We use cookies to enhance the usability of our website. If you continue, we'll assume that you are happy to receive all cookies. More information. Don't show this again.
TRMT112
HPA
RESOURCES
  • TISSUE
  • BRAIN
  • SINGLE CELL
  • SUBCELLULAR
  • CANCER
  • BLOOD
  • CELL LINE
  • STRUCTURE & INTERACTION
ABOUT
  • INTRODUCTION
  • HISTORY
  • ORGANIZATION
  • PUBLICATIONS
  • ANTIBODY SUBMISSION
  • ANTIBODY AVAILABILITY
  • ACKNOWLEDGMENTS
  • CONTACT
NEWS
  • NEWS ARTICLES
  • PRESS ROOM
LEARN
  • DICTIONARY
  • PROTEIN CLASSES
  • PROTEIN EVIDENCE
  • METHODS
  • EDUCATIONAL VIDEOS
DATA
  • DOWNLOADABLE DATA
  • PUBLICATION DATA
  • RELEASE HISTORY
HELP
  • ANTIBODY VALIDATION
  • ASSAYS & ANNOTATION
  • DISCLAIMER
  • HELP & FAQ
  • PRIVACY STATEMENT
  • LICENCE & CITATION
Fields »
Search result

Field
Term
Gene name
Class
Subclass
Class
Keyword
Chromosome
External id
Tissue
Cell type
Expression
Antibody panel
Tissue
Main location
Patient ID
Annotation
Tissue
Category
Tau score
Cluster
Reliability
Brain region
Category
Tau score
Brain region
Category
Tau score
Brain region
Category
Tau score
Cluster
Reliability
Tissue
Cell type
Enrichment
Cell type
Category
Tau score
Cell type
Category
Tau score
Cell type
Category
Tau score
Cell lineage
Category
Tau score
Cluster
Cluster
Location
Searches
Location
Cell line
Class
Type
Phase
Reliability
Cancer
Prognosis
Cancer
Category
Cancer
Category
Tau score
Cluster
Variants
Interacting gene (ensg_id)
Type
Number of interactions
Pathway
Category
Score
Score
Score
Validation
Validation
Validation
Validation
Antibodies
Data type
Column


  • SUMMARY

  • TISSUE

  • BRAIN

  • SINGLE CELL

  • SUBCELL

  • CANCER

  • BLOOD

  • CELL LINE

  • STRUCT & INT

  • TRMT112
TISSUE PRIMARY DATA BREAST Show tissue menu
ADIPOSE TISSUE ADRENAL GLAND AMYGDALA APPENDIX BASAL GANGLIA BONE MARROW BREAST BRONCHUS CEREBELLUM CEREBRAL CORTEX CERVIX CHOROID PLEXUS COLON DUODENUM
ENDOMETRIUM EPIDIDYMIS ESOPHAGUS FALLOPIAN TUBE GALLBLADDER HEART MUSCLE HIPPOCAMPAL FORMATION HYPOTHALAMUS KIDNEY LIVER LUNG LYMPH NODE MIDBRAIN NASOPHARYNX
ORAL MUCOSA OVARY PANCREAS PARATHYROID GLAND PITUITARY GLAND PLACENTA PROSTATE RECTUM RETINA SALIVARY GLAND SEMINAL VESICLE SKELETAL MUSCLE SKIN SMALL INTESTINE
SMOOTH MUSCLE SOFT TISSUE SPINAL CORD SPLEEN STOMACH TESTIS THYMUS THYROID GLAND TONGUE TONSIL URINARY BLADDER VAGINA
ANTIBODIES
AND
VALIDATION
Dictionary
Breast
Tissue proteome
Breast
BREAST - Expression summary
Protein expression
Breasti

On the top, protein expression in current human tissue, based on all annotated cell types, is reported with the units not detected (n), low (l), medium (m) and high (h). Underneath, protein expression in each annotated cell type are reported using the same units.

Protein expression data is based on knowledge-based annotation. For genes where more than one antibody has been used, a collective score is set.

If knowledge-based annotation could not be performed for a gene, no data is displayed here. View antibody staining data further down this page.

h
m
l
n
Adipocytes: Not detected
Glandular cells: Medium
Myoepithelial cells: Not detected
RNA expressioni

A summary of mRNA expression data available for current tissue based on several datasets. The mRNA expression levels in human tissues are based on RNA-seq data generated by the Human Protein Atlas (HPA), Genotype-Tissue Expression (GTEx) portal and CAGE data generated by the FANTOM5 consortium. Consensus normalized expression levels for human tissues was created by combining the data from HPA and GTEx datasets.

The mRNA expression levels in pig are based on RNA-seq data generated by the Human Protein Atlas (HPA), and for mouse, HPA data and in situ hybridization generated by the Allen brain atlas are reported.

Scroll down to view mRNA expression data in more detail.
Consensus:93.3 nTPM
HPA:87.3 nTPM
GTEx:93.3 nTPM
FANTOM5:175.3 Scaled Tags Per Million

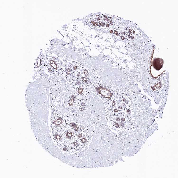
BREAST - Antibody stainingi

Antibody staining in the annotated cell types in the current human tissue is reported as not detected, low, medium, or high, based on conventional immunohistochemistry profiling in selected tissues. This score is based on the combination of the staining intensity and fraction of stained cells.

Each image is clickable and will lead to virtual microscopy that enables deeper exploration of all samples and also displays staining intensity scores, fraction scores and subcellular localization as well as patient and tissue information for each sample.

Antibody HPA039901Antibody HPA040006
Adipocytes Not detectedNot detected
Glandular cells MediumMedium
Myoepithelial cells MediumNot detected



BREAST - HPA RNA-seqi

The RNA-seq details section shows detailed information about the individual samples used for the transcript profiling and results of the RNA-seq analysis.

Information about each individual sample is listed below, including gender, age, a tissue section image and estimated fractions of cell types. nTPM (normalized transcripts per million) values give a quantification of the gene abundance which is comparable between different genes and samples.
Average nTPMi

Max subtype nTPM is the value for the subtype with the largest average nTPM across the subtype samples.

87.3
overview
Female, age 52
Breast sample 373
nTPM: 97.8
Cell types%
Glandular cells:
15

Adipocytes:
5

Other cell types:
80

overview
Female, age 80
Breast sample 390
nTPM: 94.8
Cell types%
Glandular cells:
5

Adipocytes:
15

Other cell types:
80

overview
Female, age 47
Breast sample 405
nTPM: 100.2
Cell types%
Glandular cells:
5

Adipocytes:
5

Other cell types:
90

overview
Female, age 38
Breast sample 410
nTPM: 56.5
Cell types%
Glandular cells:
40

Adipocytes:
5

Other cell types:
55


BREAST - GTEx RNA-seqi

RNA-Seq data generated by the Genotype-Tissue Expression (GTEx) project from human tissues is reported as mean nTPM. More information can be found on the GTEx portal.

Distribution across the dataset is visualized with box plots, shown as median and 25th and 75th percentiles. Points are displayed as outliers if they are above or below 1.5 times the interquartile range. nTPM values of the individual samples are presented next to the box plot.
Max subtype nTPMi

Max subtype nTPM is the value for the subtype with the largest average nTPM across the subtype samples.

93.3
GTEx sample id Sample description nTPM
Breast - Mammary Tissue
Average nTPM: 93.3
Samples: 459

Max nTPM: 245.9
Min nTPM: 50.9
Std nTPM: 27.8
Median nTPM: 88.6
GTEX-14ABY-2126-SM-5QGQZ 50-59 years, male 245.9
GTEX-15G19-2126-SM-6M48J 60-69 years, male 240.3
GTEX-13S86-1226-SM-5S2OA 40-49 years, male 228.6
GTEX-1AMEY-1026-SM-718AA 30-39 years, female 221.6
GTEX-14AS3-1626-SM-5S2OY 40-49 years, female 207.0
GTEX-14PN4-0626-SM-62LFP 50-59 years, male 205.4
GTEX-1JJEA-2726-SM-ARL8V 60-69 years, male 194.6
GTEX-1ICLZ-0426-SM-B2LW2 60-69 years, male 190.3
GTEX-13SLW-2526-SM-62LDQ 70-79 years, male 184.4
GTEX-11TT1-2126-SM-5GU5Y 20-29 years, male 180.7
GTEX-1F5PK-2126-SM-7PC28 50-59 years, male 178.8
GTEX-1B8SG-1226-SM-7IGPF 50-59 years, male 173.3
GTEX-145LT-0726-SM-5S2VM 40-49 years, male 170.9
GTEX-1JJE9-2326-SM-ARL8Q 70-79 years, male 169.5
GTEX-ZAB4-2526-SM-5HL8M 40-49 years, male 164.2
GTEX-ZTTD-1026-SM-51MRD 50-59 years, male 161.1
GTEX-11P82-1326-SM-5HL62 20-29 years, male 155.0
GTEX-1I19N-2826-SM-CL55D 70-79 years, male 153.9
GTEX-14PJO-0726-SM-69LO8 60-69 years, male 151.0
GTEX-1ICLY-1726-SM-B2LVT 50-59 years, male 147.9
GTEX-1R9JW-0326-SM-EAZ45 30-39 years, female 144.1
GTEX-11DZ1-0326-SM-5N9BN 50-59 years, male 142.2
GTEX-1QP29-1726-SM-E8VMQ 50-59 years, male 140.6
GTEX-1H1DG-0526-SM-9YFLN 70-79 years, male 140.1
GTEX-XMK1-1126-SM-4IHJ8 40-49 years, male 139.9
GTEX-1N2EF-2226-SM-E9J33 60-69 years, male 139.9
GTEX-Y8E4-1626-SM-5S2MW 40-49 years, male 139.8
GTEX-132AR-0826-SM-5EGK6 50-59 years, female 139.5
GTEX-1IDJH-2226-SM-E6CJV 70-79 years, male 139.0
GTEX-1IE54-0626-SM-ARL8D 40-49 years, female 138.7
GTEX-13O3Q-2226-SM-5KM4O 50-59 years, male 136.9
GTEX-145MF-2226-SM-7EPIR 50-59 years, male 132.6
GTEX-ZLFU-2126-SM-DO931 40-49 years, male 132.2
GTEX-11DXY-2326-SM-5GICW 60-69 years, male 131.8
GTEX-X4XY-0926-SM-4E3JD 60-69 years, male 128.4
GTEX-Y5LM-1726-SM-4VDSX 40-49 years, female 128.1
GTEX-1IDFM-0426-SM-B2LVV 60-69 years, male 127.1
GTEX-17EVQ-0426-SM-7LG57 70-79 years, male 125.3
GTEX-14753-2426-SM-5LU8U 60-69 years, male 125.0
GTEX-13NZB-2126-SM-5MR4Y 30-39 years, male 124.4
GTEX-17F97-2526-SM-7EWDV 50-59 years, male 123.9
GTEX-1A8G7-2426-SM-731AK 60-69 years, male 123.4
GTEX-UTHO-1026-SM-3GAF7 60-69 years, male 123.4
GTEX-183WM-0726-SM-7LTAA 70-79 years, female 123.1
GTEX-XYKS-1326-SM-4BRUN 60-69 years, female 123.1
GTEX-ZT9W-2026-SM-51MRA 50-59 years, male 122.4
GTEX-ZWKS-2826-SM-5NQ74 30-39 years, male 122.1
GTEX-11WQK-2426-SM-5GU5C 50-59 years, male 121.5
GTEX-1192X-2326-SM-5987X 50-59 years, male 121.2
GTEX-14BMV-0626-SM-793AU 50-59 years, male 121.1
GTEX-14ICK-2426-SM-6EU27 40-49 years, male 121.1
GTEX-13W46-0826-SM-5LU3H 50-59 years, male 120.3
GTEX-13VXU-2826-SM-664MA 50-59 years, male 120.1
GTEX-13NZ9-1026-SM-5MR5K 50-59 years, male 119.7
GTEX-139T6-1626-SM-5PNYZ 50-59 years, male 119.6
GTEX-1RQEC-2026-SM-DTXDM 60-69 years, male 118.6
GTEX-12KS4-0126-SM-5Q5A5 30-39 years, male 118.4
GTEX-U8XE-0826-SM-4E3J1 30-39 years, male 117.0
GTEX-13PL6-2926-SM-5L3I2 40-49 years, female 116.9
GTEX-XMD2-0926-SM-4WWEF 60-69 years, female 116.5
GTEX-1HCU7-1026-SM-ADEIP 50-59 years, male 116.4
GTEX-1JN6P-2426-SM-ARL99 60-69 years, male 115.7
GTEX-YFCO-1826-SM-4W1YH 40-49 years, male 115.5
GTEX-X62O-0526-SM-EWRMA 50-59 years, male 115.3
GTEX-1HT8W-2226-SM-CGQEC 30-39 years, male 114.6
GTEX-17F96-2426-SM-7IGLN 70-79 years, male 114.0
GTEX-1F75I-2026-SM-7SB7N 40-49 years, male 113.9
GTEX-1PPGY-1526-SM-EVYBK 60-69 years, male 113.3
GTEX-14PJ4-2126-SM-6ETZJ 60-69 years, male 113.2
GTEX-ZQUD-1926-SM-51MSA 30-39 years, male 112.9
GTEX-XMD1-0826-SM-4AT52 60-69 years, male 112.8
GTEX-14PHY-1926-SM-5YY95 60-69 years, female 112.6
GTEX-ZVT2-1826-SM-5NQ8W 50-59 years, female 112.4
GTEX-13O3O-0826-SM-5K7WE 60-69 years, female 112.3
GTEX-11NSD-0926-SM-5N9DR 20-29 years, male 112.2
GTEX-1399U-1826-SM-5PNZ1 50-59 years, female 111.4
GTEX-14BMU-1626-SM-5TDE7 20-29 years, female 111.4
GTEX-12WSK-2226-SM-5GCO5 40-49 years, female 111.3
GTEX-YB5E-1726-SM-5IFJ3 40-49 years, male 110.9
GTEX-S7SE-0826-SM-4AT4D 50-59 years, male 110.8
GTEX-13FTW-1426-SM-5LZWZ 40-49 years, male 110.4
GTEX-13PVQ-1026-SM-5KM3M 50-59 years, male 110.4
GTEX-132NY-0826-SM-5K7Y7 60-69 years, male 110.1
GTEX-145MN-1926-SM-5SIAI 30-39 years, male 109.7
GTEX-14PKU-0426-SM-6EU1P 40-49 years, female 109.6
GTEX-12BJ1-1826-SM-5HL9N 60-69 years, male 109.5
GTEX-13CF3-2126-SM-5IFJP 60-69 years, female 109.3
GTEX-XV7Q-2326-SM-4BRVZ 40-49 years, female 109.3
GTEX-13NZ8-0126-SM-5IJCT 60-69 years, female 109.0
GTEX-1IGQW-0926-SM-ADEH6 60-69 years, male 109.0
GTEX-XQ3S-1326-SM-4BOPQ 20-29 years, male 108.8
GTEX-1QEPI-0926-SM-DTXF3 60-69 years, female 108.7
GTEX-1N2EE-2126-SM-E8VNN 60-69 years, male 108.6
GTEX-11EQ9-1826-SM-5Q5AJ 30-39 years, male 108.5
GTEX-1MJK2-2226-SM-EVYCR 50-59 years, male 108.0
GTEX-11ZUS-0826-SM-5FQUY 30-39 years, male 107.8
GTEX-13D11-1026-SM-5IJFB 50-59 years, female 106.3
GTEX-18D9A-1526-SM-7LG4J 30-39 years, female 106.3
GTEX-ZVTK-0326-SM-51MRR 20-29 years, male 106.1
GTEX-1314G-1226-SM-5BC6D 30-39 years, male 105.8
GTEX-1S82Z-0726-SM-E6CHX 30-39 years, female 105.8
GTEX-1CB4J-1826-SM-7EWF9 60-69 years, male 105.6
GTEX-XQ8I-2426-SM-4WAXY 50-59 years, male 105.0
GTEX-S33H-0326-SM-4AD6N 30-39 years, male 104.6
GTEX-11WQC-1726-SM-5GU4W 60-69 years, male 104.4
GTEX-1I6K6-0826-SM-ARL7Z 30-39 years, male 104.3
GTEX-117YX-1426-SM-5H12H 50-59 years, male 104.2
GTEX-XGQ4-0926-SM-4AT4U 50-59 years, male 104.0
GTEX-ZYT6-0126-SM-5E45J 30-39 years, male 104.0
GTEX-1NV8Z-2826-SM-E8VME 60-69 years, male 103.9
GTEX-1M4P7-2626-SM-E9U5F 60-69 years, male 103.8
GTEX-14LLW-0626-SM-62LFC 70-79 years, female 103.7
GTEX-1IDJF-2326-SM-ARL86 20-29 years, male 103.3
GTEX-1H1ZS-0126-SM-9YFKQ 70-79 years, male 103.0
GTEX-1GN2E-2226-SM-9WG6J 60-69 years, male 102.8
GTEX-VUSG-2226-SM-4KKZO 50-59 years, male 102.7
GTEX-PSDG-1626-SM-48TCQ 50-59 years, male 102.3
GTEX-1GF9U-1726-SM-7MGY5 40-49 years, female 102.3
GTEX-14H4A-2526-SM-5YYAY 40-49 years, female 102.2
GTEX-Y5V6-2126-SM-4WWFX 60-69 years, male 102.0
GTEX-1R7EV-1526-SM-E8VOD 40-49 years, male 101.9
GTEX-13N1W-0626-SM-5MR4U 70-79 years, male 101.6
GTEX-R3RS-0626-SM-48FE1 40-49 years, female 101.5
GTEX-Y9LG-1426-SM-5IFJZ 30-39 years, male 101.5
GTEX-13SLX-2326-SM-5ZZWE 50-59 years, female 101.1
GTEX-1IDJE-0826-SM-CKZNZ 50-59 years, female 101.1
GTEX-131YS-0626-SM-5EGKL 60-69 years, female 100.3
GTEX-13FTX-1126-SM-5N9EN 20-29 years, female 100.2
GTEX-1JN1M-3026-SM-CMKGK 60-69 years, female 100.0
GTEX-1RLM8-2226-SM-EVYD1 50-59 years, male 99.9
GTEX-1C6VQ-0426-SM-79OOX 50-59 years, male 99.6
GTEX-1I1GP-0426-SM-COH3N 50-59 years, male 99.5
GTEX-1HR98-0426-SM-COH36 60-69 years, male 99.2
GTEX-11OF3-1926-SM-59889 60-69 years, male 99.1
GTEX-11ONC-2126-SM-5HL6E 60-69 years, male 98.9
GTEX-ZYW4-0826-SM-5GIDG 60-69 years, male 98.9
GTEX-17HG3-0126-SM-7IGNH 30-39 years, female 98.8
GTEX-1QMI2-0726-SM-E9J4F 60-69 years, male 98.6
GTEX-1KAFJ-0226-SM-DIPEL 50-59 years, male 98.4
GTEX-11O72-2126-SM-5N9FO 40-49 years, male 98.1
GTEX-1A3MX-2726-SM-718B6 60-69 years, male 98.1
GTEX-15EOM-5019-SM-793DK 20-29 years, female 98.0
GTEX-QEL4-2126-SM-447AE 50-59 years, male 97.9
GTEX-1R9PN-0326-SM-DTX85 40-49 years, female 97.9
GTEX-ZAJG-0626-SM-5HL8X 50-59 years, female 97.6
GTEX-ZZ64-1226-SM-5E43R 20-29 years, male 97.6
GTEX-11P7K-0726-SM-5EGKX 30-39 years, male 97.5
GTEX-X15G-1626-SM-3NMB3 50-59 years, female 97.5
GTEX-14E6C-1326-SM-62LEQ 40-49 years, male 97.4
GTEX-11DXZ-1926-SM-5GZZL 50-59 years, male 97.3
GTEX-13FTY-2226-SM-5J1ND 40-49 years, female 97.3
GTEX-14E7W-0826-SM-62LEJ 70-79 years, male 97.1
GTEX-1GPI7-0926-SM-7PC3J 20-29 years, male 97.1
GTEX-1LNCM-0226-SM-DIPF4 50-59 years, female 97.1
GTEX-1IOXB-1926-SM-ARL8E 50-59 years, male 96.8
GTEX-ZYFC-0826-SM-5E44K 50-59 years, male 96.5
GTEX-X261-0626-SM-3NMD9 50-59 years, male 96.4
GTEX-13O61-1826-SM-5KM4I 60-69 years, male 96.3
GTEX-1L5NE-2126-SM-CY8IH 50-59 years, male 96.1
GTEX-13OW8-0226-SM-5K7UP 60-69 years, male 95.9
GTEX-QVJO-1826-SM-447C9 60-69 years, female 95.8
GTEX-1NHNU-0926-SM-E9J2T 50-59 years, male 95.8
GTEX-ZDTT-2126-SM-DKPOM 60-69 years, male 95.8
GTEX-X4EP-2926-SM-3P5YQ 60-69 years, female 95.6
GTEX-169BO-1126-SM-7MGWN 50-59 years, male 95.6
GTEX-ZVZQ-0826-SM-51MRF 60-69 years, female 95.5
GTEX-15UF7-0726-SM-6M46D 40-49 years, male 95.4
GTEX-YEC3-1026-SM-5IFI5 50-59 years, male 95.4
GTEX-1LBAC-0926-SM-CXKY9 20-29 years, male 95.2
GTEX-145MO-0826-SM-5NQBL 60-69 years, male 95.0
GTEX-1HC8U-0826-SM-ADEIL 40-49 years, female 95.0
GTEX-1PDJ9-1126-SM-EXUSW 20-29 years, male 95.0
GTEX-16YQH-2826-SM-6PAMY 30-39 years, male 94.6
GTEX-1313W-0826-SM-5EQ4T 50-59 years, female 94.3
GTEX-11ZTT-2326-SM-5EQLG 60-69 years, female 94.2
GTEX-ZDXO-0126-SM-5S2ND 60-69 years, male 93.8
GTEX-ZTX8-1226-SM-4YCE9 20-29 years, male 93.7
GTEX-16NGA-0826-SM-718AF 40-49 years, female 93.6
GTEX-13CF2-2026-SM-5K7VI 60-69 years, male 93.5
GTEX-1LC47-1226-SM-D4P44 60-69 years, male 93.5
GTEX-11NV4-2026-SM-5N9DG 60-69 years, male 93.4
GTEX-12WSM-1726-SM-5BC6J 60-69 years, male 93.4
GTEX-1QP9N-1826-SM-E8VMP 30-39 years, male 93.3
GTEX-S32W-2026-SM-4AD6E 50-59 years, female 93.2
GTEX-YECK-0726-SM-EZ6LV 60-69 years, male 93.2
GTEX-17GQL-0326-SM-7LG5U 60-69 years, male 93.1
GTEX-17MFQ-0926-SM-7LG4S 20-29 years, male 93.1
GTEX-S4Q7-1126-SM-4AD6R 20-29 years, male 93.0
GTEX-18A6Q-0926-SM-7LG4N 60-69 years, male 92.9
GTEX-1PPH7-0826-SM-E8VNX 40-49 years, male 92.9
GTEX-ZC5H-2626-SM-5J2MG 40-49 years, female 92.8
GTEX-UPK5-2326-SM-3P5Z8 40-49 years, male 92.7
GTEX-T2IS-1526-SM-32QPR 20-29 years, female 92.5
GTEX-ZA64-1526-SM-5CVMD 20-29 years, male 92.3
GTEX-1JMLX-2026-SM-CMKGN 50-59 years, male 92.3
GTEX-11EI6-0626-SM-5985T 60-69 years, male 92.2
GTEX-1JMOU-2026-SM-CMKGU 60-69 years, female 92.2
GTEX-ZU9S-1926-SM-5NQBP 30-39 years, male 92.1
GTEX-17MF6-0326-SM-7EPH5 40-49 years, male 92.0
GTEX-SE5C-2126-SM-4BRUJ 40-49 years, female 92.0
GTEX-1H11D-1526-SM-9MQJY 40-49 years, male 92.0
GTEX-ZQG8-0726-SM-5P9H9 60-69 years, female 91.9
GTEX-1AX9I-0726-SM-73KWV 60-69 years, male 91.8
GTEX-ZGAY-1726-SM-DO91P 40-49 years, female 91.8
GTEX-144GL-2026-SM-5LU3O 50-59 years, male 91.5
GTEX-YFC4-1426-SM-5IFJG 40-49 years, female 91.5
GTEX-1ICG6-1326-SM-ACKWR 70-79 years, female 91.5
GTEX-1MCC2-2126-SM-EWRON 30-39 years, female 91.5
GTEX-11PRG-0826-SM-5EQ6A 50-59 years, male 91.4
GTEX-17KNJ-2026-SM-7LG53 50-59 years, male 91.3
GTEX-ZEX8-2226-SM-57WC6 50-59 years, male 91.2
GTEX-1117F-2826-SM-5GZXL 60-69 years, female 91.1
GTEX-ZLWG-1926-SM-DO92J 50-59 years, female 91.1
GTEX-1HCVE-2626-SM-ADEJ8 50-59 years, male 91.0
GTEX-11I78-2226-SM-5PNYA 50-59 years, female 90.9
GTEX-1JMPZ-1626-SM-COH31 30-39 years, male 90.7
GTEX-13FHO-0826-SM-5L3E8 60-69 years, male 90.5
GTEX-1H23P-0726-SM-9WG7K 60-69 years, male 90.4
GTEX-RUSQ-2026-SM-4GIAK 50-59 years, male 90.3
GTEX-U3ZN-1926-SM-4DXSG 30-39 years, female 90.3
GTEX-ZUA1-1526-SM-59HLS 40-49 years, male 90.3
GTEX-ZY6K-1626-SM-5GZWV 50-59 years, male 90.3
GTEX-1GZ4H-0326-SM-7P8QX 50-59 years, female 90.3
GTEX-1HSMO-0826-SM-ADEIV 60-69 years, male 90.2
GTEX-REY6-2426-SM-48FF5 60-69 years, male 90.0
GTEX-11EMC-2026-SM-5A5JV 60-69 years, female 89.7
GTEX-144GM-0926-SM-5O994 20-29 years, male 89.6
GTEX-1R9PM-1826-SM-EVYBH 20-29 years, male 89.5
GTEX-ZDYS-1126-SM-5K7UB 50-59 years, male 89.2
GTEX-1QW4Y-1026-SM-DTXE2 30-39 years, male 88.6
GTEX-146FH-0826-SM-5SI8T 50-59 years, female 88.4
GTEX-18A7A-0726-SM-7LTAI 50-59 years, female 88.1
GTEX-1QPFJ-2026-SM-EVYBE 30-39 years, female 88.1
GTEX-1CAMS-1426-SM-7IGPM 40-49 years, female 87.9
GTEX-ZVT4-1026-SM-57WC4 50-59 years, female 87.8
GTEX-Y111-2026-SM-4SOJA 50-59 years, male 87.7
GTEX-ZF3C-2326-SM-5S2NC 50-59 years, female 87.7
GTEX-13O3P-0826-SM-5L3DH 50-59 years, male 87.5
GTEX-17JCI-0726-SM-7EPH1 60-69 years, female 87.5
GTEX-YB5K-1626-SM-5IFIN 40-49 years, female 87.5
GTEX-ZVE2-1226-SM-5NQ8R 50-59 years, male 87.5
GTEX-QDT8-0626-SM-48TYW 30-39 years, female 87.4
GTEX-R55D-0826-SM-48FEA 50-59 years, male 87.3
GTEX-1JMQK-2626-SM-COH2W 60-69 years, male 87.3
GTEX-WOFL-0826-SM-3MJG1 60-69 years, male 87.1
GTEX-1JKYR-0926-SM-CMKGJ 20-29 years, male 87.0
GTEX-17F98-0526-SM-79OK5 40-49 years, female 86.9
GTEX-1BAJH-0826-SM-7EWEF 70-79 years, male 86.9
GTEX-139T8-0826-SM-5L3DE 60-69 years, male 86.6
GTEX-1HSEH-2026-SM-ADEHN 60-69 years, male 86.6
GTEX-1KD5A-1926-SM-DKPQA 50-59 years, male 86.6
GTEX-17EUY-1926-SM-7DUF6 20-29 years, male 86.5
GTEX-15UF6-0126-SM-6PAMB 70-79 years, female 86.1
GTEX-1HCU9-0326-SM-9WYSC 20-29 years, male 86.1
GTEX-11GSO-1926-SM-5A5K3 60-69 years, male 86.0
GTEX-183FY-1126-SM-7DHLJ 20-29 years, male 85.9
GTEX-1MJK3-1126-SM-E9J3F 20-29 years, male 85.9
GTEX-14B4R-1226-SM-5TDDT 30-39 years, male 85.8
GTEX-13OW5-2226-SM-5L3HC 60-69 years, male 85.7
GTEX-1GPI6-0626-SM-7RHHJ 60-69 years, male 85.7
GTEX-1K9T9-1426-SM-DIPFQ 50-59 years, female 85.5
GTEX-RU1J-0626-SM-4WAWY 20-29 years, female 85.4
GTEX-1LVAM-0926-SM-E9TJ2 50-59 years, female 85.2
GTEX-13QJ3-0826-SM-7DHKK 50-59 years, male 85.1
GTEX-1B8KZ-1526-SM-7DUG7 50-59 years, male 85.0
GTEX-Y3I4-1526-SM-4TT7K 50-59 years, male 85.0
GTEX-TKQ1-0226-SM-33HB5 30-39 years, male 84.9
GTEX-13W3W-1226-SM-5LU4H 60-69 years, female 84.8
GTEX-13113-5013-SM-7SB7G 60-69 years, female 84.8
GTEX-11LCK-2426-SM-5HL5F 30-39 years, male 84.7
GTEX-QEG5-0726-SM-D4P1T 20-29 years, male 84.5
GTEX-1C6VS-0726-SM-7EPHF 60-69 years, male 83.8
GTEX-18A66-1726-SM-7LG5N 60-69 years, male 83.8
GTEX-S4UY-0726-SM-4AD6X 40-49 years, female 83.4
GTEX-15RJE-2626-SM-7KFT1 40-49 years, male 83.3
GTEX-1R7EU-1226-SM-E8VMR 60-69 years, male 83.1
GTEX-12WSN-1326-SM-5GCNT 40-49 years, male 83.0
GTEX-YJ8O-2226-SM-5IFHW 40-49 years, female 83.0
GTEX-1C6WA-2426-SM-7SB86 60-69 years, male 82.9
GTEX-T2YK-2226-SM-32QPT 50-59 years, male 82.8
GTEX-ZV6S-1826-SM-5NQ8D 40-49 years, female 82.8
GTEX-1211K-1926-SM-5EQLB 60-69 years, female 82.7
GTEX-1AX9J-1126-SM-731B7 60-69 years, male 82.6
GTEX-RU72-0626-SM-46MUI 50-59 years, female 82.5
GTEX-1EKGG-2626-SM-7IGPY 60-69 years, male 82.2
GTEX-147F4-2826-SM-5NQBN 50-59 years, male 82.0
GTEX-1HUB1-1626-SM-CM2SL 60-69 years, male 82.0
GTEX-QMRM-1626-SM-D4P1U 50-59 years, male 81.8
GTEX-1KANA-2026-SM-DIPFB 20-29 years, male 81.7
GTEX-1MCYP-0126-SM-E6CIS 20-29 years, female 81.7
GTEX-12ZZX-1126-SM-5EGKB 40-49 years, female 81.5
GTEX-1B8KE-1226-SM-73KWK 50-59 years, male 81.3
GTEX-11DXW-0626-SM-5N9ER 40-49 years, male 81.2
GTEX-133LE-1726-SM-5K7VQ 20-29 years, female 81.2
GTEX-13N11-1726-SM-5J1OJ 50-59 years, female 81.2
GTEX-17HGU-1326-SM-79OKB 50-59 years, male 80.7
GTEX-1CB4E-0226-SM-79OLW 60-69 years, male 80.5
GTEX-1LSVX-2426-SM-E6CJX 60-69 years, male 80.3
GTEX-1H3VY-0926-SM-ACKXE 50-59 years, male 80.2
GTEX-1NUQO-2226-SM-E9U68 20-29 years, female 80.0
GTEX-1B933-2526-SM-7IGO5 50-59 years, female 79.9
GTEX-1E2YA-2726-SM-7IGPW 50-59 years, male 79.9
GTEX-16BQI-1026-SM-7KUEA 30-39 years, female 79.8
GTEX-1IKOE-1326-SM-CE6T6 30-39 years, female 79.8
GTEX-15ER7-1626-SM-6PAMZ 20-29 years, female 79.6
GTEX-1C64O-0726-SM-7DUFU 60-69 years, male 79.6
GTEX-1GF9V-2526-SM-7SB8K 60-69 years, male 79.6
GTEX-1AX8Z-0926-SM-731AW 60-69 years, male 79.4
GTEX-1S82U-1126-SM-E9U6I 30-39 years, female 79.4
GTEX-ZXES-0826-SM-5E43C 30-39 years, female 79.3
GTEX-18QFQ-0826-SM-718AX 30-39 years, male 79.2
GTEX-1KD4Q-2326-SM-D4P3M 40-49 years, male 79.1
GTEX-11EM3-1326-SM-5N9C6 20-29 years, female 79.0
GTEX-W5X1-2326-SM-3GIL6 40-49 years, female 78.9
GTEX-15SHW-1326-SM-6PAL8 60-69 years, male 78.8
GTEX-Y5V5-2126-SM-4WWFO 60-69 years, female 78.5
GTEX-1GF9X-1026-SM-ACKX2 40-49 years, female 78.5
GTEX-T5JW-2026-SM-4DM63 20-29 years, female 78.1
GTEX-17F9E-2526-SM-7MGW2 50-59 years, male 78.0
GTEX-1POEN-0926-SM-DTX88 30-39 years, female 78.0
GTEX-R53T-1526-SM-48FEK 50-59 years, female 77.8
GTEX-139TU-0626-SM-5KM3X 60-69 years, male 77.7
GTEX-11GSP-0926-SM-9WYSG 60-69 years, female 77.7
GTEX-1R46S-2526-SM-E8VN2 60-69 years, female 77.7
GTEX-WI4N-1426-SM-3LK7H 40-49 years, female 77.6
GTEX-1HCU8-0126-SM-ADEHH 60-69 years, female 77.6
GTEX-UJHI-1426-SM-3DB9C 50-59 years, female 77.5
GTEX-1I1GT-1126-SM-ARL7J 60-69 years, female 77.2
GTEX-111YS-1926-SM-5GICC 60-69 years, male 77.1
GTEX-1H4P4-2226-SM-9MQKQ 50-59 years, male 77.0
GTEX-1RAZQ-1226-SM-EWRNL 30-39 years, male 76.8
GTEX-1122O-1226-SM-5H113 60-69 years, female 76.7
GTEX-1KANC-1426-SM-CYPT9 50-59 years, female 76.7
GTEX-S4P3-1326-SM-4AD6V 50-59 years, female 76.6
GTEX-WY7C-2726-SM-3NB3P 50-59 years, male 76.6
GTEX-13QIC-2326-SM-5LU5N 60-69 years, female 76.5
GTEX-S341-1526-SM-4AD6K 40-49 years, female 76.5
GTEX-14DAR-1326-SM-7DUEG 50-59 years, male 76.3
GTEX-1N5O9-1126-SM-DTXEQ 60-69 years, male 76.1
GTEX-1HBPM-0126-SM-ARL9E 60-69 years, female 76.0
GTEX-1HR9M-2426-SM-ACKXI 60-69 years, male 76.0
GTEX-1I1HK-2426-SM-ADEHX 60-69 years, male 75.9
GTEX-1GMRU-0826-SM-9WYT7 50-59 years, male 75.8
GTEX-1I1GU-1026-SM-ADEHJ 40-49 years, male 75.8
GTEX-Z9EW-1526-SM-EZ6LU 40-49 years, male 75.8
GTEX-1LG7Z-0726-SM-CXKYD 30-39 years, male 75.7
GTEX-1IDJU-1826-SM-CMKHV 60-69 years, female 75.5
GTEX-1F5PL-1026-SM-7RHI1 40-49 years, female 75.3
GTEX-131XW-0726-SM-5EGK3 50-59 years, female 75.2
GTEX-1QCLZ-2326-SM-DTXDO 60-69 years, female 75.1
GTEX-ZPIC-1126-SM-5BC7F 40-49 years, female 74.8
GTEX-17HHE-1426-SM-7EPH4 50-59 years, male 74.6
GTEX-15ETS-0626-SM-7KUMX 40-49 years, female 74.4
GTEX-WYVS-1726-SM-3NMAY 40-49 years, female 74.4
GTEX-1GMR2-1926-SM-9MQLZ 50-59 years, male 74.2
GTEX-1EU9M-2826-SM-7EWFH 60-69 years, male 74.0
GTEX-1269C-2426-SM-5FQSN 60-69 years, female 73.6
GTEX-1LGRB-1826-SM-CNPQL 50-59 years, female 73.6
GTEX-1K2DA-1726-SM-CGQGS 50-59 years, male 73.4
GTEX-1B932-0826-SM-73KXG 40-49 years, female 73.3
GTEX-WYJK-1326-SM-3NB2T 50-59 years, male 73.3
GTEX-1HFI7-0126-SM-CGQFQ 50-59 years, female 73.3
GTEX-1MA7X-1626-SM-E9U5B 60-69 years, male 73.1
GTEX-XUW1-2326-SM-4BOO5 50-59 years, female 73.0
GTEX-1EN7A-1426-SM-7PBY4 40-49 years, male 73.0
GTEX-1MA7W-1026-SM-DKPQK 20-29 years, female 73.0
GTEX-1QP28-1226-SM-E9J2M 50-59 years, female 73.0
GTEX-VJWN-0726-SM-3GIJ8 50-59 years, female 72.9
GTEX-Y114-2026-SM-4TT7L 50-59 years, female 72.9
GTEX-1KXAM-1026-SM-CY8IA 60-69 years, male 72.8
GTEX-1RAZS-1226-SM-E8VMT 50-59 years, male 72.8
GTEX-Q2AG-0326-SM-48U1O 40-49 years, female 72.6
GTEX-1P4AB-1826-SM-E76PU 50-59 years, male 72.3
GTEX-1F75B-0626-SM-7SB8A 50-59 years, male 72.1
GTEX-ZLV1-1426-SM-DO92Z 60-69 years, female 72.1
GTEX-14E6E-1326-SM-5S2NR 30-39 years, male 72.0
GTEX-1GZ4I-2826-SM-9MQK5 50-59 years, male 72.0
GTEX-WFON-1826-SM-3GILG 40-49 years, male 71.8
GTEX-145ME-1526-SM-5Q5F2 40-49 years, female 71.6
GTEX-1B97I-0426-SM-79OL7 40-49 years, male 71.3
GTEX-ZAK1-1326-SM-EVYAS 50-59 years, female 71.3
GTEX-Y3IK-2326-SM-4WWDT 50-59 years, female 71.2
GTEX-1GZ2Q-2626-SM-7MXV9 40-49 years, male 71.2
GTEX-RWS6-1926-SM-47JXY 60-69 years, female 70.4
GTEX-1A3MV-1626-SM-731C1 30-39 years, male 70.3
GTEX-1CB4G-2326-SM-79OOI 60-69 years, male 69.9
GTEX-1I1GV-2426-SM-CGQFM 60-69 years, male 69.9
GTEX-1M5QR-2526-SM-E9U5P 40-49 years, male 69.9
GTEX-V955-2026-SM-3GAFA 60-69 years, male 69.8
GTEX-WRHU-0326-SM-3MJFY 50-59 years, female 69.7
GTEX-1HCUA-0726-SM-ACKVU 50-59 years, female 69.6
GTEX-TMMY-0726-SM-33HBE 40-49 years, female 69.5
GTEX-Y8LW-1626-SM-5IFHX 50-59 years, female 69.5
GTEX-1CAMR-1426-SM-793BO 20-29 years, male 68.9
GTEX-1EWIQ-1726-SM-7SB7T 70-79 years, female 68.9
GTEX-1IKOH-2326-SM-CM2TW 60-69 years, female 68.9
GTEX-ZZPU-0626-SM-5E43T 50-59 years, female 68.8
GTEX-WFG8-2026-SM-EXOHO 20-29 years, male 68.7
GTEX-1I6K7-1026-SM-A9SLK 40-49 years, male 68.6
GTEX-1LSNM-1326-SM-E9TJ1 50-59 years, male 68.6
GTEX-11TUW-1826-SM-5BC5D 60-69 years, male 68.5
GTEX-1GMR3-2626-SM-7RHHG 40-49 years, male 68.5
GTEX-13PVR-2226-SM-7DHKP 60-69 years, female 68.2
GTEX-WXYG-2226-SM-4E3IM 50-59 years, female 68.1
GTEX-XUZC-1626-SM-4BRVP 30-39 years, female 68.1
GTEX-1OKEX-0826-SM-E9J2B 60-69 years, male 67.9
GTEX-1JK1U-1826-SM-ARL8W 60-69 years, male 67.6
GTEX-1JKYN-0726-SM-ARZMY 30-39 years, male 67.6
GTEX-11P81-1926-SM-5BC53 30-39 years, female 67.4
GTEX-1I4MK-1626-SM-CM2TJ 50-59 years, female 67.4
GTEX-TKQ2-1826-SM-33HB2 50-59 years, male 67.3
GTEX-1GN1W-1926-SM-7P8TH 50-59 years, female 66.7
GTEX-WHSB-1926-SM-EXOHH 50-59 years, male 66.3
GTEX-ZTPG-2826-SM-57WGA 20-29 years, female 66.3
GTEX-15FZZ-0726-SM-7KUFZ 30-39 years, female 66.1
GTEX-U3ZH-1426-SM-4DXSR 30-39 years, male 66.0
GTEX-WYBS-0926-SM-3NM94 60-69 years, female 66.0
GTEX-1HSKV-2026-SM-CMKGX 60-69 years, male 66.0
GTEX-1GZHY-0726-SM-9WG6B 50-59 years, female 65.3
GTEX-1H1E6-0926-SM-9YFLT 30-39 years, male 64.9
GTEX-1GMR8-0726-SM-9KNVI 50-59 years, female 64.8
GTEX-1QCLY-1626-SM-DTXDW 30-39 years, male 64.8
GTEX-ZF2S-2026-SM-5E461 50-59 years, female 64.6
GTEX-1IY9M-2726-SM-CMKG5 60-69 years, male 64.6
GTEX-1LSNL-2826-SM-E9U5L 50-59 years, male 64.6
GTEX-18465-2026-SM-718AP 50-59 years, male 64.1
GTEX-1F6I4-2526-SM-7SB8F 60-69 years, male 63.7
GTEX-17EVP-0226-SM-79OND 40-49 years, male 63.6
GTEX-117XS-1926-SM-5GICO 60-69 years, male 63.4
GTEX-11GS4-2126-SM-5A5KR 60-69 years, male 63.2
GTEX-14A5I-0726-SM-5TDEB 50-59 years, female 63.0
GTEX-18A7B-2626-SM-7LG55 70-79 years, male 62.9
GTEX-XOT4-0726-SM-4GIAW 60-69 years, female 62.8
GTEX-1J8EW-2626-SM-CL53E 60-69 years, female 62.4
GTEX-ZV7C-1826-SM-5NQ83 50-59 years, male 62.1
GTEX-1GN1U-0526-SM-9KNTT 50-59 years, female 61.9
GTEX-1B8L1-2426-SM-9WYTE 60-69 years, male 61.4
GTEX-1HBPN-2326-SM-9WPPU 50-59 years, male 61.4
GTEX-17HHY-0926-SM-793C1 50-59 years, male 61.2
GTEX-1HSGN-1526-SM-A9SMO 40-49 years, female 60.8
GTEX-1J8Q2-2726-SM-A9G2X 60-69 years, male 60.7
GTEX-1HKZK-1826-SM-ADEJ2 40-49 years, male 59.9
GTEX-XBED-1626-SM-47JYN 60-69 years, male 59.6
GTEX-1C475-1226-SM-7SB72 40-49 years, female 59.5
GTEX-U412-1826-SM-4DXTJ 60-69 years, male 58.7
GTEX-ZF29-1926-SM-5S2P1 60-69 years, female 58.7
GTEX-T6MN-0726-SM-32PML 50-59 years, male 58.6
GTEX-1IKJJ-2326-SM-COH3U 60-69 years, male 58.6
GTEX-1J8QM-2026-SM-ARZMW 60-69 years, female 58.0
GTEX-1H1CY-2226-SM-9WG7E 60-69 years, female 57.8
GTEX-1J8Q3-1326-SM-CMKI1 60-69 years, male 57.7
GTEX-132Q8-1426-SM-5EGK7 60-69 years, male 56.7
GTEX-1LVAN-1326-SM-CNPQE 50-59 years, female 56.6
GTEX-T5JC-2126-SM-32PMO 20-29 years, male 55.5
GTEX-1F75A-1826-SM-7SB8G 50-59 years, male 55.4
GTEX-TML8-1226-SM-32QON 40-49 years, female 54.8
GTEX-T6MO-0326-SM-32QOK 40-49 years, female 53.3
GTEX-1B97J-0426-SM-79OLQ 50-59 years, female 51.2
GTEX-1JMPY-0526-SM-CL54O 30-39 years, male 50.9
Show allShow less

BREAST - FANTOM5 CAGEi

RNA expression in human tissues obtained through Cap Analysis of Gene Expression (CAGE) generated by the FANTOM5 project are reported as Scaled Tags Per Million.

Max subtype Scaled Tags Per Millioni

Max subtype Scaled Tags Per Million is the value for the subtype with the largest average Scaled Tags Per Million across the subtype samples.

175.3
FANTOM5 sample id Sample description Scaled Tags Per Million
Breast
Scaled Tags Per Million: 175.3
FF:10080-102A8 77 years, female 175.3

Contact

  • NEWS ARTICLES
  • PRESS ROOM

The Project

  • INTRODUCTION
  • ORGANIZATION
  • PUBLICATIONS

The Human Protein Atlas

  • DOWNLOADABLE DATA
  • LICENCE & CITATION
  • HELP & FAQ
The Human Protein Atlas project is funded
by the Knut & Alice Wallenberg Foundation.


contact@proteinatlas.org