We use cookies to enhance the usability of our website. If you continue, we'll assume that you are happy to receive all cookies. More information. Don't show this again.
FBXO34
HPA
RESOURCES
  • TISSUE
  • BRAIN
  • SINGLE CELL
  • SUBCELLULAR
  • CANCER
  • BLOOD
  • CELL LINE
  • STRUCTURE & INTERACTION
ABOUT
  • INTRODUCTION
  • HISTORY
  • ORGANIZATION
  • PUBLICATIONS
  • ANTIBODY SUBMISSION
  • ANTIBODY AVAILABILITY
  • ACKNOWLEDGMENTS
  • CONTACT
NEWS
  • NEWS ARTICLES
  • PRESS ROOM
LEARN
  • DICTIONARY
  • PROTEIN CLASSES
  • PROTEIN EVIDENCE
  • METHODS
  • EDUCATIONAL VIDEOS
DATA
  • DOWNLOADABLE DATA
  • PUBLICATION DATA
  • RELEASE HISTORY
HELP
  • ANTIBODY VALIDATION
  • ASSAYS & ANNOTATION
  • DISCLAIMER
  • HELP & FAQ
  • PRIVACY STATEMENT
  • LICENCE & CITATION
Fields »
Search result

Field
Term
Gene name
Class
Subclass
Class
Keyword
Chromosome
External id
Tissue
Cell type
Expression
Antibody panel
Tissue
Main location
Patient ID
Annotation
Tissue
Category
Tau score
Cluster
Reliability
Brain region
Category
Tau score
Brain region
Category
Tau score
Brain region
Category
Tau score
Cluster
Reliability
Tissue
Cell type
Enrichment
Cell type
Category
Tau score
Cell type
Category
Tau score
Cell type
Category
Tau score
Cell lineage
Category
Tau score
Cluster
Cluster
Location
Searches
Location
Cell line
Class
Type
Phase
Reliability
Cancer
Prognosis
Cancer
Category
Cancer
Category
Tau score
Cluster
Variants
Interacting gene (ensg_id)
Type
Number of interactions
Pathway
Category
Score
Score
Score
Validation
Validation
Validation
Validation
Antibodies
Data type
Column


  • SUMMARY

  • TISSUE

  • BRAIN

  • SINGLE CELL

  • SUBCELL

  • CANCER

  • BLOOD

  • CELL LINE

  • STRUCT & INT

  • FBXO34
TISSUE PRIMARY DATA COLON Show tissue menu
ADIPOSE TISSUE ADRENAL GLAND AMYGDALA APPENDIX BASAL GANGLIA BONE MARROW BREAST BRONCHUS CEREBELLUM CEREBRAL CORTEX CERVIX CHOROID PLEXUS COLON DUODENUM
ENDOMETRIUM EPIDIDYMIS ESOPHAGUS FALLOPIAN TUBE GALLBLADDER HEART MUSCLE HIPPOCAMPAL FORMATION HYPOTHALAMUS KIDNEY LIVER LUNG LYMPH NODE MIDBRAIN ORAL MUCOSA
OVARY PANCREAS PARATHYROID GLAND PITUITARY GLAND PLACENTA PROSTATE RECTUM RETINA SALIVARY GLAND SEMINAL VESICLE SKELETAL MUSCLE SKIN SMALL INTESTINE SMOOTH MUSCLE
SOFT TISSUE SPINAL CORD SPLEEN STOMACH TESTIS THYMUS THYROID GLAND TONGUE TONSIL URINARY BLADDER VAGINA
ANTIBODIES
AND
VALIDATION
Dictionary
Colon
Tissue proteome
Intestine
COLON - Expression summary
Protein expression
Coloni

On the top, protein expression in current human tissue, based on all annotated cell types, is reported with the units not detected (n), low (l), medium (m) and high (h). Underneath, protein expression in each annotated cell type are reported using the same units.

Protein expression data is based on knowledge-based annotation. For genes where more than one antibody has been used, a collective score is set.

If knowledge-based annotation could not be performed for a gene, no data is displayed here. View antibody staining data further down this page.

h
m
l
n
Endothelial cells: High
Glandular cells: Not detected
Peripheral nerve/ganglion: Not detected
RNA expressioni

A summary of mRNA expression data available for current tissue based on several datasets. The mRNA expression levels in human tissues are based on RNA-seq data generated by the Human Protein Atlas (HPA), Genotype-Tissue Expression (GTEx) portal and CAGE data generated by the FANTOM5 consortium. Consensus normalized expression levels for human tissues was created by combining the data from HPA and GTEx datasets.

The mRNA expression levels in pig are based on RNA-seq data generated by the Human Protein Atlas (HPA), and for mouse, HPA data and in situ hybridization generated by the Allen brain atlas are reported.

Scroll down to view mRNA expression data in more detail.
Consensus:26.4 nTPM
HPA:26.4 nTPM
GTEx:15.9 nTPM
FANTOM5:53.0 Scaled Tags Per Million

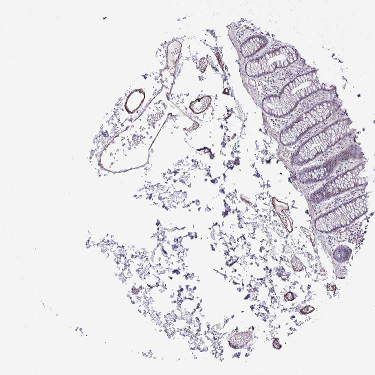
COLON - Antibody stainingi

Antibody staining in the annotated cell types in the current human tissue is reported as not detected, low, medium, or high, based on conventional immunohistochemistry profiling in selected tissues. This score is based on the combination of the staining intensity and fraction of stained cells.

Each image is clickable and will lead to virtual microscopy that enables deeper exploration of all samples and also displays staining intensity scores, fraction scores and subcellular localization as well as patient and tissue information for each sample.

Antibody HPA052592
Endothelial cells High
Glandular cells Not detected
Peripheral nerve/ganglion Not detected



COLON - HPA RNA-seqi

The RNA-seq details section shows detailed information about the individual samples used for the transcript profiling and results of the RNA-seq analysis.

Information about each individual sample is listed below, including gender, age, a tissue section image and estimated fractions of cell types. nTPM (normalized transcripts per million) values give a quantification of the gene abundance which is comparable between different genes and samples.
Average nTPMi

Max subtype nTPM is the value for the subtype with the largest average nTPM across the subtype samples.

26.4
overview
Male, age 54
Colon sample 67
nTPM: 30.4
Cell types%
Glandular cells:
65

Smooth muscle cells:
10

Other cell types:
25

overview
Female, age 57
Colon sample 68
nTPM: 28.1
Cell types%
Glandular cells:
40

Smooth muscle cells:
5

Other cell types:
55

overview
Male, age 80
Colon sample 69
nTPM: 27.1
Cell types%
Glandular cells:
55

Smooth muscle cells:
5

Other cell types:
40

overview
Male, age 68
Colon sample 70
nTPM: 33.3
Cell types%
Glandular cells:
35

Smooth muscle cells:
10

Other cell types:
55

overview
Female, age 68
Colon sample 76
nTPM: 19.1
Cell types%
Glandular cells:
25

Smooth muscle cells:
5

Other cell types:
70

overview
Female, age 61
Colon sample 299
nTPM: 19.9
Cell types%
Glandular cells:
5

Smooth muscle cells:
65

Other cell types:
30

overview
Male, age 80
Colon sample 300
nTPM: 27.9
Cell types%
Glandular cells:
15

Smooth muscle cells:
20

Other cell types:
65

overview
Female, age 78
Colon sample 368
nTPM: 27
Cell types%
Glandular cells:
45

Smooth muscle cells:
5

Other cell types:
50

overview
Male, age 84
Colon sample 381
nTPM: 17.2
Cell types%
Glandular cells:
50

Smooth muscle cells:
15

Other cell types:
35

overview
Male, age 80
Colon sample 384
nTPM: 32.3
Cell types%
Glandular cells:
20

Smooth muscle cells:
35

Other cell types:
45

overview
Female, age 78
Colon sample 389
nTPM: 31.2
Cell types%
Glandular cells:
35

Smooth muscle cells:
10

Other cell types:
55

overview
Female, age 69
Colon sample 391
nTPM: 22
Cell types%
Glandular cells:
10

Smooth muscle cells:
45

Other cell types:
45

overview
Female, age 72
Colon sample 403
nTPM: 27.9
Cell types%
Glandular cells:
20

Smooth muscle cells:
15

Other cell types:
65


COLON - GTEx RNA-seqi

RNA-Seq data generated by the Genotype-Tissue Expression (GTEx) project from human tissues is reported as mean nTPM. More information can be found on the GTEx portal.

Distribution across the dataset is visualized with box plots, shown as median and 25th and 75th percentiles. Points are displayed as outliers if they are above or below 1.5 times the interquartile range. nTPM values of the individual samples are presented next to the box plot.
Max subtype nTPMi

Max subtype nTPM is the value for the subtype with the largest average nTPM across the subtype samples.

15.9
GTEx sample id Sample description nTPM
Colon - Sigmoid
Average nTPM: 7.6
Samples: 373

Max nTPM: 29.4
Min nTPM: 4.2
Std nTPM: 3.2
Median nTPM: 6.9
GTEX-ZQUD-1026-SM-4YCEZ 30-39 years, male 29.4
GTEX-Y5V6-1626-SM-4VDT2 60-69 years, male 25.2
GTEX-WOFM-1926-SM-4OOSP 20-29 years, male 23.6
GTEX-13113-1426-SM-5EGHU 60-69 years, female 23.2
GTEX-WH7G-1426-SM-4LVMU 40-49 years, male 23.1
GTEX-1AMEY-1826-SM-72D5L 30-39 years, female 21.3
GTEX-1HB9E-2526-SM-D4P35 50-59 years, male 21.3
GTEX-W5WG-2026-SM-4LMIB 50-59 years, female 20.9
GTEX-WYJK-2326-SM-4ONDN 50-59 years, male 20.3
GTEX-X5EB-1126-SM-46MVV 40-49 years, male 19.9
GTEX-VJYA-2126-SM-4KL1O 60-69 years, male 19.5
GTEX-1OJC3-1826-SM-DTX93 20-29 years, male 19.2
GTEX-13W3W-2226-SM-5LU4M 60-69 years, female 18.3
GTEX-15FZZ-1826-SM-6LLJP 30-39 years, female 17.7
GTEX-11VI4-1426-SM-5GU6O 40-49 years, female 16.9
GTEX-1C64O-2426-SM-7P8R3 60-69 years, male 16.5
GTEX-WHSE-2726-SM-EZ6ML 20-29 years, male 15.4
GTEX-Y8E4-2326-SM-EAZAZ 40-49 years, male 14.9
GTEX-1I1CD-2826-SM-A9SL4 60-69 years, female 12.4
GTEX-1PIEJ-1826-SM-EWRMN 20-29 years, female 11.2
GTEX-ZE9C-2126-SM-4WKGY 60-69 years, male 11.0
GTEX-1C475-1526-SM-7DHM3 40-49 years, female 10.8
GTEX-1N2EF-1726-SM-EXUSI 60-69 years, male 10.5
GTEX-XBED-1726-SM-47JYO 60-69 years, male 10.4
GTEX-1PFEY-1726-SM-DPRZ4 30-39 years, male 10.2
GTEX-1A3MX-2326-SM-718B4 60-69 years, male 10.1
GTEX-11I78-1326-SM-5PNY9 50-59 years, female 9.9
GTEX-14PK6-1826-SM-69LOM 70-79 years, female 9.9
GTEX-13X6I-2726-SM-5Q5ET 60-69 years, male 9.7
GTEX-15DZA-1026-SM-6PAND 30-39 years, female 9.7
GTEX-V955-1726-SM-4JBHF 60-69 years, male 9.7
GTEX-1R9PO-2026-SM-E9J4N 60-69 years, female 9.7
GTEX-15RIE-2026-SM-7KFRW 60-69 years, male 9.5
GTEX-ZF29-1826-SM-4WKG8 60-69 years, female 9.5
GTEX-1F5PL-1926-SM-7MXTP 40-49 years, female 9.5
GTEX-1J1OQ-2826-SM-D3L88 40-49 years, female 9.3
GTEX-1EMGI-2626-SM-7IGNR 60-69 years, male 9.1
GTEX-WRHK-1126-SM-4MVOJ 20-29 years, female 9.1
GTEX-14E1K-1626-SM-664MO 50-59 years, male 9.0
GTEX-17KNJ-1826-SM-7LT9N 50-59 years, male 9.0
GTEX-1J1R8-1426-SM-CL55O 40-49 years, male 9.0
GTEX-ZAB4-2426-SM-5HL8A 40-49 years, male 8.9
GTEX-1H3VE-2326-SM-9KNVU 40-49 years, male 8.9
GTEX-11P7K-1826-SM-5HL5A 30-39 years, male 8.8
GTEX-14PN3-1926-SM-6EU1Y 60-69 years, female 8.8
GTEX-15UF6-2726-SM-7KULY 70-79 years, female 8.8
GTEX-11PRG-2026-SM-5GU5F 50-59 years, male 8.7
GTEX-YJ8A-1726-SM-5P9IQ 20-29 years, male 8.7
GTEX-1CAMR-1026-SM-7P8QI 20-29 years, male 8.7
GTEX-1GL5R-1726-SM-9KNUX 50-59 years, male 8.7
GTEX-1LSVX-2026-SM-E9TJD 60-69 years, male 8.7
GTEX-1PBJI-2526-SM-E6CP4 20-29 years, female 8.7
GTEX-ZYFD-2226-SM-5E43P 50-59 years, male 8.6
GTEX-1GMR3-2526-SM-7P8QS 40-49 years, male 8.6
GTEX-1J8EW-2426-SM-CE6T5 60-69 years, female 8.6
GTEX-1L5NE-1926-SM-D3L9R 50-59 years, male 8.6
GTEX-1R7EU-1826-SM-DTX9L 60-69 years, male 8.6
GTEX-11ONC-1926-SM-5GU75 60-69 years, male 8.5
GTEX-13OVI-2126-SM-5KM3U 60-69 years, female 8.5
GTEX-1I6K6-1926-SM-A96SN 30-39 years, male 8.5
GTEX-14C5O-2626-SM-5RQI5 60-69 years, male 8.4
GTEX-14PKV-1926-SM-686YU 20-29 years, female 8.4
GTEX-WFG7-1626-SM-4LVMF 20-29 years, male 8.4
GTEX-148VJ-2426-SM-5NQ9Y 70-79 years, male 8.3
GTEX-18D9A-1326-SM-7LT8P 30-39 years, female 8.3
GTEX-ZLFU-1426-SM-4WWEU 40-49 years, male 8.3
GTEX-1HBPM-2626-SM-9WYU5 60-69 years, female 8.3
GTEX-1MGNQ-2126-SM-EV7AC 40-49 years, male 8.3
GTEX-14DAQ-2926-SM-664MV 60-69 years, female 8.2
GTEX-1H3NZ-2526-SM-9KNVO 60-69 years, male 8.2
GTEX-1PBJJ-2026-SM-DTX8U 30-39 years, male 8.2
GTEX-1PPH8-2226-SM-EWRN7 20-29 years, male 8.2
GTEX-1QP2A-2226-SM-DTXF6 50-59 years, male 8.2
GTEX-1RLM8-1726-SM-E9TKF 50-59 years, male 8.2
GTEX-16XZZ-2726-SM-7EWDO 60-69 years, male 8.1
GTEX-ZF2S-1826-SM-4WKFF 50-59 years, female 8.1
GTEX-1JK1U-1426-SM-CNPOW 60-69 years, male 8.1
GTEX-1JKYR-2026-SM-CNPON 20-29 years, male 8.1
GTEX-1QPFJ-2426-SM-EVR3L 30-39 years, female 8.1
GTEX-ZLWG-1826-SM-DO11I 50-59 years, female 8.1
GTEX-11EI6-2626-SM-5PNVT 60-69 years, male 8.0
GTEX-WI4N-2226-SM-4OOS9 40-49 years, female 8.0
GTEX-ZG7Y-1826-SM-4WWD3 50-59 years, male 8.0
GTEX-ZPCL-1626-SM-57WGC 60-69 years, female 8.0
GTEX-1P4AB-2626-SM-DTXEU 50-59 years, male 8.0
GTEX-144GM-1126-SM-79OJK 20-29 years, male 7.9
GTEX-183WM-2526-SM-731BP 70-79 years, female 7.9
GTEX-1B8KE-1526-SM-7DUG2 50-59 years, male 7.9
GTEX-ZVT4-2626-SM-5N9GJ 50-59 years, female 7.9
GTEX-1JMQJ-2626-SM-CY8HQ 50-59 years, male 7.9
GTEX-13111-1926-SM-5GCOL 50-59 years, male 7.8
GTEX-1399R-2126-SM-5K7WZ 30-39 years, male 7.8
GTEX-139D8-2926-SM-5IJBM 30-39 years, female 7.8
GTEX-13PVR-1726-SM-5Q5EC 60-69 years, female 7.8
GTEX-13RTJ-1926-SM-5YYA2 60-69 years, male 7.8
GTEX-145ME-1126-SM-5SIAT 40-49 years, female 7.8
GTEX-1HBPH-2526-SM-ACKXK 40-49 years, female 7.8
GTEX-1R9K5-2226-SM-DTX9G 50-59 years, male 7.8
GTEX-1RAZQ-2026-SM-E76P7 30-39 years, male 7.8
GTEX-16MTA-1626-SM-6M47N 50-59 years, male 7.7
GTEX-Y5LM-1426-SM-5RQJL 40-49 years, female 7.7
GTEX-ZZ64-0826-SM-5E449 20-29 years, male 7.7
GTEX-1LG7Z-1326-SM-DIPF3 30-39 years, male 7.7
GTEX-111YS-1826-SM-5GIEP 60-69 years, male 7.6
GTEX-11ZU8-1126-SM-5EQ5K 60-69 years, male 7.6
GTEX-12WSM-1426-SM-5GCPA 60-69 years, male 7.6
GTEX-12ZZW-2426-SM-5DUWE 50-59 years, male 7.6
GTEX-1399U-2226-SM-5KLZI 50-59 years, female 7.6
GTEX-13OW6-2226-SM-5N9FL 50-59 years, male 7.6
GTEX-1JJEA-2526-SM-CY8HJ 60-69 years, male 7.6
GTEX-1RAZR-2026-SM-E9TKE 40-49 years, male 7.6
GTEX-139T6-1426-SM-5P9J7 50-59 years, male 7.5
GTEX-15F5U-1426-SM-7KUN2 40-49 years, male 7.5
GTEX-Y114-1626-SM-4TT7I 50-59 years, female 7.5
GTEX-ZYT6-2826-SM-5GICX 30-39 years, male 7.5
GTEX-1H3VY-2526-SM-9KNW1 50-59 years, male 7.5
GTEX-1HSKV-2326-SM-A9SL9 60-69 years, male 7.5
GTEX-1HSMO-2526-SM-A9SKP 60-69 years, male 7.5
GTEX-1HSMQ-2526-SM-A9SMK 50-59 years, male 7.5
GTEX-1S5ZA-1426-SM-E6CJQ 20-29 years, male 7.5
GTEX-ZLV1-1326-SM-DO11Q 60-69 years, female 7.5
GTEX-11EM3-1626-SM-5N9CO 20-29 years, female 7.4
GTEX-12BJ1-2026-SM-5FQUH 60-69 years, male 7.4
GTEX-147JS-2626-SM-5S2UX 60-69 years, male 7.4
GTEX-14AS3-1026-SM-5TDD7 40-49 years, female 7.4
GTEX-15RJE-2226-SM-6M46A 40-49 years, male 7.4
GTEX-17GQL-1626-SM-7LG69 60-69 years, male 7.4
GTEX-1AMFI-1826-SM-73KWB 50-59 years, female 7.4
GTEX-1AX9J-2526-SM-73KUY 60-69 years, male 7.4
GTEX-XAJ8-0726-SM-47JY5 40-49 years, male 7.4
GTEX-Z93S-2626-SM-57WBX 50-59 years, male 7.4
GTEX-1IKOE-2126-SM-A96T5 30-39 years, female 7.4
GTEX-1KXAM-1926-SM-D3LAG 60-69 years, male 7.4
GTEX-1LBAC-1726-SM-D3L9W 20-29 years, male 7.4
GTEX-1RMOY-1726-SM-EVYC9 50-59 years, male 7.4
GTEX-12ZZY-2726-SM-5EQ45 60-69 years, male 7.3
GTEX-13SLW-2826-SM-5Q5ES 70-79 years, male 7.3
GTEX-1A3MV-1026-SM-72D5U 30-39 years, male 7.3
GTEX-ZA64-1426-SM-5CVMC 20-29 years, male 7.3
GTEX-ZAJG-2626-SM-5S2NU 50-59 years, female 7.3
GTEX-1EH9U-1926-SM-7P8QM 60-69 years, male 7.3
GTEX-1HBPN-2026-SM-B2LWA 50-59 years, male 7.3
GTEX-1JKYN-2226-SM-ARZNE 30-39 years, male 7.3
GTEX-1JMPY-1026-SM-ARZN1 30-39 years, male 7.3
GTEX-1JMPZ-2626-SM-ARU8Z 30-39 years, male 7.3
GTEX-1S831-1726-SM-EWROJ 20-29 years, male 7.3
GTEX-YEC3-2026-SM-DKPOL 50-59 years, male 7.3
GTEX-11DXX-1926-SM-5EGJK 60-69 years, female 7.2
GTEX-13O61-1526-SM-5KM3P 60-69 years, male 7.2
GTEX-13X6K-2726-SM-5O9DG 60-69 years, female 7.2
GTEX-183FY-1426-SM-7DHLM 20-29 years, male 7.2
GTEX-YJ8O-1426-SM-5PNV9 40-49 years, female 7.2
GTEX-ZDTS-2726-SM-5L3E2 60-69 years, male 7.2
GTEX-1GPI7-1926-SM-9KNUH 20-29 years, male 7.2
GTEX-1LSNL-1626-SM-E9TJY 50-59 years, male 7.2
GTEX-11ZTT-1626-SM-5EQKR 60-69 years, female 7.1
GTEX-139TS-2226-SM-5J2N1 60-69 years, male 7.1
GTEX-13G51-2126-SM-5IJD9 60-69 years, male 7.1
GTEX-15ETS-2326-SM-7KUGC 40-49 years, female 7.1
GTEX-17JCI-2826-SM-7IGNA 60-69 years, female 7.1
GTEX-1B8L1-1926-SM-7IGND 60-69 years, male 7.1
GTEX-1GN73-2726-SM-9WYUB 60-69 years, male 7.1
GTEX-1LGOU-1726-SM-D3L8P 20-29 years, female 7.1
GTEX-1LGRB-2026-SM-COH47 50-59 years, female 7.1
GTEX-1LSNM-1426-SM-E6CIH 50-59 years, male 7.1
GTEX-1QP29-2526-SM-E6CQ3 50-59 years, male 7.1
GTEX-11EQ9-1526-SM-5PNY7 30-39 years, male 7.0
GTEX-12696-1926-SM-5EGJT 60-69 years, male 7.0
GTEX-131XG-1526-SM-5GCNQ 50-59 years, female 7.0
GTEX-146FH-2426-SM-5Q5EW 50-59 years, female 7.0
GTEX-1477Z-2126-SM-5Q5CM 60-69 years, male 7.0
GTEX-17F9Y-2626-SM-7IGN9 70-79 years, female 7.0
GTEX-1B97I-1526-SM-73KUK 40-49 years, male 7.0
GTEX-1BAJH-2726-SM-7IGNJ 70-79 years, male 7.0
GTEX-WFON-1326-SM-4LVMN 40-49 years, male 7.0
GTEX-XV7Q-2226-SM-4BRVY 40-49 years, female 7.0
GTEX-YECK-2826-SM-5IFHF 60-69 years, male 7.0
GTEX-ZXES-1726-SM-5E43G 30-39 years, female 7.0
GTEX-1EU9M-2726-SM-7P8QD 60-69 years, male 7.0
GTEX-1IDJU-1926-SM-CL53W 60-69 years, female 7.0
GTEX-1J8Q3-2426-SM-CL53S 60-69 years, male 7.0
GTEX-1J8QM-1226-SM-CY8HI 60-69 years, female 7.0
GTEX-1R9JW-2126-SM-E76QT 30-39 years, female 7.0
GTEX-11EQ8-2626-SM-5N9BO 60-69 years, male 6.9
GTEX-11GS4-1826-SM-5HL4T 60-69 years, male 6.9
GTEX-15RIF-1426-SM-7KUKQ 20-29 years, male 6.9
GTEX-16Z82-2426-SM-7KUMS 60-69 years, male 6.9
GTEX-17HHE-1626-SM-7DHLN 50-59 years, male 6.9
GTEX-1CB4G-2726-SM-79OO4 60-69 years, male 6.9
GTEX-ZAB5-1426-SM-5HL9D 50-59 years, male 6.9
GTEX-ZF28-2526-SM-57WFH 60-69 years, male 6.9
GTEX-15G1A-1926-SM-7KUFF 30-39 years, male 6.9
GTEX-1RDX4-1926-SM-E6CJJ 50-59 years, female 6.9
GTEX-13OW5-2826-SM-5KM1G 60-69 years, male 6.8
GTEX-13VXT-2026-SM-5L3EW 20-29 years, female 6.8
GTEX-145LS-2926-SM-5O99G 60-69 years, female 6.8
GTEX-16NGA-0926-SM-718AG 40-49 years, female 6.8
GTEX-1AX9K-1626-SM-73KUS 50-59 years, male 6.8
GTEX-1C2JI-1726-SM-73KUW 50-59 years, male 6.8
GTEX-1GMR8-2926-SM-9KNW5 50-59 years, female 6.8
GTEX-1HSEH-1926-SM-A96SB 60-69 years, male 6.8
GTEX-1JN76-1326-SM-ARU94 20-29 years, female 6.8
GTEX-1PIGE-1526-SM-DTXFC 20-29 years, male 6.8
GTEX-145LT-0826-SM-5S2QL 40-49 years, male 6.7
GTEX-14BMU-1326-SM-5RQIH 20-29 years, female 6.7
GTEX-14PJ4-1826-SM-5YY97 60-69 years, male 6.7
GTEX-YF7O-1626-SM-5IFII 50-59 years, male 6.7
GTEX-YFCO-1526-SM-5YYB8 40-49 years, male 6.7
GTEX-ZTSS-1226-SM-51MSZ 40-49 years, male 6.7
GTEX-1H1E6-1826-SM-A9G21 30-39 years, male 6.7
GTEX-1LKK1-2426-SM-DIPES 50-59 years, female 6.7
GTEX-1LVAM-1726-SM-DHXKQ 50-59 years, female 6.7
GTEX-1LVAN-2626-SM-CNPQF 50-59 years, female 6.7
GTEX-1QP9N-0826-SM-DTX9O 30-39 years, male 6.7
GTEX-11DXZ-1626-SM-5GIDI 50-59 years, male 6.6
GTEX-11P81-1426-SM-5P9JN 30-39 years, female 6.6
GTEX-12ZZX-2726-SM-5N9FT 40-49 years, female 6.6
GTEX-13OVK-1026-SM-7KFTC 40-49 years, male 6.6
GTEX-13QBU-2026-SM-5KLZB 40-49 years, female 6.6
GTEX-1AYCT-1926-SM-793AE 50-59 years, male 6.6
GTEX-X4EO-2726-SM-4E3HS 60-69 years, female 6.6
GTEX-ZYFG-1826-SM-5GZWX 60-69 years, female 6.6
GTEX-1GZ4H-1326-SM-7P8TE 50-59 years, female 6.6
GTEX-1HCUA-1926-SM-B2LWE 50-59 years, female 6.6
GTEX-1JJE9-2526-SM-ARU8K 70-79 years, male 6.6
GTEX-1LVAO-2826-SM-E9TJH 60-69 years, male 6.6
GTEX-XXEK-1826-SM-4BRVC 50-59 years, male 6.5
GTEX-ZC5H-2426-SM-4WAZ6 40-49 years, female 6.5
GTEX-ZQG8-2426-SM-57WEE 60-69 years, female 6.5
GTEX-1F5PK-1726-SM-7RHHW 50-59 years, male 6.5
GTEX-1GF9X-1426-SM-7RHGX 40-49 years, female 6.5
GTEX-1HBPI-2226-SM-9WYTY 50-59 years, male 6.5
GTEX-1JMLX-2526-SM-CY8HX 50-59 years, male 6.5
GTEX-1122O-1426-SM-5H11R 60-69 years, female 6.4
GTEX-11ZTS-1526-SM-5N9G7 60-69 years, female 6.4
GTEX-1212Z-1826-SM-5FQSH 60-69 years, male 6.4
GTEX-131YS-2926-SM-5EGKI 60-69 years, female 6.4
GTEX-13CF2-1826-SM-5N9GK 60-69 years, male 6.4
GTEX-14PJ3-1226-SM-5ZZVY 50-59 years, male 6.4
GTEX-18QFQ-1726-SM-731C9 30-39 years, male 6.4
GTEX-Y3I4-1126-SM-4TT7Y 50-59 years, male 6.4
GTEX-ZVT2-1726-SM-51MRO 50-59 years, female 6.4
GTEX-ZY6K-1326-SM-5GZWP 50-59 years, male 6.4
GTEX-1K2DA-1626-SM-CGQGB 50-59 years, male 6.4
GTEX-1K9T9-2926-SM-E9TKD 50-59 years, female 6.4
GTEX-1QCLZ-2026-SM-EAZ4A 60-69 years, female 6.4
GTEX-1QP67-1426-SM-E8VOO 40-49 years, female 6.4
GTEX-1S82P-2026-SM-E9TIQ 60-69 years, female 6.4
GTEX-117YX-0526-SM-5EGJH 50-59 years, male 6.3
GTEX-12WSG-2426-SM-5EQLZ 50-59 years, female 6.3
GTEX-15DYW-2426-SM-7KUG8 60-69 years, female 6.3
GTEX-18465-2726-SM-7LT9I 50-59 years, male 6.3
GTEX-1B996-2726-SM-7DUGG 60-69 years, male 6.3
GTEX-WHPG-1626-SM-4M1ZL 50-59 years, male 6.3
GTEX-XUW1-1826-SM-4BOQD 50-59 years, female 6.3
GTEX-ZT9W-1726-SM-51MS3 50-59 years, male 6.3
GTEX-1C64N-2226-SM-7SB7C 50-59 years, male 6.3
GTEX-1F75W-2126-SM-7RHIA 60-69 years, male 6.3
GTEX-1H23P-2626-SM-9KNVN 60-69 years, male 6.3
GTEX-1HFI7-1626-SM-9WYTR 50-59 years, female 6.3
GTEX-1IDJI-2226-SM-CKZPM 50-59 years, female 6.3
GTEX-1N2DV-1826-SM-E6CJ5 40-49 years, male 6.3
GTEX-1QCLY-2026-SM-EVR4C 30-39 years, male 6.3
GTEX-117XS-2226-SM-5GIE1 60-69 years, male 6.2
GTEX-12WSD-2626-SM-5EGJE 60-69 years, female 6.2
GTEX-13FHO-2726-SM-5K7VG 60-69 years, male 6.2
GTEX-13FTW-2126-SM-5K7YG 40-49 years, male 6.2
GTEX-14E6C-2226-SM-5QGQG 40-49 years, male 6.2
GTEX-14PHX-1126-SM-5YYA5 50-59 years, male 6.2
GTEX-15RJ7-1726-SM-6PAL3 40-49 years, male 6.2
GTEX-18A66-2626-SM-72D67 60-69 years, male 6.2
GTEX-1A32A-2626-SM-73KX9 50-59 years, female 6.2
GTEX-1CB4F-1926-SM-7MKFN 60-69 years, male 6.2
GTEX-WHWD-1526-SM-4OORV 50-59 years, male 6.2
GTEX-ZP4G-1526-SM-57WE5 20-29 years, female 6.2
GTEX-ZPU1-1726-SM-4WWFV 40-49 years, male 6.2
GTEX-1GTWX-2626-SM-9WPOT 60-69 years, male 6.2
GTEX-1PDJ9-2026-SM-E76PT 20-29 years, male 6.2
GTEX-11TT1-0926-SM-5GU5M 20-29 years, male 6.1
GTEX-11TUW-2326-SM-5EQMO 60-69 years, male 6.1
GTEX-12KS4-2326-SM-5EGJB 30-39 years, male 6.1
GTEX-13D11-0626-SM-5LZYY 50-59 years, female 6.1
GTEX-147GR-2826-SM-5RQK8 60-69 years, male 6.1
GTEX-14A5I-2426-SM-5Q5CP 50-59 years, female 6.1
GTEX-14E6E-1726-SM-5S2R6 30-39 years, male 6.1
GTEX-17MFQ-1226-SM-7KFSA 20-29 years, male 6.1
GTEX-18A6Q-2226-SM-7LG61 60-69 years, male 6.1
GTEX-WFG8-1726-SM-4LVM6 20-29 years, male 6.1
GTEX-WQUQ-2626-SM-4MVNP 60-69 years, male 6.1
GTEX-WYVS-1126-SM-4SOJX 40-49 years, female 6.1
GTEX-ZPIC-2626-SM-57WE2 40-49 years, female 6.1
GTEX-1H1DE-1626-SM-9KNU5 20-29 years, male 6.1
GTEX-1HCU7-2726-SM-A9G3D 50-59 years, male 6.1
GTEX-1HSGN-2226-SM-A9SL6 40-49 years, female 6.1
GTEX-1QP28-2226-SM-DTX8C 50-59 years, female 6.1
GTEX-11DXY-2026-SM-5N9CZ 60-69 years, male 6.0
GTEX-131XE-1026-SM-5EGKE 50-59 years, male 6.0
GTEX-13OVJ-1826-SM-5KM2D 50-59 years, female 6.0
GTEX-13OW8-2726-SM-5L3FZ 60-69 years, male 6.0
GTEX-16BQI-2026-SM-7KULQ 30-39 years, female 6.0
GTEX-XQ8I-2326-SM-4BOQC 50-59 years, male 6.0
GTEX-1HCU6-2926-SM-B2LWV 60-69 years, female 6.0
GTEX-1HKZK-2026-SM-9WYUF 40-49 years, male 6.0
GTEX-1I1GT-2026-SM-CKZPK 60-69 years, female 6.0
GTEX-1PIIG-2126-SM-EXUSD 30-39 years, male 6.0
GTEX-139UW-2326-SM-5KM1Y 60-69 years, male 5.9
GTEX-13CF3-1326-SM-5LZXZ 60-69 years, female 5.9
GTEX-13FH7-1626-SM-5J2O9 50-59 years, female 5.9
GTEX-145MO-2626-SM-5QGPD 60-69 years, male 5.9
GTEX-17HG3-1126-SM-7DUFC 30-39 years, female 5.9
GTEX-XUZC-1526-SM-4BRV4 30-39 years, female 5.9
GTEX-ZYY3-2226-SM-5E45A 60-69 years, female 5.9
GTEX-1GMRU-2626-SM-9WPPM 50-59 years, male 5.9
GTEX-1LG7Y-2226-SM-E9U5K 50-59 years, male 5.9
GTEX-1OFPY-1226-SM-E76OM 60-69 years, male 5.9
GTEX-1RQEC-2626-SM-EVR3Z 60-69 years, male 5.9
GTEX-11EMC-1426-SM-5N9E4 60-69 years, female 5.8
GTEX-13N2G-2226-SM-5IJCU 60-69 years, male 5.8
GTEX-14BIN-2426-SM-5TDCF 50-59 years, female 5.8
GTEX-17HGU-2626-SM-79OKN 50-59 years, male 5.8
GTEX-1B932-2126-SM-7IGMU 40-49 years, female 5.8
GTEX-1E2YA-2526-SM-7IGOU 50-59 years, male 5.8
GTEX-WY7C-1926-SM-4ONCI 50-59 years, male 5.8
GTEX-1GMR2-1826-SM-9KNUP 50-59 years, male 5.8
GTEX-1IDJH-2826-SM-CJI49 70-79 years, male 5.8
GTEX-1IL2U-2526-SM-C1YQV 60-69 years, male 5.8
GTEX-1J8JJ-2426-SM-D4P4A 60-69 years, female 5.8
GTEX-1KANA-1726-SM-CY8IG 20-29 years, male 5.8
GTEX-1QW4Y-1426-SM-E76P3 30-39 years, male 5.8
GTEX-145MH-2726-SM-5QGQ6 50-59 years, male 5.7
GTEX-15UF7-1326-SM-7KUKV 40-49 years, male 5.7
GTEX-1H1ZS-2626-SM-9QEIX 70-79 years, male 5.7
GTEX-1LB8K-2526-SM-DIPEQ 50-59 years, male 5.7
GTEX-15CHQ-2626-SM-686YZ 60-69 years, male 5.6
GTEX-15ER7-2826-SM-6PAN2 20-29 years, female 5.6
GTEX-17F96-2126-SM-7KFSM 70-79 years, male 5.6
GTEX-ZE7O-2626-SM-51MSS 50-59 years, female 5.6
GTEX-ZV6S-1126-SM-57WE9 40-49 years, female 5.6
GTEX-1HCVE-2326-SM-9WYUD 50-59 years, male 5.6
GTEX-1211K-1826-SM-5EGJ2 60-69 years, female 5.5
GTEX-132AR-2826-SM-5IJFV 50-59 years, female 5.5
GTEX-15EO6-2326-SM-6LPKK 50-59 years, male 5.5
GTEX-1CAMS-2626-SM-7PBY3 40-49 years, female 5.5
GTEX-1I1GP-2826-SM-A9SKZ 50-59 years, male 5.5
GTEX-111CU-1226-SM-5EGIN 50-59 years, male 5.4
GTEX-12WSL-1826-SM-5LZW9 50-59 years, male 5.4
GTEX-13U4I-2626-SM-5SI9C 40-49 years, female 5.4
GTEX-13X6J-2826-SM-7EPGA 50-59 years, male 5.4
GTEX-14JG6-1626-SM-5YYBC 30-39 years, female 5.4
GTEX-17EUY-1726-SM-79OK4 20-29 years, male 5.4
GTEX-1C4CL-1626-SM-7DUF3 30-39 years, male 5.4
GTEX-1I1GR-2226-SM-ARL7F 60-69 years, male 5.4
GTEX-1JMQK-2326-SM-ARZN4 60-69 years, male 5.4
GTEX-1339X-1726-SM-5P9J9 40-49 years, male 5.3
GTEX-18A67-2226-SM-7LT9Z 50-59 years, male 5.3
GTEX-Y9LG-1326-SM-4VBQB 30-39 years, male 5.3
GTEX-132NY-2726-SM-5PNY2 60-69 years, male 5.2
GTEX-13PVQ-2726-SM-5L3H7 50-59 years, male 5.2
GTEX-15G19-2726-SM-6LPKG 60-69 years, male 5.2
GTEX-ZVT3-2826-SM-5GU6A 60-69 years, female 5.2
GTEX-X15G-1526-SM-4PQZM 50-59 years, female 5.1
GTEX-ZVZQ-2626-SM-59HLB 60-69 years, female 5.1
GTEX-ZTTD-2626-SM-57WEX 50-59 years, male 5.0
GTEX-1ICG6-2226-SM-B2LY7 70-79 years, female 5.0
GTEX-14C39-1626-SM-5S2P4 40-49 years, male 4.9
GTEX-1JN6P-2126-SM-ARL98 60-69 years, male 4.8
GTEX-12WSJ-1426-SM-5GCON 40-49 years, female 4.7
GTEX-13O1R-2426-SM-5KLZZ 60-69 years, male 4.7
GTEX-1C6VQ-2626-SM-7IGMQ 50-59 years, male 4.7
GTEX-Y8LW-1126-SM-4VDS4 50-59 years, female 4.6
GTEX-14A5H-1626-SM-5SIAN 60-69 years, male 4.3
GTEX-13PL7-2426-SM-5J2N3 60-69 years, female 4.2
GTEX-WXYG-1726-SM-4ONCU 50-59 years, female 4.2
Show allShow less
Colon - Transverse
Average nTPM: 15.9
Samples: 406

Max nTPM: 68.4
Min nTPM: 4.8
Std nTPM: 9.5
Median nTPM: 13.3
GTEX-14PK6-1726-SM-6871J 70-79 years, female 68.4
GTEX-14E6E-1526-SM-5RQIG 30-39 years, male 46.3
GTEX-ZLV1-1226-SM-4WWBX 60-69 years, female 40.0
GTEX-111CU-1426-SM-5GZYP 50-59 years, male 39.2
GTEX-ZVT2-1926-SM-5GU5T 50-59 years, female 39.1
GTEX-ZDYS-2326-SM-4WKG6 50-59 years, male 37.7
GTEX-14XAO-2026-SM-69LOI 60-69 years, female 37.0
GTEX-ZLWG-1726-SM-DNZZ2 50-59 years, female 37.0
GTEX-1122O-1526-SM-5N9CL 60-69 years, female 36.9
GTEX-139T6-1326-SM-5IFFO 50-59 years, male 36.8
GTEX-1RAZA-1726-SM-DPS13 20-29 years, male 36.5
GTEX-14BMU-1526-SM-5TDE6 20-29 years, female 36.1
GTEX-1F5PK-1926-SM-7MXT7 50-59 years, male 36.1
GTEX-1CAMR-0926-SM-7MXTD 20-29 years, male 36.0
GTEX-132AR-2726-SM-5PNVN 50-59 years, female 35.8
GTEX-1JKYN-2326-SM-CGQG7 30-39 years, male 35.4
GTEX-15CHR-1426-SM-7DUGV 50-59 years, male 35.2
GTEX-1B8KE-1926-SM-731EE 50-59 years, male 35.1
GTEX-16AAH-1326-SM-7KFRG 50-59 years, male 34.4
GTEX-131XG-1826-SM-5LZV4 50-59 years, female 34.3
GTEX-145MN-1726-SM-5SIA6 30-39 years, male 34.3
GTEX-1K2DA-2026-SM-CGQGK 50-59 years, male 33.9
GTEX-13D11-0826-SM-5KLZJ 50-59 years, female 33.8
GTEX-15RIF-1326-SM-6LPKO 20-29 years, male 33.8
GTEX-Y5LM-1526-SM-4VDTA 40-49 years, female 33.2
GTEX-1C475-1626-SM-731FP 40-49 years, female 32.2
GTEX-13O21-2426-SM-5MR4A 50-59 years, male 32.0
GTEX-1399S-1926-SM-5J2M5 30-39 years, female 31.8
GTEX-ZV7C-1526-SM-5NQ72 50-59 years, male 31.7
GTEX-ZPIC-2226-SM-57WDX 40-49 years, female 31.5
GTEX-1AMFI-1726-SM-7189L 50-59 years, female 31.4
GTEX-1H1E6-1926-SM-9OSWD 30-39 years, male 31.4
GTEX-13QBU-1826-SM-5IJG3 40-49 years, female 31.2
GTEX-ZT9W-1826-SM-51MQX 50-59 years, male 31.2
GTEX-1H11D-2626-SM-9JGH4 40-49 years, male 30.7
GTEX-ZG7Y-2126-SM-DO117 50-59 years, male 30.7
GTEX-WFON-1426-SM-4LVMT 40-49 years, male 30.5
GTEX-14DAR-1526-SM-5RQIX 50-59 years, male 30.4
GTEX-1399U-1926-SM-5IFH7 50-59 years, female 30.0
GTEX-1KANA-1926-SM-DHXKF 20-29 years, male 29.9
GTEX-14PJ4-1926-SM-6LLHG 60-69 years, male 29.8
GTEX-1LGRB-1426-SM-CNNPT 50-59 years, female 29.8
GTEX-XBED-1526-SM-4AT5W 60-69 years, male 29.7
GTEX-144GM-1226-SM-5LU52 20-29 years, male 29.6
GTEX-ZPCL-1826-SM-57WF1 60-69 years, female 29.6
GTEX-ZF2S-1926-SM-4WWAN 50-59 years, female 29.4
GTEX-XUZC-1326-SM-4BRV2 30-39 years, female 28.5
GTEX-1KANC-0926-SM-D3LA9 50-59 years, female 28.5
GTEX-11DXX-1826-SM-5H126 60-69 years, female 28.3
GTEX-OHPM-1426-SM-3TW8Y 50-59 years, male 28.3
GTEX-1N2DV-1426-SM-DPRYQ 40-49 years, male 28.3
GTEX-ZDTT-1926-SM-5HL5W 60-69 years, male 28.1
GTEX-11P7K-1526-SM-5EGI7 30-39 years, male 28.0
GTEX-YB5E-1626-SM-5IFIQ 40-49 years, male 27.9
GTEX-1J1R8-1126-SM-CNPQ3 40-49 years, male 27.8
GTEX-11DXZ-1726-SM-5H12M 50-59 years, male 27.7
GTEX-1LG7Z-1426-SM-CXKYV 30-39 years, male 27.7
GTEX-R55D-1826-SM-48FEF 50-59 years, male 27.6
GTEX-1I4MK-1126-SM-B2LWS 50-59 years, female 27.4
GTEX-1F5PL-2126-SM-7PC2O 40-49 years, female 27.0
GTEX-U4B1-1126-SM-4DXV3 40-49 years, male 26.9
GTEX-OXRK-1726-SM-3NB16 50-59 years, female 26.7
GTEX-14PKV-2126-SM-664O3 20-29 years, female 26.6
GTEX-14JIY-3326-SM-6871E 60-69 years, male 26.4
GTEX-13PL7-2526-SM-5IFGR 60-69 years, female 26.3
GTEX-PLZ5-1126-SM-3P613 50-59 years, male 25.9
GTEX-ZEX8-1926-SM-4WKFR 50-59 years, male 25.8
GTEX-1PIEJ-2026-SM-E6CPA 20-29 years, female 25.8
GTEX-R55G-1226-SM-48FDC 40-49 years, female 25.6
GTEX-UJHI-1126-SM-4IHLN 50-59 years, female 25.6
GTEX-1LVAM-1626-SM-EV79Y 50-59 years, female 25.6
GTEX-11I78-1226-SM-5A5K6 50-59 years, female 25.4
GTEX-133LE-1526-SM-5IFEN 20-29 years, female 25.4
GTEX-1IDJU-2026-SM-A9SLM 60-69 years, female 25.4
GTEX-12BJ1-2126-SM-5BC5O 60-69 years, male 25.2
GTEX-T5JW-1126-SM-4DM5V 20-29 years, female 24.9
GTEX-P4PP-1426-SM-3NM9L 30-39 years, female 24.8
GTEX-1JN76-1226-SM-C1YRM 20-29 years, female 24.8
GTEX-U3ZN-2126-SM-4DXU1 30-39 years, female 24.7
GTEX-WHWD-1226-SM-4OOS1 50-59 years, male 24.6
GTEX-1MA7W-0626-SM-EV79Z 20-29 years, female 24.6
GTEX-13PVR-1626-SM-73KVF 60-69 years, female 24.5
GTEX-QLQW-0426-SM-447A7 30-39 years, male 24.4
GTEX-1QP9N-1026-SM-E6CPX 30-39 years, male 24.4
GTEX-139YR-2126-SM-5KM11 50-59 years, male 24.2
GTEX-Q2AH-1226-SM-48TZL 40-49 years, male 24.1
GTEX-RM2N-0926-SM-48FD1 50-59 years, male 24.1
GTEX-1RAZR-1926-SM-E6CRF 40-49 years, male 24.1
GTEX-15RIE-1826-SM-6M48P 60-69 years, male 24.0
GTEX-W5WG-2426-SM-4LMI6 50-59 years, female 23.8
GTEX-1JMPY-0426-SM-C1YQ3 30-39 years, male 23.6
GTEX-1B8KZ-1326-SM-7DUG6 50-59 years, male 23.5
GTEX-WOFM-2026-SM-4OOSQ 20-29 years, male 23.5
GTEX-1MGNQ-2026-SM-EAZ51 40-49 years, male 23.5
GTEX-XQ8I-2126-SM-4BOOM 50-59 years, male 23.4
GTEX-11VI4-1526-SM-5EQKC 40-49 years, female 23.3
GTEX-1IKOE-2026-SM-AHZ31 30-39 years, female 23.2
GTEX-11EM3-1526-SM-5A5KN 20-29 years, female 23.1
GTEX-Q2AI-0926-SM-48U1F 40-49 years, male 23.1
GTEX-OIZH-1426-SM-3NB1O 50-59 years, male 22.9
GTEX-13FTW-1826-SM-5IJEN 40-49 years, male 22.8
GTEX-S4Q7-0826-SM-4AD5E 20-29 years, male 22.8
GTEX-14PHX-1526-SM-68717 50-59 years, male 22.7
GTEX-YF7O-1726-SM-5IFJ9 50-59 years, male 22.5
GTEX-17HHE-1826-SM-79OKE 50-59 years, male 22.1
GTEX-ZVP2-1526-SM-5NQ82 50-59 years, male 22.1
GTEX-ZPU1-1926-SM-57WDT 40-49 years, male 21.9
GTEX-ZTSS-1126-SM-5985O 40-49 years, male 21.8
GTEX-14JG6-1726-SM-69LPL 30-39 years, female 21.7
GTEX-WFG7-1526-SM-4LVMG 20-29 years, male 21.7
GTEX-XPVG-1826-SM-4B64X 50-59 years, male 21.7
GTEX-1HCU9-1326-SM-B2LXT 20-29 years, male 21.6
GTEX-UJMC-1326-SM-4IHLS 50-59 years, male 21.5
GTEX-QV31-0826-SM-CKZNC 30-39 years, male 21.3
GTEX-PWN1-1426-SM-48TDF 40-49 years, female 21.2
GTEX-11TT1-1026-SM-5PNW7 20-29 years, male 21.0
GTEX-1QP67-1326-SM-EAZ4D 40-49 years, female 21.0
GTEX-1R7EU-1926-SM-E9U62 60-69 years, male 21.0
GTEX-1HSEH-1726-SM-B2LXH 60-69 years, male 20.8
GTEX-P4QT-1426-SM-3NMCX 50-59 years, female 20.4
GTEX-WH7G-1326-SM-4LVMS 40-49 years, male 20.4
GTEX-QEL4-1926-SM-D3L8D 50-59 years, male 20.4
GTEX-11P82-1026-SM-5BC5J 20-29 years, male 20.3
GTEX-147F3-1926-SM-5SIB9 50-59 years, female 20.3
GTEX-1JK1U-1526-SM-AHZ46 60-69 years, male 20.3
GTEX-S7SF-1926-SM-4AT5B 20-29 years, female 20.1
GTEX-1S3DN-1826-SM-EV79K 50-59 years, male 20.1
GTEX-Y9LG-1526-SM-4WWDR 30-39 years, male 20.0
GTEX-Y3IK-1826-SM-4WWDS 50-59 years, female 19.9
GTEX-WHSB-0926-SM-4M1XJ 50-59 years, male 19.8
GTEX-R53T-1326-SM-48FCQ 50-59 years, female 19.7
GTEX-S4UY-0826-SM-4AD4Z 40-49 years, female 19.7
GTEX-OIZF-1426-SM-2HML2 60-69 years, male 19.7
GTEX-1399R-2226-SM-5P9JB 30-39 years, male 19.5
GTEX-Q734-1126-SM-48TZY 40-49 years, female 19.5
GTEX-TKQ2-1326-SM-4DXT9 50-59 years, male 19.4
GTEX-1L5NE-2026-SM-CXZKR 50-59 years, male 19.4
GTEX-1QPFJ-2326-SM-E6CR7 30-39 years, female 19.4
GTEX-139TS-1926-SM-5IJFO 60-69 years, male 19.3
GTEX-145LT-0926-SM-5LU9C 40-49 years, male 19.3
GTEX-1C4CL-2126-SM-7IGQC 30-39 years, male 19.3
GTEX-XMK1-1726-SM-4B64Z 40-49 years, male 19.2
GTEX-18D9A-1126-SM-7KFRJ 30-39 years, female 19.1
GTEX-13S86-1626-SM-5Q5C5 40-49 years, male 19.0
GTEX-X15G-1326-SM-4PQZJ 50-59 years, female 19.0
GTEX-12C56-0626-SM-5EGGC 20-29 years, male 18.8
GTEX-1H3VY-2426-SM-9WPPD 50-59 years, male 18.7
GTEX-QCQG-1626-SM-48U26 50-59 years, female 18.6
GTEX-1211K-1726-SM-5FQUJ 60-69 years, female 18.5
GTEX-1B932-2826-SM-73KUD 40-49 years, female 18.3
GTEX-1PFEY-1426-SM-E9U6U 30-39 years, male 18.3
GTEX-178AV-1326-SM-6LPJX 40-49 years, male 18.2
GTEX-1F75I-2426-SM-9WPOY 40-49 years, male 18.2
GTEX-117YW-1826-SM-5PNY5 50-59 years, male 18.1
GTEX-1AYCT-1826-SM-731EG 50-59 years, male 18.1
GTEX-U3ZM-1126-SM-4DXUB 40-49 years, male 17.9
GTEX-1JKYR-1926-SM-C1YR7 20-29 years, male 17.8
GTEX-XV7Q-2126-SM-4BRVX 40-49 years, female 17.6
GTEX-SNOS-1226-SM-4DM5H 40-49 years, male 17.5
GTEX-OOBJ-1426-SM-E6CHH 60-69 years, male 17.4
GTEX-18D9U-1926-SM-7KFTM 40-49 years, male 17.3
GTEX-O5YW-1426-SM-3MJHF 50-59 years, male 17.2
GTEX-1S83E-1626-SM-EV7B9 40-49 years, male 17.2
GTEX-13111-0726-SM-5DUVE 50-59 years, male 17.1
GTEX-TML8-1326-SM-4DXTO 40-49 years, female 17.1
GTEX-1HFI7-1726-SM-A9G22 50-59 years, female 16.7
GTEX-17KNJ-1726-SM-7LG6A 50-59 years, male 16.6
GTEX-ZP4G-1726-SM-4WWCM 20-29 years, female 16.4
GTEX-1HSMQ-2726-SM-C1YRE 50-59 years, male 16.4
GTEX-131XE-0826-SM-5HL9W 50-59 years, male 16.3
GTEX-1GF9X-1526-SM-7P8QP 40-49 years, female 16.0
GTEX-11NSD-1626-SM-5986U 20-29 years, male 15.9
GTEX-15SB6-1226-SM-7KUMP 50-59 years, female 15.9
GTEX-R55C-1126-SM-48FCJ 40-49 years, male 15.9
GTEX-1NSGN-2326-SM-E9U5X 50-59 years, male 15.9
GTEX-11LCK-2026-SM-5A5MA 30-39 years, male 15.8
GTEX-PLZ6-0926-SM-3P5ZQ 30-39 years, male 15.8
GTEX-WYVS-1826-SM-4OND6 40-49 years, female 15.7
GTEX-YEC3-2426-SM-DO11A 50-59 years, male 15.7
GTEX-1GMR3-2826-SM-9WPOG 40-49 years, male 15.4
GTEX-13X6H-1926-SM-7EWD3 50-59 years, female 15.2
GTEX-18A66-2426-SM-7KFSQ 60-69 years, male 15.2
GTEX-S3XE-1126-SM-4AD4N 50-59 years, male 15.2
GTEX-1QCLY-1726-SM-DPRXY 30-39 years, male 15.1
GTEX-1CAMS-2526-SM-7EPH7 40-49 years, female 15.0
GTEX-17HGU-2426-SM-7EWDP 50-59 years, male 14.8
GTEX-1128S-1626-SM-5H12O 60-69 years, female 14.7
GTEX-13OVJ-1726-SM-5IJDZ 50-59 years, female 14.5
GTEX-S4P3-1226-SM-4AD4Y 50-59 years, female 14.5
GTEX-X3Y1-1726-SM-4PQZL 40-49 years, male 14.5
GTEX-1NHNU-2326-SM-E6CQE 50-59 years, male 14.5
GTEX-146FQ-1926-SM-5NQBY 30-39 years, male 14.3
GTEX-O5YT-1426-SM-3MJHC 20-29 years, male 14.3
GTEX-QMRM-1226-SM-447C6 50-59 years, male 14.3
GTEX-SE5C-1526-SM-4BRWU 40-49 years, female 14.3
GTEX-ZGAY-2126-SM-4YCFB 40-49 years, female 14.3
GTEX-144GN-1126-SM-5LU33 50-59 years, male 14.1
GTEX-1GPI7-1726-SM-7P8R1 20-29 years, male 14.1
GTEX-PWCY-1026-SM-48TD4 20-29 years, female 13.9
GTEX-QDVN-1326-SM-48TZ3 50-59 years, male 13.9
GTEX-XBEW-1926-SM-4SOJO 40-49 years, male 13.9
GTEX-ZY6K-1226-SM-5GZYL 50-59 years, male 13.7
GTEX-147GR-2726-SM-664OO 60-69 years, male 13.3
GTEX-Y8E4-2426-SM-4WWDN 40-49 years, male 13.3
GTEX-12KS4-2426-SM-5LU8P 30-39 years, male 13.2
GTEX-1JN1M-2626-SM-CY8I3 60-69 years, female 13.2
GTEX-VJYA-2026-SM-4KL1K 60-69 years, male 13.1
GTEX-1KXAM-2126-SM-CY8I9 60-69 years, male 13.1
GTEX-1RDX4-1826-SM-EVR54 50-59 years, female 13.0
GTEX-ZZ64-0726-SM-5GZX4 20-29 years, male 12.9
GTEX-1PIGE-1426-SM-E9U61 20-29 years, male 12.7
GTEX-1R9PM-1526-SM-DPRY8 20-29 years, male 12.5
GTEX-14ICK-1026-SM-6AJA4 40-49 years, male 12.4
GTEX-XUW1-1926-SM-4BOP1 50-59 years, female 11.9
GTEX-1AMEY-1926-SM-73KVT 30-39 years, female 11.8
GTEX-PX3G-1426-SM-48U1J 20-29 years, female 11.8
GTEX-15DCE-2026-SM-7KUFE 20-29 years, male 11.7
GTEX-WYJK-2226-SM-4ONDJ 50-59 years, male 11.7
GTEX-XYKS-2226-SM-4E3IU 60-69 years, female 11.6
GTEX-OHPN-2026-SM-E9TIA 60-69 years, female 11.6
GTEX-1I6K6-1826-SM-B2LX5 30-39 years, male 11.5
GTEX-1GF9U-1526-SM-7MXUW 40-49 years, female 11.3
GTEX-1R9JW-2026-SM-EAZ4O 30-39 years, female 11.2
GTEX-17EUY-1826-SM-7DUEZ 20-29 years, male 11.0
GTEX-15ER7-2926-SM-7KUFK 20-29 years, female 10.9
GTEX-13OW6-2126-SM-5N9GL 50-59 years, male 10.8
GTEX-16NGA-1026-SM-7KFS3 40-49 years, female 10.8
GTEX-1HSGN-2626-SM-CE6S1 40-49 years, female 10.8
GTEX-1QCLZ-1926-SM-E6CR3 60-69 years, female 10.8
GTEX-WEY5-1426-SM-4LMJ3 40-49 years, female 10.7
GTEX-1K9T9-2826-SM-D4P3F 50-59 years, female 10.7
GTEX-14PJM-2626-SM-686ZD 50-59 years, female 10.5
GTEX-11O72-2226-SM-5PNW2 40-49 years, male 10.2
GTEX-16MT8-2726-SM-7IGLJ 60-69 years, female 10.2
GTEX-QDVJ-1326-SM-48U1X 50-59 years, male 10.0
GTEX-1PPH8-2026-SM-DTX7P 20-29 years, male 9.9
GTEX-1IOXB-2626-SM-CJI2N 50-59 years, male 9.7
GTEX-1MJK3-0926-SM-EV7AY 20-29 years, male 9.7
GTEX-1LGOU-1626-SM-D3LAK 20-29 years, female 9.5
GTEX-14ICL-1226-SM-5S2RD 30-39 years, male 9.4
GTEX-OXRO-0726-SM-E9U4C 60-69 years, female 9.4
GTEX-1F75B-2726-SM-7P8QO 50-59 years, male 9.3
GTEX-14C5O-2526-SM-73KU2 60-69 years, male 9.2
GTEX-17EVQ-1826-SM-7IGPH 70-79 years, male 9.2
GTEX-XGQ4-1226-SM-4AT67 50-59 years, male 9.2
GTEX-Z93S-2426-SM-5HL8N 50-59 years, male 9.2
GTEX-14AS3-1126-SM-5Q5CR 40-49 years, female 9.1
GTEX-1AX9I-2626-SM-73KU5 60-69 years, male 9.1
GTEX-1LH75-2126-SM-EVR5F 50-59 years, female 9.1
GTEX-1RAZQ-2126-SM-DTX9V 30-39 years, male 9.1
GTEX-PSDG-1826-SM-EAZ2S 50-59 years, male 9.1
GTEX-13OVG-1426-SM-5K7VP 60-69 years, male 8.9
GTEX-144GL-2526-SM-5TDDL 50-59 years, male 8.9
GTEX-17HII-2726-SM-7MGVM 50-59 years, male 8.9
GTEX-1GN73-2626-SM-9KNUQ 60-69 years, male 8.9
GTEX-1IKK5-2726-SM-CNPQ6 60-69 years, male 8.9
GTEX-1N5O9-2726-SM-E76QH 60-69 years, male 8.9
GTEX-1S82U-0726-SM-E9TKI 30-39 years, female 8.9
GTEX-NFK9-2026-SM-3LK5K 40-49 years, male 8.8
GTEX-13VXT-2426-SM-5LU46 20-29 years, female 8.7
GTEX-14PJ5-0926-SM-6LLIK 60-69 years, female 8.7
GTEX-16XZZ-2626-SM-6M47S 60-69 years, male 8.7
GTEX-1J1OQ-2726-SM-AHZ3R 40-49 years, female 8.7
GTEX-WVJS-2426-SM-EZ6LI 50-59 years, male 8.7
GTEX-13O3O-2526-SM-5L3DR 60-69 years, female 8.6
GTEX-13O3P-2326-SM-5KM55 50-59 years, male 8.6
GTEX-15DYW-2326-SM-6PAMU 60-69 years, female 8.6
GTEX-15DZA-0926-SM-69LQ3 30-39 years, female 8.6
GTEX-17F98-1026-SM-7IGO8 40-49 years, female 8.6
GTEX-18QFQ-1526-SM-72D57 30-39 years, male 8.6
GTEX-RU1J-1326-SM-46MUL 20-29 years, female 8.6
GTEX-ZXES-1626-SM-5NQ7L 30-39 years, female 8.5
GTEX-1GZ4H-1226-SM-9KNUA 50-59 years, female 8.5
GTEX-1H1DE-1526-SM-ARL9B 20-29 years, male 8.5
GTEX-1MUQO-2626-SM-EWRO3 60-69 years, male 8.5
GTEX-1R9K5-2126-SM-E8VN1 50-59 years, male 8.5
GTEX-11ONC-2026-SM-5HL61 60-69 years, male 8.4
GTEX-17F96-2026-SM-79ON4 70-79 years, male 8.4
GTEX-17F9E-1826-SM-7IGMC 50-59 years, male 8.3
GTEX-18A7A-2226-SM-7LT8K 50-59 years, female 8.3
GTEX-SNMC-1126-SM-4DM5M 20-29 years, male 8.3
GTEX-1EH9U-2026-SM-7PBYS 60-69 years, male 8.3
GTEX-111VG-2226-SM-5N9DU 60-69 years, male 8.2
GTEX-13FHP-2426-SM-5KLZ5 50-59 years, male 8.1
GTEX-18A7B-2026-SM-72D71 70-79 years, male 8.1
GTEX-WQUQ-2526-SM-4MVNO 60-69 years, male 8.1
GTEX-ZAB4-2226-SM-5HL97 40-49 years, male 8.1
GTEX-1HKZK-2126-SM-A9SL3 40-49 years, male 8.1
GTEX-1I1GT-1926-SM-ARU7D 60-69 years, female 8.1
GTEX-1MCC2-1626-SM-DIPEW 30-39 years, female 8.1
GTEX-13OVK-0826-SM-7KULZ 40-49 years, male 8.0
GTEX-Y8LW-1226-SM-4WWDP 50-59 years, female 8.0
GTEX-1EMGI-2726-SM-7P8S4 60-69 years, male 8.0
GTEX-1IDJC-1326-SM-CL53H 50-59 years, male 8.0
GTEX-1JMPZ-2426-SM-C1YQP 30-39 years, male 8.0
GTEX-1LVAN-2526-SM-CNPPC 50-59 years, female 8.0
GTEX-1PPGY-2826-SM-DTX9H 60-69 years, male 8.0
GTEX-14BIN-3026-SM-5ZZUS 50-59 years, female 7.9
GTEX-16NPV-2626-SM-6M484 50-59 years, female 7.9
GTEX-P78B-1726-SM-3P5ZV 40-49 years, female 7.9
GTEX-ZYVF-2826-SM-5GIDK 50-59 years, female 7.9
GTEX-1N2EF-1926-SM-DTX8M 60-69 years, male 7.9
GTEX-OXRN-2026-SM-E6CHK 50-59 years, male 7.9
GTEX-14C39-1926-SM-5ZZW5 40-49 years, male 7.8
GTEX-15CHQ-2526-SM-6EU24 60-69 years, male 7.8
GTEX-1BAJH-2326-SM-7IGMO 70-79 years, male 7.8
GTEX-13QJ3-2626-SM-9OSXQ 50-59 years, male 7.8
GTEX-1GZ4I-2426-SM-9WPPP 50-59 years, male 7.8
GTEX-1KANB-1526-SM-CXZK4 50-59 years, male 7.8
GTEX-13O61-1626-SM-5KM3T 60-69 years, male 7.6
GTEX-14DAQ-2726-SM-5S2QY 60-69 years, female 7.6
GTEX-1POEN-2026-SM-E6CRL 30-39 years, female 7.6
GTEX-13OW5-2626-SM-5MR3M 60-69 years, male 7.5
GTEX-145ME-0826-SM-5O9AF 40-49 years, female 7.5
GTEX-14E1K-1826-SM-793DT 50-59 years, male 7.5
GTEX-SJXC-2226-SM-EVYAK 60-69 years, male 7.5
GTEX-111YS-1626-SM-5GZZ9 60-69 years, male 7.4
GTEX-14H4A-1926-SM-5ZZWN 40-49 years, female 7.4
GTEX-1C2JI-1626-SM-7EPHC 50-59 years, male 7.4
GTEX-15SHU-2526-SM-6M47D 40-49 years, female 7.3
GTEX-1A3MV-1126-SM-718BS 30-39 years, male 7.3
GTEX-1AX8Z-2726-SM-73KUC 60-69 years, male 7.3
GTEX-OXRL-1426-SM-3NM9E 50-59 years, male 7.3
GTEX-V955-1626-SM-4JBHJ 60-69 years, male 7.3
GTEX-ZF29-1726-SM-4WKFV 60-69 years, female 7.3
GTEX-11TTK-2426-SM-5PNYO 60-69 years, female 7.2
GTEX-13CF3-1426-SM-5K7YY 60-69 years, female 7.2
GTEX-16Z82-2226-SM-6LPJ7 60-69 years, male 7.2
GTEX-17MF6-2426-SM-7LTAM 40-49 years, male 7.2
GTEX-1C64O-2326-SM-73KU8 60-69 years, male 7.2
GTEX-1CB4I-2226-SM-7P8SL 50-59 years, male 7.2
GTEX-1ICLZ-2426-SM-CKZOD 60-69 years, male 7.2
GTEX-1JJE9-2426-SM-D3L8T 70-79 years, male 7.2
GTEX-1LBAC-1626-SM-CXZKV 20-29 years, male 7.2
GTEX-145MO-2426-SM-5NQ9W 60-69 years, male 7.1
GTEX-17JCI-2626-SM-7EWE6 60-69 years, female 7.1
GTEX-U3ZH-1326-SM-4DXSF 30-39 years, male 7.1
GTEX-1AYD5-1726-SM-7RHFW 50-59 years, male 7.1
GTEX-R45C-2126-SM-EZ6KZ 60-69 years, female 7.1
GTEX-TKQ1-0626-SM-4DXTS 30-39 years, male 7.0
GTEX-X5EB-0926-SM-46MVT 40-49 years, male 7.0
GTEX-1HCU7-2626-SM-C1YQO 50-59 years, male 7.0
GTEX-1LSVX-1726-SM-DHXJP 60-69 years, male 7.0
GTEX-1QW4Y-1326-SM-EWRMZ 30-39 years, male 7.0
GTEX-Y3I4-1426-SM-4TT9C 50-59 years, male 6.9
GTEX-12WSL-1626-SM-5GCMU 50-59 years, male 6.8
GTEX-15UF6-2626-SM-6M466 70-79 years, female 6.8
GTEX-S341-1426-SM-4AD6U 40-49 years, female 6.8
GTEX-1IDJD-2226-SM-A96TD 30-39 years, male 6.8
GTEX-1JJ6O-2426-SM-ARU8J 60-69 years, male 6.8
GTEX-1NV5F-2226-SM-DTX8O 60-69 years, female 6.8
GTEX-1QMI2-2626-SM-E6CR4 60-69 years, male 6.8
GTEX-117YX-0826-SM-5H11J 50-59 years, male 6.7
GTEX-11EQ9-1426-SM-5987G 30-39 years, male 6.7
GTEX-13OVI-2026-SM-5J1MU 60-69 years, female 6.7
GTEX-145LS-2726-SM-5Q5D8 60-69 years, female 6.7
GTEX-15CHC-1626-SM-5ZZWS 60-69 years, female 6.7
GTEX-ZV6S-1226-SM-59HLH 40-49 years, female 6.7
GTEX-1LG7Y-2126-SM-DIPER 50-59 years, male 6.7
GTEX-1PWST-2426-SM-EWRMP 70-79 years, male 6.7
GTEX-14BMV-2426-SM-5S2PP 50-59 years, male 6.6
GTEX-17GQL-1526-SM-7LTAC 60-69 years, male 6.6
GTEX-1B996-2626-SM-73KZ1 60-69 years, male 6.6
GTEX-1HCU6-2726-SM-A9SKV 60-69 years, female 6.6
GTEX-1HSMP-2326-SM-D3L8R 70-79 years, male 6.6
GTEX-1IDJF-1826-SM-CKZOE 20-29 years, male 6.6
GTEX-1S5VW-2926-SM-E9U6H 60-69 years, male 6.6
GTEX-WY7C-1626-SM-4ONC8 50-59 years, male 6.5
GTEX-XAJ8-0426-SM-47JYJ 40-49 years, male 6.5
GTEX-ZYFC-2626-SM-5NQ6S 50-59 years, male 6.5
GTEX-1E2YA-2626-SM-7MGWW 50-59 years, male 6.5
GTEX-1GL5R-2426-SM-7MXV1 50-59 years, male 6.5
GTEX-11ZVC-2126-SM-5EGJ1 50-59 years, female 6.4
GTEX-12ZZZ-2426-SM-5GCNN 60-69 years, male 6.4
GTEX-T6MO-0826-SM-4DM51 40-49 years, female 6.4
GTEX-1HCVE-2526-SM-A9G2G 50-59 years, male 6.4
GTEX-1I1GR-2526-SM-CNNQF 60-69 years, male 6.4
GTEX-1RMOY-1626-SM-EVYC8 50-59 years, male 6.4
GTEX-147JS-2526-SM-5S2Q8 60-69 years, male 6.3
GTEX-XXEK-1926-SM-4BRVD 50-59 years, male 6.3
GTEX-YEC4-1926-SM-5IFHJ 40-49 years, male 6.3
GTEX-ZYFG-1926-SM-5GID5 60-69 years, female 6.3
GTEX-1GMR2-1726-SM-9JGI2 50-59 years, male 6.3
GTEX-1OKEX-1226-SM-DTXEC 60-69 years, male 6.3
GTEX-U412-1726-SM-EZ6KX 60-69 years, male 6.3
GTEX-13W3W-2126-SM-5K7UX 60-69 years, female 6.2
GTEX-18D9B-2526-SM-718BN 60-69 years, male 6.2
GTEX-1CB4F-2026-SM-79OLU 60-69 years, male 6.1
GTEX-X4EO-2526-SM-EWRM8 60-69 years, female 6.1
GTEX-11P81-1126-SM-5GU5G 30-39 years, female 6.0
GTEX-148VJ-2626-SM-5QGPI 70-79 years, male 6.0
GTEX-1H1DG-2226-SM-9WPPC 70-79 years, male 6.0
GTEX-1JMLX-2726-SM-CM2SB 50-59 years, male 6.0
GTEX-RWS6-1826-SM-47JXX 60-69 years, female 5.9
GTEX-11GSP-1626-SM-5986N 60-69 years, female 5.8
GTEX-1C6VQ-2726-SM-73KUL 50-59 years, male 5.7
GTEX-Y114-1526-SM-4TT79 50-59 years, female 5.7
GTEX-1IGQW-2326-SM-CE6RV 60-69 years, male 5.7
GTEX-11TUW-2026-SM-5EQL8 60-69 years, male 5.5
GTEX-12WSJ-1526-SM-5GCNI 40-49 years, female 5.5
GTEX-15G1A-1826-SM-7KUKO 30-39 years, male 5.5
GTEX-13FH7-1526-SM-5J2N6 50-59 years, female 5.4
GTEX-1339X-1626-SM-5IJDN 40-49 years, male 5.3
GTEX-QLQ7-1126-SM-CYPRB 60-69 years, male 5.3
GTEX-14PJ3-0926-SM-69LQG 50-59 years, male 5.1
GTEX-13U4I-2426-SM-5LU34 40-49 years, female 4.8
Show allShow less

COLON - FANTOM5 CAGEi

RNA expression in human tissues obtained through Cap Analysis of Gene Expression (CAGE) generated by the FANTOM5 project are reported as Scaled Tags Per Million.

Max subtype Scaled Tags Per Millioni

Max subtype Scaled Tags Per Million is the value for the subtype with the largest average Scaled Tags Per Million across the subtype samples.

53.0
FANTOM5 sample id Sample description Scaled Tags Per Million
Colon
Scaled Tags Per Million: 53.0
FF:10014-101C5 62,83,84 years, mixed 53.0

Contact

  • NEWS ARTICLES
  • PRESS ROOM

The Project

  • INTRODUCTION
  • ORGANIZATION
  • PUBLICATIONS

The Human Protein Atlas

  • DOWNLOADABLE DATA
  • LICENCE & CITATION
  • HELP & FAQ
The Human Protein Atlas project is funded
by the Knut & Alice Wallenberg Foundation.


contact@proteinatlas.org