We use cookies to enhance the usability of our website. If you continue, we'll assume that you are happy to receive all cookies. More information. Don't show this again.
BANF1
HPA
RESOURCES
  • TISSUE
  • BRAIN
  • SINGLE CELL
  • SUBCELLULAR
  • CANCER
  • BLOOD
  • CELL LINE
  • STRUCTURE & INTERACTION
ABOUT
  • INTRODUCTION
  • HISTORY
  • ORGANIZATION
  • PUBLICATIONS
  • ANTIBODY SUBMISSION
  • ANTIBODY AVAILABILITY
  • ACKNOWLEDGMENTS
  • CONTACT
NEWS
  • NEWS ARTICLES
  • PRESS ROOM
LEARN
  • DICTIONARY
  • PROTEIN CLASSES
  • PROTEIN EVIDENCE
  • METHODS
  • EDUCATIONAL VIDEOS
DATA
  • DOWNLOADABLE DATA
  • PUBLICATION DATA
  • RELEASE HISTORY
HELP
  • ANTIBODY VALIDATION
  • ASSAYS & ANNOTATION
  • DISCLAIMER
  • HELP & FAQ
  • PRIVACY STATEMENT
  • LICENCE & CITATION
Fields »
Search result

Field
Term
Gene name
Class
Subclass
Class
Keyword
Chromosome
External id
Tissue
Cell type
Expression
Antibody panel
Tissue
Main location
Patient ID
Annotation
Tissue
Category
Tau score
Cluster
Reliability
Brain region
Category
Tau score
Brain region
Category
Tau score
Brain region
Category
Tau score
Cluster
Reliability
Tissue
Cell type
Enrichment
Cell type
Category
Tau score
Cell type
Category
Tau score
Cell type
Category
Tau score
Cell lineage
Category
Tau score
Cluster
Cluster
Location
Searches
Location
Cell line
Class
Type
Phase
Reliability
Cancer
Prognosis
Cancer
Category
Cancer
Category
Tau score
Cluster
Variants
Interacting gene (ensg_id)
Type
Number of interactions
Pathway
Category
Score
Score
Score
Validation
Validation
Validation
Validation
Antibodies
Data type
Column


  • SUMMARY

  • TISSUE

  • BRAIN

  • SINGLE CELL

  • SUBCELL

  • CANCER

  • BLOOD

  • CELL LINE

  • STRUCT & INT

  • BANF1
TISSUE PRIMARY DATA SMALL INTESTINE Show tissue menu
ADIPOSE TISSUE ADRENAL GLAND AMYGDALA APPENDIX BASAL GANGLIA BONE MARROW BREAST BRONCHUS CEREBELLUM CEREBRAL CORTEX CERVIX CHOROID PLEXUS COLON DUODENUM
ENDOMETRIUM EPIDIDYMIS ESOPHAGUS FALLOPIAN TUBE GALLBLADDER HEART MUSCLE HIPPOCAMPAL FORMATION HYPOTHALAMUS KIDNEY LIVER LUNG LYMPH NODE MIDBRAIN NASOPHARYNX
ORAL MUCOSA OVARY PANCREAS PARATHYROID GLAND PITUITARY GLAND PLACENTA PROSTATE RECTUM RETINA SALIVARY GLAND SEMINAL VESICLE SKELETAL MUSCLE SKIN SMALL INTESTINE
SMOOTH MUSCLE SOFT TISSUE SPINAL CORD SPLEEN STOMACH TESTIS THYMUS THYROID GLAND TONGUE TONSIL URINARY BLADDER VAGINA
ANTIBODIES
AND
VALIDATION
Dictionary
Small intestine
Tissue proteome
Intestine
SMALL INTESTINE - Expression summary
Protein expression
Small intestinei

On the top, protein expression in current human tissue, based on all annotated cell types, is reported with the units not detected (n), low (l), medium (m) and high (h). Underneath, protein expression in each annotated cell type are reported using the same units.

Protein expression data is based on knowledge-based annotation. For genes where more than one antibody has been used, a collective score is set.

If knowledge-based annotation could not be performed for a gene, no data is displayed here. View antibody staining data further down this page.

h
m
l
n
Glandular cells: Medium
RNA expressioni

A summary of mRNA expression data available for current tissue based on several datasets. The mRNA expression levels in human tissues are based on RNA-seq data generated by the Human Protein Atlas (HPA), Genotype-Tissue Expression (GTEx) portal and CAGE data generated by the FANTOM5 consortium. Consensus normalized expression levels for human tissues was created by combining the data from HPA and GTEx datasets.

The mRNA expression levels in pig are based on RNA-seq data generated by the Human Protein Atlas (HPA), and for mouse, HPA data and in situ hybridization generated by the Allen brain atlas are reported.

Scroll down to view mRNA expression data in more detail.
Consensus:102.0 nTPM
HPA:102.0 nTPM
GTEx:65.3 nTPM
FANTOM5:137.1 Scaled Tags Per Million

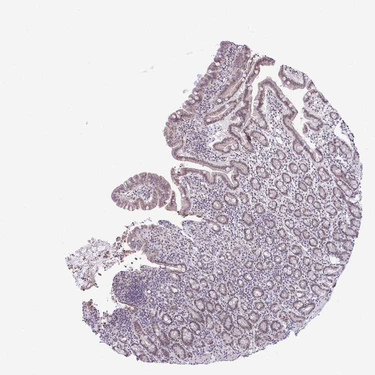
SMALL INTESTINE - Antibody stainingi

Antibody staining in the annotated cell types in the current human tissue is reported as not detected, low, medium, or high, based on conventional immunohistochemistry profiling in selected tissues. This score is based on the combination of the staining intensity and fraction of stained cells.

Each image is clickable and will lead to virtual microscopy that enables deeper exploration of all samples and also displays staining intensity scores, fraction scores and subcellular localization as well as patient and tissue information for each sample.

Antibody HPA039242Antibody CAB032896
Glandular cells MediumMedium




SMALL INTESTINE - HPA RNA-seqi

The RNA-seq details section shows detailed information about the individual samples used for the transcript profiling and results of the RNA-seq analysis.

Information about each individual sample is listed below, including gender, age, a tissue section image and estimated fractions of cell types. nTPM (normalized transcripts per million) values give a quantification of the gene abundance which is comparable between different genes and samples.
Average nTPMi

Max subtype nTPM is the value for the subtype with the largest average nTPM across the subtype samples.

102.0
overview
Male, age 65
Small intestine sample 232
nTPM: 106.4
Cell types%
Glandular cells:
55

Smooth muscle cells:
5

Other cell types:
40

overview
Male, age 39
Small intestine sample 233
nTPM: 102.5
Cell types%
Glandular cells:
40

Smooth muscle cells:
5

Other cell types:
55

overview
Male, age 68
Small intestine sample 234
nTPM: 105.1
Cell types%
Glandular cells:
30

Smooth muscle cells:
15

Other cell types:
55

N/A
Male, age 85
Small intestine sample 235
nTPM: 94.2

SMALL INTESTINE - GTEx RNA-seqi

RNA-Seq data generated by the Genotype-Tissue Expression (GTEx) project from human tissues is reported as mean nTPM. More information can be found on the GTEx portal.

Distribution across the dataset is visualized with box plots, shown as median and 25th and 75th percentiles. Points are displayed as outliers if they are above or below 1.5 times the interquartile range. nTPM values of the individual samples are presented next to the box plot.
Max subtype nTPMi

Max subtype nTPM is the value for the subtype with the largest average nTPM across the subtype samples.

65.3
GTEx sample id Sample description nTPM
Small Intestine - Terminal Ileum
Average nTPM: 65.3
Samples: 187

Max nTPM: 128.0
Min nTPM: 33.9
Std nTPM: 19.1
Median nTPM: 61.2
GTEX-1NSGN-2126-SM-DPRYN 50-59 years, male 128.0
GTEX-131XE-0926-SM-5HL7J 50-59 years, male 124.5
GTEX-1EMGI-2826-SM-7IGMR 60-69 years, male 123.6
GTEX-13NYB-1826-SM-5J1N3 40-49 years, male 116.9
GTEX-13W3W-2026-SM-5K7UL 60-69 years, female 116.0
GTEX-ZAB5-1526-SM-5HL9P 50-59 years, male 104.4
GTEX-UPK5-2026-SM-4JBIM 40-49 years, male 103.6
GTEX-Y5V5-1826-SM-4VDS5 60-69 years, female 100.6
GTEX-Y5LM-1626-SM-4VDTB 40-49 years, female 99.9
GTEX-1192X-2526-SM-59868 50-59 years, male 97.8
GTEX-1K9T9-2726-SM-D4P3E 50-59 years, female 95.1
GTEX-16NGA-1126-SM-7KFSY 40-49 years, female 95.0
GTEX-17KNJ-1626-SM-718AL 50-59 years, male 95.0
GTEX-1QW4Y-1226-SM-EWRMY 30-39 years, male 94.5
GTEX-1H11D-2526-SM-9JGGU 40-49 years, male 92.9
GTEX-Y3IK-1726-SM-4YCCR 50-59 years, female 91.5
GTEX-18A66-2526-SM-7KFTZ 60-69 years, male 91.4
GTEX-ZF2S-1726-SM-57WFT 50-59 years, female 90.6
GTEX-VUSG-1726-SM-4KKZL 50-59 years, male 89.1
GTEX-X15G-1426-SM-4PQZK 50-59 years, female 89.1
GTEX-1OKEX-1126-SM-DTXEB 60-69 years, male 89.1
GTEX-XPVG-1726-SM-4B65W 50-59 years, male 87.5
GTEX-1I1GT-1826-SM-ARZLW 60-69 years, female 87.4
GTEX-117YX-0326-SM-5GICL 50-59 years, male 87.2
GTEX-1CAMS-2426-SM-7DHMV 40-49 years, female 86.8
GTEX-14BMU-1426-SM-5TDE5 20-29 years, female 86.2
GTEX-11NSD-1726-SM-5N9C3 20-29 years, male 85.3
GTEX-WFG8-1626-SM-4LVMB 20-29 years, male 85.3
GTEX-1CB4F-1826-SM-7MGXI 60-69 years, male 85.1
GTEX-Y111-2226-SM-4SOJB 50-59 years, male 84.8
GTEX-1BAJH-2526-SM-7IGOT 70-79 years, male 84.6
GTEX-1MGNQ-2326-SM-EV7BG 40-49 years, male 84.4
GTEX-1RAZR-1826-SM-E6CRE 40-49 years, male 84.2
GTEX-XGQ4-1326-SM-4GIDU 50-59 years, male 83.3
GTEX-1R9PM-1626-SM-DPRY9 20-29 years, male 83.0
GTEX-14XAO-1926-SM-6ETZO 60-69 years, female 82.9
GTEX-Y3I4-1326-SM-4TT8Z 50-59 years, male 82.7
GTEX-14C39-1826-SM-5ZZW4 40-49 years, male 81.6
GTEX-1R9JW-1926-SM-EVR4J 30-39 years, female 81.3
GTEX-11LCK-1926-SM-5A5KE 30-39 years, male 81.1
GTEX-14PKV-2026-SM-6AJ9A 20-29 years, female 80.9
GTEX-ZA64-1226-SM-5HL7B 20-29 years, male 80.9
GTEX-1399R-2026-SM-5K7WN 30-39 years, male 80.6
GTEX-17MFQ-1026-SM-7KFSZ 20-29 years, male 80.2
GTEX-ZC5H-2326-SM-4WAYT 40-49 years, female 79.5
GTEX-1S82Z-1826-SM-E9TIK 30-39 years, female 78.8
GTEX-XMK1-1826-SM-4B66F 40-49 years, male 78.7
GTEX-14PK6-1626-SM-6871I 70-79 years, female 78.6
GTEX-1C64O-2526-SM-79ONO 60-69 years, male 78.4
GTEX-1PIEJ-1526-SM-E6CP8 20-29 years, female 77.0
GTEX-VJYA-0926-SM-4KL1N 60-69 years, male 76.0
GTEX-16A39-1426-SM-6LLI6 30-39 years, female 75.8
GTEX-139YR-2226-SM-5IFFW 50-59 years, male 75.4
GTEX-WYJK-1526-SM-4ONCW 50-59 years, male 74.8
GTEX-1JK1U-1226-SM-CNNPN 60-69 years, male 74.8
GTEX-1GL5R-2026-SM-7MKHP 50-59 years, male 74.5
GTEX-ZEX8-1826-SM-57WBH 50-59 years, male 74.5
GTEX-1IKOE-1926-SM-ARU7V 30-39 years, female 73.7
GTEX-1QCLZ-2126-SM-EWRNC 60-69 years, female 73.6
GTEX-1RAZA-1826-SM-DTXA2 20-29 years, male 73.3
GTEX-13111-1426-SM-5DUW3 50-59 years, male 73.1
GTEX-133LE-1426-SM-5IFH1 20-29 years, female 73.0
GTEX-ZPIC-2326-SM-57WDW 40-49 years, female 72.7
GTEX-1JMQK-2426-SM-CXZJU 60-69 years, male 72.2
GTEX-183FY-1626-SM-793D8 20-29 years, male 72.0
GTEX-WFON-1526-SM-4LVMP 40-49 years, male 71.9
GTEX-1B8KZ-1126-SM-7IGLX 50-59 years, male 71.5
GTEX-1H1DE-1426-SM-9JGHV 20-29 years, male 71.2
GTEX-13X6H-1826-SM-7EWCZ 50-59 years, female 71.1
GTEX-WEY5-1526-SM-4LMJF 40-49 years, female 70.4
GTEX-1KXAM-2026-SM-DHXKI 60-69 years, male 70.2
GTEX-1R9K5-2026-SM-E6CPS 50-59 years, male 70.0
GTEX-13FTW-2026-SM-5IJE2 40-49 years, male 69.8
GTEX-ZLV1-1126-SM-4WWBW 60-69 years, female 69.2
GTEX-ZTPG-2626-SM-57WFX 20-29 years, female 69.1
GTEX-1L5NE-1826-SM-EV79T 50-59 years, male 69.0
GTEX-16AAH-1426-SM-7KFTR 50-59 years, male 68.9
GTEX-145LT-1026-SM-5LU9O 40-49 years, male 68.2
GTEX-14PJ3-1326-SM-664O7 50-59 years, male 68.0
GTEX-11P82-0826-SM-5P9GU 20-29 years, male 67.8
GTEX-WHSB-1026-SM-4M1XN 50-59 years, male 67.4
GTEX-WRHK-1026-SM-4MVOD 20-29 years, female 67.4
GTEX-ZYFG-2026-SM-5E43Y 60-69 years, female 67.3
GTEX-WQUQ-2426-SM-4MVNW 60-69 years, male 67.0
GTEX-1OJC3-1626-SM-E9U65 20-29 years, male 66.9
GTEX-13RTK-0826-SM-5Q5C6 20-29 years, male 65.8
GTEX-1AX8Z-2526-SM-731E3 60-69 years, male 65.8
GTEX-111CU-1326-SM-5NQ8L 50-59 years, male 65.5
GTEX-1R9K4-2326-SM-E6CRB 60-69 years, male 63.9
GTEX-1LBAC-1526-SM-CXZKU 20-29 years, male 62.0
GTEX-ZP4G-1626-SM-57WGD 20-29 years, female 61.8
GTEX-131XG-1726-SM-5LZUR 50-59 years, female 61.2
GTEX-1LH75-1926-SM-DIPGD 50-59 years, female 61.2
GTEX-1PDJ9-1826-SM-E9U66 20-29 years, male 61.2
GTEX-1J8QM-1026-SM-C1YQA 60-69 years, female 60.8
GTEX-YFCO-1326-SM-664NV 40-49 years, male 60.7
GTEX-1R7EV-1226-SM-DTX82 40-49 years, male 60.6
GTEX-Z9EW-0926-SM-5CVMM 40-49 years, male 60.5
GTEX-14E6E-1626-SM-5RQI7 30-39 years, male 60.4
GTEX-WFG7-1726-SM-4LVME 20-29 years, male 60.4
GTEX-13CF3-1226-SM-5LZXN 60-69 years, female 60.0
GTEX-15EU6-1826-SM-7PC1W 50-59 years, male 59.5
GTEX-1MUQO-2426-SM-EAZ5A 60-69 years, male 59.0
GTEX-1C475-1426-SM-793CH 40-49 years, female 58.4
GTEX-ZLWG-1626-SM-DNZZ1 50-59 years, female 58.0
GTEX-ZQUD-0926-SM-57WE3 30-39 years, male 57.9
GTEX-1JJE9-2226-SM-CXZJM 70-79 years, male 57.8
GTEX-1RAZQ-2226-SM-DPRZR 30-39 years, male 57.7
GTEX-WH7G-1626-SM-4LVMY 40-49 years, male 57.4
GTEX-11VI4-1626-SM-5EQKO 40-49 years, female 56.9
GTEX-13D11-0726-SM-5LZZB 50-59 years, female 56.8
GTEX-139T6-1026-SM-5IJGC 50-59 years, male 56.6
GTEX-1JN76-1126-SM-C1YRL 20-29 years, female 56.5
GTEX-1GMR2-1026-SM-7MKHJ 50-59 years, male 56.1
GTEX-1QP28-1726-SM-E6CRK 50-59 years, female 56.0
GTEX-XUZC-1426-SM-4BRV3 30-39 years, female 55.8
GTEX-WFJO-0926-SM-4LVM2 30-39 years, male 55.6
GTEX-17HHE-1726-SM-79OKT 50-59 years, male 55.5
GTEX-14DAR-1426-SM-5RQIR 50-59 years, male 55.3
GTEX-ZQG8-2526-SM-57WEQ 60-69 years, female 55.1
GTEX-YEC4-1726-SM-4W21E 40-49 years, male 54.8
GTEX-1QP2A-2426-SM-EXOJA 50-59 years, male 54.8
GTEX-1HSMQ-2226-SM-C1YRD 50-59 years, male 54.1
GTEX-YB5E-1526-SM-5IFIE 40-49 years, male 53.9
GTEX-11XUK-1426-SM-5EQMG 40-49 years, female 53.7
GTEX-15G1A-1726-SM-6LPI4 30-39 years, male 53.4
GTEX-ZVT2-2126-SM-5NQ93 50-59 years, female 53.2
GTEX-1122O-1326-SM-5H11F 60-69 years, female 52.6
GTEX-ZG7Y-1926-SM-DNZZ5 50-59 years, male 52.6
GTEX-XBED-1426-SM-4AT4G 60-69 years, male 52.5
GTEX-1LGOU-1426-SM-D3L8N 20-29 years, female 52.1
GTEX-1CAMR-0826-SM-7MKFK 20-29 years, male 52.0
GTEX-13QBU-1926-SM-5IJEW 40-49 years, female 51.7
GTEX-XAJ8-0526-SM-47JYK 40-49 years, male 51.7
GTEX-ZVP2-1726-SM-5GU5P 50-59 years, male 51.7
GTEX-13FH7-1226-SM-5IJFK 50-59 years, female 51.6
GTEX-1497J-1926-SM-5TDCC 60-69 years, male 51.3
GTEX-14PJ6-1726-SM-6AJBN 60-69 years, female 51.3
GTEX-X5EB-1626-SM-4E3IV 40-49 years, male 51.0
GTEX-11DXZ-1326-SM-5H11X 50-59 years, male 50.9
GTEX-13O61-1326-SM-5KM31 60-69 years, male 50.7
GTEX-WY7C-1826-SM-4ONCE 50-59 years, male 50.7
GTEX-14PJN-0826-SM-686ZL 30-39 years, male 50.4
GTEX-13113-1226-SM-5EGHT 60-69 years, female 50.2
GTEX-131XF-1326-SM-5GCMQ 60-69 years, male 50.2
GTEX-145ME-0926-SM-5O9AR 40-49 years, female 50.2
GTEX-XXEK-1026-SM-4BRUW 50-59 years, male 50.2
GTEX-1F75I-2526-SM-9WPOZ 40-49 years, male 50.0
GTEX-11DXX-1626-SM-5H11H 60-69 years, female 49.7
GTEX-1GMR3-2726-SM-7MKFB 40-49 years, male 49.4
GTEX-13PL7-2626-SM-5IFH4 60-69 years, female 49.3
GTEX-144GM-1026-SM-79OKU 20-29 years, male 49.0
GTEX-11EQ9-1326-SM-5985X 30-39 years, male 48.7
GTEX-1S5ZA-1326-SM-EV7BB 20-29 years, male 48.6
GTEX-ZXES-1526-SM-5NQ95 30-39 years, female 48.2
GTEX-15DZA-0826-SM-6AJBF 30-39 years, female 47.5
GTEX-ZDTT-1726-SM-5HL69 60-69 years, male 47.4
GTEX-18QFQ-1626-SM-72D7H 30-39 years, male 47.0
GTEX-12WSK-1526-SM-5CVNO 40-49 years, female 46.7
GTEX-ZTX8-0526-SM-59HLD 20-29 years, male 46.5
GTEX-1AMFI-1926-SM-731F2 50-59 years, female 45.6
GTEX-13O21-1026-SM-5IJDU 50-59 years, male 45.4
GTEX-ZZ64-0526-SM-5GZXM 20-29 years, male 45.3
GTEX-1R7EU-1326-SM-E6CQ6 60-69 years, male 45.1
GTEX-1QPFJ-2626-SM-DPRZU 30-39 years, female 44.8
GTEX-1399U-2126-SM-5IFEZ 50-59 years, female 44.5
GTEX-ZVZP-1826-SM-5GZXB 50-59 years, male 44.0
GTEX-11I78-1126-SM-5A5K5 50-59 years, female 43.8
GTEX-13OVI-1926-SM-5IJCG 60-69 years, female 43.8
GTEX-14PKU-1626-SM-6871C 40-49 years, female 43.8
GTEX-ZPCL-1726-SM-57WEO 60-69 years, female 43.8
GTEX-12BJ1-1926-SM-5HL9Z 60-69 years, male 43.0
GTEX-YF7O-1826-SM-5IFIU 50-59 years, male 42.6
GTEX-1399S-2026-SM-5KM4B 30-39 years, female 40.9
GTEX-11P7K-1626-SM-5GU63 30-39 years, male 40.8
GTEX-1B8KE-1726-SM-7IGMN 50-59 years, male 40.7
GTEX-16MTA-1526-SM-6LPJB 50-59 years, male 39.3
GTEX-ZLFU-1526-SM-4WWBT 40-49 years, male 38.0
GTEX-14PN3-2026-SM-68729 60-69 years, female 36.7
GTEX-Y9LG-1626-SM-5IFHM 30-39 years, male 36.4
GTEX-11TUW-1926-SM-5BC58 60-69 years, male 36.1
GTEX-Y114-1426-SM-4TT6W 50-59 years, female 35.8
GTEX-111YS-1426-SM-5GID8 60-69 years, male 35.5
GTEX-ZTSS-0926-SM-59865 40-49 years, male 35.2
GTEX-148VJ-2226-SM-5NQ9M 70-79 years, male 34.8
GTEX-ZF29-1626-SM-4WKFJ 60-69 years, female 34.8
GTEX-1J8Q3-2526-SM-CNNQ4 60-69 years, male 33.9
Show allShow less

SMALL INTESTINE - FANTOM5 CAGEi

RNA expression in human tissues obtained through Cap Analysis of Gene Expression (CAGE) generated by the FANTOM5 project are reported as Scaled Tags Per Million.

Max subtype Scaled Tags Per Millioni

Max subtype Scaled Tags Per Million is the value for the subtype with the largest average Scaled Tags Per Million across the subtype samples.

137.1
FANTOM5 sample id Sample description Scaled Tags Per Million
Small intestine
Scaled Tags Per Million: 137.1
FF:10024-101D6 15,40,85 years, mixed 137.1

Contact

  • NEWS ARTICLES
  • PRESS ROOM

The Project

  • INTRODUCTION
  • ORGANIZATION
  • PUBLICATIONS

The Human Protein Atlas

  • DOWNLOADABLE DATA
  • LICENCE & CITATION
  • HELP & FAQ
The Human Protein Atlas project is funded
by the Knut & Alice Wallenberg Foundation.


contact@proteinatlas.org