We use cookies to enhance the usability of our website. If you continue, we'll assume that you are happy to receive all cookies. More information. Don't show this again.
HOPX
HPA
RESOURCES
  • TISSUE
  • BRAIN
  • SINGLE CELL
  • SUBCELLULAR
  • CANCER
  • BLOOD
  • CELL LINE
  • STRUCTURE & INTERACTION
ABOUT
  • INTRODUCTION
  • HISTORY
  • ORGANIZATION
  • PUBLICATIONS
  • ANTIBODY SUBMISSION
  • ANTIBODY AVAILABILITY
  • ACKNOWLEDGMENTS
  • CONTACT
NEWS
  • NEWS ARTICLES
  • PRESS ROOM
LEARN
  • DICTIONARY
  • PROTEIN CLASSES
  • PROTEIN EVIDENCE
  • METHODS
  • EDUCATIONAL VIDEOS
DATA
  • DOWNLOADABLE DATA
  • PUBLICATION DATA
  • RELEASE HISTORY
HELP
  • ANTIBODY VALIDATION
  • ASSAYS & ANNOTATION
  • DISCLAIMER
  • HELP & FAQ
  • PRIVACY STATEMENT
  • LICENCE & CITATION
Fields »
Search result

Field
Term
Gene name
Class
Subclass
Class
Keyword
Chromosome
External id
Tissue
Cell type
Expression
Antibody panel
Tissue
Main location
Patient ID
Annotation
Tissue
Category
Tau score
Cluster
Reliability
Brain region
Category
Tau score
Brain region
Category
Tau score
Brain region
Category
Tau score
Cluster
Reliability
Tissue
Cell type
Enrichment
Cell type
Category
Tau score
Cell type
Category
Tau score
Cell type
Category
Tau score
Cell lineage
Category
Tau score
Cluster
Cluster
Location
Searches
Location
Cell line
Class
Type
Phase
Reliability
Cancer
Prognosis
Cancer
Category
Cancer
Category
Tau score
Cluster
Variants
Interacting gene (ensg_id)
Type
Number of interactions
Pathway
Category
Score
Score
Score
Validation
Validation
Validation
Validation
Antibodies
Data type
Column


  • SUMMARY

  • TISSUE

  • BRAIN

  • SINGLE CELL

  • SUBCELL

  • CANCER

  • BLOOD

  • CELL LINE

  • STRUCT & INT

  • HOPX
TISSUE PRIMARY DATA THYROID GLAND Show tissue menu
ADIPOSE TISSUE ADRENAL GLAND AMYGDALA APPENDIX BASAL GANGLIA BONE MARROW BREAST BRONCHUS CEREBELLUM CEREBRAL CORTEX CERVIX CHOROID PLEXUS COLON DUODENUM
ENDOMETRIUM EPIDIDYMIS ESOPHAGUS FALLOPIAN TUBE GALLBLADDER HEART MUSCLE HIPPOCAMPAL FORMATION HYPOTHALAMUS KIDNEY LIVER LUNG LYMPH NODE MIDBRAIN NASOPHARYNX
ORAL MUCOSA OVARY PANCREAS PARATHYROID GLAND PITUITARY GLAND PLACENTA PROSTATE RECTUM RETINA SALIVARY GLAND SEMINAL VESICLE SKELETAL MUSCLE SKIN SMALL INTESTINE
SMOOTH MUSCLE SOFT TISSUE SPINAL CORD SPLEEN STOMACH TESTIS THYMUS THYROID GLAND TONGUE TONSIL URINARY BLADDER VAGINA
ANTIBODIES
AND
VALIDATION
Dictionary
Thyroid gland
Tissue proteome
Thyroid gland
THYROID GLAND - Expression summary
Protein expression
Thyroid glandi

On the top, protein expression in current human tissue, based on all annotated cell types, is reported with the units not detected (n), low (l), medium (m) and high (h). Underneath, protein expression in each annotated cell type are reported using the same units.

Protein expression data is based on knowledge-based annotation. For genes where more than one antibody has been used, a collective score is set.

If knowledge-based annotation could not be performed for a gene, no data is displayed here. View antibody staining data further down this page.

h
m
l
n
Glandular cells: Medium
RNA expressioni

A summary of mRNA expression data available for current tissue based on several datasets. The mRNA expression levels in human tissues are based on RNA-seq data generated by the Human Protein Atlas (HPA), Genotype-Tissue Expression (GTEx) portal and CAGE data generated by the FANTOM5 consortium. Consensus normalized expression levels for human tissues was created by combining the data from HPA and GTEx datasets.

The mRNA expression levels in pig are based on RNA-seq data generated by the Human Protein Atlas (HPA), and for mouse, HPA data and in situ hybridization generated by the Allen brain atlas are reported.

Scroll down to view mRNA expression data in more detail.
Consensus:217.7 nTPM
HPA:217.7 nTPM
GTEx:161.2 nTPM
FANTOM5:560.8 Scaled Tags Per Million

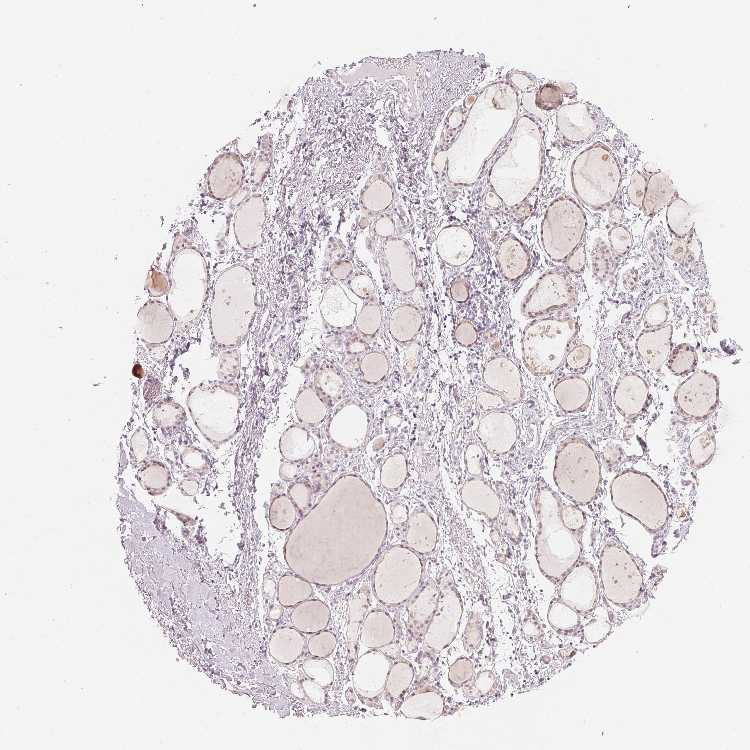
THYROID GLAND - Antibody stainingi

Antibody staining in the annotated cell types in the current human tissue is reported as not detected, low, medium, or high, based on conventional immunohistochemistry profiling in selected tissues. This score is based on the combination of the staining intensity and fraction of stained cells.

Each image is clickable and will lead to virtual microscopy that enables deeper exploration of all samples and also displays staining intensity scores, fraction scores and subcellular localization as well as patient and tissue information for each sample.

Antibody HPA030180Antibody CAB018632
Glandular cells LowMedium





THYROID GLAND - HPA RNA-seqi

The RNA-seq details section shows detailed information about the individual samples used for the transcript profiling and results of the RNA-seq analysis.

Information about each individual sample is listed below, including gender, age, a tissue section image and estimated fractions of cell types. nTPM (normalized transcripts per million) values give a quantification of the gene abundance which is comparable between different genes and samples.
Average nTPMi

Max subtype nTPM is the value for the subtype with the largest average nTPM across the subtype samples.

217.7
overview
Female, age 20
Thyroid gland sample 249
nTPM: 363
Cell types%
Glandular cells:
70

Endothelial cells:
20

Other cell types:
10

overview
Female, age 55
Thyroid gland sample 250
nTPM: 100.1
Cell types%
Glandular cells:
70

Endothelial cells:
20

Other cell types:
10

overview
Female, age 58
Thyroid gland sample 251
nTPM: 264.5
Cell types%
Glandular cells:
70

Endothelial cells:
15

Other cell types:
15

overview
Female, age 48
Thyroid gland sample 252
nTPM: 166
Cell types%
Glandular cells:
70

Endothelial cells:
20

Other cell types:
10

overview
Male, age 21
Thyroid gland sample 363
nTPM: 194.7
Cell types%
Glandular cells:
75

Endothelial cells:
10

Other cell types:
15


THYROID GLAND - GTEx RNA-seqi

RNA-Seq data generated by the Genotype-Tissue Expression (GTEx) project from human tissues is reported as mean nTPM. More information can be found on the GTEx portal.

Distribution across the dataset is visualized with box plots, shown as median and 25th and 75th percentiles. Points are displayed as outliers if they are above or below 1.5 times the interquartile range. nTPM values of the individual samples are presented next to the box plot.
Max subtype nTPMi

Max subtype nTPM is the value for the subtype with the largest average nTPM across the subtype samples.

161.2
GTEx sample id Sample description nTPM
Thyroid
Average nTPM: 161.2
Samples: 653

Max nTPM: 744.0
Min nTPM: 14.1
Std nTPM: 74.5
Median nTPM: 149.7
GTEX-15RIF-0326-SM-7KUFR 20-29 years, male 744.0
GTEX-12BJ1-0426-SM-5FQSO 60-69 years, male 442.0
GTEX-1I1GU-0826-SM-ARZM5 40-49 years, male 440.0
GTEX-14PJ4-0326-SM-664OT 60-69 years, male 429.7
GTEX-13NZA-1026-SM-5MR48 60-69 years, male 418.9
GTEX-T8EM-0226-SM-3DB7C 40-49 years, male 392.3
GTEX-U412-0726-SM-EVR2Y 60-69 years, male 369.2
GTEX-11GSO-0626-SM-5A5LW 60-69 years, male 367.7
GTEX-1J8Q3-0226-SM-C1YR4 60-69 years, male 360.2
GTEX-YB5E-0626-SM-4VDSE 40-49 years, male 358.3
GTEX-1GZ4H-0226-SM-9JGGJ 50-59 years, female 350.6
GTEX-XUZC-0126-SM-4BOO6 30-39 years, female 348.5
GTEX-ZZ64-0126-SM-5GZXA 20-29 years, male 347.5
GTEX-117YX-1226-SM-5H11S 50-59 years, male 347.1
GTEX-1MJK2-0826-SM-DTXE8 50-59 years, male 343.5
GTEX-14PQA-1226-SM-6M47A 50-59 years, female 342.5
GTEX-1OFPY-1526-SM-DTX8R 60-69 years, male 335.2
GTEX-P4PQ-2626-SM-33HC9 60-69 years, male 334.0
GTEX-YEC4-0626-SM-5CVLU 40-49 years, male 332.0
GTEX-1EX96-0126-SM-9KNVH 50-59 years, male 330.3
GTEX-X5EB-0726-SM-46MVR 40-49 years, male 322.8
GTEX-16BQI-0726-SM-6LPJZ 30-39 years, female 321.5
GTEX-11ZTT-1026-SM-5EQKF 60-69 years, female 320.9
GTEX-14XAO-0426-SM-6AJB6 60-69 years, female 318.5
GTEX-11VI4-0226-SM-5GU6C 40-49 years, female 318.0
GTEX-YF7O-0726-SM-4W213 50-59 years, male 316.2
GTEX-1AX9J-2126-SM-731DD 60-69 years, male 313.5
GTEX-QDVJ-0226-SM-2I5FV 50-59 years, male 313.1
GTEX-Y9LG-0426-SM-4VBRT 30-39 years, male 307.0
GTEX-ZT9W-0226-SM-7SB6H 50-59 years, male 307.0
GTEX-14JIY-1226-SM-6871R 60-69 years, male 306.3
GTEX-11TUW-0226-SM-5LU8X 60-69 years, male 302.9
GTEX-14PN3-0826-SM-69LOS 60-69 years, female 302.3
GTEX-14B4R-0126-SM-5TDE4 30-39 years, male 300.0
GTEX-1B8KE-0626-SM-7189H 50-59 years, male 298.7
GTEX-1CB4H-0126-SM-7IGN2 60-69 years, female 298.7
GTEX-16AAH-0326-SM-7DHML 50-59 years, male 296.7
GTEX-Y5V6-0526-SM-4VBRV 60-69 years, male 296.3
GTEX-17F97-0626-SM-7IGOH 50-59 years, male 294.8
GTEX-14PII-0826-SM-6871S 60-69 years, male 290.2
GTEX-1KD4Q-1026-SM-CXZKJ 40-49 years, male 284.5
GTEX-T6MO-0226-SM-32QOL 40-49 years, female 282.9
GTEX-WXYG-0226-SM-3NB2Y 50-59 years, female 280.9
GTEX-1JJE9-0226-SM-CY8HU 70-79 years, male 280.5
GTEX-T5JW-1226-SM-3GACY 20-29 years, female 280.2
GTEX-WK11-0926-SM-3NMAU 50-59 years, male 277.9
GTEX-Y114-0626-SM-4TT98 50-59 years, female 277.8
GTEX-U3ZM-0126-SM-3DB8M 40-49 years, male 277.7
GTEX-1KXAM-1726-SM-D3LAE 60-69 years, male 277.2
GTEX-15EU6-1426-SM-6M48E 50-59 years, male 276.0
GTEX-1PFEY-0226-SM-EVR3M 30-39 years, male 273.6
GTEX-1N5O9-1026-SM-DTX8Y 60-69 years, male 273.1
GTEX-1HBPM-0926-SM-ARL9C 60-69 years, female 272.6
GTEX-1F5PL-0826-SM-7MXU7 40-49 years, female 267.8
GTEX-14PJ6-0326-SM-6871H 60-69 years, female 267.7
GTEX-ZA64-0426-SM-5HL96 20-29 years, male 266.3
GTEX-UJMC-0326-SM-3GAE2 50-59 years, male 266.0
GTEX-1RAZA-0826-SM-EAZ4I 20-29 years, male 265.9
GTEX-OIZF-2626-SM-7P8QZ 60-69 years, male 265.3
GTEX-1399U-0326-SM-5P9G5 50-59 years, female 262.7
GTEX-1O9I2-1226-SM-E6CQC 50-59 years, male 261.8
GTEX-15UF6-1126-SM-6LPJ3 70-79 years, female 261.5
GTEX-11TTK-0826-SM-5N9EG 60-69 years, female 260.6
GTEX-13FXS-0726-SM-5LZXJ 50-59 years, male 255.4
GTEX-1JKYN-1126-SM-CGQG5 30-39 years, male 255.0
GTEX-OIZI-0726-SM-2XCEI 40-49 years, male 254.9
GTEX-1PDJ9-0826-SM-E76PS 20-29 years, male 253.5
GTEX-ZV6S-0226-SM-59HJT 40-49 years, female 253.4
GTEX-1211K-0726-SM-5FQUW 60-69 years, female 252.2
GTEX-18D9B-0726-SM-72D6K 60-69 years, male 252.1
GTEX-O5YV-1526-SM-EV799 60-69 years, female 250.8
GTEX-VJYA-0426-SM-3GIJK 60-69 years, male 250.3
GTEX-13D11-0226-SM-5LZXL 50-59 years, female 249.7
GTEX-ZYY3-1926-SM-5GZXS 60-69 years, female 247.7
GTEX-1H2FU-0626-SM-9WPPS 60-69 years, female 247.5
GTEX-12WSJ-0326-SM-5GCMT 40-49 years, female 247.2
GTEX-1KANC-0826-SM-D3LA8 50-59 years, female 247.0
GTEX-S341-0226-SM-D4P1Y 40-49 years, female 246.6
GTEX-13VXU-0826-SM-5KLZ2 50-59 years, male 246.4
GTEX-144GO-0126-SM-5LUAO 60-69 years, male 246.3
GTEX-14PK6-0426-SM-6EU1J 70-79 years, female 246.1
GTEX-11DZ1-2726-SM-5A5KH 50-59 years, male 244.2
GTEX-ZYFG-0626-SM-5GZYA 60-69 years, female 243.7
GTEX-Z9EW-0226-SM-5CVM7 40-49 years, male 243.0
GTEX-ZAJG-0726-SM-5HL9A 50-59 years, female 242.9
GTEX-132QS-0326-SM-5IJFN 60-69 years, male 241.3
GTEX-WYBS-1926-SM-3NM8N 60-69 years, female 239.9
GTEX-1A3MV-0326-SM-73KW7 30-39 years, male 239.0
GTEX-1GPI7-0726-SM-9WG84 20-29 years, male 237.0
GTEX-13NZ8-0226-SM-5J2OK 60-69 years, female 236.6
GTEX-SUCS-0226-SM-32PLQ 70-79 years, male 236.6
GTEX-1HBPN-1226-SM-B2LW9 50-59 years, male 234.3
GTEX-TKQ1-0126-SM-33HB3 30-39 years, male 233.6
GTEX-1NUQO-0926-SM-DTXEX 20-29 years, female 231.5
GTEX-WFG8-0426-SM-3GILD 20-29 years, male 229.3
GTEX-P4QS-2626-SM-2I3EV 60-69 years, male 228.8
GTEX-XLM4-0726-SM-4AT64 60-69 years, male 228.8
GTEX-1IKOH-0626-SM-CJI35 60-69 years, female 228.5
GTEX-12WSH-0226-SM-5GCOG 50-59 years, male 227.9
GTEX-Y3I4-0226-SM-4TT27 50-59 years, male 227.9
GTEX-YEC3-0826-SM-4WWFP 50-59 years, male 227.8
GTEX-14JG6-1326-SM-9OSXU 30-39 years, female 227.7
GTEX-14C38-0826-SM-5S2U8 50-59 years, male 227.6
GTEX-WYJK-1626-SM-3NM9J 50-59 years, male 227.5
GTEX-QEG5-0826-SM-2I5GF 20-29 years, male 227.2
GTEX-1F52S-0526-SM-7P8TP 60-69 years, female 226.9
GTEX-13CF3-0926-SM-5LZZC 60-69 years, female 226.8
GTEX-1JMPY-0126-SM-CJI39 30-39 years, male 226.8
GTEX-1ICLY-0726-SM-A96TB 50-59 years, male 226.7
GTEX-12WSK-0926-SM-5CVNQ 40-49 years, female 226.3
GTEX-1IDJU-1626-SM-CJI4B 60-69 years, female 226.0
GTEX-1PIGE-0726-SM-DPRZD 20-29 years, male 225.0
GTEX-WFG7-0326-SM-DKPO8 20-29 years, male 224.9
GTEX-11EM3-0126-SM-5985K 20-29 years, female 223.9
GTEX-1PPGY-1426-SM-EVR3R 60-69 years, male 223.1
GTEX-12WSL-0626-SM-5GCOY 50-59 years, male 222.3
GTEX-11DYG-0826-SM-5N9GH 60-69 years, male 222.1
GTEX-11EI6-0726-SM-59866 60-69 years, male 221.6
GTEX-14E6E-0326-SM-73KY6 30-39 years, male 221.6
GTEX-OHPM-2626-SM-33HC5 50-59 years, male 221.5
GTEX-17GQL-0226-SM-7LTAK 60-69 years, male 221.2
GTEX-12WSN-0726-SM-5GCMS 40-49 years, male 220.7
GTEX-15DZA-0226-SM-7KFS6 30-39 years, female 220.0
GTEX-13NYC-2426-SM-5MR3K 60-69 years, male 219.2
GTEX-1B97I-0326-SM-7DUGB 40-49 years, male 218.5
GTEX-14ASI-0726-SM-5Q5DC 60-69 years, male 217.8
GTEX-16GPK-0926-SM-6LPJ9 60-69 years, male 217.5
GTEX-WH7G-0526-SM-3NMBI 40-49 years, male 216.4
GTEX-1RAZR-1126-SM-E6CRC 40-49 years, male 216.4
GTEX-1I1GS-0726-SM-C1YS7 60-69 years, male 215.2
GTEX-WHSB-1626-SM-3LK6J 50-59 years, male 214.9
GTEX-13QBU-0626-SM-5J2OG 40-49 years, female 212.0
GTEX-13O1R-0826-SM-5J2MB 60-69 years, male 211.6
GTEX-OXRP-0326-SM-33HBJ 60-69 years, female 211.5
GTEX-Y5LM-0626-SM-4V6G4 40-49 years, female 211.5
GTEX-15G19-0626-SM-6M474 60-69 years, male 210.8
GTEX-13FLW-0326-SM-5J2M4 50-59 years, male 209.9
GTEX-14PN4-1526-SM-6871V 50-59 years, male 209.9
GTEX-YB5K-0526-SM-5LUAS 40-49 years, female 209.8
GTEX-RVPV-1226-SM-2TF73 60-69 years, male 209.4
GTEX-1K9T9-0826-SM-EAZ4X 50-59 years, female 209.0
GTEX-113JC-0126-SM-5EGJW 50-59 years, female 208.6
GTEX-R3RS-0726-SM-3GIJR 40-49 years, female 208.0
GTEX-1RQEC-1026-SM-EVR5B 60-69 years, male 207.8
GTEX-YFCO-0326-SM-4W1ZP 40-49 years, male 206.3
GTEX-13VXT-0626-SM-5SIA1 20-29 years, female 206.0
GTEX-11P82-0226-SM-5HL4O 20-29 years, male 205.1
GTEX-1FIGZ-0226-SM-7P8QR 40-49 years, male 205.1
GTEX-13OVJ-0626-SM-5J2O2 50-59 years, female 204.5
GTEX-1CB4J-1426-SM-7MKFR 60-69 years, male 204.5
GTEX-13PDP-1026-SM-5L3FA 60-69 years, male 204.1
GTEX-TSE9-0626-SM-3DB8B 60-69 years, female 203.8
GTEX-14PJ3-0126-SM-69LQP 50-59 years, male 203.5
GTEX-13JVG-0926-SM-5IJE1 60-69 years, male 202.5
GTEX-1HUB1-1226-SM-B2LWX 60-69 years, male 202.5
GTEX-SN8G-1526-SM-4DM79 50-59 years, female 202.2
GTEX-13OW8-0126-SM-5IJE5 60-69 years, male 201.3
GTEX-TMMY-0826-SM-33HB9 40-49 years, female 201.2
GTEX-RUSQ-1026-SM-2TF6V 50-59 years, male 201.0
GTEX-13N11-1026-SM-5K7XQ 50-59 years, female 200.7
GTEX-1GF9W-0626-SM-7MXVJ 60-69 years, male 200.3
GTEX-1R46S-0426-SM-EVR48 60-69 years, female 199.9
GTEX-13PVQ-0726-SM-5L3GI 50-59 years, male 199.2
GTEX-OXRN-1526-SM-E6CHM 50-59 years, male 198.6
GTEX-146FR-0326-SM-5SI8U 60-69 years, female 198.0
GTEX-1F75A-0326-SM-7MXTR 50-59 years, male 197.9
GTEX-131XF-1826-SM-5EGKG 60-69 years, male 197.4
GTEX-XUW1-1026-SM-4BONY 50-59 years, female 197.2
GTEX-1HFI7-0326-SM-9WPOX 50-59 years, female 197.0
GTEX-1HSMQ-0526-SM-A96TY 50-59 years, male 196.3
GTEX-P78B-0526-SM-2I5F7 40-49 years, female 196.1
GTEX-ZTSS-0226-SM-59877 40-49 years, male 195.9
GTEX-11GS4-0826-SM-5986J 60-69 years, male 195.8
GTEX-1AMFI-0526-SM-7189M 50-59 years, female 195.8
GTEX-12ZZZ-1226-SM-59HK1 60-69 years, male 195.7
GTEX-XBED-0126-SM-47JY7 60-69 years, male 194.4
GTEX-1122O-0226-SM-5N9DA 60-69 years, female 193.7
GTEX-OHPK-2626-SM-2HMK9 50-59 years, female 193.4
GTEX-1AX9K-0626-SM-73KVD 50-59 years, male 192.8
GTEX-SNOS-0226-SM-32PLR 40-49 years, male 192.6
GTEX-ZF29-0726-SM-DO92H 60-69 years, female 192.4
GTEX-NFK9-0726-SM-2HMJW 40-49 years, male 191.6
GTEX-111FC-1026-SM-5GZX1 60-69 years, male 191.5
GTEX-1RAZQ-0926-SM-EAZ4Q 30-39 years, male 191.5
GTEX-13OVG-0226-SM-5LU93 60-69 years, male 190.9
GTEX-1B8KZ-0426-SM-731DP 50-59 years, male 190.6
GTEX-1497J-0126-SM-5Q5BK 60-69 years, male 188.9
GTEX-1QP67-0326-SM-EVR45 40-49 years, female 188.9
GTEX-ZF28-0826-SM-4WKGJ 60-69 years, male 188.6
GTEX-U8T8-2326-SM-3DB96 60-69 years, male 188.2
GTEX-1MUQO-0726-SM-E9TJM 60-69 years, male 188.0
GTEX-OXRK-0626-SM-2HMJ5 50-59 years, female 187.7
GTEX-13PL6-1026-SM-5L3E5 40-49 years, female 186.8
GTEX-11OF3-0626-SM-5BC4Y 60-69 years, male 186.5
GTEX-1H1E6-0326-SM-9OSWE 30-39 years, male 186.3
GTEX-PWN1-2626-SM-2I3FH 40-49 years, female 186.2
GTEX-1LG7Y-0626-SM-DHXJM 50-59 years, male 186.0
GTEX-147F4-0826-SM-5QGRB 50-59 years, male 185.8
GTEX-144GM-0226-SM-5Q5CB 20-29 years, male 185.6
GTEX-1B97J-0626-SM-7P8RU 50-59 years, female 185.2
GTEX-ZY6K-0226-SM-5SIAY 50-59 years, male 185.1
GTEX-13O61-0226-SM-5KM52 60-69 years, male 185.0
GTEX-1HCVE-0726-SM-A96SH 50-59 years, male 184.1
GTEX-111CU-0226-SM-5GZXC 50-59 years, male 184.0
GTEX-1A8G6-0626-SM-7IGNB 60-69 years, male 184.0
GTEX-15G1A-0326-SM-6M467 30-39 years, male 183.6
GTEX-11I78-0526-SM-5986A 50-59 years, female 183.5
GTEX-ZTPG-0826-SM-5DUVC 20-29 years, female 183.2
GTEX-1HBPH-0926-SM-A9SME 40-49 years, female 182.5
GTEX-ZGAY-1026-SM-4WWBR 40-49 years, female 182.4
GTEX-1ICG6-0426-SM-ARU7M 70-79 years, female 182.1
GTEX-ZPCL-0126-SM-4WWC8 60-69 years, female 181.5
GTEX-1GF9V-0926-SM-9KNW7 60-69 years, male 181.4
GTEX-13RTK-0326-SM-5RQHS 20-29 years, male 181.3
GTEX-ZV7C-0126-SM-57WDE 50-59 years, male 181.2
GTEX-14C39-0226-SM-5TDDW 40-49 years, male 180.9
GTEX-1CB4I-0726-SM-7DUGS 50-59 years, male 180.9
GTEX-13FTW-0626-SM-5IFEX 40-49 years, male 180.5
GTEX-1JJ6O-0626-SM-AHZ3H 60-69 years, male 180.5
GTEX-1RQED-0926-SM-EWRNZ 60-69 years, male 180.5
GTEX-139T6-0326-SM-5J2LY 50-59 years, male 180.3
GTEX-12696-0326-SM-5EGL4 60-69 years, male 179.6
GTEX-XGQ4-0426-SM-4AT4I 50-59 years, male 179.6
GTEX-V955-0426-SM-3GAEL 60-69 years, male 178.1
GTEX-145LT-0226-SM-5S2QK 40-49 years, male 176.9
GTEX-145ME-0126-SM-5S2QM 40-49 years, female 176.2
GTEX-148VJ-0726-SM-5LU8J 70-79 years, male 176.0
GTEX-18D9A-0126-SM-7KFSI 30-39 years, female 175.8
GTEX-1HKZK-0826-SM-A9G2C 40-49 years, male 175.8
GTEX-1RAZS-1026-SM-E9TID 50-59 years, male 175.0
GTEX-T2IS-0626-SM-32QP6 20-29 years, female 174.4
GTEX-16NGA-0326-SM-718AJ 40-49 years, female 174.0
GTEX-17HII-1926-SM-79OLB 50-59 years, male 174.0
GTEX-131XG-0226-SM-5IFG1 50-59 years, female 173.7
GTEX-111YS-0726-SM-5GZY8 60-69 years, male 172.8
GTEX-QXCU-0326-SM-2TC63 50-59 years, male 172.6
GTEX-13O21-2226-SM-5MR3L 50-59 years, male 172.5
GTEX-1PPH8-0926-SM-DTX9U 20-29 years, male 172.5
GTEX-1HCUA-0126-SM-B2LWC 50-59 years, female 172.2
GTEX-ZLWG-0526-SM-4WWFB 50-59 years, female 172.0
GTEX-14C5O-0826-SM-5TDEG 60-69 years, male 171.9
GTEX-P44G-0626-SM-2I5EO 30-39 years, male 171.9
GTEX-1PIIG-2026-SM-EVR43 30-39 years, male 171.9
GTEX-11O72-2326-SM-5BC7H 40-49 years, male 171.8
GTEX-Q2AG-0826-SM-2HMKF 40-49 years, female 171.4
GTEX-1CAMR-0226-SM-7DUGO 20-29 years, male 170.7
GTEX-1HBPI-0826-SM-9WYTX 50-59 years, male 170.4
GTEX-13N1W-0826-SM-5MR5J 70-79 years, male 170.2
GTEX-P4QT-2626-SM-2I3FM 50-59 years, female 169.7
GTEX-131XH-0526-SM-5DUX7 50-59 years, male 169.5
GTEX-183WM-2626-SM-7KFRY 70-79 years, female 169.4
GTEX-XBEW-0126-SM-4AT66 40-49 years, male 169.4
GTEX-1HSEH-0826-SM-B2LXE 60-69 years, male 169.3
GTEX-1JKYR-0826-SM-ARU8L 20-29 years, male 168.6
GTEX-1J8QM-0726-SM-CE6RF 60-69 years, female 168.0
GTEX-1IY9M-1026-SM-A96TG 60-69 years, male 167.8
GTEX-U4B1-0626-SM-3DB8L 40-49 years, male 167.5
GTEX-ZQG8-0926-SM-57WFF 60-69 years, female 167.5
GTEX-1HGF4-0726-SM-9WYU9 60-69 years, male 167.4
GTEX-1GN1W-0126-SM-7MXV7 50-59 years, female 167.3
GTEX-RU1J-0226-SM-2TF5Y 20-29 years, female 167.2
GTEX-PLZ4-1226-SM-2I5FE 50-59 years, female 166.8
GTEX-1B933-1026-SM-7P8RO 50-59 years, female 166.4
GTEX-18D9U-1026-SM-72D5R 40-49 years, male 166.2
GTEX-X261-0726-SM-EZ6MH 50-59 years, male 166.2
GTEX-1GMR8-0826-SM-9KNUR 50-59 years, female 166.0
GTEX-13OW5-0626-SM-5J2N2 60-69 years, male 164.6
GTEX-QLQ7-0726-SM-2I5G2 60-69 years, male 164.6
GTEX-1399T-0126-SM-5KM15 60-69 years, male 164.1
GTEX-145MG-0826-SM-5Q5C2 50-59 years, male 164.1
GTEX-15ETS-0526-SM-6PAN3 40-49 years, female 163.7
GTEX-RWSA-0826-SM-2XCBF 40-49 years, male 163.0
GTEX-1HSGN-0726-SM-A9G2F 40-49 years, female 162.7
GTEX-R55C-0626-SM-2TF4Q 40-49 years, male 162.6
GTEX-1H1DF-1026-SM-9QEJ1 40-49 years, female 161.9
GTEX-145MH-0426-SM-5LU8T 50-59 years, male 161.8
GTEX-1EMGI-0826-SM-7EPHY 60-69 years, male 161.6
GTEX-ZF3C-0826-SM-DO11E 50-59 years, female 160.9
GTEX-1HT8W-1526-SM-CE6S3 30-39 years, male 160.7
GTEX-PWCY-2326-SM-2I3EQ 20-29 years, female 160.6
GTEX-S32W-0726-SM-2XCBL 50-59 years, female 160.6
GTEX-13RTJ-0326-SM-5YYAE 60-69 years, male 160.4
GTEX-1K2DA-1526-SM-CGQGQ 50-59 years, male 160.0
GTEX-13QJ3-0926-SM-73KX5 50-59 years, male 159.9
GTEX-1JMLX-0826-SM-CNNPP 50-59 years, male 159.8
GTEX-ZXG5-0926-SM-5NQ8H 60-69 years, male 159.7
GTEX-1I1GP-0326-SM-CNPQ4 50-59 years, male 159.6
GTEX-14ABY-0926-SM-5Q5DY 50-59 years, male 159.5
GTEX-15CHC-0126-SM-5YYBA 60-69 years, female 159.0
GTEX-1LVAM-0826-SM-EV79X 50-59 years, female 159.0
GTEX-14PKV-0626-SM-6AJA2 20-29 years, female 158.8
GTEX-ZQUD-0126-SM-7EPIS 30-39 years, male 158.8
GTEX-ZVZP-1026-SM-5GICI 50-59 years, male 158.5
GTEX-1HCU9-0226-SM-9WPNT 20-29 years, male 158.3
GTEX-1QP6S-2526-SM-DTX9Z 40-49 years, male 158.0
GTEX-1AX9I-0626-SM-72D54 60-69 years, male 157.8
GTEX-1M4P7-0626-SM-EVR51 60-69 years, male 157.7
GTEX-1C64N-1026-SM-79ONM 50-59 years, male 157.5
GTEX-Y111-1926-SM-4SOIS 50-59 years, male 157.5
GTEX-18A66-0826-SM-72D5Z 60-69 years, male 157.4
GTEX-13O3O-0926-SM-5KM1F 60-69 years, female 157.3
GTEX-1QP66-0326-SM-DTX7V 50-59 years, male 157.0
GTEX-13OW7-0826-SM-5L3EL 50-59 years, male 156.8
GTEX-1R9PM-0226-SM-DPRY7 20-29 years, male 156.1
GTEX-S7SF-0226-SM-5SI7H 20-29 years, female 155.9
GTEX-XMK1-0626-SM-4B65A 40-49 years, male 155.2
GTEX-17JCI-0626-SM-7IGM7 60-69 years, female 155.1
GTEX-145MI-1126-SM-5O9AK 60-69 years, female 154.6
GTEX-OXRO-1226-SM-48TDL 60-69 years, female 154.5
GTEX-1JMQJ-2026-SM-CNPP9 50-59 years, male 154.4
GTEX-WY7C-0226-SM-3NB37 50-59 years, male 154.3
GTEX-QV31-0726-SM-3GAEG 30-39 years, male 153.3
GTEX-1QP2A-0626-SM-DTX9C 50-59 years, male 153.0
GTEX-11DXZ-0926-SM-5N9CG 50-59 years, male 152.8
GTEX-16NPX-1426-SM-6LPK3 50-59 years, male 152.7
GTEX-WFJO-0226-SM-3GIKW 30-39 years, male 152.4
GTEX-14A6H-2426-SM-5Q5BO 30-39 years, male 151.2
GTEX-N7MS-2326-SM-2HMLD 60-69 years, male 150.9
GTEX-1CB4E-0326-SM-7MXT3 60-69 years, male 150.9
GTEX-13W46-0926-SM-5LU3T 50-59 years, male 150.8
GTEX-15EO6-0126-SM-6LPKJ 50-59 years, male 150.6
GTEX-1RMOY-0126-SM-EWRNN 50-59 years, male 150.5
GTEX-11EQ9-0626-SM-5A5K1 30-39 years, male 150.4
GTEX-14ICL-0426-SM-5RQJ3 30-39 years, male 150.3
GTEX-OXRL-2626-SM-2I3F1 50-59 years, male 150.2
GTEX-1I1GT-0826-SM-B2LWO 60-69 years, female 150.1
GTEX-13X6J-0826-SM-5LU32 50-59 years, male 149.7
GTEX-SJXC-0726-SM-2XCFJ 60-69 years, male 149.6
GTEX-WVLH-0626-SM-3MJG7 50-59 years, male 149.6
GTEX-1I6K7-1126-SM-A96SW 40-49 years, male 148.9
GTEX-1F75B-0826-SM-9QEIT 50-59 years, male 148.5
GTEX-18465-1426-SM-7KFTF 50-59 years, male 148.4
GTEX-OIZG-0226-SM-2TC5L 50-59 years, male 147.7
GTEX-1MGNQ-0726-SM-DPRYH 40-49 years, male 147.6
GTEX-14PKU-0326-SM-6AJA7 40-49 years, female 147.5
GTEX-15CHQ-0826-SM-69LOT 60-69 years, male 147.3
GTEX-1H3VE-0826-SM-9KNVQ 40-49 years, male 146.8
GTEX-1ICLZ-0526-SM-ARZM8 60-69 years, male 146.4
GTEX-1MCC2-0526-SM-DHXJS 30-39 years, female 146.4
GTEX-13YAN-0926-SM-5O9C3 60-69 years, male 146.2
GTEX-17F9E-0626-SM-79ON5 50-59 years, male 146.0
GTEX-1J1R8-0126-SM-CJI36 40-49 years, male 145.8
GTEX-1A8FM-0726-SM-7DUGK 50-59 years, female 145.5
GTEX-13OVK-0226-SM-6M472 40-49 years, male 145.3
GTEX-14BMV-0726-SM-73KVE 50-59 years, male 144.9
GTEX-1NV5F-0726-SM-DTXEH 60-69 years, female 144.9
GTEX-1QP9N-0126-SM-DPRZS 30-39 years, male 144.7
GTEX-1HB9E-0826-SM-CNNQJ 50-59 years, male 143.9
GTEX-1LGRB-1226-SM-CNNPS 50-59 years, female 143.9
GTEX-1RNSC-1126-SM-E9TIP 60-69 years, male 143.8
GTEX-WHSE-0626-SM-4RGNF 20-29 years, male 143.4
GTEX-1313W-0726-SM-5EGK1 50-59 years, female 143.3
GTEX-1PWST-0726-SM-EWRMO 70-79 years, male 143.3
GTEX-18A67-0826-SM-7KFTI 50-59 years, male 143.1
GTEX-1IGQW-0626-SM-C1YR9 60-69 years, male 143.1
GTEX-1GN73-0826-SM-9OSW4 60-69 years, male 142.2
GTEX-RWS6-0626-SM-2XCAS 60-69 years, female 142.1
GTEX-1LVAN-0726-SM-CNNPF 50-59 years, female 142.0
GTEX-147GR-0726-SM-5S2PL 60-69 years, male 141.1
GTEX-16XZZ-0826-SM-7IGM3 60-69 years, male 141.0
GTEX-1H1DG-0726-SM-A96TN 70-79 years, male 140.9
GTEX-1128S-0126-SM-5H12S 60-69 years, female 140.5
GTEX-1LGOU-0126-SM-EV79W 20-29 years, female 139.7
GTEX-Q2AI-0326-SM-2I3EK 40-49 years, male 139.3
GTEX-12WSC-0826-SM-5EQ5Q 50-59 years, male 139.1
GTEX-17F96-0526-SM-79OLE 70-79 years, male 139.0
GTEX-13OVI-0826-SM-5KLZ8 60-69 years, female 138.8
GTEX-1S83E-0726-SM-EV7B6 40-49 years, male 138.5
GTEX-1QAET-0226-SM-EVR3T 50-59 years, male 138.3
GTEX-1I19N-0226-SM-CE6ST 70-79 years, male 138.2
GTEX-1QCLZ-0626-SM-E6CR2 60-69 years, female 137.7
GTEX-13111-0226-SM-5EQ55 50-59 years, male 137.3
GTEX-1P4AB-1126-SM-DTX94 50-59 years, male 136.9
GTEX-ZVP2-0426-SM-57WC2 50-59 years, male 136.7
GTEX-WHPG-0226-SM-3NMB9 50-59 years, male 136.6
GTEX-132NY-1026-SM-5P9IY 60-69 years, male 136.0
GTEX-ZC5H-0626-SM-5LU9K 40-49 years, female 135.8
GTEX-ZTX8-0626-SM-59HKC 20-29 years, male 135.3
GTEX-1JMQL-0926-SM-CJI3F 50-59 years, female 135.3
GTEX-1QPFJ-0626-SM-DTX7Y 30-39 years, female 135.3
GTEX-ZUA1-0926-SM-4YCDX 40-49 years, male 134.4
GTEX-11P7K-0226-SM-5986Z 30-39 years, male 134.2
GTEX-1PBJJ-1926-SM-DTX8T 30-39 years, male 134.1
GTEX-QDVN-0626-SM-2I3FP 50-59 years, male 134.0
GTEX-17HHE-0426-SM-79OK3 50-59 years, male 133.9
GTEX-13QJC-0826-SM-5RQKC 60-69 years, female 133.8
GTEX-Y5V5-0326-SM-5RQJG 60-69 years, female 133.3
GTEX-1GTWX-0726-SM-9WPPA 60-69 years, male 133.2
GTEX-12WSE-1226-SM-73KUF 20-29 years, male 133.0
GTEX-XOT4-1526-SM-EAZ2W 60-69 years, female 132.7
GTEX-U3ZN-0326-SM-3DB86 30-39 years, female 132.3
GTEX-11P81-0126-SM-5HL5Y 30-39 years, female 132.1
GTEX-13FH7-0126-SM-5KLZ1 50-59 years, female 132.0
GTEX-13NYB-0726-SM-5MR4J 40-49 years, male 131.3
GTEX-1F6IF-1126-SM-9KNV2 60-69 years, male 131.3
GTEX-YJ89-0726-SM-5P9F7 60-69 years, male 131.1
GTEX-14BIN-0126-SM-5TDCG 50-59 years, female 130.7
GTEX-1B932-0926-SM-73KUP 40-49 years, female 130.5
GTEX-1GZ2Q-0826-SM-7P8TK 40-49 years, male 130.5
GTEX-1JJEA-0626-SM-D3L96 60-69 years, male 130.5
GTEX-1EWIQ-0826-SM-7MXTH 70-79 years, female 129.9
GTEX-14PJO-0626-SM-6LLHH 60-69 years, male 129.8
GTEX-17HHY-0826-SM-7EPID 50-59 years, male 129.8
GTEX-OOBJ-2626-SM-2I3F6 60-69 years, male 129.1
GTEX-1OJC4-0526-SM-E6CQV 50-59 years, female 129.0
GTEX-1J8JJ-0726-SM-AHZ3E 60-69 years, female 128.9
GTEX-1CB4F-0826-SM-793CV 60-69 years, male 128.7
GTEX-18QFQ-0726-SM-7LG6D 30-39 years, male 128.1
GTEX-1192X-1126-SM-5EGGU 50-59 years, male 127.2
GTEX-RM2N-0526-SM-2TF4N 50-59 years, male 127.2
GTEX-15SB6-1526-SM-7KUMQ 50-59 years, female 126.6
GTEX-117XS-0526-SM-5987Q 60-69 years, male 126.3
GTEX-RN5K-2826-SM-EZ6L3 50-59 years, female 126.0
GTEX-1LSVX-0726-SM-E9TJG 60-69 years, male 125.8
GTEX-13PVR-0626-SM-5S2RC 60-69 years, female 125.5
GTEX-1IOXB-1026-SM-CJI4D 50-59 years, male 125.5
GTEX-1A8G7-1026-SM-73KVA 60-69 years, male 125.4
GTEX-1LB8K-0626-SM-D4P3Z 50-59 years, male 125.3
GTEX-1H1ZS-0726-SM-A9G3K 70-79 years, male 125.1
GTEX-11DXX-0226-SM-5P9HL 60-69 years, female 124.5
GTEX-13O3Q-0626-SM-5IJG1 50-59 years, male 124.5
GTEX-1F75I-0926-SM-7MXUU 40-49 years, male 124.1
GTEX-QEL4-0726-SM-3GIJ5 50-59 years, male 124.0
GTEX-ZDYS-0626-SM-5J2N5 50-59 years, male 123.9
GTEX-1JK1U-0326-SM-CXZJH 60-69 years, male 123.5
GTEX-139UW-0126-SM-5KM1B 60-69 years, male 123.2
GTEX-X4LF-0426-SM-3NMB5 50-59 years, male 123.1
GTEX-ZYFC-0926-SM-5GZWW 50-59 years, male 123.0
GTEX-1BAJH-0926-SM-79OO6 70-79 years, male 122.6
GTEX-11TT1-1126-SM-5P9GV 20-29 years, male 122.5
GTEX-11LCK-0526-SM-5A5M9 30-39 years, male 122.3
GTEX-15D1Q-0626-SM-6AJAZ 40-49 years, male 122.3
GTEX-117YW-0126-SM-5EGGN 50-59 years, male 122.1
GTEX-1C6VS-0826-SM-7EWEI 60-69 years, male 121.8
GTEX-1QEPI-0726-SM-E76QG 60-69 years, female 121.8
GTEX-1HR9M-0626-SM-A96S6 60-69 years, male 121.3
GTEX-131YS-0726-SM-5P9G9 60-69 years, female 120.9
GTEX-14BMU-0226-SM-5S2QA 20-29 years, female 119.9
GTEX-1RDX4-0926-SM-E9U6D 50-59 years, female 119.9
GTEX-ZLV1-0126-SM-4WWBZ 60-69 years, female 119.5
GTEX-1MA7X-0926-SM-DIPEJ 60-69 years, male 119.5
GTEX-W5WG-1426-SM-4KKZP 50-59 years, female 119.4
GTEX-14753-0926-SM-5Q5BI 60-69 years, male 119.2
GTEX-18A6Q-0726-SM-7LT8Y 60-69 years, male 118.9
GTEX-ZPIC-0226-SM-DO91T 40-49 years, female 118.9
GTEX-13FLV-0226-SM-5J2OF 50-59 years, male 118.3
GTEX-16XZY-0726-SM-79OMU 70-79 years, male 118.1
GTEX-1212Z-0426-SM-5FQT6 60-69 years, male 117.9
GTEX-1HCU7-0826-SM-B2LX7 50-59 years, male 117.9
GTEX-Q2AH-0726-SM-2I3EA 40-49 years, male 117.8
GTEX-1R9JW-0226-SM-EVR4K 30-39 years, female 117.7
GTEX-18A7A-0826-SM-7KFTJ 50-59 years, female 117.5
GTEX-ZZPU-1326-SM-5GZWS 50-59 years, female 117.4
GTEX-1C6VQ-0526-SM-7MGWD 50-59 years, male 117.1
GTEX-1F48J-0926-SM-7P8PZ 50-59 years, female 117.1
GTEX-1R9K4-0726-SM-EWRN2 60-69 years, male 116.9
GTEX-12WSD-0926-SM-5GCNL 60-69 years, female 116.8
GTEX-1IKOE-0926-SM-ARU7X 30-39 years, female 116.6
GTEX-13FTY-0726-SM-5J2OH 40-49 years, female 116.1
GTEX-11NSD-0126-SM-5987F 20-29 years, male 115.2
GTEX-14DAQ-0826-SM-73KWT 60-69 years, female 115.2
GTEX-14PJM-1326-SM-664NX 50-59 years, female 115.2
GTEX-16YQH-0326-SM-6LPJV 30-39 years, male 115.1
GTEX-WRHU-0926-SM-4E3IG 50-59 years, female 115.1
GTEX-1CAMS-0826-SM-7P8P1 40-49 years, female 114.9
GTEX-1KD5A-0426-SM-D4P3X 50-59 years, male 114.9
GTEX-1QMI2-0826-SM-EXUT4 60-69 years, male 114.5
GTEX-ZLFU-0626-SM-4WWBO 40-49 years, male 114.3
GTEX-ZYFD-0826-SM-5NQ9A 50-59 years, male 114.3
GTEX-1HR98-0326-SM-CGQEL 60-69 years, male 114.3
GTEX-1J1OQ-0526-SM-A9G2P 40-49 years, female 113.8
GTEX-15ER7-0726-SM-7KUMF 20-29 years, female 113.5
GTEX-WWYW-0826-SM-3NB2X 50-59 years, female 113.5
GTEX-1C475-0226-SM-7MGXM 40-49 years, female 113.5
GTEX-131XE-0126-SM-5LZVC 50-59 years, male 112.6
GTEX-1C2JI-0326-SM-7EWFD 50-59 years, male 112.3
GTEX-W5X1-0426-SM-3GILB 40-49 years, female 112.0
GTEX-13113-0126-SM-5LZVX 60-69 years, female 111.7
GTEX-POYW-0826-SM-2XCEM 60-69 years, male 111.6
GTEX-17F9Y-0526-SM-7EWDC 70-79 years, female 111.3
GTEX-1QP28-0626-SM-E76P5 50-59 years, female 111.2
GTEX-139TS-0126-SM-5K7XJ 60-69 years, male 111.1
GTEX-13IVO-0926-SM-5KLZP 70-79 years, male 110.4
GTEX-1269C-0226-SM-5EGKS 60-69 years, female 110.3
GTEX-13X6H-0526-SM-5LU4Q 50-59 years, female 110.3
GTEX-Z93S-0526-SM-EVYB4 50-59 years, male 110.3
GTEX-1399R-0126-SM-5IFEV 30-39 years, male 110.1
GTEX-WEY5-0526-SM-3GIKZ 40-49 years, female 109.9
GTEX-111VG-0526-SM-5N9BW 60-69 years, male 109.8
GTEX-13FHP-0926-SM-5L3EC 50-59 years, male 109.5
GTEX-17HG3-0226-SM-7EWEA 30-39 years, female 109.2
GTEX-16MT8-0626-SM-6M47Q 60-69 years, female 109.1
GTEX-14E7W-0926-SM-5YYA4 70-79 years, male 108.8
GTEX-1IDJH-0826-SM-CE6SY 70-79 years, male 108.8
GTEX-1H11D-0626-SM-9WPQ1 40-49 years, male 108.3
GTEX-1I1GQ-0826-SM-CNNQR 50-59 years, male 108.3
GTEX-ZDTS-0926-SM-5YY9D 60-69 years, male 108.0
GTEX-15SHV-0426-SM-6M476 60-69 years, male 107.7
GTEX-11DXY-0426-SM-5H12R 60-69 years, male 107.1
GTEX-X8HC-0726-SM-46MWG 50-59 years, female 106.9
GTEX-1R9K5-0726-SM-EAZ4E 50-59 years, male 106.9
GTEX-1IE54-0926-SM-A9G2Y 40-49 years, female 106.4
GTEX-15SHU-0726-SM-7KUFI 40-49 years, female 106.1
GTEX-1GMR3-0726-SM-9WPOF 40-49 years, male 105.7
GTEX-1CAMQ-1126-SM-7EWFE 40-49 years, male 105.6
GTEX-1LH75-0626-SM-DIPG3 50-59 years, female 105.2
GTEX-17EVP-0126-SM-7EPHW 40-49 years, male 104.9
GTEX-1I1GV-0726-SM-ARZLY 60-69 years, male 104.0
GTEX-1GZ4I-0626-SM-9WPPN 50-59 years, male 103.6
GTEX-1GL5R-0626-SM-7PBZY 50-59 years, male 103.3
GTEX-ZYVF-1126-SM-5E458 50-59 years, female 103.2
GTEX-X4XX-0926-SM-46MV7 60-69 years, male 103.1
GTEX-133LE-0326-SM-5P9G4 20-29 years, female 102.9
GTEX-1IDJC-1026-SM-A96T2 50-59 years, male 102.8
GTEX-11ZTS-1126-SM-5LU9X 60-69 years, female 102.4
GTEX-13O3P-0726-SM-5J2OM 50-59 years, male 102.4
GTEX-17KNJ-1026-SM-79ONK 50-59 years, male 102.1
GTEX-1KAFJ-0426-SM-DHXJH 50-59 years, male 102.1
GTEX-13N2G-0726-SM-5MR38 60-69 years, male 101.9
GTEX-1AYCT-0226-SM-73KVB 50-59 years, male 101.9
GTEX-14PHW-2926-SM-6AJBA 60-69 years, female 101.7
GTEX-15CHR-1726-SM-7DUGW 50-59 years, male 101.2
GTEX-1GN1V-0626-SM-7P8QU 60-69 years, male 101.2
GTEX-1F88F-0726-SM-7P8R7 60-69 years, female 100.8
GTEX-1JMQK-2126-SM-CY8I2 60-69 years, male 100.6
GTEX-1GF9U-0226-SM-7P8TY 40-49 years, female 100.5
GTEX-13G51-1226-SM-5K7Z3 60-69 years, male 100.2
GTEX-13S86-1126-SM-5RQJX 40-49 years, male 99.4
GTEX-RN64-0626-SM-2TC5V 50-59 years, male 98.8
GTEX-1E1VI-0726-SM-7P8QJ 50-59 years, male 98.8
GTEX-16Z82-0426-SM-7EPGX 60-69 years, male 98.7
GTEX-ZAK1-0726-SM-5HL8Q 50-59 years, female 98.4
GTEX-X4XY-0826-SM-4E3JM 60-69 years, male 98.3
GTEX-1JMPZ-0626-SM-CY8HY 30-39 years, male 98.1
GTEX-1S5ZU-0726-SM-EWROH 20-29 years, female 98.1
GTEX-13FHO-0926-SM-5N9EW 60-69 years, male 97.2
GTEX-1B8L1-1626-SM-7IGMH 60-69 years, male 97.2
GTEX-VUSG-0426-SM-3GIKD 50-59 years, male 96.7
GTEX-U3ZH-0226-SM-3DB7B 30-39 years, male 96.1
GTEX-146FQ-0726-SM-5LUA7 30-39 years, male 96.0
GTEX-11EQ8-0826-SM-5N9FG 60-69 years, male 95.4
GTEX-R53T-0526-SM-3GADL 50-59 years, female 95.4
GTEX-1477Z-0226-SM-5TDCI 60-69 years, male 95.1
GTEX-QV44-0826-SM-2S1RG 50-59 years, male 95.0
GTEX-1EH9U-0926-SM-7EWF1 60-69 years, male 94.9
GTEX-1K2DU-0126-SM-E9TIU 20-29 years, male 94.2
GTEX-1HC8U-1226-SM-9WYUW 40-49 years, female 94.0
GTEX-14E6C-2626-SM-5RQJP 40-49 years, male 93.6
GTEX-PX3G-2626-SM-2I3EG 20-29 years, female 93.5
GTEX-1GN2E-0826-SM-9WYT8 60-69 years, male 93.4
GTEX-1HSKV-1026-SM-B2LWK 60-69 years, male 93.4
GTEX-11NUK-1026-SM-5HL5J 50-59 years, male 93.3
GTEX-11UD2-0626-SM-5GU6L 50-59 years, male 93.2
GTEX-XXEK-1326-SM-4BRV1 50-59 years, male 93.2
GTEX-12584-0826-SM-5FQSK 40-49 years, male 92.9
GTEX-1192W-0126-SM-5EGGS 60-69 years, male 92.8
GTEX-15RJ7-0326-SM-6M47H 40-49 years, male 92.7
GTEX-1HFI6-1326-SM-A9SL8 40-49 years, male 92.3
GTEX-1IL2V-0626-SM-ARU7S 70-79 years, male 92.0
GTEX-1EN7A-1026-SM-7IGPZ 40-49 years, male 91.7
GTEX-1QCLY-0826-SM-DTX8A 30-39 years, male 91.6
GTEX-12ZZY-0826-SM-5EQMT 60-69 years, male 91.1
GTEX-144GL-1226-SM-5O9A4 50-59 years, male 90.4
GTEX-SE5C-0726-SM-4BRWY 40-49 years, female 89.7
GTEX-1EU9M-0626-SM-7MXUT 60-69 years, male 89.7
GTEX-T6MN-0626-SM-32PM9 50-59 years, male 88.9
GTEX-1J8EW-1126-SM-A96T8 60-69 years, female 88.8
GTEX-183FY-0626-SM-79OKR 20-29 years, male 88.7
GTEX-11NV4-0626-SM-5N9BR 60-69 years, male 87.7
GTEX-R55E-0826-SM-2TC5M 20-29 years, male 87.2
GTEX-1GMRU-1126-SM-9KNV1 50-59 years, male 87.2
GTEX-132AR-1126-SM-5P9GA 50-59 years, female 87.0
GTEX-ZE7O-1126-SM-57WC8 50-59 years, female 86.1
GTEX-1PBJI-0726-SM-EXUSQ 20-29 years, female 86.0
GTEX-QDT8-1226-SM-EVR35 30-39 years, female 86.0
GTEX-RTLS-0626-SM-5SI7Z 60-69 years, female 85.9
GTEX-1HSMO-0726-SM-A96TM 60-69 years, male 84.9
GTEX-ZDXO-1726-SM-5HL6L 60-69 years, male 84.9
GTEX-1H1CY-0726-SM-9OSXX 60-69 years, female 84.7
GTEX-1JN6P-0626-SM-ARZN6 60-69 years, male 84.7
GTEX-S7SE-0726-SM-2XCD7 50-59 years, male 84.6
GTEX-ZYT6-0426-SM-5GID3 30-39 years, male 84.3
GTEX-1I1GR-1126-SM-A9G2I 60-69 years, male 84.0
GTEX-139YR-1226-SM-5IFEU 50-59 years, male 83.5
GTEX-1IKJJ-1026-SM-A96SQ 60-69 years, male 83.0
GTEX-1OJC3-0626-SM-E8VMO 20-29 years, male 82.6
GTEX-145LU-0426-SM-5O9AH 50-59 years, male 82.3
GTEX-1C6VR-0426-SM-7IGN6 60-69 years, male 82.0
GTEX-ZPU1-0426-SM-4WWCA 40-49 years, male 81.8
GTEX-WL46-0126-SM-3TW8I 50-59 years, male 81.3
GTEX-ZVT3-0726-SM-5GICN 60-69 years, female 81.2
GTEX-1AMEY-0126-SM-73KTX 30-39 years, female 80.6
GTEX-1GF9X-0126-SM-A9G38 40-49 years, female 80.3
GTEX-WYVS-0326-SM-3NM9V 40-49 years, female 80.1
GTEX-15RIE-0426-SM-7KUMH 60-69 years, male 79.9
GTEX-11EMC-0226-SM-5EGLP 60-69 years, female 79.8
GTEX-13NZ9-1126-SM-5MR37 50-59 years, male 79.3
GTEX-ZYW4-1126-SM-5SI99 60-69 years, male 79.2
GTEX-17HGU-0826-SM-7EWE5 50-59 years, male 78.5
GTEX-15DDE-0626-SM-69LOK 50-59 years, female 77.8
GTEX-1H1DE-0226-SM-ARZN8 20-29 years, male 77.3
GTEX-R55G-0726-SM-2TC6J 40-49 years, female 77.2
GTEX-13OW6-0726-SM-5L3FX 50-59 years, male 76.4
GTEX-ZT9X-0226-SM-51MT2 40-49 years, male 76.4
GTEX-XV7Q-0326-SM-4BRVM 40-49 years, female 76.1
GTEX-REY6-0526-SM-2TF5M 60-69 years, male 75.9
GTEX-178AV-0726-SM-6LPJI 40-49 years, male 75.5
GTEX-1LBAC-0726-SM-D3L9U 20-29 years, male 75.1
GTEX-11ZVC-0126-SM-5986G 50-59 years, female 75.0
GTEX-1O97I-1026-SM-E76PI 60-69 years, male 74.7
GTEX-17MF6-0626-SM-7LT8D 40-49 years, male 74.0
GTEX-YFC4-2626-SM-5P9FQ 40-49 years, female 72.6
GTEX-1MJK3-0326-SM-DTX96 20-29 years, male 71.5
GTEX-13112-0326-SM-5P9IW 50-59 years, male 71.4
GTEX-12ZZX-1226-SM-5EGHS 40-49 years, female 71.1
GTEX-ZVZQ-0626-SM-59HJU 60-69 years, female 69.7
GTEX-X15G-0526-SM-3NMB7 50-59 years, female 69.4
GTEX-1IL2U-0826-SM-CL53Q 60-69 years, male 69.3
GTEX-RNOR-0926-SM-2TF56 50-59 years, female 68.8
GTEX-SIU8-0626-SM-2XCDN 50-59 years, male 68.3
GTEX-1GZHY-1426-SM-9WG5H 50-59 years, female 68.2
GTEX-1CB4G-1526-SM-7P8QG 60-69 years, male 66.3
GTEX-169BO-0326-SM-7EPIM 50-59 years, male 65.2
GTEX-ZAB5-0726-SM-5P9JG 50-59 years, male 64.3
GTEX-WOFL-0726-SM-3MJG4 60-69 years, male 63.9
GTEX-15FZZ-0226-SM-6LLI4 30-39 years, female 63.2
GTEX-1B8SF-0626-SM-73KVV 60-69 years, male 62.6
GTEX-1C4CL-0726-SM-7IGP9 30-39 years, male 62.4
GTEX-15RJE-1326-SM-6LPI6 40-49 years, male 61.6
GTEX-Y8E4-0126-SM-4VBQ2 40-49 years, male 60.7
GTEX-148VI-0526-SM-5TDDG 60-69 years, female 60.5
GTEX-1GN1U-0826-SM-9WPPX 50-59 years, female 59.9
GTEX-1QW4Y-0226-SM-EAZ3U 30-39 years, male 59.6
GTEX-1AX8Z-0826-SM-7DUFZ 60-69 years, male 58.6
GTEX-1B8SG-1126-SM-7IGMT 50-59 years, male 57.8
GTEX-Y3IK-0526-SM-4WWE3 50-59 years, female 57.1
GTEX-RU72-0126-SM-2TF6Z 50-59 years, female 54.9
GTEX-14AS3-0226-SM-5Q5B6 40-49 years, female 53.7
GTEX-Q734-0526-SM-2I3EH 40-49 years, female 52.8
GTEX-14A5H-0726-SM-5Q5DW 60-69 years, male 52.5
GTEX-V1D1-0926-SM-4JBHQ 50-59 years, male 52.3
GTEX-13U4I-0526-SM-5LU59 40-49 years, female 52.1
GTEX-16MTA-0726-SM-7KUL4 50-59 years, male 51.4
GTEX-1EKGG-0726-SM-7IGPX 60-69 years, male 48.3
GTEX-17EVQ-0526-SM-7KFSK 70-79 years, male 43.8
GTEX-1I6K6-0726-SM-B2LX4 30-39 years, male 41.2
GTEX-11XUK-0226-SM-5EQLW 40-49 years, female 38.5
GTEX-14ICK-1626-SM-6ETZX 40-49 years, male 34.9
GTEX-12WSG-0226-SM-5EGIF 50-59 years, female 34.6
GTEX-OHPL-2626-SM-2HMJA 60-69 years, female 27.0
GTEX-11GSP-0126-SM-5A5KU 60-69 years, female 25.4
GTEX-XYKS-0826-SM-4BRVF 60-69 years, female 15.5
GTEX-1LG7Z-0526-SM-D4P3Q 30-39 years, male 14.1
Show allShow less

THYROID GLAND - FANTOM5 CAGEi

RNA expression in human tissues obtained through Cap Analysis of Gene Expression (CAGE) generated by the FANTOM5 project are reported as Scaled Tags Per Million.

Max subtype Scaled Tags Per Millioni

Max subtype Scaled Tags Per Million is the value for the subtype with the largest average Scaled Tags Per Million across the subtype samples.

560.8
FANTOM5 sample id Sample description Scaled Tags Per Million
Thyroid
Scaled Tags Per Million: 560.8
FF:10028-101E1 67,68,78 years, mixed 560.8

Contact

  • NEWS ARTICLES
  • PRESS ROOM

The Project

  • INTRODUCTION
  • ORGANIZATION
  • PUBLICATIONS

The Human Protein Atlas

  • DOWNLOADABLE DATA
  • LICENCE & CITATION
  • HELP & FAQ
The Human Protein Atlas project is funded
by the Knut & Alice Wallenberg Foundation.


contact@proteinatlas.org