We use cookies to enhance the usability of our website. If you continue, we'll assume that you are happy to receive all cookies. More information. Don't show this again.
MORF4L1
HPA
RESOURCES
  • TISSUE
  • BRAIN
  • SINGLE CELL
  • SUBCELLULAR
  • CANCER
  • BLOOD
  • CELL LINE
  • STRUCTURE & INTERACTION
ABOUT
  • INTRODUCTION
  • HISTORY
  • ORGANIZATION
  • PUBLICATIONS
  • ANTIBODY SUBMISSION
  • ANTIBODY AVAILABILITY
  • ACKNOWLEDGMENTS
  • CONTACT
NEWS
  • NEWS ARTICLES
  • PRESS ROOM
LEARN
  • DICTIONARY
  • PROTEIN CLASSES
  • PROTEIN EVIDENCE
  • METHODS
  • EDUCATIONAL VIDEOS
DATA
  • DOWNLOADABLE DATA
  • PUBLICATION DATA
  • RELEASE HISTORY
HELP
  • ANTIBODY VALIDATION
  • ASSAYS & ANNOTATION
  • DISCLAIMER
  • HELP & FAQ
  • PRIVACY STATEMENT
  • LICENCE & CITATION
Fields »
Search result

Field
Term
Gene name
Class
Subclass
Class
Keyword
Chromosome
External id
Tissue
Cell type
Expression
Antibody panel
Tissue
Main location
Patient ID
Annotation
Tissue
Category
Tau score
Cluster
Reliability
Brain region
Category
Tau score
Brain region
Category
Tau score
Brain region
Category
Tau score
Cluster
Reliability
Tissue
Cell type
Enrichment
Cell type
Category
Tau score
Cell type
Category
Tau score
Cell type
Category
Tau score
Cell lineage
Category
Tau score
Cluster
Cluster
Location
Searches
Location
Cell line
Class
Type
Phase
Reliability
Cancer
Prognosis
Cancer
Category
Cancer
Category
Tau score
Cluster
Variants
Interacting gene (ensg_id)
Type
Number of interactions
Pathway
Category
Score
Score
Score
Validation
Validation
Validation
Validation
Antibodies
Data type
Column


  • SUMMARY

  • TISSUE

  • BRAIN

  • SINGLE CELL

  • SUBCELL

  • CANCER

  • BLOOD

  • CELL LINE

  • STRUCT & INT

  • MORF4L1
TISSUE PRIMARY DATA SALIVARY GLAND Show tissue menu
ADIPOSE TISSUE ADRENAL GLAND AMYGDALA APPENDIX BASAL GANGLIA BONE MARROW BREAST BRONCHUS CEREBELLUM CEREBRAL CORTEX CERVIX CHOROID PLEXUS COLON DUODENUM
ENDOMETRIUM EPIDIDYMIS ESOPHAGUS FALLOPIAN TUBE GALLBLADDER HEART MUSCLE HIPPOCAMPAL FORMATION HYPOTHALAMUS KIDNEY LIVER LUNG LYMPH NODE MIDBRAIN NASOPHARYNX
ORAL MUCOSA OVARY PANCREAS PARATHYROID GLAND PITUITARY GLAND PLACENTA PROSTATE RECTUM RETINA SALIVARY GLAND SEMINAL VESICLE SKELETAL MUSCLE SKIN SMALL INTESTINE
SMOOTH MUSCLE SOFT TISSUE SPINAL CORD SPLEEN STOMACH TESTIS THYMUS THYROID GLAND TONGUE TONSIL URINARY BLADDER VAGINA
ANTIBODIES
AND
VALIDATION
Dictionary
Salivary gland
Tissue proteome
Salivary gland
SALIVARY GLAND - Expression summary
Protein expression
Salivary glandi

On the top, protein expression in current human tissue, based on all annotated cell types, is reported with the units not detected (n), low (l), medium (m) and high (h). Underneath, protein expression in each annotated cell type are reported using the same units.

Protein expression data is based on knowledge-based annotation. For genes where more than one antibody has been used, a collective score is set.

If knowledge-based annotation could not be performed for a gene, no data is displayed here. View antibody staining data further down this page.

h
m
l
n
Glandular cells: Medium
RNA expressioni

A summary of mRNA expression data available for current tissue based on several datasets. The mRNA expression levels in human tissues are based on RNA-seq data generated by the Human Protein Atlas (HPA), Genotype-Tissue Expression (GTEx) portal and CAGE data generated by the FANTOM5 consortium. Consensus normalized expression levels for human tissues was created by combining the data from HPA and GTEx datasets.

The mRNA expression levels in pig are based on RNA-seq data generated by the Human Protein Atlas (HPA), and for mouse, HPA data and in situ hybridization generated by the Allen brain atlas are reported.

Scroll down to view mRNA expression data in more detail.
Consensus:190.2 nTPM
HPA:190.2 nTPM
GTEx:146.9 nTPM
FANTOM5:197.1 Scaled Tags Per Million

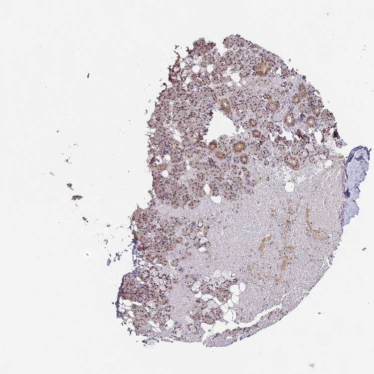
SALIVARY GLAND - Antibody stainingi

Antibody staining in the annotated cell types in the current human tissue is reported as not detected, low, medium, or high, based on conventional immunohistochemistry profiling in selected tissues. This score is based on the combination of the staining intensity and fraction of stained cells.

Each image is clickable and will lead to virtual microscopy that enables deeper exploration of all samples and also displays staining intensity scores, fraction scores and subcellular localization as well as patient and tissue information for each sample.

Antibody HPA042360
Glandular cells Medium



SALIVARY GLAND - HPA RNA-seqi

The RNA-seq details section shows detailed information about the individual samples used for the transcript profiling and results of the RNA-seq analysis.

Information about each individual sample is listed below, including gender, age, a tissue section image and estimated fractions of cell types. nTPM (normalized transcripts per million) values give a quantification of the gene abundance which is comparable between different genes and samples.
Average nTPMi

Max subtype nTPM is the value for the subtype with the largest average nTPM across the subtype samples.

190.2
overview
Female, age 68
Salivary gland sample 216
nTPM: 161.2
Cell types%
Glandular cells:
45

Ductal cells:
25

Adipocytes:
5

Other cell types:
25

overview
Male, age 60
Salivary gland sample 217
nTPM: 214.8
Cell types%
Glandular cells:
55

Ductal cells:
20

Adipocytes:
5

Endothelial cells:
5

Other cell types:
15

overview
Female, age 21
Salivary gland sample 218
nTPM: 194.5
Cell types%
Glandular cells:
55

Ductal cells:
15

Adipocytes:
5

Endothelial cells:
5

Other cell types:
20


SALIVARY GLAND - GTEx RNA-seqi

RNA-Seq data generated by the Genotype-Tissue Expression (GTEx) project from human tissues is reported as mean nTPM. More information can be found on the GTEx portal.

Distribution across the dataset is visualized with box plots, shown as median and 25th and 75th percentiles. Points are displayed as outliers if they are above or below 1.5 times the interquartile range. nTPM values of the individual samples are presented next to the box plot.
Max subtype nTPMi

Max subtype nTPM is the value for the subtype with the largest average nTPM across the subtype samples.

146.9
GTEx sample id Sample description nTPM
Minor Salivary Gland
Average nTPM: 146.9
Samples: 162

Max nTPM: 234.9
Min nTPM: 104.5
Std nTPM: 21.5
Median nTPM: 142.5
GTEX-1NSGN-0626-SM-E9J35 50-59 years, male 234.9
GTEX-14JIY-3026-SM-6EU1R 60-69 years, male 234.5
GTEX-1R9PM-1726-SM-E8VOA 20-29 years, male 203.5
GTEX-1R9K4-0526-SM-E76P1 60-69 years, male 195.7
GTEX-ZQG8-2126-SM-4YCF1 60-69 years, female 191.6
GTEX-18A7B-2826-SM-7KFTK 70-79 years, male 187.2
GTEX-13CF2-2426-SM-5LZYL 60-69 years, male 185.0
GTEX-1AX9K-2126-SM-72D7K 50-59 years, male 184.9
GTEX-ZC5H-2726-SM-5KLZW 40-49 years, female 184.4
GTEX-18A67-0626-SM-7KFSL 50-59 years, male 182.3
GTEX-17KNJ-2726-SM-7KFRE 50-59 years, male 179.9
GTEX-1PIEJ-0626-SM-DTX99 20-29 years, female 179.3
GTEX-Y3I4-1926-SM-4TT8L 50-59 years, male 178.0
GTEX-1PPH8-1526-SM-E6CQO 20-29 years, male 178.0
GTEX-WY7C-1426-SM-4OND1 50-59 years, male 176.3
GTEX-11WQK-2926-SM-5EQKT 50-59 years, male 175.6
GTEX-1R9PO-2626-SM-E6CPU 60-69 years, female 175.6
GTEX-1GTWX-2526-SM-9JGHG 60-69 years, male 175.3
GTEX-1B932-0626-SM-731EM 40-49 years, female 171.1
GTEX-131XF-2826-SM-5EGKH 60-69 years, male 170.6
GTEX-1POEN-2226-SM-DPRXV 30-39 years, female 170.1
GTEX-1OJC3-1026-SM-E6CQK 20-29 years, male 169.9
GTEX-1MGNQ-1926-SM-DTX8L 40-49 years, male 169.1
GTEX-XMK1-2626-SM-4B65R 40-49 years, male 168.9
GTEX-1339X-2326-SM-5HL5B 40-49 years, male 168.6
GTEX-1AMEY-1126-SM-72D79 30-39 years, female 167.7
GTEX-ZA64-1726-SM-5CVMF 20-29 years, male 167.7
GTEX-1S83E-0626-SM-E9TKC 40-49 years, male 167.1
GTEX-15EU6-2626-SM-7KUN4 50-59 years, male 166.6
GTEX-11P81-2026-SM-5P9GT 30-39 years, female 165.7
GTEX-1KANC-1326-SM-CYPT8 50-59 years, female 163.4
GTEX-18D9U-2226-SM-7KFTN 40-49 years, male 163.1
GTEX-ZAB5-2326-SM-5IJFR 50-59 years, male 162.5
GTEX-1LVA9-2526-SM-EVR5H 50-59 years, male 162.4
GTEX-1QMI2-0426-SM-EWRND 60-69 years, male 162.1
GTEX-1B8SF-1826-SM-731DJ 60-69 years, male 162.0
GTEX-1RAZA-0626-SM-EAZ4H 20-29 years, male 161.4
GTEX-ZQUD-2126-SM-51MSY 30-39 years, male 161.3
GTEX-WYVS-2026-SM-4RGNS 40-49 years, female 161.1
GTEX-1445S-2926-SM-5O993 60-69 years, male 160.3
GTEX-1OJC4-3126-SM-EXOJK 50-59 years, female 160.1
GTEX-1QEPI-0626-SM-E76QE 60-69 years, female 159.6
GTEX-ZLWG-2026-SM-DO11F 50-59 years, female 158.6
GTEX-1A3MV-1726-SM-72D68 30-39 years, male 158.5
GTEX-YF7O-2226-SM-5CVN8 50-59 years, male 158.0
GTEX-13111-2326-SM-5LZUQ 50-59 years, male 157.9
GTEX-X5EB-1726-SM-4E3J7 40-49 years, male 157.9
GTEX-1R9K5-0626-SM-DPRZB 50-59 years, male 157.3
GTEX-14PN4-2526-SM-686ZG 50-59 years, male 155.1
GTEX-13OVI-2326-SM-5KM47 60-69 years, female 154.9
GTEX-1LKK1-2926-SM-EVR4Z 50-59 years, female 153.3
GTEX-1GF9X-0226-SM-7P8SM 40-49 years, female 153.2
GTEX-111FC-2926-SM-5GZY7 60-69 years, male 152.0
GTEX-1I6K7-0926-SM-A96SV 40-49 years, male 151.9
GTEX-1QCLZ-2526-SM-EXUST 60-69 years, female 151.8
GTEX-12WSM-1826-SM-5BC64 60-69 years, male 151.5
GTEX-WH7G-2126-SM-4M1XU 40-49 years, male 151.2
GTEX-145ME-1626-SM-5RQI3 40-49 years, female 149.1
GTEX-ZF29-2126-SM-DNZYX 60-69 years, female 149.0
GTEX-1LBAC-0626-SM-D3L9T 20-29 years, male 148.7
GTEX-11TUW-2426-SM-5EQKB 60-69 years, male 148.3
GTEX-ZT9W-2126-SM-51MSF 50-59 years, male 148.2
GTEX-1MCQQ-2226-SM-DLHC4 60-69 years, male 148.2
GTEX-1GMR2-2026-SM-7MKHK 50-59 years, male 147.8
GTEX-18QFQ-0626-SM-718AW 30-39 years, male 147.7
GTEX-1AX8Z-0626-SM-731EH 60-69 years, male 147.5
GTEX-15SHV-2226-SM-6M464 60-69 years, male 147.1
GTEX-WHSB-2326-SM-4M1XK 50-59 years, male 146.7
GTEX-15RJE-2726-SM-6LPJ1 40-49 years, male 146.5
GTEX-14PJN-1726-SM-69LO7 30-39 years, male 146.2
GTEX-XGQ4-2626-SM-4AT6B 50-59 years, male 145.9
GTEX-11P82-0926-SM-5986X 20-29 years, male 145.8
GTEX-1GN1W-2526-SM-9JGHX 50-59 years, female 145.4
GTEX-14B4R-1426-SM-5Q5CG 30-39 years, male 145.2
GTEX-1AYD5-2726-SM-7MXVG 50-59 years, male 145.2
GTEX-146FR-1226-SM-5SIA7 60-69 years, female 144.6
GTEX-15CHC-1226-SM-686ZH 60-69 years, female 144.2
GTEX-1KD5A-2226-SM-EV79U 50-59 years, male 144.1
GTEX-1JN6P-2526-SM-CNNPX 60-69 years, male 143.4
GTEX-13QBU-2126-SM-5KLZN 40-49 years, female 143.3
GTEX-11ZTT-2226-SM-5CVLP 60-69 years, female 142.5
GTEX-1EH9U-2926-SM-7DHLX 60-69 years, male 142.5
GTEX-1B8KZ-1726-SM-73KV7 50-59 years, male 141.9
GTEX-Y5LM-1826-SM-4VDT9 40-49 years, female 141.9
GTEX-1C64O-0626-SM-7DHL1 60-69 years, male 141.8
GTEX-12BJ1-2226-SM-5BC6G 60-69 years, male 141.7
GTEX-1I1HK-2526-SM-A96SM 60-69 years, male 141.7
GTEX-1GPI7-0326-SM-7MKH6 20-29 years, male 141.5
GTEX-XV7Q-2426-SM-4BRV8 40-49 years, female 141.5
GTEX-1HR9M-2526-SM-A9G3J 60-69 years, male 141.3
GTEX-1314G-2026-SM-5LZUM 30-39 years, male 141.2
GTEX-1LSNL-2626-SM-EV7AT 50-59 years, male 141.2
GTEX-ZP4G-1926-SM-57WDZ 20-29 years, female 141.1
GTEX-1JKYR-0726-SM-AHZ3K 20-29 years, male 141.1
GTEX-1HFI7-2426-SM-B2LXV 50-59 years, female 140.3
GTEX-Y5V6-2226-SM-4VDTC 60-69 years, male 140.0
GTEX-1GN1V-2926-SM-9JGI3 60-69 years, male 140.0
GTEX-1J1R8-1826-SM-AHZ3B 40-49 years, male 139.9
GTEX-ZLFU-2226-SM-EXUS7 40-49 years, male 139.7
GTEX-11EQ9-2026-SM-5P9JI 30-39 years, male 139.1
GTEX-X3Y1-1926-SM-4PQZO 40-49 years, male 138.8
GTEX-13VXT-1726-SM-5IFF5 20-29 years, female 138.5
GTEX-13OVK-1826-SM-6PALE 40-49 years, male 137.8
GTEX-1I4MK-1326-SM-B2LWT 50-59 years, female 137.2
GTEX-1MCC2-2226-SM-EV7AJ 30-39 years, female 137.0
GTEX-17MFQ-1626-SM-7938Z 20-29 years, male 136.8
GTEX-1IY9M-2926-SM-A96TH 60-69 years, male 136.8
GTEX-ZG7Y-2426-SM-DO11H 50-59 years, male 136.8
GTEX-1S82P-0726-SM-EVR4O 60-69 years, female 136.0
GTEX-13G51-2426-SM-5LZY8 60-69 years, male 135.6
GTEX-13NYB-2426-SM-5IFF4 40-49 years, male 135.4
GTEX-X261-2426-SM-4PQZU 50-59 years, male 135.4
GTEX-1IDJD-2526-SM-C1YSA 30-39 years, male 135.4
GTEX-Y111-2626-SM-4TT24 50-59 years, male 135.3
GTEX-YB5K-1726-SM-5IFIZ 40-49 years, female 135.3
GTEX-1P4AB-2926-SM-EXOJR 50-59 years, male 135.0
GTEX-13113-1526-SM-5EGHV 60-69 years, female 134.7
GTEX-1C4CL-2026-SM-731EB 30-39 years, male 134.7
GTEX-13OVL-2926-SM-5IFG3 50-59 years, male 134.5
GTEX-X15G-2126-SM-4PQZR 50-59 years, female 134.4
GTEX-ZPU1-2326-SM-57WEP 40-49 years, male 134.1
GTEX-ZXG5-2826-SM-5NQ8T 60-69 years, male 133.4
GTEX-1192X-2926-SM-5N9BA 50-59 years, male 133.3
GTEX-14PJ3-1526-SM-664O9 50-59 years, male 133.0
GTEX-1RNSC-2926-SM-EV79L 60-69 years, male 132.7
GTEX-1QP9N-2026-SM-DPRZT 30-39 years, male 132.1
GTEX-11EMC-2526-SM-5PNVU 60-69 years, female 131.9
GTEX-1HCU7-0126-SM-C1YR3 50-59 years, male 131.9
GTEX-178AV-1426-SM-6LLID 40-49 years, male 131.5
GTEX-1B97J-2126-SM-79OL6 50-59 years, female 131.4
GTEX-11NV4-1926-SM-5N9D4 60-69 years, male 131.3
GTEX-131XH-2626-SM-5GCNP 50-59 years, male 129.9
GTEX-13O21-1926-SM-5MR39 50-59 years, male 129.4
GTEX-WFJO-2026-SM-4LVM3 30-39 years, male 129.2
GTEX-1IDJC-1626-SM-AHZ2R 50-59 years, male 129.2
GTEX-1J8QM-1826-SM-A96TA 60-69 years, female 129.0
GTEX-12WSL-2126-SM-5GCNG 50-59 years, male 128.9
GTEX-1LVAO-2626-SM-EVR4S 60-69 years, male 128.2
GTEX-1J8EW-2826-SM-A96T9 60-69 years, female 127.9
GTEX-1I6K6-0626-SM-ARU7J 30-39 years, male 127.2
GTEX-1JN1M-2426-SM-ARU93 60-69 years, female 126.0
GTEX-1HSGN-0626-SM-A9G2E 40-49 years, female 124.9
GTEX-1IOXB-2826-SM-AHZ32 50-59 years, male 124.7
GTEX-11ZTS-3026-SM-5EQM7 60-69 years, female 124.6
GTEX-1C64N-2926-SM-79OLM 50-59 years, male 124.6
GTEX-1CB4I-2526-SM-7MKG1 50-59 years, male 124.6
GTEX-1C6VR-0726-SM-7P8OV 60-69 years, male 123.2
GTEX-12WSN-2226-SM-5DUXT 40-49 years, male 122.3
GTEX-1KD4Q-2526-SM-CXZKL 40-49 years, male 120.9
GTEX-13QJC-2326-SM-5Q5CD 60-69 years, female 120.3
GTEX-1GZ2Q-2526-SM-9KNVW 40-49 years, male 119.1
GTEX-1IE54-0826-SM-AHZ2Z 40-49 years, female 118.6
GTEX-13JVG-2926-SM-5J2N9 60-69 years, male 118.3
GTEX-1HSEH-1826-SM-A96SA 60-69 years, male 116.2
GTEX-1HSMQ-0926-SM-A96SI 50-59 years, male 116.1
GTEX-1H4P4-2026-SM-9WPNV 50-59 years, male 114.6
GTEX-ZE7O-2926-SM-51MSG 50-59 years, female 112.7
GTEX-1117F-3026-SM-5GZYU 60-69 years, female 110.9
GTEX-1H1CY-2326-SM-9OSXW 60-69 years, female 107.2
GTEX-14E1K-2626-SM-664OJ 50-59 years, male 106.8
GTEX-WOFM-2126-SM-4OOSR 20-29 years, male 106.1
GTEX-1LC47-2426-SM-DHXKK 60-69 years, male 104.5
Show allShow less

SALIVARY GLAND - FANTOM5 CAGEi

RNA expression in human tissues obtained through Cap Analysis of Gene Expression (CAGE) generated by the FANTOM5 project are reported as Scaled Tags Per Million.

Max subtype Scaled Tags Per Millioni

Max subtype Scaled Tags Per Million is the value for the subtype with the largest average Scaled Tags Per Million across the subtype samples.

197.1
FANTOM5 sample id Sample description Scaled Tags Per Million
Parotid gland
Scaled Tags Per Million: 192.4
FF:10199-103F1 23 years, male 192.4
Salivary gland
Scaled Tags Per Million: 197.1
FF:10093-102C3 16-60 years, mixed 197.1
Submaxillary gland
Scaled Tags Per Million: 130.2
FF:10202-103F4 24 years, male 130.2

Contact

  • NEWS ARTICLES
  • PRESS ROOM

The Project

  • INTRODUCTION
  • ORGANIZATION
  • PUBLICATIONS

The Human Protein Atlas

  • DOWNLOADABLE DATA
  • LICENCE & CITATION
  • HELP & FAQ
The Human Protein Atlas project is funded
by the Knut & Alice Wallenberg Foundation.


contact@proteinatlas.org