We use cookies to enhance the usability of our website. If you continue, we'll assume that you are happy to receive all cookies. More information. Don't show this again.
MUC1
HPA
RESOURCES
  • TISSUE
  • BRAIN
  • SINGLE CELL
  • SUBCELLULAR
  • CANCER
  • BLOOD
  • CELL LINE
  • STRUCTURE & INTERACTION
ABOUT
  • INTRODUCTION
  • HISTORY
  • ORGANIZATION
  • PUBLICATIONS
  • ANTIBODY SUBMISSION
  • ANTIBODY AVAILABILITY
  • ACKNOWLEDGMENTS
  • CONTACT
NEWS
  • NEWS ARTICLES
  • PRESS ROOM
LEARN
  • DICTIONARY
  • PROTEIN CLASSES
  • PROTEIN EVIDENCE
  • METHODS
  • EDUCATIONAL VIDEOS
DATA
  • DOWNLOADABLE DATA
  • PUBLICATION DATA
  • RELEASE HISTORY
HELP
  • ANTIBODY VALIDATION
  • ASSAYS & ANNOTATION
  • DISCLAIMER
  • HELP & FAQ
  • PRIVACY STATEMENT
  • LICENCE & CITATION
Fields »
Search result

Field
Term
Gene name
Class
Subclass
Class
Keyword
Chromosome
External id
Tissue
Cell type
Expression
Antibody panel
Tissue
Main location
Patient ID
Annotation
Tissue
Category
Tau score
Cluster
Reliability
Brain region
Category
Tau score
Brain region
Category
Tau score
Brain region
Category
Tau score
Cluster
Reliability
Tissue
Cell type
Enrichment
Cell type
Category
Tau score
Cell type
Category
Tau score
Cell type
Category
Tau score
Cell lineage
Category
Tau score
Cluster
Cluster
Location
Searches
Location
Cell line
Class
Type
Phase
Reliability
Cancer
Prognosis
Cancer
Category
Cancer
Category
Tau score
Cluster
Variants
Interacting gene (ensg_id)
Type
Number of interactions
Pathway
Category
Score
Score
Score
Validation
Validation
Validation
Validation
Antibodies
Data type
Column


  • SUMMARY

  • TISSUE

  • BRAIN

  • SINGLE CELL

  • SUBCELL

  • CANCER

  • BLOOD

  • CELL LINE

  • STRUCT & INT

  • MUC1
TISSUE PRIMARY DATA SKIN Show tissue menu
ADIPOSE TISSUE ADRENAL GLAND AMYGDALA APPENDIX BASAL GANGLIA BONE MARROW BREAST BRONCHUS CEREBELLUM CEREBRAL CORTEX CERVIX CHOROID PLEXUS COLON DUODENUM
ENDOMETRIUM EPIDIDYMIS ESOPHAGUS FALLOPIAN TUBE GALLBLADDER HEART MUSCLE HIPPOCAMPAL FORMATION HYPOTHALAMUS KIDNEY LIVER LUNG LYMPH NODE MIDBRAIN NASOPHARYNX
ORAL MUCOSA OVARY PANCREAS PARATHYROID GLAND PITUITARY GLAND PLACENTA PROSTATE RECTUM RETINA SALIVARY GLAND SEMINAL VESICLE SKELETAL MUSCLE SKIN SMALL INTESTINE
SMOOTH MUSCLE SOFT TISSUE SPINAL CORD SPLEEN STOMACH TESTIS THYMUS THYROID GLAND TONGUE TONSIL URINARY BLADDER VAGINA
ANTIBODIES
AND
VALIDATION
Dictionary
Skin
Tissue proteome
Skin
SKIN - Expression summary
Protein expression
Skini

On the top, protein expression in current human tissue, based on all annotated cell types, is reported with the units not detected (n), low (l), medium (m) and high (h). Underneath, protein expression in each annotated cell type are reported using the same units.

Protein expression data is based on knowledge-based annotation. For genes where more than one antibody has been used, a collective score is set.

If knowledge-based annotation could not be performed for a gene, no data is displayed here. View antibody staining data further down this page.

h
m
l
n
Epidermal cells: Low
Fibroblasts: Low
Keratinocytes: Low
Langerhans: Low
Melanocytes: Low
RNA expressioni

A summary of mRNA expression data available for current tissue based on several datasets. The mRNA expression levels in human tissues are based on RNA-seq data generated by the Human Protein Atlas (HPA), Genotype-Tissue Expression (GTEx) portal and CAGE data generated by the FANTOM5 consortium. Consensus normalized expression levels for human tissues was created by combining the data from HPA and GTEx datasets.

The mRNA expression levels in pig are based on RNA-seq data generated by the Human Protein Atlas (HPA), and for mouse, HPA data and in situ hybridization generated by the Allen brain atlas are reported.

Scroll down to view mRNA expression data in more detail.
Consensus:15.1 nTPM
HPA:3.1 nTPM
GTEx:15.1 nTPM

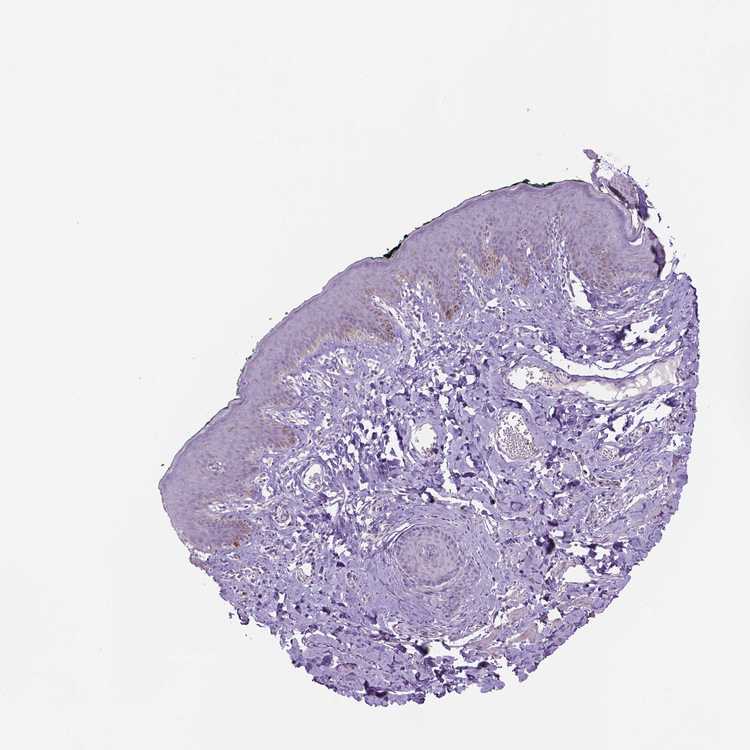
SKIN 1 - Antibody stainingi

Antibody staining in the annotated cell types in the current human tissue is reported as not detected, low, medium, or high, based on conventional immunohistochemistry profiling in selected tissues. This score is based on the combination of the staining intensity and fraction of stained cells.

Each image is clickable and will lead to virtual microscopy that enables deeper exploration of all samples and also displays staining intensity scores, fraction scores and subcellular localization as well as patient and tissue information for each sample.

Antibody HPA004179Antibody HPA007235Antibody HPA008855Antibody CAB000036Antibody CAB001986Antibody CAB080102Antibody CAB080103
Langerhans HighNot detectedLowNot detectedNot detectedNot detectedNot detected
Fibroblasts MediumNot detectedNot detectedNot detectedNot detectedNot detectedNot detected
Keratinocytes HighNot detectedLowNot detectedNot detectedNot detectedNot detected
Melanocytes MediumNot detectedNot detectedNot detectedMediumNot detectedNot detected










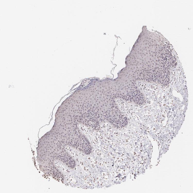
SKIN 2 - Antibody stainingi

Antibody staining in the annotated cell types in the current human tissue is reported as not detected, low, medium, or high, based on conventional immunohistochemistry profiling in selected tissues. This score is based on the combination of the staining intensity and fraction of stained cells.

Each image is clickable and will lead to virtual microscopy that enables deeper exploration of all samples and also displays staining intensity scores, fraction scores and subcellular localization as well as patient and tissue information for each sample.

Antibody HPA004179Antibody HPA007235Antibody HPA008855Antibody CAB000036Antibody CAB001986Antibody CAB080102Antibody CAB080103
Epidermal cells MediumNot detectedLowMediumNot detectedNot detectedNot detected
       
       
       










SKIN - HPA RNA-seqi

The RNA-seq details section shows detailed information about the individual samples used for the transcript profiling and results of the RNA-seq analysis.

Information about each individual sample is listed below, including gender, age, a tissue section image and estimated fractions of cell types. nTPM (normalized transcripts per million) values give a quantification of the gene abundance which is comparable between different genes and samples.
Average nTPMi

Max subtype nTPM is the value for the subtype with the largest average nTPM across the subtype samples.

3.1
overview
Female, age 34
Skin sample 225
nTPM: 3.6
Cell types%
Keratinocytes:
60

Other cell types:
40

overview
Female, age 30
Skin sample 226
nTPM: 2.8
Cell types%
Keratinocytes:
55

Other cell types:
45

N/A
Male, age 57
Skin sample 227
nTPM: 2.9

SKIN - GTEx RNA-seqi

RNA-Seq data generated by the Genotype-Tissue Expression (GTEx) project from human tissues is reported as mean nTPM. More information can be found on the GTEx portal.

Distribution across the dataset is visualized with box plots, shown as median and 25th and 75th percentiles. Points are displayed as outliers if they are above or below 1.5 times the interquartile range. nTPM values of the individual samples are presented next to the box plot.
Max subtype nTPMi

Max subtype nTPM is the value for the subtype with the largest average nTPM across the subtype samples.

15.1
GTEx sample id Sample description nTPM
Skin - Not Sun Exposed (Suprapubic)
Average nTPM: 15.1
Samples: 604

Max nTPM: 353.9
Min nTPM: 0.0
Std nTPM: 24.5
Median nTPM: 7.7
GTEX-1PIGE-1826-SM-E8VOU 20-29 years, male 353.9
GTEX-1F5PK-2226-SM-7SB6N 50-59 years, male 170.3
GTEX-12BJ1-0926-SM-5EQ62 60-69 years, male 126.4
GTEX-14PJ3-1126-SM-5ZZVX 50-59 years, male 124.8
GTEX-ZPU1-1126-SM-4YCF3 40-49 years, male 122.6
GTEX-YEC4-1826-SM-4W1YP 40-49 years, male 122.2
GTEX-YEC3-1326-SM-DO92X 50-59 years, male 122.1
GTEX-Y5V6-2326-SM-4VDSA 60-69 years, male 120.5
GTEX-1GMR3-0126-SM-A9SLW 40-49 years, male 105.9
GTEX-145LT-0526-SM-5LUB2 40-49 years, male 103.3
GTEX-1CB4I-0126-SM-7RHGG 50-59 years, male 103.1
GTEX-111YS-1526-SM-5GZYW 60-69 years, male 100.8
GTEX-1QCLY-0226-SM-EWRNH 30-39 years, male 99.0
GTEX-11TT1-1826-SM-5EQLV 20-29 years, male 93.8
GTEX-1S3DN-2126-SM-E9TIN 50-59 years, male 91.9
GTEX-1JN76-0626-SM-CKZOQ 20-29 years, female 79.6
GTEX-14XAO-1226-SM-6EU1C 60-69 years, female 79.1
GTEX-15RIE-1926-SM-7KUKJ 60-69 years, male 77.9
GTEX-17F96-0126-SM-7EWDU 70-79 years, male 75.0
GTEX-X3Y1-2026-SM-3P5YM 40-49 years, male 72.8
GTEX-1I6K7-1926-SM-B2LXR 40-49 years, male 69.4
GTEX-13OVG-1626-SM-5J1NF 60-69 years, male 68.8
GTEX-1N2DV-1526-SM-DTXEP 40-49 years, male 68.1
GTEX-178AV-1726-SM-7KUL8 40-49 years, male 62.7
GTEX-11DXX-2126-SM-5PNYR 60-69 years, female 61.6
GTEX-WI4N-2726-SM-3LK7Y 40-49 years, female 58.9
GTEX-ZDTT-0426-SM-4WKFL 60-69 years, male 58.6
GTEX-Y5LM-0926-SM-6LLJG 40-49 years, female 53.5
GTEX-ZDTS-0826-SM-4WKHL 60-69 years, male 50.7
GTEX-15RIG-0726-SM-7KUM7 40-49 years, male 49.3
GTEX-1HSMP-0926-SM-A9SKX 70-79 years, male 48.2
GTEX-1H1DG-2426-SM-9QEHJ 70-79 years, male 44.0
GTEX-WEY5-2326-SM-3GIKK 40-49 years, female 43.5
GTEX-16NGA-0726-SM-731AO 40-49 years, female 42.9
GTEX-17F98-1326-SM-7DUEP 40-49 years, female 42.5
GTEX-1AX8Z-0726-SM-73KTS 60-69 years, male 42.5
GTEX-16NPX-0726-SM-7KULC 50-59 years, male 41.7
GTEX-15G1A-1626-SM-7KUKN 30-39 years, male 40.0
GTEX-17KNJ-2126-SM-718AM 50-59 years, male 39.2
GTEX-13PVQ-0626-SM-5LU47 50-59 years, male 38.7
GTEX-18D9A-1426-SM-7LT8M 30-39 years, female 38.7
GTEX-1L5NE-1126-SM-D3L9P 50-59 years, male 38.7
GTEX-1IY9M-2826-SM-ARU8H 60-69 years, male 38.5
GTEX-12696-0126-SM-5EQ4L 60-69 years, male 38.0
GTEX-1GN1W-2426-SM-9KNUU 50-59 years, female 37.9
GTEX-11P7K-1126-SM-5HL4L 30-39 years, male 37.7
GTEX-18A66-0626-SM-7LT8Z 60-69 years, male 37.7
GTEX-18A6Q-0626-SM-7KFRP 60-69 years, male 37.3
GTEX-VJYA-1526-SM-3GIJV 60-69 years, male 37.2
GTEX-ZTTD-2826-SM-4YCFA 50-59 years, male 37.1
GTEX-1B8KE-1126-SM-7EPHI 50-59 years, male 36.7
GTEX-1LSNM-0826-SM-DIPG8 50-59 years, male 35.9
GTEX-1JN6P-2926-SM-CL54D 60-69 years, male 35.8
GTEX-1KD5A-0126-SM-E9U54 50-59 years, male 35.8
GTEX-15G19-2426-SM-7KUMR 60-69 years, male 35.7
GTEX-1AX9I-2226-SM-73KUO 60-69 years, male 35.5
GTEX-XPVG-2126-SM-4B667 50-59 years, male 35.4
GTEX-14E6E-0526-SM-793DN 30-39 years, male 33.6
GTEX-13X6K-0626-SM-5LU5D 60-69 years, female 33.0
GTEX-1B8KZ-0326-SM-73KY4 50-59 years, male 33.0
GTEX-UPJH-0226-SM-3GADV 50-59 years, male 33.0
GTEX-1F6IF-0926-SM-7SB7M 60-69 years, male 33.0
GTEX-WH7G-2026-SM-3NMBL 40-49 years, male 32.6
GTEX-1211K-1526-SM-5FQU4 60-69 years, female 31.9
GTEX-13FH7-1126-SM-5K7UG 50-59 years, female 31.6
GTEX-1K2DA-1026-SM-CGQGF 50-59 years, male 31.5
GTEX-1RAZA-2226-SM-E9U4X 20-29 years, male 31.1
GTEX-1QW4Y-1126-SM-DTXE3 30-39 years, male 30.9
GTEX-WFG8-2126-SM-3GIKQ 20-29 years, male 30.5
GTEX-ZUA1-2626-SM-5NQ92 40-49 years, male 30.0
GTEX-1I6K6-1726-SM-CGQFD 30-39 years, male 29.9
GTEX-145MN-1526-SM-5SI9T 30-39 years, male 29.8
GTEX-14A5H-0826-SM-5QGPJ 60-69 years, male 29.8
GTEX-139UW-0326-SM-5J1ML 60-69 years, male 29.7
GTEX-11NSD-0626-SM-5A5LU 20-29 years, male 29.5
GTEX-WHWD-1826-SM-3LK6I 50-59 years, male 28.8
GTEX-ZA64-1026-SM-5HL8R 20-29 years, male 28.5
GTEX-132AR-0326-SM-5KM2C 50-59 years, female 28.4
GTEX-14JFF-0626-SM-5ZZVT 60-69 years, male 27.4
GTEX-14DAR-1226-SM-73KYV 50-59 years, male 27.2
GTEX-1I1GU-0926-SM-ACKVS 40-49 years, male 27.2
GTEX-1A3MW-0626-SM-731CB 60-69 years, female 27.1
GTEX-1CB4E-0926-SM-7EPHT 60-69 years, male 27.0
GTEX-1I19N-0126-SM-CYPSF 70-79 years, male 26.5
GTEX-14AS3-1526-SM-5Q5ED 40-49 years, female 26.4
GTEX-WK11-2726-SM-3NMAQ 50-59 years, male 26.4
GTEX-1IDJE-1426-SM-ADEIW 50-59 years, female 26.3
GTEX-Y9LG-1126-SM-4VBQ7 30-39 years, male 25.7
GTEX-1JMQK-1226-SM-D4P2S 60-69 years, male 25.2
GTEX-131XG-0326-SM-5L3DX 50-59 years, female 25.1
GTEX-1LG7Z-1626-SM-CXKYR 30-39 years, male 25.0
GTEX-1GMR2-0826-SM-7PC3V 50-59 years, male 24.9
GTEX-14E6C-2426-SM-5S2NF 40-49 years, male 24.8
GTEX-1PPH7-1126-SM-DTX9A 40-49 years, male 24.8
GTEX-V1D1-2026-SM-3GAF4 50-59 years, male 24.5
GTEX-1CAMR-1326-SM-7PC1F 20-29 years, male 24.4
GTEX-ZPIC-0526-SM-DO91W 40-49 years, female 24.3
GTEX-ZZ64-1026-SM-5GZXG 20-29 years, male 24.2
GTEX-Y8E4-2026-SM-5IFJB 40-49 years, male 24.0
GTEX-14PJO-2526-SM-6AJBQ 60-69 years, male 23.6
GTEX-1H1ZS-2726-SM-9WG75 70-79 years, male 23.6
GTEX-14PJN-1826-SM-6AJ98 30-39 years, male 23.4
GTEX-1S831-1826-SM-EWROF 20-29 years, male 23.2
GTEX-1GF9V-0826-SM-9KNUV 60-69 years, male 22.9
GTEX-1HFI6-0126-SM-CNPPI 40-49 years, male 22.8
GTEX-X8HC-0626-SM-4E3HQ 50-59 years, female 22.4
GTEX-ZYW4-0626-SM-59HJR 60-69 years, male 22.3
GTEX-11EQ9-1626-SM-5PNY8 30-39 years, male 22.2
GTEX-15SHW-0226-SM-7LTAT 60-69 years, male 22.2
GTEX-12WSF-1626-SM-7KUG5 70-79 years, male 21.9
GTEX-1B97I-0626-SM-73KUZ 40-49 years, male 21.9
GTEX-12WSD-0626-SM-5GCMW 60-69 years, female 21.7
GTEX-13PVR-0426-SM-5RQK2 60-69 years, female 21.7
GTEX-Y8LW-1526-SM-5IFHL 50-59 years, female 21.6
GTEX-1J8Q2-2626-SM-ACKWQ 60-69 years, male 21.3
GTEX-1497J-0226-SM-5QGPU 60-69 years, male 21.2
GTEX-1477Z-0326-SM-7IGLA 60-69 years, male 20.7
GTEX-14B4R-1326-SM-5Q5EZ 30-39 years, male 20.5
GTEX-1IDJC-1526-SM-B2LW4 50-59 years, male 20.5
GTEX-1ICG6-1226-SM-A9SLN 70-79 years, female 20.4
GTEX-WYJK-0526-SM-3NM8Z 50-59 years, male 19.9
GTEX-1JKYN-0826-SM-ARU8S 30-39 years, male 19.8
GTEX-17MFQ-1526-SM-7KFRR 20-29 years, male 19.7
GTEX-1IDFM-0326-SM-ARL7V 60-69 years, male 19.6
GTEX-1H1E6-0426-SM-9WYUS 30-39 years, male 19.1
GTEX-1QP9N-1226-SM-E76QN 30-39 years, male 19.1
GTEX-1LSVX-2526-SM-DIPEU 60-69 years, male 18.9
GTEX-ZF3C-0626-SM-DO92O 50-59 years, female 18.9
GTEX-13NZ9-2626-SM-5L3FK 50-59 years, male 18.5
GTEX-117YX-1926-SM-5GIEC 50-59 years, male 18.4
GTEX-14ABY-2026-SM-62LDL 50-59 years, male 18.4
GTEX-1E1VI-0326-SM-793D1 50-59 years, male 18.3
GTEX-1IDJF-2026-SM-CL53V 20-29 years, male 18.3
GTEX-1B996-0426-SM-7EWF8 60-69 years, male 18.1
GTEX-X585-2426-SM-46MW2 50-59 years, male 18.1
GTEX-11VI4-1126-SM-5EQMD 40-49 years, female 18.0
GTEX-Y114-2126-SM-4TT8B 50-59 years, female 17.9
GTEX-ZTSS-1426-SM-5985P 40-49 years, male 17.9
GTEX-12KS4-2126-SM-5FQUT 30-39 years, male 17.8
GTEX-1GPI7-1826-SM-9KNU1 20-29 years, male 16.9
GTEX-139TU-0726-SM-5L3EK 60-69 years, male 16.8
GTEX-1399Q-2326-SM-5KM2X 40-49 years, male 16.7
GTEX-1A3MV-1826-SM-731CD 30-39 years, male 16.5
GTEX-145MO-2826-SM-5LU96 60-69 years, male 16.4
GTEX-12WSL-2026-SM-5GCML 50-59 years, male 16.2
GTEX-1KANC-1226-SM-CYPT7 50-59 years, female 16.2
GTEX-1LGOU-1326-SM-D3L8M 20-29 years, female 16.2
GTEX-1PPH8-0126-SM-EWRN8 20-29 years, male 16.2
GTEX-13O3O-2326-SM-5IJD6 60-69 years, female 16.0
GTEX-14PKV-1126-SM-6LLJ1 20-29 years, female 15.6
GTEX-UPK5-0426-SM-3GAEK 40-49 years, male 15.6
GTEX-X5EB-1926-SM-4E3IW 40-49 years, male 15.6
GTEX-XBED-1926-SM-47JYP 60-69 years, male 15.6
GTEX-1LVAN-0626-SM-CNPOQ 50-59 years, female 15.6
GTEX-1CB4F-1026-SM-7DUH1 60-69 years, male 15.4
GTEX-1E2YA-2126-SM-7MXUO 50-59 years, male 15.4
GTEX-15EU6-2226-SM-6EU2L 50-59 years, male 15.2
GTEX-1QAET-0326-SM-EVR3U 50-59 years, male 15.1
GTEX-13W3W-0726-SM-5IJDQ 60-69 years, female 14.8
GTEX-11EM3-1226-SM-5N9DD 20-29 years, female 14.7
GTEX-13OVJ-0826-SM-5J1OK 50-59 years, female 14.5
GTEX-1C64O-1326-SM-7MGWR 60-69 years, male 14.5
GTEX-16XZZ-0726-SM-7KUF2 60-69 years, male 14.4
GTEX-ZDYS-2426-SM-4WKGI 50-59 years, male 14.4
GTEX-ZYFG-1526-SM-5GZYM 60-69 years, female 14.4
GTEX-18A7A-0126-SM-731AH 50-59 years, female 14.3
GTEX-18D9U-0126-SM-731BM 40-49 years, male 14.3
GTEX-1MCYP-0526-SM-E9U6Q 20-29 years, female 14.3
GTEX-WFG7-2026-SM-5SI7P 20-29 years, male 14.2
GTEX-1R9PN-0426-SM-DTXDT 40-49 years, female 14.2
GTEX-139TS-2126-SM-5K7XC 60-69 years, male 14.1
GTEX-XBEC-0726-SM-4QARZ 50-59 years, male 14.1
GTEX-1H23P-0626-SM-9WG6T 60-69 years, male 14.0
GTEX-1HC8U-1326-SM-9YFMJ 40-49 years, female 14.0
GTEX-1N2EE-0626-SM-E76PW 60-69 years, male 14.0
GTEX-1QP66-1226-SM-DTX7U 50-59 years, male 14.0
GTEX-17HGU-2326-SM-7DUFE 50-59 years, male 13.9
GTEX-13N11-2326-SM-5IJBF 50-59 years, female 13.8
GTEX-1C475-1326-SM-7SB73 40-49 years, female 13.8
GTEX-111FC-2526-SM-5GZXU 60-69 years, male 13.7
GTEX-ZWKS-0626-SM-5GIDV 30-39 years, male 13.6
GTEX-WHSE-0126-SM-3NMBT 20-29 years, male 13.5
GTEX-ZAJG-1526-SM-5CVML 50-59 years, female 13.5
GTEX-ZYFD-0626-SM-5E44E 50-59 years, male 13.5
GTEX-13U4I-2226-SM-5LU5H 40-49 years, female 13.4
GTEX-XMD2-2126-SM-4YCF8 60-69 years, female 13.4
GTEX-1CAMS-2226-SM-7PBXQ 40-49 years, female 13.2
GTEX-1A3MX-2626-SM-7PC24 60-69 years, male 13.1
GTEX-WRHU-2826-SM-3MJG8 50-59 years, female 13.0
GTEX-12WSM-1926-SM-5BC65 60-69 years, male 12.9
GTEX-14753-0726-SM-5QGQO 60-69 years, male 12.9
GTEX-U8XE-0226-SM-4E3J3 30-39 years, male 12.9
GTEX-1JKYR-0626-SM-ARL8R 20-29 years, male 12.9
GTEX-1O9I2-0226-SM-EYYXD 50-59 years, male 12.9
GTEX-ZF2S-1626-SM-57WES 50-59 years, female 12.8
GTEX-ZDXO-3126-SM-5IJDF 60-69 years, male 12.7
GTEX-12WSC-2826-SM-5BC5Y 50-59 years, male 12.6
GTEX-1K9T9-1526-SM-DIPFR 50-59 years, female 12.6
GTEX-131YS-2826-SM-5EQ47 60-69 years, female 12.4
GTEX-144GM-0526-SM-79OJO 20-29 years, male 12.4
GTEX-1GL5R-1326-SM-7RHHF 50-59 years, male 12.3
GTEX-1HUB1-1426-SM-CGQF5 60-69 years, male 12.3
GTEX-ZVP2-0326-SM-57WBP 50-59 years, male 12.2
GTEX-1I4MK-0126-SM-CY8G6 50-59 years, female 12.2
GTEX-1HCU8-2526-SM-CE6RX 60-69 years, female 12.1
GTEX-14PJ6-2626-SM-6EU2T 60-69 years, female 12.0
GTEX-XXEK-1626-SM-4BRUZ 50-59 years, male 11.9
GTEX-1RMOY-1326-SM-E9TIH 50-59 years, male 11.9
GTEX-14PJ4-0226-SM-5YY92 60-69 years, male 11.8
GTEX-1HCUA-0826-SM-ADEHM 50-59 years, female 11.8
GTEX-11ZUS-2626-SM-5FQUR 30-39 years, male 11.5
GTEX-13QJC-0126-SM-5ZZWJ 60-69 years, female 11.5
GTEX-18D9B-0926-SM-7LG4U 60-69 years, male 11.5
GTEX-ZTX8-1326-SM-4YCEL 20-29 years, male 11.5
GTEX-1HBPN-0126-SM-CGQEF 50-59 years, male 11.5
GTEX-145ME-1726-SM-5Q5EU 40-49 years, female 11.4
GTEX-XK95-0226-SM-4AT58 40-49 years, male 11.4
GTEX-ZLWG-0826-SM-59888 50-59 years, female 11.2
GTEX-1IDJD-2326-SM-ACKWX 30-39 years, male 11.2
GTEX-1GTWX-2026-SM-9YFLM 60-69 years, male 11.1
GTEX-13OVH-0526-SM-5L3E6 70-79 years, male 11.0
GTEX-145MG-1526-SM-5Q5EM 50-59 years, male 11.0
GTEX-1LVAO-2726-SM-E9TJ8 60-69 years, male 11.0
GTEX-YB5K-2026-SM-4VDT3 40-49 years, female 10.9
GTEX-ZVT4-2426-SM-5GIEI 50-59 years, female 10.9
GTEX-15CHR-1126-SM-7EWF4 50-59 years, male 10.8
GTEX-1HCU9-0426-SM-9WYSD 20-29 years, male 10.8
GTEX-144FL-0626-SM-5LU43 50-59 years, male 10.7
GTEX-16MT8-2926-SM-7DUFO 60-69 years, female 10.6
GTEX-183FY-1026-SM-7939A 20-29 years, male 10.6
GTEX-XQ3S-1426-SM-4BOPR 20-29 years, male 10.6
GTEX-1HCU6-2526-SM-ADEHL 60-69 years, female 10.6
GTEX-1JMOU-1026-SM-CYPSS 60-69 years, female 10.6
GTEX-ZU9S-1826-SM-5NQ9E 30-39 years, male 10.5
GTEX-1H1DE-1326-SM-9KNUG 20-29 years, male 10.5
GTEX-XQ8I-0926-SM-4BOOF 50-59 years, male 10.4
GTEX-1IKOE-1426-SM-CE6T7 30-39 years, female 10.4
GTEX-1R9K4-2826-SM-DTX8F 60-69 years, male 10.4
GTEX-147F4-0726-SM-5TDDD 50-59 years, male 10.3
GTEX-14BMU-1226-SM-5S2OR 20-29 years, female 10.3
GTEX-14PHY-1226-SM-5ZZWK 60-69 years, female 10.3
GTEX-1A8G7-1326-SM-73KVM 60-69 years, male 10.2
GTEX-14PII-0726-SM-6EU2B 60-69 years, male 10.1
GTEX-13N1W-2426-SM-5IJD1 70-79 years, male 10.0
GTEX-147F3-1726-SM-5SIAW 50-59 years, female 10.0
GTEX-15D1Q-2826-SM-6LLH7 40-49 years, male 9.8
GTEX-1CAMQ-1326-SM-7P8RV 40-49 years, male 9.8
GTEX-YJ8O-2526-SM-5HL85 40-49 years, female 9.6
GTEX-ZF29-0926-SM-4WKFZ 60-69 years, female 9.6
GTEX-144GO-2026-SM-5O99P 60-69 years, male 9.5
GTEX-17HG3-2626-SM-7DUF2 30-39 years, female 9.5
GTEX-ZLFU-1826-SM-4WWBV 40-49 years, male 9.5
GTEX-ZVE1-0726-SM-51MRN 50-59 years, female 9.5
GTEX-14C5O-0326-SM-5ZZUX 60-69 years, male 9.4
GTEX-ZYVF-0926-SM-5E44J 50-59 years, female 9.4
GTEX-1QP29-1826-SM-DTX9S 50-59 years, male 9.4
GTEX-16GPK-0626-SM-7KFSF 60-69 years, male 9.3
GTEX-1A32A-0626-SM-731AQ 50-59 years, female 9.3
GTEX-11P82-1426-SM-DTXFY 20-29 years, male 9.3
GTEX-1B8L1-2226-SM-7P8PT 60-69 years, male 9.3
GTEX-17HII-1426-SM-7EPGG 50-59 years, male 9.2
GTEX-18A7B-2726-SM-7LG56 70-79 years, male 9.2
GTEX-XAJ8-1426-SM-47JYM 40-49 years, male 9.2
GTEX-ZVE2-2826-SM-5GU51 50-59 years, male 9.2
GTEX-13FTY-2126-SM-5IFFB 40-49 years, female 9.1
GTEX-WYBS-0626-SM-3NMAS 60-69 years, female 9.1
GTEX-ZT9X-1526-SM-5DUXD 40-49 years, male 9.1
GTEX-1J1R8-2026-SM-CL53Y 40-49 years, male 9.1
GTEX-ZVZP-1226-SM-5GID7 50-59 years, male 9.0
GTEX-1GN1U-0626-SM-9MQL9 50-59 years, female 9.0
GTEX-1JMPZ-0726-SM-CY8HZ 30-39 years, male 8.7
GTEX-1RLM8-2926-SM-E8VON 50-59 years, male 8.7
GTEX-12WSH-1526-SM-5BC5W 50-59 years, male 8.6
GTEX-YFCO-1226-SM-5LUAT 40-49 years, male 8.6
GTEX-1J1OQ-0126-SM-D4P2N 40-49 years, female 8.6
GTEX-17F9E-2326-SM-79OKD 50-59 years, male 8.5
GTEX-WHPG-2626-SM-3NMBR 50-59 years, male 8.5
GTEX-ZY6K-1426-SM-5GZX2 50-59 years, male 8.5
GTEX-1GZ4I-2626-SM-9KNU3 50-59 years, male 8.5
GTEX-1HBPI-2126-SM-ARL9K 50-59 years, male 8.5
GTEX-12WSK-2126-SM-5CVNC 40-49 years, female 8.4
GTEX-1399R-1326-SM-5PNYS 30-39 years, male 8.4
GTEX-13RTJ-0126-SM-5S2NN 60-69 years, male 8.4
GTEX-13X6H-0926-SM-5SIB2 50-59 years, female 8.4
GTEX-1KXAM-1626-SM-D3LAD 60-69 years, male 8.4
GTEX-1QPFJ-1926-SM-EVYBD 30-39 years, female 8.4
GTEX-1KANA-1326-SM-DIPFA 20-29 years, male 8.3
GTEX-14C38-0726-SM-5SI6M 50-59 years, male 8.2
GTEX-12584-0726-SM-5FQTK 40-49 years, male 8.1
GTEX-13VXU-0626-SM-5L3F9 50-59 years, male 8.1
GTEX-14DAQ-0626-SM-793DS 60-69 years, female 8.1
GTEX-17EVQ-0126-SM-7IGLR 70-79 years, male 8.1
GTEX-1AMEY-0826-SM-72D65 30-39 years, female 8.1
GTEX-1GF9W-1426-SM-7PBYM 60-69 years, male 8.1
GTEX-1JJ6O-2726-SM-CNPOG 60-69 years, male 8.1
GTEX-11ZTT-2126-SM-5CVLO 60-69 years, female 8.0
GTEX-12ZZY-0726-SM-5EQ66 60-69 years, male 8.0
GTEX-ZVTK-0226-SM-51MRG 20-29 years, male 8.0
GTEX-1I1GS-2626-SM-B2LY3 60-69 years, male 8.0
GTEX-1399S-0126-SM-5IJCF 30-39 years, female 7.8
GTEX-1A8G6-2726-SM-731AR 60-69 years, male 7.7
GTEX-Y3IK-1626-SM-4YCF5 50-59 years, female 7.7
GTEX-1OJC3-1226-SM-DTXER 20-29 years, male 7.7
GTEX-1JMPY-0226-SM-CKZOK 30-39 years, male 7.6
GTEX-13112-0126-SM-5P9IU 50-59 years, male 7.5
GTEX-13X6I-1826-SM-5SIAO 60-69 years, male 7.5
GTEX-1HKZK-0726-SM-ACKW2 40-49 years, male 7.5
GTEX-1192X-2726-SM-5N9DN 50-59 years, male 7.3
GTEX-1F88E-1626-SM-7SB8Z 60-69 years, female 7.3
GTEX-13NYC-0126-SM-5L3F4 60-69 years, male 7.2
GTEX-1F75B-0726-SM-7PC3R 50-59 years, male 7.2
GTEX-ZXG5-2126-SM-59HKD 60-69 years, male 7.1
GTEX-1K2DU-1226-SM-CYPT4 20-29 years, male 7.1
GTEX-15DYW-2726-SM-6EU2I 60-69 years, female 7.0
GTEX-1QCLZ-2426-SM-EVYBW 60-69 years, female 7.0
GTEX-15UF6-1926-SM-7KUDV 70-79 years, female 6.9
GTEX-W5X1-2526-SM-3GILC 40-49 years, female 6.9
GTEX-1F6I4-2326-SM-7RHGL 60-69 years, male 6.9
GTEX-145LS-0626-SM-7EPG7 60-69 years, female 6.8
GTEX-X4EP-0626-SM-3P621 60-69 years, female 6.8
GTEX-YF7O-1526-SM-5IFI6 50-59 years, male 6.8
GTEX-1F75W-2726-SM-7SB8H 60-69 years, male 6.8
GTEX-11PRG-0726-SM-5EGL1 50-59 years, male 6.7
GTEX-183WM-0326-SM-72D5V 70-79 years, female 6.7
GTEX-Y3I4-1726-SM-4TT89 50-59 years, male 6.7
GTEX-11UD2-2526-SM-5CVNU 50-59 years, male 6.6
GTEX-133LE-2326-SM-5K7W3 20-29 years, female 6.6
GTEX-13X6J-0626-SM-5LU5F 50-59 years, male 6.6
GTEX-1EN7A-2426-SM-793DB 40-49 years, male 6.6
GTEX-WFON-1926-SM-3LK7L 40-49 years, male 6.6
GTEX-1IDJH-0126-SM-D3L92 70-79 years, male 6.6
GTEX-12C56-1526-SM-5FQUQ 20-29 years, male 6.5
GTEX-15RJ7-2126-SM-6PAMD 40-49 years, male 6.5
GTEX-16BQI-1326-SM-6M486 30-39 years, female 6.5
GTEX-1KWVE-1026-SM-D3L9O 30-39 years, male 6.5
GTEX-1S82P-2126-SM-E6CI5 60-69 years, female 6.5
GTEX-13NZ8-1226-SM-5KM4A 60-69 years, female 6.4
GTEX-XOT4-0626-SM-4B66L 60-69 years, female 6.4
GTEX-1HCU7-0726-SM-A9SL1 50-59 years, male 6.4
GTEX-1HSGN-0826-SM-ACKW3 40-49 years, female 6.4
GTEX-11NUK-2726-SM-5A5MC 50-59 years, male 6.3
GTEX-11WQC-1826-SM-5GU59 60-69 years, male 6.3
GTEX-13113-1626-SM-5EQ4I 60-69 years, female 6.3
GTEX-13JUV-2026-SM-5K7UA 40-49 years, female 6.3
GTEX-11DXW-0826-SM-5H118 40-49 years, male 6.2
GTEX-11DXZ-2026-SM-5987S 50-59 years, male 6.2
GTEX-13D11-0926-SM-5J2NC 50-59 years, female 6.2
GTEX-VUSG-2326-SM-4KL1U 50-59 years, male 6.2
GTEX-WXYG-2026-SM-4E3IY 50-59 years, female 6.2
GTEX-ZC5H-1526-SM-5HL9Y 40-49 years, female 6.1
GTEX-1F75I-2226-SM-7SB8U 40-49 years, male 6.1
GTEX-1JMLX-0626-SM-ARL8T 50-59 years, male 6.1
GTEX-111CU-1126-SM-5EGIM 50-59 years, male 6.0
GTEX-139TT-2126-SM-5LZWC 60-69 years, male 6.0
GTEX-13FTX-1526-SM-5K7VJ 20-29 years, female 6.0
GTEX-14PHX-2226-SM-6EU2P 50-59 years, male 6.0
GTEX-16AAH-0626-SM-793C9 50-59 years, male 6.0
GTEX-1H1CY-0126-SM-9YFLY 60-69 years, female 6.0
GTEX-1JN1M-2726-SM-CY8I4 60-69 years, female 6.0
GTEX-131XH-0126-SM-5LZUY 50-59 years, male 5.9
GTEX-1CAV2-0126-SM-7IGN7 40-49 years, female 5.8
GTEX-YECK-0326-SM-4W1YS 60-69 years, male 5.8
GTEX-1CB4J-1326-SM-7P8RX 60-69 years, male 5.8
GTEX-1JMQL-2226-SM-CNPP4 50-59 years, female 5.8
GTEX-131XW-0626-SM-5PNVD 50-59 years, female 5.7
GTEX-14JG1-1526-SM-5YY9X 40-49 years, male 5.7
GTEX-1GMRU-2126-SM-7P8RA 50-59 years, male 5.7
GTEX-1J8Q3-0526-SM-ARL8U 60-69 years, male 5.7
GTEX-12WSJ-1126-SM-5LZVJ 40-49 years, female 5.6
GTEX-13FLV-0126-SM-5K7WT 50-59 years, male 5.6
GTEX-146FQ-2126-SM-5RQHU 30-39 years, male 5.6
GTEX-16MTA-0926-SM-6M47Z 50-59 years, male 5.6
GTEX-1AX9J-1326-SM-731BJ 60-69 years, male 5.6
GTEX-17HHE-1326-SM-7EWDZ 50-59 years, male 5.5
GTEX-1ICLZ-0326-SM-ARL82 60-69 years, male 5.5
GTEX-1JJE9-2626-SM-ARZMT 70-79 years, male 5.5
GTEX-139D8-1126-SM-5LU8W 30-39 years, female 5.4
GTEX-16YQH-2226-SM-7IGM2 30-39 years, male 5.4
GTEX-XUW1-0926-SM-4BONX 50-59 years, female 5.4
GTEX-ZZPU-0826-SM-5GZX5 50-59 years, female 5.4
GTEX-1AYD5-2626-SM-7PBXY 50-59 years, male 5.4
GTEX-1LG7Y-2526-SM-EWRO7 50-59 years, male 5.4
GTEX-1NSGN-0726-SM-DTXEF 50-59 years, male 5.4
GTEX-1PDJ9-1226-SM-EXUSX 20-29 years, male 5.4
GTEX-1212Z-0126-SM-59HK4 60-69 years, male 5.3
GTEX-17MF6-2626-SM-79OKQ 40-49 years, male 5.3
GTEX-1BAJH-2426-SM-7IGP8 70-79 years, male 5.3
GTEX-WY7C-2126-SM-3NB2R 50-59 years, male 5.3
GTEX-1M4P7-0726-SM-E6CJ3 60-69 years, male 5.3
GTEX-14BMV-2826-SM-5TDED 50-59 years, male 5.2
GTEX-1AMFI-1326-SM-7939R 50-59 years, female 5.2
GTEX-1C6VR-0126-SM-7RHGB 60-69 years, male 5.2
GTEX-1HBPM-0726-SM-9YFL7 60-69 years, female 5.2
GTEX-1IL2V-1926-SM-B2LW8 70-79 years, male 5.2
GTEX-14E1K-2026-SM-7DUEI 50-59 years, male 5.1
GTEX-18QFQ-1826-SM-72D52 30-39 years, male 5.1
GTEX-1GZ4H-0526-SM-9KNU9 50-59 years, female 5.1
GTEX-1I1GP-1326-SM-A9G28 50-59 years, male 5.1
GTEX-1IDJU-1726-SM-CMKHU 60-69 years, female 5.1
GTEX-11DYG-1526-SM-5A5JS 60-69 years, male 5.0
GTEX-11EI6-2826-SM-5H11D 60-69 years, male 5.0
GTEX-13SLX-2226-SM-62LEP 50-59 years, female 5.0
GTEX-ZPCL-1126-SM-4WWFE 60-69 years, female 5.0
GTEX-16Z82-2626-SM-7KULU 60-69 years, male 4.9
GTEX-18465-2826-SM-7LT9J 50-59 years, male 4.9
GTEX-ZYFC-0426-SM-5GICQ 50-59 years, male 4.9
GTEX-1GPI6-1926-SM-9KNV7 60-69 years, male 4.9
GTEX-17EVP-2626-SM-7IGMA 40-49 years, male 4.8
GTEX-X4EO-2926-SM-4E3JH 60-69 years, female 4.8
GTEX-1A8FM-0626-SM-7PC25 50-59 years, female 4.8
GTEX-1EU9M-1426-SM-793AI 60-69 years, male 4.7
GTEX-1HGF4-0126-SM-CNPPX 60-69 years, male 4.7
GTEX-1GZ2Q-0126-SM-9WG6M 40-49 years, male 4.6
GTEX-1GZHY-0626-SM-9KNVC 50-59 years, female 4.6
GTEX-1HB9E-0126-SM-CM2S5 50-59 years, male 4.6
GTEX-1JK1U-0226-SM-ARZMX 60-69 years, male 4.6
GTEX-1RAZQ-1326-SM-E9TK6 30-39 years, male 4.6
GTEX-1S82U-1026-SM-E6CJK 30-39 years, female 4.6
GTEX-131XF-2626-SM-5EQ6K 60-69 years, male 4.5
GTEX-1B8SF-0126-SM-7DUG3 60-69 years, male 4.5
GTEX-XYKS-1426-SM-4BRUO 60-69 years, female 4.5
GTEX-1H1DF-1126-SM-9WG7G 40-49 years, female 4.5
GTEX-11OF3-0126-SM-5PNYF 60-69 years, male 4.4
GTEX-13OW6-2726-SM-5J2OE 50-59 years, male 4.4
GTEX-17F97-2626-SM-7IGM5 50-59 years, male 4.4
GTEX-1H3NZ-2726-SM-9WYTQ 60-69 years, male 4.4
GTEX-1HCVE-2726-SM-CL54F 50-59 years, male 4.4
GTEX-1I1HK-2326-SM-CKZOH 60-69 years, male 4.4
GTEX-1LGRB-0926-SM-COH3K 50-59 years, female 4.4
GTEX-1S5ZU-2526-SM-E6CIF 20-29 years, female 4.4
GTEX-13QBU-1226-SM-5LU4G 40-49 years, female 4.3
GTEX-145MI-0626-SM-5SI8S 60-69 years, female 4.3
GTEX-14PK6-0226-SM-62LF5 70-79 years, female 4.3
GTEX-18A67-1626-SM-7LT9T 50-59 years, male 4.3
GTEX-ZAK1-0626-SM-5HL8E 50-59 years, female 4.3
GTEX-14JG6-1426-SM-9WG7C 30-39 years, female 4.3
GTEX-1IDJV-0126-SM-COH3Y 60-69 years, male 4.3
GTEX-1JMQI-1726-SM-ARL93 50-59 years, male 4.3
GTEX-1LBAC-0826-SM-CY8IJ 20-29 years, male 4.3
GTEX-1MJK3-0726-SM-E6CJC 20-29 years, male 4.3
GTEX-11GSP-2326-SM-5HL63 60-69 years, female 4.2
GTEX-1314G-1326-SM-5BC6E 30-39 years, male 4.2
GTEX-13O3Q-0126-SM-5KM34 50-59 years, male 4.2
GTEX-13OVL-0126-SM-5L3GJ 50-59 years, male 4.2
GTEX-147GR-2426-SM-5ZZWQ 60-69 years, male 4.2
GTEX-14ICL-1626-SM-5YYAO 30-39 years, male 4.2
GTEX-1LVA9-2626-SM-EVYD4 50-59 years, male 4.2
GTEX-148VJ-0626-SM-5LUAW 70-79 years, male 4.1
GTEX-1GN73-0726-SM-7P8TJ 60-69 years, male 4.1
GTEX-1PPGY-1626-SM-EVYBL 60-69 years, male 4.1
GTEX-1R7EU-1626-SM-DTXG3 60-69 years, male 4.1
GTEX-11LCK-2226-SM-5HL4Q 30-39 years, male 4.0
GTEX-11TUW-0626-SM-5LU9M 60-69 years, male 4.0
GTEX-14LZ3-0126-SM-69LPM 60-69 years, female 4.0
GTEX-ZVT2-0126-SM-5GIDQ 50-59 years, female 4.0
GTEX-1F6RS-2026-SM-7RHHC 60-69 years, female 4.0
GTEX-1GN2E-0226-SM-9WG6K 60-69 years, male 4.0
GTEX-1KAFJ-0126-SM-DIPEK 50-59 years, male 4.0
GTEX-1QEPI-2626-SM-DTXF4 60-69 years, female 4.0
GTEX-13FHO-0426-SM-5L3F5 60-69 years, male 3.9
GTEX-13OW5-2326-SM-5L3HO 60-69 years, male 3.9
GTEX-15CHC-1126-SM-6LLHQ 60-69 years, female 3.9
GTEX-1EWIQ-0326-SM-7DHMQ 70-79 years, female 3.9
GTEX-ZAB4-2126-SM-5HL8U 40-49 years, male 3.9
GTEX-1GF9U-2026-SM-7SB92 40-49 years, female 3.9
GTEX-1MCC2-1826-SM-DIPEX 30-39 years, female 3.9
GTEX-1RB15-1326-SM-E76Q9 60-69 years, male 3.9
GTEX-1IOXB-2726-SM-CM2RI 50-59 years, male 3.8
GTEX-12126-0826-SM-5FQTZ 20-29 years, male 3.7
GTEX-12ZZX-2426-SM-5GCOE 40-49 years, female 3.7
GTEX-XBEW-1126-SM-4QARW 40-49 years, male 3.7
GTEX-ZT9W-1126-SM-57WDR 50-59 years, male 3.7
GTEX-ZYT6-2326-SM-5GZY3 30-39 years, male 3.7
GTEX-1HR98-2226-SM-ADEI2 60-69 years, male 3.7
GTEX-1HSMO-0626-SM-ACKXC 60-69 years, male 3.7
GTEX-1IE54-1126-SM-A9G2Z 40-49 years, female 3.7
GTEX-ZLV1-1526-SM-DO91J 60-69 years, female 3.7
GTEX-1117F-2926-SM-5GZYI 60-69 years, female 3.6
GTEX-12ZZZ-0726-SM-5GCNZ 60-69 years, male 3.6
GTEX-13FTW-0326-SM-5K7UW 40-49 years, male 3.6
GTEX-145MH-2826-SM-5RQJF 50-59 years, male 3.6
GTEX-Y5V5-0126-SM-5S2NW 60-69 years, female 3.6
GTEX-ZP4G-1426-SM-4WWCL 20-29 years, female 3.6
GTEX-1I1GT-1026-SM-ARZLV 60-69 years, female 3.6
GTEX-17HHY-0426-SM-7DHLC 50-59 years, male 3.5
GTEX-1C6WA-2626-SM-7MKGM 60-69 years, male 3.5
GTEX-1GMR8-0626-SM-7RHI7 50-59 years, female 3.5
GTEX-1HFI7-2326-SM-CGQFS 50-59 years, female 3.5
GTEX-1IDJI-0126-SM-CMKHS 50-59 years, female 3.5
GTEX-1269C-0126-SM-5EQ5L 60-69 years, female 3.4
GTEX-13OVK-1426-SM-6PAN7 40-49 years, male 3.4
GTEX-14BIN-1126-SM-5RQJZ 50-59 years, female 3.4
GTEX-14LLW-2626-SM-62LDZ 70-79 years, female 3.4
GTEX-1EH9U-2826-SM-7DUGT 60-69 years, male 3.4
GTEX-1F48J-0726-SM-7RHGS 50-59 years, female 3.4
GTEX-1QP2A-1726-SM-E76QC 50-59 years, male 3.4
GTEX-139YR-1026-SM-5LZYN 50-59 years, male 3.2
GTEX-14PJ2-0626-SM-6LLII 50-59 years, male 3.2
GTEX-17JCI-2926-SM-7DUFF 60-69 years, female 3.2
GTEX-1B933-2426-SM-7DHMD 50-59 years, female 3.2
GTEX-Y111-0626-SM-4SOIT 50-59 years, male 3.2
GTEX-1C64N-2626-SM-7PC2N 50-59 years, male 3.2
GTEX-1RAZR-2126-SM-E9U6T 40-49 years, male 3.2
GTEX-12WSA-0426-SM-5EQ5X 60-69 years, male 3.1
GTEX-14C39-1726-SM-5RQIL 40-49 years, male 3.1
GTEX-15EO6-2426-SM-6PALZ 50-59 years, male 3.1
GTEX-ZYY3-2926-SM-5GIEB 60-69 years, female 3.1
GTEX-1HR9M-2226-SM-CNPPY 60-69 years, male 3.1
GTEX-1PIIG-2326-SM-DTXFR 30-39 years, male 3.1
GTEX-11DXY-0126-SM-5H11Q 60-69 years, male 3.0
GTEX-13O61-1426-SM-5KM3D 60-69 years, male 3.0
GTEX-1EX96-1026-SM-7MKG2 50-59 years, male 3.0
GTEX-Z93S-1626-SM-5CVMB 50-59 years, male 3.0
GTEX-1F5PL-0926-SM-7PC2W 40-49 years, female 3.0
GTEX-1QP28-1126-SM-EVYC4 50-59 years, female 3.0
GTEX-111VG-1626-SM-5EGIO 60-69 years, male 2.9
GTEX-13NYS-0626-SM-5L3F1 60-69 years, male 2.9
GTEX-14PJ5-1526-SM-6LLIL 60-69 years, female 2.9
GTEX-1H4P4-2126-SM-9WYSL 50-59 years, male 2.9
GTEX-WHSB-1326-SM-3LK6W 50-59 years, male 2.8
GTEX-1H2FU-0926-SM-9WPPT 60-69 years, female 2.8
GTEX-1I1CD-0626-SM-CE6SW 60-69 years, female 2.8
GTEX-1J8QM-2426-SM-A9SLS 60-69 years, female 2.8
GTEX-1JJEA-1826-SM-ARU8P 60-69 years, male 2.8
GTEX-1LB8K-0726-SM-D5OV2 50-59 years, male 2.8
GTEX-139T8-0626-SM-5KLZX 60-69 years, male 2.7
GTEX-1PBJJ-1026-SM-E76OS 30-39 years, male 2.7
GTEX-11WQK-1026-SM-5EQLX 50-59 years, male 2.6
GTEX-11ZU8-0126-SM-5EQ58 60-69 years, male 2.6
GTEX-13G51-1826-SM-5KLZH 60-69 years, male 2.6
GTEX-13PL6-1126-SM-5L3IE 40-49 years, female 2.6
GTEX-14A6H-2026-SM-5Q5DD 30-39 years, male 2.6
GTEX-14PKU-0126-SM-6LLHV 40-49 years, female 2.6
GTEX-15CHQ-0326-SM-69LQD 60-69 years, male 2.6
GTEX-15DDE-2926-SM-6LLJ3 50-59 years, female 2.6
GTEX-1IKJJ-2226-SM-CJI4C 60-69 years, male 2.6
GTEX-1QMI2-2526-SM-E8VNZ 60-69 years, male 2.6
GTEX-13PDP-0726-SM-5L3HP 60-69 years, male 2.5
GTEX-144GL-0626-SM-5LU4D 50-59 years, male 2.5
GTEX-15RJE-2826-SM-7KUM9 40-49 years, male 2.5
GTEX-1C6VQ-1226-SM-73KYD 50-59 years, male 2.5
GTEX-1H11D-1826-SM-9QEHM 40-49 years, male 2.5
GTEX-1H3VE-0726-SM-9YFL5 40-49 years, male 2.5
GTEX-1HSKV-1226-SM-ADEI4 60-69 years, male 2.5
GTEX-11O72-0626-SM-5PNYE 40-49 years, male 2.4
GTEX-145LU-1926-SM-79OJN 50-59 years, male 2.4
GTEX-1B932-2326-SM-79OL5 40-49 years, female 2.4
GTEX-1F75A-0726-SM-7RHHD 50-59 years, male 2.4
GTEX-1LVAM-0726-SM-E6CIL 50-59 years, female 2.4
GTEX-15ER7-0626-SM-6PANF 20-29 years, female 2.3
GTEX-1C2JI-1026-SM-73KY1 50-59 years, male 2.3
GTEX-ZE9C-2526-SM-5IJDR 60-69 years, male 2.3
GTEX-1LSNL-2726-SM-E9TKJ 50-59 years, male 2.3
GTEX-1OJC4-2726-SM-E76PJ 50-59 years, female 2.3
GTEX-1R46S-2426-SM-E76QA 60-69 years, female 2.3
GTEX-13N2G-0226-SM-5K7VF 60-69 years, male 2.2
GTEX-13NYB-0126-SM-5J1MD 40-49 years, male 2.2
GTEX-13SLW-0626-SM-5Q5ER 70-79 years, male 2.2
GTEX-13YAN-0226-SM-5TDC6 60-69 years, male 2.2
GTEX-1EKGG-0626-SM-7DUGJ 60-69 years, male 2.2
GTEX-15FZZ-0526-SM-7KUGD 30-39 years, female 2.1
GTEX-1N5O9-0926-SM-E9J3C 60-69 years, male 2.1
GTEX-1NV5F-0626-SM-DTXEG 60-69 years, female 2.1
GTEX-1RAZS-2526-SM-E6CHT 50-59 years, male 2.1
GTEX-WYVS-1626-SM-3NM9R 40-49 years, female 2.0
GTEX-1122O-1026-SM-9WYSF 60-69 years, female 2.0
GTEX-1EMGI-2326-SM-7PBYA 60-69 years, male 2.0
GTEX-1JMQJ-0826-SM-CNPP7 50-59 years, male 2.0
GTEX-11P81-2226-SM-5PNYI 30-39 years, female 1.9
GTEX-13OW8-1026-SM-5J1NQ 60-69 years, male 1.9
GTEX-147JS-0226-SM-5S2U9 60-69 years, male 1.9
GTEX-1KANB-2826-SM-CY8I6 50-59 years, male 1.9
GTEX-1ICLY-0826-SM-CMKG1 50-59 years, male 1.8
GTEX-13OW7-0426-SM-5K7VK 50-59 years, male 1.7
GTEX-13VXT-1926-SM-5K7UO 20-29 years, female 1.7
GTEX-XV7Q-1826-SM-4BRUV 40-49 years, female 1.7
GTEX-16MT9-0126-SM-7EPI8 60-69 years, female 1.6
GTEX-1LKK1-2626-SM-DKPQE 50-59 years, female 1.6
GTEX-1R9PM-1926-SM-EVR3O 20-29 years, male 1.6
GTEX-13IVO-0726-SM-5LZYV 70-79 years, male 1.5
GTEX-1CB4H-1126-SM-7MKGL 60-69 years, female 1.5
GTEX-ZE7O-2726-SM-51MT5 50-59 years, female 1.5
GTEX-1HSMQ-2626-SM-A9SML 50-59 years, male 1.5
GTEX-1J8EW-2726-SM-CY8HR 60-69 years, female 1.4
GTEX-11DZ1-2426-SM-5GZZX 50-59 years, male 1.3
GTEX-145MF-0926-SM-5Q5EA 50-59 years, male 1.3
GTEX-17F9Y-0126-SM-79OKX 70-79 years, female 1.3
GTEX-15SKB-2826-SM-6PAMH 60-69 years, male 1.2
GTEX-1F52S-2926-SM-7MKGA 60-69 years, female 1.2
GTEX-1GF9X-1326-SM-7PC2Y 40-49 years, female 1.2
GTEX-1HT8W-0626-SM-A9G2H 30-39 years, male 1.2
GTEX-1POEN-2326-SM-E9J2L 30-39 years, female 1.2
GTEX-11GS4-0226-SM-5HL77 60-69 years, male 1.1
GTEX-1399U-1126-SM-5L3DB 50-59 years, female 1.1
GTEX-13JVG-0726-SM-5KM16 60-69 years, male 1.1
GTEX-1J8JJ-0626-SM-ARZMQ 60-69 years, female 1.0
GTEX-1313W-0626-SM-5EQ4H 50-59 years, female 0.9
GTEX-1H3O1-1326-SM-9MQLD 60-69 years, male 0.8
GTEX-11EQ8-0926-SM-5H12V 60-69 years, male 0.6
GTEX-1GN1V-2826-SM-9JGIA 60-69 years, male 0.6
GTEX-ZGAY-1826-SM-DO91Q 40-49 years, female 0.6
GTEX-1F88F-0126-SM-9WYSZ 60-69 years, female 0.2
GTEX-1I1GV-0626-SM-ARL7M 60-69 years, male 0.0
GTEX-1S83E-1326-SM-E6CJM 40-49 years, male 0.0
Show allShow less
Skin - Sun Exposed (Lower leg)
Average nTPM: 9.5
Samples: 701

Max nTPM: 83.5
Min nTPM: 0.1
Std nTPM: 9.1
Median nTPM: 6.9
GTEX-1497J-2426-SM-7IGNX 60-69 years, male 83.5
GTEX-Y5V6-2426-SM-4VDSB 60-69 years, male 76.0
GTEX-145LT-1726-SM-5QGP3 40-49 years, male 69.1
GTEX-S33H-1026-SM-EZ6L6 30-39 years, male 66.4
GTEX-14PJ3-1826-SM-62LEX 50-59 years, male 65.2
GTEX-131XF-5016-SM-7MGWE 60-69 years, male 61.4
GTEX-1I1GU-2226-SM-CGQFA 40-49 years, male 41.6
GTEX-1A3MX-0126-SM-731BR 60-69 years, male 39.1
GTEX-12696-2426-SM-5EQ6H 60-69 years, male 37.1
GTEX-144GN-2326-SM-5LU4F 50-59 years, male 35.7
GTEX-QDVN-2026-SM-3GAEP 50-59 years, male 35.4
GTEX-WI4N-1026-SM-3LK7N 40-49 years, female 35.3
GTEX-T8EM-1026-SM-3DB7M 40-49 years, male 34.1
GTEX-O5YT-0126-SM-48TBW 20-29 years, male 33.7
GTEX-W5X1-3026-SM-EAZAX 40-49 years, female 33.7
GTEX-14PN4-0126-SM-6EU2V 50-59 years, male 33.1
GTEX-17F98-0626-SM-79OMX 40-49 years, female 33.0
GTEX-1C2JI-1826-SM-73KXC 50-59 years, male 32.6
GTEX-11EM3-2426-SM-59861 20-29 years, female 31.7
GTEX-1NHNU-1026-SM-E9J2A 50-59 years, male 31.7
GTEX-OXRL-0126-SM-2YUMP 50-59 years, male 31.6
GTEX-13FH7-2026-SM-E9J4I 50-59 years, female 31.5
GTEX-1RLM8-2326-SM-EWRN4 50-59 years, male 31.3
GTEX-OXRO-0126-SM-2YUN4 60-69 years, female 30.6
GTEX-14XAO-2326-SM-6EU1B 60-69 years, female 30.4
GTEX-OHPL-0126-SM-2HMJ7 60-69 years, female 30.4
GTEX-ZVZO-0126-SM-5A5L9 40-49 years, male 30.0
GTEX-1C6VQ-0126-SM-7P8RI 50-59 years, male 28.8
GTEX-14BMU-2226-SM-5TDE9 20-29 years, female 28.2
GTEX-11UD1-0126-SM-5PNYG 40-49 years, female 28.0
GTEX-17EUY-0426-SM-793BD 20-29 years, male 27.8
GTEX-R55G-2526-SM-2TC6D 40-49 years, female 27.8
GTEX-U3ZH-2026-SM-3DB78 30-39 years, male 27.3
GTEX-14PK6-1926-SM-6ETZU 70-79 years, female 27.2
GTEX-1HSMP-0126-SM-E6CJS 70-79 years, male 27.0
GTEX-RM2N-1426-SM-2TF4H 50-59 years, male 26.6
GTEX-WZTO-0126-SM-3NM95 40-49 years, male 26.6
GTEX-PWCY-1826-SM-DHXIZ 20-29 years, female 26.2
GTEX-12WSK-2326-SM-5GCOH 40-49 years, female 25.7
GTEX-1QP9N-1426-SM-DTXFL 30-39 years, male 25.7
GTEX-1GL5R-1826-SM-9KNUY 50-59 years, male 25.5
GTEX-Q734-1926-SM-2I5EV 40-49 years, female 24.3
GTEX-14753-0426-SM-5NQAM 60-69 years, male 24.1
GTEX-RU72-0926-SM-2TF6B 50-59 years, female 24.0
GTEX-1I19N-0326-SM-ACKVX 70-79 years, male 23.8
GTEX-16AAH-1726-SM-7939C 50-59 years, male 23.6
GTEX-13FHO-0226-SM-5IFGY 60-69 years, male 23.3
GTEX-1KANA-0726-SM-D3L9I 20-29 years, male 23.3
GTEX-Q2AH-1626-SM-3GAF8 40-49 years, male 23.2
GTEX-1ICLZ-0126-SM-CKZPO 60-69 years, male 23.2
GTEX-X5EB-2226-SM-46MW4 40-49 years, male 23.0
GTEX-1J8Q2-0526-SM-CM2RW 60-69 years, male 23.0
GTEX-1A3MW-0126-SM-73KXX 60-69 years, female 22.8
GTEX-1HGF4-2426-SM-ACKXM 60-69 years, male 22.8
GTEX-PLZ6-1426-SM-DKPOT 30-39 years, male 22.5
GTEX-131XG-2626-SM-5KM17 50-59 years, female 22.3
GTEX-15UF6-0826-SM-6PALJ 70-79 years, female 22.2
GTEX-1211K-2026-SM-5EQ4Z 60-69 years, female 22.1
GTEX-WH7G-2326-SM-3NMBC 40-49 years, male 21.9
GTEX-ZYW4-0126-SM-5E44A 60-69 years, male 21.9
GTEX-Y3I4-2126-SM-4TT7C 50-59 years, male 21.8
GTEX-1R7EU-0226-SM-EVR4G 60-69 years, male 21.7
GTEX-TKQ1-1026-SM-4GICL 30-39 years, male 21.3
GTEX-14ICK-0226-SM-6EU25 40-49 years, male 21.0
GTEX-P4PQ-0126-SM-2S1NM 60-69 years, male 20.9
GTEX-1A3MV-1926-SM-718BT 30-39 years, male 20.3
GTEX-Y8E4-0626-SM-4WWDL 40-49 years, male 20.2
GTEX-ZDYS-2026-SM-5HL5L 50-59 years, male 20.2
GTEX-1H23P-0126-SM-ADEJ3 60-69 years, male 20.1
GTEX-1AX8Z-0126-SM-7DHM6 60-69 years, male 20.0
GTEX-POMQ-2226-SM-2I5FK 20-29 years, female 19.9
GTEX-OIZG-0726-SM-33HBL 50-59 years, male 19.3
GTEX-YJ8A-0426-SM-5IFID 20-29 years, male 18.5
GTEX-1AX9J-0226-SM-73KXM 60-69 years, male 18.4
GTEX-X8HC-0126-SM-4E3JW 50-59 years, female 18.0
GTEX-1H1DE-2126-SM-9WG6R 20-29 years, male 18.0
GTEX-1PWST-0226-SM-E76QJ 70-79 years, male 17.6
GTEX-11EMC-2926-SM-5EQ4F 60-69 years, female 17.5
GTEX-O5YW-0126-SM-3LK6D 50-59 years, male 17.4
GTEX-QDVJ-1726-SM-2I5FX 50-59 years, male 17.4
GTEX-1H1ZS-0426-SM-9WG6G 70-79 years, male 17.2
GTEX-ZPIC-1726-SM-DHXIU 40-49 years, female 17.1
GTEX-11DXX-2426-SM-5GZZW 60-69 years, female 17.0
GTEX-Q2AI-1326-SM-2S1PL 40-49 years, male 17.0
GTEX-U3ZM-1526-SM-3DB9D 40-49 years, male 16.7
GTEX-XAJ8-0826-SM-47JY6 40-49 years, male 16.7
GTEX-WOFL-0126-SM-3MJG2 60-69 years, male 16.5
GTEX-1F75I-0326-SM-9YFLU 40-49 years, male 16.4
GTEX-1B8KZ-2026-SM-7DHMB 50-59 years, male 16.3
GTEX-SN8G-0126-SM-32PLI 50-59 years, female 16.3
GTEX-XQ8I-0426-SM-4BOPO 50-59 years, male 16.3
GTEX-1ICG6-2526-SM-CGQFZ 70-79 years, female 16.3
GTEX-13OVJ-0126-SM-5KM36 50-59 years, female 16.0
GTEX-WFG8-2226-SM-3GIL9 20-29 years, male 16.0
GTEX-1CB4J-0626-SM-7DHMP 60-69 years, male 15.9
GTEX-1LSNM-1926-SM-E6CII 50-59 years, male 15.9
GTEX-11TT1-2526-SM-5EGIB 20-29 years, male 15.8
GTEX-1B8SF-1426-SM-7DUGL 60-69 years, male 15.7
GTEX-1HBPM-0226-SM-ARL9F 60-69 years, female 15.7
GTEX-13X6H-2126-SM-7EWD5 50-59 years, female 15.6
GTEX-1HSMO-0126-SM-CL547 60-69 years, male 15.5
GTEX-S32W-2126-SM-2XCB1 50-59 years, female 15.4
GTEX-14BIL-0126-SM-5SI92 50-59 years, male 15.0
GTEX-14DAR-2026-SM-5S2O3 50-59 years, male 15.0
GTEX-1HCU8-0626-SM-A9SM9 60-69 years, female 15.0
GTEX-S95S-1226-SM-4GICG 60-69 years, male 14.9
GTEX-X4XX-0126-SM-3NMC2 60-69 years, male 14.9
GTEX-1H1E6-1726-SM-ACKVK 30-39 years, male 14.9
GTEX-14A5H-0426-SM-5QGQF 60-69 years, male 14.7
GTEX-13O3O-0126-SM-E9J49 60-69 years, female 14.5
GTEX-P4PP-0126-SM-3LK69 30-39 years, female 14.4
GTEX-ZYFD-0126-SM-5GIDL 50-59 years, male 14.4
GTEX-183FY-0126-SM-7LT9P 20-29 years, male 14.3
GTEX-Y114-2426-SM-4TT8A 50-59 years, female 14.3
GTEX-117YW-2626-SM-5GZZH 50-59 years, male 14.2
GTEX-OIZH-0126-SM-2HMIS 50-59 years, male 14.2
GTEX-Y8LW-1826-SM-5S2MV 50-59 years, female 14.2
GTEX-ZDXO-3026-SM-5J1N5 60-69 years, male 14.2
GTEX-146FR-1326-SM-E9J48 60-69 years, female 14.2
GTEX-1N2EF-0226-SM-EYYXB 60-69 years, male 14.2
GTEX-13O3Q-2426-SM-5IJBR 50-59 years, male 14.1
GTEX-14E7W-0126-SM-6LLJ9 70-79 years, male 14.1
GTEX-1AYD5-2426-SM-73KXR 50-59 years, male 14.1
GTEX-17MF6-0126-SM-7LG4F 40-49 years, male 14.0
GTEX-SIU8-0126-SM-2XCDT 50-59 years, male 14.0
GTEX-U4B1-1826-SM-4DXSU 40-49 years, male 14.0
GTEX-YEC4-2126-SM-5IFJH 40-49 years, male 14.0
GTEX-1IKK5-0626-SM-ARL8A 60-69 years, male 14.0
GTEX-QLQW-1126-SM-2S1Q8 30-39 years, male 13.9
GTEX-SNMC-1226-SM-2XCFP 20-29 years, male 13.9
GTEX-WRHK-1426-SM-3MJF9 20-29 years, female 13.9
GTEX-1JMPY-1326-SM-ARL8Y 30-39 years, male 13.6
GTEX-144FL-0126-SM-5TDC8 50-59 years, male 13.5
GTEX-16XZZ-0126-SM-793DV 60-69 years, male 13.5
GTEX-ZAB4-0226-SM-5N9F5 40-49 years, male 13.5
GTEX-1HCVE-0126-SM-CGQEU 50-59 years, male 13.5
GTEX-14JIY-0126-SM-6LLH6 60-69 years, male 13.4
GTEX-1QAET-0926-SM-E76QM 50-59 years, male 13.4
GTEX-117YX-2326-SM-5H12W 50-59 years, male 13.3
GTEX-13OVI-1426-SM-5L3EY 60-69 years, female 13.3
GTEX-OHPM-0126-SM-2YUN9 50-59 years, male 13.3
GTEX-RUSQ-1526-SM-2TF62 50-59 years, male 13.3
GTEX-13O21-1426-SM-5K7XI 50-59 years, male 13.2
GTEX-14E6C-0126-SM-5RQIP 40-49 years, male 13.2
GTEX-X4XY-0226-SM-4E3IZ 60-69 years, male 13.2
GTEX-ZTX8-1426-SM-5DUVO 20-29 years, male 13.2
GTEX-11ZTT-2426-SM-5EQLS 60-69 years, female 13.1
GTEX-146FH-0126-SM-5QGPP 50-59 years, female 13.1
GTEX-1N2DW-0226-SM-E9TK2 50-59 years, male 13.1
GTEX-1NV5F-0226-SM-E8VNY 60-69 years, female 13.1
GTEX-1OJC4-0126-SM-E9J2E 50-59 years, female 13.1
GTEX-RVPV-0126-SM-EAZAW 60-69 years, male 13.1
GTEX-12584-0126-SM-5EGKQ 40-49 years, male 13.0
GTEX-X88G-0126-SM-47JZ3 30-39 years, male 13.0
GTEX-1HUB1-0426-SM-E9U4U 60-69 years, male 13.0
GTEX-XQ3S-1526-SM-4BOOC 20-29 years, male 12.9
GTEX-1QP2A-0126-SM-E9J43 50-59 years, male 12.9
GTEX-17GQL-2026-SM-718BA 60-69 years, male 12.8
GTEX-1PPH7-2326-SM-EVYB8 40-49 years, male 12.7
GTEX-1JKYR-0126-SM-CNPOJ 20-29 years, male 12.6
GTEX-14BIM-0226-SM-7IGLD 60-69 years, female 12.5
GTEX-1J8Q3-1626-SM-CMKGC 60-69 years, male 12.5
GTEX-1KD4Q-0226-SM-E9TJ9 40-49 years, male 12.5
GTEX-13O1R-0126-SM-5L3EH 60-69 years, male 12.4
GTEX-145ME-1826-SM-5SI9G 40-49 years, female 12.4
GTEX-WY7C-2326-SM-3NB2U 50-59 years, male 12.4
GTEX-13OVL-0226-SM-5L3E9 50-59 years, male 12.3
GTEX-OXRK-0226-SM-3NB2G 50-59 years, female 12.3
GTEX-169BO-1326-SM-9MQK2 50-59 years, male 12.3
GTEX-11NSD-2226-SM-5986V 20-29 years, male 12.1
GTEX-S7PM-0126-SM-4AD6S 60-69 years, male 12.1
GTEX-1GPI6-0126-SM-9WG69 60-69 years, male 12.1
GTEX-1R9K4-0126-SM-DTX9X 60-69 years, male 12.1
GTEX-15SHW-0326-SM-6PAML 60-69 years, male 12.0
GTEX-1GTWX-0126-SM-9YFLK 60-69 years, male 12.0
GTEX-1JMQL-0226-SM-CNPP5 50-59 years, female 12.0
GTEX-12WSN-5019-SM-79OM6 40-49 years, male 11.9
GTEX-14C5O-0126-SM-5SI6N 60-69 years, male 11.9
GTEX-1HBPN-0226-SM-9YFM1 50-59 years, male 11.9
GTEX-15D1Q-0126-SM-7KUG6 40-49 years, male 11.8
GTEX-ZAJG-0126-SM-5HL94 50-59 years, female 11.8
GTEX-1GN1W-0526-SM-9MQJQ 50-59 years, female 11.8
GTEX-1HKZK-0326-SM-9WYUH 40-49 years, male 11.8
GTEX-1KANC-1526-SM-D3LAB 50-59 years, female 11.8
GTEX-1192W-2626-SM-5Q5AF 60-69 years, male 11.7
GTEX-X4EP-0126-SM-3P5YV 60-69 years, female 11.7
GTEX-13OVG-1926-SM-5L3DK 60-69 years, male 11.6
GTEX-15UKP-0426-SM-7KUFQ 20-29 years, male 11.5
GTEX-1I6K6-0126-SM-A9SLE 30-39 years, male 11.5
GTEX-U8XE-0326-SM-3DB8P 30-39 years, male 11.4
GTEX-1GMR3-1926-SM-9KNUZ 40-49 years, male 11.4
GTEX-1H1DG-0126-SM-9WYU2 70-79 years, male 11.4
GTEX-1QCLY-0326-SM-E8VOG 30-39 years, male 11.4
GTEX-R45C-0126-SM-EAZ2R 60-69 years, female 11.4
GTEX-VJWN-0126-SM-3GIK7 50-59 years, female 11.3
GTEX-ZDTS-0126-SM-4WAY5 60-69 years, male 11.3
GTEX-ZF3C-0126-SM-DO92D 50-59 years, female 11.3
GTEX-13RTK-1426-SM-5QGQJ 20-29 years, male 11.2
GTEX-1RAZQ-0726-SM-EAZ43 30-39 years, male 11.2
GTEX-11ZUS-0626-SM-59885 30-39 years, male 11.1
GTEX-12WSD-0126-SM-59HKN 60-69 years, female 10.9
GTEX-15CHC-2126-SM-6EU21 60-69 years, female 10.9
GTEX-1N2DV-0226-SM-E6CJ6 40-49 years, male 10.9
GTEX-ZF29-2326-SM-DO92K 60-69 years, female 10.9
GTEX-1QP29-0626-SM-EWRMX 50-59 years, male 10.8
GTEX-17F96-1626-SM-7DUFL 70-79 years, male 10.7
GTEX-17HGU-0226-SM-7DHKV 50-59 years, male 10.7
GTEX-1CAMS-0426-SM-7P8T2 40-49 years, female 10.7
GTEX-WVJS-0126-SM-4MVOT 50-59 years, male 10.6
GTEX-1F75B-0126-SM-9KNVL 50-59 years, male 10.6
GTEX-1QP66-1726-SM-E8VO1 50-59 years, male 10.6
GTEX-15SB6-1726-SM-6PAME 50-59 years, female 10.5
GTEX-NPJ8-0126-SM-2YUNR 40-49 years, male 10.5
GTEX-13CF3-2426-SM-5IFGX 60-69 years, female 10.4
GTEX-QEG4-0226-SM-2S1PY 30-39 years, male 10.4
GTEX-U412-0426-SM-3DB9O 60-69 years, male 10.4
GTEX-YB5E-2026-SM-5IFIS 40-49 years, male 10.4
GTEX-1JKYN-1326-SM-CGQG9 30-39 years, male 10.3
GTEX-1QP67-1626-SM-EAZ3X 40-49 years, female 10.3
GTEX-1AMFI-2026-SM-731BH 50-59 years, female 10.2
GTEX-1CAMR-1926-SM-7EPI2 20-29 years, male 10.2
GTEX-SUCS-1926-SM-32PM3 70-79 years, male 10.2
GTEX-1IDJF-0126-SM-CM2RS 20-29 years, male 10.2
GTEX-11XUK-2026-SM-5EQLF 40-49 years, female 10.1
GTEX-14PN3-2426-SM-6LLHS 60-69 years, female 10.1
GTEX-V1D1-2226-SM-3NMAX 50-59 years, male 10.1
GTEX-1F6I4-0126-SM-9MQL2 60-69 years, male 10.1
GTEX-1R7EV-2426-SM-EVYBG 40-49 years, male 10.1
GTEX-X62O-0126-SM-4E3JN 50-59 years, male 10.0
GTEX-1IDFM-0126-SM-COH2V 60-69 years, male 10.0
GTEX-1LC47-0326-SM-E9TJP 60-69 years, male 9.9
GTEX-15DDE-0126-SM-6LPKH 50-59 years, female 9.8
GTEX-R55E-0126-SM-2TC5Y 20-29 years, male 9.8
GTEX-WYJK-0126-SM-3NMAB 50-59 years, male 9.8
GTEX-X585-0226-SM-4QAS2 50-59 years, male 9.8
GTEX-ZVZP-2426-SM-59HKJ 50-59 years, male 9.8
GTEX-1HBPH-0426-SM-B2LW5 40-49 years, female 9.8
GTEX-1HCUA-2426-SM-ADEIS 50-59 years, female 9.8
GTEX-ZQG8-1626-SM-DHXIT 60-69 years, female 9.8
GTEX-12ZZY-0226-SM-5LZVE 60-69 years, male 9.7
GTEX-13FTW-2626-SM-5K7WL 40-49 years, male 9.7
GTEX-XMD2-0126-SM-4YCDU 60-69 years, female 9.7
GTEX-1H1CY-2826-SM-9MQM3 60-69 years, female 9.7
GTEX-1LH75-2426-SM-E9TJE 50-59 years, female 9.7
GTEX-12WSA-0226-SM-5BC5V 60-69 years, male 9.6
GTEX-13NZ8-0826-SM-5MR3I 60-69 years, female 9.6
GTEX-14A5I-0126-SM-5TDEA 50-59 years, female 9.6
GTEX-YB5K-2126-SM-4WWDJ 40-49 years, female 9.6
GTEX-1M5QR-1226-SM-EWROB 40-49 years, male 9.6
GTEX-1MCQQ-0826-SM-DLHC2 60-69 years, male 9.6
GTEX-1RQEC-0426-SM-E6CHU 60-69 years, male 9.6
GTEX-1JN76-0126-SM-CNPPE 20-29 years, female 9.5
GTEX-13OVH-0126-SM-5MR4B 70-79 years, male 9.4
GTEX-139TT-0126-SM-5K7Y5 60-69 years, male 9.3
GTEX-13IVO-0126-SM-5J1NG 70-79 years, male 9.3
GTEX-PSDG-0226-SM-DKPOZ 50-59 years, male 9.3
GTEX-12WSJ-1826-SM-5GCNY 40-49 years, female 9.2
GTEX-1LNCM-1126-SM-E9U5E 50-59 years, female 9.2
GTEX-1C6VS-0526-SM-7DUEN 60-69 years, male 9.1
GTEX-QLQ7-1626-SM-2S1R8 60-69 years, male 9.1
GTEX-RTLS-0126-SM-447CA 60-69 years, female 9.1
GTEX-1PPH8-0226-SM-E8VND 20-29 years, male 9.1
GTEX-13N11-2526-SM-5K7UE 50-59 years, female 9.0
GTEX-1B8KE-2126-SM-73KYX 50-59 years, male 9.0
GTEX-1399U-2326-SM-5K7WY 50-59 years, female 8.9
GTEX-X261-0126-SM-3NMD6 50-59 years, male 8.9
GTEX-1122O-2126-SM-5EGIR 60-69 years, female 8.8
GTEX-14ABY-0226-SM-5TDCQ 50-59 years, male 8.8
GTEX-16XZY-2126-SM-79OK1 70-79 years, male 8.8
GTEX-ZUA1-0126-SM-5GU76 40-49 years, male 8.8
GTEX-11GSO-2426-SM-5A5LY 60-69 years, male 8.7
GTEX-16MT8-0426-SM-7KUEY 60-69 years, female 8.7
GTEX-13U4I-0126-SM-5LU38 40-49 years, female 8.6
GTEX-18D9U-0226-SM-718BP 40-49 years, male 8.6
GTEX-T2YK-0526-SM-32QPJ 50-59 years, male 8.6
GTEX-13OW8-1326-SM-5J1OW 60-69 years, male 8.5
GTEX-17HG3-2226-SM-7938L 30-39 years, female 8.5
GTEX-13113-5016-SM-7EPIP 60-69 years, female 8.4
GTEX-1AYCT-2426-SM-7IGQ3 50-59 years, male 8.4
GTEX-Q2AG-0126-SM-33HBV 40-49 years, female 8.4
GTEX-1HB9E-0226-SM-E9U4R 50-59 years, male 8.4
GTEX-1MUQO-0126-SM-EAZ58 60-69 years, male 8.4
GTEX-1C64O-0126-SM-7SB8P 60-69 years, male 8.3
GTEX-1GF9W-0326-SM-9KNUN 60-69 years, male 8.3
GTEX-1KXAM-2226-SM-CYPTC 60-69 years, male 8.3
GTEX-11P7K-2126-SM-5GU7G 30-39 years, male 8.2
GTEX-11P82-1626-SM-59879 20-29 years, male 8.2
GTEX-T6MO-1626-SM-32QOM 40-49 years, female 8.2
GTEX-111VG-2426-SM-5GZXD 60-69 years, male 8.1
GTEX-11NUK-0126-SM-5A5L3 50-59 years, male 8.1
GTEX-139T4-0226-SM-5HL5S 50-59 years, female 8.1
GTEX-P4QT-0126-SM-2I3FL 50-59 years, female 8.1
GTEX-QDT8-0126-SM-48TZ1 30-39 years, female 8.1
GTEX-12WSG-2826-SM-E9J4H 50-59 years, female 8.1
GTEX-11ZU8-2526-SM-5EQKI 60-69 years, male 8.0
GTEX-131XW-0426-SM-5LZWP 50-59 years, female 8.0
GTEX-132NY-0326-SM-5IJBL 60-69 years, male 8.0
GTEX-13W46-0226-SM-5SIAG 50-59 years, male 8.0
GTEX-14LLW-0126-SM-6LLIO 70-79 years, female 8.0
GTEX-1HSEH-0126-SM-ACKXN 60-69 years, male 8.0
GTEX-1R9PO-2126-SM-E9J4O 60-69 years, female 8.0
GTEX-11ZVC-2526-SM-5FQTE 50-59 years, female 7.9
GTEX-146FQ-0126-SM-5NQA9 30-39 years, male 7.8
GTEX-14JG6-2226-SM-6EU2G 30-39 years, female 7.8
GTEX-15EU6-0426-SM-6PAN5 50-59 years, male 7.8
GTEX-183WM-0126-SM-7LTAB 70-79 years, female 7.8
GTEX-QCQG-1726-SM-3GIJ9 50-59 years, female 7.8
GTEX-1JMOU-1526-SM-CL54I 60-69 years, female 7.8
GTEX-11LCK-1026-SM-5A5KB 30-39 years, male 7.7
GTEX-147F4-0226-SM-5QGPW 50-59 years, male 7.7
GTEX-148VI-1626-SM-5SI6E 60-69 years, female 7.7
GTEX-17HHY-0126-SM-7LG5D 50-59 years, male 7.7
GTEX-1B8SG-0126-SM-73KZ3 50-59 years, male 7.7
GTEX-SJXC-0126-SM-2XCFF 60-69 years, male 7.7
GTEX-1S5ZA-0126-SM-EVYCV 20-29 years, male 7.7
GTEX-15G19-0126-SM-6PANQ 60-69 years, male 7.6
GTEX-1JN6P-0126-SM-D3L98 60-69 years, male 7.6
GTEX-1K2DA-1826-SM-CGQGT 50-59 years, male 7.6
GTEX-1RB15-2126-SM-E9TIM 60-69 years, male 7.6
GTEX-139UW-2826-SM-5L3E7 60-69 years, male 7.5
GTEX-14PHX-2326-SM-62LEM 50-59 years, male 7.5
GTEX-15SDE-2226-SM-7IGLO 50-59 years, female 7.5
GTEX-W5WG-1826-SM-4KL2Y 50-59 years, female 7.5
GTEX-ZQUD-1426-SM-57WER 30-39 years, male 7.5
GTEX-17F97-0326-SM-7LG5B 50-59 years, male 7.4
GTEX-1GN1V-0126-SM-9WPOS 60-69 years, male 7.4
GTEX-14E6E-1826-SM-5S2R7 30-39 years, male 7.3
GTEX-1CB4I-0226-SM-79OLH 50-59 years, male 7.3
GTEX-QESD-1426-SM-2S1R9 20-29 years, male 7.3
GTEX-TMMY-0226-SM-33HBA 40-49 years, female 7.3
GTEX-1K2DU-2326-SM-E9TIV 20-29 years, male 7.3
GTEX-1MGNQ-0126-SM-EVYCJ 40-49 years, male 7.3
GTEX-1RDX4-0126-SM-E9J4P 50-59 years, female 7.3
GTEX-1S3DN-2226-SM-EVYCD 50-59 years, male 7.3
GTEX-1PFEY-1526-SM-E76PP 30-39 years, male 7.2
GTEX-18A66-0226-SM-718BD 60-69 years, male 7.1
GTEX-18A7B-0126-SM-7LG64 70-79 years, male 7.1
GTEX-1CAV2-2226-SM-7P8P2 40-49 years, female 7.1
GTEX-1HCU6-0126-SM-CL54K 60-69 years, female 7.1
GTEX-1I1GS-0126-SM-B2LVW 60-69 years, male 7.1
GTEX-1JMQK-0226-SM-CL543 60-69 years, male 7.1
GTEX-139TU-0126-SM-5K7WH 60-69 years, male 7.0
GTEX-XUW1-0426-SM-4BOOT 50-59 years, female 7.0
GTEX-ZU9S-0226-SM-5E441 30-39 years, male 7.0
GTEX-13NYC-0326-SM-E9J4S 60-69 years, male 7.0
GTEX-1GN73-0226-SM-9WG67 60-69 years, male 7.0
GTEX-RNOR-0126-SM-E9J4R 50-59 years, female 7.0
GTEX-11WQC-2526-SM-5CVLE 60-69 years, male 6.9
GTEX-13PDP-0126-SM-5L3HD 60-69 years, male 6.9
GTEX-1A32A-0126-SM-718B1 50-59 years, female 6.9
GTEX-1C6VR-2426-SM-79OLD 60-69 years, male 6.9
GTEX-NFK9-0226-SM-2HMKQ 40-49 years, male 6.9
GTEX-UPJH-0326-SM-3GADU 50-59 years, male 6.9
GTEX-1F5PK-2426-SM-7RHHY 50-59 years, male 6.9
GTEX-13RTJ-2426-SM-5S2Q2 60-69 years, male 6.8
GTEX-17EVQ-0226-SM-7LG4P 70-79 years, male 6.8
GTEX-18QFQ-0126-SM-731BE 30-39 years, male 6.8
GTEX-1J1R8-1726-SM-ARL8M 40-49 years, male 6.8
GTEX-1KD5A-0226-SM-D5OV3 50-59 years, male 6.8
GTEX-1L5NE-2526-SM-E6CIE 50-59 years, male 6.8
GTEX-12ZZZ-0626-SM-5DUXI 60-69 years, male 6.7
GTEX-13YAN-0326-SM-5O9DF 60-69 years, male 6.7
GTEX-ZZPT-0226-SM-5E43X 50-59 years, male 6.7
GTEX-13RTL-0126-SM-7LG5S 40-49 years, male 6.6
GTEX-13SLW-0126-SM-5SI6C 70-79 years, male 6.6
GTEX-Y3IK-2426-SM-4WWDU 50-59 years, female 6.6
GTEX-1B933-0126-SM-7PC29 50-59 years, female 6.6
GTEX-1PBJI-0526-SM-E8VNK 20-29 years, female 6.6
GTEX-12126-0326-SM-5PNW3 20-29 years, male 6.5
GTEX-12C56-1726-SM-5EQ61 20-29 years, male 6.5
GTEX-13NYS-0126-SM-5MR3W 60-69 years, male 6.5
GTEX-13PVR-2326-SM-5QGR1 60-69 years, female 6.5
GTEX-1AMEY-1326-SM-73KYK 30-39 years, female 6.5
GTEX-1C4CL-0526-SM-73KVK 30-39 years, male 6.5
GTEX-ZVT4-0126-SM-DTXFN 50-59 years, female 6.5
GTEX-13FHP-0126-SM-5IJBG 50-59 years, male 6.4
GTEX-16NGA-1726-SM-731B4 40-49 years, female 6.4
GTEX-18A7A-0226-SM-718BH 50-59 years, female 6.4
GTEX-TMZS-0126-SM-3DB9Q 60-69 years, male 6.4
GTEX-UJHI-1526-SM-3DB99 50-59 years, female 6.4
GTEX-1JMLX-0226-SM-CM2RO 50-59 years, male 6.4
GTEX-1POEN-0126-SM-EYYXJ 30-39 years, female 6.4
GTEX-14PJ6-2126-SM-6EU1V 60-69 years, female 6.3
GTEX-ZYY3-0126-SM-5GZY5 60-69 years, female 6.3
GTEX-1F6RS-0126-SM-9MQKZ 60-69 years, female 6.3
GTEX-11H98-0126-SM-5EGHG 50-59 years, male 6.2
GTEX-13NZA-0226-SM-5K7Z7 60-69 years, male 6.2
GTEX-X4EO-0326-SM-3P5YO 60-69 years, female 6.2
GTEX-1I1GT-0626-SM-CGQER 60-69 years, female 6.2
GTEX-S7SE-0126-SM-2XCD5 50-59 years, male 6.1
GTEX-ZVT2-2526-SM-51MT1 50-59 years, female 6.1
GTEX-1H3VE-0326-SM-9YFLH 40-49 years, male 6.1
GTEX-1I1GR-0126-SM-CL55F 60-69 years, male 6.1
GTEX-1IGQW-0126-SM-COH42 60-69 years, male 6.1
GTEX-1IKOH-0226-SM-COH4E 60-69 years, female 6.1
GTEX-1K9T9-0126-SM-EVYCF 50-59 years, female 6.1
GTEX-1QW4Y-1526-SM-EAZ3Z 30-39 years, male 6.1
GTEX-13N1W-0126-SM-5K7VT 70-79 years, male 6.0
GTEX-14E6D-0126-SM-62LDV 50-59 years, male 6.0
GTEX-15EOM-0126-SM-7KUGG 20-29 years, female 6.0
GTEX-1H2FU-0126-SM-9WYSI 60-69 years, female 6.0
GTEX-1JN1M-0326-SM-CYPT3 60-69 years, female 6.0
GTEX-1LGRB-2526-SM-CNPPQ 50-59 years, female 6.0
GTEX-15SHU-0126-SM-7KUEH 40-49 years, female 5.9
GTEX-VJYA-1126-SM-3GIJU 60-69 years, male 5.9
GTEX-1GF9V-0326-SM-7RHI5 60-69 years, male 5.9
GTEX-1HSGN-0226-SM-CGQFV 40-49 years, female 5.9
GTEX-13QJ3-0326-SM-5S2RA 50-59 years, male 5.8
GTEX-WFON-2126-SM-3LK7O 40-49 years, male 5.8
GTEX-XPVG-2626-SM-4B669 50-59 years, male 5.8
GTEX-1GN2E-0426-SM-9MQKX 60-69 years, male 5.8
GTEX-1GZ2Q-0226-SM-7P8TL 40-49 years, male 5.8
GTEX-1ICLY-0126-SM-D4P36 50-59 years, male 5.8
GTEX-1JJE9-0326-SM-CL53Z 70-79 years, male 5.8
GTEX-13X6I-0626-SM-5QGP9 60-69 years, male 5.7
GTEX-RN64-0126-SM-2TC68 50-59 years, male 5.7
GTEX-XXEK-2226-SM-4BRUM 50-59 years, male 5.7
GTEX-Y111-0126-SM-4SOIV 50-59 years, male 5.7
GTEX-ZE7O-0126-SM-57WC1 50-59 years, female 5.7
GTEX-1GZ4H-1726-SM-7PBZJ 50-59 years, female 5.7
GTEX-1J1OQ-0226-SM-CYPSH 40-49 years, female 5.7
GTEX-11GSP-2526-SM-5N9BP 60-69 years, female 5.6
GTEX-11O72-0126-SM-59887 40-49 years, male 5.6
GTEX-13X6J-0126-SM-5QGOU 50-59 years, male 5.6
GTEX-XBED-2226-SM-47JYQ 60-69 years, male 5.6
GTEX-ZWKS-0126-SM-5SIAA 30-39 years, male 5.6
GTEX-1I1GP-2226-SM-CGQFK 50-59 years, male 5.6
GTEX-145MN-2226-SM-5SIAU 30-39 years, male 5.5
GTEX-1CB4E-2226-SM-793DC 60-69 years, male 5.5
GTEX-1F7RK-0126-SM-7PC2S 20-29 years, female 5.5
GTEX-1KAFJ-2026-SM-CY8ID 50-59 years, male 5.5
GTEX-113JC-2326-SM-5EQ4E 50-59 years, female 5.4
GTEX-145LU-0126-SM-5TDCB 50-59 years, male 5.4
GTEX-14DAQ-0126-SM-5S2MQ 60-69 years, female 5.4
GTEX-14PHW-0126-SM-6LLJI 60-69 years, female 5.4
GTEX-15DCD-0126-SM-7KUEK 70-79 years, female 5.4
GTEX-15ETS-0126-SM-7KUMW 40-49 years, female 5.4
GTEX-ZE9C-2726-SM-57WB5 60-69 years, male 5.4
GTEX-ZYFG-2326-SM-5E44B 60-69 years, female 5.4
GTEX-ZZ64-1726-SM-5GZYB 20-29 years, male 5.4
GTEX-1F5PL-0326-SM-7P8PQ 40-49 years, female 5.4
GTEX-1HBPI-1526-SM-C1YQ1 50-59 years, male 5.4
GTEX-1QPFJ-0226-SM-E76PB 30-39 years, female 5.4
GTEX-11OC5-0126-SM-5HL6A 60-69 years, male 5.3
GTEX-U8T8-0126-SM-3DB94 60-69 years, male 5.3
GTEX-Y8DK-0126-SM-4TT3L 60-69 years, male 5.3
GTEX-1JMPZ-0226-SM-CNPP1 30-39 years, male 5.3
GTEX-1192X-0226-SM-5H12D 50-59 years, male 5.2
GTEX-1399T-2826-SM-5KLYZ 60-69 years, male 5.2
GTEX-13CF2-2526-SM-5LZYX 60-69 years, male 5.2
GTEX-15DYW-0126-SM-7KULE 60-69 years, female 5.2
GTEX-17KNJ-2326-SM-7DHLQ 50-59 years, male 5.2
GTEX-T5JW-1626-SM-3GADZ 20-29 years, female 5.2
GTEX-1GF9U-2126-SM-7SB7L 40-49 years, female 5.2
GTEX-1JJ6O-0126-SM-E6CI8 60-69 years, male 5.2
GTEX-1269C-2526-SM-5EGJ3 60-69 years, female 5.1
GTEX-QVJO-1626-SM-2S1QW 60-69 years, female 5.1
GTEX-T2IS-0126-SM-4DM6O 20-29 years, female 5.1
GTEX-1CB4H-0226-SM-7PBXM 60-69 years, female 5.1
GTEX-1HR98-0126-SM-B2LWI 60-69 years, male 5.1
GTEX-1LB8K-0226-SM-EWRNW 50-59 years, male 5.1
GTEX-131XE-2326-SM-5PNZ2 50-59 years, male 5.0
GTEX-13JUV-2726-SM-5LZZ8 40-49 years, female 5.0
GTEX-145LV-2126-SM-5LU8N 50-59 years, male 5.0
GTEX-17EVP-0326-SM-7DHLG 40-49 years, male 5.0
GTEX-1C475-1826-SM-73KWA 40-49 years, female 5.0
GTEX-P44H-0226-SM-2XCEU 40-49 years, male 5.0
GTEX-WXYG-2326-SM-4E3I6 50-59 years, female 5.0
GTEX-ZTPG-0326-SM-5O9AX 20-29 years, female 5.0
GTEX-1I1GV-0526-SM-A9G29 60-69 years, male 5.0
GTEX-1M4P7-0226-SM-DIPEV 60-69 years, male 5.0
GTEX-1S82Y-2026-SM-EVYCM 40-49 years, male 5.0
GTEX-PW2O-1526-SM-7RHHB 20-29 years, male 5.0
GTEX-1128S-2326-SM-5GZZY 60-69 years, female 4.9
GTEX-13FTX-1826-SM-5J1NX 20-29 years, female 4.9
GTEX-15ER7-0326-SM-7KUEV 20-29 years, female 4.9
GTEX-U3ZN-2326-SM-3DB7W 30-39 years, female 4.9
GTEX-1EKGG-0226-SM-9WYTH 60-69 years, male 4.9
GTEX-11DZ1-0126-SM-5985Q 50-59 years, male 4.8
GTEX-17HII-0226-SM-7LG4E 50-59 years, male 4.8
GTEX-18A6Q-0126-SM-731BZ 60-69 years, male 4.8
GTEX-Y5LM-1926-SM-5RQJH 40-49 years, female 4.8
GTEX-1R46S-0626-SM-E9J41 60-69 years, female 4.8
GTEX-131XH-2226-SM-5DUXJ 50-59 years, male 4.7
GTEX-PVOW-0126-SM-2XCFA 40-49 years, male 4.7
GTEX-1J8EW-0126-SM-CJI4F 60-69 years, female 4.7
GTEX-13D11-2426-SM-5KM1V 50-59 years, female 4.6
GTEX-14A6H-0126-SM-5QGPK 30-39 years, male 4.6
GTEX-XYKS-2126-SM-4E3IB 60-69 years, female 4.6
GTEX-1MA7X-2226-SM-E6CIY 60-69 years, male 4.6
GTEX-13O3P-0126-SM-5KM4S 50-59 years, male 4.5
GTEX-1AX9I-0126-SM-7SB74 60-69 years, male 4.5
GTEX-1LGOU-2026-SM-DIPFF 20-29 years, female 4.5
GTEX-OOBJ-0126-SM-E6CJW 60-69 years, male 4.5
GTEX-145LS-0126-SM-5QGP1 60-69 years, female 4.4
GTEX-14PJM-0226-SM-62LF1 50-59 years, female 4.4
GTEX-15F5U-1526-SM-6PANO 40-49 years, male 4.4
GTEX-1J8JJ-0226-SM-CL53I 60-69 years, female 4.4
GTEX-1MCYP-1926-SM-E9J2R 20-29 years, female 4.4
GTEX-1OFPY-2426-SM-DTXEJ 60-69 years, male 4.4
GTEX-1RAZA-0126-SM-E6CI3 20-29 years, male 4.4
GTEX-SE5C-1626-SM-2XCE3 40-49 years, female 4.4
GTEX-11GS4-2726-SM-5A5LE 60-69 years, male 4.3
GTEX-12ZZX-0126-SM-5EGK9 40-49 years, female 4.3
GTEX-13OW7-0126-SM-5MR3B 50-59 years, male 4.3
GTEX-145MO-0326-SM-5Q5B3 60-69 years, male 4.3
GTEX-ZAB5-1826-SM-5HL7C 50-59 years, male 4.3
GTEX-ZGAY-0526-SM-4WWBB 40-49 years, female 4.3
GTEX-1GN1U-0126-SM-7PBZK 50-59 years, female 4.3
GTEX-11DXW-0226-SM-5H122 40-49 years, male 4.2
GTEX-11TTK-0126-SM-5987B 60-69 years, female 4.2
GTEX-12WSL-2526-SM-5GCNJ 50-59 years, male 4.2
GTEX-1314G-1526-SM-5EGK2 30-39 years, male 4.2
GTEX-148VJ-0126-SM-5TDDN 70-79 years, male 4.2
GTEX-QV44-1926-SM-2S1RF 50-59 years, male 4.2
GTEX-X638-0126-SM-47JZ8 70-79 years, female 4.2
GTEX-1C6WA-0126-SM-7PC2B 60-69 years, male 4.2
GTEX-1CB4F-0426-SM-9KNV4 60-69 years, male 4.2
GTEX-1CB4G-0226-SM-7PC3O 60-69 years, male 4.2
GTEX-1E2YA-0126-SM-9KNUC 50-59 years, male 4.2
GTEX-1I1HK-0126-SM-COH49 60-69 years, male 4.2
GTEX-1KWVE-1426-SM-E9TJO 30-39 years, male 4.2
GTEX-11UD2-0226-SM-5EQKY 50-59 years, male 4.1
GTEX-139TS-2826-SM-5J1OO 60-69 years, male 4.1
GTEX-17HHE-2026-SM-79OKF 50-59 years, male 4.1
GTEX-ZC5H-0226-SM-4WAY9 40-49 years, female 4.1
GTEX-ZF28-0126-SM-4WKGK 60-69 years, male 4.1
GTEX-1H3VY-0126-SM-ACKXD 50-59 years, male 4.1
GTEX-1QMI2-0226-SM-EVYBX 60-69 years, male 4.1
GTEX-11DYG-0126-SM-59883 60-69 years, male 4.0
GTEX-11EQ9-2426-SM-5HL5T 30-39 years, male 4.0
GTEX-OXRN-0126-SM-48TDM 50-59 years, male 4.0
GTEX-OXRP-0126-SM-3NB32 60-69 years, female 4.0
GTEX-RWSA-0126-SM-2XCBB 40-49 years, male 4.0
GTEX-YFC4-0126-SM-5CVLY 40-49 years, female 4.0
GTEX-ZDTT-2726-SM-4WKF8 60-69 years, male 4.0
GTEX-1B996-0226-SM-7RHGO 60-69 years, male 4.0
GTEX-13W3W-2426-SM-5LU5B 60-69 years, female 3.9
GTEX-17MFQ-1726-SM-793C7 20-29 years, male 3.9
GTEX-1AX9K-2326-SM-73KWU 50-59 years, male 3.9
GTEX-WQUQ-0426-SM-3MJFU 60-69 years, male 3.9
GTEX-XUZC-1726-SM-4BRWS 30-39 years, female 3.9
GTEX-1IL2U-0226-SM-CE6T8 60-69 years, male 3.9
GTEX-11VI4-1726-SM-5CVLH 40-49 years, female 3.8
GTEX-13112-2826-SM-5DUWH 50-59 years, male 3.8
GTEX-133LE-1826-SM-5J1MV 20-29 years, female 3.8
GTEX-13FTY-0526-SM-5L3EV 40-49 years, female 3.8
GTEX-13VXT-0126-SM-5LU4I 20-29 years, female 3.8
GTEX-18A67-0126-SM-7LG5P 50-59 years, male 3.8
GTEX-TSE9-0126-SM-3DB83 60-69 years, female 3.8
GTEX-Y5V5-2326-SM-4V6GA 60-69 years, female 3.8
GTEX-1F75A-0126-SM-7RHGM 50-59 years, male 3.8
GTEX-1I1GQ-0126-SM-COH3H 50-59 years, male 3.8
GTEX-1JK1U-2026-SM-CM2RZ 60-69 years, male 3.8
GTEX-11DXY-2626-SM-5GIE7 60-69 years, male 3.7
GTEX-11DXZ-2326-SM-5EGGV 50-59 years, male 3.7
GTEX-14LZ3-0226-SM-62LET 60-69 years, female 3.7
GTEX-PWO3-1526-SM-48TCM 60-69 years, female 3.7
GTEX-1OJC3-0126-SM-E76QX 20-29 years, male 3.7
GTEX-11WQK-0526-SM-5EQLD 50-59 years, male 3.6
GTEX-1212Z-2526-SM-5EGKP 60-69 years, male 3.6
GTEX-139T8-0126-SM-5K7XZ 60-69 years, male 3.6
GTEX-1BAJH-0526-SM-793CQ 70-79 years, male 3.6
GTEX-VUSG-2526-SM-4KL1V 50-59 years, male 3.6
GTEX-1IE54-0126-SM-CMKHW 40-49 years, female 3.6
GTEX-13S7M-0126-SM-5SI6A 60-69 years, female 3.5
GTEX-18465-0126-SM-731BN 50-59 years, male 3.5
GTEX-1IL2V-0126-SM-CM2TX 70-79 years, male 3.5
GTEX-18D9B-0526-SM-7LTAS 60-69 years, male 3.4
GTEX-13OW5-0126-SM-DTXFS 60-69 years, male 3.4
GTEX-1B8L1-2526-SM-9WYTF 60-69 years, male 3.4
GTEX-1F6IF-0726-SM-7P8TW 60-69 years, male 3.4
GTEX-1PIGE-0126-SM-EVYBJ 20-29 years, male 3.4
GTEX-11OF3-2626-SM-5GU7F 60-69 years, male 3.3
GTEX-1IY9M-0126-SM-D3L8S 60-69 years, male 3.3
GTEX-1KANB-0526-SM-E6CJH 50-59 years, male 3.3
GTEX-1PDJ9-0326-SM-DTX95 20-29 years, male 3.3
GTEX-13NZB-2526-SM-5J1OM 30-39 years, male 3.2
GTEX-16BQI-0226-SM-7KUEX 30-39 years, female 3.2
GTEX-1EU9M-0226-SM-7P8SP 60-69 years, male 3.2
GTEX-1S83E-0126-SM-EWRO4 40-49 years, male 3.2
GTEX-PX3G-0126-SM-2I3EN 20-29 years, female 3.1
GTEX-1F88F-2726-SM-7PBZZ 60-69 years, female 3.1
GTEX-1GZHY-0326-SM-9QEHI 50-59 years, female 3.1
GTEX-1HFI6-0226-SM-ADEHZ 40-49 years, male 3.1
GTEX-1HSMQ-1226-SM-CGQFX 50-59 years, male 3.1
GTEX-1IDJH-0326-SM-A9SLQ 70-79 years, male 3.1
GTEX-1JMQI-2226-SM-CM2SD 50-59 years, male 3.1
GTEX-1JMQJ-0526-SM-CYPSU 50-59 years, male 3.1
GTEX-147F3-0526-SM-5SI98 50-59 years, female 3.0
GTEX-1F48J-0126-SM-7P8TT 50-59 years, female 3.0
GTEX-11P81-2326-SM-59875 30-39 years, female 2.9
GTEX-145MI-0526-SM-5O9A8 60-69 years, female 2.9
GTEX-16NPX-0226-SM-79OMT 50-59 years, male 2.9
GTEX-YJ89-0126-SM-4TT3X 60-69 years, male 2.9
GTEX-Z93S-0126-SM-5HL7M 50-59 years, male 2.9
GTEX-ZAK1-0126-SM-5IJD3 50-59 years, female 2.9
GTEX-ZEX8-2426-SM-4WKG4 50-59 years, male 2.9
GTEX-ZV6S-2326-SM-4YCEY 40-49 years, female 2.9
GTEX-1QEPI-0126-SM-EWRMQ 60-69 years, female 2.9
GTEX-PLZ4-0126-SM-5SI8O 50-59 years, female 2.8
GTEX-XUYS-0126-SM-47JWZ 50-59 years, male 2.8
GTEX-Z9EW-1626-SM-5CVMN 40-49 years, male 2.8
GTEX-ZY6K-1826-SM-5GZXK 50-59 years, male 2.8
GTEX-1EX96-1626-SM-7PBXR 50-59 years, male 2.8
GTEX-1F52S-0126-SM-9MQJU 60-69 years, female 2.8
GTEX-1H4P4-0726-SM-9YFLR 50-59 years, male 2.8
GTEX-11EI6-0126-SM-5985R 60-69 years, male 2.7
GTEX-14JG1-0426-SM-6ETZZ 40-49 years, male 2.7
GTEX-1C64N-0126-SM-793D7 50-59 years, male 2.7
GTEX-ZTSS-1926-SM-57WEW 40-49 years, male 2.7
GTEX-ZVE2-0226-SM-59HJB 50-59 years, male 2.7
GTEX-12WSC-0126-SM-5EQ4P 50-59 years, male 2.6
GTEX-131YS-0126-SM-5KM1M 60-69 years, female 2.6
GTEX-145MF-0626-SM-5LUAI 50-59 years, male 2.6
GTEX-16YQH-0126-SM-7DUFJ 30-39 years, male 2.6
GTEX-T6MN-0126-SM-32PLP 50-59 years, male 2.6
GTEX-1H3NZ-0126-SM-ACKX7 60-69 years, male 2.6
GTEX-1H3O1-0426-SM-9YFKY 60-69 years, male 2.6
GTEX-1HT8W-0126-SM-CNPPP 30-39 years, male 2.6
GTEX-1IKJJ-0126-SM-CNPQB 60-69 years, male 2.6
GTEX-1J8QM-2126-SM-CYPSJ 60-69 years, female 2.6
GTEX-1LVAN-0226-SM-COH3S 50-59 years, female 2.6
GTEX-OIZF-0126-SM-7SB8I 60-69 years, male 2.6
GTEX-13NYB-2526-SM-5K7Z6 40-49 years, male 2.5
GTEX-14PII-0226-SM-6EU1T 60-69 years, male 2.5
GTEX-1CAMQ-0226-SM-7IGPK 40-49 years, male 2.5
GTEX-WYVS-2126-SM-3NMA3 40-49 years, female 2.5
GTEX-XBEW-0626-SM-4QASP 40-49 years, male 2.5
GTEX-1LG7Y-0526-SM-DKPQC 50-59 years, male 2.5
GTEX-1LG7Z-1726-SM-D3LA4 30-39 years, male 2.4
GTEX-11ZTS-0126-SM-5EQ6M 60-69 years, female 2.3
GTEX-147GR-0526-SM-5S2MY 60-69 years, male 2.3
GTEX-15RIG-0226-SM-7KFTL 40-49 years, male 2.3
GTEX-TML8-1926-SM-32QOS 40-49 years, female 2.3
GTEX-ZVT3-0126-SM-5GU6I 60-69 years, female 2.3
GTEX-13G51-2526-SM-5LZYK 60-69 years, male 2.2
GTEX-RWS6-2026-SM-2XCB5 60-69 years, female 2.2
GTEX-1A8FM-0226-SM-7SB7Q 50-59 years, female 2.2
GTEX-1EWIQ-0126-SM-7RHH2 70-79 years, female 2.2
GTEX-1HCU7-0226-SM-CL545 50-59 years, male 2.2
GTEX-1HCU9-1526-SM-A9SL7 20-29 years, male 2.2
GTEX-113IC-0126-SM-5HL6T 60-69 years, male 2.1
GTEX-117XS-2726-SM-5N9BL 60-69 years, male 2.1
GTEX-13VXU-0126-SM-5SI9F 50-59 years, male 2.1
GTEX-144GL-0126-SM-5TDE2 50-59 years, male 2.1
GTEX-SSA3-0126-SM-32QPU 60-69 years, male 2.1
GTEX-XV7Q-2526-SM-4BRV9 40-49 years, female 2.1
GTEX-1HSKV-0226-SM-A9SKJ 60-69 years, male 2.1
GTEX-1O97I-0326-SM-EYYX7 60-69 years, male 2.1
GTEX-1PIIG-0226-SM-EWRN6 30-39 years, male 2.1
GTEX-1GF9X-2026-SM-7PC3A 40-49 years, female 2.0
GTEX-1GMRU-0126-SM-9YFLV 50-59 years, male 2.0
GTEX-1MA7W-2026-SM-E9TJ6 20-29 years, female 2.0
GTEX-1S82Z-0826-SM-E6CHY 30-39 years, female 2.0
GTEX-1399R-2726-SM-5IJBA 30-39 years, male 1.8
GTEX-13FXS-0226-SM-5IJCK 50-59 years, male 1.8
GTEX-13OW6-0426-SM-5L3HM 50-59 years, male 1.8
GTEX-ZXES-1826-SM-5E43S 30-39 years, female 1.8
GTEX-ZYFC-0226-SM-5NQ75 50-59 years, male 1.8
GTEX-1H11D-0226-SM-9WG6Z 40-49 years, male 1.8
GTEX-1I4MK-2226-SM-ACKWD 50-59 years, female 1.8
GTEX-1313W-0126-SM-5LZUN 50-59 years, female 1.7
GTEX-ZV68-0126-SM-59HKS 50-59 years, female 1.7
GTEX-ZVTK-0426-SM-51MRS 20-29 years, male 1.7
GTEX-1LBAC-0126-SM-DIPEZ 20-29 years, male 1.7
GTEX-13SLX-0526-SM-5S2ON 50-59 years, female 1.6
GTEX-16GPK-0126-SM-7DHLE 60-69 years, male 1.6
GTEX-T5JC-0426-SM-32PLO 20-29 years, male 1.6
GTEX-1IDJU-2626-SM-CM2RT 60-69 years, female 1.6
GTEX-111FC-0126-SM-5N9DL 60-69 years, male 1.5
GTEX-1I1CD-0126-SM-CM2TK 60-69 years, female 1.5
GTEX-PLZ5-2026-SM-2S1O4 50-59 years, male 1.4
GTEX-ZF2S-2326-SM-4WWCE 50-59 years, female 1.4
GTEX-11TUW-2726-SM-E9J4M 60-69 years, male 1.4
GTEX-1GMR8-0126-SM-9WYTM 50-59 years, female 1.4
GTEX-R3RS-0126-SM-3GIJL 40-49 years, female 1.2
GTEX-Z93T-0126-SM-5HL5N 50-59 years, male 1.2
GTEX-ZXG5-0126-SM-5GIEU 60-69 years, male 1.2
GTEX-1EMGI-0126-SM-9KNUE 60-69 years, male 1.2
GTEX-1MJK2-0426-SM-DTXE5 50-59 years, male 1.2
GTEX-139D8-0226-SM-5KLZO 30-39 years, female 1.1
GTEX-13OVK-2026-SM-7KUEO 40-49 years, male 1.1
GTEX-17JCI-0126-SM-7LG5G 60-69 years, female 1.1
GTEX-13111-1626-SM-5EGJY 50-59 years, male 1.0
GTEX-1GPI7-0126-SM-9MQL8 20-29 years, male 1.0
GTEX-12WSE-0526-SM-793B2 20-29 years, male 0.8
GTEX-ZYT6-0226-SM-5NQ6T 30-39 years, male 0.8
GTEX-1EN7A-0126-SM-7SB81 40-49 years, male 0.8
GTEX-1R9PM-2026-SM-E76OY 20-29 years, male 0.8
GTEX-1E1VI-0126-SM-7DHMZ 50-59 years, male 0.7
GTEX-14BMV-0126-SM-5S2PO 50-59 years, male 0.6
GTEX-18D9A-1926-SM-7LG6P 30-39 years, female 0.6
GTEX-1JJEA-0326-SM-CNPOT 60-69 years, male 0.6
GTEX-12KS4-0326-SM-5EQ41 30-39 years, male 0.5
GTEX-13N2G-2626-SM-5J1OT 60-69 years, male 0.4
GTEX-OOBK-0126-SM-2YUND 40-49 years, male 0.4
GTEX-1HFI7-1826-SM-ACKXH 50-59 years, female 0.4
GTEX-14BIN-0626-SM-793DP 50-59 years, female 0.3
GTEX-1IOXB-0126-SM-ARL8G 50-59 years, male 0.3
GTEX-1B97I-1626-SM-73KYO 40-49 years, male 0.1
Show allShow less

Contact

  • NEWS ARTICLES
  • PRESS ROOM

The Project

  • INTRODUCTION
  • ORGANIZATION
  • PUBLICATIONS

The Human Protein Atlas

  • DOWNLOADABLE DATA
  • LICENCE & CITATION
  • HELP & FAQ
The Human Protein Atlas project is funded
by the Knut & Alice Wallenberg Foundation.


contact@proteinatlas.org