We use cookies to enhance the usability of our website. If you continue, we'll assume that you are happy to receive all cookies. More information. Don't show this again.
FKBP2
HPA
RESOURCES
  • TISSUE
  • BRAIN
  • SINGLE CELL
  • SUBCELLULAR
  • CANCER
  • BLOOD
  • CELL LINE
  • STRUCTURE & INTERACTION
ABOUT
  • INTRODUCTION
  • HISTORY
  • ORGANIZATION
  • PUBLICATIONS
  • ANTIBODY SUBMISSION
  • ANTIBODY AVAILABILITY
  • ACKNOWLEDGMENTS
  • CONTACT
NEWS
  • NEWS ARTICLES
  • PRESS ROOM
LEARN
  • DICTIONARY
  • PROTEIN CLASSES
  • PROTEIN EVIDENCE
  • METHODS
  • EDUCATIONAL VIDEOS
DATA
  • DOWNLOADABLE DATA
  • PUBLICATION DATA
  • RELEASE HISTORY
HELP
  • ANTIBODY VALIDATION
  • ASSAYS & ANNOTATION
  • DISCLAIMER
  • HELP & FAQ
  • PRIVACY STATEMENT
  • LICENCE & CITATION
Fields »
Search result

Field
Term
Gene name
Class
Subclass
Class
Keyword
Chromosome
External id
Tissue
Cell type
Expression
Antibody panel
Tissue
Main location
Patient ID
Annotation
Tissue
Category
Tau score
Cluster
Reliability
Brain region
Category
Tau score
Brain region
Category
Tau score
Brain region
Category
Tau score
Cluster
Reliability
Tissue
Cell type
Enrichment
Cell type
Category
Tau score
Cell type
Category
Tau score
Cell type
Category
Tau score
Cell lineage
Category
Tau score
Cluster
Cluster
Location
Searches
Location
Cell line
Class
Type
Phase
Reliability
Cancer
Prognosis
Cancer
Category
Cancer
Category
Tau score
Cluster
Variants
Interacting gene (ensg_id)
Type
Number of interactions
Pathway
Category
Score
Score
Score
Validation
Validation
Validation
Validation
Antibodies
Data type
Column


  • SUMMARY

  • TISSUE

  • BRAIN

  • SINGLE CELL

  • SUBCELL

  • CANCER

  • BLOOD

  • CELL LINE

  • STRUCT & INT

  • FKBP2
TISSUE PRIMARY DATA PANCREAS Show tissue menu
ADIPOSE TISSUE ADRENAL GLAND AMYGDALA APPENDIX BASAL GANGLIA BONE MARROW BREAST BRONCHUS CEREBELLUM CEREBRAL CORTEX CERVIX CHOROID PLEXUS COLON DUODENUM
ENDOMETRIUM EPIDIDYMIS ESOPHAGUS FALLOPIAN TUBE GALLBLADDER HEART MUSCLE HIPPOCAMPAL FORMATION HYPOTHALAMUS KIDNEY LIVER LUNG LYMPH NODE MIDBRAIN NASOPHARYNX
ORAL MUCOSA OVARY PANCREAS PARATHYROID GLAND PITUITARY GLAND PLACENTA PROSTATE RECTUM RETINA SALIVARY GLAND SEMINAL VESICLE SKELETAL MUSCLE SKIN SMALL INTESTINE
SMOOTH MUSCLE SOFT TISSUE SPINAL CORD SPLEEN STOMACH TESTIS THYMUS THYROID GLAND TONGUE TONSIL URINARY BLADDER VAGINA
ANTIBODIES
AND
VALIDATION
Dictionary
Pancreas
Tissue proteome
Pancreas
PANCREAS - Expression summary
Protein expression
Pancreasi

On the top, protein expression in current human tissue, based on all annotated cell types, is reported with the units not detected (n), low (l), medium (m) and high (h). Underneath, protein expression in each annotated cell type are reported using the same units.

Protein expression data is based on knowledge-based annotation. For genes where more than one antibody has been used, a collective score is set.

If knowledge-based annotation could not be performed for a gene, no data is displayed here. View antibody staining data further down this page.

h
m
l
n
Exocrine glandular cells: High
Pancreatic endocrine cells: Low
RNA expressioni

A summary of mRNA expression data available for current tissue based on several datasets. The mRNA expression levels in human tissues are based on RNA-seq data generated by the Human Protein Atlas (HPA), Genotype-Tissue Expression (GTEx) portal and CAGE data generated by the FANTOM5 consortium. Consensus normalized expression levels for human tissues was created by combining the data from HPA and GTEx datasets.

The mRNA expression levels in pig are based on RNA-seq data generated by the Human Protein Atlas (HPA), and for mouse, HPA data and in situ hybridization generated by the Allen brain atlas are reported.

Scroll down to view mRNA expression data in more detail.
Consensus:271.0 nTPM
HPA:271.0 nTPM
GTEx:180.3 nTPM
FANTOM5:598.8 Scaled Tags Per Million

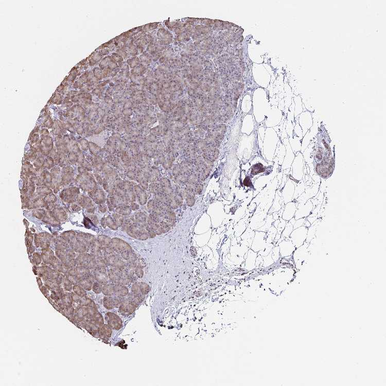
PANCREAS - Antibody stainingi

Antibody staining in the annotated cell types in the current human tissue is reported as not detected, low, medium, or high, based on conventional immunohistochemistry profiling in selected tissues. This score is based on the combination of the staining intensity and fraction of stained cells.

Each image is clickable and will lead to virtual microscopy that enables deeper exploration of all samples and also displays staining intensity scores, fraction scores and subcellular localization as well as patient and tissue information for each sample.

Antibody HPA049405Antibody CAB025561
Exocrine glandular cells MediumHigh
Pancreatic endocrine cells Not detectedLow





PANCREAS - HPA RNA-seqi

The RNA-seq details section shows detailed information about the individual samples used for the transcript profiling and results of the RNA-seq analysis.

Information about each individual sample is listed below, including gender, age, a tissue section image and estimated fractions of cell types. nTPM (normalized transcripts per million) values give a quantification of the gene abundance which is comparable between different genes and samples.
Average nTPMi

Max subtype nTPM is the value for the subtype with the largest average nTPM across the subtype samples.

271.0
overview
Female, age 59
Pancreas sample 194
nTPM: 286.9
Cell types%
Exocrine glandular cells:
75

Pancreatic endocrine cells:
10

Ductal cells:
5

Other cell types:
10

overview
Male, age 60
Pancreas sample 195
nTPM: 255.1
Cell types%
Exocrine glandular cells:
90

Pancreatic endocrine cells:
5

Ductal cells:
5


PANCREAS - GTEx RNA-seqi

RNA-Seq data generated by the Genotype-Tissue Expression (GTEx) project from human tissues is reported as mean nTPM. More information can be found on the GTEx portal.

Distribution across the dataset is visualized with box plots, shown as median and 25th and 75th percentiles. Points are displayed as outliers if they are above or below 1.5 times the interquartile range. nTPM values of the individual samples are presented next to the box plot.
Max subtype nTPMi

Max subtype nTPM is the value for the subtype with the largest average nTPM across the subtype samples.

180.3
GTEx sample id Sample description nTPM
Pancreas
Average nTPM: 180.3
Samples: 328

Max nTPM: 540.8
Min nTPM: 49.6
Std nTPM: 68.4
Median nTPM: 165.8
GTEX-15ER7-1326-SM-6LPK9 20-29 years, female 540.8
GTEX-16Z82-1726-SM-7MGX3 60-69 years, male 463.1
GTEX-1PBJI-2126-SM-DPRYG 20-29 years, female 417.3
GTEX-178AV-0226-SM-793B7 40-49 years, male 396.3
GTEX-13U4I-1526-SM-5IFFF 40-49 years, female 394.4
GTEX-OOBJ-1026-SM-3NB2L 60-69 years, male 383.4
GTEX-13FLV-0626-SM-5IFEY 50-59 years, male 378.4
GTEX-ZEX8-1026-SM-4WKHE 50-59 years, male 377.2
GTEX-18A6Q-1726-SM-7LT9A 60-69 years, male 374.1
GTEX-18A7A-1726-SM-7LT93 50-59 years, female 367.9
GTEX-17MF6-1426-SM-7IGOX 40-49 years, male 367.2
GTEX-11NSD-0526-SM-5A5LT 20-29 years, male 360.9
GTEX-1H1DG-1426-SM-9OSXP 70-79 years, male 354.8
GTEX-QV44-0426-SM-4R1KF 50-59 years, male 353.6
GTEX-1OKEX-1726-SM-E9U4F 60-69 years, male 346.2
GTEX-15CHR-2026-SM-7MXU2 50-59 years, male 329.5
GTEX-1L5NE-0826-SM-DHXKU 50-59 years, male 310.1
GTEX-13SLX-1326-SM-5S2QS 50-59 years, female 308.3
GTEX-14PJM-2126-SM-6AJAS 50-59 years, female 301.7
GTEX-Q734-0426-SM-48TZX 40-49 years, female 301.6
GTEX-TML8-0526-SM-32QOQ 40-49 years, female 299.4
GTEX-1CAMQ-1626-SM-7MGXG 40-49 years, male 291.2
GTEX-XQ8I-1926-SM-4BOOK 50-59 years, male 289.1
GTEX-146FQ-1526-SM-5Q5CX 30-39 years, male 284.7
GTEX-ZDTT-1126-SM-4WKFW 60-69 years, male 282.6
GTEX-ZAB5-0826-SM-5P9FU 50-59 years, male 277.8
GTEX-XBEW-1626-SM-4SOJP 40-49 years, male 271.6
GTEX-15SHV-1526-SM-6LLIB 60-69 years, male 271.4
GTEX-1QEPI-1626-SM-EAZ3I 60-69 years, female 265.3
GTEX-1I1GQ-2226-SM-B2LX1 50-59 years, male 263.9
GTEX-1LVAN-1226-SM-CNNQY 50-59 years, female 263.9
GTEX-15DYW-1626-SM-6LLI1 60-69 years, female 263.2
GTEX-11GSP-0426-SM-5A5KX 60-69 years, female 259.1
GTEX-14PJ4-0726-SM-6872E 60-69 years, male 259.1
GTEX-ZYY3-0826-SM-5E44R 60-69 years, female 257.8
GTEX-1QPFJ-2226-SM-EXOJW 30-39 years, female 257.7
GTEX-13O61-2126-SM-5IJEO 60-69 years, male 253.8
GTEX-12WSD-1626-SM-5GCNR 60-69 years, female 252.8
GTEX-11ONC-0526-SM-5BC57 60-69 years, male 252.3
GTEX-14PJN-1526-SM-6AJBP 30-39 years, male 252.1
GTEX-1KANA-1526-SM-CXZKG 20-29 years, male 251.8
GTEX-1C6VQ-1726-SM-7IGLQ 50-59 years, male 250.6
GTEX-1MUQO-1426-SM-DPRYJ 60-69 years, male 248.9
GTEX-R53T-0426-SM-48FEM 50-59 years, female 245.0
GTEX-ZAK1-2326-SM-5CVMY 50-59 years, female 241.1
GTEX-1AX9K-2026-SM-731D1 50-59 years, male 237.0
GTEX-1GMR3-1226-SM-7MGY1 40-49 years, male 236.8
GTEX-1LSNM-0726-SM-DHXL1 50-59 years, male 235.7
GTEX-1N2DV-1726-SM-DPRYR 40-49 years, male 235.6
GTEX-14ICL-1126-SM-5S2RE 30-39 years, male 233.0
GTEX-17F98-0426-SM-79ONZ 40-49 years, female 231.6
GTEX-QLQW-0326-SM-447A8 30-39 years, male 231.2
GTEX-RM2N-0326-SM-48FD8 50-59 years, male 229.7
GTEX-YF7O-1326-SM-4W1ZR 50-59 years, male 229.4
GTEX-Y8E4-1326-SM-5IFIY 40-49 years, male 228.9
GTEX-PLZ6-0726-SM-3P619 30-39 years, male 228.6
GTEX-13FTX-1226-SM-5IFGN 20-29 years, female 228.3
GTEX-11EQ9-1026-SM-5H134 30-39 years, male 227.9
GTEX-1QP29-1926-SM-DPRZO 50-59 years, male 223.7
GTEX-1GF9X-1126-SM-7MKHC 40-49 years, female 221.6
GTEX-18D9U-1626-SM-7KFTW 40-49 years, male 221.4
GTEX-1CAMR-1126-SM-7MGXF 20-29 years, male 220.7
GTEX-T8EM-0826-SM-4DM76 40-49 years, male 219.1
GTEX-18A66-2126-SM-7189D 60-69 years, male 217.3
GTEX-1O97I-1726-SM-EXOIP 60-69 years, male 217.3
GTEX-14PJ6-0926-SM-686ZA 60-69 years, female 217.2
GTEX-X15G-0726-SM-4PQZ5 50-59 years, female 215.4
GTEX-1399S-0326-SM-5IFFS 30-39 years, female 213.7
GTEX-RWS6-1126-SM-47JXC 60-69 years, female 213.0
GTEX-XUW1-1726-SM-4BOOZ 50-59 years, female 212.9
GTEX-1IL2U-2326-SM-CNNQV 60-69 years, male 212.8
GTEX-1M5QR-0926-SM-DHXK8 40-49 years, male 212.5
GTEX-1R46S-1426-SM-EXOJD 60-69 years, female 211.7
GTEX-ZAB4-1726-SM-5HL8C 40-49 years, male 211.5
GTEX-1S83E-1426-SM-EV7B8 40-49 years, male 211.5
GTEX-1QW4Y-0926-SM-DPRY2 30-39 years, male 211.2
GTEX-14JG6-0426-SM-68715 30-39 years, female 210.8
GTEX-15SB6-0226-SM-6LLIA 50-59 years, female 210.8
GTEX-11VI4-0426-SM-5EGHZ 40-49 years, female 210.6
GTEX-1NUQO-0826-SM-DPS16 20-29 years, female 209.9
GTEX-ZLWG-0326-SM-4WWC7 50-59 years, female 209.8
GTEX-14C39-1026-SM-73KWG 40-49 years, male 207.9
GTEX-WFG7-0426-SM-4LMK5 20-29 years, male 207.1
GTEX-13FTW-0526-SM-5IFIP 40-49 years, male 207.0
GTEX-PX3G-1026-SM-48TZW 20-29 years, female 206.4
GTEX-S3XE-0526-SM-4AD4G 50-59 years, male 206.1
GTEX-1A8FM-1826-SM-7MGXO 50-59 years, female 206.1
GTEX-1I4MK-1026-SM-AHZ2H 50-59 years, female 205.0
GTEX-1HSMO-2026-SM-CNNQO 60-69 years, male 203.1
GTEX-P4PP-1026-SM-3NM9O 30-39 years, female 201.4
GTEX-17HHE-0526-SM-7DUGR 50-59 years, male 200.7
GTEX-1J8EW-1926-SM-CGQGR 60-69 years, female 200.7
GTEX-WQUQ-2126-SM-4OOSO 60-69 years, male 200.0
GTEX-12WSG-1026-SM-5EGII 50-59 years, female 199.5
GTEX-R55D-1426-SM-48FEN 50-59 years, male 199.0
GTEX-1R7EU-0726-SM-DPRZM 60-69 years, male 198.9
GTEX-PW2O-0826-SM-48TC5 20-29 years, male 198.1
GTEX-1CB4G-1826-SM-7MKGO 60-69 years, male 197.8
GTEX-S33H-1226-SM-4AD69 30-39 years, male 197.7
GTEX-1MGNQ-1226-SM-EV7BM 40-49 years, male 197.1
GTEX-15RIF-0626-SM-6LLI3 20-29 years, male 197.0
GTEX-WYJK-2426-SM-4ONDQ 50-59 years, male 196.8
GTEX-QMRM-0326-SM-CKZNB 50-59 years, male 196.6
GTEX-WRHK-0226-SM-4MVOH 20-29 years, female 196.1
GTEX-ZPU1-0226-SM-4WWC9 40-49 years, male 195.4
GTEX-1A3MW-1926-SM-7IGM8 60-69 years, female 195.2
GTEX-1B8KZ-0926-SM-731D7 50-59 years, male 194.9
GTEX-SNOS-0926-SM-4DM7A 40-49 years, male 194.8
GTEX-W5WG-0826-SM-4RGNE 50-59 years, female 194.6
GTEX-WH7G-0826-SM-4LVMR 40-49 years, male 193.9
GTEX-1AYCT-1226-SM-7EPGH 50-59 years, male 193.4
GTEX-P4QS-1026-SM-3NMCW 60-69 years, male 193.4
GTEX-14PJ3-0426-SM-6LLHF 50-59 years, male 193.3
GTEX-QV31-0226-SM-447BO 30-39 years, male 192.9
GTEX-ZZPU-0726-SM-5N9C8 50-59 years, female 192.0
GTEX-X4LF-0326-SM-4QAS9 50-59 years, male 191.0
GTEX-YFCO-1026-SM-5LU9S 40-49 years, male 190.8
GTEX-11DXX-0926-SM-5H112 60-69 years, female 190.5
GTEX-Y5LM-0526-SM-4V6G3 40-49 years, female 190.3
GTEX-QDVJ-1226-SM-48U1V 50-59 years, male 188.3
GTEX-1GN1W-1126-SM-9OSW3 50-59 years, female 188.2
GTEX-1PFEY-1126-SM-DPRZ3 30-39 years, male 187.6
GTEX-YEC3-0626-SM-CMKFG 50-59 years, male 187.6
GTEX-S32W-0826-SM-4AD5Z 50-59 years, female 187.0
GTEX-XGQ4-0226-SM-4GIDS 50-59 years, male 186.7
GTEX-QESD-0226-SM-447BH 20-29 years, male 186.4
GTEX-13W3W-1026-SM-5IFG4 60-69 years, female 186.0
GTEX-UJHI-0626-SM-3DB8T 50-59 years, female 185.5
GTEX-1OFPY-0626-SM-EXOJ4 60-69 years, male 185.4
GTEX-14PN3-0126-SM-6AJAU 60-69 years, female 184.7
GTEX-Y3IK-0426-SM-4WWE2 50-59 years, female 183.8
GTEX-TMMY-1326-SM-4DXU9 40-49 years, female 183.4
GTEX-14PJ2-1526-SM-686Z4 50-59 years, male 183.3
GTEX-ZP4G-0426-SM-4YCER 20-29 years, female 183.1
GTEX-1RAZA-1626-SM-EV79I 20-29 years, male 182.7
GTEX-WHWD-0726-SM-4OORX 50-59 years, male 182.4
GTEX-1LG7Z-0326-SM-DHXK3 30-39 years, male 182.3
GTEX-1IDJU-0326-SM-CGQEE 60-69 years, female 182.0
GTEX-XBED-0226-SM-47JY8 60-69 years, male 181.1
GTEX-1IDJC-0526-SM-AHZ2Q 50-59 years, male 181.0
GTEX-13D11-2226-SM-5IFEO 50-59 years, female 180.1
GTEX-OHPM-1026-SM-3LK74 50-59 years, male 179.5
GTEX-132AR-1826-SM-5EGHR 50-59 years, female 179.2
GTEX-ZG7Y-0326-SM-4WWEY 50-59 years, male 178.9
GTEX-1CAMS-1926-SM-7DUEU 40-49 years, female 178.5
GTEX-1H11D-0926-SM-9OSXO 40-49 years, male 177.7
GTEX-WFG8-0326-SM-4LVN4 20-29 years, male 177.5
GTEX-117YX-0226-SM-5EGH6 50-59 years, male 177.3
GTEX-15UKP-1326-SM-6LPI8 20-29 years, male 177.2
GTEX-WY7C-1026-SM-4OND3 50-59 years, male 177.0
GTEX-14PJO-1826-SM-69LPR 60-69 years, male 176.9
GTEX-15FZZ-0626-SM-7KFTO 30-39 years, female 173.3
GTEX-1C64O-1426-SM-7EWER 60-69 years, male 173.2
GTEX-ZTPG-1026-SM-5DUWP 20-29 years, female 171.5
GTEX-11I78-0626-SM-5A5LZ 50-59 years, female 171.2
GTEX-V955-0326-SM-4JBGV 60-69 years, male 171.0
GTEX-OXRK-1526-SM-E6CHJ 50-59 years, female 170.8
GTEX-1IDJD-0126-SM-C1YQZ 30-39 years, male 170.5
GTEX-14PHY-1126-SM-664OR 60-69 years, female 170.1
GTEX-13OVI-0526-SM-5IFFQ 60-69 years, female 169.3
GTEX-NFK9-1626-SM-3LK5J 40-49 years, male 168.8
GTEX-1339X-1026-SM-5IFH5 40-49 years, male 168.4
GTEX-YB5K-1826-SM-5IFJC 40-49 years, female 167.5
GTEX-1RAZQ-1426-SM-EV7B2 30-39 years, male 166.5
GTEX-XPVG-0326-SM-4B653 50-59 years, male 165.2
GTEX-WYVS-0926-SM-4SOJV 40-49 years, female 164.8
GTEX-111CU-0526-SM-5EGHK 50-59 years, male 164.2
GTEX-S4P3-0626-SM-4AD59 50-59 years, female 164.2
GTEX-1C2JI-0926-SM-731F1 50-59 years, male 163.7
GTEX-Q2AI-0426-SM-48U13 40-49 years, male 163.2
GTEX-1KXAM-0226-SM-EV7AP 60-69 years, male 163.2
GTEX-XV7Q-0926-SM-4BRVQ 40-49 years, female 163.1
GTEX-1F5PL-0726-SM-7MKH8 40-49 years, female 162.9
GTEX-1C4CL-0926-SM-79OL2 30-39 years, male 161.7
GTEX-XMK1-0326-SM-4B652 40-49 years, male 161.4
GTEX-Y3I4-0826-SM-4TT2A 50-59 years, male 161.4
GTEX-YEC4-1326-SM-5IFHG 40-49 years, male 161.2
GTEX-12BJ1-1126-SM-5EGGG 60-69 years, male 160.6
GTEX-1R7EV-1126-SM-DPRXU 40-49 years, male 160.5
GTEX-1CB4I-1326-SM-79OLY 50-59 years, male 160.4
GTEX-1122O-0726-SM-5GIEV 60-69 years, female 158.2
GTEX-14PHX-2026-SM-6872C 50-59 years, male 158.1
GTEX-1B932-1626-SM-731EA 40-49 years, female 157.9
GTEX-11LCK-0226-SM-5A5M6 30-39 years, male 157.8
GTEX-18A67-1726-SM-7KFT9 50-59 years, male 157.8
GTEX-QLQ7-0626-SM-CE6QX 60-69 years, male 157.3
GTEX-T5JW-0226-SM-4DM7I 20-29 years, female 157.1
GTEX-148VI-0826-SM-5TDDI 60-69 years, female 157.0
GTEX-1B933-1726-SM-731FC 50-59 years, female 156.6
GTEX-1NSGN-1726-SM-EXOJG 50-59 years, male 156.0
GTEX-1I1GT-0926-SM-AHZ2G 60-69 years, female 155.8
GTEX-Y8LW-1026-SM-5IFJY 50-59 years, female 155.4
GTEX-1PPH8-2326-SM-EAZ48 20-29 years, male 155.4
GTEX-1211K-1126-SM-5EGGB 60-69 years, female 154.8
GTEX-1S82P-1026-SM-EAZ4W 60-69 years, female 154.7
GTEX-XYKS-1226-SM-4BRVI 60-69 years, female 154.6
GTEX-OIZF-1026-SM-2HML5 60-69 years, male 154.3
GTEX-ZVT2-2026-SM-5NQ8Q 50-59 years, female 153.6
GTEX-17KNJ-1926-SM-7KFRV 50-59 years, male 152.5
GTEX-1JKYR-1026-SM-CGQGI 20-29 years, male 152.3
GTEX-15UF7-0826-SM-6M46E 40-49 years, male 152.2
GTEX-ZPCL-0726-SM-DO91S 60-69 years, female 152.1
GTEX-PSDG-1526-SM-48TCY 50-59 years, male 151.6
GTEX-1GL5R-0926-SM-9JGFO 50-59 years, male 151.2
GTEX-1H1E6-0826-SM-9WG83 30-39 years, male 151.2
GTEX-131XG-1426-SM-5GCMO 50-59 years, female 150.6
GTEX-1HSGN-1426-SM-A8NAA 40-49 years, female 149.8
GTEX-SE5C-0326-SM-4BRWX 40-49 years, female 149.2
GTEX-1399R-0426-SM-5IJE3 30-39 years, male 148.6
GTEX-1QP28-1026-SM-EAZ4K 50-59 years, female 148.6
GTEX-ZT9W-0926-SM-57WFS 50-59 years, male 148.5
GTEX-1128S-0826-SM-5GZZI 60-69 years, female 148.3
GTEX-VJYA-0826-SM-4KL1M 60-69 years, male 148.3
GTEX-1B97J-1526-SM-79ONI 50-59 years, female 148.1
GTEX-14DAR-0526-SM-664MX 50-59 years, male 147.9
GTEX-Q2AH-0926-SM-48TZK 40-49 years, male 147.9
GTEX-1B996-1326-SM-731EO 60-69 years, male 147.4
GTEX-1GZ4H-0626-SM-9OSXJ 50-59 years, female 147.3
GTEX-X3Y1-0726-SM-3P5YU 40-49 years, male 146.6
GTEX-ZF3C-2026-SM-4WWB5 50-59 years, female 145.5
GTEX-R55G-0326-SM-48FDM 40-49 years, female 145.4
GTEX-WHSB-0726-SM-4M1XQ 50-59 years, male 145.4
GTEX-O5YT-1026-SM-3MJGF 20-29 years, male 145.0
GTEX-13CF3-1026-SM-5LZWY 60-69 years, female 144.9
GTEX-13VXT-1226-SM-5LU3M 20-29 years, female 144.8
GTEX-1CB4F-1226-SM-7DHKU 60-69 years, male 144.8
GTEX-17F9E-1426-SM-793BG 50-59 years, male 144.1
GTEX-WHPG-0326-SM-4M1XV 50-59 years, male 144.0
GTEX-1QAET-1326-SM-E9U64 50-59 years, male 143.6
GTEX-131XF-1426-SM-5BC68 60-69 years, male 142.8
GTEX-15UF6-1826-SM-6LLI9 70-79 years, female 142.2
GTEX-ZV7C-0726-SM-59HKH 50-59 years, male 141.6
GTEX-ZPIC-0926-SM-4WWFK 40-49 years, female 141.1
GTEX-17HGU-2026-SM-79OKS 50-59 years, male 141.0
GTEX-1LGRB-0426-SM-CNNRD 50-59 years, female 140.6
GTEX-144GM-0726-SM-79OJQ 20-29 years, male 140.5
GTEX-1K2DA-0326-SM-CGQGX 50-59 years, male 140.4
GTEX-145MO-2126-SM-5Q5CZ 60-69 years, male 140.2
GTEX-139YR-1526-SM-5IFJ1 50-59 years, male 140.0
GTEX-S95S-0726-SM-4B64H 60-69 years, male 140.0
GTEX-11TT1-0326-SM-5LUAY 20-29 years, male 139.5
GTEX-TKQ2-0426-SM-4DXUO 50-59 years, male 139.4
GTEX-11XUK-0626-SM-5N9ES 40-49 years, female 139.1
GTEX-1S831-0626-SM-EV79N 20-29 years, male 138.8
GTEX-V1D1-0726-SM-4JBH7 50-59 years, male 137.9
GTEX-111YS-1226-SM-5EGGJ 60-69 years, male 137.8
GTEX-14E6E-1426-SM-5RQI2 30-39 years, male 137.8
GTEX-145MN-1426-SM-5SI9H 30-39 years, male 137.3
GTEX-ZLFU-0726-SM-57WF6 40-49 years, male 137.0
GTEX-15EU6-1126-SM-68721 50-59 years, male 136.4
GTEX-YB5E-0526-SM-4VDSD 40-49 years, male 136.3
GTEX-14PN4-1626-SM-6AJB5 50-59 years, male 136.2
GTEX-145ME-0326-SM-5S2QO 40-49 years, female 136.1
GTEX-1QP2A-1326-SM-EAZ3K 50-59 years, male 135.7
GTEX-13YAN-2126-SM-5Q5C4 60-69 years, male 134.6
GTEX-QDVN-0926-SM-2I5GL 50-59 years, male 134.5
GTEX-12WSK-0226-SM-5BC62 40-49 years, female 133.9
GTEX-ZVZP-0626-SM-59HL5 50-59 years, male 133.9
GTEX-13PL7-2226-SM-5L3IC 60-69 years, female 133.7
GTEX-14AS3-0326-SM-5Q5DB 40-49 years, female 132.8
GTEX-1HKZK-1126-SM-9WG82 40-49 years, male 132.7
GTEX-WFJO-0626-SM-4LVMC 30-39 years, male 132.6
GTEX-1GN1U-1126-SM-9WPPZ 50-59 years, female 132.5
GTEX-ZDYS-2526-SM-4WKGU 50-59 years, male 130.6
GTEX-1K2DU-1026-SM-DHXKC 20-29 years, male 130.6
GTEX-13N11-0226-SM-5KM3C 50-59 years, female 130.3
GTEX-12WSN-0826-SM-5GCOF 40-49 years, male 130.1
GTEX-14PKV-0926-SM-6AJB4 20-29 years, female 128.9
GTEX-ZYFG-0826-SM-5BC5T 60-69 years, female 128.0
GTEX-12WSL-0426-SM-5GCNX 50-59 years, male 127.5
GTEX-13FH7-1426-SM-5IFIC 50-59 years, female 126.7
GTEX-OOBK-1026-SM-48TC2 40-49 years, male 126.7
GTEX-NPJ8-2126-SM-3MJGK 40-49 years, male 125.6
GTEX-Y114-0826-SM-4TT77 50-59 years, female 125.6
GTEX-1497J-0426-SM-5Q5CO 60-69 years, male 125.0
GTEX-QEL4-1326-SM-447AD 50-59 years, male 125.0
GTEX-146FR-0126-SM-5Q5F3 60-69 years, female 124.8
GTEX-13PVR-0726-SM-5S2PX 60-69 years, female 124.4
GTEX-14PKU-0626-SM-6EU1Q 40-49 years, female 124.1
GTEX-ZF29-1126-SM-4WKGO 60-69 years, female 124.1
GTEX-1JK1U-1026-SM-AHZ44 60-69 years, male 122.5
GTEX-N7MT-1626-SM-3LK71 60-69 years, female 121.0
GTEX-1AMFI-0726-SM-731D9 50-59 years, female 120.3
GTEX-144FL-1526-SM-5Q5CA 50-59 years, male 119.8
GTEX-ZYT6-1326-SM-5E453 30-39 years, male 117.7
GTEX-Y9LG-0726-SM-4VDS3 30-39 years, male 115.7
GTEX-131XE-1926-SM-5IFER 50-59 years, male 115.4
GTEX-WI4N-1826-SM-4OOSF 40-49 years, female 114.6
GTEX-144GN-0826-SM-5LU5G 50-59 years, male 113.9
GTEX-14BMU-0726-SM-73KXS 20-29 years, female 112.2
GTEX-1AX8Z-1726-SM-731DE 60-69 years, male 112.2
GTEX-OIZI-1526-SM-E6CHI 40-49 years, male 112.0
GTEX-1J8Q3-0626-SM-AHZ3V 60-69 years, male 111.3
GTEX-1K9T9-1726-SM-CXZK1 50-59 years, female 110.1
GTEX-1AX9J-1726-SM-731FF 60-69 years, male 108.2
GTEX-1R9K5-1226-SM-E6CPQ 50-59 years, male 108.2
GTEX-15RJ7-0826-SM-6LLI8 40-49 years, male 107.5
GTEX-1PWST-1526-SM-EXOIT 70-79 years, male 107.4
GTEX-SUCS-1426-SM-4DM5W 70-79 years, male 106.6
GTEX-11P7K-0526-SM-5BC5I 30-39 years, male 106.2
GTEX-XXEK-1726-SM-4BRVB 50-59 years, male 104.3
GTEX-15SDE-0826-SM-6M463 50-59 years, female 103.2
GTEX-WFON-0626-SM-4LVLX 40-49 years, male 103.2
GTEX-QCQG-0426-SM-48U29 50-59 years, female 102.2
GTEX-13X6H-0626-SM-5LU53 50-59 years, female 102.1
GTEX-U4B1-0726-SM-4DXUA 40-49 years, male 101.8
GTEX-1N2EF-2126-SM-DPRYL 60-69 years, male 101.0
GTEX-ZC5H-0826-SM-5N9FH 40-49 years, female 100.9
GTEX-UJMC-1126-SM-3GADP 50-59 years, male 98.9
GTEX-132QS-0926-SM-5P9GB 60-69 years, male 98.2
GTEX-1H23P-2026-SM-9OSXY 60-69 years, male 97.3
GTEX-OHPL-1026-SM-3MJGI 60-69 years, female 96.2
GTEX-1AYD5-0326-SM-7EWEO 50-59 years, male 94.5
GTEX-WXYG-0826-SM-4ONC7 50-59 years, female 89.6
GTEX-1B8KE-0726-SM-72D7G 50-59 years, male 89.4
GTEX-U8XE-2026-SM-3DB8S 30-39 years, male 88.9
GTEX-1JKYN-0426-SM-CGQG2 30-39 years, male 88.6
GTEX-VUSG-0326-SM-3GIJ7 50-59 years, male 85.4
GTEX-14PK6-1026-SM-664NZ 70-79 years, female 84.0
GTEX-1399U-0926-SM-5IFHA 50-59 years, female 83.1
GTEX-P4PQ-1026-SM-3NMCN 60-69 years, male 83.1
GTEX-ZVP2-0726-SM-59HKY 50-59 years, male 83.0
GTEX-1I1GU-0326-SM-AHZ2K 40-49 years, male 79.1
GTEX-1JMPZ-1026-SM-CXZJS 30-39 years, male 75.8
GTEX-ZYW4-2126-SM-59HJ9 60-69 years, male 75.3
GTEX-13O1R-1826-SM-5KM3B 60-69 years, male 68.9
GTEX-X5EB-0526-SM-46MVP 40-49 years, male 66.1
GTEX-16MT8-1726-SM-7EWE7 60-69 years, female 49.6
Show allShow less

PANCREAS - FANTOM5 CAGEi

RNA expression in human tissues obtained through Cap Analysis of Gene Expression (CAGE) generated by the FANTOM5 project are reported as Scaled Tags Per Million.

Max subtype Scaled Tags Per Millioni

Max subtype Scaled Tags Per Million is the value for the subtype with the largest average Scaled Tags Per Million across the subtype samples.

598.8
FANTOM5 sample id Sample description Scaled Tags Per Million
Pancreas
Scaled Tags Per Million: 598.8
FF:10049-101G4 52 years, male 598.8

Contact

  • NEWS ARTICLES
  • PRESS ROOM

The Project

  • INTRODUCTION
  • ORGANIZATION
  • PUBLICATIONS

The Human Protein Atlas

  • DOWNLOADABLE DATA
  • LICENCE & CITATION
  • HELP & FAQ
The Human Protein Atlas project is funded
by the Knut & Alice Wallenberg Foundation.


contact@proteinatlas.org