We use cookies to enhance the usability of our website. If you continue, we'll assume that you are happy to receive all cookies. More information. Don't show this again.
KRT8
HPA
RESOURCES
  • TISSUE
  • BRAIN
  • SINGLE CELL
  • SUBCELLULAR
  • CANCER
  • BLOOD
  • CELL LINE
  • STRUCTURE & INTERACTION
ABOUT
  • INTRODUCTION
  • HISTORY
  • ORGANIZATION
  • PUBLICATIONS
  • ANTIBODY SUBMISSION
  • ANTIBODY AVAILABILITY
  • ACKNOWLEDGMENTS
  • CONTACT
NEWS
  • NEWS ARTICLES
  • PRESS ROOM
LEARN
  • DICTIONARY
  • PROTEIN CLASSES
  • PROTEIN EVIDENCE
  • METHODS
  • EDUCATIONAL VIDEOS
DATA
  • DOWNLOADABLE DATA
  • PUBLICATION DATA
  • RELEASE HISTORY
HELP
  • ANTIBODY VALIDATION
  • ASSAYS & ANNOTATION
  • DISCLAIMER
  • HELP & FAQ
  • PRIVACY STATEMENT
  • LICENCE & CITATION
Fields »
Search result

Field
Term
Gene name
Class
Subclass
Class
Keyword
Chromosome
External id
Tissue
Cell type
Expression
Antibody panel
Tissue
Main location
Patient ID
Annotation
Tissue
Category
Tau score
Cluster
Reliability
Brain region
Category
Tau score
Brain region
Category
Tau score
Brain region
Category
Tau score
Cluster
Reliability
Tissue
Cell type
Enrichment
Cell type
Category
Tau score
Cell type
Category
Tau score
Cell type
Category
Tau score
Cell lineage
Category
Tau score
Cluster
Cluster
Location
Searches
Location
Cell line
Class
Type
Phase
Reliability
Cancer
Prognosis
Cancer
Category
Cancer
Category
Tau score
Cluster
Variants
Interacting gene (ensg_id)
Type
Number of interactions
Pathway
Category
Score
Score
Score
Validation
Validation
Validation
Validation
Antibodies
Data type
Column


  • SUMMARY

  • TISSUE

  • BRAIN

  • SINGLE CELL

  • SUBCELL

  • CANCER

  • BLOOD

  • CELL LINE

  • STRUCT & INT

  • KRT8
TISSUE PRIMARY DATA SKIN Show tissue menu
ADIPOSE TISSUE ADRENAL GLAND AMYGDALA APPENDIX BASAL GANGLIA BONE MARROW BREAST BRONCHUS CEREBELLUM CEREBRAL CORTEX CERVIX CHOROID PLEXUS COLON DUODENUM
ENDOMETRIUM EPIDIDYMIS ESOPHAGUS FALLOPIAN TUBE GALLBLADDER HEART MUSCLE HIPPOCAMPAL FORMATION HYPOTHALAMUS KIDNEY LIVER LUNG LYMPH NODE MIDBRAIN NASOPHARYNX
ORAL MUCOSA OVARY PANCREAS PARATHYROID GLAND PITUITARY GLAND PLACENTA PROSTATE RECTUM RETINA SALIVARY GLAND SEMINAL VESICLE SKELETAL MUSCLE SKIN SMALL INTESTINE
SMOOTH MUSCLE SOFT TISSUE SPINAL CORD SPLEEN STOMACH TESTIS THYMUS THYROID GLAND TONGUE TONSIL URINARY BLADDER VAGINA
ANTIBODIES
AND
VALIDATION
Dictionary
Skin
Tissue proteome
Skin
SKIN - Expression summary
Protein expression
Skini

On the top, protein expression in current human tissue, based on all annotated cell types, is reported with the units not detected (n), low (l), medium (m) and high (h). Underneath, protein expression in each annotated cell type are reported using the same units.

Protein expression data is based on knowledge-based annotation. For genes where more than one antibody has been used, a collective score is set.

If knowledge-based annotation could not be performed for a gene, no data is displayed here. View antibody staining data further down this page.

h
m
l
n
Arrector pili muscle cells: Not detected
Cells in basal layer: Medium
Cells in corneal layer: Not detected
Cells in granular layer: Not detected
Cells in spinous layer: Not detected
Endothelial cells: Not detected
Extracellular matrix: Not detected
Fibrohistiocytic cells: Not detected
Hair follicles: Not detected
Langerhans cells: Not detected
Lymphocytes: Not detected
Melanocytes: Not detected
Sebaceous glands: Not detected
Vascular mural cells: Not detected
RNA expressioni

A summary of mRNA expression data available for current tissue based on several datasets. The mRNA expression levels in human tissues are based on RNA-seq data generated by the Human Protein Atlas (HPA), Genotype-Tissue Expression (GTEx) portal and CAGE data generated by the FANTOM5 consortium. Consensus normalized expression levels for human tissues was created by combining the data from HPA and GTEx datasets.

The mRNA expression levels in pig are based on RNA-seq data generated by the Human Protein Atlas (HPA), and for mouse, HPA data and in situ hybridization generated by the Allen brain atlas are reported.

Scroll down to view mRNA expression data in more detail.
Consensus:47.7 nTPM
HPA:1.5 nTPM
GTEx:47.7 nTPM

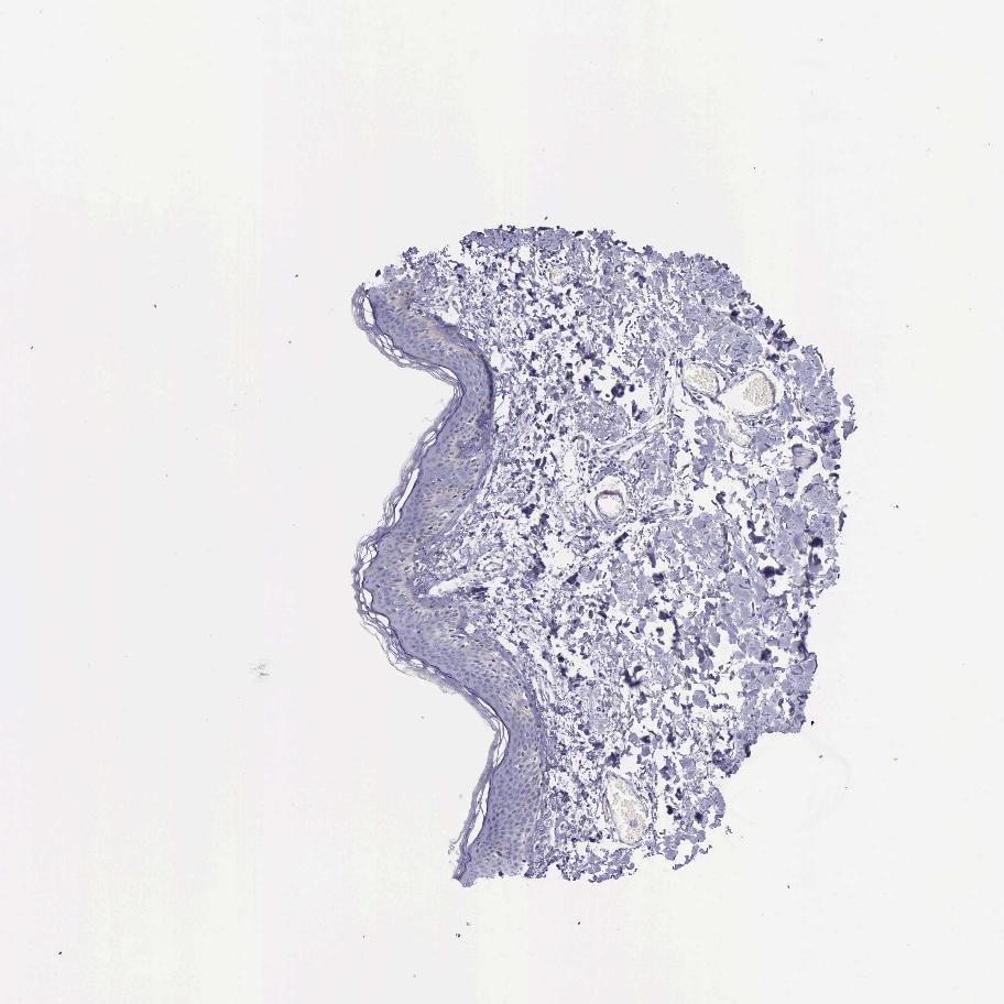
SKIN 1 - Antibody stainingi

Antibody staining in the annotated cell types in the current human tissue is reported as not detected, low, medium, or high, based on conventional immunohistochemistry profiling in selected tissues. This score is based on the combination of the staining intensity and fraction of stained cells.

Each image is clickable and will lead to virtual microscopy that enables deeper exploration of all samples and also displays staining intensity scores, fraction scores and subcellular localization as well as patient and tissue information for each sample.

Antibody HPA049866Antibody CAB000131Antibody CAB001696
Langerhans -Not detectedNot detected
Arrector pili muscle cells Not detected--
Cells in basal layer Not detected--
Cells in corneal layer Not detected--
Cells in granular layer Not detected--
Cells in spinous layer Not detected--
Endothelial cells Not detected--
Extracellular matrix Not detected--
Fibroblasts -Not detectedNot detected
Fibrohistiocytic cells Not detected--
Hair follicles Not detected--
Keratinocytes -Not detectedNot detected
Langerhans cells Not detected--
Lymphocytes Not detected--
Melanocytes Not detectedLowLow
Sebaceous glands Not detected--
Vascular mural cells Not detected--




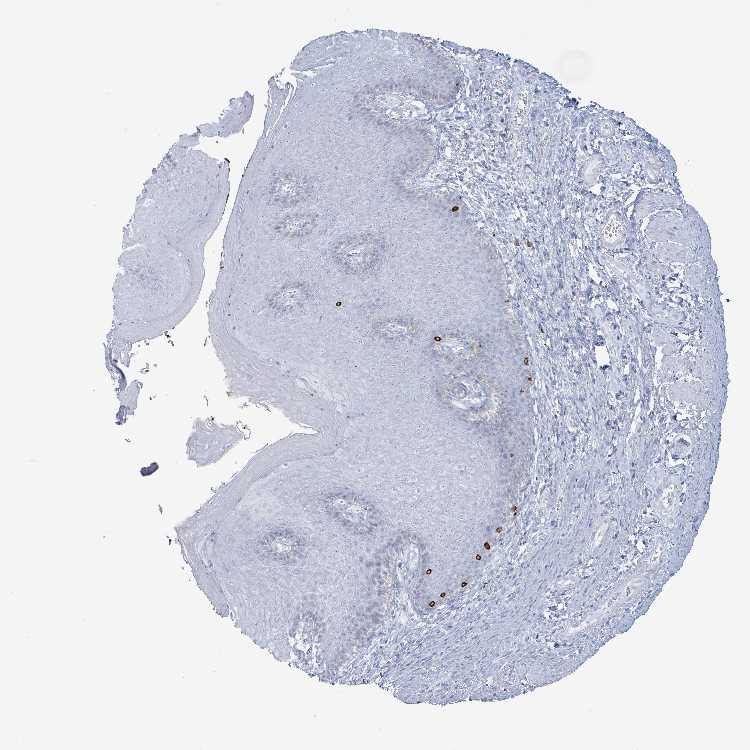
SKIN 2 - Antibody stainingi

Antibody staining in the annotated cell types in the current human tissue is reported as not detected, low, medium, or high, based on conventional immunohistochemistry profiling in selected tissues. This score is based on the combination of the staining intensity and fraction of stained cells.

Each image is clickable and will lead to virtual microscopy that enables deeper exploration of all samples and also displays staining intensity scores, fraction scores and subcellular localization as well as patient and tissue information for each sample.

Antibody HPA049866Antibody CAB000131Antibody CAB001696
Arrector pili muscle cells Not detected--
Cells in basal layer Medium--
Cells in corneal layer Not detected--
Cells in granular layer Not detected--
Cells in spinous layer Not detected--
Endothelial cells Not detected--
Epidermal cells -Not detectedNot detected
Extracellular matrix Not detected--
Fibrohistiocytic cells Not detected--
Langerhans cells Not detected--
Lymphocytes Not detected--
Melanocytes Not detected--
Vascular mural cells Not detected--
   
   
   
   






SKIN - HPA RNA-seqi

The RNA-seq details section shows detailed information about the individual samples used for the transcript profiling and results of the RNA-seq analysis.

Information about each individual sample is listed below, including gender, age, a tissue section image and estimated fractions of cell types. nTPM (normalized transcripts per million) values give a quantification of the gene abundance which is comparable between different genes and samples.
Average nTPMi

Max subtype nTPM is the value for the subtype with the largest average nTPM across the subtype samples.

1.5
overview
Female, age 34
Skin sample 225
nTPM: 1.1
Cell types%
Keratinocytes:
60

Other cell types:
40

overview
Female, age 30
Skin sample 226
nTPM: 1.9
Cell types%
Keratinocytes:
55

Other cell types:
45

N/A
Male, age 57
Skin sample 227
nTPM: 1.7

SKIN - GTEx RNA-seqi

RNA-Seq data generated by the Genotype-Tissue Expression (GTEx) project from human tissues is reported as mean nTPM. More information can be found on the GTEx portal.

Distribution across the dataset is visualized with box plots, shown as median and 25th and 75th percentiles. Points are displayed as outliers if they are above or below 1.5 times the interquartile range. nTPM values of the individual samples are presented next to the box plot.
Max subtype nTPMi

Max subtype nTPM is the value for the subtype with the largest average nTPM across the subtype samples.

47.7
GTEx sample id Sample description nTPM
Skin - Not Sun Exposed (Suprapubic)
Average nTPM: 37.9
Samples: 604

Max nTPM: 211.6
Min nTPM: 0.2
Std nTPM: 36.8
Median nTPM: 27.3
GTEX-1CAV2-0126-SM-7IGN7 40-49 years, female 211.6
GTEX-1C64O-1326-SM-7MGWR 60-69 years, male 188.6
GTEX-11TT1-1826-SM-5EQLV 20-29 years, male 173.4
GTEX-1QP66-1226-SM-DTX7U 50-59 years, male 172.1
GTEX-1F75I-2226-SM-7SB8U 40-49 years, male 171.8
GTEX-YF7O-1526-SM-5IFI6 50-59 years, male 152.8
GTEX-1LGOU-1326-SM-D3L8M 20-29 years, female 152.6
GTEX-1I19N-0126-SM-CYPSF 70-79 years, male 151.6
GTEX-13RTJ-0126-SM-5S2NN 60-69 years, male 149.4
GTEX-1R9K4-2826-SM-DTX8F 60-69 years, male 148.9
GTEX-ZAJG-1526-SM-5CVML 50-59 years, female 148.0
GTEX-145MO-2826-SM-5LU96 60-69 years, male 145.6
GTEX-1B996-0426-SM-7EWF8 60-69 years, male 143.1
GTEX-XOT4-0626-SM-4B66L 60-69 years, female 141.5
GTEX-1HSMP-0926-SM-A9SKX 70-79 years, male 141.3
GTEX-117YX-1926-SM-5GIEC 50-59 years, male 138.1
GTEX-1IDJC-1526-SM-B2LW4 50-59 years, male 137.8
GTEX-XMD2-2126-SM-4YCF8 60-69 years, female 137.0
GTEX-1A32A-0626-SM-731AQ 50-59 years, female 136.9
GTEX-WH7G-2026-SM-3NMBL 40-49 years, male 136.8
GTEX-18A7B-2726-SM-7LG56 70-79 years, male 136.2
GTEX-14DAQ-0626-SM-793DS 60-69 years, female 136.0
GTEX-14E6C-2426-SM-5S2NF 40-49 years, male 131.8
GTEX-1L5NE-1126-SM-D3L9P 50-59 years, male 131.2
GTEX-ZDXO-3126-SM-5IJDF 60-69 years, male 130.9
GTEX-11EM3-1226-SM-5N9DD 20-29 years, female 129.9
GTEX-12WSL-2026-SM-5GCML 50-59 years, male 128.7
GTEX-1192X-2726-SM-5N9DN 50-59 years, male 127.3
GTEX-1QEPI-2626-SM-DTXF4 60-69 years, female 124.2
GTEX-ZYW4-0626-SM-59HJR 60-69 years, male 123.8
GTEX-16NGA-0726-SM-731AO 40-49 years, female 121.3
GTEX-13JUV-2026-SM-5K7UA 40-49 years, female 117.1
GTEX-1H1E6-0426-SM-9WYUS 30-39 years, male 114.9
GTEX-1RAZA-2226-SM-E9U4X 20-29 years, male 114.7
GTEX-1HCU9-0426-SM-9WYSD 20-29 years, male 113.6
GTEX-YB5K-2026-SM-4VDT3 40-49 years, female 113.1
GTEX-ZLWG-0826-SM-59888 50-59 years, female 112.1
GTEX-1H1CY-0126-SM-9YFLY 60-69 years, female 110.9
GTEX-16MT8-2926-SM-7DUFO 60-69 years, female 109.0
GTEX-1O9I2-0226-SM-EYYXD 50-59 years, male 108.6
GTEX-1KANC-1226-SM-CYPT7 50-59 years, female 107.3
GTEX-13FH7-1126-SM-5K7UG 50-59 years, female 107.2
GTEX-WY7C-2126-SM-3NB2R 50-59 years, male 105.2
GTEX-ZT9W-1126-SM-57WDR 50-59 years, male 104.5
GTEX-12BJ1-0926-SM-5EQ62 60-69 years, male 102.1
GTEX-12696-0126-SM-5EQ4L 60-69 years, male 100.2
GTEX-131XH-0126-SM-5LZUY 50-59 years, male 100.1
GTEX-1IL2V-1926-SM-B2LW8 70-79 years, male 99.7
GTEX-Y5V6-2326-SM-4VDSA 60-69 years, male 98.7
GTEX-1ICG6-1226-SM-A9SLN 70-79 years, female 98.4
GTEX-13OVH-0526-SM-5L3E6 70-79 years, male 96.9
GTEX-1GMR2-0826-SM-7PC3V 50-59 years, male 96.0
GTEX-14PJO-2526-SM-6AJBQ 60-69 years, male 95.2
GTEX-1KANA-1326-SM-DIPFA 20-29 years, male 95.2
GTEX-1QP9N-1226-SM-E76QN 30-39 years, male 93.9
GTEX-17F96-0126-SM-7EWDU 70-79 years, male 93.1
GTEX-13OVL-0126-SM-5L3GJ 50-59 years, male 92.3
GTEX-ZVE1-0726-SM-51MRN 50-59 years, female 92.0
GTEX-145LS-0626-SM-7EPG7 60-69 years, female 91.8
GTEX-111FC-2526-SM-5GZXU 60-69 years, male 91.5
GTEX-14BMU-1226-SM-5S2OR 20-29 years, female 91.1
GTEX-17JCI-2926-SM-7DUFF 60-69 years, female 90.8
GTEX-147GR-2426-SM-5ZZWQ 60-69 years, male 90.6
GTEX-ZVP2-0326-SM-57WBP 50-59 years, male 88.0
GTEX-1HR98-2226-SM-ADEI2 60-69 years, male 88.0
GTEX-14E1K-2026-SM-7DUEI 50-59 years, male 87.5
GTEX-ZUA1-2626-SM-5NQ92 40-49 years, male 86.8
GTEX-WFG8-2126-SM-3GIKQ 20-29 years, male 86.1
GTEX-1F75W-2726-SM-7SB8H 60-69 years, male 84.9
GTEX-12WSF-1626-SM-7KUG5 70-79 years, male 84.3
GTEX-1IDJE-1426-SM-ADEIW 50-59 years, female 84.1
GTEX-UPK5-0426-SM-3GAEK 40-49 years, male 83.2
GTEX-1LSNM-0826-SM-DIPG8 50-59 years, male 82.2
GTEX-16XZZ-0726-SM-7KUF2 60-69 years, male 81.7
GTEX-1212Z-0126-SM-59HK4 60-69 years, male 80.3
GTEX-1H3NZ-2726-SM-9WYTQ 60-69 years, male 79.8
GTEX-11P82-1426-SM-DTXFY 20-29 years, male 77.9
GTEX-1J8Q2-2626-SM-ACKWQ 60-69 years, male 76.5
GTEX-1HB9E-0126-SM-CM2S5 50-59 years, male 76.4
GTEX-1GTWX-2026-SM-9YFLM 60-69 years, male 76.2
GTEX-1N5O9-0926-SM-E9J3C 60-69 years, male 76.2
GTEX-13N11-2326-SM-5IJBF 50-59 years, female 75.8
GTEX-139TS-2126-SM-5K7XC 60-69 years, male 75.5
GTEX-YEC3-1326-SM-DO92X 50-59 years, male 75.5
GTEX-11EQ9-1626-SM-5PNY8 30-39 years, male 73.8
GTEX-145MG-1526-SM-5Q5EM 50-59 years, male 73.5
GTEX-1JMLX-0626-SM-ARL8T 50-59 years, male 72.6
GTEX-12WSD-0626-SM-5GCMW 60-69 years, female 72.3
GTEX-1LG7Z-1626-SM-CXKYR 30-39 years, male 72.1
GTEX-11NSD-0626-SM-5A5LU 20-29 years, male 71.8
GTEX-14PJ2-0626-SM-6LLII 50-59 years, male 70.7
GTEX-1H1ZS-2726-SM-9WG75 70-79 years, male 68.8
GTEX-ZWKS-0626-SM-5GIDV 30-39 years, male 68.4
GTEX-XK95-0226-SM-4AT58 40-49 years, male 67.6
GTEX-1S82P-2126-SM-E6CI5 60-69 years, female 67.5
GTEX-ZYFG-1526-SM-5GZYM 60-69 years, female 66.8
GTEX-1497J-0226-SM-5QGPU 60-69 years, male 66.7
GTEX-17EVQ-0126-SM-7IGLR 70-79 years, male 66.1
GTEX-15RJE-2826-SM-7KUM9 40-49 years, male 65.3
GTEX-18A6Q-0626-SM-7KFRP 60-69 years, male 64.7
GTEX-1F52S-2926-SM-7MKGA 60-69 years, female 64.5
GTEX-139TT-2126-SM-5LZWC 60-69 years, male 64.3
GTEX-11ZUS-2626-SM-5FQUR 30-39 years, male 63.9
GTEX-1JMPZ-0726-SM-CY8HZ 30-39 years, male 63.6
GTEX-1QCLZ-2426-SM-EVYBW 60-69 years, female 63.5
GTEX-WEY5-2326-SM-3GIKK 40-49 years, female 63.3
GTEX-1NSGN-0726-SM-DTXEF 50-59 years, male 62.9
GTEX-183FY-1026-SM-7939A 20-29 years, male 62.3
GTEX-XYKS-1426-SM-4BRUO 60-69 years, female 62.3
GTEX-15CHQ-0326-SM-69LQD 60-69 years, male 62.0
GTEX-WHPG-2626-SM-3NMBR 50-59 years, male 61.9
GTEX-1KWVE-1026-SM-D3L9O 30-39 years, male 61.9
GTEX-1RAZS-2526-SM-E6CHT 50-59 years, male 61.6
GTEX-14JFF-0626-SM-5ZZVT 60-69 years, male 61.3
GTEX-18D9B-0926-SM-7LG4U 60-69 years, male 61.0
GTEX-12584-0726-SM-5FQTK 40-49 years, male 60.9
GTEX-16GPK-0626-SM-7KFSF 60-69 years, male 60.7
GTEX-WHSE-0126-SM-3NMBT 20-29 years, male 60.6
GTEX-1F88E-1626-SM-7SB8Z 60-69 years, female 60.6
GTEX-ZDTS-0826-SM-4WKHL 60-69 years, male 60.1
GTEX-1CB4I-0126-SM-7RHGG 50-59 years, male 60.1
GTEX-1F75B-0726-SM-7PC3R 50-59 years, male 59.8
GTEX-15SHW-0226-SM-7LTAT 60-69 years, male 59.7
GTEX-ZVTK-0226-SM-51MRG 20-29 years, male 59.5
GTEX-12WSC-2826-SM-5BC5Y 50-59 years, male 59.1
GTEX-1M4P7-0726-SM-E6CJ3 60-69 years, male 58.4
GTEX-ZU9S-1826-SM-5NQ9E 30-39 years, male 58.3
GTEX-11P7K-1126-SM-5HL4L 30-39 years, male 58.0
GTEX-1GZ4I-2626-SM-9KNU3 50-59 years, male 57.9
GTEX-1AX8Z-0726-SM-73KTS 60-69 years, male 57.8
GTEX-1A3MV-1826-SM-731CD 30-39 years, male 57.7
GTEX-14PHY-1226-SM-5ZZWK 60-69 years, female 57.6
GTEX-15EU6-2226-SM-6EU2L 50-59 years, male 57.6
GTEX-145LT-0526-SM-5LUB2 40-49 years, male 57.3
GTEX-13OVG-1626-SM-5J1NF 60-69 years, male 56.7
GTEX-15D1Q-2826-SM-6LLH7 40-49 years, male 56.0
GTEX-11DXY-0126-SM-5H11Q 60-69 years, male 55.8
GTEX-139TU-0726-SM-5L3EK 60-69 years, male 55.6
GTEX-12ZZY-0726-SM-5EQ66 60-69 years, male 55.4
GTEX-148VJ-0626-SM-5LUAW 70-79 years, male 55.4
GTEX-13NZ9-2626-SM-5L3FK 50-59 years, male 55.3
GTEX-1K2DA-1026-SM-CGQGF 50-59 years, male 55.0
GTEX-1QCLY-0226-SM-EWRNH 30-39 years, male 54.2
GTEX-1A3MX-2626-SM-7PC24 60-69 years, male 54.1
GTEX-11WQC-1826-SM-5GU59 60-69 years, male 54.0
GTEX-14DAR-1226-SM-73KYV 50-59 years, male 54.0
GTEX-15G1A-1626-SM-7KUKN 30-39 years, male 54.0
GTEX-1PIGE-1826-SM-E8VOU 20-29 years, male 53.3
GTEX-131XW-0626-SM-5PNVD 50-59 years, female 53.2
GTEX-1GN1W-2426-SM-9KNUU 50-59 years, female 52.9
GTEX-WYJK-0526-SM-3NM8Z 50-59 years, male 52.8
GTEX-WYBS-0626-SM-3NMAS 60-69 years, female 52.4
GTEX-1GF9W-1426-SM-7PBYM 60-69 years, male 52.2
GTEX-132AR-0326-SM-5KM2C 50-59 years, female 51.7
GTEX-14LLW-2626-SM-62LDZ 70-79 years, female 51.7
GTEX-1GZ2Q-0126-SM-9WG6M 40-49 years, male 51.7
GTEX-11NUK-2726-SM-5A5MC 50-59 years, male 51.6
GTEX-15UF6-1926-SM-7KUDV 70-79 years, female 51.4
GTEX-Y8E4-2026-SM-5IFJB 40-49 years, male 51.4
GTEX-147F4-0726-SM-5TDDD 50-59 years, male 51.3
GTEX-X585-2426-SM-46MW2 50-59 years, male 51.2
GTEX-13X6I-1826-SM-5SIAO 60-69 years, male 50.9
GTEX-146FQ-2126-SM-5RQHU 30-39 years, male 50.8
GTEX-18D9U-0126-SM-731BM 40-49 years, male 50.1
GTEX-12WSM-1926-SM-5BC65 60-69 years, male 49.8
GTEX-18A66-0626-SM-7LT8Z 60-69 years, male 49.8
GTEX-1E1VI-0326-SM-793D1 50-59 years, male 49.8
GTEX-XBED-1926-SM-47JYP 60-69 years, male 49.8
GTEX-1KANB-2826-SM-CY8I6 50-59 years, male 49.6
GTEX-1LSVX-2526-SM-DIPEU 60-69 years, male 49.0
GTEX-Y5LM-0926-SM-6LLJG 40-49 years, female 48.9
GTEX-13SLX-2226-SM-62LEP 50-59 years, female 48.7
GTEX-13FLV-0126-SM-5K7WT 50-59 years, male 48.5
GTEX-ZYFD-0626-SM-5E44E 50-59 years, male 48.2
GTEX-12126-0826-SM-5FQTZ 20-29 years, male 47.9
GTEX-1F6I4-2326-SM-7RHGL 60-69 years, male 47.9
GTEX-17F9E-2326-SM-79OKD 50-59 years, male 47.6
GTEX-1IY9M-2826-SM-ARU8H 60-69 years, male 47.4
GTEX-1QMI2-2526-SM-E8VNZ 60-69 years, male 47.4
GTEX-11EI6-2826-SM-5H11D 60-69 years, male 47.1
GTEX-1JJ6O-2726-SM-CNPOG 60-69 years, male 46.8
GTEX-12C56-1526-SM-5FQUQ 20-29 years, male 46.5
GTEX-1H2FU-0926-SM-9WPPT 60-69 years, female 46.5
GTEX-13NZ8-1226-SM-5KM4A 60-69 years, female 46.0
GTEX-WK11-2726-SM-3NMAQ 50-59 years, male 45.7
GTEX-1LVAN-0626-SM-CNPOQ 50-59 years, female 45.7
GTEX-14753-0726-SM-5QGQO 60-69 years, male 45.6
GTEX-ZDYS-2426-SM-4WKGI 50-59 years, male 45.6
GTEX-13W3W-0726-SM-5IJDQ 60-69 years, female 45.5
GTEX-Y8LW-1526-SM-5IFHL 50-59 years, female 45.2
GTEX-ZVE2-2826-SM-5GU51 50-59 years, male 45.1
GTEX-1CAMR-1326-SM-7PC1F 20-29 years, male 45.0
GTEX-1F5PL-0926-SM-7PC2W 40-49 years, female 44.9
GTEX-17F97-2626-SM-7IGM5 50-59 years, male 44.6
GTEX-1HFI7-2326-SM-CGQFS 50-59 years, female 44.3
GTEX-ZDTT-0426-SM-4WKFL 60-69 years, male 43.9
GTEX-15DDE-2926-SM-6LLJ3 50-59 years, female 43.7
GTEX-1HCU6-2526-SM-ADEHL 60-69 years, female 43.7
GTEX-1CAMQ-1326-SM-7P8RV 40-49 years, male 43.4
GTEX-17MF6-2626-SM-79OKQ 40-49 years, male 43.3
GTEX-1J8JJ-0626-SM-ARZMQ 60-69 years, female 43.1
GTEX-11DYG-1526-SM-5A5JS 60-69 years, male 42.9
GTEX-WRHU-2826-SM-3MJG8 50-59 years, female 42.8
GTEX-1C475-1326-SM-7SB73 40-49 years, female 42.8
GTEX-1KD5A-0126-SM-E9U54 50-59 years, male 42.6
GTEX-145MF-0926-SM-5Q5EA 50-59 years, male 42.4
GTEX-X4EO-2926-SM-4E3JH 60-69 years, female 42.0
GTEX-1E2YA-2126-SM-7MXUO 50-59 years, male 42.0
GTEX-13OVJ-0826-SM-5J1OK 50-59 years, female 41.8
GTEX-1GL5R-1326-SM-7RHHF 50-59 years, male 41.7
GTEX-12WSA-0426-SM-5EQ5X 60-69 years, male 41.6
GTEX-1JN1M-2726-SM-CY8I4 60-69 years, female 41.4
GTEX-14PHX-2226-SM-6EU2P 50-59 years, male 41.0
GTEX-WHWD-1826-SM-3LK6I 50-59 years, male 40.9
GTEX-18D9A-1426-SM-7LT8M 30-39 years, female 40.8
GTEX-1S831-1826-SM-EWROF 20-29 years, male 40.5
GTEX-1LVAO-2726-SM-E9TJ8 60-69 years, male 40.4
GTEX-1RAZQ-1326-SM-E9TK6 30-39 years, male 40.1
GTEX-13112-0126-SM-5P9IU 50-59 years, male 40.0
GTEX-11OF3-0126-SM-5PNYF 60-69 years, male 39.9
GTEX-18465-2826-SM-7LT9J 50-59 years, male 39.9
GTEX-12ZZX-2426-SM-5GCOE 40-49 years, female 39.8
GTEX-1HCVE-2726-SM-CL54F 50-59 years, male 39.4
GTEX-1JMQK-1226-SM-D4P2S 60-69 years, male 39.4
GTEX-1LG7Y-2526-SM-EWRO7 50-59 years, male 39.1
GTEX-XXEK-1626-SM-4BRUZ 50-59 years, male 39.0
GTEX-1IDJF-2026-SM-CL53V 20-29 years, male 38.8
GTEX-VUSG-2326-SM-4KL1U 50-59 years, male 38.7
GTEX-1314G-1326-SM-5BC6E 30-39 years, male 38.5
GTEX-14PKV-1126-SM-6LLJ1 20-29 years, female 38.4
GTEX-1IDJH-0126-SM-D3L92 70-79 years, male 38.3
GTEX-X8HC-0626-SM-4E3HQ 50-59 years, female 38.2
GTEX-11DXW-0826-SM-5H118 40-49 years, male 38.1
GTEX-1I6K6-1726-SM-CGQFD 30-39 years, male 38.1
GTEX-1N2DV-1526-SM-DTXEP 40-49 years, male 38.1
GTEX-1JKYN-0826-SM-ARU8S 30-39 years, male 38.0
GTEX-1I6K7-1926-SM-B2LXR 40-49 years, male 37.9
GTEX-1LBAC-0826-SM-CY8IJ 20-29 years, male 37.9
GTEX-XQ8I-0926-SM-4BOOF 50-59 years, male 37.8
GTEX-VJYA-1526-SM-3GIJV 60-69 years, male 37.6
GTEX-1GF9U-2026-SM-7SB92 40-49 years, female 37.6
GTEX-12KS4-2126-SM-5FQUT 30-39 years, male 37.3
GTEX-13N2G-0226-SM-5K7VF 60-69 years, male 37.1
GTEX-16Z82-2626-SM-7KULU 60-69 years, male 36.6
GTEX-1H1DG-2426-SM-9QEHJ 70-79 years, male 36.5
GTEX-1RAZR-2126-SM-E9U6T 40-49 years, male 36.1
GTEX-XPVG-2126-SM-4B667 50-59 years, male 36.0
GTEX-1HSMO-0626-SM-ACKXC 60-69 years, male 36.0
GTEX-ZXG5-2126-SM-59HKD 60-69 years, male 35.7
GTEX-X4EP-0626-SM-3P621 60-69 years, female 35.4
GTEX-139T8-0626-SM-5KLZX 60-69 years, male 35.2
GTEX-1477Z-0326-SM-7IGLA 60-69 years, male 35.2
GTEX-1RB15-1326-SM-E76Q9 60-69 years, male 35.2
GTEX-1RMOY-1326-SM-E9TIH 50-59 years, male 35.2
GTEX-18A7A-0126-SM-731AH 50-59 years, female 35.0
GTEX-ZF3C-0626-SM-DO92O 50-59 years, female 35.0
GTEX-14JG6-1426-SM-9WG7C 30-39 years, female 34.9
GTEX-1LVAM-0726-SM-E6CIL 50-59 years, female 34.9
GTEX-1IDJU-1726-SM-CMKHU 60-69 years, female 34.7
GTEX-14JG1-1526-SM-5YY9X 40-49 years, male 34.5
GTEX-15CHC-1126-SM-6LLHQ 60-69 years, female 34.3
GTEX-ZYVF-0926-SM-5E44J 50-59 years, female 34.0
GTEX-13D11-0926-SM-5J2NC 50-59 years, female 33.8
GTEX-14PII-0726-SM-6EU2B 60-69 years, male 33.3
GTEX-1211K-1526-SM-5FQU4 60-69 years, female 32.9
GTEX-13N1W-2426-SM-5IJD1 70-79 years, male 32.7
GTEX-16NPX-0726-SM-7KULC 50-59 years, male 32.6
GTEX-1F6IF-0926-SM-7SB7M 60-69 years, male 32.4
GTEX-1I1GP-1326-SM-A9G28 50-59 years, male 32.3
GTEX-1RLM8-2926-SM-E8VON 50-59 years, male 32.3
GTEX-13PVR-0426-SM-5RQK2 60-69 years, female 32.1
GTEX-14BIN-1126-SM-5RQJZ 50-59 years, female 32.1
GTEX-ZZPU-0826-SM-5GZX5 50-59 years, female 32.0
GTEX-11GSP-2326-SM-5HL63 60-69 years, female 31.7
GTEX-1IDJV-0126-SM-COH3Y 60-69 years, male 31.5
GTEX-1MCC2-1826-SM-DIPEX 30-39 years, female 31.5
GTEX-14BMV-2826-SM-5TDED 50-59 years, male 31.0
GTEX-1GMR8-0626-SM-7RHI7 50-59 years, female 31.0
GTEX-WI4N-2726-SM-3LK7Y 40-49 years, female 30.9
GTEX-YFCO-1226-SM-5LUAT 40-49 years, male 30.8
GTEX-1HGF4-0126-SM-CNPPX 60-69 years, male 30.7
GTEX-1HUB1-1426-SM-CGQF5 60-69 years, male 30.5
GTEX-1JKYR-0626-SM-ARL8R 20-29 years, male 30.5
GTEX-131YS-2826-SM-5EQ47 60-69 years, female 30.3
GTEX-1EH9U-2826-SM-7DUGT 60-69 years, male 30.2
GTEX-1IDFM-0326-SM-ARL7V 60-69 years, male 30.2
GTEX-15G19-2426-SM-7KUMR 60-69 years, male 29.8
GTEX-1A8FM-0626-SM-7PC25 50-59 years, female 29.8
GTEX-1B933-2426-SM-7DHMD 50-59 years, female 29.6
GTEX-13X6K-0626-SM-5LU5D 60-69 years, female 29.4
GTEX-1A3MW-0626-SM-731CB 60-69 years, female 29.4
GTEX-1PPH7-1126-SM-DTX9A 40-49 years, male 29.4
GTEX-1JMQI-1726-SM-ARL93 50-59 years, male 29.3
GTEX-139YR-1026-SM-5LZYN 50-59 years, male 29.1
GTEX-1MJK3-0726-SM-E6CJC 20-29 years, male 28.9
GTEX-YECK-0326-SM-4W1YS 60-69 years, male 28.6
GTEX-1PPGY-1626-SM-EVYBL 60-69 years, male 28.4
GTEX-YJ8O-2526-SM-5HL85 40-49 years, female 28.2
GTEX-1F6RS-2026-SM-7RHHC 60-69 years, female 27.9
GTEX-13NYS-0626-SM-5L3F1 60-69 years, male 27.6
GTEX-17MFQ-1526-SM-7KFRR 20-29 years, male 27.6
GTEX-ZTTD-2826-SM-4YCFA 50-59 years, male 27.3
GTEX-1K9T9-1526-SM-DIPFR 50-59 years, female 27.3
GTEX-13OW6-2726-SM-5J2OE 50-59 years, male 27.0
GTEX-ZPU1-1126-SM-4YCF3 40-49 years, male 26.8
GTEX-ZE9C-2526-SM-5IJDR 60-69 years, male 26.4
GTEX-17HHY-0426-SM-7DHLC 50-59 years, male 26.1
GTEX-1C6WA-2626-SM-7MKGM 60-69 years, male 25.8
GTEX-1I1CD-0626-SM-CE6SW 60-69 years, female 25.8
GTEX-145MN-1526-SM-5SI9T 30-39 years, male 25.6
GTEX-ZAK1-0626-SM-5HL8E 50-59 years, female 25.6
GTEX-18QFQ-1826-SM-72D52 30-39 years, male 25.3
GTEX-1HSGN-0826-SM-ACKW3 40-49 years, female 25.2
GTEX-1B97I-0626-SM-73KUZ 40-49 years, male 24.9
GTEX-1LKK1-2626-SM-DKPQE 50-59 years, female 24.8
GTEX-1H1DF-1126-SM-9WG7G 40-49 years, female 24.7
GTEX-13U4I-2226-SM-5LU5H 40-49 years, female 24.6
GTEX-144GO-2026-SM-5O99P 60-69 years, male 24.6
GTEX-1I1GS-2626-SM-B2LY3 60-69 years, male 24.4
GTEX-1GMR3-0126-SM-A9SLW 40-49 years, male 24.3
GTEX-183WM-0326-SM-72D5V 70-79 years, female 24.1
GTEX-1399R-1326-SM-5PNYS 30-39 years, male 24.0
GTEX-15EO6-2426-SM-6PALZ 50-59 years, male 23.9
GTEX-13OW8-1026-SM-5J1NQ 60-69 years, male 23.7
GTEX-XQ3S-1426-SM-4BOPR 20-29 years, male 23.6
GTEX-Y3IK-1626-SM-4YCF5 50-59 years, female 23.6
GTEX-13G51-1826-SM-5KLZH 60-69 years, male 23.4
GTEX-WXYG-2026-SM-4E3IY 50-59 years, female 23.4
GTEX-ZYT6-2326-SM-5GZY3 30-39 years, male 23.4
GTEX-1HBPN-0126-SM-CGQEF 50-59 years, male 23.4
GTEX-X3Y1-2026-SM-3P5YM 40-49 years, male 23.3
GTEX-1PIIG-2326-SM-DTXFR 30-39 years, male 23.3
GTEX-11EQ8-0926-SM-5H12V 60-69 years, male 23.2
GTEX-1QW4Y-1126-SM-DTXE3 30-39 years, male 23.2
GTEX-1F88F-0126-SM-9WYSZ 60-69 years, female 23.0
GTEX-ZTSS-1426-SM-5985P 40-49 years, male 22.9
GTEX-XBEC-0726-SM-4QARZ 50-59 years, male 22.8
GTEX-1S3DN-2126-SM-E9TIN 50-59 years, male 22.8
GTEX-11DZ1-2426-SM-5GZZX 50-59 years, male 22.3
GTEX-15RIE-1926-SM-7KUKJ 60-69 years, male 22.3
GTEX-1R9PM-1926-SM-EVR3O 20-29 years, male 22.2
GTEX-1JJE9-2626-SM-ARZMT 70-79 years, male 22.1
GTEX-11TUW-0626-SM-5LU9M 60-69 years, male 21.6
GTEX-16YQH-2226-SM-7IGM2 30-39 years, male 21.6
GTEX-Z93S-1626-SM-5CVMB 50-59 years, male 21.6
GTEX-11O72-0626-SM-5PNYE 40-49 years, male 21.5
GTEX-1EWIQ-0326-SM-7DHMQ 70-79 years, female 21.1
GTEX-ZP4G-1426-SM-4WWCL 20-29 years, female 21.1
GTEX-14A5H-0826-SM-5QGPJ 60-69 years, male 21.0
GTEX-1GPI7-1826-SM-9KNU1 20-29 years, male 21.0
GTEX-13FTY-2126-SM-5IFFB 40-49 years, female 20.9
GTEX-1LSNL-2726-SM-E9TKJ 50-59 years, male 20.9
GTEX-ZC5H-1526-SM-5HL9Y 40-49 years, female 20.8
GTEX-1F75A-0726-SM-7RHHD 50-59 years, male 20.8
GTEX-14AS3-1526-SM-5Q5ED 40-49 years, female 20.7
GTEX-11DXZ-2026-SM-5987S 50-59 years, male 20.6
GTEX-1H23P-0626-SM-9WG6T 60-69 years, male 20.6
GTEX-13NYB-0126-SM-5J1MD 40-49 years, male 20.5
GTEX-ZZ64-1026-SM-5GZXG 20-29 years, male 20.4
GTEX-11DXX-2126-SM-5PNYR 60-69 years, female 20.2
GTEX-1JN6P-2926-SM-CL54D 60-69 years, male 20.2
GTEX-1OJC3-1226-SM-DTXER 20-29 years, male 20.0
GTEX-UPJH-0226-SM-3GADV 50-59 years, male 19.9
GTEX-ZYFC-0426-SM-5GICQ 50-59 years, male 19.9
GTEX-145ME-1726-SM-5Q5EU 40-49 years, female 19.8
GTEX-13OW5-2326-SM-5L3HO 60-69 years, male 19.4
GTEX-1J1R8-2026-SM-CL53Y 40-49 years, male 19.1
GTEX-1AX9J-1326-SM-731BJ 60-69 years, male 18.9
GTEX-Y5V5-0126-SM-5S2NW 60-69 years, female 18.7
GTEX-1HFI6-0126-SM-CNPPI 40-49 years, male 18.7
GTEX-1S83E-1326-SM-E6CJM 40-49 years, male 18.6
GTEX-XUW1-0926-SM-4BONX 50-59 years, female 18.5
GTEX-111YS-1526-SM-5GZYW 60-69 years, male 18.4
GTEX-1GN1U-0626-SM-9MQL9 50-59 years, female 18.4
GTEX-11WQK-1026-SM-5EQLX 50-59 years, male 18.3
GTEX-1B8KZ-0326-SM-73KY4 50-59 years, male 18.2
GTEX-ZLFU-1826-SM-4WWBV 40-49 years, male 18.1
GTEX-1POEN-2326-SM-E9J2L 30-39 years, female 18.1
GTEX-147F3-1726-SM-5SIAW 50-59 years, female 17.9
GTEX-14ABY-2026-SM-62LDL 50-59 years, male 17.9
GTEX-12WSK-2126-SM-5CVNC 40-49 years, female 17.8
GTEX-ZA64-1026-SM-5HL8R 20-29 years, male 17.2
GTEX-18A67-1626-SM-7LT9T 50-59 years, male 17.1
GTEX-1B8KE-1126-SM-7EPHI 50-59 years, male 17.1
GTEX-14PK6-0226-SM-62LF5 70-79 years, female 17.0
GTEX-V1D1-2026-SM-3GAF4 50-59 years, male 17.0
GTEX-1117F-2926-SM-5GZYI 60-69 years, female 16.9
GTEX-1PBJJ-1026-SM-E76OS 30-39 years, male 16.9
GTEX-13FTX-1526-SM-5K7VJ 20-29 years, female 16.8
GTEX-1AMEY-0826-SM-72D65 30-39 years, female 16.8
GTEX-WFON-1926-SM-3LK7L 40-49 years, male 16.8
GTEX-1C64N-2626-SM-7PC2N 50-59 years, male 16.8
GTEX-1I4MK-0126-SM-CY8G6 50-59 years, female 16.7
GTEX-1AMFI-1326-SM-7939R 50-59 years, female 16.6
GTEX-1IDJD-2326-SM-ACKWX 30-39 years, male 16.5
GTEX-17HGU-2326-SM-7DUFE 50-59 years, male 16.4
GTEX-13113-1626-SM-5EQ4I 60-69 years, female 16.2
GTEX-13O3O-2326-SM-5IJD6 60-69 years, female 16.0
GTEX-Y114-2126-SM-4TT8B 50-59 years, female 15.9
GTEX-1H1DE-1326-SM-9KNUG 20-29 years, male 15.7
GTEX-13X6H-0926-SM-5SIB2 50-59 years, female 15.5
GTEX-1B932-2326-SM-79OL5 40-49 years, female 15.5
GTEX-ZF2S-1626-SM-57WES 50-59 years, female 15.5
GTEX-14LZ3-0126-SM-69LPM 60-69 years, female 15.4
GTEX-1IKOE-1426-SM-CE6T7 30-39 years, female 15.4
GTEX-131XF-2626-SM-5EQ6K 60-69 years, male 15.2
GTEX-17HG3-2626-SM-7DUF2 30-39 years, female 15.2
GTEX-11UD2-2526-SM-5CVNU 50-59 years, male 15.1
GTEX-1HBPI-2126-SM-ARL9K 50-59 years, male 15.1
GTEX-16AAH-0626-SM-793C9 50-59 years, male 15.0
GTEX-1I1GV-0626-SM-ARL7M 60-69 years, male 15.0
GTEX-1PPH8-0126-SM-EWRN8 20-29 years, male 15.0
GTEX-1CB4E-0926-SM-7EPHT 60-69 years, male 14.9
GTEX-13PVQ-0626-SM-5LU47 50-59 years, male 14.7
GTEX-1F48J-0726-SM-7RHGS 50-59 years, female 14.7
GTEX-1GF9X-1326-SM-7PC2Y 40-49 years, female 14.5
GTEX-1HC8U-1326-SM-9YFMJ 40-49 years, female 14.2
GTEX-1R7EU-1626-SM-DTXG3 60-69 years, male 14.2
GTEX-111CU-1126-SM-5EGIM 50-59 years, male 14.0
GTEX-13NYC-0126-SM-5L3F4 60-69 years, male 14.0
GTEX-1JMQJ-0826-SM-CNPP7 50-59 years, male 13.9
GTEX-13OW7-0426-SM-5K7VK 50-59 years, male 13.8
GTEX-1A8G6-2726-SM-731AR 60-69 years, male 13.8
GTEX-1BAJH-2426-SM-7IGP8 70-79 years, male 13.8
GTEX-1B8SF-0126-SM-7DUG3 60-69 years, male 13.5
GTEX-15DYW-2726-SM-6EU2I 60-69 years, female 13.4
GTEX-1LVA9-2626-SM-EVYD4 50-59 years, male 13.4
GTEX-1HR9M-2226-SM-CNPPY 60-69 years, male 13.2
GTEX-1LGRB-0926-SM-COH3K 50-59 years, female 13.2
GTEX-1J1OQ-0126-SM-D4P2N 40-49 years, female 13.0
GTEX-133LE-2326-SM-5K7W3 20-29 years, female 12.9
GTEX-XAJ8-1426-SM-47JYM 40-49 years, male 12.9
GTEX-1H4P4-2126-SM-9WYSL 50-59 years, male 12.9
GTEX-14ICL-1626-SM-5YYAO 30-39 years, male 12.8
GTEX-Y111-0626-SM-4SOIT 50-59 years, male 12.8
GTEX-14PJ6-2626-SM-6EU2T 60-69 years, female 12.7
GTEX-1HSMQ-2626-SM-A9SML 50-59 years, male 12.7
GTEX-1S5ZU-2526-SM-E6CIF 20-29 years, female 12.3
GTEX-YEC4-1826-SM-4W1YP 40-49 years, male 12.2
GTEX-1PDJ9-1226-SM-EXUSX 20-29 years, male 12.2
GTEX-15RIG-0726-SM-7KUM7 40-49 years, male 12.0
GTEX-ZVZP-1226-SM-5GID7 50-59 years, male 11.7
GTEX-11VI4-1126-SM-5EQMD 40-49 years, female 11.6
GTEX-131XG-0326-SM-5L3DX 50-59 years, female 11.6
GTEX-1HCU7-0726-SM-A9SL1 50-59 years, male 11.4
GTEX-14XAO-1226-SM-6EU1C 60-69 years, female 11.2
GTEX-17HHE-1326-SM-7EWDZ 50-59 years, male 11.1
GTEX-1K2DU-1226-SM-CYPT4 20-29 years, male 11.0
GTEX-1S82U-1026-SM-E6CJK 30-39 years, female 10.7
GTEX-ZYY3-2926-SM-5GIEB 60-69 years, female 10.4
GTEX-1HSKV-1226-SM-ADEI4 60-69 years, male 10.4
GTEX-17KNJ-2126-SM-718AM 50-59 years, male 10.3
GTEX-144FL-0626-SM-5LU43 50-59 years, male 10.1
GTEX-178AV-1726-SM-7KUL8 40-49 years, male 10.1
GTEX-17F9Y-0126-SM-79OKX 70-79 years, female 9.9
GTEX-U8XE-0226-SM-4E3J3 30-39 years, male 9.9
GTEX-13YAN-0226-SM-5TDC6 60-69 years, male 9.8
GTEX-1R9PN-0426-SM-DTXDT 40-49 years, female 9.8
GTEX-14PJ3-1126-SM-5ZZVX 50-59 years, male 9.7
GTEX-ZGAY-1826-SM-DO91Q 40-49 years, female 9.6
GTEX-14E6E-0526-SM-793DN 30-39 years, male 9.4
GTEX-12WSH-1526-SM-5BC5W 50-59 years, male 9.3
GTEX-1399Q-2326-SM-5KM2X 40-49 years, male 9.2
GTEX-14PJ5-1526-SM-6LLIL 60-69 years, female 9.2
GTEX-1CAMS-2226-SM-7PBXQ 40-49 years, female 9.2
GTEX-13FTW-0326-SM-5K7UW 40-49 years, male 9.0
GTEX-13VXU-0626-SM-5L3F9 50-59 years, male 9.0
GTEX-11LCK-2226-SM-5HL4Q 30-39 years, male 8.8
GTEX-1399U-1126-SM-5L3DB 50-59 years, female 8.7
GTEX-1C2JI-1026-SM-73KY1 50-59 years, male 8.7
GTEX-1EN7A-2426-SM-793DB 40-49 years, male 8.7
GTEX-1F5PK-2226-SM-7SB6N 50-59 years, male 8.7
GTEX-13O61-1426-SM-5KM3D 60-69 years, male 8.5
GTEX-WYVS-1626-SM-3NM9R 40-49 years, female 8.4
GTEX-1ICLY-0826-SM-CMKG1 50-59 years, male 8.2
GTEX-13O3Q-0126-SM-5KM34 50-59 years, male 8.1
GTEX-145MI-0626-SM-5SI8S 60-69 years, female 8.1
GTEX-1IOXB-2726-SM-CM2RI 50-59 years, male 8.0
GTEX-1QP28-1126-SM-EVYC4 50-59 years, female 8.0
GTEX-1B8L1-2226-SM-7P8PT 60-69 years, male 7.9
GTEX-1HCU8-2526-SM-CE6RX 60-69 years, female 7.9
GTEX-1I1HK-2326-SM-CKZOH 60-69 years, male 7.8
GTEX-139D8-1126-SM-5LU8W 30-39 years, female 7.6
GTEX-1A8G7-1326-SM-73KVM 60-69 years, male 7.6
GTEX-1IE54-1126-SM-A9G2Z 40-49 years, female 7.2
GTEX-16BQI-1326-SM-6M486 30-39 years, female 7.1
GTEX-13OVK-1426-SM-6PAN7 40-49 years, male 6.8
GTEX-1N2EE-0626-SM-E76PW 60-69 years, male 6.8
GTEX-15CHR-1126-SM-7EWF4 50-59 years, male 6.7
GTEX-1AX9I-2226-SM-73KUO 60-69 years, male 6.7
GTEX-139UW-0326-SM-5J1ML 60-69 years, male 6.5
GTEX-1HT8W-0626-SM-A9G2H 30-39 years, male 6.5
GTEX-ZF29-0926-SM-4WKFZ 60-69 years, female 6.4
GTEX-11P81-2226-SM-5PNYI 30-39 years, female 6.3
GTEX-1JMOU-1026-SM-CYPSS 60-69 years, female 6.2
GTEX-15RJ7-2126-SM-6PAMD 40-49 years, male 6.0
GTEX-17F98-1326-SM-7DUEP 40-49 years, female 6.0
GTEX-1HKZK-0726-SM-ACKW2 40-49 years, male 6.0
GTEX-1269C-0126-SM-5EQ5L 60-69 years, female 5.9
GTEX-14A6H-2026-SM-5Q5DD 30-39 years, male 5.8
GTEX-13QJC-0126-SM-5ZZWJ 60-69 years, female 5.7
GTEX-X5EB-1926-SM-4E3IW 40-49 years, male 5.7
GTEX-1JN76-0626-SM-CKZOQ 20-29 years, female 5.7
GTEX-145LU-1926-SM-79OJN 50-59 years, male 5.6
GTEX-13X6J-0626-SM-5LU5F 50-59 years, male 5.5
GTEX-ZE7O-2726-SM-51MT5 50-59 years, female 5.4
GTEX-ZPCL-1126-SM-4WWFE 60-69 years, female 5.4
GTEX-13IVO-0726-SM-5LZYV 70-79 years, male 5.2
GTEX-13QBU-1226-SM-5LU4G 40-49 years, female 5.2
GTEX-1CB4F-1026-SM-7DUH1 60-69 years, male 5.2
GTEX-1GF9V-0826-SM-9KNUV 60-69 years, male 5.2
GTEX-1JK1U-0226-SM-ARZMX 60-69 years, male 5.2
GTEX-144GM-0526-SM-79OJO 20-29 years, male 5.1
GTEX-14B4R-1326-SM-5Q5EZ 30-39 years, male 5.1
GTEX-1CB4H-1126-SM-7MKGL 60-69 years, female 4.8
GTEX-1JMQL-2226-SM-CNPP4 50-59 years, female 4.7
GTEX-1KAFJ-0126-SM-DIPEK 50-59 years, male 4.7
GTEX-1QAET-0326-SM-EVR3U 50-59 years, male 4.7
GTEX-17EVP-2626-SM-7IGMA 40-49 years, male 4.6
GTEX-1MCYP-0526-SM-E9U6Q 20-29 years, female 4.5
GTEX-1H3VE-0726-SM-9YFL5 40-49 years, male 4.3
GTEX-1KXAM-1626-SM-D3LAD 60-69 years, male 4.2
GTEX-111VG-1626-SM-5EGIO 60-69 years, male 4.1
GTEX-147JS-0226-SM-5S2U9 60-69 years, male 3.4
GTEX-1EKGG-0626-SM-7DUGJ 60-69 years, male 3.2
GTEX-ZVT4-2426-SM-5GIEI 50-59 years, female 3.2
GTEX-1GZ4H-0526-SM-9KNU9 50-59 years, female 3.1
GTEX-1I1GU-0926-SM-ACKVS 40-49 years, male 3.1
GTEX-1EU9M-1426-SM-793AI 60-69 years, male 3.0
GTEX-W5X1-2526-SM-3GILC 40-49 years, female 3.0
GTEX-Y9LG-1126-SM-4VBQ7 30-39 years, male 3.0
GTEX-ZAB4-2126-SM-5HL8U 40-49 years, male 3.0
GTEX-16MTA-0926-SM-6M47Z 50-59 years, male 2.8
GTEX-1JMPY-0226-SM-CKZOK 30-39 years, male 2.8
GTEX-ZPIC-0526-SM-DO91W 40-49 years, female 2.8
GTEX-11ZTT-2126-SM-5CVLO 60-69 years, female 2.7
GTEX-XV7Q-1826-SM-4BRUV 40-49 years, female 2.5
GTEX-1OJC4-2726-SM-E76PJ 50-59 years, female 2.5
GTEX-17HII-1426-SM-7EPGG 50-59 years, male 2.4
GTEX-1QP29-1826-SM-DTX9S 50-59 years, male 2.4
GTEX-1C6VR-0126-SM-7RHGB 60-69 years, male 2.3
GTEX-1HCUA-0826-SM-ADEHM 50-59 years, female 2.3
GTEX-12WSJ-1126-SM-5LZVJ 40-49 years, female 2.2
GTEX-1CB4J-1326-SM-7P8RX 60-69 years, male 2.2
GTEX-11PRG-0726-SM-5EGL1 50-59 years, male 2.1
GTEX-XBEW-1126-SM-4QARW 40-49 years, male 2.1
GTEX-ZY6K-1426-SM-5GZX2 50-59 years, male 2.1
GTEX-13VXT-1926-SM-5K7UO 20-29 years, female 2.0
GTEX-WHSB-1326-SM-3LK6W 50-59 years, male 2.0
GTEX-ZT9X-1526-SM-5DUXD 40-49 years, male 2.0
GTEX-1GN2E-0226-SM-9WG6K 60-69 years, male 2.0
GTEX-1J8Q3-0526-SM-ARL8U 60-69 years, male 2.0
GTEX-1J8QM-2426-SM-A9SLS 60-69 years, female 2.0
GTEX-14C39-1726-SM-5RQIL 40-49 years, male 1.9
GTEX-15ER7-0626-SM-6PANF 20-29 years, female 1.8
GTEX-1EX96-1026-SM-7MKG2 50-59 years, male 1.8
GTEX-WFG7-2026-SM-5SI7P 20-29 years, male 1.8
GTEX-1122O-1026-SM-9WYSF 60-69 years, female 1.8
GTEX-ZLV1-1526-SM-DO91J 60-69 years, female 1.8
GTEX-13SLW-0626-SM-5Q5ER 70-79 years, male 1.7
GTEX-14PKU-0126-SM-6LLHV 40-49 years, female 1.7
GTEX-1C6VQ-1226-SM-73KYD 50-59 years, male 1.7
GTEX-ZVT2-0126-SM-5GIDQ 50-59 years, female 1.7
GTEX-1GMRU-2126-SM-7P8RA 50-59 years, male 1.7
GTEX-1GZHY-0626-SM-9KNVC 50-59 years, female 1.7
GTEX-1399S-0126-SM-5IJCF 30-39 years, female 1.6
GTEX-13FHO-0426-SM-5L3F5 60-69 years, male 1.6
GTEX-13JVG-0726-SM-5KM16 60-69 years, male 1.6
GTEX-145MH-2826-SM-5RQJF 50-59 years, male 1.6
GTEX-16MT9-0126-SM-7EPI8 60-69 years, female 1.6
GTEX-1HBPM-0726-SM-9YFL7 60-69 years, female 1.6
GTEX-1IDJI-0126-SM-CMKHS 50-59 years, female 1.6
GTEX-ZTX8-1326-SM-4YCEL 20-29 years, male 1.5
GTEX-1ICLZ-0326-SM-ARL82 60-69 years, male 1.5
GTEX-1IKJJ-2226-SM-CJI4C 60-69 years, male 1.5
GTEX-13PDP-0726-SM-5L3HP 60-69 years, male 1.4
GTEX-14C5O-0326-SM-5ZZUX 60-69 years, male 1.4
GTEX-14PJN-1826-SM-6AJ98 30-39 years, male 1.4
GTEX-Y3I4-1726-SM-4TT89 50-59 years, male 1.4
GTEX-1H3O1-1326-SM-9MQLD 60-69 years, male 1.4
GTEX-1NV5F-0626-SM-DTXEG 60-69 years, female 1.4
GTEX-11GS4-0226-SM-5HL77 60-69 years, male 1.3
GTEX-15FZZ-0526-SM-7KUGD 30-39 years, female 1.3
GTEX-1GN73-0726-SM-7P8TJ 60-69 years, male 1.3
GTEX-11ZU8-0126-SM-5EQ58 60-69 years, male 1.2
GTEX-1J8EW-2726-SM-CY8HR 60-69 years, female 1.2
GTEX-1R46S-2426-SM-E76QA 60-69 years, female 1.2
GTEX-12ZZZ-0726-SM-5GCNZ 60-69 years, male 1.1
GTEX-1313W-0626-SM-5EQ4H 50-59 years, female 1.1
GTEX-144GL-0626-SM-5LU4D 50-59 years, male 1.1
GTEX-15SKB-2826-SM-6PAMH 60-69 years, male 1.1
GTEX-1H11D-1826-SM-9QEHM 40-49 years, male 1.1
GTEX-14C38-0726-SM-5SI6M 50-59 years, male 1.0
GTEX-1EMGI-2326-SM-7PBYA 60-69 years, male 0.9
GTEX-1JJEA-1826-SM-ARU8P 60-69 years, male 0.9
GTEX-1QP2A-1726-SM-E76QC 50-59 years, male 0.9
GTEX-13PL6-1126-SM-5L3IE 40-49 years, female 0.8
GTEX-1GPI6-1926-SM-9KNV7 60-69 years, male 0.8
GTEX-1AYD5-2626-SM-7PBXY 50-59 years, male 0.7
GTEX-1I1GT-1026-SM-ARZLV 60-69 years, female 0.7
GTEX-1LB8K-0726-SM-D5OV2 50-59 years, male 0.7
GTEX-1QPFJ-1926-SM-EVYBD 30-39 years, female 0.6
GTEX-1GN1V-2826-SM-9JGIA 60-69 years, male 0.5
GTEX-14PJ4-0226-SM-5YY92 60-69 years, male 0.2
Show allShow less
Skin - Sun Exposed (Lower leg)
Average nTPM: 47.7
Samples: 701

Max nTPM: 309.6
Min nTPM: 0.6
Std nTPM: 38.4
Median nTPM: 38.0
GTEX-14ICK-0226-SM-6EU25 40-49 years, male 309.6
GTEX-S7PM-0126-SM-4AD6S 60-69 years, male 254.8
GTEX-1R9PO-2126-SM-E9J4O 60-69 years, female 231.6
GTEX-1F75I-0326-SM-9YFLU 40-49 years, male 220.8
GTEX-1HSMO-0126-SM-CL547 60-69 years, male 203.6
GTEX-11UD1-0126-SM-5PNYG 40-49 years, female 198.3
GTEX-1IKK5-0626-SM-ARL8A 60-69 years, male 198.1
GTEX-1HSMP-0126-SM-E6CJS 70-79 years, male 190.5
GTEX-1B996-0226-SM-7RHGO 60-69 years, male 185.8
GTEX-1NHNU-1026-SM-E9J2A 50-59 years, male 183.6
GTEX-13RTJ-2426-SM-5S2Q2 60-69 years, male 180.6
GTEX-1ICG6-2526-SM-CGQFZ 70-79 years, female 179.3
GTEX-139T8-0126-SM-5K7XZ 60-69 years, male 169.0
GTEX-11P7K-2126-SM-5GU7G 30-39 years, male 161.6
GTEX-15SB6-1726-SM-6PAME 50-59 years, female 154.7
GTEX-XQ8I-0426-SM-4BOPO 50-59 years, male 152.6
GTEX-1RLM8-2326-SM-EWRN4 50-59 years, male 145.7
GTEX-12WSD-0126-SM-59HKN 60-69 years, female 141.6
GTEX-15D1Q-0126-SM-7KUG6 40-49 years, male 140.5
GTEX-OHPM-0126-SM-2YUN9 50-59 years, male 140.3
GTEX-14JIY-0126-SM-6LLH6 60-69 years, male 136.7
GTEX-OXRO-0126-SM-2YUN4 60-69 years, female 135.2
GTEX-ZE9C-2726-SM-57WB5 60-69 years, male 134.5
GTEX-1GPI6-0126-SM-9WG69 60-69 years, male 132.9
GTEX-P4PQ-0126-SM-2S1NM 60-69 years, male 131.1
GTEX-11ZUS-0626-SM-59885 30-39 years, male 130.3
GTEX-12126-0326-SM-5PNW3 20-29 years, male 129.1
GTEX-139T4-0226-SM-5HL5S 50-59 years, female 127.9
GTEX-1QP2A-0126-SM-E9J43 50-59 years, male 127.9
GTEX-1N2DV-0226-SM-E6CJ6 40-49 years, male 127.1
GTEX-12WSN-5019-SM-79OM6 40-49 years, male 123.3
GTEX-WRHK-1426-SM-3MJF9 20-29 years, female 122.2
GTEX-13FHO-0226-SM-5IFGY 60-69 years, male 119.3
GTEX-R55G-2526-SM-2TC6D 40-49 years, female 118.9
GTEX-1PPH7-2326-SM-EVYB8 40-49 years, male 116.8
GTEX-O5YW-0126-SM-3LK6D 50-59 years, male 116.5
GTEX-11ZTT-2426-SM-5EQLS 60-69 years, female 115.4
GTEX-1CAV2-2226-SM-7P8P2 40-49 years, female 114.6
GTEX-131XF-5016-SM-7MGWE 60-69 years, male 113.5
GTEX-18D9B-0526-SM-7LTAS 60-69 years, male 113.1
GTEX-1AX9I-0126-SM-7SB74 60-69 years, male 112.7
GTEX-X62O-0126-SM-4E3JN 50-59 years, male 110.2
GTEX-OXRP-0126-SM-3NB32 60-69 years, female 109.1
GTEX-U4B1-1826-SM-4DXSU 40-49 years, male 108.4
GTEX-1AMEY-1326-SM-73KYK 30-39 years, female 108.0
GTEX-1NV5F-0226-SM-E8VNY 60-69 years, female 106.8
GTEX-1H1CY-2826-SM-9MQM3 60-69 years, female 106.2
GTEX-T5JC-0426-SM-32PLO 20-29 years, male 103.1
GTEX-1PBJI-0526-SM-E8VNK 20-29 years, female 102.9
GTEX-1GTWX-0126-SM-9YFLK 60-69 years, male 102.1
GTEX-131XW-0426-SM-5LZWP 50-59 years, female 101.6
GTEX-XYKS-2126-SM-4E3IB 60-69 years, female 100.7
GTEX-1F75A-0126-SM-7RHGM 50-59 years, male 100.6
GTEX-1J8QM-2126-SM-CYPSJ 60-69 years, female 100.3
GTEX-1I19N-0326-SM-ACKVX 70-79 years, male 100.0
GTEX-1C6WA-0126-SM-7PC2B 60-69 years, male 99.6
GTEX-14BIM-0226-SM-7IGLD 60-69 years, female 99.5
GTEX-1AX9K-2326-SM-73KWU 50-59 years, male 99.4
GTEX-15EU6-0426-SM-6PAN5 50-59 years, male 99.3
GTEX-Y3I4-2126-SM-4TT7C 50-59 years, male 98.9
GTEX-YB5K-2126-SM-4WWDJ 40-49 years, female 98.1
GTEX-1CB4J-0626-SM-7DHMP 60-69 years, male 97.4
GTEX-OXRL-0126-SM-2YUMP 50-59 years, male 97.2
GTEX-1RAZQ-0726-SM-EAZ43 30-39 years, male 95.7
GTEX-1GN1W-0526-SM-9MQJQ 50-59 years, female 95.5
GTEX-1A3MX-0126-SM-731BR 60-69 years, male 95.4
GTEX-1H1DE-2126-SM-9WG6R 20-29 years, male 95.0
GTEX-1F75B-0126-SM-9KNVL 50-59 years, male 94.9
GTEX-YEC4-2126-SM-5IFJH 40-49 years, male 94.1
GTEX-1AX8Z-0126-SM-7DHM6 60-69 years, male 94.0
GTEX-144GN-2326-SM-5LU4F 50-59 years, male 93.8
GTEX-13FH7-2026-SM-E9J4I 50-59 years, female 93.2
GTEX-RVPV-0126-SM-EAZAW 60-69 years, male 92.7
GTEX-13O1R-0126-SM-5L3EH 60-69 years, male 92.2
GTEX-1F6I4-0126-SM-9MQL2 60-69 years, male 92.0
GTEX-1211K-2026-SM-5EQ4Z 60-69 years, female 91.9
GTEX-OHPL-0126-SM-2HMJ7 60-69 years, female 91.9
GTEX-1H3O1-0426-SM-9YFKY 60-69 years, male 91.6
GTEX-11GS4-2726-SM-5A5LE 60-69 years, male 91.4
GTEX-11ZU8-2526-SM-5EQKI 60-69 years, male 91.3
GTEX-13W3W-2426-SM-5LU5B 60-69 years, female 91.3
GTEX-1C64O-0126-SM-7SB8P 60-69 years, male 90.8
GTEX-1LG7Y-0526-SM-DKPQC 50-59 years, male 90.4
GTEX-1LSNM-1926-SM-E6CII 50-59 years, male 90.3
GTEX-1KD5A-0226-SM-D5OV3 50-59 years, male 90.0
GTEX-1HSMQ-1226-SM-CGQFX 50-59 years, male 89.5
GTEX-1I1GP-2226-SM-CGQFK 50-59 years, male 89.5
GTEX-18465-0126-SM-731BN 50-59 years, male 88.9
GTEX-ZDTS-0126-SM-4WAY5 60-69 years, male 88.5
GTEX-WOFL-0126-SM-3MJG2 60-69 years, male 87.7
GTEX-15SHW-0326-SM-6PAML 60-69 years, male 87.5
GTEX-1ICLY-0126-SM-D4P36 50-59 years, male 86.9
GTEX-1CAMR-1926-SM-7EPI2 20-29 years, male 86.5
GTEX-PWO3-1526-SM-48TCM 60-69 years, female 86.4
GTEX-XMD2-0126-SM-4YCDU 60-69 years, female 86.3
GTEX-1B933-0126-SM-7PC29 50-59 years, female 85.7
GTEX-RN64-0126-SM-2TC68 50-59 years, male 85.5
GTEX-S95S-1226-SM-4GICG 60-69 years, male 85.1
GTEX-QEG4-0226-SM-2S1PY 30-39 years, male 84.9
GTEX-1J8Q3-1626-SM-CMKGC 60-69 years, male 84.7
GTEX-13VXT-0126-SM-5LU4I 20-29 years, female 84.6
GTEX-1JMQI-2226-SM-CM2SD 50-59 years, male 83.6
GTEX-147F4-0226-SM-5QGPW 50-59 years, male 83.4
GTEX-117YW-2626-SM-5GZZH 50-59 years, male 83.3
GTEX-117YX-2326-SM-5H12W 50-59 years, male 82.8
GTEX-WY7C-2326-SM-3NB2U 50-59 years, male 82.6
GTEX-13O21-1426-SM-5K7XI 50-59 years, male 82.5
GTEX-1QCLY-0326-SM-E8VOG 30-39 years, male 81.8
GTEX-11WQC-2526-SM-5CVLE 60-69 years, male 80.9
GTEX-ZYFD-0126-SM-5GIDL 50-59 years, male 80.8
GTEX-1J8Q2-0526-SM-CM2RW 60-69 years, male 80.6
GTEX-14DAQ-0126-SM-5S2MQ 60-69 years, female 80.4
GTEX-14BIL-0126-SM-5SI92 50-59 years, male 80.3
GTEX-12WSK-2326-SM-5GCOH 40-49 years, female 80.1
GTEX-1497J-2426-SM-7IGNX 60-69 years, male 79.6
GTEX-OXRK-0226-SM-3NB2G 50-59 years, female 79.3
GTEX-1IGQW-0126-SM-COH42 60-69 years, male 78.7
GTEX-U3ZM-1526-SM-3DB9D 40-49 years, male 78.4
GTEX-16XZZ-0126-SM-793DV 60-69 years, male 78.2
GTEX-X4XX-0126-SM-3NMC2 60-69 years, male 77.8
GTEX-WH7G-2326-SM-3NMBC 40-49 years, male 77.3
GTEX-14E6C-0126-SM-5RQIP 40-49 years, male 77.0
GTEX-Y5V6-2426-SM-4VDSB 60-69 years, male 76.9
GTEX-13IVO-0126-SM-5J1NG 70-79 years, male 76.3
GTEX-ZQUD-1426-SM-57WER 30-39 years, male 76.0
GTEX-17HHE-2026-SM-79OKF 50-59 years, male 75.9
GTEX-1HKZK-0326-SM-9WYUH 40-49 years, male 75.8
GTEX-1AYCT-2426-SM-7IGQ3 50-59 years, male 75.7
GTEX-T2YK-0526-SM-32QPJ 50-59 years, male 75.1
GTEX-14PJ3-1826-SM-62LEX 50-59 years, male 75.0
GTEX-ZE7O-0126-SM-57WC1 50-59 years, female 74.9
GTEX-1QW4Y-1526-SM-EAZ3Z 30-39 years, male 74.7
GTEX-148VI-1626-SM-5SI6E 60-69 years, female 74.2
GTEX-1IDJF-0126-SM-CM2RS 20-29 years, male 74.1
GTEX-ZVZP-2426-SM-59HKJ 50-59 years, male 74.0
GTEX-1H3VY-0126-SM-ACKXD 50-59 years, male 73.9
GTEX-1C2JI-1826-SM-73KXC 50-59 years, male 73.8
GTEX-1IKOH-0226-SM-COH4E 60-69 years, female 73.5
GTEX-13OW7-0126-SM-5MR3B 50-59 years, male 73.0
GTEX-1RDX4-0126-SM-E9J4P 50-59 years, female 72.9
GTEX-1MCQQ-0826-SM-DLHC2 60-69 years, male 72.8
GTEX-16MT8-0426-SM-7KUEY 60-69 years, female 72.6
GTEX-1A3MV-1926-SM-718BT 30-39 years, male 72.3
GTEX-XBED-2226-SM-47JYQ 60-69 years, male 72.3
GTEX-UPJH-0326-SM-3GADU 50-59 years, male 71.4
GTEX-1N2EF-0226-SM-EYYXB 60-69 years, male 71.4
GTEX-1QP29-0626-SM-EWRMX 50-59 years, male 71.0
GTEX-ZVT2-2526-SM-51MT1 50-59 years, female 70.9
GTEX-RU72-0926-SM-2TF6B 50-59 years, female 70.7
GTEX-1H1E6-1726-SM-ACKVK 30-39 years, male 70.5
GTEX-13PVR-2326-SM-5QGR1 60-69 years, female 70.4
GTEX-1HSEH-0126-SM-ACKXN 60-69 years, male 70.4
GTEX-13O3Q-2426-SM-5IJBR 50-59 years, male 70.3
GTEX-14A5I-0126-SM-5TDEA 50-59 years, female 70.3
GTEX-1H23P-0126-SM-ADEJ3 60-69 years, male 70.2
GTEX-1H2FU-0126-SM-9WYSI 60-69 years, female 70.2
GTEX-16NGA-1726-SM-731B4 40-49 years, female 69.7
GTEX-131XH-2226-SM-5DUXJ 50-59 years, male 69.6
GTEX-1HFI6-0226-SM-ADEHZ 40-49 years, male 69.0
GTEX-1QP9N-1426-SM-DTXFL 30-39 years, male 68.9
GTEX-14E7W-0126-SM-6LLJ9 70-79 years, male 68.8
GTEX-146FR-1326-SM-E9J48 60-69 years, female 68.7
GTEX-113JC-2326-SM-5EQ4E 50-59 years, female 68.5
GTEX-1AMFI-2026-SM-731BH 50-59 years, female 68.0
GTEX-W5WG-1826-SM-4KL2Y 50-59 years, female 68.0
GTEX-1MA7X-2226-SM-E6CIY 60-69 years, male 68.0
GTEX-1R7EV-2426-SM-EVYBG 40-49 years, male 67.3
GTEX-18A7A-0226-SM-718BH 50-59 years, female 67.1
GTEX-13FTX-1826-SM-5J1NX 20-29 years, female 66.9
GTEX-1GN1V-0126-SM-9WPOS 60-69 years, male 66.7
GTEX-17EUY-0426-SM-793BD 20-29 years, male 66.2
GTEX-1HBPH-0426-SM-B2LW5 40-49 years, female 65.9
GTEX-SUCS-1926-SM-32PM3 70-79 years, male 65.7
GTEX-1IL2V-0126-SM-CM2TX 70-79 years, male 65.5
GTEX-17F98-0626-SM-79OMX 40-49 years, female 65.1
GTEX-T6MO-1626-SM-32QOM 40-49 years, female 64.6
GTEX-PWCY-1826-SM-DHXIZ 20-29 years, female 64.3
GTEX-U8T8-0126-SM-3DB94 60-69 years, male 63.9
GTEX-TMZS-0126-SM-3DB9Q 60-69 years, male 63.8
GTEX-183FY-0126-SM-7LT9P 20-29 years, male 63.4
GTEX-1I1GS-0126-SM-B2LVW 60-69 years, male 63.2
GTEX-VJWN-0126-SM-3GIK7 50-59 years, female 63.1
GTEX-1GL5R-1826-SM-9KNUY 50-59 years, male 62.9
GTEX-1128S-2326-SM-5GZZY 60-69 years, female 62.5
GTEX-11EM3-2426-SM-59861 20-29 years, female 62.4
GTEX-1IDFM-0126-SM-COH2V 60-69 years, male 61.8
GTEX-RTLS-0126-SM-447CA 60-69 years, female 61.6
GTEX-WVJS-0126-SM-4MVOT 50-59 years, male 61.4
GTEX-1I1GU-2226-SM-CGQFA 40-49 years, male 61.2
GTEX-13NYS-0126-SM-5MR3W 60-69 years, male 61.1
GTEX-1JJE9-0326-SM-CL53Z 70-79 years, male 61.1
GTEX-SIU8-0126-SM-2XCDT 50-59 years, male 60.6
GTEX-18D9U-0226-SM-718BP 40-49 years, male 60.4
GTEX-QVJO-1626-SM-2S1QW 60-69 years, female 60.1
GTEX-ZDXO-3026-SM-5J1N5 60-69 years, male 59.9
GTEX-1B8KZ-2026-SM-7DHMB 50-59 years, male 59.8
GTEX-1QP66-1726-SM-E8VO1 50-59 years, male 59.6
GTEX-146FQ-0126-SM-5NQA9 30-39 years, male 59.5
GTEX-11OF3-2626-SM-5GU7F 60-69 years, male 59.4
GTEX-14PN3-2426-SM-6LLHS 60-69 years, female 58.9
GTEX-13G51-2526-SM-5LZYK 60-69 years, male 58.7
GTEX-13U4I-0126-SM-5LU38 40-49 years, female 58.6
GTEX-13RTK-1426-SM-5QGQJ 20-29 years, male 58.5
GTEX-1F6RS-0126-SM-9MQKZ 60-69 years, female 58.5
GTEX-11TT1-2526-SM-5EGIB 20-29 years, male 58.4
GTEX-1JKYN-1326-SM-CGQG9 30-39 years, male 58.3
GTEX-RM2N-1426-SM-2TF4H 50-59 years, male 58.2
GTEX-W5X1-3026-SM-EAZAX 40-49 years, female 58.0
GTEX-1MCYP-1926-SM-E9J2R 20-29 years, female 57.9
GTEX-13FTW-2626-SM-5K7WL 40-49 years, male 57.8
GTEX-1GZ2Q-0226-SM-7P8TL 40-49 years, male 57.6
GTEX-1JMQJ-0526-SM-CYPSU 50-59 years, male 57.4
GTEX-1JN1M-0326-SM-CYPT3 60-69 years, female 57.4
GTEX-WQUQ-0426-SM-3MJFU 60-69 years, male 57.1
GTEX-1C6VQ-0126-SM-7P8RI 50-59 years, male 56.7
GTEX-16NPX-0226-SM-79OMT 50-59 years, male 56.5
GTEX-X261-0126-SM-3NMD6 50-59 years, male 56.2
GTEX-13QJ3-0326-SM-5S2RA 50-59 years, male 55.8
GTEX-14DAR-2026-SM-5S2O3 50-59 years, male 55.8
GTEX-XQ3S-1526-SM-4BOOC 20-29 years, male 55.8
GTEX-131YS-0126-SM-5KM1M 60-69 years, female 55.7
GTEX-13113-5016-SM-7EPIP 60-69 years, female 55.6
GTEX-QLQ7-1626-SM-2S1R8 60-69 years, male 55.5
GTEX-1GPI7-0126-SM-9MQL8 20-29 years, male 54.8
GTEX-WXYG-2326-SM-4E3I6 50-59 years, female 54.7
GTEX-1MGNQ-0126-SM-EVYCJ 40-49 years, male 54.4
GTEX-1A32A-0126-SM-718B1 50-59 years, female 53.8
GTEX-11TTK-0126-SM-5987B 60-69 years, female 53.5
GTEX-1QP67-1626-SM-EAZ3X 40-49 years, female 53.4
GTEX-ZYW4-0126-SM-5E44A 60-69 years, male 53.3
GTEX-PW2O-1526-SM-7RHHB 20-29 years, male 53.1
GTEX-16AAH-1726-SM-7939C 50-59 years, male 52.9
GTEX-1I1GV-0526-SM-A9G29 60-69 years, male 52.8
GTEX-1I1CD-0126-SM-CM2TK 60-69 years, female 52.7
GTEX-14PHX-2326-SM-62LEM 50-59 years, male 52.6
GTEX-1HGF4-2426-SM-ACKXM 60-69 years, male 52.5
GTEX-144FL-0126-SM-5TDC8 50-59 years, male 52.4
GTEX-WYJK-0126-SM-3NMAB 50-59 years, male 52.3
GTEX-1CB4I-0226-SM-79OLH 50-59 years, male 52.2
GTEX-1PFEY-1526-SM-E76PP 30-39 years, male 52.2
GTEX-1RB15-2126-SM-E9TIM 60-69 years, male 52.0
GTEX-Y111-0126-SM-4SOIV 50-59 years, male 51.8
GTEX-X4EO-0326-SM-3P5YO 60-69 years, female 51.4
GTEX-1PPH8-0226-SM-E8VND 20-29 years, male 51.4
GTEX-11NSD-2226-SM-5986V 20-29 years, male 51.1
GTEX-14PHW-0126-SM-6LLJI 60-69 years, female 50.9
GTEX-145MI-0526-SM-5O9A8 60-69 years, female 50.5
GTEX-18A7B-0126-SM-7LG64 70-79 years, male 50.5
GTEX-1IL2U-0226-SM-CE6T8 60-69 years, male 50.5
GTEX-13OW6-0426-SM-5L3HM 50-59 years, male 50.4
GTEX-V1D1-2226-SM-3NMAX 50-59 years, male 50.4
GTEX-1KANB-0526-SM-E6CJH 50-59 years, male 50.4
GTEX-Y3IK-2426-SM-4WWDU 50-59 years, female 50.3
GTEX-11TUW-2726-SM-E9J4M 60-69 years, male 50.2
GTEX-1LC47-0326-SM-E9TJP 60-69 years, male 50.2
GTEX-13OVI-1426-SM-5L3EY 60-69 years, female 50.1
GTEX-RNOR-0126-SM-E9J4R 50-59 years, female 50.1
GTEX-R55E-0126-SM-2TC5Y 20-29 years, male 50.0
GTEX-11ZVC-2526-SM-5FQTE 50-59 years, female 49.9
GTEX-17F97-0326-SM-7LG5B 50-59 years, male 49.8
GTEX-WZTO-0126-SM-3NM95 40-49 years, male 49.7
GTEX-146FH-0126-SM-5QGPP 50-59 years, female 49.5
GTEX-X4XY-0226-SM-4E3IZ 60-69 years, male 49.2
GTEX-145LV-2126-SM-5LU8N 50-59 years, male 49.0
GTEX-S7SE-0126-SM-2XCD5 50-59 years, male 49.0
GTEX-1I6K6-0126-SM-A9SLE 30-39 years, male 48.8
GTEX-1K2DA-1826-SM-CGQGT 50-59 years, male 48.7
GTEX-14A5H-0426-SM-5QGQF 60-69 years, male 48.4
GTEX-ZVT3-0126-SM-5GU6I 60-69 years, female 47.9
GTEX-18A6Q-0126-SM-731BZ 60-69 years, male 47.8
GTEX-1J1R8-1726-SM-ARL8M 40-49 years, male 47.8
GTEX-17F96-1626-SM-7DUFL 70-79 years, male 47.7
GTEX-14ABY-0226-SM-5TDCQ 50-59 years, male 47.5
GTEX-13FHP-0126-SM-5IJBG 50-59 years, male 47.4
GTEX-14753-0426-SM-5NQAM 60-69 years, male 47.1
GTEX-15DCD-0126-SM-7KUEK 70-79 years, female 46.9
GTEX-13JUV-2726-SM-5LZZ8 40-49 years, female 46.8
GTEX-13YAN-0326-SM-5O9DF 60-69 years, male 46.8
GTEX-111VG-2426-SM-5GZXD 60-69 years, male 46.7
GTEX-U412-0426-SM-3DB9O 60-69 years, male 46.7
GTEX-PLZ4-0126-SM-5SI8O 50-59 years, female 46.6
GTEX-QESD-1426-SM-2S1R9 20-29 years, male 46.5
GTEX-QDVJ-1726-SM-2I5FX 50-59 years, male 46.4
GTEX-ZGAY-0526-SM-4WWBB 40-49 years, female 46.3
GTEX-1JKYR-0126-SM-CNPOJ 20-29 years, male 46.3
GTEX-1IY9M-0126-SM-D3L8S 60-69 years, male 46.1
GTEX-Y5LM-1926-SM-5RQJH 40-49 years, female 45.9
GTEX-13O3O-0126-SM-E9J49 60-69 years, female 45.9
GTEX-PLZ6-1426-SM-DKPOT 30-39 years, male 45.8
GTEX-1MUQO-0126-SM-EAZ58 60-69 years, male 45.6
GTEX-13NZ8-0826-SM-5MR3I 60-69 years, female 45.5
GTEX-15CHC-2126-SM-6EU21 60-69 years, female 45.4
GTEX-QDVN-2026-SM-3GAEP 50-59 years, male 45.4
GTEX-1192X-0226-SM-5H12D 50-59 years, male 45.3
GTEX-11GSO-2426-SM-5A5LY 60-69 years, male 45.2
GTEX-145MO-0326-SM-5Q5B3 60-69 years, male 45.0
GTEX-1KANA-0726-SM-D3L9I 20-29 years, male 44.7
GTEX-12ZZX-0126-SM-5EGK9 40-49 years, female 44.6
GTEX-15DDE-0126-SM-6LPKH 50-59 years, female 44.5
GTEX-17HGU-0226-SM-7DHKV 50-59 years, male 44.5
GTEX-1S5ZA-0126-SM-EVYCV 20-29 years, male 44.3
GTEX-OOBJ-0126-SM-E6CJW 60-69 years, male 44.3
GTEX-16XZY-2126-SM-79OK1 70-79 years, male 44.2
GTEX-NPJ8-0126-SM-2YUNR 40-49 years, male 44.1
GTEX-1F5PL-0326-SM-7P8PQ 40-49 years, female 44.1
GTEX-11DXX-2426-SM-5GZZW 60-69 years, female 43.9
GTEX-145LT-1726-SM-5QGP3 40-49 years, male 43.9
GTEX-1HBPI-1526-SM-C1YQ1 50-59 years, male 43.9
GTEX-14LZ3-0226-SM-62LET 60-69 years, female 43.7
GTEX-Z93T-0126-SM-5HL5N 50-59 years, male 43.7
GTEX-1S82Z-0826-SM-E6CHY 30-39 years, female 43.7
GTEX-11NUK-0126-SM-5A5L3 50-59 years, male 43.5
GTEX-14A6H-0126-SM-5QGPK 30-39 years, male 43.5
GTEX-11ZTS-0126-SM-5EQ6M 60-69 years, female 43.4
GTEX-1RQEC-0426-SM-E6CHU 60-69 years, male 43.2
GTEX-XXEK-2226-SM-4BRUM 50-59 years, male 42.7
GTEX-1OFPY-2426-SM-DTXEJ 60-69 years, male 42.7
GTEX-132NY-0326-SM-5IJBL 60-69 years, male 42.4
GTEX-X8HC-0126-SM-4E3JW 50-59 years, female 42.3
GTEX-1IE54-0126-SM-CMKHW 40-49 years, female 42.0
GTEX-14BMU-2226-SM-5TDE9 20-29 years, female 41.8
GTEX-13S7M-0126-SM-5SI6A 60-69 years, female 41.7
GTEX-1C4CL-0526-SM-73KVK 30-39 years, male 41.3
GTEX-QLQW-1126-SM-2S1Q8 30-39 years, male 41.3
GTEX-17GQL-2026-SM-718BA 60-69 years, male 41.2
GTEX-1JN6P-0126-SM-D3L98 60-69 years, male 41.2
GTEX-1PIGE-0126-SM-EVYBJ 20-29 years, male 41.2
GTEX-145MF-0626-SM-5LUAI 50-59 years, male 41.0
GTEX-Q2AI-1326-SM-2S1PL 40-49 years, male 41.0
GTEX-OIZF-0126-SM-7SB8I 60-69 years, male 40.5
GTEX-YB5E-2026-SM-5IFIS 40-49 years, male 40.4
GTEX-1GF9W-0326-SM-9KNUN 60-69 years, male 40.4
GTEX-13NZA-0226-SM-5K7Z7 60-69 years, male 40.2
GTEX-13X6J-0126-SM-5QGOU 50-59 years, male 40.1
GTEX-11UD2-0226-SM-5EQKY 50-59 years, male 39.9
GTEX-1AYD5-2426-SM-73KXR 50-59 years, male 39.9
GTEX-169BO-1326-SM-9MQK2 50-59 years, male 39.9
GTEX-14PJM-0226-SM-62LF1 50-59 years, female 39.7
GTEX-XAJ8-0826-SM-47JY6 40-49 years, male 39.5
GTEX-15UKP-0426-SM-7KUFQ 20-29 years, male 39.3
GTEX-O5YT-0126-SM-48TBW 20-29 years, male 39.3
GTEX-TKQ1-1026-SM-4GICL 30-39 years, male 39.3
GTEX-139TU-0126-SM-5K7WH 60-69 years, male 38.9
GTEX-1J8JJ-0226-SM-CL53I 60-69 years, female 38.8
GTEX-11DXY-2626-SM-5GIE7 60-69 years, male 38.5
GTEX-15SHU-0126-SM-7KUEH 40-49 years, female 38.3
GTEX-QV44-1926-SM-2S1RF 50-59 years, male 38.3
GTEX-11EMC-2926-SM-5EQ4F 60-69 years, female 38.1
GTEX-ZVT4-0126-SM-DTXFN 50-59 years, female 38.1
GTEX-13VXU-0126-SM-5SI9F 50-59 years, male 38.0
GTEX-X4EP-0126-SM-3P5YV 60-69 years, female 38.0
GTEX-113IC-0126-SM-5HL6T 60-69 years, male 37.3
GTEX-17HG3-2226-SM-7938L 30-39 years, female 37.3
GTEX-14PK6-1926-SM-6ETZU 70-79 years, female 37.1
GTEX-1S3DN-2226-SM-EVYCD 50-59 years, male 37.1
GTEX-YJ8A-0426-SM-5IFID 20-29 years, male 36.9
GTEX-UJHI-1526-SM-3DB99 50-59 years, female 36.8
GTEX-1EU9M-0226-SM-7P8SP 60-69 years, male 36.7
GTEX-Q2AH-1626-SM-3GAF8 40-49 years, male 36.5
GTEX-1F7RK-0126-SM-7PC2S 20-29 years, female 36.3
GTEX-1LNCM-1126-SM-E9U5E 50-59 years, female 36.3
GTEX-13W46-0226-SM-5SIAG 50-59 years, male 36.2
GTEX-147GR-0526-SM-5S2MY 60-69 years, male 36.0
GTEX-17EVQ-0226-SM-7LG4P 70-79 years, male 36.0
GTEX-1JMOU-1526-SM-CL54I 60-69 years, female 35.7
GTEX-1GZ4H-1726-SM-7PBZJ 50-59 years, female 35.6
GTEX-17MF6-0126-SM-7LG4F 40-49 years, male 35.4
GTEX-1H1ZS-0426-SM-9WG6G 70-79 years, male 35.4
GTEX-13OVH-0126-SM-5MR4B 70-79 years, male 35.2
GTEX-ZPIC-1726-SM-DHXIU 40-49 years, female 35.2
GTEX-11OC5-0126-SM-5HL6A 60-69 years, male 35.1
GTEX-1399R-2726-SM-5IJBA 30-39 years, male 35.1
GTEX-X585-0226-SM-4QAS2 50-59 years, male 35.1
GTEX-11P82-1626-SM-59879 20-29 years, male 35.0
GTEX-PVOW-0126-SM-2XCFA 40-49 years, male 35.0
GTEX-139UW-2826-SM-5L3E7 60-69 years, male 34.8
GTEX-1RAZA-0126-SM-E6CI3 20-29 years, male 34.8
GTEX-1313W-0126-SM-5LZUN 50-59 years, female 34.6
GTEX-1B8SG-0126-SM-73KZ3 50-59 years, male 34.6
GTEX-1EMGI-0126-SM-9KNUE 60-69 years, male 34.6
GTEX-1IDJU-2626-SM-CM2RT 60-69 years, female 34.6
GTEX-1JJ6O-0126-SM-E6CI8 60-69 years, male 34.6
GTEX-1HBPN-0226-SM-9YFM1 50-59 years, male 34.5
GTEX-131XG-2626-SM-5KM17 50-59 years, female 34.4
GTEX-ZAB4-0226-SM-5N9F5 40-49 years, male 34.4
GTEX-15G19-0126-SM-6PANQ 60-69 years, male 34.2
GTEX-U3ZH-2026-SM-3DB78 30-39 years, male 34.1
GTEX-1LGRB-2526-SM-CNPPQ 50-59 years, female 33.8
GTEX-148VJ-0126-SM-5TDDN 70-79 years, male 33.7
GTEX-QDT8-0126-SM-48TZ1 30-39 years, female 33.7
GTEX-12WSA-0226-SM-5BC5V 60-69 years, male 33.6
GTEX-NFK9-0226-SM-2HMKQ 40-49 years, male 33.5
GTEX-XUW1-0426-SM-4BOOT 50-59 years, female 33.5
GTEX-X5EB-2226-SM-46MW4 40-49 years, male 33.4
GTEX-11XUK-2026-SM-5EQLF 40-49 years, female 33.3
GTEX-SJXC-0126-SM-2XCFF 60-69 years, male 33.3
GTEX-1HCUA-2426-SM-ADEIS 50-59 years, female 33.2
GTEX-13FXS-0226-SM-5IJCK 50-59 years, male 33.1
GTEX-1314G-1526-SM-5EGK2 30-39 years, male 33.0
GTEX-13CF2-2526-SM-5LZYX 60-69 years, male 32.9
GTEX-13OVL-0226-SM-5L3E9 50-59 years, male 32.9
GTEX-1PDJ9-0326-SM-DTX95 20-29 years, male 32.8
GTEX-ZF28-0126-SM-4WKGK 60-69 years, male 32.7
GTEX-ZTPG-0326-SM-5O9AX 20-29 years, female 32.6
GTEX-Y8E4-0626-SM-4WWDL 40-49 years, male 32.5
GTEX-1F88F-2726-SM-7PBZZ 60-69 years, female 32.4
GTEX-1B8KE-2126-SM-73KYX 50-59 years, male 32.2
GTEX-Y8DK-0126-SM-4TT3L 60-69 years, male 32.2
GTEX-1HCU9-1526-SM-A9SL7 20-29 years, male 32.2
GTEX-15UF6-0826-SM-6PALJ 70-79 years, female 32.1
GTEX-1I1HK-0126-SM-COH49 60-69 years, male 32.1
GTEX-SN8G-0126-SM-32PLI 50-59 years, female 31.9
GTEX-111FC-0126-SM-5N9DL 60-69 years, male 31.8
GTEX-12KS4-0326-SM-5EQ41 30-39 years, male 31.7
GTEX-145LU-0126-SM-5TDCB 50-59 years, male 31.7
GTEX-14E6D-0126-SM-62LDV 50-59 years, male 31.5
GTEX-12C56-1726-SM-5EQ61 20-29 years, male 31.4
GTEX-ZF3C-0126-SM-DO92D 50-59 years, female 31.1
GTEX-ZZPT-0226-SM-5E43X 50-59 years, male 30.9
GTEX-1I1GR-0126-SM-CL55F 60-69 years, male 30.8
GTEX-13RTL-0126-SM-7LG5S 40-49 years, male 30.7
GTEX-1IOXB-0126-SM-ARL8G 50-59 years, male 30.7
GTEX-Q734-1926-SM-2I5EV 40-49 years, female 30.4
GTEX-1KD4Q-0226-SM-E9TJ9 40-49 years, male 30.4
GTEX-14LLW-0126-SM-6LLIO 70-79 years, female 30.3
GTEX-11P81-2326-SM-59875 30-39 years, female 30.0
GTEX-13O3P-0126-SM-5KM4S 50-59 years, male 29.9
GTEX-1I1GQ-0126-SM-COH3H 50-59 years, male 29.9
GTEX-1S82Y-2026-SM-EVYCM 40-49 years, male 29.9
GTEX-1C6VS-0526-SM-7DUEN 60-69 years, male 29.8
GTEX-RWSA-0126-SM-2XCBB 40-49 years, male 29.6
GTEX-ZU9S-0226-SM-5E441 30-39 years, male 29.6
GTEX-145MN-2226-SM-5SIAU 30-39 years, male 29.4
GTEX-TMMY-0226-SM-33HBA 40-49 years, female 29.4
GTEX-11DZ1-0126-SM-5985Q 50-59 years, male 29.3
GTEX-1HCU6-0126-SM-CL54K 60-69 years, female 28.9
GTEX-T2IS-0126-SM-4DM6O 20-29 years, female 28.8
GTEX-1EKGG-0226-SM-9WYTH 60-69 years, male 28.7
GTEX-1J8EW-0126-SM-CJI4F 60-69 years, female 28.7
GTEX-TSE9-0126-SM-3DB83 60-69 years, female 28.6
GTEX-1HCVE-0126-SM-CGQEU 50-59 years, male 28.6
GTEX-ZQG8-1626-SM-DHXIT 60-69 years, female 28.6
GTEX-13NYC-0326-SM-E9J4S 60-69 years, male 28.5
GTEX-1A8FM-0226-SM-7SB7Q 50-59 years, female 28.5
GTEX-1CB4G-0226-SM-7PC3O 60-69 years, male 28.5
GTEX-1JN76-0126-SM-CNPPE 20-29 years, female 28.5
GTEX-1GMRU-0126-SM-9YFLV 50-59 years, male 28.3
GTEX-1HSGN-0226-SM-CGQFV 40-49 years, female 28.3
GTEX-1KWVE-1426-SM-E9TJO 30-39 years, male 28.3
GTEX-ZZ64-1726-SM-5GZYB 20-29 years, male 28.2
GTEX-14C5O-0126-SM-5SI6N 60-69 years, male 27.9
GTEX-17HII-0226-SM-7LG4E 50-59 years, male 27.9
GTEX-1EWIQ-0126-SM-7RHH2 70-79 years, female 27.9
GTEX-144GL-0126-SM-5TDE2 50-59 years, male 27.7
GTEX-13FTY-0526-SM-5L3EV 40-49 years, female 27.5
GTEX-18QFQ-0126-SM-731BE 30-39 years, male 27.5
GTEX-OIZG-0726-SM-33HBL 50-59 years, male 27.5
GTEX-ZAB5-1826-SM-5HL7C 50-59 years, male 27.3
GTEX-13N11-2526-SM-5K7UE 50-59 years, female 27.2
GTEX-17HHY-0126-SM-7LG5D 50-59 years, male 27.2
GTEX-TML8-1926-SM-32QOS 40-49 years, female 27.1
GTEX-1CB4F-0426-SM-9KNV4 60-69 years, male 27.0
GTEX-1B8L1-2526-SM-9WYTF 60-69 years, male 26.6
GTEX-13N1W-0126-SM-5K7VT 70-79 years, male 26.5
GTEX-1HUB1-0426-SM-E9U4U 60-69 years, male 26.5
GTEX-1KXAM-2226-SM-CYPTC 60-69 years, male 26.5
GTEX-13OVK-2026-SM-7KUEO 40-49 years, male 26.4
GTEX-1HFI7-1826-SM-ACKXH 50-59 years, female 26.4
GTEX-1E1VI-0126-SM-7DHMZ 50-59 years, male 26.3
GTEX-1GN73-0226-SM-9WG67 60-69 years, male 26.3
GTEX-14PN4-0126-SM-6EU2V 50-59 years, male 26.2
GTEX-1H3NZ-0126-SM-ACKX7 60-69 years, male 26.2
GTEX-1I4MK-2226-SM-ACKWD 50-59 years, female 26.2
GTEX-XUYS-0126-SM-47JWZ 50-59 years, male 26.1
GTEX-1JMPY-1326-SM-ARL8Y 30-39 years, male 26.1
GTEX-1QEPI-0126-SM-EWRMQ 60-69 years, female 26.1
GTEX-13NYB-2526-SM-5K7Z6 40-49 years, male 25.7
GTEX-13PDP-0126-SM-5L3HD 60-69 years, male 25.7
GTEX-16BQI-0226-SM-7KUEX 30-39 years, female 25.7
GTEX-13OVJ-0126-SM-5KM36 50-59 years, female 25.6
GTEX-15EOM-0126-SM-7KUGG 20-29 years, female 25.6
GTEX-15F5U-1526-SM-6PANO 40-49 years, male 25.5
GTEX-1GF9X-2026-SM-7PC3A 40-49 years, female 25.4
GTEX-139TT-0126-SM-5K7Y5 60-69 years, male 25.3
GTEX-12WSE-0526-SM-793B2 20-29 years, male 25.2
GTEX-17MFQ-1726-SM-793C7 20-29 years, male 25.1
GTEX-1R46S-0626-SM-E9J41 60-69 years, female 25.1
GTEX-1GN2E-0426-SM-9MQKX 60-69 years, male 25.0
GTEX-1H1DG-0126-SM-9WYU2 70-79 years, male 24.8
GTEX-1F48J-0126-SM-7P8TT 50-59 years, female 24.7
GTEX-P44H-0226-SM-2XCEU 40-49 years, male 24.6
GTEX-P4PP-0126-SM-3LK69 30-39 years, female 24.5
GTEX-1POEN-0126-SM-EYYXJ 30-39 years, female 24.5
GTEX-12584-0126-SM-5EGKQ 40-49 years, male 24.4
GTEX-12ZZZ-0626-SM-5DUXI 60-69 years, male 24.4
GTEX-14BIN-0626-SM-793DP 50-59 years, female 24.4
GTEX-18A66-0226-SM-718BD 60-69 years, male 24.4
GTEX-1HBPM-0226-SM-ARL9F 60-69 years, female 24.4
GTEX-Y114-2426-SM-4TT8A 50-59 years, female 24.2
GTEX-U3ZN-2326-SM-3DB7W 30-39 years, female 24.0
GTEX-1BAJH-0526-SM-793CQ 70-79 years, male 23.9
GTEX-1LGOU-2026-SM-DIPFF 20-29 years, female 23.9
GTEX-12ZZY-0226-SM-5LZVE 60-69 years, male 23.5
GTEX-RWS6-2026-SM-2XCB5 60-69 years, female 23.4
GTEX-YFC4-0126-SM-5CVLY 40-49 years, female 23.4
GTEX-1IDJH-0326-SM-A9SLQ 70-79 years, male 23.1
GTEX-11EQ9-2426-SM-5HL5T 30-39 years, male 23.0
GTEX-1F52S-0126-SM-9MQJU 60-69 years, female 23.0
GTEX-1K2DU-2326-SM-E9TIV 20-29 years, male 23.0
GTEX-XPVG-2626-SM-4B669 50-59 years, male 22.8
GTEX-1I1GT-0626-SM-CGQER 60-69 years, female 22.6
GTEX-S33H-1026-SM-EZ6L6 30-39 years, male 22.6
GTEX-13D11-2426-SM-5KM1V 50-59 years, female 22.3
GTEX-1399U-2326-SM-5K7WY 50-59 years, female 22.2
GTEX-ZV6S-2326-SM-4YCEY 40-49 years, female 22.1
GTEX-1GN1U-0126-SM-7PBZK 50-59 years, female 22.1
GTEX-ZDTT-2726-SM-4WKF8 60-69 years, male 21.5
GTEX-1JMPZ-0226-SM-CNPP1 30-39 years, male 21.5
GTEX-12WSG-2826-SM-E9J4H 50-59 years, female 21.4
GTEX-1HCU8-0626-SM-A9SM9 60-69 years, female 21.3
GTEX-139TS-2826-SM-5J1OO 60-69 years, male 21.2
GTEX-16GPK-0126-SM-7DHLE 60-69 years, male 21.2
GTEX-X638-0126-SM-47JZ8 70-79 years, female 21.2
GTEX-13SLX-0526-SM-5S2ON 50-59 years, female 21.1
GTEX-SSA3-0126-SM-32QPU 60-69 years, male 21.1
GTEX-VUSG-2526-SM-4KL1V 50-59 years, male 21.1
GTEX-ZAK1-0126-SM-5IJD3 50-59 years, female 21.1
GTEX-1CAMS-0426-SM-7P8T2 40-49 years, female 21.1
GTEX-1OJC3-0126-SM-E76QX 20-29 years, male 21.1
GTEX-13X6I-0626-SM-5QGP9 60-69 years, male 21.0
GTEX-1LB8K-0226-SM-EWRNW 50-59 years, male 21.0
GTEX-ZF29-2326-SM-DO92K 60-69 years, female 21.0
GTEX-WI4N-1026-SM-3LK7N 40-49 years, female 20.9
GTEX-YJ89-0126-SM-4TT3X 60-69 years, male 20.9
GTEX-U8XE-0326-SM-3DB8P 30-39 years, male 20.7
GTEX-Z93S-0126-SM-5HL7M 50-59 years, male 20.7
GTEX-11GSP-2526-SM-5N9BP 60-69 years, female 20.6
GTEX-1R7EU-0226-SM-EVR4G 60-69 years, male 20.6
GTEX-1S83E-0126-SM-EWRO4 40-49 years, male 20.6
GTEX-15ETS-0126-SM-7KUMW 40-49 years, female 20.5
GTEX-14XAO-2326-SM-6EU1B 60-69 years, female 20.4
GTEX-VJYA-1126-SM-3GIJU 60-69 years, male 20.4
GTEX-13NZB-2526-SM-5J1OM 30-39 years, male 20.3
GTEX-1JMQK-0226-SM-CL543 60-69 years, male 20.3
GTEX-11LCK-1026-SM-5A5KB 30-39 years, male 20.1
GTEX-Q2AG-0126-SM-33HBV 40-49 years, female 20.1
GTEX-1122O-2126-SM-5EGIR 60-69 years, female 19.9
GTEX-OOBK-0126-SM-2YUND 40-49 years, male 19.7
GTEX-11VI4-1726-SM-5CVLH 40-49 years, female 19.6
GTEX-13X6H-2126-SM-7EWD5 50-59 years, female 19.6
GTEX-PSDG-0226-SM-DKPOZ 50-59 years, male 19.6
GTEX-14PII-0226-SM-6EU1T 60-69 years, male 19.5
GTEX-RUSQ-1526-SM-2TF62 50-59 years, male 19.5
GTEX-12WSJ-1826-SM-5GCNY 40-49 years, female 19.4
GTEX-OXRN-0126-SM-48TDM 50-59 years, male 19.4
GTEX-11O72-0126-SM-59887 40-49 years, male 19.3
GTEX-139D8-0226-SM-5KLZO 30-39 years, female 19.3
GTEX-14JG1-0426-SM-6ETZZ 40-49 years, male 19.3
GTEX-13OVG-1926-SM-5L3DK 60-69 years, male 19.2
GTEX-18D9A-1926-SM-7LG6P 30-39 years, female 19.0
GTEX-QCQG-1726-SM-3GIJ9 50-59 years, female 19.0
GTEX-ZAJG-0126-SM-5HL94 50-59 years, female 19.0
GTEX-ZC5H-0226-SM-4WAY9 40-49 years, female 19.0
GTEX-13N2G-2626-SM-5J1OT 60-69 years, male 18.9
GTEX-1EN7A-0126-SM-7SB81 40-49 years, male 18.8
GTEX-T8EM-1026-SM-3DB7M 40-49 years, male 18.6
GTEX-1269C-2526-SM-5EGJ3 60-69 years, female 18.3
GTEX-147F3-0526-SM-5SI98 50-59 years, female 18.3
GTEX-Y5V5-2326-SM-4V6GA 60-69 years, female 18.3
GTEX-15DYW-0126-SM-7KULE 60-69 years, female 18.1
GTEX-1K9T9-0126-SM-EVYCF 50-59 years, female 18.0
GTEX-1GZHY-0326-SM-9QEHI 50-59 years, female 17.8
GTEX-17KNJ-2326-SM-7DHLQ 50-59 years, male 17.6
GTEX-1C6VR-2426-SM-79OLD 60-69 years, male 17.4
GTEX-WFG8-2226-SM-3GIL9 20-29 years, male 17.4
GTEX-13SLW-0126-SM-5SI6C 70-79 years, male 17.3
GTEX-1M4P7-0226-SM-DIPEV 60-69 years, male 17.3
GTEX-12WSL-2526-SM-5GCNJ 50-59 years, male 17.2
GTEX-ZVE2-0226-SM-59HJB 50-59 years, male 17.2
GTEX-PX3G-0126-SM-2I3EN 20-29 years, female 17.1
GTEX-1QAET-0926-SM-E76QM 50-59 years, male 17.1
GTEX-14BMV-0126-SM-5S2PO 50-59 years, male 17.0
GTEX-15SDE-2226-SM-7IGLO 50-59 years, female 16.7
GTEX-ZYY3-0126-SM-5GZY5 60-69 years, female 16.7
GTEX-133LE-1826-SM-5J1MV 20-29 years, female 16.6
GTEX-14E6E-1826-SM-5S2R7 30-39 years, male 16.6
GTEX-XV7Q-2526-SM-4BRV9 40-49 years, female 16.3
GTEX-1GF9U-2126-SM-7SB7L 40-49 years, female 16.3
GTEX-1A3MW-0126-SM-73KXX 60-69 years, female 16.2
GTEX-1F5PK-2426-SM-7RHHY 50-59 years, male 16.2
GTEX-145ME-1826-SM-5SI9G 40-49 years, female 16.1
GTEX-1HR98-0126-SM-B2LWI 60-69 years, male 16.1
GTEX-1MA7W-2026-SM-E9TJ6 20-29 years, female 16.1
GTEX-1R9K4-0126-SM-DTX9X 60-69 years, male 16.1
GTEX-ZUA1-0126-SM-5GU76 40-49 years, male 15.8
GTEX-1OJC4-0126-SM-E9J2E 50-59 years, female 15.8
GTEX-R3RS-0126-SM-3GIJL 40-49 years, female 15.6
GTEX-S32W-2126-SM-2XCB1 50-59 years, female 15.5
GTEX-X88G-0126-SM-47JZ3 30-39 years, male 15.4
GTEX-1192W-2626-SM-5Q5AF 60-69 years, male 15.3
GTEX-13CF3-2426-SM-5IFGX 60-69 years, female 15.3
GTEX-ZDYS-2026-SM-5HL5L 50-59 years, male 15.2
GTEX-R45C-0126-SM-EAZ2R 60-69 years, female 15.1
GTEX-1N2DW-0226-SM-E9TK2 50-59 years, male 14.9
GTEX-17EVP-0326-SM-7DHLG 40-49 years, male 14.7
GTEX-1JMQL-0226-SM-CNPP5 50-59 years, female 14.7
GTEX-1ICLZ-0126-SM-CKZPO 60-69 years, male 14.5
GTEX-16YQH-0126-SM-7DUFJ 30-39 years, male 14.3
GTEX-WYVS-2126-SM-3NMA3 40-49 years, female 13.9
GTEX-1399T-2826-SM-5KLYZ 60-69 years, male 13.8
GTEX-15ER7-0326-SM-7KUEV 20-29 years, female 13.7
GTEX-14JG6-2226-SM-6EU2G 30-39 years, female 13.5
GTEX-18A67-0126-SM-7LG5P 50-59 years, male 13.5
GTEX-17JCI-0126-SM-7LG5G 60-69 years, female 13.2
GTEX-Y8LW-1826-SM-5S2MV 50-59 years, female 13.1
GTEX-OIZH-0126-SM-2HMIS 50-59 years, male 13.0
GTEX-T5JW-1626-SM-3GADZ 20-29 years, female 13.0
GTEX-1GMR8-0126-SM-9WYTM 50-59 years, female 12.8
GTEX-1KANC-1526-SM-D3LAB 50-59 years, female 12.8
GTEX-1R9PM-2026-SM-E76OY 20-29 years, male 12.8
GTEX-13OW8-1326-SM-5J1OW 60-69 years, male 12.5
GTEX-11WQK-0526-SM-5EQLD 50-59 years, male 12.3
GTEX-1AX9J-0226-SM-73KXM 60-69 years, male 12.2
GTEX-1CAMQ-0226-SM-7IGPK 40-49 years, male 12.2
GTEX-12696-2426-SM-5EQ6H 60-69 years, male 12.0
GTEX-1IKJJ-0126-SM-CNPQB 60-69 years, male 11.9
GTEX-15RIG-0226-SM-7KFTL 40-49 years, male 11.7
GTEX-1O97I-0326-SM-EYYX7 60-69 years, male 11.7
GTEX-1C64N-0126-SM-793D7 50-59 years, male 11.4
GTEX-T6MN-0126-SM-32PLP 50-59 years, male 11.4
GTEX-1EX96-1626-SM-7PBXR 50-59 years, male 11.2
GTEX-11H98-0126-SM-5EGHG 50-59 years, male 11.1
GTEX-1KAFJ-2026-SM-CY8ID 50-59 years, male 11.0
GTEX-1LH75-2426-SM-E9TJE 50-59 years, female 10.7
GTEX-13OW5-0126-SM-DTXFS 60-69 years, male 10.6
GTEX-1CB4H-0226-SM-7PBXM 60-69 years, female 10.6
GTEX-1J1OQ-0226-SM-CYPSH 40-49 years, female 10.6
GTEX-1E2YA-0126-SM-9KNUC 50-59 years, male 10.2
GTEX-SNMC-1226-SM-2XCFP 20-29 years, male 10.0
GTEX-SE5C-1626-SM-2XCE3 40-49 years, female 10.0
GTEX-ZEX8-2426-SM-4WKG4 50-59 years, male 9.9
GTEX-13112-2826-SM-5DUWH 50-59 years, male 9.8
GTEX-1HCU7-0226-SM-CL545 50-59 years, male 9.8
GTEX-1HT8W-0126-SM-CNPPP 30-39 years, male 9.2
GTEX-1QPFJ-0226-SM-E76PB 30-39 years, female 9.2
GTEX-11DXW-0226-SM-5H122 40-49 years, male 8.9
GTEX-1JK1U-2026-SM-CM2RZ 60-69 years, male 8.9
GTEX-1M5QR-1226-SM-EWROB 40-49 years, male 8.9
GTEX-1MJK2-0426-SM-DTXE5 50-59 years, male 8.4
GTEX-14PJ6-2126-SM-6EU1V 60-69 years, female 8.0
GTEX-145LS-0126-SM-5QGP1 60-69 years, female 7.1
GTEX-POMQ-2226-SM-2I5FK 20-29 years, female 7.1
GTEX-1PWST-0226-SM-E76QJ 70-79 years, male 7.0
GTEX-ZYT6-0226-SM-5NQ6T 30-39 years, male 6.4
GTEX-ZYFG-2326-SM-5E44B 60-69 years, female 6.3
GTEX-1LBAC-0126-SM-DIPEZ 20-29 years, male 6.3
GTEX-1LG7Z-1726-SM-D3LA4 30-39 years, male 6.3
GTEX-1C475-1826-SM-73KWA 40-49 years, female 5.6
GTEX-ZWKS-0126-SM-5SIAA 30-39 years, male 5.5
GTEX-PLZ5-2026-SM-2S1O4 50-59 years, male 5.4
GTEX-Z9EW-1626-SM-5CVMN 40-49 years, male 5.4
GTEX-1F6IF-0726-SM-7P8TW 60-69 years, male 5.3
GTEX-1H11D-0226-SM-9WG6Z 40-49 years, male 4.8
GTEX-1PIIG-0226-SM-EWRN6 30-39 years, male 4.8
GTEX-ZVZO-0126-SM-5A5L9 40-49 years, male 4.2
GTEX-11EI6-0126-SM-5985R 60-69 years, male 4.1
GTEX-1JMLX-0226-SM-CM2RO 50-59 years, male 4.0
GTEX-XUZC-1726-SM-4BRWS 30-39 years, female 3.8
GTEX-183WM-0126-SM-7LTAB 70-79 years, female 3.7
GTEX-ZY6K-1826-SM-5GZXK 50-59 years, male 3.6
GTEX-ZTSS-1926-SM-57WEW 40-49 years, male 3.3
GTEX-1H3VE-0326-SM-9YFLH 40-49 years, male 3.3
GTEX-ZVTK-0426-SM-51MRS 20-29 years, male 2.9
GTEX-1HSKV-0226-SM-A9SKJ 60-69 years, male 2.9
GTEX-1B8SF-1426-SM-7DUGL 60-69 years, male 2.7
GTEX-1CB4E-2226-SM-793DC 60-69 years, male 2.7
GTEX-11DXZ-2326-SM-5EGGV 50-59 years, male 2.4
GTEX-XBEW-0626-SM-4QASP 40-49 years, male 2.4
GTEX-1QMI2-0226-SM-EVYBX 60-69 years, male 2.1
GTEX-12WSC-0126-SM-5EQ4P 50-59 years, male 1.9
GTEX-ZXG5-0126-SM-5GIEU 60-69 years, male 1.8
GTEX-ZYFC-0226-SM-5NQ75 50-59 years, male 1.8
GTEX-1GF9V-0326-SM-7RHI5 60-69 years, male 1.8
GTEX-P4QT-0126-SM-2I3FL 50-59 years, female 1.7
GTEX-ZXES-1826-SM-5E43S 30-39 years, female 1.7
GTEX-11DYG-0126-SM-59883 60-69 years, male 1.6
GTEX-1B97I-1626-SM-73KYO 40-49 years, male 1.6
GTEX-ZV68-0126-SM-59HKS 50-59 years, female 1.6
GTEX-ZTX8-1426-SM-5DUVO 20-29 years, male 1.5
GTEX-1HB9E-0226-SM-E9U4R 50-59 years, male 1.5
GTEX-1212Z-2526-SM-5EGKP 60-69 years, male 1.4
GTEX-131XE-2326-SM-5PNZ2 50-59 years, male 1.3
GTEX-ZF2S-2326-SM-4WWCE 50-59 years, female 1.3
GTEX-1GMR3-1926-SM-9KNUZ 40-49 years, male 1.3
GTEX-13111-1626-SM-5EGJY 50-59 years, male 1.2
GTEX-1H4P4-0726-SM-9YFLR 50-59 years, male 0.9
GTEX-1LVAN-0226-SM-COH3S 50-59 years, female 0.9
GTEX-117XS-2726-SM-5N9BL 60-69 years, male 0.7
GTEX-WFON-2126-SM-3LK7O 40-49 years, male 0.7
GTEX-1JJEA-0326-SM-CNPOT 60-69 years, male 0.6
GTEX-1L5NE-2526-SM-E6CIE 50-59 years, male 0.6
Show allShow less

Contact

  • NEWS ARTICLES
  • PRESS ROOM

The Project

  • INTRODUCTION
  • ORGANIZATION
  • PUBLICATIONS

The Human Protein Atlas

  • DOWNLOADABLE DATA
  • LICENCE & CITATION
  • HELP & FAQ
The Human Protein Atlas project is funded
by the Knut & Alice Wallenberg Foundation.


contact@proteinatlas.org