We use cookies to enhance the usability of our website. If you continue, we'll assume that you are happy to receive all cookies. More information. Don't show this again.
ANKRD37
HPA
RESOURCES
  • TISSUE
  • BRAIN
  • SINGLE CELL
  • SUBCELLULAR
  • CANCER
  • BLOOD
  • CELL LINE
  • STRUCTURE & INTERACTION
ABOUT
  • INTRODUCTION
  • HISTORY
  • ORGANIZATION
  • PUBLICATIONS
  • ANTIBODY SUBMISSION
  • ANTIBODY AVAILABILITY
  • ACKNOWLEDGMENTS
  • CONTACT
NEWS
  • NEWS ARTICLES
  • PRESS ROOM
LEARN
  • DICTIONARY
  • PROTEIN CLASSES
  • PROTEIN EVIDENCE
  • METHODS
  • EDUCATIONAL VIDEOS
DATA
  • DOWNLOADABLE DATA
  • PUBLICATION DATA
  • RELEASE HISTORY
HELP
  • ANTIBODY VALIDATION
  • ASSAYS & ANNOTATION
  • DISCLAIMER
  • HELP & FAQ
  • PRIVACY STATEMENT
  • LICENCE & CITATION
Fields »
Search result

Field
Term
Gene name
Class
Subclass
Class
Keyword
Chromosome
External id
Tissue
Cell type
Expression
Antibody panel
Tissue
Main location
Patient ID
Annotation
Tissue
Category
Tau score
Cluster
Reliability
Brain region
Category
Tau score
Brain region
Category
Tau score
Brain region
Category
Tau score
Cluster
Reliability
Tissue
Cell type
Enrichment
Cell type
Category
Tau score
Cell type
Category
Tau score
Cell type
Category
Tau score
Cell lineage
Category
Tau score
Cluster
Cluster
Location
Searches
Location
Cell line
Class
Type
Phase
Reliability
Cancer
Prognosis
Cancer
Category
Cancer
Category
Tau score
Cluster
Variants
Interacting gene (ensg_id)
Type
Number of interactions
Pathway
Category
Score
Score
Score
Validation
Validation
Validation
Validation
Antibodies
Data type
Column


  • SUMMARY

  • TISSUE

  • BRAIN

  • SINGLE CELL

  • SUBCELL

  • CANCER

  • BLOOD

  • CELL LINE

  • STRUCT & INT

  • ANKRD37
TISSUE PRIMARY DATA ESOPHAGUS Show tissue menu
ADIPOSE TISSUE ADRENAL GLAND AMYGDALA APPENDIX BASAL GANGLIA BONE MARROW BREAST BRONCHUS CEREBELLUM CEREBRAL CORTEX CERVIX CHOROID PLEXUS COLON DUODENUM
ENDOMETRIUM EPIDIDYMIS ESOPHAGUS FALLOPIAN TUBE GALLBLADDER HEART MUSCLE HIPPOCAMPAL FORMATION HYPOTHALAMUS KIDNEY LIVER LUNG LYMPH NODE MIDBRAIN NASOPHARYNX
ORAL MUCOSA OVARY PANCREAS PARATHYROID GLAND PITUITARY GLAND PLACENTA PROSTATE RECTUM RETINA SALIVARY GLAND SEMINAL VESICLE SKELETAL MUSCLE SKIN SMALL INTESTINE
SMOOTH MUSCLE SOFT TISSUE SPINAL CORD SPLEEN STOMACH TESTIS THYMUS THYROID GLAND TONGUE TONSIL URINARY BLADDER VAGINA
ANTIBODIES
AND
VALIDATION
Dictionary
Esophagus
Tissue proteome
Esophagus
ESOPHAGUS - Expression summary
Protein expression
Esophagusi

On the top, protein expression in current human tissue, based on all annotated cell types, is reported with the units not detected (n), low (l), medium (m) and high (h). Underneath, protein expression in each annotated cell type are reported using the same units.

Protein expression data is based on knowledge-based annotation. For genes where more than one antibody has been used, a collective score is set.

If knowledge-based annotation could not be performed for a gene, no data is displayed here. View antibody staining data further down this page.

h
m
l
n
Squamous epithelial cells: Medium
RNA expressioni

A summary of mRNA expression data available for current tissue based on several datasets. The mRNA expression levels in human tissues are based on RNA-seq data generated by the Human Protein Atlas (HPA), Genotype-Tissue Expression (GTEx) portal and CAGE data generated by the FANTOM5 consortium. Consensus normalized expression levels for human tissues was created by combining the data from HPA and GTEx datasets.

The mRNA expression levels in pig are based on RNA-seq data generated by the Human Protein Atlas (HPA), and for mouse, HPA data and in situ hybridization generated by the Allen brain atlas are reported.

Scroll down to view mRNA expression data in more detail.
Consensus:67.3 nTPM
HPA:67.3 nTPM
GTEx:57.2 nTPM
FANTOM5:58.5 Scaled Tags Per Million

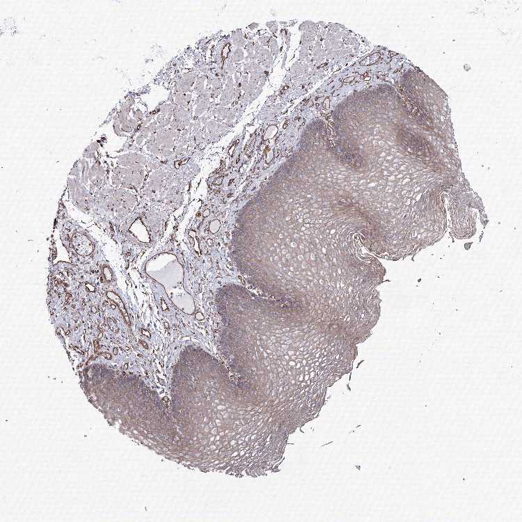
ESOPHAGUS - Antibody stainingi

Antibody staining in the annotated cell types in the current human tissue is reported as not detected, low, medium, or high, based on conventional immunohistochemistry profiling in selected tissues. This score is based on the combination of the staining intensity and fraction of stained cells.

Each image is clickable and will lead to virtual microscopy that enables deeper exploration of all samples and also displays staining intensity scores, fraction scores and subcellular localization as well as patient and tissue information for each sample.

Antibody HPA036626Antibody HPA058127
Squamous epithelial cells MediumMedium



ESOPHAGUS - HPA RNA-seqi

The RNA-seq details section shows detailed information about the individual samples used for the transcript profiling and results of the RNA-seq analysis.

Information about each individual sample is listed below, including gender, age, a tissue section image and estimated fractions of cell types. nTPM (normalized transcripts per million) values give a quantification of the gene abundance which is comparable between different genes and samples.
Average nTPMi

Max subtype nTPM is the value for the subtype with the largest average nTPM across the subtype samples.

67.3
overview
Female, age 70
Esophagus sample 130
nTPM: 51.2
Cell types%
Squamous epithelial cells:
35

Smooth muscle cells:
15

Skeletal muscle cells:
5

Other cell types:
45

overview
Male, age 38
Esophagus sample 131
nTPM: 31.5
Cell types%
Squamous epithelial cells:
60

Smooth muscle cells:
20

Other cell types:
20

overview
Male, age 76
Esophagus sample 132
nTPM: 119.3
Cell types%
Squamous epithelial cells:
45

Smooth muscle cells:
15

Other cell types:
40


ESOPHAGUS - GTEx RNA-seqi

RNA-Seq data generated by the Genotype-Tissue Expression (GTEx) project from human tissues is reported as mean nTPM. More information can be found on the GTEx portal.

Distribution across the dataset is visualized with box plots, shown as median and 25th and 75th percentiles. Points are displayed as outliers if they are above or below 1.5 times the interquartile range. nTPM values of the individual samples are presented next to the box plot.
Max subtype nTPMi

Max subtype nTPM is the value for the subtype with the largest average nTPM across the subtype samples.

57.2
GTEx sample id Sample description nTPM
Esophagus - Mucosa
Average nTPM: 57.2
Samples: 555

Max nTPM: 512.9
Min nTPM: 0.9
Std nTPM: 76.4
Median nTPM: 24.8
GTEX-17JCI-1226-SM-793D9 60-69 years, female 512.9
GTEX-1EKGG-1726-SM-7MXUP 60-69 years, male 510.9
GTEX-15EOM-5013-SM-7MKF9 20-29 years, female 452.8
GTEX-1MCQQ-1026-SM-EV7AX 60-69 years, male 389.1
GTEX-WYVS-0726-SM-4ONDO 40-49 years, female 376.4
GTEX-1269C-1026-SM-5N9EY 60-69 years, female 367.5
GTEX-145LU-0926-SM-79OJL 50-59 years, male 322.9
GTEX-11GSP-1826-SM-5N9DQ 60-69 years, female 320.4
GTEX-1MA7X-0726-SM-EV7AB 60-69 years, male 309.6
GTEX-1GMR3-1526-SM-9JGGL 40-49 years, male 309.2
GTEX-POYW-1326-SM-48TCG 60-69 years, male 307.4
GTEX-18D9A-0526-SM-7KFSW 30-39 years, female 289.0
GTEX-1F88F-1126-SM-7MKHL 60-69 years, female 287.0
GTEX-S95S-0426-SM-4B64I 60-69 years, male 281.3
GTEX-1CAMQ-2726-SM-7MKGD 40-49 years, male 276.0
GTEX-17EVQ-1926-SM-7IGOF 70-79 years, male 274.5
GTEX-1AMFI-0226-SM-731D5 50-59 years, female 264.5
GTEX-OIZG-1026-SM-3LK5X 50-59 years, male 262.6
GTEX-R55G-1026-SM-48FDI 40-49 years, female 262.6
GTEX-139YR-1726-SM-5IFFK 50-59 years, male 260.6
GTEX-X4XY-1726-SM-46MVO 60-69 years, male 257.0
GTEX-11TUW-1326-SM-5EQKV 60-69 years, male 251.0
GTEX-1KXAM-0826-SM-CXZK9 60-69 years, male 249.8
GTEX-OIZH-0626-SM-3NB1L 50-59 years, male 247.3
GTEX-1QEPI-1826-SM-EAZ3J 60-69 years, female 238.3
GTEX-12ZZY-1426-SM-5N9EI 60-69 years, male 234.8
GTEX-117YW-1926-SM-5H121 50-59 years, male 225.7
GTEX-T5JC-1726-SM-4DM6U 20-29 years, male 220.2
GTEX-Q2AH-0826-SM-48TZN 40-49 years, male 216.1
GTEX-OXRN-1726-SM-3NM9B 50-59 years, male 214.4
GTEX-XK95-1026-SM-4GIDV 40-49 years, male 211.9
GTEX-1I1GR-1326-SM-ARU7B 60-69 years, male 210.9
GTEX-16Z82-1926-SM-6M47U 60-69 years, male 208.0
GTEX-18QFQ-1026-SM-7LG6B 30-39 years, male 206.6
GTEX-1K2DU-1726-SM-EV79S 20-29 years, male 204.9
GTEX-1IDJH-2026-SM-CNNQX 70-79 years, male 202.7
GTEX-16A39-1026-SM-6LPJU 30-39 years, female 198.5
GTEX-1CB4H-1526-SM-7MXU4 60-69 years, female 198.5
GTEX-WHSE-1526-SM-4M1XH 20-29 years, male 193.8
GTEX-13SLX-1726-SM-5Q5E5 50-59 years, female 193.4
GTEX-18A6Q-1226-SM-7KFS9 60-69 years, male 189.2
GTEX-1EH9U-2426-SM-7EWFG 60-69 years, male 186.3
GTEX-U8XE-1726-SM-4E3IF 30-39 years, male 178.2
GTEX-ZT9W-1326-SM-51MTB 50-59 years, male 172.9
GTEX-ZF29-1326-SM-DNZYV 60-69 years, female 172.9
GTEX-O5YV-1026-SM-3LK72 60-69 years, female 171.0
GTEX-1399S-1326-SM-5P9GH 30-39 years, female 166.9
GTEX-1HB9E-1526-SM-D3LA6 50-59 years, male 166.9
GTEX-ZLWG-1326-SM-DNZYZ 50-59 years, female 165.7
GTEX-1211K-0926-SM-5FQTL 60-69 years, female 165.6
GTEX-YEC4-1026-SM-9WG7N 40-49 years, male 164.2
GTEX-1HSKV-2426-SM-A8N8K 60-69 years, male 160.1
GTEX-X4EP-1626-SM-4QAS6 60-69 years, female 159.4
GTEX-1RDX4-2126-SM-EV7B3 50-59 years, female 158.7
GTEX-1122O-1726-SM-5GICM 60-69 years, female 157.4
GTEX-111CU-0726-SM-5GZYD 50-59 years, male 157.2
GTEX-12BJ1-1626-SM-5HL8Y 60-69 years, male 153.2
GTEX-14JIY-0926-SM-6871D 60-69 years, male 151.8
GTEX-ZE9C-1126-SM-4WWBD 60-69 years, male 151.6
GTEX-15RIF-0826-SM-6M47C 20-29 years, male 149.6
GTEX-Y3IK-1126-SM-51MSV 50-59 years, female 147.6
GTEX-131XE-1426-SM-5HL7V 50-59 years, male 145.8
GTEX-13QJ3-1726-SM-5RQK9 50-59 years, male 144.2
GTEX-15DYW-1826-SM-6LPIY 60-69 years, female 140.2
GTEX-RU1J-0326-SM-46MUM 20-29 years, female 140.2
GTEX-1KANA-0626-SM-D4P3I 20-29 years, male 137.2
GTEX-1NSGN-2026-SM-DPRYM 50-59 years, male 136.6
GTEX-17HII-1526-SM-9OSVD 50-59 years, male 135.3
GTEX-NFK9-1126-SM-3LK78 40-49 years, male 134.2
GTEX-1H23P-1426-SM-9JGH5 60-69 years, male 133.7
GTEX-S4Q7-0626-SM-4AD5M 20-29 years, male 133.1
GTEX-1A32A-1826-SM-72D5G 50-59 years, female 128.9
GTEX-1F75I-1726-SM-7MKGW 40-49 years, male 128.6
GTEX-T6MO-0526-SM-4DM6R 40-49 years, female 128.6
GTEX-12C56-1226-SM-5FQSU 20-29 years, male 124.5
GTEX-QDVJ-0726-SM-48U1W 50-59 years, male 123.6
GTEX-UPK5-1226-SM-4IHL8 40-49 years, male 123.2
GTEX-1H11D-2126-SM-9OSXM 40-49 years, male 122.8
GTEX-13NZB-1226-SM-5J2MW 30-39 years, male 122.7
GTEX-1MCYP-1026-SM-DPRYB 20-29 years, female 121.7
GTEX-1JMQJ-1226-SM-D3L97 50-59 years, male 119.9
GTEX-1399Q-1126-SM-5P9JA 40-49 years, male 118.2
GTEX-ZAK1-1526-SM-5S2OV 50-59 years, female 118.1
GTEX-1R9K4-1926-SM-DPRZW 60-69 years, male 117.9
GTEX-U4B1-0826-SM-4DXTW 40-49 years, male 116.3
GTEX-11P7K-1326-SM-5BC5G 30-39 years, male 115.2
GTEX-13PVR-1826-SM-5Q5CC 60-69 years, female 114.9
GTEX-18A66-1426-SM-7KFRT 60-69 years, male 114.7
GTEX-17F96-2526-SM-7DHL3 70-79 years, male 114.6
GTEX-OXRP-0926-SM-48TC1 60-69 years, female 114.6
GTEX-ZC5H-1326-SM-5HL7E 40-49 years, female 111.6
GTEX-ZG7Y-1126-SM-4WWEZ 50-59 years, male 110.3
GTEX-11ONC-1526-SM-5GU6S 60-69 years, male 109.1
GTEX-XBEW-1326-SM-4AT63 40-49 years, male 109.1
GTEX-1KAFJ-0626-SM-D3L8X 50-59 years, male 106.4
GTEX-1ICG6-1926-SM-ARU7L 70-79 years, female 105.8
GTEX-WHPG-1126-SM-4M1XT 50-59 years, male 105.2
GTEX-Y114-0926-SM-4TT7J 50-59 years, female 102.9
GTEX-14AS3-0626-SM-5QGQD 40-49 years, female 102.4
GTEX-14DAR-0826-SM-73KYJ 50-59 years, male 100.3
GTEX-UPJH-1026-SM-EAZB2 50-59 years, male 99.8
GTEX-ZLV1-0526-SM-4WWD4 60-69 years, female 99.5
GTEX-13X6K-2126-SM-5O9D4 60-69 years, female 98.8
GTEX-RN64-1026-SM-48FDX 50-59 years, male 97.7
GTEX-TML8-1526-SM-4DXUX 40-49 years, female 97.7
GTEX-VUSG-1226-SM-4KKZF 50-59 years, male 96.8
GTEX-QVUS-0626-SM-447CC 60-69 years, female 95.0
GTEX-12KS4-0926-SM-5BC5S 30-39 years, male 94.4
GTEX-11DXZ-1226-SM-5H11L 50-59 years, male 93.5
GTEX-P4QT-0626-SM-3NMCP 50-59 years, female 92.8
GTEX-13OVI-2626-SM-5KM4T 60-69 years, female 91.6
GTEX-YFC4-1226-SM-5LU9R 40-49 years, female 90.5
GTEX-ZLFU-1126-SM-DO11K 40-49 years, male 90.5
GTEX-WVLH-1426-SM-4MVNX 50-59 years, male 90.1
GTEX-V1D1-1026-SM-4JBHE 50-59 years, male 88.8
GTEX-14ICK-2026-SM-6AJB2 40-49 years, male 87.9
GTEX-R55C-0826-SM-48FCL 40-49 years, male 87.1
GTEX-1JMPY-0826-SM-AHZ4A 30-39 years, male 85.2
GTEX-Y5LM-1026-SM-4VDSQ 40-49 years, female 83.0
GTEX-ZQUD-0426-SM-57WFR 30-39 years, male 82.2
GTEX-PLZ6-0526-SM-3P61C 30-39 years, male 81.3
GTEX-RVPV-0526-SM-47JYL 60-69 years, male 81.0
GTEX-XXEK-0326-SM-4BRVV 50-59 years, male 79.8
GTEX-14PJ5-0526-SM-664OE 60-69 years, female 78.6
GTEX-13OW8-2326-SM-5L3I9 60-69 years, male 77.6
GTEX-14C5O-1626-SM-73KYH 60-69 years, male 77.5
GTEX-13YAN-1926-SM-7EPH9 60-69 years, male 77.4
GTEX-14A6H-1326-SM-5NQBC 30-39 years, male 77.0
GTEX-ZDTT-1326-SM-4WKFH 60-69 years, male 76.4
GTEX-1HFI6-1226-SM-A96SK 40-49 years, male 76.1
GTEX-14PJM-1526-SM-664NY 50-59 years, female 75.9
GTEX-N7MT-0326-SM-48TDP 60-69 years, female 75.7
GTEX-1HCVE-1226-SM-9WPPH 50-59 years, male 75.6
GTEX-R53T-1126-SM-48FD4 50-59 years, female 74.6
GTEX-XQ8I-1526-SM-4BOOH 50-59 years, male 73.6
GTEX-1J1OQ-2526-SM-AHZ3Q 40-49 years, female 73.4
GTEX-14PJ3-0626-SM-6UGC5 50-59 years, male 72.9
GTEX-1PPGY-1726-SM-EVR3S 60-69 years, male 72.9
GTEX-1N2EE-2426-SM-EXOIO 60-69 years, male 72.2
GTEX-14PK6-1326-SM-686ZE 70-79 years, female 71.3
GTEX-14H4A-1626-SM-5SI69 40-49 years, female 70.9
GTEX-18D9B-2026-SM-7LT96 60-69 years, male 70.7
GTEX-ZPCL-1426-SM-57WEC 60-69 years, female 69.3
GTEX-PVOW-1626-SM-48TC9 40-49 years, male 69.0
GTEX-ZV68-0926-SM-59HK7 50-59 years, female 68.4
GTEX-11I78-1526-SM-5A5K7 50-59 years, female 68.0
GTEX-1C6VQ-1826-SM-7EWEH 50-59 years, male 67.8
GTEX-1I1GQ-1726-SM-B2LWZ 50-59 years, male 67.6
GTEX-Y9LG-0626-SM-4WWDH 30-39 years, male 67.4
GTEX-18A67-2426-SM-7LT95 50-59 years, male 67.2
GTEX-1J8QM-1926-SM-AHZ3Z 60-69 years, female 65.1
GTEX-15RIE-0826-SM-6M47X 60-69 years, male 64.9
GTEX-T2YK-1326-SM-4DM6S 50-59 years, male 63.0
GTEX-1HCU8-2226-SM-9WPOV 60-69 years, female 62.2
GTEX-ZF2S-1226-SM-4WWAX 50-59 years, female 61.5
GTEX-1IKOE-1526-SM-C1YSD 30-39 years, female 61.3
GTEX-1B996-1826-SM-7MGY6 60-69 years, male 61.1
GTEX-13FHP-1526-SM-5IJGE 50-59 years, male 60.9
GTEX-147F3-0826-SM-5NQA7 50-59 years, female 60.6
GTEX-18465-1126-SM-7LG6E 50-59 years, male 60.5
GTEX-1399R-0826-SM-5IJEL 30-39 years, male 59.4
GTEX-1B933-2026-SM-7EWFC 50-59 years, female 59.1
GTEX-Y5V5-1626-SM-4VDSG 60-69 years, female 58.1
GTEX-ZTSS-0626-SM-59867 40-49 years, male 58.0
GTEX-1EWIQ-1526-SM-79OO7 70-79 years, female 57.9
GTEX-14E6E-0726-SM-5S2R3 30-39 years, male 56.5
GTEX-1B8KE-1826-SM-731FD 50-59 years, male 56.5
GTEX-1HBPH-1126-SM-A96TU 40-49 years, female 56.5
GTEX-13OVK-1126-SM-6PAMR 40-49 years, male 56.3
GTEX-11EM3-0826-SM-5N9CC 20-29 years, female 55.8
GTEX-11P82-0526-SM-5986P 20-29 years, male 55.6
GTEX-1R9PM-0926-SM-DPRYA 20-29 years, male 55.5
GTEX-XQ3S-1126-SM-4BOPK 20-29 years, male 54.7
GTEX-17HHE-0926-SM-7938K 50-59 years, male 54.3
GTEX-13FH7-0526-SM-5IJF8 50-59 years, female 54.2
GTEX-ZA64-0626-SM-5HL9O 20-29 years, male 53.9
GTEX-WHSB-0426-SM-4M1XI 50-59 years, male 53.6
GTEX-1CB4E-1026-SM-793AB 60-69 years, male 53.1
GTEX-1PIGE-0926-SM-E9U5Z 20-29 years, male 52.0
GTEX-ZUA1-1226-SM-5NQ6O 40-49 years, male 51.2
GTEX-14E1K-1226-SM-5S2PD 50-59 years, male 51.1
GTEX-WEY5-0926-SM-4LMI4 40-49 years, female 51.1
GTEX-Q2AI-0626-SM-48TZU 40-49 years, male 50.2
GTEX-PLZ4-1626-SM-3P618 50-59 years, female 50.0
GTEX-1R7EU-0826-SM-DPRZL 60-69 years, male 50.0
GTEX-RWS6-0826-SM-47JXF 60-69 years, female 49.5
GTEX-T8EM-0526-SM-4DM64 40-49 years, male 49.5
GTEX-U3ZM-0526-SM-4DXTB 40-49 years, male 49.3
GTEX-SNMC-0526-SM-4DM69 20-29 years, male 49.2
GTEX-17F98-1726-SM-7938O 40-49 years, female 49.0
GTEX-1S83E-0826-SM-EV7B7 40-49 years, male 48.9
GTEX-1JK1U-1726-SM-CNNPM 60-69 years, male 48.4
GTEX-ZYFC-1626-SM-5N9EU 50-59 years, male 47.4
GTEX-1C64O-1826-SM-7DHM4 60-69 years, male 47.2
GTEX-REY6-1326-SM-48FDO 60-69 years, male 46.9
GTEX-17EUY-1426-SM-7938X 20-29 years, male 46.6
GTEX-XMK1-1326-SM-4B65Q 40-49 years, male 46.6
GTEX-R55E-1326-SM-48FCR 20-29 years, male 46.5
GTEX-1AX9J-1826-SM-731FM 60-69 years, male 45.7
GTEX-P4PQ-0626-SM-3NMCU 60-69 years, male 45.4
GTEX-PWCY-0726-SM-48TCS 20-29 years, female 44.6
GTEX-SNOS-0626-SM-4DM5F 40-49 years, male 44.5
GTEX-111YS-0926-SM-5EGGI 60-69 years, male 43.7
GTEX-1GMR2-1526-SM-7MXV6 50-59 years, male 43.6
GTEX-15UF7-0926-SM-6M46F 40-49 years, male 43.2
GTEX-1212Z-2126-SM-5FQTM 60-69 years, male 43.1
GTEX-12ZZX-1326-SM-5DUWI 40-49 years, female 43.0
GTEX-ZYT6-1126-SM-5GZYR 30-39 years, male 42.9
GTEX-YB5K-0826-SM-5YYB7 40-49 years, female 42.7
GTEX-1AX9I-1426-SM-7DHM8 60-69 years, male 41.8
GTEX-18A7A-2326-SM-7KFRH 50-59 years, female 41.6
GTEX-1GN1W-2226-SM-9JGI5 50-59 years, female 41.0
GTEX-131YS-1426-SM-5IJF7 60-69 years, female 40.9
GTEX-1JKYN-1526-SM-CGQGA 30-39 years, male 40.9
GTEX-13G51-0926-SM-5IFFU 60-69 years, male 40.8
GTEX-1LSNL-2226-SM-DHXKM 50-59 years, male 40.7
GTEX-QV44-1126-SM-CL55C 50-59 years, male 40.7
GTEX-1IDFM-1126-SM-A96SY 60-69 years, male 39.9
GTEX-1R9JW-1526-SM-DPRZK 30-39 years, female 39.6
GTEX-U3ZN-1726-SM-4DXUQ 30-39 years, female 39.4
GTEX-11ZU8-1526-SM-5EGHX 60-69 years, male 39.3
GTEX-132QS-1426-SM-5P9GE 60-69 years, male 38.5
GTEX-1H1ZS-1526-SM-9OSXR 70-79 years, male 38.2
GTEX-11EQ9-0726-SM-5A5K2 30-39 years, male 37.2
GTEX-15ER7-2126-SM-7939E 20-29 years, female 37.2
GTEX-15RJE-0926-SM-6LLHZ 40-49 years, male 36.9
GTEX-1IKK5-1326-SM-AHZ2X 60-69 years, male 36.9
GTEX-131XG-1026-SM-5GCMX 50-59 years, female 36.7
GTEX-WYJK-1926-SM-4ONDP 50-59 years, male 36.5
GTEX-11XUK-0826-SM-5GU6P 40-49 years, female 36.4
GTEX-12696-1326-SM-5FQTJ 60-69 years, male 36.3
GTEX-146FH-1726-SM-5QGQ2 50-59 years, female 36.0
GTEX-14PJ4-1526-SM-664OA 60-69 years, male 36.0
GTEX-1LG7Y-1726-SM-EV7AR 50-59 years, male 35.9
GTEX-XV7Q-1126-SM-4BRVS 40-49 years, female 35.8
GTEX-Y3I4-1226-SM-4TT8N 50-59 years, male 35.6
GTEX-Y8E4-1726-SM-5LU9G 40-49 years, male 35.5
GTEX-1L5NE-1426-SM-DHXKV 50-59 years, male 35.5
GTEX-1RAZS-2626-SM-EV79C 50-59 years, male 35.5
GTEX-13PL7-0226-SM-731DT 60-69 years, female 35.0
GTEX-1LVAN-2326-SM-CNNPY 50-59 years, female 34.8
GTEX-14DAQ-1426-SM-5RQJD 60-69 years, female 34.7
GTEX-139T6-0626-SM-5IFF9 50-59 years, male 34.3
GTEX-132AR-2226-SM-5J2NT 50-59 years, female 33.7
GTEX-18D9U-2126-SM-7LG4Y 40-49 years, male 33.2
GTEX-16BQI-1526-SM-6LLIE 30-39 years, female 33.1
GTEX-ZYVF-2226-SM-5GIDD 50-59 years, female 32.2
GTEX-X4EO-1226-SM-4QARR 60-69 years, female 31.8
GTEX-13FTX-0526-SM-5IFGS 20-29 years, female 31.6
GTEX-144GM-1426-SM-5LU31 20-29 years, male 31.4
GTEX-SE5C-1226-SM-4BRWV 40-49 years, female 31.2
GTEX-14BIN-2726-SM-5RQIE 50-59 years, female 30.9
GTEX-OOBK-0625-SM-3LK5P 40-49 years, male 30.8
GTEX-12WSG-5007-SM-7DUGZ 50-59 years, female 30.3
GTEX-15SHU-1426-SM-6LPIN 40-49 years, female 29.9
GTEX-YF7O-0926-SM-5IFIF 50-59 years, male 29.6
GTEX-1LBAC-1226-SM-DHXK1 20-29 years, male 28.8
GTEX-1I1GS-2126-SM-ARU7G 60-69 years, male 28.7
GTEX-WQUQ-1626-SM-4OOSH 60-69 years, male 28.5
GTEX-1AYD5-0926-SM-793AF 50-59 years, male 28.4
GTEX-13FHO-1726-SM-DPRZX 60-69 years, male 28.1
GTEX-1CB4G-1326-SM-7MKFP 60-69 years, male 28.0
GTEX-ZXES-1126-SM-5GZXN 30-39 years, female 27.9
GTEX-QEG5-1426-SM-447AS 20-29 years, male 27.8
GTEX-1HKZK-1426-SM-A96U1 40-49 years, male 27.8
GTEX-183FY-1526-SM-7IGOW 20-29 years, male 27.7
GTEX-17HGU-1426-SM-7938G 50-59 years, male 27.5
GTEX-133LE-0626-SM-5IFFJ 20-29 years, female 26.8
GTEX-QLQ7-0926-SM-447BC 60-69 years, male 26.8
GTEX-ZVT2-1326-SM-5E45H 50-59 years, female 26.8
GTEX-UJHI-0826-SM-4IHLM 50-59 years, female 26.7
GTEX-12WSN-5013-SM-7P8P9 40-49 years, male 26.6
GTEX-1HBPM-1426-SM-9WPPE 60-69 years, female 26.6
GTEX-13D11-1926-SM-5IFGB 50-59 years, female 26.5
GTEX-145LS-1826-SM-5LUAZ 60-69 years, female 26.5
GTEX-ZY6K-0626-SM-59HJL 50-59 years, male 26.5
GTEX-ZGAY-1126-SM-4WWBS 40-49 years, female 26.0
GTEX-1BAJH-2026-SM-7P8OZ 70-79 years, male 24.8
GTEX-1RAZA-1326-SM-DPS12 20-29 years, male 24.7
GTEX-1C2JI-1126-SM-731FH 50-59 years, male 24.4
GTEX-1R9K5-1526-SM-DPRZA 50-59 years, male 24.4
GTEX-12WSA-1426-SM-5EGJU 60-69 years, male 24.2
GTEX-17KNJ-1326-SM-7KFTG 50-59 years, male 24.2
GTEX-1K2DA-0626-SM-CGQGO 50-59 years, male 24.2
GTEX-XBED-1026-SM-48TCB 60-69 years, male 24.0
GTEX-XYKS-1526-SM-4BRUP 60-69 years, female 24.0
GTEX-1HCU7-2126-SM-A96SG 50-59 years, male 24.0
GTEX-S341-0526-SM-4AD5U 40-49 years, female 23.9
GTEX-11NUK-1326-SM-5P9GN 50-59 years, male 23.7
GTEX-W5WG-1626-SM-4LMKG 50-59 years, female 23.2
GTEX-PWN1-0626-SM-48TDT 40-49 years, female 22.9
GTEX-1A8FM-1526-SM-7MXTA 50-59 years, female 22.9
GTEX-17MFQ-0526-SM-7KFTX 20-29 years, male 22.7
GTEX-QDVN-1026-SM-48TZA 50-59 years, male 22.7
GTEX-WFG8-1226-SM-4V6EI 20-29 years, male 22.7
GTEX-P4PP-0626-SM-3NM9X 30-39 years, female 22.2
GTEX-ZVP2-1326-SM-57WCE 50-59 years, male 22.1
GTEX-1MGNQ-1626-SM-EAZ4Z 40-49 years, male 22.0
GTEX-1I1GU-1426-SM-B2LX3 40-49 years, male 21.9
GTEX-1PPH8-1626-SM-E6CQP 20-29 years, male 21.9
GTEX-11ZTS-2626-SM-5EGIC 60-69 years, female 21.7
GTEX-X62O-2226-SM-46MW3 50-59 years, male 21.7
GTEX-ZPU1-1426-SM-4WWFU 40-49 years, male 21.2
GTEX-11NSD-1126-SM-5N9BQ 20-29 years, male 21.0
GTEX-S33H-0826-SM-4AD5Y 30-39 years, male 20.7
GTEX-1LNCM-0626-SM-EV7AI 50-59 years, female 20.7
GTEX-1GL5R-1526-SM-7MKHO 50-59 years, male 20.6
GTEX-Y5V6-1026-SM-4VBS2 60-69 years, male 20.6
GTEX-1QCLY-1526-SM-DPRXX 30-39 years, male 20.5
GTEX-S4P3-0426-SM-4AD56 50-59 years, female 20.4
GTEX-1QPFJ-1226-SM-EAZ3M 30-39 years, female 20.3
GTEX-11EI6-1526-SM-5P9GL 60-69 years, male 20.2
GTEX-1N2DV-2026-SM-EV7BL 40-49 years, male 20.2
GTEX-X3Y1-1326-SM-4PQZB 40-49 years, male 20.1
GTEX-11DXY-1426-SM-5N9CN 60-69 years, male 20.0
GTEX-XGQ4-1526-SM-4AT6H 50-59 years, male 19.8
GTEX-13PVQ-1726-SM-5IFF3 50-59 years, male 19.6
GTEX-SJXC-1426-SM-EYYVB 60-69 years, male 19.4
GTEX-YJ89-1526-SM-5P9IR 60-69 years, male 19.2
GTEX-145MF-1426-SM-5O9B6 50-59 years, male 19.0
GTEX-ZTPG-1626-SM-5DUX2 20-29 years, female 18.9
GTEX-17F97-1326-SM-7MGVO 50-59 years, male 18.9
GTEX-1HGF4-0926-SM-9WPP8 60-69 years, male 18.7
GTEX-13W46-1926-SM-5J2MF 50-59 years, male 18.6
GTEX-1EU9M-2326-SM-7MKGS 60-69 years, male 18.6
GTEX-QESD-0826-SM-47J4G 20-29 years, male 18.4
GTEX-1KD4Q-1126-SM-CXZKK 40-49 years, male 18.3
GTEX-R55D-1126-SM-48FEB 50-59 years, male 18.2
GTEX-1IY9M-1626-SM-AHZ39 60-69 years, male 18.1
GTEX-TKQ1-0326-SM-4DXSM 30-39 years, male 17.9
GTEX-1GN73-1926-SM-9JGGS 60-69 years, male 17.9
GTEX-ZVE2-1326-SM-5NQ94 50-59 years, male 17.8
GTEX-1B8KZ-0726-SM-7938W 50-59 years, male 17.7
GTEX-R3RS-1326-SM-48FE7 40-49 years, female 17.7
GTEX-QEL4-1426-SM-447AC 50-59 years, male 17.6
GTEX-1QCLZ-1626-SM-E9U5R 60-69 years, female 17.6
GTEX-XMD2-1326-SM-4YCET 60-69 years, female 17.5
GTEX-16MT8-1326-SM-6M47R 60-69 years, female 17.0
GTEX-1CB4J-2426-SM-7MXVC 60-69 years, male 17.0
GTEX-1QW4Y-0526-SM-EAZ3V 30-39 years, male 17.0
GTEX-1F5PK-1526-SM-7MKGV 50-59 years, male 16.9
GTEX-WFON-0826-SM-4LVMI 40-49 years, male 16.4
GTEX-1I6K7-1426-SM-B2LXP 40-49 years, male 16.4
GTEX-OXRK-1326-SM-3NB1A 50-59 years, female 16.3
GTEX-1IDJF-1226-SM-C1YPX 20-29 years, male 16.3
GTEX-1LB8K-1326-SM-CXZKB 50-59 years, male 16.3
GTEX-1S82Y-1226-SM-EV7BD 40-49 years, male 16.1
GTEX-1GN1U-1826-SM-9JGH2 50-59 years, female 15.9
GTEX-1LG7Z-0926-SM-CXKYK 30-39 years, male 15.9
GTEX-1QP2A-1926-SM-EXOJ9 50-59 years, male 15.7
GTEX-131XF-0826-SM-5GICG 60-69 years, male 15.5
GTEX-15F5U-5010-SM-AHZ2D 40-49 years, male 15.4
GTEX-11DXX-1126-SM-5GZZK 60-69 years, female 15.2
GTEX-1RAZR-1226-SM-E6CRD 40-49 years, male 15.0
GTEX-14PJ6-1026-SM-686ZB 60-69 years, female 14.9
GTEX-1CB4F-1526-SM-7MKFM 60-69 years, male 14.8
GTEX-RM2N-0726-SM-48FD5 50-59 years, male 14.6
GTEX-S3XE-0926-SM-4AD4S 50-59 years, male 14.6
GTEX-ZYY3-1526-SM-5SIA9 60-69 years, female 14.5
GTEX-VJYA-0726-SM-4KL1T 60-69 years, male 14.3
GTEX-WXYG-1226-SM-4ONCJ 50-59 years, female 14.3
GTEX-OIZF-0626-SM-7MKHG 60-69 years, male 14.3
GTEX-14PHY-0626-SM-664NN 60-69 years, female 14.1
GTEX-11LCK-1726-SM-5S2OQ 30-39 years, male 13.9
GTEX-15DCD-1626-SM-6AJBH 70-79 years, female 13.9
GTEX-145LT-1126-SM-5LUA1 40-49 years, male 13.8
GTEX-1B97I-0926-SM-731DZ 40-49 years, male 13.8
GTEX-1MCC2-1926-SM-DHXJR 30-39 years, female 13.8
GTEX-S7SF-0926-SM-4AD4M 20-29 years, female 13.6
GTEX-QEG4-0726-SM-CNNRF 30-39 years, male 13.6
GTEX-YB5E-0926-SM-4WWDQ 40-49 years, male 13.4
GTEX-145MO-1426-SM-DTX9W 60-69 years, male 13.3
GTEX-13NYB-0926-SM-5IFFA 40-49 years, male 13.2
GTEX-145MN-1026-SM-5NQ9G 30-39 years, male 13.2
GTEX-OXRL-0626-SM-3NM9C 50-59 years, male 13.2
GTEX-1N2DW-1426-SM-EV7AZ 50-59 years, male 13.2
GTEX-16MTA-0826-SM-6LLIC 50-59 years, male 12.9
GTEX-1H3NZ-1326-SM-9JGHI 60-69 years, male 12.9
GTEX-15SB6-0726-SM-6M48F 50-59 years, female 12.7
GTEX-1AX9K-1126-SM-731DQ 50-59 years, male 12.5
GTEX-1EN7A-1226-SM-7MGX9 40-49 years, male 12.5
GTEX-OHPN-1026-SM-E9TI8 60-69 years, female 12.5
GTEX-14BMU-0926-SM-5S2QB 20-29 years, female 12.4
GTEX-X15G-0826-SM-4PQZD 50-59 years, female 12.3
GTEX-ZAB4-1126-SM-5HL86 40-49 years, male 12.3
GTEX-1I1GV-2226-SM-ARU7E 60-69 years, male 12.2
GTEX-1RLM8-0726-SM-E6CRH 50-59 years, male 12.1
GTEX-1J8EW-1326-SM-AHZ3S 60-69 years, female 12.0
GTEX-145LV-1326-SM-5S2QI 50-59 years, male 11.9
GTEX-1EX96-2226-SM-7MKGT 50-59 years, male 11.8
GTEX-Q2AG-1326-SM-43V8K 40-49 years, female 11.8
GTEX-Z9EW-0526-SM-5HL8S 40-49 years, male 11.8
GTEX-14PKV-1726-SM-6871U 20-29 years, female 11.5
GTEX-ZEX8-1426-SM-4WKHQ 50-59 years, male 11.5
GTEX-ZF3C-1626-SM-4WWB4 50-59 years, female 11.4
GTEX-T2IS-0826-SM-4DM6L 20-29 years, female 11.3
GTEX-13111-0826-SM-5LZV3 50-59 years, male 11.2
GTEX-1OKEX-1326-SM-E9J2U 60-69 years, male 11.2
GTEX-V955-1126-SM-4JBH3 60-69 years, male 11.1
GTEX-XUZC-0426-SM-4BOPE 30-39 years, female 11.1
GTEX-1MA7W-0426-SM-E9TJ5 20-29 years, female 11.1
GTEX-11VI4-0526-SM-5EQ48 40-49 years, female 11.0
GTEX-139UW-1126-SM-5IJEJ 60-69 years, male 11.0
GTEX-U3ZH-1026-SM-4DXUZ 30-39 years, male 10.8
GTEX-1GF9U-0826-SM-7MXTZ 40-49 years, female 10.8
GTEX-1IDJD-1626-SM-C1YRC 30-39 years, male 10.8
GTEX-17F9E-1926-SM-7IGQF 50-59 years, male 10.7
GTEX-1EMGI-1926-SM-7938Y 60-69 years, male 10.7
GTEX-13FLV-1126-SM-5J2NO 50-59 years, male 10.6
GTEX-X585-1226-SM-46MW7 50-59 years, male 10.5
GTEX-N7MS-1225-SM-3LK5G 60-69 years, male 10.4
GTEX-14BIM-1326-SM-7EWD1 60-69 years, female 10.3
GTEX-1GMR8-1826-SM-9WYUE 50-59 years, female 10.3
GTEX-1GTWX-1326-SM-9JGHU 60-69 years, male 10.2
GTEX-YEC3-2526-SM-CXZIH 50-59 years, male 10.1
GTEX-183WM-1726-SM-7KFT5 70-79 years, female 10.0
GTEX-R45C-1226-SM-48FEE 60-69 years, female 9.8
GTEX-1LVA9-2126-SM-DLHBY 50-59 years, male 9.7
GTEX-13OVG-0626-SM-5IFEP 60-69 years, male 9.6
GTEX-13CF3-1626-SM-5IFG9 60-69 years, female 9.5
GTEX-13O21-0626-SM-5IJDI 50-59 years, male 9.5
GTEX-139TU-1226-SM-5J2NL 60-69 years, male 9.4
GTEX-XLM4-2326-SM-4AT5E 60-69 years, male 9.4
GTEX-11P81-0826-SM-5P9GR 30-39 years, female 9.3
GTEX-15EU6-1626-SM-6LPKF 50-59 years, male 9.2
GTEX-QLQW-0526-SM-4R1KS 30-39 years, male 9.1
GTEX-1JMLX-2326-SM-CXZJP 50-59 years, male 9.1
GTEX-1QP28-1826-SM-EAZ4L 50-59 years, female 9.1
GTEX-12WSK-1126-SM-5LZV8 40-49 years, female 9.0
GTEX-146FQ-1026-SM-5LU8I 30-39 years, male 9.0
GTEX-1H1DE-1026-SM-9JGH6 20-29 years, male 9.0
GTEX-14ICL-0526-SM-5RQJ6 30-39 years, male 8.9
GTEX-WH7G-0926-SM-4LVMJ 40-49 years, male 8.9
GTEX-1J1R8-0326-SM-AHZ3D 40-49 years, male 8.9
GTEX-YECK-1626-SM-5IFHQ 60-69 years, male 8.8
GTEX-1LGRB-1626-SM-CNNR7 50-59 years, female 8.8
GTEX-1QP67-0726-SM-DPRY1 40-49 years, female 8.8
GTEX-1HSMQ-2026-SM-B2LY1 50-59 years, male 8.7
GTEX-144GN-0626-SM-5O9B2 50-59 years, male 8.6
GTEX-RNOR-1226-SM-48FDQ 50-59 years, female 8.6
GTEX-1LVAM-1126-SM-DHXKP 50-59 years, female 8.6
GTEX-S32W-0926-SM-4AD5X 50-59 years, female 8.5
GTEX-WFJO-0826-SM-4LVM5 30-39 years, male 8.5
GTEX-WK11-1026-SM-4OOS8 50-59 years, male 8.5
GTEX-1HC8U-1526-SM-9WPO4 40-49 years, female 8.5
GTEX-1497J-2726-SM-5SI9W 60-69 years, male 8.4
GTEX-15EO6-1026-SM-7KUG9 50-59 years, male 8.4
GTEX-13FTW-1626-SM-5KM4N 40-49 years, male 8.3
GTEX-13OVJ-1226-SM-5L3HA 50-59 years, female 8.3
GTEX-1E1VI-1526-SM-7IGQ2 50-59 years, male 8.3
GTEX-OIZI-1426-SM-3NB1T 40-49 years, male 8.3
GTEX-12WSD-1826-SM-5GCOA 60-69 years, female 8.2
GTEX-1AMEY-0226-SM-7189Q 30-39 years, female 8.1
GTEX-ZAB5-0926-SM-5CVMV 50-59 years, male 8.1
GTEX-11DZ1-2026-SM-5A5KG 50-59 years, male 8.0
GTEX-12ZZW-1726-SM-5DUVD 50-59 years, male 8.0
GTEX-1JMQK-2026-SM-C1YQN 60-69 years, male 8.0
GTEX-TSE9-1226-SM-4DXTM 60-69 years, female 7.9
GTEX-ZYFG-1126-SM-5GICY 60-69 years, female 7.9
GTEX-15RJ7-0926-SM-6LPJO 40-49 years, male 7.8
GTEX-1RAZQ-1726-SM-EAZ4T 30-39 years, male 7.7
GTEX-PLZ5-0926-SM-3TW8L 50-59 years, male 7.5
GTEX-RU72-0726-SM-46MUW 50-59 years, female 7.5
GTEX-1I4MK-0426-SM-B2LWQ 50-59 years, female 7.5
GTEX-QCQG-0626-SM-48U21 50-59 years, female 7.4
GTEX-UJMC-0926-SM-4IHLK 50-59 years, male 7.4
GTEX-1H1DG-1226-SM-9JGH3 70-79 years, male 7.4
GTEX-1M5QR-0726-SM-DHXK7 40-49 years, male 7.3
GTEX-1HSGN-1626-SM-A96U2 40-49 years, female 7.2
GTEX-1OJC3-0826-SM-DPRYU 20-29 years, male 7.2
GTEX-1F52S-1426-SM-7P8PU 60-69 years, female 7.1
GTEX-PSDG-1326-SM-48TD2 50-59 years, male 7.0
GTEX-145ME-5004-SM-7MGXP 40-49 years, female 7.0
GTEX-132Q8-1826-SM-5EGIY 60-69 years, male 6.9
GTEX-1LGOU-0526-SM-D3LAO 20-29 years, female 6.9
GTEX-15UF6-2326-SM-6M465 70-79 years, female 6.8
GTEX-ZZPT-1426-SM-5N9C5 50-59 years, male 6.8
GTEX-1HCUA-1426-SM-9WPP7 50-59 years, female 6.7
GTEX-1C475-0926-SM-7MKFI 40-49 years, female 6.5
GTEX-SUCS-0726-SM-4DM7J 70-79 years, male 6.5
GTEX-X4LF-0626-SM-4QASB 50-59 years, male 6.4
GTEX-1I1CD-1726-SM-A9G3P 60-69 years, female 6.4
GTEX-1JMPZ-2026-SM-C1YR8 30-39 years, male 6.3
GTEX-13O61-0926-SM-5IFFE 60-69 years, male 6.2
GTEX-12WSL-1526-SM-5GCP8 50-59 years, male 6.1
GTEX-1AX8Z-5016-SM-AHZ2B 60-69 years, male 6.0
GTEX-148VI-1026-SM-5TDDJ 60-69 years, female 5.9
GTEX-15ETS-1926-SM-7KUN5 40-49 years, female 5.9
GTEX-1CB4I-1026-SM-7MKFZ 50-59 years, male 5.9
GTEX-NPJ8-1926-SM-3MJGB 40-49 years, male 5.8
GTEX-1QP29-2126-SM-E6CPZ 50-59 years, male 5.8
GTEX-11DYG-1326-SM-5N9DO 60-69 years, male 5.7
GTEX-148VJ-1026-SM-5LU98 70-79 years, male 5.5
GTEX-1HBPI-0626-SM-9WPP4 50-59 years, male 5.3
GTEX-WFG7-1126-SM-4LMK3 20-29 years, male 5.1
GTEX-ZAJG-1326-SM-5S2NV 50-59 years, female 5.1
GTEX-ZZ64-0226-SM-5E44X 20-29 years, male 5.1
GTEX-1JKYR-2126-SM-CNNPC 20-29 years, male 5.0
GTEX-13O3Q-0826-SM-5IFGF 50-59 years, male 4.9
GTEX-P78B-1026-SM-3NMC4 40-49 years, female 4.9
GTEX-RUSQ-0826-SM-47JWW 50-59 years, male 4.9
GTEX-11TT1-0526-SM-5P9JO 20-29 years, male 4.8
GTEX-ZYW4-1326-SM-5E45N 60-69 years, male 4.8
GTEX-1399U-1026-SM-5J1OC 50-59 years, female 4.7
GTEX-1MJIX-0826-SM-DTXEO 40-49 years, male 4.7
GTEX-16XZY-0926-SM-7938M 70-79 years, male 4.6
GTEX-WRHK-0526-SM-4MVOF 20-29 years, female 4.6
GTEX-ZT9X-0526-SM-5GCOP 40-49 years, male 4.6
GTEX-1LSVX-1226-SM-DHXJN 60-69 years, male 4.6
GTEX-13X6I-1026-SM-5LU4C 60-69 years, male 4.5
GTEX-P4QS-0626-SM-3NMD1 60-69 years, male 4.5
GTEX-ZTX8-0226-SM-5E44D 20-29 years, male 4.5
GTEX-1HCU6-1326-SM-A96TZ 60-69 years, female 4.4
GTEX-169BO-0526-SM-793AK 50-59 years, male 4.3
GTEX-13U4I-1126-SM-5LU3S 40-49 years, female 4.2
GTEX-Y8LW-0726-SM-5IFI1 50-59 years, female 4.2
GTEX-13O1R-1326-SM-5IJF5 60-69 years, male 4.1
GTEX-13W3W-1626-SM-5LU35 60-69 years, female 4.1
GTEX-146FR-0426-SM-5SI97 60-69 years, female 4.0
GTEX-11EMC-2226-SM-5A5JW 60-69 years, female 3.9
GTEX-1A3MV-1326-SM-7LG6C 30-39 years, male 3.9
GTEX-1PFEY-0826-SM-E9U6A 30-39 years, male 3.9
GTEX-13S86-0826-SM-5SI6J 40-49 years, male 3.8
GTEX-144FL-2726-SM-5O98Z 50-59 years, male 3.6
GTEX-WHWD-0926-SM-4OORY 50-59 years, male 3.5
GTEX-1NUQO-1126-SM-DTX98 20-29 years, female 3.5
GTEX-13JVG-2026-SM-5KM1N 60-69 years, male 3.4
GTEX-14JG6-0926-SM-6871Y 30-39 years, female 3.4
GTEX-1I1GP-1026-SM-C1YRZ 50-59 years, male 3.4
GTEX-WOFM-0626-SM-4OOS3 20-29 years, male 3.3
GTEX-1B97J-1026-SM-7MXTE 50-59 years, female 3.3
GTEX-1GPI7-1026-SM-7MGY2 20-29 years, male 3.3
GTEX-13X6H-1326-SM-5LU42 50-59 years, female 3.1
GTEX-144GO-2726-SM-5O9A2 60-69 years, male 3.1
GTEX-1K9T9-2026-SM-CXZK3 50-59 years, female 3.1
GTEX-Y111-1626-SM-57WCY 50-59 years, male 3.0
GTEX-16NGA-1426-SM-718AC 40-49 years, female 2.9
GTEX-T5JW-1326-SM-4DM5G 20-29 years, female 2.9
GTEX-1F7RK-1526-SM-7P8T6 20-29 years, female 2.9
GTEX-13RTK-0526-SM-5S2QF 20-29 years, male 2.7
GTEX-13QBU-1026-SM-5LU3R 40-49 years, female 2.6
GTEX-14B4R-0326-SM-5TDDP 30-39 years, male 2.6
GTEX-16AAH-0726-SM-793A9 50-59 years, male 2.6
GTEX-1H3VY-2026-SM-9JGHK 50-59 years, male 2.6
GTEX-178AV-0526-SM-6LPJH 40-49 years, male 2.5
GTEX-14PJN-0526-SM-68724 30-39 years, male 2.4
GTEX-14C38-2126-SM-5RQJO 50-59 years, male 2.3
GTEX-1QP9N-0926-SM-E9U5S 30-39 years, male 2.3
GTEX-RTLS-1126-SM-46MUQ 60-69 years, female 2.2
GTEX-1F5PL-1726-SM-9QEGL 40-49 years, female 2.1
GTEX-16NPX-1626-SM-6LLI5 50-59 years, male 2.0
GTEX-15DCE-1326-SM-6LPJL 20-29 years, male 1.9
GTEX-TMMY-1126-SM-4DXSX 40-49 years, female 1.6
GTEX-ZDYS-0826-SM-4WWCR 50-59 years, male 1.4
GTEX-1KANB-1826-SM-DHXJU 50-59 years, male 0.9
Show allShow less

ESOPHAGUS - FANTOM5 CAGEi

RNA expression in human tissues obtained through Cap Analysis of Gene Expression (CAGE) generated by the FANTOM5 project are reported as Scaled Tags Per Million.

Max subtype Scaled Tags Per Millioni

Max subtype Scaled Tags Per Million is the value for the subtype with the largest average Scaled Tags Per Million across the subtype samples.

58.5
FANTOM5 sample id Sample description Scaled Tags Per Million
Esophagus
Scaled Tags Per Million: 58.5
FF:10015-101C6 68,74,75 years, mixed 58.5

Contact

  • NEWS ARTICLES
  • PRESS ROOM

The Project

  • INTRODUCTION
  • ORGANIZATION
  • PUBLICATIONS

The Human Protein Atlas

  • DOWNLOADABLE DATA
  • LICENCE & CITATION
  • HELP & FAQ
The Human Protein Atlas project is funded
by the Knut & Alice Wallenberg Foundation.


contact@proteinatlas.org