We use cookies to enhance the usability of our website. If you continue, we'll assume that you are happy to receive all cookies. More information. Don't show this again.
JUP
HPA
RESOURCES
  • TISSUE
  • BRAIN
  • SINGLE CELL
  • SUBCELLULAR
  • CANCER
  • BLOOD
  • CELL LINE
  • STRUCTURE & INTERACTION
ABOUT
  • INTRODUCTION
  • HISTORY
  • ORGANIZATION
  • PUBLICATIONS
  • ANTIBODY SUBMISSION
  • ANTIBODY AVAILABILITY
  • ACKNOWLEDGMENTS
  • CONTACT
NEWS
  • NEWS ARTICLES
  • PRESS ROOM
LEARN
  • DICTIONARY
  • PROTEIN CLASSES
  • PROTEIN EVIDENCE
  • METHODS
  • EDUCATIONAL VIDEOS
DATA
  • DOWNLOADABLE DATA
  • PUBLICATION DATA
  • RELEASE HISTORY
HELP
  • ANTIBODY VALIDATION
  • ASSAYS & ANNOTATION
  • DISCLAIMER
  • HELP & FAQ
  • PRIVACY STATEMENT
  • LICENCE & CITATION
Fields »
Search result

Field
Term
Gene name
Class
Subclass
Class
Keyword
Chromosome
External id
Tissue
Cell type
Expression
Antibody panel
Tissue
Main location
Patient ID
Annotation
Tissue
Category
Tau score
Cluster
Reliability
Brain region
Category
Tau score
Brain region
Category
Tau score
Brain region
Category
Tau score
Cluster
Reliability
Tissue
Cell type
Enrichment
Cell type
Category
Tau score
Cell type
Category
Tau score
Cell type
Category
Tau score
Cell lineage
Category
Tau score
Cluster
Cluster
Location
Searches
Location
Cell line
Class
Type
Phase
Reliability
Cancer
Prognosis
Cancer
Category
Cancer
Category
Tau score
Cluster
Variants
Interacting gene (ensg_id)
Type
Number of interactions
Pathway
Category
Score
Score
Score
Validation
Validation
Validation
Validation
Antibodies
Data type
Column


  • SUMMARY

  • TISSUE

  • BRAIN

  • SINGLE CELL

  • SUBCELL

  • CANCER

  • BLOOD

  • CELL LINE

  • STRUCT & INT

  • JUP
TISSUE PRIMARY DATA HEART MUSCLE Show tissue menu
ADIPOSE TISSUE ADRENAL GLAND AMYGDALA APPENDIX BASAL GANGLIA BONE MARROW BREAST BRONCHUS CEREBELLUM CEREBRAL CORTEX CERVIX CHOROID PLEXUS COLON DUODENUM
ENDOMETRIUM EPIDIDYMIS ESOPHAGUS FALLOPIAN TUBE GALLBLADDER HEART MUSCLE HIPPOCAMPAL FORMATION HYPOTHALAMUS KIDNEY LIVER LUNG LYMPH NODE MIDBRAIN NASOPHARYNX
ORAL MUCOSA OVARY PANCREAS PARATHYROID GLAND PITUITARY GLAND PLACENTA PROSTATE RECTUM RETINA SALIVARY GLAND SEMINAL VESICLE SKELETAL MUSCLE SKIN SMALL INTESTINE
SMOOTH MUSCLE SOFT TISSUE SPINAL CORD SPLEEN STOMACH TESTIS THYMUS THYROID GLAND TONGUE TONSIL URINARY BLADDER VAGINA
ANTIBODIES
AND
VALIDATION
Dictionary
Heart muscle
Tissue proteome
Heart
HEART MUSCLE - Expression summary
Protein expression
Heart musclei

On the top, protein expression in current human tissue, based on all annotated cell types, is reported with the units not detected (n), low (l), medium (m) and high (h). Underneath, protein expression in each annotated cell type are reported using the same units.

Protein expression data is based on knowledge-based annotation. For genes where more than one antibody has been used, a collective score is set.

If knowledge-based annotation could not be performed for a gene, no data is displayed here. View antibody staining data further down this page.

h
m
l
n
Cardiomyocytes: High
RNA expressioni

A summary of mRNA expression data available for current tissue based on several datasets. The mRNA expression levels in human tissues are based on RNA-seq data generated by the Human Protein Atlas (HPA), Genotype-Tissue Expression (GTEx) portal and CAGE data generated by the FANTOM5 consortium. Consensus normalized expression levels for human tissues was created by combining the data from HPA and GTEx datasets.

The mRNA expression levels in pig are based on RNA-seq data generated by the Human Protein Atlas (HPA), and for mouse, HPA data and in situ hybridization generated by the Allen brain atlas are reported.

Scroll down to view mRNA expression data in more detail.
Consensus:140.5 nTPM
HPA:98.5 nTPM
GTEx:140.5 nTPM
FANTOM5:341.0 Scaled Tags Per Million

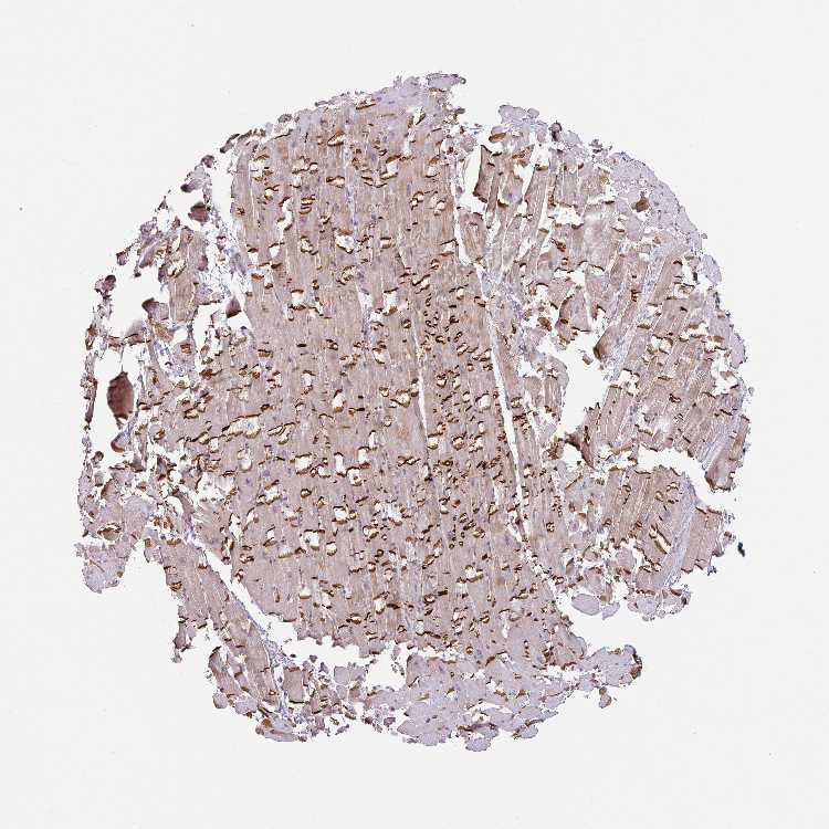
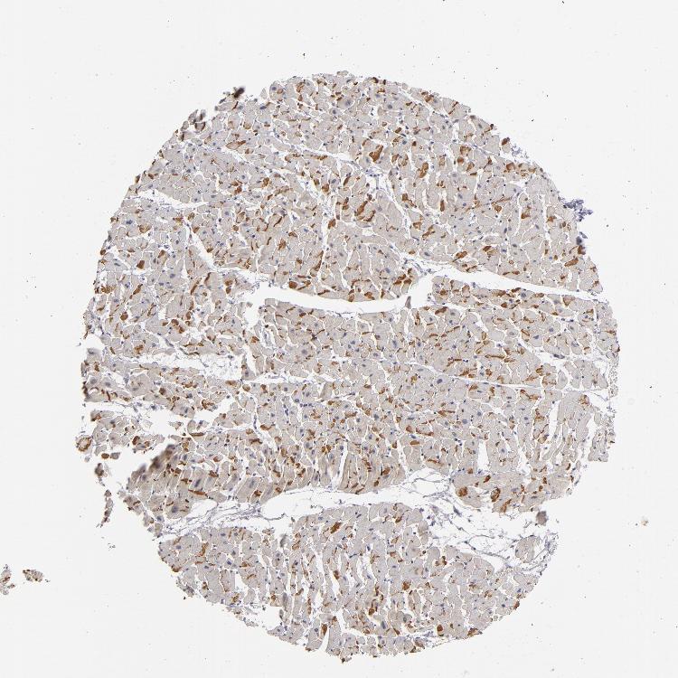
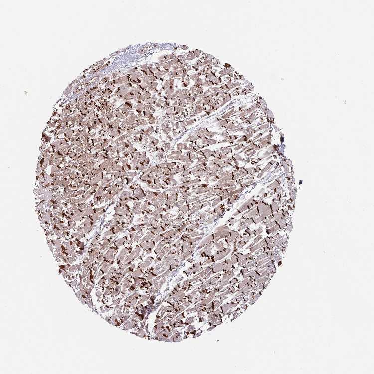
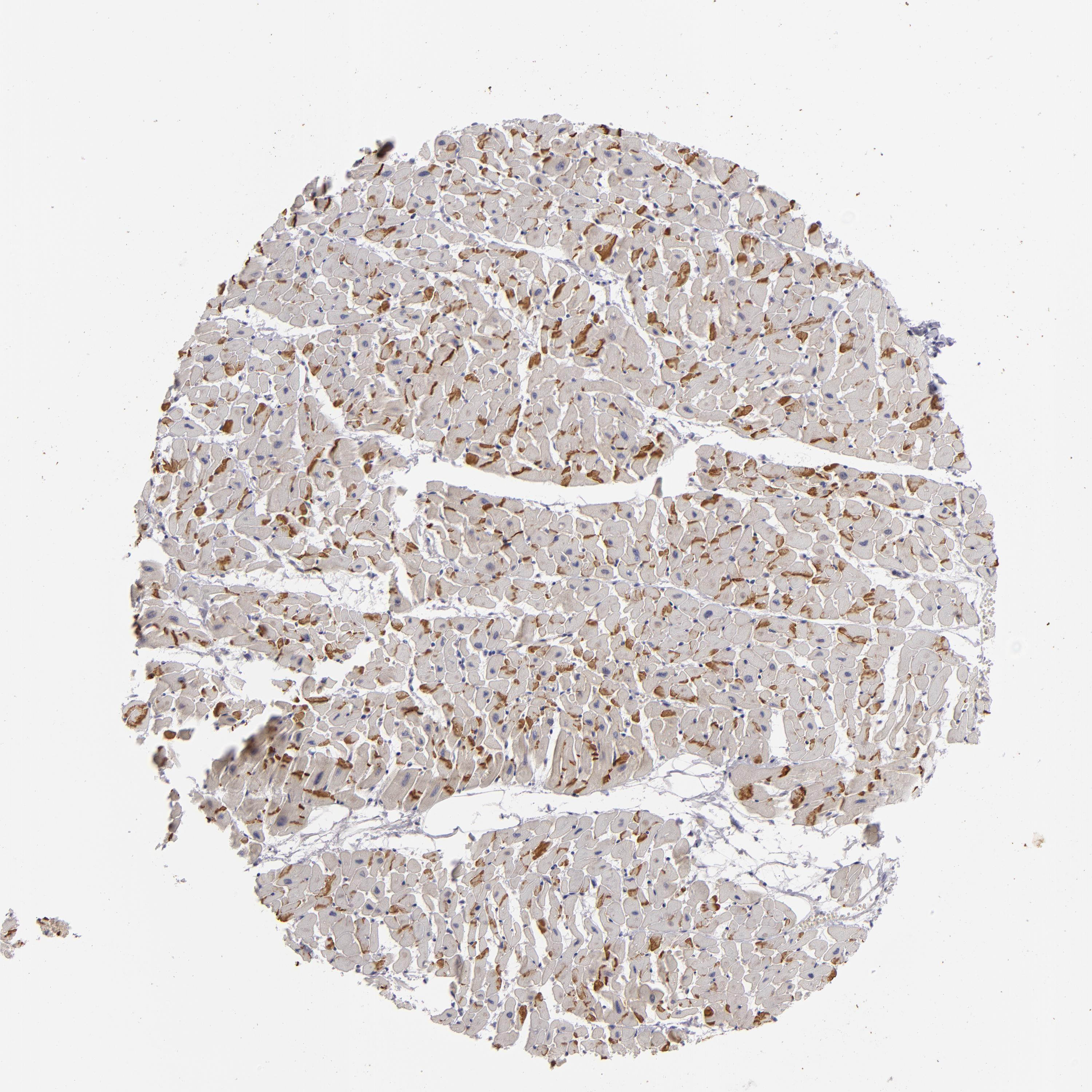
HEART MUSCLE - Antibody stainingi

Antibody staining in the annotated cell types in the current human tissue is reported as not detected, low, medium, or high, based on conventional immunohistochemistry profiling in selected tissues. This score is based on the combination of the staining intensity and fraction of stained cells.

Each image is clickable and will lead to virtual microscopy that enables deeper exploration of all samples and also displays staining intensity scores, fraction scores and subcellular localization as well as patient and tissue information for each sample.

Antibody HPA032047Antibody CAB002139
Cardiomyocytes HighLow





HEART MUSCLE - HPA RNA-seqi

The RNA-seq details section shows detailed information about the individual samples used for the transcript profiling and results of the RNA-seq analysis.

Information about each individual sample is listed below, including gender, age, a tissue section image and estimated fractions of cell types. nTPM (normalized transcripts per million) values give a quantification of the gene abundance which is comparable between different genes and samples.
Average nTPMi

Max subtype nTPM is the value for the subtype with the largest average nTPM across the subtype samples.

98.5
overview
Female, age 48
Heart muscle sample 149
nTPM: 112.9
Cell types%
Myocytes:
15

Fibroblasts:
55

Endothelial cells:
25

Other cell types:
5

overview
Female, age 42
Heart muscle sample 150
nTPM: 64.9
Cell types%
Myocytes:
20

Fibroblasts:
45

Endothelial cells:
30

Other cell types:
5

overview
Male, age 53
Heart muscle sample 151
nTPM: 96
Cell types%
Myocytes:
20

Fibroblasts:
45

Endothelial cells:
30

Other cell types:
5

overview
Female, age 69
Heart muscle sample 152
nTPM: 120.3
Cell types%
Myocytes:
20

Fibroblasts:
45

Endothelial cells:
30

Other cell types:
5


HEART MUSCLE - GTEx RNA-seqi

RNA-Seq data generated by the Genotype-Tissue Expression (GTEx) project from human tissues is reported as mean nTPM. More information can be found on the GTEx portal.

Distribution across the dataset is visualized with box plots, shown as median and 25th and 75th percentiles. Points are displayed as outliers if they are above or below 1.5 times the interquartile range. nTPM values of the individual samples are presented next to the box plot.
Max subtype nTPMi

Max subtype nTPM is the value for the subtype with the largest average nTPM across the subtype samples.

140.5
GTEx sample id Sample description nTPM
Heart - Atrial Appendage
Average nTPM: 113.1
Samples: 429

Max nTPM: 270.8
Min nTPM: 28.7
Std nTPM: 40.3
Median nTPM: 112.0
GTEX-1C2JI-0626-SM-7DHM1 50-59 years, male 270.8
GTEX-1B97J-0326-SM-7939H 50-59 years, female 236.4
GTEX-1MJIX-0426-SM-DTXEN 40-49 years, male 236.4
GTEX-ZLFU-0326-SM-4WWBK 40-49 years, male 225.1
GTEX-V955-0826-SM-CYPR5 60-69 years, male 222.1
GTEX-15DCE-0826-SM-7KULW 20-29 years, male 221.1
GTEX-ZDTS-1226-SM-4WKGL 60-69 years, male 216.8
GTEX-ZF29-0426-SM-4WKFN 60-69 years, female 216.8
GTEX-17F9E-0726-SM-793A1 50-59 years, male 214.6
GTEX-14JG1-0826-SM-5ZZWR 40-49 years, male 211.4
GTEX-14BMV-1026-SM-5SI6B 50-59 years, male 208.5
GTEX-18D9U-1426-SM-718BO 40-49 years, male 201.2
GTEX-1GMR2-1326-SM-9KNUT 50-59 years, male 199.9
GTEX-ZDYS-0326-SM-5HL4W 50-59 years, male 199.6
GTEX-1399U-0726-SM-5KM1D 50-59 years, female 199.2
GTEX-Y3IK-1026-SM-51MR7 50-59 years, female 193.3
GTEX-117YX-0626-SM-5EGJI 50-59 years, male 192.3
GTEX-13NZB-0426-SM-5KM26 30-39 years, male 190.8
GTEX-ZVT2-0926-SM-5GICE 50-59 years, female 189.5
GTEX-1GL5R-0426-SM-9WPOP 50-59 years, male 188.3
GTEX-1LGOU-0326-SM-D3LAM 20-29 years, female 188.1
GTEX-13OVG-0426-SM-5KM2T 60-69 years, male 188.0
GTEX-Y3I4-0526-SM-4TT6X 50-59 years, male 185.3
GTEX-XPVG-0726-SM-4B658 50-59 years, male 184.6
GTEX-131XF-0426-SM-5HL7U 60-69 years, male 184.3
GTEX-XGQ4-0526-SM-4AT6C 50-59 years, male 183.3
GTEX-1AX9K-0426-SM-73KUG 50-59 years, male 178.9
GTEX-145MN-0726-SM-5NQBH 30-39 years, male 176.7
GTEX-1R7EV-0426-SM-DTX7Z 40-49 years, male 176.2
GTEX-WH7G-0326-SM-3NMBH 40-49 years, male 175.6
GTEX-13PVR-0926-SM-5S2RB 60-69 years, female 175.2
GTEX-1QMI2-1026-SM-DTX7T 60-69 years, male 175.0
GTEX-13PL7-0726-SM-5KM1S 60-69 years, female 174.6
GTEX-1ICG6-0726-SM-B2LY5 70-79 years, female 174.6
GTEX-ZGAY-0226-SM-4WWAL 40-49 years, female 174.2
GTEX-16XZY-0526-SM-7DHKY 70-79 years, male 173.1
GTEX-17F96-0826-SM-7DHLU 70-79 years, male 172.9
GTEX-X4EP-0326-SM-3P5Z6 60-69 years, female 172.2
GTEX-ZAK1-1126-SM-5PNXU 50-59 years, female 171.2
GTEX-XQ8I-0226-SM-4BOPM 50-59 years, male 171.1
GTEX-1QP29-1426-SM-DTX9Q 50-59 years, male 169.5
GTEX-13D11-1526-SM-5J2NA 50-59 years, female 166.9
GTEX-14PHX-0626-SM-5YY8Z 50-59 years, male 166.7
GTEX-1B8KE-0326-SM-73KTY 50-59 years, male 164.8
GTEX-1H11D-1026-SM-9QEIU 40-49 years, male 164.2
GTEX-1GF9U-0526-SM-7P8SK 40-49 years, female 162.5
GTEX-14PN3-0726-SM-6EU14 60-69 years, female 162.1
GTEX-14PJM-0826-SM-6LLIW 50-59 years, female 161.9
GTEX-1IDJF-0826-SM-ARU7N 20-29 years, male 161.5
GTEX-11DXZ-0326-SM-5EGH1 50-59 years, male 160.9
GTEX-1HSGN-0926-SM-CNNQM 40-49 years, female 160.4
GTEX-1399R-1726-SM-5K7YJ 30-39 years, male 159.0
GTEX-12WSD-1226-SM-5HL9Q 60-69 years, female 158.6
GTEX-1QCLZ-1126-SM-EWRNB 60-69 years, female 157.9
GTEX-1OFPY-0926-SM-DTX8Q 60-69 years, male 157.7
GTEX-11P81-0526-SM-59873 30-39 years, female 156.8
GTEX-ZZPT-0926-SM-5GICZ 50-59 years, male 156.2
GTEX-1AX9J-0926-SM-73KXA 60-69 years, male 156.0
GTEX-X3Y1-0226-SM-3P5Z5 40-49 years, male 155.8
GTEX-13OVI-0326-SM-5K7X1 60-69 years, female 155.6
GTEX-1KANB-1126-SM-DHXJT 50-59 years, male 154.0
GTEX-1HBPN-0926-SM-CGQEG 50-59 years, male 152.3
GTEX-YEC4-0226-SM-4W1YG 40-49 years, male 152.2
GTEX-145LV-0226-SM-5S2QG 50-59 years, male 150.4
GTEX-11DYG-1026-SM-5A5JQ 60-69 years, male 149.7
GTEX-1NSGN-1226-SM-E76OL 50-59 years, male 149.7
GTEX-1R9JW-0426-SM-E76QL 30-39 years, female 149.5
GTEX-XPT6-0226-SM-4B65L 20-29 years, male 149.4
GTEX-1LSNM-0426-SM-E9TIZ 50-59 years, male 148.9
GTEX-WFON-0226-SM-3GIKR 40-49 years, male 148.7
GTEX-11ZTT-0526-SM-5EQLA 60-69 years, female 148.5
GTEX-XOT4-1126-SM-4B66E 60-69 years, female 147.9
GTEX-11GSP-1226-SM-5985M 60-69 years, female 147.3
GTEX-11LCK-0826-SM-5PNYD 30-39 years, male 147.3
GTEX-139YR-0526-SM-5L3DG 50-59 years, male 146.4
GTEX-1KANC-0226-SM-E9TIW 50-59 years, female 145.4
GTEX-1399S-0826-SM-5KM23 30-39 years, female 144.9
GTEX-1CB4I-1526-SM-7DHMY 50-59 years, male 144.6
GTEX-1IDJH-1126-SM-COH3R 70-79 years, male 144.5
GTEX-YEC3-0426-SM-CYPS8 50-59 years, male 144.0
GTEX-14H4A-0426-SM-5ZZWO 40-49 years, female 143.8
GTEX-17KNJ-0626-SM-7LT9L 50-59 years, male 143.5
GTEX-1HFI7-0526-SM-A9SMA 50-59 years, female 143.5
GTEX-1C64O-0926-SM-79OLN 60-69 years, male 143.2
GTEX-13O21-0326-SM-5J1N9 50-59 years, male 143.0
GTEX-ZG7Y-1426-SM-4WWBM 50-59 years, male 142.6
GTEX-146FR-0926-SM-5QGPE 60-69 years, female 142.2
GTEX-ZDTT-0326-SM-4WKF9 60-69 years, male 141.8
GTEX-131YS-0826-SM-5PNYV 60-69 years, female 141.7
GTEX-WEY5-0226-SM-3GIKN 40-49 years, female 141.7
GTEX-13FTW-0826-SM-5K7XR 40-49 years, male 141.0
GTEX-ZYFG-0526-SM-5GZXX 60-69 years, female 140.4
GTEX-WY7C-1126-SM-3NB3A 50-59 years, male 139.9
GTEX-Y114-0126-SM-4TT8K 50-59 years, female 139.9
GTEX-1F75I-1326-SM-7PBZX 40-49 years, male 139.9
GTEX-13JVG-1126-SM-5KM2M 60-69 years, male 139.7
GTEX-1A8G6-1826-SM-73KY8 60-69 years, male 139.5
GTEX-1J8Q2-1026-SM-ARU8I 60-69 years, male 139.4
GTEX-WYJK-1126-SM-3NM9Z 50-59 years, male 139.3
GTEX-14E1K-0826-SM-5ZZW9 50-59 years, male 139.0
GTEX-1I1GQ-1226-SM-CL55J 50-59 years, male 139.0
GTEX-XLM4-2026-SM-4AT4X 60-69 years, male 138.8
GTEX-1CAMS-1126-SM-7MXUQ 40-49 years, female 138.8
GTEX-1AX8Z-1126-SM-731CS 60-69 years, male 138.7
GTEX-12WSK-0526-SM-5CVNA 40-49 years, female 138.6
GTEX-13PVQ-1326-SM-5LU4J 50-59 years, male 137.4
GTEX-ZT9W-0526-SM-57WFG 50-59 years, male 137.4
GTEX-ZPCL-0526-SM-DO91R 60-69 years, female 137.2
GTEX-1MCC2-0226-SM-EVYD5 30-39 years, female 136.9
GTEX-WK11-0626-SM-3NMAV 50-59 years, male 136.7
GTEX-14PJ4-0926-SM-5YY98 60-69 years, male 136.5
GTEX-13YAN-1426-SM-7EPG8 60-69 years, male 136.3
GTEX-117XS-0726-SM-5H131 60-69 years, male 136.1
GTEX-17JCI-0826-SM-7LT8W 60-69 years, female 135.8
GTEX-1KXAM-1426-SM-D3LAC 60-69 years, male 135.1
GTEX-Y8E4-0426-SM-4V6GB 40-49 years, male 135.0
GTEX-ZYT6-0926-SM-5GIEM 30-39 years, male 134.7
GTEX-18465-0726-SM-7LG4L 50-59 years, male 134.4
GTEX-13U4I-0626-SM-5LU5L 40-49 years, female 134.0
GTEX-1IKOE-0626-SM-A9G31 30-39 years, female 133.6
GTEX-1JK1U-0626-SM-CKZOJ 60-69 years, male 133.6
GTEX-ZAB5-0126-SM-5CVMT 50-59 years, male 133.5
GTEX-1CB4G-0726-SM-79OOJ 60-69 years, male 133.3
GTEX-12WSE-0926-SM-5S2VX 20-29 years, male 133.1
GTEX-13N1W-0926-SM-5MR36 70-79 years, male 132.6
GTEX-1IDJU-0626-SM-CKZOG 60-69 years, female 132.6
GTEX-1EH9U-0626-SM-7PC33 60-69 years, male 132.3
GTEX-1J8Q3-1126-SM-ARU8N 60-69 years, male 132.2
GTEX-11EM3-0426-SM-5N9BZ 20-29 years, female 131.5
GTEX-ZF2S-0826-SM-4WWBI 50-59 years, female 131.3
GTEX-1LVAN-1526-SM-CNPQN 50-59 years, female 131.0
GTEX-1J1OQ-2226-SM-A96SS 40-49 years, female 130.9
GTEX-12WSG-1226-SM-5EQ4C 50-59 years, female 130.7
GTEX-1B932-1326-SM-79OM4 40-49 years, female 130.4
GTEX-16NPX-0826-SM-6M489 50-59 years, male 129.4
GTEX-14ASI-0826-SM-5Q5EB 60-69 years, male 129.1
GTEX-1I1GV-1426-SM-B2LXN 60-69 years, male 128.9
GTEX-1IL2U-1226-SM-CL53P 60-69 years, male 128.9
GTEX-13FHO-1226-SM-5L3EF 60-69 years, male 128.8
GTEX-1IY9M-0626-SM-D4P2L 60-69 years, male 128.8
GTEX-1NHNU-0626-SM-E6CP1 50-59 years, male 128.5
GTEX-111FC-0626-SM-5N9CU 60-69 years, male 127.5
GTEX-16YQH-0726-SM-7IGM1 30-39 years, male 127.4
GTEX-131XG-0526-SM-5DUWF 50-59 years, female 127.3
GTEX-1HCUA-0626-SM-ACKVT 50-59 years, female 126.8
GTEX-1HBPH-0226-SM-9WYSM 40-49 years, female 126.4
GTEX-YF7O-0526-SM-5P9IO 50-59 years, male 126.3
GTEX-1B933-0826-SM-79OMW 50-59 years, female 125.8
GTEX-1J8EW-0626-SM-CM2TY 60-69 years, female 125.8
GTEX-111YS-0326-SM-5GZZ3 60-69 years, male 125.4
GTEX-1AYCT-0526-SM-7RHHS 50-59 years, male 125.4
GTEX-ZF3C-1126-SM-57WEG 50-59 years, female 124.3
GTEX-V1D1-0626-SM-4JBHN 50-59 years, male 124.1
GTEX-15EU6-1326-SM-6PANG 50-59 years, male 123.7
GTEX-13OW6-0926-SM-5L3GM 50-59 years, male 123.3
GTEX-15ER7-0826-SM-6PALW 20-29 years, female 123.3
GTEX-ZVT3-0826-SM-5GIC8 60-69 years, female 123.1
GTEX-1HCVE-0826-SM-CM2SF 50-59 years, male 122.7
GTEX-1445S-1226-SM-5O9BF 60-69 years, male 122.5
GTEX-ZV7C-0526-SM-9WPNK 50-59 years, male 122.5
GTEX-15SDE-1826-SM-7KUFN 50-59 years, female 122.4
GTEX-1GZ4I-0826-SM-9WG6O 50-59 years, male 122.4
GTEX-1K2DU-0226-SM-DIPF6 20-29 years, male 122.1
GTEX-1B8L1-0426-SM-7SB76 60-69 years, male 121.9
GTEX-1GN1U-1426-SM-7P8TF 50-59 years, female 121.9
GTEX-1HSMQ-0426-SM-ADEIM 50-59 years, male 121.7
GTEX-1HC8U-0626-SM-B2LWB 40-49 years, female 121.0
GTEX-1211K-0226-SM-59HJY 60-69 years, female 120.8
GTEX-11DXX-0526-SM-5PNVR 60-69 years, female 120.6
GTEX-VJWN-1026-SM-4M1ZN 50-59 years, female 120.6
GTEX-ZYFC-1026-SM-5GZX9 50-59 years, male 120.5
GTEX-1QPFJ-0926-SM-EVR3K 30-39 years, female 120.5
GTEX-1H3VY-1126-SM-A96TP 50-59 years, male 120.4
GTEX-12WSC-1026-SM-5EQ5Y 50-59 years, male 120.2
GTEX-14PK6-0726-SM-6LLIX 70-79 years, female 120.2
GTEX-YFC4-0426-SM-4TT3J 40-49 years, female 119.7
GTEX-15CHQ-1326-SM-6871Z 60-69 years, male 119.6
GTEX-11NV4-0826-SM-5BC4S 60-69 years, male 119.4
GTEX-1GN73-2326-SM-9MQKV 60-69 years, male 119.3
GTEX-1IKJJ-0626-SM-CY8GF 60-69 years, male 118.6
GTEX-13FH7-0826-SM-5J2NW 50-59 years, female 118.5
GTEX-1GN2E-1426-SM-7RHHI 60-69 years, male 118.4
GTEX-13NYS-1926-SM-5IJCB 60-69 years, male 118.3
GTEX-1L5NE-0526-SM-DIPG5 50-59 years, male 118.3
GTEX-ZAB4-0926-SM-5CVN4 40-49 years, male 118.2
GTEX-1212Z-0726-SM-5EGI5 60-69 years, male 118.0
GTEX-YJ8O-0826-SM-5CVM3 40-49 years, female 118.0
GTEX-1122O-0626-SM-5N9B9 60-69 years, female 117.9
GTEX-1E1VI-1426-SM-793CY 50-59 years, male 117.6
GTEX-1EU9M-1926-SM-7RHH4 60-69 years, male 116.7
GTEX-Y5V5-0726-SM-4VBPY 60-69 years, female 116.4
GTEX-1A8FM-1026-SM-7PC26 50-59 years, female 116.3
GTEX-WL46-0726-SM-3LK5Z 50-59 years, male 116.1
GTEX-18A6Q-1526-SM-731CO 60-69 years, male 115.8
GTEX-16MT8-0826-SM-7KULO 60-69 years, female 115.7
GTEX-13SLX-0926-SM-5S2NM 50-59 years, female 115.5
GTEX-13QBU-0226-SM-5LU48 40-49 years, female 115.4
GTEX-WHWD-0326-SM-3LK6L 50-59 years, male 115.4
GTEX-Z93S-0326-SM-5HL84 50-59 years, male 115.2
GTEX-183WM-0926-SM-718AN 70-79 years, female 115.0
GTEX-1IDJD-0226-SM-CKZOA 30-39 years, male 114.6
GTEX-X5EB-0626-SM-46MVQ 40-49 years, male 114.5
GTEX-1HSKV-0726-SM-ACKWE 60-69 years, male 114.2
GTEX-13VXT-0726-SM-5SIAD 20-29 years, female 113.9
GTEX-WQUQ-1326-SM-3MJFF 60-69 years, male 113.9
GTEX-1GMR3-0426-SM-7PC17 40-49 years, male 113.9
GTEX-13O61-0426-SM-5L3ET 60-69 years, male 113.3
GTEX-1192X-0726-SM-5987R 50-59 years, male 113.2
GTEX-148VJ-1426-SM-5TDE3 70-79 years, male 112.8
GTEX-WYBS-1226-SM-3NM9N 60-69 years, female 112.8
GTEX-13W3W-0526-SM-5LU3X 60-69 years, female 112.6
GTEX-13X6K-1726-SM-7IGLG 60-69 years, female 112.4
GTEX-WFG7-0826-SM-3GIKU 20-29 years, male 112.4
GTEX-1P4AB-0926-SM-E76PV 50-59 years, male 112.3
GTEX-17GQL-0626-SM-731CN 60-69 years, male 112.0
GTEX-12WSA-1126-SM-5EGKU 60-69 years, male 111.9
GTEX-13OW7-1626-SM-5IJDH 50-59 years, male 111.4
GTEX-1F75A-1026-SM-7PC3W 50-59 years, male 111.4
GTEX-147JS-1326-SM-5SI6D 60-69 years, male 111.2
GTEX-YB5K-0226-SM-5IFJE 40-49 years, female 111.2
GTEX-1JN6P-0826-SM-ARL97 60-69 years, male 110.3
GTEX-W5X1-0826-SM-3GILN 40-49 years, female 110.0
GTEX-15RIE-1326-SM-6PAMM 60-69 years, male 109.7
GTEX-1CB4E-0626-SM-7DHMW 60-69 years, male 109.7
GTEX-13N11-0726-SM-5L3DP 50-59 years, female 109.4
GTEX-144GL-1026-SM-5O99R 50-59 years, male 109.3
GTEX-11NUK-0926-SM-5HL57 50-59 years, male 109.0
GTEX-1BAJH-1026-SM-7EWEG 70-79 years, male 108.9
GTEX-18A7A-1226-SM-7LTAJ 50-59 years, female 108.6
GTEX-13FHP-0826-SM-5K7V5 50-59 years, male 108.5
GTEX-18D9B-1126-SM-7KFSH 60-69 years, male 108.3
GTEX-1A3MX-1226-SM-731B3 60-69 years, male 108.1
GTEX-1F88F-0326-SM-9KNV3 60-69 years, female 107.4
GTEX-ZEX8-0326-SM-DO92C 50-59 years, male 107.2
GTEX-1LB8K-0926-SM-D4P42 50-59 years, male 107.0
GTEX-132Q8-1126-SM-5K7XS 60-69 years, male 106.7
GTEX-1R9K4-1026-SM-EXUT1 60-69 years, male 106.7
GTEX-XBEC-1226-SM-4AT65 50-59 years, male 106.4
GTEX-1J8QM-0326-SM-CL53D 60-69 years, female 106.4
GTEX-15CHC-0326-SM-5ZZVP 60-69 years, female 106.1
GTEX-11ONC-1026-SM-5GU64 60-69 years, male 106.0
GTEX-1HR98-1026-SM-CKZOM 60-69 years, male 106.0
GTEX-U8XE-0926-SM-3DB8V 30-39 years, male 105.4
GTEX-ZZPU-1126-SM-5N9CW 50-59 years, female 105.4
GTEX-14PJ2-1126-SM-69LOD 50-59 years, male 105.3
GTEX-ZPIC-0426-SM-DO91V 40-49 years, female 105.3
GTEX-1HT8W-1326-SM-CGQEN 30-39 years, male 104.9
GTEX-11DXY-1026-SM-5987V 60-69 years, male 104.2
GTEX-14DAQ-1026-SM-793B1 60-69 years, female 104.2
GTEX-VUSG-0726-SM-3GIK1 50-59 years, male 104.1
GTEX-1EWIQ-1126-SM-7EPIK 70-79 years, female 103.6
GTEX-1GMR8-1026-SM-9MQLA 50-59 years, female 103.6
GTEX-117YW-0426-SM-5GZZZ 50-59 years, male 103.0
GTEX-14A5I-1026-SM-5Q5E3 50-59 years, female 102.8
GTEX-1CAMQ-0726-SM-7P8SG 40-49 years, male 102.8
GTEX-1QP6S-1026-SM-DTXFW 40-49 years, male 102.7
GTEX-17MF6-0926-SM-7LTAL 40-49 years, male 101.8
GTEX-1I1GP-0626-SM-ARL7H 50-59 years, male 101.8
GTEX-1339X-0326-SM-5K7Z8 40-49 years, male 101.7
GTEX-1KD5A-0926-SM-D4P3U 50-59 years, male 101.7
GTEX-1GN1W-0226-SM-7P8QY 50-59 years, female 101.6
GTEX-1C64N-0826-SM-7RHGQ 50-59 years, male 101.4
GTEX-XYKS-0226-SM-4BRW3 60-69 years, female 101.3
GTEX-1JJEA-0926-SM-CYPSO 60-69 years, male 101.0
GTEX-12ZZX-0726-SM-5EGKA 40-49 years, female 100.6
GTEX-ZE7O-0626-SM-57WCD 50-59 years, female 100.4
GTEX-1EX96-2626-SM-9MQJV 50-59 years, male 100.3
GTEX-1PPGY-0926-SM-DTXFF 60-69 years, male 100.2
GTEX-13O3P-1426-SM-5L3DT 50-59 years, male 99.9
GTEX-1A32A-1326-SM-73KWW 50-59 years, female 99.1
GTEX-17F9Y-1226-SM-7EPGE 70-79 years, female 98.8
GTEX-ZPU1-0726-SM-5HL6O 40-49 years, male 98.7
GTEX-14PJ6-0626-SM-686Z6 60-69 years, female 97.9
GTEX-1EMGI-1126-SM-9KNUF 60-69 years, male 97.9
GTEX-13X6J-1226-SM-79OMF 50-59 years, male 97.8
GTEX-1RB15-0426-SM-E9U4Y 60-69 years, male 97.8
GTEX-16XZZ-1026-SM-7DHKS 60-69 years, male 97.6
GTEX-1LG7Y-1426-SM-D4P31 50-59 years, male 97.6
GTEX-18A67-1026-SM-731CE 50-59 years, male 97.0
GTEX-132QS-0526-SM-5IJC7 60-69 years, male 96.7
GTEX-1JMQK-0926-SM-ARL96 60-69 years, male 96.4
GTEX-12WSI-0426-SM-5EQ5J 50-59 years, male 95.7
GTEX-1GF9V-1726-SM-9KNW4 60-69 years, male 95.7
GTEX-15CHR-0326-SM-7DHN3 50-59 years, male 95.5
GTEX-1I1GR-1026-SM-A9SLC 60-69 years, male 95.5
GTEX-11GS4-0426-SM-5N9CD 60-69 years, male 95.4
GTEX-1E2YA-0626-SM-7P8P4 50-59 years, male 94.6
GTEX-XV7Q-0726-SM-4BRV6 40-49 years, female 94.4
GTEX-1399T-0726-SM-5J1MH 60-69 years, male 94.3
GTEX-WZTO-1226-SM-3NMAZ 40-49 years, male 94.2
GTEX-XQ3S-0526-SM-4BOQA 20-29 years, male 93.9
GTEX-1LGRB-1026-SM-CNPQD 50-59 years, female 93.3
GTEX-11ZUS-0326-SM-5EQ4W 30-39 years, male 93.2
GTEX-131XE-0526-SM-5K7YT 50-59 years, male 93.2
GTEX-15SHU-0926-SM-6PAMK 40-49 years, female 92.5
GTEX-13FXS-1026-SM-62LFQ 50-59 years, male 92.0
GTEX-13PDP-1326-SM-5K7U9 60-69 years, male 91.3
GTEX-WRHU-1026-SM-4E3ID 50-59 years, female 91.0
GTEX-UPK5-0226-SM-3GAEV 40-49 years, male 90.3
GTEX-1I1CD-1326-SM-A9SMM 60-69 years, female 90.0
GTEX-146FH-1126-SM-5NQAT 50-59 years, female 89.9
GTEX-ZDXO-0426-SM-4WKF6 60-69 years, male 89.7
GTEX-1H3O1-0226-SM-9WYSW 60-69 years, male 89.5
GTEX-14C5O-1226-SM-664N3 60-69 years, male 89.1
GTEX-17HGU-1126-SM-793BP 50-59 years, male 88.6
GTEX-13NZA-0826-SM-5K7WS 60-69 years, male 88.1
GTEX-13CF2-0226-SM-5L3DV 60-69 years, male 88.0
GTEX-11EQ8-1326-SM-5EGJQ 60-69 years, male 87.4
GTEX-1AX9I-1026-SM-73KYF 60-69 years, male 86.7
GTEX-X4XX-1126-SM-3NMBY 60-69 years, male 86.5
GTEX-1QEPI-1126-SM-E8VN7 60-69 years, female 86.1
GTEX-1CB4H-0626-SM-7IGN3 60-69 years, female 85.7
GTEX-1477Z-1126-SM-5P9GK 60-69 years, male 85.6
GTEX-1POEN-0726-SM-DTXDU 30-39 years, female 85.5
GTEX-1192W-0226-SM-5EGGT 60-69 years, male 84.8
GTEX-14PJO-0826-SM-6ETZK 60-69 years, male 84.8
GTEX-13NYB-0326-SM-5IJDP 40-49 years, male 84.2
GTEX-13NZ9-0126-SM-5K7XV 50-59 years, male 84.1
GTEX-18A66-1126-SM-731C5 60-69 years, male 84.0
GTEX-ZVZQ-0726-SM-51MR3 60-69 years, female 84.0
GTEX-1IOXB-0726-SM-A9G32 50-59 years, male 83.9
GTEX-15UF7-1526-SM-6LPI7 40-49 years, male 83.3
GTEX-WHPG-1026-SM-3NMBA 50-59 years, male 83.1
GTEX-YECK-1226-SM-4W21G 60-69 years, male 82.7
GTEX-15SHV-0526-SM-7KUEN 60-69 years, male 82.4
GTEX-13112-0526-SM-5EQ4S 50-59 years, male 82.1
GTEX-14A6H-0326-SM-5NQAN 30-39 years, male 82.0
GTEX-14PII-1026-SM-5ZZVW 60-69 years, male 81.7
GTEX-1F75B-1126-SM-7RHGP 50-59 years, male 81.7
GTEX-UTHO-1226-SM-3GAEE 60-69 years, male 81.5
GTEX-12696-1226-SM-5FQSM 60-69 years, male 80.5
GTEX-15RJE-0726-SM-7KUEG 40-49 years, male 80.3
GTEX-132NY-1426-SM-5J1MJ 60-69 years, male 79.9
GTEX-ZYFD-2026-SM-5E459 50-59 years, male 79.5
GTEX-12WSN-0226-SM-5DUXH 40-49 years, male 79.4
GTEX-14BIM-2726-SM-5Q5EG 60-69 years, female 79.2
GTEX-13RTJ-0526-SM-62LDP 60-69 years, male 78.2
GTEX-1117F-0726-SM-5GIEN 60-69 years, female 78.0
GTEX-ZUA1-0726-SM-4YCD9 40-49 years, male 77.9
GTEX-1LVAO-0626-SM-EWRNT 60-69 years, male 77.5
GTEX-1LH75-0526-SM-DIPG2 50-59 years, female 77.2
GTEX-12BJ1-0326-SM-5FQUB 60-69 years, male 76.5
GTEX-1I19N-0626-SM-A9SKY 70-79 years, male 76.5
GTEX-111VG-0326-SM-5GZX7 60-69 years, male 75.7
GTEX-1I1HK-0626-SM-CNPQM 60-69 years, male 75.3
GTEX-14E7W-1126-SM-5ZZVS 70-79 years, male 75.0
GTEX-1JMLX-1826-SM-CNPOX 50-59 years, male 74.8
GTEX-11EMC-0826-SM-59862 60-69 years, female 74.4
GTEX-13SLW-0826-SM-5QGP7 70-79 years, male 74.1
GTEX-12ZZY-1226-SM-5GCNK 60-69 years, male 73.9
GTEX-132AR-1926-SM-5EGK5 50-59 years, female 73.9
GTEX-1C6VQ-0826-SM-7PBZT 50-59 years, male 73.8
GTEX-14C39-0726-SM-5RQIK 40-49 years, male 73.5
GTEX-ZXG5-0626-SM-5NQ85 60-69 years, male 73.5
GTEX-WHSE-0826-SM-4SOJU 20-29 years, male 73.4
GTEX-11UD2-0926-SM-5CVL6 50-59 years, male 71.9
GTEX-1GTWX-0926-SM-9MQKM 60-69 years, male 71.9
GTEX-147F4-1126-SM-5TDDE 50-59 years, male 71.7
GTEX-ZYVF-1826-SM-5E44F 50-59 years, female 71.7
GTEX-1H3NZ-1026-SM-A9SM5 60-69 years, male 71.7
GTEX-13O1R-0926-SM-5L3DS 60-69 years, male 71.6
GTEX-1HCU7-1226-SM-B2LX8 50-59 years, male 71.5
GTEX-16GPK-1226-SM-7LTAU 60-69 years, male 70.9
GTEX-ZTPG-1326-SM-51MSQ 20-29 years, female 69.9
GTEX-1H1DG-0826-SM-9QEIW 70-79 years, male 69.9
GTEX-1GZ2Q-0926-SM-7RHHN 40-49 years, male 69.5
GTEX-X261-0926-SM-3NMCY 50-59 years, male 69.4
GTEX-1HUB1-0726-SM-CGQF4 60-69 years, male 69.3
GTEX-1MJK2-1626-SM-EVYCQ 50-59 years, male 68.9
GTEX-15SKB-0926-SM-7KUFC 60-69 years, male 68.8
GTEX-1GMRU-1326-SM-9WYUI 50-59 years, male 68.5
GTEX-1IKOH-0926-SM-A9SLU 60-69 years, female 67.9
GTEX-1M5QR-1626-SM-E9U5O 40-49 years, male 67.9
GTEX-1B8SF-1326-SM-7IGQJ 60-69 years, male 67.2
GTEX-13O3O-1426-SM-5KM2S 60-69 years, female 65.3
GTEX-1HFI6-0826-SM-9YFM2 40-49 years, male 64.8
GTEX-14BIN-2126-SM-793AX 50-59 years, female 64.7
GTEX-1HSMO-1126-SM-CGQF2 60-69 years, male 63.9
GTEX-1CB4J-0226-SM-7P8T4 60-69 years, male 63.8
GTEX-14PHY-0326-SM-62LE3 60-69 years, female 63.7
GTEX-WOFL-1226-SM-4OOST 60-69 years, male 63.4
GTEX-1IKK5-1726-SM-CM2RU 60-69 years, male 63.1
GTEX-X62O-0826-SM-46MW8 50-59 years, male 62.3
GTEX-14PN4-0826-SM-69LON 50-59 years, male 62.2
GTEX-1B996-1026-SM-793CF 60-69 years, male 61.9
GTEX-1313W-1126-SM-5EQ5U 50-59 years, female 61.8
GTEX-1JJ6O-2226-SM-AHZ3I 60-69 years, male 61.4
GTEX-WWYW-1126-SM-3NB2Q 50-59 years, female 61.0
GTEX-11O72-1026-SM-5986B 40-49 years, male 59.9
GTEX-1F48J-1126-SM-9WYSY 50-59 years, female 59.9
GTEX-13JUV-0226-SM-5IJCC 40-49 years, female 59.6
GTEX-13O3Q-0326-SM-5L3FE 50-59 years, male 59.6
GTEX-1H2FU-0826-SM-9WYSU 60-69 years, female 58.2
GTEX-12584-1026-SM-59HK3 40-49 years, male 58.0
GTEX-X8HC-1026-SM-46MWH 50-59 years, female 58.0
GTEX-14BIL-0926-SM-7DHKN 50-59 years, male 57.9
GTEX-1H1CY-0426-SM-9KNVD 60-69 years, female 57.7
GTEX-1F6I4-0826-SM-7RHGK 60-69 years, male 57.3
GTEX-17EVP-0526-SM-7EPGY 40-49 years, male 57.1
GTEX-ZTTD-0626-SM-4YCCY 50-59 years, male 56.8
GTEX-1B8SG-0726-SM-79ONS 50-59 years, male 56.5
GTEX-14E6C-0326-SM-5Q5EE 40-49 years, male 56.2
GTEX-1RLM8-0226-SM-E6CJY 50-59 years, male 56.0
GTEX-14XAO-0926-SM-69LPZ 60-69 years, female 55.9
GTEX-WFG8-0726-SM-3GILP 20-29 years, male 55.8
GTEX-1H1ZS-1026-SM-9WG6E 70-79 years, male 55.2
GTEX-XXEK-2026-SM-4BRVE 50-59 years, male 54.4
GTEX-11TT1-1426-SM-5EGIA 20-29 years, male 54.1
GTEX-11ZVC-0526-SM-5N9G1 50-59 years, female 53.8
GTEX-1IL2V-1126-SM-CMKGH 70-79 years, male 53.4
GTEX-13PL6-0826-SM-5IJBI 40-49 years, female 52.8
GTEX-15D1Q-0426-SM-6AJ9G 40-49 years, male 52.8
GTEX-1C6WA-0826-SM-7PBXS 60-69 years, male 51.8
GTEX-145LS-1326-SM-5Q5EP 60-69 years, female 50.3
GTEX-13S86-0326-SM-5SI6K 40-49 years, male 49.8
GTEX-13FTZ-0326-SM-5J1O1 60-69 years, male 48.1
GTEX-1JMOU-0326-SM-ARL8X 60-69 years, female 47.9
GTEX-1HBPM-1026-SM-ARL9D 60-69 years, female 47.6
GTEX-WI4N-0726-SM-3TW93 40-49 years, female 47.2
GTEX-1LSNL-0626-SM-DIPFJ 50-59 years, male 43.9
GTEX-13OW5-0926-SM-5L3GZ 60-69 years, male 43.4
GTEX-139TU-1926-SM-5J2OC 60-69 years, male 41.5
GTEX-1GN1V-1026-SM-CNPPS 60-69 years, male 41.5
GTEX-11TUW-1126-SM-5EQKJ 60-69 years, male 37.6
GTEX-11WQK-0226-SM-5EQLI 50-59 years, male 37.2
GTEX-1JMQL-1026-SM-CMKGV 50-59 years, female 35.3
GTEX-14C38-1326-SM-62LDK 50-59 years, male 35.0
GTEX-ZAJG-0926-SM-5Q5AB 50-59 years, female 33.6
GTEX-ZVT4-1326-SM-5NQ8E 50-59 years, female 28.7
Show allShow less
Heart - Left Ventricle
Average nTPM: 140.5
Samples: 432

Max nTPM: 323.4
Min nTPM: 15.9
Std nTPM: 50.0
Median nTPM: 138.2
GTEX-1C2JI-0526-SM-7EWEQ 50-59 years, male 323.4
GTEX-13X6H-0426-SM-5LU4E 50-59 years, female 310.0
GTEX-117YX-1126-SM-5H128 50-59 years, male 298.7
GTEX-1AX9J-1026-SM-72D6E 60-69 years, male 285.5
GTEX-13RTJ-0726-SM-5QGQN 60-69 years, male 278.1
GTEX-O5YW-0326-SM-2I5EI 50-59 years, male 271.8
GTEX-1CB4I-1626-SM-7RHGV 50-59 years, male 267.1
GTEX-13O21-2326-SM-5MR3X 50-59 years, male 263.7
GTEX-Y114-0226-SM-4TT8W 50-59 years, female 262.0
GTEX-WYJK-1026-SM-3NM8W 50-59 years, male 250.6
GTEX-12BJ1-0226-SM-5LUA2 60-69 years, male 249.0
GTEX-1O9I2-1126-SM-DTXEA 50-59 years, male 244.9
GTEX-ZQUD-1526-SM-7IGO2 30-39 years, male 243.2
GTEX-NFK9-0926-SM-2HMJU 40-49 years, male 242.3
GTEX-ZVT2-1026-SM-5GU55 50-59 years, female 235.1
GTEX-139YR-0826-SM-5LZXY 50-59 years, male 234.0
GTEX-13FTW-1026-SM-5L3E3 40-49 years, male 231.5
GTEX-1ICG6-0626-SM-ACKWS 70-79 years, female 228.4
GTEX-1GL5R-0326-SM-9WYTJ 50-59 years, male 224.7
GTEX-14PN3-0526-SM-69LQF 60-69 years, female 224.3
GTEX-OOBJ-0326-SM-33HBO 60-69 years, male 224.2
GTEX-17F9E-0926-SM-7IGMG 50-59 years, male 223.8
GTEX-XPVG-0826-SM-4B654 50-59 years, male 219.5
GTEX-OIZF-0326-SM-3MJGY 60-69 years, male 218.6
GTEX-1399U-0526-SM-5K7YM 50-59 years, female 214.1
GTEX-1AX9I-1126-SM-7EPHH 60-69 years, male 213.8
GTEX-UJMC-0526-SM-3GAE3 50-59 years, male 213.8
GTEX-1RMOY-0626-SM-E9TIE 50-59 years, male 212.2
GTEX-1GMR3-0326-SM-7P8QT 40-49 years, male 210.6
GTEX-11DXZ-0626-SM-5GU77 50-59 years, male 210.5
GTEX-14PHX-2126-SM-6EU2U 50-59 years, male 210.1
GTEX-Y3I4-0626-SM-4TT7A 50-59 years, male 208.9
GTEX-1S3DN-0726-SM-E9TIO 50-59 years, male 208.7
GTEX-1OFPY-1026-SM-EXUSO 60-69 years, male 208.5
GTEX-OXRL-0326-SM-2I3F2 50-59 years, male 207.9
GTEX-1GMR2-1426-SM-7RHHK 50-59 years, male 207.2
GTEX-ZVZP-0226-SM-5NQ73 50-59 years, male 206.6
GTEX-Y5V6-0826-SM-4VBRU 60-69 years, male 206.3
GTEX-1KD4Q-0726-SM-DIPGE 40-49 years, male 204.5
GTEX-1AYCT-0426-SM-73KVZ 50-59 years, male 204.1
GTEX-1OKEX-0726-SM-DPRYE 60-69 years, male 202.9
GTEX-SE5C-0626-SM-2XCDV 40-49 years, female 202.8
GTEX-146FR-0626-SM-5RQJ1 60-69 years, female 202.6
GTEX-13N11-0426-SM-5KM3O 50-59 years, female 201.3
GTEX-1R7EV-0326-SM-E76PA 40-49 years, male 201.2
GTEX-OIZI-0926-SM-E6CHF 40-49 years, male 200.9
GTEX-ZYFG-0426-SM-5E43M 60-69 years, female 199.7
GTEX-QLQ7-0526-SM-2I5G3 60-69 years, male 199.6
GTEX-ZF29-0226-SM-4WKHO 60-69 years, female 199.5
GTEX-16BQI-0926-SM-6M485 30-39 years, female 199.4
GTEX-1MUQO-1226-SM-E9TJK 60-69 years, male 199.3
GTEX-WHWD-0426-SM-3LK83 50-59 years, male 198.9
GTEX-ZAB5-0226-SM-5CVMH 50-59 years, male 198.5
GTEX-PSDG-0926-SM-2I5FP 50-59 years, male 196.7
GTEX-Y8E4-0326-SM-4VBRR 40-49 years, male 195.0
GTEX-POMQ-0326-SM-2I5FO 20-29 years, female 193.0
GTEX-13PVR-1026-SM-5QGQW 60-69 years, female 192.2
GTEX-P4PP-0326-SM-33HC4 30-39 years, female 191.5
GTEX-1EU9M-1826-SM-7DUGU 60-69 years, male 191.4
GTEX-1HSGN-1126-SM-CJI4G 40-49 years, female 191.4
GTEX-REY6-1026-SM-2TF4Y 60-69 years, male 190.9
GTEX-YEC3-0726-SM-CMKFH 50-59 years, male 190.9
GTEX-13OVL-0526-SM-5KLZQ 50-59 years, male 190.2
GTEX-X3Y1-0426-SM-3P5Z4 40-49 years, male 190.2
GTEX-ZDYS-0226-SM-5HL4K 50-59 years, male 190.2
GTEX-1KANC-0426-SM-CXZK5 50-59 years, female 189.8
GTEX-1AX9K-0526-SM-73KV1 50-59 years, male 189.6
GTEX-1B97J-0726-SM-7RHG3 50-59 years, female 189.6
GTEX-11DXX-0326-SM-5PNWC 60-69 years, female 189.3
GTEX-RWS6-0326-SM-2XCAP 60-69 years, female 189.2
GTEX-V1D1-0526-SM-4JBGW 50-59 years, male 189.0
GTEX-1JK1U-0526-SM-CYPSQ 60-69 years, male 189.0
GTEX-111YS-0426-SM-5987O 60-69 years, male 188.3
GTEX-1IDJF-0726-SM-CJI1U 20-29 years, male 187.5
GTEX-1GZ4I-1026-SM-9KNV5 50-59 years, male 187.0
GTEX-ZLFU-0226-SM-4WWFH 40-49 years, male 186.2
GTEX-13OVG-0526-SM-5K7YD 60-69 years, male 186.1
GTEX-P44H-0726-SM-48TBT 40-49 years, male 185.6
GTEX-ZPU1-0626-SM-4YCDM 40-49 years, male 185.6
GTEX-SUCS-0326-SM-32PLL 70-79 years, male 185.3
GTEX-R55C-0326-SM-3GAF1 40-49 years, male 185.1
GTEX-WFON-0326-SM-3GIKX 40-49 years, male 184.4
GTEX-WHSE-0926-SM-3NMBS 20-29 years, male 183.8
GTEX-1QP29-1526-SM-EXUSY 50-59 years, male 183.5
GTEX-OHPL-0326-SM-33HC8 60-69 years, female 183.2
GTEX-13D11-1726-SM-5IFGQ 50-59 years, female 182.0
GTEX-1HCUA-0526-SM-A9SMH 50-59 years, female 181.4
GTEX-1L5NE-0426-SM-E9TIX 50-59 years, male 181.2
GTEX-16YQH-0926-SM-793BC 30-39 years, male 180.5
GTEX-18465-0926-SM-731AY 50-59 years, male 180.3
GTEX-OXRK-0826-SM-2HMK7 50-59 years, female 179.7
GTEX-OHPK-0326-SM-2HMJO 50-59 years, female 179.6
GTEX-1R9PO-0326-SM-DTXA1 60-69 years, female 179.2
GTEX-WZTO-1326-SM-3NM8X 40-49 years, male 179.1
GTEX-18D9U-1126-SM-72D5Y 40-49 years, male 178.1
GTEX-R55E-1026-SM-2TC5S 20-29 years, male 178.1
GTEX-18A67-1226-SM-7KFRS 50-59 years, male 178.0
GTEX-15CHC-0426-SM-6LLHI 60-69 years, female 177.2
GTEX-WEY5-0426-SM-3GIKT 40-49 years, female 177.0
GTEX-OIZG-1126-SM-2HMIU 50-59 years, male 176.9
GTEX-UPK5-0326-SM-CYPR4 40-49 years, male 176.8
GTEX-1RQEC-0926-SM-EWROG 60-69 years, male 176.3
GTEX-1I6K7-0626-SM-ARL7Q 40-49 years, male 176.2
GTEX-14PK6-0826-SM-5ZZVO 70-79 years, female 176.0
GTEX-131XH-0226-SM-5LZVB 50-59 years, male 175.1
GTEX-X15G-0426-SM-4PQZ6 50-59 years, female 174.7
GTEX-148VI-0326-SM-5RQK7 60-69 years, female 174.4
GTEX-ZV7C-0326-SM-57WB1 50-59 years, male 173.9
GTEX-17HHY-1426-SM-7EWDQ 50-59 years, male 173.8
GTEX-1HBPH-0126-SM-CNNQ7 40-49 years, female 173.2
GTEX-1HC8U-0726-SM-ACKXL 40-49 years, female 173.2
GTEX-131XF-5001-SM-7DHLY 60-69 years, male 173.1
GTEX-13O3O-1526-SM-5KM1C 60-69 years, female 172.5
GTEX-13NZB-0226-SM-5KM1T 30-39 years, male 172.4
GTEX-ZDTT-0726-SM-4WKFK 60-69 years, male 171.8
GTEX-1HCU7-1326-SM-CNPPW 50-59 years, male 171.8
GTEX-XPT6-0126-SM-4B65S 20-29 years, male 171.3
GTEX-1399S-1026-SM-5KLZ9 30-39 years, female 171.2
GTEX-16XZY-0426-SM-793BI 70-79 years, male 170.1
GTEX-OIZH-0326-SM-2HMKC 50-59 years, male 169.4
GTEX-11ZUS-0226-SM-5FQT8 30-39 years, male 169.0
GTEX-14PJ6-0726-SM-69LOL 60-69 years, female 168.8
GTEX-XBED-0526-SM-47JY3 60-69 years, male 168.5
GTEX-XQ8I-0126-SM-4BOPL 50-59 years, male 168.2
GTEX-132NY-1726-SM-5EGKK 60-69 years, male 168.1
GTEX-P4PQ-0326-SM-2HMJ8 60-69 years, male 167.8
GTEX-13YAN-1326-SM-5Q5F1 60-69 years, male 167.3
GTEX-1LGOU-0726-SM-E9TIY 20-29 years, female 167.2
GTEX-WY7C-0526-SM-3NB3D 50-59 years, male 166.4
GTEX-QMRM-0526-SM-2I5GA 50-59 years, male 166.1
GTEX-1314G-0126-SM-5LZUL 30-39 years, male 165.9
GTEX-ZZPU-0926-SM-5GZYT 50-59 years, female 165.9
GTEX-QEL4-0926-SM-3GAD1 50-59 years, male 165.6
GTEX-14PJ4-1126-SM-5YY91 60-69 years, male 165.5
GTEX-U3ZH-0326-SM-3DB7A 30-39 years, male 165.5
GTEX-ZDTS-1326-SM-6LLHE 60-69 years, male 164.5
GTEX-11ZVC-0426-SM-5CVLD 50-59 years, female 164.2
GTEX-12WSD-1126-SM-5EGJD 60-69 years, female 163.5
GTEX-1QPFJ-1026-SM-E6CR6 30-39 years, female 163.0
GTEX-13CF2-0426-SM-5KM1H 60-69 years, male 162.8
GTEX-Q2AH-0526-SM-2I3ED 40-49 years, male 162.5
GTEX-UJHI-0426-SM-3DB8Y 50-59 years, female 162.3
GTEX-ZAB4-1026-SM-5HL7T 40-49 years, male 162.1
GTEX-ZDXO-0726-SM-57WBT 60-69 years, male 161.4
GTEX-1F5PK-0326-SM-9KNUD 50-59 years, male 161.0
GTEX-1R9JW-0526-SM-EWRNK 30-39 years, female 161.0
GTEX-XGQ4-0326-SM-4GIEE 50-59 years, male 160.9
GTEX-1CAMS-1326-SM-79OJR 40-49 years, female 160.7
GTEX-RNOR-0826-SM-2TF5C 50-59 years, female 160.5
GTEX-11LCK-0926-SM-5A5KA 30-39 years, male 160.4
GTEX-1IDJH-1026-SM-E9TKH 70-79 years, male 160.0
GTEX-P78B-0426-SM-2I5F5 40-49 years, female 158.9
GTEX-13U4I-0826-SM-5SIBD 40-49 years, female 158.5
GTEX-ZF2S-1026-SM-9QEGK 50-59 years, female 158.5
GTEX-1399R-1926-SM-5K7X8 30-39 years, male 158.2
GTEX-RWSA-0626-SM-2XCBD 40-49 years, male 158.0
GTEX-1F75I-1126-SM-9WYUO 40-49 years, male 157.7
GTEX-14E1K-1026-SM-73KUR 50-59 years, male 156.8
GTEX-1CB4E-0526-SM-7MXTK 60-69 years, male 155.7
GTEX-1F6I4-0726-SM-7PC2P 60-69 years, male 155.3
GTEX-1LH75-0426-SM-E9TJF 50-59 years, female 154.6
GTEX-145MO-1126-SM-5NQBX 60-69 years, male 153.8
GTEX-1AX8Z-5007-SM-AHZ36 60-69 years, male 153.8
GTEX-17MF6-0726-SM-7LT8E 40-49 years, male 153.4
GTEX-QV44-0526-SM-2S1RE 50-59 years, male 152.9
GTEX-OHPM-0326-SM-33HCA 50-59 years, male 152.8
GTEX-WQUQ-1426-SM-3MJFD 60-69 years, male 152.8
GTEX-1LGRB-1126-SM-CNPP2 50-59 years, female 152.6
GTEX-1H1ZS-1126-SM-9MQLJ 70-79 years, male 152.3
GTEX-1IKOE-1026-SM-ARZMF 30-39 years, female 152.2
GTEX-1J8Q3-1226-SM-CKZPT 60-69 years, male 151.8
GTEX-WHPG-0826-SM-3NMBF 50-59 years, male 151.0
GTEX-14PHY-0226-SM-5ZZWM 60-69 years, female 150.7
GTEX-U3ZN-1426-SM-3DB87 30-39 years, female 150.5
GTEX-1KXAM-1326-SM-E9TJW 60-69 years, male 150.5
GTEX-13PVQ-1226-SM-5IJDC 50-59 years, male 149.7
GTEX-1JJ6O-2126-SM-CNNP6 60-69 years, male 149.7
GTEX-ZEX8-0426-SM-DO92Y 50-59 years, male 149.6
GTEX-131XE-0626-SM-5HL98 50-59 years, male 149.2
GTEX-13O61-0526-SM-5J2M1 60-69 years, male 149.2
GTEX-14JG1-1026-SM-6ETZY 40-49 years, male 149.0
GTEX-PX3G-0326-SM-2I3EO 20-29 years, female 148.8
GTEX-1IDJU-0726-SM-CNPQ9 60-69 years, female 148.8
GTEX-13QBU-0426-SM-5J2O4 40-49 years, female 148.4
GTEX-RU72-0326-SM-2TF5T 50-59 years, female 148.4
GTEX-1A8G6-1626-SM-7MGWO 60-69 years, male 148.3
GTEX-1B8KE-0126-SM-793AM 50-59 years, male 148.0
GTEX-1122O-0826-SM-5GICV 60-69 years, female 147.9
GTEX-U4B1-0326-SM-3DB8K 40-49 years, male 147.0
GTEX-V955-0726-SM-3GAFG 60-69 years, male 146.7
GTEX-13FH7-0926-SM-5J2MR 50-59 years, female 146.4
GTEX-12696-1126-SM-5FQTI 60-69 years, male 145.9
GTEX-13CF3-0726-SM-5J2MY 60-69 years, female 145.8
GTEX-1EH9U-0826-SM-7IGPT 60-69 years, male 145.7
GTEX-1B8L1-0526-SM-79ONX 60-69 years, male 145.5
GTEX-1EMGI-1226-SM-793DD 60-69 years, male 145.2
GTEX-18D9B-1226-SM-72D6V 60-69 years, male 144.9
GTEX-R45C-0926-SM-3GAD4 60-69 years, female 144.9
GTEX-1LB8K-1026-SM-DHXJJ 50-59 years, male 144.4
GTEX-13VXT-1126-SM-5LU3A 20-29 years, female 144.1
GTEX-11EMC-0726-SM-5EGJO 60-69 years, female 143.9
GTEX-1211K-0626-SM-5FQUZ 60-69 years, female 143.6
GTEX-XQ3S-0626-SM-4BOOB 20-29 years, male 143.5
GTEX-16MT8-0926-SM-6M487 60-69 years, female 142.9
GTEX-15SHW-1226-SM-6M46C 60-69 years, male 142.7
GTEX-145LV-0326-SM-5Q5BW 50-59 years, male 142.6
GTEX-11ONC-0126-SM-5PNW6 60-69 years, male 142.1
GTEX-1HFI7-0826-SM-A9G23 50-59 years, female 141.6
GTEX-15ER7-1726-SM-6PAMX 20-29 years, female 141.0
GTEX-1339X-0426-SM-5KLZY 40-49 years, male 140.0
GTEX-X8HC-1626-SM-46MWE 50-59 years, female 139.8
GTEX-12ZZY-1126-SM-5DUWQ 60-69 years, male 139.6
GTEX-15RJ7-0226-SM-7KUMN 40-49 years, male 138.9
GTEX-1I1GQ-1426-SM-B2LWY 50-59 years, male 138.8
GTEX-146FH-1026-SM-5RQIF 50-59 years, female 138.7
GTEX-145MN-0626-SM-5QGRH 30-39 years, male 138.6
GTEX-QESD-0526-SM-2I5G5 20-29 years, male 137.9
GTEX-1POEN-0626-SM-EVR4B 30-39 years, female 136.9
GTEX-17HGU-1026-SM-79OKL 50-59 years, male 136.5
GTEX-1MCC2-0326-SM-EV7AK 30-39 years, female 136.4
GTEX-15SHU-1126-SM-7KUMB 40-49 years, female 135.9
GTEX-R53T-0926-SM-3GADH 50-59 years, female 135.9
GTEX-1MJIX-0326-SM-EVR42 40-49 years, male 135.9
GTEX-14E6C-0426-SM-5YYA8 40-49 years, male 135.4
GTEX-WFG8-0626-SM-3GILJ 20-29 years, male 134.8
GTEX-YFC4-0526-SM-5ZZVI 40-49 years, female 134.4
GTEX-1JJEA-0826-SM-CL53T 60-69 years, male 134.3
GTEX-1J8EW-0926-SM-A9G33 60-69 years, female 134.2
GTEX-Y5V5-0626-SM-4VBPX 60-69 years, female 133.5
GTEX-1IDJI-1026-SM-A96TE 50-59 years, female 133.4
GTEX-15DYW-1126-SM-6LPK5 60-69 years, female 133.3
GTEX-1JMQK-0626-SM-D4P2R 60-69 years, male 133.1
GTEX-1J8Q2-1226-SM-A9G2W 60-69 years, male 132.7
GTEX-T6MN-0926-SM-32PLX 50-59 years, male 132.6
GTEX-ZPCL-0426-SM-DNZZ4 60-69 years, female 132.3
GTEX-WL46-0926-SM-3LK7T 50-59 years, male 132.1
GTEX-S32W-0626-SM-2XCBG 50-59 years, female 132.0
GTEX-Y3IK-0826-SM-51MT8 50-59 years, female 131.9
GTEX-RN64-0826-SM-2TC62 50-59 years, male 131.8
GTEX-14DAQ-1126-SM-664MT 60-69 years, female 131.6
GTEX-U8XE-1126-SM-3DB8W 30-39 years, male 131.1
GTEX-1GN1W-0326-SM-9JGHF 50-59 years, female 130.8
GTEX-1A3MX-1326-SM-72D58 60-69 years, male 130.6
GTEX-YEC4-0326-SM-4W216 40-49 years, male 130.5
GTEX-13S86-0226-SM-5S2PJ 40-49 years, male 130.4
GTEX-12WSK-0626-SM-5LZUJ 40-49 years, female 130.1
GTEX-ZF3C-1226-SM-4WWCB 50-59 years, female 130.1
GTEX-1GF9U-0426-SM-7RHHA 40-49 years, female 130.1
GTEX-WRHU-1226-SM-4E3IJ 50-59 years, female 129.5
GTEX-1HBPM-1226-SM-A9SM8 60-69 years, female 129.2
GTEX-1KD5A-1026-SM-CY8I8 50-59 years, male 129.1
GTEX-WH7G-0426-SM-3NMBJ 40-49 years, male 129.0
GTEX-1GN73-2426-SM-7RHFQ 60-69 years, male 128.9
GTEX-QEG4-0426-SM-33HC3 30-39 years, male 128.0
GTEX-1F48J-1026-SM-7P8SO 50-59 years, female 127.9
GTEX-132QS-0426-SM-5KLZ6 60-69 years, male 127.6
GTEX-1B932-1026-SM-793CL 40-49 years, female 127.1
GTEX-1I1HK-0726-SM-B2LY4 60-69 years, male 126.6
GTEX-ZG7Y-0926-SM-5EQ6O 50-59 years, male 126.1
GTEX-15RJE-0626-SM-7KUKR 40-49 years, male 125.6
GTEX-1M5QR-1026-SM-DHXK9 40-49 years, male 125.5
GTEX-12WSN-5001-SM-7DHMK 40-49 years, male 125.4
GTEX-15CHR-0226-SM-7PC2Z 50-59 years, male 125.3
GTEX-1IKJJ-0826-SM-A96SP 60-69 years, male 125.2
GTEX-14E7W-1226-SM-5RQIU 70-79 years, male 125.1
GTEX-1497J-1226-SM-5Q5BL 60-69 years, male 125.0
GTEX-1CB4G-0826-SM-7DUGF 60-69 years, male 124.9
GTEX-PWCY-0526-SM-5P9HG 20-29 years, female 124.9
GTEX-1RB15-0326-SM-E6CQB 60-69 years, male 124.3
GTEX-13OW6-1126-SM-5L3HL 50-59 years, male 124.0
GTEX-1IDJE-0326-SM-CM2TD 50-59 years, female 124.0
GTEX-YJ8O-0926-SM-EAZ2Z 40-49 years, female 123.4
GTEX-1IKK5-1526-SM-CKZPW 60-69 years, male 123.1
GTEX-ZGAY-0326-SM-57WF5 40-49 years, female 123.0
GTEX-1IL2U-1326-SM-A9G2O 60-69 years, male 123.0
GTEX-117YW-0326-SM-5N9CY 50-59 years, male 122.9
GTEX-12ZZZ-1726-SM-59HK5 60-69 years, male 122.5
GTEX-17JCI-1126-SM-7IGMM 60-69 years, female 122.4
GTEX-1H11D-1226-SM-9WPQ2 40-49 years, male 122.4
GTEX-1HSMQ-0226-SM-C1YQL 50-59 years, male 122.1
GTEX-16NPX-0926-SM-7KUEZ 50-59 years, male 122.0
GTEX-12584-0926-SM-5FQTN 40-49 years, male 121.8
GTEX-QDVJ-0426-SM-2I5FW 50-59 years, male 121.6
GTEX-QEG5-0926-SM-2TC64 20-29 years, male 121.5
GTEX-O5YT-0326-SM-32PKA 20-29 years, male 120.6
GTEX-1QP2A-1126-SM-EVR3H 50-59 years, male 120.5
GTEX-111FC-0826-SM-5GZWO 60-69 years, male 120.0
GTEX-1CB4J-0326-SM-7PBZO 60-69 years, male 119.9
GTEX-1C64O-0826-SM-79OKZ 60-69 years, male 119.6
GTEX-1212Z-0626-SM-5FQTB 60-69 years, male 119.5
GTEX-17KNJ-0826-SM-793A4 50-59 years, male 119.2
GTEX-11DXY-0826-SM-5EGGR 60-69 years, male 118.9
GTEX-14A5I-1226-SM-5NQBW 50-59 years, female 118.6
GTEX-R55G-0526-SM-2TC5O 40-49 years, female 117.9
GTEX-1QCLZ-0926-SM-E6CQZ 60-69 years, female 117.4
GTEX-QDVN-0326-SM-2I3FS 50-59 years, male 116.8
GTEX-1JN6P-1126-SM-CKZON 60-69 years, male 116.0
GTEX-1J8QM-0426-SM-AHZ3X 60-69 years, female 114.7
GTEX-14A6H-0226-SM-5Q5DX 30-39 years, male 114.6
GTEX-11GSP-1326-SM-5A5KY 60-69 years, female 114.2
GTEX-1O97I-0826-SM-E8VNE 60-69 years, male 114.0
GTEX-1EN7A-0726-SM-7PBXT 40-49 years, male 113.7
GTEX-13X6I-1426-SM-5SI9Z 60-69 years, male 113.2
GTEX-ZUA1-0826-SM-4YCDL 40-49 years, male 113.2
GTEX-1269C-0826-SM-5N9EM 60-69 years, female 112.3
GTEX-11GS4-0526-SM-5A5KQ 60-69 years, male 111.6
GTEX-1R9K4-1326-SM-DTX8G 60-69 years, male 111.2
GTEX-12WSC-1126-SM-5EQ4G 50-59 years, male 110.7
GTEX-13SLX-1026-SM-5ZZUQ 50-59 years, female 109.9
GTEX-ZYW4-0926-SM-59HJS 60-69 years, male 109.3
GTEX-14C5O-1326-SM-5S2UW 60-69 years, male 109.2
GTEX-15CHQ-1526-SM-69LPW 60-69 years, male 109.2
GTEX-147F4-1226-SM-5NQAY 50-59 years, male 109.1
GTEX-1BAJH-1626-SM-73KUV 70-79 years, male 108.6
GTEX-18A66-1226-SM-7LT8G 60-69 years, male 108.3
GTEX-1HCU6-1026-SM-A9G25 60-69 years, female 108.3
GTEX-14H4A-0626-SM-5ZZUT 40-49 years, female 108.1
GTEX-XXEK-0926-SM-4BRWH 50-59 years, male 107.6
GTEX-11I78-0826-SM-5A5K4 50-59 years, female 107.1
GTEX-ZYFC-1126-SM-5E44W 50-59 years, male 105.4
GTEX-1EKGG-1126-SM-7MGXB 60-69 years, male 105.4
GTEX-O5YV-0326-SM-2I5H2 60-69 years, female 105.1
GTEX-YF7O-0426-SM-5P9FS 50-59 years, male 105.1
GTEX-XBEC-1326-SM-4AT69 50-59 years, male 104.6
GTEX-13FTZ-0226-SM-5K7X6 60-69 years, male 103.2
GTEX-ZTPG-1226-SM-4YCDO 20-29 years, female 103.0
GTEX-ZPIC-0826-SM-4WWFJ 40-49 years, female 102.7
GTEX-13X6K-1826-SM-5O9CR 60-69 years, female 101.8
GTEX-PVOW-0426-SM-5MR5R 40-49 years, male 100.9
GTEX-14XAO-1126-SM-6EU11 60-69 years, female 100.0
GTEX-1JMLX-1626-SM-ARZMV 50-59 years, male 100.0
GTEX-1LVAN-1726-SM-CNNR1 50-59 years, female 99.9
GTEX-13FLV-0926-SM-5L3DZ 50-59 years, male 99.6
GTEX-1R9K5-1326-SM-E6CPR 50-59 years, male 99.1
GTEX-WK11-0826-SM-EZ6LH 50-59 years, male 98.6
GTEX-RUSQ-0526-SM-2TF72 50-59 years, male 98.5
GTEX-13O3P-1626-SM-5K7X3 50-59 years, male 98.3
GTEX-1NV8Z-1526-SM-DTX8X 60-69 years, male 96.9
GTEX-WFG7-0726-SM-3GIKO 20-29 years, male 96.8
GTEX-WWYW-1326-SM-3NB2S 50-59 years, female 96.5
GTEX-13NYB-0226-SM-5N9G4 40-49 years, male 95.9
GTEX-14BIN-2226-SM-5YYA1 50-59 years, female 95.4
GTEX-1HCVE-1126-SM-9WPPG 50-59 years, male 95.1
GTEX-1JMPZ-1426-SM-CJI3C 30-39 years, male 94.7
GTEX-1B996-1126-SM-73KWN 60-69 years, male 94.6
GTEX-1H23P-1226-SM-9QEJ2 60-69 years, male 93.9
GTEX-14JIY-1126-SM-6EU28 60-69 years, male 93.7
GTEX-11TT1-1326-SM-5PNYM 20-29 years, male 93.5
GTEX-S33H-0526-SM-COH1W 30-39 years, male 93.2
GTEX-SNMC-0126-SM-2XCFO 20-29 years, male 93.0
GTEX-13W3W-0426-SM-5SI9D 60-69 years, female 92.6
GTEX-15RIE-1726-SM-7KUMU 60-69 years, male 92.1
GTEX-1RAZS-0826-SM-E76QP 50-59 years, male 91.7
GTEX-13OW8-2126-SM-5J1OS 60-69 years, male 91.6
GTEX-13112-0426-SM-5PNVC 50-59 years, male 91.5
GTEX-1F6IF-2526-SM-7P8TV 60-69 years, male 91.0
GTEX-1I1GV-1326-SM-A96SE 60-69 years, male 91.0
GTEX-12WSG-0526-SM-5FQTH 50-59 years, female 90.7
GTEX-17F9Y-1326-SM-7MGW9 70-79 years, female 90.7
GTEX-ZYT6-1726-SM-5E44P 30-39 years, male 90.6
GTEX-QVJO-1926-SM-2S1QZ 60-69 years, female 89.7
GTEX-11O72-1126-SM-5N9E2 40-49 years, male 89.6
GTEX-N7MS-0826-SM-2HML4 60-69 years, male 89.2
GTEX-1LG7Y-1226-SM-CXZKD 50-59 years, male 89.1
GTEX-15DDE-1126-SM-6LLHN 50-59 years, female 89.0
GTEX-132AR-2026-SM-5IJG4 50-59 years, female 88.7
GTEX-PLZ5-0626-SM-2I5F8 50-59 years, male 88.3
GTEX-P4QS-0326-SM-2I3EU 60-69 years, male 88.0
GTEX-N7MT-1326-SM-2I3FV 60-69 years, female 87.5
GTEX-1EWIQ-1426-SM-7IGOS 70-79 years, female 86.9
GTEX-WI4N-0626-SM-3TW8Z 40-49 years, female 86.3
GTEX-13FHP-1026-SM-5K7Y2 50-59 years, male 86.2
GTEX-1E1VI-1326-SM-7IGQD 50-59 years, male 86.0
GTEX-131XG-0626-SM-5GCMP 50-59 years, female 85.5
GTEX-1GF9V-1626-SM-7PBXL 60-69 years, male 84.7
GTEX-RTLS-0826-SM-2TF5Q 60-69 years, female 84.3
GTEX-1ICLY-1326-SM-CJI47 50-59 years, male 84.1
GTEX-11EM3-0626-SM-5H12Z 20-29 years, female 83.2
GTEX-T2IS-0426-SM-32QPE 20-29 years, female 83.1
GTEX-15EOM-5007-SM-793DG 20-29 years, female 82.6
GTEX-1313W-1426-SM-5KLZU 50-59 years, female 82.4
GTEX-NPJ8-0426-SM-2HMK6 40-49 years, male 81.8
GTEX-1EX96-2526-SM-7RHGW 50-59 years, male 80.0
GTEX-1ICLZ-1026-SM-A9SLF 60-69 years, male 79.6
GTEX-148VJ-1526-SM-5Q5DU 70-79 years, male 79.0
GTEX-14E6D-0926-SM-5S2QV 50-59 years, male 79.0
GTEX-13N1W-1026-SM-5IJC5 70-79 years, male 78.7
GTEX-14PJ2-1026-SM-6EU1M 50-59 years, male 78.4
GTEX-1GN2E-1326-SM-9KNVG 60-69 years, male 78.4
GTEX-1PWST-1026-SM-DTXF2 70-79 years, male 77.7
GTEX-1LSNM-0526-SM-DIPG6 50-59 years, male 77.4
GTEX-18A6Q-1626-SM-7KFTA 60-69 years, male 77.0
GTEX-1H1CY-0326-SM-9QEIZ 60-69 years, female 76.9
GTEX-1GMRU-1526-SM-9WYT5 50-59 years, male 76.7
GTEX-11TUW-1026-SM-5GU7D 60-69 years, male 74.5
GTEX-1LC47-1026-SM-D3LAH 60-69 years, male 74.1
GTEX-14BIL-1126-SM-79OMC 50-59 years, male 73.7
GTEX-1C6VQ-1126-SM-7EWET 50-59 years, male 72.3
GTEX-X261-1426-SM-4PQZ1 50-59 years, male 72.3
GTEX-1I1GP-0826-SM-A96SD 50-59 years, male 72.0
GTEX-147JS-1526-SM-5ZZWF 60-69 years, male 71.6
GTEX-1N2EF-2826-SM-E6CQF 60-69 years, male 71.3
GTEX-1H3NZ-1126-SM-9WYT9 60-69 years, male 69.4
GTEX-1HT8W-1726-SM-CNNQB 30-39 years, male 69.1
GTEX-YB5K-0126-SM-5IFJ2 40-49 years, female 67.5
GTEX-1PPGY-1126-SM-E76OU 60-69 years, male 67.1
GTEX-SIU8-0826-SM-2XCDQ 50-59 years, male 65.3
GTEX-14C38-1426-SM-5RQHZ 50-59 years, male 65.1
GTEX-13JVG-1326-SM-5N9F8 60-69 years, male 64.5
GTEX-1GN1V-0826-SM-9KNU6 60-69 years, male 63.9
GTEX-1399T-0426-SM-5PNVJ 60-69 years, male 62.8
GTEX-14PJM-1126-SM-6LLHK 50-59 years, female 62.7
GTEX-1A3MW-1326-SM-7189P 60-69 years, female 62.5
GTEX-1LVA9-0926-SM-EVR5G 50-59 years, male 60.2
GTEX-1B8SG-0826-SM-7EWF7 50-59 years, male 59.5
GTEX-OXRO-2026-SM-2YUMZ 60-69 years, female 57.7
GTEX-P44G-0826-SM-2I5ES 30-39 years, male 54.4
GTEX-1GTWX-1026-SM-7P8QW 60-69 years, male 54.0
GTEX-17GQL-0526-SM-72D5N 60-69 years, male 53.8
GTEX-14C39-0926-SM-5TDDV 40-49 years, male 52.8
GTEX-1JN1M-1026-SM-CNPOS 60-69 years, female 51.8
GTEX-13OW5-1126-SM-5J1NR 60-69 years, male 50.8
GTEX-17HII-1326-SM-7IGOB 50-59 years, male 48.9
GTEX-13O1R-1226-SM-5J1NU 60-69 years, male 47.0
GTEX-12ZZW-1026-SM-5GCMM 50-59 years, male 46.8
GTEX-XV7Q-0826-SM-4BRV7 40-49 years, female 43.2
GTEX-1K9T9-1126-SM-D3L9E 50-59 years, female 43.2
GTEX-ZAJG-0826-SM-5PNVA 50-59 years, female 42.2
GTEX-1PPH7-2026-SM-E9J3N 40-49 years, male 38.4
GTEX-1JMOU-0226-SM-CNNPD 60-69 years, female 34.2
GTEX-1JJE9-1426-SM-ARL8P 70-79 years, male 24.7
GTEX-1HSMO-1226-SM-CL548 60-69 years, male 15.9
Show allShow less

HEART MUSCLE - FANTOM5 CAGEi

RNA expression in human tissues obtained through Cap Analysis of Gene Expression (CAGE) generated by the FANTOM5 project are reported as Scaled Tags Per Million.

Max subtype Scaled Tags Per Millioni

Max subtype Scaled Tags Per Million is the value for the subtype with the largest average Scaled Tags Per Million across the subtype samples.

341.0
FANTOM5 sample id Sample description Scaled Tags Per Million
Heart
Scaled Tags Per Million: 341.0
FF:10016-101C7 70,73,74 years, mixed 341.0
Left atrium
Scaled Tags Per Million: 176.3
FF:10079-102A7 40 years, male 176.3
Left ventricle
Scaled Tags Per Million: 214.7
FF:10078-102A6 73 years, female 214.7

Contact

  • NEWS ARTICLES
  • PRESS ROOM

The Project

  • INTRODUCTION
  • ORGANIZATION
  • PUBLICATIONS

The Human Protein Atlas

  • DOWNLOADABLE DATA
  • LICENCE & CITATION
  • HELP & FAQ
The Human Protein Atlas project is funded
by the Knut & Alice Wallenberg Foundation.


contact@proteinatlas.org