We use cookies to enhance the usability of our website. If you continue, we'll assume that you are happy to receive all cookies. More information. Don't show this again.
MAP2K1
HPA
RESOURCES
  • TISSUE
  • BRAIN
  • SINGLE CELL
  • SUBCELLULAR
  • CANCER
  • BLOOD
  • CELL LINE
  • STRUCTURE & INTERACTION
ABOUT
  • INTRODUCTION
  • HISTORY
  • ORGANIZATION
  • PUBLICATIONS
  • ANTIBODY SUBMISSION
  • ANTIBODY AVAILABILITY
  • ACKNOWLEDGMENTS
  • CONTACT
NEWS
  • NEWS ARTICLES
  • PRESS ROOM
LEARN
  • DICTIONARY
  • PROTEIN CLASSES
  • PROTEIN EVIDENCE
  • METHODS
  • EDUCATIONAL VIDEOS
DATA
  • DOWNLOADABLE DATA
  • PUBLICATION DATA
  • RELEASE HISTORY
HELP
  • ANTIBODY VALIDATION
  • ASSAYS & ANNOTATION
  • DISCLAIMER
  • HELP & FAQ
  • PRIVACY STATEMENT
  • LICENCE & CITATION
Fields »
Search result

Field
Term
Gene name
Class
Subclass
Class
Keyword
Chromosome
External id
Tissue
Cell type
Expression
Antibody panel
Tissue
Main location
Patient ID
Annotation
Tissue
Category
Tau score
Cluster
Reliability
Brain region
Category
Tau score
Brain region
Category
Tau score
Brain region
Category
Tau score
Cluster
Reliability
Tissue
Cell type
Enrichment
Cell type
Category
Tau score
Cell type
Category
Tau score
Cell type
Category
Tau score
Cell lineage
Category
Tau score
Cluster
Cluster
Location
Searches
Location
Cell line
Class
Type
Phase
Reliability
Cancer
Prognosis
Cancer
Category
Cancer
Category
Tau score
Cluster
Variants
Interacting gene (ensg_id)
Type
Number of interactions
Pathway
Category
Score
Score
Score
Validation
Validation
Validation
Validation
Antibodies
Data type
Column


  • SUMMARY

  • TISSUE

  • BRAIN

  • SINGLE CELL

  • SUBCELL

  • CANCER

  • BLOOD

  • CELL LINE

  • STRUCT & INT

  • MAP2K1
TISSUE PRIMARY DATA ADIPOSE TISSUE Show tissue menu
ADIPOSE TISSUE ADRENAL GLAND AMYGDALA APPENDIX BASAL GANGLIA BONE MARROW BREAST BRONCHUS CEREBELLUM CEREBRAL CORTEX CERVIX CHOROID PLEXUS COLON DUODENUM
ENDOMETRIUM EPIDIDYMIS ESOPHAGUS FALLOPIAN TUBE GALLBLADDER HEART MUSCLE HIPPOCAMPAL FORMATION HYPOTHALAMUS KIDNEY LIVER LUNG LYMPH NODE MIDBRAIN NASOPHARYNX
ORAL MUCOSA OVARY PANCREAS PARATHYROID GLAND PITUITARY GLAND PLACENTA PROSTATE RECTUM RETINA SALIVARY GLAND SEMINAL VESICLE SKELETAL MUSCLE SKIN SMALL INTESTINE
SMOOTH MUSCLE SOFT TISSUE SPINAL CORD SPLEEN STOMACH TESTIS THYMUS THYROID GLAND TONGUE TONSIL URINARY BLADDER VAGINA
ANTIBODIES
AND
VALIDATION
Dictionary
Tissue proteome
Adipose tissue
ADIPOSE TISSUE - Expression summary
Protein expression
Adipose tissuei

On the top, protein expression in current human tissue, based on all annotated cell types, is reported with the units not detected (n), low (l), medium (m) and high (h). Underneath, protein expression in each annotated cell type are reported using the same units.

Protein expression data is based on knowledge-based annotation. For genes where more than one antibody has been used, a collective score is set.

If knowledge-based annotation could not be performed for a gene, no data is displayed here. View antibody staining data further down this page.

h
m
l
n
Adipocytes: Low
RNA expressioni

A summary of mRNA expression data available for current tissue based on several datasets. The mRNA expression levels in human tissues are based on RNA-seq data generated by the Human Protein Atlas (HPA), Genotype-Tissue Expression (GTEx) portal and CAGE data generated by the FANTOM5 consortium. Consensus normalized expression levels for human tissues was created by combining the data from HPA and GTEx datasets.

The mRNA expression levels in pig are based on RNA-seq data generated by the Human Protein Atlas (HPA), and for mouse, HPA data and in situ hybridization generated by the Allen brain atlas are reported.

Scroll down to view mRNA expression data in more detail.
Consensus:47.0 nTPM
HPA:45.1 nTPM
GTEx:47.0 nTPM
FANTOM5:95.8 Scaled Tags Per Million

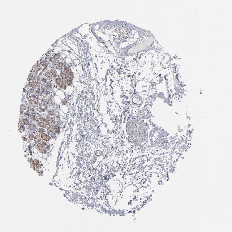
ADIPOSE TISSUE - Antibody stainingi

Antibody staining in the annotated cell types in the current human tissue is reported as not detected, low, medium, or high, based on conventional immunohistochemistry profiling in selected tissues. This score is based on the combination of the staining intensity and fraction of stained cells.

Each image is clickable and will lead to virtual microscopy that enables deeper exploration of all samples and also displays staining intensity scores, fraction scores and subcellular localization as well as patient and tissue information for each sample.

Antibody HPA026430Antibody CAB003834
Adipocytes LowLow









ADIPOSE TISSUE - HPA RNA-seqi

The RNA-seq details section shows detailed information about the individual samples used for the transcript profiling and results of the RNA-seq analysis.

Information about each individual sample is listed below, including gender, age, a tissue section image and estimated fractions of cell types. nTPM (normalized transcripts per million) values give a quantification of the gene abundance which is comparable between different genes and samples.
Average nTPMi

Max subtype nTPM is the value for the subtype with the largest average nTPM across the subtype samples.

45.1
N/A
Female, age 80
Adipose tissue sample 86
nTPM: 37.2
Cell types%
Adipocytes:
95

Other cell types:
5

N/A
Female, age 45
Adipose tissue sample 115
nTPM: 47.7
N/A
Female, age 57
Adipose tissue sample 137
nTPM: 49.7
Cell types%
Adipocytes:
60

Fibroblasts:
20

Smooth muscle cells:
15

Other cell types:
5

overview
Female, age 74
Adipose tissue sample 329
nTPM: 30
Cell types%
Adipocytes:
50

Fibroblasts:
30

Smooth muscle cells:
15

Other cell types:
5

overview
Female, age 59
Adipose tissue sample 331
nTPM: 60.7
Cell types%
Adipocytes:
40

Fibroblasts:
40

Smooth muscle cells:
15

Other cell types:
5


ADIPOSE TISSUE - GTEx RNA-seqi

RNA-Seq data generated by the Genotype-Tissue Expression (GTEx) project from human tissues is reported as mean nTPM. More information can be found on the GTEx portal.

Distribution across the dataset is visualized with box plots, shown as median and 25th and 75th percentiles. Points are displayed as outliers if they are above or below 1.5 times the interquartile range. nTPM values of the individual samples are presented next to the box plot.
Max subtype nTPMi

Max subtype nTPM is the value for the subtype with the largest average nTPM across the subtype samples.

47.0
GTEx sample id Sample description nTPM
Adipose - Subcutaneous
Average nTPM: 47.0
Samples: 663

Max nTPM: 150.6
Min nTPM: 24.3
Std nTPM: 13.1
Median nTPM: 44.7
GTEX-11TT1-2426-SM-5EQMK 20-29 years, male 150.6
GTEX-1R7EV-1926-SM-EVYBF 40-49 years, male 95.6
GTEX-1H4P4-0226-SM-9YFKT 50-59 years, male 94.1
GTEX-1I1GU-2326-SM-CGQFB 40-49 years, male 90.4
GTEX-11TUW-2626-SM-5EQKZ 60-69 years, male 87.4
GTEX-1JMQL-0326-SM-CNPP6 50-59 years, female 87.1
GTEX-U8XE-0426-SM-3DB91 30-39 years, male 85.2
GTEX-VUSH-0226-SM-EXUQV 30-39 years, male 83.5
GTEX-POYW-0726-SM-2XCEO 60-69 years, male 83.1
GTEX-1F88F-2626-SM-9WG5K 60-69 years, female 82.2
GTEX-S95S-1326-SM-2XCDK 60-69 years, male 81.6
GTEX-ZYVF-0226-SM-5GIEG 50-59 years, female 81.6
GTEX-1HCU6-0226-SM-CGQES 60-69 years, female 81.0
GTEX-12WSL-2426-SM-5GCN7 50-59 years, male 80.8
GTEX-PWCY-1926-SM-3NB25 20-29 years, female 79.7
GTEX-13CF2-2626-SM-5LZZA 60-69 years, male 79.0
GTEX-T5JW-1726-SM-3GADN 20-29 years, female 78.5
GTEX-13FH7-2226-SM-5IJD4 50-59 years, female 78.0
GTEX-14E6C-0226-SM-5S2N3 40-49 years, male 77.8
GTEX-1MCC2-2326-SM-E9U5G 30-39 years, female 76.4
GTEX-1GF9V-0226-SM-9MQKA 60-69 years, male 75.0
GTEX-1313W-0226-SM-5LZV7 50-59 years, female 73.7
GTEX-11EM3-2326-SM-5H12B 20-29 years, female 73.6
GTEX-REY6-0326-SM-2TF5A 60-69 years, male 73.4
GTEX-13O1R-0226-SM-5K7U5 60-69 years, male 73.2
GTEX-15UKP-0526-SM-7KFRO 20-29 years, male 73.1
GTEX-1JN76-0226-SM-CMKGO 20-29 years, female 72.9
GTEX-OXRP-0226-SM-3NB14 60-69 years, female 72.8
GTEX-WFG8-2326-SM-DIPDX 20-29 years, male 72.6
GTEX-13QBU-2526-SM-5LU4X 40-49 years, female 72.2
GTEX-Y8LW-1926-SM-4WWFZ 50-59 years, female 72.2
GTEX-1QP6S-0126-SM-E9J4K 40-49 years, male 72.0
GTEX-1LVA9-0226-SM-E9U5N 50-59 years, male 71.9
GTEX-1JN1M-0126-SM-D4P23 60-69 years, female 71.4
GTEX-WFG7-2526-SM-EWRM5 20-29 years, male 71.3
GTEX-Y5V6-2526-SM-5IFJV 60-69 years, male 70.8
GTEX-ZYFC-0326-SM-5NQ7H 50-59 years, male 70.4
GTEX-P44G-2326-SM-2XCCZ 30-39 years, male 69.6
GTEX-1B8SF-0526-SM-7939F 60-69 years, male 69.4
GTEX-1EWIQ-0226-SM-793D3 70-79 years, female 69.3
GTEX-13CF3-2326-SM-5IFGL 60-69 years, female 69.1
GTEX-S32W-2226-SM-2XCAY 50-59 years, female 69.1
GTEX-T2IS-0226-SM-32QPH 20-29 years, female 69.0
GTEX-145ME-1926-SM-5MR6T 40-49 years, female 68.5
GTEX-ZLV1-1826-SM-5FQU5 60-69 years, female 68.2
GTEX-132AR-0226-SM-5IJBE 50-59 years, female 67.8
GTEX-1I1GP-2326-SM-CGQFL 50-59 years, male 67.4
GTEX-12126-0426-SM-5Q5AP 20-29 years, male 66.7
GTEX-1GN1V-0226-SM-9WYTN 60-69 years, male 66.7
GTEX-1269C-2726-SM-5EGJ4 60-69 years, female 66.4
GTEX-VUSG-2426-SM-4KKZG 50-59 years, male 66.4
GTEX-XUZC-1826-SM-4BRVO 30-39 years, female 66.4
GTEX-1H23P-0226-SM-9YFLO 60-69 years, male 66.0
GTEX-12C56-1626-SM-5FQUO 20-29 years, male 65.9
GTEX-WY7C-2426-SM-3NB2V 50-59 years, male 65.8
GTEX-YJ8A-0526-SM-5IFHT 20-29 years, male 65.8
GTEX-ZGAY-0626-SM-DO92E 40-49 years, female 65.6
GTEX-12WSC-0226-SM-5EQ52 50-59 years, male 65.5
GTEX-QLQW-1226-SM-2S1Q9 30-39 years, male 65.5
GTEX-145LT-1826-SM-5QGP4 40-49 years, male 65.1
GTEX-14PJM-0326-SM-62LF2 50-59 years, female 65.0
GTEX-ZE7O-0226-SM-5S2N1 50-59 years, female 64.9
GTEX-Q2AG-0226-SM-2S1P4 40-49 years, female 64.7
GTEX-ZAK1-0226-SM-5CVMX 50-59 years, female 64.7
GTEX-TKQ1-1126-SM-4GIAZ 30-39 years, male 64.3
GTEX-S33H-1126-SM-2XCB6 30-39 years, male 64.2
GTEX-16YQH-0226-SM-6PALD 30-39 years, male 64.1
GTEX-SUCS-1826-SM-32PM1 70-79 years, male 64.1
GTEX-13X6J-0226-SM-7EPGC 50-59 years, male 63.9
GTEX-YB5K-2226-SM-4WWG1 40-49 years, female 63.9
GTEX-14BMU-2126-SM-5S2TS 20-29 years, female 63.8
GTEX-13NYS-0226-SM-5MR49 60-69 years, male 63.5
GTEX-13OW8-1226-SM-5K7XD 60-69 years, male 62.9
GTEX-145MI-0426-SM-5O99V 60-69 years, female 62.9
GTEX-W5WG-2526-SM-4SOJ2 50-59 years, female 62.8
GTEX-WI4N-1126-SM-3LK7Q 40-49 years, female 62.7
GTEX-YFC4-0226-SM-57WD2 40-49 years, female 62.6
GTEX-1128S-2126-SM-5H12U 60-69 years, female 62.4
GTEX-183WM-0226-SM-7LT8T 70-79 years, female 62.2
GTEX-1F5PK-2526-SM-9MQKN 50-59 years, male 62.2
GTEX-1MA7W-1926-SM-E6CIO 20-29 years, female 62.2
GTEX-1POEN-0226-SM-EYYXE 30-39 years, female 62.1
GTEX-WEY5-1926-SM-3GIL8 40-49 years, female 62.0
GTEX-ZQG8-1526-SM-5HL65 60-69 years, female 62.0
GTEX-1C2JI-2226-SM-7IGPJ 50-59 years, male 61.7
GTEX-1E1VI-0226-SM-793CZ 50-59 years, male 61.6
GTEX-R55G-2426-SM-2TC5I 40-49 years, female 61.3
GTEX-YB5E-2126-SM-5IFI7 40-49 years, male 61.3
GTEX-ZTPG-0226-SM-5O99I 20-29 years, female 61.3
GTEX-XBED-2326-SM-47JYR 60-69 years, male 61.1
GTEX-14C39-2526-SM-5S2UH 40-49 years, male 60.9
GTEX-11I78-2626-SM-5Q5AI 50-59 years, female 60.6
GTEX-O5YV-0226-SM-48TBY 60-69 years, female 60.6
GTEX-ZPIC-1826-SM-57WFE 40-49 years, female 60.6
GTEX-1CAMR-1826-SM-7MXUJ 20-29 years, male 60.6
GTEX-O5YT-0226-SM-32PK5 20-29 years, male 60.3
GTEX-11DXX-2326-SM-9YFKS 60-69 years, female 60.3
GTEX-13113-1826-SM-5LZW4 60-69 years, female 59.9
GTEX-14E6E-1926-SM-664N4 30-39 years, male 59.9
GTEX-1K9T9-0226-SM-E9U6K 50-59 years, female 59.8
GTEX-QEG4-0326-SM-DIPE3 30-39 years, male 59.8
GTEX-144GM-1926-SM-5LUAN 20-29 years, male 59.6
GTEX-QESD-1526-SM-2S1QT 20-29 years, male 59.6
GTEX-QDVJ-1826-SM-2S1P3 50-59 years, male 59.5
GTEX-1MCYP-1826-SM-E9J2Q 20-29 years, female 59.5
GTEX-11WQC-2426-SM-5EQKQ 60-69 years, male 59.4
GTEX-145MN-2626-SM-5NQAH 30-39 years, male 59.2
GTEX-13O3P-0226-SM-5KM3Z 50-59 years, male 59.1
GTEX-S4P3-1526-SM-E9J3W 50-59 years, female 58.9
GTEX-ZDTT-2626-SM-5S2OP 60-69 years, male 58.8
GTEX-144GO-1626-SM-7EPG5 60-69 years, male 58.7
GTEX-Z93S-0226-SM-5HL7R 50-59 years, male 58.5
GTEX-13OVJ-0326-SM-5L3GL 50-59 years, female 58.4
GTEX-1N2EF-0626-SM-E9J32 60-69 years, male 58.4
GTEX-1HBPI-1426-SM-B2LW7 50-59 years, male 58.3
GTEX-16GPK-0226-SM-7DUFI 60-69 years, male 58.2
GTEX-T6MO-1726-SM-33HB8 40-49 years, female 58.2
GTEX-ZVT4-0226-SM-51MSD 50-59 years, female 58.2
GTEX-13YAN-0426-SM-5O9DR 60-69 years, male 58.0
GTEX-1RAZQ-0626-SM-E8VOR 30-39 years, male 58.0
GTEX-1PBJI-0426-SM-E8VNM 20-29 years, female 57.9
GTEX-1122O-2026-SM-9YFMG 60-69 years, female 57.6
GTEX-146FH-0226-SM-5QGPQ 50-59 years, female 57.5
GTEX-1K2DA-2126-SM-CGQGL 50-59 years, male 57.4
GTEX-132QS-2526-SM-62LFJ 60-69 years, male 57.3
GTEX-1B996-0126-SM-7PBYF 60-69 years, male 57.3
GTEX-14JIY-0526-SM-62LFH 60-69 years, male 57.2
GTEX-ZPCL-2126-SM-57WFZ 60-69 years, female 57.2
GTEX-13O61-2426-SM-5J1NV 60-69 years, male 57.1
GTEX-YEC4-2426-SM-57WFO 40-49 years, male 57.1
GTEX-1GPI7-0226-SM-9MQKB 20-29 years, male 56.9
GTEX-1HSMO-0226-SM-CGQEZ 60-69 years, male 56.9
GTEX-U3ZM-1026-SM-EZ6LD 40-49 years, male 56.8
GTEX-13FTY-0626-SM-5L3F8 40-49 years, female 56.7
GTEX-RWSA-0226-SM-2XCBA 40-49 years, male 56.7
GTEX-1GN1W-0626-SM-9MQK3 50-59 years, female 56.7
GTEX-1LGOU-2226-SM-E9U56 20-29 years, female 56.5
GTEX-18D9A-2026-SM-718BL 30-39 years, female 56.4
GTEX-OXRO-0226-SM-3LK6F 60-69 years, female 56.4
GTEX-111CU-1826-SM-5GZYN 50-59 years, male 56.0
GTEX-145MG-0126-SM-5TDDA 50-59 years, male 56.0
GTEX-18A67-0226-SM-7LG67 50-59 years, male 56.0
GTEX-X4XY-0326-SM-46MVZ 60-69 years, male 55.9
GTEX-ZXES-2026-SM-5NQ6R 30-39 years, female 55.9
GTEX-1H1DF-0226-SM-ARL9A 40-49 years, female 55.9
GTEX-13SLX-0426-SM-5QGRC 50-59 years, female 55.7
GTEX-1F6I4-0226-SM-9MQMA 60-69 years, male 55.6
GTEX-X15G-2326-SM-4PQZS 50-59 years, female 55.5
GTEX-PX3G-0226-SM-DKPOF 20-29 years, female 55.5
GTEX-Y9LG-2026-SM-62LFS 30-39 years, male 55.4
GTEX-ZF29-2226-SM-4WWB9 60-69 years, female 55.4
GTEX-XUW1-0526-SM-4BOP3 50-59 years, female 55.3
GTEX-14BIN-0726-SM-793DQ 50-59 years, female 55.2
GTEX-PWN1-0226-SM-DKPO9 40-49 years, female 55.1
GTEX-11P82-1726-SM-5Q5AT 20-29 years, male 55.0
GTEX-14JG6-2326-SM-6LLH3 30-39 years, female 55.0
GTEX-YJ8O-2426-SM-5HL7S 40-49 years, female 54.7
GTEX-1KANA-0826-SM-D3L9J 20-29 years, male 54.7
GTEX-13VXU-0226-SM-5SI9R 50-59 years, male 54.6
GTEX-14LLW-0226-SM-62LEL 70-79 years, female 54.5
GTEX-OHPK-0226-SM-3MJH6 50-59 years, female 54.5
GTEX-R53T-1626-SM-3GAEW 50-59 years, female 54.5
GTEX-1C6VR-2626-SM-7MGX2 60-69 years, male 54.5
GTEX-1QP29-0726-SM-DTXFM 50-59 years, male 54.4
GTEX-1QP67-1726-SM-E8VOP 40-49 years, female 54.3
GTEX-1S831-0326-SM-EVYD3 20-29 years, male 54.3
GTEX-ZZPU-2726-SM-5NQ8O 50-59 years, female 54.2
GTEX-1I4MK-2026-SM-B2LVR 50-59 years, female 54.2
GTEX-13PLJ-0126-SM-5L3HU 60-69 years, female 54.1
GTEX-14PJ6-2226-SM-6LLIV 60-69 years, female 54.1
GTEX-1J1OQ-0326-SM-CYPTJ 40-49 years, female 54.1
GTEX-ZDYS-2126-SM-5S2P2 50-59 years, male 54.0
GTEX-12ZZX-0226-SM-5DUXU 40-49 years, female 53.9
GTEX-13W3W-2526-SM-5SI9P 60-69 years, female 53.9
GTEX-1CAMS-0326-SM-7PC35 40-49 years, female 53.9
GTEX-1R9PM-2126-SM-E8VOB 20-29 years, male 53.9
GTEX-1A3MX-0226-SM-731C4 60-69 years, male 53.8
GTEX-ZVTK-0526-SM-5GZWT 20-29 years, male 53.8
GTEX-11GS4-2626-SM-5A5LD 60-69 years, male 53.6
GTEX-14A5H-0526-SM-5TDCN 60-69 years, male 53.6
GTEX-12584-0226-SM-5EQL5 40-49 years, male 53.5
GTEX-139T6-2126-SM-5KM37 50-59 years, male 53.5
GTEX-1KWVE-1326-SM-E6CJ1 30-39 years, male 53.5
GTEX-R55C-1626-SM-48FEG 40-49 years, male 53.4
GTEX-11ZTT-2526-SM-5EQM9 60-69 years, female 53.3
GTEX-14E6D-0226-SM-62LDW 50-59 years, male 53.3
GTEX-15ER7-0426-SM-6PAM3 20-29 years, female 53.3
GTEX-145MO-0426-SM-5QGP6 60-69 years, male 53.1
GTEX-1I1GR-0226-SM-CMKHQ 60-69 years, male 53.1
GTEX-1EU9M-0326-SM-7RHGF 60-69 years, male 52.9
GTEX-QCQG-1826-SM-2S1P2 50-59 years, female 52.8
GTEX-XPVG-2726-SM-4B66W 50-59 years, male 52.8
GTEX-1C6VS-0426-SM-79OJV 60-69 years, male 52.7
GTEX-1M5QR-2126-SM-DKPQM 40-49 years, male 52.5
GTEX-OIZI-0226-SM-2XCEE 40-49 years, male 52.3
GTEX-11LCK-1126-SM-5A5KC 30-39 years, male 52.2
GTEX-12ZZY-0326-SM-5LZVQ 60-69 years, male 52.2
GTEX-16NGA-1826-SM-7LG5L 40-49 years, female 52.2
GTEX-1GMRU-0226-SM-9YFLW 50-59 years, male 52.2
GTEX-1HSGN-0126-SM-CGQFU 40-49 years, female 52.2
GTEX-1GN1U-0226-SM-9YFLQ 50-59 years, female 52.0
GTEX-1AMEY-1426-SM-7939I 30-39 years, female 51.9
GTEX-TMZS-0226-SM-3DB9N 60-69 years, male 51.9
GTEX-U412-0526-SM-3DB9I 60-69 years, male 51.9
GTEX-13PVQ-0226-SM-5SIBG 50-59 years, male 51.8
GTEX-11ZTS-0226-SM-5EQKD 60-69 years, female 51.6
GTEX-X8HC-0226-SM-4E3K1 50-59 years, female 51.6
GTEX-11DXW-0326-SM-5H11W 40-49 years, male 51.4
GTEX-X4EO-0426-SM-4QASA 60-69 years, female 51.4
GTEX-1B932-0226-SM-7PBYH 40-49 years, female 51.4
GTEX-17HG3-2326-SM-79OKH 30-39 years, female 51.3
GTEX-147F3-0626-SM-5NQ9I 50-59 years, female 51.1
GTEX-OXRL-0226-SM-3NB18 50-59 years, male 50.9
GTEX-1GZ4I-0226-SM-7RHHO 50-59 years, male 50.8
GTEX-111YS-2426-SM-5GZZQ 60-69 years, male 50.7
GTEX-117YX-2226-SM-5EGJJ 50-59 years, male 50.7
GTEX-13N1W-0226-SM-5K7W6 70-79 years, male 50.7
GTEX-1AX9K-2426-SM-73KZ4 50-59 years, male 50.7
GTEX-U4B1-1726-SM-3DB9F 40-49 years, male 50.7
GTEX-ZP4G-2326-SM-57WEM 20-29 years, female 50.7
GTEX-1JKYN-1226-SM-CGQG8 30-39 years, male 50.7
GTEX-17EVP-0426-SM-79OKG 40-49 years, male 50.6
GTEX-1GN2E-0326-SM-COH3C 60-69 years, male 50.6
GTEX-15ETS-0426-SM-6PANI 40-49 years, female 50.4
GTEX-1FIGZ-1626-SM-7SB8L 40-49 years, male 50.4
GTEX-14PK6-2026-SM-6LLHP 70-79 years, female 50.3
GTEX-1E2YA-0226-SM-9MQLY 50-59 years, male 50.3
GTEX-RNOR-0226-SM-EZ6MF 50-59 years, female 50.3
GTEX-SNOS-1426-SM-32PLY 40-49 years, male 50.2
GTEX-13112-2726-SM-5DUW5 50-59 years, male 50.1
GTEX-SNMC-1326-SM-2XCFK 20-29 years, male 50.1
GTEX-ZTSS-2026-SM-5987K 40-49 years, male 50.0
GTEX-11ZVC-2626-SM-5FQTA 50-59 years, female 49.9
GTEX-1211K-2226-SM-5FQU6 60-69 years, female 49.9
GTEX-13FHP-0226-SM-5K7WD 50-59 years, male 49.9
GTEX-13PVR-2426-SM-5RQHN 60-69 years, female 49.8
GTEX-146FR-1826-SM-5QGPF 60-69 years, female 49.8
GTEX-1EH9U-0226-SM-7PBY8 60-69 years, male 49.7
GTEX-13S7M-0226-SM-5S2UG 60-69 years, female 49.5
GTEX-111VG-2326-SM-5N9BK 60-69 years, male 49.4
GTEX-131YS-0226-SM-5IJEH 60-69 years, female 49.4
GTEX-14BIL-0226-SM-5SI9E 50-59 years, male 49.4
GTEX-ZVT2-2226-SM-5NQ6P 50-59 years, female 49.4
GTEX-T8EM-1126-SM-3DB7D 40-49 years, male 49.3
GTEX-1A8G6-0526-SM-7PC1E 60-69 years, male 49.3
GTEX-1314G-1626-SM-5EQ67 30-39 years, male 49.2
GTEX-1J8QM-2326-SM-CYPSL 60-69 years, female 49.2
GTEX-18A6Q-0226-SM-718AS 60-69 years, male 49.1
GTEX-1QAET-1126-SM-E8VML 50-59 years, male 49.1
GTEX-QEL4-0326-SM-3GAE5 50-59 years, male 49.0
GTEX-QV44-1825-SM-447CF 50-59 years, male 48.8
GTEX-1CB4J-1126-SM-7PBY1 60-69 years, male 48.8
GTEX-1ICG6-2626-SM-CGQG1 70-79 years, female 48.8
GTEX-11XUK-2126-SM-5EQLR 40-49 years, female 48.6
GTEX-1EX96-1426-SM-7PBZ5 50-59 years, male 48.5
GTEX-QEG5-0326-SM-2S1PB 20-29 years, male 48.4
GTEX-ZDTS-0226-SM-5HL7Q 60-69 years, male 48.4
GTEX-18A7A-0326-SM-731AT 50-59 years, female 48.3
GTEX-12696-2526-SM-5EQLN 60-69 years, male 48.2
GTEX-1HCU8-0726-SM-ADEIR 60-69 years, female 48.2
GTEX-15RIE-2326-SM-7KFSC 60-69 years, male 48.1
GTEX-1QW4Y-1626-SM-EAZ41 30-39 years, male 48.1
GTEX-13FHO-0326-SM-5IJBH 60-69 years, male 48.0
GTEX-16BQI-0526-SM-6PAM8 30-39 years, female 48.0
GTEX-17F98-1126-SM-79OJS 40-49 years, female 48.0
GTEX-11P7K-2026-SM-5GU74 30-39 years, male 47.9
GTEX-16MTA-2126-SM-6PALC 50-59 years, male 47.9
GTEX-RUSQ-1626-SM-EZ6L4 50-59 years, male 47.9
GTEX-1HT8W-0226-SM-CMKGT 30-39 years, male 47.8
GTEX-14PHX-2426-SM-62LEN 50-59 years, male 47.7
GTEX-SJXC-0226-SM-2XCDU 60-69 years, male 47.7
GTEX-12ZZZ-0526-SM-5DUX6 60-69 years, male 47.6
GTEX-S7SE-0226-SM-2XCD4 50-59 years, male 47.6
GTEX-11UD2-0126-SM-5EQL2 50-59 years, male 47.5
GTEX-13NZA-0126-SM-5K7UH 60-69 years, male 47.4
GTEX-VJYA-1326-SM-3GIJC 60-69 years, male 47.4
GTEX-14DAQ-0226-SM-664MQ 60-69 years, female 47.3
GTEX-1LVAN-0126-SM-COH4H 50-59 years, female 47.3
GTEX-11PRG-0626-SM-5BC56 50-59 years, male 47.2
GTEX-183FY-0326-SM-793BY 20-29 years, male 47.2
GTEX-11EQ9-2526-SM-5HL66 30-39 years, male 47.1
GTEX-11H98-0226-SM-5NQ89 50-59 years, male 47.1
GTEX-139TU-0226-SM-5J1NM 60-69 years, male 47.1
GTEX-1A3MV-2126-SM-718BV 30-39 years, male 47.1
GTEX-XAJ8-0926-SM-47JXZ 40-49 years, male 47.1
GTEX-Q2AH-1726-SM-DIPDV 40-49 years, male 47.1
GTEX-OHPN-0226-SM-48TBV 60-69 years, female 47.0
GTEX-1IOXB-0226-SM-CMKHY 50-59 years, male 47.0
GTEX-14ICK-0326-SM-6LLIZ 40-49 years, male 46.9
GTEX-16XZZ-0226-SM-7MGVJ 60-69 years, male 46.9
GTEX-ZLFU-2626-SM-DO91L 40-49 years, male 46.9
GTEX-T5JC-0526-SM-32PM7 20-29 years, male 46.7
GTEX-1HCVE-0226-SM-CGQEV 50-59 years, male 46.7
GTEX-POMQ-2326-SM-DHXIS 20-29 years, female 46.7
GTEX-PLZ5-1826-SM-3NB22 50-59 years, male 46.6
GTEX-T6MN-0226-SM-32PMD 50-59 years, male 46.6
GTEX-1IDJU-2526-SM-CMKGF 60-69 years, female 46.6
GTEX-1R46S-0526-SM-EVYBZ 60-69 years, female 46.5
GTEX-147JS-0426-SM-5TDD2 60-69 years, male 46.4
GTEX-1N2DW-0326-SM-E9TK3 50-59 years, male 46.4
GTEX-1399U-2426-SM-5K7XB 50-59 years, female 46.3
GTEX-17HHY-0226-SM-793BQ 50-59 years, male 46.2
GTEX-11ZUS-0726-SM-59886 30-39 years, male 46.1
GTEX-OOBK-0226-SM-2YUMF 40-49 years, male 46.1
GTEX-RM2N-1726-SM-2TF55 50-59 years, male 46.1
GTEX-1KXAM-2326-SM-CYPTD 60-69 years, male 46.1
GTEX-17HII-0326-SM-7LG4X 50-59 years, male 45.9
GTEX-1HCUA-2226-SM-ADEHF 50-59 years, female 45.9
GTEX-18A66-0326-SM-718BE 60-69 years, male 45.8
GTEX-144GL-0226-SM-5QGOX 50-59 years, male 45.7
GTEX-18465-0226-SM-7LG5M 50-59 years, male 45.6
GTEX-OXRK-0326-SM-3NB3R 50-59 years, female 45.6
GTEX-1MJK2-0526-SM-DTXE6 50-59 years, male 45.6
GTEX-13FTW-2526-SM-5IJC8 40-49 years, male 45.5
GTEX-Y111-0226-SM-4SOIW 50-59 years, male 45.5
GTEX-1GZ2Q-0326-SM-9WG6N 40-49 years, male 45.5
GTEX-131XE-2426-SM-5EQ5V 50-59 years, male 45.4
GTEX-1OFPY-2326-SM-E8VNU 60-69 years, male 45.4
GTEX-1RAZR-0226-SM-EVYC6 40-49 years, male 45.4
GTEX-15SDE-2426-SM-7KFRC 50-59 years, female 45.3
GTEX-OIZH-0226-SM-2YUMH 50-59 years, male 45.3
GTEX-PLZ6-1326-SM-3NB24 30-39 years, male 45.3
GTEX-ZF3C-0226-SM-4WWB3 50-59 years, female 45.3
GTEX-1F6RS-0226-SM-9MQKO 60-69 years, female 45.3
GTEX-13IVO-0226-SM-5LZXU 70-79 years, male 45.2
GTEX-1B8KE-2526-SM-73KYQ 50-59 years, male 45.1
GTEX-ZYFD-0226-SM-5NQ86 50-59 years, male 45.1
GTEX-RU72-1026-SM-46MUG 50-59 years, female 45.0
GTEX-15DDE-0226-SM-6LLJ6 50-59 years, female 44.9
GTEX-WH7G-2226-SM-3NMBN 40-49 years, male 44.9
GTEX-133LE-1926-SM-5N9FV 20-29 years, female 44.8
GTEX-12WSD-0226-SM-59HKO 60-69 years, female 44.7
GTEX-14JG1-0526-SM-6LLHW 40-49 years, male 44.7
GTEX-1GTWX-0226-SM-9YFLL 60-69 years, male 44.7
GTEX-1LG7Z-2026-SM-DLHBP 30-39 years, male 44.7
GTEX-XOT4-0226-SM-4B66Z 60-69 years, female 44.7
GTEX-P4QS-0226-SM-3NB1U 60-69 years, male 44.6
GTEX-13OW7-0226-SM-5MR3N 50-59 years, male 44.4
GTEX-ZAJG-0226-SM-5HL81 50-59 years, female 44.3
GTEX-1PIIG-0326-SM-EVYBV 30-39 years, male 44.3
GTEX-11OF3-2426-SM-5Q5AS 60-69 years, male 44.2
GTEX-1J8EW-0226-SM-CYPSW 60-69 years, female 44.2
GTEX-1LSNM-2026-SM-E6CIJ 50-59 years, male 44.2
GTEX-14DAR-1926-SM-5S2NQ 50-59 years, male 44.1
GTEX-WVLH-0226-SM-3MJG6 50-59 years, male 43.9
GTEX-1I1HK-0226-SM-COH4A 60-69 years, male 43.9
GTEX-Q2AI-1426-SM-2S1P5 40-49 years, male 43.8
GTEX-Y3IK-2526-SM-4WWDM 50-59 years, female 43.8
GTEX-1GF9X-1926-SM-ADEIC 40-49 years, female 43.8
GTEX-1A32A-0226-SM-718B2 50-59 years, female 43.7
GTEX-1LSNL-0526-SM-DIPFI 50-59 years, male 43.7
GTEX-1QPFJ-0126-SM-E9J4B 30-39 years, female 43.7
GTEX-1HSEH-0226-SM-ACKVV 60-69 years, male 43.6
GTEX-1PFEY-1626-SM-E9J3M 30-39 years, male 43.6
GTEX-RTLS-0226-SM-2TF5E 60-69 years, female 43.5
GTEX-Y114-2326-SM-4TT7X 50-59 years, female 43.5
GTEX-ZUA1-0226-SM-5NQ9Q 40-49 years, male 43.4
GTEX-1QP28-0226-SM-E9J2N 50-59 years, female 43.4
GTEX-WL46-0326-SM-3LK6Y 50-59 years, male 43.3
GTEX-ZVP2-1826-SM-5GU62 50-59 years, male 43.3
GTEX-1H3O1-0526-SM-9MQLS 60-69 years, male 43.3
GTEX-1HSMP-0226-SM-CGQFI 70-79 years, male 43.3
GTEX-13D11-2326-SM-5IJCY 50-59 years, female 43.2
GTEX-1F75W-0226-SM-9JGGP 60-69 years, male 43.2
GTEX-1I1GQ-0226-SM-COH3I 50-59 years, male 43.2
GTEX-11GSO-2326-SM-5A5LX 60-69 years, male 43.1
GTEX-1C475-1926-SM-7DUFV 40-49 years, female 43.0
GTEX-P4PP-0226-SM-D4P1Z 30-39 years, female 43.0
GTEX-ZLWG-2226-SM-DO92V 50-59 years, female 43.0
GTEX-1IE54-0226-SM-CMKHX 40-49 years, female 42.9
GTEX-YF7O-2426-SM-5IFJL 50-59 years, male 42.8
GTEX-13VXT-0226-SM-5LU9Q 20-29 years, female 42.7
GTEX-ZZ64-1626-SM-5E43W 20-29 years, male 42.6
GTEX-1CB4H-0326-SM-9WG5G 60-69 years, female 42.6
GTEX-ZF28-0226-SM-5S2OE 60-69 years, male 42.5
GTEX-WHPG-2126-SM-4M1ZM 50-59 years, male 42.4
GTEX-1S5ZU-0226-SM-E6CHW 20-29 years, female 42.4
GTEX-1HBPH-0526-SM-9YFMN 40-49 years, female 42.3
GTEX-XXEK-2426-SM-4BRUS 50-59 years, male 42.2
GTEX-17F96-1726-SM-7IGMB 70-79 years, male 42.1
GTEX-1C6WA-0226-SM-7IGPO 60-69 years, male 42.1
GTEX-XBEW-0726-SM-4QARX 40-49 years, male 42.0
GTEX-1CAMQ-0126-SM-7SB7S 40-49 years, male 42.0
GTEX-1GMR2-2526-SM-9MQKW 50-59 years, male 41.9
GTEX-12KS4-0426-SM-5EQMC 30-39 years, male 41.8
GTEX-XMD2-0226-SM-4WWEE 60-69 years, female 41.8
GTEX-Y3I4-2226-SM-4TT7O 50-59 years, male 41.8
GTEX-1LGRB-2426-SM-CNPP3 50-59 years, female 41.8
GTEX-1HFI7-2026-SM-CGQFR 50-59 years, female 41.7
GTEX-14PJ2-0226-SM-6LLH4 50-59 years, male 41.6
GTEX-17EUY-0526-SM-7EWDE 20-29 years, male 41.6
GTEX-1B8SG-0226-SM-7939Q 50-59 years, male 41.6
GTEX-ZPU1-2426-SM-4WWFM 40-49 years, male 41.6
GTEX-WFJO-1926-SM-3GILA 30-39 years, male 41.5
GTEX-131XW-0526-SM-5PNXZ 50-59 years, female 41.4
GTEX-13PDP-0226-SM-5K7W9 60-69 years, male 41.4
GTEX-1BAJH-0426-SM-73KWY 70-79 years, male 41.4
GTEX-SIU8-0226-SM-2XCDS 50-59 years, male 41.4
GTEX-1GN73-0326-SM-9KNTW 60-69 years, male 41.4
GTEX-1RQEC-0526-SM-E6CHV 60-69 years, male 41.4
GTEX-Q734-1826-SM-2I3EL 40-49 years, female 41.3
GTEX-1HSKV-0326-SM-ADEJC 60-69 years, male 41.3
GTEX-RVPV-1526-SM-EXOHF 60-69 years, male 41.3
GTEX-Z9EW-1826-SM-5CVMA 40-49 years, male 41.2
GTEX-1F48J-0226-SM-7SB82 50-59 years, female 41.2
GTEX-1497J-2326-SM-5NQBK 60-69 years, male 41.1
GTEX-14PJ3-1926-SM-62LEY 50-59 years, male 41.0
GTEX-XK95-0426-SM-4AT4R 40-49 years, male 41.0
GTEX-11P81-2426-SM-5GU65 30-39 years, female 40.9
GTEX-13NZB-2426-SM-5K7UF 30-39 years, male 40.9
GTEX-1S83E-0226-SM-EVYCW 40-49 years, male 40.9
GTEX-147GR-0426-SM-5S2OL 60-69 years, male 40.8
GTEX-P78B-0226-SM-3NB1Z 40-49 years, female 40.8
GTEX-X5EB-2426-SM-4E3HX 40-49 years, male 40.7
GTEX-YFCO-2026-SM-4W21Q 40-49 years, male 40.7
GTEX-R55D-0326-SM-48FES 50-59 years, male 40.6
GTEX-ZVE2-0326-SM-57WFC 50-59 years, male 40.5
GTEX-1GMR3-2026-SM-9MQLG 40-49 years, male 40.5
GTEX-11EMC-2826-SM-5PNY6 60-69 years, female 40.4
GTEX-ZVZO-0226-SM-5A5LA 40-49 years, male 40.4
GTEX-1MA7X-2126-SM-E6CIX 60-69 years, male 40.4
GTEX-PLZ4-0226-SM-CYPR1 50-59 years, female 40.4
GTEX-TML8-2026-SM-32QOP 40-49 years, female 40.3
GTEX-YJ89-0226-SM-4TT3Y 60-69 years, male 40.3
GTEX-1LH75-2526-SM-E9U5A 50-59 years, female 40.3
GTEX-1HB9E-0426-SM-CNPPV 50-59 years, male 40.2
GTEX-11DZ1-0226-SM-5A5KF 50-59 years, male 40.1
GTEX-14PJ4-2226-SM-6LLIS 60-69 years, male 40.1
GTEX-P44H-0326-SM-2XCES 40-49 years, male 40.1
GTEX-TSE9-0226-SM-3DB84 60-69 years, female 40.1
GTEX-1PWST-0326-SM-EAZ42 70-79 years, male 40.1
GTEX-SN8G-0226-SM-4DM6B 50-59 years, female 40.0
GTEX-ZV68-0226-SM-59HJF 50-59 years, female 40.0
GTEX-1LVAO-0226-SM-E9U6O 60-69 years, male 39.9
GTEX-ZC5H-0126-SM-4WAYL 40-49 years, female 39.8
GTEX-1EKGG-0126-SM-9YFLS 60-69 years, male 39.8
GTEX-1J8Q3-1526-SM-CMKGB 60-69 years, male 39.8
GTEX-1LG7Y-0426-SM-DKPQB 50-59 years, male 39.8
GTEX-1JN6P-0226-SM-COH34 60-69 years, male 39.7
GTEX-1212Z-2426-SM-5EQ5D 60-69 years, male 39.6
GTEX-ZTX8-1526-SM-5N9GI 20-29 years, male 39.6
GTEX-OIZG-0826-SM-E9TI4 50-59 years, male 39.6
GTEX-1I1GT-0526-SM-CGQEQ 60-69 years, female 39.5
GTEX-139YR-2426-SM-5J1OB 50-59 years, male 39.4
GTEX-13O3Q-2326-SM-5KM3G 50-59 years, male 39.4
GTEX-14753-0326-SM-5QGQB 60-69 years, male 39.4
GTEX-17MFQ-1826-SM-7DHLS 20-29 years, male 39.4
GTEX-YECK-0226-SM-4W215 60-69 years, male 39.4
GTEX-ZVZP-2326-SM-59HL4 50-59 years, male 39.4
GTEX-1I6K7-0226-SM-CJI46 40-49 years, male 39.4
GTEX-XUYS-0226-SM-47JX1 50-59 years, male 39.3
GTEX-1J8JJ-0326-SM-CMKG6 60-69 years, female 39.3
GTEX-11O72-0226-SM-59869 40-49 years, male 39.2
GTEX-169BO-1426-SM-9MQJT 50-59 years, male 39.1
GTEX-1H1CY-2626-SM-9MQKJ 60-69 years, female 39.1
GTEX-111FC-0226-SM-5N9B8 60-69 years, male 39.0
GTEX-13OVK-2126-SM-6PAN1 40-49 years, male 39.0
GTEX-QLQ7-1526-SM-2S1QA 60-69 years, male 38.9
GTEX-XMK1-2226-SM-4B673 40-49 years, male 38.9
GTEX-XQ3S-1626-SM-4WAYN 20-29 years, male 38.9
GTEX-146FQ-0226-SM-5NQAL 30-39 years, male 38.7
GTEX-N7MS-0326-SM-4E3K2 60-69 years, male 38.7
GTEX-SSA3-0226-SM-32QPN 60-69 years, male 38.7
GTEX-1LSVX-0126-SM-EVYCY 60-69 years, male 38.7
GTEX-1QEPI-0226-SM-EWRMR 60-69 years, female 38.7
GTEX-14BMV-0226-SM-5S2N2 50-59 years, male 38.6
GTEX-QMRM-1726-SM-2S1QG 50-59 years, male 38.6
GTEX-ZEX8-2326-SM-5S2MN 50-59 years, male 38.6
GTEX-1399T-2726-SM-5K7XK 60-69 years, male 38.5
GTEX-1C64O-0226-SM-73KXB 60-69 years, male 38.4
GTEX-ZE9C-2826-SM-5S2MO 60-69 years, male 38.4
GTEX-ZYY3-0226-SM-5E45M 60-69 years, female 38.4
GTEX-ZYW4-0226-SM-5E44M 60-69 years, male 38.3
GTEX-VJWN-0226-SM-EZ6LF 50-59 years, female 38.3
GTEX-13N2G-2726-SM-5J1MG 60-69 years, male 38.2
GTEX-PSDG-0326-SM-48TCP 50-59 years, male 38.2
GTEX-R3RS-0226-SM-EYYVE 40-49 years, female 38.2
GTEX-14C5O-0226-SM-5SI6O 60-69 years, male 38.1
GTEX-1H3VE-0226-SM-9WYST 40-49 years, male 38.1
GTEX-XQ8I-0526-SM-4BOPS 50-59 years, male 38.0
GTEX-1H1ZS-0526-SM-9WG5L 70-79 years, male 38.0
GTEX-1I6K6-0226-SM-ADEID 30-39 years, male 38.0
GTEX-1JJE9-1226-SM-CNPOI 70-79 years, male 38.0
GTEX-17HGU-0326-SM-7DUER 50-59 years, male 37.9
GTEX-QDT8-0226-SM-32PL4 30-39 years, female 37.9
GTEX-QV31-1326-SM-2S1QE 30-39 years, male 37.9
GTEX-1HR9M-0226-SM-COH3E 60-69 years, male 37.9
GTEX-1S82P-0226-SM-E6CI6 60-69 years, female 37.8
GTEX-XYKS-2726-SM-4E3IC 60-69 years, female 37.7
GTEX-13X6K-0226-SM-5QGPB 60-69 years, female 37.6
GTEX-13NYB-2626-SM-9YFMI 40-49 years, male 37.6
GTEX-1CB4E-1826-SM-7RHG8 60-69 years, male 37.6
GTEX-1L5NE-2626-SM-E9U6P 50-59 years, male 37.6
GTEX-1C6VQ-0226-SM-7P8S5 50-59 years, male 37.5
GTEX-1CB4G-0326-SM-7SB8R 60-69 years, male 37.5
GTEX-1IKJJ-0226-SM-COH3T 60-69 years, male 37.5
GTEX-1RAZA-0226-SM-E9U4W 20-29 years, male 37.5
GTEX-OXRN-0226-SM-2I5EJ 50-59 years, male 37.4
GTEX-Y8E5-0226-SM-57WCM 60-69 years, male 37.4
GTEX-1A8FM-0126-SM-7SB7P 50-59 years, female 37.4
GTEX-1F88E-0526-SM-7SB8J 60-69 years, female 37.3
GTEX-1JK1U-2126-SM-CNPOU 60-69 years, male 37.2
GTEX-11UD1-0226-SM-5EQKL 40-49 years, female 37.1
GTEX-131XF-2226-SM-5EQKG 60-69 years, male 37.1
GTEX-1HR98-0226-SM-CGQEK 60-69 years, male 37.0
GTEX-1J1R8-2226-SM-ARZMP 40-49 years, male 37.0
GTEX-13G51-2626-SM-5LZYW 60-69 years, male 36.9
GTEX-1H1DE-2026-SM-9WG6Q 20-29 years, male 36.9
GTEX-1LBAC-0226-SM-DHXJZ 20-29 years, male 36.8
GTEX-145MF-0526-SM-5LUA6 50-59 years, male 36.7
GTEX-18D9U-0726-SM-7LG5J 40-49 years, male 36.7
GTEX-1JMPY-1426-SM-ARL8Z 30-39 years, male 36.7
GTEX-ZT9X-1926-SM-57WE7 40-49 years, male 36.6
GTEX-13NZ8-0926-SM-5MR3U 60-69 years, female 36.5
GTEX-16XZY-2526-SM-7DHL2 70-79 years, male 36.5
GTEX-1C4CL-0426-SM-7939N 30-39 years, male 36.5
GTEX-14PN3-2526-SM-6EU15 60-69 years, female 36.4
GTEX-QDVN-2126-SM-33HBS 50-59 years, male 36.4
GTEX-X638-0226-SM-47JZ9 70-79 years, female 36.4
GTEX-13SLW-0226-SM-5S2NA 70-79 years, male 36.3
GTEX-1RDX4-0226-SM-DTXG1 50-59 years, female 36.3
GTEX-1B933-0526-SM-7EPHM 50-59 years, female 36.2
GTEX-1IDJF-0226-SM-CMKGE 20-29 years, male 36.2
GTEX-1NHNU-1126-SM-E9J2C 50-59 years, male 36.2
GTEX-16MT8-0526-SM-6PAM6 60-69 years, female 36.1
GTEX-1OJC4-1726-SM-EXUSV 50-59 years, female 36.1
GTEX-1399R-2626-SM-5KLZ7 30-39 years, male 36.0
GTEX-14PII-0326-SM-6LLIQ 60-69 years, male 36.0
GTEX-Y5V5-2426-SM-5IFJA 60-69 years, female 36.0
GTEX-1JMQK-0126-SM-CM2S3 60-69 years, male 36.0
GTEX-11EI6-0226-SM-5EQ64 60-69 years, male 35.9
GTEX-WFON-2226-SM-3TW8W 40-49 years, male 35.9
GTEX-X4LF-1726-SM-3NMBZ 50-59 years, male 35.9
GTEX-U3ZN-2626-SM-3DB7T 30-39 years, female 35.8
GTEX-17HHE-1926-SM-7EPGW 50-59 years, male 35.7
GTEX-1EMGI-0226-SM-9MQL1 60-69 years, male 35.7
GTEX-1H3VY-0226-SM-9YFMF 50-59 years, male 35.7
GTEX-13O21-1526-SM-5K7W4 50-59 years, male 35.6
GTEX-13OW6-0526-SM-5L3HY 50-59 years, male 35.5
GTEX-YEC3-1226-SM-5IFI8 50-59 years, male 35.5
GTEX-1AX9I-0226-SM-7SB75 60-69 years, male 35.4
GTEX-1H2FU-0226-SM-9YFKO 60-69 years, female 35.4
GTEX-1JJEA-0226-SM-COH2X 60-69 years, male 35.4
GTEX-1JMQI-2026-SM-CMKGP 50-59 years, male 35.4
GTEX-1AMFI-2126-SM-731BT 50-59 years, female 35.3
GTEX-X261-0226-SM-3NMD2 50-59 years, male 35.3
GTEX-13NZ9-0526-SM-5J1OX 50-59 years, male 35.2
GTEX-148VI-1726-SM-5S2W9 60-69 years, female 35.2
GTEX-OIZF-0226-SM-E9TI3 60-69 years, male 35.2
GTEX-1117F-0226-SM-5GZZ7 60-69 years, female 35.1
GTEX-P4PQ-0226-SM-2S1NK 60-69 years, male 35.1
GTEX-ZYT6-0326-SM-7LG5R 30-39 years, male 35.1
GTEX-1H1E6-2026-SM-9KNVK 30-39 years, male 35.1
GTEX-14ICL-2026-SM-62LDN 30-39 years, male 35.0
GTEX-1R7EU-0326-SM-EWRNJ 60-69 years, male 35.0
GTEX-1MGNQ-0226-SM-EVYCK 40-49 years, male 34.9
GTEX-X88G-0226-SM-4GIE4 30-39 years, male 34.8
GTEX-1F52S-0226-SM-7SB7U 60-69 years, female 34.8
GTEX-1QP2A-0226-SM-EVYBC 50-59 years, male 34.8
GTEX-14AS3-2026-SM-5TDD9 40-49 years, female 34.7
GTEX-1A3MW-0226-SM-7939O 60-69 years, female 34.7
GTEX-11NUK-0326-SM-5HL5K 50-59 years, male 34.7
GTEX-1R9K5-0226-SM-EWRNF 50-59 years, male 34.7
GTEX-1AX9J-0326-SM-73KXY 60-69 years, male 34.6
GTEX-XGQ4-2226-SM-4AT4Y 50-59 years, male 34.6
GTEX-1PPH8-0626-SM-EWRN9 20-29 years, male 34.6
GTEX-1GMR8-0226-SM-9YFL3 50-59 years, female 34.5
GTEX-13U4I-0226-SM-5SIB1 40-49 years, female 34.4
GTEX-1I1CD-0226-SM-CM2TL 60-69 years, female 34.4
GTEX-1KAFJ-2426-SM-D4P32 50-59 years, male 34.4
GTEX-12WSM-0226-SM-5LZV6 60-69 years, male 34.3
GTEX-Z93T-0226-SM-5HL5Z 50-59 years, male 34.3
GTEX-15G19-0226-SM-6PAL2 60-69 years, male 34.2
GTEX-WVJS-0226-SM-4MVOU 50-59 years, male 34.2
GTEX-144FL-0226-SM-5Q5D4 50-59 years, male 34.1
GTEX-1HFI6-0326-SM-ADEI5 40-49 years, male 34.1
GTEX-18QFQ-0226-SM-731BQ 30-39 years, male 34.0
GTEX-WYJK-0226-SM-EYYV8 50-59 years, male 33.9
GTEX-1B97I-1726-SM-7939V 40-49 years, male 33.8
GTEX-16AAH-2026-SM-7LG5F 50-59 years, male 33.7
GTEX-1HBPM-0326-SM-CMKGR 60-69 years, female 33.7
GTEX-1IDJD-1226-SM-CM2TP 30-39 years, male 33.6
GTEX-1PPGY-0326-SM-DTXFD 60-69 years, male 33.6
GTEX-XBEC-0326-SM-4AT4M 50-59 years, male 33.5
GTEX-1QP66-1326-SM-DTXDQ 50-59 years, male 33.5
GTEX-1I1GV-0426-SM-ARZLX 60-69 years, male 33.4
GTEX-11TTK-0226-SM-5N9EC 60-69 years, female 33.3
GTEX-13JVG-0226-SM-5J1MW 60-69 years, male 33.2
GTEX-1A8G7-0226-SM-731AS 60-69 years, male 33.2
GTEX-1JJ6O-0226-SM-E6CI9 60-69 years, male 33.2
GTEX-14ABY-0326-SM-5TDDK 50-59 years, male 33.1
GTEX-ZDXO-2426-SM-5S2NJ 60-69 years, male 33.1
GTEX-1GZ4H-1826-SM-9MQLE 50-59 years, female 33.1
GTEX-14H4A-1026-SM-62LDY 40-49 years, female 33.0
GTEX-1MUQO-0526-SM-E9J31 60-69 years, male 33.0
GTEX-XV7Q-2626-SM-4BRVA 40-49 years, female 32.9
GTEX-1PIGE-0526-SM-DTXFA 20-29 years, male 32.9
GTEX-113IC-0226-SM-5HL5C 60-69 years, male 32.8
GTEX-OHPM-0226-SM-3LK61 50-59 years, male 32.7
GTEX-1I1GS-0226-SM-B2LVX 60-69 years, male 32.7
GTEX-1ICLZ-0226-SM-CKZPP 60-69 years, male 32.7
GTEX-1IL2V-0226-SM-CMKI2 70-79 years, male 32.7
GTEX-XLM4-0226-SM-4AT4N 60-69 years, male 32.6
GTEX-1IY9M-0226-SM-CMKHP 60-69 years, male 32.6
GTEX-UTHO-0426-SM-CE6QU 60-69 years, male 32.6
GTEX-11ZU8-2426-SM-5EQMV 60-69 years, male 32.5
GTEX-P4QT-0226-SM-3LK68 50-59 years, female 32.5
GTEX-1HGF4-2526-SM-ADEIZ 60-69 years, male 32.5
GTEX-1QP9N-1526-SM-DTXFK 30-39 years, male 32.5
GTEX-11EQ8-0226-SM-5EQ5G 60-69 years, male 32.4
GTEX-17F9Y-0326-SM-7IGLS 70-79 years, female 32.3
GTEX-NFK9-0326-SM-3MJGV 40-49 years, male 32.2
GTEX-139TT-0226-SM-5K7YH 60-69 years, male 32.1
GTEX-1JMLX-0126-SM-CMKG9 50-59 years, male 32.1
GTEX-1PDJ9-0426-SM-E9J3E 20-29 years, male 32.1
GTEX-139T8-0226-SM-5L3EA 60-69 years, male 31.9
GTEX-17F97-0426-SM-7LT9U 50-59 years, male 31.9
GTEX-1QCLY-0526-SM-EAZ47 30-39 years, male 31.9
GTEX-1HSMQ-1426-SM-ADEHT 50-59 years, male 31.8
GTEX-1IDFM-0226-SM-CMKFX 60-69 years, male 31.8
GTEX-1IKK5-0526-SM-CMKGG 60-69 years, male 31.8
GTEX-139T4-0126-SM-5HL5G 50-59 years, female 31.7
GTEX-R45C-0226-SM-EVYAJ 60-69 years, female 31.7
GTEX-15CHQ-0226-SM-6EU2S 60-69 years, male 31.6
GTEX-1F75A-0226-SM-7PC2K 50-59 years, male 31.6
GTEX-139D8-0326-SM-5IJCJ 30-39 years, female 31.5
GTEX-15DCD-0226-SM-6LPKC 70-79 years, female 31.5
GTEX-1HCU7-0326-SM-CMKGI 50-59 years, male 31.3
GTEX-14E1K-2126-SM-793DU 50-59 years, male 31.1
GTEX-UJHI-1626-SM-3DB9A 50-59 years, female 30.7
GTEX-1KD5A-0326-SM-D5OVD 50-59 years, male 30.7
GTEX-1LB8K-0326-SM-E9TJC 50-59 years, male 30.7
GTEX-13RTJ-2526-SM-5S2Q3 60-69 years, male 30.5
GTEX-1ICLY-0226-SM-ARL7R 50-59 years, male 30.5
GTEX-13JUV-2826-SM-5LZWU 40-49 years, female 30.4
GTEX-13N11-2626-SM-5K7UQ 50-59 years, female 30.4
GTEX-1HUB1-0326-SM-A9SKQ 60-69 years, male 30.3
GTEX-13OVI-1326-SM-5IJBO 60-69 years, female 30.2
GTEX-11ONC-2526-SM-5986W 60-69 years, male 29.9
GTEX-ZXG5-0226-SM-59HJI 60-69 years, male 29.8
GTEX-13111-1726-SM-5EGJZ 50-59 years, male 29.7
GTEX-13OVL-0326-SM-5IJCS 50-59 years, male 29.7
GTEX-1CB4I-0426-SM-7IGPR 50-59 years, male 29.7
GTEX-OOBJ-0226-SM-2YUMM 60-69 years, male 29.4
GTEX-1IL2U-0326-SM-CE6T9 60-69 years, male 29.4
GTEX-16NPX-0326-SM-7EWDI 50-59 years, male 29.3
GTEX-1JKYR-0226-SM-CNPOK 20-29 years, male 29.3
GTEX-1B8L1-2626-SM-7SB77 60-69 years, male 28.8
GTEX-17KNJ-2226-SM-DKPOU 50-59 years, male 27.9
GTEX-12WSA-0326-SM-5BC6I 60-69 years, male 27.7
GTEX-NPJ8-0226-SM-48TBN 40-49 years, male 27.6
GTEX-1CB4F-0526-SM-9KNW2 60-69 years, male 27.4
GTEX-Y8E4-0726-SM-4WWFN 40-49 years, male 27.3
GTEX-1AYCT-2226-SM-7SB98 50-59 years, male 27.3
GTEX-1IGQW-0226-SM-COH43 60-69 years, male 27.3
GTEX-1AYD5-2326-SM-73KXF 50-59 years, male 26.9
GTEX-145LS-0226-SM-5O9A5 60-69 years, female 26.8
GTEX-1F75I-0426-SM-7PC3S 40-49 years, male 26.0
GTEX-13QJ3-0426-SM-5RQHP 50-59 years, male 25.6
GTEX-17MF6-0226-SM-7LG4G 40-49 years, male 25.6
GTEX-W5X1-2626-SM-4LMI8 40-49 years, female 25.2
GTEX-1I19N-0426-SM-ACKVY 70-79 years, male 24.8
GTEX-1B8KZ-1926-SM-7DUG8 50-59 years, male 24.3
Show allShow less
Adipose - Visceral (Omentum)
Average nTPM: 38.1
Samples: 541

Max nTPM: 89.4
Min nTPM: 18.5
Std nTPM: 10.6
Median nTPM: 35.9
GTEX-ZYVF-1026-SM-5E44V 50-59 years, female 89.4
GTEX-13PL7-1226-SM-5SIAR 60-69 years, female 85.1
GTEX-14PK6-0926-SM-62LF4 70-79 years, female 77.3
GTEX-14PN4-1426-SM-6LLJ4 50-59 years, male 76.0
GTEX-1I1GU-0626-SM-CMKHR 40-49 years, male 72.5
GTEX-16XZZ-1626-SM-7KUEC 60-69 years, male 72.2
GTEX-13OVH-1126-SM-5K7YP 70-79 years, male 69.4
GTEX-1J8Q2-2226-SM-CM2TZ 60-69 years, male 69.0
GTEX-1128S-0926-SM-5GZZU 60-69 years, female 68.6
GTEX-1122O-0926-SM-9YFLC 60-69 years, female 68.5
GTEX-11EQ9-1126-SM-5987I 30-39 years, male 67.7
GTEX-1JKYN-0526-SM-CGQG3 30-39 years, male 67.2
GTEX-14E6C-1226-SM-5ZZUN 40-49 years, male 66.0
GTEX-Y9LG-1226-SM-4VBQA 30-39 years, male 65.9
GTEX-1N2DV-0626-SM-E9U5H 40-49 years, male 64.8
GTEX-ZV7C-0826-SM-59HK8 50-59 years, male 64.5
GTEX-145LT-1526-SM-5O98P 40-49 years, male 62.9
GTEX-U8XE-1926-SM-3DB98 30-39 years, male 62.5
GTEX-14C38-1026-SM-73KY7 50-59 years, male 62.3
GTEX-Y8LW-0926-SM-4VBQ8 50-59 years, female 62.2
GTEX-1N2EF-0926-SM-E8VNW 60-69 years, male 61.7
GTEX-14PJ4-0126-SM-62LEZ 60-69 years, male 61.6
GTEX-131XG-0126-SM-5K7UJ 50-59 years, female 61.4
GTEX-11I78-0226-SM-5HL6R 50-59 years, female 60.7
GTEX-1399U-2026-SM-9WPNN 50-59 years, female 59.5
GTEX-ZA64-0926-SM-5HL7H 20-29 years, male 59.2
GTEX-XBED-1326-SM-4AT4F 60-69 years, male 59.1
GTEX-1PBJI-1326-SM-E9J2V 20-29 years, female 58.7
GTEX-11TT1-1926-SM-5PNYN 20-29 years, male 58.5
GTEX-14C39-0826-SM-5TDDU 40-49 years, male 58.5
GTEX-15EOM-2326-SM-7KUMV 20-29 years, female 57.6
GTEX-1RAZQ-1526-SM-E6CJI 30-39 years, male 56.5
GTEX-13FH7-1926-SM-5J2OL 50-59 years, female 55.9
GTEX-X8HC-2326-SM-4QAS4 50-59 years, female 55.4
GTEX-17F98-0326-SM-7DHLH 40-49 years, female 55.3
GTEX-1CB4I-0826-SM-7MGX1 50-59 years, male 55.3
GTEX-1MA7W-0526-SM-E6CIN 20-29 years, female 54.7
GTEX-1R7EV-1026-SM-DTX81 40-49 years, male 54.7
GTEX-1RLM8-1026-SM-EWROE 50-59 years, male 54.3
GTEX-14JG6-0526-SM-6LLIH 30-39 years, female 54.2
GTEX-13FTW-0426-SM-5K7X2 40-49 years, male 54.1
GTEX-13OVJ-0926-SM-5K7U1 50-59 years, female 54.1
GTEX-ZF29-0826-SM-5S2O2 60-69 years, female 54.1
GTEX-1B97J-1126-SM-7SB79 50-59 years, female 54.0
GTEX-ZPCL-1026-SM-5GCOX 60-69 years, female 53.7
GTEX-Y114-1326-SM-4TT9A 50-59 years, female 53.5
GTEX-1B996-1226-SM-73KWZ 60-69 years, male 53.2
GTEX-11WQK-1526-SM-5EGKN 50-59 years, male 53.1
GTEX-YEC4-0926-SM-5PNXY 40-49 years, male 53.1
GTEX-1A32A-0926-SM-718AB 50-59 years, female 53.0
GTEX-11LCK-0326-SM-5A5M7 30-39 years, male 52.5
GTEX-132QS-0826-SM-5K7WV 60-69 years, male 52.5
GTEX-13IVO-2426-SM-5K7V9 70-79 years, male 52.4
GTEX-111YS-1326-SM-5EGGK 60-69 years, male 52.3
GTEX-1339X-0726-SM-5L3FF 40-49 years, male 52.3
GTEX-14E6E-0226-SM-7DUEF 30-39 years, male 52.2
GTEX-1A3MX-0826-SM-72D64 60-69 years, male 52.1
GTEX-13RTK-0726-SM-5Q5EN 20-29 years, male 52.0
GTEX-ZEX8-1226-SM-5S2OK 50-59 years, male 52.0
GTEX-YJ8A-1926-SM-EZ6LQ 20-29 years, male 51.5
GTEX-145MI-0826-SM-5SI95 60-69 years, female 51.4
GTEX-16MTA-1326-SM-6PALX 50-59 years, male 51.4
GTEX-WFJO-1026-SM-3GIKL 30-39 years, male 51.1
GTEX-1I1GP-1426-SM-ACKVZ 50-59 years, male 51.1
GTEX-ZVT2-0226-SM-5GIE3 50-59 years, female 50.9
GTEX-1MUQO-0826-SM-EVYCZ 60-69 years, male 50.9
GTEX-1J1OQ-1526-SM-CJI4E 40-49 years, female 50.5
GTEX-XPVG-1626-SM-EYYVK 50-59 years, male 50.4
GTEX-ZTSS-1026-SM-5985N 40-49 years, male 50.3
GTEX-13O61-1926-SM-5KM1R 60-69 years, male 49.8
GTEX-13CF3-1126-SM-5LZXB 60-69 years, female 49.7
GTEX-ZTPG-2326-SM-57WFL 20-29 years, female 49.6
GTEX-ZTX8-0726-SM-59HL9 20-29 years, male 49.6
GTEX-1LKK1-1526-SM-EVYCO 50-59 years, female 49.6
GTEX-ZLWG-0726-SM-5S2N4 50-59 years, female 49.6
GTEX-ZDTT-0526-SM-5HL4M 60-69 years, male 49.4
GTEX-17GQL-0826-SM-731AM 60-69 years, male 49.3
GTEX-1HFI7-0726-SM-ACKVN 50-59 years, female 49.3
GTEX-13YAN-1126-SM-5TDC7 60-69 years, male 49.2
GTEX-1KANA-1426-SM-CY8IF 20-29 years, male 49.1
GTEX-1C475-0326-SM-7SB8O 40-49 years, female 49.0
GTEX-1QCLY-1226-SM-EVYC3 30-39 years, male 48.8
GTEX-1A3MV-0626-SM-731CH 30-39 years, male 48.6
GTEX-15UKP-1426-SM-7KUDX 20-29 years, male 48.2
GTEX-1LH75-1026-SM-EWROK 50-59 years, female 48.1
GTEX-13FHO-2026-SM-5J1OA 60-69 years, male 47.9
GTEX-ZPU1-1226-SM-5HL71 40-49 years, male 47.8
GTEX-Z9EW-0826-SM-5HL9T 40-49 years, male 47.6
GTEX-111CU-1026-SM-5EGIL 50-59 years, male 47.5
GTEX-12C56-0826-SM-5EGJ5 20-29 years, male 47.5
GTEX-ZYW4-2226-SM-5GZYG 60-69 years, male 47.4
GTEX-WYJK-1426-SM-3NM8V 50-59 years, male 47.3
GTEX-1399S-1426-SM-5PNYQ 30-39 years, female 47.2
GTEX-ZT9W-1026-SM-57WG5 50-59 years, male 47.0
GTEX-1O9I2-1326-SM-E6CQD 50-59 years, male 47.0
GTEX-1B933-1326-SM-7939U 50-59 years, female 46.9
GTEX-ZLV1-0926-SM-5S2MR 60-69 years, female 46.9
GTEX-Y5LM-0826-SM-4VDSW 40-49 years, female 46.8
GTEX-15EU6-1726-SM-6M48H 50-59 years, male 46.7
GTEX-ZYFG-1426-SM-5GICS 60-69 years, female 46.7
GTEX-1B8SF-1726-SM-73KZ5 60-69 years, male 46.4
GTEX-1QP29-1626-SM-EXUSZ 50-59 years, male 46.3
GTEX-12BJ1-0826-SM-5EQ5P 60-69 years, male 46.2
GTEX-ZVP2-0226-SM-57WBD 50-59 years, male 46.2
GTEX-1H23P-1726-SM-A9SMN 60-69 years, male 46.2
GTEX-12WSG-0426-SM-5FQSE 50-59 years, female 46.1
GTEX-1LVAN-0926-SM-CNNQ2 50-59 years, female 46.1
GTEX-1HSEH-1326-SM-ADEI1 60-69 years, male 46.0
GTEX-1JMPY-0326-SM-CM2S2 30-39 years, male 46.0
GTEX-17EVQ-0626-SM-7KFTB 70-79 years, male 45.9
GTEX-117YX-0726-SM-5GIET 50-59 years, male 45.7
GTEX-YEC3-0926-SM-5Q5AC 50-59 years, male 45.7
GTEX-ZV6S-1626-SM-5NQ81 40-49 years, female 45.7
GTEX-1LGRB-0526-SM-COH3A 50-59 years, female 45.7
GTEX-18D9U-0426-SM-731AN 40-49 years, male 45.4
GTEX-11XUK-1726-SM-5GU61 40-49 years, female 45.2
GTEX-1EU9M-1126-SM-793DE 60-69 years, male 45.1
GTEX-Y5V5-0226-SM-5S2N8 60-69 years, female 45.1
GTEX-ZDYS-2226-SM-5S2MI 50-59 years, male 45.1
GTEX-131XF-0726-SM-5GIE5 60-69 years, male 45.0
GTEX-14DAR-0426-SM-664MW 50-59 years, male 44.8
GTEX-131XE-2026-SM-5LZW1 50-59 years, male 44.4
GTEX-13OW8-0326-SM-5L3FB 60-69 years, male 44.4
GTEX-ZQUD-0526-SM-57WG4 30-39 years, male 44.4
GTEX-1192X-1526-SM-5H11I 50-59 years, male 44.1
GTEX-13111-0626-SM-5LZVR 50-59 years, male 44.1
GTEX-14753-2526-SM-5LU97 60-69 years, male 44.0
GTEX-1R9PO-0926-SM-E9U4Q 60-69 years, female 44.0
GTEX-WWTW-1326-SM-4MVNT 50-59 years, male 43.9
GTEX-ZF2S-1526-SM-5S2OO 50-59 years, female 43.9
GTEX-WI4N-1526-SM-EZ6LG 40-49 years, female 43.9
GTEX-13S86-0926-SM-5SI6I 40-49 years, male 43.8
GTEX-12WSL-1126-SM-5CVNK 50-59 years, male 43.6
GTEX-UTHO-1826-SM-3GAFE 60-69 years, male 43.6
GTEX-11EM3-1126-SM-5A5KM 20-29 years, female 43.5
GTEX-1LG7Z-0226-SM-E6CIG 30-39 years, male 43.4
GTEX-1GTWX-1526-SM-9MQLF 60-69 years, male 43.3
GTEX-1GZ2Q-1226-SM-9MQM8 40-49 years, male 43.3
GTEX-183FY-1226-SM-7DHLK 20-29 years, male 43.1
GTEX-13QBU-1326-SM-5LU4K 40-49 years, female 43.0
GTEX-15CHC-0826-SM-686YW 60-69 years, female 43.0
GTEX-XUZC-1126-SM-4BOPZ 30-39 years, female 43.0
GTEX-ZZ64-0626-SM-5GZWR 20-29 years, male 43.0
GTEX-13OVG-1326-SM-5K7Y3 60-69 years, male 42.7
GTEX-1CAMR-0326-SM-793AH 20-29 years, male 42.6
GTEX-1GF9W-1026-SM-7SB8X 60-69 years, male 42.6
GTEX-1H11D-1126-SM-9YFM5 40-49 years, male 42.4
GTEX-13O3P-0926-SM-5IFFI 50-59 years, male 42.3
GTEX-1F6IF-2026-SM-7P8SE 60-69 years, male 42.3
GTEX-1GF9X-0926-SM-7PC2X 40-49 years, female 42.3
GTEX-1H1DF-1426-SM-9YFMC 40-49 years, female 42.1
GTEX-12ZZX-1726-SM-5BC63 40-49 years, female 42.0
GTEX-133LE-0926-SM-5P9J1 20-29 years, female 42.0
GTEX-ZYFC-1826-SM-5GZZA 50-59 years, male 42.0
GTEX-1S5ZA-1026-SM-EWRO2 20-29 years, male 41.8
GTEX-XYKS-1826-SM-4E3JV 60-69 years, female 41.7
GTEX-1KXAM-0526-SM-DKPQN 60-69 years, male 41.7
GTEX-1211K-1226-SM-5EQ4N 60-69 years, female 41.6
GTEX-XAJ8-0226-SM-4GIB2 40-49 years, male 41.6
GTEX-13113-1126-SM-5LZU9 60-69 years, female 41.5
GTEX-12696-1826-SM-5EGJS 60-69 years, male 41.4
GTEX-14BIL-2426-SM-5QGQR 50-59 years, male 41.3
GTEX-1LSNL-1426-SM-E6CJ9 50-59 years, male 41.2
GTEX-14PKU-0226-SM-6EU16 40-49 years, female 41.1
GTEX-1HSMP-1126-SM-B2LXJ 70-79 years, male 41.1
GTEX-1POEN-1626-SM-EVYC2 30-39 years, female 41.1
GTEX-13X6I-1526-SM-5SIAC 60-69 years, male 41.0
GTEX-WH7G-1126-SM-3NMBK 40-49 years, male 41.0
GTEX-Y3I4-0726-SM-E9J3Y 50-59 years, male 41.0
GTEX-17HGU-1726-SM-79OKM 50-59 years, male 40.9
GTEX-1AX9J-2226-SM-731CW 60-69 years, male 40.9
GTEX-12WSK-1026-SM-5CVNR 40-49 years, female 40.8
GTEX-13N1W-1226-SM-5K7UM 70-79 years, male 40.8
GTEX-13X6H-1726-SM-5Q5EH 50-59 years, female 40.8
GTEX-ZF3C-1026-SM-5S2OC 50-59 years, female 40.8
GTEX-15DZA-0626-SM-6PANC 30-39 years, female 40.7
GTEX-16BQI-1126-SM-7KULF 30-39 years, female 40.7
GTEX-13112-1126-SM-5GCMY 50-59 years, male 40.6
GTEX-14PHX-1626-SM-69LQB 50-59 years, male 40.5
GTEX-16NPV-0626-SM-7IGOR 50-59 years, female 40.5
GTEX-1N2DW-0726-SM-DTX97 50-59 years, male 40.5
GTEX-1117F-1326-SM-5EGHH 60-69 years, female 40.4
GTEX-14BMU-0626-SM-73KZ6 20-29 years, female 40.4
GTEX-1GPI7-0826-SM-9JGG7 20-29 years, male 40.4
GTEX-1HCU6-1626-SM-CMKGW 60-69 years, female 40.4
GTEX-1JJ6O-2826-SM-CNNP7 60-69 years, male 40.4
GTEX-18D9B-1726-SM-7LTAP 60-69 years, male 40.2
GTEX-146FH-2026-SM-5SI9I 50-59 years, female 40.1
GTEX-1QMI2-1626-SM-EYYXK 60-69 years, male 40.1
GTEX-1LBAC-1026-SM-CXKYA 20-29 years, male 40.0
GTEX-ZP4G-1326-SM-5EGIW 20-29 years, female 39.9
GTEX-1QEPI-2226-SM-E8VN6 60-69 years, female 39.9
GTEX-1QPFJ-2126-SM-EXOJV 30-39 years, female 39.9
GTEX-ZE7O-1526-SM-5J1NH 50-59 years, female 39.8
GTEX-14PN3-0326-SM-6EU1X 60-69 years, female 39.7
GTEX-1B8KE-0826-SM-72D6S 50-59 years, male 39.7
GTEX-1MJK3-0626-SM-E6CJB 20-29 years, male 39.7
GTEX-132AR-0526-SM-5J2MJ 50-59 years, female 39.6
GTEX-1AX8Z-1626-SM-73KWD 60-69 years, male 39.6
GTEX-1H1DG-2026-SM-9QEIV 70-79 years, male 39.6
GTEX-1AYCT-1126-SM-79OO8 50-59 years, male 39.4
GTEX-1F5PL-1326-SM-7SB83 40-49 years, female 39.4
GTEX-1N2EE-1526-SM-DTXE9 60-69 years, male 39.4
GTEX-ZVE2-1826-SM-51MRZ 50-59 years, male 39.3
GTEX-1IDJC-0226-SM-CMKG2 50-59 years, male 39.3
GTEX-1K2DU-0726-SM-DIPF7 20-29 years, male 39.2
GTEX-1RNTQ-0826-SM-E9TK8 20-29 years, female 39.2
GTEX-13FXS-1326-SM-62LFR 50-59 years, male 39.1
GTEX-144GM-0626-SM-79OKY 20-29 years, male 39.1
GTEX-1HCU9-0626-SM-ACKW6 20-29 years, male 39.1
GTEX-14PJN-0626-SM-6EU13 30-39 years, male 38.9
GTEX-1L5NE-1726-SM-DHXKX 50-59 years, male 38.8
GTEX-11ZTS-1326-SM-5EQMA 60-69 years, female 38.7
GTEX-Y5V6-0626-SM-4WWFY 60-69 years, male 38.7
GTEX-1AX9K-0926-SM-7939G 50-59 years, male 38.6
GTEX-XBEW-1726-SM-4RGMA 40-49 years, male 38.6
GTEX-1S5VW-2426-SM-EAZ52 60-69 years, male 38.6
GTEX-1C6VR-1126-SM-7EPHD 60-69 years, male 38.5
GTEX-WK11-2426-SM-3NMAA 50-59 years, male 38.5
GTEX-XXEK-1426-SM-4BRW1 50-59 years, male 38.4
GTEX-1HC8U-0926-SM-A9G3L 40-49 years, female 38.4
GTEX-VUSG-1426-SM-3GIJN 50-59 years, male 38.3
GTEX-ZVZP-1126-SM-5GICU 50-59 years, male 38.3
GTEX-1C64N-1326-SM-7SB7D 50-59 years, male 38.2
GTEX-1H3VE-1926-SM-9YFL4 40-49 years, male 38.2
GTEX-1OJC3-1326-SM-E9J3D 20-29 years, male 38.2
GTEX-1HSMQ-1026-SM-ADEHU 50-59 years, male 38.1
GTEX-1445S-2426-SM-79ON2 60-69 years, male 38.0
GTEX-18A7B-1226-SM-718AU 70-79 years, male 37.9
GTEX-1J1R8-0526-SM-ACKWO 40-49 years, male 37.9
GTEX-1GF9V-1126-SM-9MQM7 60-69 years, male 37.8
GTEX-1MCC2-0626-SM-DKPQI 30-39 years, female 37.8
GTEX-11P82-0326-SM-5HL51 20-29 years, male 37.5
GTEX-1IKK5-0826-SM-ACKWN 60-69 years, male 37.4
GTEX-1K2DA-1126-SM-CGQGG 50-59 years, male 37.4
GTEX-WFON-1226-SM-3TW8F 40-49 years, male 37.2
GTEX-1F48J-1826-SM-7SB8T 50-59 years, female 37.2
GTEX-1F75I-1026-SM-7SB8B 40-49 years, male 37.1
GTEX-1GL5R-0726-SM-9MQL5 50-59 years, male 37.1
GTEX-16AAH-1526-SM-7LT9W 50-59 years, male 36.9
GTEX-1GN1U-0726-SM-9MQKL 50-59 years, female 36.9
GTEX-1GN73-0626-SM-7PC3I 60-69 years, male 36.9
GTEX-1JMQI-1026-SM-COH2U 50-59 years, male 36.8
GTEX-1JMQK-1326-SM-CNPOR 60-69 years, male 36.8
GTEX-1LG7Y-1126-SM-CYPTE 50-59 years, male 36.8
GTEX-1LSVX-1326-SM-DIPET 60-69 years, male 36.8
GTEX-1S82P-0926-SM-EWRNP 60-69 years, female 36.8
GTEX-13OVL-0826-SM-5L3GV 50-59 years, male 36.7
GTEX-14C5O-0926-SM-793DM 60-69 years, male 36.7
GTEX-1C6VS-1826-SM-73KXN 60-69 years, male 36.7
GTEX-1PIGE-1226-SM-EVR3Q 20-29 years, male 36.7
GTEX-14ABY-1926-SM-62LDJ 50-59 years, male 36.6
GTEX-ZDTS-1826-SM-5S2N6 60-69 years, male 36.6
GTEX-1ICG6-1726-SM-ARU7K 70-79 years, female 36.6
GTEX-1CAV2-0226-SM-7IGPQ 40-49 years, female 36.5
GTEX-1H4P4-0326-SM-9WYTD 50-59 years, male 36.5
GTEX-1KANC-0526-SM-D4P3T 50-59 years, female 36.5
GTEX-1OKEX-0926-SM-E8VNJ 60-69 years, male 36.5
GTEX-ZAB4-1426-SM-5CVN6 40-49 years, male 36.4
GTEX-1H1E6-1126-SM-9JGGV 30-39 years, male 36.4
GTEX-1RAZR-1026-SM-E8VOJ 40-49 years, male 36.4
GTEX-1HKZK-1726-SM-ADEJ9 40-49 years, male 36.3
GTEX-1IKOE-1726-SM-CNNQ6 30-39 years, female 36.3
GTEX-113JC-0726-SM-5GZZR 50-59 years, female 36.2
GTEX-117YW-0826-SM-5H11O 50-59 years, male 36.2
GTEX-1HSGN-1926-SM-CMKGS 40-49 years, female 36.2
GTEX-12KS4-1526-SM-5EQ6E 30-39 years, male 36.1
GTEX-14PJO-1626-SM-69LPQ 60-69 years, male 36.1
GTEX-14B4R-0526-SM-5QGQT 30-39 years, male 36.0
GTEX-1ICLY-1426-SM-CJI48 50-59 years, male 36.0
GTEX-13O21-3126-SM-5J1OI 50-59 years, male 35.9
GTEX-14PHY-1026-SM-62LEV 60-69 years, female 35.9
GTEX-1CAMS-0926-SM-7SB7F 40-49 years, female 35.9
GTEX-1KAFJ-0826-SM-CYPTF 50-59 years, male 35.9
GTEX-13N11-1826-SM-5IJDS 50-59 years, female 35.8
GTEX-13PVR-0526-SM-5S2OB 60-69 years, female 35.8
GTEX-139T6-0526-SM-5IJC9 50-59 years, male 35.7
GTEX-13PVQ-2226-SM-5L3G9 50-59 years, male 35.7
GTEX-17HHY-1026-SM-7LG5E 50-59 years, male 35.7
GTEX-132Q8-1726-SM-5EGK8 60-69 years, male 35.6
GTEX-15D1Q-1326-SM-69LOA 40-49 years, male 35.6
GTEX-1AMFI-1026-SM-73KYM 50-59 years, female 35.6
GTEX-1B97I-0526-SM-73KXE 40-49 years, male 35.6
GTEX-WOFM-0726-SM-3MJF8 20-29 years, male 35.6
GTEX-1GZ4H-0926-SM-9WG6Y 50-59 years, female 35.6
GTEX-1S831-1926-SM-EV79P 20-29 years, male 35.6
GTEX-15DYW-1526-SM-7KUEP 60-69 years, female 35.5
GTEX-1C2JI-0826-SM-7EPHB 50-59 years, male 35.5
GTEX-146FR-0226-SM-5Q5F6 60-69 years, female 35.4
GTEX-1313W-1626-SM-5J1OE 50-59 years, female 35.3
GTEX-ZZPU-0326-SM-5N9BJ 50-59 years, female 35.3
GTEX-1JJE9-1526-SM-CM2RR 70-79 years, male 35.3
GTEX-17EVP-1426-SM-79OMN 40-49 years, male 35.2
GTEX-18465-1826-SM-731BB 50-59 years, male 35.2
GTEX-18A67-1326-SM-7LT8V 50-59 years, male 35.2
GTEX-11GSP-1026-SM-9WYSH 60-69 years, female 35.2
GTEX-1GMR3-0826-SM-9WYT4 40-49 years, male 35.2
GTEX-1ICLZ-1626-SM-CE6SS 60-69 years, male 35.2
GTEX-1B932-1726-SM-793A5 40-49 years, female 35.1
GTEX-13D11-0526-SM-5LZYM 50-59 years, female 35.0
GTEX-13FTX-0626-SM-5J2NS 20-29 years, female 35.0
GTEX-11DXX-2026-SM-5EGJL 60-69 years, female 34.9
GTEX-17MFQ-1126-SM-7LT9O 20-29 years, male 34.9
GTEX-18D9A-0726-SM-7LTA7 30-39 years, female 34.9
GTEX-1JN6P-1626-SM-CYPSV 60-69 years, male 34.8
GTEX-1QP28-0926-SM-EVR4D 50-59 years, female 34.8
GTEX-14BIM-1626-SM-7EWD2 60-69 years, female 34.7
GTEX-17F9E-1326-SM-7DHL4 50-59 years, male 34.7
GTEX-11PRG-1526-SM-5HL6Z 50-59 years, male 34.6
GTEX-14E6D-1326-SM-62LES 50-59 years, male 34.6
GTEX-WHPG-0626-SM-3NMBD 50-59 years, male 34.6
GTEX-1E1VI-1826-SM-9WG5J 50-59 years, male 34.5
GTEX-12WSI-1526-SM-5GCNM 50-59 years, male 34.4
GTEX-13N2G-1926-SM-5J1O3 60-69 years, male 34.4
GTEX-13VXU-1026-SM-5KLZE 50-59 years, male 34.4
GTEX-14ICK-1726-SM-6AJA5 40-49 years, male 34.4
GTEX-13JUV-0626-SM-5J1MQ 40-49 years, female 34.2
GTEX-1HCUA-0926-SM-ADEIX 50-59 years, female 34.2
GTEX-1GF9U-1226-SM-ARL9I 40-49 years, female 34.1
GTEX-13PDP-1226-SM-5K7TW 60-69 years, male 34.0
GTEX-178AV-0626-SM-6PAM1 40-49 years, male 34.0
GTEX-1F75B-1226-SM-7MXTW 50-59 years, male 34.0
GTEX-13OVK-0326-SM-7KUEJ 40-49 years, male 33.9
GTEX-1J8EW-1526-SM-CMKFZ 60-69 years, female 33.8
GTEX-17HHE-1526-SM-793AS 50-59 years, male 33.7
GTEX-1CB4G-2126-SM-7IGQ8 60-69 years, male 33.6
GTEX-VJWN-2326-SM-EVYAP 50-59 years, female 33.6
GTEX-11P7K-0826-SM-5BC5F 30-39 years, male 33.5
GTEX-14PJ2-1426-SM-62LFF 50-59 years, male 33.5
GTEX-1B8SG-1426-SM-7EWEM 50-59 years, male 33.5
GTEX-1A8FM-2126-SM-7PC27 50-59 years, female 33.5
GTEX-144GN-0726-SM-5O98O 50-59 years, male 33.3
GTEX-145LV-1026-SM-5O9AE 50-59 years, male 33.3
GTEX-ZAJG-1626-SM-5HL7I 50-59 years, female 33.3
GTEX-1HR9M-1426-SM-A9SMB 60-69 years, male 33.3
GTEX-139YR-0326-SM-5J1MC 50-59 years, male 33.2
GTEX-ZXG5-1626-SM-59HJK 60-69 years, male 33.2
GTEX-1IDJF-1726-SM-A9SLL 20-29 years, male 33.2
GTEX-14E1K-0426-SM-5S2PF 50-59 years, male 33.1
GTEX-15SKB-1626-SM-6PAL6 60-69 years, male 33.0
GTEX-14ICL-0926-SM-5S2TU 30-39 years, male 32.9
GTEX-1EN7A-1626-SM-79OLV 40-49 years, male 32.9
GTEX-WY7C-0926-SM-3NB34 50-59 years, male 32.9
GTEX-1F52S-1326-SM-7SB6Q 60-69 years, female 32.9
GTEX-1I1GR-1726-SM-COH39 60-69 years, male 32.9
GTEX-1RQEC-2526-SM-EVYD2 60-69 years, male 32.9
GTEX-ZE9C-1326-SM-5S2OW 60-69 years, male 32.8
GTEX-1JMQJ-1926-SM-D4P3A 50-59 years, male 32.8
GTEX-1HSMO-1426-SM-CNNQN 60-69 years, male 32.7
GTEX-XV7Q-1726-SM-4BRUU 40-49 years, female 32.6
GTEX-1EKGG-1426-SM-7PBY2 60-69 years, male 32.6
GTEX-1JN76-1026-SM-ARZNI 20-29 years, female 32.6
GTEX-1OFPY-0826-SM-DTX8P 60-69 years, male 32.6
GTEX-145MF-1026-SM-5Q5EQ 50-59 years, male 32.5
GTEX-14PJ5-0426-SM-5ZZW2 60-69 years, female 32.5
GTEX-1HB9E-0526-SM-ARZNM 50-59 years, male 32.5
GTEX-1PFEY-0726-SM-E76PO 30-39 years, male 32.5
GTEX-YECK-1426-SM-5IFHE 60-69 years, male 32.4
GTEX-ZQG8-1026-SM-51MR9 60-69 years, female 32.4
GTEX-1JMLX-1026-SM-D3L8U 50-59 years, male 32.4
GTEX-11OF3-0826-SM-5BC51 60-69 years, male 32.3
GTEX-15G19-1126-SM-7KUEL 60-69 years, male 32.3
GTEX-1QW4Y-0826-SM-DTXE1 30-39 years, male 32.3
GTEX-1A8G7-1226-SM-73KYP 60-69 years, male 32.2
GTEX-Y111-0926-SM-4SOIU 50-59 years, male 32.2
GTEX-1LVAO-2126-SM-DIPGA 60-69 years, male 32.2
GTEX-1EH9U-1326-SM-79OM3 60-69 years, male 32.1
GTEX-169BO-0426-SM-7EPI1 50-59 years, male 32.0
GTEX-18A6Q-1026-SM-7LT9S 60-69 years, male 31.9
GTEX-1IE54-1426-SM-CL53C 40-49 years, female 31.9
GTEX-15CHQ-1126-SM-686YY 60-69 years, male 31.8
GTEX-1AMEY-0526-SM-72D62 30-39 years, female 31.8
GTEX-UPK5-1826-SM-3GAEB 40-49 years, male 31.8
GTEX-139D8-1626-SM-5IJFZ 30-39 years, female 31.6
GTEX-13W3W-1126-SM-5L3DO 60-69 years, female 31.6
GTEX-1I1GS-0926-SM-A9SL5 60-69 years, male 31.6
GTEX-1R9K4-1426-SM-DPRY4 60-69 years, male 31.6
GTEX-X585-2526-SM-4QAS1 50-59 years, male 31.5
GTEX-1HT8W-0726-SM-A9SLB 30-39 years, male 31.5
GTEX-11NV4-1426-SM-5BC4W 60-69 years, male 31.4
GTEX-XMK1-0926-SM-4B66X 40-49 years, male 31.4
GTEX-1RB15-1126-SM-E8VMX 60-69 years, male 31.4
GTEX-131XH-0826-SM-5GCN8 50-59 years, male 31.3
GTEX-18QFQ-1326-SM-731CF 30-39 years, male 31.3
GTEX-1NV5F-2526-SM-EXUSK 60-69 years, female 31.3
GTEX-1S3DN-1626-SM-EVYCC 50-59 years, male 31.3
GTEX-11GSO-0226-SM-5A5LV 60-69 years, male 31.2
GTEX-12584-2126-SM-5FQUM 40-49 years, male 31.2
GTEX-139TU-1426-SM-5LZY9 60-69 years, male 31.2
GTEX-17F9Y-0726-SM-7LT9G 70-79 years, female 31.2
GTEX-WXYG-0926-SM-3NB2O 50-59 years, female 31.2
GTEX-YFCO-1126-SM-5S2N9 40-49 years, male 31.2
GTEX-11GS4-1026-SM-5N9DE 60-69 years, male 31.1
GTEX-12WSC-1726-SM-5GCN3 50-59 years, male 31.1
GTEX-18A66-1926-SM-7LTAG 60-69 years, male 31.1
GTEX-WL46-2026-SM-3LK7U 50-59 years, male 31.1
GTEX-13NYS-0726-SM-5J1OR 60-69 years, male 31.0
GTEX-1I4MK-0726-SM-ACKWC 50-59 years, female 31.0
GTEX-1IDJD-0926-SM-ACKWW 30-39 years, male 31.0
GTEX-1MA7X-1026-SM-DKPQ8 60-69 years, male 30.9
GTEX-12WSF-1526-SM-6PAN6 70-79 years, male 30.8
GTEX-14AS3-0426-SM-5QGQK 40-49 years, female 30.8
GTEX-1A8G6-2026-SM-73KYC 60-69 years, male 30.8
GTEX-16GPK-1326-SM-7KUE4 60-69 years, male 30.7
GTEX-X3Y1-0926-SM-3P5YT 40-49 years, male 30.7
GTEX-ZYT6-2126-SM-5GZZ4 30-39 years, male 30.7
GTEX-1HBPN-1526-SM-9WYSB 50-59 years, male 30.7
GTEX-ZG7Y-1626-SM-5S2NO 50-59 years, male 30.5
GTEX-ZXES-0926-SM-5E43O 30-39 years, female 30.5
GTEX-1HCU7-2026-SM-A9G2B 50-59 years, male 30.5
GTEX-1I6K6-1526-SM-CGQFC 30-39 years, male 30.5
GTEX-14PHW-1626-SM-6EU2H 60-69 years, female 30.4
GTEX-1I6K7-1826-SM-CGQFO 40-49 years, male 30.4
GTEX-1LSNM-0626-SM-DIPG7 50-59 years, male 30.4
GTEX-15SHU-2326-SM-7KUMC 40-49 years, female 30.3
GTEX-11P81-0726-SM-5PNYH 30-39 years, female 30.2
GTEX-1HBPI-1826-SM-ADEHE 50-59 years, male 30.2
GTEX-1IDJU-0926-SM-ARL88 60-69 years, female 30.2
GTEX-ZAB5-1126-SM-5Q5AD 50-59 years, male 30.1
GTEX-1GZ4I-2326-SM-9YFMO 50-59 years, male 30.1
GTEX-1MCQQ-1426-SM-E6CJA 60-69 years, male 30.1
GTEX-1QAET-1226-SM-DTX9I 50-59 years, male 30.1
GTEX-12WSM-0626-SM-5GCOK 60-69 years, male 30.0
GTEX-17KNJ-0426-SM-718AK 50-59 years, male 30.0
GTEX-W5X1-1426-SM-3GIKH 40-49 years, female 30.0
GTEX-1CAMQ-1226-SM-7SB7E 40-49 years, male 30.0
GTEX-1PPH8-1026-SM-DPRXN 20-29 years, male 30.0
GTEX-VJYA-1626-SM-EXOHL 60-69 years, male 30.0
GTEX-1F6I4-2126-SM-7PC2J 60-69 years, male 29.9
GTEX-1JKYR-1226-SM-CM2S7 20-29 years, male 29.9
GTEX-132NY-1126-SM-5PNVE 60-69 years, male 29.8
GTEX-13VXT-0926-SM-5LU5K 20-29 years, female 29.8
GTEX-1LVAM-1026-SM-DIPFK 50-59 years, female 29.8
GTEX-1QP67-1126-SM-EAZ4C 40-49 years, female 29.8
GTEX-1I1CD-1026-SM-COH3G 60-69 years, female 29.7
GTEX-WRHK-0826-SM-3MJFG 20-29 years, female 29.6
GTEX-1HCU8-1126-SM-CM2SA 60-69 years, female 29.6
GTEX-1EMGI-0726-SM-7PBZ4 60-69 years, male 29.5
GTEX-11VI4-1226-SM-5EQMP 40-49 years, female 29.4
GTEX-1CB4E-0826-SM-793CS 60-69 years, male 29.4
GTEX-13U4I-1726-SM-5J1MF 40-49 years, female 29.3
GTEX-13X6J-1926-SM-5TDCU 50-59 years, male 29.3
GTEX-1KD4Q-1426-SM-D4P3K 40-49 years, male 29.3
GTEX-1GN1W-1226-SM-9MQLW 50-59 years, female 29.2
GTEX-12WSA-1626-SM-5EGJV 60-69 years, male 29.1
GTEX-131YS-1726-SM-5HL7G 60-69 years, female 29.1
GTEX-XGQ4-1026-SM-4AT4L 50-59 years, male 29.1
GTEX-ZC5H-1626-SM-5HL7L 40-49 years, female 29.0
GTEX-1IL2U-2726-SM-C1YSG 60-69 years, male 29.0
GTEX-1P4AB-1226-SM-DTXET 50-59 years, male 29.0
GTEX-1QP6S-1626-SM-EVYC5 40-49 years, male 29.0
GTEX-13O3Q-1126-SM-5K7YK 50-59 years, male 28.9
GTEX-13OW7-1126-SM-5K7V6 50-59 years, male 28.9
GTEX-YJ89-1926-SM-5IFJ6 60-69 years, male 28.9
GTEX-15RIE-0126-SM-7KUF8 60-69 years, male 28.8
GTEX-ZF28-1426-SM-5S2OG 60-69 years, male 28.8
GTEX-ZGAY-1326-SM-5S2NS 40-49 years, female 28.8
GTEX-1GMRU-0726-SM-7PBZH 50-59 years, male 28.8
GTEX-145LU-1226-SM-5LU9B 50-59 years, male 28.7
GTEX-1GMR2-0226-SM-9JGHO 50-59 years, male 28.7
GTEX-11ZUS-1826-SM-5FQTR 30-39 years, male 28.6
GTEX-14JIY-1426-SM-6EU29 60-69 years, male 28.6
GTEX-1K9T9-1626-SM-DIPFS 50-59 years, female 28.6
GTEX-147JS-1026-SM-5S2MP 60-69 years, male 28.5
GTEX-13X6K-0726-SM-5LU2Z 60-69 years, female 28.4
GTEX-WEY5-1326-SM-3GILS 40-49 years, female 28.4
GTEX-XLM4-1026-SM-4AT51 60-69 years, male 28.4
GTEX-1HUB1-1526-SM-CGQF6 60-69 years, male 28.4
GTEX-13OW6-2426-SM-5K7WO 50-59 years, male 28.3
GTEX-1IDJH-1626-SM-A9SLP 70-79 years, male 28.2
GTEX-145ME-0726-SM-5O9A3 40-49 years, female 28.1
GTEX-XQ3S-2426-SM-4WAYB 20-29 years, male 28.0
GTEX-ZPIC-0726-SM-57WFM 40-49 years, female 28.0
GTEX-1H2FU-1426-SM-9WPO6 60-69 years, female 27.9
GTEX-1HSKV-1926-SM-CNPPN 60-69 years, male 27.9
GTEX-17HII-0826-SM-7DUFH 50-59 years, male 27.8
GTEX-1B8KZ-1026-SM-73KYN 50-59 years, male 27.8
GTEX-ZT9X-0926-SM-5O9C4 40-49 years, male 27.8
GTEX-1C6VQ-1526-SM-73KU9 50-59 years, male 27.7
GTEX-1HGF4-0226-SM-CNNQL 60-69 years, male 27.7
GTEX-1RAZA-0926-SM-E6CQ8 20-29 years, male 27.7
GTEX-16NGA-0526-SM-731AJ 40-49 years, female 27.6
GTEX-11DXZ-1426-SM-5H12A 50-59 years, male 27.5
GTEX-11DYG-2026-SM-5EGGX 60-69 years, male 27.4
GTEX-17F96-0726-SM-793CB 70-79 years, male 27.3
GTEX-1H1ZS-1326-SM-9WG74 70-79 years, male 27.2
GTEX-11DXY-0326-SM-5H12F 60-69 years, male 27.0
GTEX-16NPX-1026-SM-6PAM7 50-59 years, male 27.0
GTEX-ZUA1-2126-SM-57YRB 40-49 years, male 27.0
GTEX-1RMOY-0826-SM-E9TIF 50-59 years, male 27.0
GTEX-XBEC-1826-SM-4QASN 50-59 years, male 26.6
GTEX-XQ8I-1426-SM-4BOPW 50-59 years, male 26.6
GTEX-13W46-1226-SM-5SIAS 50-59 years, male 26.5
GTEX-1EWIQ-2526-SM-7EPIJ 70-79 years, female 26.5
GTEX-1LGOU-0826-SM-DHXKL 20-29 years, female 26.5
GTEX-13NZB-0826-SM-5K7X5 30-39 years, male 26.4
GTEX-1CB4F-1126-SM-79OLG 60-69 years, male 26.4
GTEX-WHWD-0826-SM-3LK6R 50-59 years, male 26.4
GTEX-1399T-1326-SM-5PNVH 60-69 years, male 26.3
GTEX-1212Z-0526-SM-5FQSQ 60-69 years, male 26.2
GTEX-13NZ9-2026-SM-5KM1U 50-59 years, male 26.2
GTEX-XOT4-0826-SM-4B66Y 60-69 years, female 26.2
GTEX-14BMV-1626-SM-73KVQ 50-59 years, male 26.1
GTEX-1AYD5-0126-SM-7DUG5 50-59 years, male 26.1
GTEX-1IY9M-1226-SM-ACKX1 60-69 years, male 26.0
GTEX-ZDXO-2326-SM-5LU9W 60-69 years, male 25.8
GTEX-WVLH-1626-SM-EXURN 50-59 years, male 25.8
GTEX-1KD5A-1326-SM-CYPTB 50-59 years, male 25.5
GTEX-Y8E4-1226-SM-5IFIM 40-49 years, male 25.2
GTEX-17JCI-1626-SM-7EPGZ 60-69 years, female 25.1
GTEX-1BAJH-2126-SM-7EWFB 70-79 years, male 25.1
GTEX-1H1CY-0826-SM-9WYTU 60-69 years, female 25.0
GTEX-1I1GT-1326-SM-ACKWB 60-69 years, female 25.0
GTEX-14PJM-1226-SM-686Z7 50-59 years, female 24.8
GTEX-1B8L1-0126-SM-9KNVS 60-69 years, male 24.7
GTEX-13PL6-0926-SM-5KLYY 40-49 years, female 24.6
GTEX-1IDJI-0926-SM-ACKWZ 50-59 years, female 24.6
GTEX-1KWVE-0226-SM-E9TKK 30-39 years, male 24.5
GTEX-18A7A-0926-SM-7LT8H 50-59 years, female 24.3
GTEX-1QP66-0626-SM-E76PD 50-59 years, male 24.2
GTEX-1QP9N-0426-SM-DTXFT 30-39 years, male 24.0
GTEX-1AX9I-1726-SM-731BX 60-69 years, male 23.8
GTEX-1KANB-2426-SM-EV7BE 50-59 years, male 23.7
GTEX-14PJ3-0726-SM-69LQE 50-59 years, male 23.5
GTEX-17F97-1226-SM-79OJT 50-59 years, male 23.4
GTEX-13G51-0526-SM-5IJCQ 60-69 years, male 23.3
GTEX-1H1DE-0826-SM-ARU8V 20-29 years, male 23.2
GTEX-11NUK-2026-SM-5PNVZ 50-59 years, male 23.0
GTEX-15ER7-1026-SM-7KUMD 20-29 years, female 22.6
GTEX-1HFI6-1726-SM-CGQFH 40-49 years, male 22.2
GTEX-1I1GQ-1026-SM-CNNQS 50-59 years, male 22.2
GTEX-13S7M-0826-SM-5QGQX 60-69 years, female 21.7
GTEX-14DAQ-2526-SM-5RQIO 60-69 years, female 21.7
GTEX-12ZZW-2326-SM-5DUW2 50-59 years, male 21.6
GTEX-WYVS-0626-SM-4SOJY 40-49 years, female 21.5
GTEX-WYBS-1026-SM-4ONCY 60-69 years, female 21.2
GTEX-14BIN-1226-SM-5S2OM 50-59 years, female 20.6
GTEX-1HBPH-2226-SM-9WYSO 40-49 years, female 20.6
GTEX-17MF6-1326-SM-79ONE 40-49 years, male 19.5
GTEX-1I19N-1026-SM-A96TT 70-79 years, male 19.4
GTEX-14E7W-2326-SM-69LQC 70-79 years, male 18.5
Show allShow less

ADIPOSE TISSUE - FANTOM5 CAGEi

RNA expression in human tissues obtained through Cap Analysis of Gene Expression (CAGE) generated by the FANTOM5 project are reported as Scaled Tags Per Million.

Max subtype Scaled Tags Per Millioni

Max subtype Scaled Tags Per Million is the value for the subtype with the largest average Scaled Tags Per Million across the subtype samples.

95.8
FANTOM5 sample id Sample description Scaled Tags Per Million
Adipose tissue
Scaled Tags Per Million: 95.8
FF:10010-101C1 65,65,76 years, mixed 95.8

Contact

  • NEWS ARTICLES
  • PRESS ROOM

The Project

  • INTRODUCTION
  • ORGANIZATION
  • PUBLICATIONS

The Human Protein Atlas

  • DOWNLOADABLE DATA
  • LICENCE & CITATION
  • HELP & FAQ
The Human Protein Atlas project is funded
by the Knut & Alice Wallenberg Foundation.


contact@proteinatlas.org