We use cookies to enhance the usability of our website. If you continue, we'll assume that you are happy to receive all cookies. More information. Don't show this again.
IRX1
HPA
RESOURCES
  • TISSUE
  • BRAIN
  • SINGLE CELL
  • SUBCELLULAR
  • CANCER
  • BLOOD
  • CELL LINE
  • STRUCTURE & INTERACTION
ABOUT
  • INTRODUCTION
  • HISTORY
  • ORGANIZATION
  • PUBLICATIONS
  • ANTIBODY SUBMISSION
  • ANTIBODY AVAILABILITY
  • ACKNOWLEDGMENTS
  • CONTACT
NEWS
  • NEWS ARTICLES
  • PRESS ROOM
LEARN
  • DICTIONARY
  • PROTEIN CLASSES
  • PROTEIN EVIDENCE
  • METHODS
  • EDUCATIONAL VIDEOS
DATA
  • DOWNLOADABLE DATA
  • PUBLICATION DATA
  • RELEASE HISTORY
HELP
  • ANTIBODY VALIDATION
  • ASSAYS & ANNOTATION
  • DISCLAIMER
  • HELP & FAQ
  • PRIVACY STATEMENT
  • LICENCE & CITATION
Fields »
Search result

Field
Term
Gene name
Class
Subclass
Class
Keyword
Chromosome
External id
Tissue
Cell type
Expression
Antibody panel
Tissue
Main location
Patient ID
Annotation
Tissue
Category
Tau score
Cluster
Reliability
Brain region
Category
Tau score
Brain region
Category
Tau score
Brain region
Category
Tau score
Cluster
Reliability
Tissue
Cell type
Enrichment
Cell type
Category
Tau score
Cell type
Category
Tau score
Cell type
Category
Tau score
Cell lineage
Category
Tau score
Cluster
Cluster
Location
Searches
Location
Cell line
Class
Type
Phase
Reliability
Cancer
Prognosis
Cancer
Category
Cancer
Category
Tau score
Cluster
Variants
Interacting gene (ensg_id)
Type
Number of interactions
Pathway
Category
Score
Score
Score
Validation
Validation
Validation
Validation
Antibodies
Data type
Column


  • SUMMARY

  • TISSUE

  • BRAIN

  • SINGLE CELL

  • SUBCELL

  • CANCER

  • BLOOD

  • CELL LINE

  • STRUCT & INT

  • IRX1
TISSUE PRIMARY DATA SKIN Show tissue menu
ADIPOSE TISSUE ADRENAL GLAND AMYGDALA APPENDIX BASAL GANGLIA BONE MARROW BREAST CEREBELLUM CEREBRAL CORTEX CERVIX CHOROID PLEXUS COLON DUODENUM
ENDOMETRIUM EPIDIDYMIS ESOPHAGUS FALLOPIAN TUBE GALLBLADDER HEART MUSCLE HIPPOCAMPAL FORMATION HYPOTHALAMUS KIDNEY LIVER LUNG LYMPH NODE MIDBRAIN
OVARY PANCREAS PARATHYROID GLAND PITUITARY GLAND PLACENTA PROSTATE RECTUM RETINA SALIVARY GLAND SEMINAL VESICLE SKELETAL MUSCLE SKIN SMALL INTESTINE
SMOOTH MUSCLE SPINAL CORD SPLEEN STOMACH TESTIS THYMUS THYROID GLAND TONGUE TONSIL URINARY BLADDER VAGINA
ANTIBODIES
AND
VALIDATION
Dictionary
Skin
Tissue proteome
Skin
SKIN - Expression summary
Protein expressioni

On the top, protein expression in current human tissue, based on all annotated cell types, is reported with the units not detected (n), low (l), medium (m) and high (h). Underneath, protein expression in each annotated cell type are reported using the same units.

Protein expression data is based on knowledge-based annotation. For genes where more than one antibody has been used, a collective score is set.

If knowledge-based annotation could not be performed for a gene, no data is displayed here. View antibody staining data further down this page.

No data
RNA expressioni

A summary of mRNA expression data available for current tissue based on several datasets. The mRNA expression levels in human tissues are based on RNA-seq data generated by the Human Protein Atlas (HPA), Genotype-Tissue Expression (GTEx) portal and CAGE data generated by the FANTOM5 consortium. Consensus normalized expression levels for human tissues was created by combining the data from HPA and GTEx datasets.

The mRNA expression levels in pig are based on RNA-seq data generated by the Human Protein Atlas (HPA), and for mouse, HPA data and in situ hybridization generated by the Allen brain atlas are reported.

Scroll down to view mRNA expression data in more detail.
Consensus:8.6 nTPM
HPA:1.8 nTPM
GTEx:8.6 nTPM

SKIN - Annotated protein expression
Pending normal tissue analysis

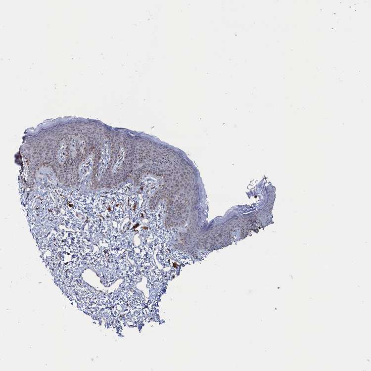
SKIN 1 - Antibody stainingi

Antibody staining in the annotated cell types in the current human tissue is reported as not detected, low, medium, or high, based on conventional immunohistochemistry profiling in selected tissues. This score is based on the combination of the staining intensity and fraction of stained cells.

Each image is clickable and will lead to virtual microscopy that enables deeper exploration of all samples and also displays staining intensity scores, fraction scores and subcellular localization as well as patient and tissue information for each sample.

Antibody HPA043160
Langerhans Medium
Fibroblasts Medium
Keratinocytes Medium
Melanocytes High


SKIN 2 - Antibody stainingi

Antibody staining in the annotated cell types in the current human tissue is reported as not detected, low, medium, or high, based on conventional immunohistochemistry profiling in selected tissues. This score is based on the combination of the staining intensity and fraction of stained cells.

Each image is clickable and will lead to virtual microscopy that enables deeper exploration of all samples and also displays staining intensity scores, fraction scores and subcellular localization as well as patient and tissue information for each sample.

Antibody HPA043160
Epidermal cells Medium
 
 
 



SKIN - HPA RNA-seqi

The RNA-seq details section shows detailed information about the individual samples used for the transcript profiling and results of the RNA-seq analysis.

Information about each individual sample is listed below, including gender, age, a tissue section image and estimated fractions of cell types. nTPM (normalized transcripts per million) values give a quantification of the gene abundance which is comparable between different genes and samples.
Average nTPMi

Max subtype nTPM is the value for the subtype with the largest average nTPM across the subtype samples.

1.8
overview
Female, age 34
Skin sample 225
nTPM: 1.1
Cell types%
Keratinocytes:
60

Other cell types:
40

overview
Female, age 30
Skin sample 226
nTPM: 0.2
Cell types%
Keratinocytes:
55

Other cell types:
45

N/A
Male, age 57
Skin sample 227
nTPM: 4.1

SKIN - GTEx RNA-seqi

RNA-Seq data generated by the Genotype-Tissue Expression (GTEx) project from human tissues is reported as mean nTPM. More information can be found on the GTEx portal.

Distribution across the dataset is visualized with box plots, shown as median and 25th and 75th percentiles. Points are displayed as outliers if they are above or below 1.5 times the interquartile range. nTPM values of the individual samples are presented next to the box plot.
Max subtype nTPMi

Max subtype nTPM is the value for the subtype with the largest average nTPM across the subtype samples.

8.6
GTEx sample id Sample description nTPM
Skin - Not Sun Exposed (Suprapubic)
Average nTPM: 6.2
Samples: 604

Max nTPM: 25.4
Min nTPM: 0.9
Std nTPM: 2.9
Median nTPM: 5.8
GTEX-1399R-1326-SM-5PNYS 30-39 years, male 25.4
GTEX-1497J-0226-SM-5QGPU 60-69 years, male 21.3
GTEX-ZYFG-1526-SM-5GZYM 60-69 years, female 18.3
GTEX-XK95-0226-SM-4AT58 40-49 years, male 17.5
GTEX-12BJ1-0926-SM-5EQ62 60-69 years, male 16.2
GTEX-14753-0726-SM-5QGQO 60-69 years, male 16.0
GTEX-13YAN-0226-SM-5TDC6 60-69 years, male 15.3
GTEX-18A7B-2726-SM-7LG56 70-79 years, male 15.0
GTEX-1R9K4-2826-SM-DTX8F 60-69 years, male 14.9
GTEX-ZVTK-0226-SM-51MRG 20-29 years, male 14.2
GTEX-1I19N-0126-SM-CYPSF 70-79 years, male 14.0
GTEX-1HUB1-1426-SM-CGQF5 60-69 years, male 13.9
GTEX-14DAQ-0626-SM-793DS 60-69 years, female 13.5
GTEX-17EVQ-0126-SM-7IGLR 70-79 years, male 13.5
GTEX-Y8LW-1526-SM-5IFHL 50-59 years, female 13.1
GTEX-1E1VI-0326-SM-793D1 50-59 years, male 12.8
GTEX-131XH-0126-SM-5LZUY 50-59 years, male 12.7
GTEX-ZAJG-1526-SM-5CVML 50-59 years, female 12.6
GTEX-1JMLX-0626-SM-ARL8T 50-59 years, male 12.5
GTEX-1B996-0426-SM-7EWF8 60-69 years, male 12.2
GTEX-ZLFU-1826-SM-4WWBV 40-49 years, male 12.2
GTEX-13N1W-2426-SM-5IJD1 70-79 years, male 12.0
GTEX-ZT9W-1126-SM-57WDR 50-59 years, male 12.0
GTEX-ZTSS-1426-SM-5985P 40-49 years, male 11.9
GTEX-ZWKS-0626-SM-5GIDV 30-39 years, male 11.8
GTEX-117YX-1926-SM-5GIEC 50-59 years, male 11.5
GTEX-139TU-0726-SM-5L3EK 60-69 years, male 11.5
GTEX-1EH9U-2826-SM-7DUGT 60-69 years, male 11.3
GTEX-1211K-1526-SM-5FQU4 60-69 years, female 11.2
GTEX-14DAR-1226-SM-73KYV 50-59 years, male 11.1
GTEX-YF7O-1526-SM-5IFI6 50-59 years, male 11.0
GTEX-1KANA-1326-SM-DIPFA 20-29 years, male 11.0
GTEX-12WSL-2026-SM-5GCML 50-59 years, male 10.9
GTEX-13OVL-0126-SM-5L3GJ 50-59 years, male 10.9
GTEX-1C64O-1326-SM-7MGWR 60-69 years, male 10.9
GTEX-11DXW-0826-SM-5H118 40-49 years, male 10.8
GTEX-13N2G-0226-SM-5K7VF 60-69 years, male 10.8
GTEX-13OVG-1626-SM-5J1NF 60-69 years, male 10.8
GTEX-ZAK1-0626-SM-5HL8E 50-59 years, female 10.8
GTEX-12584-0726-SM-5FQTK 40-49 years, male 10.7
GTEX-145MG-1526-SM-5Q5EM 50-59 years, male 10.7
GTEX-YB5K-2026-SM-4VDT3 40-49 years, female 10.7
GTEX-16MT8-2926-SM-7DUFO 60-69 years, female 10.6
GTEX-ZA64-1026-SM-5HL8R 20-29 years, male 10.6
GTEX-1MJK3-0726-SM-E6CJC 20-29 years, male 10.6
GTEX-1IDJH-0126-SM-D3L92 70-79 years, male 10.5
GTEX-XQ3S-1426-SM-4BOPR 20-29 years, male 10.4
GTEX-ZU9S-1826-SM-5NQ9E 30-39 years, male 10.4
GTEX-ZUA1-2626-SM-5NQ92 40-49 years, male 10.4
GTEX-111FC-2526-SM-5GZXU 60-69 years, male 10.3
GTEX-14PJO-2526-SM-6AJBQ 60-69 years, male 10.3
GTEX-1F52S-2926-SM-7MKGA 60-69 years, female 10.3
GTEX-16MTA-0926-SM-6M47Z 50-59 years, male 10.2
GTEX-ZAB4-2126-SM-5HL8U 40-49 years, male 10.2
GTEX-1I6K6-1726-SM-CGQFD 30-39 years, male 10.2
GTEX-1M4P7-0726-SM-E6CJ3 60-69 years, male 10.2
GTEX-1PIGE-1826-SM-E8VOU 20-29 years, male 10.2
GTEX-17F9E-2326-SM-79OKD 50-59 years, male 10.1
GTEX-18D9A-1426-SM-7LT8M 30-39 years, female 10.1
GTEX-1HCU9-0426-SM-9WYSD 20-29 years, male 10.1
GTEX-11EQ9-1626-SM-5PNY8 30-39 years, male 10.0
GTEX-13RTJ-0126-SM-5S2NN 60-69 years, male 10.0
GTEX-X585-2426-SM-46MW2 50-59 years, male 10.0
GTEX-1N5O9-0926-SM-E9J3C 60-69 years, male 10.0
GTEX-11NSD-0626-SM-5A5LU 20-29 years, male 9.9
GTEX-ZDTS-0826-SM-4WKHL 60-69 years, male 9.9
GTEX-145MO-2826-SM-5LU96 60-69 years, male 9.8
GTEX-17F96-0126-SM-7EWDU 70-79 years, male 9.8
GTEX-11EM3-1226-SM-5N9DD 20-29 years, female 9.7
GTEX-13113-1626-SM-5EQ4I 60-69 years, female 9.7
GTEX-13FTW-0326-SM-5K7UW 40-49 years, male 9.7
GTEX-16GPK-0626-SM-7KFSF 60-69 years, male 9.7
GTEX-16XZZ-0726-SM-7KUF2 60-69 years, male 9.7
GTEX-1HFI6-0126-SM-CNPPI 40-49 years, male 9.7
GTEX-1QP29-1826-SM-DTX9S 50-59 years, male 9.7
GTEX-139TS-2126-SM-5K7XC 60-69 years, male 9.6
GTEX-14PKV-1126-SM-6LLJ1 20-29 years, female 9.6
GTEX-1A32A-0626-SM-731AQ 50-59 years, female 9.6
GTEX-1GZ2Q-0126-SM-9WG6M 40-49 years, male 9.6
GTEX-1212Z-0126-SM-59HK4 60-69 years, male 9.5
GTEX-1H1CY-0126-SM-9YFLY 60-69 years, female 9.5
GTEX-1L5NE-1126-SM-D3L9P 50-59 years, male 9.5
GTEX-11EI6-2826-SM-5H11D 60-69 years, male 9.4
GTEX-12WSF-1626-SM-7KUG5 70-79 years, male 9.3
GTEX-1EKGG-0626-SM-7DUGJ 60-69 years, male 9.3
GTEX-1EWIQ-0326-SM-7DHMQ 70-79 years, female 9.3
GTEX-1CAMR-1326-SM-7PC1F 20-29 years, male 9.3
GTEX-1IDJD-2326-SM-ACKWX 30-39 years, male 9.3
GTEX-1K2DU-1226-SM-CYPT4 20-29 years, male 9.3
GTEX-1LGOU-1326-SM-D3L8M 20-29 years, female 9.3
GTEX-13FH7-1126-SM-5K7UG 50-59 years, female 9.2
GTEX-145LS-0626-SM-7EPG7 60-69 years, female 9.2
GTEX-1IDJE-1426-SM-ADEIW 50-59 years, female 9.2
GTEX-1LSNM-0826-SM-DIPG8 50-59 years, male 9.2
GTEX-146FQ-2126-SM-5RQHU 30-39 years, male 9.1
GTEX-14JG6-1426-SM-9WG7C 30-39 years, female 9.1
GTEX-1JMOU-1026-SM-CYPSS 60-69 years, female 9.1
GTEX-13OW8-1026-SM-5J1NQ 60-69 years, male 9.0
GTEX-145MN-1526-SM-5SI9T 30-39 years, male 9.0
GTEX-Y3IK-1626-SM-4YCF5 50-59 years, female 9.0
GTEX-1F75W-2726-SM-7SB8H 60-69 years, male 9.0
GTEX-1HCU6-2526-SM-ADEHL 60-69 years, female 8.9
GTEX-11DXY-0126-SM-5H11Q 60-69 years, male 8.8
GTEX-13JUV-2026-SM-5K7UA 40-49 years, female 8.8
GTEX-15D1Q-2826-SM-6LLH7 40-49 years, male 8.8
GTEX-X3Y1-2026-SM-3P5YM 40-49 years, male 8.8
GTEX-1117F-2926-SM-5GZYI 60-69 years, female 8.7
GTEX-1JKYN-0826-SM-ARU8S 30-39 years, male 8.7
GTEX-11DYG-1526-SM-5A5JS 60-69 years, male 8.6
GTEX-13IVO-0726-SM-5LZYV 70-79 years, male 8.6
GTEX-ZDXO-3126-SM-5IJDF 60-69 years, male 8.6
GTEX-1JKYR-0626-SM-ARL8R 20-29 years, male 8.6
GTEX-1O9I2-0226-SM-EYYXD 50-59 years, male 8.6
GTEX-12ZZZ-0726-SM-5GCNZ 60-69 years, male 8.5
GTEX-1AX9J-1326-SM-731BJ 60-69 years, male 8.5
GTEX-YJ8O-2526-SM-5HL85 40-49 years, female 8.5
GTEX-1CAMQ-1326-SM-7P8RV 40-49 years, male 8.5
GTEX-1F48J-0726-SM-7RHGS 50-59 years, female 8.5
GTEX-1H3NZ-2726-SM-9WYTQ 60-69 years, male 8.5
GTEX-14C39-1726-SM-5RQIL 40-49 years, male 8.4
GTEX-15RJ7-2126-SM-6PAMD 40-49 years, male 8.4
GTEX-1B933-2426-SM-7DHMD 50-59 years, female 8.4
GTEX-Y5V5-0126-SM-5S2NW 60-69 years, female 8.4
GTEX-11P82-1426-SM-DTXFY 20-29 years, male 8.4
GTEX-1JMPZ-0726-SM-CY8HZ 30-39 years, male 8.4
GTEX-1RAZA-2226-SM-E9U4X 20-29 years, male 8.4
GTEX-131XF-2626-SM-5EQ6K 60-69 years, male 8.3
GTEX-139T8-0626-SM-5KLZX 60-69 years, male 8.3
GTEX-13OVJ-0826-SM-5J1OK 50-59 years, female 8.3
GTEX-WYVS-1626-SM-3NM9R 40-49 years, female 8.3
GTEX-1JJ6O-2726-SM-CNPOG 60-69 years, male 8.3
GTEX-ZLWG-0826-SM-59888 50-59 years, female 8.2
GTEX-1I4MK-0126-SM-CY8G6 50-59 years, female 8.2
GTEX-11TT1-1826-SM-5EQLV 20-29 years, male 8.1
GTEX-1JN6P-2926-SM-CL54D 60-69 years, male 8.1
GTEX-17JCI-2926-SM-7DUFF 60-69 years, female 8.0
GTEX-1A3MV-1826-SM-731CD 30-39 years, male 8.0
GTEX-WHSE-0126-SM-3NMBT 20-29 years, male 8.0
GTEX-144GO-2026-SM-5O99P 60-69 years, male 7.9
GTEX-15CHQ-0326-SM-69LQD 60-69 years, male 7.9
GTEX-18A7A-0126-SM-731AH 50-59 years, female 7.9
GTEX-1GMR3-0126-SM-A9SLW 40-49 years, male 7.9
GTEX-1HR98-2226-SM-ADEI2 60-69 years, male 7.9
GTEX-1IDJC-1526-SM-B2LW4 50-59 years, male 7.9
GTEX-1QP9N-1226-SM-E76QN 30-39 years, male 7.9
GTEX-13O61-1426-SM-5KM3D 60-69 years, male 7.8
GTEX-16YQH-2226-SM-7IGM2 30-39 years, male 7.8
GTEX-WH7G-2026-SM-3NMBL 40-49 years, male 7.8
GTEX-11P81-2226-SM-5PNYI 30-39 years, female 7.7
GTEX-13VXT-1926-SM-5K7UO 20-29 years, female 7.7
GTEX-145LT-0526-SM-5LUB2 40-49 years, male 7.7
GTEX-147JS-0226-SM-5S2U9 60-69 years, male 7.7
GTEX-14LZ3-0126-SM-69LPM 60-69 years, female 7.7
GTEX-YEC4-1826-SM-4W1YP 40-49 years, male 7.6
GTEX-1F6I4-2326-SM-7RHGL 60-69 years, male 7.6
GTEX-1F75B-0726-SM-7PC3R 50-59 years, male 7.6
GTEX-1HSMO-0626-SM-ACKXC 60-69 years, male 7.6
GTEX-1QP66-1226-SM-DTX7U 50-59 years, male 7.6
GTEX-1192X-2726-SM-5N9DN 50-59 years, male 7.5
GTEX-13NZ9-2626-SM-5L3FK 50-59 years, male 7.5
GTEX-14PK6-0226-SM-62LF5 70-79 years, female 7.5
GTEX-18465-2826-SM-7LT9J 50-59 years, male 7.5
GTEX-1LVAO-2726-SM-E9TJ8 60-69 years, male 7.5
GTEX-1N2EE-0626-SM-E76PW 60-69 years, male 7.5
GTEX-13SLX-2226-SM-62LEP 50-59 years, female 7.4
GTEX-15FZZ-0526-SM-7KUGD 30-39 years, female 7.4
GTEX-16NGA-0726-SM-731AO 40-49 years, female 7.4
GTEX-1J8JJ-0626-SM-ARZMQ 60-69 years, female 7.4
GTEX-11O72-0626-SM-5PNYE 40-49 years, male 7.3
GTEX-12KS4-2126-SM-5FQUT 30-39 years, male 7.3
GTEX-X5EB-1926-SM-4E3IW 40-49 years, male 7.3
GTEX-XQ8I-0926-SM-4BOOF 50-59 years, male 7.3
GTEX-ZE7O-2726-SM-51MT5 50-59 years, female 7.3
GTEX-YEC3-1326-SM-DO92X 50-59 years, male 7.3
GTEX-12WSC-2826-SM-5BC5Y 50-59 years, male 7.2
GTEX-1HFI7-2326-SM-CGQFS 50-59 years, female 7.2
GTEX-1HKZK-0726-SM-ACKW2 40-49 years, male 7.2
GTEX-1K9T9-1526-SM-DIPFR 50-59 years, female 7.2
GTEX-13O3Q-0126-SM-5KM34 50-59 years, male 7.1
GTEX-147F3-1726-SM-5SIAW 50-59 years, female 7.1
GTEX-14A5H-0826-SM-5QGPJ 60-69 years, male 7.1
GTEX-14PHX-2226-SM-6EU2P 50-59 years, male 7.1
GTEX-XYKS-1426-SM-4BRUO 60-69 years, female 7.1
GTEX-ZZ64-1026-SM-5GZXG 20-29 years, male 7.1
GTEX-1C475-1326-SM-7SB73 40-49 years, female 7.1
GTEX-1POEN-2326-SM-E9J2L 30-39 years, female 7.1
GTEX-13NYS-0626-SM-5L3F1 60-69 years, male 7.0
GTEX-16NPX-0726-SM-7KULC 50-59 years, male 7.0
GTEX-18A66-0626-SM-7LT8Z 60-69 years, male 7.0
GTEX-XBEW-1126-SM-4QARW 40-49 years, male 7.0
GTEX-XMD2-2126-SM-4YCF8 60-69 years, female 7.0
GTEX-ZPU1-1126-SM-4YCF3 40-49 years, male 7.0
GTEX-1K2DA-1026-SM-CGQGF 50-59 years, male 7.0
GTEX-1S82P-2126-SM-E6CI5 60-69 years, female 7.0
GTEX-XBED-1926-SM-47JYP 60-69 years, male 6.9
GTEX-1GZHY-0626-SM-9KNVC 50-59 years, female 6.9
GTEX-1PDJ9-1226-SM-EXUSX 20-29 years, male 6.9
GTEX-1RAZR-2126-SM-E9U6T 40-49 years, male 6.9
GTEX-14BMU-1226-SM-5S2OR 20-29 years, female 6.8
GTEX-15CHR-1126-SM-7EWF4 50-59 years, male 6.8
GTEX-17HHY-0426-SM-7DHLC 50-59 years, male 6.8
GTEX-WYJK-0526-SM-3NM8Z 50-59 years, male 6.8
GTEX-Y8E4-2026-SM-5IFJB 40-49 years, male 6.8
GTEX-Z93S-1626-SM-5CVMB 50-59 years, male 6.8
GTEX-ZYT6-2326-SM-5GZY3 30-39 years, male 6.8
GTEX-1KWVE-1026-SM-D3L9O 30-39 years, male 6.8
GTEX-14E6C-2426-SM-5S2NF 40-49 years, male 6.7
GTEX-14E6E-0526-SM-793DN 30-39 years, male 6.7
GTEX-1CAV2-0126-SM-7IGN7 40-49 years, female 6.7
GTEX-1CB4F-1026-SM-7DUH1 60-69 years, male 6.7
GTEX-1GF9W-1426-SM-7PBYM 60-69 years, male 6.7
GTEX-1IDJI-0126-SM-CMKHS 50-59 years, female 6.7
GTEX-1J1R8-2026-SM-CL53Y 40-49 years, male 6.7
GTEX-1LG7Z-1626-SM-CXKYR 30-39 years, male 6.7
GTEX-1RB15-1326-SM-E76Q9 60-69 years, male 6.7
GTEX-15SHW-0226-SM-7LTAT 60-69 years, male 6.6
GTEX-18D9B-0926-SM-7LG4U 60-69 years, male 6.6
GTEX-WFON-1926-SM-3LK7L 40-49 years, male 6.6
GTEX-WHWD-1826-SM-3LK6I 50-59 years, male 6.6
GTEX-XOT4-0626-SM-4B66L 60-69 years, female 6.6
GTEX-ZYW4-0626-SM-59HJR 60-69 years, male 6.6
GTEX-11WQC-1826-SM-5GU59 60-69 years, male 6.5
GTEX-12WSA-0426-SM-5EQ5X 60-69 years, male 6.5
GTEX-133LE-2326-SM-5K7W3 20-29 years, female 6.5
GTEX-XBEC-0726-SM-4QARZ 50-59 years, male 6.5
GTEX-ZDYS-2426-SM-4WKGI 50-59 years, male 6.5
GTEX-ZTX8-1326-SM-4YCEL 20-29 years, male 6.5
GTEX-ZVE2-2826-SM-5GU51 50-59 years, male 6.5
GTEX-ZYFD-0626-SM-5E44E 50-59 years, male 6.5
GTEX-1HCUA-0826-SM-ADEHM 50-59 years, female 6.5
GTEX-1QMI2-2526-SM-E8VNZ 60-69 years, male 6.5
GTEX-12696-0126-SM-5EQ4L 60-69 years, male 6.4
GTEX-1269C-0126-SM-5EQ5L 60-69 years, female 6.4
GTEX-12C56-1526-SM-5FQUQ 20-29 years, male 6.4
GTEX-12ZZX-2426-SM-5GCOE 40-49 years, female 6.4
GTEX-139TT-2126-SM-5LZWC 60-69 years, male 6.4
GTEX-13OVK-1426-SM-6PAN7 40-49 years, male 6.4
GTEX-13X6I-1826-SM-5SIAO 60-69 years, male 6.4
GTEX-14ICL-1626-SM-5YYAO 30-39 years, male 6.4
GTEX-14PJ2-0626-SM-6LLII 50-59 years, male 6.4
GTEX-17F97-2626-SM-7IGM5 50-59 years, male 6.4
GTEX-WY7C-2126-SM-3NB2R 50-59 years, male 6.4
GTEX-XUW1-0926-SM-4BONX 50-59 years, female 6.4
GTEX-ZP4G-1426-SM-4WWCL 20-29 years, female 6.4
GTEX-1E2YA-2126-SM-7MXUO 50-59 years, male 6.4
GTEX-1F6IF-0926-SM-7SB7M 60-69 years, male 6.4
GTEX-1MCC2-1826-SM-DIPEX 30-39 years, female 6.4
GTEX-12WSD-0626-SM-5GCMW 60-69 years, female 6.3
GTEX-139YR-1026-SM-5LZYN 50-59 years, male 6.3
GTEX-13OW7-0426-SM-5K7VK 50-59 years, male 6.3
GTEX-13PVQ-0626-SM-5LU47 50-59 years, male 6.3
GTEX-13X6H-0926-SM-5SIB2 50-59 years, female 6.3
GTEX-145ME-1726-SM-5Q5EU 40-49 years, female 6.3
GTEX-ZVE1-0726-SM-51MRN 50-59 years, female 6.3
GTEX-1S831-1826-SM-EWROF 20-29 years, male 6.3
GTEX-12WSH-1526-SM-5BC5W 50-59 years, male 6.2
GTEX-1314G-1326-SM-5BC6E 30-39 years, male 6.2
GTEX-14ABY-2026-SM-62LDL 50-59 years, male 6.2
GTEX-WXYG-2026-SM-4E3IY 50-59 years, female 6.2
GTEX-ZXG5-2126-SM-59HKD 60-69 years, male 6.2
GTEX-1F75I-2226-SM-7SB8U 40-49 years, male 6.2
GTEX-1GMR2-0826-SM-7PC3V 50-59 years, male 6.2
GTEX-1GPI7-1826-SM-9KNU1 20-29 years, male 6.2
GTEX-1IY9M-2826-SM-ARU8H 60-69 years, male 6.2
GTEX-11NUK-2726-SM-5A5MC 50-59 years, male 6.1
GTEX-13NZ8-1226-SM-5KM4A 60-69 years, female 6.1
GTEX-13U4I-2226-SM-5LU5H 40-49 years, female 6.1
GTEX-15RIG-0726-SM-7KUM7 40-49 years, male 6.1
GTEX-1B97I-0626-SM-73KUZ 40-49 years, male 6.1
GTEX-YFCO-1226-SM-5LUAT 40-49 years, male 6.1
GTEX-1HB9E-0126-SM-CM2S5 50-59 years, male 6.1
GTEX-11OF3-0126-SM-5PNYF 60-69 years, male 6.0
GTEX-131XW-0626-SM-5PNVD 50-59 years, female 6.0
GTEX-13NYB-0126-SM-5J1MD 40-49 years, male 6.0
GTEX-14E1K-2026-SM-7DUEI 50-59 years, male 6.0
GTEX-183FY-1026-SM-7939A 20-29 years, male 6.0
GTEX-Y5LM-0926-SM-6LLJG 40-49 years, female 6.0
GTEX-1GZ4H-0526-SM-9KNU9 50-59 years, female 6.0
GTEX-1H23P-0626-SM-9WG6T 60-69 years, male 6.0
GTEX-1I1GV-0626-SM-ARL7M 60-69 years, male 6.0
GTEX-1KANC-1226-SM-CYPT7 50-59 years, female 6.0
GTEX-1NSGN-0726-SM-DTXEF 50-59 years, male 6.0
GTEX-1S82U-1026-SM-E6CJK 30-39 years, female 6.0
GTEX-11EQ8-0926-SM-5H12V 60-69 years, male 5.9
GTEX-12WSJ-1126-SM-5LZVJ 40-49 years, female 5.9
GTEX-12WSM-1926-SM-5BC65 60-69 years, male 5.9
GTEX-131XG-0326-SM-5L3DX 50-59 years, female 5.9
GTEX-13FTX-1526-SM-5K7VJ 20-29 years, female 5.9
GTEX-17HGU-2326-SM-7DUFE 50-59 years, male 5.9
GTEX-WEY5-2326-SM-3GIKK 40-49 years, female 5.9
GTEX-1I6K7-1926-SM-B2LXR 40-49 years, male 5.9
GTEX-1QCLZ-2426-SM-EVYBW 60-69 years, female 5.9
GTEX-1S3DN-2126-SM-E9TIN 50-59 years, male 5.9
GTEX-ZGAY-1826-SM-DO91Q 40-49 years, female 5.9
GTEX-11GS4-0226-SM-5HL77 60-69 years, male 5.8
GTEX-13QBU-1226-SM-5LU4G 40-49 years, female 5.8
GTEX-15RIE-1926-SM-7KUKJ 60-69 years, male 5.8
GTEX-16Z82-2626-SM-7KULU 60-69 years, male 5.8
GTEX-ZC5H-1526-SM-5HL9Y 40-49 years, female 5.8
GTEX-ZYFC-0426-SM-5GICQ 50-59 years, male 5.8
GTEX-14JFF-0626-SM-5ZZVT 60-69 years, male 5.8
GTEX-1A8FM-0626-SM-7PC25 50-59 years, female 5.8
GTEX-1IL2V-1926-SM-B2LW8 70-79 years, male 5.8
GTEX-1LG7Y-2526-SM-EWRO7 50-59 years, male 5.8
GTEX-1LKK1-2626-SM-DKPQE 50-59 years, female 5.8
GTEX-1LVAN-0626-SM-CNPOQ 50-59 years, female 5.8
GTEX-1QW4Y-1126-SM-DTXE3 30-39 years, male 5.8
GTEX-1R9PN-0426-SM-DTXDT 40-49 years, female 5.8
GTEX-1RAZS-2526-SM-E6CHT 50-59 years, male 5.8
GTEX-11VI4-1126-SM-5EQMD 40-49 years, female 5.7
GTEX-139D8-1126-SM-5LU8W 30-39 years, female 5.7
GTEX-14AS3-1526-SM-5Q5ED 40-49 years, female 5.7
GTEX-WK11-2726-SM-3NMAQ 50-59 years, male 5.7
GTEX-ZVP2-0326-SM-57WBP 50-59 years, male 5.7
GTEX-1I1GS-2626-SM-B2LY3 60-69 years, male 5.7
GTEX-12126-0826-SM-5FQTZ 20-29 years, male 5.6
GTEX-14BIN-1126-SM-5RQJZ 50-59 years, female 5.6
GTEX-15UF6-1926-SM-7KUDV 70-79 years, female 5.6
GTEX-16AAH-0626-SM-793C9 50-59 years, male 5.6
GTEX-17HHE-1326-SM-7EWDZ 50-59 years, male 5.6
GTEX-1F75A-0726-SM-7RHHD 50-59 years, male 5.6
GTEX-1I1GP-1326-SM-A9G28 50-59 years, male 5.6
GTEX-1RLM8-2926-SM-E8VON 50-59 years, male 5.6
GTEX-11DZ1-2426-SM-5GZZX 50-59 years, male 5.5
GTEX-11ZTT-2126-SM-5CVLO 60-69 years, female 5.5
GTEX-14PHY-1226-SM-5ZZWK 60-69 years, female 5.5
GTEX-16BQI-1326-SM-6M486 30-39 years, female 5.5
GTEX-18QFQ-1826-SM-72D52 30-39 years, male 5.5
GTEX-WYBS-0626-SM-3NMAS 60-69 years, female 5.5
GTEX-Y114-2126-SM-4TT8B 50-59 years, female 5.5
GTEX-ZF2S-1626-SM-57WES 50-59 years, female 5.5
GTEX-1GL5R-1326-SM-7RHHF 50-59 years, male 5.5
GTEX-1GTWX-2026-SM-9YFLM 60-69 years, male 5.5
GTEX-1HSKV-1226-SM-ADEI4 60-69 years, male 5.5
GTEX-1PIIG-2326-SM-DTXFR 30-39 years, male 5.5
GTEX-13OVH-0526-SM-5L3E6 70-79 years, male 5.4
GTEX-14LLW-2626-SM-62LDZ 70-79 years, female 5.4
GTEX-18D9U-0126-SM-731BM 40-49 years, male 5.4
GTEX-WFG8-2126-SM-3GIKQ 20-29 years, male 5.4
GTEX-Y5V6-2326-SM-4VDSA 60-69 years, male 5.4
GTEX-1H1E6-0426-SM-9WYUS 30-39 years, male 5.4
GTEX-1LBAC-0826-SM-CY8IJ 20-29 years, male 5.4
GTEX-12WSK-2126-SM-5CVNC 40-49 years, female 5.3
GTEX-13FLV-0126-SM-5K7WT 50-59 years, male 5.3
GTEX-148VJ-0626-SM-5LUAW 70-79 years, male 5.3
GTEX-15EO6-2426-SM-6PALZ 50-59 years, male 5.3
GTEX-WRHU-2826-SM-3MJG8 50-59 years, female 5.3
GTEX-1HSMP-0926-SM-A9SKX 70-79 years, male 5.3
GTEX-1IDJF-2026-SM-CL53V 20-29 years, male 5.3
GTEX-1QEPI-2626-SM-DTXF4 60-69 years, female 5.3
GTEX-11DXZ-2026-SM-5987S 50-59 years, male 5.2
GTEX-11GSP-2326-SM-5HL63 60-69 years, female 5.2
GTEX-13112-0126-SM-5P9IU 50-59 years, male 5.2
GTEX-13O3O-2326-SM-5IJD6 60-69 years, female 5.2
GTEX-14JG1-1526-SM-5YY9X 40-49 years, male 5.2
GTEX-15DYW-2726-SM-6EU2I 60-69 years, female 5.2
GTEX-1EMGI-2326-SM-7PBYA 60-69 years, male 5.2
GTEX-1HBPI-2126-SM-ARL9K 50-59 years, male 5.2
GTEX-1HGF4-0126-SM-CNPPX 60-69 years, male 5.2
GTEX-1PPH8-0126-SM-EWRN8 20-29 years, male 5.2
GTEX-13N11-2326-SM-5IJBF 50-59 years, female 5.1
GTEX-147F4-0726-SM-5TDDD 50-59 years, male 5.1
GTEX-1B8KE-1126-SM-7EPHI 50-59 years, male 5.1
GTEX-VUSG-2326-SM-4KL1U 50-59 years, male 5.1
GTEX-WHPG-2626-SM-3NMBR 50-59 years, male 5.1
GTEX-1HSMQ-2626-SM-A9SML 50-59 years, male 5.1
GTEX-1J8Q2-2626-SM-ACKWQ 60-69 years, male 5.1
GTEX-1PPH7-1126-SM-DTX9A 40-49 years, male 5.1
GTEX-12ZZY-0726-SM-5EQ66 60-69 years, male 5.0
GTEX-13OW5-2326-SM-5L3HO 60-69 years, male 5.0
GTEX-14PJ5-1526-SM-6LLIL 60-69 years, female 5.0
GTEX-14PKU-0126-SM-6LLHV 40-49 years, female 5.0
GTEX-15RJE-2826-SM-7KUM9 40-49 years, male 5.0
GTEX-1C6WA-2626-SM-7MKGM 60-69 years, male 5.0
GTEX-1EN7A-2426-SM-793DB 40-49 years, male 5.0
GTEX-X4EO-2926-SM-4E3JH 60-69 years, female 5.0
GTEX-1JMQI-1726-SM-ARL93 50-59 years, male 5.0
GTEX-1N2DV-1526-SM-DTXEP 40-49 years, male 5.0
GTEX-13JVG-0726-SM-5KM16 60-69 years, male 4.9
GTEX-13PVR-0426-SM-5RQK2 60-69 years, female 4.9
GTEX-17HG3-2626-SM-7DUF2 30-39 years, female 4.9
GTEX-1A3MW-0626-SM-731CB 60-69 years, female 4.9
GTEX-1A8G6-2726-SM-731AR 60-69 years, male 4.9
GTEX-1H1ZS-2726-SM-9WG75 70-79 years, male 4.9
GTEX-1PPGY-1626-SM-EVYBL 60-69 years, male 4.9
GTEX-ZF3C-0626-SM-DO92O 50-59 years, female 4.9
GTEX-11P7K-1126-SM-5HL4L 30-39 years, male 4.8
GTEX-11UD2-2526-SM-5CVNU 50-59 years, male 4.8
GTEX-15DDE-2926-SM-6LLJ3 50-59 years, female 4.8
GTEX-WI4N-2726-SM-3LK7Y 40-49 years, female 4.8
GTEX-Y111-0626-SM-4SOIT 50-59 years, male 4.8
GTEX-ZZPU-0826-SM-5GZX5 50-59 years, female 4.8
GTEX-1C64N-2626-SM-7PC2N 50-59 years, male 4.8
GTEX-1GN2E-0226-SM-9WG6K 60-69 years, male 4.8
GTEX-1IKOE-1426-SM-CE6T7 30-39 years, female 4.8
GTEX-17F9Y-0126-SM-79OKX 70-79 years, female 4.7
GTEX-17MF6-2626-SM-79OKQ 40-49 years, male 4.7
GTEX-1BAJH-2426-SM-7IGP8 70-79 years, male 4.7
GTEX-X4EP-0626-SM-3P621 60-69 years, female 4.7
GTEX-ZVZP-1226-SM-5GID7 50-59 years, male 4.7
GTEX-1GN73-0726-SM-7P8TJ 60-69 years, male 4.7
GTEX-1GZ4I-2626-SM-9KNU3 50-59 years, male 4.7
GTEX-1IDJU-1726-SM-CMKHU 60-69 years, female 4.7
GTEX-1KD5A-0126-SM-E9U54 50-59 years, male 4.7
GTEX-ZPIC-0526-SM-DO91W 40-49 years, female 4.7
GTEX-111CU-1126-SM-5EGIM 50-59 years, male 4.6
GTEX-13X6J-0626-SM-5LU5F 50-59 years, male 4.6
GTEX-15CHC-1126-SM-6LLHQ 60-69 years, female 4.6
GTEX-17EVP-2626-SM-7IGMA 40-49 years, male 4.6
GTEX-1AMEY-0826-SM-72D65 30-39 years, female 4.6
GTEX-1AX8Z-0726-SM-73KTS 60-69 years, male 4.6
GTEX-1CB4I-0126-SM-7RHGG 50-59 years, male 4.6
GTEX-1HC8U-1326-SM-9YFMJ 40-49 years, female 4.6
GTEX-131YS-2826-SM-5EQ47 60-69 years, female 4.5
GTEX-1399U-1126-SM-5L3DB 50-59 years, female 4.5
GTEX-13QJC-0126-SM-5ZZWJ 60-69 years, female 4.5
GTEX-13VXU-0626-SM-5L3F9 50-59 years, male 4.5
GTEX-147GR-2426-SM-5ZZWQ 60-69 years, male 4.5
GTEX-17F98-1326-SM-7DUEP 40-49 years, female 4.5
GTEX-1CB4E-0926-SM-7EPHT 60-69 years, male 4.5
GTEX-XPVG-2126-SM-4B667 50-59 years, male 4.5
GTEX-ZPCL-1126-SM-4WWFE 60-69 years, female 4.5
GTEX-1H3VE-0726-SM-9YFL5 40-49 years, male 4.5
GTEX-1JK1U-0226-SM-ARZMX 60-69 years, male 4.5
GTEX-1JMPY-0226-SM-CKZOK 30-39 years, male 4.5
GTEX-1QP2A-1726-SM-E76QC 50-59 years, male 4.5
GTEX-14PJ3-1126-SM-5ZZVX 50-59 years, male 4.4
GTEX-17MFQ-1526-SM-7KFRR 20-29 years, male 4.4
GTEX-1AX9I-2226-SM-73KUO 60-69 years, male 4.4
GTEX-1CB4H-1126-SM-7MKGL 60-69 years, female 4.4
GTEX-XV7Q-1826-SM-4BRUV 40-49 years, female 4.4
GTEX-Y3I4-1726-SM-4TT89 50-59 years, male 4.4
GTEX-1A3MX-2626-SM-7PC24 60-69 years, male 4.4
GTEX-1F5PL-0926-SM-7PC2W 40-49 years, female 4.4
GTEX-1GF9U-2026-SM-7SB92 40-49 years, female 4.4
GTEX-1H11D-1826-SM-9QEHM 40-49 years, male 4.4
GTEX-1I1HK-2326-SM-CKZOH 60-69 years, male 4.4
GTEX-1IDFM-0326-SM-ARL7V 60-69 years, male 4.4
GTEX-1J8QM-2426-SM-A9SLS 60-69 years, female 4.4
GTEX-1JJE9-2626-SM-ARZMT 70-79 years, male 4.4
GTEX-1QCLY-0226-SM-EWRNH 30-39 years, male 4.4
GTEX-1R9PM-1926-SM-EVR3O 20-29 years, male 4.4
GTEX-13W3W-0726-SM-5IJDQ 60-69 years, female 4.3
GTEX-145MF-0926-SM-5Q5EA 50-59 years, male 4.3
GTEX-15EU6-2226-SM-6EU2L 50-59 years, male 4.3
GTEX-178AV-1726-SM-7KUL8 40-49 years, male 4.3
GTEX-UPK5-0426-SM-3GAEK 40-49 years, male 4.3
GTEX-XAJ8-1426-SM-47JYM 40-49 years, male 4.3
GTEX-ZF29-0926-SM-4WKFZ 60-69 years, female 4.3
GTEX-1F88E-1626-SM-7SB8Z 60-69 years, female 4.3
GTEX-1GF9V-0826-SM-9KNUV 60-69 years, male 4.3
GTEX-1H1DE-1326-SM-9KNUG 20-29 years, male 4.3
GTEX-1H3O1-1326-SM-9MQLD 60-69 years, male 4.3
GTEX-11WQK-1026-SM-5EQLX 50-59 years, male 4.2
GTEX-11ZUS-2626-SM-5FQUR 30-39 years, male 4.2
GTEX-145LU-1926-SM-79OJN 50-59 years, male 4.2
GTEX-14PJN-1826-SM-6AJ98 30-39 years, male 4.2
GTEX-VJYA-1526-SM-3GIJV 60-69 years, male 4.2
GTEX-X8HC-0626-SM-4E3HQ 50-59 years, female 4.2
GTEX-1HBPN-0126-SM-CGQEF 50-59 years, male 4.2
GTEX-1HCU8-2526-SM-CE6RX 60-69 years, female 4.2
GTEX-1OJC3-1226-SM-DTXER 20-29 years, male 4.2
GTEX-1R7EU-1626-SM-DTXG3 60-69 years, male 4.2
GTEX-13PDP-0726-SM-5L3HP 60-69 years, male 4.1
GTEX-144GM-0526-SM-79OJO 20-29 years, male 4.1
GTEX-1B8SF-0126-SM-7DUG3 60-69 years, male 4.1
GTEX-ZDTT-0426-SM-4WKFL 60-69 years, male 4.1
GTEX-1GN1W-2426-SM-9KNUU 50-59 years, female 4.1
GTEX-1JMQK-1226-SM-D4P2S 60-69 years, male 4.1
GTEX-1LB8K-0726-SM-D5OV2 50-59 years, male 4.1
GTEX-1LVA9-2626-SM-EVYD4 50-59 years, male 4.1
GTEX-1RAZQ-1326-SM-E9TK6 30-39 years, male 4.1
GTEX-W5X1-2526-SM-3GILC 40-49 years, female 4.0
GTEX-1F88F-0126-SM-9WYSZ 60-69 years, female 4.0
GTEX-1HCVE-2726-SM-CL54F 50-59 years, male 4.0
GTEX-1ICLZ-0326-SM-ARL82 60-69 years, male 4.0
GTEX-1RMOY-1326-SM-E9TIH 50-59 years, male 4.0
GTEX-111YS-1526-SM-5GZYW 60-69 years, male 3.9
GTEX-11LCK-2226-SM-5HL4Q 30-39 years, male 3.9
GTEX-11TUW-0626-SM-5LU9M 60-69 years, male 3.9
GTEX-1KAFJ-0126-SM-DIPEK 50-59 years, male 3.9
GTEX-13OW6-2726-SM-5J2OE 50-59 years, male 3.8
GTEX-144FL-0626-SM-5LU43 50-59 years, male 3.8
GTEX-17KNJ-2126-SM-718AM 50-59 years, male 3.8
GTEX-1EX96-1026-SM-7MKG2 50-59 years, male 3.8
GTEX-1CAMS-2226-SM-7PBXQ 40-49 years, female 3.8
GTEX-1HSGN-0826-SM-ACKW3 40-49 years, female 3.8
GTEX-1LSVX-2526-SM-DIPEU 60-69 years, male 3.8
GTEX-132AR-0326-SM-5KM2C 50-59 years, female 3.7
GTEX-1477Z-0326-SM-7IGLA 60-69 years, male 3.7
GTEX-15G1A-1626-SM-7KUKN 30-39 years, male 3.7
GTEX-1GN1U-0626-SM-9MQL9 50-59 years, female 3.7
GTEX-1I1GT-1026-SM-ARZLV 60-69 years, female 3.7
GTEX-1ICG6-1226-SM-A9SLN 70-79 years, female 3.7
GTEX-1IOXB-2726-SM-CM2RI 50-59 years, male 3.7
GTEX-1J8Q3-0526-SM-ARL8U 60-69 years, male 3.7
GTEX-ZLV1-1526-SM-DO91J 60-69 years, female 3.7
GTEX-17HII-1426-SM-7EPGG 50-59 years, male 3.6
GTEX-ZT9X-1526-SM-5DUXD 40-49 years, male 3.6
GTEX-1F6RS-2026-SM-7RHHC 60-69 years, female 3.6
GTEX-1GMR8-0626-SM-7RHI7 50-59 years, female 3.6
GTEX-1H1DG-2426-SM-9QEHJ 70-79 years, male 3.6
GTEX-1J8EW-2726-SM-CY8HR 60-69 years, female 3.6
GTEX-13D11-0926-SM-5J2NC 50-59 years, female 3.5
GTEX-13X6K-0626-SM-5LU5D 60-69 years, female 3.5
GTEX-145MH-2826-SM-5RQJF 50-59 years, male 3.5
GTEX-14PJ4-0226-SM-5YY92 60-69 years, male 3.5
GTEX-18A6Q-0626-SM-7KFRP 60-69 years, male 3.5
GTEX-XXEK-1626-SM-4BRUZ 50-59 years, male 3.5
GTEX-1122O-1026-SM-9WYSF 60-69 years, female 3.5
GTEX-1JMQJ-0826-SM-CNPP7 50-59 years, male 3.5
GTEX-1QP28-1126-SM-EVYC4 50-59 years, female 3.5
GTEX-139UW-0326-SM-5J1ML 60-69 years, male 3.4
GTEX-13G51-1826-SM-5KLZH 60-69 years, male 3.4
GTEX-14B4R-1326-SM-5Q5EZ 30-39 years, male 3.4
GTEX-ZTTD-2826-SM-4YCFA 50-59 years, male 3.4
GTEX-ZYY3-2926-SM-5GIEB 60-69 years, female 3.4
GTEX-1CB4J-1326-SM-7P8RX 60-69 years, male 3.4
GTEX-1IE54-1126-SM-A9G2Z 40-49 years, female 3.4
GTEX-1S5ZU-2526-SM-E6CIF 20-29 years, female 3.4
GTEX-111VG-1626-SM-5EGIO 60-69 years, male 3.3
GTEX-15ER7-0626-SM-6PANF 20-29 years, female 3.3
GTEX-183WM-0326-SM-72D5V 70-79 years, female 3.3
GTEX-WFG7-2026-SM-5SI7P 20-29 years, male 3.3
GTEX-1JN1M-2726-SM-CY8I4 60-69 years, female 3.3
GTEX-1JN76-0626-SM-CKZOQ 20-29 years, female 3.3
GTEX-1LSNL-2726-SM-E9TKJ 50-59 years, male 3.3
GTEX-14BMV-2826-SM-5TDED 50-59 years, male 3.2
GTEX-1C6VQ-1226-SM-73KYD 50-59 years, male 3.2
GTEX-U8XE-0226-SM-4E3J3 30-39 years, male 3.2
GTEX-1H1DF-1126-SM-9WG7G 40-49 years, female 3.2
GTEX-1H4P4-2126-SM-9WYSL 50-59 years, male 3.2
GTEX-1LVAM-0726-SM-E6CIL 50-59 years, female 3.2
GTEX-1MCYP-0526-SM-E9U6Q 20-29 years, female 3.2
GTEX-1QPFJ-1926-SM-EVYBD 30-39 years, female 3.2
GTEX-14C5O-0326-SM-5ZZUX 60-69 years, male 3.1
GTEX-14PJ6-2626-SM-6EU2T 60-69 years, female 3.1
GTEX-1A8G7-1326-SM-73KVM 60-69 years, male 3.1
GTEX-1B8KZ-0326-SM-73KY4 50-59 years, male 3.0
GTEX-1C2JI-1026-SM-73KY1 50-59 years, male 3.0
GTEX-1EU9M-1426-SM-793AI 60-69 years, male 3.0
GTEX-1IDJV-0126-SM-COH3Y 60-69 years, male 3.0
GTEX-1KANB-2826-SM-CY8I6 50-59 years, male 3.0
GTEX-1LGRB-0926-SM-COH3K 50-59 years, female 3.0
GTEX-Y9LG-1126-SM-4VBQ7 30-39 years, male 2.9
GTEX-1GMRU-2126-SM-7P8RA 50-59 years, male 2.9
GTEX-1HT8W-0626-SM-A9G2H 30-39 years, male 2.9
GTEX-1KXAM-1626-SM-D3LAD 60-69 years, male 2.9
GTEX-11ZU8-0126-SM-5EQ58 60-69 years, male 2.8
GTEX-13PL6-1126-SM-5L3IE 40-49 years, female 2.8
GTEX-ZE9C-2526-SM-5IJDR 60-69 years, male 2.8
GTEX-1B8L1-2226-SM-7P8PT 60-69 years, male 2.8
GTEX-1H2FU-0926-SM-9WPPT 60-69 years, female 2.8
GTEX-1HCU7-0726-SM-A9SL1 50-59 years, male 2.8
GTEX-1IKJJ-2226-SM-CJI4C 60-69 years, male 2.8
GTEX-1OJC4-2726-SM-E76PJ 50-59 years, female 2.8
GTEX-13FHO-0426-SM-5L3F5 60-69 years, male 2.7
GTEX-145MI-0626-SM-5SI8S 60-69 years, female 2.7
GTEX-14PII-0726-SM-6EU2B 60-69 years, male 2.7
GTEX-18A67-1626-SM-7LT9T 50-59 years, male 2.7
GTEX-UPJH-0226-SM-3GADV 50-59 years, male 2.7
GTEX-1399S-0126-SM-5IJCF 30-39 years, female 2.6
GTEX-1JJEA-1826-SM-ARU8P 60-69 years, male 2.6
GTEX-1S83E-1326-SM-E6CJM 40-49 years, male 2.6
GTEX-13FTY-2126-SM-5IFFB 40-49 years, female 2.5
GTEX-15G19-2426-SM-7KUMR 60-69 years, male 2.5
GTEX-YECK-0326-SM-4W1YS 60-69 years, male 2.5
GTEX-1I1CD-0626-SM-CE6SW 60-69 years, female 2.5
GTEX-1ICLY-0826-SM-CMKG1 50-59 years, male 2.5
GTEX-1313W-0626-SM-5EQ4H 50-59 years, female 2.4
GTEX-1AMFI-1326-SM-7939R 50-59 years, female 2.4
GTEX-ZVT2-0126-SM-5GIDQ 50-59 years, female 2.4
GTEX-ZVT4-2426-SM-5GIEI 50-59 years, female 2.4
GTEX-ZY6K-1426-SM-5GZX2 50-59 years, male 2.4
GTEX-1GF9X-1326-SM-7PC2Y 40-49 years, female 2.4
GTEX-1PBJJ-1026-SM-E76OS 30-39 years, male 2.4
GTEX-11DXX-2126-SM-5PNYR 60-69 years, female 2.3
GTEX-14C38-0726-SM-5SI6M 50-59 years, male 2.3
GTEX-WHSB-1326-SM-3LK6W 50-59 years, male 2.3
GTEX-1JMQL-2226-SM-CNPP4 50-59 years, female 2.3
GTEX-13NYC-0126-SM-5L3F4 60-69 years, male 2.2
GTEX-1B932-2326-SM-79OL5 40-49 years, female 2.2
GTEX-14XAO-1226-SM-6EU1C 60-69 years, female 2.1
GTEX-15SKB-2826-SM-6PAMH 60-69 years, male 2.1
GTEX-1F5PK-2226-SM-7SB6N 50-59 years, male 2.1
GTEX-1I1GU-0926-SM-ACKVS 40-49 years, male 2.1
GTEX-ZYVF-0926-SM-5E44J 50-59 years, female 2.0
GTEX-1GPI6-1926-SM-9KNV7 60-69 years, male 2.0
GTEX-1QAET-0326-SM-EVR3U 50-59 years, male 2.0
GTEX-1C6VR-0126-SM-7RHGB 60-69 years, male 1.9
GTEX-16MT9-0126-SM-7EPI8 60-69 years, female 1.8
GTEX-1HBPM-0726-SM-9YFL7 60-69 years, female 1.8
GTEX-144GL-0626-SM-5LU4D 50-59 years, male 1.7
GTEX-14A6H-2026-SM-5Q5DD 30-39 years, male 1.7
GTEX-1R46S-2426-SM-E76QA 60-69 years, female 1.6
GTEX-1AYD5-2626-SM-7PBXY 50-59 years, male 1.5
GTEX-1J1OQ-0126-SM-D4P2N 40-49 years, female 1.5
GTEX-11PRG-0726-SM-5EGL1 50-59 years, male 1.4
GTEX-13SLW-0626-SM-5Q5ER 70-79 years, male 1.4
GTEX-V1D1-2026-SM-3GAF4 50-59 years, male 1.2
GTEX-1HR9M-2226-SM-CNPPY 60-69 years, male 1.2
GTEX-1GN1V-2826-SM-9JGIA 60-69 years, male 1.1
GTEX-1NV5F-0626-SM-DTXEG 60-69 years, female 1.0
GTEX-1399Q-2326-SM-5KM2X 40-49 years, male 0.9
Show allShow less
Skin - Sun Exposed (Lower leg)
Average nTPM: 8.6
Samples: 701

Max nTPM: 29.3
Min nTPM: 0.7
Std nTPM: 4.0
Median nTPM: 8.1
GTEX-ZDXO-3026-SM-5J1N5 60-69 years, male 29.3
GTEX-12WSD-0126-SM-59HKN 60-69 years, female 28.0
GTEX-O5YW-0126-SM-3LK6D 50-59 years, male 27.6
GTEX-14753-0426-SM-5NQAM 60-69 years, male 26.1
GTEX-15EOM-0126-SM-7KUGG 20-29 years, female 23.1
GTEX-P4PQ-0126-SM-2S1NM 60-69 years, male 23.1
GTEX-11TTK-0126-SM-5987B 60-69 years, female 22.8
GTEX-131XG-2626-SM-5KM17 50-59 years, female 21.8
GTEX-14LLW-0126-SM-6LLIO 70-79 years, female 21.5
GTEX-13N1W-0126-SM-5K7VT 70-79 years, male 20.8
GTEX-13OW7-0126-SM-5MR3B 50-59 years, male 20.8
GTEX-18A7B-0126-SM-7LG64 70-79 years, male 20.0
GTEX-OXRP-0126-SM-3NB32 60-69 years, female 19.5
GTEX-14ICK-0226-SM-6EU25 40-49 years, male 19.2
GTEX-ZVT3-0126-SM-5GU6I 60-69 years, female 19.2
GTEX-1CAV2-2226-SM-7P8P2 40-49 years, female 18.5
GTEX-13NZ8-0826-SM-5MR3I 60-69 years, female 17.8
GTEX-WY7C-2326-SM-3NB2U 50-59 years, male 17.6
GTEX-RTLS-0126-SM-447CA 60-69 years, female 17.5
GTEX-14JIY-0126-SM-6LLH6 60-69 years, male 17.4
GTEX-1MA7X-2226-SM-E6CIY 60-69 years, male 17.2
GTEX-117YW-2626-SM-5GZZH 50-59 years, male 17.1
GTEX-11ZTT-2426-SM-5EQLS 60-69 years, female 17.1
GTEX-1GN2E-0426-SM-9MQKX 60-69 years, male 17.0
GTEX-145MN-2226-SM-5SIAU 30-39 years, male 16.9
GTEX-17HHY-0126-SM-7LG5D 50-59 years, male 16.9
GTEX-11DXX-2426-SM-5GZZW 60-69 years, female 16.7
GTEX-ZAB4-0226-SM-5N9F5 40-49 years, male 16.7
GTEX-R55E-0126-SM-2TC5Y 20-29 years, male 16.6
GTEX-1HBPH-0426-SM-B2LW5 40-49 years, female 16.6
GTEX-17EVQ-0226-SM-7LG4P 70-79 years, male 16.5
GTEX-X62O-0126-SM-4E3JN 50-59 years, male 16.4
GTEX-OXRK-0226-SM-3NB2G 50-59 years, female 16.3
GTEX-111VG-2426-SM-5GZXD 60-69 years, male 16.2
GTEX-1A32A-0126-SM-718B1 50-59 years, female 16.2
GTEX-ZEX8-2426-SM-4WKG4 50-59 years, male 16.2
GTEX-1EKGG-0226-SM-9WYTH 60-69 years, male 16.2
GTEX-11EMC-2926-SM-5EQ4F 60-69 years, female 16.1
GTEX-ZDYS-2026-SM-5HL5L 50-59 years, male 16.0
GTEX-1211K-2026-SM-5EQ4Z 60-69 years, female 15.7
GTEX-X8HC-0126-SM-4E3JW 50-59 years, female 15.7
GTEX-13O21-1426-SM-5K7XI 50-59 years, male 15.5
GTEX-145LT-1726-SM-5QGP3 40-49 years, male 15.5
GTEX-11ZUS-0626-SM-59885 30-39 years, male 15.4
GTEX-1LNCM-1126-SM-E9U5E 50-59 years, female 15.3
GTEX-148VI-1626-SM-5SI6E 60-69 years, female 15.2
GTEX-1N2DV-0226-SM-E6CJ6 40-49 years, male 15.2
GTEX-11UD1-0126-SM-5PNYG 40-49 years, female 15.1
GTEX-WI4N-1026-SM-3LK7N 40-49 years, female 15.1
GTEX-11GSP-2526-SM-5N9BP 60-69 years, female 14.9
GTEX-11P82-1626-SM-59879 20-29 years, male 14.8
GTEX-17HII-0226-SM-7LG4E 50-59 years, male 14.8
GTEX-13RTJ-2426-SM-5S2Q2 60-69 years, male 14.7
GTEX-11GSO-2426-SM-5A5LY 60-69 years, male 14.6
GTEX-14BIM-0226-SM-7IGLD 60-69 years, female 14.6
GTEX-1F6I4-0126-SM-9MQL2 60-69 years, male 14.6
GTEX-Q2AI-1326-SM-2S1PL 40-49 years, male 14.5
GTEX-ZE7O-0126-SM-57WC1 50-59 years, female 14.4
GTEX-1IKK5-0626-SM-ARL8A 60-69 years, male 14.4
GTEX-1PBJI-0526-SM-E8VNK 20-29 years, female 14.4
GTEX-1C6WA-0126-SM-7PC2B 60-69 years, male 14.3
GTEX-139T4-0226-SM-5HL5S 50-59 years, female 14.2
GTEX-132NY-0326-SM-5IJBL 60-69 years, male 14.1
GTEX-11ZTS-0126-SM-5EQ6M 60-69 years, female 14.0
GTEX-PLZ4-0126-SM-5SI8O 50-59 years, female 14.0
GTEX-YFC4-0126-SM-5CVLY 40-49 years, female 14.0
GTEX-P4PP-0126-SM-3LK69 30-39 years, female 13.7
GTEX-ZF29-2326-SM-DO92K 60-69 years, female 13.7
GTEX-1QW4Y-1526-SM-EAZ3Z 30-39 years, male 13.6
GTEX-12ZZX-0126-SM-5EGK9 40-49 years, female 13.4
GTEX-13OVL-0226-SM-5L3E9 50-59 years, male 13.4
GTEX-14BIL-0126-SM-5SI92 50-59 years, male 13.4
GTEX-XUW1-0426-SM-4BOOT 50-59 years, female 13.4
GTEX-Y114-2426-SM-4TT8A 50-59 years, female 13.4
GTEX-131XF-5016-SM-7MGWE 60-69 years, male 13.4
GTEX-1PPH7-2326-SM-EVYB8 40-49 years, male 13.4
GTEX-1C64O-0126-SM-7SB8P 60-69 years, male 13.3
GTEX-Y5LM-1926-SM-5RQJH 40-49 years, female 13.2
GTEX-1313W-0126-SM-5LZUN 50-59 years, female 13.0
GTEX-14PJ3-1826-SM-62LEX 50-59 years, male 13.0
GTEX-U8T8-0126-SM-3DB94 60-69 years, male 13.0
GTEX-Y8LW-1826-SM-5S2MV 50-59 years, female 13.0
GTEX-YEC4-2126-SM-5IFJH 40-49 years, male 13.0
GTEX-ZUA1-0126-SM-5GU76 40-49 years, male 13.0
GTEX-1QP67-1626-SM-EAZ3X 40-49 years, female 13.0
GTEX-S33H-1026-SM-EZ6L6 30-39 years, male 13.0
GTEX-1GN73-0226-SM-9WG67 60-69 years, male 12.9
GTEX-1QP29-0626-SM-EWRMX 50-59 years, male 12.9
GTEX-R45C-0126-SM-EAZ2R 60-69 years, female 12.9
GTEX-13FTX-1826-SM-5J1NX 20-29 years, female 12.8
GTEX-1497J-2426-SM-7IGNX 60-69 years, male 12.8
GTEX-ZZPT-0226-SM-5E43X 50-59 years, male 12.8
GTEX-1H1DG-0126-SM-9WYU2 70-79 years, male 12.8
GTEX-11ZVC-2526-SM-5FQTE 50-59 years, female 12.7
GTEX-147F4-0226-SM-5QGPW 50-59 years, male 12.7
GTEX-QDT8-0126-SM-48TZ1 30-39 years, female 12.7
GTEX-1OJC4-0126-SM-E9J2E 50-59 years, female 12.7
GTEX-14JG6-2226-SM-6EU2G 30-39 years, female 12.6
GTEX-OXRL-0126-SM-2YUMP 50-59 years, male 12.6
GTEX-RU72-0926-SM-2TF6B 50-59 years, female 12.6
GTEX-11DXY-2626-SM-5GIE7 60-69 years, male 12.5
GTEX-QLQW-1126-SM-2S1Q8 30-39 years, male 12.5
GTEX-ZF28-0126-SM-4WKGK 60-69 years, male 12.5
GTEX-1LC47-0326-SM-E9TJP 60-69 years, male 12.5
GTEX-1LGOU-2026-SM-DIPFF 20-29 years, female 12.5
GTEX-U4B1-1826-SM-4DXSU 40-49 years, male 12.3
GTEX-WZTO-0126-SM-3NM95 40-49 years, male 12.3
GTEX-1I1GP-2226-SM-CGQFK 50-59 years, male 12.3
GTEX-11EM3-2426-SM-59861 20-29 years, female 12.2
GTEX-SIU8-0126-SM-2XCDT 50-59 years, male 12.2
GTEX-Z9EW-1626-SM-5CVMN 40-49 years, male 12.2
GTEX-ZDTS-0126-SM-4WAY5 60-69 years, male 12.2
GTEX-139T8-0126-SM-5K7XZ 60-69 years, male 12.1
GTEX-1B933-0126-SM-7PC29 50-59 years, female 12.1
GTEX-1HCU6-0126-SM-CL54K 60-69 years, female 12.1
GTEX-1HSMO-0126-SM-CL547 60-69 years, male 12.1
GTEX-12ZZZ-0626-SM-5DUXI 60-69 years, male 12.0
GTEX-145MO-0326-SM-5Q5B3 60-69 years, male 12.0
GTEX-146FH-0126-SM-5QGPP 50-59 years, female 12.0
GTEX-14E6C-0126-SM-5RQIP 40-49 years, male 12.0
GTEX-18A7A-0226-SM-718BH 50-59 years, female 12.0
GTEX-X4EO-0326-SM-3P5YO 60-69 years, female 12.0
GTEX-11NUK-0126-SM-5A5L3 50-59 years, male 11.9
GTEX-11P7K-2126-SM-5GU7G 30-39 years, male 11.9
GTEX-1H1E6-1726-SM-ACKVK 30-39 years, male 11.9
GTEX-13G51-2526-SM-5LZYK 60-69 years, male 11.8
GTEX-13IVO-0126-SM-5J1NG 70-79 years, male 11.8
GTEX-13VXT-0126-SM-5LU4I 20-29 years, female 11.8
GTEX-1I1HK-0126-SM-COH49 60-69 years, male 11.8
GTEX-1MCQQ-0826-SM-DLHC2 60-69 years, male 11.8
GTEX-R55G-2526-SM-2TC6D 40-49 years, female 11.7
GTEX-13YAN-0326-SM-5O9DF 60-69 years, male 11.6
GTEX-XV7Q-2526-SM-4BRV9 40-49 years, female 11.6
GTEX-113JC-2326-SM-5EQ4E 50-59 years, female 11.5
GTEX-Y111-0126-SM-4SOIV 50-59 years, male 11.5
GTEX-ZAJG-0126-SM-5HL94 50-59 years, female 11.5
GTEX-11OC5-0126-SM-5HL6A 60-69 years, male 11.4
GTEX-OHPM-0126-SM-2YUN9 50-59 years, male 11.4
GTEX-QEG4-0226-SM-2S1PY 30-39 years, male 11.4
GTEX-146FR-1326-SM-E9J48 60-69 years, female 11.4
GTEX-1H11D-0226-SM-9WG6Z 40-49 years, male 11.4
GTEX-11GS4-2726-SM-5A5LE 60-69 years, male 11.3
GTEX-15DCD-0126-SM-7KUEK 70-79 years, female 11.3
GTEX-TMMY-0226-SM-33HBA 40-49 years, female 11.3
GTEX-X638-0126-SM-47JZ8 70-79 years, female 11.3
GTEX-1K2DU-2326-SM-E9TIV 20-29 years, male 11.3
GTEX-13OVI-1426-SM-5L3EY 60-69 years, female 11.2
GTEX-TMZS-0126-SM-3DB9Q 60-69 years, male 11.2
GTEX-WH7G-2326-SM-3NMBC 40-49 years, male 11.2
GTEX-1I1CD-0126-SM-CM2TK 60-69 years, female 11.2
GTEX-117YX-2326-SM-5H12W 50-59 years, male 11.1
GTEX-11WQC-2526-SM-5CVLE 60-69 years, male 11.1
GTEX-1269C-2526-SM-5EGJ3 60-69 years, female 11.1
GTEX-OHPL-0126-SM-2HMJ7 60-69 years, female 11.1
GTEX-WVJS-0126-SM-4MVOT 50-59 years, male 11.1
GTEX-X5EB-2226-SM-46MW4 40-49 years, male 11.1
GTEX-ZYY3-0126-SM-5GZY5 60-69 years, female 11.1
GTEX-1GPI6-0126-SM-9WG69 60-69 years, male 11.1
GTEX-13SLX-0526-SM-5S2ON 50-59 years, female 11.0
GTEX-1CAMR-1926-SM-7EPI2 20-29 years, male 11.0
GTEX-1RB15-2126-SM-E9TIM 60-69 years, male 11.0
GTEX-1192X-0226-SM-5H12D 50-59 years, male 10.9
GTEX-17MF6-0126-SM-7LG4F 40-49 years, male 10.9
GTEX-XQ8I-0426-SM-4BOPO 50-59 years, male 10.9
GTEX-1R7EV-2426-SM-EVYBG 40-49 years, male 10.9
GTEX-1RAZA-0126-SM-E6CI3 20-29 years, male 10.9
GTEX-1128S-2326-SM-5GZZY 60-69 years, female 10.8
GTEX-11EQ9-2426-SM-5HL5T 30-39 years, male 10.8
GTEX-11H98-0126-SM-5EGHG 50-59 years, male 10.8
GTEX-13U4I-0126-SM-5LU38 40-49 years, female 10.8
GTEX-14PK6-1926-SM-6ETZU 70-79 years, female 10.8
GTEX-U3ZM-1526-SM-3DB9D 40-49 years, male 10.8
GTEX-YB5E-2026-SM-5IFIS 40-49 years, male 10.8
GTEX-1CB4G-0226-SM-7PC3O 60-69 years, male 10.8
GTEX-13112-2826-SM-5DUWH 50-59 years, male 10.7
GTEX-145LV-2126-SM-5LU8N 50-59 years, male 10.7
GTEX-17HGU-0226-SM-7DHKV 50-59 years, male 10.7
GTEX-18A67-0126-SM-7LG5P 50-59 years, male 10.7
GTEX-1C2JI-1826-SM-73KXC 50-59 years, male 10.7
GTEX-S95S-1226-SM-4GICG 60-69 years, male 10.7
GTEX-YB5K-2126-SM-4WWDJ 40-49 years, female 10.7
GTEX-1R9PO-2126-SM-E9J4O 60-69 years, female 10.7
GTEX-ZYFC-0226-SM-5NQ75 50-59 years, male 10.6
GTEX-13O3O-0126-SM-E9J49 60-69 years, female 10.6
GTEX-11VI4-1726-SM-5CVLH 40-49 years, female 10.5
GTEX-12KS4-0326-SM-5EQ41 30-39 years, male 10.5
GTEX-WYJK-0126-SM-3NMAB 50-59 years, male 10.5
GTEX-ZQUD-1426-SM-57WER 30-39 years, male 10.5
GTEX-1LG7Y-0526-SM-DKPQC 50-59 years, male 10.5
GTEX-1QEPI-0126-SM-EWRMQ 60-69 years, female 10.5
GTEX-11NSD-2226-SM-5986V 20-29 years, male 10.4
GTEX-12126-0326-SM-5PNW3 20-29 years, male 10.4
GTEX-12WSJ-1826-SM-5GCNY 40-49 years, female 10.4
GTEX-13N11-2526-SM-5K7UE 50-59 years, female 10.4
GTEX-X585-0226-SM-4QAS2 50-59 years, male 10.4
GTEX-ZVTK-0426-SM-51MRS 20-29 years, male 10.4
GTEX-1GZHY-0326-SM-9QEHI 50-59 years, female 10.4
GTEX-1J8Q3-1626-SM-CMKGC 60-69 years, male 10.4
GTEX-12WSN-5019-SM-79OM6 40-49 years, male 10.3
GTEX-1399U-2326-SM-5K7WY 50-59 years, female 10.3
GTEX-148VJ-0126-SM-5TDDN 70-79 years, male 10.3
GTEX-Y3IK-2426-SM-4WWDU 50-59 years, female 10.3
GTEX-1CAMS-0426-SM-7P8T2 40-49 years, female 10.3
GTEX-1HGF4-2426-SM-ACKXM 60-69 years, male 10.3
GTEX-139TS-2826-SM-5J1OO 60-69 years, male 10.2
GTEX-13O3Q-2426-SM-5IJBR 50-59 years, male 10.2
GTEX-16MT8-0426-SM-7KUEY 60-69 years, female 10.2
GTEX-WRHK-1426-SM-3MJF9 20-29 years, female 10.2
GTEX-1QP9N-1426-SM-DTXFL 30-39 years, male 10.2
GTEX-11DZ1-0126-SM-5985Q 50-59 years, male 10.1
GTEX-13VXU-0126-SM-5SI9F 50-59 years, male 10.1
GTEX-15SHU-0126-SM-7KUEH 40-49 years, female 10.1
GTEX-16YQH-0126-SM-7DUFJ 30-39 years, male 10.1
GTEX-OXRO-0126-SM-2YUN4 60-69 years, female 10.1
GTEX-ZYFG-2326-SM-5E44B 60-69 years, female 10.1
GTEX-1HSEH-0126-SM-ACKXN 60-69 years, male 10.1
GTEX-1QP66-1726-SM-E8VO1 50-59 years, male 10.1
GTEX-1314G-1526-SM-5EGK2 30-39 years, male 10.0
GTEX-146FQ-0126-SM-5NQA9 30-39 years, male 10.0
GTEX-16BQI-0226-SM-7KUEX 30-39 years, female 10.0
GTEX-13PVR-2326-SM-5QGR1 60-69 years, female 9.9
GTEX-ZAB5-1826-SM-5HL7C 50-59 years, male 9.9
GTEX-1JKYN-1326-SM-CGQG9 30-39 years, male 9.9
GTEX-11P81-2326-SM-59875 30-39 years, female 9.8
GTEX-13D11-2426-SM-5KM1V 50-59 years, female 9.8
GTEX-13QJ3-0326-SM-5S2RA 50-59 years, male 9.8
GTEX-14DAR-2026-SM-5S2O3 50-59 years, male 9.8
GTEX-15SDE-2226-SM-7IGLO 50-59 years, female 9.8
GTEX-1AYCT-2426-SM-7IGQ3 50-59 years, male 9.8
GTEX-ZDTT-2726-SM-4WKF8 60-69 years, male 9.8
GTEX-ZTSS-1926-SM-57WEW 40-49 years, male 9.8
GTEX-1B8L1-2526-SM-9WYTF 60-69 years, male 9.8
GTEX-1EU9M-0226-SM-7P8SP 60-69 years, male 9.8
GTEX-1IKOH-0226-SM-COH4E 60-69 years, female 9.8
GTEX-11ZU8-2526-SM-5EQKI 60-69 years, male 9.7
GTEX-16NGA-1726-SM-731B4 40-49 years, female 9.7
GTEX-S7PM-0126-SM-4AD6S 60-69 years, male 9.7
GTEX-12WSL-2526-SM-5GCNJ 50-59 years, male 9.6
GTEX-1B8KZ-2026-SM-7DHMB 50-59 years, male 9.6
GTEX-ZYW4-0126-SM-5E44A 60-69 years, male 9.6
GTEX-1GMR8-0126-SM-9WYTM 50-59 years, female 9.6
GTEX-1RQEC-0426-SM-E6CHU 60-69 years, male 9.6
GTEX-13OVJ-0126-SM-5KM36 50-59 years, female 9.5
GTEX-14PN3-2426-SM-6LLHS 60-69 years, female 9.5
GTEX-ZVT2-2526-SM-51MT1 50-59 years, female 9.5
GTEX-1H3NZ-0126-SM-ACKX7 60-69 years, male 9.5
GTEX-1HCUA-2426-SM-ADEIS 50-59 years, female 9.5
GTEX-1I1GV-0526-SM-A9G29 60-69 years, male 9.5
GTEX-1F75A-0126-SM-7RHGM 50-59 years, male 9.4
GTEX-1GN1W-0526-SM-9MQJQ 50-59 years, female 9.4
GTEX-1KD4Q-0226-SM-E9TJ9 40-49 years, male 9.4
GTEX-1QP2A-0126-SM-E9J43 50-59 years, male 9.4
GTEX-PWCY-1826-SM-DHXIZ 20-29 years, female 9.4
GTEX-11LCK-1026-SM-5A5KB 30-39 years, male 9.3
GTEX-13NZA-0226-SM-5K7Z7 60-69 years, male 9.3
GTEX-13W46-0226-SM-5SIAG 50-59 years, male 9.3
GTEX-14BMU-2226-SM-5TDE9 20-29 years, female 9.3
GTEX-1C6VS-0526-SM-7DUEN 60-69 years, male 9.3
GTEX-TKQ1-1026-SM-4GICL 30-39 years, male 9.3
GTEX-1AX9I-0126-SM-7SB74 60-69 years, male 9.3
GTEX-1B996-0226-SM-7RHGO 60-69 years, male 9.3
GTEX-1F6RS-0126-SM-9MQKZ 60-69 years, female 9.3
GTEX-1J8EW-0126-SM-CJI4F 60-69 years, female 9.3
GTEX-131YS-0126-SM-5KM1M 60-69 years, female 9.2
GTEX-13RTK-1426-SM-5QGQJ 20-29 years, male 9.2
GTEX-1CB4J-0626-SM-7DHMP 60-69 years, male 9.2
GTEX-X4XX-0126-SM-3NMC2 60-69 years, male 9.2
GTEX-Z93S-0126-SM-5HL7M 50-59 years, male 9.2
GTEX-1I6K6-0126-SM-A9SLE 30-39 years, male 9.2
GTEX-139TT-0126-SM-5K7Y5 60-69 years, male 9.1
GTEX-13CF2-2526-SM-5LZYX 60-69 years, male 9.1
GTEX-14A6H-0126-SM-5QGPK 30-39 years, male 9.1
GTEX-17F97-0326-SM-7LG5B 50-59 years, male 9.1
GTEX-VUSG-2526-SM-4KL1V 50-59 years, male 9.1
GTEX-XBED-2226-SM-47JYQ 60-69 years, male 9.1
GTEX-1IY9M-0126-SM-D3L8S 60-69 years, male 9.1
GTEX-1MCYP-1926-SM-E9J2R 20-29 years, female 9.1
GTEX-131XW-0426-SM-5LZWP 50-59 years, female 9.0
GTEX-14PJM-0226-SM-62LF1 50-59 years, female 9.0
GTEX-1IL2V-0126-SM-CM2TX 70-79 years, male 9.0
GTEX-1NHNU-1026-SM-E9J2A 50-59 years, male 9.0
GTEX-117XS-2726-SM-5N9BL 60-69 years, male 8.9
GTEX-U412-0426-SM-3DB9O 60-69 years, male 8.9
GTEX-XQ3S-1526-SM-4BOOC 20-29 years, male 8.9
GTEX-ZXES-1826-SM-5E43S 30-39 years, female 8.9
GTEX-1J1R8-1726-SM-ARL8M 40-49 years, male 8.9
GTEX-1J8JJ-0226-SM-CL53I 60-69 years, female 8.9
GTEX-1MUQO-0126-SM-EAZ58 60-69 years, male 8.9
GTEX-RN64-0126-SM-2TC68 50-59 years, male 8.8
GTEX-1HBPM-0226-SM-ARL9F 60-69 years, female 8.8
GTEX-13NZB-2526-SM-5J1OM 30-39 years, male 8.7
GTEX-13O1R-0126-SM-5L3EH 60-69 years, male 8.7
GTEX-15CHC-2126-SM-6EU21 60-69 years, female 8.7
GTEX-XMD2-0126-SM-4YCDU 60-69 years, female 8.7
GTEX-1HSMP-0126-SM-E6CJS 70-79 years, male 8.7
GTEX-1ICG6-2526-SM-CGQFZ 70-79 years, female 8.7
GTEX-1JMPY-1326-SM-ARL8Y 30-39 years, male 8.7
GTEX-147GR-0526-SM-5S2MY 60-69 years, male 8.6
GTEX-1E1VI-0126-SM-7DHMZ 50-59 years, male 8.6
GTEX-1ICLY-0126-SM-D4P36 50-59 years, male 8.6
GTEX-1PIGE-0126-SM-EVYBJ 20-29 years, male 8.6
GTEX-13NYS-0126-SM-5MR3W 60-69 years, male 8.5
GTEX-13OW8-1326-SM-5J1OW 60-69 years, male 8.5
GTEX-15D1Q-0126-SM-7KUG6 40-49 years, male 8.5
GTEX-1AX9K-2326-SM-73KWU 50-59 years, male 8.5
GTEX-1B8KE-2126-SM-73KYX 50-59 years, male 8.5
GTEX-NFK9-0226-SM-2HMKQ 40-49 years, male 8.5
GTEX-T2IS-0126-SM-4DM6O 20-29 years, female 8.5
GTEX-1C6VQ-0126-SM-7P8RI 50-59 years, male 8.5
GTEX-1F6IF-0726-SM-7P8TW 60-69 years, male 8.5
GTEX-1HSMQ-1226-SM-CGQFX 50-59 years, male 8.5
GTEX-1J8Q2-0526-SM-CM2RW 60-69 years, male 8.5
GTEX-1JK1U-2026-SM-CM2RZ 60-69 years, male 8.5
GTEX-13FTY-0526-SM-5L3EV 40-49 years, female 8.4
GTEX-14E7W-0126-SM-6LLJ9 70-79 years, male 8.4
GTEX-18QFQ-0126-SM-731BE 30-39 years, male 8.4
GTEX-ZC5H-0226-SM-4WAY9 40-49 years, female 8.4
GTEX-1F75B-0126-SM-9KNVL 50-59 years, male 8.4
GTEX-1H1DE-2126-SM-9WG6R 20-29 years, male 8.4
GTEX-1HCVE-0126-SM-CGQEU 50-59 years, male 8.4
GTEX-1HFI7-1826-SM-ACKXH 50-59 years, female 8.4
GTEX-1MGNQ-0126-SM-EVYCJ 40-49 years, male 8.4
GTEX-OIZF-0126-SM-7SB8I 60-69 years, male 8.4
GTEX-14PII-0226-SM-6EU1T 60-69 years, male 8.3
GTEX-15SHW-0326-SM-6PAML 60-69 years, male 8.3
GTEX-SN8G-0126-SM-32PLI 50-59 years, female 8.3
GTEX-W5WG-1826-SM-4KL2Y 50-59 years, female 8.3
GTEX-WQUQ-0426-SM-3MJFU 60-69 years, male 8.3
GTEX-ZE9C-2726-SM-57WB5 60-69 years, male 8.3
GTEX-ZVZP-2426-SM-59HKJ 50-59 years, male 8.3
GTEX-1I19N-0326-SM-ACKVX 70-79 years, male 8.3
GTEX-11TT1-2526-SM-5EGIB 20-29 years, male 8.2
GTEX-12C56-1726-SM-5EQ61 20-29 years, male 8.2
GTEX-144GN-2326-SM-5LU4F 50-59 years, male 8.2
GTEX-1AX8Z-0126-SM-7DHM6 60-69 years, male 8.2
GTEX-XYKS-2126-SM-4E3IB 60-69 years, female 8.2
GTEX-ZY6K-1826-SM-5GZXK 50-59 years, male 8.2
GTEX-1GZ2Q-0226-SM-7P8TL 40-49 years, male 8.2
GTEX-1GZ4H-1726-SM-7PBZJ 50-59 years, female 8.2
GTEX-1H1ZS-0426-SM-9WG6G 70-79 years, male 8.2
GTEX-11DXW-0226-SM-5H122 40-49 years, male 8.1
GTEX-12WSC-0126-SM-5EQ4P 50-59 years, male 8.1
GTEX-13OVK-2026-SM-7KUEO 40-49 years, male 8.1
GTEX-15DYW-0126-SM-7KULE 60-69 years, female 8.1
GTEX-15UKP-0426-SM-7KUFQ 20-29 years, male 8.1
GTEX-Q734-1926-SM-2I5EV 40-49 years, female 8.1
GTEX-RM2N-1426-SM-2TF4H 50-59 years, male 8.1
GTEX-UJHI-1526-SM-3DB99 50-59 years, female 8.1
GTEX-ZAK1-0126-SM-5IJD3 50-59 years, female 8.1
GTEX-1IOXB-0126-SM-ARL8G 50-59 years, male 8.1
GTEX-1POEN-0126-SM-EYYXJ 30-39 years, female 8.1
GTEX-RVPV-0126-SM-EAZAW 60-69 years, male 8.1
GTEX-139TU-0126-SM-5K7WH 60-69 years, male 8.0
GTEX-13X6H-2126-SM-7EWD5 50-59 years, female 8.0
GTEX-13X6J-0126-SM-5QGOU 50-59 years, male 8.0
GTEX-X4XY-0226-SM-4E3IZ 60-69 years, male 8.0
GTEX-1GF9W-0326-SM-9KNUN 60-69 years, male 8.0
GTEX-1HKZK-0326-SM-9WYUH 40-49 years, male 8.0
GTEX-1R7EU-0226-SM-EVR4G 60-69 years, male 8.0
GTEX-18A6Q-0126-SM-731BZ 60-69 years, male 7.9
GTEX-1GMRU-0126-SM-9YFLV 50-59 years, male 7.9
GTEX-1HUB1-0426-SM-E9U4U 60-69 years, male 7.9
GTEX-113IC-0126-SM-5HL6T 60-69 years, male 7.8
GTEX-13RTL-0126-SM-7LG5S 40-49 years, male 7.8
GTEX-183FY-0126-SM-7LT9P 20-29 years, male 7.8
GTEX-XAJ8-0826-SM-47JY6 40-49 years, male 7.8
GTEX-1EMGI-0126-SM-9KNUE 60-69 years, male 7.8
GTEX-1F75I-0326-SM-9YFLU 40-49 years, male 7.8
GTEX-1I1GS-0126-SM-B2LVW 60-69 years, male 7.8
GTEX-1KANB-0526-SM-E6CJH 50-59 years, male 7.8
GTEX-ZQG8-1626-SM-DHXIT 60-69 years, female 7.8
GTEX-11DYG-0126-SM-59883 60-69 years, male 7.7
GTEX-ZZ64-1726-SM-5GZYB 20-29 years, male 7.7
GTEX-1GN1V-0126-SM-9WPOS 60-69 years, male 7.7
GTEX-1H3O1-0426-SM-9YFKY 60-69 years, male 7.7
GTEX-1HFI6-0226-SM-ADEHZ 40-49 years, male 7.7
GTEX-1IDFM-0126-SM-COH2V 60-69 years, male 7.7
GTEX-1S3DN-2226-SM-EVYCD 50-59 years, male 7.7
GTEX-14E6D-0126-SM-62LDV 50-59 years, male 7.6
GTEX-17EUY-0426-SM-793BD 20-29 years, male 7.6
GTEX-17HHE-2026-SM-79OKF 50-59 years, male 7.6
GTEX-XUYS-0126-SM-47JWZ 50-59 years, male 7.6
GTEX-ZVE2-0226-SM-59HJB 50-59 years, male 7.6
GTEX-1A8FM-0226-SM-7SB7Q 50-59 years, female 7.6
GTEX-1EWIQ-0126-SM-7RHH2 70-79 years, female 7.6
GTEX-1GPI7-0126-SM-9MQL8 20-29 years, male 7.6
GTEX-1GTWX-0126-SM-9YFLK 60-69 years, male 7.6
GTEX-1HR98-0126-SM-B2LWI 60-69 years, male 7.6
GTEX-1JMOU-1526-SM-CL54I 60-69 years, female 7.6
GTEX-1N2EF-0226-SM-EYYXB 60-69 years, male 7.6
GTEX-PW2O-1526-SM-7RHHB 20-29 years, male 7.6
GTEX-13FH7-2026-SM-E9J4I 50-59 years, female 7.5
GTEX-13PDP-0126-SM-5L3HD 60-69 years, male 7.4
GTEX-16GPK-0126-SM-7DHLE 60-69 years, male 7.4
GTEX-SUCS-1926-SM-32PM3 70-79 years, male 7.4
GTEX-WXYG-2326-SM-4E3I6 50-59 years, female 7.4
GTEX-Y3I4-2126-SM-4TT7C 50-59 years, male 7.4
GTEX-1F7RK-0126-SM-7PC2S 20-29 years, female 7.4
GTEX-1F88F-2726-SM-7PBZZ 60-69 years, female 7.4
GTEX-1IGQW-0126-SM-COH42 60-69 years, male 7.4
GTEX-1JMQJ-0526-SM-CYPSU 50-59 years, male 7.4
GTEX-1LBAC-0126-SM-DIPEZ 20-29 years, male 7.4
GTEX-1PFEY-1526-SM-E76PP 30-39 years, male 7.4
GTEX-1QCLY-0326-SM-E8VOG 30-39 years, male 7.4
GTEX-14LZ3-0226-SM-62LET 60-69 years, female 7.3
GTEX-15SB6-1726-SM-6PAME 50-59 years, female 7.3
GTEX-1A3MV-1926-SM-718BT 30-39 years, male 7.3
GTEX-1A3MX-0126-SM-731BR 60-69 years, male 7.3
GTEX-PLZ5-2026-SM-2S1O4 50-59 years, male 7.3
GTEX-SSA3-0126-SM-32QPU 60-69 years, male 7.3
GTEX-1HBPN-0226-SM-9YFM1 50-59 years, male 7.3
GTEX-1IE54-0126-SM-CMKHW 40-49 years, female 7.3
GTEX-1JKYR-0126-SM-CNPOJ 20-29 years, male 7.3
GTEX-1JN6P-0126-SM-D3L98 60-69 years, male 7.3
GTEX-1RAZQ-0726-SM-EAZ43 30-39 years, male 7.3
GTEX-1S82Y-2026-SM-EVYCM 40-49 years, male 7.3
GTEX-13O3P-0126-SM-5KM4S 50-59 years, male 7.2
GTEX-13OVG-1926-SM-5L3DK 60-69 years, male 7.2
GTEX-WOFL-0126-SM-3MJG2 60-69 years, male 7.2
GTEX-Y5V5-2326-SM-4V6GA 60-69 years, female 7.2
GTEX-ZU9S-0226-SM-5E441 30-39 years, male 7.2
GTEX-ZV6S-2326-SM-4YCEY 40-49 years, female 7.2
GTEX-1F48J-0126-SM-7P8TT 50-59 years, female 7.2
GTEX-1IDJF-0126-SM-CM2RS 20-29 years, male 7.2
GTEX-11WQK-0526-SM-5EQLD 50-59 years, male 7.1
GTEX-13W3W-2426-SM-5LU5B 60-69 years, female 7.1
GTEX-14DAQ-0126-SM-5S2MQ 60-69 years, female 7.1
GTEX-14PHX-2326-SM-62LEM 50-59 years, male 7.1
GTEX-14PN4-0126-SM-6EU2V 50-59 years, male 7.1
GTEX-15DDE-0126-SM-6LPKH 50-59 years, female 7.1
GTEX-16NPX-0226-SM-79OMT 50-59 years, male 7.1
GTEX-1H1CY-2826-SM-9MQM3 60-69 years, female 7.1
GTEX-12696-2426-SM-5EQ6H 60-69 years, male 7.0
GTEX-18465-0126-SM-731BN 50-59 years, male 7.0
GTEX-OXRN-0126-SM-48TDM 50-59 years, male 7.0
GTEX-Q2AG-0126-SM-33HBV 40-49 years, female 7.0
GTEX-1GF9X-2026-SM-7PC3A 40-49 years, female 7.0
GTEX-RNOR-0126-SM-E9J4R 50-59 years, female 7.0
GTEX-133LE-1826-SM-5J1MV 20-29 years, female 6.9
GTEX-14PHW-0126-SM-6LLJI 60-69 years, female 6.9
GTEX-1AMFI-2026-SM-731BH 50-59 years, female 6.9
GTEX-PWO3-1526-SM-48TCM 60-69 years, female 6.9
GTEX-1JMQI-2226-SM-CM2SD 50-59 years, male 6.9
GTEX-11DXZ-2326-SM-5EGGV 50-59 years, male 6.8
GTEX-139UW-2826-SM-5L3E7 60-69 years, male 6.8
GTEX-13FXS-0226-SM-5IJCK 50-59 years, male 6.8
GTEX-13OW6-0426-SM-5L3HM 50-59 years, male 6.8
GTEX-1AX9J-0226-SM-73KXM 60-69 years, male 6.8
GTEX-1AYD5-2426-SM-73KXR 50-59 years, male 6.8
GTEX-RUSQ-1526-SM-2TF62 50-59 years, male 6.8
GTEX-WYVS-2126-SM-3NMA3 40-49 years, female 6.8
GTEX-1F52S-0126-SM-9MQJU 60-69 years, female 6.8
GTEX-1QPFJ-0226-SM-E76PB 30-39 years, female 6.8
GTEX-1R46S-0626-SM-E9J41 60-69 years, female 6.8
GTEX-OOBJ-0126-SM-E6CJW 60-69 years, male 6.8
GTEX-13S7M-0126-SM-5SI6A 60-69 years, female 6.7
GTEX-16XZZ-0126-SM-793DV 60-69 years, male 6.7
GTEX-17HG3-2226-SM-7938L 30-39 years, female 6.7
GTEX-QVJO-1626-SM-2S1QW 60-69 years, female 6.7
GTEX-Y8DK-0126-SM-4TT3L 60-69 years, male 6.7
GTEX-YJ8A-0426-SM-5IFID 20-29 years, male 6.7
GTEX-1F5PL-0326-SM-7P8PQ 40-49 years, female 6.7
GTEX-12ZZY-0226-SM-5LZVE 60-69 years, male 6.6
GTEX-139D8-0226-SM-5KLZO 30-39 years, female 6.6
GTEX-13FTW-2626-SM-5K7WL 40-49 years, male 6.6
GTEX-15ER7-0326-SM-7KUEV 20-29 years, female 6.6
GTEX-15UF6-0826-SM-6PALJ 70-79 years, female 6.6
GTEX-1AMEY-1326-SM-73KYK 30-39 years, female 6.6
GTEX-QCQG-1726-SM-3GIJ9 50-59 years, female 6.6
GTEX-U3ZH-2026-SM-3DB78 30-39 years, male 6.6
GTEX-U3ZN-2326-SM-3DB7W 30-39 years, female 6.6
GTEX-XBEW-0626-SM-4QASP 40-49 years, male 6.6
GTEX-12WSG-2826-SM-E9J4H 50-59 years, female 6.6
GTEX-1GF9V-0326-SM-7RHI5 60-69 years, male 6.6
GTEX-1H2FU-0126-SM-9WYSI 60-69 years, female 6.6
GTEX-1I1GR-0126-SM-CL55F 60-69 years, male 6.6
GTEX-1JN1M-0326-SM-CYPT3 60-69 years, female 6.6
GTEX-11O72-0126-SM-59887 40-49 years, male 6.5
GTEX-13CF3-2426-SM-5IFGX 60-69 years, female 6.5
GTEX-1I4MK-2226-SM-ACKWD 50-59 years, female 6.5
GTEX-1K2DA-1826-SM-CGQGT 50-59 years, male 6.5
GTEX-TML8-1926-SM-32QOS 40-49 years, female 6.4
GTEX-XPVG-2626-SM-4B669 50-59 years, male 6.4
GTEX-1LSNM-1926-SM-E6CII 50-59 years, male 6.4
GTEX-13113-5016-SM-7EPIP 60-69 years, female 6.3
GTEX-13N2G-2626-SM-5J1OT 60-69 years, male 6.3
GTEX-147F3-0526-SM-5SI98 50-59 years, female 6.3
GTEX-1A3MW-0126-SM-73KXX 60-69 years, female 6.3
GTEX-RWSA-0126-SM-2XCBB 40-49 years, male 6.3
GTEX-UPJH-0326-SM-3GADU 50-59 years, male 6.3
GTEX-1H23P-0126-SM-ADEJ3 60-69 years, male 6.3
GTEX-1HCU9-1526-SM-A9SL7 20-29 years, male 6.3
GTEX-1PDJ9-0326-SM-DTX95 20-29 years, male 6.3
GTEX-1C4CL-0526-SM-73KVK 30-39 years, male 6.2
GTEX-Z93T-0126-SM-5HL5N 50-59 years, male 6.2
GTEX-1H3VY-0126-SM-ACKXD 50-59 years, male 6.2
GTEX-ZPIC-1726-SM-DHXIU 40-49 years, female 6.2
GTEX-11XUK-2026-SM-5EQLF 40-49 years, female 6.1
GTEX-12WSA-0226-SM-5BC5V 60-69 years, male 6.1
GTEX-144FL-0126-SM-5TDC8 50-59 years, male 6.1
GTEX-NPJ8-0126-SM-2YUNR 40-49 years, male 6.1
GTEX-P4QT-0126-SM-2I3FL 50-59 years, female 6.1
GTEX-1GF9U-2126-SM-7SB7L 40-49 years, female 6.1
GTEX-1GL5R-1826-SM-9KNUY 50-59 years, male 6.1
GTEX-1J8QM-2126-SM-CYPSJ 60-69 years, female 6.1
GTEX-1OFPY-2426-SM-DTXEJ 60-69 years, male 6.1
GTEX-131XH-2226-SM-5DUXJ 50-59 years, male 6.0
GTEX-13SLW-0126-SM-5SI6C 70-79 years, male 6.0
GTEX-14A5H-0426-SM-5QGQF 60-69 years, male 6.0
GTEX-14ABY-0226-SM-5TDCQ 50-59 years, male 6.0
GTEX-16AAH-1726-SM-7939C 50-59 years, male 6.0
GTEX-17MFQ-1726-SM-793C7 20-29 years, male 6.0
GTEX-18A66-0226-SM-718BD 60-69 years, male 6.0
GTEX-18D9U-0226-SM-718BP 40-49 years, male 6.0
GTEX-OOBK-0126-SM-2YUND 40-49 years, male 6.0
GTEX-T6MN-0126-SM-32PLP 50-59 years, male 6.0
GTEX-PSDG-0226-SM-DKPOZ 50-59 years, male 6.0
GTEX-ZF3C-0126-SM-DO92D 50-59 years, female 6.0
GTEX-ZVT4-0126-SM-DTXFN 50-59 years, female 6.0
GTEX-12584-0126-SM-5EGKQ 40-49 years, male 5.9
GTEX-13X6I-0626-SM-5QGP9 60-69 years, male 5.9
GTEX-18D9B-0526-SM-7LTAS 60-69 years, male 5.9
GTEX-1GN1U-0126-SM-7PBZK 50-59 years, female 5.9
GTEX-1H3VE-0326-SM-9YFLH 40-49 years, male 5.9
GTEX-1I1GU-2226-SM-CGQFA 40-49 years, male 5.9
GTEX-11OF3-2626-SM-5GU7F 60-69 years, male 5.8
GTEX-1399R-2726-SM-5IJBA 30-39 years, male 5.8
GTEX-1C6VR-2426-SM-79OLD 60-69 years, male 5.8
GTEX-T5JC-0426-SM-32PLO 20-29 years, male 5.8
GTEX-X88G-0126-SM-47JZ3 30-39 years, male 5.8
GTEX-1CB4H-0226-SM-7PBXM 60-69 years, female 5.8
GTEX-1LVAN-0226-SM-COH3S 50-59 years, female 5.8
GTEX-17GQL-2026-SM-718BA 60-69 years, male 5.7
GTEX-QV44-1926-SM-2S1RF 50-59 years, male 5.7
GTEX-1EN7A-0126-SM-7SB81 40-49 years, male 5.7
GTEX-1NV5F-0226-SM-E8VNY 60-69 years, female 5.7
GTEX-17EVP-0326-SM-7DHLG 40-49 years, male 5.6
GTEX-169BO-1326-SM-9MQK2 50-59 years, male 5.6
GTEX-1CB4F-0426-SM-9KNV4 60-69 years, male 5.6
GTEX-1KD5A-0226-SM-D5OV3 50-59 years, male 5.6
GTEX-1KWVE-1426-SM-E9TJO 30-39 years, male 5.6
GTEX-14A5I-0126-SM-5TDEA 50-59 years, female 5.5
GTEX-14C5O-0126-SM-5SI6N 60-69 years, male 5.5
GTEX-1BAJH-0526-SM-793CQ 70-79 years, male 5.5
GTEX-S7SE-0126-SM-2XCD5 50-59 years, male 5.5
GTEX-VJWN-0126-SM-3GIK7 50-59 years, female 5.5
GTEX-ZTPG-0326-SM-5O9AX 20-29 years, female 5.5
GTEX-ZWKS-0126-SM-5SIAA 30-39 years, male 5.5
GTEX-1JMQK-0226-SM-CL543 60-69 years, male 5.5
GTEX-1LB8K-0226-SM-EWRNW 50-59 years, male 5.5
GTEX-1PPH8-0226-SM-E8VND 20-29 years, male 5.5
GTEX-1S5ZA-0126-SM-EVYCV 20-29 years, male 5.5
GTEX-15RIG-0226-SM-7KFTL 40-49 years, male 5.4
GTEX-16XZY-2126-SM-79OK1 70-79 years, male 5.4
GTEX-17F98-0626-SM-79OMX 40-49 years, female 5.4
GTEX-O5YT-0126-SM-48TBW 20-29 years, male 5.4
GTEX-OIZH-0126-SM-2HMIS 50-59 years, male 5.4
GTEX-T6MO-1626-SM-32QOM 40-49 years, female 5.4
GTEX-ZGAY-0526-SM-4WWBB 40-49 years, female 5.4
GTEX-1EX96-1626-SM-7PBXR 50-59 years, male 5.4
GTEX-1F5PK-2426-SM-7RHHY 50-59 years, male 5.4
GTEX-1O97I-0326-SM-EYYX7 60-69 years, male 5.4
GTEX-PLZ6-1426-SM-DKPOT 30-39 years, male 5.4
GTEX-QLQ7-1626-SM-2S1R8 60-69 years, male 5.3
GTEX-Y5V6-2426-SM-4VDSB 60-69 years, male 5.3
GTEX-1GMR3-1926-SM-9KNUZ 40-49 years, male 5.3
GTEX-1HSGN-0226-SM-CGQFV 40-49 years, female 5.3
GTEX-1192W-2626-SM-5Q5AF 60-69 years, male 5.2
GTEX-11EI6-0126-SM-5985R 60-69 years, male 5.2
GTEX-14JG1-0426-SM-6ETZZ 40-49 years, male 5.2
GTEX-17F96-1626-SM-7DUFL 70-79 years, male 5.2
GTEX-1I1GT-0626-SM-CGQER 60-69 years, female 5.2
GTEX-QDVN-2026-SM-3GAEP 50-59 years, male 5.1
GTEX-V1D1-2226-SM-3NMAX 50-59 years, male 5.1
GTEX-X4EP-0126-SM-3P5YV 60-69 years, female 5.1
GTEX-1HSKV-0226-SM-A9SKJ 60-69 years, male 5.1
GTEX-1IDJU-2626-SM-CM2RT 60-69 years, female 5.1
GTEX-1IL2U-0226-SM-CE6T8 60-69 years, male 5.1
GTEX-13FHP-0126-SM-5IJBG 50-59 years, male 5.0
GTEX-15G19-0126-SM-6PANQ 60-69 years, male 5.0
GTEX-1CAMQ-0226-SM-7IGPK 40-49 years, male 5.0
GTEX-1CB4I-0226-SM-79OLH 50-59 years, male 5.0
GTEX-SNMC-1226-SM-2XCFP 20-29 years, male 5.0
GTEX-TSE9-0126-SM-3DB83 60-69 years, female 5.0
GTEX-ZYFD-0126-SM-5GIDL 50-59 years, male 5.0
GTEX-1HCU8-0626-SM-A9SM9 60-69 years, female 5.0
GTEX-1JJE9-0326-SM-CL53Z 70-79 years, male 5.0
GTEX-131XE-2326-SM-5PNZ2 50-59 years, male 4.9
GTEX-145LS-0126-SM-5QGP1 60-69 years, female 4.9
GTEX-1CB4E-2226-SM-793DC 60-69 years, male 4.9
GTEX-13OW5-0126-SM-DTXFS 60-69 years, male 4.9
GTEX-1M4P7-0226-SM-DIPEV 60-69 years, male 4.9
GTEX-RWS6-2026-SM-2XCB5 60-69 years, female 4.8
GTEX-1LH75-2426-SM-E9TJE 50-59 years, female 4.8
GTEX-1PWST-0226-SM-E76QJ 70-79 years, male 4.8
GTEX-1S82Z-0826-SM-E6CHY 30-39 years, female 4.8
GTEX-1212Z-2526-SM-5EGKP 60-69 years, male 4.7
GTEX-12WSK-2326-SM-5GCOH 40-49 years, female 4.7
GTEX-145LU-0126-SM-5TDCB 50-59 years, male 4.7
GTEX-T2YK-0526-SM-32QPJ 50-59 years, male 4.7
GTEX-X261-0126-SM-3NMD6 50-59 years, male 4.7
GTEX-1JJ6O-0126-SM-E6CI8 60-69 years, male 4.7
GTEX-1KANA-0726-SM-D3L9I 20-29 years, male 4.7
GTEX-VJYA-1126-SM-3GIJU 60-69 years, male 4.6
GTEX-ZXG5-0126-SM-5GIEU 60-69 years, male 4.5
GTEX-1E2YA-0126-SM-9KNUC 50-59 years, male 4.5
GTEX-1LGRB-2526-SM-CNPPQ 50-59 years, female 4.5
GTEX-1RLM8-2326-SM-EWRN4 50-59 years, male 4.5
GTEX-1399T-2826-SM-5KLYZ 60-69 years, male 4.4
GTEX-XXEK-2226-SM-4BRUM 50-59 years, male 4.4
GTEX-1IDJH-0326-SM-A9SLQ 70-79 years, male 4.4
GTEX-1122O-2126-SM-5EGIR 60-69 years, female 4.3
GTEX-145MI-0526-SM-5O9A8 60-69 years, female 4.3
GTEX-14BMV-0126-SM-5S2PO 50-59 years, male 4.3
GTEX-17KNJ-2326-SM-7DHLQ 50-59 years, male 4.3
GTEX-1HBPI-1526-SM-C1YQ1 50-59 years, male 4.3
GTEX-1J1OQ-0226-SM-CYPSH 40-49 years, female 4.3
GTEX-1K9T9-0126-SM-EVYCF 50-59 years, female 4.3
GTEX-1QMI2-0226-SM-EVYBX 60-69 years, male 4.3
GTEX-18D9A-1926-SM-7LG6P 30-39 years, female 4.2
GTEX-Y8E4-0626-SM-4WWDL 40-49 years, male 4.2
GTEX-1HT8W-0126-SM-CNPPP 30-39 years, male 4.2
GTEX-1JMLX-0226-SM-CM2RO 50-59 years, male 4.2
GTEX-1JN76-0126-SM-CNPPE 20-29 years, female 4.2
GTEX-13FHO-0226-SM-5IFGY 60-69 years, male 4.1
GTEX-14BIN-0626-SM-793DP 50-59 years, female 4.1
GTEX-15ETS-0126-SM-7KUMW 40-49 years, female 4.1
GTEX-QDVJ-1726-SM-2I5FX 50-59 years, male 4.1
GTEX-11TUW-2726-SM-E9J4M 60-69 years, male 4.1
GTEX-1KXAM-2226-SM-CYPTC 60-69 years, male 4.1
GTEX-W5X1-3026-SM-EAZAX 40-49 years, female 4.1
GTEX-145MF-0626-SM-5LUAI 50-59 years, male 4.0
GTEX-15F5U-1526-SM-6PANO 40-49 years, male 4.0
GTEX-U8XE-0326-SM-3DB8P 30-39 years, male 4.0
GTEX-111FC-0126-SM-5N9DL 60-69 years, male 3.9
GTEX-17JCI-0126-SM-7LG5G 60-69 years, female 3.9
GTEX-Q2AH-1626-SM-3GAF8 40-49 years, male 3.9
GTEX-14PJ6-2126-SM-6EU1V 60-69 years, female 3.8
GTEX-14XAO-2326-SM-6EU1B 60-69 years, female 3.8
GTEX-1B8SF-1426-SM-7DUGL 60-69 years, male 3.8
GTEX-1B8SG-0126-SM-73KZ3 50-59 years, male 3.8
GTEX-13JUV-2726-SM-5LZZ8 40-49 years, female 3.6
GTEX-1B97I-1626-SM-73KYO 40-49 years, male 3.6
GTEX-R3RS-0126-SM-3GIJL 40-49 years, female 3.6
GTEX-1MA7W-2026-SM-E9TJ6 20-29 years, female 3.6
GTEX-11UD2-0226-SM-5EQKY 50-59 years, male 3.5
GTEX-145ME-1826-SM-5SI9G 40-49 years, female 3.5
GTEX-SJXC-0126-SM-2XCFF 60-69 years, male 3.5
GTEX-ZVZO-0126-SM-5A5L9 40-49 years, male 3.5
GTEX-WFON-2126-SM-3LK7O 40-49 years, male 3.4
GTEX-ZYT6-0226-SM-5NQ6T 30-39 years, male 3.4
GTEX-1OJC3-0126-SM-E76QX 20-29 years, male 3.4
GTEX-13OVH-0126-SM-5MR4B 70-79 years, male 3.3
GTEX-PVOW-0126-SM-2XCFA 40-49 years, male 3.3
GTEX-PX3G-0126-SM-2I3EN 20-29 years, female 3.3
GTEX-S32W-2126-SM-2XCB1 50-59 years, female 3.3
GTEX-1RDX4-0126-SM-E9J4P 50-59 years, female 3.3
GTEX-1I1GQ-0126-SM-COH3H 50-59 years, male 3.2
GTEX-1ICLZ-0126-SM-CKZPO 60-69 years, male 3.2
GTEX-1MJK2-0426-SM-DTXE5 50-59 years, male 3.2
GTEX-14E6E-1826-SM-5S2R7 30-39 years, male 3.1
GTEX-T8EM-1026-SM-3DB7M 40-49 years, male 3.1
GTEX-XUZC-1726-SM-4BRWS 30-39 years, female 3.1
GTEX-ZTX8-1426-SM-5DUVO 20-29 years, male 3.1
GTEX-1S83E-0126-SM-EWRO4 40-49 years, male 3.1
GTEX-144GL-0126-SM-5TDE2 50-59 years, male 3.0
GTEX-ZF2S-2326-SM-4WWCE 50-59 years, female 3.0
GTEX-1R9PM-2026-SM-E76OY 20-29 years, male 3.0
GTEX-12WSE-0526-SM-793B2 20-29 years, male 2.9
GTEX-1H4P4-0726-SM-9YFLR 50-59 years, male 2.9
GTEX-1QAET-0926-SM-E76QM 50-59 years, male 2.9
GTEX-OIZG-0726-SM-33HBL 50-59 years, male 2.8
GTEX-ZV68-0126-SM-59HKS 50-59 years, female 2.8
GTEX-1R9K4-0126-SM-DTX9X 60-69 years, male 2.8
GTEX-15EU6-0426-SM-6PAN5 50-59 years, male 2.7
GTEX-1KAFJ-2026-SM-CY8ID 50-59 years, male 2.6
GTEX-1N2DW-0226-SM-E9TK2 50-59 years, male 2.6
GTEX-13111-1626-SM-5EGJY 50-59 years, male 2.5
GTEX-183WM-0126-SM-7LTAB 70-79 years, female 2.4
GTEX-1C475-1826-SM-73KWA 40-49 years, female 2.4
GTEX-1C64N-0126-SM-793D7 50-59 years, male 2.4
GTEX-1IKJJ-0126-SM-CNPQB 60-69 years, male 2.4
GTEX-1KANC-1526-SM-D3LAB 50-59 years, female 2.4
GTEX-T5JW-1626-SM-3GADZ 20-29 years, female 2.2
GTEX-WFG8-2226-SM-3GIL9 20-29 years, male 2.2
GTEX-1JMPZ-0226-SM-CNPP1 30-39 years, male 2.2
GTEX-1PIIG-0226-SM-EWRN6 30-39 years, male 2.2
GTEX-13NYB-2526-SM-5K7Z6 40-49 years, male 2.1
GTEX-P44H-0226-SM-2XCEU 40-49 years, male 2.1
GTEX-1HB9E-0226-SM-E9U4R 50-59 years, male 2.1
GTEX-1HCU7-0226-SM-CL545 50-59 years, male 2.1
GTEX-1M5QR-1226-SM-EWROB 40-49 years, male 2.0
GTEX-QESD-1426-SM-2S1R9 20-29 years, male 1.9
GTEX-1JJEA-0326-SM-CNPOT 60-69 years, male 1.9
GTEX-1JMQL-0226-SM-CNPP5 50-59 years, female 1.9
GTEX-YJ89-0126-SM-4TT3X 60-69 years, male 1.8
GTEX-13NYC-0326-SM-E9J4S 60-69 years, male 1.8
GTEX-1LG7Z-1726-SM-D3LA4 30-39 years, male 1.6
GTEX-SE5C-1626-SM-2XCE3 40-49 years, female 1.1
GTEX-1L5NE-2526-SM-E6CIE 50-59 years, male 0.9
GTEX-POMQ-2226-SM-2I5FK 20-29 years, female 0.7
Show allShow less

Contact

  • NEWS ARTICLES
  • PRESS ROOM

The Project

  • INTRODUCTION
  • ORGANIZATION
  • PUBLICATIONS

The Human Protein Atlas

  • DOWNLOADABLE DATA
  • LICENCE & CITATION
  • HELP & FAQ
The Human Protein Atlas project is funded
by the Knut & Alice Wallenberg Foundation.


contact@proteinatlas.org