We use cookies to enhance the usability of our website. If you continue, we'll assume that you are happy to receive all cookies. More information. Don't show this again.
SEPTIN5
HPA
RESOURCES
  • TISSUE
  • BRAIN
  • SINGLE CELL
  • SUBCELLULAR
  • CANCER
  • BLOOD
  • CELL LINE
  • STRUCTURE & INTERACTION
ABOUT
  • INTRODUCTION
  • HISTORY
  • ORGANIZATION
  • PUBLICATIONS
  • ANTIBODY SUBMISSION
  • ANTIBODY AVAILABILITY
  • ACKNOWLEDGMENTS
  • CONTACT
NEWS
  • NEWS ARTICLES
  • PRESS ROOM
LEARN
  • DICTIONARY
  • PROTEIN CLASSES
  • PROTEIN EVIDENCE
  • METHODS
  • EDUCATIONAL VIDEOS
DATA
  • DOWNLOADABLE DATA
  • PUBLICATION DATA
  • RELEASE HISTORY
HELP
  • ANTIBODY VALIDATION
  • ASSAYS & ANNOTATION
  • DISCLAIMER
  • HELP & FAQ
  • PRIVACY STATEMENT
  • LICENCE & CITATION
Fields »
Search result

Field
Term
Gene name
Class
Subclass
Class
Keyword
Chromosome
External id
Tissue
Cell type
Expression
Antibody panel
Tissue
Main location
Patient ID
Annotation
Tissue
Category
Tau score
Cluster
Reliability
Brain region
Category
Tau score
Brain region
Category
Tau score
Brain region
Category
Tau score
Cluster
Reliability
Tissue
Cell type
Enrichment
Cell type
Category
Tau score
Cell type
Category
Tau score
Cell type
Category
Tau score
Cell lineage
Category
Tau score
Cluster
Cluster
Location
Searches
Location
Cell line
Class
Type
Phase
Reliability
Cancer
Prognosis
Cancer
Category
Cancer
Category
Tau score
Cluster
Variants
Interacting gene (ensg_id)
Type
Number of interactions
Pathway
Category
Score
Score
Score
Validation
Validation
Validation
Validation
Antibodies
Data type
Column


  • SUMMARY

  • TISSUE

  • BRAIN

  • SINGLE CELL

  • SUBCELL

  • CANCER

  • BLOOD

  • CELL LINE

  • STRUCT & INT

  • SEPTIN5
TISSUE PRIMARY DATA ESOPHAGUS Show tissue menu
ADIPOSE TISSUE ADRENAL GLAND AMYGDALA APPENDIX BASAL GANGLIA BONE MARROW BREAST BRONCHUS CEREBELLUM CEREBRAL CORTEX CERVIX CHOROID PLEXUS COLON DUODENUM
ENDOMETRIUM EPIDIDYMIS ESOPHAGUS FALLOPIAN TUBE GALLBLADDER HEART MUSCLE HIPPOCAMPAL FORMATION HYPOTHALAMUS KIDNEY LIVER LUNG LYMPH NODE MIDBRAIN NASOPHARYNX
ORAL MUCOSA OVARY PANCREAS PARATHYROID GLAND PITUITARY GLAND PLACENTA PROSTATE RECTUM RETINA SALIVARY GLAND SEMINAL VESICLE SKELETAL MUSCLE SKIN SMALL INTESTINE
SMOOTH MUSCLE SOFT TISSUE SPINAL CORD SPLEEN STOMACH TESTIS THYMUS THYROID GLAND TONGUE TONSIL URINARY BLADDER VAGINA
ANTIBODIES
AND
VALIDATION
Dictionary
Esophagus
Tissue proteome
Esophagus
ESOPHAGUS - Expression summary
Protein expression
Esophagusi

On the top, protein expression in current human tissue, based on all annotated cell types, is reported with the units not detected (n), low (l), medium (m) and high (h). Underneath, protein expression in each annotated cell type are reported using the same units.

Protein expression data is based on knowledge-based annotation. For genes where more than one antibody has been used, a collective score is set.

If knowledge-based annotation could not be performed for a gene, no data is displayed here. View antibody staining data further down this page.

h
m
l
n
Squamous epithelial cells: Not detected
RNA expressioni

A summary of mRNA expression data available for current tissue based on several datasets. The mRNA expression levels in human tissues are based on RNA-seq data generated by the Human Protein Atlas (HPA), Genotype-Tissue Expression (GTEx) portal and CAGE data generated by the FANTOM5 consortium. Consensus normalized expression levels for human tissues was created by combining the data from HPA and GTEx datasets.

The mRNA expression levels in pig are based on RNA-seq data generated by the Human Protein Atlas (HPA), and for mouse, HPA data and in situ hybridization generated by the Allen brain atlas are reported.

Scroll down to view mRNA expression data in more detail.
Consensus:60.4 nTPM
HPA:40.6 nTPM
GTEx:60.4 nTPM
FANTOM5:26.6 Scaled Tags Per Million

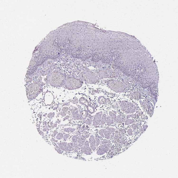
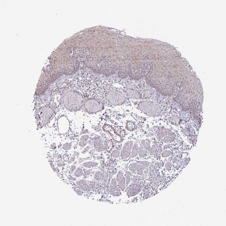
ESOPHAGUS - Antibody stainingi

Antibody staining in the annotated cell types in the current human tissue is reported as not detected, low, medium, or high, based on conventional immunohistochemistry profiling in selected tissues. This score is based on the combination of the staining intensity and fraction of stained cells.

Each image is clickable and will lead to virtual microscopy that enables deeper exploration of all samples and also displays staining intensity scores, fraction scores and subcellular localization as well as patient and tissue information for each sample.

Antibody HPA029095Antibody HPA063885Antibody CAB016120
Squamous epithelial cells MediumNot detectedNot detected





ESOPHAGUS - HPA RNA-seqi

The RNA-seq details section shows detailed information about the individual samples used for the transcript profiling and results of the RNA-seq analysis.

Information about each individual sample is listed below, including gender, age, a tissue section image and estimated fractions of cell types. nTPM (normalized transcripts per million) values give a quantification of the gene abundance which is comparable between different genes and samples.
Average nTPMi

Max subtype nTPM is the value for the subtype with the largest average nTPM across the subtype samples.

40.6
overview
Female, age 70
Esophagus sample 130
nTPM: 43.1
Cell types%
Squamous epithelial cells:
35

Smooth muscle cells:
15

Skeletal muscle cells:
5

Other cell types:
45

overview
Male, age 38
Esophagus sample 131
nTPM: 33.9
Cell types%
Squamous epithelial cells:
60

Smooth muscle cells:
20

Other cell types:
20

overview
Male, age 76
Esophagus sample 132
nTPM: 44.9
Cell types%
Squamous epithelial cells:
45

Smooth muscle cells:
15

Other cell types:
40


ESOPHAGUS - GTEx RNA-seqi

RNA-Seq data generated by the Genotype-Tissue Expression (GTEx) project from human tissues is reported as mean nTPM. More information can be found on the GTEx portal.

Distribution across the dataset is visualized with box plots, shown as median and 25th and 75th percentiles. Points are displayed as outliers if they are above or below 1.5 times the interquartile range. nTPM values of the individual samples are presented next to the box plot.
Max subtype nTPMi

Max subtype nTPM is the value for the subtype with the largest average nTPM across the subtype samples.

60.4
GTEx sample id Sample description nTPM
Esophagus - Mucosa
Average nTPM: 60.4
Samples: 555

Max nTPM: 188.5
Min nTPM: 7.3
Std nTPM: 24.4
Median nTPM: 58.1
GTEX-13FHP-1526-SM-5IJGE 50-59 years, male 188.5
GTEX-14A6H-1326-SM-5NQBC 30-39 years, male 163.2
GTEX-X4EP-1626-SM-4QAS6 60-69 years, female 151.5
GTEX-1MCQQ-1026-SM-EV7AX 60-69 years, male 143.4
GTEX-11ZTS-2626-SM-5EGIC 60-69 years, female 132.2
GTEX-RN64-1026-SM-48FDX 50-59 years, male 129.7
GTEX-1269C-1026-SM-5N9EY 60-69 years, female 129.5
GTEX-1CAMQ-2726-SM-7MKGD 40-49 years, male 129.1
GTEX-POYW-1326-SM-48TCG 60-69 years, male 125.6
GTEX-1AYD5-0926-SM-793AF 50-59 years, male 124.8
GTEX-T2YK-1326-SM-4DM6S 50-59 years, male 124.5
GTEX-1H23P-1426-SM-9JGH5 60-69 years, male 124.5
GTEX-16Z82-1926-SM-6M47U 60-69 years, male 121.6
GTEX-1H1DG-1226-SM-9JGH3 70-79 years, male 119.9
GTEX-1F88F-1126-SM-7MKHL 60-69 years, female 119.6
GTEX-12ZZY-1426-SM-5N9EI 60-69 years, male 117.3
GTEX-117YW-1926-SM-5H121 50-59 years, male 116.8
GTEX-1NSGN-2026-SM-DPRYM 50-59 years, male 116.3
GTEX-X4XY-1726-SM-46MVO 60-69 years, male 111.5
GTEX-1IDJH-2026-SM-CNNQX 70-79 years, male 110.4
GTEX-ZE9C-1126-SM-4WWBD 60-69 years, male 110.0
GTEX-1MCC2-1926-SM-DHXJR 30-39 years, female 109.1
GTEX-1LB8K-1326-SM-CXZKB 50-59 years, male 108.4
GTEX-1K2DU-1726-SM-EV79S 20-29 years, male 108.0
GTEX-148VJ-1026-SM-5LU98 70-79 years, male 106.9
GTEX-OXRN-1726-SM-3NM9B 50-59 years, male 106.4
GTEX-1CB4H-1526-SM-7MXU4 60-69 years, female 105.4
GTEX-1RLM8-0726-SM-E6CRH 50-59 years, male 104.4
GTEX-1RDX4-2126-SM-EV7B3 50-59 years, female 103.9
GTEX-1EH9U-2426-SM-7EWFG 60-69 years, male 100.7
GTEX-YEC4-1026-SM-9WG7N 40-49 years, male 100.5
GTEX-11NUK-1326-SM-5P9GN 50-59 years, male 99.7
GTEX-1LVAN-2326-SM-CNNPY 50-59 years, female 99.2
GTEX-ZYVF-2226-SM-5GIDD 50-59 years, female 98.6
GTEX-1EWIQ-1526-SM-79OO7 70-79 years, female 98.3
GTEX-13FHO-1726-SM-DPRZX 60-69 years, male 98.0
GTEX-14ICK-2026-SM-6AJB2 40-49 years, male 97.7
GTEX-16NPX-1626-SM-6LLI5 50-59 years, male 97.3
GTEX-QEG5-1426-SM-447AS 20-29 years, male 96.9
GTEX-1I1GR-1326-SM-ARU7B 60-69 years, male 96.9
GTEX-1J1R8-0326-SM-AHZ3D 40-49 years, male 96.9
GTEX-1399Q-1126-SM-5P9JA 40-49 years, male 96.8
GTEX-1HFI6-1226-SM-A96SK 40-49 years, male 96.8
GTEX-QEG4-0726-SM-CNNRF 30-39 years, male 96.7
GTEX-1MA7X-0726-SM-EV7AB 60-69 years, male 95.7
GTEX-X62O-2226-SM-46MW3 50-59 years, male 95.3
GTEX-14PJ5-0526-SM-664OE 60-69 years, female 94.5
GTEX-1KANA-0626-SM-D4P3I 20-29 years, male 94.0
GTEX-13NZB-1226-SM-5J2MW 30-39 years, male 93.8
GTEX-1B933-2026-SM-7EWFC 50-59 years, female 93.1
GTEX-OIZG-1026-SM-3LK5X 50-59 years, male 92.5
GTEX-15RIF-0826-SM-6M47C 20-29 years, male 92.4
GTEX-PVOW-1626-SM-48TC9 40-49 years, male 92.2
GTEX-13OVI-2626-SM-5KM4T 60-69 years, female 92.1
GTEX-SUCS-0726-SM-4DM7J 70-79 years, male 91.9
GTEX-1S83E-0826-SM-EV7B7 40-49 years, male 91.8
GTEX-17JCI-1226-SM-793D9 60-69 years, female 91.7
GTEX-1LG7Y-1726-SM-EV7AR 50-59 years, male 91.7
GTEX-18465-1126-SM-7LG6E 50-59 years, male 91.2
GTEX-YB5E-0926-SM-4WWDQ 40-49 years, male 90.7
GTEX-1CB4G-1326-SM-7MKFP 60-69 years, male 90.5
GTEX-ZLWG-1326-SM-DNZYZ 50-59 years, female 89.5
GTEX-14BIN-2726-SM-5RQIE 50-59 years, female 89.1
GTEX-S341-0526-SM-4AD5U 40-49 years, female 89.1
GTEX-12ZZX-1326-SM-5DUWI 40-49 years, female 88.8
GTEX-WVLH-1426-SM-4MVNX 50-59 years, male 88.7
GTEX-1EX96-2226-SM-7MKGT 50-59 years, male 88.0
GTEX-14C38-2126-SM-5RQJO 50-59 years, male 86.7
GTEX-17EVQ-1926-SM-7IGOF 70-79 years, male 86.0
GTEX-15SHU-1426-SM-6LPIN 40-49 years, female 85.9
GTEX-O5YV-1026-SM-3LK72 60-69 years, female 85.7
GTEX-145LU-0926-SM-79OJL 50-59 years, male 85.5
GTEX-1I1GQ-1726-SM-B2LWZ 50-59 years, male 85.5
GTEX-1S82Y-1226-SM-EV7BD 40-49 years, male 85.4
GTEX-REY6-1326-SM-48FDO 60-69 years, male 85.2
GTEX-18A6Q-1226-SM-7KFS9 60-69 years, male 85.1
GTEX-1LSVX-1226-SM-DHXJN 60-69 years, male 84.8
GTEX-1QEPI-1826-SM-EAZ3J 60-69 years, female 84.7
GTEX-YJ89-1526-SM-5P9IR 60-69 years, male 84.5
GTEX-14PK6-1326-SM-686ZE 70-79 years, female 84.3
GTEX-XXEK-0326-SM-4BRVV 50-59 years, male 84.3
GTEX-1J1OQ-2526-SM-AHZ3Q 40-49 years, female 84.1
GTEX-1LSNL-2226-SM-DHXKM 50-59 years, male 84.0
GTEX-PLZ4-1626-SM-3P618 50-59 years, female 83.7
GTEX-1R9PM-0926-SM-DPRYA 20-29 years, male 83.6
GTEX-17HII-1526-SM-9OSVD 50-59 years, male 83.4
GTEX-1EKGG-1726-SM-7MXUP 60-69 years, male 83.1
GTEX-ZLV1-0526-SM-4WWD4 60-69 years, female 83.0
GTEX-13YAN-1926-SM-7EPH9 60-69 years, male 82.9
GTEX-V1D1-1026-SM-4JBHE 50-59 years, male 82.9
GTEX-14PKV-1726-SM-6871U 20-29 years, female 82.6
GTEX-R3RS-1326-SM-48FE7 40-49 years, female 81.9
GTEX-1M5QR-0726-SM-DHXK7 40-49 years, male 81.8
GTEX-1L5NE-1426-SM-DHXKV 50-59 years, male 81.1
GTEX-1F52S-1426-SM-7P8PU 60-69 years, female 80.9
GTEX-11I78-1526-SM-5A5K7 50-59 years, female 80.0
GTEX-1HB9E-1526-SM-D3LA6 50-59 years, male 80.0
GTEX-1AX9I-1426-SM-7DHM8 60-69 years, male 79.2
GTEX-15ER7-2126-SM-7939E 20-29 years, female 78.7
GTEX-WQUQ-1626-SM-4OOSH 60-69 years, male 78.6
GTEX-1RAZA-1326-SM-DPS12 20-29 years, male 78.6
GTEX-11EMC-2226-SM-5A5JW 60-69 years, female 78.2
GTEX-145LV-1326-SM-5S2QI 50-59 years, male 78.1
GTEX-1399R-0826-SM-5IJEL 30-39 years, male 77.7
GTEX-OXRP-0926-SM-48TC1 60-69 years, female 77.7
GTEX-1H1ZS-1526-SM-9OSXR 70-79 years, male 77.6
GTEX-15DYW-1826-SM-6LPIY 60-69 years, female 77.3
GTEX-1122O-1726-SM-5GICM 60-69 years, female 77.2
GTEX-11ZU8-1526-SM-5EGHX 60-69 years, male 76.9
GTEX-1J8EW-1326-SM-AHZ3S 60-69 years, female 76.7
GTEX-11ONC-1526-SM-5GU6S 60-69 years, male 76.6
GTEX-ZVT2-1326-SM-5E45H 50-59 years, female 76.6
GTEX-T5JC-1726-SM-4DM6U 20-29 years, male 76.5
GTEX-1MGNQ-1626-SM-EAZ4Z 40-49 years, male 76.5
GTEX-1399S-1326-SM-5P9GH 30-39 years, female 76.1
GTEX-12WSD-1826-SM-5GCOA 60-69 years, female 76.0
GTEX-ZUA1-1226-SM-5NQ6O 40-49 years, male 75.9
GTEX-1A32A-1826-SM-72D5G 50-59 years, female 75.7
GTEX-12WSK-1126-SM-5LZV8 40-49 years, female 75.4
GTEX-ZC5H-1326-SM-5HL7E 40-49 years, female 75.4
GTEX-PWCY-0726-SM-48TCS 20-29 years, female 75.2
GTEX-148VI-1026-SM-5TDDJ 60-69 years, female 75.1
GTEX-1HSKV-2426-SM-A8N8K 60-69 years, male 74.8
GTEX-N7MT-0326-SM-48TDP 60-69 years, female 74.7
GTEX-1HBPH-1126-SM-A96TU 40-49 years, female 74.6
GTEX-14JIY-0926-SM-6871D 60-69 years, male 74.5
GTEX-1GN1U-1826-SM-9JGH2 50-59 years, female 74.3
GTEX-13G51-0926-SM-5IFFU 60-69 years, male 74.2
GTEX-15RJE-0926-SM-6LLHZ 40-49 years, male 74.2
GTEX-11P81-0826-SM-5P9GR 30-39 years, female 73.9
GTEX-13W3W-1626-SM-5LU35 60-69 years, female 73.9
GTEX-1KAFJ-0626-SM-D3L8X 50-59 years, male 73.9
GTEX-1QP2A-1926-SM-EXOJ9 50-59 years, male 73.8
GTEX-11DXY-1426-SM-5N9CN 60-69 years, male 73.6
GTEX-13QBU-1026-SM-5LU3R 40-49 years, female 73.5
GTEX-RVPV-0526-SM-47JYL 60-69 years, male 73.5
GTEX-1I1GV-2226-SM-ARU7E 60-69 years, male 73.5
GTEX-1F75I-1726-SM-7MKGW 40-49 years, male 73.2
GTEX-QVUS-0626-SM-447CC 60-69 years, female 73.1
GTEX-11P7K-1326-SM-5BC5G 30-39 years, male 72.9
GTEX-1EN7A-1226-SM-7MGX9 40-49 years, male 72.8
GTEX-T8EM-0526-SM-4DM64 40-49 years, male 72.6
GTEX-TKQ1-0326-SM-4DXSM 30-39 years, male 72.0
GTEX-X4EO-1226-SM-4QARR 60-69 years, female 71.9
GTEX-PWN1-0626-SM-48TDT 40-49 years, female 71.7
GTEX-SJXC-1426-SM-EYYVB 60-69 years, male 71.4
GTEX-1AMEY-0226-SM-7189Q 30-39 years, female 71.2
GTEX-1212Z-2126-SM-5FQTM 60-69 years, male 71.0
GTEX-15UF7-0926-SM-6M46F 40-49 years, male 71.0
GTEX-139YR-1726-SM-5IFFK 50-59 years, male 70.9
GTEX-S33H-0826-SM-4AD5Y 30-39 years, male 70.9
GTEX-12C56-1226-SM-5FQSU 20-29 years, male 70.8
GTEX-1RAZS-2626-SM-EV79C 50-59 years, male 70.8
GTEX-11DXZ-1226-SM-5H11L 50-59 years, male 70.7
GTEX-11GSP-1826-SM-5N9DQ 60-69 years, female 70.7
GTEX-WYVS-0726-SM-4ONDO 40-49 years, female 70.4
GTEX-11EI6-1526-SM-5P9GL 60-69 years, male 70.2
GTEX-W5WG-1626-SM-4LMKG 50-59 years, female 70.2
GTEX-WHPG-1126-SM-4M1XT 50-59 years, male 70.2
GTEX-ZAK1-1526-SM-5S2OV 50-59 years, female 70.2
GTEX-13OVG-0626-SM-5IFEP 60-69 years, male 70.1
GTEX-1K2DA-0626-SM-CGQGO 50-59 years, male 70.1
GTEX-1PPH8-1626-SM-E6CQP 20-29 years, male 70.1
GTEX-1B996-1826-SM-7MGY6 60-69 years, male 70.0
GTEX-132AR-2226-SM-5J2NT 50-59 years, female 69.8
GTEX-13PVR-1826-SM-5Q5CC 60-69 years, female 69.6
GTEX-R55C-0826-SM-48FCL 40-49 years, male 69.4
GTEX-NFK9-1126-SM-3LK78 40-49 years, male 69.2
GTEX-1C64O-1826-SM-7DHM4 60-69 years, male 68.9
GTEX-1EU9M-2326-SM-7MKGS 60-69 years, male 68.9
GTEX-17HHE-0926-SM-7938K 50-59 years, male 68.8
GTEX-13OW8-2326-SM-5L3I9 60-69 years, male 68.3
GTEX-1KXAM-0826-SM-CXZK9 60-69 years, male 68.3
GTEX-1LVA9-2126-SM-DLHBY 50-59 years, male 68.3
GTEX-14DAR-0826-SM-73KYJ 50-59 years, male 68.1
GTEX-1AMFI-0226-SM-731D5 50-59 years, female 68.1
GTEX-X3Y1-1326-SM-4PQZB 40-49 years, male 68.0
GTEX-1LBAC-1226-SM-DHXK1 20-29 years, male 68.0
GTEX-13FTX-0526-SM-5IFGS 20-29 years, female 67.9
GTEX-18D9U-2126-SM-7LG4Y 40-49 years, male 67.9
GTEX-1QPFJ-1226-SM-EAZ3M 30-39 years, female 67.9
GTEX-ZTSS-0626-SM-59867 40-49 years, male 67.8
GTEX-1A8FM-1526-SM-7MXTA 50-59 years, female 67.8
GTEX-ZPCL-1426-SM-57WEC 60-69 years, female 67.7
GTEX-1OKEX-1326-SM-E9J2U 60-69 years, male 67.7
GTEX-P4PQ-0626-SM-3NMCU 60-69 years, male 67.5
GTEX-1GMR3-1526-SM-9JGGL 40-49 years, male 67.5
GTEX-ZLFU-1126-SM-DO11K 40-49 years, male 67.4
GTEX-PLZ6-0526-SM-3P61C 30-39 years, male 67.2
GTEX-1HCVE-1226-SM-9WPPH 50-59 years, male 67.1
GTEX-1OJC3-0826-SM-DPRYU 20-29 years, male 67.1
GTEX-13QJ3-1726-SM-5RQK9 50-59 years, male 66.9
GTEX-1I1GS-2126-SM-ARU7G 60-69 years, male 66.9
GTEX-1HBPI-0626-SM-9WPP4 50-59 years, male 66.8
GTEX-17MFQ-0526-SM-7KFTX 20-29 years, male 66.5
GTEX-1LNCM-0626-SM-EV7AI 50-59 years, female 66.2
GTEX-14H4A-1626-SM-5SI69 40-49 years, female 66.0
GTEX-OOBK-0625-SM-3LK5P 40-49 years, male 65.9
GTEX-TML8-1526-SM-4DXUX 40-49 years, female 65.8
GTEX-11NSD-1126-SM-5N9BQ 20-29 years, male 65.7
GTEX-14AS3-0626-SM-5QGQD 40-49 years, female 65.6
GTEX-14ICL-0526-SM-5RQJ6 30-39 years, male 65.6
GTEX-U3ZH-1026-SM-4DXUZ 30-39 years, male 65.5
GTEX-1KANB-1826-SM-DHXJU 50-59 years, male 65.5
GTEX-YF7O-0926-SM-5IFIF 50-59 years, male 65.2
GTEX-144GM-1426-SM-5LU31 20-29 years, male 65.1
GTEX-13NYB-0926-SM-5IFFA 40-49 years, male 65.0
GTEX-1IDJD-1626-SM-C1YRC 30-39 years, male 65.0
GTEX-11TUW-1326-SM-5EQKV 60-69 years, male 64.9
GTEX-VUSG-1226-SM-4KKZF 50-59 years, male 64.8
GTEX-1HCU7-2126-SM-A96SG 50-59 years, male 64.8
GTEX-1QP9N-0926-SM-E9U5S 30-39 years, male 64.8
GTEX-11EQ9-0726-SM-5A5K2 30-39 years, male 64.7
GTEX-15RIE-0826-SM-6M47X 60-69 years, male 64.7
GTEX-QLQW-0526-SM-4R1KS 30-39 years, male 64.6
GTEX-XK95-1026-SM-4GIDV 40-49 years, male 64.6
GTEX-132QS-1426-SM-5P9GE 60-69 years, male 64.4
GTEX-1HSMQ-2026-SM-B2LY1 50-59 years, male 64.4
GTEX-1I1CD-1726-SM-A9G3P 60-69 years, female 64.3
GTEX-1JKYR-2126-SM-CNNPC 20-29 years, male 64.3
GTEX-1LG7Z-0926-SM-CXKYK 30-39 years, male 64.3
GTEX-1GMR2-1526-SM-7MXV6 50-59 years, male 64.2
GTEX-13SLX-1726-SM-5Q5E5 50-59 years, female 64.1
GTEX-T2IS-0826-SM-4DM6L 20-29 years, female 64.1
GTEX-XBEW-1326-SM-4AT63 40-49 years, male 64.1
GTEX-QDVJ-0726-SM-48U1W 50-59 years, male 64.0
GTEX-139TU-1226-SM-5J2NL 60-69 years, male 63.8
GTEX-13FLV-1126-SM-5J2NO 50-59 years, male 63.7
GTEX-WHSB-0426-SM-4M1XI 50-59 years, male 63.7
GTEX-U3ZN-1726-SM-4DXUQ 30-39 years, female 63.6
GTEX-16BQI-1526-SM-6LLIE 30-39 years, female 63.5
GTEX-11P82-0526-SM-5986P 20-29 years, male 63.4
GTEX-ZG7Y-1126-SM-4WWEZ 50-59 years, male 63.0
GTEX-WHSE-1526-SM-4M1XH 20-29 years, male 62.8
GTEX-WK11-1026-SM-4OOS8 50-59 years, male 62.8
GTEX-ZDTT-1326-SM-4WKFH 60-69 years, male 62.7
GTEX-131YS-1426-SM-5IJF7 60-69 years, female 62.6
GTEX-131XG-1026-SM-5GCMX 50-59 years, female 62.5
GTEX-ZTPG-1626-SM-5DUX2 20-29 years, female 62.2
GTEX-X585-1226-SM-46MW7 50-59 years, male 62.1
GTEX-1N2DV-2026-SM-EV7BL 40-49 years, male 62.0
GTEX-14PJM-1526-SM-664NY 50-59 years, female 61.9
GTEX-14PJN-0526-SM-68724 30-39 years, male 61.9
GTEX-R55E-1326-SM-48FCR 20-29 years, male 61.9
GTEX-1AX9J-1826-SM-731FM 60-69 years, male 61.7
GTEX-X4LF-0626-SM-4QASB 50-59 years, male 61.7
GTEX-XUZC-0426-SM-4BOPE 30-39 years, female 61.6
GTEX-1CB4E-1026-SM-793AB 60-69 years, male 61.5
GTEX-ZDYS-0826-SM-4WWCR 50-59 years, male 61.4
GTEX-1HGF4-0926-SM-9WPP8 60-69 years, male 61.0
GTEX-OIZH-0626-SM-3NB1L 50-59 years, male 60.8
GTEX-Y3IK-1126-SM-51MSV 50-59 years, female 60.7
GTEX-16NGA-1426-SM-718AC 40-49 years, female 60.6
GTEX-ZF29-1326-SM-DNZYV 60-69 years, female 60.6
GTEX-13D11-1926-SM-5IFGB 50-59 years, female 60.5
GTEX-1HBPM-1426-SM-9WPPE 60-69 years, female 60.5
GTEX-Q2AI-0626-SM-48TZU 40-49 years, male 60.3
GTEX-RWS6-0826-SM-47JXF 60-69 years, female 60.3
GTEX-Y5V5-1626-SM-4VDSG 60-69 years, female 60.3
GTEX-SE5C-1226-SM-4BRWV 40-49 years, female 60.0
GTEX-1MCYP-1026-SM-DPRYB 20-29 years, female 60.0
GTEX-15SB6-0726-SM-6M48F 50-59 years, female 59.9
GTEX-1EMGI-1926-SM-7938Y 60-69 years, male 59.8
GTEX-ZVP2-1326-SM-57WCE 50-59 years, male 59.6
GTEX-XQ3S-1126-SM-4BOPK 20-29 years, male 59.5
GTEX-1KD4Q-1126-SM-CXZKK 40-49 years, male 59.4
GTEX-1N2DW-1426-SM-EV7AZ 50-59 years, male 59.4
GTEX-Z9EW-0526-SM-5HL8S 40-49 years, male 59.2
GTEX-18A7A-2326-SM-7KFRH 50-59 years, female 59.1
GTEX-S4Q7-0626-SM-4AD5M 20-29 years, male 59.1
GTEX-183FY-1526-SM-7IGOW 20-29 years, male 59.0
GTEX-1F5PK-1526-SM-7MKGV 50-59 years, male 58.9
GTEX-12696-1326-SM-5FQTJ 60-69 years, male 58.7
GTEX-15DCD-1626-SM-6AJBH 70-79 years, female 58.6
GTEX-XQ8I-1526-SM-4BOOH 50-59 years, male 58.2
GTEX-1JMQJ-1226-SM-D3L97 50-59 years, male 58.2
GTEX-RU1J-0326-SM-46MUM 20-29 years, female 58.1
GTEX-SNMC-0526-SM-4DM69 20-29 years, male 58.1
GTEX-12BJ1-1626-SM-5HL8Y 60-69 years, male 58.0
GTEX-13FTW-1626-SM-5KM4N 40-49 years, male 58.0
GTEX-T6MO-0526-SM-4DM6R 40-49 years, female 57.9
GTEX-YEC3-2526-SM-CXZIH 50-59 years, male 57.9
GTEX-145MO-1426-SM-DTX9W 60-69 years, male 57.8
GTEX-18D9A-0526-SM-7KFSW 30-39 years, female 57.7
GTEX-ZGAY-1126-SM-4WWBS 40-49 years, female 57.7
GTEX-VJYA-0726-SM-4KL1T 60-69 years, male 57.5
GTEX-1JMPY-0826-SM-AHZ4A 30-39 years, male 57.5
GTEX-13FH7-0526-SM-5IJF8 50-59 years, female 57.4
GTEX-14E1K-1226-SM-5S2PD 50-59 years, male 57.4
GTEX-1H11D-2126-SM-9OSXM 40-49 years, male 57.2
GTEX-Y5LM-1026-SM-4VDSQ 40-49 years, female 57.1
GTEX-WFG7-1126-SM-4LMK3 20-29 years, male 56.9
GTEX-1GN1W-2226-SM-9JGI5 50-59 years, female 56.9
GTEX-QEL4-1426-SM-447AC 50-59 years, male 56.8
GTEX-1E1VI-1526-SM-7IGQ2 50-59 years, male 56.7
GTEX-ZT9W-1326-SM-51MTB 50-59 years, male 56.6
GTEX-YFC4-1226-SM-5LU9R 40-49 years, female 56.5
GTEX-Y9LG-0626-SM-4WWDH 30-39 years, male 56.3
GTEX-YB5K-0826-SM-5YYB7 40-49 years, female 56.3
GTEX-1J8QM-1926-SM-AHZ3Z 60-69 years, female 56.3
GTEX-U3ZM-0526-SM-4DXTB 40-49 years, male 56.2
GTEX-1IDJF-1226-SM-C1YPX 20-29 years, male 56.1
GTEX-13O3Q-0826-SM-5IFGF 50-59 years, male 55.7
GTEX-15EOM-5013-SM-7MKF9 20-29 years, female 55.4
GTEX-13JVG-2026-SM-5KM1N 60-69 years, male 55.3
GTEX-147F3-0826-SM-5NQA7 50-59 years, female 55.3
GTEX-1CB4F-1526-SM-7MKFM 60-69 years, male 55.3
GTEX-13W46-1926-SM-5J2MF 50-59 years, male 55.1
GTEX-ZPU1-1426-SM-4WWFU 40-49 years, male 55.1
GTEX-146FR-0426-SM-5SI97 60-69 years, female 55.0
GTEX-Y8LW-0726-SM-5IFI1 50-59 years, female 55.0
GTEX-1PIGE-0926-SM-E9U5Z 20-29 years, male 55.0
GTEX-11LCK-1726-SM-5S2OQ 30-39 years, male 54.8
GTEX-S7SF-0926-SM-4AD4M 20-29 years, female 54.8
GTEX-17EUY-1426-SM-7938X 20-29 years, male 54.7
GTEX-1PPGY-1726-SM-EVR3S 60-69 years, male 54.7
GTEX-PLZ5-0926-SM-3TW8L 50-59 years, male 54.6
GTEX-UPK5-1226-SM-4IHL8 40-49 years, male 54.6
GTEX-1HCU6-1326-SM-A96TZ 60-69 years, female 54.6
GTEX-QDVN-1026-SM-48TZA 50-59 years, male 54.4
GTEX-WXYG-1226-SM-4ONCJ 50-59 years, female 54.4
GTEX-14DAQ-1426-SM-5RQJD 60-69 years, female 54.3
GTEX-1IKK5-1326-SM-AHZ2X 60-69 years, male 54.3
GTEX-Y3I4-1226-SM-4TT8N 50-59 years, male 53.9
GTEX-1IKOE-1526-SM-C1YSD 30-39 years, female 53.9
GTEX-13OVK-1126-SM-6PAMR 40-49 years, male 53.8
GTEX-11TT1-0526-SM-5P9JO 20-29 years, male 53.6
GTEX-S32W-0926-SM-4AD5X 50-59 years, female 53.6
GTEX-144FL-2726-SM-5O98Z 50-59 years, male 53.4
GTEX-131XE-1426-SM-5HL7V 50-59 years, male 53.1
GTEX-1B8KE-1826-SM-731FD 50-59 years, male 53.1
GTEX-S95S-0426-SM-4B64I 60-69 years, male 53.1
GTEX-QCQG-0626-SM-48U21 50-59 years, female 53.0
GTEX-WRHK-0526-SM-4MVOF 20-29 years, female 53.0
GTEX-1GPI7-1026-SM-7MGY2 20-29 years, male 52.9
GTEX-ZF3C-1626-SM-4WWB4 50-59 years, female 52.7
GTEX-1NUQO-1126-SM-DTX98 20-29 years, female 52.7
GTEX-ZZ64-0226-SM-5E44X 20-29 years, male 52.4
GTEX-1R9K4-1926-SM-DPRZW 60-69 years, male 52.3
GTEX-1IY9M-1626-SM-AHZ39 60-69 years, male 52.2
GTEX-1JMQK-2026-SM-C1YQN 60-69 years, male 52.2
GTEX-16MT8-1326-SM-6M47R 60-69 years, female 52.1
GTEX-WFG8-1226-SM-4V6EI 20-29 years, male 52.1
GTEX-XYKS-1526-SM-4BRUP 60-69 years, female 52.1
GTEX-ZA64-0626-SM-5HL9O 20-29 years, male 52.1
GTEX-WYJK-1926-SM-4ONDP 50-59 years, male 52.0
GTEX-13S86-0826-SM-5SI6J 40-49 years, male 51.6
GTEX-18A66-1426-SM-7KFRT 60-69 years, male 51.6
GTEX-1F7RK-1526-SM-7P8T6 20-29 years, female 51.5
GTEX-X15G-0826-SM-4PQZD 50-59 years, female 51.3
GTEX-U4B1-0826-SM-4DXTW 40-49 years, male 50.8
GTEX-XBED-1026-SM-48TCB 60-69 years, male 50.6
GTEX-XMK1-1326-SM-4B65Q 40-49 years, male 50.5
GTEX-R55G-1026-SM-48FDI 40-49 years, female 50.4
GTEX-1LVAM-1126-SM-DHXKP 50-59 years, female 50.4
GTEX-RNOR-1226-SM-48FDQ 50-59 years, female 50.3
GTEX-ZF2S-1226-SM-4WWAX 50-59 years, female 50.3
GTEX-1I1GU-1426-SM-B2LX3 40-49 years, male 50.2
GTEX-1JK1U-1726-SM-CNNPM 60-69 years, male 50.0
GTEX-12ZZW-1726-SM-5DUVD 50-59 years, male 49.6
GTEX-18D9B-2026-SM-7LT96 60-69 years, male 49.6
GTEX-1RAZR-1226-SM-E6CRD 40-49 years, male 49.6
GTEX-14E6E-0726-SM-5S2R3 30-39 years, male 49.5
GTEX-ZAB4-1126-SM-5HL86 40-49 years, male 49.5
GTEX-OIZI-1426-SM-3NB1T 40-49 years, male 49.4
GTEX-12KS4-0926-SM-5BC5S 30-39 years, male 49.3
GTEX-14B4R-0326-SM-5TDDP 30-39 years, male 49.3
GTEX-ZVE2-1326-SM-5NQ94 50-59 years, male 49.3
GTEX-ZV68-0926-SM-59HK7 50-59 years, female 49.2
GTEX-1B97I-0926-SM-731DZ 40-49 years, male 49.0
GTEX-111YS-0926-SM-5EGGI 60-69 years, male 48.9
GTEX-ZYT6-1126-SM-5GZYR 30-39 years, male 48.9
GTEX-13RTK-0526-SM-5S2QF 20-29 years, male 48.8
GTEX-ZYY3-1526-SM-5SIA9 60-69 years, female 48.8
GTEX-13U4I-1126-SM-5LU3S 40-49 years, female 48.6
GTEX-1497J-2726-SM-5SI9W 60-69 years, male 48.4
GTEX-UPJH-1026-SM-EAZB2 50-59 years, male 48.3
GTEX-TSE9-1226-SM-4DXTM 60-69 years, female 48.2
GTEX-UJMC-0926-SM-4IHLK 50-59 years, male 48.1
GTEX-139T6-0626-SM-5IFF9 50-59 years, male 48.0
GTEX-Q2AH-0826-SM-48TZN 40-49 years, male 47.9
GTEX-1QP67-0726-SM-DPRY1 40-49 years, female 47.9
GTEX-145ME-5004-SM-7MGXP 40-49 years, female 47.8
GTEX-SNOS-0626-SM-4DM5F 40-49 years, male 47.6
GTEX-1B97J-1026-SM-7MXTE 50-59 years, female 47.3
GTEX-QESD-0826-SM-47J4G 20-29 years, male 47.2
GTEX-14JG6-0926-SM-6871Y 30-39 years, female 47.1
GTEX-V955-1126-SM-4JBH3 60-69 years, male 47.1
GTEX-146FH-1726-SM-5QGQ2 50-59 years, female 46.9
GTEX-14PJ3-0626-SM-6UGC5 50-59 years, male 46.9
GTEX-18QFQ-1026-SM-7LG6B 30-39 years, male 46.9
GTEX-11VI4-0526-SM-5EQ48 40-49 years, female 46.8
GTEX-14PHY-0626-SM-664NN 60-69 years, female 46.8
GTEX-13PL7-0226-SM-731DT 60-69 years, female 46.6
GTEX-1GF9U-0826-SM-7MXTZ 40-49 years, female 46.6
GTEX-1HCUA-1426-SM-9WPP7 50-59 years, female 46.4
GTEX-1A3MV-1326-SM-7LG6C 30-39 years, male 46.3
GTEX-S4P3-0426-SM-4AD56 50-59 years, female 46.3
GTEX-OXRK-1326-SM-3NB1A 50-59 years, female 46.2
GTEX-UJHI-0826-SM-4IHLM 50-59 years, female 46.1
GTEX-145MN-1026-SM-5NQ9G 30-39 years, male 45.9
GTEX-RTLS-1126-SM-46MUQ 60-69 years, female 45.5
GTEX-1GTWX-1326-SM-9JGHU 60-69 years, male 45.5
GTEX-1QCLZ-1626-SM-E9U5R 60-69 years, female 45.5
GTEX-13O1R-1326-SM-5IJF5 60-69 years, male 45.4
GTEX-15ETS-1926-SM-7KUN5 40-49 years, female 45.4
GTEX-1HKZK-1426-SM-A96U1 40-49 years, male 45.3
GTEX-U8XE-1726-SM-4E3IF 30-39 years, male 45.2
GTEX-ZAJG-1326-SM-5S2NV 50-59 years, female 45.2
GTEX-RU72-0726-SM-46MUW 50-59 years, female 44.9
GTEX-1JMPZ-2026-SM-C1YR8 30-39 years, male 44.8
GTEX-S3XE-0926-SM-4AD4S 50-59 years, male 44.5
GTEX-1JKYN-1526-SM-CGQGA 30-39 years, male 44.3
GTEX-1R9K5-1526-SM-DPRZA 50-59 years, male 44.1
GTEX-OIZF-0626-SM-7MKHG 60-69 years, male 44.1
GTEX-1MA7W-0426-SM-E9TJ5 20-29 years, female 44.0
GTEX-1C6VQ-1826-SM-7EWEH 50-59 years, male 43.9
GTEX-YECK-1626-SM-5IFHQ 60-69 years, male 43.8
GTEX-16XZY-0926-SM-7938M 70-79 years, male 43.7
GTEX-1QP28-1826-SM-EAZ4L 50-59 years, female 43.7
GTEX-17HGU-1426-SM-7938G 50-59 years, male 43.6
GTEX-1399U-1026-SM-5J1OC 50-59 years, female 43.5
GTEX-1QCLY-1526-SM-DPRXX 30-39 years, male 43.4
GTEX-1R7EU-0826-SM-DPRZL 60-69 years, male 43.2
GTEX-XMD2-1326-SM-4YCET 60-69 years, female 43.1
GTEX-11XUK-0826-SM-5GU6P 40-49 years, female 42.9
GTEX-QV44-1126-SM-CL55C 50-59 years, male 42.9
GTEX-18A67-2426-SM-7LT95 50-59 years, male 42.8
GTEX-WFON-0826-SM-4LVMI 40-49 years, male 42.8
GTEX-1C475-0926-SM-7MKFI 40-49 years, female 42.7
GTEX-13PVQ-1726-SM-5IFF3 50-59 years, male 42.6
GTEX-17F96-2526-SM-7DHL3 70-79 years, male 42.6
GTEX-15F5U-5010-SM-AHZ2D 40-49 years, male 42.6
GTEX-1LGRB-1626-SM-CNNR7 50-59 years, female 42.6
GTEX-QLQ7-0926-SM-447BC 60-69 years, male 42.0
GTEX-ZQUD-0426-SM-57WFR 30-39 years, male 41.7
GTEX-15EU6-1626-SM-6LPKF 50-59 years, male 41.3
GTEX-15RJ7-0926-SM-6LPJO 40-49 years, male 41.3
GTEX-1H1DE-1026-SM-9JGH6 20-29 years, male 41.3
GTEX-ZY6K-0626-SM-59HJL 50-59 years, male 41.1
GTEX-WH7G-0926-SM-4LVMJ 40-49 years, male 41.0
GTEX-1C2JI-1126-SM-731FH 50-59 years, male 40.9
GTEX-ZYFG-1126-SM-5GICY 60-69 years, female 40.9
GTEX-14C5O-1626-SM-73KYH 60-69 years, male 40.8
GTEX-145LS-1826-SM-5LUAZ 60-69 years, female 40.7
GTEX-1R9JW-1526-SM-DPRZK 30-39 years, female 40.7
GTEX-1IDFM-1126-SM-A96SY 60-69 years, male 40.5
GTEX-11EM3-0826-SM-5N9CC 20-29 years, female 40.4
GTEX-P4QT-0626-SM-3NMCP 50-59 years, female 40.2
GTEX-Y111-1626-SM-57WCY 50-59 years, male 39.3
GTEX-Y114-0926-SM-4TT7J 50-59 years, female 39.1
GTEX-17F98-1726-SM-7938O 40-49 years, female 39.0
GTEX-1B8KZ-0726-SM-7938W 50-59 years, male 38.9
GTEX-13X6K-2126-SM-5O9D4 60-69 years, female 38.8
GTEX-R53T-1126-SM-48FD4 50-59 years, female 38.6
GTEX-ZTX8-0226-SM-5E44D 20-29 years, male 38.6
GTEX-139UW-1126-SM-5IJEJ 60-69 years, male 38.5
GTEX-13OVJ-1226-SM-5L3HA 50-59 years, female 38.5
GTEX-13111-0826-SM-5LZV3 50-59 years, male 38.1
GTEX-ZXES-1126-SM-5GZXN 30-39 years, female 38.0
GTEX-111CU-0726-SM-5GZYD 50-59 years, male 37.8
GTEX-1CB4I-1026-SM-7MKFZ 50-59 years, male 37.8
GTEX-145LT-1126-SM-5LUA1 40-49 years, male 37.7
GTEX-ZAB5-0926-SM-5CVMV 50-59 years, male 37.7
GTEX-1GN73-1926-SM-9JGGS 60-69 years, male 37.7
GTEX-1QP29-2126-SM-E6CPZ 50-59 years, male 37.7
GTEX-ZYW4-1326-SM-5E45N 60-69 years, male 37.6
GTEX-1I4MK-0426-SM-B2LWQ 50-59 years, female 37.4
GTEX-12WSA-1426-SM-5EGJU 60-69 years, male 36.9
GTEX-RM2N-0726-SM-48FD5 50-59 years, male 36.7
GTEX-WFJO-0826-SM-4LVM5 30-39 years, male 36.4
GTEX-Y5V6-1026-SM-4VBS2 60-69 years, male 36.2
GTEX-NPJ8-1926-SM-3MJGB 40-49 years, male 36.1
GTEX-1ICG6-1926-SM-ARU7L 70-79 years, female 35.9
GTEX-16MTA-0826-SM-6LLIC 50-59 years, male 35.8
GTEX-1GL5R-1526-SM-7MKHO 50-59 years, male 35.7
GTEX-1211K-0926-SM-5FQTL 60-69 years, female 35.4
GTEX-16AAH-0726-SM-793A9 50-59 years, male 35.3
GTEX-P4PP-0626-SM-3NM9X 30-39 years, female 35.2
GTEX-1LGOU-0526-SM-D3LAO 20-29 years, female 35.2
GTEX-Q2AG-1326-SM-43V8K 40-49 years, female 35.1
GTEX-144GN-0626-SM-5O9B2 50-59 years, male 35.0
GTEX-132Q8-1826-SM-5EGIY 60-69 years, male 34.9
GTEX-WEY5-0926-SM-4LMI4 40-49 years, female 34.9
GTEX-12WSL-1526-SM-5GCP8 50-59 years, male 34.7
GTEX-ZEX8-1426-SM-4WKHQ 50-59 years, male 34.4
GTEX-OHPN-1026-SM-E9TI8 60-69 years, female 34.3
GTEX-1N2EE-2426-SM-EXOIO 60-69 years, male 34.2
GTEX-Y8E4-1726-SM-5LU9G 40-49 years, male 34.0
GTEX-1BAJH-2026-SM-7P8OZ 70-79 years, male 34.0
GTEX-1AX9K-1126-SM-731DQ 50-59 years, male 33.7
GTEX-169BO-0526-SM-793AK 50-59 years, male 33.4
GTEX-145MF-1426-SM-5O9B6 50-59 years, male 33.0
GTEX-N7MS-1225-SM-3LK5G 60-69 years, male 33.0
GTEX-17F9E-1926-SM-7IGQF 50-59 years, male 32.6
GTEX-15EO6-1026-SM-7KUG9 50-59 years, male 32.4
GTEX-17F97-1326-SM-7MGVO 50-59 years, male 32.3
GTEX-1MJIX-0826-SM-DTXEO 40-49 years, male 32.3
GTEX-15UF6-2326-SM-6M465 70-79 years, female 31.9
GTEX-183WM-1726-SM-7KFT5 70-79 years, female 31.9
GTEX-1RAZQ-1726-SM-EAZ4T 30-39 years, male 31.9
GTEX-XGQ4-1526-SM-4AT6H 50-59 years, male 30.9
GTEX-OXRL-0626-SM-3NM9C 50-59 years, male 30.8
GTEX-178AV-0526-SM-6LPJH 40-49 years, male 30.7
GTEX-PSDG-1326-SM-48TD2 50-59 years, male 30.6
GTEX-T5JW-1326-SM-4DM5G 20-29 years, female 29.8
GTEX-14BIM-1326-SM-7EWD1 60-69 years, female 29.4
GTEX-1HCU8-2226-SM-9WPOV 60-69 years, female 29.2
GTEX-1K9T9-2026-SM-CXZK3 50-59 years, female 29.2
GTEX-14PJ4-1526-SM-664OA 60-69 years, male 28.9
GTEX-XV7Q-1126-SM-4BRVS 40-49 years, female 28.9
GTEX-1F5PL-1726-SM-9QEGL 40-49 years, female 28.8
GTEX-133LE-0626-SM-5IFFJ 20-29 years, female 28.6
GTEX-P78B-1026-SM-3NMC4 40-49 years, female 28.6
GTEX-11DXX-1126-SM-5GZZK 60-69 years, female 28.4
GTEX-131XF-0826-SM-5GICG 60-69 years, male 28.1
GTEX-13O21-0626-SM-5IJDI 50-59 years, male 28.1
GTEX-146FQ-1026-SM-5LU8I 30-39 years, male 27.6
GTEX-1HSGN-1626-SM-A96U2 40-49 years, female 27.4
GTEX-1HC8U-1526-SM-9WPO4 40-49 years, female 27.3
GTEX-R45C-1226-SM-48FEE 60-69 years, female 27.1
GTEX-1JMLX-2326-SM-CXZJP 50-59 years, male 26.9
GTEX-11DYG-1326-SM-5N9DO 60-69 years, male 26.8
GTEX-14BMU-0926-SM-5S2QB 20-29 years, female 26.8
GTEX-16A39-1026-SM-6LPJU 30-39 years, female 26.6
GTEX-ZYFC-1626-SM-5N9EU 50-59 years, male 26.2
GTEX-13X6H-1326-SM-5LU42 50-59 years, female 26.0
GTEX-1GMR8-1826-SM-9WYUE 50-59 years, female 25.5
GTEX-1H3NZ-1326-SM-9JGHI 60-69 years, male 24.8
GTEX-13X6I-1026-SM-5LU4C 60-69 years, male 24.6
GTEX-P4QS-0626-SM-3NMD1 60-69 years, male 24.0
GTEX-WOFM-0626-SM-4OOS3 20-29 years, male 23.6
GTEX-XLM4-2326-SM-4AT5E 60-69 years, male 23.3
GTEX-TMMY-1126-SM-4DXSX 40-49 years, female 22.6
GTEX-1CB4J-2426-SM-7MXVC 60-69 years, male 22.3
GTEX-13CF3-1626-SM-5IFG9 60-69 years, female 22.0
GTEX-R55D-1126-SM-48FEB 50-59 years, male 21.6
GTEX-1H3VY-2026-SM-9JGHK 50-59 years, male 21.5
GTEX-1I6K7-1426-SM-B2LXP 40-49 years, male 21.4
GTEX-ZZPT-1426-SM-5N9C5 50-59 years, male 20.6
GTEX-1PFEY-0826-SM-E9U6A 30-39 years, male 20.0
GTEX-17KNJ-1326-SM-7KFTG 50-59 years, male 19.1
GTEX-12WSG-5007-SM-7DUGZ 50-59 years, female 19.0
GTEX-ZT9X-0526-SM-5GCOP 40-49 years, male 18.6
GTEX-144GO-2726-SM-5O9A2 60-69 years, male 18.1
GTEX-13O61-0926-SM-5IFFE 60-69 years, male 17.3
GTEX-14PJ6-1026-SM-686ZB 60-69 years, female 17.2
GTEX-15DCE-1326-SM-6LPJL 20-29 years, male 16.9
GTEX-11DZ1-2026-SM-5A5KG 50-59 years, male 16.6
GTEX-12WSN-5013-SM-7P8P9 40-49 years, male 16.2
GTEX-1AX8Z-5016-SM-AHZ2B 60-69 years, male 13.9
GTEX-RUSQ-0826-SM-47JWW 50-59 years, male 13.0
GTEX-1QW4Y-0526-SM-EAZ3V 30-39 years, male 10.7
GTEX-WHWD-0926-SM-4OORY 50-59 years, male 8.9
GTEX-1I1GP-1026-SM-C1YRZ 50-59 years, male 7.3
Show allShow less

ESOPHAGUS - FANTOM5 CAGEi

RNA expression in human tissues obtained through Cap Analysis of Gene Expression (CAGE) generated by the FANTOM5 project are reported as Scaled Tags Per Million.

Max subtype Scaled Tags Per Millioni

Max subtype Scaled Tags Per Million is the value for the subtype with the largest average Scaled Tags Per Million across the subtype samples.

26.6
FANTOM5 sample id Sample description Scaled Tags Per Million
Esophagus
Scaled Tags Per Million: 26.6
FF:10015-101C6 68,74,75 years, mixed 26.6

Contact

  • NEWS ARTICLES
  • PRESS ROOM

The Project

  • INTRODUCTION
  • ORGANIZATION
  • PUBLICATIONS

The Human Protein Atlas

  • DOWNLOADABLE DATA
  • LICENCE & CITATION
  • HELP & FAQ
The Human Protein Atlas project is funded
by the Knut & Alice Wallenberg Foundation.


contact@proteinatlas.org