We use cookies to enhance the usability of our website. If you continue, we'll assume that you are happy to receive all cookies. More information. Don't show this again.
MUC1
HPA
RESOURCES
  • TISSUE
  • BRAIN
  • SINGLE CELL
  • SUBCELLULAR
  • CANCER
  • BLOOD
  • CELL LINE
  • STRUCTURE & INTERACTION
ABOUT
  • INTRODUCTION
  • HISTORY
  • ORGANIZATION
  • PUBLICATIONS
  • ANTIBODY SUBMISSION
  • ANTIBODY AVAILABILITY
  • ACKNOWLEDGMENTS
  • CONTACT
NEWS
  • NEWS ARTICLES
  • PRESS ROOM
LEARN
  • DICTIONARY
  • PROTEIN CLASSES
  • PROTEIN EVIDENCE
  • METHODS
  • EDUCATIONAL VIDEOS
DATA
  • DOWNLOADABLE DATA
  • PUBLICATION DATA
  • RELEASE HISTORY
HELP
  • ANTIBODY VALIDATION
  • ASSAYS & ANNOTATION
  • DISCLAIMER
  • HELP & FAQ
  • PRIVACY STATEMENT
  • LICENCE & CITATION
Fields »
Search result

Field
Term
Gene name
Class
Subclass
Class
Keyword
Chromosome
External id
Tissue
Cell type
Expression
Antibody panel
Tissue
Main location
Patient ID
Annotation
Tissue
Category
Tau score
Cluster
Reliability
Brain region
Category
Tau score
Brain region
Category
Tau score
Brain region
Category
Tau score
Cluster
Reliability
Tissue
Cell type
Enrichment
Cell type
Category
Tau score
Cell type
Category
Tau score
Cell type
Category
Tau score
Cell lineage
Category
Tau score
Cluster
Cluster
Location
Searches
Location
Cell line
Class
Type
Phase
Reliability
Cancer
Prognosis
Cancer
Category
Cancer
Category
Tau score
Cluster
Variants
Interacting gene (ensg_id)
Type
Number of interactions
Pathway
Category
Score
Score
Score
Validation
Validation
Validation
Validation
Antibodies
Data type
Column


  • SUMMARY

  • TISSUE

  • BRAIN

  • SINGLE CELL

  • SUBCELL

  • CANCER

  • BLOOD

  • CELL LINE

  • STRUCT & INT

  • MUC1
TISSUE PRIMARY DATA BREAST Show tissue menu
ADIPOSE TISSUE ADRENAL GLAND AMYGDALA APPENDIX BASAL GANGLIA BONE MARROW BREAST BRONCHUS CEREBELLUM CEREBRAL CORTEX CERVIX CHOROID PLEXUS COLON DUODENUM
ENDOMETRIUM EPIDIDYMIS ESOPHAGUS FALLOPIAN TUBE GALLBLADDER HEART MUSCLE HIPPOCAMPAL FORMATION HYPOTHALAMUS KIDNEY LIVER LUNG LYMPH NODE MIDBRAIN NASOPHARYNX
ORAL MUCOSA OVARY PANCREAS PARATHYROID GLAND PITUITARY GLAND PLACENTA PROSTATE RECTUM RETINA SALIVARY GLAND SEMINAL VESICLE SKELETAL MUSCLE SKIN SMALL INTESTINE
SMOOTH MUSCLE SOFT TISSUE SPINAL CORD SPLEEN STOMACH TESTIS THYMUS THYROID GLAND TONGUE TONSIL URINARY BLADDER VAGINA
ANTIBODIES
AND
VALIDATION
Dictionary
Breast
Tissue proteome
Breast
BREAST - Expression summary
Protein expression
Breasti

On the top, protein expression in current human tissue, based on all annotated cell types, is reported with the units not detected (n), low (l), medium (m) and high (h). Underneath, protein expression in each annotated cell type are reported using the same units.

Protein expression data is based on knowledge-based annotation. For genes where more than one antibody has been used, a collective score is set.

If knowledge-based annotation could not be performed for a gene, no data is displayed here. View antibody staining data further down this page.

h
m
l
n
Adipocytes: Not detected
Glandular cells: Medium
Myoepithelial cells: Low
RNA expressioni

A summary of mRNA expression data available for current tissue based on several datasets. The mRNA expression levels in human tissues are based on RNA-seq data generated by the Human Protein Atlas (HPA), Genotype-Tissue Expression (GTEx) portal and CAGE data generated by the FANTOM5 consortium. Consensus normalized expression levels for human tissues was created by combining the data from HPA and GTEx datasets.

The mRNA expression levels in pig are based on RNA-seq data generated by the Human Protein Atlas (HPA), and for mouse, HPA data and in situ hybridization generated by the Allen brain atlas are reported.

Scroll down to view mRNA expression data in more detail.
Consensus:75.7 nTPM
HPA:75.7 nTPM
GTEx:46.1 nTPM
FANTOM5:58.8 Scaled Tags Per Million

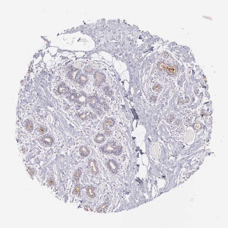
BREAST - Antibody stainingi

Antibody staining in the annotated cell types in the current human tissue is reported as not detected, low, medium, or high, based on conventional immunohistochemistry profiling in selected tissues. This score is based on the combination of the staining intensity and fraction of stained cells.

Each image is clickable and will lead to virtual microscopy that enables deeper exploration of all samples and also displays staining intensity scores, fraction scores and subcellular localization as well as patient and tissue information for each sample.

Antibody HPA004179Antibody HPA007235Antibody HPA008855Antibody CAB000036Antibody CAB001986Antibody CAB080102Antibody CAB080103
Adipocytes Not detectedNot detectedNot detectedNot detectedNot detectedNot detected-
Glandular cells MediumLowHighMediumMediumNot detectedMedium
Myoepithelial cells LowNot detectedHighNot detectedNot detectedNot detectedNot detected











BREAST - HPA RNA-seqi

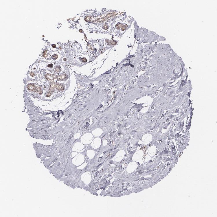
The RNA-seq details section shows detailed information about the individual samples used for the transcript profiling and results of the RNA-seq analysis.

Information about each individual sample is listed below, including gender, age, a tissue section image and estimated fractions of cell types. nTPM (normalized transcripts per million) values give a quantification of the gene abundance which is comparable between different genes and samples.
Average nTPMi

Max subtype nTPM is the value for the subtype with the largest average nTPM across the subtype samples.

75.7
overview
Female, age 52
Breast sample 373
nTPM: 16.3
Cell types%
Glandular cells:
15

Adipocytes:
5

Other cell types:
80

overview
Female, age 80
Breast sample 390
nTPM: 43.9
Cell types%
Glandular cells:
5

Adipocytes:
15

Other cell types:
80

overview
Female, age 47
Breast sample 405
nTPM: 206.9
Cell types%
Glandular cells:
5

Adipocytes:
5

Other cell types:
90

overview
Female, age 38
Breast sample 410
nTPM: 35.6
Cell types%
Glandular cells:
40

Adipocytes:
5

Other cell types:
55


BREAST - GTEx RNA-seqi

RNA-Seq data generated by the Genotype-Tissue Expression (GTEx) project from human tissues is reported as mean nTPM. More information can be found on the GTEx portal.

Distribution across the dataset is visualized with box plots, shown as median and 25th and 75th percentiles. Points are displayed as outliers if they are above or below 1.5 times the interquartile range. nTPM values of the individual samples are presented next to the box plot.
Max subtype nTPMi

Max subtype nTPM is the value for the subtype with the largest average nTPM across the subtype samples.

46.1
GTEx sample id Sample description nTPM
Breast - Mammary Tissue
Average nTPM: 46.1
Samples: 459

Max nTPM: 1669.9
Min nTPM: 0.2
Std nTPM: 95.4
Median nTPM: 24.9
GTEX-1NUQO-2226-SM-E9U68 20-29 years, female 1669.9
GTEX-14PN4-0626-SM-62LFP 50-59 years, male 592.9
GTEX-XUZC-1626-SM-4BRVP 30-39 years, female 394.2
GTEX-1RQEC-2026-SM-DTXDM 60-69 years, male 381.1
GTEX-14H4A-2526-SM-5YYAY 40-49 years, female 350.9
GTEX-1B8SG-1226-SM-7IGPF 50-59 years, male 238.1
GTEX-1CB4J-1826-SM-7EWF9 60-69 years, male 229.0
GTEX-WFG8-2026-SM-EXOHO 20-29 years, male 215.4
GTEX-11PRG-0826-SM-5EQ6A 50-59 years, male 215.3
GTEX-145LT-0726-SM-5S2VM 40-49 years, male 207.1
GTEX-1QP29-1726-SM-E8VMQ 50-59 years, male 204.9
GTEX-1F75I-2026-SM-7SB7N 40-49 years, male 192.2
GTEX-11TT1-2126-SM-5GU5Y 20-29 years, male 186.8
GTEX-ZTPG-2826-SM-57WGA 20-29 years, female 184.7
GTEX-1HKZK-1826-SM-ADEJ2 40-49 years, male 179.3
GTEX-1H1DG-0526-SM-9YFLN 70-79 years, male 173.6
GTEX-QEG5-0726-SM-D4P1T 20-29 years, male 162.7
GTEX-11EM3-1326-SM-5N9C6 20-29 years, female 158.1
GTEX-WYBS-0926-SM-3NM94 60-69 years, female 156.9
GTEX-14ICK-2426-SM-6EU27 40-49 years, male 148.0
GTEX-U412-1826-SM-4DXTJ 60-69 years, male 142.8
GTEX-1GMR8-0726-SM-9KNVI 50-59 years, female 138.6
GTEX-13CF2-2026-SM-5K7VI 60-69 years, male 133.9
GTEX-13O3O-0826-SM-5K7WE 60-69 years, female 133.3
GTEX-17EUY-1926-SM-7DUF6 20-29 years, male 132.6
GTEX-ZVT2-1826-SM-5NQ8W 50-59 years, female 130.6
GTEX-1HBPN-2326-SM-9WPPU 50-59 years, male 130.5
GTEX-1C6VS-0726-SM-7EPHF 60-69 years, male 129.0
GTEX-1J8Q2-2726-SM-A9G2X 60-69 years, male 127.8
GTEX-ZY6K-1626-SM-5GZWV 50-59 years, male 127.7
GTEX-11EMC-2026-SM-5A5JV 60-69 years, female 125.4
GTEX-1LSNM-1326-SM-E9TJ1 50-59 years, male 124.9
GTEX-1I6K7-1026-SM-A9SLK 40-49 years, male 124.7
GTEX-1M5QR-2526-SM-E9U5P 40-49 years, male 124.7
GTEX-ZTX8-1226-SM-4YCE9 20-29 years, male 120.5
GTEX-ZAJG-0626-SM-5HL8X 50-59 years, female 120.0
GTEX-1RAZS-1226-SM-E8VMT 50-59 years, male 119.7
GTEX-15G19-2126-SM-6M48J 60-69 years, male 118.3
GTEX-1CAMS-1426-SM-7IGPM 40-49 years, female 117.3
GTEX-111YS-1926-SM-5GICC 60-69 years, male 114.9
GTEX-1H1E6-0926-SM-9YFLT 30-39 years, male 111.5
GTEX-14ABY-2126-SM-5QGQZ 50-59 years, male 106.4
GTEX-13NZ9-1026-SM-5MR5K 50-59 years, male 103.7
GTEX-ZTTD-1026-SM-51MRD 50-59 years, male 103.4
GTEX-1CB4E-0226-SM-79OLW 60-69 years, male 101.2
GTEX-14PJO-0726-SM-69LO8 60-69 years, male 101.0
GTEX-1R7EU-1226-SM-E8VMR 60-69 years, male 99.1
GTEX-16NGA-0826-SM-718AF 40-49 years, female 97.9
GTEX-X15G-1626-SM-3NMB3 50-59 years, female 97.2
GTEX-13SLX-2326-SM-5ZZWE 50-59 years, female 95.7
GTEX-XMD1-0826-SM-4AT52 60-69 years, male 94.5
GTEX-ZF2S-2026-SM-5E461 50-59 years, female 91.8
GTEX-14LLW-0626-SM-62LFC 70-79 years, female 91.1
GTEX-1I1GT-1126-SM-ARL7J 60-69 years, female 91.1
GTEX-ZXES-0826-SM-5E43C 30-39 years, female 90.7
GTEX-1BAJH-0826-SM-7EWEF 70-79 years, male 89.8
GTEX-Y8LW-1626-SM-5IFHX 50-59 years, female 89.0
GTEX-11WQC-1726-SM-5GU4W 60-69 years, male 87.8
GTEX-ZF29-1926-SM-5S2P1 60-69 years, female 87.7
GTEX-XBED-1626-SM-47JYN 60-69 years, male 86.6
GTEX-ZF3C-2326-SM-5S2NC 50-59 years, female 86.2
GTEX-1GN2E-2226-SM-9WG6J 60-69 years, male 85.9
GTEX-S341-1526-SM-4AD6K 40-49 years, female 85.5
GTEX-1F6I4-2526-SM-7SB8F 60-69 years, male 84.6
GTEX-133LE-1726-SM-5K7VQ 20-29 years, female 84.0
GTEX-RU1J-0626-SM-4WAWY 20-29 years, female 84.0
GTEX-1IDJE-0826-SM-CKZNZ 50-59 years, female 84.0
GTEX-1MCC2-2126-SM-EWRON 30-39 years, female 83.7
GTEX-1LVAM-0926-SM-E9TJ2 50-59 years, female 83.3
GTEX-1B97I-0426-SM-79OL7 40-49 years, male 82.4
GTEX-13FHO-0826-SM-5L3E8 60-69 years, male 82.0
GTEX-139T8-0826-SM-5L3DE 60-69 years, male 81.9
GTEX-11DXW-0626-SM-5N9ER 40-49 years, male 81.0
GTEX-1IKOH-2326-SM-CM2TW 60-69 years, female 80.8
GTEX-14AS3-1626-SM-5S2OY 40-49 years, female 79.0
GTEX-14PHY-1926-SM-5YY95 60-69 years, female 79.0
GTEX-1A3MV-1626-SM-731C1 30-39 years, male 78.8
GTEX-1GZ4I-2826-SM-9MQK5 50-59 years, male 77.8
GTEX-1HUB1-1626-SM-CM2SL 60-69 years, male 77.6
GTEX-1LNCM-0226-SM-DIPF4 50-59 years, female 77.1
GTEX-YFC4-1426-SM-5IFJG 40-49 years, female 76.7
GTEX-X261-0626-SM-3NMD9 50-59 years, male 76.5
GTEX-XOT4-0726-SM-4GIAW 60-69 years, female 75.7
GTEX-1JMPZ-1626-SM-COH31 30-39 years, male 74.7
GTEX-1LVAN-1326-SM-CNPQE 50-59 years, female 74.1
GTEX-13D11-1026-SM-5IJFB 50-59 years, female 73.8
GTEX-13FTY-2226-SM-5J1ND 40-49 years, female 73.7
GTEX-1AX8Z-0926-SM-731AW 60-69 years, male 73.3
GTEX-13OW5-2226-SM-5L3HC 60-69 years, male 72.6
GTEX-1MA7W-1026-SM-DKPQK 20-29 years, female 72.1
GTEX-ZLV1-1426-SM-DO92Z 60-69 years, female 72.1
GTEX-Q2AG-0326-SM-48U1O 40-49 years, female 71.5
GTEX-T6MO-0326-SM-32QOK 40-49 years, female 71.5
GTEX-131XW-0726-SM-5EGK3 50-59 years, female 71.0
GTEX-XYKS-1326-SM-4BRUN 60-69 years, female 70.6
GTEX-13NZ8-0126-SM-5IJCT 60-69 years, female 69.5
GTEX-17EVP-0226-SM-79OND 40-49 years, male 69.4
GTEX-S4P3-1326-SM-4AD6V 50-59 years, female 69.4
GTEX-13QIC-2326-SM-5LU5N 60-69 years, female 69.1
GTEX-SE5C-2126-SM-4BRUJ 40-49 years, female 68.1
GTEX-1RAZQ-1226-SM-EWRNL 30-39 years, male 67.2
GTEX-18QFQ-0826-SM-718AX 30-39 years, male 67.1
GTEX-1QCLY-1626-SM-DTXDW 30-39 years, male 66.0
GTEX-ZGAY-1726-SM-DO91P 40-49 years, female 65.7
GTEX-1POEN-0926-SM-DTX88 30-39 years, female 65.5
GTEX-1GMR3-2626-SM-7RHHG 40-49 years, male 64.8
GTEX-17HG3-0126-SM-7IGNH 30-39 years, female 62.2
GTEX-1GZ4H-0326-SM-7P8QX 50-59 years, female 62.1
GTEX-Y5LM-1726-SM-4VDSX 40-49 years, female 60.5
GTEX-1JJE9-2326-SM-ARL8Q 70-79 years, male 60.5
GTEX-15UF6-0126-SM-6PAMB 70-79 years, female 60.4
GTEX-11I78-2226-SM-5PNYA 50-59 years, female 59.9
GTEX-1399U-1826-SM-5PNZ1 50-59 years, female 59.8
GTEX-1GMR2-1926-SM-9MQLZ 50-59 years, male 59.8
GTEX-1JK1U-1826-SM-ARL8W 60-69 years, male 59.2
GTEX-1HSGN-1526-SM-A9SMO 40-49 years, female 59.1
GTEX-1R9PN-0326-SM-DTX85 40-49 years, female 58.5
GTEX-1KANA-2026-SM-DIPFB 20-29 years, male 58.3
GTEX-1JMQK-2626-SM-COH2W 60-69 years, male 58.2
GTEX-1211K-1926-SM-5EQLB 60-69 years, female 57.6
GTEX-1269C-2426-SM-5FQSN 60-69 years, female 57.5
GTEX-131YS-0626-SM-5EGKL 60-69 years, female 57.5
GTEX-13NZB-2126-SM-5MR4Y 30-39 years, male 57.2
GTEX-13SLW-2526-SM-62LDQ 70-79 years, male 57.2
GTEX-1HCVE-2626-SM-ADEJ8 50-59 years, male 56.3
GTEX-1192X-2326-SM-5987X 50-59 years, male 56.2
GTEX-1N5O9-1126-SM-DTXEQ 60-69 years, male 55.8
GTEX-1C64O-0726-SM-7DUFU 60-69 years, male 55.7
GTEX-Y114-2026-SM-4TT7L 50-59 years, female 55.5
GTEX-1KAFJ-0226-SM-DIPEL 50-59 years, male 55.2
GTEX-VUSG-2226-SM-4KKZO 50-59 years, male 55.1
GTEX-1J8EW-2626-SM-CL53E 60-69 years, female 55.1
GTEX-1P4AB-1826-SM-E76PU 50-59 years, male 54.6
GTEX-14PKU-0426-SM-6EU1P 40-49 years, female 54.4
GTEX-13PL6-2926-SM-5L3I2 40-49 years, female 54.2
GTEX-11LCK-2426-SM-5HL5F 30-39 years, male 53.7
GTEX-15SHW-1326-SM-6PAL8 60-69 years, male 53.6
GTEX-Y111-2026-SM-4SOJA 50-59 years, male 53.5
GTEX-Y3IK-2326-SM-4WWDT 50-59 years, female 52.5
GTEX-1HSKV-2026-SM-CMKGX 60-69 years, male 52.3
GTEX-1JMPY-0526-SM-CL54O 30-39 years, male 52.0
GTEX-18A7A-0726-SM-7LTAI 50-59 years, female 51.9
GTEX-147F4-2826-SM-5NQBN 50-59 years, male 51.8
GTEX-1GN1W-1926-SM-7P8TH 50-59 years, female 51.5
GTEX-132Q8-1426-SM-5EGK7 60-69 years, male 51.4
GTEX-T2IS-1526-SM-32QPR 20-29 years, female 51.4
GTEX-11P7K-0726-SM-5EGKX 30-39 years, male 51.2
GTEX-ZAK1-1326-SM-EVYAS 50-59 years, female 50.9
GTEX-RU72-0626-SM-46MUI 50-59 years, female 50.6
GTEX-1IY9M-2726-SM-CMKG5 60-69 years, male 50.6
GTEX-1J8Q3-1326-SM-CMKI1 60-69 years, male 50.6
GTEX-1GN1U-0526-SM-9KNTT 50-59 years, female 50.4
GTEX-14A5I-0726-SM-5TDEB 50-59 years, female 50.0
GTEX-1GPI6-0626-SM-7RHHJ 60-69 years, male 49.5
GTEX-R3RS-0626-SM-48FE1 40-49 years, female 49.3
GTEX-ZVTK-0326-SM-51MRR 20-29 years, male 49.2
GTEX-ZZPU-0626-SM-5E43T 50-59 years, female 48.7
GTEX-U3ZH-1426-SM-4DXSR 30-39 years, male 48.5
GTEX-1N2EE-2126-SM-E8VNN 60-69 years, male 48.3
GTEX-XMD2-0926-SM-4WWEF 60-69 years, female 48.0
GTEX-1HCUA-0726-SM-ACKVU 50-59 years, female 48.0
GTEX-1GZ2Q-2626-SM-7MXV9 40-49 years, male 47.6
GTEX-1CB4G-2326-SM-79OOI 60-69 years, male 46.3
GTEX-QDT8-0626-SM-48TYW 30-39 years, female 46.1
GTEX-1I1GU-1026-SM-ADEHJ 40-49 years, male 46.0
GTEX-17F98-0526-SM-79OK5 40-49 years, female 45.7
GTEX-1122O-1226-SM-5H113 60-69 years, female 45.3
GTEX-1IKOE-1326-SM-CE6T6 30-39 years, female 44.7
GTEX-139TU-0626-SM-5KM3X 60-69 years, male 44.4
GTEX-1JJEA-2726-SM-ARL8V 60-69 years, male 43.8
GTEX-X4EP-2926-SM-3P5YQ 60-69 years, female 43.3
GTEX-17HHY-0926-SM-793C1 50-59 years, male 42.6
GTEX-ZVE2-1226-SM-5NQ8R 50-59 years, male 42.6
GTEX-1GMRU-0826-SM-9WYT7 50-59 years, male 42.4
GTEX-1IE54-0626-SM-ARL8D 40-49 years, female 42.0
GTEX-13N11-1726-SM-5J1OJ 50-59 years, female 41.5
GTEX-12BJ1-1826-SM-5HL9N 60-69 years, male 41.4
GTEX-ZV7C-1826-SM-5NQ83 50-59 years, male 41.0
GTEX-1LGRB-1826-SM-CNPQL 50-59 years, female 40.6
GTEX-13O3P-0826-SM-5L3DH 50-59 years, male 39.9
GTEX-1B8KE-1226-SM-73KWK 50-59 years, male 39.8
GTEX-T5JC-2126-SM-32PMO 20-29 years, male 39.5
GTEX-ZC5H-2626-SM-5J2MG 40-49 years, female 39.4
GTEX-1I1HK-2426-SM-ADEHX 60-69 years, male 39.2
GTEX-WI4N-1426-SM-3LK7H 40-49 years, female 38.8
GTEX-1313W-0826-SM-5EQ4T 50-59 years, female 38.7
GTEX-1MJK2-2226-SM-EVYCR 50-59 years, male 38.7
GTEX-S4UY-0726-SM-4AD6X 40-49 years, female 38.2
GTEX-1GF9X-1026-SM-ACKX2 40-49 years, female 38.2
GTEX-T5JW-2026-SM-4DM63 20-29 years, female 37.6
GTEX-VJWN-0726-SM-3GIJ8 50-59 years, female 37.0
GTEX-ZVZQ-0826-SM-51MRF 60-69 years, female 36.7
GTEX-15ETS-0626-SM-7KUMX 40-49 years, female 36.0
GTEX-WYVS-1726-SM-3NMAY 40-49 years, female 36.0
GTEX-1PDJ9-1126-SM-EXUSW 20-29 years, male 35.9
GTEX-T6MN-0726-SM-32PML 50-59 years, male 35.6
GTEX-1IKJJ-2326-SM-COH3U 60-69 years, male 35.6
GTEX-1QPFJ-2026-SM-EVYBE 30-39 years, female 35.6
GTEX-11EI6-0626-SM-5985T 60-69 years, male 35.3
GTEX-14BMU-1626-SM-5TDE7 20-29 years, female 33.4
GTEX-1B932-0826-SM-73KXG 40-49 years, female 32.8
GTEX-17HHE-1426-SM-7EPH4 50-59 years, male 32.7
GTEX-1QCLZ-2326-SM-DTXDO 60-69 years, female 32.7
GTEX-1H1CY-2226-SM-9WG7E 60-69 years, female 30.8
GTEX-12WSN-1326-SM-5GCNT 40-49 years, male 30.6
GTEX-1S82U-1126-SM-E9U6I 30-39 years, female 30.6
GTEX-ZU9S-1926-SM-5NQBP 30-39 years, male 30.1
GTEX-1MCYP-0126-SM-E6CIS 20-29 years, female 30.1
GTEX-1R46S-2526-SM-E8VN2 60-69 years, female 30.0
GTEX-1KXAM-1026-SM-CY8IA 60-69 years, male 29.9
GTEX-WRHU-0326-SM-3MJFY 50-59 years, female 29.7
GTEX-1HCU9-0326-SM-9WYSC 20-29 years, male 29.7
GTEX-11GSP-0926-SM-9WYSG 60-69 years, female 28.6
GTEX-QEL4-2126-SM-447AE 50-59 years, male 28.5
GTEX-WXYG-2226-SM-4E3IM 50-59 years, female 28.4
GTEX-1HC8U-0826-SM-ADEIL 40-49 years, female 28.4
GTEX-15FZZ-0726-SM-7KUFZ 30-39 years, female 27.6
GTEX-Y3I4-1526-SM-4TT7K 50-59 years, male 27.5
GTEX-YB5K-1626-SM-5IFIN 40-49 years, female 27.4
GTEX-UPK5-2326-SM-3P5Z8 40-49 years, male 26.9
GTEX-1J8QM-2026-SM-ARZMW 60-69 years, female 26.8
GTEX-ZYW4-0826-SM-5GIDG 60-69 years, male 26.7
GTEX-1B97J-0426-SM-79OLQ 50-59 years, female 26.5
GTEX-1F5PL-1026-SM-7RHI1 40-49 years, female 26.2
GTEX-1B8L1-2426-SM-9WYTE 60-69 years, male 25.7
GTEX-WYJK-1326-SM-3NB2T 50-59 years, male 25.5
GTEX-U3ZN-1926-SM-4DXSG 30-39 years, female 25.3
GTEX-RWS6-1926-SM-47JXY 60-69 years, female 25.0
GTEX-15EOM-5019-SM-793DK 20-29 years, female 24.9
GTEX-T2YK-2226-SM-32QPT 50-59 years, male 24.9
GTEX-1HCU8-0126-SM-ADEHH 60-69 years, female 22.8
GTEX-11GS4-2126-SM-5A5KR 60-69 years, male 22.2
GTEX-1I4MK-1626-SM-CM2TJ 50-59 years, female 22.0
GTEX-XUW1-2326-SM-4BOO5 50-59 years, female 21.9
GTEX-1A8G7-2426-SM-731AK 60-69 years, male 21.8
GTEX-ZEX8-2226-SM-57WC6 50-59 years, male 21.8
GTEX-1K2DA-1726-SM-CGQGS 50-59 years, male 21.8
GTEX-1K9T9-1426-SM-DIPFQ 50-59 years, female 21.2
GTEX-13W3W-1226-SM-5LU4H 60-69 years, female 21.0
GTEX-11EQ9-1826-SM-5Q5AJ 30-39 years, male 20.8
GTEX-1B8KZ-1526-SM-7DUG7 50-59 years, male 20.4
GTEX-15ER7-1626-SM-6PAMZ 20-29 years, female 19.9
GTEX-12ZZX-1126-SM-5EGKB 40-49 years, female 19.6
GTEX-1314G-1226-SM-5BC6D 30-39 years, male 19.4
GTEX-13113-5013-SM-7SB7G 60-69 years, female 19.4
GTEX-145MO-0826-SM-5NQBL 60-69 years, male 19.3
GTEX-1B933-2526-SM-7IGO5 50-59 years, female 19.1
GTEX-TML8-1226-SM-32QON 40-49 years, female 19.1
GTEX-11P81-1926-SM-5BC53 30-39 years, female 18.8
GTEX-Y5V5-2126-SM-4WWFO 60-69 years, female 18.5
GTEX-1E2YA-2726-SM-7IGPW 50-59 years, male 18.1
GTEX-1C475-1226-SM-7SB72 40-49 years, female 18.1
GTEX-1GZHY-0726-SM-9WG6B 50-59 years, female 18.1
GTEX-13PVR-2226-SM-7DHKP 60-69 years, female 17.6
GTEX-1117F-2826-SM-5GZXL 60-69 years, female 17.5
GTEX-S33H-0326-SM-4AD6N 30-39 years, male 17.4
GTEX-Z9EW-1526-SM-EZ6LU 40-49 years, male 17.3
GTEX-1HBPM-0126-SM-ARL9E 60-69 years, female 17.1
GTEX-146FH-0826-SM-5SI8T 50-59 years, female 16.9
GTEX-1I19N-2826-SM-CL55D 70-79 years, male 16.8
GTEX-16BQI-1026-SM-7KUEA 30-39 years, female 16.6
GTEX-ZPIC-1126-SM-5BC7F 40-49 years, female 14.7
GTEX-132NY-0826-SM-5K7Y7 60-69 years, male 14.5
GTEX-1QP28-1226-SM-E9J2M 50-59 years, female 14.3
GTEX-1GPI7-0926-SM-7PC3J 20-29 years, male 13.8
GTEX-14E6C-1326-SM-62LEQ 40-49 years, male 13.6
GTEX-ZVT4-1026-SM-57WC4 50-59 years, female 13.6
GTEX-12WSK-2226-SM-5GCO5 40-49 years, female 13.5
GTEX-S32W-2026-SM-4AD6E 50-59 years, female 13.3
GTEX-WOFL-0826-SM-3MJG1 60-69 years, male 13.3
GTEX-17JCI-0726-SM-7EPH1 60-69 years, female 12.6
GTEX-TMMY-0726-SM-33HBE 40-49 years, female 12.6
GTEX-1I6K6-0826-SM-ARL7Z 30-39 years, male 12.6
GTEX-1QEPI-0926-SM-DTXF3 60-69 years, female 12.2
GTEX-1F75A-1826-SM-7SB8G 50-59 years, male 12.0
GTEX-U8XE-0826-SM-4E3J1 30-39 years, male 11.9
GTEX-1GF9U-1726-SM-7MGY5 40-49 years, female 10.7
GTEX-145MN-1926-SM-5SIAI 30-39 years, male 10.6
GTEX-1F75B-0626-SM-7SB8A 50-59 years, male 10.6
GTEX-YB5E-1726-SM-5IFJ3 40-49 years, male 10.4
GTEX-1KANC-1426-SM-CYPT9 50-59 years, female 10.4
GTEX-1EU9M-2826-SM-7EWFH 60-69 years, male 10.2
GTEX-13OW8-0226-SM-5K7UP 60-69 years, male 10.1
GTEX-17EVQ-0426-SM-7LG57 70-79 years, male 10.1
GTEX-1QW4Y-1026-SM-DTXE2 30-39 years, male 10.1
GTEX-139T6-1626-SM-5PNYZ 50-59 years, male 9.8
GTEX-15UF7-0726-SM-6M46D 40-49 years, male 9.8
GTEX-W5X1-2326-SM-3GIL6 40-49 years, female 9.8
GTEX-1ICG6-1326-SM-ACKWR 70-79 years, female 9.6
GTEX-17KNJ-2026-SM-7LG53 50-59 years, male 9.2
GTEX-1JN1M-3026-SM-CMKGK 60-69 years, female 8.8
GTEX-1A3MX-2726-SM-718B6 60-69 years, male 8.6
GTEX-1IGQW-0926-SM-ADEH6 60-69 years, male 8.4
GTEX-QMRM-1626-SM-D4P1U 50-59 years, male 8.4
GTEX-13O3Q-2226-SM-5KM4O 50-59 years, male 7.9
GTEX-1OKEX-0826-SM-E9J2B 60-69 years, male 7.9
GTEX-144GM-0926-SM-5O994 20-29 years, male 7.6
GTEX-S4Q7-1126-SM-4AD6R 20-29 years, male 7.5
GTEX-Y9LG-1426-SM-5IFJZ 30-39 years, male 7.4
GTEX-1R9PM-1826-SM-EVYBH 20-29 years, male 7.4
GTEX-14PJ4-2126-SM-6ETZJ 60-69 years, male 7.2
GTEX-11NV4-2026-SM-5N9DG 60-69 years, male 7.1
GTEX-18A7B-2626-SM-7LG55 70-79 years, male 7.0
GTEX-1AX9J-1126-SM-731B7 60-69 years, male 7.0
GTEX-TKQ1-0226-SM-33HB5 30-39 years, male 6.9
GTEX-1NHNU-0926-SM-E9J2T 50-59 years, male 6.9
GTEX-12WSM-1726-SM-5BC6J 60-69 years, male 6.8
GTEX-1EKGG-2626-SM-7IGPY 60-69 years, male 6.8
GTEX-YJ8O-2226-SM-5IFHW 40-49 years, female 6.8
GTEX-17F9E-2526-SM-7MGW2 50-59 years, male 6.4
GTEX-1H1ZS-0126-SM-9YFKQ 70-79 years, male 6.4
GTEX-117XS-1926-SM-5GICO 60-69 years, male 6.2
GTEX-17HGU-1326-SM-79OKB 50-59 years, male 6.1
GTEX-1HR9M-2426-SM-ACKXI 60-69 years, male 6.0
GTEX-1JKYN-0726-SM-ARZMY 30-39 years, male 5.9
GTEX-UJHI-1426-SM-3DB9C 50-59 years, female 5.8
GTEX-XQ3S-1326-SM-4BOPQ 20-29 years, male 5.8
GTEX-1C6WA-2426-SM-7SB86 60-69 years, male 5.6
GTEX-ZQUD-1926-SM-51MSA 30-39 years, male 5.5
GTEX-ZWKS-2826-SM-5NQ74 30-39 years, male 5.5
GTEX-1LG7Z-0726-SM-CXKYD 30-39 years, male 5.5
GTEX-11WQK-2426-SM-5GU5C 50-59 years, male 5.2
GTEX-QVJO-1826-SM-447C9 60-69 years, female 5.2
GTEX-Y5V6-2126-SM-4WWFX 60-69 years, male 5.2
GTEX-ZLFU-2126-SM-DO931 40-49 years, male 5.2
GTEX-117YX-1426-SM-5H12H 50-59 years, male 5.1
GTEX-17F97-2526-SM-7EWDV 50-59 years, male 5.1
GTEX-1HCU7-1026-SM-ADEIP 50-59 years, male 5.1
GTEX-ZDTT-2126-SM-DKPOM 60-69 years, male 4.9
GTEX-1AMEY-1026-SM-718AA 30-39 years, female 4.8
GTEX-1IDJF-2326-SM-ARL86 20-29 years, male 4.8
GTEX-11OF3-1926-SM-59889 60-69 years, male 4.7
GTEX-17MF6-0326-SM-7EPH5 40-49 years, male 4.7
GTEX-XMK1-1126-SM-4IHJ8 40-49 years, male 4.7
GTEX-1JN6P-2426-SM-ARL99 60-69 years, male 4.7
GTEX-YFCO-1826-SM-4W1YH 40-49 years, male 4.6
GTEX-ZYFC-0826-SM-5E44K 50-59 years, male 4.6
GTEX-1IDJU-1826-SM-CMKHV 60-69 years, female 4.6
GTEX-1R9JW-0326-SM-EAZ45 30-39 years, female 4.6
GTEX-1RLM8-2226-SM-EVYD1 50-59 years, male 4.6
GTEX-1CAMR-1426-SM-793BO 20-29 years, male 4.5
GTEX-11NSD-0926-SM-5N9DR 20-29 years, male 4.4
GTEX-14E6E-1326-SM-5S2NR 30-39 years, male 4.4
GTEX-ZZ64-1226-SM-5E43R 20-29 years, male 4.4
GTEX-1KD4Q-2326-SM-D4P3M 40-49 years, male 4.4
GTEX-11O72-2126-SM-5N9FO 40-49 years, male 4.3
GTEX-13FTX-1126-SM-5N9EN 20-29 years, female 4.3
GTEX-X4XY-0926-SM-4E3JD 60-69 years, male 4.3
GTEX-1IDJH-2226-SM-E6CJV 70-79 years, male 4.3
GTEX-ZLWG-1926-SM-DO92J 50-59 years, female 4.3
GTEX-11GSO-1926-SM-5A5K3 60-69 years, male 4.2
GTEX-1MA7X-1626-SM-E9U5B 60-69 years, male 4.2
GTEX-1QP9N-1826-SM-E8VMP 30-39 years, male 4.2
GTEX-1N2EF-2226-SM-E9J33 60-69 years, male 4.1
GTEX-15RJE-2626-SM-7KFT1 40-49 years, male 4.0
GTEX-1L5NE-2126-SM-CY8IH 50-59 years, male 4.0
GTEX-1HT8W-2226-SM-CGQEC 30-39 years, male 3.9
GTEX-V955-2026-SM-3GAFA 60-69 years, male 3.8
GTEX-ZDYS-1126-SM-5K7UB 50-59 years, male 3.8
GTEX-1H3VY-0926-SM-ACKXE 50-59 years, male 3.8
GTEX-1ICLZ-0426-SM-B2LW2 60-69 years, male 3.8
GTEX-1IOXB-1926-SM-ARL8E 50-59 years, male 3.8
GTEX-11ZTT-2326-SM-5EQLG 60-69 years, female 3.7
GTEX-13O61-1826-SM-5KM4I 60-69 years, male 3.7
GTEX-XGQ4-0926-SM-4AT4U 50-59 years, male 3.7
GTEX-145ME-1526-SM-5Q5F2 40-49 years, female 3.6
GTEX-14E7W-0826-SM-62LEJ 70-79 years, male 3.6
GTEX-ZA64-1526-SM-5CVMD 20-29 years, male 3.6
GTEX-ZUA1-1526-SM-59HLS 40-49 years, male 3.6
GTEX-1HR98-0426-SM-COH36 60-69 years, male 3.6
GTEX-1JMOU-2026-SM-CMKGU 60-69 years, female 3.6
GTEX-14B4R-1226-SM-5TDDT 30-39 years, male 3.5
GTEX-TKQ2-1826-SM-33HB2 50-59 years, male 3.5
GTEX-1MJK3-1126-SM-E9J3F 20-29 years, male 3.5
GTEX-13CF3-2126-SM-5IFJP 60-69 years, female 3.4
GTEX-13QJ3-0826-SM-7DHKK 50-59 years, male 3.3
GTEX-YEC3-1026-SM-5IFI5 50-59 years, male 3.3
GTEX-1GF9V-2526-SM-7SB8K 60-69 years, male 3.3
GTEX-17MFQ-0926-SM-7LG4S 20-29 years, male 3.2
GTEX-18D9A-1526-SM-7LG4J 30-39 years, female 3.2
GTEX-Y8E4-1626-SM-5S2MW 40-49 years, male 3.2
GTEX-X62O-0526-SM-EWRMA 50-59 years, male 3.2
GTEX-13FTW-1426-SM-5LZWZ 40-49 years, male 3.1
GTEX-PSDG-1626-SM-48TCQ 50-59 years, male 3.1
GTEX-R55D-0826-SM-48FEA 50-59 years, male 3.1
GTEX-WFON-1826-SM-3GILG 40-49 years, male 3.1
GTEX-14753-2426-SM-5LU8U 60-69 years, male 3.0
GTEX-1EWIQ-1726-SM-7SB7T 70-79 years, female 3.0
GTEX-1R7EV-1526-SM-E8VOD 40-49 years, male 3.0
GTEX-1AX9I-0726-SM-73KWV 60-69 years, male 2.9
GTEX-R53T-1526-SM-48FEK 50-59 years, female 2.9
GTEX-XV7Q-2326-SM-4BRVZ 40-49 years, female 2.9
GTEX-1HFI7-0126-SM-CGQFQ 50-59 years, female 2.9
GTEX-144GL-2026-SM-5LU3O 50-59 years, male 2.8
GTEX-S7SE-0826-SM-4AT4D 50-59 years, male 2.8
GTEX-18A66-1726-SM-7LG5N 60-69 years, male 2.8
GTEX-14BMV-0626-SM-793AU 50-59 years, male 2.7
GTEX-ZAB4-2526-SM-5HL8M 40-49 years, male 2.7
GTEX-1I1GP-0426-SM-COH3N 50-59 years, male 2.7
GTEX-11DXZ-1926-SM-5GZZL 50-59 years, male 2.6
GTEX-145MF-2226-SM-7EPIR 50-59 years, male 2.6
GTEX-WHSB-1926-SM-EXOHH 50-59 years, male 2.6
GTEX-1I1GV-2426-SM-CGQFM 60-69 years, male 2.4
GTEX-YECK-0726-SM-EZ6LV 60-69 years, male 2.4
GTEX-11DZ1-0326-SM-5N9BN 50-59 years, male 2.3
GTEX-132AR-0826-SM-5EGK6 50-59 years, female 2.3
GTEX-13N1W-0626-SM-5MR4U 70-79 years, male 2.3
GTEX-13PVQ-1026-SM-5KM3M 50-59 years, male 2.3
GTEX-183FY-1126-SM-7DHLJ 20-29 years, male 2.3
GTEX-1C6VQ-0426-SM-79OOX 50-59 years, male 2.3
GTEX-1JMLX-2026-SM-CMKGN 50-59 years, male 2.3
GTEX-1M4P7-2626-SM-E9U5F 60-69 years, male 2.3
GTEX-ZYT6-0126-SM-5E45J 30-39 years, male 2.2
GTEX-1H4P4-2226-SM-9MQKQ 50-59 years, male 2.2
GTEX-1IDFM-0426-SM-B2LVV 60-69 years, male 2.2
GTEX-1LBAC-0926-SM-CXKY9 20-29 years, male 2.2
GTEX-1LSNL-2826-SM-E9U5L 50-59 years, male 2.2
GTEX-1LSVX-2426-SM-E6CJX 60-69 years, male 2.2
GTEX-1S82Z-0726-SM-E6CHX 30-39 years, female 2.2
GTEX-13W46-0826-SM-5LU3H 50-59 years, male 2.1
GTEX-18A6Q-0926-SM-7LG4N 60-69 years, male 2.1
GTEX-ZV6S-1826-SM-5NQ8D 40-49 years, female 2.1
GTEX-13S86-1226-SM-5S2OA 40-49 years, male 2.0
GTEX-17GQL-0326-SM-7LG5U 60-69 years, male 2.0
GTEX-1H23P-0726-SM-9WG7K 60-69 years, male 2.0
GTEX-1PPGY-1526-SM-EVYBK 60-69 years, male 2.0
GTEX-1PPH7-0826-SM-E8VNX 40-49 years, male 2.0
GTEX-11ONC-2126-SM-5HL6E 60-69 years, male 1.9
GTEX-1HSMO-0826-SM-ADEIV 60-69 years, male 1.9
GTEX-11ZUS-0826-SM-5FQUY 30-39 years, male 1.8
GTEX-XQ8I-2426-SM-4WAXY 50-59 years, male 1.8
GTEX-1NV8Z-2826-SM-E8VME 60-69 years, male 1.8
GTEX-11DXY-2326-SM-5GICW 60-69 years, male 1.7
GTEX-169BO-1126-SM-7MGWN 50-59 years, male 1.7
GTEX-1ICLY-1726-SM-B2LVT 50-59 years, male 1.7
GTEX-1JKYR-0926-SM-CMKGJ 20-29 years, male 1.7
GTEX-1QMI2-0726-SM-E9J4F 60-69 years, male 1.7
GTEX-REY6-2426-SM-48FF5 60-69 years, male 1.6
GTEX-11TUW-1826-SM-5BC5D 60-69 years, male 1.5
GTEX-14DAR-1326-SM-7DUEG 50-59 years, male 1.4
GTEX-1EN7A-1426-SM-7PBY4 40-49 years, male 1.4
GTEX-16YQH-2826-SM-6PAMY 30-39 years, male 1.3
GTEX-ZQG8-0726-SM-5P9H9 60-69 years, female 1.3
GTEX-1LC47-1226-SM-D4P44 60-69 years, male 1.3
GTEX-11P82-1326-SM-5HL62 20-29 years, male 1.2
GTEX-13VXU-2826-SM-664MA 50-59 years, male 1.1
GTEX-18465-2026-SM-718AP 50-59 years, male 1.1
GTEX-ZT9W-2026-SM-51MRA 50-59 years, male 1.1
GTEX-RUSQ-2026-SM-4GIAK 50-59 years, male 1.0
GTEX-183WM-0726-SM-7LTAA 70-79 years, female 0.9
GTEX-1F5PK-2126-SM-7PC28 50-59 years, male 0.9
GTEX-17F96-2426-SM-7IGLN 70-79 years, male 0.8
GTEX-ZDXO-0126-SM-5S2ND 60-69 years, male 0.8
GTEX-1H11D-1526-SM-9MQJY 40-49 years, male 0.8
GTEX-1KD5A-1926-SM-DKPQA 50-59 years, male 0.6
GTEX-UTHO-1026-SM-3GAF7 60-69 years, male 0.5
GTEX-WY7C-2726-SM-3NB3P 50-59 years, male 0.4
GTEX-1HSEH-2026-SM-ADEHN 60-69 years, male 0.4
GTEX-12KS4-0126-SM-5Q5A5 30-39 years, male 0.2
Show allShow less

BREAST - FANTOM5 CAGEi

RNA expression in human tissues obtained through Cap Analysis of Gene Expression (CAGE) generated by the FANTOM5 project are reported as Scaled Tags Per Million.

Max subtype Scaled Tags Per Millioni

Max subtype Scaled Tags Per Million is the value for the subtype with the largest average Scaled Tags Per Million across the subtype samples.

58.8
FANTOM5 sample id Sample description Scaled Tags Per Million
Breast
Scaled Tags Per Million: 58.8
FF:10080-102A8 77 years, female 58.8

Contact

  • NEWS ARTICLES
  • PRESS ROOM

The Project

  • INTRODUCTION
  • ORGANIZATION
  • PUBLICATIONS

The Human Protein Atlas

  • DOWNLOADABLE DATA
  • LICENCE & CITATION
  • HELP & FAQ
The Human Protein Atlas project is funded
by the Knut & Alice Wallenberg Foundation.


contact@proteinatlas.org