We use cookies to enhance the usability of our website. If you continue, we'll assume that you are happy to receive all cookies. More information. Don't show this again.
CD55
HPA
RESOURCES
  • TISSUE
  • BRAIN
  • SINGLE CELL
  • SUBCELLULAR
  • CANCER
  • BLOOD
  • CELL LINE
  • STRUCTURE & INTERACTION
ABOUT
  • INTRODUCTION
  • HISTORY
  • ORGANIZATION
  • PUBLICATIONS
  • ANTIBODY SUBMISSION
  • ANTIBODY AVAILABILITY
  • ACKNOWLEDGMENTS
  • CONTACT
NEWS
  • NEWS ARTICLES
  • PRESS ROOM
LEARN
  • DICTIONARY
  • PROTEIN CLASSES
  • PROTEIN EVIDENCE
  • METHODS
  • EDUCATIONAL VIDEOS
DATA
  • DOWNLOADABLE DATA
  • PUBLICATION DATA
  • RELEASE HISTORY
HELP
  • ANTIBODY VALIDATION
  • ASSAYS & ANNOTATION
  • DISCLAIMER
  • HELP & FAQ
  • PRIVACY STATEMENT
  • LICENCE & CITATION
Fields »
Search result

Field
Term
Gene name
Class
Subclass
Class
Keyword
Chromosome
External id
Tissue
Cell type
Expression
Antibody panel
Tissue
Main location
Patient ID
Annotation
Tissue
Category
Tau score
Cluster
Reliability
Brain region
Category
Tau score
Brain region
Category
Tau score
Brain region
Category
Tau score
Cluster
Reliability
Tissue
Cell type
Enrichment
Cell type
Category
Tau score
Cell type
Category
Tau score
Cell type
Category
Tau score
Cell lineage
Category
Tau score
Cluster
Cluster
Location
Searches
Location
Cell line
Class
Type
Phase
Reliability
Cancer
Prognosis
Cancer
Category
Cancer
Category
Tau score
Cluster
Variants
Interacting gene (ensg_id)
Type
Number of interactions
Pathway
Category
Score
Score
Score
Validation
Validation
Validation
Validation
Antibodies
Data type
Column


  • SUMMARY

  • TISSUE

  • BRAIN

  • SINGLE CELL

  • SUBCELL

  • CANCER

  • BLOOD

  • CELL LINE

  • STRUCT & INT

  • CD55
TISSUE PRIMARY DATA SKIN Show tissue menu
ADIPOSE TISSUE ADRENAL GLAND AMYGDALA APPENDIX BASAL GANGLIA BONE MARROW BREAST BRONCHUS CEREBELLUM CEREBRAL CORTEX CERVIX CHOROID PLEXUS COLON DUODENUM
ENDOMETRIUM EPIDIDYMIS ESOPHAGUS FALLOPIAN TUBE GALLBLADDER HEART MUSCLE HIPPOCAMPAL FORMATION HYPOTHALAMUS KIDNEY LIVER LUNG LYMPH NODE MIDBRAIN NASOPHARYNX
ORAL MUCOSA OVARY PANCREAS PARATHYROID GLAND PITUITARY GLAND PLACENTA PROSTATE RECTUM RETINA SALIVARY GLAND SEMINAL VESICLE SKELETAL MUSCLE SKIN SMALL INTESTINE
SMOOTH MUSCLE SOFT TISSUE SPINAL CORD SPLEEN STOMACH TESTIS THYMUS THYROID GLAND TONGUE TONSIL URINARY BLADDER VAGINA
ANTIBODIES
AND
VALIDATION
Dictionary
Skin
Tissue proteome
Skin
SKIN - Expression summary
Protein expression
Skini

On the top, protein expression in current human tissue, based on all annotated cell types, is reported with the units not detected (n), low (l), medium (m) and high (h). Underneath, protein expression in each annotated cell type are reported using the same units.

Protein expression data is based on knowledge-based annotation. For genes where more than one antibody has been used, a collective score is set.

If knowledge-based annotation could not be performed for a gene, no data is displayed here. View antibody staining data further down this page.

h
m
l
n
Cells in basal layer: Medium
Cells in corneal layer: Not detected
Cells in granular layer: High
Cells in spinous layer: Not detected
Eccrine glands: Medium
Endothelial cells: Low
Extracellular matrix: High
Fibrohistiocytic cells: High
Hair follicles: High
Langerhans cells: Not detected
Lymphocytes: Low
Melanocytes: Medium
Sebaceous glands: Low
Vascular mural cells: Not detected
RNA expressioni

A summary of mRNA expression data available for current tissue based on several datasets. The mRNA expression levels in human tissues are based on RNA-seq data generated by the Human Protein Atlas (HPA), Genotype-Tissue Expression (GTEx) portal and CAGE data generated by the FANTOM5 consortium. Consensus normalized expression levels for human tissues was created by combining the data from HPA and GTEx datasets.

The mRNA expression levels in pig are based on RNA-seq data generated by the Human Protein Atlas (HPA), and for mouse, HPA data and in situ hybridization generated by the Allen brain atlas are reported.

Scroll down to view mRNA expression data in more detail.
Consensus:83.2 nTPM
HPA:51.6 nTPM
GTEx:83.2 nTPM

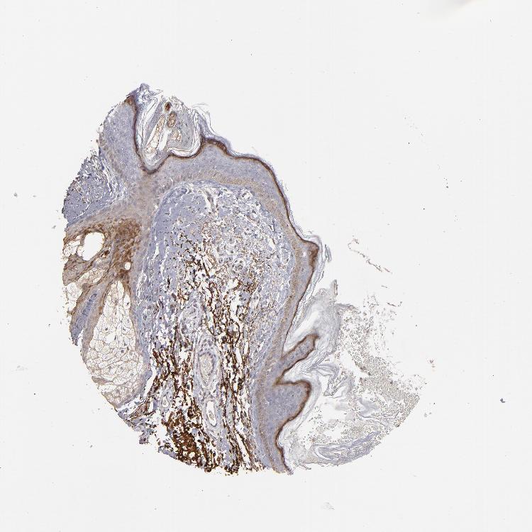
SKIN 1 - Antibody stainingi

Antibody staining in the annotated cell types in the current human tissue is reported as not detected, low, medium, or high, based on conventional immunohistochemistry profiling in selected tissues. This score is based on the combination of the staining intensity and fraction of stained cells.

Each image is clickable and will lead to virtual microscopy that enables deeper exploration of all samples and also displays staining intensity scores, fraction scores and subcellular localization as well as patient and tissue information for each sample.

Antibody HPA002190Antibody HPA024386Antibody CAB010454
Langerhans -Not detectedNot detected
Cells in basal layer Medium--
Cells in corneal layer Not detected--
Cells in granular layer High--
Cells in spinous layer Not detected--
Eccrine glands Medium--
Endothelial cells Low--
Extracellular matrix High--
Fibroblasts -LowLow
Fibrohistiocytic cells High--
Hair follicles High--
Keratinocytes -LowMedium
Langerhans cells Not detected--
Lymphocytes Not detected--
Melanocytes Not detectedNot detectedNot detected
Sebaceous glands Low--
Vascular mural cells Not detected--





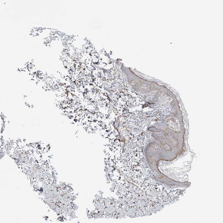
SKIN 2 - Antibody stainingi

Antibody staining in the annotated cell types in the current human tissue is reported as not detected, low, medium, or high, based on conventional immunohistochemistry profiling in selected tissues. This score is based on the combination of the staining intensity and fraction of stained cells.

Each image is clickable and will lead to virtual microscopy that enables deeper exploration of all samples and also displays staining intensity scores, fraction scores and subcellular localization as well as patient and tissue information for each sample.

Antibody HPA002190Antibody HPA024386Antibody CAB010454
Cells in basal layer Medium--
Cells in corneal layer Not detected--
Cells in granular layer Medium--
Cells in spinous layer Not detected--
Endothelial cells Low--
Epidermal cells -MediumMedium
Extracellular matrix High--
Fibrohistiocytic cells Medium--
Langerhans cells Not detected--
Lymphocytes Low--
Melanocytes Medium--
Vascular mural cells Not detected--
   
   
   
   
   





SKIN - HPA RNA-seqi

The RNA-seq details section shows detailed information about the individual samples used for the transcript profiling and results of the RNA-seq analysis.

Information about each individual sample is listed below, including gender, age, a tissue section image and estimated fractions of cell types. nTPM (normalized transcripts per million) values give a quantification of the gene abundance which is comparable between different genes and samples.
Average nTPMi

Max subtype nTPM is the value for the subtype with the largest average nTPM across the subtype samples.

51.6
overview
Female, age 34
Skin sample 225
nTPM: 61.4
Cell types%
Keratinocytes:
60

Other cell types:
40

overview
Female, age 30
Skin sample 226
nTPM: 53.5
Cell types%
Keratinocytes:
55

Other cell types:
45

N/A
Male, age 57
Skin sample 227
nTPM: 39.8

SKIN - GTEx RNA-seqi

RNA-Seq data generated by the Genotype-Tissue Expression (GTEx) project from human tissues is reported as mean nTPM. More information can be found on the GTEx portal.

Distribution across the dataset is visualized with box plots, shown as median and 25th and 75th percentiles. Points are displayed as outliers if they are above or below 1.5 times the interquartile range. nTPM values of the individual samples are presented next to the box plot.
Max subtype nTPMi

Max subtype nTPM is the value for the subtype with the largest average nTPM across the subtype samples.

83.2
GTEx sample id Sample description nTPM
Skin - Not Sun Exposed (Suprapubic)
Average nTPM: 82.4
Samples: 604

Max nTPM: 283.3
Min nTPM: 19.9
Std nTPM: 37.0
Median nTPM: 75.5
GTEX-13PDP-0726-SM-5L3HP 60-69 years, male 283.3
GTEX-XQ8I-0926-SM-4BOOF 50-59 years, male 243.4
GTEX-13O61-1426-SM-5KM3D 60-69 years, male 223.2
GTEX-12WSK-2126-SM-5CVNC 40-49 years, female 220.8
GTEX-ZLV1-1526-SM-DO91J 60-69 years, female 205.9
GTEX-13OVK-1426-SM-6PAN7 40-49 years, male 203.4
GTEX-1LKK1-2626-SM-DKPQE 50-59 years, female 196.6
GTEX-ZLFU-1826-SM-4WWBV 40-49 years, male 195.8
GTEX-ZVZP-1226-SM-5GID7 50-59 years, male 188.0
GTEX-144GL-0626-SM-5LU4D 50-59 years, male 185.2
GTEX-1F6RS-2026-SM-7RHHC 60-69 years, female 183.7
GTEX-XBED-1926-SM-47JYP 60-69 years, male 182.7
GTEX-1I1GT-1026-SM-ARZLV 60-69 years, female 182.1
GTEX-15EO6-2426-SM-6PALZ 50-59 years, male 181.5
GTEX-14C39-1726-SM-5RQIL 40-49 years, male 179.5
GTEX-YFCO-1226-SM-5LUAT 40-49 years, male 179.2
GTEX-13YAN-0226-SM-5TDC6 60-69 years, male 179.0
GTEX-1PBJJ-1026-SM-E76OS 30-39 years, male 175.4
GTEX-15SKB-2826-SM-6PAMH 60-69 years, male 172.8
GTEX-14C38-0726-SM-5SI6M 50-59 years, male 166.3
GTEX-1QPFJ-1926-SM-EVYBD 30-39 years, female 164.0
GTEX-1F88E-1626-SM-7SB8Z 60-69 years, female 163.4
GTEX-1NSGN-0726-SM-DTXEF 50-59 years, male 163.4
GTEX-Y9LG-1126-SM-4VBQ7 30-39 years, male 163.2
GTEX-1399U-1126-SM-5L3DB 50-59 years, female 162.8
GTEX-U8XE-0226-SM-4E3J3 30-39 years, male 159.8
GTEX-1R46S-2426-SM-E76QA 60-69 years, female 159.7
GTEX-13O3O-2326-SM-5IJD6 60-69 years, female 157.5
GTEX-1HBPM-0726-SM-9YFL7 60-69 years, female 156.7
GTEX-1I1GU-0926-SM-ACKVS 40-49 years, male 155.2
GTEX-ZAB4-2126-SM-5HL8U 40-49 years, male 153.5
GTEX-14PJ4-0226-SM-5YY92 60-69 years, male 152.3
GTEX-144FL-0626-SM-5LU43 50-59 years, male 152.2
GTEX-1NV5F-0626-SM-DTXEG 60-69 years, female 150.4
GTEX-16XZZ-0726-SM-7KUF2 60-69 years, male 149.9
GTEX-14PKU-0126-SM-6LLHV 40-49 years, female 148.4
GTEX-YECK-0326-SM-4W1YS 60-69 years, male 146.8
GTEX-13IVO-0726-SM-5LZYV 70-79 years, male 146.6
GTEX-16AAH-0626-SM-793C9 50-59 years, male 146.2
GTEX-12584-0726-SM-5FQTK 40-49 years, male 145.6
GTEX-1C6VQ-1226-SM-73KYD 50-59 years, male 145.2
GTEX-14C5O-0326-SM-5ZZUX 60-69 years, male 144.3
GTEX-1JN1M-2726-SM-CY8I4 60-69 years, female 143.1
GTEX-145LS-0626-SM-7EPG7 60-69 years, female 142.9
GTEX-1F5PK-2226-SM-7SB6N 50-59 years, male 141.3
GTEX-1399S-0126-SM-5IJCF 30-39 years, female 140.1
GTEX-14BMU-1226-SM-5S2OR 20-29 years, female 139.5
GTEX-WHSE-0126-SM-3NMBT 20-29 years, male 138.0
GTEX-15D1Q-2826-SM-6LLH7 40-49 years, male 137.0
GTEX-13QJC-0126-SM-5ZZWJ 60-69 years, female 136.9
GTEX-148VJ-0626-SM-5LUAW 70-79 years, male 135.7
GTEX-1117F-2926-SM-5GZYI 60-69 years, female 134.6
GTEX-1JMQL-2226-SM-CNPP4 50-59 years, female 133.9
GTEX-11GSP-2326-SM-5HL63 60-69 years, female 132.5
GTEX-1CAMS-2226-SM-7PBXQ 40-49 years, female 132.4
GTEX-1CB4H-1126-SM-7MKGL 60-69 years, female 131.9
GTEX-13RTJ-0126-SM-5S2NN 60-69 years, male 131.7
GTEX-1MCYP-0526-SM-E9U6Q 20-29 years, female 131.4
GTEX-1EH9U-2826-SM-7DUGT 60-69 years, male 131.3
GTEX-ZE7O-2726-SM-51MT5 50-59 years, female 130.9
GTEX-1HSKV-1226-SM-ADEI4 60-69 years, male 130.1
GTEX-1RMOY-1326-SM-E9TIH 50-59 years, male 129.1
GTEX-1POEN-2326-SM-E9J2L 30-39 years, female 128.7
GTEX-ZGAY-1826-SM-DO91Q 40-49 years, female 127.7
GTEX-1HB9E-0126-SM-CM2S5 50-59 years, male 126.6
GTEX-17F9Y-0126-SM-79OKX 70-79 years, female 126.3
GTEX-1GZ4H-0526-SM-9KNU9 50-59 years, female 125.9
GTEX-ZE9C-2526-SM-5IJDR 60-69 years, male 125.6
GTEX-17F98-1326-SM-7DUEP 40-49 years, female 125.0
GTEX-12WSL-2026-SM-5GCML 50-59 years, male 124.1
GTEX-1S82P-2126-SM-E6CI5 60-69 years, female 123.7
GTEX-13W3W-0726-SM-5IJDQ 60-69 years, female 121.8
GTEX-139UW-0326-SM-5J1ML 60-69 years, male 121.4
GTEX-14PJ5-1526-SM-6LLIL 60-69 years, female 121.4
GTEX-11DXY-0126-SM-5H11Q 60-69 years, male 121.3
GTEX-ZP4G-1426-SM-4WWCL 20-29 years, female 121.2
GTEX-13VXT-1926-SM-5K7UO 20-29 years, female 120.6
GTEX-WHSB-1326-SM-3LK6W 50-59 years, male 119.9
GTEX-1GN2E-0226-SM-9WG6K 60-69 years, male 119.3
GTEX-11EM3-1226-SM-5N9DD 20-29 years, female 118.9
GTEX-139T8-0626-SM-5KLZX 60-69 years, male 118.5
GTEX-15UF6-1926-SM-7KUDV 70-79 years, female 118.2
GTEX-1269C-0126-SM-5EQ5L 60-69 years, female 117.9
GTEX-13NYS-0626-SM-5L3F1 60-69 years, male 117.4
GTEX-ZYFG-1526-SM-5GZYM 60-69 years, female 116.9
GTEX-1C64N-2626-SM-7PC2N 50-59 years, male 116.9
GTEX-ZYY3-2926-SM-5GIEB 60-69 years, female 116.8
GTEX-1HCU7-0726-SM-A9SL1 50-59 years, male 116.7
GTEX-ZYW4-0626-SM-59HJR 60-69 years, male 116.1
GTEX-1H2FU-0926-SM-9WPPT 60-69 years, female 116.1
GTEX-111VG-1626-SM-5EGIO 60-69 years, male 115.5
GTEX-1QP2A-1726-SM-E76QC 50-59 years, male 115.1
GTEX-11EQ8-0926-SM-5H12V 60-69 years, male 115.0
GTEX-XV7Q-1826-SM-4BRUV 40-49 years, female 115.0
GTEX-13FHO-0426-SM-5L3F5 60-69 years, male 114.6
GTEX-13QBU-1226-SM-5LU4G 40-49 years, female 114.3
GTEX-1GL5R-1326-SM-7RHHF 50-59 years, male 113.8
GTEX-1EKGG-0626-SM-7DUGJ 60-69 years, male 113.6
GTEX-1JMPY-0226-SM-CKZOK 30-39 years, male 113.5
GTEX-XOT4-0626-SM-4B66L 60-69 years, female 113.3
GTEX-1J8Q2-2626-SM-ACKWQ 60-69 years, male 113.3
GTEX-1HKZK-0726-SM-ACKW2 40-49 years, male 113.2
GTEX-15G1A-1626-SM-7KUKN 30-39 years, male 112.8
GTEX-ZAJG-1526-SM-5CVML 50-59 years, female 112.4
GTEX-13FTY-2126-SM-5IFFB 40-49 years, female 112.0
GTEX-117YX-1926-SM-5GIEC 50-59 years, male 111.9
GTEX-WXYG-2026-SM-4E3IY 50-59 years, female 111.9
GTEX-14PJ6-2626-SM-6EU2T 60-69 years, female 111.7
GTEX-1R9K4-2826-SM-DTX8F 60-69 years, male 111.3
GTEX-14A5H-0826-SM-5QGPJ 60-69 years, male 111.2
GTEX-1A3MX-2626-SM-7PC24 60-69 years, male 110.4
GTEX-1S831-1826-SM-EWROF 20-29 years, male 110.1
GTEX-1CAMQ-1326-SM-7P8RV 40-49 years, male 109.7
GTEX-1S5ZU-2526-SM-E6CIF 20-29 years, female 109.4
GTEX-1CB4J-1326-SM-7P8RX 60-69 years, male 109.3
GTEX-1LGRB-0926-SM-COH3K 50-59 years, female 109.0
GTEX-145MI-0626-SM-5SI8S 60-69 years, female 108.4
GTEX-1JJ6O-2726-SM-CNPOG 60-69 years, male 108.4
GTEX-13X6H-0926-SM-5SIB2 50-59 years, female 108.3
GTEX-1I1GS-2626-SM-B2LY3 60-69 years, male 108.3
GTEX-13NZ8-1226-SM-5KM4A 60-69 years, female 107.8
GTEX-15G19-2426-SM-7KUMR 60-69 years, male 107.5
GTEX-ZTSS-1426-SM-5985P 40-49 years, male 107.4
GTEX-1HCVE-2726-SM-CL54F 50-59 years, male 107.4
GTEX-147JS-0226-SM-5S2U9 60-69 years, male 107.3
GTEX-1AMEY-0826-SM-72D65 30-39 years, female 107.1
GTEX-1F75A-0726-SM-7RHHD 50-59 years, male 107.1
GTEX-1H1DF-1126-SM-9WG7G 40-49 years, female 107.1
GTEX-1GN73-0726-SM-7P8TJ 60-69 years, male 107.0
GTEX-131XF-2626-SM-5EQ6K 60-69 years, male 106.9
GTEX-X4EP-0626-SM-3P621 60-69 years, female 106.9
GTEX-1GMRU-2126-SM-7P8RA 50-59 years, male 106.9
GTEX-11P82-1426-SM-DTXFY 20-29 years, male 106.8
GTEX-WFG7-2026-SM-5SI7P 20-29 years, male 106.3
GTEX-ZDTT-0426-SM-4WKFL 60-69 years, male 106.1
GTEX-WYBS-0626-SM-3NMAS 60-69 years, female 105.5
GTEX-XUW1-0926-SM-4BONX 50-59 years, female 105.4
GTEX-15FZZ-0526-SM-7KUGD 30-39 years, female 105.1
GTEX-1F48J-0726-SM-7RHGS 50-59 years, female 105.1
GTEX-1EMGI-2326-SM-7PBYA 60-69 years, male 104.5
GTEX-X5EB-1926-SM-4E3IW 40-49 years, male 104.4
GTEX-14E6C-2426-SM-5S2NF 40-49 years, male 104.2
GTEX-ZZPU-0826-SM-5GZX5 50-59 years, female 103.9
GTEX-13FTW-0326-SM-5K7UW 40-49 years, male 103.8
GTEX-1H1ZS-2726-SM-9WG75 70-79 years, male 103.7
GTEX-WI4N-2726-SM-3LK7Y 40-49 years, female 103.6
GTEX-1PPH8-0126-SM-EWRN8 20-29 years, male 103.6
GTEX-1RLM8-2926-SM-E8VON 50-59 years, male 102.9
GTEX-1JMQJ-0826-SM-CNPP7 50-59 years, male 102.8
GTEX-1CAMR-1326-SM-7PC1F 20-29 years, male 102.7
GTEX-144GM-0526-SM-79OJO 20-29 years, male 102.3
GTEX-1EN7A-2426-SM-793DB 40-49 years, male 102.0
GTEX-13OVJ-0826-SM-5J1OK 50-59 years, female 101.6
GTEX-Y3I4-1726-SM-4TT89 50-59 years, male 101.5
GTEX-ZA64-1026-SM-5HL8R 20-29 years, male 101.0
GTEX-139YR-1026-SM-5LZYN 50-59 years, male 100.7
GTEX-13PL6-1126-SM-5L3IE 40-49 years, female 100.5
GTEX-1313W-0626-SM-5EQ4H 50-59 years, female 100.4
GTEX-16YQH-2226-SM-7IGM2 30-39 years, male 100.3
GTEX-1HBPN-0126-SM-CGQEF 50-59 years, male 100.3
GTEX-1GZHY-0626-SM-9KNVC 50-59 years, female 100.2
GTEX-15SHW-0226-SM-7LTAT 60-69 years, male 100.1
GTEX-1N2EE-0626-SM-E76PW 60-69 years, male 99.9
GTEX-1KXAM-1626-SM-D3LAD 60-69 years, male 99.8
GTEX-1IDFM-0326-SM-ARL7V 60-69 years, male 99.4
GTEX-11WQK-1026-SM-5EQLX 50-59 years, male 99.1
GTEX-14JG6-1426-SM-9WG7C 30-39 years, female 99.0
GTEX-14PJ3-1126-SM-5ZZVX 50-59 years, male 98.6
GTEX-11DZ1-2426-SM-5GZZX 50-59 years, male 98.5
GTEX-13FLV-0126-SM-5K7WT 50-59 years, male 98.1
GTEX-11UD2-2526-SM-5CVNU 50-59 years, male 98.0
GTEX-1EWIQ-0326-SM-7DHMQ 70-79 years, female 98.0
GTEX-1QMI2-2526-SM-E8VNZ 60-69 years, male 98.0
GTEX-1S83E-1326-SM-E6CJM 40-49 years, male 98.0
GTEX-1122O-1026-SM-9WYSF 60-69 years, female 97.9
GTEX-1IDJH-0126-SM-D3L92 70-79 years, male 97.9
GTEX-12WSJ-1126-SM-5LZVJ 40-49 years, female 97.8
GTEX-14753-0726-SM-5QGQO 60-69 years, male 97.8
GTEX-16MT8-2926-SM-7DUFO 60-69 years, female 97.7
GTEX-1I4MK-0126-SM-CY8G6 50-59 years, female 97.4
GTEX-17F9E-2326-SM-79OKD 50-59 years, male 97.2
GTEX-ZYFC-0426-SM-5GICQ 50-59 years, male 97.2
GTEX-13SLW-0626-SM-5Q5ER 70-79 years, male 96.8
GTEX-ZYFD-0626-SM-5E44E 50-59 years, male 96.8
GTEX-11P81-2226-SM-5PNYI 30-39 years, female 96.2
GTEX-11ZU8-0126-SM-5EQ58 60-69 years, male 95.6
GTEX-1IDJI-0126-SM-CMKHS 50-59 years, female 95.1
GTEX-1ICLY-0826-SM-CMKG1 50-59 years, male 94.6
GTEX-1HGF4-0126-SM-CNPPX 60-69 years, male 94.5
GTEX-13OVH-0526-SM-5L3E6 70-79 years, male 94.4
GTEX-1497J-0226-SM-5QGPU 60-69 years, male 94.4
GTEX-14PJN-1826-SM-6AJ98 30-39 years, male 94.1
GTEX-1H3O1-1326-SM-9MQLD 60-69 years, male 93.9
GTEX-1PPH7-1126-SM-DTX9A 40-49 years, male 93.9
GTEX-15DYW-2726-SM-6EU2I 60-69 years, female 93.8
GTEX-1314G-1326-SM-5BC6E 30-39 years, male 93.3
GTEX-131XG-0326-SM-5L3DX 50-59 years, female 93.2
GTEX-17F97-2626-SM-7IGM5 50-59 years, male 92.9
GTEX-1J1OQ-0126-SM-D4P2N 40-49 years, female 92.8
GTEX-ZC5H-1526-SM-5HL9Y 40-49 years, female 92.4
GTEX-1HT8W-0626-SM-A9G2H 30-39 years, male 92.4
GTEX-1JK1U-0226-SM-ARZMX 60-69 years, male 92.4
GTEX-1A32A-0626-SM-731AQ 50-59 years, female 92.2
GTEX-11ZTT-2126-SM-5CVLO 60-69 years, female 91.9
GTEX-Y8LW-1526-SM-5IFHL 50-59 years, female 91.7
GTEX-1J8Q3-0526-SM-ARL8U 60-69 years, male 91.6
GTEX-1HSMO-0626-SM-ACKXC 60-69 years, male 91.1
GTEX-ZF2S-1626-SM-57WES 50-59 years, female 90.9
GTEX-145ME-1726-SM-5Q5EU 40-49 years, female 90.5
GTEX-1F75B-0726-SM-7PC3R 50-59 years, male 90.5
GTEX-14ICL-1626-SM-5YYAO 30-39 years, male 90.0
GTEX-11EQ9-1626-SM-5PNY8 30-39 years, male 89.6
GTEX-18D9B-0926-SM-7LG4U 60-69 years, male 89.6
GTEX-17HHE-1326-SM-7EWDZ 50-59 years, male 89.5
GTEX-ZTX8-1326-SM-4YCEL 20-29 years, male 89.5
GTEX-13OW8-1026-SM-5J1NQ 60-69 years, male 89.4
GTEX-1H23P-0626-SM-9WG6T 60-69 years, male 89.4
GTEX-1PDJ9-1226-SM-EXUSX 20-29 years, male 89.4
GTEX-1AYD5-2626-SM-7PBXY 50-59 years, male 89.3
GTEX-14DAR-1226-SM-73KYV 50-59 years, male 89.1
GTEX-1I1HK-2326-SM-CKZOH 60-69 years, male 89.0
GTEX-1HCU6-2526-SM-ADEHL 60-69 years, female 88.3
GTEX-1477Z-0326-SM-7IGLA 60-69 years, male 88.0
GTEX-15RJE-2826-SM-7KUM9 40-49 years, male 88.0
GTEX-X3Y1-2026-SM-3P5YM 40-49 years, male 88.0
GTEX-XAJ8-1426-SM-47JYM 40-49 years, male 87.5
GTEX-1M4P7-0726-SM-E6CJ3 60-69 years, male 87.2
GTEX-12WSD-0626-SM-5GCMW 60-69 years, female 87.0
GTEX-ZXG5-2126-SM-59HKD 60-69 years, male 86.6
GTEX-12WSM-1926-SM-5BC65 60-69 years, male 86.5
GTEX-12ZZZ-0726-SM-5GCNZ 60-69 years, male 86.4
GTEX-1LVAN-0626-SM-CNPOQ 50-59 years, female 86.3
GTEX-1CB4F-1026-SM-7DUH1 60-69 years, male 86.1
GTEX-1GN1V-2826-SM-9JGIA 60-69 years, male 86.1
GTEX-1MJK3-0726-SM-E6CJC 20-29 years, male 85.9
GTEX-17MF6-2626-SM-79OKQ 40-49 years, male 85.8
GTEX-ZVT4-2426-SM-5GIEI 50-59 years, female 85.6
GTEX-1ICLZ-0326-SM-ARL82 60-69 years, male 85.5
GTEX-1BAJH-2426-SM-7IGP8 70-79 years, male 85.3
GTEX-1HCUA-0826-SM-ADEHM 50-59 years, female 85.3
GTEX-1AMFI-1326-SM-7939R 50-59 years, female 85.2
GTEX-1F52S-2926-SM-7MKGA 60-69 years, female 85.1
GTEX-Y5LM-0926-SM-6LLJG 40-49 years, female 85.0
GTEX-15RJ7-2126-SM-6PAMD 40-49 years, male 84.9
GTEX-ZAK1-0626-SM-5HL8E 50-59 years, female 84.7
GTEX-1C2JI-1026-SM-73KY1 50-59 years, male 84.6
GTEX-ZF3C-0626-SM-DO92O 50-59 years, female 84.5
GTEX-X8HC-0626-SM-4E3HQ 50-59 years, female 84.4
GTEX-1GMR8-0626-SM-7RHI7 50-59 years, female 83.3
GTEX-145MG-1526-SM-5Q5EM 50-59 years, male 83.2
GTEX-11WQC-1826-SM-5GU59 60-69 years, male 82.7
GTEX-ZT9X-1526-SM-5DUXD 40-49 years, male 82.5
GTEX-15RIG-0726-SM-7KUM7 40-49 years, male 82.4
GTEX-16BQI-1326-SM-6M486 30-39 years, female 82.2
GTEX-1K2DU-1226-SM-CYPT4 20-29 years, male 82.2
GTEX-Y3IK-1626-SM-4YCF5 50-59 years, female 82.1
GTEX-1B8L1-2226-SM-7P8PT 60-69 years, male 82.0
GTEX-1QP28-1126-SM-EVYC4 50-59 years, female 82.0
GTEX-13FTX-1526-SM-5K7VJ 20-29 years, female 81.6
GTEX-13PVQ-0626-SM-5LU47 50-59 years, male 81.6
GTEX-1LVAO-2726-SM-E9TJ8 60-69 years, male 81.6
GTEX-14E6E-0526-SM-793DN 30-39 years, male 81.5
GTEX-17HII-1426-SM-7EPGG 50-59 years, male 81.3
GTEX-145MH-2826-SM-5RQJF 50-59 years, male 81.1
GTEX-ZVE2-2826-SM-5GU51 50-59 years, male 81.1
GTEX-1GN1U-0626-SM-9MQL9 50-59 years, female 80.7
GTEX-1HSGN-0826-SM-ACKW3 40-49 years, female 80.7
GTEX-1HUB1-1426-SM-CGQF5 60-69 years, male 80.4
GTEX-1CAV2-0126-SM-7IGN7 40-49 years, female 80.0
GTEX-1KAFJ-0126-SM-DIPEK 50-59 years, male 79.9
GTEX-111CU-1126-SM-5EGIM 50-59 years, male 79.6
GTEX-1A3MV-1826-SM-731CD 30-39 years, male 79.6
GTEX-1KANA-1326-SM-DIPFA 20-29 years, male 79.5
GTEX-13NYC-0126-SM-5L3F4 60-69 years, male 79.4
GTEX-ZPCL-1126-SM-4WWFE 60-69 years, female 79.3
GTEX-11TUW-0626-SM-5LU9M 60-69 years, male 79.1
GTEX-18D9A-1426-SM-7LT8M 30-39 years, female 78.9
GTEX-14LLW-2626-SM-62LDZ 70-79 years, female 78.8
GTEX-1JMLX-0626-SM-ARL8T 50-59 years, male 78.5
GTEX-139D8-1126-SM-5LU8W 30-39 years, female 78.4
GTEX-13OW6-2726-SM-5J2OE 50-59 years, male 78.4
GTEX-18QFQ-1826-SM-72D52 30-39 years, male 78.4
GTEX-1IDJU-1726-SM-CMKHU 60-69 years, female 78.4
GTEX-13N1W-2426-SM-5IJD1 70-79 years, male 78.2
GTEX-ZZ64-1026-SM-5GZXG 20-29 years, male 78.1
GTEX-Y5V5-0126-SM-5S2NW 60-69 years, female 78.0
GTEX-1R9PN-0426-SM-DTXDT 40-49 years, female 78.0
GTEX-ZT9W-1126-SM-57WDR 50-59 years, male 77.6
GTEX-ZWKS-0626-SM-5GIDV 30-39 years, male 77.5
GTEX-ZY6K-1426-SM-5GZX2 50-59 years, male 77.5
GTEX-VUSG-2326-SM-4KL1U 50-59 years, male 77.4
GTEX-YB5K-2026-SM-4VDT3 40-49 years, female 76.9
GTEX-1C475-1326-SM-7SB73 40-49 years, female 76.9
GTEX-13OW5-2326-SM-5L3HO 60-69 years, male 76.6
GTEX-1JMOU-1026-SM-CYPSS 60-69 years, female 76.4
GTEX-13D11-0926-SM-5J2NC 50-59 years, female 76.0
GTEX-1I1CD-0626-SM-CE6SW 60-69 years, female 75.9
GTEX-1192X-2726-SM-5N9DN 50-59 years, male 75.8
GTEX-147GR-2426-SM-5ZZWQ 60-69 years, male 75.8
GTEX-1GPI6-1926-SM-9KNV7 60-69 years, male 75.6
GTEX-1IKOE-1426-SM-CE6T7 30-39 years, female 75.6
GTEX-1GF9V-0826-SM-9KNUV 60-69 years, male 75.5
GTEX-Z93S-1626-SM-5CVMB 50-59 years, male 75.4
GTEX-17EVP-2626-SM-7IGMA 40-49 years, male 75.2
GTEX-1J8QM-2426-SM-A9SLS 60-69 years, female 75.1
GTEX-1PIIG-2326-SM-DTXFR 30-39 years, male 75.0
GTEX-1H11D-1826-SM-9QEHM 40-49 years, male 74.9
GTEX-1S82U-1026-SM-E6CJK 30-39 years, female 74.9
GTEX-1A3MW-0626-SM-731CB 60-69 years, female 74.8
GTEX-146FQ-2126-SM-5RQHU 30-39 years, male 74.6
GTEX-1HR9M-2226-SM-CNPPY 60-69 years, male 74.5
GTEX-1JJEA-1826-SM-ARU8P 60-69 years, male 74.5
GTEX-11LCK-2226-SM-5HL4Q 30-39 years, male 74.4
GTEX-139TU-0726-SM-5L3EK 60-69 years, male 74.3
GTEX-WFG8-2126-SM-3GIKQ 20-29 years, male 74.2
GTEX-1QEPI-2626-SM-DTXF4 60-69 years, female 74.1
GTEX-13X6I-1826-SM-5SIAO 60-69 years, male 73.9
GTEX-WY7C-2126-SM-3NB2R 50-59 years, male 73.9
GTEX-1IE54-1126-SM-A9G2Z 40-49 years, female 73.8
GTEX-ZVE1-0726-SM-51MRN 50-59 years, female 73.6
GTEX-1F88F-0126-SM-9WYSZ 60-69 years, female 73.6
GTEX-1JMQK-1226-SM-D4P2S 60-69 years, male 73.4
GTEX-15CHC-1126-SM-6LLHQ 60-69 years, female 73.0
GTEX-UPJH-0226-SM-3GADV 50-59 years, male 72.7
GTEX-14XAO-1226-SM-6EU1C 60-69 years, female 72.6
GTEX-131YS-2826-SM-5EQ47 60-69 years, female 72.5
GTEX-1R7EU-1626-SM-DTXG3 60-69 years, male 72.4
GTEX-ZF29-0926-SM-4WKFZ 60-69 years, female 72.2
GTEX-12C56-1526-SM-5FQUQ 20-29 years, male 72.0
GTEX-XK95-0226-SM-4AT58 40-49 years, male 72.0
GTEX-133LE-2326-SM-5K7W3 20-29 years, female 71.9
GTEX-12ZZX-2426-SM-5GCOE 40-49 years, female 71.7
GTEX-YEC4-1826-SM-4W1YP 40-49 years, male 71.6
GTEX-12BJ1-0926-SM-5EQ62 60-69 years, male 71.3
GTEX-147F4-0726-SM-5TDDD 50-59 years, male 71.2
GTEX-1J1R8-2026-SM-CL53Y 40-49 years, male 71.2
GTEX-1MCC2-1826-SM-DIPEX 30-39 years, female 71.2
GTEX-1LB8K-0726-SM-D5OV2 50-59 years, male 71.1
GTEX-147F3-1726-SM-5SIAW 50-59 years, female 70.8
GTEX-1EX96-1026-SM-7MKG2 50-59 years, male 70.8
GTEX-14DAQ-0626-SM-793DS 60-69 years, female 70.7
GTEX-131XW-0626-SM-5PNVD 50-59 years, female 70.2
GTEX-12WSH-1526-SM-5BC5W 50-59 years, male 69.6
GTEX-1399R-1326-SM-5PNYS 30-39 years, male 69.6
GTEX-W5X1-2526-SM-3GILC 40-49 years, female 69.6
GTEX-1GMR2-0826-SM-7PC3V 50-59 years, male 69.5
GTEX-1K2DA-1026-SM-CGQGF 50-59 years, male 69.4
GTEX-1HSMQ-2626-SM-A9SML 50-59 years, male 69.3
GTEX-1H4P4-2126-SM-9WYSL 50-59 years, male 69.2
GTEX-X4EO-2926-SM-4E3JH 60-69 years, female 69.0
GTEX-1RAZS-2526-SM-E6CHT 50-59 years, male 69.0
GTEX-17HHY-0426-SM-7DHLC 50-59 years, male 68.8
GTEX-1JJE9-2626-SM-ARZMT 70-79 years, male 68.8
GTEX-1PIGE-1826-SM-E8VOU 20-29 years, male 68.8
GTEX-1212Z-0126-SM-59HK4 60-69 years, male 68.3
GTEX-14PII-0726-SM-6EU2B 60-69 years, male 68.1
GTEX-11OF3-0126-SM-5PNYF 60-69 years, male 67.6
GTEX-15ER7-0626-SM-6PANF 20-29 years, female 67.4
GTEX-12KS4-2126-SM-5FQUT 30-39 years, male 67.2
GTEX-1H3VE-0726-SM-9YFL5 40-49 years, male 67.2
GTEX-1N5O9-0926-SM-E9J3C 60-69 years, male 66.9
GTEX-ZTTD-2826-SM-4YCFA 50-59 years, male 66.5
GTEX-ZDYS-2426-SM-4WKGI 50-59 years, male 66.4
GTEX-1IDJV-0126-SM-COH3Y 60-69 years, male 66.4
GTEX-WK11-2726-SM-3NMAQ 50-59 years, male 66.2
GTEX-11GS4-0226-SM-5HL77 60-69 years, male 65.9
GTEX-17F96-0126-SM-7EWDU 70-79 years, male 65.9
GTEX-WYVS-1626-SM-3NM9R 40-49 years, female 65.7
GTEX-1RAZQ-1326-SM-E9TK6 30-39 years, male 65.5
GTEX-ZVP2-0326-SM-57WBP 50-59 years, male 65.4
GTEX-1211K-1526-SM-5FQU4 60-69 years, female 65.3
GTEX-1GZ4I-2626-SM-9KNU3 50-59 years, male 65.1
GTEX-1LSNL-2726-SM-E9TKJ 50-59 years, male 65.0
GTEX-11NUK-2726-SM-5A5MC 50-59 years, male 64.7
GTEX-178AV-1726-SM-7KUL8 40-49 years, male 64.2
GTEX-1RAZR-2126-SM-E9U6T 40-49 years, male 64.0
GTEX-1I1GV-0626-SM-ARL7M 60-69 years, male 63.8
GTEX-14AS3-1526-SM-5Q5ED 40-49 years, female 63.7
GTEX-14B4R-1326-SM-5Q5EZ 30-39 years, male 63.6
GTEX-1C6WA-2626-SM-7MKGM 60-69 years, male 63.6
GTEX-13OVL-0126-SM-5L3GJ 50-59 years, male 63.3
GTEX-ZLWG-0826-SM-59888 50-59 years, female 63.0
GTEX-145LU-1926-SM-79OJN 50-59 years, male 62.8
GTEX-14JFF-0626-SM-5ZZVT 60-69 years, male 62.8
GTEX-15CHQ-0326-SM-69LQD 60-69 years, male 62.7
GTEX-1QP29-1826-SM-DTX9S 50-59 years, male 62.6
GTEX-1QAET-0326-SM-EVR3U 50-59 years, male 62.5
GTEX-1S3DN-2126-SM-E9TIN 50-59 years, male 62.5
GTEX-13113-1626-SM-5EQ4I 60-69 years, female 62.4
GTEX-1HBPI-2126-SM-ARL9K 50-59 years, male 62.4
GTEX-1I1GP-1326-SM-A9G28 50-59 years, male 62.4
GTEX-14PK6-0226-SM-62LF5 70-79 years, female 62.3
GTEX-XBEW-1126-SM-4QARW 40-49 years, male 62.3
GTEX-16NPX-0726-SM-7KULC 50-59 years, male 62.1
GTEX-1LSVX-2526-SM-DIPEU 60-69 years, male 62.1
GTEX-1EU9M-1426-SM-793AI 60-69 years, male 62.0
GTEX-18A7A-0126-SM-731AH 50-59 years, female 61.8
GTEX-1KD5A-0126-SM-E9U54 50-59 years, male 61.8
GTEX-1B933-2426-SM-7DHMD 50-59 years, female 61.6
GTEX-YF7O-1526-SM-5IFI6 50-59 years, male 61.5
GTEX-12696-0126-SM-5EQ4L 60-69 years, male 61.4
GTEX-1JKYN-0826-SM-ARU8S 30-39 years, male 61.4
GTEX-1A8G7-1326-SM-73KVM 60-69 years, male 61.3
GTEX-Y5V6-2326-SM-4VDSA 60-69 years, male 61.3
GTEX-1KANB-2826-SM-CY8I6 50-59 years, male 61.3
GTEX-13O3Q-0126-SM-5KM34 50-59 years, male 61.0
GTEX-Y114-2126-SM-4TT8B 50-59 years, female 60.9
GTEX-1J8EW-2726-SM-CY8HR 60-69 years, female 60.9
GTEX-1JKYR-0626-SM-ARL8R 20-29 years, male 60.8
GTEX-1OJC3-1226-SM-DTXER 20-29 years, male 60.8
GTEX-15CHR-1126-SM-7EWF4 50-59 years, male 60.5
GTEX-1F75W-2726-SM-7SB8H 60-69 years, male 60.3
GTEX-13FH7-1126-SM-5K7UG 50-59 years, female 60.1
GTEX-1N2DV-1526-SM-DTXEP 40-49 years, male 60.1
GTEX-18D9U-0126-SM-731BM 40-49 years, male 59.9
GTEX-17HGU-2326-SM-7DUFE 50-59 years, male 59.7
GTEX-1KWVE-1026-SM-D3L9O 30-39 years, male 59.4
GTEX-14PHY-1226-SM-5ZZWK 60-69 years, female 59.3
GTEX-16NGA-0726-SM-731AO 40-49 years, female 59.2
GTEX-11O72-0626-SM-5PNYE 40-49 years, male 59.1
GTEX-14PJO-2526-SM-6AJBQ 60-69 years, male 59.1
GTEX-13PVR-0426-SM-5RQK2 60-69 years, female 59.0
GTEX-139TS-2126-SM-5K7XC 60-69 years, male 58.8
GTEX-ZVT2-0126-SM-5GIDQ 50-59 years, female 58.8
GTEX-1JMPZ-0726-SM-CY8HZ 30-39 years, male 58.7
GTEX-15RIE-1926-SM-7KUKJ 60-69 years, male 58.6
GTEX-18A6Q-0626-SM-7KFRP 60-69 years, male 58.6
GTEX-1HFI7-2326-SM-CGQFS 50-59 years, female 58.3
GTEX-12ZZY-0726-SM-5EQ66 60-69 years, male 58.2
GTEX-131XH-0126-SM-5LZUY 50-59 years, male 58.1
GTEX-13JUV-2026-SM-5K7UA 40-49 years, female 57.9
GTEX-13X6J-0626-SM-5LU5F 50-59 years, male 57.8
GTEX-14E1K-2026-SM-7DUEI 50-59 years, male 57.5
GTEX-YEC3-1326-SM-DO92X 50-59 years, male 57.4
GTEX-14A6H-2026-SM-5Q5DD 30-39 years, male 57.3
GTEX-1H3NZ-2726-SM-9WYTQ 60-69 years, male 57.3
GTEX-14PHX-2226-SM-6EU2P 50-59 years, male 57.2
GTEX-XMD2-2126-SM-4YCF8 60-69 years, female 56.8
GTEX-1GPI7-1826-SM-9KNU1 20-29 years, male 56.7
GTEX-XYKS-1426-SM-4BRUO 60-69 years, female 56.4
GTEX-1F6I4-2326-SM-7RHGL 60-69 years, male 56.4
GTEX-13G51-1826-SM-5KLZH 60-69 years, male 56.3
GTEX-13N2G-0226-SM-5K7VF 60-69 years, male 56.2
GTEX-WEY5-2326-SM-3GIKK 40-49 years, female 56.1
GTEX-1IKJJ-2226-SM-CJI4C 60-69 years, male 56.1
GTEX-1OJC4-2726-SM-E76PJ 50-59 years, female 56.1
GTEX-13JVG-0726-SM-5KM16 60-69 years, male 56.0
GTEX-13OVG-1626-SM-5J1NF 60-69 years, male 55.9
GTEX-1CB4E-0926-SM-7EPHT 60-69 years, male 55.9
GTEX-12126-0826-SM-5FQTZ 20-29 years, male 55.8
GTEX-14LZ3-0126-SM-69LPM 60-69 years, female 55.8
GTEX-1AX9I-2226-SM-73KUO 60-69 years, male 55.7
GTEX-ZU9S-1826-SM-5NQ9E 30-39 years, male 55.5
GTEX-1H1DG-2426-SM-9QEHJ 70-79 years, male 55.4
GTEX-XBEC-0726-SM-4QARZ 50-59 years, male 55.1
GTEX-1I6K6-1726-SM-CGQFD 30-39 years, male 55.1
GTEX-1IDJF-2026-SM-CL53V 20-29 years, male 54.9
GTEX-WH7G-2026-SM-3NMBL 40-49 years, male 54.8
GTEX-1HC8U-1326-SM-9YFMJ 40-49 years, female 54.7
GTEX-ZPIC-0526-SM-DO91W 40-49 years, female 54.6
GTEX-11EI6-2826-SM-5H11D 60-69 years, male 54.5
GTEX-1399Q-2326-SM-5KM2X 40-49 years, male 54.5
GTEX-1A8G6-2726-SM-731AR 60-69 years, male 54.5
GTEX-15DDE-2926-SM-6LLJ3 50-59 years, female 54.4
GTEX-1F5PL-0926-SM-7PC2W 40-49 years, female 54.2
GTEX-1B8KE-1126-SM-7EPHI 50-59 years, male 54.1
GTEX-13112-0126-SM-5P9IU 50-59 years, male 53.9
GTEX-17KNJ-2126-SM-718AM 50-59 years, male 53.9
GTEX-1B8SF-0126-SM-7DUG3 60-69 years, male 53.9
GTEX-1KANC-1226-SM-CYPT7 50-59 years, female 53.6
GTEX-1B996-0426-SM-7EWF8 60-69 years, male 53.5
GTEX-1PPGY-1626-SM-EVYBL 60-69 years, male 53.4
GTEX-X585-2426-SM-46MW2 50-59 years, male 53.3
GTEX-13OW7-0426-SM-5K7VK 50-59 years, male 53.0
GTEX-17MFQ-1526-SM-7KFRR 20-29 years, male 53.0
GTEX-ZDXO-3126-SM-5IJDF 60-69 years, male 52.9
GTEX-1F75I-2226-SM-7SB8U 40-49 years, male 52.9
GTEX-14BMV-2826-SM-5TDED 50-59 years, male 52.7
GTEX-11DYG-1526-SM-5A5JS 60-69 years, male 52.6
GTEX-11VI4-1126-SM-5EQMD 40-49 years, female 52.6
GTEX-14JG1-1526-SM-5YY9X 40-49 years, male 52.5
GTEX-XXEK-1626-SM-4BRUZ 50-59 years, male 52.2
GTEX-1GF9W-1426-SM-7PBYM 60-69 years, male 52.2
GTEX-1B97I-0626-SM-73KUZ 40-49 years, male 52.1
GTEX-183WM-0326-SM-72D5V 70-79 years, female 51.9
GTEX-14BIN-1126-SM-5RQJZ 50-59 years, female 51.8
GTEX-13NYB-0126-SM-5J1MD 40-49 years, male 51.4
GTEX-1I19N-0126-SM-CYPSF 70-79 years, male 51.4
GTEX-11P7K-1126-SM-5HL4L 30-39 years, male 51.3
GTEX-18465-2826-SM-7LT9J 50-59 years, male 51.3
GTEX-183FY-1026-SM-7939A 20-29 years, male 51.1
GTEX-1QP9N-1226-SM-E76QN 30-39 years, male 51.1
GTEX-1HCU9-0426-SM-9WYSD 20-29 years, male 50.9
GTEX-V1D1-2026-SM-3GAF4 50-59 years, male 50.8
GTEX-1C6VR-0126-SM-7RHGB 60-69 years, male 50.8
GTEX-1GTWX-2026-SM-9YFLM 60-69 years, male 50.6
GTEX-1QCLY-0226-SM-EWRNH 30-39 years, male 50.6
GTEX-12WSC-2826-SM-5BC5Y 50-59 years, male 50.5
GTEX-1JN76-0626-SM-CKZOQ 20-29 years, female 50.5
GTEX-WRHU-2826-SM-3MJG8 50-59 years, female 50.2
GTEX-YJ8O-2526-SM-5HL85 40-49 years, female 50.2
GTEX-1C64O-1326-SM-7MGWR 60-69 years, male 50.2
GTEX-11DXZ-2026-SM-5987S 50-59 years, male 50.1
GTEX-WHPG-2626-SM-3NMBR 50-59 years, male 50.1
GTEX-1H1CY-0126-SM-9YFLY 60-69 years, female 50.1
GTEX-1H1E6-0426-SM-9WYUS 30-39 years, male 49.9
GTEX-18A7B-2726-SM-7LG56 70-79 years, male 49.8
GTEX-1F6IF-0926-SM-7SB7M 60-69 years, male 49.8
GTEX-1GN1W-2426-SM-9KNUU 50-59 years, female 49.8
GTEX-ZDTS-0826-SM-4WKHL 60-69 years, male 49.7
GTEX-1GF9X-1326-SM-7PC2Y 40-49 years, female 49.6
GTEX-1HR98-2226-SM-ADEI2 60-69 years, male 49.3
GTEX-1QW4Y-1126-SM-DTXE3 30-39 years, male 49.1
GTEX-1B932-2326-SM-79OL5 40-49 years, female 49.0
GTEX-Y8E4-2026-SM-5IFJB 40-49 years, male 48.9
GTEX-1GMR3-0126-SM-A9SLW 40-49 years, male 48.9
GTEX-13SLX-2226-SM-62LEP 50-59 years, female 48.8
GTEX-145MO-2826-SM-5LU96 60-69 years, male 48.7
GTEX-1LVAM-0726-SM-E6CIL 50-59 years, female 48.6
GTEX-111YS-1526-SM-5GZYW 60-69 years, male 48.4
GTEX-1LGOU-1326-SM-D3L8M 20-29 years, female 48.3
GTEX-1B8KZ-0326-SM-73KY4 50-59 years, male 48.0
GTEX-14PJ2-0626-SM-6LLII 50-59 years, male 47.4
GTEX-1LG7Y-2526-SM-EWRO7 50-59 years, male 47.3
GTEX-VJYA-1526-SM-3GIJV 60-69 years, male 47.1
GTEX-ZPU1-1126-SM-4YCF3 40-49 years, male 46.7
GTEX-ZYT6-2326-SM-5GZY3 30-39 years, male 46.7
GTEX-1HSMP-0926-SM-A9SKX 70-79 years, male 46.6
GTEX-14PKV-1126-SM-6LLJ1 20-29 years, female 46.4
GTEX-14ABY-2026-SM-62LDL 50-59 years, male 46.2
GTEX-1ICG6-1226-SM-A9SLN 70-79 years, female 46.1
GTEX-1JN6P-2926-SM-CL54D 60-69 years, male 46.0
GTEX-16MTA-0926-SM-6M47Z 50-59 years, male 45.9
GTEX-1H1DE-1326-SM-9KNUG 20-29 years, male 45.9
GTEX-1IDJE-1426-SM-ADEIW 50-59 years, female 45.9
GTEX-15EU6-2226-SM-6EU2L 50-59 years, male 45.0
GTEX-1O9I2-0226-SM-EYYXD 50-59 years, male 45.0
GTEX-12WSA-0426-SM-5EQ5X 60-69 years, male 44.6
GTEX-WYJK-0526-SM-3NM8Z 50-59 years, male 44.5
GTEX-11DXW-0826-SM-5H118 40-49 years, male 44.4
GTEX-11NSD-0626-SM-5A5LU 20-29 years, male 44.3
GTEX-1J8JJ-0626-SM-ARZMQ 60-69 years, female 44.0
GTEX-18A66-0626-SM-7LT8Z 60-69 years, male 43.9
GTEX-Y111-0626-SM-4SOIT 50-59 years, male 43.9
GTEX-1IOXB-2726-SM-CM2RI 50-59 years, male 43.9
GTEX-ZVTK-0226-SM-51MRG 20-29 years, male 43.8
GTEX-UPK5-0426-SM-3GAEK 40-49 years, male 43.7
GTEX-144GO-2026-SM-5O99P 60-69 years, male 43.5
GTEX-11TT1-1826-SM-5EQLV 20-29 years, male 43.3
GTEX-1IDJD-2326-SM-ACKWX 30-39 years, male 43.3
GTEX-1RB15-1326-SM-E76Q9 60-69 years, male 43.0
GTEX-13N11-2326-SM-5IJBF 50-59 years, female 42.8
GTEX-18A67-1626-SM-7LT9T 50-59 years, male 42.8
GTEX-WHWD-1826-SM-3LK6I 50-59 years, male 42.7
GTEX-1E2YA-2126-SM-7MXUO 50-59 years, male 42.3
GTEX-1LSNM-0826-SM-DIPG8 50-59 years, male 41.8
GTEX-17HG3-2626-SM-7DUF2 30-39 years, female 41.7
GTEX-145MN-1526-SM-5SI9T 30-39 years, male 41.5
GTEX-1R9PM-1926-SM-EVR3O 20-29 years, male 40.9
GTEX-1A8FM-0626-SM-7PC25 50-59 years, female 40.2
GTEX-145LT-0526-SM-5LUB2 40-49 years, male 39.8
GTEX-1LBAC-0826-SM-CY8IJ 20-29 years, male 39.5
GTEX-1IL2V-1926-SM-B2LW8 70-79 years, male 39.2
GTEX-1IDJC-1526-SM-B2LW4 50-59 years, male 39.1
GTEX-13X6K-0626-SM-5LU5D 60-69 years, female 38.5
GTEX-1GF9U-2026-SM-7SB92 40-49 years, female 37.6
GTEX-1JMQI-1726-SM-ARL93 50-59 years, male 37.6
GTEX-1AX8Z-0726-SM-73KTS 60-69 years, male 37.3
GTEX-139TT-2126-SM-5LZWC 60-69 years, male 37.0
GTEX-1HFI6-0126-SM-CNPPI 40-49 years, male 36.7
GTEX-1QCLZ-2426-SM-EVYBW 60-69 years, female 36.3
GTEX-1K9T9-1526-SM-DIPFR 50-59 years, female 36.2
GTEX-12WSF-1626-SM-7KUG5 70-79 years, male 35.8
GTEX-1LVA9-2626-SM-EVYD4 50-59 years, male 35.8
GTEX-ZYVF-0926-SM-5E44J 50-59 years, female 35.7
GTEX-16Z82-2626-SM-7KULU 60-69 years, male 34.6
GTEX-1AX9J-1326-SM-731BJ 60-69 years, male 34.5
GTEX-1L5NE-1126-SM-D3L9P 50-59 years, male 33.7
GTEX-132AR-0326-SM-5KM2C 50-59 years, female 33.3
GTEX-1IY9M-2826-SM-ARU8H 60-69 years, male 33.3
GTEX-1E1VI-0326-SM-793D1 50-59 years, male 33.0
GTEX-13VXU-0626-SM-5L3F9 50-59 years, male 32.9
GTEX-1GZ2Q-0126-SM-9WG6M 40-49 years, male 31.8
GTEX-17JCI-2926-SM-7DUFF 60-69 years, female 31.5
GTEX-16GPK-0626-SM-7KFSF 60-69 years, male 31.1
GTEX-1CB4I-0126-SM-7RHGG 50-59 years, male 31.0
GTEX-11DXX-2126-SM-5PNYR 60-69 years, female 30.6
GTEX-13U4I-2226-SM-5LU5H 40-49 years, female 30.6
GTEX-11ZUS-2626-SM-5FQUR 30-39 years, male 30.2
GTEX-WFON-1926-SM-3LK7L 40-49 years, male 30.2
GTEX-1HCU8-2526-SM-CE6RX 60-69 years, female 30.1
GTEX-111FC-2526-SM-5GZXU 60-69 years, male 30.0
GTEX-145MF-0926-SM-5Q5EA 50-59 years, male 29.1
GTEX-17EVQ-0126-SM-7IGLR 70-79 years, male 28.9
GTEX-1I6K7-1926-SM-B2LXR 40-49 years, male 28.6
GTEX-XPVG-2126-SM-4B667 50-59 years, male 28.5
GTEX-16MT9-0126-SM-7EPI8 60-69 years, female 28.4
GTEX-1QP66-1226-SM-DTX7U 50-59 years, male 28.2
GTEX-1LG7Z-1626-SM-CXKYR 30-39 years, male 27.4
GTEX-11PRG-0726-SM-5EGL1 50-59 years, male 26.9
GTEX-XQ3S-1426-SM-4BOPR 20-29 years, male 26.8
GTEX-13NZ9-2626-SM-5L3FK 50-59 years, male 22.8
GTEX-1RAZA-2226-SM-E9U4X 20-29 years, male 21.0
GTEX-ZUA1-2626-SM-5NQ92 40-49 years, male 19.9
Show allShow less
Skin - Sun Exposed (Lower leg)
Average nTPM: 83.2
Samples: 701

Max nTPM: 282.3
Min nTPM: 22.0
Std nTPM: 30.9
Median nTPM: 76.9
GTEX-P4QT-0126-SM-2I3FL 50-59 years, female 282.3
GTEX-14A5I-0126-SM-5TDEA 50-59 years, female 221.4
GTEX-1I1GT-0626-SM-CGQER 60-69 years, female 212.0
GTEX-1QPFJ-0226-SM-E76PB 30-39 years, female 199.5
GTEX-15EOM-0126-SM-7KUGG 20-29 years, female 194.6
GTEX-11H98-0126-SM-5EGHG 50-59 years, male 190.4
GTEX-14E6C-0126-SM-5RQIP 40-49 years, male 187.5
GTEX-13OVH-0126-SM-5MR4B 70-79 years, male 187.3
GTEX-1122O-2126-SM-5EGIR 60-69 years, female 185.2
GTEX-1CB4H-0226-SM-7PBXM 60-69 years, female 183.1
GTEX-148VJ-0126-SM-5TDDN 70-79 years, male 177.8
GTEX-1J8QM-2126-SM-CYPSJ 60-69 years, female 171.3
GTEX-1E2YA-0126-SM-9KNUC 50-59 years, male 171.1
GTEX-1S3DN-2226-SM-EVYCD 50-59 years, male 170.8
GTEX-1HCU7-0226-SM-CL545 50-59 years, male 165.8
GTEX-WI4N-1026-SM-3LK7N 40-49 years, female 165.0
GTEX-ZV6S-2326-SM-4YCEY 40-49 years, female 163.9
GTEX-13NYC-0326-SM-E9J4S 60-69 years, male 162.3
GTEX-145LS-0126-SM-5QGP1 60-69 years, female 160.9
GTEX-1LH75-2426-SM-E9TJE 50-59 years, female 156.0
GTEX-16XZZ-0126-SM-793DV 60-69 years, male 154.0
GTEX-11WQK-0526-SM-5EQLD 50-59 years, male 153.1
GTEX-14ICK-0226-SM-6EU25 40-49 years, male 152.3
GTEX-ZYFD-0126-SM-5GIDL 50-59 years, male 150.6
GTEX-1JN1M-0326-SM-CYPT3 60-69 years, female 150.5
GTEX-14PN4-0126-SM-6EU2V 50-59 years, male 150.4
GTEX-15G19-0126-SM-6PANQ 60-69 years, male 148.5
GTEX-1QMI2-0226-SM-EVYBX 60-69 years, male 148.5
GTEX-1N2EF-0226-SM-EYYXB 60-69 years, male 148.0
GTEX-111VG-2426-SM-5GZXD 60-69 years, male 147.9
GTEX-1L5NE-2526-SM-E6CIE 50-59 years, male 146.2
GTEX-1H4P4-0726-SM-9YFLR 50-59 years, male 146.0
GTEX-OXRP-0126-SM-3NB32 60-69 years, female 143.9
GTEX-1O97I-0326-SM-EYYX7 60-69 years, male 143.5
GTEX-15ETS-0126-SM-7KUMW 40-49 years, female 141.7
GTEX-S32W-2126-SM-2XCB1 50-59 years, female 141.1
GTEX-13RTJ-2426-SM-5S2Q2 60-69 years, male 140.8
GTEX-1128S-2326-SM-5GZZY 60-69 years, female 140.4
GTEX-15RIG-0226-SM-7KFTL 40-49 years, male 140.2
GTEX-13PDP-0126-SM-5L3HD 60-69 years, male 140.0
GTEX-U412-0426-SM-3DB9O 60-69 years, male 140.0
GTEX-1K2DA-1826-SM-CGQGT 50-59 years, male 139.6
GTEX-Y5LM-1926-SM-5RQJH 40-49 years, female 139.3
GTEX-14E6E-1826-SM-5S2R7 30-39 years, male 138.8
GTEX-14C5O-0126-SM-5SI6N 60-69 years, male 138.6
GTEX-13CF3-2426-SM-5IFGX 60-69 years, female 138.0
GTEX-TSE9-0126-SM-3DB83 60-69 years, female 137.8
GTEX-1A3MX-0126-SM-731BR 60-69 years, male 137.6
GTEX-13IVO-0126-SM-5J1NG 70-79 years, male 136.9
GTEX-SNMC-1226-SM-2XCFP 20-29 years, male 136.7
GTEX-ZWKS-0126-SM-5SIAA 30-39 years, male 133.6
GTEX-1J1OQ-0226-SM-CYPSH 40-49 years, female 131.3
GTEX-13CF2-2526-SM-5LZYX 60-69 years, male 131.0
GTEX-183WM-0126-SM-7LTAB 70-79 years, female 131.0
GTEX-X4EP-0126-SM-3P5YV 60-69 years, female 131.0
GTEX-1HBPH-0426-SM-B2LW5 40-49 years, female 130.0
GTEX-15UKP-0426-SM-7KUFQ 20-29 years, male 129.3
GTEX-14XAO-2326-SM-6EU1B 60-69 years, female 129.2
GTEX-VJWN-0126-SM-3GIK7 50-59 years, female 128.6
GTEX-1GZHY-0326-SM-9QEHI 50-59 years, female 127.7
GTEX-17F96-1626-SM-7DUFL 70-79 years, male 127.2
GTEX-ZDTT-2726-SM-4WKF8 60-69 years, male 127.1
GTEX-14PN3-2426-SM-6LLHS 60-69 years, female 127.0
GTEX-XUW1-0426-SM-4BOOT 50-59 years, female 126.8
GTEX-145MO-0326-SM-5Q5B3 60-69 years, male 125.9
GTEX-ZTX8-1426-SM-5DUVO 20-29 years, male 125.9
GTEX-1H3NZ-0126-SM-ACKX7 60-69 years, male 122.5
GTEX-1PWST-0226-SM-E76QJ 70-79 years, male 122.2
GTEX-ZGAY-0526-SM-4WWBB 40-49 years, female 122.1
GTEX-ZYFG-2326-SM-5E44B 60-69 years, female 121.7
GTEX-13NYS-0126-SM-5MR3W 60-69 years, male 121.1
GTEX-P4PP-0126-SM-3LK69 30-39 years, female 121.1
GTEX-144FL-0126-SM-5TDC8 50-59 years, male 121.0
GTEX-PSDG-0226-SM-DKPOZ 50-59 years, male 119.7
GTEX-ZTPG-0326-SM-5O9AX 20-29 years, female 119.3
GTEX-12WSN-5019-SM-79OM6 40-49 years, male 119.1
GTEX-131XE-2326-SM-5PNZ2 50-59 years, male 119.1
GTEX-1MCQQ-0826-SM-DLHC2 60-69 years, male 118.7
GTEX-1R7EV-2426-SM-EVYBG 40-49 years, male 118.5
GTEX-XV7Q-2526-SM-4BRV9 40-49 years, female 118.0
GTEX-1R46S-0626-SM-E9J41 60-69 years, female 117.8
GTEX-P44H-0226-SM-2XCEU 40-49 years, male 117.6
GTEX-14BIL-0126-SM-5SI92 50-59 years, male 116.8
GTEX-15UF6-0826-SM-6PALJ 70-79 years, female 116.8
GTEX-1I4MK-2226-SM-ACKWD 50-59 years, female 116.8
GTEX-1H1DG-0126-SM-9WYU2 70-79 years, male 116.7
GTEX-SSA3-0126-SM-32QPU 60-69 years, male 116.6
GTEX-1HBPM-0226-SM-ARL9F 60-69 years, female 116.4
GTEX-11UD2-0226-SM-5EQKY 50-59 years, male 115.6
GTEX-1GN2E-0426-SM-9MQKX 60-69 years, male 114.7
GTEX-13JUV-2726-SM-5LZZ8 40-49 years, female 114.6
GTEX-1F6RS-0126-SM-9MQKZ 60-69 years, female 114.5
GTEX-12WSK-2326-SM-5GCOH 40-49 years, female 114.0
GTEX-13N2G-2626-SM-5J1OT 60-69 years, male 113.9
GTEX-17GQL-2026-SM-718BA 60-69 years, male 113.9
GTEX-1LVAN-0226-SM-COH3S 50-59 years, female 113.9
GTEX-17EVP-0326-SM-7DHLG 40-49 years, male 113.8
GTEX-139TS-2826-SM-5J1OO 60-69 years, male 113.4
GTEX-1F5PK-2426-SM-7RHHY 50-59 years, male 113.2
GTEX-11TT1-2526-SM-5EGIB 20-29 years, male 113.0
GTEX-139T8-0126-SM-5K7XZ 60-69 years, male 112.6
GTEX-1NV5F-0226-SM-E8VNY 60-69 years, female 112.5
GTEX-S33H-1026-SM-EZ6L6 30-39 years, male 112.5
GTEX-1JN76-0126-SM-CNPPE 20-29 years, female 112.4
GTEX-18D9A-1926-SM-7LG6P 30-39 years, female 112.2
GTEX-T8EM-1026-SM-3DB7M 40-49 years, male 111.9
GTEX-TKQ1-1026-SM-4GICL 30-39 years, male 111.5
GTEX-1LC47-0326-SM-E9TJP 60-69 years, male 111.4
GTEX-ZYY3-0126-SM-5GZY5 60-69 years, female 110.8
GTEX-13X6H-2126-SM-7EWD5 50-59 years, female 110.4
GTEX-1HSGN-0226-SM-CGQFV 40-49 years, female 110.3
GTEX-T2YK-0526-SM-32QPJ 50-59 years, male 110.2
GTEX-1LGRB-2526-SM-CNPPQ 50-59 years, female 110.2
GTEX-13O3P-0126-SM-5KM4S 50-59 years, male 110.1
GTEX-1B996-0226-SM-7RHGO 60-69 years, male 109.5
GTEX-1I1GU-2226-SM-CGQFA 40-49 years, male 109.2
GTEX-1CAV2-2226-SM-7P8P2 40-49 years, female 108.8
GTEX-1C6VQ-0126-SM-7P8RI 50-59 years, male 108.5
GTEX-1JMQL-0226-SM-CNPP5 50-59 years, female 108.4
GTEX-12WSJ-1826-SM-5GCNY 40-49 years, female 108.0
GTEX-YEC4-2126-SM-5IFJH 40-49 years, male 107.9
GTEX-XBEW-0626-SM-4QASP 40-49 years, male 107.8
GTEX-1KANC-1526-SM-D3LAB 50-59 years, female 107.8
GTEX-13O1R-0126-SM-5L3EH 60-69 years, male 107.5
GTEX-1CAMQ-0226-SM-7IGPK 40-49 years, male 106.7
GTEX-1KXAM-2226-SM-CYPTC 60-69 years, male 106.6
GTEX-ZVZP-2426-SM-59HKJ 50-59 years, male 106.4
GTEX-117YX-2326-SM-5H12W 50-59 years, male 106.2
GTEX-13FTX-1826-SM-5J1NX 20-29 years, female 106.2
GTEX-X261-0126-SM-3NMD6 50-59 years, male 105.6
GTEX-XQ8I-0426-SM-4BOPO 50-59 years, male 105.1
GTEX-1497J-2426-SM-7IGNX 60-69 years, male 104.9
GTEX-Z93T-0126-SM-5HL5N 50-59 years, male 104.7
GTEX-12ZZZ-0626-SM-5DUXI 60-69 years, male 104.0
GTEX-Q2AG-0126-SM-33HBV 40-49 years, female 104.0
GTEX-U8T8-0126-SM-3DB94 60-69 years, male 104.0
GTEX-14753-0426-SM-5NQAM 60-69 years, male 103.8
GTEX-145MN-2226-SM-5SIAU 30-39 years, male 103.5
GTEX-1IL2U-0226-SM-CE6T8 60-69 years, male 103.2
GTEX-11EQ9-2426-SM-5HL5T 30-39 years, male 103.1
GTEX-14BMU-2226-SM-5TDE9 20-29 years, female 103.1
GTEX-1H23P-0126-SM-ADEJ3 60-69 years, male 103.1
GTEX-12WSL-2526-SM-5GCNJ 50-59 years, male 102.6
GTEX-14LLW-0126-SM-6LLIO 70-79 years, female 102.4
GTEX-ZV68-0126-SM-59HKS 50-59 years, female 102.3
GTEX-13YAN-0326-SM-5O9DF 60-69 years, male 102.2
GTEX-UJHI-1526-SM-3DB99 50-59 years, female 102.1
GTEX-ZVT4-0126-SM-DTXFN 50-59 years, female 101.6
GTEX-133LE-1826-SM-5J1MV 20-29 years, female 101.4
GTEX-1M5QR-1226-SM-EWROB 40-49 years, male 101.4
GTEX-ZAJG-0126-SM-5HL94 50-59 years, female 101.2
GTEX-1GN1U-0126-SM-7PBZK 50-59 years, female 101.1
GTEX-1MA7W-2026-SM-E9TJ6 20-29 years, female 101.1
GTEX-1GMR3-1926-SM-9KNUZ 40-49 years, male 100.8
GTEX-P4PQ-0126-SM-2S1NM 60-69 years, male 100.6
GTEX-X8HC-0126-SM-4E3JW 50-59 years, female 100.3
GTEX-1GF9X-2026-SM-7PC3A 40-49 years, female 100.3
GTEX-1CB4G-0226-SM-7PC3O 60-69 years, male 99.0
GTEX-13VXT-0126-SM-5LU4I 20-29 years, female 98.9
GTEX-TMMY-0226-SM-33HBA 40-49 years, female 98.9
GTEX-12WSD-0126-SM-59HKN 60-69 years, female 98.8
GTEX-1HCU6-0126-SM-CL54K 60-69 years, female 98.8
GTEX-OOBK-0126-SM-2YUND 40-49 years, male 98.7
GTEX-14PJM-0226-SM-62LF1 50-59 years, female 98.5
GTEX-1BAJH-0526-SM-793CQ 70-79 years, male 97.9
GTEX-1A8FM-0226-SM-7SB7Q 50-59 years, female 97.6
GTEX-113JC-2326-SM-5EQ4E 50-59 years, female 97.5
GTEX-1313W-0126-SM-5LZUN 50-59 years, female 97.4
GTEX-13FH7-2026-SM-E9J4I 50-59 years, female 97.4
GTEX-11EMC-2926-SM-5EQ4F 60-69 years, female 97.2
GTEX-13OVK-2026-SM-7KUEO 40-49 years, male 97.2
GTEX-13O3O-0126-SM-E9J49 60-69 years, female 97.1
GTEX-ZYT6-0226-SM-5NQ6T 30-39 years, male 97.0
GTEX-1GF9V-0326-SM-7RHI5 60-69 years, male 97.0
GTEX-PLZ6-1426-SM-DKPOT 30-39 years, male 97.0
GTEX-ZF3C-0126-SM-DO92D 50-59 years, female 96.8
GTEX-12696-2426-SM-5EQ6H 60-69 years, male 96.7
GTEX-X4XY-0226-SM-4E3IZ 60-69 years, male 96.7
GTEX-16AAH-1726-SM-7939C 50-59 years, male 96.5
GTEX-13VXU-0126-SM-5SI9F 50-59 years, male 96.4
GTEX-131XF-5016-SM-7MGWE 60-69 years, male 96.3
GTEX-1E1VI-0126-SM-7DHMZ 50-59 years, male 96.2
GTEX-1C6VS-0526-SM-7DUEN 60-69 years, male 96.1
GTEX-1212Z-2526-SM-5EGKP 60-69 years, male 96.0
GTEX-15F5U-1526-SM-6PANO 40-49 years, male 95.8
GTEX-15SHU-0126-SM-7KUEH 40-49 years, female 95.8
GTEX-ZE7O-0126-SM-57WC1 50-59 years, female 95.8
GTEX-14JG6-2226-SM-6EU2G 30-39 years, female 95.6
GTEX-X4EO-0326-SM-3P5YO 60-69 years, female 95.6
GTEX-1HSEH-0126-SM-ACKXN 60-69 years, male 94.7
GTEX-Y3IK-2426-SM-4WWDU 50-59 years, female 94.6
GTEX-YJ8A-0426-SM-5IFID 20-29 years, male 94.6
GTEX-1H3VE-0326-SM-9YFLH 40-49 years, male 94.6
GTEX-OXRN-0126-SM-48TDM 50-59 years, male 94.5
GTEX-1JJ6O-0126-SM-E6CI8 60-69 years, male 94.5
GTEX-1B8SF-1426-SM-7DUGL 60-69 years, male 94.1
GTEX-1EX96-1626-SM-7PBXR 50-59 years, male 94.1
GTEX-1399U-2326-SM-5K7WY 50-59 years, female 93.7
GTEX-11EM3-2426-SM-59861 20-29 years, female 93.5
GTEX-X638-0126-SM-47JZ8 70-79 years, female 93.5
GTEX-13OW8-1326-SM-5J1OW 60-69 years, male 93.4
GTEX-1J8Q2-0526-SM-CM2RW 60-69 years, male 93.3
GTEX-13PVR-2326-SM-5QGR1 60-69 years, female 93.2
GTEX-15DYW-0126-SM-7KULE 60-69 years, female 93.1
GTEX-1F48J-0126-SM-7P8TT 50-59 years, female 92.9
GTEX-1H2FU-0126-SM-9WYSI 60-69 years, female 92.9
GTEX-13SLX-0526-SM-5S2ON 50-59 years, female 92.6
GTEX-18A7B-0126-SM-7LG64 70-79 years, male 92.5
GTEX-U8XE-0326-SM-3DB8P 30-39 years, male 92.5
GTEX-1PDJ9-0326-SM-DTX95 20-29 years, male 92.5
GTEX-1JK1U-2026-SM-CM2RZ 60-69 years, male 92.4
GTEX-14PJ6-2126-SM-6EU1V 60-69 years, female 92.3
GTEX-145MI-0526-SM-5O9A8 60-69 years, female 92.1
GTEX-13N1W-0126-SM-5K7VT 70-79 years, male 92.0
GTEX-1A32A-0126-SM-718B1 50-59 years, female 92.0
GTEX-14A5H-0426-SM-5QGQF 60-69 years, male 91.9
GTEX-11DZ1-0126-SM-5985Q 50-59 years, male 91.5
GTEX-ZE9C-2726-SM-57WB5 60-69 years, male 91.5
GTEX-1K2DU-2326-SM-E9TIV 20-29 years, male 91.5
GTEX-1IL2V-0126-SM-CM2TX 70-79 years, male 91.1
GTEX-14BIN-0626-SM-793DP 50-59 years, female 90.9
GTEX-1399R-2726-SM-5IJBA 30-39 years, male 90.7
GTEX-S95S-1226-SM-4GICG 60-69 years, male 90.6
GTEX-ZPIC-1726-SM-DHXIU 40-49 years, female 90.6
GTEX-13QJ3-0326-SM-5S2RA 50-59 years, male 90.4
GTEX-ZXG5-0126-SM-5GIEU 60-69 years, male 90.1
GTEX-1GL5R-1826-SM-9KNUY 50-59 years, male 90.1
GTEX-11P82-1626-SM-59879 20-29 years, male 90.0
GTEX-1GN1V-0126-SM-9WPOS 60-69 years, male 90.0
GTEX-1269C-2526-SM-5EGJ3 60-69 years, female 89.8
GTEX-1HFI7-1826-SM-ACKXH 50-59 years, female 89.8
GTEX-1QP29-0626-SM-EWRMX 50-59 years, male 89.8
GTEX-17F97-0326-SM-7LG5B 50-59 years, male 89.7
GTEX-1JJE9-0326-SM-CL53Z 70-79 years, male 89.6
GTEX-OOBJ-0126-SM-E6CJW 60-69 years, male 89.5
GTEX-132NY-0326-SM-5IJBL 60-69 years, male 89.4
GTEX-145LV-2126-SM-5LU8N 50-59 years, male 88.9
GTEX-12584-0126-SM-5EGKQ 40-49 years, male 88.7
GTEX-SJXC-0126-SM-2XCFF 60-69 years, male 88.7
GTEX-R3RS-0126-SM-3GIJL 40-49 years, female 88.6
GTEX-1I1CD-0126-SM-CM2TK 60-69 years, female 88.4
GTEX-18A66-0226-SM-718BD 60-69 years, male 88.1
GTEX-1JMQI-2226-SM-CM2SD 50-59 years, male 88.1
GTEX-WY7C-2326-SM-3NB2U 50-59 years, male 88.0
GTEX-15ER7-0326-SM-7KUEV 20-29 years, female 87.6
GTEX-1211K-2026-SM-5EQ4Z 60-69 years, female 87.5
GTEX-13OW7-0126-SM-5MR3B 50-59 years, male 87.3
GTEX-O5YT-0126-SM-48TBW 20-29 years, male 87.3
GTEX-TML8-1926-SM-32QOS 40-49 years, female 87.3
GTEX-VJYA-1126-SM-3GIJU 60-69 years, male 87.2
GTEX-11XUK-2026-SM-5EQLF 40-49 years, female 87.1
GTEX-17HHY-0126-SM-7LG5D 50-59 years, male 87.1
GTEX-1HSMO-0126-SM-CL547 60-69 years, male 87.1
GTEX-WRHK-1426-SM-3MJF9 20-29 years, female 87.0
GTEX-11DXZ-2326-SM-5EGGV 50-59 years, male 86.9
GTEX-1MA7X-2226-SM-E6CIY 60-69 years, male 86.6
GTEX-1EWIQ-0126-SM-7RHH2 70-79 years, female 86.4
GTEX-11EI6-0126-SM-5985R 60-69 years, male 86.3
GTEX-146FQ-0126-SM-5NQA9 30-39 years, male 86.3
GTEX-14DAR-2026-SM-5S2O3 50-59 years, male 86.3
GTEX-SN8G-0126-SM-32PLI 50-59 years, female 86.3
GTEX-11TUW-2726-SM-E9J4M 60-69 years, male 86.3
GTEX-17KNJ-2326-SM-7DHLQ 50-59 years, male 86.2
GTEX-1C475-1826-SM-73KWA 40-49 years, female 86.1
GTEX-13RTL-0126-SM-7LG5S 40-49 years, male 85.9
GTEX-ZF2S-2326-SM-4WWCE 50-59 years, female 85.9
GTEX-1PFEY-1526-SM-E76PP 30-39 years, male 85.8
GTEX-WYJK-0126-SM-3NMAB 50-59 years, male 85.4
GTEX-1OFPY-2426-SM-DTXEJ 60-69 years, male 85.0
GTEX-11ZTS-0126-SM-5EQ6M 60-69 years, female 84.9
GTEX-WFG8-2226-SM-3GIL9 20-29 years, male 84.9
GTEX-PVOW-0126-SM-2XCFA 40-49 years, male 84.7
GTEX-YB5E-2026-SM-5IFIS 40-49 years, male 84.7
GTEX-15EU6-0426-SM-6PAN5 50-59 years, male 84.5
GTEX-R55E-0126-SM-2TC5Y 20-29 years, male 84.3
GTEX-ZU9S-0226-SM-5E441 30-39 years, male 84.3
GTEX-1R7EU-0226-SM-EVR4G 60-69 years, male 84.3
GTEX-S7PM-0126-SM-4AD6S 60-69 years, male 84.2
GTEX-13RTK-1426-SM-5QGQJ 20-29 years, male 84.1
GTEX-1GN73-0226-SM-9WG67 60-69 years, male 83.8
GTEX-XBED-2226-SM-47JYQ 60-69 years, male 83.7
GTEX-145LT-1726-SM-5QGP3 40-49 years, male 83.4
GTEX-1B97I-1626-SM-73KYO 40-49 years, male 83.2
GTEX-QCQG-1726-SM-3GIJ9 50-59 years, female 83.1
GTEX-O5YW-0126-SM-3LK6D 50-59 years, male 83.0
GTEX-1JMOU-1526-SM-CL54I 60-69 years, female 83.0
GTEX-W5WG-1826-SM-4KL2Y 50-59 years, female 82.9
GTEX-17HGU-0226-SM-7DHKV 50-59 years, male 82.7
GTEX-QV44-1926-SM-2S1RF 50-59 years, male 82.7
GTEX-12KS4-0326-SM-5EQ41 30-39 years, male 82.6
GTEX-X5EB-2226-SM-46MW4 40-49 years, male 82.6
GTEX-ZVT2-2526-SM-51MT1 50-59 years, female 82.6
GTEX-ZTSS-1926-SM-57WEW 40-49 years, male 82.5
GTEX-1C64O-0126-SM-7SB8P 60-69 years, male 82.4
GTEX-1CAMS-0426-SM-7P8T2 40-49 years, female 82.1
GTEX-ZVT3-0126-SM-5GU6I 60-69 years, female 81.8
GTEX-1MJK2-0426-SM-DTXE5 50-59 years, male 81.7
GTEX-1PPH8-0226-SM-E8VND 20-29 years, male 81.6
GTEX-1HCUA-2426-SM-ADEIS 50-59 years, female 81.5
GTEX-17EUY-0426-SM-793BD 20-29 years, male 81.4
GTEX-1LG7Z-1726-SM-D3LA4 30-39 years, male 81.4
GTEX-12C56-1726-SM-5EQ61 20-29 years, male 81.3
GTEX-1F88F-2726-SM-7PBZZ 60-69 years, female 81.3
GTEX-13FTY-0526-SM-5L3EV 40-49 years, female 81.2
GTEX-1RDX4-0126-SM-E9J4P 50-59 years, female 81.1
GTEX-1A3MW-0126-SM-73KXX 60-69 years, female 80.7
GTEX-1B8KE-2126-SM-73KYX 50-59 years, male 80.7
GTEX-T2IS-0126-SM-4DM6O 20-29 years, female 80.7
GTEX-ZVTK-0426-SM-51MRS 20-29 years, male 80.7
GTEX-ZC5H-0226-SM-4WAY9 40-49 years, female 80.6
GTEX-1AX9J-0226-SM-73KXM 60-69 years, male 80.5
GTEX-1C6WA-0126-SM-7PC2B 60-69 years, male 80.5
GTEX-1H1E6-1726-SM-ACKVK 30-39 years, male 80.3
GTEX-15DCD-0126-SM-7KUEK 70-79 years, female 80.2
GTEX-1HT8W-0126-SM-CNPPP 30-39 years, male 80.2
GTEX-11DXW-0226-SM-5H122 40-49 years, male 80.1
GTEX-T6MO-1626-SM-32QOM 40-49 years, female 80.1
GTEX-ZDXO-3026-SM-5J1N5 60-69 years, male 80.1
GTEX-145ME-1826-SM-5SI9G 40-49 years, female 79.9
GTEX-ZF28-0126-SM-4WKGK 60-69 years, male 79.8
GTEX-17HII-0226-SM-7LG4E 50-59 years, male 79.7
GTEX-131XW-0426-SM-5LZWP 50-59 years, female 79.5
GTEX-1CAMR-1926-SM-7EPI2 20-29 years, male 79.5
GTEX-ZDTS-0126-SM-4WAY5 60-69 years, male 79.4
GTEX-13X6J-0126-SM-5QGOU 50-59 years, male 79.3
GTEX-15DDE-0126-SM-6LPKH 50-59 years, female 79.3
GTEX-1POEN-0126-SM-EYYXJ 30-39 years, female 79.2
GTEX-1S82Z-0826-SM-E6CHY 30-39 years, female 79.2
GTEX-131XG-2626-SM-5KM17 50-59 years, female 79.0
GTEX-1LGOU-2026-SM-DIPFF 20-29 years, female 79.0
GTEX-OXRK-0226-SM-3NB2G 50-59 years, female 78.9
GTEX-1GMR8-0126-SM-9WYTM 50-59 years, female 78.9
GTEX-WOFL-0126-SM-3MJG2 60-69 years, male 78.8
GTEX-1IDJF-0126-SM-CM2RS 20-29 years, male 78.8
GTEX-15SB6-1726-SM-6PAME 50-59 years, female 78.7
GTEX-11WQC-2526-SM-5CVLE 60-69 years, male 78.6
GTEX-13NZ8-0826-SM-5MR3I 60-69 years, female 78.6
GTEX-Q2AI-1326-SM-2S1PL 40-49 years, male 78.6
GTEX-RTLS-0126-SM-447CA 60-69 years, female 78.6
GTEX-13FXS-0226-SM-5IJCK 50-59 years, male 78.5
GTEX-PWO3-1526-SM-48TCM 60-69 years, female 78.5
GTEX-15D1Q-0126-SM-7KUG6 40-49 years, male 78.1
GTEX-16GPK-0126-SM-7DHLE 60-69 years, male 78.1
GTEX-11TTK-0126-SM-5987B 60-69 years, female 77.9
GTEX-1AMFI-2026-SM-731BH 50-59 years, female 77.9
GTEX-139UW-2826-SM-5L3E7 60-69 years, male 77.6
GTEX-Y114-2426-SM-4TT8A 50-59 years, female 77.4
GTEX-1GZ2Q-0226-SM-7P8TL 40-49 years, male 77.3
GTEX-Y8E4-0626-SM-4WWDL 40-49 years, male 77.2
GTEX-1QP66-1726-SM-E8VO1 50-59 years, male 77.1
GTEX-14PII-0226-SM-6EU1T 60-69 years, male 76.9
GTEX-1RB15-2126-SM-E9TIM 60-69 years, male 76.9
GTEX-1I1GR-0126-SM-CL55F 60-69 years, male 76.8
GTEX-16NGA-1726-SM-731B4 40-49 years, female 76.7
GTEX-18465-0126-SM-731BN 50-59 years, male 76.6
GTEX-QDVN-2026-SM-3GAEP 50-59 years, male 76.6
GTEX-13113-5016-SM-7EPIP 60-69 years, female 76.5
GTEX-13U4I-0126-SM-5LU38 40-49 years, female 76.4
GTEX-1JMPZ-0226-SM-CNPP1 30-39 years, male 76.4
GTEX-147GR-0526-SM-5S2MY 60-69 years, male 76.2
GTEX-QESD-1426-SM-2S1R9 20-29 years, male 76.2
GTEX-1JMQJ-0526-SM-CYPSU 50-59 years, male 76.2
GTEX-1IDJU-2626-SM-CM2RT 60-69 years, female 76.1
GTEX-14DAQ-0126-SM-5S2MQ 60-69 years, female 76.0
GTEX-RWSA-0126-SM-2XCBB 40-49 years, male 76.0
GTEX-1H11D-0226-SM-9WG6Z 40-49 years, male 76.0
GTEX-1JJEA-0326-SM-CNPOT 60-69 years, male 76.0
GTEX-ZAB4-0226-SM-5N9F5 40-49 years, male 75.8
GTEX-1GMRU-0126-SM-9YFLV 50-59 years, male 75.7
GTEX-139TT-0126-SM-5K7Y5 60-69 years, male 75.6
GTEX-Q2AH-1626-SM-3GAF8 40-49 years, male 75.6
GTEX-13SLW-0126-SM-5SI6C 70-79 years, male 75.5
GTEX-ZXES-1826-SM-5E43S 30-39 years, female 75.5
GTEX-17JCI-0126-SM-7LG5G 60-69 years, female 75.4
GTEX-ZY6K-1826-SM-5GZXK 50-59 years, male 75.4
GTEX-XYKS-2126-SM-4E3IB 60-69 years, female 75.3
GTEX-131YS-0126-SM-5KM1M 60-69 years, female 75.2
GTEX-QDT8-0126-SM-48TZ1 30-39 years, female 75.2
GTEX-1EU9M-0226-SM-7P8SP 60-69 years, male 75.2
GTEX-ZAK1-0126-SM-5IJD3 50-59 years, female 75.1
GTEX-139TU-0126-SM-5K7WH 60-69 years, male 75.0
GTEX-14JIY-0126-SM-6LLH6 60-69 years, male 74.9
GTEX-ZVE2-0226-SM-59HJB 50-59 years, male 74.9
GTEX-13OW5-0126-SM-DTXFS 60-69 years, male 74.9
GTEX-11DXY-2626-SM-5GIE7 60-69 years, male 74.8
GTEX-11NSD-2226-SM-5986V 20-29 years, male 74.7
GTEX-1LB8K-0226-SM-EWRNW 50-59 years, male 74.7
GTEX-VUSG-2526-SM-4KL1V 50-59 years, male 74.5
GTEX-1I1GV-0526-SM-A9G29 60-69 years, male 74.4
GTEX-T5JW-1626-SM-3GADZ 20-29 years, female 74.1
GTEX-11GSP-2526-SM-5N9BP 60-69 years, female 74.0
GTEX-XUYS-0126-SM-47JWZ 50-59 years, male 73.9
GTEX-13D11-2426-SM-5KM1V 50-59 years, female 73.8
GTEX-1QCLY-0326-SM-E8VOG 30-39 years, male 73.7
GTEX-1399T-2826-SM-5KLYZ 60-69 years, male 73.5
GTEX-13NZA-0226-SM-5K7Z7 60-69 years, male 73.5
GTEX-1ICLY-0126-SM-D4P36 50-59 years, male 73.5
GTEX-12ZZX-0126-SM-5EGK9 40-49 years, female 73.4
GTEX-YJ89-0126-SM-4TT3X 60-69 years, male 73.4
GTEX-ZQG8-1626-SM-DHXIT 60-69 years, female 73.1
GTEX-14JG1-0426-SM-6ETZZ 40-49 years, male 73.0
GTEX-1AX9K-2326-SM-73KWU 50-59 years, male 73.0
GTEX-ZYW4-0126-SM-5E44A 60-69 years, male 73.0
GTEX-1I1GQ-0126-SM-COH3H 50-59 years, male 73.0
GTEX-117YW-2626-SM-5GZZH 50-59 years, male 72.8
GTEX-13W46-0226-SM-5SIAG 50-59 years, male 72.8
GTEX-ZZ64-1726-SM-5GZYB 20-29 years, male 72.7
GTEX-1PIGE-0126-SM-EVYBJ 20-29 years, male 72.7
GTEX-1J8Q3-1626-SM-CMKGC 60-69 years, male 72.6
GTEX-1MUQO-0126-SM-EAZ58 60-69 years, male 72.6
GTEX-1S5ZA-0126-SM-EVYCV 20-29 years, male 72.6
GTEX-11LCK-1026-SM-5A5KB 30-39 years, male 72.5
GTEX-1HBPN-0226-SM-9YFM1 50-59 years, male 72.5
GTEX-WYVS-2126-SM-3NMA3 40-49 years, female 71.9
GTEX-1JKYN-1326-SM-CGQG9 30-39 years, male 71.8
GTEX-13FTW-2626-SM-5K7WL 40-49 years, male 71.7
GTEX-18A7A-0226-SM-718BH 50-59 years, female 71.6
GTEX-Y8LW-1826-SM-5S2MV 50-59 years, female 71.6
GTEX-1F75B-0126-SM-9KNVL 50-59 years, male 71.5
GTEX-1HSKV-0226-SM-A9SKJ 60-69 years, male 71.5
GTEX-1JMLX-0226-SM-CM2RO 50-59 years, male 71.5
GTEX-1KD5A-0226-SM-D5OV3 50-59 years, male 71.4
GTEX-1HCU8-0626-SM-A9SM9 60-69 years, female 71.3
GTEX-R45C-0126-SM-EAZ2R 60-69 years, female 71.3
GTEX-X4XX-0126-SM-3NMC2 60-69 years, male 71.0
GTEX-146FH-0126-SM-5QGPP 50-59 years, female 70.7
GTEX-1GZ4H-1726-SM-7PBZJ 50-59 years, female 70.7
GTEX-148VI-1626-SM-5SI6E 60-69 years, female 70.6
GTEX-Y5V6-2426-SM-4VDSB 60-69 years, male 70.6
GTEX-YB5K-2126-SM-4WWDJ 40-49 years, female 70.6
GTEX-1B8L1-2526-SM-9WYTF 60-69 years, male 70.6
GTEX-Y8DK-0126-SM-4TT3L 60-69 years, male 70.5
GTEX-XPVG-2626-SM-4B669 50-59 years, male 70.4
GTEX-146FR-1326-SM-E9J48 60-69 years, female 70.4
GTEX-11DYG-0126-SM-59883 60-69 years, male 70.2
GTEX-ZDYS-2026-SM-5HL5L 50-59 years, male 70.2
GTEX-ZYFC-0226-SM-5NQ75 50-59 years, male 70.1
GTEX-1PIIG-0226-SM-EWRN6 30-39 years, male 70.0
GTEX-1ICLZ-0126-SM-CKZPO 60-69 years, male 69.8
GTEX-1S82Y-2026-SM-EVYCM 40-49 years, male 69.8
GTEX-1F75A-0126-SM-7RHGM 50-59 years, male 69.6
GTEX-1JMQK-0226-SM-CL543 60-69 years, male 69.6
GTEX-14PHW-0126-SM-6LLJI 60-69 years, female 69.5
GTEX-111FC-0126-SM-5N9DL 60-69 years, male 69.3
GTEX-TMZS-0126-SM-3DB9Q 60-69 years, male 69.3
GTEX-1EN7A-0126-SM-7SB81 40-49 years, male 69.2
GTEX-13NZB-2526-SM-5J1OM 30-39 years, male 69.1
GTEX-13112-2826-SM-5DUWH 50-59 years, male 68.9
GTEX-14LZ3-0226-SM-62LET 60-69 years, female 68.8
GTEX-1F6I4-0126-SM-9MQL2 60-69 years, male 68.8
GTEX-117XS-2726-SM-5N9BL 60-69 years, male 68.7
GTEX-16MT8-0426-SM-7KUEY 60-69 years, female 68.7
GTEX-OIZG-0726-SM-33HBL 50-59 years, male 68.7
GTEX-SUCS-1926-SM-32PM3 70-79 years, male 68.7
GTEX-1EKGG-0226-SM-9WYTH 60-69 years, male 68.7
GTEX-11GS4-2726-SM-5A5LE 60-69 years, male 68.6
GTEX-PLZ4-0126-SM-5SI8O 50-59 years, female 68.5
GTEX-18A6Q-0126-SM-731BZ 60-69 years, male 68.4
GTEX-Y5V5-2326-SM-4V6GA 60-69 years, female 68.4
GTEX-Z9EW-1626-SM-5CVMN 40-49 years, male 68.4
GTEX-12ZZY-0226-SM-5LZVE 60-69 years, male 68.2
GTEX-RN64-0126-SM-2TC68 50-59 years, male 68.2
GTEX-Y111-0126-SM-4SOIV 50-59 years, male 68.1
GTEX-14PHX-2326-SM-62LEM 50-59 years, male 68.0
GTEX-1IDFM-0126-SM-COH2V 60-69 years, male 68.0
GTEX-1KAFJ-2026-SM-CY8ID 50-59 years, male 67.9
GTEX-1QAET-0926-SM-E76QM 50-59 years, male 67.9
GTEX-1S83E-0126-SM-EWRO4 40-49 years, male 67.9
GTEX-13N11-2526-SM-5K7UE 50-59 years, female 67.6
GTEX-11ZTT-2426-SM-5EQLS 60-69 years, female 67.2
GTEX-13O21-1426-SM-5K7XI 50-59 years, male 67.2
GTEX-1IE54-0126-SM-CMKHW 40-49 years, female 67.1
GTEX-1MGNQ-0126-SM-EVYCJ 40-49 years, male 67.0
GTEX-QLQW-1126-SM-2S1Q8 30-39 years, male 66.8
GTEX-1H3O1-0426-SM-9YFKY 60-69 years, male 66.6
GTEX-11P81-2326-SM-59875 30-39 years, female 66.5
GTEX-X88G-0126-SM-47JZ3 30-39 years, male 66.5
GTEX-18D9B-0526-SM-7LTAS 60-69 years, male 66.4
GTEX-Q734-1926-SM-2I5EV 40-49 years, female 66.4
GTEX-13FHO-0226-SM-5IFGY 60-69 years, male 66.2
GTEX-18QFQ-0126-SM-731BE 30-39 years, male 66.1
GTEX-1KANA-0726-SM-D3L9I 20-29 years, male 65.9
GTEX-13S7M-0126-SM-5SI6A 60-69 years, female 65.8
GTEX-1IKJJ-0126-SM-CNPQB 60-69 years, male 65.7
GTEX-1B8KZ-2026-SM-7DHMB 50-59 years, male 65.4
GTEX-SE5C-1626-SM-2XCE3 40-49 years, female 65.4
GTEX-1192W-2626-SM-5Q5AF 60-69 years, male 65.1
GTEX-WVJS-0126-SM-4MVOT 50-59 years, male 65.1
GTEX-ZAB5-1826-SM-5HL7C 50-59 years, male 65.1
GTEX-ZUA1-0126-SM-5GU76 40-49 years, male 65.0
GTEX-1JMPY-1326-SM-ARL8Y 30-39 years, male 65.0
GTEX-11VI4-1726-SM-5CVLH 40-49 years, female 64.8
GTEX-13OVL-0226-SM-5L3E9 50-59 years, male 64.8
GTEX-ZEX8-2426-SM-4WKG4 50-59 years, male 64.8
GTEX-13OW6-0426-SM-5L3HM 50-59 years, male 64.7
GTEX-PLZ5-2026-SM-2S1O4 50-59 years, male 64.7
GTEX-1F52S-0126-SM-9MQJU 60-69 years, female 64.7
GTEX-1HCVE-0126-SM-CGQEU 50-59 years, male 64.6
GTEX-13X6I-0626-SM-5QGP9 60-69 years, male 64.5
GTEX-14BIM-0226-SM-7IGLD 60-69 years, female 64.4
GTEX-1J1R8-1726-SM-ARL8M 40-49 years, male 64.2
GTEX-13FHP-0126-SM-5IJBG 50-59 years, male 64.1
GTEX-1JN6P-0126-SM-D3L98 60-69 years, male 64.1
GTEX-139D8-0226-SM-5KLZO 30-39 years, female 64.0
GTEX-14BMV-0126-SM-5S2PO 50-59 years, male 63.9
GTEX-WXYG-2326-SM-4E3I6 50-59 years, female 63.9
GTEX-QEG4-0226-SM-2S1PY 30-39 years, male 63.7
GTEX-Z93S-0126-SM-5HL7M 50-59 years, male 63.7
GTEX-1H3VY-0126-SM-ACKXD 50-59 years, male 63.6
GTEX-RM2N-1426-SM-2TF4H 50-59 years, male 63.3
GTEX-RU72-0926-SM-2TF6B 50-59 years, female 63.2
GTEX-XAJ8-0826-SM-47JY6 40-49 years, male 63.2
GTEX-1HFI6-0226-SM-ADEHZ 40-49 years, male 63.1
GTEX-16YQH-0126-SM-7DUFJ 30-39 years, male 63.0
GTEX-1KD4Q-0226-SM-E9TJ9 40-49 years, male 63.0
GTEX-1I19N-0326-SM-ACKVX 70-79 years, male 62.9
GTEX-17F98-0626-SM-79OMX 40-49 years, female 62.7
GTEX-1CB4E-2226-SM-793DC 60-69 years, male 62.6
GTEX-1ICG6-2526-SM-CGQFZ 70-79 years, female 62.4
GTEX-1RQEC-0426-SM-E6CHU 60-69 years, male 62.3
GTEX-1GPI7-0126-SM-9MQL8 20-29 years, male 61.9
GTEX-1B8SG-0126-SM-73KZ3 50-59 years, male 61.6
GTEX-WZTO-0126-SM-3NM95 40-49 years, male 61.5
GTEX-XXEK-2226-SM-4BRUM 50-59 years, male 61.5
GTEX-QDVJ-1726-SM-2I5FX 50-59 years, male 61.2
GTEX-RUSQ-1526-SM-2TF62 50-59 years, male 61.2
GTEX-YFC4-0126-SM-5CVLY 40-49 years, female 61.2
GTEX-1MCYP-1926-SM-E9J2R 20-29 years, female 61.2
GTEX-1CB4I-0226-SM-79OLH 50-59 years, male 61.1
GTEX-1B933-0126-SM-7PC29 50-59 years, female 61.1
GTEX-W5X1-3026-SM-EAZAX 40-49 years, female 61.1
GTEX-UPJH-0326-SM-3GADU 50-59 years, male 61.0
GTEX-11ZVC-2526-SM-5FQTE 50-59 years, female 60.8
GTEX-1HKZK-0326-SM-9WYUH 40-49 years, male 60.7
GTEX-13OVI-1426-SM-5L3EY 60-69 years, female 60.5
GTEX-U3ZM-1526-SM-3DB9D 40-49 years, male 60.3
GTEX-13111-1626-SM-5EGJY 50-59 years, male 60.2
GTEX-144GL-0126-SM-5TDE2 50-59 years, male 60.2
GTEX-SIU8-0126-SM-2XCDT 50-59 years, male 60.2
GTEX-12WSA-0226-SM-5BC5V 60-69 years, male 60.1
GTEX-OIZH-0126-SM-2HMIS 50-59 years, male 60.1
GTEX-WFON-2126-SM-3LK7O 40-49 years, male 60.1
GTEX-1J8JJ-0226-SM-CL53I 60-69 years, female 59.8
GTEX-17EVQ-0226-SM-7LG4P 70-79 years, male 59.7
GTEX-1NHNU-1026-SM-E9J2A 50-59 years, male 59.5
GTEX-16BQI-0226-SM-7KUEX 30-39 years, female 59.4
GTEX-13OVJ-0126-SM-5KM36 50-59 years, female 59.3
GTEX-1IKOH-0226-SM-COH4E 60-69 years, female 59.3
GTEX-1RAZA-0126-SM-E6CI3 20-29 years, male 59.3
GTEX-131XH-2226-SM-5DUXJ 50-59 years, male 59.2
GTEX-ZF29-2326-SM-DO92K 60-69 years, female 59.2
GTEX-WQUQ-0426-SM-3MJFU 60-69 years, male 59.1
GTEX-POMQ-2226-SM-2I5FK 20-29 years, female 59.0
GTEX-PX3G-0126-SM-2I3EN 20-29 years, female 59.0
GTEX-1LNCM-1126-SM-E9U5E 50-59 years, female 59.0
GTEX-NPJ8-0126-SM-2YUNR 40-49 years, male 58.8
GTEX-T6MN-0126-SM-32PLP 50-59 years, male 58.8
GTEX-OHPM-0126-SM-2YUN9 50-59 years, male 58.7
GTEX-1GF9W-0326-SM-9KNUN 60-69 years, male 58.7
GTEX-1HCU9-1526-SM-A9SL7 20-29 years, male 58.5
GTEX-1HGF4-2426-SM-ACKXM 60-69 years, male 58.5
GTEX-RWS6-2026-SM-2XCB5 60-69 years, female 58.4
GTEX-XQ3S-1526-SM-4BOOC 20-29 years, male 58.4
GTEX-1HBPI-1526-SM-C1YQ1 50-59 years, male 58.4
GTEX-1GF9U-2126-SM-7SB7L 40-49 years, female 58.3
GTEX-1LSNM-1926-SM-E6CII 50-59 years, male 58.1
GTEX-OIZF-0126-SM-7SB8I 60-69 years, male 58.0
GTEX-1CB4J-0626-SM-7DHMP 60-69 years, male 57.9
GTEX-1H1DE-2126-SM-9WG6R 20-29 years, male 57.9
GTEX-1HUB1-0426-SM-E9U4U 60-69 years, male 57.7
GTEX-1PPH7-2326-SM-EVYB8 40-49 years, male 57.7
GTEX-16NPX-0226-SM-79OMT 50-59 years, male 57.6
GTEX-1F6IF-0726-SM-7P8TW 60-69 years, male 57.5
GTEX-1N2DV-0226-SM-E6CJ6 40-49 years, male 57.5
GTEX-U4B1-1826-SM-4DXSU 40-49 years, male 57.3
GTEX-12WSE-0526-SM-793B2 20-29 years, male 57.2
GTEX-1J8EW-0126-SM-CJI4F 60-69 years, female 57.2
GTEX-1IOXB-0126-SM-ARL8G 50-59 years, male 57.1
GTEX-PWCY-1826-SM-DHXIZ 20-29 years, female 56.9
GTEX-1QP9N-1426-SM-DTXFL 30-39 years, male 56.8
GTEX-147F3-0526-SM-5SI98 50-59 years, female 56.6
GTEX-1AYD5-2426-SM-73KXR 50-59 years, male 56.6
GTEX-1I1GS-0126-SM-B2LVW 60-69 years, male 56.6
GTEX-OHPL-0126-SM-2HMJ7 60-69 years, female 56.5
GTEX-U3ZH-2026-SM-3DB78 30-39 years, male 56.2
GTEX-1192X-0226-SM-5H12D 50-59 years, male 56.0
GTEX-11ZU8-2526-SM-5EQKI 60-69 years, male 56.0
GTEX-11OF3-2626-SM-5GU7F 60-69 years, male 55.9
GTEX-1AX9I-0126-SM-7SB74 60-69 years, male 55.9
GTEX-1H1CY-2826-SM-9MQM3 60-69 years, female 55.9
GTEX-1H1ZS-0426-SM-9WG6G 70-79 years, male 55.9
GTEX-1HSMQ-1226-SM-CGQFX 50-59 years, male 55.9
GTEX-1QEPI-0126-SM-EWRMQ 60-69 years, female 55.9
GTEX-18A67-0126-SM-7LG5P 50-59 years, male 55.8
GTEX-11UD1-0126-SM-5PNYG 40-49 years, female 55.6
GTEX-18D9U-0226-SM-718BP 40-49 years, male 55.6
GTEX-1EMGI-0126-SM-9KNUE 60-69 years, male 55.5
GTEX-13G51-2526-SM-5LZYK 60-69 years, male 55.3
GTEX-1IDJH-0326-SM-A9SLQ 70-79 years, male 55.2
GTEX-OXRO-0126-SM-2YUN4 60-69 years, female 55.1
GTEX-1LBAC-0126-SM-DIPEZ 20-29 years, male 55.1
GTEX-RVPV-0126-SM-EAZAW 60-69 years, male 55.1
GTEX-1F75I-0326-SM-9YFLU 40-49 years, male 55.0
GTEX-U3ZN-2326-SM-3DB7W 30-39 years, female 54.9
GTEX-1JKYR-0126-SM-CNPOJ 20-29 years, male 54.9
GTEX-PW2O-1526-SM-7RHHB 20-29 years, male 54.9
GTEX-11OC5-0126-SM-5HL6A 60-69 years, male 54.8
GTEX-1IGQW-0126-SM-COH42 60-69 years, male 54.8
GTEX-14PK6-1926-SM-6ETZU 70-79 years, female 54.7
GTEX-12WSG-2826-SM-E9J4H 50-59 years, female 54.7
GTEX-1314G-1526-SM-5EGK2 30-39 years, male 54.5
GTEX-1C6VR-2426-SM-79OLD 60-69 years, male 54.5
GTEX-1KWVE-1426-SM-E9TJO 30-39 years, male 54.5
GTEX-14PJ3-1826-SM-62LEX 50-59 years, male 54.3
GTEX-1I6K6-0126-SM-A9SLE 30-39 years, male 54.2
GTEX-1C64N-0126-SM-793D7 50-59 years, male 54.1
GTEX-1CB4F-0426-SM-9KNV4 60-69 years, male 54.0
GTEX-183FY-0126-SM-7LT9P 20-29 years, male 53.7
GTEX-NFK9-0226-SM-2HMKQ 40-49 years, male 53.7
GTEX-1I1HK-0126-SM-COH49 60-69 years, male 53.7
GTEX-13OVG-1926-SM-5L3DK 60-69 years, male 53.4
GTEX-14ABY-0226-SM-5TDCQ 50-59 years, male 53.4
GTEX-12WSC-0126-SM-5EQ4P 50-59 years, male 53.3
GTEX-S7SE-0126-SM-2XCD5 50-59 years, male 53.3
GTEX-1OJC3-0126-SM-E76QX 20-29 years, male 53.3
GTEX-1F7RK-0126-SM-7PC2S 20-29 years, female 52.9
GTEX-RNOR-0126-SM-E9J4R 50-59 years, female 52.9
GTEX-1PBJI-0526-SM-E8VNK 20-29 years, female 52.8
GTEX-11O72-0126-SM-59887 40-49 years, male 52.4
GTEX-13NYB-2526-SM-5K7Z6 40-49 years, male 52.3
GTEX-1C2JI-1826-SM-73KXC 50-59 years, male 52.2
GTEX-1GTWX-0126-SM-9YFLK 60-69 years, male 52.1
GTEX-1GN1W-0526-SM-9MQJQ 50-59 years, female 52.0
GTEX-ZZPT-0226-SM-5E43X 50-59 years, male 51.5
GTEX-11DXX-2426-SM-5GZZW 60-69 years, female 51.4
GTEX-ZVZO-0126-SM-5A5L9 40-49 years, male 51.4
GTEX-17MFQ-1726-SM-793C7 20-29 years, male 51.3
GTEX-1M4P7-0226-SM-DIPEV 60-69 years, male 50.8
GTEX-T5JC-0426-SM-32PLO 20-29 years, male 50.6
GTEX-OXRL-0126-SM-2YUMP 50-59 years, male 50.4
GTEX-ZQUD-1426-SM-57WER 30-39 years, male 50.4
GTEX-1F5PL-0326-SM-7P8PQ 40-49 years, female 50.3
GTEX-14E7W-0126-SM-6LLJ9 70-79 years, male 49.9
GTEX-1GPI6-0126-SM-9WG69 60-69 years, male 49.9
GTEX-13W3W-2426-SM-5LU5B 60-69 years, female 49.5
GTEX-11GSO-2426-SM-5A5LY 60-69 years, male 49.0
GTEX-X62O-0126-SM-4E3JN 50-59 years, male 48.5
GTEX-1K9T9-0126-SM-EVYCF 50-59 years, female 48.5
GTEX-1QW4Y-1526-SM-EAZ3Z 30-39 years, male 48.1
GTEX-1IY9M-0126-SM-D3L8S 60-69 years, male 48.0
GTEX-X585-0226-SM-4QAS2 50-59 years, male 47.7
GTEX-1RLM8-2326-SM-EWRN4 50-59 years, male 47.7
GTEX-17HG3-2226-SM-7938L 30-39 years, female 47.6
GTEX-1QP2A-0126-SM-E9J43 50-59 years, male 47.6
GTEX-145LU-0126-SM-5TDCB 50-59 years, male 47.4
GTEX-17MF6-0126-SM-7LG4F 40-49 years, male 47.4
GTEX-QVJO-1626-SM-2S1QW 60-69 years, female 47.2
GTEX-1A3MV-1926-SM-718BT 30-39 years, male 47.1
GTEX-XUZC-1726-SM-4BRWS 30-39 years, female 47.1
GTEX-14E6D-0126-SM-62LDV 50-59 years, male 46.9
GTEX-17HHE-2026-SM-79OKF 50-59 years, male 46.8
GTEX-1R9PM-2026-SM-E76OY 20-29 years, male 46.5
GTEX-15CHC-2126-SM-6EU21 60-69 years, female 46.3
GTEX-11P7K-2126-SM-5GU7G 30-39 years, male 45.9
GTEX-1KANB-0526-SM-E6CJH 50-59 years, male 45.9
GTEX-R55G-2526-SM-2TC6D 40-49 years, female 45.5
GTEX-XMD2-0126-SM-4YCDU 60-69 years, female 45.4
GTEX-12126-0326-SM-5PNW3 20-29 years, male 45.1
GTEX-147F4-0226-SM-5QGPW 50-59 years, male 44.8
GTEX-1C4CL-0526-SM-73KVK 30-39 years, male 44.4
GTEX-169BO-1326-SM-9MQK2 50-59 years, male 44.0
GTEX-1HR98-0126-SM-B2LWI 60-69 years, male 43.8
GTEX-16XZY-2126-SM-79OK1 70-79 years, male 43.3
GTEX-13O3Q-2426-SM-5IJBR 50-59 years, male 42.4
GTEX-14A6H-0126-SM-5QGPK 30-39 years, male 42.3
GTEX-1HSMP-0126-SM-E6CJS 70-79 years, male 42.1
GTEX-1LG7Y-0526-SM-DKPQC 50-59 years, male 42.1
GTEX-11ZUS-0626-SM-59885 30-39 years, male 41.9
GTEX-WH7G-2326-SM-3NMBC 40-49 years, male 41.8
GTEX-1OJC4-0126-SM-E9J2E 50-59 years, female 41.6
GTEX-1IKK5-0626-SM-ARL8A 60-69 years, male 41.3
GTEX-Y3I4-2126-SM-4TT7C 50-59 years, male 40.3
GTEX-1QP67-1626-SM-EAZ3X 40-49 years, female 39.8
GTEX-145MF-0626-SM-5LUAI 50-59 years, male 39.7
GTEX-1AX8Z-0126-SM-7DHM6 60-69 years, male 39.5
GTEX-1HB9E-0226-SM-E9U4R 50-59 years, male 39.3
GTEX-1N2DW-0226-SM-E9TK2 50-59 years, male 39.1
GTEX-15SDE-2226-SM-7IGLO 50-59 years, female 39.0
GTEX-1AMEY-1326-SM-73KYK 30-39 years, female 38.8
GTEX-QLQ7-1626-SM-2S1R8 60-69 years, male 38.2
GTEX-113IC-0126-SM-5HL6T 60-69 years, male 37.6
GTEX-V1D1-2226-SM-3NMAX 50-59 years, male 37.3
GTEX-139T4-0226-SM-5HL5S 50-59 years, female 37.1
GTEX-15SHW-0326-SM-6PAML 60-69 years, male 37.1
GTEX-11NUK-0126-SM-5A5L3 50-59 years, male 35.0
GTEX-144GN-2326-SM-5LU4F 50-59 years, male 34.2
GTEX-1R9PO-2126-SM-E9J4O 60-69 years, female 33.2
GTEX-1I1GP-2226-SM-CGQFK 50-59 years, male 32.2
GTEX-1AYCT-2426-SM-7IGQ3 50-59 years, male 26.3
GTEX-1R9K4-0126-SM-DTX9X 60-69 years, male 22.3
GTEX-1RAZQ-0726-SM-EAZ43 30-39 years, male 22.0
Show allShow less

Contact

  • NEWS ARTICLES
  • PRESS ROOM

The Project

  • INTRODUCTION
  • ORGANIZATION
  • PUBLICATIONS

The Human Protein Atlas

  • DOWNLOADABLE DATA
  • LICENCE & CITATION
  • HELP & FAQ
The Human Protein Atlas project is funded
by the Knut & Alice Wallenberg Foundation.


contact@proteinatlas.org