We use cookies to enhance the usability of our website. If you continue, we'll assume that you are happy to receive all cookies. More information. Don't show this again.
BANF1
HPA
RESOURCES
  • TISSUE
  • BRAIN
  • SINGLE CELL
  • SUBCELLULAR
  • CANCER
  • BLOOD
  • CELL LINE
  • STRUCTURE & INTERACTION
ABOUT
  • INTRODUCTION
  • HISTORY
  • ORGANIZATION
  • PUBLICATIONS
  • ANTIBODY SUBMISSION
  • ANTIBODY AVAILABILITY
  • ACKNOWLEDGMENTS
  • CONTACT
NEWS
  • NEWS ARTICLES
  • PRESS ROOM
LEARN
  • DICTIONARY
  • PROTEIN CLASSES
  • PROTEIN EVIDENCE
  • METHODS
  • EDUCATIONAL VIDEOS
DATA
  • DOWNLOADABLE DATA
  • PUBLICATION DATA
  • RELEASE HISTORY
HELP
  • ANTIBODY VALIDATION
  • ASSAYS & ANNOTATION
  • DISCLAIMER
  • HELP & FAQ
  • PRIVACY STATEMENT
  • LICENCE & CITATION
Fields »
Search result

Field
Term
Gene name
Class
Subclass
Class
Keyword
Chromosome
External id
Tissue
Cell type
Expression
Antibody panel
Tissue
Main location
Patient ID
Annotation
Tissue
Category
Tau score
Cluster
Reliability
Brain region
Category
Tau score
Brain region
Category
Tau score
Brain region
Category
Tau score
Cluster
Reliability
Tissue
Cell type
Enrichment
Cell type
Category
Tau score
Cell type
Category
Tau score
Cell type
Category
Tau score
Cell lineage
Category
Tau score
Cluster
Cluster
Location
Searches
Location
Cell line
Class
Type
Phase
Reliability
Cancer
Prognosis
Cancer
Category
Cancer
Category
Tau score
Cluster
Variants
Interacting gene (ensg_id)
Type
Number of interactions
Pathway
Category
Score
Score
Score
Validation
Validation
Validation
Validation
Antibodies
Data type
Column


  • SUMMARY

  • TISSUE

  • BRAIN

  • SINGLE CELL

  • SUBCELL

  • CANCER

  • BLOOD

  • CELL LINE

  • STRUCT & INT

  • BANF1
TISSUE PRIMARY DATA HIPPOCAMPUS Show tissue menu
ADIPOSE TISSUE ADRENAL GLAND AMYGDALA APPENDIX BASAL GANGLIA BONE MARROW BREAST BRONCHUS CEREBELLUM CEREBRAL CORTEX CERVIX CHOROID PLEXUS COLON DUODENUM
ENDOMETRIUM EPIDIDYMIS ESOPHAGUS FALLOPIAN TUBE GALLBLADDER HEART MUSCLE HIPPOCAMPAL FORMATION HYPOTHALAMUS KIDNEY LIVER LUNG LYMPH NODE MIDBRAIN NASOPHARYNX
ORAL MUCOSA OVARY PANCREAS PARATHYROID GLAND PITUITARY GLAND PLACENTA PROSTATE RECTUM RETINA SALIVARY GLAND SEMINAL VESICLE SKELETAL MUSCLE SKIN SMALL INTESTINE
SMOOTH MUSCLE SOFT TISSUE SPINAL CORD SPLEEN STOMACH TESTIS THYMUS THYROID GLAND TONGUE TONSIL URINARY BLADDER VAGINA
ANTIBODIES
AND
VALIDATION
Dictionary
Hippocampus
Tissue proteome
HIPPOCAMPUS - Expression summary
Protein expression
Hippocampusi

On the top, protein expression in current human tissue, based on all annotated cell types, is reported with the units not detected (n), low (l), medium (m) and high (h). Underneath, protein expression in each annotated cell type are reported using the same units.

Protein expression data is based on knowledge-based annotation. For genes where more than one antibody has been used, a collective score is set.

If knowledge-based annotation could not be performed for a gene, no data is displayed here. View antibody staining data further down this page.

h
m
l
n
Glial cells: Medium
Neuronal cells: High
RNA expressioni

A summary of mRNA expression data available for current tissue based on several datasets. The mRNA expression levels in human tissues are based on RNA-seq data generated by the Human Protein Atlas (HPA), Genotype-Tissue Expression (GTEx) portal and CAGE data generated by the FANTOM5 consortium. Consensus normalized expression levels for human tissues was created by combining the data from HPA and GTEx datasets.

The mRNA expression levels in pig are based on RNA-seq data generated by the Human Protein Atlas (HPA), and for mouse, HPA data and in situ hybridization generated by the Allen brain atlas are reported.

Scroll down to view mRNA expression data in more detail.
HPA Brain:87.3 nTPM
GTEx:90.5 nTPM
FANTOM5:92.2 Scaled Tags Per Million

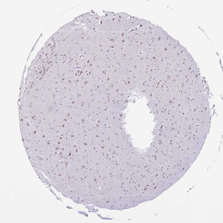
HIPPOCAMPUS - Antibody stainingi

Antibody staining in the annotated cell types in the current human tissue is reported as not detected, low, medium, or high, based on conventional immunohistochemistry profiling in selected tissues. This score is based on the combination of the staining intensity and fraction of stained cells.

Each image is clickable and will lead to virtual microscopy that enables deeper exploration of all samples and also displays staining intensity scores, fraction scores and subcellular localization as well as patient and tissue information for each sample.

Antibody HPA039242Antibody CAB032896
Glial cells LowMedium
Neuronal cells HighMedium





HIPPOCAMPUS - HPA Brain RNA-seq
Max subtype nTPMi

Max subtype nTPM is the value for the subtype with the largest average nTPM across the subtype samples.

87.3
Sample id Sample description nTPM
Hippocampus
nTPM: 87.3
1898 Male, age 80, left hemisphere 92.3
2621 Female, age 67, right hemisphere 90.0
1855 Male, age 76, left hemisphere 87.0
1911 Female, age 85, right hemisphere 86.5
2529 Female, age 94, left hemisphere 85.8
2148 Female, age 91, left hemisphere 82.2

HIPPOCAMPUS - GTEx RNA-seqi

RNA-Seq data generated by the Genotype-Tissue Expression (GTEx) project from human tissues is reported as mean nTPM. More information can be found on the GTEx portal.

Distribution across the dataset is visualized with box plots, shown as median and 25th and 75th percentiles. Points are displayed as outliers if they are above or below 1.5 times the interquartile range. nTPM values of the individual samples are presented next to the box plot.
Max subtype nTPMi

Max subtype nTPM is the value for the subtype with the largest average nTPM across the subtype samples.

90.5
GTEx sample id Sample description nTPM
Brain - Hippocampus
Average nTPM: 90.5
Samples: 197

Max nTPM: 172.9
Min nTPM: 48.4
Std nTPM: 22.5
Median nTPM: 85.1
GTEX-14LLW-0011-R1a-SM-5ZZVD 70-79 years, female 172.9
GTEX-12WSH-0011-R1a-SM-5GU5V 50-59 years, male 164.4
GTEX-13O3Q-0011-R1b-SM-5KM3L 50-59 years, male 162.6
GTEX-144GL-0011-R1a-SM-5PNZ5 50-59 years, male 155.0
GTEX-13NYS-0011-R1b-SM-5MR55 60-69 years, male 154.5
GTEX-13OW5-0011-R1b-SM-5L3GE 60-69 years, male 150.2
GTEX-NL3H-0011-R1a-SM-48TDJ 60-69 years, male 149.1
GTEX-13FXS-0011-R1a-SM-5K7U6 50-59 years, male 149.0
GTEX-1HSMO-0011-R1a-SM-CM2SV 60-69 years, male 147.5
GTEX-1IOXB-0011-R1a-SM-D4P27 50-59 years, male 145.5
GTEX-13NZ8-0011-R1b-SM-5KM3V 60-69 years, female 144.2
GTEX-1GMR8-0011-R1b-SM-CJI2O 50-59 years, female 144.1
GTEX-13PDP-0011-R1a-SM-5PNX5 60-69 years, male 140.3
GTEX-1HT8W-0011-R1b-SM-CJI3V 30-39 years, male 125.7
GTEX-1B8SF-0011-R1b-SM-7P8Q8 60-69 years, male 123.8
GTEX-18A6Q-0011-R1b-SM-731DI 60-69 years, male 122.9
GTEX-1CB4G-0011-R1b-SM-9QEHT 60-69 years, male 122.7
GTEX-12ZZX-0011-R1a-SM-5EQ6B 40-49 years, female 121.2
GTEX-1B933-0011-R1b-SM-9QEGW 50-59 years, female 118.7
GTEX-17HHY-0011-R1a-SM-7189V 50-59 years, male 117.3
GTEX-1F48J-0011-R1a-SM-9QEIC 50-59 years, female 116.8
GTEX-1399T-0011-R1b-SM-5DUWN 60-69 years, male 116.7
GTEX-17HG3-0011-R1a-SM-7LG6H 30-39 years, female 116.3
GTEX-183WM-0011-R1a-SM-718A8 70-79 years, female 115.7
GTEX-1F75A-0011-R1b-SM-CE6RA 50-59 years, male 114.9
GTEX-1B996-0011-R1b-SM-7P8PO 60-69 years, male 111.7
GTEX-1ICLZ-0011-R1b-SM-A9SM3 60-69 years, male 110.5
GTEX-14PN4-0011-R1b-SM-69LP8 50-59 years, male 110.1
GTEX-1C6VQ-0011-R1a-SM-7P8Q2 50-59 years, male 110.1
GTEX-1AX9I-0011-R1b-SM-7RHG2 60-69 years, male 109.8
GTEX-13NYB-0011-R1b-SM-5KM4F 40-49 years, male 109.2
GTEX-WWYW-0011-R1A-SM-3TW8G 50-59 years, female 108.1
GTEX-1F6I4-0011-R1a-SM-9OSWU 60-69 years, male 108.0
GTEX-13N2G-0011-R1b-SM-5MR3G 60-69 years, male 107.7
GTEX-11EI6-0011-R1a-SM-DO93L 60-69 years, male 107.6
GTEX-ZF28-0011-R1a-SM-4WWD1 60-69 years, male 106.4
GTEX-1H3VE-0011-R1a-SM-A9G1K 40-49 years, male 105.9
GTEX-1A8G6-0011-R1a-SM-7P8PC 60-69 years, male 104.6
GTEX-1C64N-0011-R1b-SM-7P8Q7 50-59 years, male 104.5
GTEX-1HR98-0011-R1a-SM-ARZLQ 60-69 years, male 104.4
GTEX-13QJC-0011-R1b-SM-5S2UU 60-69 years, female 103.3
GTEX-1GN1U-0011-R1a-SM-CJI25 50-59 years, female 103.1
GTEX-14JIY-0011-R1a-SM-68713 60-69 years, male 102.1
GTEX-1E1VI-0011-R1a-SM-ARZMM 50-59 years, male 102.1
GTEX-X4XX-0011-R1B-SM-3P622 60-69 years, male 101.9
GTEX-P44G-0011-R1A-SM-2I3FE 30-39 years, male 101.6
GTEX-139TT-0011-R1a-SM-5LZVD 60-69 years, male 101.3
GTEX-1HGF4-0011-R1a-SM-CJI3S 60-69 years, male 100.9
GTEX-1H4P4-0011-R1b-SM-CL54V 50-59 years, male 100.4
GTEX-1I1HK-0011-R1b-SM-CM2T7 60-69 years, male 99.6
GTEX-15ER7-0011-R1b-SM-7KUE1 20-29 years, female 99.4
GTEX-12WSE-0011-R1b-SM-5GU4V 20-29 years, male 98.4
GTEX-13FLW-0011-R1b-SM-5LZX2 50-59 years, male 98.4
GTEX-13O3O-0011-R1b-SM-5KM2K 60-69 years, female 98.4
GTEX-1EX96-0011-R1a-SM-CE6R5 50-59 years, male 98.4
GTEX-1EKGG-0011-R1b-SM-9QEI1 60-69 years, male 97.8
GTEX-1HBPI-0011-R1b-SM-A9SKF 50-59 years, male 97.8
GTEX-1LB8K-0011-R1b-SM-EZ6MV 50-59 years, male 97.8
GTEX-17EVQ-0011-R1a-SM-7189S 70-79 years, male 97.6
GTEX-12WSM-0011-R1a-SM-5LZW6 60-69 years, male 97.2
GTEX-11DXW-0011-R1a-SM-DNZZD 40-49 years, male 97.2
GTEX-N7MS-0011-R1a-SM-2HMJG 60-69 years, male 97.0
GTEX-X585-0011-R1B-SM-46MVE 50-59 years, male 97.0
GTEX-1J1OQ-0011-R1a-SM-A9G1Z 40-49 years, female 96.2
GTEX-Y8DK-0011-R1A-SM-4RGLO 60-69 years, male 95.4
GTEX-1GZ2Q-0011-R1a-SM-CJI2Y 40-49 years, male 95.4
GTEX-11GS4-0011-R1a-SM-DO129 60-69 years, male 93.8
GTEX-Q2AG-0011-R1A-SM-2HMJI 40-49 years, female 93.2
GTEX-1C6VR-0011-R1a-SM-7MXUE 60-69 years, male 93.2
GTEX-13JVG-0011-R1a-SM-5KM32 60-69 years, male 92.9
GTEX-145LU-0011-R1a-SM-5Q5CE 50-59 years, male 92.7
GTEX-YFC4-0011-R1a-SM-4V6EH 40-49 years, female 92.7
GTEX-PWO3-0011-R1A-SM-2I5EW 60-69 years, female 92.6
GTEX-13112-0011-R1b-SM-5HL7K 50-59 years, male 92.4
GTEX-1GF9W-0011-R1a-SM-9QEIQ 60-69 years, male 92.3
GTEX-1A3MX-0011-R1b-SM-7P8PH 60-69 years, male 91.0
GTEX-N7MT-0011-R1a-SM-CNPO1 60-69 years, female 90.7
GTEX-1LG7Y-0011-R1a-SM-EYYWV 50-59 years, male 90.5
GTEX-13QIC-0011-R1a-SM-5O9CJ 60-69 years, female 90.4
GTEX-17EVP-0011-R1a-SM-7DHLA 40-49 years, male 89.8
GTEX-12WSF-0011-R1a-SM-5DUVI 70-79 years, male 89.2
GTEX-14LZ3-0011-R1a-SM-69LP5 60-69 years, female 89.2
GTEX-11ZTS-0011-R1a-SM-5BC71 60-69 years, female 88.9
GTEX-1HSKV-0011-R1b-SM-CMKH7 60-69 years, male 88.9
GTEX-11ZVC-0011-R1b-SM-5BC6M 50-59 years, female 88.8
GTEX-1H3O1-0011-R1b-SM-CL554 60-69 years, male 88.4
GTEX-1H1CY-0011-R1a-SM-CKZOZ 60-69 years, female 87.8
GTEX-1BAJH-0011-R1a-SM-7P8SV 70-79 years, male 87.7
GTEX-13N1W-0011-R1b-SM-5MR4T 70-79 years, male 87.6
GTEX-13OVL-0011-R1a-SM-5L3H5 50-59 years, male 87.1
GTEX-1GN73-0011-R1a-SM-CKZNT 60-69 years, male 87.0
GTEX-ZVZQ-0011-R1a-SM-57WBU 60-69 years, female 86.8
GTEX-1B8L1-0011-R1a-SM-7P8SS 60-69 years, male 86.3
GTEX-RNOR-0011-R1A-SM-CNNP5 50-59 years, female 86.2
GTEX-17JCI-0011-R1b-SM-718A3 60-69 years, female 85.7
GTEX-WZTO-0011-R1B-SM-3NMAR 40-49 years, male 85.5
GTEX-1I1GS-0011-R1a-SM-CJI43 60-69 years, male 85.2
GTEX-131YS-0011-R1a-SM-5DUXC 60-69 years, female 85.1
GTEX-NPJ7-0011-R1a-SM-3GACT 60-69 years, female 85.1
GTEX-1313W-0011-R1b-SM-5EQ4A 50-59 years, female 85.0
GTEX-15CHQ-0011-R1a-SM-COH27 60-69 years, male 84.9
GTEX-1GF9V-0011-R1a-SM-CKZNQ 60-69 years, male 84.5
GTEX-13OW7-0011-R1b-SM-5L3HF 50-59 years, male 84.2
GTEX-13RTL-0011-R1a-SM-5PNZ8 40-49 years, male 84.1
GTEX-1EWIQ-0011-R1a-SM-9OSX7 70-79 years, female 84.0
GTEX-13NZA-0011-R1b-SM-5LUAF 60-69 years, male 83.8
GTEX-16NPV-0011-R1b-SM-7MGVZ 50-59 years, female 83.8
GTEX-13OVJ-0011-R1b-SM-5L3I6 50-59 years, female 83.6
GTEX-13FTY-0011-R1a-SM-5LZXE 40-49 years, female 83.5
GTEX-14PQA-0011-R1b-SM-6EU1G 50-59 years, female 83.2
GTEX-13FHP-0011-R1b-SM-5K7XL 50-59 years, male 83.1
GTEX-17HII-0011-R1b-SM-7MGVW 50-59 years, male 83.0
GTEX-14ABY-0011-R1a-SM-6EU2W 50-59 years, male 82.9
GTEX-17F97-0011-R1b-SM-7IGM9 50-59 years, male 82.7
GTEX-ZDXO-0011-R1a-SM-4WKF4 60-69 years, male 82.6
GTEX-ZE7O-0011-R1a-SM-57WDM 50-59 years, female 82.2
GTEX-13S7M-0011-R1b-SM-5PNZE 60-69 years, female 81.9
GTEX-15DCD-0011-R1b-SM-6LPIJ 70-79 years, female 81.9
GTEX-13JUV-0011-R1a-SM-5LZY4 40-49 years, female 81.8
GTEX-12WSD-0011-R1b-SM-5LZVY 60-69 years, female 81.5
GTEX-139T8-0011-R1a-SM-5HL75 60-69 years, male 81.5
GTEX-1IKK5-0011-R1b-SM-CE6SQ 60-69 years, male 81.3
GTEX-14E6D-0011-R1b-SM-5YYAW 50-59 years, male 81.1
GTEX-14PJM-0011-R1a-SM-CNPO3 50-59 years, female 81.0
GTEX-13G51-0011-R1a-SM-5LZYR 60-69 years, male 80.6
GTEX-145MH-0011-R1b-SM-5PNWY 50-59 years, male 80.5
GTEX-13CF2-0011-R1a-SM-5LZY1 60-69 years, male 80.4
GTEX-13RTJ-0011-R1a-SM-5O9D9 60-69 years, male 80.4
GTEX-16GPK-0011-R1b-SM-7EWDH 60-69 years, male 80.1
GTEX-11UD1-0011-R1b-SM-5BC7D 40-49 years, female 79.9
GTEX-T6MN-0011-R1A-SM-32QOY 50-59 years, male 79.8
GTEX-WL46-0011-R1A-SM-3LK6M 50-59 years, male 79.7
GTEX-13X6I-0011-R1b-SM-5PNZC 60-69 years, male 79.6
GTEX-WVLH-0011-R1A-SM-4MVOK 50-59 years, male 79.3
GTEX-1J8Q2-0011-R1a-SM-D4P2D 60-69 years, male 79.3
GTEX-14E7W-0011-R1b-SM-5YYAT 70-79 years, male 79.2
GTEX-WHSE-0011-R1A-SM-3P5ZK 20-29 years, male 79.2
GTEX-15UF6-0011-R1a-SM-9QEGH 70-79 years, female 78.8
GTEX-ZUA1-0011-R1a-SM-4YCE2 40-49 years, male 78.5
GTEX-14BIM-0011-R1a-SM-69LQI 60-69 years, female 77.9
GTEX-11GSO-0011-R1b-SM-57WD3 60-69 years, male 77.8
GTEX-13FHO-0011-R1b-SM-5KLZG 60-69 years, male 77.5
GTEX-1I1GV-0011-R1a-SM-CL559 60-69 years, male 77.3
GTEX-1H3NZ-0011-R1a-SM-CKZP5 60-69 years, male 77.2
GTEX-14ASI-0011-R1b-SM-5S2TY 60-69 years, male 77.1
GTEX-16XZZ-0011-R1a-SM-7LTAH 60-69 years, male 76.7
GTEX-1H1DG-0011-R1b-SM-CKZP1 70-79 years, male 76.7
GTEX-1I1GQ-0011-R1a-SM-CY8GG 50-59 years, male 76.6
GTEX-1F6IF-0011-R1b-SM-9WG78 60-69 years, male 76.0
GTEX-1IDJH-0011-R1b-SM-ARU6U 70-79 years, male 75.9
GTEX-1A32A-0011-R1a-SM-7P8SQ 50-59 years, female 75.8
GTEX-QVJO-0011-R1A-SM-2S1QI 60-69 years, female 75.5
GTEX-1EMGI-0011-R1b-SM-9OSWZ 60-69 years, male 75.0
GTEX-T5JC-0011-R1A-SM-32PM6 20-29 years, male 74.9
GTEX-1GTWX-0011-R1a-SM-CE6RL 60-69 years, male 74.9
GTEX-XMD1-0011-R1A-SM-4AT4C 60-69 years, male 74.5
GTEX-PVOW-0011-R1A-SM-32PL6 40-49 years, male 74.0
GTEX-145LS-0011-R1b-SM-5PNUP 60-69 years, female 73.9
GTEX-131XH-0011-R1a-SM-5DUWA 50-59 years, male 73.7
GTEX-QMR6-0011-R1A-SM-32PKW 50-59 years, male 73.3
GTEX-YJ89-0011-R1a-SM-4RGLS 60-69 years, male 72.5
GTEX-16Z82-0011-R1b-SM-7EPHZ 60-69 years, male 72.4
GTEX-ZAB4-0011-R1a-SM-4RGNO 40-49 years, male 72.3
GTEX-TSE9-0011-R1A-SM-3DB7E 60-69 years, female 72.1
GTEX-1CB4J-0011-R1a-SM-9WG64 60-69 years, male 72.1
GTEX-16YQH-0011-R1a-SM-7LT8R 30-39 years, male 71.9
GTEX-11WQC-0011-R1b-SM-DO932 60-69 years, male 70.9
GTEX-NPJ8-0011-R1a-SM-33HCB 40-49 years, male 70.5
GTEX-X4EP-0011-R1A-SM-3P624 60-69 years, female 70.2
GTEX-1IY9M-0011-R1a-SM-EXURZ 60-69 years, male 69.9
GTEX-1EH9U-0011-R1b-SM-CJI2B 60-69 years, male 69.7
GTEX-144GO-0011-R1a-SM-5PNWO 60-69 years, male 69.0
GTEX-11GSP-0011-R1a-SM-9QEJ3 60-69 years, female 69.0
GTEX-13OW8-0011-R1a-SM-5L3HI 60-69 years, male 68.5
GTEX-R55E-0011-R1A-SM-2TC6N 20-29 years, male 68.4
GTEX-S7SE-0011-R1A-SM-2XCDE 50-59 years, male 68.3
GTEX-1F75W-0011-R1a-SM-ARU81 60-69 years, male 67.6
GTEX-11TUW-0011-R1a-SM-DO92S 60-69 years, male 67.2
GTEX-1CAV2-0011-R1a-SM-ARZML 40-49 years, female 67.0
GTEX-14C5O-0011-R1b-SM-6AJBW 60-69 years, male 66.8
GTEX-1H23P-0011-R1a-SM-ACKVC 60-69 years, male 66.6
GTEX-UTHO-0011-R1A-SM-3GIJO 60-69 years, male 65.3
GTEX-11ONC-0011-R1a-SM-57WD4 60-69 years, male 64.7
GTEX-13SLW-0011-R1a-SM-5S2W7 70-79 years, male 64.2
GTEX-QVUS-0011-R1A-SM-3GAD2 60-69 years, female 64.0
GTEX-13OW6-0011-R1a-SM-5L3HQ 50-59 years, male 63.6
GTEX-1GZHY-0011-R1a-SM-CE6RR 50-59 years, female 62.7
GTEX-1GN2E-0011-R1b-SM-CE6RJ 60-69 years, male 62.5
GTEX-1212Z-0011-R1b-SM-5BC72 60-69 years, male 62.3
GTEX-1E2YA-0011-R1b-SM-CJI29 50-59 years, male 61.1
GTEX-1H1ZS-0011-R1b-SM-A9G1E 70-79 years, male 60.5
GTEX-132Q8-0011-R1a-SM-5EGLK 60-69 years, male 58.0
GTEX-P44H-0011-R1A-SM-3NM8J 40-49 years, male 57.7
GTEX-OHPN-0011-R1A-SM-2I5GB 60-69 years, female 56.6
GTEX-17MF6-0011-R1a-SM-72D6O 40-49 years, male 56.5
GTEX-QDT8-0011-R1A-SM-32PKS 30-39 years, female 50.8
GTEX-14PJO-0011-R1b-SM-6AJAK 60-69 years, male 48.4
Show allShow less

HIPPOCAMPUS - FANTOM5 CAGEi

RNA expression in human tissues obtained through Cap Analysis of Gene Expression (CAGE) generated by the FANTOM5 project are reported as Scaled Tags Per Million.

Max subtype Scaled Tags Per Millioni

Max subtype Scaled Tags Per Million is the value for the subtype with the largest average Scaled Tags Per Million across the subtype samples.

92.2
FANTOM5 sample id Sample description Scaled Tags Per Million
Hippocampus
Scaled Tags Per Million: 92.2
FF:10153-102I9 76 years, female 97.2
FF:10169-103B7 60 years, female 87.2

Contact

  • NEWS ARTICLES
  • PRESS ROOM

The Project

  • INTRODUCTION
  • ORGANIZATION
  • PUBLICATIONS

The Human Protein Atlas

  • DOWNLOADABLE DATA
  • LICENCE & CITATION
  • HELP & FAQ
The Human Protein Atlas project is funded
by the Knut & Alice Wallenberg Foundation.


contact@proteinatlas.org