We use cookies to enhance the usability of our website. If you continue, we'll assume that you are happy to receive all cookies. More information. Don't show this again.
JPT1
HPA
RESOURCES
  • TISSUE
  • BRAIN
  • SINGLE CELL
  • SUBCELLULAR
  • CANCER
  • BLOOD
  • CELL LINE
  • STRUCTURE & INTERACTION
ABOUT
  • INTRODUCTION
  • HISTORY
  • ORGANIZATION
  • PUBLICATIONS
  • ANTIBODY SUBMISSION
  • ANTIBODY AVAILABILITY
  • ACKNOWLEDGMENTS
  • CONTACT
NEWS
  • NEWS ARTICLES
  • PRESS ROOM
LEARN
  • DICTIONARY
  • PROTEIN CLASSES
  • PROTEIN EVIDENCE
  • METHODS
  • EDUCATIONAL VIDEOS
DATA
  • DOWNLOADABLE DATA
  • PUBLICATION DATA
  • RELEASE HISTORY
HELP
  • ANTIBODY VALIDATION
  • ASSAYS & ANNOTATION
  • DISCLAIMER
  • HELP & FAQ
  • PRIVACY STATEMENT
  • LICENCE & CITATION
Fields »
Search result

Field
Term
Gene name
Class
Subclass
Class
Keyword
Chromosome
External id
Tissue
Cell type
Expression
Antibody panel
Tissue
Main location
Patient ID
Annotation
Tissue
Category
Tau score
Cluster
Reliability
Brain region
Category
Tau score
Brain region
Category
Tau score
Brain region
Category
Tau score
Cluster
Reliability
Tissue
Cell type
Enrichment
Cell type
Category
Tau score
Cell type
Category
Tau score
Cell type
Category
Tau score
Cell lineage
Category
Tau score
Cluster
Cluster
Location
Searches
Location
Cell line
Class
Type
Phase
Reliability
Cancer
Prognosis
Cancer
Category
Cancer
Category
Tau score
Cluster
Variants
Interacting gene (ensg_id)
Type
Number of interactions
Pathway
Category
Score
Score
Score
Validation
Validation
Validation
Validation
Antibodies
Data type
Column


  • SUMMARY

  • TISSUE

  • BRAIN

  • SINGLE CELL

  • SUBCELL

  • CANCER

  • BLOOD

  • CELL LINE

  • STRUCT & INT

  • JPT1
BRAIN CEREBELLUM Show tissue menu
AMYGDALA BASAL GANGLIA CEREBELLUM CEREBRAL CORTEX CHOROID PLEXUS HIPPOCAMPAL FORMATION HYPOTHALAMUS MEDULLA OBLONGATA
MIDBRAIN OLFACTORY BULB PITUITARY GLAND PONS RETINA SPINAL CORD THALAMUS WHITE MATTER
ANTIBODIES
AND
VALIDATION
Brain proteome
Cerebellum
CEREBELLUM - Expression summary
Protein expression
Cerebellumi

On the top, protein expression in current human tissue, based on all annotated cell types, is reported with the units not detected (n), low (l), medium (m) and high (h). Underneath, protein expression in each annotated cell type are reported using the same units.

Protein expression data is based on knowledge-based annotation. For genes where more than one antibody has been used, a collective score is set.

If knowledge-based annotation could not be performed for a gene, no data is displayed here. View antibody staining data further down this page.

h
m
l
n
Cells in granular layer: Medium
Cells in molecular layer: High
Purkinje cells: High
RNA expressioni

A summary of mRNA expression data available for current tissue based on several datasets. The mRNA expression levels in human tissues are based on RNA-seq data generated by the Human Protein Atlas (HPA), Genotype-Tissue Expression (GTEx) portal and CAGE data generated by the FANTOM5 consortium. Consensus normalized expression levels for human tissues was created by combining the data from HPA and GTEx datasets.

The mRNA expression levels in pig are based on RNA-seq data generated by the Human Protein Atlas (HPA), and for mouse, HPA data and in situ hybridization generated by the Allen brain atlas are reported.

Scroll down to view mRNA expression data in more detail.
Consensus:105.7 nTPM
HPA Brain:60.2 nTPM
GTEx:105.7 nTPM
FANTOM5:121.1 Scaled Tags Per Million
Pig:39.1 nTPM
Mouse:51.4 nTPM
Allen mouse:1.1 Expression energy

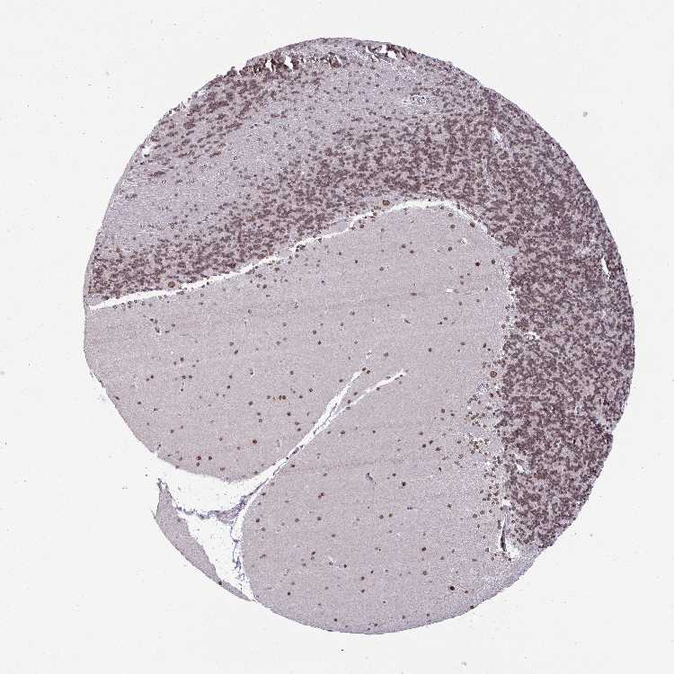
CEREBELLUM - Antibody stainingi

Antibody staining in the annotated cell types in the current human tissue is reported as not detected, low, medium, or high, based on conventional immunohistochemistry profiling in selected tissues. This score is based on the combination of the staining intensity and fraction of stained cells.

Each image is clickable and will lead to virtual microscopy that enables deeper exploration of all samples and also displays staining intensity scores, fraction scores and subcellular localization as well as patient and tissue information for each sample.

Antibody HPA059729
Purkinje cells High
Cells in granular layer Medium
Cells in molecular layer High



CEREBELLUM - HPA Brain RNA-seq
Max subtype nTPMi

Max subtype nTPM is the value for the subtype with the largest average nTPM across the subtype samples.

60.2
Sample id Sample description nTPM
Cerebellar cortex
nTPM: 60.2
2101 Male, age 74, right hemisphere 118.7
1768 Female, age 72, unknown 73.5
2006 Male, age 61, right hemisphere 61.8
2055 Female, age 91, right hemisphere 57.0
1774 Male, age 80, left hemisphere 54.7
1769 Male, age 76, right hemisphere 49.3
1788 Male, age 55, unknown 43.4
2003 Female, age 85, right hemisphere 23.4
Cerebellar nuclei
nTPM: 22.2
2318 Male, age 74, left hemisphere 42.2
2783 Female, age 72, unknown 29.1
1966 Female, age 91, left hemisphere 21.4
2177 Female, age 85, both hemispheres 21.0
2882 Male, age 76, left hemisphere 20.6
1879 Male, age 55, unknown 19.5
2005 Male, age 80, left hemisphere 16.6
2175 Male, age 61, right hemisphere 15.5
1871 Male, age 74, unknown 13.6
Flocculonodular lobe
nTPM: 49.1
2176 Female, age 91, right hemisphere 62.0
1771 Male, age 80, left hemisphere 57.1
1792 Male, age 74, unknown 53.3
1767 Male, age 76, left hemisphere 48.2
2004 Male, age 61, right hemisphere 44.2
1765 Male, age 55, unknown 41.9
1835 Female, age 85, right hemisphere 37.1
Vermis
nTPM: 51.9
1751 Male, age 74, right hemisphere 109.9
1928 Female, age 72, unknown 58.3
1778 Female, age 91, left hemisphere 55.4
1770 Male, age 76, left hemisphere 48.7
1825 Male, age 74, unknown 47.3
2460 Male, age 61, both hemispheres 43.6
1988 Female, age 85, left hemisphere 39.9
2834 Male, age 80, left hemisphere 33.4
1766 Male, age 55, unknown 30.9

CEREBELLUM - GTEx RNA-seqi

RNA-Seq data generated by the Genotype-Tissue Expression (GTEx) project from human tissues is reported as mean nTPM. More information can be found on the GTEx portal.

Distribution across the dataset is visualized with box plots, shown as median and 25th and 75th percentiles. Points are displayed as outliers if they are above or below 1.5 times the interquartile range. nTPM values of the individual samples are presented next to the box plot.
Max subtype nTPMi

Max subtype nTPM is the value for the subtype with the largest average nTPM across the subtype samples.

105.7
GTEx sample id Sample description nTPM
Brain - Cerebellar Hemisphere
Average nTPM: 105.7
Samples: 215

Max nTPM: 198.7
Min nTPM: 36.5
Std nTPM: 25.8
Median nTPM: 104.9
GTEX-13FLV-0011-R11a-SM-5LZZ7 50-59 years, male 198.7
GTEX-NL4W-0011-R11A-SM-2I3DW 50-59 years, male 189.7
GTEX-12WSH-0011-R11a-SM-5LZVM 50-59 years, male 184.5
GTEX-1H4P4-0011-R11b-SM-CE6S8 50-59 years, male 164.9
GTEX-N7MS-0011-R11A-SM-2HMJS 60-69 years, male 161.3
GTEX-1LSVX-0011-R11b-SM-EXOIA 60-69 years, male 159.5
GTEX-132Q8-0011-R11b-SM-5DUW9 60-69 years, male 155.2
GTEX-WWYW-0011-R11A-SM-3NB38 50-59 years, female 155.2
GTEX-1F75W-0011-R11b-SM-AHZ34 60-69 years, male 153.7
GTEX-1313W-0011-R11a-SM-5DUXN 50-59 years, female 153.0
GTEX-13X6J-0011-R11a-SM-5P9HE 50-59 years, male 152.0
GTEX-17EVP-0011-R11a-SM-7EWDL 40-49 years, male 150.0
GTEX-12WSD-0011-R11a-SM-9OSVC 60-69 years, female 149.8
GTEX-NL3H-0011-R11A-SM-2I3E6 60-69 years, male 149.3
GTEX-1F7RK-0011-R11b-SM-9QEI2 20-29 years, female 146.8
GTEX-YJ89-0011-R11a-SM-4SOKA 60-69 years, male 146.1
GTEX-1B933-0011-R11a-SM-7P8PM 50-59 years, female 145.8
GTEX-16Z82-0011-R11a-SM-79OKJ 60-69 years, male 145.4
GTEX-14C5O-0011-R11b-SM-6872H 60-69 years, male 145.3
GTEX-1F6I4-0011-R11b-SM-9OSWS 60-69 years, male 144.4
GTEX-WL46-0011-R11A-SM-3MJFT 50-59 years, male 138.6
GTEX-1CB4G-0011-R11a-SM-9OSWG 60-69 years, male 138.6
GTEX-145LU-0011-R11b-SM-5P9JX 50-59 years, male 137.7
GTEX-17HII-0011-R11b-SM-7KFSX 50-59 years, male 137.2
GTEX-1GMRU-0011-R11b-SM-C1YQ4 50-59 years, male 137.2
GTEX-1KD4Q-0011-R11b-SM-EXOIE 40-49 years, male 136.7
GTEX-1GF9W-0011-R11b-SM-9OSXG 60-69 years, male 136.1
GTEX-1C64N-0011-R11b-SM-7P8Q6 50-59 years, male 134.0
GTEX-T5JC-0011-R11A-SM-32PMB 20-29 years, male 133.8
GTEX-12WSF-0011-R11a-SM-5LZVT 70-79 years, male 132.4
GTEX-12WSC-0011-R11a-SM-5GU5J 50-59 years, male 132.0
GTEX-13OW6-0011-R11a-SM-5L3H2 50-59 years, male 130.5
GTEX-144GL-0011-R11b-SM-5P9F6 50-59 years, male 127.3
GTEX-1HBPI-0011-R11b-SM-CE6SH 50-59 years, male 127.2
GTEX-139TT-0011-R11b-SM-5LZV1 60-69 years, male 126.8
GTEX-12ZZZ-0011-R11a-SM-5EGLC 60-69 years, male 125.4
GTEX-13G51-0011-R11b-SM-5J2NE 60-69 years, male 125.3
GTEX-1E1VI-0011-R11a-SM-9OSWI 50-59 years, male 124.9
GTEX-18A6Q-0011-R11a-SM-72D6H 60-69 years, male 124.1
GTEX-14E6D-0011-R11b-SM-664NP 50-59 years, male 123.9
GTEX-12WSI-0011-R11b-SM-5P9EZ 50-59 years, male 123.8
GTEX-1R9K4-0011-R11a-SM-EZ6N9 60-69 years, male 123.8
GTEX-18465-0011-R11a-SM-72D78 50-59 years, male 122.9
GTEX-1F75A-0011-R11a-SM-AHZ35 50-59 years, male 121.9
GTEX-1I1GR-0011-R11a-SM-CM2T5 60-69 years, male 121.9
GTEX-1I1GV-0011-R11a-SM-CJI3Z 60-69 years, male 121.9
GTEX-ZDXO-0011-R11a-SM-4WWD9 60-69 years, male 121.2
GTEX-1HSKV-0011-R11b-SM-AHZ2E 60-69 years, male 121.2
GTEX-1EKGG-0011-R11a-SM-9QEHZ 60-69 years, male 121.1
GTEX-16YQH-0011-R11b-SM-7LT98 30-39 years, male 120.6
GTEX-1IDJH-0011-R11b-SM-C1YRT 70-79 years, male 120.6
GTEX-11EI6-0011-R11a-SM-DO11V 60-69 years, male 120.4
GTEX-1LG7Y-0011-R11a-SM-EXOIH 50-59 years, male 120.4
GTEX-13OW7-0011-R11a-SM-5O9DY 50-59 years, male 119.8
GTEX-1EMGI-0011-R11b-SM-9OSWX 60-69 years, male 119.8
GTEX-1F52S-0011-R11a-SM-CJI23 60-69 years, female 119.7
GTEX-1JMQJ-0011-R11a-SM-EXOJY 50-59 years, male 119.7
GTEX-13OVH-0011-R11b-SM-5KM4X 70-79 years, male 119.5
GTEX-1I19N-0011-R11b-SM-ARU6Y 70-79 years, male 119.5
GTEX-17JCI-0011-R11a-SM-7189Y 60-69 years, female 119.3
GTEX-17HG3-0011-R11b-SM-7KFT4 30-39 years, female 118.8
GTEX-14ASI-0011-R11b-SM-6AJBJ 60-69 years, male 118.6
GTEX-11ZUS-0011-R11b-SM-5BC7B 30-39 years, male 117.6
GTEX-1I1GQ-0011-R11b-SM-CKZPA 50-59 years, male 117.5
GTEX-13NZA-0011-R11b-SM-5KM4W 60-69 years, male 116.0
GTEX-1IGQW-0011-R11a-SM-C1YRV 60-69 years, male 115.9
GTEX-1M4P7-0011-R11b-SM-EXOIK 60-69 years, male 115.6
GTEX-13FXS-0011-R11a-SM-5L3DM 50-59 years, male 114.8
GTEX-16GPK-0011-R11b-SM-7MKFF 60-69 years, male 114.8
GTEX-13NYS-0011-R11b-SM-5MR4P 60-69 years, male 114.4
GTEX-13VXU-0011-R11b-SM-5O9DJ 50-59 years, male 114.2
GTEX-1HGF4-0011-R11a-SM-C1YRR 60-69 years, male 114.2
GTEX-1GZ4I-0011-R11b-SM-9OSWR 50-59 years, male 113.8
GTEX-1JJEA-0011-R11a-SM-EXUTE 60-69 years, male 113.7
GTEX-ZE9C-0011-R11a-SM-4WKGG 60-69 years, male 113.4
GTEX-11ZTS-0011-R11a-SM-DO113 60-69 years, female 113.4
GTEX-1B8L1-0011-R11b-SM-793DJ 60-69 years, male 113.2
GTEX-145MH-0011-R11a-SM-5P9HQ 50-59 years, male 112.9
GTEX-13SLX-0011-R11b-SM-5O9C8 50-59 years, female 112.2
GTEX-13X6I-0011-R11a-SM-5P9HN 60-69 years, male 112.1
GTEX-13FTY-0011-R11a-SM-5IJEA 40-49 years, female 111.9
GTEX-1399T-0011-R11a-SM-5J2O1 60-69 years, male 111.7
GTEX-X4EP-0011-R11B-SM-4QASK 60-69 years, female 111.2
GTEX-13O3O-0011-R11b-SM-5KM4G 60-69 years, female 110.9
GTEX-X261-0011-R11A-SM-4E3JY 50-59 years, male 110.9
GTEX-13N2G-0011-R11a-SM-5MR3F 60-69 years, male 110.8
GTEX-S7SE-0011-R11A-SM-2XCDD 50-59 years, male 110.5
GTEX-12126-0011-R11a-SM-5BC6X 20-29 years, male 110.1
GTEX-12WSM-0011-R11a-SM-5DUX8 60-69 years, male 109.9
GTEX-1H1CY-0011-R11a-SM-C1YQR 60-69 years, female 109.8
GTEX-1B8SG-0011-R11a-SM-7P8PF 50-59 years, male 109.5
GTEX-1N2DW-0011-R11b-SM-EXOIL 50-59 years, male 109.4
GTEX-1GMR8-0011-R11b-SM-9OSX2 50-59 years, female 109.2
GTEX-1IKK5-0011-R11a-SM-C1YRX 60-69 years, male 109.1
GTEX-11DZ1-0011-R11b-SM-DO11W 50-59 years, male 108.6
GTEX-Z93S-0011-R11a-SM-4RGNN 50-59 years, male 108.4
GTEX-NPJ8-0011-R11A-SM-2YUMS 40-49 years, male 107.9
GTEX-1N2EE-0011-R11b-SM-EXOIJ 60-69 years, male 107.9
GTEX-14ABY-0011-R11a-SM-5SI7C 50-59 years, male 107.3
GTEX-1H3VE-0011-R11b-SM-C1YRP 40-49 years, male 107.1
GTEX-11WQC-0011-R11b-SM-57WD6 60-69 years, male 106.9
GTEX-13JVG-0011-R11a-SM-5KM53 60-69 years, male 106.3
GTEX-1B8SF-0011-R11a-SM-79OOP 60-69 years, male 106.1
GTEX-1HFI6-0011-R11b-SM-A96RU 40-49 years, male 105.9
GTEX-14PN4-0011-R11a-SM-686ZW 50-59 years, male 105.7
GTEX-11EMC-0011-R11b-SM-DNZZK 60-69 years, female 105.1
GTEX-1I1HK-0011-R11a-SM-B2LVN 60-69 years, male 105.1
GTEX-1GZHY-0011-R11a-SM-C1YRQ 50-59 years, female 104.9
GTEX-1IY9M-0011-R11b-SM-A96TI 60-69 years, male 104.9
GTEX-1BAJH-0011-R11b-SM-7IGLM 70-79 years, male 104.8
GTEX-ZE7O-0011-R11a-SM-57WBC 50-59 years, female 104.7
GTEX-WZTO-0011-R11A-SM-4E3K9 40-49 years, male 104.6
GTEX-T2IS-0011-R11A-SM-32QPC 20-29 years, female 104.4
GTEX-14BIM-0011-R11b-SM-5S2RN 60-69 years, female 104.1
GTEX-1JJ6O-0011-R11b-SM-EXUS2 60-69 years, male 104.1
GTEX-13S7M-0011-R11b-SM-5P9HU 60-69 years, female 102.9
GTEX-15ER7-0011-R11a-SM-6LPIL 20-29 years, female 102.8
GTEX-17EVQ-0011-R11a-SM-7LT9C 70-79 years, male 102.7
GTEX-1J8Q2-0011-R11a-SM-A9SKI 60-69 years, male 102.2
GTEX-15G19-0011-R11b-SM-6LPIH 60-69 years, male 101.9
GTEX-ZVZQ-0011-R11a-SM-51MS6 60-69 years, female 101.5
GTEX-1GN73-0011-R11b-SM-9OSX4 60-69 years, male 101.4
GTEX-13OVL-0011-R11b-SM-5L3G7 50-59 years, male 101.3
GTEX-1H3O1-0011-R11a-SM-A96RV 60-69 years, male 101.1
GTEX-WVLH-0011-R11A-SM-3MJFO 50-59 years, male 100.9
GTEX-YFC4-0011-R11a-SM-4SOK6 40-49 years, female 100.9
GTEX-15CHQ-0011-R11b-SM-686ZZ 60-69 years, male 100.6
GTEX-13CF2-0011-R11b-SM-5LZXO 60-69 years, male 100.3
GTEX-13OW5-0011-R11b-SM-5L3GG 60-69 years, male 99.8
GTEX-WHSE-0011-R11A-SM-3P5YY 20-29 years, male 99.5
GTEX-RVPV-0011-R11A-SM-2TF6F 60-69 years, male 99.4
GTEX-12WSE-0011-R11b-SM-5P9JW 20-29 years, male 98.6
GTEX-131XH-0011-R11a-SM-5EGLN 50-59 years, male 97.7
GTEX-15DYW-0011-R11a-SM-6LPIT 60-69 years, female 97.5
GTEX-ZVT3-0011-R11b-SM-57WBI 60-69 years, female 97.5
GTEX-ZUA1-0011-R11b-SM-51MTI 40-49 years, male 97.1
GTEX-1H1DG-0011-R11a-SM-C1YQK 70-79 years, male 97.0
GTEX-11DYG-0011-R11a-SM-DNZZP 60-69 years, male 96.2
GTEX-12ZZX-0011-R11a-SM-5DUVJ 40-49 years, female 95.8
GTEX-P44G-0011-R11A-SM-2I3FD 30-39 years, male 95.7
GTEX-Y8DK-0011-R11A-SM-4SOK2 60-69 years, male 95.1
GTEX-X4XX-0011-R11A-SM-46MWQ 60-69 years, male 95.0
GTEX-11OF3-0011-R11a-SM-57WCR 60-69 years, male 94.9
GTEX-13JUV-0011-R11a-SM-5LZYH 40-49 years, female 94.9
GTEX-NPJ7-0011-R11A-SM-2I3E8 60-69 years, female 94.0
GTEX-11PRG-0011-R11b-SM-DNZZY 50-59 years, male 93.2
GTEX-18464-0011-R11a-SM-72D76 50-59 years, male 93.1
GTEX-17F97-0011-R11b-SM-7KFRQ 50-59 years, male 92.4
GTEX-1LVAO-0011-R11b-SM-EXOI8 60-69 years, male 92.4
GTEX-13NYB-0011-R11a-SM-5KM3Q 40-49 years, male 92.3
GTEX-1IKOH-0011-R11a-SM-AHZ38 60-69 years, female 92.3
GTEX-11DXY-0011-R11a-SM-DNZZN 60-69 years, male 91.9
GTEX-13RTJ-0011-R11a-SM-5O9CK 60-69 years, male 91.6
GTEX-1A3MX-0011-R11b-SM-7DUGP 60-69 years, male 91.3
GTEX-14BIN-0011-R11a-SM-5SI79 50-59 years, female 90.6
GTEX-1R9PO-0011-R11b-SM-EZ6NB 60-69 years, female 90.4
GTEX-1ICLZ-0011-R11a-SM-CJI3N 60-69 years, male 90.1
GTEX-14E7W-0011-R11a-SM-5ZZVA 70-79 years, male 89.8
GTEX-13OW8-0011-R11a-SM-5L3GT 60-69 years, male 89.4
GTEX-11GSP-0011-R11b-SM-5NQ7V 60-69 years, female 88.6
GTEX-13O3Q-0011-R11b-SM-5KM2W 50-59 years, male 88.3
GTEX-1J8EW-0011-R11a-SM-AHZ37 60-69 years, female 87.5
GTEX-XMD1-0011-R11A-SM-4AT5J 60-69 years, male 87.4
GTEX-RU72-0011-R11A-SM-CM2U1 50-59 years, female 87.3
GTEX-11TTK-0011-R11b-SM-DO112 60-69 years, female 87.2
GTEX-1I1GS-0011-R11a-SM-C1YRU 60-69 years, male 87.2
GTEX-1IL2V-0011-R11a-SM-ARU6T 70-79 years, male 87.2
GTEX-14DAQ-0011-R11a-SM-664NO 60-69 years, female 86.6
GTEX-ZF28-0011-R11a-SM-4WWEI 60-69 years, male 86.4
GTEX-131YS-0011-R11b-SM-5EGLM 60-69 years, female 86.1
GTEX-T6MN-0011-R11A-SM-32QOX 50-59 years, male 85.8
GTEX-R55E-0011-R11A-SM-2TC6I 20-29 years, male 85.7
GTEX-13PVQ-0011-R11a-SM-5O9DU 50-59 years, male 84.9
GTEX-Q2AG-0011-R11A-SM-2HMKZ 40-49 years, female 84.4
GTEX-13QIC-0011-R11b-SM-5O9BU 60-69 years, female 84.2
GTEX-13SLW-0011-R11a-SM-5SI8Q 70-79 years, male 84.1
GTEX-131XW-0011-R11a-SM-5DUV9 50-59 years, female 84.0
GTEX-183WM-0011-R11a-SM-718A5 70-79 years, female 83.5
GTEX-TSE9-0011-R11A-SM-3DB7N 60-69 years, female 83.3
GTEX-13FHP-0011-R11b-SM-5LZXP 50-59 years, male 83.2
GTEX-1IL2U-0011-R11a-SM-CE6SO 60-69 years, male 82.2
GTEX-1IOXB-0011-R11a-SM-A9G1X 50-59 years, male 81.7
GTEX-11H98-0011-R11b-SM-5NQ6U 50-59 years, male 81.5
GTEX-13FHO-0011-R11b-SM-5LZYQ 60-69 years, male 81.3
GTEX-16XZZ-0011-R11a-SM-7EPI3 60-69 years, male 81.0
GTEX-13CZV-0011-R11b-SM-5N9FN 60-69 years, male 79.4
GTEX-1H3NZ-0011-R11b-SM-CE6SF 60-69 years, male 79.2
GTEX-13X6K-0011-R11a-SM-5P9F5 60-69 years, female 79.1
GTEX-1F48J-0011-R11b-SM-9OSWV 50-59 years, female 78.7
GTEX-1HCU6-0011-R11b-SM-AHZ2F 60-69 years, female 78.2
GTEX-1JMOU-0011-R11b-SM-EXUTA 60-69 years, female 77.1
GTEX-13PLJ-0011-R11b-SM-5O9BS 60-69 years, female 76.9
GTEX-1AX9I-0011-R11b-SM-7DHN4 60-69 years, male 76.3
GTEX-ZAB4-0011-R11a-SM-4SOKI 40-49 years, male 76.3
GTEX-1J1OQ-0011-R11a-SM-A96S3 40-49 years, female 74.9
GTEX-1GTWX-0011-R11b-SM-C1YQJ 60-69 years, male 73.6
GTEX-15DCD-0011-R11a-SM-D4P1R 70-79 years, female 73.3
GTEX-X585-0011-R11B-SM-46MUZ 50-59 years, male 71.2
GTEX-1H1ZS-0011-R11a-SM-C1YQM 70-79 years, male 69.8
GTEX-139UW-0011-R11a-SM-5IJGN 60-69 years, male 69.0
GTEX-1HUB1-0011-R11b-SM-CE6SC 60-69 years, male 68.5
GTEX-16NPV-0011-R11a-SM-7IGMK 50-59 years, female 68.3
GTEX-15EO6-0011-R11b-SM-6M47M 50-59 years, male 67.4
GTEX-P44H-0011-R11A-SM-2XCER 40-49 years, male 66.3
GTEX-1HB9E-0011-R11b-SM-ARU79 50-59 years, male 65.9
GTEX-QMR6-0011-R11A-SM-32PKK 50-59 years, male 64.7
GTEX-UTHO-0011-R11A-SM-3GIJE 60-69 years, male 64.2
GTEX-1CAV2-0011-R11a-SM-ARU8D 40-49 years, female 62.7
GTEX-1LKK1-0011-R11a-SM-EXOIG 50-59 years, female 61.5
GTEX-OHPN-0011-R11A-SM-2I5FM 60-69 years, female 59.7
GTEX-14C39-0011-R11b-SM-5YYAF 40-49 years, male 55.9
GTEX-13OVJ-0011-R11a-SM-5P9H8 50-59 years, female 45.8
GTEX-145MI-0011-R11a-SM-5P9JZ 60-69 years, female 45.7
GTEX-QDT8-0011-R11A-SM-32PKD 30-39 years, female 43.4
GTEX-N7MT-0011-R11A-SM-2I3DZ 60-69 years, female 36.5
Show allShow less
Brain - Cerebellum
Average nTPM: 84.2
Samples: 241

Max nTPM: 157.1
Min nTPM: 42.6
Std nTPM: 17.6
Median nTPM: 82.9
GTEX-1LSVX-2826-SM-EVR58 60-69 years, male 157.1
GTEX-145LU-2626-SM-5LU9Z 50-59 years, male 130.3
GTEX-T5JC-2326-SM-32PMR 20-29 years, male 128.9
GTEX-13SLX-3226-SM-5YYA6 50-59 years, female 125.8
GTEX-WL46-2826-SM-3LK81 50-59 years, male 124.2
GTEX-1MJK2-3026-SM-EV7A5 50-59 years, male 122.7
GTEX-12WSE-2926-SM-5RQJ9 20-29 years, male 122.5
GTEX-1C6WA-3326-SM-7MKGN 60-69 years, male 122.2
GTEX-1RDX4-3226-SM-DPS14 50-59 years, female 120.2
GTEX-12WSH-3126-SM-5LZW8 50-59 years, male 117.9
GTEX-1POEN-2726-SM-E9U6B 30-39 years, female 117.1
GTEX-WWYW-3026-SM-3NB36 50-59 years, female 114.6
GTEX-1F6I4-3026-SM-7P8SI 60-69 years, male 114.1
GTEX-1F75W-3126-SM-7P8SJ 60-69 years, male 113.6
GTEX-1R9PO-2826-SM-E6CPV 60-69 years, female 113.6
GTEX-ZYFD-2926-SM-5GID9 50-59 years, male 113.3
GTEX-1H4P4-2726-SM-9JGGB 50-59 years, male 113.0
GTEX-12WSC-2926-SM-5BC5Z 50-59 years, male 111.8
GTEX-14C5O-2926-SM-5RQI1 60-69 years, male 110.6
GTEX-13112-2926-SM-5DUWT 50-59 years, male 109.1
GTEX-1NV8Z-3026-SM-DTX8Z 60-69 years, male 108.5
GTEX-147F4-3026-SM-5Q5BJ 50-59 years, male 107.2
GTEX-14DAQ-3026-SM-5S2QZ 60-69 years, female 106.8
GTEX-X261-3126-SM-4PQZC 50-59 years, male 106.6
GTEX-1EMGI-3126-SM-7MXUR 60-69 years, male 105.6
GTEX-N7MS-2526-SM-2D7W3 60-69 years, male 104.5
GTEX-1313W-3026-SM-5LZUZ 50-59 years, female 103.8
GTEX-131XH-2926-SM-5LZU4 50-59 years, male 103.2
GTEX-12ZZZ-3126-SM-5LZU6 60-69 years, male 103.0
GTEX-ZAK1-2926-SM-5HL9S 50-59 years, female 102.8
GTEX-1EX96-3126-SM-9JGGC 50-59 years, male 102.8
GTEX-14ASI-2926-SM-5Q5DG 60-69 years, male 102.6
GTEX-1399T-3126-SM-5IJFS 60-69 years, male 102.1
GTEX-11OC5-0626-SM-5HL6M 60-69 years, male 102.0
GTEX-13VXU-3026-SM-5LU3K 50-59 years, male 101.9
GTEX-R55E-2526-SM-2TC6H 20-29 years, male 100.8
GTEX-1F75A-2926-SM-7MXVN 50-59 years, male 100.7
GTEX-1B8SF-3026-SM-731DX 60-69 years, male 100.6
GTEX-T6MN-2526-SM-32PMN 50-59 years, male 100.6
GTEX-1E1VI-2926-SM-7IGLT 50-59 years, male 100.4
GTEX-1KD4Q-3026-SM-EV7A7 40-49 years, male 100.2
GTEX-13NYB-3226-SM-5J2ND 40-49 years, male 100.0
GTEX-13OW5-3126-SM-5MR3Y 60-69 years, male 99.9
GTEX-16Z82-2926-SM-6LPJJ 60-69 years, male 99.9
GTEX-1GZHY-3026-SM-7MXVA 50-59 years, female 99.5
GTEX-ZUA1-2926-SM-59HL3 40-49 years, male 98.8
GTEX-1QEPI-3026-SM-EXOIW 60-69 years, female 98.8
GTEX-14BIM-3126-SM-5Q5C7 60-69 years, female 98.5
GTEX-1F6IF-3026-SM-7P8QN 60-69 years, male 98.5
GTEX-14JIY-2326-SM-6AJAJ 60-69 years, male 98.1
GTEX-ZDXO-2926-SM-4WKFM 60-69 years, male 98.0
GTEX-ZAJG-3026-SM-5HL92 50-59 years, female 97.5
GTEX-1128S-2826-SM-5N9DI 60-69 years, female 97.1
GTEX-1I1CD-2926-SM-A96SJ 60-69 years, female 97.0
GTEX-1GN73-3026-SM-7MXV8 60-69 years, male 96.8
GTEX-YJ89-2926-SM-5P9IT 60-69 years, male 96.7
GTEX-1C64N-3126-SM-79OO3 50-59 years, male 95.9
GTEX-14E6D-2926-SM-664OP 50-59 years, male 95.7
GTEX-Z93S-2826-SM-57WBL 50-59 years, male 95.6
GTEX-12126-0926-SM-5FQTW 20-29 years, male 95.5
GTEX-145MH-2926-SM-5Q5D2 50-59 years, male 95.5
GTEX-139TS-3126-SM-5LZWX 60-69 years, male 95.2
GTEX-13OVH-2926-SM-5IJFH 70-79 years, male 94.9
GTEX-1IKOH-2826-SM-CNNRC 60-69 years, female 94.7
GTEX-139TT-2626-SM-5LZUB 60-69 years, male 94.6
GTEX-1HSMO-2926-SM-C1YR5 60-69 years, male 94.6
GTEX-X4XX-2926-SM-3NMB1 60-69 years, male 94.4
GTEX-117XS-3126-SM-5GIDP 60-69 years, male 94.2
GTEX-1JMQJ-3126-SM-EV79G 50-59 years, male 93.7
GTEX-1A8G7-3026-SM-73KTT 60-69 years, male 93.6
GTEX-1PIIG-2826-SM-DTX7O 30-39 years, male 93.5
GTEX-1H1CY-3026-SM-9OSW7 60-69 years, female 93.2
GTEX-1GF9W-2726-SM-9JGGW 60-69 years, male 93.1
GTEX-11EI6-2926-SM-5985U 60-69 years, male 92.9
GTEX-11NUK-3026-SM-5986K 50-59 years, male 92.6
GTEX-11O72-2826-SM-5HL6W 40-49 years, male 92.6
GTEX-13O3O-3026-SM-5KM42 60-69 years, female 91.8
GTEX-16XZZ-2926-SM-6LPK4 60-69 years, male 91.7
GTEX-13OW7-2926-SM-5MR3Z 50-59 years, male 91.4
GTEX-XLM4-2926-SM-4AT59 60-69 years, male 91.4
GTEX-11GSO-3026-SM-5Q5AL 60-69 years, male 91.1
GTEX-1IDJH-3126-SM-C1YQS 70-79 years, male 91.1
GTEX-14BMV-2926-SM-5TDEE 50-59 years, male 90.3
GTEX-1LG7Y-3126-SM-EV7AS 50-59 years, male 90.3
GTEX-18465-2926-SM-7KFSE 50-59 years, male 90.2
GTEX-1JJEA-2926-SM-C1YSK 60-69 years, male 90.0
GTEX-13FXS-3026-SM-5LZYO 50-59 years, male 89.9
GTEX-T2IS-2926-SM-32QPO 20-29 years, female 89.4
GTEX-11DZ1-2926-SM-5A5KI 50-59 years, male 89.2
GTEX-13OW6-2926-SM-5KM29 50-59 years, male 89.2
GTEX-147GR-3126-SM-5S2PM 60-69 years, male 89.2
GTEX-1I1GV-3026-SM-CNNR9 60-69 years, male 89.0
GTEX-11NV4-2226-SM-5BC4T 60-69 years, male 88.6
GTEX-14ABY-3026-SM-664NE 50-59 years, male 88.4
GTEX-1IY9M-3126-SM-AHZ3A 60-69 years, male 88.4
GTEX-13S7M-3026-SM-5S2QQ 60-69 years, female 88.0
GTEX-WVLH-2926-SM-3MJG5 50-59 years, male 87.6
GTEX-WHSE-2926-SM-3NMBG 20-29 years, male 87.5
GTEX-145MG-3126-SM-5Q5D3 50-59 years, male 87.3
GTEX-111FC-3326-SM-5GZYV 60-69 years, male 87.0
GTEX-1IL2V-3026-SM-CYPSA 70-79 years, male 87.0
GTEX-1RNSC-3126-SM-EVR4V 60-69 years, male 86.7
GTEX-1QP6S-3026-SM-EAZ4N 40-49 years, male 85.9
GTEX-11EMC-3326-SM-5P9JH 60-69 years, female 85.8
GTEX-145LS-3026-SM-5O99S 60-69 years, female 85.4
GTEX-14BIN-3326-SM-5Q5E6 50-59 years, female 85.4
GTEX-Y111-2826-SM-4TT3O 50-59 years, male 85.4
GTEX-11GSP-3126-SM-5A5LL 60-69 years, female 85.3
GTEX-12ZZY-2926-SM-5DUXO 60-69 years, male 85.3
GTEX-1I1HK-2726-SM-AHZ2M 60-69 years, male 85.2
GTEX-13CF2-3026-SM-5IFFX 60-69 years, male 85.0
GTEX-11PRG-2826-SM-5BC54 50-59 years, male 84.9
GTEX-13O3Q-3026-SM-5IJGD 50-59 years, male 84.9
GTEX-1C6VR-3026-SM-7IGLW 60-69 years, male 84.9
GTEX-11ZVC-3026-SM-59HJM 50-59 years, female 84.7
GTEX-11ZUS-2826-SM-5EQKW 30-39 years, male 84.6
GTEX-UTHO-2926-SM-3P5Z9 60-69 years, male 83.9
GTEX-17HHY-2926-SM-79OJW 50-59 years, male 83.5
GTEX-11ONC-3026-SM-5985W 60-69 years, male 83.3
GTEX-15G19-2826-SM-6M48K 60-69 years, male 83.3
GTEX-1192X-3226-SM-5987D 50-59 years, male 82.9
GTEX-17EVP-2926-SM-793BU 40-49 years, male 82.8
GTEX-15ER7-3026-SM-6M47W 20-29 years, female 82.4
GTEX-ZF28-2926-SM-4WKG1 60-69 years, male 82.4
GTEX-WZTO-2826-SM-3NM8P 40-49 years, male 82.3
GTEX-Y8DK-0726-SM-4TT3S 60-69 years, male 82.3
GTEX-13QIC-3026-SM-5LU58 60-69 years, female 82.2
GTEX-183WM-2726-SM-7KFRF 70-79 years, female 82.1
GTEX-17JCI-3026-SM-7EWDR 60-69 years, female 81.9
GTEX-X4EP-3026-SM-3P5YP 60-69 years, female 81.2
GTEX-13JVG-3226-SM-5IJGJ 60-69 years, male 81.1
GTEX-1JMLX-3026-SM-EV79Q 50-59 years, male 81.1
GTEX-1CB4G-2926-SM-7MKFQ 60-69 years, male 80.7
GTEX-11ZTS-3226-SM-5EGID 60-69 years, female 80.5
GTEX-13N2G-3126-SM-5IJGL 60-69 years, male 80.5
GTEX-1EKGG-3126-SM-9WPO5 60-69 years, male 80.5
GTEX-1JN1M-3126-SM-AHZ4E 60-69 years, female 80.2
GTEX-1A3MX-2926-SM-718B7 60-69 years, male 80.1
GTEX-14JG1-2926-SM-686ZK 40-49 years, male 79.9
GTEX-17EVQ-2726-SM-7EWDT 70-79 years, male 79.9
GTEX-131YS-3026-SM-5EGHY 60-69 years, female 79.4
GTEX-14JFF-2826-SM-6871Q 60-69 years, male 79.3
GTEX-1A8G6-3126-SM-731D8 60-69 years, male 78.9
GTEX-1GZ2Q-3026-SM-9JGG3 40-49 years, male 78.9
GTEX-13OVL-3026-SM-5IJF1 50-59 years, male 78.7
GTEX-1EU9M-2926-SM-793DF 60-69 years, male 78.7
GTEX-P44G-2526-SM-2I5EK 30-39 years, male 78.6
GTEX-17HII-2926-SM-79OMK 50-59 years, male 78.5
GTEX-1B933-3026-SM-731DB 50-59 years, female 78.5
GTEX-ZAB4-2926-SM-57WCV 40-49 years, male 78.5
GTEX-12ZZX-2826-SM-5BC6K 40-49 years, female 78.4
GTEX-1F52S-3026-SM-7P8PV 60-69 years, female 78.3
GTEX-1P4AB-3026-SM-EXOJS 50-59 years, male 78.1
GTEX-13X6I-2926-SM-5Q5C3 60-69 years, male 77.9
GTEX-15DYW-3026-SM-7KFRM 60-69 years, female 77.5
GTEX-1EWIQ-3026-SM-7IGOJ 70-79 years, female 77.5
GTEX-1HSKV-2926-SM-B2LWJ 60-69 years, male 77.3
GTEX-12WSD-3026-SM-5LZU7 60-69 years, female 77.0
GTEX-1HBPI-2726-SM-9WPPF 50-59 years, male 77.0
GTEX-14PJM-3026-SM-6LLHM 50-59 years, female 76.7
GTEX-S7SE-2526-SM-2XCDL 50-59 years, male 76.5
GTEX-1B8L1-3226-SM-7P8OX 60-69 years, male 76.5
GTEX-13FHP-2926-SM-5IJG9 50-59 years, male 76.3
GTEX-11DXW-1026-SM-5H11K 40-49 years, male 75.7
GTEX-145MF-2826-SM-7EPGU 50-59 years, male 74.9
GTEX-18A6Q-2826-SM-7LTAO 60-69 years, male 74.4
GTEX-NPJ8-2626-SM-2D7W2 40-49 years, male 74.3
GTEX-12WSM-2126-SM-5GCOC 60-69 years, male 74.2
GTEX-14PN4-3026-SM-664O4 50-59 years, male 74.2
GTEX-13G51-3126-SM-5IJG7 60-69 years, male 74.1
GTEX-1GF9V-3026-SM-7P8R8 60-69 years, male 74.1
GTEX-1JMQK-2926-SM-D4P2T 60-69 years, male 73.9
GTEX-13RTJ-3126-SM-5S2Q4 60-69 years, male 73.8
GTEX-17HG3-2826-SM-7EPGO 30-39 years, female 73.8
GTEX-1B8SG-1926-SM-73KUB 50-59 years, male 73.8
GTEX-132Q8-2926-SM-5IFFP 60-69 years, male 73.7
GTEX-N7MT-1226-SM-DKPOK 60-69 years, female 73.5
GTEX-15EO6-2926-SM-6M48D 50-59 years, male 73.3
GTEX-1269C-3126-SM-5EGI6 60-69 years, female 73.2
GTEX-1R46S-3126-SM-DPRZ9 60-69 years, female 73.0
GTEX-16YQH-2926-SM-6LPJE 30-39 years, male 72.5
GTEX-14C39-3026-SM-5S2QE 40-49 years, male 72.3
GTEX-17F97-2926-SM-7DUEQ 50-59 years, male 72.1
GTEX-1E2YA-2926-SM-7MGWX 50-59 years, male 71.9
GTEX-11DXY-3126-SM-5N9BT 60-69 years, male 71.7
GTEX-1GZ4I-2926-SM-9JGGO 50-59 years, male 71.5
GTEX-13PVQ-2926-SM-5L3HJ 50-59 years, male 71.0
GTEX-XMD1-2826-SM-4AT5F 60-69 years, male 70.8
GTEX-1RQEC-3026-SM-DPRXM 60-69 years, male 70.8
GTEX-QVJO-1325-SM-2S1QX 60-69 years, female 70.3
GTEX-1B996-2926-SM-7MXUH 60-69 years, male 69.5
GTEX-1H3O1-1826-SM-A96TO 60-69 years, male 69.4
GTEX-14E7W-2926-SM-5S2R8 70-79 years, male 69.3
GTEX-ZZPT-2926-SM-5EQ5S 50-59 years, male 69.3
GTEX-1H1DG-2826-SM-9JGHB 70-79 years, male 68.4
GTEX-1JJE9-3026-SM-CNNPA 70-79 years, male 68.2
GTEX-ZYY3-3026-SM-5GIEJ 60-69 years, female 68.0
GTEX-13OW8-2926-SM-5L3FV 60-69 years, male 67.7
GTEX-1F48J-2726-SM-7P8PW 50-59 years, female 67.7
GTEX-1PWST-3026-SM-EAZ3H 70-79 years, male 67.7
GTEX-PWO3-1026-SM-2I5F2 60-69 years, female 67.5
GTEX-1J1OQ-3126-SM-D4P2O 40-49 years, female 67.4
GTEX-14A5I-2826-SM-5SIBF 50-59 years, female 67.2
GTEX-144GL-2926-SM-5O99F 50-59 years, male 67.1
GTEX-1JJ6O-3026-SM-C1YQH 60-69 years, male 66.6
GTEX-11TTK-2826-SM-5GU5K 60-69 years, female 66.5
GTEX-ZVT3-2926-SM-5GU6M 60-69 years, female 66.2
GTEX-13X6J-2926-SM-7EPGP 50-59 years, male 66.1
GTEX-1CB4H-3026-SM-79OLX 60-69 years, female 66.1
GTEX-RU72-2926-SM-2TF66 50-59 years, female 66.0
GTEX-1KWVE-2226-SM-CXZKN 30-39 years, male 65.9
GTEX-1BAJH-3126-SM-7MGXY 70-79 years, male 65.2
GTEX-TSE9-2926-SM-3DB77 60-69 years, female 65.1
GTEX-1H1ZS-2926-SM-9WPP2 70-79 years, male 65.0
GTEX-1GTWX-2926-SM-7MXV4 60-69 years, male 64.5
GTEX-13X6K-2826-SM-5O9DS 60-69 years, female 64.1
GTEX-Q2AG-2826-SM-2HMJQ 40-49 years, female 64.0
GTEX-1H3NZ-2926-SM-9WPQ8 60-69 years, male 64.0
GTEX-1KANB-3226-SM-D4P3G 50-59 years, male 63.3
GTEX-1HBPH-3026-SM-9WPNY 40-49 years, female 63.0
GTEX-1JMOU-2826-SM-EV79R 60-69 years, female 61.9
GTEX-1HCVE-2926-SM-9WPPJ 50-59 years, male 61.2
GTEX-15SHU-3026-SM-6LPIB 40-49 years, female 61.1
GTEX-11DYG-2926-SM-5H132 60-69 years, male 59.7
GTEX-QVUS-2926-SM-3GIJB 60-69 years, female 59.4
GTEX-YFC4-3026-SM-5IFJK 40-49 years, female 58.8
GTEX-RNOR-2226-SM-2TF5O 50-59 years, female 58.7
GTEX-13FHO-2926-SM-5L3ES 60-69 years, male 57.9
GTEX-NPJ7-2826-SM-2I3FU 60-69 years, female 57.8
GTEX-1HB9E-3126-SM-AHZ4M 50-59 years, male 54.4
GTEX-PVOW-2626-SM-32PL8 40-49 years, male 54.0
GTEX-13JUV-3026-SM-5K7WX 40-49 years, female 53.7
GTEX-1EH9U-3126-SM-7MXU5 60-69 years, male 53.7
GTEX-OHPN-2626-SM-2I5H1 60-69 years, female 52.5
GTEX-1JMPZ-2826-SM-C1YRA 30-39 years, male 51.0
GTEX-QDT8-3026-SM-32PKB 30-39 years, female 49.0
GTEX-P44H-2426-SM-2XCEJ 40-49 years, male 48.3
GTEX-14PJO-2926-SM-686ZI 60-69 years, male 48.0
GTEX-1H3VE-2826-SM-9WPOL 40-49 years, male 46.9
GTEX-QMR6-1326-SM-32PLB 50-59 years, male 45.3
GTEX-13OVJ-2726-SM-5IJG6 50-59 years, female 42.6
Show allShow less

CEREBELLUM - FANTOM5 CAGEi

RNA expression in human tissues obtained through Cap Analysis of Gene Expression (CAGE) generated by the FANTOM5 project are reported as Scaled Tags Per Million.

Max subtype Scaled Tags Per Millioni

Max subtype Scaled Tags Per Million is the value for the subtype with the largest average Scaled Tags Per Million across the subtype samples.

121.1
FANTOM5 sample id Sample description Scaled Tags Per Million
Cerebellum
Scaled Tags Per Million: 121.1
FF:10083-102B2 22-68 years, mixed 153.2
FF:10166-103B4 76 years, female 89.0

CEREBELLUM - Pig RNA-seqi

RNA-seq data obtained from pig brain is reported as nTPM .

Normal distribution across the dataset is visualized with box plots, shown as median and 25th and 75th percentiles. Points are displayed as outliers if they are above or below 1.5 times the interquartile range. nTPM values of the individual samples are presented next to the box plot.
Max subtype nTPMi

Max subtype nTPM is the value for the subtype with the largest average nTPM across the subtype samples.

39.1
Pig sample Sample description nTPM
Cerebellum
nTPM: 39.1
Samples: 4

Max nTPM: 50.3
Min nTPM: 32.4
Sample A Female 50.3
Sample B Female 37.4
Sample C Male 32.4
Sample D Male 36.3

CEREBELLUM - Mouse RNA-seqi

RNA-seq data obtained from mouse brain is reported as nTPM .

Normal distribution across the dataset is visualized with box plots, shown as median and 25th and 75th percentiles. Points are displayed as outliers if they are above or below 1.5 times the interquartile range. nTPM values of the individual samples are presented next to the box plot.
Max subtype nTPMi

Max subtype nTPM is the value for the subtype with the largest average nTPM across the subtype samples.

51.4
Mouse sample Sample description nTPM
Cerebellum
nTPM: 51.4
Samples: 4

Max nTPM: 53.7
Min nTPM: 47.1
Sample A Male 53.7
Sample B Male 53.4
Sample C Female 51.3
Sample D Female 47.1

CEREBELLUM - Allen Mouse ISHi

In situ hybridization (ISH) data generated by the Allen brain atlas from mouse brain is reported as expression energy. For more details about a particular experiment, click on the corresponding Allen experiment ID.

Max subtype Expression energyi

Max subtype Expression energy is the value for the subtype with the largest average Expression energy across the subtype samples.

1.1
Allen experiment id Experiment description Expression energy
Cerebellum
Expression energy: 1.1
70431361 Antisense, RP_050614_02_F09, Mouse strain C57BL/6J (56 days, male) 1.1

Contact

  • NEWS ARTICLES
  • PRESS ROOM

The Project

  • INTRODUCTION
  • ORGANIZATION
  • PUBLICATIONS

The Human Protein Atlas

  • DOWNLOADABLE DATA
  • LICENCE & CITATION
  • HELP & FAQ
The Human Protein Atlas project is funded
by the Knut & Alice Wallenberg Foundation.


contact@proteinatlas.org