We use cookies to enhance the usability of our website. If you continue, we'll assume that you are happy to receive all cookies. More information. Don't show this again.
SFN
HPA
RESOURCES
  • TISSUE
  • BRAIN
  • SINGLE CELL
  • SUBCELLULAR
  • CANCER
  • BLOOD
  • CELL LINE
  • STRUCTURE & INTERACTION
ABOUT
  • INTRODUCTION
  • HISTORY
  • ORGANIZATION
  • PUBLICATIONS
  • ANTIBODY SUBMISSION
  • ANTIBODY AVAILABILITY
  • ACKNOWLEDGMENTS
  • CONTACT
NEWS
  • NEWS ARTICLES
  • PRESS ROOM
LEARN
  • DICTIONARY
  • PROTEIN CLASSES
  • PROTEIN EVIDENCE
  • METHODS
  • EDUCATIONAL VIDEOS
DATA
  • DOWNLOADABLE DATA
  • PUBLICATION DATA
  • RELEASE HISTORY
HELP
  • ANTIBODY VALIDATION
  • ASSAYS & ANNOTATION
  • DISCLAIMER
  • HELP & FAQ
  • PRIVACY STATEMENT
  • LICENCE & CITATION
Fields »
Search result

Field
Term
Gene name
Class
Subclass
Class
Keyword
Chromosome
External id
Tissue
Cell type
Expression
Antibody panel
Tissue
Main location
Patient ID
Annotation
Tissue
Category
Tau score
Cluster
Reliability
Brain region
Category
Tau score
Brain region
Category
Tau score
Brain region
Category
Tau score
Cluster
Reliability
Tissue
Cell type
Enrichment
Cell type
Category
Tau score
Cell type
Category
Tau score
Cell type
Category
Tau score
Cell lineage
Category
Tau score
Cluster
Cluster
Location
Searches
Location
Cell line
Class
Type
Phase
Reliability
Cancer
Prognosis
Cancer
Category
Cancer
Category
Tau score
Cluster
Variants
Interacting gene (ensg_id)
Type
Number of interactions
Pathway
Category
Score
Score
Score
Validation
Validation
Validation
Validation
Antibodies
Data type
Column


  • SUMMARY

  • TISSUE

  • BRAIN

  • SINGLE CELL

  • SUBCELL

  • CANCER

  • BLOOD

  • CELL LINE

  • STRUCT & INT

  • SFN
TISSUE PRIMARY DATA SKIN Show tissue menu
ADIPOSE TISSUE ADRENAL GLAND AMYGDALA APPENDIX BASAL GANGLIA BONE MARROW BREAST BRONCHUS CEREBELLUM CEREBRAL CORTEX CERVIX CHOROID PLEXUS COLON DUODENUM
ENDOMETRIUM EPIDIDYMIS ESOPHAGUS FALLOPIAN TUBE GALLBLADDER HEART MUSCLE HIPPOCAMPAL FORMATION HYPOTHALAMUS KIDNEY LIVER LUNG LYMPH NODE MIDBRAIN NASOPHARYNX
ORAL MUCOSA OVARY PANCREAS PARATHYROID GLAND PITUITARY GLAND PLACENTA PROSTATE RECTUM RETINA SALIVARY GLAND SEMINAL VESICLE SKELETAL MUSCLE SKIN SMALL INTESTINE
SMOOTH MUSCLE SOFT TISSUE SPINAL CORD SPLEEN STOMACH TESTIS THYMUS THYROID GLAND TONGUE TONSIL URINARY BLADDER VAGINA
ANTIBODIES
AND
VALIDATION
Dictionary
Skin
Tissue proteome
Skin
SKIN - Expression summary
Protein expression
Skini

On the top, protein expression in current human tissue, based on all annotated cell types, is reported with the units not detected (n), low (l), medium (m) and high (h). Underneath, protein expression in each annotated cell type are reported using the same units.

Protein expression data is based on knowledge-based annotation. For genes where more than one antibody has been used, a collective score is set.

If knowledge-based annotation could not be performed for a gene, no data is displayed here. View antibody staining data further down this page.

h
m
l
n
Cells in basal layer: High
Cells in corneal layer: Not detected
Cells in granular layer: High
Cells in spinous layer: High
Endothelial cells: Not detected
Extracellular matrix: Not detected
Fibrohistiocytic cells: Not detected
Langerhans cells: High
Lymphocytes: Not detected
Melanocytes: Medium
Vascular mural cells: Not detected
RNA expressioni

A summary of mRNA expression data available for current tissue based on several datasets. The mRNA expression levels in human tissues are based on RNA-seq data generated by the Human Protein Atlas (HPA), Genotype-Tissue Expression (GTEx) portal and CAGE data generated by the FANTOM5 consortium. Consensus normalized expression levels for human tissues was created by combining the data from HPA and GTEx datasets.

The mRNA expression levels in pig are based on RNA-seq data generated by the Human Protein Atlas (HPA), and for mouse, HPA data and in situ hybridization generated by the Allen brain atlas are reported.

Scroll down to view mRNA expression data in more detail.
Consensus:1181.2 nTPM
HPA:967.6 nTPM
GTEx:1181.2 nTPM

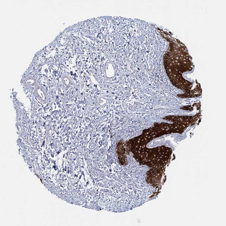
SKIN 1 - Antibody stainingi

Antibody staining in the annotated cell types in the current human tissue is reported as not detected, low, medium, or high, based on conventional immunohistochemistry profiling in selected tissues. This score is based on the combination of the staining intensity and fraction of stained cells.

Each image is clickable and will lead to virtual microscopy that enables deeper exploration of all samples and also displays staining intensity scores, fraction scores and subcellular localization as well as patient and tissue information for each sample.

Antibody HPA011105Antibody CAB006268Antibody CAB040552
Langerhans HighMedium-
Cells in basal layer --High
Cells in corneal layer --Not detected
Cells in granular layer --High
Cells in spinous layer --High
Endothelial cells --Not detected
Extracellular matrix --Not detected
Fibroblasts MediumNot detected-
Fibrohistiocytic cells --Not detected
Keratinocytes HighHigh-
Langerhans cells --High
Lymphocytes --Not detected
Melanocytes HighLowMedium
Vascular mural cells --Not detected





SKIN 2 - Antibody stainingi

Antibody staining in the annotated cell types in the current human tissue is reported as not detected, low, medium, or high, based on conventional immunohistochemistry profiling in selected tissues. This score is based on the combination of the staining intensity and fraction of stained cells.

Each image is clickable and will lead to virtual microscopy that enables deeper exploration of all samples and also displays staining intensity scores, fraction scores and subcellular localization as well as patient and tissue information for each sample.

Antibody HPA011105Antibody CAB006268Antibody CAB040552
Cells in basal layer --High
Cells in corneal layer --Not detected
Cells in granular layer --High
Cells in spinous layer --High
Endothelial cells --Not detected
Epidermal cells HighHigh-
Extracellular matrix --Not detected
Fibrohistiocytic cells --Not detected
Langerhans cells --High
Lymphocytes --Not detected
Melanocytes --Medium
Vascular mural cells --Not detected
   
   



SKIN - HPA RNA-seqi

The RNA-seq details section shows detailed information about the individual samples used for the transcript profiling and results of the RNA-seq analysis.

Information about each individual sample is listed below, including gender, age, a tissue section image and estimated fractions of cell types. nTPM (normalized transcripts per million) values give a quantification of the gene abundance which is comparable between different genes and samples.
Average nTPMi

Max subtype nTPM is the value for the subtype with the largest average nTPM across the subtype samples.

967.6
overview
Female, age 34
Skin sample 225
nTPM: 980.2
Cell types%
Keratinocytes:
60

Other cell types:
40

overview
Female, age 30
Skin sample 226
nTPM: 620.3
Cell types%
Keratinocytes:
55

Other cell types:
45

N/A
Male, age 57
Skin sample 227
nTPM: 1302.1

SKIN - GTEx RNA-seqi

RNA-Seq data generated by the Genotype-Tissue Expression (GTEx) project from human tissues is reported as mean nTPM. More information can be found on the GTEx portal.

Distribution across the dataset is visualized with box plots, shown as median and 25th and 75th percentiles. Points are displayed as outliers if they are above or below 1.5 times the interquartile range. nTPM values of the individual samples are presented next to the box plot.
Max subtype nTPMi

Max subtype nTPM is the value for the subtype with the largest average nTPM across the subtype samples.

1181.2
GTEx sample id Sample description nTPM
Skin - Not Sun Exposed (Suprapubic)
Average nTPM: 1181.2
Samples: 604

Max nTPM: 8359.6
Min nTPM: 236.0
Std nTPM: 756.9
Median nTPM: 1022.8
GTEX-1ICLZ-0326-SM-ARL82 60-69 years, male 8359.6
GTEX-WI4N-2726-SM-3LK7Y 40-49 years, female 7701.8
GTEX-1PPH8-0126-SM-EWRN8 20-29 years, male 5919.5
GTEX-ZYFD-0626-SM-5E44E 50-59 years, male 4839.8
GTEX-ZY6K-1426-SM-5GZX2 50-59 years, male 4560.8
GTEX-WHSE-0126-SM-3NMBT 20-29 years, male 4428.6
GTEX-11DZ1-2426-SM-5GZZX 50-59 years, male 4416.3
GTEX-1NSGN-0726-SM-DTXEF 50-59 years, male 4405.5
GTEX-13OVK-1426-SM-6PAN7 40-49 years, male 3938.2
GTEX-17F9E-2326-SM-79OKD 50-59 years, male 3229.2
GTEX-12WSK-2126-SM-5CVNC 40-49 years, female 2995.1
GTEX-1H2FU-0926-SM-9WPPT 60-69 years, female 2982.9
GTEX-WH7G-2026-SM-3NMBL 40-49 years, male 2905.8
GTEX-1399Q-2326-SM-5KM2X 40-49 years, male 2891.0
GTEX-1399S-0126-SM-5IJCF 30-39 years, female 2806.1
GTEX-11WQK-1026-SM-5EQLX 50-59 years, male 2779.7
GTEX-15G1A-1626-SM-7KUKN 30-39 years, male 2773.0
GTEX-1E2YA-2126-SM-7MXUO 50-59 years, male 2771.7
GTEX-YFCO-1226-SM-5LUAT 40-49 years, male 2696.5
GTEX-1R9PN-0426-SM-DTXDT 40-49 years, female 2687.1
GTEX-12WSJ-1126-SM-5LZVJ 40-49 years, female 2662.2
GTEX-14XAO-1226-SM-6EU1C 60-69 years, female 2631.6
GTEX-1IKOE-1426-SM-CE6T7 30-39 years, female 2557.9
GTEX-11PRG-0726-SM-5EGL1 50-59 years, male 2551.0
GTEX-1F6RS-2026-SM-7RHHC 60-69 years, female 2516.3
GTEX-13NYC-0126-SM-5L3F4 60-69 years, male 2423.3
GTEX-1OJC3-1226-SM-DTXER 20-29 years, male 2423.2
GTEX-1R9PM-1926-SM-EVR3O 20-29 years, male 2420.5
GTEX-1H11D-1826-SM-9QEHM 40-49 years, male 2399.9
GTEX-111VG-1626-SM-5EGIO 60-69 years, male 2381.8
GTEX-1313W-0626-SM-5EQ4H 50-59 years, female 2369.4
GTEX-14A5H-0826-SM-5QGPJ 60-69 years, male 2366.9
GTEX-15G19-2426-SM-7KUMR 60-69 years, male 2366.5
GTEX-13G51-1826-SM-5KLZH 60-69 years, male 2350.3
GTEX-ZE7O-2726-SM-51MT5 50-59 years, female 2347.5
GTEX-1MCYP-0526-SM-E9U6Q 20-29 years, female 2332.2
GTEX-131YS-2826-SM-5EQ47 60-69 years, female 2274.3
GTEX-1JMQL-2226-SM-CNPP4 50-59 years, female 2241.9
GTEX-ZLFU-1826-SM-4WWBV 40-49 years, male 2235.4
GTEX-144GL-0626-SM-5LU4D 50-59 years, male 2220.0
GTEX-1CB4F-1026-SM-7DUH1 60-69 years, male 2203.1
GTEX-147F4-0726-SM-5TDDD 50-59 years, male 2192.4
GTEX-Y114-2126-SM-4TT8B 50-59 years, female 2189.4
GTEX-1AX9J-1326-SM-731BJ 60-69 years, male 2172.6
GTEX-WFG7-2026-SM-5SI7P 20-29 years, male 2094.2
GTEX-X8HC-0626-SM-4E3HQ 50-59 years, female 2093.8
GTEX-X585-2426-SM-46MW2 50-59 years, male 2071.9
GTEX-1GN1V-2826-SM-9JGIA 60-69 years, male 2040.5
GTEX-144GM-0526-SM-79OJO 20-29 years, male 2030.5
GTEX-11DYG-1526-SM-5A5JS 60-69 years, male 1972.5
GTEX-Z93S-1626-SM-5CVMB 50-59 years, male 1966.7
GTEX-1S82U-1026-SM-E6CJK 30-39 years, female 1963.7
GTEX-18QFQ-1826-SM-72D52 30-39 years, male 1928.7
GTEX-17F97-2626-SM-7IGM5 50-59 years, male 1922.4
GTEX-1LBAC-0826-SM-CY8IJ 20-29 years, male 1918.9
GTEX-13YAN-0226-SM-5TDC6 60-69 years, male 1909.4
GTEX-ZLV1-1526-SM-DO91J 60-69 years, female 1899.3
GTEX-ZPCL-1126-SM-4WWFE 60-69 years, female 1888.4
GTEX-14PJ3-1126-SM-5ZZVX 50-59 years, male 1884.2
GTEX-XBEW-1126-SM-4QARW 40-49 years, male 1882.8
GTEX-ZTX8-1326-SM-4YCEL 20-29 years, male 1875.0
GTEX-1IDFM-0326-SM-ARL7V 60-69 years, male 1867.7
GTEX-15RIG-0726-SM-7KUM7 40-49 years, male 1835.4
GTEX-147GR-2426-SM-5ZZWQ 60-69 years, male 1818.2
GTEX-14C38-0726-SM-5SI6M 50-59 years, male 1812.0
GTEX-15UF6-1926-SM-7KUDV 70-79 years, female 1810.0
GTEX-12ZZX-2426-SM-5GCOE 40-49 years, female 1809.9
GTEX-1LVAN-0626-SM-CNPOQ 50-59 years, female 1809.3
GTEX-ZT9X-1526-SM-5DUXD 40-49 years, male 1807.8
GTEX-16AAH-0626-SM-793C9 50-59 years, male 1770.1
GTEX-1AYD5-2626-SM-7PBXY 50-59 years, male 1769.6
GTEX-1QAET-0326-SM-EVR3U 50-59 years, male 1768.9
GTEX-14PHY-1226-SM-5ZZWK 60-69 years, female 1751.3
GTEX-11ZU8-0126-SM-5EQ58 60-69 years, male 1746.7
GTEX-1N2DV-1526-SM-DTXEP 40-49 years, male 1741.2
GTEX-15RJ7-2126-SM-6PAMD 40-49 years, male 1740.8
GTEX-1F5PK-2226-SM-7SB6N 50-59 years, male 1730.6
GTEX-1PBJJ-1026-SM-E76OS 30-39 years, male 1730.1
GTEX-U8XE-0226-SM-4E3J3 30-39 years, male 1726.0
GTEX-1QP2A-1726-SM-E76QC 50-59 years, male 1725.9
GTEX-ZDTS-0826-SM-4WKHL 60-69 years, male 1722.9
GTEX-13O3O-2326-SM-5IJD6 60-69 years, female 1703.5
GTEX-14ICL-1626-SM-5YYAO 30-39 years, male 1700.1
GTEX-16MT9-0126-SM-7EPI8 60-69 years, female 1691.1
GTEX-ZF2S-1626-SM-57WES 50-59 years, female 1689.2
GTEX-1S83E-1326-SM-E6CJM 40-49 years, male 1687.4
GTEX-ZVE1-0726-SM-51MRN 50-59 years, female 1678.5
GTEX-1HT8W-0626-SM-A9G2H 30-39 years, male 1664.5
GTEX-ZXG5-2126-SM-59HKD 60-69 years, male 1658.1
GTEX-1PIIG-2326-SM-DTXFR 30-39 years, male 1657.1
GTEX-1MJK3-0726-SM-E6CJC 20-29 years, male 1653.2
GTEX-1CAMS-2226-SM-7PBXQ 40-49 years, female 1651.3
GTEX-1JMQJ-0826-SM-CNPP7 50-59 years, male 1645.6
GTEX-11TUW-0626-SM-5LU9M 60-69 years, male 1644.4
GTEX-11EQ8-0926-SM-5H12V 60-69 years, male 1644.1
GTEX-11O72-0626-SM-5PNYE 40-49 years, male 1639.5
GTEX-15RIE-1926-SM-7KUKJ 60-69 years, male 1637.8
GTEX-WFON-1926-SM-3LK7L 40-49 years, male 1628.9
GTEX-1HBPN-0126-SM-CGQEF 50-59 years, male 1627.6
GTEX-13PDP-0726-SM-5L3HP 60-69 years, male 1618.5
GTEX-Y111-0626-SM-4SOIT 50-59 years, male 1608.7
GTEX-13112-0126-SM-5P9IU 50-59 years, male 1601.3
GTEX-1R9K4-2826-SM-DTX8F 60-69 years, male 1577.6
GTEX-11WQC-1826-SM-5GU59 60-69 years, male 1567.0
GTEX-1RB15-1326-SM-E76Q9 60-69 years, male 1565.1
GTEX-1C6VR-0126-SM-7RHGB 60-69 years, male 1563.7
GTEX-16YQH-2226-SM-7IGM2 30-39 years, male 1562.6
GTEX-1F6I4-2326-SM-7RHGL 60-69 years, male 1560.6
GTEX-144FL-0626-SM-5LU43 50-59 years, male 1557.8
GTEX-18A67-1626-SM-7LT9T 50-59 years, male 1553.0
GTEX-17HHE-1326-SM-7EWDZ 50-59 years, male 1550.1
GTEX-ZYVF-0926-SM-5E44J 50-59 years, female 1547.7
GTEX-15DDE-2926-SM-6LLJ3 50-59 years, female 1547.4
GTEX-ZYT6-2326-SM-5GZY3 30-39 years, male 1542.4
GTEX-WHSB-1326-SM-3LK6W 50-59 years, male 1531.8
GTEX-1JJEA-1826-SM-ARU8P 60-69 years, male 1530.8
GTEX-11DXZ-2026-SM-5987S 50-59 years, male 1526.7
GTEX-12WSH-1526-SM-5BC5W 50-59 years, male 1519.9
GTEX-1GPI7-1826-SM-9KNU1 20-29 years, male 1514.5
GTEX-1I1GU-0926-SM-ACKVS 40-49 years, male 1514.1
GTEX-1CAMQ-1326-SM-7P8RV 40-49 years, male 1490.7
GTEX-11DXX-2126-SM-5PNYR 60-69 years, female 1489.5
GTEX-17MFQ-1526-SM-7KFRR 20-29 years, male 1489.0
GTEX-14LZ3-0126-SM-69LPM 60-69 years, female 1483.1
GTEX-XQ3S-1426-SM-4BOPR 20-29 years, male 1478.5
GTEX-1JMLX-0626-SM-ARL8T 50-59 years, male 1478.1
GTEX-WHPG-2626-SM-3NMBR 50-59 years, male 1477.6
GTEX-1C6WA-2626-SM-7MKGM 60-69 years, male 1476.8
GTEX-14BIN-1126-SM-5RQJZ 50-59 years, female 1471.1
GTEX-1J8EW-2726-SM-CY8HR 60-69 years, female 1470.9
GTEX-1OJC4-2726-SM-E76PJ 50-59 years, female 1466.0
GTEX-1BAJH-2426-SM-7IGP8 70-79 years, male 1463.8
GTEX-18A6Q-0626-SM-7KFRP 60-69 years, male 1451.7
GTEX-13IVO-0726-SM-5LZYV 70-79 years, male 1451.3
GTEX-146FQ-2126-SM-5RQHU 30-39 years, male 1449.4
GTEX-13FTY-2126-SM-5IFFB 40-49 years, female 1449.2
GTEX-14C5O-0326-SM-5ZZUX 60-69 years, male 1445.7
GTEX-1GMRU-2126-SM-7P8RA 50-59 years, male 1440.3
GTEX-1HSMP-0926-SM-A9SKX 70-79 years, male 1438.2
GTEX-1I1GP-1326-SM-A9G28 50-59 years, male 1437.2
GTEX-13W3W-0726-SM-5IJDQ 60-69 years, female 1437.0
GTEX-145MH-2826-SM-5RQJF 50-59 years, male 1422.5
GTEX-1GZ4H-0526-SM-9KNU9 50-59 years, female 1414.8
GTEX-11OF3-0126-SM-5PNYF 60-69 years, male 1406.0
GTEX-ZE9C-2526-SM-5IJDR 60-69 years, male 1406.0
GTEX-145MG-1526-SM-5Q5EM 50-59 years, male 1393.3
GTEX-1S82P-2126-SM-E6CI5 60-69 years, female 1392.4
GTEX-17F98-1326-SM-7DUEP 40-49 years, female 1384.8
GTEX-1C64N-2626-SM-7PC2N 50-59 years, male 1384.3
GTEX-1RMOY-1326-SM-E9TIH 50-59 years, male 1381.4
GTEX-1PIGE-1826-SM-E8VOU 20-29 years, male 1369.8
GTEX-1IL2V-1926-SM-B2LW8 70-79 years, male 1367.7
GTEX-17HGU-2326-SM-7DUFE 50-59 years, male 1367.2
GTEX-1EMGI-2326-SM-7PBYA 60-69 years, male 1366.8
GTEX-11GS4-0226-SM-5HL77 60-69 years, male 1366.0
GTEX-1JMPY-0226-SM-CKZOK 30-39 years, male 1356.8
GTEX-1HCU7-0726-SM-A9SL1 50-59 years, male 1355.8
GTEX-13NYS-0626-SM-5L3F1 60-69 years, male 1355.3
GTEX-1RAZQ-1326-SM-E9TK6 30-39 years, male 1353.6
GTEX-15RJE-2826-SM-7KUM9 40-49 years, male 1349.1
GTEX-15CHR-1126-SM-7EWF4 50-59 years, male 1348.8
GTEX-1H1DE-1326-SM-9KNUG 20-29 years, male 1346.3
GTEX-14PJ6-2626-SM-6EU2T 60-69 years, female 1345.6
GTEX-XXEK-1626-SM-4BRUZ 50-59 years, male 1340.0
GTEX-1NV5F-0626-SM-DTXEG 60-69 years, female 1339.2
GTEX-YECK-0326-SM-4W1YS 60-69 years, male 1338.7
GTEX-1H3O1-1326-SM-9MQLD 60-69 years, male 1320.5
GTEX-13O61-1426-SM-5KM3D 60-69 years, male 1318.2
GTEX-WHWD-1826-SM-3LK6I 50-59 years, male 1315.5
GTEX-W5X1-2526-SM-3GILC 40-49 years, female 1314.5
GTEX-1HBPM-0726-SM-9YFL7 60-69 years, female 1312.3
GTEX-1B932-2326-SM-79OL5 40-49 years, female 1306.3
GTEX-VUSG-2326-SM-4KL1U 50-59 years, male 1300.3
GTEX-XK95-0226-SM-4AT58 40-49 years, male 1298.3
GTEX-18A66-0626-SM-7LT8Z 60-69 years, male 1296.1
GTEX-13PL6-1126-SM-5L3IE 40-49 years, female 1291.5
GTEX-17EVQ-0126-SM-7IGLR 70-79 years, male 1291.1
GTEX-1192X-2726-SM-5N9DN 50-59 years, male 1290.4
GTEX-Y3I4-1726-SM-4TT89 50-59 years, male 1290.0
GTEX-1HR9M-2226-SM-CNPPY 60-69 years, male 1286.5
GTEX-12WSF-1626-SM-7KUG5 70-79 years, male 1284.8
GTEX-1CB4J-1326-SM-7P8RX 60-69 years, male 1284.8
GTEX-1I1GT-1026-SM-ARZLV 60-69 years, female 1282.5
GTEX-13OVH-0526-SM-5L3E6 70-79 years, male 1281.9
GTEX-ZVZP-1226-SM-5GID7 50-59 years, male 1281.1
GTEX-13FTX-1526-SM-5K7VJ 20-29 years, female 1280.2
GTEX-14E1K-2026-SM-7DUEI 50-59 years, male 1279.9
GTEX-1PPH7-1126-SM-DTX9A 40-49 years, male 1278.7
GTEX-Y9LG-1126-SM-4VBQ7 30-39 years, male 1278.1
GTEX-14ABY-2026-SM-62LDL 50-59 years, male 1275.2
GTEX-15DYW-2726-SM-6EU2I 60-69 years, female 1275.2
GTEX-1GZHY-0626-SM-9KNVC 50-59 years, female 1274.5
GTEX-1J1OQ-0126-SM-D4P2N 40-49 years, female 1271.3
GTEX-1HSMQ-2626-SM-A9SML 50-59 years, male 1271.2
GTEX-1CB4E-0926-SM-7EPHT 60-69 years, male 1269.8
GTEX-1S831-1826-SM-EWROF 20-29 years, male 1268.8
GTEX-1GF9V-0826-SM-9KNUV 60-69 years, male 1267.9
GTEX-1HKZK-0726-SM-ACKW2 40-49 years, male 1265.5
GTEX-15ER7-0626-SM-6PANF 20-29 years, female 1260.0
GTEX-1F88F-0126-SM-9WYSZ 60-69 years, female 1259.9
GTEX-14PJO-2526-SM-6AJBQ 60-69 years, male 1254.2
GTEX-17HII-1426-SM-7EPGG 50-59 years, male 1252.7
GTEX-1QP9N-1226-SM-E76QN 30-39 years, male 1251.4
GTEX-12126-0826-SM-5FQTZ 20-29 years, male 1250.0
GTEX-15CHQ-0326-SM-69LQD 60-69 years, male 1248.6
GTEX-XOT4-0626-SM-4B66L 60-69 years, female 1246.3
GTEX-16MTA-0926-SM-6M47Z 50-59 years, male 1241.4
GTEX-131XH-0126-SM-5LZUY 50-59 years, male 1239.6
GTEX-139YR-1026-SM-5LZYN 50-59 years, male 1237.5
GTEX-1H23P-0626-SM-9WG6T 60-69 years, male 1236.7
GTEX-1JN6P-2926-SM-CL54D 60-69 years, male 1235.4
GTEX-14PII-0726-SM-6EU2B 60-69 years, male 1227.8
GTEX-13SLX-2226-SM-62LEP 50-59 years, female 1227.0
GTEX-1C2JI-1026-SM-73KY1 50-59 years, male 1224.2
GTEX-1GF9X-1326-SM-7PC2Y 40-49 years, female 1223.7
GTEX-111CU-1126-SM-5EGIM 50-59 years, male 1219.3
GTEX-13JVG-0726-SM-5KM16 60-69 years, male 1217.7
GTEX-14PJ4-0226-SM-5YY92 60-69 years, male 1212.0
GTEX-ZYW4-0626-SM-59HJR 60-69 years, male 1210.0
GTEX-1PPGY-1626-SM-EVYBL 60-69 years, male 1208.8
GTEX-139UW-0326-SM-5J1ML 60-69 years, male 1206.4
GTEX-ZP4G-1426-SM-4WWCL 20-29 years, female 1202.4
GTEX-ZZ64-1026-SM-5GZXG 20-29 years, male 1201.3
GTEX-ZYFC-0426-SM-5GICQ 50-59 years, male 1197.6
GTEX-ZAK1-0626-SM-5HL8E 50-59 years, female 1196.2
GTEX-1POEN-2326-SM-E9J2L 30-39 years, female 1193.1
GTEX-1LSNM-0826-SM-DIPG8 50-59 years, male 1188.2
GTEX-1QPFJ-1926-SM-EVYBD 30-39 years, female 1188.2
GTEX-13OW7-0426-SM-5K7VK 50-59 years, male 1186.6
GTEX-1EKGG-0626-SM-7DUGJ 60-69 years, male 1181.5
GTEX-17HHY-0426-SM-7DHLC 50-59 years, male 1178.8
GTEX-ZAJG-1526-SM-5CVML 50-59 years, female 1173.6
GTEX-XYKS-1426-SM-4BRUO 60-69 years, female 1171.2
GTEX-1QCLY-0226-SM-EWRNH 30-39 years, male 1170.9
GTEX-1F75A-0726-SM-7RHHD 50-59 years, male 1168.6
GTEX-ZC5H-1526-SM-5HL9Y 40-49 years, female 1163.6
GTEX-1IKJJ-2226-SM-CJI4C 60-69 years, male 1161.3
GTEX-14PHX-2226-SM-6EU2P 50-59 years, male 1159.4
GTEX-17KNJ-2126-SM-718AM 50-59 years, male 1153.4
GTEX-18D9A-1426-SM-7LT8M 30-39 years, female 1153.0
GTEX-1IY9M-2826-SM-ARU8H 60-69 years, male 1152.3
GTEX-15SHW-0226-SM-7LTAT 60-69 years, male 1149.6
GTEX-148VJ-0626-SM-5LUAW 70-79 years, male 1146.1
GTEX-13NYB-0126-SM-5J1MD 40-49 years, male 1144.9
GTEX-1HCU6-2526-SM-ADEHL 60-69 years, female 1142.9
GTEX-1GPI6-1926-SM-9KNV7 60-69 years, male 1142.6
GTEX-WYJK-0526-SM-3NM8Z 50-59 years, male 1142.0
GTEX-131XF-2626-SM-5EQ6K 60-69 years, male 1140.4
GTEX-12KS4-2126-SM-5FQUT 30-39 years, male 1139.9
GTEX-131XG-0326-SM-5L3DX 50-59 years, female 1139.7
GTEX-1LB8K-0726-SM-D5OV2 50-59 years, male 1136.4
GTEX-1J8JJ-0626-SM-ARZMQ 60-69 years, female 1136.3
GTEX-1B8KE-1126-SM-7EPHI 50-59 years, male 1129.7
GTEX-132AR-0326-SM-5KM2C 50-59 years, female 1129.6
GTEX-139TU-0726-SM-5L3EK 60-69 years, male 1128.8
GTEX-1I1GV-0626-SM-ARL7M 60-69 years, male 1128.8
GTEX-1HBPI-2126-SM-ARL9K 50-59 years, male 1121.3
GTEX-12ZZY-0726-SM-5EQ66 60-69 years, male 1120.5
GTEX-111FC-2526-SM-5GZXU 60-69 years, male 1120.0
GTEX-15D1Q-2826-SM-6LLH7 40-49 years, male 1119.0
GTEX-12584-0726-SM-5FQTK 40-49 years, male 1118.8
GTEX-14E6C-2426-SM-5S2NF 40-49 years, male 1112.5
GTEX-ZPU1-1126-SM-4YCF3 40-49 years, male 1111.2
GTEX-11NUK-2726-SM-5A5MC 50-59 years, male 1110.8
GTEX-1A8G6-2726-SM-731AR 60-69 years, male 1108.1
GTEX-1KAFJ-0126-SM-DIPEK 50-59 years, male 1103.9
GTEX-1I1HK-2326-SM-CKZOH 60-69 years, male 1103.8
GTEX-1H1CY-0126-SM-9YFLY 60-69 years, female 1103.5
GTEX-1F75I-2226-SM-7SB8U 40-49 years, male 1103.0
GTEX-1B8SF-0126-SM-7DUG3 60-69 years, male 1101.7
GTEX-144GO-2026-SM-5O99P 60-69 years, male 1096.3
GTEX-1KANB-2826-SM-CY8I6 50-59 years, male 1095.2
GTEX-1IE54-1126-SM-A9G2Z 40-49 years, female 1092.6
GTEX-14AS3-1526-SM-5Q5ED 40-49 years, female 1090.8
GTEX-18465-2826-SM-7LT9J 50-59 years, male 1089.5
GTEX-1GN73-0726-SM-7P8TJ 60-69 years, male 1087.5
GTEX-1EX96-1026-SM-7MKG2 50-59 years, male 1083.5
GTEX-1212Z-0126-SM-59HK4 60-69 years, male 1083.2
GTEX-ZF3C-0626-SM-DO92O 50-59 years, female 1080.2
GTEX-1HC8U-1326-SM-9YFMJ 40-49 years, female 1079.6
GTEX-1C6VQ-1226-SM-73KYD 50-59 years, male 1073.5
GTEX-17F9Y-0126-SM-79OKX 70-79 years, female 1071.7
GTEX-13OW6-2726-SM-5J2OE 50-59 years, male 1071.2
GTEX-13OVJ-0826-SM-5J1OK 50-59 years, female 1065.5
GTEX-1JN1M-2726-SM-CY8I4 60-69 years, female 1064.7
GTEX-1JK1U-0226-SM-ARZMX 60-69 years, male 1062.8
GTEX-1CAMR-1326-SM-7PC1F 20-29 years, male 1062.5
GTEX-Y5V6-2326-SM-4VDSA 60-69 years, male 1061.4
GTEX-1GZ4I-2626-SM-9KNU3 50-59 years, male 1059.9
GTEX-Y3IK-1626-SM-4YCF5 50-59 years, female 1058.7
GTEX-13OW5-2326-SM-5L3HO 60-69 years, male 1055.1
GTEX-ZDTT-0426-SM-4WKFL 60-69 years, male 1054.4
GTEX-Y5LM-0926-SM-6LLJG 40-49 years, female 1053.4
GTEX-1H4P4-2126-SM-9WYSL 50-59 years, male 1053.2
GTEX-11P81-2226-SM-5PNYI 30-39 years, female 1049.6
GTEX-139D8-1126-SM-5LU8W 30-39 years, female 1048.8
GTEX-11GSP-2326-SM-5HL63 60-69 years, female 1046.9
GTEX-1QP28-1126-SM-EVYC4 50-59 years, female 1044.6
GTEX-UPJH-0226-SM-3GADV 50-59 years, male 1044.3
GTEX-11VI4-1126-SM-5EQMD 40-49 years, female 1043.5
GTEX-12ZZZ-0726-SM-5GCNZ 60-69 years, male 1033.3
GTEX-13VXT-1926-SM-5K7UO 20-29 years, female 1025.6
GTEX-13NZ9-2626-SM-5L3FK 50-59 years, male 1020.0
GTEX-ZVP2-0326-SM-57WBP 50-59 years, male 1019.1
GTEX-17EVP-2626-SM-7IGMA 40-49 years, male 1017.0
GTEX-WXYG-2026-SM-4E3IY 50-59 years, female 1015.8
GTEX-1N2EE-0626-SM-E76PW 60-69 years, male 1012.8
GTEX-12WSD-0626-SM-5GCMW 60-69 years, female 1012.3
GTEX-1B933-2426-SM-7DHMD 50-59 years, female 1011.7
GTEX-11P7K-1126-SM-5HL4L 30-39 years, male 1010.1
GTEX-ZVT4-2426-SM-5GIEI 50-59 years, female 1006.9
GTEX-11NSD-0626-SM-5A5LU 20-29 years, male 1003.8
GTEX-1LVAM-0726-SM-E6CIL 50-59 years, female 1003.6
GTEX-1269C-0126-SM-5EQ5L 60-69 years, female 1003.1
GTEX-1PDJ9-1226-SM-EXUSX 20-29 years, male 1000.1
GTEX-145MF-0926-SM-5Q5EA 50-59 years, male 996.6
GTEX-XV7Q-1826-SM-4BRUV 40-49 years, female 995.4
GTEX-13X6H-0926-SM-5SIB2 50-59 years, female 993.5
GTEX-1GN2E-0226-SM-9WG6K 60-69 years, male 989.8
GTEX-15SKB-2826-SM-6PAMH 60-69 years, male 984.4
GTEX-139TS-2126-SM-5K7XC 60-69 years, male 983.5
GTEX-15FZZ-0526-SM-7KUGD 30-39 years, female 982.5
GTEX-1JMQK-1226-SM-D4P2S 60-69 years, male 980.6
GTEX-13SLW-0626-SM-5Q5ER 70-79 years, male 980.1
GTEX-13NZ8-1226-SM-5KM4A 60-69 years, female 979.7
GTEX-XAJ8-1426-SM-47JYM 40-49 years, male 974.9
GTEX-1QW4Y-1126-SM-DTXE3 30-39 years, male 974.8
GTEX-1HR98-2226-SM-ADEI2 60-69 years, male 971.4
GTEX-ZWKS-0626-SM-5GIDV 30-39 years, male 971.1
GTEX-1HSKV-1226-SM-ADEI4 60-69 years, male 969.8
GTEX-Y8E4-2026-SM-5IFJB 40-49 years, male 969.2
GTEX-1K2DU-1226-SM-CYPT4 20-29 years, male 968.6
GTEX-1EN7A-2426-SM-793DB 40-49 years, male 966.8
GTEX-133LE-2326-SM-5K7W3 20-29 years, female 965.6
GTEX-1GF9W-1426-SM-7PBYM 60-69 years, male 964.3
GTEX-14JG1-1526-SM-5YY9X 40-49 years, male 962.7
GTEX-1GN1U-0626-SM-9MQL9 50-59 years, female 958.2
GTEX-14A6H-2026-SM-5Q5DD 30-39 years, male 957.0
GTEX-11LCK-2226-SM-5HL4Q 30-39 years, male 956.8
GTEX-1HGF4-0126-SM-CNPPX 60-69 years, male 956.4
GTEX-1R46S-2426-SM-E76QA 60-69 years, female 953.8
GTEX-1RAZS-2526-SM-E6CHT 50-59 years, male 952.3
GTEX-ZTTD-2826-SM-4YCFA 50-59 years, male 950.2
GTEX-1C64O-1326-SM-7MGWR 60-69 years, male 949.4
GTEX-1F48J-0726-SM-7RHGS 50-59 years, female 948.9
GTEX-1F52S-2926-SM-7MKGA 60-69 years, female 944.9
GTEX-14C39-1726-SM-5RQIL 40-49 years, male 942.8
GTEX-ZYY3-2926-SM-5GIEB 60-69 years, female 940.8
GTEX-1JMQI-1726-SM-ARL93 50-59 years, male 939.1
GTEX-1KD5A-0126-SM-E9U54 50-59 years, male 939.0
GTEX-13FLV-0126-SM-5K7WT 50-59 years, male 935.6
GTEX-1LSNL-2726-SM-E9TKJ 50-59 years, male 935.5
GTEX-11ZUS-2626-SM-5FQUR 30-39 years, male 934.3
GTEX-16BQI-1326-SM-6M486 30-39 years, female 933.6
GTEX-11DXY-0126-SM-5H11Q 60-69 years, male 931.7
GTEX-1IOXB-2726-SM-CM2RI 50-59 years, male 931.0
GTEX-ZZPU-0826-SM-5GZX5 50-59 years, female 925.4
GTEX-1AX8Z-0726-SM-73KTS 60-69 years, male 920.9
GTEX-YF7O-1526-SM-5IFI6 50-59 years, male 920.3
GTEX-XQ8I-0926-SM-4BOOF 50-59 years, male 919.3
GTEX-ZAB4-2126-SM-5HL8U 40-49 years, male 918.8
GTEX-11EQ9-1626-SM-5PNY8 30-39 years, male 917.4
GTEX-139TT-2126-SM-5LZWC 60-69 years, male 916.3
GTEX-1JN76-0626-SM-CKZOQ 20-29 years, female 916.1
GTEX-131XW-0626-SM-5PNVD 50-59 years, female 915.0
GTEX-1A8G7-1326-SM-73KVM 60-69 years, male 913.0
GTEX-ZTSS-1426-SM-5985P 40-49 years, male 911.9
GTEX-XBED-1926-SM-47JYP 60-69 years, male 910.9
GTEX-16GPK-0626-SM-7KFSF 60-69 years, male 906.6
GTEX-ZU9S-1826-SM-5NQ9E 30-39 years, male 906.6
GTEX-1IDJC-1526-SM-B2LW4 50-59 years, male 906.6
GTEX-145MO-2826-SM-5LU96 60-69 years, male 899.7
GTEX-18D9B-0926-SM-7LG4U 60-69 years, male 899.3
GTEX-1HCUA-0826-SM-ADEHM 50-59 years, female 898.4
GTEX-13N1W-2426-SM-5IJD1 70-79 years, male 897.7
GTEX-11TT1-1826-SM-5EQLV 20-29 years, male 896.5
GTEX-ZF29-0926-SM-4WKFZ 60-69 years, female 892.3
GTEX-1I1GS-2626-SM-B2LY3 60-69 years, male 891.4
GTEX-14PK6-0226-SM-62LF5 70-79 years, female 884.7
GTEX-1LSVX-2526-SM-DIPEU 60-69 years, male 881.4
GTEX-YJ8O-2526-SM-5HL85 40-49 years, female 878.7
GTEX-1J8QM-2426-SM-A9SLS 60-69 years, female 878.3
GTEX-1A3MV-1826-SM-731CD 30-39 years, male 869.6
GTEX-1399U-1126-SM-5L3DB 50-59 years, female 868.8
GTEX-14JG6-1426-SM-9WG7C 30-39 years, female 867.3
GTEX-11UD2-2526-SM-5CVNU 50-59 years, male 867.2
GTEX-1IDJV-0126-SM-COH3Y 60-69 years, male 865.3
GTEX-11DXW-0826-SM-5H118 40-49 years, male 864.7
GTEX-145LU-1926-SM-79OJN 50-59 years, male 864.0
GTEX-14JFF-0626-SM-5ZZVT 60-69 years, male 861.0
GTEX-11ZTT-2126-SM-5CVLO 60-69 years, female 857.2
GTEX-1AX9I-2226-SM-73KUO 60-69 years, male 855.5
GTEX-14B4R-1326-SM-5Q5EZ 30-39 years, male 854.3
GTEX-145LS-0626-SM-7EPG7 60-69 years, female 849.5
GTEX-17HG3-2626-SM-7DUF2 30-39 years, female 847.5
GTEX-14BMV-2826-SM-5TDED 50-59 years, male 844.9
GTEX-147JS-0226-SM-5S2U9 60-69 years, male 843.7
GTEX-139T8-0626-SM-5KLZX 60-69 years, male 839.5
GTEX-16NPX-0726-SM-7KULC 50-59 years, male 835.9
GTEX-13RTJ-0126-SM-5S2NN 60-69 years, male 832.7
GTEX-XPVG-2126-SM-4B667 50-59 years, male 832.7
GTEX-14753-0726-SM-5QGQO 60-69 years, male 830.0
GTEX-1LGRB-0926-SM-COH3K 50-59 years, female 829.0
GTEX-1R7EU-1626-SM-DTXG3 60-69 years, male 828.4
GTEX-X4EP-0626-SM-3P621 60-69 years, female 827.6
GTEX-1LKK1-2626-SM-DKPQE 50-59 years, female 824.4
GTEX-1K9T9-1526-SM-DIPFR 50-59 years, female 823.1
GTEX-1JMOU-1026-SM-CYPSS 60-69 years, female 823.0
GTEX-1I6K7-1926-SM-B2LXR 40-49 years, male 819.1
GTEX-1EWIQ-0326-SM-7DHMQ 70-79 years, female 817.8
GTEX-16MT8-2926-SM-7DUFO 60-69 years, female 813.6
GTEX-17F96-0126-SM-7EWDU 70-79 years, male 813.6
GTEX-15EO6-2426-SM-6PALZ 50-59 years, male 812.9
GTEX-YEC4-1826-SM-4W1YP 40-49 years, male 811.6
GTEX-ZUA1-2626-SM-5NQ92 40-49 years, male 810.2
GTEX-13OVL-0126-SM-5L3GJ 50-59 years, male 808.2
GTEX-ZDYS-2426-SM-4WKGI 50-59 years, male 806.6
GTEX-1A8FM-0626-SM-7PC25 50-59 years, female 806.5
GTEX-13O3Q-0126-SM-5KM34 50-59 years, male 801.6
GTEX-1A3MW-0626-SM-731CB 60-69 years, female 798.9
GTEX-1LVA9-2626-SM-EVYD4 50-59 years, male 798.4
GTEX-1KANA-1326-SM-DIPFA 20-29 years, male 797.9
GTEX-1H3VE-0726-SM-9YFL5 40-49 years, male 796.9
GTEX-16Z82-2626-SM-7KULU 60-69 years, male 790.6
GTEX-1H1DG-2426-SM-9QEHJ 70-79 years, male 789.7
GTEX-13PVQ-0626-SM-5LU47 50-59 years, male 789.2
GTEX-1HB9E-0126-SM-CM2S5 50-59 years, male 788.8
GTEX-13FHO-0426-SM-5L3F5 60-69 years, male 780.8
GTEX-15EU6-2226-SM-6EU2L 50-59 years, male 778.5
GTEX-17MF6-2626-SM-79OKQ 40-49 years, male 773.0
GTEX-1MCC2-1826-SM-DIPEX 30-39 years, female 772.4
GTEX-1IDJD-2326-SM-ACKWX 30-39 years, male 772.0
GTEX-YEC3-1326-SM-DO92X 50-59 years, male 771.4
GTEX-1ICLY-0826-SM-CMKG1 50-59 years, male 769.2
GTEX-1HFI6-0126-SM-CNPPI 40-49 years, male 769.0
GTEX-1H1E6-0426-SM-9WYUS 30-39 years, male 768.9
GTEX-ZPIC-0526-SM-DO91W 40-49 years, female 768.5
GTEX-18A7A-0126-SM-731AH 50-59 years, female 766.6
GTEX-1J8Q2-2626-SM-ACKWQ 60-69 years, male 762.6
GTEX-14PJN-1826-SM-6AJ98 30-39 years, male 760.2
GTEX-145MI-0626-SM-5SI8S 60-69 years, female 759.9
GTEX-145ME-1726-SM-5Q5EU 40-49 years, female 759.8
GTEX-1RLM8-2926-SM-E8VON 50-59 years, male 758.9
GTEX-WRHU-2826-SM-3MJG8 50-59 years, female 756.1
GTEX-X5EB-1926-SM-4E3IW 40-49 years, male 756.1
GTEX-1EU9M-1426-SM-793AI 60-69 years, male 755.1
GTEX-11EI6-2826-SM-5H11D 60-69 years, male 753.1
GTEX-1QMI2-2526-SM-E8VNZ 60-69 years, male 749.9
GTEX-1CB4I-0126-SM-7RHGG 50-59 years, male 749.3
GTEX-1S3DN-2126-SM-E9TIN 50-59 years, male 744.3
GTEX-1GL5R-1326-SM-7RHHF 50-59 years, male 743.6
GTEX-1K2DA-1026-SM-CGQGF 50-59 years, male 743.5
GTEX-1GN1W-2426-SM-9KNUU 50-59 years, female 740.5
GTEX-1B97I-0626-SM-73KUZ 40-49 years, male 738.8
GTEX-13OVG-1626-SM-5J1NF 60-69 years, male 738.4
GTEX-1QP29-1826-SM-DTX9S 50-59 years, male 737.2
GTEX-ZDXO-3126-SM-5IJDF 60-69 years, male 736.0
GTEX-13D11-0926-SM-5J2NC 50-59 years, female 734.3
GTEX-1RAZR-2126-SM-E9U6T 40-49 years, male 732.4
GTEX-13OW8-1026-SM-5J1NQ 60-69 years, male 728.5
GTEX-11P82-1426-SM-DTXFY 20-29 years, male 728.1
GTEX-X4EO-2926-SM-4E3JH 60-69 years, female 726.8
GTEX-1117F-2926-SM-5GZYI 60-69 years, female 723.3
GTEX-1LVAO-2726-SM-E9TJ8 60-69 years, male 722.4
GTEX-1B8L1-2226-SM-7P8PT 60-69 years, male 722.0
GTEX-1JJE9-2626-SM-ARZMT 70-79 years, male 721.9
GTEX-13QJC-0126-SM-5ZZWJ 60-69 years, female 721.6
GTEX-1JKYR-0626-SM-ARL8R 20-29 years, male 721.4
GTEX-WEY5-2326-SM-3GIKK 40-49 years, female 719.7
GTEX-WFG8-2126-SM-3GIKQ 20-29 years, male 719.5
GTEX-1N5O9-0926-SM-E9J3C 60-69 years, male 717.9
GTEX-15CHC-1126-SM-6LLHQ 60-69 years, female 712.1
GTEX-13U4I-2226-SM-5LU5H 40-49 years, female 711.9
GTEX-18A7B-2726-SM-7LG56 70-79 years, male 708.7
GTEX-XUW1-0926-SM-4BONX 50-59 years, female 708.7
GTEX-WYVS-1626-SM-3NM9R 40-49 years, female 707.4
GTEX-XBEC-0726-SM-4QARZ 50-59 years, male 705.1
GTEX-13JUV-2026-SM-5K7UA 40-49 years, female 704.3
GTEX-145MN-1526-SM-5SI9T 30-39 years, male 702.7
GTEX-1JKYN-0826-SM-ARU8S 30-39 years, male 700.5
GTEX-1QEPI-2626-SM-DTXF4 60-69 years, female 700.0
GTEX-1HCU8-2526-SM-CE6RX 60-69 years, female 699.8
GTEX-183FY-1026-SM-7939A 20-29 years, male 698.8
GTEX-1AMEY-0826-SM-72D65 30-39 years, female 695.1
GTEX-13VXU-0626-SM-5L3F9 50-59 years, male 692.3
GTEX-XMD2-2126-SM-4YCF8 60-69 years, female 689.6
GTEX-1H1ZS-2726-SM-9WG75 70-79 years, male 685.6
GTEX-12696-0126-SM-5EQ4L 60-69 years, male 684.8
GTEX-13X6J-0626-SM-5LU5F 50-59 years, male 683.7
GTEX-1IDJH-0126-SM-D3L92 70-79 years, male 680.6
GTEX-14PKU-0126-SM-6LLHV 40-49 years, female 679.1
GTEX-1JMPZ-0726-SM-CY8HZ 30-39 years, male 678.8
GTEX-178AV-1726-SM-7KUL8 40-49 years, male 676.7
GTEX-13FTW-0326-SM-5K7UW 40-49 years, male 676.1
GTEX-1ICG6-1226-SM-A9SLN 70-79 years, female 675.9
GTEX-12WSM-1926-SM-5BC65 60-69 years, male 675.6
GTEX-1HCVE-2726-SM-CL54F 50-59 years, male 669.8
GTEX-ZA64-1026-SM-5HL8R 20-29 years, male 668.7
GTEX-1QP66-1226-SM-DTX7U 50-59 years, male 668.4
GTEX-1211K-1526-SM-5FQU4 60-69 years, female 662.5
GTEX-13X6K-0626-SM-5LU5D 60-69 years, female 660.1
GTEX-18D9U-0126-SM-731BM 40-49 years, male 657.6
GTEX-1GF9U-2026-SM-7SB92 40-49 years, female 655.0
GTEX-1CB4H-1126-SM-7MKGL 60-69 years, female 653.1
GTEX-12WSA-0426-SM-5EQ5X 60-69 years, male 650.6
GTEX-111YS-1526-SM-5GZYW 60-69 years, male 649.4
GTEX-1GTWX-2026-SM-9YFLM 60-69 years, male 647.4
GTEX-1L5NE-1126-SM-D3L9P 50-59 years, male 644.4
GTEX-12WSC-2826-SM-5BC5Y 50-59 years, male 642.3
GTEX-1KXAM-1626-SM-D3LAD 60-69 years, male 642.2
GTEX-1LG7Z-1626-SM-CXKYR 30-39 years, male 637.2
GTEX-13N11-2326-SM-5IJBF 50-59 years, female 632.9
GTEX-1HSGN-0826-SM-ACKW3 40-49 years, female 631.4
GTEX-13PVR-0426-SM-5RQK2 60-69 years, female 630.6
GTEX-1O9I2-0226-SM-EYYXD 50-59 years, male 630.4
GTEX-14LLW-2626-SM-62LDZ 70-79 years, female 627.3
GTEX-183WM-0326-SM-72D5V 70-79 years, female 623.2
GTEX-1GMR8-0626-SM-7RHI7 50-59 years, female 621.6
GTEX-12BJ1-0926-SM-5EQ62 60-69 years, male 620.7
GTEX-117YX-1926-SM-5GIEC 50-59 years, male 619.8
GTEX-WK11-2726-SM-3NMAQ 50-59 years, male 619.6
GTEX-14PKV-1126-SM-6LLJ1 20-29 years, female 617.5
GTEX-14PJ5-1526-SM-6LLIL 60-69 years, female 617.2
GTEX-147F3-1726-SM-5SIAW 50-59 years, female 610.8
GTEX-1H1DF-1126-SM-9WG7G 40-49 years, female 609.9
GTEX-16XZZ-0726-SM-7KUF2 60-69 years, male 609.0
GTEX-1HCU9-0426-SM-9WYSD 20-29 years, male 602.1
GTEX-12C56-1526-SM-5FQUQ 20-29 years, male 600.3
GTEX-1LG7Y-2526-SM-EWRO7 50-59 years, male 600.1
GTEX-1IDJI-0126-SM-CMKHS 50-59 years, female 593.7
GTEX-1M4P7-0726-SM-E6CJ3 60-69 years, male 585.2
GTEX-1477Z-0326-SM-7IGLA 60-69 years, male 584.7
GTEX-1E1VI-0326-SM-793D1 50-59 years, male 580.9
GTEX-V1D1-2026-SM-3GAF4 50-59 years, male 573.4
GTEX-1GMR2-0826-SM-7PC3V 50-59 years, male 569.6
GTEX-14BMU-1226-SM-5S2OR 20-29 years, female 569.5
GTEX-1F75B-0726-SM-7PC3R 50-59 years, male 569.2
GTEX-1I4MK-0126-SM-CY8G6 50-59 years, female 567.9
GTEX-1122O-1026-SM-9WYSF 60-69 years, female 567.8
GTEX-1I6K6-1726-SM-CGQFD 30-39 years, male 564.6
GTEX-14DAR-1226-SM-73KYV 50-59 years, male 561.1
GTEX-1HFI7-2326-SM-CGQFS 50-59 years, female 556.8
GTEX-1JJ6O-2726-SM-CNPOG 60-69 years, male 556.3
GTEX-1A3MX-2626-SM-7PC24 60-69 years, male 553.3
GTEX-1C475-1326-SM-7SB73 40-49 years, female 550.9
GTEX-ZGAY-1826-SM-DO91Q 40-49 years, female 547.7
GTEX-1IDJF-2026-SM-CL53V 20-29 years, male 547.6
GTEX-X3Y1-2026-SM-3P5YM 40-49 years, male 545.6
GTEX-16NGA-0726-SM-731AO 40-49 years, female 545.3
GTEX-1S5ZU-2526-SM-E6CIF 20-29 years, female 542.8
GTEX-1F88E-1626-SM-7SB8Z 60-69 years, female 541.1
GTEX-14E6E-0526-SM-793DN 30-39 years, male 540.6
GTEX-1EH9U-2826-SM-7DUGT 60-69 years, male 539.1
GTEX-WY7C-2126-SM-3NB2R 50-59 years, male 534.4
GTEX-1J1R8-2026-SM-CL53Y 40-49 years, male 528.8
GTEX-1I1CD-0626-SM-CE6SW 60-69 years, female 528.0
GTEX-1B8KZ-0326-SM-73KY4 50-59 years, male 524.3
GTEX-1AMFI-1326-SM-7939R 50-59 years, female 522.3
GTEX-13X6I-1826-SM-5SIAO 60-69 years, male 521.9
GTEX-VJYA-1526-SM-3GIJV 60-69 years, male 519.6
GTEX-1IDJE-1426-SM-ADEIW 50-59 years, female 517.4
GTEX-ZVE2-2826-SM-5GU51 50-59 years, male 517.1
GTEX-ZVT2-0126-SM-5GIDQ 50-59 years, female 513.3
GTEX-UPK5-0426-SM-3GAEK 40-49 years, male 510.8
GTEX-145LT-0526-SM-5LUB2 40-49 years, male 505.1
GTEX-ZYFG-1526-SM-5GZYM 60-69 years, female 504.7
GTEX-WYBS-0626-SM-3NMAS 60-69 years, female 502.9
GTEX-1H3NZ-2726-SM-9WYTQ 60-69 years, male 497.4
GTEX-1314G-1326-SM-5BC6E 30-39 years, male 494.0
GTEX-1GMR3-0126-SM-A9SLW 40-49 years, male 484.9
GTEX-13QBU-1226-SM-5LU4G 40-49 years, female 482.9
GTEX-11EM3-1226-SM-5N9DD 20-29 years, female 482.5
GTEX-1F5PL-0926-SM-7PC2W 40-49 years, female 475.5
GTEX-1IDJU-1726-SM-CMKHU 60-69 years, female 471.1
GTEX-1KANC-1226-SM-CYPT7 50-59 years, female 468.6
GTEX-YB5K-2026-SM-4VDT3 40-49 years, female 464.4
GTEX-Y8LW-1526-SM-5IFHL 50-59 years, female 462.6
GTEX-13FH7-1126-SM-5K7UG 50-59 years, female 458.4
GTEX-1QCLZ-2426-SM-EVYBW 60-69 years, female 455.9
GTEX-1J8Q3-0526-SM-ARL8U 60-69 years, male 455.4
GTEX-1CAV2-0126-SM-7IGN7 40-49 years, female 450.3
GTEX-1KWVE-1026-SM-D3L9O 30-39 years, male 449.2
GTEX-13N2G-0226-SM-5K7VF 60-69 years, male 441.1
GTEX-Y5V5-0126-SM-5S2NW 60-69 years, female 430.6
GTEX-1A32A-0626-SM-731AQ 50-59 years, female 426.4
GTEX-17JCI-2926-SM-7DUFF 60-69 years, female 418.1
GTEX-14DAQ-0626-SM-793DS 60-69 years, female 415.9
GTEX-1GZ2Q-0126-SM-9WG6M 40-49 years, male 414.9
GTEX-1497J-0226-SM-5QGPU 60-69 years, male 413.2
GTEX-1B996-0426-SM-7EWF8 60-69 years, male 405.2
GTEX-14PJ2-0626-SM-6LLII 50-59 years, male 402.6
GTEX-ZLWG-0826-SM-59888 50-59 years, female 399.7
GTEX-1HSMO-0626-SM-ACKXC 60-69 years, male 392.0
GTEX-1I19N-0126-SM-CYPSF 70-79 years, male 374.5
GTEX-1399R-1326-SM-5PNYS 30-39 years, male 373.1
GTEX-1RAZA-2226-SM-E9U4X 20-29 years, male 338.2
GTEX-1F6IF-0926-SM-7SB7M 60-69 years, male 326.1
GTEX-13113-1626-SM-5EQ4I 60-69 years, female 319.3
GTEX-1HUB1-1426-SM-CGQF5 60-69 years, male 314.6
GTEX-ZT9W-1126-SM-57WDR 50-59 years, male 310.7
GTEX-1LGOU-1326-SM-D3L8M 20-29 years, female 304.6
GTEX-12WSL-2026-SM-5GCML 50-59 years, male 297.1
GTEX-ZVTK-0226-SM-51MRG 20-29 years, male 286.8
GTEX-1F75W-2726-SM-7SB8H 60-69 years, male 236.0
Show allShow less
Skin - Sun Exposed (Lower leg)
Average nTPM: 1022.3
Samples: 701

Max nTPM: 6943.4
Min nTPM: 11.5
Std nTPM: 653.0
Median nTPM: 904.6
GTEX-14E6C-0126-SM-5RQIP 40-49 years, male 6943.4
GTEX-ZYFD-0126-SM-5GIDL 50-59 years, male 6532.1
GTEX-POMQ-2226-SM-2I5FK 20-29 years, female 5604.7
GTEX-WI4N-1026-SM-3LK7N 40-49 years, female 5286.3
GTEX-T2YK-0526-SM-32QPJ 50-59 years, male 3877.7
GTEX-W5X1-3026-SM-EAZAX 40-49 years, female 3527.5
GTEX-13OVH-0126-SM-5MR4B 70-79 years, male 3471.9
GTEX-ZF3C-0126-SM-DO92D 50-59 years, female 3420.7
GTEX-Y3IK-2426-SM-4WWDU 50-59 years, female 3331.7
GTEX-X88G-0126-SM-47JZ3 30-39 years, male 3275.0
GTEX-P4QT-0126-SM-2I3FL 50-59 years, female 3071.1
GTEX-ZVZO-0126-SM-5A5L9 40-49 years, male 2791.8
GTEX-11DXZ-2326-SM-5EGGV 50-59 years, male 2725.6
GTEX-T6MN-0126-SM-32PLP 50-59 years, male 2707.7
GTEX-U8XE-0326-SM-3DB8P 30-39 years, male 2593.1
GTEX-1QMI2-0226-SM-EVYBX 60-69 years, male 2577.7
GTEX-1JMQL-0226-SM-CNPP5 50-59 years, female 2573.9
GTEX-QESD-1426-SM-2S1R9 20-29 years, male 2569.1
GTEX-15UF6-0826-SM-6PALJ 70-79 years, female 2562.4
GTEX-132NY-0326-SM-5IJBL 60-69 years, male 2504.1
GTEX-13CF2-2526-SM-5LZYX 60-69 years, male 2402.0
GTEX-PX3G-0126-SM-2I3EN 20-29 years, female 2288.8
GTEX-11DYG-0126-SM-59883 60-69 years, male 2268.7
GTEX-1LBAC-0126-SM-DIPEZ 20-29 years, male 2253.1
GTEX-1I1GV-0526-SM-A9G29 60-69 years, male 2209.2
GTEX-ZU9S-0226-SM-5E441 30-39 years, male 2198.6
GTEX-183WM-0126-SM-7LTAB 70-79 years, female 2169.3
GTEX-1192W-2626-SM-5Q5AF 60-69 years, male 2166.9
GTEX-XUZC-1726-SM-4BRWS 30-39 years, female 2127.1
GTEX-1JMLX-0226-SM-CM2RO 50-59 years, male 2111.9
GTEX-X8HC-0126-SM-4E3JW 50-59 years, female 2099.1
GTEX-15UKP-0426-SM-7KUFQ 20-29 years, male 2072.1
GTEX-X4XY-0226-SM-4E3IZ 60-69 years, male 2056.2
GTEX-1R9PM-2026-SM-E76OY 20-29 years, male 2043.3
GTEX-1GF9X-2026-SM-7PC3A 40-49 years, female 2040.1
GTEX-11WQK-0526-SM-5EQLD 50-59 years, male 2021.1
GTEX-1R9K4-0126-SM-DTX9X 60-69 years, male 2017.4
GTEX-13FXS-0226-SM-5IJCK 50-59 years, male 2016.1
GTEX-ZVTK-0426-SM-51MRS 20-29 years, male 2012.7
GTEX-16GPK-0126-SM-7DHLE 60-69 years, male 1984.5
GTEX-1N2DW-0226-SM-E9TK2 50-59 years, male 1975.2
GTEX-12126-0326-SM-5PNW3 20-29 years, male 1972.3
GTEX-111FC-0126-SM-5N9DL 60-69 years, male 1967.3
GTEX-14XAO-2326-SM-6EU1B 60-69 years, female 1926.1
GTEX-YJ89-0126-SM-4TT3X 60-69 years, male 1915.3
GTEX-131XE-2326-SM-5PNZ2 50-59 years, male 1909.5
GTEX-ZYT6-0226-SM-5NQ6T 30-39 years, male 1900.7
GTEX-17JCI-0126-SM-7LG5G 60-69 years, female 1892.3
GTEX-1PIIG-0226-SM-EWRN6 30-39 years, male 1885.9
GTEX-Y8DK-0126-SM-4TT3L 60-69 years, male 1846.0
GTEX-1N2EF-0226-SM-EYYXB 60-69 years, male 1840.6
GTEX-1A3MX-0126-SM-731BR 60-69 years, male 1797.8
GTEX-15SB6-1726-SM-6PAME 50-59 years, female 1786.6
GTEX-1EMGI-0126-SM-9KNUE 60-69 years, male 1782.0
GTEX-1JJEA-0326-SM-CNPOT 60-69 years, male 1777.4
GTEX-14PN4-0126-SM-6EU2V 50-59 years, male 1776.5
GTEX-14A5H-0426-SM-5QGQF 60-69 years, male 1775.6
GTEX-1QAET-0926-SM-E76QM 50-59 years, male 1773.6
GTEX-13111-1626-SM-5EGJY 50-59 years, male 1710.0
GTEX-OIZG-0726-SM-33HBL 50-59 years, male 1699.0
GTEX-Z93S-0126-SM-5HL7M 50-59 years, male 1697.7
GTEX-1CB4F-0426-SM-9KNV4 60-69 years, male 1688.7
GTEX-1GZHY-0326-SM-9QEHI 50-59 years, female 1682.3
GTEX-1MJK2-0426-SM-DTXE5 50-59 years, male 1678.5
GTEX-15ER7-0326-SM-7KUEV 20-29 years, female 1667.7
GTEX-1OJC3-0126-SM-E76QX 20-29 years, male 1667.4
GTEX-13O1R-0126-SM-5L3EH 60-69 years, male 1663.3
GTEX-UJHI-1526-SM-3DB99 50-59 years, female 1653.5
GTEX-11TUW-2726-SM-E9J4M 60-69 years, male 1643.2
GTEX-1LG7Z-1726-SM-D3LA4 30-39 years, male 1639.3
GTEX-1H1CY-2826-SM-9MQM3 60-69 years, female 1635.7
GTEX-YJ8A-0426-SM-5IFID 20-29 years, male 1615.7
GTEX-1ICLZ-0126-SM-CKZPO 60-69 years, male 1610.8
GTEX-S33H-1026-SM-EZ6L6 30-39 years, male 1605.0
GTEX-1C64N-0126-SM-793D7 50-59 years, male 1602.7
GTEX-TMZS-0126-SM-3DB9Q 60-69 years, male 1597.4
GTEX-13X6J-0126-SM-5QGOU 50-59 years, male 1590.8
GTEX-139TS-2826-SM-5J1OO 60-69 years, male 1590.6
GTEX-1H4P4-0726-SM-9YFLR 50-59 years, male 1582.0
GTEX-RU72-0926-SM-2TF6B 50-59 years, female 1571.0
GTEX-1IOXB-0126-SM-ARL8G 50-59 years, male 1558.1
GTEX-1LB8K-0226-SM-EWRNW 50-59 years, male 1557.6
GTEX-13FHP-0126-SM-5IJBG 50-59 years, male 1554.8
GTEX-18A6Q-0126-SM-731BZ 60-69 years, male 1546.7
GTEX-139UW-2826-SM-5L3E7 60-69 years, male 1544.7
GTEX-P4PP-0126-SM-3LK69 30-39 years, female 1532.6
GTEX-11TT1-2526-SM-5EGIB 20-29 years, male 1532.5
GTEX-Z93T-0126-SM-5HL5N 50-59 years, male 1531.3
GTEX-1HSKV-0226-SM-A9SKJ 60-69 years, male 1530.9
GTEX-U412-0426-SM-3DB9O 60-69 years, male 1517.7
GTEX-OIZH-0126-SM-2HMIS 50-59 years, male 1517.2
GTEX-1JN1M-0326-SM-CYPT3 60-69 years, female 1511.2
GTEX-1J8EW-0126-SM-CJI4F 60-69 years, female 1510.5
GTEX-1CAV2-2226-SM-7P8P2 40-49 years, female 1509.6
GTEX-1IL2U-0226-SM-CE6T8 60-69 years, male 1500.7
GTEX-14E6E-1826-SM-5S2R7 30-39 years, male 1499.5
GTEX-ZV68-0126-SM-59HKS 50-59 years, female 1495.7
GTEX-1B8SF-1426-SM-7DUGL 60-69 years, male 1489.4
GTEX-1399R-2726-SM-5IJBA 30-39 years, male 1486.2
GTEX-1122O-2126-SM-5EGIR 60-69 years, female 1483.1
GTEX-13NYB-2526-SM-5K7Z6 40-49 years, male 1479.3
GTEX-1JMPY-1326-SM-ARL8Y 30-39 years, male 1476.5
GTEX-OHPL-0126-SM-2HMJ7 60-69 years, female 1467.4
GTEX-12ZZX-0126-SM-5EGK9 40-49 years, female 1466.5
GTEX-13NZB-2526-SM-5J1OM 30-39 years, male 1466.5
GTEX-1HR98-0126-SM-B2LWI 60-69 years, male 1454.4
GTEX-131YS-0126-SM-5KM1M 60-69 years, female 1450.8
GTEX-17KNJ-2326-SM-7DHLQ 50-59 years, male 1446.6
GTEX-1GN2E-0426-SM-9MQKX 60-69 years, male 1444.3
GTEX-ZF2S-2326-SM-4WWCE 50-59 years, female 1440.4
GTEX-ZWKS-0126-SM-5SIAA 30-39 years, male 1436.7
GTEX-1IDJH-0326-SM-A9SLQ 70-79 years, male 1435.9
GTEX-ZGAY-0526-SM-4WWBB 40-49 years, female 1435.3
GTEX-NPJ8-0126-SM-2YUNR 40-49 years, male 1429.9
GTEX-1HFI6-0226-SM-ADEHZ 40-49 years, male 1428.5
GTEX-14E6D-0126-SM-62LDV 50-59 years, male 1420.0
GTEX-1F6RS-0126-SM-9MQKZ 60-69 years, female 1407.1
GTEX-13G51-2526-SM-5LZYK 60-69 years, male 1405.5
GTEX-Y111-0126-SM-4SOIV 50-59 years, male 1403.5
GTEX-ZTX8-1426-SM-5DUVO 20-29 years, male 1392.8
GTEX-ZE7O-0126-SM-57WC1 50-59 years, female 1391.6
GTEX-14JG1-0426-SM-6ETZZ 40-49 years, male 1385.6
GTEX-18D9A-1926-SM-7LG6P 30-39 years, female 1383.2
GTEX-1JN6P-0126-SM-D3L98 60-69 years, male 1377.6
GTEX-1K2DA-1826-SM-CGQGT 50-59 years, male 1370.1
GTEX-1399T-2826-SM-5KLYZ 60-69 years, male 1368.3
GTEX-ZAK1-0126-SM-5IJD3 50-59 years, female 1362.0
GTEX-XQ3S-1526-SM-4BOOC 20-29 years, male 1360.7
GTEX-U8T8-0126-SM-3DB94 60-69 years, male 1355.1
GTEX-11OC5-0126-SM-5HL6A 60-69 years, male 1352.5
GTEX-145MN-2226-SM-5SIAU 30-39 years, male 1351.0
GTEX-WYJK-0126-SM-3NMAB 50-59 years, male 1350.7
GTEX-1JMQK-0226-SM-CL543 60-69 years, male 1350.4
GTEX-1JMPZ-0226-SM-CNPP1 30-39 years, male 1350.1
GTEX-NFK9-0226-SM-2HMKQ 40-49 years, male 1349.8
GTEX-1GF9V-0326-SM-7RHI5 60-69 years, male 1347.4
GTEX-S7SE-0126-SM-2XCD5 50-59 years, male 1342.1
GTEX-14PII-0226-SM-6EU1T 60-69 years, male 1340.7
GTEX-1EWIQ-0126-SM-7RHH2 70-79 years, female 1322.6
GTEX-1HCU8-0626-SM-A9SM9 60-69 years, female 1322.1
GTEX-1KD4Q-0226-SM-E9TJ9 40-49 years, male 1314.6
GTEX-X4XX-0126-SM-3NMC2 60-69 years, male 1313.7
GTEX-1KAFJ-2026-SM-CY8ID 50-59 years, male 1310.9
GTEX-SIU8-0126-SM-2XCDT 50-59 years, male 1307.7
GTEX-ZYFC-0226-SM-5NQ75 50-59 years, male 1306.7
GTEX-18A67-0126-SM-7LG5P 50-59 years, male 1306.6
GTEX-13FTW-2626-SM-5K7WL 40-49 years, male 1300.5
GTEX-XYKS-2126-SM-4E3IB 60-69 years, female 1300.4
GTEX-1B8SG-0126-SM-73KZ3 50-59 years, male 1294.1
GTEX-X4EP-0126-SM-3P5YV 60-69 years, female 1293.9
GTEX-1L5NE-2526-SM-E6CIE 50-59 years, male 1288.4
GTEX-1399U-2326-SM-5K7WY 50-59 years, female 1287.1
GTEX-1F6IF-0726-SM-7P8TW 60-69 years, male 1284.7
GTEX-117XS-2726-SM-5N9BL 60-69 years, male 1278.7
GTEX-1PPH8-0226-SM-E8VND 20-29 years, male 1278.5
GTEX-1313W-0126-SM-5LZUN 50-59 years, female 1271.1
GTEX-X4EO-0326-SM-3P5YO 60-69 years, female 1270.0
GTEX-YB5K-2126-SM-4WWDJ 40-49 years, female 1268.3
GTEX-1BAJH-0526-SM-793CQ 70-79 years, male 1266.2
GTEX-1B8L1-2526-SM-9WYTF 60-69 years, male 1263.5
GTEX-131XH-2226-SM-5DUXJ 50-59 years, male 1263.0
GTEX-1NV5F-0226-SM-E8VNY 60-69 years, female 1259.0
GTEX-T5JW-1626-SM-3GADZ 20-29 years, female 1257.7
GTEX-1JN76-0126-SM-CNPPE 20-29 years, female 1247.3
GTEX-146FH-0126-SM-5QGPP 50-59 years, female 1244.6
GTEX-13PDP-0126-SM-5L3HD 60-69 years, male 1244.1
GTEX-12WSL-2526-SM-5GCNJ 50-59 years, male 1241.9
GTEX-OOBJ-0126-SM-E6CJW 60-69 years, male 1239.6
GTEX-1C6VQ-0126-SM-7P8RI 50-59 years, male 1230.8
GTEX-1C6VR-2426-SM-79OLD 60-69 years, male 1230.7
GTEX-11DXW-0226-SM-5H122 40-49 years, male 1229.6
GTEX-ZAJG-0126-SM-5HL94 50-59 years, female 1224.8
GTEX-15ETS-0126-SM-7KUMW 40-49 years, female 1218.4
GTEX-XXEK-2226-SM-4BRUM 50-59 years, male 1218.4
GTEX-11DZ1-0126-SM-5985Q 50-59 years, male 1218.2
GTEX-1IKK5-0626-SM-ARL8A 60-69 years, male 1216.9
GTEX-1GMR3-1926-SM-9KNUZ 40-49 years, male 1213.7
GTEX-1QP9N-1426-SM-DTXFL 30-39 years, male 1213.1
GTEX-1JMQI-2226-SM-CM2SD 50-59 years, male 1207.7
GTEX-13OVK-2026-SM-7KUEO 40-49 years, male 1207.5
GTEX-1HCUA-2426-SM-ADEIS 50-59 years, female 1207.3
GTEX-146FQ-0126-SM-5NQA9 30-39 years, male 1204.7
GTEX-1J8JJ-0226-SM-CL53I 60-69 years, female 1204.1
GTEX-O5YT-0126-SM-48TBW 20-29 years, male 1203.0
GTEX-1GF9W-0326-SM-9KNUN 60-69 years, male 1200.7
GTEX-ZXES-1826-SM-5E43S 30-39 years, female 1196.0
GTEX-15F5U-1526-SM-6PANO 40-49 years, male 1195.1
GTEX-14BIN-0626-SM-793DP 50-59 years, female 1194.3
GTEX-11UD1-0126-SM-5PNYG 40-49 years, female 1192.6
GTEX-RUSQ-1526-SM-2TF62 50-59 years, male 1187.4
GTEX-144GL-0126-SM-5TDE2 50-59 years, male 1187.2
GTEX-QVJO-1626-SM-2S1QW 60-69 years, female 1185.1
GTEX-1H11D-0226-SM-9WG6Z 40-49 years, male 1182.5
GTEX-13112-2826-SM-5DUWH 50-59 years, male 1178.7
GTEX-1CB4E-2226-SM-793DC 60-69 years, male 1178.0
GTEX-ZPIC-1726-SM-DHXIU 40-49 years, female 1177.1
GTEX-YFC4-0126-SM-5CVLY 40-49 years, female 1176.5
GTEX-ZE9C-2726-SM-57WB5 60-69 years, male 1175.9
GTEX-1212Z-2526-SM-5EGKP 60-69 years, male 1174.0
GTEX-YB5E-2026-SM-5IFIS 40-49 years, male 1171.6
GTEX-1128S-2326-SM-5GZZY 60-69 years, female 1170.9
GTEX-Y5V6-2426-SM-4VDSB 60-69 years, male 1170.7
GTEX-WQUQ-0426-SM-3MJFU 60-69 years, male 1169.7
GTEX-1C4CL-0526-SM-73KVK 30-39 years, male 1166.8
GTEX-12584-0126-SM-5EGKQ 40-49 years, male 1166.1
GTEX-15RIG-0226-SM-7KFTL 40-49 years, male 1166.1
GTEX-139D8-0226-SM-5KLZO 30-39 years, female 1165.5
GTEX-12WSE-0526-SM-793B2 20-29 years, male 1165.3
GTEX-18QFQ-0126-SM-731BE 30-39 years, male 1157.2
GTEX-1H1DG-0126-SM-9WYU2 70-79 years, male 1157.0
GTEX-14C5O-0126-SM-5SI6N 60-69 years, male 1153.3
GTEX-QV44-1926-SM-2S1RF 50-59 years, male 1153.2
GTEX-14LZ3-0226-SM-62LET 60-69 years, female 1152.9
GTEX-1HB9E-0226-SM-E9U4R 50-59 years, male 1150.4
GTEX-1HSEH-0126-SM-ACKXN 60-69 years, male 1148.9
GTEX-Y8E4-0626-SM-4WWDL 40-49 years, male 1146.5
GTEX-18A7A-0226-SM-718BH 50-59 years, female 1141.7
GTEX-1269C-2526-SM-5EGJ3 60-69 years, female 1140.0
GTEX-PSDG-0226-SM-DKPOZ 50-59 years, male 1140.0
GTEX-145LS-0126-SM-5QGP1 60-69 years, female 1131.9
GTEX-111VG-2426-SM-5GZXD 60-69 years, male 1128.3
GTEX-1JMQJ-0526-SM-CYPSU 50-59 years, male 1127.7
GTEX-15G19-0126-SM-6PANQ 60-69 years, male 1126.6
GTEX-11UD2-0226-SM-5EQKY 50-59 years, male 1126.3
GTEX-1497J-2426-SM-7IGNX 60-69 years, male 1125.8
GTEX-ZVT2-2526-SM-51MT1 50-59 years, female 1123.6
GTEX-T2IS-0126-SM-4DM6O 20-29 years, female 1123.1
GTEX-RVPV-0126-SM-EAZAW 60-69 years, male 1121.5
GTEX-1B8KE-2126-SM-73KYX 50-59 years, male 1120.3
GTEX-13O3Q-2426-SM-5IJBR 50-59 years, male 1119.5
GTEX-1S83E-0126-SM-EWRO4 40-49 years, male 1119.0
GTEX-13NZ8-0826-SM-5MR3I 60-69 years, female 1117.0
GTEX-OXRN-0126-SM-48TDM 50-59 years, male 1113.5
GTEX-17EVP-0326-SM-7DHLG 40-49 years, male 1111.6
GTEX-13VXU-0126-SM-5SI9F 50-59 years, male 1104.8
GTEX-1KANC-1526-SM-D3LAB 50-59 years, female 1101.8
GTEX-17MF6-0126-SM-7LG4F 40-49 years, male 1100.7
GTEX-ZDTS-0126-SM-4WAY5 60-69 years, male 1098.3
GTEX-1F5PL-0326-SM-7P8PQ 40-49 years, female 1093.4
GTEX-12696-2426-SM-5EQ6H 60-69 years, male 1092.9
GTEX-144FL-0126-SM-5TDC8 50-59 years, male 1087.3
GTEX-1KWVE-1426-SM-E9TJO 30-39 years, male 1085.4
GTEX-11O72-0126-SM-59887 40-49 years, male 1085.1
GTEX-1HBPI-1526-SM-C1YQ1 50-59 years, male 1084.2
GTEX-14BMV-0126-SM-5S2PO 50-59 years, male 1077.7
GTEX-17GQL-2026-SM-718BA 60-69 years, male 1073.0
GTEX-13OW6-0426-SM-5L3HM 50-59 years, male 1070.9
GTEX-1C475-1826-SM-73KWA 40-49 years, female 1069.4
GTEX-13NYS-0126-SM-5MR3W 60-69 years, male 1065.3
GTEX-ZYFG-2326-SM-5E44B 60-69 years, female 1063.5
GTEX-11H98-0126-SM-5EGHG 50-59 years, male 1063.4
GTEX-1I1GT-0626-SM-CGQER 60-69 years, female 1063.2
GTEX-WYVS-2126-SM-3NMA3 40-49 years, female 1059.9
GTEX-ZQUD-1426-SM-57WER 30-39 years, male 1058.1
GTEX-TKQ1-1026-SM-4GICL 30-39 years, male 1057.8
GTEX-14PJM-0226-SM-62LF1 50-59 years, female 1055.4
GTEX-1GMRU-0126-SM-9YFLV 50-59 years, male 1053.5
GTEX-1E2YA-0126-SM-9KNUC 50-59 years, male 1052.3
GTEX-1I1GQ-0126-SM-COH3H 50-59 years, male 1051.4
GTEX-16BQI-0226-SM-7KUEX 30-39 years, female 1050.4
GTEX-1HT8W-0126-SM-CNPPP 30-39 years, male 1049.6
GTEX-S7PM-0126-SM-4AD6S 60-69 years, male 1046.0
GTEX-145MI-0526-SM-5O9A8 60-69 years, female 1045.0
GTEX-1CB4I-0226-SM-79OLH 50-59 years, male 1044.3
GTEX-1POEN-0126-SM-EYYXJ 30-39 years, female 1038.8
GTEX-145MF-0626-SM-5LUAI 50-59 years, male 1038.5
GTEX-XUYS-0126-SM-47JWZ 50-59 years, male 1036.9
GTEX-VUSG-2526-SM-4KL1V 50-59 years, male 1036.5
GTEX-12WSC-0126-SM-5EQ4P 50-59 years, male 1034.8
GTEX-169BO-1326-SM-9MQK2 50-59 years, male 1032.9
GTEX-ZTPG-0326-SM-5O9AX 20-29 years, female 1032.8
GTEX-X585-0226-SM-4QAS2 50-59 years, male 1032.2
GTEX-13113-5016-SM-7EPIP 60-69 years, female 1032.1
GTEX-12ZZY-0226-SM-5LZVE 60-69 years, male 1030.9
GTEX-13O3P-0126-SM-5KM4S 50-59 years, male 1030.9
GTEX-13YAN-0326-SM-5O9DF 60-69 years, male 1029.4
GTEX-1LVAN-0226-SM-COH3S 50-59 years, female 1029.1
GTEX-SN8G-0126-SM-32PLI 50-59 years, female 1024.7
GTEX-1HCU7-0226-SM-CL545 50-59 years, male 1024.0
GTEX-13IVO-0126-SM-5J1NG 70-79 years, male 1023.7
GTEX-XBEW-0626-SM-4QASP 40-49 years, male 1022.4
GTEX-1M5QR-1226-SM-EWROB 40-49 years, male 1021.1
GTEX-13OW5-0126-SM-DTXFS 60-69 years, male 1020.6
GTEX-131XF-5016-SM-7MGWE 60-69 years, male 1019.1
GTEX-RTLS-0126-SM-447CA 60-69 years, female 1018.2
GTEX-1H3VE-0326-SM-9YFLH 40-49 years, male 1017.7
GTEX-1K2DU-2326-SM-E9TIV 20-29 years, male 1017.6
GTEX-RWSA-0126-SM-2XCBB 40-49 years, male 1015.8
GTEX-1O97I-0326-SM-EYYX7 60-69 years, male 1014.7
GTEX-1RB15-2126-SM-E9TIM 60-69 years, male 1008.6
GTEX-1F75A-0126-SM-7RHGM 50-59 years, male 1004.9
GTEX-15DDE-0126-SM-6LPKH 50-59 years, female 1003.5
GTEX-11GS4-2726-SM-5A5LE 60-69 years, male 1003.0
GTEX-1IL2V-0126-SM-CM2TX 70-79 years, male 995.8
GTEX-WVJS-0126-SM-4MVOT 50-59 years, male 995.6
GTEX-1LGRB-2526-SM-CNPPQ 50-59 years, female 995.3
GTEX-1S5ZA-0126-SM-EVYCV 20-29 years, male 992.1
GTEX-1HCU9-1526-SM-A9SL7 20-29 years, male 986.4
GTEX-1H3O1-0426-SM-9YFKY 60-69 years, male 982.7
GTEX-14PK6-1926-SM-6ETZU 70-79 years, female 981.2
GTEX-12ZZZ-0626-SM-5DUXI 60-69 years, male 980.7
GTEX-17HHY-0126-SM-7LG5D 50-59 years, male 979.8
GTEX-SNMC-1226-SM-2XCFP 20-29 years, male 978.9
GTEX-1PIGE-0126-SM-EVYBJ 20-29 years, male 978.1
GTEX-1B933-0126-SM-7PC29 50-59 years, female 973.2
GTEX-11ZTS-0126-SM-5EQ6M 60-69 years, female 972.9
GTEX-1I6K6-0126-SM-A9SLE 30-39 years, male 970.8
GTEX-Y114-2426-SM-4TT8A 50-59 years, female 969.6
GTEX-14753-0426-SM-5NQAM 60-69 years, male 969.3
GTEX-1HBPN-0226-SM-9YFM1 50-59 years, male 969.0
GTEX-SUCS-1926-SM-32PM3 70-79 years, male 968.8
GTEX-1RDX4-0126-SM-E9J4P 50-59 years, female 968.7
GTEX-QEG4-0226-SM-2S1PY 30-39 years, male 965.5
GTEX-145MO-0326-SM-5Q5B3 60-69 years, male 963.1
GTEX-O5YW-0126-SM-3LK6D 50-59 years, male 962.4
GTEX-PWO3-1526-SM-48TCM 60-69 years, female 955.2
GTEX-1J1OQ-0226-SM-CYPSH 40-49 years, female 954.7
GTEX-11OF3-2626-SM-5GU7F 60-69 years, male 952.9
GTEX-14ICK-0226-SM-6EU25 40-49 years, male 952.9
GTEX-ZAB4-0226-SM-5N9F5 40-49 years, male 950.5
GTEX-13FTY-0526-SM-5L3EV 40-49 years, female 949.0
GTEX-1F6I4-0126-SM-9MQL2 60-69 years, male 947.6
GTEX-1CB4G-0226-SM-7PC3O 60-69 years, male 945.1
GTEX-Q2AI-1326-SM-2S1PL 40-49 years, male 945.0
GTEX-1314G-1526-SM-5EGK2 30-39 years, male 943.1
GTEX-13SLW-0126-SM-5SI6C 70-79 years, male 941.8
GTEX-1GN73-0226-SM-9WG67 60-69 years, male 941.6
GTEX-13JUV-2726-SM-5LZZ8 40-49 years, female 941.5
GTEX-1LSNM-1926-SM-E6CII 50-59 years, male 941.0
GTEX-1R7EU-0226-SM-EVR4G 60-69 years, male 935.2
GTEX-117YW-2626-SM-5GZZH 50-59 years, male 931.3
GTEX-1EX96-1626-SM-7PBXR 50-59 years, male 930.9
GTEX-16MT8-0426-SM-7KUEY 60-69 years, female 929.5
GTEX-ZY6K-1826-SM-5GZXK 50-59 years, male 928.6
GTEX-14A5I-0126-SM-5TDEA 50-59 years, female 928.2
GTEX-148VI-1626-SM-5SI6E 60-69 years, female 926.5
GTEX-1I4MK-2226-SM-ACKWD 50-59 years, female 926.2
GTEX-OOBK-0126-SM-2YUND 40-49 years, male 925.6
GTEX-1CB4H-0226-SM-7PBXM 60-69 years, female 924.7
GTEX-12WSK-2326-SM-5GCOH 40-49 years, female 921.2
GTEX-T5JC-0426-SM-32PLO 20-29 years, male 920.7
GTEX-1IKJJ-0126-SM-CNPQB 60-69 years, male 918.9
GTEX-11GSP-2526-SM-5N9BP 60-69 years, female 916.8
GTEX-131XW-0426-SM-5LZWP 50-59 years, female 916.5
GTEX-17F98-0626-SM-79OMX 40-49 years, female 912.7
GTEX-ZV6S-2326-SM-4YCEY 40-49 years, female 912.7
GTEX-1PWST-0226-SM-E76QJ 70-79 years, male 908.9
GTEX-1MA7W-2026-SM-E9TJ6 20-29 years, female 907.6
GTEX-12WSA-0226-SM-5BC5V 60-69 years, male 907.3
GTEX-13CF3-2426-SM-5IFGX 60-69 years, female 906.8
GTEX-13RTJ-2426-SM-5S2Q2 60-69 years, male 904.6
GTEX-1KD5A-0226-SM-D5OV3 50-59 years, male 904.1
GTEX-17F96-1626-SM-7DUFL 70-79 years, male 901.8
GTEX-11EQ9-2426-SM-5HL5T 30-39 years, male 900.8
GTEX-13NYC-0326-SM-E9J4S 60-69 years, male 900.7
GTEX-1LH75-2426-SM-E9TJE 50-59 years, female 898.1
GTEX-1H1DE-2126-SM-9WG6R 20-29 years, male 894.2
GTEX-13N2G-2626-SM-5J1OT 60-69 years, male 894.1
GTEX-1R46S-0626-SM-E9J41 60-69 years, female 893.6
GTEX-133LE-1826-SM-5J1MV 20-29 years, female 892.2
GTEX-15SHU-0126-SM-7KUEH 40-49 years, female 891.2
GTEX-Y5LM-1926-SM-5RQJH 40-49 years, female 888.1
GTEX-R3RS-0126-SM-3GIJL 40-49 years, female 887.6
GTEX-13OVJ-0126-SM-5KM36 50-59 years, female 887.0
GTEX-11P81-2326-SM-59875 30-39 years, female 885.6
GTEX-13SLX-0526-SM-5S2ON 50-59 years, female 883.8
GTEX-1KANA-0726-SM-D3L9I 20-29 years, male 882.3
GTEX-145ME-1826-SM-5SI9G 40-49 years, female 877.8
GTEX-UPJH-0326-SM-3GADU 50-59 years, male 875.5
GTEX-11EI6-0126-SM-5985R 60-69 years, male 873.4
GTEX-14PHX-2326-SM-62LEM 50-59 years, male 873.1
GTEX-VJYA-1126-SM-3GIJU 60-69 years, male 867.4
GTEX-17HG3-2226-SM-7938L 30-39 years, female 866.9
GTEX-12WSJ-1826-SM-5GCNY 40-49 years, female 865.2
GTEX-1KANB-0526-SM-E6CJH 50-59 years, male 865.0
GTEX-ZVE2-0226-SM-59HJB 50-59 years, male 863.3
GTEX-11XUK-2026-SM-5EQLF 40-49 years, female 862.4
GTEX-14PJ6-2126-SM-6EU1V 60-69 years, female 862.2
GTEX-1PDJ9-0326-SM-DTX95 20-29 years, male 859.6
GTEX-12WSD-0126-SM-59HKN 60-69 years, female 858.9
GTEX-ZDYS-2026-SM-5HL5L 50-59 years, male 858.0
GTEX-11NSD-2226-SM-5986V 20-29 years, male 856.1
GTEX-1E1VI-0126-SM-7DHMZ 50-59 years, male 854.6
GTEX-ZVZP-2426-SM-59HKJ 50-59 years, male 854.3
GTEX-1F75B-0126-SM-9KNVL 50-59 years, male 851.7
GTEX-13OVL-0226-SM-5L3E9 50-59 years, male 851.1
GTEX-XAJ8-0826-SM-47JY6 40-49 years, male 851.1
GTEX-WFON-2126-SM-3LK7O 40-49 years, male 850.2
GTEX-11GSO-2426-SM-5A5LY 60-69 years, male 850.0
GTEX-ZQG8-1626-SM-DHXIT 60-69 years, female 847.3
GTEX-S32W-2126-SM-2XCB1 50-59 years, female 846.4
GTEX-12WSG-2826-SM-E9J4H 50-59 years, female 846.0
GTEX-1K9T9-0126-SM-EVYCF 50-59 years, female 844.7
GTEX-X261-0126-SM-3NMD6 50-59 years, male 843.1
GTEX-147GR-0526-SM-5S2MY 60-69 years, male 841.8
GTEX-1GN1U-0126-SM-7PBZK 50-59 years, female 839.1
GTEX-1EKGG-0226-SM-9WYTH 60-69 years, male 837.1
GTEX-1HBPM-0226-SM-ARL9F 60-69 years, female 835.5
GTEX-TML8-1926-SM-32QOS 40-49 years, female 835.3
GTEX-PVOW-0126-SM-2XCFA 40-49 years, male 832.8
GTEX-1HGF4-2426-SM-ACKXM 60-69 years, male 831.0
GTEX-Y5V5-2326-SM-4V6GA 60-69 years, female 829.2
GTEX-16NPX-0226-SM-79OMT 50-59 years, male 828.2
GTEX-ZVT3-0126-SM-5GU6I 60-69 years, female 823.7
GTEX-1QCLY-0326-SM-E8VOG 30-39 years, male 823.6
GTEX-16XZZ-0126-SM-793DV 60-69 years, male 816.8
GTEX-13S7M-0126-SM-5SI6A 60-69 years, female 814.8
GTEX-WZTO-0126-SM-3NM95 40-49 years, male 814.1
GTEX-1OFPY-2426-SM-DTXEJ 60-69 years, male 813.6
GTEX-SSA3-0126-SM-32QPU 60-69 years, male 812.8
GTEX-W5WG-1826-SM-4KL2Y 50-59 years, female 811.8
GTEX-RNOR-0126-SM-E9J4R 50-59 years, female 811.1
GTEX-ZTSS-1926-SM-57WEW 40-49 years, male 810.4
GTEX-11ZU8-2526-SM-5EQKI 60-69 years, male 808.3
GTEX-13N11-2526-SM-5K7UE 50-59 years, female 805.1
GTEX-148VJ-0126-SM-5TDDN 70-79 years, male 802.6
GTEX-11WQC-2526-SM-5CVLE 60-69 years, male 802.3
GTEX-1KXAM-2226-SM-CYPTC 60-69 years, male 801.2
GTEX-1IKOH-0226-SM-COH4E 60-69 years, female 800.7
GTEX-1H3VY-0126-SM-ACKXD 50-59 years, male 800.2
GTEX-131XG-2626-SM-5KM17 50-59 years, female 797.1
GTEX-13U4I-0126-SM-5LU38 40-49 years, female 796.7
GTEX-SJXC-0126-SM-2XCFF 60-69 years, male 793.1
GTEX-1QEPI-0126-SM-EWRMQ 60-69 years, female 789.7
GTEX-1GZ4H-1726-SM-7PBZJ 50-59 years, female 788.8
GTEX-17MFQ-1726-SM-793C7 20-29 years, male 788.2
GTEX-18D9U-0226-SM-718BP 40-49 years, male 786.5
GTEX-1RAZA-0126-SM-E6CI3 20-29 years, male 786.2
GTEX-1HSGN-0226-SM-CGQFV 40-49 years, female 785.6
GTEX-15CHC-2126-SM-6EU21 60-69 years, female 783.7
GTEX-1I1GR-0126-SM-CL55F 60-69 years, male 783.4
GTEX-1AYD5-2426-SM-73KXR 50-59 years, male 782.9
GTEX-ZXG5-0126-SM-5GIEU 60-69 years, male 779.1
GTEX-1B996-0226-SM-7RHGO 60-69 years, male 775.2
GTEX-1EU9M-0226-SM-7P8SP 60-69 years, male 773.9
GTEX-OHPM-0126-SM-2YUN9 50-59 years, male 771.1
GTEX-183FY-0126-SM-7LT9P 20-29 years, male 770.7
GTEX-13OW8-1326-SM-5J1OW 60-69 years, male 764.9
GTEX-1MCQQ-0826-SM-DLHC2 60-69 years, male 764.2
GTEX-14ABY-0226-SM-5TDCQ 50-59 years, male 760.9
GTEX-1F88F-2726-SM-7PBZZ 60-69 years, female 760.9
GTEX-15DYW-0126-SM-7KULE 60-69 years, female 759.9
GTEX-11NUK-0126-SM-5A5L3 50-59 years, male 758.0
GTEX-1F7RK-0126-SM-7PC2S 20-29 years, female 758.0
GTEX-1JJ6O-0126-SM-E6CI8 60-69 years, male 757.1
GTEX-XPVG-2626-SM-4B669 50-59 years, male 756.7
GTEX-1GMR8-0126-SM-9WYTM 50-59 years, female 756.0
GTEX-1AX8Z-0126-SM-7DHM6 60-69 years, male 752.5
GTEX-OXRO-0126-SM-2YUN4 60-69 years, female 748.9
GTEX-16YQH-0126-SM-7DUFJ 30-39 years, male 748.7
GTEX-1QPFJ-0226-SM-E76PB 30-39 years, female 747.1
GTEX-1IGQW-0126-SM-COH42 60-69 years, male 745.8
GTEX-1QP66-1726-SM-E8VO1 50-59 years, male 741.9
GTEX-1CAMR-1926-SM-7EPI2 20-29 years, male 740.1
GTEX-1A32A-0126-SM-718B1 50-59 years, female 739.0
GTEX-1GPI7-0126-SM-9MQL8 20-29 years, male 738.1
GTEX-1HCU6-0126-SM-CL54K 60-69 years, female 738.0
GTEX-1C6WA-0126-SM-7PC2B 60-69 years, male 736.2
GTEX-U3ZH-2026-SM-3DB78 30-39 years, male 734.1
GTEX-15DCD-0126-SM-7KUEK 70-79 years, female 732.6
GTEX-1GN1V-0126-SM-9WPOS 60-69 years, male 725.5
GTEX-XQ8I-0426-SM-4BOPO 50-59 years, male 724.0
GTEX-18D9B-0526-SM-7LTAS 60-69 years, male 723.4
GTEX-1S3DN-2226-SM-EVYCD 50-59 years, male 723.1
GTEX-1S82Y-2026-SM-EVYCM 40-49 years, male 721.3
GTEX-ZAB5-1826-SM-5HL7C 50-59 years, male 720.2
GTEX-1GZ2Q-0226-SM-7P8TL 40-49 years, male 719.3
GTEX-145LU-0126-SM-5TDCB 50-59 years, male 718.0
GTEX-1211K-2026-SM-5EQ4Z 60-69 years, female 715.4
GTEX-1CAMQ-0226-SM-7IGPK 40-49 years, male 714.9
GTEX-113JC-2326-SM-5EQ4E 50-59 years, female 714.2
GTEX-Q734-1926-SM-2I5EV 40-49 years, female 714.0
GTEX-1CAMS-0426-SM-7P8T2 40-49 years, female 713.8
GTEX-11EM3-2426-SM-59861 20-29 years, female 713.2
GTEX-12C56-1726-SM-5EQ61 20-29 years, male 712.4
GTEX-1A8FM-0226-SM-7SB7Q 50-59 years, female 712.2
GTEX-T8EM-1026-SM-3DB7M 40-49 years, male 708.6
GTEX-ZVT4-0126-SM-DTXFN 50-59 years, female 708.4
GTEX-VJWN-0126-SM-3GIK7 50-59 years, female 707.5
GTEX-1F52S-0126-SM-9MQJU 60-69 years, female 706.1
GTEX-15SDE-2226-SM-7IGLO 50-59 years, female 705.4
GTEX-17HII-0226-SM-7LG4E 50-59 years, male 704.9
GTEX-147F4-0226-SM-5QGPW 50-59 years, male 703.2
GTEX-145LV-2126-SM-5LU8N 50-59 years, male 702.6
GTEX-11ZVC-2526-SM-5FQTE 50-59 years, female 698.8
GTEX-14DAQ-0126-SM-5S2MQ 60-69 years, female 698.5
GTEX-18465-0126-SM-731BN 50-59 years, male 697.8
GTEX-13NZA-0226-SM-5K7Z7 60-69 years, male 696.2
GTEX-YEC4-2126-SM-5IFJH 40-49 years, male 695.6
GTEX-1I1GP-2226-SM-CGQFK 50-59 years, male 695.2
GTEX-13D11-2426-SM-5KM1V 50-59 years, female 694.2
GTEX-ZC5H-0226-SM-4WAY9 40-49 years, female 693.7
GTEX-1192X-0226-SM-5H12D 50-59 years, male 692.6
GTEX-17HHE-2026-SM-79OKF 50-59 years, male 691.4
GTEX-WH7G-2326-SM-3NMBC 40-49 years, male 690.4
GTEX-1RQEC-0426-SM-E6CHU 60-69 years, male 689.1
GTEX-WFG8-2226-SM-3GIL9 20-29 years, male 688.6
GTEX-1H3NZ-0126-SM-ACKX7 60-69 years, male 687.8
GTEX-17EVQ-0226-SM-7LG4P 70-79 years, male 680.8
GTEX-Y3I4-2126-SM-4TT7C 50-59 years, male 679.4
GTEX-13X6H-2126-SM-7EWD5 50-59 years, female 677.8
GTEX-PW2O-1526-SM-7RHHB 20-29 years, male 676.0
GTEX-1J8QM-2126-SM-CYPSJ 60-69 years, female 673.2
GTEX-13PVR-2326-SM-5QGR1 60-69 years, female 673.0
GTEX-13RTK-1426-SM-5QGQJ 20-29 years, male 671.5
GTEX-1JKYR-0126-SM-CNPOJ 20-29 years, male 671.1
GTEX-1IDJF-0126-SM-CM2RS 20-29 years, male 669.1
GTEX-P4PQ-0126-SM-2S1NM 60-69 years, male 668.9
GTEX-18A66-0226-SM-718BD 60-69 years, male 665.2
GTEX-1M4P7-0226-SM-DIPEV 60-69 years, male 664.4
GTEX-1PFEY-1526-SM-E76PP 30-39 years, male 662.6
GTEX-14BIM-0226-SM-7IGLD 60-69 years, female 662.3
GTEX-ZEX8-2426-SM-4WKG4 50-59 years, male 661.6
GTEX-13N1W-0126-SM-5K7VT 70-79 years, male 660.9
GTEX-1H23P-0126-SM-ADEJ3 60-69 years, male 660.3
GTEX-145LT-1726-SM-5QGP3 40-49 years, male 656.4
GTEX-ZZ64-1726-SM-5GZYB 20-29 years, male 655.7
GTEX-1LG7Y-0526-SM-DKPQC 50-59 years, male 653.5
GTEX-1HFI7-1826-SM-ACKXH 50-59 years, female 653.0
GTEX-13O21-1426-SM-5K7XI 50-59 years, male 651.8
GTEX-1B97I-1626-SM-73KYO 40-49 years, male 648.7
GTEX-QDVJ-1726-SM-2I5FX 50-59 years, male 647.5
GTEX-PWCY-1826-SM-DHXIZ 20-29 years, female 647.2
GTEX-1I1CD-0126-SM-CM2TK 60-69 years, female 646.4
GTEX-15EU6-0426-SM-6PAN5 50-59 years, male 645.3
GTEX-17HGU-0226-SM-7DHKV 50-59 years, male 643.5
GTEX-PLZ5-2026-SM-2S1O4 50-59 years, male 640.3
GTEX-13RTL-0126-SM-7LG5S 40-49 years, male 639.9
GTEX-139TU-0126-SM-5K7WH 60-69 years, male 637.4
GTEX-17F97-0326-SM-7LG5B 50-59 years, male 634.7
GTEX-WXYG-2326-SM-4E3I6 50-59 years, female 628.7
GTEX-13FH7-2026-SM-E9J4I 50-59 years, female 628.3
GTEX-XBED-2226-SM-47JYQ 60-69 years, male 627.7
GTEX-WY7C-2326-SM-3NB2U 50-59 years, male 625.7
GTEX-139T8-0126-SM-5K7XZ 60-69 years, male 624.6
GTEX-1GTWX-0126-SM-9YFLK 60-69 years, male 624.5
GTEX-11P7K-2126-SM-5GU7G 30-39 years, male 623.2
GTEX-QLQW-1126-SM-2S1Q8 30-39 years, male 622.4
GTEX-XMD2-0126-SM-4YCDU 60-69 years, female 622.2
GTEX-1HCVE-0126-SM-CGQEU 50-59 years, male 620.3
GTEX-14PJ3-1826-SM-62LEX 50-59 years, male 618.8
GTEX-XV7Q-2526-SM-4BRV9 40-49 years, female 617.7
GTEX-13OW7-0126-SM-5MR3B 50-59 years, male 616.2
GTEX-1I1GS-0126-SM-B2LVW 60-69 years, male 614.2
GTEX-1EN7A-0126-SM-7SB81 40-49 years, male 614.0
GTEX-13O3O-0126-SM-E9J49 60-69 years, female 612.8
GTEX-12KS4-0326-SM-5EQ41 30-39 years, male 612.4
GTEX-S95S-1226-SM-4GICG 60-69 years, male 612.1
GTEX-1H2FU-0126-SM-9WYSI 60-69 years, female 611.6
GTEX-13QJ3-0326-SM-5S2RA 50-59 years, male 611.4
GTEX-14PN3-2426-SM-6LLHS 60-69 years, female 608.3
GTEX-1ICG6-2526-SM-CGQFZ 70-79 years, female 606.9
GTEX-TMMY-0226-SM-33HBA 40-49 years, female 606.4
GTEX-1GL5R-1826-SM-9KNUY 50-59 years, male 604.8
GTEX-RN64-0126-SM-2TC68 50-59 years, male 601.6
GTEX-ZYY3-0126-SM-5GZY5 60-69 years, female 599.0
GTEX-1LC47-0326-SM-E9TJP 60-69 years, male 598.4
GTEX-1AYCT-2426-SM-7IGQ3 50-59 years, male 597.9
GTEX-16NGA-1726-SM-731B4 40-49 years, female 596.2
GTEX-11LCK-1026-SM-5A5KB 30-39 years, male 595.6
GTEX-14JG6-2226-SM-6EU2G 30-39 years, female 594.8
GTEX-11DXX-2426-SM-5GZZW 60-69 years, female 594.5
GTEX-1J1R8-1726-SM-ARL8M 40-49 years, male 594.3
GTEX-15SHW-0326-SM-6PAML 60-69 years, male 593.4
GTEX-18A7B-0126-SM-7LG64 70-79 years, male 592.8
GTEX-147F3-0526-SM-5SI98 50-59 years, female 592.3
GTEX-WRHK-1426-SM-3MJF9 20-29 years, female 592.0
GTEX-13FHO-0226-SM-5IFGY 60-69 years, male 591.8
GTEX-1I19N-0326-SM-ACKVX 70-79 years, male 589.6
GTEX-1H1ZS-0426-SM-9WG6G 70-79 years, male 589.4
GTEX-RWS6-2026-SM-2XCB5 60-69 years, female 587.0
GTEX-14BMU-2226-SM-5TDE9 20-29 years, female 585.4
GTEX-1HSMP-0126-SM-E6CJS 70-79 years, male 584.1
GTEX-1IY9M-0126-SM-D3L8S 60-69 years, male 582.8
GTEX-1GF9U-2126-SM-7SB7L 40-49 years, female 582.4
GTEX-1AX9J-0226-SM-73KXM 60-69 years, male 580.6
GTEX-ZDTT-2726-SM-4WKF8 60-69 years, male 580.1
GTEX-1AX9I-0126-SM-7SB74 60-69 years, male 577.1
GTEX-Q2AG-0126-SM-33HBV 40-49 years, female 576.9
GTEX-13W46-0226-SM-5SIAG 50-59 years, male 571.7
GTEX-144GN-2326-SM-5LU4F 50-59 years, male 567.8
GTEX-1J8Q2-0526-SM-CM2RW 60-69 years, male 566.5
GTEX-PLZ6-1426-SM-DKPOT 30-39 years, male 565.5
GTEX-11DXY-2626-SM-5GIE7 60-69 years, male 563.4
GTEX-14E7W-0126-SM-6LLJ9 70-79 years, male 563.3
GTEX-QCQG-1726-SM-3GIJ9 50-59 years, female 561.0
GTEX-OXRK-0226-SM-3NB2G 50-59 years, female 556.4
GTEX-139TT-0126-SM-5K7Y5 60-69 years, male 554.3
GTEX-1A3MW-0126-SM-73KXX 60-69 years, female 552.3
GTEX-1A3MV-1926-SM-718BT 30-39 years, male 551.5
GTEX-1CB4J-0626-SM-7DHMP 60-69 years, male 549.7
GTEX-OXRP-0126-SM-3NB32 60-69 years, female 549.6
GTEX-1MA7X-2226-SM-E6CIY 60-69 years, male 549.5
GTEX-11EMC-2926-SM-5EQ4F 60-69 years, female 547.7
GTEX-14DAR-2026-SM-5S2O3 50-59 years, male 542.7
GTEX-Q2AH-1626-SM-3GAF8 40-49 years, male 542.4
GTEX-1ICLY-0126-SM-D4P36 50-59 years, male 538.6
GTEX-1C64O-0126-SM-7SB8P 60-69 years, male 538.5
GTEX-1IDFM-0126-SM-COH2V 60-69 years, male 533.0
GTEX-1LGOU-2026-SM-DIPFF 20-29 years, female 532.9
GTEX-11P82-1626-SM-59879 20-29 years, male 532.6
GTEX-X638-0126-SM-47JZ8 70-79 years, female 526.8
GTEX-X5EB-2226-SM-46MW4 40-49 years, male 521.4
GTEX-1MUQO-0126-SM-EAZ58 60-69 years, male 521.3
GTEX-ZF29-2326-SM-DO92K 60-69 years, female 519.6
GTEX-TSE9-0126-SM-3DB83 60-69 years, female 519.3
GTEX-13FTX-1826-SM-5J1NX 20-29 years, female 516.9
GTEX-1I1GU-2226-SM-CGQFA 40-49 years, male 515.7
GTEX-R55E-0126-SM-2TC5Y 20-29 years, male 514.8
GTEX-1MGNQ-0126-SM-EVYCJ 40-49 years, male 505.0
GTEX-1GPI6-0126-SM-9WG69 60-69 years, male 503.7
GTEX-17EUY-0426-SM-793BD 20-29 years, male 502.9
GTEX-V1D1-2226-SM-3NMAX 50-59 years, male 502.0
GTEX-1B8KZ-2026-SM-7DHMB 50-59 years, male 500.2
GTEX-1AMFI-2026-SM-731BH 50-59 years, female 497.9
GTEX-14A6H-0126-SM-5QGPK 30-39 years, male 497.5
GTEX-13X6I-0626-SM-5QGP9 60-69 years, male 496.7
GTEX-ZDXO-3026-SM-5J1N5 60-69 years, male 496.0
GTEX-P44H-0226-SM-2XCEU 40-49 years, male 495.4
GTEX-Z9EW-1626-SM-5CVMN 40-49 years, male 494.0
GTEX-15D1Q-0126-SM-7KUG6 40-49 years, male 486.2
GTEX-1IDJU-2626-SM-CM2RT 60-69 years, female 484.4
GTEX-1C2JI-1826-SM-73KXC 50-59 years, male 481.5
GTEX-1RLM8-2326-SM-EWRN4 50-59 years, male 481.3
GTEX-1HSMQ-1226-SM-CGQFX 50-59 years, male 479.6
GTEX-QLQ7-1626-SM-2S1R8 60-69 years, male 478.3
GTEX-14LLW-0126-SM-6LLIO 70-79 years, female 477.5
GTEX-11VI4-1726-SM-5CVLH 40-49 years, female 476.3
GTEX-16AAH-1726-SM-7939C 50-59 years, male 475.4
GTEX-117YX-2326-SM-5H12W 50-59 years, male 472.9
GTEX-1HKZK-0326-SM-9WYUH 40-49 years, male 470.8
GTEX-ZYW4-0126-SM-5E44A 60-69 years, male 469.8
GTEX-XUW1-0426-SM-4BOOT 50-59 years, female 468.6
GTEX-16XZY-2126-SM-79OK1 70-79 years, male 465.3
GTEX-R55G-2526-SM-2TC6D 40-49 years, female 464.9
GTEX-1LNCM-1126-SM-E9U5E 50-59 years, female 463.2
GTEX-1F48J-0126-SM-7P8TT 50-59 years, female 462.0
GTEX-1HSMO-0126-SM-CL547 60-69 years, male 460.8
GTEX-U3ZM-1526-SM-3DB9D 40-49 years, male 456.0
GTEX-1JJE9-0326-SM-CL53Z 70-79 years, male 455.1
GTEX-13OVI-1426-SM-5L3EY 60-69 years, female 449.5
GTEX-R45C-0126-SM-EAZ2R 60-69 years, female 447.3
GTEX-1S82Z-0826-SM-E6CHY 30-39 years, female 444.1
GTEX-1MCYP-1926-SM-E9J2R 20-29 years, female 438.4
GTEX-RM2N-1426-SM-2TF4H 50-59 years, male 436.3
GTEX-1JK1U-2026-SM-CM2RZ 60-69 years, male 434.6
GTEX-T6MO-1626-SM-32QOM 40-49 years, female 433.5
GTEX-1F5PK-2426-SM-7RHHY 50-59 years, male 420.5
GTEX-U3ZN-2326-SM-3DB7W 30-39 years, female 417.1
GTEX-15EOM-0126-SM-7KUGG 20-29 years, female 409.1
GTEX-QDVN-2026-SM-3GAEP 50-59 years, male 409.1
GTEX-13OVG-1926-SM-5L3DK 60-69 years, male 406.4
GTEX-WOFL-0126-SM-3MJG2 60-69 years, male 404.0
GTEX-1R7EV-2426-SM-EVYBG 40-49 years, male 403.3
GTEX-1PPH7-2326-SM-EVYB8 40-49 years, male 402.4
GTEX-13VXT-0126-SM-5LU4I 20-29 years, female 400.3
GTEX-OIZF-0126-SM-7SB8I 60-69 years, male 398.3
GTEX-ZZPT-0226-SM-5E43X 50-59 years, male 387.5
GTEX-QDT8-0126-SM-48TZ1 30-39 years, female 386.5
GTEX-PLZ4-0126-SM-5SI8O 50-59 years, female 385.9
GTEX-11TTK-0126-SM-5987B 60-69 years, female 371.6
GTEX-ZUA1-0126-SM-5GU76 40-49 years, male 371.6
GTEX-1QP2A-0126-SM-E9J43 50-59 years, male 369.2
GTEX-1I1HK-0126-SM-COH49 60-69 years, male 367.4
GTEX-14PHW-0126-SM-6LLJI 60-69 years, female 365.8
GTEX-1QP29-0626-SM-EWRMX 50-59 years, male 360.8
GTEX-1IE54-0126-SM-CMKHW 40-49 years, female 356.3
GTEX-11ZTT-2426-SM-5EQLS 60-69 years, female 343.8
GTEX-1AMEY-1326-SM-73KYK 30-39 years, female 337.8
GTEX-Y8LW-1826-SM-5S2MV 50-59 years, female 334.8
GTEX-13W3W-2426-SM-5LU5B 60-69 years, female 331.8
GTEX-1C6VS-0526-SM-7DUEN 60-69 years, male 331.6
GTEX-14BIL-0126-SM-5SI92 50-59 years, male 330.0
GTEX-1NHNU-1026-SM-E9J2A 50-59 years, male 322.6
GTEX-1H1E6-1726-SM-ACKVK 30-39 years, male 320.5
GTEX-1HUB1-0426-SM-E9U4U 60-69 years, male 319.8
GTEX-1J8Q3-1626-SM-CMKGC 60-69 years, male 316.6
GTEX-1JKYN-1326-SM-CGQG9 30-39 years, male 310.2
GTEX-1JMOU-1526-SM-CL54I 60-69 years, female 300.4
GTEX-1N2DV-0226-SM-E6CJ6 40-49 years, male 294.5
GTEX-1AX9K-2326-SM-73KWU 50-59 years, male 284.4
GTEX-1OJC4-0126-SM-E9J2E 50-59 years, female 275.1
GTEX-ZF28-0126-SM-4WKGK 60-69 years, male 274.9
GTEX-1PBJI-0526-SM-E8VNK 20-29 years, female 262.8
GTEX-1GN1W-0526-SM-9MQJQ 50-59 years, female 261.9
GTEX-X62O-0126-SM-4E3JN 50-59 years, male 258.9
GTEX-OXRL-0126-SM-2YUMP 50-59 years, male 246.0
GTEX-12WSN-5019-SM-79OM6 40-49 years, male 238.2
GTEX-113IC-0126-SM-5HL6T 60-69 years, male 229.0
GTEX-SE5C-1626-SM-2XCE3 40-49 years, female 197.0
GTEX-139T4-0226-SM-5HL5S 50-59 years, female 193.0
GTEX-1F75I-0326-SM-9YFLU 40-49 years, male 153.5
GTEX-11ZUS-0626-SM-59885 30-39 years, male 110.2
GTEX-1R9PO-2126-SM-E9J4O 60-69 years, female 98.1
GTEX-U4B1-1826-SM-4DXSU 40-49 years, male 60.2
GTEX-1QW4Y-1526-SM-EAZ3Z 30-39 years, male 53.6
GTEX-14JIY-0126-SM-6LLH6 60-69 years, male 35.2
GTEX-1HBPH-0426-SM-B2LW5 40-49 years, female 24.9
GTEX-1QP67-1626-SM-EAZ3X 40-49 years, female 23.0
GTEX-1RAZQ-0726-SM-EAZ43 30-39 years, male 22.0
GTEX-146FR-1326-SM-E9J48 60-69 years, female 11.5
Show allShow less

Contact

  • NEWS ARTICLES
  • PRESS ROOM

The Project

  • INTRODUCTION
  • ORGANIZATION
  • PUBLICATIONS

The Human Protein Atlas

  • DOWNLOADABLE DATA
  • LICENCE & CITATION
  • HELP & FAQ
The Human Protein Atlas project is funded
by the Knut & Alice Wallenberg Foundation.


contact@proteinatlas.org