We use cookies to enhance the usability of our website. If you continue, we'll assume that you are happy to receive all cookies. More information. Don't show this again.
KRT8
HPA
RESOURCES
  • TISSUE
  • BRAIN
  • SINGLE CELL
  • SUBCELLULAR
  • CANCER
  • BLOOD
  • CELL LINE
  • STRUCTURE & INTERACTION
ABOUT
  • INTRODUCTION
  • HISTORY
  • ORGANIZATION
  • PUBLICATIONS
  • ANTIBODY SUBMISSION
  • ANTIBODY AVAILABILITY
  • ACKNOWLEDGMENTS
  • CONTACT
NEWS
  • NEWS ARTICLES
  • PRESS ROOM
LEARN
  • DICTIONARY
  • PROTEIN CLASSES
  • PROTEIN EVIDENCE
  • METHODS
  • EDUCATIONAL VIDEOS
DATA
  • DOWNLOADABLE DATA
  • PUBLICATION DATA
  • RELEASE HISTORY
HELP
  • ANTIBODY VALIDATION
  • ASSAYS & ANNOTATION
  • DISCLAIMER
  • HELP & FAQ
  • PRIVACY STATEMENT
  • LICENCE & CITATION
Fields »
Search result

Field
Term
Gene name
Class
Subclass
Class
Keyword
Chromosome
External id
Tissue
Cell type
Expression
Antibody panel
Tissue
Main location
Patient ID
Annotation
Tissue
Category
Tau score
Cluster
Reliability
Brain region
Category
Tau score
Brain region
Category
Tau score
Brain region
Category
Tau score
Cluster
Reliability
Tissue
Cell type
Enrichment
Cell type
Category
Tau score
Cell type
Category
Tau score
Cell type
Category
Tau score
Cell lineage
Category
Tau score
Cluster
Cluster
Location
Searches
Location
Cell line
Class
Type
Phase
Reliability
Cancer
Prognosis
Cancer
Category
Cancer
Category
Tau score
Cluster
Variants
Interacting gene (ensg_id)
Type
Number of interactions
Pathway
Category
Score
Score
Score
Validation
Validation
Validation
Validation
Antibodies
Data type
Column


  • SUMMARY

  • TISSUE

  • BRAIN

  • SINGLE CELL

  • SUBCELL

  • CANCER

  • BLOOD

  • CELL LINE

  • STRUCT & INT

  • KRT8
TISSUE PRIMARY DATA PANCREAS Show tissue menu
ADIPOSE TISSUE ADRENAL GLAND AMYGDALA APPENDIX BASAL GANGLIA BONE MARROW BREAST BRONCHUS CEREBELLUM CEREBRAL CORTEX CERVIX CHOROID PLEXUS COLON DUODENUM
ENDOMETRIUM EPIDIDYMIS ESOPHAGUS FALLOPIAN TUBE GALLBLADDER HEART MUSCLE HIPPOCAMPAL FORMATION HYPOTHALAMUS KIDNEY LIVER LUNG LYMPH NODE MIDBRAIN NASOPHARYNX
ORAL MUCOSA OVARY PANCREAS PARATHYROID GLAND PITUITARY GLAND PLACENTA PROSTATE RECTUM RETINA SALIVARY GLAND SEMINAL VESICLE SKELETAL MUSCLE SKIN SMALL INTESTINE
SMOOTH MUSCLE SOFT TISSUE SPINAL CORD SPLEEN STOMACH TESTIS THYMUS THYROID GLAND TONGUE TONSIL URINARY BLADDER VAGINA
ANTIBODIES
AND
VALIDATION
Dictionary
Pancreas
Tissue proteome
Pancreas
PANCREAS - Expression summary
Protein expression
Pancreasi

On the top, protein expression in current human tissue, based on all annotated cell types, is reported with the units not detected (n), low (l), medium (m) and high (h). Underneath, protein expression in each annotated cell type are reported using the same units.

Protein expression data is based on knowledge-based annotation. For genes where more than one antibody has been used, a collective score is set.

If knowledge-based annotation could not be performed for a gene, no data is displayed here. View antibody staining data further down this page.

h
m
l
n
Exocrine glandular cells: High
Pancreatic endocrine cells: Not detected
RNA expressioni

A summary of mRNA expression data available for current tissue based on several datasets. The mRNA expression levels in human tissues are based on RNA-seq data generated by the Human Protein Atlas (HPA), Genotype-Tissue Expression (GTEx) portal and CAGE data generated by the FANTOM5 consortium. Consensus normalized expression levels for human tissues was created by combining the data from HPA and GTEx datasets.

The mRNA expression levels in pig are based on RNA-seq data generated by the Human Protein Atlas (HPA), and for mouse, HPA data and in situ hybridization generated by the Allen brain atlas are reported.

Scroll down to view mRNA expression data in more detail.
Consensus:635.2 nTPM
HPA:593.9 nTPM
GTEx:635.2 nTPM
FANTOM5:170.2 Scaled Tags Per Million

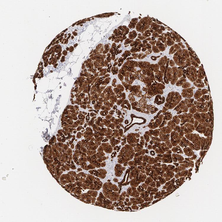
PANCREAS - Antibody stainingi

Antibody staining in the annotated cell types in the current human tissue is reported as not detected, low, medium, or high, based on conventional immunohistochemistry profiling in selected tissues. This score is based on the combination of the staining intensity and fraction of stained cells.

Each image is clickable and will lead to virtual microscopy that enables deeper exploration of all samples and also displays staining intensity scores, fraction scores and subcellular localization as well as patient and tissue information for each sample.

Antibody HPA049866Antibody CAB000131Antibody CAB001696
Exocrine glandular cells HighNot detectedHigh
Pancreatic endocrine cells LowNot detected-





PANCREAS - HPA RNA-seqi

The RNA-seq details section shows detailed information about the individual samples used for the transcript profiling and results of the RNA-seq analysis.

Information about each individual sample is listed below, including gender, age, a tissue section image and estimated fractions of cell types. nTPM (normalized transcripts per million) values give a quantification of the gene abundance which is comparable between different genes and samples.
Average nTPMi

Max subtype nTPM is the value for the subtype with the largest average nTPM across the subtype samples.

593.9
overview
Female, age 59
Pancreas sample 194
nTPM: 582
Cell types%
Exocrine glandular cells:
75

Pancreatic endocrine cells:
10

Ductal cells:
5

Other cell types:
10

overview
Male, age 60
Pancreas sample 195
nTPM: 605.8
Cell types%
Exocrine glandular cells:
90

Pancreatic endocrine cells:
5

Ductal cells:
5


PANCREAS - GTEx RNA-seqi

RNA-Seq data generated by the Genotype-Tissue Expression (GTEx) project from human tissues is reported as mean nTPM. More information can be found on the GTEx portal.

Distribution across the dataset is visualized with box plots, shown as median and 25th and 75th percentiles. Points are displayed as outliers if they are above or below 1.5 times the interquartile range. nTPM values of the individual samples are presented next to the box plot.
Max subtype nTPMi

Max subtype nTPM is the value for the subtype with the largest average nTPM across the subtype samples.

635.2
GTEx sample id Sample description nTPM
Pancreas
Average nTPM: 635.2
Samples: 328

Max nTPM: 1776.7
Min nTPM: 182.8
Std nTPM: 236.3
Median nTPM: 592.4
GTEX-QESD-0226-SM-447BH 20-29 years, male 1776.7
GTEX-Y9LG-0726-SM-4VDS3 30-39 years, male 1579.6
GTEX-1JKYN-0426-SM-CGQG2 30-39 years, male 1427.9
GTEX-1PFEY-1126-SM-DPRZ3 30-39 years, male 1411.6
GTEX-OIZI-1526-SM-E6CHI 40-49 years, male 1360.8
GTEX-1PPH8-2326-SM-EAZ48 20-29 years, male 1309.6
GTEX-Y3I4-0826-SM-4TT2A 50-59 years, male 1306.4
GTEX-1CAMR-1126-SM-7MGXF 20-29 years, male 1284.3
GTEX-QDVJ-1226-SM-48U1V 50-59 years, male 1280.7
GTEX-14PKV-0926-SM-6AJB4 20-29 years, female 1199.9
GTEX-1NUQO-0826-SM-DPS16 20-29 years, female 1125.9
GTEX-15FZZ-0626-SM-7KFTO 30-39 years, female 1123.7
GTEX-WFON-0626-SM-4LVLX 40-49 years, male 1122.6
GTEX-117YX-0226-SM-5EGH6 50-59 years, male 1120.6
GTEX-139YR-1526-SM-5IFJ1 50-59 years, male 1103.5
GTEX-13N11-0226-SM-5KM3C 50-59 years, female 1098.1
GTEX-YB5K-1826-SM-5IFJC 40-49 years, female 1089.8
GTEX-1R46S-1426-SM-EXOJD 60-69 years, female 1052.4
GTEX-OIZF-1026-SM-2HML5 60-69 years, male 1046.1
GTEX-1C64O-1426-SM-7EWER 60-69 years, male 1043.0
GTEX-YB5E-0526-SM-4VDSD 40-49 years, male 1023.5
GTEX-144GM-0726-SM-79OJQ 20-29 years, male 1008.3
GTEX-XMK1-0326-SM-4B652 40-49 years, male 975.9
GTEX-WH7G-0826-SM-4LVMR 40-49 years, male 974.5
GTEX-14ICL-1126-SM-5S2RE 30-39 years, male 973.1
GTEX-1I4MK-1026-SM-AHZ2H 50-59 years, female 963.8
GTEX-15UF7-0826-SM-6M46E 40-49 years, male 955.4
GTEX-T8EM-0826-SM-4DM76 40-49 years, male 943.0
GTEX-X5EB-0526-SM-46MVP 40-49 years, male 940.0
GTEX-14JG6-0426-SM-68715 30-39 years, female 934.6
GTEX-13VXT-1226-SM-5LU3M 20-29 years, female 917.5
GTEX-WRHK-0226-SM-4MVOH 20-29 years, female 917.3
GTEX-1497J-0426-SM-5Q5CO 60-69 years, male 912.9
GTEX-1KXAM-0226-SM-EV7AP 60-69 years, male 912.1
GTEX-1B932-1626-SM-731EA 40-49 years, female 898.3
GTEX-U8XE-2026-SM-3DB8S 30-39 years, male 894.7
GTEX-QMRM-0326-SM-CKZNB 50-59 years, male 891.6
GTEX-1QAET-1326-SM-E9U64 50-59 years, male 887.2
GTEX-145MN-1426-SM-5SI9H 30-39 years, male 874.4
GTEX-1339X-1026-SM-5IFH5 40-49 years, male 873.7
GTEX-1J8Q3-0626-SM-AHZ3V 60-69 years, male 873.2
GTEX-Y8LW-1026-SM-5IFJY 50-59 years, female 867.2
GTEX-WHSB-0726-SM-4M1XQ 50-59 years, male 860.6
GTEX-18A67-1726-SM-7KFT9 50-59 years, male 856.2
GTEX-SUCS-1426-SM-4DM5W 70-79 years, male 855.6
GTEX-1AX9J-1726-SM-731FF 60-69 years, male 855.2
GTEX-15RIF-0626-SM-6LLI3 20-29 years, male 853.8
GTEX-1QPFJ-2226-SM-EXOJW 30-39 years, female 851.2
GTEX-1122O-0726-SM-5GIEV 60-69 years, female 848.7
GTEX-WFG8-0326-SM-4LVN4 20-29 years, male 847.1
GTEX-14PKU-0626-SM-6EU1Q 40-49 years, female 846.8
GTEX-1RAZQ-1426-SM-EV7B2 30-39 years, male 846.4
GTEX-ZT9W-0926-SM-57WFS 50-59 years, male 842.4
GTEX-17F98-0426-SM-79ONZ 40-49 years, female 841.8
GTEX-Q2AI-0426-SM-48U13 40-49 years, male 841.7
GTEX-18D9U-1626-SM-7KFTW 40-49 years, male 838.7
GTEX-XBED-0226-SM-47JY8 60-69 years, male 837.3
GTEX-13CF3-1026-SM-5LZWY 60-69 years, female 836.6
GTEX-15SDE-0826-SM-6M463 50-59 years, female 832.3
GTEX-U4B1-0726-SM-4DXUA 40-49 years, male 829.0
GTEX-ZTPG-1026-SM-5DUWP 20-29 years, female 820.7
GTEX-1NSGN-1726-SM-EXOJG 50-59 years, male 815.4
GTEX-Q2AH-0926-SM-48TZK 40-49 years, male 812.1
GTEX-P4QS-1026-SM-3NMCW 60-69 years, male 809.9
GTEX-14PHY-1126-SM-664OR 60-69 years, female 809.8
GTEX-1N2EF-2126-SM-DPRYL 60-69 years, male 802.7
GTEX-TMMY-1326-SM-4DXU9 40-49 years, female 801.7
GTEX-ZP4G-0426-SM-4YCER 20-29 years, female 801.6
GTEX-1LG7Z-0326-SM-DHXK3 30-39 years, male 800.8
GTEX-1L5NE-0826-SM-DHXKU 50-59 years, male 796.1
GTEX-132QS-0926-SM-5P9GB 60-69 years, male 795.1
GTEX-144FL-1526-SM-5Q5CA 50-59 years, male 792.3
GTEX-11LCK-0226-SM-5A5M6 30-39 years, male 791.8
GTEX-1H1DG-1426-SM-9OSXP 70-79 years, male 791.2
GTEX-11TT1-0326-SM-5LUAY 20-29 years, male 788.4
GTEX-ZVZP-0626-SM-59HL5 50-59 years, male 782.0
GTEX-1RAZA-1626-SM-EV79I 20-29 years, male 781.3
GTEX-1JKYR-1026-SM-CGQGI 20-29 years, male 777.8
GTEX-R55G-0326-SM-48FDM 40-49 years, female 773.3
GTEX-WFJO-0626-SM-4LVMC 30-39 years, male 770.9
GTEX-1K2DU-1026-SM-DHXKC 20-29 years, male 769.2
GTEX-WY7C-1026-SM-4OND3 50-59 years, male 769.0
GTEX-1H11D-0926-SM-9OSXO 40-49 years, male 765.7
GTEX-13X6H-0626-SM-5LU53 50-59 years, female 764.1
GTEX-1AX8Z-1726-SM-731DE 60-69 years, male 762.9
GTEX-Y114-0826-SM-4TT77 50-59 years, female 754.1
GTEX-11VI4-0426-SM-5EGHZ 40-49 years, female 752.8
GTEX-11XUK-0626-SM-5N9ES 40-49 years, female 749.0
GTEX-14PN4-1626-SM-6AJB5 50-59 years, male 748.3
GTEX-1H1E6-0826-SM-9WG83 30-39 years, male 745.8
GTEX-SNOS-0926-SM-4DM7A 40-49 years, male 741.6
GTEX-1QP29-1926-SM-DPRZO 50-59 years, male 741.4
GTEX-144GN-0826-SM-5LU5G 50-59 years, male 739.4
GTEX-1H23P-2026-SM-9OSXY 60-69 years, male 735.2
GTEX-18A66-2126-SM-7189D 60-69 years, male 729.0
GTEX-1K2DA-0326-SM-CGQGX 50-59 years, male 728.4
GTEX-SE5C-0326-SM-4BRWX 40-49 years, female 721.7
GTEX-1PWST-1526-SM-EXOIT 70-79 years, male 720.5
GTEX-XBEW-1626-SM-4SOJP 40-49 years, male 718.5
GTEX-13OVI-0526-SM-5IFFQ 60-69 years, female 716.1
GTEX-1QW4Y-0926-SM-DPRY2 30-39 years, male 713.0
GTEX-WFG7-0426-SM-4LMK5 20-29 years, male 709.3
GTEX-13W3W-1026-SM-5IFG4 60-69 years, female 707.5
GTEX-TKQ2-0426-SM-4DXUO 50-59 years, male 705.1
GTEX-X4LF-0326-SM-4QAS9 50-59 years, male 703.4
GTEX-13YAN-2126-SM-5Q5C4 60-69 years, male 702.5
GTEX-1C2JI-0926-SM-731F1 50-59 years, male 701.6
GTEX-15EU6-1126-SM-68721 50-59 years, male 698.9
GTEX-ZPIC-0926-SM-4WWFK 40-49 years, female 697.7
GTEX-Y3IK-0426-SM-4WWE2 50-59 years, female 697.4
GTEX-1IDJC-0526-SM-AHZ2Q 50-59 years, male 696.2
GTEX-ZG7Y-0326-SM-4WWEY 50-59 years, male 692.8
GTEX-13FH7-1426-SM-5IFIC 50-59 years, female 692.3
GTEX-UJHI-0626-SM-3DB8T 50-59 years, female 692.0
GTEX-148VI-0826-SM-5TDDI 60-69 years, female 691.7
GTEX-14PJO-1826-SM-69LPR 60-69 years, male 690.0
GTEX-V1D1-0726-SM-4JBH7 50-59 years, male 688.7
GTEX-131XE-1926-SM-5IFER 50-59 years, male 684.6
GTEX-OOBK-1026-SM-48TC2 40-49 years, male 683.8
GTEX-WHWD-0726-SM-4OORX 50-59 years, male 682.5
GTEX-14PJ6-0926-SM-686ZA 60-69 years, female 681.6
GTEX-13O1R-1826-SM-5KM3B 60-69 years, male 681.5
GTEX-ZLWG-0326-SM-4WWC7 50-59 years, female 678.8
GTEX-QDVN-0926-SM-2I5GL 50-59 years, male 678.1
GTEX-S95S-0726-SM-4B64H 60-69 years, male 673.2
GTEX-XPVG-0326-SM-4B653 50-59 years, male 672.2
GTEX-14PN3-0126-SM-6AJAU 60-69 years, female 666.7
GTEX-S4P3-0626-SM-4AD59 50-59 years, female 666.2
GTEX-1S83E-1426-SM-EV7B8 40-49 years, male 665.7
GTEX-ZPU1-0226-SM-4WWC9 40-49 years, male 664.3
GTEX-1HSGN-1426-SM-A8NAA 40-49 years, female 662.7
GTEX-Y5LM-0526-SM-4V6G3 40-49 years, female 658.7
GTEX-PSDG-1526-SM-48TCY 50-59 years, male 657.5
GTEX-1C4CL-0926-SM-79OL2 30-39 years, male 654.4
GTEX-1A3MW-1926-SM-7IGM8 60-69 years, female 652.0
GTEX-ZYFG-0826-SM-5BC5T 60-69 years, female 651.5
GTEX-13FTX-1226-SM-5IFGN 20-29 years, female 645.0
GTEX-XV7Q-0926-SM-4BRVQ 40-49 years, female 643.3
GTEX-1CAMS-1926-SM-7DUEU 40-49 years, female 643.1
GTEX-14DAR-0526-SM-664MX 50-59 years, male 636.5
GTEX-1IDJU-0326-SM-CGQEE 60-69 years, female 635.6
GTEX-1CB4I-1326-SM-79OLY 50-59 years, male 632.3
GTEX-X3Y1-0726-SM-3P5YU 40-49 years, male 628.0
GTEX-12WSN-0826-SM-5GCOF 40-49 years, male 626.2
GTEX-PLZ6-0726-SM-3P619 30-39 years, male 626.0
GTEX-WHPG-0326-SM-4M1XV 50-59 years, male 621.3
GTEX-YF7O-1326-SM-4W1ZR 50-59 years, male 621.3
GTEX-15UF6-1826-SM-6LLI9 70-79 years, female 620.3
GTEX-1LSNM-0726-SM-DHXL1 50-59 years, male 618.6
GTEX-XUW1-1726-SM-4BOOZ 50-59 years, female 613.9
GTEX-1R7EU-0726-SM-DPRZM 60-69 years, male 613.1
GTEX-11P7K-0526-SM-5BC5I 30-39 years, male 612.0
GTEX-WI4N-1826-SM-4OOSF 40-49 years, female 611.8
GTEX-ZV7C-0726-SM-59HKH 50-59 years, male 610.7
GTEX-12WSK-0226-SM-5BC62 40-49 years, female 610.6
GTEX-1B8KZ-0926-SM-731D7 50-59 years, male 606.7
GTEX-1MGNQ-1226-SM-EV7BM 40-49 years, male 603.9
GTEX-1GN1W-1126-SM-9OSW3 50-59 years, female 603.6
GTEX-131XG-1426-SM-5GCMO 50-59 years, female 601.4
GTEX-15ER7-1326-SM-6LPK9 20-29 years, female 597.2
GTEX-1KANA-1526-SM-CXZKG 20-29 years, male 595.4
GTEX-15UKP-1326-SM-6LPI8 20-29 years, male 594.6
GTEX-1GL5R-0926-SM-9JGFO 50-59 years, male 593.1
GTEX-13U4I-1526-SM-5IFFF 40-49 years, female 592.6
GTEX-1AMFI-0726-SM-731D9 50-59 years, female 592.2
GTEX-1F5PL-0726-SM-7MKH8 40-49 years, female 588.2
GTEX-1399S-0326-SM-5IFFS 30-39 years, female 587.5
GTEX-WQUQ-2126-SM-4OOSO 60-69 years, male 584.5
GTEX-15SHV-1526-SM-6LLIB 60-69 years, male 582.2
GTEX-PW2O-0826-SM-48TC5 20-29 years, male 581.7
GTEX-12WSL-0426-SM-5GCNX 50-59 years, male 578.8
GTEX-VJYA-0826-SM-4KL1M 60-69 years, male 578.5
GTEX-V955-0326-SM-4JBGV 60-69 years, male 576.6
GTEX-ZDTT-1126-SM-4WKFW 60-69 years, male 575.0
GTEX-ZEX8-1026-SM-4WKHE 50-59 years, male 571.7
GTEX-14PK6-1026-SM-664NZ 70-79 years, female 569.8
GTEX-14E6E-1426-SM-5RQI2 30-39 years, male 566.9
GTEX-1I1GT-0926-SM-AHZ2G 60-69 years, female 566.3
GTEX-ZZPU-0726-SM-5N9C8 50-59 years, female 566.2
GTEX-14PHX-2026-SM-6872C 50-59 years, male 565.4
GTEX-17MF6-1426-SM-7IGOX 40-49 years, male 563.9
GTEX-R55D-1426-SM-48FEN 50-59 years, male 563.5
GTEX-1AYCT-1226-SM-7EPGH 50-59 years, male 562.5
GTEX-ZVT2-2026-SM-5NQ8Q 50-59 years, female 562.5
GTEX-12WSG-1026-SM-5EGII 50-59 years, female 561.7
GTEX-1I1GU-0326-SM-AHZ2K 40-49 years, male 561.6
GTEX-1211K-1126-SM-5EGGB 60-69 years, female 560.7
GTEX-XXEK-1726-SM-4BRVB 50-59 years, male 560.3
GTEX-1AX9K-2026-SM-731D1 50-59 years, male 554.7
GTEX-13PL7-2226-SM-5L3IC 60-69 years, female 554.2
GTEX-P4PP-1026-SM-3NM9O 30-39 years, female 553.7
GTEX-1M5QR-0926-SM-DHXK8 40-49 years, male 552.7
GTEX-QLQW-0326-SM-447A8 30-39 years, male 552.3
GTEX-OXRK-1526-SM-E6CHJ 50-59 years, female 552.3
GTEX-14PJ4-0726-SM-6872E 60-69 years, male 551.5
GTEX-1MUQO-1426-SM-DPRYJ 60-69 years, male 550.1
GTEX-1N2DV-1726-SM-DPRYR 40-49 years, male 548.2
GTEX-R53T-0426-SM-48FEM 50-59 years, female 546.4
GTEX-14BMU-0726-SM-73KXS 20-29 years, female 544.6
GTEX-1QP2A-1326-SM-EAZ3K 50-59 years, male 544.5
GTEX-11EQ9-1026-SM-5H134 30-39 years, male 543.7
GTEX-13PVR-0726-SM-5S2PX 60-69 years, female 543.3
GTEX-1IDJD-0126-SM-C1YQZ 30-39 years, male 541.6
GTEX-15RJ7-0826-SM-6LLI8 40-49 years, male 540.3
GTEX-14PJN-1526-SM-6AJBP 30-39 years, male 540.0
GTEX-O5YT-1026-SM-3MJGF 20-29 years, male 539.8
GTEX-1R7EV-1126-SM-DPRXU 40-49 years, male 539.6
GTEX-1OFPY-0626-SM-EXOJ4 60-69 years, male 538.6
GTEX-XQ8I-1926-SM-4BOOK 50-59 years, male 534.8
GTEX-1GZ4H-0626-SM-9OSXJ 50-59 years, female 534.0
GTEX-14C39-1026-SM-73KWG 40-49 years, male 533.2
GTEX-OOBJ-1026-SM-3NB2L 60-69 years, male 533.0
GTEX-11I78-0626-SM-5A5LZ 50-59 years, female 532.2
GTEX-PX3G-1026-SM-48TZW 20-29 years, female 529.7
GTEX-1CB4F-1226-SM-7DHKU 60-69 years, male 528.8
GTEX-1HKZK-1126-SM-9WG82 40-49 years, male 525.1
GTEX-1JK1U-1026-SM-AHZ44 60-69 years, male 521.8
GTEX-Y8E4-1326-SM-5IFIY 40-49 years, male 521.4
GTEX-WYJK-2426-SM-4ONDQ 50-59 years, male 520.8
GTEX-1S831-0626-SM-EV79N 20-29 years, male 520.5
GTEX-QV31-0226-SM-447BO 30-39 years, male 518.6
GTEX-ZAB5-0826-SM-5P9FU 50-59 years, male 518.1
GTEX-XYKS-1226-SM-4BRVI 60-69 years, female 517.7
GTEX-YEC3-0626-SM-CMKFG 50-59 years, male 516.6
GTEX-QV44-0426-SM-4R1KF 50-59 years, male 515.8
GTEX-1B97J-1526-SM-79ONI 50-59 years, female 515.1
GTEX-ZVP2-0726-SM-59HKY 50-59 years, male 513.7
GTEX-1LGRB-0426-SM-CNNRD 50-59 years, female 511.5
GTEX-UJMC-1126-SM-3GADP 50-59 years, male 510.1
GTEX-YFCO-1026-SM-5LU9S 40-49 years, male 507.8
GTEX-QLQ7-0626-SM-CE6QX 60-69 years, male 507.8
GTEX-1QP28-1026-SM-EAZ4K 50-59 years, female 505.9
GTEX-RM2N-0326-SM-48FD8 50-59 years, male 503.9
GTEX-S3XE-0526-SM-4AD4G 50-59 years, male 498.1
GTEX-1399R-0426-SM-5IJE3 30-39 years, male 498.0
GTEX-ZPCL-0726-SM-DO91S 60-69 years, female 496.9
GTEX-NFK9-1626-SM-3LK5J 40-49 years, male 495.5
GTEX-1PBJI-2126-SM-DPRYG 20-29 years, female 493.2
GTEX-ZC5H-0826-SM-5N9FH 40-49 years, female 491.6
GTEX-1LVAN-1226-SM-CNNQY 50-59 years, female 482.9
GTEX-145MO-2126-SM-5Q5CZ 60-69 years, male 482.5
GTEX-146FR-0126-SM-5Q5F3 60-69 years, female 480.2
GTEX-1B8KE-0726-SM-72D7G 50-59 years, male 479.6
GTEX-111CU-0526-SM-5EGHK 50-59 years, male 478.0
GTEX-146FQ-1526-SM-5Q5CX 30-39 years, male 477.8
GTEX-Q734-0426-SM-48TZX 40-49 years, female 477.4
GTEX-17HGU-2026-SM-79OKS 50-59 years, male 476.4
GTEX-131XF-1426-SM-5BC68 60-69 years, male 476.3
GTEX-1GN1U-1126-SM-9WPPZ 50-59 years, female 475.3
GTEX-1CAMQ-1626-SM-7MGXG 40-49 years, male 468.8
GTEX-T5JW-0226-SM-4DM7I 20-29 years, female 467.8
GTEX-13FTW-0526-SM-5IFIP 40-49 years, male 466.4
GTEX-WYVS-0926-SM-4SOJV 40-49 years, female 466.3
GTEX-15SB6-0226-SM-6LLIA 50-59 years, female 461.8
GTEX-1S82P-1026-SM-EAZ4W 60-69 years, female 461.8
GTEX-178AV-0226-SM-793B7 40-49 years, male 457.8
GTEX-ZDYS-2526-SM-4WKGU 50-59 years, male 457.7
GTEX-13O61-2126-SM-5IJEO 60-69 years, male 454.7
GTEX-14PJ2-1526-SM-686Z4 50-59 years, male 454.4
GTEX-16Z82-1726-SM-7MGX3 60-69 years, male 453.1
GTEX-16MT8-1726-SM-7EWE7 60-69 years, female 452.0
GTEX-145ME-0326-SM-5S2QO 40-49 years, female 451.4
GTEX-13D11-2226-SM-5IFEO 50-59 years, female 446.1
GTEX-14PJM-2126-SM-6AJAS 50-59 years, female 444.9
GTEX-1K9T9-1726-SM-CXZK1 50-59 years, female 443.7
GTEX-1GMR3-1226-SM-7MGY1 40-49 years, male 441.3
GTEX-W5WG-0826-SM-4RGNE 50-59 years, female 439.8
GTEX-15CHR-2026-SM-7MXU2 50-59 years, male 438.5
GTEX-X15G-0726-SM-4PQZ5 50-59 years, female 436.6
GTEX-17KNJ-1926-SM-7KFRV 50-59 years, male 433.9
GTEX-1B996-1326-SM-731EO 60-69 years, male 433.8
GTEX-OHPM-1026-SM-3LK74 50-59 years, male 433.7
GTEX-S32W-0826-SM-4AD5Z 50-59 years, female 429.7
GTEX-111YS-1226-SM-5EGGJ 60-69 years, male 429.1
GTEX-1R9K5-1226-SM-E6CPQ 50-59 years, male 425.8
GTEX-12BJ1-1126-SM-5EGGG 60-69 years, male 424.7
GTEX-11DXX-0926-SM-5H112 60-69 years, female 421.4
GTEX-132AR-1826-SM-5EGHR 50-59 years, female 419.2
GTEX-11GSP-0426-SM-5A5KX 60-69 years, female 416.7
GTEX-ZLFU-0726-SM-57WF6 40-49 years, male 412.5
GTEX-1OKEX-1726-SM-E9U4F 60-69 years, male 411.5
GTEX-1O97I-1726-SM-EXOIP 60-69 years, male 408.5
GTEX-1A8FM-1826-SM-7MGXO 50-59 years, female 405.1
GTEX-RWS6-1126-SM-47JXC 60-69 years, female 396.4
GTEX-13FLV-0626-SM-5IFEY 50-59 years, male 395.6
GTEX-1QEPI-1626-SM-EAZ3I 60-69 years, female 394.0
GTEX-14AS3-0326-SM-5Q5DB 40-49 years, female 392.4
GTEX-NPJ8-2126-SM-3MJGK 40-49 years, male 392.3
GTEX-ZYW4-2126-SM-59HJ9 60-69 years, male 390.0
GTEX-13SLX-1326-SM-5S2QS 50-59 years, female 388.1
GTEX-14PJ3-0426-SM-6LLHF 50-59 years, male 386.2
GTEX-P4PQ-1026-SM-3NMCN 60-69 years, male 383.7
GTEX-11NSD-0526-SM-5A5LT 20-29 years, male 376.2
GTEX-1GF9X-1126-SM-7MKHC 40-49 years, female 372.5
GTEX-TML8-0526-SM-32QOQ 40-49 years, female 371.7
GTEX-ZF29-1126-SM-4WKGO 60-69 years, female 368.0
GTEX-OHPL-1026-SM-3MJGI 60-69 years, female 363.0
GTEX-ZYY3-0826-SM-5E44R 60-69 years, female 363.0
GTEX-S33H-1226-SM-4AD69 30-39 years, male 358.0
GTEX-YEC4-1326-SM-5IFHG 40-49 years, male 357.4
GTEX-QEL4-1326-SM-447AD 50-59 years, male 356.3
GTEX-ZAK1-2326-SM-5CVMY 50-59 years, female 352.6
GTEX-18A6Q-1726-SM-7LT9A 60-69 years, male 352.1
GTEX-1IL2U-2326-SM-CNNQV 60-69 years, male 347.1
GTEX-17HHE-0526-SM-7DUGR 50-59 years, male 346.1
GTEX-XGQ4-0226-SM-4GIDS 50-59 years, male 346.1
GTEX-WXYG-0826-SM-4ONC7 50-59 years, female 341.3
GTEX-1128S-0826-SM-5GZZI 60-69 years, female 335.2
GTEX-1399U-0926-SM-5IFHA 50-59 years, female 334.1
GTEX-1HSMO-2026-SM-CNNQO 60-69 years, male 332.9
GTEX-17F9E-1426-SM-793BG 50-59 years, male 330.1
GTEX-1AYD5-0326-SM-7EWEO 50-59 years, male 324.8
GTEX-QCQG-0426-SM-48U29 50-59 years, female 322.8
GTEX-1C6VQ-1726-SM-7IGLQ 50-59 years, male 316.4
GTEX-ZF3C-2026-SM-4WWB5 50-59 years, female 308.0
GTEX-N7MT-1626-SM-3LK71 60-69 years, female 299.4
GTEX-1J8EW-1926-SM-CGQGR 60-69 years, female 298.2
GTEX-1JMPZ-1026-SM-CXZJS 30-39 years, male 285.8
GTEX-ZAB4-1726-SM-5HL8C 40-49 years, male 272.7
GTEX-ZYT6-1326-SM-5E453 30-39 years, male 270.2
GTEX-1I1GQ-2226-SM-B2LX1 50-59 years, male 266.7
GTEX-1B933-1726-SM-731FC 50-59 years, female 255.1
GTEX-VUSG-0326-SM-3GIJ7 50-59 years, male 253.1
GTEX-12WSD-1626-SM-5GCNR 60-69 years, female 250.6
GTEX-1CB4G-1826-SM-7MKGO 60-69 years, male 232.0
GTEX-11ONC-0526-SM-5BC57 60-69 years, male 225.4
GTEX-18A7A-1726-SM-7LT93 50-59 years, female 216.3
GTEX-15DYW-1626-SM-6LLI1 60-69 years, female 182.8
Show allShow less

PANCREAS - FANTOM5 CAGEi

RNA expression in human tissues obtained through Cap Analysis of Gene Expression (CAGE) generated by the FANTOM5 project are reported as Scaled Tags Per Million.

Max subtype Scaled Tags Per Millioni

Max subtype Scaled Tags Per Million is the value for the subtype with the largest average Scaled Tags Per Million across the subtype samples.

170.2
FANTOM5 sample id Sample description Scaled Tags Per Million
Pancreas
Scaled Tags Per Million: 170.2
FF:10049-101G4 52 years, male 170.2

Contact

  • NEWS ARTICLES
  • PRESS ROOM

The Project

  • INTRODUCTION
  • ORGANIZATION
  • PUBLICATIONS

The Human Protein Atlas

  • DOWNLOADABLE DATA
  • LICENCE & CITATION
  • HELP & FAQ
The Human Protein Atlas project is funded
by the Knut & Alice Wallenberg Foundation.


contact@proteinatlas.org