We use cookies to enhance the usability of our website. If you continue, we'll assume that you are happy to receive all cookies. More information. Don't show this again.
MORF4L1
HPA
RESOURCES
  • TISSUE
  • BRAIN
  • SINGLE CELL
  • SUBCELLULAR
  • CANCER
  • BLOOD
  • CELL LINE
  • STRUCTURE & INTERACTION
ABOUT
  • INTRODUCTION
  • HISTORY
  • ORGANIZATION
  • PUBLICATIONS
  • ANTIBODY SUBMISSION
  • ANTIBODY AVAILABILITY
  • ACKNOWLEDGMENTS
  • CONTACT
NEWS
  • NEWS ARTICLES
  • PRESS ROOM
LEARN
  • DICTIONARY
  • PROTEIN CLASSES
  • PROTEIN EVIDENCE
  • METHODS
  • EDUCATIONAL VIDEOS
DATA
  • DOWNLOADABLE DATA
  • PUBLICATION DATA
  • RELEASE HISTORY
HELP
  • ANTIBODY VALIDATION
  • ASSAYS & ANNOTATION
  • DISCLAIMER
  • HELP & FAQ
  • PRIVACY STATEMENT
  • LICENCE & CITATION
Fields »
Search result

Field
Term
Gene name
Class
Subclass
Class
Keyword
Chromosome
External id
Tissue
Cell type
Expression
Antibody panel
Tissue
Main location
Patient ID
Annotation
Tissue
Category
Tau score
Cluster
Reliability
Brain region
Category
Tau score
Brain region
Category
Tau score
Brain region
Category
Tau score
Cluster
Reliability
Tissue
Cell type
Enrichment
Cell type
Category
Tau score
Cell type
Category
Tau score
Cell type
Category
Tau score
Cell lineage
Category
Tau score
Cluster
Cluster
Location
Searches
Location
Cell line
Class
Type
Phase
Reliability
Cancer
Prognosis
Cancer
Category
Cancer
Category
Tau score
Cluster
Variants
Interacting gene (ensg_id)
Type
Number of interactions
Pathway
Category
Score
Score
Score
Validation
Validation
Validation
Validation
Antibodies
Data type
Column


  • SUMMARY

  • TISSUE

  • BRAIN

  • SINGLE CELL

  • SUBCELL

  • CANCER

  • BLOOD

  • CELL LINE

  • STRUCT & INT

  • MORF4L1
TISSUE PRIMARY DATA HEART MUSCLE Show tissue menu
ADIPOSE TISSUE ADRENAL GLAND AMYGDALA APPENDIX BASAL GANGLIA BONE MARROW BREAST BRONCHUS CEREBELLUM CEREBRAL CORTEX CERVIX CHOROID PLEXUS COLON DUODENUM
ENDOMETRIUM EPIDIDYMIS ESOPHAGUS FALLOPIAN TUBE GALLBLADDER HEART MUSCLE HIPPOCAMPAL FORMATION HYPOTHALAMUS KIDNEY LIVER LUNG LYMPH NODE MIDBRAIN NASOPHARYNX
ORAL MUCOSA OVARY PANCREAS PARATHYROID GLAND PITUITARY GLAND PLACENTA PROSTATE RECTUM RETINA SALIVARY GLAND SEMINAL VESICLE SKELETAL MUSCLE SKIN SMALL INTESTINE
SMOOTH MUSCLE SOFT TISSUE SPINAL CORD SPLEEN STOMACH TESTIS THYMUS THYROID GLAND TONGUE TONSIL URINARY BLADDER VAGINA
ANTIBODIES
AND
VALIDATION
Dictionary
Heart muscle
Tissue proteome
Heart
HEART MUSCLE - Expression summary
Protein expression
Heart musclei

On the top, protein expression in current human tissue, based on all annotated cell types, is reported with the units not detected (n), low (l), medium (m) and high (h). Underneath, protein expression in each annotated cell type are reported using the same units.

Protein expression data is based on knowledge-based annotation. For genes where more than one antibody has been used, a collective score is set.

If knowledge-based annotation could not be performed for a gene, no data is displayed here. View antibody staining data further down this page.

h
m
l
n
Cardiomyocytes: Low
RNA expressioni

A summary of mRNA expression data available for current tissue based on several datasets. The mRNA expression levels in human tissues are based on RNA-seq data generated by the Human Protein Atlas (HPA), Genotype-Tissue Expression (GTEx) portal and CAGE data generated by the FANTOM5 consortium. Consensus normalized expression levels for human tissues was created by combining the data from HPA and GTEx datasets.

The mRNA expression levels in pig are based on RNA-seq data generated by the Human Protein Atlas (HPA), and for mouse, HPA data and in situ hybridization generated by the Allen brain atlas are reported.

Scroll down to view mRNA expression data in more detail.
Consensus:383.8 nTPM
HPA:383.8 nTPM
GTEx:257.1 nTPM
FANTOM5:408.0 Scaled Tags Per Million

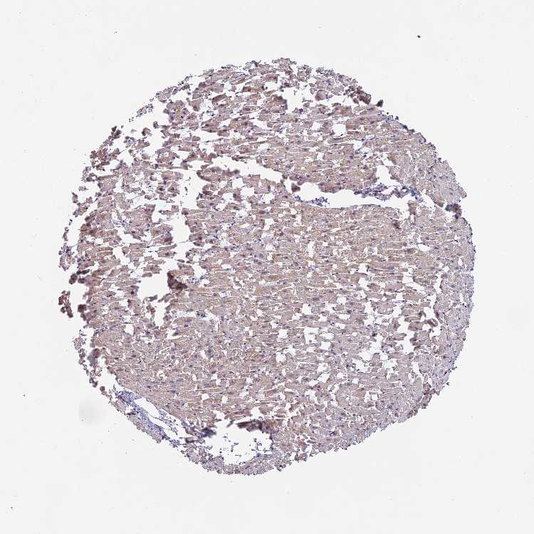
HEART MUSCLE - Antibody stainingi

Antibody staining in the annotated cell types in the current human tissue is reported as not detected, low, medium, or high, based on conventional immunohistochemistry profiling in selected tissues. This score is based on the combination of the staining intensity and fraction of stained cells.

Each image is clickable and will lead to virtual microscopy that enables deeper exploration of all samples and also displays staining intensity scores, fraction scores and subcellular localization as well as patient and tissue information for each sample.

Antibody HPA042360
Cardiomyocytes Low



HEART MUSCLE - HPA RNA-seqi

The RNA-seq details section shows detailed information about the individual samples used for the transcript profiling and results of the RNA-seq analysis.

Information about each individual sample is listed below, including gender, age, a tissue section image and estimated fractions of cell types. nTPM (normalized transcripts per million) values give a quantification of the gene abundance which is comparable between different genes and samples.
Average nTPMi

Max subtype nTPM is the value for the subtype with the largest average nTPM across the subtype samples.

383.8
overview
Female, age 48
Heart muscle sample 149
nTPM: 340.1
Cell types%
Myocytes:
15

Fibroblasts:
55

Endothelial cells:
25

Other cell types:
5

overview
Female, age 42
Heart muscle sample 150
nTPM: 394
Cell types%
Myocytes:
20

Fibroblasts:
45

Endothelial cells:
30

Other cell types:
5

overview
Male, age 53
Heart muscle sample 151
nTPM: 379.9
Cell types%
Myocytes:
20

Fibroblasts:
45

Endothelial cells:
30

Other cell types:
5

overview
Female, age 69
Heart muscle sample 152
nTPM: 421.1
Cell types%
Myocytes:
20

Fibroblasts:
45

Endothelial cells:
30

Other cell types:
5


HEART MUSCLE - GTEx RNA-seqi

RNA-Seq data generated by the Genotype-Tissue Expression (GTEx) project from human tissues is reported as mean nTPM. More information can be found on the GTEx portal.

Distribution across the dataset is visualized with box plots, shown as median and 25th and 75th percentiles. Points are displayed as outliers if they are above or below 1.5 times the interquartile range. nTPM values of the individual samples are presented next to the box plot.
Max subtype nTPMi

Max subtype nTPM is the value for the subtype with the largest average nTPM across the subtype samples.

257.1
GTEx sample id Sample description nTPM
Heart - Atrial Appendage
Average nTPM: 257.1
Samples: 429

Max nTPM: 402.9
Min nTPM: 144.6
Std nTPM: 50.2
Median nTPM: 258.0
GTEX-1LGRB-1026-SM-CNPQD 50-59 years, female 402.9
GTEX-VUSG-0726-SM-3GIK1 50-59 years, male 399.9
GTEX-ZYFC-1026-SM-5GZX9 50-59 years, male 396.1
GTEX-1GMR3-0426-SM-7PC17 40-49 years, male 390.9
GTEX-13OVI-0326-SM-5K7X1 60-69 years, female 390.0
GTEX-1GN73-2326-SM-9MQKV 60-69 years, male 389.4
GTEX-1GZ4I-0826-SM-9WG6O 50-59 years, male 379.4
GTEX-Y114-0126-SM-4TT8K 50-59 years, female 373.0
GTEX-W5X1-0826-SM-3GILN 40-49 years, female 368.0
GTEX-1A32A-1326-SM-73KWW 50-59 years, female 365.4
GTEX-11TT1-1426-SM-5EGIA 20-29 years, male 364.6
GTEX-1AYCT-0526-SM-7RHHS 50-59 years, male 361.0
GTEX-YEC4-0226-SM-4W1YG 40-49 years, male 359.8
GTEX-WFON-0226-SM-3GIKR 40-49 years, male 353.7
GTEX-111YS-0326-SM-5GZZ3 60-69 years, male 349.9
GTEX-1QMI2-1026-SM-DTX7T 60-69 years, male 345.5
GTEX-1LGOU-0326-SM-D3LAM 20-29 years, female 341.7
GTEX-1KXAM-1426-SM-D3LAC 60-69 years, male 339.4
GTEX-WFG8-0726-SM-3GILP 20-29 years, male 337.4
GTEX-WEY5-0226-SM-3GIKN 40-49 years, female 337.2
GTEX-1MCC2-0226-SM-EVYD5 30-39 years, female 336.2
GTEX-WFG7-0826-SM-3GIKU 20-29 years, male 335.7
GTEX-1399S-0826-SM-5KM23 30-39 years, female 334.6
GTEX-13O1R-0926-SM-5L3DS 60-69 years, male 334.2
GTEX-1NHNU-0626-SM-E6CP1 50-59 years, male 334.1
GTEX-13FHO-1226-SM-5L3EF 60-69 years, male 333.8
GTEX-13NZB-0426-SM-5KM26 30-39 years, male 333.6
GTEX-13S86-0326-SM-5SI6K 40-49 years, male 332.7
GTEX-12WSG-1226-SM-5EQ4C 50-59 years, female 332.0
GTEX-1GF9U-0526-SM-7P8SK 40-49 years, female 331.1
GTEX-14PJO-0826-SM-6ETZK 60-69 years, male 330.7
GTEX-1B8KE-0326-SM-73KTY 50-59 years, male 330.7
GTEX-13PL7-0726-SM-5KM1S 60-69 years, female 328.6
GTEX-132QS-0526-SM-5IJC7 60-69 years, male 328.2
GTEX-ZTTD-0626-SM-4YCCY 50-59 years, male 327.8
GTEX-17JCI-0826-SM-7LT8W 60-69 years, female 327.7
GTEX-1HBPN-0926-SM-CGQEG 50-59 years, male 325.4
GTEX-1E1VI-1426-SM-793CY 50-59 years, male 324.4
GTEX-X5EB-0626-SM-46MVQ 40-49 years, male 322.6
GTEX-13FTW-0826-SM-5K7XR 40-49 years, male 321.2
GTEX-XLM4-2026-SM-4AT4X 60-69 years, male 321.2
GTEX-17KNJ-0626-SM-7LT9L 50-59 years, male 319.6
GTEX-1P4AB-0926-SM-E76PV 50-59 years, male 317.8
GTEX-1GN1W-0226-SM-7P8QY 50-59 years, female 317.7
GTEX-14BMV-1026-SM-5SI6B 50-59 years, male 317.1
GTEX-1339X-0326-SM-5K7Z8 40-49 years, male 317.0
GTEX-14XAO-0926-SM-69LPZ 60-69 years, female 316.7
GTEX-14JG1-0826-SM-5ZZWR 40-49 years, male 316.3
GTEX-1JK1U-0626-SM-CKZOJ 60-69 years, male 316.2
GTEX-ZZPT-0926-SM-5GICZ 50-59 years, male 315.9
GTEX-U8XE-0926-SM-3DB8V 30-39 years, male 315.5
GTEX-17F9E-0726-SM-793A1 50-59 years, male 315.2
GTEX-18A7A-1226-SM-7LTAJ 50-59 years, female 314.7
GTEX-ZF29-0426-SM-4WKFN 60-69 years, female 314.5
GTEX-1R7EV-0426-SM-DTX7Z 40-49 years, male 314.2
GTEX-1I1GP-0626-SM-ARL7H 50-59 years, male 313.6
GTEX-14PK6-0726-SM-6LLIX 70-79 years, female 313.0
GTEX-X3Y1-0226-SM-3P5Z5 40-49 years, male 312.7
GTEX-WHSE-0826-SM-4SOJU 20-29 years, male 312.1
GTEX-1399U-0726-SM-5KM1D 50-59 years, female 311.6
GTEX-131YS-0826-SM-5PNYV 60-69 years, female 310.9
GTEX-14PJM-0826-SM-6LLIW 50-59 years, female 310.8
GTEX-XQ8I-0226-SM-4BOPM 50-59 years, male 310.4
GTEX-1IKOE-0626-SM-A9G31 30-39 years, female 310.4
GTEX-16XZY-0526-SM-7DHKY 70-79 years, male 310.3
GTEX-YB5K-0226-SM-5IFJE 40-49 years, female 310.2
GTEX-1192X-0726-SM-5987R 50-59 years, male 310.1
GTEX-13N1W-0926-SM-5MR36 70-79 years, male 309.2
GTEX-ZV7C-0526-SM-9WPNK 50-59 years, male 308.1
GTEX-ZYT6-0926-SM-5GIEM 30-39 years, male 308.0
GTEX-1GMR2-1326-SM-9KNUT 50-59 years, male 307.2
GTEX-XXEK-2026-SM-4BRVE 50-59 years, male 307.1
GTEX-1LSNM-0426-SM-E9TIZ 50-59 years, male 306.1
GTEX-18D9B-1126-SM-7KFSH 60-69 years, male 305.9
GTEX-WHPG-1026-SM-3NMBA 50-59 years, male 305.1
GTEX-132AR-1926-SM-5EGK5 50-59 years, female 304.9
GTEX-ZAB4-0926-SM-5CVN4 40-49 years, male 303.2
GTEX-17F96-0826-SM-7DHLU 70-79 years, male 302.7
GTEX-14DAQ-1026-SM-793B1 60-69 years, female 302.2
GTEX-XGQ4-0526-SM-4AT6C 50-59 years, male 302.2
GTEX-ZYFG-0526-SM-5GZXX 60-69 years, female 300.5
GTEX-12WSK-0526-SM-5CVNA 40-49 years, female 300.3
GTEX-WH7G-0326-SM-3NMBH 40-49 years, male 300.2
GTEX-1HT8W-1326-SM-CGQEN 30-39 years, male 300.1
GTEX-1IDJD-0226-SM-CKZOA 30-39 years, male 299.6
GTEX-1IL2U-1226-SM-CL53P 60-69 years, male 299.2
GTEX-1HCUA-0626-SM-ACKVT 50-59 years, female 298.7
GTEX-Y3I4-0526-SM-4TT6X 50-59 years, male 298.0
GTEX-1QPFJ-0926-SM-EVR3K 30-39 years, female 297.7
GTEX-12WSD-1226-SM-5HL9Q 60-69 years, female 297.3
GTEX-13OW5-0926-SM-5L3GZ 60-69 years, male 297.3
GTEX-13OW6-0926-SM-5L3GM 50-59 years, male 297.3
GTEX-13PVQ-1326-SM-5LU4J 50-59 years, male 296.4
GTEX-1445S-1226-SM-5O9BF 60-69 years, male 296.4
GTEX-YF7O-0526-SM-5P9IO 50-59 years, male 296.4
GTEX-13X6K-1726-SM-7IGLG 60-69 years, female 295.7
GTEX-ZGAY-0226-SM-4WWAL 40-49 years, female 295.3
GTEX-14PHX-0626-SM-5YY8Z 50-59 years, male 295.1
GTEX-14H4A-0426-SM-5ZZWO 40-49 years, female 294.8
GTEX-ZT9W-0526-SM-57WFG 50-59 years, male 294.3
GTEX-1OFPY-0926-SM-DTX8Q 60-69 years, male 293.8
GTEX-1GN1U-1426-SM-7P8TF 50-59 years, female 293.4
GTEX-WK11-0626-SM-3NMAV 50-59 years, male 293.1
GTEX-X4EP-0326-SM-3P5Z6 60-69 years, female 293.0
GTEX-Y3IK-1026-SM-51MR7 50-59 years, female 293.0
GTEX-18D9U-1426-SM-718BO 40-49 years, male 292.8
GTEX-ZPCL-0526-SM-DO91R 60-69 years, female 292.8
GTEX-ZTPG-1326-SM-51MSQ 20-29 years, female 292.3
GTEX-14E1K-0826-SM-5ZZW9 50-59 years, male 292.2
GTEX-13O61-0426-SM-5L3ET 60-69 years, male 291.9
GTEX-1B996-1026-SM-793CF 60-69 years, male 291.4
GTEX-ZDYS-0326-SM-5HL4W 50-59 years, male 291.1
GTEX-X8HC-1026-SM-46MWH 50-59 years, female 290.5
GTEX-1GZ2Q-0926-SM-7RHHN 40-49 years, male 290.1
GTEX-15RIE-1326-SM-6PAMM 60-69 years, male 288.9
GTEX-1399R-1726-SM-5K7YJ 30-39 years, male 288.8
GTEX-1122O-0626-SM-5N9B9 60-69 years, female 288.6
GTEX-ZPU1-0726-SM-5HL6O 40-49 years, male 288.6
GTEX-1IDJU-0626-SM-CKZOG 60-69 years, female 288.4
GTEX-Y8E4-0426-SM-4V6GB 40-49 years, male 287.5
GTEX-1HBPH-0226-SM-9WYSM 40-49 years, female 286.8
GTEX-11DXX-0526-SM-5PNVR 60-69 years, female 286.7
GTEX-1L5NE-0526-SM-DIPG5 50-59 years, male 286.3
GTEX-XPT6-0226-SM-4B65L 20-29 years, male 286.0
GTEX-1RB15-0426-SM-E9U4Y 60-69 years, male 285.7
GTEX-15ER7-0826-SM-6PALW 20-29 years, female 285.5
GTEX-1QCLZ-1126-SM-EWRNB 60-69 years, female 285.2
GTEX-1211K-0226-SM-59HJY 60-69 years, female 285.1
GTEX-1B8L1-0426-SM-7SB76 60-69 years, male 285.1
GTEX-1C2JI-0626-SM-7DHM1 50-59 years, male 284.9
GTEX-11EM3-0426-SM-5N9BZ 20-29 years, female 284.3
GTEX-14PN3-0726-SM-6EU14 60-69 years, female 284.1
GTEX-XYKS-0226-SM-4BRW3 60-69 years, female 284.0
GTEX-132Q8-1126-SM-5K7XS 60-69 years, male 282.9
GTEX-13PVR-0926-SM-5S2RB 60-69 years, female 282.6
GTEX-1GL5R-0426-SM-9WPOP 50-59 years, male 282.0
GTEX-13NYB-0326-SM-5IJDP 40-49 years, male 281.3
GTEX-11DXZ-0326-SM-5EGH1 50-59 years, male 281.2
GTEX-146FR-0926-SM-5QGPE 60-69 years, female 280.9
GTEX-UPK5-0226-SM-3GAEV 40-49 years, male 280.1
GTEX-XV7Q-0726-SM-4BRV6 40-49 years, female 280.1
GTEX-ZG7Y-1426-SM-4WWBM 50-59 years, male 280.1
GTEX-ZDTS-1226-SM-4WKGL 60-69 years, male 279.8
GTEX-1B97J-0326-SM-7939H 50-59 years, female 279.7
GTEX-13QBU-0226-SM-5LU48 40-49 years, female 279.4
GTEX-1MJIX-0426-SM-DTXEN 40-49 years, male 279.1
GTEX-1IKK5-1726-SM-CM2RU 60-69 years, male 279.0
GTEX-13FH7-0826-SM-5J2NW 50-59 years, female 278.9
GTEX-145LS-1326-SM-5Q5EP 60-69 years, female 278.9
GTEX-132NY-1426-SM-5J1MJ 60-69 years, male 278.8
GTEX-1C6WA-0826-SM-7PBXS 60-69 years, male 278.4
GTEX-1J8QM-0326-SM-CL53D 60-69 years, female 278.4
GTEX-1R9JW-0426-SM-E76QL 30-39 years, female 278.1
GTEX-139TU-1926-SM-5J2OC 60-69 years, male 277.4
GTEX-YEC3-0426-SM-CYPS8 50-59 years, male 277.3
GTEX-UTHO-1226-SM-3GAEE 60-69 years, male 276.8
GTEX-XPVG-0726-SM-4B658 50-59 years, male 276.7
GTEX-11GSP-1226-SM-5985M 60-69 years, female 275.5
GTEX-ZLFU-0326-SM-4WWBK 40-49 years, male 275.2
GTEX-ZF2S-0826-SM-4WWBI 50-59 years, female 275.1
GTEX-15DCE-0826-SM-7KULW 20-29 years, male 274.9
GTEX-16XZZ-1026-SM-7DHKS 60-69 years, male 274.3
GTEX-ZZPU-1126-SM-5N9CW 50-59 years, female 274.2
GTEX-14PJ4-0926-SM-5YY98 60-69 years, male 273.4
GTEX-1H3NZ-1026-SM-A9SM5 60-69 years, male 273.0
GTEX-13OVG-0426-SM-5KM2T 60-69 years, male 272.7
GTEX-131XG-0526-SM-5DUWF 50-59 years, female 272.2
GTEX-131XF-0426-SM-5HL7U 60-69 years, male 272.1
GTEX-1CB4I-1526-SM-7DHMY 50-59 years, male 272.1
GTEX-14BIM-2726-SM-5Q5EG 60-69 years, female 271.7
GTEX-11LCK-0826-SM-5PNYD 30-39 years, male 271.6
GTEX-1399T-0726-SM-5J1MH 60-69 years, male 271.6
GTEX-1HSGN-0926-SM-CNNQM 40-49 years, female 271.1
GTEX-1GN2E-1426-SM-7RHHI 60-69 years, male 270.8
GTEX-12696-1226-SM-5FQSM 60-69 years, male 270.6
GTEX-13OW7-1626-SM-5IJDH 50-59 years, male 270.3
GTEX-13NYS-1926-SM-5IJCB 60-69 years, male 269.6
GTEX-1EU9M-1926-SM-7RHH4 60-69 years, male 269.2
GTEX-117YX-0626-SM-5EGJI 50-59 years, male 269.1
GTEX-15SKB-0926-SM-7KUFC 60-69 years, male 268.8
GTEX-ZAB5-0126-SM-5CVMT 50-59 years, male 268.5
GTEX-1GMR8-1026-SM-9MQLA 50-59 years, female 268.4
GTEX-15SDE-1826-SM-7KUFN 50-59 years, female 267.7
GTEX-12WSN-0226-SM-5DUXH 40-49 years, male 267.6
GTEX-1J8Q3-1126-SM-ARU8N 60-69 years, male 267.6
GTEX-1H1ZS-1026-SM-9WG6E 70-79 years, male 266.5
GTEX-1R9K4-1026-SM-EXUT1 60-69 years, male 266.1
GTEX-14ASI-0826-SM-5Q5EB 60-69 years, male 265.6
GTEX-ZVT2-0926-SM-5GICE 50-59 years, female 265.3
GTEX-16NPX-0826-SM-6M489 50-59 years, male 265.1
GTEX-ZPIC-0426-SM-DO91V 40-49 years, female 265.0
GTEX-11DYG-1026-SM-5A5JQ 60-69 years, male 264.9
GTEX-1HBPM-1026-SM-ARL9D 60-69 years, female 264.8
GTEX-ZYFD-2026-SM-5E459 50-59 years, male 264.5
GTEX-17MF6-0926-SM-7LTAL 40-49 years, male 264.1
GTEX-1PPGY-0926-SM-DTXFF 60-69 years, male 263.4
GTEX-139YR-0526-SM-5L3DG 50-59 years, male 263.3
GTEX-1ICG6-0726-SM-B2LY5 70-79 years, female 263.2
GTEX-13O21-0326-SM-5J1N9 50-59 years, male 262.9
GTEX-13CF2-0226-SM-5L3DV 60-69 years, male 262.8
GTEX-13X6J-1226-SM-79OMF 50-59 years, male 262.5
GTEX-14C5O-1226-SM-664N3 60-69 years, male 262.3
GTEX-145MN-0726-SM-5NQBH 30-39 years, male 262.2
GTEX-1F6I4-0826-SM-7RHGK 60-69 years, male 262.2
GTEX-1EMGI-1126-SM-9KNUF 60-69 years, male 261.6
GTEX-WY7C-1126-SM-3NB3A 50-59 years, male 261.2
GTEX-12ZZX-0726-SM-5EGKA 40-49 years, female 260.8
GTEX-18A67-1026-SM-731CE 50-59 years, male 260.4
GTEX-V955-0826-SM-CYPR5 60-69 years, male 260.0
GTEX-1QEPI-1126-SM-E8VN7 60-69 years, female 259.8
GTEX-1F75I-1326-SM-7PBZX 40-49 years, male 259.3
GTEX-13YAN-1426-SM-7EPG8 60-69 years, male 259.1
GTEX-14PN4-0826-SM-69LON 50-59 years, male 259.0
GTEX-14A6H-0326-SM-5NQAN 30-39 years, male 258.9
GTEX-11ZTT-0526-SM-5EQLA 60-69 years, female 258.0
GTEX-18465-0726-SM-7LG4L 50-59 years, male 257.5
GTEX-ZDTT-0326-SM-4WKF9 60-69 years, male 257.5
GTEX-1IDJH-1126-SM-COH3R 70-79 years, male 257.5
GTEX-147JS-1326-SM-5SI6D 60-69 years, male 257.3
GTEX-13W3W-0526-SM-5LU3X 60-69 years, female 257.0
GTEX-ZAK1-1126-SM-5PNXU 50-59 years, female 256.7
GTEX-13N11-0726-SM-5L3DP 50-59 years, female 256.0
GTEX-15CHC-0326-SM-5ZZVP 60-69 years, female 256.0
GTEX-12WSI-0426-SM-5EQ5J 50-59 years, male 255.5
GTEX-1BAJH-1026-SM-7EWEG 70-79 years, male 255.3
GTEX-11P81-0526-SM-59873 30-39 years, female 254.7
GTEX-1JMLX-1826-SM-CNPOX 50-59 years, male 254.6
GTEX-1313W-1126-SM-5EQ5U 50-59 years, female 254.2
GTEX-15UF7-1526-SM-6LPI7 40-49 years, male 253.4
GTEX-1NSGN-1226-SM-E76OL 50-59 years, male 253.4
GTEX-16MT8-0826-SM-7KULO 60-69 years, female 253.0
GTEX-1C64O-0926-SM-79OLN 60-69 years, male 252.9
GTEX-ZEX8-0326-SM-DO92C 50-59 years, male 252.9
GTEX-15CHR-0326-SM-7DHN3 50-59 years, male 252.4
GTEX-Y5V5-0726-SM-4VBPY 60-69 years, female 252.4
GTEX-13JVG-1126-SM-5KM2M 60-69 years, male 252.1
GTEX-148VJ-1426-SM-5TDE3 70-79 years, male 252.0
GTEX-13FHP-0826-SM-5K7V5 50-59 years, male 251.8
GTEX-15SHV-0526-SM-7KUEN 60-69 years, male 251.8
GTEX-1CB4E-0626-SM-7DHMW 60-69 years, male 251.7
GTEX-13NZ9-0126-SM-5K7XV 50-59 years, male 251.3
GTEX-13U4I-0626-SM-5LU5L 40-49 years, female 250.8
GTEX-14PII-1026-SM-5ZZVW 60-69 years, male 250.6
GTEX-13O3P-1426-SM-5L3DT 50-59 years, male 249.6
GTEX-XOT4-1126-SM-4B66E 60-69 years, female 249.5
GTEX-14PJ6-0626-SM-686Z6 60-69 years, female 247.6
GTEX-1JJEA-0926-SM-CYPSO 60-69 years, male 247.1
GTEX-16YQH-0726-SM-7IGM1 30-39 years, male 246.9
GTEX-ZVT3-0826-SM-5GIC8 60-69 years, female 246.5
GTEX-17F9Y-1226-SM-7EPGE 70-79 years, female 246.0
GTEX-131XE-0526-SM-5K7YT 50-59 years, male 245.7
GTEX-1IDJF-0826-SM-ARU7N 20-29 years, male 245.2
GTEX-12BJ1-0326-SM-5FQUB 60-69 years, male 245.1
GTEX-1K2DU-0226-SM-DIPF6 20-29 years, male 244.8
GTEX-14PHY-0326-SM-62LE3 60-69 years, female 244.2
GTEX-13D11-1526-SM-5J2NA 50-59 years, female 243.7
GTEX-15EU6-1326-SM-6PANG 50-59 years, male 242.7
GTEX-YFC4-0426-SM-4TT3J 40-49 years, female 242.3
GTEX-1I1HK-0626-SM-CNPQM 60-69 years, male 242.3
GTEX-1IY9M-0626-SM-D4P2L 60-69 years, male 242.1
GTEX-11UD2-0926-SM-5CVL6 50-59 years, male 241.0
GTEX-1E2YA-0626-SM-7P8P4 50-59 years, male 241.0
GTEX-XQ3S-0526-SM-4BOQA 20-29 years, male 240.8
GTEX-1AX9K-0426-SM-73KUG 50-59 years, male 240.5
GTEX-1H11D-1026-SM-9QEIU 40-49 years, male 240.5
GTEX-11EQ8-1326-SM-5EGJQ 60-69 years, male 240.0
GTEX-15CHQ-1326-SM-6871Z 60-69 years, male 239.3
GTEX-1AX9J-0926-SM-73KXA 60-69 years, male 238.9
GTEX-1B933-0826-SM-79OMW 50-59 years, female 238.8
GTEX-WZTO-1226-SM-3NMAZ 40-49 years, male 238.7
GTEX-Z93S-0326-SM-5HL84 50-59 years, male 238.7
GTEX-18A66-1126-SM-731C5 60-69 years, male 238.5
GTEX-1JMQL-1026-SM-CMKGV 50-59 years, female 238.2
GTEX-13SLX-0926-SM-5S2NM 50-59 years, female 238.0
GTEX-12WSE-0926-SM-5S2VX 20-29 years, male 236.8
GTEX-11WQK-0226-SM-5EQLI 50-59 years, male 236.4
GTEX-1J8EW-0626-SM-CM2TY 60-69 years, female 236.2
GTEX-ZE7O-0626-SM-57WCD 50-59 years, female 235.6
GTEX-15SHU-0926-SM-6PAMK 40-49 years, female 235.4
GTEX-WI4N-0726-SM-3TW93 40-49 years, female 235.0
GTEX-1HSMQ-0426-SM-ADEIM 50-59 years, male 234.5
GTEX-183WM-0926-SM-718AN 70-79 years, female 234.3
GTEX-1KANC-0226-SM-E9TIW 50-59 years, female 233.8
GTEX-1H2FU-0826-SM-9WYSU 60-69 years, female 233.5
GTEX-WHWD-0326-SM-3LK6L 50-59 years, male 233.4
GTEX-17EVP-0526-SM-7EPGY 40-49 years, male 233.3
GTEX-11O72-1026-SM-5986B 40-49 years, male 232.8
GTEX-XBEC-1226-SM-4AT65 50-59 years, male 232.6
GTEX-16GPK-1226-SM-7LTAU 60-69 years, male 232.1
GTEX-11DXY-1026-SM-5987V 60-69 years, male 232.0
GTEX-X4XX-1126-SM-3NMBY 60-69 years, male 231.9
GTEX-1HFI7-0526-SM-A9SMA 50-59 years, female 230.7
GTEX-17GQL-0626-SM-731CN 60-69 years, male 230.0
GTEX-13O3O-1426-SM-5KM2S 60-69 years, female 229.8
GTEX-1IKOH-0926-SM-A9SLU 60-69 years, female 229.7
GTEX-VJWN-1026-SM-4M1ZN 50-59 years, female 229.1
GTEX-1B8SF-1326-SM-7IGQJ 60-69 years, male 228.4
GTEX-WQUQ-1326-SM-3MJFF 60-69 years, male 228.4
GTEX-11NV4-0826-SM-5BC4S 60-69 years, male 228.1
GTEX-1LB8K-0926-SM-D4P42 50-59 years, male 227.9
GTEX-1CB4J-0226-SM-7P8T4 60-69 years, male 227.7
GTEX-12WSC-1026-SM-5EQ5Y 50-59 years, male 226.7
GTEX-1HCVE-0826-SM-CM2SF 50-59 years, male 226.5
GTEX-1LH75-0526-SM-DIPG2 50-59 years, female 226.5
GTEX-144GL-1026-SM-5O99R 50-59 years, male 224.7
GTEX-17HGU-1126-SM-793BP 50-59 years, male 224.1
GTEX-1RLM8-0226-SM-E6CJY 50-59 years, male 224.1
GTEX-13SLW-0826-SM-5QGP7 70-79 years, male 223.6
GTEX-146FH-1126-SM-5NQAT 50-59 years, female 223.4
GTEX-1JJ6O-2226-SM-AHZ3I 60-69 years, male 223.1
GTEX-1CAMQ-0726-SM-7P8SG 40-49 years, male 223.0
GTEX-1LVAO-0626-SM-EWRNT 60-69 years, male 222.9
GTEX-13FTZ-0326-SM-5J1O1 60-69 years, male 222.6
GTEX-1F75B-1126-SM-7RHGP 50-59 years, male 221.8
GTEX-1J1OQ-2226-SM-A96SS 40-49 years, female 221.7
GTEX-14E6C-0326-SM-5Q5EE 40-49 years, male 220.5
GTEX-1HSKV-0726-SM-ACKWE 60-69 years, male 220.4
GTEX-145LV-0226-SM-5S2QG 50-59 years, male 219.3
GTEX-1LVAN-1526-SM-CNPQN 50-59 years, female 219.2
GTEX-1JMQK-0926-SM-ARL96 60-69 years, male 218.9
GTEX-1117F-0726-SM-5GIEN 60-69 years, female 218.6
GTEX-1B8SG-0726-SM-79ONS 50-59 years, male 218.4
GTEX-1HSMO-1126-SM-CGQF2 60-69 years, male 218.3
GTEX-1I1CD-1326-SM-A9SMM 60-69 years, female 218.0
GTEX-1QP29-1426-SM-DTX9Q 50-59 years, male 218.0
GTEX-ZDXO-0426-SM-4WKF6 60-69 years, male 216.7
GTEX-1LG7Y-1426-SM-D4P31 50-59 years, male 216.7
GTEX-1C6VQ-0826-SM-7PBZT 50-59 years, male 216.5
GTEX-1212Z-0726-SM-5EGI5 60-69 years, male 215.4
GTEX-WL46-0726-SM-3LK5Z 50-59 years, male 214.9
GTEX-WWYW-1126-SM-3NB2Q 50-59 years, female 214.5
GTEX-1192W-0226-SM-5EGGT 60-69 years, male 214.4
GTEX-14A5I-1026-SM-5Q5E3 50-59 years, female 213.4
GTEX-1CAMS-1126-SM-7MXUQ 40-49 years, female 213.1
GTEX-ZUA1-0726-SM-4YCD9 40-49 years, male 213.0
GTEX-ZYVF-1826-SM-5E44F 50-59 years, female 212.8
GTEX-14BIN-2126-SM-793AX 50-59 years, female 212.6
GTEX-1I1GQ-1226-SM-CL55J 50-59 years, male 212.4
GTEX-12ZZY-1226-SM-5GCNK 60-69 years, male 211.2
GTEX-X261-0926-SM-3NMCY 50-59 years, male 210.8
GTEX-1EX96-2626-SM-9MQJV 50-59 years, male 210.3
GTEX-14E7W-1126-SM-5ZZVS 70-79 years, male 209.9
GTEX-111FC-0626-SM-5N9CU 60-69 years, male 209.7
GTEX-13NZA-0826-SM-5K7WS 60-69 years, male 208.7
GTEX-147F4-1126-SM-5TDDE 50-59 years, male 206.9
GTEX-1I19N-0626-SM-A9SKY 70-79 years, male 206.4
GTEX-WYJK-1126-SM-3NM9Z 50-59 years, male 205.1
GTEX-1M5QR-1626-SM-E9U5O 40-49 years, male 205.0
GTEX-X62O-0826-SM-46MW8 50-59 years, male 204.7
GTEX-1AX8Z-1126-SM-731CS 60-69 years, male 204.4
GTEX-1HUB1-0726-SM-CGQF4 60-69 years, male 204.4
GTEX-14BIL-0926-SM-7DHKN 50-59 years, male 204.1
GTEX-12WSA-1126-SM-5EGKU 60-69 years, male 203.9
GTEX-YJ8O-0826-SM-5CVM3 40-49 years, female 203.6
GTEX-1GMRU-1326-SM-9WYUI 50-59 years, male 203.6
GTEX-13PL6-0826-SM-5IJBI 40-49 years, female 202.6
GTEX-117XS-0726-SM-5H131 60-69 years, male 201.6
GTEX-13RTJ-0526-SM-62LDP 60-69 years, male 200.8
GTEX-11ONC-1026-SM-5GU64 60-69 years, male 200.6
GTEX-11EMC-0826-SM-59862 60-69 years, female 200.4
GTEX-13VXT-0726-SM-5SIAD 20-29 years, female 200.4
GTEX-ZAJG-0926-SM-5Q5AB 50-59 years, female 200.3
GTEX-1B932-1326-SM-79OM4 40-49 years, female 198.8
GTEX-1H3VY-1126-SM-A96TP 50-59 years, male 198.2
GTEX-1EWIQ-1126-SM-7EPIK 70-79 years, female 198.1
GTEX-14C39-0726-SM-5RQIK 40-49 years, male 197.3
GTEX-1AX9I-1026-SM-73KYF 60-69 years, male 196.8
GTEX-1H1DG-0826-SM-9QEIW 70-79 years, male 196.5
GTEX-1F48J-1126-SM-9WYSY 50-59 years, female 196.4
GTEX-15RJE-0726-SM-7KUEG 40-49 years, male 196.0
GTEX-1IL2V-1126-SM-CMKGH 70-79 years, male 195.9
GTEX-13PDP-1326-SM-5K7U9 60-69 years, male 195.3
GTEX-14C38-1326-SM-62LDK 50-59 years, male 195.3
GTEX-ZVZQ-0726-SM-51MR3 60-69 years, female 194.9
GTEX-1C64N-0826-SM-7RHGQ 50-59 years, male 194.7
GTEX-1EH9U-0626-SM-7PC33 60-69 years, male 194.2
GTEX-12584-1026-SM-59HK3 40-49 years, male 194.0
GTEX-18A6Q-1526-SM-731CO 60-69 years, male 193.7
GTEX-13O3Q-0326-SM-5L3FE 50-59 years, male 193.3
GTEX-1477Z-1126-SM-5P9GK 60-69 years, male 193.3
GTEX-1LSNL-0626-SM-DIPFJ 50-59 years, male 193.1
GTEX-13JUV-0226-SM-5IJCC 40-49 years, female 192.7
GTEX-1GF9V-1726-SM-9KNW4 60-69 years, male 192.5
GTEX-14PJ2-1126-SM-69LOD 50-59 years, male 192.4
GTEX-ZXG5-0626-SM-5NQ85 60-69 years, male 191.7
GTEX-1H1CY-0426-SM-9KNVD 60-69 years, female 191.2
GTEX-1GN1V-1026-SM-CNPPS 60-69 years, male 190.9
GTEX-ZVT4-1326-SM-5NQ8E 50-59 years, female 190.6
GTEX-ZF3C-1126-SM-57WEG 50-59 years, female 190.3
GTEX-111VG-0326-SM-5GZX7 60-69 years, male 189.8
GTEX-1F88F-0326-SM-9KNV3 60-69 years, female 188.9
GTEX-1J8Q2-1026-SM-ARU8I 60-69 years, male 188.5
GTEX-WYBS-1226-SM-3NM9N 60-69 years, female 188.2
GTEX-1HFI6-0826-SM-9YFM2 40-49 years, male 188.2
GTEX-1CB4G-0726-SM-79OOJ 60-69 years, male 188.1
GTEX-V1D1-0626-SM-4JBHN 50-59 years, male 186.0
GTEX-1I1GR-1026-SM-A9SLC 60-69 years, male 185.6
GTEX-1HCU7-1226-SM-B2LX8 50-59 years, male 185.0
GTEX-1F75A-1026-SM-7PC3W 50-59 years, male 184.1
GTEX-WRHU-1026-SM-4E3ID 50-59 years, female 183.3
GTEX-11TUW-1126-SM-5EQKJ 60-69 years, male 183.2
GTEX-1KD5A-0926-SM-D4P3U 50-59 years, male 183.1
GTEX-11GS4-0426-SM-5N9CD 60-69 years, male 182.6
GTEX-1A8G6-1826-SM-73KY8 60-69 years, male 182.2
GTEX-1JN6P-0826-SM-ARL97 60-69 years, male 182.0
GTEX-1H3O1-0226-SM-9WYSW 60-69 years, male 181.7
GTEX-1GTWX-0926-SM-9MQKM 60-69 years, male 181.5
GTEX-15D1Q-0426-SM-6AJ9G 40-49 years, male 181.3
GTEX-13112-0526-SM-5EQ4S 50-59 years, male 180.7
GTEX-1POEN-0726-SM-DTXDU 30-39 years, female 179.2
GTEX-11ZUS-0326-SM-5EQ4W 30-39 years, male 176.8
GTEX-13FXS-1026-SM-62LFQ 50-59 years, male 175.6
GTEX-1A8FM-1026-SM-7PC26 50-59 years, female 174.2
GTEX-1KANB-1126-SM-DHXJT 50-59 years, male 173.5
GTEX-11NUK-0926-SM-5HL57 50-59 years, male 173.0
GTEX-1CB4H-0626-SM-7IGN3 60-69 years, female 172.9
GTEX-1IOXB-0726-SM-A9G32 50-59 years, male 172.0
GTEX-1A3MX-1226-SM-731B3 60-69 years, male 171.2
GTEX-YECK-1226-SM-4W21G 60-69 years, male 170.2
GTEX-117YW-0426-SM-5GZZZ 50-59 years, male 170.0
GTEX-1HR98-1026-SM-CKZOM 60-69 years, male 168.0
GTEX-1IKJJ-0626-SM-CY8GF 60-69 years, male 167.9
GTEX-1HC8U-0626-SM-B2LWB 40-49 years, female 166.9
GTEX-1QP6S-1026-SM-DTXFW 40-49 years, male 161.7
GTEX-1MJK2-1626-SM-EVYCQ 50-59 years, male 158.6
GTEX-WOFL-1226-SM-4OOST 60-69 years, male 154.3
GTEX-11ZVC-0526-SM-5N9G1 50-59 years, female 153.1
GTEX-1I1GV-1426-SM-B2LXN 60-69 years, male 148.7
GTEX-1JMOU-0326-SM-ARL8X 60-69 years, female 144.6
Show allShow less
Heart - Left Ventricle
Average nTPM: 255.5
Samples: 432

Max nTPM: 411.0
Min nTPM: 122.4
Std nTPM: 64.5
Median nTPM: 255.9
GTEX-11EM3-0626-SM-5H12Z 20-29 years, female 411.0
GTEX-Y114-0226-SM-4TT8W 50-59 years, female 409.3
GTEX-YEC4-0326-SM-4W216 40-49 years, male 396.9
GTEX-OHPL-0326-SM-33HC8 60-69 years, female 392.3
GTEX-ZTPG-1226-SM-4YCDO 20-29 years, female 391.3
GTEX-13S86-0226-SM-5S2PJ 40-49 years, male 384.2
GTEX-1399R-1926-SM-5K7X8 30-39 years, male 383.2
GTEX-12696-1126-SM-5FQTI 60-69 years, male 379.5
GTEX-P4PP-0326-SM-33HC4 30-39 years, female 377.6
GTEX-1RB15-0326-SM-E6CQB 60-69 years, male 373.5
GTEX-1LSNM-0526-SM-DIPG6 50-59 years, male 373.1
GTEX-14PN3-0526-SM-69LQF 60-69 years, female 372.9
GTEX-Y3I4-0626-SM-4TT7A 50-59 years, male 371.0
GTEX-WFON-0326-SM-3GIKX 40-49 years, male 368.3
GTEX-YB5K-0126-SM-5IFJ2 40-49 years, female 366.2
GTEX-ZGAY-0326-SM-57WF5 40-49 years, female 361.7
GTEX-14PK6-0826-SM-5ZZVO 70-79 years, female 361.0
GTEX-1B8KE-0126-SM-793AM 50-59 years, male 359.7
GTEX-1CB4I-1626-SM-7RHGV 50-59 years, male 359.6
GTEX-ZPCL-0426-SM-DNZZ4 60-69 years, female 358.6
GTEX-18A67-1226-SM-7KFRS 50-59 years, male 357.2
GTEX-12BJ1-0226-SM-5LUA2 60-69 years, male 356.9
GTEX-OOBJ-0326-SM-33HBO 60-69 years, male 356.4
GTEX-1QCLZ-0926-SM-E6CQZ 60-69 years, female 355.6
GTEX-XXEK-0926-SM-4BRWH 50-59 years, male 354.1
GTEX-13X6H-0426-SM-5LU4E 50-59 years, female 353.5
GTEX-X15G-0426-SM-4PQZ6 50-59 years, female 350.5
GTEX-Y3IK-0826-SM-51MT8 50-59 years, female 350.5
GTEX-132QS-0426-SM-5KLZ6 60-69 years, male 349.7
GTEX-11I78-0826-SM-5A5K4 50-59 years, female 349.0
GTEX-XGQ4-0326-SM-4GIEE 50-59 years, male 348.3
GTEX-WFG8-0626-SM-3GILJ 20-29 years, male 347.1
GTEX-U4B1-0326-SM-3DB8K 40-49 years, male 346.8
GTEX-1KXAM-1326-SM-E9TJW 60-69 years, male 346.5
GTEX-XBED-0526-SM-47JY3 60-69 years, male 346.0
GTEX-1IDJI-1026-SM-A96TE 50-59 years, female 345.5
GTEX-ZG7Y-0926-SM-5EQ6O 50-59 years, male 343.1
GTEX-WFG7-0726-SM-3GIKO 20-29 years, male 342.9
GTEX-QESD-0526-SM-2I5G5 20-29 years, male 342.2
GTEX-14H4A-0626-SM-5ZZUT 40-49 years, female 342.0
GTEX-1GMR2-1426-SM-7RHHK 50-59 years, male 341.7
GTEX-131XG-0626-SM-5GCMP 50-59 years, female 339.1
GTEX-1IDJU-0726-SM-CNPQ9 60-69 years, female 338.3
GTEX-15RJ7-0226-SM-7KUMN 40-49 years, male 337.3
GTEX-1AYCT-0426-SM-73KVZ 50-59 years, male 337.2
GTEX-WHPG-0826-SM-3NMBF 50-59 years, male 337.1
GTEX-QDVN-0326-SM-2I3FS 50-59 years, male 336.8
GTEX-ZDTT-0726-SM-4WKFK 60-69 years, male 336.2
GTEX-12WSN-5001-SM-7DHMK 40-49 years, male 335.5
GTEX-1JK1U-0526-SM-CYPSQ 60-69 years, male 335.3
GTEX-13U4I-0826-SM-5SIBD 40-49 years, female 335.0
GTEX-R55C-0326-SM-3GAF1 40-49 years, male 334.8
GTEX-1LGOU-0726-SM-E9TIY 20-29 years, female 334.7
GTEX-1399S-1026-SM-5KLZ9 30-39 years, female 334.6
GTEX-1MUQO-1226-SM-E9TJK 60-69 years, male 334.3
GTEX-13PVR-1026-SM-5QGQW 60-69 years, female 333.9
GTEX-1B97J-0726-SM-7RHG3 50-59 years, female 333.6
GTEX-1RQEC-0926-SM-EWROG 60-69 years, male 333.5
GTEX-1EU9M-1826-SM-7DUGU 60-69 years, male 332.4
GTEX-15RIE-1726-SM-7KUMU 60-69 years, male 330.2
GTEX-13FTW-1026-SM-5L3E3 40-49 years, male 330.0
GTEX-ZVZP-0226-SM-5NQ73 50-59 years, male 329.7
GTEX-XQ3S-0626-SM-4BOOB 20-29 years, male 329.2
GTEX-OHPM-0326-SM-33HCA 50-59 years, male 328.0
GTEX-1LGRB-1126-SM-CNPP2 50-59 years, female 327.9
GTEX-1RMOY-0626-SM-E9TIE 50-59 years, male 327.7
GTEX-1L5NE-0426-SM-E9TIX 50-59 years, male 327.3
GTEX-1GL5R-0326-SM-9WYTJ 50-59 years, male 326.8
GTEX-117YX-1126-SM-5H128 50-59 years, male 325.8
GTEX-WH7G-0426-SM-3NMBJ 40-49 years, male 324.6
GTEX-14PHY-0226-SM-5ZZWM 60-69 years, female 323.8
GTEX-1QP2A-1126-SM-EVR3H 50-59 years, male 323.2
GTEX-O5YT-0326-SM-32PKA 20-29 years, male 322.8
GTEX-1211K-0626-SM-5FQUZ 60-69 years, female 322.2
GTEX-17KNJ-0826-SM-793A4 50-59 years, male 322.1
GTEX-WHWD-0426-SM-3LK83 50-59 years, male 321.9
GTEX-14XAO-1126-SM-6EU11 60-69 years, female 321.6
GTEX-SE5C-0626-SM-2XCDV 40-49 years, female 320.7
GTEX-1339X-0426-SM-5KLZY 40-49 years, male 320.0
GTEX-17F9E-0926-SM-7IGMG 50-59 years, male 319.9
GTEX-P4PQ-0326-SM-2HMJ8 60-69 years, male 319.6
GTEX-16XZY-0426-SM-793BI 70-79 years, male 319.4
GTEX-SNMC-0126-SM-2XCFO 20-29 years, male 319.3
GTEX-ZF29-0226-SM-4WKHO 60-69 years, female 318.7
GTEX-V955-0726-SM-3GAFG 60-69 years, male 318.4
GTEX-132NY-1726-SM-5EGKK 60-69 years, male 317.0
GTEX-U3ZH-0326-SM-3DB7A 30-39 years, male 316.3
GTEX-PWCY-0526-SM-5P9HG 20-29 years, female 316.2
GTEX-1399U-0526-SM-5K7YM 50-59 years, female 315.9
GTEX-1J8Q3-1226-SM-CKZPT 60-69 years, male 315.8
GTEX-ZF2S-1026-SM-9QEGK 50-59 years, female 315.4
GTEX-YEC3-0726-SM-CMKFH 50-59 years, male 315.0
GTEX-15CHC-0426-SM-6LLHI 60-69 years, female 313.8
GTEX-WY7C-0526-SM-3NB3D 50-59 years, male 313.8
GTEX-POMQ-0326-SM-2I5FO 20-29 years, female 312.6
GTEX-U8XE-1126-SM-3DB8W 30-39 years, male 312.5
GTEX-1GN1W-0326-SM-9JGHF 50-59 years, female 312.3
GTEX-11TT1-1326-SM-5PNYM 20-29 years, male 312.2
GTEX-ZAB5-0226-SM-5CVMH 50-59 years, male 311.6
GTEX-ZLFU-0226-SM-4WWFH 40-49 years, male 311.0
GTEX-13SLX-1026-SM-5ZZUQ 50-59 years, female 310.8
GTEX-WHSE-0926-SM-3NMBS 20-29 years, male 310.4
GTEX-11DXX-0326-SM-5PNWC 60-69 years, female 309.7
GTEX-13FH7-0926-SM-5J2MR 50-59 years, female 309.7
GTEX-1HSGN-1126-SM-CJI4G 40-49 years, female 309.6
GTEX-ZV7C-0326-SM-57WB1 50-59 years, male 309.5
GTEX-Y5V6-0826-SM-4VBRU 60-69 years, male 309.4
GTEX-11DXZ-0626-SM-5GU77 50-59 years, male 309.0
GTEX-14PJ6-0726-SM-69LOL 60-69 years, female 308.1
GTEX-1I6K7-0626-SM-ARL7Q 40-49 years, male 308.1
GTEX-13QBU-0426-SM-5J2O4 40-49 years, female 307.7
GTEX-146FR-0626-SM-5RQJ1 60-69 years, female 307.7
GTEX-1MCC2-0326-SM-EV7AK 30-39 years, female 307.5
GTEX-15EOM-5007-SM-793DG 20-29 years, female 307.3
GTEX-ZQUD-1526-SM-7IGO2 30-39 years, male 307.1
GTEX-1122O-0826-SM-5GICV 60-69 years, female 306.4
GTEX-17GQL-0526-SM-72D5N 60-69 years, male 305.2
GTEX-1AX9J-1026-SM-72D6E 60-69 years, male 304.6
GTEX-OIZH-0326-SM-2HMKC 50-59 years, male 304.4
GTEX-1CB4E-0526-SM-7MXTK 60-69 years, male 304.1
GTEX-1LH75-0426-SM-E9TJF 50-59 years, female 304.0
GTEX-1C2JI-0526-SM-7EWEQ 50-59 years, male 303.7
GTEX-1IDJE-0326-SM-CM2TD 50-59 years, female 303.7
GTEX-13D11-1726-SM-5IFGQ 50-59 years, female 303.5
GTEX-13CF3-0726-SM-5J2MY 60-69 years, female 303.2
GTEX-WZTO-1326-SM-3NM8X 40-49 years, male 303.0
GTEX-ZEX8-0426-SM-DO92Y 50-59 years, male 302.7
GTEX-13W3W-0426-SM-5SI9D 60-69 years, female 302.4
GTEX-1F5PK-0326-SM-9KNUD 50-59 years, male 302.3
GTEX-18D9U-1126-SM-72D5Y 40-49 years, male 301.9
GTEX-131XF-5001-SM-7DHLY 60-69 years, male 300.9
GTEX-145MN-0626-SM-5QGRH 30-39 years, male 300.6
GTEX-XPVG-0826-SM-4B654 50-59 years, male 300.6
GTEX-OIZF-0326-SM-3MJGY 60-69 years, male 299.9
GTEX-14PJ4-1126-SM-5YY91 60-69 years, male 299.6
GTEX-WEY5-0426-SM-3GIKT 40-49 years, female 299.1
GTEX-RUSQ-0526-SM-2TF72 50-59 years, male 298.3
GTEX-1KANC-0426-SM-CXZK5 50-59 years, female 298.0
GTEX-12WSK-0626-SM-5LZUJ 40-49 years, female 296.6
GTEX-1R9K5-1326-SM-E6CPR 50-59 years, male 296.2
GTEX-1GMR3-0326-SM-7P8QT 40-49 years, male 295.9
GTEX-1IKOE-1026-SM-ARZMF 30-39 years, female 295.4
GTEX-14A6H-0226-SM-5Q5DX 30-39 years, male 295.1
GTEX-1F75I-1126-SM-9WYUO 40-49 years, male 294.9
GTEX-1HCUA-0526-SM-A9SMH 50-59 years, female 294.9
GTEX-1R9K4-1326-SM-DTX8G 60-69 years, male 294.1
GTEX-ZYFG-0426-SM-5E43M 60-69 years, female 293.6
GTEX-1O9I2-1126-SM-DTXEA 50-59 years, male 293.6
GTEX-YF7O-0426-SM-5P9FS 50-59 years, male 293.4
GTEX-15CHR-0226-SM-7PC2Z 50-59 years, male 293.3
GTEX-X3Y1-0426-SM-3P5Z4 40-49 years, male 293.2
GTEX-QMRM-0526-SM-2I5GA 50-59 years, male 292.3
GTEX-1AX8Z-5007-SM-AHZ36 60-69 years, male 291.9
GTEX-1R7EV-0326-SM-E76PA 40-49 years, male 291.6
GTEX-1R9JW-0526-SM-EWRNK 30-39 years, female 291.3
GTEX-SUCS-0326-SM-32PLL 70-79 years, male 290.3
GTEX-1H11D-1226-SM-9WPQ2 40-49 years, male 289.8
GTEX-1QPFJ-1026-SM-E6CR6 30-39 years, female 288.7
GTEX-139YR-0826-SM-5LZXY 50-59 years, male 288.0
GTEX-13VXT-1126-SM-5LU3A 20-29 years, female 288.0
GTEX-OXRL-0326-SM-2I3F2 50-59 years, male 287.6
GTEX-UJMC-0526-SM-3GAE3 50-59 years, male 287.4
GTEX-1OFPY-1026-SM-EXUSO 60-69 years, male 287.3
GTEX-11LCK-0926-SM-5A5KA 30-39 years, male 287.1
GTEX-Q2AH-0526-SM-2I3ED 40-49 years, male 286.8
GTEX-UJHI-0426-SM-3DB8Y 50-59 years, female 286.1
GTEX-11ZUS-0226-SM-5FQT8 30-39 years, male 284.9
GTEX-QEG4-0426-SM-33HC3 30-39 years, male 284.3
GTEX-13O61-0526-SM-5J2M1 60-69 years, male 284.1
GTEX-XPT6-0126-SM-4B65S 20-29 years, male 283.4
GTEX-1J8EW-0926-SM-A9G33 60-69 years, female 283.1
GTEX-S32W-0626-SM-2XCBG 50-59 years, female 282.6
GTEX-13O21-2326-SM-5MR3X 50-59 years, male 282.2
GTEX-XQ8I-0126-SM-4BOPL 50-59 years, male 282.0
GTEX-1CB4J-0326-SM-7PBZO 60-69 years, male 282.0
GTEX-111YS-0426-SM-5987O 60-69 years, male 281.4
GTEX-13OVG-0526-SM-5K7YD 60-69 years, male 281.4
GTEX-PLZ5-0626-SM-2I5F8 50-59 years, male 280.7
GTEX-OXRK-0826-SM-2HMK7 50-59 years, female 280.4
GTEX-1OKEX-0726-SM-DPRYE 60-69 years, male 279.7
GTEX-ZPU1-0626-SM-4YCDM 40-49 years, male 278.8
GTEX-U3ZN-1426-SM-3DB87 30-39 years, female 278.7
GTEX-1J8QM-0426-SM-AHZ3X 60-69 years, female 278.7
GTEX-1POEN-0626-SM-EVR4B 30-39 years, female 277.6
GTEX-QDVJ-0426-SM-2I5FW 50-59 years, male 277.1
GTEX-14PHX-2126-SM-6EU2U 50-59 years, male 277.0
GTEX-ZDYS-0226-SM-5HL4K 50-59 years, male 276.2
GTEX-R55E-1026-SM-2TC5S 20-29 years, male 274.6
GTEX-PX3G-0326-SM-2I3EO 20-29 years, female 274.5
GTEX-QV44-0526-SM-2S1RE 50-59 years, male 274.3
GTEX-ZZPU-0926-SM-5GZYT 50-59 years, female 274.2
GTEX-OHPK-0326-SM-2HMJO 50-59 years, female 273.9
GTEX-1LVAN-1726-SM-CNNR1 50-59 years, female 273.2
GTEX-ZPIC-0826-SM-4WWFJ 40-49 years, female 272.8
GTEX-16BQI-0926-SM-6M485 30-39 years, female 272.0
GTEX-Y8E4-0326-SM-4VBRR 40-49 years, male 272.0
GTEX-ZVT2-1026-SM-5GU55 50-59 years, female 271.8
GTEX-1HFI7-0826-SM-A9G23 50-59 years, female 271.1
GTEX-RWS6-0326-SM-2XCAP 60-69 years, female 270.4
GTEX-1EMGI-1226-SM-793DD 60-69 years, male 269.2
GTEX-1QP29-1526-SM-EXUSY 50-59 years, male 268.9
GTEX-WYJK-1026-SM-3NM8W 50-59 years, male 268.8
GTEX-RNOR-0826-SM-2TF5C 50-59 years, female 266.7
GTEX-QLQ7-0526-SM-2I5G3 60-69 years, male 266.0
GTEX-13OVL-0526-SM-5KLZQ 50-59 years, male 265.5
GTEX-R53T-0926-SM-3GADH 50-59 years, female 264.2
GTEX-1GF9U-0426-SM-7RHHA 40-49 years, female 263.5
GTEX-O5YW-0326-SM-2I5EI 50-59 years, male 262.7
GTEX-1IKK5-1526-SM-CKZPW 60-69 years, male 260.7
GTEX-14E1K-1026-SM-73KUR 50-59 years, male 260.1
GTEX-1R9PO-0326-SM-DTXA1 60-69 years, female 258.9
GTEX-1JMQK-0626-SM-D4P2R 60-69 years, male 258.6
GTEX-RWSA-0626-SM-2XCBD 40-49 years, male 258.1
GTEX-RU72-0326-SM-2TF5T 50-59 years, female 258.0
GTEX-1GN73-2426-SM-7RHFQ 60-69 years, male 256.7
GTEX-XV7Q-0826-SM-4BRV7 40-49 years, female 256.3
GTEX-146FH-1026-SM-5RQIF 50-59 years, female 255.5
GTEX-12ZZZ-1726-SM-59HK5 60-69 years, male 255.4
GTEX-13O3O-1526-SM-5KM1C 60-69 years, female 255.3
GTEX-1PWST-1026-SM-DTXF2 70-79 years, male 255.3
GTEX-12WSC-1126-SM-5EQ4G 50-59 years, male 253.8
GTEX-P78B-0426-SM-2I5F5 40-49 years, female 253.7
GTEX-1IDJF-0726-SM-CJI1U 20-29 years, male 253.7
GTEX-P4QS-0326-SM-2I3EU 60-69 years, male 253.1
GTEX-131XE-0626-SM-5HL98 50-59 years, male 252.6
GTEX-ZDXO-0726-SM-57WBT 60-69 years, male 252.1
GTEX-1E1VI-1326-SM-7IGQD 50-59 years, male 249.3
GTEX-1F6I4-0726-SM-7PC2P 60-69 years, male 248.7
GTEX-1GMRU-1526-SM-9WYT5 50-59 years, male 246.7
GTEX-13PVQ-1226-SM-5IJDC 50-59 years, male 246.5
GTEX-145LV-0326-SM-5Q5BW 50-59 years, male 244.5
GTEX-ZYFC-1126-SM-5E44W 50-59 years, male 243.4
GTEX-1PPGY-1126-SM-E76OU 60-69 years, male 243.2
GTEX-18A66-1226-SM-7LT8G 60-69 years, male 240.8
GTEX-14JG1-1026-SM-6ETZY 40-49 years, male 240.4
GTEX-1CAMS-1326-SM-79OJR 40-49 years, female 239.9
GTEX-1JMPZ-1426-SM-CJI3C 30-39 years, male 239.4
GTEX-18D9B-1226-SM-72D6V 60-69 years, male 238.0
GTEX-1LVA9-0926-SM-EVR5G 50-59 years, male 236.3
GTEX-1HBPH-0126-SM-CNNQ7 40-49 years, female 235.7
GTEX-13FLV-0926-SM-5L3DZ 50-59 years, male 234.7
GTEX-1B932-1026-SM-793CL 40-49 years, female 234.3
GTEX-132AR-2026-SM-5IJG4 50-59 years, female 233.5
GTEX-OIZI-0926-SM-E6CHF 40-49 years, male 233.4
GTEX-UPK5-0326-SM-CYPR4 40-49 years, male 233.4
GTEX-1JJEA-0826-SM-CL53T 60-69 years, male 233.0
GTEX-17F9Y-1326-SM-7MGW9 70-79 years, female 232.3
GTEX-ZDTS-1326-SM-6LLHE 60-69 years, male 231.9
GTEX-1S3DN-0726-SM-E9TIO 50-59 years, male 231.9
GTEX-1HSMQ-0226-SM-C1YQL 50-59 years, male 231.4
GTEX-PSDG-0926-SM-2I5FP 50-59 years, male 230.0
GTEX-13N1W-1026-SM-5IJC5 70-79 years, male 229.9
GTEX-QEG5-0926-SM-2TC64 20-29 years, male 229.4
GTEX-1H23P-1226-SM-9QEJ2 60-69 years, male 228.8
GTEX-13NZB-0226-SM-5KM1T 30-39 years, male 228.7
GTEX-YFC4-0526-SM-5ZZVI 40-49 years, female 228.7
GTEX-1HBPM-1226-SM-A9SM8 60-69 years, female 228.7
GTEX-16YQH-0926-SM-793BC 30-39 years, male 228.2
GTEX-17JCI-1126-SM-7IGMM 60-69 years, female 227.0
GTEX-1GF9V-1626-SM-7PBXL 60-69 years, male 227.0
GTEX-15SHU-1126-SM-7KUMB 40-49 years, female 226.7
GTEX-1AX9K-0526-SM-73KV1 50-59 years, male 225.0
GTEX-WQUQ-1426-SM-3MJFD 60-69 years, male 224.5
GTEX-S33H-0526-SM-COH1W 30-39 years, male 224.2
GTEX-13YAN-1326-SM-5Q5F1 60-69 years, male 223.7
GTEX-12WSD-1126-SM-5EGJD 60-69 years, female 223.6
GTEX-14E6D-0926-SM-5S2QV 50-59 years, male 222.9
GTEX-1HSMO-1226-SM-CL548 60-69 years, male 222.3
GTEX-1N2EF-2826-SM-E6CQF 60-69 years, male 221.9
GTEX-Y5V5-0626-SM-4VBPX 60-69 years, female 221.8
GTEX-O5YV-0326-SM-2I5H2 60-69 years, female 221.6
GTEX-111FC-0826-SM-5GZWO 60-69 years, male 221.3
GTEX-1399T-0426-SM-5PNVJ 60-69 years, male 221.3
GTEX-13N11-0426-SM-5KM3O 50-59 years, female 220.7
GTEX-12WSG-0526-SM-5FQTH 50-59 years, female 218.4
GTEX-1LC47-1026-SM-D3LAH 60-69 years, male 218.1
GTEX-1B996-1126-SM-73KWN 60-69 years, male 216.8
GTEX-V1D1-0526-SM-4JBGW 50-59 years, male 216.5
GTEX-1HC8U-0726-SM-ACKXL 40-49 years, female 215.8
GTEX-1HCU6-1026-SM-A9G25 60-69 years, female 215.5
GTEX-1M5QR-1026-SM-DHXK9 40-49 years, male 215.1
GTEX-N7MS-0826-SM-2HML4 60-69 years, male 213.5
GTEX-1HCU7-1326-SM-CNPPW 50-59 years, male 213.5
GTEX-14E6C-0426-SM-5YYA8 40-49 years, male 212.5
GTEX-NFK9-0926-SM-2HMJU 40-49 years, male 212.2
GTEX-1KD5A-1026-SM-CY8I8 50-59 years, male 211.8
GTEX-1K9T9-1126-SM-D3L9E 50-59 years, female 211.4
GTEX-18A6Q-1626-SM-7KFTA 60-69 years, male 211.2
GTEX-1EX96-2526-SM-7RHGW 50-59 years, male 210.9
GTEX-1H1CY-0326-SM-9QEIZ 60-69 years, female 210.4
GTEX-1212Z-0626-SM-5FQTB 60-69 years, male 209.8
GTEX-14BIL-1126-SM-79OMC 50-59 years, male 209.6
GTEX-15CHQ-1526-SM-69LPW 60-69 years, male 209.5
GTEX-1GZ4I-1026-SM-9KNV5 50-59 years, male 209.5
GTEX-ZUA1-0826-SM-4YCDL 40-49 years, male 209.4
GTEX-13OW8-2126-SM-5J1OS 60-69 years, male 209.2
GTEX-1AX9I-1126-SM-7EPHH 60-69 years, male 207.4
GTEX-13112-0426-SM-5PNVC 50-59 years, male 206.7
GTEX-1CB4G-0826-SM-7DUGF 60-69 years, male 205.3
GTEX-1BAJH-1626-SM-73KUV 70-79 years, male 204.8
GTEX-1ICG6-0626-SM-ACKWS 70-79 years, female 204.7
GTEX-YJ8O-0926-SM-EAZ2Z 40-49 years, female 204.7
GTEX-147JS-1526-SM-5ZZWF 60-69 years, male 204.2
GTEX-1GN1V-0826-SM-9KNU6 60-69 years, male 204.2
GTEX-1F6IF-2526-SM-7P8TV 60-69 years, male 204.1
GTEX-1EN7A-0726-SM-7PBXT 40-49 years, male 203.7
GTEX-14C38-1426-SM-5RQHZ 50-59 years, male 203.6
GTEX-13O1R-1226-SM-5J1NU 60-69 years, male 203.5
GTEX-1I1GP-0826-SM-A96SD 50-59 years, male 203.1
GTEX-13JVG-1326-SM-5N9F8 60-69 years, male 202.6
GTEX-T6MN-0926-SM-32PLX 50-59 years, male 202.5
GTEX-13FHP-1026-SM-5K7Y2 50-59 years, male 202.4
GTEX-T2IS-0426-SM-32QPE 20-29 years, female 202.2
GTEX-13OW5-1126-SM-5J1NR 60-69 years, male 201.9
GTEX-1EKGG-1126-SM-7MGXB 60-69 years, male 201.4
GTEX-15DDE-1126-SM-6LLHN 50-59 years, female 200.7
GTEX-1PPH7-2026-SM-E9J3N 40-49 years, male 200.2
GTEX-1JMLX-1626-SM-ARZMV 50-59 years, male 199.2
GTEX-13RTJ-0726-SM-5QGQN 60-69 years, male 198.1
GTEX-11ONC-0126-SM-5PNW6 60-69 years, male 197.8
GTEX-1314G-0126-SM-5LZUL 30-39 years, male 197.7
GTEX-R55G-0526-SM-2TC5O 40-49 years, female 197.5
GTEX-131XH-0226-SM-5LZVB 50-59 years, male 197.2
GTEX-13NYB-0226-SM-5N9G4 40-49 years, male 197.1
GTEX-11EMC-0726-SM-5EGJO 60-69 years, female 197.0
GTEX-1C64O-0826-SM-79OKZ 60-69 years, male 196.8
GTEX-1MJIX-0326-SM-EVR42 40-49 years, male 196.4
GTEX-QEL4-0926-SM-3GAD1 50-59 years, male 196.0
GTEX-WL46-0926-SM-3LK7T 50-59 years, male 195.7
GTEX-WK11-0826-SM-EZ6LH 50-59 years, male 195.5
GTEX-1IDJH-1026-SM-E9TKH 70-79 years, male 195.4
GTEX-17HII-1326-SM-7IGOB 50-59 years, male 194.8
GTEX-WRHU-1226-SM-4E3IJ 50-59 years, female 194.8
GTEX-148VJ-1526-SM-5Q5DU 70-79 years, male 194.6
GTEX-OIZG-1126-SM-2HMIU 50-59 years, male 194.1
GTEX-17HGU-1026-SM-79OKL 50-59 years, male 193.8
GTEX-14C39-0926-SM-5TDDV 40-49 years, male 193.5
GTEX-11TUW-1026-SM-5GU7D 60-69 years, male 192.9
GTEX-1IKJJ-0826-SM-A96SP 60-69 years, male 192.8
GTEX-1A3MW-1326-SM-7189P 60-69 years, female 192.6
GTEX-1JJE9-1426-SM-ARL8P 70-79 years, male 192.3
GTEX-15DYW-1126-SM-6LPK5 60-69 years, female 192.2
GTEX-1C6VQ-1126-SM-7EWET 50-59 years, male 191.6
GTEX-13O3P-1626-SM-5K7X3 50-59 years, male 190.9
GTEX-1JMOU-0226-SM-CNNPD 60-69 years, female 190.7
GTEX-ZAJG-0826-SM-5PNVA 50-59 years, female 190.6
GTEX-1ICLZ-1026-SM-A9SLF 60-69 years, male 190.4
GTEX-ZAB4-1026-SM-5HL7T 40-49 years, male 190.2
GTEX-13OW6-1126-SM-5L3HL 50-59 years, male 188.8
GTEX-11DXY-0826-SM-5EGGR 60-69 years, male 188.6
GTEX-11ZVC-0426-SM-5CVLD 50-59 years, female 188.6
GTEX-R45C-0926-SM-3GAD4 60-69 years, female 188.5
GTEX-1313W-1426-SM-5KLZU 50-59 years, female 187.7
GTEX-1EWIQ-1426-SM-7IGOS 70-79 years, female 187.7
GTEX-1HCVE-1126-SM-9WPPG 50-59 years, male 187.6
GTEX-11GS4-0526-SM-5A5KQ 60-69 years, male 187.3
GTEX-14PJ2-1026-SM-6EU1M 50-59 years, male 187.3
GTEX-1I1GQ-1426-SM-B2LWY 50-59 years, male 187.1
GTEX-1GN2E-1326-SM-9KNVG 60-69 years, male 186.9
GTEX-12584-0926-SM-5FQTN 40-49 years, male 186.1
GTEX-1F48J-1026-SM-7P8SO 50-59 years, female 185.3
GTEX-11O72-1126-SM-5N9E2 40-49 years, male 185.2
GTEX-14E7W-1226-SM-5RQIU 70-79 years, male 185.2
GTEX-OXRO-2026-SM-2YUMZ 60-69 years, female 184.5
GTEX-12ZZY-1126-SM-5DUWQ 60-69 years, male 184.4
GTEX-1JJ6O-2126-SM-CNNP6 60-69 years, male 184.4
GTEX-1497J-1226-SM-5Q5BL 60-69 years, male 183.9
GTEX-18465-0926-SM-731AY 50-59 years, male 183.4
GTEX-13X6K-1826-SM-5O9CR 60-69 years, female 182.7
GTEX-P44G-0826-SM-2I5ES 30-39 years, male 182.4
GTEX-13CF2-0426-SM-5KM1H 60-69 years, male 182.3
GTEX-1O97I-0826-SM-E8VNE 60-69 years, male 182.0
GTEX-1J8Q2-1226-SM-A9G2W 60-69 years, male 181.1
GTEX-14DAQ-1126-SM-664MT 60-69 years, female 180.8
GTEX-17MF6-0726-SM-7LT8E 40-49 years, male 180.0
GTEX-X8HC-1626-SM-46MWE 50-59 years, female 179.0
GTEX-14PJM-1126-SM-6LLHK 50-59 years, female 178.1
GTEX-117YW-0326-SM-5N9CY 50-59 years, male 177.5
GTEX-1NV8Z-1526-SM-DTX8X 60-69 years, male 177.4
GTEX-14JIY-1126-SM-6EU28 60-69 years, male 177.3
GTEX-14C5O-1326-SM-5S2UW 60-69 years, male 177.2
GTEX-14BIN-2226-SM-5YYA1 50-59 years, female 176.2
GTEX-X261-1426-SM-4PQZ1 50-59 years, male 176.2
GTEX-1269C-0826-SM-5N9EM 60-69 years, female 175.7
GTEX-NPJ8-0426-SM-2HMK6 40-49 years, male 175.3
GTEX-1I1HK-0726-SM-B2LY4 60-69 years, male 175.3
GTEX-12ZZW-1026-SM-5GCMM 50-59 years, male 173.5
GTEX-145MO-1126-SM-5NQBX 60-69 years, male 173.5
GTEX-1HT8W-1726-SM-CNNQB 30-39 years, male 173.2
GTEX-REY6-1026-SM-2TF4Y 60-69 years, male 173.0
GTEX-1H1ZS-1126-SM-9MQLJ 70-79 years, male 172.9
GTEX-ZF3C-1226-SM-4WWCB 50-59 years, female 172.7
GTEX-1JN6P-1126-SM-CKZON 60-69 years, male 172.2
GTEX-WI4N-0626-SM-3TW8Z 40-49 years, female 171.7
GTEX-XBEC-1326-SM-4AT69 50-59 years, male 170.8
GTEX-ZYT6-1726-SM-5E44P 30-39 years, male 170.6
GTEX-13X6I-1426-SM-5SI9Z 60-69 years, male 170.4
GTEX-WWYW-1326-SM-3NB2S 50-59 years, female 169.4
GTEX-1JN1M-1026-SM-CNPOS 60-69 years, female 169.1
GTEX-1KD4Q-0726-SM-DIPGE 40-49 years, male 169.1
GTEX-15ER7-1726-SM-6PAMX 20-29 years, female 169.0
GTEX-15SHW-1226-SM-6M46C 60-69 years, male 169.0
GTEX-16NPX-0926-SM-7KUEZ 50-59 years, male 168.9
GTEX-1B8SG-0826-SM-7EWF7 50-59 years, male 168.5
GTEX-SIU8-0826-SM-2XCDQ 50-59 years, male 167.6
GTEX-RTLS-0826-SM-2TF5Q 60-69 years, female 167.2
GTEX-1I1GV-1326-SM-A96SE 60-69 years, male 166.9
GTEX-N7MT-1326-SM-2I3FV 60-69 years, female 165.2
GTEX-PVOW-0426-SM-5MR5R 40-49 years, male 165.1
GTEX-13FTZ-0226-SM-5K7X6 60-69 years, male 164.8
GTEX-147F4-1226-SM-5NQAY 50-59 years, male 163.0
GTEX-1LG7Y-1226-SM-CXZKD 50-59 years, male 162.7
GTEX-1H3NZ-1126-SM-9WYT9 60-69 years, male 157.7
GTEX-11GSP-1326-SM-5A5KY 60-69 years, female 156.4
GTEX-148VI-0326-SM-5RQK7 60-69 years, female 155.4
GTEX-P44H-0726-SM-48TBT 40-49 years, male 154.5
GTEX-1RAZS-0826-SM-E76QP 50-59 years, male 154.5
GTEX-1LB8K-1026-SM-DHXJJ 50-59 years, male 153.5
GTEX-1ICLY-1326-SM-CJI47 50-59 years, male 152.2
GTEX-17HHY-1426-SM-7EWDQ 50-59 years, male 151.6
GTEX-1EH9U-0826-SM-7IGPT 60-69 years, male 151.5
GTEX-14A5I-1226-SM-5NQBW 50-59 years, female 148.2
GTEX-16MT8-0926-SM-6M487 60-69 years, female 147.1
GTEX-1IL2U-1326-SM-A9G2O 60-69 years, male 147.0
GTEX-1B8L1-0526-SM-79ONX 60-69 years, male 146.2
GTEX-15RJE-0626-SM-7KUKR 40-49 years, male 144.8
GTEX-1A8G6-1626-SM-7MGWO 60-69 years, male 141.6
GTEX-RN64-0826-SM-2TC62 50-59 years, male 141.3
GTEX-1A3MX-1326-SM-72D58 60-69 years, male 141.0
GTEX-ZYW4-0926-SM-59HJS 60-69 years, male 137.2
GTEX-1GTWX-1026-SM-7P8QW 60-69 years, male 127.8
GTEX-QVJO-1926-SM-2S1QZ 60-69 years, female 122.4
Show allShow less

HEART MUSCLE - FANTOM5 CAGEi

RNA expression in human tissues obtained through Cap Analysis of Gene Expression (CAGE) generated by the FANTOM5 project are reported as Scaled Tags Per Million.

Max subtype Scaled Tags Per Millioni

Max subtype Scaled Tags Per Million is the value for the subtype with the largest average Scaled Tags Per Million across the subtype samples.

408.0
FANTOM5 sample id Sample description Scaled Tags Per Million
Heart
Scaled Tags Per Million: 408.0
FF:10016-101C7 70,73,74 years, mixed 408.0
Left atrium
Scaled Tags Per Million: 121.9
FF:10079-102A7 40 years, male 121.9
Left ventricle
Scaled Tags Per Million: 206.2
FF:10078-102A6 73 years, female 206.2

Contact

  • NEWS ARTICLES
  • PRESS ROOM

The Project

  • INTRODUCTION
  • ORGANIZATION
  • PUBLICATIONS

The Human Protein Atlas

  • DOWNLOADABLE DATA
  • LICENCE & CITATION
  • HELP & FAQ
The Human Protein Atlas project is funded
by the Knut & Alice Wallenberg Foundation.


contact@proteinatlas.org