We use cookies to enhance the usability of our website. If you continue, we'll assume that you are happy to receive all cookies. More information. Don't show this again.
ANKRD37
HPA
RESOURCES
  • TISSUE
  • BRAIN
  • SINGLE CELL
  • SUBCELLULAR
  • CANCER
  • BLOOD
  • CELL LINE
  • STRUCTURE & INTERACTION
ABOUT
  • INTRODUCTION
  • HISTORY
  • ORGANIZATION
  • PUBLICATIONS
  • ANTIBODY SUBMISSION
  • ANTIBODY AVAILABILITY
  • ACKNOWLEDGMENTS
  • CONTACT
NEWS
  • NEWS ARTICLES
  • PRESS ROOM
LEARN
  • DICTIONARY
  • PROTEIN CLASSES
  • PROTEIN EVIDENCE
  • METHODS
  • EDUCATIONAL VIDEOS
DATA
  • DOWNLOADABLE DATA
  • PUBLICATION DATA
  • RELEASE HISTORY
HELP
  • ANTIBODY VALIDATION
  • ASSAYS & ANNOTATION
  • DISCLAIMER
  • HELP & FAQ
  • PRIVACY STATEMENT
  • LICENCE & CITATION
Fields »
Search result

Field
Term
Gene name
Class
Subclass
Class
Keyword
Chromosome
External id
Tissue
Cell type
Expression
Antibody panel
Tissue
Main location
Patient ID
Annotation
Tissue
Category
Tau score
Cluster
Reliability
Brain region
Category
Tau score
Brain region
Category
Tau score
Brain region
Category
Tau score
Cluster
Reliability
Tissue
Cell type
Enrichment
Cell type
Category
Tau score
Cell type
Category
Tau score
Cell type
Category
Tau score
Cell lineage
Category
Tau score
Cluster
Cluster
Location
Searches
Location
Cell line
Class
Type
Phase
Reliability
Cancer
Prognosis
Cancer
Category
Cancer
Category
Tau score
Cluster
Variants
Interacting gene (ensg_id)
Type
Number of interactions
Pathway
Category
Score
Score
Score
Validation
Validation
Validation
Validation
Antibodies
Data type
Column


  • SUMMARY

  • TISSUE

  • BRAIN

  • SINGLE CELL

  • SUBCELL

  • CANCER

  • BLOOD

  • CELL LINE

  • STRUCT & INT

  • ANKRD37
TISSUE PRIMARY DATA HEART MUSCLE Show tissue menu
ADIPOSE TISSUE ADRENAL GLAND AMYGDALA APPENDIX BASAL GANGLIA BONE MARROW BREAST BRONCHUS CEREBELLUM CEREBRAL CORTEX CERVIX CHOROID PLEXUS COLON DUODENUM
ENDOMETRIUM EPIDIDYMIS ESOPHAGUS FALLOPIAN TUBE GALLBLADDER HEART MUSCLE HIPPOCAMPAL FORMATION HYPOTHALAMUS KIDNEY LIVER LUNG LYMPH NODE MIDBRAIN NASOPHARYNX
ORAL MUCOSA OVARY PANCREAS PARATHYROID GLAND PITUITARY GLAND PLACENTA PROSTATE RECTUM RETINA SALIVARY GLAND SEMINAL VESICLE SKELETAL MUSCLE SKIN SMALL INTESTINE
SMOOTH MUSCLE SOFT TISSUE SPINAL CORD SPLEEN STOMACH TESTIS THYMUS THYROID GLAND TONGUE TONSIL URINARY BLADDER VAGINA
ANTIBODIES
AND
VALIDATION
Dictionary
Heart muscle
Tissue proteome
Heart
HEART MUSCLE - Expression summary
Protein expression
Heart musclei

On the top, protein expression in current human tissue, based on all annotated cell types, is reported with the units not detected (n), low (l), medium (m) and high (h). Underneath, protein expression in each annotated cell type are reported using the same units.

Protein expression data is based on knowledge-based annotation. For genes where more than one antibody has been used, a collective score is set.

If knowledge-based annotation could not be performed for a gene, no data is displayed here. View antibody staining data further down this page.

h
m
l
n
Cardiomyocytes: High
RNA expressioni

A summary of mRNA expression data available for current tissue based on several datasets. The mRNA expression levels in human tissues are based on RNA-seq data generated by the Human Protein Atlas (HPA), Genotype-Tissue Expression (GTEx) portal and CAGE data generated by the FANTOM5 consortium. Consensus normalized expression levels for human tissues was created by combining the data from HPA and GTEx datasets.

The mRNA expression levels in pig are based on RNA-seq data generated by the Human Protein Atlas (HPA), and for mouse, HPA data and in situ hybridization generated by the Allen brain atlas are reported.

Scroll down to view mRNA expression data in more detail.
Consensus:26.5 nTPM
HPA:11.2 nTPM
GTEx:26.5 nTPM
FANTOM5:15.7 Scaled Tags Per Million

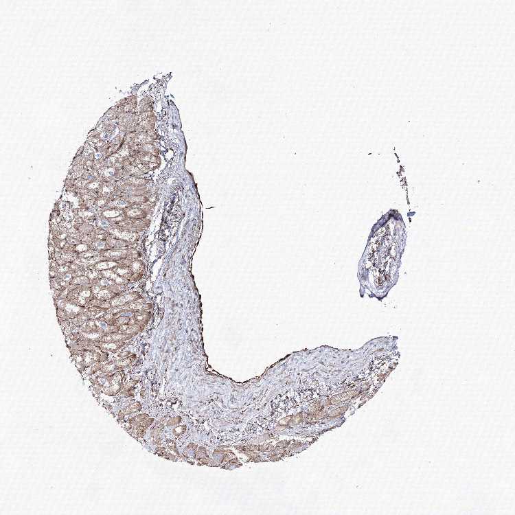
HEART MUSCLE - Antibody stainingi

Antibody staining in the annotated cell types in the current human tissue is reported as not detected, low, medium, or high, based on conventional immunohistochemistry profiling in selected tissues. This score is based on the combination of the staining intensity and fraction of stained cells.

Each image is clickable and will lead to virtual microscopy that enables deeper exploration of all samples and also displays staining intensity scores, fraction scores and subcellular localization as well as patient and tissue information for each sample.

Antibody HPA036626Antibody HPA058127
Cardiomyocytes MediumHigh





HEART MUSCLE - HPA RNA-seqi

The RNA-seq details section shows detailed information about the individual samples used for the transcript profiling and results of the RNA-seq analysis.

Information about each individual sample is listed below, including gender, age, a tissue section image and estimated fractions of cell types. nTPM (normalized transcripts per million) values give a quantification of the gene abundance which is comparable between different genes and samples.
Average nTPMi

Max subtype nTPM is the value for the subtype with the largest average nTPM across the subtype samples.

11.2
overview
Female, age 48
Heart muscle sample 149
nTPM: 11.2
Cell types%
Myocytes:
15

Fibroblasts:
55

Endothelial cells:
25

Other cell types:
5

overview
Female, age 42
Heart muscle sample 150
nTPM: 6.5
Cell types%
Myocytes:
20

Fibroblasts:
45

Endothelial cells:
30

Other cell types:
5

overview
Male, age 53
Heart muscle sample 151
nTPM: 17.8
Cell types%
Myocytes:
20

Fibroblasts:
45

Endothelial cells:
30

Other cell types:
5

overview
Female, age 69
Heart muscle sample 152
nTPM: 9.3
Cell types%
Myocytes:
20

Fibroblasts:
45

Endothelial cells:
30

Other cell types:
5


HEART MUSCLE - GTEx RNA-seqi

RNA-Seq data generated by the Genotype-Tissue Expression (GTEx) project from human tissues is reported as mean nTPM. More information can be found on the GTEx portal.

Distribution across the dataset is visualized with box plots, shown as median and 25th and 75th percentiles. Points are displayed as outliers if they are above or below 1.5 times the interquartile range. nTPM values of the individual samples are presented next to the box plot.
Max subtype nTPMi

Max subtype nTPM is the value for the subtype with the largest average nTPM across the subtype samples.

26.5
GTEx sample id Sample description nTPM
Heart - Atrial Appendage
Average nTPM: 26.5
Samples: 429

Max nTPM: 333.3
Min nTPM: 1.6
Std nTPM: 32.1
Median nTPM: 16.1
GTEX-VJWN-1026-SM-4M1ZN 50-59 years, female 333.3
GTEX-1GZ2Q-0926-SM-7RHHN 40-49 years, male 289.4
GTEX-14PJM-0826-SM-6LLIW 50-59 years, female 210.8
GTEX-UTHO-1226-SM-3GAEE 60-69 years, male 202.1
GTEX-1R9K4-1026-SM-EXUT1 60-69 years, male 129.8
GTEX-131YS-0826-SM-5PNYV 60-69 years, female 117.9
GTEX-13PDP-1326-SM-5K7U9 60-69 years, male 112.6
GTEX-1H1ZS-1026-SM-9WG6E 70-79 years, male 112.4
GTEX-12584-1026-SM-59HK3 40-49 years, male 108.5
GTEX-X4XX-1126-SM-3NMBY 60-69 years, male 107.5
GTEX-1QMI2-1026-SM-DTX7T 60-69 years, male 105.8
GTEX-131XE-0526-SM-5K7YT 50-59 years, male 101.4
GTEX-1LSNL-0626-SM-DIPFJ 50-59 years, male 96.8
GTEX-1192X-0726-SM-5987R 50-59 years, male 95.5
GTEX-1EMGI-1126-SM-9KNUF 60-69 years, male 90.5
GTEX-13OW5-0926-SM-5L3GZ 60-69 years, male 89.7
GTEX-1C64N-0826-SM-7RHGQ 50-59 years, male 86.8
GTEX-1KD5A-0926-SM-D4P3U 50-59 years, male 84.4
GTEX-1HUB1-0726-SM-CGQF4 60-69 years, male 83.4
GTEX-18A7A-1226-SM-7LTAJ 50-59 years, female 81.6
GTEX-17EVP-0526-SM-7EPGY 40-49 years, male 77.7
GTEX-16GPK-1226-SM-7LTAU 60-69 years, male 76.0
GTEX-111VG-0326-SM-5GZX7 60-69 years, male 73.9
GTEX-15SKB-0926-SM-7KUFC 60-69 years, male 73.0
GTEX-1A8FM-1026-SM-7PC26 50-59 years, female 72.5
GTEX-1LB8K-0926-SM-D4P42 50-59 years, male 72.3
GTEX-1CAMQ-0726-SM-7P8SG 40-49 years, male 72.2
GTEX-YFC4-0426-SM-4TT3J 40-49 years, female 71.5
GTEX-12WSA-1126-SM-5EGKU 60-69 years, male 68.5
GTEX-1CB4H-0626-SM-7IGN3 60-69 years, female 68.3
GTEX-1GN1V-1026-SM-CNPPS 60-69 years, male 68.2
GTEX-13OW6-0926-SM-5L3GM 50-59 years, male 68.1
GTEX-ZE7O-0626-SM-57WCD 50-59 years, female 67.8
GTEX-17F9Y-1226-SM-7EPGE 70-79 years, female 66.2
GTEX-13FTZ-0326-SM-5J1O1 60-69 years, male 65.6
GTEX-13NZA-0826-SM-5K7WS 60-69 years, male 65.2
GTEX-145LS-1326-SM-5Q5EP 60-69 years, female 64.8
GTEX-16MT8-0826-SM-7KULO 60-69 years, female 64.1
GTEX-X8HC-1026-SM-46MWH 50-59 years, female 63.3
GTEX-1JN6P-0826-SM-ARL97 60-69 years, male 62.4
GTEX-13NYB-0326-SM-5IJDP 40-49 years, male 58.6
GTEX-WYBS-1226-SM-3NM9N 60-69 years, female 58.4
GTEX-1H2FU-0826-SM-9WYSU 60-69 years, female 56.2
GTEX-1JJEA-0926-SM-CYPSO 60-69 years, male 56.1
GTEX-14PJ2-1126-SM-69LOD 50-59 years, male 55.5
GTEX-ZYFC-1026-SM-5GZX9 50-59 years, male 55.2
GTEX-13NZB-0426-SM-5KM26 30-39 years, male 54.9
GTEX-1PPGY-0926-SM-DTXFF 60-69 years, male 54.1
GTEX-1F88F-0326-SM-9KNV3 60-69 years, female 51.7
GTEX-1HSKV-0726-SM-ACKWE 60-69 years, male 50.0
GTEX-1HT8W-1326-SM-CGQEN 30-39 years, male 49.7
GTEX-1E2YA-0626-SM-7P8P4 50-59 years, male 49.6
GTEX-WWYW-1126-SM-3NB2Q 50-59 years, female 49.5
GTEX-13SLW-0826-SM-5QGP7 70-79 years, male 48.1
GTEX-13NYS-1926-SM-5IJCB 60-69 years, male 47.6
GTEX-139YR-0526-SM-5L3DG 50-59 years, male 47.2
GTEX-11EQ8-1326-SM-5EGJQ 60-69 years, male 46.9
GTEX-1LG7Y-1426-SM-D4P31 50-59 years, male 46.4
GTEX-1117F-0726-SM-5GIEN 60-69 years, female 45.4
GTEX-WRHU-1026-SM-4E3ID 50-59 years, female 44.9
GTEX-12ZZX-0726-SM-5EGKA 40-49 years, female 44.7
GTEX-1IDJH-1126-SM-COH3R 70-79 years, male 44.7
GTEX-1JMQK-0926-SM-ARL96 60-69 years, male 44.4
GTEX-1EH9U-0626-SM-7PC33 60-69 years, male 43.9
GTEX-WI4N-0726-SM-3TW93 40-49 years, female 42.6
GTEX-ZAB4-0926-SM-5CVN4 40-49 years, male 42.4
GTEX-1J1OQ-2226-SM-A96SS 40-49 years, female 42.3
GTEX-1QEPI-1126-SM-E8VN7 60-69 years, female 41.6
GTEX-1LVAO-0626-SM-EWRNT 60-69 years, male 40.6
GTEX-117XS-0726-SM-5H131 60-69 years, male 40.4
GTEX-14BIL-0926-SM-7DHKN 50-59 years, male 40.3
GTEX-1F75A-1026-SM-7PC3W 50-59 years, male 40.1
GTEX-1GF9U-0526-SM-7P8SK 40-49 years, female 39.9
GTEX-11O72-1026-SM-5986B 40-49 years, male 39.7
GTEX-18465-0726-SM-7LG4L 50-59 years, male 39.3
GTEX-132Q8-1126-SM-5K7XS 60-69 years, male 39.1
GTEX-1E1VI-1426-SM-793CY 50-59 years, male 39.1
GTEX-14BIN-2126-SM-793AX 50-59 years, female 38.8
GTEX-147F4-1126-SM-5TDDE 50-59 years, male 38.1
GTEX-11ONC-1026-SM-5GU64 60-69 years, male 37.9
GTEX-14C5O-1226-SM-664N3 60-69 years, male 37.3
GTEX-12WSI-0426-SM-5EQ5J 50-59 years, male 37.0
GTEX-1GTWX-0926-SM-9MQKM 60-69 years, male 36.9
GTEX-12WSD-1226-SM-5HL9Q 60-69 years, female 36.7
GTEX-15D1Q-0426-SM-6AJ9G 40-49 years, male 36.7
GTEX-1P4AB-0926-SM-E76PV 50-59 years, male 36.7
GTEX-13O21-0326-SM-5J1N9 50-59 years, male 36.0
GTEX-1477Z-1126-SM-5P9GK 60-69 years, male 36.0
GTEX-1IKK5-1726-SM-CM2RU 60-69 years, male 35.9
GTEX-1RLM8-0226-SM-E6CJY 50-59 years, male 35.8
GTEX-13OW7-1626-SM-5IJDH 50-59 years, male 35.7
GTEX-1IL2V-1126-SM-CMKGH 70-79 years, male 35.6
GTEX-13PVR-0926-SM-5S2RB 60-69 years, female 35.3
GTEX-YJ8O-0826-SM-5CVM3 40-49 years, female 35.3
GTEX-1J8Q2-1026-SM-ARU8I 60-69 years, male 35.0
GTEX-1JMLX-1826-SM-CNPOX 50-59 years, male 34.8
GTEX-XBEC-1226-SM-4AT65 50-59 years, male 34.6
GTEX-1IKJJ-0626-SM-CY8GF 60-69 years, male 34.5
GTEX-13X6J-1226-SM-79OMF 50-59 years, male 34.4
GTEX-1BAJH-1026-SM-7EWEG 70-79 years, male 34.3
GTEX-13SLX-0926-SM-5S2NM 50-59 years, female 34.2
GTEX-ZTTD-0626-SM-4YCCY 50-59 years, male 34.2
GTEX-14BMV-1026-SM-5SI6B 50-59 years, male 34.1
GTEX-1I19N-0626-SM-A9SKY 70-79 years, male 33.6
GTEX-139TU-1926-SM-5J2OC 60-69 years, male 33.5
GTEX-WOFL-1226-SM-4OOST 60-69 years, male 33.4
GTEX-11GS4-0426-SM-5N9CD 60-69 years, male 32.7
GTEX-1GN2E-1426-SM-7RHHI 60-69 years, male 32.7
GTEX-1IKOH-0926-SM-A9SLU 60-69 years, female 32.4
GTEX-17F9E-0726-SM-793A1 50-59 years, male 32.2
GTEX-12WSG-1226-SM-5EQ4C 50-59 years, female 31.8
GTEX-1GMR3-0426-SM-7PC17 40-49 years, male 31.8
GTEX-U8XE-0926-SM-3DB8V 30-39 years, male 31.6
GTEX-ZVZQ-0726-SM-51MR3 60-69 years, female 31.5
GTEX-ZAK1-1126-SM-5PNXU 50-59 years, female 31.3
GTEX-ZDXO-0426-SM-4WKF6 60-69 years, male 30.4
GTEX-1GMRU-1326-SM-9WYUI 50-59 years, male 30.4
GTEX-Y114-0126-SM-4TT8K 50-59 years, female 30.3
GTEX-WK11-0626-SM-3NMAV 50-59 years, male 30.2
GTEX-1JMOU-0326-SM-ARL8X 60-69 years, female 30.1
GTEX-13FHP-0826-SM-5K7V5 50-59 years, male 30.0
GTEX-ZVT3-0826-SM-5GIC8 60-69 years, female 29.9
GTEX-YECK-1226-SM-4W21G 60-69 years, male 29.7
GTEX-1IL2U-1226-SM-CL53P 60-69 years, male 29.7
GTEX-16YQH-0726-SM-7IGM1 30-39 years, male 29.6
GTEX-14PII-1026-SM-5ZZVW 60-69 years, male 29.5
GTEX-ZF3C-1126-SM-57WEG 50-59 years, female 29.4
GTEX-148VJ-1426-SM-5TDE3 70-79 years, male 29.3
GTEX-14BIM-2726-SM-5Q5EG 60-69 years, female 28.6
GTEX-1GMR8-1026-SM-9MQLA 50-59 years, female 28.5
GTEX-13JUV-0226-SM-5IJCC 40-49 years, female 28.4
GTEX-ZEX8-0326-SM-DO92C 50-59 years, male 28.2
GTEX-ZDTS-1226-SM-4WKGL 60-69 years, male 28.0
GTEX-1HCVE-0826-SM-CM2SF 50-59 years, male 27.6
GTEX-11WQK-0226-SM-5EQLI 50-59 years, male 27.4
GTEX-13JVG-1126-SM-5KM2M 60-69 years, male 27.3
GTEX-13NZ9-0126-SM-5K7XV 50-59 years, male 27.0
GTEX-13O3Q-0326-SM-5L3FE 50-59 years, male 26.9
GTEX-1F6I4-0826-SM-7RHGK 60-69 years, male 26.9
GTEX-11GSP-1226-SM-5985M 60-69 years, female 26.6
GTEX-11NUK-0926-SM-5HL57 50-59 years, male 26.6
GTEX-131XF-0426-SM-5HL7U 60-69 years, male 26.5
GTEX-VUSG-0726-SM-3GIK1 50-59 years, male 26.5
GTEX-ZZPT-0926-SM-5GICZ 50-59 years, male 26.4
GTEX-X4EP-0326-SM-3P5Z6 60-69 years, female 26.3
GTEX-15RJE-0726-SM-7KUEG 40-49 years, male 25.5
GTEX-17JCI-0826-SM-7LT8W 60-69 years, female 25.4
GTEX-1212Z-0726-SM-5EGI5 60-69 years, male 25.2
GTEX-14JG1-0826-SM-5ZZWR 40-49 years, male 24.9
GTEX-15CHC-0326-SM-5ZZVP 60-69 years, female 24.9
GTEX-1GF9V-1726-SM-9KNW4 60-69 years, male 24.8
GTEX-1B8KE-0326-SM-73KTY 50-59 years, male 24.6
GTEX-ZYFD-2026-SM-5E459 50-59 years, male 24.6
GTEX-1HBPM-1026-SM-ARL9D 60-69 years, female 24.6
GTEX-183WM-0926-SM-718AN 70-79 years, female 24.5
GTEX-XOT4-1126-SM-4B66E 60-69 years, female 24.5
GTEX-1H3O1-0226-SM-9WYSW 60-69 years, male 24.4
GTEX-13N1W-0926-SM-5MR36 70-79 years, male 24.2
GTEX-1EU9M-1926-SM-7RHH4 60-69 years, male 24.1
GTEX-17MF6-0926-SM-7LTAL 40-49 years, male 23.9
GTEX-1JJ6O-2226-SM-AHZ3I 60-69 years, male 23.6
GTEX-146FR-0926-SM-5QGPE 60-69 years, female 23.5
GTEX-13CF2-0226-SM-5L3DV 60-69 years, male 23.2
GTEX-1LH75-0526-SM-DIPG2 50-59 years, female 23.2
GTEX-13PL6-0826-SM-5IJBI 40-49 years, female 22.9
GTEX-132AR-1926-SM-5EGK5 50-59 years, female 22.7
GTEX-14ASI-0826-SM-5Q5EB 60-69 years, male 22.7
GTEX-Y5V5-0726-SM-4VBPY 60-69 years, female 22.6
GTEX-132NY-1426-SM-5J1MJ 60-69 years, male 22.5
GTEX-147JS-1326-SM-5SI6D 60-69 years, male 22.5
GTEX-1C6VQ-0826-SM-7PBZT 50-59 years, male 22.3
GTEX-1H1CY-0426-SM-9KNVD 60-69 years, female 22.3
GTEX-1HBPH-0226-SM-9WYSM 40-49 years, female 22.3
GTEX-12ZZY-1226-SM-5GCNK 60-69 years, male 22.1
GTEX-13FTW-0826-SM-5K7XR 40-49 years, male 22.1
GTEX-1B8SF-1326-SM-7IGQJ 60-69 years, male 21.5
GTEX-1MCC2-0226-SM-EVYD5 30-39 years, female 21.5
GTEX-14A5I-1026-SM-5Q5E3 50-59 years, female 21.3
GTEX-14A6H-0326-SM-5NQAN 30-39 years, male 21.3
GTEX-14PJO-0826-SM-6ETZK 60-69 years, male 21.3
GTEX-X261-0926-SM-3NMCY 50-59 years, male 21.3
GTEX-XPT6-0226-SM-4B65L 20-29 years, male 21.3
GTEX-1GN1U-1426-SM-7P8TF 50-59 years, female 20.4
GTEX-1A3MX-1226-SM-731B3 60-69 years, male 19.8
GTEX-X62O-0826-SM-46MW8 50-59 years, male 19.7
GTEX-1M5QR-1626-SM-E9U5O 40-49 years, male 18.8
GTEX-1I1HK-0626-SM-CNPQM 60-69 years, male 18.7
GTEX-11DYG-1026-SM-5A5JQ 60-69 years, male 18.4
GTEX-14C39-0726-SM-5RQIK 40-49 years, male 18.4
GTEX-14E1K-0826-SM-5ZZW9 50-59 years, male 18.4
GTEX-WHSE-0826-SM-4SOJU 20-29 years, male 18.3
GTEX-13S86-0326-SM-5SI6K 40-49 years, male 18.2
GTEX-17GQL-0626-SM-731CN 60-69 years, male 18.1
GTEX-1313W-1126-SM-5EQ5U 50-59 years, female 17.9
GTEX-WL46-0726-SM-3LK5Z 50-59 years, male 17.8
GTEX-1C6WA-0826-SM-7PBXS 60-69 years, male 17.8
GTEX-ZAJG-0926-SM-5Q5AB 50-59 years, female 17.7
GTEX-1GZ4I-0826-SM-9WG6O 50-59 years, male 17.7
GTEX-1HSMO-1126-SM-CGQF2 60-69 years, male 17.5
GTEX-1A8G6-1826-SM-73KY8 60-69 years, male 17.4
GTEX-UPK5-0226-SM-3GAEV 40-49 years, male 17.4
GTEX-Z93S-0326-SM-5HL84 50-59 years, male 17.2
GTEX-ZUA1-0726-SM-4YCD9 40-49 years, male 17.1
GTEX-1EX96-2626-SM-9MQJV 50-59 years, male 17.1
GTEX-1F75B-1126-SM-7RHGP 50-59 years, male 17.0
GTEX-1H3NZ-1026-SM-A9SM5 60-69 years, male 17.0
GTEX-13O3P-1426-SM-5L3DT 50-59 years, male 16.9
GTEX-14DAQ-1026-SM-793B1 60-69 years, female 16.9
GTEX-1399T-0726-SM-5J1MH 60-69 years, male 16.7
GTEX-17F96-0826-SM-7DHLU 70-79 years, male 16.6
GTEX-13VXT-0726-SM-5SIAD 20-29 years, female 16.5
GTEX-ZGAY-0226-SM-4WWAL 40-49 years, female 16.5
GTEX-XLM4-2026-SM-4AT4X 60-69 years, male 16.3
GTEX-13PVQ-1326-SM-5LU4J 50-59 years, male 16.1
GTEX-1AYCT-0526-SM-7RHHS 50-59 years, male 16.1
GTEX-1399U-0726-SM-5KM1D 50-59 years, female 16.0
GTEX-13FHO-1226-SM-5L3EF 60-69 years, male 16.0
GTEX-1HSMQ-0426-SM-ADEIM 50-59 years, male 15.8
GTEX-11DXZ-0326-SM-5EGH1 50-59 years, male 15.4
GTEX-1NHNU-0626-SM-E6CP1 50-59 years, male 15.3
GTEX-12WSC-1026-SM-5EQ5Y 50-59 years, male 15.2
GTEX-WFG8-0726-SM-3GILP 20-29 years, male 15.1
GTEX-ZYVF-1826-SM-5E44F 50-59 years, female 15.0
GTEX-117YW-0426-SM-5GZZZ 50-59 years, male 14.9
GTEX-1C2JI-0626-SM-7DHM1 50-59 years, male 14.9
GTEX-XQ8I-0226-SM-4BOPM 50-59 years, male 14.9
GTEX-Y8E4-0426-SM-4V6GB 40-49 years, male 14.9
GTEX-18D9U-1426-SM-718BO 40-49 years, male 14.8
GTEX-1R9JW-0426-SM-E76QL 30-39 years, female 14.8
GTEX-11UD2-0926-SM-5CVL6 50-59 years, male 14.7
GTEX-1H11D-1026-SM-9QEIU 40-49 years, male 14.2
GTEX-15SHU-0926-SM-6PAMK 40-49 years, female 14.1
GTEX-13O3O-1426-SM-5KM2S 60-69 years, female 14.0
GTEX-146FH-1126-SM-5NQAT 50-59 years, female 14.0
GTEX-ZTPG-1326-SM-51MSQ 20-29 years, female 14.0
GTEX-1HR98-1026-SM-CKZOM 60-69 years, male 13.9
GTEX-1IOXB-0726-SM-A9G32 50-59 years, male 13.9
GTEX-YEC3-0426-SM-CYPS8 50-59 years, male 13.9
GTEX-WHPG-1026-SM-3NMBA 50-59 years, male 13.7
GTEX-13OVG-0426-SM-5KM2T 60-69 years, male 13.5
GTEX-1H3VY-1126-SM-A96TP 50-59 years, male 13.5
GTEX-WEY5-0226-SM-3GIKN 40-49 years, female 13.4
GTEX-1I1CD-1326-SM-A9SMM 60-69 years, female 13.1
GTEX-1I1GV-1426-SM-B2LXN 60-69 years, male 13.1
GTEX-1MJK2-1626-SM-EVYCQ 50-59 years, male 13.1
GTEX-1QPFJ-0926-SM-EVR3K 30-39 years, female 13.1
GTEX-13D11-1526-SM-5J2NA 50-59 years, female 13.0
GTEX-1CAMS-1126-SM-7MXUQ 40-49 years, female 13.0
GTEX-ZV7C-0526-SM-9WPNK 50-59 years, male 13.0
GTEX-13X6K-1726-SM-7IGLG 60-69 years, female 12.9
GTEX-15CHQ-1326-SM-6871Z 60-69 years, male 12.8
GTEX-1I1GQ-1226-SM-CL55J 50-59 years, male 12.8
GTEX-XPVG-0726-SM-4B658 50-59 years, male 12.7
GTEX-XV7Q-0726-SM-4BRV6 40-49 years, female 12.7
GTEX-1KANC-0226-SM-E9TIW 50-59 years, female 12.7
GTEX-1K2DU-0226-SM-DIPF6 20-29 years, male 12.6
GTEX-ZXG5-0626-SM-5NQ85 60-69 years, male 12.4
GTEX-131XG-0526-SM-5DUWF 50-59 years, female 12.2
GTEX-1ICG6-0726-SM-B2LY5 70-79 years, female 12.2
GTEX-1EWIQ-1126-SM-7EPIK 70-79 years, female 12.1
GTEX-1AX9I-1026-SM-73KYF 60-69 years, male 11.9
GTEX-WZTO-1226-SM-3NMAZ 40-49 years, male 11.9
GTEX-16XZZ-1026-SM-7DHKS 60-69 years, male 11.8
GTEX-144GL-1026-SM-5O99R 50-59 years, male 11.6
GTEX-15ER7-0826-SM-6PALW 20-29 years, female 11.6
GTEX-1CB4I-1526-SM-7DHMY 50-59 years, male 11.6
GTEX-XQ3S-0526-SM-4BOQA 20-29 years, male 11.6
GTEX-1LSNM-0426-SM-E9TIZ 50-59 years, male 11.6
GTEX-111FC-0626-SM-5N9CU 60-69 years, male 11.5
GTEX-13QBU-0226-SM-5LU48 40-49 years, female 11.5
GTEX-1A32A-1326-SM-73KWW 50-59 years, female 11.5
GTEX-1CB4G-0726-SM-79OOJ 60-69 years, male 11.4
GTEX-ZVT4-1326-SM-5NQ8E 50-59 years, female 11.4
GTEX-1GL5R-0426-SM-9WPOP 50-59 years, male 11.4
GTEX-X3Y1-0226-SM-3P5Z5 40-49 years, male 11.3
GTEX-1JMQL-1026-SM-CMKGV 50-59 years, female 11.3
GTEX-11DXY-1026-SM-5987V 60-69 years, male 11.2
GTEX-1B97J-0326-SM-7939H 50-59 years, female 11.2
GTEX-WYJK-1126-SM-3NM9Z 50-59 years, male 11.1
GTEX-1B8L1-0426-SM-7SB76 60-69 years, male 11.1
GTEX-11P81-0526-SM-59873 30-39 years, female 11.0
GTEX-V1D1-0626-SM-4JBHN 50-59 years, male 11.0
GTEX-ZG7Y-1426-SM-4WWBM 50-59 years, male 11.0
GTEX-1HCU7-1226-SM-B2LX8 50-59 years, male 11.0
GTEX-13O61-0426-SM-5L3ET 60-69 years, male 10.9
GTEX-18A67-1026-SM-731CE 50-59 years, male 10.9
GTEX-1AX9K-0426-SM-73KUG 50-59 years, male 10.9
GTEX-1AX8Z-1126-SM-731CS 60-69 years, male 10.8
GTEX-14PJ4-0926-SM-5YY98 60-69 years, male 10.7
GTEX-18A6Q-1526-SM-731CO 60-69 years, male 10.7
GTEX-1POEN-0726-SM-DTXDU 30-39 years, female 10.7
GTEX-W5X1-0826-SM-3GILN 40-49 years, female 10.5
GTEX-1NSGN-1226-SM-E76OL 50-59 years, male 10.5
GTEX-1R7EV-0426-SM-DTX7Z 40-49 years, male 10.5
GTEX-1JK1U-0626-SM-CKZOJ 60-69 years, male 10.4
GTEX-11LCK-0826-SM-5PNYD 30-39 years, male 10.3
GTEX-145MN-0726-SM-5NQBH 30-39 years, male 10.3
GTEX-1CB4J-0226-SM-7P8T4 60-69 years, male 10.3
GTEX-1192W-0226-SM-5EGGT 60-69 years, male 10.2
GTEX-13W3W-0526-SM-5LU3X 60-69 years, female 10.2
GTEX-1F48J-1126-SM-9WYSY 50-59 years, female 10.2
GTEX-11EMC-0826-SM-59862 60-69 years, female 10.1
GTEX-13112-0526-SM-5EQ4S 50-59 years, male 10.1
GTEX-12WSE-0926-SM-5S2VX 20-29 years, male 10.0
GTEX-14PK6-0726-SM-6LLIX 70-79 years, female 10.0
GTEX-1C64O-0926-SM-79OLN 60-69 years, male 10.0
GTEX-WY7C-1126-SM-3NB3A 50-59 years, male 10.0
GTEX-V955-0826-SM-CYPR5 60-69 years, male 10.0
GTEX-ZT9W-0526-SM-57WFG 50-59 years, male 9.9
GTEX-1OFPY-0926-SM-DTX8Q 60-69 years, male 9.9
GTEX-18D9B-1126-SM-7KFSH 60-69 years, male 9.8
GTEX-Y3I4-0526-SM-4TT6X 50-59 years, male 9.8
GTEX-1KXAM-1426-SM-D3LAC 60-69 years, male 9.8
GTEX-1445S-1226-SM-5O9BF 60-69 years, male 9.7
GTEX-ZF29-0426-SM-4WKFN 60-69 years, female 9.7
GTEX-ZLFU-0326-SM-4WWBK 40-49 years, male 9.7
GTEX-11NV4-0826-SM-5BC4S 60-69 years, male 9.6
GTEX-1HC8U-0626-SM-B2LWB 40-49 years, female 9.6
GTEX-1QCLZ-1126-SM-EWRNB 60-69 years, female 9.6
GTEX-11DXX-0526-SM-5PNVR 60-69 years, female 9.5
GTEX-1HBPN-0926-SM-CGQEG 50-59 years, male 9.5
GTEX-1J8EW-0626-SM-CM2TY 60-69 years, female 9.5
GTEX-17KNJ-0626-SM-7LT9L 50-59 years, male 9.4
GTEX-XYKS-0226-SM-4BRW3 60-69 years, female 9.4
GTEX-15SDE-1826-SM-7KUFN 50-59 years, female 9.3
GTEX-1HFI6-0826-SM-9YFM2 40-49 years, male 9.3
GTEX-1B933-0826-SM-79OMW 50-59 years, female 9.2
GTEX-WFG7-0826-SM-3GIKU 20-29 years, male 9.2
GTEX-1KANB-1126-SM-DHXJT 50-59 years, male 9.1
GTEX-111YS-0326-SM-5GZZ3 60-69 years, male 9.0
GTEX-XGQ4-0526-SM-4AT6C 50-59 years, male 9.0
GTEX-13N11-0726-SM-5L3DP 50-59 years, female 8.8
GTEX-15RIE-1326-SM-6PAMM 60-69 years, male 8.7
GTEX-1GMR2-1326-SM-9KNUT 50-59 years, male 8.7
GTEX-145LV-0226-SM-5S2QG 50-59 years, male 8.6
GTEX-WHWD-0326-SM-3LK6L 50-59 years, male 8.6
GTEX-ZYT6-0926-SM-5GIEM 30-39 years, male 8.6
GTEX-1HSGN-0926-SM-CNNQM 40-49 years, female 8.6
GTEX-1IKOE-0626-SM-A9G31 30-39 years, female 8.6
GTEX-14PN3-0726-SM-6EU14 60-69 years, female 8.5
GTEX-1I1GR-1026-SM-A9SLC 60-69 years, male 8.5
GTEX-16NPX-0826-SM-6M489 50-59 years, male 8.4
GTEX-ZAB5-0126-SM-5CVMT 50-59 years, male 8.4
GTEX-ZVT2-0926-SM-5GICE 50-59 years, female 8.4
GTEX-11ZVC-0526-SM-5N9G1 50-59 years, female 8.3
GTEX-12WSN-0226-SM-5DUXH 40-49 years, male 8.3
GTEX-13RTJ-0526-SM-62LDP 60-69 years, male 8.3
GTEX-1IY9M-0626-SM-D4P2L 60-69 years, male 8.3
GTEX-18A66-1126-SM-731C5 60-69 years, male 8.1
GTEX-1LGOU-0326-SM-D3LAM 20-29 years, female 8.0
GTEX-17HGU-1126-SM-793BP 50-59 years, male 7.9
GTEX-Y3IK-1026-SM-51MR7 50-59 years, female 7.9
GTEX-1F75I-1326-SM-7PBZX 40-49 years, male 7.9
GTEX-WFON-0226-SM-3GIKR 40-49 years, male 7.8
GTEX-1LVAN-1526-SM-CNPQN 50-59 years, female 7.8
GTEX-11ZUS-0326-SM-5EQ4W 30-39 years, male 7.7
GTEX-1B932-1326-SM-79OM4 40-49 years, female 7.7
GTEX-1GN1W-0226-SM-7P8QY 50-59 years, female 7.7
GTEX-1J8Q3-1126-SM-ARU8N 60-69 years, male 7.7
GTEX-1IDJU-0626-SM-CKZOG 60-69 years, female 7.6
GTEX-1QP6S-1026-SM-DTXFW 40-49 years, male 7.6
GTEX-1399R-1726-SM-5K7YJ 30-39 years, male 7.5
GTEX-1399S-0826-SM-5KM23 30-39 years, female 7.5
GTEX-13U4I-0626-SM-5LU5L 40-49 years, female 7.5
GTEX-1AX9J-0926-SM-73KXA 60-69 years, male 7.5
GTEX-YB5K-0226-SM-5IFJE 40-49 years, female 7.5
GTEX-13FXS-1026-SM-62LFQ 50-59 years, male 7.4
GTEX-15SHV-0526-SM-7KUEN 60-69 years, male 7.4
GTEX-1CB4E-0626-SM-7DHMW 60-69 years, male 7.4
GTEX-ZZPU-1126-SM-5N9CW 50-59 years, female 7.3
GTEX-1L5NE-0526-SM-DIPG5 50-59 years, male 7.3
GTEX-11ZTT-0526-SM-5EQLA 60-69 years, female 7.2
GTEX-15EU6-1326-SM-6PANG 50-59 years, male 7.2
GTEX-1IDJF-0826-SM-ARU7N 20-29 years, male 6.9
GTEX-1J8QM-0326-SM-CL53D 60-69 years, female 6.9
GTEX-1LGRB-1026-SM-CNPQD 50-59 years, female 6.9
GTEX-1QP29-1426-SM-DTX9Q 50-59 years, male 6.9
GTEX-15CHR-0326-SM-7DHN3 50-59 years, male 6.8
GTEX-14PHX-0626-SM-5YY8Z 50-59 years, male 6.7
GTEX-1IDJD-0226-SM-CKZOA 30-39 years, male 6.7
GTEX-1MJIX-0426-SM-DTXEN 40-49 years, male 6.7
GTEX-1GN73-2326-SM-9MQKV 60-69 years, male 6.6
GTEX-1211K-0226-SM-59HJY 60-69 years, female 6.5
GTEX-13O1R-0926-SM-5L3DS 60-69 years, male 6.4
GTEX-13YAN-1426-SM-7EPG8 60-69 years, male 6.4
GTEX-14PN4-0826-SM-69LON 50-59 years, male 6.4
GTEX-1B996-1026-SM-793CF 60-69 years, male 6.4
GTEX-117YX-0626-SM-5EGJI 50-59 years, male 6.3
GTEX-1339X-0326-SM-5K7Z8 40-49 years, male 6.3
GTEX-15DCE-0826-SM-7KULW 20-29 years, male 6.3
GTEX-YF7O-0526-SM-5P9IO 50-59 years, male 6.3
GTEX-13PL7-0726-SM-5KM1S 60-69 years, female 6.2
GTEX-14C38-1326-SM-62LDK 50-59 years, male 6.2
GTEX-ZF2S-0826-SM-4WWBI 50-59 years, female 6.2
GTEX-15UF7-1526-SM-6LPI7 40-49 years, male 6.1
GTEX-WQUQ-1326-SM-3MJFF 60-69 years, male 6.0
GTEX-ZDYS-0326-SM-5HL4W 50-59 years, male 6.0
GTEX-14H4A-0426-SM-5ZZWO 40-49 years, female 5.9
GTEX-YEC4-0226-SM-4W1YG 40-49 years, male 5.9
GTEX-1RB15-0426-SM-E9U4Y 60-69 years, male 5.9
GTEX-1122O-0626-SM-5N9B9 60-69 years, female 5.8
GTEX-ZPU1-0726-SM-5HL6O 40-49 years, male 5.8
GTEX-12WSK-0526-SM-5CVNA 40-49 years, female 5.7
GTEX-1HFI7-0526-SM-A9SMA 50-59 years, female 5.7
GTEX-13OVI-0326-SM-5K7X1 60-69 years, female 5.6
GTEX-ZDTT-0326-SM-4WKF9 60-69 years, male 5.6
GTEX-11TT1-1426-SM-5EGIA 20-29 years, male 5.4
GTEX-ZPIC-0426-SM-DO91V 40-49 years, female 5.4
GTEX-14E7W-1126-SM-5ZZVS 70-79 years, male 5.2
GTEX-1HCUA-0626-SM-ACKVT 50-59 years, female 5.1
GTEX-14PJ6-0626-SM-686Z6 60-69 years, female 5.0
GTEX-14PHY-0326-SM-62LE3 60-69 years, female 4.9
GTEX-11EM3-0426-SM-5N9BZ 20-29 years, female 4.8
GTEX-132QS-0526-SM-5IJC7 60-69 years, male 4.6
GTEX-ZPCL-0526-SM-DO91R 60-69 years, female 4.6
GTEX-X5EB-0626-SM-46MVQ 40-49 years, male 4.5
GTEX-14XAO-0926-SM-69LPZ 60-69 years, female 4.4
GTEX-ZYFG-0526-SM-5GZXX 60-69 years, female 4.4
GTEX-16XZY-0526-SM-7DHKY 70-79 years, male 4.2
GTEX-1H1DG-0826-SM-9QEIW 70-79 years, male 4.2
GTEX-WH7G-0326-SM-3NMBH 40-49 years, male 4.1
GTEX-13FH7-0826-SM-5J2NW 50-59 years, female 4.0
GTEX-XXEK-2026-SM-4BRVE 50-59 years, male 3.7
GTEX-11TUW-1126-SM-5EQKJ 60-69 years, male 3.6
GTEX-12BJ1-0326-SM-5FQUB 60-69 years, male 3.5
GTEX-1B8SG-0726-SM-79ONS 50-59 years, male 3.3
GTEX-1I1GP-0626-SM-ARL7H 50-59 years, male 3.3
GTEX-12696-1226-SM-5FQSM 60-69 years, male 3.2
GTEX-14E6C-0326-SM-5Q5EE 40-49 years, male 1.6
Show allShow less
Heart - Left Ventricle
Average nTPM: 20.0
Samples: 432

Max nTPM: 237.5
Min nTPM: 1.3
Std nTPM: 21.1
Median nTPM: 13.4
GTEX-11ONC-0126-SM-5PNW6 60-69 years, male 237.5
GTEX-14BIL-1126-SM-79OMC 50-59 years, male 152.0
GTEX-17F9Y-1326-SM-7MGW9 70-79 years, female 120.1
GTEX-15DDE-1126-SM-6LLHN 50-59 years, female 117.9
GTEX-16YQH-0926-SM-793BC 30-39 years, male 109.3
GTEX-1269C-0826-SM-5N9EM 60-69 years, female 101.2
GTEX-17JCI-1126-SM-7IGMM 60-69 years, female 100.1
GTEX-131XH-0226-SM-5LZVB 50-59 years, male 88.4
GTEX-15CHQ-1526-SM-69LPW 60-69 years, male 80.1
GTEX-1IKK5-1526-SM-CKZPW 60-69 years, male 78.7
GTEX-1EX96-2526-SM-7RHGW 50-59 years, male 77.8
GTEX-13S86-0226-SM-5S2PJ 40-49 years, male 74.0
GTEX-147F4-1226-SM-5NQAY 50-59 years, male 71.0
GTEX-132AR-2026-SM-5IJG4 50-59 years, female 64.6
GTEX-X8HC-1626-SM-46MWE 50-59 years, female 64.2
GTEX-1R9K4-1326-SM-DTX8G 60-69 years, male 63.6
GTEX-13OW8-2126-SM-5J1OS 60-69 years, male 63.5
GTEX-OXRO-2026-SM-2YUMZ 60-69 years, female 60.5
GTEX-1F6IF-2526-SM-7P8TV 60-69 years, male 58.1
GTEX-WWYW-1326-SM-3NB2S 50-59 years, female 58.0
GTEX-1GZ4I-1026-SM-9KNV5 50-59 years, male 54.4
GTEX-11GS4-0526-SM-5A5KQ 60-69 years, male 53.6
GTEX-1EMGI-1226-SM-793DD 60-69 years, male 53.6
GTEX-1IDJH-1026-SM-E9TKH 70-79 years, male 53.1
GTEX-12WSD-1126-SM-5EGJD 60-69 years, female 50.1
GTEX-17HII-1326-SM-7IGOB 50-59 years, male 49.8
GTEX-12584-0926-SM-5FQTN 40-49 years, male 48.8
GTEX-1O9I2-1126-SM-DTXEA 50-59 years, male 48.3
GTEX-145MO-1126-SM-5NQBX 60-69 years, male 48.1
GTEX-1LG7Y-1226-SM-CXZKD 50-59 years, male 47.4
GTEX-WRHU-1226-SM-4E3IJ 50-59 years, female 47.3
GTEX-1JMLX-1626-SM-ARZMV 50-59 years, male 47.3
GTEX-11EMC-0726-SM-5EGJO 60-69 years, female 46.7
GTEX-1J8Q2-1226-SM-A9G2W 60-69 years, male 46.5
GTEX-1HCVE-1126-SM-9WPPG 50-59 years, male 46.4
GTEX-13NZB-0226-SM-5KM1T 30-39 years, male 46.3
GTEX-ZF3C-1226-SM-4WWCB 50-59 years, female 45.8
GTEX-147JS-1526-SM-5ZZWF 60-69 years, male 45.5
GTEX-1KD5A-1026-SM-CY8I8 50-59 years, male 45.2
GTEX-1HBPH-0126-SM-CNNQ7 40-49 years, female 44.7
GTEX-N7MT-1326-SM-2I3FV 60-69 years, female 43.5
GTEX-1HCU7-1326-SM-CNPPW 50-59 years, male 43.0
GTEX-1EU9M-1826-SM-7DUGU 60-69 years, male 42.9
GTEX-Y114-0226-SM-4TT8W 50-59 years, female 42.8
GTEX-1GN1V-0826-SM-9KNU6 60-69 years, male 42.7
GTEX-13OW5-1126-SM-5J1NR 60-69 years, male 42.6
GTEX-1C6VQ-1126-SM-7EWET 50-59 years, male 42.3
GTEX-ZDTS-1326-SM-6LLHE 60-69 years, male 41.7
GTEX-1A3MX-1326-SM-72D58 60-69 years, male 40.3
GTEX-1ICLY-1326-SM-CJI47 50-59 years, male 39.6
GTEX-1POEN-0626-SM-EVR4B 30-39 years, female 39.4
GTEX-O5YV-0326-SM-2I5H2 60-69 years, female 37.9
GTEX-1EN7A-0726-SM-7PBXT 40-49 years, male 37.9
GTEX-13N1W-1026-SM-5IJC5 70-79 years, male 37.8
GTEX-132NY-1726-SM-5EGKK 60-69 years, male 37.2
GTEX-ZAJG-0826-SM-5PNVA 50-59 years, female 34.9
GTEX-1R9PO-0326-SM-DTXA1 60-69 years, female 34.4
GTEX-1HBPM-1226-SM-A9SM8 60-69 years, female 34.1
GTEX-14A6H-0226-SM-5Q5DX 30-39 years, male 33.8
GTEX-X15G-0426-SM-4PQZ6 50-59 years, female 33.6
GTEX-14PJ2-1026-SM-6EU1M 50-59 years, male 32.3
GTEX-11GSP-1326-SM-5A5KY 60-69 years, female 31.9
GTEX-131XE-0626-SM-5HL98 50-59 years, male 31.4
GTEX-13PVQ-1226-SM-5IJDC 50-59 years, male 31.2
GTEX-1RAZS-0826-SM-E76QP 50-59 years, male 31.0
GTEX-139YR-0826-SM-5LZXY 50-59 years, male 30.8
GTEX-1GF9V-1626-SM-7PBXL 60-69 years, male 30.7
GTEX-1JJ6O-2126-SM-CNNP6 60-69 years, male 29.8
GTEX-V955-0726-SM-3GAFG 60-69 years, male 29.6
GTEX-1212Z-0626-SM-5FQTB 60-69 years, male 29.4
GTEX-QV44-0526-SM-2S1RE 50-59 years, male 29.2
GTEX-1314G-0126-SM-5LZUL 30-39 years, male 28.5
GTEX-R45C-0926-SM-3GAD4 60-69 years, female 28.3
GTEX-1EH9U-0826-SM-7IGPT 60-69 years, male 28.1
GTEX-1E1VI-1326-SM-7IGQD 50-59 years, male 27.9
GTEX-NPJ8-0426-SM-2HMK6 40-49 years, male 27.4
GTEX-18465-0926-SM-731AY 50-59 years, male 27.3
GTEX-1IKOE-1026-SM-ARZMF 30-39 years, female 27.3
GTEX-1ICLZ-1026-SM-A9SLF 60-69 years, male 27.0
GTEX-14E1K-1026-SM-73KUR 50-59 years, male 26.8
GTEX-1GMR3-0326-SM-7P8QT 40-49 years, male 26.8
GTEX-1KD4Q-0726-SM-DIPGE 40-49 years, male 26.1
GTEX-Y5V5-0626-SM-4VBPX 60-69 years, female 25.8
GTEX-11ZVC-0426-SM-5CVLD 50-59 years, female 25.4
GTEX-XQ8I-0126-SM-4BOPL 50-59 years, male 25.4
GTEX-111YS-0426-SM-5987O 60-69 years, male 25.1
GTEX-13X6K-1826-SM-5O9CR 60-69 years, female 25.1
GTEX-14A5I-1226-SM-5NQBW 50-59 years, female 25.1
GTEX-1JN6P-1126-SM-CKZON 60-69 years, male 24.5
GTEX-13FTZ-0226-SM-5K7X6 60-69 years, male 24.4
GTEX-13SLX-1026-SM-5ZZUQ 50-59 years, female 24.4
GTEX-OHPM-0326-SM-33HCA 50-59 years, male 23.9
GTEX-11O72-1126-SM-5N9E2 40-49 years, male 23.8
GTEX-14C39-0926-SM-5TDDV 40-49 years, male 23.4
GTEX-12ZZY-1126-SM-5DUWQ 60-69 years, male 23.3
GTEX-13112-0426-SM-5PNVC 50-59 years, male 23.2
GTEX-1GN73-2426-SM-7RHFQ 60-69 years, male 22.9
GTEX-1EKGG-1126-SM-7MGXB 60-69 years, male 22.8
GTEX-1RMOY-0626-SM-E9TIE 50-59 years, male 22.6
GTEX-15RIE-1726-SM-7KUMU 60-69 years, male 22.5
GTEX-1J8Q3-1226-SM-CKZPT 60-69 years, male 22.5
GTEX-15CHR-0226-SM-7PC2Z 50-59 years, male 22.4
GTEX-S32W-0626-SM-2XCBG 50-59 years, female 22.2
GTEX-17HHY-1426-SM-7EWDQ 50-59 years, male 21.9
GTEX-SUCS-0326-SM-32PLL 70-79 years, male 21.8
GTEX-1H23P-1226-SM-9QEJ2 60-69 years, male 21.7
GTEX-RUSQ-0526-SM-2TF72 50-59 years, male 21.6
GTEX-1M5QR-1026-SM-DHXK9 40-49 years, male 21.6
GTEX-WHSE-0926-SM-3NMBS 20-29 years, male 21.5
GTEX-15SHU-1126-SM-7KUMB 40-49 years, female 21.3
GTEX-P44G-0826-SM-2I5ES 30-39 years, male 21.3
GTEX-1I1HK-0726-SM-B2LY4 60-69 years, male 21.2
GTEX-1L5NE-0426-SM-E9TIX 50-59 years, male 21.2
GTEX-14DAQ-1126-SM-664MT 60-69 years, female 20.9
GTEX-17GQL-0526-SM-72D5N 60-69 years, male 20.9
GTEX-1R9K5-1326-SM-E6CPR 50-59 years, male 20.9
GTEX-YFC4-0526-SM-5ZZVI 40-49 years, female 20.8
GTEX-13FTW-1026-SM-5L3E3 40-49 years, male 20.5
GTEX-U8XE-1126-SM-3DB8W 30-39 years, male 20.4
GTEX-T6MN-0926-SM-32PLX 50-59 years, male 20.3
GTEX-1JK1U-0526-SM-CYPSQ 60-69 years, male 20.2
GTEX-13X6I-1426-SM-5SI9Z 60-69 years, male 20.1
GTEX-ZAB5-0226-SM-5CVMH 50-59 years, male 20.1
GTEX-117YW-0326-SM-5N9CY 50-59 years, male 20.0
GTEX-13CF2-0426-SM-5KM1H 60-69 years, male 20.0
GTEX-RU72-0326-SM-2TF5T 50-59 years, female 19.8
GTEX-12WSC-1126-SM-5EQ4G 50-59 years, male 19.6
GTEX-1RQEC-0926-SM-EWROG 60-69 years, male 19.6
GTEX-111FC-0826-SM-5GZWO 60-69 years, male 19.5
GTEX-XQ3S-0626-SM-4BOOB 20-29 years, male 19.4
GTEX-13FLV-0926-SM-5L3DZ 50-59 years, male 19.3
GTEX-QEG4-0426-SM-33HC3 30-39 years, male 19.3
GTEX-RWSA-0626-SM-2XCBD 40-49 years, male 19.3
GTEX-12ZZZ-1726-SM-59HK5 60-69 years, male 19.2
GTEX-17F9E-0926-SM-7IGMG 50-59 years, male 19.1
GTEX-WHWD-0426-SM-3LK83 50-59 years, male 19.1
GTEX-14PHY-0226-SM-5ZZWM 60-69 years, female 19.0
GTEX-16BQI-0926-SM-6M485 30-39 years, female 19.0
GTEX-ZLFU-0226-SM-4WWFH 40-49 years, male 19.0
GTEX-14PK6-0826-SM-5ZZVO 70-79 years, female 18.8
GTEX-ZAB4-1026-SM-5HL7T 40-49 years, male 18.7
GTEX-1R9JW-0526-SM-EWRNK 30-39 years, female 18.7
GTEX-UPK5-0326-SM-CYPR4 40-49 years, male 18.7
GTEX-ZEX8-0426-SM-DO92Y 50-59 years, male 18.7
GTEX-Y5V6-0826-SM-4VBRU 60-69 years, male 18.6
GTEX-1HCU6-1026-SM-A9G25 60-69 years, female 18.6
GTEX-QEL4-0926-SM-3GAD1 50-59 years, male 18.2
GTEX-ZDXO-0726-SM-57WBT 60-69 years, male 18.2
GTEX-O5YW-0326-SM-2I5EI 50-59 years, male 17.9
GTEX-QVJO-1926-SM-2S1QZ 60-69 years, female 17.9
GTEX-15ER7-1726-SM-6PAMX 20-29 years, female 17.8
GTEX-1MUQO-1226-SM-E9TJK 60-69 years, male 17.8
GTEX-XV7Q-0826-SM-4BRV7 40-49 years, female 17.7
GTEX-ZVZP-0226-SM-5NQ73 50-59 years, male 17.6
GTEX-1F48J-1026-SM-7P8SO 50-59 years, female 17.6
GTEX-1GF9U-0426-SM-7RHHA 40-49 years, female 17.6
GTEX-1MCC2-0326-SM-EV7AK 30-39 years, female 17.6
GTEX-12ZZW-1026-SM-5GCMM 50-59 years, male 17.4
GTEX-1GN2E-1326-SM-9KNVG 60-69 years, male 17.3
GTEX-V1D1-0526-SM-4JBGW 50-59 years, male 17.2
GTEX-WL46-0926-SM-3LK7T 50-59 years, male 17.2
GTEX-1HSMO-1226-SM-CL548 60-69 years, male 17.2
GTEX-1CB4J-0326-SM-7PBZO 60-69 years, male 17.1
GTEX-145LV-0326-SM-5Q5BW 50-59 years, male 17.0
GTEX-146FH-1026-SM-5RQIF 50-59 years, female 16.5
GTEX-14JG1-1026-SM-6ETZY 40-49 years, male 16.5
GTEX-1QP29-1526-SM-EXUSY 50-59 years, male 16.5
GTEX-1B932-1026-SM-793CL 40-49 years, female 16.4
GTEX-N7MS-0826-SM-2HML4 60-69 years, male 16.4
GTEX-11DXX-0326-SM-5PNWC 60-69 years, female 16.3
GTEX-1F5PK-0326-SM-9KNUD 50-59 years, male 16.3
GTEX-1PPH7-2026-SM-E9J3N 40-49 years, male 16.3
GTEX-PLZ5-0626-SM-2I5F8 50-59 years, male 16.0
GTEX-1PPGY-1126-SM-E76OU 60-69 years, male 15.8
GTEX-13U4I-0826-SM-5SIBD 40-49 years, female 15.7
GTEX-1AX9J-1026-SM-72D6E 60-69 years, male 15.7
GTEX-12WSN-5001-SM-7DHMK 40-49 years, male 15.6
GTEX-WZTO-1326-SM-3NM8X 40-49 years, male 15.6
GTEX-1HFI7-0826-SM-A9G23 50-59 years, female 15.6
GTEX-1I1GV-1326-SM-A96SE 60-69 years, male 15.6
GTEX-1LSNM-0526-SM-DIPG6 50-59 years, male 15.6
GTEX-1F75I-1126-SM-9WYUO 40-49 years, male 15.5
GTEX-13X6H-0426-SM-5LU4E 50-59 years, female 15.3
GTEX-1H3NZ-1126-SM-9WYT9 60-69 years, male 15.2
GTEX-1JJEA-0826-SM-CL53T 60-69 years, male 15.2
GTEX-1122O-0826-SM-5GICV 60-69 years, female 15.1
GTEX-1AX9K-0526-SM-73KV1 50-59 years, male 15.1
GTEX-1H11D-1226-SM-9WPQ2 40-49 years, male 15.1
GTEX-1JMQK-0626-SM-D4P2R 60-69 years, male 15.1
GTEX-OIZH-0326-SM-2HMKC 50-59 years, male 15.0
GTEX-R55E-1026-SM-2TC5S 20-29 years, male 15.0
GTEX-1313W-1426-SM-5KLZU 50-59 years, female 14.9
GTEX-1GMRU-1526-SM-9WYT5 50-59 years, male 14.8
GTEX-1JMOU-0226-SM-CNNPD 60-69 years, female 14.8
GTEX-R55C-0326-SM-3GAF1 40-49 years, male 14.7
GTEX-1GL5R-0326-SM-9WYTJ 50-59 years, male 14.7
GTEX-1JMPZ-1426-SM-CJI3C 30-39 years, male 14.7
GTEX-14JIY-1126-SM-6EU28 60-69 years, male 14.5
GTEX-13OW6-1126-SM-5L3HL 50-59 years, male 14.4
GTEX-1IDJE-0326-SM-CM2TD 50-59 years, female 14.4
GTEX-1S3DN-0726-SM-E9TIO 50-59 years, male 14.4
GTEX-1A3MW-1326-SM-7189P 60-69 years, female 14.3
GTEX-1C2JI-0526-SM-7EWEQ 50-59 years, male 14.3
GTEX-OXRK-0826-SM-2HMK7 50-59 years, female 14.2
GTEX-ZZPU-0926-SM-5GZYT 50-59 years, female 14.2
GTEX-1GTWX-1026-SM-7P8QW 60-69 years, male 14.2
GTEX-ZTPG-1226-SM-4YCDO 20-29 years, female 14.1
GTEX-1LB8K-1026-SM-DHXJJ 50-59 years, male 14.1
GTEX-ZYFC-1126-SM-5E44W 50-59 years, male 14.0
GTEX-17HGU-1026-SM-79OKL 50-59 years, male 13.9
GTEX-18D9U-1126-SM-72D5Y 40-49 years, male 13.8
GTEX-1A8G6-1626-SM-7MGWO 60-69 years, male 13.8
GTEX-ZPCL-0426-SM-DNZZ4 60-69 years, female 13.8
GTEX-1AYCT-0426-SM-73KVZ 50-59 years, male 13.6
GTEX-13YAN-1326-SM-5Q5F1 60-69 years, male 13.5
GTEX-117YX-1126-SM-5H128 50-59 years, male 13.4
GTEX-11DXY-0826-SM-5EGGR 60-69 years, male 13.4
GTEX-RWS6-0326-SM-2XCAP 60-69 years, female 13.4
GTEX-13JVG-1326-SM-5N9F8 60-69 years, male 13.3
GTEX-1QPFJ-1026-SM-E6CR6 30-39 years, female 13.3
GTEX-X261-1426-SM-4PQZ1 50-59 years, male 13.2
GTEX-XXEK-0926-SM-4BRWH 50-59 years, male 13.1
GTEX-1IL2U-1326-SM-A9G2O 60-69 years, male 13.1
GTEX-XGQ4-0326-SM-4GIEE 50-59 years, male 13.0
GTEX-13W3W-0426-SM-5SI9D 60-69 years, female 12.9
GTEX-13O61-0526-SM-5J2M1 60-69 years, male 12.8
GTEX-13OVL-0526-SM-5KLZQ 50-59 years, male 12.8
GTEX-1C64O-0826-SM-79OKZ 60-69 years, male 12.8
GTEX-1GMR2-1426-SM-7RHHK 50-59 years, male 12.8
GTEX-1HSMQ-0226-SM-C1YQL 50-59 years, male 12.8
GTEX-1497J-1226-SM-5Q5BL 60-69 years, male 12.7
GTEX-1ICG6-0626-SM-ACKWS 70-79 years, female 12.7
GTEX-12696-1126-SM-5FQTI 60-69 years, male 12.6
GTEX-1J8EW-0926-SM-A9G33 60-69 years, female 12.5
GTEX-1LGRB-1126-SM-CNPP2 50-59 years, female 12.5
GTEX-U4B1-0326-SM-3DB8K 40-49 years, male 12.4
GTEX-WHPG-0826-SM-3NMBF 50-59 years, male 12.3
GTEX-R53T-0926-SM-3GADH 50-59 years, female 12.2
GTEX-13VXT-1126-SM-5LU3A 20-29 years, female 12.1
GTEX-1CAMS-1326-SM-79OJR 40-49 years, female 12.1
GTEX-14PJ6-0726-SM-69LOL 60-69 years, female 12.0
GTEX-18A6Q-1626-SM-7KFTA 60-69 years, male 12.0
GTEX-RNOR-0826-SM-2TF5C 50-59 years, female 12.0
GTEX-ZDTT-0726-SM-4WKFK 60-69 years, male 12.0
GTEX-1CB4E-0526-SM-7MXTK 60-69 years, male 12.0
GTEX-13N11-0426-SM-5KM3O 50-59 years, female 11.9
GTEX-14E6D-0926-SM-5S2QV 50-59 years, male 11.9
GTEX-1BAJH-1626-SM-73KUV 70-79 years, male 11.9
GTEX-OOBJ-0326-SM-33HBO 60-69 years, male 11.9
GTEX-146FR-0626-SM-5RQJ1 60-69 years, female 11.8
GTEX-ZPU1-0626-SM-4YCDM 40-49 years, male 11.8
GTEX-WQUQ-1426-SM-3MJFD 60-69 years, male 11.7
GTEX-1I1GQ-1426-SM-B2LWY 50-59 years, male 11.7
GTEX-1K9T9-1126-SM-D3L9E 50-59 years, female 11.7
GTEX-11DXZ-0626-SM-5GU77 50-59 years, male 11.6
GTEX-P78B-0426-SM-2I5F5 40-49 years, female 11.6
GTEX-Y3I4-0626-SM-4TT7A 50-59 years, male 11.6
GTEX-1IDJI-1026-SM-A96TE 50-59 years, female 11.6
GTEX-13PVR-1026-SM-5QGQW 60-69 years, female 11.5
GTEX-O5YT-0326-SM-32PKA 20-29 years, male 11.5
GTEX-1F6I4-0726-SM-7PC2P 60-69 years, male 11.5
GTEX-1IDJF-0726-SM-CJI1U 20-29 years, male 11.5
GTEX-132QS-0426-SM-5KLZ6 60-69 years, male 11.3
GTEX-RN64-0826-SM-2TC62 50-59 years, male 11.3
GTEX-12WSK-0626-SM-5LZUJ 40-49 years, female 11.2
GTEX-13FHP-1026-SM-5K7Y2 50-59 years, male 11.1
GTEX-13O21-2326-SM-5MR3X 50-59 years, male 11.1
GTEX-1B8L1-0526-SM-79ONX 60-69 years, male 11.1
GTEX-1HC8U-0726-SM-ACKXL 40-49 years, female 11.1
GTEX-WY7C-0526-SM-3NB3D 50-59 years, male 10.8
GTEX-1LVAN-1726-SM-CNNR1 50-59 years, female 10.8
GTEX-148VJ-1526-SM-5Q5DU 70-79 years, male 10.7
GTEX-PVOW-0426-SM-5MR5R 40-49 years, male 10.7
GTEX-RTLS-0826-SM-2TF5Q 60-69 years, female 10.7
GTEX-ZG7Y-0926-SM-5EQ6O 50-59 years, male 10.7
GTEX-1QCLZ-0926-SM-E6CQZ 60-69 years, female 10.7
GTEX-ZF29-0226-SM-4WKHO 60-69 years, female 10.6
GTEX-1IDJU-0726-SM-CNPQ9 60-69 years, female 10.6
GTEX-15DYW-1126-SM-6LPK5 60-69 years, female 10.5
GTEX-1AX9I-1126-SM-7EPHH 60-69 years, male 10.5
GTEX-PSDG-0926-SM-2I5FP 50-59 years, male 10.5
GTEX-XPVG-0826-SM-4B654 50-59 years, male 10.4
GTEX-16NPX-0926-SM-7KUEZ 50-59 years, male 10.3
GTEX-UJHI-0426-SM-3DB8Y 50-59 years, female 10.3
GTEX-1GN1W-0326-SM-9JGHF 50-59 years, female 10.3
GTEX-13O3O-1526-SM-5KM1C 60-69 years, female 10.2
GTEX-16MT8-0926-SM-6M487 60-69 years, female 10.2
GTEX-P44H-0726-SM-48TBT 40-49 years, male 10.2
GTEX-WEY5-0426-SM-3GIKT 40-49 years, female 10.1
GTEX-Y8E4-0326-SM-4VBRR 40-49 years, male 10.1
GTEX-17MF6-0726-SM-7LT8E 40-49 years, male 10.0
GTEX-1B996-1126-SM-73KWN 60-69 years, male 10.0
GTEX-XPT6-0126-SM-4B65S 20-29 years, male 10.0
GTEX-1LGOU-0726-SM-E9TIY 20-29 years, female 10.0
GTEX-15CHC-0426-SM-6LLHI 60-69 years, female 9.9
GTEX-R55G-0526-SM-2TC5O 40-49 years, female 9.9
GTEX-1AX8Z-5007-SM-AHZ36 60-69 years, male 9.9
GTEX-1LVA9-0926-SM-EVR5G 50-59 years, male 9.9
GTEX-WK11-0826-SM-EZ6LH 50-59 years, male 9.9
GTEX-SIU8-0826-SM-2XCDQ 50-59 years, male 9.8
GTEX-WYJK-1026-SM-3NM8W 50-59 years, male 9.8
GTEX-13O3P-1626-SM-5K7X3 50-59 years, male 9.7
GTEX-WI4N-0626-SM-3TW8Z 40-49 years, female 9.7
GTEX-1HSGN-1126-SM-CJI4G 40-49 years, female 9.7
GTEX-1JN1M-1026-SM-CNPOS 60-69 years, female 9.7
GTEX-1LC47-1026-SM-D3LAH 60-69 years, male 9.6
GTEX-XBEC-1326-SM-4AT69 50-59 years, male 9.5
GTEX-1H1CY-0326-SM-9QEIZ 60-69 years, female 9.5
GTEX-1JJE9-1426-SM-ARL8P 70-79 years, male 9.5
GTEX-YEC3-0726-SM-CMKFH 50-59 years, male 9.5
GTEX-S33H-0526-SM-COH1W 30-39 years, male 9.4
GTEX-1211K-0626-SM-5FQUZ 60-69 years, female 9.3
GTEX-1EWIQ-1426-SM-7IGOS 70-79 years, female 9.3
GTEX-ZGAY-0326-SM-57WF5 40-49 years, female 9.3
GTEX-ZVT2-1026-SM-5GU55 50-59 years, female 9.2
GTEX-1MJIX-0326-SM-EVR42 40-49 years, male 9.2
GTEX-1399T-0426-SM-5PNVJ 60-69 years, male 9.1
GTEX-15SHW-1226-SM-6M46C 60-69 years, male 9.1
GTEX-18D9B-1226-SM-72D6V 60-69 years, male 9.1
GTEX-ZPIC-0826-SM-4WWFJ 40-49 years, female 9.1
GTEX-15RJE-0626-SM-7KUKR 40-49 years, male 9.0
GTEX-T2IS-0426-SM-32QPE 20-29 years, female 9.0
GTEX-UJMC-0526-SM-3GAE3 50-59 years, male 9.0
GTEX-ZYW4-0926-SM-59HJS 60-69 years, male 9.0
GTEX-11ZUS-0226-SM-5FQT8 30-39 years, male 8.9
GTEX-14PJ4-1126-SM-5YY91 60-69 years, male 8.9
GTEX-1RB15-0326-SM-E6CQB 60-69 years, male 8.9
GTEX-13O1R-1226-SM-5J1NU 60-69 years, male 8.8
GTEX-SNMC-0126-SM-2XCFO 20-29 years, male 8.8
GTEX-WFG7-0726-SM-3GIKO 20-29 years, male 8.8
GTEX-X3Y1-0426-SM-3P5Z4 40-49 years, male 8.8
GTEX-ZQUD-1526-SM-7IGO2 30-39 years, male 8.8
GTEX-11TT1-1326-SM-5PNYM 20-29 years, male 8.7
GTEX-13RTJ-0726-SM-5QGQN 60-69 years, male 8.7
GTEX-1QP2A-1126-SM-EVR3H 50-59 years, male 8.7
GTEX-11I78-0826-SM-5A5K4 50-59 years, female 8.6
GTEX-14PN3-0526-SM-69LQF 60-69 years, female 8.6
GTEX-1B8KE-0126-SM-793AM 50-59 years, male 8.6
GTEX-POMQ-0326-SM-2I5FO 20-29 years, female 8.6
GTEX-WH7G-0426-SM-3NMBJ 40-49 years, male 8.6
GTEX-ZYT6-1726-SM-5E44P 30-39 years, male 8.6
GTEX-12WSG-0526-SM-5FQTH 50-59 years, female 8.5
GTEX-1CB4I-1626-SM-7RHGV 50-59 years, male 8.5
GTEX-1IKJJ-0826-SM-A96SP 60-69 years, male 8.5
GTEX-1J8QM-0426-SM-AHZ3X 60-69 years, female 8.5
GTEX-1KXAM-1326-SM-E9TJW 60-69 years, male 8.4
GTEX-1OFPY-1026-SM-EXUSO 60-69 years, male 8.4
GTEX-13NYB-0226-SM-5N9G4 40-49 years, male 8.3
GTEX-1CB4G-0826-SM-7DUGF 60-69 years, male 8.3
GTEX-14C5O-1326-SM-5S2UW 60-69 years, male 8.2
GTEX-ZUA1-0826-SM-4YCDL 40-49 years, male 8.2
GTEX-1I1GP-0826-SM-A96SD 50-59 years, male 8.2
GTEX-1KANC-0426-SM-CXZK5 50-59 years, female 8.2
GTEX-P4QS-0326-SM-2I3EU 60-69 years, male 8.1
GTEX-YB5K-0126-SM-5IFJ2 40-49 years, female 8.1
GTEX-ZV7C-0326-SM-57WB1 50-59 years, male 8.1
GTEX-1I6K7-0626-SM-ARL7Q 40-49 years, male 8.1
GTEX-1O97I-0826-SM-E8VNE 60-69 years, male 8.1
GTEX-1OKEX-0726-SM-DPRYE 60-69 years, male 8.1
GTEX-13FH7-0926-SM-5J2MR 50-59 years, female 8.0
GTEX-14XAO-1126-SM-6EU11 60-69 years, female 8.0
GTEX-145MN-0626-SM-5QGRH 30-39 years, male 7.9
GTEX-14BIN-2226-SM-5YYA1 50-59 years, female 7.9
GTEX-16XZY-0426-SM-793BI 70-79 years, male 7.9
GTEX-17KNJ-0826-SM-793A4 50-59 years, male 7.9
GTEX-QEG5-0926-SM-2TC64 20-29 years, male 7.9
GTEX-U3ZN-1426-SM-3DB87 30-39 years, female 7.9
GTEX-Y3IK-0826-SM-51MT8 50-59 years, female 7.9
GTEX-YEC4-0326-SM-4W216 40-49 years, male 7.9
GTEX-1N2EF-2826-SM-E6CQF 60-69 years, male 7.9
GTEX-18A66-1226-SM-7LT8G 60-69 years, male 7.8
GTEX-14PJM-1126-SM-6LLHK 50-59 years, female 7.7
GTEX-QMRM-0526-SM-2I5GA 50-59 years, male 7.7
GTEX-XBED-0526-SM-47JY3 60-69 years, male 7.7
GTEX-12BJ1-0226-SM-5LUA2 60-69 years, male 7.6
GTEX-131XG-0626-SM-5GCMP 50-59 years, female 7.5
GTEX-15RJ7-0226-SM-7KUMN 40-49 years, male 7.5
GTEX-U3ZH-0326-SM-3DB7A 30-39 years, male 7.5
GTEX-1399S-1026-SM-5KLZ9 30-39 years, female 7.4
GTEX-Q2AH-0526-SM-2I3ED 40-49 years, male 7.4
GTEX-ZDYS-0226-SM-5HL4K 50-59 years, male 7.4
GTEX-1LH75-0426-SM-E9TJF 50-59 years, female 7.4
GTEX-1R7EV-0326-SM-E76PA 40-49 years, male 7.3
GTEX-OIZG-1126-SM-2HMIU 50-59 years, male 7.2
GTEX-WFG8-0626-SM-3GILJ 20-29 years, male 7.2
GTEX-1HT8W-1726-SM-CNNQB 30-39 years, male 7.2
GTEX-P4PQ-0326-SM-2HMJ8 60-69 years, male 7.0
GTEX-OIZF-0326-SM-3MJGY 60-69 years, male 7.0
GTEX-1339X-0426-SM-5KLZY 40-49 years, male 6.9
GTEX-13CF3-0726-SM-5J2MY 60-69 years, female 6.9
GTEX-14C38-1426-SM-5RQHZ 50-59 years, male 6.9
GTEX-1B97J-0726-SM-7RHG3 50-59 years, female 6.9
GTEX-YJ8O-0926-SM-EAZ2Z 40-49 years, female 6.9
GTEX-131XF-5001-SM-7DHLY 60-69 years, male 6.8
GTEX-14H4A-0626-SM-5ZZUT 40-49 years, female 6.8
GTEX-YF7O-0426-SM-5P9FS 50-59 years, male 6.8
GTEX-1HCUA-0526-SM-A9SMH 50-59 years, female 6.8
GTEX-13D11-1726-SM-5IFGQ 50-59 years, female 6.7
GTEX-148VI-0326-SM-5RQK7 60-69 years, female 6.7
GTEX-11LCK-0926-SM-5A5KA 30-39 years, male 6.6
GTEX-18A67-1226-SM-7KFRS 50-59 years, male 6.6
GTEX-OHPL-0326-SM-33HC8 60-69 years, female 6.4
GTEX-OXRL-0326-SM-2I3F2 50-59 years, male 6.4
GTEX-QDVJ-0426-SM-2I5FW 50-59 years, male 6.4
GTEX-ZF2S-1026-SM-9QEGK 50-59 years, female 6.3
GTEX-14PHX-2126-SM-6EU2U 50-59 years, male 6.2
GTEX-PWCY-0526-SM-5P9HG 20-29 years, female 6.1
GTEX-1H1ZS-1126-SM-9MQLJ 70-79 years, male 6.1
GTEX-15EOM-5007-SM-793DG 20-29 years, female 5.9
GTEX-WFON-0326-SM-3GIKX 40-49 years, male 5.9
GTEX-NFK9-0926-SM-2HMJU 40-49 years, male 5.7
GTEX-PX3G-0326-SM-2I3EO 20-29 years, female 5.7
GTEX-REY6-1026-SM-2TF4Y 60-69 years, male 5.7
GTEX-1B8SG-0826-SM-7EWF7 50-59 years, male 5.6
GTEX-SE5C-0626-SM-2XCDV 40-49 years, female 5.6
GTEX-11EM3-0626-SM-5H12Z 20-29 years, female 5.5
GTEX-QLQ7-0526-SM-2I5G3 60-69 years, male 5.5
GTEX-QESD-0526-SM-2I5G5 20-29 years, male 5.1
GTEX-1NV8Z-1526-SM-DTX8X 60-69 years, male 5.1
GTEX-1399U-0526-SM-5K7YM 50-59 years, female 5.0
GTEX-13OVG-0526-SM-5K7YD 60-69 years, male 5.0
GTEX-P4PP-0326-SM-33HC4 30-39 years, female 4.5
GTEX-OIZI-0926-SM-E6CHF 40-49 years, male 4.5
GTEX-1399R-1926-SM-5K7X8 30-39 years, male 4.4
GTEX-OHPK-0326-SM-2HMJO 50-59 years, female 4.2
GTEX-QDVN-0326-SM-2I3FS 50-59 years, male 4.1
GTEX-1PWST-1026-SM-DTXF2 70-79 years, male 4.1
GTEX-11TUW-1026-SM-5GU7D 60-69 years, male 3.7
GTEX-14E7W-1226-SM-5RQIU 70-79 years, male 3.6
GTEX-13QBU-0426-SM-5J2O4 40-49 years, female 3.4
GTEX-ZYFG-0426-SM-5E43M 60-69 years, female 3.4
GTEX-14E6C-0426-SM-5YYA8 40-49 years, male 1.3
Show allShow less

HEART MUSCLE - FANTOM5 CAGEi

RNA expression in human tissues obtained through Cap Analysis of Gene Expression (CAGE) generated by the FANTOM5 project are reported as Scaled Tags Per Million.

Max subtype Scaled Tags Per Millioni

Max subtype Scaled Tags Per Million is the value for the subtype with the largest average Scaled Tags Per Million across the subtype samples.

15.7
FANTOM5 sample id Sample description Scaled Tags Per Million
Heart
Scaled Tags Per Million: 15.7
FF:10016-101C7 70,73,74 years, mixed 15.7
Left atrium
Scaled Tags Per Million: 4.0
FF:10079-102A7 40 years, male 4.0
Left ventricle
Scaled Tags Per Million: 10.5
FF:10078-102A6 73 years, female 10.5

Contact

  • NEWS ARTICLES
  • PRESS ROOM

The Project

  • INTRODUCTION
  • ORGANIZATION
  • PUBLICATIONS

The Human Protein Atlas

  • DOWNLOADABLE DATA
  • LICENCE & CITATION
  • HELP & FAQ
The Human Protein Atlas project is funded
by the Knut & Alice Wallenberg Foundation.


contact@proteinatlas.org