We use cookies to enhance the usability of our website. If you continue, we'll assume that you are happy to receive all cookies. More information. Don't show this again.
MT1E
HPA
RESOURCES
  • TISSUE
  • BRAIN
  • SINGLE CELL
  • SUBCELLULAR
  • CANCER
  • BLOOD
  • CELL LINE
  • STRUCTURE & INTERACTION
ABOUT
  • INTRODUCTION
  • HISTORY
  • ORGANIZATION
  • PUBLICATIONS
  • ANTIBODY SUBMISSION
  • ANTIBODY AVAILABILITY
  • ACKNOWLEDGMENTS
  • CONTACT
NEWS
  • NEWS ARTICLES
  • PRESS ROOM
LEARN
  • DICTIONARY
  • PROTEIN CLASSES
  • PROTEIN EVIDENCE
  • METHODS
  • EDUCATIONAL VIDEOS
DATA
  • DOWNLOADABLE DATA
  • PUBLICATION DATA
  • RELEASE HISTORY
HELP
  • ANTIBODY VALIDATION
  • ASSAYS & ANNOTATION
  • DISCLAIMER
  • HELP & FAQ
  • PRIVACY STATEMENT
  • LICENCE & CITATION
Fields »
Search result

Field
Term
Gene name
Class
Subclass
Class
Keyword
Chromosome
External id
Tissue
Cell type
Expression
Antibody panel
Tissue
Main location
Patient ID
Annotation
Tissue
Category
Tau score
Cluster
Reliability
Brain region
Category
Tau score
Brain region
Category
Tau score
Brain region
Category
Tau score
Cluster
Reliability
Tissue
Cell type
Enrichment
Cell type
Category
Tau score
Cell type
Category
Tau score
Cell type
Category
Tau score
Cell lineage
Category
Tau score
Cluster
Cluster
Location
Searches
Location
Cell line
Class
Type
Phase
Reliability
Cancer
Prognosis
Cancer
Category
Cancer
Category
Tau score
Cluster
Variants
Interacting gene (ensg_id)
Type
Number of interactions
Pathway
Category
Score
Score
Score
Validation
Validation
Validation
Validation
Antibodies
Data type
Column


  • SUMMARY

  • TISSUE

  • BRAIN

  • SINGLE CELL

  • SUBCELL

  • CANCER

  • BLOOD

  • CELL LINE

  • STRUCT & INT

  • MT1E
TISSUE PRIMARY DATA HEART MUSCLE Show tissue menu
ADIPOSE TISSUE ADRENAL GLAND AMYGDALA APPENDIX BASAL GANGLIA BONE MARROW BREAST BRONCHUS CEREBELLUM CEREBRAL CORTEX CERVIX CHOROID PLEXUS COLON DUODENUM
ENDOMETRIUM EPIDIDYMIS ESOPHAGUS FALLOPIAN TUBE GALLBLADDER HEART MUSCLE HIPPOCAMPAL FORMATION HYPOTHALAMUS KIDNEY LIVER LUNG LYMPH NODE MIDBRAIN NASOPHARYNX
ORAL MUCOSA OVARY PANCREAS PARATHYROID GLAND PITUITARY GLAND PLACENTA PROSTATE RECTUM RETINA SALIVARY GLAND SEMINAL VESICLE SKELETAL MUSCLE SKIN SMALL INTESTINE
SMOOTH MUSCLE SOFT TISSUE SPINAL CORD SPLEEN STOMACH TESTIS THYMUS THYROID GLAND TONGUE TONSIL URINARY BLADDER VAGINA
ANTIBODIES
AND
VALIDATION
Dictionary
Heart muscle
Tissue proteome
Heart
HEART MUSCLE - Expression summary
Protein expression
Heart musclei

On the top, protein expression in current human tissue, based on all annotated cell types, is reported with the units not detected (n), low (l), medium (m) and high (h). Underneath, protein expression in each annotated cell type are reported using the same units.

Protein expression data is based on knowledge-based annotation. For genes where more than one antibody has been used, a collective score is set.

If knowledge-based annotation could not be performed for a gene, no data is displayed here. View antibody staining data further down this page.

h
m
l
n
Cardiomyocytes: Medium
RNA expressioni

A summary of mRNA expression data available for current tissue based on several datasets. The mRNA expression levels in human tissues are based on RNA-seq data generated by the Human Protein Atlas (HPA), Genotype-Tissue Expression (GTEx) portal and CAGE data generated by the FANTOM5 consortium. Consensus normalized expression levels for human tissues was created by combining the data from HPA and GTEx datasets.

The mRNA expression levels in pig are based on RNA-seq data generated by the Human Protein Atlas (HPA), and for mouse, HPA data and in situ hybridization generated by the Allen brain atlas are reported.

Scroll down to view mRNA expression data in more detail.
Consensus:124.7 nTPM
HPA:54.8 nTPM
GTEx:124.7 nTPM
FANTOM5:548.9 Scaled Tags Per Million

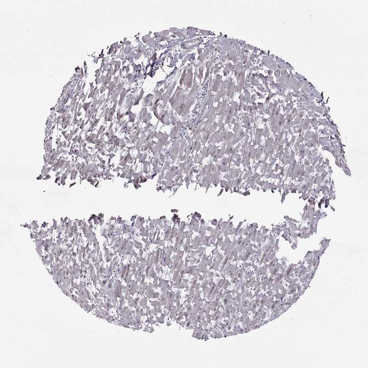
HEART MUSCLE - Antibody stainingi

Antibody staining in the annotated cell types in the current human tissue is reported as not detected, low, medium, or high, based on conventional immunohistochemistry profiling in selected tissues. This score is based on the combination of the staining intensity and fraction of stained cells.

Each image is clickable and will lead to virtual microscopy that enables deeper exploration of all samples and also displays staining intensity scores, fraction scores and subcellular localization as well as patient and tissue information for each sample.

Antibody HPA041152
Cardiomyocytes Medium



HEART MUSCLE - HPA RNA-seqi

The RNA-seq details section shows detailed information about the individual samples used for the transcript profiling and results of the RNA-seq analysis.

Information about each individual sample is listed below, including gender, age, a tissue section image and estimated fractions of cell types. nTPM (normalized transcripts per million) values give a quantification of the gene abundance which is comparable between different genes and samples.
Average nTPMi

Max subtype nTPM is the value for the subtype with the largest average nTPM across the subtype samples.

54.8
overview
Female, age 48
Heart muscle sample 149
nTPM: 54.9
Cell types%
Myocytes:
15

Fibroblasts:
55

Endothelial cells:
25

Other cell types:
5

overview
Female, age 42
Heart muscle sample 150
nTPM: 76.5
Cell types%
Myocytes:
20

Fibroblasts:
45

Endothelial cells:
30

Other cell types:
5

overview
Male, age 53
Heart muscle sample 151
nTPM: 47.4
Cell types%
Myocytes:
20

Fibroblasts:
45

Endothelial cells:
30

Other cell types:
5

overview
Female, age 69
Heart muscle sample 152
nTPM: 40.6
Cell types%
Myocytes:
20

Fibroblasts:
45

Endothelial cells:
30

Other cell types:
5


HEART MUSCLE - GTEx RNA-seqi

RNA-Seq data generated by the Genotype-Tissue Expression (GTEx) project from human tissues is reported as mean nTPM. More information can be found on the GTEx portal.

Distribution across the dataset is visualized with box plots, shown as median and 25th and 75th percentiles. Points are displayed as outliers if they are above or below 1.5 times the interquartile range. nTPM values of the individual samples are presented next to the box plot.
Max subtype nTPMi

Max subtype nTPM is the value for the subtype with the largest average nTPM across the subtype samples.

124.7
GTEx sample id Sample description nTPM
Heart - Atrial Appendage
Average nTPM: 109.3
Samples: 429

Max nTPM: 1043.2
Min nTPM: 6.5
Std nTPM: 107.0
Median nTPM: 75.9
GTEX-ZV7C-0526-SM-9WPNK 50-59 years, male 1043.2
GTEX-1F75I-1326-SM-7PBZX 40-49 years, male 934.8
GTEX-1HSMQ-0426-SM-ADEIM 50-59 years, male 709.6
GTEX-ZVT4-1326-SM-5NQ8E 50-59 years, female 634.3
GTEX-1CB4I-1526-SM-7DHMY 50-59 years, male 608.2
GTEX-13O21-0326-SM-5J1N9 50-59 years, male 517.9
GTEX-1RB15-0426-SM-E9U4Y 60-69 years, male 471.2
GTEX-1RLM8-0226-SM-E6CJY 50-59 years, male 415.6
GTEX-1GF9U-0526-SM-7P8SK 40-49 years, female 410.3
GTEX-13FTW-0826-SM-5K7XR 40-49 years, male 373.1
GTEX-11EM3-0426-SM-5N9BZ 20-29 years, female 363.4
GTEX-1M5QR-1626-SM-E9U5O 40-49 years, male 348.9
GTEX-14C5O-1226-SM-664N3 60-69 years, male 336.9
GTEX-1CAMS-1126-SM-7MXUQ 40-49 years, female 326.5
GTEX-WYJK-1126-SM-3NM9Z 50-59 years, male 323.7
GTEX-14PJM-0826-SM-6LLIW 50-59 years, female 322.4
GTEX-18D9U-1426-SM-718BO 40-49 years, male 320.4
GTEX-13PL7-0726-SM-5KM1S 60-69 years, female 317.9
GTEX-1QPFJ-0926-SM-EVR3K 30-39 years, female 308.5
GTEX-XPT6-0226-SM-4B65L 20-29 years, male 283.9
GTEX-14PJO-0826-SM-6ETZK 60-69 years, male 283.7
GTEX-14PJ6-0626-SM-686Z6 60-69 years, female 267.5
GTEX-14H4A-0426-SM-5ZZWO 40-49 years, female 264.5
GTEX-WFG8-0726-SM-3GILP 20-29 years, male 261.6
GTEX-12BJ1-0326-SM-5FQUB 60-69 years, male 261.3
GTEX-13O3O-1426-SM-5KM2S 60-69 years, female 260.9
GTEX-16MT8-0826-SM-7KULO 60-69 years, female 260.5
GTEX-1R7EV-0426-SM-DTX7Z 40-49 years, male 256.4
GTEX-ZYVF-1826-SM-5E44F 50-59 years, female 249.0
GTEX-1445S-1226-SM-5O9BF 60-69 years, male 240.2
GTEX-13RTJ-0526-SM-62LDP 60-69 years, male 239.9
GTEX-14PHY-0326-SM-62LE3 60-69 years, female 239.7
GTEX-1GL5R-0426-SM-9WPOP 50-59 years, male 238.1
GTEX-14PHX-0626-SM-5YY8Z 50-59 years, male 237.7
GTEX-YB5K-0226-SM-5IFJE 40-49 years, female 234.0
GTEX-ZTTD-0626-SM-4YCCY 50-59 years, male 231.0
GTEX-1JMQL-1026-SM-CMKGV 50-59 years, female 225.6
GTEX-15DCE-0826-SM-7KULW 20-29 years, male 223.8
GTEX-V955-0826-SM-CYPR5 60-69 years, male 222.6
GTEX-11LCK-0826-SM-5PNYD 30-39 years, male 221.9
GTEX-1J8Q3-1126-SM-ARU8N 60-69 years, male 221.2
GTEX-1GN73-2326-SM-9MQKV 60-69 years, male 219.8
GTEX-18D9B-1126-SM-7KFSH 60-69 years, male 219.4
GTEX-1L5NE-0526-SM-DIPG5 50-59 years, male 219.2
GTEX-18A67-1026-SM-731CE 50-59 years, male 218.3
GTEX-1KANC-0226-SM-E9TIW 50-59 years, female 214.2
GTEX-1A32A-1326-SM-73KWW 50-59 years, female 211.7
GTEX-15SHV-0526-SM-7KUEN 60-69 years, male 203.8
GTEX-14PJ4-0926-SM-5YY98 60-69 years, male 202.9
GTEX-14BIL-0926-SM-7DHKN 50-59 years, male 198.1
GTEX-146FH-1126-SM-5NQAT 50-59 years, female 197.7
GTEX-1GTWX-0926-SM-9MQKM 60-69 years, male 196.2
GTEX-ZG7Y-1426-SM-4WWBM 50-59 years, male 194.3
GTEX-1QP29-1426-SM-DTX9Q 50-59 years, male 191.5
GTEX-145LV-0226-SM-5S2QG 50-59 years, male 190.7
GTEX-13N1W-0926-SM-5MR36 70-79 years, male 190.5
GTEX-139TU-1926-SM-5J2OC 60-69 years, male 188.5
GTEX-1K2DU-0226-SM-DIPF6 20-29 years, male 185.9
GTEX-1339X-0326-SM-5K7Z8 40-49 years, male 183.1
GTEX-WEY5-0226-SM-3GIKN 40-49 years, female 182.8
GTEX-1F75B-1126-SM-7RHGP 50-59 years, male 181.1
GTEX-15CHC-0326-SM-5ZZVP 60-69 years, female 179.1
GTEX-Y114-0126-SM-4TT8K 50-59 years, female 177.2
GTEX-1GMR8-1026-SM-9MQLA 50-59 years, female 176.1
GTEX-12WSK-0526-SM-5CVNA 40-49 years, female 176.0
GTEX-13YAN-1426-SM-7EPG8 60-69 years, male 175.4
GTEX-1IDJD-0226-SM-CKZOA 30-39 years, male 173.3
GTEX-1399U-0726-SM-5KM1D 50-59 years, female 171.6
GTEX-14C38-1326-SM-62LDK 50-59 years, male 169.1
GTEX-1ICG6-0726-SM-B2LY5 70-79 years, female 168.9
GTEX-1AX9I-1026-SM-73KYF 60-69 years, male 168.2
GTEX-13O3Q-0326-SM-5L3FE 50-59 years, male 166.4
GTEX-1HCUA-0626-SM-ACKVT 50-59 years, female 165.0
GTEX-14XAO-0926-SM-69LPZ 60-69 years, female 164.3
GTEX-1HBPN-0926-SM-CGQEG 50-59 years, male 164.2
GTEX-WQUQ-1326-SM-3MJFF 60-69 years, male 160.8
GTEX-14A5I-1026-SM-5Q5E3 50-59 years, female 158.4
GTEX-13QBU-0226-SM-5LU48 40-49 years, female 156.0
GTEX-XQ8I-0226-SM-4BOPM 50-59 years, male 154.4
GTEX-1LH75-0526-SM-DIPG2 50-59 years, female 153.5
GTEX-145MN-0726-SM-5NQBH 30-39 years, male 153.4
GTEX-YEC4-0226-SM-4W1YG 40-49 years, male 151.6
GTEX-14C39-0726-SM-5RQIK 40-49 years, male 149.1
GTEX-1I1GP-0626-SM-ARL7H 50-59 years, male 148.6
GTEX-XLM4-2026-SM-4AT4X 60-69 years, male 146.6
GTEX-17MF6-0926-SM-7LTAL 40-49 years, male 140.7
GTEX-1HC8U-0626-SM-B2LWB 40-49 years, female 139.4
GTEX-1MCC2-0226-SM-EVYD5 30-39 years, female 138.9
GTEX-YF7O-0526-SM-5P9IO 50-59 years, male 138.8
GTEX-Y3I4-0526-SM-4TT6X 50-59 years, male 138.5
GTEX-1H11D-1026-SM-9QEIU 40-49 years, male 138.0
GTEX-ZYFD-2026-SM-5E459 50-59 years, male 137.7
GTEX-WFG7-0826-SM-3GIKU 20-29 years, male 137.5
GTEX-1HSMO-1126-SM-CGQF2 60-69 years, male 135.7
GTEX-117YX-0626-SM-5EGJI 50-59 years, male 135.0
GTEX-11UD2-0926-SM-5CVL6 50-59 years, male 133.6
GTEX-15UF7-1526-SM-6LPI7 40-49 years, male 133.1
GTEX-1QCLZ-1126-SM-EWRNB 60-69 years, female 133.1
GTEX-1HSGN-0926-SM-CNNQM 40-49 years, female 132.7
GTEX-ZPIC-0426-SM-DO91V 40-49 years, female 132.4
GTEX-11ZVC-0526-SM-5N9G1 50-59 years, female 132.0
GTEX-YEC3-0426-SM-CYPS8 50-59 years, male 131.0
GTEX-1B996-1026-SM-793CF 60-69 years, male 130.7
GTEX-1EH9U-0626-SM-7PC33 60-69 years, male 129.4
GTEX-11GS4-0426-SM-5N9CD 60-69 years, male 129.2
GTEX-14PII-1026-SM-5ZZVW 60-69 years, male 129.0
GTEX-1JMOU-0326-SM-ARL8X 60-69 years, female 127.6
GTEX-13O1R-0926-SM-5L3DS 60-69 years, male 126.8
GTEX-1KXAM-1426-SM-D3LAC 60-69 years, male 126.2
GTEX-1IKK5-1726-SM-CM2RU 60-69 years, male 125.6
GTEX-12WSN-0226-SM-5DUXH 40-49 years, male 124.0
GTEX-14PN3-0726-SM-6EU14 60-69 years, female 123.1
GTEX-14PK6-0726-SM-6LLIX 70-79 years, female 122.7
GTEX-WHPG-1026-SM-3NMBA 50-59 years, male 121.9
GTEX-1H1DG-0826-SM-9QEIW 70-79 years, male 121.8
GTEX-ZDTT-0326-SM-4WKF9 60-69 years, male 120.9
GTEX-1J8Q2-1026-SM-ARU8I 60-69 years, male 120.6
GTEX-1F48J-1126-SM-9WYSY 50-59 years, female 119.2
GTEX-13PVR-0926-SM-5S2RB 60-69 years, female 118.8
GTEX-15D1Q-0426-SM-6AJ9G 40-49 years, male 118.2
GTEX-13D11-1526-SM-5J2NA 50-59 years, female 117.0
GTEX-1LSNM-0426-SM-E9TIZ 50-59 years, male 116.7
GTEX-WOFL-1226-SM-4OOST 60-69 years, male 116.6
GTEX-13VXT-0726-SM-5SIAD 20-29 years, female 116.5
GTEX-18A66-1126-SM-731C5 60-69 years, male 115.8
GTEX-ZT9W-0526-SM-57WFG 50-59 years, male 115.6
GTEX-1B933-0826-SM-79OMW 50-59 years, female 115.5
GTEX-1LGOU-0326-SM-D3LAM 20-29 years, female 115.1
GTEX-14PN4-0826-SM-69LON 50-59 years, male 114.2
GTEX-1GMR2-1326-SM-9KNUT 50-59 years, male 114.2
GTEX-1NHNU-0626-SM-E6CP1 50-59 years, male 111.8
GTEX-1H3VY-1126-SM-A96TP 50-59 years, male 111.7
GTEX-ZAJG-0926-SM-5Q5AB 50-59 years, female 110.8
GTEX-1R9K4-1026-SM-EXUT1 60-69 years, male 109.7
GTEX-1QP6S-1026-SM-DTXFW 40-49 years, male 109.0
GTEX-1GN1U-1426-SM-7P8TF 50-59 years, female 107.8
GTEX-X4XX-1126-SM-3NMBY 60-69 years, male 107.7
GTEX-17F9E-0726-SM-793A1 50-59 years, male 107.4
GTEX-13SLW-0826-SM-5QGP7 70-79 years, male 107.2
GTEX-XPVG-0726-SM-4B658 50-59 years, male 106.8
GTEX-ZGAY-0226-SM-4WWAL 40-49 years, female 106.7
GTEX-1MJIX-0426-SM-DTXEN 40-49 years, male 106.5
GTEX-1J8QM-0326-SM-CL53D 60-69 years, female 106.4
GTEX-WYBS-1226-SM-3NM9N 60-69 years, female 105.4
GTEX-13FH7-0826-SM-5J2NW 50-59 years, female 104.9
GTEX-1LVAN-1526-SM-CNPQN 50-59 years, female 104.0
GTEX-U8XE-0926-SM-3DB8V 30-39 years, male 103.3
GTEX-1399R-1726-SM-5K7YJ 30-39 years, male 102.8
GTEX-1GZ4I-0826-SM-9WG6O 50-59 years, male 102.7
GTEX-WRHU-1026-SM-4E3ID 50-59 years, female 102.6
GTEX-1JMLX-1826-SM-CNPOX 50-59 years, male 101.5
GTEX-1OFPY-0926-SM-DTX8Q 60-69 years, male 100.7
GTEX-1KANB-1126-SM-DHXJT 50-59 years, male 100.4
GTEX-14JG1-0826-SM-5ZZWR 40-49 years, male 98.9
GTEX-15SHU-0926-SM-6PAMK 40-49 years, female 98.3
GTEX-131XG-0526-SM-5DUWF 50-59 years, female 97.9
GTEX-1HFI7-0526-SM-A9SMA 50-59 years, female 97.2
GTEX-11O72-1026-SM-5986B 40-49 years, male 97.0
GTEX-ZZPU-1126-SM-5N9CW 50-59 years, female 96.5
GTEX-1HCU7-1226-SM-B2LX8 50-59 years, male 96.4
GTEX-Y8E4-0426-SM-4V6GB 40-49 years, male 96.0
GTEX-13S86-0326-SM-5SI6K 40-49 years, male 95.9
GTEX-13JUV-0226-SM-5IJCC 40-49 years, female 95.6
GTEX-145LS-1326-SM-5Q5EP 60-69 years, female 95.3
GTEX-1HCVE-0826-SM-CM2SF 50-59 years, male 94.9
GTEX-XYKS-0226-SM-4BRW3 60-69 years, female 94.5
GTEX-1AX9K-0426-SM-73KUG 50-59 years, male 93.9
GTEX-1GN1W-0226-SM-7P8QY 50-59 years, female 93.6
GTEX-13N11-0726-SM-5L3DP 50-59 years, female 93.2
GTEX-15SDE-1826-SM-7KUFN 50-59 years, female 93.2
GTEX-1JK1U-0626-SM-CKZOJ 60-69 years, male 93.1
GTEX-13OVG-0426-SM-5KM2T 60-69 years, male 93.0
GTEX-ZPCL-0526-SM-DO91R 60-69 years, female 93.0
GTEX-11TT1-1426-SM-5EGIA 20-29 years, male 92.6
GTEX-14BIN-2126-SM-793AX 50-59 years, female 92.6
GTEX-1LG7Y-1426-SM-D4P31 50-59 years, male 89.8
GTEX-13O61-0426-SM-5L3ET 60-69 years, male 89.4
GTEX-15RIE-1326-SM-6PAMM 60-69 years, male 89.0
GTEX-12696-1226-SM-5FQSM 60-69 years, male 87.9
GTEX-ZVT2-0926-SM-5GICE 50-59 years, female 87.8
GTEX-11DXZ-0326-SM-5EGH1 50-59 years, male 87.4
GTEX-1IKOH-0926-SM-A9SLU 60-69 years, female 86.4
GTEX-1P4AB-0926-SM-E76PV 50-59 years, male 86.3
GTEX-17F96-0826-SM-7DHLU 70-79 years, male 86.1
GTEX-1211K-0226-SM-59HJY 60-69 years, female 85.0
GTEX-1B8KE-0326-SM-73KTY 50-59 years, male 84.8
GTEX-1399S-0826-SM-5KM23 30-39 years, female 83.9
GTEX-1I1CD-1326-SM-A9SMM 60-69 years, female 83.9
GTEX-1HBPM-1026-SM-ARL9D 60-69 years, female 83.8
GTEX-V1D1-0626-SM-4JBHN 50-59 years, male 83.7
GTEX-13NYS-1926-SM-5IJCB 60-69 years, male 83.4
GTEX-1AYCT-0526-SM-7RHHS 50-59 years, male 83.4
GTEX-1H3NZ-1026-SM-A9SM5 60-69 years, male 83.0
GTEX-146FR-0926-SM-5QGPE 60-69 years, female 82.7
GTEX-XXEK-2026-SM-4BRVE 50-59 years, male 82.2
GTEX-WHSE-0826-SM-4SOJU 20-29 years, male 81.6
GTEX-13X6K-1726-SM-7IGLG 60-69 years, female 81.3
GTEX-148VJ-1426-SM-5TDE3 70-79 years, male 81.3
GTEX-15ER7-0826-SM-6PALW 20-29 years, female 80.5
GTEX-1IKOE-0626-SM-A9G31 30-39 years, female 79.8
GTEX-1AX8Z-1126-SM-731CS 60-69 years, male 79.5
GTEX-Z93S-0326-SM-5HL84 50-59 years, male 79.5
GTEX-1CB4H-0626-SM-7IGN3 60-69 years, female 79.4
GTEX-17KNJ-0626-SM-7LT9L 50-59 years, male 79.1
GTEX-132AR-1926-SM-5EGK5 50-59 years, female 78.4
GTEX-1C6VQ-0826-SM-7PBZT 50-59 years, male 78.4
GTEX-ZDXO-0426-SM-4WKF6 60-69 years, male 78.1
GTEX-XV7Q-0726-SM-4BRV6 40-49 years, female 77.5
GTEX-1JMQK-0926-SM-ARL96 60-69 years, male 76.9
GTEX-1R9JW-0426-SM-E76QL 30-39 years, female 76.9
GTEX-16XZY-0526-SM-7DHKY 70-79 years, male 76.5
GTEX-Y3IK-1026-SM-51MR7 50-59 years, female 76.5
GTEX-ZLFU-0326-SM-4WWBK 40-49 years, male 76.3
GTEX-11EMC-0826-SM-59862 60-69 years, female 76.1
GTEX-1NSGN-1226-SM-E76OL 50-59 years, male 75.9
GTEX-14PJ2-1126-SM-69LOD 50-59 years, male 75.7
GTEX-1GF9V-1726-SM-9KNW4 60-69 years, male 75.6
GTEX-VJWN-1026-SM-4M1ZN 50-59 years, female 75.0
GTEX-11DXY-1026-SM-5987V 60-69 years, male 74.8
GTEX-ZYFG-0526-SM-5GZXX 60-69 years, female 74.7
GTEX-WWYW-1126-SM-3NB2Q 50-59 years, female 74.3
GTEX-X5EB-0626-SM-46MVQ 40-49 years, male 74.2
GTEX-WI4N-0726-SM-3TW93 40-49 years, female 73.8
GTEX-12WSI-0426-SM-5EQ5J 50-59 years, male 73.0
GTEX-11DXX-0526-SM-5PNVR 60-69 years, female 72.8
GTEX-ZDYS-0326-SM-5HL4W 50-59 years, male 72.4
GTEX-WH7G-0326-SM-3NMBH 40-49 years, male 72.2
GTEX-183WM-0926-SM-718AN 70-79 years, female 71.9
GTEX-YECK-1226-SM-4W21G 60-69 years, male 71.7
GTEX-13PDP-1326-SM-5K7U9 60-69 years, male 71.5
GTEX-1117F-0726-SM-5GIEN 60-69 years, female 71.3
GTEX-13FHP-0826-SM-5K7V5 50-59 years, male 71.1
GTEX-1477Z-1126-SM-5P9GK 60-69 years, male 70.4
GTEX-1A8G6-1826-SM-73KY8 60-69 years, male 70.4
GTEX-13JVG-1126-SM-5KM2M 60-69 years, male 70.3
GTEX-1HFI6-0826-SM-9YFM2 40-49 years, male 70.1
GTEX-1CB4E-0626-SM-7DHMW 60-69 years, male 69.5
GTEX-16YQH-0726-SM-7IGM1 30-39 years, male 68.6
GTEX-1F6I4-0826-SM-7RHGK 60-69 years, male 68.6
GTEX-1I1GQ-1226-SM-CL55J 50-59 years, male 68.6
GTEX-1LVAO-0626-SM-EWRNT 60-69 years, male 68.5
GTEX-ZF2S-0826-SM-4WWBI 50-59 years, female 68.2
GTEX-ZYFC-1026-SM-5GZX9 50-59 years, male 68.1
GTEX-15CHQ-1326-SM-6871Z 60-69 years, male 68.0
GTEX-1IDJF-0826-SM-ARU7N 20-29 years, male 68.0
GTEX-12WSG-1226-SM-5EQ4C 50-59 years, female 67.4
GTEX-13PL6-0826-SM-5IJBI 40-49 years, female 67.4
GTEX-131XF-0426-SM-5HL7U 60-69 years, male 67.3
GTEX-14E6C-0326-SM-5Q5EE 40-49 years, male 67.3
GTEX-WY7C-1126-SM-3NB3A 50-59 years, male 67.3
GTEX-ZXG5-0626-SM-5NQ85 60-69 years, male 67.2
GTEX-1A3MX-1226-SM-731B3 60-69 years, male 67.1
GTEX-1313W-1126-SM-5EQ5U 50-59 years, female 67.0
GTEX-ZF3C-1126-SM-57WEG 50-59 years, female 67.0
GTEX-11WQK-0226-SM-5EQLI 50-59 years, male 66.3
GTEX-1H1ZS-1026-SM-9WG6E 70-79 years, male 66.2
GTEX-WZTO-1226-SM-3NMAZ 40-49 years, male 66.0
GTEX-1GMR3-0426-SM-7PC17 40-49 years, male 66.0
GTEX-132NY-1426-SM-5J1MJ 60-69 years, male 65.8
GTEX-1C6WA-0826-SM-7PBXS 60-69 years, male 65.6
GTEX-1HR98-1026-SM-CKZOM 60-69 years, male 64.6
GTEX-1122O-0626-SM-5N9B9 60-69 years, female 64.5
GTEX-12ZZX-0726-SM-5EGKA 40-49 years, female 64.5
GTEX-14BIM-2726-SM-5Q5EG 60-69 years, female 63.9
GTEX-X261-0926-SM-3NMCY 50-59 years, male 63.9
GTEX-1HBPH-0226-SM-9WYSM 40-49 years, female 63.9
GTEX-1J1OQ-2226-SM-A96SS 40-49 years, female 63.6
GTEX-Y5V5-0726-SM-4VBPY 60-69 years, female 63.5
GTEX-11ZTT-0526-SM-5EQLA 60-69 years, female 63.2
GTEX-132QS-0526-SM-5IJC7 60-69 years, male 62.5
GTEX-17GQL-0626-SM-731CN 60-69 years, male 62.5
GTEX-1BAJH-1026-SM-7EWEG 70-79 years, male 62.4
GTEX-ZVT3-0826-SM-5GIC8 60-69 years, female 61.3
GTEX-12WSA-1126-SM-5EGKU 60-69 years, male 61.2
GTEX-13W3W-0526-SM-5LU3X 60-69 years, female 61.1
GTEX-1H2FU-0826-SM-9WYSU 60-69 years, female 61.0
GTEX-1AX9J-0926-SM-73KXA 60-69 years, male 60.8
GTEX-111FC-0626-SM-5N9CU 60-69 years, male 60.2
GTEX-YJ8O-0826-SM-5CVM3 40-49 years, female 60.1
GTEX-1IKJJ-0626-SM-CY8GF 60-69 years, male 60.1
GTEX-111YS-0326-SM-5GZZ3 60-69 years, male 59.9
GTEX-1GN1V-1026-SM-CNPPS 60-69 years, male 59.8
GTEX-ZTPG-1326-SM-51MSQ 20-29 years, female 59.6
GTEX-1F75A-1026-SM-7PC3W 50-59 years, male 59.5
GTEX-1C64O-0926-SM-79OLN 60-69 years, male 59.4
GTEX-1J8EW-0626-SM-CM2TY 60-69 years, female 59.3
GTEX-15EU6-1326-SM-6PANG 50-59 years, male 58.9
GTEX-XBEC-1226-SM-4AT65 50-59 years, male 58.8
GTEX-X3Y1-0226-SM-3P5Z5 40-49 years, male 58.6
GTEX-132Q8-1126-SM-5K7XS 60-69 years, male 58.1
GTEX-ZUA1-0726-SM-4YCD9 40-49 years, male 58.1
GTEX-13U4I-0626-SM-5LU5L 40-49 years, female 57.4
GTEX-14A6H-0326-SM-5NQAN 30-39 years, male 57.4
GTEX-12WSE-0926-SM-5S2VX 20-29 years, male 57.2
GTEX-11DYG-1026-SM-5A5JQ 60-69 years, male 56.7
GTEX-1GZ2Q-0926-SM-7RHHN 40-49 years, male 56.7
GTEX-1LGRB-1026-SM-CNPQD 50-59 years, female 56.7
GTEX-1HUB1-0726-SM-CGQF4 60-69 years, male 56.6
GTEX-13FXS-1026-SM-62LFQ 50-59 years, male 56.5
GTEX-1CB4J-0226-SM-7P8T4 60-69 years, male 56.5
GTEX-17EVP-0526-SM-7EPGY 40-49 years, male 55.5
GTEX-1B932-1326-SM-79OM4 40-49 years, female 55.5
GTEX-1EX96-2626-SM-9MQJV 50-59 years, male 55.5
GTEX-ZE7O-0626-SM-57WCD 50-59 years, female 55.2
GTEX-11GSP-1226-SM-5985M 60-69 years, female 55.0
GTEX-14DAQ-1026-SM-793B1 60-69 years, female 54.8
GTEX-12584-1026-SM-59HK3 40-49 years, male 54.2
GTEX-13OVI-0326-SM-5K7X1 60-69 years, female 54.2
GTEX-11NUK-0926-SM-5HL57 50-59 years, male 54.1
GTEX-12WSD-1226-SM-5HL9Q 60-69 years, female 54.1
GTEX-13OW6-0926-SM-5L3GM 50-59 years, male 54.0
GTEX-X62O-0826-SM-46MW8 50-59 years, male 53.8
GTEX-11TUW-1126-SM-5EQKJ 60-69 years, male 53.6
GTEX-1I1HK-0626-SM-CNPQM 60-69 years, male 53.3
GTEX-1CAMQ-0726-SM-7P8SG 40-49 years, male 53.2
GTEX-1JJ6O-2226-SM-AHZ3I 60-69 years, male 53.2
GTEX-1QMI2-1026-SM-DTX7T 60-69 years, male 53.0
GTEX-17HGU-1126-SM-793BP 50-59 years, male 52.8
GTEX-13NZB-0426-SM-5KM26 30-39 years, male 52.6
GTEX-1I1GV-1426-SM-B2LXN 60-69 years, male 52.6
GTEX-1I19N-0626-SM-A9SKY 70-79 years, male 52.5
GTEX-1212Z-0726-SM-5EGI5 60-69 years, male 51.1
GTEX-1HT8W-1326-SM-CGQEN 30-39 years, male 51.0
GTEX-1192X-0726-SM-5987R 50-59 years, male 50.8
GTEX-13OW7-1626-SM-5IJDH 50-59 years, male 50.7
GTEX-ZF29-0426-SM-4WKFN 60-69 years, female 50.6
GTEX-1E1VI-1426-SM-793CY 50-59 years, male 50.5
GTEX-13NZA-0826-SM-5K7WS 60-69 years, male 50.2
GTEX-14E1K-0826-SM-5ZZW9 50-59 years, male 50.1
GTEX-1LSNL-0626-SM-DIPFJ 50-59 years, male 50.1
GTEX-14E7W-1126-SM-5ZZVS 70-79 years, male 50.0
GTEX-13O3P-1426-SM-5L3DT 50-59 years, male 49.8
GTEX-W5X1-0826-SM-3GILN 40-49 years, female 49.8
GTEX-111VG-0326-SM-5GZX7 60-69 years, male 49.7
GTEX-1IOXB-0726-SM-A9G32 50-59 years, male 49.7
GTEX-ZAB4-0926-SM-5CVN4 40-49 years, male 49.5
GTEX-11P81-0526-SM-59873 30-39 years, female 49.4
GTEX-1F88F-0326-SM-9KNV3 60-69 years, female 48.5
GTEX-1IL2V-1126-SM-CMKGH 70-79 years, male 48.3
GTEX-13OW5-0926-SM-5L3GZ 60-69 years, male 48.2
GTEX-XOT4-1126-SM-4B66E 60-69 years, female 48.0
GTEX-11ZUS-0326-SM-5EQ4W 30-39 years, male 47.6
GTEX-ZAK1-1126-SM-5PNXU 50-59 years, female 47.6
GTEX-1399T-0726-SM-5J1MH 60-69 years, male 47.5
GTEX-17F9Y-1226-SM-7EPGE 70-79 years, female 47.5
GTEX-XGQ4-0526-SM-4AT6C 50-59 years, male 47.3
GTEX-1EWIQ-1126-SM-7EPIK 70-79 years, female 46.9
GTEX-15CHR-0326-SM-7DHN3 50-59 years, male 46.8
GTEX-1C2JI-0626-SM-7DHM1 50-59 years, male 46.7
GTEX-13SLX-0926-SM-5S2NM 50-59 years, female 46.4
GTEX-1E2YA-0626-SM-7P8P4 50-59 years, male 46.1
GTEX-1MJK2-1626-SM-EVYCQ 50-59 years, male 46.1
GTEX-UTHO-1226-SM-3GAEE 60-69 years, male 46.0
GTEX-1IDJH-1126-SM-COH3R 70-79 years, male 45.7
GTEX-ZEX8-0326-SM-DO92C 50-59 years, male 45.2
GTEX-14ASI-0826-SM-5Q5EB 60-69 years, male 45.0
GTEX-139YR-0526-SM-5L3DG 50-59 years, male 44.8
GTEX-16NPX-0826-SM-6M489 50-59 years, male 44.6
GTEX-14BMV-1026-SM-5SI6B 50-59 years, male 44.5
GTEX-18A6Q-1526-SM-731CO 60-69 years, male 44.5
GTEX-1IY9M-0626-SM-D4P2L 60-69 years, male 44.4
GTEX-1C64N-0826-SM-7RHGQ 50-59 years, male 44.3
GTEX-1IDJU-0626-SM-CKZOG 60-69 years, female 44.2
GTEX-15RJE-0726-SM-7KUEG 40-49 years, male 44.1
GTEX-18A7A-1226-SM-7LTAJ 50-59 years, female 43.8
GTEX-147JS-1326-SM-5SI6D 60-69 years, male 43.6
GTEX-1JJEA-0926-SM-CYPSO 60-69 years, male 43.1
GTEX-YFC4-0426-SM-4TT3J 40-49 years, female 42.8
GTEX-1CB4G-0726-SM-79OOJ 60-69 years, male 42.5
GTEX-1EMGI-1126-SM-9KNUF 60-69 years, male 42.5
GTEX-13NYB-0326-SM-5IJDP 40-49 years, male 42.4
GTEX-1HSKV-0726-SM-ACKWE 60-69 years, male 42.4
GTEX-12ZZY-1226-SM-5GCNK 60-69 years, male 42.3
GTEX-WK11-0626-SM-3NMAV 50-59 years, male 42.1
GTEX-1PPGY-0926-SM-DTXFF 60-69 years, male 41.5
GTEX-WFON-0226-SM-3GIKR 40-49 years, male 41.3
GTEX-1GMRU-1326-SM-9WYUI 50-59 years, male 40.1
GTEX-11NV4-0826-SM-5BC4S 60-69 years, male 39.7
GTEX-18465-0726-SM-7LG4L 50-59 years, male 39.5
GTEX-17JCI-0826-SM-7LT8W 60-69 years, female 39.1
GTEX-117YW-0426-SM-5GZZZ 50-59 years, male 38.9
GTEX-13112-0526-SM-5EQ4S 50-59 years, male 38.7
GTEX-ZYT6-0926-SM-5GIEM 30-39 years, male 38.2
GTEX-ZPU1-0726-SM-5HL6O 40-49 years, male 38.1
GTEX-1I1GR-1026-SM-A9SLC 60-69 years, male 38.1
GTEX-147F4-1126-SM-5TDDE 50-59 years, male 37.9
GTEX-WHWD-0326-SM-3LK6L 50-59 years, male 37.8
GTEX-144GL-1026-SM-5O99R 50-59 years, male 37.5
GTEX-1B8L1-0426-SM-7SB76 60-69 years, male 37.5
GTEX-13PVQ-1326-SM-5LU4J 50-59 years, male 37.2
GTEX-11ONC-1026-SM-5GU64 60-69 years, male 36.5
GTEX-1B97J-0326-SM-7939H 50-59 years, female 36.5
GTEX-WL46-0726-SM-3LK5Z 50-59 years, male 36.4
GTEX-X8HC-1026-SM-46MWH 50-59 years, female 36.4
GTEX-12WSC-1026-SM-5EQ5Y 50-59 years, male 36.3
GTEX-1POEN-0726-SM-DTXDU 30-39 years, female 36.2
GTEX-11EQ8-1326-SM-5EGJQ 60-69 years, male 36.1
GTEX-1KD5A-0926-SM-D4P3U 50-59 years, male 35.9
GTEX-1A8FM-1026-SM-7PC26 50-59 years, female 35.3
GTEX-ZAB5-0126-SM-5CVMT 50-59 years, male 35.1
GTEX-131XE-0526-SM-5K7YT 50-59 years, male 35.0
GTEX-1B8SG-0726-SM-79ONS 50-59 years, male 33.7
GTEX-ZZPT-0926-SM-5GICZ 50-59 years, male 33.2
GTEX-UPK5-0226-SM-3GAEV 40-49 years, male 32.8
GTEX-ZVZQ-0726-SM-51MR3 60-69 years, female 32.8
GTEX-13CF2-0226-SM-5L3DV 60-69 years, male 32.7
GTEX-117XS-0726-SM-5H131 60-69 years, male 32.4
GTEX-16GPK-1226-SM-7LTAU 60-69 years, male 32.0
GTEX-1B8SF-1326-SM-7IGQJ 60-69 years, male 32.0
GTEX-1QEPI-1126-SM-E8VN7 60-69 years, female 30.8
GTEX-1JN6P-0826-SM-ARL97 60-69 years, male 29.7
GTEX-1GN2E-1426-SM-7RHHI 60-69 years, male 29.4
GTEX-16XZZ-1026-SM-7DHKS 60-69 years, male 28.2
GTEX-1LB8K-0926-SM-D4P42 50-59 years, male 28.2
GTEX-1IL2U-1226-SM-CL53P 60-69 years, male 28.1
GTEX-1192W-0226-SM-5EGGT 60-69 years, male 27.8
GTEX-1H1CY-0426-SM-9KNVD 60-69 years, female 27.8
GTEX-13FHO-1226-SM-5L3EF 60-69 years, male 26.9
GTEX-13FTZ-0326-SM-5J1O1 60-69 years, male 26.2
GTEX-XQ3S-0526-SM-4BOQA 20-29 years, male 25.3
GTEX-ZDTS-1226-SM-4WKGL 60-69 years, male 25.1
GTEX-15SKB-0926-SM-7KUFC 60-69 years, male 23.0
GTEX-13X6J-1226-SM-79OMF 50-59 years, male 22.9
GTEX-1EU9M-1926-SM-7RHH4 60-69 years, male 22.7
GTEX-1H3O1-0226-SM-9WYSW 60-69 years, male 21.6
GTEX-13NZ9-0126-SM-5K7XV 50-59 years, male 20.2
GTEX-X4EP-0326-SM-3P5Z6 60-69 years, female 20.2
GTEX-131YS-0826-SM-5PNYV 60-69 years, female 17.4
GTEX-VUSG-0726-SM-3GIK1 50-59 years, male 6.5
Show allShow less
Heart - Left Ventricle
Average nTPM: 124.7
Samples: 432

Max nTPM: 735.6
Min nTPM: 22.3
Std nTPM: 84.2
Median nTPM: 102.3
GTEX-1PPH7-2026-SM-E9J3N 40-49 years, male 735.6
GTEX-13O1R-1226-SM-5J1NU 60-69 years, male 660.3
GTEX-1O9I2-1126-SM-DTXEA 50-59 years, male 609.8
GTEX-1JN1M-1026-SM-CNPOS 60-69 years, female 561.1
GTEX-RWSA-0626-SM-2XCBD 40-49 years, male 525.0
GTEX-12WSG-0526-SM-5FQTH 50-59 years, female 491.6
GTEX-1R9PO-0326-SM-DTXA1 60-69 years, female 425.3
GTEX-1QCLZ-0926-SM-E6CQZ 60-69 years, female 363.9
GTEX-16MT8-0926-SM-6M487 60-69 years, female 362.4
GTEX-P44G-0826-SM-2I5ES 30-39 years, male 308.5
GTEX-1S3DN-0726-SM-E9TIO 50-59 years, male 307.3
GTEX-P4PQ-0326-SM-2HMJ8 60-69 years, male 288.5
GTEX-1ICG6-0626-SM-ACKWS 70-79 years, female 287.2
GTEX-14PJ4-1126-SM-5YY91 60-69 years, male 283.5
GTEX-XV7Q-0826-SM-4BRV7 40-49 years, female 281.8
GTEX-1ICLZ-1026-SM-A9SLF 60-69 years, male 278.0
GTEX-OIZI-0926-SM-E6CHF 40-49 years, male 275.8
GTEX-P4QS-0326-SM-2I3EU 60-69 years, male 274.9
GTEX-WY7C-0526-SM-3NB3D 50-59 years, male 273.1
GTEX-1HCU6-1026-SM-A9G25 60-69 years, female 272.6
GTEX-148VJ-1526-SM-5Q5DU 70-79 years, male 272.2
GTEX-13RTJ-0726-SM-5QGQN 60-69 years, male 269.9
GTEX-R45C-0926-SM-3GAD4 60-69 years, female 266.5
GTEX-1H23P-1226-SM-9QEJ2 60-69 years, male 264.1
GTEX-1RMOY-0626-SM-E9TIE 50-59 years, male 263.9
GTEX-1OKEX-0726-SM-DPRYE 60-69 years, male 263.5
GTEX-1CB4I-1626-SM-7RHGV 50-59 years, male 259.1
GTEX-1497J-1226-SM-5Q5BL 60-69 years, male 258.4
GTEX-1LGOU-0726-SM-E9TIY 20-29 years, female 254.8
GTEX-1R9K4-1326-SM-DTX8G 60-69 years, male 252.5
GTEX-XQ8I-0126-SM-4BOPL 50-59 years, male 251.3
GTEX-ZQUD-1526-SM-7IGO2 30-39 years, male 241.7
GTEX-146FH-1026-SM-5RQIF 50-59 years, female 236.1
GTEX-X15G-0426-SM-4PQZ6 50-59 years, female 235.8
GTEX-1HSMQ-0226-SM-C1YQL 50-59 years, male 234.9
GTEX-1PWST-1026-SM-DTXF2 70-79 years, male 234.7
GTEX-1GMR2-1426-SM-7RHHK 50-59 years, male 230.0
GTEX-ZG7Y-0926-SM-5EQ6O 50-59 years, male 229.4
GTEX-13X6I-1426-SM-5SI9Z 60-69 years, male 224.5
GTEX-OOBJ-0326-SM-33HBO 60-69 years, male 224.4
GTEX-1R7EV-0326-SM-E76PA 40-49 years, male 219.1
GTEX-1MUQO-1226-SM-E9TJK 60-69 years, male 216.7
GTEX-11LCK-0926-SM-5A5KA 30-39 years, male 214.0
GTEX-1HSGN-1126-SM-CJI4G 40-49 years, female 210.6
GTEX-14A5I-1226-SM-5NQBW 50-59 years, female 210.5
GTEX-14C39-0926-SM-5TDDV 40-49 years, male 210.4
GTEX-OIZH-0326-SM-2HMKC 50-59 years, male 206.7
GTEX-13QBU-0426-SM-5J2O4 40-49 years, female 206.0
GTEX-1IKK5-1526-SM-CKZPW 60-69 years, male 204.9
GTEX-OXRK-0826-SM-2HMK7 50-59 years, female 200.7
GTEX-17HII-1326-SM-7IGOB 50-59 years, male 200.6
GTEX-YF7O-0426-SM-5P9FS 50-59 years, male 198.7
GTEX-U4B1-0326-SM-3DB8K 40-49 years, male 198.4
GTEX-17MF6-0726-SM-7LT8E 40-49 years, male 197.6
GTEX-1GF9U-0426-SM-7RHHA 40-49 years, female 197.3
GTEX-Y114-0226-SM-4TT8W 50-59 years, female 197.2
GTEX-1B996-1126-SM-73KWN 60-69 years, male 196.2
GTEX-145MO-1126-SM-5NQBX 60-69 years, male 194.4
GTEX-13YAN-1326-SM-5Q5F1 60-69 years, male 188.8
GTEX-1LVAN-1726-SM-CNNR1 50-59 years, female 187.7
GTEX-12WSK-0626-SM-5LZUJ 40-49 years, female 186.7
GTEX-P44H-0726-SM-48TBT 40-49 years, male 186.7
GTEX-1KXAM-1326-SM-E9TJW 60-69 years, male 185.3
GTEX-14PHX-2126-SM-6EU2U 50-59 years, male 185.0
GTEX-1JMLX-1626-SM-ARZMV 50-59 years, male 183.0
GTEX-QEG5-0926-SM-2TC64 20-29 years, male 181.5
GTEX-11GS4-0526-SM-5A5KQ 60-69 years, male 180.8
GTEX-16BQI-0926-SM-6M485 30-39 years, female 180.3
GTEX-1AX9I-1126-SM-7EPHH 60-69 years, male 179.5
GTEX-1HCU7-1326-SM-CNPPW 50-59 years, male 178.2
GTEX-1GN1W-0326-SM-9JGHF 50-59 years, female 176.0
GTEX-18D9B-1226-SM-72D6V 60-69 years, male 175.9
GTEX-1IDJE-0326-SM-CM2TD 50-59 years, female 174.5
GTEX-1H11D-1226-SM-9WPQ2 40-49 years, male 174.4
GTEX-WFG7-0726-SM-3GIKO 20-29 years, male 173.6
GTEX-1GTWX-1026-SM-7P8QW 60-69 years, male 172.4
GTEX-1JJEA-0826-SM-CL53T 60-69 years, male 170.5
GTEX-1AYCT-0426-SM-73KVZ 50-59 years, male 169.6
GTEX-1ICLY-1326-SM-CJI47 50-59 years, male 167.2
GTEX-1GL5R-0326-SM-9WYTJ 50-59 years, male 165.7
GTEX-1C6VQ-1126-SM-7EWET 50-59 years, male 165.6
GTEX-1KANC-0426-SM-CXZK5 50-59 years, female 165.4
GTEX-1LH75-0426-SM-E9TJF 50-59 years, female 164.2
GTEX-WYJK-1026-SM-3NM8W 50-59 years, male 163.2
GTEX-1AX9K-0526-SM-73KV1 50-59 years, male 162.9
GTEX-YEC4-0326-SM-4W216 40-49 years, male 162.1
GTEX-OXRO-2026-SM-2YUMZ 60-69 years, female 161.5
GTEX-17F9E-0926-SM-7IGMG 50-59 years, male 160.9
GTEX-1QP29-1526-SM-EXUSY 50-59 years, male 160.7
GTEX-13PVR-1026-SM-5QGQW 60-69 years, female 158.8
GTEX-1269C-0826-SM-5N9EM 60-69 years, female 158.7
GTEX-1LSNM-0526-SM-DIPG6 50-59 years, male 156.5
GTEX-117YX-1126-SM-5H128 50-59 years, male 156.3
GTEX-15CHC-0426-SM-6LLHI 60-69 years, female 155.9
GTEX-QMRM-0526-SM-2I5GA 50-59 years, male 155.7
GTEX-O5YW-0326-SM-2I5EI 50-59 years, male 155.3
GTEX-ZAJG-0826-SM-5PNVA 50-59 years, female 155.2
GTEX-15EOM-5007-SM-793DG 20-29 years, female 155.1
GTEX-Y3IK-0826-SM-51MT8 50-59 years, female 154.7
GTEX-1HFI7-0826-SM-A9G23 50-59 years, female 153.7
GTEX-12ZZW-1026-SM-5GCMM 50-59 years, male 153.6
GTEX-15SHU-1126-SM-7KUMB 40-49 years, female 153.1
GTEX-1HCUA-0526-SM-A9SMH 50-59 years, female 152.9
GTEX-ZPCL-0426-SM-DNZZ4 60-69 years, female 152.9
GTEX-13X6K-1826-SM-5O9CR 60-69 years, female 152.6
GTEX-WQUQ-1426-SM-3MJFD 60-69 years, male 151.9
GTEX-1OFPY-1026-SM-EXUSO 60-69 years, male 151.7
GTEX-18A67-1226-SM-7KFRS 50-59 years, male 150.7
GTEX-16YQH-0926-SM-793BC 30-39 years, male 150.5
GTEX-111YS-0426-SM-5987O 60-69 years, male 149.7
GTEX-XBEC-1326-SM-4AT69 50-59 years, male 147.8
GTEX-XPVG-0826-SM-4B654 50-59 years, male 147.6
GTEX-OHPK-0326-SM-2HMJO 50-59 years, female 146.9
GTEX-11O72-1126-SM-5N9E2 40-49 years, male 146.4
GTEX-1EH9U-0826-SM-7IGPT 60-69 years, male 145.0
GTEX-1KD4Q-0726-SM-DIPGE 40-49 years, male 144.6
GTEX-1HBPM-1226-SM-A9SM8 60-69 years, female 143.9
GTEX-ZYFG-0426-SM-5E43M 60-69 years, female 143.6
GTEX-1N2EF-2826-SM-E6CQF 60-69 years, male 143.1
GTEX-13OVL-0526-SM-5KLZQ 50-59 years, male 142.7
GTEX-1QPFJ-1026-SM-E6CR6 30-39 years, female 142.6
GTEX-WWYW-1326-SM-3NB2S 50-59 years, female 141.4
GTEX-1J8Q3-1226-SM-CKZPT 60-69 years, male 141.2
GTEX-Y8E4-0326-SM-4VBRR 40-49 years, male 141.1
GTEX-ZV7C-0326-SM-57WB1 50-59 years, male 139.8
GTEX-14PK6-0826-SM-5ZZVO 70-79 years, female 139.3
GTEX-1GF9V-1626-SM-7PBXL 60-69 years, male 135.7
GTEX-U3ZN-1426-SM-3DB87 30-39 years, female 135.2
GTEX-1F6I4-0726-SM-7PC2P 60-69 years, male 133.8
GTEX-XPT6-0126-SM-4B65S 20-29 years, male 133.6
GTEX-ZYFC-1126-SM-5E44W 50-59 years, male 133.6
GTEX-1MJIX-0326-SM-EVR42 40-49 years, male 133.6
GTEX-V955-0726-SM-3GAFG 60-69 years, male 133.3
GTEX-13JVG-1326-SM-5N9F8 60-69 years, male 133.0
GTEX-11DXZ-0626-SM-5GU77 50-59 years, male 132.7
GTEX-1F75I-1126-SM-9WYUO 40-49 years, male 132.6
GTEX-1LC47-1026-SM-D3LAH 60-69 years, male 132.6
GTEX-1HSMO-1226-SM-CL548 60-69 years, male 131.8
GTEX-14PJ6-0726-SM-69LOL 60-69 years, female 131.0
GTEX-14JG1-1026-SM-6ETZY 40-49 years, male 130.4
GTEX-1I1GP-0826-SM-A96SD 50-59 years, male 130.4
GTEX-U3ZH-0326-SM-3DB7A 30-39 years, male 129.9
GTEX-13NZB-0226-SM-5KM1T 30-39 years, male 129.8
GTEX-1MCC2-0326-SM-EV7AK 30-39 years, female 129.4
GTEX-S33H-0526-SM-COH1W 30-39 years, male 129.4
GTEX-14PN3-0526-SM-69LQF 60-69 years, female 127.8
GTEX-OHPL-0326-SM-33HC8 60-69 years, female 127.8
GTEX-16XZY-0426-SM-793BI 70-79 years, male 127.2
GTEX-14PJ2-1026-SM-6EU1M 50-59 years, male 126.7
GTEX-1399U-0526-SM-5K7YM 50-59 years, female 126.6
GTEX-1399R-1926-SM-5K7X8 30-39 years, male 126.4
GTEX-1R9JW-0526-SM-EWRNK 30-39 years, female 126.3
GTEX-1H1ZS-1126-SM-9MQLJ 70-79 years, male 125.2
GTEX-1CAMS-1326-SM-79OJR 40-49 years, female 125.1
GTEX-ZF2S-1026-SM-9QEGK 50-59 years, female 124.9
GTEX-15SHW-1226-SM-6M46C 60-69 years, male 124.4
GTEX-1HCVE-1126-SM-9WPPG 50-59 years, male 124.3
GTEX-1K9T9-1126-SM-D3L9E 50-59 years, female 124.1
GTEX-1HBPH-0126-SM-CNNQ7 40-49 years, female 124.0
GTEX-1A3MW-1326-SM-7189P 60-69 years, female 123.7
GTEX-1313W-1426-SM-5KLZU 50-59 years, female 122.4
GTEX-1F5PK-0326-SM-9KNUD 50-59 years, male 122.0
GTEX-145MN-0626-SM-5QGRH 30-39 years, male 121.7
GTEX-ZLFU-0226-SM-4WWFH 40-49 years, male 121.1
GTEX-1PPGY-1126-SM-E76OU 60-69 years, male 120.3
GTEX-YEC3-0726-SM-CMKFH 50-59 years, male 120.1
GTEX-XQ3S-0626-SM-4BOOB 20-29 years, male 119.5
GTEX-QV44-0526-SM-2S1RE 50-59 years, male 118.8
GTEX-13W3W-0426-SM-5SI9D 60-69 years, female 118.4
GTEX-11ZVC-0426-SM-5CVLD 50-59 years, female 118.2
GTEX-R53T-0926-SM-3GADH 50-59 years, female 118.0
GTEX-1JJE9-1426-SM-ARL8P 70-79 years, male 117.8
GTEX-13O3O-1526-SM-5KM1C 60-69 years, female 117.7
GTEX-13O3P-1626-SM-5K7X3 50-59 years, male 117.4
GTEX-14C38-1426-SM-5RQHZ 50-59 years, male 117.0
GTEX-Y3I4-0626-SM-4TT7A 50-59 years, male 116.0
GTEX-13FLV-0926-SM-5L3DZ 50-59 years, male 115.0
GTEX-1B932-1026-SM-793CL 40-49 years, female 114.9
GTEX-1QP2A-1126-SM-EVR3H 50-59 years, male 114.8
GTEX-15ER7-1726-SM-6PAMX 20-29 years, female 114.1
GTEX-WH7G-0426-SM-3NMBJ 40-49 years, male 113.9
GTEX-QEL4-0926-SM-3GAD1 50-59 years, male 113.8
GTEX-131XH-0226-SM-5LZVB 50-59 years, male 112.7
GTEX-QEG4-0426-SM-33HC3 30-39 years, male 112.4
GTEX-V1D1-0526-SM-4JBGW 50-59 years, male 112.3
GTEX-1LGRB-1126-SM-CNPP2 50-59 years, female 112.1
GTEX-12BJ1-0226-SM-5LUA2 60-69 years, male 112.0
GTEX-13FTW-1026-SM-5L3E3 40-49 years, male 112.0
GTEX-17HHY-1426-SM-7EWDQ 50-59 years, male 112.0
GTEX-1I6K7-0626-SM-ARL7Q 40-49 years, male 111.3
GTEX-NFK9-0926-SM-2HMJU 40-49 years, male 110.9
GTEX-18D9U-1126-SM-72D5Y 40-49 years, male 110.6
GTEX-Y5V5-0626-SM-4VBPX 60-69 years, female 110.3
GTEX-1122O-0826-SM-5GICV 60-69 years, female 110.2
GTEX-13CF3-0726-SM-5J2MY 60-69 years, female 109.9
GTEX-145LV-0326-SM-5Q5BW 50-59 years, male 108.7
GTEX-13O61-0526-SM-5J2M1 60-69 years, male 108.6
GTEX-RTLS-0826-SM-2TF5Q 60-69 years, female 108.5
GTEX-1CB4E-0526-SM-7MXTK 60-69 years, male 108.4
GTEX-111FC-0826-SM-5GZWO 60-69 years, male 107.9
GTEX-1JMPZ-1426-SM-CJI3C 30-39 years, male 107.4
GTEX-17F9Y-1326-SM-7MGW9 70-79 years, female 107.1
GTEX-1H3NZ-1126-SM-9WYT9 60-69 years, male 106.8
GTEX-14C5O-1326-SM-5S2UW 60-69 years, male 106.6
GTEX-P4PP-0326-SM-33HC4 30-39 years, female 106.6
GTEX-1LB8K-1026-SM-DHXJJ 50-59 years, male 106.6
GTEX-18A66-1226-SM-7LT8G 60-69 years, male 105.7
GTEX-1JK1U-0526-SM-CYPSQ 60-69 years, male 105.5
GTEX-12WSN-5001-SM-7DHMK 40-49 years, male 105.2
GTEX-QLQ7-0526-SM-2I5G3 60-69 years, male 105.2
GTEX-1J8Q2-1226-SM-A9G2W 60-69 years, male 105.0
GTEX-WRHU-1226-SM-4E3IJ 50-59 years, female 104.3
GTEX-ZYW4-0926-SM-59HJS 60-69 years, male 104.2
GTEX-14DAQ-1126-SM-664MT 60-69 years, female 103.2
GTEX-1I1GV-1326-SM-A96SE 60-69 years, male 102.8
GTEX-1JMOU-0226-SM-CNNPD 60-69 years, female 102.5
GTEX-14H4A-0626-SM-5ZZUT 40-49 years, female 102.2
GTEX-PSDG-0926-SM-2I5FP 50-59 years, male 102.2
GTEX-1A8G6-1626-SM-7MGWO 60-69 years, male 101.7
GTEX-1GN73-2426-SM-7RHFQ 60-69 years, male 101.4
GTEX-1E1VI-1326-SM-7IGQD 50-59 years, male 100.9
GTEX-146FR-0626-SM-5RQJ1 60-69 years, female 100.7
GTEX-11ONC-0126-SM-5PNW6 60-69 years, male 100.4
GTEX-PLZ5-0626-SM-2I5F8 50-59 years, male 100.1
GTEX-13OVG-0526-SM-5K7YD 60-69 years, male 99.4
GTEX-1BAJH-1626-SM-73KUV 70-79 years, male 99.1
GTEX-1JMQK-0626-SM-D4P2R 60-69 years, male 98.9
GTEX-15CHR-0226-SM-7PC2Z 50-59 years, male 98.2
GTEX-ZDXO-0726-SM-57WBT 60-69 years, male 97.8
GTEX-131XG-0626-SM-5GCMP 50-59 years, female 97.6
GTEX-11EM3-0626-SM-5H12Z 20-29 years, female 97.5
GTEX-1L5NE-0426-SM-E9TIX 50-59 years, male 97.5
GTEX-11I78-0826-SM-5A5K4 50-59 years, female 97.2
GTEX-13OW5-1126-SM-5J1NR 60-69 years, male 97.2
GTEX-OIZG-1126-SM-2HMIU 50-59 years, male 96.8
GTEX-12ZZY-1126-SM-5DUWQ 60-69 years, male 96.6
GTEX-15DDE-1126-SM-6LLHN 50-59 years, female 96.5
GTEX-1HC8U-0726-SM-ACKXL 40-49 years, female 96.4
GTEX-13PVQ-1226-SM-5IJDC 50-59 years, male 96.2
GTEX-1AX8Z-5007-SM-AHZ36 60-69 years, male 96.2
GTEX-UJMC-0526-SM-3GAE3 50-59 years, male 95.9
GTEX-Q2AH-0526-SM-2I3ED 40-49 years, male 95.8
GTEX-UJHI-0426-SM-3DB8Y 50-59 years, female 95.8
GTEX-12WSD-1126-SM-5EGJD 60-69 years, female 95.5
GTEX-131XF-5001-SM-7DHLY 60-69 years, male 95.4
GTEX-12ZZZ-1726-SM-59HK5 60-69 years, male 95.3
GTEX-1J8QM-0426-SM-AHZ3X 60-69 years, female 95.0
GTEX-1RQEC-0926-SM-EWROG 60-69 years, male 94.9
GTEX-16NPX-0926-SM-7KUEZ 50-59 years, male 94.5
GTEX-OHPM-0326-SM-33HCA 50-59 years, male 94.5
GTEX-OXRL-0326-SM-2I3F2 50-59 years, male 94.5
GTEX-1JJ6O-2126-SM-CNNP6 60-69 years, male 94.4
GTEX-T6MN-0926-SM-32PLX 50-59 years, male 94.2
GTEX-1CB4G-0826-SM-7DUGF 60-69 years, male 94.0
GTEX-132QS-0426-SM-5KLZ6 60-69 years, male 93.9
GTEX-O5YT-0326-SM-32PKA 20-29 years, male 93.8
GTEX-1399S-1026-SM-5KLZ9 30-39 years, female 93.7
GTEX-1GMR3-0326-SM-7P8QT 40-49 years, male 93.5
GTEX-RUSQ-0526-SM-2TF72 50-59 years, male 93.2
GTEX-WEY5-0426-SM-3GIKT 40-49 years, female 93.2
GTEX-T2IS-0426-SM-32QPE 20-29 years, female 92.8
GTEX-SE5C-0626-SM-2XCDV 40-49 years, female 92.5
GTEX-WHWD-0426-SM-3LK83 50-59 years, male 92.3
GTEX-N7MS-0826-SM-2HML4 60-69 years, male 91.9
GTEX-13SLX-1026-SM-5ZZUQ 50-59 years, female 91.5
GTEX-13FHP-1026-SM-5K7Y2 50-59 years, male 90.9
GTEX-13N11-0426-SM-5KM3O 50-59 years, female 90.4
GTEX-1IKOE-1026-SM-ARZMF 30-39 years, female 90.0
GTEX-UPK5-0326-SM-CYPR4 40-49 years, male 90.0
GTEX-SUCS-0326-SM-32PLL 70-79 years, male 89.9
GTEX-13N1W-1026-SM-5IJC5 70-79 years, male 89.5
GTEX-13D11-1726-SM-5IFGQ 50-59 years, female 89.4
GTEX-14E6D-0926-SM-5S2QV 50-59 years, male 89.4
GTEX-ZDYS-0226-SM-5HL4K 50-59 years, male 89.0
GTEX-ZZPU-0926-SM-5GZYT 50-59 years, female 88.7
GTEX-14A6H-0226-SM-5Q5DX 30-39 years, male 88.5
GTEX-RNOR-0826-SM-2TF5C 50-59 years, female 87.8
GTEX-RU72-0326-SM-2TF5T 50-59 years, female 87.2
GTEX-1LG7Y-1226-SM-CXZKD 50-59 years, male 87.1
GTEX-1J8EW-0926-SM-A9G33 60-69 years, female 87.0
GTEX-13CF2-0426-SM-5KM1H 60-69 years, male 86.7
GTEX-ZAB5-0226-SM-5CVMH 50-59 years, male 86.4
GTEX-P78B-0426-SM-2I5F5 40-49 years, female 86.1
GTEX-1RB15-0326-SM-E6CQB 60-69 years, male 86.1
GTEX-139YR-0826-SM-5LZXY 50-59 years, male 86.0
GTEX-11DXX-0326-SM-5PNWC 60-69 years, female 85.6
GTEX-13VXT-1126-SM-5LU3A 20-29 years, female 85.4
GTEX-1211K-0626-SM-5FQUZ 60-69 years, female 85.3
GTEX-1KD5A-1026-SM-CY8I8 50-59 years, male 85.2
GTEX-N7MT-1326-SM-2I3FV 60-69 years, female 84.9
GTEX-WZTO-1326-SM-3NM8X 40-49 years, male 84.9
GTEX-QVJO-1926-SM-2S1QZ 60-69 years, female 84.8
GTEX-WL46-0926-SM-3LK7T 50-59 years, male 84.6
GTEX-13FH7-0926-SM-5J2MR 50-59 years, female 84.3
GTEX-NPJ8-0426-SM-2HMK6 40-49 years, male 84.2
GTEX-OIZF-0326-SM-3MJGY 60-69 years, male 83.9
GTEX-13O21-2326-SM-5MR3X 50-59 years, male 83.3
GTEX-1B8KE-0126-SM-793AM 50-59 years, male 83.3
GTEX-ZF29-0226-SM-4WKHO 60-69 years, female 82.5
GTEX-1HT8W-1726-SM-CNNQB 30-39 years, male 82.1
GTEX-14BIN-2226-SM-5YYA1 50-59 years, female 82.0
GTEX-1RAZS-0826-SM-E76QP 50-59 years, male 81.8
GTEX-11TUW-1026-SM-5GU7D 60-69 years, male 81.7
GTEX-12WSC-1126-SM-5EQ4G 50-59 years, male 81.6
GTEX-1I1GQ-1426-SM-B2LWY 50-59 years, male 81.1
GTEX-1O97I-0826-SM-E8VNE 60-69 years, male 80.4
GTEX-U8XE-1126-SM-3DB8W 30-39 years, male 80.3
GTEX-1CB4J-0326-SM-7PBZO 60-69 years, male 80.2
GTEX-132NY-1726-SM-5EGKK 60-69 years, male 79.8
GTEX-PWCY-0526-SM-5P9HG 20-29 years, female 79.3
GTEX-13OW8-2126-SM-5J1OS 60-69 years, male 78.8
GTEX-POMQ-0326-SM-2I5FO 20-29 years, female 78.8
GTEX-14E6C-0426-SM-5YYA8 40-49 years, male 78.5
GTEX-ZEX8-0426-SM-DO92Y 50-59 years, male 78.4
GTEX-11EMC-0726-SM-5EGJO 60-69 years, female 78.3
GTEX-1M5QR-1026-SM-DHXK9 40-49 years, male 78.2
GTEX-YJ8O-0926-SM-EAZ2Z 40-49 years, female 78.1
GTEX-ZDTS-1326-SM-6LLHE 60-69 years, male 77.6
GTEX-18A6Q-1626-SM-7KFTA 60-69 years, male 77.1
GTEX-17GQL-0526-SM-72D5N 60-69 years, male 76.8
GTEX-1C64O-0826-SM-79OKZ 60-69 years, male 76.7
GTEX-17KNJ-0826-SM-793A4 50-59 years, male 76.5
GTEX-X8HC-1626-SM-46MWE 50-59 years, female 75.9
GTEX-ZVZP-0226-SM-5NQ73 50-59 years, male 75.9
GTEX-ZDTT-0726-SM-4WKFK 60-69 years, male 75.4
GTEX-ZGAY-0326-SM-57WF5 40-49 years, female 75.3
GTEX-SIU8-0826-SM-2XCDQ 50-59 years, male 75.0
GTEX-15RJ7-0226-SM-7KUMN 40-49 years, male 74.9
GTEX-1339X-0426-SM-5KLZY 40-49 years, male 74.3
GTEX-WK11-0826-SM-EZ6LH 50-59 years, male 74.1
GTEX-YFC4-0526-SM-5ZZVI 40-49 years, female 73.1
GTEX-131XE-0626-SM-5HL98 50-59 years, male 72.7
GTEX-1B8L1-0526-SM-79ONX 60-69 years, male 72.5
GTEX-1399T-0426-SM-5PNVJ 60-69 years, male 72.4
GTEX-13U4I-0826-SM-5SIBD 40-49 years, female 72.3
GTEX-X3Y1-0426-SM-3P5Z4 40-49 years, male 71.8
GTEX-Y5V6-0826-SM-4VBRU 60-69 years, male 71.5
GTEX-11ZUS-0226-SM-5FQT8 30-39 years, male 71.2
GTEX-14BIL-1126-SM-79OMC 50-59 years, male 71.0
GTEX-18465-0926-SM-731AY 50-59 years, male 70.7
GTEX-12584-0926-SM-5FQTN 40-49 years, male 70.6
GTEX-WFG8-0626-SM-3GILJ 20-29 years, male 70.5
GTEX-1GZ4I-1026-SM-9KNV5 50-59 years, male 70.4
GTEX-1EWIQ-1426-SM-7IGOS 70-79 years, female 69.6
GTEX-13X6H-0426-SM-5LU4E 50-59 years, female 68.8
GTEX-ZPU1-0626-SM-4YCDM 40-49 years, male 68.6
GTEX-1F6IF-2526-SM-7P8TV 60-69 years, male 68.4
GTEX-ZAB4-1026-SM-5HL7T 40-49 years, male 68.2
GTEX-1EN7A-0726-SM-7PBXT 40-49 years, male 67.5
GTEX-QDVJ-0426-SM-2I5FW 50-59 years, male 67.3
GTEX-11DXY-0826-SM-5EGGR 60-69 years, male 66.8
GTEX-X261-1426-SM-4PQZ1 50-59 years, male 66.8
GTEX-WI4N-0626-SM-3TW8Z 40-49 years, female 66.5
GTEX-ZYT6-1726-SM-5E44P 30-39 years, male 66.2
GTEX-14PHY-0226-SM-5ZZWM 60-69 years, female 66.0
GTEX-1IDJU-0726-SM-CNPQ9 60-69 years, female 66.0
GTEX-1I1HK-0726-SM-B2LY4 60-69 years, male 65.1
GTEX-R55C-0326-SM-3GAF1 40-49 years, male 64.7
GTEX-YB5K-0126-SM-5IFJ2 40-49 years, female 63.7
GTEX-13OW6-1126-SM-5L3HL 50-59 years, male 63.6
GTEX-13NYB-0226-SM-5N9G4 40-49 years, male 63.3
GTEX-1EX96-2526-SM-7RHGW 50-59 years, male 63.3
GTEX-14PJM-1126-SM-6LLHK 50-59 years, female 62.9
GTEX-1IL2U-1326-SM-A9G2O 60-69 years, male 62.9
GTEX-1EMGI-1226-SM-793DD 60-69 years, male 62.8
GTEX-O5YV-0326-SM-2I5H2 60-69 years, female 62.6
GTEX-RWS6-0326-SM-2XCAP 60-69 years, female 62.3
GTEX-ZVT2-1026-SM-5GU55 50-59 years, female 62.3
GTEX-1IDJF-0726-SM-CJI1U 20-29 years, male 62.3
GTEX-1F48J-1026-SM-7P8SO 50-59 years, female 62.2
GTEX-1R9K5-1326-SM-E6CPR 50-59 years, male 62.1
GTEX-1LVA9-0926-SM-EVR5G 50-59 years, male 61.8
GTEX-1A3MX-1326-SM-72D58 60-69 years, male 61.7
GTEX-1AX9J-1026-SM-72D6E 60-69 years, male 61.2
GTEX-15RJE-0626-SM-7KUKR 40-49 years, male 61.1
GTEX-132AR-2026-SM-5IJG4 50-59 years, female 61.0
GTEX-15CHQ-1526-SM-69LPW 60-69 years, male 59.7
GTEX-XGQ4-0326-SM-4GIEE 50-59 years, male 59.6
GTEX-13FTZ-0226-SM-5K7X6 60-69 years, male 59.3
GTEX-SNMC-0126-SM-2XCFO 20-29 years, male 59.3
GTEX-14JIY-1126-SM-6EU28 60-69 years, male 59.1
GTEX-WHPG-0826-SM-3NMBF 50-59 years, male 58.6
GTEX-1POEN-0626-SM-EVR4B 30-39 years, female 58.4
GTEX-147JS-1526-SM-5ZZWF 60-69 years, male 58.2
GTEX-117YW-0326-SM-5N9CY 50-59 years, male 58.0
GTEX-R55G-0526-SM-2TC5O 40-49 years, female 57.9
GTEX-S32W-0626-SM-2XCBG 50-59 years, female 57.9
GTEX-17JCI-1126-SM-7IGMM 60-69 years, female 57.6
GTEX-1EKGG-1126-SM-7MGXB 60-69 years, male 57.3
GTEX-ZF3C-1226-SM-4WWCB 50-59 years, female 57.0
GTEX-15RIE-1726-SM-7KUMU 60-69 years, male 56.7
GTEX-PVOW-0426-SM-5MR5R 40-49 years, male 55.8
GTEX-1IDJI-1026-SM-A96TE 50-59 years, female 55.5
GTEX-147F4-1226-SM-5NQAY 50-59 years, male 54.9
GTEX-ZUA1-0826-SM-4YCDL 40-49 years, male 54.6
GTEX-13112-0426-SM-5PNVC 50-59 years, male 54.1
GTEX-14E7W-1226-SM-5RQIU 70-79 years, male 53.6
GTEX-15DYW-1126-SM-6LPK5 60-69 years, female 52.5
GTEX-1IDJH-1026-SM-E9TKH 70-79 years, male 49.5
GTEX-REY6-1026-SM-2TF4Y 60-69 years, male 49.1
GTEX-14E1K-1026-SM-73KUR 50-59 years, male 48.7
GTEX-1B97J-0726-SM-7RHG3 50-59 years, female 48.6
GTEX-1C2JI-0526-SM-7EWEQ 50-59 years, male 48.5
GTEX-1GN1V-0826-SM-9KNU6 60-69 years, male 48.4
GTEX-WFON-0326-SM-3GIKX 40-49 years, male 48.1
GTEX-1314G-0126-SM-5LZUL 30-39 years, male 47.8
GTEX-R55E-1026-SM-2TC5S 20-29 years, male 47.2
GTEX-XXEK-0926-SM-4BRWH 50-59 years, male 46.7
GTEX-148VI-0326-SM-5RQK7 60-69 years, female 45.7
GTEX-WHSE-0926-SM-3NMBS 20-29 years, male 45.5
GTEX-1212Z-0626-SM-5FQTB 60-69 years, male 44.3
GTEX-XBED-0526-SM-47JY3 60-69 years, male 43.3
GTEX-17HGU-1026-SM-79OKL 50-59 years, male 42.6
GTEX-11TT1-1326-SM-5PNYM 20-29 years, male 42.4
GTEX-QESD-0526-SM-2I5G5 20-29 years, male 41.9
GTEX-12696-1126-SM-5FQTI 60-69 years, male 41.5
GTEX-RN64-0826-SM-2TC62 50-59 years, male 41.4
GTEX-1H1CY-0326-SM-9QEIZ 60-69 years, female 37.9
GTEX-1GMRU-1526-SM-9WYT5 50-59 years, male 36.2
GTEX-1IKJJ-0826-SM-A96SP 60-69 years, male 35.9
GTEX-1NV8Z-1526-SM-DTX8X 60-69 years, male 35.6
GTEX-11GSP-1326-SM-5A5KY 60-69 years, female 34.4
GTEX-QDVN-0326-SM-2I3FS 50-59 years, male 33.5
GTEX-PX3G-0326-SM-2I3EO 20-29 years, female 33.1
GTEX-13S86-0226-SM-5S2PJ 40-49 years, male 32.6
GTEX-1EU9M-1826-SM-7DUGU 60-69 years, male 31.7
GTEX-14XAO-1126-SM-6EU11 60-69 years, female 31.6
GTEX-ZTPG-1226-SM-4YCDO 20-29 years, female 31.6
GTEX-1GN2E-1326-SM-9KNVG 60-69 years, male 30.9
GTEX-1JN6P-1126-SM-CKZON 60-69 years, male 30.1
GTEX-1B8SG-0826-SM-7EWF7 50-59 years, male 28.0
GTEX-ZPIC-0826-SM-4WWFJ 40-49 years, female 22.3
Show allShow less

HEART MUSCLE - FANTOM5 CAGEi

RNA expression in human tissues obtained through Cap Analysis of Gene Expression (CAGE) generated by the FANTOM5 project are reported as Scaled Tags Per Million.

Max subtype Scaled Tags Per Millioni

Max subtype Scaled Tags Per Million is the value for the subtype with the largest average Scaled Tags Per Million across the subtype samples.

548.9
FANTOM5 sample id Sample description Scaled Tags Per Million
Heart
Scaled Tags Per Million: 442.5
FF:10016-101C7 70,73,74 years, mixed 442.5
Left atrium
Scaled Tags Per Million: 372.7
FF:10079-102A7 40 years, male 372.7
Left ventricle
Scaled Tags Per Million: 548.9
FF:10078-102A6 73 years, female 548.9

Contact

  • NEWS ARTICLES
  • PRESS ROOM

The Project

  • INTRODUCTION
  • ORGANIZATION
  • PUBLICATIONS

The Human Protein Atlas

  • DOWNLOADABLE DATA
  • LICENCE & CITATION
  • HELP & FAQ
The Human Protein Atlas project is funded
by the Knut & Alice Wallenberg Foundation.


contact@proteinatlas.org