We use cookies to enhance the usability of our website. If you continue, we'll assume that you are happy to receive all cookies. More information. Don't show this again.
SULT1B1
HPA
RESOURCES
  • TISSUE
  • BRAIN
  • SINGLE CELL
  • SUBCELLULAR
  • CANCER
  • BLOOD
  • CELL LINE
  • STRUCTURE & INTERACTION
ABOUT
  • INTRODUCTION
  • HISTORY
  • ORGANIZATION
  • PUBLICATIONS
  • ANTIBODY SUBMISSION
  • ANTIBODY AVAILABILITY
  • ACKNOWLEDGMENTS
  • CONTACT
NEWS
  • NEWS ARTICLES
  • PRESS ROOM
LEARN
  • DICTIONARY
  • PROTEIN CLASSES
  • PROTEIN EVIDENCE
  • METHODS
  • EDUCATIONAL VIDEOS
DATA
  • DOWNLOADABLE DATA
  • PUBLICATION DATA
  • RELEASE HISTORY
HELP
  • ANTIBODY VALIDATION
  • ASSAYS & ANNOTATION
  • DISCLAIMER
  • HELP & FAQ
  • PRIVACY STATEMENT
  • LICENCE & CITATION
Fields »
Search result

Field
Term
Gene name
Class
Subclass
Class
Keyword
Chromosome
External id
Tissue
Cell type
Expression
Antibody panel
Tissue
Main location
Patient ID
Annotation
Tissue
Category
Tau score
Cluster
Reliability
Brain region
Category
Tau score
Brain region
Category
Tau score
Brain region
Category
Tau score
Cluster
Reliability
Tissue
Cell type
Enrichment
Cell type
Category
Tau score
Cell type
Category
Tau score
Cell type
Category
Tau score
Cell lineage
Category
Tau score
Cluster
Cluster
Location
Searches
Location
Cell line
Class
Type
Phase
Reliability
Cancer
Prognosis
Cancer
Category
Cancer
Category
Tau score
Cluster
Variants
Interacting gene (ensg_id)
Type
Number of interactions
Pathway
Category
Score
Score
Score
Validation
Validation
Validation
Validation
Antibodies
Data type
Column


  • SUMMARY

  • TISSUE

  • BRAIN

  • SINGLE CELL

  • SUBCELL

  • CANCER

  • BLOOD

  • CELL LINE

  • STRUCT & INT

  • SULT1B1
TISSUE PRIMARY DATA PROSTATE Show tissue menu
ADIPOSE TISSUE ADRENAL GLAND AMYGDALA APPENDIX BASAL GANGLIA BONE MARROW BREAST BRONCHUS CEREBELLUM CEREBRAL CORTEX CERVIX CHOROID PLEXUS COLON DUODENUM
ENDOMETRIUM EPIDIDYMIS ESOPHAGUS FALLOPIAN TUBE GALLBLADDER HEART MUSCLE HIPPOCAMPAL FORMATION HYPOTHALAMUS KIDNEY LIVER LUNG LYMPH NODE MIDBRAIN NASOPHARYNX
ORAL MUCOSA OVARY PANCREAS PARATHYROID GLAND PITUITARY GLAND PLACENTA PROSTATE RECTUM RETINA SALIVARY GLAND SEMINAL VESICLE SKELETAL MUSCLE SKIN SMALL INTESTINE
SMOOTH MUSCLE SOFT TISSUE SPINAL CORD SPLEEN STOMACH TESTIS THYMUS THYROID GLAND TONGUE TONSIL URINARY BLADDER VAGINA
ANTIBODIES
AND
VALIDATION
Dictionary
Prostate
Tissue proteome
Prostate
PROSTATE - Expression summary
Protein expression
Prostatei

On the top, protein expression in current human tissue, based on all annotated cell types, is reported with the units not detected (n), low (l), medium (m) and high (h). Underneath, protein expression in each annotated cell type are reported using the same units.

Protein expression data is based on knowledge-based annotation. For genes where more than one antibody has been used, a collective score is set.

If knowledge-based annotation could not be performed for a gene, no data is displayed here. View antibody staining data further down this page.

h
m
l
n
Glandular cells: Not detected
RNA expressioni

A summary of mRNA expression data available for current tissue based on several datasets. The mRNA expression levels in human tissues are based on RNA-seq data generated by the Human Protein Atlas (HPA), Genotype-Tissue Expression (GTEx) portal and CAGE data generated by the FANTOM5 consortium. Consensus normalized expression levels for human tissues was created by combining the data from HPA and GTEx datasets.

The mRNA expression levels in pig are based on RNA-seq data generated by the Human Protein Atlas (HPA), and for mouse, HPA data and in situ hybridization generated by the Allen brain atlas are reported.

Scroll down to view mRNA expression data in more detail.
Consensus:2.3 nTPM
HPA:2.3 nTPM
GTEx:0.3 nTPM
FANTOM5:1.4 Scaled Tags Per Million

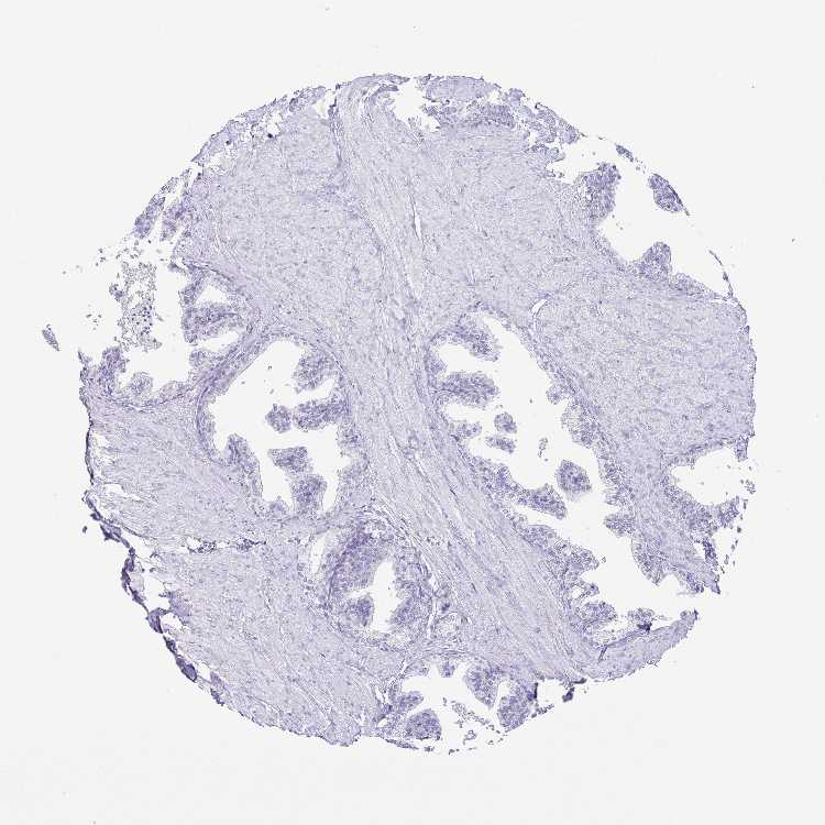
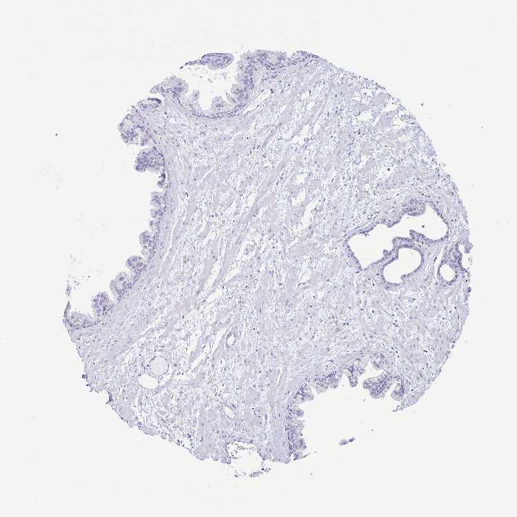
PROSTATE - Antibody stainingi

Antibody staining in the annotated cell types in the current human tissue is reported as not detected, low, medium, or high, based on conventional immunohistochemistry profiling in selected tissues. This score is based on the combination of the staining intensity and fraction of stained cells.

Each image is clickable and will lead to virtual microscopy that enables deeper exploration of all samples and also displays staining intensity scores, fraction scores and subcellular localization as well as patient and tissue information for each sample.

Antibody HPA002107
Glandular cells Not detected



PROSTATE - HPA RNA-seqi

The RNA-seq details section shows detailed information about the individual samples used for the transcript profiling and results of the RNA-seq analysis.

Information about each individual sample is listed below, including gender, age, a tissue section image and estimated fractions of cell types. nTPM (normalized transcripts per million) values give a quantification of the gene abundance which is comparable between different genes and samples.
Average nTPMi

Max subtype nTPM is the value for the subtype with the largest average nTPM across the subtype samples.

2.3
overview
Male, age 62
Prostate sample 59
nTPM: 2
Cell types%
Glandular cells:
30

Smooth muscle cells:
55

Skeletal muscle cells:
5

Other cell types:
10

N/A
Male, age 65
Prostate sample 205
nTPM: 0.8
Cell types%
Glandular cells:
20

Smooth muscle cells:
60

Other cell types:
20

overview
Male, age 65
Prostate sample 206
nTPM: 1.3
Cell types%
Glandular cells:
30

Smooth muscle cells:
65

Other cell types:
5

overview
Male, age 68
Prostate sample 207
nTPM: 1.5
Cell types%
Glandular cells:
30

Smooth muscle cells:
65

Other cell types:
5

overview
Male, age 60
Prostate sample 361
nTPM: 3.6
Cell types%
Glandular cells:
40

Smooth muscle cells:
55

Other cell types:
5

overview
Male, age 66
Prostate sample 364
nTPM: 4.4
Cell types%
Glandular cells:
50

Smooth muscle cells:
45

Other cell types:
5

overview
Male, age 63
Prostate sample 365
nTPM: 2.9
Cell types%
Glandular cells:
60

Smooth muscle cells:
35

Other cell types:
5

overview
Male, age 66
Prostate sample 388
nTPM: 2.2
Cell types%
Glandular cells:
65

Smooth muscle cells:
30

Other cell types:
5

overview
Male, age 58
Prostate sample 412
nTPM: 2.5
Cell types%
Glandular cells:
45

Smooth muscle cells:
50

Other cell types:
5


PROSTATE - GTEx RNA-seqi

RNA-Seq data generated by the Genotype-Tissue Expression (GTEx) project from human tissues is reported as mean nTPM. More information can be found on the GTEx portal.

Distribution across the dataset is visualized with box plots, shown as median and 25th and 75th percentiles. Points are displayed as outliers if they are above or below 1.5 times the interquartile range. nTPM values of the individual samples are presented next to the box plot.
Max subtype nTPMi

Max subtype nTPM is the value for the subtype with the largest average nTPM across the subtype samples.

0.3
GTEx sample id Sample description nTPM
Prostate
Average nTPM: 0.3
Samples: 245

Max nTPM: 2.3
Min nTPM: 0.0
Std nTPM: 0.3
Median nTPM: 0.2
GTEX-1JK1U-0926-SM-AHZ43 60-69 years, male 2.3
GTEX-1HSMQ-1826-SM-A9SMJ 50-59 years, male 1.6
GTEX-1KXAM-1126-SM-E9TJU 60-69 years, male 1.2
GTEX-1AX9J-1426-SM-731BV 60-69 years, male 1.1
GTEX-1S5ZA-1626-SM-E9TKG 20-29 years, male 1.1
GTEX-11P82-1126-SM-5BC5K 20-29 years, male 1.0
GTEX-14C5O-2826-SM-5RQI6 60-69 years, male 1.0
GTEX-1AX9I-2326-SM-7PBXV 60-69 years, male 1.0
GTEX-1IDJF-2126-SM-AHZ2S 20-29 years, male 1.0
GTEX-ZG7Y-2226-SM-DO92I 50-59 years, male 1.0
GTEX-1AX9K-1526-SM-73KVP 50-59 years, male 0.9
GTEX-P4QS-2026-SM-3NMCG 60-69 years, male 0.9
GTEX-RM2N-1126-SM-48FCY 50-59 years, male 0.9
GTEX-ZZ64-0926-SM-5E44L 20-29 years, male 0.9
GTEX-P4PQ-2026-SM-E9U4E 60-69 years, male 0.9
GTEX-14ICK-1826-SM-69LOP 40-49 years, male 0.8
GTEX-T8EM-1826-SM-4DM7F 40-49 years, male 0.8
GTEX-WYJK-0626-SM-4ONCZ 50-59 years, male 0.8
GTEX-1GPI7-1626-SM-7P8TN 20-29 years, male 0.8
GTEX-1R7EU-0126-SM-EVR4F 60-69 years, male 0.8
GTEX-1C64O-2026-SM-7IGPA 60-69 years, male 0.7
GTEX-1KANA-1026-SM-D3L9L 20-29 years, male 0.7
GTEX-1QP2A-1526-SM-E6CPN 50-59 years, male 0.7
GTEX-145LT-0626-SM-5O99E 40-49 years, male 0.6
GTEX-14E6E-1126-SM-5S2R4 30-39 years, male 0.6
GTEX-14PJ3-1726-SM-5ZZVH 50-59 years, male 0.6
GTEX-NFK9-2226-SM-3MJGP 40-49 years, male 0.6
GTEX-SUCS-1126-SM-4DM61 70-79 years, male 0.6
GTEX-U3ZM-0926-SM-4DXSW 40-49 years, male 0.6
GTEX-V955-1826-SM-4JBIL 60-69 years, male 0.6
GTEX-XAJ8-0626-SM-47JY4 40-49 years, male 0.6
GTEX-ZDYS-1226-SM-5IJF3 50-59 years, male 0.6
GTEX-ZEX8-2026-SM-4WKF3 50-59 years, male 0.6
GTEX-1CB4J-1526-SM-7MXVB 60-69 years, male 0.6
GTEX-1H1E6-0526-SM-9WPQ3 30-39 years, male 0.6
GTEX-1L5NE-1026-SM-D3LAP 50-59 years, male 0.6
GTEX-1S3DN-1926-SM-E6CIR 50-59 years, male 0.6
GTEX-111YS-1726-SM-5GIED 60-69 years, male 0.5
GTEX-117YX-1526-SM-5H12T 50-59 years, male 0.5
GTEX-11TT1-2026-SM-5EQM8 20-29 years, male 0.5
GTEX-132QS-1126-SM-5P9GC 60-69 years, male 0.5
GTEX-15RIF-1526-SM-6M46K 20-29 years, male 0.5
GTEX-S95S-1026-SM-4B64M 60-69 years, male 0.5
GTEX-XPVG-2026-SM-4B65E 50-59 years, male 0.5
GTEX-ZLFU-1726-SM-4WWBU 40-49 years, male 0.5
GTEX-1I1GU-1126-SM-A96S9 40-49 years, male 0.5
GTEX-1PFEY-0626-SM-E76PH 30-39 years, male 0.5
GTEX-12C56-1326-SM-5FQSV 20-29 years, male 0.4
GTEX-13N2G-1826-SM-5KM1I 60-69 years, male 0.4
GTEX-13O21-1126-SM-5N9EV 50-59 years, male 0.4
GTEX-13O61-1726-SM-5KM46 60-69 years, male 0.4
GTEX-14BIL-2126-SM-73KW3 50-59 years, male 0.4
GTEX-14PJ4-1226-SM-5YY9U 60-69 years, male 0.4
GTEX-17EUY-2026-SM-79OMV 20-29 years, male 0.4
GTEX-1B8KE-1026-SM-731EQ 50-59 years, male 0.4
GTEX-OIZH-2026-SM-3NB1M 50-59 years, male 0.4
GTEX-OOBJ-2026-SM-3NB1R 60-69 years, male 0.4
GTEX-PLZ6-1126-SM-3P5ZR 30-39 years, male 0.4
GTEX-WOFM-0326-SM-4OOSL 20-29 years, male 0.4
GTEX-12WSN-5007-SM-7MGWH 40-49 years, male 0.4
GTEX-1EH9U-1826-SM-7P8QL 60-69 years, male 0.4
GTEX-1HBPI-0326-SM-A9G3N 50-59 years, male 0.4
GTEX-1I6K6-2126-SM-B2LX6 30-39 years, male 0.4
GTEX-1I6K7-2326-SM-ARZM2 40-49 years, male 0.4
GTEX-1JKYN-0926-SM-AHZ47 30-39 years, male 0.4
GTEX-1MGNQ-2226-SM-EV7A2 40-49 years, male 0.4
GTEX-1OKEX-1826-SM-DTX8J 60-69 years, male 0.4
GTEX-1S831-1226-SM-EVR5D 20-29 years, male 0.4
GTEX-Q2AH-1426-SM-EXOHC 40-49 years, male 0.4
GTEX-QMRM-1426-SM-CM2U2 50-59 years, male 0.4
GTEX-111CU-1526-SM-5N9FS 50-59 years, male 0.3
GTEX-12696-2226-SM-5EQ65 60-69 years, male 0.3
GTEX-12BJ1-1226-SM-5LUAE 60-69 years, male 0.3
GTEX-139T6-1526-SM-5P9G6 50-59 years, male 0.3
GTEX-14DAR-1026-SM-73KV3 50-59 years, male 0.3
GTEX-14PJ2-2126-SM-5YY96 50-59 years, male 0.3
GTEX-16MTA-1426-SM-6PALY 50-59 years, male 0.3
GTEX-1C6VQ-2426-SM-7EWEU 50-59 years, male 0.3
GTEX-NPJ8-2426-SM-3MJHL 40-49 years, male 0.3
GTEX-OOBK-2025-SM-3LK5S 40-49 years, male 0.3
GTEX-S3XE-1326-SM-4AD4H 50-59 years, male 0.3
GTEX-S4Q7-1026-SM-4AD75 20-29 years, male 0.3
GTEX-SNOS-1026-SM-4DM4Y 40-49 years, male 0.3
GTEX-U4B1-1426-SM-4DXTX 40-49 years, male 0.3
GTEX-WFG7-1826-SM-3GIL1 20-29 years, male 0.3
GTEX-WFG8-1826-SM-4LVM4 20-29 years, male 0.3
GTEX-WFON-1626-SM-4LVMV 40-49 years, male 0.3
GTEX-XXEK-1226-SM-4BRUY 50-59 years, male 0.3
GTEX-ZTX8-1026-SM-5EGHD 20-29 years, male 0.3
GTEX-ZVP2-0826-SM-59HJ6 50-59 years, male 0.3
GTEX-1CAMQ-2226-SM-7MGWS 40-49 years, male 0.3
GTEX-1GL5R-1226-SM-7MXUY 50-59 years, male 0.3
GTEX-1HSMO-2326-SM-CGQF3 60-69 years, male 0.3
GTEX-1I19N-2226-SM-A96TS 70-79 years, male 0.3
GTEX-1PWST-2626-SM-E8VN8 70-79 years, male 0.3
GTEX-1QP6S-0726-SM-E76QS 40-49 years, male 0.3
GTEX-QLQ7-1326-SM-CNNOR 60-69 years, male 0.3
GTEX-11DXZ-1826-SM-5H12Y 50-59 years, male 0.2
GTEX-11NSD-0826-SM-5986S 20-29 years, male 0.2
GTEX-13111-1326-SM-5GCNO 50-59 years, male 0.2
GTEX-131XF-5013-SM-7EWFI 60-69 years, male 0.2
GTEX-13FXS-2826-SM-5LZYC 50-59 years, male 0.2
GTEX-13NYS-1026-SM-5KLZT 60-69 years, male 0.2
GTEX-13OW8-0426-SM-5J2NR 60-69 years, male 0.2
GTEX-145LU-2126-SM-5Q5E9 50-59 years, male 0.2
GTEX-145LV-1226-SM-5S2QH 50-59 years, male 0.2
GTEX-1477Z-2226-SM-5QGPG 60-69 years, male 0.2
GTEX-17HHE-1126-SM-793BS 50-59 years, male 0.2
GTEX-17MFQ-1326-SM-718BX 20-29 years, male 0.2
GTEX-1A3MV-0826-SM-72D6J 30-39 years, male 0.2
GTEX-Q2AI-1126-SM-48U19 40-49 years, male 0.2
GTEX-U3ZH-0926-SM-4DXU4 30-39 years, male 0.2
GTEX-VJYA-1226-SM-3GIJ6 60-69 years, male 0.2
GTEX-WH7G-1726-SM-4LVKY 40-49 years, male 0.2
GTEX-WK11-2626-SM-4OOSK 50-59 years, male 0.2
GTEX-WY7C-2026-SM-4ONCM 50-59 years, male 0.2
GTEX-WZTO-0926-SM-4PQZ3 40-49 years, male 0.2
GTEX-X5EB-1826-SM-4E3K8 40-49 years, male 0.2
GTEX-XGQ4-1826-SM-4AT6F 50-59 years, male 0.2
GTEX-Y9LG-1826-SM-4VBQC 30-39 years, male 0.2
GTEX-YB5E-1826-SM-5IFI4 40-49 years, male 0.2
GTEX-YF7O-1926-SM-4W1YQ 50-59 years, male 0.2
GTEX-ZT9W-1626-SM-4YCDQ 50-59 years, male 0.2
GTEX-1F6I4-1326-SM-7P8QQ 60-69 years, male 0.2
GTEX-1GF9V-0726-SM-9KNU4 60-69 years, male 0.2
GTEX-1GZ4I-2226-SM-9WPPO 50-59 years, male 0.2
GTEX-1HFI6-2326-SM-9WYUN 40-49 years, male 0.2
GTEX-1J8Q3-0926-SM-A96SU 60-69 years, male 0.2
GTEX-1JJ6O-0726-SM-CY8HS 60-69 years, male 0.2
GTEX-1JN6P-2626-SM-D4P3C 60-69 years, male 0.2
GTEX-1K2DA-1226-SM-CGQGH 50-59 years, male 0.2
GTEX-1KAFJ-1226-SM-D4P46 50-59 years, male 0.2
GTEX-1LG7Y-2426-SM-EVR57 50-59 years, male 0.2
GTEX-1QP29-0526-SM-EAZ3T 50-59 years, male 0.2
GTEX-OXRL-2026-SM-E6CHN 50-59 years, male 0.2
GTEX-RVPV-2526-SM-EYYVL 60-69 years, male 0.2
GTEX-T6MN-2126-SM-EZ6LC 50-59 years, male 0.2
GTEX-XQ8I-2526-SM-EAZB3 50-59 years, male 0.2
GTEX-111FC-2026-SM-5GZYO 60-69 years, male 0.1
GTEX-11DYG-2526-SM-5N9BB 60-69 years, male 0.1
GTEX-11EQ9-1726-SM-5HL6U 30-39 years, male 0.1
GTEX-11O72-2726-SM-5HL6K 40-49 years, male 0.1
GTEX-11OF3-1726-SM-5GU5Q 60-69 years, male 0.1
GTEX-11P7K-0626-SM-5985Z 30-39 years, male 0.1
GTEX-11TUW-2126-SM-5GU7B 60-69 years, male 0.1
GTEX-11WQK-2726-SM-5EQMU 50-59 years, male 0.1
GTEX-11ZUS-2126-SM-5N9E6 30-39 years, male 0.1
GTEX-12ZZZ-2026-SM-5LZWJ 60-69 years, male 0.1
GTEX-132NY-2826-SM-5P9G2 60-69 years, male 0.1
GTEX-1399R-0526-SM-5IJEF 30-39 years, male 0.1
GTEX-13FTW-1226-SM-5LZZ1 40-49 years, male 0.1
GTEX-13G51-2326-SM-5LZXV 60-69 years, male 0.1
GTEX-13RTJ-2126-SM-5S2PZ 60-69 years, male 0.1
GTEX-148VJ-1826-SM-5Q5DV 70-79 years, male 0.1
GTEX-14ABY-0726-SM-5Q5DF 50-59 years, male 0.1
GTEX-14E6C-2826-SM-664NC 40-49 years, male 0.1
GTEX-14PJO-2826-SM-6AJA6 60-69 years, male 0.1
GTEX-15CHR-1226-SM-79OON 50-59 years, male 0.1
GTEX-16XZZ-2426-SM-7KULN 60-69 years, male 0.1
GTEX-178AV-0426-SM-6LPJG 40-49 years, male 0.1
GTEX-17HHY-2526-SM-7IGME 50-59 years, male 0.1
GTEX-17HII-2526-SM-7LT8C 50-59 years, male 0.1
GTEX-18QFQ-2026-SM-72D7J 30-39 years, male 0.1
GTEX-1B8KZ-1626-SM-73KUU 50-59 years, male 0.1
GTEX-1B97I-0826-SM-731DN 40-49 years, male 0.1
GTEX-1CAMR-1626-SM-79OLC 20-29 years, male 0.1
GTEX-1CB4E-1726-SM-7IGMS 60-69 years, male 0.1
GTEX-RWSA-2026-SM-47JX8 40-49 years, male 0.1
GTEX-SJXC-2026-SM-4DM6N 60-69 years, male 0.1
GTEX-T5JC-1226-SM-4DM7C 20-29 years, male 0.1
GTEX-U8XE-2526-SM-4E3IT 30-39 years, male 0.1
GTEX-XQ3S-2526-SM-4BOOG 20-29 years, male 0.1
GTEX-Y8E4-2126-SM-5RQHO 40-49 years, male 0.1
GTEX-YJ8A-1126-SM-5IFJU 20-29 years, male 0.1
GTEX-ZPU1-2026-SM-57WFI 40-49 years, male 0.1
GTEX-ZY6K-1526-SM-5GZXE 50-59 years, male 0.1
GTEX-1BAJH-0626-SM-7P8OY 70-79 years, male 0.1
GTEX-1C6WA-2326-SM-7P8OW 60-69 years, male 0.1
GTEX-1CB4G-2526-SM-7MXTG 60-69 years, male 0.1
GTEX-1GF9W-2026-SM-7MXVO 60-69 years, male 0.1
GTEX-1GN73-1626-SM-9WYTS 60-69 years, male 0.1
GTEX-1HBPN-2126-SM-9WPNQ 50-59 years, male 0.1
GTEX-1I1GV-1926-SM-CNPQH 60-69 years, male 0.1
GTEX-1IDJD-2026-SM-A96TC 30-39 years, male 0.1
GTEX-1JKYR-1726-SM-C1YR6 20-29 years, male 0.1
GTEX-1JMLX-1226-SM-CY8HW 50-59 years, male 0.1
GTEX-1LBAC-1926-SM-DHXK2 20-29 years, male 0.1
GTEX-1MUQO-1526-SM-DPRYK 60-69 years, male 0.1
GTEX-1OJC3-1926-SM-DPRYV 20-29 years, male 0.1
GTEX-1PPH8-1426-SM-DTXA3 20-29 years, male 0.1
GTEX-1QCLY-1826-SM-DTX89 30-39 years, male 0.1
GTEX-1RAZQ-0826-SM-EVR4L 30-39 years, male 0.1
GTEX-OIZF-2026-SM-3MJH1 60-69 years, male 0.1
GTEX-QEG4-2226-SM-CXZJD 30-39 years, male 0.1
GTEX-QEG5-2426-SM-EYYVC 20-29 years, male 0.1
GTEX-QV31-1026-SM-CNNOS 30-39 years, male 0.1
GTEX-117YW-1426-SM-5EGGO 50-59 years, male 0.0
GTEX-1399T-1226-SM-5P9J5 60-69 years, male 0.0
GTEX-13FHO-2826-SM-5K7ZA 60-69 years, male 0.0
GTEX-144GM-0826-SM-5O98R 20-29 years, male 0.0
GTEX-146FQ-1726-SM-5QGPX 30-39 years, male 0.0
GTEX-147JS-2826-SM-5YYA7 60-69 years, male 0.0
GTEX-14BMV-2326-SM-5RQJ4 50-59 years, male 0.0
GTEX-16GPK-2826-SM-6LPJ6 60-69 years, male 0.0
GTEX-16YQH-2326-SM-7EWDS 30-39 years, male 0.0
GTEX-18A66-2326-SM-7LT8Q 60-69 years, male 0.0
GTEX-1CB4F-2326-SM-7MKFO 60-69 years, male 0.0
GTEX-1EU9M-1526-SM-79OLI 60-69 years, male 0.0
GTEX-REY6-2126-SM-48FD9 60-69 years, male 0.0
GTEX-S33H-1826-SM-4AD65 30-39 years, male 0.0
GTEX-SNMC-0926-SM-4DM5U 20-29 years, male 0.0
GTEX-U412-2026-SM-4DXSI 60-69 years, male 0.0
GTEX-UTHO-2726-SM-4JBH9 60-69 years, male 0.0
GTEX-V1D1-1926-SM-4JBGX 50-59 years, male 0.0
GTEX-XMK1-1026-SM-4B65H 40-49 years, male 0.0
GTEX-ZTTD-2726-SM-57WFA 50-59 years, male 0.0
GTEX-ZUA1-2826-SM-59HLE 40-49 years, male 0.0
GTEX-ZYFD-2526-SM-5E45L 50-59 years, male 0.0
GTEX-17HGU-2226-SM-7IGLI 50-59 years, male 0.0
GTEX-1AX8Z-5019-SM-AHZ2C 60-69 years, male 0.0
GTEX-1E1VI-2726-SM-7MXVH 50-59 years, male 0.0
GTEX-1EKGG-2826-SM-7MGXA 60-69 years, male 0.0
GTEX-1GN2E-2026-SM-9JGGG 60-69 years, male 0.0
GTEX-1GZ2Q-2426-SM-9KNV8 40-49 years, male 0.0
GTEX-1H3NZ-2826-SM-9WPQ7 60-69 years, male 0.0
GTEX-1H3VY-2726-SM-A96TL 50-59 years, male 0.0
GTEX-1HKZK-1626-SM-B2LWH 40-49 years, male 0.0
GTEX-1HSKV-1726-SM-C1YRO 60-69 years, male 0.0
GTEX-1I1GP-2026-SM-CE6SZ 50-59 years, male 0.0
GTEX-1ICLZ-2626-SM-A9G2K 60-69 years, male 0.0
GTEX-1IDJH-2426-SM-CNNQW 70-79 years, male 0.0
GTEX-1IL2U-2826-SM-A96SR 60-69 years, male 0.0
GTEX-1JJE9-0426-SM-D4P2P 70-79 years, male 0.0
GTEX-1JMPZ-2326-SM-CE6RW 30-39 years, male 0.0
GTEX-1JMQK-2226-SM-ARU8U 60-69 years, male 0.0
GTEX-1KANB-2026-SM-DIPEY 50-59 years, male 0.0
GTEX-1KWVE-1226-SM-EV7AG 30-39 years, male 0.0
GTEX-1LG7Z-0826-SM-CXKYN 30-39 years, male 0.0
GTEX-1LSNL-2326-SM-DHXKN 50-59 years, male 0.0
GTEX-1MJK2-0726-SM-DTXE7 50-59 years, male 0.0
GTEX-1N2EE-1026-SM-EXUS8 60-69 years, male 0.0
GTEX-1P4AB-1926-SM-E6CQL 50-59 years, male 0.0
GTEX-1PIGE-1726-SM-E6CQH 20-29 years, male 0.0
GTEX-QV44-1526-SM-DHXIP 50-59 years, male 0.0
GTEX-SIU8-2226-SM-EAZ2T 50-59 years, male 0.0
Show allShow less

PROSTATE - FANTOM5 CAGEi

RNA expression in human tissues obtained through Cap Analysis of Gene Expression (CAGE) generated by the FANTOM5 project are reported as Scaled Tags Per Million.

Max subtype Scaled Tags Per Millioni

Max subtype Scaled Tags Per Million is the value for the subtype with the largest average Scaled Tags Per Million across the subtype samples.

1.4
FANTOM5 sample id Sample description Scaled Tags Per Million
Prostate
Scaled Tags Per Million: 1.4
FF:10022-101D4 73,79,93 years, male 1.4

Contact

  • NEWS ARTICLES
  • PRESS ROOM

The Project

  • INTRODUCTION
  • ORGANIZATION
  • PUBLICATIONS

The Human Protein Atlas

  • DOWNLOADABLE DATA
  • LICENCE & CITATION
  • HELP & FAQ
The Human Protein Atlas project is funded
by the Knut & Alice Wallenberg Foundation.


contact@proteinatlas.org