We use cookies to enhance the usability of our website. If you continue, we'll assume that you are happy to receive all cookies. More information. Don't show this again.
CRIP2
HPA
RESOURCES
  • TISSUE
  • BRAIN
  • SINGLE CELL
  • SUBCELLULAR
  • CANCER
  • BLOOD
  • CELL LINE
  • STRUCTURE & INTERACTION
ABOUT
  • INTRODUCTION
  • HISTORY
  • ORGANIZATION
  • PUBLICATIONS
  • ANTIBODY SUBMISSION
  • ANTIBODY AVAILABILITY
  • ACKNOWLEDGMENTS
  • CONTACT
NEWS
  • NEWS ARTICLES
  • PRESS ROOM
LEARN
  • DICTIONARY
  • PROTEIN CLASSES
  • PROTEIN EVIDENCE
  • METHODS
  • EDUCATIONAL VIDEOS
DATA
  • DOWNLOADABLE DATA
  • PUBLICATION DATA
  • RELEASE HISTORY
HELP
  • ANTIBODY VALIDATION
  • ASSAYS & ANNOTATION
  • DISCLAIMER
  • HELP & FAQ
  • PRIVACY STATEMENT
  • LICENCE & CITATION
Fields »
Search result

Field
Term
Gene name
Class
Subclass
Class
Keyword
Chromosome
External id
Tissue
Cell type
Expression
Antibody panel
Tissue
Main location
Patient ID
Annotation
Tissue
Category
Tau score
Cluster
Reliability
Brain region
Category
Tau score
Brain region
Category
Tau score
Brain region
Category
Tau score
Cluster
Reliability
Tissue
Cell type
Enrichment
Cell type
Category
Tau score
Cell type
Category
Tau score
Cell type
Category
Tau score
Cell lineage
Category
Tau score
Cluster
Cluster
Location
Searches
Location
Cell line
Class
Type
Phase
Reliability
Cancer
Prognosis
Cancer
Category
Cancer
Category
Tau score
Cluster
Variants
Interacting gene (ensg_id)
Type
Number of interactions
Pathway
Category
Score
Score
Score
Validation
Validation
Validation
Validation
Antibodies
Data type
Column


  • SUMMARY

  • TISSUE

  • BRAIN

  • SINGLE CELL

  • SUBCELL

  • CANCER

  • BLOOD

  • CELL LINE

  • STRUCT & INT

  • CRIP2
TISSUE PRIMARY DATA HEART MUSCLE Show tissue menu
ADIPOSE TISSUE ADRENAL GLAND AMYGDALA APPENDIX BASAL GANGLIA BONE MARROW BREAST BRONCHUS CEREBELLUM CEREBRAL CORTEX CERVIX CHOROID PLEXUS COLON DUODENUM
ENDOMETRIUM EPIDIDYMIS ESOPHAGUS FALLOPIAN TUBE GALLBLADDER HEART MUSCLE HIPPOCAMPAL FORMATION HYPOTHALAMUS KIDNEY LIVER LUNG LYMPH NODE MIDBRAIN NASOPHARYNX
ORAL MUCOSA OVARY PANCREAS PARATHYROID GLAND PITUITARY GLAND PLACENTA PROSTATE RECTUM RETINA SALIVARY GLAND SEMINAL VESICLE SKELETAL MUSCLE SKIN SMALL INTESTINE
SMOOTH MUSCLE SOFT TISSUE SPINAL CORD SPLEEN STOMACH TESTIS THYMUS THYROID GLAND TONGUE TONSIL URINARY BLADDER VAGINA
ANTIBODIES
AND
VALIDATION
Dictionary
Heart muscle
Tissue proteome
Heart
HEART MUSCLE - Expression summary
Protein expression
Heart musclei

On the top, protein expression in current human tissue, based on all annotated cell types, is reported with the units not detected (n), low (l), medium (m) and high (h). Underneath, protein expression in each annotated cell type are reported using the same units.

Protein expression data is based on knowledge-based annotation. For genes where more than one antibody has been used, a collective score is set.

If knowledge-based annotation could not be performed for a gene, no data is displayed here. View antibody staining data further down this page.

h
m
l
n
Cardiomyocytes: Not detected
RNA expressioni

A summary of mRNA expression data available for current tissue based on several datasets. The mRNA expression levels in human tissues are based on RNA-seq data generated by the Human Protein Atlas (HPA), Genotype-Tissue Expression (GTEx) portal and CAGE data generated by the FANTOM5 consortium. Consensus normalized expression levels for human tissues was created by combining the data from HPA and GTEx datasets.

The mRNA expression levels in pig are based on RNA-seq data generated by the Human Protein Atlas (HPA), and for mouse, HPA data and in situ hybridization generated by the Allen brain atlas are reported.

Scroll down to view mRNA expression data in more detail.
Consensus:1078.5 nTPM
HPA:572.1 nTPM
GTEx:1078.5 nTPM
FANTOM5:504.5 Scaled Tags Per Million

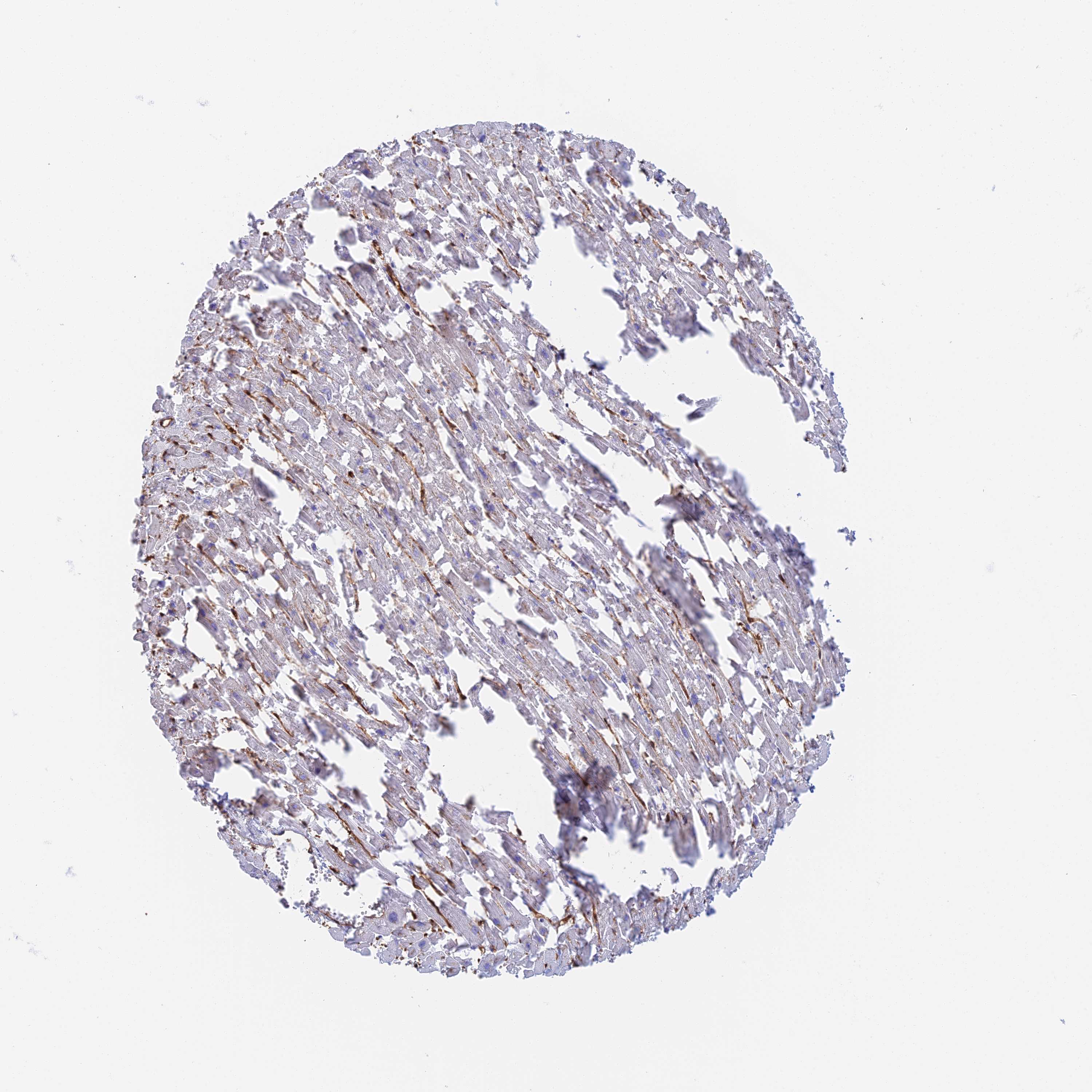
HEART MUSCLE - Antibody stainingi

Antibody staining in the annotated cell types in the current human tissue is reported as not detected, low, medium, or high, based on conventional immunohistochemistry profiling in selected tissues. This score is based on the combination of the staining intensity and fraction of stained cells.

Each image is clickable and will lead to virtual microscopy that enables deeper exploration of all samples and also displays staining intensity scores, fraction scores and subcellular localization as well as patient and tissue information for each sample.

Antibody HPA042664
Cardiomyocytes Not detected


HEART MUSCLE - HPA RNA-seqi

The RNA-seq details section shows detailed information about the individual samples used for the transcript profiling and results of the RNA-seq analysis.

Information about each individual sample is listed below, including gender, age, a tissue section image and estimated fractions of cell types. nTPM (normalized transcripts per million) values give a quantification of the gene abundance which is comparable between different genes and samples.
Average nTPMi

Max subtype nTPM is the value for the subtype with the largest average nTPM across the subtype samples.

572.1
overview
Female, age 48
Heart muscle sample 149
nTPM: 734.3
Cell types%
Myocytes:
15

Fibroblasts:
55

Endothelial cells:
25

Other cell types:
5

overview
Female, age 42
Heart muscle sample 150
nTPM: 429.6
Cell types%
Myocytes:
20

Fibroblasts:
45

Endothelial cells:
30

Other cell types:
5

overview
Male, age 53
Heart muscle sample 151
nTPM: 481.2
Cell types%
Myocytes:
20

Fibroblasts:
45

Endothelial cells:
30

Other cell types:
5

overview
Female, age 69
Heart muscle sample 152
nTPM: 643.2
Cell types%
Myocytes:
20

Fibroblasts:
45

Endothelial cells:
30

Other cell types:
5


HEART MUSCLE - GTEx RNA-seqi

RNA-Seq data generated by the Genotype-Tissue Expression (GTEx) project from human tissues is reported as mean nTPM. More information can be found on the GTEx portal.

Distribution across the dataset is visualized with box plots, shown as median and 25th and 75th percentiles. Points are displayed as outliers if they are above or below 1.5 times the interquartile range. nTPM values of the individual samples are presented next to the box plot.
Max subtype nTPMi

Max subtype nTPM is the value for the subtype with the largest average nTPM across the subtype samples.

1078.5
GTEx sample id Sample description nTPM
Heart - Atrial Appendage
Average nTPM: 1048.9
Samples: 429

Max nTPM: 5104.5
Min nTPM: 265.1
Std nTPM: 421.9
Median nTPM: 991.7
GTEX-14PJM-0826-SM-6LLIW 50-59 years, female 5104.5
GTEX-ZE7O-0626-SM-57WCD 50-59 years, female 2536.0
GTEX-ZDTS-1226-SM-4WKGL 60-69 years, male 2498.4
GTEX-ZYFC-1026-SM-5GZX9 50-59 years, male 2453.7
GTEX-144GL-1026-SM-5O99R 50-59 years, male 2092.3
GTEX-14JG1-0826-SM-5ZZWR 40-49 years, male 2087.6
GTEX-16YQH-0726-SM-7IGM1 30-39 years, male 2062.0
GTEX-12WSC-1026-SM-5EQ5Y 50-59 years, male 2005.8
GTEX-1EH9U-0626-SM-7PC33 60-69 years, male 1990.2
GTEX-12WSI-0426-SM-5EQ5J 50-59 years, male 1880.0
GTEX-ZYVF-1826-SM-5E44F 50-59 years, female 1855.9
GTEX-117XS-0726-SM-5H131 60-69 years, male 1845.0
GTEX-XOT4-1126-SM-4B66E 60-69 years, female 1833.7
GTEX-ZZPT-0926-SM-5GICZ 50-59 years, male 1818.6
GTEX-14BIM-2726-SM-5Q5EG 60-69 years, female 1802.6
GTEX-ZVT3-0826-SM-5GIC8 60-69 years, female 1799.1
GTEX-1399T-0726-SM-5J1MH 60-69 years, male 1792.6
GTEX-12WSE-0926-SM-5S2VX 20-29 years, male 1770.3
GTEX-XQ3S-0526-SM-4BOQA 20-29 years, male 1757.8
GTEX-1F75A-1026-SM-7PC3W 50-59 years, male 1740.2
GTEX-14C5O-1226-SM-664N3 60-69 years, male 1731.9
GTEX-13OW7-1626-SM-5IJDH 50-59 years, male 1720.8
GTEX-13PVQ-1326-SM-5LU4J 50-59 years, male 1711.2
GTEX-14PJ2-1126-SM-69LOD 50-59 years, male 1709.7
GTEX-1GF9U-0526-SM-7P8SK 40-49 years, female 1683.4
GTEX-1IY9M-0626-SM-D4P2L 60-69 years, male 1670.7
GTEX-1KANB-1126-SM-DHXJT 50-59 years, male 1648.2
GTEX-13PDP-1326-SM-5K7U9 60-69 years, male 1638.2
GTEX-1GF9V-1726-SM-9KNW4 60-69 years, male 1629.2
GTEX-18465-0726-SM-7LG4L 50-59 years, male 1624.5
GTEX-13D11-1526-SM-5J2NA 50-59 years, female 1611.4
GTEX-1JJEA-0926-SM-CYPSO 60-69 years, male 1608.5
GTEX-13FXS-1026-SM-62LFQ 50-59 years, male 1605.3
GTEX-1HT8W-1326-SM-CGQEN 30-39 years, male 1604.2
GTEX-11ZUS-0326-SM-5EQ4W 30-39 years, male 1594.0
GTEX-1GN73-2326-SM-9MQKV 60-69 years, male 1590.1
GTEX-YEC4-0226-SM-4W1YG 40-49 years, male 1581.8
GTEX-1I1GP-0626-SM-ARL7H 50-59 years, male 1579.8
GTEX-111FC-0626-SM-5N9CU 60-69 years, male 1575.9
GTEX-13CF2-0226-SM-5L3DV 60-69 years, male 1572.5
GTEX-ZDXO-0426-SM-4WKF6 60-69 years, male 1571.4
GTEX-11O72-1026-SM-5986B 40-49 years, male 1570.2
GTEX-1I1GV-1426-SM-B2LXN 60-69 years, male 1569.5
GTEX-1E1VI-1426-SM-793CY 50-59 years, male 1527.6
GTEX-1399R-1726-SM-5K7YJ 30-39 years, male 1527.1
GTEX-13FHP-0826-SM-5K7V5 50-59 years, male 1522.3
GTEX-Y114-0126-SM-4TT8K 50-59 years, female 1515.4
GTEX-1GN1U-1426-SM-7P8TF 50-59 years, female 1502.2
GTEX-1IDJH-1126-SM-COH3R 70-79 years, male 1498.1
GTEX-147JS-1326-SM-5SI6D 60-69 years, male 1497.8
GTEX-1HR98-1026-SM-CKZOM 60-69 years, male 1495.7
GTEX-1A32A-1326-SM-73KWW 50-59 years, female 1481.0
GTEX-YFC4-0426-SM-4TT3J 40-49 years, female 1478.6
GTEX-YECK-1226-SM-4W21G 60-69 years, male 1456.0
GTEX-14BMV-1026-SM-5SI6B 50-59 years, male 1455.0
GTEX-1BAJH-1026-SM-7EWEG 70-79 years, male 1451.2
GTEX-1I1GQ-1226-SM-CL55J 50-59 years, male 1450.0
GTEX-11DYG-1026-SM-5A5JQ 60-69 years, male 1444.5
GTEX-1GZ4I-0826-SM-9WG6O 50-59 years, male 1442.9
GTEX-14ASI-0826-SM-5Q5EB 60-69 years, male 1437.4
GTEX-ZYT6-0926-SM-5GIEM 30-39 years, male 1433.7
GTEX-13NZB-0426-SM-5KM26 30-39 years, male 1433.5
GTEX-12ZZX-0726-SM-5EGKA 40-49 years, female 1433.1
GTEX-1PPGY-0926-SM-DTXFF 60-69 years, male 1433.1
GTEX-WK11-0626-SM-3NMAV 50-59 years, male 1431.5
GTEX-111VG-0326-SM-5GZX7 60-69 years, male 1427.7
GTEX-ZAK1-1126-SM-5PNXU 50-59 years, female 1426.3
GTEX-XBEC-1226-SM-4AT65 50-59 years, male 1420.9
GTEX-13JVG-1126-SM-5KM2M 60-69 years, male 1415.3
GTEX-ZF3C-1126-SM-57WEG 50-59 years, female 1413.7
GTEX-1J8EW-0626-SM-CM2TY 60-69 years, female 1410.8
GTEX-13W3W-0526-SM-5LU3X 60-69 years, female 1409.4
GTEX-V1D1-0626-SM-4JBHN 50-59 years, male 1408.3
GTEX-131XG-0526-SM-5DUWF 50-59 years, female 1404.2
GTEX-1AX9K-0426-SM-73KUG 50-59 years, male 1393.9
GTEX-11NV4-0826-SM-5BC4S 60-69 years, male 1382.6
GTEX-145MN-0726-SM-5NQBH 30-39 years, male 1379.6
GTEX-11GS4-0426-SM-5N9CD 60-69 years, male 1379.5
GTEX-13112-0526-SM-5EQ4S 50-59 years, male 1373.8
GTEX-ZTPG-1326-SM-51MSQ 20-29 years, female 1366.0
GTEX-1CB4J-0226-SM-7P8T4 60-69 years, male 1365.9
GTEX-13SLW-0826-SM-5QGP7 70-79 years, male 1365.0
GTEX-11NUK-0926-SM-5HL57 50-59 years, male 1359.3
GTEX-1P4AB-0926-SM-E76PV 50-59 years, male 1358.2
GTEX-1399S-0826-SM-5KM23 30-39 years, female 1351.3
GTEX-ZLFU-0326-SM-4WWBK 40-49 years, male 1343.8
GTEX-1LB8K-0926-SM-D4P42 50-59 years, male 1341.5
GTEX-13OW6-0926-SM-5L3GM 50-59 years, male 1338.9
GTEX-13QBU-0226-SM-5LU48 40-49 years, female 1334.8
GTEX-X3Y1-0226-SM-3P5Z5 40-49 years, male 1334.1
GTEX-14PK6-0726-SM-6LLIX 70-79 years, female 1330.8
GTEX-14PN4-0826-SM-69LON 50-59 years, male 1329.3
GTEX-WL46-0726-SM-3LK5Z 50-59 years, male 1328.6
GTEX-1HFI7-0526-SM-A9SMA 50-59 years, female 1328.1
GTEX-1J1OQ-2226-SM-A96SS 40-49 years, female 1327.4
GTEX-13RTJ-0526-SM-62LDP 60-69 years, male 1321.9
GTEX-1C2JI-0626-SM-7DHM1 50-59 years, male 1321.4
GTEX-11EMC-0826-SM-59862 60-69 years, female 1320.0
GTEX-1CB4G-0726-SM-79OOJ 60-69 years, male 1319.8
GTEX-11DXY-1026-SM-5987V 60-69 years, male 1317.9
GTEX-1HBPH-0226-SM-9WYSM 40-49 years, female 1306.6
GTEX-13O3O-1426-SM-5KM2S 60-69 years, female 1303.9
GTEX-1QEPI-1126-SM-E8VN7 60-69 years, female 1301.4
GTEX-1A8G6-1826-SM-73KY8 60-69 years, male 1300.2
GTEX-1I1GR-1026-SM-A9SLC 60-69 years, male 1295.2
GTEX-12WSD-1226-SM-5HL9Q 60-69 years, female 1294.2
GTEX-17F96-0826-SM-7DHLU 70-79 years, male 1289.1
GTEX-146FH-1126-SM-5NQAT 50-59 years, female 1285.3
GTEX-1MJIX-0426-SM-DTXEN 40-49 years, male 1274.6
GTEX-VJWN-1026-SM-4M1ZN 50-59 years, female 1265.5
GTEX-148VJ-1426-SM-5TDE3 70-79 years, male 1259.2
GTEX-13PVR-0926-SM-5S2RB 60-69 years, female 1254.0
GTEX-Z93S-0326-SM-5HL84 50-59 years, male 1249.5
GTEX-1OFPY-0926-SM-DTX8Q 60-69 years, male 1249.3
GTEX-1F88F-0326-SM-9KNV3 60-69 years, female 1248.7
GTEX-WWYW-1126-SM-3NB2Q 50-59 years, female 1247.9
GTEX-1EU9M-1926-SM-7RHH4 60-69 years, male 1247.6
GTEX-1J8Q2-1026-SM-ARU8I 60-69 years, male 1238.3
GTEX-13VXT-0726-SM-5SIAD 20-29 years, female 1234.5
GTEX-18A7A-1226-SM-7LTAJ 50-59 years, female 1234.2
GTEX-X4EP-0326-SM-3P5Z6 60-69 years, female 1234.1
GTEX-17F9Y-1226-SM-7EPGE 70-79 years, female 1233.6
GTEX-XGQ4-0526-SM-4AT6C 50-59 years, male 1232.6
GTEX-132NY-1426-SM-5J1MJ 60-69 years, male 1231.0
GTEX-1122O-0626-SM-5N9B9 60-69 years, female 1230.0
GTEX-WHSE-0826-SM-4SOJU 20-29 years, male 1222.6
GTEX-ZDYS-0326-SM-5HL4W 50-59 years, male 1215.8
GTEX-WYBS-1226-SM-3NM9N 60-69 years, female 1213.0
GTEX-1GMR8-1026-SM-9MQLA 50-59 years, female 1207.7
GTEX-1KXAM-1426-SM-D3LAC 60-69 years, male 1206.7
GTEX-18A6Q-1526-SM-731CO 60-69 years, male 1205.9
GTEX-13SLX-0926-SM-5S2NM 50-59 years, female 1205.7
GTEX-1B933-0826-SM-79OMW 50-59 years, female 1202.0
GTEX-1E2YA-0626-SM-7P8P4 50-59 years, male 1200.8
GTEX-1445S-1226-SM-5O9BF 60-69 years, male 1200.2
GTEX-1HSKV-0726-SM-ACKWE 60-69 years, male 1199.1
GTEX-13X6K-1726-SM-7IGLG 60-69 years, female 1194.5
GTEX-1399U-0726-SM-5KM1D 50-59 years, female 1190.7
GTEX-15CHQ-1326-SM-6871Z 60-69 years, male 1190.1
GTEX-1CAMS-1126-SM-7MXUQ 40-49 years, female 1189.8
GTEX-1IKJJ-0626-SM-CY8GF 60-69 years, male 1185.7
GTEX-17JCI-0826-SM-7LT8W 60-69 years, female 1181.6
GTEX-1HC8U-0626-SM-B2LWB 40-49 years, female 1176.1
GTEX-1AX9J-0926-SM-73KXA 60-69 years, male 1168.4
GTEX-1GN2E-1426-SM-7RHHI 60-69 years, male 1168.4
GTEX-1EWIQ-1126-SM-7EPIK 70-79 years, female 1166.2
GTEX-1RLM8-0226-SM-E6CJY 50-59 years, male 1162.1
GTEX-1477Z-1126-SM-5P9GK 60-69 years, male 1151.9
GTEX-16NPX-0826-SM-6M489 50-59 years, male 1147.7
GTEX-1POEN-0726-SM-DTXDU 30-39 years, female 1142.5
GTEX-1313W-1126-SM-5EQ5U 50-59 years, female 1142.0
GTEX-1CAMQ-0726-SM-7P8SG 40-49 years, male 1139.9
GTEX-13NZA-0826-SM-5K7WS 60-69 years, male 1138.6
GTEX-1QP6S-1026-SM-DTXFW 40-49 years, male 1135.1
GTEX-1LGOU-0326-SM-D3LAM 20-29 years, female 1134.7
GTEX-ZVZQ-0726-SM-51MR3 60-69 years, female 1131.1
GTEX-183WM-0926-SM-718AN 70-79 years, female 1130.9
GTEX-13N1W-0926-SM-5MR36 70-79 years, male 1130.7
GTEX-WH7G-0326-SM-3NMBH 40-49 years, male 1121.2
GTEX-1QPFJ-0926-SM-EVR3K 30-39 years, female 1120.2
GTEX-1HSGN-0926-SM-CNNQM 40-49 years, female 1114.1
GTEX-147F4-1126-SM-5TDDE 50-59 years, male 1111.3
GTEX-XPVG-0726-SM-4B658 50-59 years, male 1107.3
GTEX-13OW5-0926-SM-5L3GZ 60-69 years, male 1105.0
GTEX-11LCK-0826-SM-5PNYD 30-39 years, male 1104.3
GTEX-12WSA-1126-SM-5EGKU 60-69 years, male 1103.5
GTEX-Y3I4-0526-SM-4TT6X 50-59 years, male 1103.3
GTEX-13FH7-0826-SM-5J2NW 50-59 years, female 1101.7
GTEX-YB5K-0226-SM-5IFJE 40-49 years, female 1101.6
GTEX-13O3P-1426-SM-5L3DT 50-59 years, male 1098.7
GTEX-1MJK2-1626-SM-EVYCQ 50-59 years, male 1097.3
GTEX-131YS-0826-SM-5PNYV 60-69 years, female 1096.0
GTEX-WRHU-1026-SM-4E3ID 50-59 years, female 1086.5
GTEX-11EQ8-1326-SM-5EGJQ 60-69 years, male 1086.4
GTEX-XLM4-2026-SM-4AT4X 60-69 years, male 1086.4
GTEX-17GQL-0626-SM-731CN 60-69 years, male 1082.3
GTEX-13NYB-0326-SM-5IJDP 40-49 years, male 1080.2
GTEX-11UD2-0926-SM-5CVL6 50-59 years, male 1078.8
GTEX-ZF29-0426-SM-4WKFN 60-69 years, female 1077.1
GTEX-145LV-0226-SM-5S2QG 50-59 years, male 1076.3
GTEX-1LSNM-0426-SM-E9TIZ 50-59 years, male 1067.0
GTEX-1EMGI-1126-SM-9KNUF 60-69 years, male 1063.5
GTEX-117YW-0426-SM-5GZZZ 50-59 years, male 1062.5
GTEX-13FHO-1226-SM-5L3EF 60-69 years, male 1060.9
GTEX-15DCE-0826-SM-7KULW 20-29 years, male 1058.9
GTEX-1KANC-0226-SM-E9TIW 50-59 years, female 1058.4
GTEX-11P81-0526-SM-59873 30-39 years, female 1054.9
GTEX-139YR-0526-SM-5L3DG 50-59 years, male 1046.8
GTEX-1C64N-0826-SM-7RHGQ 50-59 years, male 1046.5
GTEX-ZUA1-0726-SM-4YCD9 40-49 years, male 1044.6
GTEX-ZYFG-0526-SM-5GZXX 60-69 years, female 1040.9
GTEX-14PN3-0726-SM-6EU14 60-69 years, female 1040.8
GTEX-V955-0826-SM-CYPR5 60-69 years, male 1030.1
GTEX-13O61-0426-SM-5L3ET 60-69 years, male 1027.7
GTEX-1QMI2-1026-SM-DTX7T 60-69 years, male 1023.9
GTEX-1R9JW-0426-SM-E76QL 30-39 years, female 1023.3
GTEX-11EM3-0426-SM-5N9BZ 20-29 years, female 1022.7
GTEX-XQ8I-0226-SM-4BOPM 50-59 years, male 1020.3
GTEX-12ZZY-1226-SM-5GCNK 60-69 years, male 1018.8
GTEX-1LVAN-1526-SM-CNPQN 50-59 years, female 1016.2
GTEX-ZGAY-0226-SM-4WWAL 40-49 years, female 1016.0
GTEX-ZYFD-2026-SM-5E459 50-59 years, male 1015.3
GTEX-14H4A-0426-SM-5ZZWO 40-49 years, female 1015.0
GTEX-13U4I-0626-SM-5LU5L 40-49 years, female 1011.8
GTEX-111YS-0326-SM-5GZZ3 60-69 years, male 1010.2
GTEX-ZF2S-0826-SM-4WWBI 50-59 years, female 1006.8
GTEX-13X6J-1226-SM-79OMF 50-59 years, male 1005.7
GTEX-1LVAO-0626-SM-EWRNT 60-69 years, male 1003.7
GTEX-U8XE-0926-SM-3DB8V 30-39 years, male 1001.2
GTEX-WHPG-1026-SM-3NMBA 50-59 years, male 1000.7
GTEX-1GMR3-0426-SM-7PC17 40-49 years, male 1000.3
GTEX-14DAQ-1026-SM-793B1 60-69 years, female 999.4
GTEX-14PHX-0626-SM-5YY8Z 50-59 years, male 998.7
GTEX-1212Z-0726-SM-5EGI5 60-69 years, male 997.9
GTEX-1AX8Z-1126-SM-731CS 60-69 years, male 991.7
GTEX-13PL7-0726-SM-5KM1S 60-69 years, female 988.7
GTEX-131XF-0426-SM-5HL7U 60-69 years, male 982.6
GTEX-14E1K-0826-SM-5ZZW9 50-59 years, male 981.5
GTEX-X4XX-1126-SM-3NMBY 60-69 years, male 981.3
GTEX-17KNJ-0626-SM-7LT9L 50-59 years, male 976.7
GTEX-12WSG-1226-SM-5EQ4C 50-59 years, female 971.9
GTEX-W5X1-0826-SM-3GILN 40-49 years, female 968.0
GTEX-14A6H-0326-SM-5NQAN 30-39 years, male 965.3
GTEX-YJ8O-0826-SM-5CVM3 40-49 years, female 964.6
GTEX-1C64O-0926-SM-79OLN 60-69 years, male 962.3
GTEX-145LS-1326-SM-5Q5EP 60-69 years, female 960.6
GTEX-1EX96-2626-SM-9MQJV 50-59 years, male 960.6
GTEX-15RIE-1326-SM-6PAMM 60-69 years, male 958.9
GTEX-1B996-1026-SM-793CF 60-69 years, male 957.8
GTEX-XYKS-0226-SM-4BRW3 60-69 years, female 956.8
GTEX-13FTW-0826-SM-5K7XR 40-49 years, male 954.5
GTEX-1QP29-1426-SM-DTX9Q 50-59 years, male 942.1
GTEX-15ER7-0826-SM-6PALW 20-29 years, female 937.6
GTEX-WEY5-0226-SM-3GIKN 40-49 years, female 937.1
GTEX-132QS-0526-SM-5IJC7 60-69 years, male 936.2
GTEX-146FR-0926-SM-5QGPE 60-69 years, female 933.1
GTEX-ZZPU-1126-SM-5N9CW 50-59 years, female 932.3
GTEX-17F9E-0726-SM-793A1 50-59 years, male 929.5
GTEX-1GZ2Q-0926-SM-7RHHN 40-49 years, male 929.1
GTEX-14PJ6-0626-SM-686Z6 60-69 years, female 928.8
GTEX-1ICG6-0726-SM-B2LY5 70-79 years, female 928.3
GTEX-1QCLZ-1126-SM-EWRNB 60-69 years, female 926.9
GTEX-1B932-1326-SM-79OM4 40-49 years, female 926.5
GTEX-ZVT2-0926-SM-5GICE 50-59 years, female 923.6
GTEX-1NSGN-1226-SM-E76OL 50-59 years, male 920.4
GTEX-1GL5R-0426-SM-9WPOP 50-59 years, male 919.1
GTEX-11DXX-0526-SM-5PNVR 60-69 years, female 918.3
GTEX-1LH75-0526-SM-DIPG2 50-59 years, female 916.3
GTEX-12696-1226-SM-5FQSM 60-69 years, male 912.9
GTEX-X62O-0826-SM-46MW8 50-59 years, male 912.8
GTEX-1K2DU-0226-SM-DIPF6 20-29 years, male 911.9
GTEX-Y5V5-0726-SM-4VBPY 60-69 years, female 906.1
GTEX-1339X-0326-SM-5K7Z8 40-49 years, male 902.5
GTEX-1IDJU-0626-SM-CKZOG 60-69 years, female 902.3
GTEX-ZPIC-0426-SM-DO91V 40-49 years, female 901.4
GTEX-13O1R-0926-SM-5L3DS 60-69 years, male 899.5
GTEX-1R7EV-0426-SM-DTX7Z 40-49 years, male 899.5
GTEX-13OVG-0426-SM-5KM2T 60-69 years, male 895.1
GTEX-11GSP-1226-SM-5985M 60-69 years, female 893.0
GTEX-UPK5-0226-SM-3GAEV 40-49 years, male 891.2
GTEX-1B97J-0326-SM-7939H 50-59 years, female 890.3
GTEX-1JJ6O-2226-SM-AHZ3I 60-69 years, male 888.3
GTEX-ZPU1-0726-SM-5HL6O 40-49 years, male 887.9
GTEX-1NHNU-0626-SM-E6CP1 50-59 years, male 886.1
GTEX-1I1HK-0626-SM-CNPQM 60-69 years, male 882.3
GTEX-WHWD-0326-SM-3LK6L 50-59 years, male 881.8
GTEX-1GMRU-1326-SM-9WYUI 50-59 years, male 881.6
GTEX-15CHC-0326-SM-5ZZVP 60-69 years, female 880.5
GTEX-1CB4H-0626-SM-7IGN3 60-69 years, female 872.7
GTEX-1B8KE-0326-SM-73KTY 50-59 years, male 871.4
GTEX-15EU6-1326-SM-6PANG 50-59 years, male 871.0
GTEX-15SHU-0926-SM-6PAMK 40-49 years, female 866.0
GTEX-13YAN-1426-SM-7EPG8 60-69 years, male 865.4
GTEX-1HBPN-0926-SM-CGQEG 50-59 years, male 858.1
GTEX-1AYCT-0526-SM-7RHHS 50-59 years, male 857.3
GTEX-1B8L1-0426-SM-7SB76 60-69 years, male 856.5
GTEX-WY7C-1126-SM-3NB3A 50-59 years, male 855.6
GTEX-1H3NZ-1026-SM-A9SM5 60-69 years, male 855.6
GTEX-1F75I-1326-SM-7PBZX 40-49 years, male 850.8
GTEX-1H11D-1026-SM-9QEIU 40-49 years, male 850.6
GTEX-15SHV-0526-SM-7KUEN 60-69 years, male 850.1
GTEX-ZT9W-0526-SM-57WFG 50-59 years, male 850.1
GTEX-1192W-0226-SM-5EGGT 60-69 years, male 849.5
GTEX-YF7O-0526-SM-5P9IO 50-59 years, male 847.9
GTEX-12BJ1-0326-SM-5FQUB 60-69 years, male 846.5
GTEX-132Q8-1126-SM-5K7XS 60-69 years, male 845.5
GTEX-YEC3-0426-SM-CYPS8 50-59 years, male 838.9
GTEX-XPT6-0226-SM-4B65L 20-29 years, male 837.9
GTEX-18D9U-1426-SM-718BO 40-49 years, male 835.7
GTEX-1192X-0726-SM-5987R 50-59 years, male 833.7
GTEX-1H1DG-0826-SM-9QEIW 70-79 years, male 833.7
GTEX-13JUV-0226-SM-5IJCC 40-49 years, female 832.5
GTEX-1JN6P-0826-SM-ARL97 60-69 years, male 831.8
GTEX-13O21-0326-SM-5J1N9 50-59 years, male 830.2
GTEX-XV7Q-0726-SM-4BRV6 40-49 years, female 819.9
GTEX-1MCC2-0226-SM-EVYD5 30-39 years, female 818.3
GTEX-Y3IK-1026-SM-51MR7 50-59 years, female 815.2
GTEX-1JK1U-0626-SM-CKZOJ 60-69 years, male 813.2
GTEX-13NYS-1926-SM-5IJCB 60-69 years, male 812.6
GTEX-16XZY-0526-SM-7DHKY 70-79 years, male 809.5
GTEX-1IKK5-1726-SM-CM2RU 60-69 years, male 809.4
GTEX-1AX9I-1026-SM-73KYF 60-69 years, male 804.8
GTEX-12WSK-0526-SM-5CVNA 40-49 years, female 800.4
GTEX-WFG7-0826-SM-3GIKU 20-29 years, male 799.3
GTEX-14PJO-0826-SM-6ETZK 60-69 years, male 798.6
GTEX-ZEX8-0326-SM-DO92C 50-59 years, male 797.6
GTEX-ZDTT-0326-SM-4WKF9 60-69 years, male 796.9
GTEX-132AR-1926-SM-5EGK5 50-59 years, female 794.2
GTEX-13N11-0726-SM-5L3DP 50-59 years, female 791.1
GTEX-1211K-0226-SM-59HJY 60-69 years, female 789.0
GTEX-14A5I-1026-SM-5Q5E3 50-59 years, female 788.5
GTEX-WOFL-1226-SM-4OOST 60-69 years, male 784.4
GTEX-1GN1V-1026-SM-CNPPS 60-69 years, male 783.1
GTEX-13NZ9-0126-SM-5K7XV 50-59 years, male 782.0
GTEX-11ZTT-0526-SM-5EQLA 60-69 years, female 778.7
GTEX-11ONC-1026-SM-5GU64 60-69 years, male 778.5
GTEX-VUSG-0726-SM-3GIK1 50-59 years, male 777.6
GTEX-1HSMO-1126-SM-CGQF2 60-69 years, male 777.2
GTEX-17EVP-0526-SM-7EPGY 40-49 years, male 773.2
GTEX-1F6I4-0826-SM-7RHGK 60-69 years, male 770.6
GTEX-1KD5A-0926-SM-D4P3U 50-59 years, male 769.4
GTEX-WI4N-0726-SM-3TW93 40-49 years, female 768.9
GTEX-13S86-0326-SM-5SI6K 40-49 years, male 768.4
GTEX-13FTZ-0326-SM-5J1O1 60-69 years, male 766.9
GTEX-1J8QM-0326-SM-CL53D 60-69 years, female 765.7
GTEX-X5EB-0626-SM-46MVQ 40-49 years, male 765.6
GTEX-1HBPM-1026-SM-ARL9D 60-69 years, female 765.5
GTEX-1HFI6-0826-SM-9YFM2 40-49 years, male 765.1
GTEX-1JMLX-1826-SM-CNPOX 50-59 years, male 761.4
GTEX-ZG7Y-1426-SM-4WWBM 50-59 years, male 758.7
GTEX-1H3VY-1126-SM-A96TP 50-59 years, male 757.6
GTEX-1IKOE-0626-SM-A9G31 30-39 years, female 751.3
GTEX-1CB4I-1526-SM-7DHMY 50-59 years, male 749.6
GTEX-WQUQ-1326-SM-3MJFF 60-69 years, male 747.8
GTEX-1B8SG-0726-SM-79ONS 50-59 years, male 747.7
GTEX-ZAB4-0926-SM-5CVN4 40-49 years, male 745.0
GTEX-1IDJD-0226-SM-CKZOA 30-39 years, male 743.9
GTEX-ZPCL-0526-SM-DO91R 60-69 years, female 743.6
GTEX-117YX-0626-SM-5EGJI 50-59 years, male 742.1
GTEX-15CHR-0326-SM-7DHN3 50-59 years, male 740.9
GTEX-14BIL-0926-SM-7DHKN 50-59 years, male 739.9
GTEX-15SKB-0926-SM-7KUFC 60-69 years, male 739.8
GTEX-1I1CD-1326-SM-A9SMM 60-69 years, female 735.8
GTEX-1L5NE-0526-SM-DIPG5 50-59 years, male 733.6
GTEX-1IOXB-0726-SM-A9G32 50-59 years, male 728.6
GTEX-16XZZ-1026-SM-7DHKS 60-69 years, male 728.4
GTEX-1GMR2-1326-SM-9KNUT 50-59 years, male 727.9
GTEX-WYJK-1126-SM-3NM9Z 50-59 years, male 727.4
GTEX-139TU-1926-SM-5J2OC 60-69 years, male 723.9
GTEX-ZAB5-0126-SM-5CVMT 50-59 years, male 722.8
GTEX-14BIN-2126-SM-793AX 50-59 years, female 718.0
GTEX-1RB15-0426-SM-E9U4Y 60-69 years, male 715.1
GTEX-1GN1W-0226-SM-7P8QY 50-59 years, female 713.4
GTEX-ZXG5-0626-SM-5NQ85 60-69 years, male 712.4
GTEX-1F75B-1126-SM-7RHGP 50-59 years, male 705.1
GTEX-1HCVE-0826-SM-CM2SF 50-59 years, male 703.4
GTEX-1A3MX-1226-SM-731B3 60-69 years, male 701.8
GTEX-13PL6-0826-SM-5IJBI 40-49 years, female 700.4
GTEX-12WSN-0226-SM-5DUXH 40-49 years, male 690.1
GTEX-ZTTD-0626-SM-4YCCY 50-59 years, male 686.4
GTEX-WZTO-1226-SM-3NMAZ 40-49 years, male 684.2
GTEX-1J8Q3-1126-SM-ARU8N 60-69 years, male 681.9
GTEX-1B8SF-1326-SM-7IGQJ 60-69 years, male 679.6
GTEX-1A8FM-1026-SM-7PC26 50-59 years, female 678.1
GTEX-ZAJG-0926-SM-5Q5AB 50-59 years, female 667.7
GTEX-1CB4E-0626-SM-7DHMW 60-69 years, male 664.8
GTEX-14C39-0726-SM-5RQIK 40-49 years, male 662.0
GTEX-11DXZ-0326-SM-5EGH1 50-59 years, male 658.9
GTEX-16MT8-0826-SM-7KULO 60-69 years, female 656.2
GTEX-X261-0926-SM-3NMCY 50-59 years, male 653.5
GTEX-1I19N-0626-SM-A9SKY 70-79 years, male 652.7
GTEX-1C6VQ-0826-SM-7PBZT 50-59 years, male 651.3
GTEX-15SDE-1826-SM-7KUFN 50-59 years, female 648.5
GTEX-1LG7Y-1426-SM-D4P31 50-59 years, male 647.9
GTEX-131XE-0526-SM-5K7YT 50-59 years, male 642.4
GTEX-17HGU-1126-SM-793BP 50-59 years, male 638.8
GTEX-1JMOU-0326-SM-ARL8X 60-69 years, female 636.9
GTEX-14E6C-0326-SM-5Q5EE 40-49 years, male 635.3
GTEX-1HSMQ-0426-SM-ADEIM 50-59 years, male 626.7
GTEX-14PJ4-0926-SM-5YY98 60-69 years, male 619.8
GTEX-WFON-0226-SM-3GIKR 40-49 years, male 616.9
GTEX-1HCU7-1226-SM-B2LX8 50-59 years, male 614.8
GTEX-1JMQK-0926-SM-ARL96 60-69 years, male 613.9
GTEX-1IKOH-0926-SM-A9SLU 60-69 years, female 604.6
GTEX-14PII-1026-SM-5ZZVW 60-69 years, male 603.7
GTEX-15RJE-0726-SM-7KUEG 40-49 years, male 600.8
GTEX-1IDJF-0826-SM-ARU7N 20-29 years, male 599.1
GTEX-14XAO-0926-SM-69LPZ 60-69 years, female 597.8
GTEX-15UF7-1526-SM-6LPI7 40-49 years, male 594.9
GTEX-X8HC-1026-SM-46MWH 50-59 years, female 593.3
GTEX-1HCUA-0626-SM-ACKVT 50-59 years, female 592.4
GTEX-1C6WA-0826-SM-7PBXS 60-69 years, male 583.3
GTEX-18D9B-1126-SM-7KFSH 60-69 years, male 583.0
GTEX-18A66-1126-SM-731C5 60-69 years, male 576.1
GTEX-15D1Q-0426-SM-6AJ9G 40-49 years, male 575.7
GTEX-14E7W-1126-SM-5ZZVS 70-79 years, male 567.9
GTEX-13O3Q-0326-SM-5L3FE 50-59 years, male 560.2
GTEX-17MF6-0926-SM-7LTAL 40-49 years, male 553.7
GTEX-11TUW-1126-SM-5EQKJ 60-69 years, male 537.7
GTEX-1H2FU-0826-SM-9WYSU 60-69 years, female 536.7
GTEX-12584-1026-SM-59HK3 40-49 years, male 536.6
GTEX-1H1ZS-1026-SM-9WG6E 70-79 years, male 533.5
GTEX-Y8E4-0426-SM-4V6GB 40-49 years, male 528.8
GTEX-1IL2U-1226-SM-CL53P 60-69 years, male 527.9
GTEX-1HUB1-0726-SM-CGQF4 60-69 years, male 526.8
GTEX-ZVT4-1326-SM-5NQ8E 50-59 years, female 515.3
GTEX-18A67-1026-SM-731CE 50-59 years, male 514.8
GTEX-14C38-1326-SM-62LDK 50-59 years, male 508.4
GTEX-1H1CY-0426-SM-9KNVD 60-69 years, female 502.5
GTEX-16GPK-1226-SM-7LTAU 60-69 years, male 499.0
GTEX-1H3O1-0226-SM-9WYSW 60-69 years, male 483.7
GTEX-13OVI-0326-SM-5K7X1 60-69 years, female 479.7
GTEX-1117F-0726-SM-5GIEN 60-69 years, female 478.8
GTEX-WFG8-0726-SM-3GILP 20-29 years, male 477.7
GTEX-11WQK-0226-SM-5EQLI 50-59 years, male 474.5
GTEX-1R9K4-1026-SM-EXUT1 60-69 years, male 469.0
GTEX-11ZVC-0526-SM-5N9G1 50-59 years, female 464.8
GTEX-1IL2V-1126-SM-CMKGH 70-79 years, male 457.9
GTEX-14PHY-0326-SM-62LE3 60-69 years, female 447.7
GTEX-11TT1-1426-SM-5EGIA 20-29 years, male 439.5
GTEX-1GTWX-0926-SM-9MQKM 60-69 years, male 435.9
GTEX-XXEK-2026-SM-4BRVE 50-59 years, male 431.6
GTEX-1LGRB-1026-SM-CNPQD 50-59 years, female 407.7
GTEX-UTHO-1226-SM-3GAEE 60-69 years, male 405.3
GTEX-ZV7C-0526-SM-9WPNK 50-59 years, male 385.3
GTEX-1M5QR-1626-SM-E9U5O 40-49 years, male 349.7
GTEX-1LSNL-0626-SM-DIPFJ 50-59 years, male 323.4
GTEX-1F48J-1126-SM-9WYSY 50-59 years, female 287.0
GTEX-1JMQL-1026-SM-CMKGV 50-59 years, female 265.1
Show allShow less
Heart - Left Ventricle
Average nTPM: 1078.5
Samples: 432

Max nTPM: 3210.7
Min nTPM: 162.0
Std nTPM: 349.2
Median nTPM: 1046.4
GTEX-1O9I2-1126-SM-DTXEA 50-59 years, male 3210.7
GTEX-13CF2-0426-SM-5KM1H 60-69 years, male 2372.5
GTEX-Y3I4-0626-SM-4TT7A 50-59 years, male 2023.2
GTEX-O5YW-0326-SM-2I5EI 50-59 years, male 1995.4
GTEX-13O3O-1526-SM-5KM1C 60-69 years, female 1974.9
GTEX-11ONC-0126-SM-5PNW6 60-69 years, male 1932.7
GTEX-13NZB-0226-SM-5KM1T 30-39 years, male 1918.1
GTEX-1POEN-0626-SM-EVR4B 30-39 years, female 1878.9
GTEX-1AX9I-1126-SM-7EPHH 60-69 years, male 1813.8
GTEX-14JG1-1026-SM-6ETZY 40-49 years, male 1787.0
GTEX-1313W-1426-SM-5KLZU 50-59 years, female 1744.0
GTEX-Y114-0226-SM-4TT8W 50-59 years, female 1717.8
GTEX-1LB8K-1026-SM-DHXJJ 50-59 years, male 1715.8
GTEX-ZYFC-1126-SM-5E44W 50-59 years, male 1709.8
GTEX-145LV-0326-SM-5Q5BW 50-59 years, male 1696.5
GTEX-R45C-0926-SM-3GAD4 60-69 years, female 1690.1
GTEX-13QBU-0426-SM-5J2O4 40-49 years, female 1687.3
GTEX-1KD5A-1026-SM-CY8I8 50-59 years, male 1672.6
GTEX-1RQEC-0926-SM-EWROG 60-69 years, male 1665.4
GTEX-18465-0926-SM-731AY 50-59 years, male 1664.3
GTEX-X15G-0426-SM-4PQZ6 50-59 years, female 1647.2
GTEX-16YQH-0926-SM-793BC 30-39 years, male 1630.4
GTEX-148VI-0326-SM-5RQK7 60-69 years, female 1628.5
GTEX-17JCI-1126-SM-7IGMM 60-69 years, female 1628.4
GTEX-OXRO-2026-SM-2YUMZ 60-69 years, female 1627.9
GTEX-1497J-1226-SM-5Q5BL 60-69 years, male 1625.0
GTEX-17HHY-1426-SM-7EWDQ 50-59 years, male 1616.2
GTEX-P44H-0726-SM-48TBT 40-49 years, male 1611.3
GTEX-15DDE-1126-SM-6LLHN 50-59 years, female 1609.0
GTEX-V1D1-0526-SM-4JBGW 50-59 years, male 1607.9
GTEX-1ICG6-0626-SM-ACKWS 70-79 years, female 1604.3
GTEX-S33H-0526-SM-COH1W 30-39 years, male 1602.0
GTEX-14A5I-1226-SM-5NQBW 50-59 years, female 1601.3
GTEX-131XH-0226-SM-5LZVB 50-59 years, male 1598.8
GTEX-1AX9K-0526-SM-73KV1 50-59 years, male 1584.8
GTEX-12ZZY-1126-SM-5DUWQ 60-69 years, male 1581.4
GTEX-14A6H-0226-SM-5Q5DX 30-39 years, male 1578.6
GTEX-WZTO-1326-SM-3NM8X 40-49 years, male 1576.9
GTEX-16BQI-0926-SM-6M485 30-39 years, female 1576.0
GTEX-OIZH-0326-SM-2HMKC 50-59 years, male 1565.3
GTEX-1M5QR-1026-SM-DHXK9 40-49 years, male 1559.8
GTEX-11ZUS-0226-SM-5FQT8 30-39 years, male 1556.4
GTEX-146FH-1026-SM-5RQIF 50-59 years, female 1548.7
GTEX-111YS-0426-SM-5987O 60-69 years, male 1540.4
GTEX-ZDTT-0726-SM-4WKFK 60-69 years, male 1537.7
GTEX-139YR-0826-SM-5LZXY 50-59 years, male 1537.6
GTEX-1JMPZ-1426-SM-CJI3C 30-39 years, male 1523.9
GTEX-1LGOU-0726-SM-E9TIY 20-29 years, female 1515.9
GTEX-Y5V6-0826-SM-4VBRU 60-69 years, male 1515.7
GTEX-145MO-1126-SM-5NQBX 60-69 years, male 1510.7
GTEX-132NY-1726-SM-5EGKK 60-69 years, male 1507.7
GTEX-1J8Q2-1226-SM-A9G2W 60-69 years, male 1507.7
GTEX-11GSP-1326-SM-5A5KY 60-69 years, female 1507.4
GTEX-12WSC-1126-SM-5EQ4G 50-59 years, male 1505.9
GTEX-WRHU-1226-SM-4E3IJ 50-59 years, female 1498.4
GTEX-11DXY-0826-SM-5EGGR 60-69 years, male 1492.2
GTEX-1HBPM-1226-SM-A9SM8 60-69 years, female 1488.0
GTEX-XQ3S-0626-SM-4BOOB 20-29 years, male 1472.7
GTEX-15SHU-1126-SM-7KUMB 40-49 years, female 1465.5
GTEX-14PHY-0226-SM-5ZZWM 60-69 years, female 1454.8
GTEX-ZYFG-0426-SM-5E43M 60-69 years, female 1442.4
GTEX-12ZZZ-1726-SM-59HK5 60-69 years, male 1441.5
GTEX-13O61-0526-SM-5J2M1 60-69 years, male 1428.6
GTEX-13OVG-0526-SM-5K7YD 60-69 years, male 1428.6
GTEX-1R9PO-0326-SM-DTXA1 60-69 years, female 1425.0
GTEX-13FTZ-0226-SM-5K7X6 60-69 years, male 1422.0
GTEX-1ICLY-1326-SM-CJI47 50-59 years, male 1421.6
GTEX-WFG8-0626-SM-3GILJ 20-29 years, male 1421.5
GTEX-ZDXO-0726-SM-57WBT 60-69 years, male 1419.2
GTEX-ZF3C-1226-SM-4WWCB 50-59 years, female 1417.9
GTEX-PVOW-0426-SM-5MR5R 40-49 years, male 1414.0
GTEX-ZZPU-0926-SM-5GZYT 50-59 years, female 1409.9
GTEX-ZDTS-1326-SM-6LLHE 60-69 years, male 1407.7
GTEX-14C5O-1326-SM-5S2UW 60-69 years, male 1404.8
GTEX-SE5C-0626-SM-2XCDV 40-49 years, female 1404.8
GTEX-14PJ6-0726-SM-69LOL 60-69 years, female 1402.9
GTEX-1OFPY-1026-SM-EXUSO 60-69 years, male 1390.0
GTEX-147F4-1226-SM-5NQAY 50-59 years, male 1389.6
GTEX-1EU9M-1826-SM-7DUGU 60-69 years, male 1378.0
GTEX-1OKEX-0726-SM-DPRYE 60-69 years, male 1377.8
GTEX-13OW6-1126-SM-5L3HL 50-59 years, male 1372.3
GTEX-1IKOE-1026-SM-ARZMF 30-39 years, female 1369.2
GTEX-13X6H-0426-SM-5LU4E 50-59 years, female 1367.0
GTEX-1I1GQ-1426-SM-B2LWY 50-59 years, male 1366.9
GTEX-13112-0426-SM-5PNVC 50-59 years, male 1358.3
GTEX-1JJ6O-2126-SM-CNNP6 60-69 years, male 1357.3
GTEX-1C2JI-0526-SM-7EWEQ 50-59 years, male 1356.6
GTEX-ZQUD-1526-SM-7IGO2 30-39 years, male 1356.5
GTEX-T6MN-0926-SM-32PLX 50-59 years, male 1354.4
GTEX-1JJEA-0826-SM-CL53T 60-69 years, male 1353.3
GTEX-13OVL-0526-SM-5KLZQ 50-59 years, male 1351.2
GTEX-1F6I4-0726-SM-7PC2P 60-69 years, male 1346.5
GTEX-1314G-0126-SM-5LZUL 30-39 years, male 1341.3
GTEX-14PHX-2126-SM-6EU2U 50-59 years, male 1339.5
GTEX-1EH9U-0826-SM-7IGPT 60-69 years, male 1333.8
GTEX-Y5V5-0626-SM-4VBPX 60-69 years, female 1323.4
GTEX-1HSGN-1126-SM-CJI4G 40-49 years, female 1323.1
GTEX-YEC4-0326-SM-4W216 40-49 years, male 1322.8
GTEX-15SHW-1226-SM-6M46C 60-69 years, male 1321.8
GTEX-1CB4I-1626-SM-7RHGV 50-59 years, male 1312.8
GTEX-11EMC-0726-SM-5EGJO 60-69 years, female 1307.8
GTEX-17F9E-0926-SM-7IGMG 50-59 years, male 1302.6
GTEX-13OW8-2126-SM-5J1OS 60-69 years, male 1301.0
GTEX-11ZVC-0426-SM-5CVLD 50-59 years, female 1294.7
GTEX-NPJ8-0426-SM-2HMK6 40-49 years, male 1288.2
GTEX-1I1GV-1326-SM-A96SE 60-69 years, male 1281.1
GTEX-1R7EV-0326-SM-E76PA 40-49 years, male 1280.8
GTEX-OHPK-0326-SM-2HMJO 50-59 years, female 1278.6
GTEX-WHSE-0926-SM-3NMBS 20-29 years, male 1274.8
GTEX-WEY5-0426-SM-3GIKT 40-49 years, female 1271.6
GTEX-1122O-0826-SM-5GICV 60-69 years, female 1267.8
GTEX-1MUQO-1226-SM-E9TJK 60-69 years, male 1264.5
GTEX-1O97I-0826-SM-E8VNE 60-69 years, male 1262.0
GTEX-15CHC-0426-SM-6LLHI 60-69 years, female 1256.8
GTEX-13FH7-0926-SM-5J2MR 50-59 years, female 1254.6
GTEX-1HCU6-1026-SM-A9G25 60-69 years, female 1253.8
GTEX-U3ZN-1426-SM-3DB87 30-39 years, female 1250.8
GTEX-1HBPH-0126-SM-CNNQ7 40-49 years, female 1250.0
GTEX-1MJIX-0326-SM-EVR42 40-49 years, male 1249.6
GTEX-13O3P-1626-SM-5K7X3 50-59 years, male 1239.4
GTEX-1KD4Q-0726-SM-DIPGE 40-49 years, male 1237.7
GTEX-13OW5-1126-SM-5J1NR 60-69 years, male 1236.5
GTEX-OXRL-0326-SM-2I3F2 50-59 years, male 1233.5
GTEX-O5YV-0326-SM-2I5H2 60-69 years, female 1227.9
GTEX-18D9B-1226-SM-72D6V 60-69 years, male 1225.5
GTEX-13VXT-1126-SM-5LU3A 20-29 years, female 1222.8
GTEX-13PVQ-1226-SM-5IJDC 50-59 years, male 1219.9
GTEX-R55E-1026-SM-2TC5S 20-29 years, male 1219.7
GTEX-XPT6-0126-SM-4B65S 20-29 years, male 1218.5
GTEX-17F9Y-1326-SM-7MGW9 70-79 years, female 1215.6
GTEX-1A3MX-1326-SM-72D58 60-69 years, male 1213.9
GTEX-1S3DN-0726-SM-E9TIO 50-59 years, male 1210.7
GTEX-1I1GP-0826-SM-A96SD 50-59 years, male 1210.1
GTEX-1H1ZS-1126-SM-9MQLJ 70-79 years, male 1209.8
GTEX-WHPG-0826-SM-3NMBF 50-59 years, male 1208.5
GTEX-1B996-1126-SM-73KWN 60-69 years, male 1208.4
GTEX-1HCU7-1326-SM-CNPPW 50-59 years, male 1206.7
GTEX-OHPL-0326-SM-33HC8 60-69 years, female 1206.5
GTEX-13FLV-0926-SM-5L3DZ 50-59 years, male 1193.6
GTEX-ZAB5-0226-SM-5CVMH 50-59 years, male 1193.6
GTEX-13SLX-1026-SM-5ZZUQ 50-59 years, female 1189.8
GTEX-WL46-0926-SM-3LK7T 50-59 years, male 1189.8
GTEX-1KANC-0426-SM-CXZK5 50-59 years, female 1188.5
GTEX-YFC4-0526-SM-5ZZVI 40-49 years, female 1186.7
GTEX-1GMR2-1426-SM-7RHHK 50-59 years, male 1182.2
GTEX-11DXX-0326-SM-5PNWC 60-69 years, female 1180.6
GTEX-11LCK-0926-SM-5A5KA 30-39 years, male 1179.4
GTEX-12WSN-5001-SM-7DHMK 40-49 years, male 1175.1
GTEX-1QPFJ-1026-SM-E6CR6 30-39 years, female 1166.0
GTEX-ZYW4-0926-SM-59HJS 60-69 years, male 1164.7
GTEX-12BJ1-0226-SM-5LUA2 60-69 years, male 1163.0
GTEX-UJMC-0526-SM-3GAE3 50-59 years, male 1157.9
GTEX-P78B-0426-SM-2I5F5 40-49 years, female 1156.8
GTEX-13O21-2326-SM-5MR3X 50-59 years, male 1147.2
GTEX-15DYW-1126-SM-6LPK5 60-69 years, female 1146.6
GTEX-XPVG-0826-SM-4B654 50-59 years, male 1145.8
GTEX-XBEC-1326-SM-4AT69 50-59 years, male 1141.7
GTEX-1HFI7-0826-SM-A9G23 50-59 years, female 1138.7
GTEX-117YX-1126-SM-5H128 50-59 years, male 1138.2
GTEX-1JMQK-0626-SM-D4P2R 60-69 years, male 1137.7
GTEX-16MT8-0926-SM-6M487 60-69 years, female 1137.2
GTEX-X3Y1-0426-SM-3P5Z4 40-49 years, male 1136.3
GTEX-RN64-0826-SM-2TC62 50-59 years, male 1135.8
GTEX-18A6Q-1626-SM-7KFTA 60-69 years, male 1134.4
GTEX-RWSA-0626-SM-2XCBD 40-49 years, male 1131.7
GTEX-14DAQ-1126-SM-664MT 60-69 years, female 1130.8
GTEX-R55G-0526-SM-2TC5O 40-49 years, female 1126.7
GTEX-RU72-0326-SM-2TF5T 50-59 years, female 1125.5
GTEX-1212Z-0626-SM-5FQTB 60-69 years, male 1125.3
GTEX-13PVR-1026-SM-5QGQW 60-69 years, female 1124.6
GTEX-1J8EW-0926-SM-A9G33 60-69 years, female 1121.9
GTEX-WYJK-1026-SM-3NM8W 50-59 years, male 1119.0
GTEX-1IDJF-0726-SM-CJI1U 20-29 years, male 1115.0
GTEX-1A3MW-1326-SM-7189P 60-69 years, female 1111.4
GTEX-1RMOY-0626-SM-E9TIE 50-59 years, male 1110.3
GTEX-132QS-0426-SM-5KLZ6 60-69 years, male 1108.0
GTEX-13N1W-1026-SM-5IJC5 70-79 years, male 1106.6
GTEX-1I1HK-0726-SM-B2LY4 60-69 years, male 1105.1
GTEX-RNOR-0826-SM-2TF5C 50-59 years, female 1105.0
GTEX-111FC-0826-SM-5GZWO 60-69 years, male 1104.9
GTEX-ZVZP-0226-SM-5NQ73 50-59 years, male 1102.0
GTEX-ZF29-0226-SM-4WKHO 60-69 years, female 1101.1
GTEX-13N11-0426-SM-5KM3O 50-59 years, female 1095.8
GTEX-1CB4G-0826-SM-7DUGF 60-69 years, male 1095.1
GTEX-QEG4-0426-SM-33HC3 30-39 years, male 1094.0
GTEX-OIZG-1126-SM-2HMIU 50-59 years, male 1092.7
GTEX-1JN1M-1026-SM-CNPOS 60-69 years, female 1091.9
GTEX-15RJ7-0226-SM-7KUMN 40-49 years, male 1091.8
GTEX-11DXZ-0626-SM-5GU77 50-59 years, male 1089.8
GTEX-1EMGI-1226-SM-793DD 60-69 years, male 1087.9
GTEX-16NPX-0926-SM-7KUEZ 50-59 years, male 1085.5
GTEX-UPK5-0326-SM-CYPR4 40-49 years, male 1085.1
GTEX-R55C-0326-SM-3GAF1 40-49 years, male 1080.9
GTEX-1BAJH-1626-SM-73KUV 70-79 years, male 1077.3
GTEX-UJHI-0426-SM-3DB8Y 50-59 years, female 1076.1
GTEX-15CHQ-1526-SM-69LPW 60-69 years, male 1072.1
GTEX-1F6IF-2526-SM-7P8TV 60-69 years, male 1070.5
GTEX-131XE-0626-SM-5HL98 50-59 years, male 1070.1
GTEX-ZVT2-1026-SM-5GU55 50-59 years, female 1069.1
GTEX-1A8G6-1626-SM-7MGWO 60-69 years, male 1068.4
GTEX-1CB4J-0326-SM-7PBZO 60-69 years, male 1067.7
GTEX-WHWD-0426-SM-3LK83 50-59 years, male 1066.0
GTEX-1AYCT-0426-SM-73KVZ 50-59 years, male 1064.5
GTEX-14C39-0926-SM-5TDDV 40-49 years, male 1063.5
GTEX-ZF2S-1026-SM-9QEGK 50-59 years, female 1059.9
GTEX-15CHR-0226-SM-7PC2Z 50-59 years, male 1059.1
GTEX-1CB4E-0526-SM-7MXTK 60-69 years, male 1058.1
GTEX-18A67-1226-SM-7KFRS 50-59 years, male 1057.9
GTEX-14E6C-0426-SM-5YYA8 40-49 years, male 1057.4
GTEX-14E7W-1226-SM-5RQIU 70-79 years, male 1054.2
GTEX-NFK9-0926-SM-2HMJU 40-49 years, male 1054.2
GTEX-1GF9U-0426-SM-7RHHA 40-49 years, female 1054.2
GTEX-12696-1126-SM-5FQTI 60-69 years, male 1053.7
GTEX-1R9K5-1326-SM-E6CPR 50-59 years, male 1048.8
GTEX-U3ZH-0326-SM-3DB7A 30-39 years, male 1048.7
GTEX-1JK1U-0526-SM-CYPSQ 60-69 years, male 1046.9
GTEX-1F75I-1126-SM-9WYUO 40-49 years, male 1045.8
GTEX-OOBJ-0326-SM-33HBO 60-69 years, male 1045.5
GTEX-RTLS-0826-SM-2TF5Q 60-69 years, female 1044.1
GTEX-ZV7C-0326-SM-57WB1 50-59 years, male 1043.9
GTEX-QLQ7-0526-SM-2I5G3 60-69 years, male 1043.4
GTEX-1LH75-0426-SM-E9TJF 50-59 years, female 1041.7
GTEX-OXRK-0826-SM-2HMK7 50-59 years, female 1041.3
GTEX-ZDYS-0226-SM-5HL4K 50-59 years, male 1037.6
GTEX-1B8L1-0526-SM-79ONX 60-69 years, male 1035.1
GTEX-X261-1426-SM-4PQZ1 50-59 years, male 1034.8
GTEX-ZEX8-0426-SM-DO92Y 50-59 years, male 1034.4
GTEX-1LSNM-0526-SM-DIPG6 50-59 years, male 1032.0
GTEX-17HGU-1026-SM-79OKL 50-59 years, male 1031.4
GTEX-1H11D-1226-SM-9WPQ2 40-49 years, male 1031.4
GTEX-1MCC2-0326-SM-EV7AK 30-39 years, female 1031.2
GTEX-WQUQ-1426-SM-3MJFD 60-69 years, male 1030.7
GTEX-13D11-1726-SM-5IFGQ 50-59 years, female 1030.6
GTEX-148VJ-1526-SM-5Q5DU 70-79 years, male 1030.5
GTEX-1CAMS-1326-SM-79OJR 40-49 years, female 1026.0
GTEX-XGQ4-0326-SM-4GIEE 50-59 years, male 1021.4
GTEX-YEC3-0726-SM-CMKFH 50-59 years, male 1020.7
GTEX-117YW-0326-SM-5N9CY 50-59 years, male 1016.5
GTEX-1JN6P-1126-SM-CKZON 60-69 years, male 1013.1
GTEX-ZPU1-0626-SM-4YCDM 40-49 years, male 1011.9
GTEX-1399R-1926-SM-5K7X8 30-39 years, male 1010.1
GTEX-1HC8U-0726-SM-ACKXL 40-49 years, female 1010.0
GTEX-XQ8I-0126-SM-4BOPL 50-59 years, male 1009.2
GTEX-14PK6-0826-SM-5ZZVO 70-79 years, female 1004.9
GTEX-1PWST-1026-SM-DTXF2 70-79 years, male 1004.0
GTEX-ZLFU-0226-SM-4WWFH 40-49 years, male 999.7
GTEX-13S86-0226-SM-5S2PJ 40-49 years, male 999.3
GTEX-N7MS-0826-SM-2HML4 60-69 years, male 998.8
GTEX-1E1VI-1326-SM-7IGQD 50-59 years, male 996.2
GTEX-145MN-0626-SM-5QGRH 30-39 years, male 993.9
GTEX-1QCLZ-0926-SM-E6CQZ 60-69 years, female 991.3
GTEX-Y8E4-0326-SM-4VBRR 40-49 years, male 990.1
GTEX-1HCVE-1126-SM-9WPPG 50-59 years, male 990.1
GTEX-1C64O-0826-SM-79OKZ 60-69 years, male 989.6
GTEX-147JS-1526-SM-5ZZWF 60-69 years, male 988.8
GTEX-ZGAY-0326-SM-57WF5 40-49 years, female 987.8
GTEX-1399S-1026-SM-5KLZ9 30-39 years, female 982.7
GTEX-1R9K4-1326-SM-DTX8G 60-69 years, male 981.4
GTEX-13X6K-1826-SM-5O9CR 60-69 years, female 981.2
GTEX-11TUW-1026-SM-5GU7D 60-69 years, male 980.5
GTEX-11GS4-0526-SM-5A5KQ 60-69 years, male 979.2
GTEX-1R9JW-0526-SM-EWRNK 30-39 years, female 979.0
GTEX-1F5PK-0326-SM-9KNUD 50-59 years, male 978.4
GTEX-12WSK-0626-SM-5LZUJ 40-49 years, female 973.9
GTEX-1IL2U-1326-SM-A9G2O 60-69 years, male 973.9
GTEX-12584-0926-SM-5FQTN 40-49 years, male 973.8
GTEX-13CF3-0726-SM-5J2MY 60-69 years, female 973.6
GTEX-OHPM-0326-SM-33HCA 50-59 years, male 973.5
GTEX-1RB15-0326-SM-E6CQB 60-69 years, male 973.4
GTEX-1269C-0826-SM-5N9EM 60-69 years, female 972.2
GTEX-14PN3-0526-SM-69LQF 60-69 years, female 969.4
GTEX-WWYW-1326-SM-3NB2S 50-59 years, female 969.3
GTEX-13RTJ-0726-SM-5QGQN 60-69 years, male 961.3
GTEX-14JIY-1126-SM-6EU28 60-69 years, male 960.3
GTEX-1GF9V-1626-SM-7PBXL 60-69 years, male 956.0
GTEX-13FTW-1026-SM-5L3E3 40-49 years, male 953.1
GTEX-1B932-1026-SM-793CL 40-49 years, female 952.3
GTEX-V955-0726-SM-3GAFG 60-69 years, male 952.3
GTEX-1HSMQ-0226-SM-C1YQL 50-59 years, male 951.2
GTEX-1QP29-1526-SM-EXUSY 50-59 years, male 947.0
GTEX-POMQ-0326-SM-2I5FO 20-29 years, female 946.6
GTEX-PX3G-0326-SM-2I3EO 20-29 years, female 946.3
GTEX-PWCY-0526-SM-5P9HG 20-29 years, female 945.7
GTEX-QEL4-0926-SM-3GAD1 50-59 years, male 944.4
GTEX-1399U-0526-SM-5K7YM 50-59 years, female 943.3
GTEX-1GN1V-0826-SM-9KNU6 60-69 years, male 940.6
GTEX-1211K-0626-SM-5FQUZ 60-69 years, female 940.1
GTEX-15ER7-1726-SM-6PAMX 20-29 years, female 937.8
GTEX-11I78-0826-SM-5A5K4 50-59 years, female 936.3
GTEX-14BIN-2226-SM-5YYA1 50-59 years, female 936.3
GTEX-1KXAM-1326-SM-E9TJW 60-69 years, male 933.9
GTEX-ZAB4-1026-SM-5HL7T 40-49 years, male 933.6
GTEX-RWS6-0326-SM-2XCAP 60-69 years, female 932.9
GTEX-QVJO-1926-SM-2S1QZ 60-69 years, female 931.2
GTEX-U8XE-1126-SM-3DB8W 30-39 years, male 928.8
GTEX-14BIL-1126-SM-79OMC 50-59 years, male 928.4
GTEX-REY6-1026-SM-2TF4Y 60-69 years, male 927.3
GTEX-11O72-1126-SM-5N9E2 40-49 years, male 923.7
GTEX-16XZY-0426-SM-793BI 70-79 years, male 920.9
GTEX-1QP2A-1126-SM-EVR3H 50-59 years, male 920.2
GTEX-1IKJJ-0826-SM-A96SP 60-69 years, male 917.6
GTEX-1EN7A-0726-SM-7PBXT 40-49 years, male 913.8
GTEX-1AX9J-1026-SM-72D6E 60-69 years, male 909.8
GTEX-1JMLX-1626-SM-ARZMV 50-59 years, male 909.8
GTEX-1J8QM-0426-SM-AHZ3X 60-69 years, female 907.2
GTEX-XBED-0526-SM-47JY3 60-69 years, male 903.0
GTEX-1HCUA-0526-SM-A9SMH 50-59 years, female 902.3
GTEX-WFG7-0726-SM-3GIKO 20-29 years, male 901.7
GTEX-X8HC-1626-SM-46MWE 50-59 years, female 900.4
GTEX-1J8Q3-1226-SM-CKZPT 60-69 years, male 899.1
GTEX-U4B1-0326-SM-3DB8K 40-49 years, male 897.8
GTEX-WY7C-0526-SM-3NB3D 50-59 years, male 895.7
GTEX-132AR-2026-SM-5IJG4 50-59 years, female 890.0
GTEX-13X6I-1426-SM-5SI9Z 60-69 years, male 886.5
GTEX-S32W-0626-SM-2XCBG 50-59 years, female 885.1
GTEX-WI4N-0626-SM-3TW8Z 40-49 years, female 884.8
GTEX-1399T-0426-SM-5PNVJ 60-69 years, male 883.8
GTEX-1GN73-2426-SM-7RHFQ 60-69 years, male 882.7
GTEX-WK11-0826-SM-EZ6LH 50-59 years, male 878.8
GTEX-O5YT-0326-SM-32PKA 20-29 years, male 875.6
GTEX-1IKK5-1526-SM-CKZPW 60-69 years, male 868.8
GTEX-QDVJ-0426-SM-2I5FW 50-59 years, male 868.5
GTEX-1339X-0426-SM-5KLZY 40-49 years, male 867.8
GTEX-15RIE-1726-SM-7KUMU 60-69 years, male 865.4
GTEX-1H3NZ-1126-SM-9WYT9 60-69 years, male 860.0
GTEX-13JVG-1326-SM-5N9F8 60-69 years, male 855.7
GTEX-PSDG-0926-SM-2I5FP 50-59 years, male 855.3
GTEX-P4PP-0326-SM-33HC4 30-39 years, female 849.4
GTEX-146FR-0626-SM-5RQJ1 60-69 years, female 849.3
GTEX-1B8SG-0826-SM-7EWF7 50-59 years, male 847.4
GTEX-1L5NE-0426-SM-E9TIX 50-59 years, male 843.5
GTEX-SUCS-0326-SM-32PLL 70-79 years, male 832.6
GTEX-WH7G-0426-SM-3NMBJ 40-49 years, male 832.5
GTEX-18D9U-1126-SM-72D5Y 40-49 years, male 831.5
GTEX-QMRM-0526-SM-2I5GA 50-59 years, male 829.6
GTEX-XXEK-0926-SM-4BRWH 50-59 years, male 827.0
GTEX-1GZ4I-1026-SM-9KNV5 50-59 years, male 822.5
GTEX-12WSD-1126-SM-5EGJD 60-69 years, female 819.4
GTEX-1RAZS-0826-SM-E76QP 50-59 years, male 817.5
GTEX-14PJ2-1026-SM-6EU1M 50-59 years, male 815.0
GTEX-14C38-1426-SM-5RQHZ 50-59 years, male 814.2
GTEX-WFON-0326-SM-3GIKX 40-49 years, male 810.8
GTEX-1GMRU-1526-SM-9WYT5 50-59 years, male 810.1
GTEX-12WSG-0526-SM-5FQTH 50-59 years, female 808.7
GTEX-1GL5R-0326-SM-9WYTJ 50-59 years, male 807.4
GTEX-1EKGG-1126-SM-7MGXB 60-69 years, male 805.9
GTEX-1ICLZ-1026-SM-A9SLF 60-69 years, male 805.5
GTEX-P4PQ-0326-SM-2HMJ8 60-69 years, male 804.3
GTEX-OIZI-0926-SM-E6CHF 40-49 years, male 800.8
GTEX-1IDJH-1026-SM-E9TKH 70-79 years, male 799.7
GTEX-R53T-0926-SM-3GADH 50-59 years, female 797.8
GTEX-1B97J-0726-SM-7RHG3 50-59 years, female 793.9
GTEX-ZG7Y-0926-SM-5EQ6O 50-59 years, male 793.0
GTEX-1IDJE-0326-SM-CM2TD 50-59 years, female 787.3
GTEX-1EWIQ-1426-SM-7IGOS 70-79 years, female 785.2
GTEX-QEG5-0926-SM-2TC64 20-29 years, male 777.6
GTEX-ZPCL-0426-SM-DNZZ4 60-69 years, female 774.5
GTEX-1GMR3-0326-SM-7P8QT 40-49 years, male 774.2
GTEX-13NYB-0226-SM-5N9G4 40-49 years, male 769.5
GTEX-13YAN-1326-SM-5Q5F1 60-69 years, male 768.6
GTEX-1N2EF-2826-SM-E6CQF 60-69 years, male 766.6
GTEX-ZUA1-0826-SM-4YCDL 40-49 years, male 765.6
GTEX-ZYT6-1726-SM-5E44P 30-39 years, male 765.1
GTEX-1C6VQ-1126-SM-7EWET 50-59 years, male 759.1
GTEX-17MF6-0726-SM-7LT8E 40-49 years, male 757.9
GTEX-YJ8O-0926-SM-EAZ2Z 40-49 years, female 755.1
GTEX-1I6K7-0626-SM-ARL7Q 40-49 years, male 753.8
GTEX-ZAJG-0826-SM-5PNVA 50-59 years, female 753.3
GTEX-14E6D-0926-SM-5S2QV 50-59 years, male 753.1
GTEX-11TT1-1326-SM-5PNYM 20-29 years, male 751.3
GTEX-14H4A-0626-SM-5ZZUT 40-49 years, female 748.1
GTEX-OIZF-0326-SM-3MJGY 60-69 years, male 743.3
GTEX-13U4I-0826-SM-5SIBD 40-49 years, female 741.4
GTEX-1IDJU-0726-SM-CNPQ9 60-69 years, female 738.8
GTEX-QV44-0526-SM-2S1RE 50-59 years, male 736.5
GTEX-RUSQ-0526-SM-2TF72 50-59 years, male 735.7
GTEX-ZTPG-1226-SM-4YCDO 20-29 years, female 734.6
GTEX-Q2AH-0526-SM-2I3ED 40-49 years, male 733.4
GTEX-1PPGY-1126-SM-E76OU 60-69 years, male 732.1
GTEX-13O1R-1226-SM-5J1NU 60-69 years, male 728.5
GTEX-1HT8W-1726-SM-CNNQB 30-39 years, male 726.8
GTEX-SIU8-0826-SM-2XCDQ 50-59 years, male 724.5
GTEX-T2IS-0426-SM-32QPE 20-29 years, female 718.6
GTEX-SNMC-0126-SM-2XCFO 20-29 years, male 715.1
GTEX-1F48J-1026-SM-7P8SO 50-59 years, female 713.2
GTEX-1LVAN-1726-SM-CNNR1 50-59 years, female 710.6
GTEX-131XF-5001-SM-7DHLY 60-69 years, male 702.2
GTEX-14PJ4-1126-SM-5YY91 60-69 years, male 690.0
GTEX-1H1CY-0326-SM-9QEIZ 60-69 years, female 689.6
GTEX-1IDJI-1026-SM-A96TE 50-59 years, female 688.1
GTEX-15RJE-0626-SM-7KUKR 40-49 years, male 685.8
GTEX-17KNJ-0826-SM-793A4 50-59 years, male 680.8
GTEX-QESD-0526-SM-2I5G5 20-29 years, male 678.4
GTEX-1AX8Z-5007-SM-AHZ36 60-69 years, male 676.8
GTEX-1NV8Z-1526-SM-DTX8X 60-69 years, male 674.8
GTEX-1H23P-1226-SM-9QEJ2 60-69 years, male 665.4
GTEX-1LVA9-0926-SM-EVR5G 50-59 years, male 655.6
GTEX-13FHP-1026-SM-5K7Y2 50-59 years, male 637.8
GTEX-1LG7Y-1226-SM-CXZKD 50-59 years, male 634.3
GTEX-P44G-0826-SM-2I5ES 30-39 years, male 620.3
GTEX-14E1K-1026-SM-73KUR 50-59 years, male 609.9
GTEX-PLZ5-0626-SM-2I5F8 50-59 years, male 598.0
GTEX-1GN2E-1326-SM-9KNVG 60-69 years, male 597.4
GTEX-1GN1W-0326-SM-9JGHF 50-59 years, female 597.0
GTEX-1LGRB-1126-SM-CNPP2 50-59 years, female 588.0
GTEX-13W3W-0426-SM-5SI9D 60-69 years, female 580.6
GTEX-1B8KE-0126-SM-793AM 50-59 years, male 579.5
GTEX-QDVN-0326-SM-2I3FS 50-59 years, male 579.2
GTEX-14PJM-1126-SM-6LLHK 50-59 years, female 569.7
GTEX-18A66-1226-SM-7LT8G 60-69 years, male 558.9
GTEX-1JMOU-0226-SM-CNNPD 60-69 years, female 541.0
GTEX-1EX96-2526-SM-7RHGW 50-59 years, male 538.1
GTEX-Y3IK-0826-SM-51MT8 50-59 years, female 517.4
GTEX-N7MT-1326-SM-2I3FV 60-69 years, female 512.7
GTEX-17GQL-0526-SM-72D5N 60-69 years, male 490.6
GTEX-YF7O-0426-SM-5P9FS 50-59 years, male 486.5
GTEX-131XG-0626-SM-5GCMP 50-59 years, female 485.7
GTEX-15EOM-5007-SM-793DG 20-29 years, female 445.2
GTEX-1JJE9-1426-SM-ARL8P 70-79 years, male 442.5
GTEX-14XAO-1126-SM-6EU11 60-69 years, female 436.0
GTEX-1GTWX-1026-SM-7P8QW 60-69 years, male 424.7
GTEX-ZPIC-0826-SM-4WWFJ 40-49 years, female 379.2
GTEX-12ZZW-1026-SM-5GCMM 50-59 years, male 362.5
GTEX-1LC47-1026-SM-D3LAH 60-69 years, male 348.6
GTEX-1PPH7-2026-SM-E9J3N 40-49 years, male 339.3
GTEX-17HII-1326-SM-7IGOB 50-59 years, male 299.3
GTEX-YB5K-0126-SM-5IFJ2 40-49 years, female 296.2
GTEX-1K9T9-1126-SM-D3L9E 50-59 years, female 286.6
GTEX-XV7Q-0826-SM-4BRV7 40-49 years, female 285.5
GTEX-P4QS-0326-SM-2I3EU 60-69 years, male 271.2
GTEX-11EM3-0626-SM-5H12Z 20-29 years, female 259.2
GTEX-1HSMO-1226-SM-CL548 60-69 years, male 162.0
Show allShow less

HEART MUSCLE - FANTOM5 CAGEi

RNA expression in human tissues obtained through Cap Analysis of Gene Expression (CAGE) generated by the FANTOM5 project are reported as Scaled Tags Per Million.

Max subtype Scaled Tags Per Millioni

Max subtype Scaled Tags Per Million is the value for the subtype with the largest average Scaled Tags Per Million across the subtype samples.

504.5
FANTOM5 sample id Sample description Scaled Tags Per Million
Heart
Scaled Tags Per Million: 458.6
FF:10016-101C7 70,73,74 years, mixed 458.6
Left atrium
Scaled Tags Per Million: 367.7
FF:10079-102A7 40 years, male 367.7
Left ventricle
Scaled Tags Per Million: 504.5
FF:10078-102A6 73 years, female 504.5

Contact

  • NEWS ARTICLES
  • PRESS ROOM

The Project

  • INTRODUCTION
  • ORGANIZATION
  • PUBLICATIONS

The Human Protein Atlas

  • DOWNLOADABLE DATA
  • LICENCE & CITATION
  • HELP & FAQ
The Human Protein Atlas project is funded
by the Knut & Alice Wallenberg Foundation.


contact@proteinatlas.org