We use cookies to enhance the usability of our website. If you continue, we'll assume that you are happy to receive all cookies. More information. Don't show this again.
SUMO2
HPA
RESOURCES
  • TISSUE
  • BRAIN
  • SINGLE CELL
  • SUBCELLULAR
  • CANCER
  • BLOOD
  • CELL LINE
  • STRUCTURE & INTERACTION
ABOUT
  • INTRODUCTION
  • HISTORY
  • ORGANIZATION
  • PUBLICATIONS
  • ANTIBODY SUBMISSION
  • ANTIBODY AVAILABILITY
  • ACKNOWLEDGMENTS
  • CONTACT
NEWS
  • NEWS ARTICLES
  • PRESS ROOM
LEARN
  • DICTIONARY
  • PROTEIN CLASSES
  • PROTEIN EVIDENCE
  • METHODS
  • EDUCATIONAL VIDEOS
DATA
  • DOWNLOADABLE DATA
  • PUBLICATION DATA
  • RELEASE HISTORY
HELP
  • ANTIBODY VALIDATION
  • ASSAYS & ANNOTATION
  • DISCLAIMER
  • HELP & FAQ
  • PRIVACY STATEMENT
  • LICENCE & CITATION
Fields »
Search result

Field
Term
Gene name
Class
Subclass
Class
Keyword
Chromosome
External id
Tissue
Cell type
Expression
Antibody panel
Tissue
Main location
Patient ID
Annotation
Tissue
Category
Tau score
Cluster
Reliability
Brain region
Category
Tau score
Brain region
Category
Tau score
Brain region
Category
Tau score
Cluster
Reliability
Tissue
Cell type
Enrichment
Cell type
Category
Tau score
Cell type
Category
Tau score
Cell type
Category
Tau score
Cell lineage
Category
Tau score
Cluster
Cluster
Location
Searches
Location
Cell line
Class
Type
Phase
Reliability
Cancer
Prognosis
Cancer
Category
Cancer
Category
Tau score
Cluster
Variants
Interacting gene (ensg_id)
Type
Number of interactions
Pathway
Category
Score
Score
Score
Validation
Validation
Validation
Validation
Antibodies
Data type
Column


  • SUMMARY

  • TISSUE

  • BRAIN

  • SINGLE CELL

  • SUBCELL

  • CANCER

  • BLOOD

  • CELL LINE

  • STRUCT & INT

  • SUMO2
TISSUE PRIMARY DATA COLON Show tissue menu
ADIPOSE TISSUE ADRENAL GLAND AMYGDALA APPENDIX BASAL GANGLIA BONE MARROW BREAST BRONCHUS CEREBELLUM CEREBRAL CORTEX CERVIX CHOROID PLEXUS COLON DUODENUM
ENDOMETRIUM EPIDIDYMIS ESOPHAGUS FALLOPIAN TUBE GALLBLADDER HEART MUSCLE HIPPOCAMPAL FORMATION HYPOTHALAMUS KIDNEY LIVER LUNG LYMPH NODE MIDBRAIN NASOPHARYNX
ORAL MUCOSA OVARY PANCREAS PARATHYROID GLAND PITUITARY GLAND PLACENTA PROSTATE RECTUM RETINA SALIVARY GLAND SEMINAL VESICLE SKELETAL MUSCLE SKIN SMALL INTESTINE
SMOOTH MUSCLE SOFT TISSUE SPINAL CORD SPLEEN STOMACH TESTIS THYMUS THYROID GLAND TONGUE TONSIL URINARY BLADDER VAGINA
ANTIBODIES
AND
VALIDATION
Dictionary
Colon
Tissue proteome
Intestine
COLON - Expression summary
Protein expression
Coloni

On the top, protein expression in current human tissue, based on all annotated cell types, is reported with the units not detected (n), low (l), medium (m) and high (h). Underneath, protein expression in each annotated cell type are reported using the same units.

Protein expression data is based on knowledge-based annotation. For genes where more than one antibody has been used, a collective score is set.

If knowledge-based annotation could not be performed for a gene, no data is displayed here. View antibody staining data further down this page.

h
m
l
n
Endothelial cells: Medium
Glandular cells: Medium
Peripheral nerve/ganglion: Low
RNA expressioni

A summary of mRNA expression data available for current tissue based on several datasets. The mRNA expression levels in human tissues are based on RNA-seq data generated by the Human Protein Atlas (HPA), Genotype-Tissue Expression (GTEx) portal and CAGE data generated by the FANTOM5 consortium. Consensus normalized expression levels for human tissues was created by combining the data from HPA and GTEx datasets.

The mRNA expression levels in pig are based on RNA-seq data generated by the Human Protein Atlas (HPA), and for mouse, HPA data and in situ hybridization generated by the Allen brain atlas are reported.

Scroll down to view mRNA expression data in more detail.
Consensus:183.7 nTPM
HPA:167.2 nTPM
GTEx:183.7 nTPM
FANTOM5:169.2 Scaled Tags Per Million

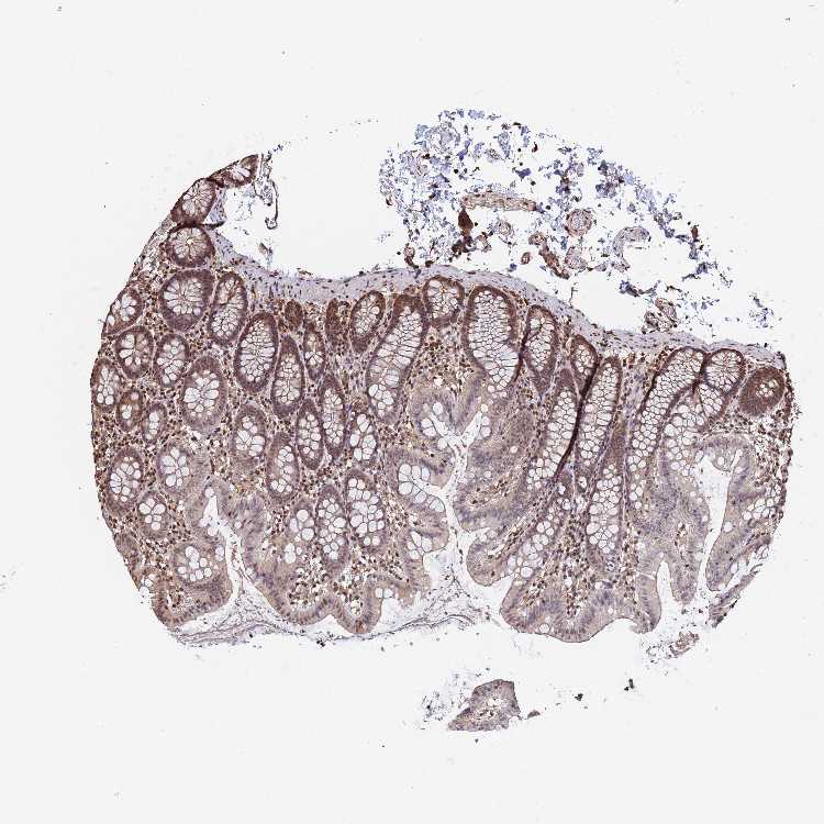
COLON - Antibody stainingi

Antibody staining in the annotated cell types in the current human tissue is reported as not detected, low, medium, or high, based on conventional immunohistochemistry profiling in selected tissues. This score is based on the combination of the staining intensity and fraction of stained cells.

Each image is clickable and will lead to virtual microscopy that enables deeper exploration of all samples and also displays staining intensity scores, fraction scores and subcellular localization as well as patient and tissue information for each sample.

Antibody HPA042123Antibody HPA048064Antibody CAB037314
Endothelial cells MediumHighHigh
Glandular cells MediumHighHigh
Peripheral nerve/ganglion Medium-Low







COLON - HPA RNA-seqi

The RNA-seq details section shows detailed information about the individual samples used for the transcript profiling and results of the RNA-seq analysis.

Information about each individual sample is listed below, including gender, age, a tissue section image and estimated fractions of cell types. nTPM (normalized transcripts per million) values give a quantification of the gene abundance which is comparable between different genes and samples.
Average nTPMi

Max subtype nTPM is the value for the subtype with the largest average nTPM across the subtype samples.

167.2
overview
Male, age 54
Colon sample 67
nTPM: 177.3
Cell types%
Glandular cells:
65

Smooth muscle cells:
10

Other cell types:
25

overview
Female, age 57
Colon sample 68
nTPM: 262
Cell types%
Glandular cells:
40

Smooth muscle cells:
5

Other cell types:
55

overview
Male, age 80
Colon sample 69
nTPM: 276.5
Cell types%
Glandular cells:
55

Smooth muscle cells:
5

Other cell types:
40

overview
Male, age 68
Colon sample 70
nTPM: 223.3
Cell types%
Glandular cells:
35

Smooth muscle cells:
10

Other cell types:
55

overview
Female, age 68
Colon sample 76
nTPM: 262.5
Cell types%
Glandular cells:
25

Smooth muscle cells:
5

Other cell types:
70

overview
Female, age 61
Colon sample 299
nTPM: 170
Cell types%
Glandular cells:
5

Smooth muscle cells:
65

Other cell types:
30

overview
Male, age 80
Colon sample 300
nTPM: 162.9
Cell types%
Glandular cells:
15

Smooth muscle cells:
20

Other cell types:
65

overview
Female, age 78
Colon sample 368
nTPM: 95.9
Cell types%
Glandular cells:
45

Smooth muscle cells:
5

Other cell types:
50

overview
Male, age 84
Colon sample 381
nTPM: 93.3
Cell types%
Glandular cells:
50

Smooth muscle cells:
15

Other cell types:
35

overview
Male, age 80
Colon sample 384
nTPM: 125.8
Cell types%
Glandular cells:
20

Smooth muscle cells:
35

Other cell types:
45

overview
Female, age 78
Colon sample 389
nTPM: 100.5
Cell types%
Glandular cells:
35

Smooth muscle cells:
10

Other cell types:
55

overview
Female, age 69
Colon sample 391
nTPM: 121.4
Cell types%
Glandular cells:
10

Smooth muscle cells:
45

Other cell types:
45

overview
Female, age 72
Colon sample 403
nTPM: 102.8
Cell types%
Glandular cells:
20

Smooth muscle cells:
15

Other cell types:
65


COLON - GTEx RNA-seqi

RNA-Seq data generated by the Genotype-Tissue Expression (GTEx) project from human tissues is reported as mean nTPM. More information can be found on the GTEx portal.

Distribution across the dataset is visualized with box plots, shown as median and 25th and 75th percentiles. Points are displayed as outliers if they are above or below 1.5 times the interquartile range. nTPM values of the individual samples are presented next to the box plot.
Max subtype nTPMi

Max subtype nTPM is the value for the subtype with the largest average nTPM across the subtype samples.

183.7
GTEx sample id Sample description nTPM
Colon - Sigmoid
Average nTPM: 183.7
Samples: 373

Max nTPM: 414.5
Min nTPM: 100.7
Std nTPM: 35.7
Median nTPM: 180.9
GTEX-15RJ7-1726-SM-6PAL3 40-49 years, male 414.5
GTEX-1399U-2226-SM-5KLZI 50-59 years, female 299.3
GTEX-15RJE-2226-SM-6M46A 40-49 years, male 296.8
GTEX-17HG3-1126-SM-7DUFC 30-39 years, female 288.8
GTEX-11P81-1426-SM-5P9JN 30-39 years, female 277.0
GTEX-18D9A-1326-SM-7LT8P 30-39 years, female 272.1
GTEX-1PIEJ-1826-SM-EWRMN 20-29 years, female 271.2
GTEX-131XE-1026-SM-5EGKE 50-59 years, male 265.1
GTEX-1H3VE-2326-SM-9KNVU 40-49 years, male 263.0
GTEX-13OVI-2126-SM-5KM3U 60-69 years, female 261.3
GTEX-17KNJ-1826-SM-7LT9N 50-59 years, male 256.8
GTEX-1LBAC-1726-SM-D3L9W 20-29 years, male 255.6
GTEX-1QPFJ-2426-SM-EVR3L 30-39 years, female 252.7
GTEX-14PK6-1826-SM-69LOM 70-79 years, female 250.5
GTEX-1EH9U-1926-SM-7P8QM 60-69 years, male 248.6
GTEX-ZTSS-1226-SM-51MSZ 40-49 years, male 248.0
GTEX-1F5PL-1926-SM-7MXTP 40-49 years, female 247.0
GTEX-17F9Y-2626-SM-7IGN9 70-79 years, female 244.9
GTEX-1EU9M-2726-SM-7P8QD 60-69 years, male 244.0
GTEX-ZLWG-1826-SM-DO11I 50-59 years, female 242.3
GTEX-145ME-1126-SM-5SIAT 40-49 years, female 239.4
GTEX-12WSM-1426-SM-5GCPA 60-69 years, male 238.4
GTEX-ZVT2-1726-SM-51MRO 50-59 years, female 238.0
GTEX-ZT9W-1726-SM-51MS3 50-59 years, male 237.6
GTEX-ZLV1-1326-SM-DO11Q 60-69 years, female 237.4
GTEX-14E1K-1626-SM-664MO 50-59 years, male 236.5
GTEX-11P7K-1826-SM-5HL5A 30-39 years, male 235.8
GTEX-ZPCL-1626-SM-57WGC 60-69 years, female 233.8
GTEX-ZLFU-1426-SM-4WWEU 40-49 years, male 233.2
GTEX-12WSG-2426-SM-5EQLZ 50-59 years, female 232.8
GTEX-1H3VY-2526-SM-9KNW1 50-59 years, male 232.3
GTEX-1JKYR-2026-SM-CNPON 20-29 years, male 231.3
GTEX-15G1A-1926-SM-7KUFF 30-39 years, male 231.2
GTEX-1GZ4H-1326-SM-7P8TE 50-59 years, female 227.5
GTEX-1A3MX-2326-SM-718B4 60-69 years, male 227.2
GTEX-1CAMR-1026-SM-7P8QI 20-29 years, male 226.7
GTEX-16MTA-1626-SM-6M47N 50-59 years, male 226.1
GTEX-1399R-2126-SM-5K7WZ 30-39 years, male 225.9
GTEX-13PVR-1726-SM-5Q5EC 60-69 years, female 225.7
GTEX-1B8L1-1926-SM-7IGND 60-69 years, male 224.1
GTEX-11DXZ-1626-SM-5GIDI 50-59 years, male 223.3
GTEX-13RTJ-1926-SM-5YYA2 60-69 years, male 222.9
GTEX-1KXAM-1926-SM-D3LAG 60-69 years, male 222.3
GTEX-1LG7Z-1326-SM-DIPF3 30-39 years, male 221.9
GTEX-13OVK-1026-SM-7KFTC 40-49 years, male 221.6
GTEX-183WM-2526-SM-731BP 70-79 years, female 221.5
GTEX-ZAB5-1426-SM-5HL9D 50-59 years, male 221.3
GTEX-1GL5R-1726-SM-9KNUX 50-59 years, male 221.2
GTEX-1GMR3-2526-SM-7P8QS 40-49 years, male 221.0
GTEX-11EI6-2626-SM-5PNVT 60-69 years, male 220.0
GTEX-111YS-1826-SM-5GIEP 60-69 years, male 219.3
GTEX-17JCI-2826-SM-7IGNA 60-69 years, female 219.2
GTEX-1HBPH-2526-SM-ACKXK 40-49 years, female 218.5
GTEX-139T6-1426-SM-5P9J7 50-59 years, male 218.4
GTEX-1K2DA-1626-SM-CGQGB 50-59 years, male 217.9
GTEX-13SLW-2826-SM-5Q5ES 70-79 years, male 217.1
GTEX-11EQ8-2626-SM-5N9BO 60-69 years, male 216.9
GTEX-1MGNQ-2126-SM-EV7AC 40-49 years, male 216.5
GTEX-11GS4-1826-SM-5HL4T 60-69 years, male 216.4
GTEX-1JK1U-1426-SM-CNPOW 60-69 years, male 216.3
GTEX-1AX9K-1626-SM-73KUS 50-59 years, male 213.9
GTEX-183FY-1426-SM-7DHLM 20-29 years, male 213.1
GTEX-15UF6-2726-SM-7KULY 70-79 years, female 212.8
GTEX-18A66-2626-SM-72D67 60-69 years, male 212.5
GTEX-1I1GT-2026-SM-CKZPK 60-69 years, female 211.8
GTEX-1HSKV-2326-SM-A9SL9 60-69 years, male 211.6
GTEX-12ZZY-2726-SM-5EQ45 60-69 years, male 211.4
GTEX-12BJ1-2026-SM-5FQUH 60-69 years, male 211.0
GTEX-1N2EF-1726-SM-EXUSI 60-69 years, male 210.8
GTEX-14PN3-1926-SM-6EU1Y 60-69 years, female 209.1
GTEX-147GR-2826-SM-5RQK8 60-69 years, male 208.6
GTEX-ZYT6-2826-SM-5GICX 30-39 years, male 208.4
GTEX-15RIF-1426-SM-7KUKQ 20-29 years, male 208.3
GTEX-145MO-2626-SM-5QGPD 60-69 years, male 208.1
GTEX-1B8KE-1526-SM-7DUG2 50-59 years, male 208.1
GTEX-1HFI7-1626-SM-9WYTR 50-59 years, female 207.5
GTEX-ZPU1-1726-SM-4WWFV 40-49 years, male 207.4
GTEX-15UF7-1326-SM-7KUKV 40-49 years, male 207.1
GTEX-ZXES-1726-SM-5E43G 30-39 years, female 207.1
GTEX-17GQL-1626-SM-7LG69 60-69 years, male 206.7
GTEX-117XS-2226-SM-5GIE1 60-69 years, male 206.3
GTEX-1F75W-2126-SM-7RHIA 60-69 years, male 206.3
GTEX-14AS3-1026-SM-5TDD7 40-49 years, female 205.9
GTEX-1EMGI-2626-SM-7IGNR 60-69 years, male 205.9
GTEX-1GMR8-2926-SM-9KNW5 50-59 years, female 205.6
GTEX-1339X-1726-SM-5P9J9 40-49 years, male 205.3
GTEX-1GF9X-1426-SM-7RHGX 40-49 years, female 205.3
GTEX-1CAMS-2626-SM-7PBY3 40-49 years, female 205.2
GTEX-13FH7-1626-SM-5J2O9 50-59 years, female 205.1
GTEX-ZA64-1426-SM-5CVMC 20-29 years, male 204.9
GTEX-1F5PK-1726-SM-7RHHW 50-59 years, male 204.8
GTEX-ZYFG-1826-SM-5GZWX 60-69 years, female 204.6
GTEX-1R9JW-2126-SM-E76QT 30-39 years, female 204.0
GTEX-13OW8-2726-SM-5L3FZ 60-69 years, male 203.3
GTEX-ZPIC-2626-SM-57WE2 40-49 years, female 203.2
GTEX-1GN73-2726-SM-9WYUB 60-69 years, male 203.2
GTEX-1LGRB-2026-SM-COH47 50-59 years, female 203.2
GTEX-1JN6P-2126-SM-ARL98 60-69 years, male 202.9
GTEX-ZE9C-2126-SM-4WKGY 60-69 years, male 202.5
GTEX-1R9PO-2026-SM-E9J4N 60-69 years, female 202.4
GTEX-ZDTS-2726-SM-5L3E2 60-69 years, male 201.7
GTEX-Y3I4-1126-SM-4TT7Y 50-59 years, male 201.3
GTEX-1477Z-2126-SM-5Q5CM 60-69 years, male 201.0
GTEX-14PJ4-1826-SM-5YY97 60-69 years, male 201.0
GTEX-ZVT4-2626-SM-5N9GJ 50-59 years, female 200.7
GTEX-1JN76-1326-SM-ARU94 20-29 years, female 200.6
GTEX-131YS-2926-SM-5EGKI 60-69 years, female 200.5
GTEX-1JJE9-2526-SM-ARU8K 70-79 years, male 200.4
GTEX-1H3NZ-2526-SM-9KNVO 60-69 years, male 200.2
GTEX-1S831-1726-SM-EWROJ 20-29 years, male 200.1
GTEX-1LSVX-2026-SM-E9TJD 60-69 years, male 198.6
GTEX-1PIIG-2126-SM-EXUSD 30-39 years, male 197.9
GTEX-13G51-2126-SM-5IJD9 60-69 years, male 197.7
GTEX-12696-1926-SM-5EGJT 60-69 years, male 197.6
GTEX-15RIE-2026-SM-7KFRW 60-69 years, male 197.6
GTEX-1LSNL-1626-SM-E9TJY 50-59 years, male 197.2
GTEX-1JKYN-2226-SM-ARZNE 30-39 years, male 196.4
GTEX-132AR-2826-SM-5IJFV 50-59 years, female 195.8
GTEX-14E6E-1726-SM-5S2R6 30-39 years, male 195.7
GTEX-139UW-2326-SM-5KM1Y 60-69 years, male 195.6
GTEX-13O61-1526-SM-5KM3P 60-69 years, male 195.4
GTEX-ZVZQ-2626-SM-59HLB 60-69 years, female 195.3
GTEX-1J1OQ-2826-SM-D3L88 40-49 years, female 195.3
GTEX-13CF3-1326-SM-5LZXZ 60-69 years, female 195.2
GTEX-18465-2726-SM-7LT9I 50-59 years, male 195.0
GTEX-1BAJH-2726-SM-7IGNJ 70-79 years, male 195.0
GTEX-1IDJU-1926-SM-CL53W 60-69 years, female 194.9
GTEX-ZE7O-2626-SM-51MSS 50-59 years, female 194.8
GTEX-18A67-2226-SM-7LT9Z 50-59 years, male 194.2
GTEX-YFCO-1526-SM-5YYB8 40-49 years, male 193.7
GTEX-15DYW-2426-SM-7KUG8 60-69 years, female 193.6
GTEX-14PHX-1126-SM-5YYA5 50-59 years, male 193.1
GTEX-13D11-0626-SM-5LZYY 50-59 years, female 193.0
GTEX-Y9LG-1326-SM-4VBQB 30-39 years, male 193.0
GTEX-1RMOY-1726-SM-EVYC9 50-59 years, male 193.0
GTEX-13FTW-2126-SM-5K7YG 40-49 years, male 192.2
GTEX-YJ8O-1426-SM-5PNV9 40-49 years, female 192.0
GTEX-1L5NE-1926-SM-D3L9R 50-59 years, male 192.0
GTEX-1E2YA-2526-SM-7IGOU 50-59 years, male 191.5
GTEX-1AMFI-1826-SM-73KWB 50-59 years, female 191.3
GTEX-1B932-2126-SM-7IGMU 40-49 years, female 191.3
GTEX-1HSGN-2226-SM-A9SL6 40-49 years, female 191.2
GTEX-1H1E6-1826-SM-A9G21 30-39 years, male 191.1
GTEX-16XZZ-2726-SM-7EWDO 60-69 years, male 190.7
GTEX-ZYFD-2226-SM-5E43P 50-59 years, male 190.6
GTEX-11DXX-1926-SM-5EGJK 60-69 years, female 190.5
GTEX-1JMPY-1026-SM-ARZN1 30-39 years, male 190.3
GTEX-XV7Q-2226-SM-4BRVY 40-49 years, female 190.2
GTEX-1HCUA-1926-SM-B2LWE 50-59 years, female 189.0
GTEX-1IKOE-2126-SM-A96T5 30-39 years, female 188.9
GTEX-1LKK1-2426-SM-DIPES 50-59 years, female 188.9
GTEX-11I78-1326-SM-5PNY9 50-59 years, female 188.6
GTEX-1CB4F-1926-SM-7MKFN 60-69 years, male 188.3
GTEX-12ZZX-2726-SM-5N9FT 40-49 years, female 188.2
GTEX-Y114-1626-SM-4TT7I 50-59 years, female 188.2
GTEX-1J8JJ-2426-SM-D4P4A 60-69 years, female 188.2
GTEX-ZY6K-1326-SM-5GZWP 50-59 years, male 187.9
GTEX-1C6VQ-2626-SM-7IGMQ 50-59 years, male 187.7
GTEX-147JS-2626-SM-5S2UX 60-69 years, male 187.6
GTEX-1LVAO-2826-SM-E9TJH 60-69 years, male 187.3
GTEX-11TUW-2326-SM-5EQMO 60-69 years, male 187.2
GTEX-ZP4G-1526-SM-57WE5 20-29 years, female 187.1
GTEX-ZZ64-0826-SM-5E449 20-29 years, male 187.0
GTEX-1JJEA-2526-SM-CY8HJ 60-69 years, male 187.0
GTEX-1HSMQ-2526-SM-A9SMK 50-59 years, male 186.2
GTEX-1C64O-2426-SM-7P8R3 60-69 years, male 185.9
GTEX-1I1GP-2826-SM-A9SKZ 50-59 years, male 185.9
GTEX-1GMR2-1826-SM-9KNUP 50-59 years, male 185.7
GTEX-1R9K5-2226-SM-DTX9G 50-59 years, male 185.5
GTEX-1HBPI-2226-SM-9WYTY 50-59 years, male 185.1
GTEX-1J8Q3-2426-SM-CL53S 60-69 years, male 185.1
GTEX-11EM3-1626-SM-5N9CO 20-29 years, female 185.0
GTEX-148VJ-2426-SM-5NQ9Y 70-79 years, male 184.8
GTEX-14BIN-2426-SM-5TDCF 50-59 years, female 184.7
GTEX-1IDJI-2226-SM-CKZPM 50-59 years, female 184.6
GTEX-12ZZW-2426-SM-5DUWE 50-59 years, male 184.3
GTEX-117YX-0526-SM-5EGJH 50-59 years, male 183.7
GTEX-1QW4Y-1426-SM-E76P3 30-39 years, male 183.2
GTEX-1KANA-1726-SM-CY8IG 20-29 years, male 183.0
GTEX-17F96-2126-SM-7KFSM 70-79 years, male 182.6
GTEX-YECK-2826-SM-5IFHF 60-69 years, male 182.6
GTEX-1JMPZ-2626-SM-ARU8Z 30-39 years, male 182.6
GTEX-1A32A-2626-SM-73KX9 50-59 years, female 182.3
GTEX-17HGU-2626-SM-79OKN 50-59 years, male 181.5
GTEX-13OW5-2826-SM-5KM1G 60-69 years, male 181.4
GTEX-132NY-2726-SM-5PNY2 60-69 years, male 181.0
GTEX-14PJ3-1226-SM-5ZZVY 50-59 years, male 180.9
GTEX-1I1CD-2826-SM-A9SL4 60-69 years, female 180.7
GTEX-1GTWX-2626-SM-9WPOT 60-69 years, male 180.6
GTEX-131XG-1526-SM-5GCNQ 50-59 years, female 180.5
GTEX-16Z82-2426-SM-7KUMS 60-69 years, male 180.4
GTEX-1I6K6-1926-SM-A96SN 30-39 years, male 180.4
GTEX-1GPI7-1926-SM-9KNUH 20-29 years, male 180.3
GTEX-15CHQ-2626-SM-686YZ 60-69 years, male 180.1
GTEX-13VXT-2026-SM-5L3EW 20-29 years, female 180.0
GTEX-13O1R-2426-SM-5KLZZ 60-69 years, male 179.9
GTEX-1HSMO-2526-SM-A9SKP 60-69 years, male 179.1
GTEX-1LGOU-1726-SM-D3L8P 20-29 years, female 179.1
GTEX-1C4CL-1626-SM-7DUF3 30-39 years, male 178.7
GTEX-WHSE-2726-SM-EZ6ML 20-29 years, male 178.5
GTEX-13X6J-2826-SM-7EPGA 50-59 years, male 177.9
GTEX-YF7O-1626-SM-5IFII 50-59 years, male 177.9
GTEX-1HKZK-2026-SM-9WYUF 40-49 years, male 177.8
GTEX-1P4AB-2626-SM-DTXEU 50-59 years, male 177.5
GTEX-11PRG-2026-SM-5GU5F 50-59 years, male 177.4
GTEX-1212Z-1826-SM-5FQSH 60-69 years, male 177.4
GTEX-13QBU-2026-SM-5KLZB 40-49 years, female 177.4
GTEX-1LVAM-1726-SM-DHXKQ 50-59 years, female 177.3
GTEX-18A6Q-2226-SM-7LG61 60-69 years, male 177.0
GTEX-17MFQ-1226-SM-7KFSA 20-29 years, male 176.7
GTEX-1QP67-1426-SM-E8VOO 40-49 years, female 176.7
GTEX-1RAZQ-2026-SM-E76P7 30-39 years, male 176.7
GTEX-11ZTT-1626-SM-5EQKR 60-69 years, female 176.3
GTEX-1B996-2726-SM-7DUGG 60-69 years, male 176.3
GTEX-13111-1926-SM-5GCOL 50-59 years, male 176.1
GTEX-1OFPY-1226-SM-E76OM 60-69 years, male 176.1
GTEX-WFG7-1626-SM-4LVMF 20-29 years, male 175.9
GTEX-13FHO-2726-SM-5K7VG 60-69 years, male 175.8
GTEX-15ETS-2326-SM-7KUGC 40-49 years, female 175.5
GTEX-1RLM8-1726-SM-E9TKF 50-59 years, male 175.3
GTEX-1RQEC-2626-SM-EVR3Z 60-69 years, male 175.2
GTEX-13OVJ-1826-SM-5KM2D 50-59 years, female 174.8
GTEX-WHWD-1526-SM-4OORV 50-59 years, male 174.8
GTEX-1RAZR-2026-SM-E9TKE 40-49 years, male 174.4
GTEX-13U4I-2626-SM-5SI9C 40-49 years, female 174.2
GTEX-1HCU7-2726-SM-A9G3D 50-59 years, male 174.2
GTEX-1LG7Y-2226-SM-E9U5K 50-59 years, male 174.2
GTEX-139TS-2226-SM-5J2N1 60-69 years, male 173.7
GTEX-WFG8-1726-SM-4LVM6 20-29 years, male 173.5
GTEX-ZQG8-2426-SM-57WEE 60-69 years, female 173.5
GTEX-1LVAN-2626-SM-CNPQF 50-59 years, female 173.5
GTEX-ZF28-2526-SM-57WFH 60-69 years, male 173.2
GTEX-14BMU-1326-SM-5RQIH 20-29 years, female 173.1
GTEX-14DAQ-2926-SM-664MV 60-69 years, female 173.1
GTEX-ZTTD-2626-SM-57WEX 50-59 years, male 173.1
GTEX-XUZC-1526-SM-4BRV4 30-39 years, female 172.7
GTEX-WYVS-1126-SM-4SOJX 40-49 years, female 172.0
GTEX-14C5O-2626-SM-5RQI5 60-69 years, male 170.8
GTEX-145MH-2726-SM-5QGQ6 50-59 years, male 170.3
GTEX-14A5H-1626-SM-5SIAN 60-69 years, male 170.3
GTEX-YJ8A-1726-SM-5P9IQ 20-29 years, male 169.8
GTEX-1LB8K-2526-SM-DIPEQ 50-59 years, male 169.8
GTEX-1122O-1426-SM-5H11R 60-69 years, female 169.4
GTEX-12WSD-2626-SM-5EGJE 60-69 years, female 169.4
GTEX-1PIGE-1526-SM-DTXFC 20-29 years, male 169.2
GTEX-YEC3-2026-SM-DKPOL 50-59 years, male 169.1
GTEX-11EQ9-1526-SM-5PNY7 30-39 years, male 168.9
GTEX-ZAJG-2626-SM-5S2NU 50-59 years, female 168.7
GTEX-145LT-0826-SM-5S2QL 40-49 years, male 168.1
GTEX-16BQI-2026-SM-7KULQ 30-39 years, female 167.9
GTEX-1S82P-2026-SM-E9TIQ 60-69 years, female 167.9
GTEX-13X6K-2726-SM-5O9DG 60-69 years, female 167.7
GTEX-1IDJH-2826-SM-CJI49 70-79 years, male 167.1
GTEX-17HHE-1626-SM-7DHLN 50-59 years, male 166.7
GTEX-1HSEH-1926-SM-A96SB 60-69 years, male 166.6
GTEX-16NGA-0926-SM-718AG 40-49 years, female 166.2
GTEX-144GM-1126-SM-79OJK 20-29 years, male 166.1
GTEX-WXYG-1726-SM-4ONCU 50-59 years, female 166.1
GTEX-145LS-2926-SM-5O99G 60-69 years, female 165.8
GTEX-X4EO-2726-SM-4E3HS 60-69 years, female 165.3
GTEX-1H1ZS-2626-SM-9QEIX 70-79 years, male 165.3
GTEX-12WSJ-1426-SM-5GCON 40-49 years, female 165.2
GTEX-12KS4-2326-SM-5EGJB 30-39 years, male 165.0
GTEX-1QP2A-2226-SM-DTXF6 50-59 years, male 164.8
GTEX-11ZU8-1126-SM-5EQ5K 60-69 years, male 164.7
GTEX-1H23P-2626-SM-9KNVN 60-69 years, male 164.7
GTEX-Z93S-2626-SM-57WBX 50-59 years, male 164.5
GTEX-11ZTS-1526-SM-5N9G7 60-69 years, female 164.4
GTEX-WHPG-1626-SM-4M1ZL 50-59 years, male 164.1
GTEX-11EMC-1426-SM-5N9E4 60-69 years, female 163.9
GTEX-1211K-1826-SM-5EGJ2 60-69 years, female 163.9
GTEX-1ICG6-2226-SM-B2LY7 70-79 years, female 163.5
GTEX-15F5U-1426-SM-7KUN2 40-49 years, male 163.4
GTEX-1PBJJ-2026-SM-DTX8U 30-39 years, male 163.2
GTEX-18QFQ-1726-SM-731C9 30-39 years, male 162.6
GTEX-ZF29-1826-SM-4WKG8 60-69 years, female 162.1
GTEX-111CU-1226-SM-5EGIN 50-59 years, male 161.6
GTEX-13OW6-2226-SM-5N9FL 50-59 years, male 161.3
GTEX-WY7C-1926-SM-4ONCI 50-59 years, male 160.7
GTEX-1PBJI-2526-SM-E6CP4 20-29 years, female 160.7
GTEX-1J8QM-1226-SM-CY8HI 60-69 years, female 160.6
GTEX-139D8-2926-SM-5IJBM 30-39 years, female 160.4
GTEX-13N2G-2226-SM-5IJCU 60-69 years, male 160.0
GTEX-1H1DE-1626-SM-9KNU5 20-29 years, male 159.6
GTEX-ZG7Y-1826-SM-4WWD3 50-59 years, male 158.8
GTEX-XUW1-1826-SM-4BOQD 50-59 years, female 158.7
GTEX-1C64N-2226-SM-7SB7C 50-59 years, male 158.4
GTEX-13X6I-2726-SM-5Q5ET 60-69 years, male 158.2
GTEX-14JG6-1626-SM-5YYBC 30-39 years, female 158.0
GTEX-1PDJ9-2026-SM-E76PT 20-29 years, male 157.7
GTEX-WI4N-2226-SM-4OOS9 40-49 years, female 157.3
GTEX-15DZA-1026-SM-6PAND 30-39 years, female 157.0
GTEX-1QP28-2226-SM-DTX8C 50-59 years, female 157.0
GTEX-1S5ZA-1426-SM-E6CJQ 20-29 years, male 157.0
GTEX-1AX9J-2526-SM-73KUY 60-69 years, male 156.3
GTEX-1HBPN-2026-SM-B2LWA 50-59 years, male 156.1
GTEX-12WSL-1826-SM-5LZW9 50-59 years, male 155.8
GTEX-15EO6-2326-SM-6LPKK 50-59 years, male 155.7
GTEX-15G19-2726-SM-6LPKG 60-69 years, male 155.1
GTEX-1JMQJ-2626-SM-CY8HQ 50-59 years, male 154.6
GTEX-14A5I-2426-SM-5Q5CP 50-59 years, female 154.4
GTEX-1JMQK-2326-SM-ARZN4 60-69 years, male 154.3
GTEX-1R7EU-1826-SM-DTX9L 60-69 years, male 153.8
GTEX-WQUQ-2626-SM-4MVNP 60-69 years, male 153.4
GTEX-11TT1-0926-SM-5GU5M 20-29 years, male 152.8
GTEX-1PPH8-2226-SM-EWRN7 20-29 years, male 152.1
GTEX-14PKV-1926-SM-686YU 20-29 years, female 152.0
GTEX-17EUY-1726-SM-79OK4 20-29 years, male 151.0
GTEX-WRHK-1126-SM-4MVOJ 20-29 years, female 150.7
GTEX-XAJ8-0726-SM-47JY5 40-49 years, male 150.7
GTEX-1AYCT-1926-SM-793AE 50-59 years, male 150.6
GTEX-1CB4G-2726-SM-79OO4 60-69 years, male 150.6
GTEX-13113-1426-SM-5EGHU 60-69 years, female 150.4
GTEX-XQ8I-2326-SM-4BOQC 50-59 years, male 150.3
GTEX-1HBPM-2626-SM-9WYU5 60-69 years, female 150.0
GTEX-ZVT3-2826-SM-5GU6A 60-69 years, female 149.7
GTEX-1JMLX-2526-SM-CY8HX 50-59 years, male 149.2
GTEX-1HCU6-2926-SM-B2LWV 60-69 years, female 148.8
GTEX-1IL2U-2526-SM-C1YQV 60-69 years, male 148.5
GTEX-13PL7-2426-SM-5J2N3 60-69 years, female 147.0
GTEX-14C39-1626-SM-5S2P4 40-49 years, male 146.9
GTEX-ZC5H-2426-SM-4WAZ6 40-49 years, female 146.9
GTEX-13CF2-1826-SM-5N9GK 60-69 years, male 146.7
GTEX-1AMEY-1826-SM-72D5L 30-39 years, female 146.5
GTEX-1QCLZ-2026-SM-EAZ4A 60-69 years, female 146.4
GTEX-1C2JI-1726-SM-73KUW 50-59 years, male 146.3
GTEX-ZAB4-2426-SM-5HL8A 40-49 years, male 146.0
GTEX-13PVQ-2726-SM-5L3H7 50-59 years, male 145.6
GTEX-146FH-2426-SM-5Q5EW 50-59 years, female 145.3
GTEX-1J1R8-1426-SM-CL55O 40-49 years, male 145.3
GTEX-11DXY-2026-SM-5N9CZ 60-69 years, male 144.7
GTEX-1HCVE-2326-SM-9WYUD 50-59 years, male 144.1
GTEX-Y5LM-1426-SM-5RQJL 40-49 years, female 143.0
GTEX-1GMRU-2626-SM-9WPPM 50-59 years, male 141.7
GTEX-1C475-1526-SM-7DHM3 40-49 years, female 141.4
GTEX-ZV6S-1126-SM-57WE9 40-49 years, female 140.7
GTEX-1QCLY-2026-SM-EVR4C 30-39 years, male 140.5
GTEX-1B97I-1526-SM-73KUK 40-49 years, male 140.2
GTEX-ZYY3-2226-SM-5E45A 60-69 years, female 140.1
GTEX-1I1GR-2226-SM-ARL7F 60-69 years, male 140.1
GTEX-15FZZ-1826-SM-6LLJP 30-39 years, female 139.9
GTEX-1QP29-2526-SM-E6CQ3 50-59 years, male 139.3
GTEX-ZF2S-1826-SM-4WKFF 50-59 years, female 138.8
GTEX-XXEK-1826-SM-4BRVC 50-59 years, male 138.4
GTEX-1J8EW-2426-SM-CE6T5 60-69 years, female 138.4
GTEX-15ER7-2826-SM-6PAN2 20-29 years, female 138.3
GTEX-WH7G-1426-SM-4LVMU 40-49 years, male 138.0
GTEX-ZQUD-1026-SM-4YCEZ 30-39 years, male 137.9
GTEX-1K9T9-2926-SM-E9TKD 50-59 years, female 137.6
GTEX-11ONC-1926-SM-5GU75 60-69 years, male 135.9
GTEX-1HB9E-2526-SM-D4P35 50-59 years, male 135.3
GTEX-1QP9N-0826-SM-DTX9O 30-39 years, male 133.2
GTEX-11VI4-1426-SM-5GU6O 40-49 years, female 132.8
GTEX-1PFEY-1726-SM-DPRZ4 30-39 years, male 131.1
GTEX-1N2DV-1826-SM-E6CJ5 40-49 years, male 128.7
GTEX-1RDX4-1926-SM-E6CJJ 50-59 years, female 128.6
GTEX-X15G-1526-SM-4PQZM 50-59 years, female 128.2
GTEX-VJYA-2126-SM-4KL1O 60-69 years, male 125.7
GTEX-XBED-1726-SM-47JYO 60-69 years, male 125.2
GTEX-Y8LW-1126-SM-4VDS4 50-59 years, female 124.9
GTEX-1LSNM-1426-SM-E6CIH 50-59 years, male 124.9
GTEX-14E6C-2226-SM-5QGQG 40-49 years, male 123.9
GTEX-1A3MV-1026-SM-72D5U 30-39 years, male 122.9
GTEX-WOFM-1926-SM-4OOSP 20-29 years, male 121.0
GTEX-V955-1726-SM-4JBHF 60-69 years, male 117.7
GTEX-13W3W-2226-SM-5LU4M 60-69 years, female 117.0
GTEX-Y5V6-1626-SM-4VDT2 60-69 years, male 116.0
GTEX-WFON-1326-SM-4LVMN 40-49 years, male 115.3
GTEX-X5EB-1126-SM-46MVV 40-49 years, male 109.5
GTEX-Y8E4-2326-SM-EAZAZ 40-49 years, male 109.1
GTEX-W5WG-2026-SM-4LMIB 50-59 years, female 106.4
GTEX-WYJK-2326-SM-4ONDN 50-59 years, male 103.8
GTEX-1OJC3-1826-SM-DTX93 20-29 years, male 100.7
Show allShow less
Colon - Transverse
Average nTPM: 157.0
Samples: 406

Max nTPM: 292.6
Min nTPM: 86.5
Std nTPM: 32.1
Median nTPM: 151.9
GTEX-WVJS-2426-SM-EZ6LI 50-59 years, male 292.6
GTEX-U412-1726-SM-EZ6KX 60-69 years, male 284.1
GTEX-11TTK-2426-SM-5PNYO 60-69 years, female 272.2
GTEX-1EH9U-2026-SM-7PBYS 60-69 years, male 265.1
GTEX-ZYVF-2826-SM-5GIDK 50-59 years, female 259.0
GTEX-1S82U-0726-SM-E9TKI 30-39 years, female 251.9
GTEX-1S5VW-2926-SM-E9U6H 60-69 years, male 241.7
GTEX-111VG-2226-SM-5N9DU 60-69 years, male 237.7
GTEX-145LS-2726-SM-5Q5D8 60-69 years, female 236.7
GTEX-1EMGI-2726-SM-7P8S4 60-69 years, male 234.9
GTEX-1GL5R-2426-SM-7MXV1 50-59 years, male 231.6
GTEX-1GN73-2626-SM-9KNUQ 60-69 years, male 229.7
GTEX-1QW4Y-1326-SM-EWRMZ 30-39 years, male 225.4
GTEX-15SHU-2526-SM-6M47D 40-49 years, female 222.8
GTEX-R45C-2126-SM-EZ6KZ 60-69 years, female 218.6
GTEX-15CHC-1626-SM-5ZZWS 60-69 years, female 216.9
GTEX-14JIY-3326-SM-6871E 60-69 years, male 216.5
GTEX-ZYFG-1926-SM-5GID5 60-69 years, female 214.5
GTEX-1MUQO-2626-SM-EWRO3 60-69 years, male 213.4
GTEX-14PK6-1726-SM-6871J 70-79 years, female 213.1
GTEX-1GMR2-1726-SM-9JGI2 50-59 years, male 211.9
GTEX-O5YW-1426-SM-3MJHF 50-59 years, male 211.6
GTEX-1GZ4H-1226-SM-9KNUA 50-59 years, female 211.6
GTEX-14AS3-1126-SM-5Q5CR 40-49 years, female 210.3
GTEX-12ZZZ-2426-SM-5GCNN 60-69 years, male 209.6
GTEX-14E1K-1826-SM-793DT 50-59 years, male 209.0
GTEX-1JJE9-2426-SM-D3L8T 70-79 years, male 209.0
GTEX-15UF6-2626-SM-6M466 70-79 years, female 208.5
GTEX-12WSL-1626-SM-5GCMU 50-59 years, male 208.2
GTEX-117YW-1826-SM-5PNY5 50-59 years, male 207.2
GTEX-145ME-0826-SM-5O9AF 40-49 years, female 206.6
GTEX-1LVAN-2526-SM-CNPPC 50-59 years, female 206.1
GTEX-ZXES-1626-SM-5NQ7L 30-39 years, female 205.8
GTEX-13OW5-2626-SM-5MR3M 60-69 years, male 205.4
GTEX-15CHQ-2526-SM-6EU24 60-69 years, male 205.1
GTEX-SJXC-2226-SM-EVYAK 60-69 years, male 204.7
GTEX-11GSP-1626-SM-5986N 60-69 years, female 203.8
GTEX-111YS-1626-SM-5GZZ9 60-69 years, male 203.4
GTEX-Y8LW-1226-SM-4WWDP 50-59 years, female 202.8
GTEX-1F75B-2726-SM-7P8QO 50-59 years, male 202.6
GTEX-18QFQ-1526-SM-72D57 30-39 years, male 201.2
GTEX-V955-1626-SM-4JBHJ 60-69 years, male 200.3
GTEX-1AX8Z-2726-SM-73KUC 60-69 years, male 200.0
GTEX-18A7B-2026-SM-72D71 70-79 years, male 199.7
GTEX-13O61-1626-SM-5KM3T 60-69 years, male 198.2
GTEX-T6MO-0826-SM-4DM51 40-49 years, female 197.5
GTEX-117YX-0826-SM-5H11J 50-59 years, male 196.7
GTEX-RWS6-1826-SM-47JXX 60-69 years, female 196.0
GTEX-14BMV-2426-SM-5S2PP 50-59 years, male 195.9
GTEX-X5EB-0926-SM-46MVT 40-49 years, male 195.9
GTEX-ZV6S-1226-SM-59HLH 40-49 years, female 195.5
GTEX-145MO-2426-SM-5NQ9W 60-69 years, male 194.5
GTEX-1RAZQ-2126-SM-DTX9V 30-39 years, male 194.1
GTEX-15RIE-1826-SM-6M48P 60-69 years, male 193.9
GTEX-16NPV-2626-SM-6M484 50-59 years, female 193.9
GTEX-17MF6-2426-SM-7LTAM 40-49 years, male 193.8
GTEX-1IDJC-1326-SM-CL53H 50-59 years, male 193.7
GTEX-1LBAC-1626-SM-CXZKV 20-29 years, male 193.1
GTEX-1CAMR-0926-SM-7MXTD 20-29 years, male 192.9
GTEX-XXEK-1926-SM-4BRVD 50-59 years, male 192.1
GTEX-15G1A-1826-SM-7KUKO 30-39 years, male 191.2
GTEX-11O72-2226-SM-5PNW2 40-49 years, male 189.4
GTEX-Y114-1526-SM-4TT79 50-59 years, female 188.7
GTEX-1AYD5-1726-SM-7RHFW 50-59 years, male 188.4
GTEX-1PWST-2426-SM-EWRMP 70-79 years, male 187.4
GTEX-14C5O-2526-SM-73KU2 60-69 years, male 186.7
GTEX-ZYFC-2626-SM-5NQ6S 50-59 years, male 186.5
GTEX-17F96-2026-SM-79ON4 70-79 years, male 186.0
GTEX-11EQ9-1426-SM-5987G 30-39 years, male 185.5
GTEX-18A7A-2226-SM-7LT8K 50-59 years, female 184.9
GTEX-1I1GT-1926-SM-ARU7D 60-69 years, female 184.7
GTEX-14PJM-2626-SM-686ZD 50-59 years, female 184.2
GTEX-1IKK5-2726-SM-CNPQ6 60-69 years, male 184.0
GTEX-17JCI-2626-SM-7EWE6 60-69 years, female 183.9
GTEX-1PIEJ-2026-SM-E6CPA 20-29 years, female 183.8
GTEX-13FHP-2426-SM-5KLZ5 50-59 years, male 183.5
GTEX-OXRL-1426-SM-3NM9E 50-59 years, male 182.5
GTEX-1C2JI-1626-SM-7EPHC 50-59 years, male 182.2
GTEX-WY7C-1626-SM-4ONC8 50-59 years, male 182.0
GTEX-1HCU7-2626-SM-C1YQO 50-59 years, male 181.6
GTEX-1C64O-2326-SM-73KU8 60-69 years, male 181.0
GTEX-17EVQ-1826-SM-7IGPH 70-79 years, male 180.9
GTEX-1ICLZ-2426-SM-CKZOD 60-69 years, male 180.9
GTEX-13FH7-1526-SM-5J2N6 50-59 years, female 180.4
GTEX-S341-1426-SM-4AD6U 40-49 years, female 180.2
GTEX-15DYW-2326-SM-6PAMU 60-69 years, female 179.6
GTEX-13CF3-1426-SM-5K7YY 60-69 years, female 179.4
GTEX-1J1OQ-2726-SM-AHZ3R 40-49 years, female 179.4
GTEX-ZF29-1726-SM-4WKFV 60-69 years, female 179.3
GTEX-18D9U-1926-SM-7KFTM 40-49 years, male 178.9
GTEX-1LG7Y-2126-SM-DIPER 50-59 years, male 178.2
GTEX-17KNJ-1726-SM-7LG6A 50-59 years, male 177.2
GTEX-1HSMP-2326-SM-D3L8R 70-79 years, male 176.9
GTEX-1LH75-2126-SM-EVR5F 50-59 years, female 176.9
GTEX-YEC4-1926-SM-5IFHJ 40-49 years, male 176.8
GTEX-11TT1-1026-SM-5PNW7 20-29 years, male 176.5
GTEX-1F5PK-1926-SM-7MXT7 50-59 years, male 176.4
GTEX-1LSVX-1726-SM-DHXJP 60-69 years, male 176.4
GTEX-148VJ-2626-SM-5QGPI 70-79 years, male 176.2
GTEX-1IDJF-1826-SM-CKZOE 20-29 years, male 176.0
GTEX-1399R-2226-SM-5P9JB 30-39 years, male 174.1
GTEX-1GF9X-1526-SM-7P8QP 40-49 years, female 173.8
GTEX-ZG7Y-2126-SM-DO117 50-59 years, male 173.8
GTEX-X4EO-2526-SM-EWRM8 60-69 years, female 173.7
GTEX-11ZVC-2126-SM-5EGJ1 50-59 years, female 173.4
GTEX-1GZ4I-2426-SM-9WPPP 50-59 years, male 173.4
GTEX-1CB4I-2226-SM-7P8SL 50-59 years, male 173.1
GTEX-1339X-1626-SM-5IJDN 40-49 years, male 172.4
GTEX-1NHNU-2326-SM-E6CQE 50-59 years, male 172.4
GTEX-13S86-1626-SM-5Q5C5 40-49 years, male 172.3
GTEX-1R9K5-2126-SM-E8VN1 50-59 years, male 172.3
GTEX-12WSJ-1526-SM-5GCNI 40-49 years, female 172.0
GTEX-13QJ3-2626-SM-9OSXQ 50-59 years, male 171.7
GTEX-14ICL-1226-SM-5S2RD 30-39 years, male 171.5
GTEX-11P81-1126-SM-5GU5G 30-39 years, female 171.4
GTEX-16MT8-2726-SM-7IGLJ 60-69 years, female 171.3
GTEX-14PKV-2126-SM-664O3 20-29 years, female 171.0
GTEX-1CB4F-2026-SM-79OLU 60-69 years, male 171.0
GTEX-ZZ64-0726-SM-5GZX4 20-29 years, male 170.9
GTEX-17F9E-1826-SM-7IGMC 50-59 years, male 170.7
GTEX-1BAJH-2326-SM-7IGMO 70-79 years, male 170.7
GTEX-14H4A-1926-SM-5ZZWN 40-49 years, female 170.4
GTEX-14ICK-1026-SM-6AJA4 40-49 years, male 170.4
GTEX-13OVK-0826-SM-7KULZ 40-49 years, male 170.2
GTEX-15SB6-1226-SM-7KUMP 50-59 years, female 169.9
GTEX-1OKEX-1226-SM-DTXEC 60-69 years, male 169.7
GTEX-13U4I-2426-SM-5LU34 40-49 years, female 169.5
GTEX-1MCC2-1626-SM-DIPEW 30-39 years, female 169.4
GTEX-OHPM-1426-SM-3TW8Y 50-59 years, male 169.3
GTEX-1H3VY-2426-SM-9WPPD 50-59 years, male 169.3
GTEX-ZPCL-1826-SM-57WF1 60-69 years, female 169.0
GTEX-ZLWG-1726-SM-DNZZ2 50-59 years, female 168.8
GTEX-Z93S-2426-SM-5HL8N 50-59 years, male 168.0
GTEX-QLQ7-1126-SM-CYPRB 60-69 years, male 168.0
GTEX-16XZZ-2626-SM-6M47S 60-69 years, male 167.7
GTEX-1AX9I-2626-SM-73KU5 60-69 years, male 167.7
GTEX-OIZF-1426-SM-2HML2 60-69 years, male 167.3
GTEX-14DAQ-2726-SM-5S2QY 60-69 years, female 167.2
GTEX-11ONC-2026-SM-5HL61 60-69 years, male 167.0
GTEX-1RDX4-1826-SM-EVR54 50-59 years, female 166.2
GTEX-16Z82-2226-SM-6LPJ7 60-69 years, male 166.0
GTEX-13OVI-2026-SM-5J1MU 60-69 years, female 165.5
GTEX-14BIN-3026-SM-5ZZUS 50-59 years, female 165.4
GTEX-18D9B-2526-SM-718BN 60-69 years, male 165.3
GTEX-Y3I4-1426-SM-4TT9C 50-59 years, male 165.3
GTEX-13X6H-1926-SM-7EWD3 50-59 years, female 165.1
GTEX-17HII-2726-SM-7MGVM 50-59 years, male 164.8
GTEX-1HCU6-2726-SM-A9SKV 60-69 years, female 164.8
GTEX-13OVG-1426-SM-5K7VP 60-69 years, male 164.4
GTEX-14PJ5-0926-SM-6LLIK 60-69 years, female 163.8
GTEX-1S3DN-1826-SM-EV79K 50-59 years, male 163.6
GTEX-18A66-2426-SM-7KFSQ 60-69 years, male 163.4
GTEX-16NGA-1026-SM-7KFS3 40-49 years, female 162.1
GTEX-1RMOY-1626-SM-EVYC8 50-59 years, male 161.6
GTEX-1N2EF-1926-SM-DTX8M 60-69 years, male 161.4
GTEX-1MA7W-0626-SM-EV79Z 20-29 years, female 161.2
GTEX-OXRO-0726-SM-E9U4C 60-69 years, female 160.6
GTEX-147JS-2526-SM-5S2Q8 60-69 years, male 160.2
GTEX-PX3G-1426-SM-48U1J 20-29 years, female 160.1
GTEX-11NSD-1626-SM-5986U 20-29 years, male 159.9
GTEX-QDVN-1326-SM-48TZ3 50-59 years, male 159.9
GTEX-1MJK3-0926-SM-EV7AY 20-29 years, male 159.1
GTEX-13O3P-2326-SM-5KM55 50-59 years, male 159.0
GTEX-OXRN-2026-SM-E6CHK 50-59 years, male 159.0
GTEX-1128S-1626-SM-5H12O 60-69 years, female 158.7
GTEX-144GL-2526-SM-5TDDL 50-59 years, male 158.6
GTEX-13VXT-2426-SM-5LU46 20-29 years, female 158.5
GTEX-1JMPZ-2426-SM-C1YQP 30-39 years, male 158.5
GTEX-1IKOE-2026-SM-AHZ31 30-39 years, female 158.3
GTEX-13OW6-2126-SM-5N9GL 50-59 years, male 157.8
GTEX-11EM3-1526-SM-5A5KN 20-29 years, female 157.6
GTEX-15DCE-2026-SM-7KUFE 20-29 years, male 157.6
GTEX-1POEN-2026-SM-E6CRL 30-39 years, female 157.4
GTEX-111CU-1426-SM-5GZYP 50-59 years, male 157.3
GTEX-1R9PM-1526-SM-DPRY8 20-29 years, male 157.3
GTEX-1E2YA-2626-SM-7MGWW 50-59 years, male 157.0
GTEX-13D11-0826-SM-5KLZJ 50-59 years, female 156.8
GTEX-1KANB-1526-SM-CXZK4 50-59 years, male 156.6
GTEX-1R9JW-2026-SM-EAZ4O 30-39 years, female 156.4
GTEX-XUW1-1926-SM-4BOP1 50-59 years, female 156.1
GTEX-ZVP2-1526-SM-5NQ82 50-59 years, male 156.1
GTEX-TKQ1-0626-SM-4DXTS 30-39 years, male 155.9
GTEX-1GPI7-1726-SM-7P8R1 20-29 years, male 155.7
GTEX-1IDJD-2226-SM-A96TD 30-39 years, male 155.5
GTEX-PSDG-1826-SM-EAZ2S 50-59 years, male 155.5
GTEX-T5JW-1126-SM-4DM5V 20-29 years, female 155.2
GTEX-Q2AH-1226-SM-48TZL 40-49 years, male 155.0
GTEX-139TS-1926-SM-5IJFO 60-69 years, male 154.6
GTEX-15DZA-0926-SM-69LQ3 30-39 years, female 154.2
GTEX-11I78-1226-SM-5A5K6 50-59 years, female 154.1
GTEX-14PJ4-1926-SM-6LLHG 60-69 years, male 154.0
GTEX-Q734-1126-SM-48TZY 40-49 years, female 153.8
GTEX-131XG-1826-SM-5LZV4 50-59 years, female 153.5
GTEX-1GMR3-2826-SM-9WPOG 40-49 years, male 153.5
GTEX-15RIF-1326-SM-6LPKO 20-29 years, male 153.4
GTEX-1PPGY-2826-SM-DTX9H 60-69 years, male 153.4
GTEX-1N5O9-2726-SM-E76QH 60-69 years, male 153.2
GTEX-XV7Q-2126-SM-4BRVX 40-49 years, female 153.0
GTEX-1F75I-2426-SM-9WPOY 40-49 years, male 152.8
GTEX-11P7K-1526-SM-5EGI7 30-39 years, male 152.6
GTEX-ZPIC-2226-SM-57WDX 40-49 years, female 152.5
GTEX-1QMI2-2626-SM-E6CR4 60-69 years, male 152.1
GTEX-14PJ3-0926-SM-69LQG 50-59 years, male 152.0
GTEX-1LGRB-1426-SM-CNNPT 50-59 years, female 151.9
GTEX-WEY5-1426-SM-4LMJ3 40-49 years, female 151.7
GTEX-1JMLX-2726-SM-CM2SB 50-59 years, male 151.5
GTEX-1K9T9-2826-SM-D4P3F 50-59 years, female 151.2
GTEX-1RAZA-1726-SM-DPS13 20-29 years, male 150.9
GTEX-146FQ-1926-SM-5NQBY 30-39 years, male 150.6
GTEX-ZGAY-2126-SM-4YCFB 40-49 years, female 150.6
GTEX-QMRM-1226-SM-447C6 50-59 years, male 150.5
GTEX-1HCVE-2526-SM-A9G2G 50-59 years, male 150.5
GTEX-QEL4-1926-SM-D3L8D 50-59 years, male 150.5
GTEX-144GM-1226-SM-5LU52 20-29 years, male 150.1
GTEX-1A3MV-1126-SM-718BS 30-39 years, male 149.7
GTEX-ZPU1-1926-SM-57WDT 40-49 years, male 149.7
GTEX-U3ZH-1326-SM-4DXSF 30-39 years, male 149.2
GTEX-ZDYS-2326-SM-4WKG6 50-59 years, male 149.1
GTEX-1JKYN-2326-SM-CGQG7 30-39 years, male 149.0
GTEX-14PHX-1526-SM-68717 50-59 years, male 148.7
GTEX-1C4CL-2126-SM-7IGQC 30-39 years, male 148.5
GTEX-13O3O-2526-SM-5L3DR 60-69 years, female 147.9
GTEX-16AAH-1326-SM-7KFRG 50-59 years, male 147.9
GTEX-13PL7-2526-SM-5IFGR 60-69 years, female 147.6
GTEX-17GQL-1526-SM-7LTAC 60-69 years, male 147.5
GTEX-12BJ1-2126-SM-5BC5O 60-69 years, male 147.4
GTEX-WFON-1426-SM-4LVMT 40-49 years, male 147.0
GTEX-Q2AI-0926-SM-48U1F 40-49 years, male 146.7
GTEX-131XE-0826-SM-5HL9W 50-59 years, male 146.6
GTEX-P4QT-1426-SM-3NMCX 50-59 years, female 146.4
GTEX-X3Y1-1726-SM-4PQZL 40-49 years, male 146.4
GTEX-Y8E4-2426-SM-4WWDN 40-49 years, male 146.0
GTEX-1JN1M-2626-SM-CY8I3 60-69 years, female 145.7
GTEX-O5YT-1426-SM-3MJHC 20-29 years, male 145.5
GTEX-U4B1-1126-SM-4DXV3 40-49 years, male 145.5
GTEX-11TUW-2026-SM-5EQL8 60-69 years, male 145.4
GTEX-1JJ6O-2426-SM-ARU8J 60-69 years, male 145.3
GTEX-OIZH-1426-SM-3NB1O 50-59 years, male 144.8
GTEX-SNOS-1226-SM-4DM5H 40-49 years, male 144.7
GTEX-QLQW-0426-SM-447A7 30-39 years, male 144.6
GTEX-147GR-2726-SM-664OO 60-69 years, male 143.9
GTEX-S7SF-1926-SM-4AT5B 20-29 years, female 143.6
GTEX-14BMU-1526-SM-5TDE6 20-29 years, female 143.5
GTEX-ZF2S-1926-SM-4WWAN 50-59 years, female 143.4
GTEX-1HFI7-1726-SM-A9G22 50-59 years, female 143.3
GTEX-WOFM-2026-SM-4OOSQ 20-29 years, male 143.0
GTEX-1J1R8-1126-SM-CNPQ3 40-49 years, male 142.9
GTEX-S3XE-1126-SM-4AD4N 50-59 years, male 142.7
GTEX-1JN76-1226-SM-C1YRM 20-29 years, female 142.6
GTEX-139YR-2126-SM-5KM11 50-59 years, male 142.5
GTEX-1I4MK-1126-SM-B2LWS 50-59 years, female 142.0
GTEX-1PIGE-1426-SM-E9U61 20-29 years, male 142.0
GTEX-1HKZK-2126-SM-A9SL3 40-49 years, male 141.9
GTEX-1B996-2626-SM-73KZ1 60-69 years, male 141.8
GTEX-132AR-2726-SM-5PNVN 50-59 years, female 141.7
GTEX-1NV5F-2226-SM-DTX8O 60-69 years, female 141.5
GTEX-1QPFJ-2326-SM-E6CR7 30-39 years, female 141.3
GTEX-11DXX-1826-SM-5H126 60-69 years, female 141.1
GTEX-1R7EU-1926-SM-E9U62 60-69 years, male 141.1
GTEX-1K2DA-2026-SM-CGQGK 50-59 years, male 140.9
GTEX-17HHE-1826-SM-79OKE 50-59 years, male 140.6
GTEX-ZT9W-1826-SM-51MQX 50-59 years, male 140.6
GTEX-1399U-1926-SM-5IFH7 50-59 years, female 140.3
GTEX-Y9LG-1526-SM-4WWDR 30-39 years, male 140.3
GTEX-WQUQ-2526-SM-4MVNO 60-69 years, male 140.0
GTEX-YB5E-1626-SM-5IFIQ 40-49 years, male 139.8
GTEX-1F5PL-2126-SM-7PC2O 40-49 years, female 139.4
GTEX-13111-0726-SM-5DUVE 50-59 years, male 139.3
GTEX-RU1J-1326-SM-46MUL 20-29 years, female 139.1
GTEX-ZDTT-1926-SM-5HL5W 60-69 years, male 139.1
GTEX-1122O-1526-SM-5N9CL 60-69 years, female 138.8
GTEX-XMK1-1726-SM-4B64Z 40-49 years, male 138.8
GTEX-11VI4-1526-SM-5EQKC 40-49 years, female 138.6
GTEX-11P82-1026-SM-5BC5J 20-29 years, male 138.4
GTEX-1B8KE-1926-SM-731EE 50-59 years, male 138.4
GTEX-R55G-1226-SM-48FDC 40-49 years, female 138.3
GTEX-Y3IK-1826-SM-4WWDS 50-59 years, female 138.3
GTEX-SNMC-1126-SM-4DM5M 20-29 years, male 138.1
GTEX-15CHR-1426-SM-7DUGV 50-59 years, male 137.8
GTEX-1CAMS-2526-SM-7EPH7 40-49 years, female 137.5
GTEX-13FTW-1826-SM-5IJEN 40-49 years, male 137.3
GTEX-15ER7-2926-SM-7KUFK 20-29 years, female 137.3
GTEX-18D9A-1126-SM-7KFRJ 30-39 years, female 137.1
GTEX-Y5LM-1526-SM-4VDTA 40-49 years, female 137.1
GTEX-14C39-1926-SM-5ZZW5 40-49 years, male 137.0
GTEX-P4PP-1426-SM-3NM9L 30-39 years, female 136.6
GTEX-ZAB4-2226-SM-5HL97 40-49 years, male 136.4
GTEX-SE5C-1526-SM-4BRWU 40-49 years, female 136.3
GTEX-1PFEY-1426-SM-E9U6U 30-39 years, male 136.0
GTEX-14DAR-1526-SM-5RQIX 50-59 years, male 135.9
GTEX-1JKYR-1926-SM-C1YR7 20-29 years, male 135.9
GTEX-XAJ8-0426-SM-47JYJ 40-49 years, male 135.8
GTEX-1H11D-2626-SM-9JGH4 40-49 years, male 135.7
GTEX-1IDJU-2026-SM-A9SLM 60-69 years, female 135.7
GTEX-14JG6-1726-SM-69LPL 30-39 years, female 135.6
GTEX-1MGNQ-2026-SM-EAZ51 40-49 years, male 135.6
GTEX-PLZ5-1126-SM-3P613 50-59 years, male 135.5
GTEX-1I1GR-2526-SM-CNNQF 60-69 years, male 135.5
GTEX-1IOXB-2626-SM-CJI2N 50-59 years, male 135.3
GTEX-144GN-1126-SM-5LU33 50-59 years, male 135.1
GTEX-17HGU-2426-SM-7EWDP 50-59 years, male 135.0
GTEX-YF7O-1726-SM-5IFJ9 50-59 years, male 134.9
GTEX-ZP4G-1726-SM-4WWCM 20-29 years, female 134.9
GTEX-1B8KZ-1326-SM-7DUG6 50-59 years, male 134.8
GTEX-1KANC-0926-SM-D3LA9 50-59 years, female 134.8
GTEX-13OVJ-1726-SM-5IJDZ 50-59 years, female 134.7
GTEX-13QBU-1826-SM-5IJG3 40-49 years, female 134.7
GTEX-QCQG-1626-SM-48U26 50-59 years, female 134.6
GTEX-1AMFI-1726-SM-7189L 50-59 years, female 134.3
GTEX-17F98-1026-SM-7IGO8 40-49 years, female 133.8
GTEX-178AV-1326-SM-6LPJX 40-49 years, male 133.5
GTEX-13PVR-1626-SM-73KVF 60-69 years, female 133.3
GTEX-P78B-1726-SM-3P5ZV 40-49 years, female 133.1
GTEX-ZY6K-1226-SM-5GZYL 50-59 years, male 132.9
GTEX-1H1E6-1926-SM-9OSWD 30-39 years, male 132.9
GTEX-145MN-1726-SM-5SIA6 30-39 years, male 132.8
GTEX-PLZ6-0926-SM-3P5ZQ 30-39 years, male 132.5
GTEX-12C56-0626-SM-5EGGC 20-29 years, male 132.3
GTEX-12KS4-2426-SM-5LU8P 30-39 years, male 132.2
GTEX-1IGQW-2326-SM-CE6RV 60-69 years, male 132.0
GTEX-1JMPY-0426-SM-C1YQ3 30-39 years, male 131.7
GTEX-13W3W-2126-SM-5K7UX 60-69 years, female 131.2
GTEX-1GF9U-1526-SM-7MXUW 40-49 years, female 131.1
GTEX-1C6VQ-2726-SM-73KUL 50-59 years, male 130.9
GTEX-1LVAM-1626-SM-EV79Y 50-59 years, female 130.9
GTEX-1AMEY-1926-SM-73KVT 30-39 years, female 130.6
GTEX-1S83E-1626-SM-EV7B9 40-49 years, male 130.6
GTEX-139T6-1326-SM-5IFFO 50-59 years, male 130.5
GTEX-1LGOU-1626-SM-D3LAK 20-29 years, female 130.5
GTEX-1H1DE-1526-SM-ARL9B 20-29 years, male 129.9
GTEX-14XAO-2026-SM-69LOI 60-69 years, female 129.8
GTEX-1RAZR-1926-SM-E6CRF 40-49 years, male 129.8
GTEX-S4UY-0826-SM-4AD4Z 40-49 years, female 129.5
GTEX-UJHI-1126-SM-4IHLN 50-59 years, female 129.3
GTEX-1LG7Z-1426-SM-CXKYV 30-39 years, male 129.3
GTEX-1QCLY-1726-SM-DPRXY 30-39 years, male 129.3
GTEX-11DXZ-1726-SM-5H12M 50-59 years, male 129.1
GTEX-QDVJ-1326-SM-48U1X 50-59 years, male 129.1
GTEX-S4Q7-0826-SM-4AD5E 20-29 years, male 129.1
GTEX-1KXAM-2126-SM-CY8I9 60-69 years, male 129.0
GTEX-WYVS-1826-SM-4OND6 40-49 years, female 128.9
GTEX-147F3-1926-SM-5SIB9 50-59 years, female 128.8
GTEX-QV31-0826-SM-CKZNC 30-39 years, male 128.4
GTEX-1N2DV-1426-SM-DPRYQ 40-49 years, male 127.3
GTEX-R53T-1326-SM-48FCQ 50-59 years, female 127.1
GTEX-ZTSS-1126-SM-5985O 40-49 years, male 126.1
GTEX-OHPN-2026-SM-E9TIA 60-69 years, female 125.8
GTEX-1HSGN-2626-SM-CE6S1 40-49 years, female 125.6
GTEX-ZEX8-1926-SM-4WKFR 50-59 years, male 125.1
GTEX-1B932-2826-SM-73KUD 40-49 years, female 125.0
GTEX-ZV7C-1526-SM-5NQ72 50-59 years, male 124.5
GTEX-1C475-1626-SM-731FP 40-49 years, female 124.0
GTEX-133LE-1526-SM-5IFEN 20-29 years, female 123.9
GTEX-OOBJ-1426-SM-E6CHH 60-69 years, male 123.9
GTEX-1H1DG-2226-SM-9WPPC 70-79 years, male 123.8
GTEX-1NSGN-2326-SM-E9U5X 50-59 years, male 123.4
GTEX-13O21-2426-SM-5MR4A 50-59 years, male 123.3
GTEX-TML8-1326-SM-4DXTO 40-49 years, female 123.0
GTEX-XQ8I-2126-SM-4BOOM 50-59 years, male 122.6
GTEX-RM2N-0926-SM-48FD1 50-59 years, male 122.4
GTEX-1JK1U-1526-SM-AHZ46 60-69 years, male 122.4
GTEX-WH7G-1326-SM-4LVMS 40-49 years, male 122.2
GTEX-1QP9N-1026-SM-E6CPX 30-39 years, male 122.1
GTEX-1AYCT-1826-SM-731EG 50-59 years, male 121.8
GTEX-WHWD-1226-SM-4OOS1 50-59 years, male 121.6
GTEX-1QP67-1326-SM-EAZ4D 40-49 years, female 121.6
GTEX-145LT-0926-SM-5LU9C 40-49 years, male 121.3
GTEX-YEC3-2426-SM-DO11A 50-59 years, male 120.8
GTEX-X15G-1326-SM-4PQZJ 50-59 years, female 120.2
GTEX-1KANA-1926-SM-DHXKF 20-29 years, male 119.9
GTEX-U3ZM-1126-SM-4DXUB 40-49 years, male 119.5
GTEX-1399S-1926-SM-5J2M5 30-39 years, female 118.9
GTEX-1QCLZ-1926-SM-E6CR3 60-69 years, female 118.8
GTEX-WFG7-1526-SM-4LVMG 20-29 years, male 118.7
GTEX-R55D-1826-SM-48FEF 50-59 years, male 118.6
GTEX-XGQ4-1226-SM-4AT67 50-59 years, male 118.5
GTEX-U3ZN-2126-SM-4DXU1 30-39 years, female 118.2
GTEX-XBED-1526-SM-4AT5W 60-69 years, male 117.8
GTEX-PWN1-1426-SM-48TDF 40-49 years, female 117.6
GTEX-UJMC-1326-SM-4IHLS 50-59 years, male 117.6
GTEX-WYJK-2226-SM-4ONDJ 50-59 years, male 117.6
GTEX-1PPH8-2026-SM-DTX7P 20-29 years, male 117.0
GTEX-TKQ2-1326-SM-4DXT9 50-59 years, male 116.6
GTEX-XYKS-2226-SM-4E3IU 60-69 years, female 116.3
GTEX-NFK9-2026-SM-3LK5K 40-49 years, male 115.5
GTEX-W5WG-2426-SM-4LMI6 50-59 years, female 115.3
GTEX-14E6E-1526-SM-5RQIG 30-39 years, male 115.0
GTEX-R55C-1126-SM-48FCJ 40-49 years, male 114.8
GTEX-1I6K6-1826-SM-B2LX5 30-39 years, male 113.9
GTEX-XUZC-1326-SM-4BRV2 30-39 years, female 112.6
GTEX-PWCY-1026-SM-48TD4 20-29 years, female 111.0
GTEX-VJYA-2026-SM-4KL1K 60-69 years, male 109.7
GTEX-17EUY-1826-SM-7DUEZ 20-29 years, male 109.4
GTEX-1211K-1726-SM-5FQUJ 60-69 years, female 108.5
GTEX-1HSEH-1726-SM-B2LXH 60-69 years, male 108.5
GTEX-ZVT2-1926-SM-5GU5T 50-59 years, female 108.3
GTEX-ZLV1-1226-SM-4WWBX 60-69 years, female 108.1
GTEX-11LCK-2026-SM-5A5MA 30-39 years, male 107.9
GTEX-OXRK-1726-SM-3NB16 50-59 years, female 105.4
GTEX-1HCU9-1326-SM-B2LXT 20-29 years, male 105.3
GTEX-XPVG-1826-SM-4B64X 50-59 years, male 104.0
GTEX-S4P3-1226-SM-4AD4Y 50-59 years, female 99.2
GTEX-WHSB-0926-SM-4M1XJ 50-59 years, male 97.4
GTEX-1L5NE-2026-SM-CXZKR 50-59 years, male 96.9
GTEX-XBEW-1926-SM-4SOJO 40-49 years, male 92.4
GTEX-1HSMQ-2726-SM-C1YRE 50-59 years, male 86.5
Show allShow less

COLON - FANTOM5 CAGEi

RNA expression in human tissues obtained through Cap Analysis of Gene Expression (CAGE) generated by the FANTOM5 project are reported as Scaled Tags Per Million.

Max subtype Scaled Tags Per Millioni

Max subtype Scaled Tags Per Million is the value for the subtype with the largest average Scaled Tags Per Million across the subtype samples.

169.2
FANTOM5 sample id Sample description Scaled Tags Per Million
Colon
Scaled Tags Per Million: 169.2
FF:10014-101C5 62,83,84 years, mixed 169.2

Contact

  • NEWS ARTICLES
  • PRESS ROOM

The Project

  • INTRODUCTION
  • ORGANIZATION
  • PUBLICATIONS

The Human Protein Atlas

  • DOWNLOADABLE DATA
  • LICENCE & CITATION
  • HELP & FAQ
The Human Protein Atlas project is funded
by the Knut & Alice Wallenberg Foundation.


contact@proteinatlas.org