We use cookies to enhance the usability of our website. If you continue, we'll assume that you are happy to receive all cookies. More information. Don't show this again.
FBXO34
HPA
RESOURCES
  • TISSUE
  • BRAIN
  • SINGLE CELL
  • SUBCELLULAR
  • CANCER
  • BLOOD
  • CELL LINE
  • STRUCTURE & INTERACTION
ABOUT
  • INTRODUCTION
  • HISTORY
  • ORGANIZATION
  • PUBLICATIONS
  • ANTIBODY SUBMISSION
  • ANTIBODY AVAILABILITY
  • ACKNOWLEDGMENTS
  • CONTACT
NEWS
  • NEWS ARTICLES
  • PRESS ROOM
LEARN
  • DICTIONARY
  • PROTEIN CLASSES
  • PROTEIN EVIDENCE
  • METHODS
  • EDUCATIONAL VIDEOS
DATA
  • DOWNLOADABLE DATA
  • PUBLICATION DATA
  • RELEASE HISTORY
HELP
  • ANTIBODY VALIDATION
  • ASSAYS & ANNOTATION
  • DISCLAIMER
  • HELP & FAQ
  • PRIVACY STATEMENT
  • LICENCE & CITATION
Fields »
Search result

Field
Term
Gene name
Class
Subclass
Class
Keyword
Chromosome
External id
Tissue
Cell type
Expression
Antibody panel
Tissue
Main location
Patient ID
Annotation
Tissue
Category
Tau score
Cluster
Reliability
Brain region
Category
Tau score
Brain region
Category
Tau score
Brain region
Category
Tau score
Cluster
Reliability
Tissue
Cell type
Enrichment
Cell type
Category
Tau score
Cell type
Category
Tau score
Cell type
Category
Tau score
Cell lineage
Category
Tau score
Cluster
Cluster
Location
Searches
Location
Cell line
Class
Type
Phase
Reliability
Cancer
Prognosis
Cancer
Category
Cancer
Category
Tau score
Cluster
Variants
Interacting gene (ensg_id)
Type
Number of interactions
Pathway
Category
Score
Score
Score
Validation
Validation
Validation
Validation
Antibodies
Data type
Column


  • SUMMARY

  • TISSUE

  • BRAIN

  • SINGLE CELL

  • SUBCELL

  • CANCER

  • BLOOD

  • CELL LINE

  • STRUCT & INT

  • FBXO34
TISSUE PRIMARY DATA SKIN Show tissue menu
ADIPOSE TISSUE ADRENAL GLAND AMYGDALA APPENDIX BASAL GANGLIA BONE MARROW BREAST BRONCHUS CEREBELLUM CEREBRAL CORTEX CERVIX CHOROID PLEXUS COLON DUODENUM
ENDOMETRIUM EPIDIDYMIS ESOPHAGUS FALLOPIAN TUBE GALLBLADDER HEART MUSCLE HIPPOCAMPAL FORMATION HYPOTHALAMUS KIDNEY LIVER LUNG LYMPH NODE MIDBRAIN ORAL MUCOSA
OVARY PANCREAS PARATHYROID GLAND PITUITARY GLAND PLACENTA PROSTATE RECTUM RETINA SALIVARY GLAND SEMINAL VESICLE SKELETAL MUSCLE SKIN SMALL INTESTINE SMOOTH MUSCLE
SOFT TISSUE SPINAL CORD SPLEEN STOMACH TESTIS THYMUS THYROID GLAND TONGUE TONSIL URINARY BLADDER VAGINA
ANTIBODIES
AND
VALIDATION
Dictionary
Skin
Tissue proteome
Skin
SKIN - Expression summary
Protein expression
Skini

On the top, protein expression in current human tissue, based on all annotated cell types, is reported with the units not detected (n), low (l), medium (m) and high (h). Underneath, protein expression in each annotated cell type are reported using the same units.

Protein expression data is based on knowledge-based annotation. For genes where more than one antibody has been used, a collective score is set.

If knowledge-based annotation could not be performed for a gene, no data is displayed here. View antibody staining data further down this page.

h
m
l
n
Epidermal cells: Low
Fibroblasts: Not detected
Keratinocytes: Not detected
Langerhans: Not detected
Melanocytes: Not detected
RNA expressioni

A summary of mRNA expression data available for current tissue based on several datasets. The mRNA expression levels in human tissues are based on RNA-seq data generated by the Human Protein Atlas (HPA), Genotype-Tissue Expression (GTEx) portal and CAGE data generated by the FANTOM5 consortium. Consensus normalized expression levels for human tissues was created by combining the data from HPA and GTEx datasets.

The mRNA expression levels in pig are based on RNA-seq data generated by the Human Protein Atlas (HPA), and for mouse, HPA data and in situ hybridization generated by the Allen brain atlas are reported.

Scroll down to view mRNA expression data in more detail.
Consensus:11.8 nTPM
HPA:9.4 nTPM
GTEx:11.8 nTPM

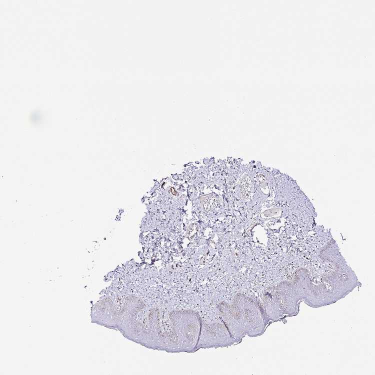
SKIN 1 - Antibody stainingi

Antibody staining in the annotated cell types in the current human tissue is reported as not detected, low, medium, or high, based on conventional immunohistochemistry profiling in selected tissues. This score is based on the combination of the staining intensity and fraction of stained cells.

Each image is clickable and will lead to virtual microscopy that enables deeper exploration of all samples and also displays staining intensity scores, fraction scores and subcellular localization as well as patient and tissue information for each sample.

Antibody HPA052592
Langerhans Not detected
Fibroblasts Not detected
Keratinocytes Not detected
Melanocytes Not detected


SKIN 2 - Antibody stainingi

Antibody staining in the annotated cell types in the current human tissue is reported as not detected, low, medium, or high, based on conventional immunohistochemistry profiling in selected tissues. This score is based on the combination of the staining intensity and fraction of stained cells.

Each image is clickable and will lead to virtual microscopy that enables deeper exploration of all samples and also displays staining intensity scores, fraction scores and subcellular localization as well as patient and tissue information for each sample.

Antibody HPA052592
Epidermal cells Low
 
 
 


SKIN - HPA RNA-seqi

The RNA-seq details section shows detailed information about the individual samples used for the transcript profiling and results of the RNA-seq analysis.

Information about each individual sample is listed below, including gender, age, a tissue section image and estimated fractions of cell types. nTPM (normalized transcripts per million) values give a quantification of the gene abundance which is comparable between different genes and samples.
Average nTPMi

Max subtype nTPM is the value for the subtype with the largest average nTPM across the subtype samples.

9.4
overview
Female, age 34
Skin sample 225
nTPM: 10.2
Cell types%
Keratinocytes:
60

Other cell types:
40

overview
Female, age 30
Skin sample 226
nTPM: 10.7
Cell types%
Keratinocytes:
55

Other cell types:
45

N/A
Male, age 57
Skin sample 227
nTPM: 7.5

SKIN - GTEx RNA-seqi

RNA-Seq data generated by the Genotype-Tissue Expression (GTEx) project from human tissues is reported as mean nTPM. More information can be found on the GTEx portal.

Distribution across the dataset is visualized with box plots, shown as median and 25th and 75th percentiles. Points are displayed as outliers if they are above or below 1.5 times the interquartile range. nTPM values of the individual samples are presented next to the box plot.
Max subtype nTPMi

Max subtype nTPM is the value for the subtype with the largest average nTPM across the subtype samples.

11.8
GTEx sample id Sample description nTPM
Skin - Not Sun Exposed (Suprapubic)
Average nTPM: 11.8
Samples: 604

Max nTPM: 27.1
Min nTPM: 5.2
Std nTPM: 3.0
Median nTPM: 11.5
GTEX-15SKB-2826-SM-6PAMH 60-69 years, male 27.1
GTEX-13PL6-1126-SM-5L3IE 40-49 years, female 26.5
GTEX-13PDP-0726-SM-5L3HP 60-69 years, male 24.3
GTEX-1H3VE-0726-SM-9YFL5 40-49 years, male 24.1
GTEX-1F6RS-2026-SM-7RHHC 60-69 years, female 22.8
GTEX-WYBS-0626-SM-3NMAS 60-69 years, female 21.6
GTEX-11EQ8-0926-SM-5H12V 60-69 years, male 21.5
GTEX-1HR9M-2226-SM-CNPPY 60-69 years, male 20.6
GTEX-1NV5F-0626-SM-DTXEG 60-69 years, female 20.4
GTEX-13YAN-0226-SM-5TDC6 60-69 years, male 19.9
GTEX-1GN1U-0626-SM-9MQL9 50-59 years, female 19.7
GTEX-12WSK-2126-SM-5CVNC 40-49 years, female 19.6
GTEX-13N1W-2426-SM-5IJD1 70-79 years, male 19.6
GTEX-13NZ8-1226-SM-5KM4A 60-69 years, female 19.6
GTEX-15UF6-1926-SM-7KUDV 70-79 years, female 19.4
GTEX-13IVO-0726-SM-5LZYV 70-79 years, male 19.2
GTEX-139D8-1126-SM-5LU8W 30-39 years, female 19.0
GTEX-144GL-0626-SM-5LU4D 50-59 years, male 18.8
GTEX-139UW-0326-SM-5J1ML 60-69 years, male 18.7
GTEX-1F88E-1626-SM-7SB8Z 60-69 years, female 18.5
GTEX-1HSKV-1226-SM-ADEI4 60-69 years, male 18.5
GTEX-1IKJJ-2226-SM-CJI4C 60-69 years, male 18.5
GTEX-1HCU7-0726-SM-A9SL1 50-59 years, male 18.4
GTEX-ZVE2-2826-SM-5GU51 50-59 years, male 18.3
GTEX-13OW5-2326-SM-5L3HO 60-69 years, male 18.2
GTEX-145MI-0626-SM-5SI8S 60-69 years, female 18.2
GTEX-1HT8W-0626-SM-A9G2H 30-39 years, male 18.0
GTEX-1EH9U-2826-SM-7DUGT 60-69 years, male 17.9
GTEX-1NSGN-0726-SM-DTXEF 50-59 years, male 17.8
GTEX-14DAQ-0626-SM-793DS 60-69 years, female 17.7
GTEX-1F75B-0726-SM-7PC3R 50-59 years, male 17.6
GTEX-13SLW-0626-SM-5Q5ER 70-79 years, male 17.5
GTEX-1GPI6-1926-SM-9KNV7 60-69 years, male 17.5
GTEX-148VJ-0626-SM-5LUAW 70-79 years, male 17.4
GTEX-15EO6-2426-SM-6PALZ 50-59 years, male 17.4
GTEX-1HR98-2226-SM-ADEI2 60-69 years, male 17.4
GTEX-1IE54-1126-SM-A9G2Z 40-49 years, female 17.4
GTEX-15DDE-2926-SM-6LLJ3 50-59 years, female 17.3
GTEX-1A8G7-1326-SM-73KVM 60-69 years, male 17.3
GTEX-1C6VR-0126-SM-7RHGB 60-69 years, male 17.3
GTEX-1269C-0126-SM-5EQ5L 60-69 years, female 17.2
GTEX-1QP2A-1726-SM-E76QC 50-59 years, male 17.1
GTEX-1OJC4-2726-SM-E76PJ 50-59 years, female 17.0
GTEX-1HBPM-0726-SM-9YFL7 60-69 years, female 16.8
GTEX-11TUW-0626-SM-5LU9M 60-69 years, male 16.7
GTEX-13QJC-0126-SM-5ZZWJ 60-69 years, female 16.5
GTEX-1GMR8-0626-SM-7RHI7 50-59 years, female 16.5
GTEX-12WSM-1926-SM-5BC65 60-69 years, male 16.4
GTEX-1KAFJ-0126-SM-DIPEK 50-59 years, male 16.4
GTEX-15DYW-2726-SM-6EU2I 60-69 years, female 16.3
GTEX-1GF9W-1426-SM-7PBYM 60-69 years, male 16.3
GTEX-1ICLY-0826-SM-CMKG1 50-59 years, male 16.3
GTEX-1H2FU-0926-SM-9WPPT 60-69 years, female 16.2
GTEX-1IDJV-0126-SM-COH3Y 60-69 years, male 16.2
GTEX-1I1GT-1026-SM-ARZLV 60-69 years, female 16.1
GTEX-15ER7-0626-SM-6PANF 20-29 years, female 16.0
GTEX-1GN1V-2826-SM-9JGIA 60-69 years, male 16.0
GTEX-1JJE9-2626-SM-ARZMT 70-79 years, male 16.0
GTEX-ZAJG-1526-SM-5CVML 50-59 years, female 15.8
GTEX-147JS-0226-SM-5S2U9 60-69 years, male 15.7
GTEX-1A32A-0626-SM-731AQ 50-59 years, female 15.7
GTEX-1B8KZ-0326-SM-73KY4 50-59 years, male 15.7
GTEX-17F9Y-0126-SM-79OKX 70-79 years, female 15.6
GTEX-1F52S-2926-SM-7MKGA 60-69 years, female 15.6
GTEX-1F5PL-0926-SM-7PC2W 40-49 years, female 15.6
GTEX-1QEPI-2626-SM-DTXF4 60-69 years, female 15.6
GTEX-ZE9C-2526-SM-5IJDR 60-69 years, male 15.5
GTEX-X4EO-2926-SM-4E3JH 60-69 years, female 15.2
GTEX-1R9K4-2826-SM-DTX8F 60-69 years, male 15.2
GTEX-147GR-2426-SM-5ZZWQ 60-69 years, male 15.1
GTEX-1LSNL-2726-SM-E9TKJ 50-59 years, male 15.1
GTEX-1C64N-2626-SM-7PC2N 50-59 years, male 15.0
GTEX-1HCVE-2726-SM-CL54F 50-59 years, male 15.0
GTEX-1PBJJ-1026-SM-E76OS 30-39 years, male 15.0
GTEX-12ZZZ-0726-SM-5GCNZ 60-69 years, male 14.9
GTEX-XQ8I-0926-SM-4BOOF 50-59 years, male 14.9
GTEX-1F48J-0726-SM-7RHGS 50-59 years, female 14.9
GTEX-1HSMO-0626-SM-ACKXC 60-69 years, male 14.9
GTEX-1I19N-0126-SM-CYPSF 70-79 years, male 14.9
GTEX-1I1GS-2626-SM-B2LY3 60-69 years, male 14.9
GTEX-1IDFM-0326-SM-ARL7V 60-69 years, male 14.9
GTEX-1S5ZU-2526-SM-E6CIF 20-29 years, female 14.8
GTEX-145LS-0626-SM-7EPG7 60-69 years, female 14.7
GTEX-18A67-1626-SM-7LT9T 50-59 years, male 14.7
GTEX-1BAJH-2426-SM-7IGP8 70-79 years, male 14.7
GTEX-139T8-0626-SM-5KLZX 60-69 years, male 14.6
GTEX-14PJ2-0626-SM-6LLII 50-59 years, male 14.6
GTEX-14PJ5-1526-SM-6LLIL 60-69 years, female 14.6
GTEX-ZE7O-2726-SM-51MT5 50-59 years, female 14.6
GTEX-11DXY-0126-SM-5H11Q 60-69 years, male 14.5
GTEX-1J8Q2-2626-SM-ACKWQ 60-69 years, male 14.5
GTEX-1KWVE-1026-SM-D3L9O 30-39 years, male 14.5
GTEX-14C5O-0326-SM-5ZZUX 60-69 years, male 14.4
GTEX-14PJ6-2626-SM-6EU2T 60-69 years, female 14.4
GTEX-1AMFI-1326-SM-7939R 50-59 years, female 14.4
GTEX-ZXG5-2126-SM-59HKD 60-69 years, male 14.4
GTEX-1LVAM-0726-SM-E6CIL 50-59 years, female 14.4
GTEX-1MCYP-0526-SM-E9U6Q 20-29 years, female 14.4
GTEX-16AAH-0626-SM-793C9 50-59 years, male 14.3
GTEX-1LSVX-2526-SM-DIPEU 60-69 years, male 14.3
GTEX-13OW7-0426-SM-5K7VK 50-59 years, male 14.2
GTEX-145MH-2826-SM-5RQJF 50-59 years, male 14.2
GTEX-11GSP-2326-SM-5HL63 60-69 years, female 14.1
GTEX-13NYB-0126-SM-5J1MD 40-49 years, male 14.1
GTEX-1A8FM-0626-SM-7PC25 50-59 years, female 14.1
GTEX-1GF9X-1326-SM-7PC2Y 40-49 years, female 14.1
GTEX-1HB9E-0126-SM-CM2S5 50-59 years, male 14.1
GTEX-1QPFJ-1926-SM-EVYBD 30-39 years, female 14.1
GTEX-15RJE-2826-SM-7KUM9 40-49 years, male 14.0
GTEX-15SHW-0226-SM-7LTAT 60-69 years, male 14.0
GTEX-183WM-0326-SM-72D5V 70-79 years, female 14.0
GTEX-1B8SF-0126-SM-7DUG3 60-69 years, male 14.0
GTEX-1C6VQ-1226-SM-73KYD 50-59 years, male 14.0
GTEX-1GMRU-2126-SM-7P8RA 50-59 years, male 14.0
GTEX-1EKGG-0626-SM-7DUGJ 60-69 years, male 13.9
GTEX-1GMR3-0126-SM-A9SLW 40-49 years, male 13.9
GTEX-1ICLZ-0326-SM-ARL82 60-69 years, male 13.9
GTEX-1J8Q3-0526-SM-ARL8U 60-69 years, male 13.9
GTEX-1JJEA-1826-SM-ARU8P 60-69 years, male 13.9
GTEX-1AX9I-2226-SM-73KUO 60-69 years, male 13.8
GTEX-XMD2-2126-SM-4YCF8 60-69 years, female 13.8
GTEX-ZYFC-0426-SM-5GICQ 50-59 years, male 13.8
GTEX-14JFF-0626-SM-5ZZVT 60-69 years, male 13.8
GTEX-144FL-0626-SM-5LU43 50-59 years, male 13.7
GTEX-14LZ3-0126-SM-69LPM 60-69 years, female 13.7
GTEX-14PKU-0126-SM-6LLHV 40-49 years, female 13.7
GTEX-Z93S-1626-SM-5CVMB 50-59 years, male 13.7
GTEX-1HUB1-1426-SM-CGQF5 60-69 years, male 13.7
GTEX-12KS4-2126-SM-5FQUT 30-39 years, male 13.6
GTEX-12WSD-0626-SM-5GCMW 60-69 years, female 13.6
GTEX-1A8G6-2726-SM-731AR 60-69 years, male 13.6
GTEX-XBED-1926-SM-47JYP 60-69 years, male 13.6
GTEX-ZVT4-2426-SM-5GIEI 50-59 years, female 13.6
GTEX-1JKYR-0626-SM-ARL8R 20-29 years, male 13.6
GTEX-1LGRB-0926-SM-COH3K 50-59 years, female 13.6
GTEX-1LKK1-2626-SM-DKPQE 50-59 years, female 13.6
GTEX-1PDJ9-1226-SM-EXUSX 20-29 years, male 13.6
GTEX-11ZTT-2126-SM-5CVLO 60-69 years, female 13.5
GTEX-12ZZX-2426-SM-5GCOE 40-49 years, female 13.5
GTEX-1399U-1126-SM-5L3DB 50-59 years, female 13.5
GTEX-13N2G-0226-SM-5K7VF 60-69 years, male 13.5
GTEX-ZYT6-2326-SM-5GZY3 30-39 years, male 13.5
GTEX-1GN73-0726-SM-7P8TJ 60-69 years, male 13.5
GTEX-1LG7Y-2526-SM-EWRO7 50-59 years, male 13.5
GTEX-1R7EU-1626-SM-DTXG3 60-69 years, male 13.5
GTEX-1S83E-1326-SM-E6CJM 40-49 years, male 13.5
GTEX-11WQC-1826-SM-5GU59 60-69 years, male 13.4
GTEX-14ICL-1626-SM-5YYAO 30-39 years, male 13.4
GTEX-1B8L1-2226-SM-7P8PT 60-69 years, male 13.4
GTEX-1314G-1326-SM-5BC6E 30-39 years, male 13.3
GTEX-13OVH-0526-SM-5L3E6 70-79 years, male 13.3
GTEX-1GN2E-0226-SM-9WG6K 60-69 years, male 13.3
GTEX-1R46S-2426-SM-E76QA 60-69 years, female 13.3
GTEX-13O3O-2326-SM-5IJD6 60-69 years, female 13.2
GTEX-14PII-0726-SM-6EU2B 60-69 years, male 13.2
GTEX-1B933-2426-SM-7DHMD 50-59 years, female 13.2
GTEX-1EU9M-1426-SM-793AI 60-69 years, male 13.2
GTEX-1I1GP-1326-SM-A9G28 50-59 years, male 13.2
GTEX-1IL2V-1926-SM-B2LW8 70-79 years, male 13.2
GTEX-1QMI2-2526-SM-E8VNZ 60-69 years, male 13.2
GTEX-1313W-0626-SM-5EQ4H 50-59 years, female 13.1
GTEX-139TS-2126-SM-5K7XC 60-69 years, male 13.1
GTEX-145MO-2826-SM-5LU96 60-69 years, male 13.1
GTEX-1HCU6-2526-SM-ADEHL 60-69 years, female 13.1
GTEX-1I1GV-0626-SM-ARL7M 60-69 years, male 13.1
GTEX-1I1HK-2326-SM-CKZOH 60-69 years, male 13.1
GTEX-11ZU8-0126-SM-5EQ58 60-69 years, male 13.0
GTEX-12WSL-2026-SM-5GCML 50-59 years, male 13.0
GTEX-13FLV-0126-SM-5K7WT 50-59 years, male 13.0
GTEX-13VXT-1926-SM-5K7UO 20-29 years, female 13.0
GTEX-14BIN-1126-SM-5RQJZ 50-59 years, female 13.0
GTEX-14LLW-2626-SM-62LDZ 70-79 years, female 13.0
GTEX-14PJN-1826-SM-6AJ98 30-39 years, male 13.0
GTEX-17KNJ-2126-SM-718AM 50-59 years, male 13.0
GTEX-1J1OQ-0126-SM-D4P2N 40-49 years, female 13.0
GTEX-131XF-2626-SM-5EQ6K 60-69 years, male 12.9
GTEX-13X6I-1826-SM-5SIAO 60-69 years, male 12.9
GTEX-14753-0726-SM-5QGQO 60-69 years, male 12.9
GTEX-16NPX-0726-SM-7KULC 50-59 years, male 12.9
GTEX-17EVP-2626-SM-7IGMA 40-49 years, male 12.9
GTEX-18QFQ-1826-SM-72D52 30-39 years, male 12.9
GTEX-Y9LG-1126-SM-4VBQ7 30-39 years, male 12.9
GTEX-11EQ9-1626-SM-5PNY8 30-39 years, male 12.8
GTEX-11NUK-2726-SM-5A5MC 50-59 years, male 12.8
GTEX-131XH-0126-SM-5LZUY 50-59 years, male 12.8
GTEX-1399Q-2326-SM-5KM2X 40-49 years, male 12.8
GTEX-13NYC-0126-SM-5L3F4 60-69 years, male 12.8
GTEX-13SLX-2226-SM-62LEP 50-59 years, female 12.8
GTEX-14C39-1726-SM-5RQIL 40-49 years, male 12.8
GTEX-14E6C-2426-SM-5S2NF 40-49 years, male 12.8
GTEX-1H3O1-1326-SM-9MQLD 60-69 years, male 12.8
GTEX-1IOXB-2726-SM-CM2RI 50-59 years, male 12.8
GTEX-1JMPZ-0726-SM-CY8HZ 30-39 years, male 12.8
GTEX-1RAZS-2526-SM-E6CHT 50-59 years, male 12.8
GTEX-1B932-2326-SM-79OL5 40-49 years, female 12.7
GTEX-ZVZP-1226-SM-5GID7 50-59 years, male 12.7
GTEX-1H1DF-1126-SM-9WG7G 40-49 years, female 12.7
GTEX-1JMQJ-0826-SM-CNPP7 50-59 years, male 12.7
GTEX-13VXU-0626-SM-5L3F9 50-59 years, male 12.6
GTEX-1EN7A-2426-SM-793DB 40-49 years, male 12.6
GTEX-1IDJH-0126-SM-D3L92 70-79 years, male 12.6
GTEX-1N2EE-0626-SM-E76PW 60-69 years, male 12.6
GTEX-13O61-1426-SM-5KM3D 60-69 years, male 12.5
GTEX-ZC5H-1526-SM-5HL9Y 40-49 years, female 12.5
GTEX-1F5PK-2226-SM-7SB6N 50-59 years, male 12.5
GTEX-1F88F-0126-SM-9WYSZ 60-69 years, female 12.5
GTEX-1GZ4I-2626-SM-9KNU3 50-59 years, male 12.5
GTEX-1HFI7-2326-SM-CGQFS 50-59 years, female 12.5
GTEX-1KANB-2826-SM-CY8I6 50-59 years, male 12.5
GTEX-139TT-2126-SM-5LZWC 60-69 years, male 12.4
GTEX-145LU-1926-SM-79OJN 50-59 years, male 12.4
GTEX-1497J-0226-SM-5QGPU 60-69 years, male 12.4
GTEX-16XZZ-0726-SM-7KUF2 60-69 years, male 12.4
GTEX-17HHY-0426-SM-7DHLC 50-59 years, male 12.4
GTEX-1CAV2-0126-SM-7IGN7 40-49 years, female 12.4
GTEX-UPJH-0226-SM-3GADV 50-59 years, male 12.4
GTEX-ZTTD-2826-SM-4YCFA 50-59 years, male 12.4
GTEX-1HKZK-0726-SM-ACKW2 40-49 years, male 12.4
GTEX-1JK1U-0226-SM-ARZMX 60-69 years, male 12.4
GTEX-1S82U-1026-SM-E6CJK 30-39 years, female 12.4
GTEX-ZGAY-1826-SM-DO91Q 40-49 years, female 12.4
GTEX-ZLV1-1526-SM-DO91J 60-69 years, female 12.4
GTEX-12C56-1526-SM-5FQUQ 20-29 years, male 12.3
GTEX-13FHO-0426-SM-5L3F5 60-69 years, male 12.3
GTEX-18A6Q-0626-SM-7KFRP 60-69 years, male 12.3
GTEX-18A7A-0126-SM-731AH 50-59 years, female 12.3
GTEX-1CB4H-1126-SM-7MKGL 60-69 years, female 12.3
GTEX-1H4P4-2126-SM-9WYSL 50-59 years, male 12.3
GTEX-1KXAM-1626-SM-D3LAD 60-69 years, male 12.3
GTEX-1MCC2-1826-SM-DIPEX 30-39 years, female 12.3
GTEX-13D11-0926-SM-5J2NC 50-59 years, female 12.2
GTEX-13NYS-0626-SM-5L3F1 60-69 years, male 12.2
GTEX-147F3-1726-SM-5SIAW 50-59 years, female 12.2
GTEX-133LE-2326-SM-5K7W3 20-29 years, female 12.1
GTEX-13RTJ-0126-SM-5S2NN 60-69 years, male 12.1
GTEX-14E1K-2026-SM-7DUEI 50-59 years, male 12.1
GTEX-16YQH-2226-SM-7IGM2 30-39 years, male 12.1
GTEX-18A7B-2726-SM-7LG56 70-79 years, male 12.1
GTEX-1GN1W-2426-SM-9KNUU 50-59 years, female 12.1
GTEX-1GZ4H-0526-SM-9KNU9 50-59 years, female 12.1
GTEX-1JMQK-1226-SM-D4P2S 60-69 years, male 12.1
GTEX-1K2DU-1226-SM-CYPT4 20-29 years, male 12.1
GTEX-1QP28-1126-SM-EVYC4 50-59 years, female 12.1
GTEX-14ABY-2026-SM-62LDL 50-59 years, male 12.0
GTEX-17MFQ-1526-SM-7KFRR 20-29 years, male 12.0
GTEX-WK11-2726-SM-3NMAQ 50-59 years, male 12.0
GTEX-YECK-0326-SM-4W1YS 60-69 years, male 12.0
GTEX-1GF9V-0826-SM-9KNUV 60-69 years, male 12.0
GTEX-1H3NZ-2726-SM-9WYTQ 60-69 years, male 12.0
GTEX-1J8JJ-0626-SM-ARZMQ 60-69 years, female 12.0
GTEX-1PPGY-1626-SM-EVYBL 60-69 years, male 12.0
GTEX-1RAZR-2126-SM-E9U6T 40-49 years, male 12.0
GTEX-12696-0126-SM-5EQ4L 60-69 years, male 11.9
GTEX-YJ8O-2526-SM-5HL85 40-49 years, female 11.9
GTEX-1122O-1026-SM-9WYSF 60-69 years, female 11.9
GTEX-1EMGI-2326-SM-7PBYA 60-69 years, male 11.9
GTEX-1KD5A-0126-SM-E9U54 50-59 years, male 11.9
GTEX-11DZ1-2426-SM-5GZZX 50-59 years, male 11.8
GTEX-11LCK-2226-SM-5HL4Q 30-39 years, male 11.8
GTEX-13OW6-2726-SM-5J2OE 50-59 years, male 11.8
GTEX-144GO-2026-SM-5O99P 60-69 years, male 11.8
GTEX-15G1A-1626-SM-7KUKN 30-39 years, male 11.8
GTEX-1EWIQ-0326-SM-7DHMQ 70-79 years, female 11.8
GTEX-XAJ8-1426-SM-47JYM 40-49 years, male 11.8
GTEX-YFCO-1226-SM-5LUAT 40-49 years, male 11.8
GTEX-ZAB4-2126-SM-5HL8U 40-49 years, male 11.8
GTEX-1E2YA-2126-SM-7MXUO 50-59 years, male 11.8
GTEX-1IDJU-1726-SM-CMKHU 60-69 years, female 11.8
GTEX-1J8EW-2726-SM-CY8HR 60-69 years, female 11.8
GTEX-1JN1M-2726-SM-CY8I4 60-69 years, female 11.8
GTEX-11EM3-1226-SM-5N9DD 20-29 years, female 11.7
GTEX-11OF3-0126-SM-5PNYF 60-69 years, male 11.7
GTEX-11ZUS-2626-SM-5FQUR 30-39 years, male 11.7
GTEX-13NZ9-2626-SM-5L3FK 50-59 years, male 11.7
GTEX-13OW8-1026-SM-5J1NQ 60-69 years, male 11.7
GTEX-13X6K-0626-SM-5LU5D 60-69 years, female 11.7
GTEX-14BMV-2826-SM-5TDED 50-59 years, male 11.7
GTEX-1A3MV-1826-SM-731CD 30-39 years, male 11.7
GTEX-X5EB-1926-SM-4E3IW 40-49 years, male 11.7
GTEX-X8HC-0626-SM-4E3HQ 50-59 years, female 11.7
GTEX-1OJC3-1226-SM-DTXER 20-29 years, male 11.7
GTEX-1PPH7-1126-SM-DTX9A 40-49 years, male 11.7
GTEX-111VG-1626-SM-5EGIO 60-69 years, male 11.6
GTEX-11UD2-2526-SM-5CVNU 50-59 years, male 11.6
GTEX-13112-0126-SM-5P9IU 50-59 years, male 11.6
GTEX-13OVL-0126-SM-5L3GJ 50-59 years, male 11.6
GTEX-13X6J-0626-SM-5LU5F 50-59 years, male 11.6
GTEX-17F98-1326-SM-7DUEP 40-49 years, female 11.6
GTEX-17MF6-2626-SM-79OKQ 40-49 years, male 11.6
GTEX-ZYY3-2926-SM-5GIEB 60-69 years, female 11.6
GTEX-1JJ6O-2726-SM-CNPOG 60-69 years, male 11.6
GTEX-11GS4-0226-SM-5HL77 60-69 years, male 11.5
GTEX-11P81-2226-SM-5PNYI 30-39 years, female 11.5
GTEX-14B4R-1326-SM-5Q5EZ 30-39 years, male 11.5
GTEX-18465-2826-SM-7LT9J 50-59 years, male 11.5
GTEX-ZDYS-2426-SM-4WKGI 50-59 years, male 11.5
GTEX-ZVT2-0126-SM-5GIDQ 50-59 years, female 11.5
GTEX-1GZ2Q-0126-SM-9WG6M 40-49 years, male 11.5
GTEX-1K9T9-1526-SM-DIPFR 50-59 years, female 11.5
GTEX-1KANA-1326-SM-DIPFA 20-29 years, male 11.5
GTEX-1N5O9-0926-SM-E9J3C 60-69 years, male 11.5
GTEX-1PIIG-2326-SM-DTXFR 30-39 years, male 11.5
GTEX-11DXW-0826-SM-5H118 40-49 years, male 11.4
GTEX-12584-0726-SM-5FQTK 40-49 years, male 11.4
GTEX-13QBU-1226-SM-5LU4G 40-49 years, female 11.4
GTEX-14A6H-2026-SM-5Q5DD 30-39 years, male 11.4
GTEX-15CHC-1126-SM-6LLHQ 60-69 years, female 11.4
GTEX-17HG3-2626-SM-7DUF2 30-39 years, female 11.4
GTEX-WHSE-0126-SM-3NMBT 20-29 years, male 11.4
GTEX-XBEC-0726-SM-4QARZ 50-59 years, male 11.4
GTEX-ZWKS-0626-SM-5GIDV 30-39 years, male 11.4
GTEX-1HGF4-0126-SM-CNPPX 60-69 years, male 11.4
GTEX-1RAZA-2226-SM-E9U4X 20-29 years, male 11.4
GTEX-1RB15-1326-SM-E76Q9 60-69 years, male 11.4
GTEX-1S82P-2126-SM-E6CI5 60-69 years, female 11.4
GTEX-11EI6-2826-SM-5H11D 60-69 years, male 11.3
GTEX-13O3Q-0126-SM-5KM34 50-59 years, male 11.3
GTEX-WHSB-1326-SM-3LK6W 50-59 years, male 11.3
GTEX-1192X-2726-SM-5N9DN 50-59 years, male 11.2
GTEX-11O72-0626-SM-5PNYE 40-49 years, male 11.2
GTEX-13FTW-0326-SM-5K7UW 40-49 years, male 11.2
GTEX-16Z82-2626-SM-7KULU 60-69 years, male 11.2
GTEX-1AMEY-0826-SM-72D65 30-39 years, female 11.2
GTEX-1C6WA-2626-SM-7MKGM 60-69 years, male 11.2
GTEX-ZZPU-0826-SM-5GZX5 50-59 years, female 11.2
GTEX-1GL5R-1326-SM-7RHHF 50-59 years, male 11.2
GTEX-1H11D-1826-SM-9QEHM 40-49 years, male 11.2
GTEX-1HSMQ-2626-SM-A9SML 50-59 years, male 11.2
GTEX-1LB8K-0726-SM-D5OV2 50-59 years, male 11.2
GTEX-1N2DV-1526-SM-DTXEP 40-49 years, male 11.2
GTEX-1RAZQ-1326-SM-E9TK6 30-39 years, male 11.2
GTEX-1RLM8-2926-SM-E8VON 50-59 years, male 11.2
GTEX-YEC3-1326-SM-DO92X 50-59 years, male 11.2
GTEX-13X6H-0926-SM-5SIB2 50-59 years, female 11.1
GTEX-VUSG-2326-SM-4KL1U 50-59 years, male 11.1
GTEX-WYVS-1626-SM-3NM9R 40-49 years, female 11.1
GTEX-XOT4-0626-SM-4B66L 60-69 years, female 11.1
GTEX-1H23P-0626-SM-9WG6T 60-69 years, male 11.1
GTEX-1I6K6-1726-SM-CGQFD 30-39 years, male 11.1
GTEX-1J1R8-2026-SM-CL53Y 40-49 years, male 11.1
GTEX-1JMPY-0226-SM-CKZOK 30-39 years, male 11.1
GTEX-1L5NE-1126-SM-D3L9P 50-59 years, male 11.1
GTEX-1117F-2926-SM-5GZYI 60-69 years, female 11.0
GTEX-117YX-1926-SM-5GIEC 50-59 years, male 11.0
GTEX-11VI4-1126-SM-5EQMD 40-49 years, female 11.0
GTEX-14PJ4-0226-SM-5YY92 60-69 years, male 11.0
GTEX-178AV-1726-SM-7KUL8 40-49 years, male 11.0
GTEX-Y5V5-0126-SM-5S2NW 60-69 years, female 11.0
GTEX-ZLFU-1826-SM-4WWBV 40-49 years, male 11.0
GTEX-1CB4J-1326-SM-7P8RX 60-69 years, male 11.0
GTEX-1HFI6-0126-SM-CNPPI 40-49 years, male 11.0
GTEX-1LVA9-2626-SM-EVYD4 50-59 years, male 11.0
GTEX-1QW4Y-1126-SM-DTXE3 30-39 years, male 11.0
GTEX-12ZZY-0726-SM-5EQ66 60-69 years, male 10.9
GTEX-13FTY-2126-SM-5IFFB 40-49 years, female 10.9
GTEX-13JUV-2026-SM-5K7UA 40-49 years, female 10.9
GTEX-145MF-0926-SM-5Q5EA 50-59 years, male 10.9
GTEX-14JG1-1526-SM-5YY9X 40-49 years, male 10.9
GTEX-16BQI-1326-SM-6M486 30-39 years, female 10.9
GTEX-1I1GU-0926-SM-ACKVS 40-49 years, male 10.9
GTEX-1IKOE-1426-SM-CE6T7 30-39 years, female 10.9
GTEX-1JMQI-1726-SM-ARL93 50-59 years, male 10.9
GTEX-1JN76-0626-SM-CKZOQ 20-29 years, female 10.9
GTEX-1POEN-2326-SM-E9J2L 30-39 years, female 10.9
GTEX-13G51-1826-SM-5KLZH 60-69 years, male 10.8
GTEX-17F9E-2326-SM-79OKD 50-59 years, male 10.8
GTEX-XK95-0226-SM-4AT58 40-49 years, male 10.8
GTEX-Y111-0626-SM-4SOIT 50-59 years, male 10.8
GTEX-ZZ64-1026-SM-5GZXG 20-29 years, male 10.8
GTEX-1QCLZ-2426-SM-EVYBW 60-69 years, female 10.8
GTEX-1QP29-1826-SM-DTX9S 50-59 years, male 10.8
GTEX-1R9PM-1926-SM-EVR3O 20-29 years, male 10.8
GTEX-11PRG-0726-SM-5EGL1 50-59 years, male 10.7
GTEX-144GM-0526-SM-79OJO 20-29 years, male 10.7
GTEX-14PHY-1226-SM-5ZZWK 60-69 years, female 10.7
GTEX-YF7O-1526-SM-5IFI6 50-59 years, male 10.7
GTEX-ZAK1-0626-SM-5HL8E 50-59 years, female 10.7
GTEX-1MJK3-0726-SM-E6CJC 20-29 years, male 10.7
GTEX-1212Z-0126-SM-59HK4 60-69 years, male 10.6
GTEX-13W3W-0726-SM-5IJDQ 60-69 years, female 10.6
GTEX-145ME-1726-SM-5Q5EU 40-49 years, female 10.6
GTEX-183FY-1026-SM-7939A 20-29 years, male 10.6
GTEX-ZDTT-0426-SM-4WKFL 60-69 years, male 10.6
GTEX-ZF29-0926-SM-4WKFZ 60-69 years, female 10.6
GTEX-ZYVF-0926-SM-5E44J 50-59 years, female 10.6
GTEX-1HBPI-2126-SM-ARL9K 50-59 years, male 10.6
GTEX-131XW-0626-SM-5PNVD 50-59 years, female 10.5
GTEX-131YS-2826-SM-5EQ47 60-69 years, female 10.5
GTEX-139TU-0726-SM-5L3EK 60-69 years, male 10.5
GTEX-13JVG-0726-SM-5KM16 60-69 years, male 10.5
GTEX-15CHQ-0326-SM-69LQD 60-69 years, male 10.5
GTEX-WY7C-2126-SM-3NB2R 50-59 years, male 10.5
GTEX-X585-2426-SM-46MW2 50-59 years, male 10.5
GTEX-18D9A-1426-SM-7LT8M 30-39 years, female 10.5
GTEX-1F75I-2226-SM-7SB8U 40-49 years, male 10.5
GTEX-1H1CY-0126-SM-9YFLY 60-69 years, female 10.5
GTEX-1I1CD-0626-SM-CE6SW 60-69 years, female 10.5
GTEX-111YS-1526-SM-5GZYW 60-69 years, male 10.4
GTEX-11WQK-1026-SM-5EQLX 50-59 years, male 10.4
GTEX-12WSF-1626-SM-7KUG5 70-79 years, male 10.4
GTEX-13OVK-1426-SM-6PAN7 40-49 years, male 10.4
GTEX-17HHE-1326-SM-7EWDZ 50-59 years, male 10.4
GTEX-UPK5-0426-SM-3GAEK 40-49 years, male 10.4
GTEX-YEC4-1826-SM-4W1YP 40-49 years, male 10.4
GTEX-ZA64-1026-SM-5HL8R 20-29 years, male 10.4
GTEX-ZU9S-1826-SM-5NQ9E 30-39 years, male 10.4
GTEX-1F6IF-0926-SM-7SB7M 60-69 years, male 10.4
GTEX-1F75A-0726-SM-7RHHD 50-59 years, male 10.4
GTEX-12BJ1-0926-SM-5EQ62 60-69 years, male 10.3
GTEX-12WSC-2826-SM-5BC5Y 50-59 years, male 10.3
GTEX-1B8KE-1126-SM-7EPHI 50-59 years, male 10.3
GTEX-1CB4E-0926-SM-7EPHT 60-69 years, male 10.3
GTEX-WXYG-2026-SM-4E3IY 50-59 years, female 10.3
GTEX-1GZHY-0626-SM-9KNVC 50-59 years, female 10.3
GTEX-13PVR-0426-SM-5RQK2 60-69 years, female 10.2
GTEX-14C38-0726-SM-5SI6M 50-59 years, male 10.2
GTEX-17HII-1426-SM-7EPGG 50-59 years, male 10.2
GTEX-1C2JI-1026-SM-73KY1 50-59 years, male 10.2
GTEX-11P82-1426-SM-DTXFY 20-29 years, male 10.2
GTEX-1F75W-2726-SM-7SB8H 60-69 years, male 10.2
GTEX-1H1DG-2426-SM-9QEHJ 70-79 years, male 10.2
GTEX-1J8QM-2426-SM-A9SLS 60-69 years, female 10.2
GTEX-1JMQL-2226-SM-CNPP4 50-59 years, female 10.2
GTEX-1211K-1526-SM-5FQU4 60-69 years, female 10.1
GTEX-15EU6-2226-SM-6EU2L 50-59 years, male 10.1
GTEX-18D9B-0926-SM-7LG4U 60-69 years, male 10.1
GTEX-ZDTS-0826-SM-4WKHL 60-69 years, male 10.1
GTEX-ZF2S-1626-SM-57WES 50-59 years, female 10.1
GTEX-ZT9X-1526-SM-5DUXD 40-49 years, male 10.1
GTEX-1C475-1326-SM-7SB73 40-49 years, female 10.1
GTEX-1GPI7-1826-SM-9KNU1 20-29 years, male 10.1
GTEX-1JN6P-2926-SM-CL54D 60-69 years, male 10.1
GTEX-1399S-0126-SM-5IJCF 30-39 years, female 10.0
GTEX-WEY5-2326-SM-3GIKK 40-49 years, female 10.0
GTEX-WHWD-1826-SM-3LK6I 50-59 years, male 10.0
GTEX-1LVAO-2726-SM-E9TJ8 60-69 years, male 10.0
GTEX-ZF3C-0626-SM-DO92O 50-59 years, female 10.0
GTEX-131XG-0326-SM-5L3DX 50-59 years, female 9.9
GTEX-13OVJ-0826-SM-5J1OK 50-59 years, female 9.9
GTEX-1477Z-0326-SM-7IGLA 60-69 years, male 9.9
GTEX-14DAR-1226-SM-73KYV 50-59 years, male 9.9
GTEX-16MT8-2926-SM-7DUFO 60-69 years, female 9.9
GTEX-XUW1-0926-SM-4BONX 50-59 years, female 9.9
GTEX-Y8E4-2026-SM-5IFJB 40-49 years, male 9.9
GTEX-ZVE1-0726-SM-51MRN 50-59 years, female 9.9
GTEX-ZYFG-1526-SM-5GZYM 60-69 years, female 9.9
GTEX-1HCU9-0426-SM-9WYSD 20-29 years, male 9.9
GTEX-1QP66-1226-SM-DTX7U 50-59 years, male 9.9
GTEX-1S831-1826-SM-EWROF 20-29 years, male 9.9
GTEX-13FH7-1126-SM-5K7UG 50-59 years, female 9.8
GTEX-1B996-0426-SM-7EWF8 60-69 years, male 9.8
GTEX-ZLWG-0826-SM-59888 50-59 years, female 9.8
GTEX-ZY6K-1426-SM-5GZX2 50-59 years, male 9.8
GTEX-1A3MX-2626-SM-7PC24 60-69 years, male 9.8
GTEX-14PHX-2226-SM-6EU2P 50-59 years, male 9.7
GTEX-15CHR-1126-SM-7EWF4 50-59 years, male 9.7
GTEX-1HBPN-0126-SM-CGQEF 50-59 years, male 9.7
GTEX-1IDJF-2026-SM-CL53V 20-29 years, male 9.7
GTEX-13FTX-1526-SM-5K7VJ 20-29 years, female 9.6
GTEX-15D1Q-2826-SM-6LLH7 40-49 years, male 9.6
GTEX-17F97-2626-SM-7IGM5 50-59 years, male 9.6
GTEX-V1D1-2026-SM-3GAF4 50-59 years, male 9.6
GTEX-1C64O-1326-SM-7MGWR 60-69 years, male 9.6
GTEX-1HCUA-0826-SM-ADEHM 50-59 years, female 9.6
GTEX-1ICG6-1226-SM-A9SLN 70-79 years, female 9.6
GTEX-12WSH-1526-SM-5BC5W 50-59 years, male 9.5
GTEX-13113-1626-SM-5EQ4I 60-69 years, female 9.5
GTEX-13OVG-1626-SM-5J1NF 60-69 years, male 9.5
GTEX-145MN-1526-SM-5SI9T 30-39 years, male 9.5
GTEX-146FQ-2126-SM-5RQHU 30-39 years, male 9.5
GTEX-14AS3-1526-SM-5Q5ED 40-49 years, female 9.5
GTEX-1CB4F-1026-SM-7DUH1 60-69 years, male 9.5
GTEX-U8XE-0226-SM-4E3J3 30-39 years, male 9.5
GTEX-1LVAN-0626-SM-CNPOQ 50-59 years, female 9.5
GTEX-1O9I2-0226-SM-EYYXD 50-59 years, male 9.5
GTEX-1QCLY-0226-SM-EWRNH 30-39 years, male 9.5
GTEX-1R9PN-0426-SM-DTXDT 40-49 years, female 9.5
GTEX-14BMU-1226-SM-5S2OR 20-29 years, female 9.4
GTEX-ZTX8-1326-SM-4YCEL 20-29 years, male 9.4
GTEX-1H1DE-1326-SM-9KNUG 20-29 years, male 9.4
GTEX-1HSGN-0826-SM-ACKW3 40-49 years, female 9.4
GTEX-1IDJC-1526-SM-B2LW4 50-59 years, male 9.4
GTEX-1LGOU-1326-SM-D3L8M 20-29 years, female 9.4
GTEX-12126-0826-SM-5FQTZ 20-29 years, male 9.3
GTEX-15RIE-1926-SM-7KUKJ 60-69 years, male 9.3
GTEX-17HGU-2326-SM-7DUFE 50-59 years, male 9.3
GTEX-XYKS-1426-SM-4BRUO 60-69 years, female 9.3
GTEX-ZP4G-1426-SM-4WWCL 20-29 years, female 9.3
GTEX-1CAMR-1326-SM-7PC1F 20-29 years, male 9.3
GTEX-1IDJI-0126-SM-CMKHS 50-59 years, female 9.3
GTEX-1JKYN-0826-SM-ARU8S 30-39 years, male 9.3
GTEX-1LBAC-0826-SM-CY8IJ 20-29 years, male 9.3
GTEX-13N11-2326-SM-5IJBF 50-59 years, female 9.2
GTEX-13PVQ-0626-SM-5LU47 50-59 years, male 9.2
GTEX-15RIG-0726-SM-7KUM7 40-49 years, male 9.2
GTEX-1B97I-0626-SM-73KUZ 40-49 years, male 9.2
GTEX-WFG7-2026-SM-5SI7P 20-29 years, male 9.2
GTEX-14JG6-1426-SM-9WG7C 30-39 years, female 9.2
GTEX-111CU-1126-SM-5EGIM 50-59 years, male 9.1
GTEX-11DXX-2126-SM-5PNYR 60-69 years, female 9.1
GTEX-139YR-1026-SM-5LZYN 50-59 years, male 9.1
GTEX-14PJ3-1126-SM-5ZZVX 50-59 years, male 9.1
GTEX-15G19-2426-SM-7KUMR 60-69 years, male 9.1
GTEX-16NGA-0726-SM-731AO 40-49 years, female 9.1
GTEX-1EX96-1026-SM-7MKG2 50-59 years, male 9.1
GTEX-WYJK-0526-SM-3NM8Z 50-59 years, male 9.1
GTEX-Y3I4-1726-SM-4TT89 50-59 years, male 9.1
GTEX-1HSMP-0926-SM-A9SKX 70-79 years, male 9.1
GTEX-1QP9N-1226-SM-E76QN 30-39 years, male 9.1
GTEX-14PJO-2526-SM-6AJBQ 60-69 years, male 9.0
GTEX-17EVQ-0126-SM-7IGLR 70-79 years, male 9.0
GTEX-1E1VI-0326-SM-793D1 50-59 years, male 9.0
GTEX-1CB4I-0126-SM-7RHGG 50-59 years, male 9.0
GTEX-1GTWX-2026-SM-9YFLM 60-69 years, male 9.0
GTEX-1M4P7-0726-SM-E6CJ3 60-69 years, male 9.0
GTEX-1PIGE-1826-SM-E8VOU 20-29 years, male 9.0
GTEX-12WSA-0426-SM-5EQ5X 60-69 years, male 8.9
GTEX-14A5H-0826-SM-5QGPJ 60-69 years, male 8.9
GTEX-14PK6-0226-SM-62LF5 70-79 years, female 8.9
GTEX-14XAO-1226-SM-6EU1C 60-69 years, female 8.9
GTEX-Y8LW-1526-SM-5IFHL 50-59 years, female 8.9
GTEX-1GF9U-2026-SM-7SB92 40-49 years, female 8.9
GTEX-1IDJE-1426-SM-ADEIW 50-59 years, female 8.9
GTEX-1IY9M-2826-SM-ARU8H 60-69 years, male 8.9
GTEX-ZPIC-0526-SM-DO91W 40-49 years, female 8.9
GTEX-16MT9-0126-SM-7EPI8 60-69 years, female 8.8
GTEX-18D9U-0126-SM-731BM 40-49 years, male 8.8
GTEX-ZUA1-2626-SM-5NQ92 40-49 years, male 8.8
GTEX-1KANC-1226-SM-CYPT7 50-59 years, female 8.8
GTEX-1S3DN-2126-SM-E9TIN 50-59 years, male 8.8
GTEX-ZT9W-1126-SM-57WDR 50-59 years, male 8.7
GTEX-ZYW4-0626-SM-59HJR 60-69 years, male 8.7
GTEX-1I6K7-1926-SM-B2LXR 40-49 years, male 8.7
GTEX-12WSJ-1126-SM-5LZVJ 40-49 years, female 8.6
GTEX-XXEK-1626-SM-4BRUZ 50-59 years, male 8.6
GTEX-YB5K-2026-SM-4VDT3 40-49 years, female 8.6
GTEX-1CAMQ-1326-SM-7P8RV 40-49 years, male 8.6
GTEX-1LG7Z-1626-SM-CXKYR 30-39 years, male 8.6
GTEX-11DXZ-2026-SM-5987S 50-59 years, male 8.5
GTEX-145LT-0526-SM-5LUB2 40-49 years, male 8.5
GTEX-15FZZ-0526-SM-7KUGD 30-39 years, female 8.5
GTEX-16GPK-0626-SM-7KFSF 60-69 years, male 8.5
GTEX-1AX9J-1326-SM-731BJ 60-69 years, male 8.5
GTEX-WFG8-2126-SM-3GIKQ 20-29 years, male 8.5
GTEX-WH7G-2026-SM-3NMBL 40-49 years, male 8.5
GTEX-X4EP-0626-SM-3P621 60-69 years, female 8.5
GTEX-ZPCL-1126-SM-4WWFE 60-69 years, female 8.5
GTEX-1AYD5-2626-SM-7PBXY 50-59 years, male 8.5
GTEX-1HC8U-1326-SM-9YFMJ 40-49 years, female 8.4
GTEX-18A66-0626-SM-7LT8Z 60-69 years, male 8.3
GTEX-WFON-1926-SM-3LK7L 40-49 years, male 8.3
GTEX-WRHU-2826-SM-3MJG8 50-59 years, female 8.3
GTEX-XV7Q-1826-SM-4BRUV 40-49 years, female 8.3
GTEX-ZTSS-1426-SM-5985P 40-49 years, male 8.3
GTEX-1H1ZS-2726-SM-9WG75 70-79 years, male 8.3
GTEX-14E6E-0526-SM-793DN 30-39 years, male 8.2
GTEX-16MTA-0926-SM-6M47Z 50-59 years, male 8.2
GTEX-ZVTK-0226-SM-51MRG 20-29 years, male 8.2
GTEX-1JMLX-0626-SM-ARL8T 50-59 years, male 8.2
GTEX-1PPH8-0126-SM-EWRN8 20-29 years, male 8.2
GTEX-17F96-0126-SM-7EWDU 70-79 years, male 8.1
GTEX-17JCI-2926-SM-7DUFF 60-69 years, female 8.1
GTEX-XQ3S-1426-SM-4BOPR 20-29 years, male 8.1
GTEX-1GMR2-0826-SM-7PC3V 50-59 years, male 8.1
GTEX-1H1E6-0426-SM-9WYUS 30-39 years, male 8.1
GTEX-1A3MW-0626-SM-731CB 60-69 years, female 8.0
GTEX-XBEW-1126-SM-4QARW 40-49 years, male 8.0
GTEX-111FC-2526-SM-5GZXU 60-69 years, male 7.9
GTEX-X3Y1-2026-SM-3P5YM 40-49 years, male 7.9
GTEX-Y114-2126-SM-4TT8B 50-59 years, female 7.9
GTEX-1QAET-0326-SM-EVR3U 50-59 years, male 7.9
GTEX-15RJ7-2126-SM-6PAMD 40-49 years, male 7.8
GTEX-VJYA-1526-SM-3GIJV 60-69 years, male 7.8
GTEX-ZDXO-3126-SM-5IJDF 60-69 years, male 7.8
GTEX-1I4MK-0126-SM-CY8G6 50-59 years, female 7.8
GTEX-1RMOY-1326-SM-E9TIH 50-59 years, male 7.8
GTEX-ZYFD-0626-SM-5E44E 50-59 years, male 7.7
GTEX-11P7K-1126-SM-5HL4L 30-39 years, male 7.6
GTEX-145MG-1526-SM-5Q5EM 50-59 years, male 7.6
GTEX-1CAMS-2226-SM-7PBXQ 40-49 years, female 7.6
GTEX-1F6I4-2326-SM-7RHGL 60-69 years, male 7.6
GTEX-1K2DA-1026-SM-CGQGF 50-59 years, male 7.6
GTEX-11DYG-1526-SM-5A5JS 60-69 years, male 7.4
GTEX-WI4N-2726-SM-3LK7Y 40-49 years, female 7.4
GTEX-14PKV-1126-SM-6LLJ1 20-29 years, female 7.3
GTEX-W5X1-2526-SM-3GILC 40-49 years, female 7.3
GTEX-WHPG-2626-SM-3NMBR 50-59 years, male 7.3
GTEX-1IDJD-2326-SM-ACKWX 30-39 years, male 7.3
GTEX-1JMOU-1026-SM-CYPSS 60-69 years, female 7.3
GTEX-ZPU1-1126-SM-4YCF3 40-49 years, male 7.2
GTEX-ZVP2-0326-SM-57WBP 50-59 years, male 7.1
GTEX-1LSNM-0826-SM-DIPG8 50-59 years, male 7.0
GTEX-1AX8Z-0726-SM-73KTS 60-69 years, male 6.9
GTEX-Y5LM-0926-SM-6LLJG 40-49 years, female 6.7
GTEX-Y5V6-2326-SM-4VDSA 60-69 years, male 6.7
GTEX-1HCU8-2526-SM-CE6RX 60-69 years, female 6.6
GTEX-13U4I-2226-SM-5LU5H 40-49 years, female 6.5
GTEX-147F4-0726-SM-5TDDD 50-59 years, male 6.4
GTEX-XPVG-2126-SM-4B667 50-59 years, male 6.3
GTEX-11TT1-1826-SM-5EQLV 20-29 years, male 6.2
GTEX-Y3IK-1626-SM-4YCF5 50-59 years, female 6.2
GTEX-1399R-1326-SM-5PNYS 30-39 years, male 6.0
GTEX-11NSD-0626-SM-5A5LU 20-29 years, male 5.6
GTEX-132AR-0326-SM-5KM2C 50-59 years, female 5.2
Show allShow less
Skin - Sun Exposed (Lower leg)
Average nTPM: 10.5
Samples: 701

Max nTPM: 19.2
Min nTPM: 5.0
Std nTPM: 2.2
Median nTPM: 10.3
GTEX-ZTX8-1426-SM-5DUVO 20-29 years, male 19.2
GTEX-1N2EF-0226-SM-EYYXB 60-69 years, male 19.1
GTEX-1PDJ9-0326-SM-DTX95 20-29 years, male 18.2
GTEX-1H4P4-0726-SM-9YFLR 50-59 years, male 18.1
GTEX-1L5NE-2526-SM-E6CIE 50-59 years, male 18.1
GTEX-1HCU7-0226-SM-CL545 50-59 years, male 17.7
GTEX-17EVP-0326-SM-7DHLG 40-49 years, male 17.4
GTEX-1E2YA-0126-SM-9KNUC 50-59 years, male 17.4
GTEX-1F6RS-0126-SM-9MQKZ 60-69 years, female 17.3
GTEX-1GMR3-1926-SM-9KNUZ 40-49 years, male 17.2
GTEX-13NYC-0326-SM-E9J4S 60-69 years, male 17.0
GTEX-SE5C-1626-SM-2XCE3 40-49 years, female 17.0
GTEX-13OVK-2026-SM-7KUEO 40-49 years, male 16.6
GTEX-SNMC-1226-SM-2XCFP 20-29 years, male 16.1
GTEX-1F75B-0126-SM-9KNVL 50-59 years, male 15.9
GTEX-1IGQW-0126-SM-COH42 60-69 years, male 15.9
GTEX-17JCI-0126-SM-7LG5G 60-69 years, female 15.8
GTEX-1GMR8-0126-SM-9WYTM 50-59 years, female 15.7
GTEX-131XF-5016-SM-7MGWE 60-69 years, male 15.6
GTEX-1PIIG-0226-SM-EWRN6 30-39 years, male 15.6
GTEX-1J8QM-2126-SM-CYPSJ 60-69 years, female 15.5
GTEX-14E6C-0126-SM-5RQIP 40-49 years, male 15.3
GTEX-1IKJJ-0126-SM-CNPQB 60-69 years, male 15.3
GTEX-1JN1M-0326-SM-CYPT3 60-69 years, female 15.3
GTEX-1KXAM-2226-SM-CYPTC 60-69 years, male 15.3
GTEX-131YS-0126-SM-5KM1M 60-69 years, female 15.2
GTEX-X261-0126-SM-3NMD6 50-59 years, male 15.2
GTEX-13IVO-0126-SM-5J1NG 70-79 years, male 15.0
GTEX-X4EO-0326-SM-3P5YO 60-69 years, female 15.0
GTEX-1HBPH-0426-SM-B2LW5 40-49 years, female 15.0
GTEX-148VJ-0126-SM-5TDDN 70-79 years, male 14.9
GTEX-14A5I-0126-SM-5TDEA 50-59 years, female 14.9
GTEX-17HII-0226-SM-7LG4E 50-59 years, male 14.9
GTEX-1HT8W-0126-SM-CNPPP 30-39 years, male 14.9
GTEX-ZF2S-2326-SM-4WWCE 50-59 years, female 14.8
GTEX-1CB4G-0226-SM-7PC3O 60-69 years, male 14.8
GTEX-1JJEA-0326-SM-CNPOT 60-69 years, male 14.8
GTEX-1C475-1826-SM-73KWA 40-49 years, female 14.7
GTEX-1H2FU-0126-SM-9WYSI 60-69 years, female 14.7
GTEX-11WQC-2526-SM-5CVLE 60-69 years, male 14.6
GTEX-145LS-0126-SM-5QGP1 60-69 years, female 14.6
GTEX-ZYT6-0226-SM-5NQ6T 30-39 years, male 14.6
GTEX-13YAN-0326-SM-5O9DF 60-69 years, male 14.5
GTEX-1B8KZ-2026-SM-7DHMB 50-59 years, male 14.5
GTEX-1C64N-0126-SM-793D7 50-59 years, male 14.4
GTEX-ZE9C-2726-SM-57WB5 60-69 years, male 14.4
GTEX-1LGRB-2526-SM-CNPPQ 50-59 years, female 14.4
GTEX-1POEN-0126-SM-EYYXJ 30-39 years, female 14.4
GTEX-1LVAN-0226-SM-COH3S 50-59 years, female 14.3
GTEX-13PDP-0126-SM-5L3HD 60-69 years, male 14.2
GTEX-17GQL-2026-SM-718BA 60-69 years, male 14.2
GTEX-1AX9K-2326-SM-73KWU 50-59 years, male 14.2
GTEX-1HFI7-1826-SM-ACKXH 50-59 years, female 14.2
GTEX-1BAJH-0526-SM-793CQ 70-79 years, male 14.1
GTEX-1GN1U-0126-SM-7PBZK 50-59 years, female 14.1
GTEX-1H1E6-1726-SM-ACKVK 30-39 years, male 14.1
GTEX-1MUQO-0126-SM-EAZ58 60-69 years, male 14.1
GTEX-1O97I-0326-SM-EYYX7 60-69 years, male 14.1
GTEX-14BIN-0626-SM-793DP 50-59 years, female 14.0
GTEX-OXRP-0126-SM-3NB32 60-69 years, female 13.9
GTEX-1B996-0226-SM-7RHGO 60-69 years, male 13.9
GTEX-14DAQ-0126-SM-5S2MQ 60-69 years, female 13.8
GTEX-183WM-0126-SM-7LTAB 70-79 years, female 13.8
GTEX-1GL5R-1826-SM-9KNUY 50-59 years, male 13.8
GTEX-1JN6P-0126-SM-D3L98 60-69 years, male 13.8
GTEX-1QP2A-0126-SM-E9J43 50-59 years, male 13.8
GTEX-1R7EU-0226-SM-EVR4G 60-69 years, male 13.8
GTEX-12KS4-0326-SM-5EQ41 30-39 years, male 13.7
GTEX-T8EM-1026-SM-3DB7M 40-49 years, male 13.7
GTEX-Y8E4-0626-SM-4WWDL 40-49 years, male 13.7
GTEX-147GR-0526-SM-5S2MY 60-69 years, male 13.6
GTEX-PWO3-1526-SM-48TCM 60-69 years, female 13.6
GTEX-1MJK2-0426-SM-DTXE5 50-59 years, male 13.6
GTEX-13JUV-2726-SM-5LZZ8 40-49 years, female 13.5
GTEX-14LZ3-0226-SM-62LET 60-69 years, female 13.5
GTEX-16AAH-1726-SM-7939C 50-59 years, male 13.5
GTEX-1A3MV-1926-SM-718BT 30-39 years, male 13.5
GTEX-17F96-1626-SM-7DUFL 70-79 years, male 13.3
GTEX-17KNJ-2326-SM-7DHLQ 50-59 years, male 13.3
GTEX-1I19N-0326-SM-ACKVX 70-79 years, male 13.3
GTEX-1RB15-2126-SM-E9TIM 60-69 years, male 13.3
GTEX-139TS-2826-SM-5J1OO 60-69 years, male 13.2
GTEX-15ETS-0126-SM-7KUMW 40-49 years, female 13.2
GTEX-1ICLY-0126-SM-D4P36 50-59 years, male 13.2
GTEX-1J8Q3-1626-SM-CMKGC 60-69 years, male 13.2
GTEX-13112-2826-SM-5DUWH 50-59 years, male 13.1
GTEX-1B8SF-1426-SM-7DUGL 60-69 years, male 13.1
GTEX-1C64O-0126-SM-7SB8P 60-69 years, male 13.1
GTEX-1IDJH-0326-SM-A9SLQ 70-79 years, male 13.1
GTEX-11UD2-0226-SM-5EQKY 50-59 years, male 13.0
GTEX-1HSMQ-1226-SM-CGQFX 50-59 years, male 13.0
GTEX-12WSE-0526-SM-793B2 20-29 years, male 12.9
GTEX-13D11-2426-SM-5KM1V 50-59 years, female 12.9
GTEX-13N2G-2626-SM-5J1OT 60-69 years, male 12.9
GTEX-145LT-1726-SM-5QGP3 40-49 years, male 12.9
GTEX-QESD-1426-SM-2S1R9 20-29 years, male 12.9
GTEX-ZTSS-1926-SM-57WEW 40-49 years, male 12.9
GTEX-13OW5-0126-SM-DTXFS 60-69 years, male 12.9
GTEX-146FR-1326-SM-E9J48 60-69 years, female 12.9
GTEX-1LBAC-0126-SM-DIPEZ 20-29 years, male 12.9
GTEX-1OJC3-0126-SM-E76QX 20-29 years, male 12.9
GTEX-ZVT4-0126-SM-DTXFN 50-59 years, female 12.9
GTEX-1122O-2126-SM-5EGIR 60-69 years, female 12.8
GTEX-11DZ1-0126-SM-5985Q 50-59 years, male 12.8
GTEX-18D9A-1926-SM-7LG6P 30-39 years, female 12.8
GTEX-T5JC-0426-SM-32PLO 20-29 years, male 12.8
GTEX-1HBPI-1526-SM-C1YQ1 50-59 years, male 12.8
GTEX-PSDG-0226-SM-DKPOZ 50-59 years, male 12.8
GTEX-117XS-2726-SM-5N9BL 60-69 years, male 12.7
GTEX-131XH-2226-SM-5DUXJ 50-59 years, male 12.7
GTEX-OIZH-0126-SM-2HMIS 50-59 years, male 12.7
GTEX-ZDTS-0126-SM-4WAY5 60-69 years, male 12.7
GTEX-1F5PK-2426-SM-7RHHY 50-59 years, male 12.7
GTEX-1I1GR-0126-SM-CL55F 60-69 years, male 12.7
GTEX-1S3DN-2226-SM-EVYCD 50-59 years, male 12.7
GTEX-1399R-2726-SM-5IJBA 30-39 years, male 12.6
GTEX-13NZ8-0826-SM-5MR3I 60-69 years, female 12.6
GTEX-13S7M-0126-SM-5SI6A 60-69 years, female 12.6
GTEX-T2YK-0526-SM-32QPJ 50-59 years, male 12.6
GTEX-1F7RK-0126-SM-7PC2S 20-29 years, female 12.6
GTEX-1HCU6-0126-SM-CL54K 60-69 years, female 12.6
GTEX-1IDJF-0126-SM-CM2RS 20-29 years, male 12.6
GTEX-1IL2U-0226-SM-CE6T8 60-69 years, male 12.6
GTEX-1LSNM-1926-SM-E6CII 50-59 years, male 12.6
GTEX-14PN3-2426-SM-6LLHS 60-69 years, female 12.5
GTEX-15DDE-0126-SM-6LPKH 50-59 years, female 12.5
GTEX-ZV6S-2326-SM-4YCEY 40-49 years, female 12.5
GTEX-1IDFM-0126-SM-COH2V 60-69 years, male 12.5
GTEX-13113-5016-SM-7EPIP 60-69 years, female 12.4
GTEX-1399T-2826-SM-5KLYZ 60-69 years, male 12.4
GTEX-145ME-1826-SM-5SI9G 40-49 years, female 12.4
GTEX-14PJ6-2126-SM-6EU1V 60-69 years, female 12.4
GTEX-1K2DA-1826-SM-CGQGT 50-59 years, male 12.4
GTEX-12WSN-5019-SM-79OM6 40-49 years, male 12.3
GTEX-ZZ64-1726-SM-5GZYB 20-29 years, male 12.3
GTEX-1IOXB-0126-SM-ARL8G 50-59 years, male 12.3
GTEX-1JJE9-0326-SM-CL53Z 70-79 years, male 12.3
GTEX-OIZF-0126-SM-7SB8I 60-69 years, male 12.3
GTEX-131XW-0426-SM-5LZWP 50-59 years, female 12.2
GTEX-139T8-0126-SM-5K7XZ 60-69 years, male 12.2
GTEX-13OVH-0126-SM-5MR4B 70-79 years, male 12.2
GTEX-13PVR-2326-SM-5QGR1 60-69 years, female 12.2
GTEX-18465-0126-SM-731BN 50-59 years, male 12.2
GTEX-P4QT-0126-SM-2I3FL 50-59 years, female 12.2
GTEX-VJWN-0126-SM-3GIK7 50-59 years, female 12.2
GTEX-XPVG-2626-SM-4B669 50-59 years, male 12.2
GTEX-XQ8I-0426-SM-4BOPO 50-59 years, male 12.2
GTEX-1GZHY-0326-SM-9QEHI 50-59 years, female 12.2
GTEX-1I1CD-0126-SM-CM2TK 60-69 years, female 12.2
GTEX-1I4MK-2226-SM-ACKWD 50-59 years, female 12.2
GTEX-1KAFJ-2026-SM-CY8ID 50-59 years, male 12.2
GTEX-1212Z-2526-SM-5EGKP 60-69 years, male 12.1
GTEX-15EU6-0426-SM-6PAN5 50-59 years, male 12.1
GTEX-12WSC-0126-SM-5EQ4P 50-59 years, male 12.0
GTEX-14C5O-0126-SM-5SI6N 60-69 years, male 12.0
GTEX-18A6Q-0126-SM-731BZ 60-69 years, male 12.0
GTEX-1E1VI-0126-SM-7DHMZ 50-59 years, male 12.0
GTEX-ZDTT-2726-SM-4WKF8 60-69 years, male 12.0
GTEX-1IE54-0126-SM-CMKHW 40-49 years, female 12.0
GTEX-1JMQI-2226-SM-CM2SD 50-59 years, male 12.0
GTEX-1R9PM-2026-SM-E76OY 20-29 years, male 12.0
GTEX-111FC-0126-SM-5N9DL 60-69 years, male 11.9
GTEX-13FTX-1826-SM-5J1NX 20-29 years, female 11.9
GTEX-145MI-0526-SM-5O9A8 60-69 years, female 11.9
GTEX-U4B1-1826-SM-4DXSU 40-49 years, male 11.9
GTEX-1EWIQ-0126-SM-7RHH2 70-79 years, female 11.9
GTEX-1GZ2Q-0226-SM-7P8TL 40-49 years, male 11.9
GTEX-1MA7W-2026-SM-E9TJ6 20-29 years, female 11.9
GTEX-1PPH7-2326-SM-EVYB8 40-49 years, male 11.9
GTEX-1QPFJ-0226-SM-E76PB 30-39 years, female 11.9
GTEX-11EI6-0126-SM-5985R 60-69 years, male 11.8
GTEX-11LCK-1026-SM-5A5KB 30-39 years, male 11.8
GTEX-13CF2-2526-SM-5LZYX 60-69 years, male 11.8
GTEX-14PII-0226-SM-6EU1T 60-69 years, male 11.8
GTEX-1AMFI-2026-SM-731BH 50-59 years, female 11.8
GTEX-1AX9J-0226-SM-73KXM 60-69 years, male 11.8
GTEX-1C6VR-2426-SM-79OLD 60-69 years, male 11.8
GTEX-Z93S-0126-SM-5HL7M 50-59 years, male 11.8
GTEX-ZVZP-2426-SM-59HKJ 50-59 years, male 11.8
GTEX-1LH75-2426-SM-E9TJE 50-59 years, female 11.8
GTEX-144GL-0126-SM-5TDE2 50-59 years, male 11.7
GTEX-1C6VS-0526-SM-7DUEN 60-69 years, male 11.7
GTEX-X62O-0126-SM-4E3JN 50-59 years, male 11.7
GTEX-YJ89-0126-SM-4TT3X 60-69 years, male 11.7
GTEX-1QP29-0626-SM-EWRMX 50-59 years, male 11.7
GTEX-113JC-2326-SM-5EQ4E 50-59 years, female 11.6
GTEX-11EQ9-2426-SM-5HL5T 30-39 years, male 11.6
GTEX-11H98-0126-SM-5EGHG 50-59 years, male 11.6
GTEX-139D8-0226-SM-5KLZO 30-39 years, female 11.6
GTEX-13RTK-1426-SM-5QGQJ 20-29 years, male 11.6
GTEX-13SLX-0526-SM-5S2ON 50-59 years, female 11.6
GTEX-1B97I-1626-SM-73KYO 40-49 years, male 11.6
GTEX-ZV68-0126-SM-59HKS 50-59 years, female 11.6
GTEX-1I1GT-0626-SM-CGQER 60-69 years, female 11.6
GTEX-1ICLZ-0126-SM-CKZPO 60-69 years, male 11.6
GTEX-1PIGE-0126-SM-EVYBJ 20-29 years, male 11.6
GTEX-11DXY-2626-SM-5GIE7 60-69 years, male 11.5
GTEX-11WQK-0526-SM-5EQLD 50-59 years, male 11.5
GTEX-11ZTT-2426-SM-5EQLS 60-69 years, female 11.5
GTEX-12ZZX-0126-SM-5EGK9 40-49 years, female 11.5
GTEX-13NYB-2526-SM-5K7Z6 40-49 years, male 11.5
GTEX-P44H-0226-SM-2XCEU 40-49 years, male 11.5
GTEX-ZC5H-0226-SM-4WAY9 40-49 years, female 11.5
GTEX-1H3NZ-0126-SM-ACKX7 60-69 years, male 11.5
GTEX-1HSKV-0226-SM-A9SKJ 60-69 years, male 11.5
GTEX-1I1GQ-0126-SM-COH3H 50-59 years, male 11.5
GTEX-13X6I-0626-SM-5QGP9 60-69 years, male 11.4
GTEX-15ER7-0326-SM-7KUEV 20-29 years, female 11.4
GTEX-ZAB5-1826-SM-5HL7C 50-59 years, male 11.4
GTEX-1CB4H-0226-SM-7PBXM 60-69 years, female 11.4
GTEX-1GMRU-0126-SM-9YFLV 50-59 years, male 11.4
GTEX-1H1CY-2826-SM-9MQM3 60-69 years, female 11.4
GTEX-1QMI2-0226-SM-EVYBX 60-69 years, male 11.4
GTEX-1R7EV-2426-SM-EVYBG 40-49 years, male 11.4
GTEX-1S82Z-0826-SM-E6CHY 30-39 years, female 11.4
GTEX-ZF29-2326-SM-DO92K 60-69 years, female 11.4
GTEX-11EM3-2426-SM-59861 20-29 years, female 11.3
GTEX-12ZZY-0226-SM-5LZVE 60-69 years, male 11.3
GTEX-131XE-2326-SM-5PNZ2 50-59 years, male 11.3
GTEX-13FHP-0126-SM-5IJBG 50-59 years, male 11.3
GTEX-14E6E-1826-SM-5S2R7 30-39 years, male 11.3
GTEX-18A66-0226-SM-718BD 60-69 years, male 11.3
GTEX-UJHI-1526-SM-3DB99 50-59 years, female 11.3
GTEX-ZDYS-2026-SM-5HL5L 50-59 years, male 11.3
GTEX-1H3VE-0326-SM-9YFLH 40-49 years, male 11.3
GTEX-1JK1U-2026-SM-CM2RZ 60-69 years, male 11.3
GTEX-1JKYN-1326-SM-CGQG9 30-39 years, male 11.3
GTEX-1KD4Q-0226-SM-E9TJ9 40-49 years, male 11.3
GTEX-1KWVE-1426-SM-E9TJO 30-39 years, male 11.3
GTEX-117YX-2326-SM-5H12W 50-59 years, male 11.2
GTEX-1313W-0126-SM-5LZUN 50-59 years, female 11.2
GTEX-146FH-0126-SM-5QGPP 50-59 years, female 11.2
GTEX-14BIL-0126-SM-5SI92 50-59 years, male 11.2
GTEX-RWS6-2026-SM-2XCB5 60-69 years, female 11.2
GTEX-V1D1-2226-SM-3NMAX 50-59 years, male 11.2
GTEX-1KANA-0726-SM-D3L9I 20-29 years, male 11.2
GTEX-1RAZA-0126-SM-E6CI3 20-29 years, male 11.2
GTEX-12C56-1726-SM-5EQ61 20-29 years, male 11.1
GTEX-139TT-0126-SM-5K7Y5 60-69 years, male 11.1
GTEX-13NYS-0126-SM-5MR3W 60-69 years, male 11.1
GTEX-1C2JI-1826-SM-73KXC 50-59 years, male 11.1
GTEX-WFON-2126-SM-3LK7O 40-49 years, male 11.1
GTEX-ZWKS-0126-SM-5SIAA 30-39 years, male 11.1
GTEX-1CB4F-0426-SM-9KNV4 60-69 years, male 11.1
GTEX-1EU9M-0226-SM-7P8SP 60-69 years, male 11.1
GTEX-1GF9V-0326-SM-7RHI5 60-69 years, male 11.1
GTEX-1J8JJ-0226-SM-CL53I 60-69 years, female 11.1
GTEX-11OF3-2626-SM-5GU7F 60-69 years, male 11.0
GTEX-12ZZZ-0626-SM-5DUXI 60-69 years, male 11.0
GTEX-13OVI-1426-SM-5L3EY 60-69 years, female 11.0
GTEX-145MO-0326-SM-5Q5B3 60-69 years, male 11.0
GTEX-SJXC-0126-SM-2XCFF 60-69 years, male 11.0
GTEX-1F88F-2726-SM-7PBZZ 60-69 years, female 11.0
GTEX-1GN2E-0426-SM-9MQKX 60-69 years, male 11.0
GTEX-1GN73-0226-SM-9WG67 60-69 years, male 11.0
GTEX-1IDJU-2626-SM-CM2RT 60-69 years, female 11.0
GTEX-1192X-0226-SM-5H12D 50-59 years, male 10.9
GTEX-12696-2426-SM-5EQ6H 60-69 years, male 10.9
GTEX-14PN4-0126-SM-6EU2V 50-59 years, male 10.9
GTEX-Y8DK-0126-SM-4TT3L 60-69 years, male 10.9
GTEX-1F48J-0126-SM-7P8TT 50-59 years, female 10.9
GTEX-1GZ4H-1726-SM-7PBZJ 50-59 years, female 10.9
GTEX-1JMQJ-0526-SM-CYPSU 50-59 years, male 10.9
GTEX-1JN76-0126-SM-CNPPE 20-29 years, female 10.9
GTEX-1LC47-0326-SM-E9TJP 60-69 years, male 10.9
GTEX-1LG7Z-1726-SM-D3LA4 30-39 years, male 10.9
GTEX-1LGOU-2026-SM-DIPFF 20-29 years, female 10.9
GTEX-1R46S-0626-SM-E9J41 60-69 years, female 10.9
GTEX-11P82-1626-SM-59879 20-29 years, male 10.8
GTEX-13O1R-0126-SM-5L3EH 60-69 years, male 10.8
GTEX-144FL-0126-SM-5TDC8 50-59 years, male 10.8
GTEX-14BIM-0226-SM-7IGLD 60-69 years, female 10.8
GTEX-15RIG-0226-SM-7KFTL 40-49 years, male 10.8
GTEX-16BQI-0226-SM-7KUEX 30-39 years, female 10.8
GTEX-16XZZ-0126-SM-793DV 60-69 years, male 10.8
GTEX-17HG3-2226-SM-7938L 30-39 years, female 10.8
GTEX-1B8SG-0126-SM-73KZ3 50-59 years, male 10.8
GTEX-T5JW-1626-SM-3GADZ 20-29 years, female 10.8
GTEX-TML8-1926-SM-32QOS 40-49 years, female 10.8
GTEX-Y5V5-2326-SM-4V6GA 60-69 years, female 10.8
GTEX-ZVE2-0226-SM-59HJB 50-59 years, male 10.8
GTEX-ZXG5-0126-SM-5GIEU 60-69 years, male 10.8
GTEX-1AX9I-0126-SM-7SB74 60-69 years, male 10.8
GTEX-1GPI6-0126-SM-9WG69 60-69 years, male 10.8
GTEX-1QP66-1726-SM-E8VO1 50-59 years, male 10.8
GTEX-14PHX-2326-SM-62LEM 50-59 years, male 10.7
GTEX-15SHU-0126-SM-7KUEH 40-49 years, female 10.7
GTEX-OOBK-0126-SM-2YUND 40-49 years, male 10.7
GTEX-QCQG-1726-SM-3GIJ9 50-59 years, female 10.7
GTEX-X585-0226-SM-4QAS2 50-59 years, male 10.7
GTEX-1I1GP-2226-SM-CGQFK 50-59 years, male 10.7
GTEX-1J1R8-1726-SM-ARL8M 40-49 years, male 10.7
GTEX-1RDX4-0126-SM-E9J4P 50-59 years, female 10.7
GTEX-11P81-2326-SM-59875 30-39 years, female 10.6
GTEX-13N1W-0126-SM-5K7VT 70-79 years, male 10.6
GTEX-ZGAY-0526-SM-4WWBB 40-49 years, female 10.6
GTEX-1GPI7-0126-SM-9MQL8 20-29 years, male 10.6
GTEX-1H1DG-0126-SM-9WYU2 70-79 years, male 10.6
GTEX-1HB9E-0226-SM-E9U4R 50-59 years, male 10.6
GTEX-1JJ6O-0126-SM-E6CI8 60-69 years, male 10.6
GTEX-1OFPY-2426-SM-DTXEJ 60-69 years, male 10.6
GTEX-ZQG8-1626-SM-DHXIT 60-69 years, female 10.6
GTEX-133LE-1826-SM-5J1MV 20-29 years, female 10.5
GTEX-13U4I-0126-SM-5LU38 40-49 years, female 10.5
GTEX-14JG6-2226-SM-6EU2G 30-39 years, female 10.5
GTEX-16YQH-0126-SM-7DUFJ 30-39 years, male 10.5
GTEX-17EUY-0426-SM-793BD 20-29 years, male 10.5
GTEX-183FY-0126-SM-7LT9P 20-29 years, male 10.5
GTEX-OXRK-0226-SM-3NB2G 50-59 years, female 10.5
GTEX-PVOW-0126-SM-2XCFA 40-49 years, male 10.5
GTEX-WFG8-2226-SM-3GIL9 20-29 years, male 10.5
GTEX-11DXZ-2326-SM-5EGGV 50-59 years, male 10.4
GTEX-11ZU8-2526-SM-5EQKI 60-69 years, male 10.4
GTEX-1269C-2526-SM-5EGJ3 60-69 years, female 10.4
GTEX-12WSL-2526-SM-5GCNJ 50-59 years, male 10.4
GTEX-1314G-1526-SM-5EGK2 30-39 years, male 10.4
GTEX-14BMV-0126-SM-5S2PO 50-59 years, male 10.4
GTEX-14DAR-2026-SM-5S2O3 50-59 years, male 10.4
GTEX-14ICK-0226-SM-6EU25 40-49 years, male 10.4
GTEX-14LLW-0126-SM-6LLIO 70-79 years, female 10.4
GTEX-15EOM-0126-SM-7KUGG 20-29 years, female 10.4
GTEX-15G19-0126-SM-6PANQ 60-69 years, male 10.4
GTEX-16GPK-0126-SM-7DHLE 60-69 years, male 10.4
GTEX-16NPX-0226-SM-79OMT 50-59 years, male 10.4
GTEX-17MFQ-1726-SM-793C7 20-29 years, male 10.4
GTEX-1CB4I-0226-SM-79OLH 50-59 years, male 10.4
GTEX-XAJ8-0826-SM-47JY6 40-49 years, male 10.4
GTEX-Z9EW-1626-SM-5CVMN 40-49 years, male 10.4
GTEX-1F75I-0326-SM-9YFLU 40-49 years, male 10.4
GTEX-1H3O1-0426-SM-9YFKY 60-69 years, male 10.4
GTEX-1J1OQ-0226-SM-CYPSH 40-49 years, female 10.4
GTEX-1M4P7-0226-SM-DIPEV 60-69 years, male 10.4
GTEX-1MA7X-2226-SM-E6CIY 60-69 years, male 10.4
GTEX-1QEPI-0126-SM-EWRMQ 60-69 years, female 10.4
GTEX-1RQEC-0426-SM-E6CHU 60-69 years, male 10.4
GTEX-PLZ6-1426-SM-DKPOT 30-39 years, male 10.4
GTEX-139TU-0126-SM-5K7WH 60-69 years, male 10.3
GTEX-13X6J-0126-SM-5QGOU 50-59 years, male 10.3
GTEX-148VI-1626-SM-5SI6E 60-69 years, female 10.3
GTEX-NFK9-0226-SM-2HMKQ 40-49 years, male 10.3
GTEX-OHPL-0126-SM-2HMJ7 60-69 years, female 10.3
GTEX-R3RS-0126-SM-3GIJL 40-49 years, female 10.3
GTEX-U8T8-0126-SM-3DB94 60-69 years, male 10.3
GTEX-WYVS-2126-SM-3NMA3 40-49 years, female 10.3
GTEX-XUW1-0426-SM-4BOOT 50-59 years, female 10.3
GTEX-YJ8A-0426-SM-5IFID 20-29 years, male 10.3
GTEX-ZU9S-0226-SM-5E441 30-39 years, male 10.3
GTEX-ZYFD-0126-SM-5GIDL 50-59 years, male 10.3
GTEX-1HBPN-0226-SM-9YFM1 50-59 years, male 10.3
GTEX-1I1GU-2226-SM-CGQFA 40-49 years, male 10.3
GTEX-1M5QR-1226-SM-EWROB 40-49 years, male 10.3
GTEX-1MCQQ-0826-SM-DLHC2 60-69 years, male 10.3
GTEX-1QW4Y-1526-SM-EAZ3Z 30-39 years, male 10.3
GTEX-13NZA-0226-SM-5K7Z7 60-69 years, male 10.2
GTEX-13QJ3-0326-SM-5S2RA 50-59 years, male 10.2
GTEX-13VXU-0126-SM-5SI9F 50-59 years, male 10.2
GTEX-S32W-2126-SM-2XCB1 50-59 years, female 10.2
GTEX-T6MO-1626-SM-32QOM 40-49 years, female 10.2
GTEX-WRHK-1426-SM-3MJF9 20-29 years, female 10.2
GTEX-WVJS-0126-SM-4MVOT 50-59 years, male 10.2
GTEX-XBED-2226-SM-47JYQ 60-69 years, male 10.2
GTEX-YEC4-2126-SM-5IFJH 40-49 years, male 10.2
GTEX-ZAK1-0126-SM-5IJD3 50-59 years, female 10.2
GTEX-11TUW-2726-SM-E9J4M 60-69 years, male 10.2
GTEX-1H11D-0226-SM-9WG6Z 40-49 years, male 10.2
GTEX-1LG7Y-0526-SM-DKPQC 50-59 years, male 10.2
GTEX-15DYW-0126-SM-7KULE 60-69 years, female 10.1
GTEX-P4PQ-0126-SM-2S1NM 60-69 years, male 10.1
GTEX-TMMY-0226-SM-33HBA 40-49 years, female 10.1
GTEX-XUYS-0126-SM-47JWZ 50-59 years, male 10.1
GTEX-1A8FM-0226-SM-7SB7Q 50-59 years, female 10.1
GTEX-1GN1W-0526-SM-9MQJQ 50-59 years, female 10.1
GTEX-1JKYR-0126-SM-CNPOJ 20-29 years, male 10.1
GTEX-1KD5A-0226-SM-D5OV3 50-59 years, male 10.1
GTEX-1S83E-0126-SM-EWRO4 40-49 years, male 10.1
GTEX-11DXW-0226-SM-5H122 40-49 years, male 10.0
GTEX-11VI4-1726-SM-5CVLH 40-49 years, female 10.0
GTEX-13OW8-1326-SM-5J1OW 60-69 years, male 10.0
GTEX-145LU-0126-SM-5TDCB 50-59 years, male 10.0
GTEX-1B8KE-2126-SM-73KYX 50-59 years, male 10.0
GTEX-OHPM-0126-SM-2YUN9 50-59 years, male 10.0
GTEX-OIZG-0726-SM-33HBL 50-59 years, male 10.0
GTEX-P4PP-0126-SM-3LK69 30-39 years, female 10.0
GTEX-QDVJ-1726-SM-2I5FX 50-59 years, male 10.0
GTEX-QV44-1926-SM-2S1RF 50-59 years, male 10.0
GTEX-S7PM-0126-SM-4AD6S 60-69 years, male 10.0
GTEX-ZE7O-0126-SM-57WC1 50-59 years, female 10.0
GTEX-ZZPT-0226-SM-5E43X 50-59 years, male 10.0
GTEX-1EMGI-0126-SM-9KNUE 60-69 years, male 10.0
GTEX-1HUB1-0426-SM-E9U4U 60-69 years, male 10.0
GTEX-1IL2V-0126-SM-CM2TX 70-79 years, male 10.0
GTEX-1J8Q2-0526-SM-CM2RW 60-69 years, male 10.0
GTEX-ZPIC-1726-SM-DHXIU 40-49 years, female 10.0
GTEX-11GS4-2726-SM-5A5LE 60-69 years, male 9.9
GTEX-12WSK-2326-SM-5GCOH 40-49 years, female 9.9
GTEX-14753-0426-SM-5NQAM 60-69 years, male 9.9
GTEX-16NGA-1726-SM-731B4 40-49 years, female 9.9
GTEX-17HHE-2026-SM-79OKF 50-59 years, male 9.9
GTEX-OXRO-0126-SM-2YUN4 60-69 years, female 9.9
GTEX-S95S-1226-SM-4GICG 60-69 years, male 9.9
GTEX-U412-0426-SM-3DB9O 60-69 years, male 9.9
GTEX-XQ3S-1526-SM-4BOOC 20-29 years, male 9.9
GTEX-12WSG-2826-SM-E9J4H 50-59 years, female 9.9
GTEX-1EN7A-0126-SM-7SB81 40-49 years, male 9.9
GTEX-1F5PL-0326-SM-7P8PQ 40-49 years, female 9.9
GTEX-1H3VY-0126-SM-ACKXD 50-59 years, male 9.9
GTEX-1HSGN-0226-SM-CGQFV 40-49 years, female 9.9
GTEX-1JMQK-0226-SM-CL543 60-69 years, male 9.9
GTEX-1JMQL-0226-SM-CNPP5 50-59 years, female 9.9
GTEX-1LB8K-0226-SM-EWRNW 50-59 years, male 9.9
GTEX-1RAZQ-0726-SM-EAZ43 30-39 years, male 9.9
GTEX-111VG-2426-SM-5GZXD 60-69 years, male 9.8
GTEX-11ZUS-0626-SM-59885 30-39 years, male 9.8
GTEX-13W46-0226-SM-5SIAG 50-59 years, male 9.8
GTEX-14A6H-0126-SM-5QGPK 30-39 years, male 9.8
GTEX-14E6D-0126-SM-62LDV 50-59 years, male 9.8
GTEX-1CB4E-2226-SM-793DC 60-69 years, male 9.8
GTEX-VJYA-1126-SM-3GIJU 60-69 years, male 9.8
GTEX-1B8L1-2526-SM-9WYTF 60-69 years, male 9.8
GTEX-1HFI6-0226-SM-ADEHZ 40-49 years, male 9.8
GTEX-1JMOU-1526-SM-CL54I 60-69 years, female 9.8
GTEX-1N2DV-0226-SM-E6CJ6 40-49 years, male 9.8
GTEX-1NHNU-1026-SM-E9J2A 50-59 years, male 9.8
GTEX-1192W-2626-SM-5Q5AF 60-69 years, male 9.7
GTEX-12584-0126-SM-5EGKQ 40-49 years, male 9.7
GTEX-13CF3-2426-SM-5IFGX 60-69 years, female 9.7
GTEX-13N11-2526-SM-5K7UE 50-59 years, female 9.7
GTEX-13O3P-0126-SM-5KM4S 50-59 years, male 9.7
GTEX-13VXT-0126-SM-5LU4I 20-29 years, female 9.7
GTEX-145MN-2226-SM-5SIAU 30-39 years, male 9.7
GTEX-14ABY-0226-SM-5TDCQ 50-59 years, male 9.7
GTEX-14JG1-0426-SM-6ETZZ 40-49 years, male 9.7
GTEX-14PJM-0226-SM-62LF1 50-59 years, female 9.7
GTEX-18A7A-0226-SM-718BH 50-59 years, female 9.7
GTEX-18QFQ-0126-SM-731BE 30-39 years, male 9.7
GTEX-1A32A-0126-SM-718B1 50-59 years, female 9.7
GTEX-QDVN-2026-SM-3GAEP 50-59 years, male 9.7
GTEX-VUSG-2526-SM-4KL1V 50-59 years, male 9.7
GTEX-WYJK-0126-SM-3NMAB 50-59 years, male 9.7
GTEX-YFC4-0126-SM-5CVLY 40-49 years, female 9.7
GTEX-1B933-0126-SM-7PC29 50-59 years, female 9.7
GTEX-1GF9W-0326-SM-9KNUN 60-69 years, male 9.7
GTEX-1HCU9-1526-SM-A9SL7 20-29 years, male 9.7
GTEX-1HCUA-2426-SM-ADEIS 50-59 years, female 9.7
GTEX-1HGF4-2426-SM-ACKXM 60-69 years, male 9.7
GTEX-1I6K6-0126-SM-A9SLE 30-39 years, male 9.7
GTEX-1JMPZ-0226-SM-CNPP1 30-39 years, male 9.7
GTEX-1PBJI-0526-SM-E8VNK 20-29 years, female 9.7
GTEX-1S82Y-2026-SM-EVYCM 40-49 years, male 9.7
GTEX-1211K-2026-SM-5EQ4Z 60-69 years, female 9.6
GTEX-13OW7-0126-SM-5MR3B 50-59 years, male 9.6
GTEX-15UF6-0826-SM-6PALJ 70-79 years, female 9.6
GTEX-1CAMR-1926-SM-7EPI2 20-29 years, male 9.6
GTEX-POMQ-2226-SM-2I5FK 20-29 years, female 9.6
GTEX-PX3G-0126-SM-2I3EN 20-29 years, female 9.6
GTEX-RWSA-0126-SM-2XCBB 40-49 years, male 9.6
GTEX-1GF9X-2026-SM-7PC3A 40-49 years, female 9.6
GTEX-1K2DU-2326-SM-E9TIV 20-29 years, male 9.6
GTEX-1QP9N-1426-SM-DTXFL 30-39 years, male 9.6
GTEX-12WSA-0226-SM-5BC5V 60-69 years, male 9.5
GTEX-139UW-2826-SM-5L3E7 60-69 years, male 9.5
GTEX-145MF-0626-SM-5LUAI 50-59 years, male 9.5
GTEX-147F3-0526-SM-5SI98 50-59 years, female 9.5
GTEX-1497J-2426-SM-7IGNX 60-69 years, male 9.5
GTEX-15F5U-1526-SM-6PANO 40-49 years, male 9.5
GTEX-QLQW-1126-SM-2S1Q8 30-39 years, male 9.5
GTEX-1C6VQ-0126-SM-7P8RI 50-59 years, male 9.5
GTEX-1F75A-0126-SM-7RHGM 50-59 years, male 9.5
GTEX-1IKOH-0226-SM-COH4E 60-69 years, female 9.5
GTEX-1R9K4-0126-SM-DTX9X 60-69 years, male 9.5
GTEX-15CHC-2126-SM-6EU21 60-69 years, female 9.4
GTEX-15D1Q-0126-SM-7KUG6 40-49 years, male 9.4
GTEX-15SHW-0326-SM-6PAML 60-69 years, male 9.4
GTEX-S7SE-0126-SM-2XCD5 50-59 years, male 9.4
GTEX-T6MN-0126-SM-32PLP 50-59 years, male 9.4
GTEX-WY7C-2326-SM-3NB2U 50-59 years, male 9.4
GTEX-1H23P-0126-SM-ADEJ3 60-69 years, male 9.4
GTEX-1HKZK-0326-SM-9WYUH 40-49 years, male 9.4
GTEX-1K9T9-0126-SM-EVYCF 50-59 years, female 9.4
GTEX-RVPV-0126-SM-EAZAW 60-69 years, male 9.4
GTEX-11O72-0126-SM-59887 40-49 years, male 9.3
GTEX-13RTL-0126-SM-7LG5S 40-49 years, male 9.3
GTEX-14A5H-0426-SM-5QGQF 60-69 years, male 9.3
GTEX-14PHW-0126-SM-6LLJI 60-69 years, female 9.3
GTEX-15DCD-0126-SM-7KUEK 70-79 years, female 9.3
GTEX-17HHY-0126-SM-7LG5D 50-59 years, male 9.3
GTEX-1A3MX-0126-SM-731BR 60-69 years, male 9.3
GTEX-O5YW-0126-SM-3LK6D 50-59 years, male 9.3
GTEX-OXRL-0126-SM-2YUMP 50-59 years, male 9.3
GTEX-QVJO-1626-SM-2S1QW 60-69 years, female 9.3
GTEX-W5WG-1826-SM-4KL2Y 50-59 years, female 9.3
GTEX-XBEW-0626-SM-4QASP 40-49 years, male 9.3
GTEX-ZQUD-1426-SM-57WER 30-39 years, male 9.3
GTEX-1F6IF-0726-SM-7P8TW 60-69 years, male 9.3
GTEX-1GN1V-0126-SM-9WPOS 60-69 years, male 9.3
GTEX-1MCYP-1926-SM-E9J2R 20-29 years, female 9.3
GTEX-1N2DW-0226-SM-E9TK2 50-59 years, male 9.3
GTEX-1QP67-1626-SM-EAZ3X 40-49 years, female 9.3
GTEX-11TTK-0126-SM-5987B 60-69 years, female 9.2
GTEX-11ZVC-2526-SM-5FQTE 50-59 years, female 9.2
GTEX-13111-1626-SM-5EGJY 50-59 years, male 9.2
GTEX-13SLW-0126-SM-5SI6C 70-79 years, male 9.2
GTEX-17MF6-0126-SM-7LG4F 40-49 years, male 9.2
GTEX-SUCS-1926-SM-32PM3 70-79 years, male 9.2
GTEX-1F52S-0126-SM-9MQJU 60-69 years, female 9.2
GTEX-1HSEH-0126-SM-ACKXN 60-69 years, male 9.2
GTEX-1KANC-1526-SM-D3LAB 50-59 years, female 9.2
GTEX-1LNCM-1126-SM-E9U5E 50-59 years, female 9.2
GTEX-11NSD-2226-SM-5986V 20-29 years, male 9.1
GTEX-11OC5-0126-SM-5HL6A 60-69 years, male 9.1
GTEX-13OVJ-0126-SM-5KM36 50-59 years, female 9.1
GTEX-1C4CL-0526-SM-73KVK 30-39 years, male 9.1
GTEX-OXRN-0126-SM-48TDM 50-59 years, male 9.1
GTEX-SN8G-0126-SM-32PLI 50-59 years, female 9.1
GTEX-U3ZH-2026-SM-3DB78 30-39 years, male 9.1
GTEX-WZTO-0126-SM-3NM95 40-49 years, male 9.1
GTEX-ZTPG-0326-SM-5O9AX 20-29 years, female 9.1
GTEX-1EKGG-0226-SM-9WYTH 60-69 years, male 9.1
GTEX-1GF9U-2126-SM-7SB7L 40-49 years, female 9.1
GTEX-1PFEY-1526-SM-E76PP 30-39 years, male 9.1
GTEX-1QCLY-0326-SM-E8VOG 30-39 years, male 9.1
GTEX-OOBJ-0126-SM-E6CJW 60-69 years, male 9.1
GTEX-117YW-2626-SM-5GZZH 50-59 years, male 9.0
GTEX-11XUK-2026-SM-5EQLF 40-49 years, female 9.0
GTEX-13O3Q-2426-SM-5IJBR 50-59 years, male 9.0
GTEX-13RTJ-2426-SM-5S2Q2 60-69 years, male 9.0
GTEX-13W3W-2426-SM-5LU5B 60-69 years, female 9.0
GTEX-1AMEY-1326-SM-73KYK 30-39 years, female 9.0
GTEX-Q2AG-0126-SM-33HBV 40-49 years, female 9.0
GTEX-QEG4-0226-SM-2S1PY 30-39 years, male 9.0
GTEX-UPJH-0326-SM-3GADU 50-59 years, male 9.0
GTEX-ZY6K-1826-SM-5GZXK 50-59 years, male 9.0
GTEX-1CAV2-2226-SM-7P8P2 40-49 years, female 9.0
GTEX-1EX96-1626-SM-7PBXR 50-59 years, male 9.0
GTEX-1MGNQ-0126-SM-EVYCJ 40-49 years, male 9.0
GTEX-1S5ZA-0126-SM-EVYCV 20-29 years, male 9.0
GTEX-11DXX-2426-SM-5GZZW 60-69 years, female 8.9
GTEX-11GSO-2426-SM-5A5LY 60-69 years, male 8.9
GTEX-13OVL-0226-SM-5L3E9 50-59 years, male 8.9
GTEX-145LV-2126-SM-5LU8N 50-59 years, male 8.9
GTEX-1CAMQ-0226-SM-7IGPK 40-49 years, male 8.9
GTEX-NPJ8-0126-SM-2YUNR 40-49 years, male 8.9
GTEX-WQUQ-0426-SM-3MJFU 60-69 years, male 8.9
GTEX-X5EB-2226-SM-46MW4 40-49 years, male 8.9
GTEX-Y5LM-1926-SM-5RQJH 40-49 years, female 8.9
GTEX-ZYFG-2326-SM-5E44B 60-69 years, female 8.9
GTEX-1JMPY-1326-SM-ARL8Y 30-39 years, male 8.9
GTEX-13FXS-0226-SM-5IJCK 50-59 years, male 8.8
GTEX-14XAO-2326-SM-6EU1B 60-69 years, female 8.8
GTEX-17HGU-0226-SM-7DHKV 50-59 years, male 8.8
GTEX-18A7B-0126-SM-7LG64 70-79 years, male 8.8
GTEX-PLZ4-0126-SM-5SI8O 50-59 years, female 8.8
GTEX-RN64-0126-SM-2TC68 50-59 years, male 8.8
GTEX-WXYG-2326-SM-4E3I6 50-59 years, female 8.8
GTEX-ZEX8-2426-SM-4WKG4 50-59 years, male 8.8
GTEX-ZVT2-2526-SM-51MT1 50-59 years, female 8.8
GTEX-13O3O-0126-SM-E9J49 60-69 years, female 8.8
GTEX-11DYG-0126-SM-59883 60-69 years, male 8.7
GTEX-13OW6-0426-SM-5L3HM 50-59 years, male 8.7
GTEX-146FQ-0126-SM-5NQA9 30-39 years, male 8.7
GTEX-1A3MW-0126-SM-73KXX 60-69 years, female 8.7
GTEX-O5YT-0126-SM-48TBW 20-29 years, male 8.7
GTEX-SSA3-0126-SM-32QPU 60-69 years, male 8.7
GTEX-TKQ1-1026-SM-4GICL 30-39 years, male 8.7
GTEX-WOFL-0126-SM-3MJG2 60-69 years, male 8.7
GTEX-YB5K-2126-SM-4WWDJ 40-49 years, female 8.7
GTEX-1HSMO-0126-SM-CL547 60-69 years, male 8.7
GTEX-1I1GV-0526-SM-A9G29 60-69 years, male 8.7
GTEX-1KANB-0526-SM-E6CJH 50-59 years, male 8.7
GTEX-131XG-2626-SM-5KM17 50-59 years, female 8.6
GTEX-13OVG-1926-SM-5L3DK 60-69 years, male 8.6
GTEX-1CB4J-0626-SM-7DHMP 60-69 years, male 8.6
GTEX-T2IS-0126-SM-4DM6O 20-29 years, female 8.6
GTEX-TSE9-0126-SM-3DB83 60-69 years, female 8.6
GTEX-U8XE-0326-SM-3DB8P 30-39 years, male 8.6
GTEX-X4XY-0226-SM-4E3IZ 60-69 years, male 8.6
GTEX-XMD2-0126-SM-4YCDU 60-69 years, female 8.6
GTEX-Y8LW-1826-SM-5S2MV 50-59 years, female 8.6
GTEX-169BO-1326-SM-9MQK2 50-59 years, male 8.6
GTEX-1HCU8-0626-SM-A9SM9 60-69 years, female 8.6
GTEX-1HR98-0126-SM-B2LWI 60-69 years, male 8.6
GTEX-1RLM8-2326-SM-EWRN4 50-59 years, male 8.6
GTEX-11NUK-0126-SM-5A5L3 50-59 years, male 8.5
GTEX-132NY-0326-SM-5IJBL 60-69 years, male 8.5
GTEX-13X6H-2126-SM-7EWD5 50-59 years, female 8.5
GTEX-18A67-0126-SM-7LG5P 50-59 years, male 8.5
GTEX-PLZ5-2026-SM-2S1O4 50-59 years, male 8.5
GTEX-13FH7-2026-SM-E9J4I 50-59 years, female 8.5
GTEX-1PWST-0226-SM-E76QJ 70-79 years, male 8.5
GTEX-ZF3C-0126-SM-DO92D 50-59 years, female 8.5
GTEX-11ZTS-0126-SM-5EQ6M 60-69 years, female 8.4
GTEX-13NZB-2526-SM-5J1OM 30-39 years, male 8.4
GTEX-Y111-0126-SM-4SOIV 50-59 years, male 8.4
GTEX-YB5E-2026-SM-5IFIS 40-49 years, male 8.4
GTEX-ZVTK-0426-SM-51MRS 20-29 years, male 8.4
GTEX-1F6I4-0126-SM-9MQL2 60-69 years, male 8.4
GTEX-14PJ3-1826-SM-62LEX 50-59 years, male 8.3
GTEX-15SB6-1726-SM-6PAME 50-59 years, female 8.3
GTEX-18D9B-0526-SM-7LTAS 60-69 years, male 8.3
GTEX-ZYW4-0126-SM-5E44A 60-69 years, male 8.3
GTEX-1H1DE-2126-SM-9WG6R 20-29 years, male 8.3
GTEX-1I1HK-0126-SM-COH49 60-69 years, male 8.3
GTEX-1NV5F-0226-SM-E8VNY 60-69 years, female 8.3
GTEX-1QAET-0926-SM-E76QM 50-59 years, male 8.3
GTEX-1128S-2326-SM-5GZZY 60-69 years, female 8.2
GTEX-13FHO-0226-SM-5IFGY 60-69 years, male 8.2
GTEX-15UKP-0426-SM-7KUFQ 20-29 years, male 8.2
GTEX-17EVQ-0226-SM-7LG4P 70-79 years, male 8.2
GTEX-18D9U-0226-SM-718BP 40-49 years, male 8.2
GTEX-R55E-0126-SM-2TC5Y 20-29 years, male 8.2
GTEX-U3ZM-1526-SM-3DB9D 40-49 years, male 8.2
GTEX-XYKS-2126-SM-4E3IB 60-69 years, female 8.2
GTEX-ZF28-0126-SM-4WKGK 60-69 years, male 8.2
GTEX-1C6WA-0126-SM-7PC2B 60-69 years, male 8.2
GTEX-1H1ZS-0426-SM-9WG6G 70-79 years, male 8.2
GTEX-1IKK5-0626-SM-ARL8A 60-69 years, male 8.2
GTEX-1IY9M-0126-SM-D3L8S 60-69 years, male 8.2
GTEX-1R9PO-2126-SM-E9J4O 60-69 years, female 8.2
GTEX-14JIY-0126-SM-6LLH6 60-69 years, male 8.1
GTEX-WI4N-1026-SM-3LK7N 40-49 years, female 8.1
GTEX-ZUA1-0126-SM-5GU76 40-49 years, male 8.1
GTEX-11GSP-2526-SM-5N9BP 60-69 years, female 8.0
GTEX-14BMU-2226-SM-5TDE9 20-29 years, female 8.0
GTEX-14E7W-0126-SM-6LLJ9 70-79 years, male 8.0
GTEX-PW2O-1526-SM-7RHHB 20-29 years, male 8.0
GTEX-13O21-1426-SM-5K7XI 50-59 years, male 7.9
GTEX-16XZY-2126-SM-79OK1 70-79 years, male 7.9
GTEX-Q2AH-1626-SM-3GAF8 40-49 years, male 7.9
GTEX-QLQ7-1626-SM-2S1R8 60-69 years, male 7.9
GTEX-XV7Q-2526-SM-4BRV9 40-49 years, female 7.9
GTEX-PWCY-1826-SM-DHXIZ 20-29 years, female 7.9
GTEX-13G51-2526-SM-5LZYK 60-69 years, male 7.8
GTEX-RM2N-1426-SM-2TF4H 50-59 years, male 7.8
GTEX-X4EP-0126-SM-3P5YV 60-69 years, female 7.8
GTEX-ZVZO-0126-SM-5A5L9 40-49 years, male 7.8
GTEX-1PPH8-0226-SM-E8VND 20-29 years, male 7.8
GTEX-11P7K-2126-SM-5GU7G 30-39 years, male 7.7
GTEX-1399U-2326-SM-5K7WY 50-59 years, female 7.7
GTEX-13FTW-2626-SM-5K7WL 40-49 years, male 7.7
GTEX-R55G-2526-SM-2TC6D 40-49 years, female 7.7
GTEX-X8HC-0126-SM-4E3JW 50-59 years, female 7.7
GTEX-Z93T-0126-SM-5HL5N 50-59 years, male 7.7
GTEX-ZVT3-0126-SM-5GU6I 60-69 years, female 7.7
GTEX-1OJC4-0126-SM-E9J2E 50-59 years, female 7.7
GTEX-12126-0326-SM-5PNW3 20-29 years, male 7.6
GTEX-13FTY-0526-SM-5L3EV 40-49 years, female 7.6
GTEX-147F4-0226-SM-5QGPW 50-59 years, male 7.6
GTEX-17F98-0626-SM-79OMX 40-49 years, female 7.6
GTEX-1AYD5-2426-SM-73KXR 50-59 years, male 7.6
GTEX-X88G-0126-SM-47JZ3 30-39 years, male 7.6
GTEX-15SDE-2226-SM-7IGLO 50-59 years, female 7.5
GTEX-ZYFC-0226-SM-5NQ75 50-59 years, male 7.5
GTEX-1CAMS-0426-SM-7P8T2 40-49 years, female 7.5
GTEX-1HCVE-0126-SM-CGQEU 50-59 years, male 7.5
GTEX-1ICG6-2526-SM-CGQFZ 70-79 years, female 7.5
GTEX-11EMC-2926-SM-5EQ4F 60-69 years, female 7.4
GTEX-11TT1-2526-SM-5EGIB 20-29 years, male 7.4
GTEX-139T4-0226-SM-5HL5S 50-59 years, female 7.4
GTEX-17F97-0326-SM-7LG5B 50-59 years, male 7.4
GTEX-RTLS-0126-SM-447CA 60-69 years, female 7.4
GTEX-XXEK-2226-SM-4BRUM 50-59 years, male 7.4
GTEX-12WSD-0126-SM-59HKN 60-69 years, female 7.3
GTEX-WH7G-2326-SM-3NMBC 40-49 years, male 7.3
GTEX-X4XX-0126-SM-3NMC2 60-69 years, male 7.3
GTEX-1HSMP-0126-SM-E6CJS 70-79 years, male 7.3
GTEX-S33H-1026-SM-EZ6L6 30-39 years, male 7.3
GTEX-1AX8Z-0126-SM-7DHM6 60-69 years, male 7.2
GTEX-SIU8-0126-SM-2XCDT 50-59 years, male 7.2
GTEX-ZAJG-0126-SM-5HL94 50-59 years, female 7.2
GTEX-RNOR-0126-SM-E9J4R 50-59 years, female 7.2
GTEX-144GN-2326-SM-5LU4F 50-59 years, male 7.1
GTEX-1AYCT-2426-SM-7IGQ3 50-59 years, male 7.1
GTEX-Y3IK-2426-SM-4WWDU 50-59 years, female 7.1
GTEX-ZAB4-0226-SM-5N9F5 40-49 years, male 7.1
GTEX-1I1GS-0126-SM-B2LVW 60-69 years, male 7.0
GTEX-1J8EW-0126-SM-CJI4F 60-69 years, female 7.0
GTEX-Y114-2426-SM-4TT8A 50-59 years, female 6.9
GTEX-Y3I4-2126-SM-4TT7C 50-59 years, male 6.8
GTEX-ZYY3-0126-SM-5GZY5 60-69 years, female 6.8
GTEX-1HBPM-0226-SM-ARL9F 60-69 years, female 6.8
GTEX-11UD1-0126-SM-5PNYG 40-49 years, female 6.7
GTEX-RU72-0926-SM-2TF6B 50-59 years, female 6.7
GTEX-RUSQ-1526-SM-2TF62 50-59 years, male 6.7
GTEX-12WSJ-1826-SM-5GCNY 40-49 years, female 6.6
GTEX-1GTWX-0126-SM-9YFLK 60-69 years, male 6.6
GTEX-TMZS-0126-SM-3DB9Q 60-69 years, male 6.5
GTEX-ZDXO-3026-SM-5J1N5 60-69 years, male 6.5
GTEX-14PK6-1926-SM-6ETZU 70-79 years, female 6.4
GTEX-QDT8-0126-SM-48TZ1 30-39 years, female 6.4
GTEX-ZXES-1826-SM-5E43S 30-39 years, female 6.4
GTEX-113IC-0126-SM-5HL6T 60-69 years, male 6.3
GTEX-U3ZN-2326-SM-3DB7W 30-39 years, female 6.3
GTEX-X638-0126-SM-47JZ8 70-79 years, female 6.3
GTEX-1JMLX-0226-SM-CM2RO 50-59 years, male 6.2
GTEX-Q2AI-1326-SM-2S1PL 40-49 years, male 6.1
GTEX-R45C-0126-SM-EAZ2R 60-69 years, female 6.1
GTEX-XUZC-1726-SM-4BRWS 30-39 years, female 6.0
GTEX-Y5V6-2426-SM-4VDSB 60-69 years, male 6.0
GTEX-W5X1-3026-SM-EAZAX 40-49 years, female 6.0
GTEX-16MT8-0426-SM-7KUEY 60-69 years, female 5.4
GTEX-Q734-1926-SM-2I5EV 40-49 years, female 5.0
Show allShow less

Contact

  • NEWS ARTICLES
  • PRESS ROOM

The Project

  • INTRODUCTION
  • ORGANIZATION
  • PUBLICATIONS

The Human Protein Atlas

  • DOWNLOADABLE DATA
  • LICENCE & CITATION
  • HELP & FAQ
The Human Protein Atlas project is funded
by the Knut & Alice Wallenberg Foundation.


contact@proteinatlas.org