We use cookies to enhance the usability of our website. If you continue, we'll assume that you are happy to receive all cookies. More information. Don't show this again.
SULT1B1
HPA
RESOURCES
  • TISSUE
  • BRAIN
  • SINGLE CELL
  • SUBCELLULAR
  • CANCER
  • BLOOD
  • CELL LINE
  • STRUCTURE & INTERACTION
ABOUT
  • INTRODUCTION
  • HISTORY
  • ORGANIZATION
  • PUBLICATIONS
  • ANTIBODY SUBMISSION
  • ANTIBODY AVAILABILITY
  • ACKNOWLEDGMENTS
  • CONTACT
NEWS
  • NEWS ARTICLES
  • PRESS ROOM
LEARN
  • DICTIONARY
  • PROTEIN CLASSES
  • PROTEIN EVIDENCE
  • METHODS
  • EDUCATIONAL VIDEOS
DATA
  • DOWNLOADABLE DATA
  • PUBLICATION DATA
  • RELEASE HISTORY
HELP
  • ANTIBODY VALIDATION
  • ASSAYS & ANNOTATION
  • DISCLAIMER
  • HELP & FAQ
  • PRIVACY STATEMENT
  • LICENCE & CITATION
Fields »
Search result

Field
Term
Gene name
Class
Subclass
Class
Keyword
Chromosome
External id
Tissue
Cell type
Expression
Antibody panel
Tissue
Main location
Patient ID
Annotation
Tissue
Category
Tau score
Cluster
Reliability
Brain region
Category
Tau score
Brain region
Category
Tau score
Brain region
Category
Tau score
Cluster
Reliability
Tissue
Cell type
Enrichment
Cell type
Category
Tau score
Cell type
Category
Tau score
Cell type
Category
Tau score
Cell lineage
Category
Tau score
Cluster
Cluster
Location
Searches
Location
Cell line
Class
Type
Phase
Reliability
Cancer
Prognosis
Cancer
Category
Cancer
Category
Tau score
Cluster
Variants
Interacting gene (ensg_id)
Type
Number of interactions
Pathway
Category
Score
Score
Score
Validation
Validation
Validation
Validation
Antibodies
Data type
Column


  • SUMMARY

  • TISSUE

  • BRAIN

  • SINGLE CELL

  • SUBCELL

  • CANCER

  • BLOOD

  • CELL LINE

  • STRUCT & INT

  • SULT1B1
TISSUE PRIMARY DATA COLON Show tissue menu
ADIPOSE TISSUE ADRENAL GLAND AMYGDALA APPENDIX BASAL GANGLIA BONE MARROW BREAST BRONCHUS CEREBELLUM CEREBRAL CORTEX CERVIX CHOROID PLEXUS COLON DUODENUM
ENDOMETRIUM EPIDIDYMIS ESOPHAGUS FALLOPIAN TUBE GALLBLADDER HEART MUSCLE HIPPOCAMPAL FORMATION HYPOTHALAMUS KIDNEY LIVER LUNG LYMPH NODE MIDBRAIN NASOPHARYNX
ORAL MUCOSA OVARY PANCREAS PARATHYROID GLAND PITUITARY GLAND PLACENTA PROSTATE RECTUM RETINA SALIVARY GLAND SEMINAL VESICLE SKELETAL MUSCLE SKIN SMALL INTESTINE
SMOOTH MUSCLE SOFT TISSUE SPINAL CORD SPLEEN STOMACH TESTIS THYMUS THYROID GLAND TONGUE TONSIL URINARY BLADDER VAGINA
ANTIBODIES
AND
VALIDATION
Dictionary
Colon
Tissue proteome
Intestine
COLON - Expression summary
Protein expression
Coloni

On the top, protein expression in current human tissue, based on all annotated cell types, is reported with the units not detected (n), low (l), medium (m) and high (h). Underneath, protein expression in each annotated cell type are reported using the same units.

Protein expression data is based on knowledge-based annotation. For genes where more than one antibody has been used, a collective score is set.

If knowledge-based annotation could not be performed for a gene, no data is displayed here. View antibody staining data further down this page.

h
m
l
n
Endocrine cells: Medium
Endothelial cells: Not detected
Enterocytes: Medium
Enterocytes - Microvilli: Not detected
Fibroblasts: Not detected
Goblet cells: Not detected
Mucosal lymphoid cells: Not detected
Peripheral nerve/ganglion: Not detected
RNA expressioni

A summary of mRNA expression data available for current tissue based on several datasets. The mRNA expression levels in human tissues are based on RNA-seq data generated by the Human Protein Atlas (HPA), Genotype-Tissue Expression (GTEx) portal and CAGE data generated by the FANTOM5 consortium. Consensus normalized expression levels for human tissues was created by combining the data from HPA and GTEx datasets.

The mRNA expression levels in pig are based on RNA-seq data generated by the Human Protein Atlas (HPA), and for mouse, HPA data and in situ hybridization generated by the Allen brain atlas are reported.

Scroll down to view mRNA expression data in more detail.
Consensus:67.4 nTPM
HPA:67.4 nTPM
GTEx:20.8 nTPM
FANTOM5:156.3 Scaled Tags Per Million

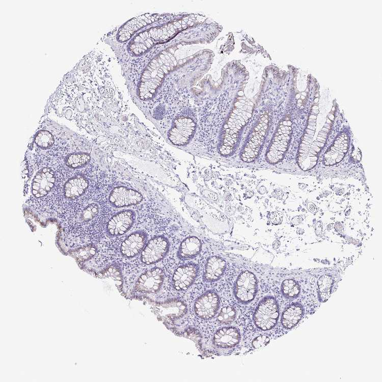
COLON - Antibody stainingi

Antibody staining in the annotated cell types in the current human tissue is reported as not detected, low, medium, or high, based on conventional immunohistochemistry profiling in selected tissues. This score is based on the combination of the staining intensity and fraction of stained cells.

Each image is clickable and will lead to virtual microscopy that enables deeper exploration of all samples and also displays staining intensity scores, fraction scores and subcellular localization as well as patient and tissue information for each sample.

Antibody HPA002107
Endocrine cells Medium
Endothelial cells Not detected
Enterocytes Medium
Enterocytes - Microvilli Not detected
Fibroblasts Not detected
Goblet cells Not detected
Mucosal lymphoid cells Not detected
Peripheral nerve/ganglion Not detected


COLON - HPA RNA-seqi

The RNA-seq details section shows detailed information about the individual samples used for the transcript profiling and results of the RNA-seq analysis.

Information about each individual sample is listed below, including gender, age, a tissue section image and estimated fractions of cell types. nTPM (normalized transcripts per million) values give a quantification of the gene abundance which is comparable between different genes and samples.
Average nTPMi

Max subtype nTPM is the value for the subtype with the largest average nTPM across the subtype samples.

67.4
overview
Male, age 54
Colon sample 67
nTPM: 54.4
Cell types%
Glandular cells:
65

Smooth muscle cells:
10

Other cell types:
25

overview
Female, age 57
Colon sample 68
nTPM: 54.9
Cell types%
Glandular cells:
40

Smooth muscle cells:
5

Other cell types:
55

overview
Male, age 80
Colon sample 69
nTPM: 94.9
Cell types%
Glandular cells:
55

Smooth muscle cells:
5

Other cell types:
40

overview
Male, age 68
Colon sample 70
nTPM: 92.9
Cell types%
Glandular cells:
35

Smooth muscle cells:
10

Other cell types:
55

overview
Female, age 68
Colon sample 76
nTPM: 28.2
Cell types%
Glandular cells:
25

Smooth muscle cells:
5

Other cell types:
70

overview
Female, age 61
Colon sample 299
nTPM: 35.4
Cell types%
Glandular cells:
5

Smooth muscle cells:
65

Other cell types:
30

overview
Male, age 80
Colon sample 300
nTPM: 74.8
Cell types%
Glandular cells:
15

Smooth muscle cells:
20

Other cell types:
65

overview
Female, age 78
Colon sample 368
nTPM: 77.3
Cell types%
Glandular cells:
45

Smooth muscle cells:
5

Other cell types:
50

overview
Male, age 84
Colon sample 381
nTPM: 42.3
Cell types%
Glandular cells:
50

Smooth muscle cells:
15

Other cell types:
35

overview
Male, age 80
Colon sample 384
nTPM: 82
Cell types%
Glandular cells:
20

Smooth muscle cells:
35

Other cell types:
45

overview
Female, age 78
Colon sample 389
nTPM: 92.5
Cell types%
Glandular cells:
35

Smooth muscle cells:
10

Other cell types:
55

overview
Female, age 69
Colon sample 391
nTPM: 69.8
Cell types%
Glandular cells:
10

Smooth muscle cells:
45

Other cell types:
45

overview
Female, age 72
Colon sample 403
nTPM: 76.8
Cell types%
Glandular cells:
20

Smooth muscle cells:
15

Other cell types:
65


COLON - GTEx RNA-seqi

RNA-Seq data generated by the Genotype-Tissue Expression (GTEx) project from human tissues is reported as mean nTPM. More information can be found on the GTEx portal.

Distribution across the dataset is visualized with box plots, shown as median and 25th and 75th percentiles. Points are displayed as outliers if they are above or below 1.5 times the interquartile range. nTPM values of the individual samples are presented next to the box plot.
Max subtype nTPMi

Max subtype nTPM is the value for the subtype with the largest average nTPM across the subtype samples.

20.8
GTEx sample id Sample description nTPM
Colon - Sigmoid
Average nTPM: 2.0
Samples: 373

Max nTPM: 57.8
Min nTPM: 0.0
Std nTPM: 7.3
Median nTPM: 0.2
GTEX-ZQUD-1026-SM-4YCEZ 30-39 years, male 57.8
GTEX-WOFM-1926-SM-4OOSP 20-29 years, male 48.3
GTEX-X5EB-1126-SM-46MVV 40-49 years, male 46.9
GTEX-W5WG-2026-SM-4LMIB 50-59 years, female 45.5
GTEX-13113-1426-SM-5EGHU 60-69 years, female 41.0
GTEX-15FZZ-1826-SM-6LLJP 30-39 years, female 38.6
GTEX-Y5V6-1626-SM-4VDT2 60-69 years, male 37.3
GTEX-WH7G-1426-SM-4LVMU 40-49 years, male 36.9
GTEX-WYJK-2326-SM-4ONDN 50-59 years, male 35.2
GTEX-13W3W-2226-SM-5LU4M 60-69 years, female 30.4
GTEX-1AMEY-1826-SM-72D5L 30-39 years, female 28.0
GTEX-VJYA-2126-SM-4KL1O 60-69 years, male 25.8
GTEX-1C64O-2426-SM-7P8R3 60-69 years, male 24.7
GTEX-1OJC3-1826-SM-DTX93 20-29 years, male 21.8
GTEX-11VI4-1426-SM-5GU6O 40-49 years, female 19.1
GTEX-1PFEY-1726-SM-DPRZ4 30-39 years, male 17.0
GTEX-Y8E4-2326-SM-EAZAZ 40-49 years, male 15.8
GTEX-Y8LW-1126-SM-4VDS4 50-59 years, female 7.8
GTEX-ZF29-1826-SM-4WKG8 60-69 years, female 7.5
GTEX-1PPH8-2226-SM-EWRN7 20-29 years, male 7.4
GTEX-XBED-1726-SM-47JYO 60-69 years, male 6.2
GTEX-1HB9E-2526-SM-D4P35 50-59 years, male 3.7
GTEX-1HBPN-2026-SM-B2LWA 50-59 years, male 3.4
GTEX-14PKV-1926-SM-686YU 20-29 years, female 3.2
GTEX-WRHK-1126-SM-4MVOJ 20-29 years, female 3.0
GTEX-1C475-1526-SM-7DHM3 40-49 years, female 2.9
GTEX-YEC3-2026-SM-DKPOL 50-59 years, male 2.9
GTEX-Y5LM-1426-SM-5RQJL 40-49 years, female 2.8
GTEX-V955-1726-SM-4JBHF 60-69 years, male 2.7
GTEX-1H23P-2626-SM-9KNVN 60-69 years, male 2.5
GTEX-ZF2S-1826-SM-4WKFF 50-59 years, female 2.4
GTEX-15DZA-1026-SM-6PAND 30-39 years, female 2.3
GTEX-146FH-2426-SM-5Q5EW 50-59 years, female 2.2
GTEX-16BQI-2026-SM-7KULQ 30-39 years, female 2.1
GTEX-17EUY-1726-SM-79OK4 20-29 years, male 2.1
GTEX-1CAMR-1026-SM-7P8QI 20-29 years, male 2.1
GTEX-17GQL-1626-SM-7LG69 60-69 years, male 2.0
GTEX-1H1DE-1626-SM-9KNU5 20-29 years, male 1.9
GTEX-XAJ8-0726-SM-47JY5 40-49 years, male 1.8
GTEX-1PIEJ-1826-SM-EWRMN 20-29 years, female 1.8
GTEX-15F5U-1426-SM-7KUN2 40-49 years, male 1.7
GTEX-1CAMS-2626-SM-7PBY3 40-49 years, female 1.7
GTEX-WQUQ-2626-SM-4MVNP 60-69 years, male 1.6
GTEX-1I6K6-1926-SM-A96SN 30-39 years, male 1.6
GTEX-1J1R8-1426-SM-CL55O 40-49 years, male 1.6
GTEX-1QP29-2526-SM-E6CQ3 50-59 years, male 1.6
GTEX-11EQ9-1526-SM-5PNY7 30-39 years, male 1.5
GTEX-14PJ3-1226-SM-5ZZVY 50-59 years, male 1.5
GTEX-1A3MV-1026-SM-72D5U 30-39 years, male 1.5
GTEX-11ONC-1926-SM-5GU75 60-69 years, male 1.4
GTEX-11TT1-0926-SM-5GU5M 20-29 years, male 1.3
GTEX-13CF3-1326-SM-5LZXZ 60-69 years, female 1.3
GTEX-ZG7Y-1826-SM-4WWD3 50-59 years, male 1.1
GTEX-ZQG8-2426-SM-57WEE 60-69 years, female 1.1
GTEX-1HBPI-2226-SM-9WYTY 50-59 years, male 1.1
GTEX-1R7EU-1826-SM-DTX9L 60-69 years, male 1.1
GTEX-1S82P-2026-SM-E9TIQ 60-69 years, female 1.1
GTEX-1211K-1826-SM-5EGJ2 60-69 years, female 1.0
GTEX-15ER7-2826-SM-6PAN2 20-29 years, female 1.0
GTEX-WFON-1326-SM-4LVMN 40-49 years, male 1.0
GTEX-ZPCL-1626-SM-57WGC 60-69 years, female 1.0
GTEX-1LVAN-2626-SM-CNPQF 50-59 years, female 1.0
GTEX-14BMU-1326-SM-5RQIH 20-29 years, female 0.9
GTEX-14PN3-1926-SM-6EU1Y 60-69 years, female 0.9
GTEX-16NGA-0926-SM-718AG 40-49 years, female 0.9
GTEX-XUW1-1826-SM-4BOQD 50-59 years, female 0.9
GTEX-ZA64-1426-SM-5CVMC 20-29 years, male 0.9
GTEX-ZZ64-0826-SM-5E449 20-29 years, male 0.9
GTEX-1HSMQ-2526-SM-A9SMK 50-59 years, male 0.9
GTEX-131XG-1526-SM-5GCNQ 50-59 years, female 0.8
GTEX-145ME-1126-SM-5SIAT 40-49 years, female 0.8
GTEX-14PJ4-1826-SM-5YY97 60-69 years, male 0.8
GTEX-1B97I-1526-SM-73KUK 40-49 years, male 0.8
GTEX-YF7O-1626-SM-5IFII 50-59 years, male 0.8
GTEX-1GPI7-1926-SM-9KNUH 20-29 years, male 0.8
GTEX-1QP2A-2226-SM-DTXF6 50-59 years, male 0.8
GTEX-12WSJ-1426-SM-5GCON 40-49 years, female 0.7
GTEX-12WSL-1826-SM-5LZW9 50-59 years, male 0.7
GTEX-13FH7-1626-SM-5J2O9 50-59 years, female 0.7
GTEX-WFG8-1726-SM-4LVM6 20-29 years, male 0.7
GTEX-15G1A-1926-SM-7KUFF 30-39 years, male 0.7
GTEX-1GMR2-1826-SM-9KNUP 50-59 years, male 0.7
GTEX-1H3VY-2526-SM-9KNW1 50-59 years, male 0.7
GTEX-1KXAM-1926-SM-D3LAG 60-69 years, male 0.7
GTEX-1QCLY-2026-SM-EVR4C 30-39 years, male 0.7
GTEX-1122O-1426-SM-5H11R 60-69 years, female 0.6
GTEX-11EM3-1626-SM-5N9CO 20-29 years, female 0.6
GTEX-12696-1926-SM-5EGJT 60-69 years, male 0.6
GTEX-15RIE-2026-SM-7KFRW 60-69 years, male 0.6
GTEX-17KNJ-1826-SM-7LT9N 50-59 years, male 0.6
GTEX-XUZC-1526-SM-4BRV4 30-39 years, female 0.6
GTEX-YJ8A-1726-SM-5P9IQ 20-29 years, male 0.6
GTEX-ZYY3-2226-SM-5E45A 60-69 years, female 0.6
GTEX-1N2DV-1826-SM-E6CJ5 40-49 years, male 0.6
GTEX-117YX-0526-SM-5EGJH 50-59 years, male 0.5
GTEX-11DXX-1926-SM-5EGJK 60-69 years, female 0.5
GTEX-11I78-1326-SM-5PNY9 50-59 years, female 0.5
GTEX-1339X-1726-SM-5P9J9 40-49 years, male 0.5
GTEX-1399U-2226-SM-5KLZI 50-59 years, female 0.5
GTEX-13CF2-1826-SM-5N9GK 60-69 years, male 0.5
GTEX-13D11-0626-SM-5LZYY 50-59 years, female 0.5
GTEX-13U4I-2626-SM-5SI9C 40-49 years, female 0.5
GTEX-Y114-1626-SM-4TT7I 50-59 years, female 0.5
GTEX-ZLFU-1426-SM-4WWEU 40-49 years, male 0.5
GTEX-ZPIC-2626-SM-57WE2 40-49 years, female 0.5
GTEX-1H1E6-1826-SM-A9G21 30-39 years, male 0.5
GTEX-1HCVE-2326-SM-9WYUD 50-59 years, male 0.5
GTEX-1HSGN-2226-SM-A9SL6 40-49 years, female 0.5
GTEX-1JKYN-2226-SM-ARZNE 30-39 years, male 0.5
GTEX-1L5NE-1926-SM-D3L9R 50-59 years, male 0.5
GTEX-111CU-1226-SM-5EGIN 50-59 years, male 0.4
GTEX-11ZTT-1626-SM-5EQKR 60-69 years, female 0.4
GTEX-12BJ1-2026-SM-5FQUH 60-69 years, male 0.4
GTEX-12WSM-1426-SM-5GCPA 60-69 years, male 0.4
GTEX-132AR-2826-SM-5IJFV 50-59 years, female 0.4
GTEX-139T6-1426-SM-5P9J7 50-59 years, male 0.4
GTEX-13X6I-2726-SM-5Q5ET 60-69 years, male 0.4
GTEX-14C5O-2626-SM-5RQI5 60-69 years, male 0.4
GTEX-14PHX-1126-SM-5YYA5 50-59 years, male 0.4
GTEX-15RJE-2226-SM-6M46A 40-49 years, male 0.4
GTEX-1E2YA-2526-SM-7IGOU 50-59 years, male 0.4
GTEX-Y3I4-1126-SM-4TT7Y 50-59 years, male 0.4
GTEX-YFCO-1526-SM-5YYB8 40-49 years, male 0.4
GTEX-ZVT2-1726-SM-51MRO 50-59 years, female 0.4
GTEX-ZXES-1726-SM-5E43G 30-39 years, female 0.4
GTEX-1F5PK-1726-SM-7RHHW 50-59 years, male 0.4
GTEX-1F5PL-1926-SM-7MXTP 40-49 years, female 0.4
GTEX-1GF9X-1426-SM-7RHGX 40-49 years, female 0.4
GTEX-1ICG6-2226-SM-B2LY7 70-79 years, female 0.4
GTEX-1J8Q3-2426-SM-CL53S 60-69 years, male 0.4
GTEX-1K9T9-2926-SM-E9TKD 50-59 years, female 0.4
GTEX-1LG7Z-1326-SM-DIPF3 30-39 years, male 0.4
GTEX-1LGOU-1726-SM-D3L8P 20-29 years, female 0.4
GTEX-1QCLZ-2026-SM-EAZ4A 60-69 years, female 0.4
GTEX-1RMOY-1726-SM-EVYC9 50-59 years, male 0.4
GTEX-12KS4-2326-SM-5EGJB 30-39 years, male 0.3
GTEX-12ZZW-2426-SM-5DUWE 50-59 years, male 0.3
GTEX-13OVI-2126-SM-5KM3U 60-69 years, female 0.3
GTEX-13X6K-2726-SM-5O9DG 60-69 years, female 0.3
GTEX-17HGU-2626-SM-79OKN 50-59 years, male 0.3
GTEX-17HHE-1626-SM-7DHLN 50-59 years, male 0.3
GTEX-18A66-2626-SM-72D67 60-69 years, male 0.3
GTEX-18A6Q-2226-SM-7LG61 60-69 years, male 0.3
GTEX-18D9A-1326-SM-7LT8P 30-39 years, female 0.3
GTEX-18QFQ-1726-SM-731C9 30-39 years, male 0.3
GTEX-1AX9J-2526-SM-73KUY 60-69 years, male 0.3
GTEX-WFG7-1626-SM-4LVMF 20-29 years, male 0.3
GTEX-XQ8I-2326-SM-4BOQC 50-59 years, male 0.3
GTEX-ZF28-2526-SM-57WFH 60-69 years, male 0.3
GTEX-ZTSS-1226-SM-51MSZ 40-49 years, male 0.3
GTEX-ZTTD-2626-SM-57WEX 50-59 years, male 0.3
GTEX-ZV6S-1126-SM-57WE9 40-49 years, female 0.3
GTEX-ZYFD-2226-SM-5E43P 50-59 years, male 0.3
GTEX-ZYFG-1826-SM-5GZWX 60-69 years, female 0.3
GTEX-1HBPM-2626-SM-9WYU5 60-69 years, female 0.3
GTEX-1HCUA-1926-SM-B2LWE 50-59 years, female 0.3
GTEX-1HKZK-2026-SM-9WYUF 40-49 years, male 0.3
GTEX-1I1GT-2026-SM-CKZPK 60-69 years, female 0.3
GTEX-1IKOE-2126-SM-A96T5 30-39 years, female 0.3
GTEX-1J8QM-1226-SM-CY8HI 60-69 years, female 0.3
GTEX-1JK1U-1426-SM-CNPOW 60-69 years, male 0.3
GTEX-1KANA-1726-SM-CY8IG 20-29 years, male 0.3
GTEX-1MGNQ-2126-SM-EV7AC 40-49 years, male 0.3
GTEX-1PIGE-1526-SM-DTXFC 20-29 years, male 0.3
GTEX-1QP9N-0826-SM-DTX9O 30-39 years, male 0.3
GTEX-1RLM8-1726-SM-E9TKF 50-59 years, male 0.3
GTEX-1212Z-1826-SM-5FQSH 60-69 years, male 0.2
GTEX-13O1R-2426-SM-5KLZZ 60-69 years, male 0.2
GTEX-13O61-1526-SM-5KM3P 60-69 years, male 0.2
GTEX-13OVK-1026-SM-7KFTC 40-49 years, male 0.2
GTEX-13PVR-1726-SM-5Q5EC 60-69 years, female 0.2
GTEX-13QBU-2026-SM-5KLZB 40-49 years, female 0.2
GTEX-13RTJ-1926-SM-5YYA2 60-69 years, male 0.2
GTEX-144GM-1126-SM-79OJK 20-29 years, male 0.2
GTEX-145LT-0826-SM-5S2QL 40-49 years, male 0.2
GTEX-14BIN-2426-SM-5TDCF 50-59 years, female 0.2
GTEX-14C39-1626-SM-5S2P4 40-49 years, male 0.2
GTEX-14E6E-1726-SM-5S2R6 30-39 years, male 0.2
GTEX-14JG6-1626-SM-5YYBC 30-39 years, female 0.2
GTEX-15ETS-2326-SM-7KUGC 40-49 years, female 0.2
GTEX-15G19-2726-SM-6LPKG 60-69 years, male 0.2
GTEX-15RIF-1426-SM-7KUKQ 20-29 years, male 0.2
GTEX-15UF6-2726-SM-7KULY 70-79 years, female 0.2
GTEX-15UF7-1326-SM-7KUKV 40-49 years, male 0.2
GTEX-17MFQ-1226-SM-7KFSA 20-29 years, male 0.2
GTEX-1AX9K-1626-SM-73KUS 50-59 years, male 0.2
GTEX-1B996-2726-SM-7DUGG 60-69 years, male 0.2
GTEX-1C2JI-1726-SM-73KUW 50-59 years, male 0.2
GTEX-1C6VQ-2626-SM-7IGMQ 50-59 years, male 0.2
GTEX-WI4N-2226-SM-4OOS9 40-49 years, female 0.2
GTEX-WXYG-1726-SM-4ONCU 50-59 years, female 0.2
GTEX-X15G-1526-SM-4PQZM 50-59 years, female 0.2
GTEX-Z93S-2626-SM-57WBX 50-59 years, male 0.2
GTEX-ZC5H-2426-SM-4WAZ6 40-49 years, female 0.2
GTEX-ZE9C-2126-SM-4WKGY 60-69 years, male 0.2
GTEX-ZP4G-1526-SM-57WE5 20-29 years, female 0.2
GTEX-ZT9W-1726-SM-51MS3 50-59 years, male 0.2
GTEX-1GMR8-2926-SM-9KNW5 50-59 years, female 0.2
GTEX-1GTWX-2626-SM-9WPOT 60-69 years, male 0.2
GTEX-1HFI7-1626-SM-9WYTR 50-59 years, female 0.2
GTEX-1JKYR-2026-SM-CNPON 20-29 years, male 0.2
GTEX-1JMPZ-2626-SM-ARU8Z 30-39 years, male 0.2
GTEX-1JMQK-2326-SM-ARZN4 60-69 years, male 0.2
GTEX-1LVAM-1726-SM-DHXKQ 50-59 years, female 0.2
GTEX-1OFPY-1226-SM-E76OM 60-69 years, male 0.2
GTEX-1PBJJ-2026-SM-DTX8U 30-39 years, male 0.2
GTEX-1PDJ9-2026-SM-E76PT 20-29 years, male 0.2
GTEX-1QPFJ-2426-SM-EVR3L 30-39 years, female 0.2
GTEX-1RQEC-2626-SM-EVR3Z 60-69 years, male 0.2
GTEX-1S831-1726-SM-EWROJ 20-29 years, male 0.2
GTEX-WHSE-2726-SM-EZ6ML 20-29 years, male 0.2
GTEX-ZLV1-1326-SM-DO11Q 60-69 years, female 0.2
GTEX-ZLWG-1826-SM-DO11I 50-59 years, female 0.2
GTEX-11P7K-1826-SM-5HL5A 30-39 years, male 0.1
GTEX-11PRG-2026-SM-5GU5F 50-59 years, male 0.1
GTEX-11ZTS-1526-SM-5N9G7 60-69 years, female 0.1
GTEX-11ZU8-1126-SM-5EQ5K 60-69 years, male 0.1
GTEX-12ZZY-2726-SM-5EQ45 60-69 years, male 0.1
GTEX-13111-1926-SM-5GCOL 50-59 years, male 0.1
GTEX-1399R-2126-SM-5K7WZ 30-39 years, male 0.1
GTEX-139D8-2926-SM-5IJBM 30-39 years, female 0.1
GTEX-139TS-2226-SM-5J2N1 60-69 years, male 0.1
GTEX-13FHO-2726-SM-5K7VG 60-69 years, male 0.1
GTEX-13FTW-2126-SM-5K7YG 40-49 years, male 0.1
GTEX-13G51-2126-SM-5IJD9 60-69 years, male 0.1
GTEX-13N2G-2226-SM-5IJCU 60-69 years, male 0.1
GTEX-13OVJ-1826-SM-5KM2D 50-59 years, female 0.1
GTEX-13PL7-2426-SM-5J2N3 60-69 years, female 0.1
GTEX-13SLW-2826-SM-5Q5ES 70-79 years, male 0.1
GTEX-13VXT-2026-SM-5L3EW 20-29 years, female 0.1
GTEX-145LS-2926-SM-5O99G 60-69 years, female 0.1
GTEX-14A5I-2426-SM-5Q5CP 50-59 years, female 0.1
GTEX-14AS3-1026-SM-5TDD7 40-49 years, female 0.1
GTEX-15DYW-2426-SM-7KUG8 60-69 years, female 0.1
GTEX-15EO6-2326-SM-6LPKK 50-59 years, male 0.1
GTEX-15RJ7-1726-SM-6PAL3 40-49 years, male 0.1
GTEX-16MTA-1626-SM-6M47N 50-59 years, male 0.1
GTEX-17F9Y-2626-SM-7IGN9 70-79 years, female 0.1
GTEX-18465-2726-SM-7LT9I 50-59 years, male 0.1
GTEX-18A67-2226-SM-7LT9Z 50-59 years, male 0.1
GTEX-1A32A-2626-SM-73KX9 50-59 years, female 0.1
GTEX-1AMFI-1826-SM-73KWB 50-59 years, female 0.1
GTEX-1AYCT-1926-SM-793AE 50-59 years, male 0.1
GTEX-1B8KE-1526-SM-7DUG2 50-59 years, male 0.1
GTEX-1B932-2126-SM-7IGMU 40-49 years, female 0.1
GTEX-1CB4F-1926-SM-7MKFN 60-69 years, male 0.1
GTEX-1CB4G-2726-SM-79OO4 60-69 years, male 0.1
GTEX-WHPG-1626-SM-4M1ZL 50-59 years, male 0.1
GTEX-WHWD-1526-SM-4OORV 50-59 years, male 0.1
GTEX-WY7C-1926-SM-4ONCI 50-59 years, male 0.1
GTEX-X4EO-2726-SM-4E3HS 60-69 years, female 0.1
GTEX-Y9LG-1326-SM-4VBQB 30-39 years, male 0.1
GTEX-ZDTS-2726-SM-5L3E2 60-69 years, male 0.1
GTEX-ZY6K-1326-SM-5GZWP 50-59 years, male 0.1
GTEX-1EH9U-1926-SM-7P8QM 60-69 years, male 0.1
GTEX-1GL5R-1726-SM-9KNUX 50-59 years, male 0.1
GTEX-1GZ4H-1326-SM-7P8TE 50-59 years, female 0.1
GTEX-1H1ZS-2626-SM-9QEIX 70-79 years, male 0.1
GTEX-1HBPH-2526-SM-ACKXK 40-49 years, female 0.1
GTEX-1HCU7-2726-SM-A9G3D 50-59 years, male 0.1
GTEX-1HSMO-2526-SM-A9SKP 60-69 years, male 0.1
GTEX-1I1CD-2826-SM-A9SL4 60-69 years, female 0.1
GTEX-1I1GR-2226-SM-ARL7F 60-69 years, male 0.1
GTEX-1IDJH-2826-SM-CJI49 70-79 years, male 0.1
GTEX-1IDJI-2226-SM-CKZPM 50-59 years, female 0.1
GTEX-1IDJU-1926-SM-CL53W 60-69 years, female 0.1
GTEX-1IL2U-2526-SM-C1YQV 60-69 years, male 0.1
GTEX-1J8EW-2426-SM-CE6T5 60-69 years, female 0.1
GTEX-1JJEA-2526-SM-CY8HJ 60-69 years, male 0.1
GTEX-1JMLX-2526-SM-CY8HX 50-59 years, male 0.1
GTEX-1JMPY-1026-SM-ARZN1 30-39 years, male 0.1
GTEX-1JMQJ-2626-SM-CY8HQ 50-59 years, male 0.1
GTEX-1JN76-1326-SM-ARU94 20-29 years, female 0.1
GTEX-1K2DA-1626-SM-CGQGB 50-59 years, male 0.1
GTEX-1LB8K-2526-SM-DIPEQ 50-59 years, male 0.1
GTEX-1LBAC-1726-SM-D3L9W 20-29 years, male 0.1
GTEX-1LGRB-2026-SM-COH47 50-59 years, female 0.1
GTEX-1LKK1-2426-SM-DIPES 50-59 years, female 0.1
GTEX-1LSNM-1426-SM-E6CIH 50-59 years, male 0.1
GTEX-1P4AB-2626-SM-DTXEU 50-59 years, male 0.1
GTEX-1QP28-2226-SM-DTX8C 50-59 years, female 0.1
GTEX-1QP67-1426-SM-E8VOO 40-49 years, female 0.1
GTEX-1R9PO-2026-SM-E9J4N 60-69 years, female 0.1
GTEX-1RAZQ-2026-SM-E76P7 30-39 years, male 0.1
GTEX-1RDX4-1926-SM-E6CJJ 50-59 years, female 0.1
GTEX-1S5ZA-1426-SM-E6CJQ 20-29 years, male 0.1
GTEX-111YS-1826-SM-5GIEP 60-69 years, male 0.0
GTEX-117XS-2226-SM-5GIE1 60-69 years, male 0.0
GTEX-11DXY-2026-SM-5N9CZ 60-69 years, male 0.0
GTEX-11DXZ-1626-SM-5GIDI 50-59 years, male 0.0
GTEX-11EI6-2626-SM-5PNVT 60-69 years, male 0.0
GTEX-11EMC-1426-SM-5N9E4 60-69 years, female 0.0
GTEX-11EQ8-2626-SM-5N9BO 60-69 years, male 0.0
GTEX-11GS4-1826-SM-5HL4T 60-69 years, male 0.0
GTEX-11P81-1426-SM-5P9JN 30-39 years, female 0.0
GTEX-11TUW-2326-SM-5EQMO 60-69 years, male 0.0
GTEX-12WSD-2626-SM-5EGJE 60-69 years, female 0.0
GTEX-12WSG-2426-SM-5EQLZ 50-59 years, female 0.0
GTEX-12ZZX-2726-SM-5N9FT 40-49 years, female 0.0
GTEX-131XE-1026-SM-5EGKE 50-59 years, male 0.0
GTEX-131YS-2926-SM-5EGKI 60-69 years, female 0.0
GTEX-132NY-2726-SM-5PNY2 60-69 years, male 0.0
GTEX-139UW-2326-SM-5KM1Y 60-69 years, male 0.0
GTEX-13OW5-2826-SM-5KM1G 60-69 years, male 0.0
GTEX-13OW6-2226-SM-5N9FL 50-59 years, male 0.0
GTEX-13OW8-2726-SM-5L3FZ 60-69 years, male 0.0
GTEX-13PVQ-2726-SM-5L3H7 50-59 years, male 0.0
GTEX-13X6J-2826-SM-7EPGA 50-59 years, male 0.0
GTEX-145MH-2726-SM-5QGQ6 50-59 years, male 0.0
GTEX-145MO-2626-SM-5QGPD 60-69 years, male 0.0
GTEX-1477Z-2126-SM-5Q5CM 60-69 years, male 0.0
GTEX-147GR-2826-SM-5RQK8 60-69 years, male 0.0
GTEX-147JS-2626-SM-5S2UX 60-69 years, male 0.0
GTEX-148VJ-2426-SM-5NQ9Y 70-79 years, male 0.0
GTEX-14A5H-1626-SM-5SIAN 60-69 years, male 0.0
GTEX-14DAQ-2926-SM-664MV 60-69 years, female 0.0
GTEX-14E1K-1626-SM-664MO 50-59 years, male 0.0
GTEX-14E6C-2226-SM-5QGQG 40-49 years, male 0.0
GTEX-14PK6-1826-SM-69LOM 70-79 years, female 0.0
GTEX-15CHQ-2626-SM-686YZ 60-69 years, male 0.0
GTEX-16XZZ-2726-SM-7EWDO 60-69 years, male 0.0
GTEX-16Z82-2426-SM-7KUMS 60-69 years, male 0.0
GTEX-17F96-2126-SM-7KFSM 70-79 years, male 0.0
GTEX-17HG3-1126-SM-7DUFC 30-39 years, female 0.0
GTEX-17JCI-2826-SM-7IGNA 60-69 years, female 0.0
GTEX-183FY-1426-SM-7DHLM 20-29 years, male 0.0
GTEX-183WM-2526-SM-731BP 70-79 years, female 0.0
GTEX-1A3MX-2326-SM-718B4 60-69 years, male 0.0
GTEX-1B8L1-1926-SM-7IGND 60-69 years, male 0.0
GTEX-1BAJH-2726-SM-7IGNJ 70-79 years, male 0.0
GTEX-1C4CL-1626-SM-7DUF3 30-39 years, male 0.0
GTEX-1EMGI-2626-SM-7IGNR 60-69 years, male 0.0
GTEX-WYVS-1126-SM-4SOJX 40-49 years, female 0.0
GTEX-XV7Q-2226-SM-4BRVY 40-49 years, female 0.0
GTEX-XXEK-1826-SM-4BRVC 50-59 years, male 0.0
GTEX-YECK-2826-SM-5IFHF 60-69 years, male 0.0
GTEX-YJ8O-1426-SM-5PNV9 40-49 years, female 0.0
GTEX-ZAB4-2426-SM-5HL8A 40-49 years, male 0.0
GTEX-ZAB5-1426-SM-5HL9D 50-59 years, male 0.0
GTEX-ZAJG-2626-SM-5S2NU 50-59 years, female 0.0
GTEX-ZE7O-2626-SM-51MSS 50-59 years, female 0.0
GTEX-ZPU1-1726-SM-4WWFV 40-49 years, male 0.0
GTEX-ZVT3-2826-SM-5GU6A 60-69 years, female 0.0
GTEX-ZVT4-2626-SM-5N9GJ 50-59 years, female 0.0
GTEX-ZVZQ-2626-SM-59HLB 60-69 years, female 0.0
GTEX-ZYT6-2826-SM-5GICX 30-39 years, male 0.0
GTEX-1C64N-2226-SM-7SB7C 50-59 years, male 0.0
GTEX-1EU9M-2726-SM-7P8QD 60-69 years, male 0.0
GTEX-1F75W-2126-SM-7RHIA 60-69 years, male 0.0
GTEX-1GMR3-2526-SM-7P8QS 40-49 years, male 0.0
GTEX-1GMRU-2626-SM-9WPPM 50-59 years, male 0.0
GTEX-1GN73-2726-SM-9WYUB 60-69 years, male 0.0
GTEX-1H3NZ-2526-SM-9KNVO 60-69 years, male 0.0
GTEX-1H3VE-2326-SM-9KNVU 40-49 years, male 0.0
GTEX-1HCU6-2926-SM-B2LWV 60-69 years, female 0.0
GTEX-1HSEH-1926-SM-A96SB 60-69 years, male 0.0
GTEX-1HSKV-2326-SM-A9SL9 60-69 years, male 0.0
GTEX-1I1GP-2826-SM-A9SKZ 50-59 years, male 0.0
GTEX-1J1OQ-2826-SM-D3L88 40-49 years, female 0.0
GTEX-1J8JJ-2426-SM-D4P4A 60-69 years, female 0.0
GTEX-1JJE9-2526-SM-ARU8K 70-79 years, male 0.0
GTEX-1JN6P-2126-SM-ARL98 60-69 years, male 0.0
GTEX-1LG7Y-2226-SM-E9U5K 50-59 years, male 0.0
GTEX-1LSNL-1626-SM-E9TJY 50-59 years, male 0.0
GTEX-1LSVX-2026-SM-E9TJD 60-69 years, male 0.0
GTEX-1LVAO-2826-SM-E9TJH 60-69 years, male 0.0
GTEX-1N2EF-1726-SM-EXUSI 60-69 years, male 0.0
GTEX-1PBJI-2526-SM-E6CP4 20-29 years, female 0.0
GTEX-1PIIG-2126-SM-EXUSD 30-39 years, male 0.0
GTEX-1QW4Y-1426-SM-E76P3 30-39 years, male 0.0
GTEX-1R9JW-2126-SM-E76QT 30-39 years, female 0.0
GTEX-1R9K5-2226-SM-DTX9G 50-59 years, male 0.0
GTEX-1RAZR-2026-SM-E9TKE 40-49 years, male 0.0
Show allShow less
Colon - Transverse
Average nTPM: 20.8
Samples: 406

Max nTPM: 107.2
Min nTPM: 0.0
Std nTPM: 21.2
Median nTPM: 15.2
GTEX-11P82-1026-SM-5BC5J 20-29 years, male 107.2
GTEX-14E6E-1526-SM-5RQIG 30-39 years, male 78.6
GTEX-1RAZR-1926-SM-E6CRF 40-49 years, male 74.7
GTEX-17HHE-1826-SM-79OKE 50-59 years, male 74.5
GTEX-1JKYN-2326-SM-CGQG7 30-39 years, male 71.2
GTEX-1KANC-0926-SM-D3LA9 50-59 years, female 68.9
GTEX-1LG7Z-1426-SM-CXKYV 30-39 years, male 68.6
GTEX-R55G-1226-SM-48FDC 40-49 years, female 67.2
GTEX-1122O-1526-SM-5N9CL 60-69 years, female 66.6
GTEX-11EM3-1526-SM-5A5KN 20-29 years, female 66.3
GTEX-131XG-1826-SM-5LZV4 50-59 years, female 65.7
GTEX-11DXZ-1726-SM-5H12M 50-59 years, male 63.7
GTEX-12BJ1-2126-SM-5BC5O 60-69 years, male 62.2
GTEX-1JN76-1226-SM-C1YRM 20-29 years, female 61.9
GTEX-1B8KE-1926-SM-731EE 50-59 years, male 61.2
GTEX-1MA7W-0626-SM-EV79Z 20-29 years, female 60.7
GTEX-ZEX8-1926-SM-4WKFR 50-59 years, male 60.5
GTEX-1H1E6-1926-SM-9OSWD 30-39 years, male 60.3
GTEX-14PKV-2126-SM-664O3 20-29 years, female 60.0
GTEX-14PJ4-1926-SM-6LLHG 60-69 years, male 59.4
GTEX-ZPIC-2226-SM-57WDX 40-49 years, female 59.4
GTEX-ZT9W-1826-SM-51MQX 50-59 years, male 58.7
GTEX-1K2DA-2026-SM-CGQGK 50-59 years, male 58.5
GTEX-145MN-1726-SM-5SIA6 30-39 years, male 58.2
GTEX-YB5E-1626-SM-5IFIQ 40-49 years, male 58.0
GTEX-15RIF-1326-SM-6LPKO 20-29 years, male 57.3
GTEX-13O21-2426-SM-5MR4A 50-59 years, male 56.9
GTEX-11P7K-1526-SM-5EGI7 30-39 years, male 56.3
GTEX-Q2AI-0926-SM-48U1F 40-49 years, male 56.3
GTEX-1F5PK-1926-SM-7MXT7 50-59 years, male 56.3
GTEX-ZDTT-1926-SM-5HL5W 60-69 years, male 56.3
GTEX-1N2DV-1426-SM-DPRYQ 40-49 years, male 56.1
GTEX-16AAH-1326-SM-7KFRG 50-59 years, male 55.5
GTEX-TML8-1326-SM-4DXTO 40-49 years, female 55.4
GTEX-1H11D-2626-SM-9JGH4 40-49 years, male 55.4
GTEX-Y5LM-1526-SM-4VDTA 40-49 years, female 54.4
GTEX-1RAZA-1726-SM-DPS13 20-29 years, male 53.9
GTEX-ZV7C-1526-SM-5NQ72 50-59 years, male 52.8
GTEX-111CU-1426-SM-5GZYP 50-59 years, male 52.1
GTEX-P4QT-1426-SM-3NMCX 50-59 years, female 52.1
GTEX-P4PP-1426-SM-3NM9L 30-39 years, female 52.0
GTEX-1CAMR-0926-SM-7MXTD 20-29 years, male 52.0
GTEX-ZF2S-1926-SM-4WWAN 50-59 years, female 51.5
GTEX-139T6-1326-SM-5IFFO 50-59 years, male 51.4
GTEX-ZLWG-1726-SM-DNZZ2 50-59 years, female 50.1
GTEX-U4B1-1126-SM-4DXV3 40-49 years, male 49.8
GTEX-14DAR-1526-SM-5RQIX 50-59 years, male 49.7
GTEX-139YR-2126-SM-5KM11 50-59 years, male 49.6
GTEX-1QP9N-1026-SM-E6CPX 30-39 years, male 49.6
GTEX-S4UY-0826-SM-4AD4Z 40-49 years, female 49.2
GTEX-WFG7-1526-SM-4LVMG 20-29 years, male 49.2
GTEX-13FTW-1826-SM-5IJEN 40-49 years, male 48.5
GTEX-1LGRB-1426-SM-CNNPT 50-59 years, female 48.2
GTEX-11I78-1226-SM-5A5K6 50-59 years, female 48.0
GTEX-U3ZN-2126-SM-4DXU1 30-39 years, female 48.0
GTEX-14PK6-1726-SM-6871J 70-79 years, female 47.6
GTEX-XPVG-1826-SM-4B64X 50-59 years, male 47.4
GTEX-1J1R8-1126-SM-CNPQ3 40-49 years, male 47.3
GTEX-133LE-1526-SM-5IFEN 20-29 years, female 47.2
GTEX-117YW-1826-SM-5PNY5 50-59 years, male 47.1
GTEX-OIZF-1426-SM-2HML2 60-69 years, male 46.8
GTEX-PWN1-1426-SM-48TDF 40-49 years, female 46.0
GTEX-XMK1-1726-SM-4B64Z 40-49 years, male 45.9
GTEX-132AR-2726-SM-5PNVN 50-59 years, female 45.8
GTEX-1QP67-1326-SM-EAZ4D 40-49 years, female 45.8
GTEX-13D11-0826-SM-5KLZJ 50-59 years, female 45.1
GTEX-144GM-1226-SM-5LU52 20-29 years, male 44.9
GTEX-14JG6-1726-SM-69LPL 30-39 years, female 44.8
GTEX-1C475-1626-SM-731FP 40-49 years, female 44.8
GTEX-1LVAM-1626-SM-EV79Y 50-59 years, female 44.8
GTEX-WOFM-2026-SM-4OOSQ 20-29 years, male 44.2
GTEX-11VI4-1526-SM-5EQKC 40-49 years, female 43.7
GTEX-13QBU-1826-SM-5IJG3 40-49 years, female 43.7
GTEX-W5WG-2426-SM-4LMI6 50-59 years, female 43.7
GTEX-WHWD-1226-SM-4OOS1 50-59 years, male 43.7
GTEX-15CHR-1426-SM-7DUGV 50-59 years, male 43.6
GTEX-WFON-1426-SM-4LVMT 40-49 years, male 43.6
GTEX-XUZC-1326-SM-4BRV2 30-39 years, female 43.5
GTEX-14XAO-2026-SM-69LOI 60-69 years, female 43.3
GTEX-1399U-1926-SM-5IFH7 50-59 years, female 43.1
GTEX-ZLV1-1226-SM-4WWBX 60-69 years, female 43.0
GTEX-13PL7-2526-SM-5IFGR 60-69 years, female 42.9
GTEX-1399R-2226-SM-5P9JB 30-39 years, male 41.9
GTEX-YF7O-1726-SM-5IFJ9 50-59 years, male 41.9
GTEX-QV31-0826-SM-CKZNC 30-39 years, male 41.6
GTEX-13111-0726-SM-5DUVE 50-59 years, male 41.1
GTEX-PLZ5-1126-SM-3P613 50-59 years, male 41.1
GTEX-ZVT2-1926-SM-5GU5T 50-59 years, female 41.1
GTEX-1399S-1926-SM-5J2M5 30-39 years, female 41.0
GTEX-18A66-2426-SM-7KFSQ 60-69 years, male 41.0
GTEX-1QCLY-1726-SM-DPRXY 30-39 years, male 40.2
GTEX-Q2AH-1226-SM-48TZL 40-49 years, male 39.9
GTEX-RM2N-0926-SM-48FD1 50-59 years, male 39.8
GTEX-T5JW-1126-SM-4DM5V 20-29 years, female 39.8
GTEX-1H3VY-2426-SM-9WPPD 50-59 years, male 39.4
GTEX-R53T-1326-SM-48FCQ 50-59 years, female 39.2
GTEX-1AYCT-1826-SM-731EG 50-59 years, male 38.1
GTEX-1IDJU-2026-SM-A9SLM 60-69 years, female 37.8
GTEX-14JIY-3326-SM-6871E 60-69 years, male 37.7
GTEX-Y3IK-1826-SM-4WWDS 50-59 years, female 37.6
GTEX-R55D-1826-SM-48FEF 50-59 years, male 37.5
GTEX-14PHX-1526-SM-68717 50-59 years, male 37.3
GTEX-14BMU-1526-SM-5TDE6 20-29 years, female 36.3
GTEX-1S83E-1626-SM-EV7B9 40-49 years, male 36.1
GTEX-1B8KZ-1326-SM-7DUG6 50-59 years, male 36.0
GTEX-ZDYS-2326-SM-4WKG6 50-59 years, male 35.9
GTEX-1IKOE-2026-SM-AHZ31 30-39 years, female 35.7
GTEX-1JK1U-1526-SM-AHZ46 60-69 years, male 35.3
GTEX-Q734-1126-SM-48TZY 40-49 years, female 35.0
GTEX-Y9LG-1526-SM-4WWDR 30-39 years, male 35.0
GTEX-1AMFI-1726-SM-7189L 50-59 years, female 34.3
GTEX-OXRK-1726-SM-3NB16 50-59 years, female 34.2
GTEX-178AV-1326-SM-6LPJX 40-49 years, male 33.8
GTEX-1211K-1726-SM-5FQUJ 60-69 years, female 33.6
GTEX-WHSB-0926-SM-4M1XJ 50-59 years, male 33.6
GTEX-S7SF-1926-SM-4AT5B 20-29 years, female 33.3
GTEX-UJHI-1126-SM-4IHLN 50-59 years, female 33.3
GTEX-1HSEH-1726-SM-B2LXH 60-69 years, male 33.3
GTEX-11DXX-1826-SM-5H126 60-69 years, female 33.2
GTEX-ZPCL-1826-SM-57WF1 60-69 years, female 33.0
GTEX-1KXAM-2126-SM-CY8I9 60-69 years, male 33.0
GTEX-146FQ-1926-SM-5NQBY 30-39 years, male 32.4
GTEX-QCQG-1626-SM-48U26 50-59 years, female 32.3
GTEX-O5YT-1426-SM-3MJHC 20-29 years, male 31.9
GTEX-145LT-0926-SM-5LU9C 40-49 years, male 31.7
GTEX-OHPM-1426-SM-3TW8Y 50-59 years, male 31.7
GTEX-1PFEY-1426-SM-E9U6U 30-39 years, male 31.7
GTEX-147F3-1926-SM-5SIB9 50-59 years, female 31.4
GTEX-13PVR-1626-SM-73KVF 60-69 years, female 31.3
GTEX-1MGNQ-2026-SM-EAZ51 40-49 years, male 31.0
GTEX-1C4CL-2126-SM-7IGQC 30-39 years, male 30.9
GTEX-ZTSS-1126-SM-5985O 40-49 years, male 30.8
GTEX-1F5PL-2126-SM-7PC2O 40-49 years, female 30.3
GTEX-1KANA-1926-SM-DHXKF 20-29 years, male 30.3
GTEX-QLQW-0426-SM-447A7 30-39 years, male 30.2
GTEX-1I4MK-1126-SM-B2LWS 50-59 years, female 30.0
GTEX-XBED-1526-SM-4AT5W 60-69 years, male 29.9
GTEX-1QPFJ-2326-SM-E6CR7 30-39 years, female 29.7
GTEX-15RIE-1826-SM-6M48P 60-69 years, male 29.6
GTEX-S4Q7-0826-SM-4AD5E 20-29 years, male 29.5
GTEX-OIZH-1426-SM-3NB1O 50-59 years, male 29.3
GTEX-PLZ6-0926-SM-3P5ZQ 30-39 years, male 29.2
GTEX-1F75I-2426-SM-9WPOY 40-49 years, male 28.7
GTEX-UJMC-1326-SM-4IHLS 50-59 years, male 28.4
GTEX-ZPU1-1926-SM-57WDT 40-49 years, male 28.4
GTEX-ZGAY-2126-SM-4YCFB 40-49 years, female 28.2
GTEX-12C56-0626-SM-5EGGC 20-29 years, male 28.1
GTEX-1NHNU-2326-SM-E6CQE 50-59 years, male 28.1
GTEX-YEC3-2426-SM-DO11A 50-59 years, male 28.1
GTEX-QEL4-1926-SM-D3L8D 50-59 years, male 27.8
GTEX-1L5NE-2026-SM-CXZKR 50-59 years, male 27.1
GTEX-1JKYR-1926-SM-C1YR7 20-29 years, male 26.7
GTEX-139TS-1926-SM-5IJFO 60-69 years, male 26.6
GTEX-XQ8I-2126-SM-4BOOM 50-59 years, male 26.2
GTEX-ZG7Y-2126-SM-DO117 50-59 years, male 26.2
GTEX-ZP4G-1726-SM-4WWCM 20-29 years, female 25.3
GTEX-1HCU9-1326-SM-B2LXT 20-29 years, male 25.1
GTEX-11LCK-2026-SM-5A5MA 30-39 years, male 25.0
GTEX-17HGU-2426-SM-7EWDP 50-59 years, male 25.0
GTEX-TKQ2-1326-SM-4DXT9 50-59 years, male 24.9
GTEX-WYJK-2226-SM-4ONDJ 50-59 years, male 24.9
GTEX-XV7Q-2126-SM-4BRVX 40-49 years, female 24.4
GTEX-ZVP2-1526-SM-5NQ82 50-59 years, male 24.2
GTEX-18D9A-1126-SM-7KFRJ 30-39 years, female 23.9
GTEX-R55C-1126-SM-48FCJ 40-49 years, male 23.5
GTEX-O5YW-1426-SM-3MJHF 50-59 years, male 23.1
GTEX-1NSGN-2326-SM-E9U5X 50-59 years, male 23.1
GTEX-1CAMS-2526-SM-7EPH7 40-49 years, female 22.9
GTEX-U3ZM-1126-SM-4DXUB 40-49 years, male 22.8
GTEX-1R7EU-1926-SM-E9U62 60-69 years, male 22.8
GTEX-13S86-1626-SM-5Q5C5 40-49 years, male 22.7
GTEX-1S3DN-1826-SM-EV79K 50-59 years, male 22.6
GTEX-QMRM-1226-SM-447C6 50-59 years, male 22.1
GTEX-Y8E4-2426-SM-4WWDN 40-49 years, male 22.1
GTEX-X15G-1326-SM-4PQZJ 50-59 years, female 22.0
GTEX-ZY6K-1226-SM-5GZYL 50-59 years, male 21.6
GTEX-11TT1-1026-SM-5PNW7 20-29 years, male 21.4
GTEX-1B932-2826-SM-73KUD 40-49 years, female 21.0
GTEX-147GR-2726-SM-664OO 60-69 years, male 20.8
GTEX-SE5C-1526-SM-4BRWU 40-49 years, female 20.8
GTEX-1JMPY-0426-SM-C1YQ3 30-39 years, male 20.6
GTEX-1PIEJ-2026-SM-E6CPA 20-29 years, female 20.5
GTEX-1R9JW-2026-SM-EAZ4O 30-39 years, female 20.4
GTEX-SNOS-1226-SM-4DM5H 40-49 years, male 20.1
GTEX-17KNJ-1726-SM-7LG6A 50-59 years, male 19.9
GTEX-1GPI7-1726-SM-7P8R1 20-29 years, male 19.9
GTEX-WH7G-1326-SM-4LVMS 40-49 years, male 19.8
GTEX-S4P3-1226-SM-4AD4Y 50-59 years, female 19.4
GTEX-144GN-1126-SM-5LU33 50-59 years, male 19.3
GTEX-XUW1-1926-SM-4BOP1 50-59 years, female 19.2
GTEX-11NSD-1626-SM-5986U 20-29 years, male 18.6
GTEX-16NGA-1026-SM-7KFS3 40-49 years, female 18.5
GTEX-131XE-0826-SM-5HL9W 50-59 years, male 18.2
GTEX-13X6H-1926-SM-7EWD3 50-59 years, female 18.2
GTEX-1128S-1626-SM-5H12O 60-69 years, female 17.9
GTEX-18D9U-1926-SM-7KFTM 40-49 years, male 17.4
GTEX-WYVS-1826-SM-4OND6 40-49 years, female 17.2
GTEX-OOBJ-1426-SM-E6CHH 60-69 years, male 16.8
GTEX-QDVN-1326-SM-48TZ3 50-59 years, male 16.1
GTEX-1PIGE-1426-SM-E9U61 20-29 years, male 15.8
GTEX-1GF9X-1526-SM-7P8QP 40-49 years, female 15.7
GTEX-X3Y1-1726-SM-4PQZL 40-49 years, male 15.5
GTEX-1HSMQ-2726-SM-C1YRE 50-59 years, male 15.3
GTEX-15SB6-1226-SM-7KUMP 50-59 years, female 15.1
GTEX-ZZ64-0726-SM-5GZX4 20-29 years, male 14.9
GTEX-PX3G-1426-SM-48U1J 20-29 years, female 14.1
GTEX-17EUY-1826-SM-7DUEZ 20-29 years, male 14.0
GTEX-S3XE-1126-SM-4AD4N 50-59 years, male 14.0
GTEX-14ICK-1026-SM-6AJA4 40-49 years, male 13.5
GTEX-XBEW-1926-SM-4SOJO 40-49 years, male 13.2
GTEX-VJYA-2026-SM-4KL1K 60-69 years, male 12.8
GTEX-PWCY-1026-SM-48TD4 20-29 years, female 12.4
GTEX-1GF9U-1526-SM-7MXUW 40-49 years, female 12.3
GTEX-1HSGN-2626-SM-CE6S1 40-49 years, female 11.9
GTEX-15DCE-2026-SM-7KUFE 20-29 years, male 10.8
GTEX-NFK9-2026-SM-3LK5K 40-49 years, male 10.1
GTEX-QDVJ-1326-SM-48U1X 50-59 years, male 9.9
GTEX-1IOXB-2626-SM-CJI2N 50-59 years, male 9.7
GTEX-1HFI7-1726-SM-A9G22 50-59 years, female 9.6
GTEX-1R9PM-1526-SM-DPRY8 20-29 years, male 9.1
GTEX-SNMC-1126-SM-4DM5M 20-29 years, male 8.9
GTEX-XGQ4-1226-SM-4AT67 50-59 years, male 8.8
GTEX-1K9T9-2826-SM-D4P3F 50-59 years, female 8.8
GTEX-1RDX4-1826-SM-EVR54 50-59 years, female 8.7
GTEX-1LGOU-1626-SM-D3LAK 20-29 years, female 8.5
GTEX-13OVJ-1726-SM-5IJDZ 50-59 years, female 7.7
GTEX-15ER7-2926-SM-7KUFK 20-29 years, female 7.5
GTEX-1I6K6-1826-SM-B2LX5 30-39 years, male 7.5
GTEX-1HKZK-2126-SM-A9SL3 40-49 years, male 7.3
GTEX-13OW6-2126-SM-5N9GL 50-59 years, male 7.2
GTEX-XYKS-2226-SM-4E3IU 60-69 years, female 7.2
GTEX-1PPH8-2026-SM-DTX7P 20-29 years, male 7.0
GTEX-1GMR3-2826-SM-9WPOG 40-49 years, male 6.9
GTEX-1QCLZ-1926-SM-E6CR3 60-69 years, female 6.7
GTEX-12KS4-2426-SM-5LU8P 30-39 years, male 6.5
GTEX-1MJK3-0926-SM-EV7AY 20-29 years, male 6.5
GTEX-13VXT-2426-SM-5LU46 20-29 years, female 6.1
GTEX-1H1DE-1526-SM-ARL9B 20-29 years, male 6.1
GTEX-17F98-1026-SM-7IGO8 40-49 years, female 5.9
GTEX-P78B-1726-SM-3P5ZV 40-49 years, female 5.9
GTEX-1I1GR-2526-SM-CNNQF 60-69 years, male 5.9
GTEX-17F9E-1826-SM-7IGMC 50-59 years, male 5.8
GTEX-1AMEY-1926-SM-73KVT 30-39 years, female 5.8
GTEX-1LSVX-1726-SM-DHXJP 60-69 years, male 5.4
GTEX-WQUQ-2526-SM-4MVNO 60-69 years, male 5.1
GTEX-13OVG-1426-SM-5K7VP 60-69 years, male 4.8
GTEX-18A7A-2226-SM-7LT8K 50-59 years, female 4.8
GTEX-17MF6-2426-SM-7LTAM 40-49 years, male 4.7
GTEX-14PJM-2626-SM-686ZD 50-59 years, female 4.6
GTEX-RU1J-1326-SM-46MUL 20-29 years, female 4.6
GTEX-15DYW-2326-SM-6PAMU 60-69 years, female 4.5
GTEX-17GQL-1526-SM-7LTAC 60-69 years, male 4.1
GTEX-1E2YA-2626-SM-7MGWW 50-59 years, male 4.1
GTEX-13FHP-2426-SM-5KLZ5 50-59 years, male 3.8
GTEX-1JJ6O-2426-SM-ARU8J 60-69 years, male 3.8
GTEX-1PWST-2426-SM-EWRMP 70-79 years, male 3.5
GTEX-ZAB4-2226-SM-5HL97 40-49 years, male 3.4
GTEX-1H1DG-2226-SM-9WPPC 70-79 years, male 3.3
GTEX-1IDJC-1326-SM-CL53H 50-59 years, male 3.2
GTEX-R45C-2126-SM-EZ6KZ 60-69 years, female 3.0
GTEX-1AX9I-2626-SM-73KU5 60-69 years, male 2.9
GTEX-14C39-1926-SM-5ZZW5 40-49 years, male 2.8
GTEX-Y8LW-1226-SM-4WWDP 50-59 years, female 2.8
GTEX-PSDG-1826-SM-EAZ2S 50-59 years, male 2.8
GTEX-14BIN-3026-SM-5ZZUS 50-59 years, female 2.7
GTEX-OHPN-2026-SM-E9TIA 60-69 years, female 2.7
GTEX-1JMPZ-2426-SM-C1YQP 30-39 years, male 2.5
GTEX-1N5O9-2726-SM-E76QH 60-69 years, male 2.5
GTEX-144GL-2526-SM-5TDDL 50-59 years, male 2.4
GTEX-1C64O-2326-SM-73KU8 60-69 years, male 2.3
GTEX-V955-1626-SM-4JBHJ 60-69 years, male 2.3
GTEX-1I1GT-1926-SM-ARU7D 60-69 years, female 2.3
GTEX-16MT8-2726-SM-7IGLJ 60-69 years, female 2.2
GTEX-1IDJD-2226-SM-A96TD 30-39 years, male 2.1
GTEX-1LVAN-2526-SM-CNPPC 50-59 years, female 2.1
GTEX-17EVQ-1826-SM-7IGPH 70-79 years, male 2.0
GTEX-1LH75-2126-SM-EVR5F 50-59 years, female 2.0
GTEX-18A7B-2026-SM-72D71 70-79 years, male 1.9
GTEX-1RMOY-1626-SM-EVYC8 50-59 years, male 1.9
GTEX-16XZZ-2626-SM-6M47S 60-69 years, male 1.8
GTEX-ZXES-1626-SM-5NQ7L 30-39 years, female 1.8
GTEX-1MCC2-1626-SM-DIPEW 30-39 years, female 1.7
GTEX-1KANB-1526-SM-CXZK4 50-59 years, male 1.6
GTEX-12WSL-1626-SM-5GCMU 50-59 years, male 1.5
GTEX-13W3W-2126-SM-5K7UX 60-69 years, female 1.5
GTEX-1J1OQ-2726-SM-AHZ3R 40-49 years, female 1.5
GTEX-13OVK-0826-SM-7KULZ 40-49 years, male 1.4
GTEX-15G1A-1826-SM-7KUKO 30-39 years, male 1.4
GTEX-1CB4F-2026-SM-79OLU 60-69 years, male 1.4
GTEX-13OW5-2626-SM-5MR3M 60-69 years, male 1.3
GTEX-1HCVE-2526-SM-A9G2G 50-59 years, male 1.3
GTEX-1IDJF-1826-SM-CKZOE 20-29 years, male 1.3
GTEX-OXRN-2026-SM-E6CHK 50-59 years, male 1.3
GTEX-12WSJ-1526-SM-5GCNI 40-49 years, female 1.2
GTEX-1B996-2626-SM-73KZ1 60-69 years, male 1.2
GTEX-1C6VQ-2726-SM-73KUL 50-59 years, male 1.2
GTEX-13QJ3-2626-SM-9OSXQ 50-59 years, male 1.2
GTEX-11ZVC-2126-SM-5EGJ1 50-59 years, female 1.1
GTEX-1339X-1626-SM-5IJDN 40-49 years, male 1.1
GTEX-145ME-0826-SM-5O9AF 40-49 years, female 1.1
GTEX-17F96-2026-SM-79ON4 70-79 years, male 1.1
GTEX-1OKEX-1226-SM-DTXEC 60-69 years, male 1.1
GTEX-11O72-2226-SM-5PNW2 40-49 years, male 1.0
GTEX-13CF3-1426-SM-5K7YY 60-69 years, female 1.0
GTEX-15SHU-2526-SM-6M47D 40-49 years, female 1.0
GTEX-1A3MV-1126-SM-718BS 30-39 years, male 1.0
GTEX-1BAJH-2326-SM-7IGMO 70-79 years, male 1.0
GTEX-XAJ8-0426-SM-47JYJ 40-49 years, male 1.0
GTEX-1CB4I-2226-SM-7P8SL 50-59 years, male 1.0
GTEX-111VG-2226-SM-5N9DU 60-69 years, male 0.9
GTEX-18D9B-2526-SM-718BN 60-69 years, male 0.9
GTEX-1RAZQ-2126-SM-DTX9V 30-39 years, male 0.9
GTEX-145MO-2426-SM-5NQ9W 60-69 years, male 0.8
GTEX-T6MO-0826-SM-4DM51 40-49 years, female 0.8
GTEX-1GMR2-1726-SM-9JGI2 50-59 years, male 0.8
GTEX-1GZ4I-2426-SM-9WPPP 50-59 years, male 0.8
GTEX-1MUQO-2626-SM-EWRO3 60-69 years, male 0.8
GTEX-147JS-2526-SM-5S2Q8 60-69 years, male 0.7
GTEX-16NPV-2626-SM-6M484 50-59 years, female 0.7
GTEX-17JCI-2626-SM-7EWE6 60-69 years, female 0.7
GTEX-ZYFC-2626-SM-5NQ6S 50-59 years, male 0.7
GTEX-17HII-2726-SM-7MGVM 50-59 years, male 0.7
GTEX-1HSMP-2326-SM-D3L8R 70-79 years, male 0.7
GTEX-1IKK5-2726-SM-CNPQ6 60-69 years, male 0.7
GTEX-1JJE9-2426-SM-D3L8T 70-79 years, male 0.7
GTEX-QLQ7-1126-SM-CYPRB 60-69 years, male 0.7
GTEX-14C5O-2526-SM-73KU2 60-69 years, male 0.6
GTEX-18QFQ-1526-SM-72D57 30-39 years, male 0.6
GTEX-1C2JI-1626-SM-7EPHC 50-59 years, male 0.6
GTEX-OXRL-1426-SM-3NM9E 50-59 years, male 0.6
GTEX-WEY5-1426-SM-4LMJ3 40-49 years, female 0.6
GTEX-ZV6S-1226-SM-59HLH 40-49 years, female 0.6
GTEX-1IGQW-2326-SM-CE6RV 60-69 years, male 0.6
GTEX-1NV5F-2226-SM-DTX8O 60-69 years, female 0.6
GTEX-1PPGY-2826-SM-DTX9H 60-69 years, male 0.6
GTEX-1QW4Y-1326-SM-EWRMZ 30-39 years, male 0.6
GTEX-1R9K5-2126-SM-E8VN1 50-59 years, male 0.6
GTEX-12ZZZ-2426-SM-5GCNN 60-69 years, male 0.5
GTEX-13O3O-2526-SM-5L3DR 60-69 years, female 0.5
GTEX-14H4A-1926-SM-5ZZWN 40-49 years, female 0.5
GTEX-15DZA-0926-SM-69LQ3 30-39 years, female 0.5
GTEX-1F75B-2726-SM-7P8QO 50-59 years, male 0.5
GTEX-1JN1M-2626-SM-CY8I3 60-69 years, female 0.5
GTEX-OXRO-0726-SM-E9U4C 60-69 years, female 0.5
GTEX-SJXC-2226-SM-EVYAK 60-69 years, male 0.5
GTEX-11ONC-2026-SM-5HL61 60-69 years, male 0.4
GTEX-13FH7-1526-SM-5J2N6 50-59 years, female 0.4
GTEX-14BMV-2426-SM-5S2PP 50-59 years, male 0.4
GTEX-14PJ3-0926-SM-69LQG 50-59 years, male 0.4
GTEX-16Z82-2226-SM-6LPJ7 60-69 years, male 0.4
GTEX-TKQ1-0626-SM-4DXTS 30-39 years, male 0.4
GTEX-U3ZH-1326-SM-4DXSF 30-39 years, male 0.4
GTEX-WY7C-1626-SM-4ONC8 50-59 years, male 0.4
GTEX-Y114-1526-SM-4TT79 50-59 years, female 0.4
GTEX-Y3I4-1426-SM-4TT9C 50-59 years, male 0.4
GTEX-YEC4-1926-SM-5IFHJ 40-49 years, male 0.4
GTEX-ZF29-1726-SM-4WKFV 60-69 years, female 0.4
GTEX-ZYVF-2826-SM-5GIDK 50-59 years, female 0.4
GTEX-1GL5R-2426-SM-7MXV1 50-59 years, male 0.4
GTEX-1HCU7-2626-SM-C1YQO 50-59 years, male 0.4
GTEX-1QMI2-2626-SM-E6CR4 60-69 years, male 0.4
GTEX-1S5VW-2926-SM-E9U6H 60-69 years, male 0.4
GTEX-X4EO-2526-SM-EWRM8 60-69 years, female 0.4
GTEX-117YX-0826-SM-5H11J 50-59 years, male 0.3
GTEX-11EQ9-1426-SM-5987G 30-39 years, male 0.3
GTEX-14DAQ-2726-SM-5S2QY 60-69 years, female 0.3
GTEX-14ICL-1226-SM-5S2RD 30-39 years, male 0.3
GTEX-14PJ5-0926-SM-6LLIK 60-69 years, female 0.3
GTEX-RWS6-1826-SM-47JXX 60-69 years, female 0.3
GTEX-ZYFG-1926-SM-5GID5 60-69 years, female 0.3
GTEX-13O61-1626-SM-5KM3T 60-69 years, male 0.2
GTEX-13OVI-2026-SM-5J1MU 60-69 years, female 0.2
GTEX-13U4I-2426-SM-5LU34 40-49 years, female 0.2
GTEX-148VJ-2626-SM-5QGPI 70-79 years, male 0.2
GTEX-14AS3-1126-SM-5Q5CR 40-49 years, female 0.2
GTEX-15CHC-1626-SM-5ZZWS 60-69 years, female 0.2
GTEX-15UF6-2626-SM-6M466 70-79 years, female 0.2
GTEX-S341-1426-SM-4AD6U 40-49 years, female 0.2
GTEX-1AYD5-1726-SM-7RHFW 50-59 years, male 0.2
GTEX-1GN73-2626-SM-9KNUQ 60-69 years, male 0.2
GTEX-1GZ4H-1226-SM-9KNUA 50-59 years, female 0.2
GTEX-1HCU6-2726-SM-A9SKV 60-69 years, female 0.2
GTEX-1POEN-2026-SM-E6CRL 30-39 years, female 0.2
GTEX-111YS-1626-SM-5GZZ9 60-69 years, male 0.1
GTEX-11GSP-1626-SM-5986N 60-69 years, female 0.1
GTEX-11P81-1126-SM-5GU5G 30-39 years, female 0.1
GTEX-11TTK-2426-SM-5PNYO 60-69 years, female 0.1
GTEX-13O3P-2326-SM-5KM55 50-59 years, male 0.1
GTEX-145LS-2726-SM-5Q5D8 60-69 years, female 0.1
GTEX-1AX8Z-2726-SM-73KUC 60-69 years, male 0.1
GTEX-X5EB-0926-SM-46MVT 40-49 years, male 0.1
GTEX-1EH9U-2026-SM-7PBYS 60-69 years, male 0.1
GTEX-1ICLZ-2426-SM-CKZOD 60-69 years, male 0.1
GTEX-1JMLX-2726-SM-CM2SB 50-59 years, male 0.1
GTEX-11TUW-2026-SM-5EQL8 60-69 years, male 0.0
GTEX-14E1K-1826-SM-793DT 50-59 years, male 0.0
GTEX-15CHQ-2526-SM-6EU24 60-69 years, male 0.0
GTEX-XXEK-1926-SM-4BRVD 50-59 years, male 0.0
GTEX-Z93S-2426-SM-5HL8N 50-59 years, male 0.0
GTEX-1EMGI-2726-SM-7P8S4 60-69 years, male 0.0
GTEX-1LBAC-1626-SM-CXZKV 20-29 years, male 0.0
GTEX-1LG7Y-2126-SM-DIPER 50-59 years, male 0.0
GTEX-1N2EF-1926-SM-DTX8M 60-69 years, male 0.0
GTEX-1S82U-0726-SM-E9TKI 30-39 years, female 0.0
GTEX-U412-1726-SM-EZ6KX 60-69 years, male 0.0
GTEX-WVJS-2426-SM-EZ6LI 50-59 years, male 0.0
Show allShow less

COLON - FANTOM5 CAGEi

RNA expression in human tissues obtained through Cap Analysis of Gene Expression (CAGE) generated by the FANTOM5 project are reported as Scaled Tags Per Million.

Max subtype Scaled Tags Per Millioni

Max subtype Scaled Tags Per Million is the value for the subtype with the largest average Scaled Tags Per Million across the subtype samples.

156.3
FANTOM5 sample id Sample description Scaled Tags Per Million
Colon
Scaled Tags Per Million: 156.3
FF:10014-101C5 62,83,84 years, mixed 156.3

Contact

  • NEWS ARTICLES
  • PRESS ROOM

The Project

  • INTRODUCTION
  • ORGANIZATION
  • PUBLICATIONS

The Human Protein Atlas

  • DOWNLOADABLE DATA
  • LICENCE & CITATION
  • HELP & FAQ
The Human Protein Atlas project is funded
by the Knut & Alice Wallenberg Foundation.


contact@proteinatlas.org