We use cookies to enhance the usability of our website. If you continue, we'll assume that you are happy to receive all cookies. More information. Don't show this again.
GATM
HPA
RESOURCES
  • TISSUE
  • BRAIN
  • SINGLE CELL
  • SUBCELLULAR
  • CANCER
  • BLOOD
  • CELL LINE
  • STRUCTURE & INTERACTION
ABOUT
  • INTRODUCTION
  • HISTORY
  • ORGANIZATION
  • PUBLICATIONS
  • ANTIBODY SUBMISSION
  • ANTIBODY AVAILABILITY
  • ACKNOWLEDGMENTS
  • CONTACT
NEWS
  • NEWS ARTICLES
  • PRESS ROOM
LEARN
  • DICTIONARY
  • PROTEIN CLASSES
  • PROTEIN EVIDENCE
  • METHODS
  • EDUCATIONAL VIDEOS
DATA
  • DOWNLOADABLE DATA
  • PUBLICATION DATA
  • RELEASE HISTORY
HELP
  • ANTIBODY VALIDATION
  • ASSAYS & ANNOTATION
  • DISCLAIMER
  • HELP & FAQ
  • PRIVACY STATEMENT
  • LICENCE & CITATION
Fields »
Search result

Field
Term
Gene name
Class
Subclass
Class
Keyword
Chromosome
External id
Tissue
Cell type
Expression
Antibody panel
Tissue
Main location
Patient ID
Annotation
Tissue
Category
Tau score
Cluster
Reliability
Brain region
Category
Tau score
Brain region
Category
Tau score
Brain region
Category
Tau score
Cluster
Reliability
Tissue
Cell type
Enrichment
Cell type
Category
Tau score
Cell type
Category
Tau score
Cell type
Category
Tau score
Cell lineage
Category
Tau score
Cluster
Cluster
Location
Searches
Location
Cell line
Class
Type
Phase
Reliability
Cancer
Prognosis
Cancer
Category
Cancer
Category
Tau score
Cluster
Variants
Interacting gene (ensg_id)
Type
Number of interactions
Pathway
Category
Score
Score
Score
Validation
Validation
Validation
Validation
Antibodies
Data type
Column


  • SUMMARY

  • TISSUE

  • BRAIN

  • SINGLE CELL

  • SUBCELL

  • CANCER

  • BLOOD

  • CELL LINE

  • STRUCT & INT

  • GATM
TISSUE PRIMARY DATA PANCREAS Show tissue menu
ADIPOSE TISSUE ADRENAL GLAND AMYGDALA APPENDIX BASAL GANGLIA BONE MARROW BREAST BRONCHUS CEREBELLUM CEREBRAL CORTEX CERVIX CHOROID PLEXUS COLON DUODENUM
ENDOMETRIUM EPIDIDYMIS ESOPHAGUS FALLOPIAN TUBE GALLBLADDER HEART MUSCLE HIPPOCAMPAL FORMATION HYPOTHALAMUS KIDNEY LIVER LUNG LYMPH NODE MIDBRAIN NASOPHARYNX
ORAL MUCOSA OVARY PANCREAS PARATHYROID GLAND PITUITARY GLAND PLACENTA PROSTATE RECTUM RETINA SALIVARY GLAND SEMINAL VESICLE SKELETAL MUSCLE SKIN SMALL INTESTINE
SMOOTH MUSCLE SOFT TISSUE SPINAL CORD SPLEEN STOMACH TESTIS THYMUS THYROID GLAND TONGUE TONSIL URINARY BLADDER VAGINA
ANTIBODIES
AND
VALIDATION
Dictionary
Pancreas
Tissue proteome
Pancreas
PANCREAS - Expression summary
Protein expression
Pancreasi

On the top, protein expression in current human tissue, based on all annotated cell types, is reported with the units not detected (n), low (l), medium (m) and high (h). Underneath, protein expression in each annotated cell type are reported using the same units.

Protein expression data is based on knowledge-based annotation. For genes where more than one antibody has been used, a collective score is set.

If knowledge-based annotation could not be performed for a gene, no data is displayed here. View antibody staining data further down this page.

h
m
l
n
Exocrine glandular cells: High
Pancreatic endocrine cells: Not detected
RNA expressioni

A summary of mRNA expression data available for current tissue based on several datasets. The mRNA expression levels in human tissues are based on RNA-seq data generated by the Human Protein Atlas (HPA), Genotype-Tissue Expression (GTEx) portal and CAGE data generated by the FANTOM5 consortium. Consensus normalized expression levels for human tissues was created by combining the data from HPA and GTEx datasets.

The mRNA expression levels in pig are based on RNA-seq data generated by the Human Protein Atlas (HPA), and for mouse, HPA data and in situ hybridization generated by the Allen brain atlas are reported.

Scroll down to view mRNA expression data in more detail.
Consensus:2843.6 nTPM
HPA:2843.6 nTPM
GTEx:1375.6 nTPM
FANTOM5:4728.0 Scaled Tags Per Million

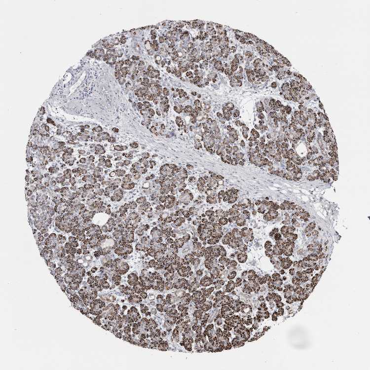
PANCREAS - Antibody stainingi

Antibody staining in the annotated cell types in the current human tissue is reported as not detected, low, medium, or high, based on conventional immunohistochemistry profiling in selected tissues. This score is based on the combination of the staining intensity and fraction of stained cells.

Each image is clickable and will lead to virtual microscopy that enables deeper exploration of all samples and also displays staining intensity scores, fraction scores and subcellular localization as well as patient and tissue information for each sample.

Antibody HPA026077
Exocrine glandular cells High
Pancreatic endocrine cells Not detected



PANCREAS - HPA RNA-seqi

The RNA-seq details section shows detailed information about the individual samples used for the transcript profiling and results of the RNA-seq analysis.

Information about each individual sample is listed below, including gender, age, a tissue section image and estimated fractions of cell types. nTPM (normalized transcripts per million) values give a quantification of the gene abundance which is comparable between different genes and samples.
Average nTPMi

Max subtype nTPM is the value for the subtype with the largest average nTPM across the subtype samples.

2843.6
overview
Female, age 59
Pancreas sample 194
nTPM: 2498.7
Cell types%
Exocrine glandular cells:
75

Pancreatic endocrine cells:
10

Ductal cells:
5

Other cell types:
10

overview
Male, age 60
Pancreas sample 195
nTPM: 3188.6
Cell types%
Exocrine glandular cells:
90

Pancreatic endocrine cells:
5

Ductal cells:
5


PANCREAS - GTEx RNA-seqi

RNA-Seq data generated by the Genotype-Tissue Expression (GTEx) project from human tissues is reported as mean nTPM. More information can be found on the GTEx portal.

Distribution across the dataset is visualized with box plots, shown as median and 25th and 75th percentiles. Points are displayed as outliers if they are above or below 1.5 times the interquartile range. nTPM values of the individual samples are presented next to the box plot.
Max subtype nTPMi

Max subtype nTPM is the value for the subtype with the largest average nTPM across the subtype samples.

1375.6
GTEx sample id Sample description nTPM
Pancreas
Average nTPM: 1375.6
Samples: 328

Max nTPM: 3311.6
Min nTPM: 184.4
Std nTPM: 597.5
Median nTPM: 1332.1
GTEX-13PVR-0726-SM-5S2PX 60-69 years, female 3311.6
GTEX-11NSD-0526-SM-5A5LT 20-29 years, male 3220.5
GTEX-WYVS-0926-SM-4SOJV 40-49 years, female 3178.6
GTEX-13SLX-1326-SM-5S2QS 50-59 years, female 3039.8
GTEX-W5WG-0826-SM-4RGNE 50-59 years, female 2903.8
GTEX-14PN3-0126-SM-6AJAU 60-69 years, female 2819.0
GTEX-1J8EW-1926-SM-CGQGR 60-69 years, female 2724.6
GTEX-QV31-0226-SM-447BO 30-39 years, male 2691.1
GTEX-WH7G-0826-SM-4LVMR 40-49 years, male 2657.3
GTEX-ZPU1-0226-SM-4WWC9 40-49 years, male 2574.1
GTEX-15SB6-0226-SM-6LLIA 50-59 years, female 2548.1
GTEX-14PJM-2126-SM-6AJAS 50-59 years, female 2536.7
GTEX-146FR-0126-SM-5Q5F3 60-69 years, female 2518.8
GTEX-1KXAM-0226-SM-EV7AP 60-69 years, male 2502.6
GTEX-ZT9W-0926-SM-57WFS 50-59 years, male 2491.1
GTEX-OOBJ-1026-SM-3NB2L 60-69 years, male 2490.8
GTEX-15SHV-1526-SM-6LLIB 60-69 years, male 2487.5
GTEX-1CB4F-1226-SM-7DHKU 60-69 years, male 2458.2
GTEX-1C2JI-0926-SM-731F1 50-59 years, male 2436.7
GTEX-1QEPI-1626-SM-EAZ3I 60-69 years, female 2434.1
GTEX-ZAK1-2326-SM-5CVMY 50-59 years, female 2402.0
GTEX-13FLV-0626-SM-5IFEY 50-59 years, male 2397.5
GTEX-ZEX8-1026-SM-4WKHE 50-59 years, male 2389.0
GTEX-14PJ3-0426-SM-6LLHF 50-59 years, male 2350.7
GTEX-YFCO-1026-SM-5LU9S 40-49 years, male 2345.1
GTEX-12WSK-0226-SM-5BC62 40-49 years, female 2313.0
GTEX-145ME-0326-SM-5S2QO 40-49 years, female 2271.0
GTEX-QCQG-0426-SM-48U29 50-59 years, female 2247.0
GTEX-WRHK-0226-SM-4MVOH 20-29 years, female 2239.1
GTEX-17KNJ-1926-SM-7KFRV 50-59 years, male 2223.2
GTEX-178AV-0226-SM-793B7 40-49 years, male 2218.9
GTEX-1CAMQ-1626-SM-7MGXG 40-49 years, male 2205.6
GTEX-11ONC-0526-SM-5BC57 60-69 years, male 2189.2
GTEX-145MN-1426-SM-5SI9H 30-39 years, male 2184.1
GTEX-XGQ4-0226-SM-4GIDS 50-59 years, male 2156.5
GTEX-YF7O-1326-SM-4W1ZR 50-59 years, male 2155.0
GTEX-15ER7-1326-SM-6LPK9 20-29 years, female 2140.7
GTEX-14C39-1026-SM-73KWG 40-49 years, male 2122.2
GTEX-ZF29-1126-SM-4WKGO 60-69 years, female 2119.9
GTEX-11P7K-0526-SM-5BC5I 30-39 years, male 2107.7
GTEX-ZVP2-0726-SM-59HKY 50-59 years, male 2066.0
GTEX-QV44-0426-SM-4R1KF 50-59 years, male 2055.8
GTEX-1AX9K-2026-SM-731D1 50-59 years, male 2044.6
GTEX-14PJN-1526-SM-6AJBP 30-39 years, male 2041.6
GTEX-1399R-0426-SM-5IJE3 30-39 years, male 2040.2
GTEX-17HHE-0526-SM-7DUGR 50-59 years, male 2036.5
GTEX-X3Y1-0726-SM-3P5YU 40-49 years, male 2014.0
GTEX-ZLFU-0726-SM-57WF6 40-49 years, male 2010.6
GTEX-17F9E-1426-SM-793BG 50-59 years, male 2003.8
GTEX-1GF9X-1126-SM-7MKHC 40-49 years, female 2003.5
GTEX-18A7A-1726-SM-7LT93 50-59 years, female 1986.9
GTEX-OIZI-1526-SM-E6CHI 40-49 years, male 1986.8
GTEX-1I1GQ-2226-SM-B2LX1 50-59 years, male 1964.2
GTEX-Y8E4-1326-SM-5IFIY 40-49 years, male 1958.7
GTEX-YB5K-1826-SM-5IFJC 40-49 years, female 1949.3
GTEX-X5EB-0526-SM-46MVP 40-49 years, male 1948.3
GTEX-14PKV-0926-SM-6AJB4 20-29 years, female 1920.8
GTEX-XQ8I-1926-SM-4BOOK 50-59 years, male 1916.1
GTEX-Y3I4-0826-SM-4TT2A 50-59 years, male 1909.3
GTEX-12BJ1-1126-SM-5EGGG 60-69 years, male 1884.3
GTEX-15UKP-1326-SM-6LPI8 20-29 years, male 1879.0
GTEX-15RIF-0626-SM-6LLI3 20-29 years, male 1870.0
GTEX-1B8KZ-0926-SM-731D7 50-59 years, male 1869.3
GTEX-18A6Q-1726-SM-7LT9A 60-69 years, male 1863.7
GTEX-1QP28-1026-SM-EAZ4K 50-59 years, female 1862.7
GTEX-12WSD-1626-SM-5GCNR 60-69 years, female 1859.4
GTEX-1IDJU-0326-SM-CGQEE 60-69 years, female 1855.4
GTEX-148VI-0826-SM-5TDDI 60-69 years, female 1852.0
GTEX-1S83E-1426-SM-EV7B8 40-49 years, male 1815.4
GTEX-1IL2U-2326-SM-CNNQV 60-69 years, male 1810.6
GTEX-R53T-0426-SM-48FEM 50-59 years, female 1795.2
GTEX-P4PP-1026-SM-3NM9O 30-39 years, female 1794.6
GTEX-1H1E6-0826-SM-9WG83 30-39 years, male 1784.3
GTEX-PX3G-1026-SM-48TZW 20-29 years, female 1782.3
GTEX-14PJ6-0926-SM-686ZA 60-69 years, female 1782.1
GTEX-12WSG-1026-SM-5EGII 50-59 years, female 1771.0
GTEX-1A8FM-1826-SM-7MGXO 50-59 years, female 1768.1
GTEX-YEC4-1326-SM-5IFHG 40-49 years, male 1765.6
GTEX-1GN1U-1126-SM-9WPPZ 50-59 years, female 1759.3
GTEX-13D11-2226-SM-5IFEO 50-59 years, female 1756.9
GTEX-XMK1-0326-SM-4B652 40-49 years, male 1744.2
GTEX-1J8Q3-0626-SM-AHZ3V 60-69 years, male 1739.6
GTEX-15DYW-1626-SM-6LLI1 60-69 years, female 1734.1
GTEX-PLZ6-0726-SM-3P619 30-39 years, male 1733.3
GTEX-11GSP-0426-SM-5A5KX 60-69 years, female 1728.3
GTEX-OXRK-1526-SM-E6CHJ 50-59 years, female 1724.0
GTEX-1211K-1126-SM-5EGGB 60-69 years, female 1709.4
GTEX-S3XE-0526-SM-4AD4G 50-59 years, male 1708.2
GTEX-15CHR-2026-SM-7MXU2 50-59 years, male 1705.8
GTEX-111YS-1226-SM-5EGGJ 60-69 years, male 1703.1
GTEX-Q734-0426-SM-48TZX 40-49 years, female 1692.5
GTEX-15RJ7-0826-SM-6LLI8 40-49 years, male 1691.2
GTEX-1OFPY-0626-SM-EXOJ4 60-69 years, male 1670.3
GTEX-13OVI-0526-SM-5IFFQ 60-69 years, female 1669.2
GTEX-1R7EU-0726-SM-DPRZM 60-69 years, male 1662.9
GTEX-11LCK-0226-SM-5A5M6 30-39 years, male 1658.2
GTEX-14PK6-1026-SM-664NZ 70-79 years, female 1654.0
GTEX-145MO-2126-SM-5Q5CZ 60-69 years, male 1653.4
GTEX-P4PQ-1026-SM-3NMCN 60-69 years, male 1648.1
GTEX-XPVG-0326-SM-4B653 50-59 years, male 1639.9
GTEX-14PKU-0626-SM-6EU1Q 40-49 years, female 1637.9
GTEX-YEC3-0626-SM-CMKFG 50-59 years, male 1633.8
GTEX-RM2N-0326-SM-48FD8 50-59 years, male 1617.5
GTEX-11DXX-0926-SM-5H112 60-69 years, female 1616.7
GTEX-1OKEX-1726-SM-E9U4F 60-69 years, male 1616.7
GTEX-14E6E-1426-SM-5RQI2 30-39 years, male 1613.1
GTEX-13PL7-2226-SM-5L3IC 60-69 years, female 1609.9
GTEX-131XF-1426-SM-5BC68 60-69 years, male 1607.7
GTEX-1B996-1326-SM-731EO 60-69 years, male 1601.4
GTEX-1RAZA-1626-SM-EV79I 20-29 years, male 1600.0
GTEX-1HKZK-1126-SM-9WG82 40-49 years, male 1576.0
GTEX-1B97J-1526-SM-79ONI 50-59 years, female 1574.7
GTEX-14PJ2-1526-SM-686Z4 50-59 years, male 1561.4
GTEX-1S82P-1026-SM-EAZ4W 60-69 years, female 1557.5
GTEX-12WSN-0826-SM-5GCOF 40-49 years, male 1554.6
GTEX-WHWD-0726-SM-4OORX 50-59 years, male 1550.9
GTEX-WQUQ-2126-SM-4OOSO 60-69 years, male 1546.7
GTEX-XUW1-1726-SM-4BOOZ 50-59 years, female 1541.1
GTEX-1R7EV-1126-SM-DPRXU 40-49 years, male 1540.4
GTEX-ZDYS-2526-SM-4WKGU 50-59 years, male 1539.0
GTEX-1HSGN-1426-SM-A8NAA 40-49 years, female 1527.7
GTEX-146FQ-1526-SM-5Q5CX 30-39 years, male 1527.5
GTEX-1KANA-1526-SM-CXZKG 20-29 years, male 1525.2
GTEX-ZLWG-0326-SM-4WWC7 50-59 years, female 1516.5
GTEX-ZG7Y-0326-SM-4WWEY 50-59 years, male 1511.3
GTEX-1QW4Y-0926-SM-DPRY2 30-39 years, male 1508.1
GTEX-SNOS-0926-SM-4DM7A 40-49 years, male 1506.3
GTEX-1H11D-0926-SM-9OSXO 40-49 years, male 1500.2
GTEX-RWS6-1126-SM-47JXC 60-69 years, female 1498.6
GTEX-1399U-0926-SM-5IFHA 50-59 years, female 1496.5
GTEX-1JKYR-1026-SM-CGQGI 20-29 years, male 1496.5
GTEX-13W3W-1026-SM-5IFG4 60-69 years, female 1492.1
GTEX-117YX-0226-SM-5EGH6 50-59 years, male 1490.5
GTEX-111CU-0526-SM-5EGHK 50-59 years, male 1484.2
GTEX-1K2DA-0326-SM-CGQGX 50-59 years, male 1478.0
GTEX-NFK9-1626-SM-3LK5J 40-49 years, male 1477.6
GTEX-14DAR-0526-SM-664MX 50-59 years, male 1466.5
GTEX-1GZ4H-0626-SM-9OSXJ 50-59 years, female 1461.3
GTEX-TML8-0526-SM-32QOQ 40-49 years, female 1460.3
GTEX-UJMC-1126-SM-3GADP 50-59 years, male 1458.8
GTEX-1C4CL-0926-SM-79OL2 30-39 years, male 1448.6
GTEX-14JG6-0426-SM-68715 30-39 years, female 1445.3
GTEX-TKQ2-0426-SM-4DXUO 50-59 years, male 1444.9
GTEX-1LSNM-0726-SM-DHXL1 50-59 years, male 1442.4
GTEX-17F98-0426-SM-79ONZ 40-49 years, female 1438.8
GTEX-ZVT2-2026-SM-5NQ8Q 50-59 years, female 1438.2
GTEX-1LG7Z-0326-SM-DHXK3 30-39 years, male 1436.0
GTEX-1122O-0726-SM-5GIEV 60-69 years, female 1434.7
GTEX-SUCS-1426-SM-4DM5W 70-79 years, male 1433.6
GTEX-14PJO-1826-SM-69LPR 60-69 years, male 1419.3
GTEX-14PJ4-0726-SM-6872E 60-69 years, male 1414.1
GTEX-1AMFI-0726-SM-731D9 50-59 years, female 1413.2
GTEX-ZDTT-1126-SM-4WKFW 60-69 years, male 1405.7
GTEX-132AR-1826-SM-5EGHR 50-59 years, female 1395.7
GTEX-12WSL-0426-SM-5GCNX 50-59 years, male 1386.0
GTEX-13O61-2126-SM-5IJEO 60-69 years, male 1382.5
GTEX-1CB4I-1326-SM-79OLY 50-59 years, male 1363.9
GTEX-WHSB-0726-SM-4M1XQ 50-59 years, male 1362.6
GTEX-QEL4-1326-SM-447AD 50-59 years, male 1362.0
GTEX-ZPCL-0726-SM-DO91S 60-69 years, female 1359.9
GTEX-XBEW-1626-SM-4SOJP 40-49 years, male 1358.4
GTEX-14BMU-0726-SM-73KXS 20-29 years, female 1339.3
GTEX-QLQ7-0626-SM-CE6QX 60-69 years, male 1339.1
GTEX-1I4MK-1026-SM-AHZ2H 50-59 years, female 1334.9
GTEX-OHPM-1026-SM-3LK74 50-59 years, male 1329.4
GTEX-ZYFG-0826-SM-5BC5T 60-69 years, female 1328.9
GTEX-13VXT-1226-SM-5LU3M 20-29 years, female 1328.3
GTEX-15SDE-0826-SM-6M463 50-59 years, female 1327.4
GTEX-1N2DV-1726-SM-DPRYR 40-49 years, male 1315.1
GTEX-15UF7-0826-SM-6M46E 40-49 years, male 1306.4
GTEX-WFG7-0426-SM-4LMK5 20-29 years, male 1299.8
GTEX-11VI4-0426-SM-5EGHZ 40-49 years, female 1295.6
GTEX-1AX9J-1726-SM-731FF 60-69 years, male 1294.3
GTEX-1AYCT-1226-SM-7EPGH 50-59 years, male 1287.7
GTEX-Q2AI-0426-SM-48U13 40-49 years, male 1264.8
GTEX-1QP29-1926-SM-DPRZO 50-59 years, male 1258.4
GTEX-1S831-0626-SM-EV79N 20-29 years, male 1252.2
GTEX-1MGNQ-1226-SM-EV7BM 40-49 years, male 1251.9
GTEX-TMMY-1326-SM-4DXU9 40-49 years, female 1248.4
GTEX-18D9U-1626-SM-7KFTW 40-49 years, male 1247.9
GTEX-1LGRB-0426-SM-CNNRD 50-59 years, female 1247.8
GTEX-1GL5R-0926-SM-9JGFO 50-59 years, male 1216.8
GTEX-1H1DG-1426-SM-9OSXP 70-79 years, male 1215.6
GTEX-ZP4G-0426-SM-4YCER 20-29 years, female 1212.0
GTEX-X4LF-0326-SM-4QAS9 50-59 years, male 1211.5
GTEX-R55D-1426-SM-48FEN 50-59 years, male 1207.7
GTEX-WYJK-2426-SM-4ONDQ 50-59 years, male 1205.8
GTEX-Y3IK-0426-SM-4WWE2 50-59 years, female 1193.7
GTEX-S95S-0726-SM-4B64H 60-69 years, male 1193.1
GTEX-S33H-1226-SM-4AD69 30-39 years, male 1184.7
GTEX-1GMR3-1226-SM-7MGY1 40-49 years, male 1182.5
GTEX-VUSG-0326-SM-3GIJ7 50-59 years, male 1180.0
GTEX-14AS3-0326-SM-5Q5DB 40-49 years, female 1166.3
GTEX-11TT1-0326-SM-5LUAY 20-29 years, male 1159.9
GTEX-R55G-0326-SM-48FDM 40-49 years, female 1155.0
GTEX-ZVZP-0626-SM-59HL5 50-59 years, male 1152.7
GTEX-1PBJI-2126-SM-DPRYG 20-29 years, female 1147.2
GTEX-1R9K5-1226-SM-E6CPQ 50-59 years, male 1145.3
GTEX-Y8LW-1026-SM-5IFJY 50-59 years, female 1142.1
GTEX-PW2O-0826-SM-48TC5 20-29 years, male 1138.9
GTEX-1PFEY-1126-SM-DPRZ3 30-39 years, male 1127.4
GTEX-1QP2A-1326-SM-EAZ3K 50-59 years, male 1118.6
GTEX-1399S-0326-SM-5IFFS 30-39 years, female 1114.9
GTEX-ZV7C-0726-SM-59HKH 50-59 years, male 1114.9
GTEX-ZYY3-0826-SM-5E44R 60-69 years, female 1112.9
GTEX-Y114-0826-SM-4TT77 50-59 years, female 1112.2
GTEX-OHPL-1026-SM-3MJGI 60-69 years, female 1111.3
GTEX-UJHI-0626-SM-3DB8T 50-59 years, female 1111.3
GTEX-ZPIC-0926-SM-4WWFK 40-49 years, female 1110.6
GTEX-WFJO-0626-SM-4LVMC 30-39 years, male 1107.4
GTEX-1MUQO-1426-SM-DPRYJ 60-69 years, male 1107.1
GTEX-X15G-0726-SM-4PQZ5 50-59 years, female 1106.3
GTEX-11EQ9-1026-SM-5H134 30-39 years, male 1099.4
GTEX-144GN-0826-SM-5LU5G 50-59 years, male 1098.2
GTEX-QLQW-0326-SM-447A8 30-39 years, male 1093.2
GTEX-1C6VQ-1726-SM-7IGLQ 50-59 years, male 1088.3
GTEX-14ICL-1126-SM-5S2RE 30-39 years, male 1087.3
GTEX-15EU6-1126-SM-68721 50-59 years, male 1086.5
GTEX-16Z82-1726-SM-7MGX3 60-69 years, male 1084.3
GTEX-S4P3-0626-SM-4AD59 50-59 years, female 1080.5
GTEX-1H23P-2026-SM-9OSXY 60-69 years, male 1075.4
GTEX-13FTW-0526-SM-5IFIP 40-49 years, male 1073.1
GTEX-1CAMS-1926-SM-7DUEU 40-49 years, female 1071.7
GTEX-13FTX-1226-SM-5IFGN 20-29 years, female 1070.3
GTEX-13X6H-0626-SM-5LU53 50-59 years, female 1069.0
GTEX-U4B1-0726-SM-4DXUA 40-49 years, male 1062.9
GTEX-ZYW4-2126-SM-59HJ9 60-69 years, male 1062.7
GTEX-WXYG-0826-SM-4ONC7 50-59 years, female 1061.1
GTEX-1B933-1726-SM-731FC 50-59 years, female 1060.7
GTEX-131XG-1426-SM-5GCMO 50-59 years, female 1059.7
GTEX-ZAB5-0826-SM-5P9FU 50-59 years, male 1057.0
GTEX-T5JW-0226-SM-4DM7I 20-29 years, female 1053.5
GTEX-Y5LM-0526-SM-4V6G3 40-49 years, female 1047.3
GTEX-1LVAN-1226-SM-CNNQY 50-59 years, female 1042.4
GTEX-1F5PL-0726-SM-7MKH8 40-49 years, female 1038.0
GTEX-P4QS-1026-SM-3NMCW 60-69 years, male 1036.8
GTEX-1GN1W-1126-SM-9OSW3 50-59 years, female 1036.0
GTEX-1RAZQ-1426-SM-EV7B2 30-39 years, male 1031.2
GTEX-1I1GT-0926-SM-AHZ2G 60-69 years, female 1030.3
GTEX-11I78-0626-SM-5A5LZ 50-59 years, female 1004.1
GTEX-WHPG-0326-SM-4M1XV 50-59 years, male 997.4
GTEX-18A66-2126-SM-7189D 60-69 years, male 983.5
GTEX-17MF6-1426-SM-7IGOX 40-49 years, male 972.8
GTEX-15FZZ-0626-SM-7KFTO 30-39 years, female 971.6
GTEX-1NSGN-1726-SM-EXOJG 50-59 years, male 954.9
GTEX-1IDJC-0526-SM-AHZ2Q 50-59 years, male 953.9
GTEX-16MT8-1726-SM-7EWE7 60-69 years, female 950.9
GTEX-T8EM-0826-SM-4DM76 40-49 years, male 950.2
GTEX-14PHY-1126-SM-664OR 60-69 years, female 941.9
GTEX-15UF6-1826-SM-6LLI9 70-79 years, female 937.3
GTEX-V1D1-0726-SM-4JBH7 50-59 years, male 933.4
GTEX-1497J-0426-SM-5Q5CO 60-69 years, male 921.3
GTEX-V955-0326-SM-4JBGV 60-69 years, male 919.7
GTEX-13FH7-1426-SM-5IFIC 50-59 years, female 906.4
GTEX-1NUQO-0826-SM-DPS16 20-29 years, female 906.1
GTEX-1L5NE-0826-SM-DHXKU 50-59 years, male 905.8
GTEX-1QPFJ-2226-SM-EXOJW 30-39 years, female 881.4
GTEX-13YAN-2126-SM-5Q5C4 60-69 years, male 877.8
GTEX-QMRM-0326-SM-CKZNB 50-59 years, male 862.8
GTEX-14PHX-2026-SM-6872C 50-59 years, male 846.6
GTEX-1O97I-1726-SM-EXOIP 60-69 years, male 831.2
GTEX-11XUK-0626-SM-5N9ES 40-49 years, female 823.2
GTEX-Y9LG-0726-SM-4VDS3 30-39 years, male 820.1
GTEX-VJYA-0826-SM-4KL1M 60-69 years, male 806.9
GTEX-YB5E-0526-SM-4VDSD 40-49 years, male 806.7
GTEX-1CAMR-1126-SM-7MGXF 20-29 years, male 797.4
GTEX-1CB4G-1826-SM-7MKGO 60-69 years, male 792.7
GTEX-1128S-0826-SM-5GZZI 60-69 years, female 786.1
GTEX-XXEK-1726-SM-4BRVB 50-59 years, male 785.7
GTEX-XV7Q-0926-SM-4BRVQ 40-49 years, female 780.0
GTEX-1C64O-1426-SM-7EWER 60-69 years, male 779.6
GTEX-ZC5H-0826-SM-5N9FH 40-49 years, female 778.0
GTEX-PSDG-1526-SM-48TCY 50-59 years, male 775.0
GTEX-144GM-0726-SM-79OJQ 20-29 years, male 773.4
GTEX-1HSMO-2026-SM-CNNQO 60-69 years, male 771.9
GTEX-1JK1U-1026-SM-AHZ44 60-69 years, male 770.0
GTEX-17HGU-2026-SM-79OKS 50-59 years, male 758.5
GTEX-OIZF-1026-SM-2HML5 60-69 years, male 758.3
GTEX-1B8KE-0726-SM-72D7G 50-59 years, male 758.1
GTEX-XBED-0226-SM-47JY8 60-69 years, male 755.0
GTEX-1QAET-1326-SM-E9U64 50-59 years, male 743.1
GTEX-1AX8Z-1726-SM-731DE 60-69 years, male 736.9
GTEX-ZZPU-0726-SM-5N9C8 50-59 years, female 736.2
GTEX-132QS-0926-SM-5P9GB 60-69 years, male 730.8
GTEX-S32W-0826-SM-4AD5Z 50-59 years, female 727.6
GTEX-QESD-0226-SM-447BH 20-29 years, male 726.6
GTEX-1AYD5-0326-SM-7EWEO 50-59 years, male 720.2
GTEX-1I1GU-0326-SM-AHZ2K 40-49 years, male 710.7
GTEX-ZTPG-1026-SM-5DUWP 20-29 years, female 706.3
GTEX-ZAB4-1726-SM-5HL8C 40-49 years, male 697.1
GTEX-1B932-1626-SM-731EA 40-49 years, female 693.8
GTEX-13U4I-1526-SM-5IFFF 40-49 years, female 682.7
GTEX-O5YT-1026-SM-3MJGF 20-29 years, male 675.9
GTEX-XYKS-1226-SM-4BRVI 60-69 years, female 674.4
GTEX-QDVJ-1226-SM-48U1V 50-59 years, male 672.7
GTEX-131XE-1926-SM-5IFER 50-59 years, male 645.3
GTEX-1R46S-1426-SM-EXOJD 60-69 years, female 627.1
GTEX-SE5C-0326-SM-4BRWX 40-49 years, female 589.2
GTEX-13CF3-1026-SM-5LZWY 60-69 years, female 587.7
GTEX-1JKYN-0426-SM-CGQG2 30-39 years, male 574.5
GTEX-13N11-0226-SM-5KM3C 50-59 years, female 566.0
GTEX-ZF3C-2026-SM-4WWB5 50-59 years, female 563.5
GTEX-139YR-1526-SM-5IFJ1 50-59 years, male 550.5
GTEX-WY7C-1026-SM-4OND3 50-59 years, male 550.1
GTEX-1M5QR-0926-SM-DHXK8 40-49 years, male 545.2
GTEX-ZYT6-1326-SM-5E453 30-39 years, male 538.5
GTEX-14PN4-1626-SM-6AJB5 50-59 years, male 523.7
GTEX-QDVN-0926-SM-2I5GL 50-59 years, male 501.9
GTEX-WFG8-0326-SM-4LVN4 20-29 years, male 499.3
GTEX-1IDJD-0126-SM-C1YQZ 30-39 years, male 497.1
GTEX-Q2AH-0926-SM-48TZK 40-49 years, male 470.0
GTEX-NPJ8-2126-SM-3MJGK 40-49 years, male 469.5
GTEX-144FL-1526-SM-5Q5CA 50-59 years, male 460.7
GTEX-1PPH8-2326-SM-EAZ48 20-29 years, male 458.7
GTEX-OOBK-1026-SM-48TC2 40-49 years, male 437.0
GTEX-1N2EF-2126-SM-DPRYL 60-69 years, male 424.6
GTEX-18A67-1726-SM-7KFT9 50-59 years, male 410.6
GTEX-1339X-1026-SM-5IFH5 40-49 years, male 410.2
GTEX-1A3MW-1926-SM-7IGM8 60-69 years, female 409.5
GTEX-1JMPZ-1026-SM-CXZJS 30-39 years, male 358.7
GTEX-WFON-0626-SM-4LVLX 40-49 years, male 358.6
GTEX-13O1R-1826-SM-5KM3B 60-69 years, male 338.0
GTEX-1K9T9-1726-SM-CXZK1 50-59 years, female 321.0
GTEX-U8XE-2026-SM-3DB8S 30-39 years, male 318.1
GTEX-N7MT-1626-SM-3LK71 60-69 years, female 312.7
GTEX-WI4N-1826-SM-4OOSF 40-49 years, female 266.7
GTEX-1K2DU-1026-SM-DHXKC 20-29 years, male 196.6
GTEX-1PWST-1526-SM-EXOIT 70-79 years, male 184.4
Show allShow less

PANCREAS - FANTOM5 CAGEi

RNA expression in human tissues obtained through Cap Analysis of Gene Expression (CAGE) generated by the FANTOM5 project are reported as Scaled Tags Per Million.

Max subtype Scaled Tags Per Millioni

Max subtype Scaled Tags Per Million is the value for the subtype with the largest average Scaled Tags Per Million across the subtype samples.

4728.0
FANTOM5 sample id Sample description Scaled Tags Per Million
Pancreas
Scaled Tags Per Million: 4728.0
FF:10049-101G4 52 years, male 4728.0

Contact

  • NEWS ARTICLES
  • PRESS ROOM

The Project

  • INTRODUCTION
  • ORGANIZATION
  • PUBLICATIONS

The Human Protein Atlas

  • DOWNLOADABLE DATA
  • LICENCE & CITATION
  • HELP & FAQ
The Human Protein Atlas project is funded
by the Knut & Alice Wallenberg Foundation.


contact@proteinatlas.org