We use cookies to enhance the usability of our website. If you continue, we'll assume that you are happy to receive all cookies. More information. Don't show this again.
CD55
HPA
RESOURCES
  • TISSUE
  • BRAIN
  • SINGLE CELL
  • SUBCELLULAR
  • CANCER
  • BLOOD
  • CELL LINE
  • STRUCTURE & INTERACTION
ABOUT
  • INTRODUCTION
  • HISTORY
  • ORGANIZATION
  • PUBLICATIONS
  • ANTIBODY SUBMISSION
  • ANTIBODY AVAILABILITY
  • ACKNOWLEDGMENTS
  • CONTACT
NEWS
  • NEWS ARTICLES
  • PRESS ROOM
LEARN
  • DICTIONARY
  • PROTEIN CLASSES
  • PROTEIN EVIDENCE
  • METHODS
  • EDUCATIONAL VIDEOS
DATA
  • DOWNLOADABLE DATA
  • PUBLICATION DATA
  • RELEASE HISTORY
HELP
  • ANTIBODY VALIDATION
  • ASSAYS & ANNOTATION
  • DISCLAIMER
  • HELP & FAQ
  • PRIVACY STATEMENT
  • LICENCE & CITATION
Fields »
Search result

Field
Term
Gene name
Class
Subclass
Class
Keyword
Chromosome
External id
Tissue
Cell type
Expression
Antibody panel
Tissue
Main location
Patient ID
Annotation
Tissue
Category
Tau score
Cluster
Reliability
Brain region
Category
Tau score
Brain region
Category
Tau score
Brain region
Category
Tau score
Cluster
Reliability
Tissue
Cell type
Enrichment
Cell type
Category
Tau score
Cell type
Category
Tau score
Cell type
Category
Tau score
Cell lineage
Category
Tau score
Cluster
Cluster
Location
Searches
Location
Cell line
Class
Type
Phase
Reliability
Cancer
Prognosis
Cancer
Category
Cancer
Category
Tau score
Cluster
Variants
Interacting gene (ensg_id)
Type
Number of interactions
Pathway
Category
Score
Score
Score
Validation
Validation
Validation
Validation
Antibodies
Data type
Column


  • SUMMARY

  • TISSUE

  • BRAIN

  • SINGLE CELL

  • SUBCELL

  • CANCER

  • BLOOD

  • CELL LINE

  • STRUCT & INT

  • CD55
TISSUE PRIMARY DATA HEART MUSCLE Show tissue menu
ADIPOSE TISSUE ADRENAL GLAND AMYGDALA APPENDIX BASAL GANGLIA BONE MARROW BREAST BRONCHUS CEREBELLUM CEREBRAL CORTEX CERVIX CHOROID PLEXUS COLON DUODENUM
ENDOMETRIUM EPIDIDYMIS ESOPHAGUS FALLOPIAN TUBE GALLBLADDER HEART MUSCLE HIPPOCAMPAL FORMATION HYPOTHALAMUS KIDNEY LIVER LUNG LYMPH NODE MIDBRAIN NASOPHARYNX
ORAL MUCOSA OVARY PANCREAS PARATHYROID GLAND PITUITARY GLAND PLACENTA PROSTATE RECTUM RETINA SALIVARY GLAND SEMINAL VESICLE SKELETAL MUSCLE SKIN SMALL INTESTINE
SMOOTH MUSCLE SOFT TISSUE SPINAL CORD SPLEEN STOMACH TESTIS THYMUS THYROID GLAND TONGUE TONSIL URINARY BLADDER VAGINA
ANTIBODIES
AND
VALIDATION
Dictionary
Heart muscle
Tissue proteome
Heart
HEART MUSCLE - Expression summary
Protein expression
Heart musclei

On the top, protein expression in current human tissue, based on all annotated cell types, is reported with the units not detected (n), low (l), medium (m) and high (h). Underneath, protein expression in each annotated cell type are reported using the same units.

Protein expression data is based on knowledge-based annotation. For genes where more than one antibody has been used, a collective score is set.

If knowledge-based annotation could not be performed for a gene, no data is displayed here. View antibody staining data further down this page.

h
m
l
n
Cardiomyocytes: Not detected
RNA expressioni

A summary of mRNA expression data available for current tissue based on several datasets. The mRNA expression levels in human tissues are based on RNA-seq data generated by the Human Protein Atlas (HPA), Genotype-Tissue Expression (GTEx) portal and CAGE data generated by the FANTOM5 consortium. Consensus normalized expression levels for human tissues was created by combining the data from HPA and GTEx datasets.

The mRNA expression levels in pig are based on RNA-seq data generated by the Human Protein Atlas (HPA), and for mouse, HPA data and in situ hybridization generated by the Allen brain atlas are reported.

Scroll down to view mRNA expression data in more detail.
Consensus:46.8 nTPM
HPA:41.4 nTPM
GTEx:46.8 nTPM
FANTOM5:415.7 Scaled Tags Per Million

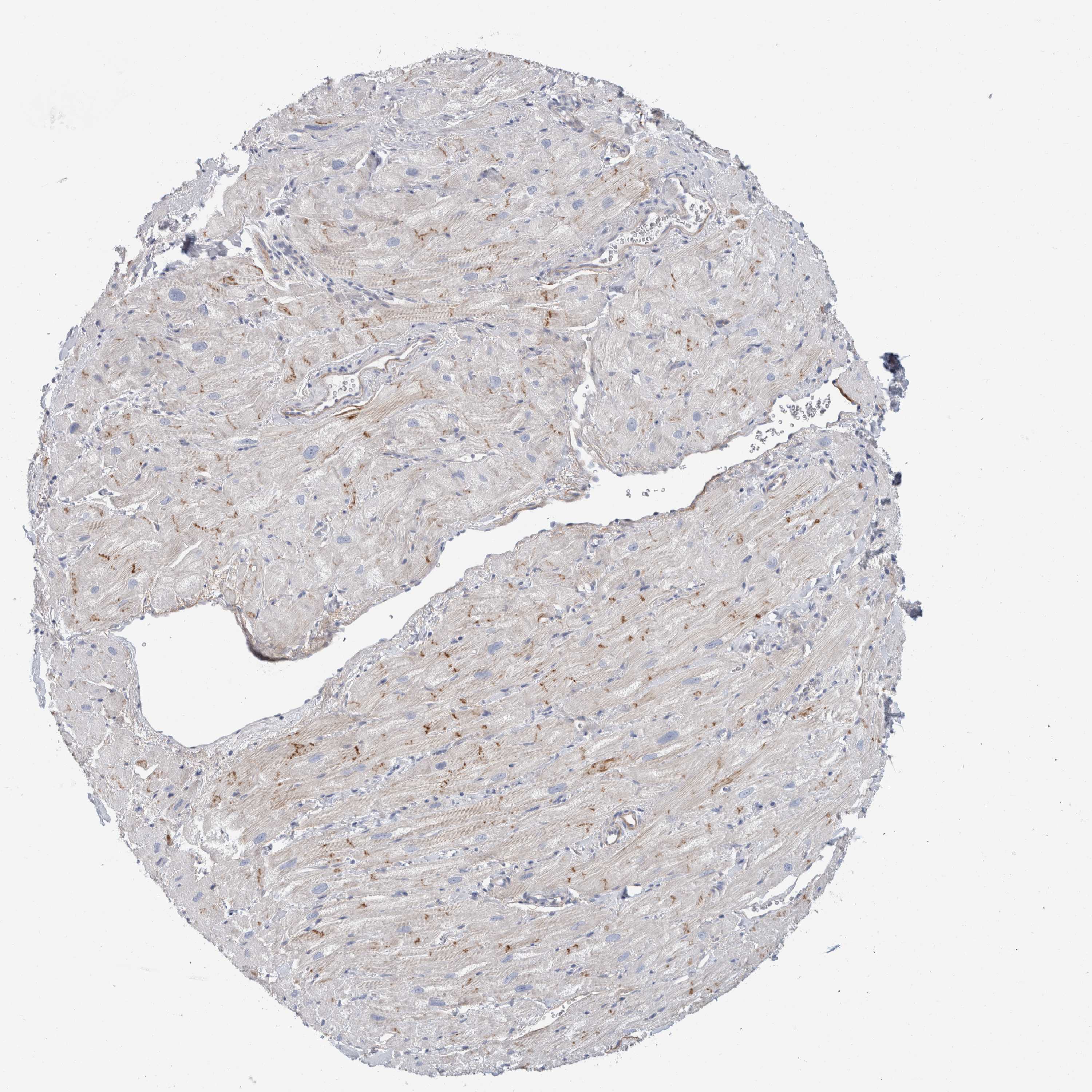
HEART MUSCLE - Antibody stainingi

Antibody staining in the annotated cell types in the current human tissue is reported as not detected, low, medium, or high, based on conventional immunohistochemistry profiling in selected tissues. This score is based on the combination of the staining intensity and fraction of stained cells.

Each image is clickable and will lead to virtual microscopy that enables deeper exploration of all samples and also displays staining intensity scores, fraction scores and subcellular localization as well as patient and tissue information for each sample.

Antibody HPA002190Antibody HPA024386Antibody CAB010454
Cardiomyocytes Not detectedLowNot detected







HEART MUSCLE - HPA RNA-seqi

The RNA-seq details section shows detailed information about the individual samples used for the transcript profiling and results of the RNA-seq analysis.

Information about each individual sample is listed below, including gender, age, a tissue section image and estimated fractions of cell types. nTPM (normalized transcripts per million) values give a quantification of the gene abundance which is comparable between different genes and samples.
Average nTPMi

Max subtype nTPM is the value for the subtype with the largest average nTPM across the subtype samples.

41.4
overview
Female, age 48
Heart muscle sample 149
nTPM: 50.6
Cell types%
Myocytes:
15

Fibroblasts:
55

Endothelial cells:
25

Other cell types:
5

overview
Female, age 42
Heart muscle sample 150
nTPM: 35.3
Cell types%
Myocytes:
20

Fibroblasts:
45

Endothelial cells:
30

Other cell types:
5

overview
Male, age 53
Heart muscle sample 151
nTPM: 36
Cell types%
Myocytes:
20

Fibroblasts:
45

Endothelial cells:
30

Other cell types:
5

overview
Female, age 69
Heart muscle sample 152
nTPM: 43.9
Cell types%
Myocytes:
20

Fibroblasts:
45

Endothelial cells:
30

Other cell types:
5


HEART MUSCLE - GTEx RNA-seqi

RNA-Seq data generated by the Genotype-Tissue Expression (GTEx) project from human tissues is reported as mean nTPM. More information can be found on the GTEx portal.

Distribution across the dataset is visualized with box plots, shown as median and 25th and 75th percentiles. Points are displayed as outliers if they are above or below 1.5 times the interquartile range. nTPM values of the individual samples are presented next to the box plot.
Max subtype nTPMi

Max subtype nTPM is the value for the subtype with the largest average nTPM across the subtype samples.

46.8
GTEx sample id Sample description nTPM
Heart - Atrial Appendage
Average nTPM: 40.4
Samples: 429

Max nTPM: 163.8
Min nTPM: 15.9
Std nTPM: 16.5
Median nTPM: 36.6
GTEX-VUSG-0726-SM-3GIK1 50-59 years, male 163.8
GTEX-139TU-1926-SM-5J2OC 60-69 years, male 141.0
GTEX-ZYFD-2026-SM-5E459 50-59 years, male 121.7
GTEX-WHSE-0826-SM-4SOJU 20-29 years, male 119.7
GTEX-ZV7C-0526-SM-9WPNK 50-59 years, male 99.2
GTEX-16XZZ-1026-SM-7DHKS 60-69 years, male 94.0
GTEX-17EVP-0526-SM-7EPGY 40-49 years, male 89.1
GTEX-1E1VI-1426-SM-793CY 50-59 years, male 86.2
GTEX-13X6J-1226-SM-79OMF 50-59 years, male 84.0
GTEX-ZTPG-1326-SM-51MSQ 20-29 years, female 83.4
GTEX-1212Z-0726-SM-5EGI5 60-69 years, male 83.3
GTEX-XXEK-2026-SM-4BRVE 50-59 years, male 82.9
GTEX-U8XE-0926-SM-3DB8V 30-39 years, male 82.5
GTEX-1GF9U-0526-SM-7P8SK 40-49 years, female 80.5
GTEX-1GZ4I-0826-SM-9WG6O 50-59 years, male 73.2
GTEX-13OW6-0926-SM-5L3GM 50-59 years, male 73.1
GTEX-VJWN-1026-SM-4M1ZN 50-59 years, female 73.0
GTEX-1CAMS-1126-SM-7MXUQ 40-49 years, female 72.6
GTEX-13SLX-0926-SM-5S2NM 50-59 years, female 69.8
GTEX-14C38-1326-SM-62LDK 50-59 years, male 69.6
GTEX-14C5O-1226-SM-664N3 60-69 years, male 68.8
GTEX-14BIL-0926-SM-7DHKN 50-59 years, male 68.5
GTEX-1CB4I-1526-SM-7DHMY 50-59 years, male 68.4
GTEX-13OW5-0926-SM-5L3GZ 60-69 years, male 68.3
GTEX-1339X-0326-SM-5K7Z8 40-49 years, male 67.7
GTEX-WWYW-1126-SM-3NB2Q 50-59 years, female 66.6
GTEX-13S86-0326-SM-5SI6K 40-49 years, male 66.5
GTEX-ZTTD-0626-SM-4YCCY 50-59 years, male 66.0
GTEX-1AX9I-1026-SM-73KYF 60-69 years, male 65.9
GTEX-1192W-0226-SM-5EGGT 60-69 years, male 65.5
GTEX-11UD2-0926-SM-5CVL6 50-59 years, male 65.0
GTEX-1GMR3-0426-SM-7PC17 40-49 years, male 65.0
GTEX-14PJO-0826-SM-6ETZK 60-69 years, male 64.8
GTEX-WFG8-0726-SM-3GILP 20-29 years, male 63.6
GTEX-14PJM-0826-SM-6LLIW 50-59 years, female 63.3
GTEX-1QEPI-1126-SM-E8VN7 60-69 years, female 63.2
GTEX-ZVT4-1326-SM-5NQ8E 50-59 years, female 62.0
GTEX-1A32A-1326-SM-73KWW 50-59 years, female 61.9
GTEX-WI4N-0726-SM-3TW93 40-49 years, female 60.6
GTEX-14PN4-0826-SM-69LON 50-59 years, male 60.5
GTEX-11WQK-0226-SM-5EQLI 50-59 years, male 60.1
GTEX-12584-1026-SM-59HK3 40-49 years, male 59.5
GTEX-YB5K-0226-SM-5IFJE 40-49 years, female 59.2
GTEX-1A3MX-1226-SM-731B3 60-69 years, male 58.3
GTEX-1192X-0726-SM-5987R 50-59 years, male 57.7
GTEX-1RB15-0426-SM-E9U4Y 60-69 years, male 57.7
GTEX-11TT1-1426-SM-5EGIA 20-29 years, male 57.6
GTEX-131YS-0826-SM-5PNYV 60-69 years, female 56.8
GTEX-14DAQ-1026-SM-793B1 60-69 years, female 56.7
GTEX-15D1Q-0426-SM-6AJ9G 40-49 years, male 56.3
GTEX-15UF7-1526-SM-6LPI7 40-49 years, male 56.0
GTEX-1GMR8-1026-SM-9MQLA 50-59 years, female 55.7
GTEX-13O3P-1426-SM-5L3DT 50-59 years, male 55.4
GTEX-1IKK5-1726-SM-CM2RU 60-69 years, male 55.1
GTEX-14XAO-0926-SM-69LPZ 60-69 years, female 54.7
GTEX-132NY-1426-SM-5J1MJ 60-69 years, male 54.4
GTEX-132AR-1926-SM-5EGK5 50-59 years, female 54.3
GTEX-1EU9M-1926-SM-7RHH4 60-69 years, male 54.3
GTEX-1EMGI-1126-SM-9KNUF 60-69 years, male 54.1
GTEX-1GN1U-1426-SM-7P8TF 50-59 years, female 54.0
GTEX-Y3I4-0526-SM-4TT6X 50-59 years, male 53.6
GTEX-1IKOH-0926-SM-A9SLU 60-69 years, female 53.4
GTEX-11GSP-1226-SM-5985M 60-69 years, female 53.2
GTEX-X4XX-1126-SM-3NMBY 60-69 years, male 53.2
GTEX-146FR-0926-SM-5QGPE 60-69 years, female 53.0
GTEX-17F9E-0726-SM-793A1 50-59 years, male 52.8
GTEX-117YX-0626-SM-5EGJI 50-59 years, male 52.2
GTEX-ZDTT-0326-SM-4WKF9 60-69 years, male 52.1
GTEX-11EM3-0426-SM-5N9BZ 20-29 years, female 51.8
GTEX-ZAB4-0926-SM-5CVN4 40-49 years, male 51.8
GTEX-13FTW-0826-SM-5K7XR 40-49 years, male 51.3
GTEX-11O72-1026-SM-5986B 40-49 years, male 51.1
GTEX-13O1R-0926-SM-5L3DS 60-69 years, male 50.9
GTEX-WFG7-0826-SM-3GIKU 20-29 years, male 50.9
GTEX-12BJ1-0326-SM-5FQUB 60-69 years, male 50.5
GTEX-WFON-0226-SM-3GIKR 40-49 years, male 50.4
GTEX-17JCI-0826-SM-7LT8W 60-69 years, female 50.3
GTEX-YEC3-0426-SM-CYPS8 50-59 years, male 50.2
GTEX-12WSN-0226-SM-5DUXH 40-49 years, male 50.0
GTEX-Y5V5-0726-SM-4VBPY 60-69 years, female 50.0
GTEX-ZDTS-1226-SM-4WKGL 60-69 years, male 50.0
GTEX-18A66-1126-SM-731C5 60-69 years, male 49.9
GTEX-1LSNL-0626-SM-DIPFJ 50-59 years, male 49.9
GTEX-14PII-1026-SM-5ZZVW 60-69 years, male 49.8
GTEX-ZZPU-1126-SM-5N9CW 50-59 years, female 49.8
GTEX-13N1W-0926-SM-5MR36 70-79 years, male 49.7
GTEX-1JJ6O-2226-SM-AHZ3I 60-69 years, male 49.6
GTEX-14A5I-1026-SM-5Q5E3 50-59 years, female 49.4
GTEX-11EQ8-1326-SM-5EGJQ 60-69 years, male 49.3
GTEX-13O21-0326-SM-5J1N9 50-59 years, male 49.3
GTEX-1E2YA-0626-SM-7P8P4 50-59 years, male 49.3
GTEX-1HBPM-1026-SM-ARL9D 60-69 years, female 49.2
GTEX-14PJ4-0926-SM-5YY98 60-69 years, male 48.6
GTEX-1HBPN-0926-SM-CGQEG 50-59 years, male 48.6
GTEX-132Q8-1126-SM-5K7XS 60-69 years, male 48.5
GTEX-ZT9W-0526-SM-57WFG 50-59 years, male 48.5
GTEX-ZEX8-0326-SM-DO92C 50-59 years, male 48.2
GTEX-13PVQ-1326-SM-5LU4J 50-59 years, male 48.1
GTEX-145LS-1326-SM-5Q5EP 60-69 years, female 48.0
GTEX-147JS-1326-SM-5SI6D 60-69 years, male 47.5
GTEX-1F75I-1326-SM-7PBZX 40-49 years, male 47.2
GTEX-1LGRB-1026-SM-CNPQD 50-59 years, female 47.2
GTEX-1GZ2Q-0926-SM-7RHHN 40-49 years, male 47.1
GTEX-12WSK-0526-SM-5CVNA 40-49 years, female 46.1
GTEX-XV7Q-0726-SM-4BRV6 40-49 years, female 46.0
GTEX-1445S-1226-SM-5O9BF 60-69 years, male 45.1
GTEX-145MN-0726-SM-5NQBH 30-39 years, male 45.1
GTEX-16XZY-0526-SM-7DHKY 70-79 years, male 44.9
GTEX-Y3IK-1026-SM-51MR7 50-59 years, female 44.9
GTEX-14BIN-2126-SM-793AX 50-59 years, female 44.7
GTEX-1R7EV-0426-SM-DTX7Z 40-49 years, male 44.7
GTEX-ZAJG-0926-SM-5Q5AB 50-59 years, female 44.5
GTEX-15SKB-0926-SM-7KUFC 60-69 years, male 44.4
GTEX-1B8L1-0426-SM-7SB76 60-69 years, male 44.3
GTEX-WHWD-0326-SM-3LK6L 50-59 years, male 44.2
GTEX-WRHU-1026-SM-4E3ID 50-59 years, female 44.1
GTEX-ZG7Y-1426-SM-4WWBM 50-59 years, male 44.1
GTEX-1HCVE-0826-SM-CM2SF 50-59 years, male 44.1
GTEX-1GN73-2326-SM-9MQKV 60-69 years, male 43.9
GTEX-13JVG-1126-SM-5KM2M 60-69 years, male 43.7
GTEX-18A67-1026-SM-731CE 50-59 years, male 43.4
GTEX-WHPG-1026-SM-3NMBA 50-59 years, male 43.4
GTEX-14BIM-2726-SM-5Q5EG 60-69 years, female 43.2
GTEX-1HBPH-0226-SM-9WYSM 40-49 years, female 43.2
GTEX-1IL2U-1226-SM-CL53P 60-69 years, male 43.2
GTEX-13PVR-0926-SM-5S2RB 60-69 years, female 43.1
GTEX-18A7A-1226-SM-7LTAJ 50-59 years, female 42.8
GTEX-W5X1-0826-SM-3GILN 40-49 years, female 42.8
GTEX-13OVI-0326-SM-5K7X1 60-69 years, female 42.7
GTEX-XLM4-2026-SM-4AT4X 60-69 years, male 42.6
GTEX-1GN1W-0226-SM-7P8QY 50-59 years, female 42.4
GTEX-13FHP-0826-SM-5K7V5 50-59 years, male 42.3
GTEX-1A8G6-1826-SM-73KY8 60-69 years, male 42.3
GTEX-1CAMQ-0726-SM-7P8SG 40-49 years, male 41.9
GTEX-13OW7-1626-SM-5IJDH 50-59 years, male 41.8
GTEX-1LGOU-0326-SM-D3LAM 20-29 years, female 41.8
GTEX-WYBS-1226-SM-3NM9N 60-69 years, female 41.6
GTEX-13FHO-1226-SM-5L3EF 60-69 years, male 41.5
GTEX-13NYB-0326-SM-5IJDP 40-49 years, male 41.5
GTEX-Y114-0126-SM-4TT8K 50-59 years, female 41.4
GTEX-16MT8-0826-SM-7KULO 60-69 years, female 41.2
GTEX-1HCUA-0626-SM-ACKVT 50-59 years, female 41.2
GTEX-1QMI2-1026-SM-DTX7T 60-69 years, male 41.2
GTEX-13YAN-1426-SM-7EPG8 60-69 years, male 41.1
GTEX-ZPU1-0726-SM-5HL6O 40-49 years, male 41.0
GTEX-1IDJF-0826-SM-ARU7N 20-29 years, male 40.9
GTEX-1GMR2-1326-SM-9KNUT 50-59 years, male 40.7
GTEX-1HCU7-1226-SM-B2LX8 50-59 years, male 40.7
GTEX-15CHC-0326-SM-5ZZVP 60-69 years, female 40.6
GTEX-17F96-0826-SM-7DHLU 70-79 years, male 40.6
GTEX-1EX96-2626-SM-9MQJV 50-59 years, male 40.6
GTEX-YFC4-0426-SM-4TT3J 40-49 years, female 40.5
GTEX-1KANC-0226-SM-E9TIW 50-59 years, female 40.5
GTEX-1H1ZS-1026-SM-9WG6E 70-79 years, male 40.4
GTEX-1313W-1126-SM-5EQ5U 50-59 years, female 40.3
GTEX-1QPFJ-0926-SM-EVR3K 30-39 years, female 40.3
GTEX-1PPGY-0926-SM-DTXFF 60-69 years, male 40.2
GTEX-1C6WA-0826-SM-7PBXS 60-69 years, male 40.1
GTEX-YF7O-0526-SM-5P9IO 50-59 years, male 40.0
GTEX-13SLW-0826-SM-5QGP7 70-79 years, male 39.9
GTEX-14PJ6-0626-SM-686Z6 60-69 years, female 39.9
GTEX-13NYS-1926-SM-5IJCB 60-69 years, male 39.8
GTEX-148VJ-1426-SM-5TDE3 70-79 years, male 39.6
GTEX-1GN2E-1426-SM-7RHHI 60-69 years, male 39.6
GTEX-13CF2-0226-SM-5L3DV 60-69 years, male 39.5
GTEX-13O3Q-0326-SM-5L3FE 50-59 years, male 39.5
GTEX-XPT6-0226-SM-4B65L 20-29 years, male 39.5
GTEX-13O61-0426-SM-5L3ET 60-69 years, male 39.3
GTEX-17F9Y-1226-SM-7EPGE 70-79 years, female 39.3
GTEX-1CB4E-0626-SM-7DHMW 60-69 years, male 39.3
GTEX-1H1CY-0426-SM-9KNVD 60-69 years, female 39.0
GTEX-1HUB1-0726-SM-CGQF4 60-69 years, male 39.0
GTEX-1JMQL-1026-SM-CMKGV 50-59 years, female 39.0
GTEX-12WSD-1226-SM-5HL9Q 60-69 years, female 38.8
GTEX-1AYCT-0526-SM-7RHHS 50-59 years, male 38.8
GTEX-13RTJ-0526-SM-62LDP 60-69 years, male 38.6
GTEX-1IKOE-0626-SM-A9G31 30-39 years, female 38.3
GTEX-1JK1U-0626-SM-CKZOJ 60-69 years, male 38.3
GTEX-1LSNM-0426-SM-E9TIZ 50-59 years, male 38.3
GTEX-ZYVF-1826-SM-5E44F 50-59 years, female 38.2
GTEX-1JMOU-0326-SM-ARL8X 60-69 years, female 38.2
GTEX-111YS-0326-SM-5GZZ3 60-69 years, male 38.1
GTEX-1C64N-0826-SM-7RHGQ 50-59 years, male 38.1
GTEX-XQ8I-0226-SM-4BOPM 50-59 years, male 38.0
GTEX-1B8SF-1326-SM-7IGQJ 60-69 years, male 37.9
GTEX-1B996-1026-SM-793CF 60-69 years, male 37.9
GTEX-WEY5-0226-SM-3GIKN 40-49 years, female 37.9
GTEX-1EH9U-0626-SM-7PC33 60-69 years, male 37.9
GTEX-1I19N-0626-SM-A9SKY 70-79 years, male 37.9
GTEX-13X6K-1726-SM-7IGLG 60-69 years, female 37.7
GTEX-1CB4H-0626-SM-7IGN3 60-69 years, female 37.7
GTEX-14BMV-1026-SM-5SI6B 50-59 years, male 37.5
GTEX-ZF29-0426-SM-4WKFN 60-69 years, female 37.5
GTEX-11TUW-1126-SM-5EQKJ 60-69 years, male 37.3
GTEX-13N11-0726-SM-5L3DP 50-59 years, female 37.3
GTEX-1H3NZ-1026-SM-A9SM5 60-69 years, male 37.3
GTEX-ZPCL-0526-SM-DO91R 60-69 years, female 37.3
GTEX-15SHV-0526-SM-7KUEN 60-69 years, male 37.2
GTEX-13D11-1526-SM-5J2NA 50-59 years, female 37.1
GTEX-15SHU-0926-SM-6PAMK 40-49 years, female 37.1
GTEX-13PL6-0826-SM-5IJBI 40-49 years, female 37.0
GTEX-14PN3-0726-SM-6EU14 60-69 years, female 37.0
GTEX-1LB8K-0926-SM-D4P42 50-59 years, male 37.0
GTEX-1MCC2-0226-SM-EVYD5 30-39 years, female 37.0
GTEX-11DXY-1026-SM-5987V 60-69 years, male 36.9
GTEX-14E1K-0826-SM-5ZZW9 50-59 years, male 36.9
GTEX-UPK5-0226-SM-3GAEV 40-49 years, male 36.9
GTEX-1P4AB-0926-SM-E76PV 50-59 years, male 36.9
GTEX-14A6H-0326-SM-5NQAN 30-39 years, male 36.8
GTEX-UTHO-1226-SM-3GAEE 60-69 years, male 36.8
GTEX-1HSMO-1126-SM-CGQF2 60-69 years, male 36.8
GTEX-1NHNU-0626-SM-E6CP1 50-59 years, male 36.8
GTEX-ZF2S-0826-SM-4WWBI 50-59 years, female 36.7
GTEX-1F75B-1126-SM-7RHGP 50-59 years, male 36.7
GTEX-1399U-0726-SM-5KM1D 50-59 years, female 36.6
GTEX-ZYFC-1026-SM-5GZX9 50-59 years, male 36.6
GTEX-13O3O-1426-SM-5KM2S 60-69 years, female 36.5
GTEX-13PL7-0726-SM-5KM1S 60-69 years, female 36.5
GTEX-15ER7-0826-SM-6PALW 20-29 years, female 36.5
GTEX-1R9K4-1026-SM-EXUT1 60-69 years, male 36.5
GTEX-1211K-0226-SM-59HJY 60-69 years, female 36.4
GTEX-13FH7-0826-SM-5J2NW 50-59 years, female 36.4
GTEX-YEC4-0226-SM-4W1YG 40-49 years, male 36.4
GTEX-ZE7O-0626-SM-57WCD 50-59 years, female 36.3
GTEX-17MF6-0926-SM-7LTAL 40-49 years, male 36.2
GTEX-139YR-0526-SM-5L3DG 50-59 years, male 36.1
GTEX-1AX9J-0926-SM-73KXA 60-69 years, male 36.1
GTEX-1JJEA-0926-SM-CYPSO 60-69 years, male 36.1
GTEX-1JMLX-1826-SM-CNPOX 50-59 years, male 36.1
GTEX-ZVT3-0826-SM-5GIC8 60-69 years, female 36.0
GTEX-1K2DU-0226-SM-DIPF6 20-29 years, male 36.0
GTEX-1L5NE-0526-SM-DIPG5 50-59 years, male 36.0
GTEX-11DXX-0526-SM-5PNVR 60-69 years, female 35.8
GTEX-131XE-0526-SM-5K7YT 50-59 years, male 35.8
GTEX-14PHX-0626-SM-5YY8Z 50-59 years, male 35.6
GTEX-1IDJU-0626-SM-CKZOG 60-69 years, female 35.6
GTEX-1399S-0826-SM-5KM23 30-39 years, female 35.5
GTEX-ZLFU-0326-SM-4WWBK 40-49 years, male 35.5
GTEX-ZZPT-0926-SM-5GICZ 50-59 years, male 35.5
GTEX-1GN1V-1026-SM-CNPPS 60-69 years, male 35.5
GTEX-13NZB-0426-SM-5KM26 30-39 years, male 35.4
GTEX-14PK6-0726-SM-6LLIX 70-79 years, female 35.4
GTEX-WY7C-1126-SM-3NB3A 50-59 years, male 35.4
GTEX-15EU6-1326-SM-6PANG 50-59 years, male 35.3
GTEX-ZXG5-0626-SM-5NQ85 60-69 years, male 35.3
GTEX-1HSMQ-0426-SM-ADEIM 50-59 years, male 35.2
GTEX-1C6VQ-0826-SM-7PBZT 50-59 years, male 35.1
GTEX-13NZ9-0126-SM-5K7XV 50-59 years, male 35.0
GTEX-16GPK-1226-SM-7LTAU 60-69 years, male 35.0
GTEX-WL46-0726-SM-3LK5Z 50-59 years, male 35.0
GTEX-1IDJD-0226-SM-CKZOA 30-39 years, male 35.0
GTEX-1JN6P-0826-SM-ARL97 60-69 years, male 34.9
GTEX-1POEN-0726-SM-DTXDU 30-39 years, female 34.9
GTEX-131XG-0526-SM-5DUWF 50-59 years, female 34.8
GTEX-X5EB-0626-SM-46MVQ 40-49 years, male 34.8
GTEX-15CHQ-1326-SM-6871Z 60-69 years, male 34.6
GTEX-1BAJH-1026-SM-7EWEG 70-79 years, male 34.6
GTEX-1I1GP-0626-SM-ARL7H 50-59 years, male 34.6
GTEX-14H4A-0426-SM-5ZZWO 40-49 years, female 34.5
GTEX-132QS-0526-SM-5IJC7 60-69 years, male 34.4
GTEX-X4EP-0326-SM-3P5Z6 60-69 years, female 34.4
GTEX-14ASI-0826-SM-5Q5EB 60-69 years, male 34.3
GTEX-16NPX-0826-SM-6M489 50-59 years, male 34.2
GTEX-X261-0926-SM-3NMCY 50-59 years, male 34.1
GTEX-XGQ4-0526-SM-4AT6C 50-59 years, male 34.1
GTEX-1J8QM-0326-SM-CL53D 60-69 years, female 34.1
GTEX-14PHY-0326-SM-62LE3 60-69 years, female 34.0
GTEX-16YQH-0726-SM-7IGM1 30-39 years, male 34.0
GTEX-WH7G-0326-SM-3NMBH 40-49 years, male 34.0
GTEX-Z93S-0326-SM-5HL84 50-59 years, male 33.9
GTEX-13JUV-0226-SM-5IJCC 40-49 years, female 33.8
GTEX-18D9U-1426-SM-718BO 40-49 years, male 33.8
GTEX-11EMC-0826-SM-59862 60-69 years, female 33.7
GTEX-1GMRU-1326-SM-9WYUI 50-59 years, male 33.7
GTEX-1IDJH-1126-SM-COH3R 70-79 years, male 33.6
GTEX-14C39-0726-SM-5RQIK 40-49 years, male 33.5
GTEX-17HGU-1126-SM-793BP 50-59 years, male 33.5
GTEX-1B933-0826-SM-79OMW 50-59 years, female 33.5
GTEX-YJ8O-0826-SM-5CVM3 40-49 years, female 33.5
GTEX-XBEC-1226-SM-4AT65 50-59 years, male 33.4
GTEX-ZVT2-0926-SM-5GICE 50-59 years, female 33.3
GTEX-X8HC-1026-SM-46MWH 50-59 years, female 33.0
GTEX-11GS4-0426-SM-5N9CD 60-69 years, male 32.8
GTEX-12WSG-1226-SM-5EQ4C 50-59 years, female 32.7
GTEX-13NZA-0826-SM-5K7WS 60-69 years, male 32.7
GTEX-1RLM8-0226-SM-E6CJY 50-59 years, male 32.7
GTEX-11ZTT-0526-SM-5EQLA 60-69 years, female 32.6
GTEX-WYJK-1126-SM-3NM9Z 50-59 years, male 32.6
GTEX-131XF-0426-SM-5HL7U 60-69 years, male 32.5
GTEX-1399R-1726-SM-5K7YJ 30-39 years, male 32.5
GTEX-18D9B-1126-SM-7KFSH 60-69 years, male 32.5
GTEX-ZDYS-0326-SM-5HL4W 50-59 years, male 32.5
GTEX-12WSI-0426-SM-5EQ5J 50-59 years, male 32.2
GTEX-1LVAO-0626-SM-EWRNT 60-69 years, male 32.2
GTEX-117XS-0726-SM-5H131 60-69 years, male 32.0
GTEX-13W3W-0526-SM-5LU3X 60-69 years, female 32.0
GTEX-1122O-0626-SM-5N9B9 60-69 years, female 31.9
GTEX-183WM-0926-SM-718AN 70-79 years, female 31.9
GTEX-1399T-0726-SM-5J1MH 60-69 years, male 31.8
GTEX-Y8E4-0426-SM-4V6GB 40-49 years, male 31.8
GTEX-1I1CD-1326-SM-A9SMM 60-69 years, female 31.8
GTEX-1QCLZ-1126-SM-EWRNB 60-69 years, female 31.8
GTEX-V955-0826-SM-CYPR5 60-69 years, male 31.8
GTEX-15RIE-1326-SM-6PAMM 60-69 years, male 31.7
GTEX-XYKS-0226-SM-4BRW3 60-69 years, female 31.7
GTEX-18465-0726-SM-7LG4L 50-59 years, male 31.6
GTEX-1ICG6-0726-SM-B2LY5 70-79 years, female 31.5
GTEX-12ZZY-1226-SM-5GCNK 60-69 years, male 31.3
GTEX-18A6Q-1526-SM-731CO 60-69 years, male 31.3
GTEX-YECK-1226-SM-4W21G 60-69 years, male 31.2
GTEX-13QBU-0226-SM-5LU48 40-49 years, female 31.1
GTEX-146FH-1126-SM-5NQAT 50-59 years, female 31.1
GTEX-ZVZQ-0726-SM-51MR3 60-69 years, female 31.1
GTEX-1117F-0726-SM-5GIEN 60-69 years, female 31.0
GTEX-X3Y1-0226-SM-3P5Z5 40-49 years, male 31.0
GTEX-ZYFG-0526-SM-5GZXX 60-69 years, female 30.7
GTEX-1R9JW-0426-SM-E76QL 30-39 years, female 30.7
GTEX-XQ3S-0526-SM-4BOQA 20-29 years, male 30.6
GTEX-145LV-0226-SM-5S2QG 50-59 years, male 30.4
GTEX-ZAB5-0126-SM-5CVMT 50-59 years, male 30.4
GTEX-1F88F-0326-SM-9KNV3 60-69 years, female 30.4
GTEX-1GL5R-0426-SM-9WPOP 50-59 years, male 30.4
GTEX-1I1HK-0626-SM-CNPQM 60-69 years, male 30.4
GTEX-14JG1-0826-SM-5ZZWR 40-49 years, male 30.1
GTEX-WK11-0626-SM-3NMAV 50-59 years, male 30.1
GTEX-147F4-1126-SM-5TDDE 50-59 years, male 30.0
GTEX-ZF3C-1126-SM-57WEG 50-59 years, female 30.0
GTEX-1IL2V-1126-SM-CMKGH 70-79 years, male 30.0
GTEX-ZAK1-1126-SM-5PNXU 50-59 years, female 29.9
GTEX-15RJE-0726-SM-7KUEG 40-49 years, male 29.8
GTEX-X62O-0826-SM-46MW8 50-59 years, male 29.7
GTEX-11ONC-1026-SM-5GU64 60-69 years, male 29.6
GTEX-1HFI6-0826-SM-9YFM2 40-49 years, male 29.6
GTEX-1KD5A-0926-SM-D4P3U 50-59 years, male 29.6
GTEX-1EWIQ-1126-SM-7EPIK 70-79 years, female 29.5
GTEX-1IKJJ-0626-SM-CY8GF 60-69 years, male 29.5
GTEX-1J8Q3-1126-SM-ARU8N 60-69 years, male 29.5
GTEX-WZTO-1226-SM-3NMAZ 40-49 years, male 29.4
GTEX-XPVG-0726-SM-4B658 50-59 years, male 29.4
GTEX-1OFPY-0926-SM-DTX8Q 60-69 years, male 29.4
GTEX-14E6C-0326-SM-5Q5EE 40-49 years, male 29.3
GTEX-1B8KE-0326-SM-73KTY 50-59 years, male 29.3
GTEX-1J8Q2-1026-SM-ARU8I 60-69 years, male 29.2
GTEX-13FTZ-0326-SM-5J1O1 60-69 years, male 29.1
GTEX-1KXAM-1426-SM-D3LAC 60-69 years, male 28.9
GTEX-ZPIC-0426-SM-DO91V 40-49 years, female 28.9
GTEX-17GQL-0626-SM-731CN 60-69 years, male 28.8
GTEX-XOT4-1126-SM-4B66E 60-69 years, female 28.7
GTEX-1F6I4-0826-SM-7RHGK 60-69 years, male 28.7
GTEX-1H2FU-0826-SM-9WYSU 60-69 years, female 28.7
GTEX-15CHR-0326-SM-7DHN3 50-59 years, male 28.5
GTEX-1HFI7-0526-SM-A9SMA 50-59 years, female 28.5
GTEX-1QP6S-1026-SM-DTXFW 40-49 years, male 28.5
GTEX-12ZZX-0726-SM-5EGKA 40-49 years, female 28.4
GTEX-1M5QR-1626-SM-E9U5O 40-49 years, male 28.3
GTEX-WQUQ-1326-SM-3MJFF 60-69 years, male 28.1
GTEX-1CB4J-0226-SM-7P8T4 60-69 years, male 28.1
GTEX-1J1OQ-2226-SM-A96SS 40-49 years, female 28.1
GTEX-1LG7Y-1426-SM-D4P31 50-59 years, male 28.1
GTEX-144GL-1026-SM-5O99R 50-59 years, male 28.0
GTEX-1C2JI-0626-SM-7DHM1 50-59 years, male 28.0
GTEX-12WSC-1026-SM-5EQ5Y 50-59 years, male 27.9
GTEX-ZGAY-0226-SM-4WWAL 40-49 years, female 27.9
GTEX-1F48J-1126-SM-9WYSY 50-59 years, female 27.9
GTEX-111VG-0326-SM-5GZX7 60-69 years, male 27.7
GTEX-11P81-0526-SM-59873 30-39 years, female 27.7
GTEX-1C64O-0926-SM-79OLN 60-69 years, male 27.7
GTEX-1F75A-1026-SM-7PC3W 50-59 years, male 27.6
GTEX-12696-1226-SM-5FQSM 60-69 years, male 27.5
GTEX-13112-0526-SM-5EQ4S 50-59 years, male 27.5
GTEX-1AX8Z-1126-SM-731CS 60-69 years, male 27.4
GTEX-1B97J-0326-SM-7939H 50-59 years, female 27.3
GTEX-1GF9V-1726-SM-9KNW4 60-69 years, male 27.3
GTEX-1MJIX-0426-SM-DTXEN 40-49 years, male 27.3
GTEX-15DCE-0826-SM-7KULW 20-29 years, male 27.2
GTEX-1AX9K-0426-SM-73KUG 50-59 years, male 27.2
GTEX-11DXZ-0326-SM-5EGH1 50-59 years, male 27.0
GTEX-13OVG-0426-SM-5KM2T 60-69 years, male 27.0
GTEX-11DYG-1026-SM-5A5JQ 60-69 years, male 26.8
GTEX-11LCK-0826-SM-5PNYD 30-39 years, male 26.6
GTEX-1H11D-1026-SM-9QEIU 40-49 years, male 26.4
GTEX-1H3VY-1126-SM-A96TP 50-59 years, male 26.4
GTEX-1HT8W-1326-SM-CGQEN 30-39 years, male 26.4
GTEX-1JMQK-0926-SM-ARL96 60-69 years, male 26.3
GTEX-111FC-0626-SM-5N9CU 60-69 years, male 26.1
GTEX-12WSE-0926-SM-5S2VX 20-29 years, male 26.1
GTEX-1477Z-1126-SM-5P9GK 60-69 years, male 26.0
GTEX-1LVAN-1526-SM-CNPQN 50-59 years, female 26.0
GTEX-ZYT6-0926-SM-5GIEM 30-39 years, male 25.8
GTEX-1A8FM-1026-SM-7PC26 50-59 years, female 25.7
GTEX-ZDXO-0426-SM-4WKF6 60-69 years, male 25.6
GTEX-1B8SG-0726-SM-79ONS 50-59 years, male 25.4
GTEX-14PJ2-1126-SM-69LOD 50-59 years, male 25.3
GTEX-15SDE-1826-SM-7KUFN 50-59 years, female 25.2
GTEX-1I1GQ-1226-SM-CL55J 50-59 years, male 24.9
GTEX-1LH75-0526-SM-DIPG2 50-59 years, female 24.8
GTEX-11NV4-0826-SM-5BC4S 60-69 years, male 24.7
GTEX-13U4I-0626-SM-5LU5L 40-49 years, female 24.3
GTEX-ZUA1-0726-SM-4YCD9 40-49 years, male 24.3
GTEX-1H1DG-0826-SM-9QEIW 70-79 years, male 23.9
GTEX-1NSGN-1226-SM-E76OL 50-59 years, male 23.9
GTEX-13VXT-0726-SM-5SIAD 20-29 years, female 23.8
GTEX-17KNJ-0626-SM-7LT9L 50-59 years, male 23.6
GTEX-1B932-1326-SM-79OM4 40-49 years, female 23.6
GTEX-11ZVC-0526-SM-5N9G1 50-59 years, female 23.4
GTEX-1H3O1-0226-SM-9WYSW 60-69 years, male 23.4
GTEX-1GTWX-0926-SM-9MQKM 60-69 years, male 23.2
GTEX-13PDP-1326-SM-5K7U9 60-69 years, male 22.8
GTEX-1IOXB-0726-SM-A9G32 50-59 years, male 22.8
GTEX-WOFL-1226-SM-4OOST 60-69 years, male 22.5
GTEX-1HSGN-0926-SM-CNNQM 40-49 years, female 22.1
GTEX-1QP29-1426-SM-DTX9Q 50-59 years, male 21.9
GTEX-12WSA-1126-SM-5EGKU 60-69 years, male 21.5
GTEX-1J8EW-0626-SM-CM2TY 60-69 years, female 21.2
GTEX-1CB4G-0726-SM-79OOJ 60-69 years, male 20.9
GTEX-14E7W-1126-SM-5ZZVS 70-79 years, male 20.7
GTEX-1HC8U-0626-SM-B2LWB 40-49 years, female 20.7
GTEX-1HR98-1026-SM-CKZOM 60-69 years, male 20.5
GTEX-1HSKV-0726-SM-ACKWE 60-69 years, male 20.2
GTEX-11NUK-0926-SM-5HL57 50-59 years, male 19.9
GTEX-1IY9M-0626-SM-D4P2L 60-69 years, male 19.5
GTEX-117YW-0426-SM-5GZZZ 50-59 years, male 18.9
GTEX-1I1GR-1026-SM-A9SLC 60-69 years, male 18.9
GTEX-1MJK2-1626-SM-EVYCQ 50-59 years, male 18.7
GTEX-1I1GV-1426-SM-B2LXN 60-69 years, male 18.6
GTEX-1KANB-1126-SM-DHXJT 50-59 years, male 18.6
GTEX-V1D1-0626-SM-4JBHN 50-59 years, male 18.4
GTEX-11ZUS-0326-SM-5EQ4W 30-39 years, male 18.3
GTEX-13FXS-1026-SM-62LFQ 50-59 years, male 15.9
Show allShow less
Heart - Left Ventricle
Average nTPM: 46.8
Samples: 432

Max nTPM: 480.8
Min nTPM: 12.9
Std nTPM: 36.4
Median nTPM: 40.2
GTEX-RUSQ-0526-SM-2TF72 50-59 years, male 480.8
GTEX-U8XE-1126-SM-3DB8W 30-39 years, male 313.1
GTEX-13S86-0226-SM-5S2PJ 40-49 years, male 239.7
GTEX-1339X-0426-SM-5KLZY 40-49 years, male 222.5
GTEX-WHSE-0926-SM-3NMBS 20-29 years, male 219.2
GTEX-14C38-1426-SM-5RQHZ 50-59 years, male 214.7
GTEX-QEG5-0926-SM-2TC64 20-29 years, male 186.0
GTEX-QDVN-0326-SM-2I3FS 50-59 years, male 146.1
GTEX-11TT1-1326-SM-5PNYM 20-29 years, male 144.7
GTEX-13PVQ-1226-SM-5IJDC 50-59 years, male 143.3
GTEX-132AR-2026-SM-5IJG4 50-59 years, female 138.9
GTEX-QESD-0526-SM-2I5G5 20-29 years, male 135.7
GTEX-O5YT-0326-SM-32PKA 20-29 years, male 135.2
GTEX-XXEK-0926-SM-4BRWH 50-59 years, male 106.6
GTEX-WFG8-0626-SM-3GILJ 20-29 years, male 104.8
GTEX-WI4N-0626-SM-3TW8Z 40-49 years, female 102.8
GTEX-ZTPG-1226-SM-4YCDO 20-29 years, female 100.6
GTEX-U4B1-0326-SM-3DB8K 40-49 years, male 96.7
GTEX-RWSA-0626-SM-2XCBD 40-49 years, male 92.7
GTEX-QDVJ-0426-SM-2I5FW 50-59 years, male 85.6
GTEX-1LC47-1026-SM-D3LAH 60-69 years, male 84.9
GTEX-18A66-1226-SM-7LT8G 60-69 years, male 84.5
GTEX-15EOM-5007-SM-793DG 20-29 years, female 84.2
GTEX-P44G-0826-SM-2I5ES 30-39 years, male 83.9
GTEX-1AX8Z-5007-SM-AHZ36 60-69 years, male 83.3
GTEX-131XH-0226-SM-5LZVB 50-59 years, male 83.0
GTEX-1CB4J-0326-SM-7PBZO 60-69 years, male 82.2
GTEX-13N1W-1026-SM-5IJC5 70-79 years, male 79.8
GTEX-14BIL-1126-SM-79OMC 50-59 years, male 79.0
GTEX-S32W-0626-SM-2XCBG 50-59 years, female 78.3
GTEX-13JVG-1326-SM-5N9F8 60-69 years, male 76.8
GTEX-NPJ8-0426-SM-2HMK6 40-49 years, male 76.2
GTEX-WWYW-1326-SM-3NB2S 50-59 years, female 75.7
GTEX-12WSG-0526-SM-5FQTH 50-59 years, female 75.5
GTEX-1N2EF-2826-SM-E6CQF 60-69 years, male 74.8
GTEX-1PWST-1026-SM-DTXF2 70-79 years, male 74.6
GTEX-Y3I4-0626-SM-4TT7A 50-59 years, male 72.3
GTEX-1L5NE-0426-SM-E9TIX 50-59 years, male 70.3
GTEX-ZG7Y-0926-SM-5EQ6O 50-59 years, male 69.2
GTEX-13O1R-1226-SM-5J1NU 60-69 years, male 68.0
GTEX-15RIE-1726-SM-7KUMU 60-69 years, male 65.8
GTEX-SUCS-0326-SM-32PLL 70-79 years, male 65.7
GTEX-16XZY-0426-SM-793BI 70-79 years, male 64.6
GTEX-17F9Y-1326-SM-7MGW9 70-79 years, female 64.5
GTEX-1GMR3-0326-SM-7P8QT 40-49 years, male 64.4
GTEX-1GMRU-1526-SM-9WYT5 50-59 years, male 64.3
GTEX-11EM3-0626-SM-5H12Z 20-29 years, female 64.1
GTEX-YB5K-0126-SM-5IFJ2 40-49 years, female 64.1
GTEX-OXRO-2026-SM-2YUMZ 60-69 years, female 63.2
GTEX-147JS-1526-SM-5ZZWF 60-69 years, male 62.8
GTEX-WHWD-0426-SM-3LK83 50-59 years, male 62.6
GTEX-13X6H-0426-SM-5LU4E 50-59 years, female 62.4
GTEX-1I6K7-0626-SM-ARL7Q 40-49 years, male 61.5
GTEX-1IDJH-1026-SM-E9TKH 70-79 years, male 61.2
GTEX-OHPL-0326-SM-33HC8 60-69 years, female 60.9
GTEX-18D9B-1226-SM-72D6V 60-69 years, male 60.7
GTEX-P4QS-0326-SM-2I3EU 60-69 years, male 60.2
GTEX-14PJ4-1126-SM-5YY91 60-69 years, male 59.7
GTEX-1IKK5-1526-SM-CKZPW 60-69 years, male 59.6
GTEX-13YAN-1326-SM-5Q5F1 60-69 years, male 59.5
GTEX-1A3MW-1326-SM-7189P 60-69 years, female 59.5
GTEX-WHPG-0826-SM-3NMBF 50-59 years, male 59.4
GTEX-13OW5-1126-SM-5J1NR 60-69 years, male 59.2
GTEX-1HCU6-1026-SM-A9G25 60-69 years, female 58.9
GTEX-1211K-0626-SM-5FQUZ 60-69 years, female 58.7
GTEX-1S3DN-0726-SM-E9TIO 50-59 years, male 58.6
GTEX-13O3P-1626-SM-5K7X3 50-59 years, male 57.6
GTEX-1LH75-0426-SM-E9TJF 50-59 years, female 57.6
GTEX-11O72-1126-SM-5N9E2 40-49 years, male 57.3
GTEX-1EMGI-1226-SM-793DD 60-69 years, male 57.0
GTEX-QLQ7-0526-SM-2I5G3 60-69 years, male 57.0
GTEX-WH7G-0426-SM-3NMBJ 40-49 years, male 56.5
GTEX-1F5PK-0326-SM-9KNUD 50-59 years, male 56.5
GTEX-14E6C-0426-SM-5YYA8 40-49 years, male 56.0
GTEX-1ICLY-1326-SM-CJI47 50-59 years, male 56.0
GTEX-14H4A-0626-SM-5ZZUT 40-49 years, female 55.8
GTEX-XGQ4-0326-SM-4GIEE 50-59 years, male 55.8
GTEX-14XAO-1126-SM-6EU11 60-69 years, female 55.6
GTEX-1PPH7-2026-SM-E9J3N 40-49 years, male 55.2
GTEX-1LGRB-1126-SM-CNPP2 50-59 years, female 55.0
GTEX-13OW8-2126-SM-5J1OS 60-69 years, male 54.7
GTEX-P4PP-0326-SM-33HC4 30-39 years, female 54.7
GTEX-1399R-1926-SM-5K7X8 30-39 years, male 54.4
GTEX-13CF3-0726-SM-5J2MY 60-69 years, female 54.3
GTEX-XBED-0526-SM-47JY3 60-69 years, male 54.3
GTEX-12696-1126-SM-5FQTI 60-69 years, male 54.2
GTEX-PWCY-0526-SM-5P9HG 20-29 years, female 53.8
GTEX-14PK6-0826-SM-5ZZVO 70-79 years, female 53.4
GTEX-Q2AH-0526-SM-2I3ED 40-49 years, male 52.9
GTEX-1GN2E-1326-SM-9KNVG 60-69 years, male 52.8
GTEX-U3ZN-1426-SM-3DB87 30-39 years, female 52.6
GTEX-WFON-0326-SM-3GIKX 40-49 years, male 52.6
GTEX-13FH7-0926-SM-5J2MR 50-59 years, female 52.5
GTEX-1O9I2-1126-SM-DTXEA 50-59 years, male 52.4
GTEX-ZEX8-0426-SM-DO92Y 50-59 years, male 52.3
GTEX-15CHR-0226-SM-7PC2Z 50-59 years, male 52.2
GTEX-13D11-1726-SM-5IFGQ 50-59 years, female 51.9
GTEX-1AYCT-0426-SM-73KVZ 50-59 years, male 51.9
GTEX-1E1VI-1326-SM-7IGQD 50-59 years, male 51.8
GTEX-1GN1V-0826-SM-9KNU6 60-69 years, male 51.8
GTEX-QMRM-0526-SM-2I5GA 50-59 years, male 51.7
GTEX-1HC8U-0726-SM-ACKXL 40-49 years, female 51.7
GTEX-1EKGG-1126-SM-7MGXB 60-69 years, male 51.6
GTEX-17HII-1326-SM-7IGOB 50-59 years, male 51.3
GTEX-1I1GP-0826-SM-A96SD 50-59 years, male 51.3
GTEX-13U4I-0826-SM-5SIBD 40-49 years, female 51.2
GTEX-V955-0726-SM-3GAFG 60-69 years, male 50.8
GTEX-Y3IK-0826-SM-51MT8 50-59 years, female 50.8
GTEX-145MN-0626-SM-5QGRH 30-39 years, male 50.5
GTEX-ZDYS-0226-SM-5HL4K 50-59 years, male 50.2
GTEX-R55G-0526-SM-2TC5O 40-49 years, female 49.9
GTEX-XV7Q-0826-SM-4BRV7 40-49 years, female 49.8
GTEX-11DXX-0326-SM-5PNWC 60-69 years, female 49.7
GTEX-1212Z-0626-SM-5FQTB 60-69 years, male 49.4
GTEX-R55C-0326-SM-3GAF1 40-49 years, male 49.4
GTEX-1EU9M-1826-SM-7DUGU 60-69 years, male 49.3
GTEX-1JK1U-0526-SM-CYPSQ 60-69 years, male 49.3
GTEX-YF7O-0426-SM-5P9FS 50-59 years, male 49.2
GTEX-12WSN-5001-SM-7DHMK 40-49 years, male 49.1
GTEX-1JN6P-1126-SM-CKZON 60-69 years, male 49.1
GTEX-WFG7-0726-SM-3GIKO 20-29 years, male 48.9
GTEX-OHPK-0326-SM-2HMJO 50-59 years, female 48.7
GTEX-139YR-0826-SM-5LZXY 50-59 years, male 48.6
GTEX-XPT6-0126-SM-4B65S 20-29 years, male 48.5
GTEX-1R9PO-0326-SM-DTXA1 60-69 years, female 48.4
GTEX-1RMOY-0626-SM-E9TIE 50-59 years, male 48.4
GTEX-16YQH-0926-SM-793BC 30-39 years, male 48.3
GTEX-18A67-1226-SM-7KFRS 50-59 years, male 48.3
GTEX-1GF9V-1626-SM-7PBXL 60-69 years, male 48.3
GTEX-1GN1W-0326-SM-9JGHF 50-59 years, female 48.3
GTEX-1R9K4-1326-SM-DTX8G 60-69 years, male 48.1
GTEX-132QS-0426-SM-5KLZ6 60-69 years, male 47.0
GTEX-R53T-0926-SM-3GADH 50-59 years, female 47.0
GTEX-13FTW-1026-SM-5L3E3 40-49 years, male 46.8
GTEX-SE5C-0626-SM-2XCDV 40-49 years, female 46.8
GTEX-WRHU-1226-SM-4E3IJ 50-59 years, female 46.8
GTEX-Y114-0226-SM-4TT8W 50-59 years, female 46.8
GTEX-QV44-0526-SM-2S1RE 50-59 years, male 46.5
GTEX-ZPIC-0826-SM-4WWFJ 40-49 years, female 46.5
GTEX-148VJ-1526-SM-5Q5DU 70-79 years, male 46.4
GTEX-1GF9U-0426-SM-7RHHA 40-49 years, female 46.3
GTEX-OIZF-0326-SM-3MJGY 60-69 years, male 46.3
GTEX-ZAJG-0826-SM-5PNVA 50-59 years, female 46.0
GTEX-1LGOU-0726-SM-E9TIY 20-29 years, female 45.7
GTEX-145MO-1126-SM-5NQBX 60-69 years, male 45.6
GTEX-N7MT-1326-SM-2I3FV 60-69 years, female 45.6
GTEX-12WSK-0626-SM-5LZUJ 40-49 years, female 45.5
GTEX-14PN3-0526-SM-69LQF 60-69 years, female 45.5
GTEX-O5YV-0326-SM-2I5H2 60-69 years, female 45.5
GTEX-WEY5-0426-SM-3GIKT 40-49 years, female 45.5
GTEX-1H23P-1226-SM-9QEJ2 60-69 years, male 45.4
GTEX-1POEN-0626-SM-EVR4B 30-39 years, female 45.3
GTEX-1JMLX-1626-SM-ARZMV 50-59 years, male 45.1
GTEX-1CB4E-0526-SM-7MXTK 60-69 years, male 45.0
GTEX-1IKOE-1026-SM-ARZMF 30-39 years, female 45.0
GTEX-13N11-0426-SM-5KM3O 50-59 years, female 44.9
GTEX-117YX-1126-SM-5H128 50-59 years, male 44.8
GTEX-1C6VQ-1126-SM-7EWET 50-59 years, male 44.8
GTEX-X15G-0426-SM-4PQZ6 50-59 years, female 44.7
GTEX-1HCUA-0526-SM-A9SMH 50-59 years, female 44.7
GTEX-1IDJU-0726-SM-CNPQ9 60-69 years, female 44.5
GTEX-OOBJ-0326-SM-33HBO 60-69 years, male 44.2
GTEX-1QCLZ-0926-SM-E6CQZ 60-69 years, female 44.2
GTEX-ZF2S-1026-SM-9QEGK 50-59 years, female 44.2
GTEX-132NY-1726-SM-5EGKK 60-69 years, male 44.1
GTEX-YEC4-0326-SM-4W216 40-49 years, male 44.0
GTEX-1J8Q3-1226-SM-CKZPT 60-69 years, male 43.9
GTEX-1GN73-2426-SM-7RHFQ 60-69 years, male 43.8
GTEX-17KNJ-0826-SM-793A4 50-59 years, male 43.7
GTEX-1F75I-1126-SM-9WYUO 40-49 years, male 43.7
GTEX-1HSMO-1226-SM-CL548 60-69 years, male 43.7
GTEX-P4PQ-0326-SM-2HMJ8 60-69 years, male 43.4
GTEX-1GMR2-1426-SM-7RHHK 50-59 years, male 43.3
GTEX-12WSD-1126-SM-5EGJD 60-69 years, female 43.2
GTEX-1J8QM-0426-SM-AHZ3X 60-69 years, female 43.0
GTEX-OHPM-0326-SM-33HCA 50-59 years, male 42.8
GTEX-PLZ5-0626-SM-2I5F8 50-59 years, male 42.8
GTEX-Y5V6-0826-SM-4VBRU 60-69 years, male 42.8
GTEX-13O61-0526-SM-5J2M1 60-69 years, male 42.7
GTEX-1399S-1026-SM-5KLZ9 30-39 years, female 42.6
GTEX-SNMC-0126-SM-2XCFO 20-29 years, male 42.5
GTEX-1HFI7-0826-SM-A9G23 50-59 years, female 42.5
GTEX-14PHY-0226-SM-5ZZWM 60-69 years, female 42.4
GTEX-U3ZH-0326-SM-3DB7A 30-39 years, male 42.2
GTEX-1OKEX-0726-SM-DPRYE 60-69 years, male 42.2
GTEX-1314G-0126-SM-5LZUL 30-39 years, male 42.1
GTEX-UJMC-0526-SM-3GAE3 50-59 years, male 42.0
GTEX-14A6H-0226-SM-5Q5DX 30-39 years, male 41.9
GTEX-ZF3C-1226-SM-4WWCB 50-59 years, female 41.9
GTEX-ZF29-0226-SM-4WKHO 60-69 years, female 41.7
GTEX-12BJ1-0226-SM-5LUA2 60-69 years, male 41.6
GTEX-1HBPH-0126-SM-CNNQ7 40-49 years, female 41.6
GTEX-13PVR-1026-SM-5QGQW 60-69 years, female 41.5
GTEX-1122O-0826-SM-5GICV 60-69 years, female 41.4
GTEX-11TUW-1026-SM-5GU7D 60-69 years, male 41.4
GTEX-1GL5R-0326-SM-9WYTJ 50-59 years, male 41.4
GTEX-POMQ-0326-SM-2I5FO 20-29 years, female 41.3
GTEX-11ONC-0126-SM-5PNW6 60-69 years, male 41.2
GTEX-14A5I-1226-SM-5NQBW 50-59 years, female 41.2
GTEX-17JCI-1126-SM-7IGMM 60-69 years, female 41.2
GTEX-13SLX-1026-SM-5ZZUQ 50-59 years, female 41.1
GTEX-1PPGY-1126-SM-E76OU 60-69 years, male 41.1
GTEX-14C5O-1326-SM-5S2UW 60-69 years, male 40.9
GTEX-OXRK-0826-SM-2HMK7 50-59 years, female 40.9
GTEX-ZPU1-0626-SM-4YCDM 40-49 years, male 40.9
GTEX-1R9JW-0526-SM-EWRNK 30-39 years, female 40.9
GTEX-131XG-0626-SM-5GCMP 50-59 years, female 40.8
GTEX-1399T-0426-SM-5PNVJ 60-69 years, male 40.8
GTEX-1QPFJ-1026-SM-E6CR6 30-39 years, female 40.8
GTEX-YEC3-0726-SM-CMKFH 50-59 years, male 40.8
GTEX-RU72-0326-SM-2TF5T 50-59 years, female 40.6
GTEX-ZDTT-0726-SM-4WKFK 60-69 years, male 40.4
GTEX-1B97J-0726-SM-7RHG3 50-59 years, female 40.4
GTEX-1H11D-1226-SM-9WPQ2 40-49 years, male 40.4
GTEX-ZYFG-0426-SM-5E43M 60-69 years, female 40.3
GTEX-13RTJ-0726-SM-5QGQN 60-69 years, male 40.2
GTEX-1B996-1126-SM-73KWN 60-69 years, male 40.1
GTEX-O5YW-0326-SM-2I5EI 50-59 years, male 40.1
GTEX-1JJ6O-2126-SM-CNNP6 60-69 years, male 40.0
GTEX-1AX9J-1026-SM-72D6E 60-69 years, male 39.9
GTEX-1KD5A-1026-SM-CY8I8 50-59 years, male 39.8
GTEX-PSDG-0926-SM-2I5FP 50-59 years, male 39.5
GTEX-146FH-1026-SM-5RQIF 50-59 years, female 39.4
GTEX-WY7C-0526-SM-3NB3D 50-59 years, male 39.4
GTEX-ZZPU-0926-SM-5GZYT 50-59 years, female 39.4
GTEX-131XF-5001-SM-7DHLY 60-69 years, male 39.2
GTEX-1EH9U-0826-SM-7IGPT 60-69 years, male 39.2
GTEX-1A3MX-1326-SM-72D58 60-69 years, male 39.0
GTEX-1J8EW-0926-SM-A9G33 60-69 years, female 39.0
GTEX-1JN1M-1026-SM-CNPOS 60-69 years, female 39.0
GTEX-1KXAM-1326-SM-E9TJW 60-69 years, male 38.9
GTEX-111YS-0426-SM-5987O 60-69 years, male 38.8
GTEX-XQ8I-0126-SM-4BOPL 50-59 years, male 38.8
GTEX-ZLFU-0226-SM-4WWFH 40-49 years, male 38.8
GTEX-P78B-0426-SM-2I5F5 40-49 years, female 38.7
GTEX-1EX96-2526-SM-7RHGW 50-59 years, male 38.7
GTEX-QEG4-0426-SM-33HC3 30-39 years, male 38.6
GTEX-ZAB5-0226-SM-5CVMH 50-59 years, male 38.6
GTEX-ZGAY-0326-SM-57WF5 40-49 years, female 38.6
GTEX-ZV7C-0326-SM-57WB1 50-59 years, male 38.6
GTEX-131XE-0626-SM-5HL98 50-59 years, male 38.5
GTEX-15RJ7-0226-SM-7KUMN 40-49 years, male 38.4
GTEX-XQ3S-0626-SM-4BOOB 20-29 years, male 38.4
GTEX-11LCK-0926-SM-5A5KA 30-39 years, male 38.3
GTEX-11GS4-0526-SM-5A5KQ 60-69 years, male 38.2
GTEX-17GQL-0526-SM-72D5N 60-69 years, male 38.2
GTEX-XPVG-0826-SM-4B654 50-59 years, male 38.2
GTEX-14C39-0926-SM-5TDDV 40-49 years, male 38.1
GTEX-1JJE9-1426-SM-ARL8P 70-79 years, male 38.1
GTEX-13O21-2326-SM-5MR3X 50-59 years, male 37.9
GTEX-1HBPM-1226-SM-A9SM8 60-69 years, female 37.9
GTEX-16BQI-0926-SM-6M485 30-39 years, female 37.8
GTEX-1RB15-0326-SM-E6CQB 60-69 years, male 37.5
GTEX-QEL4-0926-SM-3GAD1 50-59 years, male 37.4
GTEX-R45C-0926-SM-3GAD4 60-69 years, female 37.2
GTEX-1B8KE-0126-SM-793AM 50-59 years, male 37.1
GTEX-1CAMS-1326-SM-79OJR 40-49 years, female 37.1
GTEX-1ICLZ-1026-SM-A9SLF 60-69 years, male 36.9
GTEX-ZVZP-0226-SM-5NQ73 50-59 years, male 36.7
GTEX-OIZH-0326-SM-2HMKC 50-59 years, male 36.6
GTEX-1MUQO-1226-SM-E9TJK 60-69 years, male 36.6
GTEX-OIZI-0926-SM-E6CHF 40-49 years, male 36.6
GTEX-1MCC2-0326-SM-EV7AK 30-39 years, female 36.5
GTEX-ZPCL-0426-SM-DNZZ4 60-69 years, female 36.4
GTEX-1LVAN-1726-SM-CNNR1 50-59 years, female 36.0
GTEX-1JMPZ-1426-SM-CJI3C 30-39 years, male 35.9
GTEX-11GSP-1326-SM-5A5KY 60-69 years, female 35.8
GTEX-1HSMQ-0226-SM-C1YQL 50-59 years, male 35.8
GTEX-1JMQK-0626-SM-D4P2R 60-69 years, male 35.7
GTEX-15CHC-0426-SM-6LLHI 60-69 years, female 35.5
GTEX-13X6K-1826-SM-5O9CR 60-69 years, female 35.4
GTEX-14PJ2-1026-SM-6EU1M 50-59 years, male 35.4
GTEX-ZQUD-1526-SM-7IGO2 30-39 years, male 35.3
GTEX-13W3W-0426-SM-5SI9D 60-69 years, female 35.2
GTEX-X8HC-1626-SM-46MWE 50-59 years, female 35.1
GTEX-12ZZW-1026-SM-5GCMM 50-59 years, male 35.0
GTEX-146FR-0626-SM-5RQJ1 60-69 years, female 35.0
GTEX-P44H-0726-SM-48TBT 40-49 years, male 34.9
GTEX-RTLS-0826-SM-2TF5Q 60-69 years, female 34.9
GTEX-13QBU-0426-SM-5J2O4 40-49 years, female 34.8
GTEX-18D9U-1126-SM-72D5Y 40-49 years, male 34.7
GTEX-11I78-0826-SM-5A5K4 50-59 years, female 34.6
GTEX-1K9T9-1126-SM-D3L9E 50-59 years, female 34.6
GTEX-1KANC-0426-SM-CXZK5 50-59 years, female 34.6
GTEX-PX3G-0326-SM-2I3EO 20-29 years, female 34.4
GTEX-RWS6-0326-SM-2XCAP 60-69 years, female 34.3
GTEX-145LV-0326-SM-5Q5BW 50-59 years, male 34.1
GTEX-1RQEC-0926-SM-EWROG 60-69 years, male 34.1
GTEX-18A6Q-1626-SM-7KFTA 60-69 years, male 34.0
GTEX-UJHI-0426-SM-3DB8Y 50-59 years, female 34.0
GTEX-14PHX-2126-SM-6EU2U 50-59 years, male 33.9
GTEX-17F9E-0926-SM-7IGMG 50-59 years, male 33.9
GTEX-11ZVC-0426-SM-5CVLD 50-59 years, female 33.8
GTEX-Y8E4-0326-SM-4VBRR 40-49 years, male 33.8
GTEX-ZDXO-0726-SM-57WBT 60-69 years, male 33.8
GTEX-1CB4I-1626-SM-7RHGV 50-59 years, male 33.8
GTEX-1IDJF-0726-SM-CJI1U 20-29 years, male 33.8
GTEX-1LSNM-0526-SM-DIPG6 50-59 years, male 33.6
GTEX-13112-0426-SM-5PNVC 50-59 years, male 33.5
GTEX-1399U-0526-SM-5K7YM 50-59 years, female 33.5
GTEX-REY6-1026-SM-2TF4Y 60-69 years, male 33.4
GTEX-1H1CY-0326-SM-9QEIZ 60-69 years, female 33.4
GTEX-11EMC-0726-SM-5EGJO 60-69 years, female 33.2
GTEX-ZAB4-1026-SM-5HL7T 40-49 years, male 33.2
GTEX-1GZ4I-1026-SM-9KNV5 50-59 years, male 33.2
GTEX-14PJM-1126-SM-6LLHK 50-59 years, female 33.1
GTEX-15DDE-1126-SM-6LLHN 50-59 years, female 33.1
GTEX-11ZUS-0226-SM-5FQT8 30-39 years, male 33.0
GTEX-1497J-1226-SM-5Q5BL 60-69 years, male 32.9
GTEX-1C2JI-0526-SM-7EWEQ 50-59 years, male 32.9
GTEX-147F4-1226-SM-5NQAY 50-59 years, male 32.8
GTEX-14E1K-1026-SM-73KUR 50-59 years, male 32.7
GTEX-ZVT2-1026-SM-5GU55 50-59 years, female 32.7
GTEX-1F6I4-0726-SM-7PC2P 60-69 years, male 32.7
GTEX-ZDTS-1326-SM-6LLHE 60-69 years, male 32.6
GTEX-1F48J-1026-SM-7P8SO 50-59 years, female 32.6
GTEX-14PJ6-0726-SM-69LOL 60-69 years, female 32.5
GTEX-15SHU-1126-SM-7KUMB 40-49 years, female 32.5
GTEX-WZTO-1326-SM-3NM8X 40-49 years, male 32.3
GTEX-1F6IF-2526-SM-7P8TV 60-69 years, male 32.3
GTEX-13VXT-1126-SM-5LU3A 20-29 years, female 31.9
GTEX-13X6I-1426-SM-5SI9Z 60-69 years, male 31.9
GTEX-1269C-0826-SM-5N9EM 60-69 years, female 31.8
GTEX-12584-0926-SM-5FQTN 40-49 years, male 31.7
GTEX-1J8Q2-1226-SM-A9G2W 60-69 years, male 31.7
GTEX-1AX9K-0526-SM-73KV1 50-59 years, male 31.6
GTEX-OXRL-0326-SM-2I3F2 50-59 years, male 31.5
GTEX-1JMOU-0226-SM-CNNPD 60-69 years, female 31.5
GTEX-13OVG-0526-SM-5K7YD 60-69 years, male 31.4
GTEX-1I1HK-0726-SM-B2LY4 60-69 years, male 31.3
GTEX-1B8SG-0826-SM-7EWF7 50-59 years, male 31.2
GTEX-Y5V5-0626-SM-4VBPX 60-69 years, female 31.1
GTEX-13OW6-1126-SM-5L3HL 50-59 years, male 31.0
GTEX-1IDJE-0326-SM-CM2TD 50-59 years, female 31.0
GTEX-RNOR-0826-SM-2TF5C 50-59 years, female 30.8
GTEX-1HCU7-1326-SM-CNPPW 50-59 years, male 30.8
GTEX-17HGU-1026-SM-79OKL 50-59 years, male 30.6
GTEX-14DAQ-1126-SM-664MT 60-69 years, female 30.5
GTEX-12WSC-1126-SM-5EQ4G 50-59 years, male 30.4
GTEX-13O3O-1526-SM-5KM1C 60-69 years, female 30.3
GTEX-1EWIQ-1426-SM-7IGOS 70-79 years, female 30.3
GTEX-17HHY-1426-SM-7EWDQ 50-59 years, male 30.2
GTEX-1R7EV-0326-SM-E76PA 40-49 years, male 30.1
GTEX-12ZZY-1126-SM-5DUWQ 60-69 years, male 30.0
GTEX-WYJK-1026-SM-3NM8W 50-59 years, male 30.0
GTEX-X3Y1-0426-SM-3P5Z4 40-49 years, male 30.0
GTEX-1HCVE-1126-SM-9WPPG 50-59 years, male 30.0
GTEX-UPK5-0326-SM-CYPR4 40-49 years, male 29.8
GTEX-1OFPY-1026-SM-EXUSO 60-69 years, male 29.7
GTEX-ZYFC-1126-SM-5E44W 50-59 years, male 29.6
GTEX-1M5QR-1026-SM-DHXK9 40-49 years, male 29.6
GTEX-1IDJI-1026-SM-A96TE 50-59 years, female 29.5
GTEX-YFC4-0526-SM-5ZZVI 40-49 years, female 29.4
GTEX-11DXZ-0626-SM-5GU77 50-59 years, male 29.3
GTEX-12ZZZ-1726-SM-59HK5 60-69 years, male 29.3
GTEX-13FLV-0926-SM-5L3DZ 50-59 years, male 29.0
GTEX-X261-1426-SM-4PQZ1 50-59 years, male 29.0
GTEX-1KD4Q-0726-SM-DIPGE 40-49 years, male 28.9
GTEX-13NZB-0226-SM-5KM1T 30-39 years, male 28.7
GTEX-14JG1-1026-SM-6ETZY 40-49 years, male 28.7
GTEX-1EN7A-0726-SM-7PBXT 40-49 years, male 28.6
GTEX-WQUQ-1426-SM-3MJFD 60-69 years, male 28.4
GTEX-R55E-1026-SM-2TC5S 20-29 years, male 28.1
GTEX-15DYW-1126-SM-6LPK5 60-69 years, female 28.0
GTEX-1QP2A-1126-SM-EVR3H 50-59 years, male 27.9
GTEX-1I1GV-1326-SM-A96SE 60-69 years, male 27.7
GTEX-1O97I-0826-SM-E8VNE 60-69 years, male 27.5
GTEX-14E6D-0926-SM-5S2QV 50-59 years, male 27.4
GTEX-1LVA9-0926-SM-EVR5G 50-59 years, male 27.3
GTEX-1QP29-1526-SM-EXUSY 50-59 years, male 27.3
GTEX-13OVL-0526-SM-5KLZQ 50-59 years, male 27.0
GTEX-N7MS-0826-SM-2HML4 60-69 years, male 26.8
GTEX-111FC-0826-SM-5GZWO 60-69 years, male 26.7
GTEX-1BAJH-1626-SM-73KUV 70-79 years, male 26.6
GTEX-15CHQ-1526-SM-69LPW 60-69 years, male 26.2
GTEX-1C64O-0826-SM-79OKZ 60-69 years, male 26.2
GTEX-RN64-0826-SM-2TC62 50-59 years, male 26.0
GTEX-15RJE-0626-SM-7KUKR 40-49 years, male 25.9
GTEX-V1D1-0526-SM-4JBGW 50-59 years, male 25.9
GTEX-WL46-0926-SM-3LK7T 50-59 years, male 25.8
GTEX-1HSGN-1126-SM-CJI4G 40-49 years, female 25.7
GTEX-1R9K5-1326-SM-E6CPR 50-59 years, male 25.6
GTEX-1H3NZ-1126-SM-9WYT9 60-69 years, male 25.3
GTEX-1ICG6-0626-SM-ACKWS 70-79 years, female 25.3
GTEX-T2IS-0426-SM-32QPE 20-29 years, female 25.1
GTEX-ZYW4-0926-SM-59HJS 60-69 years, male 24.5
GTEX-117YW-0326-SM-5N9CY 50-59 years, male 24.4
GTEX-18465-0926-SM-731AY 50-59 years, male 24.4
GTEX-1I1GQ-1426-SM-B2LWY 50-59 years, male 24.4
GTEX-1GTWX-1026-SM-7P8QW 60-69 years, male 24.3
GTEX-1JJEA-0826-SM-CL53T 60-69 years, male 24.3
GTEX-YJ8O-0926-SM-EAZ2Z 40-49 years, female 24.3
GTEX-13FHP-1026-SM-5K7Y2 50-59 years, male 24.1
GTEX-13FTZ-0226-SM-5K7X6 60-69 years, male 24.0
GTEX-1LG7Y-1226-SM-CXZKD 50-59 years, male 23.8
GTEX-1IKJJ-0826-SM-A96SP 60-69 years, male 23.7
GTEX-1IL2U-1326-SM-A9G2O 60-69 years, male 23.5
GTEX-1B8L1-0526-SM-79ONX 60-69 years, male 22.7
GTEX-1CB4G-0826-SM-7DUGF 60-69 years, male 22.6
GTEX-NFK9-0926-SM-2HMJU 40-49 years, male 22.6
GTEX-T6MN-0926-SM-32PLX 50-59 years, male 22.4
GTEX-1AX9I-1126-SM-7EPHH 60-69 years, male 22.3
GTEX-16NPX-0926-SM-7KUEZ 50-59 years, male 22.2
GTEX-1313W-1426-SM-5KLZU 50-59 years, female 22.0
GTEX-17MF6-0726-SM-7LT8E 40-49 years, male 21.9
GTEX-15ER7-1726-SM-6PAMX 20-29 years, female 21.8
GTEX-11DXY-0826-SM-5EGGR 60-69 years, male 21.6
GTEX-OIZG-1126-SM-2HMIU 50-59 years, male 20.9
GTEX-1B932-1026-SM-793CL 40-49 years, female 20.1
GTEX-QVJO-1926-SM-2S1QZ 60-69 years, female 19.9
GTEX-1A8G6-1626-SM-7MGWO 60-69 years, male 19.9
GTEX-1H1ZS-1126-SM-9MQLJ 70-79 years, male 19.9
GTEX-WK11-0826-SM-EZ6LH 50-59 years, male 19.9
GTEX-ZYT6-1726-SM-5E44P 30-39 years, male 19.7
GTEX-SIU8-0826-SM-2XCDQ 50-59 years, male 19.4
GTEX-16MT8-0926-SM-6M487 60-69 years, female 18.5
GTEX-13CF2-0426-SM-5KM1H 60-69 years, male 18.4
GTEX-14BIN-2226-SM-5YYA1 50-59 years, female 18.4
GTEX-XBEC-1326-SM-4AT69 50-59 years, male 18.4
GTEX-1RAZS-0826-SM-E76QP 50-59 years, male 18.3
GTEX-13NYB-0226-SM-5N9G4 40-49 years, male 17.9
GTEX-14JIY-1126-SM-6EU28 60-69 years, male 17.5
GTEX-PVOW-0426-SM-5MR5R 40-49 years, male 17.5
GTEX-1MJIX-0326-SM-EVR42 40-49 years, male 17.5
GTEX-S33H-0526-SM-COH1W 30-39 years, male 17.5
GTEX-148VI-0326-SM-5RQK7 60-69 years, female 17.0
GTEX-ZUA1-0826-SM-4YCDL 40-49 years, male 17.0
GTEX-14E7W-1226-SM-5RQIU 70-79 years, male 16.5
GTEX-15SHW-1226-SM-6M46C 60-69 years, male 15.8
GTEX-1HT8W-1726-SM-CNNQB 30-39 years, male 15.2
GTEX-1LB8K-1026-SM-DHXJJ 50-59 years, male 14.5
GTEX-1NV8Z-1526-SM-DTX8X 60-69 years, male 12.9
Show allShow less

HEART MUSCLE - FANTOM5 CAGEi

RNA expression in human tissues obtained through Cap Analysis of Gene Expression (CAGE) generated by the FANTOM5 project are reported as Scaled Tags Per Million.

Max subtype Scaled Tags Per Millioni

Max subtype Scaled Tags Per Million is the value for the subtype with the largest average Scaled Tags Per Million across the subtype samples.

415.7
FANTOM5 sample id Sample description Scaled Tags Per Million
Heart
Scaled Tags Per Million: 297.4
FF:10016-101C7 70,73,74 years, mixed 297.4
Left atrium
Scaled Tags Per Million: 178.3
FF:10079-102A7 40 years, male 178.3
Left ventricle
Scaled Tags Per Million: 415.7
FF:10078-102A6 73 years, female 415.7

Contact

  • NEWS ARTICLES
  • PRESS ROOM

The Project

  • INTRODUCTION
  • ORGANIZATION
  • PUBLICATIONS

The Human Protein Atlas

  • DOWNLOADABLE DATA
  • LICENCE & CITATION
  • HELP & FAQ
The Human Protein Atlas project is funded
by the Knut & Alice Wallenberg Foundation.


contact@proteinatlas.org