We use cookies to enhance the usability of our website. If you continue, we'll assume that you are happy to receive all cookies. More information. Don't show this again.
BANF1
HPA
RESOURCES
  • TISSUE
  • BRAIN
  • SINGLE CELL
  • SUBCELLULAR
  • CANCER
  • BLOOD
  • CELL LINE
  • STRUCTURE & INTERACTION
ABOUT
  • INTRODUCTION
  • HISTORY
  • ORGANIZATION
  • PUBLICATIONS
  • ANTIBODY SUBMISSION
  • ANTIBODY AVAILABILITY
  • ACKNOWLEDGMENTS
  • CONTACT
NEWS
  • NEWS ARTICLES
  • PRESS ROOM
LEARN
  • DICTIONARY
  • PROTEIN CLASSES
  • PROTEIN EVIDENCE
  • METHODS
  • EDUCATIONAL VIDEOS
DATA
  • DOWNLOADABLE DATA
  • PUBLICATION DATA
  • RELEASE HISTORY
HELP
  • ANTIBODY VALIDATION
  • ASSAYS & ANNOTATION
  • DISCLAIMER
  • HELP & FAQ
  • PRIVACY STATEMENT
  • LICENCE & CITATION
Fields »
Search result

Field
Term
Gene name
Class
Subclass
Class
Keyword
Chromosome
External id
Tissue
Cell type
Expression
Antibody panel
Tissue
Main location
Patient ID
Annotation
Tissue
Category
Tau score
Cluster
Reliability
Brain region
Category
Tau score
Brain region
Category
Tau score
Brain region
Category
Tau score
Cluster
Reliability
Tissue
Cell type
Enrichment
Cell type
Category
Tau score
Cell type
Category
Tau score
Cell type
Category
Tau score
Cell lineage
Category
Tau score
Cluster
Cluster
Location
Searches
Location
Cell line
Class
Type
Phase
Reliability
Cancer
Prognosis
Cancer
Category
Cancer
Category
Tau score
Cluster
Variants
Interacting gene (ensg_id)
Type
Number of interactions
Pathway
Category
Score
Score
Score
Validation
Validation
Validation
Validation
Antibodies
Data type
Column


  • SUMMARY

  • TISSUE

  • BRAIN

  • SINGLE CELL

  • SUBCELL

  • CANCER

  • BLOOD

  • CELL LINE

  • STRUCT & INT

  • BANF1
TISSUE PRIMARY DATA SKELETAL MUSCLE Show tissue menu
ADIPOSE TISSUE ADRENAL GLAND AMYGDALA APPENDIX BASAL GANGLIA BONE MARROW BREAST BRONCHUS CEREBELLUM CEREBRAL CORTEX CERVIX CHOROID PLEXUS COLON DUODENUM
ENDOMETRIUM EPIDIDYMIS ESOPHAGUS FALLOPIAN TUBE GALLBLADDER HEART MUSCLE HIPPOCAMPAL FORMATION HYPOTHALAMUS KIDNEY LIVER LUNG LYMPH NODE MIDBRAIN NASOPHARYNX
ORAL MUCOSA OVARY PANCREAS PARATHYROID GLAND PITUITARY GLAND PLACENTA PROSTATE RECTUM RETINA SALIVARY GLAND SEMINAL VESICLE SKELETAL MUSCLE SKIN SMALL INTESTINE
SMOOTH MUSCLE SOFT TISSUE SPINAL CORD SPLEEN STOMACH TESTIS THYMUS THYROID GLAND TONGUE TONSIL URINARY BLADDER VAGINA
ANTIBODIES
AND
VALIDATION
Dictionary
Skeletal muscle
Tissue proteome
Skeletal muscle
SKELETAL MUSCLE - Expression summary
Protein expression
Skeletal musclei

On the top, protein expression in current human tissue, based on all annotated cell types, is reported with the units not detected (n), low (l), medium (m) and high (h). Underneath, protein expression in each annotated cell type are reported using the same units.

Protein expression data is based on knowledge-based annotation. For genes where more than one antibody has been used, a collective score is set.

If knowledge-based annotation could not be performed for a gene, no data is displayed here. View antibody staining data further down this page.

h
m
l
n
Myocytes: High
RNA expressioni

A summary of mRNA expression data available for current tissue based on several datasets. The mRNA expression levels in human tissues are based on RNA-seq data generated by the Human Protein Atlas (HPA), Genotype-Tissue Expression (GTEx) portal and CAGE data generated by the FANTOM5 consortium. Consensus normalized expression levels for human tissues was created by combining the data from HPA and GTEx datasets.

The mRNA expression levels in pig are based on RNA-seq data generated by the Human Protein Atlas (HPA), and for mouse, HPA data and in situ hybridization generated by the Allen brain atlas are reported.

Scroll down to view mRNA expression data in more detail.
Consensus:562.1 nTPM
HPA:562.1 nTPM
GTEx:220.8 nTPM
FANTOM5:484.6 Scaled Tags Per Million

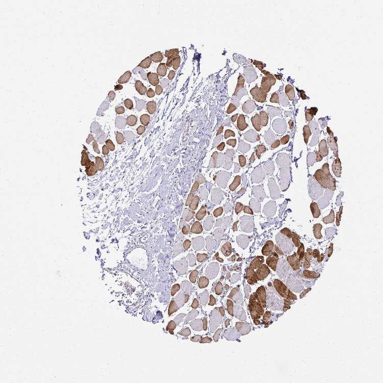
SKELETAL MUSCLE - Antibody stainingi

Antibody staining in the annotated cell types in the current human tissue is reported as not detected, low, medium, or high, based on conventional immunohistochemistry profiling in selected tissues. This score is based on the combination of the staining intensity and fraction of stained cells.

Each image is clickable and will lead to virtual microscopy that enables deeper exploration of all samples and also displays staining intensity scores, fraction scores and subcellular localization as well as patient and tissue information for each sample.

Antibody HPA039242Antibody CAB032896
Myocytes HighHigh



SKELETAL MUSCLE - HPA RNA-seqi

The RNA-seq details section shows detailed information about the individual samples used for the transcript profiling and results of the RNA-seq analysis.

Information about each individual sample is listed below, including gender, age, a tissue section image and estimated fractions of cell types. nTPM (normalized transcripts per million) values give a quantification of the gene abundance which is comparable between different genes and samples.
Average nTPMi

Max subtype nTPM is the value for the subtype with the largest average nTPM across the subtype samples.

562.1
N/A
Male, age 23
Skeletal muscle sample 339
nTPM: 444.7
N/A
Female, age 25
Skeletal muscle sample 340
nTPM: 530.9
N/A
Female, age -
Skeletal muscle sample 341
nTPM: 515.4
N/A
Female, age 22
Skeletal muscle sample 342
nTPM: 555.6
N/A
Male, age 29
Skeletal muscle sample 343
nTPM: 763.8

SKELETAL MUSCLE - GTEx RNA-seqi

RNA-Seq data generated by the Genotype-Tissue Expression (GTEx) project from human tissues is reported as mean nTPM. More information can be found on the GTEx portal.

Distribution across the dataset is visualized with box plots, shown as median and 25th and 75th percentiles. Points are displayed as outliers if they are above or below 1.5 times the interquartile range. nTPM values of the individual samples are presented next to the box plot.
Max subtype nTPMi

Max subtype nTPM is the value for the subtype with the largest average nTPM across the subtype samples.

220.8
GTEx sample id Sample description nTPM
Muscle - Skeletal
Average nTPM: 220.8
Samples: 803

Max nTPM: 668.8
Min nTPM: 51.7
Std nTPM: 72.4
Median nTPM: 210.4
GTEX-1H4P4-0626-SM-9YFKZ 50-59 years, male 668.8
GTEX-1F88F-2526-SM-7PC2R 60-69 years, female 642.3
GTEX-147GR-0126-SM-62LER 60-69 years, male 517.4
GTEX-18465-0326-SM-7LTAD 50-59 years, male 450.2
GTEX-XQ3S-0426-SM-4BOOA 20-29 years, male 448.5
GTEX-1313W-0526-SM-5P9FZ 50-59 years, female 438.5
GTEX-1CAV2-2426-SM-7P8QF 40-49 years, female 426.4
GTEX-ZQUD-1726-SM-7P8ON 30-39 years, male 423.1
GTEX-1F6I4-0326-SM-7P8T8 60-69 years, male 402.7
GTEX-1399Q-2426-SM-5J2MO 40-49 years, male 397.5
GTEX-17JCI-0326-SM-7LG5H 60-69 years, female 388.6
GTEX-1399T-2426-SM-5L3FJ 60-69 years, male 382.2
GTEX-147F4-0326-SM-5TDCK 50-59 years, male 376.6
GTEX-11GS4-2526-SM-5A5KT 60-69 years, male 372.0
GTEX-1I1GV-0126-SM-CL55G 60-69 years, male 371.7
GTEX-12126-0526-SM-5PNW4 20-29 years, male 370.5
GTEX-145LU-2026-SM-5Q5E8 50-59 years, male 366.7
GTEX-139TS-2626-SM-5J1MT 60-69 years, male 362.3
GTEX-1N2DW-0426-SM-E9TK4 50-59 years, male 361.5
GTEX-14LLW-0526-SM-62LFB 70-79 years, female 361.0
GTEX-1M4P7-0126-SM-DKPQF 60-69 years, male 361.0
GTEX-14JG1-0126-SM-5ZZUP 40-49 years, male 360.0
GTEX-13VXU-0326-SM-5LU36 50-59 years, male 359.6
GTEX-13FXS-0326-SM-5K7TV 50-59 years, male 359.3
GTEX-16YQH-0426-SM-7KUL7 30-39 years, male 358.3
GTEX-1LVA9-0326-SM-DLHBU 50-59 years, male 358.3
GTEX-12WSF-0926-SM-6PALU 70-79 years, male 357.5
GTEX-13X6H-2326-SM-7EWEB 50-59 years, female 357.4
GTEX-11NUK-0226-SM-5A5L4 50-59 years, male 357.1
GTEX-11OF3-2526-SM-5P9JL 60-69 years, male 357.1
GTEX-ZVT3-0526-SM-5GIE9 60-69 years, female 357.0
GTEX-117XS-2526-SM-5H11G 60-69 years, male 354.8
GTEX-1QP6S-0426-SM-DTXG4 40-49 years, male 352.8
GTEX-1F7RK-0326-SM-7RHH7 20-29 years, female 352.4
GTEX-ZYFC-0526-SM-5GIDF 50-59 years, male 350.6
GTEX-Y8DK-0326-SM-4TT3P 60-69 years, male 350.1
GTEX-1F75W-0326-SM-7PC2Q 60-69 years, male 348.1
GTEX-145MG-0226-SM-5TDDB 50-59 years, male 347.0
GTEX-1RQED-0426-SM-E6CJP 60-69 years, male 346.2
GTEX-1LB8K-0126-SM-EVYCN 50-59 years, male 345.6
GTEX-139UW-2626-SM-5K7W1 60-69 years, male 345.4
GTEX-113JC-2726-SM-5EGIS 50-59 years, female 342.9
GTEX-T5JC-0626-SM-3NMA6 20-29 years, male 342.6
GTEX-14PJM-0426-SM-5ZZVN 50-59 years, female 342.4
GTEX-1GN2E-0726-SM-9MQLU 60-69 years, male 342.2
GTEX-1GZHY-0126-SM-9WYUQ 50-59 years, female 342.1
GTEX-ZYT6-1626-SM-5E45R 30-39 years, male 341.4
GTEX-1LSNL-0126-SM-EWRNR 50-59 years, male 340.2
GTEX-1R9K4-0626-SM-E76OZ 60-69 years, male 339.2
GTEX-11NV4-0326-SM-5HL58 60-69 years, male 338.8
GTEX-1JJEA-0126-SM-D3L8A 60-69 years, male 338.1
GTEX-ZDTS-0526-SM-4WKH9 60-69 years, male 336.8
GTEX-111FC-0326-SM-5GZZ1 60-69 years, male 336.3
GTEX-1QW4Y-1726-SM-EWRN1 30-39 years, male 334.7
GTEX-1KD5A-0726-SM-DIPEO 50-59 years, male 333.5
GTEX-YECK-0626-SM-4W1ZE 60-69 years, male 332.2
GTEX-1LVAN-0526-SM-CNNQ1 50-59 years, female 332.1
GTEX-1RQEC-0126-SM-E9J2H 60-69 years, male 332.1
GTEX-1GZ2Q-0426-SM-9WPOU 40-49 years, male 332.0
GTEX-1PPH7-2526-SM-E76OJ 40-49 years, male 331.0
GTEX-1GMR3-2126-SM-9WYTZ 40-49 years, male 330.6
GTEX-1HBPH-0826-SM-ARZNB 40-49 years, female 329.3
GTEX-YFC4-1026-SM-5RQJM 40-49 years, female 328.6
GTEX-15RJ7-2426-SM-6M48L 40-49 years, male 326.2
GTEX-14PK6-2126-SM-6ETZV 70-79 years, female 325.9
GTEX-1QP66-1626-SM-E76PC 50-59 years, male 325.9
GTEX-ZE9C-2326-SM-5J1NT 60-69 years, male 325.7
GTEX-NFK9-0626-SM-2HMIV 40-49 years, male 324.9
GTEX-15ER7-0226-SM-7KUEU 20-29 years, female 324.6
GTEX-ZE7O-0326-SM-51MTH 50-59 years, female 324.2
GTEX-WL46-0626-SM-3LK7R 50-59 years, male 323.5
GTEX-18A7A-0626-SM-718BJ 50-59 years, female 322.1
GTEX-WWYW-0526-SM-3NB2W 50-59 years, female 321.9
GTEX-ZQG8-1226-SM-51MRX 60-69 years, female 321.2
GTEX-13SLX-0326-SM-5Q5E4 50-59 years, female 321.0
GTEX-16GPK-0526-SM-7KUER 60-69 years, male 320.7
GTEX-13O3Q-2726-SM-5KM51 50-59 years, male 320.2
GTEX-139D8-0726-SM-5P9GJ 30-39 years, female 319.9
GTEX-14JIY-0426-SM-62LF7 60-69 years, male 318.7
GTEX-14LZ3-0626-SM-5ZZWP 60-69 years, female 317.9
GTEX-13PL6-0326-SM-5IJCP 40-49 years, female 317.3
GTEX-1PPGY-0426-SM-DTXFE 60-69 years, male 317.0
GTEX-14BMV-0326-SM-5RQHW 50-59 years, male 316.3
GTEX-13QIC-1226-SM-5K7YR 60-69 years, female 316.2
GTEX-13FTZ-2226-SM-5LZXI 60-69 years, male 315.7
GTEX-14E6D-0326-SM-62LDX 50-59 years, male 315.2
GTEX-1HCU7-0426-SM-D3L8Q 50-59 years, male 314.8
GTEX-1JN6P-0526-SM-COH33 60-69 years, male 314.3
GTEX-17EVP-1326-SM-7DHMR 40-49 years, male 312.7
GTEX-1HCU9-1926-SM-9WYSE 20-29 years, male 312.1
GTEX-15D79-0526-SM-6ETZP 50-59 years, male 311.7
GTEX-XUYS-0326-SM-47JX2 50-59 years, male 310.8
GTEX-11ZTS-0526-SM-5CVL9 60-69 years, female 310.7
GTEX-1CB4G-0426-SM-7MXUN 60-69 years, male 310.7
GTEX-1PIIG-0126-SM-E9J46 30-39 years, male 310.7
GTEX-13NZA-0526-SM-5L3D7 60-69 years, male 310.5
GTEX-ZVT4-0326-SM-51MS5 50-59 years, female 310.4
GTEX-111VG-2626-SM-5GZY2 60-69 years, male 310.2
GTEX-1HBPI-0226-SM-ADEJ7 50-59 years, male 309.8
GTEX-1LVAM-0326-SM-DIPFL 50-59 years, female 309.4
GTEX-1C6VS-0126-SM-7PC2H 60-69 years, male 308.3
GTEX-1GN1V-0326-SM-9WYTO 60-69 years, male 307.5
GTEX-13PVQ-0326-SM-5K7YF 50-59 years, male 307.4
GTEX-1399R-2526-SM-5IFG2 30-39 years, male 307.2
GTEX-1QP9N-1926-SM-E6CPY 30-39 years, male 307.1
GTEX-11DXW-0726-SM-5H12J 40-49 years, male 306.9
GTEX-1KD4Q-0326-SM-E9TJA 40-49 years, male 306.6
GTEX-13X6J-0326-SM-7EPGD 50-59 years, male 305.7
GTEX-12WSC-0326-SM-5EQ5E 50-59 years, male 305.0
GTEX-16NPX-0626-SM-7KULB 50-59 years, male 304.7
GTEX-131YS-0526-SM-5EGKJ 60-69 years, female 304.5
GTEX-12ZZZ-0226-SM-59HKU 60-69 years, male 304.3
GTEX-YJ8O-2826-SM-5CVM4 40-49 years, female 303.9
GTEX-ZVTK-0626-SM-5GU6Y 20-29 years, male 303.0
GTEX-11PRG-0326-SM-5GU53 50-59 years, male 302.7
GTEX-12WSH-2526-SM-5CVNH 50-59 years, male 302.1
GTEX-RN64-0326-SM-2TC5J 50-59 years, male 302.0
GTEX-13G51-2726-SM-5LZZ9 60-69 years, male 301.1
GTEX-15SKB-2526-SM-6PALP 60-69 years, male 299.3
GTEX-1KWVE-0926-SM-CXZKP 30-39 years, male 299.3
GTEX-13112-2626-SM-5BC66 50-59 years, male 298.8
GTEX-1IOXB-0326-SM-CL55M 50-59 years, male 298.4
GTEX-13OW5-0326-SM-5L3HK 60-69 years, male 297.6
GTEX-WK11-2526-SM-3NM9Y 50-59 years, male 297.3
GTEX-145MH-0326-SM-5LU8H 50-59 years, male 297.2
GTEX-13U4I-1826-SM-5IJD2 40-49 years, female 297.1
GTEX-1H1DE-1726-SM-A9G3G 20-29 years, male 296.9
GTEX-1LNCM-1226-SM-E9U5C 50-59 years, female 296.9
GTEX-1128S-2426-SM-5H11B 60-69 years, female 295.2
GTEX-145LV-2326-SM-5LU8Z 50-59 years, male 294.9
GTEX-13NYC-0726-SM-5J2NQ 60-69 years, male 294.8
GTEX-XBEW-1026-SM-4QARV 40-49 years, male 294.7
GTEX-13N2G-2326-SM-5J1ON 60-69 years, male 294.1
GTEX-15G19-0526-SM-6PAMT 60-69 years, male 292.6
GTEX-W5WG-1926-SM-4KKZK 50-59 years, female 292.3
GTEX-WZTO-0826-SM-3NM8Q 40-49 years, male 292.2
GTEX-1HSKV-0126-SM-E6CI1 60-69 years, male 292.0
GTEX-11O72-0326-SM-5986D 40-49 years, male 291.8
GTEX-13CF2-2726-SM-5LZWW 60-69 years, male 291.6
GTEX-1C64N-0326-SM-7P8QC 50-59 years, male 290.8
GTEX-ZAK1-0526-SM-5K7X4 50-59 years, female 290.6
GTEX-1O9I2-0526-SM-EYYXI 50-59 years, male 289.9
GTEX-11P81-2526-SM-5GU6H 30-39 years, female 289.4
GTEX-12ZZY-0626-SM-5EQ5T 60-69 years, male 288.5
GTEX-14ABY-0126-SM-62LDI 50-59 years, male 286.9
GTEX-1HCU6-0526-SM-A9SKU 60-69 years, female 286.6
GTEX-1B8SG-0326-SM-73KXW 50-59 years, male 286.4
GTEX-1RAZR-0326-SM-EWRNM 40-49 years, male 286.4
GTEX-117YW-2426-SM-5Q5AE 50-59 years, male 286.2
GTEX-1HT8W-0326-SM-CM2SG 30-39 years, male 285.9
GTEX-139TT-0426-SM-5IJFA 60-69 years, male 285.0
GTEX-11WQC-2626-SM-5CVLF 60-69 years, male 284.6
GTEX-14DAQ-0326-SM-664MR 60-69 years, female 283.4
GTEX-1ICG6-2726-SM-CKZPN 70-79 years, female 282.5
GTEX-1K9T9-0326-SM-EWRNQ 50-59 years, female 281.9
GTEX-1R9PN-1826-SM-E8VO4 40-49 years, female 281.5
GTEX-18A6Q-0326-SM-718AT 60-69 years, male 281.4
GTEX-QXCU-1726-SM-2TC6L 50-59 years, male 281.1
GTEX-1EMGI-0326-SM-9MQM5 60-69 years, male 280.9
GTEX-1269C-2626-SM-5EQ5C 60-69 years, female 280.7
GTEX-1F75A-0626-SM-7PBYI 50-59 years, male 280.3
GTEX-ZV68-0526-SM-59HKI 50-59 years, female 279.8
GTEX-13OW7-0326-SM-5J1MP 50-59 years, male 279.1
GTEX-1I1HK-0326-SM-ACKW5 60-69 years, male 279.1
GTEX-N7MS-0426-SM-2YUN6 60-69 years, male 278.1
GTEX-145MI-0326-SM-5Q5EV 60-69 years, female 277.6
GTEX-17HG3-2726-SM-7DHL5 30-39 years, female 277.6
GTEX-144GL-0326-SM-5QGOY 50-59 years, male 277.3
GTEX-T2IS-2626-SM-32QPP 20-29 years, female 277.0
GTEX-15SHU-0626-SM-7KUFH 40-49 years, female 276.4
GTEX-131XW-0326-SM-5KM1J 50-59 years, female 276.2
GTEX-1I1GR-0326-SM-CKZPI 60-69 years, male 275.7
GTEX-1J8JJ-0126-SM-D3L93 60-69 years, female 275.2
GTEX-15RIF-2126-SM-7KUM8 20-29 years, male 274.4
GTEX-1AX8Z-5004-SM-ARZLD 60-69 years, male 274.3
GTEX-11GSP-2726-SM-5A5LJ 60-69 years, female 274.1
GTEX-14BIM-0326-SM-5SI9B 60-69 years, female 274.1
GTEX-12WSM-0326-SM-5LZVI 60-69 years, male 273.8
GTEX-1GF9X-2126-SM-7PBXN 40-49 years, female 273.3
GTEX-OHPK-1626-SM-2YUN3 50-59 years, female 272.8
GTEX-ZC5H-0326-SM-5HL9F 40-49 years, female 272.8
GTEX-R55E-0526-SM-2TC6B 20-29 years, male 272.7
GTEX-1HFI6-0426-SM-B2LXB 40-49 years, male 272.5
GTEX-11ZUS-1426-SM-5FQSP 30-39 years, male 271.2
GTEX-1LG7Y-0126-SM-E6CJ8 50-59 years, male 271.1
GTEX-147JS-0526-SM-5TDD3 60-69 years, male 270.7
GTEX-WWTW-0626-SM-4MVNS 50-59 years, male 270.5
GTEX-XUZC-2126-SM-4BRW8 30-39 years, female 270.5
GTEX-14E1K-2326-SM-664MP 50-59 years, male 270.2
GTEX-1CB4E-2126-SM-793AP 60-69 years, male 269.0
GTEX-14PQA-0526-SM-7KUFS 50-59 years, female 268.8
GTEX-1C6VR-2526-SM-7DHMT 60-69 years, male 268.8
GTEX-132NY-0726-SM-5KLZM 60-69 years, male 268.6
GTEX-13O3O-0526-SM-5J1NL 60-69 years, female 268.1
GTEX-131XH-2726-SM-5GCO2 50-59 years, male 267.7
GTEX-1CAMQ-0326-SM-7MXUI 40-49 years, male 267.5
GTEX-15DDE-0526-SM-6ETZQ 50-59 years, female 267.2
GTEX-Y8E4-1026-SM-4VBQ5 40-49 years, male 266.1
GTEX-1EU9M-0126-SM-7P8P8 60-69 years, male 264.9
GTEX-14H4A-0926-SM-5ZZUU 40-49 years, female 264.8
GTEX-13O61-2326-SM-5J1NJ 60-69 years, male 264.5
GTEX-1MA7W-1826-SM-DIPFP 20-29 years, female 263.7
GTEX-11DXY-2726-SM-5GID2 60-69 years, male 263.1
GTEX-1PBJJ-0326-SM-E8VNT 30-39 years, male 263.1
GTEX-1MCC2-2726-SM-EWRN3 30-39 years, female 263.0
GTEX-ZYFD-0326-SM-5NQ8I 50-59 years, male 262.6
GTEX-1R9PO-2426-SM-EVYBS 60-69 years, female 262.1
GTEX-13FTY-0226-SM-5IJBW 40-49 years, female 261.4
GTEX-1KAFJ-2326-SM-D3L8Z 50-59 years, male 261.4
GTEX-1HCUA-2326-SM-ACKVJ 50-59 years, female 261.1
GTEX-XBEC-0626-SM-4QARY 50-59 years, male 261.0
GTEX-1GF9V-0126-SM-9WYT2 60-69 years, male 261.0
GTEX-145ME-2026-SM-5SIA5 40-49 years, female 260.2
GTEX-13OVH-0626-SM-5L3EI 70-79 years, male 260.0
GTEX-1497J-2626-SM-5SI9K 60-69 years, male 260.0
GTEX-1I1GP-2126-SM-CKZPJ 50-59 years, male 259.3
GTEX-1RB15-2226-SM-DTXFZ 60-69 years, male 259.2
GTEX-12WSN-2526-SM-5LZU8 40-49 years, male 258.9
GTEX-1E1VI-0426-SM-7DHN1 50-59 years, male 258.9
GTEX-WXYG-2526-SM-3NB3F 50-59 years, female 258.5
GTEX-1B8L1-2726-SM-793AL 60-69 years, male 258.4
GTEX-11TUW-2526-SM-5EQKN 60-69 years, male 258.1
GTEX-X88G-0326-SM-47JZ4 30-39 years, male 258.1
GTEX-11P82-1826-SM-5PNYJ 20-29 years, male 258.0
GTEX-ZF3C-0326-SM-4WWBF 50-59 years, female 258.0
GTEX-12WSG-5016-SM-7SB84 50-59 years, female 257.3
GTEX-13PLJ-0326-SM-5L3I7 60-69 years, female 257.2
GTEX-1JMQJ-0126-SM-E6CI2 50-59 years, male 256.6
GTEX-V1D1-2426-SM-3GAER 50-59 years, male 256.1
GTEX-1JMQI-2126-SM-CM2SC 50-59 years, male 256.0
GTEX-X4EO-0526-SM-3P5Z3 60-69 years, female 255.7
GTEX-13VXT-0326-SM-5LU4U 20-29 years, female 255.4
GTEX-131XE-2726-SM-5P9G7 50-59 years, male 254.7
GTEX-15F5U-1826-SM-6LLJF 40-49 years, male 254.4
GTEX-1PDJ9-0526-SM-DTXDL 20-29 years, male 254.0
GTEX-1KANA-0926-SM-D3L9K 20-29 years, male 253.4
GTEX-1QP67-1826-SM-DTX8D 40-49 years, female 252.8
GTEX-145LS-0526-SM-5LU8Y 60-69 years, female 252.7
GTEX-13NYB-2726-SM-5J2MT 40-49 years, male 252.6
GTEX-1IDJH-0226-SM-CYPSB 70-79 years, male 252.5
GTEX-13O1R-0526-SM-5K7XU 60-69 years, male 251.6
GTEX-15RIE-2426-SM-7KUDS 60-69 years, male 251.3
GTEX-11EI6-0326-SM-5EQ6G 60-69 years, male 251.0
GTEX-OXRN-1326-SM-3LK5V 50-59 years, male 249.9
GTEX-13JUV-2326-SM-5IJCE 40-49 years, female 249.7
GTEX-1QMI2-0526-SM-DTXFU 60-69 years, male 249.2
GTEX-14BIL-0326-SM-5SI9Q 50-59 years, male 249.0
GTEX-1EX96-1526-SM-7PBXK 50-59 years, male 248.8
GTEX-13IVO-0626-SM-5LZYJ 70-79 years, male 248.7
GTEX-ZLV1-2126-SM-4WWD2 60-69 years, female 248.6
GTEX-1LBAC-0326-SM-DIPF1 20-29 years, male 247.9
GTEX-1S5ZA-0526-SM-EWRO1 20-29 years, male 247.6
GTEX-XOT4-0526-SM-4B66O 60-69 years, female 247.4
GTEX-XBED-2626-SM-4E3J5 60-69 years, male 247.0
GTEX-1GPI6-0326-SM-9MQM6 60-69 years, male 246.8
GTEX-RWSA-0726-SM-2XCBE 40-49 years, male 246.7
GTEX-1H11D-0326-SM-9WG71 40-49 years, male 246.5
GTEX-1BAJH-0126-SM-7DHMF 70-79 years, male 246.3
GTEX-1H1CY-2726-SM-9MQLR 60-69 years, female 246.2
GTEX-OOBK-1626-SM-2HMKG 40-49 years, male 246.1
GTEX-XV7Q-2926-SM-4BRUL 40-49 years, female 246.0
GTEX-1EWIQ-0626-SM-7PBYW 70-79 years, female 245.9
GTEX-13111-2226-SM-5LZUE 50-59 years, male 245.8
GTEX-1B933-0426-SM-7DHMC 50-59 years, female 245.7
GTEX-P78B-1626-SM-5SI85 40-49 years, female 245.7
GTEX-1A3MV-2026-SM-718BU 30-39 years, male 245.5
GTEX-YB5K-2326-SM-5IFHD 40-49 years, female 245.4
GTEX-13S86-2326-SM-5RQK1 40-49 years, male 245.1
GTEX-13W3W-2626-SM-5SIA2 60-69 years, female 245.1
GTEX-1JKYR-0326-SM-CNPOL 20-29 years, male 245.1
GTEX-1QCLY-0426-SM-E8VOH 30-39 years, male 245.0
GTEX-1H1DG-0326-SM-9QEHK 70-79 years, male 243.9
GTEX-1212Z-2626-SM-5YY8P 60-69 years, male 243.6
GTEX-1AX9J-0126-SM-73KY2 60-69 years, male 243.4
GTEX-UPJH-0526-SM-4IHK8 50-59 years, male 243.1
GTEX-WHSE-0526-SM-5GZZD 20-29 years, male 242.3
GTEX-ZTX8-1626-SM-51MRY 20-29 years, male 242.3
GTEX-OXRK-1826-SM-2HMJE 50-59 years, female 241.6
GTEX-13OW6-0626-SM-5L3IB 50-59 years, male 241.4
GTEX-WYJK-1726-SM-3NM9U 50-59 years, male 241.3
GTEX-1IKJJ-0326-SM-CL55L 60-69 years, male 241.2
GTEX-1GMRU-0326-SM-9WYT6 50-59 years, male 240.6
GTEX-13FHP-0526-SM-5K7UY 50-59 years, male 240.1
GTEX-13NZB-2626-SM-5J2M7 30-39 years, male 240.1
GTEX-1I1GT-0726-SM-B2LWN 60-69 years, female 240.0
GTEX-146FQ-0326-SM-5NQAX 30-39 years, male 239.5
GTEX-1PPH8-0326-SM-E76PR 20-29 years, male 239.5
GTEX-Y111-0326-SM-4SOIX 50-59 years, male 238.0
GTEX-14AS3-2126-SM-5S2MK 40-49 years, female 237.9
GTEX-15UKP-0326-SM-7KUFP 20-29 years, male 237.9
GTEX-14BMU-2026-SM-5S2W6 20-29 years, female 237.8
GTEX-1S5VW-0526-SM-E6CHL 60-69 years, male 237.8
GTEX-12KS4-0826-SM-5BC5R 30-39 years, male 236.8
GTEX-1A8G6-0126-SM-7DUFY 60-69 years, male 236.1
GTEX-17KNJ-2426-SM-7DHLR 50-59 years, male 235.9
GTEX-1B8SF-0426-SM-79OL4 60-69 years, male 235.6
GTEX-1445S-0626-SM-5LU3C 60-69 years, male 235.5
GTEX-QCQG-2126-SM-DTXFV 50-59 years, female 235.5
GTEX-YFCO-1926-SM-4W212 40-49 years, male 235.3
GTEX-1S82U-1426-SM-E6CJL 30-39 years, female 235.1
GTEX-1IL2V-0526-SM-ARL8B 70-79 years, male 234.6
GTEX-Z93S-1326-SM-5CVMR 50-59 years, male 234.1
GTEX-1QP2A-0526-SM-E8VN5 50-59 years, male 233.9
GTEX-S33H-2226-SM-DKPOP 30-39 years, male 233.5
GTEX-13OVL-1426-SM-5IJC1 50-59 years, male 233.0
GTEX-15RIG-0426-SM-7KUF4 40-49 years, male 233.0
GTEX-ZGAY-0726-SM-DO91O 40-49 years, female 232.8
GTEX-1RAZQ-0426-SM-DTXFQ 30-39 years, male 232.4
GTEX-1M5QR-1326-SM-EWROC 40-49 years, male 231.9
GTEX-T6MN-0526-SM-32PMS 50-59 years, male 231.5
GTEX-1LSNM-2326-SM-EWRO8 50-59 years, male 231.1
GTEX-1IDJE-2426-SM-ACKWF 50-59 years, female 230.9
GTEX-U8XE-0726-SM-3DB8O 30-39 years, male 230.6
GTEX-1QEPI-0526-SM-E76QF 60-69 years, female 230.6
GTEX-14ICL-1926-SM-5RQIZ 30-39 years, male 230.5
GTEX-13OVJ-0226-SM-5L3GK 50-59 years, female 230.3
GTEX-PLZ5-1726-SM-2I5F6 50-59 years, male 230.1
GTEX-13N1W-0526-SM-5MR4I 70-79 years, male 230.0
GTEX-1B996-0326-SM-7DHMU 60-69 years, male 230.0
GTEX-14JG6-2126-SM-6EU2F 30-39 years, female 229.9
GTEX-1NUQO-0726-SM-E9J3K 20-29 years, female 229.9
GTEX-ZF2S-2126-SM-4WWAY 50-59 years, female 229.8
GTEX-11NSD-2026-SM-5HL5U 20-29 years, male 229.6
GTEX-U3ZG-0326-SM-47JXN 50-59 years, male 229.4
GTEX-14PJ2-0326-SM-6EU2Q 50-59 years, male 229.3
GTEX-145MO-0726-SM-5NQB9 60-69 years, male 229.2
GTEX-1AX9I-0326-SM-73KXQ 60-69 years, male 228.0
GTEX-1H2FU-0526-SM-ACKXO 60-69 years, female 228.0
GTEX-146FH-0526-SM-5QGQ3 50-59 years, female 227.7
GTEX-S7PM-0526-SM-3NM92 60-69 years, male 227.7
GTEX-1F75I-0526-SM-7RHI3 40-49 years, male 227.1
GTEX-WYVS-2326-SM-3NMAI 40-49 years, female 227.0
GTEX-1QAET-2026-SM-E9J3S 50-59 years, male 226.5
GTEX-1B932-0526-SM-73KU7 40-49 years, female 226.4
GTEX-ZDXO-0326-SM-4WKHJ 60-69 years, male 225.2
GTEX-14753-0526-SM-5QGPR 60-69 years, male 225.1
GTEX-11DXZ-2426-SM-5N9DT 50-59 years, male 224.0
GTEX-1GZ4I-0526-SM-9YFLX 50-59 years, male 223.9
GTEX-13FH7-2126-SM-5L3DJ 50-59 years, female 223.7
GTEX-15DZA-2026-SM-6PANE 30-39 years, female 223.7
GTEX-1HFI7-1926-SM-A96TQ 50-59 years, female 223.0
GTEX-OIZF-1626-SM-2YUNE 60-69 years, male 222.6
GTEX-WRHU-0826-SM-3MJFN 50-59 years, female 222.1
GTEX-14A5H-0326-SM-5RQIB 60-69 years, male 221.8
GTEX-YF7O-2526-SM-5IFJX 50-59 years, male 221.8
GTEX-Y114-2526-SM-4TT8M 50-59 years, female 221.2
GTEX-11TTK-0326-SM-5BC5N 60-69 years, female 221.0
GTEX-TML8-1826-SM-32QOR 40-49 years, female 221.0
GTEX-1GN73-0126-SM-CNPPT 60-69 years, male 220.9
GTEX-11VI4-1926-SM-5CVLI 40-49 years, female 220.8
GTEX-12ZZX-0326-SM-5DUVH 40-49 years, female 220.6
GTEX-1GF9U-2326-SM-7RHH9 40-49 years, female 220.6
GTEX-131XG-2326-SM-5HL8F 50-59 years, female 220.4
GTEX-1IGQW-0526-SM-CKZO3 60-69 years, male 220.4
GTEX-11DZ1-0926-SM-5EQ5R 50-59 years, male 220.1
GTEX-ZEX8-2526-SM-DO92M 50-59 years, male 219.9
GTEX-16BQI-0326-SM-6PAM4 30-39 years, female 219.8
GTEX-1PIGE-0226-SM-E76OT 20-29 years, male 219.8
GTEX-139TU-0526-SM-5J2M8 60-69 years, male 219.7
GTEX-1IKOH-0126-SM-COH4D 60-69 years, female 219.7
GTEX-WEY5-2026-SM-CYPRC 40-49 years, female 219.6
GTEX-1HB9E-0326-SM-D3LA5 50-59 years, male 219.5
GTEX-11P7K-1926-SM-5GU6R 30-39 years, male 219.4
GTEX-1GN1U-2226-SM-9MQK1 50-59 years, female 219.2
GTEX-QDT8-0526-SM-3NMD8 30-39 years, female 219.1
GTEX-1IDJV-0426-SM-COH3Z 60-69 years, male 219.0
GTEX-1S83E-2126-SM-EWRO6 40-49 years, male 218.2
GTEX-1J1R8-2326-SM-CKZPS 40-49 years, male 218.1
GTEX-1KXAM-2426-SM-DIPFC 60-69 years, male 218.1
GTEX-1S82P-0326-SM-E9TIR 60-69 years, female 218.1
GTEX-1GZ4H-1626-SM-7PC3F 50-59 years, female 217.2
GTEX-ZUA1-0326-SM-5NQA3 40-49 years, male 216.9
GTEX-1IDFM-1526-SM-ARL7U 60-69 years, male 216.8
GTEX-13FTX-2026-SM-5L3D6 20-29 years, female 216.6
GTEX-1C6WA-0326-SM-7DUGE 60-69 years, male 216.6
GTEX-16MTA-2026-SM-7KUL3 50-59 years, male 216.1
GTEX-Y3I4-2326-SM-4TT81 50-59 years, male 215.9
GTEX-1B97J-1226-SM-7PBZR 50-59 years, female 215.4
GTEX-1F52S-0826-SM-7P8TQ 60-69 years, female 215.1
GTEX-1JN76-0326-SM-ARZNJ 20-29 years, female 215.1
GTEX-17F96-2726-SM-7LT9F 70-79 years, male 214.9
GTEX-OHPL-1626-SM-2HMIR 60-69 years, female 214.7
GTEX-TMZS-0326-SM-3DB9P 60-69 years, male 214.7
GTEX-14C38-0426-SM-5TDDZ 50-59 years, male 214.6
GTEX-1EN7A-0326-SM-7P8T1 40-49 years, male 214.6
GTEX-1HGF4-2626-SM-CM2SJ 60-69 years, male 214.5
GTEX-1HUB1-0526-SM-CL54N 60-69 years, male 214.5
GTEX-1MJK3-1426-SM-E9TK1 20-29 years, male 214.5
GTEX-13FHO-0726-SM-5IJDG 60-69 years, male 214.4
GTEX-13PL7-0626-SM-5IJCD 60-69 years, female 214.0
GTEX-QESD-1626-SM-2S1RB 20-29 years, male 213.9
GTEX-14XAO-2226-SM-6LLHU 60-69 years, female 213.7
GTEX-ZPCL-2026-SM-57WFD 60-69 years, female 213.5
GTEX-148VJ-0326-SM-5QGQE 70-79 years, male 213.4
GTEX-XPVG-2526-SM-4B66D 50-59 years, male 212.8
GTEX-11OC5-0326-SM-5PNW5 60-69 years, male 212.7
GTEX-1F6IF-0226-SM-7PBZ6 60-69 years, male 212.5
GTEX-13PDP-0326-SM-5K7XP 60-69 years, male 212.0
GTEX-1CB4F-0326-SM-9MQKD 60-69 years, male 211.3
GTEX-15CHC-2426-SM-6EU22 60-69 years, female 210.9
GTEX-1LGOU-2126-SM-DIPFG 20-29 years, female 210.7
GTEX-14PII-0626-SM-69LPY 60-69 years, male 210.4
GTEX-XPT6-2026-SM-4B64V 20-29 years, male 210.4
GTEX-OOBJ-1626-SM-2I3F7 60-69 years, male 210.3
GTEX-TKQ2-0826-SM-33HB6 50-59 years, male 210.2
GTEX-11UD2-0326-SM-5EQLE 50-59 years, male 210.0
GTEX-U412-0326-SM-3DB9L 60-69 years, male 209.3
GTEX-14A5I-0326-SM-5NQ9J 50-59 years, female 209.2
GTEX-Y9LG-1926-SM-5IFHY 30-39 years, male 209.1
GTEX-1R46S-0326-SM-EWRNE 60-69 years, female 209.1
GTEX-OIZH-1626-SM-2HMKI 50-59 years, male 208.4
GTEX-1HCVE-0326-SM-CGQEW 50-59 years, male 208.4
GTEX-1C64O-0326-SM-73KVW 60-69 years, male 208.1
GTEX-ZXG5-0326-SM-5GICH 60-69 years, male 207.9
GTEX-1I1GS-0326-SM-ARL7X 60-69 years, male 207.8
GTEX-1A8G7-0326-SM-72D5B 60-69 years, male 207.7
GTEX-15DCD-0626-SM-7KUG7 70-79 years, female 207.6
GTEX-16NGA-1926-SM-7LTA6 40-49 years, female 207.5
GTEX-XAJ8-1026-SM-47JY9 40-49 years, male 207.2
GTEX-12WSJ-1726-SM-5LZVV 40-49 years, female 206.9
GTEX-1FIGZ-1726-SM-9MQKS 40-49 years, male 206.9
GTEX-11EQ8-0526-SM-5N9BC 60-69 years, male 206.7
GTEX-13OVG-2126-SM-5KM1K 60-69 years, male 206.4
GTEX-1GF9W-0526-SM-9MQJP 60-69 years, male 206.3
GTEX-111CU-2026-SM-5GZZC 50-59 years, male 206.2
GTEX-133LE-2026-SM-5K7WM 20-29 years, female 206.0
GTEX-17F97-0526-SM-7DUF8 50-59 years, male 205.7
GTEX-1GMR8-0326-SM-9KNUO 50-59 years, female 205.5
GTEX-O5YT-1626-SM-32PK6 20-29 years, male 205.4
GTEX-1IDJF-0326-SM-ADEIG 20-29 years, male 205.4
GTEX-1NHNU-1226-SM-DTX8I 50-59 years, male 205.4
GTEX-13NYS-0326-SM-5MR4L 60-69 years, male 205.3
GTEX-YBZK-0326-SM-59HLN 50-59 years, female 205.2
GTEX-1JKYN-1826-SM-ARZMZ 30-39 years, male 205.2
GTEX-13NZ9-0626-SM-5IJCO 50-59 years, male 205.1
GTEX-11GSO-2526-SM-5PNVX 60-69 years, male 204.8
GTEX-1314G-1726-SM-5LZUX 30-39 years, male 204.8
GTEX-1IL2U-0726-SM-EAZ2Y 60-69 years, male 204.7
GTEX-1C2JI-2126-SM-793CG 50-59 years, male 204.5
GTEX-QVJO-0126-SM-3GIK4 60-69 years, female 204.4
GTEX-T5JW-1826-SM-3GAE1 20-29 years, female 204.2
GTEX-RU1J-1726-SM-2TF5S 20-29 years, female 204.1
GTEX-14E6E-2026-SM-664N5 30-39 years, male 203.9
GTEX-1GMR2-2126-SM-7P8TX 50-59 years, male 203.0
GTEX-1K2DA-2226-SM-CGQGM 50-59 years, male 202.5
GTEX-1MCQQ-0626-SM-E9U5Q 60-69 years, male 202.5
GTEX-1R9JW-2426-SM-DTXFI 30-39 years, female 202.4
GTEX-131XF-2326-SM-5BC6B 60-69 years, male 202.3
GTEX-QV44-2026-SM-2S1RD 50-59 years, male 202.3
GTEX-X4XY-0626-SM-4E3IN 60-69 years, male 202.3
GTEX-ZVT2-2426-SM-57WCQ 50-59 years, female 202.3
GTEX-11ONC-2426-SM-5GU7H 60-69 years, male 201.8
GTEX-15CHR-2426-SM-7DUFX 50-59 years, male 201.7
GTEX-SIU8-0526-SM-2XCDP 50-59 years, male 201.7
GTEX-12BJ1-2526-SM-5FQUE 60-69 years, male 201.6
GTEX-ZAKK-0326-SM-5EGHA 70-79 years, male 201.4
GTEX-18D9A-1826-SM-718BK 30-39 years, female 200.9
GTEX-1PIEJ-0326-SM-EVYB5 20-29 years, female 200.1
GTEX-17HHY-0326-SM-7938H 50-59 years, male 199.5
GTEX-13W46-0726-SM-5LU3Z 50-59 years, male 199.1
GTEX-R53T-1826-SM-3GIJX 50-59 years, female 199.1
GTEX-13FTW-2326-SM-5K7YS 40-49 years, male 198.9
GTEX-1I19N-2026-SM-ACKXJ 70-79 years, male 198.7
GTEX-12WSD-0526-SM-5EQ6F 60-69 years, female 198.4
GTEX-1IDJU-2426-SM-ARZM9 60-69 years, female 198.3
GTEX-13RTL-0326-SM-7LT89 40-49 years, male 197.8
GTEX-14PJ3-2026-SM-5ZZVK 50-59 years, male 197.8
GTEX-Y8E5-0326-SM-57WBM 60-69 years, male 197.6
GTEX-ZYFG-2426-SM-5GIE8 60-69 years, female 197.3
GTEX-XMD2-0526-SM-4YCDI 60-69 years, female 197.2
GTEX-11H98-0326-SM-5HL4S 50-59 years, male 197.1
GTEX-1IDJD-1326-SM-CM2TQ 30-39 years, male 197.0
GTEX-1CB4I-0326-SM-7DHMM 50-59 years, male 196.9
GTEX-15SB6-1826-SM-6PALN 50-59 years, female 196.8
GTEX-16Z82-0126-SM-7DHLF 60-69 years, male 196.6
GTEX-Y5V6-2626-SM-5IFIX 60-69 years, male 196.5
GTEX-WFON-2326-SM-3LK7M 40-49 years, male 195.9
GTEX-1339X-2426-SM-5KLYU 40-49 years, male 195.8
GTEX-1IY9M-0326-SM-ARZMN 60-69 years, male 195.7
GTEX-11EMC-2626-SM-59864 60-69 years, female 195.4
GTEX-ZT9X-1826-SM-57WDU 40-49 years, male 194.9
GTEX-13OVK-1926-SM-6M48G 40-49 years, male 194.7
GTEX-1A32A-0526-SM-731B9 50-59 years, female 194.7
GTEX-14C5O-0626-SM-664N2 60-69 years, male 194.5
GTEX-15SHV-2526-SM-6PAMG 60-69 years, male 194.5
GTEX-13O3P-0626-SM-5L3D5 50-59 years, male 194.4
GTEX-XUW1-0826-SM-4BOP6 50-59 years, female 193.7
GTEX-1399U-2526-SM-5L3DL 50-59 years, female 193.5
GTEX-1JJ6O-0926-SM-CYPT1 60-69 years, male 193.3
GTEX-139T6-2026-SM-5IFFL 50-59 years, male 193.2
GTEX-1HKZK-0226-SM-9WYUG 40-49 years, male 193.2
GTEX-OXRL-1626-SM-2YUMU 50-59 years, male 193.1
GTEX-15SHW-0726-SM-7KUEI 60-69 years, male 192.6
GTEX-11DXX-2726-SM-5PNXO 60-69 years, female 192.3
GTEX-X638-0326-SM-47JY1 70-79 years, female 192.3
GTEX-1RAZA-0526-SM-E76R2 20-29 years, male 192.3
GTEX-1CAMR-1726-SM-793CU 20-29 years, male 192.0
GTEX-11ZU8-2326-SM-5EQMJ 60-69 years, male 191.9
GTEX-1GN1W-0726-SM-9KNTV 50-59 years, female 191.4
GTEX-YEC4-2226-SM-5IFJT 40-49 years, male 191.0
GTEX-1F75B-0526-SM-7P8T5 50-59 years, male 190.9
GTEX-1KANC-1626-SM-E6CIA 50-59 years, female 190.8
GTEX-147F3-0226-SM-5NQBV 50-59 years, female 190.7
GTEX-1MUQO-0226-SM-E9TJL 60-69 years, male 190.7
GTEX-P4QT-1626-SM-DHXIR 50-59 years, female 190.7
GTEX-Y5LM-2126-SM-4VDSY 40-49 years, female 190.0
GTEX-1H3VE-0126-SM-9WYTW 40-49 years, male 189.6
GTEX-1HSEH-0326-SM-A9G26 60-69 years, male 189.5
GTEX-WHSB-1826-SM-3TW8M 50-59 years, male 189.2
GTEX-RWS6-2126-SM-2XCAV 60-69 years, female 189.0
GTEX-1N2DV-0526-SM-DTX8W 40-49 years, male 188.9
GTEX-ZY6K-2026-SM-5GZXQ 50-59 years, male 188.5
GTEX-144GM-2026-SM-5LU3D 20-29 years, male 188.4
GTEX-146FR-1726-SM-5Q5DT 60-69 years, female 188.4
GTEX-1AYD5-2226-SM-73KX3 50-59 years, male 188.4
GTEX-QEG4-0626-SM-2S1OY 30-39 years, male 188.3
GTEX-QLQ7-1726-SM-2S1QQ 60-69 years, male 188.3
GTEX-1J8QM-2226-SM-CYPSK 60-69 years, female 188.3
GTEX-ZLWG-2126-SM-DO91M 50-59 years, female 188.3
GTEX-15ETS-0326-SM-6PANH 40-49 years, female 188.2
GTEX-1I6K7-0326-SM-B2LXO 40-49 years, male 188.1
GTEX-Q2AG-0426-SM-2S1PU 40-49 years, female 186.5
GTEX-YEC3-2126-SM-4YCDB 50-59 years, male 186.2
GTEX-11ZTT-2626-SM-5EQKK 60-69 years, female 186.1
GTEX-1A8FM-0526-SM-7P8SF 50-59 years, female 185.7
GTEX-14A6H-5019-SM-793DH 30-39 years, male 185.2
GTEX-RNOR-0526-SM-2TF4O 50-59 years, female 184.8
GTEX-1S82Y-2226-SM-EWRNV 40-49 years, male 184.7
GTEX-183FY-0226-SM-7LG54 20-29 years, male 184.5
GTEX-1HBPN-0526-SM-A9SM6 50-59 years, male 184.2
GTEX-1I4MK-2326-SM-ADEHR 50-59 years, female 184.2
GTEX-ZF29-2426-SM-DO92G 60-69 years, female 184.2
GTEX-1QP28-0526-SM-E8VNR 50-59 years, female 184.1
GTEX-OIZG-1326-SM-2HMIQ 50-59 years, male 183.8
GTEX-11EQ9-2126-SM-5PNVW 30-39 years, male 183.7
GTEX-X4XX-0626-SM-3NMC1 60-69 years, male 183.7
GTEX-1L5NE-2226-SM-CXZKS 50-59 years, male 183.4
GTEX-1ICLY-0326-SM-ARL7S 50-59 years, male 183.2
GTEX-11WQK-0726-SM-5GU71 50-59 years, male 183.1
GTEX-117YX-2526-SM-5EQ4Q 50-59 years, male 183.0
GTEX-11LCK-1226-SM-5Q5AM 30-39 years, male 182.9
GTEX-18D9U-0626-SM-7LTA4 40-49 years, male 182.9
GTEX-QEG5-0426-SM-2I5GJ 20-29 years, male 182.5
GTEX-1JK1U-2226-SM-CNNPL 60-69 years, male 182.4
GTEX-14DAR-1826-SM-664N1 50-59 years, male 181.7
GTEX-1AMEY-1526-SM-73KYW 30-39 years, female 181.6
GTEX-P4PQ-1626-SM-2HMKK 60-69 years, male 181.4
GTEX-13D11-2526-SM-5KM28 50-59 years, female 181.3
GTEX-17F98-1626-SM-7938R 40-49 years, female 181.3
GTEX-Z9EW-1726-SM-5CVMO 40-49 years, male 180.8
GTEX-11I78-2426-SM-5A5K9 50-59 years, female 180.6
GTEX-1E2YA-0526-SM-7P8RY 50-59 years, male 180.3
GTEX-R55C-1726-SM-3GADJ 40-49 years, male 179.8
GTEX-18A66-0126-SM-731CQ 60-69 years, male 179.4
GTEX-ZAJG-0526-SM-5S2MT 50-59 years, female 179.2
GTEX-QV31-1426-SM-2S1QD 30-39 years, male 179.1
GTEX-SUCS-1626-SM-32PLS 70-79 years, male 179.0
GTEX-1HC8U-2626-SM-CNPPH 40-49 years, female 179.0
GTEX-1I1GQ-0326-SM-A9SKS 50-59 years, male 178.6
GTEX-13QJ3-0726-SM-5SI68 50-59 years, male 178.4
GTEX-WHPG-2226-SM-3NMBO 50-59 years, male 178.1
GTEX-RU72-1326-SM-2TF6T 50-59 years, female 177.7
GTEX-1QCLZ-0326-SM-DTXG2 60-69 years, female 177.7
GTEX-1IE54-0326-SM-ARZMD 40-49 years, female 177.6
GTEX-Q734-2026-SM-3GADA 40-49 years, female 177.5
GTEX-1JMLX-0326-SM-CM2RP 50-59 years, male 177.4
GTEX-S95S-1426-SM-2XCDM 60-69 years, male 177.3
GTEX-14PJ6-2326-SM-6ETZR 60-69 years, female 176.9
GTEX-13CF3-1826-SM-5J1NK 60-69 years, female 176.8
GTEX-139T8-0526-SM-5KLZL 60-69 years, male 176.3
GTEX-WRHK-1626-SM-3MJFH 20-29 years, female 176.0
GTEX-OXRP-2326-SM-2S1NL 60-69 years, female 175.9
GTEX-1R7EV-2026-SM-DTX83 40-49 years, male 175.9
GTEX-SSA3-0326-SM-32QPS 60-69 years, male 175.8
GTEX-1OFPY-2526-SM-DTXEK 60-69 years, male 175.7
GTEX-ZDYS-1726-SM-5HL4Y 50-59 years, male 175.6
GTEX-16NPV-2426-SM-6M482 50-59 years, female 175.4
GTEX-1F88E-1826-SM-9MQLV 60-69 years, female 174.9
GTEX-14ASI-0526-SM-5QGQP 60-69 years, male 174.7
GTEX-1J8EW-0326-SM-CYPSX 60-69 years, female 174.5
GTEX-14PJ4-2426-SM-6EU1U 60-69 years, male 173.8
GTEX-17F9E-0226-SM-79OKK 50-59 years, male 173.2
GTEX-1HSMQ-1326-SM-ADEHS 50-59 years, male 173.0
GTEX-16XZZ-0526-SM-7KUF1 60-69 years, male 172.8
GTEX-XMD1-0626-SM-EZ6MC 60-69 years, male 172.2
GTEX-1GPI7-0426-SM-7RHHP 20-29 years, male 171.6
GTEX-11ZVC-2726-SM-5FQSZ 50-59 years, female 171.4
GTEX-11EM3-2126-SM-5H11M 20-29 years, female 171.3
GTEX-R55G-2326-SM-2TC61 40-49 years, female 171.0
GTEX-13OW8-1426-SM-5IJDT 60-69 years, male 170.9
GTEX-Y3IK-2626-SM-4WWDK 50-59 years, female 170.8
GTEX-14PJN-2126-SM-6AJBM 30-39 years, male 169.9
GTEX-Y8LW-2026-SM-4V6G8 50-59 years, female 169.6
GTEX-XGQ4-2326-SM-4AT53 50-59 years, male 169.5
GTEX-1B8KZ-2126-SM-73KYG 50-59 years, male 169.4
GTEX-16XZY-2226-SM-7938N 70-79 years, male 169.2
GTEX-PX3G-1626-SM-2S1PT 20-29 years, female 168.8
GTEX-WOFM-1326-SM-3MJFR 20-29 years, male 168.8
GTEX-R55D-0626-SM-3GAD5 50-59 years, male 168.4
GTEX-1B97I-2026-SM-7DHN2 40-49 years, male 168.2
GTEX-PLZ4-0926-SM-2S1OI 50-59 years, female 167.9
GTEX-PWCY-2026-SM-5SI8R 20-29 years, female 167.9
GTEX-1H3VY-0326-SM-9WYU6 50-59 years, male 167.9
GTEX-145MN-2426-SM-5NQA5 30-39 years, male 167.1
GTEX-11XUK-2226-SM-5CVLL 40-49 years, female 167.0
GTEX-1211K-2126-SM-59HJZ 60-69 years, female 166.9
GTEX-ZV6S-2126-SM-4YCEM 40-49 years, female 166.5
GTEX-17HGU-0626-SM-7939Y 50-59 years, male 166.3
GTEX-11TT1-2326-SM-5GU6N 20-29 years, male 165.8
GTEX-144GO-1326-SM-5Q5EL 60-69 years, male 165.0
GTEX-1HBPM-0426-SM-CKZOO 60-69 years, female 164.8
GTEX-1LG7Z-2126-SM-CXKYU 30-39 years, male 164.8
GTEX-145LT-1626-SM-5O992 40-49 years, male 164.3
GTEX-1399S-2726-SM-5KM22 30-39 years, female 164.2
GTEX-X5EB-2326-SM-46MW5 40-49 years, male 163.3
GTEX-13O21-1726-SM-5MR5A 50-59 years, male 163.2
GTEX-14C39-2426-SM-5S2U5 40-49 years, male 163.1
GTEX-TKQ1-1426-SM-4GICK 30-39 years, male 163.1
GTEX-U3ZM-1226-SM-3DB9G 40-49 years, male 163.1
GTEX-15UF7-2226-SM-6PAMQ 40-49 years, male 162.9
GTEX-144FL-0326-SM-5O99O 50-59 years, male 162.6
GTEX-ZLFU-2526-SM-DO91K 40-49 years, male 162.0
GTEX-16AAH-1826-SM-7939D 50-59 years, male 161.9
GTEX-U8T8-1426-SM-3DB9H 60-69 years, male 161.5
GTEX-1LGRB-2626-SM-CNPPR 50-59 years, female 161.5
GTEX-VJYA-1926-SM-3GIJJ 60-69 years, male 161.3
GTEX-WY7C-2526-SM-3NB2N 50-59 years, male 161.1
GTEX-1R9PM-2226-SM-E8VOC 20-29 years, male 160.6
GTEX-ZVP2-2126-SM-5GU6E 50-59 years, male 160.3
GTEX-XYKS-2426-SM-4AT43 60-69 years, female 160.0
GTEX-ZV7C-2426-SM-5NQ7Q 50-59 years, male 159.9
GTEX-1GTWX-0326-SM-9WYTP 60-69 years, male 159.9
GTEX-13X6K-0326-SM-5Q5D6 60-69 years, female 159.8
GTEX-1J8Q2-0126-SM-E9J2G 60-69 years, male 159.7
GTEX-17GQL-1926-SM-718B9 60-69 years, male 159.5
GTEX-12584-0526-SM-5FQTS 40-49 years, male 159.4
GTEX-14PJ5-2026-SM-6LLIN 60-69 years, female 159.4
GTEX-1JMQK-0326-SM-ARZN5 60-69 years, male 159.3
GTEX-X261-0326-SM-3NMD4 50-59 years, male 159.2
GTEX-ZYY3-0526-SM-5E45G 60-69 years, female 158.5
GTEX-13SLW-0326-SM-5RQK5 70-79 years, male 158.1
GTEX-12WSL-2726-SM-5CVNL 50-59 years, male 158.0
GTEX-WFG7-2226-SM-3GIKP 20-29 years, male 157.9
GTEX-1JMQL-0126-SM-CY8HN 50-59 years, female 157.9
GTEX-15EO6-2826-SM-6PANB 50-59 years, male 157.7
GTEX-1I6K6-0326-SM-CJI4A 30-39 years, male 157.0
GTEX-ZZ64-1526-SM-5E43K 20-29 years, male 156.9
GTEX-SJXC-0526-SM-2XCFG 60-69 years, male 156.7
GTEX-QEL4-0626-SM-3GIJM 50-59 years, male 156.5
GTEX-18D9B-0426-SM-7LTAR 60-69 years, male 156.3
GTEX-1HSGN-0326-SM-ACKXQ 40-49 years, female 156.3
GTEX-12C56-1926-SM-5FQUG 20-29 years, male 156.2
GTEX-183WM-0426-SM-731B1 70-79 years, female 156.1
GTEX-1H1ZS-0626-SM-CNPPU 70-79 years, male 155.9
GTEX-ZTPG-0126-SM-5O9AL 20-29 years, female 155.8
GTEX-1F5PL-0426-SM-7P8PR 40-49 years, female 155.8
GTEX-S32W-2326-SM-2XCAW 50-59 years, female 155.6
GTEX-SNMC-1426-SM-2XCFM 20-29 years, male 155.5
GTEX-13RTK-1626-SM-5QGQS 20-29 years, male 155.2
GTEX-1IKK5-0426-SM-CL53X 60-69 years, male 154.9
GTEX-ZF28-0526-SM-4WKGW 60-69 years, male 154.5
GTEX-QDVJ-1926-SM-2S1PJ 50-59 years, male 154.3
GTEX-1192X-0426-SM-5GIEE 50-59 years, male 154.2
GTEX-1AX9K-2726-SM-7DHMA 50-59 years, male 154.2
GTEX-OHPN-2726-SM-2I5H4 60-69 years, female 154.0
GTEX-1C475-1726-SM-73KVX 40-49 years, female 153.7
GTEX-1C4CL-0326-SM-7DHMH 30-39 years, male 153.7
GTEX-Q2AH-1826-SM-2S1Q2 40-49 years, male 153.4
GTEX-139T4-0326-SM-5K7XN 50-59 years, female 153.2
GTEX-1122O-2426-SM-5GIDN 60-69 years, female 152.9
GTEX-PWN1-1626-SM-2S1OL 40-49 years, female 152.8
GTEX-R3RS-0526-SM-3GADG 40-49 years, female 152.4
GTEX-13S7M-0326-SM-5S2PH 60-69 years, female 152.1
GTEX-1C6VQ-0326-SM-7DHMS 50-59 years, male 151.9
GTEX-ZAB5-2126-SM-5K7UN 50-59 years, male 151.7
GTEX-15G1A-2026-SM-7KUFG 30-39 years, male 151.6
GTEX-14PJO-0526-SM-6EU2O 60-69 years, male 151.5
GTEX-ZAB4-0426-SM-5HL7N 40-49 years, male 151.1
GTEX-1HR9M-0326-SM-CL549 60-69 years, male 150.8
GTEX-139YR-2526-SM-5IJC6 50-59 years, male 150.7
GTEX-RTLS-0526-SM-2TF64 60-69 years, female 150.4
GTEX-U3ZN-2226-SM-3DB88 30-39 years, female 150.4
GTEX-O5YV-2026-SM-2D7VS 60-69 years, female 150.0
GTEX-UJHI-1726-SM-3DB9B 50-59 years, female 149.3
GTEX-ZVZO-0326-SM-5HL4N 40-49 years, male 149.1
GTEX-1EH9U-0326-SM-7P8S2 60-69 years, male 148.5
GTEX-1LC47-0626-SM-DIPFE 60-69 years, male 148.4
GTEX-132Q8-0626-SM-5L3F3 60-69 years, male 148.3
GTEX-13X6I-0526-SM-5QGP8 60-69 years, male 148.2
GTEX-144GN-2426-SM-5LU4R 50-59 years, male 148.2
GTEX-1F5PK-2626-SM-7RHH6 50-59 years, male 148.2
GTEX-1KANB-0126-SM-E6CJT 50-59 years, male 148.2
GTEX-1K2DU-2526-SM-D3L8V 20-29 years, male 148.1
GTEX-1I1GU-2126-SM-CGQF9 40-49 years, male 148.0
GTEX-1P4AB-0326-SM-EXUT3 50-59 years, male 147.7
GTEX-XQ8I-0626-SM-4BOPT 50-59 years, male 147.6
GTEX-111YS-2326-SM-5987L 60-69 years, male 147.5
GTEX-1JN1M-0526-SM-CJI3D 60-69 years, female 146.9
GTEX-POMQ-1926-SM-3NB1Y 20-29 years, female 146.8
GTEX-RUSQ-1726-SM-2TF68 50-59 years, male 146.7
GTEX-15CHQ-0726-SM-6EU18 60-69 years, male 146.5
GTEX-PW2O-1726-SM-2S1OO 20-29 years, male 146.4
GTEX-OIZI-0626-SM-2XCEH 40-49 years, male 146.0
GTEX-13PVR-2526-SM-5RQIT 60-69 years, female 145.9
GTEX-18A67-0326-SM-7LG5X 50-59 years, male 145.8
GTEX-12696-2826-SM-5FQTY 60-69 years, male 145.3
GTEX-13JVG-0126-SM-5L3D3 60-69 years, male 145.1
GTEX-P4QS-1626-SM-2S1NH 60-69 years, male 145.0
GTEX-QLQW-1326-SM-2S1QS 30-39 years, male 144.9
GTEX-POYW-0526-SM-2XCEY 60-69 years, male 144.8
GTEX-18A7B-0326-SM-7LG65 70-79 years, male 144.6
GTEX-1H1E6-2126-SM-9KNVM 30-39 years, male 144.1
GTEX-ZPIC-2526-SM-57WDP 40-49 years, female 144.0
GTEX-PSDG-0426-SM-5SI86 50-59 years, male 143.7
GTEX-1J8Q3-1426-SM-CKZPU 60-69 years, male 143.6
GTEX-13QBU-2426-SM-5LU4L 40-49 years, female 143.5
GTEX-15UF6-1026-SM-7KUF7 70-79 years, female 143.1
GTEX-ZVE1-0526-SM-5NQ71 50-59 years, female 142.5
GTEX-ZA64-2026-SM-5PNXT 20-29 years, male 142.2
GTEX-15SDE-2326-SM-6PAL4 50-59 years, female 142.1
GTEX-ZZPU-2626-SM-5E45Y 50-59 years, female 142.0
GTEX-1J1OQ-0426-SM-A9SLI 40-49 years, female 141.6
GTEX-ZVE2-0626-SM-5GU7I 50-59 years, male 141.0
GTEX-1N2EF-0526-SM-E76OK 60-69 years, male 141.0
GTEX-1PWST-0426-SM-E76QV 70-79 years, male 139.7
GTEX-WFG8-2426-SM-3GILL 20-29 years, male 139.3
GTEX-SNOS-1526-SM-32PLW 40-49 years, male 139.1
GTEX-UJMC-1826-SM-3GADT 50-59 years, male 138.5
GTEX-1MCYP-2026-SM-DTXE4 20-29 years, female 138.3
GTEX-1JMPY-1226-SM-CJI3A 30-39 years, male 138.0
GTEX-1QPFJ-0326-SM-E8VO2 30-39 years, female 136.9
GTEX-1R7EU-0626-SM-DTX9N 60-69 years, male 136.4
GTEX-P44G-0526-SM-2XCD1 30-39 years, male 136.1
GTEX-V955-2426-SM-3GAEF 60-69 years, male 135.5
GTEX-ZVZP-2526-SM-57WBR 50-59 years, male 135.2
GTEX-14PN4-0326-SM-6EU2N 50-59 years, male 134.9
GTEX-TMMY-0426-SM-33HBB 40-49 years, female 134.7
GTEX-18QFQ-0326-SM-731C3 30-39 years, male 134.2
GTEX-17MF6-2026-SM-7LG5I 40-49 years, male 134.0
GTEX-X8HC-0526-SM-4E3JA 50-59 years, female 134.0
GTEX-VJWN-0426-SM-3GIJI 50-59 years, female 133.8
GTEX-ZWKS-0326-SM-5NQ7G 30-39 years, male 131.3
GTEX-1LVAO-0526-SM-EWRNS 60-69 years, male 131.3
GTEX-1477Z-1626-SM-5SIA8 60-69 years, male 131.1
GTEX-UTHO-0726-SM-3GAEN 60-69 years, male 131.1
GTEX-Q2AI-1526-SM-3GIJ3 40-49 years, male 130.6
GTEX-1IDJC-2026-SM-ADEIK 50-59 years, male 130.5
GTEX-1AMFI-2226-SM-731C6 50-59 years, female 129.6
GTEX-1A3MW-0526-SM-731BY 60-69 years, female 129.0
GTEX-13113-5019-SM-7EPH2 60-69 years, female 128.2
GTEX-Y5V5-2526-SM-4VBQ4 60-69 years, female 127.8
GTEX-1HSMP-0326-SM-A9SMC 70-79 years, male 127.7
GTEX-132AR-1026-SM-5PNVL 50-59 years, female 126.7
GTEX-U4B1-1626-SM-3DB8N 40-49 years, male 125.8
GTEX-1ICLZ-0626-SM-ARL83 60-69 years, male 125.6
GTEX-17EUY-0626-SM-793BE 20-29 years, male 125.1
GTEX-17EVQ-1226-SM-7LG59 70-79 years, male 124.2
GTEX-17HHE-2126-SM-7DHLO 50-59 years, male 123.8
GTEX-U3ZH-1926-SM-4DXTR 30-39 years, male 123.3
GTEX-1MJIX-2126-SM-E9J3A 40-49 years, male 123.3
GTEX-QVUS-0226-SM-3GIJY 60-69 years, female 123.0
GTEX-11UD1-0326-SM-5EQKX 40-49 years, female 122.8
GTEX-YB5E-2226-SM-5IFJ5 40-49 years, male 121.9
GTEX-T8EM-1326-SM-3DB7G 40-49 years, male 120.9
GTEX-1CB4H-0426-SM-7MXTL 60-69 years, female 120.7
GTEX-1A3MX-0526-SM-718A9 60-69 years, male 119.2
GTEX-VUSG-2626-SM-4KKZI 50-59 years, male 118.9
GTEX-1CAMS-0126-SM-79396 40-49 years, female 118.5
GTEX-17HII-0426-SM-793A3 50-59 years, male 118.2
GTEX-P44H-0426-SM-2XCEZ 40-49 years, male 117.3
GTEX-14E6C-1526-SM-664ND 40-49 years, male 116.5
GTEX-1LH75-2626-SM-E9TKL 50-59 years, female 116.4
GTEX-REY6-0826-SM-2TF4S 60-69 years, male 115.2
GTEX-1H23P-0526-SM-9WG6S 60-69 years, male 114.9
GTEX-1H3NZ-0326-SM-9MQL6 60-69 years, male 114.9
GTEX-17MFQ-1926-SM-793A6 20-29 years, male 113.7
GTEX-ZP4G-2026-SM-57WEH 20-29 years, female 113.7
GTEX-ZYW4-0526-SM-5GZZ5 60-69 years, male 113.6
GTEX-13N11-2726-SM-5L3ER 50-59 years, female 113.4
GTEX-1JMPZ-0126-SM-CNPOZ 30-39 years, male 110.4
GTEX-QDVN-2426-SM-2S1Q4 50-59 years, male 110.0
GTEX-ZZPT-0626-SM-5GZXT 50-59 years, male 108.3
GTEX-PLZ6-1526-SM-2S1OC 30-39 years, male 108.1
GTEX-16MT8-0326-SM-6PAM5 60-69 years, female 103.9
GTEX-1R9K5-0326-SM-EWRNG 50-59 years, male 103.7
GTEX-169BO-1526-SM-9KNVR 50-59 years, male 103.2
GTEX-13RTJ-2726-SM-73KVG 60-69 years, male 101.3
GTEX-1F48J-0526-SM-9WYSX 50-59 years, female 100.0
GTEX-SE5C-1826-SM-2XCE4 40-49 years, female 99.5
GTEX-RM2N-1626-SM-2TF5N 50-59 years, male 97.9
GTEX-1B8KE-2226-SM-7939K 50-59 years, male 96.6
GTEX-1CB4J-1226-SM-7P8P3 60-69 years, male 96.3
GTEX-12WSA-0726-SM-5FQU2 60-69 years, male 94.8
GTEX-1H3O1-0626-SM-9MQM4 60-69 years, male 83.6
GTEX-WOFL-0626-SM-3MJG3 60-69 years, male 82.3
GTEX-1117F-0426-SM-5EGHI 60-69 years, female 77.8
GTEX-TSE9-0526-SM-3DB7Z 60-69 years, female 77.7
GTEX-SN8G-0326-SM-32PLG 50-59 years, female 77.0
GTEX-P4PP-1626-SM-2HMJF 30-39 years, female 75.6
GTEX-13OVI-1726-SM-5L3DW 60-69 years, female 71.5
GTEX-1HSMO-0526-SM-ACKXB 60-69 years, male 68.1
GTEX-13YAN-0526-SM-5O9BE 60-69 years, male 58.0
GTEX-OXRO-1726-SM-3LK6C 60-69 years, female 51.7
Show allShow less

SKELETAL MUSCLE - FANTOM5 CAGEi

RNA expression in human tissues obtained through Cap Analysis of Gene Expression (CAGE) generated by the FANTOM5 project are reported as Scaled Tags Per Million.

Max subtype Scaled Tags Per Millioni

Max subtype Scaled Tags Per Million is the value for the subtype with the largest average Scaled Tags Per Million across the subtype samples.

484.6
FANTOM5 sample id Sample description Scaled Tags Per Million
Skeletal muscle
Scaled Tags Per Million: 484.6
FF:10023-101D5 55,79,79 years, mixed 484.6
Skeletal muscle - soleus muscle
Scaled Tags Per Million: 380.8
FF:10282-104F3 male 380.8

Contact

  • NEWS ARTICLES
  • PRESS ROOM

The Project

  • INTRODUCTION
  • ORGANIZATION
  • PUBLICATIONS

The Human Protein Atlas

  • DOWNLOADABLE DATA
  • LICENCE & CITATION
  • HELP & FAQ
The Human Protein Atlas project is funded
by the Knut & Alice Wallenberg Foundation.


contact@proteinatlas.org