We use cookies to enhance the usability of our website. If you continue, we'll assume that you are happy to receive all cookies. More information. Don't show this again.
HOPX
HPA
RESOURCES
  • TISSUE
  • BRAIN
  • SINGLE CELL
  • SUBCELLULAR
  • CANCER
  • BLOOD
  • CELL LINE
  • STRUCTURE & INTERACTION
ABOUT
  • INTRODUCTION
  • HISTORY
  • ORGANIZATION
  • PUBLICATIONS
  • ANTIBODY SUBMISSION
  • ANTIBODY AVAILABILITY
  • ACKNOWLEDGMENTS
  • CONTACT
NEWS
  • NEWS ARTICLES
  • PRESS ROOM
LEARN
  • DICTIONARY
  • PROTEIN CLASSES
  • PROTEIN EVIDENCE
  • METHODS
  • EDUCATIONAL VIDEOS
DATA
  • DOWNLOADABLE DATA
  • PUBLICATION DATA
  • RELEASE HISTORY
HELP
  • ANTIBODY VALIDATION
  • ASSAYS & ANNOTATION
  • DISCLAIMER
  • HELP & FAQ
  • PRIVACY STATEMENT
  • LICENCE & CITATION
Fields »
Search result

Field
Term
Gene name
Class
Subclass
Class
Keyword
Chromosome
External id
Tissue
Cell type
Expression
Antibody panel
Tissue
Main location
Patient ID
Annotation
Tissue
Category
Tau score
Cluster
Reliability
Brain region
Category
Tau score
Brain region
Category
Tau score
Brain region
Category
Tau score
Cluster
Reliability
Tissue
Cell type
Enrichment
Cell type
Category
Tau score
Cell type
Category
Tau score
Cell type
Category
Tau score
Cell lineage
Category
Tau score
Cluster
Cluster
Location
Searches
Location
Cell line
Class
Type
Phase
Reliability
Cancer
Prognosis
Cancer
Category
Cancer
Category
Tau score
Cluster
Variants
Interacting gene (ensg_id)
Type
Number of interactions
Pathway
Category
Score
Score
Score
Validation
Validation
Validation
Validation
Antibodies
Data type
Column


  • SUMMARY

  • TISSUE

  • BRAIN

  • SINGLE CELL

  • SUBCELL

  • CANCER

  • BLOOD

  • CELL LINE

  • STRUCT & INT

  • HOPX
TISSUE PRIMARY DATA HEART MUSCLE Show tissue menu
ADIPOSE TISSUE ADRENAL GLAND AMYGDALA APPENDIX BASAL GANGLIA BONE MARROW BREAST BRONCHUS CEREBELLUM CEREBRAL CORTEX CERVIX CHOROID PLEXUS COLON DUODENUM
ENDOMETRIUM EPIDIDYMIS ESOPHAGUS FALLOPIAN TUBE GALLBLADDER HEART MUSCLE HIPPOCAMPAL FORMATION HYPOTHALAMUS KIDNEY LIVER LUNG LYMPH NODE MIDBRAIN NASOPHARYNX
ORAL MUCOSA OVARY PANCREAS PARATHYROID GLAND PITUITARY GLAND PLACENTA PROSTATE RECTUM RETINA SALIVARY GLAND SEMINAL VESICLE SKELETAL MUSCLE SKIN SMALL INTESTINE
SMOOTH MUSCLE SOFT TISSUE SPINAL CORD SPLEEN STOMACH TESTIS THYMUS THYROID GLAND TONGUE TONSIL URINARY BLADDER VAGINA
ANTIBODIES
AND
VALIDATION
Dictionary
Heart muscle
Tissue proteome
Heart
HEART MUSCLE - Expression summary
Protein expression
Heart musclei

On the top, protein expression in current human tissue, based on all annotated cell types, is reported with the units not detected (n), low (l), medium (m) and high (h). Underneath, protein expression in each annotated cell type are reported using the same units.

Protein expression data is based on knowledge-based annotation. For genes where more than one antibody has been used, a collective score is set.

If knowledge-based annotation could not be performed for a gene, no data is displayed here. View antibody staining data further down this page.

h
m
l
n
Cardiomyocytes: Not detected
RNA expressioni

A summary of mRNA expression data available for current tissue based on several datasets. The mRNA expression levels in human tissues are based on RNA-seq data generated by the Human Protein Atlas (HPA), Genotype-Tissue Expression (GTEx) portal and CAGE data generated by the FANTOM5 consortium. Consensus normalized expression levels for human tissues was created by combining the data from HPA and GTEx datasets.

The mRNA expression levels in pig are based on RNA-seq data generated by the Human Protein Atlas (HPA), and for mouse, HPA data and in situ hybridization generated by the Allen brain atlas are reported.

Scroll down to view mRNA expression data in more detail.
Consensus:47.2 nTPM
HPA:12.3 nTPM
GTEx:47.2 nTPM
FANTOM5:26.4 Scaled Tags Per Million

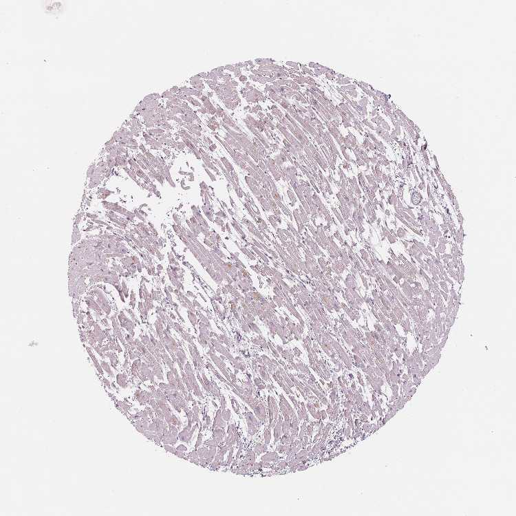
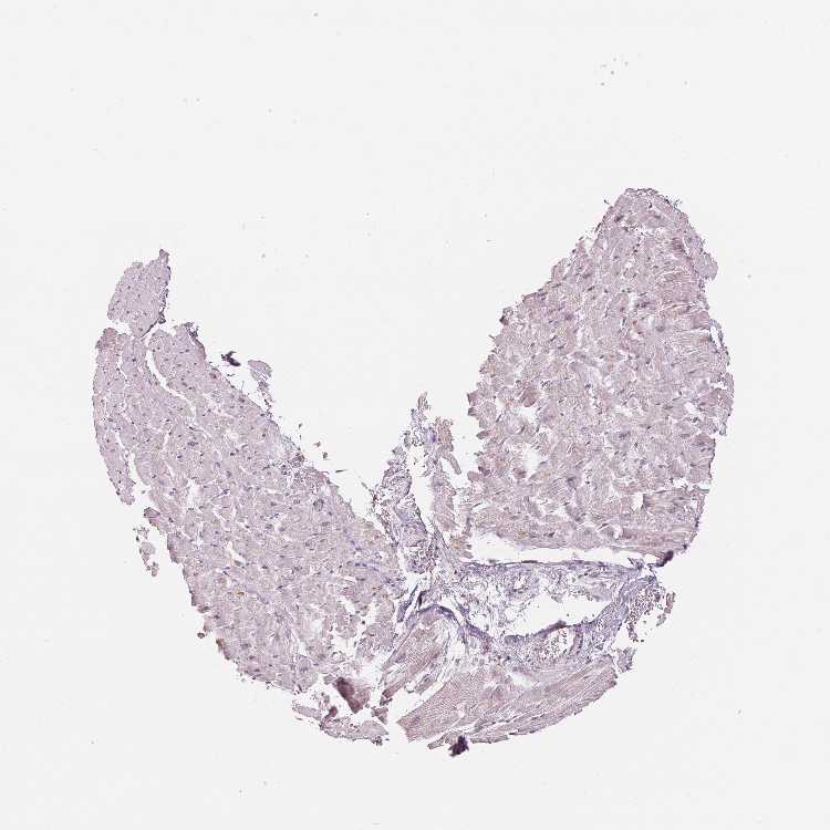
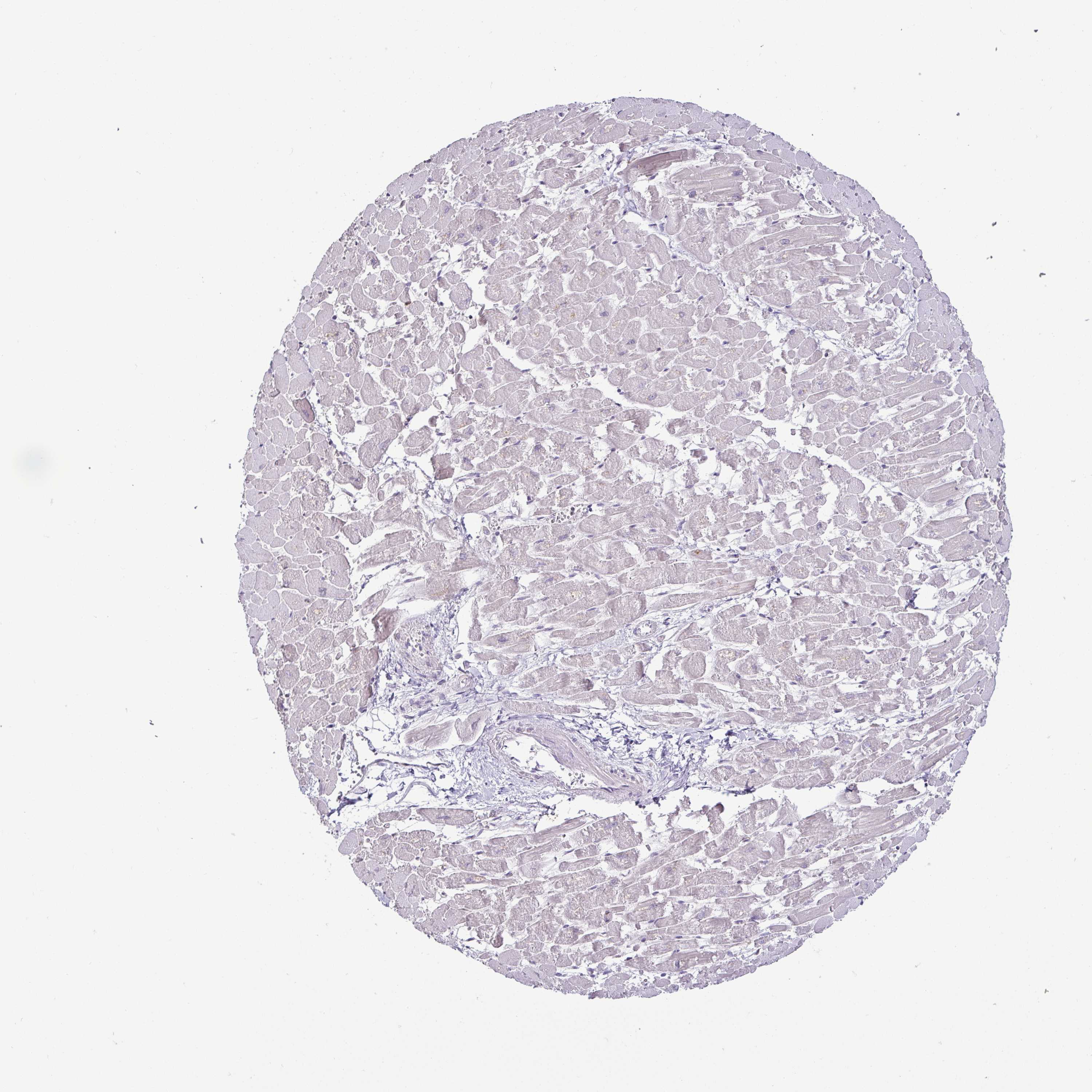
HEART MUSCLE - Antibody stainingi

Antibody staining in the annotated cell types in the current human tissue is reported as not detected, low, medium, or high, based on conventional immunohistochemistry profiling in selected tissues. This score is based on the combination of the staining intensity and fraction of stained cells.

Each image is clickable and will lead to virtual microscopy that enables deeper exploration of all samples and also displays staining intensity scores, fraction scores and subcellular localization as well as patient and tissue information for each sample.

Antibody HPA030180Antibody CAB018632
Cardiomyocytes LowNot detected





HEART MUSCLE - HPA RNA-seqi

The RNA-seq details section shows detailed information about the individual samples used for the transcript profiling and results of the RNA-seq analysis.

Information about each individual sample is listed below, including gender, age, a tissue section image and estimated fractions of cell types. nTPM (normalized transcripts per million) values give a quantification of the gene abundance which is comparable between different genes and samples.
Average nTPMi

Max subtype nTPM is the value for the subtype with the largest average nTPM across the subtype samples.

12.3
overview
Female, age 48
Heart muscle sample 149
nTPM: 12.7
Cell types%
Myocytes:
15

Fibroblasts:
55

Endothelial cells:
25

Other cell types:
5

overview
Female, age 42
Heart muscle sample 150
nTPM: 5.6
Cell types%
Myocytes:
20

Fibroblasts:
45

Endothelial cells:
30

Other cell types:
5

overview
Male, age 53
Heart muscle sample 151
nTPM: 28.5
Cell types%
Myocytes:
20

Fibroblasts:
45

Endothelial cells:
30

Other cell types:
5

overview
Female, age 69
Heart muscle sample 152
nTPM: 2.3
Cell types%
Myocytes:
20

Fibroblasts:
45

Endothelial cells:
30

Other cell types:
5


HEART MUSCLE - GTEx RNA-seqi

RNA-Seq data generated by the Genotype-Tissue Expression (GTEx) project from human tissues is reported as mean nTPM. More information can be found on the GTEx portal.

Distribution across the dataset is visualized with box plots, shown as median and 25th and 75th percentiles. Points are displayed as outliers if they are above or below 1.5 times the interquartile range. nTPM values of the individual samples are presented next to the box plot.
Max subtype nTPMi

Max subtype nTPM is the value for the subtype with the largest average nTPM across the subtype samples.

47.2
GTEx sample id Sample description nTPM
Heart - Atrial Appendage
Average nTPM: 47.2
Samples: 429

Max nTPM: 198.1
Min nTPM: 2.8
Std nTPM: 40.1
Median nTPM: 35.9
GTEX-1JK1U-0626-SM-CKZOJ 60-69 years, male 198.1
GTEX-13FTW-0826-SM-5K7XR 40-49 years, male 188.3
GTEX-1NHNU-0626-SM-E6CP1 50-59 years, male 186.9
GTEX-1K2DU-0226-SM-DIPF6 20-29 years, male 186.1
GTEX-1339X-0326-SM-5K7Z8 40-49 years, male 167.5
GTEX-18D9U-1426-SM-718BO 40-49 years, male 161.7
GTEX-13NZB-0426-SM-5KM26 30-39 years, male 157.5
GTEX-111YS-0326-SM-5GZZ3 60-69 years, male 155.7
GTEX-14PHX-0626-SM-5YY8Z 50-59 years, male 155.6
GTEX-WFON-0226-SM-3GIKR 40-49 years, male 153.3
GTEX-11WQK-0226-SM-5EQLI 50-59 years, male 151.3
GTEX-WY7C-1126-SM-3NB3A 50-59 years, male 148.0
GTEX-1GL5R-0426-SM-9WPOP 50-59 years, male 145.7
GTEX-13QBU-0226-SM-5LU48 40-49 years, female 143.5
GTEX-11TT1-1426-SM-5EGIA 20-29 years, male 142.9
GTEX-145LV-0226-SM-5S2QG 50-59 years, male 142.0
GTEX-1GZ4I-0826-SM-9WG6O 50-59 years, male 140.8
GTEX-14C5O-1226-SM-664N3 60-69 years, male 138.9
GTEX-1CB4J-0226-SM-7P8T4 60-69 years, male 136.4
GTEX-14PN4-0826-SM-69LON 50-59 years, male 135.4
GTEX-YB5K-0226-SM-5IFJE 40-49 years, female 134.8
GTEX-Y114-0126-SM-4TT8K 50-59 years, female 134.7
GTEX-1HBPM-1026-SM-ARL9D 60-69 years, female 134.1
GTEX-145MN-0726-SM-5NQBH 30-39 years, male 133.4
GTEX-1122O-0626-SM-5N9B9 60-69 years, female 133.0
GTEX-XQ8I-0226-SM-4BOPM 50-59 years, male 131.4
GTEX-15DCE-0826-SM-7KULW 20-29 years, male 131.0
GTEX-14PJ4-0926-SM-5YY98 60-69 years, male 128.4
GTEX-WH7G-0326-SM-3NMBH 40-49 years, male 128.0
GTEX-1L5NE-0526-SM-DIPG5 50-59 years, male 127.5
GTEX-12BJ1-0326-SM-5FQUB 60-69 years, male 124.0
GTEX-11LCK-0826-SM-5PNYD 30-39 years, male 123.6
GTEX-ZPIC-0426-SM-DO91V 40-49 years, female 123.5
GTEX-14BIM-2726-SM-5Q5EG 60-69 years, female 123.2
GTEX-17F96-0826-SM-7DHLU 70-79 years, male 117.5
GTEX-WFG7-0826-SM-3GIKU 20-29 years, male 117.5
GTEX-WHSE-0826-SM-4SOJU 20-29 years, male 117.5
GTEX-X5EB-0626-SM-46MVQ 40-49 years, male 114.4
GTEX-XPVG-0726-SM-4B658 50-59 years, male 114.3
GTEX-1AX9J-0926-SM-73KXA 60-69 years, male 113.9
GTEX-XGQ4-0526-SM-4AT6C 50-59 years, male 113.9
GTEX-132Q8-1126-SM-5K7XS 60-69 years, male 113.0
GTEX-1211K-0226-SM-59HJY 60-69 years, female 112.8
GTEX-13O21-0326-SM-5J1N9 50-59 years, male 110.0
GTEX-14XAO-0926-SM-69LPZ 60-69 years, female 110.0
GTEX-17F9Y-1226-SM-7EPGE 70-79 years, female 109.8
GTEX-131XG-0526-SM-5DUWF 50-59 years, female 108.9
GTEX-13PL7-0726-SM-5KM1S 60-69 years, female 106.3
GTEX-15EU6-1326-SM-6PANG 50-59 years, male 103.0
GTEX-ZDYS-0326-SM-5HL4W 50-59 years, male 103.0
GTEX-1QP29-1426-SM-DTX9Q 50-59 years, male 99.9
GTEX-1C2JI-0626-SM-7DHM1 50-59 years, male 99.6
GTEX-Y3I4-0526-SM-4TT6X 50-59 years, male 99.4
GTEX-17F9E-0726-SM-793A1 50-59 years, male 99.3
GTEX-1LGRB-1026-SM-CNPQD 50-59 years, female 99.3
GTEX-1F75I-1326-SM-7PBZX 40-49 years, male 98.9
GTEX-1CAMS-1126-SM-7MXUQ 40-49 years, female 96.7
GTEX-1MCC2-0226-SM-EVYD5 30-39 years, female 96.0
GTEX-XYKS-0226-SM-4BRW3 60-69 years, female 94.3
GTEX-14PJO-0826-SM-6ETZK 60-69 years, male 93.9
GTEX-1B8KE-0326-SM-73KTY 50-59 years, male 92.6
GTEX-16XZZ-1026-SM-7DHKS 60-69 years, male 92.2
GTEX-X4EP-0326-SM-3P5Z6 60-69 years, female 90.6
GTEX-XPT6-0226-SM-4B65L 20-29 years, male 88.5
GTEX-1J8Q2-1026-SM-ARU8I 60-69 years, male 88.1
GTEX-13NYS-1926-SM-5IJCB 60-69 years, male 87.5
GTEX-1CB4I-1526-SM-7DHMY 50-59 years, male 87.1
GTEX-ZT9W-0526-SM-57WFG 50-59 years, male 86.5
GTEX-13W3W-0526-SM-5LU3X 60-69 years, female 86.3
GTEX-12WSN-0226-SM-5DUXH 40-49 years, male 86.0
GTEX-15RIE-1326-SM-6PAMM 60-69 years, male 85.7
GTEX-1EH9U-0626-SM-7PC33 60-69 years, male 84.4
GTEX-1LGOU-0326-SM-D3LAM 20-29 years, female 83.5
GTEX-WYBS-1226-SM-3NM9N 60-69 years, female 83.3
GTEX-13FH7-0826-SM-5J2NW 50-59 years, female 82.2
GTEX-YEC4-0226-SM-4W1YG 40-49 years, male 82.0
GTEX-1AX9K-0426-SM-73KUG 50-59 years, male 80.7
GTEX-ZTPG-1326-SM-51MSQ 20-29 years, female 80.0
GTEX-13N1W-0926-SM-5MR36 70-79 years, male 79.2
GTEX-ZPU1-0726-SM-5HL6O 40-49 years, male 78.8
GTEX-1AX8Z-1126-SM-731CS 60-69 years, male 78.5
GTEX-132AR-1926-SM-5EGK5 50-59 years, female 77.2
GTEX-1IKK5-1726-SM-CM2RU 60-69 years, male 77.1
GTEX-17GQL-0626-SM-731CN 60-69 years, male 76.8
GTEX-13OW7-1626-SM-5IJDH 50-59 years, male 76.5
GTEX-1LSNM-0426-SM-E9TIZ 50-59 years, male 74.9
GTEX-16NPX-0826-SM-6M489 50-59 years, male 74.2
GTEX-1LH75-0526-SM-DIPG2 50-59 years, female 73.8
GTEX-14PN3-0726-SM-6EU14 60-69 years, female 73.7
GTEX-1GMR2-1326-SM-9KNUT 50-59 years, male 73.1
GTEX-1RB15-0426-SM-E9U4Y 60-69 years, male 72.5
GTEX-ZF29-0426-SM-4WKFN 60-69 years, female 72.3
GTEX-ZG7Y-1426-SM-4WWBM 50-59 years, male 72.1
GTEX-18D9B-1126-SM-7KFSH 60-69 years, male 72.0
GTEX-1NSGN-1226-SM-E76OL 50-59 years, male 71.1
GTEX-YF7O-0526-SM-5P9IO 50-59 years, male 71.0
GTEX-1GMR3-0426-SM-7PC17 40-49 years, male 69.5
GTEX-VJWN-1026-SM-4M1ZN 50-59 years, female 69.4
GTEX-YEC3-0426-SM-CYPS8 50-59 years, male 68.9
GTEX-1IKOE-0626-SM-A9G31 30-39 years, female 68.8
GTEX-131XF-0426-SM-5HL7U 60-69 years, male 68.5
GTEX-1JJ6O-2226-SM-AHZ3I 60-69 years, male 67.5
GTEX-12696-1226-SM-5FQSM 60-69 years, male 67.2
GTEX-1GF9U-0526-SM-7P8SK 40-49 years, female 66.4
GTEX-13JVG-1126-SM-5KM2M 60-69 years, male 65.9
GTEX-1OFPY-0926-SM-DTX8Q 60-69 years, male 64.9
GTEX-WFG8-0726-SM-3GILP 20-29 years, male 64.5
GTEX-1R7EV-0426-SM-DTX7Z 40-49 years, male 63.9
GTEX-15UF7-1526-SM-6LPI7 40-49 years, male 63.2
GTEX-ZYFD-2026-SM-5E459 50-59 years, male 62.8
GTEX-12WSA-1126-SM-5EGKU 60-69 years, male 62.5
GTEX-VUSG-0726-SM-3GIK1 50-59 years, male 61.7
GTEX-X3Y1-0226-SM-3P5Z5 40-49 years, male 60.8
GTEX-13RTJ-0526-SM-62LDP 60-69 years, male 60.2
GTEX-183WM-0926-SM-718AN 70-79 years, female 60.2
GTEX-1QPFJ-0926-SM-EVR3K 30-39 years, female 59.8
GTEX-1E1VI-1426-SM-793CY 50-59 years, male 59.6
GTEX-1J8Q3-1126-SM-ARU8N 60-69 years, male 59.6
GTEX-ZYVF-1826-SM-5E44F 50-59 years, female 59.3
GTEX-13O3P-1426-SM-5L3DT 50-59 years, male 58.8
GTEX-V955-0826-SM-CYPR5 60-69 years, male 58.7
GTEX-11UD2-0926-SM-5CVL6 50-59 years, male 58.6
GTEX-1A32A-1326-SM-73KWW 50-59 years, female 58.2
GTEX-XV7Q-0726-SM-4BRV6 40-49 years, female 57.7
GTEX-12WSK-0526-SM-5CVNA 40-49 years, female 57.3
GTEX-1QCLZ-1126-SM-EWRNB 60-69 years, female 57.0
GTEX-1H3VY-1126-SM-A96TP 50-59 years, male 55.5
GTEX-ZYFC-1026-SM-5GZX9 50-59 years, male 55.2
GTEX-XLM4-2026-SM-4AT4X 60-69 years, male 55.1
GTEX-1A3MX-1226-SM-731B3 60-69 years, male 54.9
GTEX-U8XE-0926-SM-3DB8V 30-39 years, male 54.7
GTEX-WHPG-1026-SM-3NMBA 50-59 years, male 54.1
GTEX-139YR-0526-SM-5L3DG 50-59 years, male 53.8
GTEX-1JJEA-0926-SM-CYPSO 60-69 years, male 53.1
GTEX-1J1OQ-2226-SM-A96SS 40-49 years, female 52.9
GTEX-13PVQ-1326-SM-5LU4J 50-59 years, male 52.6
GTEX-1399S-0826-SM-5KM23 30-39 years, female 52.1
GTEX-1399R-1726-SM-5K7YJ 30-39 years, male 52.0
GTEX-ZLFU-0326-SM-4WWBK 40-49 years, male 52.0
GTEX-WEY5-0226-SM-3GIKN 40-49 years, female 50.9
GTEX-11DXX-0526-SM-5PNVR 60-69 years, female 50.4
GTEX-ZV7C-0526-SM-9WPNK 50-59 years, male 50.2
GTEX-WYJK-1126-SM-3NM9Z 50-59 years, male 50.1
GTEX-1CB4H-0626-SM-7IGN3 60-69 years, female 50.0
GTEX-11DYG-1026-SM-5A5JQ 60-69 years, male 49.8
GTEX-1IDJD-0226-SM-CKZOA 30-39 years, male 49.3
GTEX-UPK5-0226-SM-3GAEV 40-49 years, male 48.9
GTEX-1GN2E-1426-SM-7RHHI 60-69 years, male 48.8
GTEX-13SLW-0826-SM-5QGP7 70-79 years, male 48.6
GTEX-WQUQ-1326-SM-3MJFF 60-69 years, male 48.5
GTEX-1H1ZS-1026-SM-9WG6E 70-79 years, male 48.5
GTEX-11EM3-0426-SM-5N9BZ 20-29 years, female 48.3
GTEX-X261-0926-SM-3NMCY 50-59 years, male 47.6
GTEX-14PJM-0826-SM-6LLIW 50-59 years, female 47.2
GTEX-1HSGN-0926-SM-CNNQM 40-49 years, female 47.0
GTEX-1RLM8-0226-SM-E6CJY 50-59 years, male 47.0
GTEX-1HBPN-0926-SM-CGQEG 50-59 years, male 46.9
GTEX-1F75B-1126-SM-7RHGP 50-59 years, male 46.8
GTEX-1EU9M-1926-SM-7RHH4 60-69 years, male 46.7
GTEX-1IDJF-0826-SM-ARU7N 20-29 years, male 46.7
GTEX-14E1K-0826-SM-5ZZW9 50-59 years, male 46.6
GTEX-ZZPU-1126-SM-5N9CW 50-59 years, female 46.5
GTEX-146FR-0926-SM-5QGPE 60-69 years, female 46.2
GTEX-15SHU-0926-SM-6PAMK 40-49 years, female 45.7
GTEX-1H3NZ-1026-SM-A9SM5 60-69 years, male 45.7
GTEX-14PHY-0326-SM-62LE3 60-69 years, female 45.6
GTEX-ZZPT-0926-SM-5GICZ 50-59 years, male 45.1
GTEX-13O1R-0926-SM-5L3DS 60-69 years, male 44.6
GTEX-13X6K-1726-SM-7IGLG 60-69 years, female 44.6
GTEX-1B8SG-0726-SM-79ONS 50-59 years, male 44.6
GTEX-ZTTD-0626-SM-4YCCY 50-59 years, male 44.2
GTEX-1445S-1226-SM-5O9BF 60-69 years, male 43.9
GTEX-ZYFG-0526-SM-5GZXX 60-69 years, female 43.9
GTEX-145LS-1326-SM-5Q5EP 60-69 years, female 43.8
GTEX-ZGAY-0226-SM-4WWAL 40-49 years, female 43.8
GTEX-12ZZX-0726-SM-5EGKA 40-49 years, female 43.2
GTEX-1CAMQ-0726-SM-7P8SG 40-49 years, male 43.2
GTEX-13S86-0326-SM-5SI6K 40-49 years, male 43.1
GTEX-17JCI-0826-SM-7LT8W 60-69 years, female 42.5
GTEX-13O3O-1426-SM-5KM2S 60-69 years, female 42.4
GTEX-1192X-0726-SM-5987R 50-59 years, male 42.2
GTEX-V1D1-0626-SM-4JBHN 50-59 years, male 42.0
GTEX-11O72-1026-SM-5986B 40-49 years, male 41.9
GTEX-12WSI-0426-SM-5EQ5J 50-59 years, male 41.7
GTEX-1477Z-1126-SM-5P9GK 60-69 years, male 41.4
GTEX-WI4N-0726-SM-3TW93 40-49 years, female 41.4
GTEX-ZDXO-0426-SM-4WKF6 60-69 years, male 41.4
GTEX-ZVT2-0926-SM-5GICE 50-59 years, female 41.0
GTEX-14A5I-1026-SM-5Q5E3 50-59 years, female 40.8
GTEX-1I1GP-0626-SM-ARL7H 50-59 years, male 40.7
GTEX-1HSMO-1126-SM-CGQF2 60-69 years, male 40.0
GTEX-Y8E4-0426-SM-4V6GB 40-49 years, male 39.8
GTEX-1IDJH-1126-SM-COH3R 70-79 years, male 39.8
GTEX-13OVG-0426-SM-5KM2T 60-69 years, male 39.3
GTEX-13O61-0426-SM-5L3ET 60-69 years, male 39.1
GTEX-1IDJU-0626-SM-CKZOG 60-69 years, female 39.1
GTEX-1GN1U-1426-SM-7P8TF 50-59 years, female 38.8
GTEX-1B996-1026-SM-793CF 60-69 years, male 38.5
GTEX-1GF9V-1726-SM-9KNW4 60-69 years, male 38.5
GTEX-13PVR-0926-SM-5S2RB 60-69 years, female 38.4
GTEX-1B97J-0326-SM-7939H 50-59 years, female 38.3
GTEX-X62O-0826-SM-46MW8 50-59 years, male 38.2
GTEX-18A67-1026-SM-731CE 50-59 years, male 38.1
GTEX-147F4-1126-SM-5TDDE 50-59 years, male 37.9
GTEX-11ZTT-0526-SM-5EQLA 60-69 years, female 37.8
GTEX-13OW6-0926-SM-5L3GM 50-59 years, male 37.8
GTEX-Z93S-0326-SM-5HL84 50-59 years, male 37.4
GTEX-18A66-1126-SM-731C5 60-69 years, male 37.3
GTEX-111FC-0626-SM-5N9CU 60-69 years, male 37.1
GTEX-1HSMQ-0426-SM-ADEIM 50-59 years, male 37.1
GTEX-13OVI-0326-SM-5K7X1 60-69 years, female 37.0
GTEX-11DXZ-0326-SM-5EGH1 50-59 years, male 36.8
GTEX-13YAN-1426-SM-7EPG8 60-69 years, male 36.8
GTEX-1IY9M-0626-SM-D4P2L 60-69 years, male 36.4
GTEX-1ICG6-0726-SM-B2LY5 70-79 years, female 35.9
GTEX-17KNJ-0626-SM-7LT9L 50-59 years, male 35.8
GTEX-1P4AB-0926-SM-E76PV 50-59 years, male 35.7
GTEX-13JUV-0226-SM-5IJCC 40-49 years, female 35.0
GTEX-15SDE-1826-SM-7KUFN 50-59 years, female 34.7
GTEX-1J8QM-0326-SM-CL53D 60-69 years, female 34.6
GTEX-14JG1-0826-SM-5ZZWR 40-49 years, male 34.5
GTEX-1PPGY-0926-SM-DTXFF 60-69 years, male 34.5
GTEX-14PJ6-0626-SM-686Z6 60-69 years, female 34.3
GTEX-1AYCT-0526-SM-7RHHS 50-59 years, male 34.2
GTEX-15SHV-0526-SM-7KUEN 60-69 years, male 33.6
GTEX-1GTWX-0926-SM-9MQKM 60-69 years, male 33.6
GTEX-1HBPH-0226-SM-9WYSM 40-49 years, female 33.5
GTEX-139TU-1926-SM-5J2OC 60-69 years, male 33.4
GTEX-1JMLX-1826-SM-CNPOX 50-59 years, male 33.1
GTEX-1LB8K-0926-SM-D4P42 50-59 years, male 33.1
GTEX-13NZ9-0126-SM-5K7XV 50-59 years, male 33.0
GTEX-XBEC-1226-SM-4AT65 50-59 years, male 33.0
GTEX-17MF6-0926-SM-7LTAL 40-49 years, male 32.8
GTEX-ZAB5-0126-SM-5CVMT 50-59 years, male 32.4
GTEX-1399U-0726-SM-5KM1D 50-59 years, female 32.3
GTEX-1LVAN-1526-SM-CNPQN 50-59 years, female 32.3
GTEX-1HR98-1026-SM-CKZOM 60-69 years, male 31.9
GTEX-14H4A-0426-SM-5ZZWO 40-49 years, female 31.1
GTEX-1HT8W-1326-SM-CGQEN 30-39 years, male 31.0
GTEX-18465-0726-SM-7LG4L 50-59 years, male 30.4
GTEX-ZYT6-0926-SM-5GIEM 30-39 years, male 30.4
GTEX-1B933-0826-SM-79OMW 50-59 years, female 29.7
GTEX-13D11-1526-SM-5J2NA 50-59 years, female 29.6
GTEX-111VG-0326-SM-5GZX7 60-69 years, male 29.3
GTEX-1CB4E-0626-SM-7DHMW 60-69 years, male 29.2
GTEX-1H11D-1026-SM-9QEIU 40-49 years, male 29.2
GTEX-1J8EW-0626-SM-CM2TY 60-69 years, female 28.9
GTEX-11EMC-0826-SM-59862 60-69 years, female 28.2
GTEX-WOFL-1226-SM-4OOST 60-69 years, male 28.1
GTEX-ZDTS-1226-SM-4WKGL 60-69 years, male 28.0
GTEX-1R9JW-0426-SM-E76QL 30-39 years, female 28.0
GTEX-147JS-1326-SM-5SI6D 60-69 years, male 27.7
GTEX-14C38-1326-SM-62LDK 50-59 years, male 27.7
GTEX-1HC8U-0626-SM-B2LWB 40-49 years, female 27.2
GTEX-1C64O-0926-SM-79OLN 60-69 years, male 26.9
GTEX-11TUW-1126-SM-5EQKJ 60-69 years, male 26.7
GTEX-11EQ8-1326-SM-5EGJQ 60-69 years, male 26.4
GTEX-13PDP-1326-SM-5K7U9 60-69 years, male 26.4
GTEX-1JMOU-0326-SM-ARL8X 60-69 years, female 26.3
GTEX-1E2YA-0626-SM-7P8P4 50-59 years, male 26.2
GTEX-1LVAO-0626-SM-EWRNT 60-69 years, male 26.2
GTEX-148VJ-1426-SM-5TDE3 70-79 years, male 26.0
GTEX-1JN6P-0826-SM-ARL97 60-69 years, male 25.9
GTEX-13FHO-1226-SM-5L3EF 60-69 years, male 25.8
GTEX-14PK6-0726-SM-6LLIX 70-79 years, female 25.8
GTEX-14BIL-0926-SM-7DHKN 50-59 years, male 25.6
GTEX-WHWD-0326-SM-3LK6L 50-59 years, male 25.6
GTEX-ZVT3-0826-SM-5GIC8 60-69 years, female 25.5
GTEX-11NV4-0826-SM-5BC4S 60-69 years, male 25.2
GTEX-1GN1W-0226-SM-7P8QY 50-59 years, female 25.2
GTEX-1I1CD-1326-SM-A9SMM 60-69 years, female 25.2
GTEX-132NY-1426-SM-5J1MJ 60-69 years, male 24.9
GTEX-13FHP-0826-SM-5K7V5 50-59 years, male 24.8
GTEX-1BAJH-1026-SM-7EWEG 70-79 years, male 24.8
GTEX-15ER7-0826-SM-6PALW 20-29 years, female 24.7
GTEX-14BMV-1026-SM-5SI6B 50-59 years, male 24.1
GTEX-12WSE-0926-SM-5S2VX 20-29 years, male 24.0
GTEX-X4XX-1126-SM-3NMBY 60-69 years, male 24.0
GTEX-1HFI7-0526-SM-A9SMA 50-59 years, female 24.0
GTEX-1JMQK-0926-SM-ARL96 60-69 years, male 23.8
GTEX-XOT4-1126-SM-4B66E 60-69 years, female 23.7
GTEX-1C64N-0826-SM-7RHGQ 50-59 years, male 23.7
GTEX-1LG7Y-1426-SM-D4P31 50-59 years, male 23.3
GTEX-12WSG-1226-SM-5EQ4C 50-59 years, female 22.9
GTEX-16YQH-0726-SM-7IGM1 30-39 years, male 22.7
GTEX-1F48J-1126-SM-9WYSY 50-59 years, female 22.6
GTEX-14A6H-0326-SM-5NQAN 30-39 years, male 22.3
GTEX-1GN73-2326-SM-9MQKV 60-69 years, male 22.2
GTEX-YECK-1226-SM-4W21G 60-69 years, male 22.1
GTEX-ZAB4-0926-SM-5CVN4 40-49 years, male 22.1
GTEX-12WSC-1026-SM-5EQ5Y 50-59 years, male 21.9
GTEX-13CF2-0226-SM-5L3DV 60-69 years, male 21.9
GTEX-15CHR-0326-SM-7DHN3 50-59 years, male 21.9
GTEX-11DXY-1026-SM-5987V 60-69 years, male 21.7
GTEX-1QEPI-1126-SM-E8VN7 60-69 years, female 21.7
GTEX-11ZUS-0326-SM-5EQ4W 30-39 years, male 21.6
GTEX-14PJ2-1126-SM-69LOD 50-59 years, male 21.5
GTEX-1192W-0226-SM-5EGGT 60-69 years, male 21.4
GTEX-1I1GQ-1226-SM-CL55J 50-59 years, male 20.8
GTEX-ZDTT-0326-SM-4WKF9 60-69 years, male 20.5
GTEX-1GZ2Q-0926-SM-7RHHN 40-49 years, male 19.9
GTEX-1I19N-0626-SM-A9SKY 70-79 years, male 19.8
GTEX-117YX-0626-SM-5EGJI 50-59 years, male 19.6
GTEX-14E6C-0326-SM-5Q5EE 40-49 years, male 19.6
GTEX-14PII-1026-SM-5ZZVW 60-69 years, male 19.6
GTEX-1MJIX-0426-SM-DTXEN 40-49 years, male 19.6
GTEX-11GS4-0426-SM-5N9CD 60-69 years, male 19.4
GTEX-1C6VQ-0826-SM-7PBZT 50-59 years, male 19.2
GTEX-15CHC-0326-SM-5ZZVP 60-69 years, female 19.1
GTEX-16XZY-0526-SM-7DHKY 70-79 years, male 19.0
GTEX-1A8G6-1826-SM-73KY8 60-69 years, male 19.0
GTEX-1H1DG-0826-SM-9QEIW 70-79 years, male 19.0
GTEX-17HGU-1126-SM-793BP 50-59 years, male 18.9
GTEX-WRHU-1026-SM-4E3ID 50-59 years, female 18.6
GTEX-XQ3S-0526-SM-4BOQA 20-29 years, male 18.5
GTEX-13OW5-0926-SM-5L3GZ 60-69 years, male 18.2
GTEX-ZF3C-1126-SM-57WEG 50-59 years, female 18.2
GTEX-13VXT-0726-SM-5SIAD 20-29 years, female 18.1
GTEX-144GL-1026-SM-5O99R 50-59 years, male 18.1
GTEX-1F75A-1026-SM-7PC3W 50-59 years, male 18.0
GTEX-11NUK-0926-SM-5HL57 50-59 years, male 17.9
GTEX-1B8L1-0426-SM-7SB76 60-69 years, male 17.8
GTEX-16MT8-0826-SM-7KULO 60-69 years, female 17.4
GTEX-14E7W-1126-SM-5ZZVS 70-79 years, male 17.1
GTEX-1IKOH-0926-SM-A9SLU 60-69 years, female 17.1
GTEX-1EX96-2626-SM-9MQJV 50-59 years, male 17.0
GTEX-W5X1-0826-SM-3GILN 40-49 years, female 16.7
GTEX-1H2FU-0826-SM-9WYSU 60-69 years, female 16.7
GTEX-18A7A-1226-SM-7LTAJ 50-59 years, female 16.5
GTEX-1M5QR-1626-SM-E9U5O 40-49 years, male 16.4
GTEX-1HCUA-0626-SM-ACKVT 50-59 years, female 16.3
GTEX-1GMR8-1026-SM-9MQLA 50-59 years, female 16.1
GTEX-11P81-0526-SM-59873 30-39 years, female 15.9
GTEX-13PL6-0826-SM-5IJBI 40-49 years, female 15.6
GTEX-1I1HK-0626-SM-CNPQM 60-69 years, male 15.5
GTEX-12584-1026-SM-59HK3 40-49 years, male 15.3
GTEX-UTHO-1226-SM-3GAEE 60-69 years, male 15.1
GTEX-YFC4-0426-SM-4TT3J 40-49 years, female 14.9
GTEX-1EMGI-1126-SM-9KNUF 60-69 years, male 14.9
GTEX-146FH-1126-SM-5NQAT 50-59 years, female 14.8
GTEX-ZEX8-0326-SM-DO92C 50-59 years, male 14.6
GTEX-132QS-0526-SM-5IJC7 60-69 years, male 13.6
GTEX-15CHQ-1326-SM-6871Z 60-69 years, male 13.5
GTEX-1IL2U-1226-SM-CL53P 60-69 years, male 13.0
GTEX-1KXAM-1426-SM-D3LAC 60-69 years, male 13.0
GTEX-WL46-0726-SM-3LK5Z 50-59 years, male 12.8
GTEX-1QMI2-1026-SM-DTX7T 60-69 years, male 12.8
GTEX-XXEK-2026-SM-4BRVE 50-59 years, male 12.6
GTEX-1I1GV-1426-SM-B2LXN 60-69 years, male 12.5
GTEX-13NYB-0326-SM-5IJDP 40-49 years, male 12.4
GTEX-14ASI-0826-SM-5Q5EB 60-69 years, male 12.3
GTEX-1AX9I-1026-SM-73KYF 60-69 years, male 12.3
GTEX-13NZA-0826-SM-5K7WS 60-69 years, male 12.2
GTEX-117XS-0726-SM-5H131 60-69 years, male 11.9
GTEX-17EVP-0526-SM-7EPGY 40-49 years, male 11.9
GTEX-WK11-0626-SM-3NMAV 50-59 years, male 11.8
GTEX-ZVT4-1326-SM-5NQ8E 50-59 years, female 11.7
GTEX-1R9K4-1026-SM-EXUT1 60-69 years, male 11.5
GTEX-1GMRU-1326-SM-9WYUI 50-59 years, male 11.4
GTEX-1MJK2-1626-SM-EVYCQ 50-59 years, male 11.4
GTEX-13O3Q-0326-SM-5L3FE 50-59 years, male 11.3
GTEX-1399T-0726-SM-5J1MH 60-69 years, male 10.9
GTEX-1HFI6-0826-SM-9YFM2 40-49 years, male 10.9
GTEX-117YW-0426-SM-5GZZZ 50-59 years, male 10.8
GTEX-13U4I-0626-SM-5LU5L 40-49 years, female 10.8
GTEX-ZUA1-0726-SM-4YCD9 40-49 years, male 10.8
GTEX-ZF2S-0826-SM-4WWBI 50-59 years, female 10.7
GTEX-1HSKV-0726-SM-ACKWE 60-69 years, male 10.6
GTEX-11ONC-1026-SM-5GU64 60-69 years, male 10.4
GTEX-13112-0526-SM-5EQ4S 50-59 years, male 10.1
GTEX-1QP6S-1026-SM-DTXFW 40-49 years, male 10.0
GTEX-14DAQ-1026-SM-793B1 60-69 years, female 9.8
GTEX-ZPCL-0526-SM-DO91R 60-69 years, female 9.7
GTEX-15SKB-0926-SM-7KUFC 60-69 years, male 9.5
GTEX-1HCVE-0826-SM-CM2SF 50-59 years, male 9.3
GTEX-1POEN-0726-SM-DTXDU 30-39 years, female 9.3
GTEX-1HCU7-1226-SM-B2LX8 50-59 years, male 9.0
GTEX-12WSD-1226-SM-5HL9Q 60-69 years, female 8.9
GTEX-13FTZ-0326-SM-5J1O1 60-69 years, male 8.9
GTEX-X8HC-1026-SM-46MWH 50-59 years, female 8.9
GTEX-12ZZY-1226-SM-5GCNK 60-69 years, male 8.8
GTEX-13N11-0726-SM-5L3DP 50-59 years, female 8.8
GTEX-1F6I4-0826-SM-7RHGK 60-69 years, male 8.6
GTEX-15D1Q-0426-SM-6AJ9G 40-49 years, male 8.4
GTEX-Y5V5-0726-SM-4VBPY 60-69 years, female 8.4
GTEX-131XE-0526-SM-5K7YT 50-59 years, male 8.3
GTEX-1IKJJ-0626-SM-CY8GF 60-69 years, male 8.3
GTEX-1117F-0726-SM-5GIEN 60-69 years, female 8.1
GTEX-YJ8O-0826-SM-5CVM3 40-49 years, female 7.9
GTEX-1GN1V-1026-SM-CNPPS 60-69 years, male 7.9
GTEX-1A8FM-1026-SM-7PC26 50-59 years, female 7.6
GTEX-18A6Q-1526-SM-731CO 60-69 years, male 7.4
GTEX-1HUB1-0726-SM-CGQF4 60-69 years, male 7.1
GTEX-13FXS-1026-SM-62LFQ 50-59 years, male 7.0
GTEX-WZTO-1226-SM-3NMAZ 40-49 years, male 7.0
GTEX-ZXG5-0626-SM-5NQ85 60-69 years, male 6.8
GTEX-1JMQL-1026-SM-CMKGV 50-59 years, female 6.8
GTEX-WWYW-1126-SM-3NB2Q 50-59 years, female 6.7
GTEX-15RJE-0726-SM-7KUEG 40-49 years, male 6.5
GTEX-16GPK-1226-SM-7LTAU 60-69 years, male 6.1
GTEX-1212Z-0726-SM-5EGI5 60-69 years, male 6.0
GTEX-14C39-0726-SM-5RQIK 40-49 years, male 5.9
GTEX-ZAK1-1126-SM-5PNXU 50-59 years, female 5.8
GTEX-1H1CY-0426-SM-9KNVD 60-69 years, female 5.7
GTEX-ZAJG-0926-SM-5Q5AB 50-59 years, female 5.5
GTEX-ZVZQ-0726-SM-51MR3 60-69 years, female 5.5
GTEX-1KANB-1126-SM-DHXJT 50-59 years, male 5.4
GTEX-1C6WA-0826-SM-7PBXS 60-69 years, male 5.2
GTEX-1B8SF-1326-SM-7IGQJ 60-69 years, male 5.0
GTEX-1H3O1-0226-SM-9WYSW 60-69 years, male 5.0
GTEX-1313W-1126-SM-5EQ5U 50-59 years, female 4.9
GTEX-1LSNL-0626-SM-DIPFJ 50-59 years, male 4.9
GTEX-ZE7O-0626-SM-57WCD 50-59 years, female 4.5
GTEX-1F88F-0326-SM-9KNV3 60-69 years, female 4.5
GTEX-1I1GR-1026-SM-A9SLC 60-69 years, male 4.5
GTEX-Y3IK-1026-SM-51MR7 50-59 years, female 4.4
GTEX-11GSP-1226-SM-5985M 60-69 years, female 4.3
GTEX-1KD5A-0926-SM-D4P3U 50-59 years, male 4.3
GTEX-1IOXB-0726-SM-A9G32 50-59 years, male 4.2
GTEX-13SLX-0926-SM-5S2NM 50-59 years, female 4.1
GTEX-1KANC-0226-SM-E9TIW 50-59 years, female 4.0
GTEX-1EWIQ-1126-SM-7EPIK 70-79 years, female 3.9
GTEX-13X6J-1226-SM-79OMF 50-59 years, male 3.6
GTEX-1CB4G-0726-SM-79OOJ 60-69 years, male 3.6
GTEX-11ZVC-0526-SM-5N9G1 50-59 years, female 3.2
GTEX-1B932-1326-SM-79OM4 40-49 years, female 3.1
GTEX-14BIN-2126-SM-793AX 50-59 years, female 3.0
GTEX-1IL2V-1126-SM-CMKGH 70-79 years, male 3.0
GTEX-131YS-0826-SM-5PNYV 60-69 years, female 2.8
Show allShow less
Heart - Left Ventricle
Average nTPM: 38.8
Samples: 432

Max nTPM: 502.8
Min nTPM: 0.2
Std nTPM: 54.0
Median nTPM: 19.1
GTEX-11TT1-1326-SM-5PNYM 20-29 years, male 502.8
GTEX-WFG7-0726-SM-3GIKO 20-29 years, male 355.6
GTEX-1LC47-1026-SM-D3LAH 60-69 years, male 344.6
GTEX-XPT6-0126-SM-4B65S 20-29 years, male 268.3
GTEX-WY7C-0526-SM-3NB3D 50-59 years, male 254.4
GTEX-QEG5-0926-SM-2TC64 20-29 years, male 253.3
GTEX-WHSE-0926-SM-3NMBS 20-29 years, male 246.3
GTEX-1339X-0426-SM-5KLZY 40-49 years, male 228.7
GTEX-1F75I-1126-SM-9WYUO 40-49 years, male 228.5
GTEX-1F5PK-0326-SM-9KNUD 50-59 years, male 216.5
GTEX-15EOM-5007-SM-793DG 20-29 years, female 214.9
GTEX-WH7G-0426-SM-3NMBJ 40-49 years, male 213.7
GTEX-QDVN-0326-SM-2I3FS 50-59 years, male 165.0
GTEX-14PJ4-1126-SM-5YY91 60-69 years, male 164.4
GTEX-RUSQ-0526-SM-2TF72 50-59 years, male 159.4
GTEX-U4B1-0326-SM-3DB8K 40-49 years, male 159.0
GTEX-1QP2A-1126-SM-EVR3H 50-59 years, male 156.4
GTEX-1IKK5-1526-SM-CKZPW 60-69 years, male 149.7
GTEX-17GQL-0526-SM-72D5N 60-69 years, male 142.7
GTEX-1N2EF-2826-SM-E6CQF 60-69 years, male 141.0
GTEX-WFG8-0626-SM-3GILJ 20-29 years, male 134.4
GTEX-XGQ4-0326-SM-4GIEE 50-59 years, male 131.6
GTEX-R55C-0326-SM-3GAF1 40-49 years, male 126.7
GTEX-UJMC-0526-SM-3GAE3 50-59 years, male 125.9
GTEX-13PVQ-1226-SM-5IJDC 50-59 years, male 125.7
GTEX-14H4A-0626-SM-5ZZUT 40-49 years, female 125.5
GTEX-V955-0726-SM-3GAFG 60-69 years, male 113.7
GTEX-1JK1U-0526-SM-CYPSQ 60-69 years, male 113.3
GTEX-R45C-0926-SM-3GAD4 60-69 years, female 111.7
GTEX-O5YT-0326-SM-32PKA 20-29 years, male 110.6
GTEX-XPVG-0826-SM-4B654 50-59 years, male 109.4
GTEX-QESD-0526-SM-2I5G5 20-29 years, male 108.5
GTEX-1M5QR-1026-SM-DHXK9 40-49 years, male 107.3
GTEX-1LSNM-0526-SM-DIPG6 50-59 years, male 106.4
GTEX-13FH7-0926-SM-5J2MR 50-59 years, female 106.3
GTEX-1LGOU-0726-SM-E9TIY 20-29 years, female 104.1
GTEX-1GMR3-0326-SM-7P8QT 40-49 years, male 99.7
GTEX-WHWD-0426-SM-3LK83 50-59 years, male 99.5
GTEX-1JMQK-0626-SM-D4P2R 60-69 years, male 98.8
GTEX-XBED-0526-SM-47JY3 60-69 years, male 97.5
GTEX-PWCY-0526-SM-5P9HG 20-29 years, female 97.0
GTEX-1211K-0626-SM-5FQUZ 60-69 years, female 95.8
GTEX-1CB4E-0526-SM-7MXTK 60-69 years, male 95.0
GTEX-14PHX-2126-SM-6EU2U 50-59 years, male 94.4
GTEX-ZDTT-0726-SM-4WKFK 60-69 years, male 94.0
GTEX-Q2AH-0526-SM-2I3ED 40-49 years, male 92.5
GTEX-1OKEX-0726-SM-DPRYE 60-69 years, male 92.3
GTEX-111YS-0426-SM-5987O 60-69 years, male 91.9
GTEX-O5YV-0326-SM-2I5H2 60-69 years, female 90.8
GTEX-U8XE-1126-SM-3DB8W 30-39 years, male 89.8
GTEX-17HGU-1026-SM-79OKL 50-59 years, male 88.7
GTEX-12696-1126-SM-5FQTI 60-69 years, male 88.0
GTEX-WFON-0326-SM-3GIKX 40-49 years, male 87.0
GTEX-13W3W-0426-SM-5SI9D 60-69 years, female 86.8
GTEX-1L5NE-0426-SM-E9TIX 50-59 years, male 86.8
GTEX-QDVJ-0426-SM-2I5FW 50-59 years, male 84.7
GTEX-YEC4-0326-SM-4W216 40-49 years, male 82.6
GTEX-1LH75-0426-SM-E9TJF 50-59 years, female 81.2
GTEX-13QBU-0426-SM-5J2O4 40-49 years, female 81.1
GTEX-Y8E4-0326-SM-4VBRR 40-49 years, male 81.1
GTEX-14C38-1426-SM-5RQHZ 50-59 years, male 78.8
GTEX-1IDJU-0726-SM-CNPQ9 60-69 years, female 77.6
GTEX-OXRL-0326-SM-2I3F2 50-59 years, male 76.1
GTEX-P4QS-0326-SM-2I3EU 60-69 years, male 74.2
GTEX-15DDE-1126-SM-6LLHN 50-59 years, female 73.7
GTEX-1MUQO-1226-SM-E9TJK 60-69 years, male 71.3
GTEX-145LV-0326-SM-5Q5BW 50-59 years, male 69.6
GTEX-XXEK-0926-SM-4BRWH 50-59 years, male 66.8
GTEX-Y5V6-0826-SM-4VBRU 60-69 years, male 66.7
GTEX-1CB4J-0326-SM-7PBZO 60-69 years, male 66.5
GTEX-1AX9K-0526-SM-73KV1 50-59 years, male 66.2
GTEX-1GN1W-0326-SM-9JGHF 50-59 years, female 66.1
GTEX-SIU8-0826-SM-2XCDQ 50-59 years, male 65.7
GTEX-1AX9J-1026-SM-72D6E 60-69 years, male 65.3
GTEX-O5YW-0326-SM-2I5EI 50-59 years, male 64.7
GTEX-X3Y1-0426-SM-3P5Z4 40-49 years, male 63.7
GTEX-QMRM-0526-SM-2I5GA 50-59 years, male 62.3
GTEX-ZPIC-0826-SM-4WWFJ 40-49 years, female 61.9
GTEX-14E1K-1026-SM-73KUR 50-59 years, male 60.9
GTEX-SNMC-0126-SM-2XCFO 20-29 years, male 60.4
GTEX-P78B-0426-SM-2I5F5 40-49 years, female 60.2
GTEX-1J8Q2-1226-SM-A9G2W 60-69 years, male 60.1
GTEX-13NZB-0226-SM-5KM1T 30-39 years, male 59.4
GTEX-13OVG-0526-SM-5K7YD 60-69 years, male 59.4
GTEX-12ZZZ-1726-SM-59HK5 60-69 years, male 56.7
GTEX-15RIE-1726-SM-7KUMU 60-69 years, male 56.5
GTEX-13OW8-2126-SM-5J1OS 60-69 years, male 56.0
GTEX-WHPG-0826-SM-3NMBF 50-59 years, male 55.9
GTEX-ZPU1-0626-SM-4YCDM 40-49 years, male 54.5
GTEX-131XG-0626-SM-5GCMP 50-59 years, female 54.2
GTEX-OIZI-0926-SM-E6CHF 40-49 years, male 53.1
GTEX-1AYCT-0426-SM-73KVZ 50-59 years, male 51.6
GTEX-P44G-0826-SM-2I5ES 30-39 years, male 51.0
GTEX-16YQH-0926-SM-793BC 30-39 years, male 50.0
GTEX-1A3MW-1326-SM-7189P 60-69 years, female 49.9
GTEX-XQ8I-0126-SM-4BOPL 50-59 years, male 49.5
GTEX-1ICLY-1326-SM-CJI47 50-59 years, male 49.4
GTEX-UJHI-0426-SM-3DB8Y 50-59 years, female 49.1
GTEX-REY6-1026-SM-2TF4Y 60-69 years, male 48.8
GTEX-13FTW-1026-SM-5L3E3 40-49 years, male 48.7
GTEX-1S3DN-0726-SM-E9TIO 50-59 years, male 48.2
GTEX-14PHY-0226-SM-5ZZWM 60-69 years, female 48.0
GTEX-QEL4-0926-SM-3GAD1 50-59 years, male 47.7
GTEX-OIZF-0326-SM-3MJGY 60-69 years, male 47.5
GTEX-13O21-2326-SM-5MR3X 50-59 years, male 47.1
GTEX-132NY-1726-SM-5EGKK 60-69 years, male 46.9
GTEX-ZTPG-1226-SM-4YCDO 20-29 years, female 46.4
GTEX-OXRO-2026-SM-2YUMZ 60-69 years, female 45.8
GTEX-13S86-0226-SM-5S2PJ 40-49 years, male 45.7
GTEX-1IDJF-0726-SM-CJI1U 20-29 years, male 44.8
GTEX-S32W-0626-SM-2XCBG 50-59 years, female 44.7
GTEX-1C64O-0826-SM-79OKZ 60-69 years, male 44.6
GTEX-ZDXO-0726-SM-57WBT 60-69 years, male 44.3
GTEX-1122O-0826-SM-5GICV 60-69 years, female 43.9
GTEX-18A67-1226-SM-7KFRS 50-59 years, male 43.8
GTEX-OHPM-0326-SM-33HCA 50-59 years, male 43.6
GTEX-11ZUS-0226-SM-5FQT8 30-39 years, male 43.4
GTEX-ZEX8-0426-SM-DO92Y 50-59 years, male 43.2
GTEX-132AR-2026-SM-5IJG4 50-59 years, female 42.1
GTEX-16BQI-0926-SM-6M485 30-39 years, female 41.5
GTEX-1R7EV-0326-SM-E76PA 40-49 years, male 41.0
GTEX-16XZY-0426-SM-793BI 70-79 years, male 40.7
GTEX-1I6K7-0626-SM-ARL7Q 40-49 years, male 40.7
GTEX-13O1R-1226-SM-5J1NU 60-69 years, male 40.3
GTEX-11ONC-0126-SM-5PNW6 60-69 years, male 39.9
GTEX-12WSK-0626-SM-5LZUJ 40-49 years, female 39.5
GTEX-12BJ1-0226-SM-5LUA2 60-69 years, male 39.4
GTEX-1CAMS-1326-SM-79OJR 40-49 years, female 38.9
GTEX-13OW6-1126-SM-5L3HL 50-59 years, male 38.8
GTEX-13YAN-1326-SM-5Q5F1 60-69 years, male 38.5
GTEX-1GZ4I-1026-SM-9KNV5 50-59 years, male 38.5
GTEX-P4PQ-0326-SM-2HMJ8 60-69 years, male 38.1
GTEX-WEY5-0426-SM-3GIKT 40-49 years, female 36.9
GTEX-1PPGY-1126-SM-E76OU 60-69 years, male 36.7
GTEX-PSDG-0926-SM-2I5FP 50-59 years, male 36.6
GTEX-1JN6P-1126-SM-CKZON 60-69 years, male 36.3
GTEX-1HC8U-0726-SM-ACKXL 40-49 years, female 36.0
GTEX-1RQEC-0926-SM-EWROG 60-69 years, male 35.9
GTEX-13VXT-1126-SM-5LU3A 20-29 years, female 35.5
GTEX-139YR-0826-SM-5LZXY 50-59 years, male 35.4
GTEX-WYJK-1026-SM-3NM8W 50-59 years, male 35.4
GTEX-1H11D-1226-SM-9WPQ2 40-49 years, male 35.4
GTEX-1HSMQ-0226-SM-C1YQL 50-59 years, male 35.3
GTEX-1JJ6O-2126-SM-CNNP6 60-69 years, male 35.0
GTEX-YEC3-0726-SM-CMKFH 50-59 years, male 34.6
GTEX-ZYFC-1126-SM-5E44W 50-59 years, male 33.8
GTEX-XQ3S-0626-SM-4BOOB 20-29 years, male 33.6
GTEX-1AX8Z-5007-SM-AHZ36 60-69 years, male 33.6
GTEX-13PVR-1026-SM-5QGQW 60-69 years, female 33.0
GTEX-17F9E-0926-SM-7IGMG 50-59 years, male 33.0
GTEX-1HSMO-1226-SM-CL548 60-69 years, male 33.0
GTEX-11TUW-1026-SM-5GU7D 60-69 years, male 32.6
GTEX-ZV7C-0326-SM-57WB1 50-59 years, male 32.0
GTEX-YF7O-0426-SM-5P9FS 50-59 years, male 31.8
GTEX-1ICG6-0626-SM-ACKWS 70-79 years, female 31.7
GTEX-131XH-0226-SM-5LZVB 50-59 years, male 31.4
GTEX-S33H-0526-SM-COH1W 30-39 years, male 31.2
GTEX-11LCK-0926-SM-5A5KA 30-39 years, male 31.1
GTEX-P4PP-0326-SM-33HC4 30-39 years, female 31.0
GTEX-YB5K-0126-SM-5IFJ2 40-49 years, female 30.5
GTEX-13O3P-1626-SM-5K7X3 50-59 years, male 30.1
GTEX-1O9I2-1126-SM-DTXEA 50-59 years, male 29.7
GTEX-146FR-0626-SM-5RQJ1 60-69 years, female 29.3
GTEX-18A66-1226-SM-7LT8G 60-69 years, male 29.2
GTEX-ZAB4-1026-SM-5HL7T 40-49 years, male 28.9
GTEX-11I78-0826-SM-5A5K4 50-59 years, female 28.5
GTEX-12WSN-5001-SM-7DHMK 40-49 years, male 28.5
GTEX-1EH9U-0826-SM-7IGPT 60-69 years, male 27.9
GTEX-145MN-0626-SM-5QGRH 30-39 years, male 27.7
GTEX-1HCU6-1026-SM-A9G25 60-69 years, female 27.7
GTEX-1JMLX-1626-SM-ARZMV 50-59 years, male 27.3
GTEX-P44H-0726-SM-48TBT 40-49 years, male 27.2
GTEX-13N1W-1026-SM-5IJC5 70-79 years, male 26.6
GTEX-1497J-1226-SM-5Q5BL 60-69 years, male 26.6
GTEX-1J8QM-0426-SM-AHZ3X 60-69 years, female 26.6
GTEX-13O61-0526-SM-5J2M1 60-69 years, male 26.5
GTEX-1B8SG-0826-SM-7EWF7 50-59 years, male 26.5
GTEX-ZF29-0226-SM-4WKHO 60-69 years, female 26.2
GTEX-1GF9U-0426-SM-7RHHA 40-49 years, female 26.2
GTEX-13CF3-0726-SM-5J2MY 60-69 years, female 26.0
GTEX-14XAO-1126-SM-6EU11 60-69 years, female 25.8
GTEX-U3ZN-1426-SM-3DB87 30-39 years, female 25.8
GTEX-R55G-0526-SM-2TC5O 40-49 years, female 25.7
GTEX-1HCUA-0526-SM-A9SMH 50-59 years, female 25.3
GTEX-UPK5-0326-SM-CYPR4 40-49 years, male 25.2
GTEX-PLZ5-0626-SM-2I5F8 50-59 years, male 24.7
GTEX-SUCS-0326-SM-32PLL 70-79 years, male 24.5
GTEX-11O72-1126-SM-5N9E2 40-49 years, male 24.3
GTEX-1E1VI-1326-SM-7IGQD 50-59 years, male 24.0
GTEX-ZDYS-0226-SM-5HL4K 50-59 years, male 23.7
GTEX-132QS-0426-SM-5KLZ6 60-69 years, male 23.6
GTEX-145MO-1126-SM-5NQBX 60-69 years, male 23.3
GTEX-ZGAY-0326-SM-57WF5 40-49 years, female 22.8
GTEX-1R9PO-0326-SM-DTXA1 60-69 years, female 22.3
GTEX-OHPK-0326-SM-2HMJO 50-59 years, female 21.8
GTEX-Y3I4-0626-SM-4TT7A 50-59 years, male 21.8
GTEX-14A6H-0226-SM-5Q5DX 30-39 years, male 20.9
GTEX-QLQ7-0526-SM-2I5G3 60-69 years, male 20.9
GTEX-R55E-1026-SM-2TC5S 20-29 years, male 20.8
GTEX-12WSC-1126-SM-5EQ4G 50-59 years, male 20.7
GTEX-11GS4-0526-SM-5A5KQ 60-69 years, male 20.5
GTEX-1HCU7-1326-SM-CNPPW 50-59 years, male 20.5
GTEX-1K9T9-1126-SM-D3L9E 50-59 years, female 20.3
GTEX-ZLFU-0226-SM-4WWFH 40-49 years, male 20.2
GTEX-11EMC-0726-SM-5EGJO 60-69 years, female 20.1
GTEX-1JJEA-0826-SM-CL53T 60-69 years, male 20.1
GTEX-1269C-0826-SM-5N9EM 60-69 years, female 19.9
GTEX-NFK9-0926-SM-2HMJU 40-49 years, male 19.8
GTEX-X8HC-1626-SM-46MWE 50-59 years, female 19.8
GTEX-1F6IF-2526-SM-7P8TV 60-69 years, male 19.8
GTEX-1J8Q3-1226-SM-CKZPT 60-69 years, male 19.8
GTEX-1H23P-1226-SM-9QEJ2 60-69 years, male 19.7
GTEX-1LGRB-1126-SM-CNPP2 50-59 years, female 19.4
GTEX-1EMGI-1226-SM-793DD 60-69 years, male 19.3
GTEX-OIZG-1126-SM-2HMIU 50-59 years, male 19.3
GTEX-1H1ZS-1126-SM-9MQLJ 70-79 years, male 19.2
GTEX-13SLX-1026-SM-5ZZUQ 50-59 years, female 19.1
GTEX-131XF-5001-SM-7DHLY 60-69 years, male 19.0
GTEX-ZYFG-0426-SM-5E43M 60-69 years, female 18.7
GTEX-1HSGN-1126-SM-CJI4G 40-49 years, female 18.7
GTEX-1IKOE-1026-SM-ARZMF 30-39 years, female 18.6
GTEX-RU72-0326-SM-2TF5T 50-59 years, female 18.5
GTEX-1RB15-0326-SM-E6CQB 60-69 years, male 18.4
GTEX-1EN7A-0726-SM-7PBXT 40-49 years, male 18.0
GTEX-18D9U-1126-SM-72D5Y 40-49 years, male 17.9
GTEX-1RAZS-0826-SM-E76QP 50-59 years, male 17.9
GTEX-11DXY-0826-SM-5EGGR 60-69 years, male 17.8
GTEX-ZPCL-0426-SM-DNZZ4 60-69 years, female 17.8
GTEX-13JVG-1326-SM-5N9F8 60-69 years, male 17.7
GTEX-SE5C-0626-SM-2XCDV 40-49 years, female 17.7
GTEX-1I1GQ-1426-SM-B2LWY 50-59 years, male 17.6
GTEX-18465-0926-SM-731AY 50-59 years, male 17.5
GTEX-ZG7Y-0926-SM-5EQ6O 50-59 years, male 17.5
GTEX-N7MS-0826-SM-2HML4 60-69 years, male 17.3
GTEX-1HBPM-1226-SM-A9SM8 60-69 years, female 17.3
GTEX-ZAB5-0226-SM-5CVMH 50-59 years, male 17.2
GTEX-16MT8-0926-SM-6M487 60-69 years, female 17.1
GTEX-15CHC-0426-SM-6LLHI 60-69 years, female 16.8
GTEX-17F9Y-1326-SM-7MGW9 70-79 years, female 16.8
GTEX-12ZZY-1126-SM-5DUWQ 60-69 years, male 16.7
GTEX-WQUQ-1426-SM-3MJFD 60-69 years, male 16.7
GTEX-WRHU-1226-SM-4E3IJ 50-59 years, female 16.6
GTEX-13112-0426-SM-5PNVC 50-59 years, male 16.3
GTEX-OHPL-0326-SM-33HC8 60-69 years, female 16.3
GTEX-13FHP-1026-SM-5K7Y2 50-59 years, male 16.2
GTEX-RTLS-0826-SM-2TF5Q 60-69 years, female 16.1
GTEX-13D11-1726-SM-5IFGQ 50-59 years, female 16.0
GTEX-1F6I4-0726-SM-7PC2P 60-69 years, male 16.0
GTEX-U3ZH-0326-SM-3DB7A 30-39 years, male 15.9
GTEX-1399U-0526-SM-5K7YM 50-59 years, female 15.5
GTEX-15CHR-0226-SM-7PC2Z 50-59 years, male 15.5
GTEX-1JMPZ-1426-SM-CJI3C 30-39 years, male 15.1
GTEX-1212Z-0626-SM-5FQTB 60-69 years, male 15.0
GTEX-RWS6-0326-SM-2XCAP 60-69 years, female 14.9
GTEX-1HBPH-0126-SM-CNNQ7 40-49 years, female 14.8
GTEX-16NPX-0926-SM-7KUEZ 50-59 years, male 14.7
GTEX-ZQUD-1526-SM-7IGO2 30-39 years, male 14.7
GTEX-1GN1V-0826-SM-9KNU6 60-69 years, male 14.7
GTEX-QVJO-1926-SM-2S1QZ 60-69 years, female 14.6
GTEX-1QCLZ-0926-SM-E6CQZ 60-69 years, female 14.6
GTEX-RWSA-0626-SM-2XCBD 40-49 years, male 14.5
GTEX-14PJ2-1026-SM-6EU1M 50-59 years, male 14.4
GTEX-11EM3-0626-SM-5H12Z 20-29 years, female 14.3
GTEX-1GL5R-0326-SM-9WYTJ 50-59 years, male 13.9
GTEX-147JS-1526-SM-5ZZWF 60-69 years, male 13.7
GTEX-14C39-0926-SM-5TDDV 40-49 years, male 13.7
GTEX-QEG4-0426-SM-33HC3 30-39 years, male 13.7
GTEX-1B996-1126-SM-73KWN 60-69 years, male 13.6
GTEX-13FTZ-0226-SM-5K7X6 60-69 years, male 13.5
GTEX-1B8KE-0126-SM-793AM 50-59 years, male 13.5
GTEX-WZTO-1326-SM-3NM8X 40-49 years, male 13.4
GTEX-XV7Q-0826-SM-4BRV7 40-49 years, female 13.4
GTEX-ZVZP-0226-SM-5NQ73 50-59 years, male 13.3
GTEX-NPJ8-0426-SM-2HMK6 40-49 years, male 13.2
GTEX-XBEC-1326-SM-4AT69 50-59 years, male 13.2
GTEX-1399T-0426-SM-5PNVJ 60-69 years, male 12.9
GTEX-QV44-0526-SM-2S1RE 50-59 years, male 12.8
GTEX-R53T-0926-SM-3GADH 50-59 years, female 12.8
GTEX-14PN3-0526-SM-69LQF 60-69 years, female 12.7
GTEX-14JG1-1026-SM-6ETZY 40-49 years, male 12.5
GTEX-1BAJH-1626-SM-73KUV 70-79 years, male 12.4
GTEX-1R9K4-1326-SM-DTX8G 60-69 years, male 12.4
GTEX-147F4-1226-SM-5NQAY 50-59 years, male 12.1
GTEX-1JJE9-1426-SM-ARL8P 70-79 years, male 12.1
GTEX-1PPH7-2026-SM-E9J3N 40-49 years, male 12.0
GTEX-146FH-1026-SM-5RQIF 50-59 years, female 11.9
GTEX-12584-0926-SM-5FQTN 40-49 years, male 11.7
GTEX-1MJIX-0326-SM-EVR42 40-49 years, male 11.7
GTEX-1O97I-0826-SM-E8VNE 60-69 years, male 11.7
GTEX-1HFI7-0826-SM-A9G23 50-59 years, female 11.4
GTEX-13U4I-0826-SM-5SIBD 40-49 years, female 11.3
GTEX-1OFPY-1026-SM-EXUSO 60-69 years, male 11.2
GTEX-14E6C-0426-SM-5YYA8 40-49 years, male 11.1
GTEX-1KD4Q-0726-SM-DIPGE 40-49 years, male 11.1
GTEX-131XE-0626-SM-5HL98 50-59 years, male 11.0
GTEX-14PK6-0826-SM-5ZZVO 70-79 years, female 10.9
GTEX-WI4N-0626-SM-3TW8Z 40-49 years, female 10.8
GTEX-18D9B-1226-SM-72D6V 60-69 years, male 10.7
GTEX-13CF2-0426-SM-5KM1H 60-69 years, male 10.6
GTEX-OXRK-0826-SM-2HMK7 50-59 years, female 10.6
GTEX-14C5O-1326-SM-5S2UW 60-69 years, male 10.3
GTEX-13N11-0426-SM-5KM3O 50-59 years, female 10.1
GTEX-14JIY-1126-SM-6EU28 60-69 years, male 10.1
GTEX-15RJ7-0226-SM-7KUMN 40-49 years, male 10.1
GTEX-WL46-0926-SM-3LK7T 50-59 years, male 10.1
GTEX-1HT8W-1726-SM-CNNQB 30-39 years, male 10.1
GTEX-1RMOY-0626-SM-E9TIE 50-59 years, male 10.0
GTEX-1J8EW-0926-SM-A9G33 60-69 years, female 9.9
GTEX-13X6H-0426-SM-5LU4E 50-59 years, female 9.8
GTEX-12WSG-0526-SM-5FQTH 50-59 years, female 9.7
GTEX-ZAJG-0826-SM-5PNVA 50-59 years, female 9.7
GTEX-1PWST-1026-SM-DTXF2 70-79 years, male 9.7
GTEX-T2IS-0426-SM-32QPE 20-29 years, female 9.6
GTEX-ZF2S-1026-SM-9QEGK 50-59 years, female 9.5
GTEX-1314G-0126-SM-5LZUL 30-39 years, male 9.4
GTEX-Y114-0226-SM-4TT8W 50-59 years, female 9.3
GTEX-1LG7Y-1226-SM-CXZKD 50-59 years, male 9.3
GTEX-1EX96-2526-SM-7RHGW 50-59 years, male 9.2
GTEX-1MCC2-0326-SM-EV7AK 30-39 years, female 9.2
GTEX-11DXX-0326-SM-5PNWC 60-69 years, female 9.0
GTEX-ZDTS-1326-SM-6LLHE 60-69 years, male 8.9
GTEX-ZF3C-1226-SM-4WWCB 50-59 years, female 8.9
GTEX-1GTWX-1026-SM-7P8QW 60-69 years, male 8.9
GTEX-1313W-1426-SM-5KLZU 50-59 years, female 8.7
GTEX-1A8G6-1626-SM-7MGWO 60-69 years, male 8.7
GTEX-X261-1426-SM-4PQZ1 50-59 years, male 8.6
GTEX-1F48J-1026-SM-7P8SO 50-59 years, female 8.5
GTEX-1GF9V-1626-SM-7PBXL 60-69 years, male 8.3
GTEX-148VJ-1526-SM-5Q5DU 70-79 years, male 8.1
GTEX-148VI-0326-SM-5RQK7 60-69 years, female 8.0
GTEX-1AX9I-1126-SM-7EPHH 60-69 years, male 8.0
GTEX-ZVT2-1026-SM-5GU55 50-59 years, female 8.0
GTEX-111FC-0826-SM-5GZWO 60-69 years, male 7.9
GTEX-15SHW-1226-SM-6M46C 60-69 years, male 7.9
GTEX-OOBJ-0326-SM-33HBO 60-69 years, male 7.9
GTEX-11GSP-1326-SM-5A5KY 60-69 years, female 7.8
GTEX-15SHU-1126-SM-7KUMB 40-49 years, female 7.8
GTEX-ZYT6-1726-SM-5E44P 30-39 years, male 7.8
GTEX-13OVL-0526-SM-5KLZQ 50-59 years, male 7.7
GTEX-1R9K5-1326-SM-E6CPR 50-59 years, male 7.7
GTEX-1JN1M-1026-SM-CNPOS 60-69 years, female 7.6
GTEX-1399R-1926-SM-5K7X8 30-39 years, male 7.5
GTEX-13RTJ-0726-SM-5QGQN 60-69 years, male 7.5
GTEX-17MF6-0726-SM-7LT8E 40-49 years, male 7.5
GTEX-YFC4-0526-SM-5ZZVI 40-49 years, female 7.4
GTEX-1H1CY-0326-SM-9QEIZ 60-69 years, female 7.4
GTEX-1KANC-0426-SM-CXZK5 50-59 years, female 7.4
GTEX-15ER7-1726-SM-6PAMX 20-29 years, female 7.2
GTEX-1C2JI-0526-SM-7EWEQ 50-59 years, male 7.2
GTEX-PVOW-0426-SM-5MR5R 40-49 years, male 7.2
GTEX-1H3NZ-1126-SM-9WYT9 60-69 years, male 7.2
GTEX-13O3O-1526-SM-5KM1C 60-69 years, female 7.1
GTEX-1399S-1026-SM-5KLZ9 30-39 years, female 6.9
GTEX-ZZPU-0926-SM-5GZYT 50-59 years, female 6.9
GTEX-117YW-0326-SM-5N9CY 50-59 years, male 6.8
GTEX-11ZVC-0426-SM-5CVLD 50-59 years, female 6.8
GTEX-1EU9M-1826-SM-7DUGU 60-69 years, male 6.8
GTEX-V1D1-0526-SM-4JBGW 50-59 years, male 6.8
GTEX-ZUA1-0826-SM-4YCDL 40-49 years, male 6.7
GTEX-17JCI-1126-SM-7IGMM 60-69 years, female 6.6
GTEX-Y3IK-0826-SM-51MT8 50-59 years, female 6.6
GTEX-1QPFJ-1026-SM-E6CR6 30-39 years, female 6.6
GTEX-1GMR2-1426-SM-7RHHK 50-59 years, male 6.5
GTEX-Y5V5-0626-SM-4VBPX 60-69 years, female 6.4
GTEX-13FLV-0926-SM-5L3DZ 50-59 years, male 6.3
GTEX-RN64-0826-SM-2TC62 50-59 years, male 6.3
GTEX-1CB4I-1626-SM-7RHGV 50-59 years, male 6.3
GTEX-11DXZ-0626-SM-5GU77 50-59 years, male 6.2
GTEX-1LVA9-0926-SM-EVR5G 50-59 years, male 6.2
GTEX-PX3G-0326-SM-2I3EO 20-29 years, female 6.1
GTEX-WWYW-1326-SM-3NB2S 50-59 years, female 6.1
GTEX-1CB4G-0826-SM-7DUGF 60-69 years, male 6.0
GTEX-12WSD-1126-SM-5EGJD 60-69 years, female 5.9
GTEX-1I1HK-0726-SM-B2LY4 60-69 years, male 5.9
GTEX-1LB8K-1026-SM-DHXJJ 50-59 years, male 5.7
GTEX-1QP29-1526-SM-EXUSY 50-59 years, male 5.7
GTEX-14A5I-1226-SM-5NQBW 50-59 years, female 5.6
GTEX-1I1GV-1326-SM-A96SE 60-69 years, male 5.5
GTEX-1B8L1-0526-SM-79ONX 60-69 years, male 5.4
GTEX-1C6VQ-1126-SM-7EWET 50-59 years, male 5.4
GTEX-14BIN-2226-SM-5YYA1 50-59 years, female 5.3
GTEX-N7MT-1326-SM-2I3FV 60-69 years, female 5.3
GTEX-13OW5-1126-SM-5J1NR 60-69 years, male 5.2
GTEX-17HII-1326-SM-7IGOB 50-59 years, male 5.2
GTEX-1KD5A-1026-SM-CY8I8 50-59 years, male 5.1
GTEX-14BIL-1126-SM-79OMC 50-59 years, male 5.0
GTEX-1B97J-0726-SM-7RHG3 50-59 years, female 5.0
GTEX-1ICLZ-1026-SM-A9SLF 60-69 years, male 4.9
GTEX-117YX-1126-SM-5H128 50-59 years, male 4.7
GTEX-14E6D-0926-SM-5S2QV 50-59 years, male 4.7
GTEX-1IDJE-0326-SM-CM2TD 50-59 years, female 4.6
GTEX-1GN73-2426-SM-7RHFQ 60-69 years, male 4.5
GTEX-12ZZW-1026-SM-5GCMM 50-59 years, male 4.4
GTEX-X15G-0426-SM-4PQZ6 50-59 years, female 4.4
GTEX-1GN2E-1326-SM-9KNVG 60-69 years, male 4.3
GTEX-1NV8Z-1526-SM-DTX8X 60-69 years, male 4.3
GTEX-14E7W-1226-SM-5RQIU 70-79 years, male 4.2
GTEX-15RJE-0626-SM-7KUKR 40-49 years, male 4.2
GTEX-17HHY-1426-SM-7EWDQ 50-59 years, male 4.2
GTEX-T6MN-0926-SM-32PLX 50-59 years, male 4.2
GTEX-1IL2U-1326-SM-A9G2O 60-69 years, male 4.0
GTEX-1R9JW-0526-SM-EWRNK 30-39 years, female 3.9
GTEX-1A3MX-1326-SM-72D58 60-69 years, male 3.8
GTEX-ZYW4-0926-SM-59HJS 60-69 years, male 3.8
GTEX-YJ8O-0926-SM-EAZ2Z 40-49 years, female 3.7
GTEX-18A6Q-1626-SM-7KFTA 60-69 years, male 3.6
GTEX-14DAQ-1126-SM-664MT 60-69 years, female 3.5
GTEX-1EKGG-1126-SM-7MGXB 60-69 years, male 3.5
GTEX-1LVAN-1726-SM-CNNR1 50-59 years, female 3.5
GTEX-13X6I-1426-SM-5SI9Z 60-69 years, male 3.4
GTEX-14PJM-1126-SM-6LLHK 50-59 years, female 3.4
GTEX-POMQ-0326-SM-2I5FO 20-29 years, female 3.4
GTEX-1B932-1026-SM-793CL 40-49 years, female 3.2
GTEX-1HCVE-1126-SM-9WPPG 50-59 years, male 3.2
GTEX-1EWIQ-1426-SM-7IGOS 70-79 years, female 3.1
GTEX-OIZH-0326-SM-2HMKC 50-59 years, male 3.1
GTEX-1IDJH-1026-SM-E9TKH 70-79 years, male 3.0
GTEX-1POEN-0626-SM-EVR4B 30-39 years, female 3.0
GTEX-13NYB-0226-SM-5N9G4 40-49 years, male 2.9
GTEX-1GMRU-1526-SM-9WYT5 50-59 years, male 2.9
GTEX-WK11-0826-SM-EZ6LH 50-59 years, male 2.9
GTEX-17KNJ-0826-SM-793A4 50-59 years, male 2.8
GTEX-1JMOU-0226-SM-CNNPD 60-69 years, female 2.8
GTEX-13X6K-1826-SM-5O9CR 60-69 years, female 2.6
GTEX-RNOR-0826-SM-2TF5C 50-59 years, female 2.6
GTEX-15CHQ-1526-SM-69LPW 60-69 years, male 2.2
GTEX-1KXAM-1326-SM-E9TJW 60-69 years, male 2.0
GTEX-15DYW-1126-SM-6LPK5 60-69 years, female 1.7
GTEX-1IDJI-1026-SM-A96TE 50-59 years, female 1.6
GTEX-14PJ6-0726-SM-69LOL 60-69 years, female 1.4
GTEX-1I1GP-0826-SM-A96SD 50-59 years, male 1.3
GTEX-1IKJJ-0826-SM-A96SP 60-69 years, male 0.2
Show allShow less

HEART MUSCLE - FANTOM5 CAGEi

RNA expression in human tissues obtained through Cap Analysis of Gene Expression (CAGE) generated by the FANTOM5 project are reported as Scaled Tags Per Million.

Max subtype Scaled Tags Per Millioni

Max subtype Scaled Tags Per Million is the value for the subtype with the largest average Scaled Tags Per Million across the subtype samples.

26.4
FANTOM5 sample id Sample description Scaled Tags Per Million
Heart
Scaled Tags Per Million: 20.8
FF:10016-101C7 70,73,74 years, mixed 20.8
Left atrium
Scaled Tags Per Million: 15.1
FF:10079-102A7 40 years, male 15.1
Left ventricle
Scaled Tags Per Million: 26.4
FF:10078-102A6 73 years, female 26.4

Contact

  • NEWS ARTICLES
  • PRESS ROOM

The Project

  • INTRODUCTION
  • ORGANIZATION
  • PUBLICATIONS

The Human Protein Atlas

  • DOWNLOADABLE DATA
  • LICENCE & CITATION
  • HELP & FAQ
The Human Protein Atlas project is funded
by the Knut & Alice Wallenberg Foundation.


contact@proteinatlas.org