We use cookies to enhance the usability of our website. If you continue, we'll assume that you are happy to receive all cookies. More information. Don't show this again.
MAOA
HPA
RESOURCES
  • TISSUE
  • BRAIN
  • SINGLE CELL
  • SUBCELLULAR
  • CANCER
  • BLOOD
  • CELL LINE
  • STRUCTURE & INTERACTION
ABOUT
  • INTRODUCTION
  • HISTORY
  • ORGANIZATION
  • PUBLICATIONS
  • ANTIBODY SUBMISSION
  • ANTIBODY AVAILABILITY
  • ACKNOWLEDGMENTS
  • CONTACT
NEWS
  • NEWS ARTICLES
  • PRESS ROOM
LEARN
  • DICTIONARY
  • PROTEIN CLASSES
  • PROTEIN EVIDENCE
  • METHODS
  • EDUCATIONAL VIDEOS
DATA
  • DOWNLOADABLE DATA
  • PUBLICATION DATA
  • RELEASE HISTORY
HELP
  • ANTIBODY VALIDATION
  • ASSAYS & ANNOTATION
  • DISCLAIMER
  • HELP & FAQ
  • PRIVACY STATEMENT
  • LICENCE & CITATION
Fields »
Search result

Field
Term
Gene name
Class
Subclass
Class
Keyword
Chromosome
External id
Tissue
Cell type
Expression
Antibody panel
Tissue
Main location
Patient ID
Annotation
Tissue
Category
Tau score
Cluster
Reliability
Brain region
Category
Tau score
Brain region
Category
Tau score
Brain region
Category
Tau score
Cluster
Reliability
Tissue
Cell type
Enrichment
Cell type
Category
Tau score
Cell type
Category
Tau score
Cell type
Category
Tau score
Cell lineage
Category
Tau score
Cluster
Cluster
Location
Searches
Location
Cell line
Class
Type
Phase
Reliability
Cancer
Prognosis
Cancer
Category
Cancer
Category
Tau score
Cluster
Variants
Interacting gene (ensg_id)
Type
Number of interactions
Pathway
Category
Score
Score
Score
Validation
Validation
Validation
Validation
Antibodies
Data type
Column


  • SUMMARY

  • TISSUE

  • BRAIN

  • SINGLE CELL

  • SUBCELL

  • CANCER

  • BLOOD

  • CELL LINE

  • STRUCT & INT

  • MAOA
TISSUE PRIMARY DATA SKIN Show tissue menu
ADIPOSE TISSUE ADRENAL GLAND AMYGDALA APPENDIX BASAL GANGLIA BONE MARROW BREAST BRONCHUS CEREBELLUM CEREBRAL CORTEX CERVIX CHOROID PLEXUS COLON DUODENUM
ENDOMETRIUM EPIDIDYMIS ESOPHAGUS FALLOPIAN TUBE GALLBLADDER HEART MUSCLE HIPPOCAMPAL FORMATION HYPOTHALAMUS KIDNEY LIVER LUNG LYMPH NODE MIDBRAIN NASOPHARYNX
ORAL MUCOSA OVARY PANCREAS PARATHYROID GLAND PITUITARY GLAND PLACENTA PROSTATE RECTUM RETINA SALIVARY GLAND SEMINAL VESICLE SKELETAL MUSCLE SKIN SMALL INTESTINE
SMOOTH MUSCLE SOFT TISSUE SPINAL CORD SPLEEN STOMACH TESTIS THYMUS THYROID GLAND TONGUE TONSIL URINARY BLADDER VAGINA
ANTIBODIES
AND
VALIDATION
Dictionary
Skin
Tissue proteome
Skin
SKIN - Expression summary
Protein expression
Skini

On the top, protein expression in current human tissue, based on all annotated cell types, is reported with the units not detected (n), low (l), medium (m) and high (h). Underneath, protein expression in each annotated cell type are reported using the same units.

Protein expression data is based on knowledge-based annotation. For genes where more than one antibody has been used, a collective score is set.

If knowledge-based annotation could not be performed for a gene, no data is displayed here. View antibody staining data further down this page.

h
m
l
n
Epidermal cells: Medium
Fibroblasts: Not detected
Keratinocytes: Low
Langerhans: Not detected
Melanocytes: Not detected
RNA expressioni

A summary of mRNA expression data available for current tissue based on several datasets. The mRNA expression levels in human tissues are based on RNA-seq data generated by the Human Protein Atlas (HPA), Genotype-Tissue Expression (GTEx) portal and CAGE data generated by the FANTOM5 consortium. Consensus normalized expression levels for human tissues was created by combining the data from HPA and GTEx datasets.

The mRNA expression levels in pig are based on RNA-seq data generated by the Human Protein Atlas (HPA), and for mouse, HPA data and in situ hybridization generated by the Allen brain atlas are reported.

Scroll down to view mRNA expression data in more detail.
Consensus:36.2 nTPM
HPA:13.9 nTPM
GTEx:36.2 nTPM

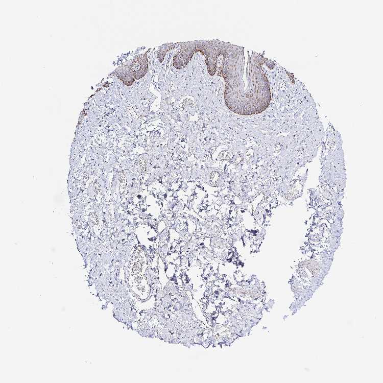
SKIN 1 - Antibody stainingi

Antibody staining in the annotated cell types in the current human tissue is reported as not detected, low, medium, or high, based on conventional immunohistochemistry profiling in selected tissues. This score is based on the combination of the staining intensity and fraction of stained cells.

Each image is clickable and will lead to virtual microscopy that enables deeper exploration of all samples and also displays staining intensity scores, fraction scores and subcellular localization as well as patient and tissue information for each sample.

Antibody HPA054807Antibody HPA059299Antibody CAB009437
Langerhans Not detectedNot detectedNot detected
Fibroblasts HighNot detectedNot detected
Keratinocytes Not detectedLowMedium
Melanocytes HighNot detectedLow





SKIN 2 - Antibody stainingi

Antibody staining in the annotated cell types in the current human tissue is reported as not detected, low, medium, or high, based on conventional immunohistochemistry profiling in selected tissues. This score is based on the combination of the staining intensity and fraction of stained cells.

Each image is clickable and will lead to virtual microscopy that enables deeper exploration of all samples and also displays staining intensity scores, fraction scores and subcellular localization as well as patient and tissue information for each sample.

Antibody HPA054807Antibody HPA059299Antibody CAB009437
Epidermal cells LowMediumMedium
   
   
   







SKIN - HPA RNA-seqi

The RNA-seq details section shows detailed information about the individual samples used for the transcript profiling and results of the RNA-seq analysis.

Information about each individual sample is listed below, including gender, age, a tissue section image and estimated fractions of cell types. nTPM (normalized transcripts per million) values give a quantification of the gene abundance which is comparable between different genes and samples.
Average nTPMi

Max subtype nTPM is the value for the subtype with the largest average nTPM across the subtype samples.

13.9
overview
Female, age 34
Skin sample 225
nTPM: 15.2
Cell types%
Keratinocytes:
60

Other cell types:
40

overview
Female, age 30
Skin sample 226
nTPM: 18.5
Cell types%
Keratinocytes:
55

Other cell types:
45

N/A
Male, age 57
Skin sample 227
nTPM: 7.9

SKIN - GTEx RNA-seqi

RNA-Seq data generated by the Genotype-Tissue Expression (GTEx) project from human tissues is reported as mean nTPM. More information can be found on the GTEx portal.

Distribution across the dataset is visualized with box plots, shown as median and 25th and 75th percentiles. Points are displayed as outliers if they are above or below 1.5 times the interquartile range. nTPM values of the individual samples are presented next to the box plot.
Max subtype nTPMi

Max subtype nTPM is the value for the subtype with the largest average nTPM across the subtype samples.

36.2
GTEx sample id Sample description nTPM
Skin - Not Sun Exposed (Suprapubic)
Average nTPM: 36.2
Samples: 604

Max nTPM: 138.5
Min nTPM: 4.5
Std nTPM: 20.4
Median nTPM: 34.2
GTEX-1F6RS-2026-SM-7RHHC 60-69 years, female 138.5
GTEX-1NV5F-0626-SM-DTXEG 60-69 years, female 110.2
GTEX-14PJ5-1526-SM-6LLIL 60-69 years, female 97.3
GTEX-1S5ZU-2526-SM-E6CIF 20-29 years, female 96.1
GTEX-1N2DV-1526-SM-DTXEP 40-49 years, male 93.1
GTEX-1LGRB-0926-SM-COH3K 50-59 years, female 91.6
GTEX-1JJ6O-2726-SM-CNPOG 60-69 years, male 90.9
GTEX-131XF-2626-SM-5EQ6K 60-69 years, male 89.5
GTEX-YB5K-2026-SM-4VDT3 40-49 years, female 86.4
GTEX-15UF6-1926-SM-7KUDV 70-79 years, female 85.8
GTEX-1F52S-2926-SM-7MKGA 60-69 years, female 84.6
GTEX-1LGOU-1326-SM-D3L8M 20-29 years, female 84.5
GTEX-13X6H-0926-SM-5SIB2 50-59 years, female 81.2
GTEX-13O61-1426-SM-5KM3D 60-69 years, male 81.1
GTEX-11P7K-1126-SM-5HL4L 30-39 years, male 79.7
GTEX-16NGA-0726-SM-731AO 40-49 years, female 77.9
GTEX-1EH9U-2826-SM-7DUGT 60-69 years, male 77.5
GTEX-1PPH7-1126-SM-DTX9A 40-49 years, male 77.5
GTEX-13YAN-0226-SM-5TDC6 60-69 years, male 77.1
GTEX-13NZ8-1226-SM-5KM4A 60-69 years, female 77.0
GTEX-13QJC-0126-SM-5ZZWJ 60-69 years, female 76.4
GTEX-XQ8I-0926-SM-4BOOF 50-59 years, male 74.0
GTEX-ZTX8-1326-SM-4YCEL 20-29 years, male 73.6
GTEX-1GMR8-0626-SM-7RHI7 50-59 years, female 73.4
GTEX-117YX-1926-SM-5GIEC 50-59 years, male 73.3
GTEX-1399U-1126-SM-5L3DB 50-59 years, female 73.2
GTEX-1HSMQ-2626-SM-A9SML 50-59 years, male 72.3
GTEX-1H3VE-0726-SM-9YFL5 40-49 years, male 72.1
GTEX-1122O-1026-SM-9WYSF 60-69 years, female 71.8
GTEX-1PDJ9-1226-SM-EXUSX 20-29 years, male 71.8
GTEX-1F75B-0726-SM-7PC3R 50-59 years, male 71.6
GTEX-11EM3-1226-SM-5N9DD 20-29 years, female 71.4
GTEX-147F3-1726-SM-5SIAW 50-59 years, female 71.3
GTEX-1IDJU-1726-SM-CMKHU 60-69 years, female 71.1
GTEX-13D11-0926-SM-5J2NC 50-59 years, female 71.0
GTEX-13PDP-0726-SM-5L3HP 60-69 years, male 70.7
GTEX-14PJ4-0226-SM-5YY92 60-69 years, male 70.4
GTEX-ZGAY-1826-SM-DO91Q 40-49 years, female 70.2
GTEX-16AAH-0626-SM-793C9 50-59 years, male 70.1
GTEX-15G1A-1626-SM-7KUKN 30-39 years, male 69.8
GTEX-WFG7-2026-SM-5SI7P 20-29 years, male 69.8
GTEX-13IVO-0726-SM-5LZYV 70-79 years, male 69.5
GTEX-14BMU-1226-SM-5S2OR 20-29 years, female 69.4
GTEX-1JMPY-0226-SM-CKZOK 30-39 years, male 69.3
GTEX-1LKK1-2626-SM-DKPQE 50-59 years, female 69.3
GTEX-1F5PK-2226-SM-7SB6N 50-59 years, male 69.2
GTEX-11P82-1426-SM-DTXFY 20-29 years, male 68.7
GTEX-1GN1W-2426-SM-9KNUU 50-59 years, female 68.5
GTEX-1AMFI-1326-SM-7939R 50-59 years, female 68.4
GTEX-ZF29-0926-SM-4WKFZ 60-69 years, female 68.4
GTEX-YFCO-1226-SM-5LUAT 40-49 years, male 68.0
GTEX-Y5V6-2326-SM-4VDSA 60-69 years, male 66.8
GTEX-14PJN-1826-SM-6AJ98 30-39 years, male 66.5
GTEX-1GMR2-0826-SM-7PC3V 50-59 years, male 66.2
GTEX-1HCU7-0726-SM-A9SL1 50-59 years, male 66.2
GTEX-ZLWG-0826-SM-59888 50-59 years, female 66.0
GTEX-13VXT-1926-SM-5K7UO 20-29 years, female 65.4
GTEX-1H1E6-0426-SM-9WYUS 30-39 years, male 65.2
GTEX-13PVR-0426-SM-5RQK2 60-69 years, female 65.1
GTEX-13RTJ-0126-SM-5S2NN 60-69 years, male 65.0
GTEX-1211K-1526-SM-5FQU4 60-69 years, female 64.8
GTEX-13JVG-0726-SM-5KM16 60-69 years, male 64.7
GTEX-12WSL-2026-SM-5GCML 50-59 years, male 64.5
GTEX-14ICL-1626-SM-5YYAO 30-39 years, male 64.4
GTEX-WHSB-1326-SM-3LK6W 50-59 years, male 64.4
GTEX-1I1GT-1026-SM-ARZLV 60-69 years, female 64.2
GTEX-WEY5-2326-SM-3GIKK 40-49 years, female 64.0
GTEX-WY7C-2126-SM-3NB2R 50-59 years, male 62.9
GTEX-1GZ4H-0526-SM-9KNU9 50-59 years, female 62.9
GTEX-1QP28-1126-SM-EVYC4 50-59 years, female 62.8
GTEX-1F5PL-0926-SM-7PC2W 40-49 years, female 62.4
GTEX-1RMOY-1326-SM-E9TIH 50-59 years, male 62.3
GTEX-1QP2A-1726-SM-E76QC 50-59 years, male 62.2
GTEX-1LSNM-0826-SM-DIPG8 50-59 years, male 62.0
GTEX-ZYFG-1526-SM-5GZYM 60-69 years, female 61.9
GTEX-1F75I-2226-SM-7SB8U 40-49 years, male 61.6
GTEX-111YS-1526-SM-5GZYW 60-69 years, male 61.3
GTEX-14753-0726-SM-5QGQO 60-69 years, male 61.3
GTEX-12C56-1526-SM-5FQUQ 20-29 years, male 61.2
GTEX-12BJ1-0926-SM-5EQ62 60-69 years, male 61.1
GTEX-13FTX-1526-SM-5K7VJ 20-29 years, female 61.0
GTEX-13QBU-1226-SM-5LU4G 40-49 years, female 60.8
GTEX-ZA64-1026-SM-5HL8R 20-29 years, male 60.7
GTEX-1HBPM-0726-SM-9YFL7 60-69 years, female 60.3
GTEX-1KANC-1226-SM-CYPT7 50-59 years, female 59.1
GTEX-14C39-1726-SM-5RQIL 40-49 years, male 59.0
GTEX-1QCLY-0226-SM-EWRNH 30-39 years, male 58.9
GTEX-13NYS-0626-SM-5L3F1 60-69 years, male 58.8
GTEX-1HFI7-2326-SM-CGQFS 50-59 years, female 58.4
GTEX-1IDJF-2026-SM-CL53V 20-29 years, male 58.4
GTEX-14C5O-0326-SM-5ZZUX 60-69 years, male 58.3
GTEX-ZDTT-0426-SM-4WKFL 60-69 years, male 58.1
GTEX-14JG6-1426-SM-9WG7C 30-39 years, female 58.1
GTEX-14PJ3-1126-SM-5ZZVX 50-59 years, male 58.0
GTEX-16BQI-1326-SM-6M486 30-39 years, female 57.8
GTEX-17F96-0126-SM-7EWDU 70-79 years, male 57.7
GTEX-1QP9N-1226-SM-E76QN 30-39 years, male 57.6
GTEX-1C6VQ-1226-SM-73KYD 50-59 years, male 57.4
GTEX-1J1R8-2026-SM-CL53Y 40-49 years, male 56.9
GTEX-14B4R-1326-SM-5Q5EZ 30-39 years, male 56.8
GTEX-17F98-1326-SM-7DUEP 40-49 years, female 56.7
GTEX-1LVAN-0626-SM-CNPOQ 50-59 years, female 56.7
GTEX-1C64O-1326-SM-7MGWR 60-69 years, male 56.6
GTEX-1QCLZ-2426-SM-EVYBW 60-69 years, female 56.1
GTEX-1JK1U-0226-SM-ARZMX 60-69 years, male 56.0
GTEX-12WSK-2126-SM-5CVNC 40-49 years, female 55.9
GTEX-1OJC3-1226-SM-DTXER 20-29 years, male 55.9
GTEX-1HKZK-0726-SM-ACKW2 40-49 years, male 55.8
GTEX-18D9A-1426-SM-7LT8M 30-39 years, female 55.7
GTEX-ZVE1-0726-SM-51MRN 50-59 years, female 55.6
GTEX-1HCVE-2726-SM-CL54F 50-59 years, male 55.6
GTEX-16XZZ-0726-SM-7KUF2 60-69 years, male 55.5
GTEX-ZVZP-1226-SM-5GID7 50-59 years, male 55.1
GTEX-1CB4H-1126-SM-7MKGL 60-69 years, female 54.8
GTEX-14C38-0726-SM-5SI6M 50-59 years, male 54.6
GTEX-1KXAM-1626-SM-D3LAD 60-69 years, male 54.6
GTEX-148VJ-0626-SM-5LUAW 70-79 years, male 54.5
GTEX-15EU6-2226-SM-6EU2L 50-59 years, male 54.4
GTEX-ZDYS-2426-SM-4WKGI 50-59 years, male 54.2
GTEX-15RIG-0726-SM-7KUM7 40-49 years, male 53.8
GTEX-1MCC2-1826-SM-DIPEX 30-39 years, female 53.7
GTEX-XUW1-0926-SM-4BONX 50-59 years, female 53.5
GTEX-14LLW-2626-SM-62LDZ 70-79 years, female 52.6
GTEX-1S82P-2126-SM-E6CI5 60-69 years, female 52.4
GTEX-WXYG-2026-SM-4E3IY 50-59 years, female 52.3
GTEX-18D9U-0126-SM-731BM 40-49 years, male 52.1
GTEX-1I1GU-0926-SM-ACKVS 40-49 years, male 52.1
GTEX-YEC3-1326-SM-DO92X 50-59 years, male 52.1
GTEX-12WSM-1926-SM-5BC65 60-69 years, male 52.0
GTEX-ZLFU-1826-SM-4WWBV 40-49 years, male 51.9
GTEX-1R46S-2426-SM-E76QA 60-69 years, female 51.9
GTEX-17F9Y-0126-SM-79OKX 70-79 years, female 51.8
GTEX-1H1DF-1126-SM-9WG7G 40-49 years, female 51.7
GTEX-139D8-1126-SM-5LU8W 30-39 years, female 51.6
GTEX-1GPI7-1826-SM-9KNU1 20-29 years, male 51.6
GTEX-1IDFM-0326-SM-ARL7V 60-69 years, male 51.6
GTEX-1C475-1326-SM-7SB73 40-49 years, female 51.4
GTEX-Y8LW-1526-SM-5IFHL 50-59 years, female 51.3
GTEX-XBEW-1126-SM-4QARW 40-49 years, male 51.0
GTEX-WYBS-0626-SM-3NMAS 60-69 years, female 50.6
GTEX-1HGF4-0126-SM-CNPPX 60-69 years, male 50.6
GTEX-1AMEY-0826-SM-72D65 30-39 years, female 50.5
GTEX-X3Y1-2026-SM-3P5YM 40-49 years, male 50.5
GTEX-14DAR-1226-SM-73KYV 50-59 years, male 50.4
GTEX-1L5NE-1126-SM-D3L9P 50-59 years, male 50.4
GTEX-1MCYP-0526-SM-E9U6Q 20-29 years, female 50.4
GTEX-14PKV-1126-SM-6LLJ1 20-29 years, female 50.2
GTEX-139UW-0326-SM-5J1ML 60-69 years, male 50.0
GTEX-1497J-0226-SM-5QGPU 60-69 years, male 50.0
GTEX-14PJ6-2626-SM-6EU2T 60-69 years, female 49.6
GTEX-1HR9M-2226-SM-CNPPY 60-69 years, male 49.6
GTEX-1RAZA-2226-SM-E9U4X 20-29 years, male 49.6
GTEX-ZVT2-0126-SM-5GIDQ 50-59 years, female 49.5
GTEX-1R7EU-1626-SM-DTXG3 60-69 years, male 49.2
GTEX-131XG-0326-SM-5L3DX 50-59 years, female 49.1
GTEX-ZZ64-1026-SM-5GZXG 20-29 years, male 48.8
GTEX-13FH7-1126-SM-5K7UG 50-59 years, female 48.6
GTEX-14PHX-2226-SM-6EU2P 50-59 years, male 48.6
GTEX-1CAMR-1326-SM-7PC1F 20-29 years, male 48.5
GTEX-1I6K6-1726-SM-CGQFD 30-39 years, male 48.5
GTEX-1K2DU-1226-SM-CYPT4 20-29 years, male 48.4
GTEX-1HSMP-0926-SM-A9SKX 70-79 years, male 48.3
GTEX-1B8KE-1126-SM-7EPHI 50-59 years, male 48.2
GTEX-Y114-2126-SM-4TT8B 50-59 years, female 48.2
GTEX-XBED-1926-SM-47JYP 60-69 years, male 48.1
GTEX-1J8Q2-2626-SM-ACKWQ 60-69 years, male 48.1
GTEX-13X6I-1826-SM-5SIAO 60-69 years, male 47.7
GTEX-1399S-0126-SM-5IJCF 30-39 years, female 47.6
GTEX-WFG8-2126-SM-3GIKQ 20-29 years, male 47.6
GTEX-145LT-0526-SM-5LUB2 40-49 years, male 47.4
GTEX-1GF9X-1326-SM-7PC2Y 40-49 years, female 47.4
GTEX-18QFQ-1826-SM-72D52 30-39 years, male 47.3
GTEX-1JMQK-1226-SM-D4P2S 60-69 years, male 47.3
GTEX-1CAMS-2226-SM-7PBXQ 40-49 years, female 47.2
GTEX-1QPFJ-1926-SM-EVYBD 30-39 years, female 47.2
GTEX-14E6E-0526-SM-793DN 30-39 years, male 47.1
GTEX-1K2DA-1026-SM-CGQGF 50-59 years, male 47.1
GTEX-13113-1626-SM-5EQ4I 60-69 years, female 47.0
GTEX-145MN-1526-SM-5SI9T 30-39 years, male 47.0
GTEX-15RIE-1926-SM-7KUKJ 60-69 years, male 46.8
GTEX-15RJE-2826-SM-7KUM9 40-49 years, male 46.6
GTEX-ZTTD-2826-SM-4YCFA 50-59 years, male 46.6
GTEX-1HSGN-0826-SM-ACKW3 40-49 years, female 46.5
GTEX-1A3MV-1826-SM-731CD 30-39 years, male 46.4
GTEX-1S3DN-2126-SM-E9TIN 50-59 years, male 46.4
GTEX-1RLM8-2926-SM-E8VON 50-59 years, male 46.2
GTEX-13N11-2326-SM-5IJBF 50-59 years, female 46.1
GTEX-145MI-0626-SM-5SI8S 60-69 years, female 46.0
GTEX-14PKU-0126-SM-6LLHV 40-49 years, female 46.0
GTEX-12696-0126-SM-5EQ4L 60-69 years, male 45.9
GTEX-ZVP2-0326-SM-57WBP 50-59 years, male 45.8
GTEX-13FTW-0326-SM-5K7UW 40-49 years, male 45.7
GTEX-11EQ9-1626-SM-5PNY8 30-39 years, male 45.6
GTEX-13OVG-1626-SM-5J1NF 60-69 years, male 45.6
GTEX-1J8Q3-0526-SM-ARL8U 60-69 years, male 45.6
GTEX-144GO-2026-SM-5O99P 60-69 years, male 45.5
GTEX-1I4MK-0126-SM-CY8G6 50-59 years, female 45.4
GTEX-1J8QM-2426-SM-A9SLS 60-69 years, female 45.4
GTEX-XAJ8-1426-SM-47JYM 40-49 years, male 45.3
GTEX-1IE54-1126-SM-A9G2Z 40-49 years, female 45.2
GTEX-1192X-2726-SM-5N9DN 50-59 years, male 44.8
GTEX-ZXG5-2126-SM-59HKD 60-69 years, male 44.7
GTEX-1H2FU-0926-SM-9WPPT 60-69 years, female 44.7
GTEX-1HBPN-0126-SM-CGQEF 50-59 years, male 44.7
GTEX-145ME-1726-SM-5Q5EU 40-49 years, female 44.6
GTEX-111CU-1126-SM-5EGIM 50-59 years, male 44.5
GTEX-11LCK-2226-SM-5HL4Q 30-39 years, male 44.5
GTEX-ZPCL-1126-SM-4WWFE 60-69 years, female 44.3
GTEX-11VI4-1126-SM-5EQMD 40-49 years, female 44.2
GTEX-1MJK3-0726-SM-E6CJC 20-29 years, male 44.0
GTEX-ZZPU-0826-SM-5GZX5 50-59 years, female 43.8
GTEX-1IDJV-0126-SM-COH3Y 60-69 years, male 43.7
GTEX-1B97I-0626-SM-73KUZ 40-49 years, male 43.4
GTEX-14PHY-1226-SM-5ZZWK 60-69 years, female 43.3
GTEX-1CAV2-0126-SM-7IGN7 40-49 years, female 43.3
GTEX-WHWD-1826-SM-3LK6I 50-59 years, male 43.2
GTEX-11P81-2226-SM-5PNYI 30-39 years, female 43.1
GTEX-1IKOE-1426-SM-CE6T7 30-39 years, female 43.0
GTEX-YF7O-1526-SM-5IFI6 50-59 years, male 42.8
GTEX-11ZTT-2126-SM-5CVLO 60-69 years, female 42.7
GTEX-1KANA-1326-SM-DIPFA 20-29 years, male 42.7
GTEX-ZLV1-1526-SM-DO91J 60-69 years, female 42.7
GTEX-1GL5R-1326-SM-7RHHF 50-59 years, male 42.4
GTEX-15EO6-2426-SM-6PALZ 50-59 years, male 41.9
GTEX-15SKB-2826-SM-6PAMH 60-69 years, male 41.9
GTEX-14PJO-2526-SM-6AJBQ 60-69 years, male 41.7
GTEX-1A8G7-1326-SM-73KVM 60-69 years, male 41.7
GTEX-Y3I4-1726-SM-4TT89 50-59 years, male 41.6
GTEX-1CB4I-0126-SM-7RHGG 50-59 years, male 41.6
GTEX-1JKYR-0626-SM-ARL8R 20-29 years, male 41.3
GTEX-13OW5-2326-SM-5L3HO 60-69 years, male 41.2
GTEX-1I1GS-2626-SM-B2LY3 60-69 years, male 41.1
GTEX-133LE-2326-SM-5K7W3 20-29 years, female 40.9
GTEX-11DXX-2126-SM-5PNYR 60-69 years, female 40.8
GTEX-WYJK-0526-SM-3NM8Z 50-59 years, male 40.7
GTEX-X5EB-1926-SM-4E3IW 40-49 years, male 40.6
GTEX-17F9E-2326-SM-79OKD 50-59 years, male 40.4
GTEX-13OVH-0526-SM-5L3E6 70-79 years, male 40.2
GTEX-1KAFJ-0126-SM-DIPEK 50-59 years, male 40.2
GTEX-1JKYN-0826-SM-ARU8S 30-39 years, male 40.1
GTEX-Y9LG-1126-SM-4VBQ7 30-39 years, male 40.0
GTEX-11ZU8-0126-SM-5EQ58 60-69 years, male 39.9
GTEX-13NYC-0126-SM-5L3F4 60-69 years, male 39.8
GTEX-1C2JI-1026-SM-73KY1 50-59 years, male 39.8
GTEX-1JN76-0626-SM-CKZOQ 20-29 years, female 39.8
GTEX-1LVAM-0726-SM-E6CIL 50-59 years, female 39.8
GTEX-1HCU9-0426-SM-9WYSD 20-29 years, male 39.7
GTEX-1H23P-0626-SM-9WG6T 60-69 years, male 39.5
GTEX-13X6K-0626-SM-5LU5D 60-69 years, female 39.4
GTEX-1IDJC-1526-SM-B2LW4 50-59 years, male 39.4
GTEX-1S831-1826-SM-EWROF 20-29 years, male 39.4
GTEX-1LG7Z-1626-SM-CXKYR 30-39 years, male 39.3
GTEX-YEC4-1826-SM-4W1YP 40-49 years, male 39.2
GTEX-14PII-0726-SM-6EU2B 60-69 years, male 39.0
GTEX-145MO-2826-SM-5LU96 60-69 years, male 38.9
GTEX-1JN1M-2726-SM-CY8I4 60-69 years, female 38.9
GTEX-12WSH-1526-SM-5BC5W 50-59 years, male 38.8
GTEX-1F48J-0726-SM-7RHGS 50-59 years, female 38.7
GTEX-1AX9I-2226-SM-73KUO 60-69 years, male 38.6
GTEX-ZT9W-1126-SM-57WDR 50-59 years, male 38.4
GTEX-18A66-0626-SM-7LT8Z 60-69 years, male 38.2
GTEX-1117F-2926-SM-5GZYI 60-69 years, female 37.8
GTEX-17MFQ-1526-SM-7KFRR 20-29 years, male 37.8
GTEX-15G19-2426-SM-7KUMR 60-69 years, male 37.7
GTEX-1PIGE-1826-SM-E8VOU 20-29 years, male 37.5
GTEX-ZAB4-2126-SM-5HL8U 40-49 years, male 37.4
GTEX-16MTA-0926-SM-6M47Z 50-59 years, male 37.3
GTEX-12KS4-2126-SM-5FQUT 30-39 years, male 37.0
GTEX-12WSA-0426-SM-5EQ5X 60-69 years, male 36.8
GTEX-139T8-0626-SM-5KLZX 60-69 years, male 36.7
GTEX-13N2G-0226-SM-5K7VF 60-69 years, male 36.7
GTEX-1HSMO-0626-SM-ACKXC 60-69 years, male 36.5
GTEX-1JMQI-1726-SM-ARL93 50-59 years, male 36.5
GTEX-13SLW-0626-SM-5Q5ER 70-79 years, male 36.3
GTEX-ZYW4-0626-SM-59HJR 60-69 years, male 36.2
GTEX-1JMQL-2226-SM-CNPP4 50-59 years, female 36.2
GTEX-14E1K-2026-SM-7DUEI 50-59 years, male 36.0
GTEX-1GTWX-2026-SM-9YFLM 60-69 years, male 36.0
GTEX-17MF6-2626-SM-79OKQ 40-49 years, male 35.9
GTEX-ZYY3-2926-SM-5GIEB 60-69 years, female 35.8
GTEX-1ICLY-0826-SM-CMKG1 50-59 years, male 35.8
GTEX-1HCUA-0826-SM-ADEHM 50-59 years, female 35.7
GTEX-1LG7Y-2526-SM-EWRO7 50-59 years, male 35.7
GTEX-ZVT4-2426-SM-5GIEI 50-59 years, female 35.6
GTEX-11EQ8-0926-SM-5H12V 60-69 years, male 35.5
GTEX-UPJH-0226-SM-3GADV 50-59 years, male 35.4
GTEX-XMD2-2126-SM-4YCF8 60-69 years, female 35.4
GTEX-ZP4G-1426-SM-4WWCL 20-29 years, female 35.4
GTEX-X8HC-0626-SM-4E3HQ 50-59 years, female 35.1
GTEX-X585-2426-SM-46MW2 50-59 years, male 34.9
GTEX-1GN1U-0626-SM-9MQL9 50-59 years, female 34.9
GTEX-144FL-0626-SM-5LU43 50-59 years, male 34.8
GTEX-ZVE2-2826-SM-5GU51 50-59 years, male 34.7
GTEX-1JJE9-2626-SM-ARZMT 70-79 years, male 34.7
GTEX-1GF9W-1426-SM-7PBYM 60-69 years, male 34.6
GTEX-17F97-2626-SM-7IGM5 50-59 years, male 34.5
GTEX-Y5LM-0926-SM-6LLJG 40-49 years, female 34.5
GTEX-11NSD-0626-SM-5A5LU 20-29 years, male 34.4
GTEX-1QP66-1226-SM-DTX7U 50-59 years, male 34.4
GTEX-1HB9E-0126-SM-CM2S5 50-59 years, male 34.3
GTEX-1RAZQ-1326-SM-E9TK6 30-39 years, male 34.2
GTEX-ZF3C-0626-SM-DO92O 50-59 years, female 34.2
GTEX-1CAMQ-1326-SM-7P8RV 40-49 years, male 34.1
GTEX-1ICG6-1226-SM-A9SLN 70-79 years, female 34.1
GTEX-18D9B-0926-SM-7LG4U 60-69 years, male 33.9
GTEX-WI4N-2726-SM-3LK7Y 40-49 years, female 33.9
GTEX-1269C-0126-SM-5EQ5L 60-69 years, female 33.7
GTEX-13W3W-0726-SM-5IJDQ 60-69 years, female 33.7
GTEX-15CHC-1126-SM-6LLHQ 60-69 years, female 33.6
GTEX-13PL6-1126-SM-5L3IE 40-49 years, female 33.5
GTEX-ZWKS-0626-SM-5GIDV 30-39 years, male 33.5
GTEX-13FHO-0426-SM-5L3F5 60-69 years, male 33.3
GTEX-18A7B-2726-SM-7LG56 70-79 years, male 33.3
GTEX-1A3MX-2626-SM-7PC24 60-69 years, male 33.2
GTEX-12ZZZ-0726-SM-5GCNZ 60-69 years, male 33.0
GTEX-XK95-0226-SM-4AT58 40-49 years, male 32.8
GTEX-1H1DE-1326-SM-9KNUG 20-29 years, male 32.6
GTEX-18A67-1626-SM-7LT9T 50-59 years, male 32.5
GTEX-XYKS-1426-SM-4BRUO 60-69 years, female 32.5
GTEX-ZT9X-1526-SM-5DUXD 40-49 years, male 32.1
GTEX-183WM-0326-SM-72D5V 70-79 years, female 31.9
GTEX-1GF9U-2026-SM-7SB92 40-49 years, female 31.8
GTEX-1LSVX-2526-SM-DIPEU 60-69 years, male 31.8
GTEX-1CB4J-1326-SM-7P8RX 60-69 years, male 31.6
GTEX-1H1ZS-2726-SM-9WG75 70-79 years, male 31.6
GTEX-ZPIC-0526-SM-DO91W 40-49 years, female 31.6
GTEX-1B8KZ-0326-SM-73KY4 50-59 years, male 31.4
GTEX-XPVG-2126-SM-4B667 50-59 years, male 31.4
GTEX-1H1DG-2426-SM-9QEHJ 70-79 years, male 31.4
GTEX-1IDJI-0126-SM-CMKHS 50-59 years, female 31.4
GTEX-15DDE-2926-SM-6LLJ3 50-59 years, female 31.3
GTEX-17KNJ-2126-SM-718AM 50-59 years, male 31.3
GTEX-X4EO-2926-SM-4E3JH 60-69 years, female 31.2
GTEX-11TT1-1826-SM-5EQLV 20-29 years, male 31.1
GTEX-1S83E-1326-SM-E6CJM 40-49 years, male 31.1
GTEX-ZTSS-1426-SM-5985P 40-49 years, male 30.9
GTEX-14XAO-1226-SM-6EU1C 60-69 years, female 30.5
GTEX-1I6K7-1926-SM-B2LXR 40-49 years, male 30.4
GTEX-1S82U-1026-SM-E6CJK 30-39 years, female 30.4
GTEX-14AS3-1526-SM-5Q5ED 40-49 years, female 30.3
GTEX-15D1Q-2826-SM-6LLH7 40-49 years, male 30.2
GTEX-1PPH8-0126-SM-EWRN8 20-29 years, male 30.2
GTEX-16MT8-2926-SM-7DUFO 60-69 years, female 30.1
GTEX-1J1OQ-0126-SM-D4P2N 40-49 years, female 30.1
GTEX-14E6C-2426-SM-5S2NF 40-49 years, male 30.0
GTEX-XXEK-1626-SM-4BRUZ 50-59 years, male 29.7
GTEX-1QMI2-2526-SM-E8VNZ 60-69 years, male 29.6
GTEX-1B996-0426-SM-7EWF8 60-69 years, male 29.5
GTEX-1PBJJ-1026-SM-E76OS 30-39 years, male 29.5
GTEX-1ICLZ-0326-SM-ARL82 60-69 years, male 29.4
GTEX-ZE7O-2726-SM-51MT5 50-59 years, female 29.3
GTEX-1477Z-0326-SM-7IGLA 60-69 years, male 29.0
GTEX-1I19N-0126-SM-CYPSF 70-79 years, male 29.0
GTEX-139TU-0726-SM-5L3EK 60-69 years, male 28.6
GTEX-178AV-1726-SM-7KUL8 40-49 years, male 28.6
GTEX-139YR-1026-SM-5LZYN 50-59 years, male 28.5
GTEX-1B8L1-2226-SM-7P8PT 60-69 years, male 28.4
GTEX-1GN73-0726-SM-7P8TJ 60-69 years, male 28.1
GTEX-WH7G-2026-SM-3NMBL 40-49 years, male 28.0
GTEX-1GZ4I-2626-SM-9KNU3 50-59 years, male 27.8
GTEX-14LZ3-0126-SM-69LPM 60-69 years, female 27.7
GTEX-17HII-1426-SM-7EPGG 50-59 years, male 27.7
GTEX-17HHE-1326-SM-7EWDZ 50-59 years, male 27.6
GTEX-1QW4Y-1126-SM-DTXE3 30-39 years, male 27.6
GTEX-1A8FM-0626-SM-7PC25 50-59 years, female 27.4
GTEX-14BMV-2826-SM-5TDED 50-59 years, male 27.3
GTEX-1JN6P-2926-SM-CL54D 60-69 years, male 27.3
GTEX-14JFF-0626-SM-5ZZVT 60-69 years, male 27.1
GTEX-11WQC-1826-SM-5GU59 60-69 years, male 26.8
GTEX-13OW6-2726-SM-5J2OE 50-59 years, male 26.8
GTEX-1CB4E-0926-SM-7EPHT 60-69 years, male 26.5
GTEX-13OVJ-0826-SM-5J1OK 50-59 years, female 26.4
GTEX-1A3MW-0626-SM-731CB 60-69 years, female 26.4
GTEX-13O3O-2326-SM-5IJD6 60-69 years, female 26.3
GTEX-1KD5A-0126-SM-E9U54 50-59 years, male 26.2
GTEX-1F88E-1626-SM-7SB8Z 60-69 years, female 26.1
GTEX-12WSJ-1126-SM-5LZVJ 40-49 years, female 25.6
GTEX-1H3NZ-2726-SM-9WYTQ 60-69 years, male 25.6
GTEX-Y8E4-2026-SM-5IFJB 40-49 years, male 25.5
GTEX-1H3O1-1326-SM-9MQLD 60-69 years, male 25.4
GTEX-13N1W-2426-SM-5IJD1 70-79 years, male 25.3
GTEX-XV7Q-1826-SM-4BRUV 40-49 years, female 25.2
GTEX-183FY-1026-SM-7939A 20-29 years, male 25.0
GTEX-1GPI6-1926-SM-9KNV7 60-69 years, male 24.7
GTEX-15CHR-1126-SM-7EWF4 50-59 years, male 24.6
GTEX-1H11D-1826-SM-9QEHM 40-49 years, male 24.6
GTEX-1R9K4-2826-SM-DTX8F 60-69 years, male 24.6
GTEX-15SHW-0226-SM-7LTAT 60-69 years, male 24.5
GTEX-1O9I2-0226-SM-EYYXD 50-59 years, male 24.5
GTEX-ZAJG-1526-SM-5CVML 50-59 years, female 24.4
GTEX-14A6H-2026-SM-5Q5DD 30-39 years, male 24.2
GTEX-15ER7-0626-SM-6PANF 20-29 years, female 23.8
GTEX-1E2YA-2126-SM-7MXUO 50-59 years, male 23.8
GTEX-Z93S-1626-SM-5CVMB 50-59 years, male 23.6
GTEX-16NPX-0726-SM-7KULC 50-59 years, male 22.9
GTEX-17EVQ-0126-SM-7IGLR 70-79 years, male 22.8
GTEX-1AYD5-2626-SM-7PBXY 50-59 years, male 22.8
GTEX-1AX9J-1326-SM-731BJ 60-69 years, male 22.7
GTEX-11DZ1-2426-SM-5GZZX 50-59 years, male 22.6
GTEX-UPK5-0426-SM-3GAEK 40-49 years, male 22.6
GTEX-1IKJJ-2226-SM-CJI4C 60-69 years, male 22.6
GTEX-1JJEA-1826-SM-ARU8P 60-69 years, male 22.4
GTEX-13PVQ-0626-SM-5LU47 50-59 years, male 22.1
GTEX-WFON-1926-SM-3LK7L 40-49 years, male 22.1
GTEX-1HCU6-2526-SM-ADEHL 60-69 years, female 22.0
GTEX-132AR-0326-SM-5KM2C 50-59 years, female 21.9
GTEX-V1D1-2026-SM-3GAF4 50-59 years, male 21.9
GTEX-11UD2-2526-SM-5CVNU 50-59 years, male 21.8
GTEX-ZYVF-0926-SM-5E44J 50-59 years, female 21.8
GTEX-1I1CD-0626-SM-CE6SW 60-69 years, female 21.7
GTEX-12WSD-0626-SM-5GCMW 60-69 years, female 21.6
GTEX-XBEC-0726-SM-4QARZ 50-59 years, male 21.6
GTEX-Y5V5-0126-SM-5S2NW 60-69 years, female 21.5
GTEX-1GMR3-0126-SM-A9SLW 40-49 years, male 21.5
GTEX-1LVA9-2626-SM-EVYD4 50-59 years, male 21.5
GTEX-1QP29-1826-SM-DTX9S 50-59 years, male 21.5
GTEX-1LVAO-2726-SM-E9TJ8 60-69 years, male 21.4
GTEX-145LU-1926-SM-79OJN 50-59 years, male 21.2
GTEX-17EVP-2626-SM-7IGMA 40-49 years, male 20.9
GTEX-11DXZ-2026-SM-5987S 50-59 years, male 20.7
GTEX-12WSF-1626-SM-7KUG5 70-79 years, male 20.7
GTEX-131XH-0126-SM-5LZUY 50-59 years, male 20.7
GTEX-1HUB1-1426-SM-CGQF5 60-69 years, male 20.7
GTEX-1399Q-2326-SM-5KM2X 40-49 years, male 20.4
GTEX-ZYFD-0626-SM-5E44E 50-59 years, male 20.4
GTEX-1EX96-1026-SM-7MKG2 50-59 years, male 20.3
GTEX-ZC5H-1526-SM-5HL9Y 40-49 years, female 20.2
GTEX-1HR98-2226-SM-ADEI2 60-69 years, male 20.2
GTEX-14BIN-1126-SM-5RQJZ 50-59 years, female 20.1
GTEX-1RB15-1326-SM-E76Q9 60-69 years, male 20.0
GTEX-13OVK-1426-SM-6PAN7 40-49 years, male 19.8
GTEX-1F75A-0726-SM-7RHHD 50-59 years, male 19.4
GTEX-11DXY-0126-SM-5H11Q 60-69 years, male 19.3
GTEX-11DYG-1526-SM-5A5JS 60-69 years, male 19.3
GTEX-13JUV-2026-SM-5K7UA 40-49 years, female 19.2
GTEX-Y3IK-1626-SM-4YCF5 50-59 years, female 19.2
GTEX-11WQK-1026-SM-5EQLX 50-59 years, male 19.0
GTEX-131XW-0626-SM-5PNVD 50-59 years, female 18.9
GTEX-1JMLX-0626-SM-ARL8T 50-59 years, male 18.9
GTEX-1JMOU-1026-SM-CYPSS 60-69 years, female 18.8
GTEX-1JMQJ-0826-SM-CNPP7 50-59 years, male 18.8
GTEX-13O3Q-0126-SM-5KM34 50-59 years, male 18.7
GTEX-YECK-0326-SM-4W1YS 60-69 years, male 18.7
GTEX-145MH-2826-SM-5RQJF 50-59 years, male 18.6
GTEX-WHPG-2626-SM-3NMBR 50-59 years, male 18.6
GTEX-ZPU1-1126-SM-4YCF3 40-49 years, male 18.6
GTEX-1NSGN-0726-SM-DTXEF 50-59 years, male 18.5
GTEX-1RAZR-2126-SM-E9U6T 40-49 years, male 18.4
GTEX-1AX8Z-0726-SM-73KTS 60-69 years, male 18.3
GTEX-147JS-0226-SM-5S2U9 60-69 years, male 18.2
GTEX-1GZ2Q-0126-SM-9WG6M 40-49 years, male 18.2
GTEX-11TUW-0626-SM-5LU9M 60-69 years, male 18.1
GTEX-ZF2S-1626-SM-57WES 50-59 years, female 18.0
GTEX-1314G-1326-SM-5BC6E 30-39 years, male 17.9
GTEX-13FLV-0126-SM-5K7WT 50-59 years, male 17.9
GTEX-1IDJD-2326-SM-ACKWX 30-39 years, male 17.9
GTEX-1IOXB-2726-SM-CM2RI 50-59 years, male 17.9
GTEX-1EU9M-1426-SM-793AI 60-69 years, male 17.8
GTEX-13VXU-0626-SM-5L3F9 50-59 years, male 17.7
GTEX-1LSNL-2726-SM-E9TKJ 50-59 years, male 17.7
GTEX-11NUK-2726-SM-5A5MC 50-59 years, male 17.6
GTEX-U8XE-0226-SM-4E3J3 30-39 years, male 17.5
GTEX-1K9T9-1526-SM-DIPFR 50-59 years, female 17.5
GTEX-1C64N-2626-SM-7PC2N 50-59 years, male 17.4
GTEX-1I1GP-1326-SM-A9G28 50-59 years, male 17.4
GTEX-11O72-0626-SM-5PNYE 40-49 years, male 17.2
GTEX-139TS-2126-SM-5K7XC 60-69 years, male 17.1
GTEX-1HSKV-1226-SM-ADEI4 60-69 years, male 17.1
GTEX-18A7A-0126-SM-731AH 50-59 years, female 17.0
GTEX-144GL-0626-SM-5LU4D 50-59 years, male 16.9
GTEX-1HC8U-1326-SM-9YFMJ 40-49 years, female 16.9
GTEX-1A32A-0626-SM-731AQ 50-59 years, female 16.8
GTEX-1HCU8-2526-SM-CE6RX 60-69 years, female 16.8
GTEX-146FQ-2126-SM-5RQHU 30-39 years, male 16.7
GTEX-147GR-2426-SM-5ZZWQ 60-69 years, male 16.7
GTEX-1J8EW-2726-SM-CY8HR 60-69 years, female 16.7
GTEX-ZYT6-2326-SM-5GZY3 30-39 years, male 16.5
GTEX-1QAET-0326-SM-EVR3U 50-59 years, male 16.5
GTEX-1IDJE-1426-SM-ADEIW 50-59 years, female 16.2
GTEX-1B8SF-0126-SM-7DUG3 60-69 years, male 16.1
GTEX-1GN1V-2826-SM-9JGIA 60-69 years, male 16.0
GTEX-13OVL-0126-SM-5L3GJ 50-59 years, male 15.9
GTEX-18A6Q-0626-SM-7KFRP 60-69 years, male 15.8
GTEX-13G51-1826-SM-5KLZH 60-69 years, male 15.7
GTEX-13NYB-0126-SM-5J1MD 40-49 years, male 15.7
GTEX-1E1VI-0326-SM-793D1 50-59 years, male 15.7
GTEX-1GMRU-2126-SM-7P8RA 50-59 years, male 15.7
GTEX-145LS-0626-SM-7EPG7 60-69 years, female 15.6
GTEX-11OF3-0126-SM-5PNYF 60-69 years, male 15.5
GTEX-1EMGI-2326-SM-7PBYA 60-69 years, male 15.5
GTEX-1IDJH-0126-SM-D3L92 70-79 years, male 15.5
GTEX-12ZZY-0726-SM-5EQ66 60-69 years, male 15.4
GTEX-YJ8O-2526-SM-5HL85 40-49 years, female 15.4
GTEX-1F88F-0126-SM-9WYSZ 60-69 years, female 15.4
GTEX-1R9PM-1926-SM-EVR3O 20-29 years, male 15.4
GTEX-15DYW-2726-SM-6EU2I 60-69 years, female 15.3
GTEX-1HFI6-0126-SM-CNPPI 40-49 years, male 15.3
GTEX-1F6IF-0926-SM-7SB7M 60-69 years, male 15.2
GTEX-11EI6-2826-SM-5H11D 60-69 years, male 15.1
GTEX-WK11-2726-SM-3NMAQ 50-59 years, male 15.0
GTEX-ZY6K-1426-SM-5GZX2 50-59 years, male 15.0
GTEX-1C6VR-0126-SM-7RHGB 60-69 years, male 15.0
GTEX-1RAZS-2526-SM-E6CHT 50-59 years, male 15.0
GTEX-ZU9S-1826-SM-5NQ9E 30-39 years, male 14.9
GTEX-1GF9V-0826-SM-9KNUV 60-69 years, male 14.9
GTEX-1KWVE-1026-SM-D3L9O 30-39 years, male 14.9
GTEX-1M4P7-0726-SM-E6CJ3 60-69 years, male 14.9
GTEX-11ZUS-2626-SM-5FQUR 30-39 years, male 14.8
GTEX-13OW8-1026-SM-5J1NQ 60-69 years, male 14.8
GTEX-1IY9M-2826-SM-ARU8H 60-69 years, male 14.7
GTEX-1LB8K-0726-SM-D5OV2 50-59 years, male 14.7
GTEX-147F4-0726-SM-5TDDD 50-59 years, male 14.6
GTEX-X4EP-0626-SM-3P621 60-69 years, female 14.6
GTEX-11PRG-0726-SM-5EGL1 50-59 years, male 14.5
GTEX-14PJ2-0626-SM-6LLII 50-59 years, male 14.5
GTEX-1JMPZ-0726-SM-CY8HZ 30-39 years, male 14.4
GTEX-WYVS-1626-SM-3NM9R 40-49 years, female 14.2
GTEX-1N2EE-0626-SM-E76PW 60-69 years, male 14.2
GTEX-144GM-0526-SM-79OJO 20-29 years, male 14.1
GTEX-11GS4-0226-SM-5HL77 60-69 years, male 13.9
GTEX-13U4I-2226-SM-5LU5H 40-49 years, female 13.9
GTEX-14PK6-0226-SM-62LF5 70-79 years, female 13.9
GTEX-1BAJH-2426-SM-7IGP8 70-79 years, male 13.9
GTEX-13X6J-0626-SM-5LU5F 50-59 years, male 13.7
GTEX-1N5O9-0926-SM-E9J3C 60-69 years, male 13.7
GTEX-1PPGY-1626-SM-EVYBL 60-69 years, male 13.7
GTEX-VUSG-2326-SM-4KL1U 50-59 years, male 13.6
GTEX-WHSE-0126-SM-3NMBT 20-29 years, male 13.5
GTEX-Y111-0626-SM-4SOIT 50-59 years, male 13.4
GTEX-1H4P4-2126-SM-9WYSL 50-59 years, male 13.4
GTEX-1B933-2426-SM-7DHMD 50-59 years, female 13.3
GTEX-ZDTS-0826-SM-4WKHL 60-69 years, male 13.3
GTEX-1OJC4-2726-SM-E76PJ 50-59 years, female 13.3
GTEX-12584-0726-SM-5FQTK 40-49 years, male 13.2
GTEX-13112-0126-SM-5P9IU 50-59 years, male 13.2
GTEX-14JG1-1526-SM-5YY9X 40-49 years, male 12.9
GTEX-15CHQ-0326-SM-69LQD 60-69 years, male 12.8
GTEX-1I1GV-0626-SM-ARL7M 60-69 years, male 12.8
GTEX-1EN7A-2426-SM-793DB 40-49 years, male 12.7
GTEX-1KANB-2826-SM-CY8I6 50-59 years, male 12.7
GTEX-18465-2826-SM-7LT9J 50-59 years, male 12.5
GTEX-1C6WA-2626-SM-7MKGM 60-69 years, male 12.5
GTEX-14DAQ-0626-SM-793DS 60-69 years, female 12.4
GTEX-WRHU-2826-SM-3MJG8 50-59 years, female 12.4
GTEX-15FZZ-0526-SM-7KUGD 30-39 years, female 12.3
GTEX-17HHY-0426-SM-7DHLC 50-59 years, male 12.3
GTEX-1A8G6-2726-SM-731AR 60-69 years, male 12.3
GTEX-1CB4F-1026-SM-7DUH1 60-69 years, male 12.3
GTEX-1HT8W-0626-SM-A9G2H 30-39 years, male 12.3
GTEX-139TT-2126-SM-5LZWC 60-69 years, male 12.2
GTEX-1B932-2326-SM-79OL5 40-49 years, female 12.2
GTEX-131YS-2826-SM-5EQ47 60-69 years, female 12.0
GTEX-1F75W-2726-SM-7SB8H 60-69 years, male 12.0
GTEX-13SLX-2226-SM-62LEP 50-59 years, female 11.9
GTEX-1I1HK-2326-SM-CKZOH 60-69 years, male 11.8
GTEX-145MF-0926-SM-5Q5EA 50-59 years, male 11.7
GTEX-ZYFC-0426-SM-5GICQ 50-59 years, male 11.7
GTEX-17HGU-2326-SM-7DUFE 50-59 years, male 11.6
GTEX-16YQH-2226-SM-7IGM2 30-39 years, male 11.4
GTEX-1GN2E-0226-SM-9WG6K 60-69 years, male 11.4
GTEX-1IL2V-1926-SM-B2LW8 70-79 years, male 11.4
GTEX-11GSP-2326-SM-5HL63 60-69 years, female 11.3
GTEX-12ZZX-2426-SM-5GCOE 40-49 years, female 11.3
GTEX-13OW7-0426-SM-5K7VK 50-59 years, male 11.2
GTEX-W5X1-2526-SM-3GILC 40-49 years, female 11.2
GTEX-1R9PN-0426-SM-DTXDT 40-49 years, female 11.2
GTEX-VJYA-1526-SM-3GIJV 60-69 years, male 11.1
GTEX-1212Z-0126-SM-59HK4 60-69 years, male 11.0
GTEX-14A5H-0826-SM-5QGPJ 60-69 years, male 11.0
GTEX-14ABY-2026-SM-62LDL 50-59 years, male 11.0
GTEX-17JCI-2926-SM-7DUFF 60-69 years, female 11.0
GTEX-1EKGG-0626-SM-7DUGJ 60-69 years, male 10.9
GTEX-1LBAC-0826-SM-CY8IJ 20-29 years, male 10.9
GTEX-1GZHY-0626-SM-9KNVC 50-59 years, female 10.7
GTEX-1HBPI-2126-SM-ARL9K 50-59 years, male 10.7
GTEX-1313W-0626-SM-5EQ4H 50-59 years, female 10.6
GTEX-12126-0826-SM-5FQTZ 20-29 years, male 10.4
GTEX-ZAK1-0626-SM-5HL8E 50-59 years, female 10.4
GTEX-13FTY-2126-SM-5IFFB 40-49 years, female 10.3
GTEX-ZE9C-2526-SM-5IJDR 60-69 years, male 10.3
GTEX-16Z82-2626-SM-7KULU 60-69 years, male 10.2
GTEX-15RJ7-2126-SM-6PAMD 40-49 years, male 9.9
GTEX-1PIIG-2326-SM-DTXFR 30-39 years, male 9.8
GTEX-111VG-1626-SM-5EGIO 60-69 years, male 9.7
GTEX-12WSC-2826-SM-5BC5Y 50-59 years, male 9.6
GTEX-ZDXO-3126-SM-5IJDF 60-69 years, male 9.6
GTEX-17HG3-2626-SM-7DUF2 30-39 years, female 9.4
GTEX-1EWIQ-0326-SM-7DHMQ 70-79 years, female 9.3
GTEX-XOT4-0626-SM-4B66L 60-69 years, female 8.9
GTEX-111FC-2526-SM-5GZXU 60-69 years, male 8.7
GTEX-1399R-1326-SM-5PNYS 30-39 years, male 8.7
GTEX-XQ3S-1426-SM-4BOPR 20-29 years, male 8.7
GTEX-1H1CY-0126-SM-9YFLY 60-69 years, female 8.6
GTEX-1F6I4-2326-SM-7RHGL 60-69 years, male 8.4
GTEX-16MT9-0126-SM-7EPI8 60-69 years, female 8.3
GTEX-ZVTK-0226-SM-51MRG 20-29 years, male 7.8
GTEX-1QEPI-2626-SM-DTXF4 60-69 years, female 7.8
GTEX-11DXW-0826-SM-5H118 40-49 years, male 7.4
GTEX-13NZ9-2626-SM-5L3FK 50-59 years, male 6.9
GTEX-ZUA1-2626-SM-5NQ92 40-49 years, male 6.9
GTEX-1J8JJ-0626-SM-ARZMQ 60-69 years, female 6.7
GTEX-1POEN-2326-SM-E9J2L 30-39 years, female 6.5
GTEX-145MG-1526-SM-5Q5EM 50-59 years, male 4.9
GTEX-16GPK-0626-SM-7KFSF 60-69 years, male 4.5
Show allShow less
Skin - Sun Exposed (Lower leg)
Average nTPM: 34.5
Samples: 701

Max nTPM: 110.7
Min nTPM: 4.4
Std nTPM: 23.1
Median nTPM: 28.1
GTEX-ZTX8-1426-SM-5DUVO 20-29 years, male 110.7
GTEX-1QP67-1626-SM-EAZ3X 40-49 years, female 104.6
GTEX-PLZ6-1426-SM-DKPOT 30-39 years, male 101.7
GTEX-1LGRB-2526-SM-CNPPQ 50-59 years, female 96.7
GTEX-1F75I-0326-SM-9YFLU 40-49 years, male 96.4
GTEX-1AMEY-1326-SM-73KYK 30-39 years, female 95.3
GTEX-1LVAN-0226-SM-COH3S 50-59 years, female 95.1
GTEX-13FTX-1826-SM-5J1NX 20-29 years, female 95.0
GTEX-13YAN-0326-SM-5O9DF 60-69 years, male 94.4
GTEX-1MA7W-2026-SM-E9TJ6 20-29 years, female 92.9
GTEX-XBEW-0626-SM-4QASP 40-49 years, male 89.5
GTEX-1MUQO-0126-SM-EAZ58 60-69 years, male 89.3
GTEX-1PDJ9-0326-SM-DTX95 20-29 years, male 88.4
GTEX-T6MO-1626-SM-32QOM 40-49 years, female 87.7
GTEX-ZVT2-2526-SM-51MT1 50-59 years, female 87.6
GTEX-1211K-2026-SM-5EQ4Z 60-69 years, female 85.1
GTEX-XQ8I-0426-SM-4BOPO 50-59 years, male 84.5
GTEX-T8EM-1026-SM-3DB7M 40-49 years, male 84.4
GTEX-16AAH-1726-SM-7939C 50-59 years, male 84.2
GTEX-1I4MK-2226-SM-ACKWD 50-59 years, female 84.1
GTEX-1N2DV-0226-SM-E6CJ6 40-49 years, male 84.0
GTEX-146FR-1326-SM-E9J48 60-69 years, female 83.9
GTEX-1J8QM-2126-SM-CYPSJ 60-69 years, female 82.1
GTEX-13D11-2426-SM-5KM1V 50-59 years, female 81.3
GTEX-1F6RS-0126-SM-9MQKZ 60-69 years, female 80.9
GTEX-PSDG-0226-SM-DKPOZ 50-59 years, male 80.8
GTEX-12WSK-2326-SM-5GCOH 40-49 years, female 80.5
GTEX-11EM3-2426-SM-59861 20-29 years, female 79.8
GTEX-1RAZQ-0726-SM-EAZ43 30-39 years, male 79.5
GTEX-13RTK-1426-SM-5QGQJ 20-29 years, male 78.9
GTEX-ZGAY-0526-SM-4WWBB 40-49 years, female 78.8
GTEX-OXRK-0226-SM-3NB2G 50-59 years, female 78.2
GTEX-1H1E6-1726-SM-ACKVK 30-39 years, male 77.7
GTEX-X261-0126-SM-3NMD6 50-59 years, male 77.6
GTEX-1I1GT-0626-SM-CGQER 60-69 years, female 77.5
GTEX-1F5PK-2426-SM-7RHHY 50-59 years, male 77.2
GTEX-1LSNM-1926-SM-E6CII 50-59 years, male 75.9
GTEX-1122O-2126-SM-5EGIR 60-69 years, female 75.4
GTEX-1B97I-1626-SM-73KYO 40-49 years, male 75.4
GTEX-1GZ4H-1726-SM-7PBZJ 50-59 years, female 75.1
GTEX-15EU6-0426-SM-6PAN5 50-59 years, male 75.0
GTEX-OIZH-0126-SM-2HMIS 50-59 years, male 75.0
GTEX-1MCYP-1926-SM-E9J2R 20-29 years, female 74.7
GTEX-WFG8-2226-SM-3GIL9 20-29 years, male 73.8
GTEX-117YX-2326-SM-5H12W 50-59 years, male 73.3
GTEX-1LGOU-2026-SM-DIPFF 20-29 years, female 73.3
GTEX-14ICK-0226-SM-6EU25 40-49 years, male 73.2
GTEX-16NGA-1726-SM-731B4 40-49 years, female 73.1
GTEX-17GQL-2026-SM-718BA 60-69 years, male 73.1
GTEX-1K2DA-1826-SM-CGQGT 50-59 years, male 72.3
GTEX-WRHK-1426-SM-3MJF9 20-29 years, female 72.2
GTEX-XUW1-0426-SM-4BOOT 50-59 years, female 72.0
GTEX-1A3MV-1926-SM-718BT 30-39 years, male 71.7
GTEX-OHPM-0126-SM-2YUN9 50-59 years, male 71.5
GTEX-1J8Q3-1626-SM-CMKGC 60-69 years, male 71.4
GTEX-U4B1-1826-SM-4DXSU 40-49 years, male 71.2
GTEX-WXYG-2326-SM-4E3I6 50-59 years, female 71.1
GTEX-1NV5F-0226-SM-E8VNY 60-69 years, female 70.9
GTEX-18D9A-1926-SM-7LG6P 30-39 years, female 70.7
GTEX-14DAR-2026-SM-5S2O3 50-59 years, male 70.6
GTEX-1L5NE-2526-SM-E6CIE 50-59 years, male 70.6
GTEX-1GN1W-0526-SM-9MQJQ 50-59 years, female 70.4
GTEX-14BMU-2226-SM-5TDE9 20-29 years, female 69.7
GTEX-13NZ8-0826-SM-5MR3I 60-69 years, female 69.6
GTEX-1JK1U-2026-SM-CM2RZ 60-69 years, male 69.6
GTEX-16XZZ-0126-SM-793DV 60-69 years, male 69.5
GTEX-1S3DN-2226-SM-EVYCD 50-59 years, male 69.2
GTEX-17F96-1626-SM-7DUFL 70-79 years, male 68.8
GTEX-1KANC-1526-SM-D3LAB 50-59 years, female 68.8
GTEX-1JKYN-1326-SM-CGQG9 30-39 years, male 68.6
GTEX-ZWKS-0126-SM-5SIAA 30-39 years, male 68.4
GTEX-14PN3-2426-SM-6LLHS 60-69 years, female 68.2
GTEX-Y5LM-1926-SM-5RQJH 40-49 years, female 68.2
GTEX-1HSMQ-1226-SM-CGQFX 50-59 years, male 68.1
GTEX-1PPH8-0226-SM-E8VND 20-29 years, male 67.5
GTEX-1GL5R-1826-SM-9KNUY 50-59 years, male 66.9
GTEX-17EUY-0426-SM-793BD 20-29 years, male 66.8
GTEX-1IDJU-2626-SM-CM2RT 60-69 years, female 66.8
GTEX-18D9U-0226-SM-718BP 40-49 years, male 66.6
GTEX-1R7EU-0226-SM-EVR4G 60-69 years, male 66.6
GTEX-1MGNQ-0126-SM-EVYCJ 40-49 years, male 66.1
GTEX-1QP2A-0126-SM-E9J43 50-59 years, male 66.1
GTEX-1AMFI-2026-SM-731BH 50-59 years, female 65.9
GTEX-ZF29-2326-SM-DO92K 60-69 years, female 65.9
GTEX-1HSGN-0226-SM-CGQFV 40-49 years, female 65.8
GTEX-O5YT-0126-SM-48TBW 20-29 years, male 65.7
GTEX-13VXT-0126-SM-5LU4I 20-29 years, female 65.4
GTEX-14PHX-2326-SM-62LEM 50-59 years, male 65.3
GTEX-17F98-0626-SM-79OMX 40-49 years, female 65.3
GTEX-P4QT-0126-SM-2I3FL 50-59 years, female 65.2
GTEX-145LV-2126-SM-5LU8N 50-59 years, male 65.1
GTEX-1PFEY-1526-SM-E76PP 30-39 years, male 65.0
GTEX-ZVZP-2426-SM-59HKJ 50-59 years, male 64.9
GTEX-ZV6S-2326-SM-4YCEY 40-49 years, female 64.6
GTEX-1C475-1826-SM-73KWA 40-49 years, female 64.2
GTEX-1KANA-0726-SM-D3L9I 20-29 years, male 64.2
GTEX-1NHNU-1026-SM-E9J2A 50-59 years, male 63.8
GTEX-WYJK-0126-SM-3NMAB 50-59 years, male 63.7
GTEX-RM2N-1426-SM-2TF4H 50-59 years, male 63.6
GTEX-1JJ6O-0126-SM-E6CI8 60-69 years, male 63.5
GTEX-1AX9K-2326-SM-73KWU 50-59 years, male 63.4
GTEX-13PVR-2326-SM-5QGR1 60-69 years, female 63.3
GTEX-1399U-2326-SM-5K7WY 50-59 years, female 63.0
GTEX-145LT-1726-SM-5QGP3 40-49 years, male 63.0
GTEX-1H2FU-0126-SM-9WYSI 60-69 years, female 63.0
GTEX-O5YW-0126-SM-3LK6D 50-59 years, male 62.9
GTEX-ZZ64-1726-SM-5GZYB 20-29 years, male 62.7
GTEX-13OVI-1426-SM-5L3EY 60-69 years, female 62.6
GTEX-TMMY-0226-SM-33HBA 40-49 years, female 62.5
GTEX-YB5K-2126-SM-4WWDJ 40-49 years, female 62.5
GTEX-14PHW-0126-SM-6LLJI 60-69 years, female 62.1
GTEX-ZDTT-2726-SM-4WKF8 60-69 years, male 62.1
GTEX-1CAMS-0426-SM-7P8T2 40-49 years, female 61.8
GTEX-YB5E-2026-SM-5IFIS 40-49 years, male 61.7
GTEX-1QCLY-0326-SM-E8VOG 30-39 years, male 61.4
GTEX-14E6E-1826-SM-5S2R7 30-39 years, male 61.3
GTEX-13FTW-2626-SM-5K7WL 40-49 years, male 61.2
GTEX-1QP9N-1426-SM-DTXFL 30-39 years, male 61.1
GTEX-11EQ9-2426-SM-5HL5T 30-39 years, male 60.9
GTEX-11P82-1626-SM-59879 20-29 years, male 60.5
GTEX-P4PP-0126-SM-3LK69 30-39 years, female 60.4
GTEX-1HCUA-2426-SM-ADEIS 50-59 years, female 60.4
GTEX-1F75B-0126-SM-9KNVL 50-59 years, male 59.8
GTEX-1497J-2426-SM-7IGNX 60-69 years, male 59.6
GTEX-1J1R8-1726-SM-ARL8M 40-49 years, male 59.5
GTEX-1C2JI-1826-SM-73KXC 50-59 years, male 59.4
GTEX-Y3I4-2126-SM-4TT7C 50-59 years, male 59.4
GTEX-Y5V6-2426-SM-4VDSB 60-69 years, male 59.4
GTEX-131XF-5016-SM-7MGWE 60-69 years, male 59.4
GTEX-15RIG-0226-SM-7KFTL 40-49 years, male 59.2
GTEX-U3ZM-1526-SM-3DB9D 40-49 years, male 59.2
GTEX-1GPI7-0126-SM-9MQL8 20-29 years, male 59.2
GTEX-SUCS-1926-SM-32PM3 70-79 years, male 58.8
GTEX-11P7K-2126-SM-5GU7G 30-39 years, male 58.7
GTEX-ZTSS-1926-SM-57WEW 40-49 years, male 58.7
GTEX-PWCY-1826-SM-DHXIZ 20-29 years, female 58.6
GTEX-1F52S-0126-SM-9MQJU 60-69 years, female 58.5
GTEX-XAJ8-0826-SM-47JY6 40-49 years, male 58.4
GTEX-1HCU7-0226-SM-CL545 50-59 years, male 58.3
GTEX-14A5I-0126-SM-5TDEA 50-59 years, female 58.1
GTEX-1PPH7-2326-SM-EVYB8 40-49 years, male 58.1
GTEX-14PJ3-1826-SM-62LEX 50-59 years, male 58.0
GTEX-1S82Z-0826-SM-E6CHY 30-39 years, female 57.9
GTEX-13X6H-2126-SM-7EWD5 50-59 years, female 57.7
GTEX-14C5O-0126-SM-5SI6N 60-69 years, male 57.6
GTEX-Y114-2426-SM-4TT8A 50-59 years, female 57.6
GTEX-1HSEH-0126-SM-ACKXN 60-69 years, male 57.6
GTEX-15F5U-1526-SM-6PANO 40-49 years, male 57.5
GTEX-YEC4-2126-SM-5IFJH 40-49 years, male 57.5
GTEX-RWS6-2026-SM-2XCB5 60-69 years, female 57.4
GTEX-P4PQ-0126-SM-2S1NM 60-69 years, male 57.3
GTEX-1IDJF-0126-SM-CM2RS 20-29 years, male 57.1
GTEX-1HFI7-1826-SM-ACKXH 50-59 years, female 56.8
GTEX-14JG6-2226-SM-6EU2G 30-39 years, female 56.7
GTEX-1C64O-0126-SM-7SB8P 60-69 years, male 55.9
GTEX-15SHU-0126-SM-7KUEH 40-49 years, female 55.8
GTEX-1GMR8-0126-SM-9WYTM 50-59 years, female 55.8
GTEX-1S5ZA-0126-SM-EVYCV 20-29 years, male 55.8
GTEX-WFON-2126-SM-3LK7O 40-49 years, male 55.6
GTEX-1R46S-0626-SM-E9J41 60-69 years, female 55.6
GTEX-Q2AI-1326-SM-2S1PL 40-49 years, male 55.4
GTEX-13O21-1426-SM-5K7XI 50-59 years, male 55.3
GTEX-14753-0426-SM-5NQAM 60-69 years, male 55.2
GTEX-1AX9J-0226-SM-73KXM 60-69 years, male 55.1
GTEX-TKQ1-1026-SM-4GICL 30-39 years, male 54.9
GTEX-13NYS-0126-SM-5MR3W 60-69 years, male 54.8
GTEX-1QP29-0626-SM-EWRMX 50-59 years, male 54.4
GTEX-SNMC-1226-SM-2XCFP 20-29 years, male 54.2
GTEX-T5JW-1626-SM-3GADZ 20-29 years, female 54.1
GTEX-OXRL-0126-SM-2YUMP 50-59 years, male 53.9
GTEX-1OFPY-2426-SM-DTXEJ 60-69 years, male 53.5
GTEX-13113-5016-SM-7EPIP 60-69 years, female 53.4
GTEX-UJHI-1526-SM-3DB99 50-59 years, female 53.3
GTEX-NFK9-0226-SM-2HMKQ 40-49 years, male 53.1
GTEX-W5WG-1826-SM-4KL2Y 50-59 years, female 53.1
GTEX-1HKZK-0326-SM-9WYUH 40-49 years, male 52.8
GTEX-S95S-1226-SM-4GICG 60-69 years, male 52.5
GTEX-1QPFJ-0226-SM-E76PB 30-39 years, female 52.4
GTEX-1B8KE-2126-SM-73KYX 50-59 years, male 52.0
GTEX-13FH7-2026-SM-E9J4I 50-59 years, female 51.7
GTEX-XPVG-2626-SM-4B669 50-59 years, male 51.4
GTEX-15UF6-0826-SM-6PALJ 70-79 years, female 51.1
GTEX-1HBPM-0226-SM-ARL9F 60-69 years, female 50.8
GTEX-11DXX-2426-SM-5GZZW 60-69 years, female 50.7
GTEX-11XUK-2026-SM-5EQLF 40-49 years, female 50.6
GTEX-11VI4-1726-SM-5CVLH 40-49 years, female 50.5
GTEX-WY7C-2326-SM-3NB2U 50-59 years, male 50.5
GTEX-ZZPT-0226-SM-5E43X 50-59 years, male 50.2
GTEX-12WSJ-1826-SM-5GCNY 40-49 years, female 50.1
GTEX-1F5PL-0326-SM-7P8PQ 40-49 years, female 50.1
GTEX-1H3VE-0326-SM-9YFLH 40-49 years, male 50.0
GTEX-1JKYR-0126-SM-CNPOJ 20-29 years, male 50.0
GTEX-1HGF4-2426-SM-ACKXM 60-69 years, male 49.5
GTEX-14PJ6-2126-SM-6EU1V 60-69 years, female 49.2
GTEX-ZQUD-1426-SM-57WER 30-39 years, male 49.1
GTEX-12WSN-5019-SM-79OM6 40-49 years, male 48.9
GTEX-1R7EV-2426-SM-EVYBG 40-49 years, male 48.2
GTEX-11LCK-1026-SM-5A5KB 30-39 years, male 47.8
GTEX-15ETS-0126-SM-7KUMW 40-49 years, female 47.8
GTEX-1CB4I-0226-SM-79OLH 50-59 years, male 47.8
GTEX-13W3W-2426-SM-5LU5B 60-69 years, female 47.6
GTEX-OXRN-0126-SM-48TDM 50-59 years, male 47.4
GTEX-SE5C-1626-SM-2XCE3 40-49 years, female 47.4
GTEX-1CAMR-1926-SM-7EPI2 20-29 years, male 47.1
GTEX-ZYFG-2326-SM-5E44B 60-69 years, female 47.1
GTEX-1KXAM-2226-SM-CYPTC 60-69 years, male 46.8
GTEX-13IVO-0126-SM-5J1NG 70-79 years, male 46.7
GTEX-18QFQ-0126-SM-731BE 30-39 years, male 46.7
GTEX-145MN-2226-SM-5SIAU 30-39 years, male 46.6
GTEX-1I1GU-2226-SM-CGQFA 40-49 years, male 46.5
GTEX-ZXES-1826-SM-5E43S 30-39 years, female 46.4
GTEX-1LG7Z-1726-SM-D3LA4 30-39 years, male 46.4
GTEX-TML8-1926-SM-32QOS 40-49 years, female 46.1
GTEX-1OJC3-0126-SM-E76QX 20-29 years, male 45.9
GTEX-XBED-2226-SM-47JYQ 60-69 years, male 45.8
GTEX-Z9EW-1626-SM-5CVMN 40-49 years, male 45.8
GTEX-18A66-0226-SM-718BD 60-69 years, male 45.3
GTEX-WH7G-2326-SM-3NMBC 40-49 years, male 45.3
GTEX-13O3P-0126-SM-5KM4S 50-59 years, male 44.7
GTEX-1GN1U-0126-SM-7PBZK 50-59 years, female 44.7
GTEX-R55G-2526-SM-2TC6D 40-49 years, female 44.6
GTEX-139D8-0226-SM-5KLZO 30-39 years, female 44.2
GTEX-RTLS-0126-SM-447CA 60-69 years, female 44.0
GTEX-TSE9-0126-SM-3DB83 60-69 years, female 44.0
GTEX-145MO-0326-SM-5Q5B3 60-69 years, male 43.9
GTEX-T2YK-0526-SM-32QPJ 50-59 years, male 43.8
GTEX-1M5QR-1226-SM-EWROB 40-49 years, male 43.7
GTEX-P44H-0226-SM-2XCEU 40-49 years, male 43.6
GTEX-13X6I-0626-SM-5QGP9 60-69 years, male 43.5
GTEX-ZQG8-1626-SM-DHXIT 60-69 years, female 43.5
GTEX-12WSA-0226-SM-5BC5V 60-69 years, male 43.4
GTEX-XYKS-2126-SM-4E3IB 60-69 years, female 43.3
GTEX-13N11-2526-SM-5K7UE 50-59 years, female 42.7
GTEX-WQUQ-0426-SM-3MJFU 60-69 years, male 42.7
GTEX-QCQG-1726-SM-3GIJ9 50-59 years, female 42.6
GTEX-PLZ4-0126-SM-5SI8O 50-59 years, female 42.0
GTEX-1I6K6-0126-SM-A9SLE 30-39 years, male 42.0
GTEX-OOBJ-0126-SM-E6CJW 60-69 years, male 41.9
GTEX-12C56-1726-SM-5EQ61 20-29 years, male 41.8
GTEX-PLZ5-2026-SM-2S1O4 50-59 years, male 41.8
GTEX-1K2DU-2326-SM-E9TIV 20-29 years, male 41.8
GTEX-S32W-2126-SM-2XCB1 50-59 years, female 41.7
GTEX-1192X-0226-SM-5H12D 50-59 years, male 41.6
GTEX-ZDYS-2026-SM-5HL5L 50-59 years, male 41.3
GTEX-ZXG5-0126-SM-5GIEU 60-69 years, male 41.1
GTEX-1HCU9-1526-SM-A9SL7 20-29 years, male 41.0
GTEX-18D9B-0526-SM-7LTAS 60-69 years, male 40.9
GTEX-12696-2426-SM-5EQ6H 60-69 years, male 40.8
GTEX-1H23P-0126-SM-ADEJ3 60-69 years, male 40.8
GTEX-13PDP-0126-SM-5L3HD 60-69 years, male 40.7
GTEX-1CB4H-0226-SM-7PBXM 60-69 years, female 40.7
GTEX-11ZTT-2426-SM-5EQLS 60-69 years, female 40.6
GTEX-QDVN-2026-SM-3GAEP 50-59 years, male 40.5
GTEX-1S83E-0126-SM-EWRO4 40-49 years, male 40.5
GTEX-VJWN-0126-SM-3GIK7 50-59 years, female 40.4
GTEX-133LE-1826-SM-5J1MV 20-29 years, female 39.9
GTEX-1JMQI-2226-SM-CM2SD 50-59 years, male 39.9
GTEX-15EOM-0126-SM-7KUGG 20-29 years, female 39.6
GTEX-13NYC-0326-SM-E9J4S 60-69 years, male 39.6
GTEX-1LC47-0326-SM-E9TJP 60-69 years, male 39.6
GTEX-1JN1M-0326-SM-CYPT3 60-69 years, female 39.3
GTEX-11TT1-2526-SM-5EGIB 20-29 years, male 39.1
GTEX-QLQ7-1626-SM-2S1R8 60-69 years, male 39.1
GTEX-1B996-0226-SM-7RHGO 60-69 years, male 39.1
GTEX-1JMPY-1326-SM-ARL8Y 30-39 years, male 38.7
GTEX-QV44-1926-SM-2S1RF 50-59 years, male 38.6
GTEX-QDVJ-1726-SM-2I5FX 50-59 years, male 38.5
GTEX-144GN-2326-SM-5LU4F 50-59 years, male 38.2
GTEX-Y8LW-1826-SM-5S2MV 50-59 years, female 38.2
GTEX-13OW5-0126-SM-DTXFS 60-69 years, male 38.1
GTEX-1RAZA-0126-SM-E6CI3 20-29 years, male 38.1
GTEX-1128S-2326-SM-5GZZY 60-69 years, female 38.0
GTEX-1QP66-1726-SM-E8VO1 50-59 years, male 38.0
GTEX-13CF3-2426-SM-5IFGX 60-69 years, female 37.9
GTEX-147F3-0526-SM-5SI98 50-59 years, female 37.8
GTEX-1JMQL-0226-SM-CNPP5 50-59 years, female 37.6
GTEX-1JMQK-0226-SM-CL543 60-69 years, male 37.5
GTEX-ZF3C-0126-SM-DO92D 50-59 years, female 37.5
GTEX-13111-1626-SM-5EGJY 50-59 years, male 37.4
GTEX-14BIM-0226-SM-7IGLD 60-69 years, female 37.3
GTEX-131XG-2626-SM-5KM17 50-59 years, female 37.2
GTEX-1ICG6-2526-SM-CGQFZ 70-79 years, female 37.2
GTEX-18A7B-0126-SM-7LG64 70-79 years, male 37.0
GTEX-14LLW-0126-SM-6LLIO 70-79 years, female 36.7
GTEX-R45C-0126-SM-EAZ2R 60-69 years, female 36.7
GTEX-17HHE-2026-SM-79OKF 50-59 years, male 36.6
GTEX-13W46-0226-SM-5SIAG 50-59 years, male 36.4
GTEX-145ME-1826-SM-5SI9G 40-49 years, female 36.4
GTEX-1HSMP-0126-SM-E6CJS 70-79 years, male 36.1
GTEX-1KAFJ-2026-SM-CY8ID 50-59 years, male 36.1
GTEX-1ICLY-0126-SM-D4P36 50-59 years, male 36.0
GTEX-1I19N-0326-SM-ACKVX 70-79 years, male 35.9
GTEX-ZY6K-1826-SM-5GZXK 50-59 years, male 35.7
GTEX-1IDFM-0126-SM-COH2V 60-69 years, male 35.3
GTEX-16BQI-0226-SM-7KUEX 30-39 years, female 35.2
GTEX-ZVE2-0226-SM-59HJB 50-59 years, male 35.0
GTEX-1GF9X-2026-SM-7PC3A 40-49 years, female 35.0
GTEX-1PIGE-0126-SM-EVYBJ 20-29 years, male 34.9
GTEX-14PII-0226-SM-6EU1T 60-69 years, male 34.7
GTEX-1C6VQ-0126-SM-7P8RI 50-59 years, male 34.6
GTEX-1PWST-0226-SM-E76QJ 70-79 years, male 34.3
GTEX-13RTJ-2426-SM-5S2Q2 60-69 years, male 34.1
GTEX-ZPIC-1726-SM-DHXIU 40-49 years, female 33.8
GTEX-X585-0226-SM-4QAS2 50-59 years, male 33.7
GTEX-NPJ8-0126-SM-2YUNR 40-49 years, male 33.6
GTEX-1LH75-2426-SM-E9TJE 50-59 years, female 33.6
GTEX-15G19-0126-SM-6PANQ 60-69 years, male 33.5
GTEX-11NSD-2226-SM-5986V 20-29 years, male 33.2
GTEX-139T8-0126-SM-5K7XZ 60-69 years, male 33.2
GTEX-XUZC-1726-SM-4BRWS 30-39 years, female 32.9
GTEX-PWO3-1526-SM-48TCM 60-69 years, female 32.8
GTEX-11P81-2326-SM-59875 30-39 years, female 32.6
GTEX-144FL-0126-SM-5TDC8 50-59 years, male 32.6
GTEX-1J8Q2-0526-SM-CM2RW 60-69 years, male 32.6
GTEX-18A67-0126-SM-7LG5P 50-59 years, male 32.5
GTEX-1HBPN-0226-SM-9YFM1 50-59 years, male 32.4
GTEX-1CAMQ-0226-SM-7IGPK 40-49 years, male 31.9
GTEX-1JN76-0126-SM-CNPPE 20-29 years, female 31.6
GTEX-1HCVE-0126-SM-CGQEU 50-59 years, male 31.4
GTEX-15CHC-2126-SM-6EU21 60-69 years, female 31.3
GTEX-1N2EF-0226-SM-EYYXB 60-69 years, male 31.3
GTEX-X5EB-2226-SM-46MW4 40-49 years, male 31.2
GTEX-1R9PO-2126-SM-E9J4O 60-69 years, female 31.0
GTEX-1A3MX-0126-SM-731BR 60-69 years, male 30.9
GTEX-1RLM8-2326-SM-EWRN4 50-59 years, male 30.9
GTEX-Q2AH-1626-SM-3GAF8 40-49 years, male 30.8
GTEX-1F48J-0126-SM-7P8TT 50-59 years, female 30.8
GTEX-15UKP-0426-SM-7KUFQ 20-29 years, male 30.6
GTEX-183FY-0126-SM-7LT9P 20-29 years, male 30.6
GTEX-1H1ZS-0426-SM-9WG6G 70-79 years, male 30.6
GTEX-X62O-0126-SM-4E3JN 50-59 years, male 30.3
GTEX-1A3MW-0126-SM-73KXX 60-69 years, female 30.1
GTEX-XMD2-0126-SM-4YCDU 60-69 years, female 30.0
GTEX-13S7M-0126-SM-5SI6A 60-69 years, female 29.9
GTEX-13OVH-0126-SM-5MR4B 70-79 years, male 29.8
GTEX-17EVQ-0226-SM-7LG4P 70-79 years, male 29.7
GTEX-1I1GS-0126-SM-B2LVW 60-69 years, male 29.7
GTEX-U8T8-0126-SM-3DB94 60-69 years, male 29.4
GTEX-WI4N-1026-SM-3LK7N 40-49 years, female 29.4
GTEX-12KS4-0326-SM-5EQ41 30-39 years, male 29.2
GTEX-ZYFD-0126-SM-5GIDL 50-59 years, male 29.2
GTEX-1H1DG-0126-SM-9WYU2 70-79 years, male 29.2
GTEX-OIZF-0126-SM-7SB8I 60-69 years, male 29.2
GTEX-1CB4J-0626-SM-7DHMP 60-69 years, male 29.1
GTEX-13NZB-2526-SM-5J1OM 30-39 years, male 28.9
GTEX-11DZ1-0126-SM-5985Q 50-59 years, male 28.4
GTEX-148VJ-0126-SM-5TDDN 70-79 years, male 28.3
GTEX-16MT8-0426-SM-7KUEY 60-69 years, female 28.2
GTEX-13FHO-0226-SM-5IFGY 60-69 years, male 28.1
GTEX-13JUV-2726-SM-5LZZ8 40-49 years, female 28.1
GTEX-15D1Q-0126-SM-7KUG6 40-49 years, male 28.1
GTEX-1GF9U-2126-SM-7SB7L 40-49 years, female 28.1
GTEX-11H98-0126-SM-5EGHG 50-59 years, male 27.8
GTEX-13N2G-2626-SM-5J1OT 60-69 years, male 27.4
GTEX-1H3NZ-0126-SM-ACKX7 60-69 years, male 27.4
GTEX-OHPL-0126-SM-2HMJ7 60-69 years, female 27.2
GTEX-T5JC-0426-SM-32PLO 20-29 years, male 27.2
GTEX-QLQW-1126-SM-2S1Q8 30-39 years, male 27.1
GTEX-1GMR3-1926-SM-9KNUZ 40-49 years, male 27.0
GTEX-13SLW-0126-SM-5SI6C 70-79 years, male 26.9
GTEX-169BO-1326-SM-9MQK2 50-59 years, male 26.7
GTEX-1AX8Z-0126-SM-7DHM6 60-69 years, male 26.5
GTEX-1269C-2526-SM-5EGJ3 60-69 years, female 26.3
GTEX-13OVK-2026-SM-7KUEO 40-49 years, male 26.2
GTEX-1B8KZ-2026-SM-7DHMB 50-59 years, male 26.1
GTEX-ZYY3-0126-SM-5GZY5 60-69 years, female 26.1
GTEX-1E2YA-0126-SM-9KNUC 50-59 years, male 26.1
GTEX-RUSQ-1526-SM-2TF62 50-59 years, male 26.0
GTEX-1J1OQ-0226-SM-CYPSH 40-49 years, female 26.0
GTEX-14BIL-0126-SM-5SI92 50-59 years, male 25.9
GTEX-17MFQ-1726-SM-793C7 20-29 years, male 25.6
GTEX-1CB4E-2226-SM-793DC 60-69 years, male 25.5
GTEX-1IE54-0126-SM-CMKHW 40-49 years, female 25.4
GTEX-11EMC-2926-SM-5EQ4F 60-69 years, female 25.2
GTEX-11WQK-0526-SM-5EQLD 50-59 years, male 25.1
GTEX-SN8G-0126-SM-32PLI 50-59 years, female 25.0
GTEX-WOFL-0126-SM-3MJG2 60-69 years, male 25.0
GTEX-1HCU8-0626-SM-A9SM9 60-69 years, female 25.0
GTEX-17KNJ-2326-SM-7DHLQ 50-59 years, male 24.7
GTEX-1S82Y-2026-SM-EVYCM 40-49 years, male 24.4
GTEX-11ZU8-2526-SM-5EQKI 60-69 years, male 24.3
GTEX-14PN4-0126-SM-6EU2V 50-59 years, male 24.3
GTEX-OIZG-0726-SM-33HBL 50-59 years, male 24.0
GTEX-11TUW-2726-SM-E9J4M 60-69 years, male 24.0
GTEX-U3ZH-2026-SM-3DB78 30-39 years, male 23.7
GTEX-13QJ3-0326-SM-5S2RA 50-59 years, male 23.6
GTEX-UPJH-0326-SM-3GADU 50-59 years, male 23.6
GTEX-145MI-0526-SM-5O9A8 60-69 years, female 23.5
GTEX-17F97-0326-SM-7LG5B 50-59 years, male 23.4
GTEX-QDT8-0126-SM-48TZ1 30-39 years, female 23.4
GTEX-ZAB5-1826-SM-5HL7C 50-59 years, male 23.3
GTEX-1HB9E-0226-SM-E9U4R 50-59 years, male 23.3
GTEX-1R9PM-2026-SM-E76OY 20-29 years, male 23.3
GTEX-1AX9I-0126-SM-7SB74 60-69 years, male 23.2
GTEX-1JJE9-0326-SM-CL53Z 70-79 years, male 23.2
GTEX-1RB15-2126-SM-E9TIM 60-69 years, male 23.2
GTEX-14E6C-0126-SM-5RQIP 40-49 years, male 23.0
GTEX-1IKK5-0626-SM-ARL8A 60-69 years, male 23.0
GTEX-1JMOU-1526-SM-CL54I 60-69 years, female 23.0
GTEX-1CAV2-2226-SM-7P8P2 40-49 years, female 22.9
GTEX-1QW4Y-1526-SM-EAZ3Z 30-39 years, male 22.7
GTEX-U3ZN-2326-SM-3DB7W 30-39 years, female 22.6
GTEX-145LS-0126-SM-5QGP1 60-69 years, female 22.5
GTEX-ZF28-0126-SM-4WKGK 60-69 years, male 22.5
GTEX-1GF9W-0326-SM-9KNUN 60-69 years, male 22.5
GTEX-1H11D-0226-SM-9WG6Z 40-49 years, male 22.4
GTEX-X4XX-0126-SM-3NMC2 60-69 years, male 22.3
GTEX-11UD1-0126-SM-5PNYG 40-49 years, female 22.2
GTEX-15SB6-1726-SM-6PAME 50-59 years, female 22.2
GTEX-1C4CL-0526-SM-73KVK 30-39 years, male 22.1
GTEX-ZTPG-0326-SM-5O9AX 20-29 years, female 22.1
GTEX-1GTWX-0126-SM-9YFLK 60-69 years, male 22.1
GTEX-1MCQQ-0826-SM-DLHC2 60-69 years, male 22.0
GTEX-X88G-0126-SM-47JZ3 30-39 years, male 21.9
GTEX-U412-0426-SM-3DB9O 60-69 years, male 21.8
GTEX-V1D1-2226-SM-3NMAX 50-59 years, male 21.8
GTEX-Y5V5-2326-SM-4V6GA 60-69 years, female 21.8
GTEX-X4EP-0126-SM-3P5YV 60-69 years, female 21.7
GTEX-1IDJH-0326-SM-A9SLQ 70-79 years, male 21.7
GTEX-14XAO-2326-SM-6EU1B 60-69 years, female 21.6
GTEX-QVJO-1626-SM-2S1QW 60-69 years, female 21.6
GTEX-1ICLZ-0126-SM-CKZPO 60-69 years, male 21.6
GTEX-12ZZZ-0626-SM-5DUXI 60-69 years, male 21.5
GTEX-SJXC-0126-SM-2XCFF 60-69 years, male 21.5
GTEX-1399R-2726-SM-5IJBA 30-39 years, male 21.4
GTEX-14LZ3-0226-SM-62LET 60-69 years, female 21.4
GTEX-139TU-0126-SM-5K7WH 60-69 years, male 21.1
GTEX-OXRO-0126-SM-2YUN4 60-69 years, female 21.0
GTEX-X8HC-0126-SM-4E3JW 50-59 years, female 21.0
GTEX-11TTK-0126-SM-5987B 60-69 years, female 20.9
GTEX-S7PM-0126-SM-4AD6S 60-69 years, male 20.9
GTEX-Y8E4-0626-SM-4WWDL 40-49 years, male 20.9
GTEX-113JC-2326-SM-5EQ4E 50-59 years, female 20.5
GTEX-11ZUS-0626-SM-59885 30-39 years, male 20.5
GTEX-13OVG-1926-SM-5L3DK 60-69 years, male 20.4
GTEX-OOBK-0126-SM-2YUND 40-49 years, male 20.4
GTEX-XV7Q-2526-SM-4BRV9 40-49 years, female 20.4
GTEX-11UD2-0226-SM-5EQKY 50-59 years, male 20.1
GTEX-17HGU-0226-SM-7DHKV 50-59 years, male 20.1
GTEX-Z93T-0126-SM-5HL5N 50-59 years, male 20.0
GTEX-1H3VY-0126-SM-ACKXD 50-59 years, male 20.0
GTEX-15DDE-0126-SM-6LPKH 50-59 years, female 19.8
GTEX-146FQ-0126-SM-5NQA9 30-39 years, male 19.6
GTEX-13O3O-0126-SM-E9J49 60-69 years, female 19.5
GTEX-12WSL-2526-SM-5GCNJ 50-59 years, male 19.4
GTEX-ZAB4-0226-SM-5N9F5 40-49 years, male 19.3
GTEX-1H1DE-2126-SM-9WG6R 20-29 years, male 19.3
GTEX-1HUB1-0426-SM-E9U4U 60-69 years, male 19.3
GTEX-1OJC4-0126-SM-E9J2E 50-59 years, female 19.3
GTEX-Q2AG-0126-SM-33HBV 40-49 years, female 19.2
GTEX-17MF6-0126-SM-7LG4F 40-49 years, male 19.1
GTEX-13OVJ-0126-SM-5KM36 50-59 years, female 18.9
GTEX-RNOR-0126-SM-E9J4R 50-59 years, female 18.7
GTEX-1LBAC-0126-SM-DIPEZ 20-29 years, male 18.6
GTEX-139UW-2826-SM-5L3E7 60-69 years, male 18.5
GTEX-1IGQW-0126-SM-COH42 60-69 years, male 18.5
GTEX-PW2O-1526-SM-7RHHB 20-29 years, male 18.5
GTEX-X638-0126-SM-47JZ8 70-79 years, female 18.4
GTEX-17EVP-0326-SM-7DHLG 40-49 years, male 18.3
GTEX-1HBPH-0426-SM-B2LW5 40-49 years, female 18.2
GTEX-ZF2S-2326-SM-4WWCE 50-59 years, female 18.0
GTEX-12WSG-2826-SM-E9J4H 50-59 years, female 17.9
GTEX-RU72-0926-SM-2TF6B 50-59 years, female 17.8
GTEX-1AYD5-2426-SM-73KXR 50-59 years, male 17.6
GTEX-14A6H-0126-SM-5QGPK 30-39 years, male 17.4
GTEX-145MF-0626-SM-5LUAI 50-59 years, male 17.2
GTEX-1LG7Y-0526-SM-DKPQC 50-59 years, male 17.2
GTEX-13O1R-0126-SM-5L3EH 60-69 years, male 17.1
GTEX-QEG4-0226-SM-2S1PY 30-39 years, male 17.1
GTEX-ZEX8-2426-SM-4WKG4 50-59 years, male 17.1
GTEX-ZV68-0126-SM-59HKS 50-59 years, female 17.1
GTEX-XXEK-2226-SM-4BRUM 50-59 years, male 17.0
GTEX-ZE7O-0126-SM-57WC1 50-59 years, female 17.0
GTEX-1IKJJ-0126-SM-CNPQB 60-69 years, male 17.0
GTEX-1314G-1526-SM-5EGK2 30-39 years, male 16.9
GTEX-14BMV-0126-SM-5S2PO 50-59 years, male 16.9
GTEX-147GR-0526-SM-5S2MY 60-69 years, male 16.8
GTEX-11GSO-2426-SM-5A5LY 60-69 years, male 16.7
GTEX-13N1W-0126-SM-5K7VT 70-79 years, male 16.6
GTEX-ZVZO-0126-SM-5A5L9 40-49 years, male 16.5
GTEX-16XZY-2126-SM-79OK1 70-79 years, male 16.4
GTEX-ZVTK-0426-SM-51MRS 20-29 years, male 16.4
GTEX-1GPI6-0126-SM-9WG69 60-69 years, male 16.4
GTEX-1C6VS-0526-SM-7DUEN 60-69 years, male 16.3
GTEX-117XS-2726-SM-5N9BL 60-69 years, male 16.2
GTEX-XUYS-0126-SM-47JWZ 50-59 years, male 16.2
GTEX-1HFI6-0226-SM-ADEHZ 40-49 years, male 16.2
GTEX-OXRP-0126-SM-3NB32 60-69 years, female 16.1
GTEX-11DXZ-2326-SM-5EGGV 50-59 years, male 15.9
GTEX-16NPX-0226-SM-79OMT 50-59 years, male 15.9
GTEX-ZC5H-0226-SM-4WAY9 40-49 years, female 15.9
GTEX-RVPV-0126-SM-EAZAW 60-69 years, male 15.9
GTEX-YJ8A-0426-SM-5IFID 20-29 years, male 15.8
GTEX-1JMLX-0226-SM-CM2RO 50-59 years, male 15.8
GTEX-13FHP-0126-SM-5IJBG 50-59 years, male 15.7
GTEX-15SDE-2226-SM-7IGLO 50-59 years, female 15.7
GTEX-PVOW-0126-SM-2XCFA 40-49 years, male 15.7
GTEX-X4EO-0326-SM-3P5YO 60-69 years, female 15.7
GTEX-15ER7-0326-SM-7KUEV 20-29 years, female 15.6
GTEX-1QMI2-0226-SM-EVYBX 60-69 years, male 15.6
GTEX-PX3G-0126-SM-2I3EN 20-29 years, female 15.5
GTEX-1GZ2Q-0226-SM-7P8TL 40-49 years, male 15.5
GTEX-131XH-2226-SM-5DUXJ 50-59 years, male 15.4
GTEX-13OW6-0426-SM-5L3HM 50-59 years, male 15.4
GTEX-17HII-0226-SM-7LG4E 50-59 years, male 15.4
GTEX-139TS-2826-SM-5J1OO 60-69 years, male 15.3
GTEX-1JJEA-0326-SM-CNPOT 60-69 years, male 15.3
GTEX-146FH-0126-SM-5QGPP 50-59 years, female 15.2
GTEX-183WM-0126-SM-7LTAB 70-79 years, female 15.2
GTEX-1HSMO-0126-SM-CL547 60-69 years, male 15.2
GTEX-1JN6P-0126-SM-D3L98 60-69 years, male 15.2
GTEX-11DYG-0126-SM-59883 60-69 years, male 15.1
GTEX-WVJS-0126-SM-4MVOT 50-59 years, male 14.9
GTEX-1EWIQ-0126-SM-7RHH2 70-79 years, female 14.9
GTEX-1I1GP-2226-SM-CGQFK 50-59 years, male 14.9
GTEX-ZVT4-0126-SM-DTXFN 50-59 years, female 14.9
GTEX-1EMGI-0126-SM-9KNUE 60-69 years, male 14.8
GTEX-1H3O1-0426-SM-9YFKY 60-69 years, male 14.8
GTEX-YJ89-0126-SM-4TT3X 60-69 years, male 14.7
GTEX-145LU-0126-SM-5TDCB 50-59 years, male 14.5
GTEX-1JMPZ-0226-SM-CNPP1 30-39 years, male 14.5
GTEX-1LNCM-1126-SM-E9U5E 50-59 years, female 14.4
GTEX-12WSE-0526-SM-793B2 20-29 years, male 14.3
GTEX-14BIN-0626-SM-793DP 50-59 years, female 14.3
GTEX-1R9K4-0126-SM-DTX9X 60-69 years, male 14.2
GTEX-139T4-0226-SM-5HL5S 50-59 years, female 14.1
GTEX-1BAJH-0526-SM-793CQ 70-79 years, male 14.1
GTEX-1HCU6-0126-SM-CL54K 60-69 years, female 14.1
GTEX-131XW-0426-SM-5LZWP 50-59 years, female 14.0
GTEX-VJYA-1126-SM-3GIJU 60-69 years, male 13.9
GTEX-1CB4G-0226-SM-7PC3O 60-69 years, male 13.9
GTEX-13112-2826-SM-5DUWH 50-59 years, male 13.8
GTEX-ZAJG-0126-SM-5HL94 50-59 years, female 13.8
GTEX-1CB4F-0426-SM-9KNV4 60-69 years, male 13.7
GTEX-1JMQJ-0526-SM-CYPSU 50-59 years, male 13.7
GTEX-14PK6-1926-SM-6ETZU 70-79 years, female 13.5
GTEX-WYVS-2126-SM-3NMA3 40-49 years, female 13.5
GTEX-11O72-0126-SM-59887 40-49 years, male 13.4
GTEX-147F4-0226-SM-5QGPW 50-59 years, male 13.4
GTEX-18465-0126-SM-731BN 50-59 years, male 13.4
GTEX-11ZVC-2526-SM-5FQTE 50-59 years, female 13.3
GTEX-ZDTS-0126-SM-4WAY5 60-69 years, male 13.3
GTEX-ZU9S-0226-SM-5E441 30-39 years, male 13.3
GTEX-113IC-0126-SM-5HL6T 60-69 years, male 13.2
GTEX-13FXS-0226-SM-5IJCK 50-59 years, male 13.2
GTEX-11EI6-0126-SM-5985R 60-69 years, male 13.1
GTEX-13RTL-0126-SM-7LG5S 40-49 years, male 13.0
GTEX-1KD5A-0226-SM-D5OV3 50-59 years, male 13.0
GTEX-12ZZX-0126-SM-5EGK9 40-49 years, female 12.9
GTEX-13OVL-0226-SM-5L3E9 50-59 years, male 12.9
GTEX-11WQC-2526-SM-5CVLE 60-69 years, male 12.8
GTEX-139TT-0126-SM-5K7Y5 60-69 years, male 12.8
GTEX-1GF9V-0326-SM-7RHI5 60-69 years, male 12.8
GTEX-18A7A-0226-SM-718BH 50-59 years, female 12.7
GTEX-ZYT6-0226-SM-5NQ6T 30-39 years, male 12.7
GTEX-1H1CY-2826-SM-9MQM3 60-69 years, female 12.6
GTEX-1E1VI-0126-SM-7DHMZ 50-59 years, male 12.5
GTEX-1KD4Q-0226-SM-E9TJ9 40-49 years, male 12.5
GTEX-11OC5-0126-SM-5HL6A 60-69 years, male 12.4
GTEX-12ZZY-0226-SM-5LZVE 60-69 years, male 12.3
GTEX-11NUK-0126-SM-5A5L3 50-59 years, male 12.2
GTEX-13OW8-1326-SM-5J1OW 60-69 years, male 12.2
GTEX-X4XY-0226-SM-4E3IZ 60-69 years, male 12.2
GTEX-SSA3-0126-SM-32QPU 60-69 years, male 12.1
GTEX-11GS4-2726-SM-5A5LE 60-69 years, male 12.0
GTEX-1B8L1-2526-SM-9WYTF 60-69 years, male 12.0
GTEX-1HSKV-0226-SM-A9SKJ 60-69 years, male 12.0
GTEX-1AYCT-2426-SM-7IGQ3 50-59 years, male 11.9
GTEX-1B8SG-0126-SM-73KZ3 50-59 years, male 11.9
GTEX-1RDX4-0126-SM-E9J4P 50-59 years, female 11.9
GTEX-S33H-1026-SM-EZ6L6 30-39 years, male 11.9
GTEX-1C64N-0126-SM-793D7 50-59 years, male 11.8
GTEX-TMZS-0126-SM-3DB9Q 60-69 years, male 11.8
GTEX-XQ3S-1526-SM-4BOOC 20-29 years, male 11.8
GTEX-Y3IK-2426-SM-4WWDU 50-59 years, female 11.8
GTEX-1GN2E-0426-SM-9MQKX 60-69 years, male 11.8
GTEX-1IKOH-0226-SM-COH4E 60-69 years, female 11.8
GTEX-1IY9M-0126-SM-D3L8S 60-69 years, male 11.8
GTEX-1K9T9-0126-SM-EVYCF 50-59 years, female 11.8
GTEX-11OF3-2626-SM-5GU7F 60-69 years, male 11.7
GTEX-15SHW-0326-SM-6PAML 60-69 years, male 11.7
GTEX-13VXU-0126-SM-5SI9F 50-59 years, male 11.6
GTEX-1B8SF-1426-SM-7DUGL 60-69 years, male 11.6
GTEX-Z93S-0126-SM-5HL7M 50-59 years, male 11.5
GTEX-1EU9M-0226-SM-7P8SP 60-69 years, male 11.5
GTEX-1H4P4-0726-SM-9YFLR 50-59 years, male 11.5
GTEX-13NYB-2526-SM-5K7Z6 40-49 years, male 11.4
GTEX-16GPK-0126-SM-7DHLE 60-69 years, male 11.4
GTEX-18A6Q-0126-SM-731BZ 60-69 years, male 11.4
GTEX-ZE9C-2726-SM-57WB5 60-69 years, male 11.4
GTEX-1EX96-1626-SM-7PBXR 50-59 years, male 11.4
GTEX-1GN73-0226-SM-9WG67 60-69 years, male 11.4
GTEX-1QAET-0926-SM-E76QM 50-59 years, male 11.4
GTEX-11DXY-2626-SM-5GIE7 60-69 years, male 11.3
GTEX-14JIY-0126-SM-6LLH6 60-69 years, male 11.3
GTEX-13NZA-0226-SM-5K7Z7 60-69 years, male 11.2
GTEX-WZTO-0126-SM-3NM95 40-49 years, male 11.2
GTEX-1PIIG-0226-SM-EWRN6 30-39 years, male 11.2
GTEX-131XE-2326-SM-5PNZ2 50-59 years, male 11.1
GTEX-15DCD-0126-SM-7KUEK 70-79 years, female 11.1
GTEX-U8XE-0326-SM-3DB8P 30-39 years, male 11.1
GTEX-1POEN-0126-SM-EYYXJ 30-39 years, female 11.1
GTEX-12WSD-0126-SM-59HKN 60-69 years, female 11.0
GTEX-148VI-1626-SM-5SI6E 60-69 years, female 11.0
GTEX-ZAK1-0126-SM-5IJD3 50-59 years, female 11.0
GTEX-1I1CD-0126-SM-CM2TK 60-69 years, female 11.0
GTEX-1MJK2-0426-SM-DTXE5 50-59 years, male 11.0
GTEX-1I1GR-0126-SM-CL55F 60-69 years, male 10.9
GTEX-1N2DW-0226-SM-E9TK2 50-59 years, male 10.9
GTEX-W5X1-3026-SM-EAZAX 40-49 years, female 10.9
GTEX-131YS-0126-SM-5KM1M 60-69 years, female 10.8
GTEX-16YQH-0126-SM-7DUFJ 30-39 years, male 10.8
GTEX-QESD-1426-SM-2S1R9 20-29 years, male 10.8
GTEX-1B933-0126-SM-7PC29 50-59 years, female 10.8
GTEX-1RQEC-0426-SM-E6CHU 60-69 years, male 10.8
GTEX-13O3Q-2426-SM-5IJBR 50-59 years, male 10.6
GTEX-1I1GV-0526-SM-A9G29 60-69 years, male 10.6
GTEX-13U4I-0126-SM-5LU38 40-49 years, female 10.5
GTEX-1HBPI-1526-SM-C1YQ1 50-59 years, male 10.5
GTEX-1O97I-0326-SM-EYYX7 60-69 years, male 10.5
GTEX-1GMRU-0126-SM-9YFLV 50-59 years, male 10.4
GTEX-111FC-0126-SM-5N9DL 60-69 years, male 10.3
GTEX-1HT8W-0126-SM-CNPPP 30-39 years, male 10.3
GTEX-14ABY-0226-SM-5TDCQ 50-59 years, male 10.2
GTEX-14PJM-0226-SM-62LF1 50-59 years, female 10.2
GTEX-ZYW4-0126-SM-5E44A 60-69 years, male 10.2
GTEX-1IOXB-0126-SM-ARL8G 50-59 years, male 10.2
GTEX-132NY-0326-SM-5IJBL 60-69 years, male 10.1
GTEX-1KWVE-1426-SM-E9TJO 30-39 years, male 10.1
GTEX-1LB8K-0226-SM-EWRNW 50-59 years, male 10.1
GTEX-11GSP-2526-SM-5N9BP 60-69 years, female 10.0
GTEX-1C6VR-2426-SM-79OLD 60-69 years, male 10.0
GTEX-1F7RK-0126-SM-7PC2S 20-29 years, female 10.0
GTEX-1212Z-2526-SM-5EGKP 60-69 years, male 9.9
GTEX-POMQ-2226-SM-2I5FK 20-29 years, female 9.9
GTEX-Y111-0126-SM-4SOIV 50-59 years, male 9.9
GTEX-1F88F-2726-SM-7PBZZ 60-69 years, female 9.9
GTEX-13G51-2526-SM-5LZYK 60-69 years, male 9.8
GTEX-SIU8-0126-SM-2XCDT 50-59 years, male 9.8
GTEX-12WSC-0126-SM-5EQ4P 50-59 years, male 9.7
GTEX-17JCI-0126-SM-7LG5G 60-69 years, female 9.7
GTEX-VUSG-2526-SM-4KL1V 50-59 years, male 9.7
GTEX-13CF2-2526-SM-5LZYX 60-69 years, male 9.6
GTEX-14DAQ-0126-SM-5S2MQ 60-69 years, female 9.6
GTEX-T6MN-0126-SM-32PLP 50-59 years, male 9.6
GTEX-1A8FM-0226-SM-7SB7Q 50-59 years, female 9.6
GTEX-1I1GQ-0126-SM-COH3H 50-59 years, male 9.6
GTEX-1399T-2826-SM-5KLYZ 60-69 years, male 9.5
GTEX-11ZTS-0126-SM-5EQ6M 60-69 years, female 9.4
GTEX-1F75A-0126-SM-7RHGM 50-59 years, male 9.4
GTEX-12584-0126-SM-5EGKQ 40-49 years, male 9.3
GTEX-ZUA1-0126-SM-5GU76 40-49 years, male 9.3
GTEX-1192W-2626-SM-5Q5AF 60-69 years, male 9.2
GTEX-144GL-0126-SM-5TDE2 50-59 years, male 9.2
GTEX-S7SE-0126-SM-2XCD5 50-59 years, male 9.2
GTEX-YFC4-0126-SM-5CVLY 40-49 years, female 9.2
GTEX-1GZHY-0326-SM-9QEHI 50-59 years, female 9.2
GTEX-117YW-2626-SM-5GZZH 50-59 years, male 9.1
GTEX-12126-0326-SM-5PNW3 20-29 years, male 9.1
GTEX-R55E-0126-SM-2TC5Y 20-29 years, male 9.1
GTEX-1HR98-0126-SM-B2LWI 60-69 years, male 9.1
GTEX-1F6I4-0126-SM-9MQL2 60-69 years, male 9.0
GTEX-T2IS-0126-SM-4DM6O 20-29 years, female 8.9
GTEX-14A5H-0426-SM-5QGQF 60-69 years, male 8.8
GTEX-14JG1-0426-SM-6ETZZ 40-49 years, male 8.8
GTEX-RWSA-0126-SM-2XCBB 40-49 years, male 8.8
GTEX-Y8DK-0126-SM-4TT3L 60-69 years, male 8.8
GTEX-1C6WA-0126-SM-7PC2B 60-69 years, male 8.8
GTEX-1GN1V-0126-SM-9WPOS 60-69 years, male 8.8
GTEX-13X6J-0126-SM-5QGOU 50-59 years, male 8.7
GTEX-1I1HK-0126-SM-COH49 60-69 years, male 8.7
GTEX-1J8EW-0126-SM-CJI4F 60-69 years, female 8.7
GTEX-111VG-2426-SM-5GZXD 60-69 years, male 8.5
GTEX-1313W-0126-SM-5LZUN 50-59 years, female 8.5
GTEX-Q734-1926-SM-2I5EV 40-49 years, female 8.5
GTEX-1EKGG-0226-SM-9WYTH 60-69 years, male 8.5
GTEX-1IL2U-0226-SM-CE6T8 60-69 years, male 8.5
GTEX-13OW7-0126-SM-5MR3B 50-59 years, male 8.4
GTEX-17HG3-2226-SM-7938L 30-39 years, female 8.4
GTEX-1KANB-0526-SM-E6CJH 50-59 years, male 8.4
GTEX-1M4P7-0226-SM-DIPEV 60-69 years, male 8.4
GTEX-1F6IF-0726-SM-7P8TW 60-69 years, male 8.3
GTEX-R3RS-0126-SM-3GIJL 40-49 years, female 8.1
GTEX-1EN7A-0126-SM-7SB81 40-49 years, male 7.9
GTEX-1A32A-0126-SM-718B1 50-59 years, female 7.8
GTEX-17HHY-0126-SM-7LG5D 50-59 years, male 7.7
GTEX-1J8JJ-0226-SM-CL53I 60-69 years, female 7.7
GTEX-RN64-0126-SM-2TC68 50-59 years, male 7.4
GTEX-1MA7X-2226-SM-E6CIY 60-69 years, male 7.1
GTEX-15DYW-0126-SM-7KULE 60-69 years, female 6.9
GTEX-1IL2V-0126-SM-CM2TX 70-79 years, male 6.9
GTEX-11DXW-0226-SM-5H122 40-49 years, male 6.5
GTEX-ZYFC-0226-SM-5NQ75 50-59 years, male 6.5
GTEX-1PBJI-0526-SM-E8VNK 20-29 years, female 6.4
GTEX-13FTY-0526-SM-5L3EV 40-49 years, female 6.2
GTEX-13SLX-0526-SM-5S2ON 50-59 years, female 6.1
GTEX-ZDXO-3026-SM-5J1N5 60-69 years, male 6.1
GTEX-14E7W-0126-SM-6LLJ9 70-79 years, male 6.0
GTEX-ZVT3-0126-SM-5GU6I 60-69 years, female 5.4
GTEX-1QEPI-0126-SM-EWRMQ 60-69 years, female 4.9
GTEX-14E6D-0126-SM-62LDV 50-59 years, male 4.4
Show allShow less

Contact

  • NEWS ARTICLES
  • PRESS ROOM

The Project

  • INTRODUCTION
  • ORGANIZATION
  • PUBLICATIONS

The Human Protein Atlas

  • DOWNLOADABLE DATA
  • LICENCE & CITATION
  • HELP & FAQ
The Human Protein Atlas project is funded
by the Knut & Alice Wallenberg Foundation.


contact@proteinatlas.org