We use cookies to enhance the usability of our website. If you continue, we'll assume that you are happy to receive all cookies. More information. Don't show this again.
IRX1
HPA
RESOURCES
  • TISSUE
  • BRAIN
  • SINGLE CELL
  • SUBCELLULAR
  • CANCER
  • BLOOD
  • CELL LINE
  • STRUCTURE & INTERACTION
ABOUT
  • INTRODUCTION
  • HISTORY
  • ORGANIZATION
  • PUBLICATIONS
  • ANTIBODY SUBMISSION
  • ANTIBODY AVAILABILITY
  • ACKNOWLEDGMENTS
  • CONTACT
NEWS
  • NEWS ARTICLES
  • PRESS ROOM
LEARN
  • DICTIONARY
  • PROTEIN CLASSES
  • PROTEIN EVIDENCE
  • METHODS
  • EDUCATIONAL VIDEOS
DATA
  • DOWNLOADABLE DATA
  • PUBLICATION DATA
  • RELEASE HISTORY
HELP
  • ANTIBODY VALIDATION
  • ASSAYS & ANNOTATION
  • DISCLAIMER
  • HELP & FAQ
  • PRIVACY STATEMENT
  • LICENCE & CITATION
Fields »
Search result

Field
Term
Gene name
Class
Subclass
Class
Keyword
Chromosome
External id
Tissue
Cell type
Expression
Antibody panel
Tissue
Main location
Patient ID
Annotation
Tissue
Category
Tau score
Cluster
Reliability
Brain region
Category
Tau score
Brain region
Category
Tau score
Brain region
Category
Tau score
Cluster
Reliability
Tissue
Cell type
Enrichment
Cell type
Category
Tau score
Cell type
Category
Tau score
Cell type
Category
Tau score
Cell lineage
Category
Tau score
Cluster
Cluster
Location
Searches
Location
Cell line
Class
Type
Phase
Reliability
Cancer
Prognosis
Cancer
Category
Cancer
Category
Tau score
Cluster
Variants
Interacting gene (ensg_id)
Type
Number of interactions
Pathway
Category
Score
Score
Score
Validation
Validation
Validation
Validation
Antibodies
Data type
Column


  • SUMMARY

  • TISSUE

  • BRAIN

  • SINGLE CELL

  • SUBCELL

  • CANCER

  • BLOOD

  • CELL LINE

  • STRUCT & INT

  • IRX1
TISSUE PRIMARY DATA BREAST Show tissue menu
ADIPOSE TISSUE ADRENAL GLAND AMYGDALA APPENDIX BASAL GANGLIA BONE MARROW BREAST CEREBELLUM CEREBRAL CORTEX CERVIX CHOROID PLEXUS COLON DUODENUM
ENDOMETRIUM EPIDIDYMIS ESOPHAGUS FALLOPIAN TUBE GALLBLADDER HEART MUSCLE HIPPOCAMPAL FORMATION HYPOTHALAMUS KIDNEY LIVER LUNG LYMPH NODE MIDBRAIN
OVARY PANCREAS PARATHYROID GLAND PITUITARY GLAND PLACENTA PROSTATE RECTUM RETINA SALIVARY GLAND SEMINAL VESICLE SKELETAL MUSCLE SKIN SMALL INTESTINE
SMOOTH MUSCLE SPINAL CORD SPLEEN STOMACH TESTIS THYMUS THYROID GLAND TONGUE TONSIL URINARY BLADDER VAGINA
ANTIBODIES
AND
VALIDATION
Dictionary
Breast
Tissue proteome
Breast
BREAST - Expression summary
Protein expressioni

On the top, protein expression in current human tissue, based on all annotated cell types, is reported with the units not detected (n), low (l), medium (m) and high (h). Underneath, protein expression in each annotated cell type are reported using the same units.

Protein expression data is based on knowledge-based annotation. For genes where more than one antibody has been used, a collective score is set.

If knowledge-based annotation could not be performed for a gene, no data is displayed here. View antibody staining data further down this page.

No data
RNA expressioni

A summary of mRNA expression data available for current tissue based on several datasets. The mRNA expression levels in human tissues are based on RNA-seq data generated by the Human Protein Atlas (HPA), Genotype-Tissue Expression (GTEx) portal and CAGE data generated by the FANTOM5 consortium. Consensus normalized expression levels for human tissues was created by combining the data from HPA and GTEx datasets.

The mRNA expression levels in pig are based on RNA-seq data generated by the Human Protein Atlas (HPA), and for mouse, HPA data and in situ hybridization generated by the Allen brain atlas are reported.

Scroll down to view mRNA expression data in more detail.
Consensus:15.7 nTPM
HPA:5.4 nTPM
GTEx:15.7 nTPM
FANTOM5:69.1 Scaled Tags Per Million

BREAST - Annotated protein expression
Pending normal tissue analysis

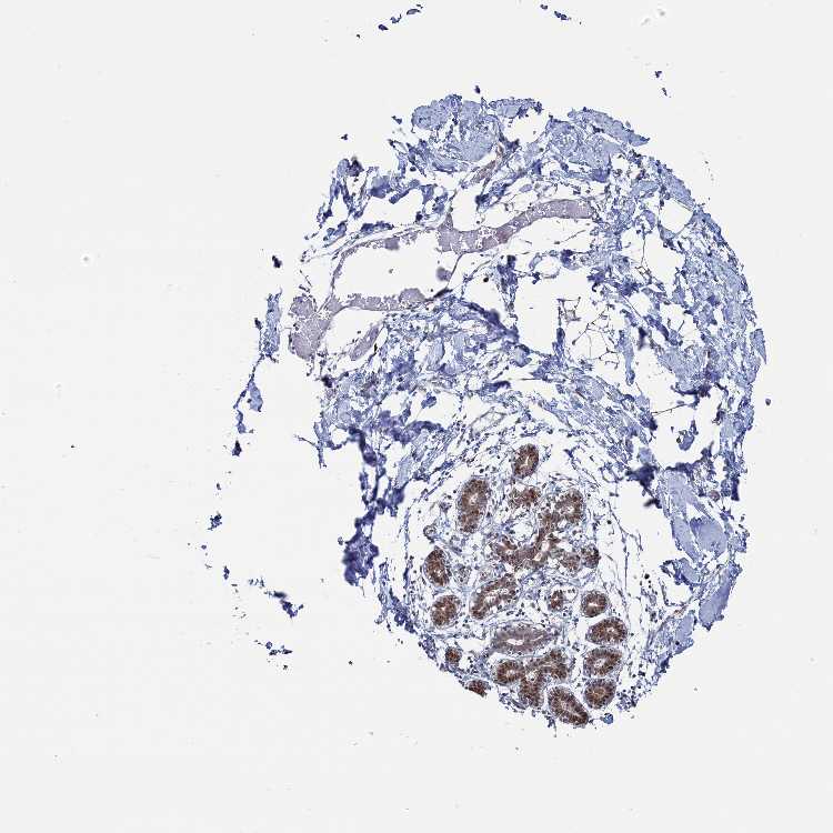
BREAST - Antibody stainingi

Antibody staining in the annotated cell types in the current human tissue is reported as not detected, low, medium, or high, based on conventional immunohistochemistry profiling in selected tissues. This score is based on the combination of the staining intensity and fraction of stained cells.

Each image is clickable and will lead to virtual microscopy that enables deeper exploration of all samples and also displays staining intensity scores, fraction scores and subcellular localization as well as patient and tissue information for each sample.

Antibody HPA043160
Adipocytes Medium
Glandular cells Medium
Myoepithelial cells Medium



BREAST - HPA RNA-seqi

The RNA-seq details section shows detailed information about the individual samples used for the transcript profiling and results of the RNA-seq analysis.

Information about each individual sample is listed below, including gender, age, a tissue section image and estimated fractions of cell types. nTPM (normalized transcripts per million) values give a quantification of the gene abundance which is comparable between different genes and samples.
Average nTPMi

Max subtype nTPM is the value for the subtype with the largest average nTPM across the subtype samples.

5.4
overview
Female, age 52
Breast sample 373
nTPM: 11.1
Cell types%
Glandular cells:
15

Adipocytes:
5

Other cell types:
80

overview
Female, age 80
Breast sample 390
nTPM: 1.4
Cell types%
Glandular cells:
5

Adipocytes:
15

Other cell types:
80

overview
Female, age 47
Breast sample 405
nTPM: 4.5
Cell types%
Glandular cells:
5

Adipocytes:
5

Other cell types:
90

overview
Female, age 38
Breast sample 410
nTPM: 4.5
Cell types%
Glandular cells:
40

Adipocytes:
5

Other cell types:
55


BREAST - GTEx RNA-seqi

RNA-Seq data generated by the Genotype-Tissue Expression (GTEx) project from human tissues is reported as mean nTPM. More information can be found on the GTEx portal.

Distribution across the dataset is visualized with box plots, shown as median and 25th and 75th percentiles. Points are displayed as outliers if they are above or below 1.5 times the interquartile range. nTPM values of the individual samples are presented next to the box plot.
Max subtype nTPMi

Max subtype nTPM is the value for the subtype with the largest average nTPM across the subtype samples.

15.7
GTEx sample id Sample description nTPM
Breast - Mammary Tissue
Average nTPM: 15.7
Samples: 459

Max nTPM: 117.1
Min nTPM: 0.0
Std nTPM: 15.5
Median nTPM: 9.8
GTEX-ZC5H-2626-SM-5J2MG 40-49 years, female 117.1
GTEX-131XW-0726-SM-5EGK3 50-59 years, female 106.1
GTEX-13PL6-2926-SM-5L3I2 40-49 years, female 84.0
GTEX-1NUQO-2226-SM-E9U68 20-29 years, female 79.9
GTEX-12ZZX-1126-SM-5EGKB 40-49 years, female 76.5
GTEX-131YS-0626-SM-5EGKL 60-69 years, female 75.4
GTEX-1POEN-0926-SM-DTX88 30-39 years, female 67.9
GTEX-ZF3C-2326-SM-5S2NC 50-59 years, female 65.6
GTEX-WYBS-0926-SM-3NM94 60-69 years, female 64.9
GTEX-R3RS-0626-SM-48FE1 40-49 years, female 64.6
GTEX-13SLX-2326-SM-5ZZWE 50-59 years, female 63.6
GTEX-ZVE2-1226-SM-5NQ8R 50-59 years, male 62.4
GTEX-139T8-0826-SM-5L3DE 60-69 years, male 59.6
GTEX-RU1J-0626-SM-4WAWY 20-29 years, female 52.7
GTEX-QDT8-0626-SM-48TYW 30-39 years, female 51.9
GTEX-1HSGN-1526-SM-A9SMO 40-49 years, female 49.3
GTEX-11EMC-2026-SM-5A5JV 60-69 years, female 48.6
GTEX-1GN1U-0526-SM-9KNTT 50-59 years, female 48.6
GTEX-1M5QR-2526-SM-E9U5P 40-49 years, male 48.3
GTEX-15ER7-1626-SM-6PAMZ 20-29 years, female 47.2
GTEX-133LE-1726-SM-5K7VQ 20-29 years, female 46.2
GTEX-ZXES-0826-SM-5E43C 30-39 years, female 46.2
GTEX-1HCUA-0726-SM-ACKVU 50-59 years, female 46.2
GTEX-13FTY-2226-SM-5J1ND 40-49 years, female 46.1
GTEX-14BMU-1626-SM-5TDE7 20-29 years, female 44.8
GTEX-1CAMS-1426-SM-7IGPM 40-49 years, female 44.7
GTEX-XMD2-0926-SM-4WWEF 60-69 years, female 43.8
GTEX-1GMR8-0726-SM-9KNVI 50-59 years, female 42.9
GTEX-11EM3-1326-SM-5N9C6 20-29 years, female 41.6
GTEX-Y3IK-2326-SM-4WWDT 50-59 years, female 41.2
GTEX-14H4A-2526-SM-5YYAY 40-49 years, female 40.3
GTEX-14AS3-1626-SM-5S2OY 40-49 years, female 40.1
GTEX-17HG3-0126-SM-7IGNH 30-39 years, female 39.5
GTEX-15FZZ-0726-SM-7KUFZ 30-39 years, female 38.9
GTEX-YFC4-1426-SM-5IFJG 40-49 years, female 38.5
GTEX-17JCI-0726-SM-7EPH1 60-69 years, female 38.2
GTEX-1B932-0826-SM-73KXG 40-49 years, female 37.5
GTEX-1IE54-0626-SM-ARL8D 40-49 years, female 37.5
GTEX-13QIC-2326-SM-5LU5N 60-69 years, female 37.1
GTEX-14PHY-1926-SM-5YY95 60-69 years, female 37.0
GTEX-WYVS-1726-SM-3NMAY 40-49 years, female 36.8
GTEX-1GZ4H-0326-SM-7P8QX 50-59 years, female 36.5
GTEX-18A7A-0726-SM-7LTAI 50-59 years, female 36.4
GTEX-ZLV1-1426-SM-DO92Z 60-69 years, female 36.1
GTEX-1269C-2426-SM-5FQSN 60-69 years, female 35.4
GTEX-1399U-1826-SM-5PNZ1 50-59 years, female 35.3
GTEX-ZQUD-1926-SM-51MSA 30-39 years, male 35.3
GTEX-S341-1526-SM-4AD6K 40-49 years, female 34.7
GTEX-1LNCM-0226-SM-DIPF4 50-59 years, female 34.2
GTEX-13W3W-1226-SM-5LU4H 60-69 years, female 33.7
GTEX-RWS6-1926-SM-47JXY 60-69 years, female 33.7
GTEX-16NGA-0826-SM-718AF 40-49 years, female 33.5
GTEX-U3ZN-1926-SM-4DXSG 30-39 years, female 33.5
GTEX-1H1CY-2226-SM-9WG7E 60-69 years, female 33.5
GTEX-1IDJE-0826-SM-CKZNZ 50-59 years, female 33.3
GTEX-1JJE9-2326-SM-ARL8Q 70-79 years, male 33.2
GTEX-RU72-0626-SM-46MUI 50-59 years, female 33.1
GTEX-ZGAY-1726-SM-DO91P 40-49 years, female 32.7
GTEX-U3ZH-1426-SM-4DXSR 30-39 years, male 32.2
GTEX-11PRG-0826-SM-5EQ6A 50-59 years, male 31.6
GTEX-1CB4J-1826-SM-7EWF9 60-69 years, male 31.6
GTEX-15ETS-0626-SM-7KUMX 40-49 years, female 31.3
GTEX-1LVAN-1326-SM-CNPQE 50-59 years, female 31.2
GTEX-ZDYS-1126-SM-5K7UB 50-59 years, male 30.9
GTEX-1J8EW-2626-SM-CL53E 60-69 years, female 30.8
GTEX-Q2AG-0326-SM-48U1O 40-49 years, female 30.6
GTEX-X15G-1626-SM-3NMB3 50-59 years, female 30.6
GTEX-WXYG-2226-SM-4E3IM 50-59 years, female 30.5
GTEX-1P4AB-1826-SM-E76PU 50-59 years, male 30.2
GTEX-XUZC-1626-SM-4BRVP 30-39 years, female 30.1
GTEX-14LLW-0626-SM-62LFC 70-79 years, female 29.9
GTEX-ZZPU-0626-SM-5E43T 50-59 years, female 29.1
GTEX-14A5I-0726-SM-5TDEB 50-59 years, female 29.0
GTEX-XUW1-2326-SM-4BOO5 50-59 years, female 29.0
GTEX-ZF2S-2026-SM-5E461 50-59 years, female 28.9
GTEX-1GN1W-1926-SM-7P8TH 50-59 years, female 28.7
GTEX-Y5V5-2126-SM-4WWFO 60-69 years, female 28.5
GTEX-13O61-1826-SM-5KM4I 60-69 years, male 28.3
GTEX-Y5LM-1726-SM-4VDSX 40-49 years, female 28.1
GTEX-132Q8-1426-SM-5EGK7 60-69 years, male 28.0
GTEX-14ABY-2126-SM-5QGQZ 50-59 years, male 27.8
GTEX-UJHI-1426-SM-3DB9C 50-59 years, female 27.7
GTEX-ZAK1-1326-SM-EVYAS 50-59 years, female 27.4
GTEX-T6MO-0326-SM-32QOK 40-49 years, female 27.1
GTEX-ZAJG-0626-SM-5HL8X 50-59 years, female 27.1
GTEX-T5JW-2026-SM-4DM63 20-29 years, female 26.8
GTEX-1K9T9-1426-SM-DIPFQ 50-59 years, female 26.7
GTEX-11P7K-0726-SM-5EGKX 30-39 years, male 26.4
GTEX-1LVAM-0926-SM-E9TJ2 50-59 years, female 26.4
GTEX-11P81-1926-SM-5BC53 30-39 years, female 26.2
GTEX-1R9PN-0326-SM-DTX85 40-49 years, female 26.1
GTEX-S4P3-1326-SM-4AD6V 50-59 years, female 25.3
GTEX-13NZ8-0126-SM-5IJCT 60-69 years, female 25.1
GTEX-1F5PL-1026-SM-7RHI1 40-49 years, female 25.1
GTEX-15UF6-0126-SM-6PAMB 70-79 years, female 24.9
GTEX-1MCC2-2126-SM-EWRON 30-39 years, female 24.8
GTEX-X4EP-2926-SM-3P5YQ 60-69 years, female 24.7
GTEX-XOT4-0726-SM-4GIAW 60-69 years, female 24.1
GTEX-T2IS-1526-SM-32QPR 20-29 years, female 23.9
GTEX-1IKOH-2326-SM-CM2TW 60-69 years, female 23.2
GTEX-1QEPI-0926-SM-DTXF3 60-69 years, female 23.1
GTEX-13D11-1026-SM-5IJFB 50-59 years, female 22.2
GTEX-1GZ2Q-2626-SM-7MXV9 40-49 years, male 21.9
GTEX-13O3O-0826-SM-5K7WE 60-69 years, female 21.7
GTEX-1L5NE-2126-SM-CY8IH 50-59 years, male 21.6
GTEX-13CF2-2026-SM-5K7VI 60-69 years, male 21.5
GTEX-13N11-1726-SM-5J1OJ 50-59 years, female 21.5
GTEX-1IKOE-1326-SM-CE6T6 30-39 years, female 21.4
GTEX-1RAZS-1226-SM-E8VMT 50-59 years, male 21.4
GTEX-SE5C-2126-SM-4BRUJ 40-49 years, female 21.3
GTEX-1GF9X-1026-SM-ACKX2 40-49 years, female 21.2
GTEX-1KANA-2026-SM-DIPFB 20-29 years, male 21.2
GTEX-1192X-2326-SM-5987X 50-59 years, male 21.1
GTEX-Y9LG-1426-SM-5IFJZ 30-39 years, male 21.0
GTEX-1MA7W-1026-SM-DKPQK 20-29 years, female 20.4
GTEX-1HCU7-1026-SM-ADEIP 50-59 years, male 20.0
GTEX-WI4N-1426-SM-3LK7H 40-49 years, female 19.7
GTEX-ZAB4-2526-SM-5HL8M 40-49 years, male 19.6
GTEX-ZVT2-1826-SM-5NQ8W 50-59 years, female 19.4
GTEX-1B97J-0426-SM-79OLQ 50-59 years, female 19.3
GTEX-17HHE-1426-SM-7EPH4 50-59 years, male 19.2
GTEX-ZLFU-2126-SM-DO931 40-49 years, male 19.2
GTEX-147F4-2826-SM-5NQBN 50-59 years, male 19.0
GTEX-XYKS-1326-SM-4BRUN 60-69 years, female 19.0
GTEX-1I4MK-1626-SM-CM2TJ 50-59 years, female 19.0
GTEX-1I1GT-1126-SM-ARL7J 60-69 years, female 18.9
GTEX-1GN2E-2226-SM-9WG6J 60-69 years, male 18.8
GTEX-13FHO-0826-SM-5L3E8 60-69 years, male 18.7
GTEX-1J8QM-2026-SM-ARZMW 60-69 years, female 18.5
GTEX-1S82U-1126-SM-E9U6I 30-39 years, female 18.2
GTEX-S4UY-0726-SM-4AD6X 40-49 years, female 17.7
GTEX-ZVTK-0326-SM-51MRR 20-29 years, male 17.7
GTEX-1B8SG-1226-SM-7IGPF 50-59 years, male 17.4
GTEX-117YX-1426-SM-5H12H 50-59 years, male 17.3
GTEX-13NZ9-1026-SM-5MR5K 50-59 years, male 17.3
GTEX-14PKU-0426-SM-6EU1P 40-49 years, female 17.3
GTEX-1R46S-2526-SM-E8VN2 60-69 years, female 17.3
GTEX-XMD1-0826-SM-4AT52 60-69 years, male 17.2
GTEX-1GZHY-0726-SM-9WG6B 50-59 years, female 17.1
GTEX-TML8-1226-SM-32QON 40-49 years, female 16.9
GTEX-1GMR3-2626-SM-7RHHG 40-49 years, male 16.9
GTEX-1QP9N-1826-SM-E8VMP 30-39 years, male 16.9
GTEX-1JJEA-2726-SM-ARL8V 60-69 years, male 16.7
GTEX-17MFQ-0926-SM-7LG4S 20-29 years, male 16.6
GTEX-1N5O9-1126-SM-DTXEQ 60-69 years, male 16.5
GTEX-Y8LW-1626-SM-5IFHX 50-59 years, female 16.4
GTEX-11GSP-0926-SM-9WYSG 60-69 years, female 16.3
GTEX-11I78-2226-SM-5PNYA 50-59 years, female 16.2
GTEX-Y114-2026-SM-4TT7L 50-59 years, female 16.2
GTEX-1C6VS-0726-SM-7EPHF 60-69 years, male 15.5
GTEX-1GMR2-1926-SM-9MQLZ 50-59 years, male 15.5
GTEX-11WQC-1726-SM-5GU4W 60-69 years, male 15.1
GTEX-ZZ64-1226-SM-5E43R 20-29 years, male 15.1
GTEX-1LSNM-1326-SM-E9TJ1 50-59 years, male 15.1
GTEX-13O3P-0826-SM-5L3DH 50-59 years, male 14.9
GTEX-TMMY-0726-SM-33HBE 40-49 years, female 14.9
GTEX-1HCVE-2626-SM-ADEJ8 50-59 years, male 14.8
GTEX-13PVR-2226-SM-7DHKP 60-69 years, female 14.7
GTEX-1117F-2826-SM-5GZXL 60-69 years, female 14.6
GTEX-18QFQ-0826-SM-718AX 30-39 years, male 14.6
GTEX-17EUY-1926-SM-7DUF6 20-29 years, male 14.5
GTEX-1JK1U-1826-SM-ARL8W 60-69 years, male 14.5
GTEX-1JKYN-0726-SM-ARZMY 30-39 years, male 14.5
GTEX-1PDJ9-1126-SM-EXUSW 20-29 years, male 14.5
GTEX-1HC8U-0826-SM-ADEIL 40-49 years, female 14.3
GTEX-13N1W-0626-SM-5MR4U 70-79 years, male 14.2
GTEX-1LGRB-1826-SM-CNPQL 50-59 years, female 14.0
GTEX-ZF29-1926-SM-5S2P1 60-69 years, female 13.9
GTEX-12BJ1-1826-SM-5HL9N 60-69 years, male 13.8
GTEX-13NZB-2126-SM-5MR4Y 30-39 years, male 13.6
GTEX-14PJO-0726-SM-69LO8 60-69 years, male 13.6
GTEX-1CB4G-2326-SM-79OOI 60-69 years, male 13.4
GTEX-1F6I4-2526-SM-7SB8F 60-69 years, male 13.3
GTEX-1R7EU-1226-SM-E8VMR 60-69 years, male 13.3
GTEX-ZVZQ-0826-SM-51MRF 60-69 years, female 13.2
GTEX-1I19N-2826-SM-CL55D 70-79 years, male 13.2
GTEX-1MCYP-0126-SM-E6CIS 20-29 years, female 13.2
GTEX-11DXY-2326-SM-5GICW 60-69 years, male 13.1
GTEX-T5JC-2126-SM-32PMO 20-29 years, male 13.1
GTEX-11GS4-2126-SM-5A5KR 60-69 years, male 13.0
GTEX-1B933-2526-SM-7IGO5 50-59 years, female 13.0
GTEX-1RQEC-2026-SM-DTXDM 60-69 years, male 13.0
GTEX-139T6-1626-SM-5PNYZ 50-59 years, male 12.7
GTEX-1HSKV-2026-SM-CMKGX 60-69 years, male 12.6
GTEX-Y111-2026-SM-4SOJA 50-59 years, male 12.5
GTEX-132NY-0826-SM-5K7Y7 60-69 years, male 12.4
GTEX-13O3Q-2226-SM-5KM4O 50-59 years, male 12.4
GTEX-13113-5013-SM-7SB7G 60-69 years, female 12.4
GTEX-QVJO-1826-SM-447C9 60-69 years, female 12.3
GTEX-14BMV-0626-SM-793AU 50-59 years, male 12.2
GTEX-1RAZQ-1226-SM-EWRNL 30-39 years, male 12.2
GTEX-1QPFJ-2026-SM-EVYBE 30-39 years, female 12.1
GTEX-17F98-0526-SM-79OK5 40-49 years, female 12.0
GTEX-YFCO-1826-SM-4W1YH 40-49 years, male 12.0
GTEX-1211K-1926-SM-5EQLB 60-69 years, female 11.9
GTEX-PSDG-1626-SM-48TCQ 50-59 years, male 11.8
GTEX-12WSK-2226-SM-5GCO5 40-49 years, female 11.7
GTEX-1H1E6-0926-SM-9YFLT 30-39 years, male 11.5
GTEX-1HBPN-2326-SM-9WPPU 50-59 years, male 11.5
GTEX-1J8Q2-2726-SM-A9G2X 60-69 years, male 11.5
GTEX-1HKZK-1826-SM-ADEJ2 40-49 years, male 11.4
GTEX-1I6K6-0826-SM-ARL7Z 30-39 years, male 11.4
GTEX-1I6K7-1026-SM-A9SLK 40-49 years, male 11.4
GTEX-1JKYR-0926-SM-CMKGJ 20-29 years, male 11.4
GTEX-11ZUS-0826-SM-5FQUY 30-39 years, male 11.3
GTEX-13SLW-2526-SM-62LDQ 70-79 years, male 11.3
GTEX-1GMRU-0826-SM-9WYT7 50-59 years, male 11.1
GTEX-S7SE-0826-SM-4AT4D 50-59 years, male 11.0
GTEX-1IKJJ-2326-SM-COH3U 60-69 years, male 10.9
GTEX-1GPI6-0626-SM-7RHHJ 60-69 years, male 10.8
GTEX-1M4P7-2626-SM-E9U5F 60-69 years, male 10.8
GTEX-QMRM-1626-SM-D4P1U 50-59 years, male 10.8
GTEX-1122O-1226-SM-5H113 60-69 years, female 10.6
GTEX-145MN-1926-SM-5SIAI 30-39 years, male 10.6
GTEX-111YS-1926-SM-5GICC 60-69 years, male 10.5
GTEX-13OW5-2226-SM-5L3HC 60-69 years, male 10.5
GTEX-1C64O-0726-SM-7DUFU 60-69 years, male 10.5
GTEX-ZTTD-1026-SM-51MRD 50-59 years, male 10.5
GTEX-YB5K-1626-SM-5IFIN 40-49 years, female 10.4
GTEX-11OF3-1926-SM-59889 60-69 years, male 10.3
GTEX-11P82-1326-SM-5HL62 20-29 years, male 10.3
GTEX-ZYFC-0826-SM-5E44K 50-59 years, male 10.3
GTEX-1HCU9-0326-SM-9WYSC 20-29 years, male 10.3
GTEX-1JMPY-0526-SM-CL54O 30-39 years, male 10.2
GTEX-11TT1-2126-SM-5GU5Y 20-29 years, male 10.1
GTEX-WRHU-0326-SM-3MJFY 50-59 years, female 10.1
GTEX-UPK5-2326-SM-3P5Z8 40-49 years, male 10.0
GTEX-ZA64-1526-SM-5CVMD 20-29 years, male 10.0
GTEX-1F75I-2026-SM-7SB7N 40-49 years, male 10.0
GTEX-1I1GP-0426-SM-COH3N 50-59 years, male 9.8
GTEX-16BQI-1026-SM-7KUEA 30-39 years, female 9.7
GTEX-ZV7C-1826-SM-5NQ83 50-59 years, male 9.7
GTEX-12KS4-0126-SM-5Q5A5 30-39 years, male 9.6
GTEX-1N2EF-2226-SM-E9J33 60-69 years, male 9.6
GTEX-11DXW-0626-SM-5N9ER 40-49 years, male 9.5
GTEX-14PN4-0626-SM-62LFP 50-59 years, male 9.5
GTEX-Y8E4-1626-SM-5S2MW 40-49 years, male 9.5
GTEX-ZEX8-2226-SM-57WC6 50-59 years, male 9.5
GTEX-1QCLZ-2326-SM-DTXDO 60-69 years, female 9.5
GTEX-11NV4-2026-SM-5N9DG 60-69 years, male 9.4
GTEX-1GZ4I-2826-SM-9MQK5 50-59 years, male 9.4
GTEX-VJWN-0726-SM-3GIJ8 50-59 years, female 9.3
GTEX-14E7W-0826-SM-62LEJ 70-79 years, male 9.2
GTEX-1AX9J-1126-SM-731B7 60-69 years, male 9.2
GTEX-UTHO-1026-SM-3GAF7 60-69 years, male 9.2
GTEX-X261-0626-SM-3NMD9 50-59 years, male 9.1
GTEX-XBED-1626-SM-47JYN 60-69 years, male 9.1
GTEX-ZPIC-1126-SM-5BC7F 40-49 years, female 9.1
GTEX-1H1DG-0526-SM-9YFLN 70-79 years, male 9.1
GTEX-1IY9M-2726-SM-CMKG5 60-69 years, male 9.1
GTEX-145LT-0726-SM-5S2VM 40-49 years, male 9.0
GTEX-VUSG-2226-SM-4KKZO 50-59 years, male 8.9
GTEX-1KAFJ-0226-SM-DIPEL 50-59 years, male 8.9
GTEX-1HR98-0426-SM-COH36 60-69 years, male 8.8
GTEX-12WSN-1326-SM-5GCNT 40-49 years, male 8.7
GTEX-13OW8-0226-SM-5K7UP 60-69 years, male 8.7
GTEX-ZDTT-2126-SM-DKPOM 60-69 years, male 8.7
GTEX-11EI6-0626-SM-5985T 60-69 years, male 8.6
GTEX-17HHY-0926-SM-793C1 50-59 years, male 8.6
GTEX-1BAJH-0826-SM-7EWEF 70-79 years, male 8.6
GTEX-ZVT4-1026-SM-57WC4 50-59 years, female 8.6
GTEX-1F5PK-2126-SM-7PC28 50-59 years, male 8.6
GTEX-1N2EE-2126-SM-E8VNN 60-69 years, male 8.6
GTEX-1OKEX-0826-SM-E9J2B 60-69 years, male 8.6
GTEX-1QW4Y-1026-SM-DTXE2 30-39 years, male 8.6
GTEX-ZTX8-1226-SM-4YCE9 20-29 years, male 8.5
GTEX-XGQ4-0926-SM-4AT4U 50-59 years, male 8.4
GTEX-ZY6K-1626-SM-5GZWV 50-59 years, male 8.4
GTEX-ZYT6-0126-SM-5E45J 30-39 years, male 8.4
GTEX-T6MN-0726-SM-32PML 50-59 years, male 8.3
GTEX-18A66-1726-SM-7LG5N 60-69 years, male 8.3
GTEX-1HUB1-1626-SM-CM2SL 60-69 years, male 8.3
GTEX-17KNJ-2026-SM-7LG53 50-59 years, male 8.2
GTEX-1A3MV-1626-SM-731C1 30-39 years, male 8.2
GTEX-1LBAC-0926-SM-CXKY9 20-29 years, male 8.2
GTEX-1QCLY-1626-SM-DTXDW 30-39 years, male 8.2
GTEX-1JMQK-2626-SM-COH2W 60-69 years, male 8.1
GTEX-U412-1826-SM-4DXTJ 60-69 years, male 8.0
GTEX-1JMLX-2026-SM-CMKGN 50-59 years, male 8.0
GTEX-14753-2426-SM-5LU8U 60-69 years, male 7.8
GTEX-14DAR-1326-SM-7DUEG 50-59 years, male 7.8
GTEX-1IDJF-2326-SM-ARL86 20-29 years, male 7.7
GTEX-13S86-1226-SM-5S2OA 40-49 years, male 7.6
GTEX-ZUA1-1526-SM-59HLS 40-49 years, male 7.6
GTEX-1HSEH-2026-SM-ADEHN 60-69 years, male 7.6
GTEX-1JMOU-2026-SM-CMKGU 60-69 years, female 7.6
GTEX-1NV8Z-2826-SM-E8VME 60-69 years, male 7.5
GTEX-1PPGY-1526-SM-EVYBK 60-69 years, male 7.4
GTEX-1MJK2-2226-SM-EVYCR 50-59 years, male 7.3
GTEX-1QP28-1226-SM-E9J2M 50-59 years, female 7.3
GTEX-1QP29-1726-SM-E8VMQ 50-59 years, male 7.3
GTEX-WYJK-1326-SM-3NB2T 50-59 years, male 7.2
GTEX-1HT8W-2226-SM-CGQEC 30-39 years, male 7.2
GTEX-11LCK-2426-SM-5HL5F 30-39 years, male 7.1
GTEX-1CAMR-1426-SM-793BO 20-29 years, male 7.1
GTEX-17F96-2426-SM-7IGLN 70-79 years, male 7.0
GTEX-R53T-1526-SM-48FEK 50-59 years, female 7.0
GTEX-X62O-0526-SM-EWRMA 50-59 years, male 7.0
GTEX-12WSM-1726-SM-5BC6J 60-69 years, male 6.9
GTEX-145MF-2226-SM-7EPIR 50-59 years, male 6.9
GTEX-18A6Q-0926-SM-7LG4N 60-69 years, male 6.8
GTEX-1AMEY-1026-SM-718AA 30-39 years, female 6.8
GTEX-17F9E-2526-SM-7MGW2 50-59 years, male 6.8
GTEX-13W46-0826-SM-5LU3H 50-59 years, male 6.7
GTEX-1A8G7-2426-SM-731AK 60-69 years, male 6.7
GTEX-X4XY-0926-SM-4E3JD 60-69 years, male 6.7
GTEX-Y3I4-1526-SM-4TT7K 50-59 years, male 6.7
GTEX-1HCU8-0126-SM-ADEHH 60-69 years, female 6.7
GTEX-139TU-0626-SM-5KM3X 60-69 years, male 6.6
GTEX-146FH-0826-SM-5SI8T 50-59 years, female 6.6
GTEX-1F75A-1826-SM-7SB8G 50-59 years, male 6.6
GTEX-1R9PM-1826-SM-EVYBH 20-29 years, male 6.6
GTEX-17EVQ-0426-SM-7LG57 70-79 years, male 6.5
GTEX-1AX9I-0726-SM-73KWV 60-69 years, male 6.5
GTEX-YEC3-1026-SM-5IFI5 50-59 years, male 6.5
GTEX-ZU9S-1926-SM-5NQBP 30-39 years, male 6.5
GTEX-ZV6S-1826-SM-5NQ8D 40-49 years, female 6.5
GTEX-11ZTT-2326-SM-5EQLG 60-69 years, female 6.4
GTEX-13FTW-1426-SM-5LZWZ 40-49 years, male 6.4
GTEX-1K2DA-1726-SM-CGQGS 50-59 years, male 6.4
GTEX-ZT9W-2026-SM-51MRA 50-59 years, male 6.3
GTEX-16YQH-2826-SM-6PAMY 30-39 years, male 6.2
GTEX-17EVP-0226-SM-79OND 40-49 years, male 6.2
GTEX-WFON-1826-SM-3GILG 40-49 years, male 6.2
GTEX-WY7C-2726-SM-3NB3P 50-59 years, male 6.2
GTEX-1I1HK-2426-SM-ADEHX 60-69 years, male 6.2
GTEX-15EOM-5019-SM-793DK 20-29 years, female 6.1
GTEX-15SHW-1326-SM-6PAL8 60-69 years, male 6.0
GTEX-1H4P4-2226-SM-9MQKQ 50-59 years, male 6.0
GTEX-1KD4Q-2326-SM-D4P3M 40-49 years, male 6.0
GTEX-18465-2026-SM-718AP 50-59 years, male 5.9
GTEX-XMK1-1126-SM-4IHJ8 40-49 years, male 5.9
GTEX-169BO-1126-SM-7MGWN 50-59 years, male 5.9
GTEX-1JMPZ-1626-SM-COH31 30-39 years, male 5.9
GTEX-1LSVX-2426-SM-E6CJX 60-69 years, male 5.9
GTEX-1R7EV-1526-SM-E8VOD 40-49 years, male 5.9
GTEX-11EQ9-1826-SM-5Q5AJ 30-39 years, male 5.8
GTEX-14B4R-1226-SM-5TDDT 30-39 years, male 5.8
GTEX-1CB4E-0226-SM-79OLW 60-69 years, male 5.8
GTEX-1313W-0826-SM-5EQ4T 50-59 years, female 5.7
GTEX-1A3MX-2726-SM-718B6 60-69 years, male 5.7
GTEX-XQ3S-1326-SM-4BOPQ 20-29 years, male 5.7
GTEX-13PVQ-1026-SM-5KM3M 50-59 years, male 5.5
GTEX-14PJ4-2126-SM-6ETZJ 60-69 years, male 5.5
GTEX-1AX8Z-0926-SM-731AW 60-69 years, male 5.5
GTEX-S4Q7-1126-SM-4AD6R 20-29 years, male 5.5
GTEX-W5X1-2326-SM-3GIL6 40-49 years, female 5.5
GTEX-Y5V6-2126-SM-4WWFX 60-69 years, male 5.5
GTEX-ZDXO-0126-SM-5S2ND 60-69 years, male 5.5
GTEX-1B8L1-2426-SM-9WYTE 60-69 years, male 5.5
GTEX-1HBPM-0126-SM-ARL9E 60-69 years, female 5.5
GTEX-1HFI7-0126-SM-CGQFQ 50-59 years, female 5.5
GTEX-1MA7X-1626-SM-E9U5B 60-69 years, male 5.5
GTEX-11NSD-0926-SM-5N9DR 20-29 years, male 5.4
GTEX-1314G-1226-SM-5BC6D 30-39 years, male 5.4
GTEX-1E2YA-2726-SM-7IGPW 50-59 years, male 5.4
GTEX-145MO-0826-SM-5NQBL 60-69 years, male 5.3
GTEX-17GQL-0326-SM-7LG5U 60-69 years, male 5.3
GTEX-1EKGG-2626-SM-7IGPY 60-69 years, male 5.3
GTEX-XQ8I-2426-SM-4WAXY 50-59 years, male 5.3
GTEX-1EN7A-1426-SM-7PBY4 40-49 years, male 5.3
GTEX-1IOXB-1926-SM-ARL8E 50-59 years, male 5.3
GTEX-1KD5A-1926-SM-DKPQA 50-59 years, male 5.3
GTEX-QEG5-0726-SM-D4P1T 20-29 years, male 5.3
GTEX-WFG8-2026-SM-EXOHO 20-29 years, male 5.3
GTEX-1HR9M-2426-SM-ACKXI 60-69 years, male 5.2
GTEX-1B97I-0426-SM-79OL7 40-49 years, male 5.0
GTEX-1GF9V-2526-SM-7SB8K 60-69 years, male 5.0
GTEX-1H11D-1526-SM-9MQJY 40-49 years, male 5.0
GTEX-1IGQW-0926-SM-ADEH6 60-69 years, male 5.0
GTEX-14ICK-2426-SM-6EU27 40-49 years, male 4.9
GTEX-T2YK-2226-SM-32QPT 50-59 years, male 4.9
GTEX-1F75B-0626-SM-7SB8A 50-59 years, male 4.9
GTEX-1JN6P-2426-SM-ARL99 60-69 years, male 4.8
GTEX-1QMI2-0726-SM-E9J4F 60-69 years, male 4.8
GTEX-183FY-1126-SM-7DHLJ 20-29 years, male 4.7
GTEX-1EWIQ-1726-SM-7SB7T 70-79 years, female 4.7
GTEX-1GPI7-0926-SM-7PC3J 20-29 years, male 4.7
GTEX-1I1GU-1026-SM-ADEHJ 40-49 years, male 4.7
GTEX-1ICG6-1326-SM-ACKWR 70-79 years, female 4.7
GTEX-1IDFM-0426-SM-B2LVV 60-69 years, male 4.7
GTEX-1JN1M-3026-SM-CMKGK 60-69 years, female 4.7
GTEX-17F97-2526-SM-7EWDV 50-59 years, male 4.6
GTEX-18A7B-2626-SM-7LG55 70-79 years, male 4.6
GTEX-1J8Q3-1326-SM-CMKI1 60-69 years, male 4.5
GTEX-11DXZ-1926-SM-5GZZL 50-59 years, male 4.4
GTEX-REY6-2426-SM-48FF5 60-69 years, male 4.4
GTEX-WOFL-0826-SM-3MJG1 60-69 years, male 4.4
GTEX-1MJK3-1126-SM-E9J3F 20-29 years, male 4.4
GTEX-1PPH7-0826-SM-E8VNX 40-49 years, male 4.4
GTEX-1KXAM-1026-SM-CY8IA 60-69 years, male 4.3
GTEX-1B8KE-1226-SM-73KWK 50-59 years, male 4.2
GTEX-1EU9M-2826-SM-7EWFH 60-69 years, male 4.2
GTEX-YB5E-1726-SM-5IFJ3 40-49 years, male 4.2
GTEX-1C6WA-2426-SM-7SB86 60-69 years, male 4.2
GTEX-1KANC-1426-SM-CYPT9 50-59 years, female 4.2
GTEX-1LSNL-2826-SM-E9U5L 50-59 years, male 4.2
GTEX-YECK-0726-SM-EZ6LV 60-69 years, male 4.2
GTEX-14E6E-1326-SM-5S2NR 30-39 years, male 4.1
GTEX-17MF6-0326-SM-7EPH5 40-49 years, male 4.1
GTEX-1I1GV-2426-SM-CGQFM 60-69 years, male 4.1
GTEX-1NHNU-0926-SM-E9J2T 50-59 years, male 4.0
GTEX-S33H-0326-SM-4AD6N 30-39 years, male 3.9
GTEX-11GSO-1926-SM-5A5K3 60-69 years, male 3.8
GTEX-17HGU-1326-SM-79OKB 50-59 years, male 3.8
GTEX-1ICLY-1726-SM-B2LVT 50-59 years, male 3.8
GTEX-1ICLZ-0426-SM-B2LW2 60-69 years, male 3.8
GTEX-1IDJH-2226-SM-E6CJV 70-79 years, male 3.8
GTEX-1B8KZ-1526-SM-7DUG7 50-59 years, male 3.7
GTEX-1H3VY-0926-SM-ACKXE 50-59 years, male 3.7
GTEX-ZYW4-0826-SM-5GIDG 60-69 years, male 3.6
GTEX-1LG7Z-0726-SM-CXKYD 30-39 years, male 3.6
GTEX-1S82Z-0726-SM-E6CHX 30-39 years, female 3.5
GTEX-11ONC-2126-SM-5HL6E 60-69 years, male 3.4
GTEX-144GM-0926-SM-5O994 20-29 years, male 3.4
GTEX-Z9EW-1526-SM-EZ6LU 40-49 years, male 3.4
GTEX-11TUW-1826-SM-5BC5D 60-69 years, male 3.3
GTEX-144GL-2026-SM-5LU3O 50-59 years, male 3.3
GTEX-ZWKS-2826-SM-5NQ74 30-39 years, male 3.3
GTEX-1HSMO-0826-SM-ADEIV 60-69 years, male 3.3
GTEX-1IDJU-1826-SM-CMKHV 60-69 years, female 3.3
GTEX-13CF3-2126-SM-5IFJP 60-69 years, female 3.2
GTEX-13VXU-2826-SM-664MA 50-59 years, male 3.2
GTEX-11WQK-2426-SM-5GU5C 50-59 years, male 3.1
GTEX-13QJ3-0826-SM-7DHKK 50-59 years, male 3.1
GTEX-ZLWG-1926-SM-DO92J 50-59 years, female 3.1
GTEX-117XS-1926-SM-5GICO 60-69 years, male 2.9
GTEX-XV7Q-2326-SM-4BRVZ 40-49 years, female 2.9
GTEX-11DZ1-0326-SM-5N9BN 50-59 years, male 2.8
GTEX-R55D-0826-SM-48FEA 50-59 years, male 2.8
GTEX-TKQ1-0226-SM-33HB5 30-39 years, male 2.8
GTEX-QEL4-2126-SM-447AE 50-59 years, male 2.7
GTEX-U8XE-0826-SM-4E3J1 30-39 years, male 2.7
GTEX-1C475-1226-SM-7SB72 40-49 years, female 2.7
GTEX-WHSB-1926-SM-EXOHH 50-59 years, male 2.7
GTEX-15G19-2126-SM-6M48J 60-69 years, male 2.5
GTEX-1H1ZS-0126-SM-9YFKQ 70-79 years, male 2.5
GTEX-14E6C-1326-SM-62LEQ 40-49 years, male 2.4
GTEX-RUSQ-2026-SM-4GIAK 50-59 years, male 2.4
GTEX-132AR-0826-SM-5EGK6 50-59 years, female 2.3
GTEX-V955-2026-SM-3GAFA 60-69 years, male 2.3
GTEX-1H23P-0726-SM-9WG7K 60-69 years, male 2.3
GTEX-18D9A-1526-SM-7LG4J 30-39 years, female 2.1
GTEX-183WM-0726-SM-7LTAA 70-79 years, female 2.0
GTEX-1C6VQ-0426-SM-79OOX 50-59 years, male 2.0
GTEX-S32W-2026-SM-4AD6E 50-59 years, female 1.9
GTEX-1GF9U-1726-SM-7MGY5 40-49 years, female 1.9
GTEX-11O72-2126-SM-5N9FO 40-49 years, male 1.7
GTEX-1LC47-1226-SM-D4P44 60-69 years, male 1.7
GTEX-1R9JW-0326-SM-EAZ45 30-39 years, female 1.7
GTEX-TKQ2-1826-SM-33HB2 50-59 years, male 1.6
GTEX-ZQG8-0726-SM-5P9H9 60-69 years, female 1.4
GTEX-1RLM8-2226-SM-EVYD1 50-59 years, male 1.4
GTEX-15RJE-2626-SM-7KFT1 40-49 years, male 1.3
GTEX-15UF7-0726-SM-6M46D 40-49 years, male 1.3
GTEX-145ME-1526-SM-5Q5F2 40-49 years, female 1.0
GTEX-YJ8O-2226-SM-5IFHW 40-49 years, female 1.0
GTEX-13FTX-1126-SM-5N9EN 20-29 years, female 0.9
GTEX-ZTPG-2826-SM-57WGA 20-29 years, female 0.0
Show allShow less

BREAST - FANTOM5 CAGEi

RNA expression in human tissues obtained through Cap Analysis of Gene Expression (CAGE) generated by the FANTOM5 project are reported as Scaled Tags Per Million.

Max subtype Scaled Tags Per Millioni

Max subtype Scaled Tags Per Million is the value for the subtype with the largest average Scaled Tags Per Million across the subtype samples.

69.1
FANTOM5 sample id Sample description Scaled Tags Per Million
Breast
Scaled Tags Per Million: 69.1
FF:10080-102A8 77 years, female 69.1

Contact

  • NEWS ARTICLES
  • PRESS ROOM

The Project

  • INTRODUCTION
  • ORGANIZATION
  • PUBLICATIONS

The Human Protein Atlas

  • DOWNLOADABLE DATA
  • LICENCE & CITATION
  • HELP & FAQ
The Human Protein Atlas project is funded
by the Knut & Alice Wallenberg Foundation.


contact@proteinatlas.org