We use cookies to enhance the usability of our website. If you continue, we'll assume that you are happy to receive all cookies. More information. Don't show this again.
MAOA
HPA
RESOURCES
  • TISSUE
  • BRAIN
  • SINGLE CELL
  • SUBCELLULAR
  • CANCER
  • BLOOD
  • CELL LINE
  • STRUCTURE & INTERACTION
ABOUT
  • INTRODUCTION
  • HISTORY
  • ORGANIZATION
  • PUBLICATIONS
  • ANTIBODY SUBMISSION
  • ANTIBODY AVAILABILITY
  • ACKNOWLEDGMENTS
  • CONTACT
NEWS
  • NEWS ARTICLES
  • PRESS ROOM
LEARN
  • DICTIONARY
  • PROTEIN CLASSES
  • PROTEIN EVIDENCE
  • METHODS
  • EDUCATIONAL VIDEOS
DATA
  • DOWNLOADABLE DATA
  • PUBLICATION DATA
  • RELEASE HISTORY
HELP
  • ANTIBODY VALIDATION
  • ASSAYS & ANNOTATION
  • DISCLAIMER
  • HELP & FAQ
  • PRIVACY STATEMENT
  • LICENCE & CITATION
Fields »
Search result

Field
Term
Gene name
Class
Subclass
Class
Keyword
Chromosome
External id
Tissue
Cell type
Expression
Antibody panel
Tissue
Main location
Patient ID
Annotation
Tissue
Category
Tau score
Cluster
Reliability
Brain region
Category
Tau score
Brain region
Category
Tau score
Brain region
Category
Tau score
Cluster
Reliability
Tissue
Cell type
Enrichment
Cell type
Category
Tau score
Cell type
Category
Tau score
Cell type
Category
Tau score
Cell lineage
Category
Tau score
Cluster
Cluster
Location
Searches
Location
Cell line
Class
Type
Phase
Reliability
Cancer
Prognosis
Cancer
Category
Cancer
Category
Tau score
Cluster
Variants
Interacting gene (ensg_id)
Type
Number of interactions
Pathway
Category
Score
Score
Score
Validation
Validation
Validation
Validation
Antibodies
Data type
Column


  • SUMMARY

  • TISSUE

  • BRAIN

  • SINGLE CELL

  • SUBCELL

  • CANCER

  • BLOOD

  • CELL LINE

  • STRUCT & INT

  • MAOA
TISSUE PRIMARY DATA BREAST Show tissue menu
ADIPOSE TISSUE ADRENAL GLAND AMYGDALA APPENDIX BASAL GANGLIA BONE MARROW BREAST BRONCHUS CEREBELLUM CEREBRAL CORTEX CERVIX CHOROID PLEXUS COLON DUODENUM
ENDOMETRIUM EPIDIDYMIS ESOPHAGUS FALLOPIAN TUBE GALLBLADDER HEART MUSCLE HIPPOCAMPAL FORMATION HYPOTHALAMUS KIDNEY LIVER LUNG LYMPH NODE MIDBRAIN NASOPHARYNX
ORAL MUCOSA OVARY PANCREAS PARATHYROID GLAND PITUITARY GLAND PLACENTA PROSTATE RECTUM RETINA SALIVARY GLAND SEMINAL VESICLE SKELETAL MUSCLE SKIN SMALL INTESTINE
SMOOTH MUSCLE SOFT TISSUE SPINAL CORD SPLEEN STOMACH TESTIS THYMUS THYROID GLAND TONGUE TONSIL URINARY BLADDER VAGINA
ANTIBODIES
AND
VALIDATION
Dictionary
Breast
Tissue proteome
Breast
BREAST - Expression summary
Protein expression
Breasti

On the top, protein expression in current human tissue, based on all annotated cell types, is reported with the units not detected (n), low (l), medium (m) and high (h). Underneath, protein expression in each annotated cell type are reported using the same units.

Protein expression data is based on knowledge-based annotation. For genes where more than one antibody has been used, a collective score is set.

If knowledge-based annotation could not be performed for a gene, no data is displayed here. View antibody staining data further down this page.

h
m
l
n
Adipocytes: Not detected
Glandular cells: Medium
Myoepithelial cells: Medium
RNA expressioni

A summary of mRNA expression data available for current tissue based on several datasets. The mRNA expression levels in human tissues are based on RNA-seq data generated by the Human Protein Atlas (HPA), Genotype-Tissue Expression (GTEx) portal and CAGE data generated by the FANTOM5 consortium. Consensus normalized expression levels for human tissues was created by combining the data from HPA and GTEx datasets.

The mRNA expression levels in pig are based on RNA-seq data generated by the Human Protein Atlas (HPA), and for mouse, HPA data and in situ hybridization generated by the Allen brain atlas are reported.

Scroll down to view mRNA expression data in more detail.
Consensus:69.3 nTPM
HPA:25.3 nTPM
GTEx:69.3 nTPM
FANTOM5:278.5 Scaled Tags Per Million

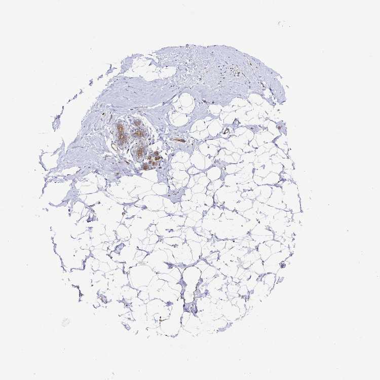
BREAST - Antibody stainingi

Antibody staining in the annotated cell types in the current human tissue is reported as not detected, low, medium, or high, based on conventional immunohistochemistry profiling in selected tissues. This score is based on the combination of the staining intensity and fraction of stained cells.

Each image is clickable and will lead to virtual microscopy that enables deeper exploration of all samples and also displays staining intensity scores, fraction scores and subcellular localization as well as patient and tissue information for each sample.

Antibody HPA054807Antibody HPA059299Antibody CAB009437
Adipocytes Not detectedNot detectedMedium
Glandular cells MediumMediumLow
Myoepithelial cells MediumMediumMedium






BREAST - HPA RNA-seqi

The RNA-seq details section shows detailed information about the individual samples used for the transcript profiling and results of the RNA-seq analysis.

Information about each individual sample is listed below, including gender, age, a tissue section image and estimated fractions of cell types. nTPM (normalized transcripts per million) values give a quantification of the gene abundance which is comparable between different genes and samples.
Average nTPMi

Max subtype nTPM is the value for the subtype with the largest average nTPM across the subtype samples.

25.3
overview
Female, age 52
Breast sample 373
nTPM: 19.2
Cell types%
Glandular cells:
15

Adipocytes:
5

Other cell types:
80

overview
Female, age 80
Breast sample 390
nTPM: 42.9
Cell types%
Glandular cells:
5

Adipocytes:
15

Other cell types:
80

overview
Female, age 47
Breast sample 405
nTPM: 17.8
Cell types%
Glandular cells:
5

Adipocytes:
5

Other cell types:
90

overview
Female, age 38
Breast sample 410
nTPM: 21.6
Cell types%
Glandular cells:
40

Adipocytes:
5

Other cell types:
55


BREAST - GTEx RNA-seqi

RNA-Seq data generated by the Genotype-Tissue Expression (GTEx) project from human tissues is reported as mean nTPM. More information can be found on the GTEx portal.

Distribution across the dataset is visualized with box plots, shown as median and 25th and 75th percentiles. Points are displayed as outliers if they are above or below 1.5 times the interquartile range. nTPM values of the individual samples are presented next to the box plot.
Max subtype nTPMi

Max subtype nTPM is the value for the subtype with the largest average nTPM across the subtype samples.

69.3
GTEx sample id Sample description nTPM
Breast - Mammary Tissue
Average nTPM: 69.3
Samples: 459

Max nTPM: 352.3
Min nTPM: 3.6
Std nTPM: 60.2
Median nTPM: 47.4
GTEX-1QP9N-1826-SM-E8VMP 30-39 years, male 352.3
GTEX-1F5PK-2126-SM-7PC28 50-59 years, male 335.6
GTEX-TKQ1-0226-SM-33HB5 30-39 years, male 306.5
GTEX-18D9A-1526-SM-7LG4J 30-39 years, female 289.6
GTEX-V955-2026-SM-3GAFA 60-69 years, male 287.2
GTEX-14DAR-1326-SM-7DUEG 50-59 years, male 275.7
GTEX-PSDG-1626-SM-48TCQ 50-59 years, male 273.0
GTEX-1IDJU-1826-SM-CMKHV 60-69 years, female 269.5
GTEX-XGQ4-0926-SM-4AT4U 50-59 years, male 263.9
GTEX-ZQUD-1926-SM-51MSA 30-39 years, male 255.1
GTEX-1NHNU-0926-SM-E9J2T 50-59 years, male 225.2
GTEX-1QP28-1226-SM-E9J2M 50-59 years, female 224.5
GTEX-REY6-2426-SM-48FF5 60-69 years, male 209.7
GTEX-S4Q7-1126-SM-4AD6R 20-29 years, male 206.8
GTEX-UTHO-1026-SM-3GAF7 60-69 years, male 206.6
GTEX-139T6-1626-SM-5PNYZ 50-59 years, male 203.5
GTEX-18A66-1726-SM-7LG5N 60-69 years, male 203.5
GTEX-1L5NE-2126-SM-CY8IH 50-59 years, male 200.6
GTEX-ZDYS-1126-SM-5K7UB 50-59 years, male 200.2
GTEX-YB5K-1626-SM-5IFIN 40-49 years, female 195.1
GTEX-11ZTT-2326-SM-5EQLG 60-69 years, female 194.2
GTEX-1PPH7-0826-SM-E8VNX 40-49 years, male 193.9
GTEX-WFON-1826-SM-3GILG 40-49 years, male 190.8
GTEX-XQ8I-2426-SM-4WAXY 50-59 years, male 187.9
GTEX-1H1ZS-0126-SM-9YFKQ 70-79 years, male 185.5
GTEX-13FTW-1426-SM-5LZWZ 40-49 years, male 184.8
GTEX-ZT9W-2026-SM-51MRA 50-59 years, male 184.0
GTEX-ZLWG-1926-SM-DO92J 50-59 years, female 182.0
GTEX-11P82-1326-SM-5HL62 20-29 years, male 181.8
GTEX-1OKEX-0826-SM-E9J2B 60-69 years, male 176.0
GTEX-YFCO-1826-SM-4W1YH 40-49 years, male 174.7
GTEX-1JKYN-0726-SM-ARZMY 30-39 years, male 173.4
GTEX-17F96-2426-SM-7IGLN 70-79 years, male 172.9
GTEX-XMK1-1126-SM-4IHJ8 40-49 years, male 171.5
GTEX-1ICG6-1326-SM-ACKWR 70-79 years, female 168.5
GTEX-Y8E4-1626-SM-5S2MW 40-49 years, male 168.4
GTEX-Z9EW-1526-SM-EZ6LU 40-49 years, male 167.2
GTEX-12KS4-0126-SM-5Q5A5 30-39 years, male 166.2
GTEX-11DXZ-1926-SM-5GZZL 50-59 years, male 165.5
GTEX-1JKYR-0926-SM-CMKGJ 20-29 years, male 165.3
GTEX-1PDJ9-1126-SM-EXUSW 20-29 years, male 165.3
GTEX-13FTX-1126-SM-5N9EN 20-29 years, female 162.0
GTEX-1HSEH-2026-SM-ADEHN 60-69 years, male 161.7
GTEX-1GMR2-1926-SM-9MQLZ 50-59 years, male 159.8
GTEX-QMRM-1626-SM-D4P1U 50-59 years, male 155.3
GTEX-ZZ64-1226-SM-5E43R 20-29 years, male 154.7
GTEX-1H23P-0726-SM-9WG7K 60-69 years, male 153.2
GTEX-1CAMR-1426-SM-793BO 20-29 years, male 152.0
GTEX-1I1GU-1026-SM-ADEHJ 40-49 years, male 151.9
GTEX-ZV6S-1826-SM-5NQ8D 40-49 years, female 150.8
GTEX-12BJ1-1826-SM-5HL9N 60-69 years, male 149.7
GTEX-117YX-1426-SM-5H12H 50-59 years, male 148.0
GTEX-14B4R-1226-SM-5TDDT 30-39 years, male 147.7
GTEX-ZQG8-0726-SM-5P9H9 60-69 years, female 146.5
GTEX-1AMEY-1026-SM-718AA 30-39 years, female 145.4
GTEX-144GM-0926-SM-5O994 20-29 years, male 143.6
GTEX-1J8Q3-1326-SM-CMKI1 60-69 years, male 142.6
GTEX-1S82Z-0726-SM-E6CHX 30-39 years, female 142.5
GTEX-1R7EV-1526-SM-E8VOD 40-49 years, male 141.6
GTEX-1HCU7-1026-SM-ADEIP 50-59 years, male 141.5
GTEX-ZDTT-2126-SM-DKPOM 60-69 years, male 140.6
GTEX-1LBAC-0926-SM-CXKY9 20-29 years, male 139.8
GTEX-169BO-1126-SM-7MGWN 50-59 years, male 139.2
GTEX-1R9JW-0326-SM-EAZ45 30-39 years, female 138.4
GTEX-ZA64-1526-SM-5CVMD 20-29 years, male 137.6
GTEX-1HFI7-0126-SM-CGQFQ 50-59 years, female 136.9
GTEX-ZLFU-2126-SM-DO931 40-49 years, male 134.7
GTEX-14753-2426-SM-5LU8U 60-69 years, male 133.2
GTEX-ZPIC-1126-SM-5BC7F 40-49 years, female 132.5
GTEX-15EOM-5019-SM-793DK 20-29 years, female 131.4
GTEX-Y5V6-2126-SM-4WWFX 60-69 years, male 131.4
GTEX-145ME-1526-SM-5Q5F2 40-49 years, female 129.9
GTEX-ZAB4-2526-SM-5HL8M 40-49 years, male 129.6
GTEX-WY7C-2726-SM-3NB3P 50-59 years, male 129.5
GTEX-13CF3-2126-SM-5IFJP 60-69 years, female 129.2
GTEX-14BMV-0626-SM-793AU 50-59 years, male 128.5
GTEX-R55D-0826-SM-48FEA 50-59 years, male 128.2
GTEX-1RLM8-2226-SM-EVYD1 50-59 years, male 127.5
GTEX-ZYT6-0126-SM-5E45J 30-39 years, male 125.8
GTEX-17F9E-2526-SM-7MGW2 50-59 years, male 125.3
GTEX-YEC3-1026-SM-5IFI5 50-59 years, male 125.2
GTEX-1HCU9-0326-SM-9WYSC 20-29 years, male 121.1
GTEX-14E6E-1326-SM-5S2NR 30-39 years, male 116.8
GTEX-14PJ4-2126-SM-6ETZJ 60-69 years, male 116.3
GTEX-1KANC-1426-SM-CYPT9 50-59 years, female 112.8
GTEX-1LG7Z-0726-SM-CXKYD 30-39 years, male 112.6
GTEX-YB5E-1726-SM-5IFJ3 40-49 years, male 112.1
GTEX-11NSD-0926-SM-5N9DR 20-29 years, male 110.3
GTEX-1H11D-1526-SM-9MQJY 40-49 years, male 109.9
GTEX-11EQ9-1826-SM-5Q5AJ 30-39 years, male 108.3
GTEX-1MJK3-1126-SM-E9J3F 20-29 years, male 107.8
GTEX-132AR-0826-SM-5EGK6 50-59 years, female 107.5
GTEX-S32W-2026-SM-4AD6E 50-59 years, female 107.4
GTEX-WHSB-1926-SM-EXOHH 50-59 years, male 107.4
GTEX-1JMOU-2026-SM-CMKGU 60-69 years, female 106.1
GTEX-17MF6-0326-SM-7EPH5 40-49 years, male 103.8
GTEX-18465-2026-SM-718AP 50-59 years, male 103.6
GTEX-11ZUS-0826-SM-5FQUY 30-39 years, male 103.4
GTEX-Y9LG-1426-SM-5IFJZ 30-39 years, male 102.4
GTEX-S4UY-0726-SM-4AD6X 40-49 years, female 101.0
GTEX-YECK-0726-SM-EZ6LV 60-69 years, male 100.7
GTEX-SE5C-2126-SM-4BRUJ 40-49 years, female 100.3
GTEX-1AX9J-1126-SM-731B7 60-69 years, male 99.9
GTEX-14PJO-0726-SM-69LO8 60-69 years, male 99.5
GTEX-1IDJF-2326-SM-ARL86 20-29 years, male 99.1
GTEX-XQ3S-1326-SM-4BOPQ 20-29 years, male 97.6
GTEX-1S82U-1126-SM-E9U6I 30-39 years, female 96.5
GTEX-ZTPG-2826-SM-57WGA 20-29 years, female 96.1
GTEX-13O61-1826-SM-5KM4I 60-69 years, male 95.8
GTEX-Y3I4-1526-SM-4TT7K 50-59 years, male 95.7
GTEX-17HGU-1326-SM-79OKB 50-59 years, male 95.1
GTEX-1JMLX-2026-SM-CMKGN 50-59 years, male 95.0
GTEX-11TUW-1826-SM-5BC5D 60-69 years, male 94.7
GTEX-X261-0626-SM-3NMD9 50-59 years, male 94.6
GTEX-17GQL-0326-SM-7LG5U 60-69 years, male 94.4
GTEX-R53T-1526-SM-48FEK 50-59 years, female 94.4
GTEX-15RJE-2626-SM-7KFT1 40-49 years, male 94.3
GTEX-18A7B-2626-SM-7LG55 70-79 years, male 94.3
GTEX-145MO-0826-SM-5NQBL 60-69 years, male 93.6
GTEX-13113-5013-SM-7SB7G 60-69 years, female 93.2
GTEX-XV7Q-2326-SM-4BRVZ 40-49 years, female 93.1
GTEX-1B8KE-1226-SM-73KWK 50-59 years, male 92.3
GTEX-12WSM-1726-SM-5BC6J 60-69 years, male 91.2
GTEX-16YQH-2826-SM-6PAMY 30-39 years, male 90.1
GTEX-13N1W-0626-SM-5MR4U 70-79 years, male 90.0
GTEX-T6MO-0326-SM-32QOK 40-49 years, female 89.9
GTEX-18QFQ-0826-SM-718AX 30-39 years, male 89.5
GTEX-1F75B-0626-SM-7SB8A 50-59 years, male 89.3
GTEX-1LSNL-2826-SM-E9U5L 50-59 years, male 89.1
GTEX-X4XY-0926-SM-4E3JD 60-69 years, male 88.2
GTEX-1IKOE-1326-SM-CE6T6 30-39 years, female 88.0
GTEX-1GPI7-0926-SM-7PC3J 20-29 years, male 87.9
GTEX-1QCLZ-2326-SM-DTXDO 60-69 years, female 86.7
GTEX-11LCK-2426-SM-5HL5F 30-39 years, male 85.0
GTEX-17MFQ-0926-SM-7LG4S 20-29 years, male 84.9
GTEX-1I6K6-0826-SM-ARL7Z 30-39 years, male 84.7
GTEX-1211K-1926-SM-5EQLB 60-69 years, female 84.6
GTEX-ZWKS-2826-SM-5NQ74 30-39 years, male 84.2
GTEX-1LSNM-1326-SM-E9TJ1 50-59 years, male 83.7
GTEX-1QW4Y-1026-SM-DTXE2 30-39 years, male 81.8
GTEX-X62O-0526-SM-EWRMA 50-59 years, male 80.9
GTEX-16BQI-1026-SM-7KUEA 30-39 years, female 80.6
GTEX-1A3MV-1626-SM-731C1 30-39 years, male 78.7
GTEX-1K2DA-1726-SM-CGQGS 50-59 years, male 78.7
GTEX-1B97J-0426-SM-79OLQ 50-59 years, female 77.9
GTEX-11I78-2226-SM-5PNYA 50-59 years, female 76.8
GTEX-RUSQ-2026-SM-4GIAK 50-59 years, male 76.8
GTEX-12WSK-2226-SM-5GCO5 40-49 years, female 76.5
GTEX-1KD5A-1926-SM-DKPQA 50-59 years, male 76.5
GTEX-17F98-0526-SM-79OK5 40-49 years, female 76.2
GTEX-11ONC-2126-SM-5HL6E 60-69 years, male 75.8
GTEX-1A3MX-2726-SM-718B6 60-69 years, male 75.8
GTEX-11O72-2126-SM-5N9FO 40-49 years, male 75.5
GTEX-1KXAM-1026-SM-CY8IA 60-69 years, male 75.4
GTEX-17EVQ-0426-SM-7LG57 70-79 years, male 75.3
GTEX-17F97-2526-SM-7EWDV 50-59 years, male 75.1
GTEX-145MN-1926-SM-5SIAI 30-39 years, male 74.9
GTEX-U412-1826-SM-4DXTJ 60-69 years, male 74.3
GTEX-1R9PM-1826-SM-EVYBH 20-29 years, male 72.5
GTEX-13PVR-2226-SM-7DHKP 60-69 years, female 72.3
GTEX-183WM-0726-SM-7LTAA 70-79 years, female 71.9
GTEX-11DZ1-0326-SM-5N9BN 50-59 years, male 70.7
GTEX-1QPFJ-2026-SM-EVYBE 30-39 years, female 70.4
GTEX-1I1GP-0426-SM-COH3N 50-59 years, male 68.8
GTEX-12WSN-1326-SM-5GCNT 40-49 years, male 68.7
GTEX-TMMY-0726-SM-33HBE 40-49 years, female 68.5
GTEX-1HCVE-2626-SM-ADEJ8 50-59 years, male 68.3
GTEX-Y114-2026-SM-4TT7L 50-59 years, female 68.0
GTEX-ZUA1-1526-SM-59HLS 40-49 years, male 67.7
GTEX-1399U-1826-SM-5PNZ1 50-59 years, female 67.6
GTEX-183FY-1126-SM-7DHLJ 20-29 years, male 67.5
GTEX-1IDFM-0426-SM-B2LVV 60-69 years, male 66.5
GTEX-14E6C-1326-SM-62LEQ 40-49 years, male 66.3
GTEX-1HBPM-0126-SM-ARL9E 60-69 years, female 66.3
GTEX-1117F-2826-SM-5GZXL 60-69 years, female 65.5
GTEX-13VXU-2826-SM-664MA 50-59 years, male 64.9
GTEX-1I1GV-2426-SM-CGQFM 60-69 years, male 64.9
GTEX-1C6VQ-0426-SM-79OOX 50-59 years, male 64.7
GTEX-ZYW4-0826-SM-5GIDG 60-69 years, male 63.6
GTEX-1I4MK-1626-SM-CM2TJ 50-59 years, female 63.0
GTEX-QEL4-2126-SM-447AE 50-59 years, male 62.7
GTEX-1C475-1226-SM-7SB72 40-49 years, female 62.1
GTEX-1LC47-1226-SM-D4P44 60-69 years, male 61.6
GTEX-13PVQ-1026-SM-5KM3M 50-59 years, male 61.3
GTEX-11DXY-2326-SM-5GICW 60-69 years, male 60.6
GTEX-1I19N-2826-SM-CL55D 70-79 years, male 60.6
GTEX-Y8LW-1626-SM-5IFHX 50-59 years, female 60.5
GTEX-XUW1-2326-SM-4BOO5 50-59 years, female 60.3
GTEX-14PKU-0426-SM-6EU1P 40-49 years, female 60.2
GTEX-13W46-0826-SM-5LU3H 50-59 years, male 59.7
GTEX-1192X-2326-SM-5987X 50-59 years, male 59.3
GTEX-1AX9I-0726-SM-73KWV 60-69 years, male 58.8
GTEX-WXYG-2226-SM-4E3IM 50-59 years, female 58.8
GTEX-11GSO-1926-SM-5A5K3 60-69 years, male 58.6
GTEX-11GSP-0926-SM-9WYSG 60-69 years, female 58.6
GTEX-14A5I-0726-SM-5TDEB 50-59 years, female 58.5
GTEX-1F5PL-1026-SM-7RHI1 40-49 years, female 58.3
GTEX-1LGRB-1826-SM-CNPQL 50-59 years, female 58.3
GTEX-Y5V5-2126-SM-4WWFO 60-69 years, female 57.9
GTEX-1I1GT-1126-SM-ARL7J 60-69 years, female 57.5
GTEX-1QMI2-0726-SM-E9J4F 60-69 years, male 57.5
GTEX-14ICK-2426-SM-6EU27 40-49 years, male 57.2
GTEX-1GF9U-1726-SM-7MGY5 40-49 years, female 57.0
GTEX-1HSMO-0826-SM-ADEIV 60-69 years, male 56.8
GTEX-WYJK-1326-SM-3NB2T 50-59 years, male 56.6
GTEX-17EUY-1926-SM-7DUF6 20-29 years, male 56.3
GTEX-1H3VY-0926-SM-ACKXE 50-59 years, male 56.1
GTEX-1JN6P-2426-SM-ARL99 60-69 years, male 55.7
GTEX-1JMPY-0526-SM-CL54O 30-39 years, male 55.6
GTEX-16NGA-0826-SM-718AF 40-49 years, female 55.5
GTEX-1E2YA-2726-SM-7IGPW 50-59 years, male 55.0
GTEX-144GL-2026-SM-5LU3O 50-59 years, male 54.8
GTEX-1C64O-0726-SM-7DUFU 60-69 years, male 54.8
GTEX-RWS6-1926-SM-47JXY 60-69 years, female 54.8
GTEX-1N2EF-2226-SM-E9J33 60-69 years, male 54.5
GTEX-117XS-1926-SM-5GICO 60-69 years, male 54.2
GTEX-YJ8O-2226-SM-5IFHW 40-49 years, female 53.4
GTEX-13OW8-0226-SM-5K7UP 60-69 years, male 53.1
GTEX-1MA7W-1026-SM-DKPQK 20-29 years, female 53.1
GTEX-1MA7X-1626-SM-E9U5B 60-69 years, male 53.1
GTEX-ZVT2-1826-SM-5NQ8W 50-59 years, female 51.6
GTEX-1HR98-0426-SM-COH36 60-69 years, male 51.6
GTEX-145MF-2226-SM-7EPIR 50-59 years, male 51.1
GTEX-1IDJH-2226-SM-E6CJV 70-79 years, male 50.6
GTEX-ZV7C-1826-SM-5NQ83 50-59 years, male 49.8
GTEX-13D11-1026-SM-5IJFB 50-59 years, female 49.4
GTEX-ZYFC-0826-SM-5E44K 50-59 years, male 48.7
GTEX-139TU-0626-SM-5KM3X 60-69 years, male 48.5
GTEX-1M4P7-2626-SM-E9U5F 60-69 years, male 47.8
GTEX-11WQK-2426-SM-5GU5C 50-59 years, male 47.4
GTEX-1JK1U-1826-SM-ARL8W 60-69 years, male 47.4
GTEX-15UF7-0726-SM-6M46D 40-49 years, male 47.3
GTEX-13O3Q-2226-SM-5KM4O 50-59 years, male 47.2
GTEX-13SLW-2526-SM-62LDQ 70-79 years, male 46.8
GTEX-18A6Q-0926-SM-7LG4N 60-69 years, male 46.8
GTEX-1CAMS-1426-SM-7IGPM 40-49 years, female 46.7
GTEX-1MCC2-2126-SM-EWRON 30-39 years, female 46.7
GTEX-11P7K-0726-SM-5EGKX 30-39 years, male 46.1
GTEX-Y5LM-1726-SM-4VDSX 40-49 years, female 45.1
GTEX-1KD4Q-2326-SM-D4P3M 40-49 years, male 45.1
GTEX-1QP29-1726-SM-E8VMQ 50-59 years, male 45.1
GTEX-XMD1-0826-SM-4AT52 60-69 years, male 44.8
GTEX-1KAFJ-0226-SM-DIPEL 50-59 years, male 44.6
GTEX-1ICLY-1726-SM-B2LVT 50-59 years, male 44.5
GTEX-1HR9M-2426-SM-ACKXI 60-69 years, male 44.1
GTEX-1I6K7-1026-SM-A9SLK 40-49 years, male 44.1
GTEX-1GZ4H-0326-SM-7P8QX 50-59 years, female 43.7
GTEX-ZTX8-1226-SM-4YCE9 20-29 years, male 43.4
GTEX-XYKS-1326-SM-4BRUN 60-69 years, female 43.3
GTEX-1H1DG-0526-SM-9YFLN 70-79 years, male 43.0
GTEX-146FH-0826-SM-5SI8T 50-59 years, female 42.7
GTEX-ZLV1-1426-SM-DO92Z 60-69 years, female 42.6
GTEX-U8XE-0826-SM-4E3J1 30-39 years, male 42.4
GTEX-1LVAN-1326-SM-CNPQE 50-59 years, female 42.3
GTEX-ZVT4-1026-SM-57WC4 50-59 years, female 42.0
GTEX-1EWIQ-1726-SM-7SB7T 70-79 years, female 42.0
GTEX-1122O-1226-SM-5H113 60-69 years, female 41.8
GTEX-QVJO-1826-SM-447C9 60-69 years, female 41.8
GTEX-1GZ4I-2826-SM-9MQK5 50-59 years, male 41.8
GTEX-S4P3-1326-SM-4AD6V 50-59 years, female 41.1
GTEX-13S86-1226-SM-5S2OA 40-49 years, male 40.9
GTEX-15ETS-0626-SM-7KUMX 40-49 years, female 40.7
GTEX-1EKGG-2626-SM-7IGPY 60-69 years, male 40.7
GTEX-1R46S-2526-SM-E8VN2 60-69 years, female 40.2
GTEX-WOFL-0826-SM-3MJG1 60-69 years, male 40.1
GTEX-1NV8Z-2826-SM-E8VME 60-69 years, male 40.1
GTEX-17KNJ-2026-SM-7LG53 50-59 years, male 40.0
GTEX-1GN1W-1926-SM-7P8TH 50-59 years, female 39.9
GTEX-1J8QM-2026-SM-ARZMW 60-69 years, female 39.9
GTEX-17HHE-1426-SM-7EPH4 50-59 years, male 39.8
GTEX-WI4N-1426-SM-3LK7H 40-49 years, female 39.8
GTEX-14BMU-1626-SM-5TDE7 20-29 years, female 39.6
GTEX-11NV4-2026-SM-5N9DG 60-69 years, male 39.2
GTEX-1JMQK-2626-SM-COH2W 60-69 years, male 39.1
GTEX-1J8Q2-2726-SM-A9G2X 60-69 years, male 38.9
GTEX-WFG8-2026-SM-EXOHO 20-29 years, male 38.8
GTEX-111YS-1926-SM-5GICC 60-69 years, male 38.4
GTEX-11TT1-2126-SM-5GU5Y 20-29 years, male 38.4
GTEX-1B97I-0426-SM-79OL7 40-49 years, male 38.2
GTEX-VJWN-0726-SM-3GIJ8 50-59 years, female 38.2
GTEX-1GF9V-2526-SM-7SB8K 60-69 years, male 38.1
GTEX-11OF3-1926-SM-59889 60-69 years, male 37.9
GTEX-TKQ2-1826-SM-33HB2 50-59 years, male 37.9
GTEX-1IOXB-1926-SM-ARL8E 50-59 years, male 37.2
GTEX-1314G-1226-SM-5BC6D 30-39 years, male 36.9
GTEX-13N11-1726-SM-5J1OJ 50-59 years, female 36.9
GTEX-1R7EU-1226-SM-E8VMR 60-69 years, male 36.9
GTEX-14E7W-0826-SM-62LEJ 70-79 years, male 36.7
GTEX-1HCU8-0126-SM-ADEHH 60-69 years, female 36.7
GTEX-ZF29-1926-SM-5S2P1 60-69 years, female 36.6
GTEX-1LSVX-2426-SM-E6CJX 60-69 years, male 36.4
GTEX-XBED-1626-SM-47JYN 60-69 years, male 36.3
GTEX-ZTTD-1026-SM-51MRD 50-59 years, male 36.3
GTEX-1QCLY-1626-SM-DTXDW 30-39 years, male 36.3
GTEX-145LT-0726-SM-5S2VM 40-49 years, male 36.2
GTEX-14H4A-2526-SM-5YYAY 40-49 years, female 35.9
GTEX-1B8L1-2426-SM-9WYTE 60-69 years, male 35.8
GTEX-13NZ8-0126-SM-5IJCT 60-69 years, female 35.7
GTEX-1LVAM-0926-SM-E9TJ2 50-59 years, female 35.7
GTEX-S33H-0326-SM-4AD6N 30-39 years, male 35.6
GTEX-1JJE9-2326-SM-ARL8Q 70-79 years, male 35.6
GTEX-1HKZK-1826-SM-ADEJ2 40-49 years, male 35.3
GTEX-1IGQW-0926-SM-ADEH6 60-69 years, male 35.3
GTEX-13W3W-1226-SM-5LU4H 60-69 years, female 35.0
GTEX-T2YK-2226-SM-32QPT 50-59 years, male 35.0
GTEX-11P81-1926-SM-5BC53 30-39 years, female 34.2
GTEX-S7SE-0826-SM-4AT4D 50-59 years, male 34.2
GTEX-ZGAY-1726-SM-DO91P 40-49 years, female 34.2
GTEX-132Q8-1426-SM-5EGK7 60-69 years, male 34.1
GTEX-ZZPU-0626-SM-5E43T 50-59 years, female 33.8
GTEX-1ICLZ-0426-SM-B2LW2 60-69 years, male 33.7
GTEX-1C6WA-2426-SM-7SB86 60-69 years, male 33.6
GTEX-1KANA-2026-SM-DIPFB 20-29 years, male 33.1
GTEX-15G19-2126-SM-6M48J 60-69 years, male 33.0
GTEX-132NY-0826-SM-5K7Y7 60-69 years, male 32.8
GTEX-ZVTK-0326-SM-51MRR 20-29 years, male 32.6
GTEX-15UF6-0126-SM-6PAMB 70-79 years, female 32.5
GTEX-ZDXO-0126-SM-5S2ND 60-69 years, male 32.4
GTEX-13OW5-2226-SM-5L3HC 60-69 years, male 32.2
GTEX-1CB4E-0226-SM-79OLW 60-69 years, male 32.2
GTEX-1HT8W-2226-SM-CGQEC 30-39 years, male 32.0
GTEX-15SHW-1326-SM-6PAL8 60-69 years, male 31.8
GTEX-1RAZQ-1226-SM-EWRNL 30-39 years, male 31.8
GTEX-1HCUA-0726-SM-ACKVU 50-59 years, female 31.7
GTEX-1H1E6-0926-SM-9YFLT 30-39 years, male 31.5
GTEX-133LE-1726-SM-5K7VQ 20-29 years, female 31.3
GTEX-UJHI-1426-SM-3DB9C 50-59 years, female 31.3
GTEX-1MCYP-0126-SM-E6CIS 20-29 years, female 31.0
GTEX-1CB4J-1826-SM-7EWF9 60-69 years, male 30.4
GTEX-1F75I-2026-SM-7SB7N 40-49 years, male 30.1
GTEX-1H4P4-2226-SM-9MQKQ 50-59 years, male 29.9
GTEX-17EVP-0226-SM-79OND 40-49 years, male 29.7
GTEX-UPK5-2326-SM-3P5Z8 40-49 years, male 29.6
GTEX-ZY6K-1626-SM-5GZWV 50-59 years, male 29.2
GTEX-1EN7A-1426-SM-7PBY4 40-49 years, male 29.2
GTEX-1GF9X-1026-SM-ACKX2 40-49 years, female 29.2
GTEX-QEG5-0726-SM-D4P1T 20-29 years, male 28.9
GTEX-13NZB-2126-SM-5MR4Y 30-39 years, male 28.6
GTEX-1GPI6-0626-SM-7RHHJ 60-69 years, male 28.4
GTEX-Y3IK-2326-SM-4WWDT 50-59 years, female 28.0
GTEX-1EU9M-2826-SM-7EWFH 60-69 years, male 27.9
GTEX-WRHU-0326-SM-3MJFY 50-59 years, female 27.8
GTEX-T5JW-2026-SM-4DM63 20-29 years, female 27.7
GTEX-ZVZQ-0826-SM-51MRF 60-69 years, female 27.7
GTEX-1F75A-1826-SM-7SB8G 50-59 years, male 26.9
GTEX-1PPGY-1526-SM-EVYBK 60-69 years, male 26.7
GTEX-14PN4-0626-SM-62LFP 50-59 years, male 26.6
GTEX-1HBPN-2326-SM-9WPPU 50-59 years, male 26.6
GTEX-1HUB1-1626-SM-CM2SL 60-69 years, male 26.6
GTEX-17JCI-0726-SM-7EPH1 60-69 years, female 26.0
GTEX-1JMPZ-1626-SM-COH31 30-39 years, male 25.8
GTEX-1A8G7-2426-SM-731AK 60-69 years, male 25.5
GTEX-17HHY-0926-SM-793C1 50-59 years, male 25.3
GTEX-14PHY-1926-SM-5YY95 60-69 years, female 25.0
GTEX-ZVE2-1226-SM-5NQ8R 50-59 years, male 25.0
GTEX-ZXES-0826-SM-5E43C 30-39 years, female 24.7
GTEX-U3ZN-1926-SM-4DXSG 30-39 years, female 24.2
GTEX-1C6VS-0726-SM-7EPHF 60-69 years, male 24.1
GTEX-TML8-1226-SM-32QON 40-49 years, female 24.0
GTEX-XMD2-0926-SM-4WWEF 60-69 years, female 24.0
GTEX-11EM3-1326-SM-5N9C6 20-29 years, female 23.4
GTEX-RU1J-0626-SM-4WAWY 20-29 years, female 23.2
GTEX-1HSGN-1526-SM-A9SMO 40-49 years, female 22.9
GTEX-1R9PN-0326-SM-DTX85 40-49 years, female 22.5
GTEX-13QIC-2326-SM-5LU5N 60-69 years, female 22.2
GTEX-147F4-2826-SM-5NQBN 50-59 years, male 22.1
GTEX-1B8KZ-1526-SM-7DUG7 50-59 years, male 21.9
GTEX-1IKJJ-2326-SM-COH3U 60-69 years, male 21.9
GTEX-1AX8Z-0926-SM-731AW 60-69 years, male 21.8
GTEX-18A7A-0726-SM-7LTAI 50-59 years, female 21.6
GTEX-WYBS-0926-SM-3NM94 60-69 years, female 21.6
GTEX-1GMR8-0726-SM-9KNVI 50-59 years, female 21.2
GTEX-11EMC-2026-SM-5A5JV 60-69 years, female 21.1
GTEX-13FHO-0826-SM-5L3E8 60-69 years, male 21.0
GTEX-1B933-2526-SM-7IGO5 50-59 years, female 20.9
GTEX-1P4AB-1826-SM-E76PU 50-59 years, male 20.8
GTEX-1K9T9-1426-SM-DIPFQ 50-59 years, female 20.7
GTEX-1269C-2426-SM-5FQSN 60-69 years, female 20.6
GTEX-1N5O9-1126-SM-DTXEQ 60-69 years, male 20.5
GTEX-1313W-0826-SM-5EQ4T 50-59 years, female 20.2
GTEX-13O3O-0826-SM-5K7WE 60-69 years, female 19.9
GTEX-11EI6-0626-SM-5985T 60-69 years, male 19.5
GTEX-S341-1526-SM-4AD6K 40-49 years, female 19.3
GTEX-1IY9M-2726-SM-CMKG5 60-69 years, male 19.3
GTEX-1GZHY-0726-SM-9WG6B 50-59 years, female 19.2
GTEX-1GMRU-0826-SM-9WYT7 50-59 years, male 18.9
GTEX-1HC8U-0826-SM-ADEIL 40-49 years, female 18.7
GTEX-13QJ3-0826-SM-7DHKK 50-59 years, male 18.2
GTEX-ZF3C-2326-SM-5S2NC 50-59 years, female 18.1
GTEX-QDT8-0626-SM-48TYW 30-39 years, female 18.0
GTEX-Y111-2026-SM-4SOJA 50-59 years, male 18.0
GTEX-1HSKV-2026-SM-CMKGX 60-69 years, male 17.5
GTEX-14LLW-0626-SM-62LFC 70-79 years, female 17.2
GTEX-XUZC-1626-SM-4BRVP 30-39 years, female 16.7
GTEX-ZAJG-0626-SM-5HL8X 50-59 years, female 16.6
GTEX-1M5QR-2526-SM-E9U5P 40-49 years, male 16.2
GTEX-T6MN-0726-SM-32PML 50-59 years, male 16.1
GTEX-ZU9S-1926-SM-5NQBP 30-39 years, male 16.1
GTEX-1IE54-0626-SM-ARL8D 40-49 years, female 16.0
GTEX-X15G-1626-SM-3NMB3 50-59 years, female 15.9
GTEX-14AS3-1626-SM-5S2OY 40-49 years, female 15.8
GTEX-1IKOH-2326-SM-CM2TW 60-69 years, female 15.8
GTEX-1I1HK-2426-SM-ADEHX 60-69 years, male 15.5
GTEX-13CF2-2026-SM-5K7VI 60-69 years, male 15.3
GTEX-Q2AG-0326-SM-48U1O 40-49 years, female 15.3
GTEX-1B8SG-1226-SM-7IGPF 50-59 years, male 15.2
GTEX-RU72-0626-SM-46MUI 50-59 years, female 15.2
GTEX-1N2EE-2126-SM-E8VNN 60-69 years, male 15.1
GTEX-1GMR3-2626-SM-7RHHG 40-49 years, male 13.9
GTEX-ZEX8-2226-SM-57WC6 50-59 years, male 13.7
GTEX-1QEPI-0926-SM-DTXF3 60-69 years, female 13.5
GTEX-ZAK1-1326-SM-EVYAS 50-59 years, female 13.5
GTEX-1RAZS-1226-SM-E8VMT 50-59 years, male 13.4
GTEX-11GS4-2126-SM-5A5KR 60-69 years, male 13.3
GTEX-1MJK2-2226-SM-EVYCR 50-59 years, male 13.2
GTEX-139T8-0826-SM-5L3DE 60-69 years, male 13.1
GTEX-1JN1M-3026-SM-CMKGK 60-69 years, female 13.1
GTEX-1GN1U-0526-SM-9KNTT 50-59 years, female 13.0
GTEX-1BAJH-0826-SM-7EWEF 70-79 years, male 12.8
GTEX-1JJEA-2726-SM-ARL8V 60-69 years, male 12.8
GTEX-11DXW-0626-SM-5N9ER 40-49 years, male 12.7
GTEX-11WQC-1726-SM-5GU4W 60-69 years, male 12.3
GTEX-W5X1-2326-SM-3GIL6 40-49 years, female 12.3
GTEX-T5JC-2126-SM-32PMO 20-29 years, male 12.1
GTEX-XOT4-0726-SM-4GIAW 60-69 years, female 12.1
GTEX-WYVS-1726-SM-3NMAY 40-49 years, female 11.8
GTEX-1F6I4-2526-SM-7SB8F 60-69 years, male 11.8
GTEX-1H1CY-2226-SM-9WG7E 60-69 years, female 11.8
GTEX-1LNCM-0226-SM-DIPF4 50-59 years, female 11.6
GTEX-13PL6-2926-SM-5L3I2 40-49 years, female 10.2
GTEX-1CB4G-2326-SM-79OOI 60-69 years, male 10.2
GTEX-1GN2E-2226-SM-9WG6J 60-69 years, male 9.9
GTEX-13SLX-2326-SM-5ZZWE 50-59 years, female 9.7
GTEX-13O3P-0826-SM-5L3DH 50-59 years, male 9.6
GTEX-U3ZH-1426-SM-4DXSR 30-39 years, male 9.5
GTEX-X4EP-2926-SM-3P5YQ 60-69 years, female 9.5
GTEX-131YS-0626-SM-5EGKL 60-69 years, female 9.0
GTEX-1IDJE-0826-SM-CKZNZ 50-59 years, female 9.0
GTEX-1RQEC-2026-SM-DTXDM 60-69 years, male 9.0
GTEX-1J8EW-2626-SM-CL53E 60-69 years, female 8.9
GTEX-15FZZ-0726-SM-7KUFZ 30-39 years, female 8.7
GTEX-1NUQO-2226-SM-E9U68 20-29 years, female 8.5
GTEX-12ZZX-1126-SM-5EGKB 40-49 years, female 8.0
GTEX-14ABY-2126-SM-5QGQZ 50-59 years, male 7.8
GTEX-VUSG-2226-SM-4KKZO 50-59 years, male 7.7
GTEX-R3RS-0626-SM-48FE1 40-49 years, female 7.4
GTEX-15ER7-1626-SM-6PAMZ 20-29 years, female 7.3
GTEX-1B932-0826-SM-73KXG 40-49 years, female 7.2
GTEX-13NZ9-1026-SM-5MR5K 50-59 years, male 7.0
GTEX-11PRG-0826-SM-5EQ6A 50-59 years, male 6.8
GTEX-13FTY-2226-SM-5J1ND 40-49 years, female 6.3
GTEX-17HG3-0126-SM-7IGNH 30-39 years, female 6.3
GTEX-1POEN-0926-SM-DTX88 30-39 years, female 6.3
GTEX-T2IS-1526-SM-32QPR 20-29 years, female 6.2
GTEX-YFC4-1426-SM-5IFJG 40-49 years, female 4.9
GTEX-131XW-0726-SM-5EGK3 50-59 years, female 4.8
GTEX-ZC5H-2626-SM-5J2MG 40-49 years, female 4.6
GTEX-ZF2S-2026-SM-5E461 50-59 years, female 4.3
GTEX-1GZ2Q-2626-SM-7MXV9 40-49 years, male 3.6
Show allShow less

BREAST - FANTOM5 CAGEi

RNA expression in human tissues obtained through Cap Analysis of Gene Expression (CAGE) generated by the FANTOM5 project are reported as Scaled Tags Per Million.

Max subtype Scaled Tags Per Millioni

Max subtype Scaled Tags Per Million is the value for the subtype with the largest average Scaled Tags Per Million across the subtype samples.

278.5
FANTOM5 sample id Sample description Scaled Tags Per Million
Breast
Scaled Tags Per Million: 278.5
FF:10080-102A8 77 years, female 278.5

Contact

  • NEWS ARTICLES
  • PRESS ROOM

The Project

  • INTRODUCTION
  • ORGANIZATION
  • PUBLICATIONS

The Human Protein Atlas

  • DOWNLOADABLE DATA
  • LICENCE & CITATION
  • HELP & FAQ
The Human Protein Atlas project is funded
by the Knut & Alice Wallenberg Foundation.


contact@proteinatlas.org