We use cookies to enhance the usability of our website. If you continue, we'll assume that you are happy to receive all cookies. More information. Don't show this again.
RPS9
HPA
RESOURCES
  • TISSUE
  • BRAIN
  • SINGLE CELL
  • SUBCELLULAR
  • CANCER
  • BLOOD
  • CELL LINE
  • STRUCTURE & INTERACTION
ABOUT
  • INTRODUCTION
  • HISTORY
  • ORGANIZATION
  • PUBLICATIONS
  • ANTIBODY SUBMISSION
  • ANTIBODY AVAILABILITY
  • ACKNOWLEDGMENTS
  • CONTACT
NEWS
  • NEWS ARTICLES
  • PRESS ROOM
LEARN
  • DICTIONARY
  • PROTEIN CLASSES
  • PROTEIN EVIDENCE
  • METHODS
  • EDUCATIONAL VIDEOS
DATA
  • DOWNLOADABLE DATA
  • PUBLICATION DATA
  • RELEASE HISTORY
HELP
  • ANTIBODY VALIDATION
  • ASSAYS & ANNOTATION
  • DISCLAIMER
  • HELP & FAQ
  • PRIVACY STATEMENT
  • LICENCE & CITATION
Fields »
Search result

Field
Term
Gene name
Class
Subclass
Class
Keyword
Chromosome
External id
Tissue
Cell type
Expression
Antibody panel
Tissue
Main location
Patient ID
Annotation
Tissue
Category
Tau score
Cluster
Reliability
Brain region
Category
Tau score
Brain region
Category
Tau score
Brain region
Category
Tau score
Cluster
Reliability
Tissue
Cell type
Enrichment
Cell type
Category
Tau score
Cell type
Category
Tau score
Cell type
Category
Tau score
Cell lineage
Category
Tau score
Cluster
Cluster
Location
Searches
Location
Cell line
Class
Type
Phase
Reliability
Cancer
Prognosis
Cancer
Category
Cancer
Category
Tau score
Cluster
Variants
Interacting gene (ensg_id)
Type
Number of interactions
Pathway
Category
Score
Score
Score
Validation
Validation
Validation
Validation
Antibodies
Data type
Column


  • SUMMARY

  • TISSUE

  • BRAIN

  • SINGLE CELL

  • SUBCELL

  • CANCER

  • BLOOD

  • CELL LINE

  • STRUCT & INT

  • RPS9
TISSUE PRIMARY DATA SKIN Show tissue menu
ADIPOSE TISSUE ADRENAL GLAND AMYGDALA APPENDIX BASAL GANGLIA BONE MARROW BREAST BRONCHUS CEREBELLUM CEREBRAL CORTEX CERVIX CHOROID PLEXUS COLON DUODENUM
ENDOMETRIUM EPIDIDYMIS ESOPHAGUS FALLOPIAN TUBE GALLBLADDER HEART MUSCLE HIPPOCAMPAL FORMATION HYPOTHALAMUS KIDNEY LIVER LUNG LYMPH NODE MIDBRAIN NASOPHARYNX
ORAL MUCOSA OVARY PANCREAS PARATHYROID GLAND PITUITARY GLAND PLACENTA PROSTATE RECTUM RETINA SALIVARY GLAND SEMINAL VESICLE SKELETAL MUSCLE SKIN SMALL INTESTINE
SMOOTH MUSCLE SOFT TISSUE SPINAL CORD SPLEEN STOMACH TESTIS THYMUS THYROID GLAND TONGUE TONSIL URINARY BLADDER VAGINA
ANTIBODIES
AND
VALIDATION
Dictionary
Skin
Tissue proteome
Skin
SKIN - Expression summary
Protein expression
Skini

On the top, protein expression in current human tissue, based on all annotated cell types, is reported with the units not detected (n), low (l), medium (m) and high (h). Underneath, protein expression in each annotated cell type are reported using the same units.

Protein expression data is based on knowledge-based annotation. For genes where more than one antibody has been used, a collective score is set.

If knowledge-based annotation could not be performed for a gene, no data is displayed here. View antibody staining data further down this page.

h
m
l
n
Epidermal cells: Medium
Fibroblasts: Not detected
Keratinocytes: Not detected
Langerhans: Low
Melanocytes: Not detected
RNA expressioni

A summary of mRNA expression data available for current tissue based on several datasets. The mRNA expression levels in human tissues are based on RNA-seq data generated by the Human Protein Atlas (HPA), Genotype-Tissue Expression (GTEx) portal and CAGE data generated by the FANTOM5 consortium. Consensus normalized expression levels for human tissues was created by combining the data from HPA and GTEx datasets.

The mRNA expression levels in pig are based on RNA-seq data generated by the Human Protein Atlas (HPA), and for mouse, HPA data and in situ hybridization generated by the Allen brain atlas are reported.

Scroll down to view mRNA expression data in more detail.
Consensus:2603.7 nTPM
HPA:630.7 nTPM
GTEx:2603.7 nTPM

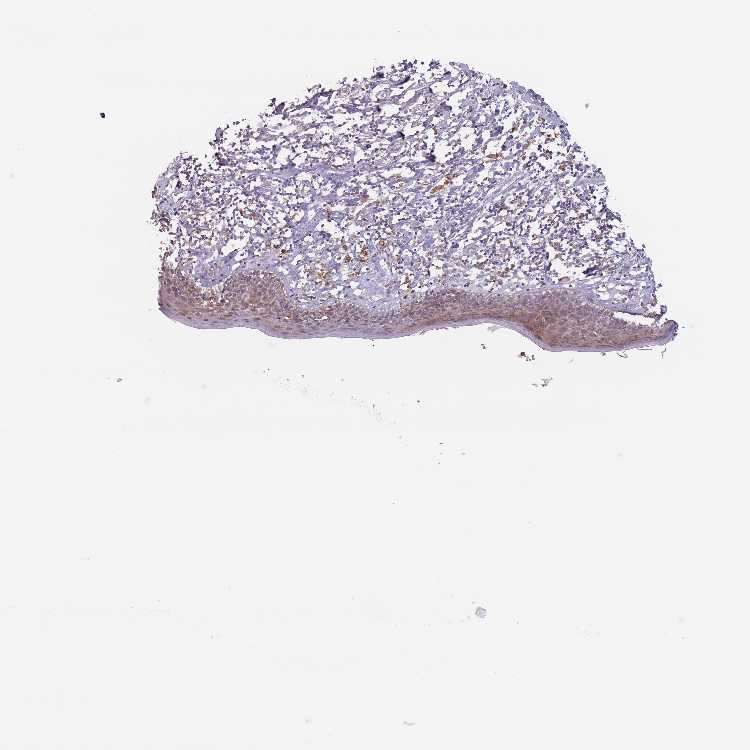
SKIN 1 - Antibody stainingi

Antibody staining in the annotated cell types in the current human tissue is reported as not detected, low, medium, or high, based on conventional immunohistochemistry profiling in selected tissues. This score is based on the combination of the staining intensity and fraction of stained cells.

Each image is clickable and will lead to virtual microscopy that enables deeper exploration of all samples and also displays staining intensity scores, fraction scores and subcellular localization as well as patient and tissue information for each sample.

Antibody HPA048746
Langerhans Low
Fibroblasts Not detected
Keratinocytes Not detected
Melanocytes Not detected
SKIN 2 - Antibody stainingi

Antibody staining in the annotated cell types in the current human tissue is reported as not detected, low, medium, or high, based on conventional immunohistochemistry profiling in selected tissues. This score is based on the combination of the staining intensity and fraction of stained cells.

Each image is clickable and will lead to virtual microscopy that enables deeper exploration of all samples and also displays staining intensity scores, fraction scores and subcellular localization as well as patient and tissue information for each sample.

Antibody HPA048746
Epidermal cells Medium
 
 
 


SKIN - HPA RNA-seqi

The RNA-seq details section shows detailed information about the individual samples used for the transcript profiling and results of the RNA-seq analysis.

Information about each individual sample is listed below, including gender, age, a tissue section image and estimated fractions of cell types. nTPM (normalized transcripts per million) values give a quantification of the gene abundance which is comparable between different genes and samples.
Average nTPMi

Max subtype nTPM is the value for the subtype with the largest average nTPM across the subtype samples.

630.7
overview
Female, age 34
Skin sample 225
nTPM: 369.3
Cell types%
Keratinocytes:
60

Other cell types:
40

overview
Female, age 30
Skin sample 226
nTPM: 357
Cell types%
Keratinocytes:
55

Other cell types:
45

N/A
Male, age 57
Skin sample 227
nTPM: 1165.9

SKIN - GTEx RNA-seqi

RNA-Seq data generated by the Genotype-Tissue Expression (GTEx) project from human tissues is reported as mean nTPM. More information can be found on the GTEx portal.

Distribution across the dataset is visualized with box plots, shown as median and 25th and 75th percentiles. Points are displayed as outliers if they are above or below 1.5 times the interquartile range. nTPM values of the individual samples are presented next to the box plot.
Max subtype nTPMi

Max subtype nTPM is the value for the subtype with the largest average nTPM across the subtype samples.

2603.7
GTEx sample id Sample description nTPM
Skin - Not Sun Exposed (Suprapubic)
Average nTPM: 2603.7
Samples: 604

Max nTPM: 6633.1
Min nTPM: 1138.2
Std nTPM: 733.3
Median nTPM: 2488.3
GTEX-WFG7-2026-SM-5SI7P 20-29 years, male 6633.1
GTEX-X585-2426-SM-46MW2 50-59 years, male 6381.2
GTEX-ZTX8-1326-SM-4YCEL 20-29 years, male 6213.4
GTEX-1OJC3-1226-SM-DTXER 20-29 years, male 6106.4
GTEX-Y114-2126-SM-4TT8B 50-59 years, female 5779.3
GTEX-15RIG-0726-SM-7KUM7 40-49 years, male 5429.5
GTEX-XBEW-1126-SM-4QARW 40-49 years, male 5391.7
GTEX-1IKOE-1426-SM-CE6T7 30-39 years, female 5277.5
GTEX-144FL-0626-SM-5LU43 50-59 years, male 4917.5
GTEX-WI4N-2726-SM-3LK7Y 40-49 years, female 4762.8
GTEX-1PIGE-1826-SM-E8VOU 20-29 years, male 4599.8
GTEX-1E2YA-2126-SM-7MXUO 50-59 years, male 4578.5
GTEX-1PPH8-0126-SM-EWRN8 20-29 years, male 4510.3
GTEX-Y5V6-2326-SM-4VDSA 60-69 years, male 4501.1
GTEX-Y111-0626-SM-4SOIT 50-59 years, male 4493.1
GTEX-ZF3C-0626-SM-DO92O 50-59 years, female 4422.9
GTEX-1399Q-2326-SM-5KM2X 40-49 years, male 4290.0
GTEX-1N2DV-1526-SM-DTXEP 40-49 years, male 4213.7
GTEX-12WSJ-1126-SM-5LZVJ 40-49 years, female 4177.0
GTEX-14ICL-1626-SM-5YYAO 30-39 years, male 4173.0
GTEX-ZYW4-0626-SM-59HJR 60-69 years, male 4138.6
GTEX-11DXZ-2026-SM-5987S 50-59 years, male 4105.0
GTEX-131XH-0126-SM-5LZUY 50-59 years, male 4087.5
GTEX-13NYB-0126-SM-5J1MD 40-49 years, male 4082.6
GTEX-ZT9X-1526-SM-5DUXD 40-49 years, male 4068.0
GTEX-11P7K-1126-SM-5HL4L 30-39 years, male 4033.1
GTEX-1QP9N-1226-SM-E76QN 30-39 years, male 4030.4
GTEX-11OF3-0126-SM-5PNYF 60-69 years, male 4014.5
GTEX-1GPI7-1826-SM-9KNU1 20-29 years, male 3982.7
GTEX-Y3I4-1726-SM-4TT89 50-59 years, male 3951.2
GTEX-Y3IK-1626-SM-4YCF5 50-59 years, female 3948.6
GTEX-13JVG-0726-SM-5KM16 60-69 years, male 3944.3
GTEX-14E1K-2026-SM-7DUEI 50-59 years, male 3942.7
GTEX-18QFQ-1826-SM-72D52 30-39 years, male 3935.7
GTEX-1CAMS-2226-SM-7PBXQ 40-49 years, female 3935.7
GTEX-1AYD5-2626-SM-7PBXY 50-59 years, male 3910.9
GTEX-WHSB-1326-SM-3LK6W 50-59 years, male 3904.2
GTEX-Y9LG-1126-SM-4VBQ7 30-39 years, male 3898.7
GTEX-ZPCL-1126-SM-4WWFE 60-69 years, female 3839.7
GTEX-YFCO-1226-SM-5LUAT 40-49 years, male 3810.2
GTEX-1JMPY-0226-SM-CKZOK 30-39 years, male 3804.7
GTEX-11ZU8-0126-SM-5EQ58 60-69 years, male 3791.1
GTEX-11DYG-1526-SM-5A5JS 60-69 years, male 3782.8
GTEX-15UF6-1926-SM-7KUDV 70-79 years, female 3769.2
GTEX-13YAN-0226-SM-5TDC6 60-69 years, male 3728.9
GTEX-147F4-0726-SM-5TDDD 50-59 years, male 3710.4
GTEX-1RAZQ-1326-SM-E9TK6 30-39 years, male 3697.0
GTEX-13RTJ-0126-SM-5S2NN 60-69 years, male 3675.1
GTEX-13PL6-1126-SM-5L3IE 40-49 years, female 3645.8
GTEX-1LKK1-2626-SM-DKPQE 50-59 years, female 3644.5
GTEX-ZE7O-2726-SM-51MT5 50-59 years, female 3638.7
GTEX-1399S-0126-SM-5IJCF 30-39 years, female 3602.8
GTEX-139UW-0326-SM-5J1ML 60-69 years, male 3582.3
GTEX-1I1GT-1026-SM-ARZLV 60-69 years, female 3581.5
GTEX-16YQH-2226-SM-7IGM2 30-39 years, male 3563.0
GTEX-YECK-0326-SM-4W1YS 60-69 years, male 3561.3
GTEX-1HCUA-0826-SM-ADEHM 50-59 years, female 3516.0
GTEX-ZA64-1026-SM-5HL8R 20-29 years, male 3505.5
GTEX-1117F-2926-SM-5GZYI 60-69 years, female 3490.0
GTEX-16MTA-0926-SM-6M47Z 50-59 years, male 3485.0
GTEX-11PRG-0726-SM-5EGL1 50-59 years, male 3482.2
GTEX-17F97-2626-SM-7IGM5 50-59 years, male 3472.4
GTEX-1HBPN-0126-SM-CGQEF 50-59 years, male 3469.0
GTEX-1EX96-1026-SM-7MKG2 50-59 years, male 3466.2
GTEX-ZF2S-1626-SM-57WES 50-59 years, female 3459.5
GTEX-15G1A-1626-SM-7KUKN 30-39 years, male 3417.8
GTEX-17F9E-2326-SM-79OKD 50-59 years, male 3413.9
GTEX-1F6I4-2326-SM-7RHGL 60-69 years, male 3404.0
GTEX-1ICLZ-0326-SM-ARL82 60-69 years, male 3402.1
GTEX-1QCLY-0226-SM-EWRNH 30-39 years, male 3397.7
GTEX-15RIE-1926-SM-7KUKJ 60-69 years, male 3380.5
GTEX-17HII-1426-SM-7EPGG 50-59 years, male 3361.3
GTEX-1A3MW-0626-SM-731CB 60-69 years, female 3357.8
GTEX-15RJE-2826-SM-7KUM9 40-49 years, male 3339.3
GTEX-1JMLX-0626-SM-ARL8T 50-59 years, male 3332.8
GTEX-139TS-2126-SM-5K7XC 60-69 years, male 3317.7
GTEX-1CAMQ-1326-SM-7P8RV 40-49 years, male 3306.8
GTEX-1HSMQ-2626-SM-A9SML 50-59 years, male 3303.3
GTEX-1H1ZS-2726-SM-9WG75 70-79 years, male 3288.4
GTEX-1MCYP-0526-SM-E9U6Q 20-29 years, female 3286.8
GTEX-14PJO-2526-SM-6AJBQ 60-69 years, male 3265.6
GTEX-13X6K-0626-SM-5LU5D 60-69 years, female 3239.8
GTEX-WH7G-2026-SM-3NMBL 40-49 years, male 3236.1
GTEX-1LBAC-0826-SM-CY8IJ 20-29 years, male 3217.4
GTEX-W5X1-2526-SM-3GILC 40-49 years, female 3206.7
GTEX-1B97I-0626-SM-73KUZ 40-49 years, male 3200.2
GTEX-11WQC-1826-SM-5GU59 60-69 years, male 3190.3
GTEX-15DYW-2726-SM-6EU2I 60-69 years, female 3188.7
GTEX-1LVA9-2626-SM-EVYD4 50-59 years, male 3181.6
GTEX-ZC5H-1526-SM-5HL9Y 40-49 years, female 3180.8
GTEX-1LSVX-2526-SM-DIPEU 60-69 years, male 3177.2
GTEX-14PHX-2226-SM-6EU2P 50-59 years, male 3161.9
GTEX-14LZ3-0126-SM-69LPM 60-69 years, female 3161.4
GTEX-14PJ3-1126-SM-5ZZVX 50-59 years, male 3161.3
GTEX-1H2FU-0926-SM-9WPPT 60-69 years, female 3160.4
GTEX-1R9PM-1926-SM-EVR3O 20-29 years, male 3157.0
GTEX-183WM-0326-SM-72D5V 70-79 years, female 3155.4
GTEX-13NYS-0626-SM-5L3F1 60-69 years, male 3153.3
GTEX-11P81-2226-SM-5PNYI 30-39 years, female 3144.9
GTEX-13IVO-0726-SM-5LZYV 70-79 years, male 3136.7
GTEX-11DXX-2126-SM-5PNYR 60-69 years, female 3124.9
GTEX-1497J-0226-SM-5QGPU 60-69 years, male 3119.6
GTEX-ZF29-0926-SM-4WKFZ 60-69 years, female 3115.7
GTEX-ZVP2-0326-SM-57WBP 50-59 years, male 3114.0
GTEX-147GR-2426-SM-5ZZWQ 60-69 years, male 3112.8
GTEX-17F96-0126-SM-7EWDU 70-79 years, male 3106.9
GTEX-17MFQ-1526-SM-7KFRR 20-29 years, male 3094.4
GTEX-14PHY-1226-SM-5ZZWK 60-69 years, female 3088.7
GTEX-13FTX-1526-SM-5K7VJ 20-29 years, female 3081.6
GTEX-144GO-2026-SM-5O99P 60-69 years, male 3079.5
GTEX-ZDTS-0826-SM-4WKHL 60-69 years, male 3073.3
GTEX-XQ3S-1426-SM-4BOPR 20-29 years, male 3070.8
GTEX-ZVZP-1226-SM-5GID7 50-59 years, male 3068.0
GTEX-15RJ7-2126-SM-6PAMD 40-49 years, male 3067.4
GTEX-1S831-1826-SM-EWROF 20-29 years, male 3064.6
GTEX-1K2DA-1026-SM-CGQGF 50-59 years, male 3058.7
GTEX-1S3DN-2126-SM-E9TIN 50-59 years, male 3058.3
GTEX-1GN1V-2826-SM-9JGIA 60-69 years, male 3057.5
GTEX-ZLFU-1826-SM-4WWBV 40-49 years, male 3051.0
GTEX-14PJ6-2626-SM-6EU2T 60-69 years, female 3040.2
GTEX-1H11D-1826-SM-9QEHM 40-49 years, male 3039.8
GTEX-13FTY-2126-SM-5IFFB 40-49 years, female 3036.7
GTEX-14DAR-1226-SM-73KYV 50-59 years, male 3028.4
GTEX-ZYT6-2326-SM-5GZY3 30-39 years, male 3023.9
GTEX-1EMGI-2326-SM-7PBYA 60-69 years, male 3019.8
GTEX-131XG-0326-SM-5L3DX 50-59 years, female 3014.9
GTEX-14XAO-1226-SM-6EU1C 60-69 years, female 3005.0
GTEX-ZDTT-0426-SM-4WKFL 60-69 years, male 3005.0
GTEX-1H3VE-0726-SM-9YFL5 40-49 years, male 3001.7
GTEX-12WSH-1526-SM-5BC5W 50-59 years, male 3000.1
GTEX-11ZTT-2126-SM-5CVLO 60-69 years, female 2999.0
GTEX-1RMOY-1326-SM-E9TIH 50-59 years, male 2998.0
GTEX-17HHE-1326-SM-7EWDZ 50-59 years, male 2992.5
GTEX-14PII-0726-SM-6EU2B 60-69 years, male 2992.3
GTEX-13X6H-0926-SM-5SIB2 50-59 years, female 2986.2
GTEX-139D8-1126-SM-5LU8W 30-39 years, female 2984.9
GTEX-15DDE-2926-SM-6LLJ3 50-59 years, female 2977.4
GTEX-11DZ1-2426-SM-5GZZX 50-59 years, male 2970.2
GTEX-1LSNM-0826-SM-DIPG8 50-59 years, male 2959.3
GTEX-ZDYS-2426-SM-4WKGI 50-59 years, male 2953.7
GTEX-1HGF4-0126-SM-CNPPX 60-69 years, male 2941.2
GTEX-ZP4G-1426-SM-4WWCL 20-29 years, female 2937.4
GTEX-1CB4J-1326-SM-7P8RX 60-69 years, male 2932.5
GTEX-XXEK-1626-SM-4BRUZ 50-59 years, male 2932.3
GTEX-14753-0726-SM-5QGQO 60-69 years, male 2926.3
GTEX-YEC4-1826-SM-4W1YP 40-49 years, male 2918.1
GTEX-16MT8-2926-SM-7DUFO 60-69 years, female 2917.5
GTEX-12WSK-2126-SM-5CVNC 40-49 years, female 2909.4
GTEX-1QP2A-1726-SM-E76QC 50-59 years, male 2907.4
GTEX-1J1OQ-0126-SM-D4P2N 40-49 years, female 2903.4
GTEX-ZYY3-2926-SM-5GIEB 60-69 years, female 2903.3
GTEX-17EVP-2626-SM-7IGMA 40-49 years, male 2899.7
GTEX-14C39-1726-SM-5RQIL 40-49 years, male 2895.1
GTEX-1S82P-2126-SM-E6CI5 60-69 years, female 2885.6
GTEX-1BAJH-2426-SM-7IGP8 70-79 years, male 2882.7
GTEX-1122O-1026-SM-9WYSF 60-69 years, female 2882.3
GTEX-WXYG-2026-SM-4E3IY 50-59 years, female 2875.3
GTEX-15G19-2426-SM-7KUMR 60-69 years, male 2866.3
GTEX-Z93S-1626-SM-5CVMB 50-59 years, male 2866.3
GTEX-139TU-0726-SM-5L3EK 60-69 years, male 2865.4
GTEX-1LVAN-0626-SM-CNPOQ 50-59 years, female 2862.8
GTEX-1PPH7-1126-SM-DTX9A 40-49 years, male 2862.6
GTEX-1JMQJ-0826-SM-CNPP7 50-59 years, male 2861.3
GTEX-1NSGN-0726-SM-DTXEF 50-59 years, male 2860.4
GTEX-1JJEA-1826-SM-ARU8P 60-69 years, male 2857.8
GTEX-14JG1-1526-SM-5YY9X 40-49 years, male 2850.5
GTEX-ZY6K-1426-SM-5GZX2 50-59 years, male 2850.4
GTEX-11NUK-2726-SM-5A5MC 50-59 years, male 2844.1
GTEX-1QP28-1126-SM-EVYC4 50-59 years, female 2835.9
GTEX-111VG-1626-SM-5EGIO 60-69 years, male 2834.8
GTEX-1EH9U-2826-SM-7DUGT 60-69 years, male 2826.2
GTEX-1H3O1-1326-SM-9MQLD 60-69 years, male 2825.2
GTEX-11P82-1426-SM-DTXFY 20-29 years, male 2822.9
GTEX-13N11-2326-SM-5IJBF 50-59 years, female 2821.2
GTEX-1CB4E-0926-SM-7EPHT 60-69 years, male 2819.2
GTEX-1QW4Y-1126-SM-DTXE3 30-39 years, male 2811.0
GTEX-14A5H-0826-SM-5QGPJ 60-69 years, male 2810.4
GTEX-1KANB-2826-SM-CY8I6 50-59 years, male 2808.4
GTEX-18A67-1626-SM-7LT9T 50-59 years, male 2806.3
GTEX-1C6VQ-1226-SM-73KYD 50-59 years, male 2800.9
GTEX-12126-0826-SM-5FQTZ 20-29 years, male 2800.3
GTEX-1QAET-0326-SM-EVR3U 50-59 years, male 2800.3
GTEX-1HFI6-0126-SM-CNPPI 40-49 years, male 2799.2
GTEX-145MN-1526-SM-5SI9T 30-39 years, male 2795.5
GTEX-1NV5F-0626-SM-DTXEG 60-69 years, female 2793.7
GTEX-X3Y1-2026-SM-3P5YM 40-49 years, male 2789.9
GTEX-13112-0126-SM-5P9IU 50-59 years, male 2788.6
GTEX-11DXY-0126-SM-5H11Q 60-69 years, male 2787.6
GTEX-148VJ-0626-SM-5LUAW 70-79 years, male 2785.9
GTEX-X5EB-1926-SM-4E3IW 40-49 years, male 2784.1
GTEX-1I1GS-2626-SM-B2LY3 60-69 years, male 2780.7
GTEX-1QPFJ-1926-SM-EVYBD 30-39 years, female 2775.6
GTEX-1JMQK-1226-SM-D4P2S 60-69 years, male 2767.3
GTEX-1IKJJ-2226-SM-CJI4C 60-69 years, male 2765.8
GTEX-15SHW-0226-SM-7LTAT 60-69 years, male 2761.9
GTEX-1B8KE-1126-SM-7EPHI 50-59 years, male 2761.7
GTEX-1RLM8-2926-SM-E8VON 50-59 years, male 2761.5
GTEX-XQ8I-0926-SM-4BOOF 50-59 years, male 2749.2
GTEX-ZVE1-0726-SM-51MRN 50-59 years, female 2747.5
GTEX-1MJK3-0726-SM-E6CJC 20-29 years, male 2747.0
GTEX-13G51-1826-SM-5KLZH 60-69 years, male 2745.9
GTEX-XMD2-2126-SM-4YCF8 60-69 years, female 2739.8
GTEX-1313W-0626-SM-5EQ4H 50-59 years, female 2739.7
GTEX-13PDP-0726-SM-5L3HP 60-69 years, male 2738.2
GTEX-139TT-2126-SM-5LZWC 60-69 years, male 2734.9
GTEX-XYKS-1426-SM-4BRUO 60-69 years, female 2730.7
GTEX-1LG7Y-2526-SM-EWRO7 50-59 years, male 2727.9
GTEX-ZTTD-2826-SM-4YCFA 50-59 years, male 2720.8
GTEX-XK95-0226-SM-4AT58 40-49 years, male 2715.9
GTEX-X4EO-2926-SM-4E3JH 60-69 years, female 2715.4
GTEX-1192X-2726-SM-5N9DN 50-59 years, male 2711.5
GTEX-11O72-0626-SM-5PNYE 40-49 years, male 2710.7
GTEX-1F75I-2226-SM-7SB8U 40-49 years, male 2708.1
GTEX-117YX-1926-SM-5GIEC 50-59 years, male 2707.1
GTEX-13VXT-1926-SM-5K7UO 20-29 years, female 2706.5
GTEX-131XF-2626-SM-5EQ6K 60-69 years, male 2704.1
GTEX-15CHR-1126-SM-7EWF4 50-59 years, male 2701.3
GTEX-1C6WA-2626-SM-7MKGM 60-69 years, male 2694.4
GTEX-1A3MV-1826-SM-731CD 30-39 years, male 2684.2
GTEX-1399U-1126-SM-5L3DB 50-59 years, female 2684.0
GTEX-1PDJ9-1226-SM-EXUSX 20-29 years, male 2683.3
GTEX-1JN76-0626-SM-CKZOQ 20-29 years, female 2681.1
GTEX-145MH-2826-SM-5RQJF 50-59 years, male 2673.7
GTEX-XPVG-2126-SM-4B667 50-59 years, male 2668.5
GTEX-13SLX-2226-SM-62LEP 50-59 years, female 2666.8
GTEX-1HB9E-0126-SM-CM2S5 50-59 years, male 2666.4
GTEX-YB5K-2026-SM-4VDT3 40-49 years, female 2664.0
GTEX-1JMQL-2226-SM-CNPP4 50-59 years, female 2663.2
GTEX-Y8LW-1526-SM-5IFHL 50-59 years, female 2662.0
GTEX-WY7C-2126-SM-3NB2R 50-59 years, male 2656.8
GTEX-XBED-1926-SM-47JYP 60-69 years, male 2656.3
GTEX-13OVJ-0826-SM-5J1OK 50-59 years, female 2655.4
GTEX-144GM-0526-SM-79OJO 20-29 years, male 2654.2
GTEX-18D9B-0926-SM-7LG4U 60-69 years, male 2652.1
GTEX-1HCU7-0726-SM-A9SL1 50-59 years, male 2648.2
GTEX-1I1GP-1326-SM-A9G28 50-59 years, male 2647.9
GTEX-1JJ6O-2726-SM-CNPOG 60-69 years, male 2645.2
GTEX-18D9A-1426-SM-7LT8M 30-39 years, female 2644.7
GTEX-15ER7-0626-SM-6PANF 20-29 years, female 2638.8
GTEX-1F48J-0726-SM-7RHGS 50-59 years, female 2635.2
GTEX-15EO6-2426-SM-6PALZ 50-59 years, male 2632.7
GTEX-13FHO-0426-SM-5L3F5 60-69 years, male 2632.1
GTEX-145ME-1726-SM-5Q5EU 40-49 years, female 2630.9
GTEX-12BJ1-0926-SM-5EQ62 60-69 years, male 2627.4
GTEX-14PK6-0226-SM-62LF5 70-79 years, female 2624.5
GTEX-1HCU6-2526-SM-ADEHL 60-69 years, female 2624.2
GTEX-ZPU1-1126-SM-4YCF3 40-49 years, male 2623.8
GTEX-13O61-1426-SM-5KM3D 60-69 years, male 2621.8
GTEX-1GZ4H-0526-SM-9KNU9 50-59 years, female 2621.3
GTEX-13W3W-0726-SM-5IJDQ 60-69 years, female 2620.9
GTEX-14PJ5-1526-SM-6LLIL 60-69 years, female 2615.3
GTEX-XOT4-0626-SM-4B66L 60-69 years, female 2607.0
GTEX-1HSMP-0926-SM-A9SKX 70-79 years, male 2605.1
GTEX-ZAB4-2126-SM-5HL8U 40-49 years, male 2604.7
GTEX-WHWD-1826-SM-3LK6I 50-59 years, male 2604.4
GTEX-1PIIG-2326-SM-DTXFR 30-39 years, male 2602.6
GTEX-1399R-1326-SM-5PNYS 30-39 years, male 2600.8
GTEX-14BIN-1126-SM-5RQJZ 50-59 years, female 2599.4
GTEX-XV7Q-1826-SM-4BRUV 40-49 years, female 2597.9
GTEX-1PPGY-1626-SM-EVYBL 60-69 years, male 2594.4
GTEX-14LLW-2626-SM-62LDZ 70-79 years, female 2593.6
GTEX-16AAH-0626-SM-793C9 50-59 years, male 2593.1
GTEX-1J8EW-2726-SM-CY8HR 60-69 years, female 2587.6
GTEX-1JK1U-0226-SM-ARZMX 60-69 years, male 2583.3
GTEX-1KAFJ-0126-SM-DIPEK 50-59 years, male 2580.8
GTEX-13OVH-0526-SM-5L3E6 70-79 years, male 2572.0
GTEX-1211K-1526-SM-5FQU4 60-69 years, female 2571.4
GTEX-145MG-1526-SM-5Q5EM 50-59 years, male 2570.9
GTEX-11ZUS-2626-SM-5FQUR 30-39 years, male 2569.2
GTEX-X8HC-0626-SM-4E3HQ 50-59 years, female 2566.7
GTEX-13U4I-2226-SM-5LU5H 40-49 years, female 2562.1
GTEX-139YR-1026-SM-5LZYN 50-59 years, male 2560.8
GTEX-1GMRU-2126-SM-7P8RA 50-59 years, male 2560.0
GTEX-1IDJI-0126-SM-CMKHS 50-59 years, female 2555.7
GTEX-13D11-0926-SM-5J2NC 50-59 years, female 2551.9
GTEX-13VXU-0626-SM-5L3F9 50-59 years, male 2550.9
GTEX-1GZ2Q-0126-SM-9WG6M 40-49 years, male 2550.0
GTEX-15SKB-2826-SM-6PAMH 60-69 years, male 2547.8
GTEX-1F52S-2926-SM-7MKGA 60-69 years, female 2547.5
GTEX-1K2DU-1226-SM-CYPT4 20-29 years, male 2546.2
GTEX-16Z82-2626-SM-7KULU 60-69 years, male 2544.7
GTEX-UPJH-0226-SM-3GADV 50-59 years, male 2544.3
GTEX-145LS-0626-SM-7EPG7 60-69 years, female 2543.7
GTEX-132AR-0326-SM-5KM2C 50-59 years, female 2540.1
GTEX-15EU6-2226-SM-6EU2L 50-59 years, male 2539.2
GTEX-1C64N-2626-SM-7PC2N 50-59 years, male 2537.2
GTEX-11NSD-0626-SM-5A5LU 20-29 years, male 2533.0
GTEX-ZLV1-1526-SM-DO91J 60-69 years, female 2527.5
GTEX-1A8G7-1326-SM-73KVM 60-69 years, male 2526.4
GTEX-ZZPU-0826-SM-5GZX5 50-59 years, female 2520.4
GTEX-12ZZY-0726-SM-5EQ66 60-69 years, male 2520.2
GTEX-1H1DE-1326-SM-9KNUG 20-29 years, male 2517.6
GTEX-14ABY-2026-SM-62LDL 50-59 years, male 2515.2
GTEX-1GZ4I-2626-SM-9KNU3 50-59 years, male 2509.8
GTEX-133LE-2326-SM-5K7W3 20-29 years, female 2508.6
GTEX-1F5PK-2226-SM-7SB6N 50-59 years, male 2504.5
GTEX-12ZZZ-0726-SM-5GCNZ 60-69 years, male 2502.8
GTEX-1J8QM-2426-SM-A9SLS 60-69 years, female 2495.0
GTEX-17F98-1326-SM-7DUEP 40-49 years, female 2492.1
GTEX-17MF6-2626-SM-79OKQ 40-49 years, male 2489.7
GTEX-WHPG-2626-SM-3NMBR 50-59 years, male 2489.5
GTEX-14C38-0726-SM-5SI6M 50-59 years, male 2488.9
GTEX-18D9U-0126-SM-731BM 40-49 years, male 2487.7
GTEX-1I19N-0126-SM-CYPSF 70-79 years, male 2485.5
GTEX-16NGA-0726-SM-731AO 40-49 years, female 2483.2
GTEX-1JJE9-2626-SM-ARZMT 70-79 years, male 2482.1
GTEX-13OW6-2726-SM-5J2OE 50-59 years, male 2480.6
GTEX-1GMR2-0826-SM-7PC3V 50-59 years, male 2480.3
GTEX-13NYC-0126-SM-5L3F4 60-69 years, male 2478.5
GTEX-13O3Q-0126-SM-5KM34 50-59 years, male 2476.9
GTEX-13SLW-0626-SM-5Q5ER 70-79 years, male 2470.2
GTEX-12WSF-1626-SM-7KUG5 70-79 years, male 2469.3
GTEX-1MCC2-1826-SM-DIPEX 30-39 years, female 2464.5
GTEX-11EQ8-0926-SM-5H12V 60-69 years, male 2464.2
GTEX-1OJC4-2726-SM-E76PJ 50-59 years, female 2460.5
GTEX-1PBJJ-1026-SM-E76OS 30-39 years, male 2457.5
GTEX-1GN73-0726-SM-7P8TJ 60-69 years, male 2455.7
GTEX-111YS-1526-SM-5GZYW 60-69 years, male 2452.5
GTEX-1GPI6-1926-SM-9KNV7 60-69 years, male 2451.8
GTEX-14E6E-0526-SM-793DN 30-39 years, male 2450.1
GTEX-14PJ4-0226-SM-5YY92 60-69 years, male 2448.6
GTEX-XBEC-0726-SM-4QARZ 50-59 years, male 2439.5
GTEX-13QJC-0126-SM-5ZZWJ 60-69 years, female 2439.3
GTEX-1HC8U-1326-SM-9YFMJ 40-49 years, female 2439.3
GTEX-WHSE-0126-SM-3NMBT 20-29 years, male 2432.4
GTEX-1J1R8-2026-SM-CL53Y 40-49 years, male 2431.2
GTEX-1A8G6-2726-SM-731AR 60-69 years, male 2427.3
GTEX-14AS3-1526-SM-5Q5ED 40-49 years, female 2423.7
GTEX-Y8E4-2026-SM-5IFJB 40-49 years, male 2423.6
GTEX-1CAMR-1326-SM-7PC1F 20-29 years, male 2418.2
GTEX-1JN1M-2726-SM-CY8I4 60-69 years, female 2416.5
GTEX-14C5O-0326-SM-5ZZUX 60-69 years, male 2411.6
GTEX-16BQI-1326-SM-6M486 30-39 years, female 2410.8
GTEX-1HKZK-0726-SM-ACKW2 40-49 years, male 2406.2
GTEX-1AX8Z-0726-SM-73KTS 60-69 years, male 2405.9
GTEX-15D1Q-2826-SM-6LLH7 40-49 years, male 2403.7
GTEX-12WSA-0426-SM-5EQ5X 60-69 years, male 2402.2
GTEX-18A6Q-0626-SM-7KFRP 60-69 years, male 2401.4
GTEX-13X6I-1826-SM-5SIAO 60-69 years, male 2393.1
GTEX-ZYFG-1526-SM-5GZYM 60-69 years, female 2391.2
GTEX-111CU-1126-SM-5EGIM 50-59 years, male 2389.4
GTEX-ZWKS-0626-SM-5GIDV 30-39 years, male 2386.3
GTEX-1HR9M-2226-SM-CNPPY 60-69 years, male 2384.2
GTEX-13FH7-1126-SM-5K7UG 50-59 years, female 2383.0
GTEX-17KNJ-2126-SM-718AM 50-59 years, male 2382.3
GTEX-17F9Y-0126-SM-79OKX 70-79 years, female 2380.1
GTEX-Y5LM-0926-SM-6LLJG 40-49 years, female 2379.7
GTEX-1R9K4-2826-SM-DTX8F 60-69 years, male 2376.6
GTEX-1JKYR-0626-SM-ARL8R 20-29 years, male 2374.5
GTEX-1CB4F-1026-SM-7DUH1 60-69 years, male 2367.2
GTEX-1IY9M-2826-SM-ARU8H 60-69 years, male 2366.1
GTEX-1JN6P-2926-SM-CL54D 60-69 years, male 2364.4
GTEX-14E6C-2426-SM-5S2NF 40-49 years, male 2362.9
GTEX-13QBU-1226-SM-5LU4G 40-49 years, female 2360.5
GTEX-1JKYN-0826-SM-ARU8S 30-39 years, male 2359.2
GTEX-18465-2826-SM-7LT9J 50-59 years, male 2355.5
GTEX-1F6IF-0926-SM-7SB7M 60-69 years, male 2353.5
GTEX-14PKV-1126-SM-6LLJ1 20-29 years, female 2353.3
GTEX-1C64O-1326-SM-7MGWR 60-69 years, male 2353.2
GTEX-16NPX-0726-SM-7KULC 50-59 years, male 2351.9
GTEX-11WQK-1026-SM-5EQLX 50-59 years, male 2348.1
GTEX-1IL2V-1926-SM-B2LW8 70-79 years, male 2346.9
GTEX-1R46S-2426-SM-E76QA 60-69 years, female 2345.3
GTEX-16MT9-0126-SM-7EPI8 60-69 years, female 2343.2
GTEX-1LSNL-2726-SM-E9TKJ 50-59 years, male 2339.6
GTEX-1HFI7-2326-SM-CGQFS 50-59 years, female 2339.4
GTEX-147F3-1726-SM-5SIAW 50-59 years, female 2332.7
GTEX-13NZ8-1226-SM-5KM4A 60-69 years, female 2328.9
GTEX-146FQ-2126-SM-5RQHU 30-39 years, male 2328.3
GTEX-1S82U-1026-SM-E6CJK 30-39 years, female 2327.9
GTEX-1LVAO-2726-SM-E9TJ8 60-69 years, male 2321.8
GTEX-ZXG5-2126-SM-59HKD 60-69 years, male 2319.4
GTEX-139T8-0626-SM-5KLZX 60-69 years, male 2314.1
GTEX-ZAJG-1526-SM-5CVML 50-59 years, female 2314.0
GTEX-1IDFM-0326-SM-ARL7V 60-69 years, male 2311.9
GTEX-1IOXB-2726-SM-CM2RI 50-59 years, male 2311.6
GTEX-ZPIC-0526-SM-DO91W 40-49 years, female 2310.1
GTEX-13OVG-1626-SM-5J1NF 60-69 years, male 2309.8
GTEX-13OW5-2326-SM-5L3HO 60-69 years, male 2306.3
GTEX-17HGU-2326-SM-7DUFE 50-59 years, male 2305.9
GTEX-1S5ZU-2526-SM-E6CIF 20-29 years, female 2304.0
GTEX-ZVT2-0126-SM-5GIDQ 50-59 years, female 2300.5
GTEX-XAJ8-1426-SM-47JYM 40-49 years, male 2291.9
GTEX-1RB15-1326-SM-E76Q9 60-69 years, male 2291.6
GTEX-11TUW-0626-SM-5LU9M 60-69 years, male 2291.3
GTEX-ZU9S-1826-SM-5NQ9E 30-39 years, male 2288.3
GTEX-1KXAM-1626-SM-D3LAD 60-69 years, male 2283.4
GTEX-ZYVF-0926-SM-5E44J 50-59 years, female 2282.7
GTEX-1HSGN-0826-SM-ACKW3 40-49 years, female 2279.8
GTEX-1N2EE-0626-SM-E76PW 60-69 years, male 2276.7
GTEX-1AX9I-2226-SM-73KUO 60-69 years, male 2276.6
GTEX-1HT8W-0626-SM-A9G2H 30-39 years, male 2271.3
GTEX-1JMPZ-0726-SM-CY8HZ 30-39 years, male 2266.6
GTEX-12KS4-2126-SM-5FQUT 30-39 years, male 2265.8
GTEX-11EM3-1226-SM-5N9DD 20-29 years, female 2263.8
GTEX-12696-0126-SM-5EQ4L 60-69 years, male 2263.0
GTEX-VUSG-2326-SM-4KL1U 50-59 years, male 2261.8
GTEX-1POEN-2326-SM-E9J2L 30-39 years, female 2261.1
GTEX-ZE9C-2526-SM-5IJDR 60-69 years, male 2257.3
GTEX-12ZZX-2426-SM-5GCOE 40-49 years, female 2256.6
GTEX-1JMQI-1726-SM-ARL93 50-59 years, male 2255.4
GTEX-14BMV-2826-SM-5TDED 50-59 years, male 2255.2
GTEX-1EN7A-2426-SM-793DB 40-49 years, male 2252.9
GTEX-ZYFC-0426-SM-5GICQ 50-59 years, male 2252.0
GTEX-1CB4I-0126-SM-7RHGG 50-59 years, male 2251.3
GTEX-1GTWX-2026-SM-9YFLM 60-69 years, male 2251.2
GTEX-131XW-0626-SM-5PNVD 50-59 years, female 2245.9
GTEX-1C2JI-1026-SM-73KY1 50-59 years, male 2244.0
GTEX-18A7A-0126-SM-731AH 50-59 years, female 2240.0
GTEX-17HHY-0426-SM-7DHLC 50-59 years, male 2239.3
GTEX-12584-0726-SM-5FQTK 40-49 years, male 2238.4
GTEX-15FZZ-0526-SM-7KUGD 30-39 years, female 2235.8
GTEX-1R7EU-1626-SM-DTXG3 60-69 years, male 2233.9
GTEX-13NZ9-2626-SM-5L3FK 50-59 years, male 2232.1
GTEX-1QMI2-2526-SM-E8VNZ 60-69 years, male 2232.1
GTEX-12WSD-0626-SM-5GCMW 60-69 years, female 2230.2
GTEX-1H23P-0626-SM-9WG6T 60-69 years, male 2228.0
GTEX-1I1GV-0626-SM-ARL7M 60-69 years, male 2226.6
GTEX-1I1GU-0926-SM-ACKVS 40-49 years, male 2216.2
GTEX-1O9I2-0226-SM-EYYXD 50-59 years, male 2215.6
GTEX-14PKU-0126-SM-6LLHV 40-49 years, female 2215.0
GTEX-17HG3-2626-SM-7DUF2 30-39 years, female 2206.5
GTEX-1I6K7-1926-SM-B2LXR 40-49 years, male 2202.6
GTEX-1R9PN-0426-SM-DTXDT 40-49 years, female 2202.0
GTEX-ZAK1-0626-SM-5HL8E 50-59 years, female 2201.5
GTEX-11EQ9-1626-SM-5PNY8 30-39 years, male 2201.3
GTEX-12C56-1526-SM-5FQUQ 20-29 years, male 2198.6
GTEX-1HR98-2226-SM-ADEI2 60-69 years, male 2191.2
GTEX-X4EP-0626-SM-3P621 60-69 years, female 2186.4
GTEX-1H1E6-0426-SM-9WYUS 30-39 years, male 2180.9
GTEX-13OW7-0426-SM-5K7VK 50-59 years, male 2172.7
GTEX-15CHQ-0326-SM-69LQD 60-69 years, male 2171.2
GTEX-1RAZS-2526-SM-E6CHT 50-59 years, male 2171.1
GTEX-1KANC-1226-SM-CYPT7 50-59 years, female 2168.9
GTEX-ZYFD-0626-SM-5E44E 50-59 years, male 2165.7
GTEX-ZVTK-0226-SM-51MRG 20-29 years, male 2164.9
GTEX-1KANA-1326-SM-DIPFA 20-29 years, male 2164.5
GTEX-XUW1-0926-SM-4BONX 50-59 years, female 2164.3
GTEX-1I1HK-2326-SM-CKZOH 60-69 years, male 2163.9
GTEX-1GF9V-0826-SM-9KNUV 60-69 years, male 2156.6
GTEX-16XZZ-0726-SM-7KUF2 60-69 years, male 2152.0
GTEX-145LT-0526-SM-5LUB2 40-49 years, male 2146.9
GTEX-13X6J-0626-SM-5LU5F 50-59 years, male 2144.2
GTEX-1H1CY-0126-SM-9YFLY 60-69 years, female 2140.6
GTEX-13113-1626-SM-5EQ4I 60-69 years, female 2140.2
GTEX-1B932-2326-SM-79OL5 40-49 years, female 2139.6
GTEX-1F75A-0726-SM-7RHHD 50-59 years, male 2137.0
GTEX-1H1DG-2426-SM-9QEHJ 70-79 years, male 2136.8
GTEX-1ICG6-1226-SM-A9SLN 70-79 years, female 2134.0
GTEX-1IDJH-0126-SM-D3L92 70-79 years, male 2126.6
GTEX-YEC3-1326-SM-DO92X 50-59 years, male 2126.3
GTEX-12WSM-1926-SM-5BC65 60-69 years, male 2121.3
GTEX-1B8SF-0126-SM-7DUG3 60-69 years, male 2120.9
GTEX-1CAV2-0126-SM-7IGN7 40-49 years, female 2117.3
GTEX-11UD2-2526-SM-5CVNU 50-59 years, male 2114.7
GTEX-1ICLY-0826-SM-CMKG1 50-59 years, male 2112.0
GTEX-1LG7Z-1626-SM-CXKYR 30-39 years, male 2112.0
GTEX-1HBPM-0726-SM-9YFL7 60-69 years, female 2108.0
GTEX-144GL-0626-SM-5LU4D 50-59 years, male 2103.4
GTEX-1B8KZ-0326-SM-73KY4 50-59 years, male 2100.0
GTEX-WRHU-2826-SM-3MJG8 50-59 years, female 2099.3
GTEX-14A6H-2026-SM-5Q5DD 30-39 years, male 2097.1
GTEX-13OW8-1026-SM-5J1NQ 60-69 years, male 2094.1
GTEX-WFG8-2126-SM-3GIKQ 20-29 years, male 2093.5
GTEX-14JFF-0626-SM-5ZZVT 60-69 years, male 2090.0
GTEX-1KD5A-0126-SM-E9U54 50-59 years, male 2088.9
GTEX-1F75B-0726-SM-7PC3R 50-59 years, male 2087.6
GTEX-1HSMO-0626-SM-ACKXC 60-69 years, male 2085.2
GTEX-1JMOU-1026-SM-CYPSS 60-69 years, female 2078.9
GTEX-1A8FM-0626-SM-7PC25 50-59 years, female 2074.5
GTEX-1N5O9-0926-SM-E9J3C 60-69 years, male 2069.0
GTEX-1F6RS-2026-SM-7RHHC 60-69 years, female 2065.6
GTEX-1B8L1-2226-SM-7P8PT 60-69 years, male 2064.6
GTEX-1LGRB-0926-SM-COH3K 50-59 years, female 2064.6
GTEX-14PJN-1826-SM-6AJ98 30-39 years, male 2063.6
GTEX-1H4P4-2126-SM-9WYSL 50-59 years, male 2062.5
GTEX-145MF-0926-SM-5Q5EA 50-59 years, male 2054.2
GTEX-145LU-1926-SM-79OJN 50-59 years, male 2053.7
GTEX-WK11-2726-SM-3NMAQ 50-59 years, male 2052.4
GTEX-13N1W-2426-SM-5IJD1 70-79 years, male 2051.0
GTEX-1212Z-0126-SM-59HK4 60-69 years, male 2042.6
GTEX-1GF9W-1426-SM-7PBYM 60-69 years, male 2034.7
GTEX-1IE54-1126-SM-A9G2Z 40-49 years, female 2029.5
GTEX-1F5PL-0926-SM-7PC2W 40-49 years, female 2028.6
GTEX-1LVAM-0726-SM-E6CIL 50-59 years, female 2028.5
GTEX-WYBS-0626-SM-3NMAS 60-69 years, female 2028.0
GTEX-13N2G-0226-SM-5K7VF 60-69 years, male 2026.3
GTEX-1GN1W-2426-SM-9KNUU 50-59 years, female 2026.2
GTEX-1269C-0126-SM-5EQ5L 60-69 years, female 2025.9
GTEX-11GS4-0226-SM-5HL77 60-69 years, male 2019.0
GTEX-1QP29-1826-SM-DTX9S 50-59 years, male 2016.1
GTEX-11VI4-1126-SM-5EQMD 40-49 years, female 2012.0
GTEX-1EU9M-1426-SM-793AI 60-69 years, male 2008.1
GTEX-YJ8O-2526-SM-5HL85 40-49 years, female 2006.6
GTEX-1E1VI-0326-SM-793D1 50-59 years, male 2005.9
GTEX-1LGOU-1326-SM-D3L8M 20-29 years, female 2005.2
GTEX-1EWIQ-0326-SM-7DHMQ 70-79 years, female 2002.7
GTEX-13OVK-1426-SM-6PAN7 40-49 years, male 1995.8
GTEX-1IDJF-2026-SM-CL53V 20-29 years, male 1993.2
GTEX-12WSL-2026-SM-5GCML 50-59 years, male 1987.9
GTEX-1F88E-1626-SM-7SB8Z 60-69 years, female 1987.6
GTEX-13FTW-0326-SM-5K7UW 40-49 years, male 1979.3
GTEX-13JUV-2026-SM-5K7UA 40-49 years, female 1979.3
GTEX-ZZ64-1026-SM-5GZXG 20-29 years, male 1976.7
GTEX-131YS-2826-SM-5EQ47 60-69 years, female 1976.0
GTEX-1CB4H-1126-SM-7MKGL 60-69 years, female 1967.6
GTEX-ZVE2-2826-SM-5GU51 50-59 years, male 1966.3
GTEX-1IDJD-2326-SM-ACKWX 30-39 years, male 1962.9
GTEX-1EKGG-0626-SM-7DUGJ 60-69 years, male 1959.7
GTEX-13FLV-0126-SM-5K7WT 50-59 years, male 1958.3
GTEX-1HBPI-2126-SM-ARL9K 50-59 years, male 1948.4
GTEX-17EVQ-0126-SM-7IGLR 70-79 years, male 1942.0
GTEX-1A32A-0626-SM-731AQ 50-59 years, female 1940.7
GTEX-1477Z-0326-SM-7IGLA 60-69 years, male 1936.9
GTEX-1GN1U-0626-SM-9MQL9 50-59 years, female 1936.9
GTEX-14BMU-1226-SM-5S2OR 20-29 years, female 1935.8
GTEX-1M4P7-0726-SM-E6CJ3 60-69 years, male 1933.6
GTEX-ZLWG-0826-SM-59888 50-59 years, female 1931.6
GTEX-18A66-0626-SM-7LT8Z 60-69 years, male 1931.2
GTEX-14B4R-1326-SM-5Q5EZ 30-39 years, male 1930.5
GTEX-1I6K6-1726-SM-CGQFD 30-39 years, male 1930.5
GTEX-183FY-1026-SM-7939A 20-29 years, male 1929.7
GTEX-11DXW-0826-SM-5H118 40-49 years, male 1927.6
GTEX-ZGAY-1826-SM-DO91Q 40-49 years, female 1922.2
GTEX-1B996-0426-SM-7EWF8 60-69 years, male 1921.9
GTEX-1IDJU-1726-SM-CMKHU 60-69 years, female 1919.9
GTEX-ZDXO-3126-SM-5IJDF 60-69 years, male 1910.5
GTEX-13PVR-0426-SM-5RQK2 60-69 years, female 1909.4
GTEX-U8XE-0226-SM-4E3J3 30-39 years, male 1888.9
GTEX-1K9T9-1526-SM-DIPFR 50-59 years, female 1888.3
GTEX-14PJ2-0626-SM-6LLII 50-59 years, male 1884.8
GTEX-1F88F-0126-SM-9WYSZ 60-69 years, female 1883.5
GTEX-1IDJC-1526-SM-B2LW4 50-59 years, male 1876.8
GTEX-1I4MK-0126-SM-CY8G6 50-59 years, female 1875.8
GTEX-UPK5-0426-SM-3GAEK 40-49 years, male 1870.4
GTEX-11GSP-2326-SM-5HL63 60-69 years, female 1863.3
GTEX-15CHC-1126-SM-6LLHQ 60-69 years, female 1862.3
GTEX-1B933-2426-SM-7DHMD 50-59 years, female 1859.9
GTEX-1C475-1326-SM-7SB73 40-49 years, female 1859.5
GTEX-1GZHY-0626-SM-9KNVC 50-59 years, female 1857.0
GTEX-11TT1-1826-SM-5EQLV 20-29 years, male 1856.2
GTEX-145MO-2826-SM-5LU96 60-69 years, male 1855.2
GTEX-ZVT4-2426-SM-5GIEI 50-59 years, female 1853.6
GTEX-1GMR3-0126-SM-A9SLW 40-49 years, male 1853.3
GTEX-145MI-0626-SM-5SI8S 60-69 years, female 1834.9
GTEX-1RAZR-2126-SM-E9U6T 40-49 years, male 1830.6
GTEX-1HCVE-2726-SM-CL54F 50-59 years, male 1829.2
GTEX-1HCU9-0426-SM-9WYSD 20-29 years, male 1828.3
GTEX-WYJK-0526-SM-3NM8Z 50-59 years, male 1826.4
GTEX-WFON-1926-SM-3LK7L 40-49 years, male 1822.8
GTEX-14JG6-1426-SM-9WG7C 30-39 years, female 1821.8
GTEX-147JS-0226-SM-5S2U9 60-69 years, male 1819.4
GTEX-1J8Q2-2626-SM-ACKWQ 60-69 years, male 1813.1
GTEX-13OVL-0126-SM-5L3GJ 50-59 years, male 1812.5
GTEX-1QP66-1226-SM-DTX7U 50-59 years, male 1810.6
GTEX-1GF9X-1326-SM-7PC2Y 40-49 years, female 1809.9
GTEX-1I1CD-0626-SM-CE6SW 60-69 years, female 1807.2
GTEX-Y5V5-0126-SM-5S2NW 60-69 years, female 1798.4
GTEX-1LB8K-0726-SM-D5OV2 50-59 years, male 1792.9
GTEX-1KWVE-1026-SM-D3L9O 30-39 years, male 1792.3
GTEX-13O3O-2326-SM-5IJD6 60-69 years, female 1791.5
GTEX-1J8Q3-0526-SM-ARL8U 60-69 years, male 1784.9
GTEX-1GL5R-1326-SM-7RHHF 50-59 years, male 1778.9
GTEX-11EI6-2826-SM-5H11D 60-69 years, male 1765.0
GTEX-11LCK-2226-SM-5HL4Q 30-39 years, male 1758.2
GTEX-1HUB1-1426-SM-CGQF5 60-69 years, male 1757.3
GTEX-WEY5-2326-SM-3GIKK 40-49 years, female 1756.7
GTEX-178AV-1726-SM-7KUL8 40-49 years, male 1754.3
GTEX-1QCLZ-2426-SM-EVYBW 60-69 years, female 1747.1
GTEX-1C6VR-0126-SM-7RHGB 60-69 years, male 1743.3
GTEX-1HSKV-1226-SM-ADEI4 60-69 years, male 1734.3
GTEX-1AMFI-1326-SM-7939R 50-59 years, female 1726.5
GTEX-1AMEY-0826-SM-72D65 30-39 years, female 1723.4
GTEX-1GN2E-0226-SM-9WG6K 60-69 years, male 1720.3
GTEX-13PVQ-0626-SM-5LU47 50-59 years, male 1719.9
GTEX-WYVS-1626-SM-3NM9R 40-49 years, female 1716.8
GTEX-1RAZA-2226-SM-E9U4X 20-29 years, male 1706.4
GTEX-1J8JJ-0626-SM-ARZMQ 60-69 years, female 1705.6
GTEX-1H1DF-1126-SM-9WG7G 40-49 years, female 1700.9
GTEX-1314G-1326-SM-5BC6E 30-39 years, male 1689.1
GTEX-1AX9J-1326-SM-731BJ 60-69 years, male 1685.9
GTEX-12WSC-2826-SM-5BC5Y 50-59 years, male 1680.4
GTEX-16GPK-0626-SM-7KFSF 60-69 years, male 1679.5
GTEX-1GMR8-0626-SM-7RHI7 50-59 years, female 1678.2
GTEX-1S83E-1326-SM-E6CJM 40-49 years, male 1653.9
GTEX-1HCU8-2526-SM-CE6RX 60-69 years, female 1635.1
GTEX-ZT9W-1126-SM-57WDR 50-59 years, male 1628.9
GTEX-1F75W-2726-SM-7SB8H 60-69 years, male 1600.3
GTEX-1QEPI-2626-SM-DTXF4 60-69 years, female 1591.5
GTEX-1IDJV-0126-SM-COH3Y 60-69 years, male 1589.6
GTEX-V1D1-2026-SM-3GAF4 50-59 years, male 1546.6
GTEX-1IDJE-1426-SM-ADEIW 50-59 years, female 1540.6
GTEX-ZTSS-1426-SM-5985P 40-49 years, male 1530.4
GTEX-18A7B-2726-SM-7LG56 70-79 years, male 1514.7
GTEX-17JCI-2926-SM-7DUFF 60-69 years, female 1501.9
GTEX-1H3NZ-2726-SM-9WYTQ 60-69 years, male 1483.2
GTEX-14DAQ-0626-SM-793DS 60-69 years, female 1481.2
GTEX-111FC-2526-SM-5GZXU 60-69 years, male 1440.8
GTEX-1L5NE-1126-SM-D3L9P 50-59 years, male 1420.0
GTEX-VJYA-1526-SM-3GIJV 60-69 years, male 1416.4
GTEX-1A3MX-2626-SM-7PC24 60-69 years, male 1412.7
GTEX-YF7O-1526-SM-5IFI6 50-59 years, male 1369.0
GTEX-ZUA1-2626-SM-5NQ92 40-49 years, male 1295.4
GTEX-1GF9U-2026-SM-7SB92 40-49 years, female 1138.2
Show allShow less
Skin - Sun Exposed (Lower leg)
Average nTPM: 2362.7
Samples: 701

Max nTPM: 6637.4
Min nTPM: 1182.1
Std nTPM: 704.2
Median nTPM: 2240.3
GTEX-15SB6-1726-SM-6PAME 50-59 years, female 6637.4
GTEX-1399U-2326-SM-5K7WY 50-59 years, female 6539.7
GTEX-Y3IK-2426-SM-4WWDU 50-59 years, female 5295.9
GTEX-W5X1-3026-SM-EAZAX 40-49 years, female 5109.1
GTEX-ZVTK-0426-SM-51MRS 20-29 years, male 5095.1
GTEX-P4PP-0126-SM-3LK69 30-39 years, female 5089.8
GTEX-O5YT-0126-SM-48TBW 20-29 years, male 4937.0
GTEX-1497J-2426-SM-7IGNX 60-69 years, male 4830.5
GTEX-Y114-2426-SM-4TT8A 50-59 years, female 4619.7
GTEX-P4QT-0126-SM-2I3FL 50-59 years, female 4448.2
GTEX-XUZC-1726-SM-4BRWS 30-39 years, female 4386.2
GTEX-15UF6-0826-SM-6PALJ 70-79 years, female 4385.6
GTEX-11UD1-0126-SM-5PNYG 40-49 years, female 4338.3
GTEX-1122O-2126-SM-5EGIR 60-69 years, female 4322.6
GTEX-OIZH-0126-SM-2HMIS 50-59 years, male 4237.0
GTEX-O5YW-0126-SM-3LK6D 50-59 years, male 4214.6
GTEX-139TS-2826-SM-5J1OO 60-69 years, male 4196.1
GTEX-UJHI-1526-SM-3DB99 50-59 years, female 4057.9
GTEX-11DXZ-2326-SM-5EGGV 50-59 years, male 4023.3
GTEX-Y5V6-2426-SM-4VDSB 60-69 years, male 3968.8
GTEX-14E6C-0126-SM-5RQIP 40-49 years, male 3920.7
GTEX-1QP9N-1426-SM-DTXFL 30-39 years, male 3873.9
GTEX-13NZ8-0826-SM-5MR3I 60-69 years, female 3842.6
GTEX-X585-0226-SM-4QAS2 50-59 years, male 3804.7
GTEX-1JMQL-0226-SM-CNPP5 50-59 years, female 3789.9
GTEX-1JMLX-0226-SM-CM2RO 50-59 years, male 3775.0
GTEX-13NYB-2526-SM-5K7Z6 40-49 years, male 3772.9
GTEX-PX3G-0126-SM-2I3EN 20-29 years, female 3769.9
GTEX-18QFQ-0126-SM-731BE 30-39 years, male 3768.3
GTEX-ZVZO-0126-SM-5A5L9 40-49 years, male 3766.0
GTEX-139UW-2826-SM-5L3E7 60-69 years, male 3734.2
GTEX-13CF2-2526-SM-5LZYX 60-69 years, male 3701.5
GTEX-X88G-0126-SM-47JZ3 30-39 years, male 3677.5
GTEX-RTLS-0126-SM-447CA 60-69 years, female 3670.5
GTEX-1OJC3-0126-SM-E76QX 20-29 years, male 3669.1
GTEX-1M5QR-1226-SM-EWROB 40-49 years, male 3607.0
GTEX-WI4N-1026-SM-3LK7N 40-49 years, female 3600.9
GTEX-SUCS-1926-SM-32PM3 70-79 years, male 3586.3
GTEX-13FXS-0226-SM-5IJCK 50-59 years, male 3541.9
GTEX-S33H-1026-SM-EZ6L6 30-39 years, male 3536.8
GTEX-POMQ-2226-SM-2I5FK 20-29 years, female 3534.8
GTEX-117XS-2726-SM-5N9BL 60-69 years, male 3531.2
GTEX-1LBAC-0126-SM-DIPEZ 20-29 years, male 3522.8
GTEX-ZF3C-0126-SM-DO92D 50-59 years, female 3521.3
GTEX-Z93T-0126-SM-5HL5N 50-59 years, male 3495.0
GTEX-1KANC-1526-SM-D3LAB 50-59 years, female 3485.8
GTEX-15ETS-0126-SM-7KUMW 40-49 years, female 3483.1
GTEX-TMZS-0126-SM-3DB9Q 60-69 years, male 3471.6
GTEX-11DYG-0126-SM-59883 60-69 years, male 3445.6
GTEX-T6MN-0126-SM-32PLP 50-59 years, male 3443.5
GTEX-1S5ZA-0126-SM-EVYCV 20-29 years, male 3436.9
GTEX-ZTX8-1426-SM-5DUVO 20-29 years, male 3423.2
GTEX-13O3P-0126-SM-5KM4S 50-59 years, male 3413.2
GTEX-1PPH8-0226-SM-E8VND 20-29 years, male 3412.1
GTEX-RVPV-0126-SM-EAZAW 60-69 years, male 3403.4
GTEX-Y8DK-0126-SM-4TT3L 60-69 years, male 3392.5
GTEX-T2YK-0526-SM-32QPJ 50-59 years, male 3389.8
GTEX-1K2DA-1826-SM-CGQGT 50-59 years, male 3372.0
GTEX-NPJ8-0126-SM-2YUNR 40-49 years, male 3370.8
GTEX-1I1GV-0526-SM-A9G29 60-69 years, male 3356.3
GTEX-Y111-0126-SM-4SOIV 50-59 years, male 3338.5
GTEX-XYKS-2126-SM-4E3IB 60-69 years, female 3336.4
GTEX-X4XX-0126-SM-3NMC2 60-69 years, male 3320.9
GTEX-1CAV2-2226-SM-7P8P2 40-49 years, female 3307.2
GTEX-1HSGN-0226-SM-CGQFV 40-49 years, female 3293.3
GTEX-1IDJH-0326-SM-A9SLQ 70-79 years, male 3289.1
GTEX-WVJS-0126-SM-4MVOT 50-59 years, male 3260.4
GTEX-145MF-0626-SM-5LUAI 50-59 years, male 3254.1
GTEX-1CAMS-0426-SM-7P8T2 40-49 years, female 3244.6
GTEX-1EMGI-0126-SM-9KNUE 60-69 years, male 3243.5
GTEX-13NYS-0126-SM-5MR3W 60-69 years, male 3235.8
GTEX-1PIIG-0226-SM-EWRN6 30-39 years, male 3231.2
GTEX-ZVT2-2526-SM-51MT1 50-59 years, female 3212.5
GTEX-1JMPZ-0226-SM-CNPP1 30-39 years, male 3209.0
GTEX-1MJK2-0426-SM-DTXE5 50-59 years, male 3207.9
GTEX-OHPL-0126-SM-2HMJ7 60-69 years, female 3195.9
GTEX-1R9PM-2026-SM-E76OY 20-29 years, male 3195.6
GTEX-18D9A-1926-SM-7LG6P 30-39 years, female 3193.6
GTEX-1211K-2026-SM-5EQ4Z 60-69 years, female 3176.1
GTEX-12126-0326-SM-5PNW3 20-29 years, male 3164.8
GTEX-15RIG-0226-SM-7KFTL 40-49 years, male 3161.4
GTEX-144FL-0126-SM-5TDC8 50-59 years, male 3157.1
GTEX-ZE9C-2726-SM-57WB5 60-69 years, male 3155.3
GTEX-XBEW-0626-SM-4QASP 40-49 years, male 3155.1
GTEX-1QAET-0926-SM-E76QM 50-59 years, male 3155.0
GTEX-14753-0426-SM-5NQAM 60-69 years, male 3148.6
GTEX-PSDG-0226-SM-DKPOZ 50-59 years, male 3132.4
GTEX-145MN-2226-SM-5SIAU 30-39 years, male 3126.3
GTEX-1PDJ9-0326-SM-DTX95 20-29 years, male 3101.5
GTEX-ZDTS-0126-SM-4WAY5 60-69 years, male 3092.3
GTEX-ZGAY-0526-SM-4WWBB 40-49 years, female 3079.4
GTEX-17F98-0626-SM-79OMX 40-49 years, female 3078.9
GTEX-1ICLZ-0126-SM-CKZPO 60-69 years, male 3078.8
GTEX-1IKK5-0626-SM-ARL8A 60-69 years, male 3066.4
GTEX-ZV68-0126-SM-59HKS 50-59 years, female 3066.3
GTEX-1PFEY-1526-SM-E76PP 30-39 years, male 3066.3
GTEX-TML8-1926-SM-32QOS 40-49 years, female 3058.3
GTEX-YJ89-0126-SM-4TT3X 60-69 years, male 3035.2
GTEX-U412-0426-SM-3DB9O 60-69 years, male 3031.0
GTEX-1GPI7-0126-SM-9MQL8 20-29 years, male 3030.6
GTEX-13FTW-2626-SM-5K7WL 40-49 years, male 3026.8
GTEX-1JMPY-1326-SM-ARL8Y 30-39 years, male 3025.9
GTEX-X4EP-0126-SM-3P5YV 60-69 years, female 3024.2
GTEX-1JN1M-0326-SM-CYPT3 60-69 years, female 3013.8
GTEX-PWO3-1526-SM-48TCM 60-69 years, female 3004.7
GTEX-Y5LM-1926-SM-5RQJH 40-49 years, female 2998.5
GTEX-1LG7Z-1726-SM-D3LA4 30-39 years, male 2997.8
GTEX-131XE-2326-SM-5PNZ2 50-59 years, male 2992.4
GTEX-1H1CY-2826-SM-9MQM3 60-69 years, female 2986.6
GTEX-145LS-0126-SM-5QGP1 60-69 years, female 2979.1
GTEX-13SLW-0126-SM-5SI6C 70-79 years, male 2977.1
GTEX-1NV5F-0226-SM-E8VNY 60-69 years, female 2974.3
GTEX-OIZG-0726-SM-33HBL 50-59 years, male 2969.4
GTEX-P4PQ-0126-SM-2S1NM 60-69 years, male 2968.3
GTEX-1HFI6-0226-SM-ADEHZ 40-49 years, male 2962.1
GTEX-1EWIQ-0126-SM-7RHH2 70-79 years, female 2950.0
GTEX-X8HC-0126-SM-4E3JW 50-59 years, female 2937.4
GTEX-1HSMO-0126-SM-CL547 60-69 years, male 2931.0
GTEX-14PN4-0126-SM-6EU2V 50-59 years, male 2924.4
GTEX-145MO-0326-SM-5Q5B3 60-69 years, male 2920.3
GTEX-14JG1-0426-SM-6ETZZ 40-49 years, male 2914.6
GTEX-SIU8-0126-SM-2XCDT 50-59 years, male 2914.2
GTEX-1H3VE-0326-SM-9YFLH 40-49 years, male 2898.1
GTEX-WYJK-0126-SM-3NMAB 50-59 years, male 2897.0
GTEX-1PWST-0226-SM-E76QJ 70-79 years, male 2891.4
GTEX-ZTPG-0326-SM-5O9AX 20-29 years, female 2886.1
GTEX-13111-1626-SM-5EGJY 50-59 years, male 2885.3
GTEX-145LT-1726-SM-5QGP3 40-49 years, male 2883.4
GTEX-WXYG-2326-SM-4E3I6 50-59 years, female 2876.3
GTEX-12WSK-2326-SM-5GCOH 40-49 years, female 2872.3
GTEX-13YAN-0326-SM-5O9DF 60-69 years, male 2872.3
GTEX-1LVAN-0226-SM-COH3S 50-59 years, female 2866.8
GTEX-1399R-2726-SM-5IJBA 30-39 years, male 2859.3
GTEX-1HGF4-2426-SM-ACKXM 60-69 years, male 2849.9
GTEX-QV44-1926-SM-2S1RF 50-59 years, male 2849.6
GTEX-Q2AI-1326-SM-2S1PL 40-49 years, male 2848.7
GTEX-13RTK-1426-SM-5QGQJ 20-29 years, male 2845.8
GTEX-1C4CL-0526-SM-73KVK 30-39 years, male 2844.9
GTEX-YB5E-2026-SM-5IFIS 40-49 years, male 2840.3
GTEX-1HBPM-0226-SM-ARL9F 60-69 years, female 2837.8
GTEX-ZY6K-1826-SM-5GZXK 50-59 years, male 2829.7
GTEX-1EX96-1626-SM-7PBXR 50-59 years, male 2802.7
GTEX-1MGNQ-0126-SM-EVYCJ 40-49 years, male 2800.9
GTEX-NFK9-0226-SM-2HMKQ 40-49 years, male 2800.6
GTEX-1RB15-2126-SM-E9TIM 60-69 years, male 2800.3
GTEX-18A6Q-0126-SM-731BZ 60-69 years, male 2799.3
GTEX-1MA7W-2026-SM-E9TJ6 20-29 years, female 2796.0
GTEX-1IOXB-0126-SM-ARL8G 50-59 years, male 2794.4
GTEX-1JN6P-0126-SM-D3L98 60-69 years, male 2793.6
GTEX-XQ3S-1526-SM-4BOOC 20-29 years, male 2793.4
GTEX-1F6RS-0126-SM-9MQKZ 60-69 years, female 2792.8
GTEX-11P7K-2126-SM-5GU7G 30-39 years, male 2789.4
GTEX-1GZ2Q-0226-SM-7P8TL 40-49 years, male 2788.5
GTEX-14PII-0226-SM-6EU1T 60-69 years, male 2787.3
GTEX-1CB4E-2226-SM-793DC 60-69 years, male 2777.1
GTEX-1F5PL-0326-SM-7P8PQ 40-49 years, female 2767.0
GTEX-13OVI-1426-SM-5L3EY 60-69 years, female 2766.6
GTEX-1KD4Q-0226-SM-E9TJ9 40-49 years, male 2764.8
GTEX-1QP66-1726-SM-E8VO1 50-59 years, male 2764.0
GTEX-S7PM-0126-SM-4AD6S 60-69 years, male 2748.8
GTEX-13X6H-2126-SM-7EWD5 50-59 years, female 2745.4
GTEX-14PHX-2326-SM-62LEM 50-59 years, male 2739.2
GTEX-1N2DW-0226-SM-E9TK2 50-59 years, male 2736.9
GTEX-ZWKS-0126-SM-5SIAA 30-39 years, male 2734.0
GTEX-U8T8-0126-SM-3DB94 60-69 years, male 2731.6
GTEX-146FQ-0126-SM-5NQA9 30-39 years, male 2728.4
GTEX-131XH-2226-SM-5DUXJ 50-59 years, male 2721.4
GTEX-PLZ6-1426-SM-DKPOT 30-39 years, male 2719.9
GTEX-XPVG-2626-SM-4B669 50-59 years, male 2719.1
GTEX-WFG8-2226-SM-3GIL9 20-29 years, male 2710.4
GTEX-13OVH-0126-SM-5MR4B 70-79 years, male 2707.9
GTEX-14ICK-0226-SM-6EU25 40-49 years, male 2705.8
GTEX-1OFPY-2426-SM-DTXEJ 60-69 years, male 2705.3
GTEX-ZAB4-0226-SM-5N9F5 40-49 years, male 2702.5
GTEX-12WSJ-1826-SM-5GCNY 40-49 years, female 2701.5
GTEX-183WM-0126-SM-7LTAB 70-79 years, female 2700.6
GTEX-TKQ1-1026-SM-4GICL 30-39 years, male 2699.5
GTEX-ZYFG-2326-SM-5E44B 60-69 years, female 2698.5
GTEX-ZVZP-2426-SM-59HKJ 50-59 years, male 2695.1
GTEX-ZYFC-0226-SM-5NQ75 50-59 years, male 2694.0
GTEX-11H98-0126-SM-5EGHG 50-59 years, male 2690.3
GTEX-1QCLY-0326-SM-E8VOG 30-39 years, male 2690.3
GTEX-15ER7-0326-SM-7KUEV 20-29 years, female 2689.5
GTEX-1GZ4H-1726-SM-7PBZJ 50-59 years, female 2688.3
GTEX-ZDYS-2026-SM-5HL5L 50-59 years, male 2673.9
GTEX-1313W-0126-SM-5LZUN 50-59 years, female 2664.3
GTEX-WH7G-2326-SM-3NMBC 40-49 years, male 2662.8
GTEX-1S3DN-2226-SM-EVYCD 50-59 years, male 2660.2
GTEX-ZE7O-0126-SM-57WC1 50-59 years, female 2655.7
GTEX-ZYFD-0126-SM-5GIDL 50-59 years, male 2651.9
GTEX-1B8KE-2126-SM-73KYX 50-59 years, male 2648.9
GTEX-YB5K-2126-SM-4WWDJ 40-49 years, female 2647.4
GTEX-1AX8Z-0126-SM-7DHM6 60-69 years, male 2640.8
GTEX-13FHP-0126-SM-5IJBG 50-59 years, male 2632.7
GTEX-139D8-0226-SM-5KLZO 30-39 years, female 2631.6
GTEX-OXRN-0126-SM-48TDM 50-59 years, male 2626.3
GTEX-132NY-0326-SM-5IJBL 60-69 years, male 2621.8
GTEX-13N11-2526-SM-5K7UE 50-59 years, female 2618.2
GTEX-131XF-5016-SM-7MGWE 60-69 years, male 2617.8
GTEX-1L5NE-2526-SM-E6CIE 50-59 years, male 2615.5
GTEX-11EQ9-2426-SM-5HL5T 30-39 years, male 2612.1
GTEX-11GSO-2426-SM-5A5LY 60-69 years, male 2597.0
GTEX-1H4P4-0726-SM-9YFLR 50-59 years, male 2596.3
GTEX-13OVK-2026-SM-7KUEO 40-49 years, male 2592.7
GTEX-139T8-0126-SM-5K7XZ 60-69 years, male 2591.5
GTEX-1CB4I-0226-SM-79OLH 50-59 years, male 2590.8
GTEX-X5EB-2226-SM-46MW4 40-49 years, male 2590.0
GTEX-WY7C-2326-SM-3NB2U 50-59 years, male 2589.1
GTEX-1LGOU-2026-SM-DIPFF 20-29 years, female 2585.8
GTEX-OOBJ-0126-SM-E6CJW 60-69 years, male 2581.6
GTEX-ZAJG-0126-SM-5HL94 50-59 years, female 2575.0
GTEX-13FHO-0226-SM-5IFGY 60-69 years, male 2574.9
GTEX-1A3MW-0126-SM-73KXX 60-69 years, female 2573.5
GTEX-1S82Y-2026-SM-EVYCM 40-49 years, male 2573.0
GTEX-12696-2426-SM-5EQ6H 60-69 years, male 2568.1
GTEX-1HB9E-0226-SM-E9U4R 50-59 years, male 2564.1
GTEX-XAJ8-0826-SM-47JY6 40-49 years, male 2564.0
GTEX-1IDJF-0126-SM-CM2RS 20-29 years, male 2559.3
GTEX-T6MO-1626-SM-32QOM 40-49 years, female 2558.8
GTEX-1K2DU-2326-SM-E9TIV 20-29 years, male 2558.8
GTEX-13JUV-2726-SM-5LZZ8 40-49 years, female 2556.8
GTEX-WZTO-0126-SM-3NM95 40-49 years, male 2556.5
GTEX-14PJ6-2126-SM-6EU1V 60-69 years, female 2554.0
GTEX-12WSE-0526-SM-793B2 20-29 years, male 2553.0
GTEX-1HCUA-2426-SM-ADEIS 50-59 years, female 2552.3
GTEX-1MUQO-0126-SM-EAZ58 60-69 years, male 2547.8
GTEX-1C6VQ-0126-SM-7P8RI 50-59 years, male 2545.7
GTEX-ZDTT-2726-SM-4WKF8 60-69 years, male 2538.8
GTEX-14XAO-2326-SM-6EU1B 60-69 years, female 2537.6
GTEX-131YS-0126-SM-5KM1M 60-69 years, female 2532.5
GTEX-15EOM-0126-SM-7KUGG 20-29 years, female 2528.8
GTEX-117YX-2326-SM-5H12W 50-59 years, male 2528.0
GTEX-1JMQJ-0526-SM-CYPSU 50-59 years, male 2522.9
GTEX-13NZB-2526-SM-5J1OM 30-39 years, male 2521.9
GTEX-1KWVE-1426-SM-E9TJO 30-39 years, male 2520.4
GTEX-T5JW-1626-SM-3GADZ 20-29 years, female 2515.7
GTEX-13113-5016-SM-7EPIP 60-69 years, female 2511.8
GTEX-17MF6-0126-SM-7LG4F 40-49 years, male 2510.7
GTEX-13PVR-2326-SM-5QGR1 60-69 years, female 2502.4
GTEX-QEG4-0226-SM-2S1PY 30-39 years, male 2491.3
GTEX-Y5V5-2326-SM-4V6GA 60-69 years, female 2491.3
GTEX-13D11-2426-SM-5KM1V 50-59 years, female 2486.2
GTEX-11DZ1-0126-SM-5985Q 50-59 years, male 2484.2
GTEX-RNOR-0126-SM-E9J4R 50-59 years, female 2482.7
GTEX-13CF3-2426-SM-5IFGX 60-69 years, female 2478.1
GTEX-YFC4-0126-SM-5CVLY 40-49 years, female 2475.5
GTEX-117YW-2626-SM-5GZZH 50-59 years, male 2475.3
GTEX-R45C-0126-SM-EAZ2R 60-69 years, female 2474.3
GTEX-11TT1-2526-SM-5EGIB 20-29 years, male 2470.1
GTEX-11UD2-0226-SM-5EQKY 50-59 years, male 2468.6
GTEX-17JCI-0126-SM-7LG5G 60-69 years, female 2465.0
GTEX-111FC-0126-SM-5N9DL 60-69 years, male 2462.1
GTEX-16MT8-0426-SM-7KUEY 60-69 years, female 2456.6
GTEX-14E6E-1826-SM-5S2R7 30-39 years, male 2455.4
GTEX-1J1OQ-0226-SM-CYPSH 40-49 years, female 2453.8
GTEX-145ME-1826-SM-5SI9G 40-49 years, female 2453.3
GTEX-XQ8I-0426-SM-4BOPO 50-59 years, male 2446.6
GTEX-1B8SF-1426-SM-7DUGL 60-69 years, male 2446.4
GTEX-Z93S-0126-SM-5HL7M 50-59 years, male 2445.1
GTEX-13IVO-0126-SM-5J1NG 70-79 years, male 2440.0
GTEX-WRHK-1426-SM-3MJF9 20-29 years, female 2438.1
GTEX-QDVN-2026-SM-3GAEP 50-59 years, male 2436.9
GTEX-PWCY-1826-SM-DHXIZ 20-29 years, female 2435.5
GTEX-1AYD5-2426-SM-73KXR 50-59 years, male 2431.9
GTEX-15F5U-1526-SM-6PANO 40-49 years, male 2427.9
GTEX-1R7EU-0226-SM-EVR4G 60-69 years, male 2424.2
GTEX-13PDP-0126-SM-5L3HD 60-69 years, male 2423.5
GTEX-11P82-1626-SM-59879 20-29 years, male 2421.2
GTEX-1AYCT-2426-SM-7IGQ3 50-59 years, male 2420.1
GTEX-1RLM8-2326-SM-EWRN4 50-59 years, male 2418.9
GTEX-14DAR-2026-SM-5S2O3 50-59 years, male 2418.0
GTEX-11DXW-0226-SM-5H122 40-49 years, male 2417.5
GTEX-1GN2E-0426-SM-9MQKX 60-69 years, male 2413.5
GTEX-X4EO-0326-SM-3P5YO 60-69 years, female 2410.5
GTEX-1J1R8-1726-SM-ARL8M 40-49 years, male 2405.2
GTEX-XBED-2226-SM-47JYQ 60-69 years, male 2404.6
GTEX-SN8G-0126-SM-32PLI 50-59 years, female 2397.6
GTEX-13VXU-0126-SM-5SI9F 50-59 years, male 2395.7
GTEX-13O3Q-2426-SM-5IJBR 50-59 years, male 2392.8
GTEX-15SHU-0126-SM-7KUEH 40-49 years, female 2391.2
GTEX-Y3I4-2126-SM-4TT7C 50-59 years, male 2390.9
GTEX-RM2N-1426-SM-2TF4H 50-59 years, male 2388.9
GTEX-1JKYR-0126-SM-CNPOJ 20-29 years, male 2387.0
GTEX-1RDX4-0126-SM-E9J4P 50-59 years, female 2386.4
GTEX-11ZTS-0126-SM-5EQ6M 60-69 years, female 2385.7
GTEX-16NGA-1726-SM-731B4 40-49 years, female 2384.1
GTEX-1PIGE-0126-SM-EVYBJ 20-29 years, male 2379.3
GTEX-1GZHY-0326-SM-9QEHI 50-59 years, female 2375.9
GTEX-QESD-1426-SM-2S1R9 20-29 years, male 2374.2
GTEX-1I1GT-0626-SM-CGQER 60-69 years, female 2369.4
GTEX-17F96-1626-SM-7DUFL 70-79 years, male 2368.9
GTEX-1A3MX-0126-SM-731BR 60-69 years, male 2367.4
GTEX-1CAMQ-0226-SM-7IGPK 40-49 years, male 2367.4
GTEX-14PJ3-1826-SM-62LEX 50-59 years, male 2363.5
GTEX-1H1ZS-0426-SM-9WG6G 70-79 years, male 2361.6
GTEX-1HBPN-0226-SM-9YFM1 50-59 years, male 2358.4
GTEX-18465-0126-SM-731BN 50-59 years, male 2355.9
GTEX-OXRK-0226-SM-3NB2G 50-59 years, female 2355.3
GTEX-1R7EV-2426-SM-EVYBG 40-49 years, male 2353.0
GTEX-1KAFJ-2026-SM-CY8ID 50-59 years, male 2352.4
GTEX-WFON-2126-SM-3LK7O 40-49 years, male 2351.3
GTEX-169BO-1326-SM-9MQK2 50-59 years, male 2348.1
GTEX-11OC5-0126-SM-5HL6A 60-69 years, male 2346.2
GTEX-133LE-1826-SM-5J1MV 20-29 years, female 2342.2
GTEX-13O21-1426-SM-5K7XI 50-59 years, male 2341.9
GTEX-X261-0126-SM-3NMD6 50-59 years, male 2341.6
GTEX-1JMQK-0226-SM-CL543 60-69 years, male 2340.8
GTEX-14PK6-1926-SM-6ETZU 70-79 years, female 2339.0
GTEX-12ZZZ-0626-SM-5DUXI 60-69 years, male 2335.9
GTEX-U8XE-0326-SM-3DB8P 30-39 years, male 2332.9
GTEX-1GF9X-2026-SM-7PC3A 40-49 years, female 2330.7
GTEX-XXEK-2226-SM-4BRUM 50-59 years, male 2330.4
GTEX-17EUY-0426-SM-793BD 20-29 years, male 2328.7
GTEX-11EM3-2426-SM-59861 20-29 years, female 2326.7
GTEX-1R46S-0626-SM-E9J41 60-69 years, female 2322.0
GTEX-ZU9S-0226-SM-5E441 30-39 years, male 2320.7
GTEX-1F6I4-0126-SM-9MQL2 60-69 years, male 2319.7
GTEX-13U4I-0126-SM-5LU38 40-49 years, female 2318.3
GTEX-1S83E-0126-SM-EWRO4 40-49 years, male 2316.9
GTEX-1I6K6-0126-SM-A9SLE 30-39 years, male 2316.0
GTEX-183FY-0126-SM-7LT9P 20-29 years, male 2312.7
GTEX-1HCU6-0126-SM-CL54K 60-69 years, female 2312.4
GTEX-1BAJH-0526-SM-793CQ 70-79 years, male 2307.5
GTEX-13X6I-0626-SM-5QGP9 60-69 years, male 2305.0
GTEX-1192X-0226-SM-5H12D 50-59 years, male 2302.8
GTEX-13X6J-0126-SM-5QGOU 50-59 years, male 2299.4
GTEX-W5WG-1826-SM-4KL2Y 50-59 years, female 2298.0
GTEX-1GMR3-1926-SM-9KNUZ 40-49 years, male 2296.1
GTEX-1GF9U-2126-SM-7SB7L 40-49 years, female 2295.0
GTEX-1H3O1-0426-SM-9YFKY 60-69 years, male 2294.7
GTEX-12WSA-0226-SM-5BC5V 60-69 years, male 2293.0
GTEX-Y8E4-0626-SM-4WWDL 40-49 years, male 2288.3
GTEX-YEC4-2126-SM-5IFJH 40-49 years, male 2287.5
GTEX-T2IS-0126-SM-4DM6O 20-29 years, female 2286.2
GTEX-17HHY-0126-SM-7LG5D 50-59 years, male 2285.6
GTEX-S95S-1226-SM-4GICG 60-69 years, male 2283.3
GTEX-ZYT6-0226-SM-5NQ6T 30-39 years, male 2282.3
GTEX-18D9U-0226-SM-718BP 40-49 years, male 2281.0
GTEX-14PJM-0226-SM-62LF1 50-59 years, female 2278.5
GTEX-T5JC-0426-SM-32PLO 20-29 years, male 2277.4
GTEX-1C64O-0126-SM-7SB8P 60-69 years, male 2273.5
GTEX-1GF9W-0326-SM-9KNUN 60-69 years, male 2273.5
GTEX-12ZZY-0226-SM-5LZVE 60-69 years, male 2268.4
GTEX-SSA3-0126-SM-32QPU 60-69 years, male 2267.7
GTEX-16YQH-0126-SM-7DUFJ 30-39 years, male 2266.3
GTEX-13112-2826-SM-5DUWH 50-59 years, male 2264.8
GTEX-XMD2-0126-SM-4YCDU 60-69 years, female 2263.5
GTEX-14JG6-2226-SM-6EU2G 30-39 years, female 2258.0
GTEX-WQUQ-0426-SM-3MJFU 60-69 years, male 2250.5
GTEX-1F52S-0126-SM-9MQJU 60-69 years, female 2245.7
GTEX-1GMRU-0126-SM-9YFLV 50-59 years, male 2240.3
GTEX-1HR98-0126-SM-B2LWI 60-69 years, male 2239.7
GTEX-13S7M-0126-SM-5SI6A 60-69 years, female 2236.9
GTEX-ZXES-1826-SM-5E43S 30-39 years, female 2234.0
GTEX-1N2DV-0226-SM-E6CJ6 40-49 years, male 2228.7
GTEX-1QPFJ-0226-SM-E76PB 30-39 years, female 2220.6
GTEX-13RTJ-2426-SM-5S2Q2 60-69 years, male 2218.7
GTEX-14BMU-2226-SM-5TDE9 20-29 years, female 2217.3
GTEX-12WSD-0126-SM-59HKN 60-69 years, female 2214.8
GTEX-14LZ3-0226-SM-62LET 60-69 years, female 2214.6
GTEX-13W46-0226-SM-5SIAG 50-59 years, male 2213.6
GTEX-13FTX-1826-SM-5J1NX 20-29 years, female 2212.1
GTEX-1H2FU-0126-SM-9WYSI 60-69 years, female 2210.5
GTEX-1JJ6O-0126-SM-E6CI8 60-69 years, male 2210.4
GTEX-16GPK-0126-SM-7DHLE 60-69 years, male 2197.5
GTEX-11WQK-0526-SM-5EQLD 50-59 years, male 2196.4
GTEX-1GN73-0226-SM-9WG67 60-69 years, male 2193.1
GTEX-1JMQI-2226-SM-CM2SD 50-59 years, male 2192.4
GTEX-1AX9J-0226-SM-73KXM 60-69 years, male 2186.7
GTEX-13OW7-0126-SM-5MR3B 50-59 years, male 2183.5
GTEX-ZYY3-0126-SM-5GZY5 60-69 years, female 2181.2
GTEX-ZPIC-1726-SM-DHXIU 40-49 years, female 2177.2
GTEX-XUYS-0126-SM-47JWZ 50-59 years, male 2174.8
GTEX-1HCU9-1526-SM-A9SL7 20-29 years, male 2170.1
GTEX-S7SE-0126-SM-2XCD5 50-59 years, male 2167.0
GTEX-145LV-2126-SM-5LU8N 50-59 years, male 2165.9
GTEX-1CAMR-1926-SM-7EPI2 20-29 years, male 2164.5
GTEX-1I1GS-0126-SM-B2LVW 60-69 years, male 2154.7
GTEX-11XUK-2026-SM-5EQLF 40-49 years, female 2154.0
GTEX-ZAK1-0126-SM-5IJD3 50-59 years, female 2150.6
GTEX-13OW8-1326-SM-5J1OW 60-69 years, male 2147.3
GTEX-X4XY-0226-SM-4E3IZ 60-69 years, male 2146.9
GTEX-1I4MK-2226-SM-ACKWD 50-59 years, female 2146.3
GTEX-ZV6S-2326-SM-4YCEY 40-49 years, female 2144.8
GTEX-1F7RK-0126-SM-7PC2S 20-29 years, female 2144.3
GTEX-1ICG6-2526-SM-CGQFZ 70-79 years, female 2140.5
GTEX-RU72-0926-SM-2TF6B 50-59 years, female 2135.6
GTEX-QVJO-1626-SM-2S1QW 60-69 years, female 2131.4
GTEX-1B8L1-2526-SM-9WYTF 60-69 years, male 2127.2
GTEX-ZZ64-1726-SM-5GZYB 20-29 years, male 2127.1
GTEX-1212Z-2526-SM-5EGKP 60-69 years, male 2127.0
GTEX-1I19N-0326-SM-ACKVX 70-79 years, male 2127.0
GTEX-1H11D-0226-SM-9WG6Z 40-49 years, male 2126.5
GTEX-1O97I-0326-SM-EYYX7 60-69 years, male 2126.5
GTEX-1H1DG-0126-SM-9WYU2 70-79 years, male 2125.5
GTEX-18A7A-0226-SM-718BH 50-59 years, female 2122.7
GTEX-VUSG-2526-SM-4KL1V 50-59 years, male 2122.6
GTEX-1F6IF-0726-SM-7P8TW 60-69 years, male 2121.4
GTEX-OHPM-0126-SM-2YUN9 50-59 years, male 2120.7
GTEX-17GQL-2026-SM-718BA 60-69 years, male 2117.2
GTEX-YJ8A-0426-SM-5IFID 20-29 years, male 2116.9
GTEX-11OF3-2626-SM-5GU7F 60-69 years, male 2114.9
GTEX-1M4P7-0226-SM-DIPEV 60-69 years, male 2114.8
GTEX-X638-0126-SM-47JZ8 70-79 years, female 2112.7
GTEX-1LB8K-0226-SM-EWRNW 50-59 years, male 2111.8
GTEX-1H3VY-0126-SM-ACKXD 50-59 years, male 2109.7
GTEX-1KXAM-2226-SM-CYPTC 60-69 years, male 2107.8
GTEX-13FH7-2026-SM-E9J4I 50-59 years, female 2107.0
GTEX-15D1Q-0126-SM-7KUG6 40-49 years, male 2105.2
GTEX-12ZZX-0126-SM-5EGK9 40-49 years, female 2104.3
GTEX-WOFL-0126-SM-3MJG2 60-69 years, male 2103.7
GTEX-QCQG-1726-SM-3GIJ9 50-59 years, female 2099.0
GTEX-UPJH-0326-SM-3GADU 50-59 years, male 2098.6
GTEX-1KANB-0526-SM-E6CJH 50-59 years, male 2097.1
GTEX-1QP29-0626-SM-EWRMX 50-59 years, male 2095.4
GTEX-1314G-1526-SM-5EGK2 30-39 years, male 2094.8
GTEX-1CB4F-0426-SM-9KNV4 60-69 years, male 2093.9
GTEX-11GS4-2726-SM-5A5LE 60-69 years, male 2090.5
GTEX-1E2YA-0126-SM-9KNUC 50-59 years, male 2089.6
GTEX-1CB4J-0626-SM-7DHMP 60-69 years, male 2088.6
GTEX-1B97I-1626-SM-73KYO 40-49 years, male 2088.1
GTEX-15EU6-0426-SM-6PAN5 50-59 years, male 2087.7
GTEX-14A5H-0426-SM-5QGQF 60-69 years, male 2086.8
GTEX-13N2G-2626-SM-5J1OT 60-69 years, male 2086.5
GTEX-1J8QM-2126-SM-CYPSJ 60-69 years, female 2085.3
GTEX-147GR-0526-SM-5S2MY 60-69 years, male 2081.5
GTEX-14LLW-0126-SM-6LLIO 70-79 years, female 2078.8
GTEX-144GN-2326-SM-5LU4F 50-59 years, male 2076.6
GTEX-16XZZ-0126-SM-793DV 60-69 years, male 2074.6
GTEX-1J8EW-0126-SM-CJI4F 60-69 years, female 2069.3
GTEX-1HCU8-0626-SM-A9SM9 60-69 years, female 2069.2
GTEX-11EI6-0126-SM-5985R 60-69 years, male 2068.6
GTEX-12584-0126-SM-5EGKQ 40-49 years, male 2066.8
GTEX-XUW1-0426-SM-4BOOT 50-59 years, female 2064.4
GTEX-11DXY-2626-SM-5GIE7 60-69 years, male 2063.6
GTEX-14C5O-0126-SM-5SI6N 60-69 years, male 2062.7
GTEX-1A3MV-1926-SM-718BT 30-39 years, male 2058.6
GTEX-1I1GP-2226-SM-CGQFK 50-59 years, male 2056.3
GTEX-1JJEA-0326-SM-CNPOT 60-69 years, male 2055.3
GTEX-13QJ3-0326-SM-5S2RA 50-59 years, male 2052.7
GTEX-1269C-2526-SM-5EGJ3 60-69 years, female 2050.7
GTEX-15DDE-0126-SM-6LPKH 50-59 years, female 2049.4
GTEX-ZC5H-0226-SM-4WAY9 40-49 years, female 2048.3
GTEX-148VI-1626-SM-5SI6E 60-69 years, female 2048.0
GTEX-147F4-0226-SM-5QGPW 50-59 years, male 2046.8
GTEX-13FTY-0526-SM-5L3EV 40-49 years, female 2043.8
GTEX-111VG-2426-SM-5GZXD 60-69 years, male 2040.6
GTEX-1B8SG-0126-SM-73KZ3 50-59 years, male 2040.0
GTEX-OXRL-0126-SM-2YUMP 50-59 years, male 2039.7
GTEX-1LGRB-2526-SM-CNPPQ 50-59 years, female 2036.7
GTEX-1I1CD-0126-SM-CM2TK 60-69 years, female 2032.3
GTEX-1CB4G-0226-SM-7PC3O 60-69 years, male 2031.6
GTEX-17EVQ-0226-SM-7LG4P 70-79 years, male 2030.6
GTEX-17HG3-2226-SM-7938L 30-39 years, female 2028.1
GTEX-RUSQ-1526-SM-2TF62 50-59 years, male 2027.5
GTEX-1QMI2-0226-SM-EVYBX 60-69 years, male 2027.4
GTEX-1LNCM-1126-SM-E9U5E 50-59 years, female 2026.7
GTEX-17MFQ-1726-SM-793C7 20-29 years, male 2025.9
GTEX-1HBPI-1526-SM-C1YQ1 50-59 years, male 2022.1
GTEX-1A32A-0126-SM-718B1 50-59 years, female 2021.3
GTEX-1GTWX-0126-SM-9YFLK 60-69 years, male 2020.7
GTEX-WYVS-2126-SM-3NMA3 40-49 years, female 2020.4
GTEX-14BIN-0626-SM-793DP 50-59 years, female 2018.1
GTEX-1KANA-0726-SM-D3L9I 20-29 years, male 2017.3
GTEX-131XG-2626-SM-5KM17 50-59 years, female 2015.2
GTEX-1IL2U-0226-SM-CE6T8 60-69 years, male 2012.0
GTEX-T8EM-1026-SM-3DB7M 40-49 years, male 2009.5
GTEX-1F48J-0126-SM-7P8TT 50-59 years, female 2009.4
GTEX-ZF2S-2326-SM-4WWCE 50-59 years, female 2003.7
GTEX-1CB4H-0226-SM-7PBXM 60-69 years, female 2003.3
GTEX-14BIM-0226-SM-7IGLD 60-69 years, female 2000.0
GTEX-11ZVC-2526-SM-5FQTE 50-59 years, female 1994.4
GTEX-1LSNM-1926-SM-E6CII 50-59 years, male 1994.1
GTEX-1MCYP-1926-SM-E9J2R 20-29 years, female 1990.4
GTEX-PLZ4-0126-SM-5SI8O 50-59 years, female 1987.1
GTEX-OXRO-0126-SM-2YUN4 60-69 years, female 1986.7
GTEX-13OVL-0226-SM-5L3E9 50-59 years, male 1986.5
GTEX-1HSKV-0226-SM-A9SKJ 60-69 years, male 1985.8
GTEX-14BMV-0126-SM-5S2PO 50-59 years, male 1983.9
GTEX-1F75B-0126-SM-9KNVL 50-59 years, male 1982.7
GTEX-1399T-2826-SM-5KLYZ 60-69 years, male 1978.8
GTEX-ZQUD-1426-SM-57WER 30-39 years, male 1977.3
GTEX-12C56-1726-SM-5EQ61 20-29 years, male 1973.0
GTEX-17HII-0226-SM-7LG4E 50-59 years, male 1972.5
GTEX-1R9K4-0126-SM-DTX9X 60-69 years, male 1968.6
GTEX-1F75A-0126-SM-7RHGM 50-59 years, male 1959.8
GTEX-1GN1V-0126-SM-9WPOS 60-69 years, male 1957.8
GTEX-13VXT-0126-SM-5LU4I 20-29 years, female 1957.4
GTEX-1HT8W-0126-SM-CNPPP 30-39 years, male 1957.4
GTEX-11TTK-0126-SM-5987B 60-69 years, female 1956.8
GTEX-1J8JJ-0226-SM-CL53I 60-69 years, female 1956.1
GTEX-14E6D-0126-SM-62LDV 50-59 years, male 1954.4
GTEX-XV7Q-2526-SM-4BRV9 40-49 years, female 1954.4
GTEX-17EVP-0326-SM-7DHLG 40-49 years, male 1954.3
GTEX-11ZU8-2526-SM-5EQKI 60-69 years, male 1954.1
GTEX-1GF9V-0326-SM-7RHI5 60-69 years, male 1953.9
GTEX-ZTSS-1926-SM-57WEW 40-49 years, male 1952.5
GTEX-1GN1U-0126-SM-7PBZK 50-59 years, female 1949.3
GTEX-1B8KZ-2026-SM-7DHMB 50-59 years, male 1946.1
GTEX-1HSMP-0126-SM-E6CJS 70-79 years, male 1944.8
GTEX-11P81-2326-SM-59875 30-39 years, female 1943.4
GTEX-1C64N-0126-SM-793D7 50-59 years, male 1943.4
GTEX-1LH75-2426-SM-E9TJE 50-59 years, female 1942.9
GTEX-PLZ5-2026-SM-2S1O4 50-59 years, male 1941.1
GTEX-1LC47-0326-SM-E9TJP 60-69 years, male 1938.1
GTEX-Q2AH-1626-SM-3GAF8 40-49 years, male 1935.8
GTEX-1ICLY-0126-SM-D4P36 50-59 years, male 1931.7
GTEX-VJYA-1126-SM-3GIJU 60-69 years, male 1929.4
GTEX-1N2EF-0226-SM-EYYXB 60-69 years, male 1919.3
GTEX-1IKOH-0226-SM-COH4E 60-69 years, female 1915.5
GTEX-13G51-2526-SM-5LZYK 60-69 years, male 1910.9
GTEX-1IGQW-0126-SM-COH42 60-69 years, male 1910.4
GTEX-1JN76-0126-SM-CNPPE 20-29 years, female 1910.2
GTEX-1LG7Y-0526-SM-DKPQC 50-59 years, male 1909.1
GTEX-11DXX-2426-SM-5GZZW 60-69 years, female 1904.1
GTEX-ZZPT-0226-SM-5E43X 50-59 years, male 1901.5
GTEX-18A66-0226-SM-718BD 60-69 years, male 1899.7
GTEX-1HSMQ-1226-SM-CGQFX 50-59 years, male 1898.6
GTEX-1AX9K-2326-SM-73KWU 50-59 years, male 1897.2
GTEX-1IDFM-0126-SM-COH2V 60-69 years, male 1895.6
GTEX-1POEN-0126-SM-EYYXJ 30-39 years, female 1895.5
GTEX-15G19-0126-SM-6PANQ 60-69 years, male 1894.6
GTEX-16NPX-0226-SM-79OMT 50-59 years, male 1893.8
GTEX-1B933-0126-SM-7PC29 50-59 years, female 1892.2
GTEX-11WQC-2526-SM-5CVLE 60-69 years, male 1890.2
GTEX-ZAB5-1826-SM-5HL7C 50-59 years, male 1889.1
GTEX-131XW-0426-SM-5LZWP 50-59 years, female 1885.3
GTEX-13OW6-0426-SM-5L3HM 50-59 years, male 1885.1
GTEX-1HCVE-0126-SM-CGQEU 50-59 years, male 1883.9
GTEX-1MCQQ-0826-SM-DLHC2 60-69 years, male 1880.2
GTEX-1HSEH-0126-SM-ACKXN 60-69 years, male 1880.1
GTEX-17KNJ-2326-SM-7DHLQ 50-59 years, male 1878.8
GTEX-11TUW-2726-SM-E9J4M 60-69 years, male 1875.8
GTEX-1NHNU-1026-SM-E9J2A 50-59 years, male 1872.8
GTEX-13OVJ-0126-SM-5KM36 50-59 years, female 1871.7
GTEX-QLQ7-1626-SM-2S1R8 60-69 years, male 1871.6
GTEX-1HKZK-0326-SM-9WYUH 40-49 years, male 1869.8
GTEX-15CHC-2126-SM-6EU21 60-69 years, female 1868.5
GTEX-QDVJ-1726-SM-2I5FX 50-59 years, male 1867.4
GTEX-18A67-0126-SM-7LG5P 50-59 years, male 1865.5
GTEX-ZF29-2326-SM-DO92K 60-69 years, female 1862.9
GTEX-11NUK-0126-SM-5A5L3 50-59 years, male 1854.3
GTEX-OOBK-0126-SM-2YUND 40-49 years, male 1853.1
GTEX-1H3NZ-0126-SM-ACKX7 60-69 years, male 1852.2
GTEX-1I1GQ-0126-SM-COH3H 50-59 years, male 1850.8
GTEX-17F97-0326-SM-7LG5B 50-59 years, male 1843.3
GTEX-1RAZA-0126-SM-E6CI3 20-29 years, male 1840.6
GTEX-1AX9I-0126-SM-7SB74 60-69 years, male 1840.5
GTEX-113JC-2326-SM-5EQ4E 50-59 years, female 1837.7
GTEX-1JKYN-1326-SM-CGQG9 30-39 years, male 1831.6
GTEX-ZVE2-0226-SM-59HJB 50-59 years, male 1830.8
GTEX-1AMEY-1326-SM-73KYK 30-39 years, female 1827.1
GTEX-ZF28-0126-SM-4WKGK 60-69 years, male 1824.7
GTEX-1OJC4-0126-SM-E9J2E 50-59 years, female 1821.3
GTEX-QDT8-0126-SM-48TZ1 30-39 years, female 1815.0
GTEX-1H1DE-2126-SM-9WG6R 20-29 years, male 1813.8
GTEX-146FH-0126-SM-5QGPP 50-59 years, female 1813.6
GTEX-14PN3-2426-SM-6LLHS 60-69 years, female 1811.4
GTEX-OIZF-0126-SM-7SB8I 60-69 years, male 1810.8
GTEX-12WSG-2826-SM-E9J4H 50-59 years, female 1810.3
GTEX-14A5I-0126-SM-5TDEA 50-59 years, female 1808.6
GTEX-1AMFI-2026-SM-731BH 50-59 years, female 1804.5
GTEX-1C2JI-1826-SM-73KXC 50-59 years, male 1792.4
GTEX-1QP67-1626-SM-EAZ3X 40-49 years, female 1792.4
GTEX-16BQI-0226-SM-7KUEX 30-39 years, female 1789.7
GTEX-1192W-2626-SM-5Q5AF 60-69 years, male 1788.7
GTEX-1C475-1826-SM-73KWA 40-49 years, female 1787.8
GTEX-11NSD-2226-SM-5986V 20-29 years, male 1784.2
GTEX-1IY9M-0126-SM-D3L8S 60-69 years, male 1779.8
GTEX-144GL-0126-SM-5TDE2 50-59 years, male 1779.2
GTEX-1J8Q3-1626-SM-CMKGC 60-69 years, male 1777.9
GTEX-11O72-0126-SM-59887 40-49 years, male 1777.1
GTEX-1HCU7-0226-SM-CL545 50-59 years, male 1776.4
GTEX-1GL5R-1826-SM-9KNUY 50-59 years, male 1773.1
GTEX-1PPH7-2326-SM-EVYB8 40-49 years, male 1771.4
GTEX-1IKJJ-0126-SM-CNPQB 60-69 years, male 1770.7
GTEX-U3ZH-2026-SM-3DB78 30-39 years, male 1761.3
GTEX-PW2O-1526-SM-7RHHB 20-29 years, male 1761.2
GTEX-ZEX8-2426-SM-4WKG4 50-59 years, male 1760.6
GTEX-ZVT4-0126-SM-DTXFN 50-59 years, female 1760.6
GTEX-11VI4-1726-SM-5CVLH 40-49 years, female 1760.4
GTEX-13O3O-0126-SM-E9J49 60-69 years, female 1760.2
GTEX-1EU9M-0226-SM-7P8SP 60-69 years, male 1759.3
GTEX-11ZTT-2426-SM-5EQLS 60-69 years, female 1759.0
GTEX-12WSC-0126-SM-5EQ4P 50-59 years, male 1758.1
GTEX-15SHW-0326-SM-6PAML 60-69 years, male 1755.4
GTEX-X62O-0126-SM-4E3JN 50-59 years, male 1751.6
GTEX-ZVT3-0126-SM-5GU6I 60-69 years, female 1750.5
GTEX-13RTL-0126-SM-7LG5S 40-49 years, male 1740.8
GTEX-145MI-0526-SM-5O9A8 60-69 years, female 1738.1
GTEX-145LU-0126-SM-5TDCB 50-59 years, male 1737.2
GTEX-ZQG8-1626-SM-DHXIT 60-69 years, female 1726.8
GTEX-12KS4-0326-SM-5EQ41 30-39 years, male 1723.1
GTEX-1HFI7-1826-SM-ACKXH 50-59 years, female 1715.0
GTEX-17HGU-0226-SM-7DHKV 50-59 years, male 1713.4
GTEX-13SLX-0526-SM-5S2ON 50-59 years, female 1709.5
GTEX-P44H-0226-SM-2XCEU 40-49 years, male 1707.9
GTEX-1F5PK-2426-SM-7RHHY 50-59 years, male 1706.1
GTEX-13O1R-0126-SM-5L3EH 60-69 years, male 1704.1
GTEX-Y8LW-1826-SM-5S2MV 50-59 years, female 1702.2
GTEX-1JJE9-0326-SM-CL53Z 70-79 years, male 1700.7
GTEX-13NZA-0226-SM-5K7Z7 60-69 years, male 1699.4
GTEX-R3RS-0126-SM-3GIJL 40-49 years, female 1698.5
GTEX-QLQW-1126-SM-2S1Q8 30-39 years, male 1695.5
GTEX-OXRP-0126-SM-3NB32 60-69 years, female 1694.8
GTEX-RWS6-2026-SM-2XCB5 60-69 years, female 1686.2
GTEX-139TT-0126-SM-5K7Y5 60-69 years, male 1681.6
GTEX-SNMC-1226-SM-2XCFP 20-29 years, male 1678.6
GTEX-17HHE-2026-SM-79OKF 50-59 years, male 1678.3
GTEX-ZDXO-3026-SM-5J1N5 60-69 years, male 1678.2
GTEX-PVOW-0126-SM-2XCFA 40-49 years, male 1676.0
GTEX-13W3W-2426-SM-5LU5B 60-69 years, female 1668.5
GTEX-15UKP-0426-SM-7KUFQ 20-29 years, male 1651.7
GTEX-1S82Z-0826-SM-E6CHY 30-39 years, female 1651.6
GTEX-147F3-0526-SM-5SI98 50-59 years, female 1649.9
GTEX-139TU-0126-SM-5K7WH 60-69 years, male 1646.9
GTEX-11GSP-2526-SM-5N9BP 60-69 years, female 1645.1
GTEX-1K9T9-0126-SM-EVYCF 50-59 years, female 1643.6
GTEX-13OW5-0126-SM-DTXFS 60-69 years, male 1642.2
GTEX-1H23P-0126-SM-ADEJ3 60-69 years, male 1639.1
GTEX-1GPI6-0126-SM-9WG69 60-69 years, male 1638.8
GTEX-1GMR8-0126-SM-9WYTM 50-59 years, female 1637.2
GTEX-15SDE-2226-SM-7IGLO 50-59 years, female 1634.9
GTEX-TMMY-0226-SM-33HBA 40-49 years, female 1634.4
GTEX-ZYW4-0126-SM-5E44A 60-69 years, male 1630.9
GTEX-1EKGG-0226-SM-9WYTH 60-69 years, male 1630.6
GTEX-1128S-2326-SM-5GZZY 60-69 years, female 1630.2
GTEX-1JK1U-2026-SM-CM2RZ 60-69 years, male 1625.0
GTEX-1PBJI-0526-SM-E8VNK 20-29 years, female 1623.6
GTEX-1IL2V-0126-SM-CM2TX 70-79 years, male 1622.8
GTEX-14PHW-0126-SM-6LLJI 60-69 years, female 1607.6
GTEX-Q734-1926-SM-2I5EV 40-49 years, female 1604.6
GTEX-1JMOU-1526-SM-CL54I 60-69 years, female 1596.2
GTEX-RWSA-0126-SM-2XCBB 40-49 years, male 1595.7
GTEX-R55G-2526-SM-2TC6D 40-49 years, female 1588.6
GTEX-R55E-0126-SM-2TC5Y 20-29 years, male 1588.2
GTEX-18D9B-0526-SM-7LTAS 60-69 years, male 1586.2
GTEX-16XZY-2126-SM-79OK1 70-79 years, male 1584.9
GTEX-1C6VR-2426-SM-79OLD 60-69 years, male 1580.8
GTEX-13NYC-0326-SM-E9J4S 60-69 years, male 1571.4
GTEX-SJXC-0126-SM-2XCFF 60-69 years, male 1570.8
GTEX-U3ZM-1526-SM-3DB9D 40-49 years, male 1567.3
GTEX-15DCD-0126-SM-7KUEK 70-79 years, female 1567.1
GTEX-V1D1-2226-SM-3NMAX 50-59 years, male 1560.1
GTEX-1QP2A-0126-SM-E9J43 50-59 years, male 1557.9
GTEX-11EMC-2926-SM-5EQ4F 60-69 years, female 1549.8
GTEX-1H1E6-1726-SM-ACKVK 30-39 years, male 1544.7
GTEX-1I1GR-0126-SM-CL55F 60-69 years, male 1544.2
GTEX-1F75I-0326-SM-9YFLU 40-49 years, male 1542.9
GTEX-11LCK-1026-SM-5A5KB 30-39 years, male 1542.4
GTEX-13N1W-0126-SM-5K7VT 70-79 years, male 1538.6
GTEX-14ABY-0226-SM-5TDCQ 50-59 years, male 1538.5
GTEX-ZXG5-0126-SM-5GIEU 60-69 years, male 1538.1
GTEX-1IDJU-2626-SM-CM2RT 60-69 years, female 1537.9
GTEX-18A7B-0126-SM-7LG64 70-79 years, male 1534.2
GTEX-12WSN-5019-SM-79OM6 40-49 years, male 1532.7
GTEX-14DAQ-0126-SM-5S2MQ 60-69 years, female 1528.6
GTEX-TSE9-0126-SM-3DB83 60-69 years, female 1527.5
GTEX-RN64-0126-SM-2TC68 50-59 years, male 1527.2
GTEX-12WSL-2526-SM-5GCNJ 50-59 years, male 1509.4
GTEX-13OVG-1926-SM-5L3DK 60-69 years, male 1508.8
GTEX-1J8Q2-0526-SM-CM2RW 60-69 years, male 1504.2
GTEX-1R9PO-2126-SM-E9J4O 60-69 years, female 1500.8
GTEX-1I1GU-2226-SM-CGQFA 40-49 years, male 1497.7
GTEX-1QW4Y-1526-SM-EAZ3Z 30-39 years, male 1496.6
GTEX-14A6H-0126-SM-5QGPK 30-39 years, male 1489.1
GTEX-S32W-2126-SM-2XCB1 50-59 years, female 1487.6
GTEX-U3ZN-2326-SM-3DB7W 30-39 years, female 1487.0
GTEX-1I1HK-0126-SM-COH49 60-69 years, male 1478.2
GTEX-1HUB1-0426-SM-E9U4U 60-69 years, male 1478.1
GTEX-1E1VI-0126-SM-7DHMZ 50-59 years, male 1473.4
GTEX-15DYW-0126-SM-7KULE 60-69 years, female 1472.0
GTEX-139T4-0226-SM-5HL5S 50-59 years, female 1470.0
GTEX-1C6WA-0126-SM-7PC2B 60-69 years, male 1468.6
GTEX-1KD5A-0226-SM-D5OV3 50-59 years, male 1466.3
GTEX-1GN1W-0526-SM-9MQJQ 50-59 years, female 1466.2
GTEX-1B996-0226-SM-7RHGO 60-69 years, male 1465.1
GTEX-1HBPH-0426-SM-B2LW5 40-49 years, female 1461.7
GTEX-148VJ-0126-SM-5TDDN 70-79 years, male 1456.0
GTEX-1F88F-2726-SM-7PBZZ 60-69 years, female 1444.0
GTEX-1MA7X-2226-SM-E6CIY 60-69 years, male 1428.2
GTEX-ZUA1-0126-SM-5GU76 40-49 years, male 1421.8
GTEX-U4B1-1826-SM-4DXSU 40-49 years, male 1413.7
GTEX-113IC-0126-SM-5HL6T 60-69 years, male 1396.2
GTEX-Q2AG-0126-SM-33HBV 40-49 years, female 1387.6
GTEX-11ZUS-0626-SM-59885 30-39 years, male 1382.8
GTEX-16AAH-1726-SM-7939C 50-59 years, male 1357.5
GTEX-1C6VS-0526-SM-7DUEN 60-69 years, male 1355.8
GTEX-1RAZQ-0726-SM-EAZ43 30-39 years, male 1328.3
GTEX-1RQEC-0426-SM-E6CHU 60-69 years, male 1325.1
GTEX-14BIL-0126-SM-5SI92 50-59 years, male 1324.1
GTEX-146FR-1326-SM-E9J48 60-69 years, female 1318.4
GTEX-14E7W-0126-SM-6LLJ9 70-79 years, male 1317.0
GTEX-Z9EW-1626-SM-5CVMN 40-49 years, male 1313.2
GTEX-SE5C-1626-SM-2XCE3 40-49 years, female 1311.1
GTEX-1IE54-0126-SM-CMKHW 40-49 years, female 1310.2
GTEX-VJWN-0126-SM-3GIK7 50-59 years, female 1271.0
GTEX-14JIY-0126-SM-6LLH6 60-69 years, male 1267.0
GTEX-1EN7A-0126-SM-7SB81 40-49 years, male 1248.3
GTEX-1A8FM-0226-SM-7SB7Q 50-59 years, female 1207.6
GTEX-1QEPI-0126-SM-EWRMQ 60-69 years, female 1182.1
Show allShow less

Contact

  • NEWS ARTICLES
  • PRESS ROOM

The Project

  • INTRODUCTION
  • ORGANIZATION
  • PUBLICATIONS

The Human Protein Atlas

  • DOWNLOADABLE DATA
  • LICENCE & CITATION
  • HELP & FAQ
The Human Protein Atlas project is funded
by the Knut & Alice Wallenberg Foundation.


contact@proteinatlas.org