3
GTEX-1QP2A-0126-SM-E9J43 50-59 years, male 89.3
GTEX-12WSA-0226-SM-5BC5V 60-69 years, male 89.2
GTEX-147F4-0226-SM-5QGPW 50-59 years, male 88.9
GTEX-1C6VS-0526-SM-7DUEN 60-69 years, male 88.9
GTEX-1F52S-0126-SM-9MQJU 60-69 years, female 88.8
GTEX-1GN1W-0526-SM-9MQJQ 50-59 years, female 88.8
GTEX-11ZTT-2426-SM-5EQLS 60-69 years, female 88.6
GTEX-ZDTT-2726-SM-4WKF8 60-69 years, male 88.6
GTEX-1MCQQ-0826-SM-DLHC2 60-69 years, male 88.6
GTEX-1F6I4-0126-SM-9MQL2 60-69 years, male 88.5
GTEX-1CAMQ-0226-SM-7IGPK 40-49 years, male 88.4
GTEX-13112-2826-SM-5DUWH 50-59 years, male 88.2
GTEX-13OVL-0226-SM-5L3E9 50-59 years, male 88.1
GTEX-WYVS-2126-SM-3NMA3 40-49 years, female 88.1
GTEX-13NZB-2526-SM-5J1OM 30-39 years, male 87.8
GTEX-1AX8Z-0126-SM-7DHM6 60-69 years, male 87.8
GTEX-1314G-1526-SM-5EGK2 30-39 years, male 87.7
GTEX-1GN73-0226-SM-9WG67 60-69 years, male 87.7
GTEX-1HCU8-0626-SM-A9SM9 60-69 years, female 87.7
GTEX-1212Z-2526-SM-5EGKP 60-69 years, male 87.3
GTEX-SJXC-0126-SM-2XCFF 60-69 years, male 87.3
GTEX-1HCU9-1526-SM-A9SL7 20-29 years, male 87.3
GTEX-17MF6-0126-SM-7LG4F 40-49 years, male 87.2
GTEX-1A32A-0126-SM-718B1 50-59 years, female 87.1
GTEX-1IOXB-0126-SM-ARL8G 50-59 years, male 87.1
GTEX-OHPM-0126-SM-2YUN9 50-59 years, male 87.0
GTEX-12WSE-0526-SM-793B2 20-29 years, male 86.8
GTEX-1R9PO-2126-SM-E9J4O 60-69 years, female 86.8
GTEX-1I1GP-2226-SM-CGQFK 50-59 years, male 86.6
GTEX-11GSO-2426-SM-5A5LY 60-69 years, male 86.5
GTEX-VJYA-1126-SM-3GIJU 60-69 years, male 86.2
GTEX-1KANB-0526-SM-E6CJH 50-59 years, male 86.2
GTEX-1F7RK-0126-SM-7PC2S 20-29 years, female 86.1
GTEX-1RQEC-0426-SM-E6CHU 60-69 years, male 86.0
GTEX-144GN-2326-SM-5LU4F 50-59 years, male 85.7
GTEX-1GPI7-0126-SM-9MQL8 20-29 years, male 85.7
GTEX-1O97I-0326-SM-EYYX7 60-69 years, male 85.6
GTEX-1POEN-0126-SM-EYYXJ 30-39 years, female 85.6
GTEX-WFG8-2226-SM-3GIL9 20-29 years, male 85.5
GTEX-1JMQJ-0526-SM-CYPSU 50-59 years, male 85.5
GTEX-18465-0126-SM-731BN 50-59 years, male 85.4
GTEX-147GR-0526-SM-5S2MY 60-69 years, male 85.3
GTEX-RWSA-0126-SM-2XCBB 40-49 years, male 85.3
GTEX-1F48J-0126-SM-7P8TT 50-59 years, female 85.3
GTEX-1H1ZS-0426-SM-9WG6G 70-79 years, male 85.2
GTEX-ZVE2-0226-SM-59HJB 50-59 years, male 84.9
GTEX-14PJ6-2126-SM-6EU1V 60-69 years, female 84.8
GTEX-12WSC-0126-SM-5EQ4P 50-59 years, male 84.7
GTEX-1C6VR-2426-SM-79OLD 60-69 years, male 84.5
GTEX-RNOR-0126-SM-E9J4R 50-59 years, female 84.4
GTEX-13NZA-0226-SM-5K7Z7 60-69 years, male 84.2
GTEX-1B933-0126-SM-7PC29 50-59 years, female 83.7
GTEX-11ZTS-0126-SM-5EQ6M 60-69 years, female 83.6
GTEX-1F6IF-0726-SM-7P8TW 60-69 years, male 83.6
GTEX-1B8L1-2526-SM-9WYTF 60-69 years, male 83.4
GTEX-14PHW-0126-SM-6LLJI 60-69 years, female 83.3
GTEX-1JJEA-0326-SM-CNPOT 60-69 years, male 83.2
GTEX-14PK6-1926-SM-6ETZU 70-79 years, female 83.1
GTEX-1CB4F-0426-SM-9KNV4 60-69 years, male 83.1
GTEX-ZYT6-0226-SM-5NQ6T 30-39 years, male 83.0
GTEX-1128S-2326-SM-5GZZY 60-69 years, female 82.6
GTEX-1IKJJ-0126-SM-CNPQB 60-69 years, male 82.6
GTEX-183FY-0126-SM-7LT9P 20-29 years, male 82.4
GTEX-ZYFC-0226-SM-5NQ75 50-59 years, male 82.4
GTEX-14E6D-0126-SM-62LDV 50-59 years, male 82.3
GTEX-1J8JJ-0226-SM-CL53I 60-69 years, female 82.3
GTEX-VUSG-2526-SM-4KL1V 50-59 years, male 82.2
GTEX-15EU6-0426-SM-6PAN5 50-59 years, male 82.1
GTEX-1IE54-0126-SM-CMKHW 40-49 years, female 82.1
GTEX-13N1W-0126-SM-5K7VT 70-79 years, male 81.9
GTEX-1I1GR-0126-SM-CL55F 60-69 years, male 81.8
GTEX-16YQH-0126-SM-7DUFJ 30-39 years, male 81.7
GTEX-PVOW-0126-SM-2XCFA 40-49 years, male 81.7
GTEX-1JKYN-1326-SM-CGQG9 30-39 years, male 81.7
GTEX-1GZHY-0326-SM-9QEHI 50-59 years, female 81.1
GTEX-1I1CD-0126-SM-CM2TK 60-69 years, female 80.8
GTEX-Q734-1926-SM-2I5EV 40-49 years, female 80.7
GTEX-14JG1-0426-SM-6ETZZ 40-49 years, male 80.4
GTEX-12WSD-0126-SM-59HKN 60-69 years, female 80.2
GTEX-Z93S-0126-SM-5HL7M 50-59 years, male 80.2
GTEX-13QJ3-0326-SM-5S2RA 50-59 years, male 80.1
GTEX-TMZS-0126-SM-3DB9Q 60-69 years, male 80.1
GTEX-ZEX8-2426-SM-4WKG4 50-59 years, male 80.1
GTEX-1GMRU-0126-SM-9YFLV 50-59 years, male 79.9
GTEX-139TT-0126-SM-5K7Y5 60-69 years, male 79.7
GTEX-1EU9M-0226-SM-7P8SP 60-69 years, male 79.6
GTEX-13RTL-0126-SM-7LG5S 40-49 years, male 79.2
GTEX-13O3Q-2426-SM-5IJBR 50-59 years, male 79.1
GTEX-U4B1-1826-SM-4DXSU 40-49 years, male 79.1
GTEX-17HHE-2026-SM-79OKF 50-59 years, male 79.0
GTEX-PLZ5-2026-SM-2S1O4 50-59 years, male 78.9
GTEX-1HSKV-0226-SM-A9SKJ 60-69 years, male 78.9
GTEX-13U4I-0126-SM-5LU38 40-49 years, female 78.7
GTEX-1F75I-0326-SM-9YFLU 40-49 years, male 78.7
GTEX-1S82Y-2026-SM-EVYCM 40-49 years, male 78.6
GTEX-13FTY-0526-SM-5L3EV 40-49 years, female 78.5
GTEX-13OVG-1926-SM-5L3DK 60-69 years, male 78.5
GTEX-1H3NZ-0126-SM-ACKX7 60-69 years, male 78.3
GTEX-R55E-0126-SM-2TC5Y 20-29 years, male 78.2
GTEX-12WSN-5019-SM-79OM6 40-49 years, male 78.0
GTEX-11NUK-0126-SM-5A5L3 50-59 years, male 77.6
GTEX-1LNCM-1126-SM-E9U5E 50-59 years, female 77.5
GTEX-13OW7-0126-SM-5MR3B 50-59 years, male 77.4
GTEX-1H3VY-0126-SM-ACKXD 50-59 years, male 77.3
GTEX-15SDE-2226-SM-7IGLO 50-59 years, female 77.2
GTEX-1HUB1-0426-SM-E9U4U 60-69 years, male 77.1
GTEX-17HGU-0226-SM-7DHKV 50-59 years, male 76.8
GTEX-1EKGG-0226-SM-9WYTH 60-69 years, male 76.8
GTEX-145LU-0126-SM-5TDCB 50-59 years, male 76.7
GTEX-12WSG-2826-SM-E9J4H 50-59 years, female 76.7
GTEX-11DXW-0226-SM-5H122 40-49 years, male 76.6
GTEX-113JC-2326-SM-5EQ4E 50-59 years, female 76.5
GTEX-PW2O-1526-SM-7RHHB 20-29 years, male 76.1
GTEX-1E1VI-0126-SM-7DHMZ 50-59 years, male 75.9
GTEX-1GF9U-2126-SM-7SB7L 40-49 years, female 75.9
GTEX-QDVJ-1726-SM-2I5FX 50-59 years, male 75.7
GTEX-Q2AH-1626-SM-3GAF8 40-49 years, male 75.6
GTEX-16NPX-0226-SM-79OMT 50-59 years, male 75.4
GTEX-11ZUS-0626-SM-59885 30-39 years, male 75.2
GTEX-ZZPT-0226-SM-5E43X 50-59 years, male 75.2
GTEX-1AMEY-1326-SM-73KYK 30-39 years, female 75.0
GTEX-1I1GQ-0126-SM-COH3H 50-59 years, male 75.0
GTEX-1AYCT-2426-SM-7IGQ3 50-59 years, male 74.9
GTEX-XUYS-0126-SM-47JWZ 50-59 years, male 74.8
GTEX-1GN1V-0126-SM-9WPOS 60-69 years, male 74.7
GTEX-144GL-0126-SM-5TDE2 50-59 years, male 74.6
GTEX-Q2AG-0126-SM-33HBV 40-49 years, female 74.5
GTEX-11VI4-1726-SM-5CVLH 40-49 years, female 74.3
GTEX-1EN7A-0126-SM-7SB81 40-49 years, male 74.2
GTEX-15DCD-0126-SM-7KUEK 70-79 years, female 74.1
GTEX-14BMV-0126-SM-5S2PO 50-59 years, male 73.2
GTEX-14DAQ-0126-SM-5S2MQ 60-69 years, female 72.9
GTEX-17HHY-0126-SM-7LG5D 50-59 years, male 72.7
GTEX-1192W-2626-SM-5Q5AF 60-69 years, male 72.5
GTEX-11DXY-2626-SM-5GIE7 60-69 years, male 72.4
GTEX-14C5O-0126-SM-5SI6N 60-69 years, male 72.3
GTEX-13X6I-0626-SM-5QGP9 60-69 years, male 72.2
GTEX-QLQ7-1626-SM-2S1R8 60-69 years, male 72.2
GTEX-1QEPI-0126-SM-EWRMQ 60-69 years, female 71.4
GTEX-Z93T-0126-SM-5HL5N 50-59 years, male 71.3
GTEX-1IY9M-0126-SM-D3L8S 60-69 years, male 71.1
GTEX-11OC5-0126-SM-5HL6A 60-69 years, male 70.8
GTEX-1F88F-2726-SM-7PBZZ 60-69 years, female 70.5
GTEX-V1D1-2226-SM-3NMAX 50-59 years, male 70.4
GTEX-1HBPH-0426-SM-B2LW5 40-49 years, female 70.3
GTEX-ZVT3-0126-SM-5GU6I 60-69 years, female 70.1
GTEX-1K9T9-0126-SM-EVYCF 50-59 years, female 69.3
GTEX-16XZY-2126-SM-79OK1 70-79 years, male 69.2
GTEX-ZDXO-3026-SM-5J1N5 60-69 years, male 68.4
GTEX-14A6H-0126-SM-5QGPK 30-39 years, male 67.8
GTEX-1GPI6-0126-SM-9WG69 60-69 years, male 67.6
GTEX-1A8FM-0226-SM-7SB7Q 50-59 years, female 67.4
GTEX-RN64-0126-SM-2TC68 50-59 years, male 67.1
GTEX-1IL2V-0126-SM-CM2TX 70-79 years, male 66.7
GTEX-11EI6-0126-SM-5985R 60-69 years, male 66.6
GTEX-1IKOH-0226-SM-COH4E 60-69 years, female 66.6
GTEX-146FR-1326-SM-E9J48 60-69 years, female 66.1
GTEX-14ABY-0226-SM-5TDCQ 50-59 years, male 65.7
GTEX-15DYW-0126-SM-7KULE 60-69 years, female 65.3
GTEX-1QW4Y-1526-SM-EAZ3Z 30-39 years, male 63.9
GTEX-13OW8-1326-SM-5J1OW 60-69 years, male 60.8
GTEX-14E7W-0126-SM-6LLJ9 70-79 years, male 60.3
GTEX-1MA7X-2226-SM-E6CIY 60-69 years, male 60.1
GTEX-SSA3-0126-SM-32QPU 60-69 years, male 59.5
GTEX-113IC-0126-SM-5HL6T 60-69 years, male 58.2
GTEX-1PBJI-0526-SM-E8VNK 20-29 years, female 57.9
GTEX-1RAZQ-0726-SM-EAZ43 30-39 years, male 57.9
GTEX-X638-0126-SM-47JZ8 70-79 years, female 57.7
GTEX-1OJC4-0126-SM-E9J2E 50-59 years, female 57.3
GTEX-14JIY-0126-SM-6LLH6 60-69 years, male 56.5
GTEX-1I1HK-0126-SM-COH49 60-69 years, male 53.8
GTEX-ZUA1-0126-SM-5GU76 40-49 years, male 52.0
Show allShow less

Contact

  • NEWS ARTICLES
  • PRESS ROOM

The Project

  • INTRODUCTION
  • ORGANIZATION
  • PUBLICATIONS

The Human Protein Atlas

  • DOWNLOADABLE DATA
  • LICENCE & CITATION
  • HELP & FAQ
The Human Protein Atlas project is funded
by the Knut & Alice Wallenberg Foundation.


contact@proteinatlas.org